We use cookies to enhance the usability of our website. If you continue, we'll assume that you are happy to receive all cookies. More information. Don't show this again.
HBEGF
HPA
RESOURCES
  • TISSUE
  • BRAIN
  • SINGLE CELL
  • SUBCELLULAR
  • CANCER
  • BLOOD
  • CELL LINE
  • STRUCTURE & INTERACTION
ABOUT
  • INTRODUCTION
  • HISTORY
  • ORGANIZATION
  • PUBLICATIONS
  • ANTIBODY SUBMISSION
  • ANTIBODY AVAILABILITY
  • ACKNOWLEDGMENTS
  • CONTACT
NEWS
  • NEWS ARTICLES
  • PRESS ROOM
LEARN
  • DICTIONARY
  • PROTEIN CLASSES
  • PROTEIN EVIDENCE
  • METHODS
  • EDUCATIONAL VIDEOS
DATA
  • DOWNLOADABLE DATA
  • PUBLICATION DATA
  • RELEASE HISTORY
HELP
  • ANTIBODY VALIDATION
  • ASSAYS & ANNOTATION
  • DISCLAIMER
  • HELP & FAQ
  • PRIVACY STATEMENT
  • LICENCE & CITATION
Fields »
Search result

Field
Term
Gene name
Class
Subclass
Class
Keyword
Chromosome
External id
Tissue
Cell type
Expression
Antibody panel
Tissue
Main location
Patient ID
Annotation
Tissue
Category
Tau score
Cluster
Reliability
Brain region
Category
Tau score
Brain region
Category
Tau score
Brain region
Category
Tau score
Cluster
Reliability
Tissue
Cell type
Enrichment
Cell type
Category
Tau score
Cell type
Category
Tau score
Cell type
Category
Tau score
Cell lineage
Category
Tau score
Cluster
Cluster
Location
Searches
Location
Cell line
Class
Type
Phase
Reliability
Cancer
Prognosis
Cancer
Category
Cancer
Category
Tau score
Cluster
Variants
Interacting gene (ensg_id)
Type
Number of interactions
Pathway
Category
Score
Score
Score
Validation
Validation
Validation
Validation
Antibodies
Data type
Column


  • SUMMARY

  • TISSUE

  • BRAIN

  • SINGLE CELL

  • SUBCELL

  • CANCER

  • BLOOD

  • CELL LINE

  • STRUCT & INT

  • HBEGF
TISSUE PRIMARY DATA SKIN Show tissue menu
ADIPOSE TISSUE ADRENAL GLAND AMYGDALA APPENDIX BASAL GANGLIA BONE MARROW BREAST CEREBELLUM CEREBRAL CORTEX CERVIX CHOROID PLEXUS COLON DUODENUM
ENDOMETRIUM EPIDIDYMIS ESOPHAGUS FALLOPIAN TUBE GALLBLADDER HEART MUSCLE HIPPOCAMPAL FORMATION HYPOTHALAMUS KIDNEY LIVER LUNG LYMPH NODE MIDBRAIN
OVARY PANCREAS PARATHYROID GLAND PITUITARY GLAND PLACENTA PROSTATE RECTUM RETINA SALIVARY GLAND SEMINAL VESICLE SKELETAL MUSCLE SKIN SMALL INTESTINE
SMOOTH MUSCLE SPINAL CORD SPLEEN STOMACH TESTIS THYMUS THYROID GLAND TONGUE TONSIL URINARY BLADDER VAGINA
ANTIBODIES
AND
VALIDATION
Dictionary
Skin
Tissue proteome
Skin
SKIN - Expression summary
Protein expressioni

On the top, protein expression in current human tissue, based on all annotated cell types, is reported with the units not detected (n), low (l), medium (m) and high (h). Underneath, protein expression in each annotated cell type are reported using the same units.

Protein expression data is based on knowledge-based annotation. For genes where more than one antibody has been used, a collective score is set.

If knowledge-based annotation could not be performed for a gene, no data is displayed here. View antibody staining data further down this page.

No data
RNA expressioni

A summary of mRNA expression data available for current tissue based on several datasets. The mRNA expression levels in human tissues are based on RNA-seq data generated by the Human Protein Atlas (HPA), Genotype-Tissue Expression (GTEx) portal and CAGE data generated by the FANTOM5 consortium. Consensus normalized expression levels for human tissues was created by combining the data from HPA and GTEx datasets.

The mRNA expression levels in pig are based on RNA-seq data generated by the Human Protein Atlas (HPA), and for mouse, HPA data and in situ hybridization generated by the Allen brain atlas are reported.

Scroll down to view mRNA expression data in more detail.
Consensus:19.5 nTPM
HPA:2.6 nTPM
GTEx:19.5 nTPM

SKIN - Annotated protein expression
Pending normal tissue analysis

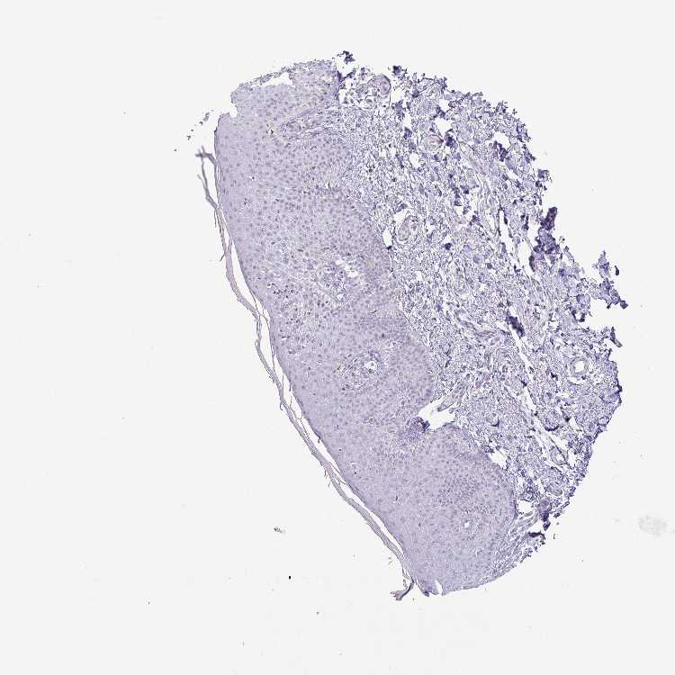
SKIN 1 - Antibody stainingi

Antibody staining in the annotated cell types in the current human tissue is reported as not detected, low, medium, or high, based on conventional immunohistochemistry profiling in selected tissues. This score is based on the combination of the staining intensity and fraction of stained cells.

Each image is clickable and will lead to virtual microscopy that enables deeper exploration of all samples and also displays staining intensity scores, fraction scores and subcellular localization as well as patient and tissue information for each sample.

Antibody HPA053243
Langerhans Not detected
Fibroblasts Not detected
Keratinocytes Not detected
Melanocytes Low


SKIN 2 - Antibody stainingi

Antibody staining in the annotated cell types in the current human tissue is reported as not detected, low, medium, or high, based on conventional immunohistochemistry profiling in selected tissues. This score is based on the combination of the staining intensity and fraction of stained cells.

Each image is clickable and will lead to virtual microscopy that enables deeper exploration of all samples and also displays staining intensity scores, fraction scores and subcellular localization as well as patient and tissue information for each sample.

Antibody HPA053243
Epidermal cells Low
 
 
 



SKIN - HPA RNA-seqi

The RNA-seq details section shows detailed information about the individual samples used for the transcript profiling and results of the RNA-seq analysis.

Information about each individual sample is listed below, including gender, age, a tissue section image and estimated fractions of cell types. nTPM (normalized transcripts per million) values give a quantification of the gene abundance which is comparable between different genes and samples.
Average nTPMi

Max subtype nTPM is the value for the subtype with the largest average nTPM across the subtype samples.

2.6
overview
Female, age 34
Skin sample 225
nTPM: 3.2
Cell types%
Keratinocytes:
60

Other cell types:
40

overview
Female, age 30
Skin sample 226
nTPM: 2.4
Cell types%
Keratinocytes:
55

Other cell types:
45

N/A
Male, age 57
Skin sample 227
nTPM: 2.3

SKIN - GTEx RNA-seqi

RNA-Seq data generated by the Genotype-Tissue Expression (GTEx) project from human tissues is reported as mean nTPM. More information can be found on the GTEx portal.

Distribution across the dataset is visualized with box plots, shown as median and 25th and 75th percentiles. Points are displayed as outliers if they are above or below 1.5 times the interquartile range. nTPM values of the individual samples are presented next to the box plot.
Max subtype nTPMi

Max subtype nTPM is the value for the subtype with the largest average nTPM across the subtype samples.

19.5
GTEx sample id Sample description nTPM
Skin - Not Sun Exposed (Suprapubic)
Average nTPM: 19.5
Samples: 604

Max nTPM: 201.2
Min nTPM: 2.9
Std nTPM: 20.3
Median nTPM: 13.5
GTEX-1ICLZ-0326-SM-ARL82 60-69 years, male 201.2
GTEX-1S82U-1026-SM-E6CJK 30-39 years, female 174.0
GTEX-11DZ1-2426-SM-5GZZX 50-59 years, male 155.7
GTEX-1F6RS-2026-SM-7RHHC 60-69 years, female 121.5
GTEX-1C2JI-1026-SM-73KY1 50-59 years, male 120.3
GTEX-YFCO-1226-SM-5LUAT 40-49 years, male 97.4
GTEX-13QBU-1226-SM-5LU4G 40-49 years, female 97.2
GTEX-ZYFD-0626-SM-5E44E 50-59 years, male 89.5
GTEX-1S82P-2126-SM-E6CI5 60-69 years, female 89.3
GTEX-15G1A-1626-SM-7KUKN 30-39 years, male 88.5
GTEX-12WSK-2126-SM-5CVNC 40-49 years, female 86.6
GTEX-1LVAN-0626-SM-CNPOQ 50-59 years, female 84.0
GTEX-ZY6K-1426-SM-5GZX2 50-59 years, male 79.0
GTEX-14E6C-2426-SM-5S2NF 40-49 years, male 76.5
GTEX-15UF6-1926-SM-7KUDV 70-79 years, female 72.3
GTEX-1GZ4H-0526-SM-9KNU9 50-59 years, female 72.3
GTEX-131YS-2826-SM-5EQ47 60-69 years, female 71.8
GTEX-1H2FU-0926-SM-9WPPT 60-69 years, female 71.5
GTEX-1IKOE-1426-SM-CE6T7 30-39 years, female 70.7
GTEX-ZLFU-1826-SM-4WWBV 40-49 years, male 69.1
GTEX-1JMQL-2226-SM-CNPP4 50-59 years, female 68.1
GTEX-1MCYP-0526-SM-E9U6Q 20-29 years, female 67.3
GTEX-ZVE1-0726-SM-51MRN 50-59 years, female 66.4
GTEX-13VXT-1926-SM-5K7UO 20-29 years, female 66.1
GTEX-ZE7O-2726-SM-51MT5 50-59 years, female 64.7
GTEX-1313W-0626-SM-5EQ4H 50-59 years, female 64.5
GTEX-1CAMS-2226-SM-7PBXQ 40-49 years, female 63.4
GTEX-1LVAM-0726-SM-E6CIL 50-59 years, female 63.4
GTEX-13NYS-0626-SM-5L3F1 60-69 years, male 61.0
GTEX-15CHQ-0326-SM-69LQD 60-69 years, male 60.9
GTEX-1R7EU-1626-SM-DTXG3 60-69 years, male 60.2
GTEX-13X6H-0926-SM-5SIB2 50-59 years, female 57.3
GTEX-1JKYR-0626-SM-ARL8R 20-29 years, male 56.0
GTEX-1JMPY-0226-SM-CKZOK 30-39 years, male 55.3
GTEX-144GL-0626-SM-5LU4D 50-59 years, male 55.0
GTEX-X8HC-0626-SM-4E3HQ 50-59 years, female 52.9
GTEX-ZA64-1026-SM-5HL8R 20-29 years, male 52.2
GTEX-13OVK-1426-SM-6PAN7 40-49 years, male 52.0
GTEX-1NSGN-0726-SM-DTXEF 50-59 years, male 51.7
GTEX-13FTW-0326-SM-5K7UW 40-49 years, male 51.4
GTEX-WI4N-2726-SM-3LK7Y 40-49 years, female 48.4
GTEX-ZZ64-1026-SM-5GZXG 20-29 years, male 48.1
GTEX-15RIE-1926-SM-7KUKJ 60-69 years, male 48.0
GTEX-15CHR-1126-SM-7EWF4 50-59 years, male 47.7
GTEX-1PBJJ-1026-SM-E76OS 30-39 years, male 47.6
GTEX-13FTX-1526-SM-5K7VJ 20-29 years, female 47.5
GTEX-13O3O-2326-SM-5IJD6 60-69 years, female 47.3
GTEX-XK95-0226-SM-4AT58 40-49 years, male 46.9
GTEX-1I1GT-1026-SM-ARZLV 60-69 years, female 46.4
GTEX-1C64N-2626-SM-7PC2N 50-59 years, male 45.4
GTEX-13NYC-0126-SM-5L3F4 60-69 years, male 45.3
GTEX-117YX-1926-SM-5GIEC 50-59 years, male 44.9
GTEX-11EQ8-0926-SM-5H12V 60-69 years, male 44.3
GTEX-17F9E-2326-SM-79OKD 50-59 years, male 44.3
GTEX-1CAV2-0126-SM-7IGN7 40-49 years, female 41.5
GTEX-13N1W-2426-SM-5IJD1 70-79 years, male 40.6
GTEX-ZVE2-2826-SM-5GU51 50-59 years, male 40.2
GTEX-14PHY-1226-SM-5ZZWK 60-69 years, female 39.5
GTEX-1M4P7-0726-SM-E6CJ3 60-69 years, male 39.3
GTEX-1LGRB-0926-SM-COH3K 50-59 years, female 39.2
GTEX-1QPFJ-1926-SM-EVYBD 30-39 years, female 38.8
GTEX-ZLV1-1526-SM-DO91J 60-69 years, female 38.8
GTEX-1F5PK-2226-SM-7SB6N 50-59 years, male 38.4
GTEX-12584-0726-SM-5FQTK 40-49 years, male 37.8
GTEX-XQ8I-0926-SM-4BOOF 50-59 years, male 37.8
GTEX-1C6VQ-1226-SM-73KYD 50-59 years, male 37.7
GTEX-1RMOY-1326-SM-E9TIH 50-59 years, male 37.4
GTEX-12KS4-2126-SM-5FQUT 30-39 years, male 37.2
GTEX-13JUV-2026-SM-5K7UA 40-49 years, female 37.0
GTEX-1J8JJ-0626-SM-ARZMQ 60-69 years, female 37.0
GTEX-13O61-1426-SM-5KM3D 60-69 years, male 36.1
GTEX-17F97-2626-SM-7IGM5 50-59 years, male 35.9
GTEX-139T8-0626-SM-5KLZX 60-69 years, male 35.8
GTEX-1HCU8-2526-SM-CE6RX 60-69 years, female 35.8
GTEX-16XZZ-0726-SM-7KUF2 60-69 years, male 35.1
GTEX-1HT8W-0626-SM-A9G2H 30-39 years, male 34.8
GTEX-11O72-0626-SM-5PNYE 40-49 years, male 34.7
GTEX-14PJO-2526-SM-6AJBQ 60-69 years, male 34.1
GTEX-15D1Q-2826-SM-6LLH7 40-49 years, male 34.0
GTEX-X585-2426-SM-46MW2 50-59 years, male 33.6
GTEX-WHSE-0126-SM-3NMBT 20-29 years, male 33.2
GTEX-13NZ9-2626-SM-5L3FK 50-59 years, male 32.8
GTEX-14LZ3-0126-SM-69LPM 60-69 years, female 32.7
GTEX-1399U-1126-SM-5L3DB 50-59 years, female 32.0
GTEX-Z93S-1626-SM-5CVMB 50-59 years, male 31.1
GTEX-12WSF-1626-SM-7KUG5 70-79 years, male 30.9
GTEX-1O9I2-0226-SM-EYYXD 50-59 years, male 30.9
GTEX-11DXW-0826-SM-5H118 40-49 years, male 30.3
GTEX-15EO6-2426-SM-6PALZ 50-59 years, male 30.3
GTEX-1HBPM-0726-SM-9YFL7 60-69 years, female 30.3
GTEX-1RAZA-2226-SM-E9U4X 20-29 years, male 30.3
GTEX-1R9K4-2826-SM-DTX8F 60-69 years, male 29.8
GTEX-1QP28-1126-SM-EVYC4 50-59 years, female 29.7
GTEX-ZYW4-0626-SM-59HJR 60-69 years, male 29.3
GTEX-13W3W-0726-SM-5IJDQ 60-69 years, female 29.1
GTEX-14DAQ-0626-SM-793DS 60-69 years, female 28.8
GTEX-1JJE9-2626-SM-ARZMT 70-79 years, male 28.6
GTEX-14A5H-0826-SM-5QGPJ 60-69 years, male 28.5
GTEX-1KXAM-1626-SM-D3LAD 60-69 years, male 28.5
GTEX-16MT9-0126-SM-7EPI8 60-69 years, female 28.3
GTEX-WHSB-1326-SM-3LK6W 50-59 years, male 27.9
GTEX-1C6WA-2626-SM-7MKGM 60-69 years, male 27.8
GTEX-144FL-0626-SM-5LU43 50-59 years, male 27.6
GTEX-1IDJH-0126-SM-D3L92 70-79 years, male 27.5
GTEX-ZDXO-3126-SM-5IJDF 60-69 years, male 27.2
GTEX-13OVG-1626-SM-5J1NF 60-69 years, male 27.1
GTEX-14PJ4-0226-SM-5YY92 60-69 years, male 27.1
GTEX-1211K-1526-SM-5FQU4 60-69 years, female 26.9
GTEX-ZTTD-2826-SM-4YCFA 50-59 years, male 26.7
GTEX-13NZ8-1226-SM-5KM4A 60-69 years, female 26.6
GTEX-1I4MK-0126-SM-CY8G6 50-59 years, female 26.6
GTEX-1PIGE-1826-SM-E8VOU 20-29 years, male 26.6
GTEX-XMD2-2126-SM-4YCF8 60-69 years, female 26.5
GTEX-13N2G-0226-SM-5K7VF 60-69 years, male 26.1
GTEX-14PKV-1126-SM-6LLJ1 20-29 years, female 25.9
GTEX-1AX9I-2226-SM-73KUO 60-69 years, male 25.8
GTEX-1A8FM-0626-SM-7PC25 50-59 years, female 25.6
GTEX-WYBS-0626-SM-3NMAS 60-69 years, female 25.5
GTEX-12126-0826-SM-5FQTZ 20-29 years, male 25.4
GTEX-1I1GS-2626-SM-B2LY3 60-69 years, male 25.4
GTEX-1C64O-1326-SM-7MGWR 60-69 years, male 25.1
GTEX-1F48J-0726-SM-7RHGS 50-59 years, female 25.1
GTEX-145MO-2826-SM-5LU96 60-69 years, male 25.0
GTEX-16MTA-0926-SM-6M47Z 50-59 years, male 24.9
GTEX-1H23P-0626-SM-9WG6T 60-69 years, male 24.9
GTEX-1314G-1326-SM-5BC6E 30-39 years, male 24.7
GTEX-146FQ-2126-SM-5RQHU 30-39 years, male 24.7
GTEX-1EX96-1026-SM-7MKG2 50-59 years, male 24.6
GTEX-XBED-1926-SM-47JYP 60-69 years, male 24.5
GTEX-ZYY3-2926-SM-5GIEB 60-69 years, female 24.5
GTEX-1192X-2726-SM-5N9DN 50-59 years, male 24.0
GTEX-XOT4-0626-SM-4B66L 60-69 years, female 24.0
GTEX-ZDTS-0826-SM-4WKHL 60-69 years, male 24.0
GTEX-13PVR-0426-SM-5RQK2 60-69 years, female 23.9
GTEX-1H4P4-2126-SM-9WYSL 50-59 years, male 23.5
GTEX-1117F-2926-SM-5GZYI 60-69 years, female 23.3
GTEX-18A66-0626-SM-7LT8Z 60-69 years, male 23.1
GTEX-1I19N-0126-SM-CYPSF 70-79 years, male 23.1
GTEX-WFG8-2126-SM-3GIKQ 20-29 years, male 23.0
GTEX-15SHW-0226-SM-7LTAT 60-69 years, male 22.9
GTEX-1EMGI-2326-SM-7PBYA 60-69 years, male 22.8
GTEX-UPK5-0426-SM-3GAEK 40-49 years, male 22.5
GTEX-ZYVF-0926-SM-5E44J 50-59 years, female 22.4
GTEX-1HCU7-0726-SM-A9SL1 50-59 years, male 22.4
GTEX-145MG-1526-SM-5Q5EM 50-59 years, male 22.3
GTEX-1HR98-2226-SM-ADEI2 60-69 years, male 22.3
GTEX-1PIIG-2326-SM-DTXFR 30-39 years, male 22.3
GTEX-1S83E-1326-SM-E6CJM 40-49 years, male 22.1
GTEX-145LT-0526-SM-5LUB2 40-49 years, male 22.0
GTEX-WEY5-2326-SM-3GIKK 40-49 years, female 21.9
GTEX-ZGAY-1826-SM-DO91Q 40-49 years, female 21.7
GTEX-14C5O-0326-SM-5ZZUX 60-69 years, male 21.6
GTEX-1JN6P-2926-SM-CL54D 60-69 years, male 21.6
GTEX-11WQK-1026-SM-5EQLX 50-59 years, male 21.5
GTEX-1F52S-2926-SM-7MKGA 60-69 years, female 21.5
GTEX-14ICL-1626-SM-5YYAO 30-39 years, male 21.4
GTEX-1QP2A-1726-SM-E76QC 50-59 years, male 21.4
GTEX-14PJ5-1526-SM-6LLIL 60-69 years, female 21.3
GTEX-VUSG-2326-SM-4KL1U 50-59 years, male 21.3
GTEX-WK11-2726-SM-3NMAQ 50-59 years, male 21.2
GTEX-13YAN-0226-SM-5TDC6 60-69 years, male 21.1
GTEX-ZAB4-2126-SM-5HL8U 40-49 years, male 20.9
GTEX-1KD5A-0126-SM-E9U54 50-59 years, male 20.9
GTEX-1IL2V-1926-SM-B2LW8 70-79 years, male 20.8
GTEX-18A7B-2726-SM-7LG56 70-79 years, male 20.7
GTEX-1H1CY-0126-SM-9YFLY 60-69 years, female 20.6
GTEX-1A3MW-0626-SM-731CB 60-69 years, female 20.5
GTEX-1MJK3-0726-SM-E6CJC 20-29 years, male 20.2
GTEX-1QW4Y-1126-SM-DTXE3 30-39 years, male 20.2
GTEX-12BJ1-0926-SM-5EQ62 60-69 years, male 20.1
GTEX-18D9B-0926-SM-7LG4U 60-69 years, male 20.1
GTEX-1I6K6-1726-SM-CGQFD 30-39 years, male 20.1
GTEX-111FC-2526-SM-5GZXU 60-69 years, male 20.0
GTEX-17HG3-2626-SM-7DUF2 30-39 years, female 20.0
GTEX-1F88E-1626-SM-7SB8Z 60-69 years, female 19.8
GTEX-1399S-0126-SM-5IJCF 30-39 years, female 19.7
GTEX-15ER7-0626-SM-6PANF 20-29 years, female 19.6
GTEX-XUW1-0926-SM-4BONX 50-59 years, female 19.6
GTEX-1N2EE-0626-SM-E76PW 60-69 years, male 19.5
GTEX-1LKK1-2626-SM-DKPQE 50-59 years, female 19.4
GTEX-1B933-2426-SM-7DHMD 50-59 years, female 19.2
GTEX-1E1VI-0326-SM-793D1 50-59 years, male 19.1
GTEX-1A3MX-2626-SM-7PC24 60-69 years, male 19.1
GTEX-1CAMR-1326-SM-7PC1F 20-29 years, male 19.0
GTEX-1GPI7-1826-SM-9KNU1 20-29 years, male 19.0
GTEX-ZUA1-2626-SM-5NQ92 40-49 years, male 18.8
GTEX-1GF9X-1326-SM-7PC2Y 40-49 years, female 18.8
GTEX-1J1OQ-0126-SM-D4P2N 40-49 years, female 18.8
GTEX-ZU9S-1826-SM-5NQ9E 30-39 years, male 18.7
GTEX-1F5PL-0926-SM-7PC2W 40-49 years, female 18.7
GTEX-1IDJF-2026-SM-CL53V 20-29 years, male 18.6
GTEX-1269C-0126-SM-5EQ5L 60-69 years, female 18.5
GTEX-145LU-1926-SM-79OJN 50-59 years, male 18.5
GTEX-1E2YA-2126-SM-7MXUO 50-59 years, male 18.5
GTEX-1RB15-1326-SM-E76Q9 60-69 years, male 18.5
GTEX-139UW-0326-SM-5J1ML 60-69 years, male 18.4
GTEX-1A32A-0626-SM-731AQ 50-59 years, female 18.4
GTEX-ZAJG-1526-SM-5CVML 50-59 years, female 18.4
GTEX-1H11D-1826-SM-9QEHM 40-49 years, male 18.4
GTEX-1HSMO-0626-SM-ACKXC 60-69 years, male 18.4
GTEX-11DXY-0126-SM-5H11Q 60-69 years, male 18.2
GTEX-144GM-0526-SM-79OJO 20-29 years, male 18.2
GTEX-1HKZK-0726-SM-ACKW2 40-49 years, male 18.2
GTEX-WFG7-2026-SM-5SI7P 20-29 years, male 18.1
GTEX-1POEN-2326-SM-E9J2L 30-39 years, female 18.1
GTEX-17F96-0126-SM-7EWDU 70-79 years, male 17.8
GTEX-14JG1-1526-SM-5YY9X 40-49 years, male 17.7
GTEX-YEC3-1326-SM-DO92X 50-59 years, male 17.7
GTEX-147JS-0226-SM-5S2U9 60-69 years, male 17.6
GTEX-17F98-1326-SM-7DUEP 40-49 years, female 17.6
GTEX-1B932-2326-SM-79OL5 40-49 years, female 17.6
GTEX-18D9A-1426-SM-7LT8M 30-39 years, female 17.5
GTEX-14XAO-1226-SM-6EU1C 60-69 years, female 17.4
GTEX-V1D1-2026-SM-3GAF4 50-59 years, male 17.4
GTEX-14PJ2-0626-SM-6LLII 50-59 years, male 17.3
GTEX-13IVO-0726-SM-5LZYV 70-79 years, male 17.2
GTEX-1S5ZU-2526-SM-E6CIF 20-29 years, female 17.2
GTEX-13RTJ-0126-SM-5S2NN 60-69 years, male 17.1
GTEX-147F4-0726-SM-5TDDD 50-59 years, male 17.1
GTEX-ZT9W-1126-SM-57WDR 50-59 years, male 17.1
GTEX-12WSD-0626-SM-5GCMW 60-69 years, female 17.0
GTEX-139D8-1126-SM-5LU8W 30-39 years, female 17.0
GTEX-1LG7Y-2526-SM-EWRO7 50-59 years, male 17.0
GTEX-1R46S-2426-SM-E76QA 60-69 years, female 17.0
GTEX-12ZZY-0726-SM-5EQ66 60-69 years, male 16.9
GTEX-139YR-1026-SM-5LZYN 50-59 years, male 16.9
GTEX-X5EB-1926-SM-4E3IW 40-49 years, male 16.9
GTEX-1JN76-0626-SM-CKZOQ 20-29 years, female 16.9
GTEX-YECK-0326-SM-4W1YS 60-69 years, male 16.6
GTEX-14JG6-1426-SM-9WG7C 30-39 years, female 16.6
GTEX-1JMQK-1226-SM-D4P2S 60-69 years, male 16.6
GTEX-1LSVX-2526-SM-DIPEU 60-69 years, male 16.6
GTEX-111YS-1526-SM-5GZYW 60-69 years, male 16.4
GTEX-1EH9U-2826-SM-7DUGT 60-69 years, male 16.4
GTEX-1A8G7-1326-SM-73KVM 60-69 years, male 16.3
GTEX-1H3NZ-2726-SM-9WYTQ 60-69 years, male 16.3
GTEX-1IDJI-0126-SM-CMKHS 50-59 years, female 16.3
GTEX-1OJC3-1226-SM-DTXER 20-29 years, male 16.3
GTEX-1C475-1326-SM-7SB73 40-49 years, female 16.2
GTEX-1H1DE-1326-SM-9KNUG 20-29 years, male 16.1
GTEX-1HSMP-0926-SM-A9SKX 70-79 years, male 16.1
GTEX-1QCLY-0226-SM-EWRNH 30-39 years, male 16.1
GTEX-14PJ3-1126-SM-5ZZVX 50-59 years, male 16.0
GTEX-1K2DA-1026-SM-CGQGF 50-59 years, male 16.0
GTEX-178AV-1726-SM-7KUL8 40-49 years, male 15.9
GTEX-1CB4E-0926-SM-7EPHT 60-69 years, male 15.9
GTEX-YJ8O-2526-SM-5HL85 40-49 years, female 15.9
GTEX-1N2DV-1526-SM-DTXEP 40-49 years, male 15.9
GTEX-11TT1-1826-SM-5EQLV 20-29 years, male 15.8
GTEX-148VJ-0626-SM-5LUAW 70-79 years, male 15.7
GTEX-16MT8-2926-SM-7DUFO 60-69 years, female 15.7
GTEX-1A8G6-2726-SM-731AR 60-69 years, male 15.7
GTEX-1JMPZ-0726-SM-CY8HZ 30-39 years, male 15.7
GTEX-11EI6-2826-SM-5H11D 60-69 years, male 15.6
GTEX-1AX8Z-0726-SM-73KTS 60-69 years, male 15.6
GTEX-14BMU-1226-SM-5S2OR 20-29 years, female 15.3
GTEX-Y5LM-0926-SM-6LLJG 40-49 years, female 15.3
GTEX-14753-0726-SM-5QGQO 60-69 years, male 15.2
GTEX-12ZZX-2426-SM-5GCOE 40-49 years, female 15.1
GTEX-17EVQ-0126-SM-7IGLR 70-79 years, male 15.1
GTEX-1N5O9-0926-SM-E9J3C 60-69 years, male 15.1
GTEX-WRHU-2826-SM-3MJG8 50-59 years, female 14.9
GTEX-ZDTT-0426-SM-4WKFL 60-69 years, male 14.9
GTEX-1AYD5-2626-SM-7PBXY 50-59 years, male 14.9
GTEX-1GF9W-1426-SM-7PBYM 60-69 years, male 14.9
GTEX-1LVAO-2726-SM-E9TJ8 60-69 years, male 14.9
GTEX-1PPH8-0126-SM-EWRN8 20-29 years, male 14.9
GTEX-11LCK-2226-SM-5HL4Q 30-39 years, male 14.8
GTEX-XQ3S-1426-SM-4BOPR 20-29 years, male 14.8
GTEX-ZVZP-1226-SM-5GID7 50-59 years, male 14.7
GTEX-1LBAC-0826-SM-CY8IJ 20-29 years, male 14.7
GTEX-1LSNL-2726-SM-E9TKJ 50-59 years, male 14.7
GTEX-11ZTT-2126-SM-5CVLO 60-69 years, female 14.6
GTEX-ZPU1-1126-SM-4YCF3 40-49 years, male 14.6
GTEX-14JFF-0626-SM-5ZZVT 60-69 years, male 14.6
GTEX-16AAH-0626-SM-793C9 50-59 years, male 14.5
GTEX-1CAMQ-1326-SM-7P8RV 40-49 years, male 14.5
GTEX-11ZUS-2626-SM-5FQUR 30-39 years, male 14.4
GTEX-13X6I-1826-SM-5SIAO 60-69 years, male 14.4
GTEX-ZWKS-0626-SM-5GIDV 30-39 years, male 14.4
GTEX-1F75B-0726-SM-7PC3R 50-59 years, male 14.4
GTEX-1J8Q3-0526-SM-ARL8U 60-69 years, male 14.4
GTEX-ZLWG-0826-SM-59888 50-59 years, female 14.3
GTEX-X4EP-0626-SM-3P621 60-69 years, female 14.1
GTEX-1PPH7-1126-SM-DTX9A 40-49 years, male 14.1
GTEX-1R9PN-0426-SM-DTXDT 40-49 years, female 14.0
GTEX-ZYFG-1526-SM-5GZYM 60-69 years, female 13.9
GTEX-1GL5R-1326-SM-7RHHF 50-59 years, male 13.9
GTEX-1I1GV-0626-SM-ARL7M 60-69 years, male 13.9
GTEX-Y9LG-1126-SM-4VBQ7 30-39 years, male 13.8
GTEX-1GZ2Q-0126-SM-9WG6M 40-49 years, male 13.8
GTEX-1JMOU-1026-SM-CYPSS 60-69 years, female 13.8
GTEX-17MF6-2626-SM-79OKQ 40-49 years, male 13.7
GTEX-1I1GP-1326-SM-A9G28 50-59 years, male 13.7
GTEX-1IDFM-0326-SM-ARL7V 60-69 years, male 13.7
GTEX-12WSJ-1126-SM-5LZVJ 40-49 years, female 13.6
GTEX-13OVH-0526-SM-5L3E6 70-79 years, male 13.6
GTEX-1H1DG-2426-SM-9QEHJ 70-79 years, male 13.6
GTEX-13OVL-0126-SM-5L3GJ 50-59 years, male 13.5
GTEX-17MFQ-1526-SM-7KFRR 20-29 years, male 13.5
GTEX-18465-2826-SM-7LT9J 50-59 years, male 13.5
GTEX-18A6Q-0626-SM-7KFRP 60-69 years, male 13.5
GTEX-1F75W-2726-SM-7SB8H 60-69 years, male 13.5
GTEX-1RLM8-2926-SM-E8VON 50-59 years, male 13.4
GTEX-139TS-2126-SM-5K7XC 60-69 years, male 13.2
GTEX-17F9Y-0126-SM-79OKX 70-79 years, female 13.2
GTEX-1F75I-2226-SM-7SB8U 40-49 years, male 13.2
GTEX-17HGU-2326-SM-7DUFE 50-59 years, male 13.1
GTEX-12WSH-1526-SM-5BC5W 50-59 years, male 13.0
GTEX-131XH-0126-SM-5LZUY 50-59 years, male 13.0
GTEX-13FTY-2126-SM-5IFFB 40-49 years, female 13.0
GTEX-14PKU-0126-SM-6LLHV 40-49 years, female 13.0
GTEX-17JCI-2926-SM-7DUFF 60-69 years, female 13.0
GTEX-1B8KE-1126-SM-7EPHI 50-59 years, male 13.0
GTEX-ZF2S-1626-SM-57WES 50-59 years, female 13.0
GTEX-13FHO-0426-SM-5L3F5 60-69 years, male 12.9
GTEX-1HUB1-1426-SM-CGQF5 60-69 years, male 12.9
GTEX-145LS-0626-SM-7EPG7 60-69 years, female 12.8
GTEX-1IY9M-2826-SM-ARU8H 60-69 years, male 12.8
GTEX-145MI-0626-SM-5SI8S 60-69 years, female 12.7
GTEX-Y8E4-2026-SM-5IFJB 40-49 years, male 12.7
GTEX-1JK1U-0226-SM-ARZMX 60-69 years, male 12.7
GTEX-Y5V6-2326-SM-4VDSA 60-69 years, male 12.6
GTEX-1CB4H-1126-SM-7MKGL 60-69 years, female 12.5
GTEX-U8XE-0226-SM-4E3J3 30-39 years, male 12.5
GTEX-1F6IF-0926-SM-7SB7M 60-69 years, male 12.5
GTEX-1GN1W-2426-SM-9KNUU 50-59 years, female 12.5
GTEX-1HGF4-0126-SM-CNPPX 60-69 years, male 12.5
GTEX-15DDE-2926-SM-6LLJ3 50-59 years, female 12.4
GTEX-16NPX-0726-SM-7KULC 50-59 years, male 12.4
GTEX-ZXG5-2126-SM-59HKD 60-69 years, male 12.4
GTEX-1GMR2-0826-SM-7PC3V 50-59 years, male 12.4
GTEX-1PPGY-1626-SM-EVYBL 60-69 years, male 12.4
GTEX-131XG-0326-SM-5L3DX 50-59 years, female 12.3
GTEX-13U4I-2226-SM-5LU5H 40-49 years, female 12.3
GTEX-13X6J-0626-SM-5LU5F 50-59 years, male 12.3
GTEX-13X6K-0626-SM-5LU5D 60-69 years, female 12.3
GTEX-1J8QM-2426-SM-A9SLS 60-69 years, female 12.3
GTEX-1KWVE-1026-SM-D3L9O 30-39 years, male 12.3
GTEX-1QEPI-2626-SM-DTXF4 60-69 years, female 12.3
GTEX-11UD2-2526-SM-5CVNU 50-59 years, male 12.0
GTEX-13OW5-2326-SM-5L3HO 60-69 years, male 12.0
GTEX-1HCUA-0826-SM-ADEHM 50-59 years, female 12.0
GTEX-ZVT4-2426-SM-5GIEI 50-59 years, female 11.9
GTEX-14PJ6-2626-SM-6EU2T 60-69 years, female 11.8
GTEX-1HR9M-2226-SM-CNPPY 60-69 years, male 11.8
GTEX-1QAET-0326-SM-EVR3U 50-59 years, male 11.8
GTEX-11GSP-2326-SM-5HL63 60-69 years, female 11.7
GTEX-1477Z-0326-SM-7IGLA 60-69 years, male 11.7
GTEX-183FY-1026-SM-7939A 20-29 years, male 11.7
GTEX-13PVQ-0626-SM-5LU47 50-59 years, male 11.6
GTEX-X4EO-2926-SM-4E3JH 60-69 years, female 11.6
GTEX-1F6I4-2326-SM-7RHGL 60-69 years, male 11.6
GTEX-13NYB-0126-SM-5J1MD 40-49 years, male 11.5
GTEX-ZF29-0926-SM-4WKFZ 60-69 years, female 11.5
GTEX-1HSKV-1226-SM-ADEI4 60-69 years, male 11.5
GTEX-1HSMQ-2626-SM-A9SML 50-59 years, male 11.5
GTEX-17HHE-1326-SM-7EWDZ 50-59 years, male 11.3
GTEX-XBEC-0726-SM-4QARZ 50-59 years, male 11.3
GTEX-1H1DF-1126-SM-9WG7G 40-49 years, female 11.3
GTEX-147F3-1726-SM-5SIAW 50-59 years, female 11.2
GTEX-16YQH-2226-SM-7IGM2 30-39 years, male 11.2
GTEX-1B996-0426-SM-7EWF8 60-69 years, male 11.2
GTEX-11P7K-1126-SM-5HL4L 30-39 years, male 11.1
GTEX-13PDP-0726-SM-5L3HP 60-69 years, male 11.1
GTEX-14AS3-1526-SM-5Q5ED 40-49 years, female 11.0
GTEX-16GPK-0626-SM-7KFSF 60-69 years, male 11.0
GTEX-1I6K7-1926-SM-B2LXR 40-49 years, male 11.0
GTEX-11ZU8-0126-SM-5EQ58 60-69 years, male 10.9
GTEX-14BMV-2826-SM-5TDED 50-59 years, male 10.9
GTEX-1GMR3-0126-SM-A9SLW 40-49 years, male 10.9
GTEX-18QFQ-1826-SM-72D52 30-39 years, male 10.8
GTEX-1PDJ9-1226-SM-EXUSX 20-29 years, male 10.8
GTEX-13112-0126-SM-5P9IU 50-59 years, male 10.7
GTEX-144GO-2026-SM-5O99P 60-69 years, male 10.7
GTEX-1HB9E-0126-SM-CM2S5 50-59 years, male 10.7
GTEX-1IDJU-1726-SM-CMKHU 60-69 years, female 10.7
GTEX-1JMQJ-0826-SM-CNPP7 50-59 years, male 10.7
GTEX-1CB4F-1026-SM-7DUH1 60-69 years, male 10.6
GTEX-11WQC-1826-SM-5GU59 60-69 years, male 10.5
GTEX-13SLX-2226-SM-62LEP 50-59 years, female 10.5
GTEX-15G19-2426-SM-7KUMR 60-69 years, male 10.5
GTEX-1RAZQ-1326-SM-E9TK6 30-39 years, male 10.5
GTEX-111CU-1126-SM-5EGIM 50-59 years, male 10.4
GTEX-1S831-1826-SM-EWROF 20-29 years, male 10.4
GTEX-11EQ9-1626-SM-5PNY8 30-39 years, male 10.3
GTEX-14PK6-0226-SM-62LF5 70-79 years, female 10.3
GTEX-16NGA-0726-SM-731AO 40-49 years, female 10.3
GTEX-UPJH-0226-SM-3GADV 50-59 years, male 10.3
GTEX-ZZPU-0826-SM-5GZX5 50-59 years, female 10.2
GTEX-1LSNM-0826-SM-DIPG8 50-59 years, male 10.1
GTEX-1QP9N-1226-SM-E76QN 30-39 years, male 10.1
GTEX-15RIG-0726-SM-7KUM7 40-49 years, male 10.0
GTEX-1QMI2-2526-SM-E8VNZ 60-69 years, male 10.0
GTEX-1GMR8-0626-SM-7RHI7 50-59 years, female 9.9
GTEX-1HFI6-0126-SM-CNPPI 40-49 years, male 9.9
GTEX-1JN1M-2726-SM-CY8I4 60-69 years, female 9.9
GTEX-14BIN-1126-SM-5RQJZ 50-59 years, female 9.8
GTEX-15DYW-2726-SM-6EU2I 60-69 years, female 9.8
GTEX-1EN7A-2426-SM-793DB 40-49 years, male 9.8
GTEX-1H3O1-1326-SM-9MQLD 60-69 years, male 9.8
GTEX-145MF-0926-SM-5Q5EA 50-59 years, male 9.7
GTEX-1HCU6-2526-SM-ADEHL 60-69 years, female 9.7
GTEX-1K2DU-1226-SM-CYPT4 20-29 years, male 9.7
GTEX-14DAR-1226-SM-73KYV 50-59 years, male 9.6
GTEX-YF7O-1526-SM-5IFI6 50-59 years, male 9.6
GTEX-12WSC-2826-SM-5BC5Y 50-59 years, male 9.5
GTEX-14LLW-2626-SM-62LDZ 70-79 years, female 9.5
GTEX-1JKYN-0826-SM-ARU8S 30-39 years, male 9.5
GTEX-11NUK-2726-SM-5A5MC 50-59 years, male 9.4
GTEX-1F88F-0126-SM-9WYSZ 60-69 years, female 9.4
GTEX-YB5K-2026-SM-4VDT3 40-49 years, female 9.3
GTEX-11DXZ-2026-SM-5987S 50-59 years, male 9.2
GTEX-139TU-0726-SM-5L3EK 60-69 years, male 9.2
GTEX-13OW6-2726-SM-5J2OE 50-59 years, male 9.2
GTEX-1B8KZ-0326-SM-73KY4 50-59 years, male 9.2
GTEX-14B4R-1326-SM-5Q5EZ 30-39 years, male 9.1
GTEX-1GMRU-2126-SM-7P8RA 50-59 years, male 9.1
GTEX-1GZ4I-2626-SM-9KNU3 50-59 years, male 9.1
GTEX-1I1HK-2326-SM-CKZOH 60-69 years, male 9.1
GTEX-13113-1626-SM-5EQ4I 60-69 years, female 9.0
GTEX-18A7A-0126-SM-731AH 50-59 years, female 9.0
GTEX-ZVP2-0326-SM-57WBP 50-59 years, male 9.0
GTEX-12WSL-2026-SM-5GCML 50-59 years, male 8.9
GTEX-1JMLX-0626-SM-ARL8T 50-59 years, male 8.9
GTEX-1QP66-1226-SM-DTX7U 50-59 years, male 8.9
GTEX-11TUW-0626-SM-5LU9M 60-69 years, male 8.8
GTEX-12696-0126-SM-5EQ4L 60-69 years, male 8.8
GTEX-1ICLY-0826-SM-CMKG1 50-59 years, male 8.8
GTEX-1IDJE-1426-SM-ADEIW 50-59 years, female 8.8
GTEX-11DXX-2126-SM-5PNYR 60-69 years, female 8.7
GTEX-14C38-0726-SM-5SI6M 50-59 years, male 8.7
GTEX-1AMEY-0826-SM-72D65 30-39 years, female 8.7
GTEX-1BAJH-2426-SM-7IGP8 70-79 years, male 8.7
GTEX-WYVS-1626-SM-3NM9R 40-49 years, female 8.7
GTEX-1HCU9-0426-SM-9WYSD 20-29 years, male 8.7
GTEX-1MCC2-1826-SM-DIPEX 30-39 years, female 8.7
GTEX-1212Z-0126-SM-59HK4 60-69 years, male 8.6
GTEX-183WM-0326-SM-72D5V 70-79 years, female 8.6
GTEX-ZYFC-0426-SM-5GICQ 50-59 years, male 8.6
GTEX-1J8Q2-2626-SM-ACKWQ 60-69 years, male 8.6
GTEX-ZF3C-0626-SM-DO92O 50-59 years, female 8.6
GTEX-12WSM-1926-SM-5BC65 60-69 years, male 8.5
GTEX-XAJ8-1426-SM-47JYM 40-49 years, male 8.5
GTEX-1JMQI-1726-SM-ARL93 50-59 years, male 8.5
GTEX-13QJC-0126-SM-5ZZWJ 60-69 years, female 8.4
GTEX-15RJE-2826-SM-7KUM9 40-49 years, male 8.4
GTEX-1JJ6O-2726-SM-CNPOG 60-69 years, male 8.4
GTEX-1497J-0226-SM-5QGPU 60-69 years, male 8.3
GTEX-14E6E-0526-SM-793DN 30-39 years, male 8.3
GTEX-ZE9C-2526-SM-5IJDR 60-69 years, male 8.3
GTEX-ZPCL-1126-SM-4WWFE 60-69 years, female 8.3
GTEX-1HCVE-2726-SM-CL54F 50-59 years, male 8.3
GTEX-1QP29-1826-SM-DTX9S 50-59 years, male 8.3
GTEX-1399Q-2326-SM-5KM2X 40-49 years, male 8.2
GTEX-15RJ7-2126-SM-6PAMD 40-49 years, male 8.2
GTEX-17EVP-2626-SM-7IGMA 40-49 years, male 8.2
GTEX-WHWD-1826-SM-3LK6I 50-59 years, male 8.2
GTEX-X3Y1-2026-SM-3P5YM 40-49 years, male 8.2
GTEX-13JVG-0726-SM-5KM16 60-69 years, male 8.1
GTEX-17KNJ-2126-SM-718AM 50-59 years, male 8.1
GTEX-Y8LW-1526-SM-5IFHL 50-59 years, female 8.1
GTEX-ZVTK-0226-SM-51MRG 20-29 years, male 8.1
GTEX-11P82-1426-SM-DTXFY 20-29 years, male 8.1
GTEX-1ICG6-1226-SM-A9SLN 70-79 years, female 8.1
GTEX-1NV5F-0626-SM-DTXEG 60-69 years, female 8.1
GTEX-12WSA-0426-SM-5EQ5X 60-69 years, male 8.0
GTEX-XBEW-1126-SM-4QARW 40-49 years, male 8.0
GTEX-XV7Q-1826-SM-4BRUV 40-49 years, female 8.0
GTEX-YEC4-1826-SM-4W1YP 40-49 years, male 8.0
GTEX-1KANB-2826-SM-CY8I6 50-59 years, male 8.0
GTEX-14E1K-2026-SM-7DUEI 50-59 years, male 7.9
GTEX-ZTSS-1426-SM-5985P 40-49 years, male 7.9
GTEX-1IKJJ-2226-SM-CJI4C 60-69 years, male 7.9
GTEX-1S3DN-2126-SM-E9TIN 50-59 years, male 7.9
GTEX-1122O-1026-SM-9WYSF 60-69 years, female 7.8
GTEX-133LE-2326-SM-5K7W3 20-29 years, female 7.7
GTEX-13OVJ-0826-SM-5J1OK 50-59 years, female 7.7
GTEX-145MN-1526-SM-5SI9T 30-39 years, male 7.7
GTEX-14ABY-2026-SM-62LDL 50-59 years, male 7.7
GTEX-15SKB-2826-SM-6PAMH 60-69 years, male 7.7
GTEX-18A67-1626-SM-7LT9T 50-59 years, male 7.7
GTEX-1A3MV-1826-SM-731CD 30-39 years, male 7.7
GTEX-XPVG-2126-SM-4B667 50-59 years, male 7.7
GTEX-1GF9V-0826-SM-9KNUV 60-69 years, male 7.7
GTEX-1IE54-1126-SM-A9G2Z 40-49 years, female 7.7
GTEX-11PRG-0726-SM-5EGL1 50-59 years, male 7.6
GTEX-1QCLZ-2426-SM-EVYBW 60-69 years, female 7.6
GTEX-1GN1U-0626-SM-9MQL9 50-59 years, female 7.5
GTEX-1L5NE-1126-SM-D3L9P 50-59 years, male 7.5
GTEX-1LVA9-2626-SM-EVYD4 50-59 years, male 7.5
GTEX-WYJK-0526-SM-3NM8Z 50-59 years, male 7.4
GTEX-ZPIC-0526-SM-DO91W 40-49 years, female 7.4
GTEX-11DYG-1526-SM-5A5JS 60-69 years, male 7.3
GTEX-13VXU-0626-SM-5L3F9 50-59 years, male 7.3
GTEX-15FZZ-0526-SM-7KUGD 30-39 years, female 7.3
GTEX-1EWIQ-0326-SM-7DHMQ 70-79 years, female 7.3
GTEX-VJYA-1526-SM-3GIJV 60-69 years, male 7.3
GTEX-131XW-0626-SM-5PNVD 50-59 years, female 7.2
GTEX-Y114-2126-SM-4TT8B 50-59 years, female 7.2
GTEX-1CB4I-0126-SM-7RHGG 50-59 years, male 7.2
GTEX-131XF-2626-SM-5EQ6K 60-69 years, male 7.1
GTEX-17HII-1426-SM-7EPGG 50-59 years, male 7.1
GTEX-1IOXB-2726-SM-CM2RI 50-59 years, male 7.1
GTEX-13G51-1826-SM-5KLZH 60-69 years, male 7.0
GTEX-WH7G-2026-SM-3NMBL 40-49 years, male 6.9
GTEX-ZT9X-1526-SM-5DUXD 40-49 years, male 6.9
GTEX-1IDJV-0126-SM-COH3Y 60-69 years, male 6.9
GTEX-1R9PM-1926-SM-EVR3O 20-29 years, male 6.9
GTEX-17HHY-0426-SM-7DHLC 50-59 years, male 6.8
GTEX-1AMFI-1326-SM-7939R 50-59 years, female 6.8
GTEX-1I1CD-0626-SM-CE6SW 60-69 years, female 6.8
GTEX-111VG-1626-SM-5EGIO 60-69 years, male 6.7
GTEX-14PHX-2226-SM-6EU2P 50-59 years, male 6.7
GTEX-ZP4G-1426-SM-4WWCL 20-29 years, female 6.7
GTEX-1RAZR-2126-SM-E9U6T 40-49 years, male 6.7
GTEX-16Z82-2626-SM-7KULU 60-69 years, male 6.6
GTEX-WY7C-2126-SM-3NB2R 50-59 years, male 6.6
GTEX-11P81-2226-SM-5PNYI 30-39 years, female 6.5
GTEX-139TT-2126-SM-5LZWC 60-69 years, male 6.5
GTEX-1GTWX-2026-SM-9YFLM 60-69 years, male 6.5
GTEX-13FLV-0126-SM-5K7WT 50-59 years, male 6.4
GTEX-1GZHY-0626-SM-9KNVC 50-59 years, female 6.4
GTEX-1K9T9-1526-SM-DIPFR 50-59 years, female 6.4
GTEX-132AR-0326-SM-5KM2C 50-59 years, female 6.3
GTEX-13SLW-0626-SM-5Q5ER 70-79 years, male 6.3
GTEX-1H3VE-0726-SM-9YFL5 40-49 years, male 6.3
GTEX-1RAZS-2526-SM-E6CHT 50-59 years, male 6.3
GTEX-1399R-1326-SM-5PNYS 30-39 years, male 6.2
GTEX-ZTX8-1326-SM-4YCEL 20-29 years, male 6.2
GTEX-1HBPN-0126-SM-CGQEF 50-59 years, male 6.2
GTEX-1IDJD-2326-SM-ACKWX 30-39 years, male 6.2
GTEX-WXYG-2026-SM-4E3IY 50-59 years, female 6.1
GTEX-14PJN-1826-SM-6AJ98 30-39 years, male 6.0
GTEX-1H1E6-0426-SM-9WYUS 30-39 years, male 6.0
GTEX-13OW7-0426-SM-5K7VK 50-59 years, male 5.9
GTEX-11EM3-1226-SM-5N9DD 20-29 years, female 5.8
GTEX-11OF3-0126-SM-5PNYF 60-69 years, male 5.8
GTEX-13D11-0926-SM-5J2NC 50-59 years, female 5.8
GTEX-14PII-0726-SM-6EU2B 60-69 years, male 5.8
GTEX-1B8SF-0126-SM-7DUG3 60-69 years, male 5.8
GTEX-XYKS-1426-SM-4BRUO 60-69 years, female 5.8
GTEX-1GN2E-0226-SM-9WG6K 60-69 years, male 5.8
GTEX-1KANC-1226-SM-CYPT7 50-59 years, female 5.8
GTEX-1B8L1-2226-SM-7P8PT 60-69 years, male 5.7
GTEX-1HBPI-2126-SM-ARL9K 50-59 years, male 5.7
GTEX-1KAFJ-0126-SM-DIPEK 50-59 years, male 5.7
GTEX-1GF9U-2026-SM-7SB92 40-49 years, female 5.6
GTEX-1GN1V-2826-SM-9JGIA 60-69 years, male 5.6
GTEX-1EKGG-0626-SM-7DUGJ 60-69 years, male 5.5
GTEX-W5X1-2526-SM-3GILC 40-49 years, female 5.5
GTEX-ZC5H-1526-SM-5HL9Y 40-49 years, female 5.5
GTEX-1CB4J-1326-SM-7P8RX 60-69 years, male 5.5
GTEX-1EU9M-1426-SM-793AI 60-69 years, male 5.4
GTEX-1J1R8-2026-SM-CL53Y 40-49 years, male 5.4
GTEX-1JJEA-1826-SM-ARU8P 60-69 years, male 5.4
GTEX-XXEK-1626-SM-4BRUZ 50-59 years, male 5.3
GTEX-145MH-2826-SM-5RQJF 50-59 years, male 5.2
GTEX-WFON-1926-SM-3LK7L 40-49 years, male 5.2
GTEX-1J8EW-2726-SM-CY8HR 60-69 years, female 5.2
GTEX-11NSD-0626-SM-5A5LU 20-29 years, male 5.1
GTEX-Y5V5-0126-SM-5S2NW 60-69 years, female 5.1
GTEX-1C6VR-0126-SM-7RHGB 60-69 years, male 5.0
GTEX-1KANA-1326-SM-DIPFA 20-29 years, male 5.0
GTEX-1LGOU-1326-SM-D3L8M 20-29 years, female 5.0
GTEX-13PL6-1126-SM-5L3IE 40-49 years, female 4.9
GTEX-147GR-2426-SM-5ZZWQ 60-69 years, male 4.9
GTEX-1I1GU-0926-SM-ACKVS 40-49 years, male 4.9
GTEX-11VI4-1126-SM-5EQMD 40-49 years, female 4.8
GTEX-13FH7-1126-SM-5K7UG 50-59 years, female 4.8
GTEX-14C39-1726-SM-5RQIL 40-49 years, male 4.8
GTEX-1H1ZS-2726-SM-9WG75 70-79 years, male 4.8
GTEX-11GS4-0226-SM-5HL77 60-69 years, male 4.7
GTEX-1IDJC-1526-SM-B2LW4 50-59 years, male 4.7
GTEX-1LG7Z-1626-SM-CXKYR 30-39 years, male 4.7
GTEX-13OW8-1026-SM-5J1NQ 60-69 years, male 4.6
GTEX-1OJC4-2726-SM-E76PJ 50-59 years, female 4.6
GTEX-ZAK1-0626-SM-5HL8E 50-59 years, female 4.5
GTEX-1HC8U-1326-SM-9YFMJ 40-49 years, female 4.5
GTEX-1HFI7-2326-SM-CGQFS 50-59 years, female 4.5
GTEX-1HSGN-0826-SM-ACKW3 40-49 years, female 4.5
GTEX-16BQI-1326-SM-6M486 30-39 years, female 4.4
GTEX-1AX9J-1326-SM-731BJ 60-69 years, male 4.4
GTEX-12ZZZ-0726-SM-5GCNZ 60-69 years, male 4.3
GTEX-13N11-2326-SM-5IJBF 50-59 years, female 4.3
GTEX-ZYT6-2326-SM-5GZY3 30-39 years, male 4.2
GTEX-15EU6-2226-SM-6EU2L 50-59 years, male 4.1
GTEX-Y3I4-1726-SM-4TT89 50-59 years, male 4.1
GTEX-1GN73-0726-SM-7P8TJ 60-69 years, male 4.0
GTEX-1LB8K-0726-SM-D5OV2 50-59 years, male 3.9
GTEX-145ME-1726-SM-5Q5EU 40-49 years, female 3.8
GTEX-18D9U-0126-SM-731BM 40-49 years, male 3.8
GTEX-12C56-1526-SM-5FQUQ 20-29 years, male 3.7
GTEX-Y111-0626-SM-4SOIT 50-59 years, male 3.6
GTEX-13O3Q-0126-SM-5KM34 50-59 years, male 3.4
GTEX-14A6H-2026-SM-5Q5DD 30-39 years, male 3.4
GTEX-ZVT2-0126-SM-5GIDQ 50-59 years, female 3.3
GTEX-1GPI6-1926-SM-9KNV7 60-69 years, male 3.3
GTEX-Y3IK-1626-SM-4YCF5 50-59 years, female 3.2
GTEX-1F75A-0726-SM-7RHHD 50-59 years, male 3.2
GTEX-WHPG-2626-SM-3NMBR 50-59 years, male 3.1
GTEX-ZDYS-2426-SM-4WKGI 50-59 years, male 3.1
GTEX-15CHC-1126-SM-6LLHQ 60-69 years, female 3.0
GTEX-1B97I-0626-SM-73KUZ 40-49 years, male 2.9
Show allShow less
Skin - Sun Exposed (Lower leg)
Average nTPM: 12.3
Samples: 701

Max nTPM: 124.6
Min nTPM: 1.4
Std nTPM: 11.2
Median nTPM: 9.1
GTEX-1QMI2-0226-SM-EVYBX 60-69 years, male 124.6
GTEX-WOFL-0126-SM-3MJG2 60-69 years, male 113.1
GTEX-ZYFD-0126-SM-5GIDL 50-59 years, male 94.7
GTEX-1M4P7-0226-SM-DIPEV 60-69 years, male 91.5
GTEX-14E6C-0126-SM-5RQIP 40-49 years, male 76.9
GTEX-1GF9X-2026-SM-7PC3A 40-49 years, female 72.2
GTEX-1ICLZ-0126-SM-CKZPO 60-69 years, male 55.8
GTEX-13OVH-0126-SM-5MR4B 70-79 years, male 52.1
GTEX-15D1Q-0126-SM-7KUG6 40-49 years, male 51.8
GTEX-1192W-2626-SM-5Q5AF 60-69 years, male 45.4
GTEX-183WM-0126-SM-7LTAB 70-79 years, female 43.1
GTEX-117YW-2626-SM-5GZZH 50-59 years, male 42.8
GTEX-11ZUS-0626-SM-59885 30-39 years, male 40.6
GTEX-11UD1-0126-SM-5PNYG 40-49 years, female 39.8
GTEX-VJWN-0126-SM-3GIK7 50-59 years, female 39.0
GTEX-1N2DW-0226-SM-E9TK2 50-59 years, male 38.8
GTEX-1HBPH-0426-SM-B2LW5 40-49 years, female 36.5
GTEX-1GZ2Q-0226-SM-7P8TL 40-49 years, male 36.3
GTEX-15EOM-0126-SM-7KUGG 20-29 years, female 35.9
GTEX-X62O-0126-SM-4E3JN 50-59 years, male 35.6
GTEX-145LT-1726-SM-5QGP3 40-49 years, male 34.9
GTEX-1HSMO-0126-SM-CL547 60-69 years, male 34.8
GTEX-16XZZ-0126-SM-793DV 60-69 years, male 33.4
GTEX-11WQK-0526-SM-5EQLD 50-59 years, male 33.1
GTEX-1RLM8-2326-SM-EWRN4 50-59 years, male 32.7
GTEX-11H98-0126-SM-5EGHG 50-59 years, male 31.9
GTEX-1F6RS-0126-SM-9MQKZ 60-69 years, female 31.6
GTEX-1EX96-1626-SM-7PBXR 50-59 years, male 31.5
GTEX-11NSD-2226-SM-5986V 20-29 years, male 31.3
GTEX-1I1GT-0626-SM-CGQER 60-69 years, female 30.9
GTEX-1JJE9-0326-SM-CL53Z 70-79 years, male 30.6
GTEX-RVPV-0126-SM-EAZAW 60-69 years, male 30.6
GTEX-X8HC-0126-SM-4E3JW 50-59 years, female 30.3
GTEX-1HT8W-0126-SM-CNPPP 30-39 years, male 29.6
GTEX-ZU9S-0226-SM-5E441 30-39 years, male 28.9
GTEX-1128S-2326-SM-5GZZY 60-69 years, female 28.5
GTEX-1GZHY-0326-SM-9QEHI 50-59 years, female 28.5
GTEX-12584-0126-SM-5EGKQ 40-49 years, male 28.2
GTEX-1HCU8-0626-SM-A9SM9 60-69 years, female 28.2
GTEX-ZF3C-0126-SM-DO92D 50-59 years, female 27.9
GTEX-14PHW-0126-SM-6LLJI 60-69 years, female 27.8
GTEX-SNMC-1226-SM-2XCFP 20-29 years, male 27.8
GTEX-139T8-0126-SM-5K7XZ 60-69 years, male 27.4
GTEX-Y5LM-1926-SM-5RQJH 40-49 years, female 27.2
GTEX-1LGRB-2526-SM-CNPPQ 50-59 years, female 27.1
GTEX-14DAQ-0126-SM-5S2MQ 60-69 years, female 27.0
GTEX-14ICK-0226-SM-6EU25 40-49 years, male 26.6
GTEX-P4QT-0126-SM-2I3FL 50-59 years, female 26.2
GTEX-132NY-0326-SM-5IJBL 60-69 years, male 26.1
GTEX-T6MO-1626-SM-32QOM 40-49 years, female 26.1
GTEX-ZTPG-0326-SM-5O9AX 20-29 years, female 26.0
GTEX-SE5C-1626-SM-2XCE3 40-49 years, female 25.8
GTEX-14C5O-0126-SM-5SI6N 60-69 years, male 25.4
GTEX-1H3O1-0426-SM-9YFKY 60-69 years, male 25.2
GTEX-OOBJ-0126-SM-E6CJW 60-69 years, male 25.1
GTEX-SSA3-0126-SM-32QPU 60-69 years, male 24.6
GTEX-T2YK-0526-SM-32QPJ 50-59 years, male 24.5
GTEX-11DZ1-0126-SM-5985Q 50-59 years, male 24.3
GTEX-1RAZQ-0726-SM-EAZ43 30-39 years, male 24.3
GTEX-13RTL-0126-SM-7LG5S 40-49 years, male 24.0
GTEX-1B933-0126-SM-7PC29 50-59 years, female 23.9
GTEX-12WSN-5019-SM-79OM6 40-49 years, male 23.8
GTEX-ZE7O-0126-SM-57WC1 50-59 years, female 23.7
GTEX-14A5H-0426-SM-5QGQF 60-69 years, male 23.6
GTEX-X88G-0126-SM-47JZ3 30-39 years, male 23.5
GTEX-13X6J-0126-SM-5QGOU 50-59 years, male 23.4
GTEX-1HBPM-0226-SM-ARL9F 60-69 years, female 23.3
GTEX-13PDP-0126-SM-5L3HD 60-69 years, male 23.2
GTEX-OXRO-0126-SM-2YUN4 60-69 years, female 22.9
GTEX-1GMR8-0126-SM-9WYTM 50-59 years, female 22.9
GTEX-14BIM-0226-SM-7IGLD 60-69 years, female 22.6
GTEX-11ZTS-0126-SM-5EQ6M 60-69 years, female 22.4
GTEX-13RTJ-2426-SM-5S2Q2 60-69 years, male 22.4
GTEX-1J8JJ-0226-SM-CL53I 60-69 years, female 22.1
GTEX-14A5I-0126-SM-5TDEA 50-59 years, female 22.0
GTEX-1C6VS-0526-SM-7DUEN 60-69 years, male 22.0
GTEX-1PBJI-0526-SM-E8VNK 20-29 years, female 22.0
GTEX-1C6WA-0126-SM-7PC2B 60-69 years, male 21.9
GTEX-16NPX-0226-SM-79OMT 50-59 years, male 21.8
GTEX-YJ8A-0426-SM-5IFID 20-29 years, male 21.7
GTEX-139TS-2826-SM-5J1OO 60-69 years, male 21.6
GTEX-OXRK-0226-SM-3NB2G 50-59 years, female 21.6
GTEX-14JIY-0126-SM-6LLH6 60-69 years, male 21.2
GTEX-13VXU-0126-SM-5SI9F 50-59 years, male 20.9
GTEX-R3RS-0126-SM-3GIJL 40-49 years, female 20.8
GTEX-17F97-0326-SM-7LG5B 50-59 years, male 20.6
GTEX-13W46-0226-SM-5SIAG 50-59 years, male 20.5
GTEX-11WQC-2526-SM-5CVLE 60-69 years, male 20.4
GTEX-1QP67-1626-SM-EAZ3X 40-49 years, female 20.4
GTEX-139UW-2826-SM-5L3E7 60-69 years, male 20.3
GTEX-15UF6-0826-SM-6PALJ 70-79 years, female 20.1
GTEX-QDVN-2026-SM-3GAEP 50-59 years, male 20.1
GTEX-1R7EV-2426-SM-EVYBG 40-49 years, male 20.1
GTEX-RTLS-0126-SM-447CA 60-69 years, female 20.0
GTEX-WVJS-0126-SM-4MVOT 50-59 years, male 20.0
GTEX-1BAJH-0526-SM-793CQ 70-79 years, male 19.8
GTEX-1H1E6-1726-SM-ACKVK 30-39 years, male 19.8
GTEX-1A3MX-0126-SM-731BR 60-69 years, male 19.7
GTEX-OOBK-0126-SM-2YUND 40-49 years, male 19.7
GTEX-1C6VQ-0126-SM-7P8RI 50-59 years, male 19.7
GTEX-1497J-2426-SM-7IGNX 60-69 years, male 19.6
GTEX-17HG3-2226-SM-7938L 30-39 years, female 19.6
GTEX-ZE9C-2726-SM-57WB5 60-69 years, male 19.6
GTEX-1399U-2326-SM-5K7WY 50-59 years, female 19.5
GTEX-14BIL-0126-SM-5SI92 50-59 years, male 19.5
GTEX-13NZA-0226-SM-5K7Z7 60-69 years, male 19.4
GTEX-1R9K4-0126-SM-DTX9X 60-69 years, male 19.4
GTEX-ZDTS-0126-SM-4WAY5 60-69 years, male 19.2
GTEX-ZVE2-0226-SM-59HJB 50-59 years, male 19.2
GTEX-1JN1M-0326-SM-CYPT3 60-69 years, female 19.2
GTEX-1L5NE-2526-SM-E6CIE 50-59 years, male 19.2
GTEX-1F7RK-0126-SM-7PC2S 20-29 years, female 19.1
GTEX-1H2FU-0126-SM-9WYSI 60-69 years, female 19.0
GTEX-WI4N-1026-SM-3LK7N 40-49 years, female 18.9
GTEX-11P82-1626-SM-59879 20-29 years, male 18.8
GTEX-1PPH7-2326-SM-EVYB8 40-49 years, male 18.7
GTEX-148VJ-0126-SM-5TDDN 70-79 years, male 18.6
GTEX-1N2EF-0226-SM-EYYXB 60-69 years, male 18.6
GTEX-13OW7-0126-SM-5MR3B 50-59 years, male 18.4
GTEX-XMD2-0126-SM-4YCDU 60-69 years, female 18.4
GTEX-ZZPT-0226-SM-5E43X 50-59 years, male 18.4
GTEX-1IKK5-0626-SM-ARL8A 60-69 years, male 18.4
GTEX-1HCVE-0126-SM-CGQEU 50-59 years, male 18.2
GTEX-1JJEA-0326-SM-CNPOT 60-69 years, male 18.2
GTEX-1I1GV-0526-SM-A9G29 60-69 years, male 17.9
GTEX-15UKP-0426-SM-7KUFQ 20-29 years, male 17.8
GTEX-WZTO-0126-SM-3NM95 40-49 years, male 17.8
GTEX-13FHO-0226-SM-5IFGY 60-69 years, male 17.7
GTEX-18A7B-0126-SM-7LG64 70-79 years, male 17.7
GTEX-1H1CY-2826-SM-9MQM3 60-69 years, female 17.7
GTEX-13O3Q-2426-SM-5IJBR 50-59 years, male 17.6
GTEX-ZV6S-2326-SM-4YCEY 40-49 years, female 17.6
GTEX-1NV5F-0226-SM-E8VNY 60-69 years, female 17.6
GTEX-13N2G-2626-SM-5J1OT 60-69 years, male 17.5
GTEX-X4EO-0326-SM-3P5YO 60-69 years, female 17.5
GTEX-1F6IF-0726-SM-7P8TW 60-69 years, male 17.5
GTEX-1HUB1-0426-SM-E9U4U 60-69 years, male 17.5
GTEX-13N1W-0126-SM-5K7VT 70-79 years, male 17.4
GTEX-14753-0426-SM-5NQAM 60-69 years, male 17.1
GTEX-17MF6-0126-SM-7LG4F 40-49 years, male 17.1
GTEX-1GN1V-0126-SM-9WPOS 60-69 years, male 17.1
GTEX-RUSQ-1526-SM-2TF62 50-59 years, male 16.9
GTEX-U8XE-0326-SM-3DB8P 30-39 years, male 16.9
GTEX-1IGQW-0126-SM-COH42 60-69 years, male 16.9
GTEX-11TT1-2526-SM-5EGIB 20-29 years, male 16.8
GTEX-1399T-2826-SM-5KLYZ 60-69 years, male 16.8
GTEX-11EMC-2926-SM-5EQ4F 60-69 years, female 16.6
GTEX-13OVJ-0126-SM-5KM36 50-59 years, female 16.6
GTEX-1LBAC-0126-SM-DIPEZ 20-29 years, male 16.5
GTEX-113JC-2326-SM-5EQ4E 50-59 years, female 16.3
GTEX-RU72-0926-SM-2TF6B 50-59 years, female 16.3
GTEX-1B996-0226-SM-7RHGO 60-69 years, male 16.0
GTEX-1F88F-2726-SM-7PBZZ 60-69 years, female 16.0
GTEX-1C2JI-1826-SM-73KXC 50-59 years, male 15.9
GTEX-11NUK-0126-SM-5A5L3 50-59 years, male 15.8
GTEX-13O3P-0126-SM-5KM4S 50-59 years, male 15.8
GTEX-1KD5A-0226-SM-D5OV3 50-59 years, male 15.8
GTEX-131XW-0426-SM-5LZWP 50-59 years, female 15.7
GTEX-1AX9I-0126-SM-7SB74 60-69 years, male 15.5
GTEX-1H3VE-0326-SM-9YFLH 40-49 years, male 15.5
GTEX-12ZZX-0126-SM-5EGK9 40-49 years, female 15.4
GTEX-1HSEH-0126-SM-ACKXN 60-69 years, male 15.4
GTEX-13NYS-0126-SM-5MR3W 60-69 years, male 15.3
GTEX-1C6VR-2426-SM-79OLD 60-69 years, male 15.3
GTEX-X261-0126-SM-3NMD6 50-59 years, male 15.3
GTEX-1IL2V-0126-SM-CM2TX 70-79 years, male 15.3
GTEX-1PDJ9-0326-SM-DTX95 20-29 years, male 15.2
GTEX-ZF28-0126-SM-4WKGK 60-69 years, male 15.1
GTEX-1HCUA-2426-SM-ADEIS 50-59 years, female 15.1
GTEX-111VG-2426-SM-5GZXD 60-69 years, male 15.0
GTEX-17EUY-0426-SM-793BD 20-29 years, male 15.0
GTEX-1GPI6-0126-SM-9WG69 60-69 years, male 15.0
GTEX-11O72-0126-SM-59887 40-49 years, male 14.9
GTEX-P44H-0226-SM-2XCEU 40-49 years, male 14.9
GTEX-ZAB5-1826-SM-5HL7C 50-59 years, male 14.9
GTEX-1QP2A-0126-SM-E9J43 50-59 years, male 14.9
GTEX-18A6Q-0126-SM-731BZ 60-69 years, male 14.8
GTEX-1IE54-0126-SM-CMKHW 40-49 years, female 14.7
GTEX-11TTK-0126-SM-5987B 60-69 years, female 14.6
GTEX-12WSD-0126-SM-59HKN 60-69 years, female 14.5
GTEX-14BIN-0626-SM-793DP 50-59 years, female 14.4
GTEX-12KS4-0326-SM-5EQ41 30-39 years, male 14.3
GTEX-144FL-0126-SM-5TDC8 50-59 years, male 14.3
GTEX-147F4-0226-SM-5QGPW 50-59 years, male 14.3
GTEX-1A32A-0126-SM-718B1 50-59 years, female 14.3
GTEX-14LLW-0126-SM-6LLIO 70-79 years, female 14.2
GTEX-RN64-0126-SM-2TC68 50-59 years, male 14.2
GTEX-X4XY-0226-SM-4E3IZ 60-69 years, male 14.2
GTEX-1HKZK-0326-SM-9WYUH 40-49 years, male 14.2
GTEX-17MFQ-1726-SM-793C7 20-29 years, male 14.1
GTEX-PLZ4-0126-SM-5SI8O 50-59 years, female 14.1
GTEX-ZYW4-0126-SM-5E44A 60-69 years, male 14.1
GTEX-1F48J-0126-SM-7P8TT 50-59 years, female 14.0
GTEX-OIZF-0126-SM-7SB8I 60-69 years, male 14.0
GTEX-13OVL-0226-SM-5L3E9 50-59 years, male 13.9
GTEX-1C64O-0126-SM-7SB8P 60-69 years, male 13.9
GTEX-1EKGG-0226-SM-9WYTH 60-69 years, male 13.9
GTEX-1I1GR-0126-SM-CL55F 60-69 years, male 13.9
GTEX-16AAH-1726-SM-7939C 50-59 years, male 13.8
GTEX-XQ8I-0426-SM-4BOPO 50-59 years, male 13.7
GTEX-1F6I4-0126-SM-9MQL2 60-69 years, male 13.7
GTEX-1H1DE-2126-SM-9WG6R 20-29 years, male 13.7
GTEX-1H3NZ-0126-SM-ACKX7 60-69 years, male 13.7
GTEX-1HR98-0126-SM-B2LWI 60-69 years, male 13.7
GTEX-1R9PO-2126-SM-E9J4O 60-69 years, female 13.7
GTEX-11DXW-0226-SM-5H122 40-49 years, male 13.6
GTEX-OHPM-0126-SM-2YUN9 50-59 years, male 13.6
GTEX-SN8G-0126-SM-32PLI 50-59 years, female 13.6
GTEX-18A7A-0226-SM-718BH 50-59 years, female 13.5
GTEX-ZDXO-3026-SM-5J1N5 60-69 years, male 13.5
GTEX-11TUW-2726-SM-E9J4M 60-69 years, male 13.5
GTEX-1RQEC-0426-SM-E6CHU 60-69 years, male 13.5
GTEX-1313W-0126-SM-5LZUN 50-59 years, female 13.4
GTEX-1GN2E-0426-SM-9MQKX 60-69 years, male 13.4
GTEX-13NZ8-0826-SM-5MR3I 60-69 years, female 13.3
GTEX-U412-0426-SM-3DB9O 60-69 years, male 13.2
GTEX-Y111-0126-SM-4SOIV 50-59 years, male 13.2
GTEX-1MA7X-2226-SM-E6CIY 60-69 years, male 13.2
GTEX-1MCQQ-0826-SM-DLHC2 60-69 years, male 13.2
GTEX-1EU9M-0226-SM-7P8SP 60-69 years, male 13.1
GTEX-1H23P-0126-SM-ADEJ3 60-69 years, male 13.1
GTEX-18A66-0226-SM-718BD 60-69 years, male 13.0
GTEX-SJXC-0126-SM-2XCFF 60-69 years, male 13.0
GTEX-1JKYN-1326-SM-CGQG9 30-39 years, male 13.0
GTEX-1JMPZ-0226-SM-CNPP1 30-39 years, male 13.0
GTEX-11ZVC-2526-SM-5FQTE 50-59 years, female 12.9
GTEX-12126-0326-SM-5PNW3 20-29 years, male 12.9
GTEX-11DXY-2626-SM-5GIE7 60-69 years, male 12.8
GTEX-15SHU-0126-SM-7KUEH 40-49 years, female 12.7
GTEX-1A3MW-0126-SM-73KXX 60-69 years, female 12.7
GTEX-PWO3-1526-SM-48TCM 60-69 years, female 12.7
GTEX-1LC47-0326-SM-E9TJP 60-69 years, male 12.7
GTEX-1N2DV-0226-SM-E6CJ6 40-49 years, male 12.7
GTEX-POMQ-2226-SM-2I5FK 20-29 years, female 12.6
GTEX-1OJC4-0126-SM-E9J2E 50-59 years, female 12.6
GTEX-12ZZZ-0626-SM-5DUXI 60-69 years, male 12.5
GTEX-1IDFM-0126-SM-COH2V 60-69 years, male 12.5
GTEX-11GS4-2726-SM-5A5LE 60-69 years, male 12.4
GTEX-13FHP-0126-SM-5IJBG 50-59 years, male 12.4
GTEX-17EVQ-0226-SM-7LG4P 70-79 years, male 12.4
GTEX-13OVK-2026-SM-7KUEO 40-49 years, male 12.3
GTEX-13IVO-0126-SM-5J1NG 70-79 years, male 12.2
GTEX-1E2YA-0126-SM-9KNUC 50-59 years, male 12.1
GTEX-1QEPI-0126-SM-EWRMQ 60-69 years, female 12.1
GTEX-PWCY-1826-SM-DHXIZ 20-29 years, female 12.1
GTEX-P4PQ-0126-SM-2S1NM 60-69 years, male 12.0
GTEX-1JMQL-0226-SM-CNPP5 50-59 years, female 12.0
GTEX-1KWVE-1426-SM-E9TJO 30-39 years, male 12.0
GTEX-11ZU8-2526-SM-5EQKI 60-69 years, male 11.9
GTEX-1LNCM-1126-SM-E9U5E 50-59 years, female 11.9
GTEX-16GPK-0126-SM-7DHLE 60-69 years, male 11.8
GTEX-Q734-1926-SM-2I5EV 40-49 years, female 11.8
GTEX-1I6K6-0126-SM-A9SLE 30-39 years, male 11.8
GTEX-12WSJ-1826-SM-5GCNY 40-49 years, female 11.7
GTEX-1C64N-0126-SM-793D7 50-59 years, male 11.7
GTEX-131XF-5016-SM-7MGWE 60-69 years, male 11.7
GTEX-1HGF4-2426-SM-ACKXM 60-69 years, male 11.7
GTEX-1RDX4-0126-SM-E9J4P 50-59 years, female 11.7
GTEX-SIU8-0126-SM-2XCDT 50-59 years, male 11.6
GTEX-R45C-0126-SM-EAZ2R 60-69 years, female 11.6
GTEX-13SLX-0526-SM-5S2ON 50-59 years, female 11.5
GTEX-145LU-0126-SM-5TDCB 50-59 years, male 11.5
GTEX-18QFQ-0126-SM-731BE 30-39 years, male 11.5
GTEX-Z93T-0126-SM-5HL5N 50-59 years, male 11.5
GTEX-11GSP-2526-SM-5N9BP 60-69 years, female 11.4
GTEX-13YAN-0326-SM-5O9DF 60-69 years, male 11.4
GTEX-QDVJ-1726-SM-2I5FX 50-59 years, male 11.4
GTEX-RM2N-1426-SM-2TF4H 50-59 years, male 11.4
GTEX-Y8DK-0126-SM-4TT3L 60-69 years, male 11.4
GTEX-1LSNM-1926-SM-E6CII 50-59 years, male 11.4
GTEX-1O97I-0326-SM-EYYX7 60-69 years, male 11.4
GTEX-1QP29-0626-SM-EWRMX 50-59 years, male 11.4
GTEX-18465-0126-SM-731BN 50-59 years, male 11.3
GTEX-1E1VI-0126-SM-7DHMZ 50-59 years, male 11.3
GTEX-V1D1-2226-SM-3NMAX 50-59 years, male 11.3
GTEX-117YX-2326-SM-5H12W 50-59 years, male 11.2
GTEX-1IDJF-0126-SM-CM2RS 20-29 years, male 11.2
GTEX-146FH-0126-SM-5QGPP 50-59 years, female 11.1
GTEX-1CB4G-0226-SM-7PC3O 60-69 years, male 11.1
GTEX-1I1GS-0126-SM-B2LVW 60-69 years, male 11.1
GTEX-1JMOU-1526-SM-CL54I 60-69 years, female 11.1
GTEX-11EQ9-2426-SM-5HL5T 30-39 years, male 11.0
GTEX-11UD2-0226-SM-5EQKY 50-59 years, male 11.0
GTEX-12696-2426-SM-5EQ6H 60-69 years, male 11.0
GTEX-1R46S-0626-SM-E9J41 60-69 years, female 11.0
GTEX-T8EM-1026-SM-3DB7M 40-49 years, male 10.9
GTEX-UJHI-1526-SM-3DB99 50-59 years, female 10.9
GTEX-XV7Q-2526-SM-4BRV9 40-49 years, female 10.9
GTEX-1QCLY-0326-SM-E8VOG 30-39 years, male 10.9
GTEX-ZVT4-0126-SM-DTXFN 50-59 years, female 10.9
GTEX-PVOW-0126-SM-2XCFA 40-49 years, male 10.8
GTEX-ZDTT-2726-SM-4WKF8 60-69 years, male 10.8
GTEX-PW2O-1526-SM-7RHHB 20-29 years, male 10.8
GTEX-13NZB-2526-SM-5J1OM 30-39 years, male 10.7
GTEX-1CAMR-1926-SM-7EPI2 20-29 years, male 10.7
GTEX-OXRP-0126-SM-3NB32 60-69 years, female 10.7
GTEX-S7PM-0126-SM-4AD6S 60-69 years, male 10.7
GTEX-TSE9-0126-SM-3DB83 60-69 years, female 10.7
GTEX-YB5E-2026-SM-5IFIS 40-49 years, male 10.7
GTEX-1CB4H-0226-SM-7PBXM 60-69 years, female 10.7
GTEX-1HFI7-1826-SM-ACKXH 50-59 years, female 10.6
GTEX-1S3DN-2226-SM-EVYCD 50-59 years, male 10.6
GTEX-O5YW-0126-SM-3LK6D 50-59 years, male 10.5
GTEX-ZGAY-0526-SM-4WWBB 40-49 years, female 10.5
GTEX-1HB9E-0226-SM-E9U4R 50-59 years, male 10.5
GTEX-X585-0226-SM-4QAS2 50-59 years, male 10.4
GTEX-14A6H-0126-SM-5QGPK 30-39 years, male 10.3
GTEX-13O3O-0126-SM-E9J49 60-69 years, female 10.3
GTEX-1CAMS-0426-SM-7P8T2 40-49 years, female 10.3
GTEX-1KD4Q-0226-SM-E9TJ9 40-49 years, male 10.3
GTEX-RNOR-0126-SM-E9J4R 50-59 years, female 10.3
GTEX-13CF2-2526-SM-5LZYX 60-69 years, male 10.2
GTEX-147GR-0526-SM-5S2MY 60-69 years, male 10.2
GTEX-1AMEY-1326-SM-73KYK 30-39 years, female 10.2
GTEX-1MUQO-0126-SM-EAZ58 60-69 years, male 10.2
GTEX-146FQ-0126-SM-5NQA9 30-39 years, male 10.1
GTEX-QEG4-0226-SM-2S1PY 30-39 years, male 10.1
GTEX-X4EP-0126-SM-3P5YV 60-69 years, female 10.1
GTEX-1JKYR-0126-SM-CNPOJ 20-29 years, male 10.1
GTEX-1KANA-0726-SM-D3L9I 20-29 years, male 10.1
GTEX-139TU-0126-SM-5K7WH 60-69 years, male 10.0
GTEX-15ER7-0326-SM-7KUEV 20-29 years, female 10.0
GTEX-XUW1-0426-SM-4BOOT 50-59 years, female 10.0
GTEX-1PWST-0226-SM-E76QJ 70-79 years, male 10.0
GTEX-1R7EU-0226-SM-EVR4G 60-69 years, male 10.0
GTEX-1GF9U-2126-SM-7SB7L 40-49 years, female 9.9
GTEX-1IKOH-0226-SM-COH4E 60-69 years, female 9.9
GTEX-1J1R8-1726-SM-ARL8M 40-49 years, male 9.9
GTEX-13X6I-0626-SM-5QGP9 60-69 years, male 9.7
GTEX-17HHE-2026-SM-79OKF 50-59 years, male 9.7
GTEX-OIZG-0726-SM-33HBL 50-59 years, male 9.7
GTEX-1ICLY-0126-SM-D4P36 50-59 years, male 9.7
GTEX-1PIGE-0126-SM-EVYBJ 20-29 years, male 9.7
GTEX-QV44-1926-SM-2S1RF 50-59 years, male 9.6
GTEX-1MCYP-1926-SM-E9J2R 20-29 years, female 9.6
GTEX-T5JC-0426-SM-32PLO 20-29 years, male 9.5
GTEX-ZAJG-0126-SM-5HL94 50-59 years, female 9.5
GTEX-1HSMP-0126-SM-E6CJS 70-79 years, male 9.5
GTEX-1IOXB-0126-SM-ARL8G 50-59 years, male 9.5
GTEX-W5X1-3026-SM-EAZAX 40-49 years, female 9.5
GTEX-1H4P4-0726-SM-9YFLR 50-59 years, male 9.4
GTEX-1I1GP-2226-SM-CGQFK 50-59 years, male 9.4
GTEX-PSDG-0226-SM-DKPOZ 50-59 years, male 9.4
GTEX-12ZZY-0226-SM-5LZVE 60-69 years, male 9.3
GTEX-1GN73-0226-SM-9WG67 60-69 years, male 9.3
GTEX-13FXS-0226-SM-5IJCK 50-59 years, male 9.2
GTEX-O5YT-0126-SM-48TBW 20-29 years, male 9.2
GTEX-1LG7Y-0526-SM-DKPQC 50-59 years, male 9.2
GTEX-16YQH-0126-SM-7DUFJ 30-39 years, male 9.1
GTEX-1AX9K-2326-SM-73KWU 50-59 years, male 9.1
GTEX-ZV68-0126-SM-59HKS 50-59 years, female 9.1
GTEX-1F75B-0126-SM-9KNVL 50-59 years, male 9.1
GTEX-13U4I-0126-SM-5LU38 40-49 years, female 9.0
GTEX-18D9A-1926-SM-7LG6P 30-39 years, female 9.0
GTEX-OXRN-0126-SM-48TDM 50-59 years, male 9.0
GTEX-139T4-0226-SM-5HL5S 50-59 years, female 8.9
GTEX-13FTX-1826-SM-5J1NX 20-29 years, female 8.9
GTEX-14ABY-0226-SM-5TDCQ 50-59 years, male 8.9
GTEX-15G19-0126-SM-6PANQ 60-69 years, male 8.9
GTEX-ZAB4-0226-SM-5N9F5 40-49 years, male 8.9
GTEX-14E6D-0126-SM-62LDV 50-59 years, male 8.8
GTEX-14PK6-1926-SM-6ETZU 70-79 years, female 8.8
GTEX-Y3IK-2426-SM-4WWDU 50-59 years, female 8.8
GTEX-146FR-1326-SM-E9J48 60-69 years, female 8.8
GTEX-1J1OQ-0226-SM-CYPSH 40-49 years, female 8.8
GTEX-1POEN-0126-SM-EYYXJ 30-39 years, female 8.8
GTEX-NPJ8-0126-SM-2YUNR 40-49 years, male 8.7
GTEX-14E6E-1826-SM-5S2R7 30-39 years, male 8.6
GTEX-R55E-0126-SM-2TC5Y 20-29 years, male 8.6
GTEX-U3ZM-1526-SM-3DB9D 40-49 years, male 8.6
GTEX-1HBPI-1526-SM-C1YQ1 50-59 years, male 8.6
GTEX-1IDJH-0326-SM-A9SLQ 70-79 years, male 8.6
GTEX-11P7K-2126-SM-5GU7G 30-39 years, male 8.5
GTEX-16MT8-0426-SM-7KUEY 60-69 years, female 8.5
GTEX-X638-0126-SM-47JZ8 70-79 years, female 8.5
GTEX-Y8E4-0626-SM-4WWDL 40-49 years, male 8.5
GTEX-1HSKV-0226-SM-A9SKJ 60-69 years, male 8.5
GTEX-1JN76-0126-SM-CNPPE 20-29 years, female 8.5
GTEX-12WSA-0226-SM-5BC5V 60-69 years, male 8.4
GTEX-13SLW-0126-SM-5SI6C 70-79 years, male 8.4
GTEX-14LZ3-0226-SM-62LET 60-69 years, female 8.4
GTEX-14PN3-2426-SM-6LLHS 60-69 years, female 8.4
GTEX-1AYCT-2426-SM-7IGQ3 50-59 years, male 8.4
GTEX-Z93S-0126-SM-5HL7M 50-59 years, male 8.4
GTEX-1LB8K-0226-SM-EWRNW 50-59 years, male 8.4
GTEX-1RAZA-0126-SM-E6CI3 20-29 years, male 8.4
GTEX-S33H-1026-SM-EZ6L6 30-39 years, male 8.4
GTEX-1211K-2026-SM-5EQ4Z 60-69 years, female 8.3
GTEX-14DAR-2026-SM-5S2O3 50-59 years, male 8.3
GTEX-XPVG-2626-SM-4B669 50-59 years, male 8.3
GTEX-Y8LW-1826-SM-5S2MV 50-59 years, female 8.3
GTEX-1H3VY-0126-SM-ACKXD 50-59 years, male 8.3
GTEX-1I19N-0326-SM-ACKVX 70-79 years, male 8.3
GTEX-1I4MK-2226-SM-ACKWD 50-59 years, female 8.3
GTEX-11OF3-2626-SM-5GU7F 60-69 years, male 8.2
GTEX-WQUQ-0426-SM-3MJFU 60-69 years, male 8.2
GTEX-ZYFC-0226-SM-5NQ75 50-59 years, male 8.2
GTEX-1EWIQ-0126-SM-7RHH2 70-79 years, female 8.2
GTEX-1HCU7-0226-SM-CL545 50-59 years, male 8.2
GTEX-13NYB-2526-SM-5K7Z6 40-49 years, male 8.1
GTEX-145MO-0326-SM-5Q5B3 60-69 years, male 8.1
GTEX-14PN4-0126-SM-6EU2V 50-59 years, male 8.1
GTEX-1B8KZ-2026-SM-7DHMB 50-59 years, male 8.1
GTEX-OIZH-0126-SM-2HMIS 50-59 years, male 8.1
GTEX-1F52S-0126-SM-9MQJU 60-69 years, female 8.1
GTEX-1GPI7-0126-SM-9MQL8 20-29 years, male 8.1
GTEX-1JMQK-0226-SM-CL543 60-69 years, male 8.1
GTEX-1314G-1526-SM-5EGK2 30-39 years, male 8.0
GTEX-1A3MV-1926-SM-718BT 30-39 years, male 8.0
GTEX-1GF9V-0326-SM-7RHI5 60-69 years, male 8.0
GTEX-1H1DG-0126-SM-9WYU2 70-79 years, male 8.0
GTEX-1I1HK-0126-SM-COH49 60-69 years, male 8.0
GTEX-1J8QM-2126-SM-CYPSJ 60-69 years, female 8.0
GTEX-1QPFJ-0226-SM-E76PB 30-39 years, female 8.0
GTEX-11DXX-2426-SM-5GZZW 60-69 years, female 7.9
GTEX-15DYW-0126-SM-7KULE 60-69 years, female 7.9
GTEX-183FY-0126-SM-7LT9P 20-29 years, male 7.9
GTEX-1AYD5-2426-SM-73KXR 50-59 years, male 7.9
GTEX-1J8Q3-1626-SM-CMKGC 60-69 years, male 7.9
GTEX-1JMQJ-0526-SM-CYPSU 50-59 years, male 7.9
GTEX-1K2DA-1826-SM-CGQGT 50-59 years, male 7.9
GTEX-1LH75-2426-SM-E9TJE 50-59 years, female 7.9
GTEX-133LE-1826-SM-5J1MV 20-29 years, female 7.8
GTEX-13FTY-0526-SM-5L3EV 40-49 years, female 7.8
GTEX-14PJ6-2126-SM-6EU1V 60-69 years, female 7.8
GTEX-15DDE-0126-SM-6LPKH 50-59 years, female 7.8
GTEX-XYKS-2126-SM-4E3IB 60-69 years, female 7.8
GTEX-YFC4-0126-SM-5CVLY 40-49 years, female 7.8
GTEX-1F75I-0326-SM-9YFLU 40-49 years, male 7.8
GTEX-1IL2U-0226-SM-CE6T8 60-69 years, male 7.8
GTEX-1LVAN-0226-SM-COH3S 50-59 years, female 7.8
GTEX-13O1R-0126-SM-5L3EH 60-69 years, male 7.7
GTEX-U4B1-1826-SM-4DXSU 40-49 years, male 7.7
GTEX-WYVS-2126-SM-3NMA3 40-49 years, female 7.7
GTEX-ZXES-1826-SM-5E43S 30-39 years, female 7.7
GTEX-18A67-0126-SM-7LG5P 50-59 years, male 7.6
GTEX-OHPL-0126-SM-2HMJ7 60-69 years, female 7.6
GTEX-XBEW-0626-SM-4QASP 40-49 years, male 7.6
GTEX-ZVT2-2526-SM-51MT1 50-59 years, female 7.6
GTEX-ZVT3-0126-SM-5GU6I 60-69 years, female 7.6
GTEX-13NYC-0326-SM-E9J4S 60-69 years, male 7.6
GTEX-15ETS-0126-SM-7KUMW 40-49 years, female 7.5
GTEX-17GQL-2026-SM-718BA 60-69 years, male 7.5
GTEX-17HGU-0226-SM-7DHKV 50-59 years, male 7.5
GTEX-1JMPY-1326-SM-ARL8Y 30-39 years, male 7.4
GTEX-1K2DU-2326-SM-E9TIV 20-29 years, male 7.4
GTEX-14E7W-0126-SM-6LLJ9 70-79 years, male 7.3
GTEX-P4PP-0126-SM-3LK69 30-39 years, female 7.3
GTEX-Q2AG-0126-SM-33HBV 40-49 years, female 7.3
GTEX-113IC-0126-SM-5HL6T 60-69 years, male 7.2
GTEX-15CHC-2126-SM-6EU21 60-69 years, female 7.2
GTEX-1AX9J-0226-SM-73KXM 60-69 years, male 7.2
GTEX-Y5V6-2426-SM-4VDSB 60-69 years, male 7.2
GTEX-17HII-0226-SM-7LG4E 50-59 years, male 7.1
GTEX-YJ89-0126-SM-4TT3X 60-69 years, male 7.1
GTEX-131XG-2626-SM-5KM17 50-59 years, female 7.0
GTEX-13FTW-2626-SM-5K7WL 40-49 years, male 7.0
GTEX-13G51-2526-SM-5LZYK 60-69 years, male 7.0
GTEX-13N11-2526-SM-5K7UE 50-59 years, female 7.0
GTEX-148VI-1626-SM-5SI6E 60-69 years, female 7.0
GTEX-14XAO-2326-SM-6EU1B 60-69 years, female 7.0
GTEX-Q2AI-1326-SM-2S1PL 40-49 years, male 7.0
GTEX-U3ZN-2326-SM-3DB7W 30-39 years, female 7.0
GTEX-12WSG-2826-SM-E9J4H 50-59 years, female 7.0
GTEX-1IKJJ-0126-SM-CNPQB 60-69 years, male 7.0
GTEX-11GSO-2426-SM-5A5LY 60-69 years, male 6.9
GTEX-1269C-2526-SM-5EGJ3 60-69 years, female 6.9
GTEX-13QJ3-0326-SM-5S2RA 50-59 years, male 6.9
GTEX-14PJ3-1826-SM-62LEX 50-59 years, male 6.9
GTEX-SUCS-1926-SM-32PM3 70-79 years, male 6.9
GTEX-WRHK-1426-SM-3MJF9 20-29 years, female 6.9
GTEX-1OFPY-2426-SM-DTXEJ 60-69 years, male 6.9
GTEX-1PFEY-1526-SM-E76PP 30-39 years, male 6.9
GTEX-ZQG8-1626-SM-DHXIT 60-69 years, female 6.9
GTEX-1122O-2126-SM-5EGIR 60-69 years, female 6.8
GTEX-1192X-0226-SM-5H12D 50-59 years, male 6.8
GTEX-OXRL-0126-SM-2YUMP 50-59 years, male 6.8
GTEX-X4XX-0126-SM-3NMC2 60-69 years, male 6.8
GTEX-ZC5H-0226-SM-4WAY9 40-49 years, female 6.8
GTEX-1GZ4H-1726-SM-7PBZJ 50-59 years, female 6.8
GTEX-1H11D-0226-SM-9WG6Z 40-49 years, male 6.8
GTEX-11EM3-2426-SM-59861 20-29 years, female 6.7
GTEX-YEC4-2126-SM-5IFJH 40-49 years, male 6.7
GTEX-ZTX8-1426-SM-5DUVO 20-29 years, male 6.7
GTEX-1CAV2-2226-SM-7P8P2 40-49 years, female 6.7
GTEX-1HSMQ-1226-SM-CGQFX 50-59 years, male 6.7
GTEX-1JJ6O-0126-SM-E6CI8 60-69 years, male 6.7
GTEX-1K9T9-0126-SM-EVYCF 50-59 years, female 6.7
GTEX-1KANB-0526-SM-E6CJH 50-59 years, male 6.7
GTEX-12WSC-0126-SM-5EQ4P 50-59 years, male 6.6
GTEX-139D8-0226-SM-5KLZO 30-39 years, female 6.6
GTEX-14PII-0226-SM-6EU1T 60-69 years, male 6.6
GTEX-1B8KE-2126-SM-73KYX 50-59 years, male 6.6
GTEX-R55G-2526-SM-2TC6D 40-49 years, female 6.6
GTEX-ZVTK-0426-SM-51MRS 20-29 years, male 6.6
GTEX-1F75A-0126-SM-7RHGM 50-59 years, male 6.6
GTEX-1S82Z-0826-SM-E6CHY 30-39 years, female 6.6
GTEX-14BMV-0126-SM-5S2PO 50-59 years, male 6.5
GTEX-17HHY-0126-SM-7LG5D 50-59 years, male 6.5
GTEX-13112-2826-SM-5DUWH 50-59 years, male 6.4
GTEX-13O21-1426-SM-5K7XI 50-59 years, male 6.4
GTEX-13W3W-2426-SM-5LU5B 60-69 years, female 6.4
GTEX-17KNJ-2326-SM-7DHLQ 50-59 years, male 6.4
GTEX-S95S-1226-SM-4GICG 60-69 years, male 6.4
GTEX-TML8-1926-SM-32QOS 40-49 years, female 6.4
GTEX-ZAK1-0126-SM-5IJD3 50-59 years, female 6.4
GTEX-ZWKS-0126-SM-5SIAA 30-39 years, male 6.4
GTEX-1GMRU-0126-SM-9YFLV 50-59 years, male 6.4
GTEX-1M5QR-1226-SM-EWROB 40-49 years, male 6.4
GTEX-15DCD-0126-SM-7KUEK 70-79 years, female 6.3
GTEX-NFK9-0226-SM-2HMKQ 40-49 years, male 6.3
GTEX-VUSG-2526-SM-4KL1V 50-59 years, male 6.3
GTEX-12WSK-2326-SM-5GCOH 40-49 years, female 6.2
GTEX-145MF-0626-SM-5LUAI 50-59 years, male 6.2
GTEX-QLQW-1126-SM-2S1Q8 30-39 years, male 6.2
GTEX-T2IS-0126-SM-4DM6O 20-29 years, female 6.2
GTEX-XXEK-2226-SM-4BRUM 50-59 years, male 6.2
GTEX-1B8L1-2526-SM-9WYTF 60-69 years, male 6.2
GTEX-1CB4F-0426-SM-9KNV4 60-69 years, male 6.2
GTEX-1HCU6-0126-SM-CL54K 60-69 years, female 6.2
GTEX-1PIIG-0226-SM-EWRN6 30-39 years, male 6.2
GTEX-131YS-0126-SM-5KM1M 60-69 years, female 6.1
GTEX-1399R-2726-SM-5IJBA 30-39 years, male 6.1
GTEX-13S7M-0126-SM-5SI6A 60-69 years, female 6.1
GTEX-145LV-2126-SM-5LU8N 50-59 years, male 6.1
GTEX-QDT8-0126-SM-48TZ1 30-39 years, female 6.1
GTEX-TMMY-0226-SM-33HBA 40-49 years, female 6.1
GTEX-XQ3S-1526-SM-4BOOC 20-29 years, male 6.1
GTEX-1A8FM-0226-SM-7SB7Q 50-59 years, female 6.1
GTEX-14JG1-0426-SM-6ETZZ 40-49 years, male 6.0
GTEX-QVJO-1626-SM-2S1QW 60-69 years, female 6.0
GTEX-U3ZH-2026-SM-3DB78 30-39 years, male 6.0
GTEX-ZYY3-0126-SM-5GZY5 60-69 years, female 6.0
GTEX-1I1CD-0126-SM-CM2TK 60-69 years, female 6.0
GTEX-1ICG6-2526-SM-CGQFZ 70-79 years, female 6.0
GTEX-1JK1U-2026-SM-CM2RZ 60-69 years, male 6.0
GTEX-1JMQI-2226-SM-CM2SD 50-59 years, male 6.0
GTEX-13CF3-2426-SM-5IFGX 60-69 years, female 5.9
GTEX-17F96-1626-SM-7DUFL 70-79 years, male 5.9
GTEX-S7SE-0126-SM-2XCD5 50-59 years, male 5.9
GTEX-ZZ64-1726-SM-5GZYB 20-29 years, male 5.9
GTEX-1NHNU-1026-SM-E9J2A 50-59 years, male 5.9
GTEX-11EI6-0126-SM-5985R 60-69 years, male 5.8
GTEX-1B8SF-1426-SM-7DUGL 60-69 years, male 5.8
GTEX-15RIG-0226-SM-7KFTL 40-49 years, male 5.7
GTEX-15SB6-1726-SM-6PAME 50-59 years, female 5.7
GTEX-WYJK-0126-SM-3NMAB 50-59 years, male 5.7
GTEX-Y114-2426-SM-4TT8A 50-59 years, female 5.7
GTEX-1HFI6-0226-SM-ADEHZ 40-49 years, male 5.7
GTEX-12WSE-0526-SM-793B2 20-29 years, male 5.6
GTEX-13D11-2426-SM-5KM1V 50-59 years, female 5.6
GTEX-13OW5-0126-SM-DTXFS 60-69 years, male 5.6
GTEX-1GL5R-1826-SM-9KNUY 50-59 years, male 5.6
GTEX-1JMLX-0226-SM-CM2RO 50-59 years, male 5.6
GTEX-1KAFJ-2026-SM-CY8ID 50-59 years, male 5.6
GTEX-145MN-2226-SM-5SIAU 30-39 years, male 5.5
GTEX-14BMU-2226-SM-5TDE9 20-29 years, female 5.5
GTEX-UPJH-0326-SM-3GADU 50-59 years, male 5.5
GTEX-WFG8-2226-SM-3GIL9 20-29 years, male 5.5
GTEX-1QAET-0926-SM-E76QM 50-59 years, male 5.5
GTEX-1QW4Y-1526-SM-EAZ3Z 30-39 years, male 5.5
GTEX-1RB15-2126-SM-E9TIM 60-69 years, male 5.5
GTEX-117XS-2726-SM-5N9BL 60-69 years, male 5.4
GTEX-131XH-2226-SM-5DUXJ 50-59 years, male 5.4
GTEX-1AMFI-2026-SM-731BH 50-59 years, female 5.4
GTEX-RWSA-0126-SM-2XCBB 40-49 years, male 5.4
GTEX-11OC5-0126-SM-5HL6A 60-69 years, male 5.3
GTEX-TKQ1-1026-SM-4GICL 30-39 years, male 5.3
GTEX-VJYA-1126-SM-3GIJU 60-69 years, male 5.3
GTEX-1J8EW-0126-SM-CJI4F 60-69 years, female 5.3
GTEX-1PPH8-0226-SM-E8VND 20-29 years, male 5.3
GTEX-11VI4-1726-SM-5CVLH 40-49 years, female 5.2
GTEX-17F98-0626-SM-79OMX 40-49 years, female 5.2
GTEX-1B8SG-0126-SM-73KZ3 50-59 years, male 5.2
GTEX-T6MN-0126-SM-32PLP 50-59 years, male 5.2
GTEX-U8T8-0126-SM-3DB94 60-69 years, male 5.2
GTEX-ZY6K-1826-SM-5GZXK 50-59 years, male 5.2
GTEX-1QP66-1726-SM-E8VO1 50-59 years, male 5.2
GTEX-111FC-0126-SM-5N9DL 60-69 years, male 5.1
GTEX-12C56-1726-SM-5EQ61 20-29 years, male 5.1
GTEX-147F3-0526-SM-5SI98 50-59 years, female 5.1
GTEX-1AX8Z-0126-SM-7DHM6 60-69 years, male 5.1
GTEX-1CAMQ-0226-SM-7IGPK 40-49 years, male 5.1
GTEX-TMZS-0126-SM-3DB9Q 60-69 years, male 5.1
GTEX-139TT-0126-SM-5K7Y5 60-69 years, male 5.0
GTEX-13OW8-1326-SM-5J1OW 60-69 years, male 5.0
GTEX-15F5U-1526-SM-6PANO 40-49 years, male 5.0
GTEX-17EVP-0326-SM-7DHLG 40-49 years, male 5.0
GTEX-ZTSS-1926-SM-57WEW 40-49 years, male 5.0
GTEX-11P81-2326-SM-59875 30-39 years, female 4.9
GTEX-15SHW-0326-SM-6PAML 60-69 years, male 4.9
GTEX-1F5PK-2426-SM-7RHHY 50-59 years, male 4.9
GTEX-1IY9M-0126-SM-D3L8S 60-69 years, male 4.9
GTEX-1J8Q2-0526-SM-CM2RW 60-69 years, male 4.9
GTEX-1S82Y-2026-SM-EVYCM 40-49 years, male 4.9
GTEX-13JUV-2726-SM-5LZZ8 40-49 years, female 4.8
GTEX-15SDE-2226-SM-7IGLO 50-59 years, female 4.8
GTEX-S32W-2126-SM-2XCB1 50-59 years, female 4.8
GTEX-ZUA1-0126-SM-5GU76 40-49 years, male 4.8
GTEX-1QP9N-1426-SM-DTXFL 30-39 years, male 4.8
GTEX-11XUK-2026-SM-5EQLF 40-49 years, female 4.7
GTEX-131XE-2326-SM-5PNZ2 50-59 years, male 4.7
GTEX-144GL-0126-SM-5TDE2 50-59 years, male 4.7
GTEX-144GN-2326-SM-5LU4F 50-59 years, male 4.7
GTEX-1CB4I-0226-SM-79OLH 50-59 years, male 4.7
GTEX-13FH7-2026-SM-E9J4I 50-59 years, female 4.7
GTEX-1EN7A-0126-SM-7SB81 40-49 years, male 4.7
GTEX-1HSGN-0226-SM-CGQFV 40-49 years, female 4.7
GTEX-1KXAM-2226-SM-CYPTC 60-69 years, male 4.7
GTEX-16XZY-2126-SM-79OK1 70-79 years, male 4.6
GTEX-RWS6-2026-SM-2XCB5 60-69 years, female 4.6
GTEX-ZEX8-2426-SM-4WKG4 50-59 years, male 4.6
GTEX-1GN1U-0126-SM-7PBZK 50-59 years, female 4.6
GTEX-1GTWX-0126-SM-9YFLK 60-69 years, male 4.6
GTEX-WH7G-2326-SM-3NMBC 40-49 years, male 4.5
GTEX-1GF9W-0326-SM-9KNUN 60-69 years, male 4.5
GTEX-ZPIC-1726-SM-DHXIU 40-49 years, female 4.5
GTEX-15EU6-0426-SM-6PAN5 50-59 years, male 4.4
GTEX-16NGA-1726-SM-731B4 40-49 years, female 4.4
GTEX-PLZ5-2026-SM-2S1O4 50-59 years, male 4.4
GTEX-Y5V5-2326-SM-4V6GA 60-69 years, female 4.4
GTEX-1C4CL-0526-SM-73KVK 30-39 years, male 4.3
GTEX-PX3G-0126-SM-2I3EN 20-29 years, female 4.3
GTEX-1MA7W-2026-SM-E9TJ6 20-29 years, female 4.3
GTEX-1R9PM-2026-SM-E76OY 20-29 years, male 4.3
GTEX-13VXT-0126-SM-5LU4I 20-29 years, female 4.2
GTEX-17JCI-0126-SM-7LG5G 60-69 years, female 4.2
GTEX-WXYG-2326-SM-4E3I6 50-59 years, female 4.2
GTEX-ZQUD-1426-SM-57WER 30-39 years, male 4.2
GTEX-1GMR3-1926-SM-9KNUZ 40-49 years, male 4.2
GTEX-1IDJU-2626-SM-CM2RT 60-69 years, female 4.2
GTEX-11DYG-0126-SM-59883 60-69 years, male 4.1
GTEX-13OVG-1926-SM-5L3DK 60-69 years, male 4.1
GTEX-XAJ8-0826-SM-47JY6 40-49 years, male 4.1
GTEX-ZVZO-0126-SM-5A5L9 40-49 years, male 4.1
GTEX-ZXG5-0126-SM-5GIEU 60-69 years, male 4.1
GTEX-1I1GQ-0126-SM-COH3H 50-59 years, male 4.1
GTEX-PLZ6-1426-SM-DKPOT 30-39 years, male 4.1
GTEX-11DXZ-2326-SM-5EGGV 50-59 years, male 4.0
GTEX-Z9EW-1626-SM-5CVMN 40-49 years, male 4.0
GTEX-1JN6P-0126-SM-D3L98 60-69 years, male 4.0
GTEX-13RTK-1426-SM-5QGQJ 20-29 years, male 3.9
GTEX-145LS-0126-SM-5QGP1 60-69 years, female 3.9
GTEX-14JG6-2226-SM-6EU2G 30-39 years, female 3.9
GTEX-14PJM-0226-SM-62LF1 50-59 years, female 3.9
GTEX-18D9B-0526-SM-7LTAS 60-69 years, male 3.9
GTEX-QESD-1426-SM-2S1R9 20-29 years, male 3.9
GTEX-1EMGI-0126-SM-9KNUE 60-69 years, male 3.9
GTEX-1GN1W-0526-SM-9MQJQ 50-59 years, female 3.9
GTEX-12WSL-2526-SM-5GCNJ 50-59 years, male 3.8
GTEX-13X6H-2126-SM-7EWD5 50-59 years, female 3.8
GTEX-X5EB-2226-SM-46MW4 40-49 years, male 3.8
GTEX-11LCK-1026-SM-5A5KB 30-39 years, male 3.7
GTEX-13OW6-0426-SM-5L3HM 50-59 years, male 3.7
GTEX-ZF2S-2326-SM-4WWCE 50-59 years, female 3.7
GTEX-1I1GU-2226-SM-CGQFA 40-49 years, male 3.7
GTEX-1212Z-2526-SM-5EGKP 60-69 years, male 3.6
GTEX-XUYS-0126-SM-47JWZ 50-59 years, male 3.6
GTEX-169BO-1326-SM-9MQK2 50-59 years, male 3.6
GTEX-1OJC3-0126-SM-E76QX 20-29 years, male 3.6
GTEX-WY7C-2326-SM-3NB2U 50-59 years, male 3.5
GTEX-ZVZP-2426-SM-59HKJ 50-59 years, male 3.5
GTEX-ZYFG-2326-SM-5E44B 60-69 years, female 3.5
GTEX-ZF29-2326-SM-DO92K 60-69 years, female 3.5
GTEX-11ZTT-2426-SM-5EQLS 60-69 years, female 3.4
GTEX-13OVI-1426-SM-5L3EY 60-69 years, female 3.4
GTEX-13PVR-2326-SM-5QGR1 60-69 years, female 3.4
GTEX-145ME-1826-SM-5SI9G 40-49 years, female 3.4
GTEX-14PHX-2326-SM-62LEM 50-59 years, male 3.4
GTEX-XUZC-1726-SM-4BRWS 30-39 years, female 3.4
GTEX-1KANC-1526-SM-D3LAB 50-59 years, female 3.4
GTEX-XBED-2226-SM-47JYQ 60-69 years, male 3.3
GTEX-1HCU9-1526-SM-A9SL7 20-29 years, male 3.3
GTEX-W5WG-1826-SM-4KL2Y 50-59 years, female 3.2
GTEX-1H1ZS-0426-SM-9WG6G 70-79 years, male 3.2
GTEX-QLQ7-1626-SM-2S1R8 60-69 years, male 3.1
GTEX-1MGNQ-0126-SM-EVYCJ 40-49 years, male 3.1
GTEX-1CB4J-0626-SM-7DHMP 60-69 years, male 3.0
GTEX-1LGOU-2026-SM-DIPFF 20-29 years, female 3.0
GTEX-1MJK2-0426-SM-DTXE5 50-59 years, male 3.0
GTEX-13113-5016-SM-7EPIP 60-69 years, female 2.9
GTEX-18D9U-0226-SM-718BP 40-49 years, male 2.9
GTEX-T5JW-1626-SM-3GADZ 20-29 years, female 2.9
GTEX-1S5ZA-0126-SM-EVYCV 20-29 years, male 2.9
GTEX-Q2AH-1626-SM-3GAF8 40-49 years, male 2.8
GTEX-YB5K-2126-SM-4WWDJ 40-49 years, female 2.8
GTEX-1C475-1826-SM-73KWA 40-49 years, female 2.7
GTEX-Y3I4-2126-SM-4TT7C 50-59 years, male 2.7
GTEX-1F5PL-0326-SM-7P8PQ 40-49 years, female 2.7
GTEX-1CB4E-2226-SM-793DC 60-69 years, male 2.6
GTEX-1LG7Z-1726-SM-D3LA4 30-39 years, male 2.6
GTEX-145MI-0526-SM-5O9A8 60-69 years, female 2.5
GTEX-QCQG-1726-SM-3GIJ9 50-59 years, female 2.5
GTEX-ZDYS-2026-SM-5HL5L 50-59 years, male 2.5
GTEX-1S83E-0126-SM-EWRO4 40-49 years, male 2.4
GTEX-ZYT6-0226-SM-5NQ6T 30-39 years, male 2.3
GTEX-1HBPN-0226-SM-9YFM1 50-59 years, male 2.3
GTEX-13111-1626-SM-5EGJY 50-59 years, male 2.0
GTEX-WFON-2126-SM-3LK7O 40-49 years, male 2.0
GTEX-16BQI-0226-SM-7KUEX 30-39 years, female 1.5
GTEX-1B97I-1626-SM-73KYO 40-49 years, male 1.4
Show allShow less

Contact

  • NEWS ARTICLES
  • PRESS ROOM

The Project

  • INTRODUCTION
  • ORGANIZATION
  • PUBLICATIONS

The Human Protein Atlas

  • DOWNLOADABLE DATA
  • LICENCE & CITATION
  • HELP & FAQ
The Human Protein Atlas project is funded
by the Knut & Alice Wallenberg Foundation.


contact@proteinatlas.org