We use cookies to enhance the usability of our website. If you continue, we'll assume that you are happy to receive all cookies. More information. Don't show this again.
SFPQ
HPA
RESOURCES
  • TISSUE
  • BRAIN
  • SINGLE CELL
  • SUBCELLULAR
  • CANCER
  • BLOOD
  • CELL LINE
  • STRUCTURE & INTERACTION
ABOUT
  • INTRODUCTION
  • HISTORY
  • ORGANIZATION
  • PUBLICATIONS
  • ANTIBODY SUBMISSION
  • ANTIBODY AVAILABILITY
  • ACKNOWLEDGMENTS
  • CONTACT
NEWS
  • NEWS ARTICLES
  • PRESS ROOM
LEARN
  • DICTIONARY
  • PROTEIN CLASSES
  • PROTEIN EVIDENCE
  • METHODS
  • EDUCATIONAL VIDEOS
DATA
  • DOWNLOADABLE DATA
  • PUBLICATION DATA
  • RELEASE HISTORY
HELP
  • ANTIBODY VALIDATION
  • ASSAYS & ANNOTATION
  • DISCLAIMER
  • HELP & FAQ
  • PRIVACY STATEMENT
  • LICENCE & CITATION
Fields »
Search result

Field
Term
Gene name
Class
Subclass
Class
Keyword
Chromosome
External id
Tissue
Cell type
Expression
Antibody panel
Tissue
Main location
Patient ID
Annotation
Tissue
Category
Tau score
Cluster
Reliability
Brain region
Category
Tau score
Brain region
Category
Tau score
Brain region
Category
Tau score
Cluster
Reliability
Tissue
Cell type
Enrichment
Cell type
Category
Tau score
Cell type
Category
Tau score
Cell type
Category
Tau score
Cell lineage
Category
Tau score
Cluster
Cluster
Location
Searches
Location
Cell line
Class
Type
Phase
Reliability
Cancer
Prognosis
Cancer
Category
Cancer
Category
Tau score
Cluster
Variants
Interacting gene (ensg_id)
Type
Number of interactions
Pathway
Category
Score
Score
Score
Validation
Validation
Validation
Validation
Antibodies
Data type
Column


  • SUMMARY

  • TISSUE

  • BRAIN

  • SINGLE CELL

  • SUBCELL

  • CANCER

  • BLOOD

  • CELL LINE

  • STRUCT & INT

  • SFPQ
TISSUE PRIMARY DATA ESOPHAGUS Show tissue menu
ADIPOSE TISSUE ADRENAL GLAND AMYGDALA APPENDIX BASAL GANGLIA BONE MARROW BREAST BRONCHUS CEREBELLUM CEREBRAL CORTEX CERVIX CHOROID PLEXUS COLON DUODENUM
ENDOMETRIUM EPIDIDYMIS ESOPHAGUS FALLOPIAN TUBE GALLBLADDER HEART MUSCLE HIPPOCAMPAL FORMATION HYPOTHALAMUS KIDNEY LIVER LUNG LYMPH NODE MIDBRAIN NASOPHARYNX
ORAL MUCOSA OVARY PANCREAS PARATHYROID GLAND PITUITARY GLAND PLACENTA PROSTATE RECTUM RETINA SALIVARY GLAND SEMINAL VESICLE SKELETAL MUSCLE SKIN SMALL INTESTINE
SMOOTH MUSCLE SOFT TISSUE SPINAL CORD SPLEEN STOMACH TESTIS THYMUS THYROID GLAND TONGUE TONSIL URINARY BLADDER VAGINA
ANTIBODIES
AND
VALIDATION
Dictionary
Esophagus
Tissue proteome
Esophagus
ESOPHAGUS - Expression summary
Protein expression
Esophagusi

On the top, protein expression in current human tissue, based on all annotated cell types, is reported with the units not detected (n), low (l), medium (m) and high (h). Underneath, protein expression in each annotated cell type are reported using the same units.

Protein expression data is based on knowledge-based annotation. For genes where more than one antibody has been used, a collective score is set.

If knowledge-based annotation could not be performed for a gene, no data is displayed here. View antibody staining data further down this page.

h
m
l
n
Squamous epithelial cells: High
RNA expressioni

A summary of mRNA expression data available for current tissue based on several datasets. The mRNA expression levels in human tissues are based on RNA-seq data generated by the Human Protein Atlas (HPA), Genotype-Tissue Expression (GTEx) portal and CAGE data generated by the FANTOM5 consortium. Consensus normalized expression levels for human tissues was created by combining the data from HPA and GTEx datasets.

The mRNA expression levels in pig are based on RNA-seq data generated by the Human Protein Atlas (HPA), and for mouse, HPA data and in situ hybridization generated by the Allen brain atlas are reported.

Scroll down to view mRNA expression data in more detail.
Consensus:58.1 nTPM
HPA:33.8 nTPM
GTEx:58.1 nTPM
FANTOM5:353.4 Scaled Tags Per Million

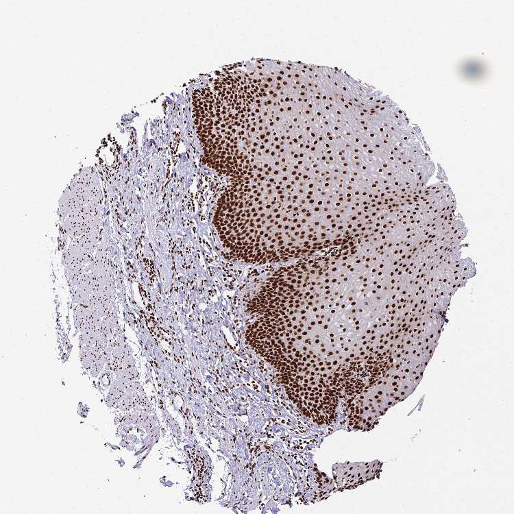
ESOPHAGUS - Antibody stainingi

Antibody staining in the annotated cell types in the current human tissue is reported as not detected, low, medium, or high, based on conventional immunohistochemistry profiling in selected tissues. This score is based on the combination of the staining intensity and fraction of stained cells.

Each image is clickable and will lead to virtual microscopy that enables deeper exploration of all samples and also displays staining intensity scores, fraction scores and subcellular localization as well as patient and tissue information for each sample.

Antibody HPA047513Antibody HPA054689Antibody CAB009886
Squamous epithelial cells HighHighLow





ESOPHAGUS - HPA RNA-seqi

The RNA-seq details section shows detailed information about the individual samples used for the transcript profiling and results of the RNA-seq analysis.

Information about each individual sample is listed below, including gender, age, a tissue section image and estimated fractions of cell types. nTPM (normalized transcripts per million) values give a quantification of the gene abundance which is comparable between different genes and samples.
Average nTPMi

Max subtype nTPM is the value for the subtype with the largest average nTPM across the subtype samples.

33.8
overview
Female, age 70
Esophagus sample 130
nTPM: 28.5
Cell types%
Squamous epithelial cells:
35

Smooth muscle cells:
15

Skeletal muscle cells:
5

Other cell types:
45

overview
Male, age 38
Esophagus sample 131
nTPM: 37.8
Cell types%
Squamous epithelial cells:
60

Smooth muscle cells:
20

Other cell types:
20

overview
Male, age 76
Esophagus sample 132
nTPM: 35.1
Cell types%
Squamous epithelial cells:
45

Smooth muscle cells:
15

Other cell types:
40


ESOPHAGUS - GTEx RNA-seqi

RNA-Seq data generated by the Genotype-Tissue Expression (GTEx) project from human tissues is reported as mean nTPM. More information can be found on the GTEx portal.

Distribution across the dataset is visualized with box plots, shown as median and 25th and 75th percentiles. Points are displayed as outliers if they are above or below 1.5 times the interquartile range. nTPM values of the individual samples are presented next to the box plot.
Max subtype nTPMi

Max subtype nTPM is the value for the subtype with the largest average nTPM across the subtype samples.

58.1
GTEx sample id Sample description nTPM
Esophagus - Mucosa
Average nTPM: 58.1
Samples: 555

Max nTPM: 125.9
Min nTPM: 24.7
Std nTPM: 16.2
Median nTPM: 57.2
GTEX-1F5PL-1726-SM-9QEGL 40-49 years, female 125.9
GTEX-S4P3-0426-SM-4AD56 50-59 years, female 121.9
GTEX-ZY6K-0626-SM-59HJL 50-59 years, male 117.8
GTEX-15DCE-1326-SM-6LPJL 20-29 years, male 117.7
GTEX-QESD-0826-SM-47J4G 20-29 years, male 115.7
GTEX-14BMU-0926-SM-5S2QB 20-29 years, female 114.2
GTEX-1C6VQ-1826-SM-7EWEH 50-59 years, male 112.2
GTEX-ZYFG-1126-SM-5GICY 60-69 years, female 111.7
GTEX-Y9LG-0626-SM-4WWDH 30-39 years, male 105.9
GTEX-13X6H-1326-SM-5LU42 50-59 years, female 105.6
GTEX-1I1GP-1026-SM-C1YRZ 50-59 years, male 101.7
GTEX-VJYA-0726-SM-4KL1T 60-69 years, male 97.0
GTEX-13O1R-1326-SM-5IJF5 60-69 years, male 95.9
GTEX-1QP2A-1926-SM-EXOJ9 50-59 years, male 95.4
GTEX-11TT1-0526-SM-5P9JO 20-29 years, male 95.3
GTEX-ZTPG-1626-SM-5DUX2 20-29 years, female 95.3
GTEX-T5JW-1326-SM-4DM5G 20-29 years, female 94.2
GTEX-WHWD-0926-SM-4OORY 50-59 years, male 93.4
GTEX-1H1DE-1026-SM-9JGH6 20-29 years, male 90.7
GTEX-RUSQ-0826-SM-47JWW 50-59 years, male 90.6
GTEX-ZVP2-1326-SM-57WCE 50-59 years, male 89.4
GTEX-1H11D-2126-SM-9OSXM 40-49 years, male 88.9
GTEX-S32W-0926-SM-4AD5X 50-59 years, female 88.5
GTEX-TMMY-1126-SM-4DXSX 40-49 years, female 87.8
GTEX-132AR-2226-SM-5J2NT 50-59 years, female 87.1
GTEX-1I1GU-1426-SM-B2LX3 40-49 years, male 86.7
GTEX-1I4MK-0426-SM-B2LWQ 50-59 years, female 86.4
GTEX-14B4R-0326-SM-5TDDP 30-39 years, male 86.3
GTEX-U4B1-0826-SM-4DXTW 40-49 years, male 86.1
GTEX-13RTK-0526-SM-5S2QF 20-29 years, male 85.2
GTEX-14PJ4-1526-SM-664OA 60-69 years, male 84.8
GTEX-U3ZM-0526-SM-4DXTB 40-49 years, male 84.1
GTEX-1I6K7-1426-SM-B2LXP 40-49 years, male 83.6
GTEX-1PPH8-1626-SM-E6CQP 20-29 years, male 83.1
GTEX-1C475-0926-SM-7MKFI 40-49 years, female 82.3
GTEX-17EUY-1426-SM-7938X 20-29 years, male 81.9
GTEX-11NSD-1126-SM-5N9BQ 20-29 years, male 81.4
GTEX-1GF9U-0826-SM-7MXTZ 40-49 years, female 81.3
GTEX-Q2AH-0826-SM-48TZN 40-49 years, male 81.2
GTEX-1CB4J-2426-SM-7MXVC 60-69 years, male 81.2
GTEX-ZGAY-1126-SM-4WWBS 40-49 years, female 80.8
GTEX-11EMC-2226-SM-5A5JW 60-69 years, female 80.4
GTEX-13FH7-0526-SM-5IJF8 50-59 years, female 80.3
GTEX-14AS3-0626-SM-5QGQD 40-49 years, female 80.3
GTEX-NPJ8-1926-SM-3MJGB 40-49 years, male 80.3
GTEX-YFC4-1226-SM-5LU9R 40-49 years, female 80.3
GTEX-14H4A-1626-SM-5SI69 40-49 years, female 80.1
GTEX-13OVI-2626-SM-5KM4T 60-69 years, female 79.7
GTEX-WOFM-0626-SM-4OOS3 20-29 years, male 79.3
GTEX-1AYD5-0926-SM-793AF 50-59 years, male 79.1
GTEX-14PK6-1326-SM-686ZE 70-79 years, female 78.9
GTEX-16XZY-0926-SM-7938M 70-79 years, male 78.9
GTEX-XQ3S-1126-SM-4BOPK 20-29 years, male 78.7
GTEX-ZLFU-1126-SM-DO11K 40-49 years, male 78.2
GTEX-139UW-1126-SM-5IJEJ 60-69 years, male 77.8
GTEX-Y111-1626-SM-57WCY 50-59 years, male 77.6
GTEX-1QP9N-0926-SM-E9U5S 30-39 years, male 77.5
GTEX-1H3VY-2026-SM-9JGHK 50-59 years, male 77.0
GTEX-XGQ4-1526-SM-4AT6H 50-59 years, male 76.8
GTEX-ZDYS-0826-SM-4WWCR 50-59 years, male 76.8
GTEX-14PJ6-1026-SM-686ZB 60-69 years, female 76.7
GTEX-Y3I4-1226-SM-4TT8N 50-59 years, male 76.5
GTEX-1JK1U-1726-SM-CNNPM 60-69 years, male 76.2
GTEX-15RJ7-0926-SM-6LPJO 40-49 years, male 76.0
GTEX-1AX8Z-5016-SM-AHZ2B 60-69 years, male 75.3
GTEX-11DXX-1126-SM-5GZZK 60-69 years, female 75.2
GTEX-11P81-0826-SM-5P9GR 30-39 years, female 74.9
GTEX-16NGA-1426-SM-718AC 40-49 years, female 74.6
GTEX-R55E-1326-SM-48FCR 20-29 years, male 74.6
GTEX-13S86-0826-SM-5SI6J 40-49 years, male 74.5
GTEX-Q2AI-0626-SM-48TZU 40-49 years, male 74.5
GTEX-ZTX8-0226-SM-5E44D 20-29 years, male 74.5
GTEX-14E6E-0726-SM-5S2R3 30-39 years, male 74.4
GTEX-16BQI-1526-SM-6LLIE 30-39 years, female 74.3
GTEX-1HC8U-1526-SM-9WPO4 40-49 years, female 73.6
GTEX-132QS-1426-SM-5P9GE 60-69 years, male 73.5
GTEX-18D9B-2026-SM-7LT96 60-69 years, male 73.4
GTEX-P78B-1026-SM-3NMC4 40-49 years, female 73.3
GTEX-1CB4E-1026-SM-793AB 60-69 years, male 73.1
GTEX-1QP28-1826-SM-EAZ4L 50-59 years, female 73.1
GTEX-R55C-0826-SM-48FCL 40-49 years, male 73.0
GTEX-ZAJG-1326-SM-5S2NV 50-59 years, female 72.9
GTEX-1L5NE-1426-SM-DHXKV 50-59 years, male 72.8
GTEX-146FQ-1026-SM-5LU8I 30-39 years, male 72.7
GTEX-RU72-0726-SM-46MUW 50-59 years, female 72.7
GTEX-133LE-0626-SM-5IFFJ 20-29 years, female 72.6
GTEX-16MTA-0826-SM-6LLIC 50-59 years, male 72.6
GTEX-14C38-2126-SM-5RQJO 50-59 years, male 72.4
GTEX-R3RS-1326-SM-48FE7 40-49 years, female 72.3
GTEX-XXEK-0326-SM-4BRVV 50-59 years, male 72.3
GTEX-1K2DA-0626-SM-CGQGO 50-59 years, male 72.0
GTEX-11I78-1526-SM-5A5K7 50-59 years, female 71.7
GTEX-1399S-1326-SM-5P9GH 30-39 years, female 71.7
GTEX-XUZC-0426-SM-4BOPE 30-39 years, female 71.7
GTEX-1HCU6-1326-SM-A96TZ 60-69 years, female 71.7
GTEX-1RAZQ-1726-SM-EAZ4T 30-39 years, male 71.7
GTEX-1AX9K-1126-SM-731DQ 50-59 years, male 71.5
GTEX-QLQ7-0926-SM-447BC 60-69 years, male 71.5
GTEX-144GN-0626-SM-5O9B2 50-59 years, male 71.3
GTEX-15F5U-5010-SM-AHZ2D 40-49 years, male 71.0
GTEX-1HKZK-1426-SM-A96U1 40-49 years, male 71.0
GTEX-1N2DW-1426-SM-EV7AZ 50-59 years, male 71.0
GTEX-13W3W-1626-SM-5LU35 60-69 years, female 70.9
GTEX-YF7O-0926-SM-5IFIF 50-59 years, male 70.9
GTEX-11DYG-1326-SM-5N9DO 60-69 years, male 70.8
GTEX-WFJO-0826-SM-4LVM5 30-39 years, male 70.8
GTEX-1B8KZ-0726-SM-7938W 50-59 years, male 70.7
GTEX-OXRL-0626-SM-3NM9C 50-59 years, male 70.5
GTEX-1PFEY-0826-SM-E9U6A 30-39 years, male 70.4
GTEX-111YS-0926-SM-5EGGI 60-69 years, male 70.2
GTEX-1HCUA-1426-SM-9WPP7 50-59 years, female 69.9
GTEX-P4PQ-0626-SM-3NMCU 60-69 years, male 69.2
GTEX-1KANA-0626-SM-D4P3I 20-29 years, male 69.2
GTEX-1OKEX-1326-SM-E9J2U 60-69 years, male 69.2
GTEX-1497J-2726-SM-5SI9W 60-69 years, male 69.1
GTEX-WXYG-1226-SM-4ONCJ 50-59 years, female 69.1
GTEX-1J8QM-1926-SM-AHZ3Z 60-69 years, female 69.1
GTEX-11LCK-1726-SM-5S2OQ 30-39 years, male 69.0
GTEX-14PJN-0526-SM-68724 30-39 years, male 68.8
GTEX-1MCC2-1926-SM-DHXJR 30-39 years, female 68.3
GTEX-13D11-1926-SM-5IFGB 50-59 years, female 68.2
GTEX-1GL5R-1526-SM-7MKHO 50-59 years, male 68.2
GTEX-13CF3-1626-SM-5IFG9 60-69 years, female 68.1
GTEX-1EMGI-1926-SM-7938Y 60-69 years, male 68.1
GTEX-1PIGE-0926-SM-E9U5Z 20-29 years, male 68.1
GTEX-1QCLZ-1626-SM-E9U5R 60-69 years, female 68.0
GTEX-Y5V6-1026-SM-4VBS2 60-69 years, male 67.9
GTEX-V1D1-1026-SM-4JBHE 50-59 years, male 67.8
GTEX-18A67-2426-SM-7LT95 50-59 years, male 67.6
GTEX-18A6Q-1226-SM-7KFS9 60-69 years, male 67.5
GTEX-1K9T9-2026-SM-CXZK3 50-59 years, female 67.5
GTEX-139YR-1726-SM-5IFFK 50-59 years, male 67.4
GTEX-11EQ9-0726-SM-5A5K2 30-39 years, male 67.3
GTEX-18QFQ-1026-SM-7LG6B 30-39 years, male 67.3
GTEX-12WSL-1526-SM-5GCP8 50-59 years, male 67.2
GTEX-169BO-0526-SM-793AK 50-59 years, male 67.2
GTEX-14ICL-0526-SM-5RQJ6 30-39 years, male 67.1
GTEX-X3Y1-1326-SM-4PQZB 40-49 years, male 67.1
GTEX-ZPU1-1426-SM-4WWFU 40-49 years, male 67.1
GTEX-1QP67-0726-SM-DPRY1 40-49 years, female 67.1
GTEX-1JKYN-1526-SM-CGQGA 30-39 years, male 67.0
GTEX-11XUK-0826-SM-5GU6P 40-49 years, female 66.8
GTEX-XYKS-1526-SM-4BRUP 60-69 years, female 66.8
GTEX-14E1K-1226-SM-5S2PD 50-59 years, male 66.7
GTEX-OIZH-0626-SM-3NB1L 50-59 years, male 66.7
GTEX-1JKYR-2126-SM-CNNPC 20-29 years, male 66.7
GTEX-1IDJD-1626-SM-C1YRC 30-39 years, male 66.5
GTEX-11ZU8-1526-SM-5EGHX 60-69 years, male 66.4
GTEX-11EM3-0826-SM-5N9CC 20-29 years, female 66.3
GTEX-RWS6-0826-SM-47JXF 60-69 years, female 66.3
GTEX-1C64O-1826-SM-7DHM4 60-69 years, male 66.2
GTEX-1H23P-1426-SM-9JGH5 60-69 years, male 66.2
GTEX-1F5PK-1526-SM-7MKGV 50-59 years, male 66.1
GTEX-R55D-1126-SM-48FEB 50-59 years, male 66.0
GTEX-Y8LW-0726-SM-5IFI1 50-59 years, female 65.9
GTEX-12696-1326-SM-5FQTJ 60-69 years, male 65.8
GTEX-1CB4I-1026-SM-7MKFZ 50-59 years, male 65.8
GTEX-1N2DV-2026-SM-EV7BL 40-49 years, male 65.7
GTEX-1LVAN-2326-SM-CNNPY 50-59 years, female 65.6
GTEX-148VI-1026-SM-5TDDJ 60-69 years, female 65.4
GTEX-12C56-1226-SM-5FQSU 20-29 years, male 65.2
GTEX-11P82-0526-SM-5986P 20-29 years, male 65.1
GTEX-131XF-0826-SM-5GICG 60-69 years, male 65.1
GTEX-13U4I-1126-SM-5LU3S 40-49 years, female 65.1
GTEX-WFG8-1226-SM-4V6EI 20-29 years, male 65.1
GTEX-18D9U-2126-SM-7LG4Y 40-49 years, male 64.8
GTEX-WFG7-1126-SM-4LMK3 20-29 years, male 64.8
GTEX-ZG7Y-1126-SM-4WWEZ 50-59 years, male 64.8
GTEX-1GN1W-2226-SM-9JGI5 50-59 years, female 64.6
GTEX-U8XE-1726-SM-4E3IF 30-39 years, male 64.4
GTEX-1GN73-1926-SM-9JGGS 60-69 years, male 64.4
GTEX-1HSMQ-2026-SM-B2LY1 50-59 years, male 64.4
GTEX-13111-0826-SM-5LZV3 50-59 years, male 64.2
GTEX-1I1GS-2126-SM-ARU7G 60-69 years, male 64.0
GTEX-1IDJF-1226-SM-C1YPX 20-29 years, male 64.0
GTEX-1LVAM-1126-SM-DHXKP 50-59 years, female 64.0
GTEX-1GPI7-1026-SM-7MGY2 20-29 years, male 63.9
GTEX-1C2JI-1126-SM-731FH 50-59 years, male 63.7
GTEX-S341-0526-SM-4AD5U 40-49 years, female 63.7
GTEX-ZF29-1326-SM-DNZYV 60-69 years, female 63.7
GTEX-1122O-1726-SM-5GICM 60-69 years, female 63.6
GTEX-1AMFI-0226-SM-731D5 50-59 years, female 63.6
GTEX-1GMR2-1526-SM-7MXV6 50-59 years, male 63.6
GTEX-13FTX-0526-SM-5IFGS 20-29 years, female 63.5
GTEX-U3ZH-1026-SM-4DXUZ 30-39 years, male 63.5
GTEX-T8EM-0526-SM-4DM64 40-49 years, male 63.4
GTEX-1KXAM-0826-SM-CXZK9 60-69 years, male 63.4
GTEX-1RAZA-1326-SM-DPS12 20-29 years, male 63.4
GTEX-ZEX8-1426-SM-4WKHQ 50-59 years, male 63.2
GTEX-OIZI-1426-SM-3NB1T 40-49 years, male 63.1
GTEX-13QBU-1026-SM-5LU3R 40-49 years, female 63.0
GTEX-1A3MV-1326-SM-7LG6C 30-39 years, male 63.0
GTEX-V955-1126-SM-4JBH3 60-69 years, male 63.0
GTEX-1F75I-1726-SM-7MKGW 40-49 years, male 62.9
GTEX-TKQ1-0326-SM-4DXSM 30-39 years, male 62.9
GTEX-ZTSS-0626-SM-59867 40-49 years, male 62.9
GTEX-PWCY-0726-SM-48TCS 20-29 years, female 62.8
GTEX-1RAZR-1226-SM-E6CRD 40-49 years, male 62.7
GTEX-WFON-0826-SM-4LVMI 40-49 years, male 62.6
GTEX-11DXZ-1226-SM-5H11L 50-59 years, male 62.5
GTEX-1A32A-1826-SM-72D5G 50-59 years, female 62.5
GTEX-ZYY3-1526-SM-5SIA9 60-69 years, female 62.5
GTEX-183FY-1526-SM-7IGOW 20-29 years, male 62.3
GTEX-16AAH-0726-SM-793A9 50-59 years, male 62.2
GTEX-REY6-1326-SM-48FDO 60-69 years, male 62.1
GTEX-146FR-0426-SM-5SI97 60-69 years, female 62.0
GTEX-1JMQJ-1226-SM-D3L97 50-59 years, male 62.0
GTEX-1S83E-0826-SM-EV7B7 40-49 years, male 62.0
GTEX-ZZ64-0226-SM-5E44X 20-29 years, male 61.9
GTEX-146FH-1726-SM-5QGQ2 50-59 years, female 61.7
GTEX-1211K-0926-SM-5FQTL 60-69 years, female 61.6
GTEX-147F3-0826-SM-5NQA7 50-59 years, female 61.6
GTEX-1AX9J-1826-SM-731FM 60-69 years, male 61.4
GTEX-QEG4-0726-SM-CNNRF 30-39 years, male 61.4
GTEX-144GM-1426-SM-5LU31 20-29 years, male 61.3
GTEX-14JG6-0926-SM-6871Y 30-39 years, female 61.3
GTEX-13OVK-1126-SM-6PAMR 40-49 years, male 61.1
GTEX-1LNCM-0626-SM-EV7AI 50-59 years, female 61.0
GTEX-12WSN-5013-SM-7P8P9 40-49 years, male 60.9
GTEX-1J1R8-0326-SM-AHZ3D 40-49 years, male 60.7
GTEX-13PVQ-1726-SM-5IFF3 50-59 years, male 60.6
GTEX-1NUQO-1126-SM-DTX98 20-29 years, female 60.5
GTEX-QDVN-1026-SM-48TZA 50-59 years, male 60.4
GTEX-ZE9C-1126-SM-4WWBD 60-69 years, male 60.4
GTEX-ZVT2-1326-SM-5E45H 50-59 years, female 60.4
GTEX-RU1J-0326-SM-46MUM 20-29 years, female 60.2
GTEX-WYVS-0726-SM-4ONDO 40-49 years, female 60.1
GTEX-Y8E4-1726-SM-5LU9G 40-49 years, male 60.1
GTEX-ZT9X-0526-SM-5GCOP 40-49 years, male 60.1
GTEX-1NSGN-2026-SM-DPRYM 50-59 years, male 60.1
GTEX-15EU6-1626-SM-6LPKF 50-59 years, male 59.9
GTEX-1AMEY-0226-SM-7189Q 30-39 years, female 59.7
GTEX-OXRK-1326-SM-3NB1A 50-59 years, female 59.7
GTEX-QDVJ-0726-SM-48U1W 50-59 years, male 59.6
GTEX-13OVG-0626-SM-5IFEP 60-69 years, male 59.4
GTEX-YB5E-0926-SM-4WWDQ 40-49 years, male 59.4
GTEX-17MFQ-0526-SM-7KFTX 20-29 years, male 59.3
GTEX-ZAB5-0926-SM-5CVMV 50-59 years, male 59.3
GTEX-1MCYP-1026-SM-DPRYB 20-29 years, female 59.3
GTEX-1399U-1026-SM-5J1OC 50-59 years, female 59.2
GTEX-17F98-1726-SM-7938O 40-49 years, female 59.2
GTEX-UJHI-0826-SM-4IHLM 50-59 years, female 59.2
GTEX-1LG7Z-0926-SM-CXKYK 30-39 years, male 59.2
GTEX-145ME-5004-SM-7MGXP 40-49 years, female 59.1
GTEX-15RIE-0826-SM-6M47X 60-69 years, male 59.0
GTEX-1B996-1826-SM-7MGY6 60-69 years, male 59.0
GTEX-1M5QR-0726-SM-DHXK7 40-49 years, male 59.0
GTEX-1R7EU-0826-SM-DPRZL 60-69 years, male 59.0
GTEX-145MN-1026-SM-5NQ9G 30-39 years, male 58.9
GTEX-13O21-0626-SM-5IJDI 50-59 years, male 58.8
GTEX-1ICG6-1926-SM-ARU7L 70-79 years, female 58.7
GTEX-1QPFJ-1226-SM-EAZ3M 30-39 years, female 58.7
GTEX-1IKK5-1326-SM-AHZ2X 60-69 years, male 58.5
GTEX-R55G-1026-SM-48FDI 40-49 years, female 58.4
GTEX-1H1DG-1226-SM-9JGH3 70-79 years, male 58.4
GTEX-13X6K-2126-SM-5O9D4 60-69 years, female 58.3
GTEX-X15G-0826-SM-4PQZD 50-59 years, female 58.3
GTEX-1IY9M-1626-SM-AHZ39 60-69 years, male 58.2
GTEX-131YS-1426-SM-5IJF7 60-69 years, female 58.1
GTEX-16NPX-1626-SM-6LLI5 50-59 years, male 58.1
GTEX-1B8KE-1826-SM-731FD 50-59 years, male 58.0
GTEX-PLZ6-0526-SM-3P61C 30-39 years, male 57.9
GTEX-U3ZN-1726-SM-4DXUQ 30-39 years, female 57.9
GTEX-Y5LM-1026-SM-4VDSQ 40-49 years, female 57.9
GTEX-1OJC3-0826-SM-DPRYU 20-29 years, male 57.9
GTEX-QV44-1126-SM-CL55C 50-59 years, male 57.9
GTEX-QEL4-1426-SM-447AC 50-59 years, male 57.7
GTEX-SNMC-0526-SM-4DM69 20-29 years, male 57.7
GTEX-XBED-1026-SM-48TCB 60-69 years, male 57.7
GTEX-YB5K-0826-SM-5YYB7 40-49 years, female 57.7
GTEX-XK95-1026-SM-4GIDV 40-49 years, male 57.6
GTEX-15RJE-0926-SM-6LLHZ 40-49 years, male 57.5
GTEX-SUCS-0726-SM-4DM7J 70-79 years, male 57.5
GTEX-131XE-1426-SM-5HL7V 50-59 years, male 57.3
GTEX-13OVJ-1226-SM-5L3HA 50-59 years, female 57.3
GTEX-13PL7-0226-SM-731DT 60-69 years, female 57.3
GTEX-X4LF-0626-SM-4QASB 50-59 years, male 57.3
GTEX-1QW4Y-0526-SM-EAZ3V 30-39 years, male 57.2
GTEX-14PHY-0626-SM-664NN 60-69 years, female 57.1
GTEX-178AV-0526-SM-6LPJH 40-49 years, male 57.1
GTEX-Y114-0926-SM-4TT7J 50-59 years, female 57.1
GTEX-ZXES-1126-SM-5GZXN 30-39 years, female 56.9
GTEX-RNOR-1226-SM-48FDQ 50-59 years, female 56.7
GTEX-PWN1-0626-SM-48TDT 40-49 years, female 56.6
GTEX-12ZZY-1426-SM-5N9EI 60-69 years, male 56.5
GTEX-PLZ5-0926-SM-3TW8L 50-59 years, male 56.5
GTEX-Z9EW-0526-SM-5HL8S 40-49 years, male 56.5
GTEX-14PJ3-0626-SM-6UGC5 50-59 years, male 56.5
GTEX-S33H-0826-SM-4AD5Y 30-39 years, male 56.4
GTEX-1JMPZ-2026-SM-C1YR8 30-39 years, male 56.3
GTEX-QEG5-1426-SM-447AS 20-29 years, male 56.2
GTEX-WQUQ-1626-SM-4OOSH 60-69 years, male 56.2
GTEX-ZYT6-1126-SM-5GZYR 30-39 years, male 56.2
GTEX-139T6-0626-SM-5IFF9 50-59 years, male 56.1
GTEX-14DAR-0826-SM-73KYJ 50-59 years, male 56.0
GTEX-W5WG-1626-SM-4LMKG 50-59 years, female 56.0
GTEX-1JMQK-2026-SM-C1YQN 60-69 years, male 56.0
GTEX-11P7K-1326-SM-5BC5G 30-39 years, male 55.9
GTEX-ZDTT-1326-SM-4WKFH 60-69 years, male 55.8
GTEX-1H1ZS-1526-SM-9OSXR 70-79 years, male 55.6
GTEX-1HBPI-0626-SM-9WPP4 50-59 years, male 55.4
GTEX-16A39-1026-SM-6LPJU 30-39 years, female 55.3
GTEX-1R9PM-0926-SM-DPRYA 20-29 years, male 55.3
GTEX-XQ8I-1526-SM-4BOOH 50-59 years, male 55.2
GTEX-145LT-1126-SM-5LUA1 40-49 years, male 55.1
GTEX-17KNJ-1326-SM-7KFTG 50-59 years, male 55.0
GTEX-UJMC-0926-SM-4IHLK 50-59 years, male 54.9
GTEX-15SHU-1426-SM-6LPIN 40-49 years, female 54.8
GTEX-1IKOE-1526-SM-C1YSD 30-39 years, female 54.8
GTEX-17HHE-0926-SM-7938K 50-59 years, male 54.7
GTEX-15RIF-0826-SM-6M47C 20-29 years, male 54.5
GTEX-15UF7-0926-SM-6M46F 40-49 years, male 54.5
GTEX-1MA7W-0426-SM-E9TJ5 20-29 years, female 54.5
GTEX-1N2EE-2426-SM-EXOIO 60-69 years, male 54.5
GTEX-OIZF-0626-SM-7MKHG 60-69 years, male 54.5
GTEX-ZLWG-1326-SM-DNZYZ 50-59 years, female 54.5
GTEX-S95S-0426-SM-4B64I 60-69 years, male 54.4
GTEX-YEC3-2526-SM-CXZIH 50-59 years, male 54.4
GTEX-S7SF-0926-SM-4AD4M 20-29 years, female 54.3
GTEX-1HCU7-2126-SM-A96SG 50-59 years, male 54.3
GTEX-1B97J-1026-SM-7MXTE 50-59 years, female 54.2
GTEX-1QCLY-1526-SM-DPRXX 30-39 years, male 54.2
GTEX-11DXY-1426-SM-5N9CN 60-69 years, male 54.1
GTEX-15SB6-0726-SM-6M48F 50-59 years, female 54.0
GTEX-XBEW-1326-SM-4AT63 40-49 years, male 54.0
GTEX-11GSP-1826-SM-5N9DQ 60-69 years, female 53.8
GTEX-ZF2S-1226-SM-4WWAX 50-59 years, female 53.8
GTEX-18D9A-0526-SM-7KFSW 30-39 years, female 53.7
GTEX-Y5V5-1626-SM-4VDSG 60-69 years, female 53.7
GTEX-ZUA1-1226-SM-5NQ6O 40-49 years, male 53.7
GTEX-ZYFC-1626-SM-5N9EU 50-59 years, male 53.6
GTEX-14ICK-2026-SM-6AJB2 40-49 years, male 53.5
GTEX-14PKV-1726-SM-6871U 20-29 years, female 53.4
GTEX-12BJ1-1626-SM-5HL8Y 60-69 years, male 53.3
GTEX-WYJK-1926-SM-4ONDP 50-59 years, male 53.3
GTEX-17F9E-1926-SM-7IGQF 50-59 years, male 53.1
GTEX-18A66-1426-SM-7KFRT 60-69 years, male 53.1
GTEX-QCQG-0626-SM-48U21 50-59 years, female 53.1
GTEX-R53T-1126-SM-48FD4 50-59 years, female 53.1
GTEX-S3XE-0926-SM-4AD4S 50-59 years, male 53.0
GTEX-1HSGN-1626-SM-A96U2 40-49 years, female 53.0
GTEX-12WSA-1426-SM-5EGJU 60-69 years, male 52.8
GTEX-WHSE-1526-SM-4M1XH 20-29 years, male 52.7
GTEX-WHPG-1126-SM-4M1XT 50-59 years, male 52.6
GTEX-ZA64-0626-SM-5HL9O 20-29 years, male 52.6
GTEX-PVOW-1626-SM-48TC9 40-49 years, male 52.5
GTEX-YEC4-1026-SM-9WG7N 40-49 years, male 52.3
GTEX-12WSK-1126-SM-5LZV8 40-49 years, female 52.2
GTEX-1J1OQ-2526-SM-AHZ3Q 40-49 years, female 52.2
GTEX-NFK9-1126-SM-3LK78 40-49 years, male 52.1
GTEX-UPK5-1226-SM-4IHL8 40-49 years, male 52.1
GTEX-XMK1-1326-SM-4B65Q 40-49 years, male 52.1
GTEX-1HGF4-0926-SM-9WPP8 60-69 years, male 52.0
GTEX-1JMPY-0826-SM-AHZ4A 30-39 years, male 52.0
GTEX-P4QS-0626-SM-3NMD1 60-69 years, male 51.9
GTEX-T5JC-1726-SM-4DM6U 20-29 years, male 51.9
GTEX-11TUW-1326-SM-5EQKV 60-69 years, male 51.7
GTEX-13FLV-1126-SM-5J2NO 50-59 years, male 51.7
GTEX-13SLX-1726-SM-5Q5E5 50-59 years, female 51.7
GTEX-1CB4F-1526-SM-7MKFM 60-69 years, male 51.7
GTEX-WEY5-0926-SM-4LMI4 40-49 years, female 51.5
GTEX-1MJIX-0826-SM-DTXEO 40-49 years, male 51.3
GTEX-15ER7-2126-SM-7939E 20-29 years, female 51.1
GTEX-131XG-1026-SM-5GCMX 50-59 years, female 51.0
GTEX-14PJ5-0526-SM-664OE 60-69 years, female 51.0
GTEX-1R9K4-1926-SM-DPRZW 60-69 years, male 51.0
GTEX-PSDG-1326-SM-48TD2 50-59 years, male 50.9
GTEX-ZYVF-2226-SM-5GIDD 50-59 years, female 50.9
GTEX-1LBAC-1226-SM-DHXK1 20-29 years, male 50.9
GTEX-11NUK-1326-SM-5P9GN 50-59 years, male 50.8
GTEX-13PVR-1826-SM-5Q5CC 60-69 years, female 50.8
GTEX-1H3NZ-1326-SM-9JGHI 60-69 years, male 50.8
GTEX-1LB8K-1326-SM-CXZKB 50-59 years, male 50.8
GTEX-13FTW-1626-SM-5KM4N 40-49 years, male 50.7
GTEX-RN64-1026-SM-48FDX 50-59 years, male 50.7
GTEX-1F52S-1426-SM-7P8PU 60-69 years, female 50.7
GTEX-12WSD-1826-SM-5GCOA 60-69 years, female 50.5
GTEX-1I1GQ-1726-SM-B2LWZ 50-59 years, male 50.5
GTEX-1K2DU-1726-SM-EV79S 20-29 years, male 50.5
GTEX-1MGNQ-1626-SM-EAZ4Z 40-49 years, male 50.4
GTEX-WH7G-0926-SM-4LVMJ 40-49 years, male 50.3
GTEX-TML8-1526-SM-4DXUX 40-49 years, female 50.0
GTEX-ZLV1-0526-SM-4WWD4 60-69 years, female 49.9
GTEX-1R9JW-1526-SM-DPRZK 30-39 years, female 49.9
GTEX-P4QT-0626-SM-3NMCP 50-59 years, female 49.8
GTEX-X4EO-1226-SM-4QARR 60-69 years, female 49.8
GTEX-17HGU-1426-SM-7938G 50-59 years, male 49.7
GTEX-13NZB-1226-SM-5J2MW 30-39 years, male 49.6
GTEX-ZPCL-1426-SM-57WEC 60-69 years, female 49.6
GTEX-1LGRB-1626-SM-CNNR7 50-59 years, female 49.5
GTEX-1399R-0826-SM-5IJEL 30-39 years, male 49.4
GTEX-13X6I-1026-SM-5LU4C 60-69 years, male 49.3
GTEX-XLM4-2326-SM-4AT5E 60-69 years, male 49.3
GTEX-OIZG-1026-SM-3LK5X 50-59 years, male 49.2
GTEX-12KS4-0926-SM-5BC5S 30-39 years, male 49.1
GTEX-ZC5H-1326-SM-5HL7E 40-49 years, female 49.0
GTEX-1B933-2026-SM-7EWFC 50-59 years, female 48.9
GTEX-145MO-1426-SM-DTX9W 60-69 years, male 48.9
GTEX-183WM-1726-SM-7KFT5 70-79 years, female 48.7
GTEX-14BIN-2726-SM-5RQIE 50-59 years, female 48.6
GTEX-RTLS-1126-SM-46MUQ 60-69 years, female 48.6
GTEX-ZQUD-0426-SM-57WFR 30-39 years, male 48.6
GTEX-ZVE2-1326-SM-5NQ94 50-59 years, male 48.6
GTEX-1B97I-0926-SM-731DZ 40-49 years, male 48.5
GTEX-P4PP-0626-SM-3NM9X 30-39 years, female 48.4
GTEX-11VI4-0526-SM-5EQ48 40-49 years, female 48.2
GTEX-SNOS-0626-SM-4DM5F 40-49 years, male 48.2
GTEX-1J8EW-1326-SM-AHZ3S 60-69 years, female 48.2
GTEX-1R9K5-1526-SM-DPRZA 50-59 years, male 48.1
GTEX-11DZ1-2026-SM-5A5KG 50-59 years, male 48.0
GTEX-144FL-2726-SM-5O98Z 50-59 years, male 47.9
GTEX-14PJM-1526-SM-664NY 50-59 years, female 47.9
GTEX-12ZZW-1726-SM-5DUVD 50-59 years, male 47.8
GTEX-13YAN-1926-SM-7EPH9 60-69 years, male 47.8
GTEX-13G51-0926-SM-5IFFU 60-69 years, male 47.7
GTEX-OOBK-0625-SM-3LK5P 40-49 years, male 47.6
GTEX-148VJ-1026-SM-5LU98 70-79 years, male 47.5
GTEX-1I1CD-1726-SM-A9G3P 60-69 years, female 47.5
GTEX-WK11-1026-SM-4OOS8 50-59 years, male 47.3
GTEX-XV7Q-1126-SM-4BRVS 40-49 years, female 47.3
GTEX-1KAFJ-0626-SM-D3L8X 50-59 years, male 47.3
GTEX-1AX9I-1426-SM-7DHM8 60-69 years, male 47.2
GTEX-1GTWX-1326-SM-9JGHU 60-69 years, male 47.2
GTEX-111CU-0726-SM-5GZYD 50-59 years, male 47.0
GTEX-1212Z-2126-SM-5FQTM 60-69 years, male 47.0
GTEX-ZAB4-1126-SM-5HL86 40-49 years, male 47.0
GTEX-T2IS-0826-SM-4DM6L 20-29 years, female 46.9
GTEX-Y3IK-1126-SM-51MSV 50-59 years, female 46.6
GTEX-1MA7X-0726-SM-EV7AB 60-69 years, male 46.6
GTEX-WHSB-0426-SM-4M1XI 50-59 years, male 46.5
GTEX-1HBPH-1126-SM-A96TU 40-49 years, female 46.4
GTEX-17F96-2526-SM-7DHL3 70-79 years, male 46.3
GTEX-1IDJH-2026-SM-CNNQX 70-79 years, male 46.3
GTEX-1LGOU-0526-SM-D3LAO 20-29 years, female 46.3
GTEX-18A7A-2326-SM-7KFRH 50-59 years, female 45.8
GTEX-QLQW-0526-SM-4R1KS 30-39 years, male 45.8
GTEX-1QP29-2126-SM-E6CPZ 50-59 years, male 45.8
GTEX-RM2N-0726-SM-48FD5 50-59 years, male 45.7
GTEX-14JIY-0926-SM-6871D 60-69 years, male 45.5
GTEX-117YW-1926-SM-5H121 50-59 years, male 45.4
GTEX-11ZTS-2626-SM-5EGIC 60-69 years, female 45.4
GTEX-1HCU8-2226-SM-9WPOV 60-69 years, female 45.2
GTEX-YECK-1626-SM-5IFHQ 60-69 years, male 44.9
GTEX-WRHK-0526-SM-4MVOF 20-29 years, female 44.6
GTEX-O5YV-1026-SM-3LK72 60-69 years, female 44.5
GTEX-14BIM-1326-SM-7EWD1 60-69 years, female 44.4
GTEX-1S82Y-1226-SM-EV7BD 40-49 years, male 44.4
GTEX-145MF-1426-SM-5O9B6 50-59 years, male 44.3
GTEX-17EVQ-1926-SM-7IGOF 70-79 years, male 44.2
GTEX-1399Q-1126-SM-5P9JA 40-49 years, male 44.1
GTEX-1A8FM-1526-SM-7MXTA 50-59 years, female 44.1
GTEX-11ONC-1526-SM-5GU6S 60-69 years, male 43.9
GTEX-15ETS-1926-SM-7KUN5 40-49 years, female 43.9
GTEX-SE5C-1226-SM-4BRWV 40-49 years, female 43.9
GTEX-13FHO-1726-SM-DPRZX 60-69 years, male 43.9
GTEX-1HSKV-2426-SM-A8N8K 60-69 years, male 43.7
GTEX-YJ89-1526-SM-5P9IR 60-69 years, male 43.4
GTEX-1PPGY-1726-SM-EVR3S 60-69 years, male 43.3
GTEX-ZYW4-1326-SM-5E45N 60-69 years, male 42.9
GTEX-ZZPT-1426-SM-5N9C5 50-59 years, male 42.9
GTEX-X4EP-1626-SM-4QAS6 60-69 years, female 42.8
GTEX-1KANB-1826-SM-DHXJU 50-59 years, male 42.8
GTEX-15DCD-1626-SM-6AJBH 70-79 years, female 42.7
GTEX-OXRP-0926-SM-48TC1 60-69 years, female 42.7
GTEX-1HFI6-1226-SM-A96SK 40-49 years, male 42.7
GTEX-132Q8-1826-SM-5EGIY 60-69 years, male 42.6
GTEX-QVUS-0626-SM-447CC 60-69 years, female 42.5
GTEX-S4Q7-0626-SM-4AD5M 20-29 years, male 42.5
GTEX-ZT9W-1326-SM-51MTB 50-59 years, male 42.5
GTEX-14DAQ-1426-SM-5RQJD 60-69 years, female 42.4
GTEX-1CB4G-1326-SM-7MKFP 60-69 years, male 42.4
GTEX-145LV-1326-SM-5S2QI 50-59 years, male 42.3
GTEX-18465-1126-SM-7LG6E 50-59 years, male 42.2
GTEX-1LSVX-1226-SM-DHXJN 60-69 years, male 42.2
GTEX-16MT8-1326-SM-6M47R 60-69 years, female 42.0
GTEX-1HCVE-1226-SM-9WPPH 50-59 years, male 42.0
GTEX-R45C-1226-SM-48FEE 60-69 years, female 41.9
GTEX-VUSG-1226-SM-4KKZF 50-59 years, male 41.8
GTEX-1HB9E-1526-SM-D3LA6 50-59 years, male 41.8
GTEX-15DYW-1826-SM-6LPIY 60-69 years, female 41.6
GTEX-1GMR8-1826-SM-9WYUE 50-59 years, female 41.1
GTEX-1RAZS-2626-SM-EV79C 50-59 years, male 41.0
GTEX-OHPN-1026-SM-E9TI8 60-69 years, female 40.9
GTEX-12ZZX-1326-SM-5DUWI 40-49 years, female 40.1
GTEX-1QEPI-1826-SM-EAZ3J 60-69 years, female 40.0
GTEX-13OW8-2326-SM-5L3I9 60-69 years, male 39.9
GTEX-13W46-1926-SM-5J2MF 50-59 years, male 39.8
GTEX-13O61-0926-SM-5IFFE 60-69 years, male 39.6
GTEX-UPJH-1026-SM-EAZB2 50-59 years, male 39.5
GTEX-1BAJH-2026-SM-7P8OZ 70-79 years, male 39.3
GTEX-ZV68-0926-SM-59HK7 50-59 years, female 39.2
GTEX-1EKGG-1726-SM-7MXUP 60-69 years, male 39.0
GTEX-1EWIQ-1526-SM-79OO7 70-79 years, female 38.9
GTEX-1CAMQ-2726-SM-7MKGD 40-49 years, male 38.9
GTEX-1RDX4-2126-SM-EV7B3 50-59 years, female 38.9
GTEX-144GO-2726-SM-5O9A2 60-69 years, male 38.8
GTEX-T6MO-0526-SM-4DM6R 40-49 years, female 38.8
GTEX-1LVA9-2126-SM-DLHBY 50-59 years, male 38.8
GTEX-POYW-1326-SM-48TCG 60-69 years, male 38.7
GTEX-12WSG-5007-SM-7DUGZ 50-59 years, female 38.1
GTEX-1MCQQ-1026-SM-EV7AX 60-69 years, male 37.9
GTEX-15UF6-2326-SM-6M465 70-79 years, female 37.7
GTEX-PLZ4-1626-SM-3P618 50-59 years, female 37.6
GTEX-1I1GV-2226-SM-ARU7E 60-69 years, male 37.6
GTEX-N7MT-0326-SM-48TDP 60-69 years, female 37.4
GTEX-145LS-1826-SM-5LUAZ 60-69 years, female 37.2
GTEX-1KD4Q-1126-SM-CXZKK 40-49 years, male 37.2
GTEX-17JCI-1226-SM-793D9 60-69 years, female 36.8
GTEX-WVLH-1426-SM-4MVNX 50-59 years, male 36.7
GTEX-X4XY-1726-SM-46MVO 60-69 years, male 36.6
GTEX-1F88F-1126-SM-7MKHL 60-69 years, female 36.5
GTEX-1EX96-2226-SM-7MKGT 50-59 years, male 36.2
GTEX-1HBPM-1426-SM-9WPPE 60-69 years, female 36.2
GTEX-ZAK1-1526-SM-5S2OV 50-59 years, female 36.0
GTEX-145LU-0926-SM-79OJL 50-59 years, male 35.5
GTEX-14A6H-1326-SM-5NQBC 30-39 years, male 35.5
GTEX-1I1GR-1326-SM-ARU7B 60-69 years, male 35.5
GTEX-1IDFM-1126-SM-A96SY 60-69 years, male 35.4
GTEX-SJXC-1426-SM-EYYVB 60-69 years, male 35.3
GTEX-1LG7Y-1726-SM-EV7AR 50-59 years, male 35.0
GTEX-1F7RK-1526-SM-7P8T6 20-29 years, female 34.6
GTEX-XMD2-1326-SM-4YCET 60-69 years, female 34.5
GTEX-TSE9-1226-SM-4DXTM 60-69 years, female 34.3
GTEX-13FHP-1526-SM-5IJGE 50-59 years, male 33.9
GTEX-1RLM8-0726-SM-E6CRH 50-59 years, male 33.9
GTEX-N7MS-1225-SM-3LK5G 60-69 years, male 33.7
GTEX-1EN7A-1226-SM-7MGX9 40-49 years, male 33.7
GTEX-1GN1U-1826-SM-9JGH2 50-59 years, female 33.7
GTEX-OXRN-1726-SM-3NM9B 50-59 years, male 33.6
GTEX-1EU9M-2326-SM-7MKGS 60-69 years, male 33.0
GTEX-13O3Q-0826-SM-5IFGF 50-59 years, male 32.9
GTEX-15EO6-1026-SM-7KUG9 50-59 years, male 32.6
GTEX-Q2AG-1326-SM-43V8K 40-49 years, female 32.3
GTEX-16Z82-1926-SM-6M47U 60-69 years, male 32.2
GTEX-RVPV-0526-SM-47JYL 60-69 years, male 31.9
GTEX-X62O-2226-SM-46MW3 50-59 years, male 31.9
GTEX-139TU-1226-SM-5J2NL 60-69 years, male 31.8
GTEX-X585-1226-SM-46MW7 50-59 years, male 31.8
GTEX-11EI6-1526-SM-5P9GL 60-69 years, male 31.7
GTEX-17F97-1326-SM-7MGVO 50-59 years, male 31.6
GTEX-1LSNL-2226-SM-DHXKM 50-59 years, male 31.5
GTEX-1JMLX-2326-SM-CXZJP 50-59 years, male 31.4
GTEX-1E1VI-1526-SM-7IGQ2 50-59 years, male 31.1
GTEX-1CB4H-1526-SM-7MXU4 60-69 years, female 30.3
GTEX-T2YK-1326-SM-4DM6S 50-59 years, male 29.4
GTEX-14C5O-1626-SM-73KYH 60-69 years, male 29.2
GTEX-1GMR3-1526-SM-9JGGL 40-49 years, male 29.2
GTEX-13QJ3-1726-SM-5RQK9 50-59 years, male 29.0
GTEX-ZF3C-1626-SM-4WWB4 50-59 years, female 29.0
GTEX-17HII-1526-SM-9OSVD 50-59 years, male 28.3
GTEX-1269C-1026-SM-5N9EY 60-69 years, female 27.9
GTEX-13JVG-2026-SM-5KM1N 60-69 years, male 27.9
GTEX-1EH9U-2426-SM-7EWFG 60-69 years, male 26.7
GTEX-13NYB-0926-SM-5IFFA 40-49 years, male 25.7
GTEX-15EOM-5013-SM-7MKF9 20-29 years, female 24.7
Show allShow less

ESOPHAGUS - FANTOM5 CAGEi

RNA expression in human tissues obtained through Cap Analysis of Gene Expression (CAGE) generated by the FANTOM5 project are reported as Scaled Tags Per Million.

Max subtype Scaled Tags Per Millioni

Max subtype Scaled Tags Per Million is the value for the subtype with the largest average Scaled Tags Per Million across the subtype samples.

353.4
FANTOM5 sample id Sample description Scaled Tags Per Million
Esophagus
Scaled Tags Per Million: 353.4
FF:10015-101C6 68,74,75 years, mixed 353.4

Contact

  • NEWS ARTICLES
  • PRESS ROOM

The Project

  • INTRODUCTION
  • ORGANIZATION
  • PUBLICATIONS

The Human Protein Atlas

  • DOWNLOADABLE DATA
  • LICENCE & CITATION
  • HELP & FAQ
The Human Protein Atlas project is funded
by the Knut & Alice Wallenberg Foundation.


contact@proteinatlas.org