We use cookies to enhance the usability of our website. If you continue, we'll assume that you are happy to receive all cookies. More information. Don't show this again.
ITGB6
HPA
RESOURCES
  • TISSUE
  • BRAIN
  • SINGLE CELL
  • SUBCELLULAR
  • CANCER
  • BLOOD
  • CELL LINE
  • STRUCTURE & INTERACTION
ABOUT
  • INTRODUCTION
  • HISTORY
  • ORGANIZATION
  • PUBLICATIONS
  • ANTIBODY SUBMISSION
  • ANTIBODY AVAILABILITY
  • ACKNOWLEDGMENTS
  • CONTACT
NEWS
  • NEWS ARTICLES
  • PRESS ROOM
LEARN
  • DICTIONARY
  • PROTEIN CLASSES
  • PROTEIN EVIDENCE
  • METHODS
  • EDUCATIONAL VIDEOS
DATA
  • DOWNLOADABLE DATA
  • PUBLICATION DATA
  • RELEASE HISTORY
HELP
  • ANTIBODY VALIDATION
  • ASSAYS & ANNOTATION
  • DISCLAIMER
  • HELP & FAQ
  • PRIVACY STATEMENT
  • LICENCE & CITATION
Fields »
Search result

Field
Term
Gene name
Class
Subclass
Class
Keyword
Chromosome
External id
Tissue
Cell type
Expression
Antibody panel
Tissue
Main location
Patient ID
Annotation
Tissue
Category
Tau score
Cluster
Reliability
Brain region
Category
Tau score
Brain region
Category
Tau score
Brain region
Category
Tau score
Cluster
Reliability
Tissue
Cell type
Enrichment
Cell type
Category
Tau score
Cell type
Category
Tau score
Cell type
Category
Tau score
Cell lineage
Category
Tau score
Cluster
Cluster
Location
Searches
Location
Cell line
Class
Type
Phase
Reliability
Cancer
Prognosis
Cancer
Category
Cancer
Category
Tau score
Cluster
Variants
Interacting gene (ensg_id)
Type
Number of interactions
Pathway
Category
Score
Score
Score
Validation
Validation
Validation
Validation
Antibodies
Data type
Column


  • SUMMARY

  • TISSUE

  • BRAIN

  • SINGLE CELL

  • SUBCELL

  • CANCER

  • BLOOD

  • CELL LINE

  • STRUCT & INT

  • ITGB6
TISSUE PRIMARY DATA LUNG Show tissue menu
ADIPOSE TISSUE ADRENAL GLAND AMYGDALA APPENDIX BASAL GANGLIA BONE MARROW BREAST BRONCHUS CEREBELLUM CEREBRAL CORTEX CERVIX CHOROID PLEXUS COLON DUODENUM
ENDOMETRIUM EPIDIDYMIS ESOPHAGUS FALLOPIAN TUBE GALLBLADDER HEART MUSCLE HIPPOCAMPAL FORMATION HYPOTHALAMUS KIDNEY LIVER LUNG LYMPH NODE MIDBRAIN NASOPHARYNX
ORAL MUCOSA OVARY PANCREAS PARATHYROID GLAND PITUITARY GLAND PLACENTA PROSTATE RECTUM RETINA SALIVARY GLAND SEMINAL VESICLE SKELETAL MUSCLE SKIN SMALL INTESTINE
SMOOTH MUSCLE SOFT TISSUE SPINAL CORD SPLEEN STOMACH TESTIS THYMUS THYROID GLAND TONGUE TONSIL URINARY BLADDER VAGINA
ANTIBODIES
AND
VALIDATION
Dictionary
Lung
Tissue proteome
Lung
LUNG - Expression summary
Protein expression
Lungi

On the top, protein expression in current human tissue, based on all annotated cell types, is reported with the units not detected (n), low (l), medium (m) and high (h). Underneath, protein expression in each annotated cell type are reported using the same units.

Protein expression data is based on knowledge-based annotation. For genes where more than one antibody has been used, a collective score is set.

If knowledge-based annotation could not be performed for a gene, no data is displayed here. View antibody staining data further down this page.

h
m
l
n
Alveolar cells: Medium
Macrophages: Not detected
RNA expressioni

A summary of mRNA expression data available for current tissue based on several datasets. The mRNA expression levels in human tissues are based on RNA-seq data generated by the Human Protein Atlas (HPA), Genotype-Tissue Expression (GTEx) portal and CAGE data generated by the FANTOM5 consortium. Consensus normalized expression levels for human tissues was created by combining the data from HPA and GTEx datasets.

The mRNA expression levels in pig are based on RNA-seq data generated by the Human Protein Atlas (HPA), and for mouse, HPA data and in situ hybridization generated by the Allen brain atlas are reported.

Scroll down to view mRNA expression data in more detail.
Consensus:43.9 nTPM
HPA:43.9 nTPM
GTEx:14.1 nTPM
FANTOM5:78.0 Scaled Tags Per Million

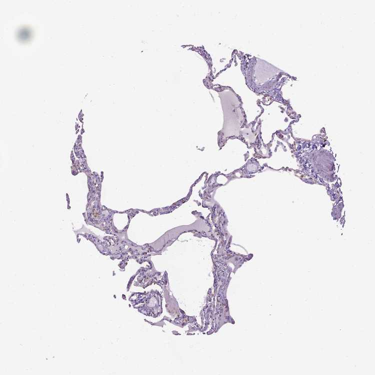
LUNG - Antibody stainingi

Antibody staining in the annotated cell types in the current human tissue is reported as not detected, low, medium, or high, based on conventional immunohistochemistry profiling in selected tissues. This score is based on the combination of the staining intensity and fraction of stained cells.

Each image is clickable and will lead to virtual microscopy that enables deeper exploration of all samples and also displays staining intensity scores, fraction scores and subcellular localization as well as patient and tissue information for each sample.

Antibody HPA023626Antibody CAB073536
Alveolar cells Not detectedMedium
Macrophages LowNot detected





LUNG - HPA RNA-seqi

The RNA-seq details section shows detailed information about the individual samples used for the transcript profiling and results of the RNA-seq analysis.

Information about each individual sample is listed below, including gender, age, a tissue section image and estimated fractions of cell types. nTPM (normalized transcripts per million) values give a quantification of the gene abundance which is comparable between different genes and samples.
Average nTPMi

Max subtype nTPM is the value for the subtype with the largest average nTPM across the subtype samples.

43.9
overview
Female, age 71
Lung sample 164
nTPM: 37.8
Cell types%
Alveolar cells:
40

Bronchial epithelium:
5

Endothelial cells:
25

Macrophages:
10

Other cell types:
20

overview
Male, age 57
Lung sample 165
nTPM: 35.2
Cell types%
Alveolar cells:
35

Bronchial epithelium:
5

Endothelial cells:
30

Macrophages:
10

Other cell types:
20

overview
Female, age 71
Lung sample 166
nTPM: 34
Cell types%
Alveolar cells:
35

Bronchial epithelium:
10

Endothelial cells:
25

Macrophages:
10

Other cell types:
20

overview
Female, age 74
Lung sample 167
nTPM: 33
Cell types%
Alveolar cells:
40

Bronchial epithelium:
0

Endothelial cells:
30

Macrophages:
15

Other cell types:
15

overview
Female, age 73
Lung sample 168
nTPM: 41.7
Cell types%
Alveolar cells:
30

Bronchial epithelium:
5

Endothelial cells:
30

Macrophages:
10

Other cell types:
25

overview
Male, age 74
Lung sample 376
nTPM: 48.1
Cell types%
Alveolar cells:
25

Bronchial epithelium:
0

Endothelial cells:
35

Macrophages:
5

Other cell types:
35

overview
Female, age 70
Lung sample 379
nTPM: 60.5
Cell types%
Alveolar cells:
35

Bronchial epithelium:
5

Endothelial cells:
35

Macrophages:
5

Other cell types:
20

overview
Female, age 75
Lung sample 387
nTPM: 50.3
Cell types%
Alveolar cells:
20

Bronchial epithelium:
10

Endothelial cells:
20

Macrophages:
10

Other cell types:
40

overview
Male, age 63
Lung sample 406
nTPM: 54.7
Cell types%
Alveolar cells:
25

Bronchial epithelium:
5

Endothelial cells:
25

Macrophages:
15

Other cell types:
30


LUNG - GTEx RNA-seqi

RNA-Seq data generated by the Genotype-Tissue Expression (GTEx) project from human tissues is reported as mean nTPM. More information can be found on the GTEx portal.

Distribution across the dataset is visualized with box plots, shown as median and 25th and 75th percentiles. Points are displayed as outliers if they are above or below 1.5 times the interquartile range. nTPM values of the individual samples are presented next to the box plot.
Max subtype nTPMi

Max subtype nTPM is the value for the subtype with the largest average nTPM across the subtype samples.

14.1
GTEx sample id Sample description nTPM
Lung
Average nTPM: 14.1
Samples: 578

Max nTPM: 53.9
Min nTPM: 0.2
Std nTPM: 8.8
Median nTPM: 13.1
GTEX-RNOR-0726-SM-2TF5I 50-59 years, female 53.9
GTEX-1AX8Z-5010-SM-AHZ33 60-69 years, male 52.2
GTEX-1F88F-0926-SM-7RHH8 60-69 years, female 42.5
GTEX-13OW6-0826-SM-5L3GA 50-59 years, male 42.1
GTEX-T8EM-0326-SM-3DB7F 40-49 years, male 41.6
GTEX-14DAQ-0926-SM-793AZ 60-69 years, female 39.9
GTEX-14BMV-0826-SM-73KXU 50-59 years, male 38.9
GTEX-1NSGN-1626-SM-EXOJF 50-59 years, male 37.2
GTEX-145LS-1226-SM-5Q5D9 60-69 years, female 36.6
GTEX-ZLV1-0426-SM-4WWC2 60-69 years, female 35.4
GTEX-WFG7-0526-SM-3GIKI 20-29 years, male 34.3
GTEX-OHPM-0526-SM-2YUMJ 50-59 years, male 34.1
GTEX-14PJM-0926-SM-6AJ9Y 50-59 years, female 34.0
GTEX-ZY6K-0326-SM-5SIBB 50-59 years, male 33.8
GTEX-13S7M-2126-SM-5S2QR 60-69 years, female 33.3
GTEX-1B996-0726-SM-7IGPI 60-69 years, male 33.3
GTEX-PW2O-0526-SM-2I3DX 20-29 years, male 33.2
GTEX-1GPI7-1526-SM-9JGG8 20-29 years, male 32.8
GTEX-XQ3S-0926-SM-4BOPI 20-29 years, male 32.6
GTEX-QXCU-0626-SM-2TC69 50-59 years, male 32.3
GTEX-1I4MK-0326-SM-B2LWP 50-59 years, female 32.3
GTEX-1AYCT-0726-SM-7IGNG 50-59 years, male 32.2
GTEX-16XZZ-0926-SM-7DHLI 60-69 years, male 32.0
GTEX-WRHU-0226-SM-3MJFV 50-59 years, female 31.8
GTEX-OIZI-1026-SM-3NB1K 40-49 years, male 31.6
GTEX-WYVS-0526-SM-3NM9W 40-49 years, female 31.5
GTEX-U8XE-1426-SM-3DB8Q 30-39 years, male 31.4
GTEX-1AX9J-1626-SM-73KUI 60-69 years, male 30.1
GTEX-15FZZ-0326-SM-6M48O 30-39 years, female 29.7
GTEX-183FY-0726-SM-793C3 20-29 years, male 29.5
GTEX-W5X1-0526-SM-3GILH 40-49 years, female 29.1
GTEX-11DXZ-0726-SM-5N9C4 50-59 years, male 29.0
GTEX-13VXU-2726-SM-5LU4N 50-59 years, male 29.0
GTEX-1A8FM-0826-SM-793D5 50-59 years, female 28.8
GTEX-1A32A-0726-SM-731D4 50-59 years, female 28.4
GTEX-111YS-0626-SM-5GZXV 60-69 years, male 28.3
GTEX-12WSN-5004-SM-793CE 40-49 years, male 28.2
GTEX-1QP29-1226-SM-E6CQ1 50-59 years, male 28.0
GTEX-16AAH-0426-SM-7DUFM 50-59 years, male 27.8
GTEX-1I6K7-1226-SM-B2LVS 40-49 years, male 27.5
GTEX-13W3W-0326-SM-731DS 60-69 years, female 27.2
GTEX-1GZ4H-0426-SM-7MXV5 50-59 years, female 27.2
GTEX-P4PP-0526-SM-2HMKE 30-39 years, female 27.1
GTEX-18465-0626-SM-7LT8X 50-59 years, male 26.9
GTEX-ZC5H-0926-SM-5CVMZ 40-49 years, female 26.8
GTEX-1J8QM-0526-SM-AHZ3Y 60-69 years, female 26.8
GTEX-1S82P-0826-SM-EVR4P 60-69 years, female 26.7
GTEX-1JN76-0826-SM-C1YRK 20-29 years, female 26.3
GTEX-PLZ6-0426-SM-5IJDW 30-39 years, male 26.2
GTEX-Y5LM-0726-SM-4VBRP 40-49 years, female 26.2
GTEX-1E2YA-0926-SM-7MXUK 50-59 years, male 26.2
GTEX-Y8LW-0326-SM-4VBQ9 50-59 years, female 26.1
GTEX-1GMR2-0126-SM-9JGHC 50-59 years, male 26.1
GTEX-X4LF-0526-SM-3NMB6 50-59 years, male 26.0
GTEX-WFJO-0326-SM-3GIL3 30-39 years, male 25.8
GTEX-ZQG8-0326-SM-51MSE 60-69 years, female 25.7
GTEX-13N1W-0726-SM-5MR57 70-79 years, male 25.6
GTEX-14BMU-0526-SM-73KW4 20-29 years, female 25.6
GTEX-15EOM-5010-SM-7P8PA 20-29 years, female 25.6
GTEX-ZT9W-0726-SM-9JGG2 50-59 years, male 25.6
GTEX-144GO-0226-SM-5LUB1 60-69 years, male 25.4
GTEX-15RJ7-0626-SM-6M47V 40-49 years, male 25.4
GTEX-RM2N-0426-SM-2TF4T 50-59 years, male 25.3
GTEX-1KXAM-0426-SM-DHXKG 60-69 years, male 25.3
GTEX-11NV4-1126-SM-5HL6J 60-69 years, male 25.1
GTEX-13OVH-1026-SM-5J2NP 70-79 years, male 25.1
GTEX-147GR-1226-SM-5TDCL 60-69 years, male 25.0
GTEX-1H3VY-1426-SM-9WPOB 50-59 years, male 24.7
GTEX-WHSB-0326-SM-5FQSD 50-59 years, male 24.6
GTEX-TML8-0326-SM-4GICN 40-49 years, female 24.5
GTEX-WFG8-0926-SM-3GIKJ 20-29 years, male 24.5
GTEX-12BJ1-1026-SM-5EGJA 60-69 years, male 24.4
GTEX-17HHE-0626-SM-7DHL6 50-59 years, male 24.4
GTEX-1C6VR-0626-SM-79OOY 60-69 years, male 24.3
GTEX-QV44-0926-SM-2S1RH 50-59 years, male 24.3
GTEX-U3ZN-0626-SM-3DB7U 30-39 years, female 24.3
GTEX-111CU-0326-SM-5GZXO 50-59 years, male 24.2
GTEX-18QFQ-0926-SM-7LG4V 30-39 years, male 24.2
GTEX-QDVJ-0926-SM-2I5FU 50-59 years, male 24.2
GTEX-1R9PM-0426-SM-EVR3P 20-29 years, male 24.2
GTEX-1I6K6-0926-SM-AHZ2N 30-39 years, male 24.1
GTEX-1JMLX-0926-SM-CNNPQ 50-59 years, male 24.0
GTEX-TMMY-0926-SM-4TT1Z 40-49 years, female 23.9
GTEX-ZYFG-0226-SM-5GIDT 60-69 years, female 23.8
GTEX-147F3-0726-SM-5NQ9U 50-59 years, female 23.7
GTEX-1GL5R-0526-SM-9WPOQ 50-59 years, male 23.7
GTEX-ZEX8-0526-SM-DO115 50-59 years, male 23.7
GTEX-XXEK-0626-SM-4BRWE 50-59 years, male 23.4
GTEX-14PJ4-0626-SM-6AJBS 60-69 years, male 23.3
GTEX-1L5NE-0726-SM-CXZKQ 50-59 years, male 23.3
GTEX-18A67-1126-SM-7KFSB 50-59 years, male 23.0
GTEX-1I1GQ-1126-SM-CNNQT 50-59 years, male 23.0
GTEX-1IKK5-1926-SM-A9G2V 60-69 years, male 23.0
GTEX-1IDJH-0726-SM-ARU7U 70-79 years, male 22.9
GTEX-13S86-0626-SM-5Q5E7 40-49 years, male 22.8
GTEX-1HSMQ-0726-SM-B2LXY 50-59 years, male 22.8
GTEX-1QP2A-1226-SM-EVR3I 50-59 years, male 22.8
GTEX-1211K-0826-SM-5FQUP 60-69 years, female 22.5
GTEX-13O3O-0726-SM-5J1N7 60-69 years, female 22.4
GTEX-Q2AG-1026-SM-33HBW 40-49 years, female 22.4
GTEX-YF7O-0626-SM-4W21R 50-59 years, male 22.4
GTEX-1J1R8-0226-SM-AHZ3C 40-49 years, male 22.4
GTEX-1OJC3-0726-SM-DTX92 20-29 years, male 22.3
GTEX-YFCO-0426-SM-4W1Z7 40-49 years, male 22.1
GTEX-11EQ9-0226-SM-5A5JX 30-39 years, male 22.0
GTEX-13N2G-0826-SM-5IJE6 60-69 years, male 22.0
GTEX-14JG6-0326-SM-6AJBT 30-39 years, female 22.0
GTEX-S32W-0326-SM-2XCBI 50-59 years, female 22.0
GTEX-1JK1U-1126-SM-CY8HK 60-69 years, male 22.0
GTEX-RWSA-1126-SM-2XCAZ 40-49 years, male 21.9
GTEX-1E1VI-0926-SM-7P8T3 50-59 years, male 21.9
GTEX-1GF9X-0326-SM-7P8R9 40-49 years, female 21.9
GTEX-11OF3-1126-SM-5986C 60-69 years, male 21.8
GTEX-1A8G6-0726-SM-73KV5 60-69 years, male 21.8
GTEX-145ME-0226-SM-5S2QN 40-49 years, female 21.7
GTEX-18A7A-1026-SM-7LT8B 50-59 years, female 21.7
GTEX-15CHR-0726-SM-7EPHG 50-59 years, male 21.6
GTEX-Y3IK-0626-SM-4WWE4 50-59 years, female 21.6
GTEX-1JKYN-2126-SM-ARU8W 30-39 years, male 21.6
GTEX-144GM-0126-SM-5Q5AX 20-29 years, male 21.5
GTEX-147F4-0926-SM-5Q5EO 50-59 years, male 21.5
GTEX-O5YW-0526-SM-2YUMX 50-59 years, male 21.5
GTEX-1CB4I-2126-SM-793AG 50-59 years, male 21.4
GTEX-11WQK-1226-SM-5GU5Z 50-59 years, male 21.3
GTEX-14PHY-0526-SM-664NM 60-69 years, female 21.3
GTEX-OOBK-0526-SM-2HMJJ 40-49 years, male 21.3
GTEX-1399S-1726-SM-5L3DI 30-39 years, female 21.1
GTEX-16MTA-1226-SM-7KULL 50-59 years, male 21.0
GTEX-117YX-1326-SM-5H125 50-59 years, male 20.9
GTEX-R55C-0526-SM-3GIKA 40-49 years, male 20.9
GTEX-11ZVC-0226-SM-731E8 50-59 years, female 20.8
GTEX-Y9LG-0526-SM-4VBRY 30-39 years, male 20.8
GTEX-1MGNQ-0826-SM-EVR41 40-49 years, male 20.7
GTEX-14PK6-0326-SM-6AJ9S 70-79 years, female 20.6
GTEX-1J8JJ-1126-SM-CL55P 60-69 years, female 20.5
GTEX-UJHI-0726-SM-3DB92 50-59 years, female 20.4
GTEX-14E7W-1326-SM-5RQIV 70-79 years, male 20.3
GTEX-OXRK-0926-SM-2HMKP 50-59 years, female 20.3
GTEX-12WSK-0826-SM-5CVNP 40-49 years, female 20.1
GTEX-145MF-0726-SM-5Q5BT 50-59 years, male 20.1
GTEX-1B97I-0226-SM-73KVO 40-49 years, male 20.1
GTEX-N7MS-0926-SM-2HMIZ 60-69 years, male 20.1
GTEX-QESD-0626-SM-2I5G4 20-29 years, male 20.1
GTEX-WH7G-0726-SM-3NMBM 40-49 years, male 20.1
GTEX-XBED-0826-SM-47JYC 60-69 years, male 20.1
GTEX-12WSA-1026-SM-5EGHN 60-69 years, male 20.0
GTEX-O5YT-0526-SM-32PK8 20-29 years, male 20.0
GTEX-1GMR3-0226-SM-7RHIB 40-49 years, male 20.0
GTEX-1HCUA-0226-SM-A8N88 50-59 years, female 20.0
GTEX-11LCK-0426-SM-5A5M8 30-39 years, male 19.8
GTEX-1JMQJ-2126-SM-CNPPA 50-59 years, male 19.8
GTEX-1B8L1-0626-SM-7EPHL 60-69 years, male 19.6
GTEX-T6MO-0426-SM-32QOI 40-49 years, female 19.5
GTEX-1QCLY-1026-SM-EWRNI 30-39 years, male 19.4
GTEX-13OVG-0326-SM-5KM57 60-69 years, male 19.3
GTEX-PSDG-1126-SM-2S1ON 50-59 years, male 19.3
GTEX-VUSG-0926-SM-3GIK6 50-59 years, male 19.3
GTEX-1F5PK-0526-SM-7MXUA 50-59 years, male 19.3
GTEX-14E6E-0426-SM-73KUE 30-39 years, male 19.2
GTEX-XQ8I-1126-SM-4BOO2 50-59 years, male 19.1
GTEX-ZA64-0326-SM-5HL8T 20-29 years, male 19.1
GTEX-1B932-0726-SM-731EY 40-49 years, female 19.0
GTEX-QMRM-0826-SM-3NB33 50-59 years, male 19.0
GTEX-ZPCL-0926-SM-DNZZ8 60-69 years, female 19.0
GTEX-13PL7-1726-SM-5J2NX 60-69 years, female 18.9
GTEX-14DAR-0226-SM-5S2PR 50-59 years, male 18.8
GTEX-ZDTT-0926-SM-5J2MS 60-69 years, male 18.8
GTEX-UJMC-0726-SM-3GADX 50-59 years, male 18.7
GTEX-13O61-0726-SM-5J2MD 60-69 years, male 18.6
GTEX-ZVT3-0926-SM-5GICK 60-69 years, female 18.6
GTEX-13OW8-1726-SM-5L3GO 60-69 years, male 18.5
GTEX-PLZ5-0726-SM-2I5F9 50-59 years, male 18.5
GTEX-139TT-0726-SM-5K7XW 60-69 years, male 18.4
GTEX-SUCS-0626-SM-32PM5 70-79 years, male 18.3
GTEX-1399U-0826-SM-5KM1P 50-59 years, female 18.2
GTEX-X585-1026-SM-46MW6 50-59 years, male 18.2
GTEX-14E1K-0226-SM-62LDT 50-59 years, male 18.1
GTEX-14PJ5-0226-SM-5YY99 60-69 years, female 18.1
GTEX-11NSD-0326-SM-5A5LS 20-29 years, male 18.0
GTEX-ZG7Y-1026-SM-4WWDG 50-59 years, male 18.0
GTEX-132QS-0726-SM-5IJE9 60-69 years, male 17.9
GTEX-NFK9-1026-SM-2HMK1 40-49 years, male 17.8
GTEX-ZPU1-0926-SM-57WDO 40-49 years, male 17.8
GTEX-OIZG-0526-SM-2HMLF 50-59 years, male 17.7
GTEX-POMQ-0526-SM-3GADD 20-29 years, female 17.7
GTEX-U3ZM-0426-SM-3DB73 40-49 years, male 17.6
GTEX-WHPG-1426-SM-3NMBB 50-59 years, male 17.6
GTEX-13113-5004-SM-79ONL 60-69 years, female 17.5
GTEX-1K9T9-0926-SM-D3L9C 50-59 years, female 17.5
GTEX-18D9A-0226-SM-7KFSJ 30-39 years, female 17.4
GTEX-RWS6-0226-SM-2XCA9 60-69 years, female 17.4
GTEX-ZDYS-0426-SM-5IJEQ 50-59 years, male 17.4
GTEX-169BO-0226-SM-79OL1 50-59 years, male 17.3
GTEX-OHPL-0526-SM-3NM8U 60-69 years, female 17.3
GTEX-RU1J-0126-SM-2TF6Y 20-29 years, female 17.3
GTEX-OIZH-0526-SM-2HMKV 50-59 years, male 17.1
GTEX-RU72-0526-SM-2TF5Z 50-59 years, female 17.0
GTEX-WFON-0426-SM-3GIL4 40-49 years, male 17.0
GTEX-XGQ4-0826-SM-4AT4T 50-59 years, male 17.0
GTEX-15SB6-0426-SM-6LPJ5 50-59 years, female 16.9
GTEX-1OJC4-0626-SM-DTXEY 50-59 years, female 16.9
GTEX-YEC3-0226-SM-DO11B 50-59 years, male 16.9
GTEX-QEG5-1126-SM-33HC2 20-29 years, male 16.8
GTEX-WY7C-0426-SM-3NB3C 50-59 years, male 16.8
GTEX-13O21-3026-SM-5J2NI 50-59 years, male 16.7
GTEX-P78B-0926-SM-2I5FA 40-49 years, female 16.7
GTEX-11P7K-0326-SM-59871 30-39 years, male 16.6
GTEX-13VXT-1426-SM-5LU4B 20-29 years, female 16.6
GTEX-Q2AH-0426-SM-2I3EP 40-49 years, male 16.6
GTEX-XPVG-1026-SM-4B64Y 50-59 years, male 16.6
GTEX-P4QS-0526-SM-2I3ET 60-69 years, male 16.5
GTEX-1GN73-1026-SM-9KNV9 60-69 years, male 16.5
GTEX-OXRL-0526-SM-2I3EZ 50-59 years, male 16.3
GTEX-XV7Q-0426-SM-4BRVN 40-49 years, female 16.2
GTEX-Y3I4-0426-SM-4TT29 50-59 years, male 16.2
GTEX-1313W-0926-SM-5EQ56 50-59 years, female 16.1
GTEX-ZF29-1026-SM-4WKGC 60-69 years, female 16.1
GTEX-13O3Q-0526-SM-5KM18 50-59 years, male 16.0
GTEX-1HB9E-0726-SM-AHZ4L 50-59 years, male 16.0
GTEX-132NY-1226-SM-5PNVF 60-69 years, male 15.9
GTEX-13QBU-0726-SM-5J2OA 40-49 years, female 15.9
GTEX-17F9Y-1026-SM-7IGO4 70-79 years, female 15.9
GTEX-13U4I-1426-SM-5J2M3 40-49 years, female 15.8
GTEX-15G1A-0426-SM-6M468 30-39 years, male 15.8
GTEX-1EX96-0226-SM-7RHHR 50-59 years, male 15.8
GTEX-12KS4-0726-SM-5FQSX 30-39 years, male 15.7
GTEX-RUSQ-0626-SM-2TF5V 50-59 years, male 15.7
GTEX-1B933-0926-SM-9OSVH 50-59 years, female 15.7
GTEX-14JG1-0926-SM-5YY8W 40-49 years, male 15.6
GTEX-1LGRB-0226-SM-CNPQK 50-59 years, female 15.6
GTEX-11EMC-0126-SM-5EGKV 60-69 years, female 15.5
GTEX-13D11-0326-SM-5LZXX 50-59 years, female 15.5
GTEX-1AX9K-0826-SM-731F9 50-59 years, male 15.5
GTEX-P4QT-0526-SM-2I3EX 50-59 years, female 15.4
GTEX-133LE-0526-SM-5N9EJ 20-29 years, female 15.3
GTEX-1MCC2-0726-SM-EV7AL 30-39 years, female 15.2
GTEX-15SHV-0326-SM-6M475 60-69 years, male 15.1
GTEX-R55G-0826-SM-2TC5U 40-49 years, female 15.1
GTEX-WZTO-0426-SM-3NM99 40-49 years, male 15.1
GTEX-12WSL-1026-SM-5CVNJ 50-59 years, male 14.9
GTEX-1269C-0926-SM-5FQSR 60-69 years, female 14.7
GTEX-SJXC-1026-SM-EYYVA 60-69 years, male 14.7
GTEX-15RIE-0326-SM-6PAMC 60-69 years, male 14.6
GTEX-1A3MV-0526-SM-72D5A 30-39 years, male 14.6
GTEX-11I78-0126-SM-5HL6F 50-59 years, female 14.5
GTEX-13PVQ-0926-SM-5IJFD 50-59 years, male 14.5
GTEX-16NGA-0226-SM-718AI 40-49 years, female 14.5
GTEX-16Z82-1026-SM-6M48A 60-69 years, male 14.5
GTEX-ZTPG-0926-SM-5O99H 20-29 years, female 14.5
GTEX-1H1DG-1026-SM-9MQJS 70-79 years, male 14.5
GTEX-1RQED-1026-SM-EVYCT 60-69 years, male 14.5
GTEX-1CAV2-0626-SM-7P8QE 40-49 years, female 14.4
GTEX-17GQL-0726-SM-731BL 60-69 years, male 14.3
GTEX-139T6-0426-SM-5IJEM 50-59 years, male 14.2
GTEX-139YR-0926-SM-5LZYB 50-59 years, male 14.2
GTEX-1GZ4I-0726-SM-9QEHL 50-59 years, male 14.2
GTEX-11TT1-1626-SM-5EQL7 20-29 years, male 14.1
GTEX-12WSJ-0226-SM-5GCP7 40-49 years, female 14.1
GTEX-14A6H-0526-SM-5NQAZ 30-39 years, male 14.0
GTEX-WOFM-0126-SM-3MJFE 20-29 years, male 14.0
GTEX-XBEW-0226-SM-4AT6A 40-49 years, male 14.0
GTEX-1HSKV-1126-SM-ADEIA 60-69 years, male 14.0
GTEX-Y5V6-0226-SM-4V6G7 60-69 years, male 13.9
GTEX-1H1E6-0726-SM-9WPQ4 30-39 years, male 13.9
GTEX-1B8SF-0826-SM-73KW8 60-69 years, male 13.8
GTEX-YEC4-0526-SM-4W21U 40-49 years, male 13.8
GTEX-1QAET-0426-SM-EXUSM 50-59 years, male 13.8
GTEX-ZDTS-1026-SM-4WAXS 60-69 years, male 13.7
GTEX-1NV5F-0926-SM-DTX8N 60-69 years, female 13.7
GTEX-1S5VW-0926-SM-EWRNU 60-69 years, male 13.7
GTEX-Y8E4-0526-SM-4V6GC 40-49 years, male 13.6
GTEX-ZPIC-0626-SM-57WDY 40-49 years, female 13.6
GTEX-178AV-0326-SM-6LPJF 40-49 years, male 13.5
GTEX-18A66-0926-SM-718BG 60-69 years, male 13.5
GTEX-ZYY3-0926-SM-5E454 60-69 years, female 13.5
GTEX-1I1GU-0526-SM-B2LX2 40-49 years, male 13.5
GTEX-17F96-0626-SM-793CC 70-79 years, male 13.4
GTEX-1I1GP-0526-SM-ARL7G 50-59 years, male 13.4
GTEX-13QJC-0526-SM-5RQKB 60-69 years, female 13.3
GTEX-145LT-0326-SM-5LUAD 40-49 years, male 13.3
GTEX-R55D-0926-SM-3GAEU 50-59 years, male 13.3
GTEX-1F75B-1026-SM-9JGFS 50-59 years, male 13.3
GTEX-1MJIX-0626-SM-DTX8V 40-49 years, male 13.3
GTEX-12WSI-0826-SM-5EGKD 50-59 years, male 13.2
GTEX-13FTX-0326-SM-5J2NG 20-29 years, female 13.2
GTEX-1H11D-0726-SM-9OSWA 40-49 years, male 13.2
GTEX-1122O-0126-SM-5GICA 60-69 years, female 13.1
GTEX-13FTY-0126-SM-5J2NZ 40-49 years, female 13.1
GTEX-WYJK-0826-SM-3NM8Y 50-59 years, male 13.1
GTEX-Y5V5-0826-SM-4VBQD 60-69 years, female 13.1
GTEX-X4XY-1026-SM-46MVX 60-69 years, male 13.0
GTEX-XOT4-1426-SM-4B65T 60-69 years, female 13.0
GTEX-1F6I4-1026-SM-7P8PS 60-69 years, male 13.0
GTEX-11UD2-0726-SM-5EQ69 50-59 years, male 12.9
GTEX-OXRO-0326-SM-33HBM 60-69 years, female 12.9
GTEX-1JN6P-0726-SM-ARZN7 60-69 years, male 12.9
GTEX-17JCI-1526-SM-7IGOQ 60-69 years, female 12.8
GTEX-QCQG-0326-SM-2I3ES 50-59 years, female 12.7
GTEX-S7SE-0926-SM-2XCD6 50-59 years, male 12.7
GTEX-11P81-0226-SM-5HL5M 30-39 years, female 12.6
GTEX-18D9U-0526-SM-72D7C 40-49 years, male 12.6
GTEX-ZF2S-0626-SM-4WKH2 50-59 years, female 12.6
GTEX-147JS-1226-SM-5RQK4 60-69 years, male 12.5
GTEX-VJYA-0326-SM-3GAEX 60-69 years, male 12.5
GTEX-ZLWG-0626-SM-4WWFR 50-59 years, female 12.5
GTEX-ZTTD-1126-SM-51MRP 50-59 years, male 12.5
GTEX-11DXX-0626-SM-5Q5AG 60-69 years, female 12.3
GTEX-13G51-0426-SM-5K7Z5 60-69 years, male 12.3
GTEX-P4PQ-0526-SM-2HMKR 60-69 years, male 12.3
GTEX-1PIIG-1826-SM-DTX7N 30-39 years, male 12.3
GTEX-1PPGY-1826-SM-EXOJ8 60-69 years, male 12.3
GTEX-11TUW-0526-SM-5LU9A 60-69 years, male 12.2
GTEX-17F98-0226-SM-793BV 40-49 years, female 12.2
GTEX-1IDJU-0226-SM-CKZOF 60-69 years, female 12.2
GTEX-1F48J-0826-SM-9WPOD 50-59 years, female 12.1
GTEX-1I1CD-0926-SM-CL55I 60-69 years, female 12.1
GTEX-13NZ8-0326-SM-5L3DF 60-69 years, female 12.0
GTEX-WWYW-0926-SM-3NB2Z 50-59 years, female 12.0
GTEX-YB5E-0726-SM-4VDSH 40-49 years, male 12.0
GTEX-11NUK-0826-SM-5HL4U 50-59 years, male 11.9
GTEX-15EU6-1226-SM-6AJBE 50-59 years, male 11.9
GTEX-131XH-0426-SM-5DUWU 50-59 years, male 11.8
GTEX-PX3G-0526-SM-2I3EM 20-29 years, female 11.8
GTEX-14ABY-1126-SM-5Q5F8 50-59 years, male 11.7
GTEX-X3Y1-0626-SM-3P5YS 40-49 years, male 11.7
GTEX-15UKP-1926-SM-6LPI9 20-29 years, male 11.6
GTEX-OXRN-0526-SM-2I5EN 50-59 years, male 11.6
GTEX-SE5C-0526-SM-2XCE1 40-49 years, female 11.6
GTEX-1KD5A-1126-SM-CXZK6 50-59 years, male 11.6
GTEX-1212Z-1026-SM-5EGJ8 60-69 years, male 11.5
GTEX-1339X-0626-SM-5IJER 40-49 years, male 11.5
GTEX-131XF-1026-SM-5BC6A 60-69 years, male 11.4
GTEX-13NYB-0626-SM-5MR47 40-49 years, male 11.4
GTEX-1F6RS-0826-SM-7P8T9 60-69 years, female 11.4
GTEX-Q734-0626-SM-2I3EF 40-49 years, female 11.3
GTEX-1KWVE-0426-SM-DHXJX 30-39 years, male 11.3
GTEX-1LVAN-1126-SM-CNNRE 50-59 years, female 11.3
GTEX-1RAZR-0726-SM-EV7BA 40-49 years, male 11.2
GTEX-SIU8-0926-SM-COH1X 50-59 years, male 11.1
GTEX-X15G-0626-SM-EVR32 50-59 years, female 11.1
GTEX-17HII-0926-SM-79ON7 50-59 years, male 11.0
GTEX-1C64O-1226-SM-79OOC 60-69 years, male 11.0
GTEX-12WSD-0826-SM-5GCNE 60-69 years, female 10.9
GTEX-15CHC-0226-SM-5YYBB 60-69 years, female 10.9
GTEX-1FIGZ-0326-SM-7RHGT 40-49 years, male 10.9
GTEX-1GMRU-1426-SM-9WPPL 50-59 years, male 10.8
GTEX-13FH7-1726-SM-5IJE7 50-59 years, female 10.7
GTEX-13FHP-0726-SM-5K7YI 50-59 years, male 10.7
GTEX-11EI6-0826-SM-5985V 60-69 years, male 10.6
GTEX-1MJK2-1126-SM-E9TJ7 50-59 years, male 10.6
GTEX-12584-1426-SM-5EGJ9 40-49 years, male 10.5
GTEX-144GN-0426-SM-5O9AP 50-59 years, male 10.4
GTEX-17EVP-0726-SM-7EWDX 40-49 years, male 10.4
GTEX-OOBJ-0526-SM-48TDK 60-69 years, male 10.4
GTEX-13111-0426-SM-5DUXR 50-59 years, male 10.3
GTEX-15SKB-0826-SM-7KUFB 60-69 years, male 10.3
GTEX-1HSMO-0926-SM-A96S7 60-69 years, male 10.3
GTEX-1HSMP-1326-SM-A96TR 70-79 years, male 10.3
GTEX-1CB4F-0926-SM-7DHMJ 60-69 years, male 10.2
GTEX-T6MN-0826-SM-32PM4 50-59 years, male 10.2
GTEX-1F75W-0626-SM-7PC13 60-69 years, male 10.2
GTEX-13OVJ-0726-SM-5KM1W 50-59 years, female 10.1
GTEX-ZAB4-0626-SM-5CVN3 40-49 years, male 10.1
GTEX-14XAO-0526-SM-6AJB7 60-69 years, female 10.0
GTEX-ZT9X-0326-SM-51MTE 40-49 years, male 10.0
GTEX-11GSP-0726-SM-5986L 60-69 years, female 9.9
GTEX-1C6VS-1226-SM-79OO2 60-69 years, male 9.9
GTEX-X5EB-0426-SM-46MVY 40-49 years, male 9.9
GTEX-12WSH-0126-SM-5GCO3 50-59 years, male 9.7
GTEX-1AX9I-0826-SM-73KUT 60-69 years, male 9.7
GTEX-1RAZS-2226-SM-E8VMU 50-59 years, male 9.7
GTEX-146FQ-0926-SM-5LUAV 30-39 years, male 9.6
GTEX-QEG4-0526-SM-48TZD 30-39 years, male 9.6
GTEX-XYKS-0526-SM-4BRW2 60-69 years, female 9.3
GTEX-1H2FU-1226-SM-9KNVY 60-69 years, female 9.3
GTEX-1MA7X-0626-SM-E9TJI 60-69 years, male 9.3
GTEX-11ZTT-0626-SM-5EQLM 60-69 years, female 9.2
GTEX-145MO-1326-SM-5Q5EF 60-69 years, male 9.2
GTEX-146FH-1226-SM-5NQB6 50-59 years, female 9.2
GTEX-11ZTS-1226-SM-5EQMQ 60-69 years, female 9.1
GTEX-13CF3-0426-SM-5IJEU 60-69 years, female 9.1
GTEX-15ER7-0926-SM-7KUMG 20-29 years, female 9.1
GTEX-WVJS-0826-SM-4MVNR 50-59 years, male 9.1
GTEX-13YAN-1026-SM-5O9CF 60-69 years, male 9.0
GTEX-145MN-0926-SM-5NQBT 30-39 years, male 9.0
GTEX-15D1Q-0526-SM-6AJAY 40-49 years, male 9.0
GTEX-OIZF-0526-SM-7MXVM 60-69 years, male 9.0
GTEX-UPJH-0826-SM-4WKFD 50-59 years, male 8.9
GTEX-1GN1U-1026-SM-9WYUP 50-59 years, female 8.9
GTEX-1LG7Y-0826-SM-E9TJX 50-59 years, male 8.9
GTEX-12WSG-5004-SM-7EPG9 50-59 years, female 8.8
GTEX-14AS3-0926-SM-5TDD6 40-49 years, female 8.8
GTEX-14LZ3-0726-SM-5YYAB 60-69 years, female 8.8
GTEX-ZVZQ-1526-SM-5N9G6 60-69 years, female 8.8
GTEX-1J8EW-1026-SM-A96T7 60-69 years, female 8.8
GTEX-139UW-0226-SM-5K7WU 60-69 years, male 8.7
GTEX-13JVG-1426-SM-5MR4W 60-69 years, male 8.7
GTEX-1EN7A-0826-SM-7MKFV 40-49 years, male 8.7
GTEX-XBEC-1026-SM-4QASM 50-59 years, male 8.6
GTEX-14BIL-1226-SM-79OME 50-59 years, male 8.5
GTEX-PVOW-1026-SM-2XCF9 40-49 years, male 8.4
GTEX-XMD2-1026-SM-4WWE8 60-69 years, female 8.4
GTEX-117YW-0526-SM-5H11C 50-59 years, male 8.3
GTEX-131YS-0926-SM-5IJB9 60-69 years, female 8.3
GTEX-13OW7-0926-SM-5L3EX 50-59 years, male 8.3
GTEX-S341-0326-SM-2XCAU 40-49 years, female 8.3
GTEX-ZZPU-0526-SM-5E44U 50-59 years, female 8.3
GTEX-1EWIQ-0926-SM-7RHG7 70-79 years, female 8.2
GTEX-1H3O1-0326-SM-9WPO8 60-69 years, male 8.2
GTEX-13NZ9-0926-SM-5KM12 50-59 years, male 8.1
GTEX-145LU-0526-SM-5O9AT 50-59 years, male 8.1
GTEX-QEL4-0826-SM-3GAF2 50-59 years, male 8.1
GTEX-X4EO-0926-SM-3P5Z2 60-69 years, female 8.1
GTEX-ZDXO-1326-SM-57WBS 60-69 years, male 8.1
GTEX-13NZA-1426-SM-5KM4Y 60-69 years, male 8.0
GTEX-UPK5-1126-SM-3GAEJ 40-49 years, male 8.0
GTEX-11DZ1-0426-SM-5H11A 50-59 years, male 7.8
GTEX-13RTJ-1126-SM-5S2UJ 60-69 years, male 7.8
GTEX-QDVN-0726-SM-4B64L 50-59 years, male 7.8
GTEX-SNOS-0426-SM-32PMH 40-49 years, male 7.7
GTEX-1RAZQ-1026-SM-EAZ4R 30-39 years, male 7.7
GTEX-T5JC-0826-SM-32PMC 20-29 years, male 7.6
GTEX-ZYT6-0526-SM-5GIEA 30-39 years, male 7.5
GTEX-1B8KZ-0526-SM-73KW2 50-59 years, male 7.4
GTEX-U3ZH-0526-SM-3DB75 30-39 years, male 7.4
GTEX-1IOXB-1126-SM-CNNQ5 50-59 years, male 7.4
GTEX-1RLM8-0626-SM-E76OW 50-59 years, male 7.4
GTEX-NPJ8-0326-SM-2D7VV 40-49 years, male 7.3
GTEX-WYBS-1126-SM-3NMAM 60-69 years, female 7.3
GTEX-1IKJJ-0926-SM-A9G2L 60-69 years, male 7.3
GTEX-X4XX-1026-SM-4QARO 60-69 years, male 7.2
GTEX-1HFI6-0926-SM-9WPPV 40-49 years, male 7.2
GTEX-13QJ3-1026-SM-5QGQU 50-59 years, male 7.1
GTEX-O5YV-0526-SM-2I5GE 60-69 years, female 7.1
GTEX-ZE7O-0826-SM-57WCP 50-59 years, female 7.0
GTEX-1H23P-1026-SM-9QEHQ 60-69 years, male 7.0
GTEX-13FTZ-0526-SM-5IJCW 60-69 years, male 6.9
GTEX-15SHW-0926-SM-6LPIO 60-69 years, male 6.9
GTEX-13FHO-1026-SM-5KM1Q 60-69 years, male 6.8
GTEX-14C39-0326-SM-5TDDX 40-49 years, male 6.8
GTEX-1EMGI-1426-SM-7IGNQ 60-69 years, male 6.8
GTEX-11WQC-0626-SM-5EQMF 60-69 years, male 6.7
GTEX-148VI-0226-SM-5RQKA 60-69 years, female 6.7
GTEX-1C4CL-0826-SM-7EWEZ 30-39 years, male 6.7
GTEX-ZAB5-0626-SM-5PNVB 50-59 years, male 6.7
GTEX-1IDJI-0626-SM-C1YQD 50-59 years, female 6.7
GTEX-VJWN-1326-SM-EVR2Z 50-59 years, female 6.7
GTEX-18D9B-1026-SM-CNPO5 60-69 years, male 6.6
GTEX-12ZZY-0926-SM-5EQ6I 60-69 years, male 6.5
GTEX-R3RS-1026-SM-3GADF 40-49 years, female 6.5
GTEX-1C6WA-0726-SM-7IGQ5 60-69 years, male 6.4
GTEX-1QEPI-0826-SM-DTX9B 60-69 years, female 6.4
GTEX-1JMQI-1126-SM-ARZN2 50-59 years, male 6.3
GTEX-131XW-1126-SM-5EGK4 50-59 years, female 6.2
GTEX-13N11-0326-SM-5LUA3 50-59 years, female 6.2
GTEX-POYW-1226-SM-2XCEP 60-69 years, male 6.2
GTEX-1KANB-1026-SM-D3L9F 50-59 years, male 6.2
GTEX-ZF3C-0926-SM-DO92P 50-59 years, female 6.2
GTEX-YECK-0926-SM-4W214 60-69 years, male 6.1
GTEX-14C5O-1126-SM-5TDEH 60-69 years, male 6.0
GTEX-13FLV-0426-SM-5KLZA 50-59 years, male 5.9
GTEX-1K2DU-0526-SM-D4P2Y 20-29 years, male 5.9
GTEX-1KAFJ-0326-SM-DHXJG 50-59 years, male 5.9
GTEX-1LB8K-0826-SM-D4P41 50-59 years, male 5.9
GTEX-13JUV-0526-SM-5K7XE 40-49 years, female 5.8
GTEX-1497J-0326-SM-5Q5CN 60-69 years, male 5.8
GTEX-17HG3-0326-SM-7IGP4 30-39 years, female 5.8
GTEX-1GMR8-1426-SM-7RHHL 50-59 years, female 5.8
GTEX-13O3P-1026-SM-5N9E7 50-59 years, male 5.7
GTEX-1477Z-0626-SM-5NQB7 60-69 years, male 5.7
GTEX-18A6Q-0826-SM-7KFRD 60-69 years, male 5.7
GTEX-14JIY-1326-SM-6AJB3 60-69 years, male 5.6
GTEX-17MF6-0826-SM-7LT8F 40-49 years, male 5.5
GTEX-1GTWX-0626-SM-9WYU1 60-69 years, male 5.5
GTEX-ZXG5-0826-SM-5GID6 60-69 years, male 5.4
GTEX-131XE-0726-SM-5HL9K 50-59 years, male 5.3
GTEX-17KNJ-0926-SM-7IGP2 50-59 years, male 5.3
GTEX-ZYVF-1726-SM-5E443 50-59 years, female 5.3
GTEX-1LSVX-0626-SM-E9U59 60-69 years, male 5.3
GTEX-1128S-0726-SM-5N9D6 60-69 years, female 5.2
GTEX-ZF28-0726-SM-4WKFU 60-69 years, male 5.2
GTEX-148VJ-0826-SM-5LU8V 70-79 years, male 5.1
GTEX-14E6C-1426-SM-5ZZWH 40-49 years, male 5.1
GTEX-17EVQ-1526-SM-79ONG 70-79 years, male 5.1
GTEX-111FC-1126-SM-5GZWU 60-69 years, male 5.0
GTEX-11PRG-0926-SM-5EGI8 50-59 years, male 4.9
GTEX-RTLS-0926-SM-2TF5X 60-69 years, female 4.9
GTEX-13NYS-1626-SM-5J2MU 60-69 years, male 4.8
GTEX-TSE9-0726-SM-3DB8C 60-69 years, female 4.8
GTEX-1GN2E-1526-SM-7P8TD 60-69 years, male 4.8
GTEX-1IL2V-0726-SM-ARZMB 70-79 years, male 4.8
GTEX-1LVAO-1226-SM-DIPGB 60-69 years, male 4.7
GTEX-1P4AB-1026-SM-DTXES 50-59 years, male 4.7
GTEX-1IY9M-1126-SM-A9SLV 60-69 years, male 4.6
GTEX-X4EP-0526-SM-3P5YW 60-69 years, female 4.5
GTEX-1H1CY-0626-SM-9KNVE 60-69 years, female 4.5
GTEX-S3LF-1126-SM-EVR33 70-79 years, male 4.5
GTEX-1BAJH-1326-SM-7RHFS 70-79 years, male 4.3
GTEX-1KD4Q-0926-SM-CXZKI 40-49 years, male 4.3
GTEX-ZZPT-1326-SM-5E43H 50-59 years, male 4.2
GTEX-1HBPM-0826-SM-9WYSP 60-69 years, female 4.2
GTEX-1RDX4-1626-SM-EVR53 50-59 years, female 4.2
GTEX-13OW5-0726-SM-5KLZK 60-69 years, male 4.0
GTEX-OXRP-0526-SM-2I3EW 60-69 years, female 4.0
GTEX-1HT8W-1426-SM-CE6S2 30-39 years, male 4.0
GTEX-1AYD5-1226-SM-7EWEP 50-59 years, male 3.9
GTEX-1EKGG-1326-SM-7MXUM 60-69 years, male 3.9
GTEX-1HBPH-1326-SM-9WYSN 40-49 years, female 3.9
GTEX-1I1GV-0926-SM-B2LXM 60-69 years, male 3.9
GTEX-1QMI2-0926-SM-DTX7S 60-69 years, male 3.9
GTEX-11ZUS-0126-SM-5EQM5 30-39 years, male 3.8
GTEX-14PJO-0926-SM-686YT 60-69 years, male 3.8
GTEX-P44H-1126-SM-48TBU 40-49 years, male 3.8
GTEX-YFC4-1126-SM-5RQJN 40-49 years, female 3.8
GTEX-1GN1W-1026-SM-9OSW2 50-59 years, female 3.8
GTEX-1IL2U-0926-SM-CKZOB 60-69 years, male 3.8
GTEX-1PPH7-0226-SM-E76Q1 40-49 years, male 3.8
GTEX-111VG-0726-SM-5GIDC 60-69 years, male 3.7
GTEX-13X6K-1626-SM-7EWCX 60-69 years, female 3.7
GTEX-145MH-0626-SM-5NQAK 50-59 years, male 3.7
GTEX-1JJEA-1126-SM-CKZOC 60-69 years, male 3.7
GTEX-1LC47-1126-SM-D4P43 60-69 years, male 3.7
GTEX-12696-1026-SM-5FQUV 60-69 years, male 3.6
GTEX-ZUA1-1026-SM-4YCEA 40-49 years, male 3.6
GTEX-1JJE9-0926-SM-CNNP9 70-79 years, male 3.6
GTEX-1GZHY-0826-SM-9OSXT 50-59 years, female 3.5
GTEX-1N2DW-1126-SM-EVR59 50-59 years, male 3.5
GTEX-1PWST-0826-SM-DTXF1 70-79 years, male 3.5
GTEX-V1D1-0826-SM-3P5ZA 50-59 years, male 3.4
GTEX-1JMQL-1126-SM-CKZOP 50-59 years, female 3.4
GTEX-15RJE-1026-SM-6M46X 40-49 years, male 3.3
GTEX-SN8G-0926-SM-4DM5I 50-59 years, female 3.3
GTEX-1GF9V-1026-SM-9KNW3 60-69 years, male 3.2
GTEX-1JMPZ-1126-SM-ARU8X 30-39 years, male 3.2
GTEX-QMR6-1926-SM-32PL9 50-59 years, male 3.0
GTEX-RN64-1226-SM-2TC6E 50-59 years, male 3.0
GTEX-1H1ZS-0826-SM-A9SMD 70-79 years, male 3.0
GTEX-11O72-1326-SM-5BC5A 40-49 years, male 2.9
GTEX-ZYW4-1526-SM-5SIBA 60-69 years, male 2.8
GTEX-1I19N-0526-SM-A9G27 70-79 years, male 2.8
GTEX-RVPV-1726-SM-2NKAQ 60-69 years, male 2.8
GTEX-N7MT-0126-SM-2D7VT 60-69 years, female 2.7
GTEX-WK11-0526-SM-3NB3O 50-59 years, male 2.6
GTEX-12WSE-0826-SM-5S2VL 20-29 years, male 2.5
GTEX-S33H-0626-SM-2XCBJ 30-39 years, male 2.5
GTEX-14E6D-1026-SM-5S2RS 50-59 years, male 2.4
GTEX-16GPK-1826-SM-7MGW5 60-69 years, male 2.4
GTEX-17HGU-0926-SM-79OKO 50-59 years, male 2.2
GTEX-12ZZW-0926-SM-5LZUD 50-59 years, male 2.1
GTEX-1I1GR-0726-SM-B2LWL 60-69 years, male 2.1
GTEX-13OVL-0626-SM-5KM13 50-59 years, male 2.0
GTEX-PLZ4-0726-SM-2TC6Q 50-59 years, female 2.0
GTEX-REY6-0426-SM-2TF5G 60-69 years, male 2.0
GTEX-U412-0826-SM-3DB9K 60-69 years, male 2.0
GTEX-1RNSC-1226-SM-E9U52 60-69 years, male 2.0
GTEX-14PQA-1126-SM-7KUM4 50-59 years, female 1.9
GTEX-16MT8-1026-SM-6LPK1 60-69 years, female 1.9
GTEX-14LLW-0726-SM-5ZZVV 70-79 years, female 1.6
GTEX-T2IS-0526-SM-32QP9 20-29 years, female 1.6
GTEX-13SLW-1226-SM-5S2Q7 70-79 years, male 1.5
GTEX-U8T8-2226-SM-3DB95 60-69 years, male 1.5
GTEX-1HCU7-0926-SM-A96TK 50-59 years, male 1.5
GTEX-YJ8O-1826-SM-5HL82 40-49 years, female 1.4
GTEX-1HCVE-0626-SM-A9SL2 50-59 years, male 1.3
GTEX-1I1GS-1426-SM-COH3W 60-69 years, male 1.3
GTEX-1M4P7-0826-SM-E9TJR 60-69 years, male 1.2
GTEX-Y111-1026-SM-4TT22 50-59 years, male 1.0
GTEX-1GZ2Q-0726-SM-9KNVV 40-49 years, male 0.9
GTEX-1CB4J-1726-SM-79OOL 60-69 years, male 0.8
GTEX-1F7RK-0826-SM-7SB8V 20-29 years, female 0.8
GTEX-QVUS-2026-SM-EYYW9 60-69 years, female 0.8
GTEX-QDT8-0926-SM-32PL2 30-39 years, female 0.7
GTEX-1CAMQ-1026-SM-7EPIC 40-49 years, male 0.6
GTEX-X261-1026-SM-3NMDL 50-59 years, male 0.6
GTEX-1J1OQ-0926-SM-CJI34 40-49 years, female 0.5
GTEX-1ICLZ-0926-SM-CKZPQ 60-69 years, male 0.4
GTEX-1ICLY-0926-SM-CM2RJ 50-59 years, male 0.3
GTEX-1JMOU-0526-SM-CNNPE 60-69 years, female 0.2
Show allShow less

LUNG - FANTOM5 CAGEi

RNA expression in human tissues obtained through Cap Analysis of Gene Expression (CAGE) generated by the FANTOM5 project are reported as Scaled Tags Per Million.

Max subtype Scaled Tags Per Millioni

Max subtype Scaled Tags Per Million is the value for the subtype with the largest average Scaled Tags Per Million across the subtype samples.

78.0
FANTOM5 sample id Sample description Scaled Tags Per Million
Lung
Scaled Tags Per Million: 78.0
FF:10019-101D1 46,65,94 years, mixed 78.0
Lung - right lower lobe
Scaled Tags Per Million: 61.1
FF:10075-102A3 29 years, male 61.1

Contact

  • NEWS ARTICLES
  • PRESS ROOM

The Project

  • INTRODUCTION
  • ORGANIZATION
  • PUBLICATIONS

The Human Protein Atlas

  • DOWNLOADABLE DATA
  • LICENCE & CITATION
  • HELP & FAQ
The Human Protein Atlas project is funded
by the Knut & Alice Wallenberg Foundation.


contact@proteinatlas.org