We use cookies to enhance the usability of our website. If you continue, we'll assume that you are happy to receive all cookies. More information. Don't show this again.
NCOA7
HPA
RESOURCES
  • TISSUE
  • BRAIN
  • SINGLE CELL
  • SUBCELLULAR
  • CANCER
  • BLOOD
  • CELL LINE
  • STRUCTURE & INTERACTION
ABOUT
  • INTRODUCTION
  • HISTORY
  • ORGANIZATION
  • PUBLICATIONS
  • ANTIBODY SUBMISSION
  • ANTIBODY AVAILABILITY
  • ACKNOWLEDGMENTS
  • CONTACT
NEWS
  • NEWS ARTICLES
  • PRESS ROOM
LEARN
  • DICTIONARY
  • PROTEIN CLASSES
  • PROTEIN EVIDENCE
  • METHODS
  • EDUCATIONAL VIDEOS
DATA
  • DOWNLOADABLE DATA
  • PUBLICATION DATA
  • RELEASE HISTORY
HELP
  • ANTIBODY VALIDATION
  • ASSAYS & ANNOTATION
  • DISCLAIMER
  • HELP & FAQ
  • PRIVACY STATEMENT
  • LICENCE & CITATION
Fields »
Search result

Field
Term
Gene name
Class
Subclass
Class
Keyword
Chromosome
External id
Tissue
Cell type
Expression
Antibody panel
Tissue
Main location
Patient ID
Annotation
Tissue
Category
Tau score
Cluster
Reliability
Brain region
Category
Tau score
Brain region
Category
Tau score
Brain region
Category
Tau score
Cluster
Reliability
Tissue
Cell type
Enrichment
Cell type
Category
Tau score
Cell type
Category
Tau score
Cell type
Category
Tau score
Cell lineage
Category
Tau score
Cluster
Cluster
Location
Searches
Location
Cell line
Class
Type
Phase
Reliability
Cancer
Prognosis
Cancer
Category
Cancer
Category
Tau score
Cluster
Variants
Interacting gene (ensg_id)
Type
Number of interactions
Pathway
Category
Score
Score
Score
Validation
Validation
Validation
Validation
Antibodies
Data type
Column


  • SUMMARY

  • TISSUE

  • BRAIN

  • SINGLE CELL

  • SUBCELL

  • CANCER

  • BLOOD

  • CELL LINE

  • STRUCT & INT

  • NCOA7
TISSUE PRIMARY DATA SKIN Show tissue menu
ADIPOSE TISSUE ADRENAL GLAND AMYGDALA APPENDIX BASAL GANGLIA BONE MARROW BREAST BRONCHUS CEREBELLUM CEREBRAL CORTEX CERVIX CHOROID PLEXUS COLON DUODENUM
ENDOMETRIUM EPIDIDYMIS ESOPHAGUS FALLOPIAN TUBE GALLBLADDER HEART MUSCLE HIPPOCAMPAL FORMATION HYPOTHALAMUS KIDNEY LIVER LUNG LYMPH NODE MIDBRAIN NASOPHARYNX
ORAL MUCOSA OVARY PANCREAS PARATHYROID GLAND PITUITARY GLAND PLACENTA PROSTATE RECTUM RETINA SALIVARY GLAND SEMINAL VESICLE SKELETAL MUSCLE SKIN SMALL INTESTINE
SMOOTH MUSCLE SOFT TISSUE SPINAL CORD SPLEEN STOMACH TESTIS THYMUS THYROID GLAND TONGUE TONSIL URINARY BLADDER VAGINA
ANTIBODIES
AND
VALIDATION
Dictionary
Skin
Tissue proteome
Skin
SKIN - Expression summary
Protein expression
Skini

On the top, protein expression in current human tissue, based on all annotated cell types, is reported with the units not detected (n), low (l), medium (m) and high (h). Underneath, protein expression in each annotated cell type are reported using the same units.

Protein expression data is based on knowledge-based annotation. For genes where more than one antibody has been used, a collective score is set.

If knowledge-based annotation could not be performed for a gene, no data is displayed here. View antibody staining data further down this page.

h
m
l
n
Epidermal cells: Medium
Fibroblasts: Low
Keratinocytes: Medium
Langerhans: Low
Melanocytes: Not detected
RNA expressioni

A summary of mRNA expression data available for current tissue based on several datasets. The mRNA expression levels in human tissues are based on RNA-seq data generated by the Human Protein Atlas (HPA), Genotype-Tissue Expression (GTEx) portal and CAGE data generated by the FANTOM5 consortium. Consensus normalized expression levels for human tissues was created by combining the data from HPA and GTEx datasets.

The mRNA expression levels in pig are based on RNA-seq data generated by the Human Protein Atlas (HPA), and for mouse, HPA data and in situ hybridization generated by the Allen brain atlas are reported.

Scroll down to view mRNA expression data in more detail.
Consensus:10.8 nTPM
HPA:10.5 nTPM
GTEx:10.8 nTPM

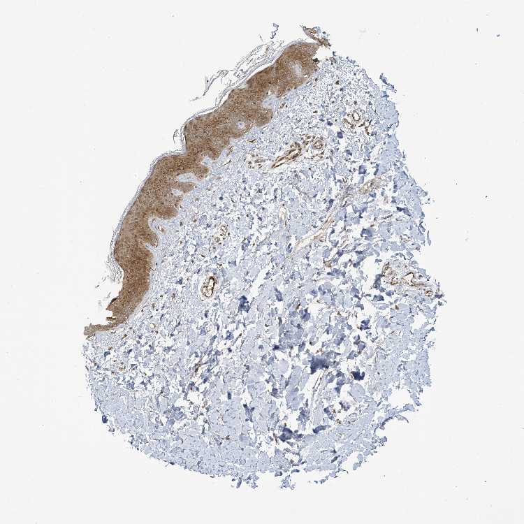
SKIN 1 - Antibody stainingi

Antibody staining in the annotated cell types in the current human tissue is reported as not detected, low, medium, or high, based on conventional immunohistochemistry profiling in selected tissues. This score is based on the combination of the staining intensity and fraction of stained cells.

Each image is clickable and will lead to virtual microscopy that enables deeper exploration of all samples and also displays staining intensity scores, fraction scores and subcellular localization as well as patient and tissue information for each sample.

Antibody HPA030289Antibody HPA030290Antibody HPA030291Antibody HPA030292
Langerhans LowLowNot detectedMedium
Fibroblasts MediumNot detectedNot detectedMedium
Keratinocytes LowMediumMediumHigh
Melanocytes Not detectedNot detectedNot detectedLow


SKIN 2 - Antibody stainingi

Antibody staining in the annotated cell types in the current human tissue is reported as not detected, low, medium, or high, based on conventional immunohistochemistry profiling in selected tissues. This score is based on the combination of the staining intensity and fraction of stained cells.

Each image is clickable and will lead to virtual microscopy that enables deeper exploration of all samples and also displays staining intensity scores, fraction scores and subcellular localization as well as patient and tissue information for each sample.

Antibody HPA030289Antibody HPA030290Antibody HPA030291Antibody HPA030292
Epidermal cells Not detectedMediumMediumHigh
    
    
    





SKIN - HPA RNA-seqi

The RNA-seq details section shows detailed information about the individual samples used for the transcript profiling and results of the RNA-seq analysis.

Information about each individual sample is listed below, including gender, age, a tissue section image and estimated fractions of cell types. nTPM (normalized transcripts per million) values give a quantification of the gene abundance which is comparable between different genes and samples.
Average nTPMi

Max subtype nTPM is the value for the subtype with the largest average nTPM across the subtype samples.

10.5
overview
Female, age 34
Skin sample 225
nTPM: 12.1
Cell types%
Keratinocytes:
60

Other cell types:
40

overview
Female, age 30
Skin sample 226
nTPM: 11.4
Cell types%
Keratinocytes:
55

Other cell types:
45

N/A
Male, age 57
Skin sample 227
nTPM: 8

SKIN - GTEx RNA-seqi

RNA-Seq data generated by the Genotype-Tissue Expression (GTEx) project from human tissues is reported as mean nTPM. More information can be found on the GTEx portal.

Distribution across the dataset is visualized with box plots, shown as median and 25th and 75th percentiles. Points are displayed as outliers if they are above or below 1.5 times the interquartile range. nTPM values of the individual samples are presented next to the box plot.
Max subtype nTPMi

Max subtype nTPM is the value for the subtype with the largest average nTPM across the subtype samples.

10.8
GTEx sample id Sample description nTPM
Skin - Not Sun Exposed (Suprapubic)
Average nTPM: 10.8
Samples: 604

Max nTPM: 71.2
Min nTPM: 3.2
Std nTPM: 7.3
Median nTPM: 8.9
GTEX-14A5H-0826-SM-5QGPJ 60-69 years, male 71.2
GTEX-1JMQL-2226-SM-CNPP4 50-59 years, female 67.3
GTEX-ZYFD-0626-SM-5E44E 50-59 years, male 62.7
GTEX-14E6C-2426-SM-5S2NF 40-49 years, male 51.1
GTEX-1F88E-1626-SM-7SB8Z 60-69 years, female 49.6
GTEX-U8XE-0226-SM-4E3J3 30-39 years, male 41.8
GTEX-X8HC-0626-SM-4E3HQ 50-59 years, female 40.9
GTEX-14C38-0726-SM-5SI6M 50-59 years, male 40.3
GTEX-13JUV-2026-SM-5K7UA 40-49 years, female 37.2
GTEX-16MT9-0126-SM-7EPI8 60-69 years, female 35.3
GTEX-ZAJG-1526-SM-5CVML 50-59 years, female 34.7
GTEX-144GM-0526-SM-79OJO 20-29 years, male 33.9
GTEX-ZVE2-2826-SM-5GU51 50-59 years, male 33.5
GTEX-WYBS-0626-SM-3NMAS 60-69 years, female 32.9
GTEX-ZVE1-0726-SM-51MRN 50-59 years, female 32.2
GTEX-1A3MX-2626-SM-7PC24 60-69 years, male 30.8
GTEX-1H1DG-2426-SM-9QEHJ 70-79 years, male 30.6
GTEX-WHSE-0126-SM-3NMBT 20-29 years, male 29.4
GTEX-1313W-0626-SM-5EQ4H 50-59 years, female 29.1
GTEX-13NYC-0126-SM-5L3F4 60-69 years, male 28.4
GTEX-1QAET-0326-SM-EVR3U 50-59 years, male 27.4
GTEX-13QBU-1226-SM-5LU4G 40-49 years, female 26.6
GTEX-17HG3-2626-SM-7DUF2 30-39 years, female 26.5
GTEX-1314G-1326-SM-5BC6E 30-39 years, male 26.3
GTEX-11TUW-0626-SM-5LU9M 60-69 years, male 26.2
GTEX-15G1A-1626-SM-7KUKN 30-39 years, male 25.9
GTEX-15G19-2426-SM-7KUMR 60-69 years, male 25.8
GTEX-131YS-2826-SM-5EQ47 60-69 years, female 25.2
GTEX-ZYVF-0926-SM-5E44J 50-59 years, female 25.1
GTEX-13N1W-2426-SM-5IJD1 70-79 years, male 24.8
GTEX-WI4N-2726-SM-3LK7Y 40-49 years, female 24.0
GTEX-1NSGN-0726-SM-DTXEF 50-59 years, male 23.6
GTEX-1A3MW-0626-SM-731CB 60-69 years, female 23.3
GTEX-1HCU8-2526-SM-CE6RX 60-69 years, female 22.8
GTEX-1JJE9-2626-SM-ARZMT 70-79 years, male 22.5
GTEX-139T8-0626-SM-5KLZX 60-69 years, male 22.2
GTEX-11ZUS-2626-SM-5FQUR 30-39 years, male 21.6
GTEX-15EO6-2426-SM-6PALZ 50-59 years, male 21.6
GTEX-1CAV2-0126-SM-7IGN7 40-49 years, female 21.4
GTEX-1F6RS-2026-SM-7RHHC 60-69 years, female 21.1
GTEX-1F75B-0726-SM-7PC3R 50-59 years, male 20.0
GTEX-12WSC-2826-SM-5BC5Y 50-59 years, male 19.9
GTEX-144GL-0626-SM-5LU4D 50-59 years, male 19.5
GTEX-1F48J-0726-SM-7RHGS 50-59 years, female 19.4
GTEX-1L5NE-1126-SM-D3L9P 50-59 years, male 19.0
GTEX-15CHQ-0326-SM-69LQD 60-69 years, male 18.7
GTEX-1HSMO-0626-SM-ACKXC 60-69 years, male 18.7
GTEX-1I1CD-0626-SM-CE6SW 60-69 years, female 18.4
GTEX-VJYA-1526-SM-3GIJV 60-69 years, male 18.3
GTEX-1F75W-2726-SM-7SB8H 60-69 years, male 18.2
GTEX-ZLFU-1826-SM-4WWBV 40-49 years, male 18.1
GTEX-1I1GU-0926-SM-ACKVS 40-49 years, male 18.0
GTEX-1LVAO-2726-SM-E9TJ8 60-69 years, male 18.0
GTEX-12WSD-0626-SM-5GCMW 60-69 years, female 17.8
GTEX-13113-1626-SM-5EQ4I 60-69 years, female 17.8
GTEX-1H1DF-1126-SM-9WG7G 40-49 years, female 17.7
GTEX-XBED-1926-SM-47JYP 60-69 years, male 17.6
GTEX-YB5K-2026-SM-4VDT3 40-49 years, female 17.6
GTEX-1H4P4-2126-SM-9WYSL 50-59 years, male 17.6
GTEX-ZDXO-3126-SM-5IJDF 60-69 years, male 17.5
GTEX-15UF6-1926-SM-7KUDV 70-79 years, female 17.4
GTEX-14XAO-1226-SM-6EU1C 60-69 years, female 17.2
GTEX-15SHW-0226-SM-7LTAT 60-69 years, male 17.2
GTEX-1GN1V-2826-SM-9JGIA 60-69 years, male 17.1
GTEX-1R9K4-2826-SM-DTX8F 60-69 years, male 17.1
GTEX-145ME-1726-SM-5Q5EU 40-49 years, female 17.0
GTEX-1O9I2-0226-SM-EYYXD 50-59 years, male 17.0
GTEX-12WSL-2026-SM-5GCML 50-59 years, male 16.9
GTEX-1HBPM-0726-SM-9YFL7 60-69 years, female 16.9
GTEX-1ICLY-0826-SM-CMKG1 50-59 years, male 16.9
GTEX-139UW-0326-SM-5J1ML 60-69 years, male 16.8
GTEX-1F6IF-0926-SM-7SB7M 60-69 years, male 16.8
GTEX-13YAN-0226-SM-5TDC6 60-69 years, male 16.7
GTEX-146FQ-2126-SM-5RQHU 30-39 years, male 16.7
GTEX-1HUB1-1426-SM-CGQF5 60-69 years, male 16.6
GTEX-14PK6-0226-SM-62LF5 70-79 years, female 16.4
GTEX-1AYD5-2626-SM-7PBXY 50-59 years, male 16.4
GTEX-ZWKS-0626-SM-5GIDV 30-39 years, male 16.3
GTEX-13RTJ-0126-SM-5S2NN 60-69 years, male 16.1
GTEX-ZZ64-1026-SM-5GZXG 20-29 years, male 16.1
GTEX-145LU-1926-SM-79OJN 50-59 years, male 16.0
GTEX-1H23P-0626-SM-9WG6T 60-69 years, male 16.0
GTEX-11DZ1-2426-SM-5GZZX 50-59 years, male 15.8
GTEX-1H3NZ-2726-SM-9WYTQ 60-69 years, male 15.7
GTEX-183FY-1026-SM-7939A 20-29 years, male 15.6
GTEX-ZY6K-1426-SM-5GZX2 50-59 years, male 15.6
GTEX-14PJO-2526-SM-6AJBQ 60-69 years, male 15.5
GTEX-18D9B-0926-SM-7LG4U 60-69 years, male 15.4
GTEX-1A32A-0626-SM-731AQ 50-59 years, female 15.3
GTEX-1RAZA-2226-SM-E9U4X 20-29 years, male 15.3
GTEX-1117F-2926-SM-5GZYI 60-69 years, female 15.1
GTEX-183WM-0326-SM-72D5V 70-79 years, female 15.0
GTEX-16XZZ-0726-SM-7KUF2 60-69 years, male 14.9
GTEX-1IDJE-1426-SM-ADEIW 50-59 years, female 14.9
GTEX-1J8JJ-0626-SM-ARZMQ 60-69 years, female 14.9
GTEX-11WQK-1026-SM-5EQLX 50-59 years, male 14.8
GTEX-ZYW4-0626-SM-59HJR 60-69 years, male 14.5
GTEX-1C64N-2626-SM-7PC2N 50-59 years, male 14.5
GTEX-1J1OQ-0126-SM-D4P2N 40-49 years, female 14.4
GTEX-12584-0726-SM-5FQTK 40-49 years, male 14.3
GTEX-1I1GS-2626-SM-B2LY3 60-69 years, male 14.2
GTEX-1LSNL-2726-SM-E9TKJ 50-59 years, male 14.2
GTEX-14DAR-1226-SM-73KYV 50-59 years, male 14.1
GTEX-11DXW-0826-SM-5H118 40-49 years, male 14.0
GTEX-1399R-1326-SM-5PNYS 30-39 years, male 13.9
GTEX-147JS-0226-SM-5S2U9 60-69 years, male 13.9
GTEX-Y5LM-0926-SM-6LLJG 40-49 years, female 13.8
GTEX-17JCI-2926-SM-7DUFF 60-69 years, female 13.7
GTEX-14PJ2-0626-SM-6LLII 50-59 years, male 13.6
GTEX-1AX9J-1326-SM-731BJ 60-69 years, male 13.5
GTEX-WK11-2726-SM-3NMAQ 50-59 years, male 13.5
GTEX-XK95-0226-SM-4AT58 40-49 years, male 13.5
GTEX-117YX-1926-SM-5GIEC 50-59 years, male 13.4
GTEX-YFCO-1226-SM-5LUAT 40-49 years, male 13.3
GTEX-1LG7Y-2526-SM-EWRO7 50-59 years, male 13.3
GTEX-14BMU-1226-SM-5S2OR 20-29 years, female 13.2
GTEX-YJ8O-2526-SM-5HL85 40-49 years, female 13.2
GTEX-14BMV-2826-SM-5TDED 50-59 years, male 13.0
GTEX-1JN1M-2726-SM-CY8I4 60-69 years, female 13.0
GTEX-1GF9U-2026-SM-7SB92 40-49 years, female 12.9
GTEX-1J8Q3-0526-SM-ARL8U 60-69 years, male 12.9
GTEX-11EQ8-0926-SM-5H12V 60-69 years, male 12.8
GTEX-11UD2-2526-SM-5CVNU 50-59 years, male 12.8
GTEX-ZLWG-0826-SM-59888 50-59 years, female 12.8
GTEX-ZGAY-1826-SM-DO91Q 40-49 years, female 12.8
GTEX-13X6K-0626-SM-5LU5D 60-69 years, female 12.6
GTEX-1AX9I-2226-SM-73KUO 60-69 years, male 12.6
GTEX-ZA64-1026-SM-5HL8R 20-29 years, male 12.6
GTEX-1GMR3-0126-SM-A9SLW 40-49 years, male 12.6
GTEX-1IDJI-0126-SM-CMKHS 50-59 years, female 12.6
GTEX-1JMOU-1026-SM-CYPSS 60-69 years, female 12.6
GTEX-13FH7-1126-SM-5K7UG 50-59 years, female 12.5
GTEX-13FTW-0326-SM-5K7UW 40-49 years, male 12.5
GTEX-1QP29-1826-SM-DTX9S 50-59 years, male 12.5
GTEX-17MF6-2626-SM-79OKQ 40-49 years, male 12.4
GTEX-XMD2-2126-SM-4YCF8 60-69 years, female 12.4
GTEX-1CAMS-2226-SM-7PBXQ 40-49 years, female 12.4
GTEX-1JMPZ-0726-SM-CY8HZ 30-39 years, male 12.4
GTEX-15RIE-1926-SM-7KUKJ 60-69 years, male 12.3
GTEX-1I6K6-1726-SM-CGQFD 30-39 years, male 12.3
GTEX-12WSK-2126-SM-5CVNC 40-49 years, female 12.2
GTEX-13NZ9-2626-SM-5L3FK 50-59 years, male 12.2
GTEX-13OW5-2326-SM-5L3HO 60-69 years, male 12.2
GTEX-16NPX-0726-SM-7KULC 50-59 years, male 12.2
GTEX-1M4P7-0726-SM-E6CJ3 60-69 years, male 12.2
GTEX-1LG7Z-1626-SM-CXKYR 30-39 years, male 12.1
GTEX-12126-0826-SM-5FQTZ 20-29 years, male 12.0
GTEX-1B933-2426-SM-7DHMD 50-59 years, female 12.0
GTEX-1JKYN-0826-SM-ARU8S 30-39 years, male 12.0
GTEX-144FL-0626-SM-5LU43 50-59 years, male 11.9
GTEX-YECK-0326-SM-4W1YS 60-69 years, male 11.9
GTEX-ZT9W-1126-SM-57WDR 50-59 years, male 11.9
GTEX-1GF9W-1426-SM-7PBYM 60-69 years, male 11.9
GTEX-1GMR8-0626-SM-7RHI7 50-59 years, female 11.9
GTEX-1ICG6-1226-SM-A9SLN 70-79 years, female 11.9
GTEX-13PVQ-0626-SM-5LU47 50-59 years, male 11.8
GTEX-15ER7-0626-SM-6PANF 20-29 years, female 11.8
GTEX-16YQH-2226-SM-7IGM2 30-39 years, male 11.8
GTEX-WH7G-2026-SM-3NMBL 40-49 years, male 11.8
GTEX-1HKZK-0726-SM-ACKW2 40-49 years, male 11.8
GTEX-1I19N-0126-SM-CYPSF 70-79 years, male 11.8
GTEX-1E1VI-0326-SM-793D1 50-59 years, male 11.7
GTEX-X4EP-0626-SM-3P621 60-69 years, female 11.7
GTEX-ZU9S-1826-SM-5NQ9E 30-39 years, male 11.7
GTEX-1A8FM-0626-SM-7PC25 50-59 years, female 11.7
GTEX-1F5PK-2226-SM-7SB6N 50-59 years, male 11.7
GTEX-1I4MK-0126-SM-CY8G6 50-59 years, female 11.7
GTEX-12KS4-2126-SM-5FQUT 30-39 years, male 11.5
GTEX-13NZ8-1226-SM-5KM4A 60-69 years, female 11.5
GTEX-1I1GP-1326-SM-A9G28 50-59 years, male 11.5
GTEX-ZYFG-1526-SM-5GZYM 60-69 years, female 11.4
GTEX-1HR98-2226-SM-ADEI2 60-69 years, male 11.4
GTEX-1S831-1826-SM-EWROF 20-29 years, male 11.4
GTEX-11LCK-2226-SM-5HL4Q 30-39 years, male 11.3
GTEX-13X6I-1826-SM-5SIAO 60-69 years, male 11.3
GTEX-14JG1-1526-SM-5YY9X 40-49 years, male 11.3
GTEX-1H2FU-0926-SM-9WPPT 60-69 years, female 11.3
GTEX-1IL2V-1926-SM-B2LW8 70-79 years, male 11.3
GTEX-1QP66-1226-SM-DTX7U 50-59 years, male 11.3
GTEX-13VXT-1926-SM-5K7UO 20-29 years, female 11.2
GTEX-15D1Q-2826-SM-6LLH7 40-49 years, male 11.2
GTEX-1HCU7-0726-SM-A9SL1 50-59 years, male 11.2
GTEX-1RAZR-2126-SM-E9U6T 40-49 years, male 11.2
GTEX-15RJ7-2126-SM-6PAMD 40-49 years, male 11.1
GTEX-17EVQ-0126-SM-7IGLR 70-79 years, male 11.1
GTEX-1A8G7-1326-SM-73KVM 60-69 years, male 11.1
GTEX-1EX96-1026-SM-7MKG2 50-59 years, male 11.1
GTEX-YF7O-1526-SM-5IFI6 50-59 years, male 11.0
GTEX-1F75I-2226-SM-7SB8U 40-49 years, male 11.0
GTEX-1HC8U-1326-SM-9YFMJ 40-49 years, female 11.0
GTEX-13OVG-1626-SM-5J1NF 60-69 years, male 10.9
GTEX-1B932-2326-SM-79OL5 40-49 years, female 10.9
GTEX-UPK5-0426-SM-3GAEK 40-49 years, male 10.9
GTEX-X3Y1-2026-SM-3P5YM 40-49 years, male 10.9
GTEX-1F5PL-0926-SM-7PC2W 40-49 years, female 10.9
GTEX-13O3O-2326-SM-5IJD6 60-69 years, female 10.8
GTEX-1497J-0226-SM-5QGPU 60-69 years, male 10.8
GTEX-13N2G-0226-SM-5K7VF 60-69 years, male 10.7
GTEX-13X6H-0926-SM-5SIB2 50-59 years, female 10.7
GTEX-XBEC-0726-SM-4QARZ 50-59 years, male 10.7
GTEX-1GZ2Q-0126-SM-9WG6M 40-49 years, male 10.7
GTEX-1ICLZ-0326-SM-ARL82 60-69 years, male 10.7
GTEX-11EI6-2826-SM-5H11D 60-69 years, male 10.6
GTEX-1IDJF-2026-SM-CL53V 20-29 years, male 10.6
GTEX-XOT4-0626-SM-4B66L 60-69 years, female 10.5
GTEX-Y5V6-2326-SM-4VDSA 60-69 years, male 10.5
GTEX-ZE7O-2726-SM-51MT5 50-59 years, female 10.5
GTEX-1RLM8-2926-SM-E8VON 50-59 years, male 10.5
GTEX-139YR-1026-SM-5LZYN 50-59 years, male 10.4
GTEX-13VXU-0626-SM-5L3F9 50-59 years, male 10.4
GTEX-14DAQ-0626-SM-793DS 60-69 years, female 10.4
GTEX-ZDTS-0826-SM-4WKHL 60-69 years, male 10.4
GTEX-1GL5R-1326-SM-7RHHF 50-59 years, male 10.4
GTEX-1S5ZU-2526-SM-E6CIF 20-29 years, female 10.4
GTEX-178AV-1726-SM-7KUL8 40-49 years, male 10.3
GTEX-WEY5-2326-SM-3GIKK 40-49 years, female 10.3
GTEX-ZYFC-0426-SM-5GICQ 50-59 years, male 10.3
GTEX-1QCLZ-2426-SM-EVYBW 60-69 years, female 10.3
GTEX-13FHO-0426-SM-5L3F5 60-69 years, male 10.2
GTEX-1B996-0426-SM-7EWF8 60-69 years, male 10.2
GTEX-WXYG-2026-SM-4E3IY 50-59 years, female 10.2
GTEX-1QEPI-2626-SM-DTXF4 60-69 years, female 10.2
GTEX-13FTY-2126-SM-5IFFB 40-49 years, female 10.1
GTEX-V1D1-2026-SM-3GAF4 50-59 years, male 10.1
GTEX-18D9A-1426-SM-7LT8M 30-39 years, female 10.1
GTEX-1LVAM-0726-SM-E6CIL 50-59 years, female 10.1
GTEX-1BAJH-2426-SM-7IGP8 70-79 years, male 10.0
GTEX-12BJ1-0926-SM-5EQ62 60-69 years, male 9.9
GTEX-1JN6P-2926-SM-CL54D 60-69 years, male 9.9
GTEX-1LBAC-0826-SM-CY8IJ 20-29 years, male 9.9
GTEX-11TT1-1826-SM-5EQLV 20-29 years, male 9.8
GTEX-16NGA-0726-SM-731AO 40-49 years, female 9.8
GTEX-17HGU-2326-SM-7DUFE 50-59 years, male 9.8
GTEX-ZTTD-2826-SM-4YCFA 50-59 years, male 9.8
GTEX-1JKYR-0626-SM-ARL8R 20-29 years, male 9.8
GTEX-12C56-1526-SM-5FQUQ 20-29 years, male 9.7
GTEX-WYVS-1626-SM-3NM9R 40-49 years, female 9.7
GTEX-1C6VR-0126-SM-7RHGB 60-69 years, male 9.7
GTEX-1IDJH-0126-SM-D3L92 70-79 years, male 9.7
GTEX-11EM3-1226-SM-5N9DD 20-29 years, female 9.6
GTEX-13NYS-0626-SM-5L3F1 60-69 years, male 9.6
GTEX-13OVJ-0826-SM-5J1OK 50-59 years, female 9.6
GTEX-13OVK-1426-SM-6PAN7 40-49 years, male 9.6
GTEX-13SLX-2226-SM-62LEP 50-59 years, female 9.6
GTEX-1CB4F-1026-SM-7DUH1 60-69 years, male 9.6
GTEX-ZZPU-0826-SM-5GZX5 50-59 years, female 9.6
GTEX-1HCU9-0426-SM-9WYSD 20-29 years, male 9.6
GTEX-1HCUA-0826-SM-ADEHM 50-59 years, female 9.6
GTEX-1I1HK-2326-SM-CKZOH 60-69 years, male 9.6
GTEX-1J8Q2-2626-SM-ACKWQ 60-69 years, male 9.6
GTEX-16BQI-1326-SM-6M486 30-39 years, female 9.5
GTEX-XV7Q-1826-SM-4BRUV 40-49 years, female 9.5
GTEX-1KWVE-1026-SM-D3L9O 30-39 years, male 9.5
GTEX-1PBJJ-1026-SM-E76OS 30-39 years, male 9.5
GTEX-1S82P-2126-SM-E6CI5 60-69 years, female 9.5
GTEX-1269C-0126-SM-5EQ5L 60-69 years, female 9.4
GTEX-145MO-2826-SM-5LU96 60-69 years, male 9.4
GTEX-1C2JI-1026-SM-73KY1 50-59 years, male 9.4
GTEX-VUSG-2326-SM-4KL1U 50-59 years, male 9.4
GTEX-WRHU-2826-SM-3MJG8 50-59 years, female 9.4
GTEX-Z93S-1626-SM-5CVMB 50-59 years, male 9.4
GTEX-1C475-1326-SM-7SB73 40-49 years, female 9.4
GTEX-1EMGI-2326-SM-7PBYA 60-69 years, male 9.4
GTEX-1GMR2-0826-SM-7PC3V 50-59 years, male 9.4
GTEX-1LVAN-0626-SM-CNPOQ 50-59 years, female 9.4
GTEX-13N11-2326-SM-5IJBF 50-59 years, female 9.3
GTEX-17HHY-0426-SM-7DHLC 50-59 years, male 9.3
GTEX-1KD5A-0126-SM-E9U54 50-59 years, male 9.3
GTEX-1MCYP-0526-SM-E9U6Q 20-29 years, female 9.3
GTEX-11EQ9-1626-SM-5PNY8 30-39 years, male 9.2
GTEX-13112-0126-SM-5P9IU 50-59 years, male 9.2
GTEX-13U4I-2226-SM-5LU5H 40-49 years, female 9.2
GTEX-145MG-1526-SM-5Q5EM 50-59 years, male 9.2
GTEX-Y5V5-0126-SM-5S2NW 60-69 years, female 9.2
GTEX-ZAB4-2126-SM-5HL8U 40-49 years, male 9.2
GTEX-1C64O-1326-SM-7MGWR 60-69 years, male 9.2
GTEX-1KANC-1226-SM-CYPT7 50-59 years, female 9.2
GTEX-139D8-1126-SM-5LU8W 30-39 years, female 9.1
GTEX-13PVR-0426-SM-5RQK2 60-69 years, female 9.1
GTEX-14E1K-2026-SM-7DUEI 50-59 years, male 9.1
GTEX-14PHY-1226-SM-5ZZWK 60-69 years, female 9.1
GTEX-17F97-2626-SM-7IGM5 50-59 years, male 9.1
GTEX-1C6VQ-1226-SM-73KYD 50-59 years, male 9.1
GTEX-1C6WA-2626-SM-7MKGM 60-69 years, male 9.1
GTEX-WFG8-2126-SM-3GIKQ 20-29 years, male 9.1
GTEX-XQ8I-0926-SM-4BOOF 50-59 years, male 9.1
GTEX-1H1DE-1326-SM-9KNUG 20-29 years, male 9.1
GTEX-1IDFM-0326-SM-ARL7V 60-69 years, male 9.1
GTEX-1KXAM-1626-SM-D3LAD 60-69 years, male 9.1
GTEX-147F4-0726-SM-5TDDD 50-59 years, male 9.0
GTEX-YEC4-1826-SM-4W1YP 40-49 years, male 9.0
GTEX-1H1ZS-2726-SM-9WG75 70-79 years, male 9.0
GTEX-1HT8W-0626-SM-A9G2H 30-39 years, male 9.0
GTEX-1IE54-1126-SM-A9G2Z 40-49 years, female 9.0
GTEX-1POEN-2326-SM-E9J2L 30-39 years, female 9.0
GTEX-1S82U-1026-SM-E6CJK 30-39 years, female 9.0
GTEX-147F3-1726-SM-5SIAW 50-59 years, female 8.9
GTEX-14PKU-0126-SM-6LLHV 40-49 years, female 8.9
GTEX-15SKB-2826-SM-6PAMH 60-69 years, male 8.9
GTEX-17F9Y-0126-SM-79OKX 70-79 years, female 8.9
GTEX-1EN7A-2426-SM-793DB 40-49 years, male 8.9
GTEX-ZVTK-0226-SM-51MRG 20-29 years, male 8.9
GTEX-1JMQK-1226-SM-D4P2S 60-69 years, male 8.9
GTEX-1N2EE-0626-SM-E76PW 60-69 years, male 8.9
GTEX-1R7EU-1626-SM-DTXG3 60-69 years, male 8.9
GTEX-11DXY-0126-SM-5H11Q 60-69 years, male 8.8
GTEX-14LLW-2626-SM-62LDZ 70-79 years, female 8.8
GTEX-16Z82-2626-SM-7KULU 60-69 years, male 8.8
GTEX-18465-2826-SM-7LT9J 50-59 years, male 8.8
GTEX-18A67-1626-SM-7LT9T 50-59 years, male 8.8
GTEX-144GO-2026-SM-5O99P 60-69 years, male 8.7
GTEX-17MFQ-1526-SM-7KFRR 20-29 years, male 8.7
GTEX-ZDTT-0426-SM-4WKFL 60-69 years, male 8.7
GTEX-14JG6-1426-SM-9WG7C 30-39 years, female 8.7
GTEX-1IOXB-2726-SM-CM2RI 50-59 years, male 8.7
GTEX-133LE-2326-SM-5K7W3 20-29 years, female 8.6
GTEX-145LS-0626-SM-7EPG7 60-69 years, female 8.6
GTEX-14PJ6-2626-SM-6EU2T 60-69 years, female 8.6
GTEX-18D9U-0126-SM-731BM 40-49 years, male 8.6
GTEX-1A8G6-2726-SM-731AR 60-69 years, male 8.6
GTEX-1AMFI-1326-SM-7939R 50-59 years, female 8.6
GTEX-1F52S-2926-SM-7MKGA 60-69 years, female 8.6
GTEX-ZVT4-2426-SM-5GIEI 50-59 years, female 8.6
GTEX-1IDJD-2326-SM-ACKWX 30-39 years, male 8.6
GTEX-13W3W-0726-SM-5IJDQ 60-69 years, female 8.5
GTEX-148VJ-0626-SM-5LUAW 70-79 years, male 8.5
GTEX-14A6H-2026-SM-5Q5DD 30-39 years, male 8.5
GTEX-18A7B-2726-SM-7LG56 70-79 years, male 8.5
GTEX-1HSKV-1226-SM-ADEI4 60-69 years, male 8.5
GTEX-1LVA9-2626-SM-EVYD4 50-59 years, male 8.5
GTEX-1PIGE-1826-SM-E8VOU 20-29 years, male 8.5
GTEX-12ZZY-0726-SM-5EQ66 60-69 years, male 8.4
GTEX-13OW7-0426-SM-5K7VK 50-59 years, male 8.4
GTEX-ZDYS-2426-SM-4WKGI 50-59 years, male 8.4
GTEX-1GZ4H-0526-SM-9KNU9 50-59 years, female 8.4
GTEX-1HFI6-0126-SM-CNPPI 40-49 years, male 8.4
GTEX-1IY9M-2826-SM-ARU8H 60-69 years, male 8.4
GTEX-1S83E-1326-SM-E6CJM 40-49 years, male 8.4
GTEX-11WQC-1826-SM-5GU59 60-69 years, male 8.3
GTEX-145LT-0526-SM-5LUB2 40-49 years, male 8.3
GTEX-1477Z-0326-SM-7IGLA 60-69 years, male 8.3
GTEX-14JFF-0626-SM-5ZZVT 60-69 years, male 8.3
GTEX-1IDJV-0126-SM-COH3Y 60-69 years, male 8.3
GTEX-1K2DU-1226-SM-CYPT4 20-29 years, male 8.3
GTEX-13X6J-0626-SM-5LU5F 50-59 years, male 8.2
GTEX-15CHR-1126-SM-7EWF4 50-59 years, male 8.2
GTEX-18QFQ-1826-SM-72D52 30-39 years, male 8.2
GTEX-1CAMR-1326-SM-7PC1F 20-29 years, male 8.2
GTEX-1F88F-0126-SM-9WYSZ 60-69 years, female 8.2
GTEX-1GZHY-0626-SM-9KNVC 50-59 years, female 8.2
GTEX-1H3VE-0726-SM-9YFL5 40-49 years, male 8.2
GTEX-1MCC2-1826-SM-DIPEX 30-39 years, female 8.2
GTEX-1211K-1526-SM-5FQU4 60-69 years, female 8.1
GTEX-1399Q-2326-SM-5KM2X 40-49 years, male 8.1
GTEX-13OVH-0526-SM-5L3E6 70-79 years, male 8.1
GTEX-14ICL-1626-SM-5YYAO 30-39 years, male 8.1
GTEX-1CB4H-1126-SM-7MKGL 60-69 years, female 8.1
GTEX-1EKGG-0626-SM-7DUGJ 60-69 years, male 8.1
GTEX-1JJ6O-2726-SM-CNPOG 60-69 years, male 8.1
GTEX-12WSF-1626-SM-7KUG5 70-79 years, male 8.0
GTEX-145MF-0926-SM-5Q5EA 50-59 years, male 8.0
GTEX-14PJ5-1526-SM-6LLIL 60-69 years, female 8.0
GTEX-14PKV-1126-SM-6LLJ1 20-29 years, female 8.0
GTEX-ZE9C-2526-SM-5IJDR 60-69 years, male 8.0
GTEX-1GF9X-1326-SM-7PC2Y 40-49 years, female 8.0
GTEX-1J8QM-2426-SM-A9SLS 60-69 years, female 8.0
GTEX-1KAFJ-0126-SM-DIPEK 50-59 years, male 8.0
GTEX-13SLW-0626-SM-5Q5ER 70-79 years, male 7.9
GTEX-15EU6-2226-SM-6EU2L 50-59 years, male 7.9
GTEX-ZVT2-0126-SM-5GIDQ 50-59 years, female 7.9
GTEX-1GZ4I-2626-SM-9KNU3 50-59 years, male 7.9
GTEX-1HB9E-0126-SM-CM2S5 50-59 years, male 7.9
GTEX-1JJEA-1826-SM-ARU8P 60-69 years, male 7.9
GTEX-1LGOU-1326-SM-D3L8M 20-29 years, female 7.9
GTEX-12WSH-1526-SM-5BC5W 50-59 years, male 7.8
GTEX-13NYB-0126-SM-5J1MD 40-49 years, male 7.8
GTEX-13OW6-2726-SM-5J2OE 50-59 years, male 7.8
GTEX-14AS3-1526-SM-5Q5ED 40-49 years, female 7.8
GTEX-17F98-1326-SM-7DUEP 40-49 years, female 7.8
GTEX-1GN1U-0626-SM-9MQL9 50-59 years, female 7.8
GTEX-1K2DA-1026-SM-CGQGF 50-59 years, male 7.8
GTEX-Y8LW-1526-SM-5IFHL 50-59 years, female 7.7
GTEX-ZUA1-2626-SM-5NQ92 40-49 years, male 7.7
GTEX-1F75A-0726-SM-7RHHD 50-59 years, male 7.7
GTEX-1GMRU-2126-SM-7P8RA 50-59 years, male 7.7
GTEX-1GPI7-1826-SM-9KNU1 20-29 years, male 7.7
GTEX-12696-0126-SM-5EQ4L 60-69 years, male 7.6
GTEX-13FLV-0126-SM-5K7WT 50-59 years, male 7.6
GTEX-14ABY-2026-SM-62LDL 50-59 years, male 7.6
GTEX-15DDE-2926-SM-6LLJ3 50-59 years, female 7.6
GTEX-17EVP-2626-SM-7IGMA 40-49 years, male 7.6
GTEX-1A3MV-1826-SM-731CD 30-39 years, male 7.6
GTEX-WYJK-0526-SM-3NM8Z 50-59 years, male 7.6
GTEX-1HCVE-2726-SM-CL54F 50-59 years, male 7.6
GTEX-11ZTT-2126-SM-5CVLO 60-69 years, female 7.5
GTEX-145MI-0626-SM-5SI8S 60-69 years, female 7.5
GTEX-14E6E-0526-SM-793DN 30-39 years, male 7.5
GTEX-17KNJ-2126-SM-718AM 50-59 years, male 7.5
GTEX-1EWIQ-0326-SM-7DHMQ 70-79 years, female 7.5
GTEX-XUW1-0926-SM-4BONX 50-59 years, female 7.5
GTEX-1F6I4-2326-SM-7RHGL 60-69 years, male 7.5
GTEX-1HSGN-0826-SM-ACKW3 40-49 years, female 7.5
GTEX-1MJK3-0726-SM-E6CJC 20-29 years, male 7.5
GTEX-11O72-0626-SM-5PNYE 40-49 years, male 7.4
GTEX-13OW8-1026-SM-5J1NQ 60-69 years, male 7.4
GTEX-16GPK-0626-SM-7KFSF 60-69 years, male 7.4
GTEX-17F9E-2326-SM-79OKD 50-59 years, male 7.4
GTEX-1B8KZ-0326-SM-73KY4 50-59 years, male 7.4
GTEX-X585-2426-SM-46MW2 50-59 years, male 7.4
GTEX-X5EB-1926-SM-4E3IW 40-49 years, male 7.4
GTEX-1H3O1-1326-SM-9MQLD 60-69 years, male 7.4
GTEX-1IKOE-1426-SM-CE6T7 30-39 years, female 7.4
GTEX-131XF-2626-SM-5EQ6K 60-69 years, male 7.3
GTEX-XQ3S-1426-SM-4BOPR 20-29 years, male 7.3
GTEX-XYKS-1426-SM-4BRUO 60-69 years, female 7.3
GTEX-1HSMQ-2626-SM-A9SML 50-59 years, male 7.3
GTEX-1IDJC-1526-SM-B2LW4 50-59 years, male 7.3
GTEX-1PDJ9-1226-SM-EXUSX 20-29 years, male 7.3
GTEX-1PPH7-1126-SM-DTX9A 40-49 years, male 7.3
GTEX-1192X-2726-SM-5N9DN 50-59 years, male 7.2
GTEX-11GS4-0226-SM-5HL77 60-69 years, male 7.2
GTEX-14C5O-0326-SM-5ZZUX 60-69 years, male 7.2
GTEX-18A6Q-0626-SM-7KFRP 60-69 years, male 7.2
GTEX-18A7A-0126-SM-731AH 50-59 years, female 7.2
GTEX-1GPI6-1926-SM-9KNV7 60-69 years, male 7.2
GTEX-1GTWX-2026-SM-9YFLM 60-69 years, male 7.2
GTEX-111YS-1526-SM-5GZYW 60-69 years, male 7.1
GTEX-11NUK-2726-SM-5A5MC 50-59 years, male 7.1
GTEX-11P81-2226-SM-5PNYI 30-39 years, female 7.1
GTEX-13PL6-1126-SM-5L3IE 40-49 years, female 7.1
GTEX-14LZ3-0126-SM-69LPM 60-69 years, female 7.1
GTEX-15FZZ-0526-SM-7KUGD 30-39 years, female 7.1
GTEX-16MTA-0926-SM-6M47Z 50-59 years, male 7.1
GTEX-1EU9M-1426-SM-793AI 60-69 years, male 7.1
GTEX-XXEK-1626-SM-4BRUZ 50-59 years, male 7.1
GTEX-ZVP2-0326-SM-57WBP 50-59 years, male 7.1
GTEX-ZXG5-2126-SM-59HKD 60-69 years, male 7.1
GTEX-1HCU6-2526-SM-ADEHL 60-69 years, female 7.1
GTEX-1LSVX-2526-SM-DIPEU 60-69 years, male 7.1
GTEX-1N5O9-0926-SM-E9J3C 60-69 years, male 7.1
GTEX-15CHC-1126-SM-6LLHQ 60-69 years, female 7.0
GTEX-15DYW-2726-SM-6EU2I 60-69 years, female 7.0
GTEX-16AAH-0626-SM-793C9 50-59 years, male 7.0
GTEX-X4EO-2926-SM-4E3JH 60-69 years, female 7.0
GTEX-1HR9M-2226-SM-CNPPY 60-69 years, male 7.0
GTEX-1I6K7-1926-SM-B2LXR 40-49 years, male 7.0
GTEX-1IDJU-1726-SM-CMKHU 60-69 years, female 7.0
GTEX-12WSA-0426-SM-5EQ5X 60-69 years, male 6.9
GTEX-147GR-2426-SM-5ZZWQ 60-69 years, male 6.9
GTEX-WY7C-2126-SM-3NB2R 50-59 years, male 6.9
GTEX-ZC5H-1526-SM-5HL9Y 40-49 years, female 6.9
GTEX-1HFI7-2326-SM-CGQFS 50-59 years, female 6.9
GTEX-1QW4Y-1126-SM-DTXE3 30-39 years, male 6.9
GTEX-13OVL-0126-SM-5L3GJ 50-59 years, male 6.8
GTEX-145MN-1526-SM-5SI9T 30-39 years, male 6.8
GTEX-14PJN-1826-SM-6AJ98 30-39 years, male 6.8
GTEX-1AMEY-0826-SM-72D65 30-39 years, female 6.8
GTEX-1AX8Z-0726-SM-73KTS 60-69 years, male 6.8
GTEX-WFON-1926-SM-3LK7L 40-49 years, male 6.8
GTEX-ZPU1-1126-SM-4YCF3 40-49 years, male 6.8
GTEX-1GN1W-2426-SM-9KNUU 50-59 years, female 6.8
GTEX-1H11D-1826-SM-9QEHM 40-49 years, male 6.8
GTEX-1OJC4-2726-SM-E76PJ 50-59 years, female 6.8
GTEX-1QPFJ-1926-SM-EVYBD 30-39 years, female 6.8
GTEX-11VI4-1126-SM-5EQMD 40-49 years, female 6.7
GTEX-14B4R-1326-SM-5Q5EZ 30-39 years, male 6.7
GTEX-16MT8-2926-SM-7DUFO 60-69 years, female 6.7
GTEX-W5X1-2526-SM-3GILC 40-49 years, female 6.7
GTEX-Y9LG-1126-SM-4VBQ7 30-39 years, male 6.7
GTEX-1H1CY-0126-SM-9YFLY 60-69 years, female 6.7
GTEX-1HSMP-0926-SM-A9SKX 70-79 years, male 6.7
GTEX-ZF3C-0626-SM-DO92O 50-59 years, female 6.7
GTEX-ZLV1-1526-SM-DO91J 60-69 years, female 6.7
GTEX-13FTX-1526-SM-5K7VJ 20-29 years, female 6.6
GTEX-13PDP-0726-SM-5L3HP 60-69 years, male 6.6
GTEX-1LGRB-0926-SM-COH3K 50-59 years, female 6.6
GTEX-1399U-1126-SM-5L3DB 50-59 years, female 6.5
GTEX-14PJ4-0226-SM-5YY92 60-69 years, male 6.5
GTEX-18A66-0626-SM-7LT8Z 60-69 years, male 6.5
GTEX-XAJ8-1426-SM-47JYM 40-49 years, male 6.5
GTEX-ZAK1-0626-SM-5HL8E 50-59 years, female 6.5
GTEX-1122O-1026-SM-9WYSF 60-69 years, female 6.5
GTEX-1E2YA-2126-SM-7MXUO 50-59 years, male 6.5
GTEX-1I1GV-0626-SM-ARL7M 60-69 years, male 6.5
GTEX-1LKK1-2626-SM-DKPQE 50-59 years, female 6.5
GTEX-1QMI2-2526-SM-E8VNZ 60-69 years, male 6.5
GTEX-139TU-0726-SM-5L3EK 60-69 years, male 6.4
GTEX-13O61-1426-SM-5KM3D 60-69 years, male 6.4
GTEX-15RJE-2826-SM-7KUM9 40-49 years, male 6.4
GTEX-1GF9V-0826-SM-9KNUV 60-69 years, male 6.4
GTEX-1N2DV-1526-SM-DTXEP 40-49 years, male 6.4
GTEX-1R9PN-0426-SM-DTXDT 40-49 years, female 6.4
GTEX-12ZZX-2426-SM-5GCOE 40-49 years, female 6.3
GTEX-1B8SF-0126-SM-7DUG3 60-69 years, male 6.3
GTEX-WFG7-2026-SM-5SI7P 20-29 years, male 6.3
GTEX-ZTSS-1426-SM-5985P 40-49 years, male 6.3
GTEX-11P82-1426-SM-DTXFY 20-29 years, male 6.3
GTEX-1PIIG-2326-SM-DTXFR 30-39 years, male 6.3
GTEX-111FC-2526-SM-5GZXU 60-69 years, male 6.2
GTEX-11NSD-0626-SM-5A5LU 20-29 years, male 6.2
GTEX-132AR-0326-SM-5KM2C 50-59 years, female 6.2
GTEX-139TT-2126-SM-5LZWC 60-69 years, male 6.2
GTEX-ZF2S-1626-SM-57WES 50-59 years, female 6.2
GTEX-1B8L1-2226-SM-7P8PT 60-69 years, male 6.2
GTEX-1J1R8-2026-SM-CL53Y 40-49 years, male 6.2
GTEX-1PPGY-1626-SM-EVYBL 60-69 years, male 6.2
GTEX-14BIN-1126-SM-5RQJZ 50-59 years, female 6.1
GTEX-15RIG-0726-SM-7KUM7 40-49 years, male 6.1
GTEX-XPVG-2126-SM-4B667 50-59 years, male 6.1
GTEX-ZP4G-1426-SM-4WWCL 20-29 years, female 6.1
GTEX-ZT9X-1526-SM-5DUXD 40-49 years, male 6.1
GTEX-ZYT6-2326-SM-5GZY3 30-39 years, male 6.1
GTEX-1CB4I-0126-SM-7RHGG 50-59 years, male 6.1
GTEX-111VG-1626-SM-5EGIO 60-69 years, male 6.0
GTEX-1212Z-0126-SM-59HK4 60-69 years, male 6.0
GTEX-145MH-2826-SM-5RQJF 50-59 years, male 6.0
GTEX-14PJ3-1126-SM-5ZZVX 50-59 years, male 6.0
GTEX-1EH9U-2826-SM-7DUGT 60-69 years, male 6.0
GTEX-1JMQJ-0826-SM-CNPP7 50-59 years, male 6.0
GTEX-1LB8K-0726-SM-D5OV2 50-59 years, male 6.0
GTEX-12WSM-1926-SM-5BC65 60-69 years, male 5.9
GTEX-1GN2E-0226-SM-9WG6K 60-69 years, male 5.9
GTEX-1KANA-1326-SM-DIPFA 20-29 years, male 5.9
GTEX-1KANB-2826-SM-CY8I6 50-59 years, male 5.9
GTEX-11P7K-1126-SM-5HL4L 30-39 years, male 5.8
GTEX-12WSJ-1126-SM-5LZVJ 40-49 years, female 5.8
GTEX-ZYY3-2926-SM-5GIEB 60-69 years, female 5.8
GTEX-1CAMQ-1326-SM-7P8RV 40-49 years, male 5.8
GTEX-1H1E6-0426-SM-9WYUS 30-39 years, male 5.8
GTEX-131XW-0626-SM-5PNVD 50-59 years, female 5.7
GTEX-1CB4E-0926-SM-7EPHT 60-69 years, male 5.7
GTEX-1JN76-0626-SM-CKZOQ 20-29 years, female 5.7
GTEX-1K9T9-1526-SM-DIPFR 50-59 years, female 5.7
GTEX-1QCLY-0226-SM-EWRNH 30-39 years, male 5.7
GTEX-13G51-1826-SM-5KLZH 60-69 years, male 5.6
GTEX-13JVG-0726-SM-5KM16 60-69 years, male 5.6
GTEX-UPJH-0226-SM-3GADV 50-59 years, male 5.6
GTEX-WHPG-2626-SM-3NMBR 50-59 years, male 5.6
GTEX-Y3IK-1626-SM-4YCF5 50-59 years, female 5.6
GTEX-1IKJJ-2226-SM-CJI4C 60-69 years, male 5.6
GTEX-14753-0726-SM-5QGQO 60-69 years, male 5.5
GTEX-17HII-1426-SM-7EPGG 50-59 years, male 5.5
GTEX-Y3I4-1726-SM-4TT89 50-59 years, male 5.5
GTEX-Y8E4-2026-SM-5IFJB 40-49 years, male 5.5
GTEX-1I1GT-1026-SM-ARZLV 60-69 years, female 5.5
GTEX-YEC3-1326-SM-DO92X 50-59 years, male 5.5
GTEX-131XH-0126-SM-5LZUY 50-59 years, male 5.4
GTEX-139TS-2126-SM-5K7XC 60-69 years, male 5.4
GTEX-13O3Q-0126-SM-5KM34 50-59 years, male 5.4
GTEX-1B97I-0626-SM-73KUZ 40-49 years, male 5.4
GTEX-1LSNM-0826-SM-DIPG8 50-59 years, male 5.4
GTEX-1RAZQ-1326-SM-E9TK6 30-39 years, male 5.4
GTEX-1RB15-1326-SM-E76Q9 60-69 years, male 5.4
GTEX-ZPIC-0526-SM-DO91W 40-49 years, female 5.4
GTEX-111CU-1126-SM-5EGIM 50-59 years, male 5.3
GTEX-11GSP-2326-SM-5HL63 60-69 years, female 5.3
GTEX-1HBPI-2126-SM-ARL9K 50-59 years, male 5.3
GTEX-13QJC-0126-SM-5ZZWJ 60-69 years, female 5.2
GTEX-ZF29-0926-SM-4WKFZ 60-69 years, female 5.2
GTEX-1JMPY-0226-SM-CKZOK 30-39 years, male 5.2
GTEX-1QP9N-1226-SM-E76QN 30-39 years, male 5.2
GTEX-12ZZZ-0726-SM-5GCNZ 60-69 years, male 5.1
GTEX-1399S-0126-SM-5IJCF 30-39 years, female 5.1
GTEX-13D11-0926-SM-5J2NC 50-59 years, female 5.1
GTEX-13IVO-0726-SM-5LZYV 70-79 years, male 5.0
GTEX-ZVZP-1226-SM-5GID7 50-59 years, male 4.9
GTEX-1RMOY-1326-SM-E9TIH 50-59 years, male 4.9
GTEX-17F96-0126-SM-7EWDU 70-79 years, male 4.8
GTEX-17HHE-1326-SM-7EWDZ 50-59 years, male 4.8
GTEX-1B8KE-1126-SM-7EPHI 50-59 years, male 4.8
GTEX-1R9PM-1926-SM-EVR3O 20-29 years, male 4.8
GTEX-14PII-0726-SM-6EU2B 60-69 years, male 4.7
GTEX-1CB4J-1326-SM-7P8RX 60-69 years, male 4.7
GTEX-1JK1U-0226-SM-ARZMX 60-69 years, male 4.7
GTEX-1JMLX-0626-SM-ARL8T 50-59 years, male 4.7
GTEX-1QP2A-1726-SM-E76QC 50-59 years, male 4.7
GTEX-11DXZ-2026-SM-5987S 50-59 years, male 4.6
GTEX-11OF3-0126-SM-5PNYF 60-69 years, male 4.6
GTEX-11ZU8-0126-SM-5EQ58 60-69 years, male 4.6
GTEX-14PHX-2226-SM-6EU2P 50-59 years, male 4.6
GTEX-Y111-0626-SM-4SOIT 50-59 years, male 4.6
GTEX-ZTX8-1326-SM-4YCEL 20-29 years, male 4.6
GTEX-1QP28-1126-SM-EVYC4 50-59 years, female 4.6
GTEX-11PRG-0726-SM-5EGL1 50-59 years, male 4.5
GTEX-1GN73-0726-SM-7P8TJ 60-69 years, male 4.5
GTEX-1HBPN-0126-SM-CGQEF 50-59 years, male 4.5
GTEX-1JMQI-1726-SM-ARL93 50-59 years, male 4.4
GTEX-1R46S-2426-SM-E76QA 60-69 years, female 4.4
GTEX-131XG-0326-SM-5L3DX 50-59 years, female 4.3
GTEX-1J8EW-2726-SM-CY8HR 60-69 years, female 4.2
GTEX-1RAZS-2526-SM-E6CHT 50-59 years, male 4.2
GTEX-1S3DN-2126-SM-E9TIN 50-59 years, male 4.2
GTEX-11DYG-1526-SM-5A5JS 60-69 years, male 4.1
GTEX-WHWD-1826-SM-3LK6I 50-59 years, male 4.1
GTEX-1HGF4-0126-SM-CNPPX 60-69 years, male 4.1
GTEX-WHSB-1326-SM-3LK6W 50-59 years, male 3.9
GTEX-XBEW-1126-SM-4QARW 40-49 years, male 3.9
GTEX-1NV5F-0626-SM-DTXEG 60-69 years, female 3.9
GTEX-ZPCL-1126-SM-4WWFE 60-69 years, female 3.8
GTEX-11DXX-2126-SM-5PNYR 60-69 years, female 3.7
GTEX-Y114-2126-SM-4TT8B 50-59 years, female 3.7
GTEX-1OJC3-1226-SM-DTXER 20-29 years, male 3.6
GTEX-14C39-1726-SM-5RQIL 40-49 years, male 3.3
GTEX-1PPH8-0126-SM-EWRN8 20-29 years, male 3.2
Show allShow less
Skin - Sun Exposed (Lower leg)
Average nTPM: 10.0
Samples: 701

Max nTPM: 124.1
Min nTPM: 2.9
Std nTPM: 7.9
Median nTPM: 8.1
GTEX-183WM-0126-SM-7LTAB 70-79 years, female 124.1
GTEX-WOFL-0126-SM-3MJG2 60-69 years, male 68.4
GTEX-15EOM-0126-SM-7KUGG 20-29 years, female 63.9
GTEX-1M4P7-0226-SM-DIPEV 60-69 years, male 54.6
GTEX-14E6C-0126-SM-5RQIP 40-49 years, male 52.0
GTEX-1RLM8-2326-SM-EWRN4 50-59 years, male 41.9
GTEX-U8XE-0326-SM-3DB8P 30-39 years, male 40.3
GTEX-11WQK-0526-SM-5EQLD 50-59 years, male 37.5
GTEX-1ICLZ-0126-SM-CKZPO 60-69 years, male 36.8
GTEX-13NYC-0326-SM-E9J4S 60-69 years, male 35.8
GTEX-ZYFD-0126-SM-5GIDL 50-59 years, male 35.2
GTEX-11O72-0126-SM-59887 40-49 years, male 34.5
GTEX-14E6E-1826-SM-5S2R7 30-39 years, male 32.8
GTEX-1RAZQ-0726-SM-EAZ43 30-39 years, male 31.2
GTEX-1A3MW-0126-SM-73KXX 60-69 years, female 30.7
GTEX-1GN1V-0126-SM-9WPOS 60-69 years, male 30.5
GTEX-12WSN-5019-SM-79OM6 40-49 years, male 29.8
GTEX-1N2DW-0226-SM-E9TK2 50-59 years, male 29.0
GTEX-1R9K4-0126-SM-DTX9X 60-69 years, male 27.8
GTEX-146FR-1326-SM-E9J48 60-69 years, female 27.7
GTEX-1HBPH-0426-SM-B2LW5 40-49 years, female 27.3
GTEX-X8HC-0126-SM-4E3JW 50-59 years, female 25.9
GTEX-1192W-2626-SM-5Q5AF 60-69 years, male 25.7
GTEX-X4XY-0226-SM-4E3IZ 60-69 years, male 25.7
GTEX-RUSQ-1526-SM-2TF62 50-59 years, male 25.4
GTEX-1PWST-0226-SM-E76QJ 70-79 years, male 25.3
GTEX-1HB9E-0226-SM-E9U4R 50-59 years, male 24.2
GTEX-U4B1-1826-SM-4DXSU 40-49 years, male 23.7
GTEX-ZZPT-0226-SM-5E43X 50-59 years, male 23.5
GTEX-148VJ-0126-SM-5TDDN 70-79 years, male 23.4
GTEX-OOBK-0126-SM-2YUND 40-49 years, male 23.1
GTEX-14A5H-0426-SM-5QGQF 60-69 years, male 22.7
GTEX-15G19-0126-SM-6PANQ 60-69 years, male 22.4
GTEX-12584-0126-SM-5EGKQ 40-49 years, male 21.0
GTEX-1A3MX-0126-SM-731BR 60-69 years, male 20.9
GTEX-14PHW-0126-SM-6LLJI 60-69 years, female 20.7
GTEX-ZYW4-0126-SM-5E44A 60-69 years, male 20.7
GTEX-ZVE2-0226-SM-59HJB 50-59 years, male 20.5
GTEX-139T8-0126-SM-5K7XZ 60-69 years, male 20.2
GTEX-1QW4Y-1526-SM-EAZ3Z 30-39 years, male 20.2
GTEX-15UF6-0826-SM-6PALJ 70-79 years, female 20.1
GTEX-1R9PO-2126-SM-E9J4O 60-69 years, female 19.9
GTEX-1JJE9-0326-SM-CL53Z 70-79 years, male 19.5
GTEX-1F48J-0126-SM-7P8TT 50-59 years, female 19.3
GTEX-15UKP-0426-SM-7KUFQ 20-29 years, male 19.0
GTEX-14JIY-0126-SM-6LLH6 60-69 years, male 18.8
GTEX-13RTL-0126-SM-7LG5S 40-49 years, male 18.5
GTEX-15D1Q-0126-SM-7KUG6 40-49 years, male 18.5
GTEX-QDVN-2026-SM-3GAEP 50-59 years, male 18.3
GTEX-Q2AH-1626-SM-3GAF8 40-49 years, male 18.2
GTEX-14BIM-0226-SM-7IGLD 60-69 years, female 18.1
GTEX-ZE7O-0126-SM-57WC1 50-59 years, female 18.1
GTEX-1HUB1-0426-SM-E9U4U 60-69 years, male 18.0
GTEX-13OVJ-0126-SM-5KM36 50-59 years, female 17.5
GTEX-1PBJI-0526-SM-E8VNK 20-29 years, female 17.5
GTEX-YJ8A-0426-SM-5IFID 20-29 years, male 17.4
GTEX-1QP67-1626-SM-EAZ3X 40-49 years, female 17.3
GTEX-T2YK-0526-SM-32QPJ 50-59 years, male 17.1
GTEX-11TTK-0126-SM-5987B 60-69 years, female 16.9
GTEX-1QMI2-0226-SM-EVYBX 60-69 years, male 16.9
GTEX-16XZY-2126-SM-79OK1 70-79 years, male 16.8
GTEX-1GMR8-0126-SM-9WYTM 50-59 years, female 16.8
GTEX-1HCU8-0626-SM-A9SM9 60-69 years, female 16.8
GTEX-13OVG-1926-SM-5L3DK 60-69 years, male 16.7
GTEX-1H23P-0126-SM-ADEJ3 60-69 years, male 16.5
GTEX-ZVZO-0126-SM-5A5L9 40-49 years, male 16.4
GTEX-1IE54-0126-SM-CMKHW 40-49 years, female 16.4
GTEX-1GF9X-2026-SM-7PC3A 40-49 years, female 16.3
GTEX-1I1GU-2226-SM-CGQFA 40-49 years, male 16.3
GTEX-1IDFM-0126-SM-COH2V 60-69 years, male 16.2
GTEX-14PK6-1926-SM-6ETZU 70-79 years, female 16.1
GTEX-12WSL-2526-SM-5GCNJ 50-59 years, male 15.9
GTEX-WI4N-1026-SM-3LK7N 40-49 years, female 15.9
GTEX-14BIL-0126-SM-5SI92 50-59 years, male 15.6
GTEX-13RTJ-2426-SM-5S2Q2 60-69 years, male 15.4
GTEX-1H1DG-0126-SM-9WYU2 70-79 years, male 15.4
GTEX-13SLX-0526-SM-5S2ON 50-59 years, female 15.3
GTEX-14BIN-0626-SM-793DP 50-59 years, female 15.3
GTEX-1GZ2Q-0226-SM-7P8TL 40-49 years, male 15.3
GTEX-13FHO-0226-SM-5IFGY 60-69 years, male 15.2
GTEX-VJWN-0126-SM-3GIK7 50-59 years, female 15.1
GTEX-1H2FU-0126-SM-9WYSI 60-69 years, female 15.0
GTEX-1JN1M-0326-SM-CYPT3 60-69 years, female 15.0
GTEX-ZF3C-0126-SM-DO92D 50-59 years, female 15.0
GTEX-17F97-0326-SM-7LG5B 50-59 years, male 14.9
GTEX-1C64O-0126-SM-7SB8P 60-69 years, male 14.7
GTEX-13PDP-0126-SM-5L3HD 60-69 years, male 14.4
GTEX-11NSD-2226-SM-5986V 20-29 years, male 14.3
GTEX-11TUW-2726-SM-E9J4M 60-69 years, male 14.3
GTEX-1GN1W-0526-SM-9MQJQ 50-59 years, female 14.3
GTEX-13O1R-0126-SM-5L3EH 60-69 years, male 14.2
GTEX-145LT-1726-SM-5QGP3 40-49 years, male 14.2
GTEX-ZDTT-2726-SM-4WKF8 60-69 years, male 14.2
GTEX-1N2EF-0226-SM-EYYXB 60-69 years, male 14.2
GTEX-ZF28-0126-SM-4WKGK 60-69 years, male 14.1
GTEX-1NHNU-1026-SM-E9J2A 50-59 years, male 14.1
GTEX-1OJC4-0126-SM-E9J2E 50-59 years, female 14.1
GTEX-11EMC-2926-SM-5EQ4F 60-69 years, female 14.0
GTEX-SSA3-0126-SM-32QPU 60-69 years, male 14.0
GTEX-17EVQ-0226-SM-7LG4P 70-79 years, male 13.9
GTEX-Q2AG-0126-SM-33HBV 40-49 years, female 13.9
GTEX-X62O-0126-SM-4E3JN 50-59 years, male 13.9
GTEX-11ZUS-0626-SM-59885 30-39 years, male 13.8
GTEX-ZTPG-0326-SM-5O9AX 20-29 years, female 13.8
GTEX-11UD1-0126-SM-5PNYG 40-49 years, female 13.7
GTEX-131XG-2626-SM-5KM17 50-59 years, female 13.7
GTEX-13OVI-1426-SM-5L3EY 60-69 years, female 13.7
GTEX-1JMQL-0226-SM-CNPP5 50-59 years, female 13.7
GTEX-1AMEY-1326-SM-73KYK 30-39 years, female 13.6
GTEX-1EX96-1626-SM-7PBXR 50-59 years, male 13.6
GTEX-1KD5A-0226-SM-D5OV3 50-59 years, male 13.4
GTEX-P44H-0226-SM-2XCEU 40-49 years, male 13.3
GTEX-113IC-0126-SM-5HL6T 60-69 years, male 13.2
GTEX-15SHW-0326-SM-6PAML 60-69 years, male 13.2
GTEX-1F75I-0326-SM-9YFLU 40-49 years, male 13.2
GTEX-1JKYN-1326-SM-CGQG9 30-39 years, male 13.2
GTEX-XV7Q-2526-SM-4BRV9 40-49 years, female 13.1
GTEX-13VXT-0126-SM-5LU4I 20-29 years, female 13.0
GTEX-145LU-0126-SM-5TDCB 50-59 years, male 13.0
GTEX-14A6H-0126-SM-5QGPK 30-39 years, male 13.0
GTEX-ZU9S-0226-SM-5E441 30-39 years, male 13.0
GTEX-13FTX-1826-SM-5J1NX 20-29 years, female 12.9
GTEX-13O3P-0126-SM-5KM4S 50-59 years, male 12.9
GTEX-14ICK-0226-SM-6EU25 40-49 years, male 12.9
GTEX-RWS6-2026-SM-2XCB5 60-69 years, female 12.9
GTEX-1H1E6-1726-SM-ACKVK 30-39 years, male 12.9
GTEX-11ZU8-2526-SM-5EQKI 60-69 years, male 12.8
GTEX-144FL-0126-SM-5TDC8 50-59 years, male 12.8
GTEX-OXRO-0126-SM-2YUN4 60-69 years, female 12.7
GTEX-Q734-1926-SM-2I5EV 40-49 years, female 12.7
GTEX-1C6VS-0526-SM-7DUEN 60-69 years, male 12.6
GTEX-Y8LW-1826-SM-5S2MV 50-59 years, female 12.6
GTEX-14PN3-2426-SM-6LLHS 60-69 years, female 12.5
GTEX-113JC-2326-SM-5EQ4E 50-59 years, female 12.4
GTEX-XMD2-0126-SM-4YCDU 60-69 years, female 12.4
GTEX-YEC4-2126-SM-5IFJH 40-49 years, male 12.4
GTEX-1AYD5-2426-SM-73KXR 50-59 years, male 12.3
GTEX-R3RS-0126-SM-3GIJL 40-49 years, female 12.3
GTEX-ZUA1-0126-SM-5GU76 40-49 years, male 12.3
GTEX-1H3VE-0326-SM-9YFLH 40-49 years, male 12.3
GTEX-16XZZ-0126-SM-793DV 60-69 years, male 12.2
GTEX-1AX9K-2326-SM-73KWU 50-59 years, male 12.2
GTEX-1B8KE-2126-SM-73KYX 50-59 years, male 12.2
GTEX-1C6WA-0126-SM-7PC2B 60-69 years, male 12.2
GTEX-1H3NZ-0126-SM-ACKX7 60-69 years, male 12.2
GTEX-13N2G-2626-SM-5J1OT 60-69 years, male 12.1
GTEX-146FH-0126-SM-5QGPP 50-59 years, female 12.1
GTEX-14LLW-0126-SM-6LLIO 70-79 years, female 12.1
GTEX-X638-0126-SM-47JZ8 70-79 years, female 12.1
GTEX-1HT8W-0126-SM-CNPPP 30-39 years, male 12.1
GTEX-13NZA-0226-SM-5K7Z7 60-69 years, male 12.0
GTEX-TMMY-0226-SM-33HBA 40-49 years, female 12.0
GTEX-1F6RS-0126-SM-9MQKZ 60-69 years, female 12.0
GTEX-13CF2-2526-SM-5LZYX 60-69 years, male 11.9
GTEX-13NYS-0126-SM-5MR3W 60-69 years, male 11.9
GTEX-139T4-0226-SM-5HL5S 50-59 years, female 11.8
GTEX-16YQH-0126-SM-7DUFJ 30-39 years, male 11.8
GTEX-X5EB-2226-SM-46MW4 40-49 years, male 11.8
GTEX-1F88F-2726-SM-7PBZZ 60-69 years, female 11.8
GTEX-1LNCM-1126-SM-E9U5E 50-59 years, female 11.8
GTEX-OXRL-0126-SM-2YUMP 50-59 years, male 11.7
GTEX-1GF9U-2126-SM-7SB7L 40-49 years, female 11.7
GTEX-R45C-0126-SM-EAZ2R 60-69 years, female 11.7
GTEX-1JMPZ-0226-SM-CNPP1 30-39 years, male 11.6
GTEX-11DZ1-0126-SM-5985Q 50-59 years, male 11.5
GTEX-13N1W-0126-SM-5K7VT 70-79 years, male 11.5
GTEX-1I1GS-0126-SM-B2LVW 60-69 years, male 11.5
GTEX-1R7EV-2426-SM-EVYBG 40-49 years, male 11.5
GTEX-1JMOU-1526-SM-CL54I 60-69 years, female 11.4
GTEX-ZAJG-0126-SM-5HL94 50-59 years, female 11.3
GTEX-1GZ4H-1726-SM-7PBZJ 50-59 years, female 11.3
GTEX-11UD2-0226-SM-5EQKY 50-59 years, male 11.2
GTEX-1497J-2426-SM-7IGNX 60-69 years, male 11.2
GTEX-POMQ-2226-SM-2I5FK 20-29 years, female 11.2
GTEX-ZVT2-2526-SM-51MT1 50-59 years, female 11.2
GTEX-11ZTT-2426-SM-5EQLS 60-69 years, female 11.1
GTEX-18D9B-0526-SM-7LTAS 60-69 years, male 11.1
GTEX-OXRP-0126-SM-3NB32 60-69 years, female 11.1
GTEX-QDT8-0126-SM-48TZ1 30-39 years, female 11.1
GTEX-1F5PK-2426-SM-7RHHY 50-59 years, male 11.0
GTEX-1ICLY-0126-SM-D4P36 50-59 years, male 11.0
GTEX-131XW-0426-SM-5LZWP 50-59 years, female 10.8
GTEX-PLZ4-0126-SM-5SI8O 50-59 years, female 10.8
GTEX-U3ZM-1526-SM-3DB9D 40-49 years, male 10.8
GTEX-V1D1-2226-SM-3NMAX 50-59 years, male 10.8
GTEX-WVJS-0126-SM-4MVOT 50-59 years, male 10.8
GTEX-13O3O-0126-SM-E9J49 60-69 years, female 10.8
GTEX-1C6VQ-0126-SM-7P8RI 50-59 years, male 10.8
GTEX-1QEPI-0126-SM-EWRMQ 60-69 years, female 10.8
GTEX-11DXW-0226-SM-5H122 40-49 years, male 10.7
GTEX-14ABY-0226-SM-5TDCQ 50-59 years, male 10.6
GTEX-16NPX-0226-SM-79OMT 50-59 years, male 10.6
GTEX-18QFQ-0126-SM-731BE 30-39 years, male 10.6
GTEX-ZE9C-2726-SM-57WB5 60-69 years, male 10.6
GTEX-13N11-2526-SM-5K7UE 50-59 years, female 10.5
GTEX-13OW7-0126-SM-5MR3B 50-59 years, male 10.5
GTEX-147GR-0526-SM-5S2MY 60-69 years, male 10.4
GTEX-WH7G-2326-SM-3NMBC 40-49 years, male 10.4
GTEX-1F6IF-0726-SM-7P8TW 60-69 years, male 10.4
GTEX-PVOW-0126-SM-2XCFA 40-49 years, male 10.3
GTEX-WRHK-1426-SM-3MJF9 20-29 years, female 10.3
GTEX-1N2DV-0226-SM-E6CJ6 40-49 years, male 10.3
GTEX-1QP29-0626-SM-EWRMX 50-59 years, male 10.3
GTEX-117YW-2626-SM-5GZZH 50-59 years, male 10.2
GTEX-14JG6-2226-SM-6EU2G 30-39 years, female 10.2
GTEX-17HHE-2026-SM-79OKF 50-59 years, male 10.2
GTEX-17MFQ-1726-SM-793C7 20-29 years, male 10.2
GTEX-1C2JI-1826-SM-73KXC 50-59 years, male 10.2
GTEX-T5JC-0426-SM-32PLO 20-29 years, male 10.2
GTEX-1PPH7-2326-SM-EVYB8 40-49 years, male 10.2
GTEX-1QP2A-0126-SM-E9J43 50-59 years, male 10.2
GTEX-11WQC-2526-SM-5CVLE 60-69 years, male 10.1
GTEX-1C64N-0126-SM-793D7 50-59 years, male 10.1
GTEX-QLQ7-1626-SM-2S1R8 60-69 years, male 10.1
GTEX-QLQW-1126-SM-2S1Q8 30-39 years, male 10.1
GTEX-S7PM-0126-SM-4AD6S 60-69 years, male 10.1
GTEX-1MCYP-1926-SM-E9J2R 20-29 years, female 10.1
GTEX-1MGNQ-0126-SM-EVYCJ 40-49 years, male 10.1
GTEX-14PN4-0126-SM-6EU2V 50-59 years, male 10.0
GTEX-U8T8-0126-SM-3DB94 60-69 years, male 10.0
GTEX-XXEK-2226-SM-4BRUM 50-59 years, male 10.0
GTEX-1HSMQ-1226-SM-CGQFX 50-59 years, male 10.0
GTEX-1LBAC-0126-SM-DIPEZ 20-29 years, male 10.0
GTEX-14XAO-2326-SM-6EU1B 60-69 years, female 9.9
GTEX-ZV6S-2326-SM-4YCEY 40-49 years, female 9.9
GTEX-13FH7-2026-SM-E9J4I 50-59 years, female 9.9
GTEX-1HSMO-0126-SM-CL547 60-69 years, male 9.9
GTEX-14DAQ-0126-SM-5S2MQ 60-69 years, female 9.8
GTEX-QDVJ-1726-SM-2I5FX 50-59 years, male 9.8
GTEX-Y5LM-1926-SM-5RQJH 40-49 years, female 9.8
GTEX-1GPI6-0126-SM-9WG69 60-69 years, male 9.8
GTEX-1I1CD-0126-SM-CM2TK 60-69 years, female 9.8
GTEX-1CB4J-0626-SM-7DHMP 60-69 years, male 9.7
GTEX-1ICG6-2526-SM-CGQFZ 70-79 years, female 9.7
GTEX-OIZF-0126-SM-7SB8I 60-69 years, male 9.7
GTEX-139UW-2826-SM-5L3E7 60-69 years, male 9.6
GTEX-17EUY-0426-SM-793BD 20-29 years, male 9.6
GTEX-1S82Z-0826-SM-E6CHY 30-39 years, female 9.6
GTEX-117YX-2326-SM-5H12W 50-59 years, male 9.5
GTEX-11VI4-1726-SM-5CVLH 40-49 years, female 9.5
GTEX-13W46-0226-SM-5SIAG 50-59 years, male 9.5
GTEX-14DAR-2026-SM-5S2O3 50-59 years, male 9.5
GTEX-16AAH-1726-SM-7939C 50-59 years, male 9.5
GTEX-RN64-0126-SM-2TC68 50-59 years, male 9.5
GTEX-1LC47-0326-SM-E9TJP 60-69 years, male 9.5
GTEX-11TT1-2526-SM-5EGIB 20-29 years, male 9.4
GTEX-OHPM-0126-SM-2YUN9 50-59 years, male 9.4
GTEX-ZTX8-1426-SM-5DUVO 20-29 years, male 9.4
GTEX-1H4P4-0726-SM-9YFLR 50-59 years, male 9.4
GTEX-1MUQO-0126-SM-EAZ58 60-69 years, male 9.4
GTEX-1POEN-0126-SM-EYYXJ 30-39 years, female 9.4
GTEX-17HG3-2226-SM-7938L 30-39 years, female 9.3
GTEX-183FY-0126-SM-7LT9P 20-29 years, male 9.3
GTEX-O5YT-0126-SM-48TBW 20-29 years, male 9.3
GTEX-QESD-1426-SM-2S1R9 20-29 years, male 9.3
GTEX-1I1GR-0126-SM-CL55F 60-69 years, male 9.3
GTEX-11LCK-1026-SM-5A5KB 30-39 years, male 9.2
GTEX-147F3-0526-SM-5SI98 50-59 years, female 9.2
GTEX-17MF6-0126-SM-7LG4F 40-49 years, male 9.2
GTEX-PWO3-1526-SM-48TCM 60-69 years, female 9.2
GTEX-SJXC-0126-SM-2XCFF 60-69 years, male 9.2
GTEX-VJYA-1126-SM-3GIJU 60-69 years, male 9.2
GTEX-ZQUD-1426-SM-57WER 30-39 years, male 9.2
GTEX-ZVT3-0126-SM-5GU6I 60-69 years, female 9.2
GTEX-1IDJU-2626-SM-CM2RT 60-69 years, female 9.2
GTEX-1J1R8-1726-SM-ARL8M 40-49 years, male 9.2
GTEX-11H98-0126-SM-5EGHG 50-59 years, male 9.1
GTEX-11ZVC-2526-SM-5FQTE 50-59 years, female 9.1
GTEX-148VI-1626-SM-5SI6E 60-69 years, female 9.1
GTEX-1AMFI-2026-SM-731BH 50-59 years, female 9.1
GTEX-RM2N-1426-SM-2TF4H 50-59 years, male 9.1
GTEX-ZDXO-3026-SM-5J1N5 60-69 years, male 9.1
GTEX-1I1HK-0126-SM-COH49 60-69 years, male 9.1
GTEX-1J8Q3-1626-SM-CMKGC 60-69 years, male 9.1
GTEX-1RDX4-0126-SM-E9J4P 50-59 years, female 9.1
GTEX-132NY-0326-SM-5IJBL 60-69 years, male 9.0
GTEX-13NZB-2526-SM-5J1OM 30-39 years, male 9.0
GTEX-147F4-0226-SM-5QGPW 50-59 years, male 9.0
GTEX-15ETS-0126-SM-7KUMW 40-49 years, female 9.0
GTEX-Y5V6-2426-SM-4VDSB 60-69 years, male 9.0
GTEX-1HFI7-1826-SM-ACKXH 50-59 years, female 9.0
GTEX-1J8QM-2126-SM-CYPSJ 60-69 years, female 9.0
GTEX-17KNJ-2326-SM-7DHLQ 50-59 years, male 8.9
GTEX-18A7B-0126-SM-7LG64 70-79 years, male 8.9
GTEX-OHPL-0126-SM-2HMJ7 60-69 years, female 8.9
GTEX-1MA7X-2226-SM-E6CIY 60-69 years, male 8.9
GTEX-OXRN-0126-SM-48TDM 50-59 years, male 8.8
GTEX-S95S-1226-SM-4GICG 60-69 years, male 8.8
GTEX-U3ZN-2326-SM-3DB7W 30-39 years, female 8.8
GTEX-WXYG-2326-SM-4E3I6 50-59 years, female 8.8
GTEX-X585-0226-SM-4QAS2 50-59 years, male 8.8
GTEX-1CAMS-0426-SM-7P8T2 40-49 years, female 8.8
GTEX-1LH75-2426-SM-E9TJE 50-59 years, female 8.8
GTEX-111VG-2426-SM-5GZXD 60-69 years, male 8.7
GTEX-11P82-1626-SM-59879 20-29 years, male 8.7
GTEX-13W3W-2426-SM-5LU5B 60-69 years, female 8.7
GTEX-1C6VR-2426-SM-79OLD 60-69 years, male 8.7
GTEX-OXRK-0226-SM-3NB2G 50-59 years, female 8.7
GTEX-RTLS-0126-SM-447CA 60-69 years, female 8.7
GTEX-SNMC-1226-SM-2XCFP 20-29 years, male 8.7
GTEX-ZAB4-0226-SM-5N9F5 40-49 years, male 8.7
GTEX-ZEX8-2426-SM-4WKG4 50-59 years, male 8.7
GTEX-1JN76-0126-SM-CNPPE 20-29 years, female 8.7
GTEX-11NUK-0126-SM-5A5L3 50-59 years, male 8.6
GTEX-13X6I-0626-SM-5QGP9 60-69 years, male 8.6
GTEX-14PJ3-1826-SM-62LEX 50-59 years, male 8.6
GTEX-18A7A-0226-SM-718BH 50-59 years, female 8.6
GTEX-SN8G-0126-SM-32PLI 50-59 years, female 8.6
GTEX-X88G-0126-SM-47JZ3 30-39 years, male 8.6
GTEX-1B996-0226-SM-7RHGO 60-69 years, male 8.6
GTEX-1128S-2326-SM-5GZZY 60-69 years, female 8.5
GTEX-13CF3-2426-SM-5IFGX 60-69 years, female 8.5
GTEX-T6MO-1626-SM-32QOM 40-49 years, female 8.5
GTEX-U3ZH-2026-SM-3DB78 30-39 years, male 8.5
GTEX-X4EO-0326-SM-3P5YO 60-69 years, female 8.5
GTEX-ZAB5-1826-SM-5HL7C 50-59 years, male 8.5
GTEX-ZC5H-0226-SM-4WAY9 40-49 years, female 8.5
GTEX-1AX9I-0126-SM-7SB74 60-69 years, male 8.5
GTEX-1HBPI-1526-SM-C1YQ1 50-59 years, male 8.5
GTEX-1HSMP-0126-SM-E6CJS 70-79 years, male 8.5
GTEX-1IGQW-0126-SM-COH42 60-69 years, male 8.5
GTEX-11XUK-2026-SM-5EQLF 40-49 years, female 8.4
GTEX-14LZ3-0226-SM-62LET 60-69 years, female 8.4
GTEX-18A66-0226-SM-718BD 60-69 years, male 8.4
GTEX-O5YW-0126-SM-3LK6D 50-59 years, male 8.4
GTEX-XAJ8-0826-SM-47JY6 40-49 years, male 8.4
GTEX-12WSG-2826-SM-E9J4H 50-59 years, female 8.4
GTEX-13OW5-0126-SM-DTXFS 60-69 years, male 8.4
GTEX-1A8FM-0226-SM-7SB7Q 50-59 years, female 8.4
GTEX-1H3VY-0126-SM-ACKXD 50-59 years, male 8.4
GTEX-1IDJF-0126-SM-CM2RS 20-29 years, male 8.4
GTEX-1JK1U-2026-SM-CM2RZ 60-69 years, male 8.4
GTEX-11GSP-2526-SM-5N9BP 60-69 years, female 8.3
GTEX-139D8-0226-SM-5KLZO 30-39 years, female 8.3
GTEX-13YAN-0326-SM-5O9DF 60-69 years, male 8.3
GTEX-15DYW-0126-SM-7KULE 60-69 years, female 8.3
GTEX-TSE9-0126-SM-3DB83 60-69 years, female 8.3
GTEX-1HCUA-2426-SM-ADEIS 50-59 years, female 8.3
GTEX-13X6H-2126-SM-7EWD5 50-59 years, female 8.2
GTEX-PLZ5-2026-SM-2S1O4 50-59 years, male 8.2
GTEX-XUW1-0426-SM-4BOOT 50-59 years, female 8.2
GTEX-Y3I4-2126-SM-4TT7C 50-59 years, male 8.2
GTEX-1CB4H-0226-SM-7PBXM 60-69 years, female 8.2
GTEX-1H3O1-0426-SM-9YFKY 60-69 years, male 8.2
GTEX-1HSEH-0126-SM-ACKXN 60-69 years, male 8.2
GTEX-ZQG8-1626-SM-DHXIT 60-69 years, female 8.2
GTEX-146FQ-0126-SM-5NQA9 30-39 years, male 8.1
GTEX-15DDE-0126-SM-6LPKH 50-59 years, female 8.1
GTEX-15EU6-0426-SM-6PAN5 50-59 years, male 8.1
GTEX-17HII-0226-SM-7LG4E 50-59 years, male 8.1
GTEX-1A32A-0126-SM-718B1 50-59 years, female 8.1
GTEX-1BAJH-0526-SM-793CQ 70-79 years, male 8.1
GTEX-1GZHY-0326-SM-9QEHI 50-59 years, female 8.1
GTEX-1HGF4-2426-SM-ACKXM 60-69 years, male 8.1
GTEX-1IY9M-0126-SM-D3L8S 60-69 years, male 8.1
GTEX-1192X-0226-SM-5H12D 50-59 years, male 8.0
GTEX-12KS4-0326-SM-5EQ41 30-39 years, male 8.0
GTEX-139TS-2826-SM-5J1OO 60-69 years, male 8.0
GTEX-14753-0426-SM-5NQAM 60-69 years, male 8.0
GTEX-14BMU-2226-SM-5TDE9 20-29 years, female 8.0
GTEX-15SHU-0126-SM-7KUEH 40-49 years, female 8.0
GTEX-1AX9J-0226-SM-73KXM 60-69 years, male 8.0
GTEX-WFG8-2226-SM-3GIL9 20-29 years, male 8.0
GTEX-WY7C-2326-SM-3NB2U 50-59 years, male 8.0
GTEX-1F52S-0126-SM-9MQJU 60-69 years, female 8.0
GTEX-11EQ9-2426-SM-5HL5T 30-39 years, male 7.9
GTEX-15CHC-2126-SM-6EU21 60-69 years, female 7.9
GTEX-15SDE-2226-SM-7IGLO 50-59 years, female 7.9
GTEX-1A3MV-1926-SM-718BT 30-39 years, male 7.9
GTEX-1AYCT-2426-SM-7IGQ3 50-59 years, male 7.9
GTEX-SUCS-1926-SM-32PM3 70-79 years, male 7.9
GTEX-WQUQ-0426-SM-3MJFU 60-69 years, male 7.9
GTEX-ZYY3-0126-SM-5GZY5 60-69 years, female 7.9
GTEX-1IKOH-0226-SM-COH4E 60-69 years, female 7.9
GTEX-1PIGE-0126-SM-EVYBJ 20-29 years, male 7.9
GTEX-PW2O-1526-SM-7RHHB 20-29 years, male 7.9
GTEX-13U4I-0126-SM-5LU38 40-49 years, female 7.8
GTEX-144GN-2326-SM-5LU4F 50-59 years, male 7.8
GTEX-1AX8Z-0126-SM-7DHM6 60-69 years, male 7.8
GTEX-RWSA-0126-SM-2XCBB 40-49 years, male 7.8
GTEX-S7SE-0126-SM-2XCD5 50-59 years, male 7.8
GTEX-XBED-2226-SM-47JYQ 60-69 years, male 7.8
GTEX-1HCVE-0126-SM-CGQEU 50-59 years, male 7.8
GTEX-1J8Q2-0526-SM-CM2RW 60-69 years, male 7.8
GTEX-1K9T9-0126-SM-EVYCF 50-59 years, female 7.8
GTEX-13NZ8-0826-SM-5MR3I 60-69 years, female 7.7
GTEX-13VXU-0126-SM-5SI9F 50-59 years, male 7.7
GTEX-145MO-0326-SM-5Q5B3 60-69 years, male 7.7
GTEX-14A5I-0126-SM-5TDEA 50-59 years, female 7.7
GTEX-14C5O-0126-SM-5SI6N 60-69 years, male 7.7
GTEX-15DCD-0126-SM-7KUEK 70-79 years, female 7.7
GTEX-Z9EW-1626-SM-5CVMN 40-49 years, male 7.7
GTEX-ZDTS-0126-SM-4WAY5 60-69 years, male 7.7
GTEX-1GTWX-0126-SM-9YFLK 60-69 years, male 7.7
GTEX-1RAZA-0126-SM-E6CI3 20-29 years, male 7.7
GTEX-1399T-2826-SM-5KLYZ 60-69 years, male 7.6
GTEX-169BO-1326-SM-9MQK2 50-59 years, male 7.6
GTEX-1F7RK-0126-SM-7PC2S 20-29 years, female 7.6
GTEX-1IL2V-0126-SM-CM2TX 70-79 years, male 7.6
GTEX-1R46S-0626-SM-E9J41 60-69 years, female 7.6
GTEX-1122O-2126-SM-5EGIR 60-69 years, female 7.5
GTEX-13IVO-0126-SM-5J1NG 70-79 years, male 7.5
GTEX-R55E-0126-SM-2TC5Y 20-29 years, male 7.5
GTEX-1H1DE-2126-SM-9WG6R 20-29 years, male 7.5
GTEX-1H1ZS-0426-SM-9WG6G 70-79 years, male 7.5
GTEX-1I4MK-2226-SM-ACKWD 50-59 years, female 7.5
GTEX-11DXX-2426-SM-5GZZW 60-69 years, female 7.4
GTEX-12WSC-0126-SM-5EQ4P 50-59 years, male 7.4
GTEX-R55G-2526-SM-2TC6D 40-49 years, female 7.4
GTEX-T8EM-1026-SM-3DB7M 40-49 years, male 7.4
GTEX-X4EP-0126-SM-3P5YV 60-69 years, female 7.4
GTEX-XPVG-2626-SM-4B669 50-59 years, male 7.4
GTEX-1HCU7-0226-SM-CL545 50-59 years, male 7.4
GTEX-1RQEC-0426-SM-E6CHU 60-69 years, male 7.4
GTEX-12WSD-0126-SM-59HKN 60-69 years, female 7.3
GTEX-1314G-1526-SM-5EGK2 30-39 years, male 7.3
GTEX-16NGA-1726-SM-731B4 40-49 years, female 7.3
GTEX-QEG4-0226-SM-2S1PY 30-39 years, male 7.3
GTEX-ZDYS-2026-SM-5HL5L 50-59 years, male 7.3
GTEX-1F6I4-0126-SM-9MQL2 60-69 years, male 7.3
GTEX-1GPI7-0126-SM-9MQL8 20-29 years, male 7.3
GTEX-1PDJ9-0326-SM-DTX95 20-29 years, male 7.3
GTEX-1313W-0126-SM-5LZUN 50-59 years, female 7.2
GTEX-13FTY-0526-SM-5L3EV 40-49 years, female 7.2
GTEX-16MT8-0426-SM-7KUEY 60-69 years, female 7.2
GTEX-18465-0126-SM-731BN 50-59 years, male 7.2
GTEX-1E1VI-0126-SM-7DHMZ 50-59 years, male 7.2
GTEX-S32W-2126-SM-2XCB1 50-59 years, female 7.2
GTEX-131XF-5016-SM-7MGWE 60-69 years, male 7.2
GTEX-1H11D-0226-SM-9WG6Z 40-49 years, male 7.2
GTEX-1HR98-0126-SM-B2LWI 60-69 years, male 7.2
GTEX-1NV5F-0226-SM-E8VNY 60-69 years, female 7.2
GTEX-13D11-2426-SM-5KM1V 50-59 years, female 7.1
GTEX-16BQI-0226-SM-7KUEX 30-39 years, female 7.1
GTEX-RU72-0926-SM-2TF6B 50-59 years, female 7.1
GTEX-1F75A-0126-SM-7RHGM 50-59 years, male 7.1
GTEX-1F75B-0126-SM-9KNVL 50-59 years, male 7.1
GTEX-1HBPM-0226-SM-ARL9F 60-69 years, female 7.1
GTEX-1HKZK-0326-SM-9WYUH 40-49 years, male 7.1
GTEX-1I6K6-0126-SM-A9SLE 30-39 years, male 7.1
GTEX-1IL2U-0226-SM-CE6T8 60-69 years, male 7.1
GTEX-1KAFJ-2026-SM-CY8ID 50-59 years, male 7.1
GTEX-13O21-1426-SM-5K7XI 50-59 years, male 7.0
GTEX-UPJH-0326-SM-3GADU 50-59 years, male 7.0
GTEX-ZTSS-1926-SM-57WEW 40-49 years, male 7.0
GTEX-1GL5R-1826-SM-9KNUY 50-59 years, male 7.0
GTEX-1HBPN-0226-SM-9YFM1 50-59 years, male 7.0
GTEX-1I19N-0326-SM-ACKVX 70-79 years, male 7.0
GTEX-1I1GP-2226-SM-CGQFK 50-59 years, male 7.0
GTEX-1I1GT-0626-SM-CGQER 60-69 years, female 7.0
GTEX-1JMQK-0226-SM-CL543 60-69 years, male 7.0
GTEX-11P7K-2126-SM-5GU7G 30-39 years, male 6.9
GTEX-139TT-0126-SM-5K7Y5 60-69 years, male 6.9
GTEX-VUSG-2526-SM-4KL1V 50-59 years, male 6.9
GTEX-Y8E4-0626-SM-4WWDL 40-49 years, male 6.9
GTEX-ZY6K-1826-SM-5GZXK 50-59 years, male 6.9
GTEX-1GN2E-0426-SM-9MQKX 60-69 years, male 6.9
GTEX-1K2DU-2326-SM-E9TIV 20-29 years, male 6.9
GTEX-ZVT4-0126-SM-DTXFN 50-59 years, female 6.9
GTEX-15RIG-0226-SM-7KFTL 40-49 years, male 6.8
GTEX-TMZS-0126-SM-3DB9Q 60-69 years, male 6.8
GTEX-YFC4-0126-SM-5CVLY 40-49 years, female 6.8
GTEX-ZZ64-1726-SM-5GZYB 20-29 years, male 6.8
GTEX-1GN73-0226-SM-9WG67 60-69 years, male 6.8
GTEX-1LGRB-2526-SM-CNPPQ 50-59 years, female 6.8
GTEX-W5X1-3026-SM-EAZAX 40-49 years, female 6.8
GTEX-12WSJ-1826-SM-5GCNY 40-49 years, female 6.7
GTEX-1B8KZ-2026-SM-7DHMB 50-59 years, male 6.7
GTEX-ZWKS-0126-SM-5SIAA 30-39 years, male 6.7
GTEX-1EN7A-0126-SM-7SB81 40-49 years, male 6.7
GTEX-1O97I-0326-SM-EYYX7 60-69 years, male 6.7
GTEX-RNOR-0126-SM-E9J4R 50-59 years, female 6.7
GTEX-11DXY-2626-SM-5GIE7 60-69 years, male 6.6
GTEX-13O3Q-2426-SM-5IJBR 50-59 years, male 6.6
GTEX-13OVH-0126-SM-5MR4B 70-79 years, male 6.6
GTEX-18A67-0126-SM-7LG5P 50-59 years, male 6.6
GTEX-1B933-0126-SM-7PC29 50-59 years, female 6.6
GTEX-1CB4G-0226-SM-7PC3O 60-69 years, male 6.6
GTEX-1JKYR-0126-SM-CNPOJ 20-29 years, male 6.6
GTEX-1LVAN-0226-SM-COH3S 50-59 years, female 6.6
GTEX-1QPFJ-0226-SM-E76PB 30-39 years, female 6.6
GTEX-1S82Y-2026-SM-EVYCM 40-49 years, male 6.6
GTEX-11EM3-2426-SM-59861 20-29 years, female 6.5
GTEX-11GSO-2426-SM-5A5LY 60-69 years, male 6.5
GTEX-1269C-2526-SM-5EGJ3 60-69 years, female 6.5
GTEX-12C56-1726-SM-5EQ61 20-29 years, male 6.5
GTEX-14E7W-0126-SM-6LLJ9 70-79 years, male 6.5
GTEX-14PJ6-2126-SM-6EU1V 60-69 years, female 6.5
GTEX-17GQL-2026-SM-718BA 60-69 years, male 6.5
GTEX-WZTO-0126-SM-3NM95 40-49 years, male 6.5
GTEX-XUYS-0126-SM-47JWZ 50-59 years, male 6.5
GTEX-1S5ZA-0126-SM-EVYCV 20-29 years, male 6.5
GTEX-ZF29-2326-SM-DO92K 60-69 years, female 6.5
GTEX-12696-2426-SM-5EQ6H 60-69 years, male 6.4
GTEX-13113-5016-SM-7EPIP 60-69 years, female 6.4
GTEX-139TU-0126-SM-5K7WH 60-69 years, male 6.4
GTEX-17HGU-0226-SM-7DHKV 50-59 years, male 6.4
GTEX-18D9U-0226-SM-718BP 40-49 years, male 6.4
GTEX-1B8SG-0126-SM-73KZ3 50-59 years, male 6.4
GTEX-ZXG5-0126-SM-5GIEU 60-69 years, male 6.4
GTEX-1JMQI-2226-SM-CM2SD 50-59 years, male 6.4
GTEX-1LSNM-1926-SM-E6CII 50-59 years, male 6.4
GTEX-11EI6-0126-SM-5985R 60-69 years, male 6.3
GTEX-1211K-2026-SM-5EQ4Z 60-69 years, female 6.3
GTEX-1C4CL-0526-SM-73KVK 30-39 years, male 6.3
GTEX-Y5V5-2326-SM-4V6GA 60-69 years, female 6.3
GTEX-1IOXB-0126-SM-ARL8G 50-59 years, male 6.3
GTEX-11ZTS-0126-SM-5EQ6M 60-69 years, female 6.2
GTEX-12ZZY-0226-SM-5LZVE 60-69 years, male 6.2
GTEX-13QJ3-0326-SM-5S2RA 50-59 years, male 6.2
GTEX-145LV-2126-SM-5LU8N 50-59 years, male 6.2
GTEX-15SB6-1726-SM-6PAME 50-59 years, female 6.2
GTEX-1C475-1826-SM-73KWA 40-49 years, female 6.2
GTEX-1JMPY-1326-SM-ARL8Y 30-39 years, male 6.2
GTEX-1LGOU-2026-SM-DIPFF 20-29 years, female 6.2
GTEX-1RB15-2126-SM-E9TIM 60-69 years, male 6.2
GTEX-11GS4-2726-SM-5A5LE 60-69 years, male 6.1
GTEX-11OC5-0126-SM-5HL6A 60-69 years, male 6.1
GTEX-12WSA-0226-SM-5BC5V 60-69 years, male 6.1
GTEX-12ZZX-0126-SM-5EGK9 40-49 years, female 6.1
GTEX-13JUV-2726-SM-5LZZ8 40-49 years, female 6.1
GTEX-13PVR-2326-SM-5QGR1 60-69 years, female 6.1
GTEX-16GPK-0126-SM-7DHLE 60-69 years, male 6.1
GTEX-1CAMR-1926-SM-7EPI2 20-29 years, male 6.1
GTEX-P4PQ-0126-SM-2S1NM 60-69 years, male 6.1
GTEX-QCQG-1726-SM-3GIJ9 50-59 years, female 6.1
GTEX-X261-0126-SM-3NMD6 50-59 years, male 6.1
GTEX-1E2YA-0126-SM-9KNUC 50-59 years, male 6.1
GTEX-1EKGG-0226-SM-9WYTH 60-69 years, male 6.1
GTEX-1GMR3-1926-SM-9KNUZ 40-49 years, male 6.1
GTEX-1KANA-0726-SM-D3L9I 20-29 years, male 6.1
GTEX-11P81-2326-SM-59875 30-39 years, female 6.0
GTEX-12WSK-2326-SM-5GCOH 40-49 years, female 6.0
GTEX-133LE-1826-SM-5J1MV 20-29 years, female 6.0
GTEX-13OVL-0226-SM-5L3E9 50-59 years, male 6.0
GTEX-13RTK-1426-SM-5QGQJ 20-29 years, male 6.0
GTEX-14PJM-0226-SM-62LF1 50-59 years, female 6.0
GTEX-NFK9-0226-SM-2HMKQ 40-49 years, male 6.0
GTEX-NPJ8-0126-SM-2YUNR 40-49 years, male 6.0
GTEX-QVJO-1626-SM-2S1QW 60-69 years, female 6.0
GTEX-1EU9M-0226-SM-7P8SP 60-69 years, male 6.0
GTEX-1GF9W-0326-SM-9KNUN 60-69 years, male 6.0
GTEX-1HSGN-0226-SM-CGQFV 40-49 years, female 6.0
GTEX-1IKK5-0626-SM-ARL8A 60-69 years, male 6.0
GTEX-OOBJ-0126-SM-E6CJW 60-69 years, male 6.0
GTEX-111FC-0126-SM-5N9DL 60-69 years, male 5.9
GTEX-13FHP-0126-SM-5IJBG 50-59 years, male 5.9
GTEX-13OW6-0426-SM-5L3HM 50-59 years, male 5.9
GTEX-145LS-0126-SM-5QGP1 60-69 years, female 5.9
GTEX-145MI-0526-SM-5O9A8 60-69 years, female 5.9
GTEX-P4PP-0126-SM-3LK69 30-39 years, female 5.9
GTEX-Q2AI-1326-SM-2S1PL 40-49 years, male 5.9
GTEX-WYVS-2126-SM-3NMA3 40-49 years, female 5.9
GTEX-Z93S-0126-SM-5HL7M 50-59 years, male 5.9
GTEX-12126-0326-SM-5PNW3 20-29 years, male 5.8
GTEX-131XE-2326-SM-5PNZ2 50-59 years, male 5.8
GTEX-13NYB-2526-SM-5K7Z6 40-49 years, male 5.8
GTEX-13S7M-0126-SM-5SI6A 60-69 years, female 5.8
GTEX-14JG1-0426-SM-6ETZZ 40-49 years, male 5.8
GTEX-14PHX-2326-SM-62LEM 50-59 years, male 5.8
GTEX-WYJK-0126-SM-3NMAB 50-59 years, male 5.8
GTEX-X4XX-0126-SM-3NMC2 60-69 years, male 5.8
GTEX-XQ8I-0426-SM-4BOPO 50-59 years, male 5.8
GTEX-YB5K-2126-SM-4WWDJ 40-49 years, female 5.8
GTEX-1JMQJ-0526-SM-CYPSU 50-59 years, male 5.8
GTEX-1LG7Y-0526-SM-DKPQC 50-59 years, male 5.8
GTEX-1MCQQ-0826-SM-DLHC2 60-69 years, male 5.8
GTEX-1PPH8-0226-SM-E8VND 20-29 years, male 5.8
GTEX-PLZ6-1426-SM-DKPOT 30-39 years, male 5.8
GTEX-13112-2826-SM-5DUWH 50-59 years, male 5.7
GTEX-14BMV-0126-SM-5S2PO 50-59 years, male 5.7
GTEX-SIU8-0126-SM-2XCDT 50-59 years, male 5.7
GTEX-Z93T-0126-SM-5HL5N 50-59 years, male 5.7
GTEX-ZVZP-2426-SM-59HKJ 50-59 years, male 5.7
GTEX-1GMRU-0126-SM-9YFLV 50-59 years, male 5.7
GTEX-1K2DA-1826-SM-CGQGT 50-59 years, male 5.7
GTEX-1QCLY-0326-SM-E8VOG 30-39 years, male 5.7
GTEX-1QP66-1726-SM-E8VO1 50-59 years, male 5.7
GTEX-1R7EU-0226-SM-EVR4G 60-69 years, male 5.7
GTEX-PWCY-1826-SM-DHXIZ 20-29 years, female 5.7
GTEX-11OF3-2626-SM-5GU7F 60-69 years, male 5.6
GTEX-145ME-1826-SM-5SI9G 40-49 years, female 5.6
GTEX-14E6D-0126-SM-62LDV 50-59 years, male 5.6
GTEX-W5WG-1826-SM-4KL2Y 50-59 years, female 5.6
GTEX-YB5E-2026-SM-5IFIS 40-49 years, male 5.6
GTEX-1IKJJ-0126-SM-CNPQB 60-69 years, male 5.6
GTEX-1J8EW-0126-SM-CJI4F 60-69 years, female 5.6
GTEX-1J8JJ-0226-SM-CL53I 60-69 years, female 5.6
GTEX-1PIIG-0226-SM-EWRN6 30-39 years, male 5.6
GTEX-13OW8-1326-SM-5J1OW 60-69 years, male 5.5
GTEX-17F96-1626-SM-7DUFL 70-79 years, male 5.5
GTEX-1CAMQ-0226-SM-7IGPK 40-49 years, male 5.5
GTEX-OIZH-0126-SM-2HMIS 50-59 years, male 5.5
GTEX-UJHI-1526-SM-3DB99 50-59 years, female 5.5
GTEX-ZYFG-2326-SM-5E44B 60-69 years, female 5.5
GTEX-1IDJH-0326-SM-A9SLQ 70-79 years, male 5.5
GTEX-PSDG-0226-SM-DKPOZ 50-59 years, male 5.5
GTEX-RVPV-0126-SM-EAZAW 60-69 years, male 5.5
GTEX-12ZZZ-0626-SM-5DUXI 60-69 years, male 5.4
GTEX-18A6Q-0126-SM-731BZ 60-69 years, male 5.4
GTEX-U412-0426-SM-3DB9O 60-69 years, male 5.4
GTEX-1GN1U-0126-SM-7PBZK 50-59 years, female 5.4
GTEX-1JJEA-0326-SM-CNPOT 60-69 years, male 5.4
GTEX-1KXAM-2226-SM-CYPTC 60-69 years, male 5.4
GTEX-1LB8K-0226-SM-EWRNW 50-59 years, male 5.4
GTEX-SE5C-1626-SM-2XCE3 40-49 years, female 5.4
GTEX-13X6J-0126-SM-5QGOU 50-59 years, male 5.3
GTEX-1M5QR-1226-SM-EWROB 40-49 years, male 5.3
GTEX-1QAET-0926-SM-E76QM 50-59 years, male 5.3
GTEX-S33H-1026-SM-EZ6L6 30-39 years, male 5.3
GTEX-1B97I-1626-SM-73KYO 40-49 years, male 5.2
GTEX-T5JW-1626-SM-3GADZ 20-29 years, female 5.2
GTEX-1GF9V-0326-SM-7RHI5 60-69 years, male 5.2
GTEX-1HCU6-0126-SM-CL54K 60-69 years, female 5.2
GTEX-1HSKV-0226-SM-A9SKJ 60-69 years, male 5.2
GTEX-1KD4Q-0226-SM-E9TJ9 40-49 years, male 5.2
GTEX-1399R-2726-SM-5IJBA 30-39 years, male 5.1
GTEX-13SLW-0126-SM-5SI6C 70-79 years, male 5.1
GTEX-1B8SF-1426-SM-7DUGL 60-69 years, male 5.1
GTEX-1J1OQ-0226-SM-CYPSH 40-49 years, female 5.1
GTEX-1KWVE-1426-SM-E9TJO 30-39 years, male 5.1
GTEX-15F5U-1526-SM-6PANO 40-49 years, male 5.0
GTEX-17EVP-0326-SM-7DHLG 40-49 years, male 5.0
GTEX-17HHY-0126-SM-7LG5D 50-59 years, male 5.0
GTEX-OIZG-0726-SM-33HBL 50-59 years, male 5.0
GTEX-Y114-2426-SM-4TT8A 50-59 years, female 5.0
GTEX-YJ89-0126-SM-4TT3X 60-69 years, male 5.0
GTEX-ZF2S-2326-SM-4WWCE 50-59 years, female 5.0
GTEX-ZYFC-0226-SM-5NQ75 50-59 years, male 5.0
GTEX-1I1GQ-0126-SM-COH3H 50-59 years, male 5.0
GTEX-ZPIC-1726-SM-DHXIU 40-49 years, female 5.0
GTEX-12WSE-0526-SM-793B2 20-29 years, male 4.9
GTEX-144GL-0126-SM-5TDE2 50-59 years, male 4.9
GTEX-15ER7-0326-SM-7KUEV 20-29 years, female 4.9
GTEX-QV44-1926-SM-2S1RF 50-59 years, male 4.9
GTEX-XYKS-2126-SM-4E3IB 60-69 years, female 4.9
GTEX-1HCU9-1526-SM-A9SL7 20-29 years, male 4.9
GTEX-1QP9N-1426-SM-DTXFL 30-39 years, male 4.9
GTEX-145MN-2226-SM-5SIAU 30-39 years, male 4.8
GTEX-XBEW-0626-SM-4QASP 40-49 years, male 4.8
GTEX-ZGAY-0526-SM-4WWBB 40-49 years, female 4.8
GTEX-ZXES-1826-SM-5E43S 30-39 years, female 4.8
GTEX-1CB4F-0426-SM-9KNV4 60-69 years, male 4.8
GTEX-1EMGI-0126-SM-9KNUE 60-69 years, male 4.8
GTEX-1KANB-0526-SM-E6CJH 50-59 years, male 4.8
GTEX-1PFEY-1526-SM-E76PP 30-39 years, male 4.8
GTEX-1S3DN-2226-SM-EVYCD 50-59 years, male 4.8
GTEX-13G51-2526-SM-5LZYK 60-69 years, male 4.7
GTEX-T2IS-0126-SM-4DM6O 20-29 years, female 4.7
GTEX-TML8-1926-SM-32QOS 40-49 years, female 4.7
GTEX-ZAK1-0126-SM-5IJD3 50-59 years, female 4.7
GTEX-1399U-2326-SM-5K7WY 50-59 years, female 4.6
GTEX-17F98-0626-SM-79OMX 40-49 years, female 4.6
GTEX-T6MN-0126-SM-32PLP 50-59 years, male 4.6
GTEX-ZYT6-0226-SM-5NQ6T 30-39 years, male 4.6
GTEX-1B8L1-2526-SM-9WYTF 60-69 years, male 4.6
GTEX-11DYG-0126-SM-59883 60-69 years, male 4.4
GTEX-14PII-0226-SM-6EU1T 60-69 years, male 4.4
GTEX-1EWIQ-0126-SM-7RHH2 70-79 years, female 4.4
GTEX-1HFI6-0226-SM-ADEHZ 40-49 years, male 4.4
GTEX-117XS-2726-SM-5N9BL 60-69 years, male 4.3
GTEX-131YS-0126-SM-5KM1M 60-69 years, female 4.3
GTEX-13FXS-0226-SM-5IJCK 50-59 years, male 4.3
GTEX-TKQ1-1026-SM-4GICL 30-39 years, male 4.3
GTEX-Y8DK-0126-SM-4TT3L 60-69 years, male 4.3
GTEX-1CAV2-2226-SM-7P8P2 40-49 years, female 4.3
GTEX-1LG7Z-1726-SM-D3LA4 30-39 years, male 4.3
GTEX-1OFPY-2426-SM-DTXEJ 60-69 years, male 4.3
GTEX-13OVK-2026-SM-7KUEO 40-49 years, male 4.2
GTEX-145MF-0626-SM-5LUAI 50-59 years, male 4.2
GTEX-XQ3S-1526-SM-4BOOC 20-29 years, male 4.2
GTEX-1R9PM-2026-SM-E76OY 20-29 years, male 4.2
GTEX-1212Z-2526-SM-5EGKP 60-69 years, male 4.1
GTEX-13FTW-2626-SM-5K7WL 40-49 years, male 4.1
GTEX-1CB4E-2226-SM-793DC 60-69 years, male 4.1
GTEX-P4QT-0126-SM-2I3FL 50-59 years, female 4.1
GTEX-ZV68-0126-SM-59HKS 50-59 years, female 4.1
GTEX-PX3G-0126-SM-2I3EN 20-29 years, female 4.0
GTEX-1F5PL-0326-SM-7P8PQ 40-49 years, female 4.0
GTEX-1JMLX-0226-SM-CM2RO 50-59 years, male 4.0
GTEX-1CB4I-0226-SM-79OLH 50-59 years, male 3.9
GTEX-Y111-0126-SM-4SOIV 50-59 years, male 3.9
GTEX-Y3IK-2426-SM-4WWDU 50-59 years, female 3.9
GTEX-1H1CY-2826-SM-9MQM3 60-69 years, female 3.9
GTEX-1I1GV-0526-SM-A9G29 60-69 years, male 3.9
GTEX-1MA7W-2026-SM-E9TJ6 20-29 years, female 3.9
GTEX-1JN6P-0126-SM-D3L98 60-69 years, male 3.8
GTEX-1S83E-0126-SM-EWRO4 40-49 years, male 3.8
GTEX-17JCI-0126-SM-7LG5G 60-69 years, female 3.6
GTEX-1KANC-1526-SM-D3LAB 50-59 years, female 3.6
GTEX-ZVTK-0426-SM-51MRS 20-29 years, male 3.5
GTEX-XUZC-1726-SM-4BRWS 30-39 years, female 3.4
GTEX-1L5NE-2526-SM-E6CIE 50-59 years, male 3.3
GTEX-1MJK2-0426-SM-DTXE5 50-59 years, male 3.3
GTEX-1JJ6O-0126-SM-E6CI8 60-69 years, male 3.2
GTEX-13111-1626-SM-5EGJY 50-59 years, male 3.1
GTEX-131XH-2226-SM-5DUXJ 50-59 years, male 3.1
GTEX-1OJC3-0126-SM-E76QX 20-29 years, male 3.1
GTEX-11DXZ-2326-SM-5EGGV 50-59 years, male 3.0
GTEX-WFON-2126-SM-3LK7O 40-49 years, male 3.0
GTEX-18D9A-1926-SM-7LG6P 30-39 years, female 2.9
Show allShow less

Contact

  • NEWS ARTICLES
  • PRESS ROOM

The Project

  • INTRODUCTION
  • ORGANIZATION
  • PUBLICATIONS

The Human Protein Atlas

  • DOWNLOADABLE DATA
  • LICENCE & CITATION
  • HELP & FAQ
The Human Protein Atlas project is funded
by the Knut & Alice Wallenberg Foundation.


contact@proteinatlas.org