We use cookies to enhance the usability of our website. If you continue, we'll assume that you are happy to receive all cookies. More information. Don't show this again.
CMAS
HPA
RESOURCES
  • TISSUE
  • BRAIN
  • SINGLE CELL
  • SUBCELLULAR
  • CANCER
  • BLOOD
  • CELL LINE
  • STRUCTURE & INTERACTION
ABOUT
  • INTRODUCTION
  • HISTORY
  • ORGANIZATION
  • PUBLICATIONS
  • ANTIBODY SUBMISSION
  • ANTIBODY AVAILABILITY
  • ACKNOWLEDGMENTS
  • CONTACT
NEWS
  • NEWS ARTICLES
  • PRESS ROOM
LEARN
  • DICTIONARY
  • PROTEIN CLASSES
  • PROTEIN EVIDENCE
  • METHODS
  • EDUCATIONAL VIDEOS
DATA
  • DOWNLOADABLE DATA
  • PUBLICATION DATA
  • RELEASE HISTORY
HELP
  • ANTIBODY VALIDATION
  • ASSAYS & ANNOTATION
  • DISCLAIMER
  • HELP & FAQ
  • PRIVACY STATEMENT
  • LICENCE & CITATION
Fields »
Search result

Field
Term
Gene name
Class
Subclass
Class
Keyword
Chromosome
External id
Tissue
Cell type
Expression
Antibody panel
Tissue
Main location
Patient ID
Annotation
Tissue
Category
Tau score
Cluster
Reliability
Brain region
Category
Tau score
Brain region
Category
Tau score
Brain region
Category
Tau score
Cluster
Reliability
Tissue
Cell type
Enrichment
Cell type
Category
Tau score
Cell type
Category
Tau score
Cell type
Category
Tau score
Cell lineage
Category
Tau score
Cluster
Cluster
Location
Searches
Location
Cell line
Class
Type
Phase
Reliability
Cancer
Prognosis
Cancer
Category
Cancer
Category
Tau score
Cluster
Variants
Interacting gene (ensg_id)
Type
Number of interactions
Pathway
Category
Score
Score
Score
Validation
Validation
Validation
Validation
Antibodies
Data type
Column


  • SUMMARY

  • TISSUE

  • BRAIN

  • SINGLE CELL

  • SUBCELL

  • CANCER

  • BLOOD

  • CELL LINE

  • STRUCT & INT

  • CMAS
TISSUE PRIMARY DATA SKIN Show tissue menu
ADIPOSE TISSUE ADRENAL GLAND AMYGDALA APPENDIX BASAL GANGLIA BONE MARROW BREAST BRONCHUS CEREBELLUM CEREBRAL CORTEX CERVIX CHOROID PLEXUS COLON DUODENUM
ENDOMETRIUM EPIDIDYMIS ESOPHAGUS FALLOPIAN TUBE GALLBLADDER HEART MUSCLE HIPPOCAMPAL FORMATION HYPOTHALAMUS KIDNEY LIVER LUNG LYMPH NODE MIDBRAIN NASOPHARYNX
ORAL MUCOSA OVARY PANCREAS PARATHYROID GLAND PITUITARY GLAND PLACENTA PROSTATE RECTUM RETINA SALIVARY GLAND SEMINAL VESICLE SKELETAL MUSCLE SKIN SMALL INTESTINE
SMOOTH MUSCLE SOFT TISSUE SPINAL CORD SPLEEN STOMACH TESTIS THYMUS THYROID GLAND TONGUE TONSIL URINARY BLADDER VAGINA
ANTIBODIES
AND
VALIDATION
Dictionary
Skin
Tissue proteome
Skin
SKIN - Expression summary
Protein expression
Skini

On the top, protein expression in current human tissue, based on all annotated cell types, is reported with the units not detected (n), low (l), medium (m) and high (h). Underneath, protein expression in each annotated cell type are reported using the same units.

Protein expression data is based on knowledge-based annotation. For genes where more than one antibody has been used, a collective score is set.

If knowledge-based annotation could not be performed for a gene, no data is displayed here. View antibody staining data further down this page.

h
m
l
n
Arrector pili muscle cells: Medium
Cells in basal layer: Low
Cells in corneal layer: Not detected
Cells in granular layer: High
Cells in spinous layer: Medium
Eccrine glands: High
Endothelial cells: High
Extracellular matrix: Not detected
Fibrohistiocytic cells: Medium
Hair follicles: Not detected
Langerhans cells: Medium
Lymphocytes: Medium
Melanocytes: High
Vascular mural cells: Not detected
RNA expressioni

A summary of mRNA expression data available for current tissue based on several datasets. The mRNA expression levels in human tissues are based on RNA-seq data generated by the Human Protein Atlas (HPA), Genotype-Tissue Expression (GTEx) portal and CAGE data generated by the FANTOM5 consortium. Consensus normalized expression levels for human tissues was created by combining the data from HPA and GTEx datasets.

The mRNA expression levels in pig are based on RNA-seq data generated by the Human Protein Atlas (HPA), and for mouse, HPA data and in situ hybridization generated by the Allen brain atlas are reported.

Scroll down to view mRNA expression data in more detail.
Consensus:28.5 nTPM
HPA:28.5 nTPM
GTEx:22.2 nTPM

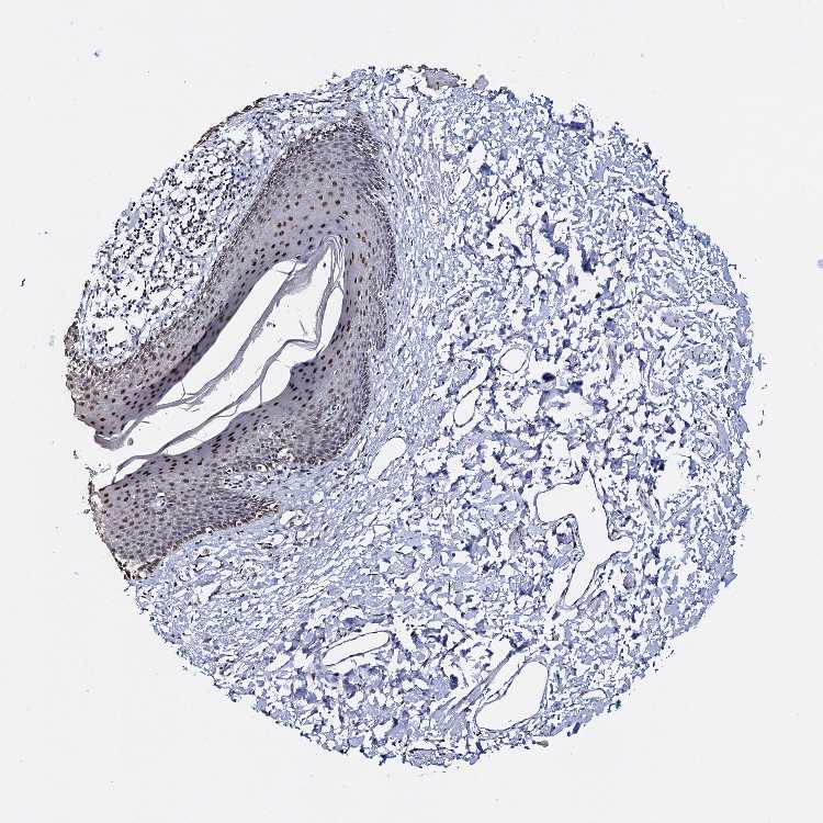
SKIN 1 - Antibody stainingi

Antibody staining in the annotated cell types in the current human tissue is reported as not detected, low, medium, or high, based on conventional immunohistochemistry profiling in selected tissues. This score is based on the combination of the staining intensity and fraction of stained cells.

Each image is clickable and will lead to virtual microscopy that enables deeper exploration of all samples and also displays staining intensity scores, fraction scores and subcellular localization as well as patient and tissue information for each sample.

Antibody HPA039905
Arrector pili muscle cells Medium
Cells in basal layer Low
Cells in corneal layer Not detected
Cells in granular layer High
Cells in spinous layer Medium
Eccrine glands High
Endothelial cells High
Extracellular matrix Not detected
Fibrohistiocytic cells Not detected
Hair follicles Not detected
Langerhans cells Medium
Lymphocytes Medium
Melanocytes High
Vascular mural cells Not detected


SKIN 2 - Antibody stainingi

Antibody staining in the annotated cell types in the current human tissue is reported as not detected, low, medium, or high, based on conventional immunohistochemistry profiling in selected tissues. This score is based on the combination of the staining intensity and fraction of stained cells.

Each image is clickable and will lead to virtual microscopy that enables deeper exploration of all samples and also displays staining intensity scores, fraction scores and subcellular localization as well as patient and tissue information for each sample.

Antibody HPA039905
Cells in basal layer Low
Cells in corneal layer Not detected
Cells in granular layer High
Cells in spinous layer Medium
Endothelial cells Medium
Extracellular matrix Not detected
Fibrohistiocytic cells Medium
Langerhans cells Medium
Lymphocytes Low
Melanocytes Medium
Vascular mural cells Not detected
 
 
 


SKIN - HPA RNA-seqi

The RNA-seq details section shows detailed information about the individual samples used for the transcript profiling and results of the RNA-seq analysis.

Information about each individual sample is listed below, including gender, age, a tissue section image and estimated fractions of cell types. nTPM (normalized transcripts per million) values give a quantification of the gene abundance which is comparable between different genes and samples.
Average nTPMi

Max subtype nTPM is the value for the subtype with the largest average nTPM across the subtype samples.

28.5
overview
Female, age 34
Skin sample 225
nTPM: 35
Cell types%
Keratinocytes:
60

Other cell types:
40

overview
Female, age 30
Skin sample 226
nTPM: 28.9
Cell types%
Keratinocytes:
55

Other cell types:
45

N/A
Male, age 57
Skin sample 227
nTPM: 21.7

SKIN - GTEx RNA-seqi

RNA-Seq data generated by the Genotype-Tissue Expression (GTEx) project from human tissues is reported as mean nTPM. More information can be found on the GTEx portal.

Distribution across the dataset is visualized with box plots, shown as median and 25th and 75th percentiles. Points are displayed as outliers if they are above or below 1.5 times the interquartile range. nTPM values of the individual samples are presented next to the box plot.
Max subtype nTPMi

Max subtype nTPM is the value for the subtype with the largest average nTPM across the subtype samples.

22.2
GTEx sample id Sample description nTPM
Skin - Not Sun Exposed (Suprapubic)
Average nTPM: 22.2
Samples: 604

Max nTPM: 36.4
Min nTPM: 12.2
Std nTPM: 4.3
Median nTPM: 21.9
GTEX-1GN1U-0626-SM-9MQL9 50-59 years, female 36.4
GTEX-YECK-0326-SM-4W1YS 60-69 years, male 36.3
GTEX-1S5ZU-2526-SM-E6CIF 20-29 years, female 36.2
GTEX-1QPFJ-1926-SM-EVYBD 30-39 years, female 35.7
GTEX-1H3VE-0726-SM-9YFL5 40-49 years, male 35.6
GTEX-18A67-1626-SM-7LT9T 50-59 years, male 35.4
GTEX-13NZ8-1226-SM-5KM4A 60-69 years, female 34.4
GTEX-144GL-0626-SM-5LU4D 50-59 years, male 34.0
GTEX-VJYA-1526-SM-3GIJV 60-69 years, male 33.8
GTEX-15RIE-1926-SM-7KUKJ 60-69 years, male 33.7
GTEX-15SKB-2826-SM-6PAMH 60-69 years, male 33.1
GTEX-1F6RS-2026-SM-7RHHC 60-69 years, female 32.5
GTEX-ZTTD-2826-SM-4YCFA 50-59 years, male 32.1
GTEX-13PDP-0726-SM-5L3HP 60-69 years, male 32.0
GTEX-ZE9C-2526-SM-5IJDR 60-69 years, male 31.8
GTEX-144GO-2026-SM-5O99P 60-69 years, male 31.7
GTEX-ZY6K-1426-SM-5GZX2 50-59 years, male 31.7
GTEX-1399Q-2326-SM-5KM2X 40-49 years, male 31.5
GTEX-148VJ-0626-SM-5LUAW 70-79 years, male 31.5
GTEX-ZPCL-1126-SM-4WWFE 60-69 years, female 31.5
GTEX-15DYW-2726-SM-6EU2I 60-69 years, female 31.4
GTEX-1LKK1-2626-SM-DKPQE 50-59 years, female 31.2
GTEX-13YAN-0226-SM-5TDC6 60-69 years, male 30.7
GTEX-17HHE-1326-SM-7EWDZ 50-59 years, male 30.7
GTEX-1J1OQ-0126-SM-D4P2N 40-49 years, female 30.6
GTEX-UPK5-0426-SM-3GAEK 40-49 years, male 30.5
GTEX-111VG-1626-SM-5EGIO 60-69 years, male 30.2
GTEX-144GM-0526-SM-79OJO 20-29 years, male 30.2
GTEX-1IKJJ-2226-SM-CJI4C 60-69 years, male 30.1
GTEX-V1D1-2026-SM-3GAF4 50-59 years, male 29.9
GTEX-14XAO-1226-SM-6EU1C 60-69 years, female 29.8
GTEX-1JMQL-2226-SM-CNPP4 50-59 years, female 29.8
GTEX-1269C-0126-SM-5EQ5L 60-69 years, female 29.7
GTEX-ZYVF-0926-SM-5E44J 50-59 years, female 29.5
GTEX-13O3O-2326-SM-5IJD6 60-69 years, female 29.4
GTEX-145MI-0626-SM-5SI8S 60-69 years, female 29.4
GTEX-15UF6-1926-SM-7KUDV 70-79 years, female 29.4
GTEX-1117F-2926-SM-5GZYI 60-69 years, female 29.3
GTEX-139UW-0326-SM-5J1ML 60-69 years, male 29.3
GTEX-1J8Q2-2626-SM-ACKWQ 60-69 years, male 29.3
GTEX-1PBJJ-1026-SM-E76OS 30-39 years, male 29.3
GTEX-1GN1V-2826-SM-9JGIA 60-69 years, male 29.1
GTEX-1F48J-0726-SM-7RHGS 50-59 years, female 29.0
GTEX-13N1W-2426-SM-5IJD1 70-79 years, male 28.9
GTEX-15RJE-2826-SM-7KUM9 40-49 years, male 28.8
GTEX-1HCU7-0726-SM-A9SL1 50-59 years, male 28.7
GTEX-13N11-2326-SM-5IJBF 50-59 years, female 28.4
GTEX-15EO6-2426-SM-6PALZ 50-59 years, male 28.3
GTEX-Y5V6-2326-SM-4VDSA 60-69 years, male 28.3
GTEX-1I1GP-1326-SM-A9G28 50-59 years, male 28.3
GTEX-1RLM8-2926-SM-E8VON 50-59 years, male 28.3
GTEX-15CHC-1126-SM-6LLHQ 60-69 years, female 28.2
GTEX-ZVE1-0726-SM-51MRN 50-59 years, female 28.2
GTEX-1H3O1-1326-SM-9MQLD 60-69 years, male 28.2
GTEX-1PIGE-1826-SM-E8VOU 20-29 years, male 28.2
GTEX-14ICL-1626-SM-5YYAO 30-39 years, male 28.0
GTEX-14LLW-2626-SM-62LDZ 70-79 years, female 27.9
GTEX-1CB4H-1126-SM-7MKGL 60-69 years, female 27.9
GTEX-1LB8K-0726-SM-D5OV2 50-59 years, male 27.9
GTEX-YEC4-1826-SM-4W1YP 40-49 years, male 27.8
GTEX-ZF29-0926-SM-4WKFZ 60-69 years, female 27.8
GTEX-ZVE2-2826-SM-5GU51 50-59 years, male 27.8
GTEX-12WSM-1926-SM-5BC65 60-69 years, male 27.7
GTEX-1C6VQ-1226-SM-73KYD 50-59 years, male 27.6
GTEX-17MFQ-1526-SM-7KFRR 20-29 years, male 27.5
GTEX-1E2YA-2126-SM-7MXUO 50-59 years, male 27.5
GTEX-1HSKV-1226-SM-ADEI4 60-69 years, male 27.5
GTEX-1O9I2-0226-SM-EYYXD 50-59 years, male 27.5
GTEX-13FTY-2126-SM-5IFFB 40-49 years, female 27.4
GTEX-16XZZ-0726-SM-7KUF2 60-69 years, male 27.4
GTEX-ZF2S-1626-SM-57WES 50-59 years, female 27.4
GTEX-ZVZP-1226-SM-5GID7 50-59 years, male 27.4
GTEX-14C5O-0326-SM-5ZZUX 60-69 years, male 27.3
GTEX-ZYY3-2926-SM-5GIEB 60-69 years, female 27.2
GTEX-1RAZA-2226-SM-E9U4X 20-29 years, male 27.2
GTEX-1H4P4-2126-SM-9WYSL 50-59 years, male 27.1
GTEX-1HBPM-0726-SM-9YFL7 60-69 years, female 27.1
GTEX-1HCVE-2726-SM-CL54F 50-59 years, male 27.1
GTEX-1KXAM-1626-SM-D3LAD 60-69 years, male 27.1
GTEX-145MH-2826-SM-5RQJF 50-59 years, male 27.0
GTEX-ZT9X-1526-SM-5DUXD 40-49 years, male 27.0
GTEX-ZVT4-2426-SM-5GIEI 50-59 years, female 27.0
GTEX-1313W-0626-SM-5EQ4H 50-59 years, female 26.9
GTEX-1C6WA-2626-SM-7MKGM 60-69 years, male 26.9
GTEX-1B8L1-2226-SM-7P8PT 60-69 years, male 26.9
GTEX-111YS-1526-SM-5GZYW 60-69 years, male 26.8
GTEX-11GSP-2326-SM-5HL63 60-69 years, female 26.8
GTEX-1KWVE-1026-SM-D3L9O 30-39 years, male 26.8
GTEX-144FL-0626-SM-5LU43 50-59 years, male 26.7
GTEX-16NPX-0726-SM-7KULC 50-59 years, male 26.7
GTEX-ZYT6-2326-SM-5GZY3 30-39 years, male 26.7
GTEX-18D9A-1426-SM-7LT8M 30-39 years, female 26.7
GTEX-12WSL-2026-SM-5GCML 50-59 years, male 26.5
GTEX-139T8-0626-SM-5KLZX 60-69 years, male 26.5
GTEX-1A3MW-0626-SM-731CB 60-69 years, female 26.5
GTEX-ZDTT-0426-SM-4WKFL 60-69 years, male 26.5
GTEX-1122O-1026-SM-9WYSF 60-69 years, female 26.5
GTEX-1H2FU-0926-SM-9WPPT 60-69 years, female 26.5
GTEX-1HT8W-0626-SM-A9G2H 30-39 years, male 26.5
GTEX-11LCK-2226-SM-5HL4Q 30-39 years, male 26.4
GTEX-14A6H-2026-SM-5Q5DD 30-39 years, male 26.4
GTEX-1399S-0126-SM-5IJCF 30-39 years, female 26.3
GTEX-13NYC-0126-SM-5L3F4 60-69 years, male 26.3
GTEX-1A8FM-0626-SM-7PC25 50-59 years, female 26.3
GTEX-17EVP-2626-SM-7IGMA 40-49 years, male 26.2
GTEX-1F75B-0726-SM-7PC3R 50-59 years, male 26.2
GTEX-1LG7Y-2526-SM-EWRO7 50-59 years, male 26.2
GTEX-12ZZZ-0726-SM-5GCNZ 60-69 years, male 26.1
GTEX-14LZ3-0126-SM-69LPM 60-69 years, female 26.1
GTEX-1C6VR-0126-SM-7RHGB 60-69 years, male 26.1
GTEX-1PPH8-0126-SM-EWRN8 20-29 years, male 26.1
GTEX-12WSK-2126-SM-5CVNC 40-49 years, female 26.0
GTEX-13SLW-0626-SM-5Q5ER 70-79 years, male 26.0
GTEX-17F9Y-0126-SM-79OKX 70-79 years, female 26.0
GTEX-XMD2-2126-SM-4YCF8 60-69 years, female 26.0
GTEX-ZXG5-2126-SM-59HKD 60-69 years, male 26.0
GTEX-1LGRB-0926-SM-COH3K 50-59 years, female 25.9
GTEX-Z93S-1626-SM-5CVMB 50-59 years, male 25.8
GTEX-ZZPU-0826-SM-5GZX5 50-59 years, female 25.8
GTEX-16YQH-2226-SM-7IGM2 30-39 years, male 25.7
GTEX-1JMPZ-0726-SM-CY8HZ 30-39 years, male 25.7
GTEX-145MF-0926-SM-5Q5EA 50-59 years, male 25.6
GTEX-ZE7O-2726-SM-51MT5 50-59 years, female 25.6
GTEX-1F5PL-0926-SM-7PC2W 40-49 years, female 25.6
GTEX-13112-0126-SM-5P9IU 50-59 years, male 25.5
GTEX-183WM-0326-SM-72D5V 70-79 years, female 25.5
GTEX-18A6Q-0626-SM-7KFRP 60-69 years, male 25.5
GTEX-ZVT2-0126-SM-5GIDQ 50-59 years, female 25.5
GTEX-1IDJU-1726-SM-CMKHU 60-69 years, female 25.5
GTEX-11DXX-2126-SM-5PNYR 60-69 years, female 25.4
GTEX-13X6I-1826-SM-5SIAO 60-69 years, male 25.4
GTEX-178AV-1726-SM-7KUL8 40-49 years, male 25.4
GTEX-1B932-2326-SM-79OL5 40-49 years, female 25.4
GTEX-WHSB-1326-SM-3LK6W 50-59 years, male 25.4
GTEX-ZWKS-0626-SM-5GIDV 30-39 years, male 25.4
GTEX-1GF9X-1326-SM-7PC2Y 40-49 years, female 25.4
GTEX-16MT9-0126-SM-7EPI8 60-69 years, female 25.3
GTEX-1HB9E-0126-SM-CM2S5 50-59 years, male 25.3
GTEX-1GMR8-0626-SM-7RHI7 50-59 years, female 25.2
GTEX-1KANB-2826-SM-CY8I6 50-59 years, male 25.2
GTEX-13OVH-0526-SM-5L3E6 70-79 years, male 25.1
GTEX-13X6J-0626-SM-5LU5F 50-59 years, male 25.1
GTEX-14E6C-2426-SM-5S2NF 40-49 years, male 25.1
GTEX-XAJ8-1426-SM-47JYM 40-49 years, male 25.1
GTEX-1H1ZS-2726-SM-9WG75 70-79 years, male 25.1
GTEX-1I1CD-0626-SM-CE6SW 60-69 years, female 25.1
GTEX-1R46S-2426-SM-E76QA 60-69 years, female 25.1
GTEX-14B4R-1326-SM-5Q5EZ 30-39 years, male 25.0
GTEX-14C38-0726-SM-5SI6M 50-59 years, male 25.0
GTEX-14JG1-1526-SM-5YY9X 40-49 years, male 25.0
GTEX-1C2JI-1026-SM-73KY1 50-59 years, male 25.0
GTEX-ZP4G-1426-SM-4WWCL 20-29 years, female 25.0
GTEX-1H1DG-2426-SM-9QEHJ 70-79 years, male 25.0
GTEX-1K2DU-1226-SM-CYPT4 20-29 years, male 25.0
GTEX-1399U-1126-SM-5L3DB 50-59 years, female 24.9
GTEX-13FTW-0326-SM-5K7UW 40-49 years, male 24.9
GTEX-1R7EU-1626-SM-DTXG3 60-69 years, male 24.9
GTEX-15ER7-0626-SM-6PANF 20-29 years, female 24.7
GTEX-17MF6-2626-SM-79OKQ 40-49 years, male 24.7
GTEX-1GN2E-0226-SM-9WG6K 60-69 years, male 24.7
GTEX-12696-0126-SM-5EQ4L 60-69 years, male 24.6
GTEX-13OVJ-0826-SM-5J1OK 50-59 years, female 24.6
GTEX-1OJC4-2726-SM-E76PJ 50-59 years, female 24.6
GTEX-13NYB-0126-SM-5J1MD 40-49 years, male 24.5
GTEX-1JKYR-0626-SM-ARL8R 20-29 years, male 24.5
GTEX-13IVO-0726-SM-5LZYV 70-79 years, male 24.4
GTEX-14PKU-0126-SM-6LLHV 40-49 years, female 24.4
GTEX-XV7Q-1826-SM-4BRUV 40-49 years, female 24.4
GTEX-1GF9V-0826-SM-9KNUV 60-69 years, male 24.4
GTEX-1HR9M-2226-SM-CNPPY 60-69 years, male 24.4
GTEX-1I1GU-0926-SM-ACKVS 40-49 years, male 24.4
GTEX-1PPH7-1126-SM-DTX9A 40-49 years, male 24.4
GTEX-11UD2-2526-SM-5CVNU 50-59 years, male 24.3
GTEX-133LE-2326-SM-5K7W3 20-29 years, female 24.3
GTEX-13OW8-1026-SM-5J1NQ 60-69 years, male 24.3
GTEX-13X6K-0626-SM-5LU5D 60-69 years, female 24.3
GTEX-14PJ4-0226-SM-5YY92 60-69 years, male 24.3
GTEX-WK11-2726-SM-3NMAQ 50-59 years, male 24.3
GTEX-1JJ6O-2726-SM-CNPOG 60-69 years, male 24.3
GTEX-1MJK3-0726-SM-E6CJC 20-29 years, male 24.3
GTEX-1S3DN-2126-SM-E9TIN 50-59 years, male 24.3
GTEX-12WSC-2826-SM-5BC5Y 50-59 years, male 24.1
GTEX-13SLX-2226-SM-62LEP 50-59 years, female 24.1
GTEX-1GMR3-0126-SM-A9SLW 40-49 years, male 24.1
GTEX-1R9PM-1926-SM-EVR3O 20-29 years, male 24.1
GTEX-17HII-1426-SM-7EPGG 50-59 years, male 24.0
GTEX-1AMFI-1326-SM-7939R 50-59 years, female 24.0
GTEX-1EKGG-0626-SM-7DUGJ 60-69 years, male 24.0
GTEX-1HBPI-2126-SM-ARL9K 50-59 years, male 24.0
GTEX-11DXY-0126-SM-5H11Q 60-69 years, male 23.9
GTEX-13FHO-0426-SM-5L3F5 60-69 years, male 23.9
GTEX-147F4-0726-SM-5TDDD 50-59 years, male 23.9
GTEX-1GN73-0726-SM-7P8TJ 60-69 years, male 23.9
GTEX-1I1HK-2326-SM-CKZOH 60-69 years, male 23.9
GTEX-1314G-1326-SM-5BC6E 30-39 years, male 23.8
GTEX-145LS-0626-SM-7EPG7 60-69 years, female 23.8
GTEX-16BQI-1326-SM-6M486 30-39 years, female 23.8
GTEX-Y5LM-0926-SM-6LLJG 40-49 years, female 23.8
GTEX-1BAJH-2426-SM-7IGP8 70-79 years, male 23.7
GTEX-1IDJH-0126-SM-D3L92 70-79 years, male 23.7
GTEX-1J8QM-2426-SM-A9SLS 60-69 years, female 23.7
GTEX-1LVA9-2626-SM-EVYD4 50-59 years, male 23.7
GTEX-ZLV1-1526-SM-DO91J 60-69 years, female 23.7
GTEX-11P81-2226-SM-5PNYI 30-39 years, female 23.6
GTEX-13OW7-0426-SM-5K7VK 50-59 years, male 23.6
GTEX-15SHW-0226-SM-7LTAT 60-69 years, male 23.6
GTEX-17KNJ-2126-SM-718AM 50-59 years, male 23.6
GTEX-18465-2826-SM-7LT9J 50-59 years, male 23.6
GTEX-1B8KZ-0326-SM-73KY4 50-59 years, male 23.6
GTEX-1E1VI-0326-SM-793D1 50-59 years, male 23.6
GTEX-1192X-2726-SM-5N9DN 50-59 years, male 23.5
GTEX-14E1K-2026-SM-7DUEI 50-59 years, male 23.5
GTEX-ZDYS-2426-SM-4WKGI 50-59 years, male 23.5
GTEX-1CB4J-1326-SM-7P8RX 60-69 years, male 23.5
GTEX-1ICLY-0826-SM-CMKG1 50-59 years, male 23.5
GTEX-14753-0726-SM-5QGQO 60-69 years, male 23.4
GTEX-15RIG-0726-SM-7KUM7 40-49 years, male 23.4
GTEX-1A8G7-1326-SM-73KVM 60-69 years, male 23.4
GTEX-WH7G-2026-SM-3NMBL 40-49 years, male 23.4
GTEX-ZYW4-0626-SM-59HJR 60-69 years, male 23.4
GTEX-1GF9W-1426-SM-7PBYM 60-69 years, male 23.4
GTEX-11TUW-0626-SM-5LU9M 60-69 years, male 23.3
GTEX-X4EO-2926-SM-4E3JH 60-69 years, female 23.3
GTEX-1JMOU-1026-SM-CYPSS 60-69 years, female 23.3
GTEX-1QMI2-2526-SM-E8VNZ 60-69 years, male 23.3
GTEX-YEC3-1326-SM-DO92X 50-59 years, male 23.3
GTEX-11ZUS-2626-SM-5FQUR 30-39 years, male 23.2
GTEX-139D8-1126-SM-5LU8W 30-39 years, female 23.2
GTEX-145MG-1526-SM-5Q5EM 50-59 years, male 23.2
GTEX-WYBS-0626-SM-3NMAS 60-69 years, female 23.2
GTEX-11DZ1-2426-SM-5GZZX 50-59 years, male 23.1
GTEX-11EQ8-0926-SM-5H12V 60-69 years, male 23.1
GTEX-14ABY-2026-SM-62LDL 50-59 years, male 23.1
GTEX-14BMV-2826-SM-5TDED 50-59 years, male 23.1
GTEX-14JFF-0626-SM-5ZZVT 60-69 years, male 23.1
GTEX-1A3MX-2626-SM-7PC24 60-69 years, male 23.1
GTEX-1I1GS-2626-SM-B2LY3 60-69 years, male 23.1
GTEX-1I1GT-1026-SM-ARZLV 60-69 years, female 23.1
GTEX-1J8Q3-0526-SM-ARL8U 60-69 years, male 23.1
GTEX-1N2EE-0626-SM-E76PW 60-69 years, male 23.1
GTEX-1PPGY-1626-SM-EVYBL 60-69 years, male 23.1
GTEX-11VI4-1126-SM-5EQMD 40-49 years, female 23.0
GTEX-131YS-2826-SM-5EQ47 60-69 years, female 23.0
GTEX-13QJC-0126-SM-5ZZWJ 60-69 years, female 23.0
GTEX-14PHX-2226-SM-6EU2P 50-59 years, male 23.0
GTEX-14PJN-1826-SM-6AJ98 30-39 years, male 23.0
GTEX-183FY-1026-SM-7939A 20-29 years, male 23.0
GTEX-1RAZQ-1326-SM-E9TK6 30-39 years, male 23.0
GTEX-13NYS-0626-SM-5L3F1 60-69 years, male 22.9
GTEX-13PVR-0426-SM-5RQK2 60-69 years, female 22.9
GTEX-1B8SF-0126-SM-7DUG3 60-69 years, male 22.9
GTEX-1LG7Z-1626-SM-CXKYR 30-39 years, male 22.9
GTEX-1LSNL-2726-SM-E9TKJ 50-59 years, male 22.9
GTEX-1POEN-2326-SM-E9J2L 30-39 years, female 22.9
GTEX-12WSA-0426-SM-5EQ5X 60-69 years, male 22.8
GTEX-13FLV-0126-SM-5K7WT 50-59 years, male 22.8
GTEX-15G19-2426-SM-7KUMR 60-69 years, male 22.8
GTEX-1HBPN-0126-SM-CGQEF 50-59 years, male 22.8
GTEX-1ICG6-1226-SM-A9SLN 70-79 years, female 22.8
GTEX-12ZZX-2426-SM-5GCOE 40-49 years, female 22.7
GTEX-147JS-0226-SM-5S2U9 60-69 years, male 22.7
GTEX-1A8G6-2726-SM-731AR 60-69 years, male 22.7
GTEX-YB5K-2026-SM-4VDT3 40-49 years, female 22.7
GTEX-1IOXB-2726-SM-CM2RI 50-59 years, male 22.7
GTEX-1QEPI-2626-SM-DTXF4 60-69 years, female 22.7
GTEX-ZF3C-0626-SM-DO92O 50-59 years, female 22.7
GTEX-147GR-2426-SM-5ZZWQ 60-69 years, male 22.6
GTEX-Y9LG-1126-SM-4VBQ7 30-39 years, male 22.6
GTEX-1J8EW-2726-SM-CY8HR 60-69 years, female 22.6
GTEX-1JMQJ-0826-SM-CNPP7 50-59 years, male 22.6
GTEX-12ZZY-0726-SM-5EQ66 60-69 years, male 22.5
GTEX-14PJ2-0626-SM-6LLII 50-59 years, male 22.5
GTEX-ZLFU-1826-SM-4WWBV 40-49 years, male 22.5
GTEX-1HSMP-0926-SM-A9SKX 70-79 years, male 22.5
GTEX-1QCLY-0226-SM-EWRNH 30-39 years, male 22.5
GTEX-12WSD-0626-SM-5GCMW 60-69 years, female 22.4
GTEX-12WSH-1526-SM-5BC5W 50-59 years, male 22.4
GTEX-1EH9U-2826-SM-7DUGT 60-69 years, male 22.4
GTEX-VUSG-2326-SM-4KL1U 50-59 years, male 22.4
GTEX-1HR98-2226-SM-ADEI2 60-69 years, male 22.4
GTEX-1JMPY-0226-SM-CKZOK 30-39 years, male 22.4
GTEX-YJ8O-2526-SM-5HL85 40-49 years, female 22.3
GTEX-1I1GV-0626-SM-ARL7M 60-69 years, male 22.3
GTEX-14A5H-0826-SM-5QGPJ 60-69 years, male 22.2
GTEX-1GZ4I-2626-SM-9KNU3 50-59 years, male 22.2
GTEX-1JJE9-2626-SM-ARZMT 70-79 years, male 22.2
GTEX-14C39-1726-SM-5RQIL 40-49 years, male 22.1
GTEX-YF7O-1526-SM-5IFI6 50-59 years, male 22.1
GTEX-1IDJI-0126-SM-CMKHS 50-59 years, female 22.1
GTEX-1NV5F-0626-SM-DTXEG 60-69 years, female 22.1
GTEX-12584-0726-SM-5FQTK 40-49 years, male 22.0
GTEX-13D11-0926-SM-5J2NC 50-59 years, female 22.0
GTEX-13VXU-0626-SM-5L3F9 50-59 years, male 22.0
GTEX-145MO-2826-SM-5LU96 60-69 years, male 22.0
GTEX-XBEC-0726-SM-4QARZ 50-59 years, male 22.0
GTEX-1H11D-1826-SM-9QEHM 40-49 years, male 22.0
GTEX-1HSMO-0626-SM-ACKXC 60-69 years, male 22.0
GTEX-1JK1U-0226-SM-ARZMX 60-69 years, male 22.0
GTEX-1LSVX-2526-SM-DIPEU 60-69 years, male 22.0
GTEX-ZGAY-1826-SM-DO91Q 40-49 years, female 22.0
GTEX-11WQK-1026-SM-5EQLX 50-59 years, male 21.9
GTEX-13RTJ-0126-SM-5S2NN 60-69 years, male 21.9
GTEX-14BIN-1126-SM-5RQJZ 50-59 years, female 21.9
GTEX-1GPI6-1926-SM-9KNV7 60-69 years, male 21.9
GTEX-1HC8U-1326-SM-9YFMJ 40-49 years, female 21.9
GTEX-12KS4-2126-SM-5FQUT 30-39 years, male 21.8
GTEX-13PL6-1126-SM-5L3IE 40-49 years, female 21.8
GTEX-ZYFC-0426-SM-5GICQ 50-59 years, male 21.8
GTEX-1GL5R-1326-SM-7RHHF 50-59 years, male 21.8
GTEX-1IDJV-0126-SM-COH3Y 60-69 years, male 21.8
GTEX-1QP2A-1726-SM-E76QC 50-59 years, male 21.8
GTEX-1QW4Y-1126-SM-DTXE3 30-39 years, male 21.8
GTEX-11EQ9-1626-SM-5PNY8 30-39 years, male 21.7
GTEX-14PJ6-2626-SM-6EU2T 60-69 years, female 21.7
GTEX-1C64N-2626-SM-7PC2N 50-59 years, male 21.7
GTEX-1CAMS-2226-SM-7PBXQ 40-49 years, female 21.7
GTEX-1CB4I-0126-SM-7RHGG 50-59 years, male 21.7
GTEX-1B933-2426-SM-7DHMD 50-59 years, female 21.6
GTEX-139TT-2126-SM-5LZWC 60-69 years, male 21.5
GTEX-ZLWG-0826-SM-59888 50-59 years, female 21.5
GTEX-131XF-2626-SM-5EQ6K 60-69 years, male 21.4
GTEX-145LU-1926-SM-79OJN 50-59 years, male 21.4
GTEX-14PII-0726-SM-6EU2B 60-69 years, male 21.4
GTEX-131XG-0326-SM-5L3DX 50-59 years, female 21.3
GTEX-1F5PK-2226-SM-7SB6N 50-59 years, male 21.3
GTEX-13G51-1826-SM-5KLZH 60-69 years, male 21.2
GTEX-145ME-1726-SM-5Q5EU 40-49 years, female 21.2
GTEX-15G1A-1626-SM-7KUKN 30-39 years, male 21.2
GTEX-17F97-2626-SM-7IGM5 50-59 years, male 21.2
GTEX-1GMRU-2126-SM-7P8RA 50-59 years, male 21.2
GTEX-1J1R8-2026-SM-CL53Y 40-49 years, male 21.2
GTEX-11ZU8-0126-SM-5EQ58 60-69 years, male 21.1
GTEX-131XW-0626-SM-5PNVD 50-59 years, female 21.1
GTEX-16MT8-2926-SM-7DUFO 60-69 years, female 21.1
GTEX-1A3MV-1826-SM-731CD 30-39 years, male 21.1
GTEX-1F52S-2926-SM-7MKGA 60-69 years, female 21.1
GTEX-1QAET-0326-SM-EVR3U 50-59 years, male 21.1
GTEX-111CU-1126-SM-5EGIM 50-59 years, male 21.0
GTEX-11TT1-1826-SM-5EQLV 20-29 years, male 21.0
GTEX-13OVG-1626-SM-5J1NF 60-69 years, male 21.0
GTEX-13OW6-2726-SM-5J2OE 50-59 years, male 21.0
GTEX-18A7B-2726-SM-7LG56 70-79 years, male 21.0
GTEX-ZZ64-1026-SM-5GZXG 20-29 years, male 21.0
GTEX-11ZTT-2126-SM-5CVLO 60-69 years, female 20.9
GTEX-145LT-0526-SM-5LUB2 40-49 years, male 20.9
GTEX-XBED-1926-SM-47JYP 60-69 years, male 20.9
GTEX-1HUB1-1426-SM-CGQF5 60-69 years, male 20.9
GTEX-1KD5A-0126-SM-E9U54 50-59 years, male 20.9
GTEX-16Z82-2626-SM-7KULU 60-69 years, male 20.8
GTEX-XPVG-2126-SM-4B667 50-59 years, male 20.8
GTEX-1F88E-1626-SM-7SB8Z 60-69 years, female 20.8
GTEX-1GZHY-0626-SM-9KNVC 50-59 years, female 20.8
GTEX-1HFI7-2326-SM-CGQFS 50-59 years, female 20.8
GTEX-1I6K7-1926-SM-B2LXR 40-49 years, male 20.8
GTEX-1IE54-1126-SM-A9G2Z 40-49 years, female 20.8
GTEX-1JN6P-2926-SM-CL54D 60-69 years, male 20.8
GTEX-1L5NE-1126-SM-D3L9P 50-59 years, male 20.8
GTEX-1LVAM-0726-SM-E6CIL 50-59 years, female 20.8
GTEX-1S82P-2126-SM-E6CI5 60-69 years, female 20.8
GTEX-14DAR-1226-SM-73KYV 50-59 years, male 20.7
GTEX-14PJ3-1126-SM-5ZZVX 50-59 years, male 20.7
GTEX-17HHY-0426-SM-7DHLC 50-59 years, male 20.7
GTEX-1GPI7-1826-SM-9KNU1 20-29 years, male 20.7
GTEX-1QP66-1226-SM-DTX7U 50-59 years, male 20.7
GTEX-1212Z-0126-SM-59HK4 60-69 years, male 20.6
GTEX-13JUV-2026-SM-5K7UA 40-49 years, female 20.6
GTEX-15D1Q-2826-SM-6LLH7 40-49 years, male 20.6
GTEX-17F98-1326-SM-7DUEP 40-49 years, female 20.6
GTEX-1B8KE-1126-SM-7EPHI 50-59 years, male 20.6
GTEX-WY7C-2126-SM-3NB2R 50-59 years, male 20.6
GTEX-1HSGN-0826-SM-ACKW3 40-49 years, female 20.6
GTEX-1NSGN-0726-SM-DTXEF 50-59 years, male 20.6
GTEX-12C56-1526-SM-5FQUQ 20-29 years, male 20.5
GTEX-139TS-2126-SM-5K7XC 60-69 years, male 20.5
GTEX-WYJK-0526-SM-3NM8Z 50-59 years, male 20.5
GTEX-X4EP-0626-SM-3P621 60-69 years, female 20.4
GTEX-X8HC-0626-SM-4E3HQ 50-59 years, female 20.4
GTEX-1I19N-0126-SM-CYPSF 70-79 years, male 20.4
GTEX-1JJEA-1826-SM-ARU8P 60-69 years, male 20.4
GTEX-1M4P7-0726-SM-E6CJ3 60-69 years, male 20.4
GTEX-1RAZS-2526-SM-E6CHT 50-59 years, male 20.4
GTEX-1S83E-1326-SM-E6CJM 40-49 years, male 20.4
GTEX-11P7K-1126-SM-5HL4L 30-39 years, male 20.3
GTEX-14PHY-1226-SM-5ZZWK 60-69 years, female 20.3
GTEX-15DDE-2926-SM-6LLJ3 50-59 years, female 20.3
GTEX-U8XE-0226-SM-4E3J3 30-39 years, male 20.3
GTEX-ZC5H-1526-SM-5HL9Y 40-49 years, female 20.3
GTEX-1EU9M-1426-SM-793AI 60-69 years, male 20.2
GTEX-1CAMQ-1326-SM-7P8RV 40-49 years, male 20.2
GTEX-1HCU6-2526-SM-ADEHL 60-69 years, female 20.2
GTEX-1IDJC-1526-SM-B2LW4 50-59 years, male 20.1
GTEX-1JN76-0626-SM-CKZOQ 20-29 years, female 20.1
GTEX-1K9T9-1526-SM-DIPFR 50-59 years, female 20.1
GTEX-1N5O9-0926-SM-E9J3C 60-69 years, male 20.1
GTEX-13N2G-0226-SM-5K7VF 60-69 years, male 20.0
GTEX-146FQ-2126-SM-5RQHU 30-39 years, male 20.0
GTEX-1B996-0426-SM-7EWF8 60-69 years, male 20.0
GTEX-WHWD-1826-SM-3LK6I 50-59 years, male 20.0
GTEX-1F88F-0126-SM-9WYSZ 60-69 years, female 20.0
GTEX-1I6K6-1726-SM-CGQFD 30-39 years, male 20.0
GTEX-1R9PN-0426-SM-DTXDT 40-49 years, female 20.0
GTEX-14PJ5-1526-SM-6LLIL 60-69 years, female 19.8
GTEX-Y8E4-2026-SM-5IFJB 40-49 years, male 19.8
GTEX-ZAJG-1526-SM-5CVML 50-59 years, female 19.8
GTEX-1F75A-0726-SM-7RHHD 50-59 years, male 19.8
GTEX-1GF9U-2026-SM-7SB92 40-49 years, female 19.8
GTEX-1JN1M-2726-SM-CY8I4 60-69 years, female 19.8
GTEX-1PDJ9-1226-SM-EXUSX 20-29 years, male 19.8
GTEX-1QP28-1126-SM-EVYC4 50-59 years, female 19.8
GTEX-12126-0826-SM-5FQTZ 20-29 years, male 19.7
GTEX-13OVL-0126-SM-5L3GJ 50-59 years, male 19.7
GTEX-14DAQ-0626-SM-793DS 60-69 years, female 19.7
GTEX-15FZZ-0526-SM-7KUGD 30-39 years, female 19.7
GTEX-1EN7A-2426-SM-793DB 40-49 years, male 19.7
GTEX-ZAB4-2126-SM-5HL8U 40-49 years, male 19.7
GTEX-1H23P-0626-SM-9WG6T 60-69 years, male 19.7
GTEX-1IDJD-2326-SM-ACKWX 30-39 years, male 19.7
GTEX-13NZ9-2626-SM-5L3FK 50-59 years, male 19.6
GTEX-15EU6-2226-SM-6EU2L 50-59 years, male 19.6
GTEX-1AX9I-2226-SM-73KUO 60-69 years, male 19.6
GTEX-1IDJF-2026-SM-CL53V 20-29 years, male 19.6
GTEX-1KANC-1226-SM-CYPT7 50-59 years, female 19.6
GTEX-11O72-0626-SM-5PNYE 40-49 years, male 19.5
GTEX-13FTX-1526-SM-5K7VJ 20-29 years, female 19.5
GTEX-13QBU-1226-SM-5LU4G 40-49 years, female 19.5
GTEX-17JCI-2926-SM-7DUFF 60-69 years, female 19.5
GTEX-1B97I-0626-SM-73KUZ 40-49 years, male 19.5
GTEX-1CB4E-0926-SM-7EPHT 60-69 years, male 19.5
GTEX-WXYG-2026-SM-4E3IY 50-59 years, female 19.5
GTEX-XOT4-0626-SM-4B66L 60-69 years, female 19.5
GTEX-YFCO-1226-SM-5LUAT 40-49 years, male 19.5
GTEX-1EMGI-2326-SM-7PBYA 60-69 years, male 19.5
GTEX-1HCU9-0426-SM-9WYSD 20-29 years, male 19.5
GTEX-1JMQK-1226-SM-D4P2S 60-69 years, male 19.5
GTEX-11GS4-0226-SM-5HL77 60-69 years, male 19.4
GTEX-131XH-0126-SM-5LZUY 50-59 years, male 19.4
GTEX-1477Z-0326-SM-7IGLA 60-69 years, male 19.4
GTEX-16MTA-0926-SM-6M47Z 50-59 years, male 19.4
GTEX-17HG3-2626-SM-7DUF2 30-39 years, female 19.4
GTEX-1AX9J-1326-SM-731BJ 60-69 years, male 19.4
GTEX-1IDJE-1426-SM-ADEIW 50-59 years, female 19.4
GTEX-1J8JJ-0626-SM-ARZMQ 60-69 years, female 19.4
GTEX-1PIIG-2326-SM-DTXFR 30-39 years, male 19.4
GTEX-13PVQ-0626-SM-5LU47 50-59 years, male 19.3
GTEX-ZDTS-0826-SM-4WKHL 60-69 years, male 19.3
GTEX-ZYFD-0626-SM-5E44E 50-59 years, male 19.3
GTEX-1H1DF-1126-SM-9WG7G 40-49 years, female 19.3
GTEX-1LVAN-0626-SM-CNPOQ 50-59 years, female 19.3
GTEX-13FH7-1126-SM-5K7UG 50-59 years, female 19.2
GTEX-ZVP2-0326-SM-57WBP 50-59 years, male 19.2
GTEX-1CAMR-1326-SM-7PC1F 20-29 years, male 19.2
GTEX-1F75W-2726-SM-7SB8H 60-69 years, male 19.2
GTEX-12BJ1-0926-SM-5EQ62 60-69 years, male 19.0
GTEX-UPJH-0226-SM-3GADV 50-59 years, male 19.0
GTEX-11NUK-2726-SM-5A5MC 50-59 years, male 18.9
GTEX-16GPK-0626-SM-7KFSF 60-69 years, male 18.9
GTEX-13JVG-0726-SM-5KM16 60-69 years, male 18.8
GTEX-W5X1-2526-SM-3GILC 40-49 years, female 18.8
GTEX-Y3I4-1726-SM-4TT89 50-59 years, male 18.8
GTEX-Y5V5-0126-SM-5S2NW 60-69 years, female 18.8
GTEX-ZT9W-1126-SM-57WDR 50-59 years, male 18.8
GTEX-ZUA1-2626-SM-5NQ92 40-49 years, male 18.8
GTEX-1IL2V-1926-SM-B2LW8 70-79 years, male 18.8
GTEX-1LVAO-2726-SM-E9TJ8 60-69 years, male 18.8
GTEX-11EI6-2826-SM-5H11D 60-69 years, male 18.7
GTEX-13113-1626-SM-5EQ4I 60-69 years, female 18.7
GTEX-1JMQI-1726-SM-ARL93 50-59 years, male 18.7
GTEX-139TU-0726-SM-5L3EK 60-69 years, male 18.6
GTEX-13OVK-1426-SM-6PAN7 40-49 years, male 18.6
GTEX-145MN-1526-SM-5SI9T 30-39 years, male 18.6
GTEX-15CHQ-0326-SM-69LQD 60-69 years, male 18.6
GTEX-1A32A-0626-SM-731AQ 50-59 years, female 18.6
GTEX-X5EB-1926-SM-4E3IW 40-49 years, male 18.6
GTEX-1F6IF-0926-SM-7SB7M 60-69 years, male 18.6
GTEX-14AS3-1526-SM-5Q5ED 40-49 years, female 18.5
GTEX-1AYD5-2626-SM-7PBXY 50-59 years, male 18.5
GTEX-1K2DA-1026-SM-CGQGF 50-59 years, male 18.5
GTEX-11OF3-0126-SM-5PNYF 60-69 years, male 18.4
GTEX-12WSF-1626-SM-7KUG5 70-79 years, male 18.4
GTEX-13O3Q-0126-SM-5KM34 50-59 years, male 18.4
GTEX-14BMU-1226-SM-5S2OR 20-29 years, female 18.4
GTEX-WFG8-2126-SM-3GIKQ 20-29 years, male 18.4
GTEX-1H3NZ-2726-SM-9WYTQ 60-69 years, male 18.4
GTEX-1MCC2-1826-SM-DIPEX 30-39 years, female 18.4
GTEX-1R9K4-2826-SM-DTX8F 60-69 years, male 18.4
GTEX-11EM3-1226-SM-5N9DD 20-29 years, female 18.3
GTEX-18D9U-0126-SM-731BM 40-49 years, male 18.3
GTEX-18QFQ-1826-SM-72D52 30-39 years, male 18.3
GTEX-XK95-0226-SM-4AT58 40-49 years, male 18.3
GTEX-1C475-1326-SM-7SB73 40-49 years, female 18.3
GTEX-1KAFJ-0126-SM-DIPEK 50-59 years, male 18.3
GTEX-11DXW-0826-SM-5H118 40-49 years, male 18.2
GTEX-13W3W-0726-SM-5IJDQ 60-69 years, female 18.2
GTEX-1497J-0226-SM-5QGPU 60-69 years, male 18.2
GTEX-1GZ4H-0526-SM-9KNU9 50-59 years, female 18.2
GTEX-ZPIC-0526-SM-DO91W 40-49 years, female 18.2
GTEX-ZYFG-1526-SM-5GZYM 60-69 years, female 18.1
GTEX-1H1CY-0126-SM-9YFLY 60-69 years, female 18.1
GTEX-1HFI6-0126-SM-CNPPI 40-49 years, male 18.1
GTEX-147F3-1726-SM-5SIAW 50-59 years, female 18.0
GTEX-1EWIQ-0326-SM-7DHMQ 70-79 years, female 18.0
GTEX-X3Y1-2026-SM-3P5YM 40-49 years, male 18.0
GTEX-Y3IK-1626-SM-4YCF5 50-59 years, female 18.0
GTEX-1GN1W-2426-SM-9KNUU 50-59 years, female 18.0
GTEX-1H1DE-1326-SM-9KNUG 20-29 years, male 18.0
GTEX-1HGF4-0126-SM-CNPPX 60-69 years, male 18.0
GTEX-1S831-1826-SM-EWROF 20-29 years, male 18.0
GTEX-11WQC-1826-SM-5GU59 60-69 years, male 17.9
GTEX-17EVQ-0126-SM-7IGLR 70-79 years, male 17.9
GTEX-WFG7-2026-SM-5SI7P 20-29 years, male 17.8
GTEX-13O61-1426-SM-5KM3D 60-69 years, male 17.7
GTEX-1RAZR-2126-SM-E9U6T 40-49 years, male 17.7
GTEX-1S82U-1026-SM-E6CJK 30-39 years, female 17.7
GTEX-16NGA-0726-SM-731AO 40-49 years, female 17.6
GTEX-ZPU1-1126-SM-4YCF3 40-49 years, male 17.6
GTEX-1GTWX-2026-SM-9YFLM 60-69 years, male 17.6
GTEX-1IDFM-0326-SM-ARL7V 60-69 years, male 17.6
GTEX-18A7A-0126-SM-731AH 50-59 years, female 17.5
GTEX-WYVS-1626-SM-3NM9R 40-49 years, female 17.5
GTEX-14JG6-1426-SM-9WG7C 30-39 years, female 17.5
GTEX-13VXT-1926-SM-5K7UO 20-29 years, female 17.4
GTEX-1CAV2-0126-SM-7IGN7 40-49 years, female 17.4
GTEX-1CB4F-1026-SM-7DUH1 60-69 years, male 17.4
GTEX-WFON-1926-SM-3LK7L 40-49 years, male 17.4
GTEX-WHSE-0126-SM-3NMBT 20-29 years, male 17.4
GTEX-1GMR2-0826-SM-7PC3V 50-59 years, male 17.4
GTEX-1IKOE-1426-SM-CE6T7 30-39 years, female 17.4
GTEX-1LGOU-1326-SM-D3L8M 20-29 years, female 17.4
GTEX-1QP29-1826-SM-DTX9S 50-59 years, male 17.4
GTEX-1RB15-1326-SM-E76Q9 60-69 years, male 17.4
GTEX-WHPG-2626-SM-3NMBR 50-59 years, male 17.3
GTEX-ZAK1-0626-SM-5HL8E 50-59 years, female 17.3
GTEX-1KANA-1326-SM-DIPFA 20-29 years, male 17.3
GTEX-1211K-1526-SM-5FQU4 60-69 years, female 17.2
GTEX-13X6H-0926-SM-5SIB2 50-59 years, female 17.2
GTEX-18D9B-0926-SM-7LG4U 60-69 years, male 17.2
GTEX-1AX8Z-0726-SM-73KTS 60-69 years, male 17.2
GTEX-XUW1-0926-SM-4BONX 50-59 years, female 17.2
GTEX-11DXZ-2026-SM-5987S 50-59 years, male 17.0
GTEX-17F96-0126-SM-7EWDU 70-79 years, male 17.0
GTEX-ZDXO-3126-SM-5IJDF 60-69 years, male 17.0
GTEX-17HGU-2326-SM-7DUFE 50-59 years, male 16.9
GTEX-11NSD-0626-SM-5A5LU 20-29 years, male 16.7
GTEX-13OW5-2326-SM-5L3HO 60-69 years, male 16.7
GTEX-XYKS-1426-SM-4BRUO 60-69 years, female 16.7
GTEX-ZU9S-1826-SM-5NQ9E 30-39 years, male 16.7
GTEX-XQ8I-0926-SM-4BOOF 50-59 years, male 16.6
GTEX-1ICLZ-0326-SM-ARL82 60-69 years, male 16.6
GTEX-13U4I-2226-SM-5LU5H 40-49 years, female 16.5
GTEX-WEY5-2326-SM-3GIKK 40-49 years, female 16.5
GTEX-1HKZK-0726-SM-ACKW2 40-49 years, male 16.5
GTEX-1QP9N-1226-SM-E76QN 30-39 years, male 16.5
GTEX-WRHU-2826-SM-3MJG8 50-59 years, female 16.4
GTEX-ZVTK-0226-SM-51MRG 20-29 years, male 16.4
GTEX-1RMOY-1326-SM-E9TIH 50-59 years, male 16.4
GTEX-15RJ7-2126-SM-6PAMD 40-49 years, male 16.3
GTEX-Y114-2126-SM-4TT8B 50-59 years, female 16.3
GTEX-1H1E6-0426-SM-9WYUS 30-39 years, male 16.3
GTEX-1HCUA-0826-SM-ADEHM 50-59 years, female 16.3
GTEX-14PKV-1126-SM-6LLJ1 20-29 years, female 16.1
GTEX-Y111-0626-SM-4SOIT 50-59 years, male 16.1
GTEX-11P82-1426-SM-DTXFY 20-29 years, male 16.1
GTEX-1F6I4-2326-SM-7RHGL 60-69 years, male 16.1
GTEX-Y8LW-1526-SM-5IFHL 50-59 years, female 16.0
GTEX-1AMEY-0826-SM-72D65 30-39 years, female 15.9
GTEX-132AR-0326-SM-5KM2C 50-59 years, female 15.8
GTEX-1GZ2Q-0126-SM-9WG6M 40-49 years, male 15.8
GTEX-1I4MK-0126-SM-CY8G6 50-59 years, female 15.8
GTEX-1JKYN-0826-SM-ARU8S 30-39 years, male 15.7
GTEX-1HSMQ-2626-SM-A9SML 50-59 years, male 15.6
GTEX-1LSNM-0826-SM-DIPG8 50-59 years, male 15.6
GTEX-1IY9M-2826-SM-ARU8H 60-69 years, male 15.5
GTEX-111FC-2526-SM-5GZXU 60-69 years, male 15.4
GTEX-11DYG-1526-SM-5A5JS 60-69 years, male 15.4
GTEX-14E6E-0526-SM-793DN 30-39 years, male 15.4
GTEX-WI4N-2726-SM-3LK7Y 40-49 years, female 15.4
GTEX-ZA64-1026-SM-5HL8R 20-29 years, male 15.4
GTEX-139YR-1026-SM-5LZYN 50-59 years, male 15.3
GTEX-1HCU8-2526-SM-CE6RX 60-69 years, female 15.3
GTEX-1OJC3-1226-SM-DTXER 20-29 years, male 15.2
GTEX-1QCLZ-2426-SM-EVYBW 60-69 years, female 15.2
GTEX-11PRG-0726-SM-5EGL1 50-59 years, male 15.1
GTEX-18A66-0626-SM-7LT8Z 60-69 years, male 15.1
GTEX-1JMLX-0626-SM-ARL8T 50-59 years, male 15.1
GTEX-ZTSS-1426-SM-5985P 40-49 years, male 14.9
GTEX-17F9E-2326-SM-79OKD 50-59 years, male 14.8
GTEX-XQ3S-1426-SM-4BOPR 20-29 years, male 14.8
GTEX-ZTX8-1326-SM-4YCEL 20-29 years, male 14.8
GTEX-15CHR-1126-SM-7EWF4 50-59 years, male 14.7
GTEX-1399R-1326-SM-5PNYS 30-39 years, male 14.4
GTEX-XXEK-1626-SM-4BRUZ 50-59 years, male 14.4
GTEX-14PK6-0226-SM-62LF5 70-79 years, female 14.3
GTEX-1F75I-2226-SM-7SB8U 40-49 years, male 14.2
GTEX-117YX-1926-SM-5GIEC 50-59 years, male 14.1
GTEX-1N2DV-1526-SM-DTXEP 40-49 years, male 14.1
GTEX-12WSJ-1126-SM-5LZVJ 40-49 years, female 14.0
GTEX-1EX96-1026-SM-7MKG2 50-59 years, male 14.0
GTEX-1C64O-1326-SM-7MGWR 60-69 years, male 14.0
GTEX-16AAH-0626-SM-793C9 50-59 years, male 13.6
GTEX-X585-2426-SM-46MW2 50-59 years, male 13.4
GTEX-14PJO-2526-SM-6AJBQ 60-69 years, male 13.2
GTEX-1LBAC-0826-SM-CY8IJ 20-29 years, male 13.2
GTEX-XBEW-1126-SM-4QARW 40-49 years, male 13.1
GTEX-1MCYP-0526-SM-E9U6Q 20-29 years, female 12.2
Show allShow less
Skin - Sun Exposed (Lower leg)
Average nTPM: 21.0
Samples: 701

Max nTPM: 48.3
Min nTPM: 12.3
Std nTPM: 4.3
Median nTPM: 20.7
GTEX-POMQ-2226-SM-2I5FK 20-29 years, female 48.3
GTEX-1122O-2126-SM-5EGIR 60-69 years, female 46.8
GTEX-SE5C-1626-SM-2XCE3 40-49 years, female 42.6
GTEX-145LS-0126-SM-5QGP1 60-69 years, female 36.9
GTEX-1H4P4-0726-SM-9YFLR 50-59 years, male 33.6
GTEX-14E6C-0126-SM-5RQIP 40-49 years, male 33.4
GTEX-1R9PM-2026-SM-E76OY 20-29 years, male 33.4
GTEX-183WM-0126-SM-7LTAB 70-79 years, female 33.0
GTEX-17JCI-0126-SM-7LG5G 60-69 years, female 32.7
GTEX-12WSA-0226-SM-5BC5V 60-69 years, male 32.5
GTEX-1IKJJ-0126-SM-CNPQB 60-69 years, male 32.5
GTEX-144FL-0126-SM-5TDC8 50-59 years, male 32.1
GTEX-13JUV-2726-SM-5LZZ8 40-49 years, female 31.9
GTEX-S32W-2126-SM-2XCB1 50-59 years, female 31.5
GTEX-OIZG-0726-SM-33HBL 50-59 years, male 31.3
GTEX-13OVH-0126-SM-5MR4B 70-79 years, male 31.1
GTEX-1C6VQ-0126-SM-7P8RI 50-59 years, male 31.1
GTEX-1I1GT-0626-SM-CGQER 60-69 years, female 31.0
GTEX-15ETS-0126-SM-7KUMW 40-49 years, female 30.9
GTEX-WFG8-2226-SM-3GIL9 20-29 years, male 30.9
GTEX-Z93S-0126-SM-5HL7M 50-59 years, male 30.4
GTEX-1O97I-0326-SM-EYYX7 60-69 years, male 30.1
GTEX-144GL-0126-SM-5TDE2 50-59 years, male 30.0
GTEX-Y5V6-2426-SM-4VDSB 60-69 years, male 30.0
GTEX-1E2YA-0126-SM-9KNUC 50-59 years, male 29.8
GTEX-131XE-2326-SM-5PNZ2 50-59 years, male 29.6
GTEX-ZV6S-2326-SM-4YCEY 40-49 years, female 29.5
GTEX-1HT8W-0126-SM-CNPPP 30-39 years, male 29.3
GTEX-ZXES-1826-SM-5E43S 30-39 years, female 29.2
GTEX-13N2G-2626-SM-5J1OT 60-69 years, male 29.0
GTEX-14A5I-0126-SM-5TDEA 50-59 years, female 29.0
GTEX-QDVN-2026-SM-3GAEP 50-59 years, male 29.0
GTEX-ZF2S-2326-SM-4WWCE 50-59 years, female 28.8
GTEX-17F96-1626-SM-7DUFL 70-79 years, male 28.7
GTEX-139D8-0226-SM-5KLZO 30-39 years, female 28.6
GTEX-17KNJ-2326-SM-7DHLQ 50-59 years, male 28.6
GTEX-ZYT6-0226-SM-5NQ6T 30-39 years, male 28.6
GTEX-ZU9S-0226-SM-5E441 30-39 years, male 28.5
GTEX-12WSN-5019-SM-79OM6 40-49 years, male 28.4
GTEX-1LH75-2426-SM-E9TJE 50-59 years, female 28.4
GTEX-1QPFJ-0226-SM-E76PB 30-39 years, female 28.4
GTEX-11EI6-0126-SM-5985R 60-69 years, male 28.3
GTEX-131XF-5016-SM-7MGWE 60-69 years, male 28.0
GTEX-111VG-2426-SM-5GZXD 60-69 years, male 27.9
GTEX-SNMC-1226-SM-2XCFP 20-29 years, male 27.8
GTEX-ZPIC-1726-SM-DHXIU 40-49 years, female 27.7
GTEX-18D9A-1926-SM-7LG6P 30-39 years, female 27.6
GTEX-1LGRB-2526-SM-CNPPQ 50-59 years, female 27.6
GTEX-1S82Z-0826-SM-E6CHY 30-39 years, female 27.6
GTEX-ZVT2-2526-SM-51MT1 50-59 years, female 27.4
GTEX-1HCU7-0226-SM-CL545 50-59 years, male 27.4
GTEX-1R9K4-0126-SM-DTX9X 60-69 years, male 27.4
GTEX-1399T-2826-SM-5KLYZ 60-69 years, male 27.3
GTEX-S7SE-0126-SM-2XCD5 50-59 years, male 27.2
GTEX-1PIIG-0226-SM-EWRN6 30-39 years, male 27.1
GTEX-RWSA-0126-SM-2XCBB 40-49 years, male 27.0
GTEX-1JJEA-0326-SM-CNPOT 60-69 years, male 27.0
GTEX-11H98-0126-SM-5EGHG 50-59 years, male 26.8
GTEX-15EU6-0426-SM-6PAN5 50-59 years, male 26.8
GTEX-1C475-1826-SM-73KWA 40-49 years, female 26.8
GTEX-1H3VE-0326-SM-9YFLH 40-49 years, male 26.8
GTEX-15RIG-0226-SM-7KFTL 40-49 years, male 26.7
GTEX-11TUW-2726-SM-E9J4M 60-69 years, male 26.7
GTEX-1A3MW-0126-SM-73KXX 60-69 years, female 26.6
GTEX-1I1GQ-0126-SM-COH3H 50-59 years, male 26.6
GTEX-13X6I-0626-SM-5QGP9 60-69 years, male 26.5
GTEX-145MI-0526-SM-5O9A8 60-69 years, female 26.5
GTEX-1B8SF-1426-SM-7DUGL 60-69 years, male 26.5
GTEX-1KXAM-2226-SM-CYPTC 60-69 years, male 26.5
GTEX-13113-5016-SM-7EPIP 60-69 years, female 26.4
GTEX-Y8E4-0626-SM-4WWDL 40-49 years, male 26.4
GTEX-14XAO-2326-SM-6EU1B 60-69 years, female 26.3
GTEX-ZDTT-2726-SM-4WKF8 60-69 years, male 26.3
GTEX-1399R-2726-SM-5IJBA 30-39 years, male 26.2
GTEX-13IVO-0126-SM-5J1NG 70-79 years, male 26.2
GTEX-PVOW-0126-SM-2XCFA 40-49 years, male 26.2
GTEX-ZE9C-2726-SM-57WB5 60-69 years, male 26.2
GTEX-11DZ1-0126-SM-5985Q 50-59 years, male 26.1
GTEX-13FHO-0226-SM-5IFGY 60-69 years, male 26.1
GTEX-1GF9V-0326-SM-7RHI5 60-69 years, male 26.1
GTEX-ZVE2-0226-SM-59HJB 50-59 years, male 26.0
GTEX-13CF3-2426-SM-5IFGX 60-69 years, female 25.9
GTEX-1192W-2626-SM-5Q5AF 60-69 years, male 25.8
GTEX-14E6D-0126-SM-62LDV 50-59 years, male 25.7
GTEX-RWS6-2026-SM-2XCB5 60-69 years, female 25.7
GTEX-1CB4H-0226-SM-7PBXM 60-69 years, female 25.7
GTEX-1I1GR-0126-SM-CL55F 60-69 years, male 25.6
GTEX-111FC-0126-SM-5N9DL 60-69 years, male 25.5
GTEX-148VI-1626-SM-5SI6E 60-69 years, female 25.5
GTEX-14LLW-0126-SM-6LLIO 70-79 years, female 25.5
GTEX-17GQL-2026-SM-718BA 60-69 years, male 25.5
GTEX-TMMY-0226-SM-33HBA 40-49 years, female 25.5
GTEX-13X6J-0126-SM-5QGOU 50-59 years, male 25.4
GTEX-14JG1-0426-SM-6ETZZ 40-49 years, male 25.4
GTEX-P4QT-0126-SM-2I3FL 50-59 years, female 25.4
GTEX-13OW8-1326-SM-5J1OW 60-69 years, male 25.3
GTEX-14PJ6-2126-SM-6EU1V 60-69 years, female 25.3
GTEX-18465-0126-SM-731BN 50-59 years, male 25.2
GTEX-1H1DG-0126-SM-9WYU2 70-79 years, male 25.2
GTEX-13NYB-2526-SM-5K7Z6 40-49 years, male 25.1
GTEX-13W46-0226-SM-5SIAG 50-59 years, male 25.1
GTEX-P44H-0226-SM-2XCEU 40-49 years, male 25.1
GTEX-1J8QM-2126-SM-CYPSJ 60-69 years, female 25.1
GTEX-1KAFJ-2026-SM-CY8ID 50-59 years, male 25.1
GTEX-1R46S-0626-SM-E9J41 60-69 years, female 25.1
GTEX-13N11-2526-SM-5K7UE 50-59 years, female 24.9
GTEX-14BMV-0126-SM-5S2PO 50-59 years, male 24.9
GTEX-1C64N-0126-SM-793D7 50-59 years, male 24.8
GTEX-12WSG-2826-SM-E9J4H 50-59 years, female 24.8
GTEX-1L5NE-2526-SM-E6CIE 50-59 years, male 24.8
GTEX-PSDG-0226-SM-DKPOZ 50-59 years, male 24.8
GTEX-13QJ3-0326-SM-5S2RA 50-59 years, male 24.7
GTEX-145MO-0326-SM-5Q5B3 60-69 years, male 24.7
GTEX-148VJ-0126-SM-5TDDN 70-79 years, male 24.7
GTEX-1B8SG-0126-SM-73KZ3 50-59 years, male 24.7
GTEX-1PIGE-0126-SM-EVYBJ 20-29 years, male 24.7
GTEX-ZVZO-0126-SM-5A5L9 40-49 years, male 24.6
GTEX-1F75B-0126-SM-9KNVL 50-59 years, male 24.6
GTEX-12ZZY-0226-SM-5LZVE 60-69 years, male 24.5
GTEX-1JJ6O-0126-SM-E6CI8 60-69 years, male 24.5
GTEX-14BIM-0226-SM-7IGLD 60-69 years, female 24.4
GTEX-16BQI-0226-SM-7KUEX 30-39 years, female 24.4
GTEX-1JJE9-0326-SM-CL53Z 70-79 years, male 24.4
GTEX-13OVJ-0126-SM-5KM36 50-59 years, female 24.3
GTEX-1KWVE-1426-SM-E9TJO 30-39 years, male 24.3
GTEX-1POEN-0126-SM-EYYXJ 30-39 years, female 24.3
GTEX-1RDX4-0126-SM-E9J4P 50-59 years, female 24.3
GTEX-145LU-0126-SM-5TDCB 50-59 years, male 24.2
GTEX-16XZZ-0126-SM-793DV 60-69 years, male 24.2
GTEX-ZWKS-0126-SM-5SIAA 30-39 years, male 24.2
GTEX-1QEPI-0126-SM-EWRMQ 60-69 years, female 24.2
GTEX-1ICLZ-0126-SM-CKZPO 60-69 years, male 24.1
GTEX-1J8Q2-0526-SM-CM2RW 60-69 years, male 24.1
GTEX-12WSC-0126-SM-5EQ4P 50-59 years, male 24.0
GTEX-13O3Q-2426-SM-5IJBR 50-59 years, male 24.0
GTEX-145LT-1726-SM-5QGP3 40-49 years, male 24.0
GTEX-146FQ-0126-SM-5NQA9 30-39 years, male 24.0
GTEX-1MJK2-0426-SM-DTXE5 50-59 years, male 24.0
GTEX-11EQ9-2426-SM-5HL5T 30-39 years, male 23.9
GTEX-1212Z-2526-SM-5EGKP 60-69 years, male 23.9
GTEX-1C6VS-0526-SM-7DUEN 60-69 years, male 23.9
GTEX-ZVT4-0126-SM-DTXFN 50-59 years, female 23.9
GTEX-WOFL-0126-SM-3MJG2 60-69 years, male 23.8
GTEX-Y8LW-1826-SM-5S2MV 50-59 years, female 23.8
GTEX-11DXY-2626-SM-5GIE7 60-69 years, male 23.7
GTEX-12WSE-0526-SM-793B2 20-29 years, male 23.7
GTEX-131YS-0126-SM-5KM1M 60-69 years, female 23.7
GTEX-18A67-0126-SM-7LG5P 50-59 years, male 23.7
GTEX-OIZH-0126-SM-2HMIS 50-59 years, male 23.7
GTEX-1IKOH-0226-SM-COH4E 60-69 years, female 23.7
GTEX-ZQG8-1626-SM-DHXIT 60-69 years, female 23.7
GTEX-12696-2426-SM-5EQ6H 60-69 years, male 23.6
GTEX-X4EO-0326-SM-3P5YO 60-69 years, female 23.6
GTEX-ZZ64-1726-SM-5GZYB 20-29 years, male 23.6
GTEX-1B996-0226-SM-7RHGO 60-69 years, male 23.6
GTEX-1EWIQ-0126-SM-7RHH2 70-79 years, female 23.6
GTEX-1HSKV-0226-SM-A9SKJ 60-69 years, male 23.6
GTEX-OOBJ-0126-SM-E6CJW 60-69 years, male 23.6
GTEX-1269C-2526-SM-5EGJ3 60-69 years, female 23.5
GTEX-13PDP-0126-SM-5L3HD 60-69 years, male 23.5
GTEX-1IDJH-0326-SM-A9SLQ 70-79 years, male 23.5
GTEX-1JN76-0126-SM-CNPPE 20-29 years, female 23.5
GTEX-131XH-2226-SM-5DUXJ 50-59 years, male 23.4
GTEX-U3ZH-2026-SM-3DB78 30-39 years, male 23.4
GTEX-VJYA-1126-SM-3GIJU 60-69 years, male 23.4
GTEX-1K2DU-2326-SM-E9TIV 20-29 years, male 23.4
GTEX-11VI4-1726-SM-5CVLH 40-49 years, female 23.3
GTEX-15ER7-0326-SM-7KUEV 20-29 years, female 23.3
GTEX-ZTSS-1926-SM-57WEW 40-49 years, male 23.3
GTEX-1HCU8-0626-SM-A9SM9 60-69 years, female 23.3
GTEX-1KANA-0726-SM-D3L9I 20-29 years, male 23.3
GTEX-117XS-2726-SM-5N9BL 60-69 years, male 23.2
GTEX-133LE-1826-SM-5J1MV 20-29 years, female 23.2
GTEX-13OW6-0426-SM-5L3HM 50-59 years, male 23.2
GTEX-14C5O-0126-SM-5SI6N 60-69 years, male 23.2
GTEX-SJXC-0126-SM-2XCFF 60-69 years, male 23.2
GTEX-T8EM-1026-SM-3DB7M 40-49 years, male 23.2
GTEX-1MA7W-2026-SM-E9TJ6 20-29 years, female 23.2
GTEX-11WQK-0526-SM-5EQLD 50-59 years, male 23.1
GTEX-14E7W-0126-SM-6LLJ9 70-79 years, male 23.1
GTEX-14PII-0226-SM-6EU1T 60-69 years, male 23.1
GTEX-15SB6-1726-SM-6PAME 50-59 years, female 23.1
GTEX-18A66-0226-SM-718BD 60-69 years, male 23.1
GTEX-1AX9K-2326-SM-73KWU 50-59 years, male 23.1
GTEX-1GPI7-0126-SM-9MQL8 20-29 years, male 23.1
GTEX-1KD4Q-0226-SM-E9TJ9 40-49 years, male 23.1
GTEX-11WQC-2526-SM-5CVLE 60-69 years, male 22.9
GTEX-QDVJ-1726-SM-2I5FX 50-59 years, male 22.9
GTEX-X4XY-0226-SM-4E3IZ 60-69 years, male 22.9
GTEX-ZDYS-2026-SM-5HL5L 50-59 years, male 22.9
GTEX-ZVZP-2426-SM-59HKJ 50-59 years, male 22.9
GTEX-1IDFM-0126-SM-COH2V 60-69 years, male 22.9
GTEX-1QP29-0626-SM-EWRMX 50-59 years, male 22.9
GTEX-1GMR3-1926-SM-9KNUZ 40-49 years, male 22.8
GTEX-1N2EF-0226-SM-EYYXB 60-69 years, male 22.8
GTEX-11TT1-2526-SM-5EGIB 20-29 years, male 22.7
GTEX-14753-0426-SM-5NQAM 60-69 years, male 22.7
GTEX-15EOM-0126-SM-7KUGG 20-29 years, female 22.7
GTEX-1GF9U-2126-SM-7SB7L 40-49 years, female 22.7
GTEX-139TU-0126-SM-5K7WH 60-69 years, male 22.6
GTEX-1C2JI-1826-SM-73KXC 50-59 years, male 22.6
GTEX-XPVG-2626-SM-4B669 50-59 years, male 22.6
GTEX-13NYC-0326-SM-E9J4S 60-69 years, male 22.6
GTEX-1IDJU-2626-SM-CM2RT 60-69 years, female 22.6
GTEX-15UKP-0426-SM-7KUFQ 20-29 years, male 22.5
GTEX-TSE9-0126-SM-3DB83 60-69 years, female 22.5
GTEX-YJ89-0126-SM-4TT3X 60-69 years, male 22.5
GTEX-1HB9E-0226-SM-E9U4R 50-59 years, male 22.5
GTEX-1HSGN-0226-SM-CGQFV 40-49 years, female 22.5
GTEX-1IGQW-0126-SM-COH42 60-69 years, male 22.5
GTEX-1KANC-1526-SM-D3LAB 50-59 years, female 22.5
GTEX-14PN3-2426-SM-6LLHS 60-69 years, female 22.4
GTEX-1H1CY-2826-SM-9MQM3 60-69 years, female 22.4
GTEX-1JMQK-0226-SM-CL543 60-69 years, male 22.4
GTEX-11ZU8-2526-SM-5EQKI 60-69 years, male 22.3
GTEX-1BAJH-0526-SM-793CQ 70-79 years, male 22.3
GTEX-VUSG-2526-SM-4KL1V 50-59 years, male 22.3
GTEX-1F48J-0126-SM-7P8TT 50-59 years, female 22.3
GTEX-1HFI7-1826-SM-ACKXH 50-59 years, female 22.3
GTEX-1I1GV-0526-SM-A9G29 60-69 years, male 22.3
GTEX-1IL2V-0126-SM-CM2TX 70-79 years, male 22.3
GTEX-14E6E-1826-SM-5S2R7 30-39 years, male 22.2
GTEX-1F6IF-0726-SM-7P8TW 60-69 years, male 22.2
GTEX-1313W-0126-SM-5LZUN 50-59 years, female 22.1
GTEX-13OVK-2026-SM-7KUEO 40-49 years, male 22.1
GTEX-QCQG-1726-SM-3GIJ9 50-59 years, female 22.1
GTEX-QESD-1426-SM-2S1R9 20-29 years, male 22.1
GTEX-T5JW-1626-SM-3GADZ 20-29 years, female 22.1
GTEX-UJHI-1526-SM-3DB99 50-59 years, female 22.1
GTEX-1EN7A-0126-SM-7SB81 40-49 years, male 22.1
GTEX-1RLM8-2326-SM-EWRN4 50-59 years, male 22.1
GTEX-13NZB-2526-SM-5J1OM 30-39 years, male 22.0
GTEX-14A5H-0426-SM-5QGQF 60-69 years, male 22.0
GTEX-15CHC-2126-SM-6EU21 60-69 years, female 22.0
GTEX-16NPX-0226-SM-79OMT 50-59 years, male 22.0
GTEX-1AMFI-2026-SM-731BH 50-59 years, female 22.0
GTEX-ZGAY-0526-SM-4WWBB 40-49 years, female 22.0
GTEX-1HBPN-0226-SM-9YFM1 50-59 years, male 22.0
GTEX-11XUK-2026-SM-5EQLF 40-49 years, female 21.9
GTEX-17HGU-0226-SM-7DHKV 50-59 years, male 21.9
GTEX-1E1VI-0126-SM-7DHMZ 50-59 years, male 21.9
GTEX-O5YT-0126-SM-48TBW 20-29 years, male 21.9
GTEX-XUYS-0126-SM-47JWZ 50-59 years, male 21.9
GTEX-1HBPI-1526-SM-C1YQ1 50-59 years, male 21.9
GTEX-1HSMQ-1226-SM-CGQFX 50-59 years, male 21.9
GTEX-1KD5A-0226-SM-D5OV3 50-59 years, male 21.9
GTEX-14DAR-2026-SM-5S2O3 50-59 years, male 21.8
GTEX-17HHE-2026-SM-79OKF 50-59 years, male 21.8
GTEX-1A3MX-0126-SM-731BR 60-69 years, male 21.8
GTEX-R3RS-0126-SM-3GIJL 40-49 years, female 21.8
GTEX-Y5V5-2326-SM-4V6GA 60-69 years, female 21.8
GTEX-13OW5-0126-SM-DTXFS 60-69 years, male 21.8
GTEX-1F5PL-0326-SM-7P8PQ 40-49 years, female 21.8
GTEX-1I1GP-2226-SM-CGQFK 50-59 years, male 21.8
GTEX-1J1OQ-0226-SM-CYPSH 40-49 years, female 21.8
GTEX-1R7EU-0226-SM-EVR4G 60-69 years, male 21.8
GTEX-11O72-0126-SM-59887 40-49 years, male 21.7
GTEX-14PK6-1926-SM-6ETZU 70-79 years, female 21.7
GTEX-15G19-0126-SM-6PANQ 60-69 years, male 21.7
GTEX-1AX8Z-0126-SM-7DHM6 60-69 years, male 21.7
GTEX-ZXG5-0126-SM-5GIEU 60-69 years, male 21.7
GTEX-1B933-0126-SM-7PC29 50-59 years, female 21.7
GTEX-1EX96-1626-SM-7PBXR 50-59 years, male 21.7
GTEX-1IDJF-0126-SM-CM2RS 20-29 years, male 21.7
GTEX-1JKYN-1326-SM-CGQG9 30-39 years, male 21.7
GTEX-1RAZQ-0726-SM-EAZ43 30-39 years, male 21.7
GTEX-1128S-2326-SM-5GZZY 60-69 years, female 21.6
GTEX-11GSO-2426-SM-5A5LY 60-69 years, male 21.6
GTEX-139UW-2826-SM-5L3E7 60-69 years, male 21.6
GTEX-15DYW-0126-SM-7KULE 60-69 years, female 21.6
GTEX-X261-0126-SM-3NMD6 50-59 years, male 21.6
GTEX-13FH7-2026-SM-E9J4I 50-59 years, female 21.6
GTEX-1F7RK-0126-SM-7PC2S 20-29 years, female 21.6
GTEX-1IOXB-0126-SM-ARL8G 50-59 years, male 21.6
GTEX-1M5QR-1226-SM-EWROB 40-49 years, male 21.6
GTEX-1S3DN-2226-SM-EVYCD 50-59 years, male 21.6
GTEX-14PHX-2326-SM-62LEM 50-59 years, male 21.5
GTEX-18A7B-0126-SM-7LG64 70-79 years, male 21.5
GTEX-SN8G-0126-SM-32PLI 50-59 years, female 21.5
GTEX-T6MO-1626-SM-32QOM 40-49 years, female 21.5
GTEX-WYJK-0126-SM-3NMAB 50-59 years, male 21.5
GTEX-YB5E-2026-SM-5IFIS 40-49 years, male 21.5
GTEX-1I4MK-2226-SM-ACKWD 50-59 years, female 21.5
GTEX-1R9PO-2126-SM-E9J4O 60-69 years, female 21.5
GTEX-11DXW-0226-SM-5H122 40-49 years, male 21.4
GTEX-11OC5-0126-SM-5HL6A 60-69 years, male 21.4
GTEX-ZDTS-0126-SM-4WAY5 60-69 years, male 21.4
GTEX-1PDJ9-0326-SM-DTX95 20-29 years, male 21.4
GTEX-11UD2-0226-SM-5EQKY 50-59 years, male 21.3
GTEX-13OVI-1426-SM-5L3EY 60-69 years, female 21.3
GTEX-14PJM-0226-SM-62LF1 50-59 years, female 21.3
GTEX-QV44-1926-SM-2S1RF 50-59 years, male 21.3
GTEX-ZAK1-0126-SM-5IJD3 50-59 years, female 21.3
GTEX-ZTX8-1426-SM-5DUVO 20-29 years, male 21.3
GTEX-146FR-1326-SM-E9J48 60-69 years, female 21.3
GTEX-1HCUA-2426-SM-ADEIS 50-59 years, female 21.3
GTEX-1QP66-1726-SM-E8VO1 50-59 years, male 21.3
GTEX-13NYS-0126-SM-5MR3W 60-69 years, male 21.2
GTEX-17EUY-0426-SM-793BD 20-29 years, male 21.2
GTEX-18QFQ-0126-SM-731BE 30-39 years, male 21.2
GTEX-1A32A-0126-SM-718B1 50-59 years, female 21.2
GTEX-1AX9J-0226-SM-73KXM 60-69 years, male 21.2
GTEX-P4PP-0126-SM-3LK69 30-39 years, female 21.2
GTEX-Z93T-0126-SM-5HL5N 50-59 years, male 21.2
GTEX-1I1GU-2226-SM-CGQFA 40-49 years, male 21.2
GTEX-1ICLY-0126-SM-D4P36 50-59 years, male 21.2
GTEX-1JMQJ-0526-SM-CYPSU 50-59 years, male 21.2
GTEX-1S83E-0126-SM-EWRO4 40-49 years, male 21.2
GTEX-11EMC-2926-SM-5EQ4F 60-69 years, female 21.1
GTEX-12ZZZ-0626-SM-5DUXI 60-69 years, male 21.1
GTEX-15D1Q-0126-SM-7KUG6 40-49 years, male 21.1
GTEX-ZV68-0126-SM-59HKS 50-59 years, female 21.1
GTEX-1GN1U-0126-SM-7PBZK 50-59 years, female 21.1
GTEX-1LG7Z-1726-SM-D3LA4 30-39 years, male 21.1
GTEX-1QMI2-0226-SM-EVYBX 60-69 years, male 21.1
GTEX-13S7M-0126-SM-5SI6A 60-69 years, female 21.0
GTEX-14BIN-0626-SM-793DP 50-59 years, female 21.0
GTEX-14PN4-0126-SM-6EU2V 50-59 years, male 21.0
GTEX-16YQH-0126-SM-7DUFJ 30-39 years, male 21.0
GTEX-17EVP-0326-SM-7DHLG 40-49 years, male 21.0
GTEX-17MF6-0126-SM-7LG4F 40-49 years, male 21.0
GTEX-183FY-0126-SM-7LT9P 20-29 years, male 21.0
GTEX-ZAB5-1826-SM-5HL7C 50-59 years, male 21.0
GTEX-1F52S-0126-SM-9MQJU 60-69 years, female 21.0
GTEX-1ICG6-2526-SM-CGQFZ 70-79 years, female 21.0
GTEX-1LVAN-0226-SM-COH3S 50-59 years, female 21.0
GTEX-1QP2A-0126-SM-E9J43 50-59 years, male 21.0
GTEX-11LCK-1026-SM-5A5KB 30-39 years, male 20.9
GTEX-1C6VR-2426-SM-79OLD 60-69 years, male 20.9
GTEX-O5YW-0126-SM-3LK6D 50-59 years, male 20.9
GTEX-Q2AG-0126-SM-33HBV 40-49 years, female 20.9
GTEX-U8T8-0126-SM-3DB94 60-69 years, male 20.9
GTEX-YB5K-2126-SM-4WWDJ 40-49 years, female 20.9
GTEX-ZVT3-0126-SM-5GU6I 60-69 years, female 20.9
GTEX-1I19N-0326-SM-ACKVX 70-79 years, male 20.9
GTEX-13NZ8-0826-SM-5MR3I 60-69 years, female 20.8
GTEX-147F3-0526-SM-5SI98 50-59 years, female 20.8
GTEX-14ICK-0226-SM-6EU25 40-49 years, male 20.8
GTEX-15DCD-0126-SM-7KUEK 70-79 years, female 20.8
GTEX-15SHW-0326-SM-6PAML 60-69 years, male 20.8
GTEX-1A3MV-1926-SM-718BT 30-39 years, male 20.8
GTEX-PWO3-1526-SM-48TCM 60-69 years, female 20.8
GTEX-U3ZN-2326-SM-3DB7W 30-39 years, female 20.8
GTEX-YFC4-0126-SM-5CVLY 40-49 years, female 20.8
GTEX-ZVTK-0426-SM-51MRS 20-29 years, male 20.8
GTEX-1H3NZ-0126-SM-ACKX7 60-69 years, male 20.8
GTEX-1M4P7-0226-SM-DIPEV 60-69 years, male 20.8
GTEX-11GS4-2726-SM-5A5LE 60-69 years, male 20.7
GTEX-14BIL-0126-SM-5SI92 50-59 years, male 20.7
GTEX-14LZ3-0226-SM-62LET 60-69 years, female 20.7
GTEX-15UF6-0826-SM-6PALJ 70-79 years, female 20.7
GTEX-16NGA-1726-SM-731B4 40-49 years, female 20.7
GTEX-1GN2E-0426-SM-9MQKX 60-69 years, male 20.7
GTEX-1GPI6-0126-SM-9WG69 60-69 years, male 20.7
GTEX-1JKYR-0126-SM-CNPOJ 20-29 years, male 20.7
GTEX-1QCLY-0326-SM-E8VOG 30-39 years, male 20.7
GTEX-13D11-2426-SM-5KM1V 50-59 years, female 20.6
GTEX-17MFQ-1726-SM-793C7 20-29 years, male 20.6
GTEX-ZYY3-0126-SM-5GZY5 60-69 years, female 20.6
GTEX-1LC47-0326-SM-E9TJP 60-69 years, male 20.6
GTEX-145LV-2126-SM-5LU8N 50-59 years, male 20.5
GTEX-14BMU-2226-SM-5TDE9 20-29 years, female 20.5
GTEX-15F5U-1526-SM-6PANO 40-49 years, male 20.5
GTEX-17HG3-2226-SM-7938L 30-39 years, female 20.5
GTEX-1EU9M-0226-SM-7P8SP 60-69 years, male 20.5
GTEX-1F75A-0126-SM-7RHGM 50-59 years, male 20.5
GTEX-1I1CD-0126-SM-CM2TK 60-69 years, female 20.5
GTEX-12C56-1726-SM-5EQ61 20-29 years, male 20.4
GTEX-14A6H-0126-SM-5QGPK 30-39 years, male 20.4
GTEX-T2IS-0126-SM-4DM6O 20-29 years, female 20.4
GTEX-1K2DA-1826-SM-CGQGT 50-59 years, male 20.4
GTEX-1PPH8-0226-SM-E8VND 20-29 years, male 20.4
GTEX-15DDE-0126-SM-6LPKH 50-59 years, female 20.3
GTEX-15SHU-0126-SM-7KUEH 40-49 years, female 20.3
GTEX-SSA3-0126-SM-32QPU 60-69 years, male 20.3
GTEX-1GL5R-1826-SM-9KNUY 50-59 years, male 20.3
GTEX-1K9T9-0126-SM-EVYCF 50-59 years, female 20.3
GTEX-1LB8K-0226-SM-EWRNW 50-59 years, male 20.3
GTEX-13G51-2526-SM-5LZYK 60-69 years, male 20.2
GTEX-1CAMR-1926-SM-7EPI2 20-29 years, male 20.2
GTEX-RU72-0926-SM-2TF6B 50-59 years, female 20.2
GTEX-S95S-1226-SM-4GICG 60-69 years, male 20.2
GTEX-1JN6P-0126-SM-D3L98 60-69 years, male 20.2
GTEX-1MUQO-0126-SM-EAZ58 60-69 years, male 20.2
GTEX-1RB15-2126-SM-E9TIM 60-69 years, male 20.2
GTEX-RVPV-0126-SM-EAZAW 60-69 years, male 20.2
GTEX-117YW-2626-SM-5GZZH 50-59 years, male 20.1
GTEX-1A8FM-0226-SM-7SB7Q 50-59 years, female 20.1
GTEX-11ZTT-2426-SM-5EQLS 60-69 years, female 20.0
GTEX-13NZA-0226-SM-5K7Z7 60-69 years, male 20.0
GTEX-147GR-0526-SM-5S2MY 60-69 years, male 20.0
GTEX-1497J-2426-SM-7IGNX 60-69 years, male 20.0
GTEX-1GZ4H-1726-SM-7PBZJ 50-59 years, female 20.0
GTEX-12ZZX-0126-SM-5EGK9 40-49 years, female 19.9
GTEX-13N1W-0126-SM-5K7VT 70-79 years, male 19.9
GTEX-147F4-0226-SM-5QGPW 50-59 years, male 19.9
GTEX-14DAQ-0126-SM-5S2MQ 60-69 years, female 19.9
GTEX-ZYW4-0126-SM-5E44A 60-69 years, male 19.9
GTEX-1MCQQ-0826-SM-DLHC2 60-69 years, male 19.9
GTEX-1QP67-1626-SM-EAZ3X 40-49 years, female 19.9
GTEX-11DXZ-2326-SM-5EGGV 50-59 years, male 19.8
GTEX-13FTX-1826-SM-5J1NX 20-29 years, female 19.8
GTEX-13FTY-0526-SM-5L3EV 40-49 years, female 19.8
GTEX-14PHW-0126-SM-6LLJI 60-69 years, female 19.8
GTEX-16MT8-0426-SM-7KUEY 60-69 years, female 19.8
GTEX-QVJO-1626-SM-2S1QW 60-69 years, female 19.8
GTEX-1CAMS-0426-SM-7P8T2 40-49 years, female 19.8
GTEX-1J8Q3-1626-SM-CMKGC 60-69 years, male 19.8
GTEX-1QW4Y-1526-SM-EAZ3Z 30-39 years, male 19.8
GTEX-13RTL-0126-SM-7LG5S 40-49 years, male 19.7
GTEX-1CAMQ-0226-SM-7IGPK 40-49 years, male 19.7
GTEX-NFK9-0226-SM-2HMKQ 40-49 years, male 19.7
GTEX-WVJS-0126-SM-4MVOT 50-59 years, male 19.7
GTEX-1F88F-2726-SM-7PBZZ 60-69 years, female 19.7
GTEX-1H1E6-1726-SM-ACKVK 30-39 years, male 19.7
GTEX-1H1ZS-0426-SM-9WG6G 70-79 years, male 19.7
GTEX-1H23P-0126-SM-ADEJ3 60-69 years, male 19.7
GTEX-1JMOU-1526-SM-CL54I 60-69 years, female 19.7
GTEX-1OJC3-0126-SM-E76QX 20-29 years, male 19.7
GTEX-1399U-2326-SM-5K7WY 50-59 years, female 19.6
GTEX-139TT-0126-SM-5K7Y5 60-69 years, male 19.6
GTEX-13SLX-0526-SM-5S2ON 50-59 years, female 19.6
GTEX-1CB4J-0626-SM-7DHMP 60-69 years, male 19.6
GTEX-SUCS-1926-SM-32PM3 70-79 years, male 19.6
GTEX-1CB4F-0426-SM-9KNV4 60-69 years, male 19.6
GTEX-113JC-2326-SM-5EQ4E 50-59 years, female 19.5
GTEX-11ZUS-0626-SM-59885 30-39 years, male 19.5
GTEX-146FH-0126-SM-5QGPP 50-59 years, female 19.5
GTEX-U8XE-0326-SM-3DB8P 30-39 years, male 19.5
GTEX-1QAET-0926-SM-E76QM 50-59 years, male 19.5
GTEX-131XW-0426-SM-5LZWP 50-59 years, female 19.4
GTEX-OXRN-0126-SM-48TDM 50-59 years, male 19.4
GTEX-Y8DK-0126-SM-4TT3L 60-69 years, male 19.4
GTEX-ZYFG-2326-SM-5E44B 60-69 years, female 19.4
GTEX-1GMRU-0126-SM-9YFLV 50-59 years, male 19.4
GTEX-1OJC4-0126-SM-E9J2E 50-59 years, female 19.4
GTEX-1211K-2026-SM-5EQ4Z 60-69 years, female 19.3
GTEX-12KS4-0326-SM-5EQ41 30-39 years, male 19.3
GTEX-13U4I-0126-SM-5LU38 40-49 years, female 19.3
GTEX-ZUA1-0126-SM-5GU76 40-49 years, male 19.3
GTEX-1GZ2Q-0226-SM-7P8TL 40-49 years, male 19.3
GTEX-1H3VY-0126-SM-ACKXD 50-59 years, male 19.3
GTEX-1HCVE-0126-SM-CGQEU 50-59 years, male 19.3
GTEX-1I1HK-0126-SM-COH49 60-69 years, male 19.3
GTEX-1JN1M-0326-SM-CYPT3 60-69 years, female 19.3
GTEX-1R7EV-2426-SM-EVYBG 40-49 years, male 19.3
GTEX-13SLW-0126-SM-5SI6C 70-79 years, male 19.2
GTEX-PLZ4-0126-SM-5SI8O 50-59 years, female 19.2
GTEX-PLZ5-2026-SM-2S1O4 50-59 years, male 19.2
GTEX-TMZS-0126-SM-3DB9Q 60-69 years, male 19.2
GTEX-Y5LM-1926-SM-5RQJH 40-49 years, female 19.2
GTEX-ZAJG-0126-SM-5HL94 50-59 years, female 19.2
GTEX-ZF28-0126-SM-4WKGK 60-69 years, male 19.2
GTEX-1AX9I-0126-SM-7SB74 60-69 years, male 19.2
GTEX-1JMPZ-0226-SM-CNPP1 30-39 years, male 19.2
GTEX-RNOR-0126-SM-E9J4R 50-59 years, female 19.2
GTEX-1B8KE-2126-SM-73KYX 50-59 years, male 19.1
GTEX-XMD2-0126-SM-4YCDU 60-69 years, female 19.1
GTEX-XQ3S-1526-SM-4BOOC 20-29 years, male 19.1
GTEX-1LGOU-2026-SM-DIPFF 20-29 years, female 19.1
GTEX-1MA7X-2226-SM-E6CIY 60-69 years, male 19.1
GTEX-1PPH7-2326-SM-EVYB8 40-49 years, male 19.1
GTEX-11DYG-0126-SM-59883 60-69 years, male 19.0
GTEX-139T8-0126-SM-5K7XZ 60-69 years, male 19.0
GTEX-17HII-0226-SM-7LG4E 50-59 years, male 19.0
GTEX-T2YK-0526-SM-32QPJ 50-59 years, male 19.0
GTEX-11DXX-2426-SM-5GZZW 60-69 years, female 18.9
GTEX-11EM3-2426-SM-59861 20-29 years, female 18.9
GTEX-1314G-1526-SM-5EGK2 30-39 years, male 18.9
GTEX-13FTW-2626-SM-5K7WL 40-49 years, male 18.9
GTEX-145MF-0626-SM-5LUAI 50-59 years, male 18.9
GTEX-14JG6-2226-SM-6EU2G 30-39 years, female 18.9
GTEX-V1D1-2226-SM-3NMAX 50-59 years, male 18.9
GTEX-ZEX8-2426-SM-4WKG4 50-59 years, male 18.9
GTEX-1F75I-0326-SM-9YFLU 40-49 years, male 18.9
GTEX-139TS-2826-SM-5J1OO 60-69 years, male 18.8
GTEX-13W3W-2426-SM-5LU5B 60-69 years, female 18.8
GTEX-145ME-1826-SM-5SI9G 40-49 years, female 18.8
GTEX-PX3G-0126-SM-2I3EN 20-29 years, female 18.8
GTEX-1H2FU-0126-SM-9WYSI 60-69 years, female 18.8
GTEX-1LBAC-0126-SM-DIPEZ 20-29 years, male 18.8
GTEX-1N2DW-0226-SM-E9TK2 50-59 years, male 18.8
GTEX-12WSL-2526-SM-5GCNJ 50-59 years, male 18.7
GTEX-14ABY-0226-SM-5TDCQ 50-59 years, male 18.7
GTEX-14JIY-0126-SM-6LLH6 60-69 years, male 18.7
GTEX-18A6Q-0126-SM-731BZ 60-69 years, male 18.7
GTEX-1CB4G-0226-SM-7PC3O 60-69 years, male 18.7
GTEX-1HR98-0126-SM-B2LWI 60-69 years, male 18.7
GTEX-ZYFC-0226-SM-5NQ75 50-59 years, male 18.6
GTEX-1HUB1-0426-SM-E9U4U 60-69 years, male 18.6
GTEX-1NHNU-1026-SM-E9J2A 50-59 years, male 18.6
GTEX-1S82Y-2026-SM-EVYCM 40-49 years, male 18.6
GTEX-R45C-0126-SM-EAZ2R 60-69 years, female 18.6
GTEX-1192X-0226-SM-5H12D 50-59 years, male 18.5
GTEX-11OF3-2626-SM-5GU7F 60-69 years, male 18.5
GTEX-13OVG-1926-SM-5L3DK 60-69 years, male 18.5
GTEX-17EVQ-0226-SM-7LG4P 70-79 years, male 18.5
GTEX-X8HC-0126-SM-4E3JW 50-59 years, female 18.5
GTEX-Y3I4-2126-SM-4TT7C 50-59 years, male 18.5
GTEX-12126-0326-SM-5PNW3 20-29 years, male 18.4
GTEX-13112-2826-SM-5DUWH 50-59 years, male 18.4
GTEX-13RTJ-2426-SM-5S2Q2 60-69 years, male 18.4
GTEX-13VXU-0126-SM-5SI9F 50-59 years, male 18.4
GTEX-13YAN-0326-SM-5O9DF 60-69 years, male 18.4
GTEX-Q2AH-1626-SM-3GAF8 40-49 years, male 18.4
GTEX-U412-0426-SM-3DB9O 60-69 years, male 18.4
GTEX-X585-0226-SM-4QAS2 50-59 years, male 18.4
GTEX-XAJ8-0826-SM-47JY6 40-49 years, male 18.4
GTEX-13O3O-0126-SM-E9J49 60-69 years, female 18.4
GTEX-1F6I4-0126-SM-9MQL2 60-69 years, male 18.4
GTEX-11GSP-2526-SM-5N9BP 60-69 years, female 18.3
GTEX-13RTK-1426-SM-5QGQJ 20-29 years, male 18.3
GTEX-16AAH-1726-SM-7939C 50-59 years, male 18.3
GTEX-16GPK-0126-SM-7DHLE 60-69 years, male 18.3
GTEX-OXRO-0126-SM-2YUN4 60-69 years, female 18.3
GTEX-OXRP-0126-SM-3NB32 60-69 years, female 18.3
GTEX-TML8-1926-SM-32QOS 40-49 years, female 18.3
GTEX-UPJH-0326-SM-3GADU 50-59 years, male 18.3
GTEX-1J8JJ-0226-SM-CL53I 60-69 years, female 18.3
GTEX-S33H-1026-SM-EZ6L6 30-39 years, male 18.3
GTEX-WQUQ-0426-SM-3MJFU 60-69 years, male 18.2
GTEX-WYVS-2126-SM-3NMA3 40-49 years, female 18.2
GTEX-Y3IK-2426-SM-4WWDU 50-59 years, female 18.2
GTEX-1H11D-0226-SM-9WG6Z 40-49 years, male 18.2
GTEX-1H1DE-2126-SM-9WG6R 20-29 years, male 18.2
GTEX-1JK1U-2026-SM-CM2RZ 60-69 years, male 18.2
GTEX-1PBJI-0526-SM-E8VNK 20-29 years, female 18.2
GTEX-OIZF-0126-SM-7SB8I 60-69 years, male 18.2
GTEX-11NSD-2226-SM-5986V 20-29 years, male 18.1
GTEX-13OVL-0226-SM-5L3E9 50-59 years, male 18.1
GTEX-R55E-0126-SM-2TC5Y 20-29 years, male 18.1
GTEX-U4B1-1826-SM-4DXSU 40-49 years, male 18.1
GTEX-1EKGG-0226-SM-9WYTH 60-69 years, male 18.1
GTEX-1F6RS-0126-SM-9MQKZ 60-69 years, female 18.1
GTEX-1IL2U-0226-SM-CE6T8 60-69 years, male 18.1
GTEX-1JMLX-0226-SM-CM2RO 50-59 years, male 18.1
GTEX-17HHY-0126-SM-7LG5D 50-59 years, male 18.0
GTEX-1B97I-1626-SM-73KYO 40-49 years, male 18.0
GTEX-117YX-2326-SM-5H12W 50-59 years, male 17.9
GTEX-13CF2-2526-SM-5LZYX 60-69 years, male 17.9
GTEX-13X6H-2126-SM-7EWD5 50-59 years, female 17.9
GTEX-1CB4I-0226-SM-79OLH 50-59 years, male 17.9
GTEX-SIU8-0126-SM-2XCDT 50-59 years, male 17.9
GTEX-X88G-0126-SM-47JZ3 30-39 years, male 17.9
GTEX-XV7Q-2526-SM-4BRV9 40-49 years, female 17.9
GTEX-ZE7O-0126-SM-57WC1 50-59 years, female 17.9
GTEX-ZY6K-1826-SM-5GZXK 50-59 years, male 17.9
GTEX-1F5PK-2426-SM-7RHHY 50-59 years, male 17.9
GTEX-1GF9W-0326-SM-9KNUN 60-69 years, male 17.9
GTEX-PLZ6-1426-SM-DKPOT 30-39 years, male 17.9
GTEX-11ZTS-0126-SM-5EQ6M 60-69 years, female 17.8
GTEX-1GN1V-0126-SM-9WPOS 60-69 years, male 17.8
GTEX-1HCU6-0126-SM-CL54K 60-69 years, female 17.8
GTEX-1PWST-0226-SM-E76QJ 70-79 years, male 17.8
GTEX-ZF29-2326-SM-DO92K 60-69 years, female 17.8
GTEX-13FHP-0126-SM-5IJBG 50-59 years, male 17.7
GTEX-T6MN-0126-SM-32PLP 50-59 years, male 17.7
GTEX-XUW1-0426-SM-4BOOT 50-59 years, female 17.7
GTEX-Z9EW-1626-SM-5CVMN 40-49 years, male 17.7
GTEX-1GZHY-0326-SM-9QEHI 50-59 years, female 17.7
GTEX-OOBK-0126-SM-2YUND 40-49 years, male 17.6
GTEX-WFON-2126-SM-3LK7O 40-49 years, male 17.6
GTEX-WZTO-0126-SM-3NM95 40-49 years, male 17.6
GTEX-XUZC-1726-SM-4BRWS 30-39 years, female 17.6
GTEX-1GN73-0226-SM-9WG67 60-69 years, male 17.6
GTEX-1MGNQ-0126-SM-EVYCJ 40-49 years, male 17.6
GTEX-113IC-0126-SM-5HL6T 60-69 years, male 17.5
GTEX-13111-1626-SM-5EGJY 50-59 years, male 17.5
GTEX-131XG-2626-SM-5KM17 50-59 years, female 17.5
GTEX-1GMR8-0126-SM-9WYTM 50-59 years, female 17.5
GTEX-1JMPY-1326-SM-ARL8Y 30-39 years, male 17.5
GTEX-1MCYP-1926-SM-E9J2R 20-29 years, female 17.5
GTEX-T5JC-0426-SM-32PLO 20-29 years, male 17.4
GTEX-ZYFD-0126-SM-5GIDL 50-59 years, male 17.4
GTEX-169BO-1326-SM-9MQK2 50-59 years, male 17.4
GTEX-1HGF4-2426-SM-ACKXM 60-69 years, male 17.4
GTEX-1LG7Y-0526-SM-DKPQC 50-59 years, male 17.4
GTEX-1CB4E-2226-SM-793DC 60-69 years, male 17.3
GTEX-S7PM-0126-SM-4AD6S 60-69 years, male 17.3
GTEX-ZC5H-0226-SM-4WAY9 40-49 years, female 17.3
GTEX-1HBPH-0426-SM-B2LW5 40-49 years, female 17.3
GTEX-1OFPY-2426-SM-DTXEJ 60-69 years, male 17.3
GTEX-ZF3C-0126-SM-DO92D 50-59 years, female 17.3
GTEX-P4PQ-0126-SM-2S1NM 60-69 years, male 17.1
GTEX-RM2N-1426-SM-2TF4H 50-59 years, male 17.1
GTEX-RN64-0126-SM-2TC68 50-59 years, male 17.1
GTEX-VJWN-0126-SM-3GIK7 50-59 years, female 17.1
GTEX-ZZPT-0226-SM-5E43X 50-59 years, male 17.1
GTEX-1GN1W-0526-SM-9MQJQ 50-59 years, female 17.1
GTEX-1IE54-0126-SM-CMKHW 40-49 years, female 17.1
GTEX-12WSD-0126-SM-59HKN 60-69 years, female 17.0
GTEX-U3ZM-1526-SM-3DB9D 40-49 years, male 17.0
GTEX-11P81-2326-SM-59875 30-39 years, female 16.9
GTEX-13O1R-0126-SM-5L3EH 60-69 years, male 16.9
GTEX-17F97-0326-SM-7LG5B 50-59 years, male 16.9
GTEX-17F98-0626-SM-79OMX 40-49 years, female 16.9
GTEX-1J1R8-1726-SM-ARL8M 40-49 years, male 16.9
GTEX-11ZVC-2526-SM-5FQTE 50-59 years, female 16.8
GTEX-ZDXO-3026-SM-5J1N5 60-69 years, male 16.8
GTEX-1J8EW-0126-SM-CJI4F 60-69 years, female 16.8
GTEX-16XZY-2126-SM-79OK1 70-79 years, male 16.7
GTEX-1EMGI-0126-SM-9KNUE 60-69 years, male 16.7
GTEX-13FXS-0226-SM-5IJCK 50-59 years, male 16.6
GTEX-13OW7-0126-SM-5MR3B 50-59 years, male 16.6
GTEX-ZQUD-1426-SM-57WER 30-39 years, male 16.6
GTEX-1CAV2-2226-SM-7P8P2 40-49 years, female 16.6
GTEX-1IY9M-0126-SM-D3L8S 60-69 years, male 16.6
GTEX-1RQEC-0426-SM-E6CHU 60-69 years, male 16.6
GTEX-144GN-2326-SM-5LU4F 50-59 years, male 16.5
GTEX-18D9B-0526-SM-7LTAS 60-69 years, male 16.5
GTEX-QEG4-0226-SM-2S1PY 30-39 years, male 16.5
GTEX-1B8L1-2526-SM-9WYTF 60-69 years, male 16.5
GTEX-1JMQI-2226-SM-CM2SD 50-59 years, male 16.5
GTEX-PWCY-1826-SM-DHXIZ 20-29 years, female 16.5
GTEX-1C4CL-0526-SM-73KVK 30-39 years, male 16.4
GTEX-XBED-2226-SM-47JYQ 60-69 years, male 16.4
GTEX-XBEW-0626-SM-4QASP 40-49 years, male 16.4
GTEX-ZAB4-0226-SM-5N9F5 40-49 years, male 16.4
GTEX-1H3O1-0426-SM-9YFKY 60-69 years, male 16.4
GTEX-145MN-2226-SM-5SIAU 30-39 years, male 16.3
GTEX-Q734-1926-SM-2I5EV 40-49 years, female 16.3
GTEX-QDT8-0126-SM-48TZ1 30-39 years, female 16.3
GTEX-1HSEH-0126-SM-ACKXN 60-69 years, male 16.3
GTEX-11UD1-0126-SM-5PNYG 40-49 years, female 16.2
GTEX-14PJ3-1826-SM-62LEX 50-59 years, male 16.2
GTEX-OHPL-0126-SM-2HMJ7 60-69 years, female 16.2
GTEX-1C6WA-0126-SM-7PC2B 60-69 years, male 16.2
GTEX-R55G-2526-SM-2TC6D 40-49 years, female 16.1
GTEX-WRHK-1426-SM-3MJF9 20-29 years, female 16.1
GTEX-11TTK-0126-SM-5987B 60-69 years, female 16.0
GTEX-13O21-1426-SM-5K7XI 50-59 years, male 16.0
GTEX-13PVR-2326-SM-5QGR1 60-69 years, female 16.0
GTEX-OXRK-0226-SM-3NB2G 50-59 years, female 16.0
GTEX-X4EP-0126-SM-3P5YV 60-69 years, female 16.0
GTEX-1LNCM-1126-SM-E9U5E 50-59 years, female 16.0
GTEX-15SDE-2226-SM-7IGLO 50-59 years, female 15.9
GTEX-18A7A-0226-SM-718BH 50-59 years, female 15.9
GTEX-NPJ8-0126-SM-2YUNR 40-49 years, male 15.9
GTEX-WH7G-2326-SM-3NMBC 40-49 years, male 15.9
GTEX-X5EB-2226-SM-46MW4 40-49 years, male 15.9
GTEX-1GTWX-0126-SM-9YFLK 60-69 years, male 15.9
GTEX-12WSJ-1826-SM-5GCNY 40-49 years, female 15.8
GTEX-132NY-0326-SM-5IJBL 60-69 years, male 15.8
GTEX-1C64O-0126-SM-7SB8P 60-69 years, male 15.8
GTEX-1JMQL-0226-SM-CNPP5 50-59 years, female 15.8
GTEX-TKQ1-1026-SM-4GICL 30-39 years, male 15.7
GTEX-13O3P-0126-SM-5KM4S 50-59 years, male 15.6
GTEX-11NUK-0126-SM-5A5L3 50-59 years, male 15.5
GTEX-18D9U-0226-SM-718BP 40-49 years, male 15.5
GTEX-YJ8A-0426-SM-5IFID 20-29 years, male 15.5
GTEX-1HFI6-0226-SM-ADEHZ 40-49 years, male 15.5
GTEX-1S5ZA-0126-SM-EVYCV 20-29 years, male 15.5
GTEX-QLQW-1126-SM-2S1Q8 30-39 years, male 15.4
GTEX-PW2O-1526-SM-7RHHB 20-29 years, male 15.4
GTEX-12584-0126-SM-5EGKQ 40-49 years, male 15.3
GTEX-1AMEY-1326-SM-73KYK 30-39 years, female 15.2
GTEX-1HSMP-0126-SM-E6CJS 70-79 years, male 15.2
GTEX-1I6K6-0126-SM-A9SLE 30-39 years, male 15.2
GTEX-X4XX-0126-SM-3NMC2 60-69 years, male 15.1
GTEX-1IKK5-0626-SM-ARL8A 60-69 years, male 15.1
GTEX-12WSK-2326-SM-5GCOH 40-49 years, female 15.0
GTEX-WY7C-2326-SM-3NB2U 50-59 years, male 15.0
GTEX-ZTPG-0326-SM-5O9AX 20-29 years, female 15.0
GTEX-1HBPM-0226-SM-ARL9F 60-69 years, female 15.0
GTEX-1HSMO-0126-SM-CL547 60-69 years, male 15.0
GTEX-1B8KZ-2026-SM-7DHMB 50-59 years, male 14.9
GTEX-X62O-0126-SM-4E3JN 50-59 years, male 14.9
GTEX-1RAZA-0126-SM-E6CI3 20-29 years, male 14.9
GTEX-11P82-1626-SM-59879 20-29 years, male 14.8
GTEX-W5WG-1826-SM-4KL2Y 50-59 years, female 14.8
GTEX-1HCU9-1526-SM-A9SL7 20-29 years, male 14.8
GTEX-11P7K-2126-SM-5GU7G 30-39 years, male 14.6
GTEX-1LSNM-1926-SM-E6CII 50-59 years, male 14.6
GTEX-1QP9N-1426-SM-DTXFL 30-39 years, male 14.6
GTEX-RTLS-0126-SM-447CA 60-69 years, female 14.5
GTEX-1GF9X-2026-SM-7PC3A 40-49 years, female 14.5
GTEX-W5X1-3026-SM-EAZAX 40-49 years, female 14.5
GTEX-Y111-0126-SM-4SOIV 50-59 years, male 14.4
GTEX-139T4-0226-SM-5HL5S 50-59 years, female 14.3
GTEX-QLQ7-1626-SM-2S1R8 60-69 years, male 14.3
GTEX-WXYG-2326-SM-4E3I6 50-59 years, female 14.3
GTEX-1I1GS-0126-SM-B2LVW 60-69 years, male 14.3
GTEX-YEC4-2126-SM-5IFJH 40-49 years, male 14.2
GTEX-1N2DV-0226-SM-E6CJ6 40-49 years, male 14.2
GTEX-13VXT-0126-SM-5LU4I 20-29 years, female 14.1
GTEX-1PFEY-1526-SM-E76PP 30-39 years, male 14.1
GTEX-WI4N-1026-SM-3LK7N 40-49 years, female 14.0
GTEX-1NV5F-0226-SM-E8VNY 60-69 years, female 14.0
GTEX-1KANB-0526-SM-E6CJH 50-59 years, male 13.9
GTEX-Y114-2426-SM-4TT8A 50-59 years, female 13.8
GTEX-1HKZK-0326-SM-9WYUH 40-49 years, male 13.8
GTEX-X638-0126-SM-47JZ8 70-79 years, female 13.5
GTEX-1AYD5-2426-SM-73KXR 50-59 years, male 13.4
GTEX-OHPM-0126-SM-2YUN9 50-59 years, male 13.4
GTEX-OXRL-0126-SM-2YUMP 50-59 years, male 13.4
GTEX-1AYCT-2426-SM-7IGQ3 50-59 years, male 13.2
GTEX-XXEK-2226-SM-4BRUM 50-59 years, male 13.2
GTEX-XYKS-2126-SM-4E3IB 60-69 years, female 13.0
GTEX-RUSQ-1526-SM-2TF62 50-59 years, male 12.6
GTEX-Q2AI-1326-SM-2S1PL 40-49 years, male 12.5
GTEX-XQ8I-0426-SM-4BOPO 50-59 years, male 12.3
Show allShow less

Contact

  • NEWS ARTICLES
  • PRESS ROOM

The Project

  • INTRODUCTION
  • ORGANIZATION
  • PUBLICATIONS

The Human Protein Atlas

  • DOWNLOADABLE DATA
  • LICENCE & CITATION
  • HELP & FAQ
The Human Protein Atlas project is funded
by the Knut & Alice Wallenberg Foundation.


contact@proteinatlas.org