We use cookies to enhance the usability of our website. If you continue, we'll assume that you are happy to receive all cookies. More information. Don't show this again.
CISH
HPA
RESOURCES
  • TISSUE
  • BRAIN
  • SINGLE CELL
  • SUBCELLULAR
  • CANCER
  • BLOOD
  • CELL LINE
  • STRUCTURE & INTERACTION
ABOUT
  • INTRODUCTION
  • HISTORY
  • ORGANIZATION
  • PUBLICATIONS
  • ANTIBODY SUBMISSION
  • ANTIBODY AVAILABILITY
  • ACKNOWLEDGMENTS
  • CONTACT
NEWS
  • NEWS ARTICLES
  • PRESS ROOM
LEARN
  • DICTIONARY
  • PROTEIN CLASSES
  • PROTEIN EVIDENCE
  • METHODS
  • EDUCATIONAL VIDEOS
DATA
  • DOWNLOADABLE DATA
  • PUBLICATION DATA
  • RELEASE HISTORY
HELP
  • ANTIBODY VALIDATION
  • ASSAYS & ANNOTATION
  • DISCLAIMER
  • HELP & FAQ
  • PRIVACY STATEMENT
  • LICENCE & CITATION
Fields »
Search result

Field
Term
Gene name
Class
Subclass
Class
Keyword
Chromosome
External id
Tissue
Cell type
Expression
Antibody panel
Tissue
Main location
Patient ID
Annotation
Tissue
Category
Tau score
Cluster
Reliability
Brain region
Category
Tau score
Brain region
Category
Tau score
Brain region
Category
Tau score
Cluster
Reliability
Tissue
Cell type
Enrichment
Cell type
Category
Tau score
Cell type
Category
Tau score
Cell type
Category
Tau score
Cell lineage
Category
Tau score
Cluster
Cluster
Location
Searches
Location
Cell line
Class
Type
Phase
Reliability
Cancer
Prognosis
Cancer
Category
Cancer
Category
Tau score
Cluster
Variants
Interacting gene (ensg_id)
Type
Number of interactions
Pathway
Category
Score
Score
Score
Validation
Validation
Validation
Validation
Antibodies
Data type
Column


  • SUMMARY

  • TISSUE

  • BRAIN

  • SINGLE CELL

  • SUBCELL

  • CANCER

  • BLOOD

  • CELL LINE

  • STRUCT & INT

  • CISH
TISSUE PRIMARY DATA SKIN Show tissue menu
ADIPOSE TISSUE ADRENAL GLAND AMYGDALA APPENDIX BASAL GANGLIA BONE MARROW BREAST BRONCHUS CEREBELLUM CEREBRAL CORTEX CERVIX CHOROID PLEXUS COLON DUODENUM
ENDOMETRIUM EPIDIDYMIS ESOPHAGUS FALLOPIAN TUBE GALLBLADDER HEART MUSCLE HIPPOCAMPAL FORMATION HYPOTHALAMUS KIDNEY LIVER LUNG LYMPH NODE MIDBRAIN NASOPHARYNX
ORAL MUCOSA OVARY PANCREAS PARATHYROID GLAND PITUITARY GLAND PLACENTA PROSTATE RECTUM RETINA SALIVARY GLAND SEMINAL VESICLE SKELETAL MUSCLE SKIN SMALL INTESTINE
SMOOTH MUSCLE SOFT TISSUE SPINAL CORD SPLEEN STOMACH TESTIS THYMUS THYROID GLAND TONGUE TONSIL URINARY BLADDER VAGINA
ANTIBODIES
AND
VALIDATION
Dictionary
Skin
Tissue proteome
Skin
SKIN - Expression summary
Protein expression
Skini

On the top, protein expression in current human tissue, based on all annotated cell types, is reported with the units not detected (n), low (l), medium (m) and high (h). Underneath, protein expression in each annotated cell type are reported using the same units.

Protein expression data is based on knowledge-based annotation. For genes where more than one antibody has been used, a collective score is set.

If knowledge-based annotation could not be performed for a gene, no data is displayed here. View antibody staining data further down this page.

h
m
l
n
Epidermal cells: Medium
Fibroblasts: Medium
Keratinocytes: Low
Langerhans: Low
Melanocytes: Medium
RNA expressioni

A summary of mRNA expression data available for current tissue based on several datasets. The mRNA expression levels in human tissues are based on RNA-seq data generated by the Human Protein Atlas (HPA), Genotype-Tissue Expression (GTEx) portal and CAGE data generated by the FANTOM5 consortium. Consensus normalized expression levels for human tissues was created by combining the data from HPA and GTEx datasets.

The mRNA expression levels in pig are based on RNA-seq data generated by the Human Protein Atlas (HPA), and for mouse, HPA data and in situ hybridization generated by the Allen brain atlas are reported.

Scroll down to view mRNA expression data in more detail.
Consensus:12.9 nTPM
HPA:6.6 nTPM
GTEx:12.9 nTPM

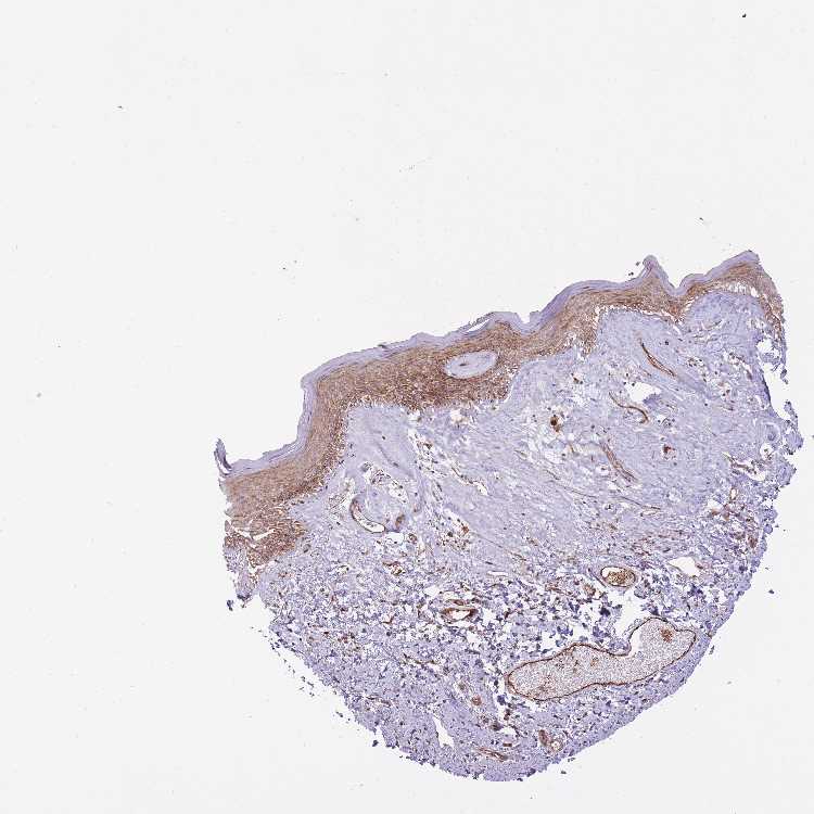
SKIN 1 - Antibody stainingi

Antibody staining in the annotated cell types in the current human tissue is reported as not detected, low, medium, or high, based on conventional immunohistochemistry profiling in selected tissues. This score is based on the combination of the staining intensity and fraction of stained cells.

Each image is clickable and will lead to virtual microscopy that enables deeper exploration of all samples and also displays staining intensity scores, fraction scores and subcellular localization as well as patient and tissue information for each sample.

Antibody HPA040812Antibody CAB034039
Langerhans LowMedium
Fibroblasts MediumMedium
Keratinocytes LowMedium
Melanocytes MediumMedium




SKIN 2 - Antibody stainingi

Antibody staining in the annotated cell types in the current human tissue is reported as not detected, low, medium, or high, based on conventional immunohistochemistry profiling in selected tissues. This score is based on the combination of the staining intensity and fraction of stained cells.

Each image is clickable and will lead to virtual microscopy that enables deeper exploration of all samples and also displays staining intensity scores, fraction scores and subcellular localization as well as patient and tissue information for each sample.

Antibody HPA040812Antibody CAB034039
Epidermal cells MediumLow
  
  
  



SKIN - HPA RNA-seqi

The RNA-seq details section shows detailed information about the individual samples used for the transcript profiling and results of the RNA-seq analysis.

Information about each individual sample is listed below, including gender, age, a tissue section image and estimated fractions of cell types. nTPM (normalized transcripts per million) values give a quantification of the gene abundance which is comparable between different genes and samples.
Average nTPMi

Max subtype nTPM is the value for the subtype with the largest average nTPM across the subtype samples.

6.6
overview
Female, age 34
Skin sample 225
nTPM: 6.8
Cell types%
Keratinocytes:
60

Other cell types:
40

overview
Female, age 30
Skin sample 226
nTPM: 6.1
Cell types%
Keratinocytes:
55

Other cell types:
45

N/A
Male, age 57
Skin sample 227
nTPM: 6.8

SKIN - GTEx RNA-seqi

RNA-Seq data generated by the Genotype-Tissue Expression (GTEx) project from human tissues is reported as mean nTPM. More information can be found on the GTEx portal.

Distribution across the dataset is visualized with box plots, shown as median and 25th and 75th percentiles. Points are displayed as outliers if they are above or below 1.5 times the interquartile range. nTPM values of the individual samples are presented next to the box plot.
Max subtype nTPMi

Max subtype nTPM is the value for the subtype with the largest average nTPM across the subtype samples.

12.9
GTEx sample id Sample description nTPM
Skin - Not Sun Exposed (Suprapubic)
Average nTPM: 12.9
Samples: 604

Max nTPM: 75.0
Min nTPM: 1.5
Std nTPM: 8.9
Median nTPM: 10.8
GTEX-1399Q-2326-SM-5KM2X 40-49 years, male 75.0
GTEX-X8HC-0626-SM-4E3HQ 50-59 years, female 74.4
GTEX-ZF3C-0626-SM-DO92O 50-59 years, female 74.1
GTEX-13N1W-2426-SM-5IJD1 70-79 years, male 62.3
GTEX-WYBS-0626-SM-3NMAS 60-69 years, female 61.8
GTEX-13YAN-0226-SM-5TDC6 60-69 years, male 61.5
GTEX-11TUW-0626-SM-5LU9M 60-69 years, male 52.4
GTEX-XK95-0226-SM-4AT58 40-49 years, male 49.4
GTEX-13PL6-1126-SM-5L3IE 40-49 years, female 43.7
GTEX-144GM-0526-SM-79OJO 20-29 years, male 39.4
GTEX-139UW-0326-SM-5J1ML 60-69 years, male 38.5
GTEX-ZC5H-1526-SM-5HL9Y 40-49 years, female 38.5
GTEX-ZVE2-2826-SM-5GU51 50-59 years, male 37.7
GTEX-WI4N-2726-SM-3LK7Y 40-49 years, female 36.3
GTEX-ZAB4-2126-SM-5HL8U 40-49 years, male 35.6
GTEX-1GMR3-0126-SM-A9SLW 40-49 years, male 34.7
GTEX-15SHW-0226-SM-7LTAT 60-69 years, male 33.2
GTEX-VUSG-2326-SM-4KL1U 50-59 years, male 33.2
GTEX-1IDFM-0326-SM-ARL7V 60-69 years, male 33.2
GTEX-1GN1U-0626-SM-9MQL9 50-59 years, female 32.6
GTEX-1QAET-0326-SM-EVR3U 50-59 years, male 32.5
GTEX-X4EP-0626-SM-3P621 60-69 years, female 31.3
GTEX-16MT8-2926-SM-7DUFO 60-69 years, female 31.1
GTEX-15SKB-2826-SM-6PAMH 60-69 years, male 30.6
GTEX-1AYD5-2626-SM-7PBXY 50-59 years, male 30.3
GTEX-1LVAO-2726-SM-E9TJ8 60-69 years, male 28.2
GTEX-17F9Y-0126-SM-79OKX 70-79 years, female 27.9
GTEX-13OW5-2326-SM-5L3HO 60-69 years, male 27.1
GTEX-1HSMP-0926-SM-A9SKX 70-79 years, male 27.0
GTEX-145LS-0626-SM-7EPG7 60-69 years, female 26.9
GTEX-14C5O-0326-SM-5ZZUX 60-69 years, male 26.5
GTEX-139D8-1126-SM-5LU8W 30-39 years, female 26.1
GTEX-14A5H-0826-SM-5QGPJ 60-69 years, male 26.0
GTEX-1GPI6-1926-SM-9KNV7 60-69 years, male 25.7
GTEX-16BQI-1326-SM-6M486 30-39 years, female 25.6
GTEX-14PJO-2526-SM-6AJBQ 60-69 years, male 25.2
GTEX-13JVG-0726-SM-5KM16 60-69 years, male 25.0
GTEX-148VJ-0626-SM-5LUAW 70-79 years, male 24.7
GTEX-14E6C-2426-SM-5S2NF 40-49 years, male 24.6
GTEX-ZDTS-0826-SM-4WKHL 60-69 years, male 24.5
GTEX-WHSE-0126-SM-3NMBT 20-29 years, male 24.1
GTEX-1H3VE-0726-SM-9YFL5 40-49 years, male 24.1
GTEX-1LSVX-2526-SM-DIPEU 60-69 years, male 24.0
GTEX-1IE54-1126-SM-A9G2Z 40-49 years, female 23.9
GTEX-13NYB-0126-SM-5J1MD 40-49 years, male 23.8
GTEX-1I1GP-1326-SM-A9G28 50-59 years, male 23.8
GTEX-11O72-0626-SM-5PNYE 40-49 years, male 23.7
GTEX-11DXW-0826-SM-5H118 40-49 years, male 23.4
GTEX-ZDXO-3126-SM-5IJDF 60-69 years, male 22.9
GTEX-1JMQK-1226-SM-D4P2S 60-69 years, male 22.8
GTEX-1K2DU-1226-SM-CYPT4 20-29 years, male 22.7
GTEX-139T8-0626-SM-5KLZX 60-69 years, male 22.6
GTEX-1H3NZ-2726-SM-9WYTQ 60-69 years, male 22.5
GTEX-147F4-0726-SM-5TDDD 50-59 years, male 22.4
GTEX-15DDE-2926-SM-6LLJ3 50-59 years, female 22.4
GTEX-1A3MW-0626-SM-731CB 60-69 years, female 22.4
GTEX-1HCU7-0726-SM-A9SL1 50-59 years, male 22.4
GTEX-1R9K4-2826-SM-DTX8F 60-69 years, male 22.4
GTEX-1BAJH-2426-SM-7IGP8 70-79 years, male 22.3
GTEX-1HC8U-1326-SM-9YFMJ 40-49 years, female 22.3
GTEX-X4EO-2926-SM-4E3JH 60-69 years, female 22.2
GTEX-1HUB1-1426-SM-CGQF5 60-69 years, male 22.2
GTEX-1J1OQ-0126-SM-D4P2N 40-49 years, female 22.1
GTEX-XMD2-2126-SM-4YCF8 60-69 years, female 22.0
GTEX-13PDP-0726-SM-5L3HP 60-69 years, male 21.8
GTEX-1HR9M-2226-SM-CNPPY 60-69 years, male 21.8
GTEX-1GN73-0726-SM-7P8TJ 60-69 years, male 21.6
GTEX-1I19N-0126-SM-CYPSF 70-79 years, male 21.5
GTEX-13PVQ-0626-SM-5LU47 50-59 years, male 21.1
GTEX-1HGF4-0126-SM-CNPPX 60-69 years, male 21.1
GTEX-12584-0726-SM-5FQTK 40-49 years, male 21.0
GTEX-13SLW-0626-SM-5Q5ER 70-79 years, male 21.0
GTEX-144FL-0626-SM-5LU43 50-59 years, male 21.0
GTEX-1313W-0626-SM-5EQ4H 50-59 years, female 20.7
GTEX-1IKJJ-2226-SM-CJI4C 60-69 years, male 20.6
GTEX-1A8FM-0626-SM-7PC25 50-59 years, female 20.5
GTEX-15UF6-1926-SM-7KUDV 70-79 years, female 20.4
GTEX-17F96-0126-SM-7EWDU 70-79 years, male 20.4
GTEX-ZXG5-2126-SM-59HKD 60-69 years, male 20.4
GTEX-1F88E-1626-SM-7SB8Z 60-69 years, female 20.4
GTEX-14JFF-0626-SM-5ZZVT 60-69 years, male 20.1
GTEX-1F75B-0726-SM-7PC3R 50-59 years, male 20.1
GTEX-ZYFD-0626-SM-5E44E 50-59 years, male 19.9
GTEX-1JN6P-2926-SM-CL54D 60-69 years, male 19.9
GTEX-139TS-2126-SM-5K7XC 60-69 years, male 19.8
GTEX-X585-2426-SM-46MW2 50-59 years, male 19.4
GTEX-ZVE1-0726-SM-51MRN 50-59 years, female 19.4
GTEX-1JN1M-2726-SM-CY8I4 60-69 years, female 19.4
GTEX-14AS3-1526-SM-5Q5ED 40-49 years, female 19.2
GTEX-1F48J-0726-SM-7RHGS 50-59 years, female 19.1
GTEX-13G51-1826-SM-5KLZH 60-69 years, male 19.0
GTEX-13X6I-1826-SM-5SIAO 60-69 years, male 19.0
GTEX-1A8G7-1326-SM-73KVM 60-69 years, male 19.0
GTEX-U8XE-0226-SM-4E3J3 30-39 years, male 19.0
GTEX-1HBPM-0726-SM-9YFL7 60-69 years, female 19.0
GTEX-13RTJ-0126-SM-5S2NN 60-69 years, male 18.9
GTEX-1GF9W-1426-SM-7PBYM 60-69 years, male 18.9
GTEX-1KAFJ-0126-SM-DIPEK 50-59 years, male 18.8
GTEX-15RIE-1926-SM-7KUKJ 60-69 years, male 18.7
GTEX-13NZ8-1226-SM-5KM4A 60-69 years, female 18.6
GTEX-11DXX-2126-SM-5PNYR 60-69 years, female 18.5
GTEX-14PJ3-1126-SM-5ZZVX 50-59 years, male 18.5
GTEX-1EH9U-2826-SM-7DUGT 60-69 years, male 18.5
GTEX-1117F-2926-SM-5GZYI 60-69 years, female 18.4
GTEX-133LE-2326-SM-5K7W3 20-29 years, female 18.4
GTEX-1314G-1326-SM-5BC6E 30-39 years, male 18.3
GTEX-12KS4-2126-SM-5FQUT 30-39 years, male 18.2
GTEX-1A8G6-2726-SM-731AR 60-69 years, male 18.2
GTEX-1F6I4-2326-SM-7RHGL 60-69 years, male 18.2
GTEX-1HT8W-0626-SM-A9G2H 30-39 years, male 18.2
GTEX-1J8Q2-2626-SM-ACKWQ 60-69 years, male 18.0
GTEX-12WSF-1626-SM-7KUG5 70-79 years, male 17.9
GTEX-15RJ7-2126-SM-6PAMD 40-49 years, male 17.9
GTEX-XXEK-1626-SM-4BRUZ 50-59 years, male 17.8
GTEX-16AAH-0626-SM-793C9 50-59 years, male 17.7
GTEX-1CB4H-1126-SM-7MKGL 60-69 years, female 17.6
GTEX-1H1DG-2426-SM-9QEHJ 70-79 years, male 17.6
GTEX-15G19-2426-SM-7KUMR 60-69 years, male 17.5
GTEX-17KNJ-2126-SM-718AM 50-59 years, male 17.4
GTEX-1B933-2426-SM-7DHMD 50-59 years, female 17.4
GTEX-ZYW4-0626-SM-59HJR 60-69 years, male 17.3
GTEX-1JMOU-1026-SM-CYPSS 60-69 years, female 17.2
GTEX-1F52S-2926-SM-7MKGA 60-69 years, female 17.1
GTEX-ZE9C-2526-SM-5IJDR 60-69 years, male 17.1
GTEX-1S5ZU-2526-SM-E6CIF 20-29 years, female 17.1
GTEX-17EVQ-0126-SM-7IGLR 70-79 years, male 17.0
GTEX-1JMQI-1726-SM-ARL93 50-59 years, male 17.0
GTEX-11UD2-2526-SM-5CVNU 50-59 years, male 16.9
GTEX-13NZ9-2626-SM-5L3FK 50-59 years, male 16.9
GTEX-1N2DV-1526-SM-DTXEP 40-49 years, male 16.9
GTEX-139YR-1026-SM-5LZYN 50-59 years, male 16.8
GTEX-11DYG-1526-SM-5A5JS 60-69 years, male 16.7
GTEX-13X6K-0626-SM-5LU5D 60-69 years, female 16.7
GTEX-1I1GS-2626-SM-B2LY3 60-69 years, male 16.7
GTEX-14BMV-2826-SM-5TDED 50-59 years, male 16.6
GTEX-1AX8Z-0726-SM-73KTS 60-69 years, male 16.6
GTEX-1H23P-0626-SM-9WG6T 60-69 years, male 16.6
GTEX-11GSP-2326-SM-5HL63 60-69 years, female 16.3
GTEX-11WQC-1826-SM-5GU59 60-69 years, male 16.3
GTEX-1E1VI-0326-SM-793D1 50-59 years, male 16.3
GTEX-1477Z-0326-SM-7IGLA 60-69 years, male 16.2
GTEX-WEY5-2326-SM-3GIKK 40-49 years, female 16.2
GTEX-1J8JJ-0626-SM-ARZMQ 60-69 years, female 16.2
GTEX-1B8KZ-0326-SM-73KY4 50-59 years, male 16.1
GTEX-WK11-2726-SM-3NMAQ 50-59 years, male 16.1
GTEX-W5X1-2526-SM-3GILC 40-49 years, female 16.0
GTEX-1F6IF-0926-SM-7SB7M 60-69 years, male 16.0
GTEX-12WSJ-1126-SM-5LZVJ 40-49 years, female 15.7
GTEX-11OF3-0126-SM-5PNYF 60-69 years, male 15.6
GTEX-17HG3-2626-SM-7DUF2 30-39 years, female 15.6
GTEX-15DYW-2726-SM-6EU2I 60-69 years, female 15.3
GTEX-16MT9-0126-SM-7EPI8 60-69 years, female 15.2
GTEX-1LSNL-2726-SM-E9TKJ 50-59 years, male 15.2
GTEX-WXYG-2026-SM-4E3IY 50-59 years, female 15.1
GTEX-1I6K7-1926-SM-B2LXR 40-49 years, male 15.1
GTEX-1PBJJ-1026-SM-E76OS 30-39 years, male 15.1
GTEX-1RAZA-2226-SM-E9U4X 20-29 years, male 15.1
GTEX-12ZZX-2426-SM-5GCOE 40-49 years, female 15.0
GTEX-1EN7A-2426-SM-793DB 40-49 years, male 15.0
GTEX-1HSMO-0626-SM-ACKXC 60-69 years, male 15.0
GTEX-1I1CD-0626-SM-CE6SW 60-69 years, female 14.9
GTEX-1JJEA-1826-SM-ARU8P 60-69 years, male 14.9
GTEX-1JMPZ-0726-SM-CY8HZ 30-39 years, male 14.9
GTEX-1M4P7-0726-SM-E6CJ3 60-69 years, male 14.9
GTEX-13IVO-0726-SM-5LZYV 70-79 years, male 14.8
GTEX-17HII-1426-SM-7EPGG 50-59 years, male 14.8
GTEX-ZAJG-1526-SM-5CVML 50-59 years, female 14.7
GTEX-145MF-0926-SM-5Q5EA 50-59 years, male 14.6
GTEX-15D1Q-2826-SM-6LLH7 40-49 years, male 14.6
GTEX-17F97-2626-SM-7IGM5 50-59 years, male 14.6
GTEX-ZVT4-2426-SM-5GIEI 50-59 years, female 14.6
GTEX-147JS-0226-SM-5S2U9 60-69 years, male 14.5
GTEX-1F6RS-2026-SM-7RHHC 60-69 years, female 14.5
GTEX-12WSD-0626-SM-5GCMW 60-69 years, female 14.4
GTEX-1F5PK-2226-SM-7SB6N 50-59 years, male 14.4
GTEX-1GN1W-2426-SM-9KNUU 50-59 years, female 14.4
GTEX-ZPU1-1126-SM-4YCF3 40-49 years, male 14.3
GTEX-1GMRU-2126-SM-7P8RA 50-59 years, male 14.3
GTEX-11EQ8-0926-SM-5H12V 60-69 years, male 14.2
GTEX-13OVJ-0826-SM-5J1OK 50-59 years, female 14.2
GTEX-1EKGG-0626-SM-7DUGJ 60-69 years, male 14.2
GTEX-1GZ2Q-0126-SM-9WG6M 40-49 years, male 14.2
GTEX-1ICLY-0826-SM-CMKG1 50-59 years, male 14.2
GTEX-ZTTD-2826-SM-4YCFA 50-59 years, male 14.1
GTEX-1GN1V-2826-SM-9JGIA 60-69 years, male 14.1
GTEX-1PPGY-1626-SM-EVYBL 60-69 years, male 14.1
GTEX-XV7Q-1826-SM-4BRUV 40-49 years, female 14.0
GTEX-1JMQL-2226-SM-CNPP4 50-59 years, female 14.0
GTEX-1PIGE-1826-SM-E8VOU 20-29 years, male 14.0
GTEX-1PIIG-2326-SM-DTXFR 30-39 years, male 14.0
GTEX-1192X-2726-SM-5N9DN 50-59 years, male 13.9
GTEX-16NPX-0726-SM-7KULC 50-59 years, male 13.9
GTEX-131XW-0626-SM-5PNVD 50-59 years, female 13.8
GTEX-178AV-1726-SM-7KUL8 40-49 years, male 13.8
GTEX-1E2YA-2126-SM-7MXUO 50-59 years, male 13.8
GTEX-1QCLY-0226-SM-EWRNH 30-39 years, male 13.8
GTEX-1H3O1-1326-SM-9MQLD 60-69 years, male 13.7
GTEX-11NUK-2726-SM-5A5MC 50-59 years, male 13.6
GTEX-13JUV-2026-SM-5K7UA 40-49 years, female 13.6
GTEX-14LZ3-0126-SM-69LPM 60-69 years, female 13.6
GTEX-15EO6-2426-SM-6PALZ 50-59 years, male 13.6
GTEX-18A6Q-0626-SM-7KFRP 60-69 years, male 13.6
GTEX-XQ3S-1426-SM-4BOPR 20-29 years, male 13.6
GTEX-1JN76-0626-SM-CKZOQ 20-29 years, female 13.6
GTEX-12696-0126-SM-5EQ4L 60-69 years, male 13.5
GTEX-12126-0826-SM-5FQTZ 20-29 years, male 13.4
GTEX-13OVG-1626-SM-5J1NF 60-69 years, male 13.4
GTEX-13OW6-2726-SM-5J2OE 50-59 years, male 13.4
GTEX-18465-2826-SM-7LT9J 50-59 years, male 13.4
GTEX-ZF2S-1626-SM-57WES 50-59 years, female 13.4
GTEX-1HB9E-0126-SM-CM2S5 50-59 years, male 13.3
GTEX-14DAQ-0626-SM-793DS 60-69 years, female 13.2
GTEX-183WM-0326-SM-72D5V 70-79 years, female 13.2
GTEX-1C6VR-0126-SM-7RHGB 60-69 years, male 13.2
GTEX-1CAMQ-1326-SM-7P8RV 40-49 years, male 13.2
GTEX-11WQK-1026-SM-5EQLX 50-59 years, male 13.1
GTEX-18A7A-0126-SM-731AH 50-59 years, female 13.1
GTEX-11P82-1426-SM-DTXFY 20-29 years, male 13.1
GTEX-13112-0126-SM-5P9IU 50-59 years, male 13.0
GTEX-1399S-0126-SM-5IJCF 30-39 years, female 13.0
GTEX-13U4I-2226-SM-5LU5H 40-49 years, female 13.0
GTEX-XOT4-0626-SM-4B66L 60-69 years, female 13.0
GTEX-1F88F-0126-SM-9WYSZ 60-69 years, female 13.0
GTEX-144GL-0626-SM-5LU4D 50-59 years, male 12.9
GTEX-1HFI6-0126-SM-CNPPI 40-49 years, male 12.9
GTEX-14ABY-2026-SM-62LDL 50-59 years, male 12.8
GTEX-1LKK1-2626-SM-DKPQE 50-59 years, female 12.8
GTEX-WH7G-2026-SM-3NMBL 40-49 years, male 12.7
GTEX-Z93S-1626-SM-5CVMB 50-59 years, male 12.7
GTEX-1IDJE-1426-SM-ADEIW 50-59 years, female 12.7
GTEX-132AR-0326-SM-5KM2C 50-59 years, female 12.6
GTEX-13FHO-0426-SM-5L3F5 60-69 years, male 12.6
GTEX-1EX96-1026-SM-7MKG2 50-59 years, male 12.6
GTEX-YEC3-1326-SM-DO92X 50-59 years, male 12.6
GTEX-13NYS-0626-SM-5L3F1 60-69 years, male 12.5
GTEX-13OVK-1426-SM-6PAN7 40-49 years, male 12.5
GTEX-147F3-1726-SM-5SIAW 50-59 years, female 12.5
GTEX-ZZ64-1026-SM-5GZXG 20-29 years, male 12.5
GTEX-131YS-2826-SM-5EQ47 60-69 years, female 12.4
GTEX-14BIN-1126-SM-5RQJZ 50-59 years, female 12.4
GTEX-1JMLX-0626-SM-ARL8T 50-59 years, male 12.4
GTEX-Y111-0626-SM-4SOIT 50-59 years, male 12.3
GTEX-YB5K-2026-SM-4VDT3 40-49 years, female 12.3
GTEX-111YS-1526-SM-5GZYW 60-69 years, male 12.2
GTEX-13FLV-0126-SM-5K7WT 50-59 years, male 12.2
GTEX-16GPK-0626-SM-7KFSF 60-69 years, male 12.2
GTEX-1JMQJ-0826-SM-CNPP7 50-59 years, male 12.2
GTEX-1K9T9-1526-SM-DIPFR 50-59 years, female 12.2
GTEX-1LVA9-2626-SM-EVYD4 50-59 years, male 12.2
GTEX-1OJC4-2726-SM-E76PJ 50-59 years, female 12.2
GTEX-1HCU6-2526-SM-ADEHL 60-69 years, female 12.1
GTEX-1HR98-2226-SM-ADEI2 60-69 years, male 12.1
GTEX-1IOXB-2726-SM-CM2RI 50-59 years, male 12.1
GTEX-14JG1-1526-SM-5YY9X 40-49 years, male 12.0
GTEX-1CB4F-1026-SM-7DUH1 60-69 years, male 12.0
GTEX-YEC4-1826-SM-4W1YP 40-49 years, male 12.0
GTEX-1GF9V-0826-SM-9KNUV 60-69 years, male 12.0
GTEX-1I4MK-0126-SM-CY8G6 50-59 years, female 12.0
GTEX-14C38-0726-SM-5SI6M 50-59 years, male 11.9
GTEX-14PHY-1226-SM-5ZZWK 60-69 years, female 11.9
GTEX-1A3MX-2626-SM-7PC24 60-69 years, male 11.9
GTEX-1IDJC-1526-SM-B2LW4 50-59 years, male 11.9
GTEX-1IDJF-2026-SM-CL53V 20-29 years, male 11.9
GTEX-1399U-1126-SM-5L3DB 50-59 years, female 11.8
GTEX-Y114-2126-SM-4TT8B 50-59 years, female 11.8
GTEX-Y5V6-2326-SM-4VDSA 60-69 years, male 11.8
GTEX-YECK-0326-SM-4W1YS 60-69 years, male 11.8
GTEX-ZUA1-2626-SM-5NQ92 40-49 years, male 11.8
GTEX-1GZ4I-2626-SM-9KNU3 50-59 years, male 11.8
GTEX-1H1CY-0126-SM-9YFLY 60-69 years, female 11.8
GTEX-1IDJD-2326-SM-ACKWX 30-39 years, male 11.8
GTEX-15CHR-1126-SM-7EWF4 50-59 years, male 11.7
GTEX-WHWD-1826-SM-3LK6I 50-59 years, male 11.7
GTEX-ZYY3-2926-SM-5GIEB 60-69 years, female 11.7
GTEX-16XZZ-0726-SM-7KUF2 60-69 years, male 11.6
GTEX-1N2EE-0626-SM-E76PW 60-69 years, male 11.6
GTEX-144GO-2026-SM-5O99P 60-69 years, male 11.5
GTEX-1A32A-0626-SM-731AQ 50-59 years, female 11.5
GTEX-145MG-1526-SM-5Q5EM 50-59 years, male 11.4
GTEX-16YQH-2226-SM-7IGM2 30-39 years, male 11.4
GTEX-1GF9U-2026-SM-7SB92 40-49 years, female 11.4
GTEX-1KANB-2826-SM-CY8I6 50-59 years, male 11.4
GTEX-1QP66-1226-SM-DTX7U 50-59 years, male 11.4
GTEX-117YX-1926-SM-5GIEC 50-59 years, male 11.2
GTEX-11DXZ-2026-SM-5987S 50-59 years, male 11.2
GTEX-145LT-0526-SM-5LUB2 40-49 years, male 11.2
GTEX-14E6E-0526-SM-793DN 30-39 years, male 11.2
GTEX-14PJ2-0626-SM-6LLII 50-59 years, male 11.2
GTEX-131XG-0326-SM-5L3DX 50-59 years, female 11.1
GTEX-1AX9I-2226-SM-73KUO 60-69 years, male 11.1
GTEX-Y5V5-0126-SM-5S2NW 60-69 years, female 11.1
GTEX-1C64N-2626-SM-7PC2N 50-59 years, male 11.1
GTEX-1CAMS-2226-SM-7PBXQ 40-49 years, female 11.1
GTEX-1R46S-2426-SM-E76QA 60-69 years, female 11.1
GTEX-11EI6-2826-SM-5H11D 60-69 years, male 11.0
GTEX-13OVH-0526-SM-5L3E6 70-79 years, male 11.0
GTEX-1IY9M-2826-SM-ARU8H 60-69 years, male 11.0
GTEX-18A66-0626-SM-7LT8Z 60-69 years, male 10.9
GTEX-1RLM8-2926-SM-E8VON 50-59 years, male 10.9
GTEX-11PRG-0726-SM-5EGL1 50-59 years, male 10.8
GTEX-ZLWG-0826-SM-59888 50-59 years, female 10.8
GTEX-1HBPI-2126-SM-ARL9K 50-59 years, male 10.8
GTEX-1ICG6-1226-SM-A9SLN 70-79 years, female 10.8
GTEX-1KD5A-0126-SM-E9U54 50-59 years, male 10.8
GTEX-1LSNM-0826-SM-DIPG8 50-59 years, male 10.8
GTEX-VJYA-1526-SM-3GIJV 60-69 years, male 10.7
GTEX-ZAK1-0626-SM-5HL8E 50-59 years, female 10.7
GTEX-111VG-1626-SM-5EGIO 60-69 years, male 10.6
GTEX-1EU9M-1426-SM-793AI 60-69 years, male 10.6
GTEX-ZYFG-1526-SM-5GZYM 60-69 years, female 10.6
GTEX-13FTY-2126-SM-5IFFB 40-49 years, female 10.5
GTEX-13NYC-0126-SM-5L3F4 60-69 years, male 10.5
GTEX-14PII-0726-SM-6EU2B 60-69 years, male 10.4
GTEX-14PJ5-1526-SM-6LLIL 60-69 years, female 10.4
GTEX-16Z82-2626-SM-7KULU 60-69 years, male 10.4
GTEX-Y8E4-2026-SM-5IFJB 40-49 years, male 10.4
GTEX-1PPH7-1126-SM-DTX9A 40-49 years, male 10.4
GTEX-131XH-0126-SM-5LZUY 50-59 years, male 10.3
GTEX-13OW7-0426-SM-5K7VK 50-59 years, male 10.3
GTEX-ZP4G-1426-SM-4WWCL 20-29 years, female 10.3
GTEX-ZYFC-0426-SM-5GICQ 50-59 years, male 10.3
GTEX-ZYVF-0926-SM-5E44J 50-59 years, female 10.3
GTEX-1ICLZ-0326-SM-ARL82 60-69 years, male 10.3
GTEX-ZPIC-0526-SM-DO91W 40-49 years, female 10.3
GTEX-11ZUS-2626-SM-5FQUR 30-39 years, male 10.2
GTEX-12BJ1-0926-SM-5EQ62 60-69 years, male 10.2
GTEX-15RJE-2826-SM-7KUM9 40-49 years, male 10.2
GTEX-1B8SF-0126-SM-7DUG3 60-69 years, male 10.2
GTEX-ZLFU-1826-SM-4WWBV 40-49 years, male 10.2
GTEX-ZVTK-0226-SM-51MRG 20-29 years, male 10.2
GTEX-1IL2V-1926-SM-B2LW8 70-79 years, male 10.2
GTEX-1IDJI-0126-SM-CMKHS 50-59 years, female 10.1
GTEX-1NSGN-0726-SM-DTXEF 50-59 years, male 10.1
GTEX-12WSH-1526-SM-5BC5W 50-59 years, male 10.0
GTEX-145MH-2826-SM-5RQJF 50-59 years, male 10.0
GTEX-17EVP-2626-SM-7IGMA 40-49 years, male 10.0
GTEX-ZE7O-2726-SM-51MT5 50-59 years, female 9.9
GTEX-ZU9S-1826-SM-5NQ9E 30-39 years, male 9.9
GTEX-1HCU9-0426-SM-9WYSD 20-29 years, male 9.9
GTEX-1POEN-2326-SM-E9J2L 30-39 years, female 9.9
GTEX-11DXY-0126-SM-5H11Q 60-69 years, male 9.8
GTEX-139TT-2126-SM-5LZWC 60-69 years, male 9.8
GTEX-17F98-1326-SM-7DUEP 40-49 years, female 9.8
GTEX-1B996-0426-SM-7EWF8 60-69 years, male 9.8
GTEX-1R9PN-0426-SM-DTXDT 40-49 years, female 9.8
GTEX-1B932-2326-SM-79OL5 40-49 years, female 9.7
GTEX-1H11D-1826-SM-9QEHM 40-49 years, male 9.7
GTEX-1I1GV-0626-SM-ARL7M 60-69 years, male 9.7
GTEX-1N5O9-0926-SM-E9J3C 60-69 years, male 9.7
GTEX-1QEPI-2626-SM-DTXF4 60-69 years, female 9.7
GTEX-13O61-1426-SM-5KM3D 60-69 years, male 9.6
GTEX-146FQ-2126-SM-5RQHU 30-39 years, male 9.6
GTEX-1497J-0226-SM-5QGPU 60-69 years, male 9.6
GTEX-1CAV2-0126-SM-7IGN7 40-49 years, female 9.6
GTEX-Y3IK-1626-SM-4YCF5 50-59 years, female 9.6
GTEX-ZYT6-2326-SM-5GZY3 30-39 years, male 9.6
GTEX-1KANC-1226-SM-CYPT7 50-59 years, female 9.6
GTEX-11DZ1-2426-SM-5GZZX 50-59 years, male 9.5
GTEX-13W3W-0726-SM-5IJDQ 60-69 years, female 9.5
GTEX-15CHQ-0326-SM-69LQD 60-69 years, male 9.5
GTEX-UPJH-0226-SM-3GADV 50-59 years, male 9.5
GTEX-YJ8O-2526-SM-5HL85 40-49 years, female 9.5
GTEX-1CB4I-0126-SM-7RHGG 50-59 years, male 9.5
GTEX-13VXU-0626-SM-5L3F9 50-59 years, male 9.4
GTEX-13QBU-1226-SM-5LU4G 40-49 years, female 9.3
GTEX-18D9B-0926-SM-7LG4U 60-69 years, male 9.3
GTEX-1C475-1326-SM-7SB73 40-49 years, female 9.3
GTEX-1EMGI-2326-SM-7PBYA 60-69 years, male 9.3
GTEX-145MI-0626-SM-5SI8S 60-69 years, female 9.2
GTEX-14PHX-2226-SM-6EU2P 50-59 years, male 9.2
GTEX-1GMR8-0626-SM-7RHI7 50-59 years, female 9.2
GTEX-1S83E-1326-SM-E6CJM 40-49 years, male 9.2
GTEX-13O3O-2326-SM-5IJD6 60-69 years, female 9.1
GTEX-147GR-2426-SM-5ZZWQ 60-69 years, male 9.1
GTEX-14BMU-1226-SM-5S2OR 20-29 years, female 9.1
GTEX-14PJ6-2626-SM-6EU2T 60-69 years, female 9.1
GTEX-17HGU-2326-SM-7DUFE 50-59 years, male 9.1
GTEX-ZDTT-0426-SM-4WKFL 60-69 years, male 9.1
GTEX-1HSKV-1226-SM-ADEI4 60-69 years, male 9.1
GTEX-1LVAM-0726-SM-E6CIL 50-59 years, female 9.1
GTEX-183FY-1026-SM-7939A 20-29 years, male 9.0
GTEX-ZA64-1026-SM-5HL8R 20-29 years, male 9.0
GTEX-1H4P4-2126-SM-9WYSL 50-59 years, male 9.0
GTEX-1NV5F-0626-SM-DTXEG 60-69 years, female 9.0
GTEX-11ZU8-0126-SM-5EQ58 60-69 years, male 8.9
GTEX-12WSM-1926-SM-5BC65 60-69 years, male 8.9
GTEX-1B8KE-1126-SM-7EPHI 50-59 years, male 8.9
GTEX-1C6VQ-1226-SM-73KYD 50-59 years, male 8.9
GTEX-UPK5-0426-SM-3GAEK 40-49 years, male 8.9
GTEX-WFG8-2126-SM-3GIKQ 20-29 years, male 8.9
GTEX-1F5PL-0926-SM-7PC2W 40-49 years, female 8.9
GTEX-1R9PM-1926-SM-EVR3O 20-29 years, male 8.9
GTEX-17MFQ-1526-SM-7KFRR 20-29 years, male 8.8
GTEX-1C6WA-2626-SM-7MKGM 60-69 years, male 8.8
GTEX-1B8L1-2226-SM-7P8PT 60-69 years, male 8.8
GTEX-1GMR2-0826-SM-7PC3V 50-59 years, male 8.8
GTEX-1H1E6-0426-SM-9WYUS 30-39 years, male 8.8
GTEX-1LG7Y-2526-SM-EWRO7 50-59 years, male 8.8
GTEX-17HHY-0426-SM-7DHLC 50-59 years, male 8.7
GTEX-17MF6-2626-SM-79OKQ 40-49 years, male 8.7
GTEX-1I1HK-2326-SM-CKZOH 60-69 years, male 8.7
GTEX-12WSC-2826-SM-5BC5Y 50-59 years, male 8.6
GTEX-14LLW-2626-SM-62LDZ 70-79 years, female 8.6
GTEX-1J8EW-2726-SM-CY8HR 60-69 years, female 8.6
GTEX-ZLV1-1526-SM-DO91J 60-69 years, female 8.6
GTEX-12ZZY-0726-SM-5EQ66 60-69 years, male 8.5
GTEX-13FTX-1526-SM-5K7VJ 20-29 years, female 8.5
GTEX-13N11-2326-SM-5IJBF 50-59 years, female 8.5
GTEX-145MO-2826-SM-5LU96 60-69 years, male 8.5
GTEX-18D9A-1426-SM-7LT8M 30-39 years, female 8.5
GTEX-1IDJV-0126-SM-COH3Y 60-69 years, male 8.5
GTEX-1S3DN-2126-SM-E9TIN 50-59 years, male 8.5
GTEX-13D11-0926-SM-5J2NC 50-59 years, female 8.4
GTEX-14A6H-2026-SM-5Q5DD 30-39 years, male 8.4
GTEX-XPVG-2126-SM-4B667 50-59 years, male 8.4
GTEX-XUW1-0926-SM-4BONX 50-59 years, female 8.4
GTEX-Y5LM-0926-SM-6LLJG 40-49 years, female 8.4
GTEX-ZTX8-1326-SM-4YCEL 20-29 years, male 8.4
GTEX-1H2FU-0926-SM-9WPPT 60-69 years, female 8.4
GTEX-1IKOE-1426-SM-CE6T7 30-39 years, female 8.4
GTEX-1JJE9-2626-SM-ARZMT 70-79 years, male 8.4
GTEX-WHSB-1326-SM-3LK6W 50-59 years, male 8.3
GTEX-1CAMR-1326-SM-7PC1F 20-29 years, male 8.3
GTEX-1GTWX-2026-SM-9YFLM 60-69 years, male 8.3
GTEX-1S82P-2126-SM-E6CI5 60-69 years, female 8.3
GTEX-18A67-1626-SM-7LT9T 50-59 years, male 8.2
GTEX-XBED-1926-SM-47JYP 60-69 years, male 8.2
GTEX-1QMI2-2526-SM-E8VNZ 60-69 years, male 8.2
GTEX-1RB15-1326-SM-E76Q9 60-69 years, male 8.2
GTEX-ZWKS-0626-SM-5GIDV 30-39 years, male 8.1
GTEX-1HKZK-0726-SM-ACKW2 40-49 years, male 8.1
GTEX-11GS4-0226-SM-5HL77 60-69 years, male 8.0
GTEX-1399R-1326-SM-5PNYS 30-39 years, male 8.0
GTEX-14XAO-1226-SM-6EU1C 60-69 years, female 8.0
GTEX-ZT9W-1126-SM-57WDR 50-59 years, male 8.0
GTEX-1I6K6-1726-SM-CGQFD 30-39 years, male 8.0
GTEX-11EM3-1226-SM-5N9DD 20-29 years, female 7.9
GTEX-13O3Q-0126-SM-5KM34 50-59 years, male 7.9
GTEX-14C39-1726-SM-5RQIL 40-49 years, male 7.9
GTEX-Y3I4-1726-SM-4TT89 50-59 years, male 7.9
GTEX-111FC-2526-SM-5GZXU 60-69 years, male 7.8
GTEX-11P7K-1126-SM-5HL4L 30-39 years, male 7.8
GTEX-1211K-1526-SM-5FQU4 60-69 years, female 7.8
GTEX-1A3MV-1826-SM-731CD 30-39 years, male 7.8
GTEX-1GZ4H-0526-SM-9KNU9 50-59 years, female 7.8
GTEX-1H1DF-1126-SM-9WG7G 40-49 years, female 7.8
GTEX-1HCU8-2526-SM-CE6RX 60-69 years, female 7.8
GTEX-1KWVE-1026-SM-D3L9O 30-39 years, male 7.8
GTEX-11TT1-1826-SM-5EQLV 20-29 years, male 7.7
GTEX-14E1K-2026-SM-7DUEI 50-59 years, male 7.7
GTEX-17JCI-2926-SM-7DUFF 60-69 years, female 7.7
GTEX-WFON-1926-SM-3LK7L 40-49 years, male 7.7
GTEX-YF7O-1526-SM-5IFI6 50-59 years, male 7.7
GTEX-1F75A-0726-SM-7RHHD 50-59 years, male 7.7
GTEX-1JJ6O-2726-SM-CNPOG 60-69 years, male 7.7
GTEX-1GPI7-1826-SM-9KNU1 20-29 years, male 7.6
GTEX-1H1DE-1326-SM-9KNUG 20-29 years, male 7.6
GTEX-1K2DA-1026-SM-CGQGF 50-59 years, male 7.6
GTEX-12WSA-0426-SM-5EQ5X 60-69 years, male 7.5
GTEX-1F75W-2726-SM-7SB8H 60-69 years, male 7.5
GTEX-12WSK-2126-SM-5CVNC 40-49 years, female 7.4
GTEX-139TU-0726-SM-5L3EK 60-69 years, male 7.4
GTEX-145ME-1726-SM-5Q5EU 40-49 years, female 7.4
GTEX-145MN-1526-SM-5SI9T 30-39 years, male 7.4
GTEX-14753-0726-SM-5QGQO 60-69 years, male 7.4
GTEX-WHPG-2626-SM-3NMBR 50-59 years, male 7.3
GTEX-1I1GU-0926-SM-ACKVS 40-49 years, male 7.3
GTEX-1O9I2-0226-SM-EYYXD 50-59 years, male 7.3
GTEX-11NSD-0626-SM-5A5LU 20-29 years, male 7.2
GTEX-13OVL-0126-SM-5L3GJ 50-59 years, male 7.2
GTEX-XBEC-0726-SM-4QARZ 50-59 years, male 7.2
GTEX-XYKS-1426-SM-4BRUO 60-69 years, female 7.2
GTEX-1C64O-1326-SM-7MGWR 60-69 years, male 7.2
GTEX-1HCVE-2726-SM-CL54F 50-59 years, male 7.2
GTEX-13X6J-0626-SM-5LU5F 50-59 years, male 7.1
GTEX-15CHC-1126-SM-6LLHQ 60-69 years, female 7.1
GTEX-YFCO-1226-SM-5LUAT 40-49 years, male 7.1
GTEX-1JK1U-0226-SM-ARZMX 60-69 years, male 7.1
GTEX-1LBAC-0826-SM-CY8IJ 20-29 years, male 7.1
GTEX-15EU6-2226-SM-6EU2L 50-59 years, male 7.0
GTEX-15RIG-0726-SM-7KUM7 40-49 years, male 7.0
GTEX-18A7B-2726-SM-7LG56 70-79 years, male 7.0
GTEX-X3Y1-2026-SM-3P5YM 40-49 years, male 7.0
GTEX-ZY6K-1426-SM-5GZX2 50-59 years, male 7.0
GTEX-13VXT-1926-SM-5K7UO 20-29 years, female 6.9
GTEX-XBEW-1126-SM-4QARW 40-49 years, male 6.9
GTEX-1HBPN-0126-SM-CGQEF 50-59 years, male 6.9
GTEX-1IDJH-0126-SM-D3L92 70-79 years, male 6.9
GTEX-1212Z-0126-SM-59HK4 60-69 years, male 6.7
GTEX-15G1A-1626-SM-7KUKN 30-39 years, male 6.7
GTEX-1L5NE-1126-SM-D3L9P 50-59 years, male 6.7
GTEX-1QP9N-1226-SM-E76QN 30-39 years, male 6.7
GTEX-14PJN-1826-SM-6AJ98 30-39 years, male 6.6
GTEX-WRHU-2826-SM-3MJG8 50-59 years, female 6.6
GTEX-ZT9X-1526-SM-5DUXD 40-49 years, male 6.6
GTEX-1H1ZS-2726-SM-9WG75 70-79 years, male 6.6
GTEX-1269C-0126-SM-5EQ5L 60-69 years, female 6.5
GTEX-13PVR-0426-SM-5RQK2 60-69 years, female 6.5
GTEX-WYVS-1626-SM-3NM9R 40-49 years, female 6.5
GTEX-1GZHY-0626-SM-9KNVC 50-59 years, female 6.5
GTEX-1RAZS-2526-SM-E6CHT 50-59 years, male 6.5
GTEX-1QP28-1126-SM-EVYC4 50-59 years, female 6.4
GTEX-13OW8-1026-SM-5J1NQ 60-69 years, male 6.3
GTEX-14ICL-1626-SM-5YYAO 30-39 years, male 6.3
GTEX-16NGA-0726-SM-731AO 40-49 years, female 6.3
GTEX-1HSMQ-2626-SM-A9SML 50-59 years, male 6.3
GTEX-1LGRB-0926-SM-COH3K 50-59 years, female 6.3
GTEX-1QCLZ-2426-SM-EVYBW 60-69 years, female 6.3
GTEX-13N2G-0226-SM-5K7VF 60-69 years, male 6.2
GTEX-17HHE-1326-SM-7EWDZ 50-59 years, male 6.2
GTEX-14JG6-1426-SM-9WG7C 30-39 years, female 6.2
GTEX-1GN2E-0226-SM-9WG6K 60-69 years, male 6.2
GTEX-15ER7-0626-SM-6PANF 20-29 years, female 6.1
GTEX-1EWIQ-0326-SM-7DHMQ 70-79 years, female 6.1
GTEX-WYJK-0526-SM-3NM8Z 50-59 years, male 6.1
GTEX-1PPH8-0126-SM-EWRN8 20-29 years, male 6.1
GTEX-12ZZZ-0726-SM-5GCNZ 60-69 years, male 6.0
GTEX-13QJC-0126-SM-5ZZWJ 60-69 years, female 6.0
GTEX-1RMOY-1326-SM-E9TIH 50-59 years, male 6.0
GTEX-12C56-1526-SM-5FQUQ 20-29 years, male 5.9
GTEX-13SLX-2226-SM-62LEP 50-59 years, female 5.9
GTEX-18QFQ-1826-SM-72D52 30-39 years, male 5.9
GTEX-V1D1-2026-SM-3GAF4 50-59 years, male 5.8
GTEX-1MCYP-0526-SM-E9U6Q 20-29 years, female 5.8
GTEX-1QP29-1826-SM-DTX9S 50-59 years, male 5.8
GTEX-1QW4Y-1126-SM-DTXE3 30-39 years, male 5.8
GTEX-11VI4-1126-SM-5EQMD 40-49 years, female 5.7
GTEX-145LU-1926-SM-79OJN 50-59 years, male 5.7
GTEX-17F9E-2326-SM-79OKD 50-59 years, male 5.7
GTEX-1F75I-2226-SM-7SB8U 40-49 years, male 5.7
GTEX-1KANA-1326-SM-DIPFA 20-29 years, male 5.7
GTEX-1PDJ9-1226-SM-EXUSX 20-29 years, male 5.7
GTEX-1AX9J-1326-SM-731BJ 60-69 years, male 5.6
GTEX-Y9LG-1126-SM-4VBQ7 30-39 years, male 5.6
GTEX-14PKU-0126-SM-6LLHV 40-49 years, female 5.5
GTEX-131XF-2626-SM-5EQ6K 60-69 years, male 5.4
GTEX-1JKYR-0626-SM-ARL8R 20-29 years, male 5.4
GTEX-1AMEY-0826-SM-72D65 30-39 years, female 5.3
GTEX-WY7C-2126-SM-3NB2R 50-59 years, male 5.3
GTEX-XQ8I-0926-SM-4BOOF 50-59 years, male 5.3
GTEX-14PK6-0226-SM-62LF5 70-79 years, female 5.2
GTEX-ZPCL-1126-SM-4WWFE 60-69 years, female 5.2
GTEX-1S82U-1026-SM-E6CJK 30-39 years, female 5.2
GTEX-1MCC2-1826-SM-DIPEX 30-39 years, female 5.1
GTEX-1S831-1826-SM-EWROF 20-29 years, male 5.1
GTEX-11EQ9-1626-SM-5PNY8 30-39 years, male 5.0
GTEX-13FTW-0326-SM-5K7UW 40-49 years, male 5.0
GTEX-1J8QM-2426-SM-A9SLS 60-69 years, female 5.0
GTEX-11P81-2226-SM-5PNYI 30-39 years, female 4.9
GTEX-1CB4E-0926-SM-7EPHT 60-69 years, male 4.9
GTEX-1R7EU-1626-SM-DTXG3 60-69 years, male 4.9
GTEX-13X6H-0926-SM-5SIB2 50-59 years, female 4.8
GTEX-ZZPU-0826-SM-5GZX5 50-59 years, female 4.8
GTEX-1LVAN-0626-SM-CNPOQ 50-59 years, female 4.8
GTEX-ZTSS-1426-SM-5985P 40-49 years, male 4.7
GTEX-1HCUA-0826-SM-ADEHM 50-59 years, female 4.7
GTEX-11ZTT-2126-SM-5CVLO 60-69 years, female 4.6
GTEX-14B4R-1326-SM-5Q5EZ 30-39 years, male 4.6
GTEX-14DAR-1226-SM-73KYV 50-59 years, male 4.6
GTEX-1B97I-0626-SM-73KUZ 40-49 years, male 4.6
GTEX-ZVP2-0326-SM-57WBP 50-59 years, male 4.6
GTEX-1J1R8-2026-SM-CL53Y 40-49 years, male 4.6
GTEX-1JKYN-0826-SM-ARU8S 30-39 years, male 4.6
GTEX-ZGAY-1826-SM-DO91Q 40-49 years, female 4.6
GTEX-14PKV-1126-SM-6LLJ1 20-29 years, female 4.5
GTEX-X5EB-1926-SM-4E3IW 40-49 years, male 4.5
GTEX-XAJ8-1426-SM-47JYM 40-49 years, male 4.5
GTEX-1KXAM-1626-SM-D3LAD 60-69 years, male 4.5
GTEX-1OJC3-1226-SM-DTXER 20-29 years, male 4.5
GTEX-1GL5R-1326-SM-7RHHF 50-59 years, male 4.4
GTEX-1LG7Z-1626-SM-CXKYR 30-39 years, male 4.4
GTEX-1I1GT-1026-SM-ARZLV 60-69 years, female 4.3
GTEX-1LB8K-0726-SM-D5OV2 50-59 years, male 4.2
GTEX-18D9U-0126-SM-731BM 40-49 years, male 4.1
GTEX-1CB4J-1326-SM-7P8RX 60-69 years, male 4.0
GTEX-12WSL-2026-SM-5GCML 50-59 years, male 3.9
GTEX-WFG7-2026-SM-5SI7P 20-29 years, male 3.9
GTEX-ZF29-0926-SM-4WKFZ 60-69 years, female 3.9
GTEX-ZVZP-1226-SM-5GID7 50-59 years, male 3.9
GTEX-1122O-1026-SM-9WYSF 60-69 years, female 3.9
GTEX-1MJK3-0726-SM-E6CJC 20-29 years, male 3.9
GTEX-1GF9X-1326-SM-7PC2Y 40-49 years, female 3.7
GTEX-1RAZR-2126-SM-E9U6T 40-49 years, male 3.7
GTEX-1LGOU-1326-SM-D3L8M 20-29 years, female 3.6
GTEX-15FZZ-0526-SM-7KUGD 30-39 years, female 3.5
GTEX-Y8LW-1526-SM-5IFHL 50-59 years, female 3.5
GTEX-ZDYS-2426-SM-4WKGI 50-59 years, male 3.5
GTEX-14PJ4-0226-SM-5YY92 60-69 years, male 3.4
GTEX-1C2JI-1026-SM-73KY1 50-59 years, male 3.4
GTEX-1JMPY-0226-SM-CKZOK 30-39 years, male 3.4
GTEX-16MTA-0926-SM-6M47Z 50-59 years, male 3.2
GTEX-1J8Q3-0526-SM-ARL8U 60-69 years, male 3.2
GTEX-1QPFJ-1926-SM-EVYBD 30-39 years, female 3.1
GTEX-1AMFI-1326-SM-7939R 50-59 years, female 3.0
GTEX-1QP2A-1726-SM-E76QC 50-59 years, male 2.9
GTEX-111CU-1126-SM-5EGIM 50-59 years, male 2.8
GTEX-13FH7-1126-SM-5K7UG 50-59 years, female 2.8
GTEX-13113-1626-SM-5EQ4I 60-69 years, female 2.7
GTEX-1HFI7-2326-SM-CGQFS 50-59 years, female 2.6
GTEX-1IDJU-1726-SM-CMKHU 60-69 years, female 2.6
GTEX-11LCK-2226-SM-5HL4Q 30-39 years, male 2.4
GTEX-1RAZQ-1326-SM-E9TK6 30-39 years, male 2.4
GTEX-1HSGN-0826-SM-ACKW3 40-49 years, female 2.3
GTEX-ZVT2-0126-SM-5GIDQ 50-59 years, female 1.5
Show allShow less
Skin - Sun Exposed (Lower leg)
Average nTPM: 10.8
Samples: 701

Max nTPM: 72.4
Min nTPM: 2.2
Std nTPM: 6.8
Median nTPM: 9.2
GTEX-1JN1M-0326-SM-CYPT3 60-69 years, female 72.4
GTEX-1N2EF-0226-SM-EYYXB 60-69 years, male 55.5
GTEX-ZYFD-0126-SM-5GIDL 50-59 years, male 51.4
GTEX-14E6C-0126-SM-5RQIP 40-49 years, male 49.0
GTEX-X8HC-0126-SM-4E3JW 50-59 years, female 48.6
GTEX-SE5C-1626-SM-2XCE3 40-49 years, female 39.1
GTEX-15EOM-0126-SM-7KUGG 20-29 years, female 38.1
GTEX-ZF3C-0126-SM-DO92D 50-59 years, female 37.8
GTEX-1399U-2326-SM-5K7WY 50-59 years, female 34.9
GTEX-WXYG-2326-SM-4E3I6 50-59 years, female 34.8
GTEX-1GMR3-1926-SM-9KNUZ 40-49 years, male 34.0
GTEX-1GZ4H-1726-SM-7PBZJ 50-59 years, female 32.9
GTEX-148VJ-0126-SM-5TDDN 70-79 years, male 32.2
GTEX-1CB4F-0426-SM-9KNV4 60-69 years, male 32.0
GTEX-1PWST-0226-SM-E76QJ 70-79 years, male 31.6
GTEX-WOFL-0126-SM-3MJG2 60-69 years, male 30.8
GTEX-1AYD5-2426-SM-73KXR 50-59 years, male 29.3
GTEX-139D8-0226-SM-5KLZO 30-39 years, female 29.2
GTEX-X4EP-0126-SM-3P5YV 60-69 years, female 29.2
GTEX-Q734-1926-SM-2I5EV 40-49 years, female 29.1
GTEX-Y5LM-1926-SM-5RQJH 40-49 years, female 28.9
GTEX-WI4N-1026-SM-3LK7N 40-49 years, female 27.7
GTEX-15UF6-0826-SM-6PALJ 70-79 years, female 25.5
GTEX-ZTPG-0326-SM-5O9AX 20-29 years, female 24.9
GTEX-139TS-2826-SM-5J1OO 60-69 years, male 24.8
GTEX-13YAN-0326-SM-5O9DF 60-69 years, male 24.8
GTEX-1192W-2626-SM-5Q5AF 60-69 years, male 24.5
GTEX-U8XE-0326-SM-3DB8P 30-39 years, male 24.5
GTEX-Y3IK-2426-SM-4WWDU 50-59 years, female 24.4
GTEX-XXEK-2226-SM-4BRUM 50-59 years, male 24.1
GTEX-ZAB4-0226-SM-5N9F5 40-49 years, male 23.8
GTEX-X4XY-0226-SM-4E3IZ 60-69 years, male 23.4
GTEX-ZC5H-0226-SM-4WAY9 40-49 years, female 23.4
GTEX-1QMI2-0226-SM-EVYBX 60-69 years, male 22.8
GTEX-VUSG-2526-SM-4KL1V 50-59 years, male 22.6
GTEX-YJ8A-0426-SM-5IFID 20-29 years, male 22.5
GTEX-14C5O-0126-SM-5SI6N 60-69 years, male 22.0
GTEX-11TTK-0126-SM-5987B 60-69 years, female 21.9
GTEX-OXRP-0126-SM-3NB32 60-69 years, female 21.2
GTEX-YFC4-0126-SM-5CVLY 40-49 years, female 21.1
GTEX-12584-0126-SM-5EGKQ 40-49 years, male 20.9
GTEX-11UD1-0126-SM-5PNYG 40-49 years, female 20.6
GTEX-S33H-1026-SM-EZ6L6 30-39 years, male 20.5
GTEX-12WSJ-1826-SM-5GCNY 40-49 years, female 20.4
GTEX-X4EO-0326-SM-3P5YO 60-69 years, female 20.4
GTEX-T8EM-1026-SM-3DB7M 40-49 years, male 20.2
GTEX-1PDJ9-0326-SM-DTX95 20-29 years, male 20.1
GTEX-117YX-2326-SM-5H12W 50-59 years, male 20.0
GTEX-ZAJG-0126-SM-5HL94 50-59 years, female 20.0
GTEX-13O3P-0126-SM-5KM4S 50-59 years, male 19.8
GTEX-1HGF4-2426-SM-ACKXM 60-69 years, male 19.6
GTEX-1J1OQ-0226-SM-CYPSH 40-49 years, female 19.4
GTEX-1QP67-1626-SM-EAZ3X 40-49 years, female 19.3
GTEX-OOBK-0126-SM-2YUND 40-49 years, male 19.2
GTEX-1GN1V-0126-SM-9WPOS 60-69 years, male 19.2
GTEX-TSE9-0126-SM-3DB83 60-69 years, female 19.0
GTEX-XV7Q-2526-SM-4BRV9 40-49 years, female 19.0
GTEX-P4PQ-0126-SM-2S1NM 60-69 years, male 18.9
GTEX-X62O-0126-SM-4E3JN 50-59 years, male 18.9
GTEX-1H2FU-0126-SM-9WYSI 60-69 years, female 18.9
GTEX-1HBPM-0226-SM-ARL9F 60-69 years, female 18.9
GTEX-1I19N-0326-SM-ACKVX 70-79 years, male 18.9
GTEX-11WQK-0526-SM-5EQLD 50-59 years, male 18.7
GTEX-1QP66-1726-SM-E8VO1 50-59 years, male 18.7
GTEX-13NYB-2526-SM-5K7Z6 40-49 years, male 18.6
GTEX-RUSQ-1526-SM-2TF62 50-59 years, male 18.5
GTEX-1A3MX-0126-SM-731BR 60-69 years, male 18.4
GTEX-ZF2S-2326-SM-4WWCE 50-59 years, female 18.4
GTEX-1H3VE-0326-SM-9YFLH 40-49 years, male 18.4
GTEX-11UD2-0226-SM-5EQKY 50-59 years, male 18.3
GTEX-1R9K4-0126-SM-DTX9X 60-69 years, male 18.3
GTEX-QDVN-2026-SM-3GAEP 50-59 years, male 18.2
GTEX-ZE9C-2726-SM-57WB5 60-69 years, male 18.2
GTEX-145LS-0126-SM-5QGP1 60-69 years, female 18.0
GTEX-SNMC-1226-SM-2XCFP 20-29 years, male 17.9
GTEX-P4PP-0126-SM-3LK69 30-39 years, female 17.7
GTEX-1GZ2Q-0226-SM-7P8TL 40-49 years, male 17.7
GTEX-1AYCT-2426-SM-7IGQ3 50-59 years, male 17.6
GTEX-139T8-0126-SM-5K7XZ 60-69 years, male 17.5
GTEX-13PDP-0126-SM-5L3HD 60-69 years, male 17.5
GTEX-11DXX-2426-SM-5GZZW 60-69 years, female 17.4
GTEX-1RB15-2126-SM-E9TIM 60-69 years, male 17.4
GTEX-1HBPH-0426-SM-B2LW5 40-49 years, female 17.3
GTEX-11DXZ-2326-SM-5EGGV 50-59 years, male 17.0
GTEX-183WM-0126-SM-7LTAB 70-79 years, female 16.8
GTEX-1QAET-0926-SM-E76QM 50-59 years, male 16.8
GTEX-11ZUS-0626-SM-59885 30-39 years, male 16.6
GTEX-1IDFM-0126-SM-COH2V 60-69 years, male 16.6
GTEX-1IGQW-0126-SM-COH42 60-69 years, male 16.6
GTEX-1F48J-0126-SM-7P8TT 50-59 years, female 16.5
GTEX-PWO3-1526-SM-48TCM 60-69 years, female 16.4
GTEX-11P82-1626-SM-59879 20-29 years, male 16.2
GTEX-15G19-0126-SM-6PANQ 60-69 years, male 16.2
GTEX-XMD2-0126-SM-4YCDU 60-69 years, female 16.2
GTEX-11TUW-2726-SM-E9J4M 60-69 years, male 16.2
GTEX-1CB4H-0226-SM-7PBXM 60-69 years, female 16.2
GTEX-13SLW-0126-SM-5SI6C 70-79 years, male 16.0
GTEX-1ICLY-0126-SM-D4P36 50-59 years, male 16.0
GTEX-Y114-2426-SM-4TT8A 50-59 years, female 15.9
GTEX-13OVJ-0126-SM-5KM36 50-59 years, female 15.8
GTEX-13O1R-0126-SM-5L3EH 60-69 years, male 15.7
GTEX-18A66-0226-SM-718BD 60-69 years, male 15.7
GTEX-1A3MW-0126-SM-73KXX 60-69 years, female 15.7
GTEX-T5JC-0426-SM-32PLO 20-29 years, male 15.7
GTEX-UJHI-1526-SM-3DB99 50-59 years, female 15.7
GTEX-ZVTK-0426-SM-51MRS 20-29 years, male 15.7
GTEX-ZY6K-1826-SM-5GZXK 50-59 years, male 15.4
GTEX-1B8KZ-2026-SM-7DHMB 50-59 years, male 15.3
GTEX-OXRK-0226-SM-3NB2G 50-59 years, female 15.2
GTEX-W5X1-3026-SM-EAZAX 40-49 years, female 15.2
GTEX-1R7EV-2426-SM-EVYBG 40-49 years, male 15.1
GTEX-PWCY-1826-SM-DHXIZ 20-29 years, female 15.1
GTEX-1F75B-0126-SM-9KNVL 50-59 years, male 15.0
GTEX-1HFI6-0226-SM-ADEHZ 40-49 years, male 15.0
GTEX-144GN-2326-SM-5LU4F 50-59 years, male 14.9
GTEX-PX3G-0126-SM-2I3EN 20-29 years, female 14.9
GTEX-ZYW4-0126-SM-5E44A 60-69 years, male 14.8
GTEX-15SHW-0326-SM-6PAML 60-69 years, male 14.7
GTEX-1NV5F-0226-SM-E8VNY 60-69 years, female 14.7
GTEX-15DCD-0126-SM-7KUEK 70-79 years, female 14.6
GTEX-11DXW-0226-SM-5H122 40-49 years, male 14.5
GTEX-1314G-1526-SM-5EGK2 30-39 years, male 14.5
GTEX-1N2DV-0226-SM-E6CJ6 40-49 years, male 14.5
GTEX-133LE-1826-SM-5J1MV 20-29 years, female 14.4
GTEX-P4QT-0126-SM-2I3FL 50-59 years, female 14.4
GTEX-1EX96-1626-SM-7PBXR 50-59 years, male 14.4
GTEX-Y111-0126-SM-4SOIV 50-59 years, male 14.3
GTEX-YJ89-0126-SM-4TT3X 60-69 years, male 14.3
GTEX-NPJ8-0126-SM-2YUNR 40-49 years, male 14.2
GTEX-13OVK-2026-SM-7KUEO 40-49 years, male 14.1
GTEX-14BMU-2226-SM-5TDE9 20-29 years, female 14.1
GTEX-1BAJH-0526-SM-793CQ 70-79 years, male 14.1
GTEX-ZDTS-0126-SM-4WAY5 60-69 years, male 14.1
GTEX-1F6RS-0126-SM-9MQKZ 60-69 years, female 14.1
GTEX-11O72-0126-SM-59887 40-49 years, male 14.0
GTEX-17F98-0626-SM-79OMX 40-49 years, female 14.0
GTEX-1HBPI-1526-SM-C1YQ1 50-59 years, male 14.0
GTEX-1JN6P-0126-SM-D3L98 60-69 years, male 14.0
GTEX-1KAFJ-2026-SM-CY8ID 50-59 years, male 13.9
GTEX-11WQC-2526-SM-5CVLE 60-69 years, male 13.8
GTEX-13RTK-1426-SM-5QGQJ 20-29 years, male 13.8
GTEX-1K2DU-2326-SM-E9TIV 20-29 years, male 13.8
GTEX-13FHO-0226-SM-5IFGY 60-69 years, male 13.7
GTEX-1CAMR-1926-SM-7EPI2 20-29 years, male 13.7
GTEX-XUZC-1726-SM-4BRWS 30-39 years, female 13.7
GTEX-139T4-0226-SM-5HL5S 50-59 years, female 13.6
GTEX-13X6I-0626-SM-5QGP9 60-69 years, male 13.6
GTEX-145LV-2126-SM-5LU8N 50-59 years, male 13.6
GTEX-14PHW-0126-SM-6LLJI 60-69 years, female 13.6
GTEX-ZE7O-0126-SM-57WC1 50-59 years, female 13.6
GTEX-ZVE2-0226-SM-59HJB 50-59 years, male 13.6
GTEX-1LBAC-0126-SM-DIPEZ 20-29 years, male 13.6
GTEX-11OC5-0126-SM-5HL6A 60-69 years, male 13.5
GTEX-146FQ-0126-SM-5NQA9 30-39 years, male 13.5
GTEX-1HT8W-0126-SM-CNPPP 30-39 years, male 13.5
GTEX-13IVO-0126-SM-5J1NG 70-79 years, male 13.4
GTEX-Y5V5-2326-SM-4V6GA 60-69 years, female 13.3
GTEX-QESD-1426-SM-2S1R9 20-29 years, male 13.2
GTEX-1IOXB-0126-SM-ARL8G 50-59 years, male 13.2
GTEX-1497J-2426-SM-7IGNX 60-69 years, male 13.1
GTEX-1B933-0126-SM-7PC29 50-59 years, female 13.0
GTEX-1E2YA-0126-SM-9KNUC 50-59 years, male 13.0
GTEX-17KNJ-2326-SM-7DHLQ 50-59 years, male 12.9
GTEX-16MT8-0426-SM-7KUEY 60-69 years, female 12.8
GTEX-U4B1-1826-SM-4DXSU 40-49 years, male 12.8
GTEX-131XF-5016-SM-7MGWE 60-69 years, male 12.8
GTEX-11NUK-0126-SM-5A5L3 50-59 years, male 12.7
GTEX-1399T-2826-SM-5KLYZ 60-69 years, male 12.7
GTEX-13G51-2526-SM-5LZYK 60-69 years, male 12.7
GTEX-14A5H-0426-SM-5QGQF 60-69 years, male 12.7
GTEX-15ETS-0126-SM-7KUMW 40-49 years, female 12.7
GTEX-WZTO-0126-SM-3NM95 40-49 years, male 12.7
GTEX-13OW5-0126-SM-DTXFS 60-69 years, male 12.7
GTEX-12696-2426-SM-5EQ6H 60-69 years, male 12.6
GTEX-YB5E-2026-SM-5IFIS 40-49 years, male 12.6
GTEX-17HG3-2226-SM-7938L 30-39 years, female 12.5
GTEX-PLZ4-0126-SM-5SI8O 50-59 years, female 12.5
GTEX-Y8E4-0626-SM-4WWDL 40-49 years, male 12.5
GTEX-1JJEA-0326-SM-CNPOT 60-69 years, male 12.5
GTEX-PSDG-0226-SM-DKPOZ 50-59 years, male 12.5
GTEX-11ZVC-2526-SM-5FQTE 50-59 years, female 12.4
GTEX-14PJ3-1826-SM-62LEX 50-59 years, male 12.4
GTEX-X4XX-0126-SM-3NMC2 60-69 years, male 12.4
GTEX-1HR98-0126-SM-B2LWI 60-69 years, male 12.4
GTEX-13JUV-2726-SM-5LZZ8 40-49 years, female 12.3
GTEX-OXRN-0126-SM-48TDM 50-59 years, male 12.3
GTEX-QVJO-1626-SM-2S1QW 60-69 years, female 12.3
GTEX-1HSMP-0126-SM-E6CJS 70-79 years, male 12.3
GTEX-1I1CD-0126-SM-CM2TK 60-69 years, female 12.3
GTEX-1JMQJ-0526-SM-CYPSU 50-59 years, male 12.3
GTEX-1LH75-2426-SM-E9TJE 50-59 years, female 12.3
GTEX-13OVH-0126-SM-5MR4B 70-79 years, male 12.2
GTEX-14JG1-0426-SM-6ETZZ 40-49 years, male 12.2
GTEX-16XZY-2126-SM-79OK1 70-79 years, male 12.2
GTEX-SIU8-0126-SM-2XCDT 50-59 years, male 12.2
GTEX-1GMR8-0126-SM-9WYTM 50-59 years, female 12.2
GTEX-1H1CY-2826-SM-9MQM3 60-69 years, female 12.2
GTEX-1ICLZ-0126-SM-CKZPO 60-69 years, male 12.2
GTEX-11EM3-2426-SM-59861 20-29 years, female 12.1
GTEX-13RTJ-2426-SM-5S2Q2 60-69 years, male 12.1
GTEX-15DDE-0126-SM-6LPKH 50-59 years, female 12.1
GTEX-1J8JJ-0226-SM-CL53I 60-69 years, female 12.1
GTEX-14PHX-2326-SM-62LEM 50-59 years, male 12.0
GTEX-VJYA-1126-SM-3GIJU 60-69 years, male 12.0
GTEX-13FHP-0126-SM-5IJBG 50-59 years, male 11.9
GTEX-145MF-0626-SM-5LUAI 50-59 years, male 11.9
GTEX-147F4-0226-SM-5QGPW 50-59 years, male 11.9
GTEX-1MA7X-2226-SM-E6CIY 60-69 years, male 11.9
GTEX-13RTL-0126-SM-7LG5S 40-49 years, male 11.8
GTEX-S7PM-0126-SM-4AD6S 60-69 years, male 11.8
GTEX-ZDXO-3026-SM-5J1N5 60-69 years, male 11.8
GTEX-ZF28-0126-SM-4WKGK 60-69 years, male 11.8
GTEX-1H3O1-0426-SM-9YFKY 60-69 years, male 11.8
GTEX-1R9PO-2126-SM-E9J4O 60-69 years, female 11.8
GTEX-131XW-0426-SM-5LZWP 50-59 years, female 11.7
GTEX-132NY-0326-SM-5IJBL 60-69 years, male 11.7
GTEX-OXRO-0126-SM-2YUN4 60-69 years, female 11.7
GTEX-X88G-0126-SM-47JZ3 30-39 years, male 11.7
GTEX-ZU9S-0226-SM-5E441 30-39 years, male 11.7
GTEX-13N1W-0126-SM-5K7VT 70-79 years, male 11.6
GTEX-1H3NZ-0126-SM-ACKX7 60-69 years, male 11.6
GTEX-14DAQ-0126-SM-5S2MQ 60-69 years, female 11.5
GTEX-16AAH-1726-SM-7939C 50-59 years, male 11.5
GTEX-1C6WA-0126-SM-7PC2B 60-69 years, male 11.5
GTEX-12KS4-0326-SM-5EQ41 30-39 years, male 11.4
GTEX-13FXS-0226-SM-5IJCK 50-59 years, male 11.4
GTEX-145LT-1726-SM-5QGP3 40-49 years, male 11.4
GTEX-18A6Q-0126-SM-731BZ 60-69 years, male 11.4
GTEX-T2YK-0526-SM-32QPJ 50-59 years, male 11.4
GTEX-12ZZX-0126-SM-5EGK9 40-49 years, female 11.3
GTEX-1N2DW-0226-SM-E9TK2 50-59 years, male 11.3
GTEX-1RAZA-0126-SM-E6CI3 20-29 years, male 11.3
GTEX-13FTX-1826-SM-5J1NX 20-29 years, female 11.2
GTEX-13O3Q-2426-SM-5IJBR 50-59 years, male 11.2
GTEX-14ICK-0226-SM-6EU25 40-49 years, male 11.2
GTEX-1J8QM-2126-SM-CYPSJ 60-69 years, female 11.2
GTEX-1JJE9-0326-SM-CL53Z 70-79 years, male 11.2
GTEX-1PIIG-0226-SM-EWRN6 30-39 years, male 11.2
GTEX-14PN3-2426-SM-6LLHS 60-69 years, female 11.1
GTEX-12WSG-2826-SM-E9J4H 50-59 years, female 11.1
GTEX-15D1Q-0126-SM-7KUG6 40-49 years, male 11.0
GTEX-X585-0226-SM-4QAS2 50-59 years, male 11.0
GTEX-XQ3S-1526-SM-4BOOC 20-29 years, male 11.0
GTEX-1B8SF-1426-SM-7DUGL 60-69 years, male 10.9
GTEX-1C6VR-2426-SM-79OLD 60-69 years, male 10.8
GTEX-TML8-1926-SM-32QOS 40-49 years, female 10.8
GTEX-ZZPT-0226-SM-5E43X 50-59 years, male 10.8
GTEX-1H3VY-0126-SM-ACKXD 50-59 years, male 10.8
GTEX-11TT1-2526-SM-5EGIB 20-29 years, male 10.7
GTEX-13VXT-0126-SM-5LU4I 20-29 years, female 10.7
GTEX-17EUY-0426-SM-793BD 20-29 years, male 10.7
GTEX-13NYC-0326-SM-E9J4S 60-69 years, male 10.7
GTEX-1GN1U-0126-SM-7PBZK 50-59 years, female 10.7
GTEX-1JMPZ-0226-SM-CNPP1 30-39 years, male 10.7
GTEX-T5JW-1626-SM-3GADZ 20-29 years, female 10.6
GTEX-1H23P-0126-SM-ADEJ3 60-69 years, male 10.6
GTEX-1HCU7-0226-SM-CL545 50-59 years, male 10.6
GTEX-1IL2U-0226-SM-CE6T8 60-69 years, male 10.6
GTEX-139UW-2826-SM-5L3E7 60-69 years, male 10.5
GTEX-14BIM-0226-SM-7IGLD 60-69 years, female 10.5
GTEX-17EVP-0326-SM-7DHLG 40-49 years, male 10.5
GTEX-1HCUA-2426-SM-ADEIS 50-59 years, female 10.5
GTEX-12WSE-0526-SM-793B2 20-29 years, male 10.4
GTEX-QV44-1926-SM-2S1RF 50-59 years, male 10.4
GTEX-WVJS-0126-SM-4MVOT 50-59 years, male 10.4
GTEX-1JMQK-0226-SM-CL543 60-69 years, male 10.4
GTEX-1JMQL-0226-SM-CNPP5 50-59 years, female 10.4
GTEX-131XH-2226-SM-5DUXJ 50-59 years, male 10.3
GTEX-14E6E-1826-SM-5S2R7 30-39 years, male 10.3
GTEX-14PN4-0126-SM-6EU2V 50-59 years, male 10.3
GTEX-17MFQ-1726-SM-793C7 20-29 years, male 10.3
GTEX-183FY-0126-SM-7LT9P 20-29 years, male 10.3
GTEX-1GPI7-0126-SM-9MQL8 20-29 years, male 10.3
GTEX-1IKK5-0626-SM-ARL8A 60-69 years, male 10.3
GTEX-OOBJ-0126-SM-E6CJW 60-69 years, male 10.3
GTEX-18A67-0126-SM-7LG5P 50-59 years, male 10.2
GTEX-RTLS-0126-SM-447CA 60-69 years, female 10.2
GTEX-XQ8I-0426-SM-4BOPO 50-59 years, male 10.2
GTEX-ZV68-0126-SM-59HKS 50-59 years, female 10.2
GTEX-ZWKS-0126-SM-5SIAA 30-39 years, male 10.2
GTEX-1CB4G-0226-SM-7PC3O 60-69 years, male 10.2
GTEX-1LC47-0326-SM-E9TJP 60-69 years, male 10.2
GTEX-1M4P7-0226-SM-DIPEV 60-69 years, male 10.2
GTEX-117YW-2626-SM-5GZZH 50-59 years, male 10.1
GTEX-QEG4-0226-SM-2S1PY 30-39 years, male 10.1
GTEX-QLQW-1126-SM-2S1Q8 30-39 years, male 10.1
GTEX-VJWN-0126-SM-3GIK7 50-59 years, female 10.1
GTEX-1F88F-2726-SM-7PBZZ 60-69 years, female 10.1
GTEX-1K2DA-1826-SM-CGQGT 50-59 years, male 10.1
GTEX-ZQG8-1626-SM-DHXIT 60-69 years, female 10.1
GTEX-12126-0326-SM-5PNW3 20-29 years, male 10.0
GTEX-13W3W-2426-SM-5LU5B 60-69 years, female 10.0
GTEX-15UKP-0426-SM-7KUFQ 20-29 years, male 10.0
GTEX-OIZG-0726-SM-33HBL 50-59 years, male 10.0
GTEX-1H1E6-1726-SM-ACKVK 30-39 years, male 10.0
GTEX-147GR-0526-SM-5S2MY 60-69 years, male 9.9
GTEX-O5YT-0126-SM-48TBW 20-29 years, male 9.9
GTEX-T6MN-0126-SM-32PLP 50-59 years, male 9.9
GTEX-12WSL-2526-SM-5GCNJ 50-59 years, male 9.8
GTEX-1B97I-1626-SM-73KYO 40-49 years, male 9.8
GTEX-XBED-2226-SM-47JYQ 60-69 years, male 9.8
GTEX-1EU9M-0226-SM-7P8SP 60-69 years, male 9.8
GTEX-1F6I4-0126-SM-9MQL2 60-69 years, male 9.8
GTEX-1KANA-0726-SM-D3L9I 20-29 years, male 9.8
GTEX-1S3DN-2226-SM-EVYCD 50-59 years, male 9.8
GTEX-131XE-2326-SM-5PNZ2 50-59 years, male 9.7
GTEX-13NYS-0126-SM-5MR3W 60-69 years, male 9.7
GTEX-18465-0126-SM-731BN 50-59 years, male 9.7
GTEX-1AX8Z-0126-SM-7DHM6 60-69 years, male 9.7
GTEX-ZYY3-0126-SM-5GZY5 60-69 years, female 9.7
GTEX-1GN2E-0426-SM-9MQKX 60-69 years, male 9.7
GTEX-1H1DG-0126-SM-9WYU2 70-79 years, male 9.7
GTEX-1I1GT-0626-SM-CGQER 60-69 years, female 9.7
GTEX-1LG7Y-0526-SM-DKPQC 50-59 years, male 9.7
GTEX-11DYG-0126-SM-59883 60-69 years, male 9.6
GTEX-1211K-2026-SM-5EQ4Z 60-69 years, female 9.6
GTEX-1399R-2726-SM-5IJBA 30-39 years, male 9.6
GTEX-13W46-0226-SM-5SIAG 50-59 years, male 9.6
GTEX-14PK6-1926-SM-6ETZU 70-79 years, female 9.6
GTEX-16BQI-0226-SM-7KUEX 30-39 years, female 9.6
GTEX-T2IS-0126-SM-4DM6O 20-29 years, female 9.6
GTEX-ZZ64-1726-SM-5GZYB 20-29 years, male 9.6
GTEX-1QP29-0626-SM-EWRMX 50-59 years, male 9.6
GTEX-OIZF-0126-SM-7SB8I 60-69 years, male 9.6
GTEX-12WSK-2326-SM-5GCOH 40-49 years, female 9.5
GTEX-13U4I-0126-SM-5LU38 40-49 years, female 9.5
GTEX-146FH-0126-SM-5QGPP 50-59 years, female 9.5
GTEX-1C6VS-0526-SM-7DUEN 60-69 years, male 9.5
GTEX-1IE54-0126-SM-CMKHW 40-49 years, female 9.5
GTEX-1S82Z-0826-SM-E6CHY 30-39 years, female 9.5
GTEX-ZVT4-0126-SM-DTXFN 50-59 years, female 9.5
GTEX-17HII-0226-SM-7LG4E 50-59 years, male 9.4
GTEX-1C2JI-1826-SM-73KXC 50-59 years, male 9.4
GTEX-1CB4I-0226-SM-79OLH 50-59 years, male 9.4
GTEX-1HB9E-0226-SM-E9U4R 50-59 years, male 9.4
GTEX-1KANC-1526-SM-D3LAB 50-59 years, female 9.4
GTEX-1S82Y-2026-SM-EVYCM 40-49 years, male 9.4
GTEX-117XS-2726-SM-5N9BL 60-69 years, male 9.3
GTEX-11DXY-2626-SM-5GIE7 60-69 years, male 9.3
GTEX-13SLX-0526-SM-5S2ON 50-59 years, female 9.3
GTEX-14BIN-0626-SM-793DP 50-59 years, female 9.3
GTEX-16YQH-0126-SM-7DUFJ 30-39 years, male 9.3
GTEX-PVOW-0126-SM-2XCFA 40-49 years, male 9.3
GTEX-XUW1-0426-SM-4BOOT 50-59 years, female 9.3
GTEX-1AX9I-0126-SM-7SB74 60-69 years, male 9.3
GTEX-1F5PK-2426-SM-7RHHY 50-59 years, male 9.3
GTEX-1F5PL-0326-SM-7P8PQ 40-49 years, female 9.3
GTEX-113JC-2326-SM-5EQ4E 50-59 years, female 9.2
GTEX-1313W-0126-SM-5LZUN 50-59 years, female 9.2
GTEX-13N11-2526-SM-5K7UE 50-59 years, female 9.2
GTEX-17JCI-0126-SM-7LG5G 60-69 years, female 9.2
GTEX-18QFQ-0126-SM-731BE 30-39 years, male 9.2
GTEX-XYKS-2126-SM-4E3IB 60-69 years, female 9.2
GTEX-1CAV2-2226-SM-7P8P2 40-49 years, female 9.2
GTEX-1KD4Q-0226-SM-E9TJ9 40-49 years, male 9.2
GTEX-1M5QR-1226-SM-EWROB 40-49 years, male 9.2
GTEX-13OW7-0126-SM-5MR3B 50-59 years, male 9.1
GTEX-SUCS-1926-SM-32PM3 70-79 years, male 9.1
GTEX-TMZS-0126-SM-3DB9Q 60-69 years, male 9.1
GTEX-1I1GP-2226-SM-CGQFK 50-59 years, male 9.1
GTEX-XBEW-0626-SM-4QASP 40-49 years, male 9.0
GTEX-1GPI6-0126-SM-9WG69 60-69 years, male 9.0
GTEX-1S5ZA-0126-SM-EVYCV 20-29 years, male 9.0
GTEX-13X6J-0126-SM-5QGOU 50-59 years, male 8.9
GTEX-15SB6-1726-SM-6PAME 50-59 years, female 8.9
GTEX-Y8DK-0126-SM-4TT3L 60-69 years, male 8.9
GTEX-ZTX8-1426-SM-5DUVO 20-29 years, male 8.9
GTEX-1F7RK-0126-SM-7PC2S 20-29 years, female 8.9
GTEX-1I6K6-0126-SM-A9SLE 30-39 years, male 8.9
GTEX-1PBJI-0526-SM-E8VNK 20-29 years, female 8.9
GTEX-1PIGE-0126-SM-EVYBJ 20-29 years, male 8.9
GTEX-13QJ3-0326-SM-5S2RA 50-59 years, male 8.8
GTEX-144FL-0126-SM-5TDC8 50-59 years, male 8.8
GTEX-17F97-0326-SM-7LG5B 50-59 years, male 8.8
GTEX-1C475-1826-SM-73KWA 40-49 years, female 8.8
GTEX-QDT8-0126-SM-48TZ1 30-39 years, female 8.8
GTEX-SJXC-0126-SM-2XCFF 60-69 years, male 8.8
GTEX-1EKGG-0226-SM-9WYTH 60-69 years, male 8.8
GTEX-1POEN-0126-SM-EYYXJ 30-39 years, female 8.8
GTEX-12ZZY-0226-SM-5LZVE 60-69 years, male 8.7
GTEX-13CF2-2526-SM-5LZYX 60-69 years, male 8.7
GTEX-1HSEH-0126-SM-ACKXN 60-69 years, male 8.7
GTEX-1I1GS-0126-SM-B2LVW 60-69 years, male 8.7
GTEX-R3RS-0126-SM-3GIJL 40-49 years, female 8.6
GTEX-ZV6S-2326-SM-4YCEY 40-49 years, female 8.6
GTEX-ZVZO-0126-SM-5A5L9 40-49 years, male 8.6
GTEX-1GF9X-2026-SM-7PC3A 40-49 years, female 8.6
GTEX-1R7EU-0226-SM-EVR4G 60-69 years, male 8.6
GTEX-1H11D-0226-SM-9WG6Z 40-49 years, male 8.5
GTEX-1HCU8-0626-SM-A9SM9 60-69 years, female 8.5
GTEX-1IDJF-0126-SM-CM2RS 20-29 years, male 8.5
GTEX-1JMQI-2226-SM-CM2SD 50-59 years, male 8.5
GTEX-1LNCM-1126-SM-E9U5E 50-59 years, female 8.5
GTEX-1RQEC-0426-SM-E6CHU 60-69 years, male 8.5
GTEX-11DZ1-0126-SM-5985Q 50-59 years, male 8.4
GTEX-1F6IF-0726-SM-7P8TW 60-69 years, male 8.4
GTEX-1HBPN-0226-SM-9YFM1 50-59 years, male 8.4
GTEX-1LSNM-1926-SM-E6CII 50-59 years, male 8.4
GTEX-11EQ9-2426-SM-5HL5T 30-39 years, male 8.3
GTEX-148VI-1626-SM-5SI6E 60-69 years, female 8.3
GTEX-18A7A-0226-SM-718BH 50-59 years, female 8.3
GTEX-QLQ7-1626-SM-2S1R8 60-69 years, male 8.3
GTEX-V1D1-2226-SM-3NMAX 50-59 years, male 8.3
GTEX-ZYT6-0226-SM-5NQ6T 30-39 years, male 8.3
GTEX-1GMRU-0126-SM-9YFLV 50-59 years, male 8.3
GTEX-11P81-2326-SM-59875 30-39 years, female 8.2
GTEX-13111-1626-SM-5EGJY 50-59 years, male 8.2
GTEX-13112-2826-SM-5DUWH 50-59 years, male 8.2
GTEX-OIZH-0126-SM-2HMIS 50-59 years, male 8.2
GTEX-ZAK1-0126-SM-5IJD3 50-59 years, female 8.2
GTEX-ZYFC-0226-SM-5NQ75 50-59 years, male 8.2
GTEX-1GF9W-0326-SM-9KNUN 60-69 years, male 8.2
GTEX-1HSKV-0226-SM-A9SKJ 60-69 years, male 8.2
GTEX-1J1R8-1726-SM-ARL8M 40-49 years, male 8.2
GTEX-RVPV-0126-SM-EAZAW 60-69 years, male 8.2
GTEX-12C56-1726-SM-5EQ61 20-29 years, male 8.1
GTEX-13NZB-2526-SM-5J1OM 30-39 years, male 8.1
GTEX-Z93T-0126-SM-5HL5N 50-59 years, male 8.1
GTEX-1HKZK-0326-SM-9WYUH 40-49 years, male 8.1
GTEX-1IKJJ-0126-SM-CNPQB 60-69 years, male 8.1
GTEX-1MJK2-0426-SM-DTXE5 50-59 years, male 8.1
GTEX-1PPH7-2326-SM-EVYB8 40-49 years, male 8.1
GTEX-11H98-0126-SM-5EGHG 50-59 years, male 8.0
GTEX-13NZ8-0826-SM-5MR3I 60-69 years, female 8.0
GTEX-17EVQ-0226-SM-7LG4P 70-79 years, male 8.0
GTEX-1A32A-0126-SM-718B1 50-59 years, female 8.0
GTEX-1C64N-0126-SM-793D7 50-59 years, male 8.0
GTEX-U412-0426-SM-3DB9O 60-69 years, male 8.0
GTEX-1QPFJ-0226-SM-E76PB 30-39 years, female 8.0
GTEX-1192X-0226-SM-5H12D 50-59 years, male 7.9
GTEX-11GSP-2526-SM-5N9BP 60-69 years, female 7.9
GTEX-13CF3-2426-SM-5IFGX 60-69 years, female 7.9
GTEX-Q2AI-1326-SM-2S1PL 40-49 years, male 7.9
GTEX-U3ZN-2326-SM-3DB7W 30-39 years, female 7.9
GTEX-UPJH-0326-SM-3GADU 50-59 years, male 7.9
GTEX-X261-0126-SM-3NMD6 50-59 years, male 7.9
GTEX-ZVT3-0126-SM-5GU6I 60-69 years, female 7.9
GTEX-1C64O-0126-SM-7SB8P 60-69 years, male 7.9
GTEX-1F75A-0126-SM-7RHGM 50-59 years, male 7.9
GTEX-1I1GR-0126-SM-CL55F 60-69 years, male 7.9
GTEX-1I4MK-2226-SM-ACKWD 50-59 years, female 7.9
GTEX-1IDJH-0326-SM-A9SLQ 70-79 years, male 7.9
GTEX-17F96-1626-SM-7DUFL 70-79 years, male 7.8
GTEX-O5YW-0126-SM-3LK6D 50-59 years, male 7.8
GTEX-R55E-0126-SM-2TC5Y 20-29 years, male 7.8
GTEX-ZDTT-2726-SM-4WKF8 60-69 years, male 7.8
GTEX-1EMGI-0126-SM-9KNUE 60-69 years, male 7.8
GTEX-1I1GQ-0126-SM-COH3H 50-59 years, male 7.8
GTEX-R45C-0126-SM-EAZ2R 60-69 years, female 7.8
GTEX-111FC-0126-SM-5N9DL 60-69 years, male 7.7
GTEX-16GPK-0126-SM-7DHLE 60-69 years, male 7.7
GTEX-POMQ-2226-SM-2I5FK 20-29 years, female 7.7
GTEX-ZAB5-1826-SM-5HL7C 50-59 years, male 7.7
GTEX-1GN73-0226-SM-9WG67 60-69 years, male 7.7
GTEX-1LVAN-0226-SM-COH3S 50-59 years, female 7.7
GTEX-1O97I-0326-SM-EYYX7 60-69 years, male 7.7
GTEX-11GS4-2726-SM-5A5LE 60-69 years, male 7.6
GTEX-14XAO-2326-SM-6EU1B 60-69 years, female 7.6
GTEX-15CHC-2126-SM-6EU21 60-69 years, female 7.6
GTEX-RU72-0926-SM-2TF6B 50-59 years, female 7.6
GTEX-Z93S-0126-SM-5HL7M 50-59 years, male 7.6
GTEX-1ICG6-2526-SM-CGQFZ 70-79 years, female 7.6
GTEX-1JMOU-1526-SM-CL54I 60-69 years, female 7.6
GTEX-1MUQO-0126-SM-EAZ58 60-69 years, male 7.6
GTEX-11NSD-2226-SM-5986V 20-29 years, male 7.5
GTEX-13NZA-0226-SM-5K7Z7 60-69 years, male 7.5
GTEX-145ME-1826-SM-5SI9G 40-49 years, female 7.5
GTEX-14DAR-2026-SM-5S2O3 50-59 years, male 7.5
GTEX-1B8L1-2526-SM-9WYTF 60-69 years, male 7.5
GTEX-1EWIQ-0126-SM-7RHH2 70-79 years, female 7.5
GTEX-1JK1U-2026-SM-CM2RZ 60-69 years, male 7.5
GTEX-1QP9N-1426-SM-DTXFL 30-39 years, male 7.5
GTEX-PW2O-1526-SM-7RHHB 20-29 years, male 7.5
GTEX-1AX9K-2326-SM-73KWU 50-59 years, male 7.4
GTEX-Q2AG-0126-SM-33HBV 40-49 years, female 7.4
GTEX-R55G-2526-SM-2TC6D 40-49 years, female 7.4
GTEX-1J8Q2-0526-SM-CM2RW 60-69 years, male 7.4
GTEX-1JKYN-1326-SM-CGQG9 30-39 years, male 7.4
GTEX-145LU-0126-SM-5TDCB 50-59 years, male 7.3
GTEX-15DYW-0126-SM-7KULE 60-69 years, female 7.3
GTEX-18D9A-1926-SM-7LG6P 30-39 years, female 7.3
GTEX-SSA3-0126-SM-32QPU 60-69 years, male 7.3
GTEX-ZQUD-1426-SM-57WER 30-39 years, male 7.3
GTEX-1I1GV-0526-SM-A9G29 60-69 years, male 7.3
GTEX-1KXAM-2226-SM-CYPTC 60-69 years, male 7.3
GTEX-1LGRB-2526-SM-CNPPQ 50-59 years, female 7.3
GTEX-1R46S-0626-SM-E9J41 60-69 years, female 7.3
GTEX-1RDX4-0126-SM-E9J4P 50-59 years, female 7.3
GTEX-1RLM8-2326-SM-EWRN4 50-59 years, male 7.3
GTEX-T6MO-1626-SM-32QOM 40-49 years, female 7.2
GTEX-WRHK-1426-SM-3MJF9 20-29 years, female 7.2
GTEX-13O3O-0126-SM-E9J49 60-69 years, female 7.2
GTEX-1MA7W-2026-SM-E9TJ6 20-29 years, female 7.2
GTEX-1NHNU-1026-SM-E9J2A 50-59 years, male 7.2
GTEX-1R9PM-2026-SM-E76OY 20-29 years, male 7.2
GTEX-P44H-0226-SM-2XCEU 40-49 years, male 7.1
GTEX-S7SE-0126-SM-2XCD5 50-59 years, male 7.1
GTEX-1IKOH-0226-SM-COH4E 60-69 years, female 7.1
GTEX-11OF3-2626-SM-5GU7F 60-69 years, male 7.0
GTEX-12WSD-0126-SM-59HKN 60-69 years, female 7.0
GTEX-15RIG-0226-SM-7KFTL 40-49 years, male 7.0
GTEX-16NPX-0226-SM-79OMT 50-59 years, male 7.0
GTEX-17HHY-0126-SM-7LG5D 50-59 years, male 7.0
GTEX-1AX9J-0226-SM-73KXM 60-69 years, male 7.0
GTEX-Y5V6-2426-SM-4VDSB 60-69 years, male 7.0
GTEX-1CAMS-0426-SM-7P8T2 40-49 years, female 7.0
GTEX-1KANB-0526-SM-E6CJH 50-59 years, male 7.0
GTEX-1KWVE-1426-SM-E9TJO 30-39 years, male 7.0
GTEX-1S83E-0126-SM-EWRO4 40-49 years, male 7.0
GTEX-13O21-1426-SM-5K7XI 50-59 years, male 6.9
GTEX-1F52S-0126-SM-9MQJU 60-69 years, female 6.9
GTEX-1QP2A-0126-SM-E9J43 50-59 years, male 6.9
GTEX-RWSA-0126-SM-2XCBB 40-49 years, male 6.8
GTEX-U3ZH-2026-SM-3DB78 30-39 years, male 6.8
GTEX-1H1DE-2126-SM-9WG6R 20-29 years, male 6.8
GTEX-13S7M-0126-SM-5SI6A 60-69 years, female 6.7
GTEX-17HGU-0226-SM-7DHKV 50-59 years, male 6.7
GTEX-1B8SG-0126-SM-73KZ3 50-59 years, male 6.7
GTEX-TKQ1-1026-SM-4GICL 30-39 years, male 6.7
GTEX-Y3I4-2126-SM-4TT7C 50-59 years, male 6.7
GTEX-YB5K-2126-SM-4WWDJ 40-49 years, female 6.7
GTEX-1EN7A-0126-SM-7SB81 40-49 years, male 6.7
GTEX-1F75I-0326-SM-9YFLU 40-49 years, male 6.7
GTEX-1HCU9-1526-SM-A9SL7 20-29 years, male 6.7
GTEX-144GL-0126-SM-5TDE2 50-59 years, male 6.6
GTEX-17GQL-2026-SM-718BA 60-69 years, male 6.6
GTEX-1C4CL-0526-SM-73KVK 30-39 years, male 6.6
GTEX-XAJ8-0826-SM-47JY6 40-49 years, male 6.6
GTEX-1KD5A-0226-SM-D5OV3 50-59 years, male 6.6
GTEX-1L5NE-2526-SM-E6CIE 50-59 years, male 6.6
GTEX-111VG-2426-SM-5GZXD 60-69 years, male 6.5
GTEX-13OVL-0226-SM-5L3E9 50-59 years, male 6.5
GTEX-145MI-0526-SM-5O9A8 60-69 years, female 6.5
GTEX-WYVS-2126-SM-3NMA3 40-49 years, female 6.5
GTEX-ZEX8-2426-SM-4WKG4 50-59 years, male 6.5
GTEX-1HUB1-0426-SM-E9U4U 60-69 years, male 6.5
GTEX-XUYS-0126-SM-47JWZ 50-59 years, male 6.4
GTEX-1GF9U-2126-SM-7SB7L 40-49 years, female 6.4
GTEX-1HCVE-0126-SM-CGQEU 50-59 years, male 6.4
GTEX-1QW4Y-1526-SM-EAZ3Z 30-39 years, male 6.4
GTEX-14ABY-0226-SM-5TDCQ 50-59 years, male 6.3
GTEX-15SHU-0126-SM-7KUEH 40-49 years, female 6.3
GTEX-1CB4E-2226-SM-793DC 60-69 years, male 6.3
GTEX-X5EB-2226-SM-46MW4 40-49 years, male 6.3
GTEX-11EI6-0126-SM-5985R 60-69 years, male 6.2
GTEX-131XG-2626-SM-5KM17 50-59 years, female 6.2
GTEX-13FTY-0526-SM-5L3EV 40-49 years, female 6.2
GTEX-14LLW-0126-SM-6LLIO 70-79 years, female 6.2
GTEX-14PJ6-2126-SM-6EU1V 60-69 years, female 6.2
GTEX-16XZZ-0126-SM-793DV 60-69 years, male 6.2
GTEX-1A3MV-1926-SM-718BT 30-39 years, male 6.2
GTEX-OHPL-0126-SM-2HMJ7 60-69 years, female 6.2
GTEX-SN8G-0126-SM-32PLI 50-59 years, female 6.2
GTEX-ZYFG-2326-SM-5E44B 60-69 years, female 6.2
GTEX-1GF9V-0326-SM-7RHI5 60-69 years, male 6.2
GTEX-1H4P4-0726-SM-9YFLR 50-59 years, male 6.2
GTEX-139TT-0126-SM-5K7Y5 60-69 years, male 6.1
GTEX-13VXU-0126-SM-5SI9F 50-59 years, male 6.1
GTEX-15EU6-0426-SM-6PAN5 50-59 years, male 6.1
GTEX-OXRL-0126-SM-2YUMP 50-59 years, male 6.1
GTEX-169BO-1326-SM-9MQK2 50-59 years, male 6.1
GTEX-1A8FM-0226-SM-7SB7Q 50-59 years, female 6.1
GTEX-1IL2V-0126-SM-CM2TX 70-79 years, male 6.1
GTEX-1J8EW-0126-SM-CJI4F 60-69 years, female 6.1
GTEX-1K9T9-0126-SM-EVYCF 50-59 years, female 6.1
GTEX-1MCYP-1926-SM-E9J2R 20-29 years, female 6.1
GTEX-145MN-2226-SM-5SIAU 30-39 years, male 6.0
GTEX-14A6H-0126-SM-5QGPK 30-39 years, male 6.0
GTEX-14BMV-0126-SM-5S2PO 50-59 years, male 6.0
GTEX-15SDE-2226-SM-7IGLO 50-59 years, female 6.0
GTEX-12ZZZ-0626-SM-5DUXI 60-69 years, male 5.9
GTEX-147F3-0526-SM-5SI98 50-59 years, female 5.9
GTEX-ZTSS-1926-SM-57WEW 40-49 years, male 5.9
GTEX-1MCQQ-0826-SM-DLHC2 60-69 years, male 5.9
GTEX-1OJC3-0126-SM-E76QX 20-29 years, male 5.9
GTEX-1122O-2126-SM-5EGIR 60-69 years, female 5.8
GTEX-13FTW-2626-SM-5K7WL 40-49 years, male 5.8
GTEX-14LZ3-0226-SM-62LET 60-69 years, female 5.8
GTEX-16NGA-1726-SM-731B4 40-49 years, female 5.8
GTEX-PLZ5-2026-SM-2S1O4 50-59 years, male 5.8
GTEX-U8T8-0126-SM-3DB94 60-69 years, male 5.8
GTEX-1JKYR-0126-SM-CNPOJ 20-29 years, male 5.8
GTEX-11ZU8-2526-SM-5EQKI 60-69 years, male 5.7
GTEX-14PJM-0226-SM-62LF1 50-59 years, female 5.7
GTEX-1E1VI-0126-SM-7DHMZ 50-59 years, male 5.7
GTEX-QDVJ-1726-SM-2I5FX 50-59 years, male 5.7
GTEX-W5WG-1826-SM-4KL2Y 50-59 years, female 5.7
GTEX-WQUQ-0426-SM-3MJFU 60-69 years, male 5.7
GTEX-WY7C-2326-SM-3NB2U 50-59 years, male 5.7
GTEX-1C6VQ-0126-SM-7P8RI 50-59 years, male 5.7
GTEX-13N2G-2626-SM-5J1OT 60-69 years, male 5.6
GTEX-14BIL-0126-SM-5SI92 50-59 years, male 5.6
GTEX-14E6D-0126-SM-62LDV 50-59 years, male 5.6
GTEX-17MF6-0126-SM-7LG4F 40-49 years, male 5.6
GTEX-OHPM-0126-SM-2YUN9 50-59 years, male 5.6
GTEX-1B996-0226-SM-7RHGO 60-69 years, male 5.6
GTEX-1GL5R-1826-SM-9KNUY 50-59 years, male 5.6
GTEX-1HSMO-0126-SM-CL547 60-69 years, male 5.6
GTEX-1HSMQ-1226-SM-CGQFX 50-59 years, male 5.6
GTEX-1JMPY-1326-SM-ARL8Y 30-39 years, male 5.6
GTEX-1JN76-0126-SM-CNPPE 20-29 years, female 5.6
GTEX-1LB8K-0226-SM-EWRNW 50-59 years, male 5.6
GTEX-1PPH8-0226-SM-E8VND 20-29 years, male 5.6
GTEX-ZGAY-0526-SM-4WWBB 40-49 years, female 5.5
GTEX-1GZHY-0326-SM-9QEHI 50-59 years, female 5.5
GTEX-1QEPI-0126-SM-EWRMQ 60-69 years, female 5.5
GTEX-RN64-0126-SM-2TC68 50-59 years, male 5.4
GTEX-WFG8-2226-SM-3GIL9 20-29 years, male 5.4
GTEX-1MGNQ-0126-SM-EVYCJ 40-49 years, male 5.4
GTEX-12WSC-0126-SM-5EQ4P 50-59 years, male 5.3
GTEX-13OVI-1426-SM-5L3EY 60-69 years, female 5.3
GTEX-15F5U-1526-SM-6PANO 40-49 years, male 5.3
GTEX-1CB4J-0626-SM-7DHMP 60-69 years, male 5.3
GTEX-1I1GU-2226-SM-CGQFA 40-49 years, male 5.3
GTEX-11GSO-2426-SM-5A5LY 60-69 years, male 5.2
GTEX-14753-0426-SM-5NQAM 60-69 years, male 5.2
GTEX-QCQG-1726-SM-3GIJ9 50-59 years, female 5.2
GTEX-Y8LW-1826-SM-5S2MV 50-59 years, female 5.2
GTEX-ZXES-1826-SM-5E43S 30-39 years, female 5.2
GTEX-ZXG5-0126-SM-5GIEU 60-69 years, male 5.2
GTEX-1HSGN-0226-SM-CGQFV 40-49 years, female 5.2
GTEX-1JMLX-0226-SM-CM2RO 50-59 years, male 5.2
GTEX-14JIY-0126-SM-6LLH6 60-69 years, male 5.1
GTEX-18D9B-0526-SM-7LTAS 60-69 years, male 5.1
GTEX-TMMY-0226-SM-33HBA 40-49 years, female 5.1
GTEX-1LG7Z-1726-SM-D3LA4 30-39 years, male 5.1
GTEX-PLZ6-1426-SM-DKPOT 30-39 years, male 5.1
GTEX-18A7B-0126-SM-7LG64 70-79 years, male 5.0
GTEX-1B8KE-2126-SM-73KYX 50-59 years, male 5.0
GTEX-1H1ZS-0426-SM-9WG6G 70-79 years, male 5.0
GTEX-1LGOU-2026-SM-DIPFF 20-29 years, female 5.0
GTEX-1OFPY-2426-SM-DTXEJ 60-69 years, male 5.0
GTEX-11P7K-2126-SM-5GU7G 30-39 years, male 4.9
GTEX-131YS-0126-SM-5KM1M 60-69 years, female 4.9
GTEX-U3ZM-1526-SM-3DB9D 40-49 years, male 4.9
GTEX-X638-0126-SM-47JZ8 70-79 years, female 4.9
GTEX-XPVG-2626-SM-4B669 50-59 years, male 4.9
GTEX-1HFI7-1826-SM-ACKXH 50-59 years, female 4.9
GTEX-1J8Q3-1626-SM-CMKGC 60-69 years, male 4.9
GTEX-113IC-0126-SM-5HL6T 60-69 years, male 4.8
GTEX-13113-5016-SM-7EPIP 60-69 years, female 4.8
GTEX-145MO-0326-SM-5Q5B3 60-69 years, male 4.8
GTEX-14E7W-0126-SM-6LLJ9 70-79 years, male 4.8
GTEX-1PFEY-1526-SM-E76PP 30-39 years, male 4.8
GTEX-RNOR-0126-SM-E9J4R 50-59 years, female 4.8
GTEX-15ER7-0326-SM-7KUEV 20-29 years, female 4.7
GTEX-1GN1W-0526-SM-9MQJQ 50-59 years, female 4.7
GTEX-11ZTS-0126-SM-5EQ6M 60-69 years, female 4.6
GTEX-13D11-2426-SM-5KM1V 50-59 years, female 4.6
GTEX-14PII-0226-SM-6EU1T 60-69 years, male 4.6
GTEX-1HCU6-0126-SM-CL54K 60-69 years, female 4.6
GTEX-1JJ6O-0126-SM-E6CI8 60-69 years, male 4.6
GTEX-1OJC4-0126-SM-E9J2E 50-59 years, female 4.6
GTEX-13OVG-1926-SM-5L3DK 60-69 years, male 4.5
GTEX-NFK9-0226-SM-2HMKQ 40-49 years, male 4.5
GTEX-1128S-2326-SM-5GZZY 60-69 years, female 4.4
GTEX-11EMC-2926-SM-5EQ4F 60-69 years, female 4.4
GTEX-11LCK-1026-SM-5A5KB 30-39 years, male 4.4
GTEX-1212Z-2526-SM-5EGKP 60-69 years, male 4.4
GTEX-RM2N-1426-SM-2TF4H 50-59 years, male 4.4
GTEX-S95S-1226-SM-4GICG 60-69 years, male 4.4
GTEX-WYJK-0126-SM-3NMAB 50-59 years, male 4.4
GTEX-11ZTT-2426-SM-5EQLS 60-69 years, female 4.3
GTEX-13OW8-1326-SM-5J1OW 60-69 years, male 4.3
GTEX-ZPIC-1726-SM-DHXIU 40-49 years, female 4.3
GTEX-13X6H-2126-SM-7EWD5 50-59 years, female 4.2
GTEX-139TU-0126-SM-5K7WH 60-69 years, male 4.1
GTEX-1AMFI-2026-SM-731BH 50-59 years, female 4.1
GTEX-Q2AH-1626-SM-3GAF8 40-49 years, male 4.1
GTEX-ZDYS-2026-SM-5HL5L 50-59 years, male 4.1
GTEX-ZVZP-2426-SM-59HKJ 50-59 years, male 4.1
GTEX-1IY9M-0126-SM-D3L8S 60-69 years, male 4.1
GTEX-12WSA-0226-SM-5BC5V 60-69 years, male 4.0
GTEX-17HHE-2026-SM-79OKF 50-59 years, male 4.0
GTEX-ZUA1-0126-SM-5GU76 40-49 years, male 3.9
GTEX-14A5I-0126-SM-5TDEA 50-59 years, female 3.8
GTEX-18D9U-0226-SM-718BP 40-49 years, male 3.8
GTEX-1I1HK-0126-SM-COH49 60-69 years, male 3.8
GTEX-11VI4-1726-SM-5CVLH 40-49 years, female 3.7
GTEX-1269C-2526-SM-5EGJ3 60-69 years, female 3.7
GTEX-13OW6-0426-SM-5L3HM 50-59 years, male 3.7
GTEX-13PVR-2326-SM-5QGR1 60-69 years, female 3.7
GTEX-1AMEY-1326-SM-73KYK 30-39 years, female 3.7
GTEX-YEC4-2126-SM-5IFJH 40-49 years, male 3.7
GTEX-13FH7-2026-SM-E9J4I 50-59 years, female 3.7
GTEX-1RAZQ-0726-SM-EAZ43 30-39 years, male 3.7
GTEX-1GTWX-0126-SM-9YFLK 60-69 years, male 3.6
GTEX-14JG6-2226-SM-6EU2G 30-39 years, female 3.5
GTEX-S32W-2126-SM-2XCB1 50-59 years, female 3.5
GTEX-WFON-2126-SM-3LK7O 40-49 years, male 3.5
GTEX-11XUK-2026-SM-5EQLF 40-49 years, female 3.3
GTEX-1CAMQ-0226-SM-7IGPK 40-49 years, male 3.1
GTEX-WH7G-2326-SM-3NMBC 40-49 years, male 3.1
GTEX-1QCLY-0326-SM-E8VOG 30-39 years, male 3.1
GTEX-ZVT2-2526-SM-51MT1 50-59 years, female 2.9
GTEX-12WSN-5019-SM-79OM6 40-49 years, male 2.6
GTEX-RWS6-2026-SM-2XCB5 60-69 years, female 2.6
GTEX-Z9EW-1626-SM-5CVMN 40-49 years, male 2.5
GTEX-1IDJU-2626-SM-CM2RT 60-69 years, female 2.4
GTEX-ZF29-2326-SM-DO92K 60-69 years, female 2.3
GTEX-146FR-1326-SM-E9J48 60-69 years, female 2.2
Show allShow less

Contact

  • NEWS ARTICLES
  • PRESS ROOM

The Project

  • INTRODUCTION
  • ORGANIZATION
  • PUBLICATIONS

The Human Protein Atlas

  • DOWNLOADABLE DATA
  • LICENCE & CITATION
  • HELP & FAQ
The Human Protein Atlas project is funded
by the Knut & Alice Wallenberg Foundation.


contact@proteinatlas.org