We use cookies to enhance the usability of our website. If you continue, we'll assume that you are happy to receive all cookies. More information. Don't show this again.
HDAC1
HPA
RESOURCES
  • TISSUE
  • BRAIN
  • SINGLE CELL
  • SUBCELLULAR
  • CANCER
  • BLOOD
  • CELL LINE
  • STRUCTURE & INTERACTION
ABOUT
  • INTRODUCTION
  • HISTORY
  • ORGANIZATION
  • PUBLICATIONS
  • ANTIBODY SUBMISSION
  • ANTIBODY AVAILABILITY
  • ACKNOWLEDGMENTS
  • CONTACT
NEWS
  • NEWS ARTICLES
  • PRESS ROOM
LEARN
  • DICTIONARY
  • PROTEIN CLASSES
  • PROTEIN EVIDENCE
  • METHODS
  • EDUCATIONAL VIDEOS
DATA
  • DOWNLOADABLE DATA
  • PUBLICATION DATA
  • RELEASE HISTORY
HELP
  • ANTIBODY VALIDATION
  • ASSAYS & ANNOTATION
  • DISCLAIMER
  • HELP & FAQ
  • PRIVACY STATEMENT
  • LICENCE & CITATION
Fields »
Search result

Field
Term
Gene name
Class
Subclass
Class
Keyword
Chromosome
External id
Tissue
Cell type
Expression
Antibody panel
Tissue
Main location
Patient ID
Annotation
Tissue
Category
Tau score
Cluster
Reliability
Brain region
Category
Tau score
Brain region
Category
Tau score
Brain region
Category
Tau score
Cluster
Reliability
Tissue
Cell type
Enrichment
Cell type
Category
Tau score
Cell type
Category
Tau score
Cell type
Category
Tau score
Cell lineage
Category
Tau score
Cluster
Cluster
Location
Searches
Location
Cell line
Class
Type
Phase
Reliability
Cancer
Prognosis
Cancer
Category
Cancer
Category
Tau score
Cluster
Variants
Interacting gene (ensg_id)
Type
Number of interactions
Pathway
Category
Score
Score
Score
Validation
Validation
Validation
Validation
Antibodies
Data type
Column


  • SUMMARY

  • TISSUE

  • BRAIN

  • SINGLE CELL

  • SUBCELL

  • CANCER

  • BLOOD

  • CELL LINE

  • STRUCT & INT

  • HDAC1
TISSUE PRIMARY DATA STOMACH Show tissue menu
ADIPOSE TISSUE ADRENAL GLAND AMYGDALA APPENDIX BASAL GANGLIA BONE MARROW BREAST BRONCHUS CEREBELLUM CEREBRAL CORTEX CERVIX CHOROID PLEXUS COLON DUODENUM
ENDOMETRIUM EPIDIDYMIS ESOPHAGUS FALLOPIAN TUBE GALLBLADDER HEART MUSCLE HIPPOCAMPAL FORMATION HYPOTHALAMUS KIDNEY LIVER LUNG LYMPH NODE MIDBRAIN NASOPHARYNX
ORAL MUCOSA OVARY PANCREAS PARATHYROID GLAND PITUITARY GLAND PLACENTA PROSTATE RECTUM RETINA SALIVARY GLAND SEMINAL VESICLE SKELETAL MUSCLE SKIN SMALL INTESTINE
SMOOTH MUSCLE SOFT TISSUE SPINAL CORD SPLEEN STOMACH TESTIS THYMUS THYROID GLAND TONGUE TONSIL URINARY BLADDER VAGINA
ANTIBODIES
AND
VALIDATION
Dictionary
Tissue proteome
Stomach
STOMACH - Expression summary
Protein expression
Stomachi

On the top, protein expression in current human tissue, based on all annotated cell types, is reported with the units not detected (n), low (l), medium (m) and high (h). Underneath, protein expression in each annotated cell type are reported using the same units.

Protein expression data is based on knowledge-based annotation. For genes where more than one antibody has been used, a collective score is set.

If knowledge-based annotation could not be performed for a gene, no data is displayed here. View antibody staining data further down this page.

h
m
l
n
Glandular cells: High
RNA expressioni

A summary of mRNA expression data available for current tissue based on several datasets. The mRNA expression levels in human tissues are based on RNA-seq data generated by the Human Protein Atlas (HPA), Genotype-Tissue Expression (GTEx) portal and CAGE data generated by the FANTOM5 consortium. Consensus normalized expression levels for human tissues was created by combining the data from HPA and GTEx datasets.

The mRNA expression levels in pig are based on RNA-seq data generated by the Human Protein Atlas (HPA), and for mouse, HPA data and in situ hybridization generated by the Allen brain atlas are reported.

Scroll down to view mRNA expression data in more detail.
Consensus:81.9 nTPM
HPA:81.9 nTPM
GTEx:55.6 nTPM

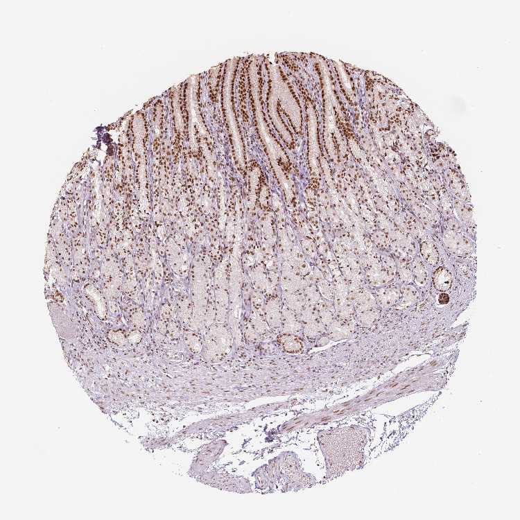
STOMACH 1 - Antibody stainingi

Antibody staining in the annotated cell types in the current human tissue is reported as not detected, low, medium, or high, based on conventional immunohistochemistry profiling in selected tissues. This score is based on the combination of the staining intensity and fraction of stained cells.

Each image is clickable and will lead to virtual microscopy that enables deeper exploration of all samples and also displays staining intensity scores, fraction scores and subcellular localization as well as patient and tissue information for each sample.

Antibody HPA029693Antibody CAB005017Antibody CAB068191
Glandular cells MediumHighHigh






STOMACH 2 - Antibody stainingi

Antibody staining in the annotated cell types in the current human tissue is reported as not detected, low, medium, or high, based on conventional immunohistochemistry profiling in selected tissues. This score is based on the combination of the staining intensity and fraction of stained cells.

Each image is clickable and will lead to virtual microscopy that enables deeper exploration of all samples and also displays staining intensity scores, fraction scores and subcellular localization as well as patient and tissue information for each sample.

Antibody HPA029693Antibody CAB005017Antibody CAB068191
Glandular cells MediumHighHigh






STOMACH - HPA RNA-seqi

The RNA-seq details section shows detailed information about the individual samples used for the transcript profiling and results of the RNA-seq analysis.

Information about each individual sample is listed below, including gender, age, a tissue section image and estimated fractions of cell types. nTPM (normalized transcripts per million) values give a quantification of the gene abundance which is comparable between different genes and samples.
Average nTPMi

Max subtype nTPM is the value for the subtype with the largest average nTPM across the subtype samples.

81.9
overview
Female, age 33
Stomach sample 61
nTPM: 60.6
Cell types%
Glandular cells:
60

Smooth muscle cells:
5

Other cell types:
35

N/A
Male, age 82
Stomach sample 240
nTPM: 84.2
Cell types%
Glandular cells:
65

Smooth muscle cells:
5

Other cell types:
30

overview
Male, age 71
Stomach sample 241
nTPM: 109.4
Cell types%
Glandular cells:
50

Smooth muscle cells:
5

Other cell types:
45

overview
Female, age 66
Stomach sample 369
nTPM: 73.3
Cell types%
Glandular cells:
50

Smooth muscle cells:
10

Other cell types:
40


STOMACH - GTEx RNA-seqi

RNA-Seq data generated by the Genotype-Tissue Expression (GTEx) project from human tissues is reported as mean nTPM. More information can be found on the GTEx portal.

Distribution across the dataset is visualized with box plots, shown as median and 25th and 75th percentiles. Points are displayed as outliers if they are above or below 1.5 times the interquartile range. nTPM values of the individual samples are presented next to the box plot.
Max subtype nTPMi

Max subtype nTPM is the value for the subtype with the largest average nTPM across the subtype samples.

55.6
GTEx sample id Sample description nTPM
Stomach
Average nTPM: 55.6
Samples: 359

Max nTPM: 148.8
Min nTPM: 20.9
Std nTPM: 17.1
Median nTPM: 52.4
GTEX-WHPG-0426-SM-4M1XW 50-59 years, male 148.8
GTEX-QCQG-0526-SM-48U2A 50-59 years, female 128.6
GTEX-13OW6-2526-SM-5IJEC 50-59 years, male 107.7
GTEX-P4PP-1526-SM-3P61M 30-39 years, female 107.5
GTEX-Y3IK-1426-SM-4YCES 50-59 years, female 106.5
GTEX-117YX-1026-SM-5H11V 50-59 years, male 102.9
GTEX-13FTW-1726-SM-5KM2B 40-49 years, male 101.3
GTEX-11NUK-2426-SM-5BC4U 50-59 years, male 101.1
GTEX-WFG8-1326-SM-4LVN3 20-29 years, male 98.3
GTEX-QDVN-1226-SM-48TZ5 50-59 years, male 98.0
GTEX-POMQ-0826-SM-3P61H 20-29 years, female 97.1
GTEX-1B97J-1826-SM-7IGPP 50-59 years, female 94.2
GTEX-13FTX-0726-SM-5N9BI 20-29 years, female 90.4
GTEX-14PKV-1826-SM-69LO9 20-29 years, female 90.3
GTEX-131XG-1226-SM-5EGH9 50-59 years, female 87.7
GTEX-11DXX-1326-SM-5GIDZ 60-69 years, female 86.7
GTEX-15G19-1526-SM-6LPKP 60-69 years, male 86.0
GTEX-WHSB-1226-SM-4M1XR 50-59 years, male 85.4
GTEX-1KANA-1126-SM-D3L9M 20-29 years, male 85.0
GTEX-1MJIX-1126-SM-EV7AO 40-49 years, male 84.9
GTEX-14PHX-1026-SM-664OL 50-59 years, male 84.4
GTEX-WY7C-1726-SM-4ONCC 50-59 years, male 82.8
GTEX-145ME-1026-SM-5O9B4 40-49 years, female 82.4
GTEX-QDVJ-1426-SM-48U1Y 50-59 years, male 82.0
GTEX-TMMY-1626-SM-4DXTY 40-49 years, female 81.6
GTEX-13CF3-1926-SM-5K7WF 60-69 years, female 81.2
GTEX-T6MO-0726-SM-4DM58 40-49 years, female 80.1
GTEX-1LGRB-1726-SM-CNNRA 50-59 years, female 79.1
GTEX-14PJ4-1626-SM-664OB 60-69 years, male 78.7
GTEX-1CAMR-0726-SM-7EPIE 20-29 years, male 78.5
GTEX-T5JW-0926-SM-4DM5K 20-29 years, female 78.0
GTEX-T8EM-1226-SM-4DM5J 40-49 years, male 77.6
GTEX-1I6K7-1726-SM-B2LXQ 40-49 years, male 76.5
GTEX-1399R-1126-SM-5IFIO 30-39 years, male 76.4
GTEX-WFG7-1326-SM-4LMK1 20-29 years, male 76.3
GTEX-13O21-0926-SM-5IFGT 50-59 years, male 76.0
GTEX-Q2AH-1126-SM-48TZM 40-49 years, male 75.8
GTEX-18A67-2626-SM-718AD 50-59 years, male 75.0
GTEX-ZVP2-1626-SM-5GU5D 50-59 years, male 75.0
GTEX-RWS6-0926-SM-47JXE 60-69 years, female 74.8
GTEX-1GMRU-2526-SM-9WG7T 50-59 years, male 74.8
GTEX-145MN-1326-SM-5NQ9S 30-39 years, male 74.7
GTEX-15DZA-1126-SM-6LPK8 30-39 years, female 74.6
GTEX-OHPK-1526-SM-3MJGM 50-59 years, female 74.6
GTEX-1HFI7-1526-SM-9WG7W 50-59 years, female 74.6
GTEX-QV31-0626-SM-447C5 30-39 years, male 74.4
GTEX-111CU-0926-SM-5EGIK 50-59 years, male 74.3
GTEX-1399S-1626-SM-5P9GI 30-39 years, female 73.7
GTEX-PWN1-1526-SM-48TDA 40-49 years, female 73.4
GTEX-13PVQ-2126-SM-5L3FW 50-59 years, male 73.2
GTEX-S95S-0826-SM-4B64N 60-69 years, male 72.6
GTEX-1F5PL-1426-SM-7MKFH 40-49 years, female 72.5
GTEX-OOBJ-1526-SM-3NB1Q 60-69 years, male 72.5
GTEX-1F75I-1826-SM-7MKGX 40-49 years, male 71.9
GTEX-XMK1-1526-SM-EYYVO 40-49 years, male 71.6
GTEX-144GN-1226-SM-5O991 50-59 years, male 71.4
GTEX-P78B-1826-SM-3P5YX 40-49 years, female 70.9
GTEX-ZLWG-1526-SM-DO12F 50-59 years, female 70.4
GTEX-13D11-2126-SM-5IFH2 50-59 years, female 70.2
GTEX-ZXES-1426-SM-5NQ8S 30-39 years, female 70.2
GTEX-YEC4-1426-SM-5IFHS 40-49 years, male 70.1
GTEX-ZVT3-2126-SM-59HL2 60-69 years, female 70.1
GTEX-14BMU-1126-SM-5RQJ8 20-29 years, female 70.0
GTEX-ZYY3-1726-SM-5EGH3 60-69 years, female 69.9
GTEX-SNMC-0626-SM-4DM6H 20-29 years, male 69.8
GTEX-14JG6-1226-SM-664O6 30-39 years, female 69.7
GTEX-1JKYN-1726-SM-AHZ48 30-39 years, male 69.4
GTEX-12BJ1-1726-SM-5HL9B 60-69 years, male 69.3
GTEX-ZYFG-1326-SM-5GICJ 60-69 years, female 68.9
GTEX-XV7Q-1326-SM-4BRWM 40-49 years, female 68.2
GTEX-11NSD-1426-SM-5HL67 20-29 years, male 68.0
GTEX-18A7A-2726-SM-7LG6U 50-59 years, female 67.8
GTEX-133LE-1326-SM-5IFGO 20-29 years, female 67.6
GTEX-18A66-2226-SM-7189E 60-69 years, male 67.6
GTEX-U4B1-1026-SM-4DXT1 40-49 years, male 67.2
GTEX-WYJK-2526-SM-4ONDF 50-59 years, male 67.1
GTEX-15UF7-1226-SM-6M46G 40-49 years, male 66.9
GTEX-1A3MV-1226-SM-718BW 30-39 years, male 66.9
GTEX-Y8LW-0826-SM-4WWDO 50-59 years, female 66.6
GTEX-ZLV1-0826-SM-DO11P 60-69 years, female 66.6
GTEX-Q2AI-0826-SM-48TZO 40-49 years, male 66.4
GTEX-WXYG-1626-SM-4ONCR 50-59 years, female 66.4
GTEX-14PJ5-0826-SM-6AJAR 60-69 years, female 65.9
GTEX-S4Q7-0726-SM-4AD5F 20-29 years, male 65.9
GTEX-1MUQO-1926-SM-EAZ59 60-69 years, male 65.9
GTEX-S341-0626-SM-4AD5T 40-49 years, female 65.7
GTEX-1R9K5-1026-SM-EAZ4F 50-59 years, male 65.3
GTEX-18D9A-0626-SM-7KFTY 30-39 years, female 65.1
GTEX-1AYCT-1326-SM-7MKHB 50-59 years, male 65.1
GTEX-17F98-1526-SM-7EWD8 40-49 years, female 65.0
GTEX-ZVZP-1726-SM-5GZWY 50-59 years, male 65.0
GTEX-WRHK-0626-SM-4MVOE 20-29 years, female 64.9
GTEX-1LG7Z-1226-SM-DHXK4 30-39 years, male 64.9
GTEX-U3ZN-2026-SM-4DXUC 30-39 years, female 64.1
GTEX-1KXAM-0926-SM-CXZKA 60-69 years, male 64.1
GTEX-1MGNQ-1826-SM-DPRYI 40-49 years, male 64.0
GTEX-1JK1U-1326-SM-AHZ45 60-69 years, male 63.9
GTEX-WFON-1126-SM-4LVMA 40-49 years, male 63.8
GTEX-ZV7C-1626-SM-5NQ7E 50-59 years, male 63.4
GTEX-11EM3-1026-SM-5A5KL 20-29 years, female 62.9
GTEX-YFCO-0826-SM-5LUAG 40-49 years, male 62.9
GTEX-OXRL-1526-SM-E6CHQ 50-59 years, male 62.9
GTEX-13U4I-2526-SM-5SI8Z 40-49 years, female 62.7
GTEX-SUCS-0926-SM-4DM4Z 70-79 years, male 62.5
GTEX-16AAH-1226-SM-79OO9 50-59 years, male 62.4
GTEX-1C475-1026-SM-7MKFJ 40-49 years, female 62.3
GTEX-1QPFJ-1526-SM-DPRXT 30-39 years, female 62.3
GTEX-15RIF-1126-SM-7KUG2 20-29 years, male 62.0
GTEX-1JMPZ-1826-SM-CXZJT 30-39 years, male 62.0
GTEX-1GL5R-1926-SM-9WG7U 50-59 years, male 61.8
GTEX-17HGU-2126-SM-7IGOV 50-59 years, male 61.7
GTEX-17F9E-2226-SM-7IGNC 50-59 years, male 61.6
GTEX-15CHR-1326-SM-79OLT 50-59 years, male 61.3
GTEX-S3XE-1026-SM-4AD4O 50-59 years, male 61.3
GTEX-1LBAC-1426-SM-CXZKT 20-29 years, male 61.2
GTEX-ZP4G-1226-SM-4WWCJ 20-29 years, female 61.0
GTEX-Q734-1026-SM-48U16 40-49 years, female 60.8
GTEX-1B8KZ-1226-SM-793CP 50-59 years, male 60.6
GTEX-1AMFI-1226-SM-731CZ 50-59 years, female 60.5
GTEX-QLQ7-0826-SM-447B3 60-69 years, male 60.5
GTEX-V955-1326-SM-4JBHR 60-69 years, male 60.5
GTEX-ZVT2-1626-SM-51MRC 50-59 years, female 60.5
GTEX-W5WG-1726-SM-4LMI5 50-59 years, female 60.4
GTEX-13S7M-1826-SM-5RQK6 60-69 years, female 60.3
GTEX-ZZ64-0426-SM-5E43F 20-29 years, male 60.3
GTEX-13OVK-0926-SM-7KUFX 40-49 years, male 60.2
GTEX-1RAZR-1526-SM-EAZ4U 40-49 years, male 60.2
GTEX-14PJ6-0826-SM-686Z9 60-69 years, female 60.1
GTEX-1LGOU-1526-SM-D3LAJ 20-29 years, female 59.9
GTEX-1IDJU-1526-SM-CNNR3 60-69 years, female 59.6
GTEX-132AR-2426-SM-5IFFD 50-59 years, female 59.5
GTEX-1HBPN-1626-SM-9WPNP 50-59 years, male 59.2
GTEX-1RMOY-1126-SM-EV79E 50-59 years, male 59.2
GTEX-1RB15-1026-SM-E9U6V 60-69 years, male 58.9
GTEX-1AMEY-1226-SM-731DU 30-39 years, female 58.4
GTEX-1A8G6-1426-SM-731EZ 60-69 years, male 57.9
GTEX-Y9LG-1026-SM-5IFJN 30-39 years, male 57.9
GTEX-PWCY-0926-SM-48TD7 20-29 years, female 57.7
GTEX-15G1A-1226-SM-7KUF3 30-39 years, male 57.5
GTEX-17GQL-1226-SM-7KFTS 60-69 years, male 57.5
GTEX-S4UY-1626-SM-4AD55 40-49 years, female 57.5
GTEX-1QCLY-1126-SM-EAZ4J 30-39 years, male 57.0
GTEX-ZF29-1526-SM-4WKF7 60-69 years, female 56.9
GTEX-14E1K-1526-SM-664MN 50-59 years, male 56.7
GTEX-XBED-1226-SM-4AT5V 60-69 years, male 56.7
GTEX-14PJ3-1426-SM-664O8 50-59 years, male 56.6
GTEX-12WSK-1426-SM-5CVNN 40-49 years, female 56.4
GTEX-132QS-1826-SM-5IFFN 60-69 years, male 56.2
GTEX-1339X-1426-SM-5K7YO 40-49 years, male 56.2
GTEX-ZF2S-1426-SM-57WET 50-59 years, female 55.9
GTEX-1R7EU-1126-SM-EAZ4M 60-69 years, male 55.9
GTEX-VJYA-1026-SM-4KL21 60-69 years, male 55.8
GTEX-ZA64-0826-SM-5HL9U 20-29 years, male 55.7
GTEX-YB5E-1126-SM-664NU 40-49 years, male 55.6
GTEX-1H3VY-2326-SM-9WG81 50-59 years, male 55.6
GTEX-OIZF-1526-SM-2I5GR 60-69 years, male 55.5
GTEX-ZPU1-1626-SM-4WWB2 40-49 years, male 55.3
GTEX-ZY6K-0726-SM-5A5L8 50-59 years, male 55.2
GTEX-QV44-1226-SM-CJI1S 50-59 years, male 55.0
GTEX-1CB4E-1326-SM-7DUGD 60-69 years, male 54.9
GTEX-15DCE-1626-SM-6LPJM 20-29 years, male 54.7
GTEX-XUZC-0726-SM-4BOPH 30-39 years, female 54.7
GTEX-R53T-1226-SM-48FCT 50-59 years, female 54.4
GTEX-1QP2A-2126-SM-DPRZ7 50-59 years, male 54.4
GTEX-13113-0726-SM-5LZUF 60-69 years, female 54.3
GTEX-WHWD-1426-SM-4OORU 50-59 years, male 54.2
GTEX-ZV6S-0926-SM-57WGB 40-49 years, female 54.0
GTEX-ZGAY-1626-SM-DNZZ3 40-49 years, female 53.8
GTEX-UJMC-1226-SM-4IHLI 50-59 years, male 53.7
GTEX-Y5LM-1326-SM-5RQIS 40-49 years, female 53.6
GTEX-1GN1W-2126-SM-9JGI7 50-59 years, female 53.5
GTEX-1I1GT-1726-SM-C1YS3 60-69 years, female 53.4
GTEX-WEY5-1226-SM-4LMIQ 40-49 years, female 53.3
GTEX-1MCYP-1126-SM-E9J2P 20-29 years, female 53.3
GTEX-ZLFU-1326-SM-DO11R 40-49 years, male 53.2
GTEX-18D9B-2226-SM-718BM 60-69 years, male 53.1
GTEX-1H1E6-1626-SM-9OSWC 30-39 years, male 53.1
GTEX-11I78-1726-SM-5A5M3 50-59 years, female 52.5
GTEX-13RTK-0226-SM-5RQHR 20-29 years, male 52.4
GTEX-XQ8I-2026-SM-4BOOL 50-59 years, male 52.4
GTEX-131XF-1226-SM-5HL8V 60-69 years, male 52.3
GTEX-13X6H-1626-SM-5Q5CT 50-59 years, female 52.2
GTEX-1HBPI-0726-SM-9WG7Z 50-59 years, male 52.2
GTEX-1J8Q3-1926-SM-C1YSJ 60-69 years, male 52.2
GTEX-11TT1-0726-SM-5GU5A 20-29 years, male 52.1
GTEX-XBEW-1826-SM-4RTWX 40-49 years, male 52.0
GTEX-12WSD-2326-SM-59HKQ 60-69 years, female 51.6
GTEX-13X6J-2126-SM-5TDCV 50-59 years, male 51.4
GTEX-ZEX8-1626-SM-4WKG7 50-59 years, male 51.4
GTEX-12WSG-2026-SM-5FQUU 50-59 years, female 51.3
GTEX-15EU6-2526-SM-7KUGB 50-59 years, male 51.3
GTEX-QMRM-1126-SM-447BN 50-59 years, male 51.3
GTEX-1PIGE-1126-SM-EWRMV 20-29 years, male 51.3
GTEX-1S82Z-1726-SM-E6CHZ 30-39 years, female 51.2
GTEX-18QFQ-1226-SM-718AE 30-39 years, male 51.1
GTEX-12WSJ-0926-SM-5P9JD 40-49 years, female 51.0
GTEX-1B97I-1226-SM-7MGWQ 40-49 years, male 51.0
GTEX-O5YW-1526-SM-3MJGL 50-59 years, male 50.9
GTEX-PX3G-1526-SM-48U11 20-29 years, female 50.7
GTEX-S7SF-0626-SM-4AD4V 20-29 years, female 50.7
GTEX-1LVAM-1426-SM-E9TJ4 50-59 years, female 50.6
GTEX-1GPI7-1326-SM-9KNVA 20-29 years, male 50.4
GTEX-1QCLZ-1826-SM-DPRXP 60-69 years, female 50.4
GTEX-OXRK-1626-SM-3NB17 50-59 years, female 50.1
GTEX-OHPM-1526-SM-EV796 50-59 years, male 50.1
GTEX-X15G-1126-SM-4PQZG 50-59 years, female 49.8
GTEX-ZT9W-1526-SM-4YCDE 50-59 years, male 49.8
GTEX-14ICL-0826-SM-5YY9W 30-39 years, male 49.7
GTEX-ZDYS-1926-SM-5HL59 50-59 years, male 49.7
GTEX-131XE-2226-SM-5PNYX 50-59 years, male 49.6
GTEX-17MF6-2126-SM-7KFS7 40-49 years, male 49.6
GTEX-Y5V6-1326-SM-4VDTF 60-69 years, male 49.6
GTEX-ZQUD-0826-SM-57WDQ 30-39 years, male 49.6
GTEX-1I4MK-0926-SM-A9SLD 50-59 years, female 49.6
GTEX-15RIE-1026-SM-6LPJQ 60-69 years, male 49.4
GTEX-13QBU-1126-SM-5LU44 40-49 years, female 49.2
GTEX-14E6E-0926-SM-664N8 30-39 years, male 49.2
GTEX-1QW4Y-0726-SM-DTX8E 30-39 years, male 49.2
GTEX-14DAR-0926-SM-73KUQ 50-59 years, male 49.1
GTEX-RTLS-2626-SM-46MUJ 60-69 years, female 49.1
GTEX-PW2O-1226-SM-48TCH 20-29 years, male 49.0
GTEX-ZZPU-1426-SM-5GZZ6 50-59 years, female 49.0
GTEX-1J8QM-1126-SM-C1YQB 60-69 years, female 49.0
GTEX-13O61-1126-SM-5L3FI 60-69 years, male 48.9
GTEX-145LT-1426-SM-5O9B3 40-49 years, male 48.9
GTEX-1B8KE-1326-SM-73KVI 50-59 years, male 48.9
GTEX-QLQW-0726-SM-447AA 30-39 years, male 48.9
GTEX-13PVR-2126-SM-73KVR 60-69 years, female 48.8
GTEX-V1D1-1726-SM-4JBHB 50-59 years, male 48.6
GTEX-111YS-1126-SM-5GZYQ 60-69 years, male 48.3
GTEX-14PN3-1326-SM-6AJ9U 60-69 years, female 48.3
GTEX-TKQ1-0526-SM-4DXTG 30-39 years, male 48.3
GTEX-1GZ4H-1026-SM-9OSXL 50-59 years, female 48.2
GTEX-146FH-2126-SM-5SI9U 50-59 years, female 48.0
GTEX-P4QT-1526-SM-3NMCT 50-59 years, female 47.8
GTEX-SNOS-0826-SM-4DM5N 40-49 years, male 47.8
GTEX-1ICG6-1826-SM-AHZ2O 70-79 years, female 47.8
GTEX-1H23P-2726-SM-9JGHN 60-69 years, male 47.7
GTEX-1J8JJ-1726-SM-C1YQG 60-69 years, female 47.7
GTEX-13111-1226-SM-5GCNC 50-59 years, male 47.6
GTEX-R55G-1126-SM-48FDG 40-49 years, female 47.3
GTEX-11GSP-2126-SM-5HL5E 60-69 years, female 47.2
GTEX-1H1DE-1226-SM-9JGHH 20-29 years, male 47.2
GTEX-1HCU8-1326-SM-C1YQQ 60-69 years, female 47.2
GTEX-1JMLX-2426-SM-CXZJQ 50-59 years, male 47.0
GTEX-Y3I4-1626-SM-4TT7W 50-59 years, male 46.9
GTEX-RM2N-0826-SM-48FD3 50-59 years, male 46.8
GTEX-P4PQ-1526-SM-3NMCK 60-69 years, male 46.7
GTEX-14B4R-0726-SM-5TDDR 30-39 years, male 46.6
GTEX-17HHE-1026-SM-79ON6 50-59 years, male 46.5
GTEX-1IDJD-2426-SM-C1YS6 30-39 years, male 46.5
GTEX-1LVAN-2426-SM-CNNPZ 50-59 years, female 46.5
GTEX-1C64O-2226-SM-73KTV 60-69 years, male 46.2
GTEX-TKQ2-0926-SM-4DXU5 50-59 years, male 46.2
GTEX-1GF9U-1126-SM-AHZ4H 40-49 years, female 46.2
GTEX-117YW-2226-SM-5N9DB 50-59 years, male 46.1
GTEX-14PHY-0926-SM-5ZZWL 60-69 years, female 46.1
GTEX-ZTX8-0426-SM-59HLG 20-29 years, male 46.1
GTEX-R55C-1026-SM-48FCM 40-49 years, male 45.8
GTEX-1122O-1926-SM-5EGIQ 60-69 years, female 45.5
GTEX-11P82-0726-SM-5PNYL 20-29 years, male 45.5
GTEX-UJHI-1026-SM-4IHJP 50-59 years, female 45.3
GTEX-PLZ5-1226-SM-EXOHA 50-59 years, male 45.1
GTEX-1N2DV-0926-SM-E9TJT 40-49 years, male 44.8
GTEX-139YR-1926-SM-5LZXM 50-59 years, male 44.6
GTEX-13FH7-1026-SM-5IJGF 50-59 years, female 44.6
GTEX-NFK9-1526-SM-3LK7B 40-49 years, male 44.6
GTEX-1399U-1626-SM-5P9J3 50-59 years, female 44.5
GTEX-1PPH8-1326-SM-DTXFO 20-29 years, male 44.5
GTEX-144GM-1726-SM-5O9AS 20-29 years, male 44.3
GTEX-1QMI2-2126-SM-DPRXQ 60-69 years, male 44.1
GTEX-WFJO-1126-SM-4LVLZ 30-39 years, male 44.0
GTEX-11EQ9-1226-SM-5987E 30-39 years, male 43.9
GTEX-S4P3-0726-SM-4AD57 50-59 years, female 43.8
GTEX-YEC3-1426-SM-D4P1S 50-59 years, male 43.8
GTEX-1HKZK-1526-SM-B2LWG 40-49 years, male 43.4
GTEX-145MO-2226-SM-5Q5BN 60-69 years, male 43.3
GTEX-XPVG-1526-SM-4B66C 50-59 years, male 43.3
GTEX-16NGA-1526-SM-72D56 40-49 years, female 43.1
GTEX-Y8E4-1526-SM-4WWDI 40-49 years, male 43.0
GTEX-14PKU-1126-SM-69LOU 40-49 years, female 42.9
GTEX-1F5PK-1826-SM-7RHHX 50-59 years, male 42.8
GTEX-1HSEH-1526-SM-B2LXG 60-69 years, male 42.8
GTEX-WYVS-1326-SM-4ONCQ 40-49 years, female 42.7
GTEX-11P7K-1726-SM-5GU6F 30-39 years, male 42.6
GTEX-1S831-1126-SM-EWROI 20-29 years, male 42.4
GTEX-12C56-0526-SM-5FQST 20-29 years, male 42.2
GTEX-11VI4-0326-SM-5EQ6L 40-49 years, female 42.1
GTEX-1HSMQ-2426-SM-CE6RY 50-59 years, male 42.0
GTEX-1I1HK-2026-SM-CNNRB 60-69 years, male 42.0
GTEX-PLZ6-0826-SM-3P61K 30-39 years, male 41.9
GTEX-1QP67-1026-SM-EVR47 40-49 years, female 41.7
GTEX-ZAB4-1526-SM-5CVN7 40-49 years, male 41.4
GTEX-OIZH-1526-SM-3NB1J 50-59 years, male 41.2
GTEX-1IL2V-2026-SM-ARZMA 70-79 years, male 41.1
GTEX-RU1J-0526-SM-46MUT 20-29 years, female 41.0
GTEX-1J8EW-2226-SM-AHZ3T 60-69 years, female 41.0
GTEX-12696-1726-SM-5EQLH 60-69 years, male 40.7
GTEX-1HCUA-1626-SM-A9SMG 50-59 years, female 40.6
GTEX-1K2DA-0826-SM-CGQGD 50-59 years, male 40.6
GTEX-1QP28-2126-SM-DTX8B 50-59 years, female 40.6
GTEX-146FR-2026-SM-5NQAI 60-69 years, female 40.5
GTEX-14BIL-1926-SM-73KYI 50-59 years, male 40.5
GTEX-17KNJ-1526-SM-7LTA9 50-59 years, male 40.2
GTEX-1H1DG-2126-SM-9WPPB 70-79 years, male 40.0
GTEX-WH7G-1526-SM-4LVMX 40-49 years, male 39.9
GTEX-1QP29-2326-SM-EXOJO 50-59 years, male 39.8
GTEX-QXCU-1926-SM-48FE4 50-59 years, male 39.7
GTEX-1LSNM-1026-SM-DHXL2 50-59 years, male 39.6
GTEX-S4Z8-1226-SM-4AD6W 60-69 years, male 39.3
GTEX-13O3Q-2126-SM-5KM4C 50-59 years, male 38.9
GTEX-1JN76-0926-SM-ARZNH 20-29 years, female 38.9
GTEX-1H11D-2226-SM-9OSXN 40-49 years, male 38.8
GTEX-1H3NZ-2226-SM-9WYUT 60-69 years, male 38.2
GTEX-XAJ8-0326-SM-47JYI 40-49 years, male 37.8
GTEX-1NSGN-1926-SM-E9J36 50-59 years, male 37.8
GTEX-1211K-1426-SM-5FQTF 60-69 years, female 37.6
GTEX-R55D-1526-SM-48FEJ 50-59 years, male 37.4
GTEX-1L5NE-1526-SM-DIPFW 50-59 years, male 37.4
GTEX-RUSQ-1126-SM-EAZAU 50-59 years, male 36.5
GTEX-UPK5-2126-SM-4JBJK 40-49 years, male 36.4
GTEX-QDT8-2026-SM-EZ6LS 30-39 years, female 36.3
GTEX-Y114-1226-SM-4TT88 50-59 years, female 36.2
GTEX-1JN1M-2926-SM-CNNPJ 60-69 years, female 36.2
GTEX-14DAQ-2826-SM-664MU 60-69 years, female 36.0
GTEX-17EUY-1526-SM-793CA 20-29 years, male 35.8
GTEX-1IDJF-1426-SM-ACKWK 20-29 years, male 35.8
GTEX-O5YV-1926-SM-EV797 60-69 years, female 35.8
GTEX-1A3MX-1926-SM-72D7F 60-69 years, male 35.5
GTEX-13OVI-2426-SM-5KM4J 60-69 years, female 35.4
GTEX-1JMPY-0926-SM-ARL92 30-39 years, male 35.4
GTEX-1B8L1-1526-SM-79OLK 60-69 years, male 35.2
GTEX-17HII-2426-SM-7KFTT 50-59 years, male 35.0
GTEX-1RQEC-2126-SM-DPS15 60-69 years, male 34.9
GTEX-1AX9J-2626-SM-731EK 60-69 years, male 34.8
GTEX-1JMQJ-1326-SM-D4P3B 50-59 years, male 34.7
GTEX-1HR9M-2326-SM-CNPPZ 60-69 years, male 33.7
GTEX-YJ8A-1526-SM-5P9FT 20-29 years, male 32.9
GTEX-ZYVF-2726-SM-5GID4 50-59 years, female 32.9
GTEX-XXEK-0826-SM-4BRWG 50-59 years, male 31.9
GTEX-T5JC-1926-SM-4DM6Q 20-29 years, male 31.3
GTEX-14BMV-2226-SM-5RQHX 50-59 years, male 30.7
GTEX-13QJ3-2726-SM-5SI6L 50-59 years, male 30.4
GTEX-ZE7O-3026-SM-51MS4 50-59 years, female 30.1
GTEX-1S3DN-1526-SM-EVYCB 50-59 years, male 30.0
GTEX-ZPIC-2026-SM-57WG3 40-49 years, female 29.9
GTEX-1E2YA-2426-SM-7EPIG 50-59 years, male 29.6
GTEX-11EI6-2426-SM-5PNVS 60-69 years, male 28.9
GTEX-139D8-2326-SM-5IFGE 30-39 years, female 28.8
GTEX-WZTO-2126-SM-4PQYW 40-49 years, male 28.8
GTEX-1CB4H-2426-SM-7PBYR 60-69 years, female 28.1
GTEX-1E1VI-2826-SM-7MGWU 50-59 years, male 27.4
GTEX-1HT8W-2326-SM-A9SLA 30-39 years, male 27.1
GTEX-17JCI-2226-SM-7LTA1 60-69 years, female 26.8
GTEX-1KD5A-1426-SM-D4P3V 50-59 years, male 26.7
GTEX-15SHW-2126-SM-6M46Y 60-69 years, male 26.3
GTEX-13N1W-2026-SM-5K7YU 70-79 years, male 24.9
GTEX-11WQK-2626-SM-5EQ4K 50-59 years, male 22.7
GTEX-1EH9U-2226-SM-7PBXX 60-69 years, male 20.9
Show allShow less

Contact

  • NEWS ARTICLES
  • PRESS ROOM

The Project

  • INTRODUCTION
  • ORGANIZATION
  • PUBLICATIONS

The Human Protein Atlas

  • DOWNLOADABLE DATA
  • LICENCE & CITATION
  • HELP & FAQ
The Human Protein Atlas project is funded
by the Knut & Alice Wallenberg Foundation.


contact@proteinatlas.org