We use cookies to enhance the usability of our website. If you continue, we'll assume that you are happy to receive all cookies. More information. Don't show this again.
SATB2
HPA
RESOURCES
  • TISSUE
  • BRAIN
  • SINGLE CELL
  • SUBCELLULAR
  • CANCER
  • BLOOD
  • CELL LINE
  • STRUCTURE & INTERACTION
ABOUT
  • INTRODUCTION
  • HISTORY
  • ORGANIZATION
  • PUBLICATIONS
  • ANTIBODY SUBMISSION
  • ANTIBODY AVAILABILITY
  • ACKNOWLEDGMENTS
  • CONTACT
NEWS
  • NEWS ARTICLES
  • PRESS ROOM
LEARN
  • DICTIONARY
  • PROTEIN CLASSES
  • PROTEIN EVIDENCE
  • METHODS
  • EDUCATIONAL VIDEOS
DATA
  • DOWNLOADABLE DATA
  • PUBLICATION DATA
  • RELEASE HISTORY
HELP
  • ANTIBODY VALIDATION
  • ASSAYS & ANNOTATION
  • DISCLAIMER
  • HELP & FAQ
  • PRIVACY STATEMENT
  • LICENCE & CITATION
Fields »
Search result

Field
Term
Gene name
Class
Subclass
Class
Keyword
Chromosome
External id
Tissue
Cell type
Expression
Antibody panel
Tissue
Main location
Patient ID
Annotation
Tissue
Category
Tau score
Cluster
Reliability
Brain region
Category
Tau score
Brain region
Category
Tau score
Brain region
Category
Tau score
Cluster
Reliability
Tissue
Cell type
Enrichment
Cell type
Category
Tau score
Cell type
Category
Tau score
Cell type
Category
Tau score
Cell lineage
Category
Tau score
Cluster
Cluster
Location
Searches
Location
Cell line
Class
Type
Phase
Reliability
Cancer
Prognosis
Cancer
Category
Cancer
Category
Tau score
Cluster
Variants
Interacting gene (ensg_id)
Type
Number of interactions
Pathway
Category
Score
Score
Score
Validation
Validation
Validation
Validation
Antibodies
Data type
Column


  • SUMMARY

  • TISSUE

  • BRAIN

  • SINGLE CELL

  • SUBCELL

  • CANCER

  • BLOOD

  • CELL LINE

  • STRUCT & INT

  • SATB2
TISSUE PRIMARY DATA CEREBRAL CORTEX Show tissue menu
ADIPOSE TISSUE ADRENAL GLAND AMYGDALA APPENDIX BASAL GANGLIA BONE MARROW BREAST BRONCHUS CEREBELLUM CEREBRAL CORTEX CERVIX CHOROID PLEXUS COLON DUODENUM
ENDOMETRIUM EPIDIDYMIS ESOPHAGUS FALLOPIAN TUBE GALLBLADDER HEART MUSCLE HIPPOCAMPAL FORMATION HYPOTHALAMUS KIDNEY LIVER LUNG LYMPH NODE MIDBRAIN NASOPHARYNX
ORAL MUCOSA OVARY PANCREAS PARATHYROID GLAND PITUITARY GLAND PLACENTA PROSTATE RECTUM RETINA SALIVARY GLAND SEMINAL VESICLE SKELETAL MUSCLE SKIN SMALL INTESTINE
SMOOTH MUSCLE SOFT TISSUE SPINAL CORD SPLEEN STOMACH TESTIS THYMUS THYROID GLAND TONGUE TONSIL URINARY BLADDER VAGINA
ANTIBODIES
AND
VALIDATION
Dictionary
Cerebral cortex
Tissue proteome
Cerebral cortex
CEREBRAL CORTEX - Expression summary
Protein expression
Cerebral cortexi

On the top, protein expression in current human tissue, based on all annotated cell types, is reported with the units not detected (n), low (l), medium (m) and high (h). Underneath, protein expression in each annotated cell type are reported using the same units.

Protein expression data is based on knowledge-based annotation. For genes where more than one antibody has been used, a collective score is set.

If knowledge-based annotation could not be performed for a gene, no data is displayed here. View antibody staining data further down this page.

h
m
l
n
Endothelial cells: Not detected
Glial cells: Not detected
Neuronal cells: High
Neuropil: Not detected
RNA expressioni

A summary of mRNA expression data available for current tissue based on several datasets. The mRNA expression levels in human tissues are based on RNA-seq data generated by the Human Protein Atlas (HPA), Genotype-Tissue Expression (GTEx) portal and CAGE data generated by the FANTOM5 consortium. Consensus normalized expression levels for human tissues was created by combining the data from HPA and GTEx datasets.

The mRNA expression levels in pig are based on RNA-seq data generated by the Human Protein Atlas (HPA), and for mouse, HPA data and in situ hybridization generated by the Allen brain atlas are reported.

Scroll down to view mRNA expression data in more detail.
Consensus:14.0 nTPM
HPA:11.4 nTPM
HPA Brain:97.8 nTPM
HPA PFC Brain:3.3 nTPM
GTEx:14.0 nTPM
FANTOM5:68.3 Scaled Tags Per Million
Pig:64.0 nTPM
Mouse:29.2 nTPM
Allen mouse:12.6 Expression energy

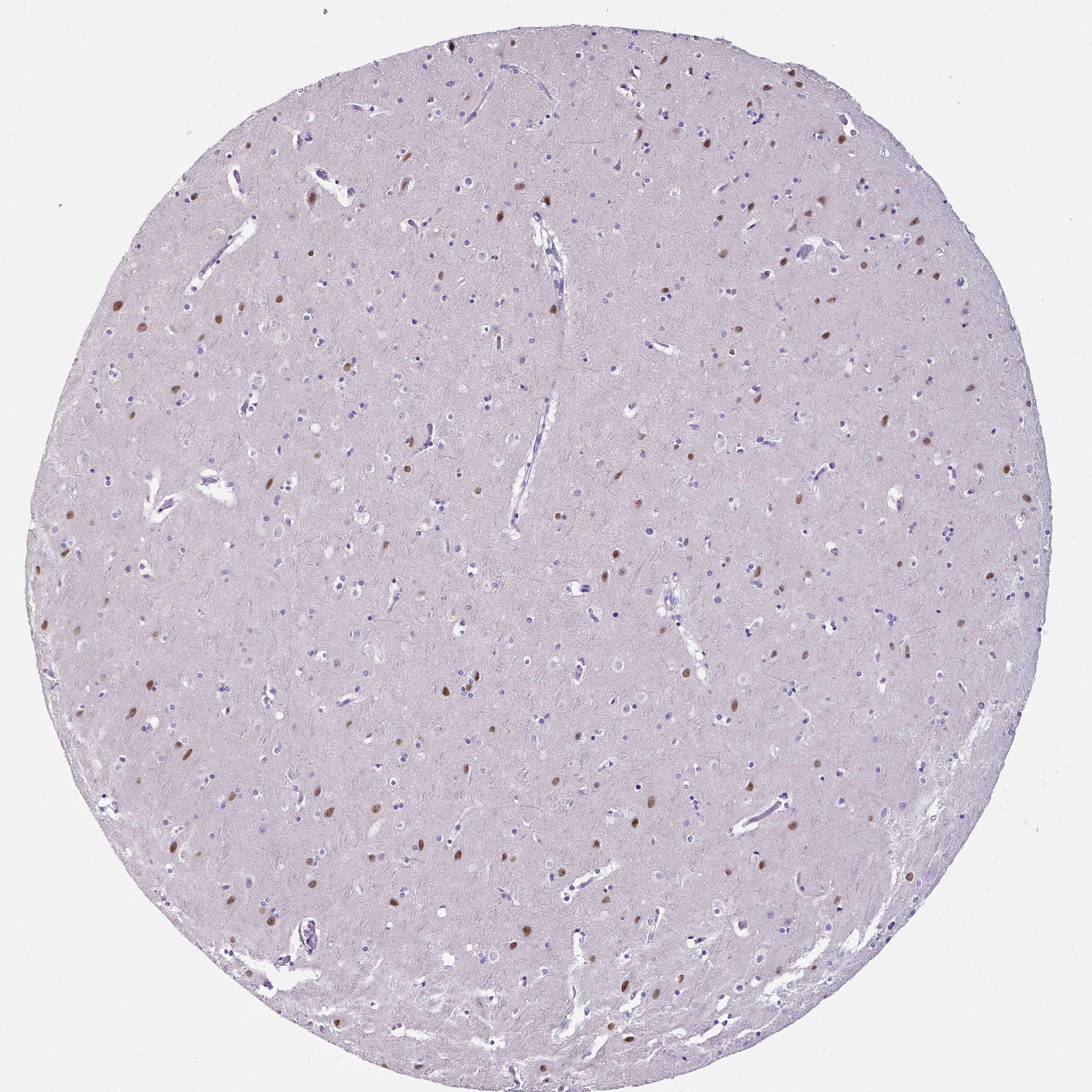
CEREBRAL CORTEX - Antibody stainingi

Antibody staining in the annotated cell types in the current human tissue is reported as not detected, low, medium, or high, based on conventional immunohistochemistry profiling in selected tissues. This score is based on the combination of the staining intensity and fraction of stained cells.

Each image is clickable and will lead to virtual microscopy that enables deeper exploration of all samples and also displays staining intensity scores, fraction scores and subcellular localization as well as patient and tissue information for each sample.

Antibody HPA001042Antibody HPA029543Antibody CAB023669Antibody CAB062562Antibody CAB067751Antibody CAB068229Antibody CAB068230Antibody CAB068231
Endothelial cells Not detectedNot detectedNot detectedNot detectedNot detectedNot detectedNot detectedNot detected
Glial cells Not detectedNot detectedLowNot detectedNot detectedMediumMediumNot detected
Neuronal cells HighHighHighHighHighHighHighHigh
Neuropil Not detectedNot detectedNot detectedNot detectedNot detectedNot detectedNot detectedNot detected

















CEREBRAL CORTEX - HPA RNA-seqi

The RNA-seq details section shows detailed information about the individual samples used for the transcript profiling and results of the RNA-seq analysis.

Information about each individual sample is listed below, including gender, age, a tissue section image and estimated fractions of cell types. nTPM (normalized transcripts per million) values give a quantification of the gene abundance which is comparable between different genes and samples.
Average nTPMi

Max subtype nTPM is the value for the subtype with the largest average nTPM across the subtype samples.

11.4
N/A
Male, age 5
Cerebral cortex sample 48
nTPM: 15.8
overview
Female, age 40
Cerebral cortex sample 105
nTPM: 7.9
Cell types%
Neuronal cells:
35

Glial cells and endothelial cells:
65

overview
Male, age 70
Cerebral cortex sample 106
nTPM: 10.6
Cell types%
Neuronal cells:
35

Glial cells and endothelial cells:
65


CEREBRAL CORTEX - HPA Brain RNA-seq
Max subtype nTPMi

Max subtype nTPM is the value for the subtype with the largest average nTPM across the subtype samples.

97.8
Sample id Sample description nTPM
Angular gyrus
nTPM: 78.5
1866 Male, age 76, both hemispheres 120.5
1790 Male, age 76, right hemisphere 103.9
2602 Female, age 94, right hemisphere 81.3
2260 Female, age 72, left hemisphere 81.1
2722 Male, age 61, left hemisphere 69.0
2221 Female, age 67, right hemisphere 65.6
2103 Male, age 75, left hemisphere 60.0
2265 Female, age 91, left hemisphere 46.3
Anterior cingulate cortex, supragenual-dorsal
nTPM: 65.5
1896 Female, age 85, right hemisphere 84.0
2472 Male, age 75, left hemisphere 67.5
2547 Male, age 74, left hemisphere 60.3
2478 Female, age 67, right hemisphere 58.8
2342 Female, age 94, right hemisphere 56.8
Anterior cingulate cortex, supragenual-ventral
nTPM: 56.4
2538 Male, age 75, left hemisphere 65.5
1950 Female, age 85, right hemisphere 63.5
1761 Male, age 74, left hemisphere 52.9
1755 Female, age 94, right hemisphere 52.1
2479 Female, age 67, right hemisphere 47.9
Anterior insular cortex, dorsal
nTPM: 69.1
2506 Female, age 94, right hemisphere 81.2
2001 Male, age 76, right hemisphere 79.9
2670 Male, age 75, left hemisphere 67.7
2235 Female, age 91, right hemisphere 47.7
Anterior insular cortex, ventral
nTPM: 75.1
1925 Female, age 91, left hemisphere 89.2
2262 Female, age 67, right hemisphere 85.0
1852 Male, age 76, left hemisphere 82.3
2757 Male, age 61, right hemisphere 74.9
2507 Female, age 94, left hemisphere 61.1
2596 Male, age 75, left hemisphere 58.2
Area parastriata, inferior
nTPM: 65.3
1789 Male, age 76, right hemisphere 96.9
1758 Female, age 72, right hemisphere 82.8
1760 Female, age 67, left hemisphere 73.3
2268 Male, age 61, right hemisphere 67.4
2421 Female, age 91, left hemisphere 56.8
2509 Female, age 94, left hemisphere 43.1
2234 Male, age 75, left hemisphere 36.8
Area parastriata, parietal
nTPM: 55.3
2236 Female, age 91, left hemisphere 64.7
1785 Male, age 76, right hemisphere 63.4
2680 Female, age 94, right hemisphere 57.9
2233 Male, age 61, right hemisphere 56.4
2420 Male, age 75, left hemisphere 34.0
Area parastriata, superior
nTPM: 72.7
2881 Male, age 76, left hemisphere 136.5
1773 Female, age 91, left hemisphere 94.8
2435 Male, age 61, left hemisphere 59.8
2604 Female, age 94, right hemisphere 52.8
2684 Female, age 67, left hemisphere 48.0
2419 Male, age 75, right hemisphere 44.7
Area parastriata, temporal
nTPM: 73.3
1804 Male, age 76, right hemisphere 101.0
2471 Male, age 75, left hemisphere 83.7
2267 Male, age 61, right hemisphere 66.1
2681 Female, age 94, right hemisphere 61.3
2424 Female, age 67, left hemisphere 54.4
Area striata
nTPM: 63.3
1753 Female, age 72, right hemisphere 103.4
2427 Female, age 91, left hemisphere 70.3
1884 Male, age 76, left hemisphere 66.1
2417 Male, age 61, right hemisphere 59.6
2679 Female, age 94, right hemisphere 49.3
2002 Female, age 91, right hemisphere 31.3
Claustrum
nTPM: 90.1
1956 Male, age 74, unknown 113.4
2198 Male, age 80, both hemispheres 102.0
2568 Male, age 61, both hemispheres 97.8
2645 Female, age 72, unknown 92.1
2284 Female, age 91, both hemispheres 91.5
2196 Female, age 79, unknown 81.0
2292 Female, age 85, both hemispheres 79.5
2491 Male, age 75, both hemispheres 78.9
2392 Female, age 94, both hemispheres 74.4
Frontal eye field
nTPM: 77.4
2761 Female, age 94, left hemisphere 89.4
2147 Male, age 61, left hemisphere 82.6
2441 Male, age 75, left hemisphere 71.8
2543 Male, age 74, left hemisphere 65.8
Frontal operculum
nTPM: 64.9
2781 Female, age 85, right hemisphere 82.1
2348 Male, age 75, left hemisphere 56.7
2030 Male, age 61, right hemisphere 55.9
Fusiform gyrus
nTPM: 84.1
1807 Male, age 76, left hemisphere 106.9
2784 Female, age 85, left hemisphere 88.7
2617 Female, age 94, left hemisphere 84.1
2431 Male, age 75, right hemisphere 81.9
2074 Female, age 91, left hemisphere 78.5
2112 Male, age 80, both hemispheres 78.3
2433 Female, age 72, left hemisphere 70.2
Inferior frontal gyrus, opercular
nTPM: 86.3
2873 Female, age 85, left hemisphere 111.5
2865 Male, age 61, left hemisphere 99.8
2866 Male, age 61, right hemisphere 97.8
2874 Female, age 85, right hemisphere 92.9
2867 Male, age 75, left hemisphere 88.2
2872 Female, age 94, right hemisphere 79.3
2871 Female, age 94, left hemisphere 78.6
2875 Female, age 67, left hemisphere 77.4
2868 Male, age 75, right hemisphere 76.6
2869 Male, age 74, left hemisphere 60.3
Inferior parietal lobule
nTPM: 84.5
2876 Male, age 76, right hemisphere 105.9
2606 Female, age 67, right hemisphere 80.3
2418 Male, age 75, left hemisphere 79.5
2599 Female, age 94, left hemisphere 72.2
Inferior temporal gyrus
nTPM: 84.3
1808 Male, age 76, left hemisphere 105.6
2430 Male, age 75, right hemisphere 93.6
1970 Female, age 85, right hemisphere 86.1
1880 Male, age 80, right hemisphere 78.9
1965 Female, age 91, left hemisphere 71.1
2689 Female, age 94, right hemisphere 70.4
Intraparietal deep sulcus
nTPM: 68.5
2798 Male, age 76, left hemisphere 114.4
2230 Male, age 61, right hemisphere 90.1
2669 Male, age 75, left hemisphere 55.5
2102 Female, age 91, left hemisphere 53.7
2607 Female, age 67, right hemisphere 50.9
2600 Female, age 94, right hemisphere 46.4
Lingual gyrus
nTPM: 77.4
2688 Male, age 75, right hemisphere 84.6
2838 Male, age 80, right hemisphere 78.7
2618 Female, age 94, left hemisphere 76.5
2073 Female, age 85, left hemisphere 74.0
1893 Male, age 76, left hemisphere 73.5
Middle cingulate cortex
nTPM: 63.3
2028 Female, age 85, left hemisphere 73.2
2357 Female, age 67, right hemisphere 70.8
2640 Female, age 94, right hemisphere 66.1
2539 Male, age 75, left hemisphere 61.7
2633 Male, age 74, left hemisphere 44.6
Middle temporal gyrus
nTPM: 78.9
1799 Male, age 76, left hemisphere 102.3
1819 Male, age 80, right hemisphere 78.0
2616 Female, age 94, left hemisphere 75.1
2034 Female, age 91, right hemisphere 71.5
2611 Male, age 75, right hemisphere 67.7
Occipital cortex
nTPM: 75.9
1842 Male, age 76, right hemisphere 109.6
2608 Female, age 67, both hemispheres 77.3
2426 Male, age 75, midline 75.5
2470 Male, age 75, right hemisphere 65.3
2677 Female, age 67, right hemisphere 51.8
Olfactory area
nTPM: 60.8
2756 Female, age 67, right hemisphere 80.2
2222 Female, age 67, right hemisphere 77.9
2440 Male, age 75, left hemisphere 75.2
2352 Female, age 94, right hemisphere 48.0
1805 Female, age 85, right hemisphere 45.6
2542 Male, age 74, left hemisphere 38.1
Olfactory tubercle
nTPM: 67.3
1998 Female, age 91, both hemispheres 79.7
2856 Male, age 75, right hemisphere 70.1
1846 Male, age 80, right hemisphere 62.1
2487 Female, age 94, left hemisphere 57.3
Orbitofrontal gyrus, anterior
nTPM: 90.6
2863 Female, age 85, right hemisphere 159.2
2862 Female, age 85, left hemisphere 57.8
2864 Female, age 67, left hemisphere 54.8
Paracentral lobule, anterior
nTPM: 79.1
1776 Female, age 85, right hemisphere 117.8
2340 Female, age 67, right hemisphere 75.3
1754 Male, age 75, left hemisphere 74.5
1926 Male, age 61, left hemisphere 74.4
2638 Female, age 94, right hemisphere 72.6
2474 Male, age 74, left hemisphere 59.7
Paracentral lobule, posterior
nTPM: 69.5
1775 Female, age 85, right hemisphere 113.4
2345 Male, age 61, left hemisphere 75.8
2446 Male, age 75, left hemisphere 54.4
1764 Male, age 74, right hemisphere 53.8
2551 Female, age 94, right hemisphere 50.0
Parietal operculum
nTPM: 69.8
2719 Male, age 75, left hemisphere 77.1
2356 Female, age 67, right hemisphere 76.5
2552 Female, age 94, right hemisphere 70.7
1763 Male, age 74, left hemisphere 55.0
Parieto-insular cortex
nTPM: 85.3
2831 Male, age 76, right hemisphere 127.8
1976 Female, age 91, right hemisphere 90.7
2232 Male, age 61, right hemisphere 80.1
2671 Male, age 75, left hemisphere 70.5
2508 Female, age 94, right hemisphere 57.4
Parieto-occipital transitional area
nTPM: 72.7
1784 Male, age 76, right hemisphere 94.9
2270 Male, age 61, right hemisphere 76.5
2468 Male, age 75, left hemisphere 65.9
2674 Female, age 94, right hemisphere 64.8
2683 Female, age 67, left hemisphere 61.4
Piriform cortex
nTPM: 13.1
2347 Male, age 75, right hemisphere 13.5
2153 Female, age 85, left hemisphere 12.7
Postcentral gyrus
nTPM: 82.2
2533 Male, age 75, right hemisphere 82.2
Postcentral gyrus, dorsal
nTPM: 69.7
1836 Female, age 85, right hemisphere 96.8
2350 Male, age 75, left hemisphere 75.5
2151 Male, age 61, left hemisphere 73.1
2544 Male, age 74, left hemisphere 64.9
2339 Female, age 67, right hemisphere 55.7
2477 Female, age 94, right hemisphere 52.4
Postcentral gyrus, middle
nTPM: 75.1
1897 Female, age 85, right hemisphere 89.1
2545 Male, age 74, left hemisphere 80.6
2146 Female, age 67, right hemisphere 70.4
2248 Male, age 61, left hemisphere 67.8
2444 Male, age 75, left hemisphere 67.4
Postcentral gyrus, ventral
nTPM: 74.0
2445 Male, age 75, left hemisphere 75.4
2024 Female, age 85, right hemisphere 73.9
2836 Female, age 94, right hemisphere 72.8
Posterior cingulate cortex
nTPM: 37.8
2473 Male, age 75, left hemisphere 72.9
1759 Male, age 74, right hemisphere 20.8
2553 Female, age 94, right hemisphere 19.8
Posterior cingulate cortex, dorsal
nTPM: 64.5
2076 Female, age 85, right hemisphere 92.2
2343 Male, age 61, left hemisphere 78.6
2540 Male, age 75, right hemisphere 66.5
2641 Female, age 94, right hemisphere 55.1
2556 Female, age 67, right hemisphere 48.2
2634 Male, age 74, left hemisphere 46.6
Posterior cingulate cortex, ventral
nTPM: 63.1
1994 Female, age 85, right hemisphere 81.8
2346 Male, age 61, left hemisphere 78.8
1762 Female, age 94, right hemisphere 67.9
2541 Male, age 75, right hemisphere 51.3
2635 Male, age 74, left hemisphere 50.1
2448 Female, age 67, right hemisphere 49.0
Posterior insular cortex
nTPM: 88.1
1823 Male, age 76, right hemisphere 110.4
2511 Female, age 67, right hemisphere 91.3
2603 Female, age 94, left hemisphere 84.7
2832 Female, age 91, right hemisphere 83.3
2231 Male, age 61, left hemisphere 80.0
2597 Male, age 75, left hemisphere 78.9
Precentral gyrus
nTPM: 63.2
2557 Male, age 75, right hemisphere 63.2
Precentral gyrus, dorsal
nTPM: 60.0
2354 Female, age 67, right hemisphere 71.8
2442 Male, age 75, left hemisphere 60.4
1756 Male, age 74, left hemisphere 56.7
2476 Female, age 94, right hemisphere 51.3
Precentral gyrus, middle
nTPM: 61.8
1909 Male, age 61, left hemisphere 76.0
2549 Female, age 94, right hemisphere 69.4
1969 Female, age 67, right hemisphere 64.4
2443 Male, age 75, left hemisphere 56.7
2475 Male, age 74, right hemisphere 42.5
Precentral gyrus, ventral
nTPM: 68.8
2630 Male, age 75, left hemisphere 75.1
2678 Male, age 74, left hemisphere 71.0
2550 Female, age 94, right hemisphere 70.1
2662 Female, age 67, right hemisphere 59.2
Precuneus
nTPM: 67.3
1782 Male, age 76, right hemisphere 92.9
1780 Female, age 91, right hemisphere 79.9
2594 Male, age 61, left hemisphere 73.6
2673 Female, age 94, right hemisphere 64.5
2510 Female, age 67, right hemisphere 50.5
2467 Male, age 75, right hemisphere 42.5
Premotor cortex, dorsal
nTPM: 65.8
1878 Female, age 85, right hemisphere 91.7
2027 Male, age 61, left hemisphere 74.7
2536 Male, age 75, left hemisphere 56.5
2554 Female, age 67, right hemisphere 56.2
2631 Male, age 74, left hemisphere 49.9
Premotor cortex, ventral
nTPM: 75.1
1779 Male, age 61, left hemisphere 99.7
1881 Female, age 85, right hemisphere 88.8
1777 Female, age 67, left hemisphere 85.6
2349 Male, age 75, left hemisphere 65.1
2637 Female, age 94, right hemisphere 63.5
1757 Male, age 74, left hemisphere 47.8
Retrosplenial cortex
nTPM: 53.5
1951 Male, age 61, right hemisphere 74.0
2675 Female, age 94, left hemisphere 66.3
1914 Male, age 76, right hemisphere 20.0
Subcentral gyrus, S2
nTPM: 75.8
1964 Female, age 85, right hemisphere 83.8
2072 Male, age 61, left hemisphere 82.6
2839 Female, age 94, right hemisphere 78.8
2351 Male, age 75, left hemisphere 73.4
2555 Female, age 67, right hemisphere 73.0
2762 Male, age 74, left hemisphere 63.4
Superior parietal lobule
nTPM: 71.8
1800 Male, age 76, right hemisphere 98.4
2229 Male, age 61, right hemisphere 77.9
2672 Female, age 94, right hemisphere 64.0
2605 Female, age 67, right hemisphere 61.0
1992 Female, age 91, right hemisphere 57.7
Superior temporal gyrus
nTPM: 83.0
1843 Male, age 76, left hemisphere 106.0
2615 Female, age 94, left hemisphere 90.2
1844 Female, age 91, left hemisphere 82.5
2025 Male, age 80, right hemisphere 71.9
2687 Male, age 75, right hemisphere 64.4
Supplementary motor cortex
nTPM: 65.3
2537 Male, age 75, left hemisphere 81.6
1993 Male, age 61, left hemisphere 77.9
2548 Female, age 94, right hemisphere 57.6
2632 Male, age 74, left hemisphere 44.2
Supramarginal gyrus
nTPM: 83.4
1798 Male, age 76, right hemisphere 108.2
2513 Female, age 72, left hemisphere 86.0
2415 Male, age 61, left hemisphere 80.4
1991 Female, age 91, right hemisphere 75.3
2601 Female, age 94, left hemisphere 67.3
Temporal pole
nTPM: 79.7
1853 Female, age 85, right hemisphere 100.9
2518 Male, age 75, right hemisphere 81.0
1826 Male, age 76, right hemisphere 79.4
2612 Female, age 94, left hemisphere 78.1
1832 Female, age 91, left hemisphere 58.9
Temporo-insular cortex, parainsular gyrus
nTPM: 66.0
1802 Male, age 76, left hemisphere 93.9
2598 Male, age 75, left hemisphere 79.3
2416 Male, age 61, right hemisphere 63.9
2676 Female, age 94, right hemisphere 62.0
2512 Female, age 67, right hemisphere 48.9
2264 Female, age 91, right hemisphere 48.1
Temporo-occipital transitional zone
nTPM: 97.8
1900 Male, age 76, left hemisphere 114.0
2251 Female, age 85, right hemisphere 94.1
1793 Male, age 80, right hemisphere 85.2
Transversal temporal gyrus, anterior
nTPM: 81.6
1809 Male, age 76, right hemisphere 102.0
1910 Male, age 80, right hemisphere 85.5
1888 Female, age 91, left hemisphere 76.1
2610 Male, age 75, right hemisphere 72.4
2522 Female, age 94, left hemisphere 71.9
Transversal temporal gyrus, posterior
nTPM: 77.1
2833 Male, age 80, right hemisphere 107.1
1922 Male, age 76, left hemisphere 92.8
2614 Female, age 94, left hemisphere 72.0
1967 Female, age 91, right hemisphere 63.9
2520 Male, age 75, right hemisphere 49.8

CEREBRAL CORTEX - HPA PFC Brain RNA-seq
Max subtype nTPMi

Max subtype nTPM is the value for the subtype with the largest average nTPM across the subtype samples.

3.3
Sample id Sample description nTPM
Anterior cingulate gyrus, pregenual-dorsal
nTPM: 1.8
1510 Male, age 61, left hemisphere 3.3
1511 Male, age 61, right hemisphere 3.3
1516 Female, age 85, left hemisphere 2.2
1515 Female, age 94, right hemisphere 2.1
1512 Male, age 75, left hemisphere 1.3
1518 Female, age 67, right hemisphere 1.3
1514 Male, age 74, right hemisphere 1.2
1517 Female, age 67, left hemisphere 1.2
1513 Male, age 74, left hemisphere 0.8
Anterior cingulate gyrus, pregenual-ventral
nTPM: 1.6
1519 Male, age 61, left hemisphere 2.9
1523 Female, age 67, left hemisphere 1.8
1520 Male, age 75, right hemisphere 1.6
1522 Male, age 74, right hemisphere 1.2
1521 Male, age 74, left hemisphere 0.6
Anterior cingulate gyrus, subgenual
nTPM: 1.7
1524 Male, age 61, left hemisphere 3.6
1525 Male, age 75, left hemisphere 2.1
1529 Female, age 85, left hemisphere 1.7
1526 Male, age 75, right hemisphere 1.2
1527 Male, age 74, left hemisphere 1.1
1530 Female, age 67, right hemisphere 1.0
1528 Male, age 74, right hemisphere 0.9
Dorsolateral prefrontal cortex
nTPM: 1.9
1445 Male, age 75, right hemisphere 2.5
1448 Female, age 94, right hemisphere 2.4
1444 Male, age 75, left hemisphere 2.1
1449 Female, age 85, right hemisphere 2.0
1447 Female, age 94, left hemisphere 1.8
1446 Male, age 74, right hemisphere 1.2
1450 Female, age 67, right hemisphere 1.1
Dorsomedial prefrontal cortex
nTPM: 3.0
1440 Male, age 61, right hemisphere 4.8
1441 Male, age 75, left hemisphere 3.2
1439 Male, age 61, left hemisphere 2.7
1443 Female, age 67, right hemisphere 2.7
1442 Male, age 75, right hemisphere 1.5
Frontal cortex
nTPM: 2.6
1573 Male, age 61, right hemisphere 4.7
1572 Male, age 61, left hemisphere 4.1
1581 Female, age 85, right hemisphere 4.0
1580 Female, age 85, left hemisphere 3.8
1579 Female, age 94, right hemisphere 3.0
1575 Male, age 75, right hemisphere 2.5
1577 Male, age 74, right hemisphere 2.5
1578 Female, age 94, left hemisphere 2.0
1574 Male, age 75, left hemisphere 1.7
1583 Female, age 67, right hemisphere 1.7
1576 Male, age 74, left hemisphere 1.2
1582 Female, age 67, left hemisphere 0.6
Frontomarginal cortex
nTPM: 3.2
1465 Male, age 61, left hemisphere 7.7
1466 Male, age 61, right hemisphere 4.6
1471 Female, age 85, left hemisphere 3.6
1467 Male, age 75, right hemisphere 3.1
1473 Female, age 67, right hemisphere 2.4
1470 Female, age 94, right hemisphere 2.3
1468 Male, age 74, left hemisphere 2.1
1469 Female, age 94, left hemisphere 1.9
1472 Female, age 67, left hemisphere 1.6
Frontopolar cortex
nTPM: 3.2
1458 Male, age 61, left hemisphere 5.9
1459 Male, age 61, right hemisphere 5.0
1460 Male, age 75, left hemisphere 3.4
1462 Female, age 94, left hemisphere 2.8
1461 Male, age 75, right hemisphere 2.1
1464 Female, age 67, right hemisphere 1.9
1463 Female, age 67, left hemisphere 1.7
Gyrus rectus
nTPM: 2.8
1475 Male, age 61, right hemisphere 6.6
1474 Male, age 61, left hemisphere 3.5
1476 Male, age 75, left hemisphere 2.6
1478 Female, age 94, left hemisphere 2.4
1479 Female, age 94, right hemisphere 2.4
1481 Female, age 67, left hemisphere 2.1
1480 Female, age 85, left hemisphere 1.9
1477 Male, age 75, right hemisphere 1.2
Inferior frontal gyrus, orbital
nTPM: 2.1
1500 Male, age 61, left hemisphere 4.3
1501 Male, age 61, right hemisphere 4.3
1502 Male, age 75, left hemisphere 2.4
1508 Female, age 85, right hemisphere 2.4
1506 Female, age 94, left hemisphere 2.2
1503 Male, age 75, right hemisphere 1.8
1507 Female, age 85, left hemisphere 1.6
1509 Female, age 67, right hemisphere 1.0
1504 Male, age 74, left hemisphere 0.8
1505 Male, age 74, right hemisphere 0.6
Inferior frontal gyrus, triangular
nTPM: 2.0
1542 Male, age 61, left hemisphere 3.3
1543 Male, age 61, right hemisphere 3.2
1548 Female, age 85, right hemisphere 3.0
1546 Female, age 94, right hemisphere 2.2
1544 Male, age 75, right hemisphere 1.5
1547 Female, age 85, left hemisphere 1.1
1549 Female, age 67, left hemisphere 1.0
1545 Male, age 74, right hemisphere 0.5
Orbitofrontal gyrus, lateral
nTPM: 2.5
1493 Male, age 61, right hemisphere 5.7
1498 Female, age 85, right hemisphere 2.4
1494 Male, age 75, left hemisphere 2.1
1497 Female, age 85, left hemisphere 2.1
1499 Female, age 67, right hemisphere 1.9
1495 Female, age 94, left hemisphere 1.8
1496 Female, age 94, right hemisphere 1.3
Orbitofrontal gyrus, medial
nTPM: 2.4
1482 Male, age 61, left hemisphere 4.7
1490 Female, age 85, right hemisphere 3.0
1486 Male, age 74, right hemisphere 2.9
1487 Female, age 94, left hemisphere 2.9
1489 Female, age 85, left hemisphere 2.4
1483 Male, age 75, left hemisphere 2.0
1488 Female, age 94, right hemisphere 2.0
1484 Male, age 75, right hemisphere 1.9
1491 Female, age 67, left hemisphere 1.9
1492 Female, age 67, right hemisphere 1.7
1485 Male, age 74, left hemisphere 1.2
Orbitofrontal gyrus, posterior
nTPM: 2.1
1532 Male, age 61, right hemisphere 5.6
1531 Male, age 61, left hemisphere 5.5
1536 Female, age 94, left hemisphere 2.0
1538 Female, age 85, left hemisphere 2.0
1539 Female, age 85, right hemisphere 1.8
1533 Male, age 75, left hemisphere 1.6
1534 Male, age 75, right hemisphere 1.5
1537 Female, age 94, right hemisphere 1.3
1535 Male, age 74, left hemisphere 0.7
1541 Female, age 67, right hemisphere 0.6
1540 Female, age 67, left hemisphere 0.5
Subcallosal gyrus
nTPM: 2.5
1551 Male, age 61, right hemisphere 5.2
1550 Male, age 61, left hemisphere 3.6
1557 Female, age 94, right hemisphere 3.0
1553 Male, age 75, right hemisphere 2.9
1558 Female, age 85, left hemisphere 2.9
1559 Female, age 85, right hemisphere 2.7
1556 Female, age 94, left hemisphere 2.5
1561 Female, age 67, right hemisphere 2.5
1552 Male, age 75, left hemisphere 2.3
1554 Male, age 74, left hemisphere 1.0
1560 Female, age 67, left hemisphere 1.0
1555 Male, age 74, right hemisphere 0.6
Superior frontal gyrus
nTPM: 3.3
1569 Female, age 85, left hemisphere 5.0
1562 Male, age 61, left hemisphere 4.7
1563 Male, age 61, right hemisphere 4.6
1570 Female, age 85, right hemisphere 3.9
1568 Female, age 94, right hemisphere 3.6
1564 Male, age 75, left hemisphere 3.3
1565 Male, age 75, right hemisphere 3.1
1567 Female, age 94, left hemisphere 2.4
1566 Male, age 74, right hemisphere 1.4
1571 Female, age 67, right hemisphere 1.0
Temporal cortex
nTPM: 2.7
1590 Male, age 61, right hemisphere 4.5
1594 Female, age 94, left hemisphere 3.8
1596 Female, age 85, right hemisphere 3.3
1591 Male, age 75, right hemisphere 2.9
1595 Female, age 94, right hemisphere 1.8
1592 Male, age 74, left hemisphere 1.6
1593 Male, age 74, right hemisphere 1.2
Ventrolateral prefrontal cortex
nTPM: 1.5
1453 Male, age 74, right hemisphere 2.2
1455 Female, age 85, right hemisphere 2.0
1454 Female, age 94, left hemisphere 1.7
1456 Female, age 67, left hemisphere 1.5
1457 Female, age 67, right hemisphere 1.2
1451 Male, age 75, right hemisphere 1.0
1452 Male, age 74, left hemisphere 1.0
Ventromedial prefrontal cortex
nTPM: 2.6
1433 Male, age 61, right hemisphere 3.6
1437 Female, age 85, right hemisphere 3.1
1436 Female, age 85, left hemisphere 2.9
1432 Male, age 61, left hemisphere 2.7
1438 Female, age 67, left hemisphere 2.2
1434 Male, age 75, right hemisphere 1.9
1435 Female, age 94, right hemisphere 1.7

CEREBRAL CORTEX - GTEx RNA-seqi

RNA-Seq data generated by the Genotype-Tissue Expression (GTEx) project from human tissues is reported as mean nTPM. More information can be found on the GTEx portal.

Distribution across the dataset is visualized with box plots, shown as median and 25th and 75th percentiles. Points are displayed as outliers if they are above or below 1.5 times the interquartile range. nTPM values of the individual samples are presented next to the box plot.
Max subtype nTPMi

Max subtype nTPM is the value for the subtype with the largest average nTPM across the subtype samples.

14.0
GTEx sample id Sample description nTPM
Brain - Anterior cingulate cortex (BA24)
Average nTPM: 8.5
Samples: 176

Max nTPM: 24.8
Min nTPM: 0.8
Std nTPM: 4.4
Median nTPM: 8.1
GTEX-NL3H-0011-R3a-SM-2I3GL 60-69 years, male 24.8
GTEX-N7MS-0011-R3a-SM-33HC6 60-69 years, male 23.9
GTEX-P44G-0011-R3A-SM-2I3FC 30-39 years, male 20.7
GTEX-Q2AG-0011-R3A-SM-2HMJ9 40-49 years, female 19.3
GTEX-PVOW-0011-R3A-SM-32PKX 40-49 years, male 18.5
GTEX-X585-0011-R3B-SM-46MVG 50-59 years, male 17.3
GTEX-WL46-0011-R3A-SM-3TW8E 50-59 years, male 17.0
GTEX-145MH-0011-R3b-SM-5P9JQ 50-59 years, male 16.5
GTEX-131XH-0011-R3b-SM-5DUWM 50-59 years, male 16.3
GTEX-11DZ1-0011-R3a-SM-DNZYY 50-59 years, male 16.3
GTEX-X4XX-0011-R3B-SM-46MWK 60-69 years, male 16.1
GTEX-YFC4-0011-R3a-SM-4RGLP 40-49 years, female 16.0
GTEX-17F97-0011-R3b-SM-7LT9E 50-59 years, male 15.9
GTEX-QVUS-0011-R3A-SM-3GAFD 60-69 years, female 15.8
GTEX-WZTO-0011-R3B-SM-3NMC6 40-49 years, male 15.8
GTEX-1IKJJ-0011-R3b-SM-C1YRW 60-69 years, male 15.1
GTEX-14PN4-0011-R3b-SM-686ZU 50-59 years, male 14.9
GTEX-ZAB4-0011-R3a-SM-4RGNQ 40-49 years, male 14.8
GTEX-RNOR-0011-R3A-SM-5SI8E 50-59 years, female 14.7
GTEX-14BIM-0011-R3b-SM-5S2RL 60-69 years, female 14.6
GTEX-T2IS-0011-R3A-SM-32QPB 20-29 years, female 14.6
GTEX-1IDJH-0011-R3a-SM-CJI42 70-79 years, male 13.9
GTEX-1313W-0011-R3a-SM-5EGLI 50-59 years, female 13.8
GTEX-X4XY-0011-R3B-SM-EXOHI 60-69 years, male 13.6
GTEX-12WSM-0011-R3b-SM-5LZWI 60-69 years, male 13.5
GTEX-1A3MX-0011-R3b-SM-79OOW 60-69 years, male 13.5
GTEX-11GSO-0011-R3b-SM-57WB2 60-69 years, male 13.2
GTEX-YJ89-0011-R3b-SM-4V6EF 60-69 years, male 13.1
GTEX-1J8Q2-0011-R3b-SM-ACKVG 60-69 years, male 12.7
GTEX-13X6K-0011-R3b-SM-5PNUD 60-69 years, female 12.6
GTEX-1HFI6-0011-R3b-SM-A9SKB 40-49 years, male 12.6
GTEX-13O3O-0011-R3b-SM-5KM3R 60-69 years, female 12.3
GTEX-13VXU-0011-R3b-SM-5O9CU 50-59 years, male 12.3
GTEX-15EO6-0011-R3b-SM-7KUDY 50-59 years, male 12.2
GTEX-13OW5-0011-R3a-SM-5L3I5 60-69 years, male 11.8
GTEX-Z93S-0011-R3b-SM-4RGNH 50-59 years, male 11.7
GTEX-12WSC-0011-R3a-SM-5P9F1 50-59 years, male 11.3
GTEX-15CHQ-0011-R3b-SM-686ZY 60-69 years, male 11.2
GTEX-15DCD-0011-R3b-SM-D4P1P 70-79 years, female 11.1
GTEX-1C6WA-0011-R3a-SM-9OSVP 60-69 years, male 11.1
GTEX-1CB4H-0011-R3b-SM-9OSVI 60-69 years, female 11.0
GTEX-14BIN-0011-R3b-SM-6AJBL 50-59 years, female 10.9
GTEX-1B8L1-0011-R3a-SM-7EPIO 60-69 years, male 10.9
GTEX-1GN73-0011-R3b-SM-9QEIL 60-69 years, male 10.8
GTEX-13O3Q-0011-R3a-SM-5P9H3 50-59 years, male 10.7
GTEX-PWO3-0011-R3A-SM-2I5EX 60-69 years, female 10.7
GTEX-1GMR8-0011-R3b-SM-9QEIG 50-59 years, female 10.7
GTEX-1F48J-0011-R3b-SM-9OSVY 50-59 years, female 10.6
GTEX-1F75A-0011-R3b-SM-ARL8K 50-59 years, male 10.6
GTEX-ZF28-0011-R3a-SM-4WWDA 60-69 years, male 10.5
GTEX-1GTWX-0011-R3b-SM-CJI2Z 60-69 years, male 10.5
GTEX-Y8DK-0011-R3A-SM-4RTW5 60-69 years, male 10.4
GTEX-13CF2-0011-R3b-SM-5LZZ6 60-69 years, male 10.3
GTEX-13N1W-0011-R3a-SM-5MR5E 70-79 years, male 10.3
GTEX-1E1VI-0011-R3a-SM-9OSWH 50-59 years, male 10.2
GTEX-145LS-0011-R3a-SM-5S2VJ 60-69 years, female 10.1
GTEX-1H3O1-0011-R3a-SM-ACKVD 60-69 years, male 10.1
GTEX-1EMGI-0011-R3b-SM-CE6R9 60-69 years, male 10.0
GTEX-11DXW-0011-R3b-SM-DNZZE 40-49 years, male 9.9
GTEX-1B933-0011-R3b-SM-7P8PL 50-59 years, female 9.9
GTEX-13SLW-0011-R3b-SM-5SI6Y 70-79 years, male 9.8
GTEX-13CZV-0011-R3a-SM-5KM27 60-69 years, male 9.7
GTEX-1F7RK-0011-R3b-SM-9OSWJ 20-29 years, female 9.7
GTEX-1I1GV-0011-R3a-SM-CL557 60-69 years, male 9.7
GTEX-XLM4-0011-R3B-SM-4AT6E 60-69 years, male 9.6
GTEX-1LVAO-0011-R3a-SM-EXOI7 60-69 years, male 9.6
GTEX-1J1OQ-0011-R3b-SM-D4P2B 40-49 years, female 9.5
GTEX-UTHO-0011-R3A-SM-3GIK8 60-69 years, male 9.4
GTEX-1HCU6-0011-R3a-SM-ARU75 60-69 years, female 9.3
GTEX-13X6J-0011-R3b-SM-5P9K5 50-59 years, male 9.2
GTEX-131YS-0011-R3b-SM-5DUXB 60-69 years, female 9.1
GTEX-1I1GR-0011-R3a-SM-CM2T4 60-69 years, male 9.1
GTEX-ZE9C-0011-R3a-SM-4WKGT 60-69 years, male 9.0
GTEX-14JIY-0011-R3a-SM-5YYAQ 60-69 years, male 8.8
GTEX-1EX96-0011-R3b-SM-ARZMH 50-59 years, male 8.8
GTEX-14PJM-0011-R3b-SM-5ZZV9 50-59 years, female 8.7
GTEX-1F6I4-0011-R3a-SM-9QEH9 60-69 years, male 8.7
GTEX-1HUB1-0011-R3b-SM-CKZOX 60-69 years, male 8.7
GTEX-1IKK5-0011-R3b-SM-C1YRY 60-69 years, male 8.7
GTEX-12WSF-0011-R3a-SM-5DUW7 70-79 years, male 8.5
GTEX-13S7M-0011-R3a-SM-5PNX2 60-69 years, female 8.5
GTEX-1HB9E-0011-R3a-SM-ARL7D 50-59 years, male 8.5
GTEX-1N2EE-0011-R3b-SM-EXURY 60-69 years, male 8.5
GTEX-13RTJ-0011-R3a-SM-5PNX7 60-69 years, male 8.4
GTEX-17HII-0011-R3a-SM-7LT9D 50-59 years, male 8.3
GTEX-P44H-0011-R3A-SM-D3L8E 40-49 years, male 8.3
GTEX-15SHU-0011-R3a-SM-7IGPS 40-49 years, female 8.2
GTEX-17EVP-0011-R3a-SM-7EPI9 40-49 years, male 8.1
GTEX-RVPV-0011-R3A-SM-2TF63 60-69 years, male 8.1
GTEX-ZDXO-0011-R3a-SM-4WKFS 60-69 years, male 8.1
GTEX-13FLV-0011-R3b-SM-5LZYP 50-59 years, male 7.8
GTEX-13OVL-0011-R3b-SM-5L3I8 50-59 years, male 7.8
GTEX-18A6Q-0011-R3a-SM-718A7 60-69 years, male 7.8
GTEX-1GZ2Q-0011-R3a-SM-A96RP 40-49 years, male 7.7
GTEX-15ER7-0011-R3a-SM-6LPIK 20-29 years, female 7.6
GTEX-QDT8-0011-R3A-SM-32PKR 30-39 years, female 7.6
GTEX-1JJEA-0011-R3b-SM-EXUTD 60-69 years, male 7.6
GTEX-1KD4Q-0011-R3b-SM-EXOID 40-49 years, male 7.6
GTEX-12ZZX-0011-R3b-SM-5EGLH 40-49 years, female 7.4
GTEX-14PQA-0011-R3b-SM-69LQO 50-59 years, female 7.4
GTEX-1MCQQ-0011-R3a-SM-EXURW 60-69 years, male 7.4
GTEX-13OW8-0011-R3a-SM-5L3I4 60-69 years, male 7.3
GTEX-1JMOU-0011-R3a-SM-EYYXN 60-69 years, female 7.3
GTEX-13QIC-0011-R3a-SM-5P9HT 60-69 years, female 7.2
GTEX-12ZZW-0011-R3a-SM-5DUWW 50-59 years, male 7.1
GTEX-ZVT3-0011-R3b-SM-51MTJ 60-69 years, female 7.1
GTEX-1HGF4-0011-R3b-SM-CL54W 60-69 years, male 6.9
GTEX-ZVZQ-0011-R3a-SM-57WC7 60-69 years, female 6.8
GTEX-1HR98-0011-R3b-SM-A9G1U 60-69 years, male 6.7
GTEX-12WSD-0011-R3b-SM-5LZWN 60-69 years, female 6.5
GTEX-15G19-0011-R3a-SM-6LPIG 60-69 years, male 6.5
GTEX-12ZZZ-0011-R3b-SM-5DUXK 60-69 years, male 6.4
GTEX-13X6I-0011-R3b-SM-5P9HM 60-69 years, male 6.4
GTEX-NPJ8-0011-R3a-SM-2HMIW 40-49 years, male 6.4
GTEX-WHSE-0011-R3A-SM-3P5ZM 20-29 years, male 6.4
GTEX-13NYS-0011-R3b-SM-5MR41 60-69 years, male 6.3
GTEX-16YQH-0011-R3a-SM-7EPGM 30-39 years, male 6.3
GTEX-1F52S-0011-R3a-SM-CKZNI 60-69 years, female 6.3
GTEX-144GL-0011-R3a-SM-5P9HP 50-59 years, male 6.2
GTEX-1BAJH-0011-R3a-SM-7IGNU 70-79 years, male 6.2
GTEX-17HHY-0011-R3a-SM-7EWDK 50-59 years, male 6.1
GTEX-13NYB-0011-R3b-SM-A9SM4 40-49 years, male 6.1
GTEX-145MG-0011-R3b-SM-5SI67 50-59 years, male 6.0
GTEX-1B996-0011-R3b-SM-9QEGY 60-69 years, male 5.9
GTEX-14DAQ-0011-R3b-SM-5YYAJ 60-69 years, female 5.8
GTEX-139T8-0011-R3b-SM-5HL4R 60-69 years, male 5.7
GTEX-ZUA1-0011-R3a-SM-4YCEE 40-49 years, male 5.7
GTEX-1GF9W-0011-R3b-SM-CJI2S 60-69 years, male 5.7
GTEX-13112-0011-R3b-SM-5HL9L 50-59 years, male 5.6
GTEX-13OVH-0011-R3a-SM-5KM49 70-79 years, male 5.6
GTEX-1GZ4I-0011-R3b-SM-9OSWP 50-59 years, male 5.6
GTEX-1JMPZ-0011-R3a-SM-EYYWX 30-39 years, male 5.6
GTEX-14PJO-0011-R3a-SM-6AJBY 60-69 years, male 5.5
GTEX-1I1GS-0011-R3b-SM-CYPS7 60-69 years, male 5.5
GTEX-145LU-0011-R3a-SM-5P9K2 50-59 years, male 5.4
GTEX-1HBPH-0011-R3a-SM-A96RY 40-49 years, female 5.3
GTEX-15DYW-0011-R3b-SM-6LPIM 60-69 years, female 5.2
GTEX-14LZ3-0011-R3a-SM-664NQ 60-69 years, female 5.1
GTEX-1H1ZS-0011-R3b-SM-CE6RS 70-79 years, male 5.0
GTEX-N7MT-0011-R3a-SM-2I3GC 60-69 years, female 4.9
GTEX-X4EP-0011-R3A-SM-3P626 60-69 years, female 4.9
GTEX-14C39-0011-R3b-SM-5YYA3 40-49 years, male 4.7
GTEX-1CB4G-0011-R3a-SM-CE6QQ 60-69 years, male 4.4
GTEX-13FHO-0011-R3b-SM-5K7YA 60-69 years, male 4.3
GTEX-XMD1-0011-R3B-SM-4AT5R 60-69 years, male 4.2
GTEX-139TT-0011-R3b-SM-5K7VL 60-69 years, male 4.0
GTEX-13CIG-0011-R3b-SM-5K7XF 50-59 years, male 4.0
GTEX-13N2G-0011-R3b-SM-5MR5G 60-69 years, male 4.0
GTEX-1EU9M-0011-R3a-SM-9QEHY 60-69 years, male 4.0
GTEX-1H2FU-0011-R3b-SM-CKZP4 60-69 years, female 4.0
GTEX-11UD1-0011-R3a-SM-5BC6S 40-49 years, female 3.9
GTEX-1H23P-0011-R3b-SM-CL54S 60-69 years, male 3.6
GTEX-11ZTS-0011-R3a-SM-5BC78 60-69 years, female 3.5
GTEX-13JVG-0011-R3b-SM-5LZXF 60-69 years, male 3.4
GTEX-11GSP-0011-R3a-SM-9QEGF 60-69 years, female 3.3
GTEX-17EVQ-0011-R3b-SM-7LT9B 70-79 years, male 3.1
GTEX-13PLJ-0011-R3a-SM-5O9DT 60-69 years, female 3.0
GTEX-1H3VE-0011-R3a-SM-CE6SK 40-49 years, male 3.0
GTEX-11WQK-0011-R3b-SM-DO93K 50-59 years, male 2.9
GTEX-13IVO-0011-R3b-SM-5IJBJ 70-79 years, male 2.7
GTEX-13OW7-0011-R3a-SM-5O9DA 50-59 years, male 2.7
GTEX-13RTL-0011-R3a-SM-5P9JP 40-49 years, male 2.7
GTEX-14E7W-0011-R3b-SM-5YYB5 70-79 years, male 2.7
GTEX-11ZVC-0011-R3a-SM-5BC6V 50-59 years, female 2.5
GTEX-13PVQ-0011-R3b-SM-5O9D6 50-59 years, male 2.5
GTEX-148VJ-0011-R3b-SM-69LQJ 70-79 years, male 2.4
GTEX-11WQC-0011-R3a-SM-DO11T 60-69 years, male 2.4
GTEX-1EN7A-0011-R3a-SM-9OSVT 40-49 years, male 2.3
GTEX-1J8EW-0011-R3a-SM-ARU8A 60-69 years, female 2.3
GTEX-16XZZ-0011-R3a-SM-7IGLH 60-69 years, male 2.1
GTEX-1445S-0011-R3a-SM-5P9HY 60-69 years, male 2.0
GTEX-1EH9U-0011-R3b-SM-CL534 60-69 years, male 1.8
GTEX-1477Z-0011-R3b-SM-5PNX9 60-69 years, male 1.7
GTEX-14LLW-0011-R3b-SM-62LFW 70-79 years, female 1.3
GTEX-14BMV-0011-R3a-SM-5ZZU7 50-59 years, male 1.2
GTEX-14JG1-0011-R3a-SM-62LEC 40-49 years, male 0.8
Show allShow less
Brain - Cortex
Average nTPM: 10.0
Samples: 255

Max nTPM: 21.2
Min nTPM: 0.6
Std nTPM: 3.3
Median nTPM: 10.0
GTEX-PVOW-2526-SM-2XCF7 40-49 years, male 21.2
GTEX-X4XY-3026-SM-EWRM9 60-69 years, male 17.3
GTEX-P44G-2426-SM-2I5ER 30-39 years, male 16.9
GTEX-TSE9-3026-SM-3DB76 60-69 years, female 16.8
GTEX-1F75A-3026-SM-9KNU2 50-59 years, male 16.4
GTEX-X4XX-3026-SM-3NMB2 60-69 years, male 16.2
GTEX-1HT8W-3026-SM-CGQEO 30-39 years, male 16.1
GTEX-11ZUS-2926-SM-5FQSL 30-39 years, male 15.6
GTEX-QMR6-1426-SM-32PLA 50-59 years, male 15.4
GTEX-1B933-3126-SM-7P8RL 50-59 years, female 15.3
GTEX-UTHO-3026-SM-3GAFB 60-69 years, male 15.2
GTEX-Z93S-2926-SM-57WB9 50-59 years, male 15.1
GTEX-1KWVE-2326-SM-D4P3N 30-39 years, male 15.1
GTEX-131YS-3126-SM-5KLYT 60-69 years, female 14.9
GTEX-13NYC-2826-SM-5K7WR 60-69 years, male 14.9
GTEX-13PL6-3126-SM-5LUAR 40-49 years, female 14.9
GTEX-145MH-3026-SM-5Q5DZ 50-59 years, male 14.9
GTEX-13NYS-3126-SM-5KLYV 60-69 years, male 14.7
GTEX-1F6RS-3126-SM-9MQK7 60-69 years, female 14.7
GTEX-1GZ4I-3026-SM-9KNTX 50-59 years, male 14.7
GTEX-1HCVE-3026-SM-CL54G 50-59 years, male 14.7
GTEX-RNOR-2326-SM-2TF4I 50-59 years, female 14.6
GTEX-WL46-2926-SM-3LK82 50-59 years, male 14.5
GTEX-1HSMO-3026-SM-A9G3F 60-69 years, male 14.5
GTEX-15EO6-3026-SM-7KUMA 50-59 years, male 14.4
GTEX-1H1DG-2926-SM-9WYU3 70-79 years, male 14.4
GTEX-1HCU6-3126-SM-CL54L 60-69 years, female 14.3
GTEX-1GMR8-3026-SM-9KNVF 50-59 years, female 14.2
GTEX-1AX9I-3026-SM-73KUH 60-69 years, male 14.1
GTEX-WWYW-3126-SM-3NB39 50-59 years, female 14.0
GTEX-11O72-2926-SM-5BC4V 40-49 years, male 13.9
GTEX-11PRG-2926-SM-5987A 50-59 years, male 13.9
GTEX-1EMGI-3026-SM-7P8P6 60-69 years, male 13.9
GTEX-12ZZX-2926-SM-5GCOQ 40-49 years, female 13.8
GTEX-17F97-3026-SM-79OKC 50-59 years, male 13.7
GTEX-WVLH-3026-SM-3MJG9 50-59 years, male 13.7
GTEX-Y8DK-0826-SM-4TT3T 60-69 years, male 13.7
GTEX-14ASI-3026-SM-5S2PN 60-69 years, male 13.5
GTEX-1I1CD-3026-SM-B2LY2 60-69 years, female 13.5
GTEX-1LG7Y-3026-SM-D5OVI 50-59 years, male 13.5
GTEX-13SLX-3126-SM-5S2Q5 50-59 years, female 13.4
GTEX-17HHY-3026-SM-79OKP 50-59 years, male 13.4
GTEX-1B8L1-3026-SM-7EPHK 60-69 years, male 13.4
GTEX-1IKK5-2926-SM-ARU7Q 60-69 years, male 13.4
GTEX-1KD4Q-2926-SM-D3L9N 40-49 years, male 13.4
GTEX-117XS-3026-SM-5N9CA 60-69 years, male 13.3
GTEX-OXRN-2426-SM-2I5EQ 50-59 years, male 13.3
GTEX-T2IS-3026-SM-32QPM 20-29 years, female 13.2
GTEX-1HBPH-3126-SM-9WYUV 40-49 years, female 13.2
GTEX-1IDJH-3026-SM-CL53B 70-79 years, male 13.2
GTEX-14BMV-3026-SM-5S2PQ 50-59 years, male 13.1
GTEX-14C5O-3026-SM-5YYB2 60-69 years, male 13.1
GTEX-12WSH-3026-SM-5CVNI 50-59 years, male 13.0
GTEX-T5JC-2426-SM-3NMDB 20-29 years, male 13.0
GTEX-WZTO-2926-SM-3NM9I 40-49 years, male 13.0
GTEX-11NUK-2926-SM-5A5MD 50-59 years, male 12.9
GTEX-13O3O-3126-SM-5KM3H 60-69 years, female 12.9
GTEX-YFC4-3126-SM-5PNV6 40-49 years, female 12.9
GTEX-1E1VI-3026-SM-7RHHU 50-59 years, male 12.9
GTEX-14DAQ-3126-SM-62LDS 60-69 years, female 12.8
GTEX-T6MN-2626-SM-32PMQ 50-59 years, male 12.8
GTEX-1F48J-2826-SM-7P8R4 50-59 years, female 12.8
GTEX-1GMRU-3026-SM-7P8TC 50-59 years, male 12.8
GTEX-12126-1026-SM-5P9JJ 20-29 years, male 12.7
GTEX-1EWIQ-3126-SM-7MXTI 70-79 years, female 12.7
GTEX-14PJM-3126-SM-6EU2R 50-59 years, female 12.6
GTEX-145LS-3126-SM-5Q5BY 60-69 years, female 12.5
GTEX-18465-3026-SM-7LG6Y 50-59 years, male 12.5
GTEX-ZF28-3026-SM-4WKHP 60-69 years, male 12.5
GTEX-1GZ2Q-3226-SM-9WG6L 40-49 years, male 12.5
GTEX-12WSC-3026-SM-5GCNF 50-59 years, male 12.4
GTEX-1B8SF-3126-SM-73KU1 60-69 years, male 12.4
GTEX-ZYFD-3026-SM-5E44C 50-59 years, male 12.4
GTEX-ZAK1-3026-SM-5S2MJ 50-59 years, female 12.3
GTEX-11DXY-3226-SM-5GIDE 60-69 years, male 12.2
GTEX-1313W-3126-SM-5LZUI 50-59 years, female 12.1
GTEX-13VXU-2926-SM-5LU5C 50-59 years, male 12.0
GTEX-16XZZ-3026-SM-79OMJ 60-69 years, male 12.0
GTEX-1R9PO-2926-SM-EVYBR 60-69 years, female 12.0
GTEX-11DXW-1126-SM-5H12Q 40-49 years, male 11.9
GTEX-13FLW-1426-SM-5K7YE 50-59 years, male 11.9
GTEX-14JIY-2926-SM-69LPT 60-69 years, male 11.9
GTEX-14BIM-3026-SM-7EWCY 60-69 years, female 11.8
GTEX-1C6WA-3026-SM-7P8RQ 60-69 years, male 11.8
GTEX-1H3NZ-3026-SM-9JGHW 60-69 years, male 11.8
GTEX-132Q8-3026-SM-5PNVG 60-69 years, male 11.7
GTEX-1128S-2726-SM-5H12C 60-69 years, female 11.6
GTEX-13O3Q-2926-SM-5KM45 50-59 years, male 11.6
GTEX-15SHU-3126-SM-6M46H 40-49 years, female 11.6
GTEX-ZUA1-3026-SM-59HJC 40-49 years, male 11.6
GTEX-1IY9M-3026-SM-A9G37 60-69 years, male 11.6
GTEX-1JJ6O-3126-SM-CNNP8 60-69 years, male 11.6
GTEX-WHSE-3026-SM-3P5ZH 20-29 years, male 11.5
GTEX-111FC-3126-SM-5GZZ2 60-69 years, male 11.4
GTEX-14JG1-3026-SM-5YYAA 40-49 years, male 11.4
GTEX-15G19-2926-SM-7KUFL 60-69 years, male 11.4
GTEX-14BIN-3226-SM-62LDR 50-59 years, female 11.3
GTEX-1A3MX-3026-SM-731BF 60-69 years, male 11.3
GTEX-1PIIG-2726-SM-E76PQ 30-39 years, male 11.3
GTEX-13OVH-3026-SM-5MR4N 70-79 years, male 11.2
GTEX-ZVT3-3026-SM-5E43N 60-69 years, female 11.1
GTEX-1H2FU-3126-SM-9WYUJ 60-69 years, female 11.1
GTEX-1NV8Z-3126-SM-E76R3 60-69 years, male 11.1
GTEX-RU72-3026-SM-CYPRV 50-59 years, female 11.1
GTEX-12WSF-3126-SM-6M478 70-79 years, male 10.9
GTEX-14A5I-2926-SM-5Q5CQ 50-59 years, female 10.9
GTEX-ZE9C-3026-SM-4WKHB 60-69 years, male 10.9
GTEX-144GL-3026-SM-5Q5CW 50-59 years, male 10.8
GTEX-XLM4-3026-SM-4AT6L 60-69 years, male 10.8
GTEX-13OW6-3026-SM-5J2MI 50-59 years, male 10.7
GTEX-13QIC-2926-SM-5J2NF 60-69 years, female 10.7
GTEX-145MG-3026-SM-5RQJA 50-59 years, male 10.7
GTEX-16YQH-3026-SM-79OMM 30-39 years, male 10.6
GTEX-1GN73-3126-SM-9KNTY 60-69 years, male 10.6
GTEX-1192X-3126-SM-5N9BY 50-59 years, male 10.5
GTEX-1I1GR-2926-SM-CNNQG 60-69 years, male 10.5
GTEX-1GF9W-2626-SM-7P8TA 60-69 years, male 10.4
GTEX-1QMI2-3126-SM-EXUT5 60-69 years, male 10.4
GTEX-145MF-2726-SM-5O995 50-59 years, male 10.3
GTEX-QVJO-1426-SM-2S1QY 60-69 years, female 10.3
GTEX-YJ89-3026-SM-5IFJI 60-69 years, male 10.3
GTEX-11GSO-2926-SM-5HL73 60-69 years, male 10.2
GTEX-11NV4-2126-SM-5N9DS 60-69 years, male 10.1
GTEX-ZAJG-3126-SM-5HL9J 50-59 years, female 10.1
GTEX-1EX96-3026-SM-7RHH5 50-59 years, male 10.1
GTEX-1IL2U-3026-SM-C1YSH 60-69 years, male 10.1
GTEX-1399T-3026-SM-5KLZC 60-69 years, male 10.0
GTEX-14LZ3-3026-SM-5ZZVU 60-69 years, female 10.0
GTEX-18A6Q-2926-SM-718AR 60-69 years, male 10.0
GTEX-NPJ8-1526-SM-2D7VU 40-49 years, male 9.9
GTEX-1OJC4-2826-SM-E6CQX 50-59 years, female 9.9
GTEX-12ZZZ-3026-SM-5BC67 60-69 years, male 9.8
GTEX-13X6J-3026-SM-5Q5CU 50-59 years, male 9.8
GTEX-1JMLX-2926-SM-CL54C 50-59 years, male 9.8
GTEX-13FHP-3026-SM-5IJBS 50-59 years, male 9.7
GTEX-13FXS-3126-SM-5J2NN 50-59 years, male 9.7
GTEX-16Z82-3026-SM-79ON3 60-69 years, male 9.6
GTEX-1H1ZS-3026-SM-9KNUJ 70-79 years, male 9.5
GTEX-17JCI-3126-SM-7LTA2 60-69 years, female 9.4
GTEX-1HGF4-3126-SM-CL54M 60-69 years, male 9.4
GTEX-1PPGY-3126-SM-EXUSR 60-69 years, male 9.4
GTEX-183WM-2826-SM-731C2 70-79 years, female 9.3
GTEX-X585-3026-SM-46MWF 50-59 years, male 9.3
GTEX-1GF9V-2926-SM-7PBXO 60-69 years, male 9.3
GTEX-13FHO-3026-SM-5J1O9 60-69 years, male 9.1
GTEX-17EVQ-2826-SM-7IGQK 70-79 years, male 9.1
GTEX-1HR98-3026-SM-CNPPK 60-69 years, male 9.1
GTEX-14C39-3126-SM-5ZZW6 40-49 years, male 8.9
GTEX-12ZZY-3026-SM-5GCOU 60-69 years, male 8.8
GTEX-13IVO-2926-SM-5L3CZ 70-79 years, male 8.8
GTEX-15ER7-3126-SM-7KUGH 20-29 years, female 8.8
GTEX-1B8SG-1726-SM-73KXK 50-59 years, male 8.8
GTEX-OHPN-2526-SM-2I5H3 60-69 years, female 8.8
GTEX-1ICLZ-2826-SM-CL53U 60-69 years, male 8.8
GTEX-1J1OQ-3226-SM-A9G2Q 40-49 years, female 8.8
GTEX-Y111-2726-SM-4TT3N 50-59 years, male 8.7
GTEX-1F75B-3026-SM-7PBZ7 50-59 years, male 8.7
GTEX-Q2AG-2926-SM-2HMJ3 40-49 years, female 8.6
GTEX-11ONC-2926-SM-5P9JM 60-69 years, male 8.5
GTEX-13NYB-3026-SM-5IJD7 40-49 years, male 8.5
GTEX-17HII-3026-SM-7EWFM 50-59 years, male 8.5
GTEX-QVUS-2826-SM-3GADB 60-69 years, female 8.5
GTEX-15DCD-2926-SM-7KULT 70-79 years, female 8.5
GTEX-1F88E-2826-SM-7RHHE 60-69 years, female 8.5
GTEX-1HUB1-2926-SM-ACKXA 60-69 years, male 8.5
GTEX-12ZZW-2926-SM-5LZUP 50-59 years, male 8.4
GTEX-13S7M-3126-SM-5RQJQ 60-69 years, female 8.4
GTEX-1F6I4-3126-SM-7P8SD 60-69 years, male 8.4
GTEX-1H3O1-1726-SM-9WYSR 60-69 years, male 8.4
GTEX-1JMPZ-2726-SM-ARZNF 30-39 years, male 8.4
GTEX-11EI6-3026-SM-5GZZO 60-69 years, male 8.3
GTEX-13OW7-3026-SM-5L3GY 50-59 years, male 8.3
GTEX-17HG3-2926-SM-79ON8 30-39 years, female 8.3
GTEX-ZDXO-2126-SM-4WKFI 60-69 years, male 8.3
GTEX-1H23P-2926-SM-9WYU8 60-69 years, male 8.3
GTEX-1JJEA-2826-SM-ARU8R 60-69 years, male 8.3
GTEX-13OW8-2826-SM-5L3GC 60-69 years, male 8.2
GTEX-1CB4H-3126-SM-7IGN4 60-69 years, female 8.2
GTEX-QDT8-2926-SM-32PKC 30-39 years, female 8.2
GTEX-17EVP-3026-SM-7IGQL 40-49 years, male 8.1
GTEX-1HFI6-3026-SM-CNPPJ 40-49 years, male 8.1
GTEX-ZYY3-3126-SM-5SI9L 60-69 years, female 8.0
GTEX-1HBPI-2826-SM-ARZNO 50-59 years, male 8.0
GTEX-1J8Q2-3026-SM-CKZN8 60-69 years, male 8.0
GTEX-1JMOU-2726-SM-CY8IO 60-69 years, female 8.0
GTEX-1R9K4-3126-SM-DTX9Y 60-69 years, male 8.0
GTEX-14BIL-3026-SM-7EWD4 50-59 years, male 7.9
GTEX-11EMC-3226-SM-5EGKW 60-69 years, female 7.8
GTEX-ZZPT-3026-SM-5GZXH 50-59 years, male 7.8
GTEX-1I1GQ-3026-SM-CL55K 50-59 years, male 7.8
GTEX-1EKGG-2926-SM-7EPIH 60-69 years, male 7.6
GTEX-NPJ7-2726-SM-2I3FT 60-69 years, female 7.6
GTEX-1LKK1-3126-SM-EWRNY 50-59 years, female 7.6
GTEX-11GS4-3126-SM-5A5LH 60-69 years, male 7.5
GTEX-1I1HK-2826-SM-CKZPL 60-69 years, male 7.5
GTEX-131XW-3126-SM-5LZUC 50-59 years, female 7.4
GTEX-1A8G7-3126-SM-7IGP7 60-69 years, male 7.4
GTEX-13PVQ-3026-SM-5SI93 50-59 years, male 7.3
GTEX-1RQEC-2926-SM-EVR5A 60-69 years, male 7.3
GTEX-11WQK-3026-SM-5EQL6 50-59 years, male 7.1
GTEX-1F7RK-1826-SM-7RHI4 20-29 years, female 7.1
GTEX-1GN2E-3026-SM-9WG6I 60-69 years, male 7.0
GTEX-1I19N-3026-SM-CL55E 70-79 years, male 7.0
GTEX-1HB9E-2926-SM-D4P3S 50-59 years, male 6.9
GTEX-1QP6S-2926-SM-DTXF8 40-49 years, male 6.9
GTEX-1JMQK-3026-SM-ARL95 60-69 years, male 6.8
GTEX-12WSD-3126-SM-5HL7P 60-69 years, female 6.7
GTEX-16GPK-3026-SM-79ON9 60-69 years, male 6.7
GTEX-1F52S-3126-SM-7PC3M 60-69 years, female 6.7
GTEX-1N5O9-2926-SM-EXUSN 60-69 years, male 6.7
GTEX-PWO3-0926-SM-2I5EY 60-69 years, female 6.5
GTEX-1I1GV-3126-SM-A96SF 60-69 years, male 6.5
GTEX-1M4P7-2726-SM-E9TJQ 60-69 years, male 6.4
GTEX-1O9I2-3026-SM-E76PX 50-59 years, male 6.4
GTEX-N7MT-1126-SM-CYPQY 60-69 years, female 6.4
GTEX-139T8-1026-SM-5J2MC 60-69 years, male 6.3
GTEX-13G51-3026-SM-5IJB8 60-69 years, male 6.3
GTEX-13X6K-2926-SM-5Q5D5 60-69 years, female 6.3
GTEX-1A8G6-2926-SM-731CK 60-69 years, male 6.3
GTEX-ZE7O-3126-SM-5HL5X 50-59 years, female 6.3
GTEX-1HSKV-3026-SM-A96SL 60-69 years, male 6.3
GTEX-1JMQL-2826-SM-ARU91 50-59 years, female 6.3
GTEX-13JVG-3126-SM-5L3FH 60-69 years, male 6.1
GTEX-147GR-3026-SM-5S2ML 60-69 years, male 6.1
GTEX-1H3VE-2726-SM-9WPP3 40-49 years, male 6.1
GTEX-1N2DW-2826-SM-E9TK5 50-59 years, male 6.1
GTEX-1IKJJ-2926-SM-A9G2N 60-69 years, male 6.0
GTEX-1117F-3226-SM-5N9CT 60-69 years, female 5.8
GTEX-11GSP-3226-SM-5986O 60-69 years, female 5.7
GTEX-11OC5-0726-SM-5P9JK 60-69 years, male 5.3
GTEX-1IDFM-2826-SM-ACKWJ 60-69 years, male 5.3
GTEX-11TTK-2926-SM-5PNYP 60-69 years, female 5.1
GTEX-13OVJ-2826-SM-5L3GW 50-59 years, female 5.1
GTEX-15UF6-3026-SM-7KUKL 70-79 years, female 5.1
GTEX-1GN1V-3126-SM-7PBZG 60-69 years, male 5.0
GTEX-1C64N-3026-SM-7MGVU 50-59 years, male 4.9
GTEX-1EN7A-3026-SM-7PBYT 40-49 years, male 4.8
GTEX-1LC47-2926-SM-CXZKC 60-69 years, male 4.7
GTEX-15RJE-3026-SM-7KUM1 40-49 years, male 4.5
GTEX-13JUV-2926-SM-5LZX7 40-49 years, female 4.4
GTEX-1PWST-3126-SM-EXUSE 70-79 years, male 4.4
GTEX-1445S-3026-SM-5O9BR 60-69 years, male 4.3
GTEX-12WSA-2926-SM-5EQ4D 60-69 years, male 4.2
GTEX-144FL-3026-SM-5O99C 50-59 years, male 4.1
GTEX-1C6VS-3026-SM-79OLA 60-69 years, male 4.1
GTEX-1GZHY-3126-SM-9QEHH 50-59 years, female 4.1
GTEX-1C6VQ-3026-SM-7IGPU 50-59 years, male 4.0
GTEX-1E2YA-3026-SM-7IGO7 50-59 years, male 3.9
GTEX-17MF6-2926-SM-7LTAW 40-49 years, male 3.6
GTEX-1HBPM-2926-SM-CL54E 60-69 years, female 3.4
GTEX-1IOXB-3126-SM-CKZO1 50-59 years, male 3.3
GTEX-1NV5F-3226-SM-EXUSL 60-69 years, female 3.3
GTEX-1CAV2-2726-SM-7IGNN 40-49 years, female 2.9
GTEX-1JJE9-2926-SM-CY8HV 70-79 years, male 2.3
GTEX-11OF3-2926-SM-5HL78 60-69 years, male 0.6
Show allShow less
Brain - Frontal Cortex (BA9)
Average nTPM: 14.0
Samples: 209

Max nTPM: 30.0
Min nTPM: 1.4
Std nTPM: 4.9
Median nTPM: 14.6
GTEX-NL3H-0011-R10A-SM-2I3E9 60-69 years, male 30.0
GTEX-P44G-0011-R10A-SM-2I3FF 30-39 years, male 27.7
GTEX-WL46-0011-R10A-SM-3MJFQ 50-59 years, male 23.4
GTEX-1B8SF-0011-R10b-SM-7P8SW 60-69 years, male 22.4
GTEX-Q2AG-0011-R10A-SM-2HMLA 40-49 years, female 22.3
GTEX-12WSE-0011-R10b-SM-5P9JV 20-29 years, male 22.2
GTEX-1B8L1-0011-R10b-SM-7P8Q4 60-69 years, male 21.9
GTEX-QDT8-0011-R10A-SM-32PKG 30-39 years, female 21.7
GTEX-14E6D-0011-R10a-SM-5YY9C 50-59 years, male 21.6
GTEX-T6MN-0011-R10A-SM-32QP7 50-59 years, male 21.3
GTEX-13S7M-0011-R10b-SM-5PNZB 60-69 years, female 20.9
GTEX-X4XX-0011-R10B-SM-46MWO 60-69 years, male 20.8
GTEX-WVLH-0011-R10A-SM-3MJFM 50-59 years, male 20.6
GTEX-145MG-0011-R10a-SM-5PNWG 50-59 years, male 20.5
GTEX-15G19-0011-R10b-SM-7KUG4 60-69 years, male 20.1
GTEX-18A6Q-0011-R10b-SM-72D7A 60-69 years, male 20.1
GTEX-WZTO-0011-R10B-SM-4E3KB 40-49 years, male 20.0
GTEX-WWYW-0011-R10A-SM-3NB35 50-59 years, female 19.9
GTEX-1F6I4-0011-R10b-SM-9OSWT 60-69 years, male 19.9
GTEX-OXRN-0011-R10A-SM-2I5GC 50-59 years, male 19.8
GTEX-14JIY-0011-R10a-SM-6AJAO 60-69 years, male 19.7
GTEX-ZF28-0011-R10a-SM-4WWEH 60-69 years, male 19.5
GTEX-12WSF-0011-R10a-SM-5LZVH 70-79 years, male 19.4
GTEX-12ZZX-0011-R10b-SM-5DUWK 40-49 years, female 19.4
GTEX-1192X-0011-R10a-SM-DO941 50-59 years, male 19.4
GTEX-1IDJH-0011-R10a-SM-ARZLK 70-79 years, male 19.4
GTEX-13QIC-0011-R10a-SM-5O9C7 60-69 years, female 19.3
GTEX-NPJ8-0011-R10A-SM-2YUMO 40-49 years, male 19.1
GTEX-1F6IF-0011-R10a-SM-9QEIN 60-69 years, male 19.1
GTEX-1F7RK-0011-R10b-SM-ARU7Y 20-29 years, female 19.0
GTEX-12WSH-0011-R10a-SM-5LZUS 50-59 years, male 18.9
GTEX-14BIN-0011-R10a-SM-5S2UA 50-59 years, female 18.9
GTEX-1313W-0011-R10b-SM-5DUXA 50-59 years, female 18.8
GTEX-NPJ7-0011-R10A-SM-2I3E5 60-69 years, female 18.8
GTEX-PVOW-0011-R10A-SM-EXOHB 40-49 years, male 18.8
GTEX-131XH-0011-R10a-SM-5EGLJ 50-59 years, male 18.7
GTEX-145MH-0011-R10b-SM-5PNUK 50-59 years, male 18.7
GTEX-14PN4-0011-R10b-SM-69LP2 50-59 years, male 18.5
GTEX-17HG3-0011-R10b-SM-7LT97 30-39 years, female 18.5
GTEX-145LS-0011-R10a-SM-5PNUQ 60-69 years, female 18.4
GTEX-16XZZ-0011-R10b-SM-7LT91 60-69 years, male 18.2
GTEX-18464-0011-R10a-SM-72D6X 50-59 years, male 18.2
GTEX-11EMC-0011-R10a-SM-DNZZJ 60-69 years, female 18.2
GTEX-X585-0011-R10A-SM-46MUY 50-59 years, male 17.8
GTEX-N7MS-0011-R10A-SM-2HMJK 60-69 years, male 17.7
GTEX-QMR6-0011-R10A-SM-32PKO 50-59 years, male 17.7
GTEX-1B933-0011-R10b-SM-9OSVN 50-59 years, female 17.6
GTEX-1CB4G-0011-R10a-SM-9QEHS 60-69 years, male 17.6
GTEX-1GMRU-0011-R10b-SM-CJI2L 50-59 years, male 17.6
GTEX-1H1DG-0011-R10b-SM-CE6S7 70-79 years, male 17.6
GTEX-15DCD-0011-R10b-SM-6LPII 70-79 years, female 17.5
GTEX-13RTJ-0011-R10b-SM-5O9CW 60-69 years, male 17.4
GTEX-17F97-0011-R10b-SM-793BB 50-59 years, male 17.4
GTEX-13CZV-0011-R10b-SM-5LZYD 60-69 years, male 17.3
GTEX-ZVZQ-0011-R10b-SM-51MRT 60-69 years, female 17.3
GTEX-Y8DK-0011-R10A-SM-4SOK1 60-69 years, male 17.2
GTEX-1E1VI-0011-R10b-SM-ARU8F 50-59 years, male 17.2
GTEX-1ICLZ-0011-R10a-SM-A9SM2 60-69 years, male 17.2
GTEX-1EMGI-0011-R10a-SM-9OSWY 60-69 years, male 17.1
GTEX-13O3Q-0011-R10b-SM-5KM39 50-59 years, male 17.0
GTEX-13SLX-0011-R10a-SM-5P9HV 50-59 years, female 17.0
GTEX-QVJO-0011-R10A-SM-2S1QJ 60-69 years, female 17.0
GTEX-YFC4-0011-R10a-SM-4SOK5 40-49 years, female 16.8
GTEX-11DXY-0011-R10b-SM-DO12C 60-69 years, male 16.8
GTEX-12WSM-0011-R10a-SM-5DUWV 60-69 years, male 16.7
GTEX-13X6J-0011-R10b-SM-5PNWA 50-59 years, male 16.7
GTEX-1GZ2Q-0011-R10b-SM-CE6RN 40-49 years, male 16.7
GTEX-S7SE-0011-R10A-SM-2XCDF 50-59 years, male 16.5
GTEX-1HGF4-0011-R10b-SM-CE6S5 60-69 years, male 16.5
GTEX-1HSMO-0011-R10a-SM-CL54Y 60-69 years, male 16.5
GTEX-1HB9E-0011-R10a-SM-CJI3H 50-59 years, male 16.4
GTEX-1HFI6-0011-R10b-SM-ARZLO 40-49 years, male 16.4
GTEX-1J8Q2-0011-R10b-SM-D4P2C 60-69 years, male 16.4
GTEX-14E7W-0011-R10a-SM-5YYAX 70-79 years, male 16.3
GTEX-YJ89-0011-R10a-SM-4SOK9 60-69 years, male 16.3
GTEX-13FLW-0011-R10b-SM-5LZZF 50-59 years, male 16.2
GTEX-1GF9W-0011-R10a-SM-9OSXH 60-69 years, male 16.2
GTEX-17JCI-0011-R10b-SM-718A2 60-69 years, female 16.1
GTEX-14BIL-0011-R10a-SM-5SI75 50-59 years, male 16.0
GTEX-15CHQ-0011-R10b-SM-6AJBV 60-69 years, male 15.9
GTEX-1GN73-0011-R10b-SM-CKZNR 60-69 years, male 15.9
GTEX-1I1HK-0011-R10b-SM-CJI3M 60-69 years, male 15.9
GTEX-17HII-0011-R10a-SM-79OMY 50-59 years, male 15.8
GTEX-1HCVE-0011-R10a-SM-ARZLT 50-59 years, male 15.8
GTEX-11H98-0011-R10b-SM-5NQ98 50-59 years, male 15.7
GTEX-131YS-0011-R10b-SM-5EQ5N 60-69 years, female 15.7
GTEX-11PRG-0011-R10b-SM-DO93G 50-59 years, male 15.7
GTEX-13N1W-0011-R10b-SM-5MR4H 70-79 years, male 15.5
GTEX-13QJC-0011-R10a-SM-5SI63 60-69 years, female 15.5
GTEX-13X6I-0011-R10a-SM-5PNWI 60-69 years, male 15.5
GTEX-T5JC-0011-R10A-SM-32PM2 20-29 years, male 15.5
GTEX-14ASI-0011-R10b-SM-5S2VZ 60-69 years, male 15.4
GTEX-1IOXB-0011-R10a-SM-D3L8I 50-59 years, male 15.3
GTEX-1A3MX-0011-R10b-SM-7P8PG 60-69 years, male 15.2
GTEX-TSE9-0011-R10A-SM-3DB7O 60-69 years, female 15.0
GTEX-1B996-0011-R10b-SM-CJI3T 60-69 years, male 15.0
GTEX-132Q8-0011-R10b-SM-5DUWZ 60-69 years, male 14.9
GTEX-13FTZ-0011-R10b-SM-5KLZS 60-69 years, male 14.9
GTEX-N7MT-0011-R10A-SM-2I3E1 60-69 years, female 14.9
GTEX-13FHO-0011-R10b-SM-5J2MM 60-69 years, male 14.8
GTEX-1EX96-0011-R10b-SM-CE6QR 50-59 years, male 14.8
GTEX-145LU-0011-R10a-SM-5PNWJ 50-59 years, male 14.7
GTEX-147GR-0011-R10b-SM-5S2UM 60-69 years, male 14.7
GTEX-1F48J-0011-R10a-SM-9QEIB 50-59 years, female 14.7
GTEX-1GZ4I-0011-R10a-SM-9OSX3 50-59 years, male 14.6
GTEX-1A8G6-0011-R10b-SM-7P8PB 60-69 years, male 14.5
GTEX-12ZZZ-0011-R10a-SM-5P9HC 60-69 years, male 14.3
GTEX-11DYG-0011-R10b-SM-DNZZO 60-69 years, male 14.3
GTEX-1H3O1-0011-R10a-SM-CJI3O 60-69 years, male 14.2
GTEX-14PQA-0011-R10a-SM-6AJAA 50-59 years, female 14.1
GTEX-ZVT3-0011-R10b-SM-57WB6 60-69 years, female 14.1
GTEX-13X6K-0011-R10a-SM-5P9JR 60-69 years, female 14.0
GTEX-15DDE-0011-R10a-SM-7KUKW 50-59 years, female 14.0
GTEX-13O3O-0011-R10a-SM-5LUA9 60-69 years, female 13.9
GTEX-QVUS-0011-R10A-SM-3GIK3 60-69 years, female 13.9
GTEX-X4EP-0011-R10B-SM-4QASJ 60-69 years, female 13.7
GTEX-1H4P4-0011-R10b-SM-CE6SG 50-59 years, male 13.7
GTEX-14LZ3-0011-R10b-SM-6AJA9 60-69 years, female 13.6
GTEX-ZAB4-0011-R10a-SM-4SOKH 40-49 years, male 13.6
GTEX-1CB4H-0011-R10b-SM-9QEH3 60-69 years, female 13.6
GTEX-13NYB-0011-R10a-SM-5KM43 40-49 years, male 13.5
GTEX-13NYS-0011-R10a-SM-5MR4S 60-69 years, male 13.5
GTEX-13OW7-0011-R10a-SM-5L3H3 50-59 years, male 13.5
GTEX-UTHO-0011-R10A-SM-3GIJQ 60-69 years, male 13.5
GTEX-11DZ1-0011-R10b-SM-DO943 50-59 years, male 13.5
GTEX-1F75W-0011-R10b-SM-ARU7Z 60-69 years, male 13.5
GTEX-12126-0011-R10b-SM-5BC6T 20-29 years, male 13.4
GTEX-14PJM-0011-R10a-SM-686ZP 50-59 years, female 13.4
GTEX-13OW6-0011-R10a-SM-5L3HE 50-59 years, male 13.3
GTEX-Z93S-0011-R10a-SM-4RGNM 50-59 years, male 13.3
GTEX-12WSC-0011-R10a-SM-5GU57 50-59 years, male 13.1
GTEX-12ZZY-0011-R10b-SM-5HL7W 60-69 years, male 13.1
GTEX-1I1GV-0011-R10a-SM-CE6S6 60-69 years, male 13.1
GTEX-13FXS-0011-R10a-SM-5J2MA 50-59 years, male 13.0
GTEX-1C6VR-0011-R10b-SM-7P8QA 60-69 years, male 12.8
GTEX-XLM4-0011-R10A-SM-4AT5P 60-69 years, male 12.6
GTEX-1GF9V-0011-R10b-SM-CKZNP 60-69 years, male 12.6
GTEX-147F4-0011-R10b-SM-5S2WC 50-59 years, male 12.4
GTEX-1H23P-0011-R10a-SM-A96RS 60-69 years, male 12.4
GTEX-13G51-0011-R10b-SM-5LZYF 60-69 years, male 11.9
GTEX-1GN2E-0011-R10a-SM-CE6RI 60-69 years, male 11.9
GTEX-1GMR8-0011-R10a-SM-CJI21 50-59 years, female 11.8
GTEX-1GTWX-0011-R10b-SM-CJI2X 60-69 years, male 11.8
GTEX-13NZA-0011-R10b-SM-5KM54 60-69 years, male 11.7
GTEX-1BAJH-0011-R10a-SM-7MXT9 70-79 years, male 11.7
GTEX-1HBPI-0011-R10a-SM-A96RZ 50-59 years, male 11.7
GTEX-13FLV-0011-R10b-SM-5LZZ2 50-59 years, male 11.6
GTEX-1HCU6-0011-R10a-SM-CKZP8 60-69 years, female 11.6
GTEX-13OVL-0011-R10a-SM-5L3GS 50-59 years, male 11.5
GTEX-ZDXO-0011-R10a-SM-4WWD8 60-69 years, male 11.5
GTEX-11EI6-0011-R10a-SM-DO93R 60-69 years, male 11.5
GTEX-16Z82-0011-R10a-SM-79OJX 60-69 years, male 11.4
GTEX-11ZTS-0011-R10a-SM-DO93S 60-69 years, female 11.4
GTEX-139TS-0011-R10a-SM-5K7TU 60-69 years, male 11.3
GTEX-13IVO-0011-R10a-SM-5LZY3 70-79 years, male 11.3
GTEX-P44H-0011-R10A-SM-2XCEK 40-49 years, male 11.3
GTEX-OXRO-0011-R10A-SM-2I5EH 60-69 years, female 11.2
GTEX-1IKK5-0011-R10b-SM-CE6SP 60-69 years, male 11.2
GTEX-1I1CD-0011-R10b-SM-CJI3W 60-69 years, female 11.1
GTEX-X261-0011-R10B-SM-4E3JT 50-59 years, male 11.0
GTEX-1H3VE-0011-R10b-SM-A9SKC 40-49 years, male 11.0
GTEX-1J1OQ-0011-R10a-SM-A9G1Y 40-49 years, female 10.7
GTEX-16YQH-0011-R10b-SM-7LT8U 30-39 years, male 10.6
GTEX-13SLW-0011-R10a-SM-5S2UI 70-79 years, male 10.2
GTEX-17EVP-0011-R10a-SM-7IGLP 40-49 years, male 10.2
GTEX-1HSKV-0011-R10b-SM-CMKH6 60-69 years, male 10.2
GTEX-14PJO-0011-R10a-SM-686ZS 60-69 years, male 10.1
GTEX-ZXG5-0011-R10a-SM-57WDD 60-69 years, male 10.1
GTEX-1HBPH-0011-R10a-SM-CE6SI 40-49 years, female 10.0
GTEX-11WQC-0011-R10a-SM-57WCT 60-69 years, male 9.9
GTEX-1H1ZS-0011-R10b-SM-A9SK9 70-79 years, male 9.8
GTEX-11WQK-0011-R10a-SM-5BC6R 50-59 years, male 9.7
GTEX-ZUA1-0011-R10a-SM-51MT6 40-49 years, male 9.4
GTEX-1H1CY-0011-R10a-SM-CE6SD 60-69 years, female 9.4
GTEX-1EH9U-0011-R10a-SM-CJI2A 60-69 years, male 9.3
GTEX-13OW8-0011-R10a-SM-5L3H6 60-69 years, male 9.2
GTEX-14C5O-0011-R10a-SM-6872F 60-69 years, male 8.9
GTEX-WHSE-0011-R10A-SM-EYYVG 20-29 years, male 8.6
GTEX-12ZZW-0011-R10b-SM-5HL9X 50-59 years, male 8.4
GTEX-16GPK-0011-R10b-SM-7MKFG 60-69 years, male 8.0
GTEX-13JUV-0011-R10b-SM-5LZXR 40-49 years, female 7.5
GTEX-11GSP-0011-R10a-SM-5NQ7J 60-69 years, female 7.3
GTEX-14753-0011-R10b-SM-5S2WE 60-69 years, male 7.2
GTEX-1477Z-0011-R10b-SM-5S2RF 60-69 years, male 7.1
GTEX-11TTK-0011-R10b-SM-DO925 60-69 years, female 7.1
GTEX-1GN1V-0011-R10a-SM-CKZNU 60-69 years, male 7.0
GTEX-13N2G-0011-R10a-SM-5MR34 60-69 years, male 6.9
GTEX-NL4W-0011-R10A-SM-2I3DY 50-59 years, male 6.8
GTEX-XMD1-0011-R10A-SM-4AT4A 60-69 years, male 6.7
GTEX-ZE7O-0011-R10a-SM-57WAZ 50-59 years, female 6.6
GTEX-13OVJ-0011-R10b-SM-5L3HT 50-59 years, female 6.5
GTEX-1HR9M-0011-R10a-SM-CM2SU 60-69 years, male 6.4
GTEX-ZV68-0011-R10a-SM-51MT7 50-59 years, female 5.7
GTEX-1GN1U-0011-R10b-SM-CKZNH 50-59 years, female 5.7
GTEX-16NPV-0011-R10a-SM-79OKA 50-59 years, female 5.1
GTEX-12WSA-0011-R10b-SM-5P9ET 60-69 years, male 5.0
GTEX-13JVG-0011-R10b-SM-5KM2P 60-69 years, male 4.6
GTEX-131XW-0011-R10a-SM-5DUVA 50-59 years, female 4.4
GTEX-X4XY-0011-R10B-SM-46MWS 60-69 years, male 4.2
GTEX-OHPN-0011-R10A-SM-33HBU 60-69 years, female 4.0
GTEX-1LC47-0011-R10b-SM-EYYWE 60-69 years, male 4.0
GTEX-1IL2V-0011-R10a-SM-CL55A 70-79 years, male 3.9
GTEX-15UF6-0011-R10b-SM-9OSVF 70-79 years, female 3.7
GTEX-1C6VQ-0011-R10b-SM-7P8Q1 50-59 years, male 3.6
GTEX-1445S-0011-R10a-SM-5PNWB 60-69 years, male 3.3
GTEX-1CB4J-0011-R10a-SM-9WG63 60-69 years, male 3.2
GTEX-1HBPM-0011-R10a-SM-CJI3Q 60-69 years, female 2.7
GTEX-145MI-0011-R10a-SM-5PNZD 60-69 years, female 2.0
GTEX-11TUW-0011-R10a-SM-DO924 60-69 years, male 1.4
Show allShow less

CEREBRAL CORTEX - FANTOM5 CAGEi

RNA expression in human tissues obtained through Cap Analysis of Gene Expression (CAGE) generated by the FANTOM5 project are reported as Scaled Tags Per Million.

Max subtype Scaled Tags Per Millioni

Max subtype Scaled Tags Per Million is the value for the subtype with the largest average Scaled Tags Per Million across the subtype samples.

68.3
FANTOM5 sample id Sample description Scaled Tags Per Million
Occipital cortex
Scaled Tags Per Million: 48.4
FF:10163-103B1 76 years, female 48.4
Postcentral gyrus
Scaled Tags Per Million: 46.1
FF:10032-101E5 44-52 years, mixed 46.1
Frontal lobe
Scaled Tags Per Million: 50.8
FF:10040-101F4 32-61 years, mixed 50.8
Insula
Scaled Tags Per Million: 64.2
FF:10039-101F3 20-68 years, mixed 64.2
Medial frontal gyrus
Scaled Tags Per Million: 68.3
FF:10150-102I6 76 years, female 68.3
Medial temporal gyrus
Scaled Tags Per Million: 60.9
FF:10183-103D3 60 years, female 61.2
FF:10156-103A3 76 years, female 60.6
Occipital lobe
Scaled Tags Per Million: 49.7
FF:10076-102A4 27 years, male 49.7
Occipital pole
Scaled Tags Per Million: 46.2
FF:10036-101E9 22-68 years, mixed 46.2
Paracentral gyrus
Scaled Tags Per Million: 44.8
FF:10035-101E8 22-69 years, mixed 44.8
Parietal lobe
Scaled Tags Per Million: 51.6
FF:10157-103A4 76 years, female 66.7
FF:10034-101E7 35-89 years, mixed 49.0
FF:10171-103B9 60 years, female 39.2
Temporal lobe
Scaled Tags Per Million: 44.6
FF:10031-101E4 32-61 years, mixed 44.6

CEREBRAL CORTEX - Pig RNA-seqi

RNA-seq data obtained from pig brain is reported as nTPM .

Normal distribution across the dataset is visualized with box plots, shown as median and 25th and 75th percentiles. Points are displayed as outliers if they are above or below 1.5 times the interquartile range. nTPM values of the individual samples are presented next to the box plot.
Max subtype nTPMi

Max subtype nTPM is the value for the subtype with the largest average nTPM across the subtype samples.

64.0
Pig sample Sample description nTPM
Occipital cortex
nTPM: 64.0
Samples: 4

Max nTPM: 70.0
Min nTPM: 56.7
Sample A Female 62.2
Sample B Female 67.2
Sample C Male 70.0
Sample D Male 56.7
Retrosplenial cortex
nTPM: 47.6
Samples: 4

Max nTPM: 60.0
Min nTPM: 36.8
Sample A Female 36.8
Sample B Female 43.1
Sample C Male 60.0
Sample D Male 50.4
Cingulate cortex
nTPM: 53.6
Samples: 4

Max nTPM: 57.7
Min nTPM: 48.4
Sample A Female 57.5
Sample B Female 50.7
Sample C Male 57.7
Sample D Male 48.4
Insular cortex
nTPM: 47.6
Samples: 4

Max nTPM: 61.9
Min nTPM: 35.1
Sample A Female 61.9
Sample B Female 44.7
Sample C Male 48.5
Sample D Male 35.1
Motor cortex
nTPM: 58.8
Samples: 4

Max nTPM: 66.2
Min nTPM: 47.0
Sample A Female 66.2
Sample B Female 59.7
Sample C Male 62.2
Sample D Male 47.0
Prefrontal cortex
nTPM: 56.1
Samples: 4

Max nTPM: 67.2
Min nTPM: 48.7
Sample A Female 67.2
Sample B Female 55.5
Sample C Male 52.9
Sample D Male 48.7
Somatosensory cortex
nTPM: 60.7
Samples: 3

Max nTPM: 62.6
Min nTPM: 58.2
Sample B Female 62.6
Sample C Male 58.2
Sample D Male 61.2
Temporal cortex
nTPM: 40.7
Samples: 4

Max nTPM: 55.0
Min nTPM: 6.2
Sample A Female 52.3
Sample B Female 55.0
Sample C Male 6.2
Sample D Male 49.2

CEREBRAL CORTEX - Mouse RNA-seqi

RNA-seq data obtained from mouse brain is reported as nTPM .

Normal distribution across the dataset is visualized with box plots, shown as median and 25th and 75th percentiles. Points are displayed as outliers if they are above or below 1.5 times the interquartile range. nTPM values of the individual samples are presented next to the box plot.
Max subtype nTPMi

Max subtype nTPM is the value for the subtype with the largest average nTPM across the subtype samples.

29.2
Mouse sample Sample description nTPM
Occipital cortex
nTPM: 27.8
Samples: 4

Max nTPM: 33.9
Min nTPM: 22.7
Sample A Male 26.1
Sample B Male 28.3
Sample C Female 33.9
Sample D Female 22.7
Frontal cortex
nTPM: 21.7
Samples: 4

Max nTPM: 27.3
Min nTPM: 16.1
Sample A Male 19.6
Sample B Male 16.1
Sample C Female 27.3
Sample D Female 23.6
Retrosplenial and cingulate cortex
nTPM: 29.2
Samples: 4

Max nTPM: 33.9
Min nTPM: 23.6
Sample A Male 23.6
Sample B Male 28.5
Sample C Female 33.9
Sample D Female 30.8
Somatosensory cortex
nTPM: 20.5
Samples: 4

Max nTPM: 23.4
Min nTPM: 16.3
Sample A Male 22.5
Sample B Male 16.3
Sample C Female 23.4
Sample D Female 19.9

CEREBRAL CORTEX - Allen Mouse ISHi

In situ hybridization (ISH) data generated by the Allen brain atlas from mouse brain is reported as expression energy. For more details about a particular experiment, click on the corresponding Allen experiment ID.

Max subtype Expression energyi

Max subtype Expression energy is the value for the subtype with the largest average Expression energy across the subtype samples.

12.6
Allen experiment id Experiment description Expression energy
Cerebral cortex
Expression energy: 12.6
70593343 Antisense, RP_050407_04_A02, Mouse strain C57BL/6J (56 days, male) 14.8
73992708 Antisense, RP_051214_01_E02, Mouse strain C57BL/6J (56 days, male) 10.4

Contact

  • NEWS ARTICLES
  • PRESS ROOM

The Project

  • INTRODUCTION
  • ORGANIZATION
  • PUBLICATIONS

The Human Protein Atlas

  • DOWNLOADABLE DATA
  • LICENCE & CITATION
  • HELP & FAQ
The Human Protein Atlas project is funded
by the Knut & Alice Wallenberg Foundation.


contact@proteinatlas.org