We use cookies to enhance the usability of our website. If you continue, we'll assume that you are happy to receive all cookies. More information. Don't show this again.
PTPA
HPA
RESOURCES
  • TISSUE
  • BRAIN
  • SINGLE CELL
  • SUBCELLULAR
  • CANCER
  • BLOOD
  • CELL LINE
  • STRUCTURE & INTERACTION
ABOUT
  • INTRODUCTION
  • HISTORY
  • ORGANIZATION
  • PUBLICATIONS
  • ANTIBODY SUBMISSION
  • ANTIBODY AVAILABILITY
  • ACKNOWLEDGMENTS
  • CONTACT
NEWS
  • NEWS ARTICLES
  • PRESS ROOM
LEARN
  • DICTIONARY
  • PROTEIN CLASSES
  • PROTEIN EVIDENCE
  • METHODS
  • EDUCATIONAL VIDEOS
DATA
  • DOWNLOADABLE DATA
  • PUBLICATION DATA
  • RELEASE HISTORY
HELP
  • ANTIBODY VALIDATION
  • ASSAYS & ANNOTATION
  • DISCLAIMER
  • HELP & FAQ
  • PRIVACY STATEMENT
  • LICENCE & CITATION
Fields »
Search result

Field
Term
Gene name
Class
Subclass
Class
Keyword
Chromosome
External id
Tissue
Cell type
Expression
Antibody panel
Tissue
Main location
Patient ID
Annotation
Tissue
Category
Tau score
Cluster
Reliability
Brain region
Category
Tau score
Brain region
Category
Tau score
Brain region
Category
Tau score
Cluster
Reliability
Tissue
Cell type
Enrichment
Cell type
Category
Tau score
Cell type
Category
Tau score
Cell type
Category
Tau score
Cell lineage
Category
Tau score
Cluster
Cluster
Location
Searches
Location
Cell line
Class
Type
Phase
Reliability
Cancer
Prognosis
Cancer
Category
Cancer
Category
Tau score
Cluster
Variants
Interacting gene (ensg_id)
Type
Number of interactions
Pathway
Category
Score
Score
Score
Validation
Validation
Validation
Validation
Antibodies
Data type
Column


  • SUMMARY

  • TISSUE

  • BRAIN

  • SINGLE CELL

  • SUBCELL

  • CANCER

  • BLOOD

  • CELL LINE

  • STRUCT & INT

  • PTPA
TISSUE PRIMARY DATA SKIN Show tissue menu
ADIPOSE TISSUE ADRENAL GLAND AMYGDALA APPENDIX BASAL GANGLIA BONE MARROW BREAST BRONCHUS CEREBELLUM CEREBRAL CORTEX CERVIX CHOROID PLEXUS COLON DUODENUM
ENDOMETRIUM EPIDIDYMIS ESOPHAGUS FALLOPIAN TUBE GALLBLADDER HEART MUSCLE HIPPOCAMPAL FORMATION HYPOTHALAMUS KIDNEY LIVER LUNG LYMPH NODE MIDBRAIN NASOPHARYNX
ORAL MUCOSA OVARY PANCREAS PARATHYROID GLAND PITUITARY GLAND PLACENTA PROSTATE RECTUM RETINA SALIVARY GLAND SEMINAL VESICLE SKELETAL MUSCLE SKIN SMALL INTESTINE
SMOOTH MUSCLE SOFT TISSUE SPINAL CORD SPLEEN STOMACH TESTIS THYMUS THYROID GLAND TONGUE TONSIL URINARY BLADDER VAGINA
ANTIBODIES
AND
VALIDATION
Dictionary
Skin
Tissue proteome
Skin
SKIN - Expression summary
Protein expression
Skini

On the top, protein expression in current human tissue, based on all annotated cell types, is reported with the units not detected (n), low (l), medium (m) and high (h). Underneath, protein expression in each annotated cell type are reported using the same units.

Protein expression data is based on knowledge-based annotation. For genes where more than one antibody has been used, a collective score is set.

If knowledge-based annotation could not be performed for a gene, no data is displayed here. View antibody staining data further down this page.

h
m
l
n
Epidermal cells: Low
Fibroblasts: Low
Keratinocytes: Not detected
Langerhans: Not detected
Melanocytes: Low
RNA expressioni

A summary of mRNA expression data available for current tissue based on several datasets. The mRNA expression levels in human tissues are based on RNA-seq data generated by the Human Protein Atlas (HPA), Genotype-Tissue Expression (GTEx) portal and CAGE data generated by the FANTOM5 consortium. Consensus normalized expression levels for human tissues was created by combining the data from HPA and GTEx datasets.

The mRNA expression levels in pig are based on RNA-seq data generated by the Human Protein Atlas (HPA), and for mouse, HPA data and in situ hybridization generated by the Allen brain atlas are reported.

Scroll down to view mRNA expression data in more detail.
Consensus:71.7 nTPM
HPA:71.7 nTPM
GTEx:70.7 nTPM

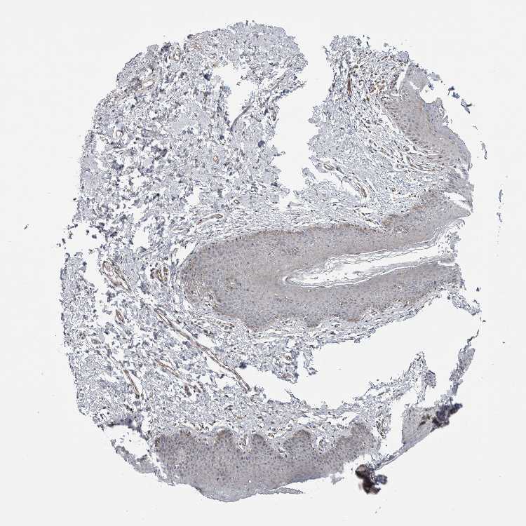
SKIN 1 - Antibody stainingi

Antibody staining in the annotated cell types in the current human tissue is reported as not detected, low, medium, or high, based on conventional immunohistochemistry profiling in selected tissues. This score is based on the combination of the staining intensity and fraction of stained cells.

Each image is clickable and will lead to virtual microscopy that enables deeper exploration of all samples and also displays staining intensity scores, fraction scores and subcellular localization as well as patient and tissue information for each sample.

Antibody HPA005695Antibody CAB022068Antibody CAB035999Antibody CAB080052Antibody CAB080054Antibody CAB080098
Langerhans Not detectedNot detectedNot detectedLowMediumNot detected
Fibroblasts Not detectedNot detectedLowMediumNot detectedNot detected
Keratinocytes Not detectedNot detectedNot detectedMediumMediumNot detected
Melanocytes Not detectedNot detectedLowNot detectedNot detectedMedium







SKIN 2 - Antibody stainingi

Antibody staining in the annotated cell types in the current human tissue is reported as not detected, low, medium, or high, based on conventional immunohistochemistry profiling in selected tissues. This score is based on the combination of the staining intensity and fraction of stained cells.

Each image is clickable and will lead to virtual microscopy that enables deeper exploration of all samples and also displays staining intensity scores, fraction scores and subcellular localization as well as patient and tissue information for each sample.

Antibody CAB022068Antibody CAB035999Antibody CAB080052Antibody CAB080054Antibody CAB080098
Epidermal cells Not detectedLowLowMediumNot detected
     
     
     



SKIN - HPA RNA-seqi

The RNA-seq details section shows detailed information about the individual samples used for the transcript profiling and results of the RNA-seq analysis.

Information about each individual sample is listed below, including gender, age, a tissue section image and estimated fractions of cell types. nTPM (normalized transcripts per million) values give a quantification of the gene abundance which is comparable between different genes and samples.
Average nTPMi

Max subtype nTPM is the value for the subtype with the largest average nTPM across the subtype samples.

71.7
overview
Female, age 34
Skin sample 225
nTPM: 78.9
Cell types%
Keratinocytes:
60

Other cell types:
40

overview
Female, age 30
Skin sample 226
nTPM: 64.8
Cell types%
Keratinocytes:
55

Other cell types:
45

N/A
Male, age 57
Skin sample 227
nTPM: 71.3

SKIN - GTEx RNA-seqi

RNA-Seq data generated by the Genotype-Tissue Expression (GTEx) project from human tissues is reported as mean nTPM. More information can be found on the GTEx portal.

Distribution across the dataset is visualized with box plots, shown as median and 25th and 75th percentiles. Points are displayed as outliers if they are above or below 1.5 times the interquartile range. nTPM values of the individual samples are presented next to the box plot.
Max subtype nTPMi

Max subtype nTPM is the value for the subtype with the largest average nTPM across the subtype samples.

70.7
GTEx sample id Sample description nTPM
Skin - Not Sun Exposed (Suprapubic)
Average nTPM: 66.8
Samples: 604

Max nTPM: 163.7
Min nTPM: 21.5
Std nTPM: 21.6
Median nTPM: 64.2
GTEX-1OJC3-1226-SM-DTXER 20-29 years, male 163.7
GTEX-Y114-2126-SM-4TT8B 50-59 years, female 160.6
GTEX-X585-2426-SM-46MW2 50-59 years, male 148.9
GTEX-1F6I4-2326-SM-7RHGL 60-69 years, male 138.9
GTEX-WFG7-2026-SM-5SI7P 20-29 years, male 136.5
GTEX-1PIGE-1826-SM-E8VOU 20-29 years, male 135.1
GTEX-15RJ7-2126-SM-6PAMD 40-49 years, male 130.0
GTEX-ZPU1-1126-SM-4YCF3 40-49 years, male 130.0
GTEX-WHPG-2626-SM-3NMBR 50-59 years, male 128.0
GTEX-11P7K-1126-SM-5HL4L 30-39 years, male 123.6
GTEX-11DXZ-2026-SM-5987S 50-59 years, male 123.5
GTEX-1HSMP-0926-SM-A9SKX 70-79 years, male 122.6
GTEX-WH7G-2026-SM-3NMBL 40-49 years, male 120.6
GTEX-ZTX8-1326-SM-4YCEL 20-29 years, male 119.4
GTEX-WI4N-2726-SM-3LK7Y 40-49 years, female 117.3
GTEX-Y5V6-2326-SM-4VDSA 60-69 years, male 117.1
GTEX-14E1K-2026-SM-7DUEI 50-59 years, male 115.4
GTEX-Y111-0626-SM-4SOIT 50-59 years, male 113.6
GTEX-1N2DV-1526-SM-DTXEP 40-49 years, male 113.3
GTEX-W5X1-2526-SM-3GILC 40-49 years, female 113.1
GTEX-1QP9N-1226-SM-E76QN 30-39 years, male 113.0
GTEX-Y3IK-1626-SM-4YCF5 50-59 years, female 111.3
GTEX-15RIG-0726-SM-7KUM7 40-49 years, male 110.1
GTEX-15RIE-1926-SM-7KUKJ 60-69 years, male 109.9
GTEX-1IKOE-1426-SM-CE6T7 30-39 years, female 108.5
GTEX-11ZU8-0126-SM-5EQ58 60-69 years, male 107.3
GTEX-1CB4E-0926-SM-7EPHT 60-69 years, male 106.5
GTEX-Y8E4-2026-SM-5IFJB 40-49 years, male 105.6
GTEX-XBEW-1126-SM-4QARW 40-49 years, male 104.8
GTEX-XYKS-1426-SM-4BRUO 60-69 years, female 104.7
GTEX-1R9PM-1926-SM-EVR3O 20-29 years, male 104.7
GTEX-1PPH8-0126-SM-EWRN8 20-29 years, male 104.6
GTEX-1PIIG-2326-SM-DTXFR 30-39 years, male 104.5
GTEX-1JMPY-0226-SM-CKZOK 30-39 years, male 104.3
GTEX-12126-0826-SM-5FQTZ 20-29 years, male 103.4
GTEX-17F97-2626-SM-7IGM5 50-59 years, male 102.9
GTEX-ZVP2-0326-SM-57WBP 50-59 years, male 102.5
GTEX-14PJ3-1126-SM-5ZZVX 50-59 years, male 102.4
GTEX-WHWD-1826-SM-3LK6I 50-59 years, male 102.4
GTEX-1IY9M-2826-SM-ARU8H 60-69 years, male 101.8
GTEX-12WSJ-1126-SM-5LZVJ 40-49 years, female 101.7
GTEX-132AR-0326-SM-5KM2C 50-59 years, female 101.5
GTEX-14PHY-1226-SM-5ZZWK 60-69 years, female 101.2
GTEX-1AX9J-1326-SM-731BJ 60-69 years, male 99.9
GTEX-18QFQ-1826-SM-72D52 30-39 years, male 98.9
GTEX-1H11D-1826-SM-9QEHM 40-49 years, male 98.7
GTEX-1RAZQ-1326-SM-E9TK6 30-39 years, male 98.4
GTEX-1QAET-0326-SM-EVR3U 50-59 years, male 98.0
GTEX-ZT9X-1526-SM-5DUXD 40-49 years, male 97.9
GTEX-1192X-2726-SM-5N9DN 50-59 years, male 97.8
GTEX-WHSB-1326-SM-3LK6W 50-59 years, male 97.7
GTEX-ZYT6-2326-SM-5GZY3 30-39 years, male 97.2
GTEX-1S3DN-2126-SM-E9TIN 50-59 years, male 97.2
GTEX-YEC3-1326-SM-DO92X 50-59 years, male 97.2
GTEX-11NSD-0626-SM-5A5LU 20-29 years, male 95.9
GTEX-16YQH-2226-SM-7IGM2 30-39 years, male 95.9
GTEX-1I6K7-1926-SM-B2LXR 40-49 years, male 95.1
GTEX-145MG-1526-SM-5Q5EM 50-59 years, male 94.9
GTEX-145MN-1526-SM-5SI9T 30-39 years, male 94.8
GTEX-XXEK-1626-SM-4BRUZ 50-59 years, male 94.8
GTEX-11DYG-1526-SM-5A5JS 60-69 years, male 94.2
GTEX-17HII-1426-SM-7EPGG 50-59 years, male 94.2
GTEX-13NYB-0126-SM-5J1MD 40-49 years, male 94.1
GTEX-1HSMQ-2626-SM-A9SML 50-59 years, male 93.7
GTEX-1QCLY-0226-SM-EWRNH 30-39 years, male 93.7
GTEX-11OF3-0126-SM-5PNYF 60-69 years, male 93.0
GTEX-1HC8U-1326-SM-9YFMJ 40-49 years, female 93.0
GTEX-139YR-1026-SM-5LZYN 50-59 years, male 92.0
GTEX-14ICL-1626-SM-5YYAO 30-39 years, male 92.0
GTEX-1B97I-0626-SM-73KUZ 40-49 years, male 91.9
GTEX-14PJO-2526-SM-6AJBQ 60-69 years, male 91.7
GTEX-131XG-0326-SM-5L3DX 50-59 years, female 91.6
GTEX-1CAMR-1326-SM-7PC1F 20-29 years, male 91.3
GTEX-Y3I4-1726-SM-4TT89 50-59 years, male 91.2
GTEX-14ABY-2026-SM-62LDL 50-59 years, male 90.7
GTEX-18D9U-0126-SM-731BM 40-49 years, male 90.3
GTEX-12WSH-1526-SM-5BC5W 50-59 years, male 89.9
GTEX-12ZZY-0726-SM-5EQ66 60-69 years, male 89.4
GTEX-131XH-0126-SM-5LZUY 50-59 years, male 89.0
GTEX-11DXX-2126-SM-5PNYR 60-69 years, female 88.9
GTEX-15G1A-1626-SM-7KUKN 30-39 years, male 88.9
GTEX-1CAMS-2226-SM-7PBXQ 40-49 years, female 88.3
GTEX-1R9PN-0426-SM-DTXDT 40-49 years, female 88.3
GTEX-14PHX-2226-SM-6EU2P 50-59 years, male 88.2
GTEX-1212Z-0126-SM-59HK4 60-69 years, male 88.1
GTEX-1399S-0126-SM-5IJCF 30-39 years, female 88.1
GTEX-1AX8Z-0726-SM-73KTS 60-69 years, male 88.0
GTEX-YFCO-1226-SM-5LUAT 40-49 years, male 88.0
GTEX-14XAO-1226-SM-6EU1C 60-69 years, female 87.9
GTEX-ZDTS-0826-SM-4WKHL 60-69 years, male 87.8
GTEX-ZPCL-1126-SM-4WWFE 60-69 years, female 87.6
GTEX-1PDJ9-1226-SM-EXUSX 20-29 years, male 87.6
GTEX-WXYG-2026-SM-4E3IY 50-59 years, female 87.5
GTEX-1J8EW-2726-SM-CY8HR 60-69 years, female 87.4
GTEX-147GR-2426-SM-5ZZWQ 60-69 years, male 87.3
GTEX-UPJH-0226-SM-3GADV 50-59 years, male 87.3
GTEX-18A66-0626-SM-7LT8Z 60-69 years, male 87.2
GTEX-17HGU-2326-SM-7DUFE 50-59 years, male 87.0
GTEX-1B8KE-1126-SM-7EPHI 50-59 years, male 87.0
GTEX-1LBAC-0826-SM-CY8IJ 20-29 years, male 86.6
GTEX-YEC4-1826-SM-4W1YP 40-49 years, male 86.4
GTEX-ZDYS-2426-SM-4WKGI 50-59 years, male 86.3
GTEX-1HBPN-0126-SM-CGQEF 50-59 years, male 86.3
GTEX-1S831-1826-SM-EWROF 20-29 years, male 86.3
GTEX-16MTA-0926-SM-6M47Z 50-59 years, male 86.2
GTEX-WFON-1926-SM-3LK7L 40-49 years, male 86.0
GTEX-1H1DE-1326-SM-9KNUG 20-29 years, male 86.0
GTEX-17KNJ-2126-SM-718AM 50-59 years, male 85.6
GTEX-144GM-0526-SM-79OJO 20-29 years, male 85.5
GTEX-17F9E-2326-SM-79OKD 50-59 years, male 85.3
GTEX-11TT1-1826-SM-5EQLV 20-29 years, male 84.8
GTEX-1AYD5-2626-SM-7PBXY 50-59 years, male 84.8
GTEX-ZDTT-0426-SM-4WKFL 60-69 years, male 84.3
GTEX-1F75I-2226-SM-7SB8U 40-49 years, male 84.2
GTEX-1E2YA-2126-SM-7MXUO 50-59 years, male 84.1
GTEX-ZAK1-0626-SM-5HL8E 50-59 years, female 84.0
GTEX-1F75A-0726-SM-7RHHD 50-59 years, male 83.8
GTEX-1HGF4-0126-SM-CNPPX 60-69 years, male 83.7
GTEX-178AV-1726-SM-7KUL8 40-49 years, male 83.5
GTEX-WY7C-2126-SM-3NB2R 50-59 years, male 83.5
GTEX-1JN76-0626-SM-CKZOQ 20-29 years, female 83.5
GTEX-1RMOY-1326-SM-E9TIH 50-59 years, male 83.4
GTEX-1PPGY-1626-SM-EVYBL 60-69 years, male 83.3
GTEX-111FC-2526-SM-5GZXU 60-69 years, male 82.7
GTEX-1NSGN-0726-SM-DTXEF 50-59 years, male 82.7
GTEX-1QW4Y-1126-SM-DTXE3 30-39 years, male 82.7
GTEX-145LT-0526-SM-5LUB2 40-49 years, male 82.5
GTEX-1GF9V-0826-SM-9KNUV 60-69 years, male 82.3
GTEX-1RB15-1326-SM-E76Q9 60-69 years, male 82.3
GTEX-ZF2S-1626-SM-57WES 50-59 years, female 82.2
GTEX-13FTY-2126-SM-5IFFB 40-49 years, female 82.0
GTEX-1F5PK-2226-SM-7SB6N 50-59 years, male 82.0
GTEX-1HT8W-0626-SM-A9G2H 30-39 years, male 81.9
GTEX-1JMQJ-0826-SM-CNPP7 50-59 years, male 81.9
GTEX-1RAZS-2526-SM-E6CHT 50-59 years, male 81.7
GTEX-12WSF-1626-SM-7KUG5 70-79 years, male 81.6
GTEX-1HBPI-2126-SM-ARL9K 50-59 years, male 81.6
GTEX-1C64O-1326-SM-7MGWR 60-69 years, male 81.4
GTEX-X3Y1-2026-SM-3P5YM 40-49 years, male 81.1
GTEX-1LSNM-0826-SM-DIPG8 50-59 years, male 81.1
GTEX-12BJ1-0926-SM-5EQ62 60-69 years, male 81.0
GTEX-11P82-1426-SM-DTXFY 20-29 years, male 80.8
GTEX-1A3MV-1826-SM-731CD 30-39 years, male 80.6
GTEX-12ZZZ-0726-SM-5GCNZ 60-69 years, male 80.5
GTEX-17MFQ-1526-SM-7KFRR 20-29 years, male 80.5
GTEX-11P81-2226-SM-5PNYI 30-39 years, female 80.4
GTEX-139TS-2126-SM-5K7XC 60-69 years, male 80.3
GTEX-1CB4F-1026-SM-7DUH1 60-69 years, male 80.2
GTEX-13JVG-0726-SM-5KM16 60-69 years, male 79.8
GTEX-Z93S-1626-SM-5CVMB 50-59 years, male 79.8
GTEX-1LB8K-0726-SM-D5OV2 50-59 years, male 79.7
GTEX-15CHR-1126-SM-7EWF4 50-59 years, male 79.4
GTEX-1K2DA-1026-SM-CGQGF 50-59 years, male 79.4
GTEX-15DYW-2726-SM-6EU2I 60-69 years, female 79.3
GTEX-145MH-2826-SM-5RQJF 50-59 years, male 79.2
GTEX-1POEN-2326-SM-E9J2L 30-39 years, female 79.1
GTEX-ZP4G-1426-SM-4WWCL 20-29 years, female 78.7
GTEX-12ZZX-2426-SM-5GCOE 40-49 years, female 78.4
GTEX-15ER7-0626-SM-6PANF 20-29 years, female 78.1
GTEX-ZZ64-1026-SM-5GZXG 20-29 years, male 78.1
GTEX-1GMRU-2126-SM-7P8RA 50-59 years, male 78.1
GTEX-1S82U-1026-SM-E6CJK 30-39 years, female 78.1
GTEX-13W3W-0726-SM-5IJDQ 60-69 years, female 78.0
GTEX-111CU-1126-SM-5EGIM 50-59 years, male 77.9
GTEX-13FTX-1526-SM-5K7VJ 20-29 years, female 77.9
GTEX-14PK6-0226-SM-62LF5 70-79 years, female 77.9
GTEX-18A6Q-0626-SM-7KFRP 60-69 years, male 77.6
GTEX-1IDJD-2326-SM-ACKWX 30-39 years, male 77.6
GTEX-ZVTK-0226-SM-51MRG 20-29 years, male 77.5
GTEX-17HHE-1326-SM-7EWDZ 50-59 years, male 77.3
GTEX-13U4I-2226-SM-5LU5H 40-49 years, female 77.2
GTEX-1HFI6-0126-SM-CNPPI 40-49 years, male 77.2
GTEX-13G51-1826-SM-5KLZH 60-69 years, male 76.7
GTEX-131XF-2626-SM-5EQ6K 60-69 years, male 76.6
GTEX-ZYFC-0426-SM-5GICQ 50-59 years, male 76.6
GTEX-1C64N-2626-SM-7PC2N 50-59 years, male 76.5
GTEX-17F96-0126-SM-7EWDU 70-79 years, male 76.4
GTEX-1C6WA-2626-SM-7MKGM 60-69 years, male 76.4
GTEX-1GN1W-2426-SM-9KNUU 50-59 years, female 76.4
GTEX-15G19-2426-SM-7KUMR 60-69 years, male 76.3
GTEX-WK11-2726-SM-3NMAQ 50-59 years, male 76.2
GTEX-18A67-1626-SM-7LT9T 50-59 years, male 75.9
GTEX-X5EB-1926-SM-4E3IW 40-49 years, male 75.6
GTEX-1IDJE-1426-SM-ADEIW 50-59 years, female 75.6
GTEX-1CB4I-0126-SM-7RHGG 50-59 years, male 75.4
GTEX-1I1GU-0926-SM-ACKVS 40-49 years, male 75.3
GTEX-11ZUS-2626-SM-5FQUR 30-39 years, male 75.2
GTEX-13OVG-1626-SM-5J1NF 60-69 years, male 75.1
GTEX-XQ3S-1426-SM-4BOPR 20-29 years, male 75.1
GTEX-ZYVF-0926-SM-5E44J 50-59 years, female 75.1
GTEX-11O72-0626-SM-5PNYE 40-49 years, male 74.6
GTEX-1IDJC-1526-SM-B2LW4 50-59 years, male 74.3
GTEX-16NGA-0726-SM-731AO 40-49 years, female 74.2
GTEX-Y9LG-1126-SM-4VBQ7 30-39 years, male 74.2
GTEX-13OVK-1426-SM-6PAN7 40-49 years, male 74.0
GTEX-1JMLX-0626-SM-ARL8T 50-59 years, male 73.9
GTEX-ZPIC-0526-SM-DO91W 40-49 years, female 73.9
GTEX-1H1E6-0426-SM-9WYUS 30-39 years, male 73.8
GTEX-147F4-0726-SM-5TDDD 50-59 years, male 73.7
GTEX-1LVAN-0626-SM-CNPOQ 50-59 years, female 73.7
GTEX-146FQ-2126-SM-5RQHU 30-39 years, male 73.6
GTEX-13D11-0926-SM-5J2NC 50-59 years, female 73.4
GTEX-YJ8O-2526-SM-5HL85 40-49 years, female 73.0
GTEX-111YS-1526-SM-5GZYW 60-69 years, male 72.9
GTEX-1H1CY-0126-SM-9YFLY 60-69 years, female 72.9
GTEX-1BAJH-2426-SM-7IGP8 70-79 years, male 72.7
GTEX-XBED-1926-SM-47JYP 60-69 years, male 72.7
GTEX-1HCUA-0826-SM-ADEHM 50-59 years, female 72.7
GTEX-ZF3C-0626-SM-DO92O 50-59 years, female 72.6
GTEX-139TU-0726-SM-5L3EK 60-69 years, male 72.5
GTEX-ZDXO-3126-SM-5IJDF 60-69 years, male 72.5
GTEX-145LU-1926-SM-79OJN 50-59 years, male 72.3
GTEX-XPVG-2126-SM-4B667 50-59 years, male 72.3
GTEX-ZUA1-2626-SM-5NQ92 40-49 years, male 72.3
GTEX-1C6VR-0126-SM-7RHGB 60-69 years, male 72.3
GTEX-1GPI7-1826-SM-9KNU1 20-29 years, male 72.2
GTEX-1313W-0626-SM-5EQ4H 50-59 years, female 72.1
GTEX-1399U-1126-SM-5L3DB 50-59 years, female 72.1
GTEX-YECK-0326-SM-4W1YS 60-69 years, male 71.9
GTEX-1399R-1326-SM-5PNYS 30-39 years, male 71.8
GTEX-1EMGI-2326-SM-7PBYA 60-69 years, male 71.7
GTEX-1GTWX-2026-SM-9YFLM 60-69 years, male 71.5
GTEX-UPK5-0426-SM-3GAEK 40-49 years, male 71.4
GTEX-16NPX-0726-SM-7KULC 50-59 years, male 71.0
GTEX-145ME-1726-SM-5Q5EU 40-49 years, female 70.7
GTEX-1ICG6-1226-SM-A9SLN 70-79 years, female 70.6
GTEX-WEY5-2326-SM-3GIKK 40-49 years, female 70.5
GTEX-1KANA-1326-SM-DIPFA 20-29 years, male 70.4
GTEX-1LG7Z-1626-SM-CXKYR 30-39 years, male 70.4
GTEX-1QP28-1126-SM-EVYC4 50-59 years, female 70.4
GTEX-12WSD-0626-SM-5GCMW 60-69 years, female 70.3
GTEX-139TT-2126-SM-5LZWC 60-69 years, male 70.2
GTEX-1GMR2-0826-SM-7PC3V 50-59 years, male 70.1
GTEX-1KANC-1226-SM-CYPT7 50-59 years, female 70.1
GTEX-1MJK3-0726-SM-E6CJC 20-29 years, male 70.1
GTEX-11ZTT-2126-SM-5CVLO 60-69 years, female 70.0
GTEX-1MCYP-0526-SM-E9U6Q 20-29 years, female 70.0
GTEX-1QP2A-1726-SM-E76QC 50-59 years, male 69.9
GTEX-WYJK-0526-SM-3NM8Z 50-59 years, male 69.6
GTEX-ZE9C-2526-SM-5IJDR 60-69 years, male 69.6
GTEX-11VI4-1126-SM-5EQMD 40-49 years, female 69.5
GTEX-18D9A-1426-SM-7LT8M 30-39 years, female 69.3
GTEX-14BIN-1126-SM-5RQJZ 50-59 years, female 69.2
GTEX-14DAR-1226-SM-73KYV 50-59 years, male 69.1
GTEX-14E6E-0526-SM-793DN 30-39 years, male 69.1
GTEX-1I1GV-0626-SM-ARL7M 60-69 years, male 69.1
GTEX-1RAZR-2126-SM-E9U6T 40-49 years, male 69.1
GTEX-ZE7O-2726-SM-51MT5 50-59 years, female 68.8
GTEX-1S83E-1326-SM-E6CJM 40-49 years, male 68.7
GTEX-ZC5H-1526-SM-5HL9Y 40-49 years, female 68.6
GTEX-1I1GP-1326-SM-A9G28 50-59 years, male 68.2
GTEX-1JMQK-1226-SM-D4P2S 60-69 years, male 68.2
GTEX-15EU6-2226-SM-6EU2L 50-59 years, male 67.9
GTEX-WRHU-2826-SM-3MJG8 50-59 years, female 67.9
GTEX-1HSGN-0826-SM-ACKW3 40-49 years, female 67.8
GTEX-1N5O9-0926-SM-E9J3C 60-69 years, male 67.8
GTEX-12WSC-2826-SM-5BC5Y 50-59 years, male 67.7
GTEX-17EVQ-0126-SM-7IGLR 70-79 years, male 67.7
GTEX-1GF9X-1326-SM-7PC2Y 40-49 years, female 67.6
GTEX-XOT4-0626-SM-4B66L 60-69 years, female 67.5
GTEX-ZF29-0926-SM-4WKFZ 60-69 years, female 67.4
GTEX-VJYA-1526-SM-3GIJV 60-69 years, male 67.3
GTEX-1GZ4H-0526-SM-9KNU9 50-59 years, female 67.1
GTEX-1LGRB-0926-SM-COH3K 50-59 years, female 67.1
GTEX-15CHQ-0326-SM-69LQD 60-69 years, male 67.0
GTEX-1JKYN-0826-SM-ARU8S 30-39 years, male 67.0
GTEX-ZYW4-0626-SM-59HJR 60-69 years, male 66.9
GTEX-13X6K-0626-SM-5LU5D 60-69 years, female 66.5
GTEX-1JK1U-0226-SM-ARZMX 60-69 years, male 66.5
GTEX-U8XE-0226-SM-4E3J3 30-39 years, male 66.4
GTEX-X4EP-0626-SM-3P621 60-69 years, female 66.2
GTEX-18D9B-0926-SM-7LG4U 60-69 years, male 65.9
GTEX-16GPK-0626-SM-7KFSF 60-69 years, male 65.8
GTEX-1B933-2426-SM-7DHMD 50-59 years, female 65.8
GTEX-1H1ZS-2726-SM-9WG75 70-79 years, male 65.8
GTEX-1J1OQ-0126-SM-D4P2N 40-49 years, female 65.8
GTEX-11GS4-0226-SM-5HL77 60-69 years, male 65.7
GTEX-1B8SF-0126-SM-7DUG3 60-69 years, male 65.7
GTEX-1GL5R-1326-SM-7RHHF 50-59 years, male 65.7
GTEX-1RLM8-2926-SM-E8VON 50-59 years, male 65.7
GTEX-111VG-1626-SM-5EGIO 60-69 years, male 65.6
GTEX-13X6J-0626-SM-5LU5F 50-59 years, male 65.6
GTEX-XV7Q-1826-SM-4BRUV 40-49 years, female 65.4
GTEX-13PVR-0426-SM-5RQK2 60-69 years, female 65.2
GTEX-ZA64-1026-SM-5HL8R 20-29 years, male 65.2
GTEX-14AS3-1526-SM-5Q5ED 40-49 years, female 65.1
GTEX-1HCU7-0726-SM-A9SL1 50-59 years, male 65.1
GTEX-1211K-1526-SM-5FQU4 60-69 years, female 65.0
GTEX-1F6IF-0926-SM-7SB7M 60-69 years, male 65.0
GTEX-11EQ9-1626-SM-5PNY8 30-39 years, male 64.9
GTEX-1S82P-2126-SM-E6CI5 60-69 years, female 64.9
GTEX-13N11-2326-SM-5IJBF 50-59 years, female 64.8
GTEX-14PJN-1826-SM-6AJ98 30-39 years, male 64.8
GTEX-1GN1U-0626-SM-9MQL9 50-59 years, female 64.8
GTEX-13OVJ-0826-SM-5J1OK 50-59 years, female 64.7
GTEX-V1D1-2026-SM-3GAF4 50-59 years, male 64.6
GTEX-ZVZP-1226-SM-5GID7 50-59 years, male 64.6
GTEX-1B932-2326-SM-79OL5 40-49 years, female 64.5
GTEX-13OW5-2326-SM-5L3HO 60-69 years, male 64.4
GTEX-ZY6K-1426-SM-5GZX2 50-59 years, male 64.4
GTEX-1LVA9-2626-SM-EVYD4 50-59 years, male 64.4
GTEX-11PRG-0726-SM-5EGL1 50-59 years, male 64.3
GTEX-14PII-0726-SM-6EU2B 60-69 years, male 64.1
GTEX-ZZPU-0826-SM-5GZX5 50-59 years, female 64.0
GTEX-1I1GT-1026-SM-ARZLV 60-69 years, female 64.0
GTEX-13FHO-0426-SM-5L3F5 60-69 years, male 63.9
GTEX-1122O-1026-SM-9WYSF 60-69 years, female 63.8
GTEX-1RAZA-2226-SM-E9U4X 20-29 years, male 63.8
GTEX-1497J-0226-SM-5QGPU 60-69 years, male 63.7
GTEX-1K2DU-1226-SM-CYPT4 20-29 years, male 63.7
GTEX-14B4R-1326-SM-5Q5EZ 30-39 years, male 63.5
GTEX-16AAH-0626-SM-793C9 50-59 years, male 63.5
GTEX-XAJ8-1426-SM-47JYM 40-49 years, male 63.5
GTEX-1IDJF-2026-SM-CL53V 20-29 years, male 63.5
GTEX-16Z82-2626-SM-7KULU 60-69 years, male 63.4
GTEX-1C2JI-1026-SM-73KY1 50-59 years, male 63.3
GTEX-1HCU9-0426-SM-9WYSD 20-29 years, male 63.2
GTEX-1HSKV-1226-SM-ADEI4 60-69 years, male 63.1
GTEX-1NV5F-0626-SM-DTXEG 60-69 years, female 63.0
GTEX-1AX9I-2226-SM-73KUO 60-69 years, male 62.8
GTEX-1CB4J-1326-SM-7P8RX 60-69 years, male 62.8
GTEX-1GZ2Q-0126-SM-9WG6M 40-49 years, male 62.8
GTEX-1KANB-2826-SM-CY8I6 50-59 years, male 62.8
GTEX-1LVAM-0726-SM-E6CIL 50-59 years, female 62.6
GTEX-131YS-2826-SM-5EQ47 60-69 years, female 62.5
GTEX-14PJ6-2626-SM-6EU2T 60-69 years, female 62.5
GTEX-WYVS-1626-SM-3NM9R 40-49 years, female 62.5
GTEX-1GN73-0726-SM-7P8TJ 60-69 years, male 62.4
GTEX-13FH7-1126-SM-5K7UG 50-59 years, female 62.3
GTEX-ZTTD-2826-SM-4YCFA 50-59 years, male 62.3
GTEX-17F98-1326-SM-7DUEP 40-49 years, female 62.2
GTEX-1B8KZ-0326-SM-73KY4 50-59 years, male 62.1
GTEX-131XW-0626-SM-5PNVD 50-59 years, female 62.0
GTEX-Y8LW-1526-SM-5IFHL 50-59 years, female 62.0
GTEX-1E1VI-0326-SM-793D1 50-59 years, male 61.9
GTEX-16BQI-1326-SM-6M486 30-39 years, female 61.7
GTEX-1IE54-1126-SM-A9G2Z 40-49 years, female 61.7
GTEX-13SLX-2226-SM-62LEP 50-59 years, female 61.6
GTEX-13OVL-0126-SM-5L3GJ 50-59 years, male 61.5
GTEX-1O9I2-0226-SM-EYYXD 50-59 years, male 61.5
GTEX-1KD5A-0126-SM-E9U54 50-59 years, male 61.4
GTEX-11LCK-2226-SM-5HL4Q 30-39 years, male 61.3
GTEX-15FZZ-0526-SM-7KUGD 30-39 years, female 61.3
GTEX-1B996-0426-SM-7EWF8 60-69 years, male 61.3
GTEX-1JKYR-0626-SM-ARL8R 20-29 years, male 61.3
GTEX-1QP66-1226-SM-DTX7U 50-59 years, male 61.3
GTEX-1399Q-2326-SM-5KM2X 40-49 years, male 61.0
GTEX-1J8Q2-2626-SM-ACKWQ 60-69 years, male 61.0
GTEX-ZAJG-1526-SM-5CVML 50-59 years, female 60.8
GTEX-15DDE-2926-SM-6LLJ3 50-59 years, female 60.7
GTEX-1GMR3-0126-SM-A9SLW 40-49 years, male 60.7
GTEX-12C56-1526-SM-5FQUQ 20-29 years, male 60.6
GTEX-183FY-1026-SM-7939A 20-29 years, male 60.6
GTEX-1EKGG-0626-SM-7DUGJ 60-69 years, male 60.6
GTEX-WFG8-2126-SM-3GIKQ 20-29 years, male 60.6
GTEX-1J8QM-2426-SM-A9SLS 60-69 years, female 60.5
GTEX-1F52S-2926-SM-7MKGA 60-69 years, female 60.4
GTEX-1I6K6-1726-SM-CGQFD 30-39 years, male 60.4
GTEX-WHSE-0126-SM-3NMBT 20-29 years, male 60.3
GTEX-13O61-1426-SM-5KM3D 60-69 years, male 60.2
GTEX-12696-0126-SM-5EQ4L 60-69 years, male 60.1
GTEX-YF7O-1526-SM-5IFI6 50-59 years, male 60.1
GTEX-1K9T9-1526-SM-DIPFR 50-59 years, female 60.0
GTEX-13JUV-2026-SM-5K7UA 40-49 years, female 59.7
GTEX-14JG6-1426-SM-9WG7C 30-39 years, female 59.7
GTEX-1CAMQ-1326-SM-7P8RV 40-49 years, male 59.5
GTEX-1MCC2-1826-SM-DIPEX 30-39 years, female 59.5
GTEX-16MT8-2926-SM-7DUFO 60-69 years, female 59.3
GTEX-11WQC-1826-SM-5GU59 60-69 years, male 59.0
GTEX-13112-0126-SM-5P9IU 50-59 years, male 58.9
GTEX-1GZHY-0626-SM-9KNVC 50-59 years, female 58.9
GTEX-ZLV1-1526-SM-DO91J 60-69 years, female 58.9
GTEX-15CHC-1126-SM-6LLHQ 60-69 years, female 58.7
GTEX-1IOXB-2726-SM-CM2RI 50-59 years, male 58.6
GTEX-XK95-0226-SM-4AT58 40-49 years, male 58.5
GTEX-117YX-1926-SM-5GIEC 50-59 years, male 58.4
GTEX-11TUW-0626-SM-5LU9M 60-69 years, male 58.4
GTEX-1EWIQ-0326-SM-7DHMQ 70-79 years, female 58.4
GTEX-13VXU-0626-SM-5L3F9 50-59 years, male 58.3
GTEX-1EU9M-1426-SM-793AI 60-69 years, male 58.3
GTEX-1H2FU-0926-SM-9WPPT 60-69 years, female 58.2
GTEX-1ICLZ-0326-SM-ARL82 60-69 years, male 58.2
GTEX-1C475-1326-SM-7SB73 40-49 years, female 57.9
GTEX-1I19N-0126-SM-CYPSF 70-79 years, male 57.8
GTEX-13FTW-0326-SM-5K7UW 40-49 years, male 57.6
GTEX-1LSNL-2726-SM-E9TKJ 50-59 years, male 57.6
GTEX-1QPFJ-1926-SM-EVYBD 30-39 years, female 57.6
GTEX-13O3Q-0126-SM-5KM34 50-59 years, male 57.0
GTEX-XBEC-0726-SM-4QARZ 50-59 years, male 57.0
GTEX-1JMOU-1026-SM-CYPSS 60-69 years, female 57.0
GTEX-1477Z-0326-SM-7IGLA 60-69 years, male 56.8
GTEX-183WM-0326-SM-72D5V 70-79 years, female 56.8
GTEX-11NUK-2726-SM-5A5MC 50-59 years, male 56.7
GTEX-1HB9E-0126-SM-CM2S5 50-59 years, male 56.7
GTEX-1I1HK-2326-SM-CKZOH 60-69 years, male 56.7
GTEX-15SHW-0226-SM-7LTAT 60-69 years, male 56.5
GTEX-1B8L1-2226-SM-7P8PT 60-69 years, male 56.5
GTEX-1KXAM-1626-SM-D3LAD 60-69 years, male 56.5
GTEX-1F88F-0126-SM-9WYSZ 60-69 years, female 56.4
GTEX-1J1R8-2026-SM-CL53Y 40-49 years, male 56.4
GTEX-1KWVE-1026-SM-D3L9O 30-39 years, male 56.2
GTEX-1GF9W-1426-SM-7PBYM 60-69 years, male 56.1
GTEX-1KAFJ-0126-SM-DIPEK 50-59 years, male 56.0
GTEX-14PKV-1126-SM-6LLJ1 20-29 years, female 55.9
GTEX-1IDJI-0126-SM-CMKHS 50-59 years, female 55.8
GTEX-1QCLZ-2426-SM-EVYBW 60-69 years, female 55.8
GTEX-17JCI-2926-SM-7DUFF 60-69 years, female 55.7
GTEX-14PJ5-1526-SM-6LLIL 60-69 years, female 55.5
GTEX-1GN2E-0226-SM-9WG6K 60-69 years, male 55.3
GTEX-1H1DG-2426-SM-9QEHJ 70-79 years, male 55.3
GTEX-14PJ4-0226-SM-5YY92 60-69 years, male 55.2
GTEX-17HHY-0426-SM-7DHLC 50-59 years, male 55.1
GTEX-1A32A-0626-SM-731AQ 50-59 years, female 55.0
GTEX-XUW1-0926-SM-4BONX 50-59 years, female 55.0
GTEX-YB5K-2026-SM-4VDT3 40-49 years, female 55.0
GTEX-XQ8I-0926-SM-4BOOF 50-59 years, male 54.9
GTEX-12WSL-2026-SM-5GCML 50-59 years, male 54.7
GTEX-11EI6-2826-SM-5H11D 60-69 years, male 54.6
GTEX-14JG1-1526-SM-5YY9X 40-49 years, male 54.4
GTEX-1H4P4-2126-SM-9WYSL 50-59 years, male 54.4
GTEX-147F3-1726-SM-5SIAW 50-59 years, female 54.3
GTEX-133LE-2326-SM-5K7W3 20-29 years, female 54.1
GTEX-1EN7A-2426-SM-793DB 40-49 years, male 54.0
GTEX-1L5NE-1126-SM-D3L9P 50-59 years, male 53.9
GTEX-11EQ8-0926-SM-5H12V 60-69 years, male 53.8
GTEX-13OVH-0526-SM-5L3E6 70-79 years, male 53.8
GTEX-Y5LM-0926-SM-6LLJG 40-49 years, female 53.7
GTEX-1HFI7-2326-SM-CGQFS 50-59 years, female 53.7
GTEX-1PBJJ-1026-SM-E76OS 30-39 years, male 53.6
GTEX-13FLV-0126-SM-5K7WT 50-59 years, male 53.5
GTEX-ZTSS-1426-SM-5985P 40-49 years, male 53.4
GTEX-1HR98-2226-SM-ADEI2 60-69 years, male 53.4
GTEX-1JJEA-1826-SM-ARU8P 60-69 years, male 53.4
GTEX-ZLFU-1826-SM-4WWBV 40-49 years, male 53.1
GTEX-1IL2V-1926-SM-B2LW8 70-79 years, male 53.1
GTEX-1QP29-1826-SM-DTX9S 50-59 years, male 53.1
GTEX-1H1DF-1126-SM-9WG7G 40-49 years, female 52.9
GTEX-1IDJU-1726-SM-CMKHU 60-69 years, female 52.9
GTEX-18A7A-0126-SM-731AH 50-59 years, female 52.8
GTEX-13QJC-0126-SM-5ZZWJ 60-69 years, female 52.7
GTEX-1N2EE-0626-SM-E76PW 60-69 years, male 52.5
GTEX-1F48J-0726-SM-7RHGS 50-59 years, female 52.4
GTEX-1IDJH-0126-SM-D3L92 70-79 years, male 52.4
GTEX-145MF-0926-SM-5Q5EA 50-59 years, male 52.1
GTEX-1A8G6-2726-SM-731AR 60-69 years, male 52.1
GTEX-1H3NZ-2726-SM-9WYTQ 60-69 years, male 52.1
GTEX-1R7EU-1626-SM-DTXG3 60-69 years, male 52.1
GTEX-14PKU-0126-SM-6LLHV 40-49 years, female 52.0
GTEX-X8HC-0626-SM-4E3HQ 50-59 years, female 51.7
GTEX-ZYFD-0626-SM-5E44E 50-59 years, male 51.5
GTEX-1PPH7-1126-SM-DTX9A 40-49 years, male 51.5
GTEX-11EM3-1226-SM-5N9DD 20-29 years, female 51.4
GTEX-15RJE-2826-SM-7KUM9 40-49 years, male 51.4
GTEX-17HG3-2626-SM-7DUF2 30-39 years, female 51.3
GTEX-1HKZK-0726-SM-ACKW2 40-49 years, male 51.2
GTEX-1LGOU-1326-SM-D3L8M 20-29 years, female 51.1
GTEX-11DXW-0826-SM-5H118 40-49 years, male 51.0
GTEX-13X6H-0926-SM-5SIB2 50-59 years, female 51.0
GTEX-15D1Q-2826-SM-6LLH7 40-49 years, male 51.0
GTEX-ZYFG-1526-SM-5GZYM 60-69 years, female 51.0
GTEX-13IVO-0726-SM-5LZYV 70-79 years, male 50.8
GTEX-13PVQ-0626-SM-5LU47 50-59 years, male 50.7
GTEX-18A7B-2726-SM-7LG56 70-79 years, male 50.7
GTEX-13NYC-0126-SM-5L3F4 60-69 years, male 50.6
GTEX-145MO-2826-SM-5LU96 60-69 years, male 50.6
GTEX-14DAQ-0626-SM-793DS 60-69 years, female 50.6
GTEX-1GF9U-2026-SM-7SB92 40-49 years, female 50.6
GTEX-1JN6P-2926-SM-CL54D 60-69 years, male 50.6
GTEX-1QEPI-2626-SM-DTXF4 60-69 years, female 50.6
GTEX-12WSM-1926-SM-5BC65 60-69 years, male 50.5
GTEX-13NYS-0626-SM-5L3F1 60-69 years, male 50.4
GTEX-14C39-1726-SM-5RQIL 40-49 years, male 50.4
GTEX-ZLWG-0826-SM-59888 50-59 years, female 50.4
GTEX-1F5PL-0926-SM-7PC2W 40-49 years, female 50.4
GTEX-1I4MK-0126-SM-CY8G6 50-59 years, female 50.3
GTEX-1LKK1-2626-SM-DKPQE 50-59 years, female 50.1
GTEX-X4EO-2926-SM-4E3JH 60-69 years, female 49.9
GTEX-1IKJJ-2226-SM-CJI4C 60-69 years, male 49.7
GTEX-11DXY-0126-SM-5H11Q 60-69 years, male 49.6
GTEX-13NZ9-2626-SM-5L3FK 50-59 years, male 49.4
GTEX-1QMI2-2526-SM-E8VNZ 60-69 years, male 49.4
GTEX-ZT9W-1126-SM-57WDR 50-59 years, male 49.1
GTEX-1F75W-2726-SM-7SB8H 60-69 years, male 49.0
GTEX-145LS-0626-SM-7EPG7 60-69 years, female 48.9
GTEX-VUSG-2326-SM-4KL1U 50-59 years, male 48.6
GTEX-14JFF-0626-SM-5ZZVT 60-69 years, male 48.6
GTEX-1M4P7-0726-SM-E6CJ3 60-69 years, male 48.5
GTEX-13113-1626-SM-5EQ4I 60-69 years, female 48.3
GTEX-13N2G-0226-SM-5K7VF 60-69 years, male 48.3
GTEX-14LZ3-0126-SM-69LPM 60-69 years, female 48.3
GTEX-11DZ1-2426-SM-5GZZX 50-59 years, male 48.2
GTEX-1HCU6-2526-SM-ADEHL 60-69 years, female 48.1
GTEX-17EVP-2626-SM-7IGMA 40-49 years, male 48.0
GTEX-ZXG5-2126-SM-59HKD 60-69 years, male 48.0
GTEX-1HCU8-2526-SM-CE6RX 60-69 years, female 47.9
GTEX-1IDJV-0126-SM-COH3Y 60-69 years, male 47.9
GTEX-1GZ4I-2626-SM-9KNU3 50-59 years, male 47.6
GTEX-13X6I-1826-SM-5SIAO 60-69 years, male 47.5
GTEX-12WSK-2126-SM-5CVNC 40-49 years, female 47.3
GTEX-1JN1M-2726-SM-CY8I4 60-69 years, female 47.3
GTEX-1314G-1326-SM-5BC6E 30-39 years, male 47.2
GTEX-13PL6-1126-SM-5L3IE 40-49 years, female 46.9
GTEX-16MT9-0126-SM-7EPI8 60-69 years, female 46.9
GTEX-13VXT-1926-SM-5K7UO 20-29 years, female 46.7
GTEX-14A6H-2026-SM-5Q5DD 30-39 years, male 46.7
GTEX-14A5H-0826-SM-5QGPJ 60-69 years, male 46.5
GTEX-139T8-0626-SM-5KLZX 60-69 years, male 46.4
GTEX-Y5V5-0126-SM-5S2NW 60-69 years, female 46.3
GTEX-ZVT2-0126-SM-5GIDQ 50-59 years, female 46.2
GTEX-1H23P-0626-SM-9WG6T 60-69 years, male 46.2
GTEX-14BMU-1226-SM-5S2OR 20-29 years, female 46.1
GTEX-1JJE9-2626-SM-ARZMT 70-79 years, male 46.0
GTEX-1LG7Y-2526-SM-EWRO7 50-59 years, male 45.9
GTEX-1HCVE-2726-SM-CL54F 50-59 years, male 45.6
GTEX-14BMV-2826-SM-5TDED 50-59 years, male 45.5
GTEX-14PJ2-0626-SM-6LLII 50-59 years, male 45.4
GTEX-1OJC4-2726-SM-E76PJ 50-59 years, female 45.3
GTEX-14C38-0726-SM-5SI6M 50-59 years, male 45.1
GTEX-1AMFI-1326-SM-7939R 50-59 years, female 45.1
GTEX-1AMEY-0826-SM-72D65 30-39 years, female 44.5
GTEX-12WSA-0426-SM-5EQ5X 60-69 years, male 44.3
GTEX-18465-2826-SM-7LT9J 50-59 years, male 44.3
GTEX-1EH9U-2826-SM-7DUGT 60-69 years, male 44.3
GTEX-15UF6-1926-SM-7KUDV 70-79 years, female 44.2
GTEX-ZWKS-0626-SM-5GIDV 30-39 years, male 44.2
GTEX-1A3MW-0626-SM-731CB 60-69 years, female 44.0
GTEX-1A8G7-1326-SM-73KVM 60-69 years, male 44.0
GTEX-ZAB4-2126-SM-5HL8U 40-49 years, male 43.8
GTEX-1S5ZU-2526-SM-E6CIF 20-29 years, female 43.8
GTEX-ZU9S-1826-SM-5NQ9E 30-39 years, male 43.7
GTEX-1GPI6-1926-SM-9KNV7 60-69 years, male 43.7
GTEX-ZGAY-1826-SM-DO91Q 40-49 years, female 43.6
GTEX-1117F-2926-SM-5GZYI 60-69 years, female 43.2
GTEX-ZVT4-2426-SM-5GIEI 50-59 years, female 43.0
GTEX-13OW8-1026-SM-5J1NQ 60-69 years, male 42.8
GTEX-14C5O-0326-SM-5ZZUX 60-69 years, male 42.8
GTEX-1LVAO-2726-SM-E9TJ8 60-69 years, male 42.6
GTEX-1R46S-2426-SM-E76QA 60-69 years, female 42.5
GTEX-1HR9M-2226-SM-CNPPY 60-69 years, male 42.3
GTEX-1J8Q3-0526-SM-ARL8U 60-69 years, male 42.1
GTEX-1JMPZ-0726-SM-CY8HZ 30-39 years, male 42.1
GTEX-1R9K4-2826-SM-DTX8F 60-69 years, male 42.1
GTEX-17F9Y-0126-SM-79OKX 70-79 years, female 41.9
GTEX-1EX96-1026-SM-7MKG2 50-59 years, male 41.9
GTEX-1F6RS-2026-SM-7RHHC 60-69 years, female 41.8
GTEX-1GN1V-2826-SM-9JGIA 60-69 years, male 41.8
GTEX-1H3VE-0726-SM-9YFL5 40-49 years, male 41.4
GTEX-WYBS-0626-SM-3NMAS 60-69 years, female 41.3
GTEX-11UD2-2526-SM-5CVNU 50-59 years, male 41.1
GTEX-13OW7-0426-SM-5K7VK 50-59 years, male 41.0
GTEX-144GO-2026-SM-5O99P 60-69 years, male 41.0
GTEX-12KS4-2126-SM-5FQUT 30-39 years, male 40.9
GTEX-1J8JJ-0626-SM-ARZMQ 60-69 years, female 40.9
GTEX-13RTJ-0126-SM-5S2NN 60-69 years, male 40.8
GTEX-147JS-0226-SM-5S2U9 60-69 years, male 40.6
GTEX-1C6VQ-1226-SM-73KYD 50-59 years, male 40.5
GTEX-1CB4H-1126-SM-7MKGL 60-69 years, female 40.4
GTEX-1A3MX-2626-SM-7PC24 60-69 years, male 40.0
GTEX-1JMQI-1726-SM-ARL93 50-59 years, male 40.0
GTEX-12584-0726-SM-5FQTK 40-49 years, male 39.7
GTEX-144FL-0626-SM-5LU43 50-59 years, male 39.4
GTEX-1I1GS-2626-SM-B2LY3 60-69 years, male 39.2
GTEX-14LLW-2626-SM-62LDZ 70-79 years, female 38.9
GTEX-1F75B-0726-SM-7PC3R 50-59 years, male 38.9
GTEX-1JJ6O-2726-SM-CNPOG 60-69 years, male 38.6
GTEX-15EO6-2426-SM-6PALZ 50-59 years, male 38.5
GTEX-1H3O1-1326-SM-9MQLD 60-69 years, male 37.8
GTEX-1HUB1-1426-SM-CGQF5 60-69 years, male 37.8
GTEX-1JMQL-2226-SM-CNPP4 50-59 years, female 37.8
GTEX-13N1W-2426-SM-5IJD1 70-79 years, male 37.1
GTEX-ZYY3-2926-SM-5GIEB 60-69 years, female 37.1
GTEX-13OW6-2726-SM-5J2OE 50-59 years, male 37.0
GTEX-16XZZ-0726-SM-7KUF2 60-69 years, male 37.0
GTEX-1GMR8-0626-SM-7RHI7 50-59 years, female 37.0
GTEX-ZVE1-0726-SM-51MRN 50-59 years, female 36.3
GTEX-1269C-0126-SM-5EQ5L 60-69 years, female 36.0
GTEX-XMD2-2126-SM-4YCF8 60-69 years, female 35.9
GTEX-139D8-1126-SM-5LU8W 30-39 years, female 35.5
GTEX-14753-0726-SM-5QGQO 60-69 years, male 35.5
GTEX-1HSMO-0626-SM-ACKXC 60-69 years, male 35.0
GTEX-11GSP-2326-SM-5HL63 60-69 years, female 33.7
GTEX-1I1CD-0626-SM-CE6SW 60-69 years, female 33.6
GTEX-14E6C-2426-SM-5S2NF 40-49 years, male 32.8
GTEX-11WQK-1026-SM-5EQLX 50-59 years, male 32.6
GTEX-13QBU-1226-SM-5LU4G 40-49 years, female 32.5
GTEX-ZVE2-2826-SM-5GU51 50-59 years, male 32.0
GTEX-1ICLY-0826-SM-CMKG1 50-59 years, male 31.6
GTEX-1LSVX-2526-SM-DIPEU 60-69 years, male 31.1
GTEX-13SLW-0626-SM-5Q5ER 70-79 years, male 30.5
GTEX-145MI-0626-SM-5SI8S 60-69 years, female 29.7
GTEX-17MF6-2626-SM-79OKQ 40-49 years, male 29.4
GTEX-13YAN-0226-SM-5TDC6 60-69 years, male 29.2
GTEX-13O3O-2326-SM-5IJD6 60-69 years, female 29.0
GTEX-144GL-0626-SM-5LU4D 50-59 years, male 28.8
GTEX-13PDP-0726-SM-5L3HP 60-69 years, male 28.6
GTEX-1CAV2-0126-SM-7IGN7 40-49 years, female 28.6
GTEX-15SKB-2826-SM-6PAMH 60-69 years, male 28.3
GTEX-13NZ8-1226-SM-5KM4A 60-69 years, female 28.2
GTEX-1F88E-1626-SM-7SB8Z 60-69 years, female 25.6
GTEX-148VJ-0626-SM-5LUAW 70-79 years, male 24.6
GTEX-139UW-0326-SM-5J1ML 60-69 years, male 24.5
GTEX-1HBPM-0726-SM-9YFL7 60-69 years, female 23.9
GTEX-1A8FM-0626-SM-7PC25 50-59 years, female 22.6
GTEX-1IDFM-0326-SM-ARL7V 60-69 years, male 21.5
Show allShow less
Skin - Sun Exposed (Lower leg)
Average nTPM: 70.7
Samples: 701

Max nTPM: 180.2
Min nTPM: 27.1
Std nTPM: 21.3
Median nTPM: 66.9
GTEX-W5X1-3026-SM-EAZAX 40-49 years, female 180.2
GTEX-Y3IK-2426-SM-4WWDU 50-59 years, female 173.2
GTEX-1JMLX-0226-SM-CM2RO 50-59 years, male 161.0
GTEX-POMQ-2226-SM-2I5FK 20-29 years, female 158.0
GTEX-T6MN-0126-SM-32PLP 50-59 years, male 148.8
GTEX-15SB6-1726-SM-6PAME 50-59 years, female 148.4
GTEX-S33H-1026-SM-EZ6L6 30-39 years, male 147.5
GTEX-PX3G-0126-SM-2I3EN 20-29 years, female 147.1
GTEX-X88G-0126-SM-47JZ3 30-39 years, male 146.7
GTEX-ZVZO-0126-SM-5A5L9 40-49 years, male 141.1
GTEX-XUZC-1726-SM-4BRWS 30-39 years, female 140.0
GTEX-11UD1-0126-SM-5PNYG 40-49 years, female 131.1
GTEX-XYKS-2126-SM-4E3IB 60-69 years, female 127.9
GTEX-1QAET-0926-SM-E76QM 50-59 years, male 126.1
GTEX-12126-0326-SM-5PNW3 20-29 years, male 125.6
GTEX-13CF2-2526-SM-5LZYX 60-69 years, male 125.6
GTEX-OIZG-0726-SM-33HBL 50-59 years, male 124.6
GTEX-117XS-2726-SM-5N9BL 60-69 years, male 123.8
GTEX-1QP9N-1426-SM-DTXFL 30-39 years, male 121.8
GTEX-1OJC3-0126-SM-E76QX 20-29 years, male 120.5
GTEX-OIZH-0126-SM-2HMIS 50-59 years, male 119.3
GTEX-ZVTK-0426-SM-51MRS 20-29 years, male 118.3
GTEX-S7PM-0126-SM-4AD6S 60-69 years, male 117.3
GTEX-131XE-2326-SM-5PNZ2 50-59 years, male 116.8
GTEX-1399U-2326-SM-5K7WY 50-59 years, female 116.3
GTEX-1PIIG-0226-SM-EWRN6 30-39 years, male 115.7
GTEX-13111-1626-SM-5EGJY 50-59 years, male 113.1
GTEX-QEG4-0226-SM-2S1PY 30-39 years, male 113.1
GTEX-1J8EW-0126-SM-CJI4F 60-69 years, female 112.7
GTEX-RVPV-0126-SM-EAZAW 60-69 years, male 112.7
GTEX-1CAV2-2226-SM-7P8P2 40-49 years, female 112.2
GTEX-1EMGI-0126-SM-9KNUE 60-69 years, male 112.0
GTEX-TMZS-0126-SM-3DB9Q 60-69 years, male 111.9
GTEX-12WSD-0126-SM-59HKN 60-69 years, female 111.4
GTEX-Y111-0126-SM-4SOIV 50-59 years, male 110.3
GTEX-Z93T-0126-SM-5HL5N 50-59 years, male 110.2
GTEX-Q734-1926-SM-2I5EV 40-49 years, female 110.1
GTEX-11DXZ-2326-SM-5EGGV 50-59 years, male 109.9
GTEX-ZYFC-0226-SM-5NQ75 50-59 years, male 109.4
GTEX-1R9PM-2026-SM-E76OY 20-29 years, male 109.2
GTEX-13FTW-2626-SM-5K7WL 40-49 years, male 109.0
GTEX-18A6Q-0126-SM-731BZ 60-69 years, male 109.0
GTEX-1IL2U-0226-SM-CE6T8 60-69 years, male 108.9
GTEX-NPJ8-0126-SM-2YUNR 40-49 years, male 107.9
GTEX-Y8DK-0126-SM-4TT3L 60-69 years, male 107.4
GTEX-P4QT-0126-SM-2I3FL 50-59 years, female 106.6
GTEX-SUCS-1926-SM-32PM3 70-79 years, male 106.2
GTEX-146FQ-0126-SM-5NQA9 30-39 years, male 105.1
GTEX-XQ3S-1526-SM-4BOOC 20-29 years, male 105.1
GTEX-O5YW-0126-SM-3LK6D 50-59 years, male 103.6
GTEX-14PN4-0126-SM-6EU2V 50-59 years, male 103.3
GTEX-11DYG-0126-SM-59883 60-69 years, male 103.2
GTEX-Y5V6-2426-SM-4VDSB 60-69 years, male 102.9
GTEX-T5JC-0426-SM-32PLO 20-29 years, male 102.5
GTEX-QLQW-1126-SM-2S1Q8 30-39 years, male 102.0
GTEX-1JN6P-0126-SM-D3L98 60-69 years, male 101.7
GTEX-13FXS-0226-SM-5IJCK 50-59 years, male 101.5
GTEX-17JCI-0126-SM-7LG5G 60-69 years, female 101.5
GTEX-OHPL-0126-SM-2HMJ7 60-69 years, female 101.5
GTEX-TKQ1-1026-SM-4GICL 30-39 years, male 101.5
GTEX-Y114-2426-SM-4TT8A 50-59 years, female 100.5
GTEX-1IKK5-0626-SM-ARL8A 60-69 years, male 100.5
GTEX-ZF3C-0126-SM-DO92D 50-59 years, female 100.3
GTEX-145MN-2226-SM-5SIAU 30-39 years, male 100.0
GTEX-X4XX-0126-SM-3NMC2 60-69 years, male 100.0
GTEX-NFK9-0226-SM-2HMKQ 40-49 years, male 99.9
GTEX-1LBAC-0126-SM-DIPEZ 20-29 years, male 99.6
GTEX-QV44-1926-SM-2S1RF 50-59 years, male 98.6
GTEX-SIU8-0126-SM-2XCDT 50-59 years, male 97.5
GTEX-ZTX8-1426-SM-5DUVO 20-29 years, male 97.2
GTEX-1S83E-0126-SM-EWRO4 40-49 years, male 96.9
GTEX-1PPH8-0226-SM-E8VND 20-29 years, male 96.6
GTEX-X8HC-0126-SM-4E3JW 50-59 years, female 96.4
GTEX-O5YT-0126-SM-48TBW 20-29 years, male 96.2
GTEX-UPJH-0326-SM-3GADU 50-59 years, male 96.2
GTEX-1HGF4-2426-SM-ACKXM 60-69 years, male 96.0
GTEX-111FC-0126-SM-5N9DL 60-69 years, male 95.8
GTEX-T5JW-1626-SM-3GADZ 20-29 years, female 95.8
GTEX-X585-0226-SM-4QAS2 50-59 years, male 95.7
GTEX-11OC5-0126-SM-5HL6A 60-69 years, male 95.5
GTEX-WQUQ-0426-SM-3MJFU 60-69 years, male 95.2
GTEX-13NYB-2526-SM-5K7Z6 40-49 years, male 95.1
GTEX-1HFI6-0226-SM-ADEHZ 40-49 years, male 95.0
GTEX-ZV68-0126-SM-59HKS 50-59 years, female 94.9
GTEX-OOBJ-0126-SM-E6CJW 60-69 years, male 94.6
GTEX-1H3VE-0326-SM-9YFLH 40-49 years, male 94.4
GTEX-17HHY-0126-SM-7LG5D 50-59 years, male 93.8
GTEX-WZTO-0126-SM-3NM95 40-49 years, male 93.8
GTEX-13X6J-0126-SM-5QGOU 50-59 years, male 93.6
GTEX-11ZTS-0126-SM-5EQ6M 60-69 years, female 93.5
GTEX-14JG1-0426-SM-6ETZZ 40-49 years, male 93.0
GTEX-ZDTS-0126-SM-4WAY5 60-69 years, male 93.0
GTEX-1497J-2426-SM-7IGNX 60-69 years, male 92.7
GTEX-1GF9W-0326-SM-9KNUN 60-69 years, male 92.5
GTEX-18D9A-1926-SM-7LG6P 30-39 years, female 92.4
GTEX-18QFQ-0126-SM-731BE 30-39 years, male 92.4
GTEX-1NV5F-0226-SM-E8VNY 60-69 years, female 92.4
GTEX-ZDYS-2026-SM-5HL5L 50-59 years, male 92.3
GTEX-1JMQI-2226-SM-CM2SD 50-59 years, male 92.3
GTEX-131YS-0126-SM-5KM1M 60-69 years, female 92.2
GTEX-1399R-2726-SM-5IJBA 30-39 years, male 92.0
GTEX-QESD-1426-SM-2S1R9 20-29 years, male 91.9
GTEX-1S5ZA-0126-SM-EVYCV 20-29 years, male 91.7
GTEX-1GZHY-0326-SM-9QEHI 50-59 years, female 91.4
GTEX-144GN-2326-SM-5LU4F 50-59 years, male 91.1
GTEX-T2IS-0126-SM-4DM6O 20-29 years, female 91.0
GTEX-18D9U-0226-SM-718BP 40-49 years, male 90.8
GTEX-P4PP-0126-SM-3LK69 30-39 years, female 90.4
GTEX-1I1GV-0526-SM-A9G29 60-69 years, male 90.2
GTEX-1EWIQ-0126-SM-7RHH2 70-79 years, female 90.0
GTEX-1F75A-0126-SM-7RHGM 50-59 years, male 89.9
GTEX-UJHI-1526-SM-3DB99 50-59 years, female 89.8
GTEX-1ICLZ-0126-SM-CKZPO 60-69 years, male 89.8
GTEX-1KANC-1526-SM-D3LAB 50-59 years, female 89.7
GTEX-13FHO-0226-SM-5IFGY 60-69 years, male 89.6
GTEX-SE5C-1626-SM-2XCE3 40-49 years, female 89.5
GTEX-1CB4E-2226-SM-793DC 60-69 years, male 89.2
GTEX-131XH-2226-SM-5DUXJ 50-59 years, male 88.9
GTEX-Q2AI-1326-SM-2S1PL 40-49 years, male 88.6
GTEX-1IL2V-0126-SM-CM2TX 70-79 years, male 88.6
GTEX-1CB4F-0426-SM-9KNV4 60-69 years, male 88.5
GTEX-14E6D-0126-SM-62LDV 50-59 years, male 88.0
GTEX-13G51-2526-SM-5LZYK 60-69 years, male 87.9
GTEX-11GS4-2726-SM-5A5LE 60-69 years, male 87.5
GTEX-11P7K-2126-SM-5GU7G 30-39 years, male 87.3
GTEX-1M5QR-1226-SM-EWROB 40-49 years, male 87.3
GTEX-15ER7-0326-SM-7KUEV 20-29 years, female 87.0
GTEX-1B8L1-2526-SM-9WYTF 60-69 years, male 86.9
GTEX-WFON-2126-SM-3LK7O 40-49 years, male 86.7
GTEX-ZYT6-0226-SM-5NQ6T 30-39 years, male 86.7
GTEX-1H3VY-0126-SM-ACKXD 50-59 years, male 86.7
GTEX-XXEK-2226-SM-4BRUM 50-59 years, male 86.6
GTEX-TML8-1926-SM-32QOS 40-49 years, female 86.1
GTEX-1LB8K-0226-SM-EWRNW 50-59 years, male 86.0
GTEX-12ZZY-0226-SM-5LZVE 60-69 years, male 85.5
GTEX-X4XY-0226-SM-4E3IZ 60-69 years, male 85.5
GTEX-Z93S-0126-SM-5HL7M 50-59 years, male 85.4
GTEX-S7SE-0126-SM-2XCD5 50-59 years, male 85.3
GTEX-1J1OQ-0226-SM-CYPSH 40-49 years, female 85.0
GTEX-14PHX-2326-SM-62LEM 50-59 years, male 84.9
GTEX-1GF9V-0326-SM-7RHI5 60-69 years, male 84.9
GTEX-P4PQ-0126-SM-2S1NM 60-69 years, male 84.5
GTEX-1HSKV-0226-SM-A9SKJ 60-69 years, male 84.5
GTEX-1OFPY-2426-SM-DTXEJ 60-69 years, male 84.4
GTEX-1C4CL-0526-SM-73KVK 30-39 years, male 84.3
GTEX-16MT8-0426-SM-7KUEY 60-69 years, female 84.0
GTEX-18A7A-0226-SM-718BH 50-59 years, female 84.0
GTEX-QVJO-1626-SM-2S1QW 60-69 years, female 84.0
GTEX-13FHP-0126-SM-5IJBG 50-59 years, male 83.9
GTEX-ZDXO-3026-SM-5J1N5 60-69 years, male 83.9
GTEX-1KWVE-1426-SM-E9TJO 30-39 years, male 83.7
GTEX-17F98-0626-SM-79OMX 40-49 years, female 83.6
GTEX-U8XE-0326-SM-3DB8P 30-39 years, male 83.6
GTEX-WI4N-1026-SM-3LK7N 40-49 years, female 83.6
GTEX-1LG7Z-1726-SM-D3LA4 30-39 years, male 83.6
GTEX-14PJ3-1826-SM-62LEX 50-59 years, male 83.5
GTEX-1K2DA-1826-SM-CGQGT 50-59 years, male 83.5
GTEX-Y3I4-2126-SM-4TT7C 50-59 years, male 83.4
GTEX-YB5K-2126-SM-4WWDJ 40-49 years, female 83.3
GTEX-PSDG-0226-SM-DKPOZ 50-59 years, male 83.3
GTEX-WY7C-2326-SM-3NB2U 50-59 years, male 83.1
GTEX-RU72-0926-SM-2TF6B 50-59 years, female 82.8
GTEX-1HR98-0126-SM-B2LWI 60-69 years, male 82.8
GTEX-1F6I4-0126-SM-9MQL2 60-69 years, male 82.5
GTEX-1KAFJ-2026-SM-CY8ID 50-59 years, male 82.5
GTEX-16GPK-0126-SM-7DHLE 60-69 years, male 82.3
GTEX-1H1CY-2826-SM-9MQM3 60-69 years, female 82.3
GTEX-117YW-2626-SM-5GZZH 50-59 years, male 82.2
GTEX-X5EB-2226-SM-46MW4 40-49 years, male 82.1
GTEX-1313W-0126-SM-5LZUN 50-59 years, female 82.0
GTEX-OHPM-0126-SM-2YUN9 50-59 years, male 81.9
GTEX-1EKGG-0226-SM-9WYTH 60-69 years, male 81.9
GTEX-ZE9C-2726-SM-57WB5 60-69 years, male 81.7
GTEX-RUSQ-1526-SM-2TF62 50-59 years, male 81.6
GTEX-VJYA-1126-SM-3GIJU 60-69 years, male 81.5
GTEX-1MJK2-0426-SM-DTXE5 50-59 years, male 81.4
GTEX-1PIGE-0126-SM-EVYBJ 20-29 years, male 81.3
GTEX-1AYCT-2426-SM-7IGQ3 50-59 years, male 81.2
GTEX-1H11D-0226-SM-9WG6Z 40-49 years, male 81.1
GTEX-16YQH-0126-SM-7DUFJ 30-39 years, male 81.0
GTEX-Y8E4-0626-SM-4WWDL 40-49 years, male 80.7
GTEX-WYJK-0126-SM-3NMAB 50-59 years, male 80.4
GTEX-1192X-0226-SM-5H12D 50-59 years, male 80.2
GTEX-1314G-1526-SM-5EGK2 30-39 years, male 80.2
GTEX-QLQ7-1626-SM-2S1R8 60-69 years, male 80.1
GTEX-ZAK1-0126-SM-5IJD3 50-59 years, female 80.1
GTEX-139TS-2826-SM-5J1OO 60-69 years, male 79.7
GTEX-132NY-0326-SM-5IJBL 60-69 years, male 79.6
GTEX-15SDE-2226-SM-7IGLO 50-59 years, female 79.6
GTEX-1CB4I-0226-SM-79OLH 50-59 years, male 79.5
GTEX-1GMRU-0126-SM-9YFLV 50-59 years, male 79.4
GTEX-12WSJ-1826-SM-5GCNY 40-49 years, female 79.3
GTEX-139TU-0126-SM-5K7WH 60-69 years, male 79.1
GTEX-ZGAY-0526-SM-4WWBB 40-49 years, female 79.0
GTEX-U412-0426-SM-3DB9O 60-69 years, male 78.9
GTEX-1POEN-0126-SM-EYYXJ 30-39 years, female 78.9
GTEX-1HSMP-0126-SM-E6CJS 70-79 years, male 78.7
GTEX-1MCQQ-0826-SM-DLHC2 60-69 years, male 78.7
GTEX-OXRN-0126-SM-48TDM 50-59 years, male 78.5
GTEX-1ICG6-2526-SM-CGQFZ 70-79 years, female 78.4
GTEX-SSA3-0126-SM-32QPU 60-69 years, male 78.3
GTEX-OXRL-0126-SM-2YUMP 50-59 years, male 78.1
GTEX-1KD4Q-0226-SM-E9TJ9 40-49 years, male 78.1
GTEX-14XAO-2326-SM-6EU1B 60-69 years, female 78.0
GTEX-14PJM-0226-SM-62LF1 50-59 years, female 77.8
GTEX-1F5PL-0326-SM-7P8PQ 40-49 years, female 77.8
GTEX-1HCU6-0126-SM-CL54K 60-69 years, female 77.8
GTEX-ZTPG-0326-SM-5O9AX 20-29 years, female 77.7
GTEX-13O21-1426-SM-5K7XI 50-59 years, male 77.6
GTEX-ZVT3-0126-SM-5GU6I 60-69 years, female 77.5
GTEX-17F97-0326-SM-7LG5B 50-59 years, male 77.3
GTEX-1AX8Z-0126-SM-7DHM6 60-69 years, male 77.3
GTEX-X4EP-0126-SM-3P5YV 60-69 years, female 77.3
GTEX-1GN73-0226-SM-9WG67 60-69 years, male 77.3
GTEX-1JKYR-0126-SM-CNPOJ 20-29 years, male 77.2
GTEX-1JMQJ-0526-SM-CYPSU 50-59 years, male 77.2
GTEX-ZQUD-1426-SM-57WER 30-39 years, male 76.8
GTEX-1JMPY-1326-SM-ARL8Y 30-39 years, male 76.8
GTEX-13VXU-0126-SM-5SI9F 50-59 years, male 76.6
GTEX-1RB15-2126-SM-E9TIM 60-69 years, male 76.5
GTEX-PWCY-1826-SM-DHXIZ 20-29 years, female 76.4
GTEX-RNOR-0126-SM-E9J4R 50-59 years, female 76.4
GTEX-ZE7O-0126-SM-57WC1 50-59 years, female 76.2
GTEX-183FY-0126-SM-7LT9P 20-29 years, male 75.9
GTEX-R55E-0126-SM-2TC5Y 20-29 years, male 75.9
GTEX-13FH7-2026-SM-E9J4I 50-59 years, female 75.8
GTEX-12WSK-2326-SM-5GCOH 40-49 years, female 75.7
GTEX-11GSP-2526-SM-5N9BP 60-69 years, female 75.0
GTEX-YB5E-2026-SM-5IFIS 40-49 years, male 75.0
GTEX-ZAB4-0226-SM-5N9F5 40-49 years, male 74.9
GTEX-1MGNQ-0126-SM-EVYCJ 40-49 years, male 74.9
GTEX-1QP66-1726-SM-E8VO1 50-59 years, male 74.9
GTEX-1JMPZ-0226-SM-CNPP1 30-39 years, male 74.8
GTEX-1JMQK-0226-SM-CL543 60-69 years, male 74.8
GTEX-1212Z-2526-SM-5EGKP 60-69 years, male 74.7
GTEX-15SHU-0126-SM-7KUEH 40-49 years, female 74.7
GTEX-RWSA-0126-SM-2XCBB 40-49 years, male 74.7
GTEX-WXYG-2326-SM-4E3I6 50-59 years, female 74.7
GTEX-12ZZX-0126-SM-5EGK9 40-49 years, female 74.5
GTEX-RN64-0126-SM-2TC68 50-59 years, male 74.5
GTEX-1KANB-0526-SM-E6CJH 50-59 years, male 74.5
GTEX-YFC4-0126-SM-5CVLY 40-49 years, female 74.4
GTEX-1HB9E-0226-SM-E9U4R 50-59 years, male 74.1
GTEX-1R7EU-0226-SM-EVR4G 60-69 years, male 74.1
GTEX-17HG3-2226-SM-7938L 30-39 years, female 73.9
GTEX-1211K-2026-SM-5EQ4Z 60-69 years, female 73.7
GTEX-1I6K6-0126-SM-A9SLE 30-39 years, male 73.7
GTEX-12ZZZ-0626-SM-5DUXI 60-69 years, male 73.6
GTEX-1GMR3-1926-SM-9KNUZ 40-49 years, male 73.6
GTEX-1BAJH-0526-SM-793CQ 70-79 years, male 73.3
GTEX-1QCLY-0326-SM-E8VOG 30-39 years, male 73.3
GTEX-13FTY-0526-SM-5L3EV 40-49 years, female 73.2
GTEX-U3ZH-2026-SM-3DB78 30-39 years, male 73.2
GTEX-U3ZM-1526-SM-3DB9D 40-49 years, male 73.2
GTEX-113JC-2326-SM-5EQ4E 50-59 years, female 73.1
GTEX-11DXW-0226-SM-5H122 40-49 years, male 73.1
GTEX-1IDJF-0126-SM-CM2RS 20-29 years, male 73.1
GTEX-Q2AH-1626-SM-3GAF8 40-49 years, male 73.0
GTEX-11TUW-2726-SM-E9J4M 60-69 years, male 73.0
GTEX-11OF3-2626-SM-5GU7F 60-69 years, male 72.8
GTEX-1AYD5-2426-SM-73KXR 50-59 years, male 72.8
GTEX-1C6WA-0126-SM-7PC2B 60-69 years, male 72.8
GTEX-RM2N-1426-SM-2TF4H 50-59 years, male 72.7
GTEX-1CAMS-0426-SM-7P8T2 40-49 years, female 72.7
GTEX-15ETS-0126-SM-7KUMW 40-49 years, female 72.6
GTEX-1O97I-0326-SM-EYYX7 60-69 years, male 72.6
GTEX-14PII-0226-SM-6EU1T 60-69 years, male 72.5
GTEX-1PFEY-1526-SM-E76PP 30-39 years, male 72.5
GTEX-WH7G-2326-SM-3NMBC 40-49 years, male 72.4
GTEX-ZF2S-2326-SM-4WWCE 50-59 years, female 72.3
GTEX-WYVS-2126-SM-3NMA3 40-49 years, female 72.2
GTEX-1S3DN-2226-SM-EVYCD 50-59 years, male 72.2
GTEX-14BMU-2226-SM-5TDE9 20-29 years, female 71.9
GTEX-WVJS-0126-SM-4MVOT 50-59 years, male 71.9
GTEX-11XUK-2026-SM-5EQLF 40-49 years, female 71.8
GTEX-1C64N-0126-SM-793D7 50-59 years, male 71.8
GTEX-1N2DW-0226-SM-E9TK2 50-59 years, male 71.6
GTEX-ZY6K-1826-SM-5GZXK 50-59 years, male 71.5
GTEX-1IOXB-0126-SM-ARL8G 50-59 years, male 71.5
GTEX-1HT8W-0126-SM-CNPPP 30-39 years, male 71.3
GTEX-11NUK-0126-SM-5A5L3 50-59 years, male 71.2
GTEX-1AX9J-0226-SM-73KXM 60-69 years, male 71.2
GTEX-ZWKS-0126-SM-5SIAA 30-39 years, male 71.2
GTEX-RTLS-0126-SM-447CA 60-69 years, female 71.1
GTEX-X638-0126-SM-47JZ8 70-79 years, female 71.1
GTEX-1CB4G-0226-SM-7PC3O 60-69 years, male 71.0
GTEX-XQ8I-0426-SM-4BOPO 50-59 years, male 70.9
GTEX-13NZB-2526-SM-5J1OM 30-39 years, male 70.8
GTEX-XBED-2226-SM-47JYQ 60-69 years, male 70.8
GTEX-12WSG-2826-SM-E9J4H 50-59 years, female 70.7
GTEX-13OVL-0226-SM-5L3E9 50-59 years, male 70.6
GTEX-13RTK-1426-SM-5QGQJ 20-29 years, male 70.6
GTEX-PLZ6-1426-SM-DKPOT 30-39 years, male 70.6
GTEX-13OW6-0426-SM-5L3HM 50-59 years, male 70.4
GTEX-YJ89-0126-SM-4TT3X 60-69 years, male 70.4
GTEX-1122O-2126-SM-5EGIR 60-69 years, female 70.3
GTEX-13O3P-0126-SM-5KM4S 50-59 years, male 70.3
GTEX-144FL-0126-SM-5TDC8 50-59 years, male 70.3
GTEX-1CAMR-1926-SM-7EPI2 20-29 years, male 70.3
GTEX-12WSA-0226-SM-5BC5V 60-69 years, male 70.2
GTEX-1I1GQ-0126-SM-COH3H 50-59 years, male 70.2
GTEX-ZVZP-2426-SM-59HKJ 50-59 years, male 70.1
GTEX-1IDJH-0326-SM-A9SLQ 70-79 years, male 70.0
GTEX-ZTSS-1926-SM-57WEW 40-49 years, male 69.8
GTEX-15SHW-0326-SM-6PAML 60-69 years, male 69.7
GTEX-1KANA-0726-SM-D3L9I 20-29 years, male 69.7
GTEX-ZC5H-0226-SM-4WAY9 40-49 years, female 69.5
GTEX-13O3Q-2426-SM-5IJBR 50-59 years, male 69.4
GTEX-1B8SF-1426-SM-7DUGL 60-69 years, male 69.4
GTEX-T2YK-0526-SM-32QPJ 50-59 years, male 69.4
GTEX-1HSMQ-1226-SM-CGQFX 50-59 years, male 69.4
GTEX-144GL-0126-SM-5TDE2 50-59 years, male 69.3
GTEX-145MO-0326-SM-5Q5B3 60-69 years, male 69.2
GTEX-QCQG-1726-SM-3GIJ9 50-59 years, female 69.2
GTEX-17MFQ-1726-SM-793C7 20-29 years, male 69.1
GTEX-131XF-5016-SM-7MGWE 60-69 years, male 69.1
GTEX-11P81-2326-SM-59875 30-39 years, female 68.7
GTEX-1K2DU-2326-SM-E9TIV 20-29 years, male 68.7
GTEX-12696-2426-SM-5EQ6H 60-69 years, male 68.6
GTEX-PW2O-1526-SM-7RHHB 20-29 years, male 68.3
GTEX-145MF-0626-SM-5LUAI 50-59 years, male 68.2
GTEX-1A3MX-0126-SM-731BR 60-69 years, male 68.2
GTEX-1RDX4-0126-SM-E9J4P 50-59 years, female 68.2
GTEX-13YAN-0326-SM-5O9DF 60-69 years, male 68.1
GTEX-XUYS-0126-SM-47JWZ 50-59 years, male 68.0
GTEX-YEC4-2126-SM-5IFJH 40-49 years, male 68.0
GTEX-17EVQ-0226-SM-7LG4P 70-79 years, male 67.9
GTEX-XPVG-2626-SM-4B669 50-59 years, male 67.9
GTEX-1GL5R-1826-SM-9KNUY 50-59 years, male 67.9
GTEX-1GN1U-0126-SM-7PBZK 50-59 years, female 67.9
GTEX-1HBPN-0226-SM-9YFM1 50-59 years, male 67.9
GTEX-1NHNU-1026-SM-E9J2A 50-59 years, male 67.9
GTEX-146FH-0126-SM-5QGPP 50-59 years, female 67.8
GTEX-169BO-1326-SM-9MQK2 50-59 years, male 67.8
GTEX-145MI-0526-SM-5O9A8 60-69 years, female 67.7
GTEX-15UF6-0826-SM-6PALJ 70-79 years, female 67.6
GTEX-1B97I-1626-SM-73KYO 40-49 years, male 67.6
GTEX-17HII-0226-SM-7LG4E 50-59 years, male 67.5
GTEX-1AX9I-0126-SM-7SB74 60-69 years, male 67.4
GTEX-11TT1-2526-SM-5EGIB 20-29 years, male 67.3
GTEX-13N11-2526-SM-5K7UE 50-59 years, female 67.3
GTEX-13U4I-0126-SM-5LU38 40-49 years, female 67.3
GTEX-U8T8-0126-SM-3DB94 60-69 years, male 67.3
GTEX-1L5NE-2526-SM-E6CIE 50-59 years, male 67.3
GTEX-1GF9X-2026-SM-7PC3A 40-49 years, female 67.2
GTEX-1IY9M-0126-SM-D3L8S 60-69 years, male 67.2
GTEX-15RIG-0226-SM-7KFTL 40-49 years, male 67.1
GTEX-XAJ8-0826-SM-47JY6 40-49 years, male 67.1
GTEX-17KNJ-2326-SM-7DHLQ 50-59 years, male 67.0
GTEX-13JUV-2726-SM-5LZZ8 40-49 years, female 66.9
GTEX-1S82Y-2026-SM-EVYCM 40-49 years, male 66.9
GTEX-15DDE-0126-SM-6LPKH 50-59 years, female 66.7
GTEX-14PK6-1926-SM-6ETZU 70-79 years, female 66.6
GTEX-1HKZK-0326-SM-9WYUH 40-49 years, male 66.6
GTEX-QDVJ-1726-SM-2I5FX 50-59 years, male 66.5
GTEX-Y5LM-1926-SM-5RQJH 40-49 years, female 66.5
GTEX-1I1GP-2226-SM-CGQFK 50-59 years, male 66.5
GTEX-1JJEA-0326-SM-CNPOT 60-69 years, male 66.5
GTEX-1KD5A-0226-SM-D5OV3 50-59 years, male 66.5
GTEX-11EM3-2426-SM-59861 20-29 years, female 66.4
GTEX-18D9B-0526-SM-7LTAS 60-69 years, male 66.4
GTEX-W5WG-1826-SM-4KL2Y 50-59 years, female 66.4
GTEX-1HCU9-1526-SM-A9SL7 20-29 years, male 66.4
GTEX-1R9K4-0126-SM-DTX9X 60-69 years, male 66.4
GTEX-13NZ8-0826-SM-5MR3I 60-69 years, female 66.2
GTEX-1B8KE-2126-SM-73KYX 50-59 years, male 66.2
GTEX-14ABY-0226-SM-5TDCQ 50-59 years, male 66.1
GTEX-1RQEC-0426-SM-E6CHU 60-69 years, male 66.1
GTEX-WFG8-2226-SM-3GIL9 20-29 years, male 65.8
GTEX-1GPI6-0126-SM-9WG69 60-69 years, male 65.8
GTEX-1H4P4-0726-SM-9YFLR 50-59 years, male 65.8
GTEX-12WSC-0126-SM-5EQ4P 50-59 years, male 65.7
GTEX-139D8-0226-SM-5KLZO 30-39 years, female 65.7
GTEX-13OW7-0126-SM-5MR3B 50-59 years, male 65.7
GTEX-14BMV-0126-SM-5S2PO 50-59 years, male 65.7
GTEX-1399T-2826-SM-5KLYZ 60-69 years, male 65.5
GTEX-145LT-1726-SM-5QGP3 40-49 years, male 65.5
GTEX-1B996-0226-SM-7RHGO 60-69 years, male 65.5
GTEX-1F75B-0126-SM-9KNVL 50-59 years, male 65.5
GTEX-R55G-2526-SM-2TC6D 40-49 years, female 65.3
GTEX-13QJ3-0326-SM-5S2RA 50-59 years, male 65.2
GTEX-16XZY-2126-SM-79OK1 70-79 years, male 65.2
GTEX-ZVT2-2526-SM-51MT1 50-59 years, female 65.2
GTEX-ZXES-1826-SM-5E43S 30-39 years, female 65.2
GTEX-1IKOH-0226-SM-COH4E 60-69 years, female 65.2
GTEX-15DYW-0126-SM-7KULE 60-69 years, female 65.1
GTEX-11LCK-1026-SM-5A5KB 30-39 years, male 65.0
GTEX-12WSE-0526-SM-793B2 20-29 years, male 65.0
GTEX-14753-0426-SM-5NQAM 60-69 years, male 65.0
GTEX-13OW5-0126-SM-DTXFS 60-69 years, male 65.0
GTEX-1QMI2-0226-SM-EVYBX 60-69 years, male 65.0
GTEX-1C475-1826-SM-73KWA 40-49 years, female 64.6
GTEX-1HBPI-1526-SM-C1YQ1 50-59 years, male 64.6
GTEX-PLZ5-2026-SM-2S1O4 50-59 years, male 64.5
GTEX-1ICLY-0126-SM-D4P36 50-59 years, male 64.5
GTEX-SN8G-0126-SM-32PLI 50-59 years, female 64.4
GTEX-11ZVC-2526-SM-5FQTE 50-59 years, female 64.3
GTEX-1HSGN-0226-SM-CGQFV 40-49 years, female 64.3
GTEX-14DAR-2026-SM-5S2O3 50-59 years, male 64.2
GTEX-13S7M-0126-SM-5SI6A 60-69 years, female 64.1
GTEX-XMD2-0126-SM-4YCDU 60-69 years, female 64.0
GTEX-11EI6-0126-SM-5985R 60-69 years, male 63.8
GTEX-1RAZA-0126-SM-E6CI3 20-29 years, male 63.7
GTEX-11NSD-2226-SM-5986V 20-29 years, male 63.5
GTEX-11ZU8-2526-SM-5EQKI 60-69 years, male 63.5
GTEX-12C56-1726-SM-5EQ61 20-29 years, male 63.3
GTEX-1PWST-0226-SM-E76QJ 70-79 years, male 63.2
GTEX-1E1VI-0126-SM-7DHMZ 50-59 years, male 63.1
GTEX-ZZ64-1726-SM-5GZYB 20-29 years, male 63.1
GTEX-13SLW-0126-SM-5SI6C 70-79 years, male 63.0
GTEX-147F4-0226-SM-5QGPW 50-59 years, male 62.9
GTEX-13O3O-0126-SM-E9J49 60-69 years, female 62.9
GTEX-1MA7W-2026-SM-E9TJ6 20-29 years, female 62.9
GTEX-15DCD-0126-SM-7KUEK 70-79 years, female 62.8
GTEX-ZQG8-1626-SM-DHXIT 60-69 years, female 62.8
GTEX-T8EM-1026-SM-3DB7M 40-49 years, male 62.7
GTEX-1GTWX-0126-SM-9YFLK 60-69 years, male 62.7
GTEX-145LV-2126-SM-5LU8N 50-59 years, male 62.6
GTEX-1H1DG-0126-SM-9WYU2 70-79 years, male 62.6
GTEX-1269C-2526-SM-5EGJ3 60-69 years, female 62.5
GTEX-14E7W-0126-SM-6LLJ9 70-79 years, male 62.5
GTEX-1HCU8-0626-SM-A9SM9 60-69 years, female 62.5
GTEX-13PVR-2326-SM-5QGR1 60-69 years, female 62.2
GTEX-1H23P-0126-SM-ADEJ3 60-69 years, male 62.2
GTEX-13OVK-2026-SM-7KUEO 40-49 years, male 62.1
GTEX-15EU6-0426-SM-6PAN5 50-59 years, male 62.0
GTEX-S95S-1226-SM-4GICG 60-69 years, male 62.0
GTEX-1LSNM-1926-SM-E6CII 50-59 years, male 62.0
GTEX-1MA7X-2226-SM-E6CIY 60-69 years, male 62.0
GTEX-14A5H-0426-SM-5QGQF 60-69 years, male 61.9
GTEX-ZUA1-0126-SM-5GU76 40-49 years, male 61.9
GTEX-1A32A-0126-SM-718B1 50-59 years, female 61.8
GTEX-1I4MK-2226-SM-ACKWD 50-59 years, female 61.8
GTEX-1A3MV-1926-SM-718BT 30-39 years, male 61.6
GTEX-1C6VR-2426-SM-79OLD 60-69 years, male 61.6
GTEX-X4EO-0326-SM-3P5YO 60-69 years, female 61.6
GTEX-1HBPM-0226-SM-ARL9F 60-69 years, female 61.6
GTEX-13112-2826-SM-5DUWH 50-59 years, male 61.5
GTEX-1B8SG-0126-SM-73KZ3 50-59 years, male 61.5
GTEX-13OVH-0126-SM-5MR4B 70-79 years, male 61.4
GTEX-13W46-0226-SM-5SIAG 50-59 years, male 61.4
GTEX-ZYFG-2326-SM-5E44B 60-69 years, female 61.4
GTEX-13OVJ-0126-SM-5KM36 50-59 years, female 61.3
GTEX-VUSG-2526-SM-4KL1V 50-59 years, male 61.3
GTEX-RWS6-2026-SM-2XCB5 60-69 years, female 61.1
GTEX-1B933-0126-SM-7PC29 50-59 years, female 61.1
GTEX-1GN1V-0126-SM-9WPOS 60-69 years, male 61.1
GTEX-1HSEH-0126-SM-ACKXN 60-69 years, male 61.1
GTEX-15F5U-1526-SM-6PANO 40-49 years, male 60.9
GTEX-WRHK-1426-SM-3MJF9 20-29 years, female 60.8
GTEX-11H98-0126-SM-5EGHG 50-59 years, male 60.7
GTEX-17F96-1626-SM-7DUFL 70-79 years, male 60.7
GTEX-Y5V5-2326-SM-4V6GA 60-69 years, female 60.6
GTEX-ZPIC-1726-SM-DHXIU 40-49 years, female 60.6
GTEX-11ZUS-0626-SM-59885 30-39 years, male 60.5
GTEX-1QEPI-0126-SM-EWRMQ 60-69 years, female 60.4
GTEX-13CF3-2426-SM-5IFGX 60-69 years, female 60.3
GTEX-14BIM-0226-SM-7IGLD 60-69 years, female 60.2
GTEX-13D11-2426-SM-5KM1V 50-59 years, female 60.1
GTEX-145LS-0126-SM-5QGP1 60-69 years, female 60.1
GTEX-14JG6-2226-SM-6EU2G 30-39 years, female 60.1
GTEX-ZEX8-2426-SM-4WKG4 50-59 years, male 60.1
GTEX-14E6E-1826-SM-5S2R7 30-39 years, male 59.8
GTEX-1GN2E-0426-SM-9MQKX 60-69 years, male 59.8
GTEX-1LNCM-1126-SM-E9U5E 50-59 years, female 59.8
GTEX-1MUQO-0126-SM-EAZ58 60-69 years, male 59.7
GTEX-11UD2-0226-SM-5EQKY 50-59 years, male 59.6
GTEX-PLZ4-0126-SM-5SI8O 50-59 years, female 59.6
GTEX-1LG7Y-0526-SM-DKPQC 50-59 years, male 59.6
GTEX-13X6H-2126-SM-7EWD5 50-59 years, female 59.5
GTEX-OOBK-0126-SM-2YUND 40-49 years, male 59.5
GTEX-ZDTT-2726-SM-4WKF8 60-69 years, male 59.5
GTEX-1H1ZS-0426-SM-9WG6G 70-79 years, male 59.5
GTEX-1I19N-0326-SM-ACKVX 70-79 years, male 59.5
GTEX-1128S-2326-SM-5GZZY 60-69 years, female 59.3
GTEX-1F6IF-0726-SM-7P8TW 60-69 years, male 59.3
GTEX-1HCVE-0126-SM-CGQEU 50-59 years, male 59.3
GTEX-16NPX-0226-SM-79OMT 50-59 years, male 59.2
GTEX-1KXAM-2226-SM-CYPTC 60-69 years, male 59.2
GTEX-147GR-0526-SM-5S2MY 60-69 years, male 59.1
GTEX-1J8JJ-0226-SM-CL53I 60-69 years, female 59.1
GTEX-1EN7A-0126-SM-7SB81 40-49 years, male 59.0
GTEX-131XG-2626-SM-5KM17 50-59 years, female 58.8
GTEX-OXRP-0126-SM-3NB32 60-69 years, female 58.7
GTEX-ZAB5-1826-SM-5HL7C 50-59 years, male 58.7
GTEX-15G19-0126-SM-6PANQ 60-69 years, male 58.6
GTEX-ZXG5-0126-SM-5GIEU 60-69 years, male 58.6
GTEX-113IC-0126-SM-5HL6T 60-69 years, male 58.5
GTEX-Z9EW-1626-SM-5CVMN 40-49 years, male 58.5
GTEX-13NZA-0226-SM-5K7Z7 60-69 years, male 58.4
GTEX-T6MO-1626-SM-32QOM 40-49 years, female 58.4
GTEX-1H3O1-0426-SM-9YFKY 60-69 years, male 58.4
GTEX-1J1R8-1726-SM-ARL8M 40-49 years, male 58.4
GTEX-1LGRB-2526-SM-CNPPQ 50-59 years, female 58.4
GTEX-111VG-2426-SM-5GZXD 60-69 years, male 58.3
GTEX-117YX-2326-SM-5H12W 50-59 years, male 58.3
GTEX-1CAMQ-0226-SM-7IGPK 40-49 years, male 58.2
GTEX-1H2FU-0126-SM-9WYSI 60-69 years, female 58.2
GTEX-11P82-1626-SM-59879 20-29 years, male 58.1
GTEX-OXRO-0126-SM-2YUN4 60-69 years, female 58.1
GTEX-1GPI7-0126-SM-9MQL8 20-29 years, male 58.1
GTEX-1HCUA-2426-SM-ADEIS 50-59 years, female 58.1
GTEX-14BIN-0626-SM-793DP 50-59 years, female 58.0
GTEX-S32W-2126-SM-2XCB1 50-59 years, female 57.9
GTEX-1F7RK-0126-SM-7PC2S 20-29 years, female 57.9
GTEX-U3ZN-2326-SM-3DB7W 30-39 years, female 57.8
GTEX-OXRK-0226-SM-3NB2G 50-59 years, female 57.7
GTEX-1C64O-0126-SM-7SB8P 60-69 years, male 57.7
GTEX-1C6VQ-0126-SM-7P8RI 50-59 years, male 57.7
GTEX-1F88F-2726-SM-7PBZZ 60-69 years, female 57.6
GTEX-ZAJG-0126-SM-5HL94 50-59 years, female 57.4
GTEX-13OW8-1326-SM-5J1OW 60-69 years, male 57.3
GTEX-1B8KZ-2026-SM-7DHMB 50-59 years, male 57.2
GTEX-14PJ6-2126-SM-6EU1V 60-69 years, female 57.0
GTEX-13OVI-1426-SM-5L3EY 60-69 years, female 56.9
GTEX-11EQ9-2426-SM-5HL5T 30-39 years, male 56.8
GTEX-133LE-1826-SM-5J1MV 20-29 years, female 56.7
GTEX-1PDJ9-0326-SM-DTX95 20-29 years, male 56.7
GTEX-139TT-0126-SM-5K7Y5 60-69 years, male 56.5
GTEX-18A7B-0126-SM-7LG64 70-79 years, male 56.5
GTEX-16NGA-1726-SM-731B4 40-49 years, female 56.4
GTEX-17HGU-0226-SM-7DHKV 50-59 years, male 56.4
GTEX-SJXC-0126-SM-2XCFF 60-69 years, male 56.4
GTEX-1EU9M-0226-SM-7P8SP 60-69 years, male 56.4
GTEX-1H3NZ-0126-SM-ACKX7 60-69 years, male 56.3
GTEX-XV7Q-2526-SM-4BRV9 40-49 years, female 56.2
GTEX-1LGOU-2026-SM-DIPFF 20-29 years, female 56.2
GTEX-11GSO-2426-SM-5A5LY 60-69 years, male 56.1
GTEX-13113-5016-SM-7EPIP 60-69 years, female 56.0
GTEX-13N2G-2626-SM-5J1OT 60-69 years, male 56.0
GTEX-ZYW4-0126-SM-5E44A 60-69 years, male 55.9
GTEX-1I1HK-0126-SM-COH49 60-69 years, male 55.9
GTEX-14JIY-0126-SM-6LLH6 60-69 years, male 55.8
GTEX-ZU9S-0226-SM-5E441 30-39 years, male 55.8
GTEX-1JN76-0126-SM-CNPPE 20-29 years, female 55.8
GTEX-12584-0126-SM-5EGKQ 40-49 years, male 55.7
GTEX-14DAQ-0126-SM-5S2MQ 60-69 years, female 55.6
GTEX-1H1DE-2126-SM-9WG6R 20-29 years, male 55.6
GTEX-1GF9U-2126-SM-7SB7L 40-49 years, female 55.4
GTEX-15CHC-2126-SM-6EU21 60-69 years, female 55.3
GTEX-139T8-0126-SM-5K7XZ 60-69 years, male 55.1
GTEX-17HHE-2026-SM-79OKF 50-59 years, male 55.1
GTEX-13O1R-0126-SM-5L3EH 60-69 years, male 55.0
GTEX-18A67-0126-SM-7LG5P 50-59 years, male 55.0
GTEX-ZYFD-0126-SM-5GIDL 50-59 years, male 54.9
GTEX-Q2AG-0126-SM-33HBV 40-49 years, female 54.8
GTEX-1PBJI-0526-SM-E8VNK 20-29 years, female 54.8
GTEX-1R9PO-2126-SM-E9J4O 60-69 years, female 54.8
GTEX-1I1GS-0126-SM-B2LVW 60-69 years, male 54.7
GTEX-18A66-0226-SM-718BD 60-69 years, male 54.6
GTEX-1JJ6O-0126-SM-E6CI8 60-69 years, male 54.6
GTEX-1LVAN-0226-SM-COH3S 50-59 years, female 54.5
GTEX-11DXX-2426-SM-5GZZW 60-69 years, female 54.4
GTEX-145ME-1826-SM-5SI9G 40-49 years, female 54.4
GTEX-XBEW-0626-SM-4QASP 40-49 years, male 54.4
GTEX-11DZ1-0126-SM-5985Q 50-59 years, male 54.3
GTEX-QDVN-2026-SM-3GAEP 50-59 years, male 54.3
GTEX-13SLX-0526-SM-5S2ON 50-59 years, female 54.2
GTEX-13W3W-2426-SM-5LU5B 60-69 years, female 54.2
GTEX-17EUY-0426-SM-793BD 20-29 years, male 54.1
GTEX-11DXY-2626-SM-5GIE7 60-69 years, male 54.0
GTEX-R45C-0126-SM-EAZ2R 60-69 years, female 54.0
GTEX-16BQI-0226-SM-7KUEX 30-39 years, female 53.9
GTEX-ZVT4-0126-SM-DTXFN 50-59 years, female 53.6
GTEX-1F52S-0126-SM-9MQJU 60-69 years, female 53.5
GTEX-1RLM8-2326-SM-EWRN4 50-59 years, male 53.4
GTEX-1GZ4H-1726-SM-7PBZJ 50-59 years, female 53.3
GTEX-14A5I-0126-SM-5TDEA 50-59 years, female 53.2
GTEX-17EVP-0326-SM-7DHLG 40-49 years, male 53.2
GTEX-18465-0126-SM-731BN 50-59 years, male 53.2
GTEX-R3RS-0126-SM-3GIJL 40-49 years, female 53.2
GTEX-148VI-1626-SM-5SI6E 60-69 years, female 53.1
GTEX-13IVO-0126-SM-5J1NG 70-79 years, male 53.0
GTEX-WOFL-0126-SM-3MJG2 60-69 years, male 52.9
GTEX-X261-0126-SM-3NMD6 50-59 years, male 52.9
GTEX-17GQL-2026-SM-718BA 60-69 years, male 52.8
GTEX-XUW1-0426-SM-4BOOT 50-59 years, female 52.7
GTEX-1F75I-0326-SM-9YFLU 40-49 years, male 52.7
GTEX-1K9T9-0126-SM-EVYCF 50-59 years, female 52.7
GTEX-13FTX-1826-SM-5J1NX 20-29 years, female 52.6
GTEX-16XZZ-0126-SM-793DV 60-69 years, male 52.6
GTEX-13RTL-0126-SM-7LG5S 40-49 years, male 52.5
GTEX-1IGQW-0126-SM-COH42 60-69 years, male 52.5
GTEX-1F48J-0126-SM-7P8TT 50-59 years, female 52.4
GTEX-1I1GU-2226-SM-CGQFA 40-49 years, male 52.4
GTEX-1J8Q3-1626-SM-CMKGC 60-69 years, male 52.4
GTEX-YJ8A-0426-SM-5IFID 20-29 years, male 52.3
GTEX-1C2JI-1826-SM-73KXC 50-59 years, male 52.2
GTEX-1JKYN-1326-SM-CGQG9 30-39 years, male 52.1
GTEX-13PDP-0126-SM-5L3HD 60-69 years, male 52.0
GTEX-TSE9-0126-SM-3DB83 60-69 years, female 52.0
GTEX-1GZ2Q-0226-SM-7P8TL 40-49 years, male 52.0
GTEX-1IKJJ-0126-SM-CNPQB 60-69 years, male 52.0
GTEX-1CB4J-0626-SM-7DHMP 60-69 years, male 51.9
GTEX-12KS4-0326-SM-5EQ41 30-39 years, male 51.8
GTEX-145LU-0126-SM-5TDCB 50-59 years, male 51.8
GTEX-147F3-0526-SM-5SI98 50-59 years, female 51.8
GTEX-ZF28-0126-SM-4WKGK 60-69 years, male 51.8
GTEX-ZF29-2326-SM-DO92K 60-69 years, female 51.8
GTEX-PVOW-0126-SM-2XCFA 40-49 years, male 51.7
GTEX-1QW4Y-1526-SM-EAZ3Z 30-39 years, male 51.6
GTEX-11ZTT-2426-SM-5EQLS 60-69 years, female 51.4
GTEX-13X6I-0626-SM-5QGP9 60-69 years, male 51.3
GTEX-14ICK-0226-SM-6EU25 40-49 years, male 51.3
GTEX-1J8Q2-0526-SM-CM2RW 60-69 years, male 51.3
GTEX-13NYS-0126-SM-5MR3W 60-69 years, male 51.1
GTEX-16AAH-1726-SM-7939C 50-59 years, male 50.7
GTEX-1QP29-0626-SM-EWRMX 50-59 years, male 50.7
GTEX-11VI4-1726-SM-5CVLH 40-49 years, female 50.6
GTEX-14A6H-0126-SM-5QGPK 30-39 years, male 50.6
GTEX-15UKP-0426-SM-7KUFQ 20-29 years, male 50.6
GTEX-1N2EF-0226-SM-EYYXB 60-69 years, male 50.6
GTEX-1LC47-0326-SM-E9TJP 60-69 years, male 50.4
GTEX-PWO3-1526-SM-48TCM 60-69 years, female 50.3
GTEX-QDT8-0126-SM-48TZ1 30-39 years, female 50.3
GTEX-1192W-2626-SM-5Q5AF 60-69 years, male 50.2
GTEX-1AMEY-1326-SM-73KYK 30-39 years, female 50.2
GTEX-1A8FM-0226-SM-7SB7Q 50-59 years, female 50.2
GTEX-1IE54-0126-SM-CMKHW 40-49 years, female 50.1
GTEX-1QP2A-0126-SM-E9J43 50-59 years, male 50.1
GTEX-11TTK-0126-SM-5987B 60-69 years, female 50.0
GTEX-1CB4H-0226-SM-7PBXM 60-69 years, female 49.9
GTEX-1OJC4-0126-SM-E9J2E 50-59 years, female 49.9
GTEX-13OVG-1926-SM-5L3DK 60-69 years, male 49.8
GTEX-1AMFI-2026-SM-731BH 50-59 years, female 49.6
GTEX-1F5PK-2426-SM-7RHHY 50-59 years, male 49.5
GTEX-1J8QM-2126-SM-CYPSJ 60-69 years, female 49.4
GTEX-11EMC-2926-SM-5EQ4F 60-69 years, female 49.2
GTEX-1S82Z-0826-SM-E6CHY 30-39 years, female 49.2
GTEX-14E6C-0126-SM-5RQIP 40-49 years, male 48.8
GTEX-V1D1-2226-SM-3NMAX 50-59 years, male 48.7
GTEX-ZYY3-0126-SM-5GZY5 60-69 years, female 48.7
GTEX-1HSMO-0126-SM-CL547 60-69 years, male 48.7
GTEX-15EOM-0126-SM-7KUGG 20-29 years, female 48.5
GTEX-1QPFJ-0226-SM-E76PB 30-39 years, female 48.5
GTEX-1GMR8-0126-SM-9WYTM 50-59 years, female 48.1
GTEX-1IDJU-2626-SM-CM2RT 60-69 years, female 48.1
GTEX-14C5O-0126-SM-5SI6N 60-69 years, male 48.0
GTEX-1F6RS-0126-SM-9MQKZ 60-69 years, female 48.0
GTEX-14PN3-2426-SM-6LLHS 60-69 years, female 47.9
GTEX-P44H-0226-SM-2XCEU 40-49 years, male 47.9
GTEX-131XW-0426-SM-5LZWP 50-59 years, female 47.6
GTEX-13RTJ-2426-SM-5S2Q2 60-69 years, male 47.6
GTEX-1JJE9-0326-SM-CL53Z 70-79 years, male 47.6
GTEX-14BIL-0126-SM-5SI92 50-59 years, male 47.5
GTEX-1EX96-1626-SM-7PBXR 50-59 years, male 47.4
GTEX-1I1GR-0126-SM-CL55F 60-69 years, male 47.4
GTEX-1R46S-0626-SM-E9J41 60-69 years, female 47.4
GTEX-11WQC-2526-SM-5CVLE 60-69 years, male 47.3
GTEX-13VXT-0126-SM-5LU4I 20-29 years, female 47.0
GTEX-1I1CD-0126-SM-CM2TK 60-69 years, female 46.9
GTEX-1H1E6-1726-SM-ACKVK 30-39 years, male 46.5
GTEX-1JK1U-2026-SM-CM2RZ 60-69 years, male 46.2
GTEX-ZV6S-2326-SM-4YCEY 40-49 years, female 45.8
GTEX-1PPH7-2326-SM-EVYB8 40-49 years, male 45.6
GTEX-1AX9K-2326-SM-73KWU 50-59 years, male 45.5
GTEX-14LLW-0126-SM-6LLIO 70-79 years, female 45.4
GTEX-13N1W-0126-SM-5K7VT 70-79 years, male 45.2
GTEX-14LZ3-0226-SM-62LET 60-69 years, female 45.2
GTEX-1N2DV-0226-SM-E6CJ6 40-49 years, male 45.0
GTEX-1HUB1-0426-SM-E9U4U 60-69 years, male 44.7
GTEX-1MCYP-1926-SM-E9J2R 20-29 years, female 44.7
GTEX-1QP67-1626-SM-EAZ3X 40-49 years, female 44.3
GTEX-12WSL-2526-SM-5GCNJ 50-59 years, male 44.2
GTEX-1E2YA-0126-SM-9KNUC 50-59 years, male 43.9
GTEX-1JN1M-0326-SM-CYPT3 60-69 years, female 43.8
GTEX-139T4-0226-SM-5HL5S 50-59 years, female 43.5
GTEX-OIZF-0126-SM-7SB8I 60-69 years, male 43.4
GTEX-1JMQL-0226-SM-CNPP5 50-59 years, female 42.8
GTEX-1HFI7-1826-SM-ACKXH 50-59 years, female 42.7
GTEX-1LH75-2426-SM-E9TJE 50-59 years, female 42.2
GTEX-1HCU7-0226-SM-CL545 50-59 years, male 42.1
GTEX-17MF6-0126-SM-7LG4F 40-49 years, male 41.9
GTEX-13NYC-0326-SM-E9J4S 60-69 years, male 41.6
GTEX-1A3MW-0126-SM-73KXX 60-69 years, female 41.2
GTEX-1GN1W-0526-SM-9MQJQ 50-59 years, female 41.0
GTEX-1I1GT-0626-SM-CGQER 60-69 years, female 40.7
GTEX-TMMY-0226-SM-33HBA 40-49 years, female 40.6
GTEX-15D1Q-0126-SM-7KUG6 40-49 years, male 40.2
GTEX-11O72-0126-SM-59887 40-49 years, male 40.1
GTEX-SNMC-1226-SM-2XCFP 20-29 years, male 40.1
GTEX-X62O-0126-SM-4E3JN 50-59 years, male 39.9
GTEX-VJWN-0126-SM-3GIK7 50-59 years, female 39.7
GTEX-11WQK-0526-SM-5EQLD 50-59 years, male 38.7
GTEX-183WM-0126-SM-7LTAB 70-79 years, female 38.6
GTEX-1RAZQ-0726-SM-EAZ43 30-39 years, male 38.3
GTEX-U4B1-1826-SM-4DXSU 40-49 years, male 38.2
GTEX-1HBPH-0426-SM-B2LW5 40-49 years, female 37.8
GTEX-1JMOU-1526-SM-CL54I 60-69 years, female 37.7
GTEX-Y8LW-1826-SM-5S2MV 50-59 years, female 37.4
GTEX-1R7EV-2426-SM-EVYBG 40-49 years, male 36.7
GTEX-146FR-1326-SM-E9J48 60-69 years, female 36.5
GTEX-ZZPT-0226-SM-5E43X 50-59 years, male 36.4
GTEX-139UW-2826-SM-5L3E7 60-69 years, male 35.8
GTEX-1M4P7-0226-SM-DIPEV 60-69 years, male 35.4
GTEX-12WSN-5019-SM-79OM6 40-49 years, male 34.6
GTEX-14PHW-0126-SM-6LLJI 60-69 years, female 34.3
GTEX-1C6VS-0526-SM-7DUEN 60-69 years, male 31.7
GTEX-ZVE2-0226-SM-59HJB 50-59 years, male 31.7
GTEX-1IDFM-0126-SM-COH2V 60-69 years, male 31.6
GTEX-148VJ-0126-SM-5TDDN 70-79 years, male 27.1
Show allShow less

Contact

  • NEWS ARTICLES
  • PRESS ROOM

The Project

  • INTRODUCTION
  • ORGANIZATION
  • PUBLICATIONS

The Human Protein Atlas

  • DOWNLOADABLE DATA
  • LICENCE & CITATION
  • HELP & FAQ
The Human Protein Atlas project is funded
by the Knut & Alice Wallenberg Foundation.


contact@proteinatlas.org