We use cookies to enhance the usability of our website. If you continue, we'll assume that you are happy to receive all cookies. More information. Don't show this again.
EHHADH
HPA
RESOURCES
  • TISSUE
  • BRAIN
  • SINGLE CELL
  • SUBCELLULAR
  • CANCER
  • BLOOD
  • CELL LINE
  • STRUCTURE & INTERACTION
ABOUT
  • INTRODUCTION
  • HISTORY
  • ORGANIZATION
  • PUBLICATIONS
  • ANTIBODY SUBMISSION
  • ANTIBODY AVAILABILITY
  • ACKNOWLEDGMENTS
  • CONTACT
NEWS
  • NEWS ARTICLES
  • PRESS ROOM
LEARN
  • DICTIONARY
  • PROTEIN CLASSES
  • PROTEIN EVIDENCE
  • METHODS
  • EDUCATIONAL VIDEOS
DATA
  • DOWNLOADABLE DATA
  • PUBLICATION DATA
  • RELEASE HISTORY
HELP
  • ANTIBODY VALIDATION
  • ASSAYS & ANNOTATION
  • DISCLAIMER
  • HELP & FAQ
  • PRIVACY STATEMENT
  • LICENCE & CITATION
Fields »
Search result

Field
Term
Gene name
Class
Subclass
Class
Keyword
Chromosome
External id
Tissue
Cell type
Expression
Antibody panel
Tissue
Main location
Patient ID
Annotation
Tissue
Category
Tau score
Cluster
Reliability
Brain region
Category
Tau score
Brain region
Category
Tau score
Brain region
Category
Tau score
Cluster
Reliability
Tissue
Cell type
Enrichment
Cell type
Category
Tau score
Cell type
Category
Tau score
Cell type
Category
Tau score
Cell lineage
Category
Tau score
Cluster
Cluster
Location
Searches
Location
Cell line
Class
Type
Phase
Reliability
Cancer
Prognosis
Cancer
Category
Cancer
Category
Tau score
Cluster
Variants
Interacting gene (ensg_id)
Type
Number of interactions
Pathway
Category
Score
Score
Score
Validation
Validation
Validation
Validation
Antibodies
Data type
Column


  • SUMMARY

  • TISSUE

  • BRAIN

  • SINGLE CELL

  • SUBCELL

  • CANCER

  • BLOOD

  • CELL LINE

  • STRUCT & INT

  • EHHADH
TISSUE PRIMARY DATA SKIN Show tissue menu
ADIPOSE TISSUE ADRENAL GLAND AMYGDALA APPENDIX BASAL GANGLIA BONE MARROW BREAST BRONCHUS CEREBELLUM CEREBRAL CORTEX CERVIX CHOROID PLEXUS COLON DUODENUM
ENDOMETRIUM EPIDIDYMIS ESOPHAGUS FALLOPIAN TUBE GALLBLADDER HEART MUSCLE HIPPOCAMPAL FORMATION HYPOTHALAMUS KIDNEY LIVER LUNG LYMPH NODE MIDBRAIN NASOPHARYNX
ORAL MUCOSA OVARY PANCREAS PARATHYROID GLAND PITUITARY GLAND PLACENTA PROSTATE RECTUM RETINA SALIVARY GLAND SEMINAL VESICLE SKELETAL MUSCLE SKIN SMALL INTESTINE
SMOOTH MUSCLE SOFT TISSUE SPINAL CORD SPLEEN STOMACH TESTIS THYMUS THYROID GLAND TONGUE TONSIL URINARY BLADDER VAGINA
ANTIBODIES
AND
VALIDATION
Dictionary
Skin
Tissue proteome
Skin
SKIN - Expression summary
Protein expression
Skini

On the top, protein expression in current human tissue, based on all annotated cell types, is reported with the units not detected (n), low (l), medium (m) and high (h). Underneath, protein expression in each annotated cell type are reported using the same units.

Protein expression data is based on knowledge-based annotation. For genes where more than one antibody has been used, a collective score is set.

If knowledge-based annotation could not be performed for a gene, no data is displayed here. View antibody staining data further down this page.

h
m
l
n
Epidermal cells: Not detected
Fibroblasts: Not detected
Keratinocytes: Not detected
Langerhans: Not detected
Melanocytes: Not detected
RNA expressioni

A summary of mRNA expression data available for current tissue based on several datasets. The mRNA expression levels in human tissues are based on RNA-seq data generated by the Human Protein Atlas (HPA), Genotype-Tissue Expression (GTEx) portal and CAGE data generated by the FANTOM5 consortium. Consensus normalized expression levels for human tissues was created by combining the data from HPA and GTEx datasets.

The mRNA expression levels in pig are based on RNA-seq data generated by the Human Protein Atlas (HPA), and for mouse, HPA data and in situ hybridization generated by the Allen brain atlas are reported.

Scroll down to view mRNA expression data in more detail.
Consensus:4.4 nTPM
HPA:4.4 nTPM
GTEx:2.2 nTPM

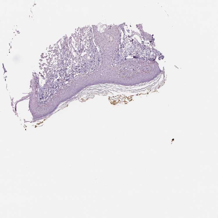
SKIN 1 - Antibody stainingi

Antibody staining in the annotated cell types in the current human tissue is reported as not detected, low, medium, or high, based on conventional immunohistochemistry profiling in selected tissues. This score is based on the combination of the staining intensity and fraction of stained cells.

Each image is clickable and will lead to virtual microscopy that enables deeper exploration of all samples and also displays staining intensity scores, fraction scores and subcellular localization as well as patient and tissue information for each sample.

Antibody HPA036401Antibody HPA042021
Langerhans MediumNot detected
Fibroblasts MediumNot detected
Keratinocytes MediumNot detected
Melanocytes MediumNot detected



SKIN 2 - Antibody stainingi

Antibody staining in the annotated cell types in the current human tissue is reported as not detected, low, medium, or high, based on conventional immunohistochemistry profiling in selected tissues. This score is based on the combination of the staining intensity and fraction of stained cells.

Each image is clickable and will lead to virtual microscopy that enables deeper exploration of all samples and also displays staining intensity scores, fraction scores and subcellular localization as well as patient and tissue information for each sample.

Antibody HPA036401Antibody HPA042021
Epidermal cells MediumLow
  
  
  




SKIN - HPA RNA-seqi

The RNA-seq details section shows detailed information about the individual samples used for the transcript profiling and results of the RNA-seq analysis.

Information about each individual sample is listed below, including gender, age, a tissue section image and estimated fractions of cell types. nTPM (normalized transcripts per million) values give a quantification of the gene abundance which is comparable between different genes and samples.
Average nTPMi

Max subtype nTPM is the value for the subtype with the largest average nTPM across the subtype samples.

4.4
overview
Female, age 34
Skin sample 225
nTPM: 5.4
Cell types%
Keratinocytes:
60

Other cell types:
40

overview
Female, age 30
Skin sample 226
nTPM: 4.6
Cell types%
Keratinocytes:
55

Other cell types:
45

N/A
Male, age 57
Skin sample 227
nTPM: 3.3

SKIN - GTEx RNA-seqi

RNA-Seq data generated by the Genotype-Tissue Expression (GTEx) project from human tissues is reported as mean nTPM. More information can be found on the GTEx portal.

Distribution across the dataset is visualized with box plots, shown as median and 25th and 75th percentiles. Points are displayed as outliers if they are above or below 1.5 times the interquartile range. nTPM values of the individual samples are presented next to the box plot.
Max subtype nTPMi

Max subtype nTPM is the value for the subtype with the largest average nTPM across the subtype samples.

2.2
GTEx sample id Sample description nTPM
Skin - Not Sun Exposed (Suprapubic)
Average nTPM: 2.1
Samples: 604

Max nTPM: 3.9
Min nTPM: 0.4
Std nTPM: 0.6
Median nTPM: 2.0
GTEX-14A6H-2026-SM-5Q5DD 30-39 years, male 3.9
GTEX-1C6VR-0126-SM-7RHGB 60-69 years, male 3.9
GTEX-145MH-2826-SM-5RQJF 50-59 years, male 3.8
GTEX-1EU9M-1426-SM-793AI 60-69 years, male 3.8
GTEX-1GPI6-1926-SM-9KNV7 60-69 years, male 3.8
GTEX-1KANB-2826-SM-CY8I6 50-59 years, male 3.8
GTEX-13X6K-0626-SM-5LU5D 60-69 years, female 3.7
GTEX-144GL-0626-SM-5LU4D 50-59 years, male 3.7
GTEX-11ZUS-2626-SM-5FQUR 30-39 years, male 3.6
GTEX-14BMV-2826-SM-5TDED 50-59 years, male 3.6
GTEX-YECK-0326-SM-4W1YS 60-69 years, male 3.6
GTEX-1A8FM-0626-SM-7PC25 50-59 years, female 3.6
GTEX-1B8L1-2226-SM-7P8PT 60-69 years, male 3.6
GTEX-1F75A-0726-SM-7RHHD 50-59 years, male 3.6
GTEX-1KWVE-1026-SM-D3L9O 30-39 years, male 3.6
GTEX-145LU-1926-SM-79OJN 50-59 years, male 3.5
GTEX-14PJ2-0626-SM-6LLII 50-59 years, male 3.5
GTEX-15CHC-1126-SM-6LLHQ 60-69 years, female 3.5
GTEX-15SKB-2826-SM-6PAMH 60-69 years, male 3.5
GTEX-1EX96-1026-SM-7MKG2 50-59 years, male 3.5
GTEX-WHPG-2626-SM-3NMBR 50-59 years, male 3.5
GTEX-ZE9C-2526-SM-5IJDR 60-69 years, male 3.5
GTEX-ZYT6-2326-SM-5GZY3 30-39 years, male 3.5
GTEX-1GF9U-2026-SM-7SB92 40-49 years, female 3.5
GTEX-1GN1V-2826-SM-9JGIA 60-69 years, male 3.5
GTEX-13FTY-2126-SM-5IFFB 40-49 years, female 3.4
GTEX-13G51-1826-SM-5KLZH 60-69 years, male 3.4
GTEX-144FL-0626-SM-5LU43 50-59 years, male 3.4
GTEX-18A6Q-0626-SM-7KFRP 60-69 years, male 3.4
GTEX-1ICLY-0826-SM-CMKG1 50-59 years, male 3.4
GTEX-14JG1-1526-SM-5YY9X 40-49 years, male 3.3
GTEX-1B8KZ-0326-SM-73KY4 50-59 years, male 3.3
GTEX-1C6VQ-1226-SM-73KYD 50-59 years, male 3.3
GTEX-ZYFC-0426-SM-5GICQ 50-59 years, male 3.3
GTEX-1JJEA-1826-SM-ARU8P 60-69 years, male 3.3
GTEX-1JN76-0626-SM-CKZOQ 20-29 years, female 3.3
GTEX-15EU6-2226-SM-6EU2L 50-59 years, male 3.2
GTEX-183WM-0326-SM-72D5V 70-79 years, female 3.2
GTEX-1HCVE-2726-SM-CL54F 50-59 years, male 3.2
GTEX-1LVA9-2626-SM-EVYD4 50-59 years, male 3.2
GTEX-1PPGY-1626-SM-EVYBL 60-69 years, male 3.2
GTEX-13OW7-0426-SM-5K7VK 50-59 years, male 3.1
GTEX-13PL6-1126-SM-5L3IE 40-49 years, female 3.1
GTEX-13X6J-0626-SM-5LU5F 50-59 years, male 3.1
GTEX-14DAQ-0626-SM-793DS 60-69 years, female 3.1
GTEX-16NGA-0726-SM-731AO 40-49 years, female 3.1
GTEX-1B8SF-0126-SM-7DUG3 60-69 years, male 3.1
GTEX-1B932-2326-SM-79OL5 40-49 years, female 3.1
GTEX-1AYD5-2626-SM-7PBXY 50-59 years, male 3.1
GTEX-1GN1W-2426-SM-9KNUU 50-59 years, female 3.1
GTEX-1HSKV-1226-SM-ADEI4 60-69 years, male 3.1
GTEX-1IDJF-2026-SM-CL53V 20-29 years, male 3.1
GTEX-1IOXB-2726-SM-CM2RI 50-59 years, male 3.1
GTEX-1QEPI-2626-SM-DTXF4 60-69 years, female 3.1
GTEX-1QMI2-2526-SM-E8VNZ 60-69 years, male 3.1
GTEX-111YS-1526-SM-5GZYW 60-69 years, male 3.0
GTEX-11PRG-0726-SM-5EGL1 50-59 years, male 3.0
GTEX-12C56-1526-SM-5FQUQ 20-29 years, male 3.0
GTEX-139TT-2126-SM-5LZWC 60-69 years, male 3.0
GTEX-13N2G-0226-SM-5K7VF 60-69 years, male 3.0
GTEX-147GR-2426-SM-5ZZWQ 60-69 years, male 3.0
GTEX-15ER7-0626-SM-6PANF 20-29 years, female 3.0
GTEX-178AV-1726-SM-7KUL8 40-49 years, male 3.0
GTEX-17HG3-2626-SM-7DUF2 30-39 years, female 3.0
GTEX-17KNJ-2126-SM-718AM 50-59 years, male 3.0
GTEX-1EKGG-0626-SM-7DUGJ 60-69 years, male 3.0
GTEX-YB5K-2026-SM-4VDT3 40-49 years, female 3.0
GTEX-1HBPI-2126-SM-ARL9K 50-59 years, male 3.0
GTEX-1HR9M-2226-SM-CNPPY 60-69 years, male 3.0
GTEX-1J8EW-2726-SM-CY8HR 60-69 years, female 3.0
GTEX-1J8QM-2426-SM-A9SLS 60-69 years, female 3.0
GTEX-1KANC-1226-SM-CYPT7 50-59 years, female 3.0
GTEX-1LSNL-2726-SM-E9TKJ 50-59 years, male 3.0
GTEX-1NV5F-0626-SM-DTXEG 60-69 years, female 3.0
GTEX-1OJC4-2726-SM-E76PJ 50-59 years, female 3.0
GTEX-1399Q-2326-SM-5KM2X 40-49 years, male 2.9
GTEX-13N11-2326-SM-5IJBF 50-59 years, female 2.9
GTEX-13PVR-0426-SM-5RQK2 60-69 years, female 2.9
GTEX-13SLW-0626-SM-5Q5ER 70-79 years, male 2.9
GTEX-14C38-0726-SM-5SI6M 50-59 years, male 2.9
GTEX-14XAO-1226-SM-6EU1C 60-69 years, female 2.9
GTEX-18A7A-0126-SM-731AH 50-59 years, female 2.9
GTEX-1CB4H-1126-SM-7MKGL 60-69 years, female 2.9
GTEX-W5X1-2526-SM-3GILC 40-49 years, female 2.9
GTEX-XBED-1926-SM-47JYP 60-69 years, male 2.9
GTEX-11P82-1426-SM-DTXFY 20-29 years, male 2.9
GTEX-14JFF-0626-SM-5ZZVT 60-69 years, male 2.9
GTEX-111VG-1626-SM-5EGIO 60-69 years, male 2.8
GTEX-139TS-2126-SM-5K7XC 60-69 years, male 2.8
GTEX-14ABY-2026-SM-62LDL 50-59 years, male 2.8
GTEX-14B4R-1326-SM-5Q5EZ 30-39 years, male 2.8
GTEX-UPJH-0226-SM-3GADV 50-59 years, male 2.8
GTEX-XMD2-2126-SM-4YCF8 60-69 years, female 2.8
GTEX-ZF2S-1626-SM-57WES 50-59 years, female 2.8
GTEX-1C64N-2626-SM-7PC2N 50-59 years, male 2.8
GTEX-1GZ4I-2626-SM-9KNU3 50-59 years, male 2.8
GTEX-1H3O1-1326-SM-9MQLD 60-69 years, male 2.8
GTEX-1I6K7-1926-SM-B2LXR 40-49 years, male 2.8
GTEX-1ICG6-1226-SM-A9SLN 70-79 years, female 2.8
GTEX-1LGOU-1326-SM-D3L8M 20-29 years, female 2.8
GTEX-1RAZR-2126-SM-E9U6T 40-49 years, male 2.8
GTEX-12WSD-0626-SM-5GCMW 60-69 years, female 2.7
GTEX-12WSM-1926-SM-5BC65 60-69 years, male 2.7
GTEX-13D11-0926-SM-5J2NC 50-59 years, female 2.7
GTEX-14BIN-1126-SM-5RQJZ 50-59 years, female 2.7
GTEX-15G19-2426-SM-7KUMR 60-69 years, male 2.7
GTEX-17HGU-2326-SM-7DUFE 50-59 years, male 2.7
GTEX-18A66-0626-SM-7LT8Z 60-69 years, male 2.7
GTEX-18A67-1626-SM-7LT9T 50-59 years, male 2.7
GTEX-1AMFI-1326-SM-7939R 50-59 years, female 2.7
GTEX-1AX9I-2226-SM-73KUO 60-69 years, male 2.7
GTEX-UPK5-0426-SM-3GAEK 40-49 years, male 2.7
GTEX-WHWD-1826-SM-3LK6I 50-59 years, male 2.7
GTEX-Y8E4-2026-SM-5IFJB 40-49 years, male 2.7
GTEX-ZDYS-2426-SM-4WKGI 50-59 years, male 2.7
GTEX-ZT9X-1526-SM-5DUXD 40-49 years, male 2.7
GTEX-1CAMQ-1326-SM-7P8RV 40-49 years, male 2.7
GTEX-1F6I4-2326-SM-7RHGL 60-69 years, male 2.7
GTEX-1GMRU-2126-SM-7P8RA 50-59 years, male 2.7
GTEX-1GN1U-0626-SM-9MQL9 50-59 years, female 2.7
GTEX-1H1CY-0126-SM-9YFLY 60-69 years, female 2.7
GTEX-1H1DE-1326-SM-9KNUG 20-29 years, male 2.7
GTEX-1H1E6-0426-SM-9WYUS 30-39 years, male 2.7
GTEX-1I19N-0126-SM-CYPSF 70-79 years, male 2.7
GTEX-1I1GP-1326-SM-A9G28 50-59 years, male 2.7
GTEX-1IL2V-1926-SM-B2LW8 70-79 years, male 2.7
GTEX-1KD5A-0126-SM-E9U54 50-59 years, male 2.7
GTEX-1LG7Y-2526-SM-EWRO7 50-59 years, male 2.7
GTEX-1LVAM-0726-SM-E6CIL 50-59 years, female 2.7
GTEX-1RAZS-2526-SM-E6CHT 50-59 years, male 2.7
GTEX-11P81-2226-SM-5PNYI 30-39 years, female 2.6
GTEX-11ZU8-0126-SM-5EQ58 60-69 years, male 2.6
GTEX-1269C-0126-SM-5EQ5L 60-69 years, female 2.6
GTEX-12KS4-2126-SM-5FQUT 30-39 years, male 2.6
GTEX-12WSC-2826-SM-5BC5Y 50-59 years, male 2.6
GTEX-12ZZY-0726-SM-5EQ66 60-69 years, male 2.6
GTEX-1313W-0626-SM-5EQ4H 50-59 years, female 2.6
GTEX-13FHO-0426-SM-5L3F5 60-69 years, male 2.6
GTEX-13NYB-0126-SM-5J1MD 40-49 years, male 2.6
GTEX-13O3Q-0126-SM-5KM34 50-59 years, male 2.6
GTEX-13OW5-2326-SM-5L3HO 60-69 years, male 2.6
GTEX-14PHY-1226-SM-5ZZWK 60-69 years, female 2.6
GTEX-17EVP-2626-SM-7IGMA 40-49 years, male 2.6
GTEX-17HHY-0426-SM-7DHLC 50-59 years, male 2.6
GTEX-1A3MW-0626-SM-731CB 60-69 years, female 2.6
GTEX-WEY5-2326-SM-3GIKK 40-49 years, female 2.6
GTEX-X4EO-2926-SM-4E3JH 60-69 years, female 2.6
GTEX-ZVT4-2426-SM-5GIEI 50-59 years, female 2.6
GTEX-1F88F-0126-SM-9WYSZ 60-69 years, female 2.6
GTEX-1GF9X-1326-SM-7PC2Y 40-49 years, female 2.6
GTEX-1H1DF-1126-SM-9WG7G 40-49 years, female 2.6
GTEX-1H4P4-2126-SM-9WYSL 50-59 years, male 2.6
GTEX-1HCU7-0726-SM-A9SL1 50-59 years, male 2.6
GTEX-1I1HK-2326-SM-CKZOH 60-69 years, male 2.6
GTEX-1JMQJ-0826-SM-CNPP7 50-59 years, male 2.6
GTEX-1LSVX-2526-SM-DIPEU 60-69 years, male 2.6
GTEX-1RAZA-2226-SM-E9U4X 20-29 years, male 2.6
GTEX-11DXX-2126-SM-5PNYR 60-69 years, female 2.5
GTEX-11NSD-0626-SM-5A5LU 20-29 years, male 2.5
GTEX-11NUK-2726-SM-5A5MC 50-59 years, male 2.5
GTEX-12126-0826-SM-5FQTZ 20-29 years, male 2.5
GTEX-131XW-0626-SM-5PNVD 50-59 years, female 2.5
GTEX-13OVL-0126-SM-5L3GJ 50-59 years, male 2.5
GTEX-13VXU-0626-SM-5L3F9 50-59 years, male 2.5
GTEX-145MF-0926-SM-5Q5EA 50-59 years, male 2.5
GTEX-15RJ7-2126-SM-6PAMD 40-49 years, male 2.5
GTEX-15RJE-2826-SM-7KUM9 40-49 years, male 2.5
GTEX-16NPX-0726-SM-7KULC 50-59 years, male 2.5
GTEX-17MFQ-1526-SM-7KFRR 20-29 years, male 2.5
GTEX-WYBS-0626-SM-3NMAS 60-69 years, female 2.5
GTEX-ZF29-0926-SM-4WKFZ 60-69 years, female 2.5
GTEX-ZXG5-2126-SM-59HKD 60-69 years, male 2.5
GTEX-ZYVF-0926-SM-5E44J 50-59 years, female 2.5
GTEX-1F75W-2726-SM-7SB8H 60-69 years, male 2.5
GTEX-1HSGN-0826-SM-ACKW3 40-49 years, female 2.5
GTEX-1IDJC-1526-SM-B2LW4 50-59 years, male 2.5
GTEX-1IDJH-0126-SM-D3L92 70-79 years, male 2.5
GTEX-1LB8K-0726-SM-D5OV2 50-59 years, male 2.5
GTEX-11WQC-1826-SM-5GU59 60-69 years, male 2.4
GTEX-1212Z-0126-SM-59HK4 60-69 years, male 2.4
GTEX-12ZZX-2426-SM-5GCOE 40-49 years, female 2.4
GTEX-139UW-0326-SM-5J1ML 60-69 years, male 2.4
GTEX-144GM-0526-SM-79OJO 20-29 years, male 2.4
GTEX-145MO-2826-SM-5LU96 60-69 years, male 2.4
GTEX-14753-0726-SM-5QGQO 60-69 years, male 2.4
GTEX-14LZ3-0126-SM-69LPM 60-69 years, female 2.4
GTEX-14PII-0726-SM-6EU2B 60-69 years, male 2.4
GTEX-15RIE-1926-SM-7KUKJ 60-69 years, male 2.4
GTEX-1BAJH-2426-SM-7IGP8 70-79 years, male 2.4
GTEX-1CB4E-0926-SM-7EPHT 60-69 years, male 2.4
GTEX-1E1VI-0326-SM-793D1 50-59 years, male 2.4
GTEX-WK11-2726-SM-3NMAQ 50-59 years, male 2.4
GTEX-XV7Q-1826-SM-4BRUV 40-49 years, female 2.4
GTEX-Y5V5-0126-SM-5S2NW 60-69 years, female 2.4
GTEX-Y5V6-2326-SM-4VDSA 60-69 years, male 2.4
GTEX-1122O-1026-SM-9WYSF 60-69 years, female 2.4
GTEX-1F5PK-2226-SM-7SB6N 50-59 years, male 2.4
GTEX-1GMR8-0626-SM-7RHI7 50-59 years, female 2.4
GTEX-1GN2E-0226-SM-9WG6K 60-69 years, male 2.4
GTEX-1H1DG-2426-SM-9QEHJ 70-79 years, male 2.4
GTEX-1HC8U-1326-SM-9YFMJ 40-49 years, female 2.4
GTEX-1HR98-2226-SM-ADEI2 60-69 years, male 2.4
GTEX-1HSMQ-2626-SM-A9SML 50-59 years, male 2.4
GTEX-1JMQI-1726-SM-ARL93 50-59 years, male 2.4
GTEX-1QCLZ-2426-SM-EVYBW 60-69 years, female 2.4
GTEX-1QP66-1226-SM-DTX7U 50-59 years, male 2.4
GTEX-ZPIC-0526-SM-DO91W 40-49 years, female 2.4
GTEX-1399R-1326-SM-5PNYS 30-39 years, male 2.3
GTEX-145MG-1526-SM-5Q5EM 50-59 years, male 2.3
GTEX-145MI-0626-SM-5SI8S 60-69 years, female 2.3
GTEX-148VJ-0626-SM-5LUAW 70-79 years, male 2.3
GTEX-14LLW-2626-SM-62LDZ 70-79 years, female 2.3
GTEX-15DYW-2726-SM-6EU2I 60-69 years, female 2.3
GTEX-183FY-1026-SM-7939A 20-29 years, male 2.3
GTEX-18QFQ-1826-SM-72D52 30-39 years, male 2.3
GTEX-1EH9U-2826-SM-7DUGT 60-69 years, male 2.3
GTEX-1EN7A-2426-SM-793DB 40-49 years, male 2.3
GTEX-WYVS-1626-SM-3NM9R 40-49 years, female 2.3
GTEX-ZAK1-0626-SM-5HL8E 50-59 years, female 2.3
GTEX-ZYFG-1526-SM-5GZYM 60-69 years, female 2.3
GTEX-1H1ZS-2726-SM-9WG75 70-79 years, male 2.3
GTEX-1HFI6-0126-SM-CNPPI 40-49 years, male 2.3
GTEX-1HSMP-0926-SM-A9SKX 70-79 years, male 2.3
GTEX-1OJC3-1226-SM-DTXER 20-29 years, male 2.3
GTEX-1QAET-0326-SM-EVR3U 50-59 years, male 2.3
GTEX-111FC-2526-SM-5GZXU 60-69 years, male 2.2
GTEX-11OF3-0126-SM-5PNYF 60-69 years, male 2.2
GTEX-13FLV-0126-SM-5K7WT 50-59 years, male 2.2
GTEX-13NZ9-2626-SM-5L3FK 50-59 years, male 2.2
GTEX-13OW8-1026-SM-5J1NQ 60-69 years, male 2.2
GTEX-13QJC-0126-SM-5ZZWJ 60-69 years, female 2.2
GTEX-13X6H-0926-SM-5SIB2 50-59 years, female 2.2
GTEX-147JS-0226-SM-5S2U9 60-69 years, male 2.2
GTEX-15G1A-1626-SM-7KUKN 30-39 years, male 2.2
GTEX-16Z82-2626-SM-7KULU 60-69 years, male 2.2
GTEX-18465-2826-SM-7LT9J 50-59 years, male 2.2
GTEX-1EWIQ-0326-SM-7DHMQ 70-79 years, female 2.2
GTEX-VUSG-2326-SM-4KL1U 50-59 years, male 2.2
GTEX-WRHU-2826-SM-3MJG8 50-59 years, female 2.2
GTEX-YF7O-1526-SM-5IFI6 50-59 years, male 2.2
GTEX-YJ8O-2526-SM-5HL85 40-49 years, female 2.2
GTEX-ZUA1-2626-SM-5NQ92 40-49 years, male 2.2
GTEX-1C475-1326-SM-7SB73 40-49 years, female 2.2
GTEX-1F75B-0726-SM-7PC3R 50-59 years, male 2.2
GTEX-1H3NZ-2726-SM-9WYTQ 60-69 years, male 2.2
GTEX-1J8Q3-0526-SM-ARL8U 60-69 years, male 2.2
GTEX-1K9T9-1526-SM-DIPFR 50-59 years, female 2.2
GTEX-1N2DV-1526-SM-DTXEP 40-49 years, male 2.2
GTEX-1PBJJ-1026-SM-E76OS 30-39 years, male 2.2
GTEX-1PDJ9-1226-SM-EXUSX 20-29 years, male 2.2
GTEX-1R46S-2426-SM-E76QA 60-69 years, female 2.2
GTEX-1RB15-1326-SM-E76Q9 60-69 years, male 2.2
GTEX-1S83E-1326-SM-E6CJM 40-49 years, male 2.2
GTEX-11DXY-0126-SM-5H11Q 60-69 years, male 2.1
GTEX-11DYG-1526-SM-5A5JS 60-69 years, male 2.1
GTEX-11EI6-2826-SM-5H11D 60-69 years, male 2.1
GTEX-11P7K-1126-SM-5HL4L 30-39 years, male 2.1
GTEX-139TU-0726-SM-5L3EK 60-69 years, male 2.1
GTEX-13FH7-1126-SM-5K7UG 50-59 years, female 2.1
GTEX-13OW6-2726-SM-5J2OE 50-59 years, male 2.1
GTEX-13SLX-2226-SM-62LEP 50-59 years, female 2.1
GTEX-146FQ-2126-SM-5RQHU 30-39 years, male 2.1
GTEX-14E6E-0526-SM-793DN 30-39 years, male 2.1
GTEX-14PJ3-1126-SM-5ZZVX 50-59 years, male 2.1
GTEX-14PJ5-1526-SM-6LLIL 60-69 years, female 2.1
GTEX-14PJN-1826-SM-6AJ98 30-39 years, male 2.1
GTEX-15SHW-0226-SM-7LTAT 60-69 years, male 2.1
GTEX-16GPK-0626-SM-7KFSF 60-69 years, male 2.1
GTEX-16MT8-2926-SM-7DUFO 60-69 years, female 2.1
GTEX-17JCI-2926-SM-7DUFF 60-69 years, female 2.1
GTEX-1B933-2426-SM-7DHMD 50-59 years, female 2.1
GTEX-1C2JI-1026-SM-73KY1 50-59 years, male 2.1
GTEX-1F52S-2926-SM-7MKGA 60-69 years, female 2.1
GTEX-VJYA-1526-SM-3GIJV 60-69 years, male 2.1
GTEX-WFG8-2126-SM-3GIKQ 20-29 years, male 2.1
GTEX-WY7C-2126-SM-3NB2R 50-59 years, male 2.1
GTEX-X5EB-1926-SM-4E3IW 40-49 years, male 2.1
GTEX-Y9LG-1126-SM-4VBQ7 30-39 years, male 2.1
GTEX-ZC5H-1526-SM-5HL9Y 40-49 years, female 2.1
GTEX-ZTTD-2826-SM-4YCFA 50-59 years, male 2.1
GTEX-ZVZP-1226-SM-5GID7 50-59 years, male 2.1
GTEX-1E2YA-2126-SM-7MXUO 50-59 years, male 2.1
GTEX-1F48J-0726-SM-7RHGS 50-59 years, female 2.1
GTEX-1F5PL-0926-SM-7PC2W 40-49 years, female 2.1
GTEX-1GL5R-1326-SM-7RHHF 50-59 years, male 2.1
GTEX-1HCU9-0426-SM-9WYSD 20-29 years, male 2.1
GTEX-1HSMO-0626-SM-ACKXC 60-69 years, male 2.1
GTEX-1I1GS-2626-SM-B2LY3 60-69 years, male 2.1
GTEX-1I1GU-0926-SM-ACKVS 40-49 years, male 2.1
GTEX-1IDJU-1726-SM-CMKHU 60-69 years, female 2.1
GTEX-1IDJV-0126-SM-COH3Y 60-69 years, male 2.1
GTEX-1IY9M-2826-SM-ARU8H 60-69 years, male 2.1
GTEX-1J1OQ-0126-SM-D4P2N 40-49 years, female 2.1
GTEX-1JKYR-0626-SM-ARL8R 20-29 years, male 2.1
GTEX-1JMPZ-0726-SM-CY8HZ 30-39 years, male 2.1
GTEX-1KXAM-1626-SM-D3LAD 60-69 years, male 2.1
GTEX-1L5NE-1126-SM-D3L9P 50-59 years, male 2.1
GTEX-1LGRB-0926-SM-COH3K 50-59 years, female 2.1
GTEX-11GS4-0226-SM-5HL77 60-69 years, male 2.0
GTEX-12WSA-0426-SM-5EQ5X 60-69 years, male 2.0
GTEX-12WSL-2026-SM-5GCML 50-59 years, male 2.0
GTEX-13JUV-2026-SM-5K7UA 40-49 years, female 2.0
GTEX-13QBU-1226-SM-5LU4G 40-49 years, female 2.0
GTEX-147F3-1726-SM-5SIAW 50-59 years, female 2.0
GTEX-14E1K-2026-SM-7DUEI 50-59 years, male 2.0
GTEX-14PHX-2226-SM-6EU2P 50-59 years, male 2.0
GTEX-14PJO-2526-SM-6AJBQ 60-69 years, male 2.0
GTEX-15RIG-0726-SM-7KUM7 40-49 years, male 2.0
GTEX-16BQI-1326-SM-6M486 30-39 years, female 2.0
GTEX-16MT9-0126-SM-7EPI8 60-69 years, female 2.0
GTEX-18D9B-0926-SM-7LG4U 60-69 years, male 2.0
GTEX-18D9U-0126-SM-731BM 40-49 years, male 2.0
GTEX-1A8G6-2726-SM-731AR 60-69 years, male 2.0
GTEX-1A8G7-1326-SM-73KVM 60-69 years, male 2.0
GTEX-WFG7-2026-SM-5SI7P 20-29 years, male 2.0
GTEX-WYJK-0526-SM-3NM8Z 50-59 years, male 2.0
GTEX-XYKS-1426-SM-4BRUO 60-69 years, female 2.0
GTEX-ZT9W-1126-SM-57WDR 50-59 years, male 2.0
GTEX-1HBPM-0726-SM-9YFL7 60-69 years, female 2.0
GTEX-1HT8W-0626-SM-A9G2H 30-39 years, male 2.0
GTEX-1I1CD-0626-SM-CE6SW 60-69 years, female 2.0
GTEX-1IDJE-1426-SM-ADEIW 50-59 years, female 2.0
GTEX-1JN1M-2726-SM-CY8I4 60-69 years, female 2.0
GTEX-1M4P7-0726-SM-E6CJ3 60-69 years, male 2.0
GTEX-1PIGE-1826-SM-E8VOU 20-29 years, male 2.0
GTEX-1PIIG-2326-SM-DTXFR 30-39 years, male 2.0
GTEX-1QP9N-1226-SM-E76QN 30-39 years, male 2.0
GTEX-YEC3-1326-SM-DO92X 50-59 years, male 2.0
GTEX-ZF3C-0626-SM-DO92O 50-59 years, female 2.0
GTEX-11DXW-0826-SM-5H118 40-49 years, male 1.9
GTEX-11DXZ-2026-SM-5987S 50-59 years, male 1.9
GTEX-11LCK-2226-SM-5HL4Q 30-39 years, male 1.9
GTEX-12696-0126-SM-5EQ4L 60-69 years, male 1.9
GTEX-12BJ1-0926-SM-5EQ62 60-69 years, male 1.9
GTEX-13112-0126-SM-5P9IU 50-59 years, male 1.9
GTEX-131XH-0126-SM-5LZUY 50-59 years, male 1.9
GTEX-139D8-1126-SM-5LU8W 30-39 years, female 1.9
GTEX-13U4I-2226-SM-5LU5H 40-49 years, female 1.9
GTEX-13X6I-1826-SM-5SIAO 60-69 years, male 1.9
GTEX-144GO-2026-SM-5O99P 60-69 years, male 1.9
GTEX-14PJ6-2626-SM-6EU2T 60-69 years, female 1.9
GTEX-14PKU-0126-SM-6LLHV 40-49 years, female 1.9
GTEX-17F9Y-0126-SM-79OKX 70-79 years, female 1.9
GTEX-17MF6-2626-SM-79OKQ 40-49 years, male 1.9
GTEX-XXEK-1626-SM-4BRUZ 50-59 years, male 1.9
GTEX-Y111-0626-SM-4SOIT 50-59 years, male 1.9
GTEX-Y114-2126-SM-4TT8B 50-59 years, female 1.9
GTEX-Y3I4-1726-SM-4TT89 50-59 years, male 1.9
GTEX-YEC4-1826-SM-4W1YP 40-49 years, male 1.9
GTEX-ZDTS-0826-SM-4WKHL 60-69 years, male 1.9
GTEX-ZPU1-1126-SM-4YCF3 40-49 years, male 1.9
GTEX-ZTX8-1326-SM-4YCEL 20-29 years, male 1.9
GTEX-ZVE2-2826-SM-5GU51 50-59 years, male 1.9
GTEX-ZVTK-0226-SM-51MRG 20-29 years, male 1.9
GTEX-14JG6-1426-SM-9WG7C 30-39 years, female 1.9
GTEX-1F88E-1626-SM-7SB8Z 60-69 years, female 1.9
GTEX-1GN73-0726-SM-7P8TJ 60-69 years, male 1.9
GTEX-1GTWX-2026-SM-9YFLM 60-69 years, male 1.9
GTEX-1HB9E-0126-SM-CM2S5 50-59 years, male 1.9
GTEX-1HGF4-0126-SM-CNPPX 60-69 years, male 1.9
GTEX-1IDJI-0126-SM-CMKHS 50-59 years, female 1.9
GTEX-1O9I2-0226-SM-EYYXD 50-59 years, male 1.9
GTEX-1R7EU-1626-SM-DTXG3 60-69 years, male 1.9
GTEX-1R9K4-2826-SM-DTX8F 60-69 years, male 1.9
GTEX-1RLM8-2926-SM-E8VON 50-59 years, male 1.9
GTEX-117YX-1926-SM-5GIEC 50-59 years, male 1.8
GTEX-11GSP-2326-SM-5HL63 60-69 years, female 1.8
GTEX-11VI4-1126-SM-5EQMD 40-49 years, female 1.8
GTEX-11ZTT-2126-SM-5CVLO 60-69 years, female 1.8
GTEX-1314G-1326-SM-5BC6E 30-39 years, male 1.8
GTEX-133LE-2326-SM-5K7W3 20-29 years, female 1.8
GTEX-139YR-1026-SM-5LZYN 50-59 years, male 1.8
GTEX-13FTW-0326-SM-5K7UW 40-49 years, male 1.8
GTEX-13NZ8-1226-SM-5KM4A 60-69 years, female 1.8
GTEX-13OVG-1626-SM-5J1NF 60-69 years, male 1.8
GTEX-13YAN-0226-SM-5TDC6 60-69 years, male 1.8
GTEX-14AS3-1526-SM-5Q5ED 40-49 years, female 1.8
GTEX-15EO6-2426-SM-6PALZ 50-59 years, male 1.8
GTEX-15FZZ-0526-SM-7KUGD 30-39 years, female 1.8
GTEX-16AAH-0626-SM-793C9 50-59 years, male 1.8
GTEX-16YQH-2226-SM-7IGM2 30-39 years, male 1.8
GTEX-18A7B-2726-SM-7LG56 70-79 years, male 1.8
GTEX-1AMEY-0826-SM-72D65 30-39 years, female 1.8
GTEX-1AX8Z-0726-SM-73KTS 60-69 years, male 1.8
GTEX-1B8KE-1126-SM-7EPHI 50-59 years, male 1.8
GTEX-1B97I-0626-SM-73KUZ 40-49 years, male 1.8
GTEX-V1D1-2026-SM-3GAF4 50-59 years, male 1.8
GTEX-WHSB-1326-SM-3LK6W 50-59 years, male 1.8
GTEX-XBEC-0726-SM-4QARZ 50-59 years, male 1.8
GTEX-XQ8I-0926-SM-4BOOF 50-59 years, male 1.8
GTEX-YFCO-1226-SM-5LUAT 40-49 years, male 1.8
GTEX-ZE7O-2726-SM-51MT5 50-59 years, female 1.8
GTEX-1CAMS-2226-SM-7PBXQ 40-49 years, female 1.8
GTEX-1CB4I-0126-SM-7RHGG 50-59 years, male 1.8
GTEX-1GF9V-0826-SM-9KNUV 60-69 years, male 1.8
GTEX-1GMR3-0126-SM-A9SLW 40-49 years, male 1.8
GTEX-1HUB1-1426-SM-CGQF5 60-69 years, male 1.8
GTEX-1I1GV-0626-SM-ARL7M 60-69 years, male 1.8
GTEX-1I6K6-1726-SM-CGQFD 30-39 years, male 1.8
GTEX-1IKJJ-2226-SM-CJI4C 60-69 years, male 1.8
GTEX-1J1R8-2026-SM-CL53Y 40-49 years, male 1.8
GTEX-1KAFJ-0126-SM-DIPEK 50-59 years, male 1.8
GTEX-1N5O9-0926-SM-E9J3C 60-69 years, male 1.8
GTEX-1POEN-2326-SM-E9J2L 30-39 years, female 1.8
GTEX-1211K-1526-SM-5FQU4 60-69 years, female 1.7
GTEX-13O3O-2326-SM-5IJD6 60-69 years, female 1.7
GTEX-13PDP-0726-SM-5L3HP 60-69 years, male 1.7
GTEX-147F4-0726-SM-5TDDD 50-59 years, male 1.7
GTEX-14BMU-1226-SM-5S2OR 20-29 years, female 1.7
GTEX-17F98-1326-SM-7DUEP 40-49 years, female 1.7
GTEX-ZP4G-1426-SM-4WWCL 20-29 years, female 1.7
GTEX-ZWKS-0626-SM-5GIDV 30-39 years, male 1.7
GTEX-ZZ64-1026-SM-5GZXG 20-29 years, male 1.7
GTEX-ZZPU-0826-SM-5GZX5 50-59 years, female 1.7
GTEX-1CAMR-1326-SM-7PC1F 20-29 years, male 1.7
GTEX-1CB4J-1326-SM-7P8RX 60-69 years, male 1.7
GTEX-1EMGI-2326-SM-7PBYA 60-69 years, male 1.7
GTEX-1F6IF-0926-SM-7SB7M 60-69 years, male 1.7
GTEX-1GMR2-0826-SM-7PC3V 50-59 years, male 1.7
GTEX-1H11D-1826-SM-9QEHM 40-49 years, male 1.7
GTEX-1JJ6O-2726-SM-CNPOG 60-69 years, male 1.7
GTEX-1JJE9-2626-SM-ARZMT 70-79 years, male 1.7
GTEX-1K2DA-1026-SM-CGQGF 50-59 years, male 1.7
GTEX-1K2DU-1226-SM-CYPT4 20-29 years, male 1.7
GTEX-1KANA-1326-SM-DIPFA 20-29 years, male 1.7
GTEX-1LKK1-2626-SM-DKPQE 50-59 years, female 1.7
GTEX-1QP28-1126-SM-EVYC4 50-59 years, female 1.7
GTEX-1QP2A-1726-SM-E76QC 50-59 years, male 1.7
GTEX-1R9PM-1926-SM-EVR3O 20-29 years, male 1.7
GTEX-1RAZQ-1326-SM-E9TK6 30-39 years, male 1.7
GTEX-1117F-2926-SM-5GZYI 60-69 years, female 1.6
GTEX-11EM3-1226-SM-5N9DD 20-29 years, female 1.6
GTEX-11EQ9-1626-SM-5PNY8 30-39 years, male 1.6
GTEX-11TT1-1826-SM-5EQLV 20-29 years, male 1.6
GTEX-11TUW-0626-SM-5LU9M 60-69 years, male 1.6
GTEX-12WSF-1626-SM-7KUG5 70-79 years, male 1.6
GTEX-12WSH-1526-SM-5BC5W 50-59 years, male 1.6
GTEX-13113-1626-SM-5EQ4I 60-69 years, female 1.6
GTEX-131XF-2626-SM-5EQ6K 60-69 years, male 1.6
GTEX-131XG-0326-SM-5L3DX 50-59 years, female 1.6
GTEX-131YS-2826-SM-5EQ47 60-69 years, female 1.6
GTEX-13N1W-2426-SM-5IJD1 70-79 years, male 1.6
GTEX-13O61-1426-SM-5KM3D 60-69 years, male 1.6
GTEX-145LT-0526-SM-5LUB2 40-49 years, male 1.6
GTEX-145ME-1726-SM-5Q5EU 40-49 years, female 1.6
GTEX-145MN-1526-SM-5SI9T 30-39 years, male 1.6
GTEX-1477Z-0326-SM-7IGLA 60-69 years, male 1.6
GTEX-14ICL-1626-SM-5YYAO 30-39 years, male 1.6
GTEX-17F97-2626-SM-7IGM5 50-59 years, male 1.6
GTEX-17HHE-1326-SM-7EWDZ 50-59 years, male 1.6
GTEX-1CB4F-1026-SM-7DUH1 60-69 years, male 1.6
GTEX-WXYG-2026-SM-4E3IY 50-59 years, female 1.6
GTEX-XOT4-0626-SM-4B66L 60-69 years, female 1.6
GTEX-XQ3S-1426-SM-4BOPR 20-29 years, male 1.6
GTEX-ZDTT-0426-SM-4WKFL 60-69 years, male 1.6
GTEX-ZLWG-0826-SM-59888 50-59 years, female 1.6
GTEX-ZPCL-1126-SM-4WWFE 60-69 years, female 1.6
GTEX-ZYY3-2926-SM-5GIEB 60-69 years, female 1.6
GTEX-1A3MX-2626-SM-7PC24 60-69 years, male 1.6
GTEX-1C64O-1326-SM-7MGWR 60-69 years, male 1.6
GTEX-1HFI7-2326-SM-CGQFS 50-59 years, female 1.6
GTEX-1IDJD-2326-SM-ACKWX 30-39 years, male 1.6
GTEX-1JK1U-0226-SM-ARZMX 60-69 years, male 1.6
GTEX-1JMQK-1226-SM-D4P2S 60-69 years, male 1.6
GTEX-1MCYP-0526-SM-E9U6Q 20-29 years, female 1.6
GTEX-1PPH7-1126-SM-DTX9A 40-49 years, male 1.6
GTEX-1QPFJ-1926-SM-EVYBD 30-39 years, female 1.6
GTEX-1S831-1826-SM-EWROF 20-29 years, male 1.6
GTEX-ZLV1-1526-SM-DO91J 60-69 years, female 1.6
GTEX-12584-0726-SM-5FQTK 40-49 years, male 1.5
GTEX-12ZZZ-0726-SM-5GCNZ 60-69 years, male 1.5
GTEX-132AR-0326-SM-5KM2C 50-59 years, female 1.5
GTEX-13FTX-1526-SM-5K7VJ 20-29 years, female 1.5
GTEX-13JVG-0726-SM-5KM16 60-69 years, male 1.5
GTEX-13PVQ-0626-SM-5LU47 50-59 years, male 1.5
GTEX-13W3W-0726-SM-5IJDQ 60-69 years, female 1.5
GTEX-14PK6-0226-SM-62LF5 70-79 years, female 1.5
GTEX-15UF6-1926-SM-7KUDV 70-79 years, female 1.5
GTEX-17F96-0126-SM-7EWDU 70-79 years, male 1.5
GTEX-WFON-1926-SM-3LK7L 40-49 years, male 1.5
GTEX-X4EP-0626-SM-3P621 60-69 years, female 1.5
GTEX-Y3IK-1626-SM-4YCF5 50-59 years, female 1.5
GTEX-ZA64-1026-SM-5HL8R 20-29 years, male 1.5
GTEX-ZVE1-0726-SM-51MRN 50-59 years, female 1.5
GTEX-ZVT2-0126-SM-5GIDQ 50-59 years, female 1.5
GTEX-1F6RS-2026-SM-7RHHC 60-69 years, female 1.5
GTEX-1GF9W-1426-SM-7PBYM 60-69 years, male 1.5
GTEX-1GZHY-0626-SM-9KNVC 50-59 years, female 1.5
GTEX-1HCU6-2526-SM-ADEHL 60-69 years, female 1.5
GTEX-1IDFM-0326-SM-ARL7V 60-69 years, male 1.5
GTEX-1IE54-1126-SM-A9G2Z 40-49 years, female 1.5
GTEX-1J8Q2-2626-SM-ACKWQ 60-69 years, male 1.5
GTEX-1JMLX-0626-SM-ARL8T 50-59 years, male 1.5
GTEX-1LG7Z-1626-SM-CXKYR 30-39 years, male 1.5
GTEX-1MCC2-1826-SM-DIPEX 30-39 years, female 1.5
GTEX-1N2EE-0626-SM-E76PW 60-69 years, male 1.5
GTEX-1NSGN-0726-SM-DTXEF 50-59 years, male 1.5
GTEX-1QW4Y-1126-SM-DTXE3 30-39 years, male 1.5
GTEX-13OVH-0526-SM-5L3E6 70-79 years, male 1.4
GTEX-13VXT-1926-SM-5K7UO 20-29 years, female 1.4
GTEX-145LS-0626-SM-7EPG7 60-69 years, female 1.4
GTEX-14C39-1726-SM-5RQIL 40-49 years, male 1.4
GTEX-15DDE-2926-SM-6LLJ3 50-59 years, female 1.4
GTEX-WH7G-2026-SM-3NMBL 40-49 years, male 1.4
GTEX-X3Y1-2026-SM-3P5YM 40-49 years, male 1.4
GTEX-XPVG-2126-SM-4B667 50-59 years, male 1.4
GTEX-ZU9S-1826-SM-5NQ9E 30-39 years, male 1.4
GTEX-ZVP2-0326-SM-57WBP 50-59 years, male 1.4
GTEX-1H3VE-0726-SM-9YFL5 40-49 years, male 1.4
GTEX-1HBPN-0126-SM-CGQEF 50-59 years, male 1.4
GTEX-1I1GT-1026-SM-ARZLV 60-69 years, female 1.4
GTEX-1J8JJ-0626-SM-ARZMQ 60-69 years, female 1.4
GTEX-1JMOU-1026-SM-CYPSS 60-69 years, female 1.4
GTEX-1JMPY-0226-SM-CKZOK 30-39 years, male 1.4
GTEX-1JN6P-2926-SM-CL54D 60-69 years, male 1.4
GTEX-1QCLY-0226-SM-EWRNH 30-39 years, male 1.4
GTEX-1S82P-2126-SM-E6CI5 60-69 years, female 1.4
GTEX-11EQ8-0926-SM-5H12V 60-69 years, male 1.3
GTEX-1399U-1126-SM-5L3DB 50-59 years, female 1.3
GTEX-13OVJ-0826-SM-5J1OK 50-59 years, female 1.3
GTEX-13RTJ-0126-SM-5S2NN 60-69 years, male 1.3
GTEX-1497J-0226-SM-5QGPU 60-69 years, male 1.3
GTEX-14A5H-0826-SM-5QGPJ 60-69 years, male 1.3
GTEX-14PJ4-0226-SM-5YY92 60-69 years, male 1.3
GTEX-17EVQ-0126-SM-7IGLR 70-79 years, male 1.3
GTEX-1AX9J-1326-SM-731BJ 60-69 years, male 1.3
GTEX-1CAV2-0126-SM-7IGN7 40-49 years, female 1.3
GTEX-XAJ8-1426-SM-47JYM 40-49 years, male 1.3
GTEX-XUW1-0926-SM-4BONX 50-59 years, female 1.3
GTEX-1F75I-2226-SM-7SB8U 40-49 years, male 1.3
GTEX-1GZ2Q-0126-SM-9WG6M 40-49 years, male 1.3
GTEX-1H23P-0626-SM-9WG6T 60-69 years, male 1.3
GTEX-1H2FU-0926-SM-9WPPT 60-69 years, female 1.3
GTEX-1HKZK-0726-SM-ACKW2 40-49 years, male 1.3
GTEX-1I4MK-0126-SM-CY8G6 50-59 years, female 1.3
GTEX-1IKOE-1426-SM-CE6T7 30-39 years, female 1.3
GTEX-1JMQL-2226-SM-CNPP4 50-59 years, female 1.3
GTEX-1LSNM-0826-SM-DIPG8 50-59 years, male 1.3
GTEX-ZGAY-1826-SM-DO91Q 40-49 years, female 1.3
GTEX-1192X-2726-SM-5N9DN 50-59 years, male 1.2
GTEX-11O72-0626-SM-5PNYE 40-49 years, male 1.2
GTEX-11UD2-2526-SM-5CVNU 50-59 years, male 1.2
GTEX-12WSK-2126-SM-5CVNC 40-49 years, female 1.2
GTEX-1399S-0126-SM-5IJCF 30-39 years, female 1.2
GTEX-13OVK-1426-SM-6PAN7 40-49 years, male 1.2
GTEX-14C5O-0326-SM-5ZZUX 60-69 years, male 1.2
GTEX-15CHR-1126-SM-7EWF4 50-59 years, male 1.2
GTEX-15D1Q-2826-SM-6LLH7 40-49 years, male 1.2
GTEX-Y5LM-0926-SM-6LLJG 40-49 years, female 1.2
GTEX-ZAB4-2126-SM-5HL8U 40-49 years, male 1.2
GTEX-ZYW4-0626-SM-59HJR 60-69 years, male 1.2
GTEX-1HCU8-2526-SM-CE6RX 60-69 years, female 1.2
GTEX-1R9PN-0426-SM-DTXDT 40-49 years, female 1.2
GTEX-1RMOY-1326-SM-E9TIH 50-59 years, male 1.2
GTEX-1S3DN-2126-SM-E9TIN 50-59 years, male 1.2
GTEX-1S82U-1026-SM-E6CJK 30-39 years, female 1.2
GTEX-12WSJ-1126-SM-5LZVJ 40-49 years, female 1.1
GTEX-139T8-0626-SM-5KLZX 60-69 years, male 1.1
GTEX-13IVO-0726-SM-5LZYV 70-79 years, male 1.1
GTEX-13NYC-0126-SM-5L3F4 60-69 years, male 1.1
GTEX-13NYS-0626-SM-5L3F1 60-69 years, male 1.1
GTEX-14DAR-1226-SM-73KYV 50-59 years, male 1.1
GTEX-14PKV-1126-SM-6LLJ1 20-29 years, female 1.1
GTEX-15CHQ-0326-SM-69LQD 60-69 years, male 1.1
GTEX-17F9E-2326-SM-79OKD 50-59 years, male 1.1
GTEX-17HII-1426-SM-7EPGG 50-59 years, male 1.1
GTEX-XBEW-1126-SM-4QARW 40-49 years, male 1.1
GTEX-XK95-0226-SM-4AT58 40-49 years, male 1.1
GTEX-ZAJG-1526-SM-5CVML 50-59 years, female 1.1
GTEX-ZDXO-3126-SM-5IJDF 60-69 years, male 1.1
GTEX-ZYFD-0626-SM-5E44E 50-59 years, male 1.1
GTEX-18D9A-1426-SM-7LT8M 30-39 years, female 1.1
GTEX-1GZ4H-0526-SM-9KNU9 50-59 years, female 1.1
GTEX-1HCUA-0826-SM-ADEHM 50-59 years, female 1.1
GTEX-1LVAO-2726-SM-E9TJ8 60-69 years, male 1.1
GTEX-1MJK3-0726-SM-E6CJC 20-29 years, male 1.1
GTEX-111CU-1126-SM-5EGIM 50-59 years, male 1.0
GTEX-14E6C-2426-SM-5S2NF 40-49 years, male 1.0
GTEX-16XZZ-0726-SM-7KUF2 60-69 years, male 1.0
GTEX-1A32A-0626-SM-731AQ 50-59 years, female 1.0
GTEX-U8XE-0226-SM-4E3J3 30-39 years, male 1.0
GTEX-X585-2426-SM-46MW2 50-59 years, male 1.0
GTEX-X8HC-0626-SM-4E3HQ 50-59 years, female 1.0
GTEX-Y8LW-1526-SM-5IFHL 50-59 years, female 1.0
GTEX-Z93S-1626-SM-5CVMB 50-59 years, male 1.0
GTEX-ZLFU-1826-SM-4WWBV 40-49 years, male 1.0
GTEX-ZTSS-1426-SM-5985P 40-49 years, male 1.0
GTEX-1GPI7-1826-SM-9KNU1 20-29 years, male 1.0
GTEX-1ICLZ-0326-SM-ARL82 60-69 years, male 1.0
GTEX-1JKYN-0826-SM-ARU8S 30-39 years, male 1.0
GTEX-1LBAC-0826-SM-CY8IJ 20-29 years, male 1.0
GTEX-16MTA-0926-SM-6M47Z 50-59 years, male 0.9
GTEX-1A3MV-1826-SM-731CD 30-39 years, male 0.9
GTEX-1LVAN-0626-SM-CNPOQ 50-59 years, female 0.9
GTEX-1B996-0426-SM-7EWF8 60-69 years, male 0.8
GTEX-1C6WA-2626-SM-7MKGM 60-69 years, male 0.8
GTEX-1QP29-1826-SM-DTX9S 50-59 years, male 0.8
GTEX-11WQK-1026-SM-5EQLX 50-59 years, male 0.7
GTEX-WI4N-2726-SM-3LK7Y 40-49 years, female 0.7
GTEX-ZY6K-1426-SM-5GZX2 50-59 years, male 0.7
GTEX-1PPH8-0126-SM-EWRN8 20-29 years, male 0.7
GTEX-11DZ1-2426-SM-5GZZX 50-59 years, male 0.6
GTEX-1S5ZU-2526-SM-E6CIF 20-29 years, female 0.5
GTEX-WHSE-0126-SM-3NMBT 20-29 years, male 0.4
Show allShow less
Skin - Sun Exposed (Lower leg)
Average nTPM: 2.2
Samples: 701

Max nTPM: 4.5
Min nTPM: 0.2
Std nTPM: 0.7
Median nTPM: 2.1
GTEX-1HCU7-0226-SM-CL545 50-59 years, male 4.5
GTEX-13FHP-0126-SM-5IJBG 50-59 years, male 4.4
GTEX-11ZUS-0626-SM-59885 30-39 years, male 4.3
GTEX-1JJEA-0326-SM-CNPOT 60-69 years, male 4.3
GTEX-1QP67-1626-SM-EAZ3X 40-49 years, female 4.3
GTEX-1B97I-1626-SM-73KYO 40-49 years, male 4.1
GTEX-PVOW-0126-SM-2XCFA 40-49 years, male 4.1
GTEX-14ABY-0226-SM-5TDCQ 50-59 years, male 4.0
GTEX-15EU6-0426-SM-6PAN5 50-59 years, male 4.0
GTEX-17JCI-0126-SM-7LG5G 60-69 years, female 4.0
GTEX-1HB9E-0226-SM-E9U4R 50-59 years, male 4.0
GTEX-12WSE-0526-SM-793B2 20-29 years, male 3.9
GTEX-1I1GQ-0126-SM-COH3H 50-59 years, male 3.9
GTEX-1R9K4-0126-SM-DTX9X 60-69 years, male 3.9
GTEX-13G51-2526-SM-5LZYK 60-69 years, male 3.8
GTEX-1B8SF-1426-SM-7DUGL 60-69 years, male 3.6
GTEX-S7SE-0126-SM-2XCD5 50-59 years, male 3.6
GTEX-Y5V5-2326-SM-4V6GA 60-69 years, female 3.6
GTEX-YJ89-0126-SM-4TT3X 60-69 years, male 3.6
GTEX-ZYT6-0226-SM-5NQ6T 30-39 years, male 3.6
GTEX-1CB4F-0426-SM-9KNV4 60-69 years, male 3.6
GTEX-12ZZY-0226-SM-5LZVE 60-69 years, male 3.5
GTEX-14E6E-1826-SM-5S2R7 30-39 years, male 3.5
GTEX-15G19-0126-SM-6PANQ 60-69 years, male 3.5
GTEX-17HG3-2226-SM-7938L 30-39 years, female 3.5
GTEX-T6MN-0126-SM-32PLP 50-59 years, male 3.5
GTEX-ZE9C-2726-SM-57WB5 60-69 years, male 3.5
GTEX-ZF2S-2326-SM-4WWCE 50-59 years, female 3.5
GTEX-1GPI6-0126-SM-9WG69 60-69 years, male 3.5
GTEX-1HBPI-1526-SM-C1YQ1 50-59 years, male 3.5
GTEX-V1D1-2226-SM-3NMAX 50-59 years, male 3.4
GTEX-1F75B-0126-SM-9KNVL 50-59 years, male 3.4
GTEX-1H3VE-0326-SM-9YFLH 40-49 years, male 3.4
GTEX-1HSKV-0226-SM-A9SKJ 60-69 years, male 3.4
GTEX-1I19N-0326-SM-ACKVX 70-79 years, male 3.4
GTEX-1ICLZ-0126-SM-CKZPO 60-69 years, male 3.4
GTEX-1RAZQ-0726-SM-EAZ43 30-39 years, male 3.4
GTEX-13111-1626-SM-5EGJY 50-59 years, male 3.3
GTEX-14BIN-0626-SM-793DP 50-59 years, female 3.3
GTEX-14BMV-0126-SM-5S2PO 50-59 years, male 3.3
GTEX-14DAQ-0126-SM-5S2MQ 60-69 years, female 3.3
GTEX-17EVP-0326-SM-7DHLG 40-49 years, male 3.3
GTEX-1AX9K-2326-SM-73KWU 50-59 years, male 3.3
GTEX-1C64N-0126-SM-793D7 50-59 years, male 3.3
GTEX-1F88F-2726-SM-7PBZZ 60-69 years, female 3.3
GTEX-1IOXB-0126-SM-ARL8G 50-59 years, male 3.3
GTEX-1J8JJ-0226-SM-CL53I 60-69 years, female 3.3
GTEX-11OF3-2626-SM-5GU7F 60-69 years, male 3.2
GTEX-11P81-2326-SM-59875 30-39 years, female 3.2
GTEX-11WQC-2526-SM-5CVLE 60-69 years, male 3.2
GTEX-1212Z-2526-SM-5EGKP 60-69 years, male 3.2
GTEX-12WSC-0126-SM-5EQ4P 50-59 years, male 3.2
GTEX-13NYB-2526-SM-5K7Z6 40-49 years, male 3.2
GTEX-145LU-0126-SM-5TDCB 50-59 years, male 3.2
GTEX-1C6VR-2426-SM-79OLD 60-69 years, male 3.2
GTEX-SJXC-0126-SM-2XCFF 60-69 years, male 3.2
GTEX-VJYA-1126-SM-3GIJU 60-69 years, male 3.2
GTEX-XBEW-0626-SM-4QASP 40-49 years, male 3.2
GTEX-13OW5-0126-SM-DTXFS 60-69 years, male 3.2
GTEX-1EN7A-0126-SM-7SB81 40-49 years, male 3.2
GTEX-1H4P4-0726-SM-9YFLR 50-59 years, male 3.2
GTEX-1IDJF-0126-SM-CM2RS 20-29 years, male 3.2
GTEX-1IDJH-0326-SM-A9SLQ 70-79 years, male 3.2
GTEX-1MJK2-0426-SM-DTXE5 50-59 years, male 3.2
GTEX-1QW4Y-1526-SM-EAZ3Z 30-39 years, male 3.2
GTEX-11XUK-2026-SM-5EQLF 40-49 years, female 3.1
GTEX-13PVR-2326-SM-5QGR1 60-69 years, female 3.1
GTEX-15DCD-0126-SM-7KUEK 70-79 years, female 3.1
GTEX-15F5U-1526-SM-6PANO 40-49 years, male 3.1
GTEX-16XZY-2126-SM-79OK1 70-79 years, male 3.1
GTEX-183WM-0126-SM-7LTAB 70-79 years, female 3.1
GTEX-1C4CL-0526-SM-73KVK 30-39 years, male 3.1
GTEX-PX3G-0126-SM-2I3EN 20-29 years, female 3.1
GTEX-Y8DK-0126-SM-4TT3L 60-69 years, male 3.1
GTEX-Z9EW-1626-SM-5CVMN 40-49 years, male 3.1
GTEX-ZV68-0126-SM-59HKS 50-59 years, female 3.1
GTEX-13NYC-0326-SM-E9J4S 60-69 years, male 3.1
GTEX-1GL5R-1826-SM-9KNUY 50-59 years, male 3.1
GTEX-1M4P7-0226-SM-DIPEV 60-69 years, male 3.1
GTEX-1QMI2-0226-SM-EVYBX 60-69 years, male 3.1
GTEX-1QP2A-0126-SM-E9J43 50-59 years, male 3.1
GTEX-11O72-0126-SM-59887 40-49 years, male 3.0
GTEX-12584-0126-SM-5EGKQ 40-49 years, male 3.0
GTEX-139TU-0126-SM-5K7WH 60-69 years, male 3.0
GTEX-14PHW-0126-SM-6LLJI 60-69 years, female 3.0
GTEX-1C475-1826-SM-73KWA 40-49 years, female 3.0
GTEX-POMQ-2226-SM-2I5FK 20-29 years, female 3.0
GTEX-1EMGI-0126-SM-9KNUE 60-69 years, male 3.0
GTEX-1F75A-0126-SM-7RHGM 50-59 years, male 3.0
GTEX-1N2DW-0226-SM-E9TK2 50-59 years, male 3.0
GTEX-1S83E-0126-SM-EWRO4 40-49 years, male 3.0
GTEX-13JUV-2726-SM-5LZZ8 40-49 years, female 2.9
GTEX-144GL-0126-SM-5TDE2 50-59 years, male 2.9
GTEX-14JG1-0426-SM-6ETZZ 40-49 years, male 2.9
GTEX-15D1Q-0126-SM-7KUG6 40-49 years, male 2.9
GTEX-16AAH-1726-SM-7939C 50-59 years, male 2.9
GTEX-16NGA-1726-SM-731B4 40-49 years, female 2.9
GTEX-17F96-1626-SM-7DUFL 70-79 years, male 2.9
GTEX-1BAJH-0526-SM-793CQ 70-79 years, male 2.9
GTEX-P44H-0226-SM-2XCEU 40-49 years, male 2.9
GTEX-WFG8-2226-SM-3GIL9 20-29 years, male 2.9
GTEX-WFON-2126-SM-3LK7O 40-49 years, male 2.9
GTEX-X261-0126-SM-3NMD6 50-59 years, male 2.9
GTEX-XPVG-2626-SM-4B669 50-59 years, male 2.9
GTEX-1A8FM-0226-SM-7SB7Q 50-59 years, female 2.9
GTEX-1B8L1-2526-SM-9WYTF 60-69 years, male 2.9
GTEX-1EU9M-0226-SM-7P8SP 60-69 years, male 2.9
GTEX-1F5PK-2426-SM-7RHHY 50-59 years, male 2.9
GTEX-1GMRU-0126-SM-9YFLV 50-59 years, male 2.9
GTEX-1GZHY-0326-SM-9QEHI 50-59 years, female 2.9
GTEX-1H1CY-2826-SM-9MQM3 60-69 years, female 2.9
GTEX-1HCU9-1526-SM-A9SL7 20-29 years, male 2.9
GTEX-1HFI6-0226-SM-ADEHZ 40-49 years, male 2.9
GTEX-1HSGN-0226-SM-CGQFV 40-49 years, female 2.9
GTEX-1IGQW-0126-SM-COH42 60-69 years, male 2.9
GTEX-1IL2U-0226-SM-CE6T8 60-69 years, male 2.9
GTEX-1JMQJ-0526-SM-CYPSU 50-59 years, male 2.9
GTEX-1KD4Q-0226-SM-E9TJ9 40-49 years, male 2.9
GTEX-1O97I-0326-SM-EYYX7 60-69 years, male 2.9
GTEX-1PIIG-0226-SM-EWRN6 30-39 years, male 2.9
GTEX-1QAET-0926-SM-E76QM 50-59 years, male 2.9
GTEX-1R9PO-2126-SM-E9J4O 60-69 years, female 2.9
GTEX-1S5ZA-0126-SM-EVYCV 20-29 years, male 2.9
GTEX-111FC-0126-SM-5N9DL 60-69 years, male 2.8
GTEX-11DXY-2626-SM-5GIE7 60-69 years, male 2.8
GTEX-13N2G-2626-SM-5J1OT 60-69 years, male 2.8
GTEX-14PHX-2326-SM-62LEM 50-59 years, male 2.8
GTEX-15SHU-0126-SM-7KUEH 40-49 years, female 2.8
GTEX-16GPK-0126-SM-7DHLE 60-69 years, male 2.8
GTEX-18465-0126-SM-731BN 50-59 years, male 2.8
GTEX-RWS6-2026-SM-2XCB5 60-69 years, female 2.8
GTEX-T5JW-1626-SM-3GADZ 20-29 years, female 2.8
GTEX-T8EM-1026-SM-3DB7M 40-49 years, male 2.8
GTEX-TML8-1926-SM-32QOS 40-49 years, female 2.8
GTEX-W5WG-1826-SM-4KL2Y 50-59 years, female 2.8
GTEX-Y5V6-2426-SM-4VDSB 60-69 years, male 2.8
GTEX-Y8E4-0626-SM-4WWDL 40-49 years, male 2.8
GTEX-1CAMS-0426-SM-7P8T2 40-49 years, female 2.8
GTEX-1HR98-0126-SM-B2LWI 60-69 years, male 2.8
GTEX-1IL2V-0126-SM-CM2TX 70-79 years, male 2.8
GTEX-1J8Q3-1626-SM-CMKGC 60-69 years, male 2.8
GTEX-1JMQI-2226-SM-CM2SD 50-59 years, male 2.8
GTEX-1KANB-0526-SM-E6CJH 50-59 years, male 2.8
GTEX-1MA7X-2226-SM-E6CIY 60-69 years, male 2.8
GTEX-1MCQQ-0826-SM-DLHC2 60-69 years, male 2.8
GTEX-1RQEC-0426-SM-E6CHU 60-69 years, male 2.8
GTEX-OIZF-0126-SM-7SB8I 60-69 years, male 2.8
GTEX-11ZU8-2526-SM-5EQKI 60-69 years, male 2.7
GTEX-131XH-2226-SM-5DUXJ 50-59 years, male 2.7
GTEX-1399R-2726-SM-5IJBA 30-39 years, male 2.7
GTEX-13FXS-0226-SM-5IJCK 50-59 years, male 2.7
GTEX-18A6Q-0126-SM-731BZ 60-69 years, male 2.7
GTEX-18D9B-0526-SM-7LTAS 60-69 years, male 2.7
GTEX-QV44-1926-SM-2S1RF 50-59 years, male 2.7
GTEX-ZC5H-0226-SM-4WAY9 40-49 years, female 2.7
GTEX-ZVTK-0426-SM-51MRS 20-29 years, male 2.7
GTEX-1C6VQ-0126-SM-7P8RI 50-59 years, male 2.7
GTEX-1EWIQ-0126-SM-7RHH2 70-79 years, female 2.7
GTEX-1F6I4-0126-SM-9MQL2 60-69 years, male 2.7
GTEX-1GN1W-0526-SM-9MQJQ 50-59 years, female 2.7
GTEX-1HUB1-0426-SM-E9U4U 60-69 years, male 2.7
GTEX-1J8QM-2126-SM-CYPSJ 60-69 years, female 2.7
GTEX-1JK1U-2026-SM-CM2RZ 60-69 years, male 2.7
GTEX-1JMPZ-0226-SM-CNPP1 30-39 years, male 2.7
GTEX-1OJC3-0126-SM-E76QX 20-29 years, male 2.7
GTEX-1PDJ9-0326-SM-DTX95 20-29 years, male 2.7
GTEX-1QEPI-0126-SM-EWRMQ 60-69 years, female 2.7
GTEX-1RDX4-0126-SM-E9J4P 50-59 years, female 2.7
GTEX-1RLM8-2326-SM-EWRN4 50-59 years, male 2.7
GTEX-11GS4-2726-SM-5A5LE 60-69 years, male 2.6
GTEX-11ZVC-2526-SM-5FQTE 50-59 years, female 2.6
GTEX-12KS4-0326-SM-5EQ41 30-39 years, male 2.6
GTEX-139TS-2826-SM-5J1OO 60-69 years, male 2.6
GTEX-139UW-2826-SM-5L3E7 60-69 years, male 2.6
GTEX-13S7M-0126-SM-5SI6A 60-69 years, female 2.6
GTEX-13W3W-2426-SM-5LU5B 60-69 years, female 2.6
GTEX-144FL-0126-SM-5TDC8 50-59 years, male 2.6
GTEX-147GR-0526-SM-5S2MY 60-69 years, male 2.6
GTEX-15DDE-0126-SM-6LPKH 50-59 years, female 2.6
GTEX-17F98-0626-SM-79OMX 40-49 years, female 2.6
GTEX-18A7A-0226-SM-718BH 50-59 years, female 2.6
GTEX-18D9U-0226-SM-718BP 40-49 years, male 2.6
GTEX-OOBK-0126-SM-2YUND 40-49 years, male 2.6
GTEX-SIU8-0126-SM-2XCDT 50-59 years, male 2.6
GTEX-SSA3-0126-SM-32QPU 60-69 years, male 2.6
GTEX-WY7C-2326-SM-3NB2U 50-59 years, male 2.6
GTEX-YB5K-2126-SM-4WWDJ 40-49 years, female 2.6
GTEX-ZAK1-0126-SM-5IJD3 50-59 years, female 2.6
GTEX-1F75I-0326-SM-9YFLU 40-49 years, male 2.6
GTEX-1F7RK-0126-SM-7PC2S 20-29 years, female 2.6
GTEX-1GN1U-0126-SM-7PBZK 50-59 years, female 2.6
GTEX-1H1E6-1726-SM-ACKVK 30-39 years, male 2.6
GTEX-1H3O1-0426-SM-9YFKY 60-69 years, male 2.6
GTEX-1HFI7-1826-SM-ACKXH 50-59 years, female 2.6
GTEX-1I1GR-0126-SM-CL55F 60-69 years, male 2.6
GTEX-1JKYN-1326-SM-CGQG9 30-39 years, male 2.6
GTEX-1KD5A-0226-SM-D5OV3 50-59 years, male 2.6
GTEX-1MA7W-2026-SM-E9TJ6 20-29 years, female 2.6
GTEX-11UD1-0126-SM-5PNYG 40-49 years, female 2.5
GTEX-133LE-1826-SM-5J1MV 20-29 years, female 2.5
GTEX-139TT-0126-SM-5K7Y5 60-69 years, male 2.5
GTEX-13O3Q-2426-SM-5IJBR 50-59 years, male 2.5
GTEX-147F3-0526-SM-5SI98 50-59 years, female 2.5
GTEX-17KNJ-2326-SM-7DHLQ 50-59 years, male 2.5
GTEX-1CB4E-2226-SM-793DC 60-69 years, male 2.5
GTEX-P4PQ-0126-SM-2S1NM 60-69 years, male 2.5
GTEX-U4B1-1826-SM-4DXSU 40-49 years, male 2.5
GTEX-Y114-2426-SM-4TT8A 50-59 years, female 2.5
GTEX-1B996-0226-SM-7RHGO 60-69 years, male 2.5
GTEX-1CB4G-0226-SM-7PC3O 60-69 years, male 2.5
GTEX-1HCU8-0626-SM-A9SM9 60-69 years, female 2.5
GTEX-1ICLY-0126-SM-D4P36 50-59 years, male 2.5
GTEX-1KANA-0726-SM-D3L9I 20-29 years, male 2.5
GTEX-1LB8K-0226-SM-EWRNW 50-59 years, male 2.5
GTEX-13112-2826-SM-5DUWH 50-59 years, male 2.4
GTEX-1314G-1526-SM-5EGK2 30-39 years, male 2.4
GTEX-1399T-2826-SM-5KLYZ 60-69 years, male 2.4
GTEX-13OVL-0226-SM-5L3E9 50-59 years, male 2.4
GTEX-13X6J-0126-SM-5QGOU 50-59 years, male 2.4
GTEX-145LS-0126-SM-5QGP1 60-69 years, female 2.4
GTEX-14PJM-0226-SM-62LF1 50-59 years, female 2.4
GTEX-14XAO-2326-SM-6EU1B 60-69 years, female 2.4
GTEX-15RIG-0226-SM-7KFTL 40-49 years, male 2.4
GTEX-17HGU-0226-SM-7DHKV 50-59 years, male 2.4
GTEX-18A66-0226-SM-718BD 60-69 years, male 2.4
GTEX-1AMFI-2026-SM-731BH 50-59 years, female 2.4
GTEX-O5YT-0126-SM-48TBW 20-29 years, male 2.4
GTEX-OIZH-0126-SM-2HMIS 50-59 years, male 2.4
GTEX-OXRN-0126-SM-48TDM 50-59 years, male 2.4
GTEX-PWO3-1526-SM-48TCM 60-69 years, female 2.4
GTEX-QCQG-1726-SM-3GIJ9 50-59 years, female 2.4
GTEX-RN64-0126-SM-2TC68 50-59 years, male 2.4
GTEX-TSE9-0126-SM-3DB83 60-69 years, female 2.4
GTEX-VJWN-0126-SM-3GIK7 50-59 years, female 2.4
GTEX-XMD2-0126-SM-4YCDU 60-69 years, female 2.4
GTEX-YFC4-0126-SM-5CVLY 40-49 years, female 2.4
GTEX-ZDTS-0126-SM-4WAY5 60-69 years, male 2.4
GTEX-ZVT2-2526-SM-51MT1 50-59 years, female 2.4
GTEX-ZZ64-1726-SM-5GZYB 20-29 years, male 2.4
GTEX-1EX96-1626-SM-7PBXR 50-59 years, male 2.4
GTEX-1GF9U-2126-SM-7SB7L 40-49 years, female 2.4
GTEX-1GF9V-0326-SM-7RHI5 60-69 years, male 2.4
GTEX-1GN2E-0426-SM-9MQKX 60-69 years, male 2.4
GTEX-1GZ4H-1726-SM-7PBZJ 50-59 years, female 2.4
GTEX-1H3VY-0126-SM-ACKXD 50-59 years, male 2.4
GTEX-1HSMQ-1226-SM-CGQFX 50-59 years, male 2.4
GTEX-1I1CD-0126-SM-CM2TK 60-69 years, female 2.4
GTEX-1IDJU-2626-SM-CM2RT 60-69 years, female 2.4
GTEX-1IKJJ-0126-SM-CNPQB 60-69 years, male 2.4
GTEX-1LG7Z-1726-SM-D3LA4 30-39 years, male 2.4
GTEX-1MUQO-0126-SM-EAZ58 60-69 years, male 2.4
GTEX-1NHNU-1026-SM-E9J2A 50-59 years, male 2.4
GTEX-1NV5F-0226-SM-E8VNY 60-69 years, female 2.4
GTEX-11DYG-0126-SM-59883 60-69 years, male 2.3
GTEX-11EI6-0126-SM-5985R 60-69 years, male 2.3
GTEX-11P82-1626-SM-59879 20-29 years, male 2.3
GTEX-1269C-2526-SM-5EGJ3 60-69 years, female 2.3
GTEX-12WSN-5019-SM-79OM6 40-49 years, male 2.3
GTEX-131XW-0426-SM-5LZWP 50-59 years, female 2.3
GTEX-131YS-0126-SM-5KM1M 60-69 years, female 2.3
GTEX-13D11-2426-SM-5KM1V 50-59 years, female 2.3
GTEX-13FHO-0226-SM-5IFGY 60-69 years, male 2.3
GTEX-13FTW-2626-SM-5K7WL 40-49 years, male 2.3
GTEX-13OVK-2026-SM-7KUEO 40-49 years, male 2.3
GTEX-13OW6-0426-SM-5L3HM 50-59 years, male 2.3
GTEX-13SLX-0526-SM-5S2ON 50-59 years, female 2.3
GTEX-13X6H-2126-SM-7EWD5 50-59 years, female 2.3
GTEX-145MF-0626-SM-5LUAI 50-59 years, male 2.3
GTEX-14BIL-0126-SM-5SI92 50-59 years, male 2.3
GTEX-14BIM-0226-SM-7IGLD 60-69 years, female 2.3
GTEX-14PJ3-1826-SM-62LEX 50-59 years, male 2.3
GTEX-15ETS-0126-SM-7KUMW 40-49 years, female 2.3
GTEX-15SHW-0326-SM-6PAML 60-69 years, male 2.3
GTEX-16NPX-0226-SM-79OMT 50-59 years, male 2.3
GTEX-1B8KZ-2026-SM-7DHMB 50-59 years, male 2.3
GTEX-QDVN-2026-SM-3GAEP 50-59 years, male 2.3
GTEX-T2IS-0126-SM-4DM6O 20-29 years, female 2.3
GTEX-UPJH-0326-SM-3GADU 50-59 years, male 2.3
GTEX-WQUQ-0426-SM-3MJFU 60-69 years, male 2.3
GTEX-X638-0126-SM-47JZ8 70-79 years, female 2.3
GTEX-X88G-0126-SM-47JZ3 30-39 years, male 2.3
GTEX-XBED-2226-SM-47JYQ 60-69 years, male 2.3
GTEX-ZUA1-0126-SM-5GU76 40-49 years, male 2.3
GTEX-ZWKS-0126-SM-5SIAA 30-39 years, male 2.3
GTEX-ZYFD-0126-SM-5GIDL 50-59 years, male 2.3
GTEX-13FH7-2026-SM-E9J4I 50-59 years, female 2.3
GTEX-1EKGG-0226-SM-9WYTH 60-69 years, male 2.3
GTEX-1H3NZ-0126-SM-ACKX7 60-69 years, male 2.3
GTEX-1HT8W-0126-SM-CNPPP 30-39 years, male 2.3
GTEX-1I1GV-0526-SM-A9G29 60-69 years, male 2.3
GTEX-1J8Q2-0526-SM-CM2RW 60-69 years, male 2.3
GTEX-1K2DA-1826-SM-CGQGT 50-59 years, male 2.3
GTEX-1KANC-1526-SM-D3LAB 50-59 years, female 2.3
GTEX-1M5QR-1226-SM-EWROB 40-49 years, male 2.3
GTEX-1PBJI-0526-SM-E8VNK 20-29 years, female 2.3
GTEX-1PIGE-0126-SM-EVYBJ 20-29 years, male 2.3
GTEX-1122O-2126-SM-5EGIR 60-69 years, female 2.2
GTEX-113JC-2326-SM-5EQ4E 50-59 years, female 2.2
GTEX-11DXZ-2326-SM-5EGGV 50-59 years, male 2.2
GTEX-11LCK-1026-SM-5A5KB 30-39 years, male 2.2
GTEX-11NUK-0126-SM-5A5L3 50-59 years, male 2.2
GTEX-11ZTT-2426-SM-5EQLS 60-69 years, female 2.2
GTEX-13113-5016-SM-7EPIP 60-69 years, female 2.2
GTEX-13CF2-2526-SM-5LZYX 60-69 years, male 2.2
GTEX-13VXU-0126-SM-5SI9F 50-59 years, male 2.2
GTEX-145LT-1726-SM-5QGP3 40-49 years, male 2.2
GTEX-145MI-0526-SM-5O9A8 60-69 years, female 2.2
GTEX-14BMU-2226-SM-5TDE9 20-29 years, female 2.2
GTEX-16BQI-0226-SM-7KUEX 30-39 years, female 2.2
GTEX-17HHY-0126-SM-7LG5D 50-59 years, male 2.2
GTEX-183FY-0126-SM-7LT9P 20-29 years, male 2.2
GTEX-1AMEY-1326-SM-73KYK 30-39 years, female 2.2
GTEX-1AX8Z-0126-SM-7DHM6 60-69 years, male 2.2
GTEX-1CB4J-0626-SM-7DHMP 60-69 years, male 2.2
GTEX-1E1VI-0126-SM-7DHMZ 50-59 years, male 2.2
GTEX-OHPM-0126-SM-2YUN9 50-59 years, male 2.2
GTEX-R3RS-0126-SM-3GIJL 40-49 years, female 2.2
GTEX-RWSA-0126-SM-2XCBB 40-49 years, male 2.2
GTEX-U3ZH-2026-SM-3DB78 30-39 years, male 2.2
GTEX-WOFL-0126-SM-3MJG2 60-69 years, male 2.2
GTEX-WVJS-0126-SM-4MVOT 50-59 years, male 2.2
GTEX-WZTO-0126-SM-3NM95 40-49 years, male 2.2
GTEX-XUYS-0126-SM-47JWZ 50-59 years, male 2.2
GTEX-Y3I4-2126-SM-4TT7C 50-59 years, male 2.2
GTEX-Y8LW-1826-SM-5S2MV 50-59 years, female 2.2
GTEX-Z93T-0126-SM-5HL5N 50-59 years, male 2.2
GTEX-ZVZO-0126-SM-5A5L9 40-49 years, male 2.2
GTEX-ZXG5-0126-SM-5GIEU 60-69 years, male 2.2
GTEX-11TUW-2726-SM-E9J4M 60-69 years, male 2.2
GTEX-1AX9I-0126-SM-7SB74 60-69 years, male 2.2
GTEX-1F48J-0126-SM-7P8TT 50-59 years, female 2.2
GTEX-1F6RS-0126-SM-9MQKZ 60-69 years, female 2.2
GTEX-1GN73-0226-SM-9WG67 60-69 years, male 2.2
GTEX-1H23P-0126-SM-ADEJ3 60-69 years, male 2.2
GTEX-1HBPN-0226-SM-9YFM1 50-59 years, male 2.2
GTEX-1I4MK-2226-SM-ACKWD 50-59 years, female 2.2
GTEX-1IKOH-0226-SM-COH4E 60-69 years, female 2.2
GTEX-1IY9M-0126-SM-D3L8S 60-69 years, male 2.2
GTEX-1KAFJ-2026-SM-CY8ID 50-59 years, male 2.2
GTEX-1LGOU-2026-SM-DIPFF 20-29 years, female 2.2
GTEX-1R7EU-0226-SM-EVR4G 60-69 years, male 2.2
GTEX-PW2O-1526-SM-7RHHB 20-29 years, male 2.2
GTEX-RNOR-0126-SM-E9J4R 50-59 years, female 2.2
GTEX-ZVT4-0126-SM-DTXFN 50-59 years, female 2.2
GTEX-1128S-2326-SM-5GZZY 60-69 years, female 2.1
GTEX-117YX-2326-SM-5H12W 50-59 years, male 2.1
GTEX-1211K-2026-SM-5EQ4Z 60-69 years, female 2.1
GTEX-12ZZX-0126-SM-5EGK9 40-49 years, female 2.1
GTEX-13CF3-2426-SM-5IFGX 60-69 years, female 2.1
GTEX-13N1W-0126-SM-5K7VT 70-79 years, male 2.1
GTEX-13SLW-0126-SM-5SI6C 70-79 years, male 2.1
GTEX-13U4I-0126-SM-5LU38 40-49 years, female 2.1
GTEX-13VXT-0126-SM-5LU4I 20-29 years, female 2.1
GTEX-13X6I-0626-SM-5QGP9 60-69 years, male 2.1
GTEX-14753-0426-SM-5NQAM 60-69 years, male 2.1
GTEX-14JIY-0126-SM-6LLH6 60-69 years, male 2.1
GTEX-14PN3-2426-SM-6LLHS 60-69 years, female 2.1
GTEX-15DYW-0126-SM-7KULE 60-69 years, female 2.1
GTEX-17EVQ-0226-SM-7LG4P 70-79 years, male 2.1
GTEX-17MFQ-1726-SM-793C7 20-29 years, male 2.1
GTEX-1C2JI-1826-SM-73KXC 50-59 years, male 2.1
GTEX-1CAMQ-0226-SM-7IGPK 40-49 years, male 2.1
GTEX-OXRK-0226-SM-3NB2G 50-59 years, female 2.1
GTEX-QVJO-1626-SM-2S1QW 60-69 years, female 2.1
GTEX-S32W-2126-SM-2XCB1 50-59 years, female 2.1
GTEX-SUCS-1926-SM-32PM3 70-79 years, male 2.1
GTEX-ZDYS-2026-SM-5HL5L 50-59 years, male 2.1
GTEX-ZV6S-2326-SM-4YCEY 40-49 years, female 2.1
GTEX-ZVE2-0226-SM-59HJB 50-59 years, male 2.1
GTEX-ZVT3-0126-SM-5GU6I 60-69 years, female 2.1
GTEX-ZVZP-2426-SM-59HKJ 50-59 years, male 2.1
GTEX-ZYFC-0226-SM-5NQ75 50-59 years, male 2.1
GTEX-1F52S-0126-SM-9MQJU 60-69 years, female 2.1
GTEX-1GMR3-1926-SM-9KNUZ 40-49 years, male 2.1
GTEX-1GPI7-0126-SM-9MQL8 20-29 years, male 2.1
GTEX-1I1GS-0126-SM-B2LVW 60-69 years, male 2.1
GTEX-1I6K6-0126-SM-A9SLE 30-39 years, male 2.1
GTEX-1ICG6-2526-SM-CGQFZ 70-79 years, female 2.1
GTEX-1IE54-0126-SM-CMKHW 40-49 years, female 2.1
GTEX-1IKK5-0626-SM-ARL8A 60-69 years, male 2.1
GTEX-1JKYR-0126-SM-CNPOJ 20-29 years, male 2.1
GTEX-1JMLX-0226-SM-CM2RO 50-59 years, male 2.1
GTEX-1JMQK-0226-SM-CL543 60-69 years, male 2.1
GTEX-1JN6P-0126-SM-D3L98 60-69 years, male 2.1
GTEX-1JN76-0126-SM-CNPPE 20-29 years, female 2.1
GTEX-PLZ6-1426-SM-DKPOT 30-39 years, male 2.1
GTEX-S33H-1026-SM-EZ6L6 30-39 years, male 2.1
GTEX-ZQG8-1626-SM-DHXIT 60-69 years, female 2.1
GTEX-11NSD-2226-SM-5986V 20-29 years, male 2.0
GTEX-11P7K-2126-SM-5GU7G 30-39 years, male 2.0
GTEX-12ZZZ-0626-SM-5DUXI 60-69 years, male 2.0
GTEX-1313W-0126-SM-5LZUN 50-59 years, female 2.0
GTEX-14E6D-0126-SM-62LDV 50-59 years, male 2.0
GTEX-14E7W-0126-SM-6LLJ9 70-79 years, male 2.0
GTEX-15SB6-1726-SM-6PAME 50-59 years, female 2.0
GTEX-18A7B-0126-SM-7LG64 70-79 years, male 2.0
GTEX-1AYD5-2426-SM-73KXR 50-59 years, male 2.0
GTEX-1CAMR-1926-SM-7EPI2 20-29 years, male 2.0
GTEX-1CB4I-0226-SM-79OLH 50-59 years, male 2.0
GTEX-OXRP-0126-SM-3NB32 60-69 years, female 2.0
GTEX-Q2AH-1626-SM-3GAF8 40-49 years, male 2.0
GTEX-R55E-0126-SM-2TC5Y 20-29 years, male 2.0
GTEX-UJHI-1526-SM-3DB99 50-59 years, female 2.0
GTEX-WXYG-2326-SM-4E3I6 50-59 years, female 2.0
GTEX-XQ3S-1526-SM-4BOOC 20-29 years, male 2.0
GTEX-ZQUD-1426-SM-57WER 30-39 years, male 2.0
GTEX-ZTX8-1426-SM-5DUVO 20-29 years, male 2.0
GTEX-1F5PL-0326-SM-7P8PQ 40-49 years, female 2.0
GTEX-1I1GP-2226-SM-CGQFK 50-59 years, male 2.0
GTEX-1IDFM-0126-SM-COH2V 60-69 years, male 2.0
GTEX-1JJ6O-0126-SM-E6CI8 60-69 years, male 2.0
GTEX-1K9T9-0126-SM-EVYCF 50-59 years, female 2.0
GTEX-1KXAM-2226-SM-CYPTC 60-69 years, male 2.0
GTEX-1MGNQ-0126-SM-EVYCJ 40-49 years, male 2.0
GTEX-1POEN-0126-SM-EYYXJ 30-39 years, female 2.0
GTEX-1PPH8-0226-SM-E8VND 20-29 years, male 2.0
GTEX-1QP9N-1426-SM-DTXFL 30-39 years, male 2.0
GTEX-1R7EV-2426-SM-EVYBG 40-49 years, male 2.0
GTEX-RVPV-0126-SM-EAZAW 60-69 years, male 2.0
GTEX-12C56-1726-SM-5EQ61 20-29 years, male 1.9
GTEX-12WSA-0226-SM-5BC5V 60-69 years, male 1.9
GTEX-139T4-0226-SM-5HL5S 50-59 years, female 1.9
GTEX-13N11-2526-SM-5K7UE 50-59 years, female 1.9
GTEX-13NYS-0126-SM-5MR3W 60-69 years, male 1.9
GTEX-13NZA-0226-SM-5K7Z7 60-69 years, male 1.9
GTEX-13O21-1426-SM-5K7XI 50-59 years, male 1.9
GTEX-13OW7-0126-SM-5MR3B 50-59 years, male 1.9
GTEX-13OW8-1326-SM-5J1OW 60-69 years, male 1.9
GTEX-13RTK-1426-SM-5QGQJ 20-29 years, male 1.9
GTEX-145MO-0326-SM-5Q5B3 60-69 years, male 1.9
GTEX-148VI-1626-SM-5SI6E 60-69 years, female 1.9
GTEX-14DAR-2026-SM-5S2O3 50-59 years, male 1.9
GTEX-14LZ3-0226-SM-62LET 60-69 years, female 1.9
GTEX-14PJ6-2126-SM-6EU1V 60-69 years, female 1.9
GTEX-15CHC-2126-SM-6EU21 60-69 years, female 1.9
GTEX-18D9A-1926-SM-7LG6P 30-39 years, female 1.9
GTEX-18QFQ-0126-SM-731BE 30-39 years, male 1.9
GTEX-1A32A-0126-SM-718B1 50-59 years, female 1.9
GTEX-1AX9J-0226-SM-73KXM 60-69 years, male 1.9
GTEX-OIZG-0726-SM-33HBL 50-59 years, male 1.9
GTEX-QDT8-0126-SM-48TZ1 30-39 years, female 1.9
GTEX-S7PM-0126-SM-4AD6S 60-69 years, male 1.9
GTEX-TKQ1-1026-SM-4GICL 30-39 years, male 1.9
GTEX-U3ZM-1526-SM-3DB9D 40-49 years, male 1.9
GTEX-WRHK-1426-SM-3MJF9 20-29 years, female 1.9
GTEX-XAJ8-0826-SM-47JY6 40-49 years, male 1.9
GTEX-XQ8I-0426-SM-4BOPO 50-59 years, male 1.9
GTEX-YB5E-2026-SM-5IFIS 40-49 years, male 1.9
GTEX-ZAB5-1826-SM-5HL7C 50-59 years, male 1.9
GTEX-1B933-0126-SM-7PC29 50-59 years, female 1.9
GTEX-1CB4H-0226-SM-7PBXM 60-69 years, female 1.9
GTEX-1F6IF-0726-SM-7P8TW 60-69 years, male 1.9
GTEX-1HSMP-0126-SM-E6CJS 70-79 years, male 1.9
GTEX-1I1HK-0126-SM-COH49 60-69 years, male 1.9
GTEX-1JJE9-0326-SM-CL53Z 70-79 years, male 1.9
GTEX-1LG7Y-0526-SM-DKPQC 50-59 years, male 1.9
GTEX-1LSNM-1926-SM-E6CII 50-59 years, male 1.9
GTEX-1MCYP-1926-SM-E9J2R 20-29 years, female 1.9
GTEX-1PPH7-2326-SM-EVYB8 40-49 years, male 1.9
GTEX-1PWST-0226-SM-E76QJ 70-79 years, male 1.9
GTEX-1R9PM-2026-SM-E76OY 20-29 years, male 1.9
GTEX-1S82Y-2026-SM-EVYCM 40-49 years, male 1.9
GTEX-11ZTS-0126-SM-5EQ6M 60-69 years, female 1.8
GTEX-13O3P-0126-SM-5KM4S 50-59 years, male 1.8
GTEX-144GN-2326-SM-5LU4F 50-59 years, male 1.8
GTEX-14A6H-0126-SM-5QGPK 30-39 years, male 1.8
GTEX-14PII-0226-SM-6EU1T 60-69 years, male 1.8
GTEX-17EUY-0426-SM-793BD 20-29 years, male 1.8
GTEX-17GQL-2026-SM-718BA 60-69 years, male 1.8
GTEX-18A67-0126-SM-7LG5P 50-59 years, male 1.8
GTEX-1A3MX-0126-SM-731BR 60-69 years, male 1.8
GTEX-1B8SG-0126-SM-73KZ3 50-59 years, male 1.8
GTEX-NFK9-0226-SM-2HMKQ 40-49 years, male 1.8
GTEX-PLZ5-2026-SM-2S1O4 50-59 years, male 1.8
GTEX-Q2AG-0126-SM-33HBV 40-49 years, female 1.8
GTEX-QEG4-0226-SM-2S1PY 30-39 years, male 1.8
GTEX-QLQ7-1626-SM-2S1R8 60-69 years, male 1.8
GTEX-T6MO-1626-SM-32QOM 40-49 years, female 1.8
GTEX-X4XX-0126-SM-3NMC2 60-69 years, male 1.8
GTEX-XUZC-1726-SM-4BRWS 30-39 years, female 1.8
GTEX-Y111-0126-SM-4SOIV 50-59 years, male 1.8
GTEX-ZE7O-0126-SM-57WC1 50-59 years, female 1.8
GTEX-ZYY3-0126-SM-5GZY5 60-69 years, female 1.8
GTEX-146FR-1326-SM-E9J48 60-69 years, female 1.8
GTEX-1GF9W-0326-SM-9KNUN 60-69 years, male 1.8
GTEX-1GN1V-0126-SM-9WPOS 60-69 years, male 1.8
GTEX-1H2FU-0126-SM-9WYSI 60-69 years, female 1.8
GTEX-1HKZK-0326-SM-9WYUH 40-49 years, male 1.8
GTEX-1I1GU-2226-SM-CGQFA 40-49 years, male 1.8
GTEX-1KWVE-1426-SM-E9TJO 30-39 years, male 1.8
GTEX-1OFPY-2426-SM-DTXEJ 60-69 years, male 1.8
GTEX-1QP29-0626-SM-EWRMX 50-59 years, male 1.8
GTEX-1S82Z-0826-SM-E6CHY 30-39 years, female 1.8
GTEX-111VG-2426-SM-5GZXD 60-69 years, male 1.7
GTEX-117YW-2626-SM-5GZZH 50-59 years, male 1.7
GTEX-1192W-2626-SM-5Q5AF 60-69 years, male 1.7
GTEX-11DXW-0226-SM-5H122 40-49 years, male 1.7
GTEX-11OC5-0126-SM-5HL6A 60-69 years, male 1.7
GTEX-11VI4-1726-SM-5CVLH 40-49 years, female 1.7
GTEX-12126-0326-SM-5PNW3 20-29 years, male 1.7
GTEX-12WSD-0126-SM-59HKN 60-69 years, female 1.7
GTEX-12WSK-2326-SM-5GCOH 40-49 years, female 1.7
GTEX-132NY-0326-SM-5IJBL 60-69 years, male 1.7
GTEX-13OVG-1926-SM-5L3DK 60-69 years, male 1.7
GTEX-147F4-0226-SM-5QGPW 50-59 years, male 1.7
GTEX-148VJ-0126-SM-5TDDN 70-79 years, male 1.7
GTEX-1497J-2426-SM-7IGNX 60-69 years, male 1.7
GTEX-14A5H-0426-SM-5QGQF 60-69 years, male 1.7
GTEX-15UKP-0426-SM-7KUFQ 20-29 years, male 1.7
GTEX-OXRL-0126-SM-2YUMP 50-59 years, male 1.7
GTEX-Q734-1926-SM-2I5EV 40-49 years, female 1.7
GTEX-QDVJ-1726-SM-2I5FX 50-59 years, male 1.7
GTEX-R55G-2526-SM-2TC6D 40-49 years, female 1.7
GTEX-SNMC-1226-SM-2XCFP 20-29 years, male 1.7
GTEX-TMZS-0126-SM-3DB9Q 60-69 years, male 1.7
GTEX-WYVS-2126-SM-3NMA3 40-49 years, female 1.7
GTEX-X4EO-0326-SM-3P5YO 60-69 years, female 1.7
GTEX-X5EB-2226-SM-46MW4 40-49 years, male 1.7
GTEX-XYKS-2126-SM-4E3IB 60-69 years, female 1.7
GTEX-Y5LM-1926-SM-5RQJH 40-49 years, female 1.7
GTEX-ZXES-1826-SM-5E43S 30-39 years, female 1.7
GTEX-1CAV2-2226-SM-7P8P2 40-49 years, female 1.7
GTEX-1E2YA-0126-SM-9KNUC 50-59 years, male 1.7
GTEX-1H1ZS-0426-SM-9WG6G 70-79 years, male 1.7
GTEX-1J1OQ-0226-SM-CYPSH 40-49 years, female 1.7
GTEX-1J8EW-0126-SM-CJI4F 60-69 years, female 1.7
GTEX-1LGRB-2526-SM-CNPPQ 50-59 years, female 1.7
GTEX-1LVAN-0226-SM-COH3S 50-59 years, female 1.7
GTEX-1QPFJ-0226-SM-E76PB 30-39 years, female 1.7
GTEX-PWCY-1826-SM-DHXIZ 20-29 years, female 1.7
GTEX-W5X1-3026-SM-EAZAX 40-49 years, female 1.7
GTEX-ZF29-2326-SM-DO92K 60-69 years, female 1.7
GTEX-1192X-0226-SM-5H12D 50-59 years, male 1.6
GTEX-11EM3-2426-SM-59861 20-29 years, female 1.6
GTEX-11EMC-2926-SM-5EQ4F 60-69 years, female 1.6
GTEX-11UD2-0226-SM-5EQKY 50-59 years, male 1.6
GTEX-139D8-0226-SM-5KLZO 30-39 years, female 1.6
GTEX-13FTX-1826-SM-5J1NX 20-29 years, female 1.6
GTEX-13FTY-0526-SM-5L3EV 40-49 years, female 1.6
GTEX-13RTL-0126-SM-7LG5S 40-49 years, male 1.6
GTEX-13YAN-0326-SM-5O9DF 60-69 years, male 1.6
GTEX-146FQ-0126-SM-5NQA9 30-39 years, male 1.6
GTEX-14JG6-2226-SM-6EU2G 30-39 years, female 1.6
GTEX-16MT8-0426-SM-7KUEY 60-69 years, female 1.6
GTEX-17HHE-2026-SM-79OKF 50-59 years, male 1.6
GTEX-1A3MV-1926-SM-718BT 30-39 years, male 1.6
GTEX-P4PP-0126-SM-3LK69 30-39 years, female 1.6
GTEX-U3ZN-2326-SM-3DB7W 30-39 years, female 1.6
GTEX-U8XE-0326-SM-3DB8P 30-39 years, male 1.6
GTEX-WYJK-0126-SM-3NMAB 50-59 years, male 1.6
GTEX-ZDTT-2726-SM-4WKF8 60-69 years, male 1.6
GTEX-ZGAY-0526-SM-4WWBB 40-49 years, female 1.6
GTEX-ZY6K-1826-SM-5GZXK 50-59 years, male 1.6
GTEX-1C64O-0126-SM-7SB8P 60-69 years, male 1.6
GTEX-1GF9X-2026-SM-7PC3A 40-49 years, female 1.6
GTEX-1GMR8-0126-SM-9WYTM 50-59 years, female 1.6
GTEX-1GTWX-0126-SM-9YFLK 60-69 years, male 1.6
GTEX-1HCUA-2426-SM-ADEIS 50-59 years, female 1.6
GTEX-1J1R8-1726-SM-ARL8M 40-49 years, male 1.6
GTEX-1LNCM-1126-SM-E9U5E 50-59 years, female 1.6
GTEX-1S3DN-2226-SM-EVYCD 50-59 years, male 1.6
GTEX-117XS-2726-SM-5N9BL 60-69 years, male 1.5
GTEX-131XG-2626-SM-5KM17 50-59 years, female 1.5
GTEX-13OVI-1426-SM-5L3EY 60-69 years, female 1.5
GTEX-13W46-0226-SM-5SIAG 50-59 years, male 1.5
GTEX-145ME-1826-SM-5SI9G 40-49 years, female 1.5
GTEX-14ICK-0226-SM-6EU25 40-49 years, male 1.5
GTEX-15ER7-0326-SM-7KUEV 20-29 years, female 1.5
GTEX-1AYCT-2426-SM-7IGQ3 50-59 years, male 1.5
GTEX-1C6VS-0526-SM-7DUEN 60-69 years, male 1.5
GTEX-Q2AI-1326-SM-2S1PL 40-49 years, male 1.5
GTEX-T5JC-0426-SM-32PLO 20-29 years, male 1.5
GTEX-U412-0426-SM-3DB9O 60-69 years, male 1.5
GTEX-X4EP-0126-SM-3P5YV 60-69 years, female 1.5
GTEX-X62O-0126-SM-4E3JN 50-59 years, male 1.5
GTEX-XUW1-0426-SM-4BOOT 50-59 years, female 1.5
GTEX-ZTSS-1926-SM-57WEW 40-49 years, male 1.5
GTEX-ZYFG-2326-SM-5E44B 60-69 years, female 1.5
GTEX-ZYW4-0126-SM-5E44A 60-69 years, male 1.5
GTEX-131XF-5016-SM-7MGWE 60-69 years, male 1.5
GTEX-1H1DE-2126-SM-9WG6R 20-29 years, male 1.5
GTEX-1HCVE-0126-SM-CGQEU 50-59 years, male 1.5
GTEX-1I1GT-0626-SM-CGQER 60-69 years, female 1.5
GTEX-1JMQL-0226-SM-CNPP5 50-59 years, female 1.5
GTEX-1LC47-0326-SM-E9TJP 60-69 years, male 1.5
GTEX-1OJC4-0126-SM-E9J2E 50-59 years, female 1.5
GTEX-PSDG-0226-SM-DKPOZ 50-59 years, male 1.5
GTEX-ZPIC-1726-SM-DHXIU 40-49 years, female 1.5
GTEX-113IC-0126-SM-5HL6T 60-69 years, male 1.4
GTEX-11DXX-2426-SM-5GZZW 60-69 years, female 1.4
GTEX-11EQ9-2426-SM-5HL5T 30-39 years, male 1.4
GTEX-11GSO-2426-SM-5A5LY 60-69 years, male 1.4
GTEX-11GSP-2526-SM-5N9BP 60-69 years, female 1.4
GTEX-139T8-0126-SM-5K7XZ 60-69 years, male 1.4
GTEX-13IVO-0126-SM-5J1NG 70-79 years, male 1.4
GTEX-13PDP-0126-SM-5L3HD 60-69 years, male 1.4
GTEX-145LV-2126-SM-5LU8N 50-59 years, male 1.4
GTEX-14A5I-0126-SM-5TDEA 50-59 years, female 1.4
GTEX-16XZZ-0126-SM-793DV 60-69 years, male 1.4
GTEX-1B8KE-2126-SM-73KYX 50-59 years, male 1.4
GTEX-OHPL-0126-SM-2HMJ7 60-69 years, female 1.4
GTEX-OXRO-0126-SM-2YUN4 60-69 years, female 1.4
GTEX-RM2N-1426-SM-2TF4H 50-59 years, male 1.4
GTEX-RU72-0926-SM-2TF6B 50-59 years, female 1.4
GTEX-U8T8-0126-SM-3DB94 60-69 years, male 1.4
GTEX-YEC4-2126-SM-5IFJH 40-49 years, male 1.4
GTEX-ZEX8-2426-SM-4WKG4 50-59 years, male 1.4
GTEX-ZTPG-0326-SM-5O9AX 20-29 years, female 1.4
GTEX-ZZPT-0226-SM-5E43X 50-59 years, male 1.4
GTEX-12WSG-2826-SM-E9J4H 50-59 years, female 1.4
GTEX-1C6WA-0126-SM-7PC2B 60-69 years, male 1.4
GTEX-1HGF4-2426-SM-ACKXM 60-69 years, male 1.4
GTEX-1L5NE-2526-SM-E6CIE 50-59 years, male 1.4
GTEX-1N2DV-0226-SM-E6CJ6 40-49 years, male 1.4
GTEX-1QCLY-0326-SM-E8VOG 30-39 years, male 1.4
GTEX-1RB15-2126-SM-E9TIM 60-69 years, male 1.4
GTEX-OOBJ-0126-SM-E6CJW 60-69 years, male 1.4
GTEX-11TT1-2526-SM-5EGIB 20-29 years, male 1.3
GTEX-12696-2426-SM-5EQ6H 60-69 years, male 1.3
GTEX-12WSJ-1826-SM-5GCNY 40-49 years, female 1.3
GTEX-131XE-2326-SM-5PNZ2 50-59 years, male 1.3
GTEX-13QJ3-0326-SM-5S2RA 50-59 years, male 1.3
GTEX-13RTJ-2426-SM-5S2Q2 60-69 years, male 1.3
GTEX-145MN-2226-SM-5SIAU 30-39 years, male 1.3
GTEX-146FH-0126-SM-5QGPP 50-59 years, female 1.3
GTEX-O5YW-0126-SM-3LK6D 50-59 years, male 1.3
GTEX-S95S-1226-SM-4GICG 60-69 years, male 1.3
GTEX-SN8G-0126-SM-32PLI 50-59 years, female 1.3
GTEX-TMMY-0226-SM-33HBA 40-49 years, female 1.3
GTEX-VUSG-2526-SM-4KL1V 50-59 years, male 1.3
GTEX-X4XY-0226-SM-4E3IZ 60-69 years, male 1.3
GTEX-XV7Q-2526-SM-4BRV9 40-49 years, female 1.3
GTEX-1H11D-0226-SM-9WG6Z 40-49 years, male 1.3
GTEX-1K2DU-2326-SM-E9TIV 20-29 years, male 1.3
GTEX-1LH75-2426-SM-E9TJE 50-59 years, female 1.3
GTEX-1PFEY-1526-SM-E76PP 30-39 years, male 1.3
GTEX-12WSL-2526-SM-5GCNJ 50-59 years, male 1.2
GTEX-13NZB-2526-SM-5J1OM 30-39 years, male 1.2
GTEX-13OVH-0126-SM-5MR4B 70-79 years, male 1.2
GTEX-14LLW-0126-SM-6LLIO 70-79 years, female 1.2
GTEX-14PN4-0126-SM-6EU2V 50-59 years, male 1.2
GTEX-15SDE-2226-SM-7IGLO 50-59 years, female 1.2
GTEX-17F97-0326-SM-7LG5B 50-59 years, male 1.2
GTEX-17MF6-0126-SM-7LG4F 40-49 years, male 1.2
GTEX-NPJ8-0126-SM-2YUNR 40-49 years, male 1.2
GTEX-PLZ4-0126-SM-5SI8O 50-59 years, female 1.2
GTEX-X585-0226-SM-4QAS2 50-59 years, male 1.2
GTEX-Z93S-0126-SM-5HL7M 50-59 years, male 1.2
GTEX-ZU9S-0226-SM-5E441 30-39 years, male 1.2
GTEX-13O3O-0126-SM-E9J49 60-69 years, female 1.2
GTEX-169BO-1326-SM-9MQK2 50-59 years, male 1.2
GTEX-1HCU6-0126-SM-CL54K 60-69 years, female 1.2
GTEX-1JMPY-1326-SM-ARL8Y 30-39 years, male 1.2
GTEX-1RAZA-0126-SM-E6CI3 20-29 years, male 1.2
GTEX-R45C-0126-SM-EAZ2R 60-69 years, female 1.2
GTEX-ZF3C-0126-SM-DO92D 50-59 years, female 1.2
GTEX-14C5O-0126-SM-5SI6N 60-69 years, male 1.1
GTEX-14PK6-1926-SM-6ETZU 70-79 years, female 1.1
GTEX-15UF6-0826-SM-6PALJ 70-79 years, female 1.1
GTEX-QLQW-1126-SM-2S1Q8 30-39 years, male 1.1
GTEX-RUSQ-1526-SM-2TF62 50-59 years, male 1.1
GTEX-WH7G-2326-SM-3NMBC 40-49 years, male 1.1
GTEX-XXEK-2226-SM-4BRUM 50-59 years, male 1.1
GTEX-ZDXO-3026-SM-5J1N5 60-69 years, male 1.1
GTEX-1GZ2Q-0226-SM-7P8TL 40-49 years, male 1.1
GTEX-1H1DG-0126-SM-9WYU2 70-79 years, male 1.1
GTEX-1HSEH-0126-SM-ACKXN 60-69 years, male 1.1
GTEX-1LBAC-0126-SM-DIPEZ 20-29 years, male 1.1
GTEX-1399U-2326-SM-5K7WY 50-59 years, female 1.0
GTEX-16YQH-0126-SM-7DUFJ 30-39 years, male 1.0
GTEX-1A3MW-0126-SM-73KXX 60-69 years, female 1.0
GTEX-P4QT-0126-SM-2I3FL 50-59 years, female 1.0
GTEX-QESD-1426-SM-2S1R9 20-29 years, male 1.0
GTEX-Y3IK-2426-SM-4WWDU 50-59 years, female 1.0
GTEX-YJ8A-0426-SM-5IFID 20-29 years, male 1.0
GTEX-1HBPH-0426-SM-B2LW5 40-49 years, female 1.0
GTEX-1HBPM-0226-SM-ARL9F 60-69 years, female 1.0
GTEX-1R46S-0626-SM-E9J41 60-69 years, female 1.0
GTEX-11TTK-0126-SM-5987B 60-69 years, female 0.9
GTEX-X8HC-0126-SM-4E3JW 50-59 years, female 0.9
GTEX-13NZ8-0826-SM-5MR3I 60-69 years, female 0.8
GTEX-13O1R-0126-SM-5L3EH 60-69 years, male 0.8
GTEX-17HII-0226-SM-7LG4E 50-59 years, male 0.8
GTEX-RTLS-0126-SM-447CA 60-69 years, female 0.8
GTEX-ZAB4-0226-SM-5N9F5 40-49 years, male 0.8
GTEX-1JMOU-1526-SM-CL54I 60-69 years, female 0.8
GTEX-1QP66-1726-SM-E8VO1 50-59 years, male 0.8
GTEX-11H98-0126-SM-5EGHG 50-59 years, male 0.7
GTEX-11WQK-0526-SM-5EQLD 50-59 years, male 0.7
GTEX-WI4N-1026-SM-3LK7N 40-49 years, female 0.7
GTEX-1HSMO-0126-SM-CL547 60-69 years, male 0.7
GTEX-1N2EF-0226-SM-EYYXB 60-69 years, male 0.7
GTEX-11DZ1-0126-SM-5985Q 50-59 years, male 0.6
GTEX-13OVJ-0126-SM-5KM36 50-59 years, female 0.6
GTEX-ZF28-0126-SM-4WKGK 60-69 years, male 0.6
GTEX-1JN1M-0326-SM-CYPT3 60-69 years, female 0.6
GTEX-15EOM-0126-SM-7KUGG 20-29 years, female 0.5
GTEX-ZAJG-0126-SM-5HL94 50-59 years, female 0.5
GTEX-SE5C-1626-SM-2XCE3 40-49 years, female 0.5
GTEX-14E6C-0126-SM-5RQIP 40-49 years, male 0.2
GTEX-T2YK-0526-SM-32QPJ 50-59 years, male 0.2
Show allShow less

Contact

  • NEWS ARTICLES
  • PRESS ROOM

The Project

  • INTRODUCTION
  • ORGANIZATION
  • PUBLICATIONS

The Human Protein Atlas

  • DOWNLOADABLE DATA
  • LICENCE & CITATION
  • HELP & FAQ
The Human Protein Atlas project is funded
by the Knut & Alice Wallenberg Foundation.


contact@proteinatlas.org