We use cookies to enhance the usability of our website. If you continue, we'll assume that you are happy to receive all cookies. More information. Don't show this again.
KLHL24
HPA
RESOURCES
  • TISSUE
  • BRAIN
  • SINGLE CELL
  • SUBCELLULAR
  • CANCER
  • BLOOD
  • CELL LINE
  • STRUCTURE & INTERACTION
ABOUT
  • INTRODUCTION
  • HISTORY
  • ORGANIZATION
  • PUBLICATIONS
  • ANTIBODY SUBMISSION
  • ANTIBODY AVAILABILITY
  • ACKNOWLEDGMENTS
  • CONTACT
NEWS
  • NEWS ARTICLES
  • PRESS ROOM
LEARN
  • DICTIONARY
  • PROTEIN CLASSES
  • PROTEIN EVIDENCE
  • METHODS
  • EDUCATIONAL VIDEOS
DATA
  • DOWNLOADABLE DATA
  • PUBLICATION DATA
  • RELEASE HISTORY
HELP
  • ANTIBODY VALIDATION
  • ASSAYS & ANNOTATION
  • DISCLAIMER
  • HELP & FAQ
  • PRIVACY STATEMENT
  • LICENCE & CITATION
Fields »
Search result

Field
Term
Gene name
Class
Subclass
Class
Keyword
Chromosome
External id
Tissue
Cell type
Expression
Antibody panel
Tissue
Main location
Patient ID
Annotation
Tissue
Category
Tau score
Cluster
Reliability
Brain region
Category
Tau score
Brain region
Category
Tau score
Brain region
Category
Tau score
Cluster
Reliability
Tissue
Cell type
Enrichment
Cell type
Category
Tau score
Cell type
Category
Tau score
Cell type
Category
Tau score
Cell lineage
Category
Tau score
Cluster
Cluster
Location
Searches
Location
Cell line
Class
Type
Phase
Reliability
Cancer
Prognosis
Cancer
Category
Cancer
Category
Tau score
Cluster
Variants
Interacting gene (ensg_id)
Type
Number of interactions
Pathway
Category
Score
Score
Score
Validation
Validation
Validation
Validation
Antibodies
Data type
Column


  • SUMMARY

  • TISSUE

  • BRAIN

  • SINGLE CELL

  • SUBCELL

  • CANCER

  • BLOOD

  • CELL LINE

  • STRUCT & INT

  • KLHL24
TISSUE PRIMARY DATA SKIN Show tissue menu
ADIPOSE TISSUE ADRENAL GLAND AMYGDALA APPENDIX BASAL GANGLIA BONE MARROW BREAST CEREBELLUM CEREBRAL CORTEX CERVIX CHOROID PLEXUS COLON DUODENUM
ENDOMETRIUM EPIDIDYMIS ESOPHAGUS FALLOPIAN TUBE GALLBLADDER HEART MUSCLE HIPPOCAMPAL FORMATION HYPOTHALAMUS KIDNEY LIVER LUNG LYMPH NODE MIDBRAIN
OVARY PANCREAS PARATHYROID GLAND PITUITARY GLAND PLACENTA PROSTATE RECTUM RETINA SALIVARY GLAND SEMINAL VESICLE SKELETAL MUSCLE SKIN SMALL INTESTINE
SMOOTH MUSCLE SPINAL CORD SPLEEN STOMACH TESTIS THYMUS THYROID GLAND TONGUE TONSIL URINARY BLADDER VAGINA
ANTIBODIES
AND
VALIDATION
Dictionary
Skin
Tissue proteome
Skin
SKIN - Expression summary
Protein expressioni

On the top, protein expression in current human tissue, based on all annotated cell types, is reported with the units not detected (n), low (l), medium (m) and high (h). Underneath, protein expression in each annotated cell type are reported using the same units.

Protein expression data is based on knowledge-based annotation. For genes where more than one antibody has been used, a collective score is set.

If knowledge-based annotation could not be performed for a gene, no data is displayed here. View antibody staining data further down this page.

No data
RNA expressioni

A summary of mRNA expression data available for current tissue based on several datasets. The mRNA expression levels in human tissues are based on RNA-seq data generated by the Human Protein Atlas (HPA), Genotype-Tissue Expression (GTEx) portal and CAGE data generated by the FANTOM5 consortium. Consensus normalized expression levels for human tissues was created by combining the data from HPA and GTEx datasets.

The mRNA expression levels in pig are based on RNA-seq data generated by the Human Protein Atlas (HPA), and for mouse, HPA data and in situ hybridization generated by the Allen brain atlas are reported.

Scroll down to view mRNA expression data in more detail.
Consensus:10.9 nTPM
HPA:8.2 nTPM
GTEx:10.9 nTPM

SKIN - Annotated protein expression
Pending normal tissue analysis

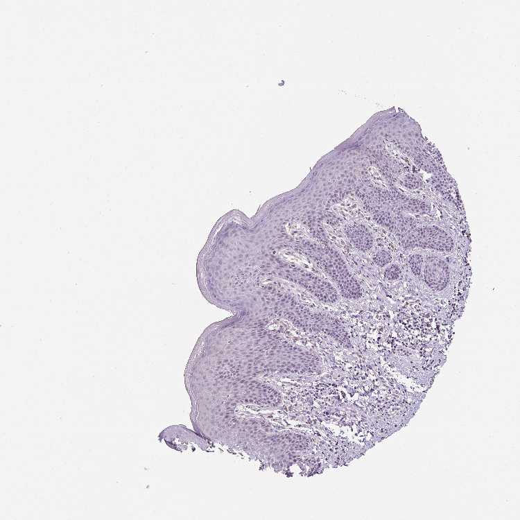
SKIN 1 - Antibody stainingi

Antibody staining in the annotated cell types in the current human tissue is reported as not detected, low, medium, or high, based on conventional immunohistochemistry profiling in selected tissues. This score is based on the combination of the staining intensity and fraction of stained cells.

Each image is clickable and will lead to virtual microscopy that enables deeper exploration of all samples and also displays staining intensity scores, fraction scores and subcellular localization as well as patient and tissue information for each sample.

Antibody HPA056337
Langerhans Not detected
Fibroblasts Not detected
Keratinocytes Not detected
Melanocytes Not detected

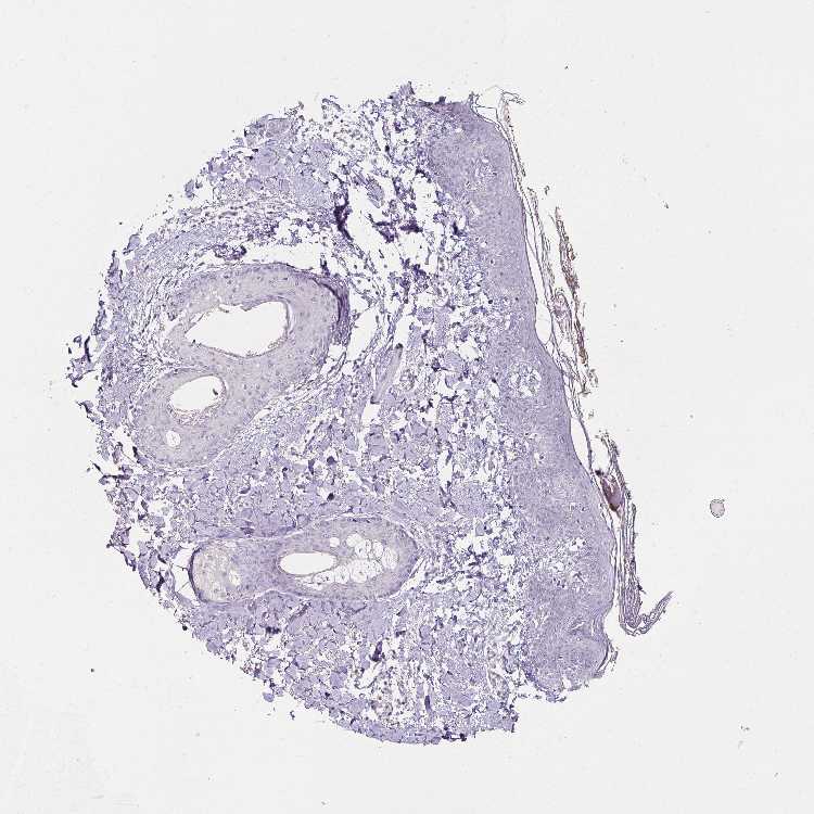
SKIN 2 - Antibody stainingi

Antibody staining in the annotated cell types in the current human tissue is reported as not detected, low, medium, or high, based on conventional immunohistochemistry profiling in selected tissues. This score is based on the combination of the staining intensity and fraction of stained cells.

Each image is clickable and will lead to virtual microscopy that enables deeper exploration of all samples and also displays staining intensity scores, fraction scores and subcellular localization as well as patient and tissue information for each sample.

Antibody HPA056337
Epidermal cells Not detected
 
 
 



SKIN - HPA RNA-seqi

The RNA-seq details section shows detailed information about the individual samples used for the transcript profiling and results of the RNA-seq analysis.

Information about each individual sample is listed below, including gender, age, a tissue section image and estimated fractions of cell types. nTPM (normalized transcripts per million) values give a quantification of the gene abundance which is comparable between different genes and samples.
Average nTPMi

Max subtype nTPM is the value for the subtype with the largest average nTPM across the subtype samples.

8.2
overview
Female, age 34
Skin sample 225
nTPM: 7.7
Cell types%
Keratinocytes:
60

Other cell types:
40

overview
Female, age 30
Skin sample 226
nTPM: 10.4
Cell types%
Keratinocytes:
55

Other cell types:
45

N/A
Male, age 57
Skin sample 227
nTPM: 6.5

SKIN - GTEx RNA-seqi

RNA-Seq data generated by the Genotype-Tissue Expression (GTEx) project from human tissues is reported as mean nTPM. More information can be found on the GTEx portal.

Distribution across the dataset is visualized with box plots, shown as median and 25th and 75th percentiles. Points are displayed as outliers if they are above or below 1.5 times the interquartile range. nTPM values of the individual samples are presented next to the box plot.
Max subtype nTPMi

Max subtype nTPM is the value for the subtype with the largest average nTPM across the subtype samples.

10.9
GTEx sample id Sample description nTPM
Skin - Not Sun Exposed (Suprapubic)
Average nTPM: 10.9
Samples: 604

Max nTPM: 48.9
Min nTPM: 1.0
Std nTPM: 4.8
Median nTPM: 10.0
GTEX-1F6RS-2026-SM-7RHHC 60-69 years, female 48.9
GTEX-1IDFM-0326-SM-ARL7V 60-69 years, male 37.8
GTEX-13YAN-0226-SM-5TDC6 60-69 years, male 36.4
GTEX-13NZ8-1226-SM-5KM4A 60-69 years, female 36.0
GTEX-1H3VE-0726-SM-9YFL5 40-49 years, male 30.0
GTEX-WYBS-0626-SM-3NMAS 60-69 years, female 29.3
GTEX-15UF6-1926-SM-7KUDV 70-79 years, female 28.4
GTEX-ZYY3-2926-SM-5GIEB 60-69 years, female 26.1
GTEX-13N1W-2426-SM-5IJD1 70-79 years, male 25.9
GTEX-1F75B-0726-SM-7PC3R 50-59 years, male 25.9
GTEX-1F88E-1626-SM-7SB8Z 60-69 years, female 25.5
GTEX-1ICLZ-0326-SM-ARL82 60-69 years, male 24.1
GTEX-1I1GS-2626-SM-B2LY3 60-69 years, male 23.4
GTEX-1GF9W-1426-SM-7PBYM 60-69 years, male 23.3
GTEX-139UW-0326-SM-5J1ML 60-69 years, male 23.2
GTEX-ZVE2-2826-SM-5GU51 50-59 years, male 22.6
GTEX-148VJ-0626-SM-5LUAW 70-79 years, male 22.1
GTEX-1S5ZU-2526-SM-E6CIF 20-29 years, female 21.8
GTEX-1PPH7-1126-SM-DTX9A 40-49 years, male 21.6
GTEX-11EQ8-0926-SM-5H12V 60-69 years, male 21.4
GTEX-1JJ6O-2726-SM-CNPOG 60-69 years, male 21.2
GTEX-1JMQL-2226-SM-CNPP4 50-59 years, female 21.2
GTEX-13IVO-0726-SM-5LZYV 70-79 years, male 20.2
GTEX-1GMR8-0626-SM-7RHI7 50-59 years, female 20.1
GTEX-1I19N-0126-SM-CYPSF 70-79 years, male 19.7
GTEX-1HSMO-0626-SM-ACKXC 60-69 years, male 19.4
GTEX-14753-0726-SM-5QGQO 60-69 years, male 19.3
GTEX-ZAB4-2126-SM-5HL8U 40-49 years, male 19.2
GTEX-1CAV2-0126-SM-7IGN7 40-49 years, female 19.1
GTEX-13PL6-1126-SM-5L3IE 40-49 years, female 19.0
GTEX-13PDP-0726-SM-5L3HP 60-69 years, male 18.9
GTEX-XMD2-2126-SM-4YCF8 60-69 years, female 18.9
GTEX-1HCU7-0726-SM-A9SL1 50-59 years, male 18.9
GTEX-14LLW-2626-SM-62LDZ 70-79 years, female 18.6
GTEX-1HBPM-0726-SM-9YFL7 60-69 years, female 18.6
GTEX-17F9Y-0126-SM-79OKX 70-79 years, female 18.5
GTEX-ZGAY-1826-SM-DO91Q 40-49 years, female 18.5
GTEX-14DAQ-0626-SM-793DS 60-69 years, female 18.4
GTEX-13RTJ-0126-SM-5S2NN 60-69 years, male 18.2
GTEX-16XZZ-0726-SM-7KUF2 60-69 years, male 18.1
GTEX-1117F-2926-SM-5GZYI 60-69 years, female 18.0
GTEX-1C475-1326-SM-7SB73 40-49 years, female 18.0
GTEX-1J8Q2-2626-SM-ACKWQ 60-69 years, male 18.0
GTEX-13JUV-2026-SM-5K7UA 40-49 years, female 17.8
GTEX-1HR9M-2226-SM-CNPPY 60-69 years, male 17.7
GTEX-15SKB-2826-SM-6PAMH 60-69 years, male 17.6
GTEX-ZAJG-1526-SM-5CVML 50-59 years, female 17.6
GTEX-1NV5F-0626-SM-DTXEG 60-69 years, female 17.6
GTEX-14E6C-2426-SM-5S2NF 40-49 years, male 17.4
GTEX-1PDJ9-1226-SM-EXUSX 20-29 years, male 17.2
GTEX-1A8G7-1326-SM-73KVM 60-69 years, male 16.9
GTEX-1314G-1326-SM-5BC6E 30-39 years, male 16.8
GTEX-1JN6P-2926-SM-CL54D 60-69 years, male 16.8
GTEX-139D8-1126-SM-5LU8W 30-39 years, female 16.6
GTEX-13X6I-1826-SM-5SIAO 60-69 years, male 16.6
GTEX-1EH9U-2826-SM-7DUGT 60-69 years, male 16.5
GTEX-1HCU8-2526-SM-CE6RX 60-69 years, female 16.5
GTEX-1GMR3-0126-SM-A9SLW 40-49 years, male 16.4
GTEX-1497J-0226-SM-5QGPU 60-69 years, male 16.3
GTEX-12696-0126-SM-5EQ4L 60-69 years, male 16.2
GTEX-131XF-2626-SM-5EQ6K 60-69 years, male 16.2
GTEX-13113-1626-SM-5EQ4I 60-69 years, female 16.1
GTEX-XK95-0226-SM-4AT58 40-49 years, male 16.0
GTEX-139T8-0626-SM-5KLZX 60-69 years, male 15.9
GTEX-145MI-0626-SM-5SI8S 60-69 years, female 15.9
GTEX-145MO-2826-SM-5LU96 60-69 years, male 15.9
GTEX-147F3-1726-SM-5SIAW 50-59 years, female 15.9
GTEX-14C5O-0326-SM-5ZZUX 60-69 years, male 15.9
GTEX-17MF6-2626-SM-79OKQ 40-49 years, male 15.9
GTEX-14PJ2-0626-SM-6LLII 50-59 years, male 15.8
GTEX-1HKZK-0726-SM-ACKW2 40-49 years, male 15.7
GTEX-1JJE9-2626-SM-ARZMT 70-79 years, male 15.7
GTEX-1A32A-0626-SM-731AQ 50-59 years, female 15.6
GTEX-1F48J-0726-SM-7RHGS 50-59 years, female 15.6
GTEX-1GPI6-1926-SM-9KNV7 60-69 years, male 15.6
GTEX-16MT8-2926-SM-7DUFO 60-69 years, female 15.5
GTEX-X8HC-0626-SM-4E3HQ 50-59 years, female 15.5
GTEX-1HUB1-1426-SM-CGQF5 60-69 years, male 15.5
GTEX-ZVE1-0726-SM-51MRN 50-59 years, female 15.4
GTEX-ZXG5-2126-SM-59HKD 60-69 years, male 15.4
GTEX-1IE54-1126-SM-A9G2Z 40-49 years, female 15.4
GTEX-15EO6-2426-SM-6PALZ 50-59 years, male 15.2
GTEX-1CB4H-1126-SM-7MKGL 60-69 years, female 15.2
GTEX-13QJC-0126-SM-5ZZWJ 60-69 years, female 15.1
GTEX-1I1CD-0626-SM-CE6SW 60-69 years, female 15.0
GTEX-13SLW-0626-SM-5Q5ER 70-79 years, male 14.9
GTEX-14PJ5-1526-SM-6LLIL 60-69 years, female 14.8
GTEX-1H4P4-2126-SM-9WYSL 50-59 years, male 14.8
GTEX-12WSA-0426-SM-5EQ5X 60-69 years, male 14.5
GTEX-147JS-0226-SM-5S2U9 60-69 years, male 14.5
GTEX-13X6H-0926-SM-5SIB2 50-59 years, female 14.4
GTEX-14C39-1726-SM-5RQIL 40-49 years, male 14.4
GTEX-1B996-0426-SM-7EWF8 60-69 years, male 14.4
GTEX-1LSVX-2526-SM-DIPEU 60-69 years, male 14.4
GTEX-11TUW-0626-SM-5LU9M 60-69 years, male 14.3
GTEX-13OVJ-0826-SM-5J1OK 50-59 years, female 14.3
GTEX-14PJN-1826-SM-6AJ98 30-39 years, male 14.3
GTEX-ZE7O-2726-SM-51MT5 50-59 years, female 14.3
GTEX-1HFI7-2326-SM-CGQFS 50-59 years, female 14.1
GTEX-1IDJV-0126-SM-COH3Y 60-69 years, male 14.1
GTEX-1JMPZ-0726-SM-CY8HZ 30-39 years, male 14.1
GTEX-1ICLY-0826-SM-CMKG1 50-59 years, male 14.0
GTEX-12WSL-2026-SM-5GCML 50-59 years, male 13.9
GTEX-1F75I-2226-SM-7SB8U 40-49 years, male 13.9
GTEX-12C56-1526-SM-5FQUQ 20-29 years, male 13.8
GTEX-1269C-0126-SM-5EQ5L 60-69 years, female 13.7
GTEX-15D1Q-2826-SM-6LLH7 40-49 years, male 13.7
GTEX-ZT9W-1126-SM-57WDR 50-59 years, male 13.7
GTEX-1A8FM-0626-SM-7PC25 50-59 years, female 13.7
GTEX-1GF9U-2026-SM-7SB92 40-49 years, female 13.7
GTEX-1LGOU-1326-SM-D3L8M 20-29 years, female 13.7
GTEX-1O9I2-0226-SM-EYYXD 50-59 years, male 13.7
GTEX-ZVT2-0126-SM-5GIDQ 50-59 years, female 13.6
GTEX-1H1DF-1126-SM-9WG7G 40-49 years, female 13.6
GTEX-1R9K4-2826-SM-DTX8F 60-69 years, male 13.6
GTEX-17EVQ-0126-SM-7IGLR 70-79 years, male 13.5
GTEX-1C64N-2626-SM-7PC2N 50-59 years, male 13.5
GTEX-1IKJJ-2226-SM-CJI4C 60-69 years, male 13.5
GTEX-13N2G-0226-SM-5K7VF 60-69 years, male 13.4
GTEX-1AMFI-1326-SM-7939R 50-59 years, female 13.4
GTEX-1GZ4H-0526-SM-9KNU9 50-59 years, female 13.4
GTEX-1I4MK-0126-SM-CY8G6 50-59 years, female 13.4
GTEX-183WM-0326-SM-72D5V 70-79 years, female 13.3
GTEX-145LS-0626-SM-7EPG7 60-69 years, female 13.2
GTEX-ZU9S-1826-SM-5NQ9E 30-39 years, male 13.2
GTEX-14JFF-0626-SM-5ZZVT 60-69 years, male 13.2
GTEX-1J8Q3-0526-SM-ARL8U 60-69 years, male 13.2
GTEX-1L5NE-1126-SM-D3L9P 50-59 years, male 13.2
GTEX-17EVP-2626-SM-7IGMA 40-49 years, male 13.1
GTEX-1R46S-2426-SM-E76QA 60-69 years, female 13.1
GTEX-1211K-1526-SM-5FQU4 60-69 years, female 13.0
GTEX-13JVG-0726-SM-5KM16 60-69 years, male 13.0
GTEX-13VXU-0626-SM-5L3F9 50-59 years, male 13.0
GTEX-14DAR-1226-SM-73KYV 50-59 years, male 13.0
GTEX-18A7B-2726-SM-7LG56 70-79 years, male 13.0
GTEX-ZLWG-0826-SM-59888 50-59 years, female 13.0
GTEX-1HR98-2226-SM-ADEI2 60-69 years, male 13.0
GTEX-1IL2V-1926-SM-B2LW8 70-79 years, male 13.0
GTEX-ZVT4-2426-SM-5GIEI 50-59 years, female 12.9
GTEX-1H23P-0626-SM-9WG6T 60-69 years, male 12.9
GTEX-12WSF-1626-SM-7KUG5 70-79 years, male 12.8
GTEX-15CHQ-0326-SM-69LQD 60-69 years, male 12.8
GTEX-1GN1V-2826-SM-9JGIA 60-69 years, male 12.8
GTEX-12WSM-1926-SM-5BC65 60-69 years, male 12.7
GTEX-1C6VQ-1226-SM-73KYD 50-59 years, male 12.7
GTEX-X4EO-2926-SM-4E3JH 60-69 years, female 12.7
GTEX-1GTWX-2026-SM-9YFLM 60-69 years, male 12.7
GTEX-1HCVE-2726-SM-CL54F 50-59 years, male 12.7
GTEX-1HSGN-0826-SM-ACKW3 40-49 years, female 12.7
GTEX-1LG7Y-2526-SM-EWRO7 50-59 years, male 12.7
GTEX-12ZZZ-0726-SM-5GCNZ 60-69 years, male 12.6
GTEX-13OVH-0526-SM-5L3E6 70-79 years, male 12.6
GTEX-13VXT-1926-SM-5K7UO 20-29 years, female 12.6
GTEX-1AMEY-0826-SM-72D65 30-39 years, female 12.6
GTEX-ZUA1-2626-SM-5NQ92 40-49 years, male 12.6
GTEX-1122O-1026-SM-9WYSF 60-69 years, female 12.6
GTEX-16MT9-0126-SM-7EPI8 60-69 years, female 12.5
GTEX-1AX9I-2226-SM-73KUO 60-69 years, male 12.5
GTEX-1F52S-2926-SM-7MKGA 60-69 years, female 12.5
GTEX-WHSE-0126-SM-3NMBT 20-29 years, male 12.5
GTEX-1H3NZ-2726-SM-9WYTQ 60-69 years, male 12.5
GTEX-1I1GV-0626-SM-ARL7M 60-69 years, male 12.5
GTEX-1LKK1-2626-SM-DKPQE 50-59 years, female 12.5
GTEX-1B933-2426-SM-7DHMD 50-59 years, female 12.4
GTEX-1B97I-0626-SM-73KUZ 40-49 years, male 12.4
GTEX-ZA64-1026-SM-5HL8R 20-29 years, male 12.4
GTEX-1GL5R-1326-SM-7RHHF 50-59 years, male 12.4
GTEX-1HCU9-0426-SM-9WYSD 20-29 years, male 12.4
GTEX-1K2DU-1226-SM-CYPT4 20-29 years, male 12.4
GTEX-111YS-1526-SM-5GZYW 60-69 years, male 12.3
GTEX-13PVR-0426-SM-5RQK2 60-69 years, female 12.3
GTEX-1J1OQ-0126-SM-D4P2N 40-49 years, female 12.3
GTEX-13QBU-1226-SM-5LU4G 40-49 years, female 12.2
GTEX-15DDE-2926-SM-6LLJ3 50-59 years, female 12.2
GTEX-ZWKS-0626-SM-5GIDV 30-39 years, male 12.2
GTEX-1C64O-1326-SM-7MGWR 60-69 years, male 12.2
GTEX-1JMQI-1726-SM-ARL93 50-59 years, male 12.2
GTEX-1LVAO-2726-SM-E9TJ8 60-69 years, male 12.2
GTEX-11O72-0626-SM-5PNYE 40-49 years, male 12.1
GTEX-13PVQ-0626-SM-5LU47 50-59 years, male 12.1
GTEX-18465-2826-SM-7LT9J 50-59 years, male 12.1
GTEX-1CAMS-2226-SM-7PBXQ 40-49 years, female 12.1
GTEX-1I1GT-1026-SM-ARZLV 60-69 years, female 12.1
GTEX-117YX-1926-SM-5GIEC 50-59 years, male 12.0
GTEX-11DXW-0826-SM-5H118 40-49 years, male 12.0
GTEX-11DXY-0126-SM-5H11Q 60-69 years, male 12.0
GTEX-13OVG-1626-SM-5J1NF 60-69 years, male 12.0
GTEX-11LCK-2226-SM-5HL4Q 30-39 years, male 11.9
GTEX-16NPX-0726-SM-7KULC 50-59 years, male 11.9
GTEX-17HII-1426-SM-7EPGG 50-59 years, male 11.9
GTEX-Y8LW-1526-SM-5IFHL 50-59 years, female 11.9
GTEX-Z93S-1626-SM-5CVMB 50-59 years, male 11.9
GTEX-1GN1W-2426-SM-9KNUU 50-59 years, female 11.9
GTEX-1RLM8-2926-SM-E8VON 50-59 years, male 11.9
GTEX-13FHO-0426-SM-5L3F5 60-69 years, male 11.8
GTEX-13NZ9-2626-SM-5L3FK 50-59 years, male 11.8
GTEX-144FL-0626-SM-5LU43 50-59 years, male 11.8
GTEX-1GZ2Q-0126-SM-9WG6M 40-49 years, male 11.8
GTEX-1HT8W-0626-SM-A9G2H 30-39 years, male 11.8
GTEX-1I1GU-0926-SM-ACKVS 40-49 years, male 11.8
GTEX-1J8JJ-0626-SM-ARZMQ 60-69 years, female 11.8
GTEX-11PRG-0726-SM-5EGL1 50-59 years, male 11.7
GTEX-14BMV-2826-SM-5TDED 50-59 years, male 11.7
GTEX-12BJ1-0926-SM-5EQ62 60-69 years, male 11.6
GTEX-13NYS-0626-SM-5L3F1 60-69 years, male 11.6
GTEX-15FZZ-0526-SM-7KUGD 30-39 years, female 11.6
GTEX-1E1VI-0326-SM-793D1 50-59 years, male 11.6
GTEX-XUW1-0926-SM-4BONX 50-59 years, female 11.6
GTEX-ZYVF-0926-SM-5E44J 50-59 years, female 11.6
GTEX-1CAMQ-1326-SM-7P8RV 40-49 years, male 11.6
GTEX-1GPI7-1826-SM-9KNU1 20-29 years, male 11.6
GTEX-1J1R8-2026-SM-CL53Y 40-49 years, male 11.6
GTEX-ZTTD-2826-SM-4YCFA 50-59 years, male 11.5
GTEX-1F75W-2726-SM-7SB8H 60-69 years, male 11.5
GTEX-1399U-1126-SM-5L3DB 50-59 years, female 11.4
GTEX-1477Z-0326-SM-7IGLA 60-69 years, male 11.4
GTEX-14PJ4-0226-SM-5YY92 60-69 years, male 11.4
GTEX-16BQI-1326-SM-6M486 30-39 years, female 11.4
GTEX-1H3O1-1326-SM-9MQLD 60-69 years, male 11.4
GTEX-1LG7Z-1626-SM-CXKYR 30-39 years, male 11.4
GTEX-13NYC-0126-SM-5L3F4 60-69 years, male 11.3
GTEX-14BMU-1226-SM-5S2OR 20-29 years, female 11.3
GTEX-15RJE-2826-SM-7KUM9 40-49 years, male 11.3
GTEX-18D9U-0126-SM-731BM 40-49 years, male 11.3
GTEX-Y5V5-0126-SM-5S2NW 60-69 years, female 11.3
GTEX-1I1GP-1326-SM-A9G28 50-59 years, male 11.3
GTEX-1IDJU-1726-SM-CMKHU 60-69 years, female 11.3
GTEX-1QP28-1126-SM-EVYC4 50-59 years, female 11.3
GTEX-11EI6-2826-SM-5H11D 60-69 years, male 11.2
GTEX-11ZU8-0126-SM-5EQ58 60-69 years, male 11.2
GTEX-133LE-2326-SM-5K7W3 20-29 years, female 11.2
GTEX-145MF-0926-SM-5Q5EA 50-59 years, male 11.2
GTEX-15SHW-0226-SM-7LTAT 60-69 years, male 11.2
GTEX-1AX9J-1326-SM-731BJ 60-69 years, male 11.2
GTEX-WYJK-0526-SM-3NM8Z 50-59 years, male 11.2
GTEX-18D9A-1426-SM-7LT8M 30-39 years, female 11.2
GTEX-1LVA9-2626-SM-EVYD4 50-59 years, male 11.2
GTEX-11UD2-2526-SM-5CVNU 50-59 years, male 11.1
GTEX-1IDJI-0126-SM-CMKHS 50-59 years, female 11.1
GTEX-1PBJJ-1026-SM-E76OS 30-39 years, male 11.1
GTEX-1RAZA-2226-SM-E9U4X 20-29 years, male 11.1
GTEX-144GO-2026-SM-5O99P 60-69 years, male 11.0
GTEX-14B4R-1326-SM-5Q5EZ 30-39 years, male 11.0
GTEX-1GF9X-1326-SM-7PC2Y 40-49 years, female 11.0
GTEX-1H1ZS-2726-SM-9WG75 70-79 years, male 11.0
GTEX-1HGF4-0126-SM-CNPPX 60-69 years, male 11.0
GTEX-1I6K6-1726-SM-CGQFD 30-39 years, male 11.0
GTEX-1IDJD-2326-SM-ACKWX 30-39 years, male 11.0
GTEX-1JMPY-0226-SM-CKZOK 30-39 years, male 11.0
GTEX-1A3MV-1826-SM-731CD 30-39 years, male 10.9
GTEX-1F5PL-0926-SM-7PC2W 40-49 years, female 10.9
GTEX-1HSMQ-2626-SM-A9SML 50-59 years, male 10.9
GTEX-1R7EU-1626-SM-DTXG3 60-69 years, male 10.9
GTEX-13D11-0926-SM-5J2NC 50-59 years, female 10.8
GTEX-13FTW-0326-SM-5K7UW 40-49 years, male 10.8
GTEX-145ME-1726-SM-5Q5EU 40-49 years, female 10.8
GTEX-1C6WA-2626-SM-7MKGM 60-69 years, male 10.8
GTEX-1JMLX-0626-SM-ARL8T 50-59 years, male 10.8
GTEX-1JMOU-1026-SM-CYPSS 60-69 years, female 10.8
GTEX-1KAFJ-0126-SM-DIPEK 50-59 years, male 10.8
GTEX-12584-0726-SM-5FQTK 40-49 years, male 10.7
GTEX-1MCYP-0526-SM-E9U6Q 20-29 years, female 10.7
GTEX-13OVL-0126-SM-5L3GJ 50-59 years, male 10.6
GTEX-ZZ64-1026-SM-5GZXG 20-29 years, male 10.6
GTEX-1F5PK-2226-SM-7SB6N 50-59 years, male 10.6
GTEX-1H2FU-0926-SM-9WPPT 60-69 years, female 10.6
GTEX-1192X-2726-SM-5N9DN 50-59 years, male 10.5
GTEX-13112-0126-SM-5P9IU 50-59 years, male 10.5
GTEX-1HCU6-2526-SM-ADEHL 60-69 years, female 10.5
GTEX-111FC-2526-SM-5GZXU 60-69 years, male 10.4
GTEX-12KS4-2126-SM-5FQUT 30-39 years, male 10.4
GTEX-13X6K-0626-SM-5LU5D 60-69 years, female 10.4
GTEX-14PJO-2526-SM-6AJBQ 60-69 years, male 10.4
GTEX-ZF29-0926-SM-4WKFZ 60-69 years, female 10.4
GTEX-ZTSS-1426-SM-5985P 40-49 years, male 10.4
GTEX-11P82-1426-SM-DTXFY 20-29 years, male 10.4
GTEX-ZYFG-1526-SM-5GZYM 60-69 years, female 10.3
GTEX-1A3MX-2626-SM-7PC24 60-69 years, male 10.3
GTEX-1KXAM-1626-SM-D3LAD 60-69 years, male 10.3
GTEX-1M4P7-0726-SM-E6CJ3 60-69 years, male 10.3
GTEX-1N5O9-0926-SM-E9J3C 60-69 years, male 10.3
GTEX-11EM3-1226-SM-5N9DD 20-29 years, female 10.2
GTEX-183FY-1026-SM-7939A 20-29 years, male 10.2
GTEX-1C2JI-1026-SM-73KY1 50-59 years, male 10.2
GTEX-WI4N-2726-SM-3LK7Y 40-49 years, female 10.2
GTEX-Y9LG-1126-SM-4VBQ7 30-39 years, male 10.2
GTEX-ZDTT-0426-SM-4WKFL 60-69 years, male 10.2
GTEX-1CB4J-1326-SM-7P8RX 60-69 years, male 10.2
GTEX-1JKYN-0826-SM-ARU8S 30-39 years, male 10.2
GTEX-13FLV-0126-SM-5K7WT 50-59 years, male 10.1
GTEX-13OW5-2326-SM-5L3HO 60-69 years, male 10.1
GTEX-14PKU-0126-SM-6LLHV 40-49 years, female 10.1
GTEX-15ER7-0626-SM-6PANF 20-29 years, female 10.1
GTEX-WY7C-2126-SM-3NB2R 50-59 years, male 10.1
GTEX-X585-2426-SM-46MW2 50-59 years, male 10.1
GTEX-1IDJH-0126-SM-D3L92 70-79 years, male 10.1
GTEX-1N2EE-0626-SM-E76PW 60-69 years, male 10.1
GTEX-1QP66-1226-SM-DTX7U 50-59 years, male 10.1
GTEX-13FH7-1126-SM-5K7UG 50-59 years, female 10.0
GTEX-145LU-1926-SM-79OJN 50-59 years, male 10.0
GTEX-15EU6-2226-SM-6EU2L 50-59 years, male 10.0
GTEX-WK11-2726-SM-3NMAQ 50-59 years, male 10.0
GTEX-14JG6-1426-SM-9WG7C 30-39 years, female 10.0
GTEX-1HB9E-0126-SM-CM2S5 50-59 years, male 10.0
GTEX-1IDJF-2026-SM-CL53V 20-29 years, male 10.0
GTEX-1LGRB-0926-SM-COH3K 50-59 years, female 10.0
GTEX-11EQ9-1626-SM-5PNY8 30-39 years, male 9.9
GTEX-11VI4-1126-SM-5EQMD 40-49 years, female 9.9
GTEX-14BIN-1126-SM-5RQJZ 50-59 years, female 9.9
GTEX-17HHE-1326-SM-7EWDZ 50-59 years, male 9.9
GTEX-18QFQ-1826-SM-72D52 30-39 years, male 9.9
GTEX-1GZ4I-2626-SM-9KNU3 50-59 years, male 9.9
GTEX-1KD5A-0126-SM-E9U54 50-59 years, male 9.9
GTEX-14PKV-1126-SM-6LLJ1 20-29 years, female 9.8
GTEX-1F88F-0126-SM-9WYSZ 60-69 years, female 9.8
GTEX-1GMR2-0826-SM-7PC3V 50-59 years, male 9.8
GTEX-1GZHY-0626-SM-9KNVC 50-59 years, female 9.8
GTEX-1QCLZ-2426-SM-EVYBW 60-69 years, female 9.8
GTEX-1QPFJ-1926-SM-EVYBD 30-39 years, female 9.8
GTEX-11P81-2226-SM-5PNYI 30-39 years, female 9.7
GTEX-12WSC-2826-SM-5BC5Y 50-59 years, male 9.7
GTEX-147F4-0726-SM-5TDDD 50-59 years, male 9.7
GTEX-16NGA-0726-SM-731AO 40-49 years, female 9.7
GTEX-WRHU-2826-SM-3MJG8 50-59 years, female 9.7
GTEX-XAJ8-1426-SM-47JYM 40-49 years, male 9.7
GTEX-YF7O-1526-SM-5IFI6 50-59 years, male 9.7
GTEX-ZYFD-0626-SM-5E44E 50-59 years, male 9.7
GTEX-1EMGI-2326-SM-7PBYA 60-69 years, male 9.7
GTEX-1K9T9-1526-SM-DIPFR 50-59 years, female 9.7
GTEX-1LBAC-0826-SM-CY8IJ 20-29 years, male 9.7
GTEX-1399R-1326-SM-5PNYS 30-39 years, male 9.6
GTEX-13U4I-2226-SM-5LU5H 40-49 years, female 9.6
GTEX-14LZ3-0126-SM-69LPM 60-69 years, female 9.6
GTEX-YB5K-2026-SM-4VDT3 40-49 years, female 9.6
GTEX-1HFI6-0126-SM-CNPPI 40-49 years, male 9.6
GTEX-1IOXB-2726-SM-CM2RI 50-59 years, male 9.6
GTEX-1KANC-1226-SM-CYPT7 50-59 years, female 9.6
GTEX-1MCC2-1826-SM-DIPEX 30-39 years, female 9.6
GTEX-16AAH-0626-SM-793C9 50-59 years, male 9.5
GTEX-1CB4F-1026-SM-7DUH1 60-69 years, male 9.5
GTEX-X3Y1-2026-SM-3P5YM 40-49 years, male 9.5
GTEX-1HSKV-1226-SM-ADEI4 60-69 years, male 9.5
GTEX-1RAZR-2126-SM-E9U6T 40-49 years, male 9.5
GTEX-131XW-0626-SM-5PNVD 50-59 years, female 9.4
GTEX-14C38-0726-SM-5SI6M 50-59 years, male 9.4
GTEX-14ICL-1626-SM-5YYAO 30-39 years, male 9.4
GTEX-1CB4E-0926-SM-7EPHT 60-69 years, male 9.4
GTEX-ZDTS-0826-SM-4WKHL 60-69 years, male 9.4
GTEX-1F6IF-0926-SM-7SB7M 60-69 years, male 9.4
GTEX-1QP29-1826-SM-DTX9S 50-59 years, male 9.4
GTEX-17F96-0126-SM-7EWDU 70-79 years, male 9.3
GTEX-17F97-2626-SM-7IGM5 50-59 years, male 9.3
GTEX-1B8KE-1126-SM-7EPHI 50-59 years, male 9.3
GTEX-WHSB-1326-SM-3LK6W 50-59 years, male 9.3
GTEX-1QCLY-0226-SM-EWRNH 30-39 years, male 9.3
GTEX-11P7K-1126-SM-5HL4L 30-39 years, male 9.2
GTEX-1EKGG-0626-SM-7DUGJ 60-69 years, male 9.2
GTEX-VJYA-1526-SM-3GIJV 60-69 years, male 9.2
GTEX-XBEW-1126-SM-4QARW 40-49 years, male 9.2
GTEX-Y5LM-0926-SM-6LLJG 40-49 years, female 9.2
GTEX-ZE9C-2526-SM-5IJDR 60-69 years, male 9.2
GTEX-1JK1U-0226-SM-ARZMX 60-69 years, male 9.2
GTEX-1LSNL-2726-SM-E9TKJ 50-59 years, male 9.2
GTEX-13OW7-0426-SM-5K7VK 50-59 years, male 9.1
GTEX-17HG3-2626-SM-7DUF2 30-39 years, female 9.1
GTEX-18A7A-0126-SM-731AH 50-59 years, female 9.1
GTEX-1A8G6-2726-SM-731AR 60-69 years, male 9.1
GTEX-1IDJC-1526-SM-B2LW4 50-59 years, male 9.1
GTEX-1JKYR-0626-SM-ARL8R 20-29 years, male 9.1
GTEX-12WSD-0626-SM-5GCMW 60-69 years, female 9.0
GTEX-14JG1-1526-SM-5YY9X 40-49 years, male 9.0
GTEX-ZLFU-1826-SM-4WWBV 40-49 years, male 9.0
GTEX-1GN1U-0626-SM-9MQL9 50-59 years, female 9.0
GTEX-1IDJE-1426-SM-ADEIW 50-59 years, female 9.0
GTEX-1J8QM-2426-SM-A9SLS 60-69 years, female 9.0
GTEX-11ZUS-2626-SM-5FQUR 30-39 years, male 8.9
GTEX-144GM-0526-SM-79OJO 20-29 years, male 8.9
GTEX-14PII-0726-SM-6EU2B 60-69 years, male 8.9
GTEX-UPJH-0226-SM-3GADV 50-59 years, male 8.9
GTEX-X4EP-0626-SM-3P621 60-69 years, female 8.9
GTEX-ZDXO-3126-SM-5IJDF 60-69 years, male 8.9
GTEX-1HC8U-1326-SM-9YFMJ 40-49 years, female 8.9
GTEX-1KANA-1326-SM-DIPFA 20-29 years, male 8.9
GTEX-13OW6-2726-SM-5J2OE 50-59 years, male 8.8
GTEX-1EU9M-1426-SM-793AI 60-69 years, male 8.8
GTEX-WEY5-2326-SM-3GIKK 40-49 years, female 8.8
GTEX-ZVTK-0226-SM-51MRG 20-29 years, male 8.8
GTEX-ZYW4-0626-SM-59HJR 60-69 years, male 8.8
GTEX-1LSNM-0826-SM-DIPG8 50-59 years, male 8.8
GTEX-12ZZY-0726-SM-5EQ66 60-69 years, male 8.7
GTEX-14PHX-2226-SM-6EU2P 50-59 years, male 8.7
GTEX-V1D1-2026-SM-3GAF4 50-59 years, male 8.7
GTEX-Y111-0626-SM-4SOIT 50-59 years, male 8.7
GTEX-Y5V6-2326-SM-4VDSA 60-69 years, male 8.7
GTEX-ZYFC-0426-SM-5GICQ 50-59 years, male 8.7
GTEX-1H1DE-1326-SM-9KNUG 20-29 years, male 8.7
GTEX-1H1E6-0426-SM-9WYUS 30-39 years, male 8.7
GTEX-1IY9M-2826-SM-ARU8H 60-69 years, male 8.7
GTEX-1KWVE-1026-SM-D3L9O 30-39 years, male 8.7
GTEX-111CU-1126-SM-5EGIM 50-59 years, male 8.6
GTEX-11GSP-2326-SM-5HL63 60-69 years, female 8.6
GTEX-14A6H-2026-SM-5Q5DD 30-39 years, male 8.6
GTEX-WFG7-2026-SM-5SI7P 20-29 years, male 8.6
GTEX-XBED-1926-SM-47JYP 60-69 years, male 8.6
GTEX-YEC4-1826-SM-4W1YP 40-49 years, male 8.6
GTEX-1GMRU-2126-SM-7P8RA 50-59 years, male 8.6
GTEX-145MN-1526-SM-5SI9T 30-39 years, male 8.5
GTEX-14E1K-2026-SM-7DUEI 50-59 years, male 8.5
GTEX-1RMOY-1326-SM-E9TIH 50-59 years, male 8.5
GTEX-139TS-2126-SM-5K7XC 60-69 years, male 8.4
GTEX-13O3O-2326-SM-5IJD6 60-69 years, female 8.4
GTEX-15DYW-2726-SM-6EU2I 60-69 years, female 8.4
GTEX-1EN7A-2426-SM-793DB 40-49 years, male 8.4
GTEX-ZC5H-1526-SM-5HL9Y 40-49 years, female 8.4
GTEX-1I6K7-1926-SM-B2LXR 40-49 years, male 8.4
GTEX-1JJEA-1826-SM-ARU8P 60-69 years, male 8.4
GTEX-1NSGN-0726-SM-DTXEF 50-59 years, male 8.4
GTEX-13SLX-2226-SM-62LEP 50-59 years, female 8.3
GTEX-X5EB-1926-SM-4E3IW 40-49 years, male 8.3
GTEX-1CB4I-0126-SM-7RHGG 50-59 years, male 8.3
GTEX-1GN73-0726-SM-7P8TJ 60-69 years, male 8.3
GTEX-1S3DN-2126-SM-E9TIN 50-59 years, male 8.3
GTEX-16MTA-0926-SM-6M47Z 50-59 years, male 8.2
GTEX-VUSG-2326-SM-4KL1U 50-59 years, male 8.2
GTEX-XQ8I-0926-SM-4BOOF 50-59 years, male 8.2
GTEX-1H1CY-0126-SM-9YFLY 60-69 years, female 8.2
GTEX-1PIIG-2326-SM-DTXFR 30-39 years, male 8.2
GTEX-YEC3-1326-SM-DO92X 50-59 years, male 8.2
GTEX-131YS-2826-SM-5EQ47 60-69 years, female 8.1
GTEX-13X6J-0626-SM-5LU5F 50-59 years, male 8.1
GTEX-1EX96-1026-SM-7MKG2 50-59 years, male 8.1
GTEX-ZDYS-2426-SM-4WKGI 50-59 years, male 8.1
GTEX-1HBPN-0126-SM-CGQEF 50-59 years, male 8.1
GTEX-1RB15-1326-SM-E76Q9 60-69 years, male 8.1
GTEX-1C6VR-0126-SM-7RHGB 60-69 years, male 8.0
GTEX-1HCUA-0826-SM-ADEHM 50-59 years, female 8.0
GTEX-1QEPI-2626-SM-DTXF4 60-69 years, female 8.0
GTEX-1QP2A-1726-SM-E76QC 50-59 years, male 8.0
GTEX-11GS4-0226-SM-5HL77 60-69 years, male 7.9
GTEX-1313W-0626-SM-5EQ4H 50-59 years, female 7.9
GTEX-139TT-2126-SM-5LZWC 60-69 years, male 7.9
GTEX-13W3W-0726-SM-5IJDQ 60-69 years, female 7.9
GTEX-14PJ6-2626-SM-6EU2T 60-69 years, female 7.9
GTEX-YFCO-1226-SM-5LUAT 40-49 years, male 7.9
GTEX-ZYT6-2326-SM-5GZY3 30-39 years, male 7.9
GTEX-1B8L1-2226-SM-7P8PT 60-69 years, male 7.9
GTEX-1F6I4-2326-SM-7RHGL 60-69 years, male 7.9
GTEX-1LVAN-0626-SM-CNPOQ 50-59 years, female 7.9
GTEX-1212Z-0126-SM-59HK4 60-69 years, male 7.8
GTEX-13O3Q-0126-SM-5KM34 50-59 years, male 7.8
GTEX-XPVG-2126-SM-4B667 50-59 years, male 7.8
GTEX-1QMI2-2526-SM-E8VNZ 60-69 years, male 7.8
GTEX-139TU-0726-SM-5L3EK 60-69 years, male 7.7
GTEX-13NYB-0126-SM-5J1MD 40-49 years, male 7.7
GTEX-13OW8-1026-SM-5J1NQ 60-69 years, male 7.7
GTEX-145LT-0526-SM-5LUB2 40-49 years, male 7.7
GTEX-16Z82-2626-SM-7KULU 60-69 years, male 7.7
GTEX-17JCI-2926-SM-7DUFF 60-69 years, female 7.7
GTEX-XV7Q-1826-SM-4BRUV 40-49 years, female 7.7
GTEX-ZZPU-0826-SM-5GZX5 50-59 years, female 7.7
GTEX-1JMQJ-0826-SM-CNPP7 50-59 years, male 7.7
GTEX-15CHC-1126-SM-6LLHQ 60-69 years, female 7.6
GTEX-16GPK-0626-SM-7KFSF 60-69 years, male 7.6
GTEX-18D9B-0926-SM-7LG4U 60-69 years, male 7.6
GTEX-XBEC-0726-SM-4QARZ 50-59 years, male 7.6
GTEX-YJ8O-2526-SM-5HL85 40-49 years, female 7.6
GTEX-1LB8K-0726-SM-D5OV2 50-59 years, male 7.6
GTEX-11NUK-2726-SM-5A5MC 50-59 years, male 7.5
GTEX-13N11-2326-SM-5IJBF 50-59 years, female 7.5
GTEX-1B8SF-0126-SM-7DUG3 60-69 years, male 7.5
GTEX-Y8E4-2026-SM-5IFJB 40-49 years, male 7.5
GTEX-1HBPI-2126-SM-ARL9K 50-59 years, male 7.5
GTEX-13OVK-1426-SM-6PAN7 40-49 years, male 7.4
GTEX-144GL-0626-SM-5LU4D 50-59 years, male 7.4
GTEX-17F98-1326-SM-7DUEP 40-49 years, female 7.4
GTEX-1A3MW-0626-SM-731CB 60-69 years, female 7.4
GTEX-UPK5-0426-SM-3GAEK 40-49 years, male 7.4
GTEX-ZVZP-1226-SM-5GID7 50-59 years, male 7.4
GTEX-1CAMR-1326-SM-7PC1F 20-29 years, male 7.4
GTEX-1GN2E-0226-SM-9WG6K 60-69 years, male 7.4
GTEX-15CHR-1126-SM-7EWF4 50-59 years, male 7.3
GTEX-178AV-1726-SM-7KUL8 40-49 years, male 7.3
GTEX-17MFQ-1526-SM-7KFRR 20-29 years, male 7.3
GTEX-1EWIQ-0326-SM-7DHMQ 70-79 years, female 7.3
GTEX-ZTX8-1326-SM-4YCEL 20-29 years, male 7.3
GTEX-1GF9V-0826-SM-9KNUV 60-69 years, male 7.3
GTEX-1J8EW-2726-SM-CY8HR 60-69 years, female 7.3
GTEX-1KANB-2826-SM-CY8I6 50-59 years, male 7.3
GTEX-1S82P-2126-SM-E6CI5 60-69 years, female 7.3
GTEX-11DXZ-2026-SM-5987S 50-59 years, male 7.2
GTEX-12WSK-2126-SM-5CVNC 40-49 years, female 7.2
GTEX-14AS3-1526-SM-5Q5ED 40-49 years, female 7.2
GTEX-17F9E-2326-SM-79OKD 50-59 years, male 7.2
GTEX-1K2DA-1026-SM-CGQGF 50-59 years, male 7.2
GTEX-1N2DV-1526-SM-DTXEP 40-49 years, male 7.2
GTEX-12WSH-1526-SM-5BC5W 50-59 years, male 7.1
GTEX-13FTY-2126-SM-5IFFB 40-49 years, female 7.1
GTEX-13O61-1426-SM-5KM3D 60-69 years, male 7.1
GTEX-147GR-2426-SM-5ZZWQ 60-69 years, male 7.1
GTEX-WYVS-1626-SM-3NM9R 40-49 years, female 7.1
GTEX-1POEN-2326-SM-E9J2L 30-39 years, female 7.1
GTEX-1QW4Y-1126-SM-DTXE3 30-39 years, male 7.1
GTEX-1I1HK-2326-SM-CKZOH 60-69 years, male 7.0
GTEX-1PPGY-1626-SM-EVYBL 60-69 years, male 6.9
GTEX-11NSD-0626-SM-5A5LU 20-29 years, male 6.8
GTEX-131XG-0326-SM-5L3DX 50-59 years, female 6.8
GTEX-18A67-1626-SM-7LT9T 50-59 years, male 6.8
GTEX-Y3I4-1726-SM-4TT89 50-59 years, male 6.8
GTEX-YECK-0326-SM-4W1YS 60-69 years, male 6.8
GTEX-1JN1M-2726-SM-CY8I4 60-69 years, female 6.8
GTEX-1RAZQ-1326-SM-E9TK6 30-39 years, male 6.8
GTEX-1RAZS-2526-SM-E6CHT 50-59 years, male 6.8
GTEX-1S831-1826-SM-EWROF 20-29 years, male 6.8
GTEX-11WQC-1826-SM-5GU59 60-69 years, male 6.7
GTEX-146FQ-2126-SM-5RQHU 30-39 years, male 6.7
GTEX-14PHY-1226-SM-5ZZWK 60-69 years, female 6.7
GTEX-15G1A-1626-SM-7KUKN 30-39 years, male 6.7
GTEX-17HHY-0426-SM-7DHLC 50-59 years, male 6.7
GTEX-WHWD-1826-SM-3LK6I 50-59 years, male 6.7
GTEX-XQ3S-1426-SM-4BOPR 20-29 years, male 6.7
GTEX-ZP4G-1426-SM-4WWCL 20-29 years, female 6.7
GTEX-1IKOE-1426-SM-CE6T7 30-39 years, female 6.7
GTEX-11ZTT-2126-SM-5CVLO 60-69 years, female 6.6
GTEX-18A66-0626-SM-7LT8Z 60-69 years, male 6.6
GTEX-1B8KZ-0326-SM-73KY4 50-59 years, male 6.6
GTEX-WHPG-2626-SM-3NMBR 50-59 years, male 6.6
GTEX-1H1DG-2426-SM-9QEHJ 70-79 years, male 6.6
GTEX-1S82U-1026-SM-E6CJK 30-39 years, female 6.6
GTEX-ZLV1-1526-SM-DO91J 60-69 years, female 6.6
GTEX-145MH-2826-SM-5RQJF 50-59 years, male 6.5
GTEX-1B932-2326-SM-79OL5 40-49 years, female 6.5
GTEX-1OJC3-1226-SM-DTXER 20-29 years, male 6.5
GTEX-1QAET-0326-SM-EVR3U 50-59 years, male 6.5
GTEX-1S83E-1326-SM-E6CJM 40-49 years, male 6.5
GTEX-12ZZX-2426-SM-5GCOE 40-49 years, female 6.4
GTEX-14E6E-0526-SM-793DN 30-39 years, male 6.4
GTEX-1F75A-0726-SM-7RHHD 50-59 years, male 6.4
GTEX-1LVAM-0726-SM-E6CIL 50-59 years, female 6.4
GTEX-11OF3-0126-SM-5PNYF 60-69 years, male 6.3
GTEX-11TT1-1826-SM-5EQLV 20-29 years, male 6.3
GTEX-15RIG-0726-SM-7KUM7 40-49 years, male 6.3
GTEX-18A6Q-0626-SM-7KFRP 60-69 years, male 6.3
GTEX-ZF3C-0626-SM-DO92O 50-59 years, female 6.3
GTEX-17HGU-2326-SM-7DUFE 50-59 years, male 6.2
GTEX-XOT4-0626-SM-4B66L 60-69 years, female 6.2
GTEX-1JMQK-1226-SM-D4P2S 60-69 years, male 6.2
GTEX-1PPH8-0126-SM-EWRN8 20-29 years, male 6.2
GTEX-14PK6-0226-SM-62LF5 70-79 years, female 6.1
GTEX-15RJ7-2126-SM-6PAMD 40-49 years, male 6.1
GTEX-1BAJH-2426-SM-7IGP8 70-79 years, male 6.1
GTEX-U8XE-0226-SM-4E3J3 30-39 years, male 6.1
GTEX-ZPU1-1126-SM-4YCF3 40-49 years, male 6.1
GTEX-1ICG6-1226-SM-A9SLN 70-79 years, female 6.1
GTEX-1QP9N-1226-SM-E76QN 30-39 years, male 6.1
GTEX-13FTX-1526-SM-5K7VJ 20-29 years, female 6.0
GTEX-WFON-1926-SM-3LK7L 40-49 years, male 6.0
GTEX-1AYD5-2626-SM-7PBXY 50-59 years, male 5.9
GTEX-1MJK3-0726-SM-E6CJC 20-29 years, male 5.9
GTEX-111VG-1626-SM-5EGIO 60-69 years, male 5.8
GTEX-12126-0826-SM-5FQTZ 20-29 years, male 5.8
GTEX-131XH-0126-SM-5LZUY 50-59 years, male 5.8
GTEX-14ABY-2026-SM-62LDL 50-59 years, male 5.8
GTEX-Y114-2126-SM-4TT8B 50-59 years, female 5.8
GTEX-ZPCL-1126-SM-4WWFE 60-69 years, female 5.8
GTEX-12WSJ-1126-SM-5LZVJ 40-49 years, female 5.7
GTEX-139YR-1026-SM-5LZYN 50-59 years, male 5.7
GTEX-1AX8Z-0726-SM-73KTS 60-69 years, male 5.7
GTEX-XXEK-1626-SM-4BRUZ 50-59 years, male 5.7
GTEX-ZF2S-1626-SM-57WES 50-59 years, female 5.7
GTEX-1OJC4-2726-SM-E76PJ 50-59 years, female 5.7
GTEX-1R9PM-1926-SM-EVR3O 20-29 years, male 5.7
GTEX-1399Q-2326-SM-5KM2X 40-49 years, male 5.6
GTEX-WFG8-2126-SM-3GIKQ 20-29 years, male 5.6
GTEX-ZAK1-0626-SM-5HL8E 50-59 years, female 5.6
GTEX-145MG-1526-SM-5Q5EM 50-59 years, male 5.5
GTEX-15RIE-1926-SM-7KUKJ 60-69 years, male 5.5
GTEX-16YQH-2226-SM-7IGM2 30-39 years, male 5.5
GTEX-W5X1-2526-SM-3GILC 40-49 years, female 5.5
GTEX-ZY6K-1426-SM-5GZX2 50-59 years, male 5.4
GTEX-ZPIC-0526-SM-DO91W 40-49 years, female 5.4
GTEX-1E2YA-2126-SM-7MXUO 50-59 years, male 5.3
GTEX-14A5H-0826-SM-5QGPJ 60-69 years, male 5.2
GTEX-17KNJ-2126-SM-718AM 50-59 years, male 5.2
GTEX-ZVP2-0326-SM-57WBP 50-59 years, male 5.2
GTEX-1399S-0126-SM-5IJCF 30-39 years, female 5.1
GTEX-Y3IK-1626-SM-4YCF5 50-59 years, female 5.1
GTEX-1JN76-0626-SM-CKZOQ 20-29 years, female 5.1
GTEX-15G19-2426-SM-7KUMR 60-69 years, male 5.0
GTEX-ZT9X-1526-SM-5DUXD 40-49 years, male 5.0
GTEX-11DYG-1526-SM-5A5JS 60-69 years, male 4.9
GTEX-WXYG-2026-SM-4E3IY 50-59 years, female 4.8
GTEX-11DZ1-2426-SM-5GZZX 50-59 years, male 4.7
GTEX-1HSMP-0926-SM-A9SKX 70-79 years, male 4.7
GTEX-11DXX-2126-SM-5PNYR 60-69 years, female 4.6
GTEX-WH7G-2026-SM-3NMBL 40-49 years, male 4.6
GTEX-132AR-0326-SM-5KM2C 50-59 years, female 4.5
GTEX-13G51-1826-SM-5KLZH 60-69 years, male 4.2
GTEX-14PJ3-1126-SM-5ZZVX 50-59 years, male 4.2
GTEX-1PIGE-1826-SM-E8VOU 20-29 years, male 3.7
GTEX-14XAO-1226-SM-6EU1C 60-69 years, female 3.3
GTEX-11WQK-1026-SM-5EQLX 50-59 years, male 3.1
GTEX-XYKS-1426-SM-4BRUO 60-69 years, female 2.8
GTEX-1H11D-1826-SM-9QEHM 40-49 years, male 2.1
GTEX-1R9PN-0426-SM-DTXDT 40-49 years, female 1.0
Show allShow less
Skin - Sun Exposed (Lower leg)
Average nTPM: 10.6
Samples: 701

Max nTPM: 32.9
Min nTPM: 2.3
Std nTPM: 3.9
Median nTPM: 10.1
GTEX-1HSMO-0126-SM-CL547 60-69 years, male 32.9
GTEX-14E6C-0126-SM-5RQIP 40-49 years, male 27.3
GTEX-15EOM-0126-SM-7KUGG 20-29 years, female 25.8
GTEX-1R7EV-2426-SM-EVYBG 40-49 years, male 24.3
GTEX-1F6RS-0126-SM-9MQKZ 60-69 years, female 23.7
GTEX-183WM-0126-SM-7LTAB 70-79 years, female 23.6
GTEX-ZZPT-0226-SM-5E43X 50-59 years, male 23.4
GTEX-146FR-1326-SM-E9J48 60-69 years, female 23.2
GTEX-17HII-0226-SM-7LG4E 50-59 years, male 22.4
GTEX-ZTX8-1426-SM-5DUVO 20-29 years, male 22.1
GTEX-1PDJ9-0326-SM-DTX95 20-29 years, male 21.0
GTEX-13OVJ-0126-SM-5KM36 50-59 years, female 20.4
GTEX-148VJ-0126-SM-5TDDN 70-79 years, male 20.4
GTEX-U4B1-1826-SM-4DXSU 40-49 years, male 20.4
GTEX-1JN1M-0326-SM-CYPT3 60-69 years, female 20.2
GTEX-1R9PO-2126-SM-E9J4O 60-69 years, female 20.2
GTEX-1F75I-0326-SM-9YFLU 40-49 years, male 20.1
GTEX-1HFI7-1826-SM-ACKXH 50-59 years, female 20.1
GTEX-1GL5R-1826-SM-9KNUY 50-59 years, male 20.0
GTEX-1RAZQ-0726-SM-EAZ43 30-39 years, male 20.0
GTEX-16XZZ-0126-SM-793DV 60-69 years, male 19.9
GTEX-15UF6-0826-SM-6PALJ 70-79 years, female 19.5
GTEX-17GQL-2026-SM-718BA 60-69 years, male 19.3
GTEX-1JMQL-0226-SM-CNPP5 50-59 years, female 19.1
GTEX-1HBPH-0426-SM-B2LW5 40-49 years, female 19.0
GTEX-X62O-0126-SM-4E3JN 50-59 years, male 18.5
GTEX-1GMR8-0126-SM-9WYTM 50-59 years, female 18.5
GTEX-1H1E6-1726-SM-ACKVK 30-39 years, male 18.5
GTEX-16AAH-1726-SM-7939C 50-59 years, male 18.3
GTEX-14BIL-0126-SM-5SI92 50-59 years, male 18.2
GTEX-1F5PK-2426-SM-7RHHY 50-59 years, male 18.2
GTEX-1ICLZ-0126-SM-CKZPO 60-69 years, male 18.2
GTEX-13FTX-1826-SM-5J1NX 20-29 years, female 18.1
GTEX-13PDP-0126-SM-5L3HD 60-69 years, male 18.0
GTEX-14PHW-0126-SM-6LLJI 60-69 years, female 18.0
GTEX-13NZ8-0826-SM-5MR3I 60-69 years, female 17.9
GTEX-11VI4-1726-SM-5CVLH 40-49 years, female 17.7
GTEX-14PN3-2426-SM-6LLHS 60-69 years, female 17.7
GTEX-1JMOU-1526-SM-CL54I 60-69 years, female 17.7
GTEX-XPVG-2626-SM-4B669 50-59 years, male 17.6
GTEX-13NYC-0326-SM-E9J4S 60-69 years, male 17.6
GTEX-1J8Q3-1626-SM-CMKGC 60-69 years, male 17.6
GTEX-11TTK-0126-SM-5987B 60-69 years, female 17.4
GTEX-13YAN-0326-SM-5O9DF 60-69 years, male 17.4
GTEX-17HHE-2026-SM-79OKF 50-59 years, male 17.4
GTEX-1C64O-0126-SM-7SB8P 60-69 years, male 17.4
GTEX-1F75B-0126-SM-9KNVL 50-59 years, male 17.3
GTEX-1A3MW-0126-SM-73KXX 60-69 years, female 17.2
GTEX-T6MO-1626-SM-32QOM 40-49 years, female 17.1
GTEX-15EU6-0426-SM-6PAN5 50-59 years, male 16.9
GTEX-1I1GT-0626-SM-CGQER 60-69 years, female 16.8
GTEX-1L5NE-2526-SM-E6CIE 50-59 years, male 16.6
GTEX-14JG6-2226-SM-6EU2G 30-39 years, female 16.5
GTEX-17MF6-0126-SM-7LG4F 40-49 years, male 16.5
GTEX-1QW4Y-1526-SM-EAZ3Z 30-39 years, male 16.5
GTEX-ZV6S-2326-SM-4YCEY 40-49 years, female 16.4
GTEX-1C475-1826-SM-73KWA 40-49 years, female 16.3
GTEX-1QP67-1626-SM-EAZ3X 40-49 years, female 16.3
GTEX-117YX-2326-SM-5H12W 50-59 years, male 16.1
GTEX-14A5I-0126-SM-5TDEA 50-59 years, female 16.1
GTEX-13W46-0226-SM-5SIAG 50-59 years, male 16.0
GTEX-1LH75-2426-SM-E9TJE 50-59 years, female 15.9
GTEX-146FH-0126-SM-5QGPP 50-59 years, female 15.8
GTEX-WFG8-2226-SM-3GIL9 20-29 years, male 15.8
GTEX-1H2FU-0126-SM-9WYSI 60-69 years, female 15.8
GTEX-SE5C-1626-SM-2XCE3 40-49 years, female 15.8
GTEX-15F5U-1526-SM-6PANO 40-49 years, male 15.7
GTEX-1A3MV-1926-SM-718BT 30-39 years, male 15.7
GTEX-SNMC-1226-SM-2XCFP 20-29 years, male 15.7
GTEX-X261-0126-SM-3NMD6 50-59 years, male 15.7
GTEX-1LNCM-1126-SM-E9U5E 50-59 years, female 15.7
GTEX-1R46S-0626-SM-E9J41 60-69 years, female 15.7
GTEX-14LLW-0126-SM-6LLIO 70-79 years, female 15.6
GTEX-ZF28-0126-SM-4WKGK 60-69 years, male 15.6
GTEX-1AX9K-2326-SM-73KWU 50-59 years, male 15.5
GTEX-1HSMQ-1226-SM-CGQFX 50-59 years, male 15.5
GTEX-1IE54-0126-SM-CMKHW 40-49 years, female 15.5
GTEX-1LGOU-2026-SM-DIPFF 20-29 years, female 15.5
GTEX-1QPFJ-0226-SM-E76PB 30-39 years, female 15.5
GTEX-11ZUS-0626-SM-59885 30-39 years, male 15.4
GTEX-OHPM-0126-SM-2YUN9 50-59 years, male 15.4
GTEX-1HCU7-0226-SM-CL545 50-59 years, male 15.4
GTEX-17EUY-0426-SM-793BD 20-29 years, male 15.3
GTEX-1GN1W-0526-SM-9MQJQ 50-59 years, female 15.3
GTEX-1PPH7-2326-SM-EVYB8 40-49 years, male 15.3
GTEX-13NYS-0126-SM-5MR3W 60-69 years, male 15.2
GTEX-18A66-0226-SM-718BD 60-69 years, male 15.2
GTEX-1AMEY-1326-SM-73KYK 30-39 years, female 15.2
GTEX-139UW-2826-SM-5L3E7 60-69 years, male 15.1
GTEX-14C5O-0126-SM-5SI6N 60-69 years, male 15.1
GTEX-1B97I-1626-SM-73KYO 40-49 years, male 15.1
GTEX-1B8KE-2126-SM-73KYX 50-59 years, male 15.0
GTEX-WRHK-1426-SM-3MJF9 20-29 years, female 15.0
GTEX-147F3-0526-SM-5SI98 50-59 years, female 14.9
GTEX-1I19N-0326-SM-ACKVX 70-79 years, male 14.9
GTEX-1JKYN-1326-SM-CGQG9 30-39 years, male 14.9
GTEX-1N2EF-0226-SM-EYYXB 60-69 years, male 14.9
GTEX-T8EM-1026-SM-3DB7M 40-49 years, male 14.8
GTEX-148VI-1626-SM-5SI6E 60-69 years, female 14.7
GTEX-Y8LW-1826-SM-5S2MV 50-59 years, female 14.7
GTEX-1AX9I-0126-SM-7SB74 60-69 years, male 14.7
GTEX-1I4MK-2226-SM-ACKWD 50-59 years, female 14.7
GTEX-13OVI-1426-SM-5L3EY 60-69 years, female 14.5
GTEX-ZZ64-1726-SM-5GZYB 20-29 years, male 14.5
GTEX-1J8Q2-0526-SM-CM2RW 60-69 years, male 14.5
GTEX-139D8-0226-SM-5KLZO 30-39 years, female 14.4
GTEX-145MO-0326-SM-5Q5B3 60-69 years, male 14.4
GTEX-1I1GS-0126-SM-B2LVW 60-69 years, male 14.4
GTEX-1JJ6O-0126-SM-E6CI8 60-69 years, male 14.4
GTEX-11LCK-1026-SM-5A5KB 30-39 years, male 14.3
GTEX-11P82-1626-SM-59879 20-29 years, male 14.3
GTEX-12WSG-2826-SM-E9J4H 50-59 years, female 14.3
GTEX-1IDJU-2626-SM-CM2RT 60-69 years, female 14.3
GTEX-1J8QM-2126-SM-CYPSJ 60-69 years, female 14.3
GTEX-13113-5016-SM-7EPIP 60-69 years, female 14.2
GTEX-WOFL-0126-SM-3MJG2 60-69 years, male 14.2
GTEX-1I1GU-2226-SM-CGQFA 40-49 years, male 14.2
GTEX-1AMFI-2026-SM-731BH 50-59 years, female 14.1
GTEX-12WSN-5019-SM-79OM6 40-49 years, male 14.0
GTEX-14DAR-2026-SM-5S2O3 50-59 years, male 14.0
GTEX-Q2AG-0126-SM-33HBV 40-49 years, female 14.0
GTEX-1GF9U-2126-SM-7SB7L 40-49 years, female 14.0
GTEX-12WSK-2326-SM-5GCOH 40-49 years, female 13.9
GTEX-OXRK-0226-SM-3NB2G 50-59 years, female 13.9
GTEX-ZXG5-0126-SM-5GIEU 60-69 years, male 13.9
GTEX-1LGRB-2526-SM-CNPPQ 50-59 years, female 13.9
GTEX-13OVG-1926-SM-5L3DK 60-69 years, male 13.8
GTEX-ZDTT-2726-SM-4WKF8 60-69 years, male 13.8
GTEX-1JJE9-0326-SM-CL53Z 70-79 years, male 13.8
GTEX-1MUQO-0126-SM-EAZ58 60-69 years, male 13.8
GTEX-12WSA-0226-SM-5BC5V 60-69 years, male 13.7
GTEX-1CB4J-0626-SM-7DHMP 60-69 years, male 13.7
GTEX-13FH7-2026-SM-E9J4I 50-59 years, female 13.7
GTEX-1M4P7-0226-SM-DIPEV 60-69 years, male 13.7
GTEX-PLZ4-0126-SM-5SI8O 50-59 years, female 13.6
GTEX-1CB4H-0226-SM-7PBXM 60-69 years, female 13.6
GTEX-1GZ4H-1726-SM-7PBZJ 50-59 years, female 13.6
GTEX-1LVAN-0226-SM-COH3S 50-59 years, female 13.6
GTEX-1QP2A-0126-SM-E9J43 50-59 years, male 13.6
GTEX-ZF29-2326-SM-DO92K 60-69 years, female 13.6
GTEX-1C2JI-1826-SM-73KXC 50-59 years, male 13.5
GTEX-1E2YA-0126-SM-9KNUC 50-59 years, male 13.5
GTEX-1RB15-2126-SM-E9TIM 60-69 years, male 13.5
GTEX-13QJ3-0326-SM-5S2RA 50-59 years, male 13.4
GTEX-ZYY3-0126-SM-5GZY5 60-69 years, female 13.4
GTEX-13W3W-2426-SM-5LU5B 60-69 years, female 13.3
GTEX-15ETS-0126-SM-7KUMW 40-49 years, female 13.3
GTEX-YB5E-2026-SM-5IFIS 40-49 years, male 13.3
GTEX-1I1GP-2226-SM-CGQFK 50-59 years, male 13.3
GTEX-1J1R8-1726-SM-ARL8M 40-49 years, male 13.3
GTEX-13D11-2426-SM-5KM1V 50-59 years, female 13.2
GTEX-145LV-2126-SM-5LU8N 50-59 years, male 13.2
GTEX-OXRL-0126-SM-2YUMP 50-59 years, male 13.2
GTEX-TSE9-0126-SM-3DB83 60-69 years, female 13.2
GTEX-ZWKS-0126-SM-5SIAA 30-39 years, male 13.2
GTEX-1HUB1-0426-SM-E9U4U 60-69 years, male 13.2
GTEX-1KXAM-2226-SM-CYPTC 60-69 years, male 13.2
GTEX-11EQ9-2426-SM-5HL5T 30-39 years, male 13.1
GTEX-145LT-1726-SM-5QGP3 40-49 years, male 13.1
GTEX-X4XY-0226-SM-4E3IZ 60-69 years, male 13.1
GTEX-XUW1-0426-SM-4BOOT 50-59 years, female 13.1
GTEX-1MCYP-1926-SM-E9J2R 20-29 years, female 13.1
GTEX-131XG-2626-SM-5KM17 50-59 years, female 13.0
GTEX-ZY6K-1826-SM-5GZXK 50-59 years, male 13.0
GTEX-1IDFM-0126-SM-COH2V 60-69 years, male 13.0
GTEX-1MGNQ-0126-SM-EVYCJ 40-49 years, male 13.0
GTEX-1QP66-1726-SM-E8VO1 50-59 years, male 13.0
GTEX-1S82Z-0826-SM-E6CHY 30-39 years, female 13.0
GTEX-ZVT4-0126-SM-DTXFN 50-59 years, female 13.0
GTEX-13N2G-2626-SM-5J1OT 60-69 years, male 12.9
GTEX-14BIM-0226-SM-7IGLD 60-69 years, female 12.9
GTEX-P4QT-0126-SM-2I3FL 50-59 years, female 12.9
GTEX-PWO3-1526-SM-48TCM 60-69 years, female 12.9
GTEX-SN8G-0126-SM-32PLI 50-59 years, female 12.9
GTEX-Y5V5-2326-SM-4V6GA 60-69 years, female 12.9
GTEX-1I1GR-0126-SM-CL55F 60-69 years, male 12.9
GTEX-R45C-0126-SM-EAZ2R 60-69 years, female 12.9
GTEX-17EVQ-0226-SM-7LG4P 70-79 years, male 12.8
GTEX-OXRN-0126-SM-48TDM 50-59 years, male 12.8
GTEX-S32W-2126-SM-2XCB1 50-59 years, female 12.8
GTEX-14E7W-0126-SM-6LLJ9 70-79 years, male 12.7
GTEX-1HGF4-2426-SM-ACKXM 60-69 years, male 12.7
GTEX-1NHNU-1026-SM-E9J2A 50-59 years, male 12.7
GTEX-1CAMR-1926-SM-7EPI2 20-29 years, male 12.6
GTEX-1H3VY-0126-SM-ACKXD 50-59 years, male 12.6
GTEX-11EM3-2426-SM-59861 20-29 years, female 12.5
GTEX-11ZU8-2526-SM-5EQKI 60-69 years, male 12.5
GTEX-13IVO-0126-SM-5J1NG 70-79 years, male 12.5
GTEX-15D1Q-0126-SM-7KUG6 40-49 years, male 12.5
GTEX-1H1ZS-0426-SM-9WG6G 70-79 years, male 12.5
GTEX-1AX9J-0226-SM-73KXM 60-69 years, male 12.4
GTEX-U3ZM-1526-SM-3DB9D 40-49 years, male 12.4
GTEX-XBED-2226-SM-47JYQ 60-69 years, male 12.4
GTEX-Y5LM-1926-SM-5RQJH 40-49 years, female 12.4
GTEX-ZAB4-0226-SM-5N9F5 40-49 years, male 12.4
GTEX-1B996-0226-SM-7RHGO 60-69 years, male 12.4
GTEX-11GSO-2426-SM-5A5LY 60-69 years, male 12.3
GTEX-12WSL-2526-SM-5GCNJ 50-59 years, male 12.3
GTEX-VJWN-0126-SM-3GIK7 50-59 years, female 12.3
GTEX-1F52S-0126-SM-9MQJU 60-69 years, female 12.3
GTEX-1HBPM-0226-SM-ARL9F 60-69 years, female 12.3
GTEX-1HCU9-1526-SM-A9SL7 20-29 years, male 12.3
GTEX-1HT8W-0126-SM-CNPPP 30-39 years, male 12.3
GTEX-PLZ6-1426-SM-DKPOT 30-39 years, male 12.3
GTEX-113IC-0126-SM-5HL6T 60-69 years, male 12.2
GTEX-14753-0426-SM-5NQAM 60-69 years, male 12.2
GTEX-O5YW-0126-SM-3LK6D 50-59 years, male 12.2
GTEX-QDT8-0126-SM-48TZ1 30-39 years, female 12.2
GTEX-1F48J-0126-SM-7P8TT 50-59 years, female 12.2
GTEX-1GPI7-0126-SM-9MQL8 20-29 years, male 12.2
GTEX-11P7K-2126-SM-5GU7G 30-39 years, male 12.1
GTEX-13X6I-0626-SM-5QGP9 60-69 years, male 12.1
GTEX-17F96-1626-SM-7DUFL 70-79 years, male 12.1
GTEX-UPJH-0326-SM-3GADU 50-59 years, male 12.1
GTEX-1HSEH-0126-SM-ACKXN 60-69 years, male 12.1
GTEX-12696-2426-SM-5EQ6H 60-69 years, male 12.0
GTEX-139T4-0226-SM-5HL5S 50-59 years, female 12.0
GTEX-13X6H-2126-SM-7EWD5 50-59 years, female 12.0
GTEX-P44H-0226-SM-2XCEU 40-49 years, male 12.0
GTEX-TMMY-0226-SM-33HBA 40-49 years, female 12.0
GTEX-1GF9W-0326-SM-9KNUN 60-69 years, male 12.0
GTEX-17EVP-0326-SM-7DHLG 40-49 years, male 11.9
GTEX-WH7G-2326-SM-3NMBC 40-49 years, male 11.9
GTEX-ZVE2-0226-SM-59HJB 50-59 years, male 11.9
GTEX-ZYW4-0126-SM-5E44A 60-69 years, male 11.9
GTEX-1EN7A-0126-SM-7SB81 40-49 years, male 11.9
GTEX-1PFEY-1526-SM-E76PP 30-39 years, male 11.9
GTEX-OIZF-0126-SM-7SB8I 60-69 years, male 11.9
GTEX-133LE-1826-SM-5J1MV 20-29 years, female 11.8
GTEX-13CF3-2426-SM-5IFGX 60-69 years, female 11.8
GTEX-14PHX-2326-SM-62LEM 50-59 years, male 11.8
GTEX-ZE7O-0126-SM-57WC1 50-59 years, female 11.8
GTEX-ZGAY-0526-SM-4WWBB 40-49 years, female 11.8
GTEX-ZYFG-2326-SM-5E44B 60-69 years, female 11.8
GTEX-1GMR3-1926-SM-9KNUZ 40-49 years, male 11.8
GTEX-14DAQ-0126-SM-5S2MQ 60-69 years, female 11.7
GTEX-16NGA-1726-SM-731B4 40-49 years, female 11.7
GTEX-1IGQW-0126-SM-COH42 60-69 years, male 11.7
GTEX-11H98-0126-SM-5EGHG 50-59 years, male 11.6
GTEX-139T8-0126-SM-5K7XZ 60-69 years, male 11.6
GTEX-13VXT-0126-SM-5LU4I 20-29 years, female 11.6
GTEX-16MT8-0426-SM-7KUEY 60-69 years, female 11.6
GTEX-18D9U-0226-SM-718BP 40-49 years, male 11.6
GTEX-OXRO-0126-SM-2YUN4 60-69 years, female 11.6
GTEX-RM2N-1426-SM-2TF4H 50-59 years, male 11.6
GTEX-1HKZK-0326-SM-9WYUH 40-49 years, male 11.6
GTEX-1POEN-0126-SM-EYYXJ 30-39 years, female 11.6
GTEX-1S3DN-2226-SM-EVYCD 50-59 years, male 11.6
GTEX-131XW-0426-SM-5LZWP 50-59 years, female 11.5
GTEX-13O3P-0126-SM-5KM4S 50-59 years, male 11.5
GTEX-1B8SG-0126-SM-73KZ3 50-59 years, male 11.5
GTEX-WFON-2126-SM-3LK7O 40-49 years, male 11.5
GTEX-1H3VE-0326-SM-9YFLH 40-49 years, male 11.5
GTEX-1JK1U-2026-SM-CM2RZ 60-69 years, male 11.5
GTEX-1LC47-0326-SM-E9TJP 60-69 years, male 11.5
GTEX-1N2DV-0226-SM-E6CJ6 40-49 years, male 11.5
GTEX-13O1R-0126-SM-5L3EH 60-69 years, male 11.4
GTEX-145ME-1826-SM-5SI9G 40-49 years, female 11.4
GTEX-16NPX-0226-SM-79OMT 50-59 years, male 11.4
GTEX-1E1VI-0126-SM-7DHMZ 50-59 years, male 11.4
GTEX-1192X-0226-SM-5H12D 50-59 years, male 11.3
GTEX-11ZTT-2426-SM-5EQLS 60-69 years, female 11.3
GTEX-1211K-2026-SM-5EQ4Z 60-69 years, female 11.3
GTEX-13JUV-2726-SM-5LZZ8 40-49 years, female 11.3
GTEX-13RTL-0126-SM-7LG5S 40-49 years, male 11.3
GTEX-14A6H-0126-SM-5QGPK 30-39 years, male 11.3
GTEX-18D9A-1926-SM-7LG6P 30-39 years, female 11.3
GTEX-ZAB5-1826-SM-5HL7C 50-59 years, male 11.3
GTEX-11DZ1-0126-SM-5985Q 50-59 years, male 11.2
GTEX-14PJ6-2126-SM-6EU1V 60-69 years, female 11.2
GTEX-15SHU-0126-SM-7KUEH 40-49 years, female 11.2
GTEX-ZTSS-1926-SM-57WEW 40-49 years, male 11.2
GTEX-1I1CD-0126-SM-CM2TK 60-69 years, female 11.2
GTEX-1QP29-0626-SM-EWRMX 50-59 years, male 11.2
GTEX-14ICK-0226-SM-6EU25 40-49 years, male 11.1
GTEX-14JIY-0126-SM-6LLH6 60-69 years, male 11.1
GTEX-15RIG-0226-SM-7KFTL 40-49 years, male 11.1
GTEX-17MFQ-1726-SM-793C7 20-29 years, male 11.1
GTEX-1HCVE-0126-SM-CGQEU 50-59 years, male 11.1
GTEX-1QCLY-0326-SM-E8VOG 30-39 years, male 11.1
GTEX-1314G-1526-SM-5EGK2 30-39 years, male 11.0
GTEX-13SLW-0126-SM-5SI6C 70-79 years, male 11.0
GTEX-18QFQ-0126-SM-731BE 30-39 years, male 11.0
GTEX-R55E-0126-SM-2TC5Y 20-29 years, male 11.0
GTEX-1PBJI-0526-SM-E8VNK 20-29 years, female 11.0
GTEX-1128S-2326-SM-5GZZY 60-69 years, female 10.9
GTEX-13RTK-1426-SM-5QGQJ 20-29 years, male 10.9
GTEX-1C6VS-0526-SM-7DUEN 60-69 years, male 10.9
GTEX-QCQG-1726-SM-3GIJ9 50-59 years, female 10.9
GTEX-1HSGN-0226-SM-CGQFV 40-49 years, female 10.9
GTEX-1I6K6-0126-SM-A9SLE 30-39 years, male 10.9
GTEX-1JN76-0126-SM-CNPPE 20-29 years, female 10.9
GTEX-13NZB-2526-SM-5J1OM 30-39 years, male 10.8
GTEX-13OW8-1326-SM-5J1OW 60-69 years, male 10.8
GTEX-16YQH-0126-SM-7DUFJ 30-39 years, male 10.8
GTEX-1GPI6-0126-SM-9WG69 60-69 years, male 10.8
GTEX-1H1DE-2126-SM-9WG6R 20-29 years, male 10.8
GTEX-1HCUA-2426-SM-ADEIS 50-59 years, female 10.8
GTEX-11P81-2326-SM-59875 30-39 years, female 10.7
GTEX-145LS-0126-SM-5QGP1 60-69 years, female 10.7
GTEX-ZQUD-1426-SM-57WER 30-39 years, male 10.7
GTEX-11TUW-2726-SM-E9J4M 60-69 years, male 10.7
GTEX-1J1OQ-0226-SM-CYPSH 40-49 years, female 10.7
GTEX-1LSNM-1926-SM-E6CII 50-59 years, male 10.7
GTEX-1OJC4-0126-SM-E9J2E 50-59 years, female 10.7
GTEX-11NSD-2226-SM-5986V 20-29 years, male 10.6
GTEX-13O3Q-2426-SM-5IJBR 50-59 years, male 10.6
GTEX-ZF2S-2326-SM-4WWCE 50-59 years, female 10.6
GTEX-ZVZP-2426-SM-59HKJ 50-59 years, male 10.6
GTEX-1HBPN-0226-SM-9YFM1 50-59 years, male 10.6
GTEX-1K2DU-2326-SM-E9TIV 20-29 years, male 10.6
GTEX-13O21-1426-SM-5K7XI 50-59 years, male 10.5
GTEX-T5JC-0426-SM-32PLO 20-29 years, male 10.5
GTEX-1CAMS-0426-SM-7P8T2 40-49 years, female 10.5
GTEX-1HCU8-0626-SM-A9SM9 60-69 years, female 10.5
GTEX-1MA7W-2026-SM-E9TJ6 20-29 years, female 10.5
GTEX-1NV5F-0226-SM-E8VNY 60-69 years, female 10.5
GTEX-1S82Y-2026-SM-EVYCM 40-49 years, male 10.5
GTEX-17HGU-0226-SM-7DHKV 50-59 years, male 10.4
GTEX-18A7B-0126-SM-7LG64 70-79 years, male 10.4
GTEX-OXRP-0126-SM-3NB32 60-69 years, female 10.4
GTEX-PLZ5-2026-SM-2S1O4 50-59 years, male 10.4
GTEX-ZTPG-0326-SM-5O9AX 20-29 years, female 10.4
GTEX-1GMRU-0126-SM-9YFLV 50-59 years, male 10.4
GTEX-1LBAC-0126-SM-DIPEZ 20-29 years, male 10.4
GTEX-PSDG-0226-SM-DKPOZ 50-59 years, male 10.4
GTEX-13N1W-0126-SM-5K7VT 70-79 years, male 10.3
GTEX-13S7M-0126-SM-5SI6A 60-69 years, female 10.3
GTEX-RUSQ-1526-SM-2TF62 50-59 years, male 10.3
GTEX-Z93S-0126-SM-5HL7M 50-59 years, male 10.3
GTEX-ZVT2-2526-SM-51MT1 50-59 years, female 10.3
GTEX-1IKJJ-0126-SM-CNPQB 60-69 years, male 10.3
GTEX-1KAFJ-2026-SM-CY8ID 50-59 years, male 10.3
GTEX-1PPH8-0226-SM-E8VND 20-29 years, male 10.3
GTEX-1R7EU-0226-SM-EVR4G 60-69 years, male 10.3
GTEX-13RTJ-2426-SM-5S2Q2 60-69 years, male 10.2
GTEX-14BMU-2226-SM-5TDE9 20-29 years, female 10.2
GTEX-14E6E-1826-SM-5S2R7 30-39 years, male 10.2
GTEX-QDVN-2026-SM-3GAEP 50-59 years, male 10.2
GTEX-TKQ1-1026-SM-4GICL 30-39 years, male 10.2
GTEX-YEC4-2126-SM-5IFJH 40-49 years, male 10.2
GTEX-1H3NZ-0126-SM-ACKX7 60-69 years, male 10.2
GTEX-1KANA-0726-SM-D3L9I 20-29 years, male 10.2
GTEX-113JC-2326-SM-5EQ4E 50-59 years, female 10.1
GTEX-12WSJ-1826-SM-5GCNY 40-49 years, female 10.1
GTEX-13111-1626-SM-5EGJY 50-59 years, male 10.1
GTEX-13NZA-0226-SM-5K7Z7 60-69 years, male 10.1
GTEX-1AX8Z-0126-SM-7DHM6 60-69 years, male 10.1
GTEX-ZEX8-2426-SM-4WKG4 50-59 years, male 10.1
GTEX-1F75A-0126-SM-7RHGM 50-59 years, male 10.1
GTEX-1F88F-2726-SM-7PBZZ 60-69 years, female 10.1
GTEX-1LG7Y-0526-SM-DKPQC 50-59 years, male 10.1
GTEX-ZF3C-0126-SM-DO92D 50-59 years, female 10.1
GTEX-15CHC-2126-SM-6EU21 60-69 years, female 10.0
GTEX-16BQI-0226-SM-7KUEX 30-39 years, female 10.0
GTEX-RWS6-2026-SM-2XCB5 60-69 years, female 10.0
GTEX-1GN1V-0126-SM-9WPOS 60-69 years, male 10.0
GTEX-1GZ2Q-0226-SM-7P8TL 40-49 years, male 10.0
GTEX-1ICLY-0126-SM-D4P36 50-59 years, male 10.0
GTEX-11WQC-2526-SM-5CVLE 60-69 years, male 9.9
GTEX-13PVR-2326-SM-5QGR1 60-69 years, female 9.9
GTEX-U3ZN-2326-SM-3DB7W 30-39 years, female 9.9
GTEX-V1D1-2226-SM-3NMAX 50-59 years, male 9.9
GTEX-X585-0226-SM-4QAS2 50-59 years, male 9.9
GTEX-13O3O-0126-SM-E9J49 60-69 years, female 9.9
GTEX-183FY-0126-SM-7LT9P 20-29 years, male 9.8
GTEX-1C4CL-0526-SM-73KVK 30-39 years, male 9.8
GTEX-RTLS-0126-SM-447CA 60-69 years, female 9.8
GTEX-YB5K-2126-SM-4WWDJ 40-49 years, female 9.8
GTEX-ZAJG-0126-SM-5HL94 50-59 years, female 9.8
GTEX-ZUA1-0126-SM-5GU76 40-49 years, male 9.8
GTEX-1GN1U-0126-SM-7PBZK 50-59 years, female 9.8
GTEX-1OFPY-2426-SM-DTXEJ 60-69 years, male 9.8
GTEX-1PWST-0226-SM-E76QJ 70-79 years, male 9.8
GTEX-12C56-1726-SM-5EQ61 20-29 years, male 9.7
GTEX-131XE-2326-SM-5PNZ2 50-59 years, male 9.7
GTEX-1CAMQ-0226-SM-7IGPK 40-49 years, male 9.7
GTEX-1GTWX-0126-SM-9YFLK 60-69 years, male 9.7
GTEX-1IDJF-0126-SM-CM2RS 20-29 years, male 9.7
GTEX-12KS4-0326-SM-5EQ41 30-39 years, male 9.6
GTEX-145MI-0526-SM-5O9A8 60-69 years, female 9.6
GTEX-SSA3-0126-SM-32QPU 60-69 years, male 9.6
GTEX-WYJK-0126-SM-3NMAB 50-59 years, male 9.6
GTEX-XBEW-0626-SM-4QASP 40-49 years, male 9.6
GTEX-1JMQK-0226-SM-CL543 60-69 years, male 9.6
GTEX-1JN6P-0126-SM-D3L98 60-69 years, male 9.6
GTEX-12WSD-0126-SM-59HKN 60-69 years, female 9.5
GTEX-1H23P-0126-SM-ADEJ3 60-69 years, male 9.5
GTEX-1H3O1-0426-SM-9YFKY 60-69 years, male 9.5
GTEX-1IDJH-0326-SM-A9SLQ 70-79 years, male 9.5
GTEX-1JMPY-1326-SM-ARL8Y 30-39 years, male 9.5
GTEX-11UD2-0226-SM-5EQKY 50-59 years, male 9.4
GTEX-13FHO-0226-SM-5IFGY 60-69 years, male 9.4
GTEX-13SLX-0526-SM-5S2ON 50-59 years, female 9.4
GTEX-14PII-0226-SM-6EU1T 60-69 years, male 9.4
GTEX-QLQW-1126-SM-2S1Q8 30-39 years, male 9.4
GTEX-R55G-2526-SM-2TC6D 40-49 years, female 9.4
GTEX-Z9EW-1626-SM-5CVMN 40-49 years, male 9.4
GTEX-1H1DG-0126-SM-9WYU2 70-79 years, male 9.4
GTEX-1JKYR-0126-SM-CNPOJ 20-29 years, male 9.4
GTEX-11XUK-2026-SM-5EQLF 40-49 years, female 9.3
GTEX-14LZ3-0226-SM-62LET 60-69 years, female 9.3
GTEX-15ER7-0326-SM-7KUEV 20-29 years, female 9.3
GTEX-U3ZH-2026-SM-3DB78 30-39 years, male 9.3
GTEX-WQUQ-0426-SM-3MJFU 60-69 years, male 9.3
GTEX-169BO-1326-SM-9MQK2 50-59 years, male 9.3
GTEX-1A8FM-0226-SM-7SB7Q 50-59 years, female 9.3
GTEX-1IKOH-0226-SM-COH4E 60-69 years, female 9.3
GTEX-15DDE-0126-SM-6LPKH 50-59 years, female 9.2
GTEX-XV7Q-2526-SM-4BRV9 40-49 years, female 9.2
GTEX-13OW5-0126-SM-DTXFS 60-69 years, male 9.2
GTEX-11GS4-2726-SM-5A5LE 60-69 years, male 9.1
GTEX-14PJ3-1826-SM-62LEX 50-59 years, male 9.1
GTEX-17HG3-2226-SM-7938L 30-39 years, female 9.1
GTEX-NFK9-0226-SM-2HMKQ 40-49 years, male 9.1
GTEX-RU72-0926-SM-2TF6B 50-59 years, female 9.1
GTEX-UJHI-1526-SM-3DB99 50-59 years, female 9.1
GTEX-1RAZA-0126-SM-E6CI3 20-29 years, male 9.1
GTEX-ZPIC-1726-SM-DHXIU 40-49 years, female 9.1
GTEX-11DXX-2426-SM-5GZZW 60-69 years, female 9.0
GTEX-11OC5-0126-SM-5HL6A 60-69 years, male 9.0
GTEX-16XZY-2126-SM-79OK1 70-79 years, male 9.0
GTEX-OIZH-0126-SM-2HMIS 50-59 years, male 9.0
GTEX-QLQ7-1626-SM-2S1R8 60-69 years, male 9.0
GTEX-VUSG-2526-SM-4KL1V 50-59 years, male 9.0
GTEX-XAJ8-0826-SM-47JY6 40-49 years, male 9.0
GTEX-XMD2-0126-SM-4YCDU 60-69 years, female 9.0
GTEX-Y8E4-0626-SM-4WWDL 40-49 years, male 9.0
GTEX-1C6VQ-0126-SM-7P8RI 50-59 years, male 9.0
GTEX-1HBPI-1526-SM-C1YQ1 50-59 years, male 9.0
GTEX-1122O-2126-SM-5EGIR 60-69 years, female 8.9
GTEX-1269C-2526-SM-5EGJ3 60-69 years, female 8.9
GTEX-13112-2826-SM-5DUWH 50-59 years, male 8.9
GTEX-144FL-0126-SM-5TDC8 50-59 years, male 8.9
GTEX-15DYW-0126-SM-7KULE 60-69 years, female 8.9
GTEX-15SHW-0326-SM-6PAML 60-69 years, male 8.9
GTEX-1AYD5-2426-SM-73KXR 50-59 years, male 8.9
GTEX-X4EO-0326-SM-3P5YO 60-69 years, female 8.9
GTEX-1KWVE-1426-SM-E9TJO 30-39 years, male 8.9
GTEX-1RLM8-2326-SM-EWRN4 50-59 years, male 8.9
GTEX-1399T-2826-SM-5KLYZ 60-69 years, male 8.8
GTEX-139TT-0126-SM-5K7Y5 60-69 years, male 8.8
GTEX-14BMV-0126-SM-5S2PO 50-59 years, male 8.8
GTEX-15UKP-0426-SM-7KUFQ 20-29 years, male 8.8
GTEX-1B8KZ-2026-SM-7DHMB 50-59 years, male 8.8
GTEX-Q2AH-1626-SM-3GAF8 40-49 years, male 8.8
GTEX-1H11D-0226-SM-9WG6Z 40-49 years, male 8.8
GTEX-1PIGE-0126-SM-EVYBJ 20-29 years, male 8.8
GTEX-OOBJ-0126-SM-E6CJW 60-69 years, male 8.8
GTEX-111VG-2426-SM-5GZXD 60-69 years, male 8.7
GTEX-1CB4E-2226-SM-793DC 60-69 years, male 8.7
GTEX-QVJO-1626-SM-2S1QW 60-69 years, female 8.7
GTEX-SUCS-1926-SM-32PM3 70-79 years, male 8.7
GTEX-X5EB-2226-SM-46MW4 40-49 years, male 8.7
GTEX-XQ8I-0426-SM-4BOPO 50-59 years, male 8.7
GTEX-Y3I4-2126-SM-4TT7C 50-59 years, male 8.7
GTEX-1KANC-1526-SM-D3LAB 50-59 years, female 8.7
GTEX-11DXY-2626-SM-5GIE7 60-69 years, male 8.6
GTEX-144GL-0126-SM-5TDE2 50-59 years, male 8.6
GTEX-15SDE-2226-SM-7IGLO 50-59 years, female 8.6
GTEX-1C6WA-0126-SM-7PC2B 60-69 years, male 8.6
GTEX-1CB4G-0226-SM-7PC3O 60-69 years, male 8.6
GTEX-1R9K4-0126-SM-DTX9X 60-69 years, male 8.6
GTEX-PW2O-1526-SM-7RHHB 20-29 years, male 8.6
GTEX-ZQG8-1626-SM-DHXIT 60-69 years, female 8.6
GTEX-1C64N-0126-SM-793D7 50-59 years, male 8.5
GTEX-YJ8A-0426-SM-5IFID 20-29 years, male 8.5
GTEX-131XF-5016-SM-7MGWE 60-69 years, male 8.5
GTEX-11TT1-2526-SM-5EGIB 20-29 years, male 8.4
GTEX-18465-0126-SM-731BN 50-59 years, male 8.4
GTEX-T5JW-1626-SM-3GADZ 20-29 years, female 8.4
GTEX-1CB4F-0426-SM-9KNV4 60-69 years, male 8.4
GTEX-1HCU6-0126-SM-CL54K 60-69 years, female 8.4
GTEX-1QP9N-1426-SM-DTXFL 30-39 years, male 8.4
GTEX-RNOR-0126-SM-E9J4R 50-59 years, female 8.4
GTEX-117XS-2726-SM-5N9BL 60-69 years, male 8.3
GTEX-11ZVC-2526-SM-5FQTE 50-59 years, female 8.3
GTEX-13X6J-0126-SM-5QGOU 50-59 years, male 8.3
GTEX-1497J-2426-SM-7IGNX 60-69 years, male 8.3
GTEX-15G19-0126-SM-6PANQ 60-69 years, male 8.3
GTEX-P4PQ-0126-SM-2S1NM 60-69 years, male 8.3
GTEX-QDVJ-1726-SM-2I5FX 50-59 years, male 8.3
GTEX-Y5V6-2426-SM-4VDSB 60-69 years, male 8.3
GTEX-1F5PL-0326-SM-7P8PQ 40-49 years, female 8.3
GTEX-139TU-0126-SM-5K7WH 60-69 years, male 8.2
GTEX-13OVK-2026-SM-7KUEO 40-49 years, male 8.2
GTEX-145MF-0626-SM-5LUAI 50-59 years, male 8.2
GTEX-145MN-2226-SM-5SIAU 30-39 years, male 8.2
GTEX-1C6VR-2426-SM-79OLD 60-69 years, male 8.2
GTEX-1CB4I-0226-SM-79OLH 50-59 years, male 8.2
GTEX-QV44-1926-SM-2S1RF 50-59 years, male 8.2
GTEX-S95S-1226-SM-4GICG 60-69 years, male 8.2
GTEX-WYVS-2126-SM-3NMA3 40-49 years, female 8.2
GTEX-ZVT3-0126-SM-5GU6I 60-69 years, female 8.2
GTEX-1B933-0126-SM-7PC29 50-59 years, female 8.2
GTEX-1CAV2-2226-SM-7P8P2 40-49 years, female 8.2
GTEX-1F6IF-0726-SM-7P8TW 60-69 years, male 8.2
GTEX-1I1HK-0126-SM-COH49 60-69 years, male 8.2
GTEX-1IKK5-0626-SM-ARL8A 60-69 years, male 8.2
GTEX-1IL2U-0226-SM-CE6T8 60-69 years, male 8.2
GTEX-1K9T9-0126-SM-EVYCF 50-59 years, female 8.2
GTEX-11EMC-2926-SM-5EQ4F 60-69 years, female 8.1
GTEX-13FTW-2626-SM-5K7WL 40-49 years, male 8.1
GTEX-13U4I-0126-SM-5LU38 40-49 years, female 8.1
GTEX-147GR-0526-SM-5S2MY 60-69 years, male 8.1
GTEX-X8HC-0126-SM-4E3JW 50-59 years, female 8.1
GTEX-1JMQI-2226-SM-CM2SD 50-59 years, male 8.1
GTEX-11OF3-2626-SM-5GU7F 60-69 years, male 8.0
GTEX-WI4N-1026-SM-3LK7N 40-49 years, female 8.0
GTEX-X638-0126-SM-47JZ8 70-79 years, female 8.0
GTEX-ZE9C-2726-SM-57WB5 60-69 years, male 8.0
GTEX-1MA7X-2226-SM-E6CIY 60-69 years, male 8.0
GTEX-11NUK-0126-SM-5A5L3 50-59 years, male 7.9
GTEX-12ZZZ-0626-SM-5DUXI 60-69 years, male 7.9
GTEX-1399R-2726-SM-5IJBA 30-39 years, male 7.9
GTEX-13FTY-0526-SM-5L3EV 40-49 years, female 7.9
GTEX-13OVH-0126-SM-5MR4B 70-79 years, male 7.9
GTEX-145LU-0126-SM-5TDCB 50-59 years, male 7.9
GTEX-U8T8-0126-SM-3DB94 60-69 years, male 7.9
GTEX-ZXES-1826-SM-5E43S 30-39 years, female 7.9
GTEX-1EU9M-0226-SM-7P8SP 60-69 years, male 7.9
GTEX-1I1GQ-0126-SM-COH3H 50-59 years, male 7.9
GTEX-11GSP-2526-SM-5N9BP 60-69 years, female 7.8
GTEX-11O72-0126-SM-59887 40-49 years, male 7.8
GTEX-11WQK-0526-SM-5EQLD 50-59 years, male 7.8
GTEX-12WSE-0526-SM-793B2 20-29 years, male 7.8
GTEX-13NYB-2526-SM-5K7Z6 40-49 years, male 7.8
GTEX-14BIN-0626-SM-793DP 50-59 years, female 7.8
GTEX-17KNJ-2326-SM-7DHLQ 50-59 years, male 7.8
GTEX-1AYCT-2426-SM-7IGQ3 50-59 years, male 7.8
GTEX-WXYG-2326-SM-4E3I6 50-59 years, female 7.8
GTEX-1H4P4-0726-SM-9YFLR 50-59 years, male 7.8
GTEX-1M5QR-1226-SM-EWROB 40-49 years, male 7.8
GTEX-11EI6-0126-SM-5985R 60-69 years, male 7.7
GTEX-11UD1-0126-SM-5PNYG 40-49 years, female 7.7
GTEX-14PN4-0126-SM-6EU2V 50-59 years, male 7.7
GTEX-P4PP-0126-SM-3LK69 30-39 years, female 7.7
GTEX-QEG4-0226-SM-2S1PY 30-39 years, male 7.7
GTEX-Z93T-0126-SM-5HL5N 50-59 years, male 7.7
GTEX-1JMPZ-0226-SM-CNPP1 30-39 years, male 7.7
GTEX-1JMQJ-0526-SM-CYPSU 50-59 years, male 7.7
GTEX-1LG7Z-1726-SM-D3LA4 30-39 years, male 7.7
GTEX-1OJC3-0126-SM-E76QX 20-29 years, male 7.7
GTEX-1QAET-0926-SM-E76QM 50-59 years, male 7.7
GTEX-1QMI2-0226-SM-EVYBX 60-69 years, male 7.7
GTEX-1S5ZA-0126-SM-EVYCV 20-29 years, male 7.7
GTEX-12WSC-0126-SM-5EQ4P 50-59 years, male 7.6
GTEX-13OVL-0226-SM-5L3E9 50-59 years, male 7.6
GTEX-13OW7-0126-SM-5MR3B 50-59 years, male 7.6
GTEX-147F4-0226-SM-5QGPW 50-59 years, male 7.6
GTEX-RN64-0126-SM-2TC68 50-59 years, male 7.6
GTEX-WVJS-0126-SM-4MVOT 50-59 years, male 7.6
GTEX-WY7C-2326-SM-3NB2U 50-59 years, male 7.6
GTEX-ZDTS-0126-SM-4WAY5 60-69 years, male 7.6
GTEX-1GF9V-0326-SM-7RHI5 60-69 years, male 7.6
GTEX-Q2AI-1326-SM-2S1PL 40-49 years, male 7.5
GTEX-1PIIG-0226-SM-EWRN6 30-39 years, male 7.5
GTEX-14A5H-0426-SM-5QGQF 60-69 years, male 7.4
GTEX-17F98-0626-SM-79OMX 40-49 years, female 7.4
GTEX-O5YT-0126-SM-48TBW 20-29 years, male 7.4
GTEX-XQ3S-1526-SM-4BOOC 20-29 years, male 7.4
GTEX-XUYS-0126-SM-47JWZ 50-59 years, male 7.4
GTEX-PWCY-1826-SM-DHXIZ 20-29 years, female 7.4
GTEX-139TS-2826-SM-5J1OO 60-69 years, male 7.3
GTEX-146FQ-0126-SM-5NQA9 30-39 years, male 7.3
GTEX-R3RS-0126-SM-3GIJL 40-49 years, female 7.3
GTEX-ZC5H-0226-SM-4WAY9 40-49 years, female 7.3
GTEX-ZDYS-2026-SM-5HL5L 50-59 years, male 7.3
GTEX-1IL2V-0126-SM-CM2TX 70-79 years, male 7.3
GTEX-NPJ8-0126-SM-2YUNR 40-49 years, male 7.2
GTEX-T2YK-0526-SM-32QPJ 50-59 years, male 7.2
GTEX-ZYFC-0226-SM-5NQ75 50-59 years, male 7.2
GTEX-1F7RK-0126-SM-7PC2S 20-29 years, female 7.2
GTEX-1GZHY-0326-SM-9QEHI 50-59 years, female 7.2
GTEX-1HB9E-0226-SM-E9U4R 50-59 years, male 7.2
GTEX-1S83E-0126-SM-EWRO4 40-49 years, male 7.2
GTEX-131YS-0126-SM-5KM1M 60-69 years, female 7.1
GTEX-1A32A-0126-SM-718B1 50-59 years, female 7.1
GTEX-1BAJH-0526-SM-793CQ 70-79 years, male 7.1
GTEX-OOBK-0126-SM-2YUND 40-49 years, male 7.1
GTEX-RWSA-0126-SM-2XCBB 40-49 years, male 7.1
GTEX-SJXC-0126-SM-2XCFF 60-69 years, male 7.1
GTEX-W5WG-1826-SM-4KL2Y 50-59 years, female 7.1
GTEX-X4EP-0126-SM-3P5YV 60-69 years, female 7.1
GTEX-1LB8K-0226-SM-EWRNW 50-59 years, male 7.1
GTEX-1N2DW-0226-SM-E9TK2 50-59 years, male 7.1
GTEX-1RDX4-0126-SM-E9J4P 50-59 years, female 7.1
GTEX-PVOW-0126-SM-2XCFA 40-49 years, male 7.0
GTEX-S7PM-0126-SM-4AD6S 60-69 years, male 7.0
GTEX-X4XX-0126-SM-3NMC2 60-69 years, male 7.0
GTEX-1EKGG-0226-SM-9WYTH 60-69 years, male 7.0
GTEX-1H1CY-2826-SM-9MQM3 60-69 years, female 7.0
GTEX-1HSMP-0126-SM-E6CJS 70-79 years, male 7.0
GTEX-1JJEA-0326-SM-CNPOT 60-69 years, male 7.0
GTEX-117YW-2626-SM-5GZZH 50-59 years, male 6.9
GTEX-12584-0126-SM-5EGKQ 40-49 years, male 6.9
GTEX-18D9B-0526-SM-7LTAS 60-69 years, male 6.9
GTEX-1HSKV-0226-SM-A9SKJ 60-69 years, male 6.9
GTEX-1JMLX-0226-SM-CM2RO 50-59 years, male 6.9
GTEX-11ZTS-0126-SM-5EQ6M 60-69 years, female 6.8
GTEX-15DCD-0126-SM-7KUEK 70-79 years, female 6.8
GTEX-1B8SF-1426-SM-7DUGL 60-69 years, male 6.8
GTEX-TML8-1926-SM-32QOS 40-49 years, female 6.8
GTEX-1KD4Q-0226-SM-E9TJ9 40-49 years, male 6.8
GTEX-1R9PM-2026-SM-E76OY 20-29 years, male 6.8
GTEX-131XH-2226-SM-5DUXJ 50-59 years, male 6.7
GTEX-144GN-2326-SM-5LU4F 50-59 years, male 6.7
GTEX-14PJM-0226-SM-62LF1 50-59 years, female 6.7
GTEX-17F97-0326-SM-7LG5B 50-59 years, male 6.7
GTEX-PX3G-0126-SM-2I3EN 20-29 years, female 6.7
GTEX-WZTO-0126-SM-3NM95 40-49 years, male 6.7
GTEX-YJ89-0126-SM-4TT3X 60-69 years, male 6.7
GTEX-1MCQQ-0826-SM-DLHC2 60-69 years, male 6.7
GTEX-1399U-2326-SM-5K7WY 50-59 years, female 6.6
GTEX-14E6D-0126-SM-62LDV 50-59 years, male 6.6
GTEX-17HHY-0126-SM-7LG5D 50-59 years, male 6.6
GTEX-ZV68-0126-SM-59HKS 50-59 years, female 6.6
GTEX-1I1GV-0526-SM-A9G29 60-69 years, male 6.6
GTEX-1EX96-1626-SM-7PBXR 50-59 years, male 6.5
GTEX-XUZC-1726-SM-4BRWS 30-39 years, female 6.4
GTEX-1EMGI-0126-SM-9KNUE 60-69 years, male 6.4
GTEX-1GF9X-2026-SM-7PC3A 40-49 years, female 6.4
GTEX-1IY9M-0126-SM-D3L8S 60-69 years, male 6.4
GTEX-1RQEC-0426-SM-E6CHU 60-69 years, male 6.4
GTEX-11DXW-0226-SM-5H122 40-49 years, male 6.3
GTEX-13FHP-0126-SM-5IJBG 50-59 years, male 6.3
GTEX-13N11-2526-SM-5K7UE 50-59 years, female 6.3
GTEX-T2IS-0126-SM-4DM6O 20-29 years, female 6.3
GTEX-Y114-2426-SM-4TT8A 50-59 years, female 6.3
GTEX-ZU9S-0226-SM-5E441 30-39 years, male 6.3
GTEX-1GN73-0226-SM-9WG67 60-69 years, male 6.3
GTEX-1J8JJ-0226-SM-CL53I 60-69 years, female 6.3
GTEX-16GPK-0126-SM-7DHLE 60-69 years, male 6.2
GTEX-1A3MX-0126-SM-731BR 60-69 years, male 6.2
GTEX-1K2DA-1826-SM-CGQGT 50-59 years, male 6.2
GTEX-13CF2-2526-SM-5LZYX 60-69 years, male 6.1
GTEX-18A6Q-0126-SM-731BZ 60-69 years, male 6.1
GTEX-1192W-2626-SM-5Q5AF 60-69 years, male 6.0
GTEX-14XAO-2326-SM-6EU1B 60-69 years, female 6.0
GTEX-18A67-0126-SM-7LG5P 50-59 years, male 6.0
GTEX-1GN2E-0426-SM-9MQKX 60-69 years, male 6.0
GTEX-1HFI6-0226-SM-ADEHZ 40-49 years, male 6.0
GTEX-1KANB-0526-SM-E6CJH 50-59 years, male 6.0
GTEX-ZAK1-0126-SM-5IJD3 50-59 years, female 5.9
GTEX-11DYG-0126-SM-59883 60-69 years, male 5.8
GTEX-1212Z-2526-SM-5EGKP 60-69 years, male 5.8
GTEX-12ZZY-0226-SM-5LZVE 60-69 years, male 5.8
GTEX-13FXS-0226-SM-5IJCK 50-59 years, male 5.8
GTEX-13OW6-0426-SM-5L3HM 50-59 years, male 5.8
GTEX-17JCI-0126-SM-7LG5G 60-69 years, female 5.8
GTEX-XXEK-2226-SM-4BRUM 50-59 years, male 5.8
GTEX-YFC4-0126-SM-5CVLY 40-49 years, female 5.8
GTEX-1KD5A-0226-SM-D5OV3 50-59 years, male 5.8
GTEX-1O97I-0326-SM-EYYX7 60-69 years, male 5.8
GTEX-13VXU-0126-SM-5SI9F 50-59 years, male 5.7
GTEX-14PK6-1926-SM-6ETZU 70-79 years, female 5.7
GTEX-U412-0426-SM-3DB9O 60-69 years, male 5.7
GTEX-ZYFD-0126-SM-5GIDL 50-59 years, male 5.7
GTEX-ZYT6-0226-SM-5NQ6T 30-39 years, male 5.7
GTEX-1F6I4-0126-SM-9MQL2 60-69 years, male 5.7
GTEX-RVPV-0126-SM-EAZAW 60-69 years, male 5.7
GTEX-1313W-0126-SM-5LZUN 50-59 years, female 5.6
GTEX-14JG1-0426-SM-6ETZZ 40-49 years, male 5.6
GTEX-Y111-0126-SM-4SOIV 50-59 years, male 5.6
GTEX-15SB6-1726-SM-6PAME 50-59 years, female 5.5
GTEX-OHPL-0126-SM-2HMJ7 60-69 years, female 5.5
GTEX-TMZS-0126-SM-3DB9Q 60-69 years, male 5.5
GTEX-VJYA-1126-SM-3GIJU 60-69 years, male 5.5
GTEX-1B8L1-2526-SM-9WYTF 60-69 years, male 5.5
GTEX-1IOXB-0126-SM-ARL8G 50-59 years, male 5.5
GTEX-12126-0326-SM-5PNW3 20-29 years, male 5.4
GTEX-S7SE-0126-SM-2XCD5 50-59 years, male 5.4
GTEX-S33H-1026-SM-EZ6L6 30-39 years, male 5.4
GTEX-111FC-0126-SM-5N9DL 60-69 years, male 5.3
GTEX-14ABY-0226-SM-5TDCQ 50-59 years, male 5.3
GTEX-12ZZX-0126-SM-5EGK9 40-49 years, female 5.2
GTEX-13G51-2526-SM-5LZYK 60-69 years, male 5.2
GTEX-1ICG6-2526-SM-CGQFZ 70-79 years, female 5.2
GTEX-132NY-0326-SM-5IJBL 60-69 years, male 5.1
GTEX-18A7A-0226-SM-718BH 50-59 years, female 5.1
GTEX-OIZG-0726-SM-33HBL 50-59 years, male 5.1
GTEX-1QEPI-0126-SM-EWRMQ 60-69 years, female 5.1
GTEX-1EWIQ-0126-SM-7RHH2 70-79 years, female 5.0
GTEX-Q734-1926-SM-2I5EV 40-49 years, female 4.9
GTEX-11DXZ-2326-SM-5EGGV 50-59 years, male 4.8
GTEX-QESD-1426-SM-2S1R9 20-29 years, male 4.8
GTEX-Y8DK-0126-SM-4TT3L 60-69 years, male 4.8
GTEX-W5X1-3026-SM-EAZAX 40-49 years, female 4.8
GTEX-SIU8-0126-SM-2XCDT 50-59 years, male 4.6
GTEX-T6MN-0126-SM-32PLP 50-59 years, male 4.6
GTEX-U8XE-0326-SM-3DB8P 30-39 years, male 4.6
GTEX-Y3IK-2426-SM-4WWDU 50-59 years, female 4.5
GTEX-ZVZO-0126-SM-5A5L9 40-49 years, male 4.5
GTEX-1MJK2-0426-SM-DTXE5 50-59 years, male 4.5
GTEX-POMQ-2226-SM-2I5FK 20-29 years, female 4.4
GTEX-ZVTK-0426-SM-51MRS 20-29 years, male 4.3
GTEX-X88G-0126-SM-47JZ3 30-39 years, male 4.1
GTEX-1HR98-0126-SM-B2LWI 60-69 years, male 4.1
GTEX-ZDXO-3026-SM-5J1N5 60-69 years, male 4.0
GTEX-1J8EW-0126-SM-CJI4F 60-69 years, female 3.7
GTEX-XYKS-2126-SM-4E3IB 60-69 years, female 2.3
Show allShow less

Contact

  • NEWS ARTICLES
  • PRESS ROOM

The Project

  • INTRODUCTION
  • ORGANIZATION
  • PUBLICATIONS

The Human Protein Atlas

  • DOWNLOADABLE DATA
  • LICENCE & CITATION
  • HELP & FAQ
The Human Protein Atlas project is funded
by the Knut & Alice Wallenberg Foundation.


contact@proteinatlas.org