We use cookies to enhance the usability of our website. If you continue, we'll assume that you are happy to receive all cookies. More information. Don't show this again.
SDHB
HPA
RESOURCES
  • TISSUE
  • BRAIN
  • SINGLE CELL
  • SUBCELLULAR
  • CANCER
  • BLOOD
  • CELL LINE
  • STRUCTURE & INTERACTION
ABOUT
  • INTRODUCTION
  • HISTORY
  • ORGANIZATION
  • PUBLICATIONS
  • ANTIBODY SUBMISSION
  • ANTIBODY AVAILABILITY
  • ACKNOWLEDGMENTS
  • CONTACT
NEWS
  • NEWS ARTICLES
  • PRESS ROOM
LEARN
  • DICTIONARY
  • PROTEIN CLASSES
  • PROTEIN EVIDENCE
  • METHODS
  • EDUCATIONAL VIDEOS
DATA
  • DOWNLOADABLE DATA
  • PUBLICATION DATA
  • RELEASE HISTORY
HELP
  • ANTIBODY VALIDATION
  • ASSAYS & ANNOTATION
  • DISCLAIMER
  • HELP & FAQ
  • PRIVACY STATEMENT
  • LICENCE & CITATION
Fields »
Search result

Field
Term
Gene name
Class
Subclass
Class
Keyword
Chromosome
External id
Tissue
Cell type
Expression
Antibody panel
Tissue
Main location
Patient ID
Annotation
Tissue
Category
Tau score
Cluster
Reliability
Brain region
Category
Tau score
Brain region
Category
Tau score
Brain region
Category
Tau score
Cluster
Reliability
Tissue
Cell type
Enrichment
Cell type
Category
Tau score
Cell type
Category
Tau score
Cell type
Category
Tau score
Cell lineage
Category
Tau score
Cluster
Cluster
Location
Searches
Location
Cell line
Class
Type
Phase
Reliability
Cancer
Prognosis
Cancer
Category
Cancer
Category
Tau score
Cluster
Variants
Interacting gene (ensg_id)
Type
Number of interactions
Pathway
Category
Score
Score
Score
Validation
Validation
Validation
Validation
Antibodies
Data type
Column


  • SUMMARY

  • TISSUE

  • BRAIN

  • SINGLE CELL

  • SUBCELL

  • CANCER

  • BLOOD

  • CELL LINE

  • STRUCT & INT

  • SDHB
TISSUE PRIMARY DATA STOMACH Show tissue menu
ADIPOSE TISSUE ADRENAL GLAND AMYGDALA APPENDIX BASAL GANGLIA BONE MARROW BREAST BRONCHUS CEREBELLUM CEREBRAL CORTEX CERVIX CHOROID PLEXUS COLON DUODENUM
ENDOMETRIUM EPIDIDYMIS ESOPHAGUS FALLOPIAN TUBE GALLBLADDER HEART MUSCLE HIPPOCAMPAL FORMATION HYPOTHALAMUS KIDNEY LIVER LUNG LYMPH NODE MIDBRAIN NASOPHARYNX
ORAL MUCOSA OVARY PANCREAS PARATHYROID GLAND PITUITARY GLAND PLACENTA PROSTATE RECTUM RETINA SALIVARY GLAND SEMINAL VESICLE SKELETAL MUSCLE SKIN SMALL INTESTINE
SMOOTH MUSCLE SOFT TISSUE SPINAL CORD SPLEEN STOMACH TESTIS THYMUS THYROID GLAND TONGUE TONSIL URINARY BLADDER VAGINA
ANTIBODIES
AND
VALIDATION
Dictionary
Tissue proteome
Stomach
STOMACH - Expression summary
Protein expression
Stomachi

On the top, protein expression in current human tissue, based on all annotated cell types, is reported with the units not detected (n), low (l), medium (m) and high (h). Underneath, protein expression in each annotated cell type are reported using the same units.

Protein expression data is based on knowledge-based annotation. For genes where more than one antibody has been used, a collective score is set.

If knowledge-based annotation could not be performed for a gene, no data is displayed here. View antibody staining data further down this page.

h
m
l
n
Glandular cells: High
RNA expressioni

A summary of mRNA expression data available for current tissue based on several datasets. The mRNA expression levels in human tissues are based on RNA-seq data generated by the Human Protein Atlas (HPA), Genotype-Tissue Expression (GTEx) portal and CAGE data generated by the FANTOM5 consortium. Consensus normalized expression levels for human tissues was created by combining the data from HPA and GTEx datasets.

The mRNA expression levels in pig are based on RNA-seq data generated by the Human Protein Atlas (HPA), and for mouse, HPA data and in situ hybridization generated by the Allen brain atlas are reported.

Scroll down to view mRNA expression data in more detail.
Consensus:90.1 nTPM
HPA:86.6 nTPM
GTEx:90.1 nTPM

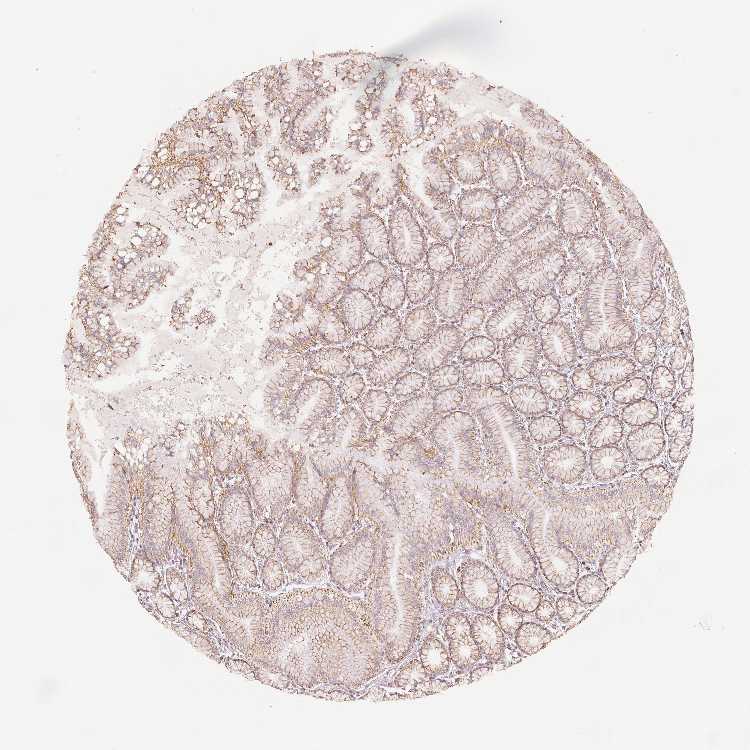
STOMACH 1 - Antibody stainingi

Antibody staining in the annotated cell types in the current human tissue is reported as not detected, low, medium, or high, based on conventional immunohistochemistry profiling in selected tissues. This score is based on the combination of the staining intensity and fraction of stained cells.

Each image is clickable and will lead to virtual microscopy that enables deeper exploration of all samples and also displays staining intensity scores, fraction scores and subcellular localization as well as patient and tissue information for each sample.

Antibody HPA002868Antibody CAB009822Antibody CAB068233Antibody CAB068234Antibody CAB068235
Glandular cells HighMediumHighHighHigh







STOMACH 2 - Antibody stainingi

Antibody staining in the annotated cell types in the current human tissue is reported as not detected, low, medium, or high, based on conventional immunohistochemistry profiling in selected tissues. This score is based on the combination of the staining intensity and fraction of stained cells.

Each image is clickable and will lead to virtual microscopy that enables deeper exploration of all samples and also displays staining intensity scores, fraction scores and subcellular localization as well as patient and tissue information for each sample.

Antibody HPA002868Antibody CAB009822Antibody CAB068233Antibody CAB068234Antibody CAB068235
Glandular cells MediumMediumMediumHighHigh







STOMACH - HPA RNA-seqi

The RNA-seq details section shows detailed information about the individual samples used for the transcript profiling and results of the RNA-seq analysis.

Information about each individual sample is listed below, including gender, age, a tissue section image and estimated fractions of cell types. nTPM (normalized transcripts per million) values give a quantification of the gene abundance which is comparable between different genes and samples.
Average nTPMi

Max subtype nTPM is the value for the subtype with the largest average nTPM across the subtype samples.

86.6
overview
Female, age 33
Stomach sample 61
nTPM: 105.2
Cell types%
Glandular cells:
60

Smooth muscle cells:
5

Other cell types:
35

N/A
Male, age 82
Stomach sample 240
nTPM: 47.6
Cell types%
Glandular cells:
65

Smooth muscle cells:
5

Other cell types:
30

overview
Male, age 71
Stomach sample 241
nTPM: 70.7
Cell types%
Glandular cells:
50

Smooth muscle cells:
5

Other cell types:
45

overview
Female, age 66
Stomach sample 369
nTPM: 122.8
Cell types%
Glandular cells:
50

Smooth muscle cells:
10

Other cell types:
40


STOMACH - GTEx RNA-seqi

RNA-Seq data generated by the Genotype-Tissue Expression (GTEx) project from human tissues is reported as mean nTPM. More information can be found on the GTEx portal.

Distribution across the dataset is visualized with box plots, shown as median and 25th and 75th percentiles. Points are displayed as outliers if they are above or below 1.5 times the interquartile range. nTPM values of the individual samples are presented next to the box plot.
Max subtype nTPMi

Max subtype nTPM is the value for the subtype with the largest average nTPM across the subtype samples.

90.1
GTEx sample id Sample description nTPM
Stomach
Average nTPM: 90.1
Samples: 359

Max nTPM: 216.8
Min nTPM: 32.0
Std nTPM: 29.3
Median nTPM: 86.5
GTEX-1GL5R-1926-SM-9WG7U 50-59 years, male 216.8
GTEX-14PJ6-0826-SM-686Z9 60-69 years, female 196.2
GTEX-RWS6-0926-SM-47JXE 60-69 years, female 177.3
GTEX-WFON-1126-SM-4LVMA 40-49 years, male 172.0
GTEX-OXRL-1526-SM-E6CHQ 50-59 years, male 169.1
GTEX-ZLWG-1526-SM-DO12F 50-59 years, female 156.6
GTEX-15RIF-1126-SM-7KUG2 20-29 years, male 155.5
GTEX-OOBJ-1526-SM-3NB1Q 60-69 years, male 154.8
GTEX-1B97J-1826-SM-7IGPP 50-59 years, female 153.5
GTEX-12WSK-1426-SM-5CVNN 40-49 years, female 150.3
GTEX-1QMI2-2126-SM-DPRXQ 60-69 years, male 148.0
GTEX-1KANA-1126-SM-D3L9M 20-29 years, male 146.5
GTEX-ZLV1-0826-SM-DO11P 60-69 years, female 146.0
GTEX-ZYFG-1326-SM-5GICJ 60-69 years, female 144.0
GTEX-1F5PK-1826-SM-7RHHX 50-59 years, male 143.8
GTEX-1399S-1626-SM-5P9GI 30-39 years, female 143.5
GTEX-14PJ4-1626-SM-664OB 60-69 years, male 143.4
GTEX-ZP4G-1226-SM-4WWCJ 20-29 years, female 141.4
GTEX-T5JW-0926-SM-4DM5K 20-29 years, female 140.4
GTEX-QXCU-1926-SM-48FE4 50-59 years, male 139.6
GTEX-YB5E-1126-SM-664NU 40-49 years, male 139.0
GTEX-1RMOY-1126-SM-EV79E 50-59 years, male 138.2
GTEX-1RB15-1026-SM-E9U6V 60-69 years, male 137.2
GTEX-11NUK-2426-SM-5BC4U 50-59 years, male 136.9
GTEX-1JK1U-1326-SM-AHZ45 60-69 years, male 136.8
GTEX-SUCS-0926-SM-4DM4Z 70-79 years, male 135.5
GTEX-12WSD-2326-SM-59HKQ 60-69 years, female 134.3
GTEX-XUZC-0726-SM-4BOPH 30-39 years, female 133.0
GTEX-1HFI7-1526-SM-9WG7W 50-59 years, female 132.4
GTEX-1LG7Z-1226-SM-DHXK4 30-39 years, male 132.1
GTEX-13O21-0926-SM-5IFGT 50-59 years, male 131.4
GTEX-PX3G-1526-SM-48U11 20-29 years, female 131.3
GTEX-Y5V6-1326-SM-4VDTF 60-69 years, male 129.6
GTEX-1ICG6-1826-SM-AHZ2O 70-79 years, female 128.4
GTEX-15DCE-1626-SM-6LPJM 20-29 years, male 127.1
GTEX-14E6E-0926-SM-664N8 30-39 years, male 126.9
GTEX-1QP2A-2126-SM-DPRZ7 50-59 years, male 126.2
GTEX-P4PP-1526-SM-3P61M 30-39 years, female 126.1
GTEX-YEC4-1426-SM-5IFHS 40-49 years, male 126.1
GTEX-QLQW-0726-SM-447AA 30-39 years, male 124.8
GTEX-QV44-1226-SM-CJI1S 50-59 years, male 124.4
GTEX-17GQL-1226-SM-7KFTS 60-69 years, male 124.2
GTEX-1A8G6-1426-SM-731EZ 60-69 years, male 124.1
GTEX-1QPFJ-1526-SM-DPRXT 30-39 years, female 123.9
GTEX-1MUQO-1926-SM-EAZ59 60-69 years, male 123.1
GTEX-S95S-0826-SM-4B64N 60-69 years, male 123.0
GTEX-13FTW-1726-SM-5KM2B 40-49 years, male 122.7
GTEX-WXYG-1626-SM-4ONCR 50-59 years, female 122.5
GTEX-1CAMR-0726-SM-7EPIE 20-29 years, male 121.9
GTEX-1MGNQ-1826-SM-DPRYI 40-49 years, male 121.8
GTEX-144GM-1726-SM-5O9AS 20-29 years, male 120.7
GTEX-11NSD-1426-SM-5HL67 20-29 years, male 120.2
GTEX-S341-0626-SM-4AD5T 40-49 years, female 120.2
GTEX-RM2N-0826-SM-48FD3 50-59 years, male 120.0
GTEX-18A7A-2726-SM-7LG6U 50-59 years, female 119.9
GTEX-1C475-1026-SM-7MKFJ 40-49 years, female 119.9
GTEX-1F5PL-1426-SM-7MKFH 40-49 years, female 119.1
GTEX-ZZ64-0426-SM-5E43F 20-29 years, male 119.0
GTEX-11GSP-2126-SM-5HL5E 60-69 years, female 118.7
GTEX-ZXES-1426-SM-5NQ8S 30-39 years, female 118.4
GTEX-145LT-1426-SM-5O9B3 40-49 years, male 118.3
GTEX-1LGOU-1526-SM-D3LAJ 20-29 years, female 118.1
GTEX-ZYY3-1726-SM-5EGH3 60-69 years, female 117.5
GTEX-RTLS-2626-SM-46MUJ 60-69 years, female 117.1
GTEX-ZF29-1526-SM-4WKF7 60-69 years, female 116.6
GTEX-13FTX-0726-SM-5N9BI 20-29 years, female 115.4
GTEX-14PKV-1826-SM-69LO9 20-29 years, female 115.3
GTEX-OHPM-1526-SM-EV796 50-59 years, male 115.3
GTEX-ZLFU-1326-SM-DO11R 40-49 years, male 114.7
GTEX-11DXX-1326-SM-5GIDZ 60-69 years, female 114.5
GTEX-1IDJU-1526-SM-CNNR3 60-69 years, female 114.3
GTEX-Q2AI-0826-SM-48TZO 40-49 years, male 114.0
GTEX-1J8Q3-1926-SM-C1YSJ 60-69 years, male 113.8
GTEX-111CU-0926-SM-5EGIK 50-59 years, male 113.6
GTEX-ZV7C-1626-SM-5NQ7E 50-59 years, male 113.3
GTEX-ZDYS-1926-SM-5HL59 50-59 years, male 113.2
GTEX-1B8KE-1326-SM-73KVI 50-59 years, male 112.8
GTEX-15CHR-1326-SM-79OLT 50-59 years, male 112.7
GTEX-17F9E-2226-SM-7IGNC 50-59 years, male 112.6
GTEX-13OVK-0926-SM-7KUFX 40-49 years, male 111.7
GTEX-1F75I-1826-SM-7MKGX 40-49 years, male 111.2
GTEX-13OW6-2526-SM-5IJEC 50-59 years, male 110.9
GTEX-14ICL-0826-SM-5YY9W 30-39 years, male 110.7
GTEX-QCQG-0526-SM-48U2A 50-59 years, female 110.7
GTEX-ZQUD-0826-SM-57WDQ 30-39 years, male 110.6
GTEX-1S82Z-1726-SM-E6CHZ 30-39 years, female 110.5
GTEX-14PHX-1026-SM-664OL 50-59 years, male 110.3
GTEX-XMK1-1526-SM-EYYVO 40-49 years, male 110.3
GTEX-1AMFI-1226-SM-731CZ 50-59 years, female 110.1
GTEX-11I78-1726-SM-5A5M3 50-59 years, female 110.0
GTEX-SNMC-0626-SM-4DM6H 20-29 years, male 109.9
GTEX-VJYA-1026-SM-4KL21 60-69 years, male 109.6
GTEX-117YX-1026-SM-5H11V 50-59 years, male 109.5
GTEX-1RQEC-2126-SM-DPS15 60-69 years, male 109.5
GTEX-T6MO-0726-SM-4DM58 40-49 years, female 109.4
GTEX-ZPU1-1626-SM-4WWB2 40-49 years, male 108.9
GTEX-1AMEY-1226-SM-731DU 30-39 years, female 108.8
GTEX-1MJIX-1126-SM-EV7AO 40-49 years, male 108.0
GTEX-S4UY-1626-SM-4AD55 40-49 years, female 107.5
GTEX-WEY5-1226-SM-4LMIQ 40-49 years, female 107.2
GTEX-OIZF-1526-SM-2I5GR 60-69 years, male 107.1
GTEX-13PVQ-2126-SM-5L3FW 50-59 years, male 106.9
GTEX-133LE-1326-SM-5IFGO 20-29 years, female 106.5
GTEX-1H1E6-1626-SM-9OSWC 30-39 years, male 105.7
GTEX-WHSB-1226-SM-4M1XR 50-59 years, male 105.3
GTEX-145MN-1326-SM-5NQ9S 30-39 years, male 105.2
GTEX-1GMRU-2526-SM-9WG7T 50-59 years, male 105.0
GTEX-131XG-1226-SM-5EGH9 50-59 years, female 104.4
GTEX-14BIL-1926-SM-73KYI 50-59 years, male 104.2
GTEX-144GN-1226-SM-5O991 50-59 years, male 103.7
GTEX-18D9A-0626-SM-7KFTY 30-39 years, female 103.7
GTEX-ZV6S-0926-SM-57WGB 40-49 years, female 103.1
GTEX-1R7EU-1126-SM-EAZ4M 60-69 years, male 103.1
GTEX-PWN1-1526-SM-48TDA 40-49 years, female 103.0
GTEX-1HBPI-0726-SM-9WG7Z 50-59 years, male 103.0
GTEX-1QCLY-1126-SM-EAZ4J 30-39 years, male 103.0
GTEX-ZT9W-1526-SM-4YCDE 50-59 years, male 102.9
GTEX-QV31-0626-SM-447C5 30-39 years, male 102.1
GTEX-1LBAC-1426-SM-CXZKT 20-29 years, male 102.1
GTEX-1KXAM-0926-SM-CXZKA 60-69 years, male 101.8
GTEX-15DZA-1126-SM-6LPK8 30-39 years, female 101.7
GTEX-YFCO-0826-SM-5LUAG 40-49 years, male 101.7
GTEX-UJMC-1226-SM-4IHLI 50-59 years, male 101.4
GTEX-14PJ5-0826-SM-6AJAR 60-69 years, female 101.3
GTEX-U3ZN-2026-SM-4DXUC 30-39 years, female 101.3
GTEX-XBED-1226-SM-4AT5V 60-69 years, male 101.1
GTEX-18A67-2626-SM-718AD 50-59 years, male 100.9
GTEX-ZGAY-1626-SM-DNZZ3 40-49 years, female 100.8
GTEX-1AYCT-1326-SM-7MKHB 50-59 years, male 100.7
GTEX-1A3MV-1226-SM-718BW 30-39 years, male 100.4
GTEX-111YS-1126-SM-5GZYQ 60-69 years, male 100.2
GTEX-17HHE-1026-SM-79ON6 50-59 years, male 100.2
GTEX-R53T-1226-SM-48FCT 50-59 years, female 100.2
GTEX-1R9K5-1026-SM-EAZ4F 50-59 years, male 100.1
GTEX-15RIE-1026-SM-6LPJQ 60-69 years, male 99.9
GTEX-Y3IK-1426-SM-4YCES 50-59 years, female 99.9
GTEX-14B4R-0726-SM-5TDDR 30-39 years, male 99.4
GTEX-ZVZP-1726-SM-5GZWY 50-59 years, male 99.2
GTEX-WHPG-0426-SM-4M1XW 50-59 years, male 99.0
GTEX-1122O-1926-SM-5EGIQ 60-69 years, female 98.1
GTEX-13O61-1126-SM-5L3FI 60-69 years, male 97.0
GTEX-1QCLZ-1826-SM-DPRXP 60-69 years, female 96.9
GTEX-1B97I-1226-SM-7MGWQ 40-49 years, male 96.8
GTEX-18QFQ-1226-SM-718AE 30-39 years, male 96.7
GTEX-X15G-1126-SM-4PQZG 50-59 years, female 96.0
GTEX-OHPK-1526-SM-3MJGM 50-59 years, female 95.2
GTEX-Y5LM-1326-SM-5RQIS 40-49 years, female 95.1
GTEX-13D11-2126-SM-5IFH2 50-59 years, female 94.9
GTEX-1I1HK-2026-SM-CNNRB 60-69 years, male 94.9
GTEX-1CB4E-1326-SM-7DUGD 60-69 years, male 93.6
GTEX-S3XE-1026-SM-4AD4O 50-59 years, male 93.4
GTEX-T8EM-1226-SM-4DM5J 40-49 years, male 93.2
GTEX-PWCY-0926-SM-48TD7 20-29 years, female 93.0
GTEX-1RAZR-1526-SM-EAZ4U 40-49 years, male 92.9
GTEX-16AAH-1226-SM-79OO9 50-59 years, male 92.5
GTEX-ZA64-0826-SM-5HL9U 20-29 years, male 92.4
GTEX-13FH7-1026-SM-5IJGF 50-59 years, female 92.1
GTEX-NFK9-1526-SM-3LK7B 40-49 years, male 91.9
GTEX-ZVT2-1626-SM-51MRC 50-59 years, female 91.7
GTEX-ZVP2-1626-SM-5GU5D 50-59 years, male 91.4
GTEX-11EM3-1026-SM-5A5KL 20-29 years, female 91.3
GTEX-132QS-1826-SM-5IFFN 60-69 years, male 91.1
GTEX-WY7C-1726-SM-4ONCC 50-59 years, male 90.8
GTEX-15G19-1526-SM-6LPKP 60-69 years, male 90.7
GTEX-17HGU-2126-SM-7IGOV 50-59 years, male 90.3
GTEX-18A66-2226-SM-7189E 60-69 years, male 90.1
GTEX-TMMY-1626-SM-4DXTY 40-49 years, female 90.1
GTEX-WRHK-0626-SM-4MVOE 20-29 years, female 90.1
GTEX-13113-0726-SM-5LZUF 60-69 years, female 89.9
GTEX-QDVN-1226-SM-48TZ5 50-59 years, male 89.5
GTEX-1JMLX-2426-SM-CXZJQ 50-59 years, male 89.3
GTEX-Y8LW-0826-SM-4WWDO 50-59 years, female 89.0
GTEX-1399R-1126-SM-5IFIO 30-39 years, male 88.4
GTEX-WFG8-1326-SM-4LVN3 20-29 years, male 88.4
GTEX-131XF-1226-SM-5HL8V 60-69 years, male 88.2
GTEX-ZZPU-1426-SM-5GZZ6 50-59 years, female 88.0
GTEX-13X6H-1626-SM-5Q5CT 50-59 years, female 87.6
GTEX-QDVJ-1426-SM-48U1Y 50-59 years, male 87.6
GTEX-1J8QM-1126-SM-C1YQB 60-69 years, female 87.0
GTEX-S4Q7-0726-SM-4AD5F 20-29 years, male 86.5
GTEX-QLQ7-0826-SM-447B3 60-69 years, male 86.3
GTEX-12BJ1-1726-SM-5HL9B 60-69 years, male 85.9
GTEX-13CF3-1926-SM-5K7WF 60-69 years, female 85.8
GTEX-Q734-1026-SM-48U16 40-49 years, female 85.6
GTEX-13QBU-1126-SM-5LU44 40-49 years, female 85.5
GTEX-14PJ3-1426-SM-664O8 50-59 years, male 84.9
GTEX-15G1A-1226-SM-7KUF3 30-39 years, male 84.8
GTEX-1HBPN-1626-SM-9WPNP 50-59 years, male 84.7
GTEX-1I1GT-1726-SM-C1YS3 60-69 years, female 84.3
GTEX-WFG7-1326-SM-4LMK1 20-29 years, male 84.2
GTEX-XPVG-1526-SM-4B66C 50-59 years, male 83.9
GTEX-ZF2S-1426-SM-57WET 50-59 years, female 83.7
GTEX-W5WG-1726-SM-4LMI5 50-59 years, female 83.5
GTEX-17F98-1526-SM-7EWD8 40-49 years, female 82.7
GTEX-1JKYN-1726-SM-AHZ48 30-39 years, male 82.5
GTEX-XBEW-1826-SM-4RTWX 40-49 years, male 82.3
GTEX-ZY6K-0726-SM-5A5L8 50-59 years, male 82.3
GTEX-YEC3-1426-SM-D4P1S 50-59 years, male 82.3
GTEX-15EU6-2526-SM-7KUGB 50-59 years, male 81.9
GTEX-TKQ1-0526-SM-4DXTG 30-39 years, male 81.8
GTEX-14DAQ-2826-SM-664MU 60-69 years, female 81.6
GTEX-14PKU-1126-SM-69LOU 40-49 years, female 81.6
GTEX-1K2DA-0826-SM-CGQGD 50-59 years, male 81.6
GTEX-14DAR-0926-SM-73KUQ 50-59 years, male 81.5
GTEX-V1D1-1726-SM-4JBHB 50-59 years, male 81.4
GTEX-1NSGN-1926-SM-E9J36 50-59 years, male 81.3
GTEX-POMQ-0826-SM-3P61H 20-29 years, female 81.2
GTEX-XQ8I-2026-SM-4BOOL 50-59 years, male 80.9
GTEX-XXEK-0826-SM-4BRWG 50-59 years, male 80.3
GTEX-1LGRB-1726-SM-CNNRA 50-59 years, female 80.1
GTEX-1I6K7-1726-SM-B2LXQ 40-49 years, male 79.8
GTEX-QMRM-1126-SM-447BN 50-59 years, male 79.6
GTEX-14JG6-1226-SM-664O6 30-39 years, female 79.5
GTEX-1GZ4H-1026-SM-9OSXL 50-59 years, female 79.3
GTEX-1399U-1626-SM-5P9J3 50-59 years, female 79.0
GTEX-1HKZK-1526-SM-B2LWG 40-49 years, male 79.0
GTEX-1HSEH-1526-SM-B2LXG 60-69 years, male 79.0
GTEX-Y114-1226-SM-4TT88 50-59 years, female 78.9
GTEX-13S7M-1826-SM-5RQK6 60-69 years, female 78.8
GTEX-1AX9J-2626-SM-731EK 60-69 years, male 78.8
GTEX-17MF6-2126-SM-7KFS7 40-49 years, male 78.2
GTEX-1S831-1126-SM-EWROI 20-29 years, male 78.2
GTEX-WYJK-2526-SM-4ONDF 50-59 years, male 78.0
GTEX-1B8KZ-1226-SM-793CP 50-59 years, male 77.9
GTEX-1JMPZ-1826-SM-CXZJT 30-39 years, male 77.9
GTEX-1H3VY-2326-SM-9WG81 50-59 years, male 77.7
GTEX-1GPI7-1326-SM-9KNVA 20-29 years, male 77.6
GTEX-1H1DG-2126-SM-9WPPB 70-79 years, male 77.6
GTEX-13X6J-2126-SM-5TDCV 50-59 years, male 77.5
GTEX-12WSG-2026-SM-5FQUU 50-59 years, female 77.2
GTEX-1QP28-2126-SM-DTX8B 50-59 years, female 76.9
GTEX-1PPH8-1326-SM-DTXFO 20-29 years, male 76.7
GTEX-1J8EW-2226-SM-AHZ3T 60-69 years, female 76.4
GTEX-V955-1326-SM-4JBHR 60-69 years, male 76.2
GTEX-P4QT-1526-SM-3NMCT 50-59 years, female 75.7
GTEX-WH7G-1526-SM-4LVMX 40-49 years, male 75.7
GTEX-13111-1226-SM-5GCNC 50-59 years, male 75.6
GTEX-14BMU-1126-SM-5RQJ8 20-29 years, female 75.5
GTEX-SNOS-0826-SM-4DM5N 40-49 years, male 75.4
GTEX-1H1DE-1226-SM-9JGHH 20-29 years, male 74.9
GTEX-YJ8A-1526-SM-5P9FT 20-29 years, male 74.8
GTEX-1IL2V-2026-SM-ARZMA 70-79 years, male 74.6
GTEX-1339X-1426-SM-5K7YO 40-49 years, male 74.5
GTEX-P4PQ-1526-SM-3NMCK 60-69 years, male 74.5
GTEX-1LSNM-1026-SM-DHXL2 50-59 years, male 74.5
GTEX-12C56-0526-SM-5FQST 20-29 years, male 74.3
GTEX-U4B1-1026-SM-4DXT1 40-49 years, male 74.0
GTEX-16NGA-1526-SM-72D56 40-49 years, female 73.4
GTEX-12696-1726-SM-5EQLH 60-69 years, male 73.3
GTEX-14PN3-1326-SM-6AJ9U 60-69 years, female 73.2
GTEX-P78B-1826-SM-3P5YX 40-49 years, female 73.2
GTEX-1211K-1426-SM-5FQTF 60-69 years, female 72.8
GTEX-18D9B-2226-SM-718BM 60-69 years, male 72.8
GTEX-PLZ5-1226-SM-EXOHA 50-59 years, male 72.4
GTEX-S4P3-0726-SM-4AD57 50-59 years, female 72.0
GTEX-1LVAM-1426-SM-E9TJ4 50-59 years, female 71.7
GTEX-R55D-1526-SM-48FEJ 50-59 years, male 71.6
GTEX-Q2AH-1126-SM-48TZM 40-49 years, male 71.4
GTEX-13PVR-2126-SM-73KVR 60-69 years, female 71.3
GTEX-ZEX8-1626-SM-4WKG7 50-59 years, male 70.7
GTEX-OXRK-1626-SM-3NB17 50-59 years, female 70.6
GTEX-1PIGE-1126-SM-EWRMV 20-29 years, male 70.4
GTEX-PW2O-1226-SM-48TCH 20-29 years, male 70.2
GTEX-12WSJ-0926-SM-5P9JD 40-49 years, female 70.1
GTEX-ZPIC-2026-SM-57WG3 40-49 years, female 70.1
GTEX-11P7K-1726-SM-5GU6F 30-39 years, male 69.5
GTEX-1HCUA-1626-SM-A9SMG 50-59 years, female 68.9
GTEX-RU1J-0526-SM-46MUT 20-29 years, female 68.7
GTEX-O5YW-1526-SM-3MJGL 50-59 years, male 68.6
GTEX-1MCYP-1126-SM-E9J2P 20-29 years, female 68.5
GTEX-1J8JJ-1726-SM-C1YQG 60-69 years, female 68.0
GTEX-OIZH-1526-SM-3NB1J 50-59 years, male 67.8
GTEX-14PHY-0926-SM-5ZZWL 60-69 years, female 67.5
GTEX-UJHI-1026-SM-4IHJP 50-59 years, female 67.5
GTEX-WFJO-1126-SM-4LVLZ 30-39 years, male 67.3
GTEX-R55G-1126-SM-48FDG 40-49 years, female 67.2
GTEX-1E2YA-2426-SM-7EPIG 50-59 years, male 67.0
GTEX-R55C-1026-SM-48FCM 40-49 years, male 66.6
GTEX-13N1W-2026-SM-5K7YU 70-79 years, male 66.3
GTEX-1QW4Y-0726-SM-DTX8E 30-39 years, male 66.3
GTEX-1N2DV-0926-SM-E9TJT 40-49 years, male 66.2
GTEX-11VI4-0326-SM-5EQ6L 40-49 years, female 66.1
GTEX-17EUY-1526-SM-793CA 20-29 years, male 65.7
GTEX-ZTX8-0426-SM-59HLG 20-29 years, male 65.7
GTEX-1L5NE-1526-SM-DIPFW 50-59 years, male 65.4
GTEX-11TT1-0726-SM-5GU5A 20-29 years, male 64.9
GTEX-1IDJD-2426-SM-C1YS6 30-39 years, male 64.9
GTEX-XV7Q-1326-SM-4BRWM 40-49 years, female 64.4
GTEX-Y9LG-1026-SM-5IFJN 30-39 years, male 64.3
GTEX-15UF7-1226-SM-6M46G 40-49 years, male 62.7
GTEX-1GN1W-2126-SM-9JGI7 50-59 years, female 62.3
GTEX-RUSQ-1126-SM-EAZAU 50-59 years, male 62.1
GTEX-1JN76-0926-SM-ARZNH 20-29 years, female 62.0
GTEX-11EQ9-1226-SM-5987E 30-39 years, male 61.7
GTEX-11WQK-2626-SM-5EQ4K 50-59 years, male 61.5
GTEX-1I4MK-0926-SM-A9SLD 50-59 years, female 61.5
GTEX-1HCU8-1326-SM-C1YQQ 60-69 years, female 60.8
GTEX-1HSMQ-2426-SM-CE6RY 50-59 years, male 60.7
GTEX-S7SF-0626-SM-4AD4V 20-29 years, female 60.0
GTEX-13RTK-0226-SM-5RQHR 20-29 years, male 59.9
GTEX-117YW-2226-SM-5N9DB 50-59 years, male 59.8
GTEX-11P82-0726-SM-5PNYL 20-29 years, male 58.7
GTEX-17HII-2426-SM-7KFTT 50-59 years, male 58.7
GTEX-ZYVF-2726-SM-5GID4 50-59 years, female 58.7
GTEX-145ME-1026-SM-5O9B4 40-49 years, female 58.5
GTEX-WHWD-1426-SM-4OORU 50-59 years, male 58.2
GTEX-1C64O-2226-SM-73KTV 60-69 years, male 57.9
GTEX-1GF9U-1126-SM-AHZ4H 40-49 years, female 57.7
GTEX-145MO-2226-SM-5Q5BN 60-69 years, male 57.6
GTEX-14E1K-1526-SM-664MN 50-59 years, male 57.5
GTEX-1H3NZ-2226-SM-9WYUT 60-69 years, male 57.4
GTEX-13U4I-2526-SM-5SI8Z 40-49 years, female 57.3
GTEX-1LVAN-2426-SM-CNNPZ 50-59 years, female 57.2
GTEX-1JMQJ-1326-SM-D4P3B 50-59 years, male 57.0
GTEX-1S3DN-1526-SM-EVYCB 50-59 years, male 56.6
GTEX-13OVI-2426-SM-5KM4J 60-69 years, female 56.5
GTEX-1IDJF-1426-SM-ACKWK 20-29 years, male 55.9
GTEX-1B8L1-1526-SM-79OLK 60-69 years, male 55.6
GTEX-XAJ8-0326-SM-47JYI 40-49 years, male 55.5
GTEX-1EH9U-2226-SM-7PBXX 60-69 years, male 55.1
GTEX-Y8E4-1526-SM-4WWDI 40-49 years, male 55.0
GTEX-1JMPY-0926-SM-ARL92 30-39 years, male 55.0
GTEX-17KNJ-1526-SM-7LTA9 50-59 years, male 54.6
GTEX-ZAB4-1526-SM-5CVN7 40-49 years, male 54.4
GTEX-1QP67-1026-SM-EVR47 40-49 years, female 53.8
GTEX-1QP29-2326-SM-EXOJO 50-59 years, male 53.6
GTEX-ZVT3-2126-SM-59HL2 60-69 years, female 53.1
GTEX-T5JC-1926-SM-4DM6Q 20-29 years, male 52.9
GTEX-WYVS-1326-SM-4ONCQ 40-49 years, female 52.9
GTEX-S4Z8-1226-SM-4AD6W 60-69 years, male 52.1
GTEX-PLZ6-0826-SM-3P61K 30-39 years, male 51.5
GTEX-TKQ2-0926-SM-4DXU5 50-59 years, male 51.4
GTEX-1HR9M-2326-SM-CNPPZ 60-69 years, male 51.4
GTEX-146FR-2026-SM-5NQAI 60-69 years, female 51.3
GTEX-1A3MX-1926-SM-72D7F 60-69 years, male 51.1
GTEX-132AR-2426-SM-5IFFD 50-59 years, female 50.2
GTEX-17JCI-2226-SM-7LTA1 60-69 years, female 50.2
GTEX-146FH-2126-SM-5SI9U 50-59 years, female 49.9
GTEX-139YR-1926-SM-5LZXM 50-59 years, male 49.5
GTEX-131XE-2226-SM-5PNYX 50-59 years, male 49.3
GTEX-QDT8-2026-SM-EZ6LS 30-39 years, female 48.8
GTEX-1H11D-2226-SM-9OSXN 40-49 years, male 48.4
GTEX-1H23P-2726-SM-9JGHN 60-69 years, male 46.7
GTEX-1E1VI-2826-SM-7MGWU 50-59 years, male 46.5
GTEX-1CB4H-2426-SM-7PBYR 60-69 years, female 46.1
GTEX-WZTO-2126-SM-4PQYW 40-49 years, male 45.0
GTEX-1JN1M-2926-SM-CNNPJ 60-69 years, female 45.0
GTEX-13O3Q-2126-SM-5KM4C 50-59 years, male 43.9
GTEX-Y3I4-1626-SM-4TT7W 50-59 years, male 43.4
GTEX-UPK5-2126-SM-4JBJK 40-49 years, male 43.3
GTEX-O5YV-1926-SM-EV797 60-69 years, female 42.9
GTEX-15SHW-2126-SM-6M46Y 60-69 years, male 40.9
GTEX-1KD5A-1426-SM-D4P3V 50-59 years, male 40.5
GTEX-14BMV-2226-SM-5RQHX 50-59 years, male 40.1
GTEX-1HT8W-2326-SM-A9SLA 30-39 years, male 39.4
GTEX-139D8-2326-SM-5IFGE 30-39 years, female 36.1
GTEX-ZE7O-3026-SM-51MS4 50-59 years, female 33.7
GTEX-11EI6-2426-SM-5PNVS 60-69 years, male 33.1
GTEX-13QJ3-2726-SM-5SI6L 50-59 years, male 32.0
Show allShow less

Contact

  • NEWS ARTICLES
  • PRESS ROOM

The Project

  • INTRODUCTION
  • ORGANIZATION
  • PUBLICATIONS

The Human Protein Atlas

  • DOWNLOADABLE DATA
  • LICENCE & CITATION
  • HELP & FAQ
The Human Protein Atlas project is funded
by the Knut & Alice Wallenberg Foundation.


contact@proteinatlas.org