We use cookies to enhance the usability of our website. If you continue, we'll assume that you are happy to receive all cookies. More information. Don't show this again.
PTK7
HPA
RESOURCES
  • TISSUE
  • BRAIN
  • SINGLE CELL
  • SUBCELLULAR
  • CANCER
  • BLOOD
  • CELL LINE
  • STRUCTURE & INTERACTION
ABOUT
  • INTRODUCTION
  • HISTORY
  • ORGANIZATION
  • PUBLICATIONS
  • ANTIBODY SUBMISSION
  • ANTIBODY AVAILABILITY
  • ACKNOWLEDGMENTS
  • CONTACT
NEWS
  • NEWS ARTICLES
  • PRESS ROOM
LEARN
  • DICTIONARY
  • PROTEIN CLASSES
  • PROTEIN EVIDENCE
  • METHODS
  • EDUCATIONAL VIDEOS
DATA
  • DOWNLOADABLE DATA
  • PUBLICATION DATA
  • RELEASE HISTORY
HELP
  • ANTIBODY VALIDATION
  • ASSAYS & ANNOTATION
  • DISCLAIMER
  • HELP & FAQ
  • PRIVACY STATEMENT
  • LICENCE & CITATION
Fields »
Search result

Field
Term
Gene name
Class
Subclass
Class
Keyword
Chromosome
External id
Tissue
Cell type
Expression
Antibody panel
Tissue
Main location
Patient ID
Annotation
Tissue
Category
Tau score
Cluster
Reliability
Brain region
Category
Tau score
Brain region
Category
Tau score
Brain region
Category
Tau score
Cluster
Reliability
Tissue
Cell type
Enrichment
Cell type
Category
Tau score
Cell type
Category
Tau score
Cell type
Category
Tau score
Cell lineage
Category
Tau score
Cluster
Cluster
Location
Searches
Location
Cell line
Class
Type
Phase
Reliability
Cancer
Prognosis
Cancer
Category
Cancer
Category
Tau score
Cluster
Variants
Interacting gene (ensg_id)
Type
Number of interactions
Pathway
Category
Score
Score
Score
Validation
Validation
Validation
Validation
Antibodies
Data type
Column


  • SUMMARY

  • TISSUE

  • BRAIN

  • SINGLE CELL

  • SUBCELL

  • CANCER

  • BLOOD

  • CELL LINE

  • STRUCT & INT

  • PTK7
TISSUE PRIMARY DATA BREAST Show tissue menu
ADIPOSE TISSUE ADRENAL GLAND AMYGDALA APPENDIX BASAL GANGLIA BONE MARROW BREAST BRONCHUS CEREBELLUM CEREBRAL CORTEX CERVIX CHOROID PLEXUS COLON DUODENUM
ENDOMETRIUM EPIDIDYMIS ESOPHAGUS FALLOPIAN TUBE GALLBLADDER HEART MUSCLE HIPPOCAMPAL FORMATION HYPOTHALAMUS KIDNEY LIVER LUNG LYMPH NODE MIDBRAIN NASOPHARYNX
ORAL MUCOSA OVARY PANCREAS PARATHYROID GLAND PITUITARY GLAND PLACENTA PROSTATE RECTUM RETINA SALIVARY GLAND SEMINAL VESICLE SKELETAL MUSCLE SKIN SMALL INTESTINE
SMOOTH MUSCLE SOFT TISSUE SPINAL CORD SPLEEN STOMACH TESTIS THYMUS THYROID GLAND TONGUE TONSIL URINARY BLADDER VAGINA
ANTIBODIES
AND
VALIDATION
Dictionary
Breast
Tissue proteome
Breast
BREAST - Expression summary
Protein expression
Breasti

On the top, protein expression in current human tissue, based on all annotated cell types, is reported with the units not detected (n), low (l), medium (m) and high (h). Underneath, protein expression in each annotated cell type are reported using the same units.

Protein expression data is based on knowledge-based annotation. For genes where more than one antibody has been used, a collective score is set.

If knowledge-based annotation could not be performed for a gene, no data is displayed here. View antibody staining data further down this page.

h
m
l
n
Adipocytes: Not detected
Glandular cells: Medium
Myoepithelial cells: Low
RNA expressioni

A summary of mRNA expression data available for current tissue based on several datasets. The mRNA expression levels in human tissues are based on RNA-seq data generated by the Human Protein Atlas (HPA), Genotype-Tissue Expression (GTEx) portal and CAGE data generated by the FANTOM5 consortium. Consensus normalized expression levels for human tissues was created by combining the data from HPA and GTEx datasets.

The mRNA expression levels in pig are based on RNA-seq data generated by the Human Protein Atlas (HPA), and for mouse, HPA data and in situ hybridization generated by the Allen brain atlas are reported.

Scroll down to view mRNA expression data in more detail.
Consensus:16.9 nTPM
HPA:16.9 nTPM
GTEx:16.6 nTPM
FANTOM5:23.7 Scaled Tags Per Million

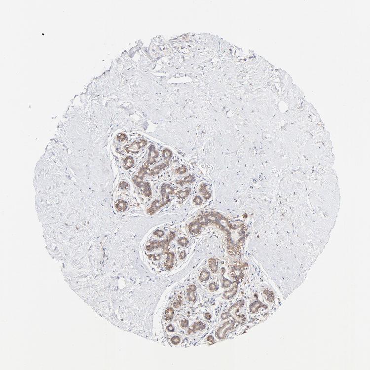
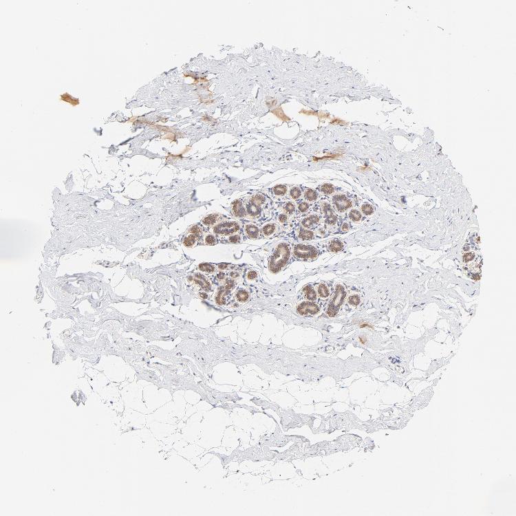
BREAST - Antibody stainingi

Antibody staining in the annotated cell types in the current human tissue is reported as not detected, low, medium, or high, based on conventional immunohistochemistry profiling in selected tissues. This score is based on the combination of the staining intensity and fraction of stained cells.

Each image is clickable and will lead to virtual microscopy that enables deeper exploration of all samples and also displays staining intensity scores, fraction scores and subcellular localization as well as patient and tissue information for each sample.

Antibody HPA003222
Adipocytes Not detected
Glandular cells Medium
Myoepithelial cells Low



BREAST - HPA RNA-seqi

The RNA-seq details section shows detailed information about the individual samples used for the transcript profiling and results of the RNA-seq analysis.

Information about each individual sample is listed below, including gender, age, a tissue section image and estimated fractions of cell types. nTPM (normalized transcripts per million) values give a quantification of the gene abundance which is comparable between different genes and samples.
Average nTPMi

Max subtype nTPM is the value for the subtype with the largest average nTPM across the subtype samples.

16.9
overview
Female, age 52
Breast sample 373
nTPM: 14.9
Cell types%
Glandular cells:
15

Adipocytes:
5

Other cell types:
80

overview
Female, age 80
Breast sample 390
nTPM: 12.5
Cell types%
Glandular cells:
5

Adipocytes:
15

Other cell types:
80

overview
Female, age 47
Breast sample 405
nTPM: 17.2
Cell types%
Glandular cells:
5

Adipocytes:
5

Other cell types:
90

overview
Female, age 38
Breast sample 410
nTPM: 23.1
Cell types%
Glandular cells:
40

Adipocytes:
5

Other cell types:
55


BREAST - GTEx RNA-seqi

RNA-Seq data generated by the Genotype-Tissue Expression (GTEx) project from human tissues is reported as mean nTPM. More information can be found on the GTEx portal.

Distribution across the dataset is visualized with box plots, shown as median and 25th and 75th percentiles. Points are displayed as outliers if they are above or below 1.5 times the interquartile range. nTPM values of the individual samples are presented next to the box plot.
Max subtype nTPMi

Max subtype nTPM is the value for the subtype with the largest average nTPM across the subtype samples.

16.6
GTEx sample id Sample description nTPM
Breast - Mammary Tissue
Average nTPM: 16.6
Samples: 459

Max nTPM: 78.8
Min nTPM: 0.5
Std nTPM: 13.4
Median nTPM: 14.8
GTEX-1GZ2Q-2626-SM-7MXV9 40-49 years, male 78.8
GTEX-1POEN-0926-SM-DTX88 30-39 years, female 75.6
GTEX-139T8-0826-SM-5L3DE 60-69 years, male 66.0
GTEX-13O3P-0826-SM-5L3DH 50-59 years, male 64.9
GTEX-T5JW-2026-SM-4DM63 20-29 years, female 62.0
GTEX-1GN1U-0526-SM-9KNTT 50-59 years, female 53.6
GTEX-1M5QR-2526-SM-E9U5P 40-49 years, male 53.5
GTEX-YFC4-1426-SM-5IFJG 40-49 years, female 49.6
GTEX-14PHY-1926-SM-5YY95 60-69 years, female 48.7
GTEX-ZXES-0826-SM-5E43C 30-39 years, female 48.6
GTEX-17HG3-0126-SM-7IGNH 30-39 years, female 47.1
GTEX-15ER7-1626-SM-6PAMZ 20-29 years, female 45.4
GTEX-1GMR8-0726-SM-9KNVI 50-59 years, female 45.3
GTEX-131XW-0726-SM-5EGK3 50-59 years, female 44.8
GTEX-ZC5H-2626-SM-5J2MG 40-49 years, female 44.8
GTEX-WYBS-0926-SM-3NM94 60-69 years, female 44.7
GTEX-1HBPN-2326-SM-9WPPU 50-59 years, male 44.0
GTEX-ZVE2-1226-SM-5NQ8R 50-59 years, male 43.5
GTEX-13FHO-0826-SM-5L3E8 60-69 years, male 42.5
GTEX-ZF2S-2026-SM-5E461 50-59 years, female 42.5
GTEX-13PL6-2926-SM-5L3I2 40-49 years, female 42.4
GTEX-Q2AG-0326-SM-48U1O 40-49 years, female 40.9
GTEX-1IE54-0626-SM-ARL8D 40-49 years, female 40.9
GTEX-13FTY-2226-SM-5J1ND 40-49 years, female 40.6
GTEX-12ZZX-1126-SM-5EGKB 40-49 years, female 38.8
GTEX-RU1J-0626-SM-4WAWY 20-29 years, female 38.0
GTEX-1P4AB-1826-SM-E76PU 50-59 years, male 37.3
GTEX-1IDJE-0826-SM-CKZNZ 50-59 years, female 37.2
GTEX-131YS-0626-SM-5EGKL 60-69 years, female 37.0
GTEX-X15G-1626-SM-3NMB3 50-59 years, female 36.6
GTEX-1RAZQ-1226-SM-EWRNL 30-39 years, male 36.6
GTEX-13SLX-2326-SM-5ZZWE 50-59 years, female 36.5
GTEX-1LVAN-1326-SM-CNPQE 50-59 years, female 35.8
GTEX-WYVS-1726-SM-3NMAY 40-49 years, female 35.6
GTEX-14H4A-2526-SM-5YYAY 40-49 years, female 35.3
GTEX-1HSGN-1526-SM-A9SMO 40-49 years, female 35.3
GTEX-11EMC-2026-SM-5A5JV 60-69 years, female 35.1
GTEX-U3ZH-1426-SM-4DXSR 30-39 years, male 34.6
GTEX-11PRG-0826-SM-5EQ6A 50-59 years, male 34.3
GTEX-1CAMS-1426-SM-7IGPM 40-49 years, female 34.3
GTEX-X4EP-2926-SM-3P5YQ 60-69 years, female 34.3
GTEX-1LVAM-0926-SM-E9TJ2 50-59 years, female 34.0
GTEX-T5JC-2126-SM-32PMO 20-29 years, male 33.9
GTEX-13N11-1726-SM-5J1OJ 50-59 years, female 33.8
GTEX-1R9PN-0326-SM-DTX85 40-49 years, female 33.8
GTEX-1B932-0826-SM-73KXG 40-49 years, female 33.6
GTEX-132Q8-1426-SM-5EGK7 60-69 years, male 33.4
GTEX-1GF9X-1026-SM-ACKX2 40-49 years, female 33.3
GTEX-1IKOH-2326-SM-CM2TW 60-69 years, female 33.1
GTEX-133LE-1726-SM-5K7VQ 20-29 years, female 33.0
GTEX-R3RS-0626-SM-48FE1 40-49 years, female 32.8
GTEX-S4P3-1326-SM-4AD6V 50-59 years, female 32.8
GTEX-VUSG-2226-SM-4KKZO 50-59 years, male 32.7
GTEX-QDT8-0626-SM-48TYW 30-39 years, female 32.1
GTEX-ZGAY-1726-SM-DO91P 40-49 years, female 31.7
GTEX-13NZB-2126-SM-5MR4Y 30-39 years, male 31.6
GTEX-WI4N-1426-SM-3LK7H 40-49 years, female 31.6
GTEX-11EM3-1326-SM-5N9C6 20-29 years, female 31.3
GTEX-1269C-2426-SM-5FQSN 60-69 years, female 31.1
GTEX-U3ZN-1926-SM-4DXSG 30-39 years, female 31.1
GTEX-1H1CY-2226-SM-9WG7E 60-69 years, female 31.1
GTEX-14LLW-0626-SM-62LFC 70-79 years, female 30.9
GTEX-1HKZK-1826-SM-ADEJ2 40-49 years, male 30.6
GTEX-16NGA-0826-SM-718AF 40-49 years, female 30.3
GTEX-XOT4-0726-SM-4GIAW 60-69 years, female 30.3
GTEX-Y3IK-2326-SM-4WWDT 50-59 years, female 30.1
GTEX-13NZ9-1026-SM-5MR5K 50-59 years, male 30.0
GTEX-1GZ4H-0326-SM-7P8QX 50-59 years, female 29.9
GTEX-S341-1526-SM-4AD6K 40-49 years, female 29.8
GTEX-RU72-0626-SM-46MUI 50-59 years, female 29.7
GTEX-1QCLY-1626-SM-DTXDW 30-39 years, male 29.7
GTEX-T6MN-0726-SM-32PML 50-59 years, male 29.4
GTEX-XMD1-0826-SM-4AT52 60-69 years, male 29.2
GTEX-1J8EW-2626-SM-CL53E 60-69 years, female 29.2
GTEX-13CF2-2026-SM-5K7VI 60-69 years, male 29.1
GTEX-1F75I-2026-SM-7SB7N 40-49 years, male 28.7
GTEX-11P7K-0726-SM-5EGKX 30-39 years, male 28.6
GTEX-1GMR3-2626-SM-7RHHG 40-49 years, male 28.6
GTEX-ZAK1-1326-SM-EVYAS 50-59 years, female 28.6
GTEX-1CB4J-1826-SM-7EWF9 60-69 years, male 28.3
GTEX-ZF3C-2326-SM-5S2NC 50-59 years, female 28.3
GTEX-13QIC-2326-SM-5LU5N 60-69 years, female 28.2
GTEX-14ABY-2126-SM-5QGQZ 50-59 years, male 28.2
GTEX-1RAZS-1226-SM-E8VMT 50-59 years, male 28.2
GTEX-13W3W-1226-SM-5LU4H 60-69 years, female 28.0
GTEX-ZAJG-0626-SM-5HL8X 50-59 years, female 28.0
GTEX-15ETS-0626-SM-7KUMX 40-49 years, female 27.9
GTEX-1LNCM-0226-SM-DIPF4 50-59 years, female 27.8
GTEX-145LT-0726-SM-5S2VM 40-49 years, male 27.7
GTEX-1HSKV-2026-SM-CMKGX 60-69 years, male 27.6
GTEX-1KANA-2026-SM-DIPFB 20-29 years, male 27.4
GTEX-15FZZ-0726-SM-7KUFZ 30-39 years, female 27.3
GTEX-1CB4G-2326-SM-79OOI 60-69 years, male 27.3
GTEX-ZY6K-1626-SM-5GZWV 50-59 years, male 27.3
GTEX-1NUQO-2226-SM-E9U68 20-29 years, female 27.3
GTEX-ZLV1-1426-SM-DO92Z 60-69 years, female 27.1
GTEX-SE5C-2126-SM-4BRUJ 40-49 years, female 27.0
GTEX-1GMRU-0826-SM-9WYT7 50-59 years, male 27.0
GTEX-1GN1W-1926-SM-7P8TH 50-59 years, female 27.0
GTEX-1JJE9-2326-SM-ARL8Q 70-79 years, male 27.0
GTEX-111YS-1926-SM-5GICC 60-69 years, male 26.9
GTEX-XUZC-1626-SM-4BRVP 30-39 years, female 26.9
GTEX-ZEX8-2226-SM-57WC6 50-59 years, male 26.9
GTEX-1R7EU-1226-SM-E8VMR 60-69 years, male 26.9
GTEX-1HCUA-0726-SM-ACKVU 50-59 years, female 26.7
GTEX-1MA7W-1026-SM-DKPQK 20-29 years, female 26.6
GTEX-WFG8-2026-SM-EXOHO 20-29 years, male 26.5
GTEX-13D11-1026-SM-5IJFB 50-59 years, female 26.4
GTEX-RWS6-1926-SM-47JXY 60-69 years, female 26.4
GTEX-XYKS-1326-SM-4BRUN 60-69 years, female 26.3
GTEX-T2IS-1526-SM-32QPR 20-29 years, female 26.2
GTEX-1F6I4-2526-SM-7SB8F 60-69 years, male 26.2
GTEX-1I6K7-1026-SM-A9SLK 40-49 years, male 26.1
GTEX-11WQC-1726-SM-5GU4W 60-69 years, male 26.0
GTEX-13SLW-2526-SM-62LDQ 70-79 years, male 25.9
GTEX-1IKOE-1326-SM-CE6T6 30-39 years, female 25.9
GTEX-1RQEC-2026-SM-DTXDM 60-69 years, male 25.8
GTEX-1GPI6-0626-SM-7RHHJ 60-69 years, male 25.7
GTEX-14BMU-1626-SM-5TDE7 20-29 years, female 25.6
GTEX-1GN2E-2226-SM-9WG6J 60-69 years, male 25.6
GTEX-17JCI-0726-SM-7EPH1 60-69 years, female 25.5
GTEX-1H1E6-0926-SM-9YFLT 30-39 years, male 25.3
GTEX-1JMPZ-1626-SM-COH31 30-39 years, male 25.0
GTEX-1N5O9-1126-SM-DTXEQ 60-69 years, male 25.0
GTEX-QEG5-0726-SM-D4P1T 20-29 years, male 25.0
GTEX-11P81-1926-SM-5BC53 30-39 years, female 24.7
GTEX-1MCC2-2126-SM-EWRON 30-39 years, female 24.7
GTEX-11GS4-2126-SM-5A5KR 60-69 years, male 24.6
GTEX-1QPFJ-2026-SM-EVYBE 30-39 years, female 24.6
GTEX-1IY9M-2726-SM-CMKG5 60-69 years, male 24.5
GTEX-15UF6-0126-SM-6PAMB 70-79 years, female 24.2
GTEX-UJHI-1426-SM-3DB9C 50-59 years, female 24.1
GTEX-XUW1-2326-SM-4BOO5 50-59 years, female 24.1
GTEX-1JJEA-2726-SM-ARL8V 60-69 years, male 24.1
GTEX-WRHU-0326-SM-3MJFY 50-59 years, female 24.0
GTEX-ZTX8-1226-SM-4YCE9 20-29 years, male 24.0
GTEX-11DXW-0626-SM-5N9ER 40-49 years, male 23.9
GTEX-1MCYP-0126-SM-E6CIS 20-29 years, female 23.9
GTEX-1B97J-0426-SM-79OLQ 50-59 years, female 23.8
GTEX-ZZPU-0626-SM-5E43T 50-59 years, female 23.6
GTEX-1AX8Z-0926-SM-731AW 60-69 years, male 23.5
GTEX-1JK1U-1826-SM-ARL8W 60-69 years, male 23.3
GTEX-1KAFJ-0226-SM-DIPEL 50-59 years, male 23.3
GTEX-147F4-2826-SM-5NQBN 50-59 years, male 23.1
GTEX-17HHE-1426-SM-7EPH4 50-59 years, male 23.0
GTEX-1LSNM-1326-SM-E9TJ1 50-59 years, male 23.0
GTEX-1192X-2326-SM-5987X 50-59 years, male 22.9
GTEX-1QEPI-0926-SM-DTXF3 60-69 years, female 22.9
GTEX-17HHY-0926-SM-793C1 50-59 years, male 22.8
GTEX-1CB4E-0226-SM-79OLW 60-69 years, male 22.8
GTEX-TML8-1226-SM-32QON 40-49 years, female 22.7
GTEX-XBED-1626-SM-47JYN 60-69 years, male 22.3
GTEX-T6MO-0326-SM-32QOK 40-49 years, female 22.2
GTEX-1LGRB-1826-SM-CNPQL 50-59 years, female 22.2
GTEX-1R46S-2526-SM-E8VN2 60-69 years, female 22.2
GTEX-18A7A-0726-SM-7LTAI 50-59 years, female 22.1
GTEX-1BAJH-0826-SM-7EWEF 70-79 years, male 22.0
GTEX-11GSP-0926-SM-9WYSG 60-69 years, female 22.0
GTEX-14A5I-0726-SM-5TDEB 50-59 years, female 21.9
GTEX-1HCVE-2626-SM-ADEJ8 50-59 years, male 21.8
GTEX-1C64O-0726-SM-7DUFU 60-69 years, male 21.7
GTEX-TMMY-0726-SM-33HBE 40-49 years, female 21.7
GTEX-1HUB1-1626-SM-CM2SL 60-69 years, male 21.6
GTEX-ZVT2-1826-SM-5NQ8W 50-59 years, female 21.4
GTEX-1I1HK-2426-SM-ADEHX 60-69 years, male 21.4
GTEX-1IKJJ-2326-SM-COH3U 60-69 years, male 21.4
GTEX-14AS3-1626-SM-5S2OY 40-49 years, female 21.3
GTEX-1B97I-0426-SM-79OL7 40-49 years, male 21.3
GTEX-1GZHY-0726-SM-9WG6B 50-59 years, female 21.3
GTEX-1A8G7-2426-SM-731AK 60-69 years, male 21.1
GTEX-1399U-1826-SM-5PNZ1 50-59 years, female 21.0
GTEX-WYJK-1326-SM-3NB2T 50-59 years, male 20.9
GTEX-1K9T9-1426-SM-DIPFQ 50-59 years, female 20.8
GTEX-1F5PL-1026-SM-7RHI1 40-49 years, female 20.7
GTEX-ZU9S-1926-SM-5NQBP 30-39 years, male 20.5
GTEX-1MJK2-2226-SM-EVYCR 50-59 years, male 20.3
GTEX-11TT1-2126-SM-5GU5Y 20-29 years, male 20.2
GTEX-UPK5-2326-SM-3P5Z8 40-49 years, male 20.2
GTEX-VJWN-0726-SM-3GIJ8 50-59 years, female 20.2
GTEX-ZF29-1926-SM-5S2P1 60-69 years, female 20.2
GTEX-ZVTK-0326-SM-51MRR 20-29 years, male 20.1
GTEX-17EUY-1926-SM-7DUF6 20-29 years, male 19.9
GTEX-T2YK-2226-SM-32QPT 50-59 years, male 19.9
GTEX-1J8QM-2026-SM-ARZMW 60-69 years, female 19.9
GTEX-13OW5-2226-SM-5L3HC 60-69 years, male 19.7
GTEX-Y5V5-2126-SM-4WWFO 60-69 years, female 19.6
GTEX-1B8SG-1226-SM-7IGPF 50-59 years, male 19.5
GTEX-14PN4-0626-SM-62LFP 50-59 years, male 19.3
GTEX-17KNJ-2026-SM-7LG53 50-59 years, male 19.3
GTEX-1N2EE-2126-SM-E8VNN 60-69 years, male 18.9
GTEX-18QFQ-0826-SM-718AX 30-39 years, male 18.8
GTEX-S4UY-0726-SM-4AD6X 40-49 years, female 18.7
GTEX-Y8LW-1626-SM-5IFHX 50-59 years, female 18.7
GTEX-1K2DA-1726-SM-CGQGS 50-59 years, male 18.7
GTEX-14ICK-2426-SM-6EU27 40-49 years, male 18.5
GTEX-1B8KZ-1526-SM-7DUG7 50-59 years, male 18.4
GTEX-ZTPG-2826-SM-57WGA 20-29 years, female 18.4
GTEX-13NZ8-0126-SM-5IJCT 60-69 years, female 18.2
GTEX-1JMQK-2626-SM-COH2W 60-69 years, male 18.2
GTEX-QEL4-2126-SM-447AE 50-59 years, male 18.1
GTEX-1HC8U-0826-SM-ADEIL 40-49 years, female 18.1
GTEX-11I78-2226-SM-5PNYA 50-59 years, female 17.9
GTEX-1QP29-1726-SM-E8VMQ 50-59 years, male 17.8
GTEX-13PVR-2226-SM-7DHKP 60-69 years, female 17.7
GTEX-1S82U-1126-SM-E9U6I 30-39 years, female 17.5
GTEX-14PKU-0426-SM-6EU1P 40-49 years, female 17.4
GTEX-Y111-2026-SM-4SOJA 50-59 years, male 17.2
GTEX-1H1DG-0526-SM-9YFLN 70-79 years, male 17.2
GTEX-1C6VS-0726-SM-7EPHF 60-69 years, male 17.1
GTEX-Y5LM-1726-SM-4VDSX 40-49 years, female 17.1
GTEX-17F98-0526-SM-79OK5 40-49 years, female 17.0
GTEX-1I19N-2826-SM-CL55D 70-79 years, male 17.0
GTEX-1I1GT-1126-SM-ARL7J 60-69 years, female 17.0
GTEX-1I4MK-1626-SM-CM2TJ 50-59 years, female 17.0
GTEX-1JMPY-0526-SM-CL54O 30-39 years, male 17.0
GTEX-1122O-1226-SM-5H113 60-69 years, female 16.4
GTEX-WXYG-2226-SM-4E3IM 50-59 years, female 16.3
GTEX-XMD2-0926-SM-4WWEF 60-69 years, female 16.2
GTEX-1EU9M-2826-SM-7EWFH 60-69 years, male 15.9
GTEX-WOFL-0826-SM-3MJG1 60-69 years, male 15.9
GTEX-1211K-1926-SM-5EQLB 60-69 years, female 15.2
GTEX-15EOM-5019-SM-793DK 20-29 years, female 15.2
GTEX-1J8Q2-2726-SM-A9G2X 60-69 years, male 15.1
GTEX-11EI6-0626-SM-5985T 60-69 years, male 15.0
GTEX-U412-1826-SM-4DXTJ 60-69 years, male 15.0
GTEX-Y114-2026-SM-4TT7L 50-59 years, female 15.0
GTEX-ZYW4-0826-SM-5GIDG 60-69 years, male 15.0
GTEX-1GZ4I-2826-SM-9MQK5 50-59 years, male 15.0
GTEX-1B933-2526-SM-7IGO5 50-59 years, female 14.9
GTEX-1HR9M-2426-SM-ACKXI 60-69 years, male 14.8
GTEX-13O3O-0826-SM-5K7WE 60-69 years, female 14.7
GTEX-ZVT4-1026-SM-57WC4 50-59 years, female 14.7
GTEX-146FH-0826-SM-5SI8T 50-59 years, female 14.4
GTEX-17EVP-0226-SM-79OND 40-49 years, male 14.3
GTEX-ZVZQ-0826-SM-51MRF 60-69 years, female 14.2
GTEX-11LCK-2426-SM-5HL5F 30-39 years, male 13.8
GTEX-YB5K-1626-SM-5IFIN 40-49 years, female 13.8
GTEX-1C6VQ-0426-SM-79OOX 50-59 years, male 13.1
GTEX-1GMR2-1926-SM-9MQLZ 50-59 years, male 13.1
GTEX-X261-0626-SM-3NMD9 50-59 years, male 13.0
GTEX-ZV7C-1826-SM-5NQ83 50-59 years, male 12.8
GTEX-1J8Q3-1326-SM-CMKI1 60-69 years, male 12.8
GTEX-139TU-0626-SM-5KM3X 60-69 years, male 12.6
GTEX-1A3MV-1626-SM-731C1 30-39 years, male 12.5
GTEX-1HCU9-0326-SM-9WYSC 20-29 years, male 12.4
GTEX-ZTTD-1026-SM-51MRD 50-59 years, male 12.3
GTEX-W5X1-2326-SM-3GIL6 40-49 years, female 12.1
GTEX-1PDJ9-1126-SM-EXUSW 20-29 years, male 12.0
GTEX-13113-5013-SM-7SB7G 60-69 years, female 11.8
GTEX-1B8L1-2426-SM-9WYTE 60-69 years, male 11.8
GTEX-1C475-1226-SM-7SB72 40-49 years, female 11.7
GTEX-1KD4Q-2326-SM-D4P3M 40-49 years, male 11.7
GTEX-1F75A-1826-SM-7SB8G 50-59 years, male 11.6
GTEX-1117F-2826-SM-5GZXL 60-69 years, female 11.5
GTEX-15SHW-1326-SM-6PAL8 60-69 years, male 11.5
GTEX-1HT8W-2226-SM-CGQEC 30-39 years, male 11.3
GTEX-1E2YA-2726-SM-7IGPW 50-59 years, male 11.2
GTEX-1314G-1226-SM-5BC6D 30-39 years, male 10.8
GTEX-15G19-2126-SM-6M48J 60-69 years, male 10.8
GTEX-Y3I4-1526-SM-4TT7K 50-59 years, male 10.7
GTEX-1KXAM-1026-SM-CY8IA 60-69 years, male 10.7
GTEX-11NSD-0926-SM-5N9DR 20-29 years, male 10.4
GTEX-1R9JW-0326-SM-EAZ45 30-39 years, female 10.3
GTEX-1QCLZ-2326-SM-DTXDO 60-69 years, female 10.2
GTEX-1IGQW-0926-SM-ADEH6 60-69 years, male 10.1
GTEX-14PJO-0726-SM-69LO8 60-69 years, male 10.0
GTEX-1HBPM-0126-SM-ARL9E 60-69 years, female 9.9
GTEX-1M4P7-2626-SM-E9U5F 60-69 years, male 9.9
GTEX-132AR-0826-SM-5EGK6 50-59 years, female 9.5
GTEX-ZPIC-1126-SM-5BC7F 40-49 years, female 9.5
GTEX-1313W-0826-SM-5EQ4T 50-59 years, female 9.4
GTEX-1NV8Z-2826-SM-E8VME 60-69 years, male 9.4
GTEX-1LSVX-2426-SM-E6CJX 60-69 years, male 9.3
GTEX-11EQ9-1826-SM-5Q5AJ 30-39 years, male 8.8
GTEX-1ICLZ-0426-SM-B2LW2 60-69 years, male 8.8
GTEX-XQ3S-1326-SM-4BOPQ 20-29 years, male 8.7
GTEX-12WSK-2226-SM-5GCO5 40-49 years, female 8.6
GTEX-18A6Q-0926-SM-7LG4N 60-69 years, male 8.5
GTEX-X4XY-0926-SM-4E3JD 60-69 years, male 8.5
GTEX-13OW8-0226-SM-5K7UP 60-69 years, male 8.4
GTEX-R53T-1526-SM-48FEK 50-59 years, female 8.4
GTEX-12WSN-1326-SM-5GCNT 40-49 years, male 8.3
GTEX-1C6WA-2426-SM-7SB86 60-69 years, male 8.3
GTEX-139T6-1626-SM-5PNYZ 50-59 years, male 8.2
GTEX-1B8KE-1226-SM-73KWK 50-59 years, male 8.2
GTEX-16BQI-1026-SM-7KUEA 30-39 years, female 8.1
GTEX-1I1GU-1026-SM-ADEHJ 40-49 years, male 8.1
GTEX-QVJO-1826-SM-447C9 60-69 years, female 8.0
GTEX-132NY-0826-SM-5K7Y7 60-69 years, male 7.9
GTEX-145MO-0826-SM-5NQBL 60-69 years, male 7.9
GTEX-13QJ3-0826-SM-7DHKK 50-59 years, male 7.7
GTEX-Z9EW-1526-SM-EZ6LU 40-49 years, male 7.7
GTEX-1EWIQ-1726-SM-7SB7T 70-79 years, female 7.6
GTEX-1JMLX-2026-SM-CMKGN 50-59 years, male 7.6
GTEX-1GF9V-2526-SM-7SB8K 60-69 years, male 7.5
GTEX-13O3Q-2226-SM-5KM4O 50-59 years, male 7.4
GTEX-S33H-0326-SM-4AD6N 30-39 years, male 7.4
GTEX-1HR98-0426-SM-COH36 60-69 years, male 7.3
GTEX-16YQH-2826-SM-6PAMY 30-39 years, male 7.1
GTEX-1IDJH-2226-SM-E6CJV 70-79 years, male 7.1
GTEX-XV7Q-2326-SM-4BRVZ 40-49 years, female 7.0
GTEX-17MFQ-0926-SM-7LG4S 20-29 years, male 6.9
GTEX-S32W-2026-SM-4AD6E 50-59 years, female 6.9
GTEX-ZV6S-1826-SM-5NQ8D 40-49 years, female 6.9
GTEX-14E7W-0826-SM-62LEJ 70-79 years, male 6.8
GTEX-11GSO-1926-SM-5A5K3 60-69 years, male 6.7
GTEX-1JKYR-0926-SM-CMKGJ 20-29 years, male 6.6
GTEX-1JMOU-2026-SM-CMKGU 60-69 years, female 6.5
GTEX-ZDTT-2126-SM-DKPOM 60-69 years, male 6.5
GTEX-145MF-2226-SM-7EPIR 50-59 years, male 6.4
GTEX-1GPI7-0926-SM-7PC3J 20-29 years, male 6.4
GTEX-1EKGG-2626-SM-7IGPY 60-69 years, male 6.3
GTEX-WFON-1826-SM-3GILG 40-49 years, male 6.3
GTEX-1QP28-1226-SM-E9J2M 50-59 years, female 6.3
GTEX-1MA7X-1626-SM-E9U5B 60-69 years, male 6.1
GTEX-1HCU8-0126-SM-ADEHH 60-69 years, female 6.0
GTEX-1LC47-1226-SM-D4P44 60-69 years, male 6.0
GTEX-11ONC-2126-SM-5HL6E 60-69 years, male 5.9
GTEX-14E6C-1326-SM-62LEQ 40-49 years, male 5.9
GTEX-ZYFC-0826-SM-5E44K 50-59 years, male 5.9
GTEX-183FY-1126-SM-7DHLJ 20-29 years, male 5.8
GTEX-WY7C-2726-SM-3NB3P 50-59 years, male 5.8
GTEX-1PPGY-1526-SM-EVYBK 60-69 years, male 5.8
GTEX-1F75B-0626-SM-7SB8A 50-59 years, male 5.6
GTEX-1I1GP-0426-SM-COH3N 50-59 years, male 5.6
GTEX-17EVQ-0426-SM-7LG57 70-79 years, male 5.5
GTEX-1IDJU-1826-SM-CMKHV 60-69 years, female 5.5
GTEX-1EN7A-1426-SM-7PBY4 40-49 years, male 5.4
GTEX-1QMI2-0726-SM-E9J4F 60-69 years, male 5.4
GTEX-1AMEY-1026-SM-718AA 30-39 years, female 5.3
GTEX-13W46-0826-SM-5LU3H 50-59 years, male 5.2
GTEX-ZDXO-0126-SM-5S2ND 60-69 years, male 5.2
GTEX-1H4P4-2226-SM-9MQKQ 50-59 years, male 5.2
GTEX-X62O-0526-SM-EWRMA 50-59 years, male 5.2
GTEX-14BMV-0626-SM-793AU 50-59 years, male 5.1
GTEX-ZUA1-1526-SM-59HLS 40-49 years, male 5.1
GTEX-1HSMO-0826-SM-ADEIV 60-69 years, male 5.1
GTEX-11NV4-2026-SM-5N9DG 60-69 years, male 5.0
GTEX-1GF9U-1726-SM-7MGY5 40-49 years, female 5.0
GTEX-145MN-1926-SM-5SIAI 30-39 years, male 4.9
GTEX-REY6-2426-SM-48FF5 60-69 years, male 4.9
GTEX-1I6K6-0826-SM-ARL7Z 30-39 years, male 4.9
GTEX-11OF3-1926-SM-59889 60-69 years, male 4.8
GTEX-S4Q7-1126-SM-4AD6R 20-29 years, male 4.8
GTEX-1H23P-0726-SM-9WG7K 60-69 years, male 4.8
GTEX-169BO-1126-SM-7MGWN 50-59 years, male 4.5
GTEX-1ICG6-1326-SM-ACKWR 70-79 years, female 4.5
GTEX-144GM-0926-SM-5O994 20-29 years, male 4.4
GTEX-1IDFM-0426-SM-B2LVV 60-69 years, male 4.2
GTEX-11DXY-2326-SM-5GICW 60-69 years, male 4.1
GTEX-Y9LG-1426-SM-5IFJZ 30-39 years, male 4.1
GTEX-ZAB4-2526-SM-5HL8M 40-49 years, male 4.1
GTEX-1R9PM-1826-SM-EVYBH 20-29 years, male 4.1
GTEX-QMRM-1626-SM-D4P1U 50-59 years, male 4.1
GTEX-17MF6-0326-SM-7EPH5 40-49 years, male 4.0
GTEX-1IOXB-1926-SM-ARL8E 50-59 years, male 4.0
GTEX-1JN6P-2426-SM-ARL99 60-69 years, male 4.0
GTEX-13N1W-0626-SM-5MR4U 70-79 years, male 3.9
GTEX-14PJ4-2126-SM-6ETZJ 60-69 years, male 3.9
GTEX-1LSNL-2826-SM-E9U5L 50-59 years, male 3.9
GTEX-13S86-1226-SM-5S2OA 40-49 years, male 3.8
GTEX-1AX9J-1126-SM-731B7 60-69 years, male 3.7
GTEX-S7SE-0826-SM-4AT4D 50-59 years, male 3.7
GTEX-U8XE-0826-SM-4E3J1 30-39 years, male 3.7
GTEX-ZYT6-0126-SM-5E45J 30-39 years, male 3.7
GTEX-15RJE-2626-SM-7KFT1 40-49 years, male 3.6
GTEX-18A7B-2626-SM-7LG55 70-79 years, male 3.6
GTEX-18A66-1726-SM-7LG5N 60-69 years, male 3.6
GTEX-1KANC-1426-SM-CYPT9 50-59 years, female 3.6
GTEX-1OKEX-0826-SM-E9J2B 60-69 years, male 3.6
GTEX-14B4R-1226-SM-5TDDT 30-39 years, male 3.5
GTEX-13PVQ-1026-SM-5KM3M 50-59 years, male 3.4
GTEX-1HFI7-0126-SM-CGQFQ 50-59 years, female 3.4
GTEX-1MJK3-1126-SM-E9J3F 20-29 years, male 3.4
GTEX-11O72-2126-SM-5N9FO 40-49 years, male 3.3
GTEX-YJ8O-2226-SM-5IFHW 40-49 years, female 3.3
GTEX-13VXU-2826-SM-664MA 50-59 years, male 3.2
GTEX-17F97-2526-SM-7EWDV 50-59 years, male 3.2
GTEX-1AX9I-0726-SM-73KWV 60-69 years, male 3.2
GTEX-1H3VY-0926-SM-ACKXE 50-59 years, male 3.2
GTEX-1KD5A-1926-SM-DKPQA 50-59 years, male 3.2
GTEX-ZLWG-1926-SM-DO92J 50-59 years, female 3.2
GTEX-117YX-1426-SM-5H12H 50-59 years, male 3.1
GTEX-1LG7Z-0726-SM-CXKYD 30-39 years, male 3.1
GTEX-13FTW-1426-SM-5LZWZ 40-49 years, male 3.0
GTEX-17F96-2426-SM-7IGLN 70-79 years, male 3.0
GTEX-1F5PK-2126-SM-7PC28 50-59 years, male 3.0
GTEX-1S82Z-0726-SM-E6CHX 30-39 years, female 3.0
GTEX-117XS-1926-SM-5GICO 60-69 years, male 2.9
GTEX-13O61-1826-SM-5KM4I 60-69 years, male 2.9
GTEX-12BJ1-1826-SM-5HL9N 60-69 years, male 2.8
GTEX-17HGU-1326-SM-79OKB 50-59 years, male 2.8
GTEX-1A3MX-2726-SM-718B6 60-69 years, male 2.8
GTEX-1PPH7-0826-SM-E8VNX 40-49 years, male 2.8
GTEX-15UF7-0726-SM-6M46D 40-49 years, male 2.7
GTEX-18D9A-1526-SM-7LG4J 30-39 years, female 2.7
GTEX-1CAMR-1426-SM-793BO 20-29 years, male 2.7
GTEX-YFCO-1826-SM-4W1YH 40-49 years, male 2.7
GTEX-1H1ZS-0126-SM-9YFKQ 70-79 years, male 2.7
GTEX-11DXZ-1926-SM-5GZZL 50-59 years, male 2.6
GTEX-ZA64-1526-SM-5CVMD 20-29 years, male 2.6
GTEX-1H11D-1526-SM-9MQJY 40-49 years, male 2.6
GTEX-1I1GV-2426-SM-CGQFM 60-69 years, male 2.6
GTEX-1LBAC-0926-SM-CXKY9 20-29 years, male 2.6
GTEX-ZLFU-2126-SM-DO931 40-49 years, male 2.6
GTEX-TKQ2-1826-SM-33HB2 50-59 years, male 2.5
GTEX-17F9E-2526-SM-7MGW2 50-59 years, male 2.5
GTEX-1N2EF-2226-SM-E9J33 60-69 years, male 2.5
GTEX-YECK-0726-SM-EZ6LV 60-69 years, male 2.5
GTEX-12KS4-0126-SM-5Q5A5 30-39 years, male 2.4
GTEX-XGQ4-0926-SM-4AT4U 50-59 years, male 2.4
GTEX-1RLM8-2226-SM-EVYD1 50-59 years, male 2.4
GTEX-ZQUD-1926-SM-51MSA 30-39 years, male 2.3
GTEX-1HCU7-1026-SM-ADEIP 50-59 years, male 2.3
GTEX-11ZTT-2326-SM-5EQLG 60-69 years, female 2.2
GTEX-13FTX-1126-SM-5N9EN 20-29 years, female 2.2
GTEX-PSDG-1626-SM-48TCQ 50-59 years, male 2.2
GTEX-YB5E-1726-SM-5IFJ3 40-49 years, male 2.2
GTEX-WHSB-1926-SM-EXOHH 50-59 years, male 2.2
GTEX-11WQK-2426-SM-5GU5C 50-59 years, male 2.1
GTEX-12WSM-1726-SM-5BC6J 60-69 years, male 2.1
GTEX-18465-2026-SM-718AP 50-59 years, male 2.1
GTEX-1ICLY-1726-SM-B2LVT 50-59 years, male 2.1
GTEX-11DZ1-0326-SM-5N9BN 50-59 years, male 2.0
GTEX-17GQL-0326-SM-7LG5U 60-69 years, male 2.0
GTEX-ZZ64-1226-SM-5E43R 20-29 years, male 2.0
GTEX-XMK1-1126-SM-4IHJ8 40-49 years, male 1.9
GTEX-ZWKS-2826-SM-5NQ74 30-39 years, male 1.9
GTEX-11ZUS-0826-SM-5FQUY 30-39 years, male 1.8
GTEX-183WM-0726-SM-7LTAA 70-79 years, female 1.8
GTEX-ZDYS-1126-SM-5K7UB 50-59 years, male 1.8
GTEX-1QP9N-1826-SM-E8VMP 30-39 years, male 1.8
GTEX-1QW4Y-1026-SM-DTXE2 30-39 years, male 1.8
GTEX-UTHO-1026-SM-3GAF7 60-69 years, male 1.7
GTEX-XQ8I-2426-SM-4WAXY 50-59 years, male 1.7
GTEX-1JKYN-0726-SM-ARZMY 30-39 years, male 1.7
GTEX-144GL-2026-SM-5LU3O 50-59 years, male 1.6
GTEX-1JN1M-3026-SM-CMKGK 60-69 years, female 1.6
GTEX-11TUW-1826-SM-5BC5D 60-69 years, male 1.5
GTEX-14753-2426-SM-5LU8U 60-69 years, male 1.5
GTEX-Y8E4-1626-SM-5S2MW 40-49 years, male 1.5
GTEX-1IDJF-2326-SM-ARL86 20-29 years, male 1.5
GTEX-1R7EV-1526-SM-E8VOD 40-49 years, male 1.5
GTEX-R55D-0826-SM-48FEA 50-59 years, male 1.4
GTEX-RUSQ-2026-SM-4GIAK 50-59 years, male 1.3
GTEX-YEC3-1026-SM-5IFI5 50-59 years, male 1.3
GTEX-V955-2026-SM-3GAFA 60-69 years, male 1.2
GTEX-13CF3-2126-SM-5IFJP 60-69 years, female 1.1
GTEX-1L5NE-2126-SM-CY8IH 50-59 years, male 1.1
GTEX-1NHNU-0926-SM-E9J2T 50-59 years, male 1.1
GTEX-14DAR-1326-SM-7DUEG 50-59 years, male 1.0
GTEX-14E6E-1326-SM-5S2NR 30-39 years, male 1.0
GTEX-TKQ1-0226-SM-33HB5 30-39 years, male 1.0
GTEX-Y5V6-2126-SM-4WWFX 60-69 years, male 1.0
GTEX-145ME-1526-SM-5Q5F2 40-49 years, female 0.9
GTEX-11P82-1326-SM-5HL62 20-29 years, male 0.8
GTEX-ZQG8-0726-SM-5P9H9 60-69 years, female 0.6
GTEX-ZT9W-2026-SM-51MRA 50-59 years, male 0.6
GTEX-1HSEH-2026-SM-ADEHN 60-69 years, male 0.5
Show allShow less

BREAST - FANTOM5 CAGEi

RNA expression in human tissues obtained through Cap Analysis of Gene Expression (CAGE) generated by the FANTOM5 project are reported as Scaled Tags Per Million.

Max subtype Scaled Tags Per Millioni

Max subtype Scaled Tags Per Million is the value for the subtype with the largest average Scaled Tags Per Million across the subtype samples.

23.7
FANTOM5 sample id Sample description Scaled Tags Per Million
Breast
Scaled Tags Per Million: 23.7
FF:10080-102A8 77 years, female 23.7

Contact

  • NEWS ARTICLES
  • PRESS ROOM

The Project

  • INTRODUCTION
  • ORGANIZATION
  • PUBLICATIONS

The Human Protein Atlas

  • DOWNLOADABLE DATA
  • LICENCE & CITATION
  • HELP & FAQ
The Human Protein Atlas project is funded
by the Knut & Alice Wallenberg Foundation.


contact@proteinatlas.org