We use cookies to enhance the usability of our website. If you continue, we'll assume that you are happy to receive all cookies. More information. Don't show this again.
CCNI
HPA
RESOURCES
  • TISSUE
  • BRAIN
  • SINGLE CELL
  • SUBCELLULAR
  • CANCER
  • BLOOD
  • CELL LINE
  • STRUCTURE & INTERACTION
ABOUT
  • INTRODUCTION
  • HISTORY
  • ORGANIZATION
  • PUBLICATIONS
  • ANTIBODY SUBMISSION
  • ANTIBODY AVAILABILITY
  • ACKNOWLEDGMENTS
  • CONTACT
NEWS
  • NEWS ARTICLES
  • PRESS ROOM
LEARN
  • DICTIONARY
  • PROTEIN CLASSES
  • PROTEIN EVIDENCE
  • METHODS
  • EDUCATIONAL VIDEOS
DATA
  • DOWNLOADABLE DATA
  • PUBLICATION DATA
  • RELEASE HISTORY
HELP
  • ANTIBODY VALIDATION
  • ASSAYS & ANNOTATION
  • DISCLAIMER
  • HELP & FAQ
  • PRIVACY STATEMENT
  • LICENCE & CITATION
Fields »
Search result

Field
Term
Gene name
Class
Subclass
Class
Keyword
Chromosome
External id
Tissue
Cell type
Expression
Antibody panel
Tissue
Main location
Patient ID
Annotation
Tissue
Category
Tau score
Cluster
Reliability
Brain region
Category
Tau score
Brain region
Category
Tau score
Brain region
Category
Tau score
Cluster
Reliability
Tissue
Cell type
Enrichment
Cell type
Category
Tau score
Cell type
Category
Tau score
Cell type
Category
Tau score
Cell lineage
Category
Tau score
Cluster
Cluster
Location
Searches
Location
Cell line
Class
Type
Phase
Reliability
Cancer
Prognosis
Cancer
Category
Cancer
Category
Tau score
Cluster
Variants
Interacting gene (ensg_id)
Type
Number of interactions
Pathway
Category
Score
Score
Score
Validation
Validation
Validation
Validation
Antibodies
Data type
Column


  • SUMMARY

  • TISSUE

  • BRAIN

  • SINGLE CELL

  • SUBCELL

  • CANCER

  • BLOOD

  • CELL LINE

  • STRUCT & INT

  • CCNI
TISSUE PRIMARY DATA BREAST Show tissue menu
ADIPOSE TISSUE ADRENAL GLAND AMYGDALA APPENDIX BASAL GANGLIA BONE MARROW BREAST BRONCHUS CEREBELLUM CEREBRAL CORTEX CERVIX CHOROID PLEXUS COLON DUODENUM
ENDOMETRIUM EPIDIDYMIS ESOPHAGUS FALLOPIAN TUBE GALLBLADDER HEART MUSCLE HIPPOCAMPAL FORMATION HYPOTHALAMUS KIDNEY LIVER LUNG LYMPH NODE MIDBRAIN NASOPHARYNX
ORAL MUCOSA OVARY PANCREAS PARATHYROID GLAND PITUITARY GLAND PLACENTA PROSTATE RECTUM RETINA SALIVARY GLAND SEMINAL VESICLE SKELETAL MUSCLE SKIN SMALL INTESTINE
SMOOTH MUSCLE SOFT TISSUE SPINAL CORD SPLEEN STOMACH TESTIS THYMUS THYROID GLAND TONGUE TONSIL URINARY BLADDER VAGINA
ANTIBODIES
AND
VALIDATION
Dictionary
Breast
Tissue proteome
Breast
BREAST - Expression summary
Protein expression
Breasti

On the top, protein expression in current human tissue, based on all annotated cell types, is reported with the units not detected (n), low (l), medium (m) and high (h). Underneath, protein expression in each annotated cell type are reported using the same units.

Protein expression data is based on knowledge-based annotation. For genes where more than one antibody has been used, a collective score is set.

If knowledge-based annotation could not be performed for a gene, no data is displayed here. View antibody staining data further down this page.

h
m
l
n
Adipocytes: Low
Glandular cells: Low
Myoepithelial cells: Low
RNA expressioni

A summary of mRNA expression data available for current tissue based on several datasets. The mRNA expression levels in human tissues are based on RNA-seq data generated by the Human Protein Atlas (HPA), Genotype-Tissue Expression (GTEx) portal and CAGE data generated by the FANTOM5 consortium. Consensus normalized expression levels for human tissues was created by combining the data from HPA and GTEx datasets.

The mRNA expression levels in pig are based on RNA-seq data generated by the Human Protein Atlas (HPA), and for mouse, HPA data and in situ hybridization generated by the Allen brain atlas are reported.

Scroll down to view mRNA expression data in more detail.
Consensus:177.8 nTPM
HPA:177.8 nTPM
GTEx:151.3 nTPM
FANTOM5:1257.5 Scaled Tags Per Million

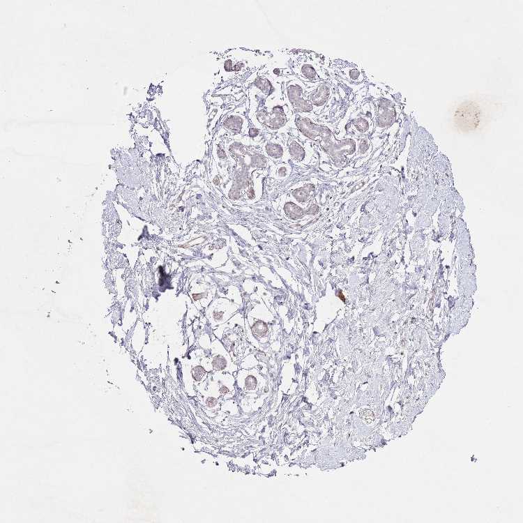
BREAST - Antibody stainingi

Antibody staining in the annotated cell types in the current human tissue is reported as not detected, low, medium, or high, based on conventional immunohistochemistry profiling in selected tissues. This score is based on the combination of the staining intensity and fraction of stained cells.

Each image is clickable and will lead to virtual microscopy that enables deeper exploration of all samples and also displays staining intensity scores, fraction scores and subcellular localization as well as patient and tissue information for each sample.

Antibody HPA039853Antibody CAB010206
Adipocytes Not detectedLow
Glandular cells Not detectedLow
Myoepithelial cells MediumLow





BREAST - HPA RNA-seqi

The RNA-seq details section shows detailed information about the individual samples used for the transcript profiling and results of the RNA-seq analysis.

Information about each individual sample is listed below, including gender, age, a tissue section image and estimated fractions of cell types. nTPM (normalized transcripts per million) values give a quantification of the gene abundance which is comparable between different genes and samples.
Average nTPMi

Max subtype nTPM is the value for the subtype with the largest average nTPM across the subtype samples.

177.8
overview
Female, age 52
Breast sample 373
nTPM: 164.8
Cell types%
Glandular cells:
15

Adipocytes:
5

Other cell types:
80

overview
Female, age 80
Breast sample 390
nTPM: 141.1
Cell types%
Glandular cells:
5

Adipocytes:
15

Other cell types:
80

overview
Female, age 47
Breast sample 405
nTPM: 187.8
Cell types%
Glandular cells:
5

Adipocytes:
5

Other cell types:
90

overview
Female, age 38
Breast sample 410
nTPM: 217.4
Cell types%
Glandular cells:
40

Adipocytes:
5

Other cell types:
55


BREAST - GTEx RNA-seqi

RNA-Seq data generated by the Genotype-Tissue Expression (GTEx) project from human tissues is reported as mean nTPM. More information can be found on the GTEx portal.

Distribution across the dataset is visualized with box plots, shown as median and 25th and 75th percentiles. Points are displayed as outliers if they are above or below 1.5 times the interquartile range. nTPM values of the individual samples are presented next to the box plot.
Max subtype nTPMi

Max subtype nTPM is the value for the subtype with the largest average nTPM across the subtype samples.

151.3
GTEx sample id Sample description nTPM
Breast - Mammary Tissue
Average nTPM: 151.3
Samples: 459

Max nTPM: 347.0
Min nTPM: 78.8
Std nTPM: 40.7
Median nTPM: 144.4
GTEX-UTHO-1026-SM-3GAF7 60-69 years, male 347.0
GTEX-1IDFM-0426-SM-B2LVV 60-69 years, male 319.6
GTEX-1JKYR-0926-SM-CMKGJ 20-29 years, male 300.0
GTEX-183WM-0726-SM-7LTAA 70-79 years, female 293.6
GTEX-12KS4-0126-SM-5Q5A5 30-39 years, male 280.5
GTEX-W5X1-2326-SM-3GIL6 40-49 years, female 276.9
GTEX-12WSK-2226-SM-5GCO5 40-49 years, female 275.4
GTEX-X62O-0526-SM-EWRMA 50-59 years, male 274.6
GTEX-13W46-0826-SM-5LU3H 50-59 years, male 271.3
GTEX-TMMY-0726-SM-33HBE 40-49 years, female 267.9
GTEX-1ICLZ-0426-SM-B2LW2 60-69 years, male 266.7
GTEX-18A66-1726-SM-7LG5N 60-69 years, male 259.7
GTEX-1ICLY-1726-SM-B2LVT 50-59 years, male 256.3
GTEX-17MF6-0326-SM-7EPH5 40-49 years, male 251.6
GTEX-1HCU7-1026-SM-ADEIP 50-59 years, male 248.2
GTEX-1PPH7-0826-SM-E8VNX 40-49 years, male 245.5
GTEX-1R9JW-0326-SM-EAZ45 30-39 years, female 245.5
GTEX-ZQUD-1926-SM-51MSA 30-39 years, male 241.6
GTEX-1JMLX-2026-SM-CMKGN 50-59 years, male 241.1
GTEX-1F5PK-2126-SM-7PC28 50-59 years, male 237.4
GTEX-1QP28-1226-SM-E9J2M 50-59 years, female 232.6
GTEX-PSDG-1626-SM-48TCQ 50-59 years, male 229.6
GTEX-T2YK-2226-SM-32QPT 50-59 years, male 229.1
GTEX-1GMR2-1926-SM-9MQLZ 50-59 years, male 227.9
GTEX-1192X-2326-SM-5987X 50-59 years, male 226.8
GTEX-T6MO-0326-SM-32QOK 40-49 years, female 225.5
GTEX-ZWKS-2826-SM-5NQ74 30-39 years, male 224.8
GTEX-1N2EF-2226-SM-E9J33 60-69 years, male 221.2
GTEX-17F97-2526-SM-7EWDV 50-59 years, male 219.1
GTEX-1314G-1226-SM-5BC6D 30-39 years, male 218.9
GTEX-1NUQO-2226-SM-E9U68 20-29 years, female 218.9
GTEX-ZAB4-2526-SM-5HL8M 40-49 years, male 217.4
GTEX-XMD1-0826-SM-4AT52 60-69 years, male 216.1
GTEX-1HT8W-2226-SM-CGQEC 30-39 years, male 214.8
GTEX-ZA64-1526-SM-5CVMD 20-29 years, male 214.3
GTEX-1LBAC-0926-SM-CXKY9 20-29 years, male 214.2
GTEX-145MF-2226-SM-7EPIR 50-59 years, male 212.3
GTEX-ZLFU-2126-SM-DO931 40-49 years, male 212.2
GTEX-1I19N-2826-SM-CL55D 70-79 years, male 212.1
GTEX-13NZ8-0126-SM-5IJCT 60-69 years, female 211.2
GTEX-14H4A-2526-SM-5YYAY 40-49 years, female 208.0
GTEX-1AX9J-1126-SM-731B7 60-69 years, male 206.9
GTEX-13SLW-2526-SM-62LDQ 70-79 years, male 206.5
GTEX-17F9E-2526-SM-7MGW2 50-59 years, male 204.6
GTEX-14753-2426-SM-5LU8U 60-69 years, male 203.3
GTEX-1HCUA-0726-SM-ACKVU 50-59 years, female 203.3
GTEX-1IE54-0626-SM-ARL8D 40-49 years, female 202.3
GTEX-1399U-1826-SM-5PNZ1 50-59 years, female 202.1
GTEX-132Q8-1426-SM-5EGK7 60-69 years, male 201.8
GTEX-17EVQ-0426-SM-7LG57 70-79 years, male 201.3
GTEX-1JMOU-2026-SM-CMKGU 60-69 years, female 199.9
GTEX-1IDJH-2226-SM-E6CJV 70-79 years, male 199.5
GTEX-X261-0626-SM-3NMD9 50-59 years, male 198.1
GTEX-17MFQ-0926-SM-7LG4S 20-29 years, male 197.6
GTEX-1R9PM-1826-SM-EVYBH 20-29 years, male 196.7
GTEX-139T6-1626-SM-5PNYZ 50-59 years, male 196.4
GTEX-UJHI-1426-SM-3DB9C 50-59 years, female 195.6
GTEX-ZVE2-1226-SM-5NQ8R 50-59 years, male 195.2
GTEX-XMD2-0926-SM-4WWEF 60-69 years, female 195.1
GTEX-1GZ4H-0326-SM-7P8QX 50-59 years, female 194.9
GTEX-U412-1826-SM-4DXTJ 60-69 years, male 194.8
GTEX-1QP9N-1826-SM-E8VMP 30-39 years, male 194.5
GTEX-1QW4Y-1026-SM-DTXE2 30-39 years, male 194.4
GTEX-11OF3-1926-SM-59889 60-69 years, male 193.5
GTEX-1QMI2-0726-SM-E9J4F 60-69 years, male 193.5
GTEX-ZLWG-1926-SM-DO92J 50-59 years, female 191.7
GTEX-ZXES-0826-SM-5E43C 30-39 years, female 190.0
GTEX-1L5NE-2126-SM-CY8IH 50-59 years, male 189.8
GTEX-1NHNU-0926-SM-E9J2T 50-59 years, male 189.7
GTEX-RWS6-1926-SM-47JXY 60-69 years, female 189.1
GTEX-T2IS-1526-SM-32QPR 20-29 years, female 188.5
GTEX-1GF9X-1026-SM-ACKX2 40-49 years, female 186.3
GTEX-11WQK-2426-SM-5GU5C 50-59 years, male 185.6
GTEX-1AMEY-1026-SM-718AA 30-39 years, female 185.5
GTEX-ZZ64-1226-SM-5E43R 20-29 years, male 185.5
GTEX-Y8E4-1626-SM-5S2MW 40-49 years, male 185.1
GTEX-11EM3-1326-SM-5N9C6 20-29 years, female 183.4
GTEX-169BO-1126-SM-7MGWN 50-59 years, male 182.7
GTEX-14BMU-1626-SM-5TDE7 20-29 years, female 182.3
GTEX-1KD5A-1926-SM-DKPQA 50-59 years, male 182.2
GTEX-1F5PL-1026-SM-7RHI1 40-49 years, female 181.9
GTEX-1I6K6-0826-SM-ARL7Z 30-39 years, male 181.9
GTEX-13O61-1826-SM-5KM4I 60-69 years, male 181.2
GTEX-144GM-0926-SM-5O994 20-29 years, male 180.2
GTEX-WYJK-1326-SM-3NB2T 50-59 years, male 180.1
GTEX-18QFQ-0826-SM-718AX 30-39 years, male 180.0
GTEX-Y5LM-1726-SM-4VDSX 40-49 years, female 179.6
GTEX-11DZ1-0326-SM-5N9BN 50-59 years, male 179.4
GTEX-XGQ4-0926-SM-4AT4U 50-59 years, male 179.3
GTEX-11GSP-0926-SM-9WYSG 60-69 years, female 178.4
GTEX-1HCU8-0126-SM-ADEHH 60-69 years, female 178.4
GTEX-13113-5013-SM-7SB7G 60-69 years, female 176.9
GTEX-12ZZX-1126-SM-5EGKB 40-49 years, female 176.1
GTEX-S4P3-1326-SM-4AD6V 50-59 years, female 175.8
GTEX-Y9LG-1426-SM-5IFJZ 30-39 years, male 175.6
GTEX-1OKEX-0826-SM-E9J2B 60-69 years, male 175.0
GTEX-13VXU-2826-SM-664MA 50-59 years, male 174.9
GTEX-TKQ2-1826-SM-33HB2 50-59 years, male 173.6
GTEX-1JMPY-0526-SM-CL54O 30-39 years, male 173.1
GTEX-11EI6-0626-SM-5985T 60-69 years, male 173.0
GTEX-13N1W-0626-SM-5MR4U 70-79 years, male 173.0
GTEX-1F75B-0626-SM-7SB8A 50-59 years, male 173.0
GTEX-1CAMS-1426-SM-7IGPM 40-49 years, female 172.7
GTEX-YECK-0726-SM-EZ6LV 60-69 years, male 172.7
GTEX-1JN6P-2426-SM-ARL99 60-69 years, male 172.4
GTEX-11DXZ-1926-SM-5GZZL 50-59 years, male 172.1
GTEX-X4EP-2926-SM-3P5YQ 60-69 years, female 172.1
GTEX-ZC5H-2626-SM-5J2MG 40-49 years, female 172.1
GTEX-S4UY-0726-SM-4AD6X 40-49 years, female 171.9
GTEX-1PPGY-1526-SM-EVYBK 60-69 years, male 171.5
GTEX-1JMPZ-1626-SM-COH31 30-39 years, male 171.4
GTEX-13PL6-2926-SM-5L3I2 40-49 years, female 171.3
GTEX-13PVQ-1026-SM-5KM3M 50-59 years, male 171.1
GTEX-139T8-0826-SM-5L3DE 60-69 years, male 170.7
GTEX-WFON-1826-SM-3GILG 40-49 years, male 170.6
GTEX-13O3Q-2226-SM-5KM4O 50-59 years, male 170.3
GTEX-1LSNL-2826-SM-E9U5L 50-59 years, male 170.2
GTEX-1M4P7-2626-SM-E9U5F 60-69 years, male 169.9
GTEX-ZYW4-0826-SM-5GIDG 60-69 years, male 169.7
GTEX-11DXY-2326-SM-5GICW 60-69 years, male 169.6
GTEX-UPK5-2326-SM-3P5Z8 40-49 years, male 169.2
GTEX-1CB4E-0226-SM-79OLW 60-69 years, male 168.9
GTEX-1F75I-2026-SM-7SB7N 40-49 years, male 168.6
GTEX-1S82Z-0726-SM-E6CHX 30-39 years, female 168.1
GTEX-YFCO-1826-SM-4W1YH 40-49 years, male 167.9
GTEX-RU72-0626-SM-46MUI 50-59 years, female 167.6
GTEX-1B8KE-1226-SM-73KWK 50-59 years, male 167.5
GTEX-ZYT6-0126-SM-5E45J 30-39 years, male 167.3
GTEX-ZF3C-2326-SM-5S2NC 50-59 years, female 167.3
GTEX-1HSMO-0826-SM-ADEIV 60-69 years, male 167.2
GTEX-XQ8I-2426-SM-4WAXY 50-59 years, male 166.6
GTEX-VJWN-0726-SM-3GIJ8 50-59 years, female 166.5
GTEX-R53T-1526-SM-48FEK 50-59 years, female 166.3
GTEX-1C6VS-0726-SM-7EPHF 60-69 years, male 166.1
GTEX-14DAR-1326-SM-7DUEG 50-59 years, male 165.5
GTEX-13O3P-0826-SM-5L3DH 50-59 years, male 165.1
GTEX-14LLW-0626-SM-62LFC 70-79 years, female 165.1
GTEX-XMK1-1126-SM-4IHJ8 40-49 years, male 164.9
GTEX-1A8G7-2426-SM-731AK 60-69 years, male 163.7
GTEX-Y3I4-1526-SM-4TT7K 50-59 years, male 163.4
GTEX-1IKOE-1326-SM-CE6T6 30-39 years, female 163.4
GTEX-15SHW-1326-SM-6PAL8 60-69 years, male 163.2
GTEX-ZT9W-2026-SM-51MRA 50-59 years, male 163.2
GTEX-14E6C-1326-SM-62LEQ 40-49 years, male 163.1
GTEX-1HCVE-2626-SM-ADEJ8 50-59 years, male 163.0
GTEX-17F96-2426-SM-7IGLN 70-79 years, male 162.9
GTEX-13SLX-2326-SM-5ZZWE 50-59 years, female 162.6
GTEX-1GPI7-0926-SM-7PC3J 20-29 years, male 162.6
GTEX-1HR98-0426-SM-COH36 60-69 years, male 162.6
GTEX-ZF29-1926-SM-5S2P1 60-69 years, female 161.9
GTEX-1KD4Q-2326-SM-D4P3M 40-49 years, male 161.9
GTEX-15RJE-2626-SM-7KFT1 40-49 years, male 161.3
GTEX-ZVT4-1026-SM-57WC4 50-59 years, female 161.2
GTEX-1RLM8-2226-SM-EVYD1 50-59 years, male 161.0
GTEX-1GF9V-2526-SM-7SB8K 60-69 years, male 160.5
GTEX-13FTX-1126-SM-5N9EN 20-29 years, female 160.4
GTEX-ZVTK-0326-SM-51MRR 20-29 years, male 160.3
GTEX-17EUY-1926-SM-7DUF6 20-29 years, male 159.9
GTEX-15UF6-0126-SM-6PAMB 70-79 years, female 159.8
GTEX-1EN7A-1426-SM-7PBY4 40-49 years, male 159.5
GTEX-18A7A-0726-SM-7LTAI 50-59 years, female 159.4
GTEX-1P4AB-1826-SM-E76PU 50-59 years, male 159.4
GTEX-1LGRB-1826-SM-CNPQL 50-59 years, female 159.3
GTEX-1CB4J-1826-SM-7EWF9 60-69 years, male 159.0
GTEX-1MJK2-2226-SM-EVYCR 50-59 years, male 158.9
GTEX-ZV6S-1826-SM-5NQ8D 40-49 years, female 158.8
GTEX-18D9A-1526-SM-7LG4J 30-39 years, female 158.1
GTEX-ZTX8-1226-SM-4YCE9 20-29 years, male 158.1
GTEX-Z9EW-1526-SM-EZ6LU 40-49 years, male 158.1
GTEX-145MN-1926-SM-5SIAI 30-39 years, male 157.9
GTEX-1NV8Z-2826-SM-E8VME 60-69 years, male 157.9
GTEX-ZDTT-2126-SM-DKPOM 60-69 years, male 157.5
GTEX-11GSO-1926-SM-5A5K3 60-69 years, male 157.2
GTEX-1I1GU-1026-SM-ADEHJ 40-49 years, male 156.9
GTEX-1GMR8-0726-SM-9KNVI 50-59 years, female 156.8
GTEX-13O3O-0826-SM-5K7WE 60-69 years, female 156.6
GTEX-1LVAN-1326-SM-CNPQE 50-59 years, female 156.4
GTEX-1C6WA-2426-SM-7SB86 60-69 years, male 156.3
GTEX-17KNJ-2026-SM-7LG53 50-59 years, male 155.9
GTEX-1E2YA-2726-SM-7IGPW 50-59 years, male 155.9
GTEX-1R7EV-1526-SM-E8VOD 40-49 years, male 155.8
GTEX-ZQG8-0726-SM-5P9H9 60-69 years, female 155.1
GTEX-1H3VY-0926-SM-ACKXE 50-59 years, male 155.1
GTEX-145MO-0826-SM-5NQBL 60-69 years, male 154.8
GTEX-V955-2026-SM-3GAFA 60-69 years, male 154.4
GTEX-REY6-2426-SM-48FF5 60-69 years, male 154.3
GTEX-14AS3-1626-SM-5S2OY 40-49 years, female 154.1
GTEX-1JKYN-0726-SM-ARZMY 30-39 years, male 154.1
GTEX-1R46S-2526-SM-E8VN2 60-69 years, female 154.1
GTEX-13PVR-2226-SM-7DHKP 60-69 years, female 153.9
GTEX-XUW1-2326-SM-4BOO5 50-59 years, female 153.8
GTEX-1HCU9-0326-SM-9WYSC 20-29 years, male 153.5
GTEX-1J8Q2-2726-SM-A9G2X 60-69 years, male 152.9
GTEX-1KAFJ-0226-SM-DIPEL 50-59 years, male 152.8
GTEX-1KXAM-1026-SM-CY8IA 60-69 years, male 152.4
GTEX-16NGA-0826-SM-718AF 40-49 years, female 152.0
GTEX-1GPI6-0626-SM-7RHHJ 60-69 years, male 151.6
GTEX-11P7K-0726-SM-5EGKX 30-39 years, male 151.2
GTEX-1F75A-1826-SM-7SB8G 50-59 years, male 150.1
GTEX-ZAJG-0626-SM-5HL8X 50-59 years, female 149.9
GTEX-12BJ1-1826-SM-5HL9N 60-69 years, male 149.7
GTEX-145ME-1526-SM-5Q5F2 40-49 years, female 149.7
GTEX-1HR9M-2426-SM-ACKXI 60-69 years, male 149.0
GTEX-13FTW-1426-SM-5LZWZ 40-49 years, male 148.7
GTEX-T5JC-2126-SM-32PMO 20-29 years, male 148.7
GTEX-1HBPM-0126-SM-ARL9E 60-69 years, female 148.6
GTEX-S33H-0326-SM-4AD6N 30-39 years, male 148.4
GTEX-1K9T9-1426-SM-DIPFQ 50-59 years, female 148.3
GTEX-13OW5-2226-SM-5L3HC 60-69 years, male 148.1
GTEX-1QPFJ-2026-SM-EVYBE 30-39 years, female 148.1
GTEX-11P82-1326-SM-5HL62 20-29 years, male 148.0
GTEX-14E7W-0826-SM-62LEJ 70-79 years, male 147.6
GTEX-1PDJ9-1126-SM-EXUSW 20-29 years, male 147.5
GTEX-16YQH-2826-SM-6PAMY 30-39 years, male 147.2
GTEX-14ICK-2426-SM-6EU27 40-49 years, male 147.0
GTEX-183FY-1126-SM-7DHLJ 20-29 years, male 146.6
GTEX-S7SE-0826-SM-4AT4D 50-59 years, male 146.4
GTEX-1HUB1-1626-SM-CM2SL 60-69 years, male 146.0
GTEX-15ETS-0626-SM-7KUMX 40-49 years, female 145.8
GTEX-13S86-1226-SM-5S2OA 40-49 years, male 145.7
GTEX-ZPIC-1126-SM-5BC7F 40-49 years, female 145.6
GTEX-QDT8-0626-SM-48TYW 30-39 years, female 145.4
GTEX-1IDJF-2326-SM-ARL86 20-29 years, male 145.3
GTEX-R3RS-0626-SM-48FE1 40-49 years, female 145.2
GTEX-1I1GP-0426-SM-COH3N 50-59 years, male 145.1
GTEX-1R7EU-1226-SM-E8VMR 60-69 years, male 144.9
GTEX-1H1ZS-0126-SM-9YFKQ 70-79 years, male 144.8
GTEX-1HSGN-1526-SM-A9SMO 40-49 years, female 144.6
GTEX-1JN1M-3026-SM-CMKGK 60-69 years, female 144.5
GTEX-WXYG-2226-SM-4E3IM 50-59 years, female 144.4
GTEX-11WQC-1726-SM-5GU4W 60-69 years, male 144.2
GTEX-ZUA1-1526-SM-59HLS 40-49 years, male 143.9
GTEX-1117F-2826-SM-5GZXL 60-69 years, female 143.8
GTEX-YEC3-1026-SM-5IFI5 50-59 years, male 143.6
GTEX-1MA7W-1026-SM-DKPQK 20-29 years, female 143.5
GTEX-1B8KZ-1526-SM-7DUG7 50-59 years, male 143.4
GTEX-1B8L1-2426-SM-9WYTE 60-69 years, male 143.4
GTEX-131YS-0626-SM-5EGKL 60-69 years, female 143.3
GTEX-YFC4-1426-SM-5IFJG 40-49 years, female 143.1
GTEX-1GN1W-1926-SM-7P8TH 50-59 years, female 143.1
GTEX-1GZ4I-2826-SM-9MQK5 50-59 years, male 143.0
GTEX-1JJE9-2326-SM-ARL8Q 70-79 years, male 142.9
GTEX-1MCC2-2126-SM-EWRON 30-39 years, female 142.5
GTEX-XBED-1626-SM-47JYN 60-69 years, male 142.1
GTEX-13OW8-0226-SM-5K7UP 60-69 years, male 142.0
GTEX-11ONC-2126-SM-5HL6E 60-69 years, male 141.3
GTEX-1GMR3-2626-SM-7RHHG 40-49 years, male 141.3
GTEX-144GL-2026-SM-5LU3O 50-59 years, male 141.2
GTEX-QVJO-1826-SM-447C9 60-69 years, female 141.1
GTEX-ZV7C-1826-SM-5NQ83 50-59 years, male 141.0
GTEX-117YX-1426-SM-5H12H 50-59 years, male 140.3
GTEX-145LT-0726-SM-5S2VM 40-49 years, male 140.1
GTEX-1K2DA-1726-SM-CGQGS 50-59 years, male 139.8
GTEX-1H11D-1526-SM-9MQJY 40-49 years, male 138.8
GTEX-1QCLY-1626-SM-DTXDW 30-39 years, male 138.7
GTEX-13D11-1026-SM-5IJFB 50-59 years, female 138.6
GTEX-14A5I-0726-SM-5TDEB 50-59 years, female 138.5
GTEX-1GN2E-2226-SM-9WG6J 60-69 years, male 138.4
GTEX-11ZUS-0826-SM-5FQUY 30-39 years, male 138.2
GTEX-13NZB-2126-SM-5MR4Y 30-39 years, male 137.7
GTEX-R55D-0826-SM-48FEA 50-59 years, male 137.7
GTEX-1B933-2526-SM-7IGO5 50-59 years, female 137.6
GTEX-1H1CY-2226-SM-9WG7E 60-69 years, female 137.3
GTEX-1I4MK-1626-SM-CM2TJ 50-59 years, female 137.3
GTEX-ZU9S-1926-SM-5NQBP 30-39 years, male 137.0
GTEX-WHSB-1926-SM-EXOHH 50-59 years, male 137.0
GTEX-1A3MV-1626-SM-731C1 30-39 years, male 136.9
GTEX-1C475-1226-SM-7SB72 40-49 years, female 136.7
GTEX-ZGAY-1726-SM-DO91P 40-49 years, female 136.5
GTEX-14PJO-0726-SM-69LO8 60-69 years, male 136.3
GTEX-1EKGG-2626-SM-7IGPY 60-69 years, male 136.3
GTEX-Y5V5-2126-SM-4WWFO 60-69 years, female 136.3
GTEX-14PKU-0426-SM-6EU1P 40-49 years, female 136.0
GTEX-XQ3S-1326-SM-4BOPQ 20-29 years, male 135.8
GTEX-1313W-0826-SM-5EQ4T 50-59 years, female 135.4
GTEX-QMRM-1626-SM-D4P1U 50-59 years, male 135.4
GTEX-S4Q7-1126-SM-4AD6R 20-29 years, male 135.1
GTEX-11P81-1926-SM-5BC53 30-39 years, female 134.9
GTEX-16BQI-1026-SM-7KUEA 30-39 years, female 134.8
GTEX-U3ZH-1426-SM-4DXSR 30-39 years, male 134.6
GTEX-1C64O-0726-SM-7DUFU 60-69 years, male 134.4
GTEX-1IDJU-1826-SM-CMKHV 60-69 years, female 134.4
GTEX-1MCYP-0126-SM-E6CIS 20-29 years, female 134.4
GTEX-12WSM-1726-SM-5BC6J 60-69 years, male 134.2
GTEX-15EOM-5019-SM-793DK 20-29 years, female 133.9
GTEX-YB5K-1626-SM-5IFIN 40-49 years, female 133.7
GTEX-1GZ2Q-2626-SM-7MXV9 40-49 years, male 133.7
GTEX-XYKS-1326-SM-4BRUN 60-69 years, female 133.4
GTEX-U3ZN-1926-SM-4DXSG 30-39 years, female 133.3
GTEX-WOFL-0826-SM-3MJG1 60-69 years, male 133.2
GTEX-Y114-2026-SM-4TT7L 50-59 years, female 133.2
GTEX-1AX9I-0726-SM-73KWV 60-69 years, male 132.8
GTEX-1H4P4-2226-SM-9MQKQ 50-59 years, male 132.8
GTEX-11NSD-0926-SM-5N9DR 20-29 years, male 132.4
GTEX-TKQ1-0226-SM-33HB5 30-39 years, male 132.4
GTEX-11O72-2126-SM-5N9FO 40-49 years, male 132.2
GTEX-1IOXB-1926-SM-ARL8E 50-59 years, male 132.1
GTEX-1LVAM-0926-SM-E9TJ2 50-59 years, female 131.8
GTEX-18A7B-2626-SM-7LG55 70-79 years, male 131.5
GTEX-1GZHY-0726-SM-9WG6B 50-59 years, female 131.5
GTEX-18465-2026-SM-718AP 50-59 years, male 131.4
GTEX-ZVT2-1826-SM-5NQ8W 50-59 years, female 130.8
GTEX-131XW-0726-SM-5EGK3 50-59 years, female 130.6
GTEX-1GN1U-0526-SM-9KNTT 50-59 years, female 130.5
GTEX-15ER7-1626-SM-6PAMZ 20-29 years, female 130.3
GTEX-147F4-2826-SM-5NQBN 50-59 years, male 129.9
GTEX-1HSEH-2026-SM-ADEHN 60-69 years, male 128.5
GTEX-1LNCM-0226-SM-DIPF4 50-59 years, female 128.5
GTEX-17HGU-1326-SM-79OKB 50-59 years, male 128.2
GTEX-1HFI7-0126-SM-CGQFQ 50-59 years, female 127.9
GTEX-13QIC-2326-SM-5LU5N 60-69 years, female 127.8
GTEX-1H1DG-0526-SM-9YFLN 70-79 years, male 127.7
GTEX-1N5O9-1126-SM-DTXEQ 60-69 years, male 127.3
GTEX-14B4R-1226-SM-5TDDT 30-39 years, male 127.2
GTEX-11NV4-2026-SM-5N9DG 60-69 years, male 126.9
GTEX-1B8SG-1226-SM-7IGPF 50-59 years, male 126.8
GTEX-1KANA-2026-SM-DIPFB 20-29 years, male 126.8
GTEX-14PJ4-2126-SM-6ETZJ 60-69 years, male 126.6
GTEX-11I78-2226-SM-5PNYA 50-59 years, female 126.5
GTEX-1I1GT-1126-SM-ARL7J 60-69 years, female 126.4
GTEX-14BMV-0626-SM-793AU 50-59 years, male 126.2
GTEX-QEL4-2126-SM-447AE 50-59 years, male 126.0
GTEX-1LSVX-2426-SM-E6CJX 60-69 years, male 125.7
GTEX-1QP29-1726-SM-E8VMQ 50-59 years, male 125.3
GTEX-1EWIQ-1726-SM-7SB7T 70-79 years, female 125.1
GTEX-VUSG-2226-SM-4KKZO 50-59 years, male 124.9
GTEX-117XS-1926-SM-5GICO 60-69 years, male 124.7
GTEX-WI4N-1426-SM-3LK7H 40-49 years, female 124.7
GTEX-1J8QM-2026-SM-ARZMW 60-69 years, female 124.4
GTEX-WYVS-1726-SM-3NMAY 40-49 years, female 124.3
GTEX-1H23P-0726-SM-9WG7K 60-69 years, male 124.3
GTEX-111YS-1926-SM-5GICC 60-69 years, male 124.2
GTEX-17JCI-0726-SM-7EPH1 60-69 years, female 124.2
GTEX-Y8LW-1626-SM-5IFHX 50-59 years, female 124.1
GTEX-Q2AG-0326-SM-48U1O 40-49 years, female 124.0
GTEX-TML8-1226-SM-32QON 40-49 years, female 124.0
GTEX-1MJK3-1126-SM-E9J3F 20-29 years, male 123.4
GTEX-15G19-2126-SM-6M48J 60-69 years, male 123.3
GTEX-ZLV1-1426-SM-DO92Z 60-69 years, female 122.7
GTEX-1ICG6-1326-SM-ACKWR 70-79 years, female 122.6
GTEX-11EQ9-1826-SM-5Q5AJ 30-39 years, male 122.4
GTEX-WY7C-2726-SM-3NB3P 50-59 years, male 122.4
GTEX-1N2EE-2126-SM-E8VNN 60-69 years, male 122.4
GTEX-17F98-0526-SM-79OK5 40-49 years, female 122.3
GTEX-1MA7X-1626-SM-E9U5B 60-69 years, male 122.3
GTEX-1EU9M-2826-SM-7EWFH 60-69 years, male 122.2
GTEX-1211K-1926-SM-5EQLB 60-69 years, female 121.7
GTEX-ZF2S-2026-SM-5E461 50-59 years, female 121.7
GTEX-1S82U-1126-SM-E9U6I 30-39 years, female 121.7
GTEX-ZEX8-2226-SM-57WC6 50-59 years, male 121.5
GTEX-ZAK1-1326-SM-EVYAS 50-59 years, female 121.4
GTEX-1GMRU-0826-SM-9WYT7 50-59 years, male 121.0
GTEX-ZTTD-1026-SM-51MRD 50-59 years, male 120.8
GTEX-1IDJE-0826-SM-CKZNZ 50-59 years, female 120.8
GTEX-ZVZQ-0826-SM-51MRF 60-69 years, female 120.5
GTEX-1BAJH-0826-SM-7EWEF 70-79 years, male 120.4
GTEX-1A3MX-2726-SM-718B6 60-69 years, male 120.1
GTEX-X4XY-0926-SM-4E3JD 60-69 years, male 119.9
GTEX-1IGQW-0926-SM-ADEH6 60-69 years, male 119.8
GTEX-14E6E-1326-SM-5S2NR 30-39 years, male 119.6
GTEX-11ZTT-2326-SM-5EQLG 60-69 years, female 119.5
GTEX-146FH-0826-SM-5SI8T 50-59 years, female 119.3
GTEX-139TU-0626-SM-5KM3X 60-69 years, male 118.6
GTEX-ZDXO-0126-SM-5S2ND 60-69 years, male 118.6
GTEX-17HHE-1426-SM-7EPH4 50-59 years, male 118.5
GTEX-1GF9U-1726-SM-7MGY5 40-49 years, female 118.5
GTEX-1B97J-0426-SM-79OLQ 50-59 years, female 118.4
GTEX-1IKJJ-2326-SM-COH3U 60-69 years, male 118.0
GTEX-1J8EW-2626-SM-CL53E 60-69 years, female 117.3
GTEX-XV7Q-2326-SM-4BRVZ 40-49 years, female 117.2
GTEX-1QEPI-0926-SM-DTXF3 60-69 years, female 117.1
GTEX-WYBS-0926-SM-3NM94 60-69 years, female 116.9
GTEX-ZTPG-2826-SM-57WGA 20-29 years, female 116.9
GTEX-15UF7-0726-SM-6M46D 40-49 years, male 116.4
GTEX-1CAMR-1426-SM-793BO 20-29 years, male 116.2
GTEX-RUSQ-2026-SM-4GIAK 50-59 years, male 116.2
GTEX-133LE-1726-SM-5K7VQ 20-29 years, female 116.1
GTEX-18A6Q-0926-SM-7LG4N 60-69 years, male 115.9
GTEX-XOT4-0726-SM-4GIAW 60-69 years, female 115.9
GTEX-1JJEA-2726-SM-ARL8V 60-69 years, male 115.9
GTEX-1KANC-1426-SM-CYPT9 50-59 years, female 115.8
GTEX-Y3IK-2326-SM-4WWDT 50-59 years, female 115.5
GTEX-1M5QR-2526-SM-E9U5P 40-49 years, male 115.5
GTEX-1LSNM-1326-SM-E9TJ1 50-59 years, male 115.4
GTEX-SE5C-2126-SM-4BRUJ 40-49 years, female 115.1
GTEX-17HG3-0126-SM-7IGNH 30-39 years, female 114.5
GTEX-YB5E-1726-SM-5IFJ3 40-49 years, male 114.2
GTEX-ZZPU-0626-SM-5E43T 50-59 years, female 114.2
GTEX-132NY-0826-SM-5K7Y7 60-69 years, male 114.1
GTEX-ZYFC-0826-SM-5E44K 50-59 years, male 113.5
GTEX-1JMQK-2626-SM-COH2W 60-69 years, male 113.4
GTEX-13FHO-0826-SM-5L3E8 60-69 years, male 113.2
GTEX-YJ8O-2226-SM-5IFHW 40-49 years, female 113.2
GTEX-1F6I4-2526-SM-7SB8F 60-69 years, male 113.2
GTEX-WRHU-0326-SM-3MJFY 50-59 years, female 113.1
GTEX-1LG7Z-0726-SM-CXKYD 30-39 years, male 113.0
GTEX-Y111-2026-SM-4SOJA 50-59 years, male 112.8
GTEX-14PHY-1926-SM-5YY95 60-69 years, female 112.7
GTEX-1I1HK-2426-SM-ADEHX 60-69 years, male 112.7
GTEX-1I6K7-1026-SM-A9SLK 40-49 years, male 112.7
GTEX-14PN4-0626-SM-62LFP 50-59 years, male 112.6
GTEX-13CF3-2126-SM-5IFJP 60-69 years, female 112.5
GTEX-1HC8U-0826-SM-ADEIL 40-49 years, female 112.4
GTEX-S341-1526-SM-4AD6K 40-49 years, female 112.3
GTEX-1HBPN-2326-SM-9WPPU 50-59 years, male 112.3
GTEX-13N11-1726-SM-5J1OJ 50-59 years, female 112.1
GTEX-1RAZQ-1226-SM-EWRNL 30-39 years, male 111.6
GTEX-RU1J-0626-SM-4WAWY 20-29 years, female 111.1
GTEX-T6MN-0726-SM-32PML 50-59 years, male 111.1
GTEX-1I1GV-2426-SM-CGQFM 60-69 years, male 110.6
GTEX-1QCLZ-2326-SM-DTXDO 60-69 years, female 110.5
GTEX-1C6VQ-0426-SM-79OOX 50-59 years, male 110.0
GTEX-1H1E6-0926-SM-9YFLT 30-39 years, male 109.3
GTEX-17GQL-0326-SM-7LG5U 60-69 years, male 109.0
GTEX-1B932-0826-SM-73KXG 40-49 years, female 108.2
GTEX-S32W-2026-SM-4AD6E 50-59 years, female 108.0
GTEX-1JK1U-1826-SM-ARL8W 60-69 years, male 107.8
GTEX-1J8Q3-1326-SM-CMKI1 60-69 years, male 107.4
GTEX-12WSN-1326-SM-5GCNT 40-49 years, male 105.8
GTEX-13NZ9-1026-SM-5MR5K 50-59 years, male 105.6
GTEX-1B97I-0426-SM-79OL7 40-49 years, male 105.2
GTEX-13W3W-1226-SM-5LU4H 60-69 years, female 104.0
GTEX-1IY9M-2726-SM-CMKG5 60-69 years, male 103.9
GTEX-1IKOH-2326-SM-CM2TW 60-69 years, female 103.7
GTEX-11PRG-0826-SM-5EQ6A 50-59 years, male 103.3
GTEX-1122O-1226-SM-5H113 60-69 years, female 103.2
GTEX-14ABY-2126-SM-5QGQZ 50-59 years, male 102.8
GTEX-1POEN-0926-SM-DTX88 30-39 years, female 102.6
GTEX-ZY6K-1626-SM-5GZWV 50-59 years, male 102.5
GTEX-1269C-2426-SM-5FQSN 60-69 years, female 101.7
GTEX-1HKZK-1826-SM-ADEJ2 40-49 years, male 101.7
GTEX-17HHY-0926-SM-793C1 50-59 years, male 101.2
GTEX-Y5V6-2126-SM-4WWFX 60-69 years, male 101.1
GTEX-QEG5-0726-SM-D4P1T 20-29 years, male 100.7
GTEX-ZDYS-1126-SM-5K7UB 50-59 years, male 100.6
GTEX-1R9PN-0326-SM-DTX85 40-49 years, female 100.1
GTEX-17EVP-0226-SM-79OND 40-49 years, male 99.5
GTEX-11DXW-0626-SM-5N9ER 40-49 years, male 99.3
GTEX-X15G-1626-SM-3NMB3 50-59 years, female 98.8
GTEX-13QJ3-0826-SM-7DHKK 50-59 years, male 98.6
GTEX-13FTY-2226-SM-5J1ND 40-49 years, female 98.5
GTEX-1HSKV-2026-SM-CMKGX 60-69 years, male 98.4
GTEX-1RAZS-1226-SM-E8VMT 50-59 years, male 97.5
GTEX-XUZC-1626-SM-4BRVP 30-39 years, female 97.4
GTEX-U8XE-0826-SM-4E3J1 30-39 years, male 96.8
GTEX-11TT1-2126-SM-5GU5Y 20-29 years, male 96.6
GTEX-11LCK-2426-SM-5HL5F 30-39 years, male 93.5
GTEX-1CB4G-2326-SM-79OOI 60-69 years, male 90.9
GTEX-11EMC-2026-SM-5A5JV 60-69 years, female 88.6
GTEX-1LC47-1226-SM-D4P44 60-69 years, male 88.2
GTEX-132AR-0826-SM-5EGK6 50-59 years, female 88.0
GTEX-1AX8Z-0926-SM-731AW 60-69 years, male 87.9
GTEX-13CF2-2026-SM-5K7VI 60-69 years, male 87.2
GTEX-11GS4-2126-SM-5A5KR 60-69 years, male 87.1
GTEX-15FZZ-0726-SM-7KUFZ 30-39 years, female 84.9
GTEX-1RQEC-2026-SM-DTXDM 60-69 years, male 84.7
GTEX-11TUW-1826-SM-5BC5D 60-69 years, male 83.9
GTEX-WFG8-2026-SM-EXOHO 20-29 years, male 81.3
GTEX-T5JW-2026-SM-4DM63 20-29 years, female 78.8
Show allShow less

BREAST - FANTOM5 CAGEi

RNA expression in human tissues obtained through Cap Analysis of Gene Expression (CAGE) generated by the FANTOM5 project are reported as Scaled Tags Per Million.

Max subtype Scaled Tags Per Millioni

Max subtype Scaled Tags Per Million is the value for the subtype with the largest average Scaled Tags Per Million across the subtype samples.

1257.5
FANTOM5 sample id Sample description Scaled Tags Per Million
Breast
Scaled Tags Per Million: 1257.5
FF:10080-102A8 77 years, female 1257.5

Contact

  • NEWS ARTICLES
  • PRESS ROOM

The Project

  • INTRODUCTION
  • ORGANIZATION
  • PUBLICATIONS

The Human Protein Atlas

  • DOWNLOADABLE DATA
  • LICENCE & CITATION
  • HELP & FAQ
The Human Protein Atlas project is funded
by the Knut & Alice Wallenberg Foundation.


contact@proteinatlas.org