We use cookies to enhance the usability of our website. If you continue, we'll assume that you are happy to receive all cookies. More information. Don't show this again.
CD207
HPA
RESOURCES
  • TISSUE
  • BRAIN
  • SINGLE CELL
  • SUBCELLULAR
  • CANCER
  • BLOOD
  • CELL LINE
  • STRUCTURE & INTERACTION
ABOUT
  • INTRODUCTION
  • HISTORY
  • ORGANIZATION
  • PUBLICATIONS
  • ANTIBODY SUBMISSION
  • ANTIBODY AVAILABILITY
  • ACKNOWLEDGMENTS
  • CONTACT
NEWS
  • NEWS ARTICLES
  • PRESS ROOM
LEARN
  • DICTIONARY
  • PROTEIN CLASSES
  • PROTEIN EVIDENCE
  • METHODS
  • EDUCATIONAL VIDEOS
DATA
  • DOWNLOADABLE DATA
  • PUBLICATION DATA
  • RELEASE HISTORY
HELP
  • ANTIBODY VALIDATION
  • ASSAYS & ANNOTATION
  • DISCLAIMER
  • HELP & FAQ
  • PRIVACY STATEMENT
  • LICENCE & CITATION
Fields »
Search result

Field
Term
Gene name
Class
Subclass
Class
Keyword
Chromosome
External id
Tissue
Cell type
Expression
Antibody panel
Tissue
Main location
Patient ID
Annotation
Tissue
Category
Tau score
Cluster
Reliability
Brain region
Category
Tau score
Brain region
Category
Tau score
Brain region
Category
Tau score
Cluster
Reliability
Tissue
Cell type
Enrichment
Cell type
Category
Tau score
Cell type
Category
Tau score
Cell type
Category
Tau score
Cell lineage
Category
Tau score
Cluster
Cluster
Location
Searches
Location
Cell line
Class
Type
Phase
Reliability
Cancer
Prognosis
Cancer
Category
Cancer
Category
Tau score
Cluster
Variants
Interacting gene (ensg_id)
Type
Number of interactions
Pathway
Category
Score
Score
Score
Validation
Validation
Validation
Validation
Antibodies
Data type
Column


  • SUMMARY

  • TISSUE

  • BRAIN

  • SINGLE CELL

  • SUBCELL

  • CANCER

  • BLOOD

  • CELL LINE

  • STRUCT & INT

  • CD207
TISSUE PRIMARY DATA SKIN Show tissue menu
ADIPOSE TISSUE ADRENAL GLAND AMYGDALA APPENDIX BASAL GANGLIA BONE MARROW BREAST BRONCHUS CEREBELLUM CEREBRAL CORTEX CERVIX CHOROID PLEXUS COLON DUODENUM
ENDOMETRIUM EPIDIDYMIS ESOPHAGUS FALLOPIAN TUBE GALLBLADDER HEART MUSCLE HIPPOCAMPAL FORMATION HYPOTHALAMUS KIDNEY LIVER LUNG LYMPH NODE MIDBRAIN NASOPHARYNX
ORAL MUCOSA OVARY PANCREAS PARATHYROID GLAND PITUITARY GLAND PLACENTA PROSTATE RECTUM RETINA SALIVARY GLAND SEMINAL VESICLE SKELETAL MUSCLE SKIN SMALL INTESTINE
SMOOTH MUSCLE SOFT TISSUE SPINAL CORD SPLEEN STOMACH TESTIS THYMUS THYROID GLAND TONGUE TONSIL URINARY BLADDER VAGINA
ANTIBODIES
AND
VALIDATION
Dictionary
Skin
Tissue proteome
Skin
SKIN - Expression summary
Protein expression
Skini

On the top, protein expression in current human tissue, based on all annotated cell types, is reported with the units not detected (n), low (l), medium (m) and high (h). Underneath, protein expression in each annotated cell type are reported using the same units.

Protein expression data is based on knowledge-based annotation. For genes where more than one antibody has been used, a collective score is set.

If knowledge-based annotation could not be performed for a gene, no data is displayed here. View antibody staining data further down this page.

h
m
l
n
Cells in basal layer: Not detected
Cells in corneal layer: Not detected
Cells in granular layer: Not detected
Cells in spinous layer: Not detected
Endothelial cells: Not detected
Extracellular matrix: Not detected
Fibrohistiocytic cells: High
Hair follicles: Not detected
Langerhans cells: High
Lymphocytes: Not detected
Melanocytes: Not detected
Vascular mural cells: Not detected
RNA expressioni

A summary of mRNA expression data available for current tissue based on several datasets. The mRNA expression levels in human tissues are based on RNA-seq data generated by the Human Protein Atlas (HPA), Genotype-Tissue Expression (GTEx) portal and CAGE data generated by the FANTOM5 consortium. Consensus normalized expression levels for human tissues was created by combining the data from HPA and GTEx datasets.

The mRNA expression levels in pig are based on RNA-seq data generated by the Human Protein Atlas (HPA), and for mouse, HPA data and in situ hybridization generated by the Allen brain atlas are reported.

Scroll down to view mRNA expression data in more detail.
Consensus:85.4 nTPM
HPA:85.4 nTPM
GTEx:21.6 nTPM

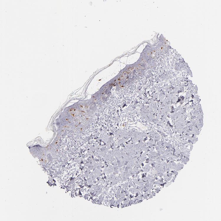
SKIN 1 - Antibody stainingi

Antibody staining in the annotated cell types in the current human tissue is reported as not detected, low, medium, or high, based on conventional immunohistochemistry profiling in selected tissues. This score is based on the combination of the staining intensity and fraction of stained cells.

Each image is clickable and will lead to virtual microscopy that enables deeper exploration of all samples and also displays staining intensity scores, fraction scores and subcellular localization as well as patient and tissue information for each sample.

Antibody HPA011216Antibody CAB002222
Langerhans High-
Cells in basal layer -Not detected
Cells in corneal layer -Not detected
Cells in granular layer -Not detected
Cells in spinous layer -Not detected
Endothelial cells -Not detected
Extracellular matrix -Not detected
Fibroblasts Low-
Fibrohistiocytic cells -High
Hair follicles -Not detected
Keratinocytes Not detected-
Langerhans cells -High
Lymphocytes -Not detected
Melanocytes Not detectedNot detected
Vascular mural cells -Not detected



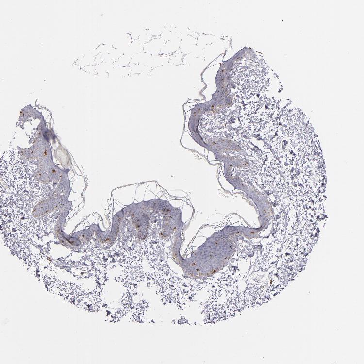
SKIN 2 - Antibody stainingi

Antibody staining in the annotated cell types in the current human tissue is reported as not detected, low, medium, or high, based on conventional immunohistochemistry profiling in selected tissues. This score is based on the combination of the staining intensity and fraction of stained cells.

Each image is clickable and will lead to virtual microscopy that enables deeper exploration of all samples and also displays staining intensity scores, fraction scores and subcellular localization as well as patient and tissue information for each sample.

Antibody HPA011216Antibody CAB002222
Cells in basal layer -Not detected
Cells in corneal layer -Not detected
Cells in granular layer -Not detected
Cells in spinous layer -Not detected
Endothelial cells -Not detected
Epidermal cells Not detected-
Extracellular matrix -Not detected
Fibrohistiocytic cells -High
Langerhans cells -High
Lymphocytes -Not detected
Melanocytes -Not detected
Vascular mural cells -Not detected
  
  
  




SKIN - HPA RNA-seqi

The RNA-seq details section shows detailed information about the individual samples used for the transcript profiling and results of the RNA-seq analysis.

Information about each individual sample is listed below, including gender, age, a tissue section image and estimated fractions of cell types. nTPM (normalized transcripts per million) values give a quantification of the gene abundance which is comparable between different genes and samples.
Average nTPMi

Max subtype nTPM is the value for the subtype with the largest average nTPM across the subtype samples.

85.4
overview
Female, age 34
Skin sample 225
nTPM: 80
Cell types%
Keratinocytes:
60

Other cell types:
40

overview
Female, age 30
Skin sample 226
nTPM: 103.5
Cell types%
Keratinocytes:
55

Other cell types:
45

N/A
Male, age 57
Skin sample 227
nTPM: 72.6

SKIN - GTEx RNA-seqi

RNA-Seq data generated by the Genotype-Tissue Expression (GTEx) project from human tissues is reported as mean nTPM. More information can be found on the GTEx portal.

Distribution across the dataset is visualized with box plots, shown as median and 25th and 75th percentiles. Points are displayed as outliers if they are above or below 1.5 times the interquartile range. nTPM values of the individual samples are presented next to the box plot.
Max subtype nTPMi

Max subtype nTPM is the value for the subtype with the largest average nTPM across the subtype samples.

21.6
GTEx sample id Sample description nTPM
Skin - Not Sun Exposed (Suprapubic)
Average nTPM: 21.6
Samples: 604

Max nTPM: 126.3
Min nTPM: 0.2
Std nTPM: 15.0
Median nTPM: 17.7
GTEX-1R9K4-2826-SM-DTX8F 60-69 years, male 126.3
GTEX-1NV5F-0626-SM-DTXEG 60-69 years, female 82.8
GTEX-15RJ7-2126-SM-6PAMD 40-49 years, male 80.1
GTEX-1399S-0126-SM-5IJCF 30-39 years, female 77.6
GTEX-WFG7-2026-SM-5SI7P 20-29 years, male 75.4
GTEX-1JJEA-1826-SM-ARU8P 60-69 years, male 75.3
GTEX-1EU9M-1426-SM-793AI 60-69 years, male 70.2
GTEX-144GL-0626-SM-5LU4D 50-59 years, male 68.1
GTEX-11WQC-1826-SM-5GU59 60-69 years, male 66.4
GTEX-1AYD5-2626-SM-7PBXY 50-59 years, male 64.1
GTEX-17F97-2626-SM-7IGM5 50-59 years, male 63.0
GTEX-1EMGI-2326-SM-7PBYA 60-69 years, male 62.0
GTEX-14LZ3-0126-SM-69LPM 60-69 years, female 61.7
GTEX-13FHO-0426-SM-5L3F5 60-69 years, male 59.4
GTEX-1JMQJ-0826-SM-CNPP7 50-59 years, male 58.8
GTEX-1AX9I-2226-SM-73KUO 60-69 years, male 58.7
GTEX-11ZTT-2126-SM-5CVLO 60-69 years, female 56.9
GTEX-1LVAM-0726-SM-E6CIL 50-59 years, female 56.1
GTEX-13SLW-0626-SM-5Q5ER 70-79 years, male 55.6
GTEX-16YQH-2226-SM-7IGM2 30-39 years, male 55.3
GTEX-1KAFJ-0126-SM-DIPEK 50-59 years, male 53.8
GTEX-1GPI6-1926-SM-9KNV7 60-69 years, male 53.4
GTEX-1B932-2326-SM-79OL5 40-49 years, female 53.3
GTEX-1HBPM-0726-SM-9YFL7 60-69 years, female 53.0
GTEX-17HGU-2326-SM-7DUFE 50-59 years, male 52.6
GTEX-13G51-1826-SM-5KLZH 60-69 years, male 52.0
GTEX-17KNJ-2126-SM-718AM 50-59 years, male 51.9
GTEX-12WSH-1526-SM-5BC5W 50-59 years, male 51.8
GTEX-1HBPN-0126-SM-CGQEF 50-59 years, male 51.4
GTEX-ZT9X-1526-SM-5DUXD 40-49 years, male 51.3
GTEX-139YR-1026-SM-5LZYN 50-59 years, male 50.3
GTEX-13FLV-0126-SM-5K7WT 50-59 years, male 49.9
GTEX-1LG7Y-2526-SM-EWRO7 50-59 years, male 49.0
GTEX-15ER7-0626-SM-6PANF 20-29 years, female 48.9
GTEX-ZF2S-1626-SM-57WES 50-59 years, female 48.8
GTEX-1B8SF-0126-SM-7DUG3 60-69 years, male 48.7
GTEX-W5X1-2526-SM-3GILC 40-49 years, female 48.6
GTEX-1C64N-2626-SM-7PC2N 50-59 years, male 48.1
GTEX-1H1DF-1126-SM-9WG7G 40-49 years, female 47.8
GTEX-1PPGY-1626-SM-EVYBL 60-69 years, male 47.5
GTEX-1I1GU-0926-SM-ACKVS 40-49 years, male 46.6
GTEX-13OW5-2326-SM-5L3HO 60-69 years, male 46.4
GTEX-11P82-1426-SM-DTXFY 20-29 years, male 46.3
GTEX-ZC5H-1526-SM-5HL9Y 40-49 years, female 45.7
GTEX-1QPFJ-1926-SM-EVYBD 30-39 years, female 45.3
GTEX-12KS4-2126-SM-5FQUT 30-39 years, male 44.5
GTEX-1JN76-0626-SM-CKZOQ 20-29 years, female 43.4
GTEX-1GZ4I-2626-SM-9KNU3 50-59 years, male 43.2
GTEX-178AV-1726-SM-7KUL8 40-49 years, male 42.8
GTEX-1HBPI-2126-SM-ARL9K 50-59 years, male 42.7
GTEX-11PRG-0726-SM-5EGL1 50-59 years, male 42.5
GTEX-1399Q-2326-SM-5KM2X 40-49 years, male 42.5
GTEX-1F6I4-2326-SM-7RHGL 60-69 years, male 42.4
GTEX-13JVG-0726-SM-5KM16 60-69 years, male 42.3
GTEX-13PL6-1126-SM-5L3IE 40-49 years, female 41.8
GTEX-1HT8W-0626-SM-A9G2H 30-39 years, male 41.4
GTEX-147GR-2426-SM-5ZZWQ 60-69 years, male 41.2
GTEX-14PII-0726-SM-6EU2B 60-69 years, male 41.1
GTEX-1JMQI-1726-SM-ARL93 50-59 years, male 41.1
GTEX-13X6I-1826-SM-5SIAO 60-69 years, male 41.0
GTEX-1QW4Y-1126-SM-DTXE3 30-39 years, male 41.0
GTEX-Y3I4-1726-SM-4TT89 50-59 years, male 40.7
GTEX-15G19-2426-SM-7KUMR 60-69 years, male 40.6
GTEX-1HSKV-1226-SM-ADEI4 60-69 years, male 40.6
GTEX-1GF9V-0826-SM-9KNUV 60-69 years, male 40.3
GTEX-1314G-1326-SM-5BC6E 30-39 years, male 40.2
GTEX-14BIN-1126-SM-5RQJZ 50-59 years, female 39.9
GTEX-1R46S-2426-SM-E76QA 60-69 years, female 39.8
GTEX-15G1A-1626-SM-7KUKN 30-39 years, male 39.3
GTEX-1CAMS-2226-SM-7PBXQ 40-49 years, female 38.7
GTEX-WHWD-1826-SM-3LK6I 50-59 years, male 38.6
GTEX-13D11-0926-SM-5J2NC 50-59 years, female 38.5
GTEX-XXEK-1626-SM-4BRUZ 50-59 years, male 38.5
GTEX-1BAJH-2426-SM-7IGP8 70-79 years, male 38.1
GTEX-1EX96-1026-SM-7MKG2 50-59 years, male 38.1
GTEX-14C38-0726-SM-5SI6M 50-59 years, male 37.9
GTEX-ZTX8-1326-SM-4YCEL 20-29 years, male 37.8
GTEX-1QAET-0326-SM-EVR3U 50-59 years, male 37.7
GTEX-18D9U-0126-SM-731BM 40-49 years, male 37.5
GTEX-ZYVF-0926-SM-5E44J 50-59 years, female 37.5
GTEX-1IE54-1126-SM-A9G2Z 40-49 years, female 37.4
GTEX-1RAZS-2526-SM-E6CHT 50-59 years, male 37.3
GTEX-12ZZX-2426-SM-5GCOE 40-49 years, female 37.0
GTEX-1F5PL-0926-SM-7PC2W 40-49 years, female 36.9
GTEX-14ABY-2026-SM-62LDL 50-59 years, male 36.8
GTEX-1KXAM-1626-SM-D3LAD 60-69 years, male 36.6
GTEX-13NYS-0626-SM-5L3F1 60-69 years, male 36.5
GTEX-15SKB-2826-SM-6PAMH 60-69 years, male 36.5
GTEX-1N2DV-1526-SM-DTXEP 40-49 years, male 36.5
GTEX-14A5H-0826-SM-5QGPJ 60-69 years, male 36.2
GTEX-1QMI2-2526-SM-E8VNZ 60-69 years, male 36.2
GTEX-13NYB-0126-SM-5J1MD 40-49 years, male 36.1
GTEX-17HHY-0426-SM-7DHLC 50-59 years, male 36.0
GTEX-1H11D-1826-SM-9QEHM 40-49 years, male 35.9
GTEX-13OW8-1026-SM-5J1NQ 60-69 years, male 35.8
GTEX-14PKU-0126-SM-6LLHV 40-49 years, female 35.7
GTEX-ZXG5-2126-SM-59HKD 60-69 years, male 35.7
GTEX-13OVK-1426-SM-6PAN7 40-49 years, male 35.6
GTEX-1F6IF-0926-SM-7SB7M 60-69 years, male 35.5
GTEX-1H1DE-1326-SM-9KNUG 20-29 years, male 34.7
GTEX-1J8EW-2726-SM-CY8HR 60-69 years, female 34.7
GTEX-ZDYS-2426-SM-4WKGI 50-59 years, male 34.6
GTEX-1A8FM-0626-SM-7PC25 50-59 years, female 34.4
GTEX-1LB8K-0726-SM-D5OV2 50-59 years, male 34.4
GTEX-12WSD-0626-SM-5GCMW 60-69 years, female 34.2
GTEX-1CB4F-1026-SM-7DUH1 60-69 years, male 34.2
GTEX-ZZPU-0826-SM-5GZX5 50-59 years, female 33.9
GTEX-1GZHY-0626-SM-9KNVC 50-59 years, female 33.9
GTEX-15RIG-0726-SM-7KUM7 40-49 years, male 33.8
GTEX-ZLFU-1826-SM-4WWBV 40-49 years, male 33.8
GTEX-1C6VR-0126-SM-7RHGB 60-69 years, male 33.6
GTEX-13OVH-0526-SM-5L3E6 70-79 years, male 33.5
GTEX-11DYG-1526-SM-5A5JS 60-69 years, male 33.4
GTEX-16NPX-0726-SM-7KULC 50-59 years, male 33.3
GTEX-1ICLZ-0326-SM-ARL82 60-69 years, male 33.2
GTEX-13PDP-0726-SM-5L3HP 60-69 years, male 33.1
GTEX-13O61-1426-SM-5KM3D 60-69 years, male 32.8
GTEX-1B8L1-2226-SM-7P8PT 60-69 years, male 32.8
GTEX-Y8E4-2026-SM-5IFJB 40-49 years, male 32.7
GTEX-13FTY-2126-SM-5IFFB 40-49 years, female 32.6
GTEX-1HSMQ-2626-SM-A9SML 50-59 years, male 32.4
GTEX-16AAH-0626-SM-793C9 50-59 years, male 32.2
GTEX-1GN73-0726-SM-7P8TJ 60-69 years, male 32.2
GTEX-18A6Q-0626-SM-7KFRP 60-69 years, male 32.1
GTEX-WHPG-2626-SM-3NMBR 50-59 years, male 31.9
GTEX-13OW7-0426-SM-5K7VK 50-59 years, male 31.8
GTEX-15EO6-2426-SM-6PALZ 50-59 years, male 31.6
GTEX-1CB4E-0926-SM-7EPHT 60-69 years, male 31.6
GTEX-1IY9M-2826-SM-ARU8H 60-69 years, male 31.6
GTEX-1RAZQ-1326-SM-E9TK6 30-39 years, male 31.6
GTEX-YECK-0326-SM-4W1YS 60-69 years, male 31.5
GTEX-1HR9M-2226-SM-CNPPY 60-69 years, male 31.5
GTEX-11ZU8-0126-SM-5EQ58 60-69 years, male 31.2
GTEX-1OJC3-1226-SM-DTXER 20-29 years, male 31.1
GTEX-VUSG-2326-SM-4KL1U 50-59 years, male 31.0
GTEX-14PJ5-1526-SM-6LLIL 60-69 years, female 30.9
GTEX-1F75B-0726-SM-7PC3R 50-59 years, male 30.6
GTEX-1A8G7-1326-SM-73KVM 60-69 years, male 30.5
GTEX-1GL5R-1326-SM-7RHHF 50-59 years, male 30.5
GTEX-1GMRU-2126-SM-7P8RA 50-59 years, male 30.4
GTEX-1S83E-1326-SM-E6CJM 40-49 years, male 30.3
GTEX-1QP2A-1726-SM-E76QC 50-59 years, male 30.2
GTEX-1C6VQ-1226-SM-73KYD 50-59 years, male 30.1
GTEX-1RAZR-2126-SM-E9U6T 40-49 years, male 30.1
GTEX-1F52S-2926-SM-7MKGA 60-69 years, female 29.4
GTEX-18D9B-0926-SM-7LG4U 60-69 years, male 29.3
GTEX-1I1GV-0626-SM-ARL7M 60-69 years, male 29.3
GTEX-1PIIG-2326-SM-DTXFR 30-39 years, male 29.3
GTEX-11GS4-0226-SM-5HL77 60-69 years, male 29.1
GTEX-1313W-0626-SM-5EQ4H 50-59 years, female 29.0
GTEX-14A6H-2026-SM-5Q5DD 30-39 years, male 28.8
GTEX-1PBJJ-1026-SM-E76OS 30-39 years, male 28.8
GTEX-13X6J-0626-SM-5LU5F 50-59 years, male 28.7
GTEX-U8XE-0226-SM-4E3J3 30-39 years, male 28.6
GTEX-111YS-1526-SM-5GZYW 60-69 years, male 28.5
GTEX-1JKYR-0626-SM-ARL8R 20-29 years, male 28.3
GTEX-12WSJ-1126-SM-5LZVJ 40-49 years, female 28.2
GTEX-14XAO-1226-SM-6EU1C 60-69 years, female 28.0
GTEX-1EKGG-0626-SM-7DUGJ 60-69 years, male 27.8
GTEX-Y3IK-1626-SM-4YCF5 50-59 years, female 27.7
GTEX-1H3O1-1326-SM-9MQLD 60-69 years, male 27.7
GTEX-1JMLX-0626-SM-ARL8T 50-59 years, male 27.6
GTEX-14AS3-1526-SM-5Q5ED 40-49 years, female 27.4
GTEX-1I1HK-2326-SM-CKZOH 60-69 years, male 27.4
GTEX-ZYFC-0426-SM-5GICQ 50-59 years, male 27.3
GTEX-X4EO-2926-SM-4E3JH 60-69 years, female 27.2
GTEX-1F75I-2226-SM-7SB8U 40-49 years, male 27.2
GTEX-VJYA-1526-SM-3GIJV 60-69 years, male 27.0
GTEX-ZAK1-0626-SM-5HL8E 50-59 years, female 26.8
GTEX-1F88F-0126-SM-9WYSZ 60-69 years, female 26.8
GTEX-1HCU7-0726-SM-A9SL1 50-59 years, male 26.7
GTEX-145MH-2826-SM-5RQJF 50-59 years, male 26.5
GTEX-17F9E-2326-SM-79OKD 50-59 years, male 26.3
GTEX-1CAMQ-1326-SM-7P8RV 40-49 years, male 26.3
GTEX-111VG-1626-SM-5EGIO 60-69 years, male 26.2
GTEX-14PHX-2226-SM-6EU2P 50-59 years, male 26.2
GTEX-15CHR-1126-SM-7EWF4 50-59 years, male 26.2
GTEX-17HG3-2626-SM-7DUF2 30-39 years, female 26.2
GTEX-18A7A-0126-SM-731AH 50-59 years, female 26.1
GTEX-1B8KE-1126-SM-7EPHI 50-59 years, male 26.1
GTEX-1IDJF-2026-SM-CL53V 20-29 years, male 26.0
GTEX-12ZZY-0726-SM-5EQ66 60-69 years, male 25.8
GTEX-13IVO-0726-SM-5LZYV 70-79 years, male 25.8
GTEX-1C6WA-2626-SM-7MKGM 60-69 years, male 25.8
GTEX-131XG-0326-SM-5L3DX 50-59 years, female 25.7
GTEX-16NGA-0726-SM-731AO 40-49 years, female 25.7
GTEX-1GN2E-0226-SM-9WG6K 60-69 years, male 25.6
GTEX-144FL-0626-SM-5LU43 50-59 years, male 25.3
GTEX-14BMV-2826-SM-5TDED 50-59 years, male 25.3
GTEX-18A67-1626-SM-7LT9T 50-59 years, male 25.3
GTEX-1F75A-0726-SM-7RHHD 50-59 years, male 25.3
GTEX-1QP28-1126-SM-EVYC4 50-59 years, female 25.3
GTEX-1QEPI-2626-SM-DTXF4 60-69 years, female 25.2
GTEX-ZVZP-1226-SM-5GID7 50-59 years, male 25.1
GTEX-1H1E6-0426-SM-9WYUS 30-39 years, male 24.9
GTEX-111CU-1126-SM-5EGIM 50-59 years, male 24.8
GTEX-WY7C-2126-SM-3NB2R 50-59 years, male 24.8
GTEX-1IKJJ-2226-SM-CJI4C 60-69 years, male 24.8
GTEX-17MFQ-1526-SM-7KFRR 20-29 years, male 24.7
GTEX-WHSB-1326-SM-3LK6W 50-59 years, male 24.7
GTEX-15DYW-2726-SM-6EU2I 60-69 years, female 24.6
GTEX-17F9Y-0126-SM-79OKX 70-79 years, female 24.6
GTEX-11OF3-0126-SM-5PNYF 60-69 years, male 24.5
GTEX-ZPIC-0526-SM-DO91W 40-49 years, female 24.5
GTEX-11NSD-0626-SM-5A5LU 20-29 years, male 24.4
GTEX-1ICLY-0826-SM-CMKG1 50-59 years, male 24.3
GTEX-X5EB-1926-SM-4E3IW 40-49 years, male 24.2
GTEX-13PVQ-0626-SM-5LU47 50-59 years, male 24.1
GTEX-1HGF4-0126-SM-CNPPX 60-69 years, male 24.0
GTEX-UPK5-0426-SM-3GAEK 40-49 years, male 23.7
GTEX-1AMEY-0826-SM-72D65 30-39 years, female 23.6
GTEX-145LU-1926-SM-79OJN 50-59 years, male 23.5
GTEX-1A3MW-0626-SM-731CB 60-69 years, female 23.5
GTEX-1I6K7-1926-SM-B2LXR 40-49 years, male 23.5
GTEX-1R9PM-1926-SM-EVR3O 20-29 years, male 23.5
GTEX-1477Z-0326-SM-7IGLA 60-69 years, male 23.4
GTEX-1MJK3-0726-SM-E6CJC 20-29 years, male 23.4
GTEX-13W3W-0726-SM-5IJDQ 60-69 years, female 23.0
GTEX-147JS-0226-SM-5S2U9 60-69 years, male 23.0
GTEX-14PJ2-0626-SM-6LLII 50-59 years, male 23.0
GTEX-Y114-2126-SM-4TT8B 50-59 years, female 23.0
GTEX-1HSMO-0626-SM-ACKXC 60-69 years, male 23.0
GTEX-18A66-0626-SM-7LT8Z 60-69 years, male 22.9
GTEX-ZDXO-3126-SM-5IJDF 60-69 years, male 22.9
GTEX-12C56-1526-SM-5FQUQ 20-29 years, male 22.8
GTEX-UPJH-0226-SM-3GADV 50-59 years, male 22.8
GTEX-13OW6-2726-SM-5J2OE 50-59 years, male 22.7
GTEX-Y111-0626-SM-4SOIT 50-59 years, male 22.7
GTEX-1IDFM-0326-SM-ARL7V 60-69 years, male 22.7
GTEX-1LBAC-0826-SM-CY8IJ 20-29 years, male 22.6
GTEX-1H1DG-2426-SM-9QEHJ 70-79 years, male 22.5
GTEX-ZPCL-1126-SM-4WWFE 60-69 years, female 22.4
GTEX-1E1VI-0326-SM-793D1 50-59 years, male 22.3
GTEX-X585-2426-SM-46MW2 50-59 years, male 22.3
GTEX-1R9PN-0426-SM-DTXDT 40-49 years, female 22.2
GTEX-1192X-2726-SM-5N9DN 50-59 years, male 21.8
GTEX-Y5V6-2326-SM-4VDSA 60-69 years, male 21.8
GTEX-11NUK-2726-SM-5A5MC 50-59 years, male 21.6
GTEX-1I1GP-1326-SM-A9G28 50-59 years, male 21.6
GTEX-11DZ1-2426-SM-5GZZX 50-59 years, male 21.5
GTEX-Y5V5-0126-SM-5S2NW 60-69 years, female 21.5
GTEX-ZDTT-0426-SM-4WKFL 60-69 years, male 21.5
GTEX-WRHU-2826-SM-3MJG8 50-59 years, female 21.4
GTEX-14PJ4-0226-SM-5YY92 60-69 years, male 21.3
GTEX-ZA64-1026-SM-5HL8R 20-29 years, male 21.3
GTEX-11EI6-2826-SM-5H11D 60-69 years, male 21.2
GTEX-14BMU-1226-SM-5S2OR 20-29 years, female 21.2
GTEX-V1D1-2026-SM-3GAF4 50-59 years, male 21.2
GTEX-1F48J-0726-SM-7RHGS 50-59 years, female 21.2
GTEX-14PK6-0226-SM-62LF5 70-79 years, female 21.1
GTEX-15CHC-1126-SM-6LLHQ 60-69 years, female 20.9
GTEX-139UW-0326-SM-5J1ML 60-69 years, male 20.8
GTEX-1E2YA-2126-SM-7MXUO 50-59 years, male 20.8
GTEX-1GF9W-1426-SM-7PBYM 60-69 years, male 20.8
GTEX-13NYC-0126-SM-5L3F4 60-69 years, male 20.7
GTEX-14B4R-1326-SM-5Q5EZ 30-39 years, male 20.7
GTEX-WEY5-2326-SM-3GIKK 40-49 years, female 20.7
GTEX-ZE9C-2526-SM-5IJDR 60-69 years, male 20.6
GTEX-1I1GT-1026-SM-ARZLV 60-69 years, female 20.6
GTEX-1GN1U-0626-SM-9MQL9 50-59 years, female 20.5
GTEX-1GTWX-2026-SM-9YFLM 60-69 years, male 20.4
GTEX-1GMR8-0626-SM-7RHI7 50-59 years, female 20.3
GTEX-16Z82-2626-SM-7KULU 60-69 years, male 20.2
GTEX-ZDTS-0826-SM-4WKHL 60-69 years, male 20.1
GTEX-139TS-2126-SM-5K7XC 60-69 years, male 20.0
GTEX-1HCVE-2726-SM-CL54F 50-59 years, male 20.0
GTEX-ZVP2-0326-SM-57WBP 50-59 years, male 19.9
GTEX-1KD5A-0126-SM-E9U54 50-59 years, male 19.9
GTEX-131XW-0626-SM-5PNVD 50-59 years, female 19.7
GTEX-13VXU-0626-SM-5L3F9 50-59 years, male 19.7
GTEX-17EVP-2626-SM-7IGMA 40-49 years, male 19.7
GTEX-133LE-2326-SM-5K7W3 20-29 years, female 19.6
GTEX-1QP29-1826-SM-DTX9S 50-59 years, male 19.6
GTEX-1269C-0126-SM-5EQ5L 60-69 years, female 19.5
GTEX-12126-0826-SM-5FQTZ 20-29 years, male 19.4
GTEX-131XH-0126-SM-5LZUY 50-59 years, male 19.4
GTEX-14JFF-0626-SM-5ZZVT 60-69 years, male 19.2
GTEX-1IOXB-2726-SM-CM2RI 50-59 years, male 19.2
GTEX-1QP9N-1226-SM-E76QN 30-39 years, male 19.2
GTEX-1RMOY-1326-SM-E9TIH 50-59 years, male 19.2
GTEX-1IDJH-0126-SM-D3L92 70-79 years, male 19.1
GTEX-1LVAO-2726-SM-E9TJ8 60-69 years, male 19.1
GTEX-ZVE2-2826-SM-5GU51 50-59 years, male 19.0
GTEX-Y8LW-1526-SM-5IFHL 50-59 years, female 18.8
GTEX-139TU-0726-SM-5L3EK 60-69 years, male 18.6
GTEX-ZY6K-1426-SM-5GZX2 50-59 years, male 18.6
GTEX-15RIE-1926-SM-7KUKJ 60-69 years, male 18.5
GTEX-XBEC-0726-SM-4QARZ 50-59 years, male 18.5
GTEX-1HFI6-0126-SM-CNPPI 40-49 years, male 18.5
GTEX-13SLX-2226-SM-62LEP 50-59 years, female 18.3
GTEX-ZE7O-2726-SM-51MT5 50-59 years, female 18.3
GTEX-1S3DN-2126-SM-E9TIN 50-59 years, male 18.3
GTEX-ZYW4-0626-SM-59HJR 60-69 years, male 18.2
GTEX-11DXW-0826-SM-5H118 40-49 years, male 18.1
GTEX-11DXX-2126-SM-5PNYR 60-69 years, female 18.1
GTEX-17HII-1426-SM-7EPGG 50-59 years, male 18.1
GTEX-1LSNL-2726-SM-E9TKJ 50-59 years, male 18.1
GTEX-1S82U-1026-SM-E6CJK 30-39 years, female 18.1
GTEX-YJ8O-2526-SM-5HL85 40-49 years, female 17.9
GTEX-15SHW-0226-SM-7LTAT 60-69 years, male 17.8
GTEX-XYKS-1426-SM-4BRUO 60-69 years, female 17.8
GTEX-14E6E-0526-SM-793DN 30-39 years, male 17.7
GTEX-14PJN-1826-SM-6AJ98 30-39 years, male 17.7
GTEX-ZVT4-2426-SM-5GIEI 50-59 years, female 17.7
GTEX-1IDJV-0126-SM-COH3Y 60-69 years, male 17.7
GTEX-1OJC4-2726-SM-E76PJ 50-59 years, female 17.7
GTEX-11EQ8-0926-SM-5H12V 60-69 years, male 17.6
GTEX-1LGRB-0926-SM-COH3K 50-59 years, female 17.6
GTEX-1PIGE-1826-SM-E8VOU 20-29 years, male 17.6
GTEX-131XF-2626-SM-5EQ6K 60-69 years, male 17.5
GTEX-WHSE-0126-SM-3NMBT 20-29 years, male 17.5
GTEX-1S831-1826-SM-EWROF 20-29 years, male 17.5
GTEX-ZYFD-0626-SM-5E44E 50-59 years, male 17.4
GTEX-13O3Q-0126-SM-5KM34 50-59 years, male 17.3
GTEX-14DAQ-0626-SM-793DS 60-69 years, female 17.3
GTEX-1A8G6-2726-SM-731AR 60-69 years, male 17.3
GTEX-1H2FU-0926-SM-9WPPT 60-69 years, female 17.3
GTEX-17F98-1326-SM-7DUEP 40-49 years, female 17.2
GTEX-ZPU1-1126-SM-4YCF3 40-49 years, male 17.2
GTEX-ZLV1-1526-SM-DO91J 60-69 years, female 17.2
GTEX-145LS-0626-SM-7EPG7 60-69 years, female 17.1
GTEX-Y9LG-1126-SM-4VBQ7 30-39 years, male 17.1
GTEX-1K9T9-1526-SM-DIPFR 50-59 years, female 17.1
GTEX-13N11-2326-SM-5IJBF 50-59 years, female 17.0
GTEX-16XZZ-0726-SM-7KUF2 60-69 years, male 16.9
GTEX-183FY-1026-SM-7939A 20-29 years, male 16.9
GTEX-1M4P7-0726-SM-E6CJ3 60-69 years, male 16.9
GTEX-145ME-1726-SM-5Q5EU 40-49 years, female 16.8
GTEX-XAJ8-1426-SM-47JYM 40-49 years, male 16.8
GTEX-ZYY3-2926-SM-5GIEB 60-69 years, female 16.7
GTEX-XBEW-1126-SM-4QARW 40-49 years, male 16.6
GTEX-1HSGN-0826-SM-ACKW3 40-49 years, female 16.6
GTEX-1B8KZ-0326-SM-73KY4 50-59 years, male 16.5
GTEX-ZF3C-0626-SM-DO92O 50-59 years, female 16.5
GTEX-11P81-2226-SM-5PNYI 30-39 years, female 16.4
GTEX-147F4-0726-SM-5TDDD 50-59 years, male 16.4
GTEX-X3Y1-2026-SM-3P5YM 40-49 years, male 16.4
GTEX-1LSVX-2526-SM-DIPEU 60-69 years, male 16.4
GTEX-144GO-2026-SM-5O99P 60-69 years, male 16.3
GTEX-15FZZ-0526-SM-7KUGD 30-39 years, female 16.3
GTEX-1GN1W-2426-SM-9KNUU 50-59 years, female 16.3
GTEX-1HKZK-0726-SM-ACKW2 40-49 years, male 16.3
GTEX-131YS-2826-SM-5EQ47 60-69 years, female 16.2
GTEX-1AMFI-1326-SM-7939R 50-59 years, female 16.2
GTEX-13QJC-0126-SM-5ZZWJ 60-69 years, female 16.1
GTEX-13U4I-2226-SM-5LU5H 40-49 years, female 16.1
GTEX-145MF-0926-SM-5Q5EA 50-59 years, male 16.1
GTEX-147F3-1726-SM-5SIAW 50-59 years, female 16.1
GTEX-WK11-2726-SM-3NMAQ 50-59 years, male 16.1
GTEX-1H4P4-2126-SM-9WYSL 50-59 years, male 15.8
GTEX-14E1K-2026-SM-7DUEI 50-59 years, male 15.7
GTEX-16BQI-1326-SM-6M486 30-39 years, female 15.7
GTEX-1211K-1526-SM-5FQU4 60-69 years, female 15.6
GTEX-12ZZZ-0726-SM-5GCNZ 60-69 years, male 15.5
GTEX-11ZUS-2626-SM-5FQUR 30-39 years, male 15.4
GTEX-16MTA-0926-SM-6M47Z 50-59 years, male 15.4
GTEX-18D9A-1426-SM-7LT8M 30-39 years, female 15.4
GTEX-13N2G-0226-SM-5K7VF 60-69 years, male 15.3
GTEX-13OVL-0126-SM-5L3GJ 50-59 years, male 15.3
GTEX-15EU6-2226-SM-6EU2L 50-59 years, male 15.3
GTEX-1A3MV-1826-SM-731CD 30-39 years, male 15.3
GTEX-1IL2V-1926-SM-B2LW8 70-79 years, male 15.3
GTEX-1KWVE-1026-SM-D3L9O 30-39 years, male 15.3
GTEX-14ICL-1626-SM-5YYAO 30-39 years, male 15.2
GTEX-1HR98-2226-SM-ADEI2 60-69 years, male 15.2
GTEX-1J8JJ-0626-SM-ARZMQ 60-69 years, female 15.1
GTEX-1JN1M-2726-SM-CY8I4 60-69 years, female 15.1
GTEX-1212Z-0126-SM-59HK4 60-69 years, male 15.0
GTEX-13112-0126-SM-5P9IU 50-59 years, male 15.0
GTEX-13FH7-1126-SM-5K7UG 50-59 years, female 15.0
GTEX-14C5O-0326-SM-5ZZUX 60-69 years, male 15.0
GTEX-14C39-1726-SM-5RQIL 40-49 years, male 14.9
GTEX-13FTW-0326-SM-5K7UW 40-49 years, male 14.8
GTEX-1GMR3-0126-SM-A9SLW 40-49 years, male 14.8
GTEX-14LLW-2626-SM-62LDZ 70-79 years, female 14.7
GTEX-1PDJ9-1226-SM-EXUSX 20-29 years, male 14.7
GTEX-145MI-0626-SM-5SI8S 60-69 years, female 14.6
GTEX-15D1Q-2826-SM-6LLH7 40-49 years, male 14.6
GTEX-1122O-1026-SM-9WYSF 60-69 years, female 14.6
GTEX-14PJ3-1126-SM-5ZZVX 50-59 years, male 14.5
GTEX-XBED-1926-SM-47JYP 60-69 years, male 14.5
GTEX-14JG6-1426-SM-9WG7C 30-39 years, female 14.4
GTEX-183WM-0326-SM-72D5V 70-79 years, female 14.3
GTEX-1JKYN-0826-SM-ARU8S 30-39 years, male 14.3
GTEX-1F5PK-2226-SM-7SB6N 50-59 years, male 14.2
GTEX-1HSMP-0926-SM-A9SKX 70-79 years, male 14.1
GTEX-13YAN-0226-SM-5TDC6 60-69 years, male 13.9
GTEX-1JMPY-0226-SM-CKZOK 30-39 years, male 13.9
GTEX-1N2EE-0626-SM-E76PW 60-69 years, male 13.9
GTEX-139TT-2126-SM-5LZWC 60-69 years, male 13.8
GTEX-14753-0726-SM-5QGQO 60-69 years, male 13.8
GTEX-1EWIQ-0326-SM-7DHMQ 70-79 years, female 13.8
GTEX-1QCLY-0226-SM-EWRNH 30-39 years, male 13.8
GTEX-1EN7A-2426-SM-793DB 40-49 years, male 13.7
GTEX-1GZ4H-0526-SM-9KNU9 50-59 years, female 13.7
GTEX-11VI4-1126-SM-5EQMD 40-49 years, female 13.6
GTEX-Y5LM-0926-SM-6LLJG 40-49 years, female 13.6
GTEX-12584-0726-SM-5FQTK 40-49 years, male 13.5
GTEX-13NZ9-2626-SM-5L3FK 50-59 years, male 13.5
GTEX-ZVE1-0726-SM-51MRN 50-59 years, female 13.5
GTEX-145MG-1526-SM-5Q5EM 50-59 years, male 13.4
GTEX-YEC4-1826-SM-4W1YP 40-49 years, male 13.4
GTEX-1I6K6-1726-SM-CGQFD 30-39 years, male 13.4
GTEX-1PPH7-1126-SM-DTX9A 40-49 years, male 13.4
GTEX-1ICG6-1226-SM-A9SLN 70-79 years, female 13.3
GTEX-1LSNM-0826-SM-DIPG8 50-59 years, male 13.2
GTEX-11TUW-0626-SM-5LU9M 60-69 years, male 13.0
GTEX-13O3O-2326-SM-5IJD6 60-69 years, female 13.0
GTEX-1GPI7-1826-SM-9KNU1 20-29 years, male 13.0
GTEX-1K2DA-1026-SM-CGQGF 50-59 years, male 13.0
GTEX-YEC3-1326-SM-DO92X 50-59 years, male 13.0
GTEX-1CB4H-1126-SM-7MKGL 60-69 years, female 12.9
GTEX-1B933-2426-SM-7DHMD 50-59 years, female 12.8
GTEX-Z93S-1626-SM-5CVMB 50-59 years, male 12.8
GTEX-1N5O9-0926-SM-E9J3C 60-69 years, male 12.8
GTEX-ZYT6-2326-SM-5GZY3 30-39 years, male 12.7
GTEX-1HB9E-0126-SM-CM2S5 50-59 years, male 12.7
GTEX-WXYG-2026-SM-4E3IY 50-59 years, female 12.6
GTEX-1GMR2-0826-SM-7PC3V 50-59 years, male 12.6
GTEX-1IDJU-1726-SM-CMKHU 60-69 years, female 12.6
GTEX-ZYFG-1526-SM-5GZYM 60-69 years, female 12.5
GTEX-13113-1626-SM-5EQ4I 60-69 years, female 12.4
GTEX-14PJO-2526-SM-6AJBQ 60-69 years, male 12.3
GTEX-13N1W-2426-SM-5IJD1 70-79 years, male 12.2
GTEX-13X6H-0926-SM-5SIB2 50-59 years, female 12.2
GTEX-XV7Q-1826-SM-4BRUV 40-49 years, female 12.2
GTEX-146FQ-2126-SM-5RQHU 30-39 years, male 12.1
GTEX-12WSK-2126-SM-5CVNC 40-49 years, female 12.0
GTEX-XOT4-0626-SM-4B66L 60-69 years, female 12.0
GTEX-11GSP-2326-SM-5HL63 60-69 years, female 11.9
GTEX-139T8-0626-SM-5KLZX 60-69 years, male 11.9
GTEX-1C2JI-1026-SM-73KY1 50-59 years, male 11.8
GTEX-1HCUA-0826-SM-ADEHM 50-59 years, female 11.8
GTEX-1IDJC-1526-SM-B2LW4 50-59 years, male 11.7
GTEX-1IKOE-1426-SM-CE6T7 30-39 years, female 11.7
GTEX-1J1R8-2026-SM-CL53Y 40-49 years, male 11.6
GTEX-11DXY-0126-SM-5H11Q 60-69 years, male 11.4
GTEX-139D8-1126-SM-5LU8W 30-39 years, female 11.4
GTEX-XMD2-2126-SM-4YCF8 60-69 years, female 11.4
GTEX-ZP4G-1426-SM-4WWCL 20-29 years, female 11.4
GTEX-12WSF-1626-SM-7KUG5 70-79 years, male 11.3
GTEX-1A3MX-2626-SM-7PC24 60-69 years, male 11.2
GTEX-1R7EU-1626-SM-DTXG3 60-69 years, male 11.2
GTEX-132AR-0326-SM-5KM2C 50-59 years, female 11.1
GTEX-14PJ6-2626-SM-6EU2T 60-69 years, female 11.1
GTEX-ZVT2-0126-SM-5GIDQ 50-59 years, female 11.1
GTEX-1117F-2926-SM-5GZYI 60-69 years, female 11.0
GTEX-144GM-0526-SM-79OJO 20-29 years, male 11.0
GTEX-ZAB4-2126-SM-5HL8U 40-49 years, male 10.9
GTEX-1S82P-2126-SM-E6CI5 60-69 years, female 10.9
GTEX-11EM3-1226-SM-5N9DD 20-29 years, female 10.8
GTEX-13X6K-0626-SM-5LU5D 60-69 years, female 10.8
GTEX-145LT-0526-SM-5LUB2 40-49 years, male 10.8
GTEX-ZTSS-1426-SM-5985P 40-49 years, male 10.8
GTEX-1497J-0226-SM-5QGPU 60-69 years, male 10.7
GTEX-ZZ64-1026-SM-5GZXG 20-29 years, male 10.6
GTEX-1I1GS-2626-SM-B2LY3 60-69 years, male 10.6
GTEX-12WSL-2026-SM-5GCML 50-59 years, male 10.5
GTEX-15RJE-2826-SM-7KUM9 40-49 years, male 10.5
GTEX-ZWKS-0626-SM-5GIDV 30-39 years, male 10.5
GTEX-1HCU6-2526-SM-ADEHL 60-69 years, female 10.5
GTEX-17JCI-2926-SM-7DUFF 60-69 years, female 10.4
GTEX-YFCO-1226-SM-5LUAT 40-49 years, male 10.4
GTEX-1GN1V-2826-SM-9JGIA 60-69 years, male 10.3
GTEX-1J8Q2-2626-SM-ACKWQ 60-69 years, male 10.3
GTEX-1JMOU-1026-SM-CYPSS 60-69 years, female 10.3
GTEX-1JMQL-2226-SM-CNPP4 50-59 years, female 10.3
GTEX-11DXZ-2026-SM-5987S 50-59 years, male 10.2
GTEX-12696-0126-SM-5EQ4L 60-69 years, male 10.2
GTEX-13VXT-1926-SM-5K7UO 20-29 years, female 10.2
GTEX-1KANC-1226-SM-CYPT7 50-59 years, female 10.1
GTEX-11WQK-1026-SM-5EQLX 50-59 years, male 10.0
GTEX-1C475-1326-SM-7SB73 40-49 years, female 10.0
GTEX-13PVR-0426-SM-5RQK2 60-69 years, female 9.8
GTEX-XPVG-2126-SM-4B667 50-59 years, male 9.8
GTEX-1H1CY-0126-SM-9YFLY 60-69 years, female 9.8
GTEX-13OVG-1626-SM-5J1NF 60-69 years, male 9.7
GTEX-WH7G-2026-SM-3NMBL 40-49 years, male 9.7
GTEX-11O72-0626-SM-5PNYE 40-49 years, male 9.6
GTEX-1J8QM-2426-SM-A9SLS 60-69 years, female 9.5
GTEX-WYVS-1626-SM-3NM9R 40-49 years, female 9.4
GTEX-YB5K-2026-SM-4VDT3 40-49 years, female 9.3
GTEX-ZTTD-2826-SM-4YCFA 50-59 years, male 9.3
GTEX-1I4MK-0126-SM-CY8G6 50-59 years, female 9.3
GTEX-17MF6-2626-SM-79OKQ 40-49 years, male 9.2
GTEX-13FTX-1526-SM-5K7VJ 20-29 years, female 9.1
GTEX-17HHE-1326-SM-7EWDZ 50-59 years, male 9.1
GTEX-XQ3S-1426-SM-4BOPR 20-29 years, male 9.1
GTEX-1HUB1-1426-SM-CGQF5 60-69 years, male 9.1
GTEX-1HFI7-2326-SM-CGQFS 50-59 years, female 9.0
GTEX-11EQ9-1626-SM-5PNY8 30-39 years, male 8.8
GTEX-11LCK-2226-SM-5HL4Q 30-39 years, male 8.8
GTEX-14PHY-1226-SM-5ZZWK 60-69 years, female 8.7
GTEX-1I1CD-0626-SM-CE6SW 60-69 years, female 8.7
GTEX-11P7K-1126-SM-5HL4L 30-39 years, male 8.6
GTEX-1LVA9-2626-SM-EVYD4 50-59 years, male 8.6
GTEX-1QCLZ-2426-SM-EVYBW 60-69 years, female 8.6
GTEX-13JUV-2026-SM-5K7UA 40-49 years, female 8.5
GTEX-1CB4J-1326-SM-7P8RX 60-69 years, male 8.4
GTEX-1IDJD-2326-SM-ACKWX 30-39 years, male 8.4
GTEX-12WSM-1926-SM-5BC65 60-69 years, male 8.3
GTEX-18465-2826-SM-7LT9J 50-59 years, male 8.3
GTEX-1399U-1126-SM-5L3DB 50-59 years, female 8.2
GTEX-1MCC2-1826-SM-DIPEX 30-39 years, female 8.2
GTEX-12WSA-0426-SM-5EQ5X 60-69 years, male 8.1
GTEX-1399R-1326-SM-5PNYS 30-39 years, male 8.1
GTEX-WYBS-0626-SM-3NMAS 60-69 years, female 8.1
GTEX-ZAJG-1526-SM-5CVML 50-59 years, female 8.1
GTEX-12WSC-2826-SM-5BC5Y 50-59 years, male 8.0
GTEX-1JK1U-0226-SM-ARZMX 60-69 years, male 8.0
GTEX-1F75W-2726-SM-7SB8H 60-69 years, male 7.9
GTEX-1LGOU-1326-SM-D3L8M 20-29 years, female 7.9
GTEX-11UD2-2526-SM-5CVNU 50-59 years, male 7.8
GTEX-1K2DU-1226-SM-CYPT4 20-29 years, male 7.8
GTEX-13OVJ-0826-SM-5J1OK 50-59 years, female 7.7
GTEX-1AX8Z-0726-SM-73KTS 60-69 years, male 7.7
GTEX-1LKK1-2626-SM-DKPQE 50-59 years, female 7.7
GTEX-1RB15-1326-SM-E76Q9 60-69 years, male 7.7
GTEX-15DDE-2926-SM-6LLJ3 50-59 years, female 7.6
GTEX-1J1OQ-0126-SM-D4P2N 40-49 years, female 7.6
GTEX-1CAV2-0126-SM-7IGN7 40-49 years, female 7.5
GTEX-1KANA-1326-SM-DIPFA 20-29 years, male 7.5
GTEX-1LVAN-0626-SM-CNPOQ 50-59 years, female 7.5
GTEX-13NZ8-1226-SM-5KM4A 60-69 years, female 7.4
GTEX-13QBU-1226-SM-5LU4G 40-49 years, female 7.2
GTEX-1IDJI-0126-SM-CMKHS 50-59 years, female 7.2
GTEX-1MCYP-0526-SM-E9U6Q 20-29 years, female 7.2
GTEX-12BJ1-0926-SM-5EQ62 60-69 years, male 7.1
GTEX-1HCU8-2526-SM-CE6RX 60-69 years, female 7.1
GTEX-15UF6-1926-SM-7KUDV 70-79 years, female 7.0
GTEX-1A32A-0626-SM-731AQ 50-59 years, female 7.0
GTEX-1F88E-1626-SM-7SB8Z 60-69 years, female 7.0
GTEX-1POEN-2326-SM-E9J2L 30-39 years, female 7.0
GTEX-WI4N-2726-SM-3LK7Y 40-49 years, female 6.9
GTEX-1PPH8-0126-SM-EWRN8 20-29 years, male 6.9
GTEX-1HCU9-0426-SM-9WYSD 20-29 years, male 6.8
GTEX-18A7B-2726-SM-7LG56 70-79 years, male 6.7
GTEX-1GZ2Q-0126-SM-9WG6M 40-49 years, male 6.7
GTEX-XUW1-0926-SM-4BONX 50-59 years, female 6.6
GTEX-1H23P-0626-SM-9WG6T 60-69 years, male 6.6
GTEX-117YX-1926-SM-5GIEC 50-59 years, male 6.5
GTEX-14JG1-1526-SM-5YY9X 40-49 years, male 6.4
GTEX-16MT8-2926-SM-7DUFO 60-69 years, female 6.4
GTEX-1B996-0426-SM-7EWF8 60-69 years, male 6.4
GTEX-WYJK-0526-SM-3NM8Z 50-59 years, male 6.4
GTEX-1CB4I-0126-SM-7RHGG 50-59 years, male 6.4
GTEX-1I19N-0126-SM-CYPSF 70-79 years, male 6.4
GTEX-1CAMR-1326-SM-7PC1F 20-29 years, male 6.3
GTEX-15CHQ-0326-SM-69LQD 60-69 years, male 6.2
GTEX-1JMPZ-0726-SM-CY8HZ 30-39 years, male 6.2
GTEX-145MN-1526-SM-5SI9T 30-39 years, male 6.1
GTEX-1JN6P-2926-SM-CL54D 60-69 years, male 6.1
GTEX-1RAZA-2226-SM-E9U4X 20-29 years, male 6.1
GTEX-1J8Q3-0526-SM-ARL8U 60-69 years, male 6.0
GTEX-X8HC-0626-SM-4E3HQ 50-59 years, female 5.9
GTEX-1GF9X-1326-SM-7PC2Y 40-49 years, female 5.9
GTEX-1B97I-0626-SM-73KUZ 40-49 years, male 5.8
GTEX-1RLM8-2926-SM-E8VON 50-59 years, male 5.8
GTEX-1S5ZU-2526-SM-E6CIF 20-29 years, female 5.7
GTEX-1H3NZ-2726-SM-9WYTQ 60-69 years, male 5.5
GTEX-1KANB-2826-SM-CY8I6 50-59 years, male 5.5
GTEX-1F6RS-2026-SM-7RHHC 60-69 years, female 5.3
GTEX-1HC8U-1326-SM-9YFMJ 40-49 years, female 5.3
GTEX-1JJE9-2626-SM-ARZMT 70-79 years, male 5.3
GTEX-145MO-2826-SM-5LU96 60-69 years, male 5.2
GTEX-17F96-0126-SM-7EWDU 70-79 years, male 5.2
GTEX-X4EP-0626-SM-3P621 60-69 years, female 5.0
GTEX-16MT9-0126-SM-7EPI8 60-69 years, female 4.9
GTEX-ZF29-0926-SM-4WKFZ 60-69 years, female 4.9
GTEX-14PKV-1126-SM-6LLJ1 20-29 years, female 4.8
GTEX-11TT1-1826-SM-5EQLV 20-29 years, male 4.7
GTEX-WFON-1926-SM-3LK7L 40-49 years, male 4.7
GTEX-1QP66-1226-SM-DTX7U 50-59 years, male 4.7
GTEX-ZGAY-1826-SM-DO91Q 40-49 years, female 4.7
GTEX-WFG8-2126-SM-3GIKQ 20-29 years, male 4.6
GTEX-1H3VE-0726-SM-9YFL5 40-49 years, male 4.6
GTEX-148VJ-0626-SM-5LUAW 70-79 years, male 4.5
GTEX-18QFQ-1826-SM-72D52 30-39 years, male 4.3
GTEX-14DAR-1226-SM-73KYV 50-59 years, male 4.1
GTEX-1JMQK-1226-SM-D4P2S 60-69 years, male 4.1
GTEX-1O9I2-0226-SM-EYYXD 50-59 years, male 4.1
GTEX-1C64O-1326-SM-7MGWR 60-69 years, male 3.9
GTEX-1JJ6O-2726-SM-CNPOG 60-69 years, male 3.7
GTEX-XQ8I-0926-SM-4BOOF 50-59 years, male 3.5
GTEX-XK95-0226-SM-4AT58 40-49 years, male 3.3
GTEX-ZVTK-0226-SM-51MRG 20-29 years, male 3.3
GTEX-1LG7Z-1626-SM-CXKYR 30-39 years, male 3.1
GTEX-1NSGN-0726-SM-DTXEF 50-59 years, male 3.1
GTEX-ZLWG-0826-SM-59888 50-59 years, female 3.0
GTEX-14E6C-2426-SM-5S2NF 40-49 years, male 2.6
GTEX-1IDJE-1426-SM-ADEIW 50-59 years, female 2.2
GTEX-ZUA1-2626-SM-5NQ92 40-49 years, male 2.1
GTEX-ZT9W-1126-SM-57WDR 50-59 years, male 1.9
GTEX-111FC-2526-SM-5GZXU 60-69 years, male 1.2
GTEX-1EH9U-2826-SM-7DUGT 60-69 years, male 1.2
GTEX-ZU9S-1826-SM-5NQ9E 30-39 years, male 1.2
GTEX-YF7O-1526-SM-5IFI6 50-59 years, male 0.9
GTEX-17EVQ-0126-SM-7IGLR 70-79 years, male 0.7
GTEX-1GF9U-2026-SM-7SB92 40-49 years, female 0.6
GTEX-1L5NE-1126-SM-D3L9P 50-59 years, male 0.6
GTEX-13RTJ-0126-SM-5S2NN 60-69 years, male 0.5
GTEX-16GPK-0626-SM-7KFSF 60-69 years, male 0.5
GTEX-1H1ZS-2726-SM-9WG75 70-79 years, male 0.3
GTEX-1AX9J-1326-SM-731BJ 60-69 years, male 0.2
Show allShow less
Skin - Sun Exposed (Lower leg)
Average nTPM: 18.1
Samples: 701

Max nTPM: 93.5
Min nTPM: 0.2
Std nTPM: 13.1
Median nTPM: 15.4
GTEX-13O3P-0126-SM-5KM4S 50-59 years, male 93.5
GTEX-13CF2-2526-SM-5LZYX 60-69 years, male 90.3
GTEX-ZY6K-1826-SM-5GZXK 50-59 years, male 90.0
GTEX-1EMGI-0126-SM-9KNUE 60-69 years, male 71.4
GTEX-1JMQI-2226-SM-CM2SD 50-59 years, male 66.9
GTEX-1M5QR-1226-SM-EWROB 40-49 years, male 66.0
GTEX-145MF-0626-SM-5LUAI 50-59 years, male 63.0
GTEX-ZV68-0126-SM-59HKS 50-59 years, female 62.7
GTEX-YJ89-0126-SM-4TT3X 60-69 years, male 58.5
GTEX-Q2AI-1326-SM-2S1PL 40-49 years, male 57.1
GTEX-QESD-1426-SM-2S1R9 20-29 years, male 56.4
GTEX-1GL5R-1826-SM-9KNUY 50-59 years, male 56.4
GTEX-13FXS-0226-SM-5IJCK 50-59 years, male 54.7
GTEX-1GN2E-0426-SM-9MQKX 60-69 years, male 54.2
GTEX-145LU-0126-SM-5TDCB 50-59 years, male 52.4
GTEX-1NV5F-0226-SM-E8VNY 60-69 years, female 51.2
GTEX-13111-1626-SM-5EGJY 50-59 years, male 51.0
GTEX-1B8SF-1426-SM-7DUGL 60-69 years, male 50.7
GTEX-SJXC-0126-SM-2XCFF 60-69 years, male 50.2
GTEX-1H11D-0226-SM-9WG6Z 40-49 years, male 49.7
GTEX-ZVTK-0426-SM-51MRS 20-29 years, male 49.5
GTEX-YJ8A-0426-SM-5IFID 20-29 years, male 48.8
GTEX-14BIN-0626-SM-793DP 50-59 years, female 48.2
GTEX-1EU9M-0226-SM-7P8SP 60-69 years, male 48.1
GTEX-1EX96-1626-SM-7PBXR 50-59 years, male 48.0
GTEX-OHPL-0126-SM-2HMJ7 60-69 years, female 47.9
GTEX-WVJS-0126-SM-4MVOT 50-59 years, male 47.1
GTEX-1R9PM-2026-SM-E76OY 20-29 years, male 46.2
GTEX-ZC5H-0226-SM-4WAY9 40-49 years, female 45.3
GTEX-13SLW-0126-SM-5SI6C 70-79 years, male 44.4
GTEX-T6MN-0126-SM-32PLP 50-59 years, male 44.4
GTEX-ZF2S-2326-SM-4WWCE 50-59 years, female 44.2
GTEX-ZDYS-2026-SM-5HL5L 50-59 years, male 43.8
GTEX-1MA7X-2226-SM-E6CIY 60-69 years, male 43.8
GTEX-1HCU7-0226-SM-CL545 50-59 years, male 43.4
GTEX-1CAMS-0426-SM-7P8T2 40-49 years, female 43.1
GTEX-13FTW-2626-SM-5K7WL 40-49 years, male 43.0
GTEX-17KNJ-2326-SM-7DHLQ 50-59 years, male 42.4
GTEX-S32W-2126-SM-2XCB1 50-59 years, female 41.5
GTEX-VUSG-2526-SM-4KL1V 50-59 years, male 41.2
GTEX-11DXW-0226-SM-5H122 40-49 years, male 40.9
GTEX-ZYFD-0126-SM-5GIDL 50-59 years, male 40.9
GTEX-17EVP-0326-SM-7DHLG 40-49 years, male 40.8
GTEX-1JJEA-0326-SM-CNPOT 60-69 years, male 40.7
GTEX-1S83E-0126-SM-EWRO4 40-49 years, male 40.3
GTEX-1399R-2726-SM-5IJBA 30-39 years, male 39.7
GTEX-OIZG-0726-SM-33HBL 50-59 years, male 39.5
GTEX-ZTX8-1426-SM-5DUVO 20-29 years, male 39.4
GTEX-1K2DA-1826-SM-CGQGT 50-59 years, male 39.3
GTEX-1RB15-2126-SM-E9TIM 60-69 years, male 39.3
GTEX-14E6E-1826-SM-5S2R7 30-39 years, male 39.1
GTEX-1CB4G-0226-SM-7PC3O 60-69 years, male 39.0
GTEX-1MJK2-0426-SM-DTXE5 50-59 years, male 38.9
GTEX-1497J-2426-SM-7IGNX 60-69 years, male 38.8
GTEX-13NYB-2526-SM-5K7Z6 40-49 years, male 38.2
GTEX-PX3G-0126-SM-2I3EN 20-29 years, female 38.1
GTEX-111FC-0126-SM-5N9DL 60-69 years, male 37.7
GTEX-17JCI-0126-SM-7LG5G 60-69 years, female 37.7
GTEX-1HBPI-1526-SM-C1YQ1 50-59 years, male 37.7
GTEX-1I1GQ-0126-SM-COH3H 50-59 years, male 37.7
GTEX-1QP9N-1426-SM-DTXFL 30-39 years, male 37.7
GTEX-W5WG-1826-SM-4KL2Y 50-59 years, female 36.6
GTEX-12WSN-5019-SM-79OM6 40-49 years, male 36.5
GTEX-1HFI6-0226-SM-ADEHZ 40-49 years, male 36.5
GTEX-W5X1-3026-SM-EAZAX 40-49 years, female 36.5
GTEX-1CB4F-0426-SM-9KNV4 60-69 years, male 36.2
GTEX-1IL2U-0226-SM-CE6T8 60-69 years, male 35.6
GTEX-1LB8K-0226-SM-EWRNW 50-59 years, male 35.6
GTEX-1CB4E-2226-SM-793DC 60-69 years, male 35.3
GTEX-VJYA-1126-SM-3GIJU 60-69 years, male 35.3
GTEX-1S5ZA-0126-SM-EVYCV 20-29 years, male 35.1
GTEX-1F88F-2726-SM-7PBZZ 60-69 years, female 34.9
GTEX-XYKS-2126-SM-4E3IB 60-69 years, female 34.8
GTEX-12WSK-2326-SM-5GCOH 40-49 years, female 34.4
GTEX-ZWKS-0126-SM-5SIAA 30-39 years, male 34.4
GTEX-1LC47-0326-SM-E9TJP 60-69 years, male 34.1
GTEX-139TS-2826-SM-5J1OO 60-69 years, male 34.0
GTEX-Y3IK-2426-SM-4WWDU 50-59 years, female 34.0
GTEX-1JMQJ-0526-SM-CYPSU 50-59 years, male 34.0
GTEX-13OVH-0126-SM-5MR4B 70-79 years, male 33.9
GTEX-TML8-1926-SM-32QOS 40-49 years, female 33.9
GTEX-13FHO-0226-SM-5IFGY 60-69 years, male 33.7
GTEX-14PJM-0226-SM-62LF1 50-59 years, female 33.0
GTEX-1H1E6-1726-SM-ACKVK 30-39 years, male 33.0
GTEX-RU72-0926-SM-2TF6B 50-59 years, female 32.8
GTEX-1PIIG-0226-SM-EWRN6 30-39 years, male 32.7
GTEX-11O72-0126-SM-59887 40-49 years, male 32.4
GTEX-ZF3C-0126-SM-DO92D 50-59 years, female 32.4
GTEX-16NPX-0226-SM-79OMT 50-59 years, male 32.2
GTEX-XUYS-0126-SM-47JWZ 50-59 years, male 32.0
GTEX-1HSKV-0226-SM-A9SKJ 60-69 years, male 31.6
GTEX-1JN76-0126-SM-CNPPE 20-29 years, female 31.6
GTEX-1AX9I-0126-SM-7SB74 60-69 years, male 31.3
GTEX-13FHP-0126-SM-5IJBG 50-59 years, male 30.8
GTEX-1I6K6-0126-SM-A9SLE 30-39 years, male 30.8
GTEX-15EU6-0426-SM-6PAN5 50-59 years, male 30.7
GTEX-13X6H-2126-SM-7EWD5 50-59 years, female 30.6
GTEX-13NYC-0326-SM-E9J4S 60-69 years, male 30.5
GTEX-1F6I4-0126-SM-9MQL2 60-69 years, male 30.5
GTEX-13N2G-2626-SM-5J1OT 60-69 years, male 30.3
GTEX-13X6I-0626-SM-5QGP9 60-69 years, male 30.3
GTEX-17HHY-0126-SM-7LG5D 50-59 years, male 30.3
GTEX-1B8KZ-2026-SM-7DHMB 50-59 years, male 30.3
GTEX-1L5NE-2526-SM-E6CIE 50-59 years, male 30.3
GTEX-11DXZ-2326-SM-5EGGV 50-59 years, male 30.2
GTEX-1211K-2026-SM-5EQ4Z 60-69 years, female 30.2
GTEX-1IDJH-0326-SM-A9SLQ 70-79 years, male 30.2
GTEX-Y5V6-2426-SM-4VDSB 60-69 years, male 30.1
GTEX-1J8JJ-0226-SM-CL53I 60-69 years, female 30.0
GTEX-131XE-2326-SM-5PNZ2 50-59 years, male 29.9
GTEX-14ABY-0226-SM-5TDCQ 50-59 years, male 29.9
GTEX-1OJC3-0126-SM-E76QX 20-29 years, male 29.8
GTEX-Y111-0126-SM-4SOIV 50-59 years, male 29.6
GTEX-RVPV-0126-SM-EAZAW 60-69 years, male 29.4
GTEX-11ZTT-2426-SM-5EQLS 60-69 years, female 29.3
GTEX-S33H-1026-SM-EZ6L6 30-39 years, male 29.3
GTEX-132NY-0326-SM-5IJBL 60-69 years, male 29.1
GTEX-12WSC-0126-SM-5EQ4P 50-59 years, male 29.0
GTEX-YB5E-2026-SM-5IFIS 40-49 years, male 28.9
GTEX-1IKJJ-0126-SM-CNPQB 60-69 years, male 28.9
GTEX-1F6IF-0726-SM-7P8TW 60-69 years, male 28.8
GTEX-14BMV-0126-SM-5S2PO 50-59 years, male 28.7
GTEX-1AX9J-0226-SM-73KXM 60-69 years, male 28.7
GTEX-11WQC-2526-SM-5CVLE 60-69 years, male 28.6
GTEX-X261-0126-SM-3NMD6 50-59 years, male 28.6
GTEX-1B996-0226-SM-7RHGO 60-69 years, male 28.3
GTEX-T2YK-0526-SM-32QPJ 50-59 years, male 28.2
GTEX-15DCD-0126-SM-7KUEK 70-79 years, female 28.0
GTEX-1GMR8-0126-SM-9WYTM 50-59 years, female 27.9
GTEX-S7PM-0126-SM-4AD6S 60-69 years, male 27.8
GTEX-ZYFC-0226-SM-5NQ75 50-59 years, male 27.8
GTEX-1H1CY-2826-SM-9MQM3 60-69 years, female 27.7
GTEX-1BAJH-0526-SM-793CQ 70-79 years, male 27.5
GTEX-QLQ7-1626-SM-2S1R8 60-69 years, male 27.5
GTEX-16AAH-1726-SM-7939C 50-59 years, male 27.3
GTEX-1H23P-0126-SM-ADEJ3 60-69 years, male 27.2
GTEX-131XH-2226-SM-5DUXJ 50-59 years, male 26.7
GTEX-14DAQ-0126-SM-5S2MQ 60-69 years, female 26.6
GTEX-17HG3-2226-SM-7938L 30-39 years, female 26.6
GTEX-14753-0426-SM-5NQAM 60-69 years, male 26.5
GTEX-QV44-1926-SM-2S1RF 50-59 years, male 26.5
GTEX-ZYFG-2326-SM-5E44B 60-69 years, female 26.5
GTEX-1I1GV-0526-SM-A9G29 60-69 years, male 26.5
GTEX-R3RS-0126-SM-3GIJL 40-49 years, female 26.4
GTEX-ZYT6-0226-SM-5NQ6T 30-39 years, male 26.4
GTEX-13X6J-0126-SM-5QGOU 50-59 years, male 26.3
GTEX-OXRN-0126-SM-48TDM 50-59 years, male 26.3
GTEX-18A6Q-0126-SM-731BZ 60-69 years, male 26.2
GTEX-Y5V5-2326-SM-4V6GA 60-69 years, female 26.1
GTEX-14A5H-0426-SM-5QGQF 60-69 years, male 25.9
GTEX-ZAK1-0126-SM-5IJD3 50-59 years, female 25.9
GTEX-145ME-1826-SM-5SI9G 40-49 years, female 25.8
GTEX-17GQL-2026-SM-718BA 60-69 years, male 25.8
GTEX-T5JW-1626-SM-3GADZ 20-29 years, female 25.8
GTEX-18D9A-1926-SM-7LG6P 30-39 years, female 25.7
GTEX-PVOW-0126-SM-2XCFA 40-49 years, male 25.7
GTEX-12584-0126-SM-5EGKQ 40-49 years, male 25.6
GTEX-12696-2426-SM-5EQ6H 60-69 years, male 25.6
GTEX-1C64N-0126-SM-793D7 50-59 years, male 25.6
GTEX-T2IS-0126-SM-4DM6O 20-29 years, female 25.6
GTEX-131XF-5016-SM-7MGWE 60-69 years, male 25.6
GTEX-14PII-0226-SM-6EU1T 60-69 years, male 25.5
GTEX-OOBK-0126-SM-2YUND 40-49 years, male 25.3
GTEX-1I4MK-2226-SM-ACKWD 50-59 years, female 25.2
GTEX-13VXU-0126-SM-5SI9F 50-59 years, male 25.1
GTEX-14PHX-2326-SM-62LEM 50-59 years, male 25.1
GTEX-ZE7O-0126-SM-57WC1 50-59 years, female 25.1
GTEX-1F5PL-0326-SM-7P8PQ 40-49 years, female 25.1
GTEX-11DZ1-0126-SM-5985Q 50-59 years, male 24.8
GTEX-145MI-0526-SM-5O9A8 60-69 years, female 24.6
GTEX-ZDTS-0126-SM-4WAY5 60-69 years, male 24.6
GTEX-1JMPZ-0226-SM-CNPP1 30-39 years, male 24.6
GTEX-13D11-2426-SM-5KM1V 50-59 years, female 24.4
GTEX-13OVL-0226-SM-5L3E9 50-59 years, male 24.4
GTEX-SSA3-0126-SM-32QPU 60-69 years, male 24.4
GTEX-14LZ3-0226-SM-62LET 60-69 years, female 24.3
GTEX-1HCU9-1526-SM-A9SL7 20-29 years, male 24.2
GTEX-11ZTS-0126-SM-5EQ6M 60-69 years, female 24.1
GTEX-183FY-0126-SM-7LT9P 20-29 years, male 24.0
GTEX-1HSGN-0226-SM-CGQFV 40-49 years, female 24.0
GTEX-15UKP-0426-SM-7KUFQ 20-29 years, male 23.8
GTEX-147GR-0526-SM-5S2MY 60-69 years, male 23.6
GTEX-O5YT-0126-SM-48TBW 20-29 years, male 23.6
GTEX-1N2DW-0226-SM-E9TK2 50-59 years, male 23.5
GTEX-15G19-0126-SM-6PANQ 60-69 years, male 23.4
GTEX-1KD4Q-0226-SM-E9TJ9 40-49 years, male 23.4
GTEX-12WSE-0526-SM-793B2 20-29 years, male 23.3
GTEX-1JMLX-0226-SM-CM2RO 50-59 years, male 23.3
GTEX-1KAFJ-2026-SM-CY8ID 50-59 years, male 23.3
GTEX-13SLX-0526-SM-5S2ON 50-59 years, female 23.2
GTEX-XQ3S-1526-SM-4BOOC 20-29 years, male 23.2
GTEX-1OFPY-2426-SM-DTXEJ 60-69 years, male 23.2
GTEX-18D9U-0226-SM-718BP 40-49 years, male 23.1
GTEX-1C6VR-2426-SM-79OLD 60-69 years, male 23.1
GTEX-ZXG5-0126-SM-5GIEU 60-69 years, male 23.0
GTEX-131XW-0426-SM-5LZWP 50-59 years, female 22.6
GTEX-S95S-1226-SM-4GICG 60-69 years, male 22.6
GTEX-1QAET-0926-SM-E76QM 50-59 years, male 22.6
GTEX-17F98-0626-SM-79OMX 40-49 years, female 22.5
GTEX-11TUW-2726-SM-E9J4M 60-69 years, male 22.5
GTEX-YEC4-2126-SM-5IFJH 40-49 years, male 22.3
GTEX-1H3VY-0126-SM-ACKXD 50-59 years, male 22.3
GTEX-13U4I-0126-SM-5LU38 40-49 years, female 22.2
GTEX-18A66-0226-SM-718BD 60-69 years, male 22.2
GTEX-1O97I-0326-SM-EYYX7 60-69 years, male 22.2
GTEX-WYJK-0126-SM-3NMAB 50-59 years, male 22.0
GTEX-1GZHY-0326-SM-9QEHI 50-59 years, female 22.0
GTEX-1E1VI-0126-SM-7DHMZ 50-59 years, male 21.9
GTEX-1313W-0126-SM-5LZUN 50-59 years, female 21.8
GTEX-12KS4-0326-SM-5EQ41 30-39 years, male 21.7
GTEX-1C475-1826-SM-73KWA 40-49 years, female 21.7
GTEX-RWSA-0126-SM-2XCBB 40-49 years, male 21.7
GTEX-1IDJF-0126-SM-CM2RS 20-29 years, male 21.7
GTEX-1RDX4-0126-SM-E9J4P 50-59 years, female 21.7
GTEX-X4XX-0126-SM-3NMC2 60-69 years, male 21.6
GTEX-1K9T9-0126-SM-EVYCF 50-59 years, female 21.6
GTEX-X88G-0126-SM-47JZ3 30-39 years, male 21.5
GTEX-1GF9V-0326-SM-7RHI5 60-69 years, male 21.5
GTEX-145LS-0126-SM-5QGP1 60-69 years, female 21.4
GTEX-1B8L1-2526-SM-9WYTF 60-69 years, male 21.3
GTEX-1HT8W-0126-SM-CNPPP 30-39 years, male 21.3
GTEX-13S7M-0126-SM-5SI6A 60-69 years, female 21.2
GTEX-XMD2-0126-SM-4YCDU 60-69 years, female 21.1
GTEX-13JUV-2726-SM-5LZZ8 40-49 years, female 21.0
GTEX-NPJ8-0126-SM-2YUNR 40-49 years, male 21.0
GTEX-1S3DN-2226-SM-EVYCD 50-59 years, male 21.0
GTEX-144GL-0126-SM-5TDE2 50-59 years, male 20.7
GTEX-14A5I-0126-SM-5TDEA 50-59 years, female 20.7
GTEX-1128S-2326-SM-5GZZY 60-69 years, female 20.6
GTEX-WZTO-0126-SM-3NM95 40-49 years, male 20.6
GTEX-ZE9C-2726-SM-57WB5 60-69 years, male 20.6
GTEX-11EI6-0126-SM-5985R 60-69 years, male 20.5
GTEX-WFG8-2226-SM-3GIL9 20-29 years, male 20.5
GTEX-ZVZO-0126-SM-5A5L9 40-49 years, male 20.5
GTEX-1JKYR-0126-SM-CNPOJ 20-29 years, male 20.5
GTEX-1RQEC-0426-SM-E6CHU 60-69 years, male 20.5
GTEX-OOBJ-0126-SM-E6CJW 60-69 years, male 20.4
GTEX-1IOXB-0126-SM-ARL8G 50-59 years, male 20.3
GTEX-1JN6P-0126-SM-D3L98 60-69 years, male 20.3
GTEX-1KXAM-2226-SM-CYPTC 60-69 years, male 20.3
GTEX-1J1OQ-0226-SM-CYPSH 40-49 years, female 20.1
GTEX-ZVE2-0226-SM-59HJB 50-59 years, male 20.0
GTEX-1GF9X-2026-SM-7PC3A 40-49 years, female 20.0
GTEX-139UW-2826-SM-5L3E7 60-69 years, male 19.9
GTEX-OIZH-0126-SM-2HMIS 50-59 years, male 19.9
GTEX-Y8DK-0126-SM-4TT3L 60-69 years, male 19.9
GTEX-1CAV2-2226-SM-7P8P2 40-49 years, female 19.8
GTEX-1GPI6-0126-SM-9WG69 60-69 years, male 19.8
GTEX-SIU8-0126-SM-2XCDT 50-59 years, male 19.7
GTEX-XUZC-1726-SM-4BRWS 30-39 years, female 19.7
GTEX-ZVT2-2526-SM-51MT1 50-59 years, female 19.7
GTEX-1QP66-1726-SM-E8VO1 50-59 years, male 19.7
GTEX-11WQK-0526-SM-5EQLD 50-59 years, male 19.6
GTEX-1GN73-0226-SM-9WG67 60-69 years, male 19.6
GTEX-18A7A-0226-SM-718BH 50-59 years, female 19.5
GTEX-16XZY-2126-SM-79OK1 70-79 years, male 19.4
GTEX-1GZ2Q-0226-SM-7P8TL 40-49 years, male 19.4
GTEX-11ZVC-2526-SM-5FQTE 50-59 years, female 19.3
GTEX-1A3MX-0126-SM-731BR 60-69 years, male 19.3
GTEX-ZVZP-2426-SM-59HKJ 50-59 years, male 19.3
GTEX-1ICLY-0126-SM-D4P36 50-59 years, male 19.3
GTEX-17HGU-0226-SM-7DHKV 50-59 years, male 19.2
GTEX-1HBPN-0226-SM-9YFM1 50-59 years, male 19.0
GTEX-13OVK-2026-SM-7KUEO 40-49 years, male 18.9
GTEX-1I1GR-0126-SM-CL55F 60-69 years, male 18.8
GTEX-145LT-1726-SM-5QGP3 40-49 years, male 18.7
GTEX-Y5LM-1926-SM-5RQJH 40-49 years, female 18.7
GTEX-XXEK-2226-SM-4BRUM 50-59 years, male 18.6
GTEX-1F5PK-2426-SM-7RHHY 50-59 years, male 18.6
GTEX-1192X-0226-SM-5H12D 50-59 years, male 18.5
GTEX-1HB9E-0226-SM-E9U4R 50-59 years, male 18.5
GTEX-11P82-1626-SM-59879 20-29 years, male 18.4
GTEX-13112-2826-SM-5DUWH 50-59 years, male 18.4
GTEX-14PHW-0126-SM-6LLJI 60-69 years, female 18.4
GTEX-1KANC-1526-SM-D3LAB 50-59 years, female 18.4
GTEX-ZAB5-1826-SM-5HL7C 50-59 years, male 18.3
GTEX-1HFI7-1826-SM-ACKXH 50-59 years, female 18.3
GTEX-13113-5016-SM-7EPIP 60-69 years, female 18.2
GTEX-17MFQ-1726-SM-793C7 20-29 years, male 18.2
GTEX-1AYD5-2426-SM-73KXR 50-59 years, male 18.2
GTEX-1KANB-0526-SM-E6CJH 50-59 years, male 18.1
GTEX-U8XE-0326-SM-3DB8P 30-39 years, male 18.0
GTEX-13OW7-0126-SM-5MR3B 50-59 years, male 17.9
GTEX-16YQH-0126-SM-7DUFJ 30-39 years, male 17.9
GTEX-1HCUA-2426-SM-ADEIS 50-59 years, female 17.9
GTEX-12ZZY-0226-SM-5LZVE 60-69 years, male 17.8
GTEX-Y3I4-2126-SM-4TT7C 50-59 years, male 17.8
GTEX-11NSD-2226-SM-5986V 20-29 years, male 17.7
GTEX-1LG7Z-1726-SM-D3LA4 30-39 years, male 17.7
GTEX-17MF6-0126-SM-7LG4F 40-49 years, male 17.6
GTEX-1PDJ9-0326-SM-DTX95 20-29 years, male 17.6
GTEX-13YAN-0326-SM-5O9DF 60-69 years, male 17.5
GTEX-1GMR3-1926-SM-9KNUZ 40-49 years, male 17.5
GTEX-1HGF4-2426-SM-ACKXM 60-69 years, male 17.4
GTEX-1212Z-2526-SM-5EGKP 60-69 years, male 17.3
GTEX-1PPH8-0226-SM-E8VND 20-29 years, male 17.3
GTEX-12WSJ-1826-SM-5GCNY 40-49 years, female 17.2
GTEX-X638-0126-SM-47JZ8 70-79 years, female 17.2
GTEX-1R7EU-0226-SM-EVR4G 60-69 years, male 17.2
GTEX-12126-0326-SM-5PNW3 20-29 years, male 17.1
GTEX-ZVT3-0126-SM-5GU6I 60-69 years, female 17.1
GTEX-1LGRB-2526-SM-CNPPQ 50-59 years, female 17.1
GTEX-11NUK-0126-SM-5A5L3 50-59 years, male 17.0
GTEX-13N1W-0126-SM-5K7VT 70-79 years, male 17.0
GTEX-139D8-0226-SM-5KLZO 30-39 years, female 16.9
GTEX-14BMU-2226-SM-5TDE9 20-29 years, female 16.9
GTEX-Y8E4-0626-SM-4WWDL 40-49 years, male 16.9
GTEX-ZTSS-1926-SM-57WEW 40-49 years, male 16.9
GTEX-WFON-2126-SM-3LK7O 40-49 years, male 16.8
GTEX-1F6RS-0126-SM-9MQKZ 60-69 years, female 16.8
GTEX-11UD2-0226-SM-5EQKY 50-59 years, male 16.7
GTEX-11XUK-2026-SM-5EQLF 40-49 years, female 16.7
GTEX-ZTPG-0326-SM-5O9AX 20-29 years, female 16.6
GTEX-11DYG-0126-SM-59883 60-69 years, male 16.5
GTEX-1CB4I-0226-SM-79OLH 50-59 years, male 16.5
GTEX-YFC4-0126-SM-5CVLY 40-49 years, female 16.5
GTEX-117XS-2726-SM-5N9BL 60-69 years, male 16.4
GTEX-18D9B-0526-SM-7LTAS 60-69 years, male 16.4
GTEX-1C2JI-1826-SM-73KXC 50-59 years, male 16.4
GTEX-U3ZH-2026-SM-3DB78 30-39 years, male 16.4
GTEX-1H3O1-0426-SM-9YFKY 60-69 years, male 16.4
GTEX-1S82Z-0826-SM-E6CHY 30-39 years, female 16.4
GTEX-15DYW-0126-SM-7KULE 60-69 years, female 16.3
GTEX-P44H-0226-SM-2XCEU 40-49 years, male 16.3
GTEX-1IY9M-0126-SM-D3L8S 60-69 years, male 16.3
GTEX-13G51-2526-SM-5LZYK 60-69 years, male 16.2
GTEX-13QJ3-0326-SM-5S2RA 50-59 years, male 16.2
GTEX-14E6D-0126-SM-62LDV 50-59 years, male 16.2
GTEX-18465-0126-SM-731BN 50-59 years, male 16.2
GTEX-18A67-0126-SM-7LG5P 50-59 years, male 16.2
GTEX-1HBPM-0226-SM-ARL9F 60-69 years, female 16.2
GTEX-1POEN-0126-SM-EYYXJ 30-39 years, female 16.2
GTEX-1GN1U-0126-SM-7PBZK 50-59 years, female 16.1
GTEX-1JMQL-0226-SM-CNPP5 50-59 years, female 16.1
GTEX-16XZZ-0126-SM-793DV 60-69 years, male 16.0
GTEX-17F97-0326-SM-7LG5B 50-59 years, male 16.0
GTEX-ZZ64-1726-SM-5GZYB 20-29 years, male 16.0
GTEX-1J8EW-0126-SM-CJI4F 60-69 years, female 16.0
GTEX-1B8KE-2126-SM-73KYX 50-59 years, male 15.9
GTEX-VJWN-0126-SM-3GIK7 50-59 years, female 15.9
GTEX-XBEW-0626-SM-4QASP 40-49 years, male 15.9
GTEX-ZDTT-2726-SM-4WKF8 60-69 years, male 15.9
GTEX-12WSL-2526-SM-5GCNJ 50-59 years, male 15.8
GTEX-QEG4-0226-SM-2S1PY 30-39 years, male 15.8
GTEX-TKQ1-1026-SM-4GICL 30-39 years, male 15.8
GTEX-1EWIQ-0126-SM-7RHH2 70-79 years, female 15.8
GTEX-S7SE-0126-SM-2XCD5 50-59 years, male 15.6
GTEX-14JG6-2226-SM-6EU2G 30-39 years, female 15.4
GTEX-R55G-2526-SM-2TC6D 40-49 years, female 15.4
GTEX-ZUA1-0126-SM-5GU76 40-49 years, male 15.4
GTEX-13OW5-0126-SM-DTXFS 60-69 years, male 15.4
GTEX-13W46-0226-SM-5SIAG 50-59 years, male 15.3
GTEX-113JC-2326-SM-5EQ4E 50-59 years, female 15.2
GTEX-15ER7-0326-SM-7KUEV 20-29 years, female 15.2
GTEX-Q2AG-0126-SM-33HBV 40-49 years, female 15.2
GTEX-1399T-2826-SM-5KLYZ 60-69 years, male 15.1
GTEX-15RIG-0226-SM-7KFTL 40-49 years, male 15.1
GTEX-16GPK-0126-SM-7DHLE 60-69 years, male 15.1
GTEX-ZEX8-2426-SM-4WKG4 50-59 years, male 15.0
GTEX-1H4P4-0726-SM-9YFLR 50-59 years, male 15.0
GTEX-1HKZK-0326-SM-9WYUH 40-49 years, male 15.0
GTEX-X4EO-0326-SM-3P5YO 60-69 years, female 14.9
GTEX-1IL2V-0126-SM-CM2TX 70-79 years, male 14.9
GTEX-14A6H-0126-SM-5QGPK 30-39 years, male 14.8
GTEX-15SB6-1726-SM-6PAME 50-59 years, female 14.8
GTEX-1CAMQ-0226-SM-7IGPK 40-49 years, male 14.5
GTEX-1C6WA-0126-SM-7PC2B 60-69 years, male 14.5
GTEX-16NGA-1726-SM-731B4 40-49 years, female 14.4
GTEX-UJHI-1526-SM-3DB99 50-59 years, female 14.3
GTEX-1HR98-0126-SM-B2LWI 60-69 years, male 14.3
GTEX-1MCQQ-0826-SM-DLHC2 60-69 years, male 14.3
GTEX-11P81-2326-SM-59875 30-39 years, female 14.2
GTEX-12C56-1726-SM-5EQ61 20-29 years, male 14.2
GTEX-1IKK5-0626-SM-ARL8A 60-69 years, male 14.2
GTEX-V1D1-2226-SM-3NMAX 50-59 years, male 14.1
GTEX-1GMRU-0126-SM-9YFLV 50-59 years, male 14.0
GTEX-1IDFM-0126-SM-COH2V 60-69 years, male 14.0
GTEX-ZPIC-1726-SM-DHXIU 40-49 years, female 14.0
GTEX-12ZZZ-0626-SM-5DUXI 60-69 years, male 13.9
GTEX-QVJO-1626-SM-2S1QW 60-69 years, female 13.9
GTEX-RM2N-1426-SM-2TF4H 50-59 years, male 13.9
GTEX-SNMC-1226-SM-2XCFP 20-29 years, male 13.9
GTEX-12ZZX-0126-SM-5EGK9 40-49 years, female 13.8
GTEX-PLZ5-2026-SM-2S1O4 50-59 years, male 13.8
GTEX-1KD5A-0226-SM-D5OV3 50-59 years, male 13.8
GTEX-1314G-1526-SM-5EGK2 30-39 years, male 13.7
GTEX-1JKYN-1326-SM-CGQG9 30-39 years, male 13.7
GTEX-1269C-2526-SM-5EGJ3 60-69 years, female 13.6
GTEX-ZDXO-3026-SM-5J1N5 60-69 years, male 13.6
GTEX-11OC5-0126-SM-5HL6A 60-69 years, male 13.5
GTEX-1QEPI-0126-SM-EWRMQ 60-69 years, female 13.5
GTEX-17EUY-0426-SM-793BD 20-29 years, male 13.4
GTEX-1F75B-0126-SM-9KNVL 50-59 years, male 13.4
GTEX-13OVG-1926-SM-5L3DK 60-69 years, male 13.3
GTEX-1HCU8-0626-SM-A9SM9 60-69 years, female 13.3
GTEX-1B8SG-0126-SM-73KZ3 50-59 years, male 13.2
GTEX-1E2YA-0126-SM-9KNUC 50-59 years, male 13.2
GTEX-1LSNM-1926-SM-E6CII 50-59 years, male 13.2
GTEX-131YS-0126-SM-5KM1M 60-69 years, female 13.1
GTEX-1LBAC-0126-SM-DIPEZ 20-29 years, male 13.0
GTEX-133LE-1826-SM-5J1MV 20-29 years, female 12.9
GTEX-146FQ-0126-SM-5NQA9 30-39 years, male 12.9
GTEX-1GF9W-0326-SM-9KNUN 60-69 years, male 12.9
GTEX-13NYS-0126-SM-5MR3W 60-69 years, male 12.8
GTEX-13OW8-1326-SM-5J1OW 60-69 years, male 12.8
GTEX-146FH-0126-SM-5QGPP 50-59 years, female 12.8
GTEX-1H1DE-2126-SM-9WG6R 20-29 years, male 12.8
GTEX-1S82Y-2026-SM-EVYCM 40-49 years, male 12.8
GTEX-QDVN-2026-SM-3GAEP 50-59 years, male 12.7
GTEX-OIZF-0126-SM-7SB8I 60-69 years, male 12.7
GTEX-1AX9K-2326-SM-73KWU 50-59 years, male 12.6
GTEX-1I1GU-2226-SM-CGQFA 40-49 years, male 12.6
GTEX-1R46S-0626-SM-E9J41 60-69 years, female 12.6
GTEX-11TT1-2526-SM-5EGIB 20-29 years, male 12.5
GTEX-1GPI7-0126-SM-9MQL8 20-29 years, male 12.5
GTEX-ZVT4-0126-SM-DTXFN 50-59 years, female 12.5
GTEX-1F48J-0126-SM-7P8TT 50-59 years, female 12.4
GTEX-1QPFJ-0226-SM-E76PB 30-39 years, female 12.4
GTEX-1A3MV-1926-SM-718BT 30-39 years, male 12.2
GTEX-148VI-1626-SM-5SI6E 60-69 years, female 12.1
GTEX-XV7Q-2526-SM-4BRV9 40-49 years, female 12.1
GTEX-1QMI2-0226-SM-EVYBX 60-69 years, male 12.1
GTEX-14PN3-2426-SM-6LLHS 60-69 years, female 12.0
GTEX-QDVJ-1726-SM-2I5FX 50-59 years, male 12.0
GTEX-113IC-0126-SM-5HL6T 60-69 years, male 11.9
GTEX-11LCK-1026-SM-5A5KB 30-39 years, male 11.9
GTEX-14JG1-0426-SM-6ETZZ 40-49 years, male 11.9
GTEX-1122O-2126-SM-5EGIR 60-69 years, female 11.8
GTEX-1399U-2326-SM-5K7WY 50-59 years, female 11.8
GTEX-15D1Q-0126-SM-7KUG6 40-49 years, male 11.8
GTEX-1F7RK-0126-SM-7PC2S 20-29 years, female 11.7
GTEX-U412-0426-SM-3DB9O 60-69 years, male 11.6
GTEX-WQUQ-0426-SM-3MJFU 60-69 years, male 11.6
GTEX-1A8FM-0226-SM-7SB7Q 50-59 years, female 11.6
GTEX-1HSMP-0126-SM-E6CJS 70-79 years, male 11.5
GTEX-1IKOH-0226-SM-COH4E 60-69 years, female 11.5
GTEX-1MA7W-2026-SM-E9TJ6 20-29 years, female 11.5
GTEX-13RTL-0126-SM-7LG5S 40-49 years, male 11.4
GTEX-OXRP-0126-SM-3NB32 60-69 years, female 11.4
GTEX-T8EM-1026-SM-3DB7M 40-49 years, male 11.4
GTEX-1PIGE-0126-SM-EVYBJ 20-29 years, male 11.4
GTEX-12WSD-0126-SM-59HKN 60-69 years, female 11.3
GTEX-13NZB-2526-SM-5J1OM 30-39 years, male 11.3
GTEX-P4QT-0126-SM-2I3FL 50-59 years, female 11.3
GTEX-11GS4-2726-SM-5A5LE 60-69 years, male 11.2
GTEX-13FTY-0526-SM-5L3EV 40-49 years, female 11.2
GTEX-TMZS-0126-SM-3DB9Q 60-69 years, male 11.2
GTEX-X4XY-0226-SM-4E3IZ 60-69 years, male 11.2
GTEX-1EKGG-0226-SM-9WYTH 60-69 years, male 11.1
GTEX-ZQG8-1626-SM-DHXIT 60-69 years, female 11.1
GTEX-1IGQW-0126-SM-COH42 60-69 years, male 11.0
GTEX-1JMOU-1526-SM-CL54I 60-69 years, female 11.0
GTEX-1LGOU-2026-SM-DIPFF 20-29 years, female 11.0
GTEX-14E7W-0126-SM-6LLJ9 70-79 years, male 10.9
GTEX-14PN4-0126-SM-6EU2V 50-59 years, male 10.9
GTEX-13NZA-0226-SM-5K7Z7 60-69 years, male 10.8
GTEX-15SHW-0326-SM-6PAML 60-69 years, male 10.8
GTEX-YB5K-2126-SM-4WWDJ 40-49 years, female 10.8
GTEX-1HUB1-0426-SM-E9U4U 60-69 years, male 10.8
GTEX-11VI4-1726-SM-5CVLH 40-49 years, female 10.7
GTEX-15F5U-1526-SM-6PANO 40-49 years, male 10.7
GTEX-X8HC-0126-SM-4E3JW 50-59 years, female 10.7
GTEX-1I19N-0326-SM-ACKVX 70-79 years, male 10.7
GTEX-1LG7Y-0526-SM-DKPQC 50-59 years, male 10.7
GTEX-1RAZA-0126-SM-E6CI3 20-29 years, male 10.7
GTEX-PW2O-1526-SM-7RHHB 20-29 years, male 10.6
GTEX-PLZ4-0126-SM-5SI8O 50-59 years, female 10.5
GTEX-QLQW-1126-SM-2S1Q8 30-39 years, male 10.5
GTEX-Y8LW-1826-SM-5S2MV 50-59 years, female 10.5
GTEX-1H2FU-0126-SM-9WYSI 60-69 years, female 10.5
GTEX-1QCLY-0326-SM-E8VOG 30-39 years, male 10.5
GTEX-1A32A-0126-SM-718B1 50-59 years, female 10.4
GTEX-OXRL-0126-SM-2YUMP 50-59 years, male 10.4
GTEX-T5JC-0426-SM-32PLO 20-29 years, male 10.4
GTEX-1QP2A-0126-SM-E9J43 50-59 years, male 10.4
GTEX-1R7EV-2426-SM-EVYBG 40-49 years, male 10.4
GTEX-PLZ6-1426-SM-DKPOT 30-39 years, male 10.4
GTEX-ZV6S-2326-SM-4YCEY 40-49 years, female 10.3
GTEX-XAJ8-0826-SM-47JY6 40-49 years, male 10.2
GTEX-13FH7-2026-SM-E9J4I 50-59 years, female 10.2
GTEX-RTLS-0126-SM-447CA 60-69 years, female 10.1
GTEX-Y114-2426-SM-4TT8A 50-59 years, female 10.1
GTEX-RNOR-0126-SM-E9J4R 50-59 years, female 10.1
GTEX-11OF3-2626-SM-5GU7F 60-69 years, male 10.0
GTEX-13OVI-1426-SM-5L3EY 60-69 years, female 10.0
GTEX-13PVR-2326-SM-5QGR1 60-69 years, female 10.0
GTEX-15ETS-0126-SM-7KUMW 40-49 years, female 10.0
GTEX-1MUQO-0126-SM-EAZ58 60-69 years, male 10.0
GTEX-14PK6-1926-SM-6ETZU 70-79 years, female 9.8
GTEX-1A3MW-0126-SM-73KXX 60-69 years, female 9.8
GTEX-1PWST-0226-SM-E76QJ 70-79 years, male 9.8
GTEX-13CF3-2426-SM-5IFGX 60-69 years, female 9.7
GTEX-1C6VS-0526-SM-7DUEN 60-69 years, male 9.7
GTEX-XBED-2226-SM-47JYQ 60-69 years, male 9.7
GTEX-1J8Q3-1626-SM-CMKGC 60-69 years, male 9.7
GTEX-117YW-2626-SM-5GZZH 50-59 years, male 9.6
GTEX-Z9EW-1626-SM-5CVMN 40-49 years, male 9.6
GTEX-1IE54-0126-SM-CMKHW 40-49 years, female 9.6
GTEX-Q734-1926-SM-2I5EV 40-49 years, female 9.5
GTEX-WY7C-2326-SM-3NB2U 50-59 years, male 9.5
GTEX-PSDG-0226-SM-DKPOZ 50-59 years, male 9.5
GTEX-117YX-2326-SM-5H12W 50-59 years, male 9.4
GTEX-T6MO-1626-SM-32QOM 40-49 years, female 9.4
GTEX-11EQ9-2426-SM-5HL5T 30-39 years, male 9.3
GTEX-13OW6-0426-SM-5L3HM 50-59 years, male 9.3
GTEX-1HSMQ-1226-SM-CGQFX 50-59 years, male 9.3
GTEX-1I1CD-0126-SM-CM2TK 60-69 years, female 9.3
GTEX-13OVJ-0126-SM-5KM36 50-59 years, female 9.2
GTEX-144FL-0126-SM-5TDC8 50-59 years, male 9.2
GTEX-Z93S-0126-SM-5HL7M 50-59 years, male 9.2
GTEX-1J8QM-2126-SM-CYPSJ 60-69 years, female 9.2
GTEX-1JMPY-1326-SM-ARL8Y 30-39 years, male 9.2
GTEX-1M4P7-0226-SM-DIPEV 60-69 years, male 9.2
GTEX-139TU-0126-SM-5K7WH 60-69 years, male 9.1
GTEX-ZZPT-0226-SM-5E43X 50-59 years, male 9.1
GTEX-1B933-0126-SM-7PC29 50-59 years, female 9.1
GTEX-1J1R8-1726-SM-ARL8M 40-49 years, male 9.1
GTEX-1KWVE-1426-SM-E9TJO 30-39 years, male 9.1
GTEX-11DXY-2626-SM-5GIE7 60-69 years, male 9.0
GTEX-TSE9-0126-SM-3DB83 60-69 years, female 9.0
GTEX-1CB4H-0226-SM-7PBXM 60-69 years, female 9.0
GTEX-1I1HK-0126-SM-COH49 60-69 years, male 9.0
GTEX-11GSO-2426-SM-5A5LY 60-69 years, male 8.8
GTEX-11ZU8-2526-SM-5EQKI 60-69 years, male 8.8
GTEX-111VG-2426-SM-5GZXD 60-69 years, male 8.6
GTEX-1LH75-2426-SM-E9TJE 50-59 years, female 8.6
GTEX-RN64-0126-SM-2TC68 50-59 years, male 8.5
GTEX-X585-0226-SM-4QAS2 50-59 years, male 8.5
GTEX-147F4-0226-SM-5QGPW 50-59 years, male 8.4
GTEX-14PJ6-2126-SM-6EU1V 60-69 years, female 8.4
GTEX-OHPM-0126-SM-2YUN9 50-59 years, male 8.4
GTEX-13RTK-1426-SM-5QGQJ 20-29 years, male 8.3
GTEX-14DAR-2026-SM-5S2O3 50-59 years, male 8.3
GTEX-PWO3-1526-SM-48TCM 60-69 years, female 8.3
GTEX-X5EB-2226-SM-46MW4 40-49 years, male 8.3
GTEX-1H3VE-0326-SM-9YFLH 40-49 years, male 8.3
GTEX-1J8Q2-0526-SM-CM2RW 60-69 years, male 8.3
GTEX-1LVAN-0226-SM-COH3S 50-59 years, female 8.3
GTEX-Q2AH-1626-SM-3GAF8 40-49 years, male 8.2
GTEX-SUCS-1926-SM-32PM3 70-79 years, male 8.2
GTEX-WRHK-1426-SM-3MJF9 20-29 years, female 8.2
GTEX-1GN1V-0126-SM-9WPOS 60-69 years, male 8.2
GTEX-1H1DG-0126-SM-9WYU2 70-79 years, male 8.2
GTEX-1H3NZ-0126-SM-ACKX7 60-69 years, male 8.2
GTEX-1I1GP-2226-SM-CGQFK 50-59 years, male 8.2
GTEX-13O1R-0126-SM-5L3EH 60-69 years, male 8.1
GTEX-1B97I-1626-SM-73KYO 40-49 years, male 8.1
GTEX-1F75I-0326-SM-9YFLU 40-49 years, male 8.1
GTEX-1192W-2626-SM-5Q5AF 60-69 years, male 8.0
GTEX-15SDE-2226-SM-7IGLO 50-59 years, female 8.0
GTEX-WI4N-1026-SM-3LK7N 40-49 years, female 8.0
GTEX-1HCU6-0126-SM-CL54K 60-69 years, female 8.0
GTEX-1ICG6-2526-SM-CGQFZ 70-79 years, female 8.0
GTEX-11EM3-2426-SM-59861 20-29 years, female 7.9
GTEX-13W3W-2426-SM-5LU5B 60-69 years, female 7.9
GTEX-1C4CL-0526-SM-73KVK 30-39 years, male 7.9
GTEX-1I1GT-0626-SM-CGQER 60-69 years, female 7.8
GTEX-1LNCM-1126-SM-E9U5E 50-59 years, female 7.8
GTEX-ZF29-2326-SM-DO92K 60-69 years, female 7.8
GTEX-14LLW-0126-SM-6LLIO 70-79 years, female 7.7
GTEX-18A7B-0126-SM-7LG64 70-79 years, male 7.7
GTEX-1AMEY-1326-SM-73KYK 30-39 years, female 7.7
GTEX-NFK9-0226-SM-2HMKQ 40-49 years, male 7.7
GTEX-1JK1U-2026-SM-CM2RZ 60-69 years, male 7.7
GTEX-1GF9U-2126-SM-7SB7L 40-49 years, female 7.6
GTEX-139T8-0126-SM-5K7XZ 60-69 years, male 7.5
GTEX-1AMFI-2026-SM-731BH 50-59 years, female 7.5
GTEX-13O21-1426-SM-5K7XI 50-59 years, male 7.4
GTEX-183WM-0126-SM-7LTAB 70-79 years, female 7.4
GTEX-1KANA-0726-SM-D3L9I 20-29 years, male 7.4
GTEX-1AX8Z-0126-SM-7DHM6 60-69 years, male 7.3
GTEX-ZXES-1826-SM-5E43S 30-39 years, female 7.3
GTEX-1GTWX-0126-SM-9YFLK 60-69 years, male 7.3
GTEX-15SHU-0126-SM-7KUEH 40-49 years, female 7.2
GTEX-SN8G-0126-SM-32PLI 50-59 years, female 7.2
GTEX-ZYY3-0126-SM-5GZY5 60-69 years, female 7.2
GTEX-148VJ-0126-SM-5TDDN 70-79 years, male 7.1
GTEX-1C6VQ-0126-SM-7P8RI 50-59 years, male 7.1
GTEX-13N11-2526-SM-5K7UE 50-59 years, female 7.0
GTEX-147F3-0526-SM-5SI98 50-59 years, female 7.0
GTEX-U3ZN-2326-SM-3DB7W 30-39 years, female 7.0
GTEX-11DXX-2426-SM-5GZZW 60-69 years, female 6.9
GTEX-XQ8I-0426-SM-4BOPO 50-59 years, male 6.9
GTEX-ZQUD-1426-SM-57WER 30-39 years, male 6.9
GTEX-15UF6-0826-SM-6PALJ 70-79 years, female 6.8
GTEX-1ICLZ-0126-SM-CKZPO 60-69 years, male 6.8
GTEX-15DDE-0126-SM-6LPKH 50-59 years, female 6.7
GTEX-X4EP-0126-SM-3P5YV 60-69 years, female 6.7
GTEX-Z93T-0126-SM-5HL5N 50-59 years, male 6.7
GTEX-1F52S-0126-SM-9MQJU 60-69 years, female 6.6
GTEX-1PFEY-1526-SM-E76PP 30-39 years, male 6.6
GTEX-16BQI-0226-SM-7KUEX 30-39 years, female 6.5
GTEX-RWS6-2026-SM-2XCB5 60-69 years, female 6.5
GTEX-14ICK-0226-SM-6EU25 40-49 years, male 6.4
GTEX-XUW1-0426-SM-4BOOT 50-59 years, female 6.4
GTEX-17EVQ-0226-SM-7LG4P 70-79 years, male 6.3
GTEX-OXRK-0226-SM-3NB2G 50-59 years, female 6.3
GTEX-1QP29-0626-SM-EWRMX 50-59 years, male 6.3
GTEX-11GSP-2526-SM-5N9BP 60-69 years, female 6.2
GTEX-1I1GS-0126-SM-B2LVW 60-69 years, male 6.2
GTEX-14PJ3-1826-SM-62LEX 50-59 years, male 6.1
GTEX-11UD1-0126-SM-5PNYG 40-49 years, female 6.0
GTEX-P4PQ-0126-SM-2S1NM 60-69 years, male 6.0
GTEX-1GZ4H-1726-SM-7PBZJ 50-59 years, female 6.0
GTEX-145MN-2226-SM-5SIAU 30-39 years, male 5.9
GTEX-1NHNU-1026-SM-E9J2A 50-59 years, male 5.9
GTEX-11EMC-2926-SM-5EQ4F 60-69 years, female 5.8
GTEX-13PDP-0126-SM-5L3HD 60-69 years, male 5.8
GTEX-13O3O-0126-SM-E9J49 60-69 years, female 5.8
GTEX-14BIL-0126-SM-5SI92 50-59 years, male 5.7
GTEX-WXYG-2326-SM-4E3I6 50-59 years, female 5.7
GTEX-13O3Q-2426-SM-5IJBR 50-59 years, male 5.6
GTEX-O5YW-0126-SM-3LK6D 50-59 years, male 5.6
GTEX-QDT8-0126-SM-48TZ1 30-39 years, female 5.6
GTEX-1EN7A-0126-SM-7SB81 40-49 years, male 5.6
GTEX-139TT-0126-SM-5K7Y5 60-69 years, male 5.5
GTEX-13FTX-1826-SM-5J1NX 20-29 years, female 5.5
GTEX-1JJ6O-0126-SM-E6CI8 60-69 years, male 5.5
GTEX-1N2DV-0226-SM-E6CJ6 40-49 years, male 5.5
GTEX-15CHC-2126-SM-6EU21 60-69 years, female 5.4
GTEX-R55E-0126-SM-2TC5Y 20-29 years, male 5.4
GTEX-RUSQ-1526-SM-2TF62 50-59 years, male 5.3
GTEX-XPVG-2626-SM-4B669 50-59 years, male 5.3
GTEX-1HSEH-0126-SM-ACKXN 60-69 years, male 5.3
GTEX-1R9K4-0126-SM-DTX9X 60-69 years, male 5.3
GTEX-ZGAY-0526-SM-4WWBB 40-49 years, female 5.2
GTEX-1F75A-0126-SM-7RHGM 50-59 years, male 5.1
GTEX-1K2DU-2326-SM-E9TIV 20-29 years, male 5.1
GTEX-PWCY-1826-SM-DHXIZ 20-29 years, female 5.1
GTEX-17HHE-2026-SM-79OKF 50-59 years, male 5.0
GTEX-1CB4J-0626-SM-7DHMP 60-69 years, male 5.0
GTEX-WYVS-2126-SM-3NMA3 40-49 years, female 5.0
GTEX-1GN1W-0526-SM-9MQJQ 50-59 years, female 5.0
GTEX-13NZ8-0826-SM-5MR3I 60-69 years, female 4.9
GTEX-TMMY-0226-SM-33HBA 40-49 years, female 4.9
GTEX-13IVO-0126-SM-5J1NG 70-79 years, male 4.8
GTEX-1AYCT-2426-SM-7IGQ3 50-59 years, male 4.8
GTEX-QCQG-1726-SM-3GIJ9 50-59 years, female 4.8
GTEX-ZF28-0126-SM-4WKGK 60-69 years, male 4.8
GTEX-1C64O-0126-SM-7SB8P 60-69 years, male 4.8
GTEX-1CAMR-1926-SM-7EPI2 20-29 years, male 4.7
GTEX-ZU9S-0226-SM-5E441 30-39 years, male 4.7
GTEX-1IDJU-2626-SM-CM2RT 60-69 years, female 4.6
GTEX-139T4-0226-SM-5HL5S 50-59 years, female 4.5
GTEX-14C5O-0126-SM-5SI6N 60-69 years, male 4.5
GTEX-UPJH-0326-SM-3GADU 50-59 years, male 4.5
GTEX-U8T8-0126-SM-3DB94 60-69 years, male 4.4
GTEX-1PPH7-2326-SM-EVYB8 40-49 years, male 4.4
GTEX-16MT8-0426-SM-7KUEY 60-69 years, female 4.3
GTEX-WH7G-2326-SM-3NMBC 40-49 years, male 4.3
GTEX-18QFQ-0126-SM-731BE 30-39 years, male 4.2
GTEX-R45C-0126-SM-EAZ2R 60-69 years, female 4.2
GTEX-144GN-2326-SM-5LU4F 50-59 years, male 4.1
GTEX-1PBJI-0526-SM-E8VNK 20-29 years, female 4.1
GTEX-145MO-0326-SM-5Q5B3 60-69 years, male 4.0
GTEX-1JJE9-0326-SM-CL53Z 70-79 years, male 3.8
GTEX-1OJC4-0126-SM-E9J2E 50-59 years, female 3.8
GTEX-11P7K-2126-SM-5GU7G 30-39 years, male 3.7
GTEX-1HCVE-0126-SM-CGQEU 50-59 years, male 3.7
GTEX-12WSA-0226-SM-5BC5V 60-69 years, male 3.6
GTEX-1JMQK-0226-SM-CL543 60-69 years, male 3.5
GTEX-145LV-2126-SM-5LU8N 50-59 years, male 3.3
GTEX-OXRO-0126-SM-2YUN4 60-69 years, female 3.3
GTEX-ZYW4-0126-SM-5E44A 60-69 years, male 3.3
GTEX-131XG-2626-SM-5KM17 50-59 years, female 3.2
GTEX-WOFL-0126-SM-3MJG2 60-69 years, male 3.2
GTEX-12WSG-2826-SM-E9J4H 50-59 years, female 3.2
GTEX-P4PP-0126-SM-3LK69 30-39 years, female 3.1
GTEX-11H98-0126-SM-5EGHG 50-59 years, male 3.0
GTEX-14XAO-2326-SM-6EU1B 60-69 years, female 3.0
GTEX-ZAJG-0126-SM-5HL94 50-59 years, female 3.0
GTEX-169BO-1326-SM-9MQK2 50-59 years, male 3.0
GTEX-17F96-1626-SM-7DUFL 70-79 years, male 2.6
GTEX-1R9PO-2126-SM-E9J4O 60-69 years, female 2.6
GTEX-17HII-0226-SM-7LG4E 50-59 years, male 2.5
GTEX-U3ZM-1526-SM-3DB9D 40-49 years, male 2.5
GTEX-1RLM8-2326-SM-EWRN4 50-59 years, male 2.4
GTEX-11TTK-0126-SM-5987B 60-69 years, female 2.3
GTEX-14BIM-0226-SM-7IGLD 60-69 years, female 2.2
GTEX-1MCYP-1926-SM-E9J2R 20-29 years, female 2.2
GTEX-14E6C-0126-SM-5RQIP 40-49 years, male 2.1
GTEX-1MGNQ-0126-SM-EVYCJ 40-49 years, male 2.1
GTEX-X62O-0126-SM-4E3JN 50-59 years, male 1.8
GTEX-ZAB4-0226-SM-5N9F5 40-49 years, male 1.8
GTEX-SE5C-1626-SM-2XCE3 40-49 years, female 1.7
GTEX-11ZUS-0626-SM-59885 30-39 years, male 1.6
GTEX-15EOM-0126-SM-7KUGG 20-29 years, female 1.6
GTEX-13VXT-0126-SM-5LU4I 20-29 years, female 1.4
GTEX-1JN1M-0326-SM-CYPT3 60-69 years, female 1.4
GTEX-1N2EF-0226-SM-EYYXB 60-69 years, male 1.4
GTEX-1HSMO-0126-SM-CL547 60-69 years, male 1.3
GTEX-POMQ-2226-SM-2I5FK 20-29 years, female 1.1
GTEX-1QP67-1626-SM-EAZ3X 40-49 years, female 1.1
GTEX-1QW4Y-1526-SM-EAZ3Z 30-39 years, male 1.1
GTEX-1H1ZS-0426-SM-9WG6G 70-79 years, male 0.7
GTEX-U4B1-1826-SM-4DXSU 40-49 years, male 0.4
GTEX-13RTJ-2426-SM-5S2Q2 60-69 years, male 0.3
GTEX-14JIY-0126-SM-6LLH6 60-69 years, male 0.3
GTEX-1HBPH-0426-SM-B2LW5 40-49 years, female 0.3
GTEX-1RAZQ-0726-SM-EAZ43 30-39 years, male 0.3
GTEX-146FR-1326-SM-E9J48 60-69 years, female 0.2
Show allShow less

Contact

  • NEWS ARTICLES
  • PRESS ROOM

The Project

  • INTRODUCTION
  • ORGANIZATION
  • PUBLICATIONS

The Human Protein Atlas

  • DOWNLOADABLE DATA
  • LICENCE & CITATION
  • HELP & FAQ
The Human Protein Atlas project is funded
by the Knut & Alice Wallenberg Foundation.


contact@proteinatlas.org