We use cookies to enhance the usability of our website. If you continue, we'll assume that you are happy to receive all cookies. More information. Don't show this again.
ARG1
HPA
RESOURCES
  • TISSUE
  • BRAIN
  • SINGLE CELL
  • SUBCELLULAR
  • CANCER
  • BLOOD
  • CELL LINE
  • STRUCTURE & INTERACTION
ABOUT
  • INTRODUCTION
  • HISTORY
  • ORGANIZATION
  • PUBLICATIONS
  • ANTIBODY SUBMISSION
  • ANTIBODY AVAILABILITY
  • ACKNOWLEDGMENTS
  • CONTACT
NEWS
  • NEWS ARTICLES
  • PRESS ROOM
LEARN
  • DICTIONARY
  • PROTEIN CLASSES
  • PROTEIN EVIDENCE
  • METHODS
  • EDUCATIONAL VIDEOS
DATA
  • DOWNLOADABLE DATA
  • PUBLICATION DATA
  • RELEASE HISTORY
HELP
  • ANTIBODY VALIDATION
  • ASSAYS & ANNOTATION
  • DISCLAIMER
  • HELP & FAQ
  • PRIVACY STATEMENT
  • LICENCE & CITATION
Fields »
Search result

Field
Term
Gene name
Class
Subclass
Class
Keyword
Chromosome
External id
Tissue
Cell type
Expression
Antibody panel
Tissue
Main location
Patient ID
Annotation
Tissue
Category
Tau score
Cluster
Reliability
Brain region
Category
Tau score
Brain region
Category
Tau score
Brain region
Category
Tau score
Cluster
Reliability
Tissue
Cell type
Enrichment
Cell type
Category
Tau score
Cell type
Category
Tau score
Cell type
Category
Tau score
Cell lineage
Category
Tau score
Cluster
Cluster
Location
Searches
Location
Cell line
Class
Type
Phase
Reliability
Cancer
Prognosis
Cancer
Category
Cancer
Category
Tau score
Cluster
Variants
Interacting gene (ensg_id)
Type
Number of interactions
Pathway
Category
Score
Score
Score
Validation
Validation
Validation
Validation
Antibodies
Data type
Column


  • SUMMARY

  • TISSUE

  • BRAIN

  • SINGLE CELL

  • SUBCELL

  • CANCER

  • BLOOD

  • CELL LINE

  • STRUCT & INT

  • ARG1
TISSUE PRIMARY DATA SPLEEN Show tissue menu
ADIPOSE TISSUE ADRENAL GLAND AMYGDALA APPENDIX BASAL GANGLIA BONE MARROW BREAST BRONCHUS CEREBELLUM CEREBRAL CORTEX CERVIX CHOROID PLEXUS COLON DUODENUM
ENDOMETRIUM EPIDIDYMIS ESOPHAGUS FALLOPIAN TUBE GALLBLADDER HEART MUSCLE HIPPOCAMPAL FORMATION HYPOTHALAMUS KIDNEY LIVER LUNG LYMPH NODE MIDBRAIN NASOPHARYNX
ORAL MUCOSA OVARY PANCREAS PARATHYROID GLAND PITUITARY GLAND PLACENTA PROSTATE RECTUM RETINA SALIVARY GLAND SEMINAL VESICLE SKELETAL MUSCLE SKIN SMALL INTESTINE
SMOOTH MUSCLE SOFT TISSUE SPINAL CORD SPLEEN STOMACH TESTIS THYMUS THYROID GLAND TONGUE TONSIL URINARY BLADDER VAGINA
ANTIBODIES
AND
VALIDATION
Dictionary
Spleen
Tissue proteome
Lymphoid tissue
SPLEEN - Expression summary
Protein expression
Spleeni

On the top, protein expression in current human tissue, based on all annotated cell types, is reported with the units not detected (n), low (l), medium (m) and high (h). Underneath, protein expression in each annotated cell type are reported using the same units.

Protein expression data is based on knowledge-based annotation. For genes where more than one antibody has been used, a collective score is set.

If knowledge-based annotation could not be performed for a gene, no data is displayed here. View antibody staining data further down this page.

h
m
l
n
Cells in red pulp: Medium
Cells in white pulp: Not detected
RNA expressioni

A summary of mRNA expression data available for current tissue based on several datasets. The mRNA expression levels in human tissues are based on RNA-seq data generated by the Human Protein Atlas (HPA), Genotype-Tissue Expression (GTEx) portal and CAGE data generated by the FANTOM5 consortium. Consensus normalized expression levels for human tissues was created by combining the data from HPA and GTEx datasets.

The mRNA expression levels in pig are based on RNA-seq data generated by the Human Protein Atlas (HPA), and for mouse, HPA data and in situ hybridization generated by the Allen brain atlas are reported.

Scroll down to view mRNA expression data in more detail.
Consensus:20.1 nTPM
HPA:4.2 nTPM
GTEx:20.1 nTPM
FANTOM5:15.0 Scaled Tags Per Million

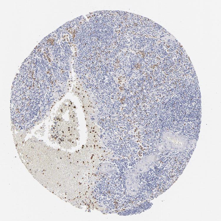
SPLEEN - Antibody stainingi

Antibody staining in the annotated cell types in the current human tissue is reported as not detected, low, medium, or high, based on conventional immunohistochemistry profiling in selected tissues. This score is based on the combination of the staining intensity and fraction of stained cells.

Each image is clickable and will lead to virtual microscopy that enables deeper exploration of all samples and also displays staining intensity scores, fraction scores and subcellular localization as well as patient and tissue information for each sample.

Antibody HPA003595Antibody HPA024006Antibody CAB009434Antibody CAB056159Antibody CAB080011
Cells in red pulp Not detectedNot detectedNot detectedNot detectedMedium
Cells in white pulp Not detectedNot detectedNot detectedNot detectedNot detected











SPLEEN - HPA RNA-seqi

The RNA-seq details section shows detailed information about the individual samples used for the transcript profiling and results of the RNA-seq analysis.

Information about each individual sample is listed below, including gender, age, a tissue section image and estimated fractions of cell types. nTPM (normalized transcripts per million) values give a quantification of the gene abundance which is comparable between different genes and samples.
Average nTPMi

Max subtype nTPM is the value for the subtype with the largest average nTPM across the subtype samples.

4.2
overview
Female, age 60
Spleen sample 236
nTPM: 1
Cell types%
Lymphocytes:
40

Macrophages:
30

Endothelial cells:
15

Fibroblasts:
5

Other cell types:
10

overview
Male, age 17
Spleen sample 237
nTPM: 0.4
Cell types%
Lymphocytes:
40

Macrophages:
35

Endothelial cells:
15

Fibroblasts:
5

Other cell types:
5

overview
Male, age 20
Spleen sample 238
nTPM: 13.7
Cell types%
Lymphocytes:
40

Macrophages:
30

Endothelial cells:
15

Fibroblasts:
5

Other cell types:
10

overview
Female, age 19
Spleen sample 239
nTPM: 3.8
Cell types%
Lymphocytes:
40

Macrophages:
30

Endothelial cells:
15

Fibroblasts:
10

Other cell types:
5

overview
Female, age 65
Spleen sample 378
nTPM: 2.1
Cell types%
Lymphocytes:
35

Macrophages:
30

Endothelial cells:
20

Fibroblasts:
10

Other cell types:
5


SPLEEN - GTEx RNA-seqi

RNA-Seq data generated by the Genotype-Tissue Expression (GTEx) project from human tissues is reported as mean nTPM. More information can be found on the GTEx portal.

Distribution across the dataset is visualized with box plots, shown as median and 25th and 75th percentiles. Points are displayed as outliers if they are above or below 1.5 times the interquartile range. nTPM values of the individual samples are presented next to the box plot.
Max subtype nTPMi

Max subtype nTPM is the value for the subtype with the largest average nTPM across the subtype samples.

20.1
GTEx sample id Sample description nTPM
Spleen
Average nTPM: 20.1
Samples: 241

Max nTPM: 146.0
Min nTPM: 0.2
Std nTPM: 21.9
Median nTPM: 14.7
GTEX-ZZPU-0126-SM-5E446 50-59 years, female 146.0
GTEX-1RAZQ-0126-SM-EV7B1 30-39 years, male 119.7
GTEX-ZV6S-0826-SM-5NQ6Z 40-49 years, female 117.2
GTEX-111CU-0426-SM-5GZY1 50-59 years, male 103.9
GTEX-ZYFG-0726-SM-5GIDX 60-69 years, female 103.4
GTEX-13X6H-0726-SM-5Q5BX 50-59 years, female 92.1
GTEX-1L5NE-0926-SM-D4P3P 50-59 years, male 83.5
GTEX-O5YT-0926-SM-48TDG 20-29 years, male 83.0
GTEX-14PJ4-0526-SM-6871G 60-69 years, male 78.8
GTEX-QDT8-1526-SM-EXOHP 30-39 years, female 68.7
GTEX-15RIG-0126-SM-6PAN4 40-49 years, male 62.4
GTEX-1JK1U-0126-SM-C1YQY 60-69 years, male 61.0
GTEX-1C64O-1626-SM-731EN 60-69 years, male 59.1
GTEX-1MCC2-0826-SM-EV7AM 30-39 years, female 55.7
GTEX-1CB4F-0226-SM-7EPHS 60-69 years, male 55.4
GTEX-P4PQ-0926-SM-E9U4D 60-69 years, male 52.2
GTEX-WY7C-0126-SM-4ONCO 50-59 years, male 51.9
GTEX-14BMU-0426-SM-73KYT 20-29 years, female 49.2
GTEX-11LCK-0126-SM-5A5M5 30-39 years, male 48.4
GTEX-11P7K-0426-SM-5BC5H 30-39 years, male 48.1
GTEX-1IDJC-0126-SM-C1YQC 50-59 years, male 48.0
GTEX-T5JW-0126-SM-4DM6K 20-29 years, female 47.1
GTEX-1HCU7-1426-SM-CNNQK 50-59 years, male 44.8
GTEX-1AX9K-0226-SM-793CM 50-59 years, male 43.9
GTEX-1MJK3-0126-SM-DPRYY 20-29 years, male 43.3
GTEX-16MT8-1826-SM-7EWE8 60-69 years, female 43.1
GTEX-ZP4G-0326-SM-4YCEF 20-29 years, female 42.9
GTEX-1399S-0226-SM-5IFFG 30-39 years, female 42.7
GTEX-1PDJ9-0226-SM-DPRYX 20-29 years, male 42.7
GTEX-12WSJ-0526-SM-5GCOZ 40-49 years, female 40.2
GTEX-1R7EV-0126-SM-EAZ3O 40-49 years, male 38.4
GTEX-1MUQO-1326-SM-EV7AE 60-69 years, male 37.9
GTEX-Y3I4-0126-SM-4TT26 50-59 years, male 37.8
GTEX-11EQ9-0426-SM-5A5JY 30-39 years, male 36.9
GTEX-13OVK-0426-SM-7KFT8 40-49 years, male 36.8
GTEX-144GN-2126-SM-5O99D 50-59 years, male 36.8
GTEX-11VI4-0126-SM-5GU6Z 40-49 years, female 36.7
GTEX-WFON-0126-SM-4LVM9 40-49 years, male 32.8
GTEX-1LSNM-0126-SM-EAZ57 50-59 years, male 32.6
GTEX-12WSN-0126-SM-5DUX5 40-49 years, male 32.3
GTEX-15SB6-0126-SM-6LPJR 50-59 years, female 32.3
GTEX-146FQ-0626-SM-5LU9U 30-39 years, male 31.9
GTEX-PLZ6-0126-SM-48TC6 30-39 years, male 31.7
GTEX-ZVP2-0526-SM-51MSC 50-59 years, male 31.7
GTEX-147F3-0126-SM-5NQBJ 50-59 years, female 31.6
GTEX-Q2AH-0226-SM-48U1I 40-49 years, male 30.0
GTEX-139YR-0426-SM-5IFFV 50-59 years, male 29.9
GTEX-1QP29-0126-SM-EAZ3S 50-59 years, male 29.4
GTEX-1K2DA-0126-SM-CGQGV 50-59 years, male 29.3
GTEX-XGQ4-0126-SM-4AT4H 50-59 years, male 29.1
GTEX-14E6E-1226-SM-5S2R5 30-39 years, male 28.6
GTEX-145MN-0126-SM-5RQHY 30-39 years, male 27.9
GTEX-1N2EF-1526-SM-EXOIY 60-69 years, male 27.8
GTEX-14JG6-0226-SM-6872A 30-39 years, female 27.7
GTEX-1B97I-0126-SM-731DH 40-49 years, male 27.3
GTEX-Y5LM-0326-SM-4VBRN 40-49 years, female 27.3
GTEX-XQ8I-1726-SM-4BOQB 50-59 years, male 27.1
GTEX-14PKU-0526-SM-6871A 40-49 years, female 26.7
GTEX-Z9EW-0726-SM-5HL9H 40-49 years, male 26.4
GTEX-1F75I-0226-SM-7MKHQ 40-49 years, male 26.1
GTEX-14PJ6-0226-SM-6AJ9K 60-69 years, female 25.6
GTEX-15SHV-0126-SM-6LPIS 60-69 years, male 25.6
GTEX-YFCO-0926-SM-5LUA5 40-49 years, male 25.4
GTEX-1122O-0526-SM-5N9DM 60-69 years, female 25.1
GTEX-14PJ5-0326-SM-664OD 60-69 years, female 25.1
GTEX-1JMQK-1126-SM-CXZJW 60-69 years, male 24.3
GTEX-QLQW-0126-SM-447BK 30-39 years, male 23.5
GTEX-12WSK-0126-SM-5GCO7 40-49 years, female 23.4
GTEX-P4QS-0926-SM-48TBS 60-69 years, male 23.3
GTEX-1QAET-2326-SM-EXOJ1 50-59 years, male 23.2
GTEX-YEC4-0126-SM-4W21T 40-49 years, male 22.9
GTEX-R55G-0226-SM-48FEI 40-49 years, female 22.8
GTEX-1PPH7-0126-SM-E6CPB 40-49 years, male 22.8
GTEX-139T6-0226-SM-5IFGZ 50-59 years, male 22.2
GTEX-13VXT-1326-SM-5LU3Y 20-29 years, female 22.0
GTEX-1RAZA-1026-SM-E6CQ9 20-29 years, male 22.0
GTEX-WXYG-0126-SM-4OND7 50-59 years, female 21.8
GTEX-1S831-0726-SM-EV79O 20-29 years, male 21.7
GTEX-12BJ1-0726-SM-5EGGF 60-69 years, male 21.1
GTEX-R55C-0126-SM-48FEQ 40-49 years, male 21.1
GTEX-Y8LW-0126-SM-4VBS1 50-59 years, female 21.0
GTEX-14PK6-0526-SM-69LOF 70-79 years, female 20.8
GTEX-17F98-0126-SM-7MGW3 40-49 years, female 20.8
GTEX-13PL7-1126-SM-5MR5O 60-69 years, female 20.5
GTEX-1JKYN-0326-SM-AHZ4D 30-39 years, male 20.5
GTEX-S4Z8-0226-SM-4AD5K 60-69 years, male 19.9
GTEX-1HCU9-0126-SM-9WG7M 20-29 years, male 19.5
GTEX-1F5PK-0726-SM-7MGXN 50-59 years, male 19.3
GTEX-WYJK-0726-SM-4ONC9 50-59 years, male 19.2
GTEX-QV31-0126-SM-447BP 30-39 years, male 19.1
GTEX-X4LF-0226-SM-4QAS8 50-59 years, male 19.0
GTEX-169BO-0126-SM-79OLS 50-59 years, male 18.9
GTEX-ZDYS-1026-SM-4WKHC 50-59 years, male 18.9
GTEX-14DAR-0326-SM-5S2PS 50-59 years, male 18.6
GTEX-QDVN-0526-SM-48TZ4 50-59 years, male 18.5
GTEX-1PWST-1626-SM-EXOIU 70-79 years, male 18.5
GTEX-1RMOY-0726-SM-EV79D 50-59 years, male 18.3
GTEX-1211K-0426-SM-5FQTP 60-69 years, female 18.2
GTEX-1OFPY-0126-SM-EXOJ3 60-69 years, male 18.0
GTEX-1FIGZ-0126-SM-7MKGZ 40-49 years, male 17.8
GTEX-13CF3-0226-SM-5J1NW 60-69 years, female 17.7
GTEX-15DZA-0126-SM-6PAMV 30-39 years, female 17.4
GTEX-1CB4I-1426-SM-79OLZ 50-59 years, male 17.4
GTEX-146FR-1926-SM-5NQA6 60-69 years, female 17.2
GTEX-1QCLY-0126-SM-DPRZV 30-39 years, male 17.1
GTEX-1QCLZ-1026-SM-E6CR1 60-69 years, female 17.1
GTEX-1A3MV-0126-SM-731FQ 30-39 years, male 17.0
GTEX-18A66-1826-SM-7KFSU 60-69 years, male 16.9
GTEX-XPVG-0626-SM-4B65B 50-59 years, male 16.8
GTEX-QMRM-0226-SM-CL55S 50-59 years, male 16.6
GTEX-1GF9U-0126-SM-AHZ4G 40-49 years, female 16.1
GTEX-P4PP-0926-SM-48TBZ 30-39 years, female 16.0
GTEX-14PN3-0226-SM-6871K 60-69 years, female 15.8
GTEX-1B97J-1926-SM-7IGQB 50-59 years, female 15.7
GTEX-1KANA-1226-SM-DHXKE 20-29 years, male 15.7
GTEX-11P81-1326-SM-5GU5S 30-39 years, female 15.6
GTEX-1HSMQ-0126-SM-D4P2I 50-59 years, male 15.5
GTEX-11DXX-0726-SM-5H12X 60-69 years, female 15.2
GTEX-ZLWG-0426-SM-4WWFA 50-59 years, female 15.2
GTEX-ZPIC-0126-SM-DNZZ9 40-49 years, female 15.0
GTEX-17F96-1426-SM-7IGQA 70-79 years, male 14.7
GTEX-ZPCL-0626-SM-DNZZ6 60-69 years, female 14.6
GTEX-QCQG-0226-SM-48U28 50-59 years, female 14.5
GTEX-YB5K-1926-SM-4VDT4 40-49 years, female 14.4
GTEX-YB5E-0426-SM-5IFHR 40-49 years, male 14.3
GTEX-1QP2A-2526-SM-EXOJB 50-59 years, male 14.2
GTEX-U4B1-0526-SM-4DXTK 40-49 years, male 14.1
GTEX-ZDTT-1026-SM-5KM19 60-69 years, male 14.1
GTEX-1RNTQ-1026-SM-EV7B4 20-29 years, female 14.1
GTEX-1R9K4-1526-SM-DPRY5 60-69 years, male 13.9
GTEX-1J8QM-0926-SM-C1YQ9 60-69 years, female 13.7
GTEX-1GZ4H-0126-SM-9JGGI 50-59 years, female 13.6
GTEX-1JKYR-1126-SM-CGQGJ 20-29 years, male 13.6
GTEX-Y3IK-0126-SM-4WWE9 50-59 years, female 13.4
GTEX-132QS-0226-SM-5IFFZ 60-69 years, male 13.3
GTEX-1LGRB-0126-SM-CNNR6 50-59 years, female 13.1
GTEX-15F5U-0126-SM-6LPKA 40-49 years, male 12.9
GTEX-11XUK-0426-SM-5EQML 40-49 years, female 12.7
GTEX-12WSG-0926-SM-5EGIH 50-59 years, female 12.2
GTEX-ZF2S-0326-SM-4WKGD 50-59 years, female 11.9
GTEX-1R9JW-0126-SM-EAZ4P 30-39 years, female 11.6
GTEX-UJHI-0126-SM-4IHLP 50-59 years, female 11.4
GTEX-NFK9-1426-SM-43ISG 40-49 years, male 11.2
GTEX-131XG-0426-SM-5IFGD 50-59 years, female 10.8
GTEX-15CHC-0726-SM-6AJ9D 60-69 years, female 10.8
GTEX-15UF7-1926-SM-6LPJT 40-49 years, male 10.7
GTEX-1C475-1126-SM-7MGY7 40-49 years, female 10.4
GTEX-U3ZN-0126-SM-4DXUM 30-39 years, female 10.3
GTEX-W5WG-0626-SM-4SOID 50-59 years, female 10.0
GTEX-13N11-0126-SM-5KM2Z 50-59 years, female 9.9
GTEX-1J8Q3-0126-SM-C1YSI 60-69 years, male 9.8
GTEX-15ETS-3126-SM-6LPKN 40-49 years, female 9.2
GTEX-13FH7-1326-SM-5IFG8 50-59 years, female 9.1
GTEX-1MCYP-0226-SM-EV7A3 20-29 years, female 9.1
GTEX-ZLFU-0526-SM-4WWBN 40-49 years, male 9.0
GTEX-1AMFI-0926-SM-731E4 50-59 years, female 8.9
GTEX-XAJ8-0126-SM-47JYG 40-49 years, male 8.9
GTEX-13PVR-0326-SM-5RQJY 60-69 years, female 8.8
GTEX-15RIF-0526-SM-6LLI2 20-29 years, male 8.6
GTEX-Y114-0726-SM-4TT6U 50-59 years, female 8.5
GTEX-17GQL-0126-SM-72D5Q 60-69 years, male 8.4
GTEX-16XZY-0126-SM-7IGQ9 70-79 years, male 8.3
GTEX-OIZH-0926-SM-48TBR 50-59 years, male 8.2
GTEX-1C4CL-0626-SM-731DM 30-39 years, male 7.6
GTEX-ZVZP-0726-SM-59HKA 50-59 years, male 7.6
GTEX-X3Y1-0126-SM-4PQZA 40-49 years, male 7.2
GTEX-1IDJE-0126-SM-C1YQ6 50-59 years, female 7.2
GTEX-P78B-1226-SM-EZ6KP 40-49 years, female 7.1
GTEX-117YX-2126-SM-5GIEL 50-59 years, male 6.9
GTEX-POMQ-0126-SM-48TD6 20-29 years, female 6.9
GTEX-S3XE-0626-SM-4AD6B 50-59 years, male 6.9
GTEX-QV44-0126-SM-CJI1X 50-59 years, male 6.9
GTEX-RUSQ-0126-SM-47JWV 50-59 years, male 6.7
GTEX-ZTTD-1726-SM-57WEL 50-59 years, male 6.3
GTEX-WHWD-0126-SM-4OORS 50-59 years, male 6.2
GTEX-13111-0126-SM-5EGHO 50-59 years, male 6.1
GTEX-Q734-0226-SM-48U1A 40-49 years, female 6.0
GTEX-1MGNQ-1126-SM-EAZ4Y 40-49 years, male 5.7
GTEX-1LVAN-1026-SM-CNNQZ 50-59 years, female 5.5
GTEX-ZF29-0626-SM-4WKHD 60-69 years, female 5.4
GTEX-P4QT-0926-SM-EZ6KQ 50-59 years, female 5.4
GTEX-13S86-0126-SM-5S2PI 40-49 years, male 5.3
GTEX-1QP66-0126-SM-EAZ3N 50-59 years, male 4.8
GTEX-17F9E-1126-SM-79OMO 50-59 years, male 4.5
GTEX-1H3VY-1526-SM-9WG7S 50-59 years, male 4.5
GTEX-1R7EU-2026-SM-E9U63 60-69 years, male 4.5
GTEX-ZG7Y-2026-SM-DO91N 50-59 years, male 4.5
GTEX-14ICL-0126-SM-664NG 30-39 years, male 4.4
GTEX-1LG7Z-0126-SM-EV79V 30-39 years, male 4.4
GTEX-X585-1826-SM-4QAS3 50-59 years, male 4.3
GTEX-1F5PL-2226-SM-7MKHE 40-49 years, female 4.2
GTEX-1KAFJ-1026-SM-D4P2Z 50-59 years, male 4.0
GTEX-1PIIG-1226-SM-EXOIQ 30-39 years, male 4.0
GTEX-13U4I-1626-SM-5IFFR 40-49 years, female 3.7
GTEX-1CB4E-0126-SM-7DHMX 60-69 years, male 3.7
GTEX-PW2O-0126-SM-48TC8 20-29 years, male 3.7
GTEX-1QW4Y-0126-SM-DPRZQ 30-39 years, male 3.7
GTEX-XXEK-0126-SM-4BRVU 50-59 years, male 3.6
GTEX-15RJ7-0126-SM-6LPJN 40-49 years, male 3.3
GTEX-ZAB5-0526-SM-5CVMU 50-59 years, male 3.2
GTEX-1KD5A-1526-SM-D4P3W 50-59 years, male 3.1
GTEX-18A67-1526-SM-7LG6F 50-59 years, male 3.0
GTEX-1AYD5-0226-SM-79ONV 50-59 years, male 3.0
GTEX-XMK1-0126-SM-4B65F 40-49 years, male 2.9
GTEX-1B8KZ-0226-SM-7EWF6 50-59 years, male 2.8
GTEX-11NSD-0426-SM-5N9CR 20-29 years, male 2.5
GTEX-UPK5-1626-SM-4JBHI 40-49 years, male 2.5
GTEX-1K9T9-0626-SM-CXZKY 50-59 years, female 2.4
GTEX-15SDE-0126-SM-793BA 50-59 years, female 2.3
GTEX-1R9K5-1126-SM-EAZ4G 50-59 years, male 2.3
GTEX-131XE-1126-SM-5EGHW 50-59 years, male 2.2
GTEX-17F97-1626-SM-72D6W 50-59 years, male 2.2
GTEX-U3ZH-0126-SM-4DXUK 30-39 years, male 2.2
GTEX-XV7Q-0126-SM-4BRVK 40-49 years, female 2.2
GTEX-17HHE-0326-SM-793BH 50-59 years, male 2.1
GTEX-PX3G-0926-SM-48U12 20-29 years, female 2.1
GTEX-1JMPZ-0926-SM-CXZJR 30-39 years, male 2.0
GTEX-ZEX8-0726-SM-4WKH8 50-59 years, male 1.9
GTEX-1H3O1-1126-SM-9WPO9 60-69 years, male 1.9
GTEX-15CHQ-1226-SM-6ETZL 60-69 years, male 1.8
GTEX-VJYA-0126-SM-4KL1P 60-69 years, male 1.6
GTEX-OIZF-0926-SM-7MKH7 60-69 years, male 1.6
GTEX-QESD-0126-SM-EXOHG 20-29 years, male 1.5
GTEX-14E1K-0126-SM-664NL 50-59 years, male 1.4
GTEX-OOBJ-0926-SM-48TDO 60-69 years, male 1.4
GTEX-1R9PM-0126-SM-DPRY6 20-29 years, male 1.4
GTEX-WYVS-0126-SM-4ONDH 40-49 years, female 1.3
GTEX-1RAZR-1626-SM-EAZ4V 40-49 years, male 1.3
GTEX-16MT9-1726-SM-6M47P 60-69 years, female 1.1
GTEX-1399R-0226-SM-5IJGG 30-39 years, male 1.0
GTEX-1C6VQ-2126-SM-7IGNL 50-59 years, male 1.0
GTEX-ZPU1-1026-SM-4YCEQ 40-49 years, male 1.0
GTEX-1LNCM-0426-SM-DHXK6 50-59 years, female 0.8
GTEX-Y5V5-1126-SM-EVYAR 60-69 years, female 0.8
GTEX-15ER7-1526-SM-6LLHO 20-29 years, female 0.7
GTEX-1JMLX-1426-SM-CNNPO 50-59 years, male 0.6
GTEX-12WSD-1726-SM-5GCN4 60-69 years, female 0.3
GTEX-15DYW-1426-SM-6LPIW 60-69 years, female 0.3
GTEX-111FC-1326-SM-5N9D9 60-69 years, male 0.2
GTEX-1LSVX-1426-SM-DHXJO 60-69 years, male 0.2
GTEX-1QMI2-1526-SM-EXOJT 60-69 years, male 0.2
Show allShow less

SPLEEN - FANTOM5 CAGEi

RNA expression in human tissues obtained through Cap Analysis of Gene Expression (CAGE) generated by the FANTOM5 project are reported as Scaled Tags Per Million.

Max subtype Scaled Tags Per Millioni

Max subtype Scaled Tags Per Million is the value for the subtype with the largest average Scaled Tags Per Million across the subtype samples.

15.0
FANTOM5 sample id Sample description Scaled Tags Per Million
Spleen
Scaled Tags Per Million: 15.0
FF:10025-101D7 39,50,70 years, male 15.0

Contact

  • NEWS ARTICLES
  • PRESS ROOM

The Project

  • INTRODUCTION
  • ORGANIZATION
  • PUBLICATIONS

The Human Protein Atlas

  • DOWNLOADABLE DATA
  • LICENCE & CITATION
  • HELP & FAQ
The Human Protein Atlas project is funded
by the Knut & Alice Wallenberg Foundation.


contact@proteinatlas.org