We use cookies to enhance the usability of our website. If you continue, we'll assume that you are happy to receive all cookies. More information. Don't show this again.
BRD8
HPA
RESOURCES
  • TISSUE
  • BRAIN
  • SINGLE CELL
  • SUBCELLULAR
  • CANCER
  • BLOOD
  • CELL LINE
  • STRUCTURE & INTERACTION
ABOUT
  • INTRODUCTION
  • HISTORY
  • ORGANIZATION
  • PUBLICATIONS
  • ANTIBODY SUBMISSION
  • ANTIBODY AVAILABILITY
  • ACKNOWLEDGMENTS
  • CONTACT
NEWS
  • NEWS ARTICLES
  • PRESS ROOM
LEARN
  • DICTIONARY
  • PROTEIN CLASSES
  • PROTEIN EVIDENCE
  • METHODS
  • EDUCATIONAL VIDEOS
DATA
  • DOWNLOADABLE DATA
  • PUBLICATION DATA
  • RELEASE HISTORY
HELP
  • ANTIBODY VALIDATION
  • ASSAYS & ANNOTATION
  • DISCLAIMER
  • HELP & FAQ
  • PRIVACY STATEMENT
  • LICENCE & CITATION
Fields »
Search result

Field
Term
Gene name
Class
Subclass
Class
Keyword
Chromosome
External id
Tissue
Cell type
Expression
Antibody panel
Tissue
Main location
Patient ID
Annotation
Tissue
Category
Tau score
Cluster
Reliability
Brain region
Category
Tau score
Brain region
Category
Tau score
Brain region
Category
Tau score
Cluster
Reliability
Tissue
Cell type
Enrichment
Cell type
Category
Tau score
Cell type
Category
Tau score
Cell type
Category
Tau score
Cell lineage
Category
Tau score
Cluster
Cluster
Location
Searches
Location
Cell line
Class
Type
Phase
Reliability
Cancer
Prognosis
Cancer
Category
Cancer
Category
Tau score
Cluster
Variants
Interacting gene (ensg_id)
Type
Number of interactions
Pathway
Category
Score
Score
Score
Validation
Validation
Validation
Validation
Antibodies
Data type
Column


  • SUMMARY

  • TISSUE

  • BRAIN

  • SINGLE CELL

  • SUBCELL

  • CANCER

  • BLOOD

  • CELL LINE

  • STRUCT & INT

  • BRD8
TISSUE PRIMARY DATA STOMACH Show tissue menu
ADIPOSE TISSUE ADRENAL GLAND AMYGDALA APPENDIX BASAL GANGLIA BONE MARROW BREAST BRONCHUS CEREBELLUM CEREBRAL CORTEX CERVIX CHOROID PLEXUS COLON DUODENUM
ENDOMETRIUM EPIDIDYMIS ESOPHAGUS FALLOPIAN TUBE GALLBLADDER HEART MUSCLE HIPPOCAMPAL FORMATION HYPOTHALAMUS KIDNEY LIVER LUNG LYMPH NODE MIDBRAIN NASOPHARYNX
ORAL MUCOSA OVARY PANCREAS PARATHYROID GLAND PITUITARY GLAND PLACENTA PROSTATE RECTUM RETINA SALIVARY GLAND SEMINAL VESICLE SKELETAL MUSCLE SKIN SMALL INTESTINE
SMOOTH MUSCLE SOFT TISSUE SPINAL CORD SPLEEN STOMACH TESTIS THYMUS THYROID GLAND TONGUE TONSIL URINARY BLADDER VAGINA
ANTIBODIES
AND
VALIDATION
Dictionary
Tissue proteome
Stomach
STOMACH - Expression summary
Protein expression
Stomachi

On the top, protein expression in current human tissue, based on all annotated cell types, is reported with the units not detected (n), low (l), medium (m) and high (h). Underneath, protein expression in each annotated cell type are reported using the same units.

Protein expression data is based on knowledge-based annotation. For genes where more than one antibody has been used, a collective score is set.

If knowledge-based annotation could not be performed for a gene, no data is displayed here. View antibody staining data further down this page.

h
m
l
n
Glandular cells: Medium
RNA expressioni

A summary of mRNA expression data available for current tissue based on several datasets. The mRNA expression levels in human tissues are based on RNA-seq data generated by the Human Protein Atlas (HPA), Genotype-Tissue Expression (GTEx) portal and CAGE data generated by the FANTOM5 consortium. Consensus normalized expression levels for human tissues was created by combining the data from HPA and GTEx datasets.

The mRNA expression levels in pig are based on RNA-seq data generated by the Human Protein Atlas (HPA), and for mouse, HPA data and in situ hybridization generated by the Allen brain atlas are reported.

Scroll down to view mRNA expression data in more detail.
Consensus:24.1 nTPM
HPA:17.1 nTPM
GTEx:24.1 nTPM

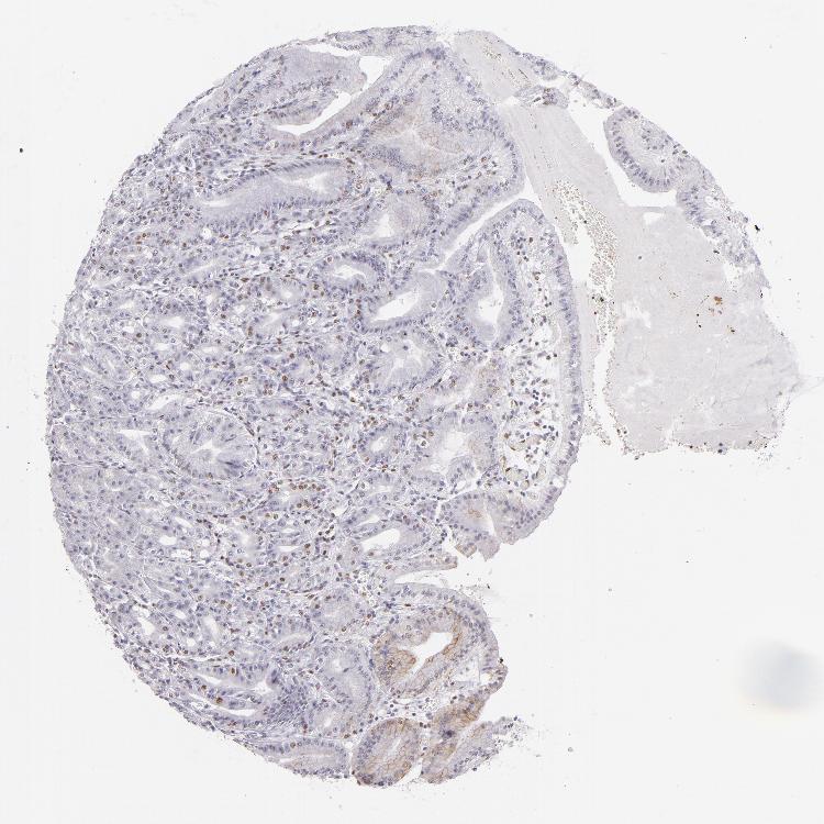
STOMACH 1 - Antibody stainingi

Antibody staining in the annotated cell types in the current human tissue is reported as not detected, low, medium, or high, based on conventional immunohistochemistry profiling in selected tissues. This score is based on the combination of the staining intensity and fraction of stained cells.

Each image is clickable and will lead to virtual microscopy that enables deeper exploration of all samples and also displays staining intensity scores, fraction scores and subcellular localization as well as patient and tissue information for each sample.

Antibody HPA001841
Glandular cells Medium


STOMACH 2 - Antibody stainingi

Antibody staining in the annotated cell types in the current human tissue is reported as not detected, low, medium, or high, based on conventional immunohistochemistry profiling in selected tissues. This score is based on the combination of the staining intensity and fraction of stained cells.

Each image is clickable and will lead to virtual microscopy that enables deeper exploration of all samples and also displays staining intensity scores, fraction scores and subcellular localization as well as patient and tissue information for each sample.

Antibody HPA001841
Glandular cells Medium


STOMACH - HPA RNA-seqi

The RNA-seq details section shows detailed information about the individual samples used for the transcript profiling and results of the RNA-seq analysis.

Information about each individual sample is listed below, including gender, age, a tissue section image and estimated fractions of cell types. nTPM (normalized transcripts per million) values give a quantification of the gene abundance which is comparable between different genes and samples.
Average nTPMi

Max subtype nTPM is the value for the subtype with the largest average nTPM across the subtype samples.

17.1
overview
Female, age 33
Stomach sample 61
nTPM: 14.3
Cell types%
Glandular cells:
60

Smooth muscle cells:
5

Other cell types:
35

N/A
Male, age 82
Stomach sample 240
nTPM: 19.9
Cell types%
Glandular cells:
65

Smooth muscle cells:
5

Other cell types:
30

overview
Male, age 71
Stomach sample 241
nTPM: 12.3
Cell types%
Glandular cells:
50

Smooth muscle cells:
5

Other cell types:
45

overview
Female, age 66
Stomach sample 369
nTPM: 22.1
Cell types%
Glandular cells:
50

Smooth muscle cells:
10

Other cell types:
40


STOMACH - GTEx RNA-seqi

RNA-Seq data generated by the Genotype-Tissue Expression (GTEx) project from human tissues is reported as mean nTPM. More information can be found on the GTEx portal.

Distribution across the dataset is visualized with box plots, shown as median and 25th and 75th percentiles. Points are displayed as outliers if they are above or below 1.5 times the interquartile range. nTPM values of the individual samples are presented next to the box plot.
Max subtype nTPMi

Max subtype nTPM is the value for the subtype with the largest average nTPM across the subtype samples.

24.1
GTEx sample id Sample description nTPM
Stomach
Average nTPM: 24.1
Samples: 359

Max nTPM: 41.8
Min nTPM: 7.9
Std nTPM: 5.5
Median nTPM: 23.7
GTEX-1IDJF-1426-SM-ACKWK 20-29 years, male 41.8
GTEX-1S82Z-1726-SM-E6CHZ 30-39 years, female 41.1
GTEX-15G1A-1226-SM-7KUF3 30-39 years, male 39.8
GTEX-1C64O-2226-SM-73KTV 60-69 years, male 39.0
GTEX-1H1DE-1226-SM-9JGHH 20-29 years, male 36.8
GTEX-14PN3-1326-SM-6AJ9U 60-69 years, female 36.7
GTEX-1N2DV-0926-SM-E9TJT 40-49 years, male 35.9
GTEX-131XE-2226-SM-5PNYX 50-59 years, male 35.7
GTEX-1399U-1626-SM-5P9J3 50-59 years, female 35.6
GTEX-13O61-1126-SM-5L3FI 60-69 years, male 35.6
GTEX-WFJO-1126-SM-4LVLZ 30-39 years, male 35.6
GTEX-15EU6-2526-SM-7KUGB 50-59 years, male 35.3
GTEX-1QP28-2126-SM-DTX8B 50-59 years, female 35.3
GTEX-1KD5A-1426-SM-D4P3V 50-59 years, male 35.1
GTEX-1LVAM-1426-SM-E9TJ4 50-59 years, female 35.1
GTEX-11P7K-1726-SM-5GU6F 30-39 years, male 34.9
GTEX-18D9B-2226-SM-718BM 60-69 years, male 34.7
GTEX-13X6H-1626-SM-5Q5CT 50-59 years, female 34.6
GTEX-1LG7Z-1226-SM-DHXK4 30-39 years, male 34.6
GTEX-13O21-0926-SM-5IFGT 50-59 years, male 34.5
GTEX-PLZ6-0826-SM-3P61K 30-39 years, male 34.1
GTEX-13FTX-0726-SM-5N9BI 20-29 years, female 33.5
GTEX-R55C-1026-SM-48FCM 40-49 years, male 33.4
GTEX-1K2DA-0826-SM-CGQGD 50-59 years, male 33.4
GTEX-OXRL-1526-SM-E6CHQ 50-59 years, male 33.3
GTEX-1399R-1126-SM-5IFIO 30-39 years, male 32.9
GTEX-WFON-1126-SM-4LVMA 40-49 years, male 32.9
GTEX-RUSQ-1126-SM-EAZAU 50-59 years, male 32.8
GTEX-13113-0726-SM-5LZUF 60-69 years, female 32.6
GTEX-1CB4E-1326-SM-7DUGD 60-69 years, male 32.5
GTEX-17GQL-1226-SM-7KFTS 60-69 years, male 32.3
GTEX-1B97J-1826-SM-7IGPP 50-59 years, female 32.3
GTEX-QDVJ-1426-SM-48U1Y 50-59 years, male 32.2
GTEX-WY7C-1726-SM-4ONCC 50-59 years, male 32.0
GTEX-145ME-1026-SM-5O9B4 40-49 years, female 31.2
GTEX-146FR-2026-SM-5NQAI 60-69 years, female 31.2
GTEX-1QW4Y-0726-SM-DTX8E 30-39 years, male 30.9
GTEX-1B8L1-1526-SM-79OLK 60-69 years, male 30.8
GTEX-1LSNM-1026-SM-DHXL2 50-59 years, male 30.8
GTEX-1AX9J-2626-SM-731EK 60-69 years, male 30.7
GTEX-132AR-2426-SM-5IFFD 50-59 years, female 30.6
GTEX-17KNJ-1526-SM-7LTA9 50-59 years, male 30.6
GTEX-1RMOY-1126-SM-EV79E 50-59 years, male 30.6
GTEX-V955-1326-SM-4JBHR 60-69 years, male 30.5
GTEX-1GZ4H-1026-SM-9OSXL 50-59 years, female 30.3
GTEX-111YS-1126-SM-5GZYQ 60-69 years, male 30.1
GTEX-1LVAN-2426-SM-CNNPZ 50-59 years, female 30.1
GTEX-1CB4H-2426-SM-7PBYR 60-69 years, female 30.0
GTEX-1HSMQ-2426-SM-CE6RY 50-59 years, male 30.0
GTEX-1QP67-1026-SM-EVR47 40-49 years, female 30.0
GTEX-XQ8I-2026-SM-4BOOL 50-59 years, male 29.9
GTEX-1J8Q3-1926-SM-C1YSJ 60-69 years, male 29.6
GTEX-QDT8-2026-SM-EZ6LS 30-39 years, female 29.6
GTEX-ZYVF-2726-SM-5GID4 50-59 years, female 29.5
GTEX-1H3NZ-2226-SM-9WYUT 60-69 years, male 29.5
GTEX-POMQ-0826-SM-3P61H 20-29 years, female 29.4
GTEX-1ICG6-1826-SM-AHZ2O 70-79 years, female 29.4
GTEX-1S831-1126-SM-EWROI 20-29 years, male 29.4
GTEX-1F5PL-1426-SM-7MKFH 40-49 years, female 29.3
GTEX-OIZH-1526-SM-3NB1J 50-59 years, male 29.3
GTEX-ZVP2-1626-SM-5GU5D 50-59 years, male 29.3
GTEX-1LGRB-1726-SM-CNNRA 50-59 years, female 29.3
GTEX-1KXAM-0926-SM-CXZKA 60-69 years, male 29.2
GTEX-1PPH8-1326-SM-DTXFO 20-29 years, male 29.2
GTEX-R55D-1526-SM-48FEJ 50-59 years, male 29.1
GTEX-1IL2V-2026-SM-ARZMA 70-79 years, male 29.1
GTEX-1JN76-0926-SM-ARZNH 20-29 years, female 29.1
GTEX-ZZPU-1426-SM-5GZZ6 50-59 years, female 29.0
GTEX-15RIE-1026-SM-6LPJQ 60-69 years, male 28.9
GTEX-1MGNQ-1826-SM-DPRYI 40-49 years, male 28.9
GTEX-1R9K5-1026-SM-EAZ4F 50-59 years, male 28.9
GTEX-ZLV1-0826-SM-DO11P 60-69 years, female 28.9
GTEX-1I1GT-1726-SM-C1YS3 60-69 years, female 28.8
GTEX-PLZ5-1226-SM-EXOHA 50-59 years, male 28.7
GTEX-O5YV-1926-SM-EV797 60-69 years, female 28.6
GTEX-YEC3-1426-SM-D4P1S 50-59 years, male 28.6
GTEX-146FH-2126-SM-5SI9U 50-59 years, female 28.5
GTEX-S4P3-0726-SM-4AD57 50-59 years, female 28.4
GTEX-1HBPN-1626-SM-9WPNP 50-59 years, male 28.4
GTEX-13OVI-2426-SM-5KM4J 60-69 years, female 28.3
GTEX-1S3DN-1526-SM-EVYCB 50-59 years, male 28.3
GTEX-ZV6S-0926-SM-57WGB 40-49 years, female 28.2
GTEX-1HR9M-2326-SM-CNPPZ 60-69 years, male 28.2
GTEX-14PJ5-0826-SM-6AJAR 60-69 years, female 28.1
GTEX-14PKU-1126-SM-69LOU 40-49 years, female 28.1
GTEX-NFK9-1526-SM-3LK7B 40-49 years, male 28.1
GTEX-TKQ2-0926-SM-4DXU5 50-59 years, male 28.1
GTEX-WH7G-1526-SM-4LVMX 40-49 years, male 28.1
GTEX-1HCUA-1626-SM-A9SMG 50-59 years, female 28.1
GTEX-1F75I-1826-SM-7MKGX 40-49 years, male 27.8
GTEX-QDVN-1226-SM-48TZ5 50-59 years, male 27.8
GTEX-XPVG-1526-SM-4B66C 50-59 years, male 27.7
GTEX-11EQ9-1226-SM-5987E 30-39 years, male 27.6
GTEX-11VI4-0326-SM-5EQ6L 40-49 years, female 27.6
GTEX-1GPI7-1326-SM-9KNVA 20-29 years, male 27.5
GTEX-XV7Q-1326-SM-4BRWM 40-49 years, female 27.4
GTEX-1H11D-2226-SM-9OSXN 40-49 years, male 27.4
GTEX-OHPM-1526-SM-EV796 50-59 years, male 27.4
GTEX-15RIF-1126-SM-7KUG2 20-29 years, male 27.3
GTEX-P78B-1826-SM-3P5YX 40-49 years, female 27.3
GTEX-13N1W-2026-SM-5K7YU 70-79 years, male 27.2
GTEX-TKQ1-0526-SM-4DXTG 30-39 years, male 27.2
GTEX-Y8LW-0826-SM-4WWDO 50-59 years, female 27.1
GTEX-XAJ8-0326-SM-47JYI 40-49 years, male 27.0
GTEX-1F5PK-1826-SM-7RHHX 50-59 years, male 26.8
GTEX-1CAMR-0726-SM-7EPIE 20-29 years, male 26.7
GTEX-1QCLZ-1826-SM-DPRXP 60-69 years, female 26.6
GTEX-117YX-1026-SM-5H11V 50-59 years, male 26.5
GTEX-OOBJ-1526-SM-3NB1Q 60-69 years, male 26.5
GTEX-1HCU8-1326-SM-C1YQQ 60-69 years, female 26.5
GTEX-S4Z8-1226-SM-4AD6W 60-69 years, male 26.4
GTEX-P4QT-1526-SM-3NMCT 50-59 years, female 26.3
GTEX-1339X-1426-SM-5K7YO 40-49 years, male 26.2
GTEX-ZLFU-1326-SM-DO11R 40-49 years, male 26.2
GTEX-1AYCT-1326-SM-7MKHB 50-59 years, male 26.1
GTEX-ZVT2-1626-SM-51MRC 50-59 years, female 26.1
GTEX-12WSJ-0926-SM-5P9JD 40-49 years, female 26.0
GTEX-13U4I-2526-SM-5SI8Z 40-49 years, female 26.0
GTEX-18A66-2226-SM-7189E 60-69 years, male 26.0
GTEX-T5JC-1926-SM-4DM6Q 20-29 years, male 25.9
GTEX-13OVK-0926-SM-7KUFX 40-49 years, male 25.8
GTEX-QCQG-0526-SM-48U2A 50-59 years, female 25.8
GTEX-XBEW-1826-SM-4RTWX 40-49 years, male 25.8
GTEX-Y3IK-1426-SM-4YCES 50-59 years, female 25.7
GTEX-13PVR-2126-SM-73KVR 60-69 years, female 25.6
GTEX-1B8KE-1326-SM-73KVI 50-59 years, male 25.6
GTEX-Q2AH-1126-SM-48TZM 40-49 years, male 25.6
GTEX-SUCS-0926-SM-4DM4Z 70-79 years, male 25.6
GTEX-XXEK-0826-SM-4BRWG 50-59 years, male 25.6
GTEX-13O3Q-2126-SM-5KM4C 50-59 years, male 25.5
GTEX-17HGU-2126-SM-7IGOV 50-59 years, male 25.4
GTEX-14E1K-1526-SM-664MN 50-59 years, male 25.3
GTEX-1AMFI-1226-SM-731CZ 50-59 years, female 25.3
GTEX-O5YW-1526-SM-3MJGL 50-59 years, male 25.3
GTEX-Y9LG-1026-SM-5IFJN 30-39 years, male 25.3
GTEX-ZXES-1426-SM-5NQ8S 30-39 years, female 25.3
GTEX-1MCYP-1126-SM-E9J2P 20-29 years, female 25.3
GTEX-1E2YA-2426-SM-7EPIG 50-59 years, male 25.2
GTEX-S7SF-0626-SM-4AD4V 20-29 years, female 25.2
GTEX-1QP2A-2126-SM-DPRZ7 50-59 years, male 25.2
GTEX-12WSK-1426-SM-5CVNN 40-49 years, female 25.1
GTEX-13CF3-1926-SM-5K7WF 60-69 years, female 25.0
GTEX-RWS6-0926-SM-47JXE 60-69 years, female 25.0
GTEX-UPK5-2126-SM-4JBJK 40-49 years, male 25.0
GTEX-1KANA-1126-SM-D3L9M 20-29 years, male 25.0
GTEX-Q734-1026-SM-48U16 40-49 years, female 24.9
GTEX-1LBAC-1426-SM-CXZKT 20-29 years, male 24.9
GTEX-15SHW-2126-SM-6M46Y 60-69 years, male 24.8
GTEX-V1D1-1726-SM-4JBHB 50-59 years, male 24.8
GTEX-1R7EU-1126-SM-EAZ4M 60-69 years, male 24.8
GTEX-16NGA-1526-SM-72D56 40-49 years, female 24.7
GTEX-17F9E-2226-SM-7IGNC 50-59 years, male 24.7
GTEX-131XG-1226-SM-5EGH9 50-59 years, female 24.5
GTEX-WFG7-1326-SM-4LMK1 20-29 years, male 24.5
GTEX-WHSB-1226-SM-4M1XR 50-59 years, male 24.4
GTEX-WYJK-2526-SM-4ONDF 50-59 years, male 24.4
GTEX-WYVS-1326-SM-4ONCQ 40-49 years, female 24.4
GTEX-1GL5R-1926-SM-9WG7U 50-59 years, male 24.4
GTEX-13QJ3-2726-SM-5SI6L 50-59 years, male 24.3
GTEX-UJMC-1226-SM-4IHLI 50-59 years, male 24.3
GTEX-145LT-1426-SM-5O9B3 40-49 years, male 24.2
GTEX-14BMU-1126-SM-5RQJ8 20-29 years, female 24.2
GTEX-1B8KZ-1226-SM-793CP 50-59 years, male 24.2
GTEX-1RAZR-1526-SM-EAZ4U 40-49 years, male 24.2
GTEX-QV44-1226-SM-CJI1S 50-59 years, male 24.2
GTEX-139D8-2326-SM-5IFGE 30-39 years, female 24.1
GTEX-1IDJD-2426-SM-C1YS6 30-39 years, male 24.1
GTEX-1L5NE-1526-SM-DIPFW 50-59 years, male 24.1
GTEX-18D9A-0626-SM-7KFTY 30-39 years, female 24.0
GTEX-1A3MX-1926-SM-72D7F 60-69 years, male 23.9
GTEX-P4PQ-1526-SM-3NMCK 60-69 years, male 23.9
GTEX-S3XE-1026-SM-4AD4O 50-59 years, male 23.9
GTEX-WZTO-2126-SM-4PQYW 40-49 years, male 23.9
GTEX-ZTX8-0426-SM-59HLG 20-29 years, male 23.9
GTEX-1AMEY-1226-SM-731DU 30-39 years, female 23.8
GTEX-XBED-1226-SM-4AT5V 60-69 years, male 23.8
GTEX-12C56-0526-SM-5FQST 20-29 years, male 23.7
GTEX-15DCE-1626-SM-6LPJM 20-29 years, male 23.7
GTEX-WXYG-1626-SM-4ONCR 50-59 years, female 23.7
GTEX-YB5E-1126-SM-664NU 40-49 years, male 23.7
GTEX-1IDJU-1526-SM-CNNR3 60-69 years, female 23.7
GTEX-144GN-1226-SM-5O991 50-59 years, male 23.6
GTEX-PW2O-1226-SM-48TCH 20-29 years, male 23.6
GTEX-RU1J-0526-SM-46MUT 20-29 years, female 23.6
GTEX-1EH9U-2226-SM-7PBXX 60-69 years, male 23.6
GTEX-1JK1U-1326-SM-AHZ45 60-69 years, male 23.6
GTEX-145MO-2226-SM-5Q5BN 60-69 years, male 23.5
GTEX-14BMV-2226-SM-5RQHX 50-59 years, male 23.5
GTEX-14PJ6-0826-SM-686Z9 60-69 years, female 23.5
GTEX-ZY6K-0726-SM-5A5L8 50-59 years, male 23.5
GTEX-ZYFG-1326-SM-5GICJ 60-69 years, female 23.4
GTEX-18QFQ-1226-SM-718AE 30-39 years, male 23.3
GTEX-R55G-1126-SM-48FDG 40-49 years, female 23.3
GTEX-1GN1W-2126-SM-9JGI7 50-59 years, female 23.3
GTEX-11WQK-2626-SM-5EQ4K 50-59 years, male 23.2
GTEX-1211K-1426-SM-5FQTF 60-69 years, female 23.2
GTEX-13111-1226-SM-5GCNC 50-59 years, male 23.2
GTEX-14PHY-0926-SM-5ZZWL 60-69 years, female 23.2
GTEX-1B97I-1226-SM-7MGWQ 40-49 years, male 23.2
GTEX-1H3VY-2326-SM-9WG81 50-59 years, male 23.2
GTEX-11P82-0726-SM-5PNYL 20-29 years, male 23.1
GTEX-ZF2S-1426-SM-57WET 50-59 years, female 23.1
GTEX-1J8EW-2226-SM-AHZ3T 60-69 years, female 23.1
GTEX-Y3I4-1626-SM-4TT7W 50-59 years, male 23.0
GTEX-1JKYN-1726-SM-AHZ48 30-39 years, male 23.0
GTEX-11DXX-1326-SM-5GIDZ 60-69 years, female 22.9
GTEX-131XF-1226-SM-5HL8V 60-69 years, male 22.9
GTEX-Y5LM-1326-SM-5RQIS 40-49 years, female 22.8
GTEX-1H1E6-1626-SM-9OSWC 30-39 years, male 22.8
GTEX-1399S-1626-SM-5P9GI 30-39 years, female 22.7
GTEX-15UF7-1226-SM-6M46G 40-49 years, male 22.7
GTEX-16AAH-1226-SM-79OO9 50-59 years, male 22.7
GTEX-UJHI-1026-SM-4IHJP 50-59 years, female 22.7
GTEX-1J8QM-1126-SM-C1YQB 60-69 years, female 22.7
GTEX-1LGOU-1526-SM-D3LAJ 20-29 years, female 22.7
GTEX-1NSGN-1926-SM-E9J36 50-59 years, male 22.7
GTEX-P4PP-1526-SM-3P61M 30-39 years, female 22.6
GTEX-Y8E4-1526-SM-4WWDI 40-49 years, male 22.6
GTEX-12BJ1-1726-SM-5HL9B 60-69 years, male 22.5
GTEX-139YR-1926-SM-5LZXM 50-59 years, male 22.5
GTEX-17JCI-2226-SM-7LTA1 60-69 years, female 22.5
GTEX-17HHE-1026-SM-79ON6 50-59 years, male 22.4
GTEX-14PJ3-1426-SM-664O8 50-59 years, male 22.3
GTEX-S95S-0826-SM-4B64N 60-69 years, male 22.2
GTEX-Y114-1226-SM-4TT88 50-59 years, female 22.2
GTEX-1HFI7-1526-SM-9WG7W 50-59 years, female 22.2
GTEX-QV31-0626-SM-447C5 30-39 years, male 22.1
GTEX-TMMY-1626-SM-4DXTY 40-49 years, female 22.1
GTEX-14BIL-1926-SM-73KYI 50-59 years, male 22.0
GTEX-VJYA-1026-SM-4KL21 60-69 years, male 22.0
GTEX-1JMQJ-1326-SM-D4P3B 50-59 years, male 21.9
GTEX-RM2N-0826-SM-48FD3 50-59 years, male 21.7
GTEX-PX3G-1526-SM-48U11 20-29 years, female 21.6
GTEX-ZA64-0826-SM-5HL9U 20-29 years, male 21.6
GTEX-ZP4G-1226-SM-4WWCJ 20-29 years, female 21.6
GTEX-X15G-1126-SM-4PQZG 50-59 years, female 21.5
GTEX-ZDYS-1926-SM-5HL59 50-59 years, male 21.5
GTEX-ZT9W-1526-SM-4YCDE 50-59 years, male 21.5
GTEX-145MN-1326-SM-5NQ9S 30-39 years, male 21.4
GTEX-14DAQ-2826-SM-664MU 60-69 years, female 21.4
GTEX-15DZA-1126-SM-6LPK8 30-39 years, female 21.4
GTEX-QMRM-1126-SM-447BN 50-59 years, male 21.4
GTEX-1HKZK-1526-SM-B2LWG 40-49 years, male 21.4
GTEX-12WSG-2026-SM-5FQUU 50-59 years, female 21.3
GTEX-WHPG-0426-SM-4M1XW 50-59 years, male 21.3
GTEX-132QS-1826-SM-5IFFN 60-69 years, male 21.2
GTEX-S341-0626-SM-4AD5T 40-49 years, female 21.2
GTEX-1I6K7-1726-SM-B2LXQ 40-49 years, male 21.2
GTEX-13RTK-0226-SM-5RQHR 20-29 years, male 21.1
GTEX-17MF6-2126-SM-7KFS7 40-49 years, male 21.0
GTEX-XUZC-0726-SM-4BOPH 30-39 years, female 21.0
GTEX-1122O-1926-SM-5EGIQ 60-69 years, female 20.9
GTEX-133LE-1326-SM-5IFGO 20-29 years, female 20.9
GTEX-13S7M-1826-SM-5RQK6 60-69 years, female 20.9
GTEX-OXRK-1626-SM-3NB17 50-59 years, female 20.9
GTEX-14E6E-0926-SM-664N8 30-39 years, male 20.8
GTEX-WHWD-1426-SM-4OORU 50-59 years, male 20.8
GTEX-YFCO-0826-SM-5LUAG 40-49 years, male 20.8
GTEX-11NSD-1426-SM-5HL67 20-29 years, male 20.7
GTEX-Y5V6-1326-SM-4VDTF 60-69 years, male 20.7
GTEX-1GF9U-1126-SM-AHZ4H 40-49 years, female 20.7
GTEX-1MUQO-1926-SM-EAZ59 60-69 years, male 20.7
GTEX-1RB15-1026-SM-E9U6V 60-69 years, male 20.7
GTEX-11I78-1726-SM-5A5M3 50-59 years, female 20.6
GTEX-14PKV-1826-SM-69LO9 20-29 years, female 20.6
GTEX-ZV7C-1626-SM-5NQ7E 50-59 years, male 20.6
GTEX-13PVQ-2126-SM-5L3FW 50-59 years, male 20.4
GTEX-15CHR-1326-SM-79OLT 50-59 years, male 20.4
GTEX-ZVZP-1726-SM-5GZWY 50-59 years, male 20.4
GTEX-13FH7-1026-SM-5IJGF 50-59 years, female 20.2
GTEX-14ICL-0826-SM-5YY9W 30-39 years, male 20.2
GTEX-Q2AI-0826-SM-48TZO 40-49 years, male 20.2
GTEX-S4UY-1626-SM-4AD55 40-49 years, female 20.2
GTEX-W5WG-1726-SM-4LMI5 50-59 years, female 20.2
GTEX-1HT8W-2326-SM-A9SLA 30-39 years, male 20.2
GTEX-1RQEC-2126-SM-DPS15 60-69 years, male 20.2
GTEX-OIZF-1526-SM-2I5GR 60-69 years, male 20.2
GTEX-WRHK-0626-SM-4MVOE 20-29 years, female 20.1
GTEX-ZGAY-1626-SM-DNZZ3 40-49 years, female 20.1
GTEX-17EUY-1526-SM-793CA 20-29 years, male 20.0
GTEX-1H1DG-2126-SM-9WPPB 70-79 years, male 20.0
GTEX-U4B1-1026-SM-4DXT1 40-49 years, male 19.8
GTEX-1I4MK-0926-SM-A9SLD 50-59 years, female 19.8
GTEX-14PHX-1026-SM-664OL 50-59 years, male 19.7
GTEX-1A8G6-1426-SM-731EZ 60-69 years, male 19.7
GTEX-U3ZN-2026-SM-4DXUC 30-39 years, female 19.7
GTEX-WFG8-1326-SM-4LVN3 20-29 years, male 19.7
GTEX-12696-1726-SM-5EQLH 60-69 years, male 19.6
GTEX-14JG6-1226-SM-664O6 30-39 years, female 19.5
GTEX-SNOS-0826-SM-4DM5N 40-49 years, male 19.5
GTEX-14DAR-0926-SM-73KUQ 50-59 years, male 19.4
GTEX-T6MO-0726-SM-4DM58 40-49 years, female 19.3
GTEX-ZE7O-3026-SM-51MS4 50-59 years, female 19.3
GTEX-ZQUD-0826-SM-57WDQ 30-39 years, male 19.3
GTEX-12WSD-2326-SM-59HKQ 60-69 years, female 19.2
GTEX-13X6J-2126-SM-5TDCV 50-59 years, male 19.2
GTEX-OHPK-1526-SM-3MJGM 50-59 years, female 19.2
GTEX-1QP29-2326-SM-EXOJO 50-59 years, male 19.2
GTEX-QLQ7-0826-SM-447B3 60-69 years, male 19.1
GTEX-ZPU1-1626-SM-4WWB2 40-49 years, male 19.1
GTEX-R53T-1226-SM-48FCT 50-59 years, female 19.0
GTEX-1HSEH-1526-SM-B2LXG 60-69 years, male 19.0
GTEX-XMK1-1526-SM-EYYVO 40-49 years, male 19.0
GTEX-13D11-2126-SM-5IFH2 50-59 years, female 18.9
GTEX-1QMI2-2126-SM-DPRXQ 60-69 years, male 18.9
GTEX-17F98-1526-SM-7EWD8 40-49 years, female 18.8
GTEX-T8EM-1226-SM-4DM5J 40-49 years, male 18.8
GTEX-ZF29-1526-SM-4WKF7 60-69 years, female 18.7
GTEX-18A67-2626-SM-718AD 50-59 years, male 18.6
GTEX-1PIGE-1126-SM-EWRMV 20-29 years, male 18.6
GTEX-ZVT3-2126-SM-59HL2 60-69 years, female 18.5
GTEX-13QBU-1126-SM-5LU44 40-49 years, female 18.4
GTEX-YEC4-1426-SM-5IFHS 40-49 years, male 18.4
GTEX-13OW6-2526-SM-5IJEC 50-59 years, male 18.3
GTEX-144GM-1726-SM-5O9AS 20-29 years, male 18.3
GTEX-1H23P-2726-SM-9JGHN 60-69 years, male 18.3
GTEX-1J8JJ-1726-SM-C1YQG 60-69 years, female 18.3
GTEX-13FTW-1726-SM-5KM2B 40-49 years, male 18.2
GTEX-PWCY-0926-SM-48TD7 20-29 years, female 18.1
GTEX-QXCU-1926-SM-48FE4 50-59 years, male 18.0
GTEX-ZPIC-2026-SM-57WG3 40-49 years, female 17.9
GTEX-ZAB4-1526-SM-5CVN7 40-49 years, male 17.8
GTEX-PWN1-1526-SM-48TDA 40-49 years, female 17.7
GTEX-111CU-0926-SM-5EGIK 50-59 years, male 17.6
GTEX-11TT1-0726-SM-5GU5A 20-29 years, male 17.6
GTEX-1MJIX-1126-SM-EV7AO 40-49 years, male 17.5
GTEX-QLQW-0726-SM-447AA 30-39 years, male 17.4
GTEX-18A7A-2726-SM-7LG6U 50-59 years, female 17.3
GTEX-1QCLY-1126-SM-EAZ4J 30-39 years, male 17.3
GTEX-1QPFJ-1526-SM-DPRXT 30-39 years, female 17.2
GTEX-RTLS-2626-SM-46MUJ 60-69 years, female 17.1
GTEX-ZLWG-1526-SM-DO12F 50-59 years, female 16.9
GTEX-S4Q7-0726-SM-4AD5F 20-29 years, male 16.8
GTEX-1I1HK-2026-SM-CNNRB 60-69 years, male 16.8
GTEX-ZEX8-1626-SM-4WKG7 50-59 years, male 16.7
GTEX-1E1VI-2826-SM-7MGWU 50-59 years, male 16.7
GTEX-1A3MV-1226-SM-718BW 30-39 years, male 16.4
GTEX-SNMC-0626-SM-4DM6H 20-29 years, male 16.3
GTEX-1JN1M-2926-SM-CNNPJ 60-69 years, female 16.3
GTEX-14B4R-0726-SM-5TDDR 30-39 years, male 15.8
GTEX-15G19-1526-SM-6LPKP 60-69 years, male 15.6
GTEX-1JMPY-0926-SM-ARL92 30-39 years, male 15.6
GTEX-ZZ64-0426-SM-5E43F 20-29 years, male 15.5
GTEX-17HII-2426-SM-7KFTT 50-59 years, male 15.4
GTEX-1JMPZ-1826-SM-CXZJT 30-39 years, male 15.1
GTEX-T5JW-0926-SM-4DM5K 20-29 years, female 14.9
GTEX-ZYY3-1726-SM-5EGH3 60-69 years, female 14.8
GTEX-1GMRU-2526-SM-9WG7T 50-59 years, male 14.8
GTEX-YJ8A-1526-SM-5P9FT 20-29 years, male 14.7
GTEX-14PJ4-1626-SM-664OB 60-69 years, male 14.0
GTEX-11GSP-2126-SM-5HL5E 60-69 years, female 13.8
GTEX-11EI6-2426-SM-5PNVS 60-69 years, male 13.5
GTEX-1C475-1026-SM-7MKFJ 40-49 years, female 13.4
GTEX-1HBPI-0726-SM-9WG7Z 50-59 years, male 12.9
GTEX-11EM3-1026-SM-5A5KL 20-29 years, female 12.4
GTEX-WEY5-1226-SM-4LMIQ 40-49 years, female 11.9
GTEX-117YW-2226-SM-5N9DB 50-59 years, male 8.9
GTEX-1JMLX-2426-SM-CXZJQ 50-59 years, male 8.7
GTEX-11NUK-2426-SM-5BC4U 50-59 years, male 7.9
Show allShow less

Contact

  • NEWS ARTICLES
  • PRESS ROOM

The Project

  • INTRODUCTION
  • ORGANIZATION
  • PUBLICATIONS

The Human Protein Atlas

  • DOWNLOADABLE DATA
  • LICENCE & CITATION
  • HELP & FAQ
The Human Protein Atlas project is funded
by the Knut & Alice Wallenberg Foundation.


contact@proteinatlas.org