We use cookies to enhance the usability of our website. If you continue, we'll assume that you are happy to receive all cookies. More information. Don't show this again.
NCF2
HPA
RESOURCES
  • TISSUE
  • BRAIN
  • SINGLE CELL
  • SUBCELLULAR
  • CANCER
  • BLOOD
  • CELL LINE
  • STRUCTURE & INTERACTION
ABOUT
  • INTRODUCTION
  • HISTORY
  • ORGANIZATION
  • PUBLICATIONS
  • ANTIBODY SUBMISSION
  • ANTIBODY AVAILABILITY
  • ACKNOWLEDGMENTS
  • CONTACT
NEWS
  • NEWS ARTICLES
  • PRESS ROOM
LEARN
  • DICTIONARY
  • PROTEIN CLASSES
  • PROTEIN EVIDENCE
  • METHODS
  • EDUCATIONAL VIDEOS
DATA
  • DOWNLOADABLE DATA
  • PUBLICATION DATA
  • RELEASE HISTORY
HELP
  • ANTIBODY VALIDATION
  • ASSAYS & ANNOTATION
  • DISCLAIMER
  • HELP & FAQ
  • PRIVACY STATEMENT
  • LICENCE & CITATION
Fields »
Search result

Field
Term
Gene name
Class
Subclass
Class
Keyword
Chromosome
External id
Tissue
Cell type
Expression
Antibody panel
Tissue
Main location
Patient ID
Annotation
Tissue
Category
Tau score
Cluster
Reliability
Brain region
Category
Tau score
Brain region
Category
Tau score
Brain region
Category
Tau score
Cluster
Reliability
Tissue
Cell type
Enrichment
Cell type
Category
Tau score
Cell type
Category
Tau score
Cell type
Category
Tau score
Cell lineage
Category
Tau score
Cluster
Cluster
Location
Searches
Location
Cell line
Class
Type
Phase
Reliability
Cancer
Prognosis
Cancer
Category
Cancer
Category
Tau score
Cluster
Variants
Interacting gene (ensg_id)
Type
Number of interactions
Pathway
Category
Score
Score
Score
Validation
Validation
Validation
Validation
Antibodies
Data type
Column


  • SUMMARY

  • TISSUE

  • BRAIN

  • SINGLE CELL

  • SUBCELL

  • CANCER

  • BLOOD

  • CELL LINE

  • STRUCT & INT

  • NCF2
TISSUE PRIMARY DATA SPLEEN Show tissue menu
ADIPOSE TISSUE ADRENAL GLAND AMYGDALA APPENDIX BASAL GANGLIA BONE MARROW BREAST BRONCHUS CEREBELLUM CEREBRAL CORTEX CERVIX CHOROID PLEXUS COLON DUODENUM
ENDOMETRIUM EPIDIDYMIS ESOPHAGUS FALLOPIAN TUBE GALLBLADDER HEART MUSCLE HIPPOCAMPAL FORMATION HYPOTHALAMUS KIDNEY LIVER LUNG LYMPH NODE MIDBRAIN NASOPHARYNX
ORAL MUCOSA OVARY PANCREAS PARATHYROID GLAND PITUITARY GLAND PLACENTA PROSTATE RECTUM RETINA SALIVARY GLAND SEMINAL VESICLE SKELETAL MUSCLE SKIN SMALL INTESTINE
SMOOTH MUSCLE SOFT TISSUE SPINAL CORD SPLEEN STOMACH TESTIS THYMUS THYROID GLAND TONGUE TONSIL URINARY BLADDER VAGINA
ANTIBODIES
AND
VALIDATION
Dictionary
Spleen
Tissue proteome
Lymphoid tissue
SPLEEN - Expression summary
Protein expression
Spleeni

On the top, protein expression in current human tissue, based on all annotated cell types, is reported with the units not detected (n), low (l), medium (m) and high (h). Underneath, protein expression in each annotated cell type are reported using the same units.

Protein expression data is based on knowledge-based annotation. For genes where more than one antibody has been used, a collective score is set.

If knowledge-based annotation could not be performed for a gene, no data is displayed here. View antibody staining data further down this page.

h
m
l
n
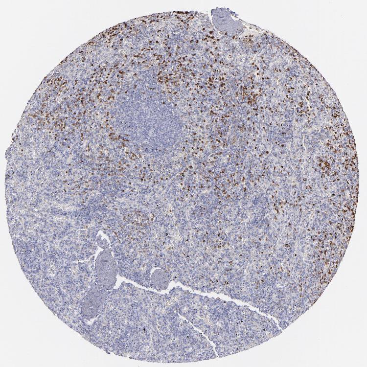
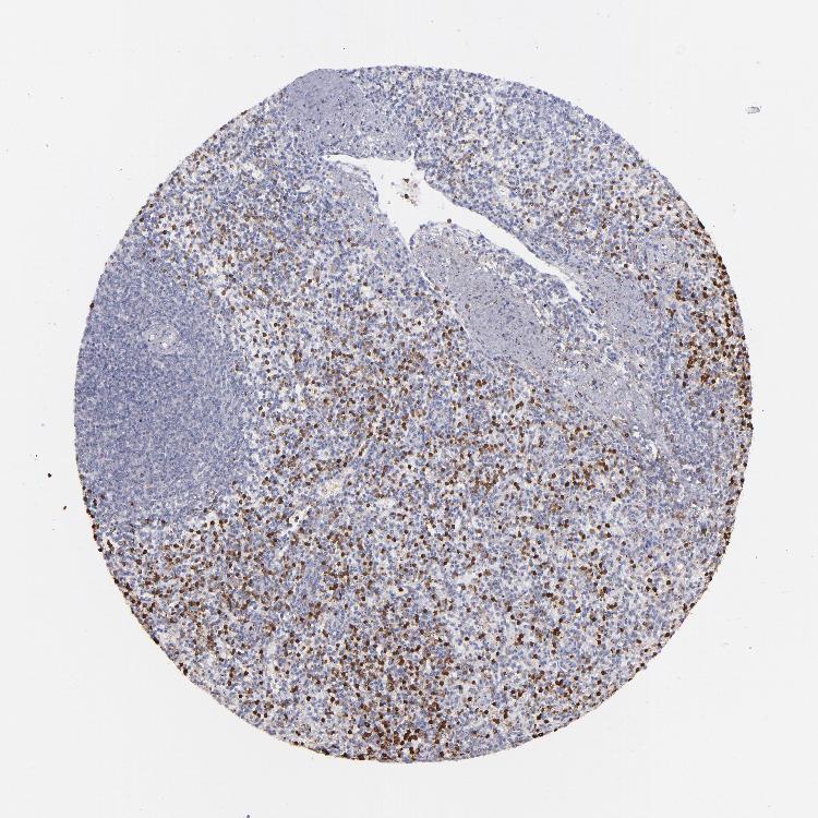
Cells in red pulp: High
Cells in white pulp: Not detected
RNA expressioni

A summary of mRNA expression data available for current tissue based on several datasets. The mRNA expression levels in human tissues are based on RNA-seq data generated by the Human Protein Atlas (HPA), Genotype-Tissue Expression (GTEx) portal and CAGE data generated by the FANTOM5 consortium. Consensus normalized expression levels for human tissues was created by combining the data from HPA and GTEx datasets.

The mRNA expression levels in pig are based on RNA-seq data generated by the Human Protein Atlas (HPA), and for mouse, HPA data and in situ hybridization generated by the Allen brain atlas are reported.

Scroll down to view mRNA expression data in more detail.
Consensus:76.1 nTPM
HPA:51.3 nTPM
GTEx:76.1 nTPM
FANTOM5:76.7 Scaled Tags Per Million

SPLEEN - Antibody stainingi

Antibody staining in the annotated cell types in the current human tissue is reported as not detected, low, medium, or high, based on conventional immunohistochemistry profiling in selected tissues. This score is based on the combination of the staining intensity and fraction of stained cells.

Each image is clickable and will lead to virtual microscopy that enables deeper exploration of all samples and also displays staining intensity scores, fraction scores and subcellular localization as well as patient and tissue information for each sample.

Antibody HPA002327Antibody HPA006040Antibody CAB022160
Cells in red pulp HighHighMedium
Cells in white pulp Not detectedNot detectedNot detected







SPLEEN - HPA RNA-seqi

The RNA-seq details section shows detailed information about the individual samples used for the transcript profiling and results of the RNA-seq analysis.

Information about each individual sample is listed below, including gender, age, a tissue section image and estimated fractions of cell types. nTPM (normalized transcripts per million) values give a quantification of the gene abundance which is comparable between different genes and samples.
Average nTPMi

Max subtype nTPM is the value for the subtype with the largest average nTPM across the subtype samples.

51.3
overview
Female, age 60
Spleen sample 236
nTPM: 40.3
Cell types%
Lymphocytes:
40

Macrophages:
30

Endothelial cells:
15

Fibroblasts:
5

Other cell types:
10

overview
Male, age 17
Spleen sample 237
nTPM: 47.2
Cell types%
Lymphocytes:
40

Macrophages:
35

Endothelial cells:
15

Fibroblasts:
5

Other cell types:
5

overview
Male, age 20
Spleen sample 238
nTPM: 48.3
Cell types%
Lymphocytes:
40

Macrophages:
30

Endothelial cells:
15

Fibroblasts:
5

Other cell types:
10

overview
Female, age 19
Spleen sample 239
nTPM: 39.3
Cell types%
Lymphocytes:
40

Macrophages:
30

Endothelial cells:
15

Fibroblasts:
10

Other cell types:
5

overview
Female, age 65
Spleen sample 378
nTPM: 81.7
Cell types%
Lymphocytes:
35

Macrophages:
30

Endothelial cells:
20

Fibroblasts:
10

Other cell types:
5


SPLEEN - GTEx RNA-seqi

RNA-Seq data generated by the Genotype-Tissue Expression (GTEx) project from human tissues is reported as mean nTPM. More information can be found on the GTEx portal.

Distribution across the dataset is visualized with box plots, shown as median and 25th and 75th percentiles. Points are displayed as outliers if they are above or below 1.5 times the interquartile range. nTPM values of the individual samples are presented next to the box plot.
Max subtype nTPMi

Max subtype nTPM is the value for the subtype with the largest average nTPM across the subtype samples.

76.1
GTEx sample id Sample description nTPM
Spleen
Average nTPM: 76.1
Samples: 241

Max nTPM: 256.9
Min nTPM: 5.2
Std nTPM: 39.0
Median nTPM: 71.7
GTEX-ZZPU-0126-SM-5E446 50-59 years, female 256.9
GTEX-15RIG-0126-SM-6PAN4 40-49 years, male 240.4
GTEX-P4PQ-0926-SM-E9U4D 60-69 years, male 209.3
GTEX-15F5U-0126-SM-6LPKA 40-49 years, male 188.9
GTEX-15SB6-0126-SM-6LPJR 50-59 years, female 182.9
GTEX-ZV6S-0826-SM-5NQ6Z 40-49 years, female 176.6
GTEX-13X6H-0726-SM-5Q5BX 50-59 years, female 176.5
GTEX-WY7C-0126-SM-4ONCO 50-59 years, male 171.2
GTEX-1MCC2-0826-SM-EV7AM 30-39 years, female 165.4
GTEX-T5JW-0126-SM-4DM6K 20-29 years, female 150.8
GTEX-1C64O-1626-SM-731EN 60-69 years, male 147.0
GTEX-1CB4F-0226-SM-7EPHS 60-69 years, male 144.6
GTEX-ZP4G-0326-SM-4YCEF 20-29 years, female 143.7
GTEX-ZYFG-0726-SM-5GIDX 60-69 years, female 142.2
GTEX-U3ZN-0126-SM-4DXUM 30-39 years, female 139.9
GTEX-1B97I-0126-SM-731DH 40-49 years, male 134.9
GTEX-1AX9K-0226-SM-793CM 50-59 years, male 134.0
GTEX-11P81-1326-SM-5GU5S 30-39 years, female 133.0
GTEX-1MJK3-0126-SM-DPRYY 20-29 years, male 132.8
GTEX-1RAZQ-0126-SM-EV7B1 30-39 years, male 129.1
GTEX-1QP29-0126-SM-EAZ3S 50-59 years, male 127.8
GTEX-1L5NE-0926-SM-D4P3P 50-59 years, male 127.6
GTEX-1K2DA-0126-SM-CGQGV 50-59 years, male 124.8
GTEX-UJHI-0126-SM-4IHLP 50-59 years, female 119.7
GTEX-15RJ7-0126-SM-6LPJN 40-49 years, male 118.9
GTEX-11LCK-0126-SM-5A5M5 30-39 years, male 117.5
GTEX-ZVP2-0526-SM-51MSC 50-59 years, male 117.4
GTEX-1QP66-0126-SM-EAZ3N 50-59 years, male 117.0
GTEX-XAJ8-0126-SM-47JYG 40-49 years, male 116.0
GTEX-14PJ4-0526-SM-6871G 60-69 years, male 115.5
GTEX-1IDJC-0126-SM-C1YQC 50-59 years, male 115.5
GTEX-Z9EW-0726-SM-5HL9H 40-49 years, male 115.4
GTEX-1PDJ9-0226-SM-DPRYX 20-29 years, male 115.1
GTEX-15SHV-0126-SM-6LPIS 60-69 years, male 114.8
GTEX-16XZY-0126-SM-7IGQ9 70-79 years, male 111.7
GTEX-1FIGZ-0126-SM-7MKGZ 40-49 years, male 111.1
GTEX-17F98-0126-SM-7MGW3 40-49 years, female 109.8
GTEX-YEC4-0126-SM-4W21T 40-49 years, male 109.2
GTEX-1MGNQ-1126-SM-EAZ4Y 40-49 years, male 109.2
GTEX-Y3I4-0126-SM-4TT26 50-59 years, male 106.7
GTEX-S4Z8-0226-SM-4AD5K 60-69 years, male 105.8
GTEX-14BMU-0426-SM-73KYT 20-29 years, female 105.1
GTEX-1HCU9-0126-SM-9WG7M 20-29 years, male 103.6
GTEX-12WSN-0126-SM-5DUX5 40-49 years, male 103.3
GTEX-14DAR-0326-SM-5S2PS 50-59 years, male 102.6
GTEX-1JK1U-0126-SM-C1YQY 60-69 years, male 102.6
GTEX-1HCU7-1426-SM-CNNQK 50-59 years, male 102.4
GTEX-WXYG-0126-SM-4OND7 50-59 years, female 102.1
GTEX-11EQ9-0426-SM-5A5JY 30-39 years, male 101.7
GTEX-XPVG-0626-SM-4B65B 50-59 years, male 100.8
GTEX-WFON-0126-SM-4LVM9 40-49 years, male 100.3
GTEX-Y5LM-0326-SM-4VBRN 40-49 years, female 99.8
GTEX-Y8LW-0126-SM-4VBS1 50-59 years, female 99.5
GTEX-ZDTT-1026-SM-5KM19 60-69 years, male 98.8
GTEX-1MUQO-1326-SM-EV7AE 60-69 years, male 98.3
GTEX-139YR-0426-SM-5IFFV 50-59 years, male 98.2
GTEX-1AYD5-0226-SM-79ONV 50-59 years, male 98.1
GTEX-1JKYN-0326-SM-AHZ4D 30-39 years, male 97.7
GTEX-1RMOY-0726-SM-EV79D 50-59 years, male 97.5
GTEX-U4B1-0526-SM-4DXTK 40-49 years, male 97.4
GTEX-1JKYR-1126-SM-CGQGJ 20-29 years, male 96.9
GTEX-15ETS-3126-SM-6LPKN 40-49 years, female 96.3
GTEX-146FQ-0626-SM-5LU9U 30-39 years, male 95.9
GTEX-1RAZA-1026-SM-E6CQ9 20-29 years, male 94.7
GTEX-YB5E-0426-SM-5IFHR 40-49 years, male 93.9
GTEX-1R7EV-0126-SM-EAZ3O 40-49 years, male 93.6
GTEX-QDT8-1526-SM-EXOHP 30-39 years, female 93.1
GTEX-O5YT-0926-SM-48TDG 20-29 years, male 92.2
GTEX-ZPCL-0626-SM-DNZZ6 60-69 years, female 92.1
GTEX-14PJ6-0226-SM-6AJ9K 60-69 years, female 92.0
GTEX-147F3-0126-SM-5NQBJ 50-59 years, female 91.2
GTEX-15RIF-0526-SM-6LLI2 20-29 years, male 90.9
GTEX-145MN-0126-SM-5RQHY 30-39 years, male 90.7
GTEX-QV31-0126-SM-447BP 30-39 years, male 90.5
GTEX-1F5PK-0726-SM-7MGXN 50-59 years, male 90.3
GTEX-12WSJ-0526-SM-5GCOZ 40-49 years, female 88.9
GTEX-1S831-0726-SM-EV79O 20-29 years, male 88.8
GTEX-ZPIC-0126-SM-DNZZ9 40-49 years, female 88.3
GTEX-ZDYS-1026-SM-4WKHC 50-59 years, male 88.2
GTEX-11P7K-0426-SM-5BC5H 30-39 years, male 88.0
GTEX-1R9PM-0126-SM-DPRY6 20-29 years, male 87.8
GTEX-PLZ6-0126-SM-48TC6 30-39 years, male 87.7
GTEX-P78B-1226-SM-EZ6KP 40-49 years, female 87.7
GTEX-QMRM-0226-SM-CL55S 50-59 years, male 87.7
GTEX-1F5PL-2226-SM-7MKHE 40-49 years, female 87.6
GTEX-R55C-0126-SM-48FEQ 40-49 years, male 87.3
GTEX-XGQ4-0126-SM-4AT4H 50-59 years, male 86.0
GTEX-QLQW-0126-SM-447BK 30-39 years, male 85.4
GTEX-15DZA-0126-SM-6PAMV 30-39 years, female 85.3
GTEX-WYJK-0726-SM-4ONC9 50-59 years, male 85.0
GTEX-111CU-0426-SM-5GZY1 50-59 years, male 84.7
GTEX-1CB4I-1426-SM-79OLZ 50-59 years, male 83.0
GTEX-16MT8-1826-SM-7EWE8 60-69 years, female 82.8
GTEX-13111-0126-SM-5EGHO 50-59 years, male 82.5
GTEX-144GN-2126-SM-5O99D 50-59 years, male 81.2
GTEX-1HSMQ-0126-SM-D4P2I 50-59 years, male 81.2
GTEX-169BO-0126-SM-79OLS 50-59 years, male 80.4
GTEX-1JMQK-1126-SM-CXZJW 60-69 years, male 80.4
GTEX-1B8KZ-0226-SM-7EWF6 50-59 years, male 79.9
GTEX-1QP2A-2526-SM-EXOJB 50-59 years, male 79.8
GTEX-13OVK-0426-SM-7KFT8 40-49 years, male 79.3
GTEX-VJYA-0126-SM-4KL1P 60-69 years, male 78.5
GTEX-1LSNM-0126-SM-EAZ57 50-59 years, male 78.5
GTEX-1399S-0226-SM-5IFFG 30-39 years, female 77.4
GTEX-14PKU-0526-SM-6871A 40-49 years, female 75.7
GTEX-Y3IK-0126-SM-4WWE9 50-59 years, female 75.7
GTEX-1H3O1-1126-SM-9WPO9 60-69 years, male 75.6
GTEX-13VXT-1326-SM-5LU3Y 20-29 years, female 75.5
GTEX-12BJ1-0726-SM-5EGGF 60-69 years, male 75.4
GTEX-OIZF-0926-SM-7MKH7 60-69 years, male 75.4
GTEX-18A67-1526-SM-7LG6F 50-59 years, male 75.0
GTEX-1CB4E-0126-SM-7DHMX 60-69 years, male 75.0
GTEX-1122O-0526-SM-5N9DM 60-69 years, female 73.8
GTEX-131XG-0426-SM-5IFGD 50-59 years, female 73.4
GTEX-1KANA-1226-SM-DHXKE 20-29 years, male 73.3
GTEX-XMK1-0126-SM-4B65F 40-49 years, male 73.1
GTEX-1F75I-0226-SM-7MKHQ 40-49 years, male 73.1
GTEX-11VI4-0126-SM-5GU6Z 40-49 years, female 72.1
GTEX-11XUK-0426-SM-5EQML 40-49 years, female 72.0
GTEX-X3Y1-0126-SM-4PQZA 40-49 years, male 72.0
GTEX-YFCO-0926-SM-5LUA5 40-49 years, male 71.7
GTEX-1QCLY-0126-SM-DPRZV 30-39 years, male 71.6
GTEX-1J8Q3-0126-SM-C1YSI 60-69 years, male 71.3
GTEX-1IDJE-0126-SM-C1YQ6 50-59 years, female 69.6
GTEX-14E6E-1226-SM-5S2R5 30-39 years, male 69.4
GTEX-1LNCM-0426-SM-DHXK6 50-59 years, female 68.3
GTEX-14PJ5-0326-SM-664OD 60-69 years, female 68.1
GTEX-1QAET-2326-SM-EXOJ1 50-59 years, male 67.9
GTEX-1A3MV-0126-SM-731FQ 30-39 years, male 67.8
GTEX-1QW4Y-0126-SM-DPRZQ 30-39 years, male 67.6
GTEX-146FR-1926-SM-5NQA6 60-69 years, female 66.6
GTEX-ZAB5-0526-SM-5CVMU 50-59 years, male 66.4
GTEX-13PL7-1126-SM-5MR5O 60-69 years, female 66.1
GTEX-P4PP-0926-SM-48TBZ 30-39 years, female 65.8
GTEX-1B97J-1926-SM-7IGQB 50-59 years, female 64.8
GTEX-13PVR-0326-SM-5RQJY 60-69 years, female 64.5
GTEX-14JG6-0226-SM-6872A 30-39 years, female 64.0
GTEX-1MCYP-0226-SM-EV7A3 20-29 years, female 63.8
GTEX-11DXX-0726-SM-5H12X 60-69 years, female 63.7
GTEX-1R9K5-1126-SM-EAZ4G 50-59 years, male 63.7
GTEX-ZLWG-0426-SM-4WWFA 50-59 years, female 63.5
GTEX-1C475-1126-SM-7MGY7 40-49 years, female 63.3
GTEX-POMQ-0126-SM-48TD6 20-29 years, female 63.1
GTEX-1QCLZ-1026-SM-E6CR1 60-69 years, female 63.1
GTEX-X4LF-0226-SM-4QAS8 50-59 years, male 62.2
GTEX-QV44-0126-SM-CJI1X 50-59 years, male 62.2
GTEX-11NSD-0426-SM-5N9CR 20-29 years, male 61.9
GTEX-13U4I-1626-SM-5IFFR 40-49 years, female 61.8
GTEX-139T6-0226-SM-5IFGZ 50-59 years, male 61.6
GTEX-13CF3-0226-SM-5J1NW 60-69 years, female 60.8
GTEX-1LGRB-0126-SM-CNNR6 50-59 years, female 60.5
GTEX-17F9E-1126-SM-79OMO 50-59 years, male 59.8
GTEX-YB5K-1926-SM-4VDT4 40-49 years, female 59.8
GTEX-1GF9U-0126-SM-AHZ4G 40-49 years, female 59.5
GTEX-XQ8I-1726-SM-4BOQB 50-59 years, male 59.4
GTEX-1RNTQ-1026-SM-EV7B4 20-29 years, female 59.3
GTEX-WHWD-0126-SM-4OORS 50-59 years, male 59.0
GTEX-1J8QM-0926-SM-C1YQ9 60-69 years, female 57.4
GTEX-132QS-0226-SM-5IFFZ 60-69 years, male 57.0
GTEX-1AMFI-0926-SM-731E4 50-59 years, female 57.0
GTEX-Q2AH-0226-SM-48U1I 40-49 years, male 56.8
GTEX-14PN3-0226-SM-6871K 60-69 years, female 56.6
GTEX-ZF2S-0326-SM-4WKGD 50-59 years, female 55.3
GTEX-1OFPY-0126-SM-EXOJ3 60-69 years, male 54.7
GTEX-W5WG-0626-SM-4SOID 50-59 years, female 54.1
GTEX-1C4CL-0626-SM-731DM 30-39 years, male 53.8
GTEX-PX3G-0926-SM-48U12 20-29 years, female 53.3
GTEX-P4QS-0926-SM-48TBS 60-69 years, male 53.2
GTEX-1GZ4H-0126-SM-9JGGI 50-59 years, female 52.0
GTEX-1LG7Z-0126-SM-EV79V 30-39 years, male 51.8
GTEX-QCQG-0226-SM-48U28 50-59 years, female 51.2
GTEX-18A66-1826-SM-7KFSU 60-69 years, male 50.9
GTEX-ZEX8-0726-SM-4WKH8 50-59 years, male 50.9
GTEX-ZVZP-0726-SM-59HKA 50-59 years, male 50.8
GTEX-1PPH7-0126-SM-E6CPB 40-49 years, male 50.4
GTEX-15CHQ-1226-SM-6ETZL 60-69 years, male 50.0
GTEX-Q734-0226-SM-48U1A 40-49 years, female 49.6
GTEX-17GQL-0126-SM-72D5Q 60-69 years, male 49.3
GTEX-17HHE-0326-SM-793BH 50-59 years, male 49.3
GTEX-S3XE-0626-SM-4AD6B 50-59 years, male 49.3
GTEX-17F96-1426-SM-7IGQA 70-79 years, male 49.2
GTEX-P4QT-0926-SM-EZ6KQ 50-59 years, female 49.1
GTEX-1211K-0426-SM-5FQTP 60-69 years, female 48.6
GTEX-PW2O-0126-SM-48TC8 20-29 years, male 48.1
GTEX-13FH7-1326-SM-5IFG8 50-59 years, female 48.0
GTEX-13S86-0126-SM-5S2PI 40-49 years, male 47.2
GTEX-12WSG-0926-SM-5EGIH 50-59 years, female 47.0
GTEX-U3ZH-0126-SM-4DXUK 30-39 years, male 46.9
GTEX-ZLFU-0526-SM-4WWBN 40-49 years, male 46.0
GTEX-X585-1826-SM-4QAS3 50-59 years, male 45.9
GTEX-1RAZR-1626-SM-EAZ4V 40-49 years, male 45.5
GTEX-14PK6-0526-SM-69LOF 70-79 years, female 44.1
GTEX-131XE-1126-SM-5EGHW 50-59 years, male 43.5
GTEX-QDVN-0526-SM-48TZ4 50-59 years, male 42.9
GTEX-QESD-0126-SM-EXOHG 20-29 years, male 42.7
GTEX-NFK9-1426-SM-43ISG 40-49 years, male 42.3
GTEX-R55G-0226-SM-48FEI 40-49 years, female 42.2
GTEX-15SDE-0126-SM-793BA 50-59 years, female 42.0
GTEX-ZF29-0626-SM-4WKHD 60-69 years, female 41.6
GTEX-15UF7-1926-SM-6LPJT 40-49 years, male 41.5
GTEX-1N2EF-1526-SM-EXOIY 60-69 years, male 41.5
GTEX-1399R-0226-SM-5IJGG 30-39 years, male 41.4
GTEX-OOBJ-0926-SM-48TDO 60-69 years, male 41.4
GTEX-16MT9-1726-SM-6M47P 60-69 years, female 41.2
GTEX-XXEK-0126-SM-4BRVU 50-59 years, male 41.2
GTEX-OIZH-0926-SM-48TBR 50-59 years, male 40.5
GTEX-1R7EU-2026-SM-E9U63 60-69 years, male 40.4
GTEX-ZTTD-1726-SM-57WEL 50-59 years, male 40.2
GTEX-17F97-1626-SM-72D6W 50-59 years, male 38.9
GTEX-1LVAN-1026-SM-CNNQZ 50-59 years, female 38.3
GTEX-UPK5-1626-SM-4JBHI 40-49 years, male 38.1
GTEX-1R9JW-0126-SM-EAZ4P 30-39 years, female 37.9
GTEX-ZPU1-1026-SM-4YCEQ 40-49 years, male 36.5
GTEX-1H3VY-1526-SM-9WG7S 50-59 years, male 36.5
GTEX-15CHC-0726-SM-6AJ9D 60-69 years, female 35.8
GTEX-117YX-2126-SM-5GIEL 50-59 years, male 34.9
GTEX-1K9T9-0626-SM-CXZKY 50-59 years, female 34.8
GTEX-Y114-0726-SM-4TT6U 50-59 years, female 34.3
GTEX-WYVS-0126-SM-4ONDH 40-49 years, female 33.1
GTEX-12WSK-0126-SM-5GCO7 40-49 years, female 30.6
GTEX-1R9K4-1526-SM-DPRY5 60-69 years, male 30.2
GTEX-XV7Q-0126-SM-4BRVK 40-49 years, female 28.6
GTEX-1KD5A-1526-SM-D4P3W 50-59 years, male 28.5
GTEX-ZG7Y-2026-SM-DO91N 50-59 years, male 27.6
GTEX-13N11-0126-SM-5KM2Z 50-59 years, female 27.1
GTEX-RUSQ-0126-SM-47JWV 50-59 years, male 26.5
GTEX-15ER7-1526-SM-6LLHO 20-29 years, female 26.0
GTEX-1PIIG-1226-SM-EXOIQ 30-39 years, male 25.8
GTEX-14E1K-0126-SM-664NL 50-59 years, male 25.3
GTEX-Y5V5-1126-SM-EVYAR 60-69 years, female 25.2
GTEX-14ICL-0126-SM-664NG 30-39 years, male 24.6
GTEX-1JMLX-1426-SM-CNNPO 50-59 years, male 20.2
GTEX-1KAFJ-1026-SM-D4P2Z 50-59 years, male 18.1
GTEX-111FC-1326-SM-5N9D9 60-69 years, male 17.9
GTEX-15DYW-1426-SM-6LPIW 60-69 years, female 16.6
GTEX-12WSD-1726-SM-5GCN4 60-69 years, female 12.5
GTEX-1C6VQ-2126-SM-7IGNL 50-59 years, male 11.6
GTEX-1PWST-1626-SM-EXOIU 70-79 years, male 11.6
GTEX-1QMI2-1526-SM-EXOJT 60-69 years, male 8.0
GTEX-1LSVX-1426-SM-DHXJO 60-69 years, male 7.7
GTEX-1JMPZ-0926-SM-CXZJR 30-39 years, male 5.2
Show allShow less

SPLEEN - FANTOM5 CAGEi

RNA expression in human tissues obtained through Cap Analysis of Gene Expression (CAGE) generated by the FANTOM5 project are reported as Scaled Tags Per Million.

Max subtype Scaled Tags Per Millioni

Max subtype Scaled Tags Per Million is the value for the subtype with the largest average Scaled Tags Per Million across the subtype samples.

76.7
FANTOM5 sample id Sample description Scaled Tags Per Million
Spleen
Scaled Tags Per Million: 76.7
FF:10025-101D7 39,50,70 years, male 76.7

Contact

  • NEWS ARTICLES
  • PRESS ROOM

The Project

  • INTRODUCTION
  • ORGANIZATION
  • PUBLICATIONS

The Human Protein Atlas

  • DOWNLOADABLE DATA
  • LICENCE & CITATION
  • HELP & FAQ
The Human Protein Atlas project is funded
by the Knut & Alice Wallenberg Foundation.


contact@proteinatlas.org