We use cookies to enhance the usability of our website. If you continue, we'll assume that you are happy to receive all cookies. More information. Don't show this again.
PERP
HPA
RESOURCES
  • TISSUE
  • BRAIN
  • SINGLE CELL
  • SUBCELLULAR
  • CANCER
  • BLOOD
  • CELL LINE
  • STRUCTURE & INTERACTION
ABOUT
  • INTRODUCTION
  • HISTORY
  • ORGANIZATION
  • PUBLICATIONS
  • ANTIBODY SUBMISSION
  • ANTIBODY AVAILABILITY
  • ACKNOWLEDGMENTS
  • CONTACT
NEWS
  • NEWS ARTICLES
  • PRESS ROOM
LEARN
  • DICTIONARY
  • PROTEIN CLASSES
  • PROTEIN EVIDENCE
  • METHODS
  • EDUCATIONAL VIDEOS
DATA
  • DOWNLOADABLE DATA
  • PUBLICATION DATA
  • RELEASE HISTORY
HELP
  • ANTIBODY VALIDATION
  • ASSAYS & ANNOTATION
  • DISCLAIMER
  • HELP & FAQ
  • PRIVACY STATEMENT
  • LICENCE & CITATION
Fields »
Search result

Field
Term
Gene name
Class
Subclass
Class
Keyword
Chromosome
External id
Tissue
Cell type
Expression
Antibody panel
Tissue
Main location
Patient ID
Annotation
Tissue
Category
Tau score
Cluster
Reliability
Brain region
Category
Tau score
Brain region
Category
Tau score
Brain region
Category
Tau score
Cluster
Reliability
Tissue
Cell type
Enrichment
Cell type
Category
Tau score
Cell type
Category
Tau score
Cell type
Category
Tau score
Cell lineage
Category
Tau score
Cluster
Cluster
Location
Searches
Location
Cell line
Class
Type
Phase
Reliability
Cancer
Prognosis
Cancer
Category
Cancer
Category
Tau score
Cluster
Variants
Interacting gene (ensg_id)
Type
Number of interactions
Pathway
Category
Score
Score
Score
Validation
Validation
Validation
Validation
Antibodies
Data type
Column


  • SUMMARY

  • TISSUE

  • BRAIN

  • SINGLE CELL

  • SUBCELL

  • CANCER

  • BLOOD

  • CELL LINE

  • STRUCT & INT

  • PERP
TISSUE PRIMARY DATA SKIN 1 Show tissue menu
ADIPOSE TISSUE ADRENAL GLAND AMYGDALA APPENDIX BASAL GANGLIA BONE MARROW BREAST BRONCHUS CEREBELLUM CEREBRAL CORTEX CERVIX CHOROID PLEXUS COLON DUODENUM
ENDOMETRIUM EPIDIDYMIS ESOPHAGUS FALLOPIAN TUBE GALLBLADDER HEART MUSCLE HIPPOCAMPAL FORMATION HYPOTHALAMUS KIDNEY LIVER LUNG LYMPH NODE MIDBRAIN NASOPHARYNX
ORAL MUCOSA OVARY PANCREAS PARATHYROID GLAND PITUITARY GLAND PLACENTA PROSTATE RECTUM RETINA SALIVARY GLAND SEMINAL VESICLE SKELETAL MUSCLE SKIN SMALL INTESTINE
SMOOTH MUSCLE SOFT TISSUE SPINAL CORD SPLEEN STOMACH TESTIS THYMUS THYROID GLAND TONGUE TONSIL URINARY BLADDER VAGINA
ANTIBODIES
AND
VALIDATION
Dictionary
Skin
Tissue proteome
SKIN - Expression summary
Protein expression
Skini

On the top, protein expression in current human tissue, based on all annotated cell types, is reported with the units not detected (n), low (l), medium (m) and high (h). Underneath, protein expression in each annotated cell type are reported using the same units.

Protein expression data is based on knowledge-based annotation. For genes where more than one antibody has been used, a collective score is set.

If knowledge-based annotation could not be performed for a gene, no data is displayed here. View antibody staining data further down this page.

h
m
l
n
Arrector pili muscle cells: Not detected
Cells in basal layer: Not detected
Cells in corneal layer: High
Cells in granular layer: Medium
Cells in spinous layer: Not detected
Eccrine glands: Not detected
Endothelial cells: Not detected
Extracellular matrix: Not detected
Fibrohistiocytic cells: Not detected
Langerhans cells: Not detected
Lymphocytes: Not detected
Melanocytes: Not detected
Vascular mural cells: Not detected
RNA expressioni

A summary of mRNA expression data available for current tissue based on several datasets. The mRNA expression levels in human tissues are based on RNA-seq data generated by the Human Protein Atlas (HPA), Genotype-Tissue Expression (GTEx) portal and CAGE data generated by the FANTOM5 consortium. Consensus normalized expression levels for human tissues was created by combining the data from HPA and GTEx datasets.

The mRNA expression levels in pig are based on RNA-seq data generated by the Human Protein Atlas (HPA), and for mouse, HPA data and in situ hybridization generated by the Allen brain atlas are reported.

Scroll down to view mRNA expression data in more detail.
Consensus:1079.6 nTPM
HPA:1042.6 nTPM
GTEx:1079.6 nTPM

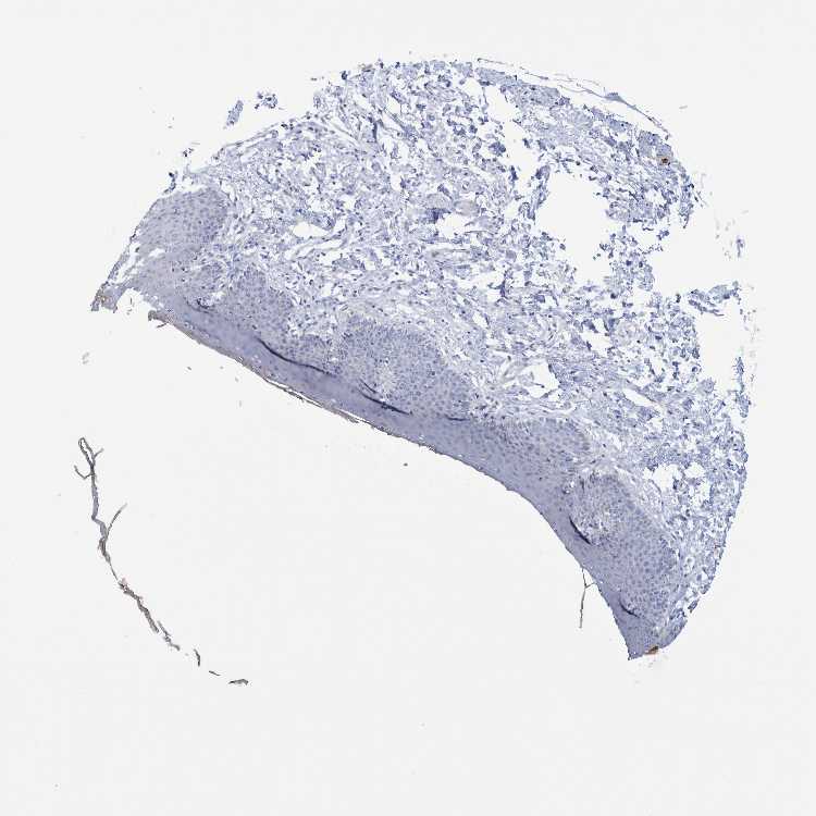
SKIN 1 - Antibody stainingi

Antibody staining in the annotated cell types in the current human tissue is reported as not detected, low, medium, or high, based on conventional immunohistochemistry profiling in selected tissues. This score is based on the combination of the staining intensity and fraction of stained cells.

Each image is clickable and will lead to virtual microscopy that enables deeper exploration of all samples and also displays staining intensity scores, fraction scores and subcellular localization as well as patient and tissue information for each sample.

Antibody HPA022269
Arrector pili muscle cells Not detected
Cells in basal layer Not detected
Cells in corneal layer High
Cells in granular layer Medium
Cells in spinous layer Not detected
Eccrine glands Not detected
Endothelial cells Not detected
Extracellular matrix Not detected
Fibrohistiocytic cells Not detected
Langerhans cells Not detected
Lymphocytes Not detected
Melanocytes Not detected
Vascular mural cells Not detected


SKIN 2 - Antibody stainingi

Antibody staining in the annotated cell types in the current human tissue is reported as not detected, low, medium, or high, based on conventional immunohistochemistry profiling in selected tissues. This score is based on the combination of the staining intensity and fraction of stained cells.

Each image is clickable and will lead to virtual microscopy that enables deeper exploration of all samples and also displays staining intensity scores, fraction scores and subcellular localization as well as patient and tissue information for each sample.

Antibody HPA022269
Cells in basal layer Not detected
Cells in corneal layer High
Cells in granular layer Medium
Cells in spinous layer Not detected
Endothelial cells Not detected
Extracellular matrix Not detected
Fibrohistiocytic cells Not detected
Langerhans cells Not detected
Lymphocytes Not detected
Melanocytes Not detected
Vascular mural cells Not detected
 
 



SKIN - HPA RNA-seqi

The RNA-seq details section shows detailed information about the individual samples used for the transcript profiling and results of the RNA-seq analysis.

Information about each individual sample is listed below, including gender, age, a tissue section image and estimated fractions of cell types. nTPM (normalized transcripts per million) values give a quantification of the gene abundance which is comparable between different genes and samples.
Average nTPMi

Max subtype nTPM is the value for the subtype with the largest average nTPM across the subtype samples.

1042.6
overview
Female, age 34
Skin sample 225
nTPM: 1166.4
Cell types%
Keratinocytes:
60

Other cell types:
40

overview
Female, age 30
Skin sample 226
nTPM: 1235.5
Cell types%
Keratinocytes:
55

Other cell types:
45

N/A
Male, age 57
Skin sample 227
nTPM: 725.8

SKIN - GTEx RNA-seqi

RNA-Seq data generated by the Genotype-Tissue Expression (GTEx) project from human tissues is reported as mean nTPM. More information can be found on the GTEx portal.

Distribution across the dataset is visualized with box plots, shown as median and 25th and 75th percentiles. Points are displayed as outliers if they are above or below 1.5 times the interquartile range. nTPM values of the individual samples are presented next to the box plot.
Max subtype nTPMi

Max subtype nTPM is the value for the subtype with the largest average nTPM across the subtype samples.

1079.6
GTEx sample id Sample description nTPM
Skin - Not Sun Exposed (Suprapubic)
Average nTPM: 1043.6
Samples: 604

Max nTPM: 2380.7
Min nTPM: 212.9
Std nTPM: 343.2
Median nTPM: 1021.5
GTEX-148VJ-0626-SM-5LUAW 70-79 years, male 2380.7
GTEX-1F6RS-2026-SM-7RHHC 60-69 years, female 2265.8
GTEX-1GN1V-2826-SM-9JGIA 60-69 years, male 2114.5
GTEX-13PDP-0726-SM-5L3HP 60-69 years, male 2048.1
GTEX-YECK-0326-SM-4W1YS 60-69 years, male 1986.6
GTEX-14ICL-1626-SM-5YYAO 30-39 years, male 1922.6
GTEX-1PPH8-0126-SM-EWRN8 20-29 years, male 1889.3
GTEX-1OJC3-1226-SM-DTXER 20-29 years, male 1883.8
GTEX-15RJE-2826-SM-7KUM9 40-49 years, male 1871.2
GTEX-ZE7O-2726-SM-51MT5 50-59 years, female 1869.4
GTEX-139UW-0326-SM-5J1ML 60-69 years, male 1827.4
GTEX-1LKK1-2626-SM-DKPQE 50-59 years, female 1816.5
GTEX-111VG-1626-SM-5EGIO 60-69 years, male 1798.1
GTEX-14C39-1726-SM-5RQIL 40-49 years, male 1748.2
GTEX-1NV5F-0626-SM-DTXEG 60-69 years, female 1741.4
GTEX-ZTX8-1326-SM-4YCEL 20-29 years, male 1731.5
GTEX-15SKB-2826-SM-6PAMH 60-69 years, male 1725.9
GTEX-145MH-2826-SM-5RQJF 50-59 years, male 1720.7
GTEX-13YAN-0226-SM-5TDC6 60-69 years, male 1714.7
GTEX-ZYVF-0926-SM-5E44J 50-59 years, female 1710.8
GTEX-11WQC-1826-SM-5GU59 60-69 years, male 1710.7
GTEX-1313W-0626-SM-5EQ4H 50-59 years, female 1710.6
GTEX-15ER7-0626-SM-6PANF 20-29 years, female 1707.7
GTEX-1HCU7-0726-SM-A9SL1 50-59 years, male 1683.3
GTEX-1QP2A-1726-SM-E76QC 50-59 years, male 1679.5
GTEX-131XF-2626-SM-5EQ6K 60-69 years, male 1678.8
GTEX-14PII-0726-SM-6EU2B 60-69 years, male 1663.3
GTEX-1PBJJ-1026-SM-E76OS 30-39 years, male 1647.7
GTEX-17HHE-1326-SM-7EWDZ 50-59 years, male 1637.1
GTEX-WHSB-1326-SM-3LK6W 50-59 years, male 1628.9
GTEX-13SLW-0626-SM-5Q5ER 70-79 years, male 1628.0
GTEX-ZVZP-1226-SM-5GID7 50-59 years, male 1626.9
GTEX-1H4P4-2126-SM-9WYSL 50-59 years, male 1620.9
GTEX-ZPCL-1126-SM-4WWFE 60-69 years, female 1616.7
GTEX-18A67-1626-SM-7LT9T 50-59 years, male 1610.6
GTEX-1HT8W-0626-SM-A9G2H 30-39 years, male 1589.4
GTEX-144GL-0626-SM-5LU4D 50-59 years, male 1576.0
GTEX-1J8Q2-2626-SM-ACKWQ 60-69 years, male 1573.9
GTEX-1C64N-2626-SM-7PC2N 50-59 years, male 1570.5
GTEX-1QPFJ-1926-SM-EVYBD 30-39 years, female 1570.1
GTEX-1CB4J-1326-SM-7P8RX 60-69 years, male 1568.2
GTEX-1H2FU-0926-SM-9WPPT 60-69 years, female 1556.3
GTEX-1HCVE-2726-SM-CL54F 50-59 years, male 1551.5
GTEX-1JMPY-0226-SM-CKZOK 30-39 years, male 1546.7
GTEX-13FTY-2126-SM-5IFFB 40-49 years, female 1539.9
GTEX-1HCU6-2526-SM-ADEHL 60-69 years, female 1534.5
GTEX-1JJEA-1826-SM-ARU8P 60-69 years, male 1534.5
GTEX-1IKJJ-2226-SM-CJI4C 60-69 years, male 1532.4
GTEX-13NZ8-1226-SM-5KM4A 60-69 years, female 1528.5
GTEX-1QP28-1126-SM-EVYC4 50-59 years, female 1525.3
GTEX-1EMGI-2326-SM-7PBYA 60-69 years, male 1524.0
GTEX-131XG-0326-SM-5L3DX 50-59 years, female 1520.8
GTEX-13IVO-0726-SM-5LZYV 70-79 years, male 1514.9
GTEX-1GN73-0726-SM-7P8TJ 60-69 years, male 1514.0
GTEX-1GPI6-1926-SM-9KNV7 60-69 years, male 1510.8
GTEX-12ZZX-2426-SM-5GCOE 40-49 years, female 1509.8
GTEX-1C2JI-1026-SM-73KY1 50-59 years, male 1509.5
GTEX-YFCO-1226-SM-5LUAT 40-49 years, male 1507.8
GTEX-ZE9C-2526-SM-5IJDR 60-69 years, male 1500.1
GTEX-1I1GT-1026-SM-ARZLV 60-69 years, female 1496.4
GTEX-ZXG5-2126-SM-59HKD 60-69 years, male 1496.3
GTEX-11ZU8-0126-SM-5EQ58 60-69 years, male 1495.2
GTEX-1122O-1026-SM-9WYSF 60-69 years, female 1483.2
GTEX-ZF29-0926-SM-4WKFZ 60-69 years, female 1478.3
GTEX-1399S-0126-SM-5IJCF 30-39 years, female 1472.4
GTEX-Y9LG-1126-SM-4VBQ7 30-39 years, male 1470.3
GTEX-1H3O1-1326-SM-9MQLD 60-69 years, male 1467.6
GTEX-WFG7-2026-SM-5SI7P 20-29 years, male 1464.8
GTEX-1GMRU-2126-SM-7P8RA 50-59 years, male 1464.6
GTEX-17F9Y-0126-SM-79OKX 70-79 years, female 1462.9
GTEX-11DXY-0126-SM-5H11Q 60-69 years, male 1462.8
GTEX-1C6WA-2626-SM-7MKGM 60-69 years, male 1462.8
GTEX-1BAJH-2426-SM-7IGP8 70-79 years, male 1461.7
GTEX-ZYFC-0426-SM-5GICQ 50-59 years, male 1449.2
GTEX-12ZZZ-0726-SM-5GCNZ 60-69 years, male 1449.1
GTEX-13QJC-0126-SM-5ZZWJ 60-69 years, female 1444.4
GTEX-1GF9V-0826-SM-9KNUV 60-69 years, male 1442.2
GTEX-1HR9M-2226-SM-CNPPY 60-69 years, male 1441.7
GTEX-1HSMQ-2626-SM-A9SML 50-59 years, male 1436.8
GTEX-13O61-1426-SM-5KM3D 60-69 years, male 1434.8
GTEX-1IKOE-1426-SM-CE6T7 30-39 years, female 1434.6
GTEX-1NSGN-0726-SM-DTXEF 50-59 years, male 1430.8
GTEX-1269C-0126-SM-5EQ5L 60-69 years, female 1425.1
GTEX-1C6VQ-1226-SM-73KYD 50-59 years, male 1424.3
GTEX-13PL6-1126-SM-5L3IE 40-49 years, female 1420.4
GTEX-1I1GV-0626-SM-ARL7M 60-69 years, male 1413.2
GTEX-1IE54-1126-SM-A9G2Z 40-49 years, female 1411.9
GTEX-17HII-1426-SM-7EPGG 50-59 years, male 1410.4
GTEX-147F4-0726-SM-5TDDD 50-59 years, male 1409.1
GTEX-1LB8K-0726-SM-D5OV2 50-59 years, male 1401.9
GTEX-1N2DV-1526-SM-DTXEP 40-49 years, male 1400.2
GTEX-12WSM-1926-SM-5BC65 60-69 years, male 1395.2
GTEX-17MFQ-1526-SM-7KFRR 20-29 years, male 1395.1
GTEX-1RAZQ-1326-SM-E9TK6 30-39 years, male 1394.4
GTEX-ZYW4-0626-SM-59HJR 60-69 years, male 1388.7
GTEX-13NYB-0126-SM-5J1MD 40-49 years, male 1384.7
GTEX-1KANB-2826-SM-CY8I6 50-59 years, male 1384.6
GTEX-1GN1U-0626-SM-9MQL9 50-59 years, female 1383.0
GTEX-UPJH-0226-SM-3GADV 50-59 years, male 1375.7
GTEX-14LZ3-0126-SM-69LPM 60-69 years, female 1372.4
GTEX-17F97-2626-SM-7IGM5 50-59 years, male 1370.9
GTEX-11EQ8-0926-SM-5H12V 60-69 years, male 1365.6
GTEX-14C5O-0326-SM-5ZZUX 60-69 years, male 1358.0
GTEX-1GZ4H-0526-SM-9KNU9 50-59 years, female 1357.8
GTEX-1399Q-2326-SM-5KM2X 40-49 years, male 1356.8
GTEX-1C6VR-0126-SM-7RHGB 60-69 years, male 1356.3
GTEX-1JMQJ-0826-SM-CNPP7 50-59 years, male 1355.8
GTEX-1E2YA-2126-SM-7MXUO 50-59 years, male 1352.0
GTEX-1LGRB-0926-SM-COH3K 50-59 years, female 1350.3
GTEX-Y114-2126-SM-4TT8B 50-59 years, female 1349.0
GTEX-ZVT4-2426-SM-5GIEI 50-59 years, female 1341.9
GTEX-1JK1U-0226-SM-ARZMX 60-69 years, male 1341.0
GTEX-14PJN-1826-SM-6AJ98 30-39 years, male 1340.3
GTEX-11DYG-1526-SM-5A5JS 60-69 years, male 1339.8
GTEX-1399U-1126-SM-5L3DB 50-59 years, female 1339.5
GTEX-1H3VE-0726-SM-9YFL5 40-49 years, male 1338.2
GTEX-15RIG-0726-SM-7KUM7 40-49 years, male 1338.0
GTEX-1GZ4I-2626-SM-9KNU3 50-59 years, male 1338.0
GTEX-1GN2E-0226-SM-9WG6K 60-69 years, male 1336.5
GTEX-1PIIG-2326-SM-DTXFR 30-39 years, male 1329.7
GTEX-12WSK-2126-SM-5CVNC 40-49 years, female 1329.3
GTEX-Z93S-1626-SM-5CVMB 50-59 years, male 1325.5
GTEX-11PRG-0726-SM-5EGL1 50-59 years, male 1324.0
GTEX-1R46S-2426-SM-E76QA 60-69 years, female 1316.8
GTEX-13FTX-1526-SM-5K7VJ 20-29 years, female 1315.6
GTEX-12WSH-1526-SM-5BC5W 50-59 years, male 1313.1
GTEX-144FL-0626-SM-5LU43 50-59 years, male 1313.1
GTEX-1HGF4-0126-SM-CNPPX 60-69 years, male 1312.1
GTEX-1LSVX-2526-SM-DIPEU 60-69 years, male 1310.3
GTEX-1ICLZ-0326-SM-ARL82 60-69 years, male 1310.0
GTEX-18QFQ-1826-SM-72D52 30-39 years, male 1308.2
GTEX-1HSKV-1226-SM-ADEI4 60-69 years, male 1307.9
GTEX-ZLV1-1526-SM-DO91J 60-69 years, female 1304.6
GTEX-13FHO-0426-SM-5L3F5 60-69 years, male 1304.1
GTEX-1J8EW-2726-SM-CY8HR 60-69 years, female 1304.0
GTEX-1HFI7-2326-SM-CGQFS 50-59 years, female 1302.8
GTEX-13JVG-0726-SM-5KM16 60-69 years, male 1301.6
GTEX-15DYW-2726-SM-6EU2I 60-69 years, female 1300.1
GTEX-1EX96-1026-SM-7MKG2 50-59 years, male 1299.7
GTEX-145MI-0626-SM-5SI8S 60-69 years, female 1297.9
GTEX-1F75I-2226-SM-7SB8U 40-49 years, male 1297.9
GTEX-ZYT6-2326-SM-5GZY3 30-39 years, male 1292.2
GTEX-1I1GP-1326-SM-A9G28 50-59 years, male 1284.7
GTEX-14PJ5-1526-SM-6LLIL 60-69 years, female 1279.3
GTEX-15UF6-1926-SM-7KUDV 70-79 years, female 1278.0
GTEX-1HBPI-2126-SM-ARL9K 50-59 years, male 1276.6
GTEX-1GF9X-1326-SM-7PC2Y 40-49 years, female 1273.9
GTEX-ZT9X-1526-SM-5DUXD 40-49 years, male 1271.7
GTEX-17F98-1326-SM-7DUEP 40-49 years, female 1268.8
GTEX-1F75A-0726-SM-7RHHD 50-59 years, male 1268.6
GTEX-1B8SF-0126-SM-7DUG3 60-69 years, male 1268.2
GTEX-14PKU-0126-SM-6LLHV 40-49 years, female 1264.1
GTEX-1I1GS-2626-SM-B2LY3 60-69 years, male 1263.7
GTEX-ZYY3-2926-SM-5GIEB 60-69 years, female 1260.0
GTEX-145LU-1926-SM-79OJN 50-59 years, male 1257.9
GTEX-13112-0126-SM-5P9IU 50-59 years, male 1256.1
GTEX-1117F-2926-SM-5GZYI 60-69 years, female 1254.7
GTEX-ZDTT-0426-SM-4WKFL 60-69 years, male 1254.6
GTEX-139D8-1126-SM-5LU8W 30-39 years, female 1253.1
GTEX-ZC5H-1526-SM-5HL9Y 40-49 years, female 1250.5
GTEX-15FZZ-0526-SM-7KUGD 30-39 years, female 1247.5
GTEX-1EKGG-0626-SM-7DUGJ 60-69 years, male 1245.8
GTEX-1OJC4-2726-SM-E76PJ 50-59 years, female 1245.3
GTEX-13G51-1826-SM-5KLZH 60-69 years, male 1245.0
GTEX-15EO6-2426-SM-6PALZ 50-59 years, male 1244.3
GTEX-14753-0726-SM-5QGQO 60-69 years, male 1242.2
GTEX-18A6Q-0626-SM-7KFRP 60-69 years, male 1242.0
GTEX-14PJ4-0226-SM-5YY92 60-69 years, male 1232.2
GTEX-144GO-2026-SM-5O99P 60-69 years, male 1231.5
GTEX-XBEW-1126-SM-4QARW 40-49 years, male 1230.6
GTEX-13OW5-2326-SM-5L3HO 60-69 years, male 1225.0
GTEX-147GR-2426-SM-5ZZWQ 60-69 years, male 1224.9
GTEX-11P81-2226-SM-5PNYI 30-39 years, female 1224.1
GTEX-X8HC-0626-SM-4E3HQ 50-59 years, female 1222.1
GTEX-Y111-0626-SM-4SOIT 50-59 years, male 1220.5
GTEX-1S3DN-2126-SM-E9TIN 50-59 years, male 1219.1
GTEX-WHPG-2626-SM-3NMBR 50-59 years, male 1216.6
GTEX-13SLX-2226-SM-62LEP 50-59 years, female 1215.7
GTEX-WHWD-1826-SM-3LK6I 50-59 years, male 1214.7
GTEX-14LLW-2626-SM-62LDZ 70-79 years, female 1214.5
GTEX-14PHX-2226-SM-6EU2P 50-59 years, male 1213.6
GTEX-1AMFI-1326-SM-7939R 50-59 years, female 1213.3
GTEX-1LVA9-2626-SM-EVYD4 50-59 years, male 1212.0
GTEX-1ICLY-0826-SM-CMKG1 50-59 years, male 1211.1
GTEX-1PPGY-1626-SM-EVYBL 60-69 years, male 1208.8
GTEX-1H11D-1826-SM-9QEHM 40-49 years, male 1207.3
GTEX-1HBPM-0726-SM-9YFL7 60-69 years, female 1206.4
GTEX-12ZZY-0726-SM-5EQ66 60-69 years, male 1205.8
GTEX-1EU9M-1426-SM-793AI 60-69 years, male 1205.7
GTEX-14BIN-1126-SM-5RQJZ 50-59 years, female 1204.4
GTEX-1GF9W-1426-SM-7PBYM 60-69 years, male 1202.5
GTEX-1GPI7-1826-SM-9KNU1 20-29 years, male 1202.4
GTEX-1R9PM-1926-SM-EVR3O 20-29 years, male 1202.0
GTEX-13NYS-0626-SM-5L3F1 60-69 years, male 1201.0
GTEX-1HR98-2226-SM-ADEI2 60-69 years, male 1198.0
GTEX-14PJ6-2626-SM-6EU2T 60-69 years, female 1193.1
GTEX-1CAMQ-1326-SM-7P8RV 40-49 years, male 1191.5
GTEX-1POEN-2326-SM-E9J2L 30-39 years, female 1189.6
GTEX-13FLV-0126-SM-5K7WT 50-59 years, male 1187.7
GTEX-1HBPN-0126-SM-CGQEF 50-59 years, male 1185.9
GTEX-13O3O-2326-SM-5IJD6 60-69 years, female 1185.5
GTEX-14A6H-2026-SM-5Q5DD 30-39 years, male 1181.6
GTEX-11LCK-2226-SM-5HL4Q 30-39 years, male 1180.9
GTEX-1GZHY-0626-SM-9KNVC 50-59 years, female 1178.2
GTEX-1MCYP-0526-SM-E9U6Q 20-29 years, female 1176.0
GTEX-1A8G6-2726-SM-731AR 60-69 years, male 1174.1
GTEX-1CAMS-2226-SM-7PBXQ 40-49 years, female 1173.2
GTEX-12126-0826-SM-5FQTZ 20-29 years, male 1169.2
GTEX-1PPH7-1126-SM-DTX9A 40-49 years, male 1167.1
GTEX-ZY6K-1426-SM-5GZX2 50-59 years, male 1165.6
GTEX-15DDE-2926-SM-6LLJ3 50-59 years, female 1165.5
GTEX-1KAFJ-0126-SM-DIPEK 50-59 years, male 1161.8
GTEX-111CU-1126-SM-5EGIM 50-59 years, male 1161.6
GTEX-1AYD5-2626-SM-7PBXY 50-59 years, male 1160.0
GTEX-ZF2S-1626-SM-57WES 50-59 years, female 1159.1
GTEX-ZF3C-0626-SM-DO92O 50-59 years, female 1156.3
GTEX-1QCLY-0226-SM-EWRNH 30-39 years, male 1154.2
GTEX-17EVP-2626-SM-7IGMA 40-49 years, male 1151.0
GTEX-ZTTD-2826-SM-4YCFA 50-59 years, male 1151.0
GTEX-13OW6-2726-SM-5J2OE 50-59 years, male 1147.5
GTEX-1QP9N-1226-SM-E76QN 30-39 years, male 1147.3
GTEX-1B8KE-1126-SM-7EPHI 50-59 years, male 1143.0
GTEX-13OVK-1426-SM-6PAN7 40-49 years, male 1142.4
GTEX-13N1W-2426-SM-5IJD1 70-79 years, male 1142.0
GTEX-16YQH-2226-SM-7IGM2 30-39 years, male 1139.7
GTEX-1IDFM-0326-SM-ARL7V 60-69 years, male 1134.8
GTEX-17F9E-2326-SM-79OKD 50-59 years, male 1133.7
GTEX-1PDJ9-1226-SM-EXUSX 20-29 years, male 1133.1
GTEX-1R7EU-1626-SM-DTXG3 60-69 years, male 1129.7
GTEX-1B933-2426-SM-7DHMD 50-59 years, female 1128.5
GTEX-16BQI-1326-SM-6M486 30-39 years, female 1125.2
GTEX-14PHY-1226-SM-5ZZWK 60-69 years, female 1124.0
GTEX-1HB9E-0126-SM-CM2S5 50-59 years, male 1121.1
GTEX-XAJ8-1426-SM-47JYM 40-49 years, male 1119.6
GTEX-1F52S-2926-SM-7MKGA 60-69 years, female 1119.5
GTEX-11O72-0626-SM-5PNYE 40-49 years, male 1117.2
GTEX-1F5PK-2226-SM-7SB6N 50-59 years, male 1115.7
GTEX-131XW-0626-SM-5PNVD 50-59 years, female 1112.6
GTEX-X585-2426-SM-46MW2 50-59 years, male 1112.3
GTEX-1AX9I-2226-SM-73KUO 60-69 years, male 1105.9
GTEX-14JG1-1526-SM-5YY9X 40-49 years, male 1103.8
GTEX-1F88F-0126-SM-9WYSZ 60-69 years, female 1101.4
GTEX-1N2EE-0626-SM-E76PW 60-69 years, male 1100.9
GTEX-1192X-2726-SM-5N9DN 50-59 years, male 1100.1
GTEX-1B97I-0626-SM-73KUZ 40-49 years, male 1097.0
GTEX-1B8L1-2226-SM-7P8PT 60-69 years, male 1096.2
GTEX-13X6H-0926-SM-5SIB2 50-59 years, female 1094.7
GTEX-1QMI2-2526-SM-E8VNZ 60-69 years, male 1094.4
GTEX-1JN1M-2726-SM-CY8I4 60-69 years, female 1093.1
GTEX-11UD2-2526-SM-5CVNU 50-59 years, male 1091.1
GTEX-13FTW-0326-SM-5K7UW 40-49 years, male 1089.7
GTEX-133LE-2326-SM-5K7W3 20-29 years, female 1086.0
GTEX-11DZ1-2426-SM-5GZZX 50-59 years, male 1085.5
GTEX-1CB4F-1026-SM-7DUH1 60-69 years, male 1083.4
GTEX-13OVJ-0826-SM-5J1OK 50-59 years, female 1083.1
GTEX-1IOXB-2726-SM-CM2RI 50-59 years, male 1079.7
GTEX-18D9A-1426-SM-7LT8M 30-39 years, female 1078.3
GTEX-1R9K4-2826-SM-DTX8F 60-69 years, male 1077.7
GTEX-11DXZ-2026-SM-5987S 50-59 years, male 1075.9
GTEX-15G19-2426-SM-7KUMR 60-69 years, male 1075.5
GTEX-ZVT2-0126-SM-5GIDQ 50-59 years, female 1075.2
GTEX-1GMR8-0626-SM-7RHI7 50-59 years, female 1073.6
GTEX-139TU-0726-SM-5L3EK 60-69 years, male 1073.2
GTEX-14E1K-2026-SM-7DUEI 50-59 years, male 1072.8
GTEX-1I1HK-2326-SM-CKZOH 60-69 years, male 1072.7
GTEX-Y3I4-1726-SM-4TT89 50-59 years, male 1072.1
GTEX-12WSD-0626-SM-5GCMW 60-69 years, female 1071.9
GTEX-15G1A-1626-SM-7KUKN 30-39 years, male 1070.6
GTEX-14B4R-1326-SM-5Q5EZ 30-39 years, male 1069.0
GTEX-1IDJH-0126-SM-D3L92 70-79 years, male 1067.3
GTEX-1A3MV-1826-SM-731CD 30-39 years, male 1066.9
GTEX-1497J-0226-SM-5QGPU 60-69 years, male 1066.4
GTEX-1PIGE-1826-SM-E8VOU 20-29 years, male 1066.4
GTEX-13VXT-1926-SM-5K7UO 20-29 years, female 1064.3
GTEX-1RMOY-1326-SM-E9TIH 50-59 years, male 1064.1
GTEX-139T8-0626-SM-5KLZX 60-69 years, male 1062.9
GTEX-13X6J-0626-SM-5LU5F 50-59 years, male 1062.5
GTEX-16AAH-0626-SM-793C9 50-59 years, male 1062.1
GTEX-145MF-0926-SM-5Q5EA 50-59 years, male 1060.9
GTEX-144GM-0526-SM-79OJO 20-29 years, male 1060.7
GTEX-11ZTT-2126-SM-5CVLO 60-69 years, female 1060.0
GTEX-W5X1-2526-SM-3GILC 40-49 years, female 1058.7
GTEX-ZZPU-0826-SM-5GZX5 50-59 years, female 1056.5
GTEX-13VXU-0626-SM-5L3F9 50-59 years, male 1055.1
GTEX-12696-0126-SM-5EQ4L 60-69 years, male 1050.8
GTEX-1EN7A-2426-SM-793DB 40-49 years, male 1047.3
GTEX-1S83E-1326-SM-E6CJM 40-49 years, male 1046.1
GTEX-1RAZR-2126-SM-E9U6T 40-49 years, male 1043.1
GTEX-1IL2V-1926-SM-B2LW8 70-79 years, male 1040.2
GTEX-XBED-1926-SM-47JYP 60-69 years, male 1039.5
GTEX-ZWKS-0626-SM-5GIDV 30-39 years, male 1039.3
GTEX-11P7K-1126-SM-5HL4L 30-39 years, male 1036.1
GTEX-1K2DU-1226-SM-CYPT4 20-29 years, male 1033.9
GTEX-ZAJG-1526-SM-5CVML 50-59 years, female 1033.2
GTEX-XQ8I-0926-SM-4BOOF 50-59 years, male 1032.2
GTEX-15CHC-1126-SM-6LLHQ 60-69 years, female 1031.1
GTEX-WH7G-2026-SM-3NMBL 40-49 years, male 1028.9
GTEX-11GS4-0226-SM-5HL77 60-69 years, male 1028.8
GTEX-15RJ7-2126-SM-6PAMD 40-49 years, male 1025.3
GTEX-147F3-1726-SM-5SIAW 50-59 years, female 1024.7
GTEX-1AMEY-0826-SM-72D65 30-39 years, female 1024.3
GTEX-1HSGN-0826-SM-ACKW3 40-49 years, female 1021.9
GTEX-11EQ9-1626-SM-5PNY8 30-39 years, male 1021.1
GTEX-1B932-2326-SM-79OL5 40-49 years, female 1020.9
GTEX-1MJK3-0726-SM-E6CJC 20-29 years, male 1020.9
GTEX-14JFF-0626-SM-5ZZVT 60-69 years, male 1020.8
GTEX-11TUW-0626-SM-5LU9M 60-69 years, male 1020.6
GTEX-1A8FM-0626-SM-7PC25 50-59 years, female 1019.0
GTEX-17HHY-0426-SM-7DHLC 50-59 years, male 1018.6
GTEX-ZP4G-1426-SM-4WWCL 20-29 years, female 1018.1
GTEX-13NYC-0126-SM-5L3F4 60-69 years, male 1017.9
GTEX-11DXX-2126-SM-5PNYR 60-69 years, female 1016.7
GTEX-1JJ6O-2726-SM-CNPOG 60-69 years, male 1016.3
GTEX-13OW7-0426-SM-5K7VK 50-59 years, male 1016.0
GTEX-1F88E-1626-SM-7SB8Z 60-69 years, female 1008.5
GTEX-13OVH-0526-SM-5L3E6 70-79 years, male 1008.0
GTEX-1RLM8-2926-SM-E8VON 50-59 years, male 1007.7
GTEX-139TT-2126-SM-5LZWC 60-69 years, male 1006.8
GTEX-1I1GU-0926-SM-ACKVS 40-49 years, male 1006.0
GTEX-13X6K-0626-SM-5LU5D 60-69 years, female 1005.7
GTEX-14PJ3-1126-SM-5ZZVX 50-59 years, male 1005.5
GTEX-14AS3-1526-SM-5Q5ED 40-49 years, female 1001.3
GTEX-11GSP-2326-SM-5HL63 60-69 years, female 1000.3
GTEX-1KXAM-1626-SM-D3LAD 60-69 years, male 1000.2
GTEX-13RTJ-0126-SM-5S2NN 60-69 years, male 998.8
GTEX-1F48J-0726-SM-7RHGS 50-59 years, female 998.6
GTEX-1H1DG-2426-SM-9QEHJ 70-79 years, male 998.4
GTEX-16XZZ-0726-SM-7KUF2 60-69 years, male 996.6
GTEX-ZDYS-2426-SM-4WKGI 50-59 years, male 992.3
GTEX-11ZUS-2626-SM-5FQUR 30-39 years, male 989.8
GTEX-131XH-0126-SM-5LZUY 50-59 years, male 989.8
GTEX-1LSNL-2726-SM-E9TKJ 50-59 years, male 988.6
GTEX-1J1OQ-0126-SM-D4P2N 40-49 years, female 988.2
GTEX-1GTWX-2026-SM-9YFLM 60-69 years, male 987.2
GTEX-1KWVE-1026-SM-D3L9O 30-39 years, male 985.1
GTEX-17KNJ-2126-SM-718AM 50-59 years, male 982.7
GTEX-ZVE1-0726-SM-51MRN 50-59 years, female 981.1
GTEX-1RAZS-2526-SM-E6CHT 50-59 years, male 981.0
GTEX-12KS4-2126-SM-5FQUT 30-39 years, male 980.6
GTEX-11VI4-1126-SM-5EQMD 40-49 years, female 980.5
GTEX-YEC4-1826-SM-4W1YP 40-49 years, male 979.8
GTEX-18465-2826-SM-7LT9J 50-59 years, male 978.4
GTEX-1JMQL-2226-SM-CNPP4 50-59 years, female 978.0
GTEX-1S5ZU-2526-SM-E6CIF 20-29 years, female 977.4
GTEX-WHSE-0126-SM-3NMBT 20-29 years, male 976.2
GTEX-13O3Q-0126-SM-5KM34 50-59 years, male 975.6
GTEX-ZLFU-1826-SM-4WWBV 40-49 years, male 974.2
GTEX-ZDTS-0826-SM-4WKHL 60-69 years, male 969.9
GTEX-1GN1W-2426-SM-9KNUU 50-59 years, female 969.5
GTEX-1F6I4-2326-SM-7RHGL 60-69 years, male 969.2
GTEX-1IDJU-1726-SM-CMKHU 60-69 years, female 967.5
GTEX-1HSMO-0626-SM-ACKXC 60-69 years, male 967.2
GTEX-1JN76-0626-SM-CKZOQ 20-29 years, female 965.5
GTEX-15EU6-2226-SM-6EU2L 50-59 years, male 964.1
GTEX-1HFI6-0126-SM-CNPPI 40-49 years, male 960.0
GTEX-183WM-0326-SM-72D5V 70-79 years, female 959.3
GTEX-1F75B-0726-SM-7PC3R 50-59 years, male 956.5
GTEX-1LG7Y-2526-SM-EWRO7 50-59 years, male 953.0
GTEX-X5EB-1926-SM-4E3IW 40-49 years, male 949.0
GTEX-17MF6-2626-SM-79OKQ 40-49 years, male 948.5
GTEX-1H1ZS-2726-SM-9WG75 70-79 years, male 948.1
GTEX-X4EO-2926-SM-4E3JH 60-69 years, female 946.8
GTEX-1F5PL-0926-SM-7PC2W 40-49 years, female 945.3
GTEX-1CB4H-1126-SM-7MKGL 60-69 years, female 944.6
GTEX-Y8E4-2026-SM-5IFJB 40-49 years, male 943.3
GTEX-1QW4Y-1126-SM-DTXE3 30-39 years, male 941.5
GTEX-11NUK-2726-SM-5A5MC 50-59 years, male 940.6
GTEX-1HCUA-0826-SM-ADEHM 50-59 years, female 938.3
GTEX-WXYG-2026-SM-4E3IY 50-59 years, female 937.6
GTEX-13D11-0926-SM-5J2NC 50-59 years, female 935.8
GTEX-1H1DE-1326-SM-9KNUG 20-29 years, male 934.0
GTEX-1JMQK-1226-SM-D4P2S 60-69 years, male 934.0
GTEX-139YR-1026-SM-5LZYN 50-59 years, male 933.7
GTEX-1LVAM-0726-SM-E6CIL 50-59 years, female 931.8
GTEX-145MG-1526-SM-5Q5EM 50-59 years, male 931.7
GTEX-ZPIC-0526-SM-DO91W 40-49 years, female 931.5
GTEX-13X6I-1826-SM-5SIAO 60-69 years, male 931.3
GTEX-Y3IK-1626-SM-4YCF5 50-59 years, female 924.5
GTEX-15D1Q-2826-SM-6LLH7 40-49 years, male 920.1
GTEX-12WSJ-1126-SM-5LZVJ 40-49 years, female 919.5
GTEX-11OF3-0126-SM-5PNYF 60-69 years, male 917.1
GTEX-1MCC2-1826-SM-DIPEX 30-39 years, female 917.0
GTEX-1HKZK-0726-SM-ACKW2 40-49 years, male 914.9
GTEX-12WSC-2826-SM-5BC5Y 50-59 years, male 914.1
GTEX-18A7A-0126-SM-731AH 50-59 years, female 912.4
GTEX-ZPU1-1126-SM-4YCF3 40-49 years, male 909.3
GTEX-1JMPZ-0726-SM-CY8HZ 30-39 years, male 909.3
GTEX-1IDJV-0126-SM-COH3Y 60-69 years, male 907.5
GTEX-1J8QM-2426-SM-A9SLS 60-69 years, female 907.1
GTEX-1JKYR-0626-SM-ARL8R 20-29 years, male 906.2
GTEX-146FQ-2126-SM-5RQHU 30-39 years, male 905.5
GTEX-VUSG-2326-SM-4KL1U 50-59 years, male 904.3
GTEX-1LVAN-0626-SM-CNPOQ 50-59 years, female 904.0
GTEX-1QEPI-2626-SM-DTXF4 60-69 years, female 900.3
GTEX-1JMLX-0626-SM-ARL8T 50-59 years, male 900.2
GTEX-111YS-1526-SM-5GZYW 60-69 years, male 900.1
GTEX-131YS-2826-SM-5EQ47 60-69 years, female 899.9
GTEX-147JS-0226-SM-5S2U9 60-69 years, male 898.5
GTEX-1C475-1326-SM-7SB73 40-49 years, female 896.2
GTEX-17HGU-2326-SM-7DUFE 50-59 years, male 892.7
GTEX-1A8G7-1326-SM-73KVM 60-69 years, male 892.4
GTEX-1EH9U-2826-SM-7DUGT 60-69 years, male 891.6
GTEX-ZA64-1026-SM-5HL8R 20-29 years, male 887.0
GTEX-ZVE2-2826-SM-5GU51 50-59 years, male 885.3
GTEX-13W3W-0726-SM-5IJDQ 60-69 years, female 882.3
GTEX-1CAMR-1326-SM-7PC1F 20-29 years, male 879.8
GTEX-1S82P-2126-SM-E6CI5 60-69 years, female 879.2
GTEX-14ABY-2026-SM-62LDL 50-59 years, male 876.8
GTEX-1IDJI-0126-SM-CMKHS 50-59 years, female 873.9
GTEX-14C38-0726-SM-5SI6M 50-59 years, male 873.3
GTEX-15RIE-1926-SM-7KUKJ 60-69 years, male 869.8
GTEX-14A5H-0826-SM-5QGPJ 60-69 years, male 869.7
GTEX-11WQK-1026-SM-5EQLX 50-59 years, male 868.7
GTEX-ZAK1-0626-SM-5HL8E 50-59 years, female 864.9
GTEX-11P82-1426-SM-DTXFY 20-29 years, male 864.7
GTEX-1314G-1326-SM-5BC6E 30-39 years, male 862.9
GTEX-139TS-2126-SM-5K7XC 60-69 years, male 861.6
GTEX-1J1R8-2026-SM-CL53Y 40-49 years, male 861.4
GTEX-ZGAY-1826-SM-DO91Q 40-49 years, female 861.1
GTEX-YJ8O-2526-SM-5HL85 40-49 years, female 860.5
GTEX-1GL5R-1326-SM-7RHHF 50-59 years, male 860.3
GTEX-16NPX-0726-SM-7KULC 50-59 years, male 859.6
GTEX-12C56-1526-SM-5FQUQ 20-29 years, male 856.5
GTEX-1S82U-1026-SM-E6CJK 30-39 years, female 853.6
GTEX-13113-1626-SM-5EQ4I 60-69 years, female 852.9
GTEX-14JG6-1426-SM-9WG7C 30-39 years, female 852.5
GTEX-XXEK-1626-SM-4BRUZ 50-59 years, male 848.8
GTEX-1CB4E-0926-SM-7EPHT 60-69 years, male 847.2
GTEX-14DAR-1226-SM-73KYV 50-59 years, male 847.0
GTEX-1H23P-0626-SM-9WG6T 60-69 years, male 847.0
GTEX-1KD5A-0126-SM-E9U54 50-59 years, male 846.4
GTEX-183FY-1026-SM-7939A 20-29 years, male 840.3
GTEX-1IY9M-2826-SM-ARU8H 60-69 years, male 834.6
GTEX-V1D1-2026-SM-3GAF4 50-59 years, male 832.8
GTEX-ZAB4-2126-SM-5HL8U 40-49 years, male 830.3
GTEX-1S831-1826-SM-EWROF 20-29 years, male 827.9
GTEX-14E6C-2426-SM-5S2NF 40-49 years, male 827.5
GTEX-16Z82-2626-SM-7KULU 60-69 years, male 827.2
GTEX-1212Z-0126-SM-59HK4 60-69 years, male 825.1
GTEX-18D9U-0126-SM-731BM 40-49 years, male 819.5
GTEX-15SHW-0226-SM-7LTAT 60-69 years, male 813.3
GTEX-1RB15-1326-SM-E76Q9 60-69 years, male 805.1
GTEX-1R9PN-0426-SM-DTXDT 40-49 years, female 803.9
GTEX-13PVR-0426-SM-5RQK2 60-69 years, female 802.1
GTEX-1J8Q3-0526-SM-ARL8U 60-69 years, male 801.5
GTEX-1QAET-0326-SM-EVR3U 50-59 years, male 799.6
GTEX-16MT8-2926-SM-7DUFO 60-69 years, female 798.2
GTEX-WY7C-2126-SM-3NB2R 50-59 years, male 798.2
GTEX-1H1DF-1126-SM-9WG7G 40-49 years, female 797.8
GTEX-WEY5-2326-SM-3GIKK 40-49 years, female 797.2
GTEX-16MTA-0926-SM-6M47Z 50-59 years, male 796.8
GTEX-1EWIQ-0326-SM-7DHMQ 70-79 years, female 791.6
GTEX-1N5O9-0926-SM-E9J3C 60-69 years, male 791.5
GTEX-1JMQI-1726-SM-ARL93 50-59 years, male 790.4
GTEX-WRHU-2826-SM-3MJG8 50-59 years, female 789.0
GTEX-13PVQ-0626-SM-5LU47 50-59 years, male 788.9
GTEX-145LS-0626-SM-7EPG7 60-69 years, female 787.4
GTEX-178AV-1726-SM-7KUL8 40-49 years, male 782.6
GTEX-145MN-1526-SM-5SI9T 30-39 years, male 781.0
GTEX-XUW1-0926-SM-4BONX 50-59 years, female 778.6
GTEX-1H1CY-0126-SM-9YFLY 60-69 years, female 777.5
GTEX-1HSMP-0926-SM-A9SKX 70-79 years, male 775.8
GTEX-WYBS-0626-SM-3NMAS 60-69 years, female 773.8
GTEX-14BMV-2826-SM-5TDED 50-59 years, male 772.1
GTEX-1LBAC-0826-SM-CY8IJ 20-29 years, male 770.4
GTEX-XMD2-2126-SM-4YCF8 60-69 years, female 769.9
GTEX-1I1CD-0626-SM-CE6SW 60-69 years, female 768.4
GTEX-XYKS-1426-SM-4BRUO 60-69 years, female 768.2
GTEX-16NGA-0726-SM-731AO 40-49 years, female 767.4
GTEX-YEC3-1326-SM-DO92X 50-59 years, male 764.9
GTEX-1K9T9-1526-SM-DIPFR 50-59 years, female 764.7
GTEX-145MO-2826-SM-5LU96 60-69 years, male 764.2
GTEX-15CHQ-0326-SM-69LQD 60-69 years, male 762.3
GTEX-Y8LW-1526-SM-5IFHL 50-59 years, female 762.3
GTEX-WI4N-2726-SM-3LK7Y 40-49 years, female 762.2
GTEX-Y5V6-2326-SM-4VDSA 60-69 years, male 759.1
GTEX-1HC8U-1326-SM-9YFMJ 40-49 years, female 754.0
GTEX-11NSD-0626-SM-5A5LU 20-29 years, male 752.6
GTEX-ZZ64-1026-SM-5GZXG 20-29 years, male 751.4
GTEX-1M4P7-0726-SM-E6CJ3 60-69 years, male 750.5
GTEX-XQ3S-1426-SM-4BOPR 20-29 years, male 749.4
GTEX-145ME-1726-SM-5Q5EU 40-49 years, female 746.8
GTEX-12WSF-1626-SM-7KUG5 70-79 years, male 745.1
GTEX-XV7Q-1826-SM-4BRUV 40-49 years, female 744.2
GTEX-XBEC-0726-SM-4QARZ 50-59 years, male 739.9
GTEX-13OVL-0126-SM-5L3GJ 50-59 years, male 735.9
GTEX-1JJE9-2626-SM-ARZMT 70-79 years, male 735.4
GTEX-14XAO-1226-SM-6EU1C 60-69 years, female 734.3
GTEX-1JN6P-2926-SM-CL54D 60-69 years, male 733.2
GTEX-1B8KZ-0326-SM-73KY4 50-59 years, male 730.4
GTEX-13N11-2326-SM-5IJBF 50-59 years, female 728.0
GTEX-1KANA-1326-SM-DIPFA 20-29 years, male 727.7
GTEX-ZLWG-0826-SM-59888 50-59 years, female 726.2
GTEX-15CHR-1126-SM-7EWF4 50-59 years, male 714.3
GTEX-XPVG-2126-SM-4B667 50-59 years, male 713.3
GTEX-1A3MW-0626-SM-731CB 60-69 years, female 711.6
GTEX-1A3MX-2626-SM-7PC24 60-69 years, male 710.4
GTEX-18A7B-2726-SM-7LG56 70-79 years, male 709.4
GTEX-14DAQ-0626-SM-793DS 60-69 years, female 709.2
GTEX-14PJO-2526-SM-6AJBQ 60-69 years, male 709.0
GTEX-1GMR3-0126-SM-A9SLW 40-49 years, male 708.4
GTEX-1QP29-1826-SM-DTX9S 50-59 years, male 706.0
GTEX-1CB4I-0126-SM-7RHGG 50-59 years, male 702.5
GTEX-1477Z-0326-SM-7IGLA 60-69 years, male 701.2
GTEX-12WSA-0426-SM-5EQ5X 60-69 years, male 697.9
GTEX-1CAV2-0126-SM-7IGN7 40-49 years, female 694.7
GTEX-U8XE-0226-SM-4E3J3 30-39 years, male 694.7
GTEX-18A66-0626-SM-7LT8Z 60-69 years, male 693.7
GTEX-1HCU9-0426-SM-9WYSD 20-29 years, male 691.7
GTEX-14PKV-1126-SM-6LLJ1 20-29 years, female 690.3
GTEX-1211K-1526-SM-5FQU4 60-69 years, female 689.7
GTEX-13OW8-1026-SM-5J1NQ 60-69 years, male 689.7
GTEX-WK11-2726-SM-3NMAQ 50-59 years, male 688.1
GTEX-ZVP2-0326-SM-57WBP 50-59 years, male 681.7
GTEX-WFON-1926-SM-3LK7L 40-49 years, male 681.1
GTEX-XOT4-0626-SM-4B66L 60-69 years, female 679.7
GTEX-13QBU-1226-SM-5LU4G 40-49 years, female 679.0
GTEX-1A32A-0626-SM-731AQ 50-59 years, female 678.8
GTEX-1O9I2-0226-SM-EYYXD 50-59 years, male 678.1
GTEX-UPK5-0426-SM-3GAEK 40-49 years, male 674.3
GTEX-1H1E6-0426-SM-9WYUS 30-39 years, male 669.8
GTEX-1I6K7-1926-SM-B2LXR 40-49 years, male 669.5
GTEX-11EI6-2826-SM-5H11D 60-69 years, male 667.5
GTEX-11EM3-1226-SM-5N9DD 20-29 years, female 667.5
GTEX-VJYA-1526-SM-3GIJV 60-69 years, male 664.0
GTEX-ZU9S-1826-SM-5NQ9E 30-39 years, male 662.0
GTEX-1C64O-1326-SM-7MGWR 60-69 years, male 656.3
GTEX-ZYFG-1526-SM-5GZYM 60-69 years, female 653.1
GTEX-12584-0726-SM-5FQTK 40-49 years, male 649.6
GTEX-WYVS-1626-SM-3NM9R 40-49 years, female 646.6
GTEX-1IDJF-2026-SM-CL53V 20-29 years, male 644.3
GTEX-1KANC-1226-SM-CYPT7 50-59 years, female 643.1
GTEX-14BMU-1226-SM-5S2OR 20-29 years, female 637.1
GTEX-1LGOU-1326-SM-D3L8M 20-29 years, female 636.8
GTEX-1B996-0426-SM-7EWF8 60-69 years, male 636.6
GTEX-17HG3-2626-SM-7DUF2 30-39 years, female 631.3
GTEX-14PK6-0226-SM-62LF5 70-79 years, female 627.8
GTEX-1K2DA-1026-SM-CGQGF 50-59 years, male 627.7
GTEX-1I6K6-1726-SM-CGQFD 30-39 years, male 625.7
GTEX-1GMR2-0826-SM-7PC3V 50-59 years, male 624.7
GTEX-Y5V5-0126-SM-5S2NW 60-69 years, female 622.8
GTEX-1E1VI-0326-SM-793D1 50-59 years, male 622.7
GTEX-13N2G-0226-SM-5K7VF 60-69 years, male 616.4
GTEX-17F96-0126-SM-7EWDU 70-79 years, male 616.0
GTEX-1HUB1-1426-SM-CGQF5 60-69 years, male 615.9
GTEX-ZDXO-3126-SM-5IJDF 60-69 years, male 614.2
GTEX-14PJ2-0626-SM-6LLII 50-59 years, male 611.7
GTEX-18D9B-0926-SM-7LG4U 60-69 years, male 609.8
GTEX-Y5LM-0926-SM-6LLJG 40-49 years, female 609.3
GTEX-12WSL-2026-SM-5GCML 50-59 years, male 608.5
GTEX-13NZ9-2626-SM-5L3FK 50-59 years, male 607.2
GTEX-12BJ1-0926-SM-5EQ62 60-69 years, male 606.1
GTEX-13U4I-2226-SM-5LU5H 40-49 years, female 602.2
GTEX-1GZ2Q-0126-SM-9WG6M 40-49 years, male 600.1
GTEX-1IDJC-1526-SM-B2LW4 50-59 years, male 597.3
GTEX-1LSNM-0826-SM-DIPG8 50-59 years, male 596.8
GTEX-1IDJD-2326-SM-ACKWX 30-39 years, male 593.5
GTEX-1LVAO-2726-SM-E9TJ8 60-69 years, male 593.4
GTEX-13OVG-1626-SM-5J1NF 60-69 years, male 587.2
GTEX-X4EP-0626-SM-3P621 60-69 years, female 586.0
GTEX-16MT9-0126-SM-7EPI8 60-69 years, female 579.1
GTEX-1ICG6-1226-SM-A9SLN 70-79 years, female 574.1
GTEX-1JMOU-1026-SM-CYPSS 60-69 years, female 565.3
GTEX-11DXW-0826-SM-5H118 40-49 years, male 562.0
GTEX-1I4MK-0126-SM-CY8G6 50-59 years, female 561.9
GTEX-13JUV-2026-SM-5K7UA 40-49 years, female 558.3
GTEX-117YX-1926-SM-5GIEC 50-59 years, male 557.3
GTEX-ZYFD-0626-SM-5E44E 50-59 years, male 545.7
GTEX-WYJK-0526-SM-3NM8Z 50-59 years, male 545.2
GTEX-XK95-0226-SM-4AT58 40-49 years, male 543.4
GTEX-1JKYN-0826-SM-ARU8S 30-39 years, male 537.6
GTEX-1QCLZ-2426-SM-EVYBW 60-69 years, female 536.5
GTEX-145LT-0526-SM-5LUB2 40-49 years, male 527.0
GTEX-1J8JJ-0626-SM-ARZMQ 60-69 years, female 520.0
GTEX-ZTSS-1426-SM-5985P 40-49 years, male 513.2
GTEX-1RAZA-2226-SM-E9U4X 20-29 years, male 508.5
GTEX-1QP66-1226-SM-DTX7U 50-59 years, male 496.8
GTEX-13FH7-1126-SM-5K7UG 50-59 years, female 495.1
GTEX-1LG7Z-1626-SM-CXKYR 30-39 years, male 493.8
GTEX-14E6E-0526-SM-793DN 30-39 years, male 480.6
GTEX-1HCU8-2526-SM-CE6RX 60-69 years, female 461.2
GTEX-1H3NZ-2726-SM-9WYTQ 60-69 years, male 457.1
GTEX-ZUA1-2626-SM-5NQ92 40-49 years, male 446.4
GTEX-YB5K-2026-SM-4VDT3 40-49 years, female 442.0
GTEX-ZT9W-1126-SM-57WDR 50-59 years, male 439.4
GTEX-1F6IF-0926-SM-7SB7M 60-69 years, male 438.4
GTEX-1AX9J-1326-SM-731BJ 60-69 years, male 424.5
GTEX-1IDJE-1426-SM-ADEIW 50-59 years, female 424.0
GTEX-11TT1-1826-SM-5EQLV 20-29 years, male 422.6
GTEX-132AR-0326-SM-5KM2C 50-59 years, female 418.3
GTEX-1I19N-0126-SM-CYPSF 70-79 years, male 416.7
GTEX-YF7O-1526-SM-5IFI6 50-59 years, male 409.8
GTEX-16GPK-0626-SM-7KFSF 60-69 years, male 396.3
GTEX-1AX8Z-0726-SM-73KTS 60-69 years, male 389.3
GTEX-X3Y1-2026-SM-3P5YM 40-49 years, male 389.1
GTEX-1GF9U-2026-SM-7SB92 40-49 years, female 376.6
GTEX-1F75W-2726-SM-7SB8H 60-69 years, male 366.5
GTEX-17EVQ-0126-SM-7IGLR 70-79 years, male 356.6
GTEX-WFG8-2126-SM-3GIKQ 20-29 years, male 353.6
GTEX-17JCI-2926-SM-7DUFF 60-69 years, female 346.4
GTEX-111FC-2526-SM-5GZXU 60-69 years, male 256.2
GTEX-1L5NE-1126-SM-D3L9P 50-59 years, male 239.6
GTEX-1399R-1326-SM-5PNYS 30-39 years, male 215.9
GTEX-ZVTK-0226-SM-51MRG 20-29 years, male 212.9
Show allShow less
Skin - Sun Exposed (Lower leg)
Average nTPM: 1079.6
Samples: 701

Max nTPM: 2285.2
Min nTPM: 67.8
Std nTPM: 399.2
Median nTPM: 1045.5
GTEX-1PIIG-0226-SM-EWRN6 30-39 years, male 2285.2
GTEX-1B8SF-1426-SM-7DUGL 60-69 years, male 2271.9
GTEX-13111-1626-SM-5EGJY 50-59 years, male 2197.6
GTEX-1KANC-1526-SM-D3LAB 50-59 years, female 2140.7
GTEX-P4QT-0126-SM-2I3FL 50-59 years, female 2101.0
GTEX-1122O-2126-SM-5EGIR 60-69 years, female 2091.7
GTEX-1JJEA-0326-SM-CNPOT 60-69 years, male 2074.4
GTEX-1H4P4-0726-SM-9YFLR 50-59 years, male 2059.0
GTEX-13FXS-0226-SM-5IJCK 50-59 years, male 2048.8
GTEX-1GF9V-0326-SM-7RHI5 60-69 years, male 2048.2
GTEX-1GN1U-0126-SM-7PBZK 50-59 years, female 2046.2
GTEX-139UW-2826-SM-5L3E7 60-69 years, male 2028.7
GTEX-15ETS-0126-SM-7KUMW 40-49 years, female 2014.0
GTEX-1R9PM-2026-SM-E76OY 20-29 years, male 2007.5
GTEX-15ER7-0326-SM-7KUEV 20-29 years, female 1958.2
GTEX-131XE-2326-SM-5PNZ2 50-59 years, male 1949.6
GTEX-14PII-0226-SM-6EU1T 60-69 years, male 1939.4
GTEX-1LG7Z-1726-SM-D3LA4 30-39 years, male 1935.6
GTEX-ZGAY-0526-SM-4WWBB 40-49 years, female 1911.3
GTEX-1I4MK-2226-SM-ACKWD 50-59 years, female 1902.5
GTEX-11DXZ-2326-SM-5EGGV 50-59 years, male 1894.1
GTEX-1B8KE-2126-SM-73KYX 50-59 years, male 1885.0
GTEX-111FC-0126-SM-5N9DL 60-69 years, male 1851.8
GTEX-Y3IK-2426-SM-4WWDU 50-59 years, female 1848.0
GTEX-ZYT6-0226-SM-5NQ6T 30-39 years, male 1835.7
GTEX-1K2DA-1826-SM-CGQGT 50-59 years, male 1830.6
GTEX-18D9A-1926-SM-7LG6P 30-39 years, female 1820.5
GTEX-1OJC3-0126-SM-E76QX 20-29 years, male 1817.9
GTEX-1EWIQ-0126-SM-7RHH2 70-79 years, female 1813.2
GTEX-ZV68-0126-SM-59HKS 50-59 years, female 1799.6
GTEX-13NYB-2526-SM-5K7Z6 40-49 years, male 1796.6
GTEX-1HCU7-0226-SM-CL545 50-59 years, male 1791.6
GTEX-17GQL-2026-SM-718BA 60-69 years, male 1791.4
GTEX-1JMLX-0226-SM-CM2RO 50-59 years, male 1790.0
GTEX-T6MN-0126-SM-32PLP 50-59 years, male 1785.5
GTEX-14E6C-0126-SM-5RQIP 40-49 years, male 1784.5
GTEX-1H1CY-2826-SM-9MQM3 60-69 years, female 1777.7
GTEX-145MO-0326-SM-5Q5B3 60-69 years, male 1769.3
GTEX-13CF2-2526-SM-5LZYX 60-69 years, male 1765.3
GTEX-1C475-1826-SM-73KWA 40-49 years, female 1757.2
GTEX-ZVTK-0426-SM-51MRS 20-29 years, male 1756.8
GTEX-1IKJJ-0126-SM-CNPQB 60-69 years, male 1746.9
GTEX-14PN4-0126-SM-6EU2V 50-59 years, male 1745.3
GTEX-148VJ-0126-SM-5TDDN 70-79 years, male 1744.7
GTEX-1EMGI-0126-SM-9KNUE 60-69 years, male 1735.7
GTEX-11DYG-0126-SM-59883 60-69 years, male 1729.8
GTEX-PX3G-0126-SM-2I3EN 20-29 years, female 1726.3
GTEX-14A5I-0126-SM-5TDEA 50-59 years, female 1723.4
GTEX-1E2YA-0126-SM-9KNUC 50-59 years, male 1721.4
GTEX-1MJK2-0426-SM-DTXE5 50-59 years, male 1715.7
GTEX-XBEW-0626-SM-4QASP 40-49 years, male 1699.5
GTEX-YJ89-0126-SM-4TT3X 60-69 years, male 1697.9
GTEX-S32W-2126-SM-2XCB1 50-59 years, female 1686.2
GTEX-15F5U-1526-SM-6PANO 40-49 years, male 1669.9
GTEX-PSDG-0226-SM-DKPOZ 50-59 years, male 1660.4
GTEX-17JCI-0126-SM-7LG5G 60-69 years, female 1656.7
GTEX-ZF3C-0126-SM-DO92D 50-59 years, female 1648.0
GTEX-1LB8K-0226-SM-EWRNW 50-59 years, male 1646.0
GTEX-1F6RS-0126-SM-9MQKZ 60-69 years, female 1643.2
GTEX-1HT8W-0126-SM-CNPPP 30-39 years, male 1632.6
GTEX-1JMQL-0226-SM-CNPP5 50-59 years, female 1632.1
GTEX-1HCU6-0126-SM-CL54K 60-69 years, female 1631.1
GTEX-1CAV2-2226-SM-7P8P2 40-49 years, female 1627.3
GTEX-12WSE-0526-SM-793B2 20-29 years, male 1625.2
GTEX-OIZG-0726-SM-33HBL 50-59 years, male 1621.2
GTEX-1QMI2-0226-SM-EVYBX 60-69 years, male 1620.3
GTEX-QESD-1426-SM-2S1R9 20-29 years, male 1616.6
GTEX-1B97I-1626-SM-73KYO 40-49 years, male 1611.0
GTEX-13FHP-0126-SM-5IJBG 50-59 years, male 1609.7
GTEX-17EVP-0326-SM-7DHLG 40-49 years, male 1607.4
GTEX-ZWKS-0126-SM-5SIAA 30-39 years, male 1606.7
GTEX-1LVAN-0226-SM-COH3S 50-59 years, female 1602.1
GTEX-1PDJ9-0326-SM-DTX95 20-29 years, male 1597.8
GTEX-1BAJH-0526-SM-793CQ 70-79 years, male 1587.6
GTEX-T2YK-0526-SM-32QPJ 50-59 years, male 1586.2
GTEX-1JN76-0126-SM-CNPPE 20-29 years, female 1586.0
GTEX-1MA7W-2026-SM-E9TJ6 20-29 years, female 1585.9
GTEX-1HSGN-0226-SM-CGQFV 40-49 years, female 1582.2
GTEX-POMQ-2226-SM-2I5FK 20-29 years, female 1577.7
GTEX-1H1DG-0126-SM-9WYU2 70-79 years, male 1566.5
GTEX-1399R-2726-SM-5IJBA 30-39 years, male 1566.1
GTEX-ZVZP-2426-SM-59HKJ 50-59 years, male 1564.9
GTEX-1I1GT-0626-SM-CGQER 60-69 years, female 1557.9
GTEX-1JN6P-0126-SM-D3L98 60-69 years, male 1557.1
GTEX-1JMPZ-0226-SM-CNPP1 30-39 years, male 1556.8
GTEX-ZF2S-2326-SM-4WWCE 50-59 years, female 1555.5
GTEX-131YS-0126-SM-5KM1M 60-69 years, female 1549.5
GTEX-1R7EU-0226-SM-EVR4G 60-69 years, male 1548.3
GTEX-13YAN-0326-SM-5O9DF 60-69 years, male 1548.2
GTEX-14BIN-0626-SM-793DP 50-59 years, female 1543.2
GTEX-P44H-0226-SM-2XCEU 40-49 years, male 1541.7
GTEX-SN8G-0126-SM-32PLI 50-59 years, female 1541.5
GTEX-13OVH-0126-SM-5MR4B 70-79 years, male 1539.4
GTEX-16XZZ-0126-SM-793DV 60-69 years, male 1531.3
GTEX-139TS-2826-SM-5J1OO 60-69 years, male 1530.9
GTEX-1212Z-2526-SM-5EGKP 60-69 years, male 1527.7
GTEX-1O97I-0326-SM-EYYX7 60-69 years, male 1527.5
GTEX-13X6J-0126-SM-5QGOU 50-59 years, male 1526.8
GTEX-13FTW-2626-SM-5K7WL 40-49 years, male 1521.6
GTEX-145LS-0126-SM-5QGP1 60-69 years, female 1519.9
GTEX-OIZH-0126-SM-2HMIS 50-59 years, male 1519.6
GTEX-1GMR3-1926-SM-9KNUZ 40-49 years, male 1516.9
GTEX-ZPIC-1726-SM-DHXIU 40-49 years, female 1516.8
GTEX-1IDJH-0326-SM-A9SLQ 70-79 years, male 1516.2
GTEX-PVOW-0126-SM-2XCFA 40-49 years, male 1513.8
GTEX-SNMC-1226-SM-2XCFP 20-29 years, male 1510.5
GTEX-1I1GV-0526-SM-A9G29 60-69 years, male 1509.5
GTEX-ZVT2-2526-SM-51MT1 50-59 years, female 1502.4
GTEX-144GL-0126-SM-5TDE2 50-59 years, male 1493.2
GTEX-131XH-2226-SM-5DUXJ 50-59 years, male 1490.2
GTEX-T8EM-1026-SM-3DB7M 40-49 years, male 1490.1
GTEX-1LGRB-2526-SM-CNPPQ 50-59 years, female 1489.5
GTEX-ZTX8-1426-SM-5DUVO 20-29 years, male 1489.3
GTEX-T5JW-1626-SM-3GADZ 20-29 years, female 1488.4
GTEX-1GZHY-0326-SM-9QEHI 50-59 years, female 1485.3
GTEX-UJHI-1526-SM-3DB99 50-59 years, female 1484.8
GTEX-16GPK-0126-SM-7DHLE 60-69 years, male 1474.9
GTEX-Y8DK-0126-SM-4TT3L 60-69 years, male 1472.8
GTEX-1GN2E-0426-SM-9MQKX 60-69 years, male 1472.8
GTEX-1HFI7-1826-SM-ACKXH 50-59 years, female 1468.1
GTEX-15EU6-0426-SM-6PAN5 50-59 years, male 1463.5
GTEX-12WSA-0226-SM-5BC5V 60-69 years, male 1462.3
GTEX-11EQ9-2426-SM-5HL5T 30-39 years, male 1460.7
GTEX-YB5E-2026-SM-5IFIS 40-49 years, male 1460.6
GTEX-S7SE-0126-SM-2XCD5 50-59 years, male 1457.5
GTEX-1JMQJ-0526-SM-CYPSU 50-59 years, male 1454.5
GTEX-1GZ4H-1726-SM-7PBZJ 50-59 years, female 1453.2
GTEX-1LBAC-0126-SM-DIPEZ 20-29 years, male 1452.6
GTEX-1KD4Q-0226-SM-E9TJ9 40-49 years, male 1452.2
GTEX-SJXC-0126-SM-2XCFF 60-69 years, male 1450.8
GTEX-Z93S-0126-SM-5HL7M 50-59 years, male 1446.9
GTEX-VJWN-0126-SM-3GIK7 50-59 years, female 1446.5
GTEX-1R46S-0626-SM-E9J41 60-69 years, female 1435.8
GTEX-13SLW-0126-SM-5SI6C 70-79 years, male 1433.3
GTEX-1B8SG-0126-SM-73KZ3 50-59 years, male 1432.3
GTEX-1CB4G-0226-SM-7PC3O 60-69 years, male 1430.4
GTEX-1PPH8-0226-SM-E8VND 20-29 years, male 1429.6
GTEX-15RIG-0226-SM-7KFTL 40-49 years, male 1423.4
GTEX-11TUW-2726-SM-E9J4M 60-69 years, male 1422.6
GTEX-1H3VE-0326-SM-9YFLH 40-49 years, male 1422.1
GTEX-1J8QM-2126-SM-CYPSJ 60-69 years, female 1421.1
GTEX-1F5PL-0326-SM-7P8PQ 40-49 years, female 1414.9
GTEX-1HSKV-0226-SM-A9SKJ 60-69 years, male 1410.3
GTEX-139D8-0226-SM-5KLZO 30-39 years, female 1406.3
GTEX-1S83E-0126-SM-EWRO4 40-49 years, male 1405.0
GTEX-12696-2426-SM-5EQ6H 60-69 years, male 1402.6
GTEX-1C6VR-2426-SM-79OLD 60-69 years, male 1402.2
GTEX-1JMQI-2226-SM-CM2SD 50-59 years, male 1401.2
GTEX-ZXES-1826-SM-5E43S 30-39 years, female 1399.4
GTEX-1J8JJ-0226-SM-CL53I 60-69 years, female 1398.7
GTEX-1C64N-0126-SM-793D7 50-59 years, male 1392.9
GTEX-1JN1M-0326-SM-CYPT3 60-69 years, female 1392.4
GTEX-11UD2-0226-SM-5EQKY 50-59 years, male 1383.8
GTEX-1HSMO-0126-SM-CL547 60-69 years, male 1383.7
GTEX-117XS-2726-SM-5N9BL 60-69 years, male 1382.7
GTEX-ZAK1-0126-SM-5IJD3 50-59 years, female 1381.3
GTEX-WFG8-2226-SM-3GIL9 20-29 years, male 1377.7
GTEX-17HII-0226-SM-7LG4E 50-59 years, male 1376.7
GTEX-1I1GQ-0126-SM-COH3H 50-59 years, male 1374.9
GTEX-13112-2826-SM-5DUWH 50-59 years, male 1374.8
GTEX-U412-0426-SM-3DB9O 60-69 years, male 1374.4
GTEX-13OW6-0426-SM-5L3HM 50-59 years, male 1372.0
GTEX-1PIGE-0126-SM-EVYBJ 20-29 years, male 1370.2
GTEX-14JG1-0426-SM-6ETZZ 40-49 years, male 1367.9
GTEX-1HBPI-1526-SM-C1YQ1 50-59 years, male 1366.8
GTEX-1C4CL-0526-SM-73KVK 30-39 years, male 1366.6
GTEX-1IL2U-0226-SM-CE6T8 60-69 years, male 1365.8
GTEX-145MI-0526-SM-5O9A8 60-69 years, female 1365.6
GTEX-15UF6-0826-SM-6PALJ 70-79 years, female 1365.3
GTEX-1RDX4-0126-SM-E9J4P 50-59 years, female 1364.1
GTEX-15SHU-0126-SM-7KUEH 40-49 years, female 1362.9
GTEX-13NZB-2526-SM-5J1OM 30-39 years, male 1362.4
GTEX-13OVK-2026-SM-7KUEO 40-49 years, male 1361.5
GTEX-1I1GR-0126-SM-CL55F 60-69 years, male 1358.4
GTEX-1399T-2826-SM-5KLYZ 60-69 years, male 1356.9
GTEX-1CAMQ-0226-SM-7IGPK 40-49 years, male 1353.9
GTEX-ZU9S-0226-SM-5E441 30-39 years, male 1350.7
GTEX-RWSA-0126-SM-2XCBB 40-49 years, male 1348.2
GTEX-1RB15-2126-SM-E9TIM 60-69 years, male 1346.5
GTEX-145ME-1826-SM-5SI9G 40-49 years, female 1343.3
GTEX-ZYFG-2326-SM-5E44B 60-69 years, female 1341.5
GTEX-TML8-1926-SM-32QOS 40-49 years, female 1340.2
GTEX-17F96-1626-SM-7DUFL 70-79 years, male 1340.1
GTEX-145MF-0626-SM-5LUAI 50-59 years, male 1337.4
GTEX-148VI-1626-SM-5SI6E 60-69 years, female 1336.5
GTEX-18A6Q-0126-SM-731BZ 60-69 years, male 1334.2
GTEX-1KWVE-1426-SM-E9TJO 30-39 years, male 1332.5
GTEX-1S3DN-2226-SM-EVYCD 50-59 years, male 1330.2
GTEX-13PDP-0126-SM-5L3HD 60-69 years, male 1328.2
GTEX-13JUV-2726-SM-5LZZ8 40-49 years, female 1326.4
GTEX-UPJH-0326-SM-3GADU 50-59 years, male 1323.6
GTEX-ZYFD-0126-SM-5GIDL 50-59 years, male 1321.4
GTEX-1AX9J-0226-SM-73KXM 60-69 years, male 1316.7
GTEX-NFK9-0226-SM-2HMKQ 40-49 years, male 1311.4
GTEX-11H98-0126-SM-5EGHG 50-59 years, male 1310.7
GTEX-13NZ8-0826-SM-5MR3I 60-69 years, female 1310.1
GTEX-1HCU8-0626-SM-A9SM9 60-69 years, female 1307.0
GTEX-15SB6-1726-SM-6PAME 50-59 years, female 1304.5
GTEX-13OW5-0126-SM-DTXFS 60-69 years, male 1304.2
GTEX-13SLX-0526-SM-5S2ON 50-59 years, female 1304.1
GTEX-WFON-2126-SM-3LK7O 40-49 years, male 1300.9
GTEX-1JMQK-0226-SM-CL543 60-69 years, male 1299.3
GTEX-U8T8-0126-SM-3DB94 60-69 years, male 1298.4
GTEX-1S5ZA-0126-SM-EVYCV 20-29 years, male 1297.9
GTEX-12ZZX-0126-SM-5EGK9 40-49 years, female 1293.9
GTEX-13PVR-2326-SM-5QGR1 60-69 years, female 1293.4
GTEX-1KANA-0726-SM-D3L9I 20-29 years, male 1289.3
GTEX-1IOXB-0126-SM-ARL8G 50-59 years, male 1288.8
GTEX-14E6D-0126-SM-62LDV 50-59 years, male 1287.4
GTEX-ZDTT-2726-SM-4WKF8 60-69 years, male 1286.2
GTEX-17HG3-2226-SM-7938L 30-39 years, female 1282.8
GTEX-ZE9C-2726-SM-57WB5 60-69 years, male 1279.0
GTEX-14PHX-2326-SM-62LEM 50-59 years, male 1278.0
GTEX-1269C-2526-SM-5EGJ3 60-69 years, female 1277.8
GTEX-1HGF4-2426-SM-ACKXM 60-69 years, male 1277.7
GTEX-ZV6S-2326-SM-4YCEY 40-49 years, female 1269.5
GTEX-15DDE-0126-SM-6LPKH 50-59 years, female 1267.1
GTEX-11DZ1-0126-SM-5985Q 50-59 years, male 1264.3
GTEX-1313W-0126-SM-5LZUN 50-59 years, female 1262.2
GTEX-12WSG-2826-SM-E9J4H 50-59 years, female 1261.3
GTEX-145MN-2226-SM-5SIAU 30-39 years, male 1260.4
GTEX-1KXAM-2226-SM-CYPTC 60-69 years, male 1257.5
GTEX-12WSC-0126-SM-5EQ4P 50-59 years, male 1257.0
GTEX-1QPFJ-0226-SM-E76PB 30-39 years, female 1256.9
GTEX-14PJM-0226-SM-62LF1 50-59 years, female 1256.4
GTEX-1QP9N-1426-SM-DTXFL 30-39 years, male 1252.0
GTEX-Y5V5-2326-SM-4V6GA 60-69 years, female 1251.9
GTEX-13FTX-1826-SM-5J1NX 20-29 years, female 1248.0
GTEX-X4EO-0326-SM-3P5YO 60-69 years, female 1246.3
GTEX-X261-0126-SM-3NMD6 50-59 years, male 1244.4
GTEX-1J1OQ-0226-SM-CYPSH 40-49 years, female 1244.1
GTEX-145LT-1726-SM-5QGP3 40-49 years, male 1239.1
GTEX-YB5K-2126-SM-4WWDJ 40-49 years, female 1238.0
GTEX-14PJ6-2126-SM-6EU1V 60-69 years, female 1236.9
GTEX-XUZC-1726-SM-4BRWS 30-39 years, female 1235.3
GTEX-1GPI7-0126-SM-9MQL8 20-29 years, male 1235.2
GTEX-1POEN-0126-SM-EYYXJ 30-39 years, female 1235.1
GTEX-1GMRU-0126-SM-9YFLV 50-59 years, male 1234.3
GTEX-111VG-2426-SM-5GZXD 60-69 years, male 1231.2
GTEX-ZDTS-0126-SM-4WAY5 60-69 years, male 1231.1
GTEX-YFC4-0126-SM-5CVLY 40-49 years, female 1229.5
GTEX-X8HC-0126-SM-4E3JW 50-59 years, female 1226.7
GTEX-12ZZZ-0626-SM-5DUXI 60-69 years, male 1224.0
GTEX-X88G-0126-SM-47JZ3 30-39 years, male 1223.9
GTEX-14C5O-0126-SM-5SI6N 60-69 years, male 1221.8
GTEX-1HCU9-1526-SM-A9SL7 20-29 years, male 1220.1
GTEX-12ZZY-0226-SM-5LZVE 60-69 years, male 1214.8
GTEX-ZVT4-0126-SM-DTXFN 50-59 years, female 1213.3
GTEX-P4PP-0126-SM-3LK69 30-39 years, female 1212.4
GTEX-1KAFJ-2026-SM-CY8ID 50-59 years, male 1212.0
GTEX-14LZ3-0226-SM-62LET 60-69 years, female 1211.8
GTEX-ZTSS-1926-SM-57WEW 40-49 years, male 1210.2
GTEX-1OFPY-2426-SM-DTXEJ 60-69 years, male 1210.2
GTEX-17KNJ-2326-SM-7DHLQ 50-59 years, male 1210.0
GTEX-1HFI6-0226-SM-ADEHZ 40-49 years, male 1207.0
GTEX-1F75B-0126-SM-9KNVL 50-59 years, male 1205.9
GTEX-131XW-0426-SM-5LZWP 50-59 years, female 1201.7
GTEX-13G51-2526-SM-5LZYK 60-69 years, male 1200.3
GTEX-133LE-1826-SM-5J1MV 20-29 years, female 1200.1
GTEX-1QP66-1726-SM-E8VO1 50-59 years, male 1199.9
GTEX-PLZ6-1426-SM-DKPOT 30-39 years, male 1198.8
GTEX-1H2FU-0126-SM-9WYSI 60-69 years, female 1196.7
GTEX-WYJK-0126-SM-3NMAB 50-59 years, male 1195.0
GTEX-1NV5F-0226-SM-E8VNY 60-69 years, female 1191.3
GTEX-WQUQ-0426-SM-3MJFU 60-69 years, male 1186.2
GTEX-13NYC-0326-SM-E9J4S 60-69 years, male 1184.1
GTEX-13CF3-2426-SM-5IFGX 60-69 years, female 1182.6
GTEX-13N2G-2626-SM-5J1OT 60-69 years, male 1181.2
GTEX-13X6H-2126-SM-7EWD5 50-59 years, female 1179.1
GTEX-1CB4E-2226-SM-793DC 60-69 years, male 1178.0
GTEX-1LGOU-2026-SM-DIPFF 20-29 years, female 1176.5
GTEX-QCQG-1726-SM-3GIJ9 50-59 years, female 1176.1
GTEX-13VXU-0126-SM-5SI9F 50-59 years, male 1174.2
GTEX-1M5QR-1226-SM-EWROB 40-49 years, male 1173.3
GTEX-1F52S-0126-SM-9MQJU 60-69 years, female 1172.9
GTEX-11ZTS-0126-SM-5EQ6M 60-69 years, female 1166.6
GTEX-Y114-2426-SM-4TT8A 50-59 years, female 1166.2
GTEX-1CB4F-0426-SM-9KNV4 60-69 years, male 1165.5
GTEX-ZVZO-0126-SM-5A5L9 40-49 years, male 1163.7
GTEX-1JMPY-1326-SM-ARL8Y 30-39 years, male 1162.3
GTEX-ZYFC-0226-SM-5NQ75 50-59 years, male 1160.6
GTEX-1B8L1-2526-SM-9WYTF 60-69 years, male 1158.0
GTEX-1MUQO-0126-SM-EAZ58 60-69 years, male 1153.9
GTEX-1AX9I-0126-SM-7SB74 60-69 years, male 1152.5
GTEX-14753-0426-SM-5NQAM 60-69 years, male 1150.4
GTEX-1N2EF-0226-SM-EYYXB 60-69 years, male 1149.7
GTEX-S33H-1026-SM-EZ6L6 30-39 years, male 1148.0
GTEX-1E1VI-0126-SM-7DHMZ 50-59 years, male 1145.5
GTEX-12WSK-2326-SM-5GCOH 40-49 years, female 1144.4
GTEX-13O3P-0126-SM-5KM4S 50-59 years, male 1141.7
GTEX-144FL-0126-SM-5TDC8 50-59 years, male 1141.7
GTEX-1GZ2Q-0226-SM-7P8TL 40-49 years, male 1141.2
GTEX-1GN73-0226-SM-9WG67 60-69 years, male 1140.4
GTEX-Z93T-0126-SM-5HL5N 50-59 years, male 1140.2
GTEX-XUYS-0126-SM-47JWZ 50-59 years, male 1139.3
GTEX-1399U-2326-SM-5K7WY 50-59 years, female 1137.4
GTEX-11EI6-0126-SM-5985R 60-69 years, male 1135.4
GTEX-1N2DW-0226-SM-E9TK2 50-59 years, male 1134.4
GTEX-ZZ64-1726-SM-5GZYB 20-29 years, male 1130.9
GTEX-1IL2V-0126-SM-CM2TX 70-79 years, male 1124.8
GTEX-1J8EW-0126-SM-CJI4F 60-69 years, female 1124.7
GTEX-Y8E4-0626-SM-4WWDL 40-49 years, male 1122.8
GTEX-13S7M-0126-SM-5SI6A 60-69 years, female 1121.5
GTEX-16AAH-1726-SM-7939C 50-59 years, male 1118.5
GTEX-18A66-0226-SM-718BD 60-69 years, male 1116.9
GTEX-1C6VQ-0126-SM-7P8RI 50-59 years, male 1113.9
GTEX-15DYW-0126-SM-7KULE 60-69 years, female 1112.1
GTEX-1GF9W-0326-SM-9KNUN 60-69 years, male 1111.1
GTEX-132NY-0326-SM-5IJBL 60-69 years, male 1110.9
GTEX-16BQI-0226-SM-7KUEX 30-39 years, female 1109.8
GTEX-1QCLY-0326-SM-E8VOG 30-39 years, male 1107.1
GTEX-1F88F-2726-SM-7PBZZ 60-69 years, female 1105.2
GTEX-14DAR-2026-SM-5S2O3 50-59 years, male 1103.8
GTEX-1B996-0226-SM-7RHGO 60-69 years, male 1101.5
GTEX-14A5H-0426-SM-5QGQF 60-69 years, male 1100.6
GTEX-ZXG5-0126-SM-5GIEU 60-69 years, male 1099.1
GTEX-13W46-0226-SM-5SIAG 50-59 years, male 1098.8
GTEX-11DXW-0226-SM-5H122 40-49 years, male 1093.4
GTEX-1IDJU-2626-SM-CM2RT 60-69 years, female 1089.6
GTEX-1PFEY-1526-SM-E76PP 30-39 years, male 1086.3
GTEX-13RTK-1426-SM-5QGQJ 20-29 years, male 1082.8
GTEX-1CB4I-0226-SM-79OLH 50-59 years, male 1078.8
GTEX-18465-0126-SM-731BN 50-59 years, male 1077.4
GTEX-QDVJ-1726-SM-2I5FX 50-59 years, male 1076.6
GTEX-1EU9M-0226-SM-7P8SP 60-69 years, male 1074.1
GTEX-Y111-0126-SM-4SOIV 50-59 years, male 1070.9
GTEX-11WQC-2526-SM-5CVLE 60-69 years, male 1070.6
GTEX-14JG6-2226-SM-6EU2G 30-39 years, female 1069.4
GTEX-1MCQQ-0826-SM-DLHC2 60-69 years, male 1068.8
GTEX-ZVE2-0226-SM-59HJB 50-59 years, male 1068.0
GTEX-1J8Q2-0526-SM-CM2RW 60-69 years, male 1067.9
GTEX-1GMR8-0126-SM-9WYTM 50-59 years, female 1067.8
GTEX-1QAET-0926-SM-E76QM 50-59 years, male 1066.4
GTEX-ZAJG-0126-SM-5HL94 50-59 years, female 1065.7
GTEX-11P81-2326-SM-59875 30-39 years, female 1062.7
GTEX-17HHE-2026-SM-79OKF 50-59 years, male 1059.1
GTEX-1IKOH-0226-SM-COH4E 60-69 years, female 1058.6
GTEX-11OF3-2626-SM-5GU7F 60-69 years, male 1057.7
GTEX-WYVS-2126-SM-3NMA3 40-49 years, female 1055.4
GTEX-13D11-2426-SM-5KM1V 50-59 years, female 1054.9
GTEX-R3RS-0126-SM-3GIJL 40-49 years, female 1054.2
GTEX-1H11D-0226-SM-9WG6Z 40-49 years, male 1053.9
GTEX-1LH75-2426-SM-E9TJE 50-59 years, female 1052.7
GTEX-13113-5016-SM-7EPIP 60-69 years, female 1052.6
GTEX-1HCUA-2426-SM-ADEIS 50-59 years, female 1052.2
GTEX-1F7RK-0126-SM-7PC2S 20-29 years, female 1050.9
GTEX-T2IS-0126-SM-4DM6O 20-29 years, female 1050.8
GTEX-11DXY-2626-SM-5GIE7 60-69 years, male 1050.4
GTEX-15G19-0126-SM-6PANQ 60-69 years, male 1046.5
GTEX-ZF29-2326-SM-DO92K 60-69 years, female 1046.0
GTEX-16MT8-0426-SM-7KUEY 60-69 years, female 1045.5
GTEX-TMMY-0226-SM-33HBA 40-49 years, female 1041.1
GTEX-145LV-2126-SM-5LU8N 50-59 years, male 1040.6
GTEX-XAJ8-0826-SM-47JY6 40-49 years, male 1040.5
GTEX-T6MO-1626-SM-32QOM 40-49 years, female 1040.1
GTEX-14ICK-0226-SM-6EU25 40-49 years, male 1039.4
GTEX-OXRN-0126-SM-48TDM 50-59 years, male 1034.3
GTEX-1R7EV-2426-SM-EVYBG 40-49 years, male 1032.2
GTEX-WI4N-1026-SM-3LK7N 40-49 years, female 1031.0
GTEX-145LU-0126-SM-5TDCB 50-59 years, male 1030.5
GTEX-11NSD-2226-SM-5986V 20-29 years, male 1030.3
GTEX-17MFQ-1726-SM-793C7 20-29 years, male 1029.6
GTEX-1L5NE-2526-SM-E6CIE 50-59 years, male 1028.1
GTEX-13O1R-0126-SM-5L3EH 60-69 years, male 1026.5
GTEX-RNOR-0126-SM-E9J4R 50-59 years, female 1026.4
GTEX-17EUY-0426-SM-793BD 20-29 years, male 1024.4
GTEX-TKQ1-1026-SM-4GICL 30-39 years, male 1023.1
GTEX-12126-0326-SM-5PNW3 20-29 years, male 1022.6
GTEX-13OW8-1326-SM-5J1OW 60-69 years, male 1021.4
GTEX-16YQH-0126-SM-7DUFJ 30-39 years, male 1021.3
GTEX-13NYS-0126-SM-5MR3W 60-69 years, male 1020.8
GTEX-14DAQ-0126-SM-5S2MQ 60-69 years, female 1019.8
GTEX-1I6K6-0126-SM-A9SLE 30-39 years, male 1017.7
GTEX-1K2DU-2326-SM-E9TIV 20-29 years, male 1017.4
GTEX-1EN7A-0126-SM-7SB81 40-49 years, male 1013.6
GTEX-1F5PK-2426-SM-7RHHY 50-59 years, male 1011.3
GTEX-14XAO-2326-SM-6EU1B 60-69 years, female 1010.6
GTEX-1GL5R-1826-SM-9KNUY 50-59 years, male 1009.8
GTEX-TSE9-0126-SM-3DB83 60-69 years, female 1009.5
GTEX-ZDYS-2026-SM-5HL5L 50-59 years, male 1006.9
GTEX-XPVG-2626-SM-4B669 50-59 years, male 1005.6
GTEX-1CB4H-0226-SM-7PBXM 60-69 years, female 1002.9
GTEX-VJYA-1126-SM-3GIJU 60-69 years, male 998.3
GTEX-XQ3S-1526-SM-4BOOC 20-29 years, male 998.0
GTEX-1A8FM-0226-SM-7SB7Q 50-59 years, female 997.5
GTEX-ZY6K-1826-SM-5GZXK 50-59 years, male 996.6
GTEX-12KS4-0326-SM-5EQ41 30-39 years, male 995.3
GTEX-1HSMQ-1226-SM-CGQFX 50-59 years, male 994.5
GTEX-1JJ6O-0126-SM-E6CI8 60-69 years, male 994.4
GTEX-12584-0126-SM-5EGKQ 40-49 years, male 993.3
GTEX-11GSO-2426-SM-5A5LY 60-69 years, male 991.9
GTEX-14BMV-0126-SM-5S2PO 50-59 years, male 991.9
GTEX-1211K-2026-SM-5EQ4Z 60-69 years, female 990.9
GTEX-1JKYR-0126-SM-CNPOJ 20-29 years, male 988.2
GTEX-1A3MV-1926-SM-718BT 30-39 years, male 986.5
GTEX-139TT-0126-SM-5K7Y5 60-69 years, male 982.2
GTEX-139TU-0126-SM-5K7WH 60-69 years, male 978.7
GTEX-X4XX-0126-SM-3NMC2 60-69 years, male 976.0
GTEX-1LSNM-1926-SM-E6CII 50-59 years, male 975.3
GTEX-113JC-2326-SM-5EQ4E 50-59 years, female 974.6
GTEX-11LCK-1026-SM-5A5KB 30-39 years, male 974.4
GTEX-13U4I-0126-SM-5LU38 40-49 years, female 974.0
GTEX-X5EB-2226-SM-46MW4 40-49 years, male 971.2
GTEX-14BMU-2226-SM-5TDE9 20-29 years, female 970.0
GTEX-13FTY-0526-SM-5L3EV 40-49 years, female 969.5
GTEX-11XUK-2026-SM-5EQLF 40-49 years, female 968.2
GTEX-12WSJ-1826-SM-5GCNY 40-49 years, female 966.1
GTEX-Z9EW-1626-SM-5CVMN 40-49 years, male 966.0
GTEX-1H23P-0126-SM-ADEJ3 60-69 years, male 964.3
GTEX-RVPV-0126-SM-EAZAW 60-69 years, male 964.0
GTEX-1F6IF-0726-SM-7P8TW 60-69 years, male 963.1
GTEX-13QJ3-0326-SM-5S2RA 50-59 years, male 960.4
GTEX-O5YT-0126-SM-48TBW 20-29 years, male 959.6
GTEX-S95S-1226-SM-4GICG 60-69 years, male 959.5
GTEX-RU72-0926-SM-2TF6B 50-59 years, female 958.6
GTEX-1314G-1526-SM-5EGK2 30-39 years, male 957.9
GTEX-OXRP-0126-SM-3NB32 60-69 years, female 957.8
GTEX-131XG-2626-SM-5KM17 50-59 years, female 957.5
GTEX-18D9U-0226-SM-718BP 40-49 years, male 954.5
GTEX-13IVO-0126-SM-5J1NG 70-79 years, male 953.9
GTEX-131XF-5016-SM-7MGWE 60-69 years, male 950.7
GTEX-X4EP-0126-SM-3P5YV 60-69 years, female 949.3
GTEX-1ICLY-0126-SM-D4P36 50-59 years, male 947.1
GTEX-14LLW-0126-SM-6LLIO 70-79 years, female 944.0
GTEX-16NGA-1726-SM-731B4 40-49 years, female 943.8
GTEX-18A7A-0226-SM-718BH 50-59 years, female 942.4
GTEX-Q2AH-1626-SM-3GAF8 40-49 years, male 941.2
GTEX-1IDJF-0126-SM-CM2RS 20-29 years, male 939.4
GTEX-147GR-0526-SM-5S2MY 60-69 years, male 939.1
GTEX-18QFQ-0126-SM-731BE 30-39 years, male 938.9
GTEX-U8XE-0326-SM-3DB8P 30-39 years, male 937.9
GTEX-W5X1-3026-SM-EAZAX 40-49 years, female 934.0
GTEX-1GF9X-2026-SM-7PC3A 40-49 years, female 932.2
GTEX-183WM-0126-SM-7LTAB 70-79 years, female 931.5
GTEX-QV44-1926-SM-2S1RF 50-59 years, male 931.5
GTEX-1S82Y-2026-SM-EVYCM 40-49 years, male 930.3
GTEX-1B933-0126-SM-7PC29 50-59 years, female 925.9
GTEX-146FH-0126-SM-5QGPP 50-59 years, female 925.5
GTEX-11ZU8-2526-SM-5EQKI 60-69 years, male 924.2
GTEX-1H1DE-2126-SM-9WG6R 20-29 years, male 922.5
GTEX-1HB9E-0226-SM-E9U4R 50-59 years, male 920.1
GTEX-QVJO-1626-SM-2S1QW 60-69 years, female 917.9
GTEX-11EM3-2426-SM-59861 20-29 years, female 917.2
GTEX-13O3Q-2426-SM-5IJBR 50-59 years, male 915.6
GTEX-WXYG-2326-SM-4E3I6 50-59 years, female 915.1
GTEX-QEG4-0226-SM-2S1PY 30-39 years, male 913.7
GTEX-146FQ-0126-SM-5NQA9 30-39 years, male 910.9
GTEX-1H3O1-0426-SM-9YFKY 60-69 years, male 910.9
GTEX-1F75A-0126-SM-7RHGM 50-59 years, male 910.0
GTEX-18A7B-0126-SM-7LG64 70-79 years, male 909.8
GTEX-1JK1U-2026-SM-CM2RZ 60-69 years, male 908.4
GTEX-1EX96-1626-SM-7PBXR 50-59 years, male 902.6
GTEX-ZYY3-0126-SM-5GZY5 60-69 years, female 902.0
GTEX-13N1W-0126-SM-5K7VT 70-79 years, male 901.2
GTEX-1PWST-0226-SM-E76QJ 70-79 years, male 900.2
GTEX-RWS6-2026-SM-2XCB5 60-69 years, female 900.1
GTEX-17HGU-0226-SM-7DHKV 50-59 years, male 900.0
GTEX-1J1R8-1726-SM-ARL8M 40-49 years, male 899.1
GTEX-W5WG-1826-SM-4KL2Y 50-59 years, female 897.5
GTEX-1192W-2626-SM-5Q5AF 60-69 years, male 897.1
GTEX-18A67-0126-SM-7LG5P 50-59 years, male 897.1
GTEX-U3ZH-2026-SM-3DB78 30-39 years, male 896.5
GTEX-1CAMS-0426-SM-7P8T2 40-49 years, female 895.5
GTEX-1S82Z-0826-SM-E6CHY 30-39 years, female 893.0
GTEX-WRHK-1426-SM-3MJF9 20-29 years, female 892.0
GTEX-1192X-0226-SM-5H12D 50-59 years, male 891.1
GTEX-SIU8-0126-SM-2XCDT 50-59 years, male 890.6
GTEX-14E6E-1826-SM-5S2R7 30-39 years, male 890.3
GTEX-XYKS-2126-SM-4E3IB 60-69 years, female 890.0
GTEX-SUCS-1926-SM-32PM3 70-79 years, male 889.2
GTEX-Q2AG-0126-SM-33HBV 40-49 years, female 887.8
GTEX-16NPX-0226-SM-79OMT 50-59 years, male 887.5
GTEX-T5JC-0426-SM-32PLO 20-29 years, male 887.5
GTEX-1HR98-0126-SM-B2LWI 60-69 years, male 885.5
GTEX-13OVI-1426-SM-5L3EY 60-69 years, female 885.2
GTEX-1ICLZ-0126-SM-CKZPO 60-69 years, male 884.0
GTEX-ZE7O-0126-SM-57WC1 50-59 years, female 883.0
GTEX-1HBPM-0226-SM-ARL9F 60-69 years, female 882.6
GTEX-1H3VY-0126-SM-ACKXD 50-59 years, male 879.7
GTEX-1128S-2326-SM-5GZZY 60-69 years, female 879.3
GTEX-13O21-1426-SM-5K7XI 50-59 years, male 875.9
GTEX-11VI4-1726-SM-5CVLH 40-49 years, female 871.6
GTEX-XBED-2226-SM-47JYQ 60-69 years, male 871.2
GTEX-1GF9U-2126-SM-7SB7L 40-49 years, female 869.5
GTEX-RTLS-0126-SM-447CA 60-69 years, female 869.3
GTEX-11WQK-0526-SM-5EQLD 50-59 years, male 868.3
GTEX-WVJS-0126-SM-4MVOT 50-59 years, male 866.9
GTEX-1I1CD-0126-SM-CM2TK 60-69 years, female 864.4
GTEX-1AMFI-2026-SM-731BH 50-59 years, female 864.3
GTEX-13X6I-0626-SM-5QGP9 60-69 years, male 864.2
GTEX-169BO-1326-SM-9MQK2 50-59 years, male 863.6
GTEX-13O3O-0126-SM-E9J49 60-69 years, female 862.3
GTEX-15D1Q-0126-SM-7KUG6 40-49 years, male 857.4
GTEX-1HCVE-0126-SM-CGQEU 50-59 years, male 854.4
GTEX-17EVQ-0226-SM-7LG4P 70-79 years, male 854.0
GTEX-ZQG8-1626-SM-DHXIT 60-69 years, female 852.1
GTEX-1F6I4-0126-SM-9MQL2 60-69 years, male 847.9
GTEX-14E7W-0126-SM-6LLJ9 70-79 years, male 847.2
GTEX-S7PM-0126-SM-4AD6S 60-69 years, male 845.2
GTEX-12WSL-2526-SM-5GCNJ 50-59 years, male 843.9
GTEX-PWO3-1526-SM-48TCM 60-69 years, female 843.9
GTEX-11UD1-0126-SM-5PNYG 40-49 years, female 843.5
GTEX-1C2JI-1826-SM-73KXC 50-59 years, male 838.5
GTEX-13NZA-0226-SM-5K7Z7 60-69 years, male 837.1
GTEX-1QEPI-0126-SM-EWRMQ 60-69 years, female 836.6
GTEX-1IGQW-0126-SM-COH42 60-69 years, male 836.5
GTEX-1KD5A-0226-SM-D5OV3 50-59 years, male 836.3
GTEX-SSA3-0126-SM-32QPU 60-69 years, male 834.2
GTEX-1A3MX-0126-SM-731BR 60-69 years, male 831.2
GTEX-17HHY-0126-SM-7LG5D 50-59 years, male 829.1
GTEX-OXRK-0226-SM-3NB2G 50-59 years, female 827.3
GTEX-1M4P7-0226-SM-DIPEV 60-69 years, male 825.8
GTEX-11ZVC-2526-SM-5FQTE 50-59 years, female 823.6
GTEX-17F98-0626-SM-79OMX 40-49 years, female 823.6
GTEX-14PN3-2426-SM-6LLHS 60-69 years, female 821.0
GTEX-PW2O-1526-SM-7RHHB 20-29 years, male 820.5
GTEX-OHPL-0126-SM-2HMJ7 60-69 years, female 819.4
GTEX-1MGNQ-0126-SM-EVYCJ 40-49 years, male 817.6
GTEX-11GSP-2526-SM-5N9BP 60-69 years, female 816.7
GTEX-15DCD-0126-SM-7KUEK 70-79 years, female 812.9
GTEX-1I1GP-2226-SM-CGQFK 50-59 years, male 811.3
GTEX-1IKK5-0626-SM-ARL8A 60-69 years, male 809.0
GTEX-11OC5-0126-SM-5HL6A 60-69 years, male 808.8
GTEX-13FH7-2026-SM-E9J4I 50-59 years, female 806.1
GTEX-11GS4-2726-SM-5A5LE 60-69 years, male 804.6
GTEX-13OVL-0226-SM-5L3E9 50-59 years, male 803.5
GTEX-X585-0226-SM-4QAS2 50-59 years, male 799.4
GTEX-ZAB4-0226-SM-5N9F5 40-49 years, male 799.0
GTEX-1CB4J-0626-SM-7DHMP 60-69 years, male 797.2
GTEX-VUSG-2526-SM-4KL1V 50-59 years, male 794.0
GTEX-1HBPN-0226-SM-9YFM1 50-59 years, male 792.8
GTEX-OOBJ-0126-SM-E6CJW 60-69 years, male 791.7
GTEX-11O72-0126-SM-59887 40-49 years, male 788.3
GTEX-OHPM-0126-SM-2YUN9 50-59 years, male 785.9
GTEX-1EKGG-0226-SM-9WYTH 60-69 years, male 783.6
GTEX-139T8-0126-SM-5K7XZ 60-69 years, male 782.6
GTEX-1IY9M-0126-SM-D3L8S 60-69 years, male 782.0
GTEX-11TT1-2526-SM-5EGIB 20-29 years, male 781.3
GTEX-Y5V6-2426-SM-4VDSB 60-69 years, male 781.2
GTEX-1B8KZ-2026-SM-7DHMB 50-59 years, male 780.1
GTEX-ZAB5-1826-SM-5HL7C 50-59 years, male 779.9
GTEX-OIZF-0126-SM-7SB8I 60-69 years, male 777.2
GTEX-1A32A-0126-SM-718B1 50-59 years, female 776.4
GTEX-183FY-0126-SM-7LT9P 20-29 years, male 774.8
GTEX-1GTWX-0126-SM-9YFLK 60-69 years, male 773.6
GTEX-ZVT3-0126-SM-5GU6I 60-69 years, female 767.7
GTEX-1497J-2426-SM-7IGNX 60-69 years, male 767.3
GTEX-YJ8A-0426-SM-5IFID 20-29 years, male 766.9
GTEX-15UKP-0426-SM-7KUFQ 20-29 years, male 766.4
GTEX-Y8LW-1826-SM-5S2MV 50-59 years, female 763.2
GTEX-13RTJ-2426-SM-5S2Q2 60-69 years, male 762.6
GTEX-17MF6-0126-SM-7LG4F 40-49 years, male 762.1
GTEX-13FHO-0226-SM-5IFGY 60-69 years, male 761.9
GTEX-1H3NZ-0126-SM-ACKX7 60-69 years, male 761.5
GTEX-117YX-2326-SM-5H12W 50-59 years, male 760.2
GTEX-O5YW-0126-SM-3LK6D 50-59 years, male 757.4
GTEX-117YW-2626-SM-5GZZH 50-59 years, male 752.9
GTEX-WH7G-2326-SM-3NMBC 40-49 years, male 751.5
GTEX-PWCY-1826-SM-DHXIZ 20-29 years, female 748.3
GTEX-14ABY-0226-SM-5TDCQ 50-59 years, male 745.8
GTEX-12WSD-0126-SM-59HKN 60-69 years, female 743.9
GTEX-TMZS-0126-SM-3DB9Q 60-69 years, male 742.7
GTEX-1GPI6-0126-SM-9WG69 60-69 years, male 739.6
GTEX-1LC47-0326-SM-E9TJP 60-69 years, male 739.1
GTEX-1K9T9-0126-SM-EVYCF 50-59 years, female 737.8
GTEX-1CAMR-1926-SM-7EPI2 20-29 years, male 737.3
GTEX-1PPH7-2326-SM-EVYB8 40-49 years, male 734.2
GTEX-XXEK-2226-SM-4BRUM 50-59 years, male 733.4
GTEX-Y5LM-1926-SM-5RQJH 40-49 years, female 729.5
GTEX-PLZ5-2026-SM-2S1O4 50-59 years, male 719.2
GTEX-RM2N-1426-SM-2TF4H 50-59 years, male 719.1
GTEX-18D9B-0526-SM-7LTAS 60-69 years, male 718.7
GTEX-14BIL-0126-SM-5SI92 50-59 years, male 718.2
GTEX-XUW1-0426-SM-4BOOT 50-59 years, female 716.0
GTEX-11DXX-2426-SM-5GZZW 60-69 years, female 714.9
GTEX-15CHC-2126-SM-6EU21 60-69 years, female 712.1
GTEX-147F3-0526-SM-5SI98 50-59 years, female 706.8
GTEX-1IDFM-0126-SM-COH2V 60-69 years, male 701.0
GTEX-1I1GS-0126-SM-B2LVW 60-69 years, male 700.5
GTEX-1KANB-0526-SM-E6CJH 50-59 years, male 700.5
GTEX-13OVG-1926-SM-5L3DK 60-69 years, male 695.2
GTEX-1ICG6-2526-SM-CGQFZ 70-79 years, female 690.7
GTEX-12C56-1726-SM-5EQ61 20-29 years, male 690.3
GTEX-1C6WA-0126-SM-7PC2B 60-69 years, male 689.2
GTEX-13N11-2526-SM-5K7UE 50-59 years, female 689.0
GTEX-1RAZA-0126-SM-E6CI3 20-29 years, male 687.3
GTEX-1LG7Y-0526-SM-DKPQC 50-59 years, male 687.0
GTEX-ZEX8-2426-SM-4WKG4 50-59 years, male 684.0
GTEX-14PHW-0126-SM-6LLJI 60-69 years, female 683.2
GTEX-WZTO-0126-SM-3NM95 40-49 years, male 682.9
GTEX-13OVJ-0126-SM-5KM36 50-59 years, female 682.3
GTEX-1HSEH-0126-SM-ACKXN 60-69 years, male 681.5
GTEX-1QP2A-0126-SM-E9J43 50-59 years, male 681.5
GTEX-1JMOU-1526-SM-CL54I 60-69 years, female 679.9
GTEX-R45C-0126-SM-EAZ2R 60-69 years, female 679.8
GTEX-1JJE9-0326-SM-CL53Z 70-79 years, male 678.8
GTEX-1H1ZS-0426-SM-9WG6G 70-79 years, male 678.4
GTEX-1F48J-0126-SM-7P8TT 50-59 years, female 677.2
GTEX-1QP29-0626-SM-EWRMX 50-59 years, male 676.4
GTEX-1C64O-0126-SM-7SB8P 60-69 years, male 675.1
GTEX-17F97-0326-SM-7LG5B 50-59 years, male 674.7
GTEX-1RQEC-0426-SM-E6CHU 60-69 years, male 674.0
GTEX-X4XY-0226-SM-4E3IZ 60-69 years, male 670.6
GTEX-OOBK-0126-SM-2YUND 40-49 years, male 664.2
GTEX-XQ8I-0426-SM-4BOPO 50-59 years, male 661.9
GTEX-1JKYN-1326-SM-CGQG9 30-39 years, male 655.4
GTEX-11EMC-2926-SM-5EQ4F 60-69 years, female 652.9
GTEX-1I19N-0326-SM-ACKVX 70-79 years, male 651.3
GTEX-XMD2-0126-SM-4YCDU 60-69 years, female 648.1
GTEX-14PK6-1926-SM-6ETZU 70-79 years, female 648.0
GTEX-ZC5H-0226-SM-4WAY9 40-49 years, female 646.9
GTEX-15SDE-2226-SM-7IGLO 50-59 years, female 642.1
GTEX-YEC4-2126-SM-5IFJH 40-49 years, male 636.6
GTEX-NPJ8-0126-SM-2YUNR 40-49 years, male 636.0
GTEX-QDVN-2026-SM-3GAEP 50-59 years, male 632.1
GTEX-1C6VS-0526-SM-7DUEN 60-69 years, male 629.7
GTEX-1GN1V-0126-SM-9WPOS 60-69 years, male 626.4
GTEX-1J8Q3-1626-SM-CMKGC 60-69 years, male 625.4
GTEX-1H1E6-1726-SM-ACKVK 30-39 years, male 625.0
GTEX-147F4-0226-SM-5QGPW 50-59 years, male 623.1
GTEX-V1D1-2226-SM-3NMAX 50-59 years, male 622.5
GTEX-14A6H-0126-SM-5QGPK 30-39 years, male 619.4
GTEX-ZTPG-0326-SM-5O9AX 20-29 years, female 618.2
GTEX-OXRO-0126-SM-2YUN4 60-69 years, female 617.6
GTEX-1R9K4-0126-SM-DTX9X 60-69 years, male 617.5
GTEX-ZQUD-1426-SM-57WER 30-39 years, male 615.6
GTEX-13W3W-2426-SM-5LU5B 60-69 years, female 613.1
GTEX-ZYW4-0126-SM-5E44A 60-69 years, male 613.1
GTEX-1GN1W-0526-SM-9MQJQ 50-59 years, female 611.3
GTEX-1NHNU-1026-SM-E9J2A 50-59 years, male 596.3
GTEX-1IE54-0126-SM-CMKHW 40-49 years, female 595.4
GTEX-1MCYP-1926-SM-E9J2R 20-29 years, female 594.0
GTEX-12WSN-5019-SM-79OM6 40-49 years, male 593.4
GTEX-U3ZN-2326-SM-3DB7W 30-39 years, female 592.4
GTEX-1AX9K-2326-SM-73KWU 50-59 years, male 578.3
GTEX-11P7K-2126-SM-5GU7G 30-39 years, male 577.3
GTEX-14BIM-0226-SM-7IGLD 60-69 years, female 577.1
GTEX-13VXT-0126-SM-5LU4I 20-29 years, female 575.1
GTEX-QLQ7-1626-SM-2S1R8 60-69 years, male 574.6
GTEX-1MA7X-2226-SM-E6CIY 60-69 years, male 567.4
GTEX-1AMEY-1326-SM-73KYK 30-39 years, female 566.9
GTEX-PLZ4-0126-SM-5SI8O 50-59 years, female 564.0
GTEX-11NUK-0126-SM-5A5L3 50-59 years, male 560.9
GTEX-QLQW-1126-SM-2S1Q8 30-39 years, male 557.8
GTEX-Q2AI-1326-SM-2S1PL 40-49 years, male 553.5
GTEX-15SHW-0326-SM-6PAML 60-69 years, male 553.4
GTEX-1AYD5-2426-SM-73KXR 50-59 years, male 553.4
GTEX-R55G-2526-SM-2TC6D 40-49 years, female 552.8
GTEX-1A3MW-0126-SM-73KXX 60-69 years, female 549.0
GTEX-1AX8Z-0126-SM-7DHM6 60-69 years, male 546.3
GTEX-RN64-0126-SM-2TC68 50-59 years, male 546.1
GTEX-11P82-1626-SM-59879 20-29 years, male 542.8
GTEX-X638-0126-SM-47JZ8 70-79 years, female 542.7
GTEX-14PJ3-1826-SM-62LEX 50-59 years, male 542.0
GTEX-R55E-0126-SM-2TC5Y 20-29 years, male 539.3
GTEX-11ZTT-2426-SM-5EQLS 60-69 years, female 536.4
GTEX-XV7Q-2526-SM-4BRV9 40-49 years, female 532.3
GTEX-13RTL-0126-SM-7LG5S 40-49 years, male 526.3
GTEX-1I1GU-2226-SM-CGQFA 40-49 years, male 521.1
GTEX-WY7C-2326-SM-3NB2U 50-59 years, male 516.8
GTEX-1I1HK-0126-SM-COH49 60-69 years, male 507.4
GTEX-16XZY-2126-SM-79OK1 70-79 years, male 500.6
GTEX-Y3I4-2126-SM-4TT7C 50-59 years, male 493.4
GTEX-13OW7-0126-SM-5MR3B 50-59 years, male 490.7
GTEX-15EOM-0126-SM-7KUGG 20-29 years, female 485.3
GTEX-U3ZM-1526-SM-3DB9D 40-49 years, male 477.5
GTEX-ZDXO-3026-SM-5J1N5 60-69 years, male 472.1
GTEX-P4PQ-0126-SM-2S1NM 60-69 years, male 467.9
GTEX-WOFL-0126-SM-3MJG2 60-69 years, male 465.5
GTEX-11TTK-0126-SM-5987B 60-69 years, female 458.6
GTEX-QDT8-0126-SM-48TZ1 30-39 years, female 457.9
GTEX-ZUA1-0126-SM-5GU76 40-49 years, male 455.5
GTEX-1HUB1-0426-SM-E9U4U 60-69 years, male 445.3
GTEX-1HKZK-0326-SM-9WYUH 40-49 years, male 436.5
GTEX-ZF28-0126-SM-4WKGK 60-69 years, male 416.2
GTEX-1HSMP-0126-SM-E6CJS 70-79 years, male 412.7
GTEX-1OJC4-0126-SM-E9J2E 50-59 years, female 397.5
GTEX-ZZPT-0226-SM-5E43X 50-59 years, male 384.0
GTEX-1N2DV-0226-SM-E6CJ6 40-49 years, male 376.6
GTEX-1PBJI-0526-SM-E8VNK 20-29 years, female 367.2
GTEX-1LNCM-1126-SM-E9U5E 50-59 years, female 366.2
GTEX-1AYCT-2426-SM-7IGQ3 50-59 years, male 364.2
GTEX-1F75I-0326-SM-9YFLU 40-49 years, male 362.4
GTEX-1R9PO-2126-SM-E9J4O 60-69 years, female 342.3
GTEX-144GN-2326-SM-5LU4F 50-59 years, male 342.1
GTEX-1RLM8-2326-SM-EWRN4 50-59 years, male 311.4
GTEX-X62O-0126-SM-4E3JN 50-59 years, male 285.7
GTEX-Q734-1926-SM-2I5EV 40-49 years, female 266.4
GTEX-OXRL-0126-SM-2YUMP 50-59 years, male 247.3
GTEX-113IC-0126-SM-5HL6T 60-69 years, male 232.3
GTEX-11ZUS-0626-SM-59885 30-39 years, male 223.1
GTEX-RUSQ-1526-SM-2TF62 50-59 years, male 209.4
GTEX-139T4-0226-SM-5HL5S 50-59 years, female 196.4
GTEX-1QW4Y-1526-SM-EAZ3Z 30-39 years, male 193.4
GTEX-SE5C-1626-SM-2XCE3 40-49 years, female 155.9
GTEX-U4B1-1826-SM-4DXSU 40-49 years, male 149.8
GTEX-1QP67-1626-SM-EAZ3X 40-49 years, female 115.8
GTEX-14JIY-0126-SM-6LLH6 60-69 years, male 114.2
GTEX-1HBPH-0426-SM-B2LW5 40-49 years, female 76.7
GTEX-1RAZQ-0726-SM-EAZ43 30-39 years, male 71.5
GTEX-146FR-1326-SM-E9J48 60-69 years, female 67.8
Show allShow less

Contact

  • NEWS ARTICLES
  • PRESS ROOM

The Project

  • INTRODUCTION
  • ORGANIZATION
  • PUBLICATIONS

The Human Protein Atlas

  • DOWNLOADABLE DATA
  • LICENCE & CITATION
  • HELP & FAQ
The Human Protein Atlas project is funded
by the Knut & Alice Wallenberg Foundation.


contact@proteinatlas.org