We use cookies to enhance the usability of our website. If you continue, we'll assume that you are happy to receive all cookies. More information. Don't show this again.
SNX17
HPA
RESOURCES
  • TISSUE
  • BRAIN
  • SINGLE CELL
  • SUBCELLULAR
  • CANCER
  • BLOOD
  • CELL LINE
  • STRUCTURE & INTERACTION
ABOUT
  • INTRODUCTION
  • HISTORY
  • ORGANIZATION
  • PUBLICATIONS
  • ANTIBODY SUBMISSION
  • ANTIBODY AVAILABILITY
  • ACKNOWLEDGMENTS
  • CONTACT
NEWS
  • NEWS ARTICLES
  • PRESS ROOM
LEARN
  • DICTIONARY
  • PROTEIN CLASSES
  • PROTEIN EVIDENCE
  • METHODS
  • EDUCATIONAL VIDEOS
DATA
  • DOWNLOADABLE DATA
  • PUBLICATION DATA
  • RELEASE HISTORY
HELP
  • ANTIBODY VALIDATION
  • ASSAYS & ANNOTATION
  • DISCLAIMER
  • HELP & FAQ
  • PRIVACY STATEMENT
  • LICENCE & CITATION
Fields »
Search result

Field
Term
Gene name
Class
Subclass
Class
Keyword
Chromosome
External id
Tissue
Cell type
Expression
Antibody panel
Tissue
Main location
Patient ID
Annotation
Tissue
Category
Tau score
Cluster
Reliability
Brain region
Category
Tau score
Brain region
Category
Tau score
Brain region
Category
Tau score
Cluster
Reliability
Tissue
Cell type
Enrichment
Cell type
Category
Tau score
Cell type
Category
Tau score
Cell type
Category
Tau score
Cell lineage
Category
Tau score
Cluster
Cluster
Location
Searches
Location
Cell line
Class
Type
Phase
Reliability
Cancer
Prognosis
Cancer
Category
Cancer
Category
Tau score
Cluster
Variants
Interacting gene (ensg_id)
Type
Number of interactions
Pathway
Category
Score
Score
Score
Validation
Validation
Validation
Validation
Antibodies
Data type
Column


  • SUMMARY

  • TISSUE

  • BRAIN

  • SINGLE CELL

  • SUBCELL

  • CANCER

  • BLOOD

  • CELL LINE

  • STRUCT & INT

  • SNX17
TISSUE PRIMARY DATA STOMACH Show tissue menu
ADIPOSE TISSUE ADRENAL GLAND AMYGDALA APPENDIX BASAL GANGLIA BONE MARROW BREAST BRONCHUS CEREBELLUM CEREBRAL CORTEX CERVIX CHOROID PLEXUS COLON DUODENUM
ENDOMETRIUM EPIDIDYMIS ESOPHAGUS FALLOPIAN TUBE GALLBLADDER HEART MUSCLE HIPPOCAMPAL FORMATION HYPOTHALAMUS KIDNEY LIVER LUNG LYMPH NODE MIDBRAIN NASOPHARYNX
ORAL MUCOSA OVARY PANCREAS PARATHYROID GLAND PITUITARY GLAND PLACENTA PROSTATE RECTUM RETINA SALIVARY GLAND SEMINAL VESICLE SKELETAL MUSCLE SKIN SMALL INTESTINE
SMOOTH MUSCLE SOFT TISSUE SPINAL CORD SPLEEN STOMACH TESTIS THYMUS THYROID GLAND TONGUE TONSIL URINARY BLADDER VAGINA
ANTIBODIES
AND
VALIDATION
Dictionary
Tissue proteome
Stomach
STOMACH - Expression summary
Protein expression
Stomachi

On the top, protein expression in current human tissue, based on all annotated cell types, is reported with the units not detected (n), low (l), medium (m) and high (h). Underneath, protein expression in each annotated cell type are reported using the same units.

Protein expression data is based on knowledge-based annotation. For genes where more than one antibody has been used, a collective score is set.

If knowledge-based annotation could not be performed for a gene, no data is displayed here. View antibody staining data further down this page.

h
m
l
n
Glandular cells: High
RNA expressioni

A summary of mRNA expression data available for current tissue based on several datasets. The mRNA expression levels in human tissues are based on RNA-seq data generated by the Human Protein Atlas (HPA), Genotype-Tissue Expression (GTEx) portal and CAGE data generated by the FANTOM5 consortium. Consensus normalized expression levels for human tissues was created by combining the data from HPA and GTEx datasets.

The mRNA expression levels in pig are based on RNA-seq data generated by the Human Protein Atlas (HPA), and for mouse, HPA data and in situ hybridization generated by the Allen brain atlas are reported.

Scroll down to view mRNA expression data in more detail.
Consensus:52.5 nTPM
HPA:17.4 nTPM
GTEx:52.5 nTPM

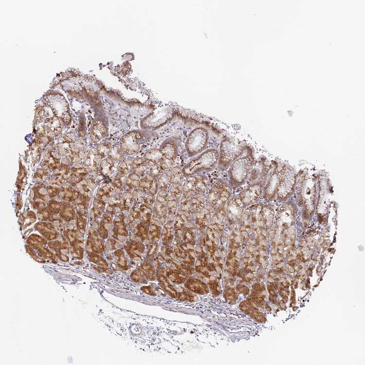
STOMACH 1 - Antibody stainingi

Antibody staining in the annotated cell types in the current human tissue is reported as not detected, low, medium, or high, based on conventional immunohistochemistry profiling in selected tissues. This score is based on the combination of the staining intensity and fraction of stained cells.

Each image is clickable and will lead to virtual microscopy that enables deeper exploration of all samples and also displays staining intensity scores, fraction scores and subcellular localization as well as patient and tissue information for each sample.

Antibody HPA043867
Glandular cells High


STOMACH 2 - Antibody stainingi

Antibody staining in the annotated cell types in the current human tissue is reported as not detected, low, medium, or high, based on conventional immunohistochemistry profiling in selected tissues. This score is based on the combination of the staining intensity and fraction of stained cells.

Each image is clickable and will lead to virtual microscopy that enables deeper exploration of all samples and also displays staining intensity scores, fraction scores and subcellular localization as well as patient and tissue information for each sample.

Antibody HPA043867
Glandular cells High


STOMACH - HPA RNA-seqi

The RNA-seq details section shows detailed information about the individual samples used for the transcript profiling and results of the RNA-seq analysis.

Information about each individual sample is listed below, including gender, age, a tissue section image and estimated fractions of cell types. nTPM (normalized transcripts per million) values give a quantification of the gene abundance which is comparable between different genes and samples.
Average nTPMi

Max subtype nTPM is the value for the subtype with the largest average nTPM across the subtype samples.

17.4
overview
Female, age 33
Stomach sample 61
nTPM: 21.9
Cell types%
Glandular cells:
60

Smooth muscle cells:
5

Other cell types:
35

N/A
Male, age 82
Stomach sample 240
nTPM: 15.7
Cell types%
Glandular cells:
65

Smooth muscle cells:
5

Other cell types:
30

overview
Male, age 71
Stomach sample 241
nTPM: 15.2
Cell types%
Glandular cells:
50

Smooth muscle cells:
5

Other cell types:
45

overview
Female, age 66
Stomach sample 369
nTPM: 16.6
Cell types%
Glandular cells:
50

Smooth muscle cells:
10

Other cell types:
40


STOMACH - GTEx RNA-seqi

RNA-Seq data generated by the Genotype-Tissue Expression (GTEx) project from human tissues is reported as mean nTPM. More information can be found on the GTEx portal.

Distribution across the dataset is visualized with box plots, shown as median and 25th and 75th percentiles. Points are displayed as outliers if they are above or below 1.5 times the interquartile range. nTPM values of the individual samples are presented next to the box plot.
Max subtype nTPMi

Max subtype nTPM is the value for the subtype with the largest average nTPM across the subtype samples.

52.5
GTEx sample id Sample description nTPM
Stomach
Average nTPM: 52.5
Samples: 359

Max nTPM: 108.1
Min nTPM: 27.7
Std nTPM: 9.5
Median nTPM: 51.3
GTEX-14PJ4-1626-SM-664OB 60-69 years, male 108.1
GTEX-15RIF-1126-SM-7KUG2 20-29 years, male 90.2
GTEX-1NSGN-1926-SM-E9J36 50-59 years, male 85.0
GTEX-14E1K-1526-SM-664MN 50-59 years, male 81.8
GTEX-12WSJ-0926-SM-5P9JD 40-49 years, female 80.4
GTEX-ZV6S-0926-SM-57WGB 40-49 years, female 77.5
GTEX-13X6H-1626-SM-5Q5CT 50-59 years, female 76.2
GTEX-P4QT-1526-SM-3NMCT 50-59 years, female 74.2
GTEX-17EUY-1526-SM-793CA 20-29 years, male 73.4
GTEX-OIZH-1526-SM-3NB1J 50-59 years, male 72.9
GTEX-RU1J-0526-SM-46MUT 20-29 years, female 72.1
GTEX-17HII-2426-SM-7KFTT 50-59 years, male 71.7
GTEX-1E2YA-2426-SM-7EPIG 50-59 years, male 71.5
GTEX-1339X-1426-SM-5K7YO 40-49 years, male 71.2
GTEX-1QP28-2126-SM-DTX8B 50-59 years, female 70.9
GTEX-WZTO-2126-SM-4PQYW 40-49 years, male 70.6
GTEX-15G1A-1226-SM-7KUF3 30-39 years, male 70.5
GTEX-ZAB4-1526-SM-5CVN7 40-49 years, male 70.1
GTEX-1HCUA-1626-SM-A9SMG 50-59 years, female 69.3
GTEX-S4P3-0726-SM-4AD57 50-59 years, female 69.0
GTEX-1MCYP-1126-SM-E9J2P 20-29 years, female 69.0
GTEX-Q2AI-0826-SM-48TZO 40-49 years, male 68.8
GTEX-WH7G-1526-SM-4LVMX 40-49 years, male 68.5
GTEX-1LSNM-1026-SM-DHXL2 50-59 years, male 68.5
GTEX-S4Z8-1226-SM-4AD6W 60-69 years, male 68.1
GTEX-146FH-2126-SM-5SI9U 50-59 years, female 67.5
GTEX-1K2DA-0826-SM-CGQGD 50-59 years, male 67.5
GTEX-R55D-1526-SM-48FEJ 50-59 years, male 67.2
GTEX-14PKV-1826-SM-69LO9 20-29 years, female 66.5
GTEX-ZEX8-1626-SM-4WKG7 50-59 years, male 66.2
GTEX-1S82Z-1726-SM-E6CHZ 30-39 years, female 66.2
GTEX-XAJ8-0326-SM-47JYI 40-49 years, male 65.5
GTEX-1H1DG-2126-SM-9WPPB 70-79 years, male 65.5
GTEX-ZT9W-1526-SM-4YCDE 50-59 years, male 65.2
GTEX-1CB4E-1326-SM-7DUGD 60-69 years, male 65.1
GTEX-14PN3-1326-SM-6AJ9U 60-69 years, female 64.9
GTEX-WHPG-0426-SM-4M1XW 50-59 years, male 64.6
GTEX-1J8JJ-1726-SM-C1YQG 60-69 years, female 64.6
GTEX-1N2DV-0926-SM-E9TJT 40-49 years, male 64.6
GTEX-15EU6-2526-SM-7KUGB 50-59 years, male 64.4
GTEX-XXEK-0826-SM-4BRWG 50-59 years, male 63.8
GTEX-18D9B-2226-SM-718BM 60-69 years, male 63.7
GTEX-SUCS-0926-SM-4DM4Z 70-79 years, male 63.6
GTEX-1GF9U-1126-SM-AHZ4H 40-49 years, female 63.6
GTEX-14PKU-1126-SM-69LOU 40-49 years, female 63.5
GTEX-XPVG-1526-SM-4B66C 50-59 years, male 63.5
GTEX-R55C-1026-SM-48FCM 40-49 years, male 62.6
GTEX-WFG8-1326-SM-4LVN3 20-29 years, male 62.6
GTEX-1PPH8-1326-SM-DTXFO 20-29 years, male 62.5
GTEX-13O3Q-2126-SM-5KM4C 50-59 years, male 62.4
GTEX-1H1DE-1226-SM-9JGHH 20-29 years, male 62.2
GTEX-PLZ6-0826-SM-3P61K 30-39 years, male 61.9
GTEX-14DAQ-2826-SM-664MU 60-69 years, female 61.7
GTEX-R55G-1126-SM-48FDG 40-49 years, female 61.6
GTEX-1B97I-1226-SM-7MGWQ 40-49 years, male 61.6
GTEX-1S831-1126-SM-EWROI 20-29 years, male 61.5
GTEX-1211K-1426-SM-5FQTF 60-69 years, female 61.1
GTEX-1L5NE-1526-SM-DIPFW 50-59 years, male 60.7
GTEX-O5YW-1526-SM-3MJGL 50-59 years, male 60.5
GTEX-QDVN-1226-SM-48TZ5 50-59 years, male 60.3
GTEX-T6MO-0726-SM-4DM58 40-49 years, female 60.2
GTEX-QCQG-0526-SM-48U2A 50-59 years, female 60.1
GTEX-14PHY-0926-SM-5ZZWL 60-69 years, female 60.0
GTEX-RWS6-0926-SM-47JXE 60-69 years, female 60.0
GTEX-Y3I4-1626-SM-4TT7W 50-59 years, male 59.9
GTEX-1S3DN-1526-SM-EVYCB 50-59 years, male 59.9
GTEX-PLZ5-1226-SM-EXOHA 50-59 years, male 59.8
GTEX-TKQ1-0526-SM-4DXTG 30-39 years, male 59.7
GTEX-QLQW-0726-SM-447AA 30-39 years, male 59.6
GTEX-ZV7C-1626-SM-5NQ7E 50-59 years, male 59.6
GTEX-11TT1-0726-SM-5GU5A 20-29 years, male 59.5
GTEX-1CAMR-0726-SM-7EPIE 20-29 years, male 59.5
GTEX-1B97J-1826-SM-7IGPP 50-59 years, female 59.3
GTEX-YEC3-1426-SM-D4P1S 50-59 years, male 59.3
GTEX-UJHI-1026-SM-4IHJP 50-59 years, female 59.2
GTEX-17KNJ-1526-SM-7LTA9 50-59 years, male 59.0
GTEX-Q2AH-1126-SM-48TZM 40-49 years, male 58.4
GTEX-1LVAM-1426-SM-E9TJ4 50-59 years, female 58.2
GTEX-WFJO-1126-SM-4LVLZ 30-39 years, male 57.9
GTEX-11VI4-0326-SM-5EQ6L 40-49 years, female 57.7
GTEX-146FR-2026-SM-5NQAI 60-69 years, female 57.7
GTEX-UPK5-2126-SM-4JBJK 40-49 years, male 57.7
GTEX-1399S-1626-SM-5P9GI 30-39 years, female 57.6
GTEX-OOBJ-1526-SM-3NB1Q 60-69 years, male 57.6
GTEX-1QW4Y-0726-SM-DTX8E 30-39 years, male 57.6
GTEX-1399U-1626-SM-5P9J3 50-59 years, female 57.4
GTEX-1C64O-2226-SM-73KTV 60-69 years, male 57.4
GTEX-W5WG-1726-SM-4LMI5 50-59 years, female 57.3
GTEX-131XG-1226-SM-5EGH9 50-59 years, female 57.2
GTEX-13O21-0926-SM-5IFGT 50-59 years, male 57.2
GTEX-13O61-1126-SM-5L3FI 60-69 years, male 57.2
GTEX-1GPI7-1326-SM-9KNVA 20-29 years, male 56.9
GTEX-POMQ-0826-SM-3P61H 20-29 years, female 56.6
GTEX-1QP29-2326-SM-EXOJO 50-59 years, male 56.5
GTEX-1IL2V-2026-SM-ARZMA 70-79 years, male 56.4
GTEX-QLQ7-0826-SM-447B3 60-69 years, male 56.3
GTEX-TKQ2-0926-SM-4DXU5 50-59 years, male 56.3
GTEX-17JCI-2226-SM-7LTA1 60-69 years, female 56.2
GTEX-S7SF-0626-SM-4AD4V 20-29 years, female 56.1
GTEX-XBED-1226-SM-4AT5V 60-69 years, male 56.1
GTEX-1I4MK-0926-SM-A9SLD 50-59 years, female 55.8
GTEX-1RQEC-2126-SM-DPS15 60-69 years, male 55.7
GTEX-QV44-1226-SM-CJI1S 50-59 years, male 55.6
GTEX-XUZC-0726-SM-4BOPH 30-39 years, female 55.5
GTEX-T5JC-1926-SM-4DM6Q 20-29 years, male 55.4
GTEX-T5JW-0926-SM-4DM5K 20-29 years, female 55.4
GTEX-1MJIX-1126-SM-EV7AO 40-49 years, male 55.2
GTEX-1LGRB-1726-SM-CNNRA 50-59 years, female 55.0
GTEX-13CF3-1926-SM-5K7WF 60-69 years, female 54.9
GTEX-144GN-1226-SM-5O991 50-59 years, male 54.9
GTEX-1H1E6-1626-SM-9OSWC 30-39 years, male 54.9
GTEX-1JK1U-1326-SM-AHZ45 60-69 years, male 54.8
GTEX-YB5E-1126-SM-664NU 40-49 years, male 54.6
GTEX-1J8Q3-1926-SM-C1YSJ 60-69 years, male 54.6
GTEX-OIZF-1526-SM-2I5GR 60-69 years, male 54.6
GTEX-P4PP-1526-SM-3P61M 30-39 years, female 54.5
GTEX-P4PQ-1526-SM-3NMCK 60-69 years, male 54.4
GTEX-QDVJ-1426-SM-48U1Y 50-59 years, male 54.4
GTEX-1JMQJ-1326-SM-D4P3B 50-59 years, male 54.4
GTEX-18A66-2226-SM-7189E 60-69 years, male 54.3
GTEX-13FTW-1726-SM-5KM2B 40-49 years, male 54.2
GTEX-1A3MX-1926-SM-72D7F 60-69 years, male 54.2
GTEX-PW2O-1226-SM-48TCH 20-29 years, male 54.0
GTEX-1I6K7-1726-SM-B2LXQ 40-49 years, male 54.0
GTEX-1JKYN-1726-SM-AHZ48 30-39 years, male 54.0
GTEX-O5YV-1926-SM-EV797 60-69 years, female 54.0
GTEX-1AYCT-1326-SM-7MKHB 50-59 years, male 53.9
GTEX-QDT8-2026-SM-EZ6LS 30-39 years, female 53.9
GTEX-RUSQ-1126-SM-EAZAU 50-59 years, male 53.9
GTEX-14DAR-0926-SM-73KUQ 50-59 years, male 53.8
GTEX-PWN1-1526-SM-48TDA 40-49 years, female 53.8
GTEX-1MUQO-1926-SM-EAZ59 60-69 years, male 53.8
GTEX-11NSD-1426-SM-5HL67 20-29 years, male 53.7
GTEX-12BJ1-1726-SM-5HL9B 60-69 years, male 53.7
GTEX-S95S-0826-SM-4B64N 60-69 years, male 53.7
GTEX-ZPIC-2026-SM-57WG3 40-49 years, female 53.7
GTEX-1QP2A-2126-SM-DPRZ7 50-59 years, male 53.7
GTEX-OHPM-1526-SM-EV796 50-59 years, male 53.7
GTEX-131XE-2226-SM-5PNYX 50-59 years, male 53.6
GTEX-15RIE-1026-SM-6LPJQ 60-69 years, male 53.6
GTEX-1B8L1-1526-SM-79OLK 60-69 years, male 53.6
GTEX-WFG7-1326-SM-4LMK1 20-29 years, male 53.6
GTEX-ZZPU-1426-SM-5GZZ6 50-59 years, female 53.6
GTEX-1AMFI-1226-SM-731CZ 50-59 years, female 53.5
GTEX-1HR9M-2326-SM-CNPPZ 60-69 years, male 53.4
GTEX-Y5V6-1326-SM-4VDTF 60-69 years, male 53.2
GTEX-1F5PK-1826-SM-7RHHX 50-59 years, male 53.2
GTEX-1KXAM-0926-SM-CXZKA 60-69 years, male 53.2
GTEX-1RB15-1026-SM-E9U6V 60-69 years, male 53.2
GTEX-139YR-1926-SM-5LZXM 50-59 years, male 53.0
GTEX-144GM-1726-SM-5O9AS 20-29 years, male 53.0
GTEX-ZVT2-1626-SM-51MRC 50-59 years, female 53.0
GTEX-OXRL-1526-SM-E6CHQ 50-59 years, male 52.7
GTEX-13OVI-2426-SM-5KM4J 60-69 years, female 52.6
GTEX-QMRM-1126-SM-447BN 50-59 years, male 52.6
GTEX-S3XE-1026-SM-4AD4O 50-59 years, male 52.6
GTEX-WFON-1126-SM-4LVMA 40-49 years, male 52.6
GTEX-1H11D-2226-SM-9OSXN 40-49 years, male 52.6
GTEX-ZPU1-1626-SM-4WWB2 40-49 years, male 52.4
GTEX-V1D1-1726-SM-4JBHB 50-59 years, male 52.3
GTEX-11EQ9-1226-SM-5987E 30-39 years, male 52.1
GTEX-ZLFU-1326-SM-DO11R 40-49 years, male 52.1
GTEX-117YX-1026-SM-5H11V 50-59 years, male 51.8
GTEX-11P7K-1726-SM-5GU6F 30-39 years, male 51.8
GTEX-WHSB-1226-SM-4M1XR 50-59 years, male 51.8
GTEX-13FTX-0726-SM-5N9BI 20-29 years, female 51.7
GTEX-Y8LW-0826-SM-4WWDO 50-59 years, female 51.6
GTEX-1LG7Z-1226-SM-DHXK4 30-39 years, male 51.6
GTEX-12WSG-2026-SM-5FQUU 50-59 years, female 51.4
GTEX-1AX9J-2626-SM-731EK 60-69 years, male 51.4
GTEX-RM2N-0826-SM-48FD3 50-59 years, male 51.4
GTEX-X15G-1126-SM-4PQZG 50-59 years, female 51.4
GTEX-1H3NZ-2226-SM-9WYUT 60-69 years, male 51.4
GTEX-1JN76-0926-SM-ARZNH 20-29 years, female 51.4
GTEX-1RAZR-1526-SM-EAZ4U 40-49 years, male 51.4
GTEX-111CU-0926-SM-5EGIK 50-59 years, male 51.3
GTEX-15CHR-1326-SM-79OLT 50-59 years, male 51.3
GTEX-15SHW-2126-SM-6M46Y 60-69 years, male 51.3
GTEX-NFK9-1526-SM-3LK7B 40-49 years, male 51.3
GTEX-Y8E4-1526-SM-4WWDI 40-49 years, male 51.3
GTEX-13PVR-2126-SM-73KVR 60-69 years, female 51.2
GTEX-12696-1726-SM-5EQLH 60-69 years, male 51.1
GTEX-PX3G-1526-SM-48U11 20-29 years, female 51.1
GTEX-UJMC-1226-SM-4IHLI 50-59 years, male 51.1
GTEX-1KANA-1126-SM-D3L9M 20-29 years, male 51.1
GTEX-14PHX-1026-SM-664OL 50-59 years, male 50.9
GTEX-1H23P-2726-SM-9JGHN 60-69 years, male 50.8
GTEX-S341-0626-SM-4AD5T 40-49 years, female 50.6
GTEX-WYVS-1326-SM-4ONCQ 40-49 years, female 50.6
GTEX-1AMEY-1226-SM-731DU 30-39 years, female 50.5
GTEX-OHPK-1526-SM-3MJGM 50-59 years, female 50.5
GTEX-R53T-1226-SM-48FCT 50-59 years, female 50.5
GTEX-Y114-1226-SM-4TT88 50-59 years, female 50.5
GTEX-1I1HK-2026-SM-CNNRB 60-69 years, male 50.5
GTEX-1399R-1126-SM-5IFIO 30-39 years, male 50.4
GTEX-1HSMQ-2426-SM-CE6RY 50-59 years, male 50.4
GTEX-13OVK-0926-SM-7KUFX 40-49 years, male 50.3
GTEX-1IDJD-2426-SM-C1YS6 30-39 years, male 50.3
GTEX-1R7EU-1126-SM-EAZ4M 60-69 years, male 50.2
GTEX-13RTK-0226-SM-5RQHR 20-29 years, male 50.1
GTEX-13FH7-1026-SM-5IJGF 50-59 years, female 50.0
GTEX-ZZ64-0426-SM-5E43F 20-29 years, male 50.0
GTEX-1F5PL-1426-SM-7MKFH 40-49 years, female 49.9
GTEX-U4B1-1026-SM-4DXT1 40-49 years, male 49.9
GTEX-XBEW-1826-SM-4RTWX 40-49 years, male 49.9
GTEX-1KD5A-1426-SM-D4P3V 50-59 years, male 49.9
GTEX-OXRK-1626-SM-3NB17 50-59 years, female 49.8
GTEX-T8EM-1226-SM-4DM5J 40-49 years, male 49.8
GTEX-ZVZP-1726-SM-5GZWY 50-59 years, male 49.8
GTEX-ZY6K-0726-SM-5A5L8 50-59 years, male 49.8
GTEX-YEC4-1426-SM-5IFHS 40-49 years, male 49.7
GTEX-18A67-2626-SM-718AD 50-59 years, male 49.6
GTEX-1HCU8-1326-SM-C1YQQ 60-69 years, female 49.6
GTEX-13U4I-2526-SM-5SI8Z 40-49 years, female 49.5
GTEX-14BIL-1926-SM-73KYI 50-59 years, male 49.5
GTEX-WEY5-1226-SM-4LMIQ 40-49 years, female 49.5
GTEX-WYJK-2526-SM-4ONDF 50-59 years, male 49.3
GTEX-1B8KZ-1226-SM-793CP 50-59 years, male 49.2
GTEX-1HKZK-1526-SM-B2LWG 40-49 years, male 49.2
GTEX-11P82-0726-SM-5PNYL 20-29 years, male 48.9
GTEX-1HBPN-1626-SM-9WPNP 50-59 years, male 48.9
GTEX-ZLWG-1526-SM-DO12F 50-59 years, female 48.9
GTEX-1F75I-1826-SM-7MKGX 40-49 years, male 48.8
GTEX-ZYVF-2726-SM-5GID4 50-59 years, female 48.8
GTEX-1R9K5-1026-SM-EAZ4F 50-59 years, male 48.7
GTEX-XMK1-1526-SM-EYYVO 40-49 years, male 48.7
GTEX-YFCO-0826-SM-5LUAG 40-49 years, male 48.6
GTEX-1A3MV-1226-SM-718BW 30-39 years, male 48.5
GTEX-1EH9U-2226-SM-7PBXX 60-69 years, male 48.5
GTEX-145MN-1326-SM-5NQ9S 30-39 years, male 48.3
GTEX-ZP4G-1226-SM-4WWCJ 20-29 years, female 48.3
GTEX-16AAH-1226-SM-79OO9 50-59 years, male 48.2
GTEX-Q734-1026-SM-48U16 40-49 years, female 48.0
GTEX-VJYA-1026-SM-4KL21 60-69 years, male 48.0
GTEX-111YS-1126-SM-5GZYQ 60-69 years, male 47.9
GTEX-13X6J-2126-SM-5TDCV 50-59 years, male 47.8
GTEX-1HFI7-1526-SM-9WG7W 50-59 years, female 47.8
GTEX-1B8KE-1326-SM-73KVI 50-59 years, male 47.7
GTEX-1IDJF-1426-SM-ACKWK 20-29 years, male 47.7
GTEX-145ME-1026-SM-5O9B4 40-49 years, female 47.6
GTEX-14BMU-1126-SM-5RQJ8 20-29 years, female 47.6
GTEX-1MGNQ-1826-SM-DPRYI 40-49 years, male 47.6
GTEX-U3ZN-2026-SM-4DXUC 30-39 years, female 47.5
GTEX-WY7C-1726-SM-4ONCC 50-59 years, male 47.5
GTEX-1HSEH-1526-SM-B2LXG 60-69 years, male 47.5
GTEX-ZLV1-0826-SM-DO11P 60-69 years, female 47.5
GTEX-13QJ3-2726-SM-5SI6L 50-59 years, male 47.4
GTEX-1QCLZ-1826-SM-DPRXP 60-69 years, female 47.4
GTEX-1RMOY-1126-SM-EV79E 50-59 years, male 47.4
GTEX-14E6E-0926-SM-664N8 30-39 years, male 47.3
GTEX-SNOS-0826-SM-4DM5N 40-49 years, male 47.3
GTEX-11DXX-1326-SM-5GIDZ 60-69 years, female 47.2
GTEX-132QS-1826-SM-5IFFN 60-69 years, male 47.2
GTEX-15UF7-1226-SM-6M46G 40-49 years, male 47.0
GTEX-QV31-0626-SM-447C5 30-39 years, male 47.0
GTEX-XV7Q-1326-SM-4BRWM 40-49 years, female 47.0
GTEX-14JG6-1226-SM-664O6 30-39 years, female 46.9
GTEX-14PJ3-1426-SM-664O8 50-59 years, male 46.9
GTEX-1GL5R-1926-SM-9WG7U 50-59 years, male 46.9
GTEX-ZGAY-1626-SM-DNZZ3 40-49 years, female 46.9
GTEX-17F9E-2226-SM-7IGNC 50-59 years, male 46.8
GTEX-14PJ5-0826-SM-6AJAR 60-69 years, female 46.7
GTEX-1PIGE-1126-SM-EWRMV 20-29 years, male 46.7
GTEX-S4Q7-0726-SM-4AD5F 20-29 years, male 46.6
GTEX-TMMY-1626-SM-4DXTY 40-49 years, female 46.6
GTEX-1QP67-1026-SM-EVR47 40-49 years, female 46.6
GTEX-XQ8I-2026-SM-4BOOL 50-59 years, male 46.5
GTEX-13N1W-2026-SM-5K7YU 70-79 years, male 46.4
GTEX-1LVAN-2426-SM-CNNPZ 50-59 years, female 46.4
GTEX-YJ8A-1526-SM-5P9FT 20-29 years, male 46.3
GTEX-1HT8W-2326-SM-A9SLA 30-39 years, male 46.0
GTEX-1I1GT-1726-SM-C1YS3 60-69 years, female 46.0
GTEX-145MO-2226-SM-5Q5BN 60-69 years, male 45.9
GTEX-15DZA-1126-SM-6LPK8 30-39 years, female 45.9
GTEX-P78B-1826-SM-3P5YX 40-49 years, female 45.8
GTEX-SNMC-0626-SM-4DM6H 20-29 years, male 45.8
GTEX-Y5LM-1326-SM-5RQIS 40-49 years, female 45.8
GTEX-PWCY-0926-SM-48TD7 20-29 years, female 45.6
GTEX-18A7A-2726-SM-7LG6U 50-59 years, female 45.5
GTEX-RTLS-2626-SM-46MUJ 60-69 years, female 45.5
GTEX-145LT-1426-SM-5O9B3 40-49 years, male 45.4
GTEX-ZQUD-0826-SM-57WDQ 30-39 years, male 45.4
GTEX-ZTX8-0426-SM-59HLG 20-29 years, male 45.4
GTEX-13D11-2126-SM-5IFH2 50-59 years, female 45.3
GTEX-1H3VY-2326-SM-9WG81 50-59 years, male 45.3
GTEX-ZF2S-1426-SM-57WET 50-59 years, female 45.1
GTEX-11GSP-2126-SM-5HL5E 60-69 years, female 45.0
GTEX-1LGOU-1526-SM-D3LAJ 20-29 years, female 45.0
GTEX-1J8EW-2226-SM-AHZ3T 60-69 years, female 44.9
GTEX-1QCLY-1126-SM-EAZ4J 30-39 years, male 44.9
GTEX-13PVQ-2126-SM-5L3FW 50-59 years, male 44.7
GTEX-17HGU-2126-SM-7IGOV 50-59 years, male 44.6
GTEX-ZVP2-1626-SM-5GU5D 50-59 years, male 44.6
GTEX-1CB4H-2426-SM-7PBYR 60-69 years, female 44.6
GTEX-1IDJU-1526-SM-CNNR3 60-69 years, female 44.6
GTEX-17F98-1526-SM-7EWD8 40-49 years, female 44.4
GTEX-1E1VI-2826-SM-7MGWU 50-59 years, male 44.4
GTEX-1122O-1926-SM-5EGIQ 60-69 years, female 44.2
GTEX-16NGA-1526-SM-72D56 40-49 years, female 44.2
GTEX-11EI6-2426-SM-5PNVS 60-69 years, male 44.1
GTEX-17GQL-1226-SM-7KFTS 60-69 years, male 44.1
GTEX-ZA64-0826-SM-5HL9U 20-29 years, male 44.1
GTEX-ZF29-1526-SM-4WKF7 60-69 years, female 44.1
GTEX-V955-1326-SM-4JBHR 60-69 years, male 43.9
GTEX-1J8QM-1126-SM-C1YQB 60-69 years, female 43.9
GTEX-18QFQ-1226-SM-718AE 30-39 years, male 43.8
GTEX-WXYG-1626-SM-4ONCR 50-59 years, female 43.8
GTEX-11I78-1726-SM-5A5M3 50-59 years, female 43.7
GTEX-15DCE-1626-SM-6LPJM 20-29 years, male 43.6
GTEX-1LBAC-1426-SM-CXZKT 20-29 years, male 43.6
GTEX-14ICL-0826-SM-5YY9W 30-39 years, male 43.3
GTEX-14PJ6-0826-SM-686Z9 60-69 years, female 43.3
GTEX-17HHE-1026-SM-79ON6 50-59 years, male 43.2
GTEX-WRHK-0626-SM-4MVOE 20-29 years, female 43.0
GTEX-131XF-1226-SM-5HL8V 60-69 years, male 42.9
GTEX-WHWD-1426-SM-4OORU 50-59 years, male 42.9
GTEX-13111-1226-SM-5GCNC 50-59 years, male 42.8
GTEX-12C56-0526-SM-5FQST 20-29 years, male 42.7
GTEX-ZXES-1426-SM-5NQ8S 30-39 years, female 42.6
GTEX-1GN1W-2126-SM-9JGI7 50-59 years, female 42.6
GTEX-18D9A-0626-SM-7KFTY 30-39 years, female 42.5
GTEX-QXCU-1926-SM-48FE4 50-59 years, male 42.5
GTEX-17MF6-2126-SM-7KFS7 40-49 years, male 42.4
GTEX-1ICG6-1826-SM-AHZ2O 70-79 years, female 42.4
GTEX-132AR-2426-SM-5IFFD 50-59 years, female 42.3
GTEX-14B4R-0726-SM-5TDDR 30-39 years, male 42.2
GTEX-1C475-1026-SM-7MKFJ 40-49 years, female 42.1
GTEX-139D8-2326-SM-5IFGE 30-39 years, female 42.0
GTEX-14BMV-2226-SM-5RQHX 50-59 years, male 42.0
GTEX-1JMLX-2426-SM-CXZJQ 50-59 years, male 42.0
GTEX-1GZ4H-1026-SM-9OSXL 50-59 years, female 41.9
GTEX-1A8G6-1426-SM-731EZ 60-69 years, male 41.8
GTEX-13QBU-1126-SM-5LU44 40-49 years, female 41.6
GTEX-ZYFG-1326-SM-5GICJ 60-69 years, female 41.5
GTEX-1JMPZ-1826-SM-CXZJT 30-39 years, male 41.5
GTEX-ZDYS-1926-SM-5HL59 50-59 years, male 41.2
GTEX-1QPFJ-1526-SM-DPRXT 30-39 years, female 41.2
GTEX-S4UY-1626-SM-4AD55 40-49 years, female 40.8
GTEX-12WSD-2326-SM-59HKQ 60-69 years, female 40.7
GTEX-133LE-1326-SM-5IFGO 20-29 years, female 40.5
GTEX-1HBPI-0726-SM-9WG7Z 50-59 years, male 40.4
GTEX-13113-0726-SM-5LZUF 60-69 years, female 40.0
GTEX-Y3IK-1426-SM-4YCES 50-59 years, female 39.9
GTEX-1JMPY-0926-SM-ARL92 30-39 years, male 39.9
GTEX-11WQK-2626-SM-5EQ4K 50-59 years, male 39.5
GTEX-ZYY3-1726-SM-5EGH3 60-69 years, female 39.5
GTEX-117YW-2226-SM-5N9DB 50-59 years, male 39.2
GTEX-13S7M-1826-SM-5RQK6 60-69 years, female 38.9
GTEX-12WSK-1426-SM-5CVNN 40-49 years, female 38.7
GTEX-Y9LG-1026-SM-5IFJN 30-39 years, male 38.6
GTEX-15G19-1526-SM-6LPKP 60-69 years, male 37.9
GTEX-13OW6-2526-SM-5IJEC 50-59 years, male 37.6
GTEX-ZE7O-3026-SM-51MS4 50-59 years, female 36.5
GTEX-1GMRU-2526-SM-9WG7T 50-59 years, male 35.1
GTEX-1QMI2-2126-SM-DPRXQ 60-69 years, male 33.5
GTEX-ZVT3-2126-SM-59HL2 60-69 years, female 33.3
GTEX-11EM3-1026-SM-5A5KL 20-29 years, female 33.0
GTEX-11NUK-2426-SM-5BC4U 50-59 years, male 29.7
GTEX-1JN1M-2926-SM-CNNPJ 60-69 years, female 27.7
Show allShow less

Contact

  • NEWS ARTICLES
  • PRESS ROOM

The Project

  • INTRODUCTION
  • ORGANIZATION
  • PUBLICATIONS

The Human Protein Atlas

  • DOWNLOADABLE DATA
  • LICENCE & CITATION
  • HELP & FAQ
The Human Protein Atlas project is funded
by the Knut & Alice Wallenberg Foundation.


contact@proteinatlas.org