We use cookies to enhance the usability of our website. If you continue, we'll assume that you are happy to receive all cookies. More information. Don't show this again.
DHCR24
HPA
RESOURCES
  • TISSUE
  • BRAIN
  • SINGLE CELL
  • SUBCELLULAR
  • CANCER
  • BLOOD
  • CELL LINE
  • STRUCTURE & INTERACTION
ABOUT
  • INTRODUCTION
  • HISTORY
  • ORGANIZATION
  • PUBLICATIONS
  • ANTIBODY SUBMISSION
  • ANTIBODY AVAILABILITY
  • ACKNOWLEDGMENTS
  • CONTACT
NEWS
  • NEWS ARTICLES
  • PRESS ROOM
LEARN
  • DICTIONARY
  • PROTEIN CLASSES
  • PROTEIN EVIDENCE
  • METHODS
  • EDUCATIONAL VIDEOS
DATA
  • DOWNLOADABLE DATA
  • PUBLICATION DATA
  • RELEASE HISTORY
HELP
  • ANTIBODY VALIDATION
  • ASSAYS & ANNOTATION
  • DISCLAIMER
  • HELP & FAQ
  • PRIVACY STATEMENT
  • LICENCE & CITATION
Fields »
Search result

Field
Term
Gene name
Class
Subclass
Class
Keyword
Chromosome
External id
Tissue
Cell type
Expression
Antibody panel
Tissue
Main location
Patient ID
Annotation
Tissue
Category
Tau score
Cluster
Reliability
Brain region
Category
Tau score
Brain region
Category
Tau score
Brain region
Category
Tau score
Cluster
Reliability
Tissue
Cell type
Enrichment
Cell type
Category
Tau score
Cell type
Category
Tau score
Cell type
Category
Tau score
Cell lineage
Category
Tau score
Cluster
Cluster
Location
Searches
Location
Cell line
Class
Type
Phase
Reliability
Cancer
Prognosis
Cancer
Category
Cancer
Category
Tau score
Cluster
Variants
Interacting gene (ensg_id)
Type
Number of interactions
Pathway
Category
Score
Score
Score
Validation
Validation
Validation
Validation
Antibodies
Data type
Column


  • SUMMARY

  • TISSUE

  • BRAIN

  • SINGLE CELL

  • SUBCELL

  • CANCER

  • BLOOD

  • CELL LINE

  • STRUCT & INT

  • DHCR24
TISSUE PRIMARY DATA SKIN Show tissue menu
ADIPOSE TISSUE ADRENAL GLAND AMYGDALA APPENDIX BASAL GANGLIA BONE MARROW BREAST BRONCHUS CEREBELLUM CEREBRAL CORTEX CERVIX CHOROID PLEXUS COLON DUODENUM
ENDOMETRIUM EPIDIDYMIS ESOPHAGUS FALLOPIAN TUBE GALLBLADDER HEART MUSCLE HIPPOCAMPAL FORMATION HYPOTHALAMUS KIDNEY LIVER LUNG LYMPH NODE MIDBRAIN NASOPHARYNX
ORAL MUCOSA OVARY PANCREAS PARATHYROID GLAND PITUITARY GLAND PLACENTA PROSTATE RECTUM RETINA SALIVARY GLAND SEMINAL VESICLE SKELETAL MUSCLE SKIN SMALL INTESTINE
SMOOTH MUSCLE SOFT TISSUE SPINAL CORD SPLEEN STOMACH TESTIS THYMUS THYROID GLAND TONGUE TONSIL URINARY BLADDER VAGINA
ANTIBODIES
AND
VALIDATION
Dictionary
Skin
Tissue proteome
Skin
SKIN - Expression summary
Protein expression
Skini

On the top, protein expression in current human tissue, based on all annotated cell types, is reported with the units not detected (n), low (l), medium (m) and high (h). Underneath, protein expression in each annotated cell type are reported using the same units.

Protein expression data is based on knowledge-based annotation. For genes where more than one antibody has been used, a collective score is set.

If knowledge-based annotation could not be performed for a gene, no data is displayed here. View antibody staining data further down this page.

h
m
l
n
Arrector pili muscle cells: Not detected
Cells in basal layer: Not detected
Cells in corneal layer: Not detected
Cells in granular layer: Low
Cells in spinous layer: Not detected
Eccrine glands: Not detected
Endothelial cells: Not detected
Extracellular matrix: Not detected
Fibrohistiocytic cells: Low
Hair follicles: Low
Langerhans cells: Not detected
Lymphocytes: Not detected
Melanocytes: Not detected
Sebaceous glands: Medium
Vascular mural cells: Not detected
RNA expressioni

A summary of mRNA expression data available for current tissue based on several datasets. The mRNA expression levels in human tissues are based on RNA-seq data generated by the Human Protein Atlas (HPA), Genotype-Tissue Expression (GTEx) portal and CAGE data generated by the FANTOM5 consortium. Consensus normalized expression levels for human tissues was created by combining the data from HPA and GTEx datasets.

The mRNA expression levels in pig are based on RNA-seq data generated by the Human Protein Atlas (HPA), and for mouse, HPA data and in situ hybridization generated by the Allen brain atlas are reported.

Scroll down to view mRNA expression data in more detail.
Consensus:241.1 nTPM
HPA:241.1 nTPM
GTEx:235.2 nTPM

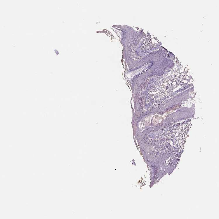
SKIN 1 - Antibody stainingi

Antibody staining in the annotated cell types in the current human tissue is reported as not detected, low, medium, or high, based on conventional immunohistochemistry profiling in selected tissues. This score is based on the combination of the staining intensity and fraction of stained cells.

Each image is clickable and will lead to virtual microscopy that enables deeper exploration of all samples and also displays staining intensity scores, fraction scores and subcellular localization as well as patient and tissue information for each sample.

Antibody HPA017981Antibody HPA063005Antibody CAB037247
Langerhans Not detectedNot detected-
Cells in basal layer --Not detected
Cells in corneal layer --Not detected
Cells in granular layer --Low
Cells in spinous layer --Not detected
Eccrine glands --Not detected
Endothelial cells --Not detected
Extracellular matrix --Not detected
Fibroblasts Not detectedNot detected-
Fibrohistiocytic cells --Not detected
Hair follicles --Low
Keratinocytes Not detectedNot detected-
Langerhans cells --Not detected
Lymphocytes --Not detected
Melanocytes Not detectedNot detectedNot detected
Sebaceous glands --Medium
Vascular mural cells --Not detected





SKIN 2 - Antibody stainingi

Antibody staining in the annotated cell types in the current human tissue is reported as not detected, low, medium, or high, based on conventional immunohistochemistry profiling in selected tissues. This score is based on the combination of the staining intensity and fraction of stained cells.

Each image is clickable and will lead to virtual microscopy that enables deeper exploration of all samples and also displays staining intensity scores, fraction scores and subcellular localization as well as patient and tissue information for each sample.

Antibody HPA017981Antibody HPA063005Antibody CAB037247
Arrector pili muscle cells --Not detected
Cells in basal layer --Not detected
Cells in corneal layer --Not detected
Cells in granular layer --Not detected
Cells in spinous layer --Not detected
Endothelial cells --Not detected
Epidermal cells Not detectedNot detected-
Extracellular matrix --Not detected
Fibrohistiocytic cells --Low
Hair follicles --Not detected
Langerhans cells --Not detected
Lymphocytes --Not detected
Melanocytes --Not detected
Vascular mural cells --Not detected
   
   
   





SKIN - HPA RNA-seqi

The RNA-seq details section shows detailed information about the individual samples used for the transcript profiling and results of the RNA-seq analysis.

Information about each individual sample is listed below, including gender, age, a tissue section image and estimated fractions of cell types. nTPM (normalized transcripts per million) values give a quantification of the gene abundance which is comparable between different genes and samples.
Average nTPMi

Max subtype nTPM is the value for the subtype with the largest average nTPM across the subtype samples.

241.1
overview
Female, age 34
Skin sample 225
nTPM: 268.8
Cell types%
Keratinocytes:
60

Other cell types:
40

overview
Female, age 30
Skin sample 226
nTPM: 314.4
Cell types%
Keratinocytes:
55

Other cell types:
45

N/A
Male, age 57
Skin sample 227
nTPM: 140.2

SKIN - GTEx RNA-seqi

RNA-Seq data generated by the Genotype-Tissue Expression (GTEx) project from human tissues is reported as mean nTPM. More information can be found on the GTEx portal.

Distribution across the dataset is visualized with box plots, shown as median and 25th and 75th percentiles. Points are displayed as outliers if they are above or below 1.5 times the interquartile range. nTPM values of the individual samples are presented next to the box plot.
Max subtype nTPMi

Max subtype nTPM is the value for the subtype with the largest average nTPM across the subtype samples.

235.2
GTEx sample id Sample description nTPM
Skin - Not Sun Exposed (Suprapubic)
Average nTPM: 235.2
Samples: 604

Max nTPM: 709.7
Min nTPM: 44.9
Std nTPM: 98.2
Median nTPM: 220.3
GTEX-14PJ3-1126-SM-5ZZVX 50-59 years, male 709.7
GTEX-1HSMP-0926-SM-A9SKX 70-79 years, male 606.5
GTEX-1QCLY-0226-SM-EWRNH 30-39 years, male 601.3
GTEX-Y114-2126-SM-4TT8B 50-59 years, female 595.7
GTEX-YEC3-1326-SM-DO92X 50-59 years, male 581.6
GTEX-15RIE-1926-SM-7KUKJ 60-69 years, male 573.3
GTEX-X585-2426-SM-46MW2 50-59 years, male 567.8
GTEX-1N2DV-1526-SM-DTXEP 40-49 years, male 566.3
GTEX-11P7K-1126-SM-5HL4L 30-39 years, male 547.1
GTEX-WFG7-2026-SM-5SI7P 20-29 years, male 545.2
GTEX-11DXX-2126-SM-5PNYR 60-69 years, female 537.9
GTEX-15RIG-0726-SM-7KUM7 40-49 years, male 534.6
GTEX-1H11D-1826-SM-9QEHM 40-49 years, male 529.5
GTEX-1OJC3-1226-SM-DTXER 20-29 years, male 506.3
GTEX-17KNJ-2126-SM-718AM 50-59 years, male 502.1
GTEX-111VG-1626-SM-5EGIO 60-69 years, male 495.2
GTEX-11DXZ-2026-SM-5987S 50-59 years, male 495.0
GTEX-1IKOE-1426-SM-CE6T7 30-39 years, female 494.6
GTEX-ZTX8-1326-SM-4YCEL 20-29 years, male 485.0
GTEX-1PBJJ-1026-SM-E76OS 30-39 years, male 469.2
GTEX-1PIGE-1826-SM-E8VOU 20-29 years, male 462.1
GTEX-178AV-1726-SM-7KUL8 40-49 years, male 460.9
GTEX-1F5PK-2226-SM-7SB6N 50-59 years, male 450.1
GTEX-13PDP-0726-SM-5L3HP 60-69 years, male 450.0
GTEX-1JN76-0626-SM-CKZOQ 20-29 years, female 435.4
GTEX-1GN1W-2426-SM-9KNUU 50-59 years, female 419.9
GTEX-14PHY-1226-SM-5ZZWK 60-69 years, female 411.4
GTEX-1HSMQ-2626-SM-A9SML 50-59 years, male 406.6
GTEX-ZPU1-1126-SM-4YCF3 40-49 years, male 399.3
GTEX-14ICL-1626-SM-5YYAO 30-39 years, male 398.6
GTEX-1HGF4-0126-SM-CNPPX 60-69 years, male 394.5
GTEX-YECK-0326-SM-4W1YS 60-69 years, male 394.0
GTEX-1KANB-2826-SM-CY8I6 50-59 years, male 389.7
GTEX-13G51-1826-SM-5KLZH 60-69 years, male 387.0
GTEX-1J8EW-2726-SM-CY8HR 60-69 years, female 384.0
GTEX-1EMGI-2326-SM-7PBYA 60-69 years, male 382.9
GTEX-1CAMR-1326-SM-7PC1F 20-29 years, male 381.0
GTEX-1JMQJ-0826-SM-CNPP7 50-59 years, male 377.8
GTEX-ZPCL-1126-SM-4WWFE 60-69 years, female 377.0
GTEX-131XG-0326-SM-5L3DX 50-59 years, female 375.4
GTEX-11DYG-1526-SM-5A5JS 60-69 years, male 373.7
GTEX-1R9PM-1926-SM-EVR3O 20-29 years, male 370.9
GTEX-1H1DE-1326-SM-9KNUG 20-29 years, male 369.0
GTEX-1RAZS-2526-SM-E6CHT 50-59 years, male 368.9
GTEX-1HBPN-0126-SM-CGQEF 50-59 years, male 368.3
GTEX-ZZ64-1026-SM-5GZXG 20-29 years, male 365.2
GTEX-1JMPY-0226-SM-CKZOK 30-39 years, male 363.6
GTEX-11EQ8-0926-SM-5H12V 60-69 years, male 362.1
GTEX-1399Q-2326-SM-5KM2X 40-49 years, male 361.3
GTEX-17F97-2626-SM-7IGM5 50-59 years, male 361.2
GTEX-12126-0826-SM-5FQTZ 20-29 years, male 360.5
GTEX-15CHR-1126-SM-7EWF4 50-59 years, male 359.2
GTEX-13IVO-0726-SM-5LZYV 70-79 years, male 359.0
GTEX-17F9Y-0126-SM-79OKX 70-79 years, female 358.8
GTEX-15RJ7-2126-SM-6PAMD 40-49 years, male 358.7
GTEX-UPJH-0226-SM-3GADV 50-59 years, male 358.4
GTEX-13NYB-0126-SM-5J1MD 40-49 years, male 358.1
GTEX-111CU-1126-SM-5EGIM 50-59 years, male 357.1
GTEX-XBEW-1126-SM-4QARW 40-49 years, male 355.7
GTEX-13PL6-1126-SM-5L3IE 40-49 years, female 352.9
GTEX-13FHO-0426-SM-5L3F5 60-69 years, male 352.5
GTEX-13OVK-1426-SM-6PAN7 40-49 years, male 351.9
GTEX-1RAZA-2226-SM-E9U4X 20-29 years, male 347.8
GTEX-ZE9C-2526-SM-5IJDR 60-69 years, male 347.2
GTEX-11ZU8-0126-SM-5EQ58 60-69 years, male 346.9
GTEX-1RMOY-1326-SM-E9TIH 50-59 years, male 346.6
GTEX-1I6K7-1926-SM-B2LXR 40-49 years, male 344.0
GTEX-1399S-0126-SM-5IJCF 30-39 years, female 343.9
GTEX-1OJC4-2726-SM-E76PJ 50-59 years, female 342.6
GTEX-WHSB-1326-SM-3LK6W 50-59 years, male 342.3
GTEX-XYKS-1426-SM-4BRUO 60-69 years, female 342.3
GTEX-1CB4E-0926-SM-7EPHT 60-69 years, male 339.2
GTEX-1HCU7-0726-SM-A9SL1 50-59 years, male 337.9
GTEX-145MN-1526-SM-5SI9T 30-39 years, male 336.6
GTEX-W5X1-2526-SM-3GILC 40-49 years, female 336.6
GTEX-1PPH8-0126-SM-EWRN8 20-29 years, male 336.6
GTEX-1CB4I-0126-SM-7RHGG 50-59 years, male 334.7
GTEX-Y111-0626-SM-4SOIT 50-59 years, male 333.7
GTEX-14E1K-2026-SM-7DUEI 50-59 years, male 333.6
GTEX-15ER7-0626-SM-6PANF 20-29 years, female 333.6
GTEX-18A6Q-0626-SM-7KFRP 60-69 years, male 332.7
GTEX-12WSJ-1126-SM-5LZVJ 40-49 years, female 332.2
GTEX-1F6I4-2326-SM-7RHGL 60-69 years, male 331.3
GTEX-145MH-2826-SM-5RQJF 50-59 years, male 330.7
GTEX-Y8E4-2026-SM-5IFJB 40-49 years, male 330.4
GTEX-13X6K-0626-SM-5LU5D 60-69 years, female 329.1
GTEX-18A67-1626-SM-7LT9T 50-59 years, male 327.6
GTEX-14PJN-1826-SM-6AJ98 30-39 years, male 326.9
GTEX-17F96-0126-SM-7EWDU 70-79 years, male 326.8
GTEX-1F75A-0726-SM-7RHHD 50-59 years, male 326.7
GTEX-1KAFJ-0126-SM-DIPEK 50-59 years, male 326.4
GTEX-1B8KE-1126-SM-7EPHI 50-59 years, male 325.6
GTEX-1F88F-0126-SM-9WYSZ 60-69 years, female 325.6
GTEX-18A66-0626-SM-7LT8Z 60-69 years, male 324.9
GTEX-1S3DN-2126-SM-E9TIN 50-59 years, male 322.0
GTEX-ZC5H-1526-SM-5HL9Y 40-49 years, female 321.4
GTEX-1AYD5-2626-SM-7PBXY 50-59 years, male 320.5
GTEX-1HT8W-0626-SM-A9G2H 30-39 years, male 319.5
GTEX-1RAZQ-1326-SM-E9TK6 30-39 years, male 319.3
GTEX-1AX8Z-0726-SM-73KTS 60-69 years, male 318.9
GTEX-111YS-1526-SM-5GZYW 60-69 years, male 318.8
GTEX-1QP2A-1726-SM-E76QC 50-59 years, male 318.1
GTEX-15SHW-0226-SM-7LTAT 60-69 years, male 317.8
GTEX-WHWD-1826-SM-3LK6I 50-59 years, male 317.6
GTEX-1GF9X-1326-SM-7PC2Y 40-49 years, female 317.0
GTEX-14PJ5-1526-SM-6LLIL 60-69 years, female 316.9
GTEX-1192X-2726-SM-5N9DN 50-59 years, male 316.7
GTEX-16NGA-0726-SM-731AO 40-49 years, female 314.5
GTEX-13O61-1426-SM-5KM3D 60-69 years, male 314.4
GTEX-1HBPI-2126-SM-ARL9K 50-59 years, male 313.9
GTEX-1QW4Y-1126-SM-DTXE3 30-39 years, male 313.3
GTEX-1C6VR-0126-SM-7RHGB 60-69 years, male 312.8
GTEX-17F98-1326-SM-7DUEP 40-49 years, female 312.2
GTEX-1B8KZ-0326-SM-73KY4 50-59 years, male 311.6
GTEX-14PII-0726-SM-6EU2B 60-69 years, male 311.4
GTEX-11OF3-0126-SM-5PNYF 60-69 years, male 309.7
GTEX-18QFQ-1826-SM-72D52 30-39 years, male 309.7
GTEX-1GN1U-0626-SM-9MQL9 50-59 years, female 309.5
GTEX-1JJEA-1826-SM-ARU8P 60-69 years, male 309.5
GTEX-11NSD-0626-SM-5A5LU 20-29 years, male 309.2
GTEX-1IDJF-2026-SM-CL53V 20-29 years, male 308.8
GTEX-1LVAM-0726-SM-E6CIL 50-59 years, female 308.5
GTEX-14PJ4-0226-SM-5YY92 60-69 years, male 308.2
GTEX-1CAMS-2226-SM-7PBXQ 40-49 years, female 307.7
GTEX-14B4R-1326-SM-5Q5EZ 30-39 years, male 307.5
GTEX-1HSKV-1226-SM-ADEI4 60-69 years, male 307.2
GTEX-1GPI7-1826-SM-9KNU1 20-29 years, male 306.7
GTEX-1MCYP-0526-SM-E9U6Q 20-29 years, female 306.3
GTEX-13PVR-0426-SM-5RQK2 60-69 years, female 304.8
GTEX-1PIIG-2326-SM-DTXFR 30-39 years, male 304.0
GTEX-1QP28-1126-SM-EVYC4 50-59 years, female 303.1
GTEX-12WSH-1526-SM-5BC5W 50-59 years, male 299.5
GTEX-14PJ6-2626-SM-6EU2T 60-69 years, female 298.4
GTEX-1IE54-1126-SM-A9G2Z 40-49 years, female 298.3
GTEX-17MFQ-1526-SM-7KFRR 20-29 years, male 298.1
GTEX-ZDTT-0426-SM-4WKFL 60-69 years, male 297.5
GTEX-144GM-0526-SM-79OJO 20-29 years, male 295.2
GTEX-11ZTT-2126-SM-5CVLO 60-69 years, female 294.3
GTEX-1E2YA-2126-SM-7MXUO 50-59 years, male 294.2
GTEX-1BAJH-2426-SM-7IGP8 70-79 years, male 293.1
GTEX-1IY9M-2826-SM-ARU8H 60-69 years, male 293.1
GTEX-15SKB-2826-SM-6PAMH 60-69 years, male 292.8
GTEX-1GZ4H-0526-SM-9KNU9 50-59 years, female 290.1
GTEX-147GR-2426-SM-5ZZWQ 60-69 years, male 289.9
GTEX-11WQC-1826-SM-5GU59 60-69 years, male 289.6
GTEX-1H2FU-0926-SM-9WPPT 60-69 years, female 289.6
GTEX-1F6RS-2026-SM-7RHHC 60-69 years, female 289.2
GTEX-147F4-0726-SM-5TDDD 50-59 years, male 288.7
GTEX-1J1OQ-0126-SM-D4P2N 40-49 years, female 288.7
GTEX-145LT-0526-SM-5LUB2 40-49 years, male 288.5
GTEX-WY7C-2126-SM-3NB2R 50-59 years, male 288.5
GTEX-1CAMQ-1326-SM-7P8RV 40-49 years, male 287.4
GTEX-17HHE-1326-SM-7EWDZ 50-59 years, male 287.2
GTEX-1IOXB-2726-SM-CM2RI 50-59 years, male 286.7
GTEX-14LZ3-0126-SM-69LPM 60-69 years, female 286.4
GTEX-145LU-1926-SM-79OJN 50-59 years, male 286.2
GTEX-1CB4F-1026-SM-7DUH1 60-69 years, male 286.0
GTEX-1GMRU-2126-SM-7P8RA 50-59 years, male 284.9
GTEX-ZDTS-0826-SM-4WKHL 60-69 years, male 284.7
GTEX-13OW6-2726-SM-5J2OE 50-59 years, male 284.4
GTEX-YFCO-1226-SM-5LUAT 40-49 years, male 284.3
GTEX-13OW5-2326-SM-5L3HO 60-69 years, male 284.0
GTEX-ZWKS-0626-SM-5GIDV 30-39 years, male 282.9
GTEX-ZYT6-2326-SM-5GZY3 30-39 years, male 282.9
GTEX-1QMI2-2526-SM-E8VNZ 60-69 years, male 282.7
GTEX-ZP4G-1426-SM-4WWCL 20-29 years, female 282.6
GTEX-1MJK3-0726-SM-E6CJC 20-29 years, male 281.9
GTEX-17HGU-2326-SM-7DUFE 50-59 years, male 281.8
GTEX-1F52S-2926-SM-7MKGA 60-69 years, female 281.2
GTEX-1S82U-1026-SM-E6CJK 30-39 years, female 281.1
GTEX-ZDYS-2426-SM-4WKGI 50-59 years, male 279.6
GTEX-1GN1V-2826-SM-9JGIA 60-69 years, male 279.3
GTEX-1LGRB-0926-SM-COH3K 50-59 years, female 279.2
GTEX-1269C-0126-SM-5EQ5L 60-69 years, female 278.5
GTEX-X3Y1-2026-SM-3P5YM 40-49 years, male 278.5
GTEX-1NSGN-0726-SM-DTXEF 50-59 years, male 278.5
GTEX-1R9PN-0426-SM-DTXDT 40-49 years, female 278.2
GTEX-13OVG-1626-SM-5J1NF 60-69 years, male 277.6
GTEX-139YR-1026-SM-5LZYN 50-59 years, male 277.0
GTEX-12ZZX-2426-SM-5GCOE 40-49 years, female 276.7
GTEX-1B8L1-2226-SM-7P8PT 60-69 years, male 276.2
GTEX-14JFF-0626-SM-5ZZVT 60-69 years, male 276.0
GTEX-13SLW-0626-SM-5Q5ER 70-79 years, male 274.8
GTEX-1GMR3-0126-SM-A9SLW 40-49 years, male 274.6
GTEX-13NZ8-1226-SM-5KM4A 60-69 years, female 274.1
GTEX-1R9K4-2826-SM-DTX8F 60-69 years, male 274.0
GTEX-1GF9V-0826-SM-9KNUV 60-69 years, male 273.6
GTEX-139D8-1126-SM-5LU8W 30-39 years, female 273.0
GTEX-15G19-2426-SM-7KUMR 60-69 years, male 272.1
GTEX-18A7A-0126-SM-731AH 50-59 years, female 270.7
GTEX-13FLV-0126-SM-5K7WT 50-59 years, male 269.9
GTEX-ZF2S-1626-SM-57WES 50-59 years, female 269.4
GTEX-ZT9X-1526-SM-5DUXD 40-49 years, male 269.0
GTEX-ZYVF-0926-SM-5E44J 50-59 years, female 268.8
GTEX-XXEK-1626-SM-4BRUZ 50-59 years, male 268.1
GTEX-Y3I4-1726-SM-4TT89 50-59 years, male 268.0
GTEX-1IKJJ-2226-SM-CJI4C 60-69 years, male 267.9
GTEX-1B97I-0626-SM-73KUZ 40-49 years, male 267.7
GTEX-13JVG-0726-SM-5KM16 60-69 years, male 266.0
GTEX-1QP9N-1226-SM-E76QN 30-39 years, male 265.7
GTEX-1QAET-0326-SM-EVR3U 50-59 years, male 264.4
GTEX-ZPIC-0526-SM-DO91W 40-49 years, female 264.3
GTEX-1PPGY-1626-SM-EVYBL 60-69 years, male 264.2
GTEX-Y5V6-2326-SM-4VDSA 60-69 years, male 264.1
GTEX-ZAK1-0626-SM-5HL8E 50-59 years, female 263.6
GTEX-11PRG-0726-SM-5EGL1 50-59 years, male 263.5
GTEX-14PJO-2526-SM-6AJBQ 60-69 years, male 263.5
GTEX-1C64N-2626-SM-7PC2N 50-59 years, male 263.2
GTEX-15DDE-2926-SM-6LLJ3 50-59 years, female 263.1
GTEX-1GZ4I-2626-SM-9KNU3 50-59 years, male 262.9
GTEX-1JMLX-0626-SM-ARL8T 50-59 years, male 262.7
GTEX-14BIN-1126-SM-5RQJZ 50-59 years, female 262.4
GTEX-1I1GP-1326-SM-A9G28 50-59 years, male 262.2
GTEX-YEC4-1826-SM-4W1YP 40-49 years, male 261.4
GTEX-12KS4-2126-SM-5FQUT 30-39 years, male 261.2
GTEX-ZTTD-2826-SM-4YCFA 50-59 years, male 260.9
GTEX-1QPFJ-1926-SM-EVYBD 30-39 years, female 260.8
GTEX-1EKGG-0626-SM-7DUGJ 60-69 years, male 260.7
GTEX-1R7EU-1626-SM-DTXG3 60-69 years, male 260.5
GTEX-ZF29-0926-SM-4WKFZ 60-69 years, female 260.4
GTEX-14C39-1726-SM-5RQIL 40-49 years, male 259.8
GTEX-1C2JI-1026-SM-73KY1 50-59 years, male 259.1
GTEX-V1D1-2026-SM-3GAF4 50-59 years, male 258.3
GTEX-1PDJ9-1226-SM-EXUSX 20-29 years, male 258.0
GTEX-15CHC-1126-SM-6LLHQ 60-69 years, female 256.7
GTEX-12ZZY-0726-SM-5EQ66 60-69 years, male 256.3
GTEX-17F9E-2326-SM-79OKD 50-59 years, male 255.4
GTEX-14AS3-1526-SM-5Q5ED 40-49 years, female 255.3
GTEX-1KXAM-1626-SM-D3LAD 60-69 years, male 255.3
GTEX-ZXG5-2126-SM-59HKD 60-69 years, male 254.1
GTEX-1122O-1026-SM-9WYSF 60-69 years, female 252.6
GTEX-12WSD-0626-SM-5GCMW 60-69 years, female 251.8
GTEX-14PK6-0226-SM-62LF5 70-79 years, female 251.4
GTEX-WEY5-2326-SM-3GIKK 40-49 years, female 249.8
GTEX-1JKYR-0626-SM-ARL8R 20-29 years, male 249.8
GTEX-WHPG-2626-SM-3NMBR 50-59 years, male 249.7
GTEX-1C6VQ-1226-SM-73KYD 50-59 years, male 248.4
GTEX-ZVP2-0326-SM-57WBP 50-59 years, male 248.0
GTEX-1GN73-0726-SM-7P8TJ 60-69 years, male 247.9
GTEX-1313W-0626-SM-5EQ4H 50-59 years, female 247.6
GTEX-1LSNM-0826-SM-DIPG8 50-59 years, male 247.3
GTEX-16MTA-0926-SM-6M47Z 50-59 years, male 247.2
GTEX-11P81-2226-SM-5PNYI 30-39 years, female 246.4
GTEX-13QJC-0126-SM-5ZZWJ 60-69 years, female 246.3
GTEX-1AX9I-2226-SM-73KUO 60-69 years, male 246.3
GTEX-1GPI6-1926-SM-9KNV7 60-69 years, male 246.0
GTEX-1I6K6-1726-SM-CGQFD 30-39 years, male 245.8
GTEX-11NUK-2726-SM-5A5MC 50-59 years, male 244.9
GTEX-1A8G6-2726-SM-731AR 60-69 years, male 244.5
GTEX-ZZPU-0826-SM-5GZX5 50-59 years, female 243.5
GTEX-1H3O1-1326-SM-9MQLD 60-69 years, male 243.2
GTEX-1399U-1126-SM-5L3DB 50-59 years, female 242.2
GTEX-1EU9M-1426-SM-793AI 60-69 years, male 242.1
GTEX-VJYA-1526-SM-3GIJV 60-69 years, male 242.0
GTEX-12BJ1-0926-SM-5EQ62 60-69 years, male 241.0
GTEX-131XF-2626-SM-5EQ6K 60-69 years, male 241.0
GTEX-17EVP-2626-SM-7IGMA 40-49 years, male 240.7
GTEX-1LB8K-0726-SM-D5OV2 50-59 years, male 239.8
GTEX-14ABY-2026-SM-62LDL 50-59 years, male 239.0
GTEX-11GS4-0226-SM-5HL77 60-69 years, male 237.0
GTEX-1H1E6-0426-SM-9WYUS 30-39 years, male 236.7
GTEX-13FTX-1526-SM-5K7VJ 20-29 years, female 236.5
GTEX-1JMQK-1226-SM-D4P2S 60-69 years, male 236.2
GTEX-Y9LG-1126-SM-4VBQ7 30-39 years, male 235.9
GTEX-1I1GT-1026-SM-ARZLV 60-69 years, female 235.1
GTEX-1S5ZU-2526-SM-E6CIF 20-29 years, female 235.0
GTEX-1ICG6-1226-SM-A9SLN 70-79 years, female 234.5
GTEX-139UW-0326-SM-5J1ML 60-69 years, male 234.3
GTEX-ZE7O-2726-SM-51MT5 50-59 years, female 233.7
GTEX-13FTY-2126-SM-5IFFB 40-49 years, female 233.2
GTEX-15EO6-2426-SM-6PALZ 50-59 years, male 232.5
GTEX-1EWIQ-0326-SM-7DHMQ 70-79 years, female 231.3
GTEX-1HR98-2226-SM-ADEI2 60-69 years, male 231.2
GTEX-1LBAC-0826-SM-CY8IJ 20-29 years, male 231.1
GTEX-183FY-1026-SM-7939A 20-29 years, male 231.0
GTEX-1HCVE-2726-SM-CL54F 50-59 years, male 230.7
GTEX-13FTW-0326-SM-5K7UW 40-49 years, male 230.4
GTEX-1HR9M-2226-SM-CNPPY 60-69 years, male 229.1
GTEX-1F75I-2226-SM-7SB8U 40-49 years, male 229.0
GTEX-WH7G-2026-SM-3NMBL 40-49 years, male 228.5
GTEX-1F5PL-0926-SM-7PC2W 40-49 years, female 227.8
GTEX-1HCUA-0826-SM-ADEHM 50-59 years, female 227.6
GTEX-Z93S-1626-SM-5CVMB 50-59 years, male 227.5
GTEX-1I1GV-0626-SM-ARL7M 60-69 years, male 226.4
GTEX-1N2EE-0626-SM-E76PW 60-69 years, male 226.0
GTEX-131XH-0126-SM-5LZUY 50-59 years, male 225.6
GTEX-1A8G7-1326-SM-73KVM 60-69 years, male 224.7
GTEX-145MF-0926-SM-5Q5EA 50-59 years, male 223.8
GTEX-1HB9E-0126-SM-CM2S5 50-59 years, male 223.7
GTEX-131XW-0626-SM-5PNVD 50-59 years, female 223.5
GTEX-1K2DA-1026-SM-CGQGF 50-59 years, male 223.3
GTEX-14PKU-0126-SM-6LLHV 40-49 years, female 223.1
GTEX-1H1DG-2426-SM-9QEHJ 70-79 years, male 223.1
GTEX-16AAH-0626-SM-793C9 50-59 years, male 223.0
GTEX-WXYG-2026-SM-4E3IY 50-59 years, female 222.3
GTEX-11GSP-2326-SM-5HL63 60-69 years, female 221.8
GTEX-13O3Q-0126-SM-5KM34 50-59 years, male 221.5
GTEX-1POEN-2326-SM-E9J2L 30-39 years, female 221.3
GTEX-ZLV1-1526-SM-DO91J 60-69 years, female 221.0
GTEX-1IDFM-0326-SM-ARL7V 60-69 years, male 220.9
GTEX-1EX96-1026-SM-7MKG2 50-59 years, male 220.6
GTEX-1LVAN-0626-SM-CNPOQ 50-59 years, female 220.4
GTEX-13D11-0926-SM-5J2NC 50-59 years, female 220.2
GTEX-11EQ9-1626-SM-5PNY8 30-39 years, male 219.4
GTEX-ZYY3-2926-SM-5GIEB 60-69 years, female 219.1
GTEX-1GN2E-0226-SM-9WG6K 60-69 years, male 219.1
GTEX-Y3IK-1626-SM-4YCF5 50-59 years, female 218.4
GTEX-X4EO-2926-SM-4E3JH 60-69 years, female 218.2
GTEX-WHSE-0126-SM-3NMBT 20-29 years, male 218.1
GTEX-XQ3S-1426-SM-4BOPR 20-29 years, male 217.9
GTEX-1LSNL-2726-SM-E9TKJ 50-59 years, male 217.7
GTEX-1S831-1826-SM-EWROF 20-29 years, male 217.6
GTEX-13U4I-2226-SM-5LU5H 40-49 years, female 217.1
GTEX-16YQH-2226-SM-7IGM2 30-39 years, male 217.0
GTEX-1AMEY-0826-SM-72D65 30-39 years, female 216.8
GTEX-13NYS-0626-SM-5L3F1 60-69 years, male 216.6
GTEX-X5EB-1926-SM-4E3IW 40-49 years, male 216.4
GTEX-X8HC-0626-SM-4E3HQ 50-59 years, female 216.4
GTEX-1I1HK-2326-SM-CKZOH 60-69 years, male 215.5
GTEX-1S83E-1326-SM-E6CJM 40-49 years, male 215.5
GTEX-15DYW-2726-SM-6EU2I 60-69 years, female 215.0
GTEX-11DXY-0126-SM-5H11Q 60-69 years, male 214.2
GTEX-1IL2V-1926-SM-B2LW8 70-79 years, male 214.2
GTEX-13N11-2326-SM-5IJBF 50-59 years, female 213.1
GTEX-XBED-1926-SM-47JYP 60-69 years, male 213.1
GTEX-1K2DU-1226-SM-CYPT4 20-29 years, male 212.6
GTEX-16MT9-0126-SM-7EPI8 60-69 years, female 212.2
GTEX-1H23P-0626-SM-9WG6T 60-69 years, male 211.0
GTEX-15FZZ-0526-SM-7KUGD 30-39 years, female 210.9
GTEX-1KANC-1226-SM-CYPT7 50-59 years, female 209.9
GTEX-ZYFC-0426-SM-5GICQ 50-59 years, male 209.8
GTEX-1B8SF-0126-SM-7DUG3 60-69 years, male 209.7
GTEX-1KD5A-0126-SM-E9U54 50-59 years, male 209.4
GTEX-1LSVX-2526-SM-DIPEU 60-69 years, male 208.8
GTEX-14PHX-2226-SM-6EU2P 50-59 years, male 208.7
GTEX-13OVH-0526-SM-5L3E6 70-79 years, male 208.6
GTEX-14C5O-0326-SM-5ZZUX 60-69 years, male 208.3
GTEX-WRHU-2826-SM-3MJG8 50-59 years, female 207.0
GTEX-VUSG-2326-SM-4KL1U 50-59 years, male 206.7
GTEX-ZLFU-1826-SM-4WWBV 40-49 years, male 206.0
GTEX-1PPH7-1126-SM-DTX9A 40-49 years, male 205.7
GTEX-1212Z-0126-SM-59HK4 60-69 years, male 205.6
GTEX-18D9U-0126-SM-731BM 40-49 years, male 205.2
GTEX-ZA64-1026-SM-5HL8R 20-29 years, male 204.9
GTEX-18D9A-1426-SM-7LT8M 30-39 years, female 204.8
GTEX-13SLX-2226-SM-62LEP 50-59 years, female 204.6
GTEX-15RJE-2826-SM-7KUM9 40-49 years, male 204.2
GTEX-1I1GS-2626-SM-B2LY3 60-69 years, male 204.2
GTEX-144FL-0626-SM-5LU43 50-59 years, male 203.6
GTEX-YJ8O-2526-SM-5HL85 40-49 years, female 203.5
GTEX-1C64O-1326-SM-7MGWR 60-69 years, male 203.4
GTEX-XPVG-2126-SM-4B667 50-59 years, male 203.3
GTEX-WYVS-1626-SM-3NM9R 40-49 years, female 203.2
GTEX-WI4N-2726-SM-3LK7Y 40-49 years, female 202.4
GTEX-1HSGN-0826-SM-ACKW3 40-49 years, female 202.3
GTEX-ZVT4-2426-SM-5GIEI 50-59 years, female 201.7
GTEX-1J8Q2-2626-SM-ACKWQ 60-69 years, male 200.9
GTEX-13VXU-0626-SM-5L3F9 50-59 years, male 200.8
GTEX-1HFI6-0126-SM-CNPPI 40-49 years, male 200.4
GTEX-16Z82-2626-SM-7KULU 60-69 years, male 200.0
GTEX-1B933-2426-SM-7DHMD 50-59 years, female 198.6
GTEX-WK11-2726-SM-3NMAQ 50-59 years, male 197.8
GTEX-132AR-0326-SM-5KM2C 50-59 years, female 197.5
GTEX-1LVA9-2626-SM-EVYD4 50-59 years, male 197.5
GTEX-11P82-1426-SM-DTXFY 20-29 years, male 196.9
GTEX-1S82P-2126-SM-E6CI5 60-69 years, female 196.4
GTEX-1JK1U-0226-SM-ARZMX 60-69 years, male 195.5
GTEX-1K9T9-1526-SM-DIPFR 50-59 years, female 194.9
GTEX-1GL5R-1326-SM-7RHHF 50-59 years, male 194.4
GTEX-XAJ8-1426-SM-47JYM 40-49 years, male 194.3
GTEX-145LS-0626-SM-7EPG7 60-69 years, female 194.1
GTEX-1B932-2326-SM-79OL5 40-49 years, female 193.7
GTEX-1LG7Y-2526-SM-EWRO7 50-59 years, male 193.5
GTEX-1H4P4-2126-SM-9WYSL 50-59 years, male 192.6
GTEX-11WQK-1026-SM-5EQLX 50-59 years, male 192.5
GTEX-ZVT2-0126-SM-5GIDQ 50-59 years, female 192.0
GTEX-ZTSS-1426-SM-5985P 40-49 years, male 191.3
GTEX-ZY6K-1426-SM-5GZX2 50-59 years, male 191.2
GTEX-ZVZP-1226-SM-5GID7 50-59 years, male 191.1
GTEX-1F75B-0726-SM-7PC3R 50-59 years, male 189.7
GTEX-1J8QM-2426-SM-A9SLS 60-69 years, female 189.5
GTEX-16NPX-0726-SM-7KULC 50-59 years, male 189.2
GTEX-ZAB4-2126-SM-5HL8U 40-49 years, male 188.6
GTEX-146FQ-2126-SM-5RQHU 30-39 years, male 187.2
GTEX-12ZZZ-0726-SM-5GCNZ 60-69 years, male 186.7
GTEX-12WSC-2826-SM-5BC5Y 50-59 years, male 186.6
GTEX-13OW7-0426-SM-5K7VK 50-59 years, male 186.3
GTEX-UPK5-0426-SM-3GAEK 40-49 years, male 186.0
GTEX-1C475-1326-SM-7SB73 40-49 years, female 186.0
GTEX-11LCK-2226-SM-5HL4Q 30-39 years, male 185.9
GTEX-1A3MV-1826-SM-731CD 30-39 years, male 184.8
GTEX-1H1ZS-2726-SM-9WG75 70-79 years, male 184.8
GTEX-13VXT-1926-SM-5K7UO 20-29 years, female 184.3
GTEX-XOT4-0626-SM-4B66L 60-69 years, female 184.2
GTEX-1EN7A-2426-SM-793DB 40-49 years, male 184.1
GTEX-139TS-2126-SM-5K7XC 60-69 years, male 184.0
GTEX-13W3W-0726-SM-5IJDQ 60-69 years, female 183.6
GTEX-Y5LM-0926-SM-6LLJG 40-49 years, female 183.3
GTEX-11TT1-1826-SM-5EQLV 20-29 years, male 183.2
GTEX-11VI4-1126-SM-5EQMD 40-49 years, female 183.1
GTEX-14E6E-0526-SM-793DN 30-39 years, male 183.0
GTEX-139TU-0726-SM-5L3EK 60-69 years, male 182.8
GTEX-13RTJ-0126-SM-5S2NN 60-69 years, male 182.4
GTEX-145ME-1726-SM-5Q5EU 40-49 years, female 182.0
GTEX-1E1VI-0326-SM-793D1 50-59 years, male 181.9
GTEX-1MCC2-1826-SM-DIPEX 30-39 years, female 181.9
GTEX-1F88E-1626-SM-7SB8Z 60-69 years, female 180.2
GTEX-1I1GU-0926-SM-ACKVS 40-49 years, male 179.7
GTEX-1KANA-1326-SM-DIPFA 20-29 years, male 179.3
GTEX-1IDJV-0126-SM-COH3Y 60-69 years, male 178.8
GTEX-1HC8U-1326-SM-9YFMJ 40-49 years, female 178.6
GTEX-12WSK-2126-SM-5CVNC 40-49 years, female 177.8
GTEX-17HII-1426-SM-7EPGG 50-59 years, male 177.7
GTEX-1QEPI-2626-SM-DTXF4 60-69 years, female 177.7
GTEX-Y8LW-1526-SM-5IFHL 50-59 years, female 177.5
GTEX-17HHY-0426-SM-7DHLC 50-59 years, male 177.2
GTEX-XMD2-2126-SM-4YCF8 60-69 years, female 177.0
GTEX-147F3-1726-SM-5SIAW 50-59 years, female 176.8
GTEX-1IDJU-1726-SM-CMKHU 60-69 years, female 176.6
GTEX-13PVQ-0626-SM-5LU47 50-59 years, male 176.5
GTEX-12696-0126-SM-5EQ4L 60-69 years, male 176.2
GTEX-11ZUS-2626-SM-5FQUR 30-39 years, male 175.7
GTEX-14A6H-2026-SM-5Q5DD 30-39 years, male 174.0
GTEX-13YAN-0226-SM-5TDC6 60-69 years, male 173.7
GTEX-1A3MX-2626-SM-7PC24 60-69 years, male 173.6
GTEX-15EU6-2226-SM-6EU2L 50-59 years, male 173.5
GTEX-14JG1-1526-SM-5YY9X 40-49 years, male 173.1
GTEX-1ICLY-0826-SM-CMKG1 50-59 years, male 172.9
GTEX-1QP29-1826-SM-DTX9S 50-59 years, male 172.9
GTEX-1NV5F-0626-SM-DTXEG 60-69 years, female 172.3
GTEX-XBEC-0726-SM-4QARZ 50-59 years, male 171.2
GTEX-1HBPM-0726-SM-9YFL7 60-69 years, female 169.9
GTEX-XUW1-0926-SM-4BONX 50-59 years, female 169.5
GTEX-WYBS-0626-SM-3NMAS 60-69 years, female 169.3
GTEX-1AMFI-1326-SM-7939R 50-59 years, female 169.0
GTEX-13X6I-1826-SM-5SIAO 60-69 years, male 168.5
GTEX-1JMPZ-0726-SM-CY8HZ 30-39 years, male 168.5
GTEX-ZF3C-0626-SM-DO92O 50-59 years, female 168.5
GTEX-13OVL-0126-SM-5L3GJ 50-59 years, male 168.0
GTEX-144GL-0626-SM-5LU4D 50-59 years, male 167.9
GTEX-15D1Q-2826-SM-6LLH7 40-49 years, male 167.8
GTEX-139TT-2126-SM-5LZWC 60-69 years, male 167.4
GTEX-1JN6P-2926-SM-CL54D 60-69 years, male 166.7
GTEX-145MG-1526-SM-5Q5EM 50-59 years, male 165.9
GTEX-1J1R8-2026-SM-CL53Y 40-49 years, male 164.6
GTEX-14DAR-1226-SM-73KYV 50-59 years, male 163.5
GTEX-1JKYN-0826-SM-ARU8S 30-39 years, male 163.0
GTEX-1JN1M-2726-SM-CY8I4 60-69 years, female 162.3
GTEX-X4EP-0626-SM-3P621 60-69 years, female 162.2
GTEX-1GTWX-2026-SM-9YFLM 60-69 years, male 162.2
GTEX-13X6J-0626-SM-5LU5F 50-59 years, male 160.9
GTEX-14BMV-2826-SM-5TDED 50-59 years, male 160.9
GTEX-1211K-1526-SM-5FQU4 60-69 years, female 160.5
GTEX-1C6WA-2626-SM-7MKGM 60-69 years, male 160.5
GTEX-14753-0726-SM-5QGQO 60-69 years, male 160.4
GTEX-13OVJ-0826-SM-5J1OK 50-59 years, female 159.9
GTEX-ZVE2-2826-SM-5GU51 50-59 years, male 159.7
GTEX-11UD2-2526-SM-5CVNU 50-59 years, male 159.6
GTEX-1IDJC-1526-SM-B2LW4 50-59 years, male 159.3
GTEX-1RLM8-2926-SM-E8VON 50-59 years, male 159.3
GTEX-144GO-2026-SM-5O99P 60-69 years, male 158.9
GTEX-16BQI-1326-SM-6M486 30-39 years, female 158.9
GTEX-1117F-2926-SM-5GZYI 60-69 years, female 158.6
GTEX-183WM-0326-SM-72D5V 70-79 years, female 158.4
GTEX-18465-2826-SM-7LT9J 50-59 years, male 157.9
GTEX-14JG6-1426-SM-9WG7C 30-39 years, female 157.9
GTEX-16MT8-2926-SM-7DUFO 60-69 years, female 157.7
GTEX-1A3MW-0626-SM-731CB 60-69 years, female 157.4
GTEX-1I4MK-0126-SM-CY8G6 50-59 years, female 157.4
GTEX-15G1A-1626-SM-7KUKN 30-39 years, male 157.2
GTEX-13X6H-0926-SM-5SIB2 50-59 years, female 157.0
GTEX-1IDJH-0126-SM-D3L92 70-79 years, male 157.0
GTEX-14A5H-0826-SM-5QGPJ 60-69 years, male 156.8
GTEX-WFON-1926-SM-3LK7L 40-49 years, male 156.7
GTEX-ZYW4-0626-SM-59HJR 60-69 years, male 156.6
GTEX-1JJ6O-2726-SM-CNPOG 60-69 years, male 156.4
GTEX-1JJE9-2626-SM-ARZMT 70-79 years, male 155.9
GTEX-U8XE-0226-SM-4E3J3 30-39 years, male 155.6
GTEX-1HCU6-2526-SM-ADEHL 60-69 years, female 155.3
GTEX-1J8Q3-0526-SM-ARL8U 60-69 years, male 155.0
GTEX-1GMR2-0826-SM-7PC3V 50-59 years, male 154.9
GTEX-1LKK1-2626-SM-DKPQE 50-59 years, female 154.9
GTEX-1314G-1326-SM-5BC6E 30-39 years, male 154.2
GTEX-15UF6-1926-SM-7KUDV 70-79 years, female 154.0
GTEX-1I1CD-0626-SM-CE6SW 60-69 years, female 154.0
GTEX-1I19N-0126-SM-CYPSF 70-79 years, male 153.9
GTEX-1GMR8-0626-SM-7RHI7 50-59 years, female 153.8
GTEX-14C38-0726-SM-5SI6M 50-59 years, male 153.5
GTEX-1RAZR-2126-SM-E9U6T 40-49 years, male 153.3
GTEX-1M4P7-0726-SM-E6CJ3 60-69 years, male 153.2
GTEX-14PKV-1126-SM-6LLJ1 20-29 years, female 152.8
GTEX-12WSF-1626-SM-7KUG5 70-79 years, male 152.7
GTEX-13N2G-0226-SM-5K7VF 60-69 years, male 152.6
GTEX-1R46S-2426-SM-E76QA 60-69 years, female 152.6
GTEX-11TUW-0626-SM-5LU9M 60-69 years, male 152.5
GTEX-13NZ9-2626-SM-5L3FK 50-59 years, male 151.7
GTEX-1QCLZ-2426-SM-EVYBW 60-69 years, female 151.6
GTEX-1IDJE-1426-SM-ADEIW 50-59 years, female 151.5
GTEX-12C56-1526-SM-5FQUQ 20-29 years, male 151.1
GTEX-14LLW-2626-SM-62LDZ 70-79 years, female 150.7
GTEX-ZDXO-3126-SM-5IJDF 60-69 years, male 150.3
GTEX-133LE-2326-SM-5K7W3 20-29 years, female 150.2
GTEX-13NYC-0126-SM-5L3F4 60-69 years, male 150.0
GTEX-WYJK-0526-SM-3NM8Z 50-59 years, male 149.9
GTEX-1CB4H-1126-SM-7MKGL 60-69 years, female 149.8
GTEX-11O72-0626-SM-5PNYE 40-49 years, male 149.3
GTEX-17HG3-2626-SM-7DUF2 30-39 years, female 148.8
GTEX-XK95-0226-SM-4AT58 40-49 years, male 147.8
GTEX-1477Z-0326-SM-7IGLA 60-69 years, male 147.7
GTEX-13O3O-2326-SM-5IJD6 60-69 years, female 147.3
GTEX-1HFI7-2326-SM-CGQFS 50-59 years, female 147.2
GTEX-1H1CY-0126-SM-9YFLY 60-69 years, female 147.1
GTEX-145MI-0626-SM-5SI8S 60-69 years, female 146.7
GTEX-1HCU8-2526-SM-CE6RX 60-69 years, female 146.7
GTEX-1ICLZ-0326-SM-ARL82 60-69 years, male 146.2
GTEX-ZYFG-1526-SM-5GZYM 60-69 years, female 145.7
GTEX-1HCU9-0426-SM-9WYSD 20-29 years, male 145.5
GTEX-131YS-2826-SM-5EQ47 60-69 years, female 144.7
GTEX-XQ8I-0926-SM-4BOOF 50-59 years, male 144.4
GTEX-1EH9U-2826-SM-7DUGT 60-69 years, male 142.9
GTEX-1O9I2-0226-SM-EYYXD 50-59 years, male 142.2
GTEX-1JMQI-1726-SM-ARL93 50-59 years, male 142.1
GTEX-ZGAY-1826-SM-DO91Q 40-49 years, female 141.7
GTEX-14DAQ-0626-SM-793DS 60-69 years, female 141.5
GTEX-14XAO-1226-SM-6EU1C 60-69 years, female 141.1
GTEX-1H1DF-1126-SM-9WG7G 40-49 years, female 141.1
GTEX-1JMOU-1026-SM-CYPSS 60-69 years, female 138.9
GTEX-13OW8-1026-SM-5J1NQ 60-69 years, male 138.4
GTEX-1HSMO-0626-SM-ACKXC 60-69 years, male 138.2
GTEX-1IDJD-2326-SM-ACKWX 30-39 years, male 138.2
GTEX-1GZ2Q-0126-SM-9WG6M 40-49 years, male 137.8
GTEX-148VJ-0626-SM-5LUAW 70-79 years, male 137.7
GTEX-1KWVE-1026-SM-D3L9O 30-39 years, male 137.6
GTEX-13113-1626-SM-5EQ4I 60-69 years, female 137.4
GTEX-1CB4J-1326-SM-7P8RX 60-69 years, male 136.6
GTEX-1F6IF-0926-SM-7SB7M 60-69 years, male 136.3
GTEX-1GF9W-1426-SM-7PBYM 60-69 years, male 136.3
GTEX-12584-0726-SM-5FQTK 40-49 years, male 136.2
GTEX-12WSM-1926-SM-5BC65 60-69 years, male 135.2
GTEX-1N5O9-0926-SM-E9J3C 60-69 years, male 135.2
GTEX-15CHQ-0326-SM-69LQD 60-69 years, male 135.0
GTEX-XV7Q-1826-SM-4BRUV 40-49 years, female 133.7
GTEX-18D9B-0926-SM-7LG4U 60-69 years, male 132.7
GTEX-ZLWG-0826-SM-59888 50-59 years, female 132.5
GTEX-1LG7Z-1626-SM-CXKYR 30-39 years, male 131.8
GTEX-147JS-0226-SM-5S2U9 60-69 years, male 129.7
GTEX-1A8FM-0626-SM-7PC25 50-59 years, female 127.5
GTEX-11DXW-0826-SM-5H118 40-49 years, male 126.5
GTEX-1RB15-1326-SM-E76Q9 60-69 years, male 126.3
GTEX-16XZZ-0726-SM-7KUF2 60-69 years, male 126.0
GTEX-Y5V5-0126-SM-5S2NW 60-69 years, female 125.6
GTEX-ZUA1-2626-SM-5NQ92 40-49 years, male 125.4
GTEX-13112-0126-SM-5P9IU 50-59 years, male 124.2
GTEX-1GZHY-0626-SM-9KNVC 50-59 years, female 124.2
GTEX-13N1W-2426-SM-5IJD1 70-79 years, male 122.9
GTEX-14E6C-2426-SM-5S2NF 40-49 years, male 121.4
GTEX-1497J-0226-SM-5QGPU 60-69 years, male 121.3
GTEX-ZT9W-1126-SM-57WDR 50-59 years, male 121.3
GTEX-1F48J-0726-SM-7RHGS 50-59 years, female 120.3
GTEX-11EI6-2826-SM-5H11D 60-69 years, male 117.7
GTEX-18A7B-2726-SM-7LG56 70-79 years, male 114.9
GTEX-11DZ1-2426-SM-5GZZX 50-59 years, male 114.5
GTEX-117YX-1926-SM-5GIEC 50-59 years, male 113.8
GTEX-14BMU-1226-SM-5S2OR 20-29 years, female 112.8
GTEX-1HKZK-0726-SM-ACKW2 40-49 years, male 112.5
GTEX-145MO-2826-SM-5LU96 60-69 years, male 111.9
GTEX-YB5K-2026-SM-4VDT3 40-49 years, female 111.3
GTEX-11EM3-1226-SM-5N9DD 20-29 years, female 108.8
GTEX-17JCI-2926-SM-7DUFF 60-69 years, female 108.1
GTEX-WFG8-2126-SM-3GIKQ 20-29 years, male 108.1
GTEX-1LVAO-2726-SM-E9TJ8 60-69 years, male 108.0
GTEX-139T8-0626-SM-5KLZX 60-69 years, male 107.9
GTEX-14PJ2-0626-SM-6LLII 50-59 years, male 107.9
GTEX-1JMQL-2226-SM-CNPP4 50-59 years, female 106.9
GTEX-12WSL-2026-SM-5GCML 50-59 years, male 106.0
GTEX-1LGOU-1326-SM-D3L8M 20-29 years, female 105.1
GTEX-13FH7-1126-SM-5K7UG 50-59 years, female 103.0
GTEX-ZVE1-0726-SM-51MRN 50-59 years, female 102.5
GTEX-ZAJG-1526-SM-5CVML 50-59 years, female 101.9
GTEX-1B996-0426-SM-7EWF8 60-69 years, male 99.8
GTEX-1H3NZ-2726-SM-9WYTQ 60-69 years, male 99.5
GTEX-13JUV-2026-SM-5K7UA 40-49 years, female 98.4
GTEX-ZYFD-0626-SM-5E44E 50-59 years, male 94.6
GTEX-1H3VE-0726-SM-9YFL5 40-49 years, male 91.6
GTEX-1GF9U-2026-SM-7SB92 40-49 years, female 91.5
GTEX-1QP66-1226-SM-DTX7U 50-59 years, male 89.8
GTEX-1J8JJ-0626-SM-ARZMQ 60-69 years, female 89.7
GTEX-17MF6-2626-SM-79OKQ 40-49 years, male 89.1
GTEX-12WSA-0426-SM-5EQ5X 60-69 years, male 85.5
GTEX-1A32A-0626-SM-731AQ 50-59 years, female 84.7
GTEX-16GPK-0626-SM-7KFSF 60-69 years, male 84.6
GTEX-13QBU-1226-SM-5LU4G 40-49 years, female 83.9
GTEX-ZU9S-1826-SM-5NQ9E 30-39 years, male 82.5
GTEX-111FC-2526-SM-5GZXU 60-69 years, male 78.7
GTEX-1IDJI-0126-SM-CMKHS 50-59 years, female 73.6
GTEX-ZVTK-0226-SM-51MRG 20-29 years, male 71.3
GTEX-1HUB1-1426-SM-CGQF5 60-69 years, male 70.3
GTEX-1AX9J-1326-SM-731BJ 60-69 years, male 65.9
GTEX-1CAV2-0126-SM-7IGN7 40-49 years, female 62.4
GTEX-YF7O-1526-SM-5IFI6 50-59 years, male 59.6
GTEX-17EVQ-0126-SM-7IGLR 70-79 years, male 48.8
GTEX-1L5NE-1126-SM-D3L9P 50-59 years, male 48.3
GTEX-1F75W-2726-SM-7SB8H 60-69 years, male 46.3
GTEX-1399R-1326-SM-5PNYS 30-39 years, male 44.9
Show allShow less
Skin - Sun Exposed (Lower leg)
Average nTPM: 205.4
Samples: 701

Max nTPM: 639.0
Min nTPM: 21.9
Std nTPM: 89.5
Median nTPM: 194.5
GTEX-11DXZ-2326-SM-5EGGV 50-59 years, male 639.0
GTEX-1R9PM-2026-SM-E76OY 20-29 years, male 593.7
GTEX-17JCI-0126-SM-7LG5G 60-69 years, female 553.2
GTEX-PX3G-0126-SM-2I3EN 20-29 years, female 544.3
GTEX-1KANC-1526-SM-D3LAB 50-59 years, female 539.0
GTEX-P4QT-0126-SM-2I3FL 50-59 years, female 504.1
GTEX-T6MN-0126-SM-32PLP 50-59 years, male 492.6
GTEX-OOBJ-0126-SM-E6CJW 60-69 years, male 458.4
GTEX-ZV68-0126-SM-59HKS 50-59 years, female 458.1
GTEX-1EMGI-0126-SM-9KNUE 60-69 years, male 453.3
GTEX-XUZC-1726-SM-4BRWS 30-39 years, female 452.5
GTEX-13FXS-0226-SM-5IJCK 50-59 years, male 447.6
GTEX-ZVTK-0426-SM-51MRS 20-29 years, male 442.0
GTEX-1CAV2-2226-SM-7P8P2 40-49 years, female 437.1
GTEX-1399R-2726-SM-5IJBA 30-39 years, male 434.3
GTEX-1LG7Z-1726-SM-D3LA4 30-39 years, male 424.1
GTEX-ZTX8-1426-SM-5DUVO 20-29 years, male 423.6
GTEX-1H11D-0226-SM-9WG6Z 40-49 years, male 423.6
GTEX-Y114-2426-SM-4TT8A 50-59 years, female 422.3
GTEX-S33H-1026-SM-EZ6L6 30-39 years, male 418.9
GTEX-ZYT6-0226-SM-5NQ6T 30-39 years, male 416.5
GTEX-11DYG-0126-SM-59883 60-69 years, male 413.9
GTEX-1EWIQ-0126-SM-7RHH2 70-79 years, female 409.5
GTEX-Y8E4-0626-SM-4WWDL 40-49 years, male 408.6
GTEX-1JMLX-0226-SM-CM2RO 50-59 years, male 405.2
GTEX-111FC-0126-SM-5N9DL 60-69 years, male 404.8
GTEX-13FHP-0126-SM-5IJBG 50-59 years, male 400.8
GTEX-1PIIG-0226-SM-EWRN6 30-39 years, male 398.3
GTEX-18D9A-1926-SM-7LG6P 30-39 years, female 393.2
GTEX-Y3IK-2426-SM-4WWDU 50-59 years, female 391.2
GTEX-XYKS-2126-SM-4E3IB 60-69 years, female 389.8
GTEX-1BAJH-0526-SM-793CQ 70-79 years, male 386.7
GTEX-SJXC-0126-SM-2XCFF 60-69 years, male 386.1
GTEX-15ETS-0126-SM-7KUMW 40-49 years, female 383.1
GTEX-PSDG-0226-SM-DKPOZ 50-59 years, male 381.3
GTEX-X88G-0126-SM-47JZ3 30-39 years, male 379.8
GTEX-1GF9X-2026-SM-7PC3A 40-49 years, female 376.3
GTEX-117XS-2726-SM-5N9BL 60-69 years, male 375.2
GTEX-1MJK2-0426-SM-DTXE5 50-59 years, male 368.8
GTEX-1CB4I-0226-SM-79OLH 50-59 years, male 364.7
GTEX-1I1GV-0526-SM-A9G29 60-69 years, male 363.4
GTEX-R3RS-0126-SM-3GIJL 40-49 years, female 362.1
GTEX-WYJK-0126-SM-3NMAB 50-59 years, male 361.1
GTEX-1L5NE-2526-SM-E6CIE 50-59 years, male 360.1
GTEX-139UW-2826-SM-5L3E7 60-69 years, male 359.9
GTEX-1HFI6-0226-SM-ADEHZ 40-49 years, male 352.4
GTEX-1JMPZ-0226-SM-CNPP1 30-39 years, male 352.2
GTEX-1KD4Q-0226-SM-E9TJ9 40-49 years, male 351.8
GTEX-OIZG-0726-SM-33HBL 50-59 years, male 350.5
GTEX-1K2DA-1826-SM-CGQGT 50-59 years, male 345.7
GTEX-1HCU7-0226-SM-CL545 50-59 years, male 345.6
GTEX-S7SE-0126-SM-2XCD5 50-59 years, male 344.6
GTEX-1CB4F-0426-SM-9KNV4 60-69 years, male 342.8
GTEX-11NSD-2226-SM-5986V 20-29 years, male 341.2
GTEX-POMQ-2226-SM-2I5FK 20-29 years, female 341.1
GTEX-1KANA-0726-SM-D3L9I 20-29 years, male 340.0
GTEX-1B8SF-1426-SM-7DUGL 60-69 years, male 339.5
GTEX-14LZ3-0226-SM-62LET 60-69 years, female 338.0
GTEX-ZF2S-2326-SM-4WWCE 50-59 years, female 335.6
GTEX-14PII-0226-SM-6EU1T 60-69 years, male 334.0
GTEX-YJ89-0126-SM-4TT3X 60-69 years, male 333.9
GTEX-1E2YA-0126-SM-9KNUC 50-59 years, male 333.7
GTEX-1JJEA-0326-SM-CNPOT 60-69 years, male 333.7
GTEX-1C64N-0126-SM-793D7 50-59 years, male 332.4
GTEX-1LGRB-2526-SM-CNPPQ 50-59 years, female 332.4
GTEX-SUCS-1926-SM-32PM3 70-79 years, male 331.4
GTEX-13NYB-2526-SM-5K7Z6 40-49 years, male 330.1
GTEX-1PIGE-0126-SM-EVYBJ 20-29 years, male 329.3
GTEX-13SLW-0126-SM-5SI6C 70-79 years, male 329.1
GTEX-1OJC3-0126-SM-E76QX 20-29 years, male 329.1
GTEX-1IOXB-0126-SM-ARL8G 50-59 years, male 328.8
GTEX-13G51-2526-SM-5LZYK 60-69 years, male 327.9
GTEX-SNMC-1226-SM-2XCFP 20-29 years, male 325.7
GTEX-1B8L1-2526-SM-9WYTF 60-69 years, male 322.3
GTEX-13111-1626-SM-5EGJY 50-59 years, male 322.1
GTEX-1LSNM-1926-SM-E6CII 50-59 years, male 319.2
GTEX-14BIN-0626-SM-793DP 50-59 years, female 319.1
GTEX-ZAK1-0126-SM-5IJD3 50-59 years, female 318.2
GTEX-18A6Q-0126-SM-731BZ 60-69 years, male 317.7
GTEX-1HSKV-0226-SM-A9SKJ 60-69 years, male 317.0
GTEX-ZWKS-0126-SM-5SIAA 30-39 years, male 316.0
GTEX-1KAFJ-2026-SM-CY8ID 50-59 years, male 316.0
GTEX-Y8DK-0126-SM-4TT3L 60-69 years, male 315.5
GTEX-11XUK-2026-SM-5EQLF 40-49 years, female 315.4
GTEX-1QMI2-0226-SM-EVYBX 60-69 years, male 315.0
GTEX-1AX9J-0226-SM-73KXM 60-69 years, male 314.6
GTEX-17GQL-2026-SM-718BA 60-69 years, male 312.3
GTEX-18A7A-0226-SM-718BH 50-59 years, female 311.8
GTEX-13OW6-0426-SM-5L3HM 50-59 years, male 311.6
GTEX-1EX96-1626-SM-7PBXR 50-59 years, male 310.5
GTEX-1399U-2326-SM-5K7WY 50-59 years, female 310.4
GTEX-1S5ZA-0126-SM-EVYCV 20-29 years, male 310.4
GTEX-14JG1-0426-SM-6ETZZ 40-49 years, male 308.8
GTEX-131XE-2326-SM-5PNZ2 50-59 years, male 308.3
GTEX-13OVH-0126-SM-5MR4B 70-79 years, male 305.8
GTEX-1OFPY-2426-SM-DTXEJ 60-69 years, male 305.6
GTEX-16GPK-0126-SM-7DHLE 60-69 years, male 305.4
GTEX-1IL2U-0226-SM-CE6T8 60-69 years, male 304.1
GTEX-17KNJ-2326-SM-7DHLQ 50-59 years, male 303.2
GTEX-1QP9N-1426-SM-DTXFL 30-39 years, male 302.1
GTEX-13FTW-2626-SM-5K7WL 40-49 years, male 300.8
GTEX-1R7EU-0226-SM-EVR4G 60-69 years, male 300.8
GTEX-1CB4E-2226-SM-793DC 60-69 years, male 300.1
GTEX-17F96-1626-SM-7DUFL 70-79 years, male 297.8
GTEX-1JMQJ-0526-SM-CYPSU 50-59 years, male 296.6
GTEX-1LBAC-0126-SM-DIPEZ 20-29 years, male 295.7
GTEX-1GZHY-0326-SM-9QEHI 50-59 years, female 293.0
GTEX-OIZH-0126-SM-2HMIS 50-59 years, male 292.4
GTEX-15F5U-1526-SM-6PANO 40-49 years, male 292.3
GTEX-1RQEC-0426-SM-E6CHU 60-69 years, male 291.0
GTEX-13JUV-2726-SM-5LZZ8 40-49 years, female 288.9
GTEX-NFK9-0226-SM-2HMKQ 40-49 years, male 287.1
GTEX-12WSJ-1826-SM-5GCNY 40-49 years, female 286.2
GTEX-ZE9C-2726-SM-57WB5 60-69 years, male 284.2
GTEX-WQUQ-0426-SM-3MJFU 60-69 years, male 284.0
GTEX-1C475-1826-SM-73KWA 40-49 years, female 283.2
GTEX-1HR98-0126-SM-B2LWI 60-69 years, male 282.3
GTEX-OHPL-0126-SM-2HMJ7 60-69 years, female 281.2
GTEX-SE5C-1626-SM-2XCE3 40-49 years, female 281.1
GTEX-1JN6P-0126-SM-D3L98 60-69 years, male 279.1
GTEX-1PFEY-1526-SM-E76PP 30-39 years, male 279.1
GTEX-1F6RS-0126-SM-9MQKZ 60-69 years, female 276.9
GTEX-13OVK-2026-SM-7KUEO 40-49 years, male 276.3
GTEX-1PPH8-0226-SM-E8VND 20-29 years, male 275.5
GTEX-VJYA-1126-SM-3GIJU 60-69 years, male 275.3
GTEX-1JMQI-2226-SM-CM2SD 50-59 years, male 275.3
GTEX-11EQ9-2426-SM-5HL5T 30-39 years, male 275.0
GTEX-13CF2-2526-SM-5LZYX 60-69 years, male 274.9
GTEX-15ER7-0326-SM-7KUEV 20-29 years, female 274.7
GTEX-1LB8K-0226-SM-EWRNW 50-59 years, male 273.5
GTEX-T8EM-1026-SM-3DB7M 40-49 years, male 273.4
GTEX-1JKYR-0126-SM-CNPOJ 20-29 years, male 273.3
GTEX-1HBPN-0226-SM-9YFM1 50-59 years, male 270.0
GTEX-1B8KE-2126-SM-73KYX 50-59 years, male 269.0
GTEX-RU72-0926-SM-2TF6B 50-59 years, female 267.2
GTEX-12WSE-0526-SM-793B2 20-29 years, male 266.5
GTEX-XBEW-0626-SM-4QASP 40-49 years, male 266.4
GTEX-15RIG-0226-SM-7KFTL 40-49 years, male 266.3
GTEX-1H4P4-0726-SM-9YFLR 50-59 years, male 265.6
GTEX-Y111-0126-SM-4SOIV 50-59 years, male 265.0
GTEX-145MN-2226-SM-5SIAU 30-39 years, male 264.5
GTEX-1I4MK-2226-SM-ACKWD 50-59 years, female 263.9
GTEX-ZTSS-1926-SM-57WEW 40-49 years, male 262.8
GTEX-13OW5-0126-SM-DTXFS 60-69 years, male 262.4
GTEX-1HCU8-0626-SM-A9SM9 60-69 years, female 261.6
GTEX-111VG-2426-SM-5GZXD 60-69 years, male 261.2
GTEX-12126-0326-SM-5PNW3 20-29 years, male 260.3
GTEX-1M5QR-1226-SM-EWROB 40-49 years, male 259.9
GTEX-WVJS-0126-SM-4MVOT 50-59 years, male 259.8
GTEX-14PJ3-1826-SM-62LEX 50-59 years, male 258.8
GTEX-11UD1-0126-SM-5PNYG 40-49 years, female 258.0
GTEX-11ZTS-0126-SM-5EQ6M 60-69 years, female 257.9
GTEX-1IL2V-0126-SM-CM2TX 70-79 years, male 257.8
GTEX-ZF3C-0126-SM-DO92D 50-59 years, female 257.4
GTEX-1RDX4-0126-SM-E9J4P 50-59 years, female 255.8
GTEX-OHPM-0126-SM-2YUN9 50-59 years, male 255.5
GTEX-1S3DN-2226-SM-EVYCD 50-59 years, male 255.5
GTEX-T5JW-1626-SM-3GADZ 20-29 years, female 254.8
GTEX-18QFQ-0126-SM-731BE 30-39 years, male 253.9
GTEX-139TS-2826-SM-5J1OO 60-69 years, male 253.1
GTEX-11OF3-2626-SM-5GU7F 60-69 years, male 252.9
GTEX-TKQ1-1026-SM-4GICL 30-39 years, male 252.8
GTEX-12696-2426-SM-5EQ6H 60-69 years, male 251.7
GTEX-14PJ6-2126-SM-6EU1V 60-69 years, female 251.6
GTEX-1GPI7-0126-SM-9MQL8 20-29 years, male 251.0
GTEX-145MF-0626-SM-5LUAI 50-59 years, male 250.3
GTEX-1GZ2Q-0226-SM-7P8TL 40-49 years, male 249.9
GTEX-1I6K6-0126-SM-A9SLE 30-39 years, male 249.7
GTEX-1LVAN-0226-SM-COH3S 50-59 years, female 248.1
GTEX-1GN1U-0126-SM-7PBZK 50-59 years, female 247.8
GTEX-1HBPI-1526-SM-C1YQ1 50-59 years, male 246.8
GTEX-131XH-2226-SM-5DUXJ 50-59 years, male 246.0
GTEX-ZDTT-2726-SM-4WKF8 60-69 years, male 245.9
GTEX-ZYFC-0226-SM-5NQ75 50-59 years, male 245.5
GTEX-1KXAM-2226-SM-CYPTC 60-69 years, male 245.3
GTEX-RVPV-0126-SM-EAZAW 60-69 years, male 244.7
GTEX-1313W-0126-SM-5LZUN 50-59 years, female 244.2
GTEX-WZTO-0126-SM-3NM95 40-49 years, male 244.1
GTEX-1ICLZ-0126-SM-CKZPO 60-69 years, male 243.9
GTEX-13VXU-0126-SM-5SI9F 50-59 years, male 243.8
GTEX-15G19-0126-SM-6PANQ 60-69 years, male 243.4
GTEX-12ZZY-0226-SM-5LZVE 60-69 years, male 242.9
GTEX-14PJM-0226-SM-62LF1 50-59 years, female 242.7
GTEX-WYVS-2126-SM-3NMA3 40-49 years, female 242.6
GTEX-ZV6S-2326-SM-4YCEY 40-49 years, female 242.4
GTEX-YFC4-0126-SM-5CVLY 40-49 years, female 242.0
GTEX-S7PM-0126-SM-4AD6S 60-69 years, male 241.7
GTEX-1QPFJ-0226-SM-E76PB 30-39 years, female 241.2
GTEX-Z93T-0126-SM-5HL5N 50-59 years, male 241.1
GTEX-RNOR-0126-SM-E9J4R 50-59 years, female 241.0
GTEX-17EVP-0326-SM-7DHLG 40-49 years, male 240.9
GTEX-1J8QM-2126-SM-CYPSJ 60-69 years, female 240.9
GTEX-W5X1-3026-SM-EAZAX 40-49 years, female 240.8
GTEX-11P81-2326-SM-59875 30-39 years, female 239.6
GTEX-1F5PL-0326-SM-7P8PQ 40-49 years, female 239.6
GTEX-ZVT2-2526-SM-51MT1 50-59 years, female 239.4
GTEX-139D8-0226-SM-5KLZO 30-39 years, female 238.6
GTEX-1399T-2826-SM-5KLYZ 60-69 years, male 238.0
GTEX-ZDYS-2026-SM-5HL5L 50-59 years, male 237.9
GTEX-1J1OQ-0226-SM-CYPSH 40-49 years, female 237.6
GTEX-1B97I-1626-SM-73KYO 40-49 years, male 237.0
GTEX-1269C-2526-SM-5EGJ3 60-69 years, female 236.0
GTEX-1HSGN-0226-SM-CGQFV 40-49 years, female 236.0
GTEX-1GMRU-0126-SM-9YFLV 50-59 years, male 235.1
GTEX-11EI6-0126-SM-5985R 60-69 years, male 234.0
GTEX-1F6I4-0126-SM-9MQL2 60-69 years, male 233.0
GTEX-1122O-2126-SM-5EGIR 60-69 years, female 232.5
GTEX-QLQW-1126-SM-2S1Q8 30-39 years, male 232.4
GTEX-TMZS-0126-SM-3DB9Q 60-69 years, male 232.4
GTEX-13FHO-0226-SM-5IFGY 60-69 years, male 231.6
GTEX-1IDJH-0326-SM-A9SLQ 70-79 years, male 231.6
GTEX-ZDTS-0126-SM-4WAY5 60-69 years, male 231.5
GTEX-14E6D-0126-SM-62LDV 50-59 years, male 231.3
GTEX-RM2N-1426-SM-2TF4H 50-59 years, male 231.2
GTEX-17MFQ-1726-SM-793C7 20-29 years, male 231.1
GTEX-1GL5R-1826-SM-9KNUY 50-59 years, male 231.0
GTEX-1NV5F-0226-SM-E8VNY 60-69 years, female 231.0
GTEX-P4PP-0126-SM-3LK69 30-39 years, female 230.6
GTEX-1N2DW-0226-SM-E9TK2 50-59 years, male 230.4
GTEX-1B8KZ-2026-SM-7DHMB 50-59 years, male 229.5
GTEX-14BMV-0126-SM-5S2PO 50-59 years, male 229.0
GTEX-145LT-1726-SM-5QGP3 40-49 years, male 228.2
GTEX-1O97I-0326-SM-EYYX7 60-69 years, male 227.3
GTEX-QVJO-1626-SM-2S1QW 60-69 years, female 227.2
GTEX-QEG4-0226-SM-2S1PY 30-39 years, male 227.0
GTEX-14BMU-2226-SM-5TDE9 20-29 years, female 226.7
GTEX-O5YT-0126-SM-48TBW 20-29 years, male 226.3
GTEX-1J8JJ-0226-SM-CL53I 60-69 years, female 226.0
GTEX-183FY-0126-SM-7LT9P 20-29 years, male 225.4
GTEX-X261-0126-SM-3NMD6 50-59 years, male 225.4
GTEX-12KS4-0326-SM-5EQ41 30-39 years, male 225.0
GTEX-12WSC-0126-SM-5EQ4P 50-59 years, male 224.9
GTEX-1GN73-0226-SM-9WG67 60-69 years, male 224.9
GTEX-17F98-0626-SM-79OMX 40-49 years, female 224.4
GTEX-Y5LM-1926-SM-5RQJH 40-49 years, female 224.4
GTEX-132NY-0326-SM-5IJBL 60-69 years, male 224.1
GTEX-11TT1-2526-SM-5EGIB 20-29 years, male 224.0
GTEX-1J8EW-0126-SM-CJI4F 60-69 years, female 223.7
GTEX-18D9U-0226-SM-718BP 40-49 years, male 223.0
GTEX-13YAN-0326-SM-5O9DF 60-69 years, male 222.6
GTEX-12ZZX-0126-SM-5EGK9 40-49 years, female 221.9
GTEX-1RAZA-0126-SM-E6CI3 20-29 years, male 221.9
GTEX-1CAMR-1926-SM-7EPI2 20-29 years, male 221.7
GTEX-1EKGG-0226-SM-9WYTH 60-69 years, male 221.6
GTEX-1PDJ9-0326-SM-DTX95 20-29 years, male 221.5
GTEX-XQ3S-1526-SM-4BOOC 20-29 years, male 221.4
GTEX-13OVL-0226-SM-5L3E9 50-59 years, male 221.3
GTEX-11P7K-2126-SM-5GU7G 30-39 years, male 220.4
GTEX-131YS-0126-SM-5KM1M 60-69 years, female 220.4
GTEX-11DXX-2426-SM-5GZZW 60-69 years, female 220.3
GTEX-1CB4G-0226-SM-7PC3O 60-69 years, male 220.0
GTEX-YB5E-2026-SM-5IFIS 40-49 years, male 219.8
GTEX-15UKP-0426-SM-7KUFQ 20-29 years, male 219.7
GTEX-1HGF4-2426-SM-ACKXM 60-69 years, male 219.7
GTEX-ZGAY-0526-SM-4WWBB 40-49 years, female 219.2
GTEX-1GN2E-0426-SM-9MQKX 60-69 years, male 218.8
GTEX-1CAMS-0426-SM-7P8T2 40-49 years, female 218.2
GTEX-15CHC-2126-SM-6EU21 60-69 years, female 218.1
GTEX-PVOW-0126-SM-2XCFA 40-49 years, male 217.9
GTEX-1H1CY-2826-SM-9MQM3 60-69 years, female 217.6
GTEX-14C5O-0126-SM-5SI6N 60-69 years, male 217.5
GTEX-1I1GQ-0126-SM-COH3H 50-59 years, male 217.2
GTEX-1KD5A-0226-SM-D5OV3 50-59 years, male 216.6
GTEX-1C6VR-2426-SM-79OLD 60-69 years, male 215.6
GTEX-VUSG-2526-SM-4KL1V 50-59 years, male 215.3
GTEX-11UD2-0226-SM-5EQKY 50-59 years, male 214.7
GTEX-15SB6-1726-SM-6PAME 50-59 years, female 214.1
GTEX-17F97-0326-SM-7LG5B 50-59 years, male 213.9
GTEX-XMD2-0126-SM-4YCDU 60-69 years, female 213.8
GTEX-1KANB-0526-SM-E6CJH 50-59 years, male 213.6
GTEX-1192X-0226-SM-5H12D 50-59 years, male 213.5
GTEX-ZZ64-1726-SM-5GZYB 20-29 years, male 213.3
GTEX-13N2G-2626-SM-5J1OT 60-69 years, male 213.2
GTEX-1H1E6-1726-SM-ACKVK 30-39 years, male 213.2
GTEX-1497J-2426-SM-7IGNX 60-69 years, male 213.0
GTEX-17HG3-2226-SM-7938L 30-39 years, female 212.8
GTEX-1F52S-0126-SM-9MQJU 60-69 years, female 212.8
GTEX-1EU9M-0226-SM-7P8SP 60-69 years, male 212.5
GTEX-146FQ-0126-SM-5NQA9 30-39 years, male 212.2
GTEX-1C4CL-0526-SM-73KVK 30-39 years, male 211.6
GTEX-14DAR-2026-SM-5S2O3 50-59 years, male 211.2
GTEX-ZY6K-1826-SM-5GZXK 50-59 years, male 210.7
GTEX-13O3P-0126-SM-5KM4S 50-59 years, male 210.5
GTEX-ZYFG-2326-SM-5E44B 60-69 years, female 210.3
GTEX-145LU-0126-SM-5TDCB 50-59 years, male 209.7
GTEX-1GMR3-1926-SM-9KNUZ 40-49 years, male 209.5
GTEX-16BQI-0226-SM-7KUEX 30-39 years, female 208.9
GTEX-1S82Z-0826-SM-E6CHY 30-39 years, female 208.8
GTEX-1F6IF-0726-SM-7P8TW 60-69 years, male 208.3
GTEX-T5JC-0426-SM-32PLO 20-29 years, male 208.2
GTEX-1GF9V-0326-SM-7RHI5 60-69 years, male 207.8
GTEX-13PDP-0126-SM-5L3HD 60-69 years, male 207.3
GTEX-16NGA-1726-SM-731B4 40-49 years, female 207.2
GTEX-1JJ6O-0126-SM-E6CI8 60-69 years, male 207.0
GTEX-1HSMP-0126-SM-E6CJS 70-79 years, male 206.9
GTEX-T2YK-0526-SM-32QPJ 50-59 years, male 206.4
GTEX-U412-0426-SM-3DB9O 60-69 years, male 206.3
GTEX-1HT8W-0126-SM-CNPPP 30-39 years, male 206.0
GTEX-XUYS-0126-SM-47JWZ 50-59 years, male 205.7
GTEX-Y5V6-2426-SM-4VDSB 60-69 years, male 205.7
GTEX-1H1DG-0126-SM-9WYU2 70-79 years, male 205.4
GTEX-1A3MX-0126-SM-731BR 60-69 years, male 205.3
GTEX-ZE7O-0126-SM-57WC1 50-59 years, female 205.3
GTEX-1JMPY-1326-SM-ARL8Y 30-39 years, male 205.3
GTEX-12WSK-2326-SM-5GCOH 40-49 years, female 205.2
GTEX-XQ8I-0426-SM-4BOPO 50-59 years, male 205.1
GTEX-1HCUA-2426-SM-ADEIS 50-59 years, female 205.1
GTEX-14PN3-2426-SM-6LLHS 60-69 years, female 204.4
GTEX-Z93S-0126-SM-5HL7M 50-59 years, male 204.1
GTEX-1212Z-2526-SM-5EGKP 60-69 years, male 203.9
GTEX-14A5H-0426-SM-5QGQF 60-69 years, male 203.8
GTEX-1GMR8-0126-SM-9WYTM 50-59 years, female 203.8
GTEX-18A66-0226-SM-718BD 60-69 years, male 203.6
GTEX-OXRK-0226-SM-3NB2G 50-59 years, female 203.4
GTEX-XAJ8-0826-SM-47JY6 40-49 years, male 203.4
GTEX-145LS-0126-SM-5QGP1 60-69 years, female 203.2
GTEX-QV44-1926-SM-2S1RF 50-59 years, male 203.2
GTEX-11TUW-2726-SM-E9J4M 60-69 years, male 203.0
GTEX-1GZ4H-1726-SM-7PBZJ 50-59 years, female 202.5
GTEX-RWSA-0126-SM-2XCBB 40-49 years, male 201.9
GTEX-1I19N-0326-SM-ACKVX 70-79 years, male 201.9
GTEX-15SHU-0126-SM-7KUEH 40-49 years, female 201.6
GTEX-QDVJ-1726-SM-2I5FX 50-59 years, male 201.2
GTEX-TMMY-0226-SM-33HBA 40-49 years, female 199.6
GTEX-YB5K-2126-SM-4WWDJ 40-49 years, female 199.6
GTEX-QCQG-1726-SM-3GIJ9 50-59 years, female 199.2
GTEX-1K9T9-0126-SM-EVYCF 50-59 years, female 199.0
GTEX-12ZZZ-0626-SM-5DUXI 60-69 years, male 198.9
GTEX-PLZ6-1426-SM-DKPOT 30-39 years, male 198.8
GTEX-TML8-1926-SM-32QOS 40-49 years, female 198.3
GTEX-Y5V5-2326-SM-4V6GA 60-69 years, female 198.3
GTEX-1IKK5-0626-SM-ARL8A 60-69 years, male 198.2
GTEX-13PVR-2326-SM-5QGR1 60-69 years, female 197.9
GTEX-ZVZP-2426-SM-59HKJ 50-59 years, male 197.9
GTEX-145LV-2126-SM-5LU8N 50-59 years, male 197.6
GTEX-U3ZH-2026-SM-3DB78 30-39 years, male 197.4
GTEX-WFON-2126-SM-3LK7O 40-49 years, male 197.4
GTEX-ZVZO-0126-SM-5A5L9 40-49 years, male 197.2
GTEX-Z9EW-1626-SM-5CVMN 40-49 years, male 196.7
GTEX-1H3VE-0326-SM-9YFLH 40-49 years, male 196.7
GTEX-1S83E-0126-SM-EWRO4 40-49 years, male 196.7
GTEX-RWS6-2026-SM-2XCB5 60-69 years, female 196.5
GTEX-1IKJJ-0126-SM-CNPQB 60-69 years, male 196.5
GTEX-1A32A-0126-SM-718B1 50-59 years, female 196.2
GTEX-11NUK-0126-SM-5A5L3 50-59 years, male 196.0
GTEX-UJHI-1526-SM-3DB99 50-59 years, female 195.8
GTEX-13NZ8-0826-SM-5MR3I 60-69 years, female 195.3
GTEX-ZAB5-1826-SM-5HL7C 50-59 years, male 195.0
GTEX-147GR-0526-SM-5S2MY 60-69 years, male 194.9
GTEX-11DXW-0226-SM-5H122 40-49 years, male 194.8
GTEX-UPJH-0326-SM-3GADU 50-59 years, male 194.5
GTEX-14ICK-0226-SM-6EU25 40-49 years, male 194.2
GTEX-13X6J-0126-SM-5QGOU 50-59 years, male 193.9
GTEX-ZQG8-1626-SM-DHXIT 60-69 years, female 193.7
GTEX-11WQK-0526-SM-5EQLD 50-59 years, male 193.6
GTEX-1HCU9-1526-SM-A9SL7 20-29 years, male 193.6
GTEX-1HFI7-1826-SM-ACKXH 50-59 years, female 193.4
GTEX-ZC5H-0226-SM-4WAY9 40-49 years, female 193.2
GTEX-12C56-1726-SM-5EQ61 20-29 years, male 193.0
GTEX-14PHX-2326-SM-62LEM 50-59 years, male 193.0
GTEX-1HBPM-0226-SM-ARL9F 60-69 years, female 192.4
GTEX-1JMQL-0226-SM-CNPP5 50-59 years, female 192.3
GTEX-WY7C-2326-SM-3NB2U 50-59 years, male 191.7
GTEX-ZPIC-1726-SM-DHXIU 40-49 years, female 191.6
GTEX-1IKOH-0226-SM-COH4E 60-69 years, female 191.2
GTEX-148VI-1626-SM-5SI6E 60-69 years, female 190.9
GTEX-PWCY-1826-SM-DHXIZ 20-29 years, female 190.7
GTEX-15EU6-0426-SM-6PAN5 50-59 years, male 190.3
GTEX-12584-0126-SM-5EGKQ 40-49 years, male 190.2
GTEX-13NYC-0326-SM-E9J4S 60-69 years, male 189.9
GTEX-13NZB-2526-SM-5J1OM 30-39 years, male 188.7
GTEX-1POEN-0126-SM-EYYXJ 30-39 years, female 188.7
GTEX-1MCQQ-0826-SM-DLHC2 60-69 years, male 188.6
GTEX-1KWVE-1426-SM-E9TJO 30-39 years, male 188.5
GTEX-U8XE-0326-SM-3DB8P 30-39 years, male 188.4
GTEX-ZXES-1826-SM-5E43S 30-39 years, female 187.7
GTEX-1HSMQ-1226-SM-CGQFX 50-59 years, male 187.4
GTEX-X4EO-0326-SM-3P5YO 60-69 years, female 187.3
GTEX-1HCU6-0126-SM-CL54K 60-69 years, female 187.3
GTEX-O5YW-0126-SM-3LK6D 50-59 years, male 186.5
GTEX-131XF-5016-SM-7MGWE 60-69 years, male 186.0
GTEX-1QCLY-0326-SM-E8VOG 30-39 years, male 185.8
GTEX-15DYW-0126-SM-7KULE 60-69 years, female 185.2
GTEX-1HSEH-0126-SM-ACKXN 60-69 years, male 184.9
GTEX-1F88F-2726-SM-7PBZZ 60-69 years, female 184.7
GTEX-1C2JI-1826-SM-73KXC 50-59 years, male 184.6
GTEX-1ICG6-2526-SM-CGQFZ 70-79 years, female 184.6
GTEX-T2IS-0126-SM-4DM6O 20-29 years, female 184.5
GTEX-11GSP-2526-SM-5N9BP 60-69 years, female 184.4
GTEX-1E1VI-0126-SM-7DHMZ 50-59 years, male 184.2
GTEX-ZEX8-2426-SM-4WKG4 50-59 years, male 184.0
GTEX-11OC5-0126-SM-5HL6A 60-69 years, male 183.2
GTEX-SIU8-0126-SM-2XCDT 50-59 years, male 183.1
GTEX-1F75B-0126-SM-9KNVL 50-59 years, male 182.8
GTEX-18D9B-0526-SM-7LTAS 60-69 years, male 182.7
GTEX-11LCK-1026-SM-5A5KB 30-39 years, male 182.6
GTEX-12WSG-2826-SM-E9J4H 50-59 years, female 182.4
GTEX-133LE-1826-SM-5J1MV 20-29 years, female 182.0
GTEX-1CAMQ-0226-SM-7IGPK 40-49 years, male 181.9
GTEX-OOBK-0126-SM-2YUND 40-49 years, male 181.6
GTEX-1MA7W-2026-SM-E9TJ6 20-29 years, female 181.2
GTEX-1J1R8-1726-SM-ARL8M 40-49 years, male 180.4
GTEX-1JJE9-0326-SM-CL53Z 70-79 years, male 180.4
GTEX-ZVT3-0126-SM-5GU6I 60-69 years, female 179.3
GTEX-X4XX-0126-SM-3NMC2 60-69 years, male 179.2
GTEX-13FTY-0526-SM-5L3EV 40-49 years, female 179.1
GTEX-1IDJF-0126-SM-CM2RS 20-29 years, male 179.0
GTEX-QESD-1426-SM-2S1R9 20-29 years, male 178.7
GTEX-OXRN-0126-SM-48TDM 50-59 years, male 177.3
GTEX-18465-0126-SM-731BN 50-59 years, male 177.2
GTEX-1H3VY-0126-SM-ACKXD 50-59 years, male 176.8
GTEX-18A67-0126-SM-7LG5P 50-59 years, male 176.3
GTEX-1I1GR-0126-SM-CL55F 60-69 years, male 176.3
GTEX-Q2AI-1326-SM-2S1PL 40-49 years, male 176.1
GTEX-X8HC-0126-SM-4E3JW 50-59 years, female 176.1
GTEX-1F5PK-2426-SM-7RHHY 50-59 years, male 176.0
GTEX-144FL-0126-SM-5TDC8 50-59 years, male 175.8
GTEX-1R7EV-2426-SM-EVYBG 40-49 years, male 175.1
GTEX-1F75A-0126-SM-7RHGM 50-59 years, male 174.7
GTEX-1JN1M-0326-SM-CYPT3 60-69 years, female 174.7
GTEX-17HHY-0126-SM-7LG5D 50-59 years, male 173.5
GTEX-12WSD-0126-SM-59HKN 60-69 years, female 173.2
GTEX-1JKYN-1326-SM-CGQG9 30-39 years, male 173.0
GTEX-16AAH-1726-SM-7939C 50-59 years, male 172.3
GTEX-1QEPI-0126-SM-EWRMQ 60-69 years, female 171.3
GTEX-X585-0226-SM-4QAS2 50-59 years, male 171.2
GTEX-11EM3-2426-SM-59861 20-29 years, female 171.1
GTEX-1211K-2026-SM-5EQ4Z 60-69 years, female 170.8
GTEX-ZXG5-0126-SM-5GIEU 60-69 years, male 170.3
GTEX-13O3Q-2426-SM-5IJBR 50-59 years, male 170.2
GTEX-1QAET-0926-SM-E76QM 50-59 years, male 170.2
GTEX-S95S-1226-SM-4GICG 60-69 years, male 170.0
GTEX-QLQ7-1626-SM-2S1R8 60-69 years, male 169.9
GTEX-1H3O1-0426-SM-9YFKY 60-69 years, male 169.6
GTEX-117YX-2326-SM-5H12W 50-59 years, male 169.5
GTEX-1H1ZS-0426-SM-9WG6G 70-79 years, male 169.3
GTEX-1QP66-1726-SM-E8VO1 50-59 years, male 169.0
GTEX-13O3O-0126-SM-E9J49 60-69 years, female 168.2
GTEX-1HB9E-0226-SM-E9U4R 50-59 years, male 167.9
GTEX-145ME-1826-SM-5SI9G 40-49 years, female 167.7
GTEX-14E6C-0126-SM-5RQIP 40-49 years, male 167.7
GTEX-Q2AH-1626-SM-3GAF8 40-49 years, male 166.5
GTEX-WXYG-2326-SM-4E3I6 50-59 years, female 165.9
GTEX-1EN7A-0126-SM-7SB81 40-49 years, male 165.8
GTEX-RTLS-0126-SM-447CA 60-69 years, female 165.7
GTEX-ZYFD-0126-SM-5GIDL 50-59 years, male 165.5
GTEX-1IY9M-0126-SM-D3L8S 60-69 years, male 165.5
GTEX-11GS4-2726-SM-5A5LE 60-69 years, male 165.4
GTEX-XPVG-2626-SM-4B669 50-59 years, male 165.3
GTEX-13N11-2526-SM-5K7UE 50-59 years, female 165.2
GTEX-W5WG-1826-SM-4KL2Y 50-59 years, female 165.1
GTEX-15DCD-0126-SM-7KUEK 70-79 years, female 164.7
GTEX-1I1CD-0126-SM-CM2TK 60-69 years, female 164.6
GTEX-1LC47-0326-SM-E9TJP 60-69 years, male 164.3
GTEX-R55G-2526-SM-2TC6D 40-49 years, female 164.0
GTEX-13SLX-0526-SM-5S2ON 50-59 years, female 163.6
GTEX-1I1GS-0126-SM-B2LVW 60-69 years, male 163.6
GTEX-15DDE-0126-SM-6LPKH 50-59 years, female 163.3
GTEX-1QP2A-0126-SM-E9J43 50-59 years, male 162.7
GTEX-13IVO-0126-SM-5J1NG 70-79 years, male 162.1
GTEX-OIZF-0126-SM-7SB8I 60-69 years, male 162.1
GTEX-145MI-0526-SM-5O9A8 60-69 years, female 161.9
GTEX-1H23P-0126-SM-ADEJ3 60-69 years, male 161.7
GTEX-145MO-0326-SM-5Q5B3 60-69 years, male 161.6
GTEX-ZU9S-0226-SM-5E441 30-39 years, male 161.4
GTEX-13W46-0226-SM-5SIAG 50-59 years, male 161.3
GTEX-U3ZN-2326-SM-3DB7W 30-39 years, female 161.3
GTEX-XXEK-2226-SM-4BRUM 50-59 years, male 161.0
GTEX-1I1GT-0626-SM-CGQER 60-69 years, female 160.7
GTEX-XUW1-0426-SM-4BOOT 50-59 years, female 160.6
GTEX-NPJ8-0126-SM-2YUNR 40-49 years, male 160.2
GTEX-Q734-1926-SM-2I5EV 40-49 years, female 159.7
GTEX-16NPX-0226-SM-79OMT 50-59 years, male 159.6
GTEX-18A7B-0126-SM-7LG64 70-79 years, male 159.2
GTEX-14753-0426-SM-5NQAM 60-69 years, male 159.0
GTEX-1RB15-2126-SM-E9TIM 60-69 years, male 158.9
GTEX-1CB4H-0226-SM-7PBXM 60-69 years, female 158.7
GTEX-1MGNQ-0126-SM-EVYCJ 40-49 years, male 158.5
GTEX-13U4I-0126-SM-5LU38 40-49 years, female 158.4
GTEX-WFG8-2226-SM-3GIL9 20-29 years, male 157.3
GTEX-X5EB-2226-SM-46MW4 40-49 years, male 155.7
GTEX-XBED-2226-SM-47JYQ 60-69 years, male 155.2
GTEX-1MUQO-0126-SM-EAZ58 60-69 years, male 155.2
GTEX-1LH75-2426-SM-E9TJE 50-59 years, female 154.7
GTEX-Q2AG-0126-SM-33HBV 40-49 years, female 154.6
GTEX-1K2DU-2326-SM-E9TIV 20-29 years, male 154.5
GTEX-WRHK-1426-SM-3MJF9 20-29 years, female 154.3
GTEX-11WQC-2526-SM-5CVLE 60-69 years, male 153.8
GTEX-16XZZ-0126-SM-793DV 60-69 years, male 153.8
GTEX-14A5I-0126-SM-5TDEA 50-59 years, female 153.7
GTEX-169BO-1326-SM-9MQK2 50-59 years, male 153.6
GTEX-1LGOU-2026-SM-DIPFF 20-29 years, female 153.4
GTEX-1S82Y-2026-SM-EVYCM 40-49 years, male 153.2
GTEX-13NYS-0126-SM-5MR3W 60-69 years, male 153.0
GTEX-1AX9I-0126-SM-7SB74 60-69 years, male 152.9
GTEX-1IGQW-0126-SM-COH42 60-69 years, male 152.1
GTEX-S32W-2126-SM-2XCB1 50-59 years, female 151.9
GTEX-PW2O-1526-SM-7RHHB 20-29 years, male 151.9
GTEX-17EUY-0426-SM-793BD 20-29 years, male 151.8
GTEX-ZTPG-0326-SM-5O9AX 20-29 years, female 151.6
GTEX-1GF9W-0326-SM-9KNUN 60-69 years, male 151.6
GTEX-R45C-0126-SM-EAZ2R 60-69 years, female 151.6
GTEX-Y3I4-2126-SM-4TT7C 50-59 years, male 151.5
GTEX-ZQUD-1426-SM-57WER 30-39 years, male 151.0
GTEX-1MA7X-2226-SM-E6CIY 60-69 years, male 150.4
GTEX-11GSO-2426-SM-5A5LY 60-69 years, male 150.2
GTEX-1H3NZ-0126-SM-ACKX7 60-69 years, male 150.2
GTEX-1JMQK-0226-SM-CL543 60-69 years, male 149.7
GTEX-1QP29-0626-SM-EWRMX 50-59 years, male 149.6
GTEX-15SHW-0326-SM-6PAML 60-69 years, male 149.4
GTEX-1314G-1526-SM-5EGK2 30-39 years, male 149.0
GTEX-1IDJU-2626-SM-CM2RT 60-69 years, female 148.3
GTEX-1B933-0126-SM-7PC29 50-59 years, female 148.2
GTEX-13OVI-1426-SM-5L3EY 60-69 years, female 147.9
GTEX-11O72-0126-SM-59887 40-49 years, male 147.8
GTEX-ZVT4-0126-SM-DTXFN 50-59 years, female 147.4
GTEX-13D11-2426-SM-5KM1V 50-59 years, female 147.2
GTEX-14PK6-1926-SM-6ETZU 70-79 years, female 147.2
GTEX-1J8Q3-1626-SM-CMKGC 60-69 years, male 147.1
GTEX-17EVQ-0226-SM-7LG4P 70-79 years, male 146.7
GTEX-13CF3-2426-SM-5IFGX 60-69 years, female 146.1
GTEX-14ABY-0226-SM-5TDCQ 50-59 years, male 145.8
GTEX-15UF6-0826-SM-6PALJ 70-79 years, female 145.5
GTEX-1JK1U-2026-SM-CM2RZ 60-69 years, male 144.9
GTEX-ZF29-2326-SM-DO92K 60-69 years, female 144.6
GTEX-TSE9-0126-SM-3DB83 60-69 years, female 144.5
GTEX-X4EP-0126-SM-3P5YV 60-69 years, female 143.4
GTEX-17HGU-0226-SM-7DHKV 50-59 years, male 143.1
GTEX-T6MO-1626-SM-32QOM 40-49 years, female 142.7
GTEX-131XW-0426-SM-5LZWP 50-59 years, female 142.6
GTEX-13QJ3-0326-SM-5S2RA 50-59 years, male 142.5
GTEX-14E6E-1826-SM-5S2R7 30-39 years, male 142.1
GTEX-13RTJ-2426-SM-5S2Q2 60-69 years, male 141.9
GTEX-11H98-0126-SM-5EGHG 50-59 years, male 141.7
GTEX-14DAQ-0126-SM-5S2MQ 60-69 years, female 140.9
GTEX-11DXY-2626-SM-5GIE7 60-69 years, male 140.6
GTEX-YJ8A-0426-SM-5IFID 20-29 years, male 140.6
GTEX-14PN4-0126-SM-6EU2V 50-59 years, male 140.5
GTEX-13X6H-2126-SM-7EWD5 50-59 years, female 140.4
GTEX-1GN1V-0126-SM-9WPOS 60-69 years, male 140.0
GTEX-13W3W-2426-SM-5LU5B 60-69 years, female 139.9
GTEX-1A3MV-1926-SM-718BT 30-39 years, male 139.9
GTEX-X638-0126-SM-47JZ8 70-79 years, female 139.8
GTEX-13RTL-0126-SM-7LG5S 40-49 years, male 139.2
GTEX-R55E-0126-SM-2TC5Y 20-29 years, male 139.2
GTEX-SN8G-0126-SM-32PLI 50-59 years, female 139.1
GTEX-139TU-0126-SM-5K7WH 60-69 years, male 138.4
GTEX-1B996-0226-SM-7RHGO 60-69 years, male 138.4
GTEX-11ZVC-2526-SM-5FQTE 50-59 years, female 138.2
GTEX-1192W-2626-SM-5Q5AF 60-69 years, male 137.8
GTEX-14XAO-2326-SM-6EU1B 60-69 years, female 137.4
GTEX-PLZ5-2026-SM-2S1O4 50-59 years, male 136.7
GTEX-13NZA-0226-SM-5K7Z7 60-69 years, male 136.6
GTEX-13O21-1426-SM-5K7XI 50-59 years, male 136.5
GTEX-15SDE-2226-SM-7IGLO 50-59 years, female 136.4
GTEX-13S7M-0126-SM-5SI6A 60-69 years, female 136.3
GTEX-117YW-2626-SM-5GZZH 50-59 years, male 136.2
GTEX-13OW8-1326-SM-5J1OW 60-69 years, male 136.2
GTEX-139T8-0126-SM-5K7XZ 60-69 years, male 135.5
GTEX-13RTK-1426-SM-5QGQJ 20-29 years, male 134.8
GTEX-YEC4-2126-SM-5IFJH 40-49 years, male 134.7
GTEX-U8T8-0126-SM-3DB94 60-69 years, male 133.7
GTEX-WH7G-2326-SM-3NMBC 40-49 years, male 133.5
GTEX-13113-5016-SM-7EPIP 60-69 years, female 133.4
GTEX-WOFL-0126-SM-3MJG2 60-69 years, male 133.4
GTEX-1IE54-0126-SM-CMKHW 40-49 years, female 133.4
GTEX-1GF9U-2126-SM-7SB7L 40-49 years, female 133.2
GTEX-1B8SG-0126-SM-73KZ3 50-59 years, male 133.1
GTEX-1C64O-0126-SM-7SB8P 60-69 years, male 133.1
GTEX-WI4N-1026-SM-3LK7N 40-49 years, female 132.9
GTEX-1AX8Z-0126-SM-7DHM6 60-69 years, male 132.8
GTEX-113JC-2326-SM-5EQ4E 50-59 years, female 132.4
GTEX-13VXT-0126-SM-5LU4I 20-29 years, female 131.7
GTEX-13FH7-2026-SM-E9J4I 50-59 years, female 131.6
GTEX-1PWST-0226-SM-E76QJ 70-79 years, male 131.3
GTEX-OXRP-0126-SM-3NB32 60-69 years, female 130.9
GTEX-13X6I-0626-SM-5QGP9 60-69 years, male 130.0
GTEX-1128S-2326-SM-5GZZY 60-69 years, female 129.4
GTEX-144GL-0126-SM-5TDE2 50-59 years, male 129.1
GTEX-1I1HK-0126-SM-COH49 60-69 years, male 128.9
GTEX-1NHNU-1026-SM-E9J2A 50-59 years, male 128.5
GTEX-148VJ-0126-SM-5TDDN 70-79 years, male 128.4
GTEX-ZVE2-0226-SM-59HJB 50-59 years, male 128.1
GTEX-1N2DV-0226-SM-E6CJ6 40-49 years, male 127.9
GTEX-13OVJ-0126-SM-5KM36 50-59 years, female 125.3
GTEX-1IDFM-0126-SM-COH2V 60-69 years, male 125.2
GTEX-131XG-2626-SM-5KM17 50-59 years, female 124.8
GTEX-14E7W-0126-SM-6LLJ9 70-79 years, male 124.2
GTEX-12WSA-0226-SM-5BC5V 60-69 years, male 123.4
GTEX-1GPI6-0126-SM-9WG69 60-69 years, male 122.3
GTEX-1H2FU-0126-SM-9WYSI 60-69 years, female 121.4
GTEX-1R9K4-0126-SM-DTX9X 60-69 years, male 120.7
GTEX-13112-2826-SM-5DUWH 50-59 years, male 120.5
GTEX-1JN76-0126-SM-CNPPE 20-29 years, female 120.0
GTEX-14JG6-2226-SM-6EU2G 30-39 years, female 119.3
GTEX-16YQH-0126-SM-7DUFJ 30-39 years, male 119.1
GTEX-1A8FM-0226-SM-7SB7Q 50-59 years, female 118.4
GTEX-16MT8-0426-SM-7KUEY 60-69 years, female 118.2
GTEX-14BIM-0226-SM-7IGLD 60-69 years, female 117.9
GTEX-1F7RK-0126-SM-7PC2S 20-29 years, female 117.7
GTEX-13O1R-0126-SM-5L3EH 60-69 years, male 117.5
GTEX-X4XY-0226-SM-4E3IZ 60-69 years, male 117.5
GTEX-ZYY3-0126-SM-5GZY5 60-69 years, female 117.0
GTEX-1ICLY-0126-SM-D4P36 50-59 years, male 117.0
GTEX-Y8LW-1826-SM-5S2MV 50-59 years, female 116.0
GTEX-1LG7Y-0526-SM-DKPQC 50-59 years, male 115.8
GTEX-11EMC-2926-SM-5EQ4F 60-69 years, female 115.6
GTEX-VJWN-0126-SM-3GIK7 50-59 years, female 115.1
GTEX-P4PQ-0126-SM-2S1NM 60-69 years, male 114.6
GTEX-SSA3-0126-SM-32QPU 60-69 years, male 114.6
GTEX-1N2EF-0226-SM-EYYXB 60-69 years, male 114.4
GTEX-11ZU8-2526-SM-5EQKI 60-69 years, male 114.2
GTEX-OXRO-0126-SM-2YUN4 60-69 years, female 113.9
GTEX-139TT-0126-SM-5K7Y5 60-69 years, male 113.5
GTEX-1MCYP-1926-SM-E9J2R 20-29 years, female 113.3
GTEX-ZDXO-3026-SM-5J1N5 60-69 years, male 112.3
GTEX-11P82-1626-SM-59879 20-29 years, male 112.1
GTEX-1AMFI-2026-SM-731BH 50-59 years, female 111.8
GTEX-1HCVE-0126-SM-CGQEU 50-59 years, male 111.5
GTEX-XV7Q-2526-SM-4BRV9 40-49 years, female 110.8
GTEX-PWO3-1526-SM-48TCM 60-69 years, female 109.9
GTEX-P44H-0226-SM-2XCEU 40-49 years, male 109.6
GTEX-17HHE-2026-SM-79OKF 50-59 years, male 108.4
GTEX-1AX9K-2326-SM-73KWU 50-59 years, male 107.8
GTEX-ZAJG-0126-SM-5HL94 50-59 years, female 107.4
GTEX-11VI4-1726-SM-5CVLH 40-49 years, female 107.2
GTEX-1AMEY-1326-SM-73KYK 30-39 years, female 106.9
GTEX-147F3-0526-SM-5SI98 50-59 years, female 106.8
GTEX-14LLW-0126-SM-6LLIO 70-79 years, female 106.5
GTEX-ZAB4-0226-SM-5N9F5 40-49 years, male 106.2
GTEX-183WM-0126-SM-7LTAB 70-79 years, female 105.2
GTEX-OXRL-0126-SM-2YUMP 50-59 years, male 105.1
GTEX-13FTX-1826-SM-5J1NX 20-29 years, female 104.8
GTEX-PLZ4-0126-SM-5SI8O 50-59 years, female 104.2
GTEX-ZF28-0126-SM-4WKGK 60-69 years, male 104.2
GTEX-1I1GP-2226-SM-CGQFK 50-59 years, male 104.1
GTEX-11DZ1-0126-SM-5985Q 50-59 years, male 103.8
GTEX-RN64-0126-SM-2TC68 50-59 years, male 103.8
GTEX-1M4P7-0226-SM-DIPEV 60-69 years, male 101.6
GTEX-1CB4J-0626-SM-7DHMP 60-69 years, male 101.1
GTEX-1C6VQ-0126-SM-7P8RI 50-59 years, male 100.4
GTEX-1F48J-0126-SM-7P8TT 50-59 years, female 99.8
GTEX-12WSL-2526-SM-5GCNJ 50-59 years, male 99.5
GTEX-QDVN-2026-SM-3GAEP 50-59 years, male 99.0
GTEX-1H1DE-2126-SM-9WG6R 20-29 years, male 99.0
GTEX-13OW7-0126-SM-5MR3B 50-59 years, male 98.2
GTEX-1GN1W-0526-SM-9MQJQ 50-59 years, female 97.6
GTEX-U3ZM-1526-SM-3DB9D 40-49 years, male 97.3
GTEX-V1D1-2226-SM-3NMAX 50-59 years, male 97.0
GTEX-1AYCT-2426-SM-7IGQ3 50-59 years, male 96.8
GTEX-144GN-2326-SM-5LU4F 50-59 years, male 96.6
GTEX-1F75I-0326-SM-9YFLU 40-49 years, male 96.0
GTEX-1GTWX-0126-SM-9YFLK 60-69 years, male 95.9
GTEX-1C6WA-0126-SM-7PC2B 60-69 years, male 95.7
GTEX-ZUA1-0126-SM-5GU76 40-49 years, male 95.3
GTEX-147F4-0226-SM-5QGPW 50-59 years, male 94.9
GTEX-1R46S-0626-SM-E9J41 60-69 years, female 94.8
GTEX-1AYD5-2426-SM-73KXR 50-59 years, male 93.1
GTEX-17HII-0226-SM-7LG4E 50-59 years, male 91.9
GTEX-15EOM-0126-SM-7KUGG 20-29 years, female 91.7
GTEX-15D1Q-0126-SM-7KUG6 40-49 years, male 91.3
GTEX-1J8Q2-0526-SM-CM2RW 60-69 years, male 91.3
GTEX-1LNCM-1126-SM-E9U5E 50-59 years, female 90.7
GTEX-12WSN-5019-SM-79OM6 40-49 years, male 89.6
GTEX-11ZTT-2426-SM-5EQLS 60-69 years, female 89.0
GTEX-13OVG-1926-SM-5L3DK 60-69 years, male 88.6
GTEX-1JMOU-1526-SM-CL54I 60-69 years, female 88.2
GTEX-1A3MW-0126-SM-73KXX 60-69 years, female 87.6
GTEX-1HKZK-0326-SM-9WYUH 40-49 years, male 85.3
GTEX-17MF6-0126-SM-7LG4F 40-49 years, male 83.8
GTEX-1PPH7-2326-SM-EVYB8 40-49 years, male 83.4
GTEX-ZZPT-0226-SM-5E43X 50-59 years, male 82.4
GTEX-QDT8-0126-SM-48TZ1 30-39 years, female 80.5
GTEX-16XZY-2126-SM-79OK1 70-79 years, male 79.7
GTEX-14PHW-0126-SM-6LLJI 60-69 years, female 78.4
GTEX-1C6VS-0526-SM-7DUEN 60-69 years, male 77.6
GTEX-1RLM8-2326-SM-EWRN4 50-59 years, male 75.2
GTEX-RUSQ-1526-SM-2TF62 50-59 years, male 74.0
GTEX-14BIL-0126-SM-5SI92 50-59 years, male 73.1
GTEX-1I1GU-2226-SM-CGQFA 40-49 years, male 72.9
GTEX-146FH-0126-SM-5QGPP 50-59 years, female 71.1
GTEX-13N1W-0126-SM-5K7VT 70-79 years, male 70.9
GTEX-X62O-0126-SM-4E3JN 50-59 years, male 69.5
GTEX-1PBJI-0526-SM-E8VNK 20-29 years, female 69.1
GTEX-ZYW4-0126-SM-5E44A 60-69 years, male 68.2
GTEX-1R9PO-2126-SM-E9J4O 60-69 years, female 68.2
GTEX-113IC-0126-SM-5HL6T 60-69 years, male 67.2
GTEX-1OJC4-0126-SM-E9J2E 50-59 years, female 67.1
GTEX-1HSMO-0126-SM-CL547 60-69 years, male 56.0
GTEX-11ZUS-0626-SM-59885 30-39 years, male 54.5
GTEX-139T4-0226-SM-5HL5S 50-59 years, female 54.0
GTEX-14A6H-0126-SM-5QGPK 30-39 years, male 52.4
GTEX-1RAZQ-0726-SM-EAZ43 30-39 years, male 50.5
GTEX-U4B1-1826-SM-4DXSU 40-49 years, male 47.9
GTEX-1QP67-1626-SM-EAZ3X 40-49 years, female 44.0
GTEX-1HUB1-0426-SM-E9U4U 60-69 years, male 43.4
GTEX-11TTK-0126-SM-5987B 60-69 years, female 42.4
GTEX-1QW4Y-1526-SM-EAZ3Z 30-39 years, male 40.7
GTEX-146FR-1326-SM-E9J48 60-69 years, female 26.5
GTEX-14JIY-0126-SM-6LLH6 60-69 years, male 24.8
GTEX-1HBPH-0426-SM-B2LW5 40-49 years, female 21.9
Show allShow less

Contact

  • NEWS ARTICLES
  • PRESS ROOM

The Project

  • INTRODUCTION
  • ORGANIZATION
  • PUBLICATIONS

The Human Protein Atlas

  • DOWNLOADABLE DATA
  • LICENCE & CITATION
  • HELP & FAQ
The Human Protein Atlas project is funded
by the Knut & Alice Wallenberg Foundation.


contact@proteinatlas.org