We use cookies to enhance the usability of our website. If you continue, we'll assume that you are happy to receive all cookies. More information. Don't show this again.
SLC2A1
HPA
RESOURCES
  • TISSUE
  • BRAIN
  • SINGLE CELL
  • SUBCELLULAR
  • CANCER
  • BLOOD
  • CELL LINE
  • STRUCTURE & INTERACTION
ABOUT
  • INTRODUCTION
  • HISTORY
  • ORGANIZATION
  • PUBLICATIONS
  • ANTIBODY SUBMISSION
  • ANTIBODY AVAILABILITY
  • ACKNOWLEDGMENTS
  • CONTACT
NEWS
  • NEWS ARTICLES
  • PRESS ROOM
LEARN
  • DICTIONARY
  • PROTEIN CLASSES
  • PROTEIN EVIDENCE
  • METHODS
  • EDUCATIONAL VIDEOS
DATA
  • DOWNLOADABLE DATA
  • PUBLICATION DATA
  • RELEASE HISTORY
HELP
  • ANTIBODY VALIDATION
  • ASSAYS & ANNOTATION
  • DISCLAIMER
  • HELP & FAQ
  • PRIVACY STATEMENT
  • LICENCE & CITATION
Fields »
Search result

Field
Term
Gene name
Class
Subclass
Class
Keyword
Chromosome
External id
Tissue
Cell type
Expression
Antibody panel
Tissue
Main location
Patient ID
Annotation
Tissue
Category
Tau score
Cluster
Reliability
Brain region
Category
Tau score
Brain region
Category
Tau score
Brain region
Category
Tau score
Cluster
Reliability
Tissue
Cell type
Enrichment
Cell type
Category
Tau score
Cell type
Category
Tau score
Cell type
Category
Tau score
Cell lineage
Category
Tau score
Cluster
Cluster
Location
Searches
Location
Cell line
Class
Type
Phase
Reliability
Cancer
Prognosis
Cancer
Category
Cancer
Category
Tau score
Cluster
Variants
Interacting gene (ensg_id)
Type
Number of interactions
Pathway
Category
Score
Score
Score
Validation
Validation
Validation
Validation
Antibodies
Data type
Column


  • SUMMARY

  • TISSUE

  • BRAIN

  • SINGLE CELL

  • SUBCELL

  • CANCER

  • BLOOD

  • CELL LINE

  • STRUCT & INT

  • SLC2A1
TISSUE PRIMARY DATA SKIN Show tissue menu
ADIPOSE TISSUE ADRENAL GLAND AMYGDALA APPENDIX BASAL GANGLIA BONE MARROW BREAST BRONCHUS CEREBELLUM CEREBRAL CORTEX CERVIX CHOROID PLEXUS COLON DUODENUM
ENDOMETRIUM EPIDIDYMIS ESOPHAGUS FALLOPIAN TUBE GALLBLADDER HEART MUSCLE HIPPOCAMPAL FORMATION HYPOTHALAMUS KIDNEY LIVER LUNG LYMPH NODE MIDBRAIN NASOPHARYNX
ORAL MUCOSA OVARY PANCREAS PARATHYROID GLAND PITUITARY GLAND PLACENTA PROSTATE RECTUM RETINA SALIVARY GLAND SEMINAL VESICLE SKELETAL MUSCLE SKIN SMALL INTESTINE
SMOOTH MUSCLE SOFT TISSUE SPINAL CORD SPLEEN STOMACH TESTIS THYMUS THYROID GLAND TONGUE TONSIL URINARY BLADDER VAGINA
ANTIBODIES
AND
VALIDATION
Dictionary
Skin
Tissue proteome
Skin
SKIN - Expression summary
Protein expression
Skini

On the top, protein expression in current human tissue, based on all annotated cell types, is reported with the units not detected (n), low (l), medium (m) and high (h). Underneath, protein expression in each annotated cell type are reported using the same units.

Protein expression data is based on knowledge-based annotation. For genes where more than one antibody has been used, a collective score is set.

If knowledge-based annotation could not be performed for a gene, no data is displayed here. View antibody staining data further down this page.

h
m
l
n
Cells in basal layer: High
Cells in corneal layer: Not detected
Cells in granular layer: Not detected
Cells in spinous layer: Not detected
Endothelial cells: Medium
Extracellular matrix: Not detected
Fibrohistiocytic cells: Low
Hair follicles: Not detected
Langerhans cells: Not detected
Lymphocytes: Medium
Melanocytes: Not detected
Sebaceous glands: Not detected
Vascular mural cells: Not detected
RNA expressioni

A summary of mRNA expression data available for current tissue based on several datasets. The mRNA expression levels in human tissues are based on RNA-seq data generated by the Human Protein Atlas (HPA), Genotype-Tissue Expression (GTEx) portal and CAGE data generated by the FANTOM5 consortium. Consensus normalized expression levels for human tissues was created by combining the data from HPA and GTEx datasets.

The mRNA expression levels in pig are based on RNA-seq data generated by the Human Protein Atlas (HPA), and for mouse, HPA data and in situ hybridization generated by the Allen brain atlas are reported.

Scroll down to view mRNA expression data in more detail.
Consensus:77.3 nTPM
HPA:14.1 nTPM
GTEx:77.3 nTPM

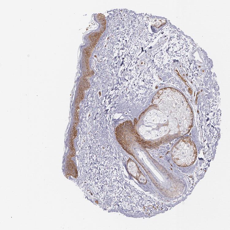
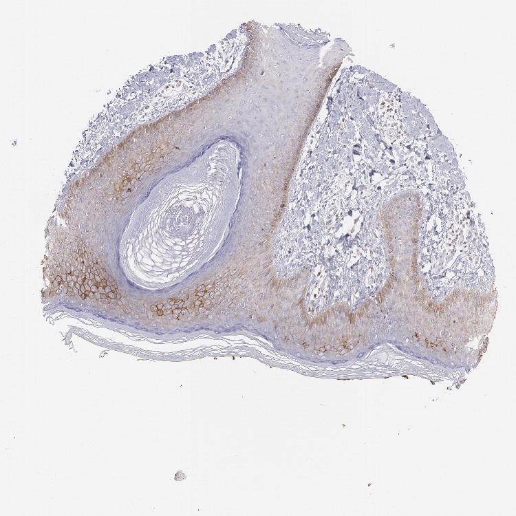
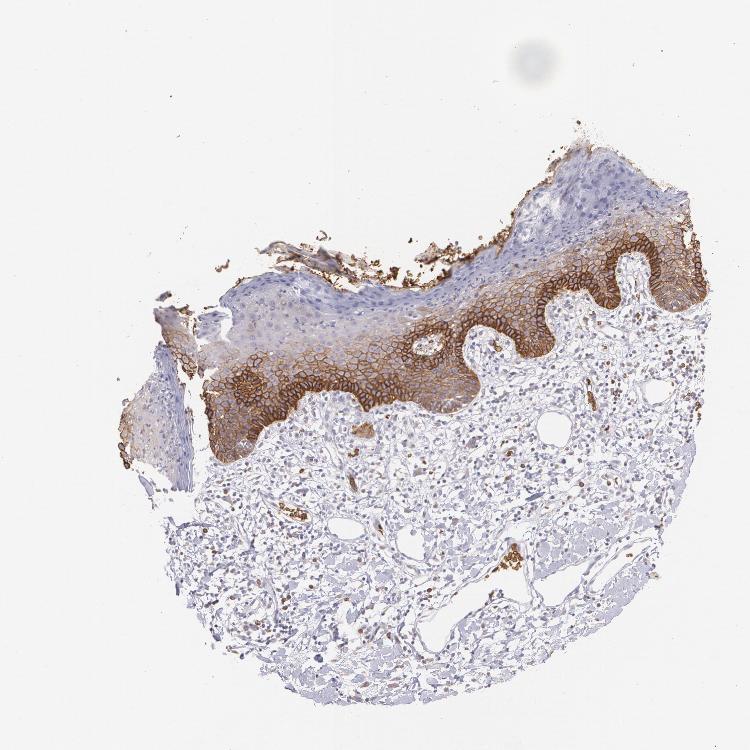
SKIN 1 - Antibody stainingi

Antibody staining in the annotated cell types in the current human tissue is reported as not detected, low, medium, or high, based on conventional immunohistochemistry profiling in selected tissues. This score is based on the combination of the staining intensity and fraction of stained cells.

Each image is clickable and will lead to virtual microscopy that enables deeper exploration of all samples and also displays staining intensity scores, fraction scores and subcellular localization as well as patient and tissue information for each sample.

Antibody HPA031345Antibody HPA058494Antibody CAB002759
Langerhans Not detected-Medium
Cells in basal layer -Not detected-
Cells in corneal layer -Not detected-
Cells in granular layer -Not detected-
Cells in spinous layer -Not detected-
Endothelial cells -Not detected-
Extracellular matrix -Not detected-
Fibroblasts Not detected-Not detected
Fibrohistiocytic cells -Not detected-
Hair follicles -Not detected-
Keratinocytes Medium-High
Langerhans cells -Not detected-
Lymphocytes -Not detected-
Melanocytes Not detectedNot detectedLow
Sebaceous glands -Not detected-
Vascular mural cells -Not detected-





SKIN 2 - Antibody stainingi

Antibody staining in the annotated cell types in the current human tissue is reported as not detected, low, medium, or high, based on conventional immunohistochemistry profiling in selected tissues. This score is based on the combination of the staining intensity and fraction of stained cells.

Each image is clickable and will lead to virtual microscopy that enables deeper exploration of all samples and also displays staining intensity scores, fraction scores and subcellular localization as well as patient and tissue information for each sample.

Antibody HPA031345Antibody HPA058494Antibody CAB002759
Cells in basal layer -High-
Cells in corneal layer -Not detected-
Cells in granular layer -Not detected-
Cells in spinous layer -Not detected-
Endothelial cells -Medium-
Epidermal cells Medium-High
Extracellular matrix -Not detected-
Fibrohistiocytic cells -Low-
Langerhans cells -Not detected-
Lymphocytes -Medium-
Melanocytes -Not detected-
Vascular mural cells -Not detected-
   
   
   
   





SKIN - HPA RNA-seqi

The RNA-seq details section shows detailed information about the individual samples used for the transcript profiling and results of the RNA-seq analysis.

Information about each individual sample is listed below, including gender, age, a tissue section image and estimated fractions of cell types. nTPM (normalized transcripts per million) values give a quantification of the gene abundance which is comparable between different genes and samples.
Average nTPMi

Max subtype nTPM is the value for the subtype with the largest average nTPM across the subtype samples.

14.1
overview
Female, age 34
Skin sample 225
nTPM: 10.9
Cell types%
Keratinocytes:
60

Other cell types:
40

overview
Female, age 30
Skin sample 226
nTPM: 9.3
Cell types%
Keratinocytes:
55

Other cell types:
45

N/A
Male, age 57
Skin sample 227
nTPM: 22.2

SKIN - GTEx RNA-seqi

RNA-Seq data generated by the Genotype-Tissue Expression (GTEx) project from human tissues is reported as mean nTPM. More information can be found on the GTEx portal.

Distribution across the dataset is visualized with box plots, shown as median and 25th and 75th percentiles. Points are displayed as outliers if they are above or below 1.5 times the interquartile range. nTPM values of the individual samples are presented next to the box plot.
Max subtype nTPMi

Max subtype nTPM is the value for the subtype with the largest average nTPM across the subtype samples.

77.3
GTEx sample id Sample description nTPM
Skin - Not Sun Exposed (Suprapubic)
Average nTPM: 77.3
Samples: 604

Max nTPM: 659.8
Min nTPM: 7.0
Std nTPM: 55.4
Median nTPM: 62.9
GTEX-1ICLZ-0326-SM-ARL82 60-69 years, male 659.8
GTEX-15UF6-1926-SM-7KUDV 70-79 years, female 390.4
GTEX-ZYVF-0926-SM-5E44J 50-59 years, female 341.7
GTEX-WHSE-0126-SM-3NMBT 20-29 years, male 341.3
GTEX-1H2FU-0926-SM-9WPPT 60-69 years, female 303.4
GTEX-1B933-2426-SM-7DHMD 50-59 years, female 297.5
GTEX-13IVO-0726-SM-5LZYV 70-79 years, male 287.2
GTEX-1PIIG-2326-SM-DTXFR 30-39 years, male 266.5
GTEX-1GN1U-0626-SM-9MQL9 50-59 years, female 263.9
GTEX-1F6RS-2026-SM-7RHHC 60-69 years, female 254.6
GTEX-139UW-0326-SM-5J1ML 60-69 years, male 253.6
GTEX-148VJ-0626-SM-5LUAW 70-79 years, male 230.7
GTEX-11WQK-1026-SM-5EQLX 50-59 years, male 227.3
GTEX-ZY6K-1426-SM-5GZX2 50-59 years, male 218.4
GTEX-1IKJJ-2226-SM-CJI4C 60-69 years, male 202.4
GTEX-1JMQL-2226-SM-CNPP4 50-59 years, female 199.8
GTEX-ZE7O-2726-SM-51MT5 50-59 years, female 196.1
GTEX-1PBJJ-1026-SM-E76OS 30-39 years, male 192.7
GTEX-15SKB-2826-SM-6PAMH 60-69 years, male 187.0
GTEX-13NZ8-1226-SM-5KM4A 60-69 years, female 186.7
GTEX-11WQC-1826-SM-5GU59 60-69 years, male 184.1
GTEX-14E6C-2426-SM-5S2NF 40-49 years, male 182.1
GTEX-1A8G7-1326-SM-73KVM 60-69 years, male 180.7
GTEX-144GO-2026-SM-5O99P 60-69 years, male 179.5
GTEX-X585-2426-SM-46MW2 50-59 years, male 177.9
GTEX-145MH-2826-SM-5RQJF 50-59 years, male 176.7
GTEX-1A3MW-0626-SM-731CB 60-69 years, female 172.2
GTEX-13N1W-2426-SM-5IJD1 70-79 years, male 172.1
GTEX-14C39-1726-SM-5RQIL 40-49 years, male 171.5
GTEX-1EH9U-2826-SM-7DUGT 60-69 years, male 169.5
GTEX-1GN1V-2826-SM-9JGIA 60-69 years, male 168.5
GTEX-15DDE-2926-SM-6LLJ3 50-59 years, female 166.6
GTEX-144GL-0626-SM-5LU4D 50-59 years, male 166.1
GTEX-X8HC-0626-SM-4E3HQ 50-59 years, female 166.0
GTEX-1IE54-1126-SM-A9G2Z 40-49 years, female 162.3
GTEX-1JMQI-1726-SM-ARL93 50-59 years, male 159.7
GTEX-ZUA1-2626-SM-5NQ92 40-49 years, male 159.4
GTEX-1HR9M-2226-SM-CNPPY 60-69 years, male 158.8
GTEX-13YAN-0226-SM-5TDC6 60-69 years, male 158.4
GTEX-1HCU7-0726-SM-A9SL1 50-59 years, male 157.9
GTEX-16XZZ-0726-SM-7KUF2 60-69 years, male 156.3
GTEX-14LZ3-0126-SM-69LPM 60-69 years, female 154.3
GTEX-1I1CD-0626-SM-CE6SW 60-69 years, female 152.8
GTEX-15RJE-2826-SM-7KUM9 40-49 years, male 147.9
GTEX-1A8G6-2726-SM-731AR 60-69 years, male 147.3
GTEX-ZYFC-0426-SM-5GICQ 50-59 years, male 147.0
GTEX-1H1CY-0126-SM-9YFLY 60-69 years, female 146.2
GTEX-13O3O-2326-SM-5IJD6 60-69 years, female 146.0
GTEX-1I1GV-0626-SM-ARL7M 60-69 years, male 144.9
GTEX-12696-0126-SM-5EQ4L 60-69 years, male 142.8
GTEX-1R9K4-2826-SM-DTX8F 60-69 years, male 142.7
GTEX-WHPG-2626-SM-3NMBR 50-59 years, male 141.9
GTEX-12ZZY-0726-SM-5EQ66 60-69 years, male 141.5
GTEX-147JS-0226-SM-5S2U9 60-69 years, male 141.2
GTEX-12ZZX-2426-SM-5GCOE 40-49 years, female 139.8
GTEX-111VG-1626-SM-5EGIO 60-69 years, male 139.3
GTEX-14XAO-1226-SM-6EU1C 60-69 years, female 137.7
GTEX-13VXT-1926-SM-5K7UO 20-29 years, female 136.8
GTEX-ZYY3-2926-SM-5GIEB 60-69 years, female 136.5
GTEX-ZE9C-2526-SM-5IJDR 60-69 years, male 136.2
GTEX-1LSVX-2526-SM-DIPEU 60-69 years, male 133.3
GTEX-11EQ8-0926-SM-5H12V 60-69 years, male 133.1
GTEX-1H23P-0626-SM-9WG6T 60-69 years, male 131.2
GTEX-1E1VI-0326-SM-793D1 50-59 years, male 130.8
GTEX-133LE-2326-SM-5K7W3 20-29 years, female 130.7
GTEX-1HSMP-0926-SM-A9SKX 70-79 years, male 130.3
GTEX-13OW5-2326-SM-5L3HO 60-69 years, male 129.9
GTEX-13OW7-0426-SM-5K7VK 50-59 years, male 129.9
GTEX-1E2YA-2126-SM-7MXUO 50-59 years, male 129.5
GTEX-1N2DV-1526-SM-DTXEP 40-49 years, male 127.8
GTEX-1JN1M-2726-SM-CY8I4 60-69 years, female 127.6
GTEX-11ZU8-0126-SM-5EQ58 60-69 years, male 127.1
GTEX-VUSG-2326-SM-4KL1U 50-59 years, male 127.1
GTEX-1HGF4-0126-SM-CNPPX 60-69 years, male 126.9
GTEX-13SLW-0626-SM-5Q5ER 70-79 years, male 126.6
GTEX-11DYG-1526-SM-5A5JS 60-69 years, male 126.5
GTEX-15CHQ-0326-SM-69LQD 60-69 years, male 125.4
GTEX-1I1GS-2626-SM-B2LY3 60-69 years, male 125.4
GTEX-147F4-0726-SM-5TDDD 50-59 years, male 125.3
GTEX-11LCK-2226-SM-5HL4Q 30-39 years, male 124.8
GTEX-1IDFM-0326-SM-ARL7V 60-69 years, male 123.5
GTEX-1GPI6-1926-SM-9KNV7 60-69 years, male 122.9
GTEX-1LKK1-2626-SM-DKPQE 50-59 years, female 122.8
GTEX-13QJC-0126-SM-5ZZWJ 60-69 years, female 122.7
GTEX-1C6VQ-1226-SM-73KYD 50-59 years, male 120.9
GTEX-13OVL-0126-SM-5L3GJ 50-59 years, male 119.5
GTEX-14ICL-1626-SM-5YYAO 30-39 years, male 119.0
GTEX-XXEK-1626-SM-4BRUZ 50-59 years, male 118.8
GTEX-1GMR3-0126-SM-A9SLW 40-49 years, male 118.7
GTEX-1GZ4I-2626-SM-9KNU3 50-59 years, male 118.7
GTEX-13OVH-0526-SM-5L3E6 70-79 years, male 118.5
GTEX-12126-0826-SM-5FQTZ 20-29 years, male 118.4
GTEX-1PPH8-0126-SM-EWRN8 20-29 years, male 118.3
GTEX-1IL2V-1926-SM-B2LW8 70-79 years, male 117.6
GTEX-ZDTS-0826-SM-4WKHL 60-69 years, male 117.3
GTEX-16MT8-2926-SM-7DUFO 60-69 years, female 116.7
GTEX-ZVE2-2826-SM-5GU51 50-59 years, male 116.7
GTEX-1CB4J-1326-SM-7P8RX 60-69 years, male 116.7
GTEX-1GMRU-2126-SM-7P8RA 50-59 years, male 116.4
GTEX-11DXY-0126-SM-5H11Q 60-69 years, male 116.3
GTEX-13X6J-0626-SM-5LU5F 50-59 years, male 116.0
GTEX-145MF-0926-SM-5Q5EA 50-59 years, male 115.4
GTEX-1I1GU-0926-SM-ACKVS 40-49 years, male 115.4
GTEX-1H4P4-2126-SM-9WYSL 50-59 years, male 114.8
GTEX-13OVJ-0826-SM-5J1OK 50-59 years, female 114.6
GTEX-X4EO-2926-SM-4E3JH 60-69 years, female 114.4
GTEX-1HCU6-2526-SM-ADEHL 60-69 years, female 114.3
GTEX-14PII-0726-SM-6EU2B 60-69 years, male 112.4
GTEX-11O72-0626-SM-5PNYE 40-49 years, male 111.2
GTEX-1PPGY-1626-SM-EVYBL 60-69 years, male 110.7
GTEX-1A3MX-2626-SM-7PC24 60-69 years, male 110.6
GTEX-1HT8W-0626-SM-A9G2H 30-39 years, male 110.6
GTEX-ZC5H-1526-SM-5HL9Y 40-49 years, female 110.5
GTEX-13O3Q-0126-SM-5KM34 50-59 years, male 110.1
GTEX-13OW6-2726-SM-5J2OE 50-59 years, male 110.1
GTEX-12ZZZ-0726-SM-5GCNZ 60-69 years, male 110.0
GTEX-1I19N-0126-SM-CYPSF 70-79 years, male 109.9
GTEX-17F9Y-0126-SM-79OKX 70-79 years, female 109.3
GTEX-12WSF-1626-SM-7KUG5 70-79 years, male 109.2
GTEX-145MI-0626-SM-5SI8S 60-69 years, female 108.8
GTEX-15SHW-0226-SM-7LTAT 60-69 years, male 108.8
GTEX-ZVT4-2426-SM-5GIEI 50-59 years, female 108.5
GTEX-1J8Q2-2626-SM-ACKWQ 60-69 years, male 108.5
GTEX-1NSGN-0726-SM-DTXEF 50-59 years, male 108.2
GTEX-ZYT6-2326-SM-5GZY3 30-39 years, male 108.0
GTEX-15DYW-2726-SM-6EU2I 60-69 years, female 107.7
GTEX-12WSD-0626-SM-5GCMW 60-69 years, female 107.6
GTEX-1B8SF-0126-SM-7DUG3 60-69 years, male 107.6
GTEX-1R46S-2426-SM-E76QA 60-69 years, female 106.4
GTEX-Y8E4-2026-SM-5IFJB 40-49 years, male 105.5
GTEX-13112-0126-SM-5P9IU 50-59 years, male 104.9
GTEX-15ER7-0626-SM-6PANF 20-29 years, female 104.9
GTEX-145LS-0626-SM-7EPG7 60-69 years, female 103.8
GTEX-13OVK-1426-SM-6PAN7 40-49 years, male 103.7
GTEX-11GSP-2326-SM-5HL63 60-69 years, female 102.9
GTEX-1269C-0126-SM-5EQ5L 60-69 years, female 102.6
GTEX-131XF-2626-SM-5EQ6K 60-69 years, male 102.5
GTEX-1F75B-0726-SM-7PC3R 50-59 years, male 102.4
GTEX-1GMR8-0626-SM-7RHI7 50-59 years, female 102.4
GTEX-17HHY-0426-SM-7DHLC 50-59 years, male 102.1
GTEX-1JMLX-0626-SM-ARL8T 50-59 years, male 102.1
GTEX-13JVG-0726-SM-5KM16 60-69 years, male 101.9
GTEX-14A6H-2026-SM-5Q5DD 30-39 years, male 101.2
GTEX-13PL6-1126-SM-5L3IE 40-49 years, female 100.9
GTEX-14PJO-2526-SM-6AJBQ 60-69 years, male 100.9
GTEX-1BAJH-2426-SM-7IGP8 70-79 years, male 100.5
GTEX-17EVP-2626-SM-7IGMA 40-49 years, male 99.9
GTEX-11DZ1-2426-SM-5GZZX 50-59 years, male 99.6
GTEX-11TUW-0626-SM-5LU9M 60-69 years, male 99.6
GTEX-13JUV-2026-SM-5K7UA 40-49 years, female 99.4
GTEX-1J8JJ-0626-SM-ARZMQ 60-69 years, female 98.3
GTEX-XK95-0226-SM-4AT58 40-49 years, male 98.2
GTEX-1I1GP-1326-SM-A9G28 50-59 years, male 97.9
GTEX-1C64N-2626-SM-7PC2N 50-59 years, male 97.7
GTEX-1JMQK-1226-SM-D4P2S 60-69 years, male 97.7
GTEX-139TT-2126-SM-5LZWC 60-69 years, male 97.3
GTEX-14PJ3-1126-SM-5ZZVX 50-59 years, male 97.2
GTEX-14JFF-0626-SM-5ZZVT 60-69 years, male 96.9
GTEX-1HSKV-1226-SM-ADEI4 60-69 years, male 96.9
GTEX-1313W-0626-SM-5EQ4H 50-59 years, female 96.8
GTEX-11DXZ-2026-SM-5987S 50-59 years, male 96.4
GTEX-1N2EE-0626-SM-E76PW 60-69 years, male 95.8
GTEX-11ZUS-2626-SM-5FQUR 30-39 years, male 95.7
GTEX-WYBS-0626-SM-3NMAS 60-69 years, female 95.7
GTEX-11P82-1426-SM-DTXFY 20-29 years, male 95.7
GTEX-WHWD-1826-SM-3LK6I 50-59 years, male 95.5
GTEX-13VXU-0626-SM-5L3F9 50-59 years, male 95.3
GTEX-XMD2-2126-SM-4YCF8 60-69 years, female 95.1
GTEX-1QAET-0326-SM-EVR3U 50-59 years, male 94.6
GTEX-14C38-0726-SM-5SI6M 50-59 years, male 94.3
GTEX-139TS-2126-SM-5K7XC 60-69 years, male 92.9
GTEX-1C2JI-1026-SM-73KY1 50-59 years, male 92.9
GTEX-Y111-0626-SM-4SOIT 50-59 years, male 92.8
GTEX-1AX9I-2226-SM-73KUO 60-69 years, male 92.4
GTEX-12KS4-2126-SM-5FQUT 30-39 years, male 92.3
GTEX-12WSK-2126-SM-5CVNC 40-49 years, female 92.0
GTEX-1GN2E-0226-SM-9WG6K 60-69 years, male 91.9
GTEX-13FTX-1526-SM-5K7VJ 20-29 years, female 91.5
GTEX-1HCVE-2726-SM-CL54F 50-59 years, male 91.5
GTEX-1S82U-1026-SM-E6CJK 30-39 years, female 91.5
GTEX-1JK1U-0226-SM-ARZMX 60-69 years, male 91.4
GTEX-1HR98-2226-SM-ADEI2 60-69 years, male 91.1
GTEX-13PVQ-0626-SM-5LU47 50-59 years, male 89.3
GTEX-11DXW-0826-SM-5H118 40-49 years, male 89.2
GTEX-ZXG5-2126-SM-59HKD 60-69 years, male 89.0
GTEX-1192X-2726-SM-5N9DN 50-59 years, male 88.9
GTEX-13X6K-0626-SM-5LU5D 60-69 years, female 88.8
GTEX-1B8KZ-0326-SM-73KY4 50-59 years, male 88.7
GTEX-13PDP-0726-SM-5L3HP 60-69 years, male 88.4
GTEX-1IKOE-1426-SM-CE6T7 30-39 years, female 88.0
GTEX-YECK-0326-SM-4W1YS 60-69 years, male 87.9
GTEX-ZYFD-0626-SM-5E44E 50-59 years, male 87.9
GTEX-1GF9V-0826-SM-9KNUV 60-69 years, male 87.8
GTEX-1A8FM-0626-SM-7PC25 50-59 years, female 87.2
GTEX-1AYD5-2626-SM-7PBXY 50-59 years, male 87.2
GTEX-18A6Q-0626-SM-7KFRP 60-69 years, male 87.0
GTEX-1HBPI-2126-SM-ARL9K 50-59 years, male 86.8
GTEX-14BIN-1126-SM-5RQJZ 50-59 years, female 86.4
GTEX-1QCLY-0226-SM-EWRNH 30-39 years, male 86.1
GTEX-14PJ2-0626-SM-6LLII 50-59 years, male 85.9
GTEX-144FL-0626-SM-5LU43 50-59 years, male 85.7
GTEX-1MCC2-1826-SM-DIPEX 30-39 years, female 85.3
GTEX-13G51-1826-SM-5KLZH 60-69 years, male 85.2
GTEX-1QP66-1226-SM-DTX7U 50-59 years, male 85.0
GTEX-1J8Q3-0526-SM-ARL8U 60-69 years, male 84.2
GTEX-1NV5F-0626-SM-DTXEG 60-69 years, female 84.2
GTEX-1EX96-1026-SM-7MKG2 50-59 years, male 83.9
GTEX-ZTX8-1326-SM-4YCEL 20-29 years, male 83.9
GTEX-1GF9W-1426-SM-7PBYM 60-69 years, male 83.7
GTEX-1H3O1-1326-SM-9MQLD 60-69 years, male 83.7
GTEX-13NYC-0126-SM-5L3F4 60-69 years, male 83.1
GTEX-145LU-1926-SM-79OJN 50-59 years, male 82.6
GTEX-ZF2S-1626-SM-57WES 50-59 years, female 82.1
GTEX-1EU9M-1426-SM-793AI 60-69 years, male 81.8
GTEX-14BMV-2826-SM-5TDED 50-59 years, male 81.7
GTEX-1F88E-1626-SM-7SB8Z 60-69 years, female 81.6
GTEX-1H3VE-0726-SM-9YFL5 40-49 years, male 81.5
GTEX-1IDJH-0126-SM-D3L92 70-79 years, male 81.1
GTEX-ZPIC-0526-SM-DO91W 40-49 years, female 81.1
GTEX-1OJC4-2726-SM-E76PJ 50-59 years, female 80.9
GTEX-18465-2826-SM-7LT9J 50-59 years, male 80.8
GTEX-U8XE-0226-SM-4E3J3 30-39 years, male 80.8
GTEX-1F6IF-0926-SM-7SB7M 60-69 years, male 80.8
GTEX-1R9PN-0426-SM-DTXDT 40-49 years, female 80.7
GTEX-1B97I-0626-SM-73KUZ 40-49 years, male 80.5
GTEX-1OJC3-1226-SM-DTXER 20-29 years, male 80.2
GTEX-WI4N-2726-SM-3LK7Y 40-49 years, female 80.1
GTEX-1H1DE-1326-SM-9KNUG 20-29 years, male 79.7
GTEX-15EO6-2426-SM-6PALZ 50-59 years, male 79.4
GTEX-1JJEA-1826-SM-ARU8P 60-69 years, male 79.3
GTEX-146FQ-2126-SM-5RQHU 30-39 years, male 79.2
GTEX-1M4P7-0726-SM-E6CJ3 60-69 years, male 79.0
GTEX-WYVS-1626-SM-3NM9R 40-49 years, female 78.8
GTEX-13FLV-0126-SM-5K7WT 50-59 years, male 78.6
GTEX-1HBPN-0126-SM-CGQEF 50-59 years, male 78.5
GTEX-1117F-2926-SM-5GZYI 60-69 years, female 78.3
GTEX-1C6VR-0126-SM-7RHGB 60-69 years, male 78.2
GTEX-13D11-0926-SM-5J2NC 50-59 years, female 77.8
GTEX-17HHE-1326-SM-7EWDZ 50-59 years, male 77.6
GTEX-1GF9X-1326-SM-7PC2Y 40-49 years, female 77.6
GTEX-1ICG6-1226-SM-A9SLN 70-79 years, female 77.4
GTEX-131YS-2826-SM-5EQ47 60-69 years, female 77.1
GTEX-1H11D-1826-SM-9QEHM 40-49 years, male 77.0
GTEX-XQ3S-1426-SM-4BOPR 20-29 years, male 76.9
GTEX-139TU-0726-SM-5L3EK 60-69 years, male 76.8
GTEX-1LVA9-2626-SM-EVYD4 50-59 years, male 76.8
GTEX-1LG7Y-2526-SM-EWRO7 50-59 years, male 76.3
GTEX-131XW-0626-SM-5PNVD 50-59 years, female 75.4
GTEX-1LB8K-0726-SM-D5OV2 50-59 years, male 75.1
GTEX-11EI6-2826-SM-5H11D 60-69 years, male 75.0
GTEX-17F98-1326-SM-7DUEP 40-49 years, female 74.5
GTEX-1K2DU-1226-SM-CYPT4 20-29 years, male 74.3
GTEX-ZAB4-2126-SM-5HL8U 40-49 years, male 74.0
GTEX-1CB4E-0926-SM-7EPHT 60-69 years, male 73.8
GTEX-UPJH-0226-SM-3GADV 50-59 years, male 73.8
GTEX-1N5O9-0926-SM-E9J3C 60-69 years, male 73.7
GTEX-1EKGG-0626-SM-7DUGJ 60-69 years, male 73.6
GTEX-XAJ8-1426-SM-47JYM 40-49 years, male 73.6
GTEX-1QP28-1126-SM-EVYC4 50-59 years, female 73.5
GTEX-11GS4-0226-SM-5HL77 60-69 years, male 73.4
GTEX-WK11-2726-SM-3NMAQ 50-59 years, male 73.1
GTEX-XBEW-1126-SM-4QARW 40-49 years, male 72.8
GTEX-X5EB-1926-SM-4E3IW 40-49 years, male 72.3
GTEX-ZAJG-1526-SM-5CVML 50-59 years, female 72.3
GTEX-1S83E-1326-SM-E6CJM 40-49 years, male 71.8
GTEX-1R9PM-1926-SM-EVR3O 20-29 years, male 71.6
GTEX-14JG1-1526-SM-5YY9X 40-49 years, male 71.3
GTEX-1IDJC-1526-SM-B2LW4 50-59 years, male 70.9
GTEX-17F9E-2326-SM-79OKD 50-59 years, male 70.5
GTEX-1F75A-0726-SM-7RHHD 50-59 years, male 70.2
GTEX-1KWVE-1026-SM-D3L9O 30-39 years, male 70.2
GTEX-12WSM-1926-SM-5BC65 60-69 years, male 69.9
GTEX-1A32A-0626-SM-731AQ 50-59 years, female 69.5
GTEX-15FZZ-0526-SM-7KUGD 30-39 years, female 69.3
GTEX-XBEC-0726-SM-4QARZ 50-59 years, male 69.2
GTEX-1QMI2-2526-SM-E8VNZ 60-69 years, male 68.8
GTEX-1HSMO-0626-SM-ACKXC 60-69 years, male 68.6
GTEX-1HUB1-1426-SM-CGQF5 60-69 years, male 68.6
GTEX-WXYG-2026-SM-4E3IY 50-59 years, female 68.3
GTEX-1HFI6-0126-SM-CNPPI 40-49 years, male 68.2
GTEX-111FC-2526-SM-5GZXU 60-69 years, male 68.0
GTEX-1GN73-0726-SM-7P8TJ 60-69 years, male 67.8
GTEX-13NYB-0126-SM-5J1MD 40-49 years, male 67.6
GTEX-XBED-1926-SM-47JYP 60-69 years, male 67.2
GTEX-Y8LW-1526-SM-5IFHL 50-59 years, female 67.0
GTEX-ZT9X-1526-SM-5DUXD 40-49 years, male 66.9
GTEX-11EQ9-1626-SM-5PNY8 30-39 years, male 66.7
GTEX-1J1OQ-0126-SM-D4P2N 40-49 years, female 66.5
GTEX-1IDJV-0126-SM-COH3Y 60-69 years, male 66.4
GTEX-1POEN-2326-SM-E9J2L 30-39 years, female 66.2
GTEX-1F48J-0726-SM-7RHGS 50-59 years, female 66.0
GTEX-1KAFJ-0126-SM-DIPEK 50-59 years, male 66.0
GTEX-1QPFJ-1926-SM-EVYBD 30-39 years, female 65.3
GTEX-13O61-1426-SM-5KM3D 60-69 years, male 64.6
GTEX-1399U-1126-SM-5L3DB 50-59 years, female 64.1
GTEX-131XG-0326-SM-5L3DX 50-59 years, female 64.0
GTEX-14753-0726-SM-5QGQO 60-69 years, male 64.0
GTEX-15CHC-1126-SM-6LLHQ 60-69 years, female 64.0
GTEX-15RJ7-2126-SM-6PAMD 40-49 years, male 64.0
GTEX-139YR-1026-SM-5LZYN 50-59 years, male 63.6
GTEX-1J8QM-2426-SM-A9SLS 60-69 years, female 63.2
GTEX-14PHX-2226-SM-6EU2P 50-59 years, male 63.1
GTEX-13X6I-1826-SM-5SIAO 60-69 years, male 62.7
GTEX-18A7A-0126-SM-731AH 50-59 years, female 62.7
GTEX-183FY-1026-SM-7939A 20-29 years, male 62.5
GTEX-ZYW4-0626-SM-59HJR 60-69 years, male 62.5
GTEX-1RLM8-2926-SM-E8VON 50-59 years, male 62.3
GTEX-1EN7A-2426-SM-793DB 40-49 years, male 62.2
GTEX-11NUK-2726-SM-5A5MC 50-59 years, male 62.1
GTEX-1JMQJ-0826-SM-CNPP7 50-59 years, male 61.9
GTEX-18A7B-2726-SM-7LG56 70-79 years, male 61.7
GTEX-17HGU-2326-SM-7DUFE 50-59 years, male 61.5
GTEX-18A67-1626-SM-7LT9T 50-59 years, male 61.5
GTEX-1497J-0226-SM-5QGPU 60-69 years, male 61.3
GTEX-15EU6-2226-SM-6EU2L 50-59 years, male 61.3
GTEX-WFG7-2026-SM-5SI7P 20-29 years, male 61.0
GTEX-1477Z-0326-SM-7IGLA 60-69 years, male 60.9
GTEX-1F52S-2926-SM-7MKGA 60-69 years, female 60.9
GTEX-1F75I-2226-SM-7SB8U 40-49 years, male 60.6
GTEX-1HSMQ-2626-SM-A9SML 50-59 years, male 60.6
GTEX-1PPH7-1126-SM-DTX9A 40-49 years, male 60.6
GTEX-ZTTD-2826-SM-4YCFA 50-59 years, male 60.5
GTEX-17HG3-2626-SM-7DUF2 30-39 years, female 60.4
GTEX-18QFQ-1826-SM-72D52 30-39 years, male 60.4
GTEX-1PDJ9-1226-SM-EXUSX 20-29 years, male 60.4
GTEX-WH7G-2026-SM-3NMBL 40-49 years, male 60.2
GTEX-1IY9M-2826-SM-ARU8H 60-69 years, male 60.0
GTEX-1EWIQ-0326-SM-7DHMQ 70-79 years, female 59.9
GTEX-Y114-2126-SM-4TT8B 50-59 years, female 59.7
GTEX-1399S-0126-SM-5IJCF 30-39 years, female 59.4
GTEX-ZF29-0926-SM-4WKFZ 60-69 years, female 59.0
GTEX-111CU-1126-SM-5EGIM 50-59 years, male 58.8
GTEX-WY7C-2126-SM-3NB2R 50-59 years, male 58.8
GTEX-1RB15-1326-SM-E76Q9 60-69 years, male 58.7
GTEX-144GM-0526-SM-79OJO 20-29 years, male 57.6
GTEX-1CAMQ-1326-SM-7P8RV 40-49 years, male 57.3
GTEX-11DXX-2126-SM-5PNYR 60-69 years, female 57.2
GTEX-1QEPI-2626-SM-DTXF4 60-69 years, female 56.9
GTEX-139D8-1126-SM-5LU8W 30-39 years, female 56.8
GTEX-1I1HK-2326-SM-CKZOH 60-69 years, male 56.8
GTEX-14ABY-2026-SM-62LDL 50-59 years, male 56.7
GTEX-11P7K-1126-SM-5HL4L 30-39 years, male 56.5
GTEX-1JMPZ-0726-SM-CY8HZ 30-39 years, male 56.2
GTEX-Y3I4-1726-SM-4TT89 50-59 years, male 56.0
GTEX-1HC8U-1326-SM-9YFMJ 40-49 years, female 55.5
GTEX-14PHY-1226-SM-5ZZWK 60-69 years, female 55.1
GTEX-1B8L1-2226-SM-7P8PT 60-69 years, male 54.7
GTEX-1F5PL-0926-SM-7PC2W 40-49 years, female 54.4
GTEX-1JN6P-2926-SM-CL54D 60-69 years, male 54.3
GTEX-1QW4Y-1126-SM-DTXE3 30-39 years, male 54.1
GTEX-17EVQ-0126-SM-7IGLR 70-79 years, male 54.0
GTEX-YJ8O-2526-SM-5HL85 40-49 years, female 54.0
GTEX-1JMPY-0226-SM-CKZOK 30-39 years, male 53.9
GTEX-1I1GT-1026-SM-ARZLV 60-69 years, female 53.8
GTEX-16GPK-0626-SM-7KFSF 60-69 years, male 53.7
GTEX-17F97-2626-SM-7IGM5 50-59 years, male 53.6
GTEX-14DAQ-0626-SM-793DS 60-69 years, female 53.5
GTEX-Z93S-1626-SM-5CVMB 50-59 years, male 53.5
GTEX-11PRG-0726-SM-5EGL1 50-59 years, male 53.3
GTEX-14LLW-2626-SM-62LDZ 70-79 years, female 53.3
GTEX-1CB4F-1026-SM-7DUH1 60-69 years, male 53.2
GTEX-1QP29-1826-SM-DTX9S 50-59 years, male 53.2
GTEX-1RAZS-2526-SM-E6CHT 50-59 years, male 53.2
GTEX-ZDTT-0426-SM-4WKFL 60-69 years, male 53.1
GTEX-XUW1-0926-SM-4BONX 50-59 years, female 52.8
GTEX-1GN1W-2426-SM-9KNUU 50-59 years, female 52.8
GTEX-13FHO-0426-SM-5L3F5 60-69 years, male 52.7
GTEX-1B8KE-1126-SM-7EPHI 50-59 years, male 52.7
GTEX-1IOXB-2726-SM-CM2RI 50-59 years, male 52.3
GTEX-11OF3-0126-SM-5PNYF 60-69 years, male 52.2
GTEX-12WSJ-1126-SM-5LZVJ 40-49 years, female 52.2
GTEX-1122O-1026-SM-9WYSF 60-69 years, female 52.1
GTEX-1RAZQ-1326-SM-E9TK6 30-39 years, male 52.1
GTEX-11ZTT-2126-SM-5CVLO 60-69 years, female 51.5
GTEX-14PJ5-1526-SM-6LLIL 60-69 years, female 51.5
GTEX-1LVAM-0726-SM-E6CIL 50-59 years, female 51.3
GTEX-16MT9-0126-SM-7EPI8 60-69 years, female 51.2
GTEX-XOT4-0626-SM-4B66L 60-69 years, female 50.9
GTEX-17F96-0126-SM-7EWDU 70-79 years, male 50.6
GTEX-1F88F-0126-SM-9WYSZ 60-69 years, female 50.5
GTEX-13N2G-0226-SM-5K7VF 60-69 years, male 50.4
GTEX-13NZ9-2626-SM-5L3FK 50-59 years, male 50.4
GTEX-1GTWX-2026-SM-9YFLM 60-69 years, male 50.4
GTEX-XYKS-1426-SM-4BRUO 60-69 years, female 50.2
GTEX-15G1A-1626-SM-7KUKN 30-39 years, male 50.1
GTEX-16BQI-1326-SM-6M486 30-39 years, female 50.1
GTEX-1399Q-2326-SM-5KM2X 40-49 years, male 49.9
GTEX-13FTY-2126-SM-5IFFB 40-49 years, female 49.9
GTEX-13N11-2326-SM-5IJBF 50-59 years, female 49.8
GTEX-1R7EU-1626-SM-DTXG3 60-69 years, male 49.8
GTEX-1RAZR-2126-SM-E9U6T 40-49 years, male 49.8
GTEX-11VI4-1126-SM-5EQMD 40-49 years, female 49.7
GTEX-12WSA-0426-SM-5EQ5X 60-69 years, male 49.5
GTEX-16YQH-2226-SM-7IGM2 30-39 years, male 49.3
GTEX-1IDJI-0126-SM-CMKHS 50-59 years, female 49.3
GTEX-1K9T9-1526-SM-DIPFR 50-59 years, female 49.3
GTEX-1H1DG-2426-SM-9QEHJ 70-79 years, male 49.2
GTEX-13OVG-1626-SM-5J1NF 60-69 years, male 48.9
GTEX-15G19-2426-SM-7KUMR 60-69 years, male 48.9
GTEX-12584-0726-SM-5FQTK 40-49 years, male 48.8
GTEX-1F6I4-2326-SM-7RHGL 60-69 years, male 48.8
GTEX-15CHR-1126-SM-7EWF4 50-59 years, male 48.7
GTEX-1EMGI-2326-SM-7PBYA 60-69 years, male 48.7
GTEX-1LSNL-2726-SM-E9TKJ 50-59 years, male 48.7
GTEX-YEC3-1326-SM-DO92X 50-59 years, male 48.7
GTEX-1LGRB-0926-SM-COH3K 50-59 years, female 48.6
GTEX-1QP2A-1726-SM-E76QC 50-59 years, male 48.6
GTEX-14E1K-2026-SM-7DUEI 50-59 years, male 48.5
GTEX-ZDYS-2426-SM-4WKGI 50-59 years, male 48.3
GTEX-13RTJ-0126-SM-5S2NN 60-69 years, male 48.1
GTEX-145MG-1526-SM-5Q5EM 50-59 years, male 48.0
GTEX-12WSC-2826-SM-5BC5Y 50-59 years, male 47.8
GTEX-145MO-2826-SM-5LU96 60-69 years, male 47.7
GTEX-1KD5A-0126-SM-E9U54 50-59 years, male 47.6
GTEX-17MFQ-1526-SM-7KFRR 20-29 years, male 47.5
GTEX-18A66-0626-SM-7LT8Z 60-69 years, male 47.4
GTEX-1MJK3-0726-SM-E6CJC 20-29 years, male 47.3
GTEX-12WSL-2026-SM-5GCML 50-59 years, male 47.2
GTEX-1S5ZU-2526-SM-E6CIF 20-29 years, female 47.1
GTEX-WEY5-2326-SM-3GIKK 40-49 years, female 47.0
GTEX-1JN76-0626-SM-CKZOQ 20-29 years, female 46.9
GTEX-ZU9S-1826-SM-5NQ9E 30-39 years, male 46.3
GTEX-1I6K7-1926-SM-B2LXR 40-49 years, male 46.3
GTEX-13SLX-2226-SM-62LEP 50-59 years, female 46.1
GTEX-ZLV1-1526-SM-DO91J 60-69 years, female 45.8
GTEX-WRHU-2826-SM-3MJG8 50-59 years, female 45.7
GTEX-1H1DF-1126-SM-9WG7G 40-49 years, female 45.6
GTEX-16AAH-0626-SM-793C9 50-59 years, male 45.5
GTEX-1LVAN-0626-SM-CNPOQ 50-59 years, female 45.5
GTEX-1KXAM-1626-SM-D3LAD 60-69 years, male 45.3
GTEX-ZDXO-3126-SM-5IJDF 60-69 years, male 45.1
GTEX-1S3DN-2126-SM-E9TIN 50-59 years, male 45.0
GTEX-14B4R-1326-SM-5Q5EZ 30-39 years, male 44.9
GTEX-1HKZK-0726-SM-ACKW2 40-49 years, male 44.7
GTEX-1F5PK-2226-SM-7SB6N 50-59 years, male 44.1
GTEX-1C6WA-2626-SM-7MKGM 60-69 years, male 44.0
GTEX-1F75W-2726-SM-7SB8H 60-69 years, male 43.8
GTEX-1S82P-2126-SM-E6CI5 60-69 years, female 43.8
GTEX-1AX8Z-0726-SM-73KTS 60-69 years, male 43.7
GTEX-1KANA-1326-SM-DIPFA 20-29 years, male 43.7
GTEX-1CAMR-1326-SM-7PC1F 20-29 years, male 43.6
GTEX-147GR-2426-SM-5ZZWQ 60-69 years, male 43.4
GTEX-ZZ64-1026-SM-5GZXG 20-29 years, male 43.3
GTEX-1212Z-0126-SM-59HK4 60-69 years, male 43.2
GTEX-11P81-2226-SM-5PNYI 30-39 years, female 42.6
GTEX-1JJ6O-2726-SM-CNPOG 60-69 years, male 42.6
GTEX-13U4I-2226-SM-5LU5H 40-49 years, female 42.4
GTEX-1H3NZ-2726-SM-9WYTQ 60-69 years, male 42.4
GTEX-17MF6-2626-SM-79OKQ 40-49 years, male 42.3
GTEX-1AX9J-1326-SM-731BJ 60-69 years, male 42.3
GTEX-11EM3-1226-SM-5N9DD 20-29 years, female 42.1
GTEX-ZVZP-1226-SM-5GID7 50-59 years, male 42.1
GTEX-11TT1-1826-SM-5EQLV 20-29 years, male 41.9
GTEX-YFCO-1226-SM-5LUAT 40-49 years, male 41.9
GTEX-13W3W-0726-SM-5IJDQ 60-69 years, female 41.8
GTEX-W5X1-2526-SM-3GILC 40-49 years, female 41.8
GTEX-1211K-1526-SM-5FQU4 60-69 years, female 41.7
GTEX-14A5H-0826-SM-5QGPJ 60-69 years, male 41.7
GTEX-WHSB-1326-SM-3LK6W 50-59 years, male 41.7
GTEX-1GZ4H-0526-SM-9KNU9 50-59 years, female 41.4
GTEX-1O9I2-0226-SM-EYYXD 50-59 years, male 41.3
GTEX-1HBPM-0726-SM-9YFL7 60-69 years, female 41.2
GTEX-YEC4-1826-SM-4W1YP 40-49 years, male 40.3
GTEX-178AV-1726-SM-7KUL8 40-49 years, male 40.1
GTEX-1HCU9-0426-SM-9WYSD 20-29 years, male 40.1
GTEX-147F3-1726-SM-5SIAW 50-59 years, female 39.8
GTEX-11UD2-2526-SM-5CVNU 50-59 years, male 39.7
GTEX-1GPI7-1826-SM-9KNU1 20-29 years, male 39.7
GTEX-16Z82-2626-SM-7KULU 60-69 years, male 39.6
GTEX-1IDJE-1426-SM-ADEIW 50-59 years, female 39.5
GTEX-Y5V5-0126-SM-5S2NW 60-69 years, female 39.4
GTEX-12WSH-1526-SM-5BC5W 50-59 years, male 39.2
GTEX-VJYA-1526-SM-3GIJV 60-69 years, male 39.1
GTEX-ZVP2-0326-SM-57WBP 50-59 years, male 38.8
GTEX-ZF3C-0626-SM-DO92O 50-59 years, female 38.8
GTEX-14BMU-1226-SM-5S2OR 20-29 years, female 38.5
GTEX-WFON-1926-SM-3LK7L 40-49 years, male 38.5
GTEX-13PVR-0426-SM-5RQK2 60-69 years, female 38.4
GTEX-1KANC-1226-SM-CYPT7 50-59 years, female 38.4
GTEX-1CB4H-1126-SM-7MKGL 60-69 years, female 38.3
GTEX-1HCU8-2526-SM-CE6RX 60-69 years, female 38.3
GTEX-XQ8I-0926-SM-4BOOF 50-59 years, male 38.2
GTEX-14PJN-1826-SM-6AJ98 30-39 years, male 37.9
GTEX-1MCYP-0526-SM-E9U6Q 20-29 years, female 37.7
GTEX-1QP9N-1226-SM-E76QN 30-39 years, male 37.7
GTEX-1GL5R-1326-SM-7RHHF 50-59 years, male 37.6
GTEX-1JMOU-1026-SM-CYPSS 60-69 years, female 37.6
GTEX-111YS-1526-SM-5GZYW 60-69 years, male 37.2
GTEX-13FTW-0326-SM-5K7UW 40-49 years, male 37.1
GTEX-15D1Q-2826-SM-6LLH7 40-49 years, male 37.1
GTEX-1C475-1326-SM-7SB73 40-49 years, female 37.1
GTEX-1J8EW-2726-SM-CY8HR 60-69 years, female 37.1
GTEX-1JKYR-0626-SM-ARL8R 20-29 years, male 37.0
GTEX-11NSD-0626-SM-5A5LU 20-29 years, male 36.6
GTEX-1CB4I-0126-SM-7RHGG 50-59 years, male 36.4
GTEX-13OW8-1026-SM-5J1NQ 60-69 years, male 36.1
GTEX-17HII-1426-SM-7EPGG 50-59 years, male 36.1
GTEX-1A3MV-1826-SM-731CD 30-39 years, male 35.8
GTEX-ZPU1-1126-SM-4YCF3 40-49 years, male 35.8
GTEX-14PJ4-0226-SM-5YY92 60-69 years, male 35.7
GTEX-13NYS-0626-SM-5L3F1 60-69 years, male 35.3
GTEX-ZAK1-0626-SM-5HL8E 50-59 years, female 35.2
GTEX-17KNJ-2126-SM-718AM 50-59 years, male 35.1
GTEX-14JG6-1426-SM-9WG7C 30-39 years, female 35.0
GTEX-14C5O-0326-SM-5ZZUX 60-69 years, male 34.9
GTEX-18D9A-1426-SM-7LT8M 30-39 years, female 34.8
GTEX-1B932-2326-SM-79OL5 40-49 years, female 34.6
GTEX-1314G-1326-SM-5BC6E 30-39 years, male 34.4
GTEX-139T8-0626-SM-5KLZX 60-69 years, male 34.4
GTEX-16NPX-0726-SM-7KULC 50-59 years, male 33.9
GTEX-1ICLY-0826-SM-CMKG1 50-59 years, male 33.9
GTEX-131XH-0126-SM-5LZUY 50-59 years, male 33.6
GTEX-XPVG-2126-SM-4B667 50-59 years, male 33.6
GTEX-17JCI-2926-SM-7DUFF 60-69 years, female 33.4
GTEX-1H1ZS-2726-SM-9WG75 70-79 years, male 33.4
GTEX-15RIE-1926-SM-7KUKJ 60-69 years, male 33.3
GTEX-1B996-0426-SM-7EWF8 60-69 years, male 33.3
GTEX-1C64O-1326-SM-7MGWR 60-69 years, male 33.2
GTEX-1GZ2Q-0126-SM-9WG6M 40-49 years, male 32.9
GTEX-16NGA-0726-SM-731AO 40-49 years, female 32.7
GTEX-13QBU-1226-SM-5LU4G 40-49 years, female 32.5
GTEX-1IDJF-2026-SM-CL53V 20-29 years, male 32.5
GTEX-1PIGE-1826-SM-E8VOU 20-29 years, male 32.3
GTEX-13X6H-0926-SM-5SIB2 50-59 years, female 32.2
GTEX-145LT-0526-SM-5LUB2 40-49 years, male 32.2
GTEX-1JJE9-2626-SM-ARZMT 70-79 years, male 32.2
GTEX-WFG8-2126-SM-3GIKQ 20-29 years, male 32.0
GTEX-18D9U-0126-SM-731BM 40-49 years, male 31.6
GTEX-ZLWG-0826-SM-59888 50-59 years, female 31.6
GTEX-Y9LG-1126-SM-4VBQ7 30-39 years, male 31.4
GTEX-14PKU-0126-SM-6LLHV 40-49 years, female 31.3
GTEX-1HB9E-0126-SM-CM2S5 50-59 years, male 31.3
GTEX-15RIG-0726-SM-7KUM7 40-49 years, male 31.2
GTEX-14PJ6-2626-SM-6EU2T 60-69 years, female 31.1
GTEX-1AMFI-1326-SM-7939R 50-59 years, female 31.1
GTEX-12C56-1526-SM-5FQUQ 20-29 years, male 31.0
GTEX-132AR-0326-SM-5KM2C 50-59 years, female 30.9
GTEX-1CAV2-0126-SM-7IGN7 40-49 years, female 30.6
GTEX-1J1R8-2026-SM-CL53Y 40-49 years, male 30.4
GTEX-XV7Q-1826-SM-4BRUV 40-49 years, female 30.2
GTEX-1GMR2-0826-SM-7PC3V 50-59 years, male 30.2
GTEX-18D9B-0926-SM-7LG4U 60-69 years, male 29.9
GTEX-1HSGN-0826-SM-ACKW3 40-49 years, female 29.7
GTEX-1KANB-2826-SM-CY8I6 50-59 years, male 29.7
GTEX-1CAMS-2226-SM-7PBXQ 40-49 years, female 29.5
GTEX-ZGAY-1826-SM-DO91Q 40-49 years, female 29.3
GTEX-1GZHY-0626-SM-9KNVC 50-59 years, female 29.2
GTEX-Y5LM-0926-SM-6LLJG 40-49 years, female 29.0
GTEX-ZWKS-0626-SM-5GIDV 30-39 years, male 28.6
GTEX-1LBAC-0826-SM-CY8IJ 20-29 years, male 28.6
GTEX-X4EP-0626-SM-3P621 60-69 years, female 28.4
GTEX-1RAZA-2226-SM-E9U4X 20-29 years, male 28.4
GTEX-145MN-1526-SM-5SI9T 30-39 years, male 28.3
GTEX-14AS3-1526-SM-5Q5ED 40-49 years, female 28.2
GTEX-13FH7-1126-SM-5K7UG 50-59 years, female 27.8
GTEX-V1D1-2026-SM-3GAF4 50-59 years, male 27.8
GTEX-1QCLZ-2426-SM-EVYBW 60-69 years, female 27.7
GTEX-12BJ1-0926-SM-5EQ62 60-69 years, male 27.4
GTEX-1I4MK-0126-SM-CY8G6 50-59 years, female 27.2
GTEX-ZZPU-0826-SM-5GZX5 50-59 years, female 26.2
GTEX-1IDJU-1726-SM-CMKHU 60-69 years, female 26.2
GTEX-1H1E6-0426-SM-9WYUS 30-39 years, male 26.1
GTEX-1RMOY-1326-SM-E9TIH 50-59 years, male 26.0
GTEX-ZA64-1026-SM-5HL8R 20-29 years, male 25.8
GTEX-ZP4G-1426-SM-4WWCL 20-29 years, female 25.7
GTEX-1GF9U-2026-SM-7SB92 40-49 years, female 25.7
GTEX-WYJK-0526-SM-3NM8Z 50-59 years, male 25.5
GTEX-ZVTK-0226-SM-51MRG 20-29 years, male 25.5
GTEX-1LGOU-1326-SM-D3L8M 20-29 years, female 25.4
GTEX-YB5K-2026-SM-4VDT3 40-49 years, female 25.1
GTEX-145ME-1726-SM-5Q5EU 40-49 years, female 25.0
GTEX-1LSNM-0826-SM-DIPG8 50-59 years, male 24.8
GTEX-Y3IK-1626-SM-4YCF5 50-59 years, female 24.7
GTEX-13113-1626-SM-5EQ4I 60-69 years, female 24.6
GTEX-117YX-1926-SM-5GIEC 50-59 years, male 24.5
GTEX-1L5NE-1126-SM-D3L9P 50-59 years, male 24.0
GTEX-UPK5-0426-SM-3GAEK 40-49 years, male 23.8
GTEX-183WM-0326-SM-72D5V 70-79 years, female 23.7
GTEX-1I6K6-1726-SM-CGQFD 30-39 years, male 22.5
GTEX-1LVAO-2726-SM-E9TJ8 60-69 years, male 22.0
GTEX-1K2DA-1026-SM-CGQGF 50-59 years, male 21.9
GTEX-1HFI7-2326-SM-CGQFS 50-59 years, female 21.4
GTEX-ZVE1-0726-SM-51MRN 50-59 years, female 21.3
GTEX-14DAR-1226-SM-73KYV 50-59 years, male 20.3
GTEX-1AMEY-0826-SM-72D65 30-39 years, female 20.1
GTEX-1LG7Z-1626-SM-CXKYR 30-39 years, male 19.1
GTEX-1IDJD-2326-SM-ACKWX 30-39 years, male 18.6
GTEX-ZVT2-0126-SM-5GIDQ 50-59 years, female 18.1
GTEX-1HCUA-0826-SM-ADEHM 50-59 years, female 18.1
GTEX-ZYFG-1526-SM-5GZYM 60-69 years, female 17.6
GTEX-ZLFU-1826-SM-4WWBV 40-49 years, male 17.4
GTEX-14E6E-0526-SM-793DN 30-39 years, male 17.3
GTEX-ZT9W-1126-SM-57WDR 50-59 years, male 17.1
GTEX-1S831-1826-SM-EWROF 20-29 years, male 17.1
GTEX-14PKV-1126-SM-6LLJ1 20-29 years, female 16.7
GTEX-YF7O-1526-SM-5IFI6 50-59 years, male 16.4
GTEX-ZTSS-1426-SM-5985P 40-49 years, male 16.0
GTEX-1JKYN-0826-SM-ARU8S 30-39 years, male 15.0
GTEX-ZPCL-1126-SM-4WWFE 60-69 years, female 14.7
GTEX-16MTA-0926-SM-6M47Z 50-59 years, male 12.2
GTEX-X3Y1-2026-SM-3P5YM 40-49 years, male 12.0
GTEX-Y5V6-2326-SM-4VDSA 60-69 years, male 11.7
GTEX-14PK6-0226-SM-62LF5 70-79 years, female 10.7
GTEX-1399R-1326-SM-5PNYS 30-39 years, male 7.0
Show allShow less
Skin - Sun Exposed (Lower leg)
Average nTPM: 72.7
Samples: 701

Max nTPM: 439.8
Min nTPM: 6.5
Std nTPM: 48.1
Median nTPM: 62.0
GTEX-1HSMO-0126-SM-CL547 60-69 years, male 439.8
GTEX-11DXZ-2326-SM-5EGGV 50-59 years, male 374.7
GTEX-X4XY-0226-SM-4E3IZ 60-69 years, male 331.5
GTEX-183WM-0126-SM-7LTAB 70-79 years, female 292.0
GTEX-1R9K4-0126-SM-DTX9X 60-69 years, male 265.6
GTEX-14XAO-2326-SM-6EU1B 60-69 years, female 264.5
GTEX-11TUW-2726-SM-E9J4M 60-69 years, male 248.0
GTEX-148VJ-0126-SM-5TDDN 70-79 years, male 244.0
GTEX-OXRO-0126-SM-2YUN4 60-69 years, female 225.6
GTEX-1A3MW-0126-SM-73KXX 60-69 years, female 217.9
GTEX-SN8G-0126-SM-32PLI 50-59 years, female 212.1
GTEX-1QAET-0926-SM-E76QM 50-59 years, male 205.1
GTEX-131XE-2326-SM-5PNZ2 50-59 years, male 204.7
GTEX-1A3MX-0126-SM-731BR 60-69 years, male 203.2
GTEX-15UF6-0826-SM-6PALJ 70-79 years, female 202.1
GTEX-15ER7-0326-SM-7KUEV 20-29 years, female 201.8
GTEX-139UW-2826-SM-5L3E7 60-69 years, male 201.0
GTEX-13OVH-0126-SM-5MR4B 70-79 years, male 200.4
GTEX-1RDX4-0126-SM-E9J4P 50-59 years, female 195.3
GTEX-139TS-2826-SM-5J1OO 60-69 years, male 192.1
GTEX-17EVP-0326-SM-7DHLG 40-49 years, male 189.5
GTEX-1JN76-0126-SM-CNPPE 20-29 years, female 188.5
GTEX-1PIIG-0226-SM-EWRN6 30-39 years, male 185.8
GTEX-1GN1U-0126-SM-7PBZK 50-59 years, female 184.9
GTEX-1N2EF-0226-SM-EYYXB 60-69 years, male 183.4
GTEX-14A5I-0126-SM-5TDEA 50-59 years, female 181.1
GTEX-12584-0126-SM-5EGKQ 40-49 years, male 179.0
GTEX-ZYFD-0126-SM-5GIDL 50-59 years, male 175.1
GTEX-17HG3-2226-SM-7938L 30-39 years, female 172.2
GTEX-11TT1-2526-SM-5EGIB 20-29 years, male 168.4
GTEX-1F6RS-0126-SM-9MQKZ 60-69 years, female 164.3
GTEX-T2YK-0526-SM-32QPJ 50-59 years, male 163.7
GTEX-1IKK5-0626-SM-ARL8A 60-69 years, male 161.3
GTEX-1JN6P-0126-SM-D3L98 60-69 years, male 158.4
GTEX-ZV68-0126-SM-59HKS 50-59 years, female 157.4
GTEX-T5JC-0426-SM-32PLO 20-29 years, male 155.6
GTEX-ZTX8-1426-SM-5DUVO 20-29 years, male 152.1
GTEX-RTLS-0126-SM-447CA 60-69 years, female 150.5
GTEX-1JMQL-0226-SM-CNPP5 50-59 years, female 150.1
GTEX-1H1DG-0126-SM-9WYU2 70-79 years, male 150.0
GTEX-1IGQW-0126-SM-COH42 60-69 years, male 149.1
GTEX-YJ89-0126-SM-4TT3X 60-69 years, male 148.6
GTEX-131YS-0126-SM-5KM1M 60-69 years, female 148.3
GTEX-POMQ-2226-SM-2I5FK 20-29 years, female 147.0
GTEX-13111-1626-SM-5EGJY 50-59 years, male 146.4
GTEX-13O1R-0126-SM-5L3EH 60-69 years, male 146.0
GTEX-ZF2S-2326-SM-4WWCE 50-59 years, female 145.4
GTEX-11H98-0126-SM-5EGHG 50-59 years, male 144.8
GTEX-1H4P4-0726-SM-9YFLR 50-59 years, male 144.1
GTEX-1IKJJ-0126-SM-CNPQB 60-69 years, male 142.8
GTEX-1F6IF-0726-SM-7P8TW 60-69 years, male 141.9
GTEX-14E6C-0126-SM-5RQIP 40-49 years, male 141.3
GTEX-1H1CY-2826-SM-9MQM3 60-69 years, female 141.1
GTEX-Y8DK-0126-SM-4TT3L 60-69 years, male 140.9
GTEX-12696-2426-SM-5EQ6H 60-69 years, male 140.5
GTEX-1R46S-0626-SM-E9J41 60-69 years, female 140.0
GTEX-1313W-0126-SM-5LZUN 50-59 years, female 139.7
GTEX-1B97I-1626-SM-73KYO 40-49 years, male 139.3
GTEX-1E1VI-0126-SM-7DHMZ 50-59 years, male 138.7
GTEX-13112-2826-SM-5DUWH 50-59 years, male 138.5
GTEX-1E2YA-0126-SM-9KNUC 50-59 years, male 137.2
GTEX-TKQ1-1026-SM-4GICL 30-39 years, male 136.8
GTEX-13FXS-0226-SM-5IJCK 50-59 years, male 135.6
GTEX-148VI-1626-SM-5SI6E 60-69 years, female 134.7
GTEX-1N2DW-0226-SM-E9TK2 50-59 years, male 134.2
GTEX-13YAN-0326-SM-5O9DF 60-69 years, male 132.9
GTEX-ZDTS-0126-SM-4WAY5 60-69 years, male 131.6
GTEX-1H3VY-0126-SM-ACKXD 50-59 years, male 131.5
GTEX-14PII-0226-SM-6EU1T 60-69 years, male 128.2
GTEX-X4EO-0326-SM-3P5YO 60-69 years, female 127.9
GTEX-1H1DE-2126-SM-9WG6R 20-29 years, male 127.9
GTEX-1HCU6-0126-SM-CL54K 60-69 years, female 127.3
GTEX-11XUK-2026-SM-5EQLF 40-49 years, female 127.1
GTEX-1HCU7-0226-SM-CL545 50-59 years, male 126.8
GTEX-Y111-0126-SM-4SOIV 50-59 years, male 126.5
GTEX-1LC47-0326-SM-E9TJP 60-69 years, male 126.4
GTEX-145LS-0126-SM-5QGP1 60-69 years, female 126.2
GTEX-11WQC-2526-SM-5CVLE 60-69 years, male 125.4
GTEX-13PDP-0126-SM-5L3HD 60-69 years, male 123.8
GTEX-13IVO-0126-SM-5J1NG 70-79 years, male 122.7
GTEX-1B8SF-1426-SM-7DUGL 60-69 years, male 121.9
GTEX-13CF2-2526-SM-5LZYX 60-69 years, male 121.7
GTEX-15DDE-0126-SM-6LPKH 50-59 years, female 121.7
GTEX-131XW-0426-SM-5LZWP 50-59 years, female 121.4
GTEX-T6MN-0126-SM-32PLP 50-59 years, male 120.9
GTEX-ZE7O-0126-SM-57WC1 50-59 years, female 120.7
GTEX-13X6J-0126-SM-5QGOU 50-59 years, male 120.6
GTEX-VJWN-0126-SM-3GIK7 50-59 years, female 120.4
GTEX-1S3DN-2226-SM-EVYCD 50-59 years, male 120.3
GTEX-1O97I-0326-SM-EYYX7 60-69 years, male 120.1
GTEX-14PN4-0126-SM-6EU2V 50-59 years, male 120.0
GTEX-144GL-0126-SM-5TDE2 50-59 years, male 119.9
GTEX-ZU9S-0226-SM-5E441 30-39 years, male 118.8
GTEX-13OW5-0126-SM-DTXFS 60-69 years, male 118.7
GTEX-1HSKV-0226-SM-A9SKJ 60-69 years, male 118.6
GTEX-RU72-0926-SM-2TF6B 50-59 years, female 118.1
GTEX-12WSL-2526-SM-5GCNJ 50-59 years, male 117.6
GTEX-ZVT4-0126-SM-DTXFN 50-59 years, female 117.6
GTEX-1JN1M-0326-SM-CYPT3 60-69 years, female 117.2
GTEX-1269C-2526-SM-5EGJ3 60-69 years, female 116.8
GTEX-1IDJH-0326-SM-A9SLQ 70-79 years, male 116.7
GTEX-1I1GR-0126-SM-CL55F 60-69 years, male 116.5
GTEX-1ICLZ-0126-SM-CKZPO 60-69 years, male 116.4
GTEX-11UD1-0126-SM-5PNYG 40-49 years, female 116.1
GTEX-1CAV2-2226-SM-7P8P2 40-49 years, female 116.0
GTEX-1GMR3-1926-SM-9KNUZ 40-49 years, male 116.0
GTEX-16GPK-0126-SM-7DHLE 60-69 years, male 114.7
GTEX-1M4P7-0226-SM-DIPEV 60-69 years, male 114.7
GTEX-1B933-0126-SM-7PC29 50-59 years, female 114.4
GTEX-14PJM-0226-SM-62LF1 50-59 years, female 113.7
GTEX-1H3VE-0326-SM-9YFLH 40-49 years, male 113.6
GTEX-12KS4-0326-SM-5EQ41 30-39 years, male 113.5
GTEX-1399T-2826-SM-5KLYZ 60-69 years, male 113.0
GTEX-11DYG-0126-SM-59883 60-69 years, male 112.6
GTEX-1C6VQ-0126-SM-7P8RI 50-59 years, male 112.0
GTEX-1I1GV-0526-SM-A9G29 60-69 years, male 112.0
GTEX-1F75B-0126-SM-9KNVL 50-59 years, male 111.3
GTEX-1JMLX-0226-SM-CM2RO 50-59 years, male 111.1
GTEX-18A6Q-0126-SM-731BZ 60-69 years, male 109.4
GTEX-1AX9I-0126-SM-7SB74 60-69 years, male 109.0
GTEX-PVOW-0126-SM-2XCFA 40-49 years, male 108.6
GTEX-1K2DU-2326-SM-E9TIV 20-29 years, male 108.4
GTEX-ZVE2-0226-SM-59HJB 50-59 years, male 107.6
GTEX-X261-0126-SM-3NMD6 50-59 years, male 107.5
GTEX-1GMRU-0126-SM-9YFLV 50-59 years, male 107.5
GTEX-1HFI7-1826-SM-ACKXH 50-59 years, female 107.0
GTEX-1PIGE-0126-SM-EVYBJ 20-29 years, male 106.6
GTEX-18465-0126-SM-731BN 50-59 years, male 106.2
GTEX-14LZ3-0226-SM-62LET 60-69 years, female 105.8
GTEX-145MI-0526-SM-5O9A8 60-69 years, female 104.5
GTEX-139TU-0126-SM-5K7WH 60-69 years, male 103.9
GTEX-1GN2E-0426-SM-9MQKX 60-69 years, male 103.3
GTEX-YJ8A-0426-SM-5IFID 20-29 years, male 103.2
GTEX-13N1W-0126-SM-5K7VT 70-79 years, male 102.8
GTEX-ZE9C-2726-SM-57WB5 60-69 years, male 102.5
GTEX-S32W-2126-SM-2XCB1 50-59 years, female 102.2
GTEX-13NYC-0326-SM-E9J4S 60-69 years, male 101.8
GTEX-1KANC-1526-SM-D3LAB 50-59 years, female 101.7
GTEX-1CB4I-0226-SM-79OLH 50-59 years, male 101.4
GTEX-1JMQJ-0526-SM-CYPSU 50-59 years, male 101.4
GTEX-1B8SG-0126-SM-73KZ3 50-59 years, male 100.9
GTEX-XQ3S-1526-SM-4BOOC 20-29 years, male 100.7
GTEX-11ZU8-2526-SM-5EQKI 60-69 years, male 100.5
GTEX-1H3O1-0426-SM-9YFKY 60-69 years, male 100.4
GTEX-X62O-0126-SM-4E3JN 50-59 years, male 100.3
GTEX-1L5NE-2526-SM-E6CIE 50-59 years, male 100.3
GTEX-1BAJH-0526-SM-793CQ 70-79 years, male 100.0
GTEX-1JJEA-0326-SM-CNPOT 60-69 years, male 99.9
GTEX-Y3IK-2426-SM-4WWDU 50-59 years, female 99.4
GTEX-18A66-0226-SM-718BD 60-69 years, male 99.0
GTEX-1CB4F-0426-SM-9KNV4 60-69 years, male 99.0
GTEX-1HBPI-1526-SM-C1YQ1 50-59 years, male 99.0
GTEX-146FH-0126-SM-5QGPP 50-59 years, female 98.3
GTEX-WYVS-2126-SM-3NMA3 40-49 years, female 98.0
GTEX-117XS-2726-SM-5N9BL 60-69 years, male 97.5
GTEX-1399U-2326-SM-5K7WY 50-59 years, female 97.1
GTEX-1KD4Q-0226-SM-E9TJ9 40-49 years, male 96.8
GTEX-1KD5A-0226-SM-D5OV3 50-59 years, male 96.1
GTEX-15UKP-0426-SM-7KUFQ 20-29 years, male 95.9
GTEX-XYKS-2126-SM-4E3IB 60-69 years, female 95.8
GTEX-17GQL-2026-SM-718BA 60-69 years, male 95.7
GTEX-1MJK2-0426-SM-DTXE5 50-59 years, male 95.6
GTEX-14BIN-0626-SM-793DP 50-59 years, female 95.3
GTEX-1EMGI-0126-SM-9KNUE 60-69 years, male 95.3
GTEX-QEG4-0226-SM-2S1PY 30-39 years, male 95.1
GTEX-1EWIQ-0126-SM-7RHH2 70-79 years, female 95.1
GTEX-ZYW4-0126-SM-5E44A 60-69 years, male 94.1
GTEX-1HGF4-2426-SM-ACKXM 60-69 years, male 94.0
GTEX-1B8KZ-2026-SM-7DHMB 50-59 years, male 93.8
GTEX-1RB15-2126-SM-E9TIM 60-69 years, male 93.7
GTEX-NPJ8-0126-SM-2YUNR 40-49 years, male 93.4
GTEX-X4XX-0126-SM-3NMC2 60-69 years, male 93.4
GTEX-1C475-1826-SM-73KWA 40-49 years, female 93.2
GTEX-13NYS-0126-SM-5MR3W 60-69 years, male 93.0
GTEX-11DZ1-0126-SM-5985Q 50-59 years, male 92.9
GTEX-11GS4-2726-SM-5A5LE 60-69 years, male 92.7
GTEX-1KWVE-1426-SM-E9TJO 30-39 years, male 92.7
GTEX-1192W-2626-SM-5Q5AF 60-69 years, male 92.4
GTEX-13JUV-2726-SM-5LZZ8 40-49 years, female 92.2
GTEX-12ZZY-0226-SM-5LZVE 60-69 years, male 91.5
GTEX-15DYW-0126-SM-7KULE 60-69 years, female 91.5
GTEX-1I1CD-0126-SM-CM2TK 60-69 years, female 91.0
GTEX-1H2FU-0126-SM-9WYSI 60-69 years, female 90.5
GTEX-13W46-0226-SM-5SIAG 50-59 years, male 90.4
GTEX-ZPIC-1726-SM-DHXIU 40-49 years, female 90.1
GTEX-1PDJ9-0326-SM-DTX95 20-29 years, male 90.0
GTEX-1R9PM-2026-SM-E76OY 20-29 years, male 90.0
GTEX-1IL2V-0126-SM-CM2TX 70-79 years, male 89.9
GTEX-T2IS-0126-SM-4DM6O 20-29 years, female 89.7
GTEX-1JMPY-1326-SM-ARL8Y 30-39 years, male 89.6
GTEX-1RLM8-2326-SM-EWRN4 50-59 years, male 89.6
GTEX-11GSP-2526-SM-5N9BP 60-69 years, female 89.2
GTEX-S7PM-0126-SM-4AD6S 60-69 years, male 89.1
GTEX-PX3G-0126-SM-2I3EN 20-29 years, female 88.9
GTEX-UPJH-0326-SM-3GADU 50-59 years, male 88.3
GTEX-ZXG5-0126-SM-5GIEU 60-69 years, male 88.3
GTEX-1QMI2-0226-SM-EVYBX 60-69 years, male 88.3
GTEX-16XZZ-0126-SM-793DV 60-69 years, male 87.4
GTEX-17EVQ-0226-SM-7LG4P 70-79 years, male 87.2
GTEX-RNOR-0126-SM-E9J4R 50-59 years, female 87.1
GTEX-PSDG-0226-SM-DKPOZ 50-59 years, male 87.0
GTEX-X8HC-0126-SM-4E3JW 50-59 years, female 86.9
GTEX-12WSG-2826-SM-E9J4H 50-59 years, female 86.7
GTEX-1POEN-0126-SM-EYYXJ 30-39 years, female 86.6
GTEX-12126-0326-SM-5PNW3 20-29 years, male 86.5
GTEX-13N11-2526-SM-5K7UE 50-59 years, female 86.5
GTEX-1AX8Z-0126-SM-7DHM6 60-69 years, male 86.1
GTEX-1LH75-2426-SM-E9TJE 50-59 years, female 86.1
GTEX-1I4MK-2226-SM-ACKWD 50-59 years, female 85.9
GTEX-1LBAC-0126-SM-DIPEZ 20-29 years, male 85.9
GTEX-ZYT6-0226-SM-5NQ6T 30-39 years, male 85.7
GTEX-VUSG-2526-SM-4KL1V 50-59 years, male 85.6
GTEX-YB5E-2026-SM-5IFIS 40-49 years, male 85.6
GTEX-ZAB4-0226-SM-5N9F5 40-49 years, male 85.5
GTEX-15D1Q-0126-SM-7KUG6 40-49 years, male 85.4
GTEX-12ZZZ-0626-SM-5DUXI 60-69 years, male 85.2
GTEX-132NY-0326-SM-5IJBL 60-69 years, male 84.8
GTEX-1HFI6-0226-SM-ADEHZ 40-49 years, male 84.8
GTEX-13VXU-0126-SM-5SI9F 50-59 years, male 84.6
GTEX-1LB8K-0226-SM-EWRNW 50-59 years, male 84.4
GTEX-1HUB1-0426-SM-E9U4U 60-69 years, male 84.2
GTEX-OXRP-0126-SM-3NB32 60-69 years, female 83.7
GTEX-13X6H-2126-SM-7EWD5 50-59 years, female 83.4
GTEX-13SLW-0126-SM-5SI6C 70-79 years, male 83.0
GTEX-1MCQQ-0826-SM-DLHC2 60-69 years, male 82.9
GTEX-RWSA-0126-SM-2XCBB 40-49 years, male 82.8
GTEX-13OVJ-0126-SM-5KM36 50-59 years, female 82.3
GTEX-14E6D-0126-SM-62LDV 50-59 years, male 81.9
GTEX-1HBPN-0226-SM-9YFM1 50-59 years, male 81.6
GTEX-12ZZX-0126-SM-5EGK9 40-49 years, female 81.5
GTEX-145LU-0126-SM-5TDCB 50-59 years, male 81.0
GTEX-1JMQI-2226-SM-CM2SD 50-59 years, male 81.0
GTEX-14BMV-0126-SM-5S2PO 50-59 years, male 80.2
GTEX-131XH-2226-SM-5DUXJ 50-59 years, male 79.9
GTEX-U412-0426-SM-3DB9O 60-69 years, male 79.8
GTEX-1HT8W-0126-SM-CNPPP 30-39 years, male 79.7
GTEX-11WQK-0526-SM-5EQLD 50-59 years, male 79.4
GTEX-15ETS-0126-SM-7KUMW 40-49 years, female 79.4
GTEX-1H23P-0126-SM-ADEJ3 60-69 years, male 79.4
GTEX-117YW-2626-SM-5GZZH 50-59 years, male 79.3
GTEX-1GZHY-0326-SM-9QEHI 50-59 years, female 79.3
GTEX-ZGAY-0526-SM-4WWBB 40-49 years, female 78.9
GTEX-1LG7Y-0526-SM-DKPQC 50-59 years, male 78.8
GTEX-1C6VR-2426-SM-79OLD 60-69 years, male 78.2
GTEX-1CB4E-2226-SM-793DC 60-69 years, male 78.1
GTEX-144FL-0126-SM-5TDC8 50-59 years, male 78.0
GTEX-Y8E4-0626-SM-4WWDL 40-49 years, male 77.9
GTEX-139TT-0126-SM-5K7Y5 60-69 years, male 77.8
GTEX-XPVG-2626-SM-4B669 50-59 years, male 77.6
GTEX-15EOM-0126-SM-7KUGG 20-29 years, female 77.3
GTEX-W5X1-3026-SM-EAZAX 40-49 years, female 77.1
GTEX-1B8KE-2126-SM-73KYX 50-59 years, male 77.0
GTEX-13NZA-0226-SM-5K7Z7 60-69 years, male 76.9
GTEX-15SHW-0326-SM-6PAML 60-69 years, male 76.9
GTEX-SIU8-0126-SM-2XCDT 50-59 years, male 76.8
GTEX-145MO-0326-SM-5Q5B3 60-69 years, male 76.5
GTEX-1IDJF-0126-SM-CM2RS 20-29 years, male 76.4
GTEX-14E6E-1826-SM-5S2R7 30-39 years, male 76.3
GTEX-QESD-1426-SM-2S1R9 20-29 years, male 75.6
GTEX-1J8QM-2126-SM-CYPSJ 60-69 years, female 75.6
GTEX-17HHY-0126-SM-7LG5D 50-59 years, male 75.0
GTEX-ZWKS-0126-SM-5SIAA 30-39 years, male 75.0
GTEX-13N2G-2626-SM-5J1OT 60-69 years, male 74.8
GTEX-16MT8-0426-SM-7KUEY 60-69 years, female 74.8
GTEX-1AYD5-2426-SM-73KXR 50-59 years, male 74.8
GTEX-1CB4G-0226-SM-7PC3O 60-69 years, male 74.6
GTEX-13CF3-2426-SM-5IFGX 60-69 years, female 74.5
GTEX-WFG8-2226-SM-3GIL9 20-29 years, male 74.5
GTEX-17HII-0226-SM-7LG4E 50-59 years, male 74.4
GTEX-14BIL-0126-SM-5SI92 50-59 years, male 73.9
GTEX-Y8LW-1826-SM-5S2MV 50-59 years, female 73.7
GTEX-1I6K6-0126-SM-A9SLE 30-39 years, male 73.4
GTEX-13U4I-0126-SM-5LU38 40-49 years, female 73.2
GTEX-Y5V5-2326-SM-4V6GA 60-69 years, female 73.1
GTEX-1OJC3-0126-SM-E76QX 20-29 years, male 73.1
GTEX-1K2DA-1826-SM-CGQGT 50-59 years, male 72.6
GTEX-1MA7W-2026-SM-E9TJ6 20-29 years, female 72.3
GTEX-1QP66-1726-SM-E8VO1 50-59 years, male 72.3
GTEX-ZV6S-2326-SM-4YCEY 40-49 years, female 71.8
GTEX-ZAK1-0126-SM-5IJD3 50-59 years, female 71.5
GTEX-1JMOU-1526-SM-CL54I 60-69 years, female 71.3
GTEX-111VG-2426-SM-5GZXD 60-69 years, male 71.2
GTEX-XUZC-1726-SM-4BRWS 30-39 years, female 71.2
GTEX-1B8L1-2526-SM-9WYTF 60-69 years, male 71.0
GTEX-1GPI6-0126-SM-9WG69 60-69 years, male 71.0
GTEX-11ZTS-0126-SM-5EQ6M 60-69 years, female 70.8
GTEX-1LG7Z-1726-SM-D3LA4 30-39 years, male 70.5
GTEX-1R7EU-0226-SM-EVR4G 60-69 years, male 70.5
GTEX-17F96-1626-SM-7DUFL 70-79 years, male 70.4
GTEX-1PWST-0226-SM-E76QJ 70-79 years, male 70.2
GTEX-145MF-0626-SM-5LUAI 50-59 years, male 69.7
GTEX-13FHP-0126-SM-5IJBG 50-59 years, male 69.3
GTEX-1C6VS-0526-SM-7DUEN 60-69 years, male 69.2
GTEX-1F75A-0126-SM-7RHGM 50-59 years, male 69.2
GTEX-11UD2-0226-SM-5EQKY 50-59 years, male 69.0
GTEX-11GSO-2426-SM-5A5LY 60-69 years, male 68.9
GTEX-1GF9W-0326-SM-9KNUN 60-69 years, male 68.9
GTEX-13OW6-0426-SM-5L3HM 50-59 years, male 68.8
GTEX-1LGRB-2526-SM-CNPPQ 50-59 years, female 68.8
GTEX-18D9A-1926-SM-7LG6P 30-39 years, female 68.7
GTEX-ZQG8-1626-SM-DHXIT 60-69 years, female 68.6
GTEX-12WSC-0126-SM-5EQ4P 50-59 years, male 68.0
GTEX-15CHC-2126-SM-6EU21 60-69 years, female 67.7
GTEX-1OFPY-2426-SM-DTXEJ 60-69 years, male 67.5
GTEX-15DCD-0126-SM-7KUEK 70-79 years, female 67.2
GTEX-1QCLY-0326-SM-E8VOG 30-39 years, male 67.2
GTEX-OXRN-0126-SM-48TDM 50-59 years, male 67.1
GTEX-X585-0226-SM-4QAS2 50-59 years, male 67.0
GTEX-1MUQO-0126-SM-EAZ58 60-69 years, male 66.8
GTEX-111FC-0126-SM-5N9DL 60-69 years, male 66.7
GTEX-11ZVC-2526-SM-5FQTE 50-59 years, female 66.7
GTEX-17JCI-0126-SM-7LG5G 60-69 years, female 66.4
GTEX-OIZH-0126-SM-2HMIS 50-59 years, male 66.4
GTEX-1J8JJ-0226-SM-CL53I 60-69 years, female 66.4
GTEX-11O72-0126-SM-59887 40-49 years, male 66.0
GTEX-T8EM-1026-SM-3DB7M 40-49 years, male 66.0
GTEX-13PVR-2326-SM-5QGR1 60-69 years, female 65.9
GTEX-15F5U-1526-SM-6PANO 40-49 years, male 65.8
GTEX-13S7M-0126-SM-5SI6A 60-69 years, female 65.5
GTEX-1PPH7-2326-SM-EVYB8 40-49 years, male 65.4
GTEX-146FQ-0126-SM-5NQA9 30-39 years, male 65.3
GTEX-14E7W-0126-SM-6LLJ9 70-79 years, male 65.3
GTEX-WYJK-0126-SM-3NMAB 50-59 years, male 65.2
GTEX-ZF29-2326-SM-DO92K 60-69 years, female 65.2
GTEX-147F4-0226-SM-5QGPW 50-59 years, male 65.1
GTEX-14JG1-0426-SM-6ETZZ 40-49 years, male 65.1
GTEX-1JMQK-0226-SM-CL543 60-69 years, male 65.1
GTEX-1I1GQ-0126-SM-COH3H 50-59 years, male 65.0
GTEX-1HCU8-0626-SM-A9SM9 60-69 years, female 64.7
GTEX-1HSMQ-1226-SM-CGQFX 50-59 years, male 64.2
GTEX-1IOXB-0126-SM-ARL8G 50-59 years, male 64.2
GTEX-1QP2A-0126-SM-E9J43 50-59 years, male 64.2
GTEX-17MFQ-1726-SM-793C7 20-29 years, male 64.0
GTEX-1A8FM-0226-SM-7SB7Q 50-59 years, female 63.7
GTEX-1C64N-0126-SM-793D7 50-59 years, male 63.1
GTEX-13OVL-0226-SM-5L3E9 50-59 years, male 62.5
GTEX-Y5LM-1926-SM-5RQJH 40-49 years, female 62.5
GTEX-1ICG6-2526-SM-CGQFZ 70-79 years, female 62.5
GTEX-11OF3-2626-SM-5GU7F 60-69 years, male 62.4
GTEX-1CAMR-1926-SM-7EPI2 20-29 years, male 62.4
GTEX-XXEK-2226-SM-4BRUM 50-59 years, male 62.4
GTEX-1314G-1526-SM-5EGK2 30-39 years, male 62.3
GTEX-14DAR-2026-SM-5S2O3 50-59 years, male 62.3
GTEX-ZYFC-0226-SM-5NQ75 50-59 years, male 62.3
GTEX-11DXY-2626-SM-5GIE7 60-69 years, male 62.1
GTEX-OOBK-0126-SM-2YUND 40-49 years, male 62.1
GTEX-U8T8-0126-SM-3DB94 60-69 years, male 62.1
GTEX-XAJ8-0826-SM-47JY6 40-49 years, male 62.1
GTEX-1EN7A-0126-SM-7SB81 40-49 years, male 62.1
GTEX-1HR98-0126-SM-B2LWI 60-69 years, male 62.0
GTEX-1LSNM-1926-SM-E6CII 50-59 years, male 62.0
GTEX-1R9PO-2126-SM-E9J4O 60-69 years, female 61.9
GTEX-TSE9-0126-SM-3DB83 60-69 years, female 61.6
GTEX-11P81-2326-SM-59875 30-39 years, female 61.2
GTEX-WFON-2126-SM-3LK7O 40-49 years, male 61.1
GTEX-P4QT-0126-SM-2I3FL 50-59 years, female 61.0
GTEX-15SB6-1726-SM-6PAME 50-59 years, female 60.2
GTEX-13G51-2526-SM-5LZYK 60-69 years, male 60.1
GTEX-1S83E-0126-SM-EWRO4 40-49 years, male 60.1
GTEX-1GN1V-0126-SM-9WPOS 60-69 years, male 60.0
GTEX-1JJ6O-0126-SM-E6CI8 60-69 years, male 59.9
GTEX-15EU6-0426-SM-6PAN5 50-59 years, male 59.8
GTEX-18A7B-0126-SM-7LG64 70-79 years, male 59.8
GTEX-U8XE-0326-SM-3DB8P 30-39 years, male 59.8
GTEX-ZC5H-0226-SM-4WAY9 40-49 years, female 59.8
GTEX-1GN73-0226-SM-9WG67 60-69 years, male 59.8
GTEX-S33H-1026-SM-EZ6L6 30-39 years, male 59.8
GTEX-1I19N-0326-SM-ACKVX 70-79 years, male 59.7
GTEX-11OC5-0126-SM-5HL6A 60-69 years, male 59.4
GTEX-1GF9V-0326-SM-7RHI5 60-69 years, male 59.3
GTEX-147GR-0526-SM-5S2MY 60-69 years, male 59.2
GTEX-13NYB-2526-SM-5K7Z6 40-49 years, male 59.0
GTEX-T5JW-1626-SM-3GADZ 20-29 years, female 59.0
GTEX-1C6WA-0126-SM-7PC2B 60-69 years, male 58.8
GTEX-1GMR8-0126-SM-9WYTM 50-59 years, female 58.4
GTEX-12WSJ-1826-SM-5GCNY 40-49 years, female 58.3
GTEX-1C4CL-0526-SM-73KVK 30-39 years, male 58.3
GTEX-13OW8-1326-SM-5J1OW 60-69 years, male 58.2
GTEX-1HSMP-0126-SM-E6CJS 70-79 years, male 58.1
GTEX-1JMPZ-0226-SM-CNPP1 30-39 years, male 58.1
GTEX-SJXC-0126-SM-2XCFF 60-69 years, male 57.9
GTEX-ZEX8-2426-SM-4WKG4 50-59 years, male 57.9
GTEX-1GPI7-0126-SM-9MQL8 20-29 years, male 57.9
GTEX-15G19-0126-SM-6PANQ 60-69 years, male 57.8
GTEX-1HCUA-2426-SM-ADEIS 50-59 years, female 57.8
GTEX-131XF-5016-SM-7MGWE 60-69 years, male 57.1
GTEX-1I1GT-0626-SM-CGQER 60-69 years, female 57.0
GTEX-1KANA-0726-SM-D3L9I 20-29 years, male 56.9
GTEX-WXYG-2326-SM-4E3I6 50-59 years, female 56.8
GTEX-VJYA-1126-SM-3GIJU 60-69 years, male 56.2
GTEX-13VXT-0126-SM-5LU4I 20-29 years, female 56.1
GTEX-1AYCT-2426-SM-7IGQ3 50-59 years, male 55.8
GTEX-1KAFJ-2026-SM-CY8ID 50-59 years, male 55.6
GTEX-13OVK-2026-SM-7KUEO 40-49 years, male 55.4
GTEX-ZVTK-0426-SM-51MRS 20-29 years, male 55.4
GTEX-1212Z-2526-SM-5EGKP 60-69 years, male 55.2
GTEX-12WSE-0526-SM-793B2 20-29 years, male 55.2
GTEX-1EU9M-0226-SM-7P8SP 60-69 years, male 55.2
GTEX-1KXAM-2226-SM-CYPTC 60-69 years, male 55.0
GTEX-15RIG-0226-SM-7KFTL 40-49 years, male 54.7
GTEX-Z93S-0126-SM-5HL7M 50-59 years, male 54.7
GTEX-14PHX-2326-SM-62LEM 50-59 years, male 54.6
GTEX-1IE54-0126-SM-CMKHW 40-49 years, female 54.3
GTEX-1IL2U-0226-SM-CE6T8 60-69 years, male 54.2
GTEX-ZZ64-1726-SM-5GZYB 20-29 years, male 54.0
GTEX-1B996-0226-SM-7RHGO 60-69 years, male 53.9
GTEX-13OVI-1426-SM-5L3EY 60-69 years, female 53.8
GTEX-13FTW-2626-SM-5K7WL 40-49 years, male 53.7
GTEX-ZTPG-0326-SM-5O9AX 20-29 years, female 53.1
GTEX-RUSQ-1526-SM-2TF62 50-59 years, male 53.0
GTEX-1JK1U-2026-SM-CM2RZ 60-69 years, male 53.0
GTEX-1GF9X-2026-SM-7PC3A 40-49 years, female 52.9
GTEX-17KNJ-2326-SM-7DHLQ 50-59 years, male 52.8
GTEX-Y3I4-2126-SM-4TT7C 50-59 years, male 52.7
GTEX-1AX9J-0226-SM-73KXM 60-69 years, male 52.6
GTEX-17HGU-0226-SM-7DHKV 50-59 years, male 52.5
GTEX-NFK9-0226-SM-2HMKQ 40-49 years, male 52.5
GTEX-18A7A-0226-SM-718BH 50-59 years, female 52.4
GTEX-WOFL-0126-SM-3MJG2 60-69 years, male 52.3
GTEX-YFC4-0126-SM-5CVLY 40-49 years, female 52.2
GTEX-1NHNU-1026-SM-E9J2A 50-59 years, male 52.2
GTEX-11LCK-1026-SM-5A5KB 30-39 years, male 52.1
GTEX-1HB9E-0226-SM-E9U4R 50-59 years, male 52.0
GTEX-12WSA-0226-SM-5BC5V 60-69 years, male 51.9
GTEX-1I1GS-0126-SM-B2LVW 60-69 years, male 51.9
GTEX-1C2JI-1826-SM-73KXC 50-59 years, male 51.8
GTEX-1CAMQ-0226-SM-7IGPK 40-49 years, male 51.8
GTEX-1S82Y-2026-SM-EVYCM 40-49 years, male 51.5
GTEX-S7SE-0126-SM-2XCD5 50-59 years, male 51.4
GTEX-ZTSS-1926-SM-57WEW 40-49 years, male 51.4
GTEX-ZYY3-0126-SM-5GZY5 60-69 years, female 51.4
GTEX-1CB4H-0226-SM-7PBXM 60-69 years, female 51.2
GTEX-1NV5F-0226-SM-E8VNY 60-69 years, female 51.2
GTEX-1497J-2426-SM-7IGNX 60-69 years, male 51.0
GTEX-133LE-1826-SM-5J1MV 20-29 years, female 50.6
GTEX-ZVZP-2426-SM-59HKJ 50-59 years, male 50.4
GTEX-13NZ8-0826-SM-5MR3I 60-69 years, female 50.2
GTEX-13O21-1426-SM-5K7XI 50-59 years, male 50.2
GTEX-113JC-2326-SM-5EQ4E 50-59 years, female 50.1
GTEX-11EI6-0126-SM-5985R 60-69 years, male 50.1
GTEX-145LV-2126-SM-5LU8N 50-59 years, male 49.8
GTEX-V1D1-2226-SM-3NMAX 50-59 years, male 49.8
GTEX-R55E-0126-SM-2TC5Y 20-29 years, male 49.7
GTEX-14A5H-0426-SM-5QGQF 60-69 years, male 49.6
GTEX-1A3MV-1926-SM-718BT 30-39 years, male 49.6
GTEX-OOBJ-0126-SM-E6CJW 60-69 years, male 49.4
GTEX-13OW7-0126-SM-5MR3B 50-59 years, male 49.2
GTEX-1EX96-1626-SM-7PBXR 50-59 years, male 49.2
GTEX-1ICLY-0126-SM-D4P36 50-59 years, male 49.1
GTEX-1F7RK-0126-SM-7PC2S 20-29 years, female 48.7
GTEX-XBED-2226-SM-47JYQ 60-69 years, male 48.6
GTEX-XUYS-0126-SM-47JWZ 50-59 years, male 48.5
GTEX-11EMC-2926-SM-5EQ4F 60-69 years, female 48.4
GTEX-13O3O-0126-SM-E9J49 60-69 years, female 48.4
GTEX-1128S-2326-SM-5GZZY 60-69 years, female 48.3
GTEX-14ABY-0226-SM-5TDCQ 50-59 years, male 48.2
GTEX-YB5K-2126-SM-4WWDJ 40-49 years, female 48.2
GTEX-OHPM-0126-SM-2YUN9 50-59 years, male 48.1
GTEX-117YX-2326-SM-5H12W 50-59 years, male 48.0
GTEX-1IDFM-0126-SM-COH2V 60-69 years, male 47.9
GTEX-1QP9N-1426-SM-DTXFL 30-39 years, male 47.8
GTEX-1122O-2126-SM-5EGIR 60-69 years, female 47.5
GTEX-1399R-2726-SM-5IJBA 30-39 years, male 47.5
GTEX-1QPFJ-0226-SM-E76PB 30-39 years, female 47.5
GTEX-14DAQ-0126-SM-5S2MQ 60-69 years, female 47.3
GTEX-1I1GU-2226-SM-CGQFA 40-49 years, male 47.1
GTEX-QVJO-1626-SM-2S1QW 60-69 years, female 46.9
GTEX-OIZF-0126-SM-7SB8I 60-69 years, male 46.9
GTEX-1J8Q2-0526-SM-CM2RW 60-69 years, male 46.8
GTEX-1MA7X-2226-SM-E6CIY 60-69 years, male 46.8
GTEX-16AAH-1726-SM-7939C 50-59 years, male 46.7
GTEX-ZDYS-2026-SM-5HL5L 50-59 years, male 46.7
GTEX-1GZ2Q-0226-SM-7P8TL 40-49 years, male 46.7
GTEX-13O3Q-2426-SM-5IJBR 50-59 years, male 46.6
GTEX-13FTX-1826-SM-5J1NX 20-29 years, female 46.5
GTEX-ZF3C-0126-SM-DO92D 50-59 years, female 46.3
GTEX-14PJ3-1826-SM-62LEX 50-59 years, male 46.1
GTEX-14PN3-2426-SM-6LLHS 60-69 years, female 46.0
GTEX-11EQ9-2426-SM-5HL5T 30-39 years, male 45.9
GTEX-1IKOH-0226-SM-COH4E 60-69 years, female 45.8
GTEX-1C64O-0126-SM-7SB8P 60-69 years, male 45.6
GTEX-1HSGN-0226-SM-CGQFV 40-49 years, female 45.6
GTEX-13113-5016-SM-7EPIP 60-69 years, female 45.4
GTEX-17EUY-0426-SM-793BD 20-29 years, male 45.4
GTEX-1K9T9-0126-SM-EVYCF 50-59 years, female 45.4
GTEX-1QP29-0626-SM-EWRMX 50-59 years, male 45.4
GTEX-ZDTT-2726-SM-4WKF8 60-69 years, male 45.3
GTEX-13X6I-0626-SM-5QGP9 60-69 years, male 45.2
GTEX-1M5QR-1226-SM-EWROB 40-49 years, male 45.2
GTEX-Q2AI-1326-SM-2S1PL 40-49 years, male 45.1
GTEX-1LNCM-1126-SM-E9U5E 50-59 years, female 45.0
GTEX-1F5PL-0326-SM-7P8PQ 40-49 years, female 44.4
GTEX-1S5ZA-0126-SM-EVYCV 20-29 years, male 44.4
GTEX-183FY-0126-SM-7LT9P 20-29 years, male 44.3
GTEX-U3ZH-2026-SM-3DB78 30-39 years, male 44.2
GTEX-17HHE-2026-SM-79OKF 50-59 years, male 44.1
GTEX-12WSD-0126-SM-59HKN 60-69 years, female 44.0
GTEX-11ZUS-0626-SM-59885 30-39 years, male 43.6
GTEX-1F88F-2726-SM-7PBZZ 60-69 years, female 43.6
GTEX-17F98-0626-SM-79OMX 40-49 years, female 43.5
GTEX-11DXW-0226-SM-5H122 40-49 years, male 43.1
GTEX-1J1R8-1726-SM-ARL8M 40-49 years, male 43.0
GTEX-SUCS-1926-SM-32PM3 70-79 years, male 42.8
GTEX-1HCU9-1526-SM-A9SL7 20-29 years, male 42.7
GTEX-14A6H-0126-SM-5QGPK 30-39 years, male 42.5
GTEX-1211K-2026-SM-5EQ4Z 60-69 years, female 42.3
GTEX-X5EB-2226-SM-46MW4 40-49 years, male 42.3
GTEX-1QEPI-0126-SM-EWRMQ 60-69 years, female 42.3
GTEX-WVJS-0126-SM-4MVOT 50-59 years, male 42.2
GTEX-RVPV-0126-SM-EAZAW 60-69 years, male 42.1
GTEX-RN64-0126-SM-2TC68 50-59 years, male 41.7
GTEX-ZVT3-0126-SM-5GU6I 60-69 years, female 41.4
GTEX-OIZG-0726-SM-33HBL 50-59 years, male 41.3
GTEX-TML8-1926-SM-32QOS 40-49 years, female 41.3
GTEX-131XG-2626-SM-5KM17 50-59 years, female 41.0
GTEX-UJHI-1526-SM-3DB99 50-59 years, female 41.0
GTEX-R55G-2526-SM-2TC6D 40-49 years, female 40.7
GTEX-1GL5R-1826-SM-9KNUY 50-59 years, male 40.7
GTEX-1R7EV-2426-SM-EVYBG 40-49 years, male 40.7
GTEX-11NUK-0126-SM-5A5L3 50-59 years, male 40.4
GTEX-P44H-0226-SM-2XCEU 40-49 years, male 40.4
GTEX-1J8EW-0126-SM-CJI4F 60-69 years, female 39.6
GTEX-1F6I4-0126-SM-9MQL2 60-69 years, male 39.5
GTEX-1JKYN-1326-SM-CGQG9 30-39 years, male 39.5
GTEX-13RTL-0126-SM-7LG5S 40-49 years, male 39.3
GTEX-144GN-2326-SM-5LU4F 50-59 years, male 39.2
GTEX-X88G-0126-SM-47JZ3 30-39 years, male 39.2
GTEX-ZVT2-2526-SM-51MT1 50-59 years, female 39.1
GTEX-1H1E6-1726-SM-ACKVK 30-39 years, male 39.1
GTEX-1S82Z-0826-SM-E6CHY 30-39 years, female 39.1
GTEX-13FTY-0526-SM-5L3EV 40-49 years, female 38.9
GTEX-14LLW-0126-SM-6LLIO 70-79 years, female 38.9
GTEX-14C5O-0126-SM-5SI6N 60-69 years, male 38.5
GTEX-WZTO-0126-SM-3NM95 40-49 years, male 38.4
GTEX-1PFEY-1526-SM-E76PP 30-39 years, male 38.2
GTEX-1LVAN-0226-SM-COH3S 50-59 years, female 38.1
GTEX-11EM3-2426-SM-59861 20-29 years, female 38.0
GTEX-WRHK-1426-SM-3MJF9 20-29 years, female 38.0
GTEX-ZVZO-0126-SM-5A5L9 40-49 years, male 38.0
GTEX-14ICK-0226-SM-6EU25 40-49 years, male 37.9
GTEX-O5YW-0126-SM-3LK6D 50-59 years, male 37.9
GTEX-13QJ3-0326-SM-5S2RA 50-59 years, male 37.8
GTEX-1J1OQ-0226-SM-CYPSH 40-49 years, female 37.8
GTEX-1JJE9-0326-SM-CL53Z 70-79 years, male 37.7
GTEX-W5WG-1826-SM-4KL2Y 50-59 years, female 37.5
GTEX-1CB4J-0626-SM-7DHMP 60-69 years, male 37.4
GTEX-1192X-0226-SM-5H12D 50-59 years, male 37.3
GTEX-Z93T-0126-SM-5HL5N 50-59 years, male 37.2
GTEX-15SDE-2226-SM-7IGLO 50-59 years, female 37.1
GTEX-TMMY-0226-SM-33HBA 40-49 years, female 37.1
GTEX-13D11-2426-SM-5KM1V 50-59 years, female 36.4
GTEX-139T4-0226-SM-5HL5S 50-59 years, female 36.3
GTEX-18A67-0126-SM-7LG5P 50-59 years, male 36.3
GTEX-Y114-2426-SM-4TT8A 50-59 years, female 36.3
GTEX-139T8-0126-SM-5K7XZ 60-69 years, male 36.0
GTEX-OXRL-0126-SM-2YUMP 50-59 years, male 35.9
GTEX-1HBPM-0226-SM-ARL9F 60-69 years, female 35.8
GTEX-11P7K-2126-SM-5GU7G 30-39 years, male 35.6
GTEX-1GZ4H-1726-SM-7PBZJ 50-59 years, female 35.6
GTEX-1EKGG-0226-SM-9WYTH 60-69 years, male 35.5
GTEX-16BQI-0226-SM-7KUEX 30-39 years, female 35.4
GTEX-17MF6-0126-SM-7LG4F 40-49 years, male 35.4
GTEX-QCQG-1726-SM-3GIJ9 50-59 years, female 35.4
GTEX-12C56-1726-SM-5EQ61 20-29 years, male 35.3
GTEX-14JG6-2226-SM-6EU2G 30-39 years, female 35.1
GTEX-QV44-1926-SM-2S1RF 50-59 years, male 35.0
GTEX-X4EP-0126-SM-3P5YV 60-69 years, female 34.9
GTEX-13RTK-1426-SM-5QGQJ 20-29 years, male 34.7
GTEX-13SLX-0526-SM-5S2ON 50-59 years, female 34.7
GTEX-WI4N-1026-SM-3LK7N 40-49 years, female 34.6
GTEX-15SHU-0126-SM-7KUEH 40-49 years, female 34.5
GTEX-PWO3-1526-SM-48TCM 60-69 years, female 34.4
GTEX-1I1GP-2226-SM-CGQFK 50-59 years, male 34.3
GTEX-Z9EW-1626-SM-5CVMN 40-49 years, male 34.2
GTEX-1A32A-0126-SM-718B1 50-59 years, female 34.1
GTEX-1GTWX-0126-SM-9YFLK 60-69 years, male 34.0
GTEX-1F48J-0126-SM-7P8TT 50-59 years, female 33.9
GTEX-145LT-1726-SM-5QGP3 40-49 years, male 33.8
GTEX-145MN-2226-SM-5SIAU 30-39 years, male 33.8
GTEX-14753-0426-SM-5NQAM 60-69 years, male 33.7
GTEX-16YQH-0126-SM-7DUFJ 30-39 years, male 33.6
GTEX-1N2DV-0226-SM-E6CJ6 40-49 years, male 33.6
GTEX-1AMFI-2026-SM-731BH 50-59 years, female 33.5
GTEX-U3ZN-2326-SM-3DB7W 30-39 years, female 33.5
GTEX-11DXX-2426-SM-5GZZW 60-69 years, female 33.4
GTEX-S95S-1226-SM-4GICG 60-69 years, male 33.4
GTEX-ZAB5-1826-SM-5HL7C 50-59 years, male 33.3
GTEX-13RTJ-2426-SM-5S2Q2 60-69 years, male 33.1
GTEX-Q2AG-0126-SM-33HBV 40-49 years, female 33.1
GTEX-1RQEC-0426-SM-E6CHU 60-69 years, male 32.9
GTEX-139D8-0226-SM-5KLZO 30-39 years, female 32.8
GTEX-13FH7-2026-SM-E9J4I 50-59 years, female 32.8
GTEX-1HBPH-0426-SM-B2LW5 40-49 years, female 32.8
GTEX-U4B1-1826-SM-4DXSU 40-49 years, male 32.7
GTEX-1AX9K-2326-SM-73KWU 50-59 years, male 32.5
GTEX-XV7Q-2526-SM-4BRV9 40-49 years, female 32.5
GTEX-11P82-1626-SM-59879 20-29 years, male 32.4
GTEX-1RAZA-0126-SM-E6CI3 20-29 years, male 32.3
GTEX-R45C-0126-SM-EAZ2R 60-69 years, female 32.2
GTEX-12WSK-2326-SM-5GCOH 40-49 years, female 32.1
GTEX-R3RS-0126-SM-3GIJL 40-49 years, female 32.1
GTEX-WQUQ-0426-SM-3MJFU 60-69 years, male 32.0
GTEX-18QFQ-0126-SM-731BE 30-39 years, male 31.7
GTEX-13FHO-0226-SM-5IFGY 60-69 years, male 31.5
GTEX-16NGA-1726-SM-731B4 40-49 years, female 31.4
GTEX-1QW4Y-1526-SM-EAZ3Z 30-39 years, male 31.1
GTEX-XQ8I-0426-SM-4BOPO 50-59 years, male 30.8
GTEX-XUW1-0426-SM-4BOOT 50-59 years, female 30.8
GTEX-P4PP-0126-SM-3LK69 30-39 years, female 30.5
GTEX-1PPH8-0226-SM-E8VND 20-29 years, male 30.5
GTEX-1IDJU-2626-SM-CM2RT 60-69 years, female 30.4
GTEX-13NZB-2526-SM-5J1OM 30-39 years, male 30.2
GTEX-14BMU-2226-SM-5TDE9 20-29 years, female 29.9
GTEX-WY7C-2326-SM-3NB2U 50-59 years, male 29.9
GTEX-XBEW-0626-SM-4QASP 40-49 years, male 29.9
GTEX-XMD2-0126-SM-4YCDU 60-69 years, female 29.8
GTEX-1IY9M-0126-SM-D3L8S 60-69 years, male 29.8
GTEX-T6MO-1626-SM-32QOM 40-49 years, female 29.7
GTEX-1J8Q3-1626-SM-CMKGC 60-69 years, male 29.7
GTEX-QDVJ-1726-SM-2I5FX 50-59 years, male 29.6
GTEX-PLZ6-1426-SM-DKPOT 30-39 years, male 29.6
GTEX-WH7G-2326-SM-3NMBC 40-49 years, male 29.5
GTEX-ZY6K-1826-SM-5GZXK 50-59 years, male 28.8
GTEX-1PBJI-0526-SM-E8VNK 20-29 years, female 28.8
GTEX-ZUA1-0126-SM-5GU76 40-49 years, male 28.5
GTEX-SNMC-1226-SM-2XCFP 20-29 years, male 28.1
GTEX-YEC4-2126-SM-5IFJH 40-49 years, male 27.9
GTEX-11ZTT-2426-SM-5EQLS 60-69 years, female 27.1
GTEX-13W3W-2426-SM-5LU5B 60-69 years, female 27.1
GTEX-16XZY-2126-SM-79OK1 70-79 years, male 27.1
GTEX-QDT8-0126-SM-48TZ1 30-39 years, female 27.1
GTEX-QDVN-2026-SM-3GAEP 50-59 years, male 26.8
GTEX-11TTK-0126-SM-5987B 60-69 years, female 26.0
GTEX-PLZ4-0126-SM-5SI8O 50-59 years, female 25.9
GTEX-OHPL-0126-SM-2HMJ7 60-69 years, female 25.8
GTEX-169BO-1326-SM-9MQK2 50-59 years, male 25.8
GTEX-1OJC4-0126-SM-E9J2E 50-59 years, female 25.8
GTEX-17F97-0326-SM-7LG5B 50-59 years, male 25.5
GTEX-1F5PK-2426-SM-7RHHY 50-59 years, male 25.4
GTEX-O5YT-0126-SM-48TBW 20-29 years, male 25.2
GTEX-ZQUD-1426-SM-57WER 30-39 years, male 25.2
GTEX-P4PQ-0126-SM-2S1NM 60-69 years, male 25.1
GTEX-1MGNQ-0126-SM-EVYCJ 40-49 years, male 24.6
GTEX-1H11D-0226-SM-9WG6Z 40-49 years, male 24.3
GTEX-1F75I-0326-SM-9YFLU 40-49 years, male 24.1
GTEX-SSA3-0126-SM-32QPU 60-69 years, male 24.0
GTEX-18D9B-0526-SM-7LTAS 60-69 years, male 23.9
GTEX-Y5V6-2426-SM-4VDSB 60-69 years, male 23.9
GTEX-14JIY-0126-SM-6LLH6 60-69 years, male 23.8
GTEX-1H1ZS-0426-SM-9WG6G 70-79 years, male 23.8
GTEX-PLZ5-2026-SM-2S1O4 50-59 years, male 23.4
GTEX-PW2O-1526-SM-7RHHB 20-29 years, male 23.4
GTEX-1GN1W-0526-SM-9MQJQ 50-59 years, female 22.7
GTEX-11NSD-2226-SM-5986V 20-29 years, male 22.6
GTEX-QLQ7-1626-SM-2S1R8 60-69 years, male 22.4
GTEX-147F3-0526-SM-5SI98 50-59 years, female 22.2
GTEX-18D9U-0226-SM-718BP 40-49 years, male 22.2
GTEX-145ME-1826-SM-5SI9G 40-49 years, female 22.0
GTEX-14PJ6-2126-SM-6EU1V 60-69 years, female 22.0
GTEX-QLQW-1126-SM-2S1Q8 30-39 years, male 21.9
GTEX-1JKYR-0126-SM-CNPOJ 20-29 years, male 21.9
GTEX-RM2N-1426-SM-2TF4H 50-59 years, male 21.8
GTEX-ZF28-0126-SM-4WKGK 60-69 years, male 21.7
GTEX-13O3P-0126-SM-5KM4S 50-59 years, male 21.4
GTEX-OXRK-0226-SM-3NB2G 50-59 years, female 21.4
GTEX-PWCY-1826-SM-DHXIZ 20-29 years, female 21.2
GTEX-ZZPT-0226-SM-5E43X 50-59 years, male 20.8
GTEX-16NPX-0226-SM-79OMT 50-59 years, male 20.7
GTEX-ZAJG-0126-SM-5HL94 50-59 years, female 20.7
GTEX-ZXES-1826-SM-5E43S 30-39 years, female 20.3
GTEX-TMZS-0126-SM-3DB9Q 60-69 years, male 19.9
GTEX-1F52S-0126-SM-9MQJU 60-69 years, female 19.9
GTEX-1LGOU-2026-SM-DIPFF 20-29 years, female 19.8
GTEX-13OVG-1926-SM-5L3DK 60-69 years, male 19.7
GTEX-1HCVE-0126-SM-CGQEU 50-59 years, male 19.4
GTEX-1I1HK-0126-SM-COH49 60-69 years, male 19.4
GTEX-ZYFG-2326-SM-5E44B 60-69 years, female 19.1
GTEX-ZDXO-3026-SM-5J1N5 60-69 years, male 19.0
GTEX-Q2AH-1626-SM-3GAF8 40-49 years, male 18.8
GTEX-1H3NZ-0126-SM-ACKX7 60-69 years, male 18.5
GTEX-RWS6-2026-SM-2XCB5 60-69 years, female 18.4
GTEX-1GF9U-2126-SM-7SB7L 40-49 years, female 18.1
GTEX-1CAMS-0426-SM-7P8T2 40-49 years, female 18.0
GTEX-U3ZM-1526-SM-3DB9D 40-49 years, male 17.9
GTEX-14BIM-0226-SM-7IGLD 60-69 years, female 17.4
GTEX-11VI4-1726-SM-5CVLH 40-49 years, female 17.3
GTEX-1MCYP-1926-SM-E9J2R 20-29 years, female 17.3
GTEX-X638-0126-SM-47JZ8 70-79 years, female 16.7
GTEX-1RAZQ-0726-SM-EAZ43 30-39 years, male 16.4
GTEX-1KANB-0526-SM-E6CJH 50-59 years, male 16.2
GTEX-12WSN-5019-SM-79OM6 40-49 years, male 16.0
GTEX-1HKZK-0326-SM-9WYUH 40-49 years, male 16.0
GTEX-1HSEH-0126-SM-ACKXN 60-69 years, male 16.0
GTEX-1AMEY-1326-SM-73KYK 30-39 years, female 13.6
GTEX-14PHW-0126-SM-6LLJI 60-69 years, female 11.6
GTEX-146FR-1326-SM-E9J48 60-69 years, female 10.5
GTEX-SE5C-1626-SM-2XCE3 40-49 years, female 10.3
GTEX-113IC-0126-SM-5HL6T 60-69 years, male 9.8
GTEX-14PK6-1926-SM-6ETZU 70-79 years, female 8.9
GTEX-Q734-1926-SM-2I5EV 40-49 years, female 8.7
GTEX-1QP67-1626-SM-EAZ3X 40-49 years, female 6.5
Show allShow less

Contact

  • NEWS ARTICLES
  • PRESS ROOM

The Project

  • INTRODUCTION
  • ORGANIZATION
  • PUBLICATIONS

The Human Protein Atlas

  • DOWNLOADABLE DATA
  • LICENCE & CITATION
  • HELP & FAQ
The Human Protein Atlas project is funded
by the Knut & Alice Wallenberg Foundation.


contact@proteinatlas.org