We use cookies to enhance the usability of our website. If you continue, we'll assume that you are happy to receive all cookies. More information. Don't show this again.
LAMA4
HPA
RESOURCES
  • TISSUE
  • BRAIN
  • SINGLE CELL
  • SUBCELLULAR
  • CANCER
  • BLOOD
  • CELL LINE
  • STRUCTURE & INTERACTION
ABOUT
  • INTRODUCTION
  • HISTORY
  • ORGANIZATION
  • PUBLICATIONS
  • ANTIBODY SUBMISSION
  • ANTIBODY AVAILABILITY
  • ACKNOWLEDGMENTS
  • CONTACT
NEWS
  • NEWS ARTICLES
  • PRESS ROOM
LEARN
  • DICTIONARY
  • PROTEIN CLASSES
  • PROTEIN EVIDENCE
  • METHODS
  • EDUCATIONAL VIDEOS
DATA
  • DOWNLOADABLE DATA
  • PUBLICATION DATA
  • RELEASE HISTORY
HELP
  • ANTIBODY VALIDATION
  • ASSAYS & ANNOTATION
  • DISCLAIMER
  • HELP & FAQ
  • PRIVACY STATEMENT
  • LICENCE & CITATION
Fields »
Search result

Field
Term
Gene name
Class
Subclass
Class
Keyword
Chromosome
External id
Tissue
Cell type
Expression
Antibody panel
Tissue
Main location
Patient ID
Annotation
Tissue
Category
Tau score
Cluster
Reliability
Brain region
Category
Tau score
Brain region
Category
Tau score
Brain region
Category
Tau score
Cluster
Reliability
Tissue
Cell type
Enrichment
Cell type
Category
Tau score
Cell type
Category
Tau score
Cell type
Category
Tau score
Cell lineage
Category
Tau score
Cluster
Cluster
Location
Searches
Location
Cell line
Class
Type
Phase
Reliability
Cancer
Prognosis
Cancer
Category
Cancer
Category
Tau score
Cluster
Variants
Interacting gene (ensg_id)
Type
Number of interactions
Pathway
Category
Score
Score
Score
Validation
Validation
Validation
Validation
Antibodies
Data type
Column


  • SUMMARY

  • TISSUE

  • BRAIN

  • SINGLE CELL

  • SUBCELL

  • CANCER

  • BLOOD

  • CELL LINE

  • STRUCT & INT

  • LAMA4
TISSUE PRIMARY DATA SKIN Show tissue menu
ADIPOSE TISSUE ADRENAL GLAND AMYGDALA APPENDIX BASAL GANGLIA BONE MARROW BREAST BRONCHUS CEREBELLUM CEREBRAL CORTEX CERVIX CHOROID PLEXUS COLON DUODENUM
ENDOMETRIUM EPIDIDYMIS ESOPHAGUS FALLOPIAN TUBE GALLBLADDER HEART MUSCLE HIPPOCAMPAL FORMATION HYPOTHALAMUS KIDNEY LIVER LUNG LYMPH NODE MIDBRAIN NASOPHARYNX
ORAL MUCOSA OVARY PANCREAS PARATHYROID GLAND PITUITARY GLAND PLACENTA PROSTATE RECTUM RETINA SALIVARY GLAND SEMINAL VESICLE SKELETAL MUSCLE SKIN SMALL INTESTINE
SMOOTH MUSCLE SOFT TISSUE SPINAL CORD SPLEEN STOMACH TESTIS THYMUS THYROID GLAND TONGUE TONSIL URINARY BLADDER VAGINA
ANTIBODIES
AND
VALIDATION
Dictionary
Skin
Tissue proteome
Skin
SKIN - Expression summary
Protein expression
Skini

On the top, protein expression in current human tissue, based on all annotated cell types, is reported with the units not detected (n), low (l), medium (m) and high (h). Underneath, protein expression in each annotated cell type are reported using the same units.

Protein expression data is based on knowledge-based annotation. For genes where more than one antibody has been used, a collective score is set.

If knowledge-based annotation could not be performed for a gene, no data is displayed here. View antibody staining data further down this page.

h
m
l
n
Epidermal cells: Not detected
Fibroblasts: Not detected
Keratinocytes: Not detected
Langerhans: Not detected
Melanocytes: Not detected
RNA expressioni

A summary of mRNA expression data available for current tissue based on several datasets. The mRNA expression levels in human tissues are based on RNA-seq data generated by the Human Protein Atlas (HPA), Genotype-Tissue Expression (GTEx) portal and CAGE data generated by the FANTOM5 consortium. Consensus normalized expression levels for human tissues was created by combining the data from HPA and GTEx datasets.

The mRNA expression levels in pig are based on RNA-seq data generated by the Human Protein Atlas (HPA), and for mouse, HPA data and in situ hybridization generated by the Allen brain atlas are reported.

Scroll down to view mRNA expression data in more detail.
Consensus:17.1 nTPM
HPA:11.0 nTPM
GTEx:17.1 nTPM

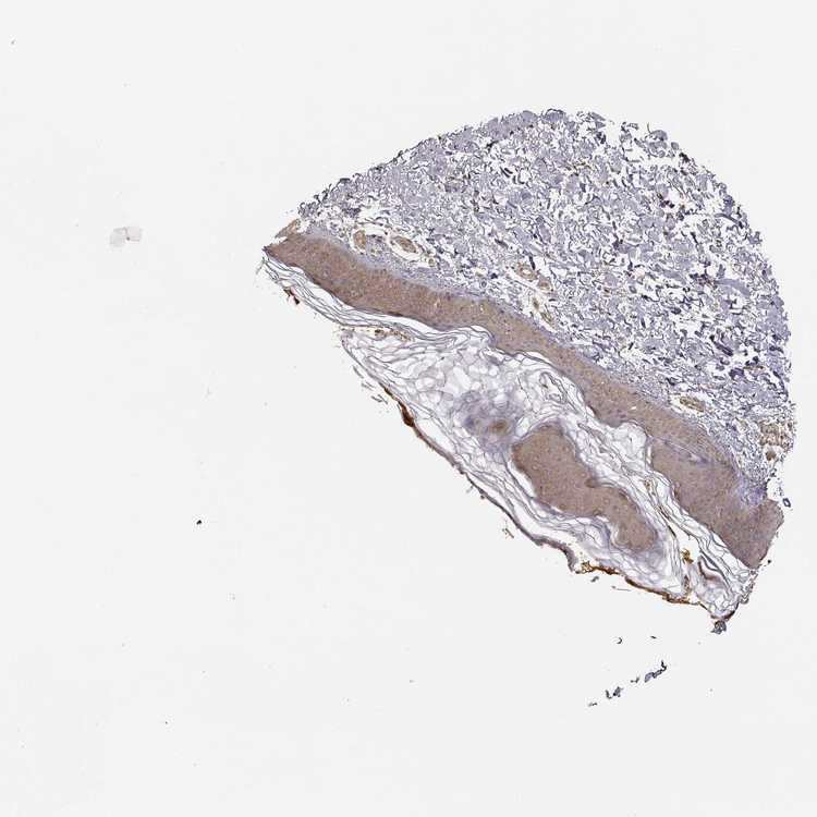
SKIN 1 - Antibody stainingi

Antibody staining in the annotated cell types in the current human tissue is reported as not detected, low, medium, or high, based on conventional immunohistochemistry profiling in selected tissues. This score is based on the combination of the staining intensity and fraction of stained cells.

Each image is clickable and will lead to virtual microscopy that enables deeper exploration of all samples and also displays staining intensity scores, fraction scores and subcellular localization as well as patient and tissue information for each sample.

Antibody HPA015693Antibody CAB078156
Langerhans Not detectedNot detected
Fibroblasts MediumNot detected
Keratinocytes LowNot detected
Melanocytes Not detectedNot detected


SKIN 2 - Antibody stainingi

Antibody staining in the annotated cell types in the current human tissue is reported as not detected, low, medium, or high, based on conventional immunohistochemistry profiling in selected tissues. This score is based on the combination of the staining intensity and fraction of stained cells.

Each image is clickable and will lead to virtual microscopy that enables deeper exploration of all samples and also displays staining intensity scores, fraction scores and subcellular localization as well as patient and tissue information for each sample.

Antibody HPA015693Antibody CAB078156
Epidermal cells MediumNot detected
  
  
  





SKIN - HPA RNA-seqi

The RNA-seq details section shows detailed information about the individual samples used for the transcript profiling and results of the RNA-seq analysis.

Information about each individual sample is listed below, including gender, age, a tissue section image and estimated fractions of cell types. nTPM (normalized transcripts per million) values give a quantification of the gene abundance which is comparable between different genes and samples.
Average nTPMi

Max subtype nTPM is the value for the subtype with the largest average nTPM across the subtype samples.

11.0
overview
Female, age 34
Skin sample 225
nTPM: 10.9
Cell types%
Keratinocytes:
60

Other cell types:
40

overview
Female, age 30
Skin sample 226
nTPM: 9
Cell types%
Keratinocytes:
55

Other cell types:
45

N/A
Male, age 57
Skin sample 227
nTPM: 13.2

SKIN - GTEx RNA-seqi

RNA-Seq data generated by the Genotype-Tissue Expression (GTEx) project from human tissues is reported as mean nTPM. More information can be found on the GTEx portal.

Distribution across the dataset is visualized with box plots, shown as median and 25th and 75th percentiles. Points are displayed as outliers if they are above or below 1.5 times the interquartile range. nTPM values of the individual samples are presented next to the box plot.
Max subtype nTPMi

Max subtype nTPM is the value for the subtype with the largest average nTPM across the subtype samples.

17.1
GTEx sample id Sample description nTPM
Skin - Not Sun Exposed (Suprapubic)
Average nTPM: 15.3
Samples: 604

Max nTPM: 52.5
Min nTPM: 1.7
Std nTPM: 8.0
Median nTPM: 13.5
GTEX-1HCU8-2526-SM-CE6RX 60-69 years, female 52.5
GTEX-1IDJE-1426-SM-ADEIW 50-59 years, female 47.5
GTEX-13N1W-2426-SM-5IJD1 70-79 years, male 40.2
GTEX-1J8JJ-0626-SM-ARZMQ 60-69 years, female 40.1
GTEX-11DXW-0826-SM-5H118 40-49 years, male 39.6
GTEX-17JCI-2926-SM-7DUFF 60-69 years, female 39.0
GTEX-WYVS-1626-SM-3NM9R 40-49 years, female 38.8
GTEX-1JMOU-1026-SM-CYPSS 60-69 years, female 38.7
GTEX-14A5H-0826-SM-5QGPJ 60-69 years, male 38.6
GTEX-1F75W-2726-SM-7SB8H 60-69 years, male 38.5
GTEX-1HUB1-1426-SM-CGQF5 60-69 years, male 37.4
GTEX-1F48J-0726-SM-7RHGS 50-59 years, female 37.3
GTEX-1F6IF-0926-SM-7SB7M 60-69 years, male 37.3
GTEX-WHSE-0126-SM-3NMBT 20-29 years, male 37.0
GTEX-17HG3-2626-SM-7DUF2 30-39 years, female 36.8
GTEX-WYBS-0626-SM-3NMAS 60-69 years, female 36.7
GTEX-111FC-2526-SM-5GZXU 60-69 years, male 36.3
GTEX-14E6C-2426-SM-5S2NF 40-49 years, male 36.3
GTEX-1H3NZ-2726-SM-9WYTQ 60-69 years, male 35.8
GTEX-ZVTK-0226-SM-51MRG 20-29 years, male 34.5
GTEX-1HC8U-1326-SM-9YFMJ 40-49 years, female 34.5
GTEX-ZDXO-3126-SM-5IJDF 60-69 years, male 34.4
GTEX-12584-0726-SM-5FQTK 40-49 years, male 33.5
GTEX-ZVE1-0726-SM-51MRN 50-59 years, female 33.4
GTEX-131YS-2826-SM-5EQ47 60-69 years, female 33.1
GTEX-X8HC-0626-SM-4E3HQ 50-59 years, female 32.7
GTEX-ZVE2-2826-SM-5GU51 50-59 years, male 32.6
GTEX-X4EP-0626-SM-3P621 60-69 years, female 32.1
GTEX-16MT9-0126-SM-7EPI8 60-69 years, female 31.7
GTEX-1EWIQ-0326-SM-7DHMQ 70-79 years, female 31.7
GTEX-W5X1-2526-SM-3GILC 40-49 years, female 31.6
GTEX-XK95-0226-SM-4AT58 40-49 years, male 31.3
GTEX-1IDJD-2326-SM-ACKWX 30-39 years, male 31.0
GTEX-ZU9S-1826-SM-5NQ9E 30-39 years, male 30.5
GTEX-13OVJ-0826-SM-5J1OK 50-59 years, female 30.2
GTEX-1A32A-0626-SM-731AQ 50-59 years, female 30.2
GTEX-1399R-1326-SM-5PNYS 30-39 years, male 30.1
GTEX-1H1CY-0126-SM-9YFLY 60-69 years, female 30.1
GTEX-18D9B-0926-SM-7LG4U 60-69 years, male 29.8
GTEX-1CAV2-0126-SM-7IGN7 40-49 years, female 29.7
GTEX-16GPK-0626-SM-7KFSF 60-69 years, male 29.6
GTEX-145MG-1526-SM-5Q5EM 50-59 years, male 29.5
GTEX-11EI6-2826-SM-5H11D 60-69 years, male 29.4
GTEX-YJ8O-2526-SM-5HL85 40-49 years, female 28.9
GTEX-1A8FM-0626-SM-7PC25 50-59 years, female 28.8
GTEX-147JS-0226-SM-5S2U9 60-69 years, male 28.7
GTEX-15SHW-0226-SM-7LTAT 60-69 years, male 28.7
GTEX-132AR-0326-SM-5KM2C 50-59 years, female 28.6
GTEX-VJYA-1526-SM-3GIJV 60-69 years, male 27.9
GTEX-1GF9U-2026-SM-7SB92 40-49 years, female 27.9
GTEX-146FQ-2126-SM-5RQHU 30-39 years, male 27.7
GTEX-13U4I-2226-SM-5LU5H 40-49 years, female 27.6
GTEX-XOT4-0626-SM-4B66L 60-69 years, female 27.3
GTEX-13NZ9-2626-SM-5L3FK 50-59 years, male 27.2
GTEX-15DYW-2726-SM-6EU2I 60-69 years, female 27.1
GTEX-1F6I4-2326-SM-7RHGL 60-69 years, male 26.8
GTEX-1314G-1326-SM-5BC6E 30-39 years, male 26.7
GTEX-12WSL-2026-SM-5GCML 50-59 years, male 26.6
GTEX-131XW-0626-SM-5PNVD 50-59 years, female 26.6
GTEX-13113-1626-SM-5EQ4I 60-69 years, female 26.5
GTEX-15RJ7-2126-SM-6PAMD 40-49 years, male 26.2
GTEX-1QP66-1226-SM-DTX7U 50-59 years, male 26.2
GTEX-1117F-2926-SM-5GZYI 60-69 years, female 26.1
GTEX-16Z82-2626-SM-7KULU 60-69 years, male 25.9
GTEX-14DAQ-0626-SM-793DS 60-69 years, female 25.8
GTEX-14PJ2-0626-SM-6LLII 50-59 years, male 25.7
GTEX-YB5K-2026-SM-4VDT3 40-49 years, female 25.7
GTEX-1GZHY-0626-SM-9KNVC 50-59 years, female 25.7
GTEX-17EVQ-0126-SM-7IGLR 70-79 years, male 25.6
GTEX-1AX8Z-0726-SM-73KTS 60-69 years, male 25.5
GTEX-1JN6P-2926-SM-CL54D 60-69 years, male 25.5
GTEX-1LVAO-2726-SM-E9TJ8 60-69 years, male 25.5
GTEX-11GSP-2326-SM-5HL63 60-69 years, female 25.2
GTEX-UPK5-0426-SM-3GAEK 40-49 years, male 25.2
GTEX-15CHQ-0326-SM-69LQD 60-69 years, male 25.1
GTEX-ZUA1-2626-SM-5NQ92 40-49 years, male 25.0
GTEX-1I4MK-0126-SM-CY8G6 50-59 years, female 25.0
GTEX-ZAK1-0626-SM-5HL8E 50-59 years, female 24.9
GTEX-1HFI6-0126-SM-CNPPI 40-49 years, male 24.9
GTEX-1M4P7-0726-SM-E6CJ3 60-69 years, male 24.9
GTEX-ZDTS-0826-SM-4WKHL 60-69 years, male 24.7
GTEX-18465-2826-SM-7LT9J 50-59 years, male 24.5
GTEX-18A7A-0126-SM-731AH 50-59 years, female 24.5
GTEX-18A7B-2726-SM-7LG56 70-79 years, male 23.8
GTEX-XBEC-0726-SM-4QARZ 50-59 years, male 23.8
GTEX-WFG8-2126-SM-3GIKQ 20-29 years, male 23.7
GTEX-1IDJF-2026-SM-CL53V 20-29 years, male 23.7
GTEX-1EX96-1026-SM-7MKG2 50-59 years, male 23.6
GTEX-ZF3C-0626-SM-DO92O 50-59 years, female 23.6
GTEX-14JG1-1526-SM-5YY9X 40-49 years, male 23.5
GTEX-U8XE-0226-SM-4E3J3 30-39 years, male 23.5
GTEX-1KWVE-1026-SM-D3L9O 30-39 years, male 23.5
GTEX-1QEPI-2626-SM-DTXF4 60-69 years, female 23.4
GTEX-13X6J-0626-SM-5LU5F 50-59 years, male 23.3
GTEX-14BMU-1226-SM-5S2OR 20-29 years, female 23.3
GTEX-16YQH-2226-SM-7IGM2 30-39 years, male 23.2
GTEX-13112-0126-SM-5P9IU 50-59 years, male 23.0
GTEX-15FZZ-0526-SM-7KUGD 30-39 years, female 22.9
GTEX-1RB15-1326-SM-E76Q9 60-69 years, male 22.9
GTEX-1GZ2Q-0126-SM-9WG6M 40-49 years, male 22.8
GTEX-11O72-0626-SM-5PNYE 40-49 years, male 22.4
GTEX-WRHU-2826-SM-3MJG8 50-59 years, female 22.4
GTEX-14PK6-0226-SM-62LF5 70-79 years, female 22.2
GTEX-1I1CD-0626-SM-CE6SW 60-69 years, female 22.2
GTEX-Y3IK-1626-SM-4YCF5 50-59 years, female 22.0
GTEX-ZC5H-1526-SM-5HL9Y 40-49 years, female 22.0
GTEX-1H1ZS-2726-SM-9WG75 70-79 years, male 22.0
GTEX-1HSMO-0626-SM-ACKXC 60-69 years, male 21.9
GTEX-1E1VI-0326-SM-793D1 50-59 years, male 21.8
GTEX-WI4N-2726-SM-3LK7Y 40-49 years, female 21.8
GTEX-1I19N-0126-SM-CYPSF 70-79 years, male 21.8
GTEX-1QP29-1826-SM-DTX9S 50-59 years, male 21.8
GTEX-13SLX-2226-SM-62LEP 50-59 years, female 21.7
GTEX-X4EO-2926-SM-4E3JH 60-69 years, female 21.7
GTEX-ZE7O-2726-SM-51MT5 50-59 years, female 21.5
GTEX-1HBPI-2126-SM-ARL9K 50-59 years, male 21.5
GTEX-1F88E-1626-SM-7SB8Z 60-69 years, female 21.4
GTEX-1HR98-2226-SM-ADEI2 60-69 years, male 21.4
GTEX-1477Z-0326-SM-7IGLA 60-69 years, male 21.3
GTEX-1F75A-0726-SM-7RHHD 50-59 years, male 21.3
GTEX-1RAZR-2126-SM-E9U6T 40-49 years, male 21.3
GTEX-13PVQ-0626-SM-5LU47 50-59 years, male 21.2
GTEX-183FY-1026-SM-7939A 20-29 years, male 21.1
GTEX-18A66-0626-SM-7LT8Z 60-69 years, male 21.1
GTEX-1AX9J-1326-SM-731BJ 60-69 years, male 21.1
GTEX-ZYFC-0426-SM-5GICQ 50-59 years, male 21.1
GTEX-1JMQK-1226-SM-D4P2S 60-69 years, male 21.1
GTEX-1QCLZ-2426-SM-EVYBW 60-69 years, female 21.0
GTEX-12126-0826-SM-5FQTZ 20-29 years, male 20.9
GTEX-139YR-1026-SM-5LZYN 50-59 years, male 20.9
GTEX-13OVL-0126-SM-5L3GJ 50-59 years, male 20.9
GTEX-145LS-0626-SM-7EPG7 60-69 years, female 20.9
GTEX-XQ3S-1426-SM-4BOPR 20-29 years, male 20.8
GTEX-11NSD-0626-SM-5A5LU 20-29 years, male 20.6
GTEX-13N2G-0226-SM-5K7VF 60-69 years, male 20.5
GTEX-Y5LM-0926-SM-6LLJG 40-49 years, female 20.5
GTEX-13OVK-1426-SM-6PAN7 40-49 years, male 20.4
GTEX-WHPG-2626-SM-3NMBR 50-59 years, male 20.4
GTEX-1IL2V-1926-SM-B2LW8 70-79 years, male 20.3
GTEX-13FH7-1126-SM-5K7UG 50-59 years, female 20.2
GTEX-XMD2-2126-SM-4YCF8 60-69 years, female 20.2
GTEX-12WSD-0626-SM-5GCMW 60-69 years, female 20.1
GTEX-1IDJC-1526-SM-B2LW4 50-59 years, male 20.1
GTEX-Z93S-1626-SM-5CVMB 50-59 years, male 20.0
GTEX-178AV-1726-SM-7KUL8 40-49 years, male 19.9
GTEX-1LBAC-0826-SM-CY8IJ 20-29 years, male 19.9
GTEX-13JUV-2026-SM-5K7UA 40-49 years, female 19.8
GTEX-1CB4F-1026-SM-7DUH1 60-69 years, male 19.8
GTEX-11DZ1-2426-SM-5GZZX 50-59 years, male 19.7
GTEX-12WSF-1626-SM-7KUG5 70-79 years, male 19.7
GTEX-1B933-2426-SM-7DHMD 50-59 years, female 19.7
GTEX-1HCU6-2526-SM-ADEHL 60-69 years, female 19.7
GTEX-11DYG-1526-SM-5A5JS 60-69 years, male 19.6
GTEX-1ICLZ-0326-SM-ARL82 60-69 years, male 19.6
GTEX-1B8KZ-0326-SM-73KY4 50-59 years, male 19.5
GTEX-ZPU1-1126-SM-4YCF3 40-49 years, male 19.5
GTEX-13OW8-1026-SM-5J1NQ 60-69 years, male 19.4
GTEX-ZT9W-1126-SM-57WDR 50-59 years, male 19.4
GTEX-1AYD5-2626-SM-7PBXY 50-59 years, male 19.4
GTEX-16MT8-2926-SM-7DUFO 60-69 years, female 19.1
GTEX-1GF9W-1426-SM-7PBYM 60-69 years, male 19.0
GTEX-11NUK-2726-SM-5A5MC 50-59 years, male 18.9
GTEX-11DXY-0126-SM-5H11Q 60-69 years, male 18.8
GTEX-1LG7Z-1626-SM-CXKYR 30-39 years, male 18.7
GTEX-1L5NE-1126-SM-D3L9P 50-59 years, male 18.6
GTEX-1PIGE-1826-SM-E8VOU 20-29 years, male 18.6
GTEX-WK11-2726-SM-3NMAQ 50-59 years, male 18.5
GTEX-1LVA9-2626-SM-EVYD4 50-59 years, male 18.5
GTEX-1IDJI-0126-SM-CMKHS 50-59 years, female 18.4
GTEX-17HHY-0426-SM-7DHLC 50-59 years, male 18.3
GTEX-VUSG-2326-SM-4KL1U 50-59 years, male 18.3
GTEX-1399Q-2326-SM-5KM2X 40-49 years, male 18.2
GTEX-18A6Q-0626-SM-7KFRP 60-69 years, male 18.2
GTEX-1C6WA-2626-SM-7MKGM 60-69 years, male 18.2
GTEX-1EKGG-0626-SM-7DUGJ 60-69 years, male 18.1
GTEX-17F96-0126-SM-7EWDU 70-79 years, male 18.0
GTEX-17HGU-2326-SM-7DUFE 50-59 years, male 18.0
GTEX-1GMRU-2126-SM-7P8RA 50-59 years, male 18.0
GTEX-1211K-1526-SM-5FQU4 60-69 years, female 17.8
GTEX-13OVG-1626-SM-5J1NF 60-69 years, male 17.8
GTEX-16NPX-0726-SM-7KULC 50-59 years, male 17.8
GTEX-1JKYN-0826-SM-ARU8S 30-39 years, male 17.8
GTEX-12KS4-2126-SM-5FQUT 30-39 years, male 17.7
GTEX-139TS-2126-SM-5K7XC 60-69 years, male 17.7
GTEX-13OW7-0426-SM-5K7VK 50-59 years, male 17.7
GTEX-Y5V5-0126-SM-5S2NW 60-69 years, female 17.7
GTEX-ZAB4-2126-SM-5HL8U 40-49 years, male 17.7
GTEX-1KD5A-0126-SM-E9U54 50-59 years, male 17.7
GTEX-1POEN-2326-SM-E9J2L 30-39 years, female 17.7
GTEX-1O9I2-0226-SM-EYYXD 50-59 years, male 17.6
GTEX-1A3MW-0626-SM-731CB 60-69 years, female 17.5
GTEX-1EN7A-2426-SM-793DB 40-49 years, male 17.5
GTEX-13X6K-0626-SM-5LU5D 60-69 years, female 17.4
GTEX-15ER7-0626-SM-6PANF 20-29 years, female 17.4
GTEX-1LSNL-2726-SM-E9TKJ 50-59 years, male 17.4
GTEX-147F3-1726-SM-5SIAW 50-59 years, female 17.3
GTEX-1IDJH-0126-SM-D3L92 70-79 years, male 17.3
GTEX-1H23P-0626-SM-9WG6T 60-69 years, male 17.2
GTEX-12WSH-1526-SM-5BC5W 50-59 years, male 17.1
GTEX-14PJO-2526-SM-6AJBQ 60-69 years, male 17.0
GTEX-1HSKV-1226-SM-ADEI4 60-69 years, male 17.0
GTEX-ZAJG-1526-SM-5CVML 50-59 years, female 16.8
GTEX-1GMR3-0126-SM-A9SLW 40-49 years, male 16.8
GTEX-1R9K4-2826-SM-DTX8F 60-69 years, male 16.8
GTEX-1I6K7-1926-SM-B2LXR 40-49 years, male 16.7
GTEX-ZYW4-0626-SM-59HJR 60-69 years, male 16.6
GTEX-147F4-0726-SM-5TDDD 50-59 years, male 16.5
GTEX-V1D1-2026-SM-3GAF4 50-59 years, male 16.5
GTEX-X3Y1-2026-SM-3P5YM 40-49 years, male 16.5
GTEX-1JMPZ-0726-SM-CY8HZ 30-39 years, male 16.5
GTEX-1LSNM-0826-SM-DIPG8 50-59 years, male 16.5
GTEX-14ABY-2026-SM-62LDL 50-59 years, male 16.4
GTEX-15RIE-1926-SM-7KUKJ 60-69 years, male 16.4
GTEX-183WM-0326-SM-72D5V 70-79 years, female 16.4
GTEX-1EU9M-1426-SM-793AI 60-69 years, male 16.4
GTEX-1H4P4-2126-SM-9WYSL 50-59 years, male 16.4
GTEX-1I1HK-2326-SM-CKZOH 60-69 years, male 16.4
GTEX-1IY9M-2826-SM-ARU8H 60-69 years, male 16.4
GTEX-139D8-1126-SM-5LU8W 30-39 years, female 16.3
GTEX-ZYFD-0626-SM-5E44E 50-59 years, male 16.3
GTEX-11EQ8-0926-SM-5H12V 60-69 years, male 16.2
GTEX-13O3O-2326-SM-5IJD6 60-69 years, female 16.2
GTEX-1QMI2-2526-SM-E8VNZ 60-69 years, male 16.2
GTEX-1212Z-0126-SM-59HK4 60-69 years, male 16.1
GTEX-13QBU-1226-SM-5LU4G 40-49 years, female 16.1
GTEX-WEY5-2326-SM-3GIKK 40-49 years, female 16.1
GTEX-ZF2S-1626-SM-57WES 50-59 years, female 16.1
GTEX-1GMR2-0826-SM-7PC3V 50-59 years, male 16.1
GTEX-1KANB-2826-SM-CY8I6 50-59 years, male 16.1
GTEX-144GM-0526-SM-79OJO 20-29 years, male 16.0
GTEX-17F97-2626-SM-7IGM5 50-59 years, male 16.0
GTEX-1LGOU-1326-SM-D3L8M 20-29 years, female 16.0
GTEX-1RAZA-2226-SM-E9U4X 20-29 years, male 16.0
GTEX-1RLM8-2926-SM-E8VON 50-59 years, male 16.0
GTEX-Y8E4-2026-SM-5IFJB 40-49 years, male 15.9
GTEX-1I6K6-1726-SM-CGQFD 30-39 years, male 15.9
GTEX-1R9PN-0426-SM-DTXDT 40-49 years, female 15.9
GTEX-1GTWX-2026-SM-9YFLM 60-69 years, male 15.8
GTEX-11EM3-1226-SM-5N9DD 20-29 years, female 15.7
GTEX-139T8-0626-SM-5KLZX 60-69 years, male 15.7
GTEX-1497J-0226-SM-5QGPU 60-69 years, male 15.7
GTEX-X585-2426-SM-46MW2 50-59 years, male 15.7
GTEX-16XZZ-0726-SM-7KUF2 60-69 years, male 15.6
GTEX-ZXG5-2126-SM-59HKD 60-69 years, male 15.6
GTEX-1GN2E-0226-SM-9WG6K 60-69 years, male 15.6
GTEX-1HCU9-0426-SM-9WYSD 20-29 years, male 15.6
GTEX-11UD2-2526-SM-5CVNU 50-59 years, male 15.5
GTEX-13N11-2326-SM-5IJBF 50-59 years, female 15.5
GTEX-YF7O-1526-SM-5IFI6 50-59 years, male 15.5
GTEX-1I1GP-1326-SM-A9G28 50-59 years, male 15.5
GTEX-1K9T9-1526-SM-DIPFR 50-59 years, female 15.5
GTEX-ZLFU-1826-SM-4WWBV 40-49 years, male 15.4
GTEX-1JMLX-0626-SM-ARL8T 50-59 years, male 15.4
GTEX-1N5O9-0926-SM-E9J3C 60-69 years, male 15.3
GTEX-145LT-0526-SM-5LUB2 40-49 years, male 15.2
GTEX-ZLWG-0826-SM-59888 50-59 years, female 15.2
GTEX-14JFF-0626-SM-5ZZVT 60-69 years, male 15.2
GTEX-11WQC-1826-SM-5GU59 60-69 years, male 15.1
GTEX-1C64N-2626-SM-7PC2N 50-59 years, male 15.1
GTEX-12WSC-2826-SM-5BC5Y 50-59 years, male 14.8
GTEX-1AX9I-2226-SM-73KUO 60-69 years, male 14.8
GTEX-XUW1-0926-SM-4BONX 50-59 years, female 14.8
GTEX-ZVP2-0326-SM-57WBP 50-59 years, male 14.8
GTEX-18D9A-1426-SM-7LT8M 30-39 years, female 14.8
GTEX-1CAMR-1326-SM-7PC1F 20-29 years, male 14.8
GTEX-11OF3-0126-SM-5PNYF 60-69 years, male 14.7
GTEX-1B932-2326-SM-79OL5 40-49 years, female 14.7
GTEX-12C56-1526-SM-5FQUQ 20-29 years, male 14.6
GTEX-13FTW-0326-SM-5K7UW 40-49 years, male 14.6
GTEX-13VXU-0626-SM-5L3F9 50-59 years, male 14.6
GTEX-145MO-2826-SM-5LU96 60-69 years, male 14.6
GTEX-16MTA-0926-SM-6M47Z 50-59 years, male 14.6
GTEX-1A3MX-2626-SM-7PC24 60-69 years, male 14.6
GTEX-13NYC-0126-SM-5L3F4 60-69 years, male 14.5
GTEX-1JN1M-2726-SM-CY8I4 60-69 years, female 14.3
GTEX-1LSVX-2526-SM-DIPEU 60-69 years, male 14.3
GTEX-11EQ9-1626-SM-5PNY8 30-39 years, male 14.2
GTEX-11GS4-0226-SM-5HL77 60-69 years, male 14.2
GTEX-131XH-0126-SM-5LZUY 50-59 years, male 14.2
GTEX-13RTJ-0126-SM-5S2NN 60-69 years, male 14.2
GTEX-Y5V6-2326-SM-4VDSA 60-69 years, male 14.2
GTEX-1JMQL-2226-SM-CNPP4 50-59 years, female 14.2
GTEX-12BJ1-0926-SM-5EQ62 60-69 years, male 14.1
GTEX-14AS3-1526-SM-5Q5ED 40-49 years, female 14.0
GTEX-14LZ3-0126-SM-69LPM 60-69 years, female 14.0
GTEX-17F98-1326-SM-7DUEP 40-49 years, female 14.0
GTEX-1ICG6-1226-SM-A9SLN 70-79 years, female 14.0
GTEX-13YAN-0226-SM-5TDC6 60-69 years, male 13.9
GTEX-1H1DG-2426-SM-9QEHJ 70-79 years, male 13.9
GTEX-1N2EE-0626-SM-E76PW 60-69 years, male 13.8
GTEX-15D1Q-2826-SM-6LLH7 40-49 years, male 13.7
GTEX-WXYG-2026-SM-4E3IY 50-59 years, female 13.7
GTEX-ZYFG-1526-SM-5GZYM 60-69 years, female 13.7
GTEX-1MCC2-1826-SM-DIPEX 30-39 years, female 13.7
GTEX-13O3Q-0126-SM-5KM34 50-59 years, male 13.6
GTEX-13X6H-0926-SM-5SIB2 50-59 years, female 13.6
GTEX-XPVG-2126-SM-4B667 50-59 years, male 13.6
GTEX-1K2DA-1026-SM-CGQGF 50-59 years, male 13.6
GTEX-ZGAY-1826-SM-DO91Q 40-49 years, female 13.6
GTEX-139TT-2126-SM-5LZWC 60-69 years, male 13.5
GTEX-139TU-0726-SM-5L3EK 60-69 years, male 13.5
GTEX-1B996-0426-SM-7EWF8 60-69 years, male 13.5
GTEX-1KANC-1226-SM-CYPT7 50-59 years, female 13.5
GTEX-15CHR-1126-SM-7EWF4 50-59 years, male 13.4
GTEX-ZA64-1026-SM-5HL8R 20-29 years, male 13.4
GTEX-1I1GV-0626-SM-ARL7M 60-69 years, male 13.4
GTEX-1PPGY-1626-SM-EVYBL 60-69 years, male 13.4
GTEX-117YX-1926-SM-5GIEC 50-59 years, male 13.3
GTEX-12ZZY-0726-SM-5EQ66 60-69 years, male 13.3
GTEX-14PHX-2226-SM-6EU2P 50-59 years, male 13.3
GTEX-17MFQ-1526-SM-7KFRR 20-29 years, male 13.3
GTEX-15EU6-2226-SM-6EU2L 50-59 years, male 13.2
GTEX-Y8LW-1526-SM-5IFHL 50-59 years, female 13.2
GTEX-1A8G7-1326-SM-73KVM 60-69 years, male 13.1
GTEX-1B8SF-0126-SM-7DUG3 60-69 years, male 13.1
GTEX-14JG6-1426-SM-9WG7C 30-39 years, female 13.1
GTEX-1C475-1326-SM-7SB73 40-49 years, female 13.1
GTEX-1I1GS-2626-SM-B2LY3 60-69 years, male 13.1
GTEX-12ZZZ-0726-SM-5GCNZ 60-69 years, male 13.0
GTEX-144FL-0626-SM-5LU43 50-59 years, male 13.0
GTEX-1C64O-1326-SM-7MGWR 60-69 years, male 12.9
GTEX-1H1DF-1126-SM-9WG7G 40-49 years, female 12.9
GTEX-17EVP-2626-SM-7IGMA 40-49 years, male 12.8
GTEX-ZDYS-2426-SM-4WKGI 50-59 years, male 12.8
GTEX-11P82-1426-SM-DTXFY 20-29 years, male 12.7
GTEX-1JJE9-2626-SM-ARZMT 70-79 years, male 12.7
GTEX-1LVAN-0626-SM-CNPOQ 50-59 years, female 12.7
GTEX-111YS-1526-SM-5GZYW 60-69 years, male 12.6
GTEX-12ZZX-2426-SM-5GCOE 40-49 years, female 12.6
GTEX-15UF6-1926-SM-7KUDV 70-79 years, female 12.6
GTEX-1A8G6-2726-SM-731AR 60-69 years, male 12.6
GTEX-1BAJH-2426-SM-7IGP8 70-79 years, male 12.6
GTEX-ZTSS-1426-SM-5985P 40-49 years, male 12.6
GTEX-1JMQI-1726-SM-ARL93 50-59 years, male 12.6
GTEX-1QW4Y-1126-SM-DTXE3 30-39 years, male 12.6
GTEX-11VI4-1126-SM-5EQMD 40-49 years, female 12.5
GTEX-13OW6-2726-SM-5J2OE 50-59 years, male 12.5
GTEX-145ME-1726-SM-5Q5EU 40-49 years, female 12.5
GTEX-145MH-2826-SM-5RQJF 50-59 years, male 12.5
GTEX-15EO6-2426-SM-6PALZ 50-59 years, male 12.5
GTEX-17KNJ-2126-SM-718AM 50-59 years, male 12.5
GTEX-17MF6-2626-SM-79OKQ 40-49 years, male 12.5
GTEX-1J8Q3-0526-SM-ARL8U 60-69 years, male 12.5
GTEX-139UW-0326-SM-5J1ML 60-69 years, male 12.4
GTEX-13NYB-0126-SM-5J1MD 40-49 years, male 12.4
GTEX-11DXZ-2026-SM-5987S 50-59 years, male 12.3
GTEX-1GPI7-1826-SM-9KNU1 20-29 years, male 12.3
GTEX-1J8EW-2726-SM-CY8HR 60-69 years, female 12.3
GTEX-145LU-1926-SM-79OJN 50-59 years, male 12.2
GTEX-1CB4H-1126-SM-7MKGL 60-69 years, female 12.2
GTEX-XXEK-1626-SM-4BRUZ 50-59 years, male 12.2
GTEX-1F88F-0126-SM-9WYSZ 60-69 years, female 12.2
GTEX-1GN73-0726-SM-7P8TJ 60-69 years, male 12.2
GTEX-1H3O1-1326-SM-9MQLD 60-69 years, male 12.2
GTEX-11P7K-1126-SM-5HL4L 30-39 years, male 12.1
GTEX-13FHO-0426-SM-5L3F5 60-69 years, male 12.1
GTEX-13FLV-0126-SM-5K7WT 50-59 years, male 12.1
GTEX-14A6H-2026-SM-5Q5DD 30-39 years, male 12.1
GTEX-WH7G-2026-SM-3NMBL 40-49 years, male 12.1
GTEX-16BQI-1326-SM-6M486 30-39 years, female 12.0
GTEX-ZT9X-1526-SM-5DUXD 40-49 years, male 11.9
GTEX-1S831-1826-SM-EWROF 20-29 years, male 11.9
GTEX-15G1A-1626-SM-7KUKN 30-39 years, male 11.8
GTEX-ZVT4-2426-SM-5GIEI 50-59 years, female 11.8
GTEX-1CAMQ-1326-SM-7P8RV 40-49 years, male 11.8
GTEX-1HCUA-0826-SM-ADEHM 50-59 years, female 11.8
GTEX-15G19-2426-SM-7KUMR 60-69 years, male 11.7
GTEX-WHWD-1826-SM-3LK6I 50-59 years, male 11.7
GTEX-1S82P-2126-SM-E6CI5 60-69 years, female 11.7
GTEX-ZZPU-0826-SM-5GZX5 50-59 years, female 11.6
GTEX-1HB9E-0126-SM-CM2S5 50-59 years, male 11.6
GTEX-1IKOE-1426-SM-CE6T7 30-39 years, female 11.6
GTEX-1LB8K-0726-SM-D5OV2 50-59 years, male 11.6
GTEX-14DAR-1226-SM-73KYV 50-59 years, male 11.5
GTEX-18D9U-0126-SM-731BM 40-49 years, male 11.5
GTEX-ZZ64-1026-SM-5GZXG 20-29 years, male 11.5
GTEX-1RAZS-2526-SM-E6CHT 50-59 years, male 11.5
GTEX-17F9Y-0126-SM-79OKX 70-79 years, female 11.4
GTEX-1LG7Y-2526-SM-EWRO7 50-59 years, male 11.4
GTEX-1QAET-0326-SM-EVR3U 50-59 years, male 11.4
GTEX-11ZTT-2126-SM-5CVLO 60-69 years, female 11.3
GTEX-14E6E-0526-SM-793DN 30-39 years, male 11.3
GTEX-1HSMP-0926-SM-A9SKX 70-79 years, male 11.3
GTEX-1IKJJ-2226-SM-CJI4C 60-69 years, male 11.3
GTEX-WFON-1926-SM-3LK7L 40-49 years, male 11.2
GTEX-1CB4I-0126-SM-7RHGG 50-59 years, male 11.2
GTEX-1GN1U-0626-SM-9MQL9 50-59 years, female 11.2
GTEX-1KANA-1326-SM-DIPFA 20-29 years, male 11.2
GTEX-144GL-0626-SM-5LU4D 50-59 years, male 11.1
GTEX-145MN-1526-SM-5SI9T 30-39 years, male 11.1
GTEX-1IOXB-2726-SM-CM2RI 50-59 years, male 11.1
GTEX-1K2DU-1226-SM-CYPT4 20-29 years, male 11.0
GTEX-1MJK3-0726-SM-E6CJC 20-29 years, male 11.0
GTEX-14BMV-2826-SM-5TDED 50-59 years, male 10.9
GTEX-1B97I-0626-SM-73KUZ 40-49 years, male 10.9
GTEX-X5EB-1926-SM-4E3IW 40-49 years, male 10.9
GTEX-ZTTD-2826-SM-4YCFA 50-59 years, male 10.9
GTEX-1H1DE-1326-SM-9KNUG 20-29 years, male 10.9
GTEX-1192X-2726-SM-5N9DN 50-59 years, male 10.8
GTEX-17F9E-2326-SM-79OKD 50-59 years, male 10.8
GTEX-1GL5R-1326-SM-7RHHF 50-59 years, male 10.8
GTEX-1JMQJ-0826-SM-CNPP7 50-59 years, male 10.8
GTEX-1LGRB-0926-SM-COH3K 50-59 years, female 10.8
GTEX-1GPI6-1926-SM-9KNV7 60-69 years, male 10.7
GTEX-1GZ4I-2626-SM-9KNU3 50-59 years, male 10.7
GTEX-13X6I-1826-SM-5SIAO 60-69 years, male 10.6
GTEX-Y111-0626-SM-4SOIT 50-59 years, male 10.6
GTEX-1HKZK-0726-SM-ACKW2 40-49 years, male 10.6
GTEX-11ZUS-2626-SM-5FQUR 30-39 years, male 10.5
GTEX-12WSJ-1126-SM-5LZVJ 40-49 years, female 10.5
GTEX-XBEW-1126-SM-4QARW 40-49 years, male 10.5
GTEX-1GMR8-0626-SM-7RHI7 50-59 years, female 10.5
GTEX-1JKYR-0626-SM-ARL8R 20-29 years, male 10.5
GTEX-1PIIG-2326-SM-DTXFR 30-39 years, male 10.5
GTEX-15RIG-0726-SM-7KUM7 40-49 years, male 10.4
GTEX-1KAFJ-0126-SM-DIPEK 50-59 years, male 10.4
GTEX-13G51-1826-SM-5KLZH 60-69 years, male 10.3
GTEX-145MI-0626-SM-5SI8S 60-69 years, female 10.3
GTEX-15SKB-2826-SM-6PAMH 60-69 years, male 10.3
GTEX-16NGA-0726-SM-731AO 40-49 years, female 10.3
GTEX-1CB4E-0926-SM-7EPHT 60-69 years, male 10.3
GTEX-13FTY-2126-SM-5IFFB 40-49 years, female 10.2
GTEX-1F52S-2926-SM-7MKGA 60-69 years, female 10.2
GTEX-ZYVF-0926-SM-5E44J 50-59 years, female 10.2
GTEX-1EMGI-2326-SM-7PBYA 60-69 years, male 10.2
GTEX-1F75B-0726-SM-7PC3R 50-59 years, male 10.2
GTEX-12696-0126-SM-5EQ4L 60-69 years, male 10.1
GTEX-13PVR-0426-SM-5RQK2 60-69 years, female 10.1
GTEX-14LLW-2626-SM-62LDZ 70-79 years, female 10.1
GTEX-16AAH-0626-SM-793C9 50-59 years, male 10.1
GTEX-1PBJJ-1026-SM-E76OS 30-39 years, male 10.1
GTEX-1269C-0126-SM-5EQ5L 60-69 years, female 10.0
GTEX-1NSGN-0726-SM-DTXEF 50-59 years, male 10.0
GTEX-1313W-0626-SM-5EQ4H 50-59 years, female 9.9
GTEX-13OW5-2326-SM-5L3HO 60-69 years, male 9.9
GTEX-14E1K-2026-SM-7DUEI 50-59 years, male 9.9
GTEX-WYJK-0526-SM-3NM8Z 50-59 years, male 9.9
GTEX-11TT1-1826-SM-5EQLV 20-29 years, male 9.8
GTEX-11WQK-1026-SM-5EQLX 50-59 years, male 9.8
GTEX-14BIN-1126-SM-5RQJZ 50-59 years, female 9.8
GTEX-1J8QM-2426-SM-A9SLS 60-69 years, female 9.8
GTEX-XV7Q-1826-SM-4BRUV 40-49 years, female 9.7
GTEX-1J1R8-2026-SM-CL53Y 40-49 years, male 9.7
GTEX-XBED-1926-SM-47JYP 60-69 years, male 9.6
GTEX-ZWKS-0626-SM-5GIDV 30-39 years, male 9.6
GTEX-11P81-2226-SM-5PNYI 30-39 years, female 9.5
GTEX-18QFQ-1826-SM-72D52 30-39 years, male 9.5
GTEX-YEC3-1326-SM-DO92X 50-59 years, male 9.5
GTEX-13NYS-0626-SM-5L3F1 60-69 years, male 9.4
GTEX-145MF-0926-SM-5Q5EA 50-59 years, male 9.4
GTEX-147GR-2426-SM-5ZZWQ 60-69 years, male 9.4
GTEX-15DDE-2926-SM-6LLJ3 50-59 years, female 9.4
GTEX-1H11D-1826-SM-9QEHM 40-49 years, male 9.4
GTEX-YEC4-1826-SM-4W1YP 40-49 years, male 9.3
GTEX-1IDJU-1726-SM-CMKHU 60-69 years, female 9.3
GTEX-ZP4G-1426-SM-4WWCL 20-29 years, female 9.2
GTEX-1HBPM-0726-SM-9YFL7 60-69 years, female 9.2
GTEX-13NZ8-1226-SM-5KM4A 60-69 years, female 9.1
GTEX-14XAO-1226-SM-6EU1C 60-69 years, female 9.1
GTEX-1AMEY-0826-SM-72D65 30-39 years, female 9.1
GTEX-XQ8I-0926-SM-4BOOF 50-59 years, male 9.1
GTEX-XYKS-1426-SM-4BRUO 60-69 years, female 9.1
GTEX-1IDJV-0126-SM-COH3Y 60-69 years, male 9.1
GTEX-1OJC4-2726-SM-E76PJ 50-59 years, female 9.1
GTEX-ZLV1-1526-SM-DO91J 60-69 years, female 9.1
GTEX-13VXT-1926-SM-5K7UO 20-29 years, female 9.0
GTEX-14PJ5-1526-SM-6LLIL 60-69 years, female 9.0
GTEX-14PJ6-2626-SM-6EU2T 60-69 years, female 9.0
GTEX-1GN1W-2426-SM-9KNUU 50-59 years, female 9.0
GTEX-1HFI7-2326-SM-CGQFS 50-59 years, female 9.0
GTEX-1ICLY-0826-SM-CMKG1 50-59 years, male 9.0
GTEX-12WSM-1926-SM-5BC65 60-69 years, male 8.9
GTEX-13PL6-1126-SM-5L3IE 40-49 years, female 8.9
GTEX-14753-0726-SM-5QGQO 60-69 years, male 8.9
GTEX-15CHC-1126-SM-6LLHQ 60-69 years, female 8.9
GTEX-WY7C-2126-SM-3NB2R 50-59 years, male 8.9
GTEX-ZE9C-2526-SM-5IJDR 60-69 years, male 8.9
GTEX-ZVT2-0126-SM-5GIDQ 50-59 years, female 8.9
GTEX-1HT8W-0626-SM-A9G2H 30-39 years, male 8.9
GTEX-12WSK-2126-SM-5CVNC 40-49 years, female 8.8
GTEX-1CAMS-2226-SM-7PBXQ 40-49 years, female 8.8
GTEX-11LCK-2226-SM-5HL4Q 30-39 years, male 8.7
GTEX-YFCO-1226-SM-5LUAT 40-49 years, male 8.7
GTEX-111CU-1126-SM-5EGIM 50-59 years, male 8.6
GTEX-1JJ6O-2726-SM-CNPOG 60-69 years, male 8.6
GTEX-1S82U-1026-SM-E6CJK 30-39 years, female 8.6
GTEX-14PKV-1126-SM-6LLJ1 20-29 years, female 8.5
GTEX-17HII-1426-SM-7EPGG 50-59 years, male 8.5
GTEX-1E2YA-2126-SM-7MXUO 50-59 years, male 8.5
GTEX-1C6VQ-1226-SM-73KYD 50-59 years, male 8.4
GTEX-1H1E6-0426-SM-9WYUS 30-39 years, male 8.4
GTEX-12WSA-0426-SM-5EQ5X 60-69 years, male 8.3
GTEX-133LE-2326-SM-5K7W3 20-29 years, female 8.3
GTEX-13FTX-1526-SM-5K7VJ 20-29 years, female 8.3
GTEX-13W3W-0726-SM-5IJDQ 60-69 years, female 8.3
GTEX-148VJ-0626-SM-5LUAW 70-79 years, male 8.3
GTEX-1GF9V-0826-SM-9KNUV 60-69 years, male 8.3
GTEX-1IDFM-0326-SM-ARL7V 60-69 years, male 8.3
GTEX-1R9PM-1926-SM-EVR3O 20-29 years, male 8.3
GTEX-ZPIC-0526-SM-DO91W 40-49 years, female 8.3
GTEX-UPJH-0226-SM-3GADV 50-59 years, male 8.2
GTEX-ZYY3-2926-SM-5GIEB 60-69 years, female 8.2
GTEX-1HCVE-2726-SM-CL54F 50-59 years, male 8.2
GTEX-1RMOY-1326-SM-E9TIH 50-59 years, male 8.2
GTEX-11TUW-0626-SM-5LU9M 60-69 years, male 8.1
GTEX-1A3MV-1826-SM-731CD 30-39 years, male 8.1
GTEX-17HHE-1326-SM-7EWDZ 50-59 years, male 8.0
GTEX-1QPFJ-1926-SM-EVYBD 30-39 years, female 8.0
GTEX-131XG-0326-SM-5L3DX 50-59 years, female 7.9
GTEX-1EH9U-2826-SM-7DUGT 60-69 years, male 7.9
GTEX-14PHY-1226-SM-5ZZWK 60-69 years, female 7.8
GTEX-YECK-0326-SM-4W1YS 60-69 years, male 7.8
GTEX-1IE54-1126-SM-A9G2Z 40-49 years, female 7.8
GTEX-131XF-2626-SM-5EQ6K 60-69 years, male 7.7
GTEX-1HSGN-0826-SM-ACKW3 40-49 years, female 7.7
GTEX-1PPH7-1126-SM-DTX9A 40-49 years, male 7.7
GTEX-13O61-1426-SM-5KM3D 60-69 years, male 7.6
GTEX-Y114-2126-SM-4TT8B 50-59 years, female 7.6
GTEX-1PPH8-0126-SM-EWRN8 20-29 years, male 7.6
GTEX-1R7EU-1626-SM-DTXG3 60-69 years, male 7.6
GTEX-ZF29-0926-SM-4WKFZ 60-69 years, female 7.5
GTEX-1AMFI-1326-SM-7939R 50-59 years, female 7.4
GTEX-1B8L1-2226-SM-7P8PT 60-69 years, male 7.4
GTEX-1KXAM-1626-SM-D3LAD 60-69 years, male 7.4
GTEX-144GO-2026-SM-5O99P 60-69 years, male 7.3
GTEX-Y3I4-1726-SM-4TT89 50-59 years, male 7.3
GTEX-ZYT6-2326-SM-5GZY3 30-39 years, male 7.3
GTEX-1QP9N-1226-SM-E76QN 30-39 years, male 7.3
GTEX-111VG-1626-SM-5EGIO 60-69 years, male 7.2
GTEX-14C38-0726-SM-5SI6M 50-59 years, male 7.2
GTEX-18A67-1626-SM-7LT9T 50-59 years, male 7.2
GTEX-1C2JI-1026-SM-73KY1 50-59 years, male 7.2
GTEX-ZPCL-1126-SM-4WWFE 60-69 years, female 7.2
GTEX-ZY6K-1426-SM-5GZX2 50-59 years, male 7.2
GTEX-1F5PL-0926-SM-7PC2W 40-49 years, female 7.2
GTEX-1JN76-0626-SM-CKZOQ 20-29 years, female 7.2
GTEX-14ICL-1626-SM-5YYAO 30-39 years, male 7.1
GTEX-ZDTT-0426-SM-4WKFL 60-69 years, male 7.1
GTEX-1CB4J-1326-SM-7P8RX 60-69 years, male 7.1
GTEX-1N2DV-1526-SM-DTXEP 40-49 years, male 7.1
GTEX-1S5ZU-2526-SM-E6CIF 20-29 years, female 7.1
GTEX-1H3VE-0726-SM-9YFL5 40-49 years, male 7.0
GTEX-1JJEA-1826-SM-ARU8P 60-69 years, male 7.0
GTEX-1C6VR-0126-SM-7RHGB 60-69 years, male 6.9
GTEX-1F75I-2226-SM-7SB8U 40-49 years, male 6.9
GTEX-1LKK1-2626-SM-DKPQE 50-59 years, female 6.8
GTEX-1RAZQ-1326-SM-E9TK6 30-39 years, male 6.8
GTEX-1S3DN-2126-SM-E9TIN 50-59 years, male 6.8
GTEX-14PJ3-1126-SM-5ZZVX 50-59 years, male 6.7
GTEX-14PKU-0126-SM-6LLHV 40-49 years, female 6.7
GTEX-1LVAM-0726-SM-E6CIL 50-59 years, female 6.7
GTEX-13D11-0926-SM-5J2NC 50-59 years, female 6.6
GTEX-1PDJ9-1226-SM-EXUSX 20-29 years, male 6.6
GTEX-11DXX-2126-SM-5PNYR 60-69 years, female 6.5
GTEX-14PJN-1826-SM-6AJ98 30-39 years, male 6.5
GTEX-13IVO-0726-SM-5LZYV 70-79 years, male 6.3
GTEX-14PII-0726-SM-6EU2B 60-69 years, male 6.3
GTEX-1B8KE-1126-SM-7EPHI 50-59 years, male 6.3
GTEX-13PDP-0726-SM-5L3HP 60-69 years, male 6.2
GTEX-1HGF4-0126-SM-CNPPX 60-69 years, male 6.2
GTEX-14PJ4-0226-SM-5YY92 60-69 years, male 6.1
GTEX-11ZU8-0126-SM-5EQ58 60-69 years, male 6.0
GTEX-WFG7-2026-SM-5SI7P 20-29 years, male 6.0
GTEX-1QCLY-0226-SM-EWRNH 30-39 years, male 6.0
GTEX-15RJE-2826-SM-7KUM9 40-49 years, male 5.9
GTEX-1HSMQ-2626-SM-A9SML 50-59 years, male 5.9
GTEX-1QP28-1126-SM-EVYC4 50-59 years, female 5.9
GTEX-1F6RS-2026-SM-7RHHC 60-69 years, female 5.8
GTEX-1HCU7-0726-SM-A9SL1 50-59 years, male 5.8
GTEX-13JVG-0726-SM-5KM16 60-69 years, male 5.7
GTEX-14B4R-1326-SM-5Q5EZ 30-39 years, male 5.7
GTEX-1HR9M-2226-SM-CNPPY 60-69 years, male 5.6
GTEX-1J1OQ-0126-SM-D4P2N 40-49 years, female 5.6
GTEX-1OJC3-1226-SM-DTXER 20-29 years, male 5.6
GTEX-13OVH-0526-SM-5L3E6 70-79 years, male 5.5
GTEX-1122O-1026-SM-9WYSF 60-69 years, female 5.5
GTEX-1I1GU-0926-SM-ACKVS 40-49 years, male 5.5
GTEX-1GF9X-1326-SM-7PC2Y 40-49 years, female 5.4
GTEX-1GZ4H-0526-SM-9KNU9 50-59 years, female 5.4
GTEX-Y9LG-1126-SM-4VBQ7 30-39 years, male 5.3
GTEX-11PRG-0726-SM-5EGL1 50-59 years, male 5.2
GTEX-1S83E-1326-SM-E6CJM 40-49 years, male 5.1
GTEX-1HBPN-0126-SM-CGQEF 50-59 years, male 5.0
GTEX-1JK1U-0226-SM-ARZMX 60-69 years, male 5.0
GTEX-1GN1V-2826-SM-9JGIA 60-69 years, male 4.9
GTEX-1J8Q2-2626-SM-ACKWQ 60-69 years, male 4.9
GTEX-1F5PK-2226-SM-7SB6N 50-59 years, male 4.8
GTEX-1MCYP-0526-SM-E9U6Q 20-29 years, female 4.7
GTEX-14C5O-0326-SM-5ZZUX 60-69 years, male 4.6
GTEX-XAJ8-1426-SM-47JYM 40-49 years, male 4.6
GTEX-1JMPY-0226-SM-CKZOK 30-39 years, male 4.6
GTEX-ZTX8-1326-SM-4YCEL 20-29 years, male 4.4
GTEX-1399U-1126-SM-5L3DB 50-59 years, female 4.2
GTEX-1H2FU-0926-SM-9WPPT 60-69 years, female 4.2
GTEX-1399S-0126-SM-5IJCF 30-39 years, female 3.8
GTEX-1QP2A-1726-SM-E76QC 50-59 years, male 3.8
GTEX-13SLW-0626-SM-5Q5ER 70-79 years, male 3.7
GTEX-13QJC-0126-SM-5ZZWJ 60-69 years, female 3.3
GTEX-ZVZP-1226-SM-5GID7 50-59 years, male 3.3
GTEX-1R46S-2426-SM-E76QA 60-69 years, female 3.2
GTEX-14C39-1726-SM-5RQIL 40-49 years, male 2.8
GTEX-1I1GT-1026-SM-ARZLV 60-69 years, female 2.3
GTEX-WHSB-1326-SM-3LK6W 50-59 years, male 2.0
GTEX-1NV5F-0626-SM-DTXEG 60-69 years, female 1.7
Show allShow less
Skin - Sun Exposed (Lower leg)
Average nTPM: 17.1
Samples: 701

Max nTPM: 97.1
Min nTPM: 3.0
Std nTPM: 9.8
Median nTPM: 14.8
GTEX-14E6C-0126-SM-5RQIP 40-49 years, male 97.1
GTEX-1M4P7-0226-SM-DIPEV 60-69 years, male 74.4
GTEX-15EOM-0126-SM-7KUGG 20-29 years, female 66.1
GTEX-14JIY-0126-SM-6LLH6 60-69 years, male 61.7
GTEX-Q734-1926-SM-2I5EV 40-49 years, female 58.7
GTEX-1HBPH-0426-SM-B2LW5 40-49 years, female 48.4
GTEX-15SHW-0326-SM-6PAML 60-69 years, male 48.1
GTEX-ZUA1-0126-SM-5GU76 40-49 years, male 47.6
GTEX-ZDXO-3026-SM-5J1N5 60-69 years, male 47.3
GTEX-1PBJI-0526-SM-E8VNK 20-29 years, female 45.8
GTEX-11ZUS-0626-SM-59885 30-39 years, male 45.6
GTEX-1AYD5-2426-SM-73KXR 50-59 years, male 44.1
GTEX-1F48J-0126-SM-7P8TT 50-59 years, female 43.7
GTEX-1HUB1-0426-SM-E9U4U 60-69 years, male 43.5
GTEX-1N2DW-0226-SM-E9TK2 50-59 years, male 42.5
GTEX-11DXW-0226-SM-5H122 40-49 years, male 41.4
GTEX-11GSP-2526-SM-5N9BP 60-69 years, female 41.4
GTEX-13OW7-0126-SM-5MR3B 50-59 years, male 41.3
GTEX-1I1HK-0126-SM-COH49 60-69 years, male 40.9
GTEX-13N1W-0126-SM-5K7VT 70-79 years, male 40.8
GTEX-ZYW4-0126-SM-5E44A 60-69 years, male 40.3
GTEX-1RAZQ-0726-SM-EAZ43 30-39 years, male 40.1
GTEX-1QP67-1626-SM-EAZ3X 40-49 years, female 38.9
GTEX-X638-0126-SM-47JZ8 70-79 years, female 38.8
GTEX-1OJC4-0126-SM-E9J2E 50-59 years, female 38.3
GTEX-15DYW-0126-SM-7KULE 60-69 years, female 38.2
GTEX-1F6IF-0726-SM-7P8TW 60-69 years, male 38.2
GTEX-13NZA-0226-SM-5K7Z7 60-69 years, male 37.3
GTEX-1MA7X-2226-SM-E6CIY 60-69 years, male 36.8
GTEX-1C6WA-0126-SM-7PC2B 60-69 years, male 36.6
GTEX-X4EO-0326-SM-3P5YO 60-69 years, female 36.3
GTEX-1AYCT-2426-SM-7IGQ3 50-59 years, male 35.9
GTEX-113IC-0126-SM-5HL6T 60-69 years, male 35.5
GTEX-14A6H-0126-SM-5QGPK 30-39 years, male 34.7
GTEX-R55E-0126-SM-2TC5Y 20-29 years, male 34.6
GTEX-RUSQ-1526-SM-2TF62 50-59 years, male 34.3
GTEX-1IY9M-0126-SM-D3L8S 60-69 years, male 34.3
GTEX-17HHY-0126-SM-7LG5D 50-59 years, male 34.2
GTEX-YJ8A-0426-SM-5IFID 20-29 years, male 34.2
GTEX-1R9PO-2126-SM-E9J4O 60-69 years, female 34.1
GTEX-117YW-2626-SM-5GZZH 50-59 years, male 34.0
GTEX-1HSMO-0126-SM-CL547 60-69 years, male 34.0
GTEX-1F6I4-0126-SM-9MQL2 60-69 years, male 33.9
GTEX-16XZY-2126-SM-79OK1 70-79 years, male 33.8
GTEX-1RLM8-2326-SM-EWRN4 50-59 years, male 33.7
GTEX-144GN-2326-SM-5LU4F 50-59 years, male 33.2
GTEX-113JC-2326-SM-5EQ4E 50-59 years, female 32.6
GTEX-1A32A-0126-SM-718B1 50-59 years, female 32.5
GTEX-OXRP-0126-SM-3NB32 60-69 years, female 32.2
GTEX-13CF2-2526-SM-5LZYX 60-69 years, male 31.9
GTEX-11ZVC-2526-SM-5FQTE 50-59 years, female 31.8
GTEX-147F4-0226-SM-5QGPW 50-59 years, male 31.7
GTEX-11WQC-2526-SM-5CVLE 60-69 years, male 31.6
GTEX-146FR-1326-SM-E9J48 60-69 years, female 31.5
GTEX-1EKGG-0226-SM-9WYTH 60-69 years, male 31.4
GTEX-1LNCM-1126-SM-E9U5E 50-59 years, female 31.4
GTEX-11TTK-0126-SM-5987B 60-69 years, female 31.1
GTEX-13VXU-0126-SM-5SI9F 50-59 years, male 31.0
GTEX-SSA3-0126-SM-32QPU 60-69 years, male 30.9
GTEX-YFC4-0126-SM-5CVLY 40-49 years, female 30.8
GTEX-ZVT3-0126-SM-5GU6I 60-69 years, female 30.8
GTEX-QDT8-0126-SM-48TZ1 30-39 years, female 30.7
GTEX-1J8EW-0126-SM-CJI4F 60-69 years, female 30.7
GTEX-X8HC-0126-SM-4E3JW 50-59 years, female 30.5
GTEX-R45C-0126-SM-EAZ2R 60-69 years, female 30.5
GTEX-11GS4-2726-SM-5A5LE 60-69 years, male 30.3
GTEX-13OVJ-0126-SM-5KM36 50-59 years, female 30.1
GTEX-1HCU6-0126-SM-CL54K 60-69 years, female 29.9
GTEX-16YQH-0126-SM-7DUFJ 30-39 years, male 29.8
GTEX-131XW-0426-SM-5LZWP 50-59 years, female 29.7
GTEX-12WSD-0126-SM-59HKN 60-69 years, female 29.5
GTEX-139T4-0226-SM-5HL5S 50-59 years, female 29.3
GTEX-14ABY-0226-SM-5TDCQ 50-59 years, male 29.1
GTEX-12WSL-2526-SM-5GCNJ 50-59 years, male 29.0
GTEX-15SDE-2226-SM-7IGLO 50-59 years, female 29.0
GTEX-1313W-0126-SM-5LZUN 50-59 years, female 28.7
GTEX-132NY-0326-SM-5IJBL 60-69 years, male 28.5
GTEX-1B933-0126-SM-7PC29 50-59 years, female 28.5
GTEX-12584-0126-SM-5EGKQ 40-49 years, male 28.4
GTEX-1I1CD-0126-SM-CM2TK 60-69 years, female 28.3
GTEX-12WSG-2826-SM-E9J4H 50-59 years, female 28.2
GTEX-1F88F-2726-SM-7PBZZ 60-69 years, female 28.2
GTEX-X62O-0126-SM-4E3JN 50-59 years, male 27.9
GTEX-14E7W-0126-SM-6LLJ9 70-79 years, male 27.8
GTEX-1POEN-0126-SM-EYYXJ 30-39 years, female 27.8
GTEX-1F7RK-0126-SM-7PC2S 20-29 years, female 27.7
GTEX-11P82-1626-SM-59879 20-29 years, male 27.6
GTEX-RN64-0126-SM-2TC68 50-59 years, male 27.6
GTEX-14DAQ-0126-SM-5S2MQ 60-69 years, female 27.5
GTEX-1QEPI-0126-SM-EWRMQ 60-69 years, female 27.4
GTEX-148VJ-0126-SM-5TDDN 70-79 years, male 27.0
GTEX-ZTPG-0326-SM-5O9AX 20-29 years, female 27.0
GTEX-12KS4-0326-SM-5EQ41 30-39 years, male 26.9
GTEX-WZTO-0126-SM-3NM95 40-49 years, male 26.9
GTEX-VJYA-1126-SM-3GIJU 60-69 years, male 26.8
GTEX-17F97-0326-SM-7LG5B 50-59 years, male 26.6
GTEX-XUYS-0126-SM-47JWZ 50-59 years, male 26.6
GTEX-13U4I-0126-SM-5LU38 40-49 years, female 26.5
GTEX-18A6Q-0126-SM-731BZ 60-69 years, male 26.5
GTEX-1GN73-0226-SM-9WG67 60-69 years, male 26.5
GTEX-WOFL-0126-SM-3MJG2 60-69 years, male 26.3
GTEX-13N11-2526-SM-5K7UE 50-59 years, female 26.2
GTEX-131XG-2626-SM-5KM17 50-59 years, female 26.1
GTEX-1RQEC-0426-SM-E6CHU 60-69 years, male 26.1
GTEX-1F75A-0126-SM-7RHGM 50-59 years, male 26.0
GTEX-11NUK-0126-SM-5A5L3 50-59 years, male 25.8
GTEX-1EX96-1626-SM-7PBXR 50-59 years, male 25.8
GTEX-13FTY-0526-SM-5L3EV 40-49 years, female 25.7
GTEX-1H3O1-0426-SM-9YFKY 60-69 years, male 25.7
GTEX-ZZPT-0226-SM-5E43X 50-59 years, male 25.6
GTEX-139TT-0126-SM-5K7Y5 60-69 years, male 25.5
GTEX-1HR98-0126-SM-B2LWI 60-69 years, male 25.5
GTEX-1J8JJ-0226-SM-CL53I 60-69 years, female 25.4
GTEX-1QW4Y-1526-SM-EAZ3Z 30-39 years, male 25.4
GTEX-1PWST-0226-SM-E76QJ 70-79 years, male 25.3
GTEX-13O1R-0126-SM-5L3EH 60-69 years, male 25.2
GTEX-V1D1-2226-SM-3NMAX 50-59 years, male 25.2
GTEX-ZE7O-0126-SM-57WC1 50-59 years, female 25.2
GTEX-14LLW-0126-SM-6LLIO 70-79 years, female 25.1
GTEX-X4XY-0226-SM-4E3IZ 60-69 years, male 24.9
GTEX-ZEX8-2426-SM-4WKG4 50-59 years, male 24.9
GTEX-11O72-0126-SM-59887 40-49 years, male 24.8
GTEX-14PJM-0226-SM-62LF1 50-59 years, female 24.7
GTEX-13QJ3-0326-SM-5S2RA 50-59 years, male 24.6
GTEX-13OVL-0226-SM-5L3E9 50-59 years, male 24.5
GTEX-13SLX-0526-SM-5S2ON 50-59 years, female 24.5
GTEX-1KD5A-0226-SM-D5OV3 50-59 years, male 24.5
GTEX-13FHO-0226-SM-5IFGY 60-69 years, male 24.3
GTEX-ZYFC-0226-SM-5NQ75 50-59 years, male 24.3
GTEX-1C6VQ-0126-SM-7P8RI 50-59 years, male 24.3
GTEX-1GN1W-0526-SM-9MQJQ 50-59 years, female 24.3
GTEX-1JMOU-1526-SM-CL54I 60-69 years, female 24.1
GTEX-1GN1V-0126-SM-9WPOS 60-69 years, male 24.0
GTEX-T2IS-0126-SM-4DM6O 20-29 years, female 23.9
GTEX-111VG-2426-SM-5GZXD 60-69 years, male 23.8
GTEX-148VI-1626-SM-5SI6E 60-69 years, female 23.8
GTEX-U8XE-0326-SM-3DB8P 30-39 years, male 23.7
GTEX-ZDTS-0126-SM-4WAY5 60-69 years, male 23.7
GTEX-S33H-1026-SM-EZ6L6 30-39 years, male 23.5
GTEX-1192W-2626-SM-5Q5AF 60-69 years, male 23.4
GTEX-11ZTS-0126-SM-5EQ6M 60-69 years, female 23.4
GTEX-13OW8-1326-SM-5J1OW 60-69 years, male 23.4
GTEX-S7PM-0126-SM-4AD6S 60-69 years, male 23.4
GTEX-1GPI6-0126-SM-9WG69 60-69 years, male 23.4
GTEX-13O3Q-2426-SM-5IJBR 50-59 years, male 23.1
GTEX-13RTL-0126-SM-7LG5S 40-49 years, male 23.1
GTEX-1H1ZS-0426-SM-9WG6G 70-79 years, male 23.1
GTEX-1HBPI-1526-SM-C1YQ1 50-59 years, male 23.0
GTEX-ZVT4-0126-SM-DTXFN 50-59 years, female 23.0
GTEX-18A7A-0226-SM-718BH 50-59 years, female 22.7
GTEX-1AX8Z-0126-SM-7DHM6 60-69 years, male 22.7
GTEX-1497J-2426-SM-7IGNX 60-69 years, male 22.6
GTEX-11GSO-2426-SM-5A5LY 60-69 years, male 22.4
GTEX-15DCD-0126-SM-7KUEK 70-79 years, female 22.3
GTEX-NPJ8-0126-SM-2YUNR 40-49 years, male 22.3
GTEX-VUSG-2526-SM-4KL1V 50-59 years, male 22.3
GTEX-1C6VS-0526-SM-7DUEN 60-69 years, male 22.2
GTEX-139T8-0126-SM-5K7XZ 60-69 years, male 22.1
GTEX-11UD1-0126-SM-5PNYG 40-49 years, female 22.0
GTEX-131YS-0126-SM-5KM1M 60-69 years, female 22.0
GTEX-Y5LM-1926-SM-5RQJH 40-49 years, female 22.0
GTEX-12WSN-5019-SM-79OM6 40-49 years, male 21.9
GTEX-1IGQW-0126-SM-COH42 60-69 years, male 21.9
GTEX-1PIGE-0126-SM-EVYBJ 20-29 years, male 21.9
GTEX-QEG4-0226-SM-2S1PY 30-39 years, male 21.8
GTEX-1IKOH-0226-SM-COH4E 60-69 years, female 21.8
GTEX-1LC47-0326-SM-E9TJP 60-69 years, male 21.8
GTEX-11EMC-2926-SM-5EQ4F 60-69 years, female 21.7
GTEX-14BIL-0126-SM-5SI92 50-59 years, male 21.7
GTEX-1MCYP-1926-SM-E9J2R 20-29 years, female 21.7
GTEX-SIU8-0126-SM-2XCDT 50-59 years, male 21.6
GTEX-WYVS-2126-SM-3NMA3 40-49 years, female 21.6
GTEX-13OVG-1926-SM-5L3DK 60-69 years, male 21.5
GTEX-1GZ2Q-0226-SM-7P8TL 40-49 years, male 21.5
GTEX-1HBPM-0226-SM-ARL9F 60-69 years, female 21.5
GTEX-11OC5-0126-SM-5HL6A 60-69 years, male 21.4
GTEX-13112-2826-SM-5DUWH 50-59 years, male 21.4
GTEX-17HII-0226-SM-7LG4E 50-59 years, male 21.4
GTEX-WH7G-2326-SM-3NMBC 40-49 years, male 21.4
GTEX-1N2DV-0226-SM-E6CJ6 40-49 years, male 21.4
GTEX-13X6J-0126-SM-5QGOU 50-59 years, male 21.3
GTEX-1HFI6-0226-SM-ADEHZ 40-49 years, male 21.3
GTEX-1B8KZ-2026-SM-7DHMB 50-59 years, male 21.2
GTEX-1CB4G-0226-SM-7PC3O 60-69 years, male 21.2
GTEX-W5X1-3026-SM-EAZAX 40-49 years, female 21.2
GTEX-Y3IK-2426-SM-4WWDU 50-59 years, female 21.1
GTEX-1B8L1-2526-SM-9WYTF 60-69 years, male 21.0
GTEX-1AMEY-1326-SM-73KYK 30-39 years, female 20.9
GTEX-1H3NZ-0126-SM-ACKX7 60-69 years, male 20.9
GTEX-11H98-0126-SM-5EGHG 50-59 years, male 20.8
GTEX-1314G-1526-SM-5EGK2 30-39 years, male 20.8
GTEX-14PK6-1926-SM-6ETZU 70-79 years, female 20.8
GTEX-1EU9M-0226-SM-7P8SP 60-69 years, male 20.8
GTEX-ZF28-0126-SM-4WKGK 60-69 years, male 20.7
GTEX-1IDFM-0126-SM-COH2V 60-69 years, male 20.7
GTEX-PLZ4-0126-SM-5SI8O 50-59 years, female 20.6
GTEX-U3ZH-2026-SM-3DB78 30-39 years, male 20.6
GTEX-Z93S-0126-SM-5HL7M 50-59 years, male 20.6
GTEX-1I1GP-2226-SM-CGQFK 50-59 years, male 20.6
GTEX-11P7K-2126-SM-5GU7G 30-39 years, male 20.5
GTEX-146FQ-0126-SM-5NQA9 30-39 years, male 20.4
GTEX-Q2AG-0126-SM-33HBV 40-49 years, female 20.4
GTEX-Z93T-0126-SM-5HL5N 50-59 years, male 20.4
GTEX-1GMRU-0126-SM-9YFLV 50-59 years, male 20.4
GTEX-1H3VE-0326-SM-9YFLH 40-49 years, male 20.4
GTEX-11DZ1-0126-SM-5985Q 50-59 years, male 20.3
GTEX-13G51-2526-SM-5LZYK 60-69 years, male 20.3
GTEX-13RTJ-2426-SM-5S2Q2 60-69 years, male 20.3
GTEX-RU72-0926-SM-2TF6B 50-59 years, female 20.3
GTEX-183FY-0126-SM-7LT9P 20-29 years, male 20.2
GTEX-R3RS-0126-SM-3GIJL 40-49 years, female 20.2
GTEX-1R9K4-0126-SM-DTX9X 60-69 years, male 20.2
GTEX-WVJS-0126-SM-4MVOT 50-59 years, male 20.1
GTEX-1C2JI-1826-SM-73KXC 50-59 years, male 20.0
GTEX-ZC5H-0226-SM-4WAY9 40-49 years, female 19.9
GTEX-ZAB4-0226-SM-5N9F5 40-49 years, male 19.7
GTEX-1LG7Y-0526-SM-DKPQC 50-59 years, male 19.7
GTEX-11DXY-2626-SM-5GIE7 60-69 years, male 19.6
GTEX-139TS-2826-SM-5J1OO 60-69 years, male 19.6
GTEX-1A3MW-0126-SM-73KXX 60-69 years, female 19.6
GTEX-QDVN-2026-SM-3GAEP 50-59 years, male 19.5
GTEX-Y3I4-2126-SM-4TT7C 50-59 years, male 19.5
GTEX-1JJE9-0326-SM-CL53Z 70-79 years, male 19.5
GTEX-1S82Y-2026-SM-EVYCM 40-49 years, male 19.4
GTEX-13OVI-1426-SM-5L3EY 60-69 years, female 19.3
GTEX-146FH-0126-SM-5QGPP 50-59 years, female 19.3
GTEX-1LBAC-0126-SM-DIPEZ 20-29 years, male 19.3
GTEX-PVOW-0126-SM-2XCFA 40-49 years, male 19.2
GTEX-ZVZO-0126-SM-5A5L9 40-49 years, male 19.1
GTEX-14BIM-0226-SM-7IGLD 60-69 years, female 19.0
GTEX-17EVQ-0226-SM-7LG4P 70-79 years, male 19.0
GTEX-U3ZN-2326-SM-3DB7W 30-39 years, female 19.0
GTEX-1IE54-0126-SM-CMKHW 40-49 years, female 19.0
GTEX-ZE9C-2726-SM-57WB5 60-69 years, male 18.9
GTEX-1C4CL-0526-SM-73KVK 30-39 years, male 18.7
GTEX-1GZHY-0326-SM-9QEHI 50-59 years, female 18.6
GTEX-1ICLZ-0126-SM-CKZPO 60-69 years, male 18.6
GTEX-1J8Q3-1626-SM-CMKGC 60-69 years, male 18.6
GTEX-11OF3-2626-SM-5GU7F 60-69 years, male 18.5
GTEX-183WM-0126-SM-7LTAB 70-79 years, female 18.5
GTEX-PWO3-1526-SM-48TCM 60-69 years, female 18.5
GTEX-1F75I-0326-SM-9YFLU 40-49 years, male 18.5
GTEX-1GMR8-0126-SM-9WYTM 50-59 years, female 18.5
GTEX-14E6D-0126-SM-62LDV 50-59 years, male 18.4
GTEX-17HHE-2026-SM-79OKF 50-59 years, male 18.4
GTEX-18A7B-0126-SM-7LG64 70-79 years, male 18.4
GTEX-QLQW-1126-SM-2S1Q8 30-39 years, male 18.4
GTEX-RTLS-0126-SM-447CA 60-69 years, female 18.4
GTEX-Y111-0126-SM-4SOIV 50-59 years, male 18.4
GTEX-ZVE2-0226-SM-59HJB 50-59 years, male 18.3
GTEX-1I1GR-0126-SM-CL55F 60-69 years, male 18.3
GTEX-1CAV2-2226-SM-7P8P2 40-49 years, female 18.2
GTEX-1IL2V-0126-SM-CM2TX 70-79 years, male 18.2
GTEX-12C56-1726-SM-5EQ61 20-29 years, male 18.1
GTEX-147GR-0526-SM-5S2MY 60-69 years, male 18.1
GTEX-1AX9K-2326-SM-73KWU 50-59 years, male 18.1
GTEX-1H3VY-0126-SM-ACKXD 50-59 years, male 18.1
GTEX-ZAK1-0126-SM-5IJD3 50-59 years, female 18.0
GTEX-1A8FM-0226-SM-7SB7Q 50-59 years, female 17.8
GTEX-RNOR-0126-SM-E9J4R 50-59 years, female 17.8
GTEX-1399T-2826-SM-5KLYZ 60-69 years, male 17.7
GTEX-1HB9E-0226-SM-E9U4R 50-59 years, male 17.7
GTEX-16MT8-0426-SM-7KUEY 60-69 years, female 17.6
GTEX-13FXS-0226-SM-5IJCK 50-59 years, male 17.5
GTEX-147F3-0526-SM-5SI98 50-59 years, female 17.5
GTEX-PWCY-1826-SM-DHXIZ 20-29 years, female 17.4
GTEX-11NSD-2226-SM-5986V 20-29 years, male 17.3
GTEX-ZAB5-1826-SM-5HL7C 50-59 years, male 17.3
GTEX-1HCU8-0626-SM-A9SM9 60-69 years, female 17.3
GTEX-PW2O-1526-SM-7RHHB 20-29 years, male 17.3
GTEX-RVPV-0126-SM-EAZAW 60-69 years, male 17.3
GTEX-12ZZY-0226-SM-5LZVE 60-69 years, male 17.1
GTEX-15UKP-0426-SM-7KUFQ 20-29 years, male 17.1
GTEX-16GPK-0126-SM-7DHLE 60-69 years, male 17.1
GTEX-U3ZM-1526-SM-3DB9D 40-49 years, male 17.1
GTEX-ZY6K-1826-SM-5GZXK 50-59 years, male 17.1
GTEX-18465-0126-SM-731BN 50-59 years, male 17.0
GTEX-15D1Q-0126-SM-7KUG6 40-49 years, male 16.9
GTEX-XV7Q-2526-SM-4BRV9 40-49 years, female 16.9
GTEX-1N2EF-0226-SM-EYYXB 60-69 years, male 16.9
GTEX-OOBK-0126-SM-2YUND 40-49 years, male 16.8
GTEX-XXEK-2226-SM-4BRUM 50-59 years, male 16.8
GTEX-TMZS-0126-SM-3DB9Q 60-69 years, male 16.7
GTEX-1AX9I-0126-SM-7SB74 60-69 years, male 16.7
GTEX-1E1VI-0126-SM-7DHMZ 50-59 years, male 16.6
GTEX-1PPH7-2326-SM-EVYB8 40-49 years, male 16.6
GTEX-1QP66-1726-SM-E8VO1 50-59 years, male 16.6
GTEX-ZQG8-1626-SM-DHXIT 60-69 years, female 16.6
GTEX-1EWIQ-0126-SM-7RHH2 70-79 years, female 16.5
GTEX-17MF6-0126-SM-7LG4F 40-49 years, male 16.4
GTEX-1C6VR-2426-SM-79OLD 60-69 years, male 16.4
GTEX-ZVTK-0426-SM-51MRS 20-29 years, male 16.4
GTEX-12ZZX-0126-SM-5EGK9 40-49 years, female 16.3
GTEX-13FHP-0126-SM-5IJBG 50-59 years, male 16.3
GTEX-1GF9U-2126-SM-7SB7L 40-49 years, female 16.3
GTEX-1GTWX-0126-SM-9YFLK 60-69 years, male 16.3
GTEX-1K9T9-0126-SM-EVYCF 50-59 years, female 16.3
GTEX-18A66-0226-SM-718BD 60-69 years, male 16.2
GTEX-XUW1-0426-SM-4BOOT 50-59 years, female 16.2
GTEX-1HSEH-0126-SM-ACKXN 60-69 years, male 16.2
GTEX-1KD4Q-0226-SM-E9TJ9 40-49 years, male 16.1
GTEX-1RDX4-0126-SM-E9J4P 50-59 years, female 16.1
GTEX-13W46-0226-SM-5SIAG 50-59 years, male 16.0
GTEX-XMD2-0126-SM-4YCDU 60-69 years, female 16.0
GTEX-Y8LW-1826-SM-5S2MV 50-59 years, female 16.0
GTEX-1R7EV-2426-SM-EVYBG 40-49 years, male 16.0
GTEX-18A67-0126-SM-7LG5P 50-59 years, male 15.9
GTEX-OXRL-0126-SM-2YUMP 50-59 years, male 15.9
GTEX-13O3O-0126-SM-E9J49 60-69 years, female 15.9
GTEX-1LB8K-0226-SM-EWRNW 50-59 years, male 15.9
GTEX-1RAZA-0126-SM-E6CI3 20-29 years, male 15.9
GTEX-12ZZZ-0626-SM-5DUXI 60-69 years, male 15.8
GTEX-14BMU-2226-SM-5TDE9 20-29 years, female 15.8
GTEX-1H1CY-2826-SM-9MQM3 60-69 years, female 15.8
GTEX-1CB4F-0426-SM-9KNV4 60-69 years, male 15.7
GTEX-1I1GV-0526-SM-A9G29 60-69 years, male 15.7
GTEX-1192X-0226-SM-5H12D 50-59 years, male 15.6
GTEX-15DDE-0126-SM-6LPKH 50-59 years, female 15.6
GTEX-1GN2E-0426-SM-9MQKX 60-69 years, male 15.6
GTEX-1HSKV-0226-SM-A9SKJ 60-69 years, male 15.6
GTEX-1269C-2526-SM-5EGJ3 60-69 years, female 15.5
GTEX-139TU-0126-SM-5K7WH 60-69 years, male 15.5
GTEX-ZYY3-0126-SM-5GZY5 60-69 years, female 15.5
GTEX-1H1DE-2126-SM-9WG6R 20-29 years, male 15.5
GTEX-1KANB-0526-SM-E6CJH 50-59 years, male 15.5
GTEX-17HG3-2226-SM-7938L 30-39 years, female 15.4
GTEX-X585-0226-SM-4QAS2 50-59 years, male 15.4
GTEX-1I19N-0326-SM-ACKVX 70-79 years, male 15.4
GTEX-1I1GS-0126-SM-B2LVW 60-69 years, male 15.4
GTEX-14PN4-0126-SM-6EU2V 50-59 years, male 15.3
GTEX-1CB4J-0626-SM-7DHMP 60-69 years, male 15.3
GTEX-R55G-2526-SM-2TC6D 40-49 years, female 15.3
GTEX-SJXC-0126-SM-2XCFF 60-69 years, male 15.3
GTEX-1GF9X-2026-SM-7PC3A 40-49 years, female 15.3
GTEX-1IKK5-0626-SM-ARL8A 60-69 years, male 15.3
GTEX-ZF3C-0126-SM-DO92D 50-59 years, female 15.3
GTEX-14BIN-0626-SM-793DP 50-59 years, female 15.2
GTEX-15G19-0126-SM-6PANQ 60-69 years, male 15.2
GTEX-QVJO-1626-SM-2S1QW 60-69 years, female 15.2
GTEX-1H1E6-1726-SM-ACKVK 30-39 years, male 15.2
GTEX-P44H-0226-SM-2XCEU 40-49 years, male 15.1
GTEX-OOBJ-0126-SM-E6CJW 60-69 years, male 15.1
GTEX-12WSC-0126-SM-5EQ4P 50-59 years, male 15.0
GTEX-14A5H-0426-SM-5QGQF 60-69 years, male 15.0
GTEX-U4B1-1826-SM-4DXSU 40-49 years, male 15.0
GTEX-QLQ7-1626-SM-2S1R8 60-69 years, male 14.9
GTEX-U412-0426-SM-3DB9O 60-69 years, male 14.9
GTEX-ZDTT-2726-SM-4WKF8 60-69 years, male 14.9
GTEX-1KWVE-1426-SM-E9TJO 30-39 years, male 14.9
GTEX-13X6I-0626-SM-5QGP9 60-69 years, male 14.8
GTEX-144FL-0126-SM-5TDC8 50-59 years, male 14.8
GTEX-X5EB-2226-SM-46MW4 40-49 years, male 14.8
GTEX-1EN7A-0126-SM-7SB81 40-49 years, male 14.8
GTEX-1HKZK-0326-SM-9WYUH 40-49 years, male 14.8
GTEX-1K2DU-2326-SM-E9TIV 20-29 years, male 14.8
GTEX-145LT-1726-SM-5QGP3 40-49 years, male 14.7
GTEX-Y8E4-0626-SM-4WWDL 40-49 years, male 14.7
GTEX-WY7C-2326-SM-3NB2U 50-59 years, male 14.6
GTEX-X4EP-0126-SM-3P5YV 60-69 years, female 14.6
GTEX-1IOXB-0126-SM-ARL8G 50-59 years, male 14.6
GTEX-13FTX-1826-SM-5J1NX 20-29 years, female 14.5
GTEX-13NYS-0126-SM-5MR3W 60-69 years, male 14.5
GTEX-13YAN-0326-SM-5O9DF 60-69 years, male 14.5
GTEX-14PHW-0126-SM-6LLJI 60-69 years, female 14.5
GTEX-15UF6-0826-SM-6PALJ 70-79 years, female 14.5
GTEX-T5JC-0426-SM-32PLO 20-29 years, male 14.5
GTEX-OIZF-0126-SM-7SB8I 60-69 years, male 14.5
GTEX-12126-0326-SM-5PNW3 20-29 years, male 14.4
GTEX-QCQG-1726-SM-3GIJ9 50-59 years, female 14.4
GTEX-1C64O-0126-SM-7SB8P 60-69 years, male 14.4
GTEX-1HCUA-2426-SM-ADEIS 50-59 years, female 14.4
GTEX-1HT8W-0126-SM-CNPPP 30-39 years, male 14.4
GTEX-1O97I-0326-SM-EYYX7 60-69 years, male 14.4
GTEX-ZF29-2326-SM-DO92K 60-69 years, female 14.4
GTEX-11ZU8-2526-SM-5EQKI 60-69 years, male 14.3
GTEX-16NPX-0226-SM-79OMT 50-59 years, male 14.3
GTEX-17EUY-0426-SM-793BD 20-29 years, male 14.3
GTEX-RWSA-0126-SM-2XCBB 40-49 years, male 14.3
GTEX-1JMQJ-0526-SM-CYPSU 50-59 years, male 14.3
GTEX-11EI6-0126-SM-5985R 60-69 years, male 14.2
GTEX-14BMV-0126-SM-5S2PO 50-59 years, male 14.2
GTEX-18D9B-0526-SM-7LTAS 60-69 years, male 14.2
GTEX-Q2AH-1626-SM-3GAF8 40-49 years, male 14.2
GTEX-RM2N-1426-SM-2TF4H 50-59 years, male 14.2
GTEX-WRHK-1426-SM-3MJF9 20-29 years, female 14.2
GTEX-1MCQQ-0826-SM-DLHC2 60-69 years, male 14.1
GTEX-17HGU-0226-SM-7DHKV 50-59 years, male 14.0
GTEX-18QFQ-0126-SM-731BE 30-39 years, male 14.0
GTEX-OXRO-0126-SM-2YUN4 60-69 years, female 14.0
GTEX-1IL2U-0226-SM-CE6T8 60-69 years, male 14.0
GTEX-1JN1M-0326-SM-CYPT3 60-69 years, female 14.0
GTEX-145LV-2126-SM-5LU8N 50-59 years, male 13.9
GTEX-14PN3-2426-SM-6LLHS 60-69 years, female 13.9
GTEX-1H2FU-0126-SM-9WYSI 60-69 years, female 13.9
GTEX-13S7M-0126-SM-5SI6A 60-69 years, female 13.8
GTEX-X88G-0126-SM-47JZ3 30-39 years, male 13.8
GTEX-1I6K6-0126-SM-A9SLE 30-39 years, male 13.8
GTEX-1JMQK-0226-SM-CL543 60-69 years, male 13.8
GTEX-1MGNQ-0126-SM-EVYCJ 40-49 years, male 13.8
GTEX-131XE-2326-SM-5PNZ2 50-59 years, male 13.7
GTEX-1HSMP-0126-SM-E6CJS 70-79 years, male 13.7
GTEX-1IDJF-0126-SM-CM2RS 20-29 years, male 13.6
GTEX-Q2AI-1326-SM-2S1PL 40-49 years, male 13.5
GTEX-XQ3S-1526-SM-4BOOC 20-29 years, male 13.5
GTEX-Y8DK-0126-SM-4TT3L 60-69 years, male 13.5
GTEX-ZAJG-0126-SM-5HL94 50-59 years, female 13.5
GTEX-1JKYR-0126-SM-CNPOJ 20-29 years, male 13.5
GTEX-17MFQ-1726-SM-793C7 20-29 years, male 13.4
GTEX-P4PQ-0126-SM-2S1NM 60-69 years, male 13.4
GTEX-S7SE-0126-SM-2XCD5 50-59 years, male 13.4
GTEX-1QP29-0626-SM-EWRMX 50-59 years, male 13.4
GTEX-117XS-2726-SM-5N9BL 60-69 years, male 13.3
GTEX-13W3W-2426-SM-5LU5B 60-69 years, female 13.3
GTEX-ZYFD-0126-SM-5GIDL 50-59 years, male 13.3
GTEX-117YX-2326-SM-5H12W 50-59 years, male 13.2
GTEX-OXRK-0226-SM-3NB2G 50-59 years, female 13.1
GTEX-ZU9S-0226-SM-5E441 30-39 years, male 13.1
GTEX-1NHNU-1026-SM-E9J2A 50-59 years, male 13.1
GTEX-11DYG-0126-SM-59883 60-69 years, male 13.0
GTEX-15CHC-2126-SM-6EU21 60-69 years, female 13.0
GTEX-QESD-1426-SM-2S1R9 20-29 years, male 13.0
GTEX-Y5V6-2426-SM-4VDSB 60-69 years, male 13.0
GTEX-1RB15-2126-SM-E9TIM 60-69 years, male 13.0
GTEX-13NZB-2526-SM-5J1OM 30-39 years, male 12.9
GTEX-ZXG5-0126-SM-5GIEU 60-69 years, male 12.9
GTEX-1GF9W-0326-SM-9KNUN 60-69 years, male 12.9
GTEX-1H4P4-0726-SM-9YFLR 50-59 years, male 12.9
GTEX-1I1GU-2226-SM-CGQFA 40-49 years, male 12.9
GTEX-13O3P-0126-SM-5KM4S 50-59 years, male 12.8
GTEX-PLZ5-2026-SM-2S1O4 50-59 years, male 12.8
GTEX-1GPI7-0126-SM-9MQL8 20-29 years, male 12.8
GTEX-1B8SG-0126-SM-73KZ3 50-59 years, male 12.7
GTEX-RWS6-2026-SM-2XCB5 60-69 years, female 12.7
GTEX-VJWN-0126-SM-3GIK7 50-59 years, female 12.7
GTEX-11P81-2326-SM-59875 30-39 years, female 12.6
GTEX-14XAO-2326-SM-6EU1B 60-69 years, female 12.6
GTEX-1BAJH-0526-SM-793CQ 70-79 years, male 12.6
GTEX-1HGF4-2426-SM-ACKXM 60-69 years, male 12.6
GTEX-1QMI2-0226-SM-EVYBX 60-69 years, male 12.6
GTEX-13O21-1426-SM-5K7XI 50-59 years, male 12.5
GTEX-1ICG6-2526-SM-CGQFZ 70-79 years, female 12.5
GTEX-1KAFJ-2026-SM-CY8ID 50-59 years, male 12.5
GTEX-13IVO-0126-SM-5J1NG 70-79 years, male 12.4
GTEX-13X6H-2126-SM-7EWD5 50-59 years, female 12.4
GTEX-14ICK-0226-SM-6EU25 40-49 years, male 12.4
GTEX-1A3MX-0126-SM-731BR 60-69 years, male 12.4
GTEX-OHPM-0126-SM-2YUN9 50-59 years, male 12.4
GTEX-13NYC-0326-SM-E9J4S 60-69 years, male 12.4
GTEX-1CAMS-0426-SM-7P8T2 40-49 years, female 12.4
GTEX-11DXX-2426-SM-5GZZW 60-69 years, female 12.3
GTEX-11DXZ-2326-SM-5EGGV 50-59 years, male 12.3
GTEX-15SB6-1726-SM-6PAME 50-59 years, female 12.3
GTEX-145MF-0626-SM-5LUAI 50-59 years, male 12.2
GTEX-NFK9-0226-SM-2HMKQ 40-49 years, male 12.2
GTEX-1H1DG-0126-SM-9WYU2 70-79 years, male 12.2
GTEX-13VXT-0126-SM-5LU4I 20-29 years, female 12.1
GTEX-16XZZ-0126-SM-793DV 60-69 years, male 12.1
GTEX-1CAMQ-0226-SM-7IGPK 40-49 years, male 12.1
GTEX-1GF9V-0326-SM-7RHI5 60-69 years, male 12.1
GTEX-1128S-2326-SM-5GZZY 60-69 years, female 12.0
GTEX-13OVK-2026-SM-7KUEO 40-49 years, male 12.0
GTEX-S95S-1226-SM-4GICG 60-69 years, male 12.0
GTEX-13FH7-2026-SM-E9J4I 50-59 years, female 12.0
GTEX-WXYG-2326-SM-4E3I6 50-59 years, female 11.9
GTEX-1ICLY-0126-SM-D4P36 50-59 years, male 11.9
GTEX-111FC-0126-SM-5N9DL 60-69 years, male 11.8
GTEX-139UW-2826-SM-5L3E7 60-69 years, male 11.8
GTEX-14PJ3-1826-SM-62LEX 50-59 years, male 11.8
GTEX-ZVT2-2526-SM-51MT1 50-59 years, female 11.8
GTEX-1HCVE-0126-SM-CGQEU 50-59 years, male 11.8
GTEX-1I1GQ-0126-SM-COH3H 50-59 years, male 11.8
GTEX-1QCLY-0326-SM-E8VOG 30-39 years, male 11.8
GTEX-145MI-0526-SM-5O9A8 60-69 years, female 11.7
GTEX-QDVJ-1726-SM-2I5FX 50-59 years, male 11.7
GTEX-XQ8I-0426-SM-4BOPO 50-59 years, male 11.7
GTEX-11TUW-2726-SM-E9J4M 60-69 years, male 11.7
GTEX-131XH-2226-SM-5DUXJ 50-59 years, male 11.6
GTEX-13N2G-2626-SM-5J1OT 60-69 years, male 11.6
GTEX-U8T8-0126-SM-3DB94 60-69 years, male 11.6
GTEX-WI4N-1026-SM-3LK7N 40-49 years, female 11.6
GTEX-X4XX-0126-SM-3NMC2 60-69 years, male 11.6
GTEX-1JKYN-1326-SM-CGQG9 30-39 years, male 11.6
GTEX-13SLW-0126-SM-5SI6C 70-79 years, male 11.5
GTEX-14E6E-1826-SM-5S2R7 30-39 years, male 11.5
GTEX-1QPFJ-0226-SM-E76PB 30-39 years, female 11.5
GTEX-14JG1-0426-SM-6ETZZ 40-49 years, male 11.4
GTEX-14PII-0226-SM-6EU1T 60-69 years, male 11.4
GTEX-XBED-2226-SM-47JYQ 60-69 years, male 11.4
GTEX-1H23P-0126-SM-ADEJ3 60-69 years, male 11.4
GTEX-1211K-2026-SM-5EQ4Z 60-69 years, female 11.3
GTEX-13NZ8-0826-SM-5MR3I 60-69 years, female 11.3
GTEX-145LU-0126-SM-5TDCB 50-59 years, male 11.3
GTEX-14JG6-2226-SM-6EU2G 30-39 years, female 11.3
GTEX-QV44-1926-SM-2S1RF 50-59 years, male 11.3
GTEX-WQUQ-0426-SM-3MJFU 60-69 years, male 11.3
GTEX-13PDP-0126-SM-5L3HD 60-69 years, male 11.2
GTEX-1JMPZ-0226-SM-CNPP1 30-39 years, male 11.2
GTEX-T2YK-0526-SM-32QPJ 50-59 years, male 11.1
GTEX-YEC4-2126-SM-5IFJH 40-49 years, male 11.1
GTEX-1H11D-0226-SM-9WG6Z 40-49 years, male 11.1
GTEX-14753-0426-SM-5NQAM 60-69 years, male 11.0
GTEX-17F98-0626-SM-79OMX 40-49 years, female 11.0
GTEX-1PFEY-1526-SM-E76PP 30-39 years, male 11.0
GTEX-11XUK-2026-SM-5EQLF 40-49 years, female 10.9
GTEX-139D8-0226-SM-5KLZO 30-39 years, female 10.9
GTEX-13FTW-2626-SM-5K7WL 40-49 years, male 10.9
GTEX-15ER7-0326-SM-7KUEV 20-29 years, female 10.9
GTEX-131XF-5016-SM-7MGWE 60-69 years, male 10.9
GTEX-14PHX-2326-SM-62LEM 50-59 years, male 10.8
GTEX-1AX9J-0226-SM-73KXM 60-69 years, male 10.8
GTEX-ZWKS-0126-SM-5SIAA 30-39 years, male 10.8
GTEX-1HFI7-1826-SM-ACKXH 50-59 years, female 10.8
GTEX-PLZ6-1426-SM-DKPOT 30-39 years, male 10.8
GTEX-ZPIC-1726-SM-DHXIU 40-49 years, female 10.8
GTEX-145MO-0326-SM-5Q5B3 60-69 years, male 10.7
GTEX-1J1R8-1726-SM-ARL8M 40-49 years, male 10.7
GTEX-1QP2A-0126-SM-E9J43 50-59 years, male 10.7
GTEX-1CB4E-2226-SM-793DC 60-69 years, male 10.6
GTEX-POMQ-2226-SM-2I5FK 20-29 years, female 10.6
GTEX-1GZ4H-1726-SM-7PBZJ 50-59 years, female 10.6
GTEX-14LZ3-0226-SM-62LET 60-69 years, female 10.5
GTEX-UPJH-0326-SM-3GADU 50-59 years, male 10.5
GTEX-1EMGI-0126-SM-9KNUE 60-69 years, male 10.5
GTEX-1R46S-0626-SM-E9J41 60-69 years, female 10.5
GTEX-11LCK-1026-SM-5A5KB 30-39 years, male 10.4
GTEX-13CF3-2426-SM-5IFGX 60-69 years, female 10.4
GTEX-O5YT-0126-SM-48TBW 20-29 years, male 10.4
GTEX-P4PP-0126-SM-3LK69 30-39 years, female 10.4
GTEX-1K2DA-1826-SM-CGQGT 50-59 years, male 10.4
GTEX-13113-5016-SM-7EPIP 60-69 years, female 10.3
GTEX-OXRN-0126-SM-48TDM 50-59 years, male 10.3
GTEX-1JN6P-0126-SM-D3L98 60-69 years, male 10.3
GTEX-11ZTT-2426-SM-5EQLS 60-69 years, female 10.2
GTEX-1212Z-2526-SM-5EGKP 60-69 years, male 10.2
GTEX-1A3MV-1926-SM-718BT 30-39 years, male 10.2
GTEX-O5YW-0126-SM-3LK6D 50-59 years, male 10.2
GTEX-TML8-1926-SM-32QOS 40-49 years, female 10.2
GTEX-169BO-1326-SM-9MQK2 50-59 years, male 10.2
GTEX-1B996-0226-SM-7RHGO 60-69 years, male 10.2
GTEX-1I4MK-2226-SM-ACKWD 50-59 years, female 10.2
GTEX-1LGOU-2026-SM-DIPFF 20-29 years, female 10.2
GTEX-1LGRB-2526-SM-CNPPQ 50-59 years, female 10.2
GTEX-14DAR-2026-SM-5S2O3 50-59 years, male 10.1
GTEX-1LH75-2426-SM-E9TJE 50-59 years, female 10.1
GTEX-1MUQO-0126-SM-EAZ58 60-69 years, male 10.1
GTEX-1B8SF-1426-SM-7DUGL 60-69 years, male 10.0
GTEX-OIZG-0726-SM-33HBL 50-59 years, male 10.0
GTEX-ZDYS-2026-SM-5HL5L 50-59 years, male 10.0
GTEX-1JMLX-0226-SM-CM2RO 50-59 years, male 10.0
GTEX-1QAET-0926-SM-E76QM 50-59 years, male 10.0
GTEX-11VI4-1726-SM-5CVLH 40-49 years, female 9.9
GTEX-17KNJ-2326-SM-7DHLQ 50-59 years, male 9.9
GTEX-SN8G-0126-SM-32PLI 50-59 years, female 9.9
GTEX-XAJ8-0826-SM-47JY6 40-49 years, male 9.9
GTEX-W5WG-1826-SM-4KL2Y 50-59 years, female 9.8
GTEX-YB5K-2126-SM-4WWDJ 40-49 years, female 9.8
GTEX-1HSMQ-1226-SM-CGQFX 50-59 years, male 9.8
GTEX-1S82Z-0826-SM-E6CHY 30-39 years, female 9.8
GTEX-144GL-0126-SM-5TDE2 50-59 years, male 9.7
GTEX-15RIG-0226-SM-7KFTL 40-49 years, male 9.7
GTEX-15SHU-0126-SM-7KUEH 40-49 years, female 9.7
GTEX-1B8KE-2126-SM-73KYX 50-59 years, male 9.7
GTEX-1CAMR-1926-SM-7EPI2 20-29 years, male 9.7
GTEX-1GN1U-0126-SM-7PBZK 50-59 years, female 9.7
GTEX-TMMY-0226-SM-33HBA 40-49 years, female 9.6
GTEX-11WQK-0526-SM-5EQLD 50-59 years, male 9.5
GTEX-ZQUD-1426-SM-57WER 30-39 years, male 9.5
GTEX-1JK1U-2026-SM-CM2RZ 60-69 years, male 9.5
GTEX-13OW6-0426-SM-5L3HM 50-59 years, male 9.4
GTEX-TSE9-0126-SM-3DB83 60-69 years, female 9.4
GTEX-1F75B-0126-SM-9KNVL 50-59 years, male 9.4
GTEX-1IDJH-0326-SM-A9SLQ 70-79 years, male 9.4
GTEX-SUCS-1926-SM-32PM3 70-79 years, male 9.3
GTEX-T6MO-1626-SM-32QOM 40-49 years, female 9.3
GTEX-Y5V5-2326-SM-4V6GA 60-69 years, female 9.3
GTEX-11EM3-2426-SM-59861 20-29 years, female 9.2
GTEX-12WSJ-1826-SM-5GCNY 40-49 years, female 9.2
GTEX-1399U-2326-SM-5K7WY 50-59 years, female 9.2
GTEX-16AAH-1726-SM-7939C 50-59 years, male 9.2
GTEX-16BQI-0226-SM-7KUEX 30-39 years, female 9.2
GTEX-T8EM-1026-SM-3DB7M 40-49 years, male 9.2
GTEX-13OW5-0126-SM-DTXFS 60-69 years, male 9.2
GTEX-14C5O-0126-SM-5SI6N 60-69 years, male 9.1
GTEX-SNMC-1226-SM-2XCFP 20-29 years, male 9.1
GTEX-YB5E-2026-SM-5IFIS 40-49 years, male 9.1
GTEX-12696-2426-SM-5EQ6H 60-69 years, male 9.0
GTEX-YJ89-0126-SM-4TT3X 60-69 years, male 9.0
GTEX-1E2YA-0126-SM-9KNUC 50-59 years, male 9.0
GTEX-XBEW-0626-SM-4QASP 40-49 years, male 8.9
GTEX-1IKJJ-0126-SM-CNPQB 60-69 years, male 8.9
GTEX-13D11-2426-SM-5KM1V 50-59 years, female 8.8
GTEX-15ETS-0126-SM-7KUMW 40-49 years, female 8.8
GTEX-16NGA-1726-SM-731B4 40-49 years, female 8.8
GTEX-T6MN-0126-SM-32PLP 50-59 years, male 8.8
GTEX-XYKS-2126-SM-4E3IB 60-69 years, female 8.8
GTEX-1AMFI-2026-SM-731BH 50-59 years, female 8.7
GTEX-Z9EW-1626-SM-5CVMN 40-49 years, male 8.7
GTEX-1HCU9-1526-SM-A9SL7 20-29 years, male 8.7
GTEX-1J1OQ-0226-SM-CYPSH 40-49 years, female 8.7
GTEX-1J8Q2-0526-SM-CM2RW 60-69 years, male 8.7
GTEX-1LSNM-1926-SM-E6CII 50-59 years, male 8.7
GTEX-1399R-2726-SM-5IJBA 30-39 years, male 8.6
GTEX-X261-0126-SM-3NMD6 50-59 years, male 8.6
GTEX-11TT1-2526-SM-5EGIB 20-29 years, male 8.4
GTEX-11UD2-0226-SM-5EQKY 50-59 years, male 8.4
GTEX-12WSK-2326-SM-5GCOH 40-49 years, female 8.4
GTEX-17EVP-0326-SM-7DHLG 40-49 years, male 8.4
GTEX-1C64N-0126-SM-793D7 50-59 years, male 8.4
GTEX-1NV5F-0226-SM-E8VNY 60-69 years, female 8.4
GTEX-1PPH8-0226-SM-E8VND 20-29 years, male 8.4
GTEX-13JUV-2726-SM-5LZZ8 40-49 years, female 8.3
GTEX-1F52S-0126-SM-9MQJU 60-69 years, female 8.3
GTEX-1LVAN-0226-SM-COH3S 50-59 years, female 8.3
GTEX-1MJK2-0426-SM-DTXE5 50-59 years, male 8.3
GTEX-1122O-2126-SM-5EGIR 60-69 years, female 8.2
GTEX-13RTK-1426-SM-5QGQJ 20-29 years, male 8.2
GTEX-11EQ9-2426-SM-5HL5T 30-39 years, male 8.1
GTEX-133LE-1826-SM-5J1MV 20-29 years, female 8.0
GTEX-1IDJU-2626-SM-CM2RT 60-69 years, female 7.9
GTEX-1JN76-0126-SM-CNPPE 20-29 years, female 7.9
GTEX-145ME-1826-SM-5SI9G 40-49 years, female 7.8
GTEX-TKQ1-1026-SM-4GICL 30-39 years, male 7.8
GTEX-XPVG-2626-SM-4B669 50-59 years, male 7.8
GTEX-18D9U-0226-SM-718BP 40-49 years, male 7.7
GTEX-ZV6S-2326-SM-4YCEY 40-49 years, female 7.7
GTEX-1HBPN-0226-SM-9YFM1 50-59 years, male 7.7
GTEX-17F96-1626-SM-7DUFL 70-79 years, male 7.6
GTEX-1F6RS-0126-SM-9MQKZ 60-69 years, female 7.6
GTEX-1OFPY-2426-SM-DTXEJ 60-69 years, male 7.6
GTEX-14PJ6-2126-SM-6EU1V 60-69 years, female 7.5
GTEX-1GMR3-1926-SM-9KNUZ 40-49 years, male 7.5
GTEX-OHPL-0126-SM-2HMJ7 60-69 years, female 7.4
GTEX-1CB4H-0226-SM-7PBXM 60-69 years, female 7.4
GTEX-15F5U-1526-SM-6PANO 40-49 years, male 7.3
GTEX-17JCI-0126-SM-7LG5G 60-69 years, female 7.2
GTEX-ZYT6-0226-SM-5NQ6T 30-39 years, male 7.2
GTEX-1F5PK-2426-SM-7RHHY 50-59 years, male 7.2
GTEX-1QP9N-1426-SM-DTXFL 30-39 years, male 7.2
GTEX-1S5ZA-0126-SM-EVYCV 20-29 years, male 7.2
GTEX-1J8QM-2126-SM-CYPSJ 60-69 years, female 7.1
GTEX-13PVR-2326-SM-5QGR1 60-69 years, female 7.0
GTEX-1JMQI-2226-SM-CM2SD 50-59 years, male 7.0
GTEX-145LS-0126-SM-5QGP1 60-69 years, female 6.9
GTEX-12WSE-0526-SM-793B2 20-29 years, male 6.8
GTEX-Y114-2426-SM-4TT8A 50-59 years, female 6.7
GTEX-ZF2S-2326-SM-4WWCE 50-59 years, female 6.7
GTEX-ZGAY-0526-SM-4WWBB 40-49 years, female 6.7
GTEX-ZZ64-1726-SM-5GZYB 20-29 years, male 6.7
GTEX-1JJEA-0326-SM-CNPOT 60-69 years, male 6.7
GTEX-1B97I-1626-SM-73KYO 40-49 years, male 6.6
GTEX-ZV68-0126-SM-59HKS 50-59 years, female 6.5
GTEX-1PIIG-0226-SM-EWRN6 30-39 years, male 6.5
GTEX-14A5I-0126-SM-5TDEA 50-59 years, female 6.4
GTEX-WFG8-2226-SM-3GIL9 20-29 years, male 6.4
GTEX-ZXES-1826-SM-5E43S 30-39 years, female 6.4
GTEX-1JMPY-1326-SM-ARL8Y 30-39 years, male 6.4
GTEX-1S3DN-2226-SM-EVYCD 50-59 years, male 6.4
GTEX-OIZH-0126-SM-2HMIS 50-59 years, male 6.2
GTEX-WYJK-0126-SM-3NMAB 50-59 years, male 6.2
GTEX-PSDG-0226-SM-DKPOZ 50-59 years, male 6.2
GTEX-145MN-2226-SM-5SIAU 30-39 years, male 6.0
GTEX-1HSGN-0226-SM-CGQFV 40-49 years, female 6.0
GTEX-1I1GT-0626-SM-CGQER 60-69 years, female 6.0
GTEX-1R7EU-0226-SM-EVR4G 60-69 years, male 6.0
GTEX-P4QT-0126-SM-2I3FL 50-59 years, female 5.9
GTEX-1KXAM-2226-SM-CYPTC 60-69 years, male 5.8
GTEX-1PDJ9-0326-SM-DTX95 20-29 years, male 5.8
GTEX-ZTSS-1926-SM-57WEW 40-49 years, male 5.7
GTEX-1M5QR-1226-SM-EWROB 40-49 years, male 5.6
GTEX-17GQL-2026-SM-718BA 60-69 years, male 5.4
GTEX-ZVZP-2426-SM-59HKJ 50-59 years, male 5.4
GTEX-1GL5R-1826-SM-9KNUY 50-59 years, male 5.3
GTEX-1HCU7-0226-SM-CL545 50-59 years, male 5.3
GTEX-12WSA-0226-SM-5BC5V 60-69 years, male 5.2
GTEX-PX3G-0126-SM-2I3EN 20-29 years, female 5.2
GTEX-1KANA-0726-SM-D3L9I 20-29 years, male 5.2
GTEX-13NYB-2526-SM-5K7Z6 40-49 years, male 5.1
GTEX-15EU6-0426-SM-6PAN5 50-59 years, male 5.0
GTEX-1R9PM-2026-SM-E76OY 20-29 years, male 5.0
GTEX-S32W-2126-SM-2XCB1 50-59 years, female 4.8
GTEX-ZTX8-1426-SM-5DUVO 20-29 years, male 4.7
GTEX-1F5PL-0326-SM-7P8PQ 40-49 years, female 4.6
GTEX-1S83E-0126-SM-EWRO4 40-49 years, male 4.6
GTEX-1C475-1826-SM-73KWA 40-49 years, female 4.5
GTEX-UJHI-1526-SM-3DB99 50-59 years, female 4.4
GTEX-1CB4I-0226-SM-79OLH 50-59 years, male 4.3
GTEX-1JJ6O-0126-SM-E6CI8 60-69 years, male 4.3
GTEX-1MA7W-2026-SM-E9TJ6 20-29 years, female 4.3
GTEX-1OJC3-0126-SM-E76QX 20-29 years, male 4.3
GTEX-13111-1626-SM-5EGJY 50-59 years, male 4.2
GTEX-18D9A-1926-SM-7LG6P 30-39 years, female 4.2
GTEX-XUZC-1726-SM-4BRWS 30-39 years, female 4.2
GTEX-13OVH-0126-SM-5MR4B 70-79 years, male 4.1
GTEX-ZYFG-2326-SM-5E44B 60-69 years, female 4.0
GTEX-1JMQL-0226-SM-CNPP5 50-59 years, female 4.0
GTEX-T5JW-1626-SM-3GADZ 20-29 years, female 3.5
GTEX-1LG7Z-1726-SM-D3LA4 30-39 years, male 3.5
GTEX-WFON-2126-SM-3LK7O 40-49 years, male 3.4
GTEX-SE5C-1626-SM-2XCE3 40-49 years, female 3.3
GTEX-1KANC-1526-SM-D3LAB 50-59 years, female 3.1
GTEX-1L5NE-2526-SM-E6CIE 50-59 years, male 3.0
Show allShow less

Contact

  • NEWS ARTICLES
  • PRESS ROOM

The Project

  • INTRODUCTION
  • ORGANIZATION
  • PUBLICATIONS

The Human Protein Atlas

  • DOWNLOADABLE DATA
  • LICENCE & CITATION
  • HELP & FAQ
The Human Protein Atlas project is funded
by the Knut & Alice Wallenberg Foundation.


contact@proteinatlas.org