We use cookies to enhance the usability of our website. If you continue, we'll assume that you are happy to receive all cookies. More information. Don't show this again.
NENF
HPA
RESOURCES
  • TISSUE
  • BRAIN
  • SINGLE CELL
  • SUBCELLULAR
  • CANCER
  • BLOOD
  • CELL LINE
  • STRUCTURE & INTERACTION
ABOUT
  • INTRODUCTION
  • HISTORY
  • ORGANIZATION
  • PUBLICATIONS
  • ANTIBODY SUBMISSION
  • ANTIBODY AVAILABILITY
  • ACKNOWLEDGMENTS
  • CONTACT
NEWS
  • NEWS ARTICLES
  • PRESS ROOM
LEARN
  • DICTIONARY
  • PROTEIN CLASSES
  • PROTEIN EVIDENCE
  • METHODS
  • EDUCATIONAL VIDEOS
DATA
  • DOWNLOADABLE DATA
  • PUBLICATION DATA
  • RELEASE HISTORY
HELP
  • ANTIBODY VALIDATION
  • ASSAYS & ANNOTATION
  • DISCLAIMER
  • HELP & FAQ
  • PRIVACY STATEMENT
  • LICENCE & CITATION
Fields »
Search result

Field
Term
Gene name
Class
Subclass
Class
Keyword
Chromosome
External id
Tissue
Cell type
Expression
Antibody panel
Tissue
Main location
Patient ID
Annotation
Tissue
Category
Tau score
Cluster
Reliability
Brain region
Category
Tau score
Brain region
Category
Tau score
Brain region
Category
Tau score
Cluster
Reliability
Tissue
Cell type
Enrichment
Cell type
Category
Tau score
Cell type
Category
Tau score
Cell type
Category
Tau score
Cell lineage
Category
Tau score
Cluster
Cluster
Location
Searches
Location
Cell line
Class
Type
Phase
Reliability
Cancer
Prognosis
Cancer
Category
Cancer
Category
Tau score
Cluster
Variants
Interacting gene (ensg_id)
Type
Number of interactions
Pathway
Category
Score
Score
Score
Validation
Validation
Validation
Validation
Antibodies
Data type
Column


  • SUMMARY

  • TISSUE

  • BRAIN

  • SINGLE CELL

  • SUBCELL

  • CANCER

  • BLOOD

  • CELL LINE

  • STRUCT & INT

  • NENF
TISSUE PRIMARY DATA HEART MUSCLE Show tissue menu
ADIPOSE TISSUE ADRENAL GLAND AMYGDALA APPENDIX BASAL GANGLIA BONE MARROW BREAST BRONCHUS CEREBELLUM CEREBRAL CORTEX CERVIX CHOROID PLEXUS COLON DUODENUM
ENDOMETRIUM EPIDIDYMIS ESOPHAGUS FALLOPIAN TUBE GALLBLADDER HEART MUSCLE HIPPOCAMPAL FORMATION HYPOTHALAMUS KIDNEY LIVER LUNG LYMPH NODE MIDBRAIN NASOPHARYNX
ORAL MUCOSA OVARY PANCREAS PARATHYROID GLAND PITUITARY GLAND PLACENTA PROSTATE RECTUM RETINA SALIVARY GLAND SEMINAL VESICLE SKELETAL MUSCLE SKIN SMALL INTESTINE
SMOOTH MUSCLE SOFT TISSUE SPINAL CORD SPLEEN STOMACH TESTIS THYMUS THYROID GLAND TONGUE TONSIL URINARY BLADDER VAGINA
ANTIBODIES
AND
VALIDATION
Dictionary
Heart muscle
Tissue proteome
Heart
HEART MUSCLE - Expression summary
Protein expression
Heart musclei

On the top, protein expression in current human tissue, based on all annotated cell types, is reported with the units not detected (n), low (l), medium (m) and high (h). Underneath, protein expression in each annotated cell type are reported using the same units.

Protein expression data is based on knowledge-based annotation. For genes where more than one antibody has been used, a collective score is set.

If knowledge-based annotation could not be performed for a gene, no data is displayed here. View antibody staining data further down this page.

h
m
l
n
Cardiomyocytes: Medium
RNA expressioni

A summary of mRNA expression data available for current tissue based on several datasets. The mRNA expression levels in human tissues are based on RNA-seq data generated by the Human Protein Atlas (HPA), Genotype-Tissue Expression (GTEx) portal and CAGE data generated by the FANTOM5 consortium. Consensus normalized expression levels for human tissues was created by combining the data from HPA and GTEx datasets.

The mRNA expression levels in pig are based on RNA-seq data generated by the Human Protein Atlas (HPA), and for mouse, HPA data and in situ hybridization generated by the Allen brain atlas are reported.

Scroll down to view mRNA expression data in more detail.
Consensus:136.5 nTPM
HPA:70.8 nTPM
GTEx:136.5 nTPM
FANTOM5:344.8 Scaled Tags Per Million

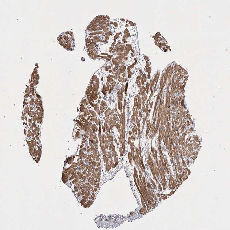
HEART MUSCLE - Antibody stainingi

Antibody staining in the annotated cell types in the current human tissue is reported as not detected, low, medium, or high, based on conventional immunohistochemistry profiling in selected tissues. This score is based on the combination of the staining intensity and fraction of stained cells.

Each image is clickable and will lead to virtual microscopy that enables deeper exploration of all samples and also displays staining intensity scores, fraction scores and subcellular localization as well as patient and tissue information for each sample.

Antibody HPA026763Antibody HPA028488
Cardiomyocytes MediumLow





HEART MUSCLE - HPA RNA-seqi

The RNA-seq details section shows detailed information about the individual samples used for the transcript profiling and results of the RNA-seq analysis.

Information about each individual sample is listed below, including gender, age, a tissue section image and estimated fractions of cell types. nTPM (normalized transcripts per million) values give a quantification of the gene abundance which is comparable between different genes and samples.
Average nTPMi

Max subtype nTPM is the value for the subtype with the largest average nTPM across the subtype samples.

70.8
overview
Female, age 48
Heart muscle sample 149
nTPM: 84.7
Cell types%
Myocytes:
15

Fibroblasts:
55

Endothelial cells:
25

Other cell types:
5

overview
Female, age 42
Heart muscle sample 150
nTPM: 86.1
Cell types%
Myocytes:
20

Fibroblasts:
45

Endothelial cells:
30

Other cell types:
5

overview
Male, age 53
Heart muscle sample 151
nTPM: 54.5
Cell types%
Myocytes:
20

Fibroblasts:
45

Endothelial cells:
30

Other cell types:
5

overview
Female, age 69
Heart muscle sample 152
nTPM: 57.8
Cell types%
Myocytes:
20

Fibroblasts:
45

Endothelial cells:
30

Other cell types:
5


HEART MUSCLE - GTEx RNA-seqi

RNA-Seq data generated by the Genotype-Tissue Expression (GTEx) project from human tissues is reported as mean nTPM. More information can be found on the GTEx portal.

Distribution across the dataset is visualized with box plots, shown as median and 25th and 75th percentiles. Points are displayed as outliers if they are above or below 1.5 times the interquartile range. nTPM values of the individual samples are presented next to the box plot.
Max subtype nTPMi

Max subtype nTPM is the value for the subtype with the largest average nTPM across the subtype samples.

136.5
GTEx sample id Sample description nTPM
Heart - Atrial Appendage
Average nTPM: 106.6
Samples: 429

Max nTPM: 538.5
Min nTPM: 48.0
Std nTPM: 36.5
Median nTPM: 102.0
GTEX-14PJM-0826-SM-6LLIW 50-59 years, female 538.5
GTEX-12WSI-0426-SM-5EQ5J 50-59 years, male 234.3
GTEX-14BIM-2726-SM-5Q5EG 60-69 years, female 217.9
GTEX-1KANB-1126-SM-DHXJT 50-59 years, male 217.0
GTEX-14C5O-1226-SM-664N3 60-69 years, male 204.1
GTEX-1F75A-1026-SM-7PC3W 50-59 years, male 199.6
GTEX-13FXS-1026-SM-62LFQ 50-59 years, male 180.9
GTEX-1B933-0826-SM-79OMW 50-59 years, female 177.5
GTEX-11DYG-1026-SM-5A5JQ 60-69 years, male 175.9
GTEX-1GF9U-0526-SM-7P8SK 40-49 years, female 174.6
GTEX-1HR98-1026-SM-CKZOM 60-69 years, male 174.6
GTEX-ZE7O-0626-SM-57WCD 50-59 years, female 174.0
GTEX-1J8Q2-1026-SM-ARU8I 60-69 years, male 170.8
GTEX-17JCI-0826-SM-7LT8W 60-69 years, female 166.8
GTEX-ZYFC-1026-SM-5GZX9 50-59 years, male 165.7
GTEX-1GN1U-1426-SM-7P8TF 50-59 years, female 165.2
GTEX-ZYVF-1826-SM-5E44F 50-59 years, female 163.8
GTEX-1CB4G-0726-SM-79OOJ 60-69 years, male 163.0
GTEX-1GF9V-1726-SM-9KNW4 60-69 years, male 162.6
GTEX-14PJ2-1126-SM-69LOD 50-59 years, male 161.9
GTEX-13YAN-1426-SM-7EPG8 60-69 years, male 161.7
GTEX-1EU9M-1926-SM-7RHH4 60-69 years, male 161.7
GTEX-1IY9M-0626-SM-D4P2L 60-69 years, male 159.4
GTEX-147F4-1126-SM-5TDDE 50-59 years, male 159.3
GTEX-YECK-1226-SM-4W21G 60-69 years, male 158.5
GTEX-1A8G6-1826-SM-73KY8 60-69 years, male 156.8
GTEX-1F88F-0326-SM-9KNV3 60-69 years, female 156.8
GTEX-13O3O-1426-SM-5KM2S 60-69 years, female 155.7
GTEX-1EMGI-1126-SM-9KNUF 60-69 years, male 154.9
GTEX-WYBS-1226-SM-3NM9N 60-69 years, female 154.4
GTEX-XOT4-1126-SM-4B66E 60-69 years, female 154.2
GTEX-13VXT-0726-SM-5SIAD 20-29 years, female 154.1
GTEX-14JG1-0826-SM-5ZZWR 40-49 years, male 154.0
GTEX-1P4AB-0926-SM-E76PV 50-59 years, male 154.0
GTEX-1POEN-0726-SM-DTXDU 30-39 years, female 153.9
GTEX-1GZ4I-0826-SM-9WG6O 50-59 years, male 153.3
GTEX-1H1DG-0826-SM-9QEIW 70-79 years, male 152.9
GTEX-18465-0726-SM-7LG4L 50-59 years, male 152.3
GTEX-W5X1-0826-SM-3GILN 40-49 years, female 152.1
GTEX-11O72-1026-SM-5986B 40-49 years, male 151.6
GTEX-1LVAO-0626-SM-EWRNT 60-69 years, male 151.5
GTEX-1EH9U-0626-SM-7PC33 60-69 years, male 150.7
GTEX-1F75B-1126-SM-7RHGP 50-59 years, male 149.3
GTEX-1JJEA-0926-SM-CYPSO 60-69 years, male 149.2
GTEX-1A32A-1326-SM-73KWW 50-59 years, female 148.3
GTEX-14ASI-0826-SM-5Q5EB 60-69 years, male 148.0
GTEX-1CAMQ-0726-SM-7P8SG 40-49 years, male 145.9
GTEX-148VJ-1426-SM-5TDE3 70-79 years, male 143.8
GTEX-1QEPI-1126-SM-E8VN7 60-69 years, female 143.3
GTEX-13FHP-0826-SM-5K7V5 50-59 years, male 142.8
GTEX-1QP29-1426-SM-DTX9Q 50-59 years, male 142.3
GTEX-1GMRU-1326-SM-9WYUI 50-59 years, male 142.1
GTEX-1RB15-0426-SM-E9U4Y 60-69 years, male 141.4
GTEX-Y114-0126-SM-4TT8K 50-59 years, female 140.8
GTEX-1I1GV-1426-SM-B2LXN 60-69 years, male 140.8
GTEX-13OW7-1626-SM-5IJDH 50-59 years, male 140.0
GTEX-16YQH-0726-SM-7IGM1 30-39 years, male 139.5
GTEX-ZAK1-1126-SM-5PNXU 50-59 years, female 138.7
GTEX-1GZ2Q-0926-SM-7RHHN 40-49 years, male 138.6
GTEX-183WM-0926-SM-718AN 70-79 years, female 138.2
GTEX-1C64N-0826-SM-7RHGQ 50-59 years, male 138.0
GTEX-12WSC-1026-SM-5EQ5Y 50-59 years, male 137.3
GTEX-13O3P-1426-SM-5L3DT 50-59 years, male 137.1
GTEX-1H1ZS-1026-SM-9WG6E 70-79 years, male 137.1
GTEX-1PPGY-0926-SM-DTXFF 60-69 years, male 136.0
GTEX-ZF3C-1126-SM-57WEG 50-59 years, female 135.9
GTEX-ZLFU-0326-SM-4WWBK 40-49 years, male 135.7
GTEX-1J1OQ-2226-SM-A96SS 40-49 years, female 135.7
GTEX-1I1GP-0626-SM-ARL7H 50-59 years, male 135.5
GTEX-1QP6S-1026-SM-DTXFW 40-49 years, male 135.3
GTEX-1CB4J-0226-SM-7P8T4 60-69 years, male 135.2
GTEX-14PN4-0826-SM-69LON 50-59 years, male 135.0
GTEX-1MJK2-1626-SM-EVYCQ 50-59 years, male 134.7
GTEX-13RTJ-0526-SM-62LDP 60-69 years, male 134.5
GTEX-1J8EW-0626-SM-CM2TY 60-69 years, female 134.4
GTEX-ZZPT-0926-SM-5GICZ 50-59 years, male 132.8
GTEX-1HBPH-0226-SM-9WYSM 40-49 years, female 132.7
GTEX-147JS-1326-SM-5SI6D 60-69 years, male 132.3
GTEX-14A5I-1026-SM-5Q5E3 50-59 years, female 132.1
GTEX-13JVG-1126-SM-5KM2M 60-69 years, male 131.8
GTEX-1E1VI-1426-SM-793CY 50-59 years, male 131.5
GTEX-1HT8W-1326-SM-CGQEN 30-39 years, male 131.5
GTEX-VJWN-1026-SM-4M1ZN 50-59 years, female 131.0
GTEX-117XS-0726-SM-5H131 60-69 years, male 130.6
GTEX-17F9Y-1226-SM-7EPGE 70-79 years, female 130.5
GTEX-1LB8K-0926-SM-D4P42 50-59 years, male 130.4
GTEX-ZVZQ-0726-SM-51MR3 60-69 years, female 130.2
GTEX-ZVT3-0826-SM-5GIC8 60-69 years, female 130.1
GTEX-1GN2E-1426-SM-7RHHI 60-69 years, male 130.1
GTEX-1C6VQ-0826-SM-7PBZT 50-59 years, male 129.8
GTEX-ZDXO-0426-SM-4WKF6 60-69 years, male 129.1
GTEX-1MJIX-0426-SM-DTXEN 40-49 years, male 128.7
GTEX-13SLW-0826-SM-5QGP7 70-79 years, male 128.4
GTEX-XQ3S-0526-SM-4BOQA 20-29 years, male 128.4
GTEX-1HSGN-0926-SM-CNNQM 40-49 years, female 128.3
GTEX-12ZZX-0726-SM-5EGKA 40-49 years, female 128.1
GTEX-17MF6-0926-SM-7LTAL 40-49 years, male 127.8
GTEX-18A7A-1226-SM-7LTAJ 50-59 years, female 126.8
GTEX-11NUK-0926-SM-5HL57 50-59 years, male 126.5
GTEX-1LG7Y-1426-SM-D4P31 50-59 years, male 126.1
GTEX-12WSE-0926-SM-5S2VX 20-29 years, male 125.5
GTEX-ZTPG-1326-SM-51MSQ 20-29 years, female 125.2
GTEX-1JMLX-1826-SM-CNPOX 50-59 years, male 124.5
GTEX-146FH-1126-SM-5NQAT 50-59 years, female 124.4
GTEX-11GS4-0426-SM-5N9CD 60-69 years, male 124.3
GTEX-1477Z-1126-SM-5P9GK 60-69 years, male 124.1
GTEX-15SKB-0926-SM-7KUFC 60-69 years, male 123.3
GTEX-18A6Q-1526-SM-731CO 60-69 years, male 122.6
GTEX-13PDP-1326-SM-5K7U9 60-69 years, male 122.2
GTEX-ZDTS-1226-SM-4WKGL 60-69 years, male 121.6
GTEX-16GPK-1226-SM-7LTAU 60-69 years, male 121.4
GTEX-13QBU-0226-SM-5LU48 40-49 years, female 121.3
GTEX-1LH75-0526-SM-DIPG2 50-59 years, female 121.0
GTEX-WRHU-1026-SM-4E3ID 50-59 years, female 120.9
GTEX-1A8FM-1026-SM-7PC26 50-59 years, female 120.9
GTEX-1RLM8-0226-SM-E6CJY 50-59 years, male 120.8
GTEX-1AX8Z-1126-SM-731CS 60-69 years, male 120.6
GTEX-1IKJJ-0626-SM-CY8GF 60-69 years, male 120.6
GTEX-11WQK-0226-SM-5EQLI 50-59 years, male 120.1
GTEX-V1D1-0626-SM-4JBHN 50-59 years, male 120.0
GTEX-XBEC-1226-SM-4AT65 50-59 years, male 120.0
GTEX-1IDJH-1126-SM-COH3R 70-79 years, male 119.6
GTEX-13PL6-0826-SM-5IJBI 40-49 years, female 119.2
GTEX-13PVQ-1326-SM-5LU4J 50-59 years, male 118.7
GTEX-145LS-1326-SM-5Q5EP 60-69 years, female 118.6
GTEX-Z93S-0326-SM-5HL84 50-59 years, male 118.5
GTEX-YFC4-0426-SM-4TT3J 40-49 years, female 118.4
GTEX-1E2YA-0626-SM-7P8P4 50-59 years, male 118.3
GTEX-13SLX-0926-SM-5S2NM 50-59 years, female 117.8
GTEX-111FC-0626-SM-5N9CU 60-69 years, male 117.1
GTEX-15CHQ-1326-SM-6871Z 60-69 years, male 117.1
GTEX-1HBPM-1026-SM-ARL9D 60-69 years, female 116.9
GTEX-1445S-1226-SM-5O9BF 60-69 years, male 116.8
GTEX-WI4N-0726-SM-3TW93 40-49 years, female 116.8
GTEX-1I1GR-1026-SM-A9SLC 60-69 years, male 116.8
GTEX-XLM4-2026-SM-4AT4X 60-69 years, male 116.5
GTEX-Y3I4-0526-SM-4TT6X 50-59 years, male 116.5
GTEX-11UD2-0926-SM-5CVL6 50-59 years, male 116.3
GTEX-ZYT6-0926-SM-5GIEM 30-39 years, male 115.7
GTEX-1NHNU-0626-SM-E6CP1 50-59 years, male 115.3
GTEX-1K2DU-0226-SM-DIPF6 20-29 years, male 114.5
GTEX-14PK6-0726-SM-6LLIX 70-79 years, female 114.4
GTEX-1GMR8-1026-SM-9MQLA 50-59 years, female 114.4
GTEX-1IOXB-0726-SM-A9G32 50-59 years, male 114.4
GTEX-1CAMS-1126-SM-7MXUQ 40-49 years, female 114.3
GTEX-1313W-1126-SM-5EQ5U 50-59 years, female 114.1
GTEX-ZXG5-0626-SM-5NQ85 60-69 years, male 114.1
GTEX-16NPX-0826-SM-6M489 50-59 years, male 113.7
GTEX-YJ8O-0826-SM-5CVM3 40-49 years, female 113.5
GTEX-144GL-1026-SM-5O99R 50-59 years, male 113.3
GTEX-11ZUS-0326-SM-5EQ4W 30-39 years, male 113.2
GTEX-1IL2V-1126-SM-CMKGH 70-79 years, male 113.0
GTEX-13OW5-0926-SM-5L3GZ 60-69 years, male 112.8
GTEX-111VG-0326-SM-5GZX7 60-69 years, male 112.7
GTEX-1212Z-0726-SM-5EGI5 60-69 years, male 112.5
GTEX-XQ8I-0226-SM-4BOPM 50-59 years, male 112.3
GTEX-13X6K-1726-SM-7IGLG 60-69 years, female 112.1
GTEX-1GN1V-1026-SM-CNPPS 60-69 years, male 111.7
GTEX-1HSMO-1126-SM-CGQF2 60-69 years, male 111.5
GTEX-15DCE-0826-SM-7KULW 20-29 years, male 111.0
GTEX-1KANC-0226-SM-E9TIW 50-59 years, female 110.7
GTEX-13D11-1526-SM-5J2NA 50-59 years, female 110.3
GTEX-13CF2-0226-SM-5L3DV 60-69 years, male 110.1
GTEX-117YW-0426-SM-5GZZZ 50-59 years, male 109.9
GTEX-11EMC-0826-SM-59862 60-69 years, female 109.7
GTEX-11DXY-1026-SM-5987V 60-69 years, male 109.5
GTEX-145MN-0726-SM-5NQBH 30-39 years, male 109.5
GTEX-1AX9K-0426-SM-73KUG 50-59 years, male 109.2
GTEX-UPK5-0226-SM-3GAEV 40-49 years, male 109.2
GTEX-WK11-0626-SM-3NMAV 50-59 years, male 109.1
GTEX-1OFPY-0926-SM-DTX8Q 60-69 years, male 109.1
GTEX-X8HC-1026-SM-46MWH 50-59 years, female 109.0
GTEX-145LV-0226-SM-5S2QG 50-59 years, male 108.8
GTEX-14BIN-2126-SM-793AX 50-59 years, female 108.7
GTEX-1F75I-1326-SM-7PBZX 40-49 years, male 108.7
GTEX-1H11D-1026-SM-9QEIU 40-49 years, male 108.7
GTEX-1CB4H-0626-SM-7IGN3 60-69 years, female 108.6
GTEX-1KD5A-0926-SM-D4P3U 50-59 years, male 108.4
GTEX-1EWIQ-1126-SM-7EPIK 70-79 years, female 108.1
GTEX-1I1GQ-1226-SM-CL55J 50-59 years, male 108.0
GTEX-X62O-0826-SM-46MW8 50-59 years, male 107.9
GTEX-11NV4-0826-SM-5BC4S 60-69 years, male 107.8
GTEX-1QMI2-1026-SM-DTX7T 60-69 years, male 107.6
GTEX-1B8L1-0426-SM-7SB76 60-69 years, male 107.4
GTEX-13JUV-0226-SM-5IJCC 40-49 years, female 107.2
GTEX-13112-0526-SM-5EQ4S 50-59 years, male 106.7
GTEX-1LSNL-0626-SM-DIPFJ 50-59 years, male 106.5
GTEX-13NZB-0426-SM-5KM26 30-39 years, male 106.3
GTEX-17KNJ-0626-SM-7LT9L 50-59 years, male 106.3
GTEX-1F6I4-0826-SM-7RHGK 60-69 years, male 106.2
GTEX-1BAJH-1026-SM-7EWEG 70-79 years, male 106.1
GTEX-13NYB-0326-SM-5IJDP 40-49 years, male 106.0
GTEX-1B8SG-0726-SM-79ONS 50-59 years, male 105.8
GTEX-1QPFJ-0926-SM-EVR3K 30-39 years, female 105.8
GTEX-1C6WA-0826-SM-7PBXS 60-69 years, male 105.6
GTEX-1HFI7-0526-SM-A9SMA 50-59 years, female 105.4
GTEX-132Q8-1126-SM-5K7XS 60-69 years, male 105.3
GTEX-1399T-0726-SM-5J1MH 60-69 years, male 104.8
GTEX-YEC4-0226-SM-4W1YG 40-49 years, male 104.7
GTEX-ZVT4-1326-SM-5NQ8E 50-59 years, female 104.6
GTEX-WL46-0726-SM-3LK5Z 50-59 years, male 104.4
GTEX-1GMR3-0426-SM-7PC17 40-49 years, male 104.2
GTEX-139TU-1926-SM-5J2OC 60-69 years, male 104.1
GTEX-11EQ8-1326-SM-5EGJQ 60-69 years, male 104.0
GTEX-X4EP-0326-SM-3P5Z6 60-69 years, female 103.9
GTEX-1KXAM-1426-SM-D3LAC 60-69 years, male 103.4
GTEX-14DAQ-1026-SM-793B1 60-69 years, female 103.1
GTEX-1JMOU-0326-SM-ARL8X 60-69 years, female 103.1
GTEX-ZPIC-0426-SM-DO91V 40-49 years, female 103.1
GTEX-13N1W-0926-SM-5MR36 70-79 years, male 102.8
GTEX-17F96-0826-SM-7DHLU 70-79 years, male 102.6
GTEX-WHSE-0826-SM-4SOJU 20-29 years, male 102.6
GTEX-WZTO-1226-SM-3NMAZ 40-49 years, male 102.3
GTEX-1H3VY-1126-SM-A96TP 50-59 years, male 102.3
GTEX-13NYS-1926-SM-5IJCB 60-69 years, male 102.0
GTEX-17EVP-0526-SM-7EPGY 40-49 years, male 101.8
GTEX-13FHO-1226-SM-5L3EF 60-69 years, male 101.3
GTEX-1EX96-2626-SM-9MQJV 50-59 years, male 101.2
GTEX-11TUW-1126-SM-5EQKJ 60-69 years, male 100.5
GTEX-1GN73-2326-SM-9MQKV 60-69 years, male 100.5
GTEX-X261-0926-SM-3NMCY 50-59 years, male 100.4
GTEX-1HUB1-0726-SM-CGQF4 60-69 years, male 100.0
GTEX-1I19N-0626-SM-A9SKY 70-79 years, male 99.9
GTEX-13NZA-0826-SM-5K7WS 60-69 years, male 99.6
GTEX-1R9JW-0426-SM-E76QL 30-39 years, female 99.6
GTEX-132QS-0526-SM-5IJC7 60-69 years, male 99.4
GTEX-15CHC-0326-SM-5ZZVP 60-69 years, female 98.9
GTEX-12WSA-1126-SM-5EGKU 60-69 years, male 98.7
GTEX-1H1CY-0426-SM-9KNVD 60-69 years, female 98.7
GTEX-WYJK-1126-SM-3NM9Z 50-59 years, male 98.6
GTEX-14BMV-1026-SM-5SI6B 50-59 years, male 98.5
GTEX-1JJ6O-2226-SM-AHZ3I 60-69 years, male 98.5
GTEX-1HSKV-0726-SM-ACKWE 60-69 years, male 98.4
GTEX-1QCLZ-1126-SM-EWRNB 60-69 years, female 98.4
GTEX-14E7W-1126-SM-5ZZVS 70-79 years, male 98.2
GTEX-1AX9I-1026-SM-73KYF 60-69 years, male 97.9
GTEX-14E1K-0826-SM-5ZZW9 50-59 years, male 97.4
GTEX-13X6J-1226-SM-79OMF 50-59 years, male 96.5
GTEX-1M5QR-1626-SM-E9U5O 40-49 years, male 96.4
GTEX-16XZZ-1026-SM-7DHKS 60-69 years, male 96.3
GTEX-12ZZY-1226-SM-5GCNK 60-69 years, male 95.8
GTEX-1IKOH-0926-SM-A9SLU 60-69 years, female 95.8
GTEX-14PN3-0726-SM-6EU14 60-69 years, female 95.7
GTEX-12696-1226-SM-5FQSM 60-69 years, male 95.6
GTEX-X4XX-1126-SM-3NMBY 60-69 years, male 95.6
GTEX-1H3O1-0226-SM-9WYSW 60-69 years, male 95.4
GTEX-15RJE-0726-SM-7KUEG 40-49 years, male 95.2
GTEX-14E6C-0326-SM-5Q5EE 40-49 years, male 95.1
GTEX-1C2JI-0626-SM-7DHM1 50-59 years, male 95.1
GTEX-1HFI6-0826-SM-9YFM2 40-49 years, male 94.9
GTEX-1JMQL-1026-SM-CMKGV 50-59 years, female 94.9
GTEX-1JN6P-0826-SM-ARL97 60-69 years, male 94.8
GTEX-12WSD-1226-SM-5HL9Q 60-69 years, female 94.6
GTEX-XYKS-0226-SM-4BRW3 60-69 years, female 94.3
GTEX-132NY-1426-SM-5J1MJ 60-69 years, male 94.0
GTEX-1I1HK-0626-SM-CNPQM 60-69 years, male 93.9
GTEX-1LVAN-1526-SM-CNPQN 50-59 years, female 93.9
GTEX-14H4A-0426-SM-5ZZWO 40-49 years, female 93.8
GTEX-X3Y1-0226-SM-3P5Z5 40-49 years, male 93.5
GTEX-1B8SF-1326-SM-7IGQJ 60-69 years, male 93.3
GTEX-14BIL-0926-SM-7DHKN 50-59 years, male 92.7
GTEX-XPVG-0726-SM-4B658 50-59 years, male 92.6
GTEX-11EM3-0426-SM-5N9BZ 20-29 years, female 92.5
GTEX-1R9K4-1026-SM-EXUT1 60-69 years, male 92.2
GTEX-14C39-0726-SM-5RQIK 40-49 years, male 92.1
GTEX-1IKK5-1726-SM-CM2RU 60-69 years, male 92.0
GTEX-1122O-0626-SM-5N9B9 60-69 years, female 91.6
GTEX-15ER7-0826-SM-6PALW 20-29 years, female 91.5
GTEX-14PHX-0626-SM-5YY8Z 50-59 years, male 91.2
GTEX-1LGOU-0326-SM-D3LAM 20-29 years, female 90.5
GTEX-1399U-0726-SM-5KM1D 50-59 years, female 90.3
GTEX-18D9U-1426-SM-718BO 40-49 years, male 90.3
GTEX-1399S-0826-SM-5KM23 30-39 years, female 90.1
GTEX-12WSG-1226-SM-5EQ4C 50-59 years, female 90.0
GTEX-1192X-0726-SM-5987R 50-59 years, male 89.7
GTEX-ZF29-0426-SM-4WKFN 60-69 years, female 89.6
GTEX-1AX9J-0926-SM-73KXA 60-69 years, male 89.4
GTEX-WQUQ-1326-SM-3MJFF 60-69 years, male 89.3
GTEX-XV7Q-0726-SM-4BRV6 40-49 years, female 89.0
GTEX-1HCUA-0626-SM-ACKVT 50-59 years, female 89.0
GTEX-U8XE-0926-SM-3DB8V 30-39 years, male 88.9
GTEX-1R7EV-0426-SM-DTX7Z 40-49 years, male 88.9
GTEX-Y5V5-0726-SM-4VBPY 60-69 years, female 88.8
GTEX-15D1Q-0426-SM-6AJ9G 40-49 years, male 88.6
GTEX-ZAJG-0926-SM-5Q5AB 50-59 years, female 88.5
GTEX-1LSNM-0426-SM-E9TIZ 50-59 years, male 88.5
GTEX-13OW6-0926-SM-5L3GM 50-59 years, male 88.4
GTEX-14PJ6-0626-SM-686Z6 60-69 years, female 88.1
GTEX-ZDYS-0326-SM-5HL4W 50-59 years, male 88.1
GTEX-1192W-0226-SM-5EGGT 60-69 years, male 88.0
GTEX-1HC8U-0626-SM-B2LWB 40-49 years, female 87.7
GTEX-1B97J-0326-SM-7939H 50-59 years, female 87.6
GTEX-131XF-0426-SM-5HL7U 60-69 years, male 87.5
GTEX-1IL2U-1226-SM-CL53P 60-69 years, male 87.5
GTEX-1JMQK-0926-SM-ARL96 60-69 years, male 87.5
GTEX-1CB4I-1526-SM-7DHMY 50-59 years, male 87.4
GTEX-17GQL-0626-SM-731CN 60-69 years, male 87.3
GTEX-ZYFD-2026-SM-5E459 50-59 years, male 87.3
GTEX-14A6H-0326-SM-5NQAN 30-39 years, male 87.2
GTEX-11LCK-0826-SM-5PNYD 30-39 years, male 87.0
GTEX-11ZVC-0526-SM-5N9G1 50-59 years, female 86.9
GTEX-11P81-0526-SM-59873 30-39 years, female 86.5
GTEX-12584-1026-SM-59HK3 40-49 years, male 86.5
GTEX-15RIE-1326-SM-6PAMM 60-69 years, male 86.2
GTEX-WHPG-1026-SM-3NMBA 50-59 years, male 86.0
GTEX-13FTZ-0326-SM-5J1O1 60-69 years, male 85.8
GTEX-1B932-1326-SM-79OM4 40-49 years, female 85.4
GTEX-1B996-1026-SM-793CF 60-69 years, male 85.2
GTEX-1HCU7-1226-SM-B2LX8 50-59 years, male 85.2
GTEX-V955-0826-SM-CYPR5 60-69 years, male 84.9
GTEX-13S86-0326-SM-5SI6K 40-49 years, male 84.8
GTEX-13FH7-0826-SM-5J2NW 50-59 years, female 84.7
GTEX-13PVR-0926-SM-5S2RB 60-69 years, female 84.6
GTEX-1C64O-0926-SM-79OLN 60-69 years, male 84.4
GTEX-1HCVE-0826-SM-CM2SF 50-59 years, male 84.2
GTEX-1GL5R-0426-SM-9WPOP 50-59 years, male 84.1
GTEX-1L5NE-0526-SM-DIPG5 50-59 years, male 84.1
GTEX-WOFL-1226-SM-4OOST 60-69 years, male 83.7
GTEX-YB5K-0226-SM-5IFJE 40-49 years, female 83.7
GTEX-1H2FU-0826-SM-9WYSU 60-69 years, female 83.6
GTEX-14XAO-0926-SM-69LPZ 60-69 years, female 83.5
GTEX-ZUA1-0726-SM-4YCD9 40-49 years, male 83.4
GTEX-XGQ4-0526-SM-4AT6C 50-59 years, male 83.3
GTEX-1NSGN-1226-SM-E76OL 50-59 years, male 83.1
GTEX-12BJ1-0326-SM-5FQUB 60-69 years, male 82.9
GTEX-1GN1W-0226-SM-7P8QY 50-59 years, female 82.3
GTEX-1HBPN-0926-SM-CGQEG 50-59 years, male 82.3
GTEX-WWYW-1126-SM-3NB2Q 50-59 years, female 82.0
GTEX-11GSP-1226-SM-5985M 60-69 years, female 81.9
GTEX-15SHV-0526-SM-7KUEN 60-69 years, male 81.6
GTEX-1H3NZ-1026-SM-A9SM5 60-69 years, male 81.4
GTEX-1399R-1726-SM-5K7YJ 30-39 years, male 81.3
GTEX-13N11-0726-SM-5L3DP 50-59 years, female 81.2
GTEX-13O61-0426-SM-5L3ET 60-69 years, male 81.1
GTEX-1IDJF-0826-SM-ARU7N 20-29 years, male 81.1
GTEX-YF7O-0526-SM-5P9IO 50-59 years, male 81.0
GTEX-131YS-0826-SM-5PNYV 60-69 years, female 80.9
GTEX-13OVG-0426-SM-5KM2T 60-69 years, male 80.2
GTEX-18D9B-1126-SM-7KFSH 60-69 years, male 80.2
GTEX-ZG7Y-1426-SM-4WWBM 50-59 years, male 80.2
GTEX-12WSN-0226-SM-5DUXH 40-49 years, male 80.1
GTEX-13OVI-0326-SM-5K7X1 60-69 years, female 80.1
GTEX-14C38-1326-SM-62LDK 50-59 years, male 80.0
GTEX-11ONC-1026-SM-5GU64 60-69 years, male 79.9
GTEX-Y3IK-1026-SM-51MR7 50-59 years, female 79.7
GTEX-13U4I-0626-SM-5LU5L 40-49 years, female 79.4
GTEX-131XG-0526-SM-5DUWF 50-59 years, female 79.2
GTEX-16XZY-0526-SM-7DHKY 70-79 years, male 79.2
GTEX-ZGAY-0226-SM-4WWAL 40-49 years, female 79.2
GTEX-1I1CD-1326-SM-A9SMM 60-69 years, female 79.2
GTEX-15SHU-0926-SM-6PAMK 40-49 years, female 79.1
GTEX-1GTWX-0926-SM-9MQKM 60-69 years, male 79.1
GTEX-1B8KE-0326-SM-73KTY 50-59 years, male 78.9
GTEX-1339X-0326-SM-5K7Z8 40-49 years, male 78.7
GTEX-146FR-0926-SM-5QGPE 60-69 years, female 77.9
GTEX-13FTW-0826-SM-5K7XR 40-49 years, male 77.8
GTEX-1F48J-1126-SM-9WYSY 50-59 years, female 77.8
GTEX-1GMR2-1326-SM-9KNUT 50-59 years, male 77.5
GTEX-16MT8-0826-SM-7KULO 60-69 years, female 77.1
GTEX-1IDJU-0626-SM-CKZOG 60-69 years, female 77.1
GTEX-1IKOE-0626-SM-A9G31 30-39 years, female 77.1
GTEX-15EU6-1326-SM-6PANG 50-59 years, male 77.0
GTEX-12WSK-0526-SM-5CVNA 40-49 years, female 76.8
GTEX-1JK1U-0626-SM-CKZOJ 60-69 years, male 76.6
GTEX-11DXX-0526-SM-5PNVR 60-69 years, female 76.5
GTEX-1211K-0226-SM-59HJY 60-69 years, female 76.5
GTEX-1J8Q3-1126-SM-ARU8N 60-69 years, male 76.5
GTEX-ZVT2-0926-SM-5GICE 50-59 years, female 76.4
GTEX-XPT6-0226-SM-4B65L 20-29 years, male 76.3
GTEX-15CHR-0326-SM-7DHN3 50-59 years, male 76.1
GTEX-15SDE-1826-SM-7KUFN 50-59 years, female 75.9
GTEX-1CB4E-0626-SM-7DHMW 60-69 years, male 75.9
GTEX-14PII-1026-SM-5ZZVW 60-69 years, male 75.7
GTEX-ZPCL-0526-SM-DO91R 60-69 years, female 75.6
GTEX-1A3MX-1226-SM-731B3 60-69 years, male 75.4
GTEX-1MCC2-0226-SM-EVYD5 30-39 years, female 75.2
GTEX-17F9E-0726-SM-793A1 50-59 years, male 75.0
GTEX-13PL7-0726-SM-5KM1S 60-69 years, female 74.8
GTEX-WEY5-0226-SM-3GIKN 40-49 years, female 74.7
GTEX-ZF2S-0826-SM-4WWBI 50-59 years, female 74.5
GTEX-13O1R-0926-SM-5L3DS 60-69 years, male 74.1
GTEX-WH7G-0326-SM-3NMBH 40-49 years, male 73.8
GTEX-117YX-0626-SM-5EGJI 50-59 years, male 73.5
GTEX-ZZPU-1126-SM-5N9CW 50-59 years, female 73.2
GTEX-ZPU1-0726-SM-5HL6O 40-49 years, male 73.0
GTEX-1IDJD-0226-SM-CKZOA 30-39 years, male 71.9
GTEX-139YR-0526-SM-5L3DG 50-59 years, male 71.6
GTEX-14PJ4-0926-SM-5YY98 60-69 years, male 71.6
GTEX-ZEX8-0326-SM-DO92C 50-59 years, male 71.4
GTEX-ZT9W-0526-SM-57WFG 50-59 years, male 71.0
GTEX-17HGU-1126-SM-793BP 50-59 years, male 70.2
GTEX-1LGRB-1026-SM-CNPQD 50-59 years, female 70.2
GTEX-1117F-0726-SM-5GIEN 60-69 years, female 70.0
GTEX-14PJO-0826-SM-6ETZK 60-69 years, male 70.0
GTEX-11ZTT-0526-SM-5EQLA 60-69 years, female 69.7
GTEX-XXEK-2026-SM-4BRVE 50-59 years, male 69.6
GTEX-13O21-0326-SM-5J1N9 50-59 years, male 69.5
GTEX-1HSMQ-0426-SM-ADEIM 50-59 years, male 69.5
GTEX-13O3Q-0326-SM-5L3FE 50-59 years, male 68.5
GTEX-13W3W-0526-SM-5LU3X 60-69 years, female 68.5
GTEX-ZV7C-0526-SM-9WPNK 50-59 years, male 67.8
GTEX-132AR-1926-SM-5EGK5 50-59 years, female 67.7
GTEX-ZDTT-0326-SM-4WKF9 60-69 years, male 67.0
GTEX-11DXZ-0326-SM-5EGH1 50-59 years, male 66.9
GTEX-ZAB4-0926-SM-5CVN4 40-49 years, male 66.8
GTEX-YEC3-0426-SM-CYPS8 50-59 years, male 66.7
GTEX-ZTTD-0626-SM-4YCCY 50-59 years, male 66.2
GTEX-131XE-0526-SM-5K7YT 50-59 years, male 66.0
GTEX-VUSG-0726-SM-3GIK1 50-59 years, male 65.7
GTEX-X5EB-0626-SM-46MVQ 40-49 years, male 65.7
GTEX-1AYCT-0526-SM-7RHHS 50-59 years, male 65.2
GTEX-15UF7-1526-SM-6LPI7 40-49 years, male 64.6
GTEX-1J8QM-0326-SM-CL53D 60-69 years, female 64.0
GTEX-WFG8-0726-SM-3GILP 20-29 years, male 63.4
GTEX-ZYFG-0526-SM-5GZXX 60-69 years, female 62.4
GTEX-1ICG6-0726-SM-B2LY5 70-79 years, female 61.8
GTEX-13NZ9-0126-SM-5K7XV 50-59 years, male 61.4
GTEX-18A67-1026-SM-731CE 50-59 years, male 60.8
GTEX-11TT1-1426-SM-5EGIA 20-29 years, male 60.3
GTEX-UTHO-1226-SM-3GAEE 60-69 years, male 58.9
GTEX-ZAB5-0126-SM-5CVMT 50-59 years, male 58.5
GTEX-WY7C-1126-SM-3NB3A 50-59 years, male 55.4
GTEX-111YS-0326-SM-5GZZ3 60-69 years, male 54.9
GTEX-WHWD-0326-SM-3LK6L 50-59 years, male 54.0
GTEX-WFG7-0826-SM-3GIKU 20-29 years, male 52.9
GTEX-18A66-1126-SM-731C5 60-69 years, male 52.8
GTEX-14PHY-0326-SM-62LE3 60-69 years, female 51.2
GTEX-Y8E4-0426-SM-4V6GB 40-49 years, male 49.3
GTEX-WFON-0226-SM-3GIKR 40-49 years, male 48.0
Show allShow less
Heart - Left Ventricle
Average nTPM: 136.5
Samples: 432

Max nTPM: 434.0
Min nTPM: 48.3
Std nTPM: 51.4
Median nTPM: 126.3
GTEX-11ONC-0126-SM-5PNW6 60-69 years, male 434.0
GTEX-1O9I2-1126-SM-DTXEA 50-59 years, male 431.3
GTEX-1RQEC-0926-SM-EWROG 60-69 years, male 331.5
GTEX-13O3O-1526-SM-5KM1C 60-69 years, female 311.2
GTEX-1JJ6O-2126-SM-CNNP6 60-69 years, male 296.2
GTEX-1R9PO-0326-SM-DTXA1 60-69 years, female 293.6
GTEX-1H1ZS-1126-SM-9MQLJ 70-79 years, male 274.6
GTEX-145LV-0326-SM-5Q5BW 50-59 years, male 272.3
GTEX-1POEN-0626-SM-EVR4B 30-39 years, female 266.0
GTEX-1HBPM-1226-SM-A9SM8 60-69 years, female 265.6
GTEX-1J8Q2-1226-SM-A9G2W 60-69 years, male 265.5
GTEX-17JCI-1126-SM-7IGMM 60-69 years, female 256.0
GTEX-13OW6-1126-SM-5L3HL 50-59 years, male 255.8
GTEX-1HCU6-1026-SM-A9G25 60-69 years, female 254.1
GTEX-1PWST-1026-SM-DTXF2 70-79 years, male 247.7
GTEX-1314G-0126-SM-5LZUL 30-39 years, male 238.7
GTEX-1269C-0826-SM-5N9EM 60-69 years, female 238.0
GTEX-1313W-1426-SM-5KLZU 50-59 years, female 237.7
GTEX-16MT8-0926-SM-6M487 60-69 years, female 233.1
GTEX-15DDE-1126-SM-6LLHN 50-59 years, female 232.2
GTEX-1A8G6-1626-SM-7MGWO 60-69 years, male 231.5
GTEX-1N2EF-2826-SM-E6CQF 60-69 years, male 226.7
GTEX-13CF2-0426-SM-5KM1H 60-69 years, male 226.0
GTEX-1HCU7-1326-SM-CNPPW 50-59 years, male 225.3
GTEX-1ICLY-1326-SM-CJI47 50-59 years, male 223.4
GTEX-ZF3C-1226-SM-4WWCB 50-59 years, female 220.6
GTEX-OXRO-2026-SM-2YUMZ 60-69 years, female 219.3
GTEX-1F48J-1026-SM-7P8SO 50-59 years, female 219.0
GTEX-1EH9U-0826-SM-7IGPT 60-69 years, male 218.9
GTEX-15SHU-1126-SM-7KUMB 40-49 years, female 217.3
GTEX-13RTJ-0726-SM-5QGQN 60-69 years, male 214.8
GTEX-R45C-0926-SM-3GAD4 60-69 years, female 214.4
GTEX-14DAQ-1126-SM-664MT 60-69 years, female 211.8
GTEX-1M5QR-1026-SM-DHXK9 40-49 years, male 210.8
GTEX-QVJO-1926-SM-2S1QZ 60-69 years, female 209.8
GTEX-13SLX-1026-SM-5ZZUQ 50-59 years, female 207.6
GTEX-1LB8K-1026-SM-DHXJJ 50-59 years, male 207.6
GTEX-11EMC-0726-SM-5EGJO 60-69 years, female 207.1
GTEX-17MF6-0726-SM-7LT8E 40-49 years, male 206.3
GTEX-ZDTS-1326-SM-6LLHE 60-69 years, male 206.2
GTEX-1CB4I-1626-SM-7RHGV 50-59 years, male 206.0
GTEX-1HBPH-0126-SM-CNNQ7 40-49 years, female 205.5
GTEX-14A6H-0226-SM-5Q5DX 30-39 years, male 204.7
GTEX-1GZ4I-1026-SM-9KNV5 50-59 years, male 203.8
GTEX-1I1GV-1326-SM-A96SE 60-69 years, male 203.3
GTEX-17F9E-0926-SM-7IGMG 50-59 years, male 202.5
GTEX-1JMQK-0626-SM-D4P2R 60-69 years, male 201.8
GTEX-1F6I4-0726-SM-7PC2P 60-69 years, male 201.5
GTEX-1JJEA-0826-SM-CL53T 60-69 years, male 197.4
GTEX-1OKEX-0726-SM-DPRYE 60-69 years, male 197.3
GTEX-NPJ8-0426-SM-2HMK6 40-49 years, male 196.1
GTEX-17F9Y-1326-SM-7MGW9 70-79 years, female 192.0
GTEX-1MJIX-0326-SM-EVR42 40-49 years, male 192.0
GTEX-13O3P-1626-SM-5K7X3 50-59 years, male 191.7
GTEX-1I1GQ-1426-SM-B2LWY 50-59 years, male 190.8
GTEX-13OVL-0526-SM-5KLZQ 50-59 years, male 190.2
GTEX-1A3MW-1326-SM-7189P 60-69 years, female 189.7
GTEX-P78B-0426-SM-2I5F5 40-49 years, female 189.0
GTEX-1JN1M-1026-SM-CNPOS 60-69 years, female 188.8
GTEX-1R9K4-1326-SM-DTX8G 60-69 years, male 188.3
GTEX-14JG1-1026-SM-6ETZY 40-49 years, male 187.3
GTEX-WL46-0926-SM-3LK7T 50-59 years, male 186.3
GTEX-1497J-1226-SM-5Q5BL 60-69 years, male 185.4
GTEX-15SHW-1226-SM-6M46C 60-69 years, male 184.3
GTEX-16BQI-0926-SM-6M485 30-39 years, female 182.6
GTEX-1J8EW-0926-SM-A9G33 60-69 years, female 182.2
GTEX-1JN6P-1126-SM-CKZON 60-69 years, male 181.4
GTEX-1PPGY-1126-SM-E76OU 60-69 years, male 180.9
GTEX-15RJE-0626-SM-7KUKR 40-49 years, male 180.8
GTEX-ZAB4-1026-SM-5HL7T 40-49 years, male 180.8
GTEX-1AX9I-1126-SM-7EPHH 60-69 years, male 179.8
GTEX-P44H-0726-SM-48TBT 40-49 years, male 179.7
GTEX-YFC4-0526-SM-5ZZVI 40-49 years, female 179.5
GTEX-ZDXO-0726-SM-57WBT 60-69 years, male 179.5
GTEX-14A5I-1226-SM-5NQBW 50-59 years, female 177.9
GTEX-1E1VI-1326-SM-7IGQD 50-59 years, male 177.7
GTEX-WI4N-0626-SM-3TW8Z 40-49 years, female 177.0
GTEX-1LH75-0426-SM-E9TJF 50-59 years, female 177.0
GTEX-13X6I-1426-SM-5SI9Z 60-69 years, male 176.6
GTEX-14E6C-0426-SM-5YYA8 40-49 years, male 176.6
GTEX-12ZZZ-1726-SM-59HK5 60-69 years, male 176.3
GTEX-O5YV-0326-SM-2I5H2 60-69 years, female 176.2
GTEX-1JMLX-1626-SM-ARZMV 50-59 years, male 176.1
GTEX-1C64O-0826-SM-79OKZ 60-69 years, male 175.6
GTEX-1H23P-1226-SM-9QEJ2 60-69 years, male 175.3
GTEX-1KD5A-1026-SM-CY8I8 50-59 years, male 175.3
GTEX-RWSA-0626-SM-2XCBD 40-49 years, male 173.4
GTEX-145MO-1126-SM-5NQBX 60-69 years, male 173.1
GTEX-1F5PK-0326-SM-9KNUD 50-59 years, male 172.7
GTEX-147F4-1226-SM-5NQAY 50-59 years, male 171.5
GTEX-1ICG6-0626-SM-ACKWS 70-79 years, female 171.4
GTEX-1F6IF-2526-SM-7P8TV 60-69 years, male 171.0
GTEX-RNOR-0826-SM-2TF5C 50-59 years, female 170.7
GTEX-13NZB-0226-SM-5KM1T 30-39 years, male 170.6
GTEX-15DYW-1126-SM-6LPK5 60-69 years, female 170.0
GTEX-1IL2U-1326-SM-A9G2O 60-69 years, male 169.4
GTEX-131XH-0226-SM-5LZVB 50-59 years, male 169.1
GTEX-ZQUD-1526-SM-7IGO2 30-39 years, male 169.1
GTEX-132NY-1726-SM-5EGKK 60-69 years, male 169.0
GTEX-O5YW-0326-SM-2I5EI 50-59 years, male 167.4
GTEX-13PVQ-1226-SM-5IJDC 50-59 years, male 167.1
GTEX-11DXY-0826-SM-5EGGR 60-69 years, male 166.4
GTEX-17HHY-1426-SM-7EWDQ 50-59 years, male 164.7
GTEX-13YAN-1326-SM-5Q5F1 60-69 years, male 163.2
GTEX-1EU9M-1826-SM-7DUGU 60-69 years, male 162.3
GTEX-12ZZY-1126-SM-5DUWQ 60-69 years, male 162.2
GTEX-1212Z-0626-SM-5FQTB 60-69 years, male 162.1
GTEX-11GSP-1326-SM-5A5KY 60-69 years, female 161.7
GTEX-148VI-0326-SM-5RQK7 60-69 years, female 161.6
GTEX-XQ3S-0626-SM-4BOOB 20-29 years, male 161.6
GTEX-1BAJH-1626-SM-73KUV 70-79 years, male 160.4
GTEX-12WSG-0526-SM-5FQTH 50-59 years, female 160.3
GTEX-T6MN-0926-SM-32PLX 50-59 years, male 158.6
GTEX-16NPX-0926-SM-7KUEZ 50-59 years, male 158.3
GTEX-11O72-1126-SM-5N9E2 40-49 years, male 158.2
GTEX-1O97I-0826-SM-E8VNE 60-69 years, male 158.1
GTEX-13OW8-2126-SM-5J1OS 60-69 years, male 158.0
GTEX-ZYFC-1126-SM-5E44W 50-59 years, male 157.7
GTEX-1MUQO-1226-SM-E9TJK 60-69 years, male 157.6
GTEX-N7MS-0826-SM-2HML4 60-69 years, male 156.9
GTEX-Y3I4-0626-SM-4TT7A 50-59 years, male 156.6
GTEX-148VJ-1526-SM-5Q5DU 70-79 years, male 156.4
GTEX-18A6Q-1626-SM-7KFTA 60-69 years, male 156.4
GTEX-1CB4J-0326-SM-7PBZO 60-69 years, male 155.4
GTEX-XBEC-1326-SM-4AT69 50-59 years, male 155.1
GTEX-12584-0926-SM-5FQTN 40-49 years, male 154.9
GTEX-1EMGI-1226-SM-793DD 60-69 years, male 154.3
GTEX-1JMPZ-1426-SM-CJI3C 30-39 years, male 154.3
GTEX-OIZG-1126-SM-2HMIU 50-59 years, male 154.1
GTEX-1IKK5-1526-SM-CKZPW 60-69 years, male 154.1
GTEX-1R7EV-0326-SM-E76PA 40-49 years, male 152.9
GTEX-11ZVC-0426-SM-5CVLD 50-59 years, female 152.7
GTEX-1GMR2-1426-SM-7RHHK 50-59 years, male 151.5
GTEX-RTLS-0826-SM-2TF5Q 60-69 years, female 151.4
GTEX-XQ8I-0126-SM-4BOPL 50-59 years, male 151.2
GTEX-1RAZS-0826-SM-E76QP 50-59 years, male 151.0
GTEX-14C38-1426-SM-5RQHZ 50-59 years, male 150.9
GTEX-13112-0426-SM-5PNVC 50-59 years, male 150.7
GTEX-1HSGN-1126-SM-CJI4G 40-49 years, female 149.6
GTEX-OXRL-0326-SM-2I3F2 50-59 years, male 148.7
GTEX-X15G-0426-SM-4PQZ6 50-59 years, female 148.4
GTEX-1QP29-1526-SM-EXUSY 50-59 years, male 148.3
GTEX-14PJ6-0726-SM-69LOL 60-69 years, female 147.9
GTEX-13X6K-1826-SM-5O9CR 60-69 years, female 147.7
GTEX-1KANC-0426-SM-CXZK5 50-59 years, female 147.2
GTEX-Y114-0226-SM-4TT8W 50-59 years, female 147.1
GTEX-1QPFJ-1026-SM-E6CR6 30-39 years, female 146.5
GTEX-13FTZ-0226-SM-5K7X6 60-69 years, male 145.8
GTEX-1LVAN-1726-SM-CNNR1 50-59 years, female 145.7
GTEX-18465-0926-SM-731AY 50-59 years, male 145.3
GTEX-13JVG-1326-SM-5N9F8 60-69 years, male 145.2
GTEX-1A3MX-1326-SM-72D58 60-69 years, male 145.2
GTEX-1CB4G-0826-SM-7DUGF 60-69 years, male 145.2
GTEX-WK11-0826-SM-EZ6LH 50-59 years, male 144.9
GTEX-WHSE-0926-SM-3NMBS 20-29 years, male 144.8
GTEX-1AX9K-0526-SM-73KV1 50-59 years, male 144.7
GTEX-12WSC-1126-SM-5EQ4G 50-59 years, male 144.6
GTEX-1QP2A-1126-SM-EVR3H 50-59 years, male 144.6
GTEX-1B8L1-0526-SM-79ONX 60-69 years, male 143.8
GTEX-1ICLZ-1026-SM-A9SLF 60-69 years, male 143.8
GTEX-1GMR3-0326-SM-7P8QT 40-49 years, male 143.4
GTEX-WQUQ-1426-SM-3MJFD 60-69 years, male 143.2
GTEX-1LGOU-0726-SM-E9TIY 20-29 years, female 143.1
GTEX-QEL4-0926-SM-3GAD1 50-59 years, male 142.9
GTEX-1GN1V-0826-SM-9KNU6 60-69 years, male 142.2
GTEX-13FLV-0926-SM-5L3DZ 50-59 years, male 142.1
GTEX-WYJK-1026-SM-3NM8W 50-59 years, male 141.4
GTEX-1LC47-1026-SM-D3LAH 60-69 years, male 140.9
GTEX-UPK5-0326-SM-CYPR4 40-49 years, male 140.4
GTEX-14PN3-0526-SM-69LQF 60-69 years, female 140.2
GTEX-15CHC-0426-SM-6LLHI 60-69 years, female 140.1
GTEX-ZYW4-0926-SM-59HJS 60-69 years, male 139.1
GTEX-1EKGG-1126-SM-7MGXB 60-69 years, male 139.1
GTEX-PVOW-0426-SM-5MR5R 40-49 years, male 138.8
GTEX-1I1GP-0826-SM-A96SD 50-59 years, male 138.7
GTEX-WZTO-1326-SM-3NM8X 40-49 years, male 138.6
GTEX-1MCC2-0326-SM-EV7AK 30-39 years, female 138.4
GTEX-1GF9V-1626-SM-7PBXL 60-69 years, male 137.7
GTEX-1EN7A-0726-SM-7PBXT 40-49 years, male 137.4
GTEX-1H1CY-0326-SM-9QEIZ 60-69 years, female 136.7
GTEX-1R9JW-0526-SM-EWRNK 30-39 years, female 136.6
GTEX-1B8SG-0826-SM-7EWF7 50-59 years, male 136.4
GTEX-1S3DN-0726-SM-E9TIO 50-59 years, male 136.3
GTEX-1OFPY-1026-SM-EXUSO 60-69 years, male 135.6
GTEX-117YW-0326-SM-5N9CY 50-59 years, male 135.3
GTEX-147JS-1526-SM-5ZZWF 60-69 years, male 134.9
GTEX-WRHU-1226-SM-4E3IJ 50-59 years, female 134.3
GTEX-13N1W-1026-SM-5IJC5 70-79 years, male 134.0
GTEX-R55E-1026-SM-2TC5S 20-29 years, male 133.9
GTEX-14PJ2-1026-SM-6EU1M 50-59 years, male 133.5
GTEX-13VXT-1126-SM-5LU3A 20-29 years, female 133.4
GTEX-OHPK-0326-SM-2HMJO 50-59 years, female 133.2
GTEX-12WSD-1126-SM-5EGJD 60-69 years, female 132.8
GTEX-X8HC-1626-SM-46MWE 50-59 years, female 132.7
GTEX-15ER7-1726-SM-6PAMX 20-29 years, female 132.4
GTEX-1B996-1126-SM-73KWN 60-69 years, male 132.4
GTEX-S33H-0526-SM-COH1W 30-39 years, male 132.4
GTEX-16YQH-0926-SM-793BC 30-39 years, male 131.9
GTEX-ZDTT-0726-SM-4WKFK 60-69 years, male 131.9
GTEX-12WSN-5001-SM-7DHMK 40-49 years, male 131.4
GTEX-WWYW-1326-SM-3NB2S 50-59 years, female 131.4
GTEX-Y5V6-0826-SM-4VBRU 60-69 years, male 131.4
GTEX-1KD4Q-0726-SM-DIPGE 40-49 years, male 131.4
GTEX-12696-1126-SM-5FQTI 60-69 years, male 131.3
GTEX-14C5O-1326-SM-5S2UW 60-69 years, male 131.1
GTEX-REY6-1026-SM-2TF4Y 60-69 years, male 131.0
GTEX-OOBJ-0326-SM-33HBO 60-69 years, male 130.2
GTEX-18D9B-1226-SM-72D6V 60-69 years, male 130.1
GTEX-14E7W-1226-SM-5RQIU 70-79 years, male 129.7
GTEX-RN64-0826-SM-2TC62 50-59 years, male 129.7
GTEX-131XE-0626-SM-5HL98 50-59 years, male 128.6
GTEX-1EWIQ-1426-SM-7IGOS 70-79 years, female 128.6
GTEX-1I1HK-0726-SM-B2LY4 60-69 years, male 127.8
GTEX-1HT8W-1726-SM-CNNQB 30-39 years, male 127.2
GTEX-1HC8U-0726-SM-ACKXL 40-49 years, female 126.8
GTEX-13N11-0426-SM-5KM3O 50-59 years, female 126.5
GTEX-1HSMQ-0226-SM-C1YQL 50-59 years, male 126.1
GTEX-1B97J-0726-SM-7RHG3 50-59 years, female 125.7
GTEX-11ZUS-0226-SM-5FQT8 30-39 years, male 124.7
GTEX-SIU8-0826-SM-2XCDQ 50-59 years, male 124.6
GTEX-QEG5-0926-SM-2TC64 20-29 years, male 124.1
GTEX-XPVG-0826-SM-4B654 50-59 years, male 124.0
GTEX-1IDJE-0326-SM-CM2TD 50-59 years, female 123.9
GTEX-13QBU-0426-SM-5J2O4 40-49 years, female 123.6
GTEX-YJ8O-0926-SM-EAZ2Z 40-49 years, female 123.1
GTEX-13U4I-0826-SM-5SIBD 40-49 years, female 122.6
GTEX-1JK1U-0526-SM-CYPSQ 60-69 years, male 122.5
GTEX-13FHP-1026-SM-5K7Y2 50-59 years, male 122.3
GTEX-146FH-1026-SM-5RQIF 50-59 years, female 122.2
GTEX-UJHI-0426-SM-3DB8Y 50-59 years, female 122.0
GTEX-1RB15-0326-SM-E6CQB 60-69 years, male 121.9
GTEX-V1D1-0526-SM-4JBGW 50-59 years, male 121.6
GTEX-1GN73-2426-SM-7RHFQ 60-69 years, male 121.1
GTEX-1C2JI-0526-SM-7EWEQ 50-59 years, male 120.5
GTEX-1HFI7-0826-SM-A9G23 50-59 years, female 120.1
GTEX-1B932-1026-SM-793CL 40-49 years, female 119.6
GTEX-ZPCL-0426-SM-DNZZ4 60-69 years, female 119.4
GTEX-WH7G-0426-SM-3NMBJ 40-49 years, male 119.2
GTEX-13X6H-0426-SM-5LU4E 50-59 years, female 118.9
GTEX-1LVA9-0926-SM-EVR5G 50-59 years, male 118.9
GTEX-13CF3-0726-SM-5J2MY 60-69 years, female 118.8
GTEX-YEC3-0726-SM-CMKFH 50-59 years, male 118.6
GTEX-1CB4E-0526-SM-7MXTK 60-69 years, male 118.3
GTEX-1IDJI-1026-SM-A96TE 50-59 years, female 118.3
GTEX-ZAJG-0826-SM-5PNVA 50-59 years, female 118.2
GTEX-111FC-0826-SM-5GZWO 60-69 years, male 118.1
GTEX-1R9K5-1326-SM-E6CPR 50-59 years, male 118.0
GTEX-Y5V5-0626-SM-4VBPX 60-69 years, female 117.9
GTEX-1F75I-1126-SM-9WYUO 40-49 years, male 117.3
GTEX-1122O-0826-SM-5GICV 60-69 years, female 117.0
GTEX-XPT6-0126-SM-4B65S 20-29 years, male 115.6
GTEX-RWS6-0326-SM-2XCAP 60-69 years, female 115.4
GTEX-YB5K-0126-SM-5IFJ2 40-49 years, female 115.2
GTEX-1QCLZ-0926-SM-E6CQZ 60-69 years, female 114.8
GTEX-1399S-1026-SM-5KLZ9 30-39 years, female 114.7
GTEX-QV44-0526-SM-2S1RE 50-59 years, male 114.4
GTEX-1IKOE-1026-SM-ARZMF 30-39 years, female 114.4
GTEX-11GS4-0526-SM-5A5KQ 60-69 years, male 114.3
GTEX-P44G-0826-SM-2I5ES 30-39 years, male 114.1
GTEX-ZTPG-1226-SM-4YCDO 20-29 years, female 113.9
GTEX-1LG7Y-1226-SM-CXZKD 50-59 years, male 113.9
GTEX-PLZ5-0626-SM-2I5F8 50-59 years, male 113.6
GTEX-POMQ-0326-SM-2I5FO 20-29 years, female 113.5
GTEX-15CHQ-1526-SM-69LPW 60-69 years, male 113.1
GTEX-1JMOU-0226-SM-CNNPD 60-69 years, female 113.1
GTEX-1AX9J-1026-SM-72D6E 60-69 years, male 112.9
GTEX-16XZY-0426-SM-793BI 70-79 years, male 112.8
GTEX-14E6D-0926-SM-5S2QV 50-59 years, male 112.7
GTEX-14PK6-0826-SM-5ZZVO 70-79 years, female 112.7
GTEX-NFK9-0926-SM-2HMJU 40-49 years, male 112.6
GTEX-14PHX-2126-SM-6EU2U 50-59 years, male 112.1
GTEX-1LGRB-1126-SM-CNPP2 50-59 years, female 111.9
GTEX-1CAMS-1326-SM-79OJR 40-49 years, female 111.8
GTEX-OIZH-0326-SM-2HMKC 50-59 years, male 111.8
GTEX-Y8E4-0326-SM-4VBRR 40-49 years, male 111.8
GTEX-111YS-0426-SM-5987O 60-69 years, male 111.5
GTEX-XXEK-0926-SM-4BRWH 50-59 years, male 111.5
GTEX-1LSNM-0526-SM-DIPG6 50-59 years, male 111.5
GTEX-14PHY-0226-SM-5ZZWM 60-69 years, female 110.8
GTEX-YEC4-0326-SM-4W216 40-49 years, male 110.6
GTEX-T2IS-0426-SM-32QPE 20-29 years, female 110.3
GTEX-SE5C-0626-SM-2XCDV 40-49 years, female 109.8
GTEX-1RMOY-0626-SM-E9TIE 50-59 years, male 109.7
GTEX-ZF2S-1026-SM-9QEGK 50-59 years, female 109.4
GTEX-17HGU-1026-SM-79OKL 50-59 years, male 108.7
GTEX-14JIY-1126-SM-6EU28 60-69 years, male 108.5
GTEX-1H3NZ-1126-SM-9WYT9 60-69 years, male 108.4
GTEX-14E1K-1026-SM-73KUR 50-59 years, male 108.1
GTEX-1EX96-2526-SM-7RHGW 50-59 years, male 107.8
GTEX-U8XE-1126-SM-3DB8W 30-39 years, male 107.7
GTEX-ZYFG-0426-SM-5E43M 60-69 years, female 107.4
GTEX-1L5NE-0426-SM-E9TIX 50-59 years, male 107.0
GTEX-132AR-2026-SM-5IJG4 50-59 years, female 106.7
GTEX-X3Y1-0426-SM-3P5Z4 40-49 years, male 106.7
GTEX-11DXZ-0626-SM-5GU77 50-59 years, male 106.6
GTEX-13OVG-0526-SM-5K7YD 60-69 years, male 106.3
GTEX-1IDJU-0726-SM-CNPQ9 60-69 years, female 105.9
GTEX-1K9T9-1126-SM-D3L9E 50-59 years, female 105.9
GTEX-RU72-0326-SM-2TF5T 50-59 years, female 105.5
GTEX-1GMRU-1526-SM-9WYT5 50-59 years, male 105.5
GTEX-OXRK-0826-SM-2HMK7 50-59 years, female 105.3
GTEX-ZEX8-0426-SM-DO92Y 50-59 years, male 105.2
GTEX-1H11D-1226-SM-9WPQ2 40-49 years, male 104.9
GTEX-ZAB5-0226-SM-5CVMH 50-59 years, male 104.6
GTEX-13FH7-0926-SM-5J2MR 50-59 years, female 104.3
GTEX-146FR-0626-SM-5RQJ1 60-69 years, female 104.0
GTEX-14H4A-0626-SM-5ZZUT 40-49 years, female 103.9
GTEX-11DXX-0326-SM-5PNWC 60-69 years, female 103.6
GTEX-1IKJJ-0826-SM-A96SP 60-69 years, male 103.3
GTEX-14PJM-1126-SM-6LLHK 50-59 years, female 102.9
GTEX-ZZPU-0926-SM-5GZYT 50-59 years, female 102.9
GTEX-14XAO-1126-SM-6EU11 60-69 years, female 102.8
GTEX-11LCK-0926-SM-5A5KA 30-39 years, male 102.7
GTEX-1KXAM-1326-SM-E9TJW 60-69 years, male 102.6
GTEX-13O21-2326-SM-5MR3X 50-59 years, male 101.8
GTEX-1GTWX-1026-SM-7P8QW 60-69 years, male 101.7
GTEX-1IDJF-0726-SM-CJI1U 20-29 years, male 101.6
GTEX-17HII-1326-SM-7IGOB 50-59 years, male 101.4
GTEX-1IDJH-1026-SM-E9TKH 70-79 years, male 101.0
GTEX-1399R-1926-SM-5K7X8 30-39 years, male 100.7
GTEX-132QS-0426-SM-5KLZ6 60-69 years, male 100.5
GTEX-ZLFU-0226-SM-4WWFH 40-49 years, male 100.5
GTEX-18D9U-1126-SM-72D5Y 40-49 years, male 100.4
GTEX-1HCVE-1126-SM-9WPPG 50-59 years, male 100.3
GTEX-11TUW-1026-SM-5GU7D 60-69 years, male 100.2
GTEX-1I6K7-0626-SM-ARL7Q 40-49 years, male 99.9
GTEX-1AYCT-0426-SM-73KVZ 50-59 years, male 99.6
GTEX-13PVR-1026-SM-5QGQW 60-69 years, female 99.4
GTEX-ZGAY-0326-SM-57WF5 40-49 years, female 99.4
GTEX-1NV8Z-1526-SM-DTX8X 60-69 years, male 99.4
GTEX-P4PQ-0326-SM-2HMJ8 60-69 years, male 99.3
GTEX-PSDG-0926-SM-2I5FP 50-59 years, male 98.8
GTEX-QEG4-0426-SM-33HC3 30-39 years, male 98.8
GTEX-ZPIC-0826-SM-4WWFJ 40-49 years, female 98.8
GTEX-QLQ7-0526-SM-2I5G3 60-69 years, male 98.6
GTEX-131XF-5001-SM-7DHLY 60-69 years, male 98.0
GTEX-PWCY-0526-SM-5P9HG 20-29 years, female 98.0
GTEX-13O61-0526-SM-5J2M1 60-69 years, male 97.9
GTEX-ZVT2-1026-SM-5GU55 50-59 years, female 97.8
GTEX-13OW5-1126-SM-5J1NR 60-69 years, male 97.6
GTEX-18A67-1226-SM-7KFRS 50-59 years, male 97.6
GTEX-1399T-0426-SM-5PNVJ 60-69 years, male 97.1
GTEX-WEY5-0426-SM-3GIKT 40-49 years, female 96.9
GTEX-13W3W-0426-SM-5SI9D 60-69 years, female 96.2
GTEX-1GL5R-0326-SM-9WYTJ 50-59 years, male 96.0
GTEX-ZYT6-1726-SM-5E44P 30-39 years, male 95.9
GTEX-117YX-1126-SM-5H128 50-59 years, male 95.7
GTEX-1399U-0526-SM-5K7YM 50-59 years, female 95.6
GTEX-P4PP-0326-SM-33HC4 30-39 years, female 95.2
GTEX-17GQL-0526-SM-72D5N 60-69 years, male 95.1
GTEX-15RJ7-0226-SM-7KUMN 40-49 years, male 94.8
GTEX-13FTW-1026-SM-5L3E3 40-49 years, male 94.3
GTEX-ZVZP-0226-SM-5NQ73 50-59 years, male 94.0
GTEX-1HCUA-0526-SM-A9SMH 50-59 years, female 94.0
GTEX-ZF29-0226-SM-4WKHO 60-69 years, female 93.9
GTEX-WY7C-0526-SM-3NB3D 50-59 years, male 93.7
GTEX-14PJ4-1126-SM-5YY91 60-69 years, male 93.1
GTEX-15CHR-0226-SM-7PC2Z 50-59 years, male 93.1
GTEX-WHPG-0826-SM-3NMBF 50-59 years, male 93.0
GTEX-PX3G-0326-SM-2I3EO 20-29 years, female 92.7
GTEX-QDVN-0326-SM-2I3FS 50-59 years, male 92.7
GTEX-OIZF-0326-SM-3MJGY 60-69 years, male 92.4
GTEX-14BIN-2226-SM-5YYA1 50-59 years, female 91.4
GTEX-12WSK-0626-SM-5LZUJ 40-49 years, female 90.7
GTEX-WFG8-0626-SM-3GILJ 20-29 years, male 90.7
GTEX-12BJ1-0226-SM-5LUA2 60-69 years, male 90.4
GTEX-OHPL-0326-SM-33HC8 60-69 years, female 90.2
GTEX-ZUA1-0826-SM-4YCDL 40-49 years, male 89.9
GTEX-QESD-0526-SM-2I5G5 20-29 years, male 89.8
GTEX-11I78-0826-SM-5A5K4 50-59 years, female 89.6
GTEX-ZDYS-0226-SM-5HL4K 50-59 years, male 89.6
GTEX-1J8QM-0426-SM-AHZ3X 60-69 years, female 88.6
GTEX-15EOM-5007-SM-793DG 20-29 years, female 87.9
GTEX-14C39-0926-SM-5TDDV 40-49 years, male 87.5
GTEX-XBED-0526-SM-47JY3 60-69 years, male 87.5
GTEX-1AX8Z-5007-SM-AHZ36 60-69 years, male 87.3
GTEX-1GN1W-0326-SM-9JGHF 50-59 years, female 87.2
GTEX-13S86-0226-SM-5S2PJ 40-49 years, male 87.0
GTEX-ZV7C-0326-SM-57WB1 50-59 years, male 86.7
GTEX-R55C-0326-SM-3GAF1 40-49 years, male 86.3
GTEX-Y3IK-0826-SM-51MT8 50-59 years, female 85.8
GTEX-1GN2E-1326-SM-9KNVG 60-69 years, male 85.3
GTEX-13D11-1726-SM-5IFGQ 50-59 years, female 85.0
GTEX-139YR-0826-SM-5LZXY 50-59 years, male 84.8
GTEX-ZPU1-0626-SM-4YCDM 40-49 years, male 84.7
GTEX-1J8Q3-1226-SM-CKZPT 60-69 years, male 84.6
GTEX-U3ZN-1426-SM-3DB87 30-39 years, female 83.7
GTEX-UJMC-0526-SM-3GAE3 50-59 years, male 83.6
GTEX-17KNJ-0826-SM-793A4 50-59 years, male 83.5
GTEX-S32W-0626-SM-2XCBG 50-59 years, female 82.8
GTEX-U3ZH-0326-SM-3DB7A 30-39 years, male 82.8
GTEX-11TT1-1326-SM-5PNYM 20-29 years, male 82.4
GTEX-13O1R-1226-SM-5J1NU 60-69 years, male 81.9
GTEX-RUSQ-0526-SM-2TF72 50-59 years, male 81.6
GTEX-R53T-0926-SM-3GADH 50-59 years, female 81.3
GTEX-SUCS-0326-SM-32PLL 70-79 years, male 81.1
GTEX-1GF9U-0426-SM-7RHHA 40-49 years, female 81.1
GTEX-N7MT-1326-SM-2I3FV 60-69 years, female 79.6
GTEX-14BIL-1126-SM-79OMC 50-59 years, male 79.4
GTEX-OHPM-0326-SM-33HCA 50-59 years, male 79.3
GTEX-OIZI-0926-SM-E6CHF 40-49 years, male 77.6
GTEX-18A66-1226-SM-7LT8G 60-69 years, male 77.3
GTEX-WFON-0326-SM-3GIKX 40-49 years, male 77.0
GTEX-R55G-0526-SM-2TC5O 40-49 years, female 76.6
GTEX-145MN-0626-SM-5QGRH 30-39 years, male 76.4
GTEX-YF7O-0426-SM-5P9FS 50-59 years, male 76.2
GTEX-1211K-0626-SM-5FQUZ 60-69 years, female 75.9
GTEX-1JJE9-1426-SM-ARL8P 70-79 years, male 75.1
GTEX-V955-0726-SM-3GAFG 60-69 years, male 74.6
GTEX-U4B1-0326-SM-3DB8K 40-49 years, male 74.3
GTEX-ZG7Y-0926-SM-5EQ6O 50-59 years, male 74.2
GTEX-1C6VQ-1126-SM-7EWET 50-59 years, male 74.1
GTEX-X261-1426-SM-4PQZ1 50-59 years, male 73.9
GTEX-QMRM-0526-SM-2I5GA 50-59 years, male 72.9
GTEX-13NYB-0226-SM-5N9G4 40-49 years, male 72.7
GTEX-1B8KE-0126-SM-793AM 50-59 years, male 72.3
GTEX-Q2AH-0526-SM-2I3ED 40-49 years, male 72.2
GTEX-12ZZW-1026-SM-5GCMM 50-59 years, male 72.0
GTEX-WHWD-0426-SM-3LK83 50-59 years, male 72.0
GTEX-QDVJ-0426-SM-2I5FW 50-59 years, male 71.3
GTEX-15RIE-1726-SM-7KUMU 60-69 years, male 70.9
GTEX-XGQ4-0326-SM-4GIEE 50-59 years, male 70.8
GTEX-1HSMO-1226-SM-CL548 60-69 years, male 70.4
GTEX-131XG-0626-SM-5GCMP 50-59 years, female 70.3
GTEX-XV7Q-0826-SM-4BRV7 40-49 years, female 69.9
GTEX-WFG7-0726-SM-3GIKO 20-29 years, male 68.8
GTEX-1339X-0426-SM-5KLZY 40-49 years, male 65.9
GTEX-11EM3-0626-SM-5H12Z 20-29 years, female 63.7
GTEX-1PPH7-2026-SM-E9J3N 40-49 years, male 56.9
GTEX-P4QS-0326-SM-2I3EU 60-69 years, male 53.7
GTEX-SNMC-0126-SM-2XCFO 20-29 years, male 52.7
GTEX-O5YT-0326-SM-32PKA 20-29 years, male 48.3
Show allShow less

HEART MUSCLE - FANTOM5 CAGEi

RNA expression in human tissues obtained through Cap Analysis of Gene Expression (CAGE) generated by the FANTOM5 project are reported as Scaled Tags Per Million.

Max subtype Scaled Tags Per Millioni

Max subtype Scaled Tags Per Million is the value for the subtype with the largest average Scaled Tags Per Million across the subtype samples.

344.8
FANTOM5 sample id Sample description Scaled Tags Per Million
Heart
Scaled Tags Per Million: 283.9
FF:10016-101C7 70,73,74 years, mixed 283.9
Left atrium
Scaled Tags Per Million: 201.4
FF:10079-102A7 40 years, male 201.4
Left ventricle
Scaled Tags Per Million: 344.8
FF:10078-102A6 73 years, female 344.8

Contact

  • NEWS ARTICLES
  • PRESS ROOM

The Project

  • INTRODUCTION
  • ORGANIZATION
  • PUBLICATIONS

The Human Protein Atlas

  • DOWNLOADABLE DATA
  • LICENCE & CITATION
  • HELP & FAQ
The Human Protein Atlas project is funded
by the Knut & Alice Wallenberg Foundation.


contact@proteinatlas.org