We use cookies to enhance the usability of our website. If you continue, we'll assume that you are happy to receive all cookies. More information. Don't show this again.
TTR
HPA
RESOURCES
  • TISSUE
  • BRAIN
  • SINGLE CELL
  • SUBCELLULAR
  • CANCER
  • BLOOD
  • CELL LINE
  • STRUCTURE & INTERACTION
ABOUT
  • INTRODUCTION
  • HISTORY
  • ORGANIZATION
  • PUBLICATIONS
  • ANTIBODY SUBMISSION
  • ANTIBODY AVAILABILITY
  • ACKNOWLEDGMENTS
  • CONTACT
NEWS
  • NEWS ARTICLES
  • PRESS ROOM
LEARN
  • DICTIONARY
  • PROTEIN CLASSES
  • PROTEIN EVIDENCE
  • METHODS
  • EDUCATIONAL VIDEOS
DATA
  • DOWNLOADABLE DATA
  • PUBLICATION DATA
  • RELEASE HISTORY
HELP
  • ANTIBODY VALIDATION
  • ASSAYS & ANNOTATION
  • DISCLAIMER
  • HELP & FAQ
  • PRIVACY STATEMENT
  • LICENCE & CITATION
Fields »
Search result

Field
Term
Gene name
Class
Subclass
Class
Keyword
Chromosome
External id
Tissue
Cell type
Expression
Antibody panel
Tissue
Main location
Patient ID
Annotation
Tissue
Category
Tau score
Cluster
Reliability
Brain region
Category
Tau score
Brain region
Category
Tau score
Brain region
Category
Tau score
Cluster
Reliability
Tissue
Cell type
Enrichment
Cell type
Category
Tau score
Cell type
Category
Tau score
Cell type
Category
Tau score
Cell lineage
Category
Tau score
Cluster
Cluster
Location
Searches
Location
Cell line
Class
Type
Phase
Reliability
Cancer
Prognosis
Cancer
Category
Cancer
Category
Tau score
Cluster
Variants
Interacting gene (ensg_id)
Type
Number of interactions
Pathway
Category
Score
Score
Score
Validation
Validation
Validation
Validation
Antibodies
Data type
Column


  • SUMMARY

  • TISSUE

  • BRAIN

  • SINGLE CELL

  • SUBCELL

  • CANCER

  • BLOOD

  • CELL LINE

  • STRUCT & INT

  • TTR
CANCER LIVER CANCER Show tissue menu
BREAST CANCER CARCINOID CERVICAL CANCER COLORECTAL CANCER ENDOMETRIAL CANCER GLIOMA HEAD AND NECK CANCER LIVER CANCER LUNG CANCER LYMPHOMA
MELANOMA OVARIAN CANCER PANCREATIC CANCER PROSTATE CANCER RENAL CANCER SKIN CANCER STOMACH CANCER TESTIS CANCER THYROID CANCER UROTHELIAL CANCER
LIHC TCGA LIHC VALIDATION PROTEIN LIHC CPTAC PROTEIN EXPRESSION
ANTIBODIES
AND
VALIDATION
Dictionary
Liver cancer
Human cancer
Liver hepatocellular carcinoma
LIVER HEPATOCELLULAR CARCINOMA (TCGA) - Interactive survival scatter ploti

The Survival Scatter plot shows the clinical status (i.e. dead or alive) for all individuals in the patient cohort, based on the same data that underlies the corresponding Kaplan-Meier plots. Patients that are alive at last time for follow-up are shown in blue and patients who have died during the study are shown in red.

The x-axis shows the expression levels (FPKM) of the investigated gene in the tumor tissue at the time of diagnosis. The y-axis shows the follow-up time after diagnosis (years). Both axes are complimented with kernel density curves demonstrating the data density over the axes. The top density plot shows the expression levels (FPKM) distribution among dead (red) and alive patients (blue). The right density plot shows the data density of the survived years of dead patients with high and low expression levels respectively, stratified using the cutoff indicated by the vertical dashed line through the Survival Scatter plot. This cutoff is automatically defined based on the FPKM cutoff that minimizes the p-score. The cutoff can be changed by dragging the vertical line or by entering a cutoff value in the square labeled "Current cut-off".

Under the Survival Scatter plot the p-score landscape (black curve; left axis) is shown together with dead median separation (red curve; right axis). Dead median separation is the difference in median mRNA expression between patients who have died with high and low expression, respectively. It is calculated as follows: median FPKM expression of dead patients with high expression - median FPKM expression of dead patients with low expression. This is intended to aid the user in visually exploring custom cutoffs and the associated p-scores and dead median separation.

Individual patient data is displayed and can be filtered by clicking on one or more of the category buttons on the top of the page. Categories describing expression level and patient information include: high, low, alive, dead, female, male and tumor stages. The scale of the x-axis can be toggled between linear and log-scale by clicking on the "x log" button. Mouse-over function shows TCGA ID, patient information and mRNA expression (FPKM) for each patient.

& Survival analysisi

Kaplan-Meier plots summarize results from analysis of correlation between mRNA expression level and patient survival. Patients were divided based on level of expression into one of the two groups "low" (under cut off) or "high" (over cut off). X-axis shows time for survival (years) and y-axis shows the probability of survival, where 1.0 corresponds to 100 percent.

TTR is not prognostic in Liver Hepatocellular Carcinoma (TCGA)


Stage:


Survival analysis
Current cut offi

Current cut-off shows the cut-off (FPKM) currently selected. It may be changed manually. When the current cut-off is changed, the vertical dashed line indicating cut-off, the interactive survival scatter plot and the Kaplan-Meier curve will be automatically adjusted to show results accordingly.

:
Best expression cut offi

Based on the FPKM value of each gene, patients were classified into two groups and association between prognosis (survival) and gene expression (FPKM) was examined. The best expression cut-off refers the FPKM value that yields maximal difference with regard to survival between the two groups at the lowest log-rank P-value. Best expression cut-off was selected based on survival analysis .

When clicking on this number, the vertical dashed line indicating cut-off, the interactive survival plot, and the Kaplan-Meier curve will be adjusted to show results based on the best expression cut-off.

: 5466.56
Median expressioni

Median expression refers to the median FPKM value calculated based on the gene expression (FPKM) data from all patients in this dataset. When clicking on this number, the vertical dashed line indicating cut-off, the interactive survival plot, and the Kaplan-Meier curve will be adjusted to show results based on the median expression.

: N/A
Median follow up timei

Median follow up time refers to the median time (years) after diagnosis with this type of cancer, based on clinical data from all patients in this dataset.

: N/A
P scorei

Log-rank P value for Kaplan-Meier plot showing results from analysis of correlation between mRNA expression level and patient survival.

N/A
5-year survival highi

5-year survival for patients with higher expression than the expression cutoff.

For melanoma and glioma, 3-year survival is shown.

N/A
5-year survival lowi

5-year survival for patients with lower expression than the expression cutoff.

For melanoma and glioma, 3-year survival is shown.

N/A
TCGA RNA samplesi

RNA-seq data is reported as average FPKM (number Fragments Per Kilobase of exon per Million reads), generated by the The Cancer Genome Atlas (TCGA) .

Normal distribution across the dataset is visualized with box plots, shown as median and 25th and 75th percentiles. Points are displayed as outliers if they are above or below 1.5 times the interquartile range. FPKM values of the individual samples are presented next to the box plot.

Average pTPM 5122.1
Number of samples 362
Samples
Sample Description pTPM
TCGA-G3-A7M5-01A 76 years, male, asian, stage:Stage I, alive, 447 days 43035.6
TCGA-DD-AACO-01A 40 years, male, asian, stage:Stage I, alive, 1876 days 28064.8
TCGA-ZS-A9CE-01A 79 years, female, white, stage:Stage II, alive, 1241 days 26104.9
TCGA-BC-A3KF-01A 66 years, female, white, stage:Stage I, alive, 8 days 25353.5
TCGA-RC-A7SB-01A 53 years, male, asian, stage:Stage II, alive, 588 days 24344.2
TCGA-K7-A5RG-01A 66 years, male, black or african american, stage:Stage I, alive, 519 days 23082.4
TCGA-DD-AAE3-01A 50 years, male, asian, stage:Stage I, alive, 566 days 22819.6
TCGA-BD-A2L6-01A 69 years, male, white, stage:'--, alive, 1363 days 22212.3
TCGA-ED-A7XO-01A 29 years, male, asian, stage:Stage IIIA, alive, 427 days 20734.9
TCGA-2Y-A9GZ-01A 82 years, female, white, stage:Stage II, dead, 848 days 19877.0
TCGA-DD-AAEI-01A 72 years, male, asian, stage:Stage I, alive, 1531 days 19548.5
TCGA-DD-AACU-01A 59 years, male, asian, stage:Stage I, alive, 1567 days 17614.2
TCGA-DD-AADS-01A 63 years, male, asian, stage:Stage I, alive, 474 days 17181.6
TCGA-GJ-A9DB-01A 68 years, male, white, stage:Stage I, dead, 67 days 15997.7
TCGA-DD-A3A5-01A 66 years, female, white, stage:Stage III, dead, 3125 days 15825.6
TCGA-RC-A7SK-01A 59 years, male, asian, stage:Stage I, alive, 472 days 15718.6
TCGA-T1-A6J8-01A 68 years, male, white, stage:'--, alive, 23 days 15348.9
TCGA-DD-AAE4-01A 49 years, female, asian, stage:Stage I, alive, 608 days 15306.3
TCGA-2Y-A9GS-01A 58 years, male, white, stage:'--, dead, 724 days 15162.4
TCGA-FV-A2QR-01A 75 years, male, white, stage:Stage I, dead, 581 days 14863.0
TCGA-BC-A10Y-01A 76 years, male, white, stage:'--, dead, 711 days 14566.1
TCGA-2Y-A9H4-01A 68 years, male, black or african american, stage:Stage I, alive, 1452 days 13665.5
TCGA-DD-AAVW-01A 35 years, male, asian, stage:Stage I, alive, 2317 days 13660.3
TCGA-K7-A5RF-01A 64 years, male, white, stage:Stage I, alive, 631 days 13458.6
TCGA-DD-AADM-01A 58 years, male, asian, stage:Stage II, dead, 12 days 13389.8
TCGA-DD-A4NK-01A 80 years, female, white, stage:Stage IIIA, dead, 1210 days 13295.3
TCGA-DD-AACV-01A 53 years, male, asian, stage:Stage I, alive, 1531 days 13170.1
TCGA-ES-A2HT-01A 54 years, male, black or african american, stage:Stage I, dead, 438 days 13098.1
TCGA-UB-A7MB-01A 24 years, male, white, stage:Stage II, alive, 601 days 12466.0
TCGA-DD-AAD8-01A 73 years, female, asian, stage:Stage I, alive, 1219 days 12394.8
TCGA-MR-A520-01A 58 years, male, white, stage:Stage I, alive, 229 days 12227.8
TCGA-2Y-A9H8-01A 85 years, female, white, stage:'--, dead, 633 days 12136.6
TCGA-KR-A7K2-01A 64 years, male, white, stage:Stage I, alive, 829 days 11964.3
TCGA-G3-AAV0-01A 58 years, male, asian, stage:Stage I, alive, 476 days 11924.0
TCGA-BC-A5W4-01A 69 years, male, white, stage:Stage IIIA, dead, 547 days 11578.0
TCGA-DD-A4NI-01A 67 years, male, white, stage:Stage II, alive, 816 days 11490.1
TCGA-DD-AACQ-01A 50 years, male, asian, stage:Stage II, dead, 432 days 11448.7
TCGA-DD-AAW0-01A 54 years, male, asian, stage:Stage I, alive, 2015 days 11265.3
TCGA-DD-AADF-01A 64 years, female, asian, stage:Stage I, dead, 115 days 11147.3
TCGA-DD-AACE-01A 62 years, male, asian, stage:Stage I, alive, 2184 days 11052.9
TCGA-DD-AAEA-01A 65 years, male, asian, stage:Stage I, alive, 575 days 10933.0
TCGA-DD-A4NO-01A 65 years, male, white, stage:Stage I, alive, 2245 days 10888.8
TCGA-XR-A8TD-01A 49 years, female, white, stage:Stage IIIB, alive, 1030 days 10816.2
TCGA-DD-AAEH-01A 73 years, male, asian, stage:Stage I, alive, 784 days 10699.2
TCGA-FV-A495-01A 51 years, female, white, stage:Stage II, alive, 1 days 10021.3
TCGA-HP-A5N0-01A 90 years, female, stage:'--, dead, 752 days 10007.0
TCGA-DD-AAE1-01A 52 years, male, asian, stage:Stage I, alive, 552 days 9887.6
TCGA-DD-AAC9-01A 51 years, male, asian, stage:Stage I, alive, 347 days 9856.8
TCGA-BW-A5NO-01A 50 years, male, black or african american, stage:Stage IIIA, alive, 20 days 9645.9
TCGA-DD-AAEB-01A 60 years, male, asian, stage:Stage I, alive, 478 days 9627.9
TCGA-G3-AAUZ-01A 48 years, male, stage:Stage I, alive, 480 days 9601.7
TCGA-DD-AAVS-01A 56 years, male, asian, stage:Stage I, alive, 1823 days 9584.4
TCGA-DD-AACF-01A 68 years, male, asian, stage:Stage I, dead, 365 days 9530.8
TCGA-DD-AADR-01A 58 years, male, asian, stage:Stage I, alive, 2028 days 9461.0
TCGA-NI-A4U2-01A 71 years, male, white, stage:Stage IIIA, dead, 1791 days 9428.5
TCGA-WX-AA46-01A 61 years, male, white, stage:Stage II, alive, 756 days 9134.5
TCGA-G3-A5SK-01A 58 years, male, white, stage:Stage I, alive, 744 days 9129.9
TCGA-CC-A3MC-01A 54 years, male, asian, stage:Stage IIIA, alive, 363 days 9119.1
TCGA-BC-A69I-01A 69 years, male, white, stage:Stage I, alive, 387 days 9048.8
TCGA-MI-A75I-01A 61 years, male, black or african american, stage:'--, alive, 630 days 8981.0
TCGA-DD-A11C-01A 69 years, male, white, stage:Stage I, alive, 662 days 8868.6
TCGA-ED-A7PY-01A 20 years, female, asian, stage:Stage II, alive, 390 days 8789.5
TCGA-UB-A7MD-01A 67 years, male, black or african american, stage:Stage I, dead, 52 days 8768.7
TCGA-DD-AADL-01A 58 years, male, asian, stage:Stage I, alive, 636 days 8764.6
TCGA-FV-A3R2-01A 75 years, male, white, stage:Stage I, dead, 194 days 8696.1
TCGA-DD-A39X-01A 78 years, female, white, stage:Stage I, dead, 1694 days 8675.6
TCGA-DD-AADV-01A 50 years, male, asian, stage:Stage I, alive, 574 days 8505.4
TCGA-WJ-A86L-01A 68 years, female, white, stage:Stage I, alive, 345 days 8419.5
TCGA-DD-AAVZ-01A 38 years, male, asian, stage:Stage I, alive, 1900 days 8106.2
TCGA-CC-A9FS-01A 55 years, male, asian, stage:Stage II, alive, 211 days 8050.5
TCGA-G3-A3CI-01A 71 years, male, white, stage:Stage I, alive, 180 days 7992.7
TCGA-G3-A5SI-01A 44 years, male, asian, stage:Stage II, dead, 768 days 7983.8
TCGA-UB-AA0V-01A 69 years, female, white, stage:Stage I, alive, 314 days 7962.5
TCGA-2Y-A9GV-01A 54 years, female, white, stage:Stage I, dead, 2532 days 7925.7
TCGA-DD-AAVY-01A 56 years, male, asian, stage:Stage IIIA, alive, 1970 days 7816.1
TCGA-2Y-A9HA-01A 70 years, male, white, stage:Stage II, dead, 36 days 7782.6
TCGA-DD-AAD3-01A 43 years, male, asian, stage:Stage I, alive, 1295 days 7614.1
TCGA-DD-AAEG-01A 59 years, female, asian, stage:Stage I, alive, 719 days 7553.9
TCGA-DD-AAW3-01A 69 years, male, asian, stage:Stage I, alive, 1633 days 7408.3
TCGA-BD-A3ER-01A 62 years, male, white, stage:Stage II, alive, 1115 days 7377.9
TCGA-BC-A110-01A 51 years, female, black or african american, stage:'--, dead, 2116 days 7333.6
TCGA-WQ-AB4B-01A 62 years, male, white, stage:Stage II, alive, 395 days 7282.5
TCGA-DD-A4NN-01A 56 years, female, white, stage:Stage I, dead, 899 days 7211.6
TCGA-2Y-A9H1-01A 58 years, male, white, stage:Stage I, dead, 1229 days 7191.2
TCGA-2Y-A9HB-01A 66 years, male, stage:Stage I, alive, 260 days 7190.7
TCGA-DD-A115-01A 53 years, male, white, stage:Stage IIIA, dead, 2542 days 7148.6
TCGA-DD-AACT-01A 69 years, female, asian, stage:Stage I, alive, 1562 days 7146.4
TCGA-FV-A3I1-01A 81 years, female, white, stage:Stage II, dead, 247 days 7098.5
TCGA-5C-A9VH-01A 70 years, male, white, stage:Stage I, alive, 322 days 7095.0
TCGA-DD-AADU-01A 60 years, male, asian, stage:Stage II, alive, 554 days 7075.3
TCGA-DD-AADK-01A 68 years, female, asian, stage:Stage II, alive, 1049 days 7067.2
TCGA-O8-A75V-01A 54 years, male, stage:Stage I, alive, 538 days 6829.9
TCGA-EP-A12J-01A 62 years, male, black or african american, stage:Stage I, alive, 570 days 6827.9
TCGA-DD-A119-01A 40 years, male, asian, stage:Stage IV, dead, 223 days 6820.5
TCGA-FV-A2QQ-01A 80 years, male, white, stage:Stage I, alive, 729 days 6811.4
TCGA-DD-A11D-01A 57 years, female, white, stage:Stage I, dead, 1560 days 6787.3
TCGA-DD-AACJ-01A 75 years, male, asian, stage:Stage II, alive, 2102 days 6732.8
TCGA-BC-A10T-01A 76 years, male, white, stage:'--, dead, 837 days 6702.0
TCGA-DD-A1EG-01A 76 years, male, white, stage:Stage I, dead, 1372 days 6661.3
TCGA-DD-A73A-01A 71 years, male, white, stage:Stage I, alive, 728 days 6572.1
TCGA-CC-A7IH-01A 58 years, male, asian, stage:Stage IIIA, alive, 365 days 6556.5
TCGA-XR-A8TC-01A 43 years, female, white, stage:Stage I, alive, 1339 days 6505.7
TCGA-2Y-A9H9-01A 70 years, male, white, stage:Stage I, alive, 697 days 6502.1
TCGA-BC-A10X-01A 52 years, female, white, stage:Stage IIIA, dead, 770 days 6500.3
TCGA-MI-A75H-01A 77 years, male, white, stage:'--, alive, 747 days 6474.1
TCGA-DD-AADG-01A 70 years, male, asian, stage:Stage IIIA, alive, 1145 days 6473.8
TCGA-G3-A25U-01A 63 years, female, asian, stage:Stage I, alive, 1636 days 6437.8
TCGA-BC-A10Z-01A 62 years, female, white, stage:Stage I, dead, 34 days 6369.5
TCGA-2Y-A9GU-01A 55 years, female, white, stage:Stage I, alive, 1939 days 6358.0
TCGA-ZP-A9CY-01A 66 years, female, white, stage:'--, alive, 782 days 6341.4
TCGA-G3-A5SM-01A 58 years, male, white, stage:Stage II, alive, 520 days 6284.3
TCGA-DD-A73B-01A 72 years, female, white, stage:Stage I, dead, 283 days 6226.4
TCGA-PD-A5DF-01A 58 years, female, white, stage:Stage IIIB, dead, 639 days 6174.1
TCGA-UB-A7ME-01A 51 years, male, asian, stage:Stage I, alive, 486 days 6129.7
TCGA-DD-AACW-01A 43 years, male, asian, stage:Stage I, alive, 1424 days 6072.4
TCGA-ZS-A9CF-01A 64 years, male, white, stage:Stage II, alive, 2412 days 6036.6
TCGA-G3-A6UC-01A 65 years, male, white, stage:Stage IIIB, alive, 671 days 6009.2
TCGA-DD-AAW1-01A 55 years, male, asian, stage:Stage IIIA, alive, 1989 days 5965.7
TCGA-MI-A75E-01A 61 years, male, white, stage:Stage IIIC, alive, 507 days 5960.3
TCGA-DD-AACS-01A 39 years, male, asian, stage:Stage I, alive, 1804 days 5953.4
TCGA-DD-A4NV-01A 61 years, male, white, stage:Stage IIIA, alive, 2398 days 5850.9
TCGA-ZP-A9D0-01A 67 years, female, black or african american, stage:'--, alive, 1091 days 5818.0
TCGA-DD-A1EK-01A 64 years, female, white, stage:Stage IVB, dead, 558 days 5796.9
TCGA-CC-A8HS-01A 18 years, male, asian, stage:Stage IIIC, dead, 300 days 5768.3
TCGA-ZS-A9CG-01A 55 years, male, white, stage:Stage II, alive, 341 days 5750.5
TCGA-2Y-A9GX-01A 68 years, male, white, stage:Stage I, alive, 2442 days 5748.0
TCGA-DD-AAE9-01A 69 years, male, asian, stage:Stage I, alive, 722 days 5732.5
TCGA-QA-A7B7-01A 48 years, male, black or african american, stage:Stage II, alive, 94 days 5642.6
TCGA-K7-A6G5-01A 66 years, male, white, stage:Stage I, alive, 512 days 5640.6
TCGA-KR-A7K8-01A 57 years, male, stage:Stage I, alive, 906 days 5515.6
TCGA-G3-A7M8-01A 31 years, male, asian, stage:Stage I, alive, 430 days 5502.4
TCGA-DD-AAE2-01A 51 years, male, asian, stage:Stage I, alive, 638 days 5474.5
TCGA-2Y-A9GW-01A 64 years, male, white, stage:Stage I, dead, 1271 days 5458.6
TCGA-ES-A2HS-01A 80 years, male, white, stage:Stage I, dead, 688 days 5449.5
TCGA-MI-A75G-01A 63 years, male, white, stage:Stage II, alive, 698 days 5423.0
TCGA-DD-A3A8-01A 75 years, male, white, stage:Stage II, dead, 11 days 5380.2
TCGA-HP-A5MZ-01A 78 years, male, stage:Stage I, dead, 91 days 5349.6
TCGA-DD-AAW2-01A 69 years, male, asian, stage:Stage I, alive, 1855 days 5312.4
TCGA-4R-AA8I-01A 66 years, male, white, stage:Stage II, dead, 262 days 5254.1
TCGA-DD-A4NL-01A 46 years, male, white, stage:Stage I, alive, 1711 days 5213.3
TCGA-DD-AAE7-01A 72 years, male, asian, stage:Stage I, alive, 644 days 5167.9
TCGA-EP-A2KB-01A 46 years, female, white, stage:Stage I, dead, 596 days 5159.6
TCGA-2Y-A9GT-01A 51 years, male, white, stage:Stage I, dead, 1624 days 5142.4
TCGA-3K-AAZ8-01A 65 years, male, black or african american, stage:Stage IIIB, alive, 396 days 5091.9
TCGA-CC-A5UC-01A 63 years, male, asian, stage:Stage IIIA, dead, 347 days 5028.5
TCGA-2Y-A9H5-01A 59 years, female, white, stage:Stage I, dead, 555 days 4987.9
TCGA-5R-AAAM-01A 65 years, female, white, stage:Stage II, dead, 46 days 4882.7
TCGA-DD-AADN-01A 59 years, male, asian, stage:Stage I, alive, 898 days 4880.6
TCGA-DD-AADA-01A 66 years, female, asian, stage:Stage I, alive, 1233 days 4850.6
TCGA-DD-AAD0-01A 73 years, female, asian, stage:Stage I, alive, 137 days 4841.6
TCGA-2Y-A9H6-01A 68 years, female, white, stage:Stage I, alive, 357 days 4760.2
TCGA-G3-A3CH-01A 53 years, male, asian, stage:Stage IIIA, alive, 780 days 4647.6
TCGA-G3-A5SL-01A 70 years, male, white, stage:Stage II, alive, 621 days 4564.8
TCGA-RC-A7SF-01A 66 years, male, asian, stage:Stage I, alive, 579 days 4557.8
TCGA-BC-A10S-01A 81 years, male, white, stage:'--, dead, 1423 days 4557.0
TCGA-G3-A25V-01A 68 years, male, white, stage:Stage I, alive, 860 days 4548.9
TCGA-CC-A7IL-01A 61 years, male, asian, stage:Stage IIIA, dead, 278 days 4539.0
TCGA-G3-AAV2-01A 50 years, male, white, stage:Stage I, alive, 372 days 4505.7
TCGA-DD-A4ND-01A 56 years, female, white, stage:Stage I, alive, 2746 days 4501.9
TCGA-UB-AA0U-01A 60 years, male, white, stage:Stage II, alive, 327 days 4484.9
TCGA-5R-AA1C-01A 57 years, male, white, stage:Stage II, alive, 520 days 4381.1
TCGA-DD-A3A1-01A 65 years, male, stage:Stage IIIA, dead, 233 days 4375.6
TCGA-GJ-A6C0-01A 75 years, female, white, stage:Stage II, dead, 31 days 4350.3
TCGA-DD-A11B-01A 73 years, male, white, stage:Stage I, dead, 14 days 4209.3
TCGA-G3-AAV5-01A 67 years, male, white, stage:Stage II, alive, 354 days 4189.1
TCGA-FV-A496-01A 84 years, female, white, stage:Stage I, alive, 10 days 4166.1
TCGA-LG-A9QD-01A 68 years, male, white, stage:Stage IIIA, alive, 366 days 4135.6
TCGA-ZS-A9CD-01A 73 years, male, white, stage:Stage II, dead, 1386 days 4107.6
TCGA-DD-AAEK-01A 51 years, male, asian, stage:Stage II, alive, 1067 days 4100.5
TCGA-DD-A118-01A 77 years, female, white, stage:Stage II, alive, 3437 days 4065.3
TCGA-DD-A116-01A 68 years, male, asian, stage:Stage IIIA, dead, 1622 days 4051.5
TCGA-G3-A25Z-01A 58 years, male, asian, stage:Stage I, alive, 655 days 4036.5
TCGA-2Y-A9H3-01A 45 years, male, white, stage:Stage II, alive, 1516 days 3975.1
TCGA-EP-A3JL-01A 76 years, male, white, stage:Stage I, alive, 303 days 3969.1
TCGA-DD-AACC-01A 61 years, male, asian, stage:Stage I, dead, 1685 days 3968.3
TCGA-BC-A217-01A 75 years, female, white, stage:Stage II, dead, 1397 days 3955.7
TCGA-KR-A7K0-01A 65 years, male, white, stage:Stage I, dead, 65 days 3894.3
TCGA-G3-AAV4-01A 83 years, female, white, stage:Stage I, dead, 27 days 3893.8
TCGA-WX-AA44-01A 64 years, female, white, stage:Stage I, alive, 615 days 3861.5
TCGA-ED-A7XP-01A 53 years, female, asian, stage:Stage II, alive, 400 days 3856.2
TCGA-DD-AACK-01A 70 years, male, asian, stage:Stage I, alive, 9 days 3854.6
TCGA-MI-A75C-01A 64 years, male, white, stage:Stage I, alive, 291 days 3832.6
TCGA-5C-AAPD-01A 61 years, male, asian, stage:Stage II, alive, 20 days 3808.2
TCGA-DD-AAEE-01A 55 years, male, asian, stage:Stage I, alive, 810 days 3806.5
TCGA-DD-A73F-01A 77 years, female, white, stage:Stage I, alive, 1085 days 3747.7
TCGA-ZP-A9D4-01A 64 years, female, white, stage:'--, alive, 395 days 3729.3
TCGA-DD-A4NE-01A 75 years, female, white, stage:Stage IIIA, dead, 660 days 3720.0
TCGA-DD-A4NR-01A 85 years, female, white, stage:Stage I, dead, 9 days 3707.1
TCGA-DD-A1EI-01A 46 years, male, asian, stage:Stage I, alive, 183 days 3683.0
TCGA-DD-A4NJ-01A 54 years, female, white, stage:Stage II, alive, 928 days 3672.4
TCGA-CC-5258-01A 48 years, male, asian, stage:Stage II, dead, 129 days 3626.7
TCGA-DD-AACN-01A 32 years, male, asian, stage:Stage I, alive, 1302 days 3563.6
TCGA-DD-AADP-01A 45 years, male, asian, stage:Stage I, alive, 458 days 3547.6
TCGA-ZP-A9CZ-01A 72 years, male, asian, stage:'--, alive, 706 days 3543.5
TCGA-ED-A4XI-01A 58 years, male, asian, stage:Stage II, alive, 819 days 3531.4
TCGA-2Y-A9GY-01A 64 years, female, white, stage:Stage II, dead, 757 days 3441.3
TCGA-DD-AADJ-01A 70 years, female, asian, stage:Stage I, alive, 1066 days 3433.9
TCGA-DD-A39V-01A 77 years, male, white, stage:Stage II, dead, 643 days 3341.9
TCGA-CC-A7IF-01A 59 years, male, asian, stage:Stage IIIA, dead, 649 days 3196.5
TCGA-DD-AACY-01A 61 years, male, asian, stage:Stage I, alive, 1450 days 3172.1
TCGA-NI-A8LF-01A 74 years, male, white, stage:Stage I, alive, 799 days 3118.0
TCGA-EP-A3RK-01A 73 years, male, white, stage:Stage IIIA, alive, 363 days 3075.2
TCGA-G3-A25S-01A 64 years, male, white, stage:Stage I, dead, 416 days 2991.3
TCGA-DD-AAE6-01A 59 years, female, asian, stage:Stage I, alive, 141 days 2984.5
TCGA-EP-A2KC-01A 62 years, male, black or african american, stage:Stage I, dead, 19 days 2982.9
TCGA-G3-AAV6-01A 53 years, female, white, stage:Stage IIIA, dead, 65 days 2968.3
TCGA-BC-A216-01A 62 years, female, white, stage:Stage IIIA, alive, 1351 days 2950.8
TCGA-DD-AAVQ-01A 38 years, male, asian, stage:Stage I, alive, 2728 days 2882.0
TCGA-2Y-A9H0-01A 49 years, male, white, stage:Stage IIIA, alive, 3675 days 2855.6
TCGA-DD-AAED-01A 51 years, male, asian, stage:Stage I, alive, 763 days 2834.5
TCGA-DD-A4NS-01A 61 years, female, white, stage:Stage I, dead, 2456 days 2781.7
TCGA-XR-A8TG-01A 58 years, male, white, stage:Stage I, alive, 898 days 2763.9
TCGA-UB-A7MC-01A 59 years, male, white, stage:Stage IIIA, alive, 500 days 2755.8
TCGA-DD-A1EF-01A 57 years, female, white, stage:Stage I, dead, 394 days 2731.1
TCGA-BC-A8YO-01A 66 years, female, white, stage:Stage IIIC, alive, 562 days 2727.6
TCGA-G3-A3CJ-01A 52 years, male, american indian or alaska native, stage:Stage II, alive, 594 days 2694.4
TCGA-DD-A3A2-01A 76 years, female, white, stage:Stage I, dead, 2131 days 2661.6
TCGA-2Y-A9H7-01A 81 years, female, white, stage:Stage I, alive, 1168 days 2655.3
TCGA-BD-A3EP-01A 75 years, female, black or african american, stage:Stage I, alive, 409 days 2632.0
TCGA-DD-A1EJ-01A 71 years, female, white, stage:Stage IIIC, dead, 1005 days 2578.8
TCGA-CC-5259-01A 60 years, female, asian, stage:Stage IIIC, alive, 250 days 2546.1
TCGA-LG-A6GG-01A 79 years, female, white, stage:Stage II, alive, 387 days 2542.1
TCGA-EP-A26S-01A 70 years, male, white, stage:Stage I, alive, 608 days 2532.3
TCGA-CC-A7IE-01A 57 years, male, asian, stage:Stage IIIA, dead, 217 days 2469.0
TCGA-DD-AADO-01A 55 years, male, asian, stage:Stage I, alive, 453 days 2456.9
TCGA-ZP-A9CV-01A 59 years, male, white, stage:'--, dead, 1088 days 2443.7
TCGA-RC-A6M4-01A 74 years, female, white, stage:Stage IIIA, alive, 22 days 2434.1
TCGA-ED-A66X-01A 35 years, male, asian, stage:Stage IIIA, alive, 406 days 2424.3
TCGA-ED-A627-01A 74 years, male, white, stage:Stage I, alive, 423 days 2367.5
TCGA-DD-AAD2-01A 66 years, male, asian, stage:Stage I, alive, 658 days 2339.8
TCGA-BC-A69H-01A 64 years, male, white, stage:Stage II, alive, 444 days 2333.6
TCGA-DD-AADI-01A 43 years, female, asian, stage:Stage I, alive, 1085 days 2307.8
TCGA-DD-A73D-01A 68 years, female, white, stage:Stage II, alive, 693 days 2305.0
TCGA-ED-A8O5-01A 59 years, female, asian, stage:Stage IIIA, alive, 406 days 2301.4
TCGA-CC-A5UE-01A 48 years, male, asian, stage:Stage IIIB, dead, 272 days 2296.0
TCGA-BC-A10W-01A 50 years, male, asian, stage:'--, dead, 91 days 2258.2
TCGA-XR-A8TF-01A 74 years, male, white, stage:Stage I, dead, 693 days 2205.7
TCGA-CC-A9FW-01A 68 years, male, asian, stage:Stage IIIA, alive, 248 days 2189.0
TCGA-DD-AADB-01A 51 years, male, asian, stage:Stage I, alive, 1242 days 2158.3
TCGA-CC-A123-01A 24 years, female, asian, stage:Stage IIIA, alive, 219 days 2061.1
TCGA-RC-A7S9-01A 47 years, female, asian, stage:Stage I, alive, 640 days 2019.3
TCGA-CC-A7IK-01A 59 years, male, asian, stage:Stage IIIA, dead, 262 days 1961.2
TCGA-CC-A8HU-01A 39 years, female, asian, stage:Stage IIIA, dead, 344 days 1864.5
TCGA-FV-A4ZP-01A 78 years, male, white, stage:Stage IIIA, dead, 2486 days 1847.6
TCGA-DD-A3A7-01A 67 years, male, stage:Stage IIIB, dead, 419 days 1833.6
TCGA-DD-AAVU-01A 46 years, male, asian, stage:Stage II, alive, 2202 days 1799.6
TCGA-FV-A23B-01A 70 years, female, white, stage:Stage II, dead, 1852 days 1722.6
TCGA-DD-AACG-01A 52 years, male, asian, stage:Stage II, dead, 469 days 1715.3
TCGA-G3-A7M7-01A 65 years, male, white, stage:Stage I, alive, 361 days 1710.9
TCGA-DD-A39Y-01A 67 years, male, asian, stage:Stage I, dead, 171 days 1687.3
TCGA-DD-A4NH-01A 65 years, female, white, stage:Stage IIIB, alive, 917 days 1674.0
TCGA-G3-A3CK-01A 61 years, male, asian, stage:Stage I, alive, 585 days 1669.8
TCGA-DD-AACZ-01A 63 years, female, asian, stage:Stage I, dead, 171 days 1661.3
TCGA-G3-A25Y-01A 52 years, female, asian, stage:Stage I, dead, 452 days 1602.6
TCGA-DD-AADW-01A 48 years, male, asian, stage:Stage I, alive, 587 days 1595.5
TCGA-CC-5264-01A 71 years, male, asian, stage:Stage IIIA, dead, 102 days 1584.4
TCGA-G3-AAV3-01A 58 years, female, white, stage:Stage II, alive, 412 days 1571.9
TCGA-G3-A5SJ-01A 59 years, male, white, stage:Stage I, alive, 698 days 1495.2
TCGA-DD-A4NF-01A 72 years, male, white, stage:Stage I, alive, 942 days 1488.1
TCGA-DD-A1EL-01A 23 years, male, black or african american, stage:Stage II, dead, 415 days 1480.4
TCGA-DD-A1ED-01A 68 years, male, white, stage:Stage I, alive, 2301 days 1446.3
TCGA-CC-5262-01A 67 years, male, asian, stage:Stage IIIC, dead, 103 days 1438.2
TCGA-RC-A7SH-01A 42 years, male, asian, stage:Stage II, alive, 468 days 1428.6
TCGA-DD-AAVV-01A 56 years, male, asian, stage:Stage II, alive, 2455 days 1425.6
TCGA-G3-AAV1-01A 51 years, male, asian, stage:Stage IIIC, dead, 359 days 1395.0
TCGA-DD-AADC-01A 53 years, male, asian, stage:Stage I, dead, 425 days 1351.4
TCGA-ZP-A9D2-01A 51 years, male, white, stage:'--, dead, 765 days 1272.8
TCGA-DD-A4NP-01A 32 years, male, white, stage:Stage I, alive, 3308 days 1266.8
TCGA-DD-AACL-01A 66 years, female, asian, stage:Stage I, dead, 107 days 1263.9
TCGA-G3-A7M9-01A 70 years, male, white, stage:Stage IIIB, dead, 56 days 1262.4
TCGA-ED-A8O6-01A 50 years, female, asian, stage:Stage IIIA, dead, 56 days 1259.5
TCGA-DD-A3A3-01A 45 years, male, asian, stage:Stage I, dead, 535 days 1237.3
TCGA-CC-A8HT-01A 74 years, male, asian, stage:Stage IIIA, dead, 140 days 1205.7
TCGA-DD-AAD6-01A 66 years, male, asian, stage:Stage IIIA, alive, 672 days 1183.2
TCGA-DD-AAVX-01A 38 years, male, asian, stage:Stage II, alive, 1718 days 1156.9
TCGA-ED-A459-01A 47 years, male, asian, stage:Stage II, alive, 910 days 1091.6
TCGA-DD-A113-01A 55 years, female, white, stage:Stage II, alive, 2425 days 1088.8
TCGA-DD-AACP-01A 64 years, male, asian, stage:Stage I, alive, 415 days 1084.1
TCGA-FV-A3R3-01A 38 years, female, white, stage:Stage I, dead, 366 days 1068.4
TCGA-EP-A2KA-01A 52 years, female, white, stage:Stage IIIA, dead, 627 days 1057.6
TCGA-DD-A1EE-01A 73 years, male, white, stage:Stage IIIA, dead, 349 days 1057.0
TCGA-DD-AADQ-01A 59 years, male, asian, stage:Stage II, alive, 436 days 1022.7
TCGA-GJ-A3OU-01A 59 years, male, white, stage:Stage I, alive, 879 days 1002.5
TCGA-K7-AAU7-01A 61 years, male, white, stage:Stage II, alive, 359 days 1000.0
TCGA-DD-A114-01A 42 years, male, black or african american, stage:Stage II, dead, 1149 days 979.9
TCGA-UB-A7MA-01A 62 years, female, white, stage:Stage II, alive, 848 days 938.9
TCGA-ZP-A9D1-01A 56 years, female, white, stage:'--, alive, 21 days 934.8
TCGA-BC-A3KG-01A 68 years, female, white, stage:Stage II, alive, 680 days 923.7
TCGA-DD-A1EA-01A 68 years, male, asian, stage:Stage II, alive, 2415 days 922.2
TCGA-BC-A10U-01A 69 years, male, white, stage:'--, dead, 837 days 920.3
TCGA-DD-AACB-01A 74 years, female, asian, stage:Stage I, alive, 2324 days 917.8
TCGA-DD-AAVR-01A 44 years, male, asian, stage:Stage I, alive, 2513 days 916.8
TCGA-DD-A73G-01A 73 years, female, white, stage:Stage I, alive, 3478 days 911.3
TCGA-DD-A73E-01A 66 years, male, white, stage:Stage I, alive, 44 days 886.2
TCGA-DD-AAVP-01A 48 years, male, asian, stage:Stage I, alive, 2752 days 874.5
TCGA-FV-A4ZQ-01A 52 years, male, white, stage:Stage I, alive, 12 days 872.2
TCGA-DD-AAD1-01A 51 years, female, asian, stage:Stage I, alive, 564 days 862.3
TCGA-G3-A7M6-01A 60 years, female, white, stage:Stage I, alive, 632 days 858.9
TCGA-RC-A6M6-01A 75 years, male, white, stage:Stage II, alive, 9 days 845.1
TCGA-CC-5261-01A 44 years, male, asian, stage:Stage II, dead, 97 days 838.9
TCGA-DD-A73C-01A 65 years, female, white, stage:Stage IIIA, alive, 701 days 784.0
TCGA-DD-AADD-01A 51 years, male, asian, stage:Stage I, alive, 1231 days 776.4
TCGA-YA-A8S7-01A 68 years, male, white, stage:Stage IIIA, dead, 412 days 766.9
TCGA-CC-A7IG-01A 47 years, male, asian, stage:Stage II, dead, 299 days 766.5
TCGA-DD-AADY-01A 55 years, female, asian, stage:Stage I, alive, 555 days 735.4
TCGA-DD-A39W-01A 29 years, female, white, stage:Stage III, dead, 827 days 731.1
TCGA-KR-A7K7-01A 61 years, female, white, stage:Stage II, alive, 951 days 696.4
TCGA-DD-AACI-01A 69 years, male, asian, stage:Stage II, alive, 1618 days 678.9
TCGA-CC-A3MB-01A 36 years, male, asian, stage:Stage IIIA, dead, 315 days 662.7
TCGA-DD-A4NQ-01A 60 years, male, white, stage:Stage II, dead, 373 days 656.0
TCGA-2Y-A9H2-01A 64 years, female, white, stage:Stage I, alive, 1731 days 655.5
TCGA-RG-A7D4-01A 69 years, male, black or african american, stage:Stage II, alive, 1098 days 649.2
TCGA-DD-AACA-01A 65 years, male, asian, stage:Stage I, alive, 2301 days 635.6
TCGA-UB-A7MF-01A 56 years, male, white, stage:Stage IIIA, dead, 214 days 612.8
TCGA-DD-AACH-01A 69 years, male, asian, stage:Stage II, dead, 195 days 612.6
TCGA-G3-A3CG-01A 80 years, male, white, stage:Stage I, alive, 673 days 602.5
TCGA-WQ-A9G7-01A 71 years, female, white, stage:'--, alive, 30 days 599.5
TCGA-DD-A4NG-01A 77 years, male, white, stage:Stage IIIA, dead, 802 days 597.6
TCGA-CC-A3MA-01A 61 years, male, asian, stage:Stage IIIA, dead, 303 days 588.3
TCGA-BC-A112-01A 80 years, male, white, stage:'--, dead, 153 days 562.4
TCGA-G3-A25T-01A 45 years, female, white, stage:Stage IIIA, alive, 1553 days 528.1
TCGA-DD-A3A9-01A 64 years, female, white, stage:Stage IVB, dead, 931 days 525.7
TCGA-ED-A5KG-01A 60 years, female, asian, stage:Stage II, alive, 854 days 498.3
TCGA-ED-A7PZ-01A 61 years, male, asian, stage:Stage II, alive, 6 days 497.2
TCGA-CC-A7II-01A 54 years, male, asian, stage:Stage IIIA, alive, 399 days 467.5
TCGA-CC-5263-01A 35 years, male, asian, stage:Stage IIIA, dead, 129 days 464.5
TCGA-ED-A97K-01A 54 years, male, asian, stage:Stage IIIA, alive, 6 days 457.1
TCGA-DD-A1EH-01A 23 years, male, white, stage:Stage III, alive, 1495 days 432.5
TCGA-CC-A5UD-01A 45 years, male, asian, stage:Stage IIIA, dead, 304 days 363.0
TCGA-DD-AACD-01A 48 years, male, asian, stage:Stage I, dead, 381 days 351.6
TCGA-DD-AACX-01A 66 years, male, asian, stage:Stage II, alive, 170 days 349.5
TCGA-DD-AAE0-01A 45 years, female, asian, stage:Stage IIIA, alive, 555 days 341.4
TCGA-G3-A25X-01A 73 years, male, asian, stage:Stage II, alive, 1779 days 325.4
TCGA-XR-A8TE-01A 16 years, male, white, stage:Stage IIIA, alive, 925 days 293.6
TCGA-CC-A8HV-01A 51 years, female, asian, stage:Stage II, dead, 279 days 257.5
TCGA-5R-AA1D-01A 17 years, female, white, stage:Stage IIIA, alive, 449 days 219.9
TCGA-DD-A1EB-01A 72 years, female, stage:Stage I, alive, 2017 days 199.5
TCGA-ED-A66Y-01A 51 years, female, asian, stage:Stage IIIA, dead, 296 days 194.6
TCGA-RC-A6M5-01A 20 years, female, white, stage:Stage IVA, alive, 15 days 186.2
TCGA-5C-A9VG-01A 58 years, male, white, stage:Stage II, alive, 328 days 186.1
TCGA-G3-AAV7-01A 38 years, male, asian, stage:Stage II, alive, 361 days 148.3
TCGA-DD-A3A4-01A 37 years, male, white, stage:Stage IIIA, dead, 612 days 146.7
TCGA-BC-A10R-01A 66 years, female, white, stage:'--, dead, 308 days 143.7
TCGA-DD-A39Z-01A 43 years, female, stage:Stage II, dead, 601 days 136.4
TCGA-DD-AAC8-01A 72 years, male, asian, stage:Stage I, dead, 16 days 127.8
TCGA-DD-AA3A-01A 81 years, female, white, stage:Stage I, dead, 410 days 115.8
TCGA-DD-A4NB-01A 25 years, male, white, stage:Stage I, alive, 989 days 106.6
TCGA-ED-A7PX-01A 48 years, female, asian, stage:Stage II, alive, 6 days 95.1
TCGA-DD-AAD5-01A 54 years, male, asian, stage:Stage I, alive, 1345 days 81.8
TCGA-FV-A3I0-01A 76 years, female, white, stage:Stage II, alive, 848 days 47.8
TCGA-DD-A4NA-01A 67 years, female, white, stage:Stage IIIC, alive, 1008 days 46.6
TCGA-CC-A1HT-01A 50 years, male, asian, stage:Stage IIIA, dead, 101 days 45.3
TCGA-CC-5260-01A 61 years, female, asian, stage:Stage IIIC, dead, 87 days 35.7
TCGA-LG-A9QC-01A 48 years, male, white, stage:Stage I, alive, 425 days 23.9
TCGA-ED-A82E-01A 60 years, female, asian, stage:Stage IIIA, alive, 408 days 18.4
TCGA-MR-A8JO-01A 34 years, male, white, stage:Stage I, alive, 330 days 16.2
TCGA-DD-A1EC-01A 20 years, female, white, stage:Stage I, alive, 602 days 15.8
TCGA-DD-A3A6-01A 72 years, female, white, stage:Stage II, dead, 3258 days 9.5
TCGA-BC-A10Q-01A 72 years, female, white, stage:'--, dead, 1135 days 8.7
TCGA-CC-A7IJ-01A 56 years, male, asian, stage:Stage II, alive, 382 days 4.3
TCGA-WX-AA47-01A 33 years, female, white, stage:Stage IIIA, dead, 556 days 1.5
TCGA-CC-A3M9-01A 45 years, male, asian, stage:Stage IIIA, dead, 300 days 1.2
Show allShow less
LIVER HEPATOCELLULAR CARCINOMA (VALIDATION) - Interactive survival scatter ploti

The Survival Scatter plot shows the clinical status (i.e. dead or alive) for all individuals in the patient cohort, based on the same data that underlies the corresponding Kaplan-Meier plots. Patients that are alive at last time for follow-up are shown in blue and patients who have died during the study are shown in red.

The x-axis shows the expression levels (FPKM) of the investigated gene in the tumor tissue at the time of diagnosis. The y-axis shows the follow-up time after diagnosis (years). Both axes are complimented with kernel density curves demonstrating the data density over the axes. The top density plot shows the expression levels (FPKM) distribution among dead (red) and alive patients (blue). The right density plot shows the data density of the survived years of dead patients with high and low expression levels respectively, stratified using the cutoff indicated by the vertical dashed line through the Survival Scatter plot. This cutoff is automatically defined based on the FPKM cutoff that minimizes the p-score. The cutoff can be changed by dragging the vertical line or by entering a cutoff value in the square labeled "Current cut-off".

Under the Survival Scatter plot the p-score landscape (black curve; left axis) is shown together with dead median separation (red curve; right axis). Dead median separation is the difference in median mRNA expression between patients who have died with high and low expression, respectively. It is calculated as follows: median FPKM expression of dead patients with high expression - median FPKM expression of dead patients with low expression. This is intended to aid the user in visually exploring custom cutoffs and the associated p-scores and dead median separation.

Individual patient data is displayed and can be filtered by clicking on one or more of the category buttons on the top of the page. Categories describing expression level and patient information include: high, low, alive, dead, female, male and tumor stages. The scale of the x-axis can be toggled between linear and log-scale by clicking on the "x log" button. Mouse-over function shows TCGA ID, patient information and mRNA expression (FPKM) for each patient.

& Survival analysisi

Kaplan-Meier plots summarize results from analysis of correlation between mRNA expression level and patient survival. Patients were divided based on level of expression into one of the two groups "low" (under cut off) or "high" (over cut off). X-axis shows time for survival (years) and y-axis shows the probability of survival, where 1.0 corresponds to 100 percent.

TTR is not prognostic in Liver Hepatocellular Carcinoma (validation)


Stage:
Survival analysis
Current cut offi

Current cut-off shows the cut-off (FPKM) currently selected. It may be changed manually. When the current cut-off is changed, the vertical dashed line indicating cut-off, the interactive survival scatter plot and the Kaplan-Meier curve will be automatically adjusted to show results accordingly.

:
Best expression cut offi

Based on the FPKM value of each gene, patients were classified into two groups and association between prognosis (survival) and gene expression (FPKM) was examined. The best expression cut-off refers the FPKM value that yields maximal difference with regard to survival between the two groups at the lowest log-rank P-value. Best expression cut-off was selected based on survival analysis .

When clicking on this number, the vertical dashed line indicating cut-off, the interactive survival plot, and the Kaplan-Meier curve will be adjusted to show results based on the best expression cut-off.

: 4124.23
Median expressioni

Median expression refers to the median FPKM value calculated based on the gene expression (FPKM) data from all patients in this dataset. When clicking on this number, the vertical dashed line indicating cut-off, the interactive survival plot, and the Kaplan-Meier curve will be adjusted to show results based on the median expression.

: N/A
Median follow up timei

Median follow up time refers to the median time (years) after diagnosis with this type of cancer, based on clinical data from all patients in this dataset.

: N/A
P scorei

Log-rank P value for Kaplan-Meier plot showing results from analysis of correlation between mRNA expression level and patient survival.

N/A
5-year survival highi

5-year survival for patients with higher expression than the expression cutoff.

For melanoma and glioma, 3-year survival is shown.

N/A
5-year survival lowi

5-year survival for patients with lower expression than the expression cutoff.

For melanoma and glioma, 3-year survival is shown.

N/A
TCGA RNA samplesi

RNA-seq data is reported as average FPKM (number Fragments Per Kilobase of exon per Million reads), generated by the The Cancer Genome Atlas (TCGA) .

Normal distribution across the dataset is visualized with box plots, shown as median and 25th and 75th percentiles. Points are displayed as outliers if they are above or below 1.5 times the interquartile range. FPKM values of the individual samples are presented next to the box plot.

Average pTPM 4033.5
Number of samples 231
Samples
Sample Description pTPM
DO45111 74 years, male, NA, stage:2, alive, 1590 days 24943.2
DO45169 74 years, male, NA, stage:3, alive, 1350 days 19842.4
DO50808 68 years, male, NA, stage:2, alive, 570 days 19004.3
DO48701 78 years, male, NA, stage:2, alive, 780 days 17893.9
DO48741 64 years, male, NA, stage:3, alive, 240 days 17501.2
DO23541 65 years, male, NA, stage:2, alive, 930 days 14163.9
DO45177 81 years, female, NA, stage:3, alive, 1260 days 13259.5
DO23517 62 years, male, NA, stage:2, alive, 1200 days 13200.3
DO45101 63 years, male, NA, stage:2, alive, 1680 days 12519.0
DO50832 73 years, male, NA, stage:3, alive, 90 days 12157.9
DO45125 58 years, male, NA, stage:3, alive, 1680 days 12071.9
DO23540 73 years, male, NA, stage:1, alive, 750 days 12005.7
DO45171 56 years, male, NA, stage:3, alive, 600 days 11974.4
DO48674 80 years, male, NA, stage:2, alive, 1260 days 11186.1
DO50807 67 years, male, NA, stage:1, alive, 540 days 11146.5
DO45207 68 years, male, NA, stage:1, alive, 1050 days 10724.3
DO50811 62 years, male, NA, stage:1, alive, 450 days 10723.5
DO23528 45 years, female, NA, stage:2, alive, 1020 days 10722.2
DO45109 63 years, male, NA, stage:2, alive, 1590 days 10666.8
DO23534 60 years, male, NA, stage:2, alive, 840 days 10554.8
DO50793 76 years, male, NA, stage:4, alive, 540 days 10270.6
DO50776 75 years, male, NA, stage:1, alive, 690 days 9875.5
DO23552 80 years, female, NA, stage:1, alive, 810 days 9727.7
DO227643 79 years, male, NA, stage:2, alive, 1260 days 9643.7
DO50840 49 years, male, NA, stage:2, alive, 330 days 9239.0
DO50813 56 years, male, NA, stage:2, alive, 420 days 8977.8
DO45127 73 years, male, NA, stage:3, dead, 420 days 8870.6
DO23543 63 years, male, NA, stage:2, alive, 1020 days 8849.5
DO45167 67 years, male, NA, stage:2, dead, 1440 days 8636.8
DO45195 62 years, male, NA, stage:1, alive, 390 days 8557.6
DO45233 83 years, male, NA, stage:3, alive, 900 days 8557.4
DO23544 67 years, male, NA, stage:2, alive, 960 days 8422.0
DO23512 60 years, male, NA, stage:1, alive, 1260 days 8293.7
DO45201 49 years, male, NA, stage:1, alive, 900 days 8291.6
DO45129 61 years, male, NA, stage:3, alive, 1470 days 8232.6
DO50791 79 years, female, NA, stage:1, dead, 480 days 7971.8
DO45137 38 years, male, NA, stage:1, alive, 1320 days 7755.7
DO48742 76 years, male, NA, stage:2, alive, 600 days 7703.7
DO48759 73 years, male, NA, stage:3, alive, 720 days 7388.1
DO45105 61 years, male, NA, stage:1, alive, 1680 days 7374.0
DO45123 78 years, female, NA, stage:2, dead, 570 days 7315.9
DO50804 81 years, male, NA, stage:2, alive, 720 days 7078.9
DO48746 76 years, male, NA, stage:3, alive, 570 days 7029.8
DO45241 49 years, male, NA, stage:1, alive, 1080 days 6865.3
DO45094 76 years, male, NA, stage:3, alive, 1650 days 6771.6
DO50839 47 years, female, NA, stage:3, alive, 330 days 6760.9
DO45179 78 years, female, NA, stage:2, alive, 600 days 6665.0
DO45215 65 years, male, NA, stage:2, alive, 1170 days 6432.7
DO45103 47 years, male, NA, stage:3, alive, 450 days 6429.9
DO48693 71 years, male, NA, stage:2, alive, 900 days 6413.1
DO23532 71 years, female, NA, stage:1, alive, 960 days 6322.4
DO23510 80 years, female, NA, stage:2, alive, 870 days 6311.0
DO45107 63 years, female, NA, stage:2, alive, 1710 days 6078.3
DO48721 58 years, female, NA, stage:1, alive, 900 days 6062.6
DO23531 78 years, female, NA, stage:3, alive, 900 days 6042.2
DO48760 70 years, female, NA, stage:2, alive, 690 days 5938.7
DO48736 76 years, female, NA, stage:1, alive, 600 days 5854.7
DO45229 74 years, male, NA, stage:1, alive, 990 days 5779.8
DO50859 77 years, male, NA, stage:2, alive, 180 days 5716.7
DO45095 66 years, male, NA, stage:2, alive, 1620 days 5655.4
DO45181 84 years, female, NA, stage:2, alive, 1200 days 5579.7
DO23546 63 years, male, NA, stage:2, alive, 1050 days 5517.7
DO50783 62 years, male, NA, stage:3, alive, 480 days 5413.5
DO50817 75 years, male, NA, stage:2, alive, 390 days 5337.5
DO45133 64 years, male, NA, stage:3, dead, 660 days 5256.2
DO23538 67 years, male, NA, stage:2, alive, 450 days 5212.1
DO45175 74 years, male, NA, stage:2, alive, 1140 days 5173.4
DO48761 55 years, male, NA, stage:2, alive, 870 days 4933.7
DO45121 61 years, male, NA, stage:3, alive, 1530 days 4796.2
DO45143 69 years, male, NA, stage:3, alive, 1290 days 4794.1
DO50816 63 years, male, NA, stage:2, alive, 390 days 4701.9
DO48695 77 years, male, NA, stage:2, alive, 720 days 4631.6
DO23551 73 years, male, NA, stage:3, dead, 150 days 4608.0
DO23527 72 years, male, NA, stage:1, alive, 1050 days 4603.6
DO23535 67 years, male, NA, stage:1, alive, 960 days 4425.9
DO48727 81 years, female, NA, stage:2, dead, 390 days 4399.3
DO45261 74 years, male, NA, stage:3, alive, 990 days 4385.4
DO45227 57 years, female, NA, stage:2, alive, 1020 days 4364.2
DO50818 65 years, male, NA, stage:2, alive, 510 days 4343.1
DO45153 77 years, female, NA, stage:2, alive, 1380 days 4336.1
DO45235 68 years, female, NA, stage:1, alive, 900 days 4332.2
DO48677 58 years, male, NA, stage:3, alive, 1140 days 4295.9
DO45223 67 years, male, NA, stage:4, alive, 1020 days 4286.1
DO227801 77 years, female, NA, stage:1, alive, 660 days 4172.8
DO45163 76 years, male, NA, stage:2, alive, 960 days 4161.5
DO45173 63 years, male, NA, stage:3, alive, 1170 days 4152.6
DO45096 69 years, male, NA, stage:2, dead, 1290 days 4095.9
DO23508 79 years, female, NA, stage:2, alive, 390 days 4083.4
DO48712 50 years, male, NA, stage:2, alive, 810 days 4055.5
DO50809 56 years, male, NA, stage:3, dead, 720 days 4016.5
DO45255 81 years, male, NA, stage:3, alive, 720 days 3999.8
DO50798 77 years, male, NA, stage:3, dead, 30 days 3986.1
DO50822 66 years, male, NA, stage:2, alive, 510 days 3929.9
DO48715 58 years, female, NA, stage:2, dead, 690 days 3862.7
DO50850 74 years, male, NA, stage:3, alive, 720 days 3830.6
DO50857 72 years, male, NA, stage:2, alive, 210 days 3795.5
DO23539 77 years, male, NA, stage:1, alive, 1110 days 3704.9
DO45145 78 years, male, NA, stage:3, dead, 60 days 3681.6
DO48700 78 years, female, NA, stage:2, alive, 810 days 3625.3
DO23533 61 years, male, NA, stage:2, alive, 900 days 3612.9
DO48743 69 years, female, NA, stage:2, alive, 570 days 3550.6
DO23542 66 years, male, NA, stage:3, alive, 960 days 3417.6
DO23548 78 years, female, NA, stage:1, alive, 840 days 3320.9
DO50820 77 years, female, NA, stage:3, alive, 510 days 3314.3
DO45225 69 years, male, NA, stage:1, alive, 1050 days 3287.0
DO48672 81 years, male, NA, stage:2, alive, 450 days 3103.8
DO45099 46 years, male, NA, stage:3, alive, 1590 days 3092.4
DO50814 83 years, male, NA, stage:3, alive, 420 days 2992.0
DO48733 72 years, male, NA, stage:2, alive, 600 days 2955.3
DO50800 74 years, male, NA, stage:2, alive, 510 days 2948.1
DO48704 68 years, female, NA, stage:3, alive, 750 days 2944.9
DO45193 68 years, female, NA, stage:4, dead, 120 days 2935.2
DO45165 75 years, male, NA, stage:2, alive, 690 days 2862.2
DO50844 75 years, male, NA, stage:4, alive, 300 days 2831.4
DO45191 61 years, female, NA, stage:2, alive, 1200 days 2806.3
DO50805 72 years, male, NA, stage:2, alive, 690 days 2793.3
DO50829 78 years, male, NA, stage:3, alive, 570 days 2669.9
DO23550 69 years, male, NA, stage:1, alive, 990 days 2669.2
DO23525 71 years, male, NA, stage:4, alive, 1050 days 2544.1
DO50802 49 years, male, NA, stage:2, alive, 930 days 2516.1
DO50774 68 years, female, NA, stage:2, alive, 720 days 2514.6
DO45119 74 years, male, NA, stage:3, dead, 510 days 2461.2
DO45141 73 years, male, NA, stage:2, alive, 1320 days 2461.0
DO45213 58 years, male, NA, stage:1, alive, 1200 days 2446.6
DO23509 60 years, male, NA, stage:3, dead, 780 days 2368.0
DO50787 63 years, male, NA, stage:3, alive, 480 days 2349.3
DO48725 66 years, male, NA, stage:1, alive, 780 days 2302.6
DO45183 72 years, female, NA, stage:2, dead, 570 days 2210.3
DO48706 72 years, male, NA, stage:2, alive, 870 days 2196.1
DO50799 66 years, female, NA, stage:2, alive, 540 days 2177.7
DO45281 83 years, male, NA, stage:4, alive, 750 days 2082.4
DO48732 73 years, male, NA, stage:3, alive, 630 days 2048.4
DO48679 72 years, male, NA, stage:2, alive, 1200 days 1978.6
DO23536 56 years, male, NA, stage:2, alive, 930 days 1962.9
DO45243 74 years, female, NA, stage:3, alive, 930 days 1931.1
DO23545 67 years, male, NA, stage:2, dead, 570 days 1930.3
DO45149 70 years, female, NA, stage:2, alive, 1260 days 1920.1
DO45253 50 years, male, NA, stage:2, alive, 870 days 1888.6
DO50789 73 years, female, NA, stage:2, alive, 570 days 1821.5
DO45231 84 years, male, NA, stage:2, alive, 930 days 1818.2
DO45217 69 years, female, NA, stage:3, dead, 270 days 1817.3
DO45257 46 years, male, NA, stage:3, alive, 810 days 1801.6
DO50785 37 years, male, NA, stage:4, dead, 90 days 1766.1
DO50819 72 years, female, NA, stage:2, alive, 510 days 1747.1
DO45185 89 years, male, NA, stage:2, alive, 600 days 1742.5
DO45139 63 years, male, NA, stage:3, alive, 1320 days 1656.4
DO45187 32 years, female, NA, stage:1, alive, 1260 days 1632.4
DO45093 71 years, male, NA, stage:2, dead, 720 days 1619.5
DO23526 66 years, male, NA, stage:3, alive, 1050 days 1604.5
DO45205 67 years, female, NA, stage:2, dead, 90 days 1561.1
DO45157 62 years, male, NA, stage:2, alive, 1980 days 1540.6
DO50825 70 years, male, NA, stage:2, alive, 390 days 1535.0
DO45091 56 years, male, NA, stage:2, dead, 1320 days 1525.4
DO48697 64 years, female, NA, stage:2, dead, 810 days 1491.6
DO45247 31 years, female, NA, stage:2, alive, 210 days 1485.9
DO23513 76 years, male, NA, stage:3, alive, 1200 days 1483.1
DO45265 73 years, male, NA, stage:3, alive, 1020 days 1465.7
DO23516 69 years, male, NA, stage:3, dead, 20 days 1449.9
DO45161 74 years, male, NA, stage:2, dead, 540 days 1443.3
DO23511 83 years, female, NA, stage:3, dead, 180 days 1442.6
DO45239 42 years, male, NA, stage:2, alive, 870 days 1436.4
DO48757 68 years, female, NA, stage:3, alive, 480 days 1434.3
DO45237 58 years, male, NA, stage:2, alive, 900 days 1429.7
DO45117 73 years, female, NA, stage:2, dead, 1110 days 1421.1
DO50845 72 years, male, NA, stage:3, alive, 210 days 1367.6
DO45269 59 years, male, NA, stage:3, alive, 750 days 1357.4
DO23529 72 years, male, NA, stage:4, alive, 930 days 1330.2
DO23537 79 years, male, NA, stage:2, dead, 900 days 1295.7
DO45219 78 years, male, NA, stage:2, alive, 1080 days 1277.7
DO48751 68 years, male, NA, stage:2, dead, 480 days 1254.4
DO45275 65 years, male, NA, stage:3, dead, 10 days 1224.8
DO45263 67 years, male, NA, stage:3, dead, 270 days 1219.1
DO45197 51 years, male, NA, stage:2, alive, 1170 days 1203.1
DO50806 70 years, male, NA, stage:4, alive, 540 days 1130.7
DO23515 71 years, male, NA, stage:2, alive, 1230 days 1117.2
DO45113 58 years, male, NA, stage:3, alive, 1560 days 1094.8
DO23518 67 years, male, NA, stage:2, alive, 1320 days 1011.0
DO48716 71 years, male, NA, stage:2, alive, 720 days 996.2
DO48730 73 years, female, NA, stage:2, alive, 630 days 988.0
DO45092 62 years, male, NA, stage:4, dead, 1200 days 981.9
DO23521 63 years, male, NA, stage:3, alive, 1110 days 953.9
DO50803 62 years, female, NA, stage:1, alive, 540 days 946.3
DO45273 62 years, male, NA, stage:2, alive, 480 days 918.7
DO48720 62 years, female, NA, stage:2, alive, 570 days 870.5
DO50815 62 years, male, NA, stage:3, alive, 150 days 858.4
DO45251 57 years, female, NA, stage:2, alive, 900 days 820.7
DO23514 64 years, male, NA, stage:2, alive, 1290 days 785.7
DO48728 74 years, female, NA, stage:2, alive, 150 days 767.5
DO45249 57 years, male, NA, stage:1, alive, 630 days 742.3
DO45199 86 years, female, NA, stage:2, alive, 1350 days 740.5
DO48681 57 years, male, NA, stage:2, alive, 900 days 740.1
DO45203 71 years, female, NA, stage:2, alive, 1170 days 729.0
DO45115 81 years, male, NA, stage:2, alive, 840 days 701.2
DO45135 77 years, male, NA, stage:1, alive, 1410 days 697.5
DO45189 85 years, female, NA, stage:2, alive, 1200 days 676.8
DO48737 52 years, male, NA, stage:1, alive, 720 days 661.8
DO48723 73 years, male, NA, stage:1, alive, 600 days 657.2
DO23524 71 years, female, NA, stage:2, alive, 1050 days 645.8
DO45221 75 years, female, NA, stage:4, dead, 390 days 634.0
DO45155 69 years, male, NA, stage:2, alive, 2160 days 556.9
DO48719 80 years, male, NA, stage:2, alive, 690 days 543.7
DO45097 69 years, male, NA, stage:3, alive, 1620 days 461.1
DO50855 47 years, male, NA, stage:2, alive, 570 days 445.2
DO45159 65 years, male, NA, stage:3, alive, 1470 days 423.1
DO23530 53 years, male, NA, stage:4, dead, 180 days 413.0
DO45131 53 years, male, NA, stage:4, dead, 360 days 389.3
DO23547 74 years, male, NA, stage:1, alive, 1020 days 334.0
DO23549 74 years, male, NA, stage:3, alive, 990 days 327.1
DO50778 60 years, male, NA, stage:4, alive, 630 days 258.9
DO45267 73 years, male, NA, stage:3, dead, 570 days 219.5
DO45287 74 years, male, NA, stage:1, alive, 390 days 145.2
DO45303 62 years, female, NA, stage:3, alive, 990 days 132.9
DO48717 54 years, male, NA, stage:4, dead, 180 days 123.4
DO45301 56 years, male, NA, stage:2, dead, 1440 days 107.2
DO45279 67 years, male, NA, stage:3, alive, 1290 days 101.7
DO45209 70 years, male, NA, stage:4, alive, 1350 days 77.6
DO45259 65 years, male, NA, stage:3, alive, 330 days 76.7
DO48682 72 years, female, NA, stage:3, dead, 120 days 65.0
DO45305 66 years, male, NA, stage:4, alive, 300 days 62.3
DO45283 60 years, male, NA, stage:3, alive, 510 days 42.2
DO23519 65 years, male, NA, stage:3, alive, 630 days 30.3
DO48747 62 years, male, NA, stage:3, alive, 540 days 25.3
DO45245 75 years, female, NA, stage:2, dead, 240 days 22.4
DO45297 61 years, female, NA, stage:4, dead, 1260 days 22.2
DO45289 78 years, female, NA, stage:3, alive, 360 days 22.1
DO45277 64 years, male, NA, stage:3, alive, 600 days 14.0
DO23523 52 years, male, NA, stage:3, alive, 1080 days 9.5
DO45307 54 years, female, NA, stage:4, dead, 240 days 5.3
DO45285 59 years, male, NA, stage:3, alive, 480 days 3.6
DO45299 70 years, female, NA, stage:1, alive, 1440 days 2.0
DO45211 76 years, male, NA, stage:3, alive, 240 days 1.9
Show allShow less
LIVER HEPATOCELLULAR CARCINOMA - Protein relative expression (CPTAC)
Number of samples 330
Samples
Sample ID Sample type nRPX
877 Tumor 2.1
863 Tumor 1.9
785 Tumor 1.2
1045 Tumor 1.1
224 Normal 0.9
713 Tumor 0.9
471 Tumor 0.8
777 Tumor 0.7
192 Normal 0.7
365 Tumor 0.7
425 Tumor 0.7
648 Normal 0.7
884 Normal 0.7
921 Tumor 0.7
461 Tumor 0.6
868 Normal 0.6
424 Normal 0.6
444 Normal 0.6
741 Tumor 0.6
428 Normal 0.6
618 Normal 0.6
647 Tumor 0.6
142 Normal 0.6
1032 Normal 0.5
481 Tumor 0.5
466 Normal 0.5
615 Tumor 0.5
517 Tumor 0.5
665 Tumor 0.5
462 Normal 0.5
964 Normal 0.5
432 Normal 0.5
862 Normal 0.4
221 Tumor 0.4
128 Normal 0.4
487 Tumor 0.4
671 Tumor 0.4
857 Tumor 0.4
641 Tumor 0.4
314 Normal 0.4
975 Tumor 0.4
786 Normal 0.4
1016 Normal 0.4
472 Normal 0.4
1046 Normal 0.4
515 Tumor 0.4
162 Normal 0.4
328 Normal 0.4
746 Normal 0.4
663 Tumor 0.4
628 Normal 0.4
422 Normal 0.4
616 Normal 0.4
363 Tumor 0.4
525 Tumor 0.4
912 Normal 0.4
464 Normal 0.4
563 Tumor 0.4
938 Normal 0.3
196 Normal 0.3
864 Normal 0.3
742 Normal 0.3
982 Normal 0.3
414 Normal 0.3
883 Tumor 0.3
664 Normal 0.3
866 Normal 0.3
375 Tumor 0.3
426 Normal 0.3
484 Normal 0.3
815 Tumor 0.3
148 Normal 0.3
283 Tumor 0.3
922 Normal 0.3
858 Normal 0.3
366 Normal 0.3
636 Normal 0.3
384 Normal 0.3
356 Normal 0.3
572 Normal 0.3
546 Normal 0.3
1041 Tumor 0.3
172 Normal 0.3
186 Normal 0.3
881 Tumor 0.3
743 Tumor 0.3
911 Tumor 0.3
878 Normal 0.3
882 Normal 0.3
494 Normal 0.2
278 Normal 0.2
223 Tumor 0.2
516 Normal 0.2
222 Normal 0.2
394 Normal 0.2
744 Normal 0.2
136 Normal 0.2
534 Normal 0.2
451 Tumor 0.2
354 Normal 0.2
553 Tumor 0.2
568 Normal 0.2
482 Normal 0.2
261 Tumor 0.2
465 Tumor 0.2
376 Normal 0.2
817 Tumor 0.2
824 Normal 0.2
488 Normal 0.2
666 Normal 0.2
137 Tumor 0.2
627 Tumor 0.2
362 Normal 0.2
714 Normal 0.2
672 Normal 0.2
976 Normal 0.2
468 Normal 0.2
388 Normal 0.2
368 Normal 0.2
311 Tumor 0.2
1015 Tumor 0.2
756 Normal 0.2
436 Normal 0.2
132 Normal 0.2
358 Normal 0.2
342 Normal 0.2
446 Normal 0.1
697 Tumor 0.1
327 Tumor 0.1
423 Tumor 0.1
232 Normal 0.1
195 Tumor 0.1
367 Tumor 0.1
421 Tumor 0.1
958 Normal 0.1
526 Normal 0.1
1022 Normal 0.1
391 Tumor 0.1
874 Normal 0.1
474 Normal 0.1
1014 Normal 0.1
695 Tumor 0.1
778 Normal 0.1
483 Tumor 0.1
141 Tumor 0.1
491 Tumor 0.1
723 Tumor 0.1
361 Tumor 0.1
312 Normal 0.1
914 Normal 0.1
818 Normal 0.1
258 Normal 0.1
738 Normal 0.1
126 Normal 0.1
467 Tumor 0.1
412 Normal 0.1
111 Normal 0.1
564 Normal 0.1
1042 Normal 0.1
917 Tumor 0.1
272 Normal 0.1
138 Normal 0.1
968 Normal 0.0
617 Tumor 0.0
518 Normal 0.0
191 Tumor 0.0
716 Normal 0.0
445 Tumor 0.0
571 Tumor 0.0
396 Normal 0.0
332 Normal 0.0
963 Tumor 0.0
867 Tumor 0.0
188 Normal 0.0
574 Normal 0.0
816 Normal 0.0
918 Normal 0.0
262 Normal 0.0
514 Normal 0.0
492 Normal 0.0
413 Tumor 0.0
214 Normal 0.0
954 Normal 0.0
185 Tumor 0.0
573 Tumor 0.0
662 Normal 0.0
392 Normal -0.1
228 Normal -0.1
435 Tumor -0.1
298 Normal -0.1
146 Normal -0.1
267 Tumor -0.1
124 Normal -0.1
135 Tumor -0.1
852 Normal -0.1
926 Normal -0.1
823 Tumor -0.1
737 Tumor -0.1
395 Tumor -0.1
212 Normal -0.1
452 Normal -0.1
967 Tumor -0.1
545 Tumor -0.1
696 Normal -0.1
353 Tumor -0.1
297 Tumor -0.1
456 Normal -0.1
284 Normal -0.1
448 Normal -0.1
268 Normal -0.1
364 Normal -0.1
1026 Normal -0.1
161 Tumor -0.1
478 Normal -0.1
813 Tumor -0.2
956 Normal -0.2
352 Normal -0.2
722 Normal -0.2
463 Tumor -0.2
447 Tumor -0.2
924 Normal -0.2
558 Normal -0.2
455 Tumor -0.2
343 Tumor -0.2
913 Tumor -0.2
1028 Normal -0.2
916 Normal -0.2
125 Tumor -0.2
411 Tumor -0.2
416 Normal -0.2
355 Tumor -0.2
715 Tumor -0.2
431 Tumor -0.2
728 Normal -0.2
112 Tumor -0.2
386 Normal -0.2
698 Normal -0.2
227 Tumor -0.2
341 Tumor -0.2
131 Tumor -0.2
393 Tumor -0.2
415 Tumor -0.2
937 Tumor -0.3
513 Tumor -0.3
745 Tumor -0.3
861 Tumor -0.3
145 Tumor -0.3
851 Tumor -0.3
686 Normal -0.3
873 Tumor -0.3
427 Tumor -0.3
147 Tumor -0.3
383 Tumor -0.3
217 Tumor -0.3
114 Normal -0.3
953 Tumor -0.3
271 Tumor -0.3
1025 Tumor -0.3
642 Normal -0.3
277 Tumor -0.3
952 Normal -0.3
187 Tumor -0.4
313 Tumor -0.4
944 Normal -0.4
1031 Tumor -0.4
127 Tumor -0.4
981 Tumor -0.4
528 Normal -0.4
567 Tumor -0.4
286 Normal -0.4
113 Tumor -0.4
443 Tumor -0.4
814 Normal -0.4
983 Tumor -0.4
685 Tumor -0.4
554 Normal -0.4
978 Normal -0.4
925 Tumor -0.4
493 Tumor -0.5
285 Tumor -0.5
218 Normal -0.5
213 Tumor -0.5
387 Tumor -0.5
951 Tumor -0.5
755 Tumor -0.5
984 Normal -0.5
1027 Tumor -0.5
915 Tumor -0.5
635 Tumor -0.5
977 Tumor -0.5
527 Tumor -0.5
171 Tumor -0.6
351 Tumor -0.6
1021 Tumor -0.6
434 Normal -0.6
344 Normal -0.6
498 Normal -0.6
1013 Tumor -0.6
433 Tumor -0.6
331 Tumor -0.6
557 Tumor -0.6
966 Normal -0.6
724 Normal -0.6
721 Tumor -0.7
1044 Normal -0.7
123 Tumor -0.7
257 Tumor -0.7
535 Tumor -0.7
357 Tumor -0.7
536 Normal -0.7
211 Tumor -0.7
923 Tumor -0.7
385 Tumor -0.7
477 Tumor -0.8
538 Normal -0.8
955 Tumor -0.8
661 Tumor -0.8
533 Tumor -0.8
943 Tumor -0.8
865 Tumor -0.9
473 Tumor -0.9
727 Tumor -0.9
1043 Tumor -1.1
231 Tumor -1.1
524 Normal -1.1
957 Tumor -1.1
965 Tumor -1.2
497 Tumor -1.4
523 Tumor -1.4
537 Tumor -1.5
Show allShow less
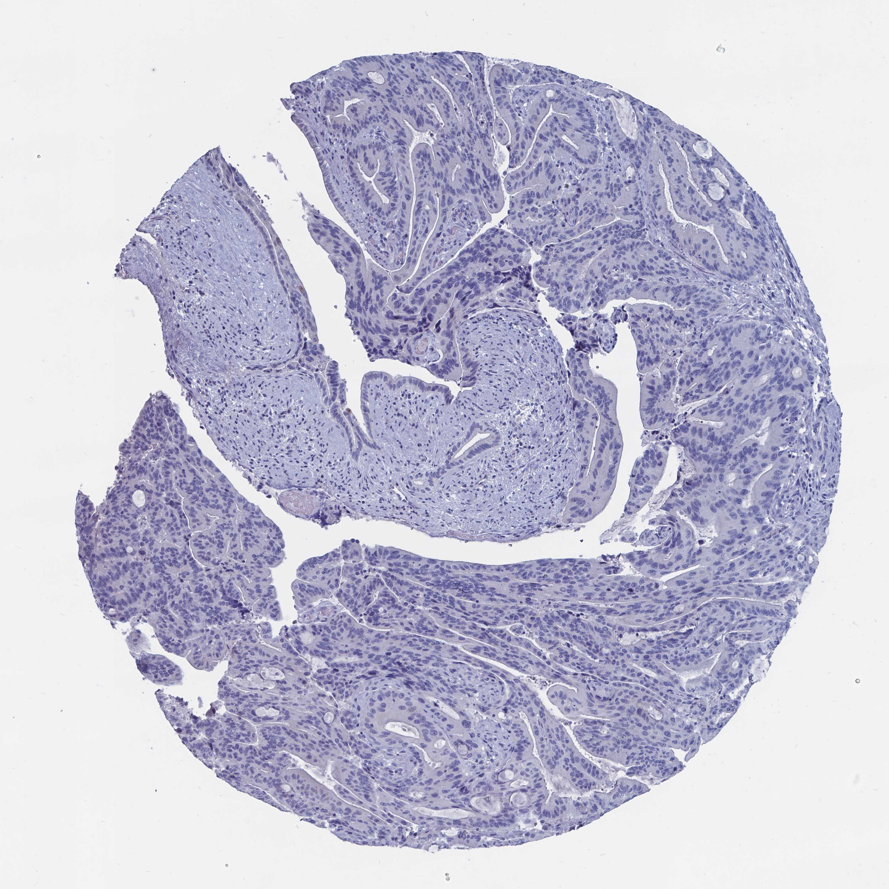
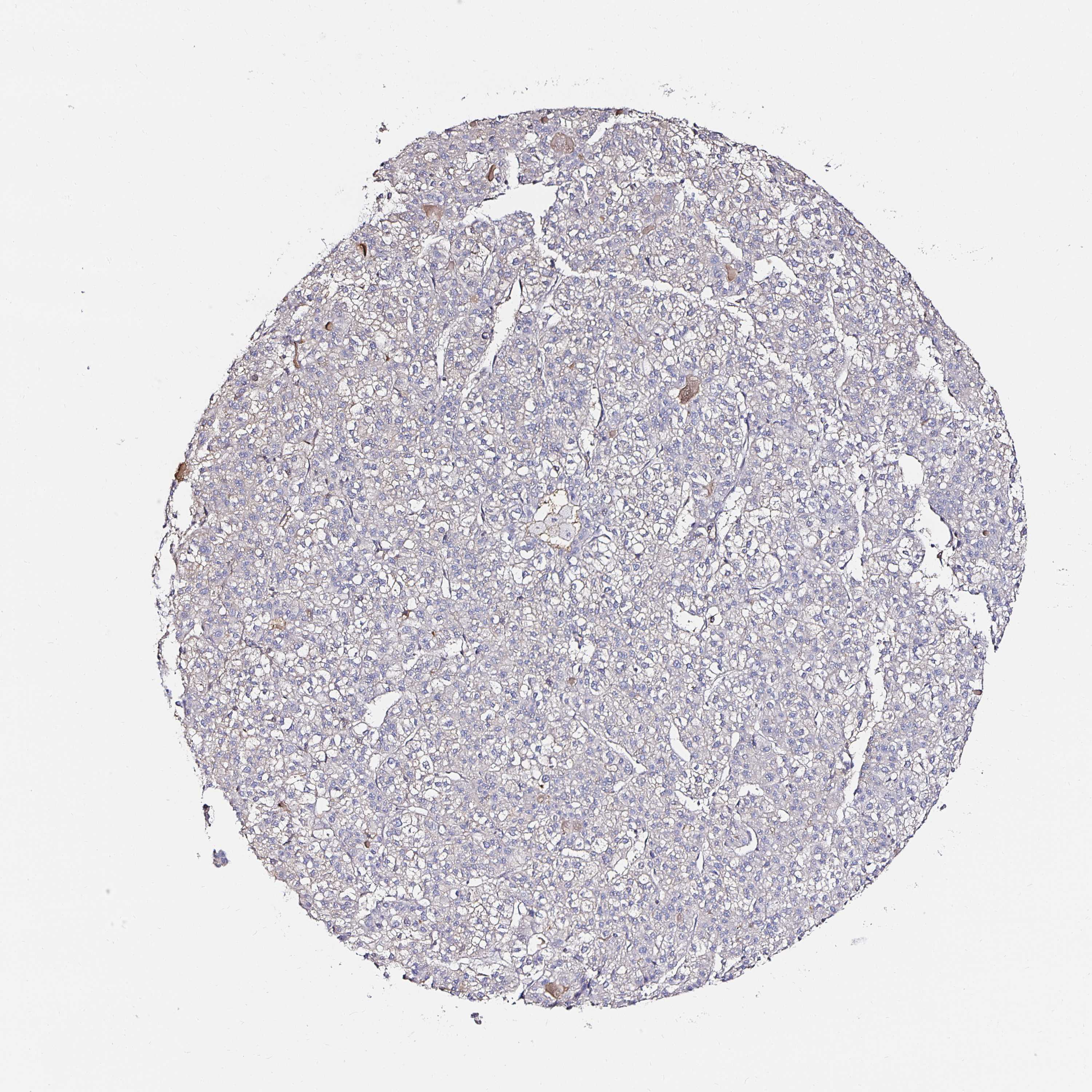
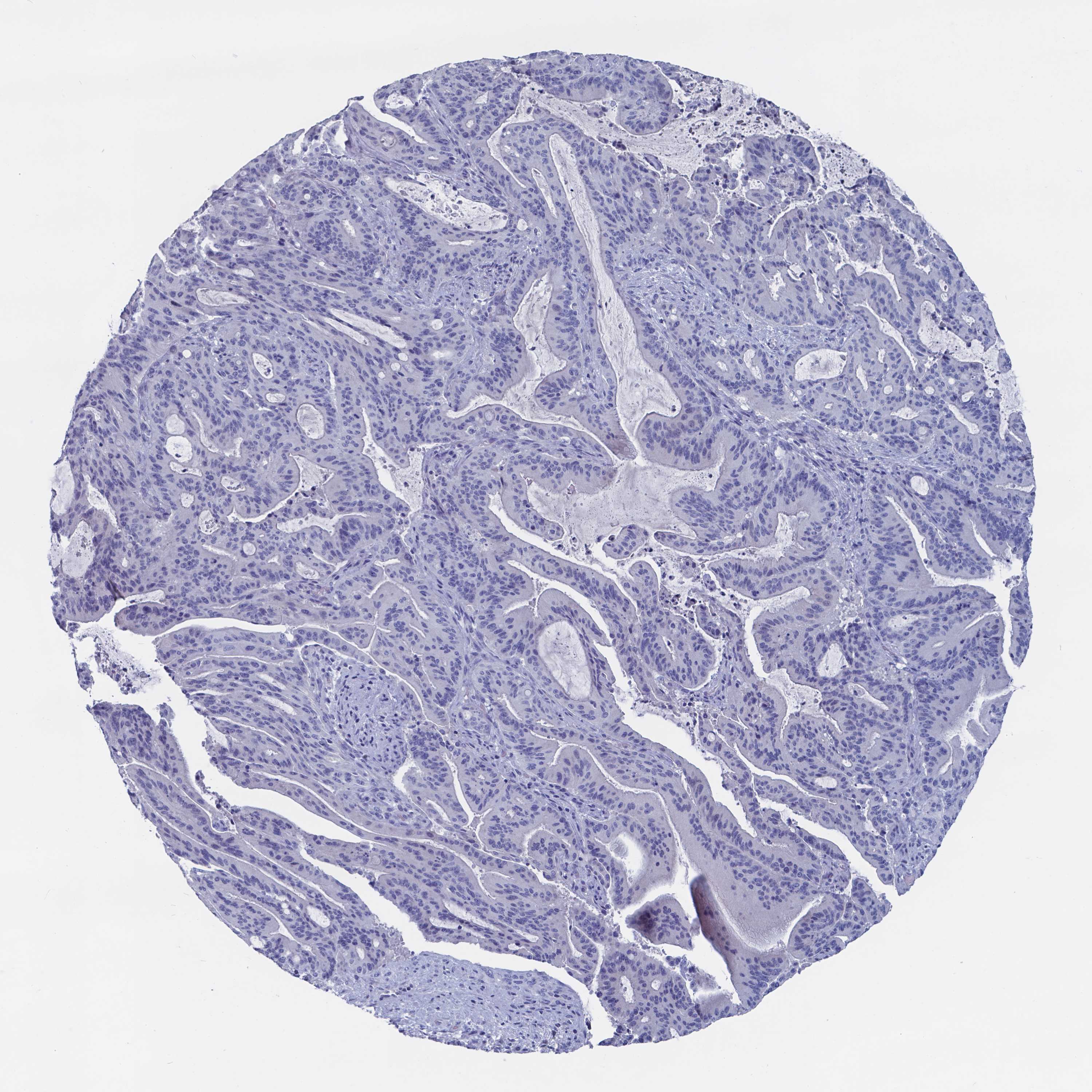
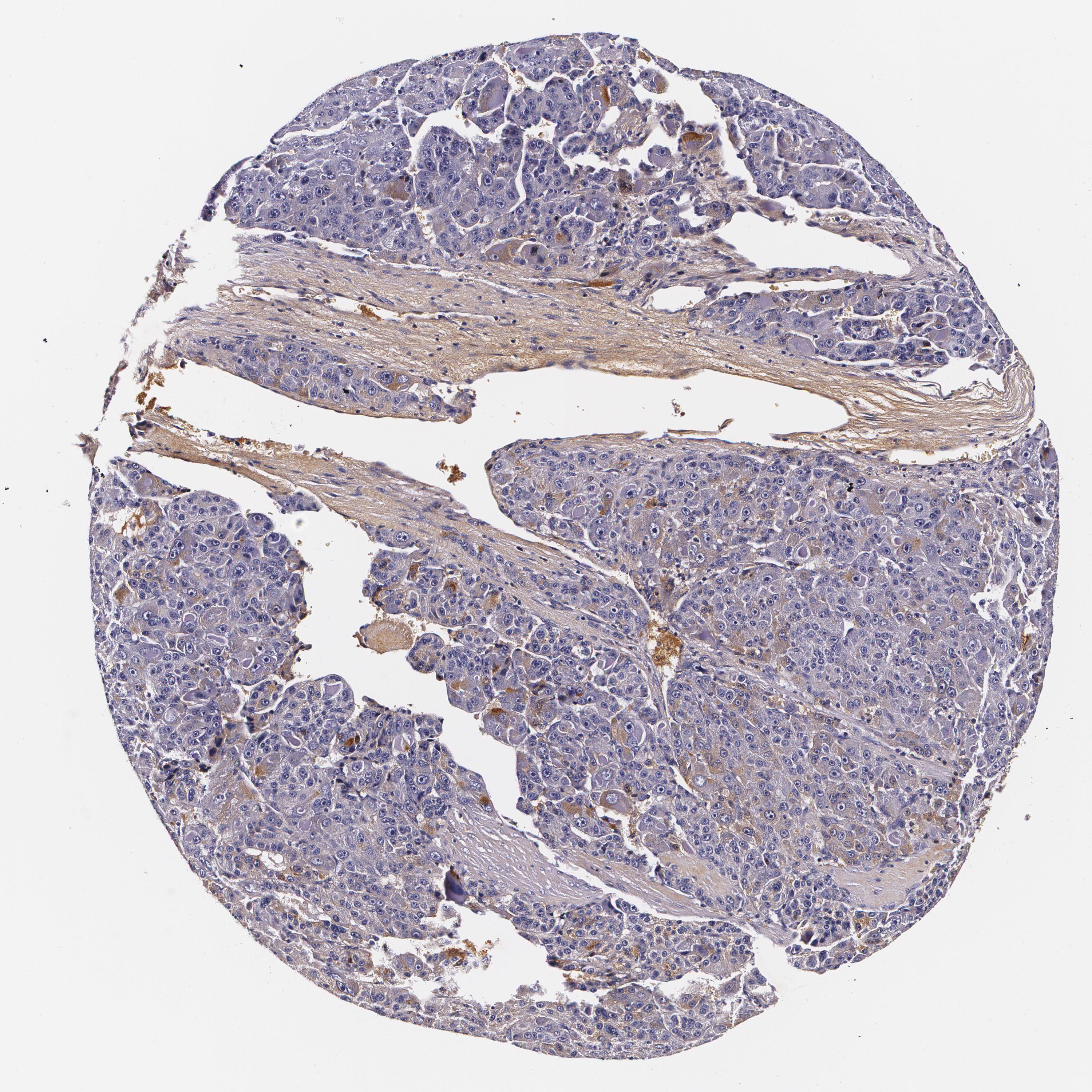
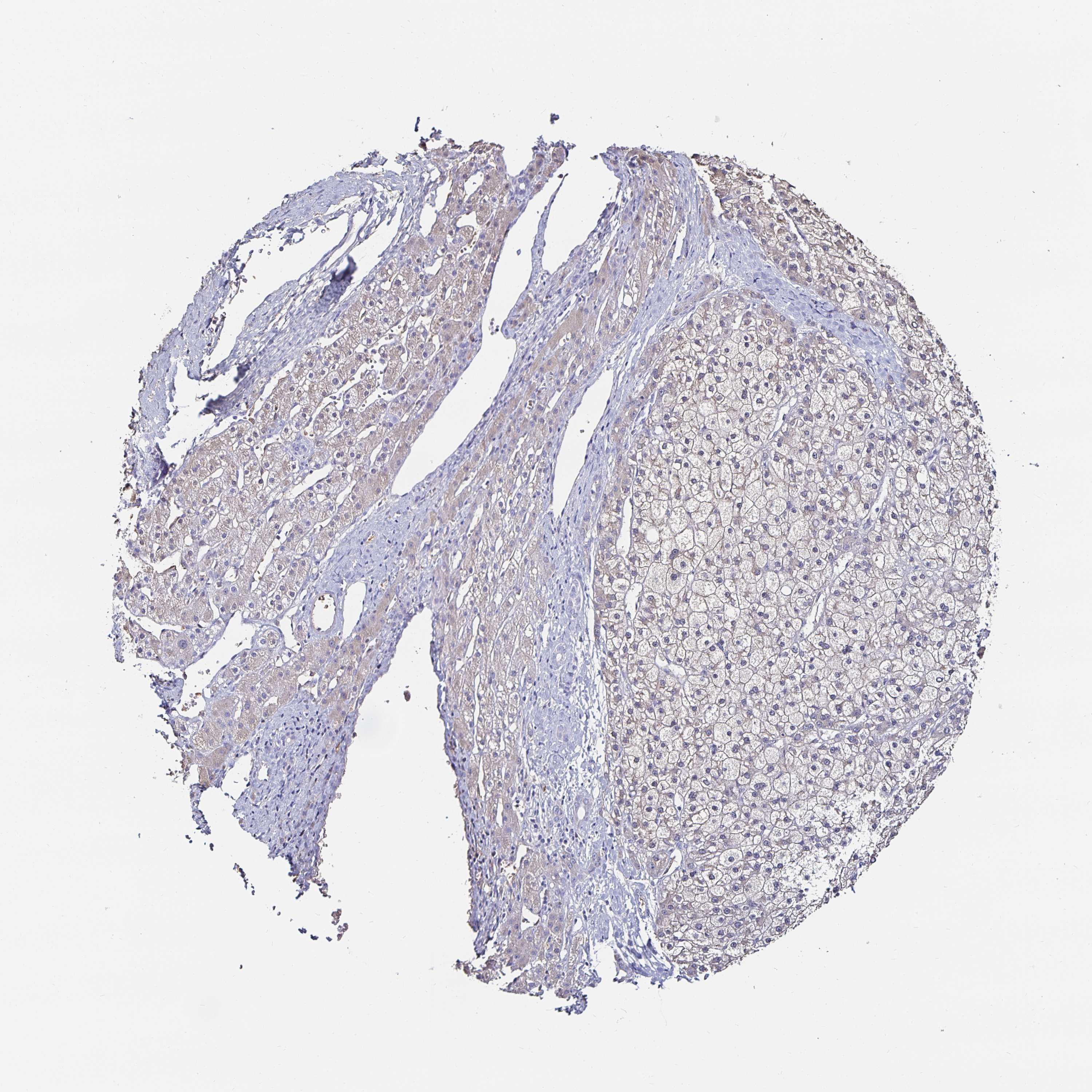
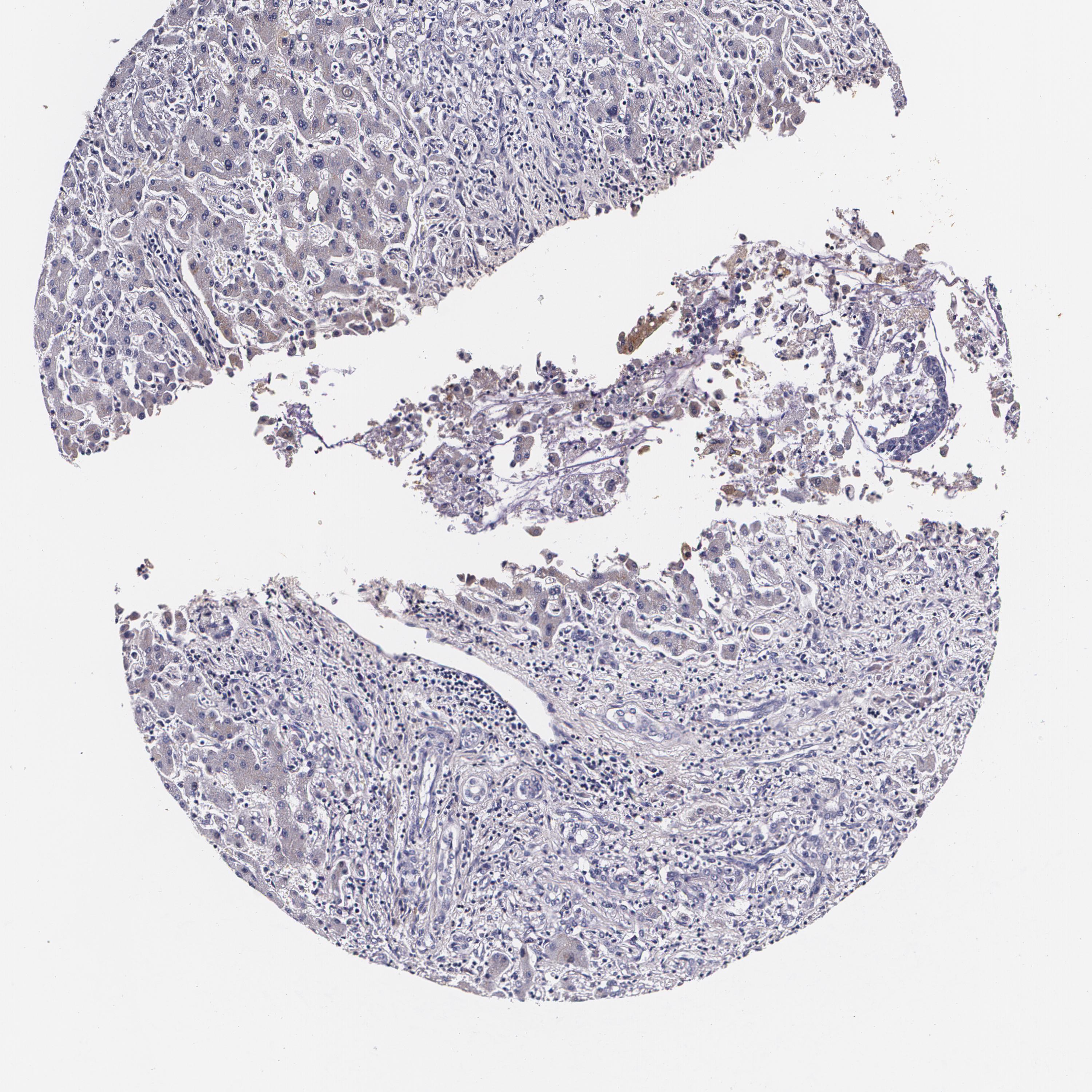
LIVER CANCER - Protein expressioni

A mouse-over function shows sample information and annotation data. Click on an image to view it in a full screen mode. Samples can be filtered based on level of antibody staining by selecting one or several of the following categories: high, medium, low and not detected. The assay and annotation is described here.

Note that samples used for immunohistochemistry by the Human Protein Atlas do not correspond to samples in the TCGA dataset.

 

Antibody stainingi

Antibody staining in the annotated cell types in the current human tissue is reported as not detected, low, medium, or high, based on conventional immunohistochemistry profiling in selected tissues. This score is based on the combination of the staining intensity and fraction of stained cells.

Each image is clickable and will lead to virtual microscopy that enables deeper exploration of all samples and also displays staining intensity scores, fraction scores and subcellular localization as well as patient and tissue information for each sample.


Antibody HPA002550

Antibody CAB002517

Antibody CAB062567

Antibody CAB073406
 Staining
  High
  Medium
  Low
  Not detected
 Intensity
  Strong
  Moderate
  Weak
  Negative
 Quantity
  >75%
  75%-25%
  <25%
  None
 Location
  Nuclear
  Cytoplasmic/membranous
  Cytoplasmic/membranous,nuclear
  None
Carcinoma, Hepatocellular, NOS
Cholangiocarcinoma

Contact

  • NEWS ARTICLES
  • PRESS ROOM

The Project

  • INTRODUCTION
  • ORGANIZATION
  • PUBLICATIONS

The Human Protein Atlas

  • DOWNLOADABLE DATA
  • LICENCE & CITATION
  • HELP & FAQ
The Human Protein Atlas project is funded
by the Knut & Alice Wallenberg Foundation.


contact@proteinatlas.org