We use cookies to enhance the usability of our website. If you continue, we'll assume that you are happy to receive all cookies. More information. Don't show this again.
ECE1
HPA
RESOURCES
  • TISSUE
  • BRAIN
  • SINGLE CELL
  • SUBCELLULAR
  • CANCER
  • BLOOD
  • CELL LINE
  • STRUCTURE & INTERACTION
ABOUT
  • INTRODUCTION
  • HISTORY
  • ORGANIZATION
  • PUBLICATIONS
  • ANTIBODY SUBMISSION
  • ANTIBODY AVAILABILITY
  • ACKNOWLEDGMENTS
  • CONTACT
NEWS
  • NEWS ARTICLES
  • PRESS ROOM
LEARN
  • DICTIONARY
  • PROTEIN CLASSES
  • PROTEIN EVIDENCE
  • METHODS
  • EDUCATIONAL VIDEOS
DATA
  • DOWNLOADABLE DATA
  • PUBLICATION DATA
  • RELEASE HISTORY
HELP
  • ANTIBODY VALIDATION
  • ASSAYS & ANNOTATION
  • DISCLAIMER
  • HELP & FAQ
  • PRIVACY STATEMENT
  • LICENCE & CITATION
Fields »
Search result

Field
Term
Gene name
Class
Subclass
Class
Keyword
Chromosome
External id
Tissue
Cell type
Expression
Antibody panel
Tissue
Main location
Patient ID
Annotation
Tissue
Category
Tau score
Cluster
Reliability
Brain region
Category
Tau score
Brain region
Category
Tau score
Brain region
Category
Tau score
Cluster
Reliability
Tissue
Cell type
Enrichment
Cell type
Category
Tau score
Cell type
Category
Tau score
Cell type
Category
Tau score
Cell lineage
Category
Tau score
Cluster
Cluster
Location
Searches
Location
Cell line
Class
Type
Phase
Reliability
Cancer
Prognosis
Cancer
Category
Cancer
Category
Tau score
Cluster
Variants
Interacting gene (ensg_id)
Type
Number of interactions
Pathway
Category
Score
Score
Score
Validation
Validation
Validation
Validation
Antibodies
Data type
Column


  • SUMMARY

  • TISSUE

  • BRAIN

  • SINGLE CELL

  • SUBCELL

  • CANCER

  • BLOOD

  • CELL LINE

  • STRUCT & INT

  • ECE1
CANCER GLIOMA Show tissue menu
BREAST CANCER CARCINOID CERVICAL CANCER COLORECTAL CANCER ENDOMETRIAL CANCER GLIOMA HEAD AND NECK CANCER LIVER CANCER LUNG CANCER LYMPHOMA
MELANOMA OVARIAN CANCER PANCREATIC CANCER PROSTATE CANCER RENAL CANCER SKIN CANCER STOMACH CANCER TESTIS CANCER THYROID CANCER UROTHELIAL CANCER
GBM TCGA GBM VALIDATION PROTEIN GBM CPTAC PROTEIN EXPRESSION
ANTIBODIES
AND
VALIDATION
Dictionary
Glioma
Human cancer
Glioblastoma multiforme
GLIOBLASTOMA MULTIFORME (TCGA) - Interactive survival scatter ploti

The Survival Scatter plot shows the clinical status (i.e. dead or alive) for all individuals in the patient cohort, based on the same data that underlies the corresponding Kaplan-Meier plots. Patients that are alive at last time for follow-up are shown in blue and patients who have died during the study are shown in red.

The x-axis shows the expression levels (FPKM) of the investigated gene in the tumor tissue at the time of diagnosis. The y-axis shows the follow-up time after diagnosis (years). Both axes are complimented with kernel density curves demonstrating the data density over the axes. The top density plot shows the expression levels (FPKM) distribution among dead (red) and alive patients (blue). The right density plot shows the data density of the survived years of dead patients with high and low expression levels respectively, stratified using the cutoff indicated by the vertical dashed line through the Survival Scatter plot. This cutoff is automatically defined based on the FPKM cutoff that minimizes the p-score. The cutoff can be changed by dragging the vertical line or by entering a cutoff value in the square labeled "Current cut-off".

Under the Survival Scatter plot the p-score landscape (black curve; left axis) is shown together with dead median separation (red curve; right axis). Dead median separation is the difference in median mRNA expression between patients who have died with high and low expression, respectively. It is calculated as follows: median FPKM expression of dead patients with high expression - median FPKM expression of dead patients with low expression. This is intended to aid the user in visually exploring custom cutoffs and the associated p-scores and dead median separation.

Individual patient data is displayed and can be filtered by clicking on one or more of the category buttons on the top of the page. Categories describing expression level and patient information include: high, low, alive, dead, female, male and tumor stages. The scale of the x-axis can be toggled between linear and log-scale by clicking on the "x log" button. Mouse-over function shows TCGA ID, patient information and mRNA expression (FPKM) for each patient.

& Survival analysisi

Kaplan-Meier plots summarize results from analysis of correlation between mRNA expression level and patient survival. Patients were divided based on level of expression into one of the two groups "low" (under cut off) or "high" (over cut off). X-axis shows time for survival (years) and y-axis shows the probability of survival, where 1.0 corresponds to 100 percent.

ECE1 is not prognostic in Glioblastoma Multiforme (TCGA)


Stage:
Survival analysis
Current cut offi

Current cut-off shows the cut-off (FPKM) currently selected. It may be changed manually. When the current cut-off is changed, the vertical dashed line indicating cut-off, the interactive survival scatter plot and the Kaplan-Meier curve will be automatically adjusted to show results accordingly.

:
Best expression cut offi

Based on the FPKM value of each gene, patients were classified into two groups and association between prognosis (survival) and gene expression (FPKM) was examined. The best expression cut-off refers the FPKM value that yields maximal difference with regard to survival between the two groups at the lowest log-rank P-value. Best expression cut-off was selected based on survival analysis .

When clicking on this number, the vertical dashed line indicating cut-off, the interactive survival plot, and the Kaplan-Meier curve will be adjusted to show results based on the best expression cut-off.

: 37.66
Median expressioni

Median expression refers to the median FPKM value calculated based on the gene expression (FPKM) data from all patients in this dataset. When clicking on this number, the vertical dashed line indicating cut-off, the interactive survival plot, and the Kaplan-Meier curve will be adjusted to show results based on the median expression.

: N/A
Median follow up timei

Median follow up time refers to the median time (years) after diagnosis with this type of cancer, based on clinical data from all patients in this dataset.

: N/A
P scorei

Log-rank P value for Kaplan-Meier plot showing results from analysis of correlation between mRNA expression level and patient survival.

N/A
3-year survival highi

5-year survival for patients with higher expression than the expression cutoff.

For melanoma and glioma, 3-year survival is shown.

N/A
3-year survival lowi

5-year survival for patients with lower expression than the expression cutoff.

For melanoma and glioma, 3-year survival is shown.

N/A
TCGA RNA samplesi

RNA-seq data is reported as average FPKM (number Fragments Per Kilobase of exon per Million reads), generated by the The Cancer Genome Atlas (TCGA) .

Normal distribution across the dataset is visualized with box plots, shown as median and 25th and 75th percentiles. Points are displayed as outliers if they are above or below 1.5 times the interquartile range. FPKM values of the individual samples are presented next to the box plot.

Average pTPM 55.0
Number of samples 141
Samples
Sample Description pTPM
TCGA-14-1034-01A 60 years, female, stage:'--, dead, 485 days 204.7
TCGA-12-0619-01A 60 years, male, white, stage:'--, dead, 1062 days 170.4
TCGA-06-0644-01A 71 years, male, black or african american, stage:'--, dead, 384 days 169.0
TCGA-28-5209-01A 66 years, female, white, stage:'--, alive, 442 days 135.0
TCGA-06-0187-01A 69 years, male, white, stage:'--, dead, 828 days 125.4
TCGA-06-5856-01A 58 years, male, white, stage:'--, dead, 114 days 118.7
TCGA-06-5408-01A 54 years, female, white, stage:'--, dead, 357 days 112.8
TCGA-26-5132-01A 74 years, male, white, stage:'--, alive, 286 days 107.6
TCGA-06-0747-01A 53 years, male, white, stage:'--, dead, 82 days 107.2
TCGA-06-2562-01A 81 years, male, white, stage:'--, dead, 382 days 106.0
TCGA-19-2625-01A 76 years, female, white, stage:'--, dead, 124 days 105.0
TCGA-19-5960-01A 56 years, male, white, stage:'--, dead, 455 days 97.8
TCGA-19-2620-01A 70 years, male, white, stage:'--, dead, 148 days 96.9
TCGA-41-4097-01A 63 years, female, white, stage:'--, dead, 6 days 94.8
TCGA-27-1830-01A 57 years, male, white, stage:'--, dead, 154 days 93.7
TCGA-28-2514-01A 45 years, male, asian, stage:'--, alive, 160 days 93.5
TCGA-06-2567-01A 65 years, male, white, stage:'--, dead, 133 days 92.7
TCGA-32-2638-01A 67 years, male, white, stage:'--, dead, 766 days 84.8
TCGA-19-2619-01A 55 years, female, black or african american, stage:'--, alive, 294 days 83.2
TCGA-08-0386-01A 74 years, male, white, stage:'--, dead, 548 days 82.2
TCGA-06-2559-01A 83 years, male, white, stage:'--, dead, 150 days 80.1
TCGA-27-1835-01A 53 years, female, white, stage:'--, dead, 648 days 78.4
TCGA-32-1970-01A 59 years, male, white, stage:'--, dead, 468 days 77.7
TCGA-28-5207-01A 71 years, male, white, stage:'--, dead, 343 days 77.3
TCGA-06-0878-01A 74 years, male, white, stage:'--, alive, 218 days 76.8
TCGA-26-5135-01A 72 years, female, white, stage:'--, dead, 270 days 76.8
TCGA-28-2509-01A 77 years, female, white, stage:'--, alive, 145 days 75.7
TCGA-02-0047-01A 78 years, male, white, stage:'--, dead, 448 days 75.6
TCGA-02-0055-01A 62 years, female, white, stage:'--, dead, 76 days 75.0
TCGA-32-2615-01A 62 years, male, white, stage:'--, dead, 485 days 74.3
TCGA-06-5412-01A 78 years, female, white, stage:'--, dead, 138 days 74.2
TCGA-06-0184-01A 63 years, male, white, stage:'--, dead, 2126 days 73.9
TCGA-06-0211-01A 47 years, male, white, stage:'--, dead, 360 days 72.8
TCGA-28-2513-01A 69 years, female, white, stage:'--, alive, 222 days 71.0
TCGA-06-0125-01A 63 years, female, white, stage:'--, dead, 1448 days 70.5
TCGA-06-1804-01A 81 years, female, white, stage:'--, dead, 414 days 70.0
TCGA-41-3915-01A 48 years, male, white, stage:'--, dead, 360 days 68.8
TCGA-06-2569-01A 24 years, female, black or african american, stage:'--, alive, 13 days 66.4
TCGA-28-5216-01A 52 years, male, white, stage:'--, alive, 415 days 64.3
TCGA-76-4929-01A 76 years, female, white, stage:'--, dead, 111 days 63.8
TCGA-14-0789-01A 54 years, male, white, stage:'--, dead, 342 days 63.7
TCGA-76-4927-01A 58 years, male, white, stage:'--, dead, 535 days 63.6
TCGA-28-5204-01A 72 years, male, white, stage:'--, dead, 454 days 63.5
TCGA-32-2632-01A 80 years, male, white, stage:'--, dead, 269 days 62.8
TCGA-27-1832-01A 59 years, female, white, stage:'--, dead, 300 days 62.2
TCGA-28-5215-01A 62 years, female, white, stage:'--, dead, 335 days 61.3
TCGA-06-5410-01A 72 years, female, white, stage:'--, dead, 108 days 60.0
TCGA-26-5133-01A 59 years, male, white, stage:'--, alive, 452 days 59.6
TCGA-06-0158-01A 73 years, male, white, stage:'--, dead, 329 days 59.3
TCGA-32-4213-01A 47 years, female, white, stage:'--, alive, 604 days 59.1
TCGA-26-5139-01A 65 years, female, white, stage:'--, alive, 48 days 58.8
TCGA-06-2563-01A 72 years, female, white, stage:'--, alive, 932 days 58.7
TCGA-28-1753-01A 53 years, male, white, stage:'--, alive, 37 days 58.6
TCGA-27-1837-01A 36 years, male, white, stage:'--, dead, 427 days 58.4
TCGA-19-2629-01A 60 years, male, white, stage:'--, dead, 737 days 58.0
TCGA-06-2565-01A 59 years, male, asian, stage:'--, dead, 506 days 58.0
TCGA-32-1982-01A 76 years, female, white, stage:'--, dead, 142 days 57.8
TCGA-76-4931-01A 70 years, female, white, stage:'--, dead, 279 days 56.6
TCGA-12-3653-01A 34 years, female, white, stage:'--, dead, 442 days 55.7
TCGA-28-5208-01A 52 years, male, white, stage:'--, dead, 544 days 55.6
TCGA-06-5414-01A 61 years, male, white, stage:'--, alive, 273 days 55.2
TCGA-06-2564-01A 50 years, male, white, stage:'--, alive, 181 days 55.2
TCGA-27-2528-01A 62 years, male, white, stage:'--, dead, 480 days 54.9
TCGA-06-5418-01A 75 years, female, white, stage:'--, dead, 83 days 54.6
TCGA-06-0645-01A 55 years, female, white, stage:'--, dead, 175 days 53.1
TCGA-41-2572-01A 67 years, male, white, stage:'--, dead, 406 days 52.5
TCGA-27-2523-01A 63 years, male, white, stage:'--, dead, 489 days 51.6
TCGA-32-1980-01A 72 years, male, white, stage:'--, dead, 36 days 51.4
TCGA-28-5218-01A 63 years, male, white, stage:'--, dead, 157 days 51.4
TCGA-06-0210-01A 72 years, female, white, stage:'--, dead, 225 days 50.9
TCGA-76-4925-01A 76 years, male, white, stage:'--, dead, 146 days 50.1
TCGA-06-0646-01A 60 years, male, white, stage:'--, dead, 175 days 49.5
TCGA-06-2558-01A 75 years, female, white, stage:'--, dead, 380 days 48.9
TCGA-19-1390-01A 63 years, female, white, stage:'--, dead, 772 days 47.4
TCGA-06-0190-01A 62 years, male, white, stage:'--, dead, 317 days 47.4
TCGA-06-0750-01A 43 years, male, white, stage:'--, dead, 28 days 46.4
TCGA-32-2634-01A 82 years, male, white, stage:'--, alive, 693 days 46.1
TCGA-41-5651-01A 59 years, female, black or african american, stage:'--, dead, 460 days 46.1
TCGA-15-1444-01A 21 years, male, white, stage:'--, dead, 1537 days 44.9
TCGA-32-2616-01A 48 years, female, white, stage:'--, dead, 224 days 44.6
TCGA-14-0787-01A 69 years, male, asian, stage:'--, dead, 68 days 42.9
TCGA-06-0130-01A 54 years, male, white, stage:'--, dead, 394 days 42.5
TCGA-06-2570-01A 21 years, female, white, stage:'--, alive, 958 days 42.2
TCGA-06-0157-01A 63 years, female, white, stage:'--, dead, 97 days 42.2
TCGA-12-5299-01A 56 years, female, white, stage:'--, dead, 98 days 42.2
TCGA-12-0618-01A 49 years, male, white, stage:'--, dead, 395 days 42.0
TCGA-12-0821-01A 62 years, male, white, stage:'--, dead, 323 days 41.5
TCGA-06-2561-01A 53 years, female, white, stage:'--, dead, 537 days 41.0
TCGA-06-0168-01A 59 years, female, white, stage:'--, dead, 598 days 40.9
TCGA-06-0743-01A 69 years, male, white, stage:'--, dead, 803 days 40.7
TCGA-19-4065-01A 36 years, male, white, stage:'--, alive, 214 days 40.5
TCGA-06-0882-01A 30 years, male, white, stage:'--, dead, 632 days 39.9
TCGA-06-0174-01A 54 years, male, white, stage:'--, dead, 98 days 39.5
TCGA-06-2557-01A 76 years, male, black or african american, stage:'--, dead, 33 days 39.5
TCGA-16-0846-01A 85 years, male, white, stage:'--, dead, 119 days 38.8
TCGA-06-5858-01A 45 years, female, white, stage:'--, alive, 187 days 38.7
TCGA-06-5417-01A 45 years, female, white, stage:'--, alive, 155 days 38.6
TCGA-27-2524-01A 56 years, male, white, stage:'--, dead, 231 days 38.0
TCGA-19-2624-01A 51 years, male, white, stage:'--, dead, 5 days 37.7
TCGA-02-2485-01A 53 years, male, black or african american, stage:'--, alive, 470 days 37.6
TCGA-06-0129-01A 30 years, male, asian, stage:'--, dead, 1024 days 37.0
TCGA-06-0686-01A 53 years, male, white, stage:'--, dead, 432 days 35.3
TCGA-06-5413-01A 67 years, male, white, stage:'--, alive, 268 days 35.3
TCGA-26-1442-01A 43 years, male, white, stage:'--, alive, 953 days 35.0
TCGA-06-5859-01A 63 years, male, white, stage:'--, alive, 139 days 34.5
TCGA-15-0742-01A 65 years, male, white, stage:'--, dead, 419 days 34.5
TCGA-76-4932-01A 50 years, female, white, stage:'--, dead, 1458 days 34.3
TCGA-41-2571-01A 89 years, male, white, stage:'--, dead, 26 days 33.3
TCGA-06-0745-01A 59 years, male, white, stage:'--, dead, 239 days 33.0
TCGA-27-1834-01A 56 years, male, white, stage:'--, dead, 1233 days 32.4
TCGA-14-1825-01A 70 years, male, white, stage:'--, dead, 232 days 31.6
TCGA-02-2486-01A 64 years, male, white, stage:'--, dead, 618 days 31.6
TCGA-26-5134-01A 74 years, male, white, stage:'--, alive, 167 days 31.2
TCGA-12-5295-01A 60 years, female, white, stage:'--, dead, 454 days 30.4
TCGA-12-3650-01A 46 years, male, white, stage:'--, dead, 333 days 30.1
TCGA-06-0156-01A 57 years, male, white, stage:'--, dead, 178 days 28.8
TCGA-02-2483-01A 43 years, male, asian, stage:'--, alive, 466 days 28.6
TCGA-12-3652-01A 60 years, male, white, stage:'--, dead, 1062 days 28.3
TCGA-06-5416-01A 23 years, female, white, stage:'--, alive, 204 days 27.7
TCGA-14-0817-01A 69 years, female, white, stage:'--, dead, 164 days 26.7
TCGA-14-2554-01A 52 years, female, white, stage:'--, dead, 532 days 26.6
TCGA-06-0141-01A 62 years, male, white, stage:'--, dead, 313 days 25.9
TCGA-06-0139-01A 40 years, male, white, stage:'--, dead, 362 days 25.6
TCGA-27-2519-01A 48 years, male, white, stage:'--, dead, 550 days 24.1
TCGA-06-5411-01A 51 years, male, white, stage:'--, dead, 254 days 23.5
TCGA-06-0132-01A 49 years, male, white, stage:'--, dead, 771 days 22.9
TCGA-06-0744-01A 66 years, male, white, stage:'--, dead, 1426 days 21.8
TCGA-12-0616-01A 36 years, female, white, stage:'--, dead, 448 days 21.7
TCGA-32-5222-01A 66 years, male, white, stage:'--, dead, 585 days 21.6
TCGA-06-0138-01A 43 years, male, white, stage:'--, dead, 737 days 20.9
TCGA-27-2521-01A 34 years, male, white, stage:'--, dead, 510 days 19.8
TCGA-27-2526-01A 79 years, female, white, stage:'--, dead, 87 days 18.4
TCGA-06-0749-01A 50 years, male, black or african american, stage:'--, dead, 82 days 18.1
TCGA-14-0871-01A 74 years, female, white, stage:'--, dead, 880 days 17.5
TCGA-28-5220-01A 67 years, male, white, stage:'--, dead, 388 days 15.2
TCGA-06-0238-01A 46 years, male, white, stage:'--, dead, 405 days 13.3
TCGA-14-1823-01A 58 years, female, white, stage:'--, dead, 543 days 13.0
TCGA-06-0219-01A 67 years, male, white, stage:'--, dead, 22 days 9.8
TCGA-14-1829-01A 57 years, male, black or african american, stage:'--, alive, 218 days 8.0
TCGA-27-1831-01A 66 years, male, white, stage:'--, dead, 505 days 7.4
TCGA-06-0178-01A 38 years, male, white, stage:'--, dead, 2681 days 4.0
Show allShow less
GLIOBLASTOMA MULTIFORME (VALIDATION) - Interactive survival scatter ploti

The Survival Scatter plot shows the clinical status (i.e. dead or alive) for all individuals in the patient cohort, based on the same data that underlies the corresponding Kaplan-Meier plots. Patients that are alive at last time for follow-up are shown in blue and patients who have died during the study are shown in red.

The x-axis shows the expression levels (FPKM) of the investigated gene in the tumor tissue at the time of diagnosis. The y-axis shows the follow-up time after diagnosis (years). Both axes are complimented with kernel density curves demonstrating the data density over the axes. The top density plot shows the expression levels (FPKM) distribution among dead (red) and alive patients (blue). The right density plot shows the data density of the survived years of dead patients with high and low expression levels respectively, stratified using the cutoff indicated by the vertical dashed line through the Survival Scatter plot. This cutoff is automatically defined based on the FPKM cutoff that minimizes the p-score. The cutoff can be changed by dragging the vertical line or by entering a cutoff value in the square labeled "Current cut-off".

Under the Survival Scatter plot the p-score landscape (black curve; left axis) is shown together with dead median separation (red curve; right axis). Dead median separation is the difference in median mRNA expression between patients who have died with high and low expression, respectively. It is calculated as follows: median FPKM expression of dead patients with high expression - median FPKM expression of dead patients with low expression. This is intended to aid the user in visually exploring custom cutoffs and the associated p-scores and dead median separation.

Individual patient data is displayed and can be filtered by clicking on one or more of the category buttons on the top of the page. Categories describing expression level and patient information include: high, low, alive, dead, female, male and tumor stages. The scale of the x-axis can be toggled between linear and log-scale by clicking on the "x log" button. Mouse-over function shows TCGA ID, patient information and mRNA expression (FPKM) for each patient.

& Survival analysisi

Kaplan-Meier plots summarize results from analysis of correlation between mRNA expression level and patient survival. Patients were divided based on level of expression into one of the two groups "low" (under cut off) or "high" (over cut off). X-axis shows time for survival (years) and y-axis shows the probability of survival, where 1.0 corresponds to 100 percent.

ECE1 is not prognostic in Glioblastoma Multiforme (validation)


Stage:
Survival analysis
Current cut offi

Current cut-off shows the cut-off (FPKM) currently selected. It may be changed manually. When the current cut-off is changed, the vertical dashed line indicating cut-off, the interactive survival scatter plot and the Kaplan-Meier curve will be automatically adjusted to show results accordingly.

:
Best expression cut offi

Based on the FPKM value of each gene, patients were classified into two groups and association between prognosis (survival) and gene expression (FPKM) was examined. The best expression cut-off refers the FPKM value that yields maximal difference with regard to survival between the two groups at the lowest log-rank P-value. Best expression cut-off was selected based on survival analysis .

When clicking on this number, the vertical dashed line indicating cut-off, the interactive survival plot, and the Kaplan-Meier curve will be adjusted to show results based on the best expression cut-off.

: 53.29
Median expressioni

Median expression refers to the median FPKM value calculated based on the gene expression (FPKM) data from all patients in this dataset. When clicking on this number, the vertical dashed line indicating cut-off, the interactive survival plot, and the Kaplan-Meier curve will be adjusted to show results based on the median expression.

: N/A
Median follow up timei

Median follow up time refers to the median time (years) after diagnosis with this type of cancer, based on clinical data from all patients in this dataset.

: N/A
P scorei

Log-rank P value for Kaplan-Meier plot showing results from analysis of correlation between mRNA expression level and patient survival.

N/A
3-year survival highi

5-year survival for patients with higher expression than the expression cutoff.

For melanoma and glioma, 3-year survival is shown.

N/A
3-year survival lowi

5-year survival for patients with lower expression than the expression cutoff.

For melanoma and glioma, 3-year survival is shown.

N/A
TCGA RNA samplesi

RNA-seq data is reported as average FPKM (number Fragments Per Kilobase of exon per Million reads), generated by the The Cancer Genome Atlas (TCGA) .

Normal distribution across the dataset is visualized with box plots, shown as median and 25th and 75th percentiles. Points are displayed as outliers if they are above or below 1.5 times the interquartile range. FPKM values of the individual samples are presented next to the box plot.

Average pTPM 67.5
Number of samples 58
Samples
Sample Description pTPM
AK088 N, NA, stage:NA, dead, 360 days 175.7
AK076 N, NA, stage:NA, alive, 660 days 135.5
AK226 N, NA, stage:NA, dead, 360 days 135.4
AK195 N, NA, stage:NA, dead, 390 days 134.7
AK178 N, NA, stage:NA, dead, 240 days 109.4
AK227 N, NA, stage:NA, alive, 300 days 105.2
AK216 N, NA, stage:NA, dead, 360 days 103.2
AK099 N, NA, stage:NA, dead, 420 days 101.3
AK089 N, NA, stage:NA, dead, 330 days 96.9
AK085 N, NA, stage:NA, alive, 660 days 96.5
AK091 N, NA, stage:NA, dead, 210 days 95.3
AK053 N, NA, stage:NA, dead, 300 days 93.4
AK100 N, NA, stage:NA, alive, 960 days 86.0
AK188 N, NA, stage:NA, alive, 420 days 85.4
AK068 N, NA, stage:NA, alive, 360 days 82.5
AK051 N, NA, stage:NA, dead, 360 days 81.3
AK098 N, NA, stage:NA, dead, 660 days 79.4
AK117 N, NA, stage:NA, dead, 210 days 77.1
AK030 N, NA, stage:NA, dead, 120 days 76.7
AK071 N, NA, stage:NA, dead, 540 days 73.6
AK055 N, NA, stage:NA, dead, 240 days 71.7
AK153 N, NA, stage:NA, dead, 240 days 70.0
AK185 N, NA, stage:NA, alive, 330 days 69.8
AK133 N, NA, stage:NA, dead, 360 days 68.8
AK072 N, NA, stage:NA, dead, 150 days 67.0
AK134 N, NA, stage:NA, dead, 360 days 66.6
AK142 N, NA, stage:NA, alive, 90 days 64.2
AK049 N, NA, stage:NA, dead, 180 days 63.5
AK205 N, NA, stage:NA, dead, 120 days 62.1
AK218 N, NA, stage:NA, dead, 180 days 62.0
AK035 N, NA, stage:NA, dead, 210 days 61.4
AK149 N, NA, stage:NA, dead, 420 days 61.0
AK123 N, NA, stage:NA, dead, 180 days 60.7
AK236 N, NA, stage:NA, dead, 360 days 60.1
AK003 N, NA, stage:NA, dead, 600 days 59.4
AK041 N, NA, stage:NA, alive, 810 days 58.3
AK079 N, NA, stage:NA, dead, 210 days 53.5
AK231 N, NA, stage:NA, dead, 240 days 53.4
AK103 N, NA, stage:NA, alive, 1320 days 53.2
AK005 N, NA, stage:NA, dead, 240 days 51.9
AK165 N, NA, stage:NA, alive, 360 days 51.2
AK074 N, NA, stage:NA, alive, 300 days 49.7
AK139 N, NA, stage:NA, dead, 270 days 48.9
AK199 N, NA, stage:NA, alive, 1860 days 45.0
AK158 N, NA, stage:NA, dead, 360 days 42.8
AK102 N, NA, stage:NA, alive, 1740 days 41.6
AK183 N, NA, stage:NA, alive, 360 days 39.9
AK081 N, NA, stage:NA, dead, 180 days 39.3
AK066 N, NA, stage:NA, alive, 960 days 37.0
AK006 N, NA, stage:NA, dead, 360 days 35.0
AK124 N, NA, stage:NA, alive, 1920 days 33.3
AK167 N, NA, stage:NA, dead, 180 days 32.5
AK173 N, NA, stage:NA, dead, 180 days 31.0
AK002 N, NA, stage:NA, dead, 570 days 27.6
AK213 N, NA, stage:NA, alive, 2010 days 26.9
AK043 N, NA, stage:NA, alive, 660 days 26.4
AK156 N, NA, stage:NA, dead, 330 days 23.4
AK015 N, NA, stage:NA, alive, 720 days 21.8
Show allShow less
GLIOBLASTOMA MULTIFORME - Protein relative expression (CPTAC)
Number of samples 110
Samples
Sample ID Sample type nRPX
CPT0206560003 Tumor 2.0
CPT0205780003 Tumor 1.0
CPT0190360004 Tumor 0.9
CPT0207090003 Tumor 0.9
CPT0093360003 Tumor 0.8
CPT0217430008 Tumor 0.8
CPT0171580008 Tumor 0.8
CPT0087950003 Tumor 0.7
CPT0093590003 Tumor 0.7
CPT0168480003 Tumor 0.7
CPT0079790003 Tumor 0.7
CPT0167640003 Tumor 0.6
CPT0092440003 Tumor 0.6
CPT0078580003 Tumor 0.6
CPT0168080003 Tumor 0.5
CPT0087730003 Tumor 0.5
CPT0093550003 Tumor 0.5
CPT0087570003 Tumor 0.5
CPT0218330004 Tumor 0.5
CPT0162100003 Tumor 0.5
CPT0182500003 Tumor 0.5
CPT0219080004 Tumor 0.4
CPT0162020003 Tumor 0.4
CPT0206230003 Tumor 0.4
CPT0218690004 Tumor 0.4
CPT0002410011 Tumor 0.4
CPT0218890004 Tumor 0.3
CPT0217000004 Tumor 0.3
CPT0218830004 Tumor 0.3
CPT0168720003 Tumor 0.3
CPT0093510003 Tumor 0.3
CPT0189460003 Tumor 0.3
CPT0089150003 Tumor 0.3
CPT0209440003 Tumor 0.3
CPT0189750004 Tumor 0.2
CPT0189850004 Tumor 0.2
CPT0127480003 Tumor 0.2
CPT0064650003 Tumor 0.2
CPT0104220003 Tumor 0.2
CPT0206880003 Tumor 0.2
CPT0189650004 Tumor 0.1
CPT0186100003 Tumor 0.1
CPT0225760003 Tumor 0.1
CPT0225730003 Tumor 0.1
CPT0205450004 Tumor 0.1
CPT0224540004 Tumor 0.1
CPT0167970003 Tumor 0.1
CPT0201710003 Tumor 0.1
CPT0093450003 Tumor 0.1
CPT0125570003 Tumor 0.0
CPT0196850003 Tumor 0.0
CPT0206000004 Tumor 0.0
CPT0221180003 Tumor 0.0
CPT0087680003 Tumor 0.0
CPT0224600003 Tumor 0.0
CPT0217100003 Tumor 0.0
CPT0064890003 Tumor 0.0
CPT0125220003 Tumor 0.0
CPT0168590003 Tumor 0.0
CPT0224330003 Tumor -0.1
CPT0125510003 Tumor -0.1
CPT0167530003 Tumor -0.1
CPT0216920008 Tumor -0.1
CPT0205670004 Tumor -0.1
CPT0206780003 Tumor -0.1
CPT0175060003 Tumor -0.1
CPT0206450003 Tumor -0.1
CPT0217190003 Tumor -0.1
CPT0207030003 Tumor -0.1
CPT0127420003 Tumor -0.2
CPT0206110003 Tumor -0.2
CPT0182550003 Tumor -0.2
CPT0123530003 Tumor -0.2
CPT0167860004 Tumor -0.2
CPT0217060003 Tumor -0.2
CPT0205890003 Tumor -0.2
CPT0168270003 Tumor -0.2
CPT0189250003 Tumor -0.3
CPT0218960004 Tumor -0.3
CPT0104330003 Tumor -0.3
CPT0217880003 Tumor -0.3
CPT0228220003 Tumor -0.3
CPT0199770003 Tumor -0.3
CPT0205570003 Tumor -0.4
CPT0182580003 Tumor -0.4
CPT0206670004 Tumor -0.4
CPT0168830003 Tumor -0.4
CPT0071100003 Tumor -0.4
CPT0206330003 Tumor -0.4
CPT0224390004 Tumor -0.5
CPT0217710008 Tumor -0.5
CPT0168380003 Tumor -0.5
CPT0167750004 Tumor -0.5
CPT0218770003 Tumor -0.5
CPT0208980003 Tumor -0.6
CPT0204380003 Normal -0.6
CPT0162140003 Tumor -0.6
CPT0204400003 Normal -0.6
CPT0204330003 Normal -0.6
CPT0204360003 Normal -0.6
CPT0204370003 Normal -0.7
CPT0204390003 Normal -0.7
CPT0204340003 Normal -0.7
CPT0218670003 Tumor -0.7
CPT0161730003 Tumor -0.8
CPT0204350003 Normal -0.8
CPT0204410003 Normal -0.8
CPT0189570004 Tumor -0.8
CPT0204420003 Normal -0.8
CPT0190240004 Tumor -1.1
Show allShow less
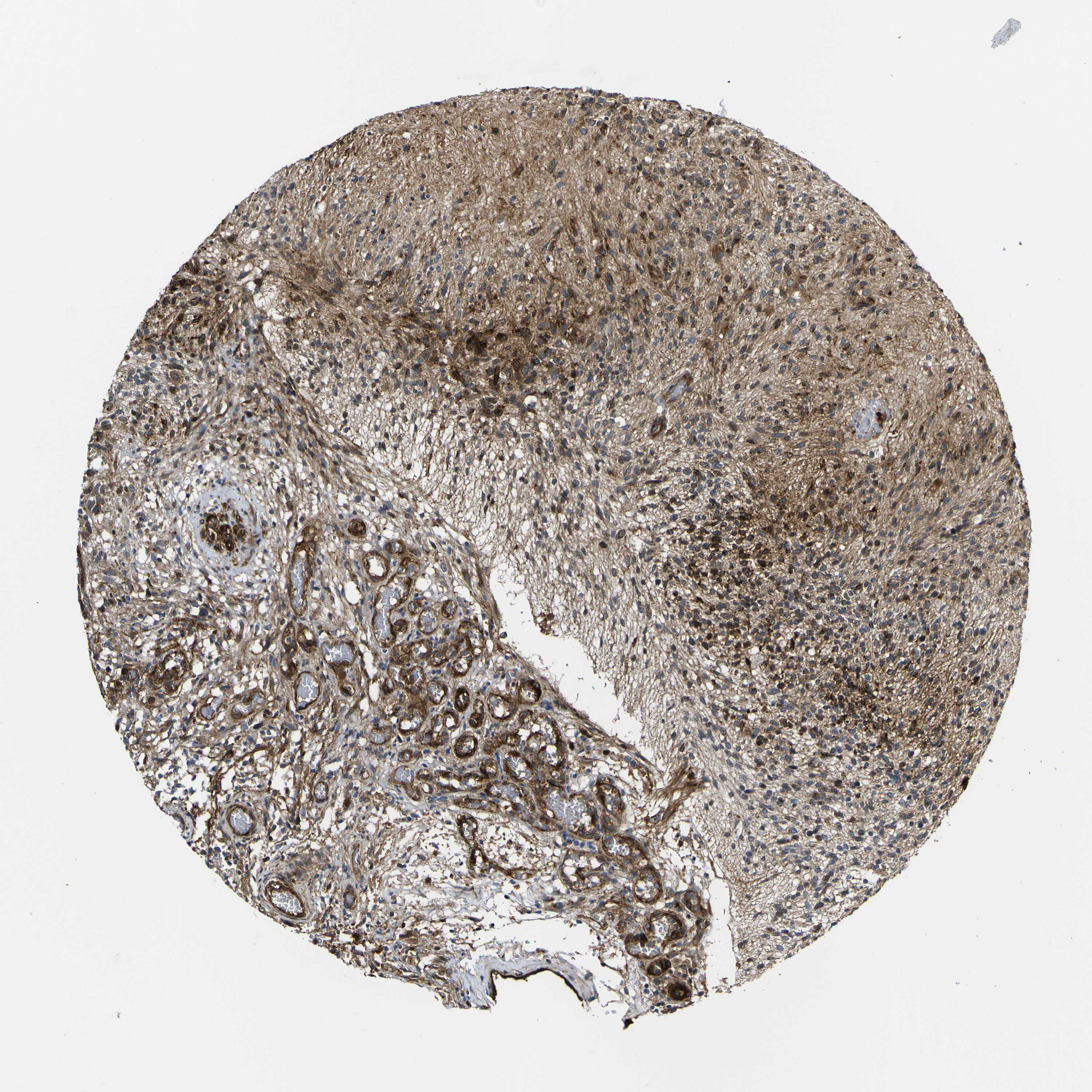
GLIOMA - Protein expressioni

A mouse-over function shows sample information and annotation data. Click on an image to view it in a full screen mode. Samples can be filtered based on level of antibody staining by selecting one or several of the following categories: high, medium, low and not detected. The assay and annotation is described here.

Note that samples used for immunohistochemistry by the Human Protein Atlas do not correspond to samples in the TCGA dataset.

 

Antibody stainingi

Antibody staining in the annotated cell types in the current human tissue is reported as not detected, low, medium, or high, based on conventional immunohistochemistry profiling in selected tissues. This score is based on the combination of the staining intensity and fraction of stained cells.

Each image is clickable and will lead to virtual microscopy that enables deeper exploration of all samples and also displays staining intensity scores, fraction scores and subcellular localization as well as patient and tissue information for each sample.


Antibody HPA001490

Antibody HPA013616
 Staining
  High
  Medium
  Low
  Not detected
 Intensity
  Strong
  Moderate
  Weak
  Negative
 Quantity
  >75%
  75%-25%
  <25%
  None
 Location
  Nuclear
  Cytoplasmic/membranous
  Cytoplasmic/membranous,nuclear
  None
Glioma, malignant, High grade
Glioma, malignant, Low grade
Glioma, malignant, NOS

Contact

  • NEWS ARTICLES
  • PRESS ROOM

The Project

  • INTRODUCTION
  • ORGANIZATION
  • PUBLICATIONS

The Human Protein Atlas

  • DOWNLOADABLE DATA
  • LICENCE & CITATION
  • HELP & FAQ
The Human Protein Atlas project is funded
by the Knut & Alice Wallenberg Foundation.


contact@proteinatlas.org