We use cookies to enhance the usability of our website. If you continue, we'll assume that you are happy to receive all cookies. More information. Don't show this again.
LNPEP
HPA
RESOURCES
  • TISSUE
  • BRAIN
  • SINGLE CELL
  • SUBCELLULAR
  • CANCER
  • BLOOD
  • CELL LINE
  • STRUCTURE & INTERACTION
ABOUT
  • INTRODUCTION
  • HISTORY
  • ORGANIZATION
  • PUBLICATIONS
  • ANTIBODY SUBMISSION
  • ANTIBODY AVAILABILITY
  • ACKNOWLEDGMENTS
  • CONTACT
NEWS
  • NEWS ARTICLES
  • PRESS ROOM
LEARN
  • DICTIONARY
  • PROTEIN CLASSES
  • PROTEIN EVIDENCE
  • METHODS
  • EDUCATIONAL VIDEOS
DATA
  • DOWNLOADABLE DATA
  • PUBLICATION DATA
  • RELEASE HISTORY
HELP
  • ANTIBODY VALIDATION
  • ASSAYS & ANNOTATION
  • DISCLAIMER
  • HELP & FAQ
  • PRIVACY STATEMENT
  • LICENCE & CITATION
Fields »
Search result

Field
Term
Gene name
Class
Subclass
Class
Keyword
Chromosome
External id
Tissue
Cell type
Expression
Antibody panel
Tissue
Main location
Patient ID
Annotation
Tissue
Category
Tau score
Cluster
Reliability
Brain region
Category
Tau score
Brain region
Category
Tau score
Brain region
Category
Tau score
Cluster
Reliability
Tissue
Cell type
Enrichment
Cell type
Category
Tau score
Cell type
Category
Tau score
Cell type
Category
Tau score
Cell lineage
Category
Tau score
Cluster
Cluster
Location
Searches
Location
Cell line
Class
Type
Phase
Reliability
Cancer
Prognosis
Cancer
Category
Cancer
Category
Tau score
Cluster
Variants
Interacting gene (ensg_id)
Type
Number of interactions
Pathway
Category
Score
Score
Score
Validation
Validation
Validation
Validation
Antibodies
Data type
Column


  • SUMMARY

  • TISSUE

  • BRAIN

  • SINGLE CELL

  • SUBCELL

  • CANCER

  • BLOOD

  • CELL LINE

  • STRUCT & INT

  • LNPEP
TISSUE PRIMARY DATA SKIN Show tissue menu
ADIPOSE TISSUE ADRENAL GLAND AMYGDALA APPENDIX BASAL GANGLIA BONE MARROW BREAST BRONCHUS CEREBELLUM CEREBRAL CORTEX CERVIX CHOROID PLEXUS COLON DUODENUM
ENDOMETRIUM EPIDIDYMIS ESOPHAGUS FALLOPIAN TUBE GALLBLADDER HEART MUSCLE HIPPOCAMPAL FORMATION HYPOTHALAMUS KIDNEY LIVER LUNG LYMPH NODE MIDBRAIN NASOPHARYNX
ORAL MUCOSA OVARY PANCREAS PARATHYROID GLAND PITUITARY GLAND PLACENTA PROSTATE RECTUM RETINA SALIVARY GLAND SEMINAL VESICLE SKELETAL MUSCLE SKIN SMALL INTESTINE
SMOOTH MUSCLE SOFT TISSUE SPINAL CORD SPLEEN STOMACH TESTIS THYMUS THYROID GLAND TONGUE TONSIL URINARY BLADDER VAGINA
ANTIBODIES
AND
VALIDATION
Dictionary
Skin
Tissue proteome
Skin
SKIN - Expression summary
Protein expression
Skini

On the top, protein expression in current human tissue, based on all annotated cell types, is reported with the units not detected (n), low (l), medium (m) and high (h). Underneath, protein expression in each annotated cell type are reported using the same units.

Protein expression data is based on knowledge-based annotation. For genes where more than one antibody has been used, a collective score is set.

If knowledge-based annotation could not be performed for a gene, no data is displayed here. View antibody staining data further down this page.

h
m
l
n
Epidermal cells: High
Fibroblasts: Medium
Keratinocytes: Medium
Langerhans: Medium
Melanocytes: Medium
RNA expressioni

A summary of mRNA expression data available for current tissue based on several datasets. The mRNA expression levels in human tissues are based on RNA-seq data generated by the Human Protein Atlas (HPA), Genotype-Tissue Expression (GTEx) portal and CAGE data generated by the FANTOM5 consortium. Consensus normalized expression levels for human tissues was created by combining the data from HPA and GTEx datasets.

The mRNA expression levels in pig are based on RNA-seq data generated by the Human Protein Atlas (HPA), and for mouse, HPA data and in situ hybridization generated by the Allen brain atlas are reported.

Scroll down to view mRNA expression data in more detail.
Consensus:16.0 nTPM
HPA:16.0 nTPM
GTEx:9.5 nTPM

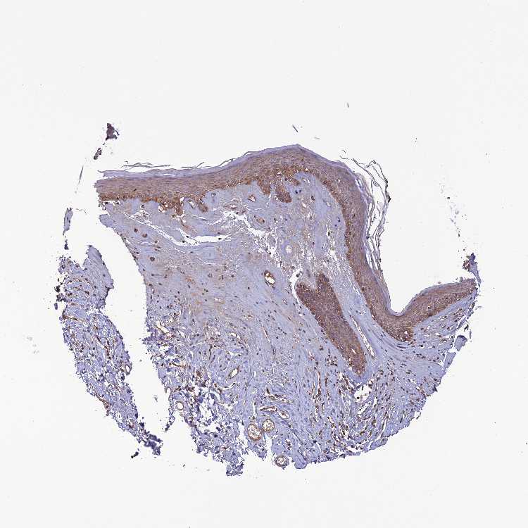
SKIN 1 - Antibody stainingi

Antibody staining in the annotated cell types in the current human tissue is reported as not detected, low, medium, or high, based on conventional immunohistochemistry profiling in selected tissues. This score is based on the combination of the staining intensity and fraction of stained cells.

Each image is clickable and will lead to virtual microscopy that enables deeper exploration of all samples and also displays staining intensity scores, fraction scores and subcellular localization as well as patient and tissue information for each sample.

Antibody HPA043642
Langerhans Medium
Fibroblasts Medium
Keratinocytes Medium
Melanocytes Medium

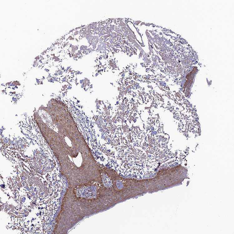
SKIN 2 - Antibody stainingi

Antibody staining in the annotated cell types in the current human tissue is reported as not detected, low, medium, or high, based on conventional immunohistochemistry profiling in selected tissues. This score is based on the combination of the staining intensity and fraction of stained cells.

Each image is clickable and will lead to virtual microscopy that enables deeper exploration of all samples and also displays staining intensity scores, fraction scores and subcellular localization as well as patient and tissue information for each sample.

Antibody HPA043642
Epidermal cells High
 
 
 


SKIN - HPA RNA-seqi

The RNA-seq details section shows detailed information about the individual samples used for the transcript profiling and results of the RNA-seq analysis.

Information about each individual sample is listed below, including gender, age, a tissue section image and estimated fractions of cell types. nTPM (normalized transcripts per million) values give a quantification of the gene abundance which is comparable between different genes and samples.
Average nTPMi

Max subtype nTPM is the value for the subtype with the largest average nTPM across the subtype samples.

16.0
overview
Female, age 34
Skin sample 225
nTPM: 16
Cell types%
Keratinocytes:
60

Other cell types:
40

overview
Female, age 30
Skin sample 226
nTPM: 19.6
Cell types%
Keratinocytes:
55

Other cell types:
45

N/A
Male, age 57
Skin sample 227
nTPM: 12.4

SKIN - GTEx RNA-seqi

RNA-Seq data generated by the Genotype-Tissue Expression (GTEx) project from human tissues is reported as mean nTPM. More information can be found on the GTEx portal.

Distribution across the dataset is visualized with box plots, shown as median and 25th and 75th percentiles. Points are displayed as outliers if they are above or below 1.5 times the interquartile range. nTPM values of the individual samples are presented next to the box plot.
Max subtype nTPMi

Max subtype nTPM is the value for the subtype with the largest average nTPM across the subtype samples.

9.5
GTEx sample id Sample description nTPM
Skin - Not Sun Exposed (Suprapubic)
Average nTPM: 9.0
Samples: 604

Max nTPM: 15.5
Min nTPM: 4.1
Std nTPM: 1.9
Median nTPM: 8.9
GTEX-1HR9M-2226-SM-CNPPY 60-69 years, male 15.5
GTEX-1GN1V-2826-SM-9JGIA 60-69 years, male 15.3
GTEX-1GPI6-1926-SM-9KNV7 60-69 years, male 15.3
GTEX-1LGRB-0926-SM-COH3K 50-59 years, female 15.3
GTEX-WHSB-1326-SM-3LK6W 50-59 years, male 15.1
GTEX-1GF9V-0826-SM-9KNUV 60-69 years, male 14.7
GTEX-1GN73-0726-SM-7P8TJ 60-69 years, male 14.7
GTEX-1CAMQ-1326-SM-7P8RV 40-49 years, male 14.5
GTEX-1J1OQ-0126-SM-D4P2N 40-49 years, female 14.4
GTEX-1EX96-1026-SM-7MKG2 50-59 years, male 14.2
GTEX-ZVT2-0126-SM-5GIDQ 50-59 years, female 14.2
GTEX-1J8EW-2726-SM-CY8HR 60-69 years, female 13.8
GTEX-1C6VR-0126-SM-7RHGB 60-69 years, male 13.5
GTEX-1GF9W-1426-SM-7PBYM 60-69 years, male 13.5
GTEX-1QP2A-1726-SM-E76QC 50-59 years, male 13.5
GTEX-14PJ4-0226-SM-5YY92 60-69 years, male 13.2
GTEX-1AMFI-1326-SM-7939R 50-59 years, female 13.2
GTEX-17F9Y-0126-SM-79OKX 70-79 years, female 13.1
GTEX-1H3VE-0726-SM-9YFL5 40-49 years, male 13.1
GTEX-14PKU-0126-SM-6LLHV 40-49 years, female 13.0
GTEX-1J8Q2-2626-SM-ACKWQ 60-69 years, male 13.0
GTEX-131XF-2626-SM-5EQ6K 60-69 years, male 12.9
GTEX-145MI-0626-SM-5SI8S 60-69 years, female 12.8
GTEX-148VJ-0626-SM-5LUAW 70-79 years, male 12.7
GTEX-18A67-1626-SM-7LT9T 50-59 years, male 12.7
GTEX-Y9LG-1126-SM-4VBQ7 30-39 years, male 12.7
GTEX-ZF29-0926-SM-4WKFZ 60-69 years, female 12.7
GTEX-1B8L1-2226-SM-7P8PT 60-69 years, male 12.7
GTEX-1CB4J-1326-SM-7P8RX 60-69 years, male 12.7
GTEX-1IE54-1126-SM-A9G2Z 40-49 years, female 12.7
GTEX-1KXAM-1626-SM-D3LAD 60-69 years, male 12.7
GTEX-1JMPY-0226-SM-CKZOK 30-39 years, male 12.5
GTEX-14PJ5-1526-SM-6LLIL 60-69 years, female 12.4
GTEX-ZPCL-1126-SM-4WWFE 60-69 years, female 12.4
GTEX-12ZZZ-0726-SM-5GCNZ 60-69 years, male 12.3
GTEX-13PDP-0726-SM-5L3HP 60-69 years, male 12.2
GTEX-17MFQ-1526-SM-7KFRR 20-29 years, male 12.2
GTEX-UPJH-0226-SM-3GADV 50-59 years, male 12.2
GTEX-1122O-1026-SM-9WYSF 60-69 years, female 12.2
GTEX-1F88F-0126-SM-9WYSZ 60-69 years, female 12.2
GTEX-12WSM-1926-SM-5BC65 60-69 years, male 12.0
GTEX-14753-0726-SM-5QGQO 60-69 years, male 12.0
GTEX-17HII-1426-SM-7EPGG 50-59 years, male 12.0
GTEX-Y5V6-2326-SM-4VDSA 60-69 years, male 12.0
GTEX-1GMRU-2126-SM-7P8RA 50-59 years, male 12.0
GTEX-1GN1U-0626-SM-9MQL9 50-59 years, female 12.0
GTEX-1H3O1-1326-SM-9MQLD 60-69 years, male 12.0
GTEX-1HCU7-0726-SM-A9SL1 50-59 years, male 12.0
GTEX-1IDJV-0126-SM-COH3Y 60-69 years, male 12.0
GTEX-14LLW-2626-SM-62LDZ 70-79 years, female 11.9
GTEX-1C2JI-1026-SM-73KY1 50-59 years, male 11.9
GTEX-1C6WA-2626-SM-7MKGM 60-69 years, male 11.9
GTEX-1GTWX-2026-SM-9YFLM 60-69 years, male 11.9
GTEX-1GZ4H-0526-SM-9KNU9 50-59 years, female 11.9
GTEX-1HBPM-0726-SM-9YFL7 60-69 years, female 11.9
GTEX-14C39-1726-SM-5RQIL 40-49 years, male 11.8
GTEX-145MH-2826-SM-5RQJF 50-59 years, male 11.7
GTEX-ZVT4-2426-SM-5GIEI 50-59 years, female 11.7
GTEX-11TUW-0626-SM-5LU9M 60-69 years, male 11.6
GTEX-1C6VQ-1226-SM-73KYD 50-59 years, male 11.6
GTEX-ZWKS-0626-SM-5GIDV 30-39 years, male 11.6
GTEX-1C475-1326-SM-7SB73 40-49 years, female 11.6
GTEX-1IDJU-1726-SM-CMKHU 60-69 years, female 11.6
GTEX-13X6J-0626-SM-5LU5F 50-59 years, male 11.5
GTEX-Y111-0626-SM-4SOIT 50-59 years, male 11.5
GTEX-ZE7O-2726-SM-51MT5 50-59 years, female 11.5
GTEX-1GMR8-0626-SM-7RHI7 50-59 years, female 11.5
GTEX-1GN2E-0226-SM-9WG6K 60-69 years, male 11.5
GTEX-1HSGN-0826-SM-ACKW3 40-49 years, female 11.5
GTEX-1JK1U-0226-SM-ARZMX 60-69 years, male 11.5
GTEX-13SLW-0626-SM-5Q5ER 70-79 years, male 11.4
GTEX-144GL-0626-SM-5LU4D 50-59 years, male 11.4
GTEX-14JFF-0626-SM-5ZZVT 60-69 years, male 11.4
GTEX-1HSKV-1226-SM-ADEI4 60-69 years, male 11.4
GTEX-1HSMQ-2626-SM-A9SML 50-59 years, male 11.4
GTEX-1JN6P-2926-SM-CL54D 60-69 years, male 11.4
GTEX-16MTA-0926-SM-6M47Z 50-59 years, male 11.3
GTEX-1EMGI-2326-SM-7PBYA 60-69 years, male 11.3
GTEX-1J8QM-2426-SM-A9SLS 60-69 years, female 11.3
GTEX-1QPFJ-1926-SM-EVYBD 30-39 years, female 11.3
GTEX-14C5O-0326-SM-5ZZUX 60-69 years, male 11.2
GTEX-15D1Q-2826-SM-6LLH7 40-49 years, male 11.2
GTEX-18465-2826-SM-7LT9J 50-59 years, male 11.2
GTEX-1CAMS-2226-SM-7PBXQ 40-49 years, female 11.2
GTEX-1H1DE-1326-SM-9KNUG 20-29 years, male 11.2
GTEX-1HBPN-0126-SM-CGQEF 50-59 years, male 11.2
GTEX-1IOXB-2726-SM-CM2RI 50-59 years, male 11.2
GTEX-16BQI-1326-SM-6M486 30-39 years, female 11.1
GTEX-1B932-2326-SM-79OL5 40-49 years, female 11.1
GTEX-1CB4F-1026-SM-7DUH1 60-69 years, male 11.1
GTEX-1GZHY-0626-SM-9KNVC 50-59 years, female 11.1
GTEX-1IKJJ-2226-SM-CJI4C 60-69 years, male 11.1
GTEX-11ZTT-2126-SM-5CVLO 60-69 years, female 11.0
GTEX-12ZZY-0726-SM-5EQ66 60-69 years, male 11.0
GTEX-13FTY-2126-SM-5IFFB 40-49 years, female 11.0
GTEX-1EU9M-1426-SM-793AI 60-69 years, male 11.0
GTEX-1I1GT-1026-SM-ARZLV 60-69 years, female 11.0
GTEX-12WSH-1526-SM-5BC5W 50-59 years, male 10.9
GTEX-1B97I-0626-SM-73KUZ 40-49 years, male 10.9
GTEX-1F5PL-0926-SM-7PC2W 40-49 years, female 10.9
GTEX-1QP28-1126-SM-EVYC4 50-59 years, female 10.9
GTEX-11ZU8-0126-SM-5EQ58 60-69 years, male 10.8
GTEX-139UW-0326-SM-5J1ML 60-69 years, male 10.7
GTEX-18QFQ-1826-SM-72D52 30-39 years, male 10.7
GTEX-V1D1-2026-SM-3GAF4 50-59 years, male 10.7
GTEX-1H23P-0626-SM-9WG6T 60-69 years, male 10.7
GTEX-1HCVE-2726-SM-CL54F 50-59 years, male 10.7
GTEX-1KANB-2826-SM-CY8I6 50-59 years, male 10.7
GTEX-1KWVE-1026-SM-D3L9O 30-39 years, male 10.7
GTEX-11GS4-0226-SM-5HL77 60-69 years, male 10.6
GTEX-12C56-1526-SM-5FQUQ 20-29 years, male 10.6
GTEX-1313W-0626-SM-5EQ4H 50-59 years, female 10.6
GTEX-1BAJH-2426-SM-7IGP8 70-79 years, male 10.6
GTEX-YECK-0326-SM-4W1YS 60-69 years, male 10.6
GTEX-ZF2S-1626-SM-57WES 50-59 years, female 10.6
GTEX-13N1W-2426-SM-5IJD1 70-79 years, male 10.5
GTEX-14PJN-1826-SM-6AJ98 30-39 years, male 10.5
GTEX-17HHE-1326-SM-7EWDZ 50-59 years, male 10.5
GTEX-18A6Q-0626-SM-7KFRP 60-69 years, male 10.5
GTEX-1B8SF-0126-SM-7DUG3 60-69 years, male 10.5
GTEX-1GPI7-1826-SM-9KNU1 20-29 years, male 10.5
GTEX-1JMQJ-0826-SM-CNPP7 50-59 years, male 10.5
GTEX-1LVA9-2626-SM-EVYD4 50-59 years, male 10.5
GTEX-1R9K4-2826-SM-DTX8F 60-69 years, male 10.5
GTEX-ZGAY-1826-SM-DO91Q 40-49 years, female 10.5
GTEX-11PRG-0726-SM-5EGL1 50-59 years, male 10.4
GTEX-1399U-1126-SM-5L3DB 50-59 years, female 10.4
GTEX-ZDTT-0426-SM-4WKFL 60-69 years, male 10.4
GTEX-1GN1W-2426-SM-9KNUU 50-59 years, female 10.4
GTEX-11DXZ-2026-SM-5987S 50-59 years, male 10.3
GTEX-1314G-1326-SM-5BC6E 30-39 years, male 10.3
GTEX-131XW-0626-SM-5PNVD 50-59 years, female 10.3
GTEX-1399Q-2326-SM-5KM2X 40-49 years, male 10.3
GTEX-14ICL-1626-SM-5YYAO 30-39 years, male 10.3
GTEX-14PII-0726-SM-6EU2B 60-69 years, male 10.3
GTEX-1H4P4-2126-SM-9WYSL 50-59 years, male 10.3
GTEX-1HFI7-2326-SM-CGQFS 50-59 years, female 10.3
GTEX-1I1GV-0626-SM-ARL7M 60-69 years, male 10.3
GTEX-1MCYP-0526-SM-E9U6Q 20-29 years, female 10.3
GTEX-1QW4Y-1126-SM-DTXE3 30-39 years, male 10.3
GTEX-WFG7-2026-SM-5SI7P 20-29 years, male 10.2
GTEX-XAJ8-1426-SM-47JYM 40-49 years, male 10.2
GTEX-ZAB4-2126-SM-5HL8U 40-49 years, male 10.2
GTEX-1F6RS-2026-SM-7RHHC 60-69 years, female 10.2
GTEX-1GL5R-1326-SM-7RHHF 50-59 years, male 10.2
GTEX-1GZ4I-2626-SM-9KNU3 50-59 years, male 10.2
GTEX-1J1R8-2026-SM-CL53Y 40-49 years, male 10.2
GTEX-1LB8K-0726-SM-D5OV2 50-59 years, male 10.2
GTEX-13G51-1826-SM-5KLZH 60-69 years, male 10.1
GTEX-13JVG-0726-SM-5KM16 60-69 years, male 10.1
GTEX-13X6K-0626-SM-5LU5D 60-69 years, female 10.1
GTEX-15DDE-2926-SM-6LLJ3 50-59 years, female 10.1
GTEX-WRHU-2826-SM-3MJG8 50-59 years, female 10.1
GTEX-Z93S-1626-SM-5CVMB 50-59 years, male 10.1
GTEX-1JJ6O-2726-SM-CNPOG 60-69 years, male 10.1
GTEX-1S5ZU-2526-SM-E6CIF 20-29 years, female 10.1
GTEX-11GSP-2326-SM-5HL63 60-69 years, female 10.0
GTEX-15FZZ-0526-SM-7KUGD 30-39 years, female 10.0
GTEX-17KNJ-2126-SM-718AM 50-59 years, male 10.0
GTEX-17MF6-2626-SM-79OKQ 40-49 years, male 10.0
GTEX-1EKGG-0626-SM-7DUGJ 60-69 years, male 10.0
GTEX-WEY5-2326-SM-3GIKK 40-49 years, female 10.0
GTEX-1KAFJ-0126-SM-DIPEK 50-59 years, male 10.0
GTEX-1PPH7-1126-SM-DTX9A 40-49 years, male 10.0
GTEX-11EQ8-0926-SM-5H12V 60-69 years, male 9.9
GTEX-11UD2-2526-SM-5CVNU 50-59 years, male 9.9
GTEX-13VXT-1926-SM-5K7UO 20-29 years, female 9.9
GTEX-14DAQ-0626-SM-793DS 60-69 years, female 9.9
GTEX-15RJE-2826-SM-7KUM9 40-49 years, male 9.9
GTEX-1AX9I-2226-SM-73KUO 60-69 years, male 9.9
GTEX-W5X1-2526-SM-3GILC 40-49 years, female 9.9
GTEX-WY7C-2126-SM-3NB2R 50-59 years, male 9.9
GTEX-XBED-1926-SM-47JYP 60-69 years, male 9.9
GTEX-YEC4-1826-SM-4W1YP 40-49 years, male 9.9
GTEX-1HT8W-0626-SM-A9G2H 30-39 years, male 9.9
GTEX-1J8Q3-0526-SM-ARL8U 60-69 years, male 9.9
GTEX-1JKYR-0626-SM-ARL8R 20-29 years, male 9.9
GTEX-1JMQL-2226-SM-CNPP4 50-59 years, female 9.9
GTEX-1PDJ9-1226-SM-EXUSX 20-29 years, male 9.9
GTEX-1QCLY-0226-SM-EWRNH 30-39 years, male 9.9
GTEX-ZLV1-1526-SM-DO91J 60-69 years, female 9.9
GTEX-111CU-1126-SM-5EGIM 50-59 years, male 9.8
GTEX-139D8-1126-SM-5LU8W 30-39 years, female 9.8
GTEX-13FLV-0126-SM-5K7WT 50-59 years, male 9.8
GTEX-13QJC-0126-SM-5ZZWJ 60-69 years, female 9.8
GTEX-145LU-1926-SM-79OJN 50-59 years, male 9.8
GTEX-147F4-0726-SM-5TDDD 50-59 years, male 9.8
GTEX-1497J-0226-SM-5QGPU 60-69 years, male 9.8
GTEX-14B4R-1326-SM-5Q5EZ 30-39 years, male 9.8
GTEX-Y3I4-1726-SM-4TT89 50-59 years, male 9.8
GTEX-ZTTD-2826-SM-4YCFA 50-59 years, male 9.8
GTEX-ZYT6-2326-SM-5GZY3 30-39 years, male 9.8
GTEX-1H11D-1826-SM-9QEHM 40-49 years, male 9.8
GTEX-1HR98-2226-SM-ADEI2 60-69 years, male 9.8
GTEX-1I1GP-1326-SM-A9G28 50-59 years, male 9.8
GTEX-1PPH8-0126-SM-EWRN8 20-29 years, male 9.8
GTEX-1R46S-2426-SM-E76QA 60-69 years, female 9.8
GTEX-1R7EU-1626-SM-DTXG3 60-69 years, male 9.8
GTEX-131XG-0326-SM-5L3DX 50-59 years, female 9.7
GTEX-18D9U-0126-SM-731BM 40-49 years, male 9.7
GTEX-1A3MV-1826-SM-731CD 30-39 years, male 9.7
GTEX-1B8KZ-0326-SM-73KY4 50-59 years, male 9.7
GTEX-1CB4E-0926-SM-7EPHT 60-69 years, male 9.7
GTEX-ZC5H-1526-SM-5HL9Y 40-49 years, female 9.7
GTEX-1H2FU-0926-SM-9WPPT 60-69 years, female 9.7
GTEX-1I1GS-2626-SM-B2LY3 60-69 years, male 9.7
GTEX-11LCK-2226-SM-5HL4Q 30-39 years, male 9.6
GTEX-12ZZX-2426-SM-5GCOE 40-49 years, female 9.6
GTEX-13OVH-0526-SM-5L3E6 70-79 years, male 9.6
GTEX-147F3-1726-SM-5SIAW 50-59 years, female 9.6
GTEX-14C38-0726-SM-5SI6M 50-59 years, male 9.6
GTEX-15EO6-2426-SM-6PALZ 50-59 years, male 9.6
GTEX-1AMEY-0826-SM-72D65 30-39 years, female 9.6
GTEX-YFCO-1226-SM-5LUAT 40-49 years, male 9.6
GTEX-ZP4G-1426-SM-4WWCL 20-29 years, female 9.6
GTEX-ZYFC-0426-SM-5GICQ 50-59 years, male 9.6
GTEX-ZYY3-2926-SM-5GIEB 60-69 years, female 9.6
GTEX-1HGF4-0126-SM-CNPPX 60-69 years, male 9.6
GTEX-1I1GU-0926-SM-ACKVS 40-49 years, male 9.6
GTEX-1ICLY-0826-SM-CMKG1 50-59 years, male 9.6
GTEX-1LSVX-2526-SM-DIPEU 60-69 years, male 9.6
GTEX-139T8-0626-SM-5KLZX 60-69 years, male 9.5
GTEX-13VXU-0626-SM-5L3F9 50-59 years, male 9.5
GTEX-144FL-0626-SM-5LU43 50-59 years, male 9.5
GTEX-14A6H-2026-SM-5Q5DD 30-39 years, male 9.5
GTEX-15DYW-2726-SM-6EU2I 60-69 years, female 9.5
GTEX-15G1A-1626-SM-7KUKN 30-39 years, male 9.5
GTEX-1B8KE-1126-SM-7EPHI 50-59 years, male 9.5
GTEX-VJYA-1526-SM-3GIJV 60-69 years, male 9.5
GTEX-WHPG-2626-SM-3NMBR 50-59 years, male 9.5
GTEX-1GZ2Q-0126-SM-9WG6M 40-49 years, male 9.5
GTEX-1LG7Y-2526-SM-EWRO7 50-59 years, male 9.5
GTEX-111YS-1526-SM-5GZYW 60-69 years, male 9.4
GTEX-12WSK-2126-SM-5CVNC 40-49 years, female 9.4
GTEX-13OW7-0426-SM-5K7VK 50-59 years, male 9.4
GTEX-13PL6-1126-SM-5L3IE 40-49 years, female 9.4
GTEX-144GM-0526-SM-79OJO 20-29 years, male 9.4
GTEX-14JG1-1526-SM-5YY9X 40-49 years, male 9.4
GTEX-14XAO-1226-SM-6EU1C 60-69 years, female 9.4
GTEX-1A8G7-1326-SM-73KVM 60-69 years, male 9.4
GTEX-1EH9U-2826-SM-7DUGT 60-69 years, male 9.4
GTEX-ZYW4-0626-SM-59HJR 60-69 years, male 9.4
GTEX-13D11-0926-SM-5J2NC 50-59 years, female 9.3
GTEX-147GR-2426-SM-5ZZWQ 60-69 years, male 9.3
GTEX-14PJ6-2626-SM-6EU2T 60-69 years, female 9.3
GTEX-17F98-1326-SM-7DUEP 40-49 years, female 9.3
GTEX-X5EB-1926-SM-4E3IW 40-49 years, male 9.3
GTEX-X8HC-0626-SM-4E3HQ 50-59 years, female 9.3
GTEX-ZTX8-1326-SM-4YCEL 20-29 years, male 9.3
GTEX-1AYD5-2626-SM-7PBXY 50-59 years, male 9.3
GTEX-1JN76-0626-SM-CKZOQ 20-29 years, female 9.3
GTEX-1NV5F-0626-SM-DTXEG 60-69 years, female 9.3
GTEX-11P81-2226-SM-5PNYI 30-39 years, female 9.2
GTEX-12KS4-2126-SM-5FQUT 30-39 years, male 9.2
GTEX-12WSC-2826-SM-5BC5Y 50-59 years, male 9.2
GTEX-17EVP-2626-SM-7IGMA 40-49 years, male 9.2
GTEX-WHWD-1826-SM-3LK6I 50-59 years, male 9.2
GTEX-ZE9C-2526-SM-5IJDR 60-69 years, male 9.2
GTEX-ZVZP-1226-SM-5GID7 50-59 years, male 9.2
GTEX-1F75A-0726-SM-7RHHD 50-59 years, male 9.2
GTEX-1F75B-0726-SM-7PC3R 50-59 years, male 9.2
GTEX-1F75I-2226-SM-7SB8U 40-49 years, male 9.2
GTEX-1GF9X-1326-SM-7PC2Y 40-49 years, female 9.2
GTEX-1HB9E-0126-SM-CM2S5 50-59 years, male 9.2
GTEX-1HCUA-0826-SM-ADEHM 50-59 years, female 9.2
GTEX-1QMI2-2526-SM-E8VNZ 60-69 years, male 9.2
GTEX-1212Z-0126-SM-59HK4 60-69 years, male 9.1
GTEX-1399S-0126-SM-5IJCF 30-39 years, female 9.1
GTEX-13O3Q-0126-SM-5KM34 50-59 years, male 9.1
GTEX-13RTJ-0126-SM-5S2NN 60-69 years, male 9.1
GTEX-147JS-0226-SM-5S2U9 60-69 years, male 9.1
GTEX-15RIG-0726-SM-7KUM7 40-49 years, male 9.1
GTEX-16NGA-0726-SM-731AO 40-49 years, female 9.1
GTEX-ZY6K-1426-SM-5GZX2 50-59 years, male 9.1
GTEX-1H1DG-2426-SM-9QEHJ 70-79 years, male 9.1
GTEX-1H1ZS-2726-SM-9WG75 70-79 years, male 9.1
GTEX-1HCU8-2526-SM-CE6RX 60-69 years, female 9.1
GTEX-1LSNL-2726-SM-E9TKJ 50-59 years, male 9.1
GTEX-1RMOY-1326-SM-E9TIH 50-59 years, male 9.1
GTEX-1S3DN-2126-SM-E9TIN 50-59 years, male 9.1
GTEX-13FHO-0426-SM-5L3F5 60-69 years, male 9.0
GTEX-13NYB-0126-SM-5J1MD 40-49 years, male 9.0
GTEX-14BMV-2826-SM-5TDED 50-59 years, male 9.0
GTEX-15CHC-1126-SM-6LLHQ 60-69 years, female 9.0
GTEX-ZDYS-2426-SM-4WKGI 50-59 years, male 9.0
GTEX-ZT9X-1526-SM-5DUXD 40-49 years, male 9.0
GTEX-ZVE1-0726-SM-51MRN 50-59 years, female 9.0
GTEX-ZXG5-2126-SM-59HKD 60-69 years, male 9.0
GTEX-ZZPU-0826-SM-5GZX5 50-59 years, female 9.0
GTEX-1GMR3-0126-SM-A9SLW 40-49 years, male 9.0
GTEX-1HFI6-0126-SM-CNPPI 40-49 years, male 9.0
GTEX-1HKZK-0726-SM-ACKW2 40-49 years, male 9.0
GTEX-1IL2V-1926-SM-B2LW8 70-79 years, male 9.0
GTEX-1JJE9-2626-SM-ARZMT 70-79 years, male 9.0
GTEX-1JJEA-1826-SM-ARU8P 60-69 years, male 9.0
GTEX-1JMPZ-0726-SM-CY8HZ 30-39 years, male 9.0
GTEX-1PBJJ-1026-SM-E76OS 30-39 years, male 9.0
GTEX-1269C-0126-SM-5EQ5L 60-69 years, female 8.9
GTEX-13OVK-1426-SM-6PAN7 40-49 years, male 8.9
GTEX-145MF-0926-SM-5Q5EA 50-59 years, male 8.9
GTEX-14E6C-2426-SM-5S2NF 40-49 years, male 8.9
GTEX-14PHX-2226-SM-6EU2P 50-59 years, male 8.9
GTEX-15ER7-0626-SM-6PANF 20-29 years, female 8.9
GTEX-183WM-0326-SM-72D5V 70-79 years, female 8.9
GTEX-XV7Q-1826-SM-4BRUV 40-49 years, female 8.9
GTEX-1A3MX-2626-SM-7PC24 60-69 years, male 8.9
GTEX-1HCU6-2526-SM-ADEHL 60-69 years, female 8.9
GTEX-1IDJF-2026-SM-CL53V 20-29 years, male 8.9
GTEX-1KD5A-0126-SM-E9U54 50-59 years, male 8.9
GTEX-1POEN-2326-SM-E9J2L 30-39 years, female 8.9
GTEX-11WQC-1826-SM-5GU59 60-69 years, male 8.8
GTEX-12696-0126-SM-5EQ4L 60-69 years, male 8.8
GTEX-13112-0126-SM-5P9IU 50-59 years, male 8.8
GTEX-139TU-0726-SM-5L3EK 60-69 years, male 8.8
GTEX-13N11-2326-SM-5IJBF 50-59 years, female 8.8
GTEX-13NZ8-1226-SM-5KM4A 60-69 years, female 8.8
GTEX-13O61-1426-SM-5KM3D 60-69 years, male 8.8
GTEX-13PVQ-0626-SM-5LU47 50-59 years, male 8.8
GTEX-13X6H-0926-SM-5SIB2 50-59 years, female 8.8
GTEX-145ME-1726-SM-5Q5EU 40-49 years, female 8.8
GTEX-18A7A-0126-SM-731AH 50-59 years, female 8.8
GTEX-1A8G6-2726-SM-731AR 60-69 years, male 8.8
GTEX-WYVS-1626-SM-3NM9R 40-49 years, female 8.8
GTEX-1F5PK-2226-SM-7SB6N 50-59 years, male 8.8
GTEX-1HCU9-0426-SM-9WYSD 20-29 years, male 8.8
GTEX-1I1HK-2326-SM-CKZOH 60-69 years, male 8.8
GTEX-1JMQK-1226-SM-D4P2S 60-69 years, male 8.8
GTEX-1K2DA-1026-SM-CGQGF 50-59 years, male 8.8
GTEX-13SLX-2226-SM-62LEP 50-59 years, female 8.7
GTEX-13YAN-0226-SM-5TDC6 60-69 years, male 8.7
GTEX-145MO-2826-SM-5LU96 60-69 years, male 8.7
GTEX-15CHQ-0326-SM-69LQD 60-69 years, male 8.7
GTEX-15SKB-2826-SM-6PAMH 60-69 years, male 8.7
GTEX-16MT8-2926-SM-7DUFO 60-69 years, female 8.7
GTEX-XBEW-1126-SM-4QARW 40-49 years, male 8.7
GTEX-XQ3S-1426-SM-4BOPR 20-29 years, male 8.7
GTEX-XUW1-0926-SM-4BONX 50-59 years, female 8.7
GTEX-Y5V5-0126-SM-5S2NW 60-69 years, female 8.7
GTEX-11P82-1426-SM-DTXFY 20-29 years, male 8.7
GTEX-1A8FM-0626-SM-7PC25 50-59 years, female 8.7
GTEX-1HSMO-0626-SM-ACKXC 60-69 years, male 8.7
GTEX-1HUB1-1426-SM-CGQF5 60-69 years, male 8.7
GTEX-1IDJI-0126-SM-CMKHS 50-59 years, female 8.7
GTEX-111VG-1626-SM-5EGIO 60-69 years, male 8.6
GTEX-1211K-1526-SM-5FQU4 60-69 years, female 8.6
GTEX-12WSF-1626-SM-7KUG5 70-79 years, male 8.6
GTEX-16Z82-2626-SM-7KULU 60-69 years, male 8.6
GTEX-1EWIQ-0326-SM-7DHMQ 70-79 years, female 8.6
GTEX-WHSE-0126-SM-3NMBT 20-29 years, male 8.6
GTEX-1CAMR-1326-SM-7PC1F 20-29 years, male 8.6
GTEX-1H1DF-1126-SM-9WG7G 40-49 years, female 8.6
GTEX-1LKK1-2626-SM-DKPQE 50-59 years, female 8.6
GTEX-11O72-0626-SM-5PNYE 40-49 years, male 8.5
GTEX-13OW6-2726-SM-5J2OE 50-59 years, male 8.5
GTEX-13PVR-0426-SM-5RQK2 60-69 years, female 8.5
GTEX-178AV-1726-SM-7KUL8 40-49 years, male 8.5
GTEX-1A3MW-0626-SM-731CB 60-69 years, female 8.5
GTEX-Y8LW-1526-SM-5IFHL 50-59 years, female 8.5
GTEX-ZA64-1026-SM-5HL8R 20-29 years, male 8.5
GTEX-1H1E6-0426-SM-9WYUS 30-39 years, male 8.5
GTEX-1RAZQ-1326-SM-E9TK6 30-39 years, male 8.5
GTEX-14BIN-1126-SM-5RQJZ 50-59 years, female 8.4
GTEX-16NPX-0726-SM-7KULC 50-59 years, male 8.4
GTEX-16XZZ-0726-SM-7KUF2 60-69 years, male 8.4
GTEX-17HGU-2326-SM-7DUFE 50-59 years, male 8.4
GTEX-17HHY-0426-SM-7DHLC 50-59 years, male 8.4
GTEX-1B996-0426-SM-7EWF8 60-69 years, male 8.4
GTEX-1F88E-1626-SM-7SB8Z 60-69 years, female 8.4
GTEX-1IDJH-0126-SM-D3L92 70-79 years, male 8.4
GTEX-1LGOU-1326-SM-D3L8M 20-29 years, female 8.4
GTEX-YEC3-1326-SM-DO92X 50-59 years, male 8.4
GTEX-13OVJ-0826-SM-5J1OK 50-59 years, female 8.3
GTEX-14PKV-1126-SM-6LLJ1 20-29 years, female 8.3
GTEX-16MT9-0126-SM-7EPI8 60-69 years, female 8.3
GTEX-ZDTS-0826-SM-4WKHL 60-69 years, male 8.3
GTEX-1CB4I-0126-SM-7RHGG 50-59 years, male 8.3
GTEX-1F48J-0726-SM-7RHGS 50-59 years, female 8.3
GTEX-1IY9M-2826-SM-ARU8H 60-69 years, male 8.3
GTEX-1OJC4-2726-SM-E76PJ 50-59 years, female 8.3
GTEX-1QAET-0326-SM-EVR3U 50-59 years, male 8.3
GTEX-1R9PM-1926-SM-EVR3O 20-29 years, male 8.3
GTEX-ZF3C-0626-SM-DO92O 50-59 years, female 8.3
GTEX-11NUK-2726-SM-5A5MC 50-59 years, male 8.2
GTEX-12WSD-0626-SM-5GCMW 60-69 years, female 8.2
GTEX-13FTX-1526-SM-5K7VJ 20-29 years, female 8.2
GTEX-14ABY-2026-SM-62LDL 50-59 years, male 8.2
GTEX-14PJ3-1126-SM-5ZZVX 50-59 years, male 8.2
GTEX-XPVG-2126-SM-4B667 50-59 years, male 8.2
GTEX-YB5K-2026-SM-4VDT3 40-49 years, female 8.2
GTEX-ZLWG-0826-SM-59888 50-59 years, female 8.2
GTEX-1C64N-2626-SM-7PC2N 50-59 years, male 8.2
GTEX-1I1CD-0626-SM-CE6SW 60-69 years, female 8.2
GTEX-1IDFM-0326-SM-ARL7V 60-69 years, male 8.2
GTEX-1IKOE-1426-SM-CE6T7 30-39 years, female 8.2
GTEX-1LVAN-0626-SM-CNPOQ 50-59 years, female 8.2
GTEX-1N2EE-0626-SM-E76PW 60-69 years, male 8.2
GTEX-1S831-1826-SM-EWROF 20-29 years, male 8.2
GTEX-11DXY-0126-SM-5H11Q 60-69 years, male 8.1
GTEX-12WSA-0426-SM-5EQ5X 60-69 years, male 8.1
GTEX-13NYS-0626-SM-5L3F1 60-69 years, male 8.1
GTEX-144GO-2026-SM-5O99P 60-69 years, male 8.1
GTEX-1477Z-0326-SM-7IGLA 60-69 years, male 8.1
GTEX-14AS3-1526-SM-5Q5ED 40-49 years, female 8.1
GTEX-14PJO-2526-SM-6AJBQ 60-69 years, male 8.1
GTEX-15CHR-1126-SM-7EWF4 50-59 years, male 8.1
GTEX-15EU6-2226-SM-6EU2L 50-59 years, male 8.1
GTEX-1F52S-2926-SM-7MKGA 60-69 years, female 8.1
GTEX-14JG6-1426-SM-9WG7C 30-39 years, female 8.1
GTEX-1HC8U-1326-SM-9YFMJ 40-49 years, female 8.1
GTEX-1LG7Z-1626-SM-CXKYR 30-39 years, male 8.1
GTEX-1MCC2-1826-SM-DIPEX 30-39 years, female 8.1
GTEX-1O9I2-0226-SM-EYYXD 50-59 years, male 8.1
GTEX-12WSL-2026-SM-5GCML 50-59 years, male 8.0
GTEX-133LE-2326-SM-5K7W3 20-29 years, female 8.0
GTEX-139TS-2126-SM-5K7XC 60-69 years, male 8.0
GTEX-13IVO-0726-SM-5LZYV 70-79 years, male 8.0
GTEX-WYBS-0626-SM-3NMAS 60-69 years, female 8.0
GTEX-X4EO-2926-SM-4E3JH 60-69 years, female 8.0
GTEX-ZVE2-2826-SM-5GU51 50-59 years, male 8.0
GTEX-1I6K6-1726-SM-CGQFD 30-39 years, male 8.0
GTEX-1LSNM-0826-SM-DIPG8 50-59 years, male 8.0
GTEX-ZPIC-0526-SM-DO91W 40-49 years, female 8.0
GTEX-13U4I-2226-SM-5LU5H 40-49 years, female 7.9
GTEX-13W3W-0726-SM-5IJDQ 60-69 years, female 7.9
GTEX-14A5H-0826-SM-5QGPJ 60-69 years, male 7.9
GTEX-14DAR-1226-SM-73KYV 50-59 years, male 7.9
GTEX-1CAV2-0126-SM-7IGN7 40-49 years, female 7.9
GTEX-1CB4H-1126-SM-7MKGL 60-69 years, female 7.9
GTEX-XMD2-2126-SM-4YCF8 60-69 years, female 7.9
GTEX-1HBPI-2126-SM-ARL9K 50-59 years, male 7.9
GTEX-1PIIG-2326-SM-DTXFR 30-39 years, male 7.9
GTEX-11DXX-2126-SM-5PNYR 60-69 years, female 7.8
GTEX-11EQ9-1626-SM-5PNY8 30-39 years, male 7.8
GTEX-12WSJ-1126-SM-5LZVJ 40-49 years, female 7.8
GTEX-1EN7A-2426-SM-793DB 40-49 years, male 7.8
GTEX-1GMR2-0826-SM-7PC3V 50-59 years, male 7.8
GTEX-1IDJD-2326-SM-ACKWX 30-39 years, male 7.8
GTEX-1LBAC-0826-SM-CY8IJ 20-29 years, male 7.8
GTEX-1N5O9-0926-SM-E9J3C 60-69 years, male 7.8
GTEX-131XH-0126-SM-5LZUY 50-59 years, male 7.7
GTEX-13FTW-0326-SM-5K7UW 40-49 years, male 7.7
GTEX-13O3O-2326-SM-5IJD6 60-69 years, female 7.7
GTEX-13QBU-1226-SM-5LU4G 40-49 years, female 7.7
GTEX-13X6I-1826-SM-5SIAO 60-69 years, male 7.7
GTEX-183FY-1026-SM-7939A 20-29 years, male 7.7
GTEX-ZLFU-1826-SM-4WWBV 40-49 years, male 7.7
GTEX-1JMQI-1726-SM-ARL93 50-59 years, male 7.7
GTEX-1K2DU-1226-SM-CYPT4 20-29 years, male 7.7
GTEX-1PPGY-1626-SM-EVYBL 60-69 years, male 7.7
GTEX-1RAZR-2126-SM-E9U6T 40-49 years, male 7.7
GTEX-1192X-2726-SM-5N9DN 50-59 years, male 7.6
GTEX-131YS-2826-SM-5EQ47 60-69 years, female 7.6
GTEX-17F97-2626-SM-7IGM5 50-59 years, male 7.6
GTEX-ZYFG-1526-SM-5GZYM 60-69 years, female 7.6
GTEX-18D9A-1426-SM-7LT8M 30-39 years, female 7.6
GTEX-1I4MK-0126-SM-CY8G6 50-59 years, female 7.6
GTEX-1ICG6-1226-SM-A9SLN 70-79 years, female 7.6
GTEX-1RLM8-2926-SM-E8VON 50-59 years, male 7.6
GTEX-XBEC-0726-SM-4QARZ 50-59 years, male 7.5
GTEX-YJ8O-2526-SM-5HL85 40-49 years, female 7.5
GTEX-1JKYN-0826-SM-ARU8S 30-39 years, male 7.5
GTEX-1JMLX-0626-SM-ARL8T 50-59 years, male 7.5
GTEX-1K9T9-1526-SM-DIPFR 50-59 years, female 7.5
GTEX-11VI4-1126-SM-5EQMD 40-49 years, female 7.4
GTEX-13OVG-1626-SM-5J1NF 60-69 years, male 7.4
GTEX-13OW8-1026-SM-5J1NQ 60-69 years, male 7.4
GTEX-15UF6-1926-SM-7KUDV 70-79 years, female 7.4
GTEX-XXEK-1626-SM-4BRUZ 50-59 years, male 7.4
GTEX-Y3IK-1626-SM-4YCF5 50-59 years, female 7.4
GTEX-Y8E4-2026-SM-5IFJB 40-49 years, male 7.4
GTEX-ZPU1-1126-SM-4YCF3 40-49 years, male 7.4
GTEX-1QCLZ-2426-SM-EVYBW 60-69 years, female 7.4
GTEX-1117F-2926-SM-5GZYI 60-69 years, female 7.3
GTEX-11ZUS-2626-SM-5FQUR 30-39 years, male 7.3
GTEX-13OVL-0126-SM-5L3GJ 50-59 years, male 7.3
GTEX-14LZ3-0126-SM-69LPM 60-69 years, female 7.3
GTEX-VUSG-2326-SM-4KL1U 50-59 years, male 7.3
GTEX-WI4N-2726-SM-3LK7Y 40-49 years, female 7.3
GTEX-Y114-2126-SM-4TT8B 50-59 years, female 7.3
GTEX-1KANC-1226-SM-CYPT7 50-59 years, female 7.3
GTEX-1QEPI-2626-SM-DTXF4 60-69 years, female 7.3
GTEX-117YX-1926-SM-5GIEC 50-59 years, male 7.2
GTEX-11NSD-0626-SM-5A5LU 20-29 years, male 7.2
GTEX-13NYC-0126-SM-5L3F4 60-69 years, male 7.2
GTEX-18A66-0626-SM-7LT8Z 60-69 years, male 7.2
GTEX-1B933-2426-SM-7DHMD 50-59 years, female 7.2
GTEX-WK11-2726-SM-3NMAQ 50-59 years, male 7.2
GTEX-WYJK-0526-SM-3NM8Z 50-59 years, male 7.2
GTEX-1M4P7-0726-SM-E6CJ3 60-69 years, male 7.2
GTEX-13N2G-0226-SM-5K7VF 60-69 years, male 7.1
GTEX-16AAH-0626-SM-793C9 50-59 years, male 7.1
GTEX-18A7B-2726-SM-7LG56 70-79 years, male 7.1
GTEX-ZTSS-1426-SM-5985P 40-49 years, male 7.1
GTEX-ZVP2-0326-SM-57WBP 50-59 years, male 7.1
GTEX-1GF9U-2026-SM-7SB92 40-49 years, female 7.1
GTEX-14PJ2-0626-SM-6LLII 50-59 years, male 7.0
GTEX-UPK5-0426-SM-3GAEK 40-49 years, male 7.0
GTEX-ZAK1-0626-SM-5HL8E 50-59 years, female 7.0
GTEX-1F6IF-0926-SM-7SB7M 60-69 years, male 7.0
GTEX-11P7K-1126-SM-5HL4L 30-39 years, male 6.9
GTEX-139YR-1026-SM-5LZYN 50-59 years, male 6.9
GTEX-13OW5-2326-SM-5L3HO 60-69 years, male 6.9
GTEX-14PK6-0226-SM-62LF5 70-79 years, female 6.9
GTEX-15RJ7-2126-SM-6PAMD 40-49 years, male 6.9
GTEX-17HG3-2626-SM-7DUF2 30-39 years, female 6.9
GTEX-1AX8Z-0726-SM-73KTS 60-69 years, male 6.9
GTEX-WFG8-2126-SM-3GIKQ 20-29 years, male 6.9
GTEX-ZU9S-1826-SM-5NQ9E 30-39 years, male 6.9
GTEX-1C64O-1326-SM-7MGWR 60-69 years, male 6.9
GTEX-1KANA-1326-SM-DIPFA 20-29 years, male 6.9
GTEX-1RB15-1326-SM-E76Q9 60-69 years, male 6.9
GTEX-1S82U-1026-SM-E6CJK 30-39 years, female 6.9
GTEX-11DXW-0826-SM-5H118 40-49 years, male 6.8
GTEX-11EI6-2826-SM-5H11D 60-69 years, male 6.8
GTEX-13113-1626-SM-5EQ4I 60-69 years, female 6.8
GTEX-145MN-1526-SM-5SI9T 30-39 years, male 6.8
GTEX-14BMU-1226-SM-5S2OR 20-29 years, female 6.8
GTEX-14E6E-0526-SM-793DN 30-39 years, male 6.8
GTEX-15G19-2426-SM-7KUMR 60-69 years, male 6.8
GTEX-15SHW-0226-SM-7LTAT 60-69 years, male 6.8
GTEX-16YQH-2226-SM-7IGM2 30-39 years, male 6.8
GTEX-WXYG-2026-SM-4E3IY 50-59 years, female 6.8
GTEX-XOT4-0626-SM-4B66L 60-69 years, female 6.8
GTEX-ZT9W-1126-SM-57WDR 50-59 years, male 6.8
GTEX-1E2YA-2126-SM-7MXUO 50-59 years, male 6.8
GTEX-1IDJC-1526-SM-B2LW4 50-59 years, male 6.8
GTEX-1JN1M-2726-SM-CY8I4 60-69 years, female 6.8
GTEX-14PHY-1226-SM-5ZZWK 60-69 years, female 6.7
GTEX-18D9B-0926-SM-7LG4U 60-69 years, male 6.7
GTEX-X3Y1-2026-SM-3P5YM 40-49 years, male 6.7
GTEX-XK95-0226-SM-4AT58 40-49 years, male 6.7
GTEX-XQ8I-0926-SM-4BOOF 50-59 years, male 6.7
GTEX-Y5LM-0926-SM-6LLJG 40-49 years, female 6.7
GTEX-ZYVF-0926-SM-5E44J 50-59 years, female 6.7
GTEX-1I6K7-1926-SM-B2LXR 40-49 years, male 6.7
GTEX-1LVAM-0726-SM-E6CIL 50-59 years, female 6.7
GTEX-1OJC3-1226-SM-DTXER 20-29 years, male 6.7
GTEX-1QP9N-1226-SM-E76QN 30-39 years, male 6.7
GTEX-ZZ64-1026-SM-5GZXG 20-29 years, male 6.6
GTEX-1H1CY-0126-SM-9YFLY 60-69 years, female 6.6
GTEX-1RAZA-2226-SM-E9U4X 20-29 years, male 6.6
GTEX-1RAZS-2526-SM-E6CHT 50-59 years, male 6.6
GTEX-11OF3-0126-SM-5PNYF 60-69 years, male 6.5
GTEX-12126-0826-SM-5FQTZ 20-29 years, male 6.5
GTEX-12584-0726-SM-5FQTK 40-49 years, male 6.5
GTEX-17F96-0126-SM-7EWDU 70-79 years, male 6.5
GTEX-17JCI-2926-SM-7DUFF 60-69 years, female 6.5
GTEX-XYKS-1426-SM-4BRUO 60-69 years, female 6.5
GTEX-1F6I4-2326-SM-7RHGL 60-69 years, male 6.5
GTEX-11EM3-1226-SM-5N9DD 20-29 years, female 6.4
GTEX-145LT-0526-SM-5LUB2 40-49 years, male 6.4
GTEX-17F9E-2326-SM-79OKD 50-59 years, male 6.4
GTEX-U8XE-0226-SM-4E3J3 30-39 years, male 6.4
GTEX-1NSGN-0726-SM-DTXEF 50-59 years, male 6.4
GTEX-1S83E-1326-SM-E6CJM 40-49 years, male 6.4
GTEX-11DYG-1526-SM-5A5JS 60-69 years, male 6.3
GTEX-13NZ9-2626-SM-5L3FK 50-59 years, male 6.3
GTEX-145LS-0626-SM-7EPG7 60-69 years, female 6.3
GTEX-1A32A-0626-SM-731AQ 50-59 years, female 6.3
GTEX-1S82P-2126-SM-E6CI5 60-69 years, female 6.3
GTEX-139TT-2126-SM-5LZWC 60-69 years, male 6.2
GTEX-13FH7-1126-SM-5K7UG 50-59 years, female 6.2
GTEX-1E1VI-0326-SM-793D1 50-59 years, male 6.2
GTEX-1F75W-2726-SM-7SB8H 60-69 years, male 6.2
GTEX-1H3NZ-2726-SM-9WYTQ 60-69 years, male 6.2
GTEX-1I19N-0126-SM-CYPSF 70-79 years, male 6.2
GTEX-1MJK3-0726-SM-E6CJC 20-29 years, male 6.2
GTEX-1N2DV-1526-SM-DTXEP 40-49 years, male 6.2
GTEX-13JUV-2026-SM-5K7UA 40-49 years, female 6.1
GTEX-146FQ-2126-SM-5RQHU 30-39 years, male 6.1
GTEX-WFON-1926-SM-3LK7L 40-49 years, male 6.1
GTEX-ZVTK-0226-SM-51MRG 20-29 years, male 6.1
GTEX-1JMOU-1026-SM-CYPSS 60-69 years, female 6.1
GTEX-11WQK-1026-SM-5EQLX 50-59 years, male 6.0
GTEX-132AR-0326-SM-5KM2C 50-59 years, female 6.0
GTEX-145MG-1526-SM-5Q5EM 50-59 years, male 6.0
GTEX-1J8JJ-0626-SM-ARZMQ 60-69 years, female 6.0
GTEX-12BJ1-0926-SM-5EQ62 60-69 years, male 5.9
GTEX-1AX9J-1326-SM-731BJ 60-69 years, male 5.9
GTEX-1HSMP-0926-SM-A9SKX 70-79 years, male 5.9
GTEX-1IDJE-1426-SM-ADEIW 50-59 years, female 5.9
GTEX-1QP29-1826-SM-DTX9S 50-59 years, male 5.9
GTEX-ZAJG-1526-SM-5CVML 50-59 years, female 5.8
GTEX-1L5NE-1126-SM-D3L9P 50-59 years, male 5.8
GTEX-1LVAO-2726-SM-E9TJ8 60-69 years, male 5.8
GTEX-ZDXO-3126-SM-5IJDF 60-69 years, male 5.6
GTEX-1R9PN-0426-SM-DTXDT 40-49 years, female 5.6
GTEX-16GPK-0626-SM-7KFSF 60-69 years, male 5.5
GTEX-X4EP-0626-SM-3P621 60-69 years, female 5.5
GTEX-15RIE-1926-SM-7KUKJ 60-69 years, male 5.4
GTEX-17EVQ-0126-SM-7IGLR 70-79 years, male 5.4
GTEX-YF7O-1526-SM-5IFI6 50-59 years, male 5.4
GTEX-ZYFD-0626-SM-5E44E 50-59 years, male 5.4
GTEX-X585-2426-SM-46MW2 50-59 years, male 5.2
GTEX-111FC-2526-SM-5GZXU 60-69 years, male 5.1
GTEX-ZUA1-2626-SM-5NQ92 40-49 years, male 5.1
GTEX-1PIGE-1826-SM-E8VOU 20-29 years, male 5.1
GTEX-WH7G-2026-SM-3NMBL 40-49 years, male 5.0
GTEX-1ICLZ-0326-SM-ARL82 60-69 years, male 4.8
GTEX-11TT1-1826-SM-5EQLV 20-29 years, male 4.7
GTEX-1399R-1326-SM-5PNYS 30-39 years, male 4.7
GTEX-14E1K-2026-SM-7DUEI 50-59 years, male 4.6
GTEX-1QP66-1226-SM-DTX7U 50-59 years, male 4.5
GTEX-11DZ1-2426-SM-5GZZX 50-59 years, male 4.1
Show allShow less
Skin - Sun Exposed (Lower leg)
Average nTPM: 9.5
Samples: 701

Max nTPM: 20.9
Min nTPM: 3.7
Std nTPM: 2.0
Median nTPM: 9.4
GTEX-WFG8-2226-SM-3GIL9 20-29 years, male 20.9
GTEX-1C475-1826-SM-73KWA 40-49 years, female 18.1
GTEX-P44H-0226-SM-2XCEU 40-49 years, male 17.4
GTEX-SNMC-1226-SM-2XCFP 20-29 years, male 16.7
GTEX-1HFI7-1826-SM-ACKXH 50-59 years, female 16.6
GTEX-ZVT2-2526-SM-51MT1 50-59 years, female 16.4
GTEX-1IKJJ-0126-SM-CNPQB 60-69 years, male 16.3
GTEX-1HCU7-0226-SM-CL545 50-59 years, male 15.6
GTEX-PVOW-0126-SM-2XCFA 40-49 years, male 15.4
GTEX-1B8SF-1426-SM-7DUGL 60-69 years, male 15.0
GTEX-1LGRB-2526-SM-CNPPQ 50-59 years, female 15.0
GTEX-1C6VR-2426-SM-79OLD 60-69 years, male 14.7
GTEX-YJ89-0126-SM-4TT3X 60-69 years, male 14.5
GTEX-15F5U-1526-SM-6PANO 40-49 years, male 14.4
GTEX-117XS-2726-SM-5N9BL 60-69 years, male 14.3
GTEX-1GMR3-1926-SM-9KNUZ 40-49 years, male 14.3
GTEX-1PIIG-0226-SM-EWRN6 30-39 years, male 14.2
GTEX-1CAMQ-0226-SM-7IGPK 40-49 years, male 14.1
GTEX-1CB4G-0226-SM-7PC3O 60-69 years, male 14.1
GTEX-1GF9V-0326-SM-7RHI5 60-69 years, male 14.1
GTEX-1JMLX-0226-SM-CM2RO 50-59 years, male 14.1
GTEX-1KXAM-2226-SM-CYPTC 60-69 years, male 14.1
GTEX-1LG7Z-1726-SM-D3LA4 30-39 years, male 14.1
GTEX-1I1GT-0626-SM-CGQER 60-69 years, female 13.8
GTEX-1I4MK-2226-SM-ACKWD 50-59 years, female 13.7
GTEX-1GF9W-0326-SM-9KNUN 60-69 years, male 13.6
GTEX-14A5I-0126-SM-5TDEA 50-59 years, female 13.5
GTEX-1F6IF-0726-SM-7P8TW 60-69 years, male 13.5
GTEX-1I1GQ-0126-SM-COH3H 50-59 years, male 13.5
GTEX-1JMQL-0226-SM-CNPP5 50-59 years, female 13.5
GTEX-1GL5R-1826-SM-9KNUY 50-59 years, male 13.4
GTEX-ZTX8-1426-SM-5DUVO 20-29 years, male 13.3
GTEX-ZYFG-2326-SM-5E44B 60-69 years, female 13.3
GTEX-T8EM-1026-SM-3DB7M 40-49 years, male 13.2
GTEX-1HCU9-1526-SM-A9SL7 20-29 years, male 13.2
GTEX-1HSGN-0226-SM-CGQFV 40-49 years, female 13.2
GTEX-Y5V6-2426-SM-4VDSB 60-69 years, male 13.1
GTEX-13S7M-0126-SM-5SI6A 60-69 years, female 13.0
GTEX-QESD-1426-SM-2S1R9 20-29 years, male 13.0
GTEX-145ME-1826-SM-5SI9G 40-49 years, female 12.9
GTEX-15EU6-0426-SM-6PAN5 50-59 years, male 12.9
GTEX-1B97I-1626-SM-73KYO 40-49 years, male 12.8
GTEX-13111-1626-SM-5EGJY 50-59 years, male 12.7
GTEX-13112-2826-SM-5DUWH 50-59 years, male 12.7
GTEX-13SLW-0126-SM-5SI6C 70-79 years, male 12.7
GTEX-16AAH-1726-SM-7939C 50-59 years, male 12.7
GTEX-ZGAY-0526-SM-4WWBB 40-49 years, female 12.7
GTEX-13NYB-2526-SM-5K7Z6 40-49 years, male 12.6
GTEX-P4QT-0126-SM-2I3FL 50-59 years, female 12.6
GTEX-1E2YA-0126-SM-9KNUC 50-59 years, male 12.5
GTEX-1F5PK-2426-SM-7RHHY 50-59 years, male 12.5
GTEX-1H4P4-0726-SM-9YFLR 50-59 years, male 12.5
GTEX-13O3P-0126-SM-5KM4S 50-59 years, male 12.4
GTEX-15ETS-0126-SM-7KUMW 40-49 years, female 12.4
GTEX-17F96-1626-SM-7DUFL 70-79 years, male 12.4
GTEX-17GQL-2026-SM-718BA 60-69 years, male 12.4
GTEX-T5JW-1626-SM-3GADZ 20-29 years, female 12.4
GTEX-1JJEA-0326-SM-CNPOT 60-69 years, male 12.4
GTEX-1212Z-2526-SM-5EGKP 60-69 years, male 12.3
GTEX-1399R-2726-SM-5IJBA 30-39 years, male 12.3
GTEX-1B8KE-2126-SM-73KYX 50-59 years, male 12.3
GTEX-1CB4E-2226-SM-793DC 60-69 years, male 12.3
GTEX-ZF2S-2326-SM-4WWCE 50-59 years, female 12.3
GTEX-1IDJH-0326-SM-A9SLQ 70-79 years, male 12.3
GTEX-15DYW-0126-SM-7KULE 60-69 years, female 12.2
GTEX-16NPX-0226-SM-79OMT 50-59 years, male 12.2
GTEX-X261-0126-SM-3NMD6 50-59 years, male 12.2
GTEX-15RIG-0226-SM-7KFTL 40-49 years, male 12.1
GTEX-1C4CL-0526-SM-73KVK 30-39 years, male 12.1
GTEX-1AX9I-0126-SM-7SB74 60-69 years, male 12.1
GTEX-17EUY-0426-SM-793BD 20-29 years, male 12.0
GTEX-UPJH-0326-SM-3GADU 50-59 years, male 12.0
GTEX-ZWKS-0126-SM-5SIAA 30-39 years, male 12.0
GTEX-1EX96-1626-SM-7PBXR 50-59 years, male 12.0
GTEX-1GZ2Q-0226-SM-7P8TL 40-49 years, male 12.0
GTEX-1HSKV-0226-SM-A9SKJ 60-69 years, male 12.0
GTEX-1KAFJ-2026-SM-CY8ID 50-59 years, male 12.0
GTEX-131YS-0126-SM-5KM1M 60-69 years, female 11.9
GTEX-145MF-0626-SM-5LUAI 50-59 years, male 11.9
GTEX-WFON-2126-SM-3LK7O 40-49 years, male 11.9
GTEX-ZTSS-1926-SM-57WEW 40-49 years, male 11.9
GTEX-1F75B-0126-SM-9KNVL 50-59 years, male 11.9
GTEX-17EVP-0326-SM-7DHLG 40-49 years, male 11.8
GTEX-1AX9J-0226-SM-73KXM 60-69 years, male 11.8
GTEX-Y5V5-2326-SM-4V6GA 60-69 years, female 11.8
GTEX-ZXG5-0126-SM-5GIEU 60-69 years, male 11.8
GTEX-12WSG-2826-SM-E9J4H 50-59 years, female 11.8
GTEX-1F52S-0126-SM-9MQJU 60-69 years, female 11.8
GTEX-1H1DG-0126-SM-9WYU2 70-79 years, male 11.8
GTEX-1LVAN-0226-SM-COH3S 50-59 years, female 11.8
GTEX-PSDG-0226-SM-DKPOZ 50-59 years, male 11.8
GTEX-PX3G-0126-SM-2I3EN 20-29 years, female 11.7
GTEX-S32W-2126-SM-2XCB1 50-59 years, female 11.7
GTEX-1KWVE-1426-SM-E9TJO 30-39 years, male 11.7
GTEX-1O97I-0326-SM-EYYX7 60-69 years, male 11.7
GTEX-11EQ9-2426-SM-5HL5T 30-39 years, male 11.6
GTEX-11GSO-2426-SM-5A5LY 60-69 years, male 11.6
GTEX-13CF3-2426-SM-5IFGX 60-69 years, female 11.6
GTEX-15ER7-0326-SM-7KUEV 20-29 years, female 11.6
GTEX-17KNJ-2326-SM-7DHLQ 50-59 years, male 11.6
GTEX-18D9A-1926-SM-7LG6P 30-39 years, female 11.6
GTEX-ZZ64-1726-SM-5GZYB 20-29 years, male 11.6
GTEX-11TUW-2726-SM-E9J4M 60-69 years, male 11.6
GTEX-1GMRU-0126-SM-9YFLV 50-59 years, male 11.6
GTEX-1JN1M-0326-SM-CYPT3 60-69 years, female 11.6
GTEX-13OW8-1326-SM-5J1OW 60-69 years, male 11.5
GTEX-144GL-0126-SM-5TDE2 50-59 years, male 11.5
GTEX-145MI-0526-SM-5O9A8 60-69 years, female 11.5
GTEX-RWSA-0126-SM-2XCBB 40-49 years, male 11.5
GTEX-WYVS-2126-SM-3NMA3 40-49 years, female 11.5
GTEX-1A8FM-0226-SM-7SB7Q 50-59 years, female 11.5
GTEX-1F88F-2726-SM-7PBZZ 60-69 years, female 11.5
GTEX-1H11D-0226-SM-9WG6Z 40-49 years, male 11.5
GTEX-1JKYR-0126-SM-CNPOJ 20-29 years, male 11.5
GTEX-1JN76-0126-SM-CNPPE 20-29 years, female 11.5
GTEX-1R9PM-2026-SM-E76OY 20-29 years, male 11.5
GTEX-OIZF-0126-SM-7SB8I 60-69 years, male 11.5
GTEX-11DXY-2626-SM-5GIE7 60-69 years, male 11.4
GTEX-1399T-2826-SM-5KLYZ 60-69 years, male 11.4
GTEX-1B8SG-0126-SM-73KZ3 50-59 years, male 11.4
GTEX-Z93S-0126-SM-5HL7M 50-59 years, male 11.4
GTEX-1CB4F-0426-SM-9KNV4 60-69 years, male 11.4
GTEX-1EU9M-0226-SM-7P8SP 60-69 years, male 11.4
GTEX-12696-2426-SM-5EQ6H 60-69 years, male 11.3
GTEX-ZV6S-2326-SM-4YCEY 40-49 years, female 11.3
GTEX-1EN7A-0126-SM-7SB81 40-49 years, male 11.3
GTEX-1GMR8-0126-SM-9WYTM 50-59 years, female 11.3
GTEX-1J8JJ-0226-SM-CL53I 60-69 years, female 11.3
GTEX-1KANA-0726-SM-D3L9I 20-29 years, male 11.3
GTEX-1S83E-0126-SM-EWRO4 40-49 years, male 11.3
GTEX-12WSE-0526-SM-793B2 20-29 years, male 11.2
GTEX-1CB4I-0226-SM-79OLH 50-59 years, male 11.2
GTEX-SSA3-0126-SM-32QPU 60-69 years, male 11.2
GTEX-T6MO-1626-SM-32QOM 40-49 years, female 11.2
GTEX-ZVTK-0426-SM-51MRS 20-29 years, male 11.2
GTEX-ZYT6-0226-SM-5NQ6T 30-39 years, male 11.2
GTEX-1GTWX-0126-SM-9YFLK 60-69 years, male 11.2
GTEX-1HCUA-2426-SM-ADEIS 50-59 years, female 11.2
GTEX-13FTY-0526-SM-5L3EV 40-49 years, female 11.1
GTEX-1C64N-0126-SM-793D7 50-59 years, male 11.1
GTEX-1L5NE-2526-SM-E6CIE 50-59 years, male 11.1
GTEX-11ZTS-0126-SM-5EQ6M 60-69 years, female 11.0
GTEX-12WSK-2326-SM-5GCOH 40-49 years, female 11.0
GTEX-13FXS-0226-SM-5IJCK 50-59 years, male 11.0
GTEX-14PN3-2426-SM-6LLHS 60-69 years, female 11.0
GTEX-17HG3-2226-SM-7938L 30-39 years, female 11.0
GTEX-U3ZH-2026-SM-3DB78 30-39 years, male 11.0
GTEX-VJWN-0126-SM-3GIK7 50-59 years, female 11.0
GTEX-13NYC-0326-SM-E9J4S 60-69 years, male 11.0
GTEX-1I1GR-0126-SM-CL55F 60-69 years, male 11.0
GTEX-1J1OQ-0226-SM-CYPSH 40-49 years, female 11.0
GTEX-RNOR-0126-SM-E9J4R 50-59 years, female 11.0
GTEX-15SHU-0126-SM-7KUEH 40-49 years, female 10.9
GTEX-16XZZ-0126-SM-793DV 60-69 years, male 10.9
GTEX-17HHE-2026-SM-79OKF 50-59 years, male 10.9
GTEX-SJXC-0126-SM-2XCFF 60-69 years, male 10.9
GTEX-XPVG-2626-SM-4B669 50-59 years, male 10.9
GTEX-1GN1U-0126-SM-7PBZK 50-59 years, female 10.9
GTEX-1JMQK-0226-SM-CL543 60-69 years, male 10.9
GTEX-1PPH8-0226-SM-E8VND 20-29 years, male 10.9
GTEX-1S3DN-2226-SM-EVYCD 50-59 years, male 10.9
GTEX-ZY6K-1826-SM-5GZXK 50-59 years, male 10.8
GTEX-1F5PL-0326-SM-7P8PQ 40-49 years, female 10.8
GTEX-1H3VE-0326-SM-9YFLH 40-49 years, male 10.8
GTEX-1R46S-0626-SM-E9J41 60-69 years, female 10.8
GTEX-113JC-2326-SM-5EQ4E 50-59 years, female 10.7
GTEX-13JUV-2726-SM-5LZZ8 40-49 years, female 10.7
GTEX-13NZB-2526-SM-5J1OM 30-39 years, male 10.7
GTEX-13X6J-0126-SM-5QGOU 50-59 years, male 10.7
GTEX-14C5O-0126-SM-5SI6N 60-69 years, male 10.7
GTEX-TSE9-0126-SM-3DB83 60-69 years, female 10.7
GTEX-XBEW-0626-SM-4QASP 40-49 years, male 10.7
GTEX-1H2FU-0126-SM-9WYSI 60-69 years, female 10.7
GTEX-1HT8W-0126-SM-CNPPP 30-39 years, male 10.7
GTEX-1I1GV-0526-SM-A9G29 60-69 years, male 10.7
GTEX-1R7EU-0226-SM-EVR4G 60-69 years, male 10.7
GTEX-11VI4-1726-SM-5CVLH 40-49 years, female 10.6
GTEX-13OVH-0126-SM-5MR4B 70-79 years, male 10.6
GTEX-14DAQ-0126-SM-5S2MQ 60-69 years, female 10.6
GTEX-14DAR-2026-SM-5S2O3 50-59 years, male 10.6
GTEX-17HII-0226-SM-7LG4E 50-59 years, male 10.6
GTEX-YB5K-2126-SM-4WWDJ 40-49 years, female 10.6
GTEX-1H23P-0126-SM-ADEJ3 60-69 years, male 10.6
GTEX-1H3VY-0126-SM-ACKXD 50-59 years, male 10.6
GTEX-1IKOH-0226-SM-COH4E 60-69 years, female 10.6
GTEX-1LH75-2426-SM-E9TJE 50-59 years, female 10.6
GTEX-1M5QR-1226-SM-EWROB 40-49 years, male 10.6
GTEX-11UD2-0226-SM-5EQKY 50-59 years, male 10.5
GTEX-12ZZZ-0626-SM-5DUXI 60-69 years, male 10.5
GTEX-13FTX-1826-SM-5J1NX 20-29 years, female 10.5
GTEX-18D9U-0226-SM-718BP 40-49 years, male 10.5
GTEX-OXRN-0126-SM-48TDM 50-59 years, male 10.5
GTEX-R3RS-0126-SM-3GIJL 40-49 years, female 10.5
GTEX-VJYA-1126-SM-3GIJU 60-69 years, male 10.5
GTEX-1GPI7-0126-SM-9MQL8 20-29 years, male 10.5
GTEX-1R7EV-2426-SM-EVYBG 40-49 years, male 10.5
GTEX-131XE-2326-SM-5PNZ2 50-59 years, male 10.4
GTEX-131XG-2626-SM-5KM17 50-59 years, female 10.4
GTEX-131XW-0426-SM-5LZWP 50-59 years, female 10.4
GTEX-14E7W-0126-SM-6LLJ9 70-79 years, male 10.4
GTEX-17MFQ-1726-SM-793C7 20-29 years, male 10.4
GTEX-1BAJH-0526-SM-793CQ 70-79 years, male 10.4
GTEX-1E1VI-0126-SM-7DHMZ 50-59 years, male 10.4
GTEX-Y8LW-1826-SM-5S2MV 50-59 years, female 10.4
GTEX-ZYFC-0226-SM-5NQ75 50-59 years, male 10.4
GTEX-1EMGI-0126-SM-9KNUE 60-69 years, male 10.4
GTEX-1F7RK-0126-SM-7PC2S 20-29 years, female 10.4
GTEX-1GZ4H-1726-SM-7PBZJ 50-59 years, female 10.4
GTEX-1HCU8-0626-SM-A9SM9 60-69 years, female 10.4
GTEX-111FC-0126-SM-5N9DL 60-69 years, male 10.3
GTEX-13PDP-0126-SM-5L3HD 60-69 years, male 10.3
GTEX-14JG1-0426-SM-6ETZZ 40-49 years, male 10.3
GTEX-14JG6-2226-SM-6EU2G 30-39 years, female 10.3
GTEX-QLQ7-1626-SM-2S1R8 60-69 years, male 10.3
GTEX-ZV68-0126-SM-59HKS 50-59 years, female 10.3
GTEX-ZVZP-2426-SM-59HKJ 50-59 years, male 10.3
GTEX-1C6VQ-0126-SM-7P8RI 50-59 years, male 10.3
GTEX-1EWIQ-0126-SM-7RHH2 70-79 years, female 10.3
GTEX-1GZHY-0326-SM-9QEHI 50-59 years, female 10.3
GTEX-1H3NZ-0126-SM-ACKX7 60-69 years, male 10.3
GTEX-1HSMQ-1226-SM-CGQFX 50-59 years, male 10.3
GTEX-1J8Q2-0526-SM-CM2RW 60-69 years, male 10.3
GTEX-1LB8K-0226-SM-EWRNW 50-59 years, male 10.3
GTEX-133LE-1826-SM-5J1MV 20-29 years, female 10.2
GTEX-14E6D-0126-SM-62LDV 50-59 years, male 10.2
GTEX-16GPK-0126-SM-7DHLE 60-69 years, male 10.2
GTEX-16MT8-0426-SM-7KUEY 60-69 years, female 10.2
GTEX-1A3MV-1926-SM-718BT 30-39 years, male 10.2
GTEX-1B8KZ-2026-SM-7DHMB 50-59 years, male 10.2
GTEX-NFK9-0226-SM-2HMKQ 40-49 years, male 10.2
GTEX-OXRP-0126-SM-3NB32 60-69 years, female 10.2
GTEX-XUZC-1726-SM-4BRWS 30-39 years, female 10.2
GTEX-Y111-0126-SM-4SOIV 50-59 years, male 10.2
GTEX-1B996-0226-SM-7RHGO 60-69 years, male 10.2
GTEX-1GF9U-2126-SM-7SB7L 40-49 years, female 10.2
GTEX-1JK1U-2026-SM-CM2RZ 60-69 years, male 10.2
GTEX-1MGNQ-0126-SM-EVYCJ 40-49 years, male 10.2
GTEX-PLZ6-1426-SM-DKPOT 30-39 years, male 10.2
GTEX-12WSA-0226-SM-5BC5V 60-69 years, male 10.1
GTEX-13QJ3-0326-SM-5S2RA 50-59 years, male 10.1
GTEX-14PHW-0126-SM-6LLJI 60-69 years, female 10.1
GTEX-14PJ6-2126-SM-6EU1V 60-69 years, female 10.1
GTEX-16YQH-0126-SM-7DUFJ 30-39 years, male 10.1
GTEX-XQ3S-1526-SM-4BOOC 20-29 years, male 10.1
GTEX-1HBPI-1526-SM-C1YQ1 50-59 years, male 10.1
GTEX-1HGF4-2426-SM-ACKXM 60-69 years, male 10.1
GTEX-1IDJU-2626-SM-CM2RT 60-69 years, female 10.1
GTEX-1JMPZ-0226-SM-CNPP1 30-39 years, male 10.1
GTEX-1KANC-1526-SM-D3LAB 50-59 years, female 10.1
GTEX-1122O-2126-SM-5EGIR 60-69 years, female 10.0
GTEX-11EI6-0126-SM-5985R 60-69 years, male 10.0
GTEX-12WSC-0126-SM-5EQ4P 50-59 years, male 10.0
GTEX-12ZZY-0226-SM-5LZVE 60-69 years, male 10.0
GTEX-13NZ8-0826-SM-5MR3I 60-69 years, female 10.0
GTEX-13W46-0226-SM-5SIAG 50-59 years, male 10.0
GTEX-148VI-1626-SM-5SI6E 60-69 years, female 10.0
GTEX-14A5H-0426-SM-5QGQF 60-69 years, male 10.0
GTEX-15D1Q-0126-SM-7KUG6 40-49 years, male 10.0
GTEX-18A6Q-0126-SM-731BZ 60-69 years, male 10.0
GTEX-ZXES-1826-SM-5E43S 30-39 years, female 10.0
GTEX-1H1ZS-0426-SM-9WG6G 70-79 years, male 10.0
GTEX-1IL2U-0226-SM-CE6T8 60-69 years, male 10.0
GTEX-1QCLY-0326-SM-E8VOG 30-39 years, male 10.0
GTEX-11DXW-0226-SM-5H122 40-49 years, male 9.9
GTEX-11P81-2326-SM-59875 30-39 years, female 9.9
GTEX-12WSN-5019-SM-79OM6 40-49 years, male 9.9
GTEX-13OVI-1426-SM-5L3EY 60-69 years, female 9.9
GTEX-148VJ-0126-SM-5TDDN 70-79 years, male 9.9
GTEX-14BIN-0626-SM-793DP 50-59 years, female 9.9
GTEX-14BMV-0126-SM-5S2PO 50-59 years, male 9.9
GTEX-1A3MW-0126-SM-73KXX 60-69 years, female 9.9
GTEX-QDVJ-1726-SM-2I5FX 50-59 years, male 9.9
GTEX-QVJO-1626-SM-2S1QW 60-69 years, female 9.9
GTEX-T5JC-0426-SM-32PLO 20-29 years, male 9.9
GTEX-XUYS-0126-SM-47JWZ 50-59 years, male 9.9
GTEX-YB5E-2026-SM-5IFIS 40-49 years, male 9.9
GTEX-1GN73-0226-SM-9WG67 60-69 years, male 9.9
GTEX-1HCVE-0126-SM-CGQEU 50-59 years, male 9.9
GTEX-1HFI6-0226-SM-ADEHZ 40-49 years, male 9.9
GTEX-1128S-2326-SM-5GZZY 60-69 years, female 9.8
GTEX-11GSP-2526-SM-5N9BP 60-69 years, female 9.8
GTEX-139TT-0126-SM-5K7Y5 60-69 years, male 9.8
GTEX-13D11-2426-SM-5KM1V 50-59 years, female 9.8
GTEX-13O3Q-2426-SM-5IJBR 50-59 years, male 9.8
GTEX-PLZ5-2026-SM-2S1O4 50-59 years, male 9.8
GTEX-TKQ1-1026-SM-4GICL 30-39 years, male 9.8
GTEX-ZDTS-0126-SM-4WAY5 60-69 years, male 9.8
GTEX-ZDTT-2726-SM-4WKF8 60-69 years, male 9.8
GTEX-ZYY3-0126-SM-5GZY5 60-69 years, female 9.8
GTEX-1CB4H-0226-SM-7PBXM 60-69 years, female 9.8
GTEX-1HSEH-0126-SM-ACKXN 60-69 years, male 9.8
GTEX-1N2DW-0226-SM-E9TK2 50-59 years, male 9.8
GTEX-1PDJ9-0326-SM-DTX95 20-29 years, male 9.8
GTEX-1RDX4-0126-SM-E9J4P 50-59 years, female 9.8
GTEX-PW2O-1526-SM-7RHHB 20-29 years, male 9.8
GTEX-11LCK-1026-SM-5A5KB 30-39 years, male 9.7
GTEX-11ZU8-2526-SM-5EQKI 60-69 years, male 9.7
GTEX-12ZZX-0126-SM-5EGK9 40-49 years, female 9.7
GTEX-14PHX-2326-SM-62LEM 50-59 years, male 9.7
GTEX-OHPL-0126-SM-2HMJ7 60-69 years, female 9.7
GTEX-Q2AG-0126-SM-33HBV 40-49 years, female 9.7
GTEX-RM2N-1426-SM-2TF4H 50-59 years, male 9.7
GTEX-V1D1-2226-SM-3NMAX 50-59 years, male 9.7
GTEX-ZAB4-0226-SM-5N9F5 40-49 years, male 9.7
GTEX-1QPFJ-0226-SM-E76PB 30-39 years, female 9.7
GTEX-11DXZ-2326-SM-5EGGV 50-59 years, male 9.6
GTEX-11OF3-2626-SM-5GU7F 60-69 years, male 9.6
GTEX-11WQC-2526-SM-5CVLE 60-69 years, male 9.6
GTEX-13N2G-2626-SM-5J1OT 60-69 years, male 9.6
GTEX-17MF6-0126-SM-7LG4F 40-49 years, male 9.6
GTEX-18465-0126-SM-731BN 50-59 years, male 9.6
GTEX-18QFQ-0126-SM-731BE 30-39 years, male 9.6
GTEX-O5YT-0126-SM-48TBW 20-29 years, male 9.6
GTEX-U3ZN-2326-SM-3DB7W 30-39 years, female 9.6
GTEX-WRHK-1426-SM-3MJF9 20-29 years, female 9.6
GTEX-1I1GS-0126-SM-B2LVW 60-69 years, male 9.6
GTEX-1I6K6-0126-SM-A9SLE 30-39 years, male 9.6
GTEX-1JN6P-0126-SM-D3L98 60-69 years, male 9.6
GTEX-1K2DA-1826-SM-CGQGT 50-59 years, male 9.6
GTEX-1MA7W-2026-SM-E9TJ6 20-29 years, female 9.6
GTEX-1POEN-0126-SM-EYYXJ 30-39 years, female 9.6
GTEX-1QAET-0926-SM-E76QM 50-59 years, male 9.6
GTEX-1S82Y-2026-SM-EVYCM 40-49 years, male 9.6
GTEX-12KS4-0326-SM-5EQ41 30-39 years, male 9.5
GTEX-1313W-0126-SM-5LZUN 50-59 years, female 9.5
GTEX-139UW-2826-SM-5L3E7 60-69 years, male 9.5
GTEX-147GR-0526-SM-5S2MY 60-69 years, male 9.5
GTEX-18A67-0126-SM-7LG5P 50-59 years, male 9.5
GTEX-OIZG-0726-SM-33HBL 50-59 years, male 9.5
GTEX-S7SE-0126-SM-2XCD5 50-59 years, male 9.5
GTEX-X4XX-0126-SM-3NMC2 60-69 years, male 9.5
GTEX-Z9EW-1626-SM-5CVMN 40-49 years, male 9.5
GTEX-1F6RS-0126-SM-9MQKZ 60-69 years, female 9.5
GTEX-1GN1W-0526-SM-9MQJQ 50-59 years, female 9.5
GTEX-1I19N-0326-SM-ACKVX 70-79 years, male 9.5
GTEX-1J8QM-2126-SM-CYPSJ 60-69 years, female 9.5
GTEX-1LGOU-2026-SM-DIPFF 20-29 years, female 9.5
GTEX-1M4P7-0226-SM-DIPEV 60-69 years, male 9.5
GTEX-1MCYP-1926-SM-E9J2R 20-29 years, female 9.5
GTEX-1N2EF-0226-SM-EYYXB 60-69 years, male 9.5
GTEX-12WSL-2526-SM-5GCNJ 50-59 years, male 9.4
GTEX-13NZA-0226-SM-5K7Z7 60-69 years, male 9.4
GTEX-13YAN-0326-SM-5O9DF 60-69 years, male 9.4
GTEX-14PII-0226-SM-6EU1T 60-69 years, male 9.4
GTEX-1C2JI-1826-SM-73KXC 50-59 years, male 9.4
GTEX-ZAB5-1826-SM-5HL7C 50-59 years, male 9.4
GTEX-1H1E6-1726-SM-ACKVK 30-39 years, male 9.4
GTEX-1KD4Q-0226-SM-E9TJ9 40-49 years, male 9.4
GTEX-1OFPY-2426-SM-DTXEJ 60-69 years, male 9.4
GTEX-1RAZQ-0726-SM-EAZ43 30-39 years, male 9.4
GTEX-1RB15-2126-SM-E9TIM 60-69 years, male 9.4
GTEX-ZQG8-1626-SM-DHXIT 60-69 years, female 9.4
GTEX-13RTK-1426-SM-5QGQJ 20-29 years, male 9.3
GTEX-144FL-0126-SM-5TDC8 50-59 years, male 9.3
GTEX-17F97-0326-SM-7LG5B 50-59 years, male 9.3
GTEX-18A66-0226-SM-718BD 60-69 years, male 9.3
GTEX-1AMFI-2026-SM-731BH 50-59 years, female 9.3
GTEX-OIZH-0126-SM-2HMIS 50-59 years, male 9.3
GTEX-RWS6-2026-SM-2XCB5 60-69 years, female 9.3
GTEX-XBED-2226-SM-47JYQ 60-69 years, male 9.3
GTEX-169BO-1326-SM-9MQK2 50-59 years, male 9.3
GTEX-1CAMS-0426-SM-7P8T2 40-49 years, female 9.3
GTEX-1HCU6-0126-SM-CL54K 60-69 years, female 9.3
GTEX-1I1CD-0126-SM-CM2TK 60-69 years, female 9.3
GTEX-1IDJF-0126-SM-CM2RS 20-29 years, male 9.3
GTEX-1IOXB-0126-SM-ARL8G 50-59 years, male 9.3
GTEX-1J1R8-1726-SM-ARL8M 40-49 years, male 9.3
GTEX-12C56-1726-SM-5EQ61 20-29 years, male 9.2
GTEX-13FHP-0126-SM-5IJBG 50-59 years, male 9.2
GTEX-147F3-0526-SM-5SI98 50-59 years, female 9.2
GTEX-15DDE-0126-SM-6LPKH 50-59 years, female 9.2
GTEX-RU72-0926-SM-2TF6B 50-59 years, female 9.2
GTEX-SIU8-0126-SM-2XCDT 50-59 years, male 9.2
GTEX-W5WG-1826-SM-4KL2Y 50-59 years, female 9.2
GTEX-XAJ8-0826-SM-47JY6 40-49 years, male 9.2
GTEX-1GN1V-0126-SM-9WPOS 60-69 years, male 9.2
GTEX-1GN2E-0426-SM-9MQKX 60-69 years, male 9.2
GTEX-1JJE9-0326-SM-CL53Z 70-79 years, male 9.2
GTEX-1JMOU-1526-SM-CL54I 60-69 years, female 9.2
GTEX-131XH-2226-SM-5DUXJ 50-59 years, male 9.1
GTEX-13FHO-0226-SM-5IFGY 60-69 years, male 9.1
GTEX-13OVG-1926-SM-5L3DK 60-69 years, male 9.1
GTEX-14LZ3-0226-SM-62LET 60-69 years, female 9.1
GTEX-14PJM-0226-SM-62LF1 50-59 years, female 9.1
GTEX-1AMEY-1326-SM-73KYK 30-39 years, female 9.1
GTEX-QCQG-1726-SM-3GIJ9 50-59 years, female 9.1
GTEX-T6MN-0126-SM-32PLP 50-59 years, male 9.1
GTEX-ZVE2-0226-SM-59HJB 50-59 years, male 9.1
GTEX-13FH7-2026-SM-E9J4I 50-59 years, female 9.1
GTEX-13O3O-0126-SM-E9J49 60-69 years, female 9.1
GTEX-1H1CY-2826-SM-9MQM3 60-69 years, female 9.1
GTEX-1JMQJ-0526-SM-CYPSU 50-59 years, male 9.1
GTEX-1192W-2626-SM-5Q5AF 60-69 years, male 9.0
GTEX-12584-0126-SM-5EGKQ 40-49 years, male 9.0
GTEX-1314G-1526-SM-5EGK2 30-39 years, male 9.0
GTEX-139TS-2826-SM-5J1OO 60-69 years, male 9.0
GTEX-13SLX-0526-SM-5S2ON 50-59 years, female 9.0
GTEX-145LU-0126-SM-5TDCB 50-59 years, male 9.0
GTEX-15SDE-2226-SM-7IGLO 50-59 years, female 9.0
GTEX-QEG4-0226-SM-2S1PY 30-39 years, male 9.0
GTEX-T2IS-0126-SM-4DM6O 20-29 years, female 9.0
GTEX-WYJK-0126-SM-3NMAB 50-59 years, male 9.0
GTEX-X8HC-0126-SM-4E3JW 50-59 years, female 9.0
GTEX-ZAJG-0126-SM-5HL94 50-59 years, female 9.0
GTEX-ZYW4-0126-SM-5E44A 60-69 years, male 9.0
GTEX-1C64O-0126-SM-7SB8P 60-69 years, male 9.0
GTEX-1CAV2-2226-SM-7P8P2 40-49 years, female 9.0
GTEX-1H1DE-2126-SM-9WG6R 20-29 years, male 9.0
GTEX-1J8Q3-1626-SM-CMKGC 60-69 years, male 9.0
GTEX-1MUQO-0126-SM-EAZ58 60-69 years, male 9.0
GTEX-1QP66-1726-SM-E8VO1 50-59 years, male 9.0
GTEX-ZF29-2326-SM-DO92K 60-69 years, female 9.0
GTEX-117YX-2326-SM-5H12W 50-59 years, male 8.9
GTEX-11DYG-0126-SM-59883 60-69 years, male 8.9
GTEX-13NYS-0126-SM-5MR3W 60-69 years, male 8.9
GTEX-13OVK-2026-SM-7KUEO 40-49 years, male 8.9
GTEX-14E6E-1826-SM-5S2R7 30-39 years, male 8.9
GTEX-14ICK-0226-SM-6EU25 40-49 years, male 8.9
GTEX-14PN4-0126-SM-6EU2V 50-59 years, male 8.9
GTEX-OHPM-0126-SM-2YUN9 50-59 years, male 8.9
GTEX-X4EO-0326-SM-3P5YO 60-69 years, female 8.9
GTEX-1F48J-0126-SM-7P8TT 50-59 years, female 8.9
GTEX-1GPI6-0126-SM-9WG69 60-69 years, male 8.9
GTEX-1HB9E-0226-SM-E9U4R 50-59 years, male 8.9
GTEX-1I1GP-2226-SM-CGQFK 50-59 years, male 8.9
GTEX-1I1HK-0126-SM-COH49 60-69 years, male 8.9
GTEX-1JMQI-2226-SM-CM2SD 50-59 years, male 8.9
GTEX-1LG7Y-0526-SM-DKPQC 50-59 years, male 8.9
GTEX-11ZVC-2526-SM-5FQTE 50-59 years, female 8.8
GTEX-139D8-0226-SM-5KLZO 30-39 years, female 8.8
GTEX-13OW6-0426-SM-5L3HM 50-59 years, male 8.8
GTEX-145LV-2126-SM-5LU8N 50-59 years, male 8.8
GTEX-TML8-1926-SM-32QOS 40-49 years, female 8.8
GTEX-WXYG-2326-SM-4E3I6 50-59 years, female 8.8
GTEX-ZDYS-2026-SM-5HL5L 50-59 years, male 8.8
GTEX-1H3O1-0426-SM-9YFKY 60-69 years, male 8.8
GTEX-1OJC3-0126-SM-E76QX 20-29 years, male 8.8
GTEX-1R9K4-0126-SM-DTX9X 60-69 years, male 8.8
GTEX-ZVT4-0126-SM-DTXFN 50-59 years, female 8.8
GTEX-1192X-0226-SM-5H12D 50-59 years, male 8.7
GTEX-11H98-0126-SM-5EGHG 50-59 years, male 8.7
GTEX-11NSD-2226-SM-5986V 20-29 years, male 8.7
GTEX-139TU-0126-SM-5K7WH 60-69 years, male 8.7
GTEX-13N1W-0126-SM-5K7VT 70-79 years, male 8.7
GTEX-14753-0426-SM-5NQAM 60-69 years, male 8.7
GTEX-14LLW-0126-SM-6LLIO 70-79 years, female 8.7
GTEX-15CHC-2126-SM-6EU21 60-69 years, female 8.7
GTEX-16BQI-0226-SM-7KUEX 30-39 years, female 8.7
GTEX-16NGA-1726-SM-731B4 40-49 years, female 8.7
GTEX-S95S-1226-SM-4GICG 60-69 years, male 8.7
GTEX-VUSG-2526-SM-4KL1V 50-59 years, male 8.7
GTEX-Y8E4-0626-SM-4WWDL 40-49 years, male 8.7
GTEX-Z93T-0126-SM-5HL5N 50-59 years, male 8.7
GTEX-1HKZK-0326-SM-9WYUH 40-49 years, male 8.7
GTEX-1JMPY-1326-SM-ARL8Y 30-39 years, male 8.7
GTEX-1QP67-1626-SM-EAZ3X 40-49 years, female 8.7
GTEX-ZPIC-1726-SM-DHXIU 40-49 years, female 8.7
GTEX-11P82-1626-SM-59879 20-29 years, male 8.6
GTEX-11ZTT-2426-SM-5EQLS 60-69 years, female 8.6
GTEX-13FTW-2626-SM-5K7WL 40-49 years, male 8.6
GTEX-13VXU-0126-SM-5SI9F 50-59 years, male 8.6
GTEX-13X6H-2126-SM-7EWD5 50-59 years, female 8.6
GTEX-17EVQ-0226-SM-7LG4P 70-79 years, male 8.6
GTEX-PWO3-1526-SM-48TCM 60-69 years, female 8.6
GTEX-QDT8-0126-SM-48TZ1 30-39 years, female 8.6
GTEX-WQUQ-0426-SM-3MJFU 60-69 years, male 8.6
GTEX-WZTO-0126-SM-3NM95 40-49 years, male 8.6
GTEX-13OW5-0126-SM-DTXFS 60-69 years, male 8.6
GTEX-1IL2V-0126-SM-CM2TX 70-79 years, male 8.6
GTEX-1QMI2-0226-SM-EVYBX 60-69 years, male 8.6
GTEX-R45C-0126-SM-EAZ2R 60-69 years, female 8.6
GTEX-SE5C-1626-SM-2XCE3 40-49 years, female 8.6
GTEX-11OC5-0126-SM-5HL6A 60-69 years, male 8.5
GTEX-1269C-2526-SM-5EGJ3 60-69 years, female 8.5
GTEX-13N11-2526-SM-5K7UE 50-59 years, female 8.5
GTEX-13RTL-0126-SM-7LG5S 40-49 years, male 8.5
GTEX-13X6I-0626-SM-5QGP9 60-69 years, male 8.5
GTEX-18A7B-0126-SM-7LG64 70-79 years, male 8.5
GTEX-ZC5H-0226-SM-4WAY9 40-49 years, female 8.5
GTEX-ZU9S-0226-SM-5E441 30-39 years, male 8.5
GTEX-1HR98-0126-SM-B2LWI 60-69 years, male 8.5
GTEX-1ICLZ-0126-SM-CKZPO 60-69 years, male 8.5
GTEX-1IGQW-0126-SM-COH42 60-69 years, male 8.5
GTEX-145MN-2226-SM-5SIAU 30-39 years, male 8.4
GTEX-14BMU-2226-SM-5TDE9 20-29 years, female 8.4
GTEX-17HGU-0226-SM-7DHKV 50-59 years, male 8.4
GTEX-1AYD5-2426-SM-73KXR 50-59 years, male 8.4
GTEX-Q2AH-1626-SM-3GAF8 40-49 years, male 8.4
GTEX-SUCS-1926-SM-32PM3 70-79 years, male 8.4
GTEX-TMMY-0226-SM-33HBA 40-49 years, female 8.4
GTEX-Y8DK-0126-SM-4TT3L 60-69 years, male 8.4
GTEX-YFC4-0126-SM-5CVLY 40-49 years, female 8.4
GTEX-ZEX8-2426-SM-4WKG4 50-59 years, male 8.4
GTEX-ZF28-0126-SM-4WKGK 60-69 years, male 8.4
GTEX-ZZPT-0226-SM-5E43X 50-59 years, male 8.4
GTEX-1B8L1-2526-SM-9WYTF 60-69 years, male 8.4
GTEX-1F6I4-0126-SM-9MQL2 60-69 years, male 8.4
GTEX-1MJK2-0426-SM-DTXE5 50-59 years, male 8.4
GTEX-1PIGE-0126-SM-EVYBJ 20-29 years, male 8.4
GTEX-1S5ZA-0126-SM-EVYCV 20-29 years, male 8.4
GTEX-145LS-0126-SM-5QGP1 60-69 years, female 8.3
GTEX-145MO-0326-SM-5Q5B3 60-69 years, male 8.3
GTEX-14A6H-0126-SM-5QGPK 30-39 years, male 8.3
GTEX-14BIM-0226-SM-7IGLD 60-69 years, female 8.3
GTEX-1CB4J-0626-SM-7DHMP 60-69 years, male 8.3
GTEX-U8T8-0126-SM-3DB94 60-69 years, male 8.3
GTEX-WH7G-2326-SM-3NMBC 40-49 years, male 8.3
GTEX-X5EB-2226-SM-46MW4 40-49 years, male 8.3
GTEX-XYKS-2126-SM-4E3IB 60-69 years, female 8.3
GTEX-YEC4-2126-SM-5IFJH 40-49 years, male 8.3
GTEX-ZQUD-1426-SM-57WER 30-39 years, male 8.3
GTEX-1IE54-0126-SM-CMKHW 40-49 years, female 8.3
GTEX-1LBAC-0126-SM-DIPEZ 20-29 years, male 8.3
GTEX-1PFEY-1526-SM-E76PP 30-39 years, male 8.3
GTEX-1PWST-0226-SM-E76QJ 70-79 years, male 8.3
GTEX-13OVJ-0126-SM-5KM36 50-59 years, female 8.2
GTEX-1AX9K-2326-SM-73KWU 50-59 years, male 8.2
GTEX-1CAMR-1926-SM-7EPI2 20-29 years, male 8.2
GTEX-OXRK-0226-SM-3NB2G 50-59 years, female 8.2
GTEX-R55E-0126-SM-2TC5Y 20-29 years, male 8.2
GTEX-X638-0126-SM-47JZ8 70-79 years, female 8.2
GTEX-XUW1-0426-SM-4BOOT 50-59 years, female 8.2
GTEX-1K9T9-0126-SM-EVYCF 50-59 years, female 8.2
GTEX-1NV5F-0226-SM-E8VNY 60-69 years, female 8.2
GTEX-11TT1-2526-SM-5EGIB 20-29 years, male 8.1
GTEX-145LT-1726-SM-5QGP3 40-49 years, male 8.1
GTEX-183FY-0126-SM-7LT9P 20-29 years, male 8.1
GTEX-XMD2-0126-SM-4YCDU 60-69 years, female 8.1
GTEX-XV7Q-2526-SM-4BRV9 40-49 years, female 8.1
GTEX-146FR-1326-SM-E9J48 60-69 years, female 8.1
GTEX-1HBPN-0226-SM-9YFM1 50-59 years, male 8.1
GTEX-1ICLY-0126-SM-D4P36 50-59 years, male 8.1
GTEX-1IY9M-0126-SM-D3L8S 60-69 years, male 8.1
GTEX-1JKYN-1326-SM-CGQG9 30-39 years, male 8.1
GTEX-11DZ1-0126-SM-5985Q 50-59 years, male 8.0
GTEX-11XUK-2026-SM-5EQLF 40-49 years, female 8.0
GTEX-13CF2-2526-SM-5LZYX 60-69 years, male 8.0
GTEX-13G51-2526-SM-5LZYK 60-69 years, male 8.0
GTEX-13U4I-0126-SM-5LU38 40-49 years, female 8.0
GTEX-15SHW-0326-SM-6PAML 60-69 years, male 8.0
GTEX-UJHI-1526-SM-3DB99 50-59 years, female 8.0
GTEX-Y3I4-2126-SM-4TT7C 50-59 years, male 8.0
GTEX-YJ8A-0426-SM-5IFID 20-29 years, male 8.0
GTEX-1JJ6O-0126-SM-E6CI8 60-69 years, male 8.0
GTEX-1OJC4-0126-SM-E9J2E 50-59 years, female 8.0
GTEX-11EM3-2426-SM-59861 20-29 years, female 7.9
GTEX-13IVO-0126-SM-5J1NG 70-79 years, male 7.9
GTEX-13OVL-0226-SM-5L3E9 50-59 years, male 7.9
GTEX-13RTJ-2426-SM-5S2Q2 60-69 years, male 7.9
GTEX-13W3W-2426-SM-5LU5B 60-69 years, female 7.9
GTEX-147F4-0226-SM-5QGPW 50-59 years, male 7.9
GTEX-15G19-0126-SM-6PANQ 60-69 years, male 7.9
GTEX-O5YW-0126-SM-3LK6D 50-59 years, male 7.9
GTEX-Y114-2426-SM-4TT8A 50-59 years, female 7.9
GTEX-1B933-0126-SM-7PC29 50-59 years, female 7.9
GTEX-1IDFM-0126-SM-COH2V 60-69 years, male 7.9
GTEX-1IKK5-0626-SM-ARL8A 60-69 years, male 7.9
GTEX-1QP2A-0126-SM-E9J43 50-59 years, male 7.9
GTEX-111VG-2426-SM-5GZXD 60-69 years, male 7.8
GTEX-U3ZM-1526-SM-3DB9D 40-49 years, male 7.8
GTEX-Y5LM-1926-SM-5RQJH 40-49 years, female 7.8
GTEX-ZAK1-0126-SM-5IJD3 50-59 years, female 7.8
GTEX-1EKGG-0226-SM-9WYTH 60-69 years, male 7.8
GTEX-1HBPM-0226-SM-ARL9F 60-69 years, female 7.8
GTEX-1HUB1-0426-SM-E9U4U 60-69 years, male 7.8
GTEX-1QEPI-0126-SM-EWRMQ 60-69 years, female 7.8
GTEX-12WSJ-1826-SM-5GCNY 40-49 years, female 7.7
GTEX-13O21-1426-SM-5K7XI 50-59 years, male 7.7
GTEX-14E6C-0126-SM-5RQIP 40-49 years, male 7.7
GTEX-WY7C-2326-SM-3NB2U 50-59 years, male 7.7
GTEX-1QP29-0626-SM-EWRMX 50-59 years, male 7.7
GTEX-PWCY-1826-SM-DHXIZ 20-29 years, female 7.7
GTEX-ZF3C-0126-SM-DO92D 50-59 years, female 7.7
GTEX-12WSD-0126-SM-59HKN 60-69 years, female 7.6
GTEX-13O1R-0126-SM-5L3EH 60-69 years, male 7.6
GTEX-17JCI-0126-SM-7LG5G 60-69 years, female 7.6
GTEX-18D9B-0526-SM-7LTAS 60-69 years, male 7.6
GTEX-ZUA1-0126-SM-5GU76 40-49 years, male 7.6
GTEX-1C6WA-0126-SM-7PC2B 60-69 years, male 7.6
GTEX-1J8EW-0126-SM-CJI4F 60-69 years, female 7.6
GTEX-1KD5A-0226-SM-D5OV3 50-59 years, male 7.6
GTEX-1LNCM-1126-SM-E9U5E 50-59 years, female 7.6
GTEX-1NHNU-1026-SM-E9J2A 50-59 years, male 7.6
GTEX-11EMC-2926-SM-5EQ4F 60-69 years, female 7.5
GTEX-11ZUS-0626-SM-59885 30-39 years, male 7.5
GTEX-1211K-2026-SM-5EQ4Z 60-69 years, female 7.5
GTEX-139T8-0126-SM-5K7XZ 60-69 years, male 7.5
GTEX-13VXT-0126-SM-5LU4I 20-29 years, female 7.5
GTEX-14ABY-0226-SM-5TDCQ 50-59 years, male 7.5
GTEX-14XAO-2326-SM-6EU1B 60-69 years, female 7.5
GTEX-15DCD-0126-SM-7KUEK 70-79 years, female 7.5
GTEX-R55G-2526-SM-2TC6D 40-49 years, female 7.5
GTEX-RN64-0126-SM-2TC68 50-59 years, male 7.5
GTEX-SN8G-0126-SM-32PLI 50-59 years, female 7.5
GTEX-WOFL-0126-SM-3MJG2 60-69 years, male 7.5
GTEX-XXEK-2226-SM-4BRUM 50-59 years, male 7.5
GTEX-ZVZO-0126-SM-5A5L9 40-49 years, male 7.5
GTEX-1F75I-0326-SM-9YFLU 40-49 years, male 7.5
GTEX-1MCQQ-0826-SM-DLHC2 60-69 years, male 7.5
GTEX-1PPH7-2326-SM-EVYB8 40-49 years, male 7.5
GTEX-1S82Z-0826-SM-E6CHY 30-39 years, female 7.5
GTEX-OOBJ-0126-SM-E6CJW 60-69 years, male 7.5
GTEX-11NUK-0126-SM-5A5L3 50-59 years, male 7.4
GTEX-14BIL-0126-SM-5SI92 50-59 years, male 7.4
GTEX-1A3MX-0126-SM-731BR 60-69 years, male 7.4
GTEX-1AYCT-2426-SM-7IGQ3 50-59 years, male 7.4
GTEX-1C6VS-0526-SM-7DUEN 60-69 years, male 7.4
GTEX-QV44-1926-SM-2S1RF 50-59 years, male 7.4
GTEX-1ICG6-2526-SM-CGQFZ 70-79 years, female 7.4
GTEX-1LSNM-1926-SM-E6CII 50-59 years, male 7.4
GTEX-11WQK-0526-SM-5EQLD 50-59 years, male 7.3
GTEX-1A32A-0126-SM-718B1 50-59 years, female 7.3
GTEX-QDVN-2026-SM-3GAEP 50-59 years, male 7.3
GTEX-QLQW-1126-SM-2S1Q8 30-39 years, male 7.3
GTEX-RUSQ-1526-SM-2TF62 50-59 years, male 7.3
GTEX-131XF-5016-SM-7MGWE 60-69 years, male 7.3
GTEX-1LC47-0326-SM-E9TJP 60-69 years, male 7.3
GTEX-13OW7-0126-SM-5MR3B 50-59 years, male 7.2
GTEX-16XZY-2126-SM-79OK1 70-79 years, male 7.2
GTEX-17F98-0626-SM-79OMX 40-49 years, female 7.2
GTEX-1AX8Z-0126-SM-7DHM6 60-69 years, male 7.2
GTEX-S7PM-0126-SM-4AD6S 60-69 years, male 7.2
GTEX-U412-0426-SM-3DB9O 60-69 years, male 7.2
GTEX-WVJS-0126-SM-4MVOT 50-59 years, male 7.2
GTEX-X585-0226-SM-4QAS2 50-59 years, male 7.2
GTEX-1HBPH-0426-SM-B2LW5 40-49 years, female 7.2
GTEX-11DXX-2426-SM-5GZZW 60-69 years, female 7.1
GTEX-12126-0326-SM-5PNW3 20-29 years, male 7.1
GTEX-13PVR-2326-SM-5QGR1 60-69 years, female 7.1
GTEX-14PJ3-1826-SM-62LEX 50-59 years, male 7.1
GTEX-RTLS-0126-SM-447CA 60-69 years, female 7.1
GTEX-ZYFD-0126-SM-5GIDL 50-59 years, male 7.1
GTEX-1HSMO-0126-SM-CL547 60-69 years, male 7.1
GTEX-1R9PO-2126-SM-E9J4O 60-69 years, female 7.1
GTEX-11GS4-2726-SM-5A5LE 60-69 years, male 7.0
GTEX-11TTK-0126-SM-5987B 60-69 years, female 7.0
GTEX-POMQ-2226-SM-2I5FK 20-29 years, female 7.0
GTEX-TMZS-0126-SM-3DB9Q 60-69 years, male 7.0
GTEX-ZVT3-0126-SM-5GU6I 60-69 years, female 7.0
GTEX-1QP9N-1426-SM-DTXFL 30-39 years, male 7.0
GTEX-11P7K-2126-SM-5GU7G 30-39 years, male 6.9
GTEX-132NY-0326-SM-5IJBL 60-69 years, male 6.9
GTEX-18A7A-0226-SM-718BH 50-59 years, female 6.9
GTEX-11O72-0126-SM-59887 40-49 years, male 6.8
GTEX-17HHY-0126-SM-7LG5D 50-59 years, male 6.8
GTEX-OOBK-0126-SM-2YUND 40-49 years, male 6.8
GTEX-ZE9C-2726-SM-57WB5 60-69 years, male 6.8
GTEX-1I1GU-2226-SM-CGQFA 40-49 years, male 6.8
GTEX-1K2DU-2326-SM-E9TIV 20-29 years, male 6.8
GTEX-1RLM8-2326-SM-EWRN4 50-59 years, male 6.8
GTEX-S33H-1026-SM-EZ6L6 30-39 years, male 6.8
GTEX-13113-5016-SM-7EPIP 60-69 years, female 6.7
GTEX-146FQ-0126-SM-5NQA9 30-39 years, male 6.7
GTEX-14JIY-0126-SM-6LLH6 60-69 years, male 6.7
GTEX-15UF6-0826-SM-6PALJ 70-79 years, female 6.7
GTEX-X4EP-0126-SM-3P5YV 60-69 years, female 6.7
GTEX-X88G-0126-SM-47JZ3 30-39 years, male 6.7
GTEX-P4PP-0126-SM-3LK69 30-39 years, female 6.6
GTEX-PLZ4-0126-SM-5SI8O 50-59 years, female 6.6
GTEX-X62O-0126-SM-4E3JN 50-59 years, male 6.6
GTEX-ZE7O-0126-SM-57WC1 50-59 years, female 6.6
GTEX-1RAZA-0126-SM-E6CI3 20-29 years, male 6.6
GTEX-113IC-0126-SM-5HL6T 60-69 years, male 6.5
GTEX-117YW-2626-SM-5GZZH 50-59 years, male 6.5
GTEX-OXRO-0126-SM-2YUN4 60-69 years, female 6.5
GTEX-T2YK-0526-SM-32QPJ 50-59 years, male 6.5
GTEX-15EOM-0126-SM-7KUGG 20-29 years, female 6.4
GTEX-183WM-0126-SM-7LTAB 70-79 years, female 6.4
GTEX-Q2AI-1326-SM-2S1PL 40-49 years, male 6.4
GTEX-ZTPG-0326-SM-5O9AX 20-29 years, female 6.4
GTEX-1F75A-0126-SM-7RHGM 50-59 years, male 6.4
GTEX-144GN-2326-SM-5LU4F 50-59 years, male 6.3
GTEX-1GF9X-2026-SM-7PC3A 40-49 years, female 6.3
GTEX-XQ8I-0426-SM-4BOPO 50-59 years, male 6.2
GTEX-OXRL-0126-SM-2YUMP 50-59 years, male 6.1
GTEX-P4PQ-0126-SM-2S1NM 60-69 years, male 6.1
GTEX-U8XE-0326-SM-3DB8P 30-39 years, male 6.1
GTEX-ZDXO-3026-SM-5J1N5 60-69 years, male 6.1
GTEX-1KANB-0526-SM-E6CJH 50-59 years, male 6.1
GTEX-139T4-0226-SM-5HL5S 50-59 years, female 6.0
GTEX-Q734-1926-SM-2I5EV 40-49 years, female 5.9
GTEX-U4B1-1826-SM-4DXSU 40-49 years, male 5.9
GTEX-RVPV-0126-SM-EAZAW 60-69 years, male 5.9
GTEX-14PK6-1926-SM-6ETZU 70-79 years, female 5.8
GTEX-WI4N-1026-SM-3LK7N 40-49 years, female 5.8
GTEX-1PBJI-0526-SM-E8VNK 20-29 years, female 5.8
GTEX-1QW4Y-1526-SM-EAZ3Z 30-39 years, male 5.7
GTEX-146FH-0126-SM-5QGPP 50-59 years, female 5.6
GTEX-15UKP-0426-SM-7KUFQ 20-29 years, male 5.5
GTEX-1MA7X-2226-SM-E6CIY 60-69 years, male 5.5
GTEX-X4XY-0226-SM-4E3IZ 60-69 years, male 5.3
GTEX-Y3IK-2426-SM-4WWDU 50-59 years, female 5.3
GTEX-W5X1-3026-SM-EAZAX 40-49 years, female 5.3
GTEX-1497J-2426-SM-7IGNX 60-69 years, male 5.1
GTEX-1N2DV-0226-SM-E6CJ6 40-49 years, male 5.1
GTEX-1RQEC-0426-SM-E6CHU 60-69 years, male 5.1
GTEX-11UD1-0126-SM-5PNYG 40-49 years, female 4.9
GTEX-1HSMP-0126-SM-E6CJS 70-79 years, male 4.9
GTEX-NPJ8-0126-SM-2YUNR 40-49 years, male 4.7
GTEX-15SB6-1726-SM-6PAME 50-59 years, female 3.8
GTEX-1399U-2326-SM-5K7WY 50-59 years, female 3.7
Show allShow less

Contact

  • NEWS ARTICLES
  • PRESS ROOM

The Project

  • INTRODUCTION
  • ORGANIZATION
  • PUBLICATIONS

The Human Protein Atlas

  • DOWNLOADABLE DATA
  • LICENCE & CITATION
  • HELP & FAQ
The Human Protein Atlas project is funded
by the Knut & Alice Wallenberg Foundation.


contact@proteinatlas.org