We use cookies to enhance the usability of our website. If you continue, we'll assume that you are happy to receive all cookies. More information. Don't show this again.
NDUFA8
HPA
RESOURCES
  • TISSUE
  • BRAIN
  • SINGLE CELL
  • SUBCELLULAR
  • CANCER
  • BLOOD
  • CELL LINE
  • STRUCTURE & INTERACTION
ABOUT
  • INTRODUCTION
  • HISTORY
  • ORGANIZATION
  • PUBLICATIONS
  • ANTIBODY SUBMISSION
  • ANTIBODY AVAILABILITY
  • ACKNOWLEDGMENTS
  • CONTACT
NEWS
  • NEWS ARTICLES
  • PRESS ROOM
LEARN
  • DICTIONARY
  • PROTEIN CLASSES
  • PROTEIN EVIDENCE
  • METHODS
  • EDUCATIONAL VIDEOS
DATA
  • DOWNLOADABLE DATA
  • PUBLICATION DATA
  • RELEASE HISTORY
HELP
  • ANTIBODY VALIDATION
  • ASSAYS & ANNOTATION
  • DISCLAIMER
  • HELP & FAQ
  • PRIVACY STATEMENT
  • LICENCE & CITATION
Fields »
Search result

Field
Term
Gene name
Class
Subclass
Class
Keyword
Chromosome
External id
Tissue
Cell type
Expression
Antibody panel
Tissue
Main location
Patient ID
Annotation
Tissue
Category
Tau score
Cluster
Reliability
Brain region
Category
Tau score
Brain region
Category
Tau score
Brain region
Category
Tau score
Cluster
Reliability
Tissue
Cell type
Enrichment
Cell type
Category
Tau score
Cell type
Category
Tau score
Cell type
Category
Tau score
Cell lineage
Category
Tau score
Cluster
Cluster
Location
Searches
Location
Cell line
Class
Type
Phase
Reliability
Cancer
Prognosis
Cancer
Category
Cancer
Category
Tau score
Cluster
Variants
Interacting gene (ensg_id)
Type
Number of interactions
Pathway
Category
Score
Score
Score
Validation
Validation
Validation
Validation
Antibodies
Data type
Column


  • SUMMARY

  • TISSUE

  • BRAIN

  • SINGLE CELL

  • SUBCELL

  • CANCER

  • BLOOD

  • CELL LINE

  • STRUCT & INT

  • NDUFA8
TISSUE PRIMARY DATA SKIN Show tissue menu
ADIPOSE TISSUE ADRENAL GLAND AMYGDALA APPENDIX BASAL GANGLIA BONE MARROW BREAST BRONCHUS CEREBELLUM CEREBRAL CORTEX CERVIX CHOROID PLEXUS COLON DUODENUM
ENDOMETRIUM EPIDIDYMIS ESOPHAGUS FALLOPIAN TUBE GALLBLADDER HEART MUSCLE HIPPOCAMPAL FORMATION HYPOTHALAMUS KIDNEY LIVER LUNG LYMPH NODE MIDBRAIN NASOPHARYNX
ORAL MUCOSA OVARY PANCREAS PARATHYROID GLAND PITUITARY GLAND PLACENTA PROSTATE RECTUM RETINA SALIVARY GLAND SEMINAL VESICLE SKELETAL MUSCLE SKIN SMALL INTESTINE
SMOOTH MUSCLE SOFT TISSUE SPINAL CORD SPLEEN STOMACH TESTIS THYMUS THYROID GLAND TONGUE TONSIL URINARY BLADDER VAGINA
ANTIBODIES
AND
VALIDATION
Dictionary
Skin
Tissue proteome
Skin
SKIN - Expression summary
Protein expression
Skini

On the top, protein expression in current human tissue, based on all annotated cell types, is reported with the units not detected (n), low (l), medium (m) and high (h). Underneath, protein expression in each annotated cell type are reported using the same units.

Protein expression data is based on knowledge-based annotation. For genes where more than one antibody has been used, a collective score is set.

If knowledge-based annotation could not be performed for a gene, no data is displayed here. View antibody staining data further down this page.

h
m
l
n
Arrector pili muscle cells: Low
Cells in basal layer: Medium
Cells in corneal layer: Not detected
Cells in granular layer: Medium
Cells in spinous layer: Medium
Endothelial cells: Medium
Extracellular matrix: Not detected
Fibrohistiocytic cells: Medium
Langerhans cells: Medium
Lymphocytes: High
Melanocytes: High
Vascular mural cells: Not detected
RNA expressioni

A summary of mRNA expression data available for current tissue based on several datasets. The mRNA expression levels in human tissues are based on RNA-seq data generated by the Human Protein Atlas (HPA), Genotype-Tissue Expression (GTEx) portal and CAGE data generated by the FANTOM5 consortium. Consensus normalized expression levels for human tissues was created by combining the data from HPA and GTEx datasets.

The mRNA expression levels in pig are based on RNA-seq data generated by the Human Protein Atlas (HPA), and for mouse, HPA data and in situ hybridization generated by the Allen brain atlas are reported.

Scroll down to view mRNA expression data in more detail.
Consensus:42.9 nTPM
HPA:36.9 nTPM
GTEx:42.9 nTPM

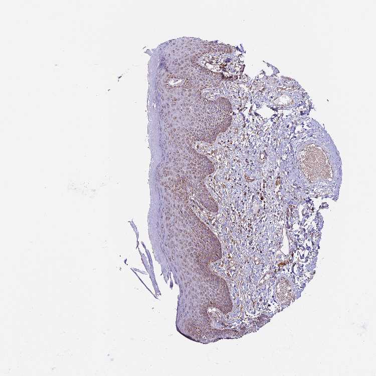
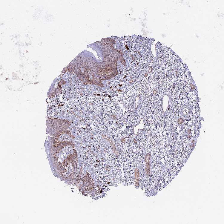
SKIN 1 - Antibody stainingi

Antibody staining in the annotated cell types in the current human tissue is reported as not detected, low, medium, or high, based on conventional immunohistochemistry profiling in selected tissues. This score is based on the combination of the staining intensity and fraction of stained cells.

Each image is clickable and will lead to virtual microscopy that enables deeper exploration of all samples and also displays staining intensity scores, fraction scores and subcellular localization as well as patient and tissue information for each sample.

Antibody HPA041510Antibody HPA041600
Langerhans -Medium
Arrector pili muscle cells Low-
Cells in basal layer Medium-
Cells in corneal layer Not detected-
Cells in granular layer Medium-
Cells in spinous layer Medium-
Endothelial cells Medium-
Extracellular matrix Not detected-
Fibroblasts -Medium
Fibrohistiocytic cells Medium-
Keratinocytes -Medium
Langerhans cells Medium-
Lymphocytes Medium-
Melanocytes HighMedium
Vascular mural cells Not detected-


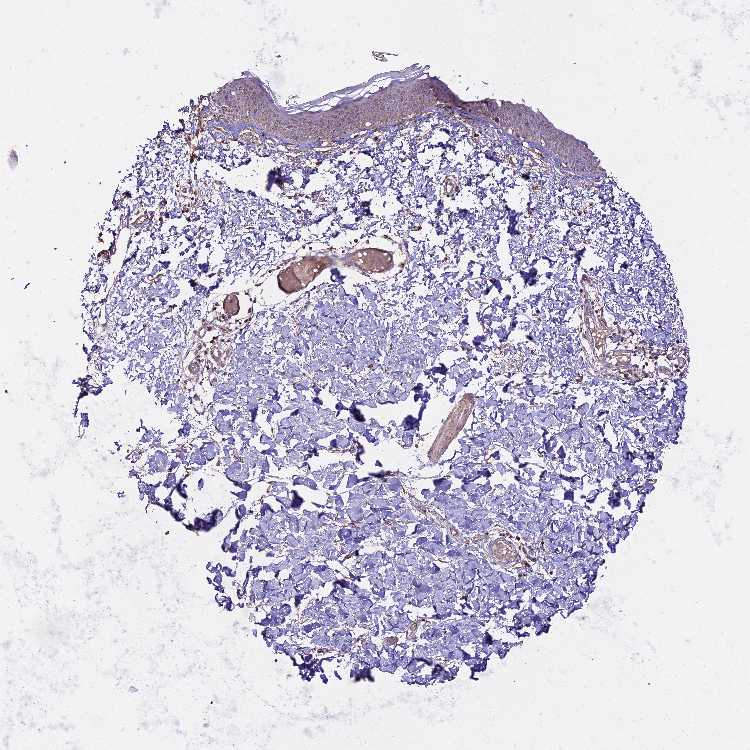
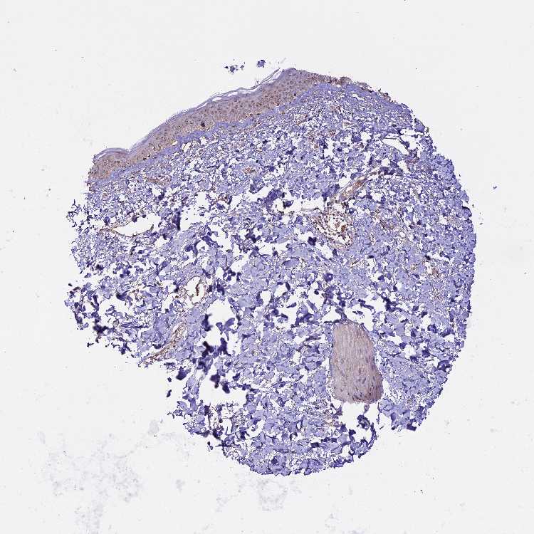
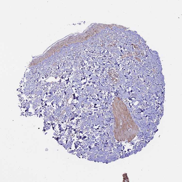
SKIN 2 - Antibody stainingi

Antibody staining in the annotated cell types in the current human tissue is reported as not detected, low, medium, or high, based on conventional immunohistochemistry profiling in selected tissues. This score is based on the combination of the staining intensity and fraction of stained cells.

Each image is clickable and will lead to virtual microscopy that enables deeper exploration of all samples and also displays staining intensity scores, fraction scores and subcellular localization as well as patient and tissue information for each sample.

Antibody HPA041510Antibody HPA041600
Cells in basal layer Medium-
Cells in corneal layer Not detected-
Cells in granular layer Low-
Cells in spinous layer Medium-
Endothelial cells Medium-
Epidermal cells -High
Extracellular matrix Not detected-
Fibrohistiocytic cells Medium-
Langerhans cells Medium-
Lymphocytes High-
Melanocytes High-
Vascular mural cells Not detected-
  
  
  



SKIN - HPA RNA-seqi

The RNA-seq details section shows detailed information about the individual samples used for the transcript profiling and results of the RNA-seq analysis.

Information about each individual sample is listed below, including gender, age, a tissue section image and estimated fractions of cell types. nTPM (normalized transcripts per million) values give a quantification of the gene abundance which is comparable between different genes and samples.
Average nTPMi

Max subtype nTPM is the value for the subtype with the largest average nTPM across the subtype samples.

36.9
overview
Female, age 34
Skin sample 225
nTPM: 41.6
Cell types%
Keratinocytes:
60

Other cell types:
40

overview
Female, age 30
Skin sample 226
nTPM: 36.7
Cell types%
Keratinocytes:
55

Other cell types:
45

N/A
Male, age 57
Skin sample 227
nTPM: 32.5

SKIN - GTEx RNA-seqi

RNA-Seq data generated by the Genotype-Tissue Expression (GTEx) project from human tissues is reported as mean nTPM. More information can be found on the GTEx portal.

Distribution across the dataset is visualized with box plots, shown as median and 25th and 75th percentiles. Points are displayed as outliers if they are above or below 1.5 times the interquartile range. nTPM values of the individual samples are presented next to the box plot.
Max subtype nTPMi

Max subtype nTPM is the value for the subtype with the largest average nTPM across the subtype samples.

42.9
GTEx sample id Sample description nTPM
Skin - Not Sun Exposed (Suprapubic)
Average nTPM: 42.9
Samples: 604

Max nTPM: 88.6
Min nTPM: 20.1
Std nTPM: 8.7
Median nTPM: 41.5
GTEX-1PIGE-1826-SM-E8VOU 20-29 years, male 88.6
GTEX-15RIE-1926-SM-7KUKJ 60-69 years, male 87.7
GTEX-1HSMP-0926-SM-A9SKX 70-79 years, male 79.0
GTEX-X585-2426-SM-46MW2 50-59 years, male 75.0
GTEX-1E2YA-2126-SM-7MXUO 50-59 years, male 74.9
GTEX-15SHW-0226-SM-7LTAT 60-69 years, male 67.4
GTEX-Y5V6-2326-SM-4VDSA 60-69 years, male 67.2
GTEX-1399Q-2326-SM-5KM2X 40-49 years, male 66.9
GTEX-UPK5-0426-SM-3GAEK 40-49 years, male 66.7
GTEX-14PJ3-1126-SM-5ZZVX 50-59 years, male 66.3
GTEX-15RIG-0726-SM-7KUM7 40-49 years, male 64.4
GTEX-1OJC3-1226-SM-DTXER 20-29 years, male 64.4
GTEX-XYKS-1426-SM-4BRUO 60-69 years, female 64.1
GTEX-131XH-0126-SM-5LZUY 50-59 years, male 64.0
GTEX-14E1K-2026-SM-7DUEI 50-59 years, male 63.6
GTEX-11DYG-1526-SM-5A5JS 60-69 years, male 63.5
GTEX-14PHY-1226-SM-5ZZWK 60-69 years, female 63.0
GTEX-1I19N-0126-SM-CYPSF 70-79 years, male 63.0
GTEX-11DXX-2126-SM-5PNYR 60-69 years, female 62.5
GTEX-YFCO-1226-SM-5LUAT 40-49 years, male 62.3
GTEX-11WQK-1026-SM-5EQLX 50-59 years, male 62.1
GTEX-16YQH-2226-SM-7IGM2 30-39 years, male 61.0
GTEX-13PL6-1126-SM-5L3IE 40-49 years, female 60.5
GTEX-1IKOE-1426-SM-CE6T7 30-39 years, female 60.2
GTEX-148VJ-0626-SM-5LUAW 70-79 years, male 60.0
GTEX-15G19-2426-SM-7KUMR 60-69 years, male 59.9
GTEX-WH7G-2026-SM-3NMBL 40-49 years, male 59.9
GTEX-16MT9-0126-SM-7EPI8 60-69 years, female 59.6
GTEX-1AYD5-2626-SM-7PBXY 50-59 years, male 59.4
GTEX-11OF3-0126-SM-5PNYF 60-69 years, male 59.2
GTEX-ZF3C-0626-SM-DO92O 50-59 years, female 58.8
GTEX-13IVO-0726-SM-5LZYV 70-79 years, male 58.6
GTEX-WFG7-2026-SM-5SI7P 20-29 years, male 58.6
GTEX-ZYVF-0926-SM-5E44J 50-59 years, female 58.5
GTEX-17F97-2626-SM-7IGM5 50-59 years, male 58.3
GTEX-13NYB-0126-SM-5J1MD 40-49 years, male 57.6
GTEX-15DDE-2926-SM-6LLJ3 50-59 years, female 57.6
GTEX-11P7K-1126-SM-5HL4L 30-39 years, male 57.5
GTEX-144GO-2026-SM-5O99P 60-69 years, male 57.3
GTEX-139TS-2126-SM-5K7XC 60-69 years, male 57.2
GTEX-ZYT6-2326-SM-5GZY3 30-39 years, male 56.9
GTEX-1H1CY-0126-SM-9YFLY 60-69 years, female 56.8
GTEX-YB5K-2026-SM-4VDT3 40-49 years, female 56.7
GTEX-1192X-2726-SM-5N9DN 50-59 years, male 56.6
GTEX-18A6Q-0626-SM-7KFRP 60-69 years, male 56.6
GTEX-139D8-1126-SM-5LU8W 30-39 years, female 56.3
GTEX-ZPCL-1126-SM-4WWFE 60-69 years, female 56.2
GTEX-1R9PM-1926-SM-EVR3O 20-29 years, male 56.2
GTEX-YECK-0326-SM-4W1YS 60-69 years, male 55.9
GTEX-XK95-0226-SM-4AT58 40-49 years, male 55.7
GTEX-1E1VI-0326-SM-793D1 50-59 years, male 55.2
GTEX-15SKB-2826-SM-6PAMH 60-69 years, male 55.1
GTEX-1GN1V-2826-SM-9JGIA 60-69 years, male 55.0
GTEX-ZTTD-2826-SM-4YCFA 50-59 years, male 54.8
GTEX-12WSD-0626-SM-5GCMW 60-69 years, female 54.7
GTEX-1N2DV-1526-SM-DTXEP 40-49 years, male 54.7
GTEX-15DYW-2726-SM-6EU2I 60-69 years, female 54.6
GTEX-YEC3-1326-SM-DO92X 50-59 years, male 54.6
GTEX-13PDP-0726-SM-5L3HP 60-69 years, male 54.4
GTEX-1QCLY-0226-SM-EWRNH 30-39 years, male 54.2
GTEX-ZVE1-0726-SM-51MRN 50-59 years, female 54.0
GTEX-14A5H-0826-SM-5QGPJ 60-69 years, male 53.9
GTEX-ZE7O-2726-SM-51MT5 50-59 years, female 53.9
GTEX-1IDFM-0326-SM-ARL7V 60-69 years, male 53.9
GTEX-14LZ3-0126-SM-69LPM 60-69 years, female 53.8
GTEX-1F6I4-2326-SM-7RHGL 60-69 years, male 53.7
GTEX-15RJE-2826-SM-7KUM9 40-49 years, male 53.4
GTEX-111YS-1526-SM-5GZYW 60-69 years, male 53.1
GTEX-111VG-1626-SM-5EGIO 60-69 years, male 52.9
GTEX-13G51-1826-SM-5KLZH 60-69 years, male 52.9
GTEX-1QP9N-1226-SM-E76QN 30-39 years, male 52.9
GTEX-1PPH8-0126-SM-EWRN8 20-29 years, male 52.8
GTEX-1GMR3-0126-SM-A9SLW 40-49 years, male 52.7
GTEX-1HCU7-0726-SM-A9SL1 50-59 years, male 52.7
GTEX-ZXG5-2126-SM-59HKD 60-69 years, male 52.6
GTEX-145MG-1526-SM-5Q5EM 50-59 years, male 52.5
GTEX-18A66-0626-SM-7LT8Z 60-69 years, male 52.2
GTEX-13112-0126-SM-5P9IU 50-59 years, male 52.1
GTEX-147GR-2426-SM-5ZZWQ 60-69 years, male 52.1
GTEX-18A67-1626-SM-7LT9T 50-59 years, male 52.1
GTEX-XBEW-1126-SM-4QARW 40-49 years, male 52.0
GTEX-1HR98-2226-SM-ADEI2 60-69 years, male 52.0
GTEX-1IL2V-1926-SM-B2LW8 70-79 years, male 52.0
GTEX-1C64O-1326-SM-7MGWR 60-69 years, male 51.9
GTEX-117YX-1926-SM-5GIEC 50-59 years, male 51.8
GTEX-1RAZA-2226-SM-E9U4X 20-29 years, male 51.7
GTEX-Y114-2126-SM-4TT8B 50-59 years, female 51.6
GTEX-1JMQL-2226-SM-CNPP4 50-59 years, female 51.5
GTEX-1KANC-1226-SM-CYPT7 50-59 years, female 51.5
GTEX-1NSGN-0726-SM-DTXEF 50-59 years, male 51.4
GTEX-ZPU1-1126-SM-4YCF3 40-49 years, male 51.3
GTEX-YEC4-1826-SM-4W1YP 40-49 years, male 51.2
GTEX-17MFQ-1526-SM-7KFRR 20-29 years, male 51.1
GTEX-ZT9X-1526-SM-5DUXD 40-49 years, male 50.9
GTEX-1CAMS-2226-SM-7PBXQ 40-49 years, female 50.9
GTEX-13YAN-0226-SM-5TDC6 60-69 years, male 50.7
GTEX-1BAJH-2426-SM-7IGP8 70-79 years, male 50.7
GTEX-13NZ8-1226-SM-5KM4A 60-69 years, female 50.6
GTEX-13NZ9-2626-SM-5L3FK 50-59 years, male 50.5
GTEX-13SLX-2226-SM-62LEP 50-59 years, female 50.5
GTEX-15UF6-1926-SM-7KUDV 70-79 years, female 50.5
GTEX-WHSB-1326-SM-3LK6W 50-59 years, male 50.5
GTEX-14JFF-0626-SM-5ZZVT 60-69 years, male 50.5
GTEX-14753-0726-SM-5QGQO 60-69 years, male 50.3
GTEX-1H11D-1826-SM-9QEHM 40-49 years, male 50.3
GTEX-XXEK-1626-SM-4BRUZ 50-59 years, male 50.2
GTEX-1LKK1-2626-SM-DKPQE 50-59 years, female 49.9
GTEX-1O9I2-0226-SM-EYYXD 50-59 years, male 49.9
GTEX-1RMOY-1326-SM-E9TIH 50-59 years, male 49.9
GTEX-12126-0826-SM-5FQTZ 20-29 years, male 49.8
GTEX-XQ3S-1426-SM-4BOPR 20-29 years, male 49.8
GTEX-12BJ1-0926-SM-5EQ62 60-69 years, male 49.5
GTEX-1GF9X-1326-SM-7PC2Y 40-49 years, female 49.3
GTEX-XMD2-2126-SM-4YCF8 60-69 years, female 49.1
GTEX-1H3VE-0726-SM-9YFL5 40-49 years, male 49.1
GTEX-1HFI6-0126-SM-CNPPI 40-49 years, male 49.0
GTEX-11WQC-1826-SM-5GU59 60-69 years, male 48.9
GTEX-ZDTT-0426-SM-4WKFL 60-69 years, male 48.9
GTEX-ZYW4-0626-SM-59HJR 60-69 years, male 48.7
GTEX-1JJEA-1826-SM-ARU8P 60-69 years, male 48.6
GTEX-ZY6K-1426-SM-5GZX2 50-59 years, male 48.5
GTEX-1LGOU-1326-SM-D3L8M 20-29 years, female 48.5
GTEX-1R9PN-0426-SM-DTXDT 40-49 years, female 48.4
GTEX-14ICL-1626-SM-5YYAO 30-39 years, male 48.2
GTEX-VUSG-2326-SM-4KL1U 50-59 years, male 48.0
GTEX-ZWKS-0626-SM-5GIDV 30-39 years, male 48.0
GTEX-18D9B-0926-SM-7LG4U 60-69 years, male 47.9
GTEX-ZTX8-1326-SM-4YCEL 20-29 years, male 47.9
GTEX-1RB15-1326-SM-E76Q9 60-69 years, male 47.9
GTEX-13SLW-0626-SM-5Q5ER 70-79 years, male 47.8
GTEX-1F52S-2926-SM-7MKGA 60-69 years, female 47.8
GTEX-1F6IF-0926-SM-7SB7M 60-69 years, male 47.8
GTEX-14DAR-1226-SM-73KYV 50-59 years, male 47.7
GTEX-1EMGI-2326-SM-7PBYA 60-69 years, male 47.7
GTEX-12WSJ-1126-SM-5LZVJ 40-49 years, female 47.6
GTEX-145LS-0626-SM-7EPG7 60-69 years, female 47.6
GTEX-1I6K6-1726-SM-CGQFD 30-39 years, male 47.5
GTEX-1RAZS-2526-SM-E6CHT 50-59 years, male 47.5
GTEX-13JUV-2026-SM-5K7UA 40-49 years, female 47.4
GTEX-1OJC4-2726-SM-E76PJ 50-59 years, female 47.4
GTEX-13RTJ-0126-SM-5S2NN 60-69 years, male 47.3
GTEX-18A7B-2726-SM-7LG56 70-79 years, male 47.3
GTEX-WXYG-2026-SM-4E3IY 50-59 years, female 47.2
GTEX-XOT4-0626-SM-4B66L 60-69 years, female 47.2
GTEX-11TT1-1826-SM-5EQLV 20-29 years, male 47.1
GTEX-144FL-0626-SM-5LU43 50-59 years, male 47.1
GTEX-17KNJ-2126-SM-718AM 50-59 years, male 47.1
GTEX-ZE9C-2526-SM-5IJDR 60-69 years, male 47.1
GTEX-1497J-0226-SM-5QGPU 60-69 years, male 47.0
GTEX-1AX8Z-0726-SM-73KTS 60-69 years, male 47.0
GTEX-1JN76-0626-SM-CKZOQ 20-29 years, female 47.0
GTEX-139UW-0326-SM-5J1ML 60-69 years, male 46.8
GTEX-145MN-1526-SM-5SI9T 30-39 years, male 46.8
GTEX-17F9Y-0126-SM-79OKX 70-79 years, female 46.8
GTEX-1HT8W-0626-SM-A9G2H 30-39 years, male 46.8
GTEX-1399R-1326-SM-5PNYS 30-39 years, male 46.7
GTEX-14PJO-2526-SM-6AJBQ 60-69 years, male 46.7
GTEX-131XG-0326-SM-5L3DX 50-59 years, female 46.6
GTEX-1PIIG-2326-SM-DTXFR 30-39 years, male 46.6
GTEX-1HBPN-0126-SM-CGQEF 50-59 years, male 46.5
GTEX-13OW5-2326-SM-5L3HO 60-69 years, male 46.4
GTEX-1GTWX-2026-SM-9YFLM 60-69 years, male 46.4
GTEX-1H1DG-2426-SM-9QEHJ 70-79 years, male 46.4
GTEX-1JMQK-1226-SM-D4P2S 60-69 years, male 46.4
GTEX-11EQ8-0926-SM-5H12V 60-69 years, male 46.3
GTEX-147F4-0726-SM-5TDDD 50-59 years, male 46.3
GTEX-17F96-0126-SM-7EWDU 70-79 years, male 46.3
GTEX-1CAMR-1326-SM-7PC1F 20-29 years, male 46.3
GTEX-1J1OQ-0126-SM-D4P2N 40-49 years, female 46.3
GTEX-1KD5A-0126-SM-E9U54 50-59 years, male 46.3
GTEX-12KS4-2126-SM-5FQUT 30-39 years, male 46.2
GTEX-146FQ-2126-SM-5RQHU 30-39 years, male 46.2
GTEX-17HG3-2626-SM-7DUF2 30-39 years, female 46.2
GTEX-ZZ64-1026-SM-5GZXG 20-29 years, male 46.2
GTEX-XBED-1926-SM-47JYP 60-69 years, male 46.1
GTEX-1S3DN-2126-SM-E9TIN 50-59 years, male 46.0
GTEX-1117F-2926-SM-5GZYI 60-69 years, female 45.9
GTEX-14ABY-2026-SM-62LDL 50-59 years, male 45.9
GTEX-1I6K7-1926-SM-B2LXR 40-49 years, male 45.9
GTEX-111FC-2526-SM-5GZXU 60-69 years, male 45.8
GTEX-144GL-0626-SM-5LU4D 50-59 years, male 45.8
GTEX-16GPK-0626-SM-7KFSF 60-69 years, male 45.8
GTEX-12WSF-1626-SM-7KUG5 70-79 years, male 45.7
GTEX-139YR-1026-SM-5LZYN 50-59 years, male 45.7
GTEX-145ME-1726-SM-5Q5EU 40-49 years, female 45.7
GTEX-11PRG-0726-SM-5EGL1 50-59 years, male 45.6
GTEX-12ZZX-2426-SM-5GCOE 40-49 years, female 45.6
GTEX-139TU-0726-SM-5L3EK 60-69 years, male 45.6
GTEX-X3Y1-2026-SM-3P5YM 40-49 years, male 45.5
GTEX-ZVTK-0226-SM-51MRG 20-29 years, male 45.5
GTEX-17EVQ-0126-SM-7IGLR 70-79 years, male 45.4
GTEX-WI4N-2726-SM-3LK7Y 40-49 years, female 45.4
GTEX-1KAFJ-0126-SM-DIPEK 50-59 years, male 45.4
GTEX-1I1GP-1326-SM-A9G28 50-59 years, male 45.3
GTEX-11NUK-2726-SM-5A5MC 50-59 years, male 45.2
GTEX-1C64N-2626-SM-7PC2N 50-59 years, male 45.2
GTEX-1F5PK-2226-SM-7SB6N 50-59 years, male 45.1
GTEX-1I1GU-0926-SM-ACKVS 40-49 years, male 45.1
GTEX-132AR-0326-SM-5KM2C 50-59 years, female 45.0
GTEX-1A8G6-2726-SM-731AR 60-69 years, male 45.0
GTEX-Z93S-1626-SM-5CVMB 50-59 years, male 45.0
GTEX-18D9U-0126-SM-731BM 40-49 years, male 44.9
GTEX-ZAK1-0626-SM-5HL8E 50-59 years, female 44.9
GTEX-1K2DA-1026-SM-CGQGF 50-59 years, male 44.9
GTEX-11DXW-0826-SM-5H118 40-49 years, male 44.8
GTEX-14AS3-1526-SM-5Q5ED 40-49 years, female 44.8
GTEX-1LVA9-2626-SM-EVYD4 50-59 years, male 44.8
GTEX-1PBJJ-1026-SM-E76OS 30-39 years, male 44.8
GTEX-1ICG6-1226-SM-A9SLN 70-79 years, female 44.7
GTEX-1IOXB-2726-SM-CM2RI 50-59 years, male 44.7
GTEX-1LSVX-2526-SM-DIPEU 60-69 years, male 44.7
GTEX-11DXY-0126-SM-5H11Q 60-69 years, male 44.6
GTEX-14PII-0726-SM-6EU2B 60-69 years, male 44.6
GTEX-1KANB-2826-SM-CY8I6 50-59 years, male 44.6
GTEX-1I1HK-2326-SM-CKZOH 60-69 years, male 44.5
GTEX-12696-0126-SM-5EQ4L 60-69 years, male 44.4
GTEX-139TT-2126-SM-5LZWC 60-69 years, male 44.4
GTEX-14C39-1726-SM-5RQIL 40-49 years, male 44.4
GTEX-15ER7-0626-SM-6PANF 20-29 years, female 44.4
GTEX-ZDTS-0826-SM-4WKHL 60-69 years, male 44.4
GTEX-1IKJJ-2226-SM-CJI4C 60-69 years, male 44.4
GTEX-1PPGY-1626-SM-EVYBL 60-69 years, male 44.3
GTEX-12WSL-2026-SM-5GCML 50-59 years, male 44.2
GTEX-13OW6-2726-SM-5J2OE 50-59 years, male 44.2
GTEX-16NPX-0726-SM-7KULC 50-59 years, male 44.2
GTEX-1F6RS-2026-SM-7RHHC 60-69 years, female 44.2
GTEX-16AAH-0626-SM-793C9 50-59 years, male 44.0
GTEX-ZF29-0926-SM-4WKFZ 60-69 years, female 44.0
GTEX-ZP4G-1426-SM-4WWCL 20-29 years, female 44.0
GTEX-1MJK3-0726-SM-E6CJC 20-29 years, male 44.0
GTEX-1QP66-1226-SM-DTX7U 50-59 years, male 44.0
GTEX-1EX96-1026-SM-7MKG2 50-59 years, male 43.9
GTEX-WHWD-1826-SM-3LK6I 50-59 years, male 43.9
GTEX-1F88F-0126-SM-9WYSZ 60-69 years, female 43.9
GTEX-1399S-0126-SM-5IJCF 30-39 years, female 43.8
GTEX-13FTY-2126-SM-5IFFB 40-49 years, female 43.8
GTEX-14JG1-1526-SM-5YY9X 40-49 years, male 43.8
GTEX-W5X1-2526-SM-3GILC 40-49 years, female 43.8
GTEX-18D9A-1426-SM-7LT8M 30-39 years, female 43.7
GTEX-1LSNL-2726-SM-E9TKJ 50-59 years, male 43.7
GTEX-13D11-0926-SM-5J2NC 50-59 years, female 43.6
GTEX-WY7C-2126-SM-3NB2R 50-59 years, male 43.6
GTEX-1A8FM-0626-SM-7PC25 50-59 years, female 43.6
GTEX-1JK1U-0226-SM-ARZMX 60-69 years, male 43.6
GTEX-11DXZ-2026-SM-5987S 50-59 years, male 43.4
GTEX-14E6C-2426-SM-5S2NF 40-49 years, male 43.3
GTEX-17F9E-2326-SM-79OKD 50-59 years, male 43.3
GTEX-ZC5H-1526-SM-5HL9Y 40-49 years, female 43.3
GTEX-ZF2S-1626-SM-57WES 50-59 years, female 43.3
GTEX-1JMQJ-0826-SM-CNPP7 50-59 years, male 43.3
GTEX-11NSD-0626-SM-5A5LU 20-29 years, male 43.2
GTEX-WK11-2726-SM-3NMAQ 50-59 years, male 43.2
GTEX-1H3O1-1326-SM-9MQLD 60-69 years, male 43.2
GTEX-12ZZY-0726-SM-5EQ66 60-69 years, male 43.1
GTEX-13OVG-1626-SM-5J1NF 60-69 years, male 43.1
GTEX-Y3IK-1626-SM-4YCF5 50-59 years, female 43.1
GTEX-13FTX-1526-SM-5K7VJ 20-29 years, female 43.0
GTEX-14BIN-1126-SM-5RQJZ 50-59 years, female 43.0
GTEX-1QW4Y-1126-SM-DTXE3 30-39 years, male 43.0
GTEX-145MI-0626-SM-5SI8S 60-69 years, female 42.9
GTEX-ZAJG-1526-SM-5CVML 50-59 years, female 42.9
GTEX-13O61-1426-SM-5KM3D 60-69 years, male 42.8
GTEX-16NGA-0726-SM-731AO 40-49 years, female 42.7
GTEX-Y8E4-2026-SM-5IFJB 40-49 years, male 42.7
GTEX-YF7O-1526-SM-5IFI6 50-59 years, male 42.7
GTEX-1HGF4-0126-SM-CNPPX 60-69 years, male 42.7
GTEX-1L5NE-1126-SM-D3L9P 50-59 years, male 42.7
GTEX-1313W-0626-SM-5EQ4H 50-59 years, female 42.6
GTEX-X4EO-2926-SM-4E3JH 60-69 years, female 42.6
GTEX-X8HC-0626-SM-4E3HQ 50-59 years, female 42.6
GTEX-ZLFU-1826-SM-4WWBV 40-49 years, male 42.6
GTEX-ZYFG-1526-SM-5GZYM 60-69 years, female 42.6
GTEX-1H1E6-0426-SM-9WYUS 30-39 years, male 42.6
GTEX-1LG7Y-2526-SM-EWRO7 50-59 years, male 42.6
GTEX-14C38-0726-SM-5SI6M 50-59 years, male 42.5
GTEX-1J8EW-2726-SM-CY8HR 60-69 years, female 42.5
GTEX-1J8Q2-2626-SM-ACKWQ 60-69 years, male 42.5
GTEX-1JMPY-0226-SM-CKZOK 30-39 years, male 42.5
GTEX-1R9K4-2826-SM-DTX8F 60-69 years, male 42.5
GTEX-131XF-2626-SM-5EQ6K 60-69 years, male 42.4
GTEX-14E6E-0526-SM-793DN 30-39 years, male 42.4
GTEX-14XAO-1226-SM-6EU1C 60-69 years, female 42.4
GTEX-1CAMQ-1326-SM-7P8RV 40-49 years, male 42.4
GTEX-1POEN-2326-SM-E9J2L 30-39 years, female 42.4
GTEX-12WSH-1526-SM-5BC5W 50-59 years, male 42.3
GTEX-14PJ2-0626-SM-6LLII 50-59 years, male 42.2
GTEX-ZUA1-2626-SM-5NQ92 40-49 years, male 42.1
GTEX-ZVZP-1226-SM-5GID7 50-59 years, male 42.1
GTEX-1C6WA-2626-SM-7MKGM 60-69 years, male 42.0
GTEX-Y111-0626-SM-4SOIT 50-59 years, male 42.0
GTEX-1QAET-0326-SM-EVR3U 50-59 years, male 42.0
GTEX-14BMV-2826-SM-5TDED 50-59 years, male 41.9
GTEX-15G1A-1626-SM-7KUKN 30-39 years, male 41.9
GTEX-1A3MW-0626-SM-731CB 60-69 years, female 41.9
GTEX-1LSNM-0826-SM-DIPG8 50-59 years, male 41.9
GTEX-1IDJF-2026-SM-CL53V 20-29 years, male 41.8
GTEX-1S82U-1026-SM-E6CJK 30-39 years, female 41.8
GTEX-17HGU-2326-SM-7DUFE 50-59 years, male 41.7
GTEX-1399U-1126-SM-5L3DB 50-59 years, female 41.6
GTEX-13JVG-0726-SM-5KM16 60-69 years, male 41.6
GTEX-1N2EE-0626-SM-E76PW 60-69 years, male 41.6
GTEX-1RAZQ-1326-SM-E9TK6 30-39 years, male 41.6
GTEX-11ZTT-2126-SM-5CVLO 60-69 years, female 41.5
GTEX-13NYC-0126-SM-5L3F4 60-69 years, male 41.5
GTEX-1HB9E-0126-SM-CM2S5 50-59 years, male 41.5
GTEX-1JMPZ-0726-SM-CY8HZ 30-39 years, male 41.5
GTEX-16MT8-2926-SM-7DUFO 60-69 years, female 41.4
GTEX-1QEPI-2626-SM-DTXF4 60-69 years, female 41.4
GTEX-1CB4I-0126-SM-7RHGG 50-59 years, male 41.3
GTEX-1IDJH-0126-SM-D3L92 70-79 years, male 41.3
GTEX-1LVAN-0626-SM-CNPOQ 50-59 years, female 41.3
GTEX-1M4P7-0726-SM-E6CJ3 60-69 years, male 41.3
GTEX-1QP2A-1726-SM-E76QC 50-59 years, male 41.3
GTEX-14PHX-2226-SM-6EU2P 50-59 years, male 41.2
GTEX-UPJH-0226-SM-3GADV 50-59 years, male 41.2
GTEX-1HSMQ-2626-SM-A9SML 50-59 years, male 41.2
GTEX-13OVH-0526-SM-5L3E6 70-79 years, male 41.1
GTEX-16MTA-0926-SM-6M47Z 50-59 years, male 41.1
GTEX-16Z82-2626-SM-7KULU 60-69 years, male 41.1
GTEX-ZVT4-2426-SM-5GIEI 50-59 years, female 41.1
GTEX-1JMLX-0626-SM-ARL8T 50-59 years, male 41.1
GTEX-WYJK-0526-SM-3NM8Z 50-59 years, male 41.0
GTEX-131XW-0626-SM-5PNVD 50-59 years, female 40.9
GTEX-145MH-2826-SM-5RQJF 50-59 years, male 40.9
GTEX-ZDXO-3126-SM-5IJDF 60-69 years, male 40.9
GTEX-11ZUS-2626-SM-5FQUR 30-39 years, male 40.8
GTEX-14PJ5-1526-SM-6LLIL 60-69 years, female 40.8
GTEX-1JMQI-1726-SM-ARL93 50-59 years, male 40.8
GTEX-14BMU-1226-SM-5S2OR 20-29 years, female 40.6
GTEX-15RJ7-2126-SM-6PAMD 40-49 years, male 40.6
GTEX-1B8KZ-0326-SM-73KY4 50-59 years, male 40.6
GTEX-1F75B-0726-SM-7PC3R 50-59 years, male 40.6
GTEX-11O72-0626-SM-5PNYE 40-49 years, male 40.5
GTEX-145MO-2826-SM-5LU96 60-69 years, male 40.5
GTEX-15CHR-1126-SM-7EWF4 50-59 years, male 40.5
GTEX-1B8L1-2226-SM-7P8PT 60-69 years, male 40.5
GTEX-1HCU6-2526-SM-ADEHL 60-69 years, female 40.5
GTEX-1I1CD-0626-SM-CE6SW 60-69 years, female 40.5
GTEX-1IDJC-1526-SM-B2LW4 50-59 years, male 40.5
GTEX-ZPIC-0526-SM-DO91W 40-49 years, female 40.5
GTEX-15EO6-2426-SM-6PALZ 50-59 years, male 40.4
GTEX-1C6VR-0126-SM-7RHGB 60-69 years, male 40.4
GTEX-1B933-2426-SM-7DHMD 50-59 years, female 40.3
GTEX-1J8JJ-0626-SM-ARZMQ 60-69 years, female 40.3
GTEX-13OVL-0126-SM-5L3GJ 50-59 years, male 40.2
GTEX-16XZZ-0726-SM-7KUF2 60-69 years, male 40.2
GTEX-18QFQ-1826-SM-72D52 30-39 years, male 40.2
GTEX-1GMRU-2126-SM-7P8RA 50-59 years, male 40.2
GTEX-12584-0726-SM-5FQTK 40-49 years, male 40.1
GTEX-1B8KE-1126-SM-7EPHI 50-59 years, male 40.1
GTEX-1GZ4I-2626-SM-9KNU3 50-59 years, male 40.1
GTEX-1HCU9-0426-SM-9WYSD 20-29 years, male 40.1
GTEX-ZVP2-0326-SM-57WBP 50-59 years, male 40.0
GTEX-1H1DF-1126-SM-9WG7G 40-49 years, female 40.0
GTEX-1LBAC-0826-SM-CY8IJ 20-29 years, male 40.0
GTEX-13OVK-1426-SM-6PAN7 40-49 years, male 39.9
GTEX-1CB4J-1326-SM-7P8RX 60-69 years, male 39.9
GTEX-1269C-0126-SM-5EQ5L 60-69 years, female 39.8
GTEX-13FLV-0126-SM-5K7WT 50-59 years, male 39.8
GTEX-1PPH7-1126-SM-DTX9A 40-49 years, male 39.8
GTEX-1RAZR-2126-SM-E9U6T 40-49 years, male 39.8
GTEX-1S82P-2126-SM-E6CI5 60-69 years, female 39.8
GTEX-ZYFC-0426-SM-5GICQ 50-59 years, male 39.7
GTEX-1KANA-1326-SM-DIPFA 20-29 years, male 39.7
GTEX-13N11-2326-SM-5IJBF 50-59 years, female 39.6
GTEX-145LT-0526-SM-5LUB2 40-49 years, male 39.6
GTEX-1CB4E-0926-SM-7EPHT 60-69 years, male 39.6
GTEX-Y5LM-0926-SM-6LLJG 40-49 years, female 39.6
GTEX-1GN1U-0626-SM-9MQL9 50-59 years, female 39.6
GTEX-1HR9M-2226-SM-CNPPY 60-69 years, male 39.6
GTEX-15EU6-2226-SM-6EU2L 50-59 years, male 39.5
GTEX-178AV-1726-SM-7KUL8 40-49 years, male 39.5
GTEX-17HHE-1326-SM-7EWDZ 50-59 years, male 39.5
GTEX-1CB4H-1126-SM-7MKGL 60-69 years, female 39.5
GTEX-ZDYS-2426-SM-4WKGI 50-59 years, male 39.5
GTEX-1GN1W-2426-SM-9KNUU 50-59 years, female 39.5
GTEX-16BQI-1326-SM-6M486 30-39 years, female 39.4
GTEX-V1D1-2026-SM-3GAF4 50-59 years, male 39.3
GTEX-1GF9V-0826-SM-9KNUV 60-69 years, male 39.3
GTEX-1J1R8-2026-SM-CL53Y 40-49 years, male 39.3
GTEX-1S831-1826-SM-EWROF 20-29 years, male 39.3
GTEX-14DAQ-0626-SM-793DS 60-69 years, female 39.2
GTEX-14PK6-0226-SM-62LF5 70-79 years, female 39.2
GTEX-18A7A-0126-SM-731AH 50-59 years, female 39.2
GTEX-1C475-1326-SM-7SB73 40-49 years, female 39.2
GTEX-1F75A-0726-SM-7RHHD 50-59 years, male 39.2
GTEX-1GZ4H-0526-SM-9KNU9 50-59 years, female 39.2
GTEX-1IY9M-2826-SM-ARU8H 60-69 years, male 39.2
GTEX-13X6I-1826-SM-5SIAO 60-69 years, male 39.1
GTEX-WHSE-0126-SM-3NMBT 20-29 years, male 39.0
GTEX-1IE54-1126-SM-A9G2Z 40-49 years, female 39.0
GTEX-14LLW-2626-SM-62LDZ 70-79 years, female 38.9
GTEX-11P82-1426-SM-DTXFY 20-29 years, male 38.9
GTEX-1HCUA-0826-SM-ADEHM 50-59 years, female 38.9
GTEX-13N2G-0226-SM-5K7VF 60-69 years, male 38.7
GTEX-1EN7A-2426-SM-793DB 40-49 years, male 38.7
GTEX-1GZ2Q-0126-SM-9WG6M 40-49 years, male 38.7
GTEX-1IDJE-1426-SM-ADEIW 50-59 years, female 38.7
GTEX-1JJ6O-2726-SM-CNPOG 60-69 years, male 38.7
GTEX-13NYS-0626-SM-5L3F1 60-69 years, male 38.6
GTEX-WRHU-2826-SM-3MJG8 50-59 years, female 38.6
GTEX-ZYY3-2926-SM-5GIEB 60-69 years, female 38.6
GTEX-1JKYR-0626-SM-ARL8R 20-29 years, male 38.6
GTEX-1LVAM-0726-SM-E6CIL 50-59 years, female 38.5
GTEX-144GM-0526-SM-79OJO 20-29 years, male 38.4
GTEX-XV7Q-1826-SM-4BRUV 40-49 years, female 38.4
GTEX-1MCC2-1826-SM-DIPEX 30-39 years, female 38.4
GTEX-11GS4-0226-SM-5HL77 60-69 years, male 38.3
GTEX-ZVE2-2826-SM-5GU51 50-59 years, male 38.3
GTEX-1ICLZ-0326-SM-ARL82 60-69 years, male 38.3
GTEX-13W3W-0726-SM-5IJDQ 60-69 years, female 38.2
GTEX-17HHY-0426-SM-7DHLC 50-59 years, male 38.2
GTEX-18465-2826-SM-7LT9J 50-59 years, male 38.2
GTEX-1A8G7-1326-SM-73KVM 60-69 years, male 38.2
GTEX-Y3I4-1726-SM-4TT89 50-59 years, male 38.2
GTEX-1HBPI-2126-SM-ARL9K 50-59 years, male 38.2
GTEX-1HC8U-1326-SM-9YFMJ 40-49 years, female 38.2
GTEX-1K2DU-1226-SM-CYPT4 20-29 years, male 38.2
GTEX-133LE-2326-SM-5K7W3 20-29 years, female 38.1
GTEX-1F75W-2726-SM-7SB8H 60-69 years, male 38.1
GTEX-1KXAM-1626-SM-D3LAD 60-69 years, male 38.1
GTEX-1212Z-0126-SM-59HK4 60-69 years, male 38.0
GTEX-13QJC-0126-SM-5ZZWJ 60-69 years, female 38.0
GTEX-13X6J-0626-SM-5LU5F 50-59 years, male 38.0
GTEX-X5EB-1926-SM-4E3IW 40-49 years, male 38.0
GTEX-1H2FU-0926-SM-9WPPT 60-69 years, female 38.0
GTEX-WFON-1926-SM-3LK7L 40-49 years, male 37.9
GTEX-1GMR2-0826-SM-7PC3V 50-59 years, male 37.9
GTEX-1F5PL-0926-SM-7PC2W 40-49 years, female 37.8
GTEX-1H1ZS-2726-SM-9WG75 70-79 years, male 37.8
GTEX-145LU-1926-SM-79OJN 50-59 years, male 37.7
GTEX-X4EP-0626-SM-3P621 60-69 years, female 37.7
GTEX-YJ8O-2526-SM-5HL85 40-49 years, female 37.7
GTEX-1JN6P-2926-SM-CL54D 60-69 years, male 37.7
GTEX-1211K-1526-SM-5FQU4 60-69 years, female 37.6
GTEX-183WM-0326-SM-72D5V 70-79 years, female 37.6
GTEX-11ZU8-0126-SM-5EQ58 60-69 years, male 37.5
GTEX-1LGRB-0926-SM-COH3K 50-59 years, female 37.5
GTEX-1R7EU-1626-SM-DTXG3 60-69 years, male 37.5
GTEX-11P81-2226-SM-5PNYI 30-39 years, female 37.4
GTEX-13X6K-0626-SM-5LU5D 60-69 years, female 37.4
GTEX-14PKV-1126-SM-6LLJ1 20-29 years, female 37.4
GTEX-15CHQ-0326-SM-69LQD 60-69 years, male 37.4
GTEX-1EWIQ-0326-SM-7DHMQ 70-79 years, female 37.4
GTEX-XAJ8-1426-SM-47JYM 40-49 years, male 37.4
GTEX-1I1GV-0626-SM-ARL7M 60-69 years, male 37.4
GTEX-1QPFJ-1926-SM-EVYBD 30-39 years, female 37.4
GTEX-14C5O-0326-SM-5ZZUX 60-69 years, male 37.3
GTEX-15CHC-1126-SM-6LLHQ 60-69 years, female 37.3
GTEX-1I1GT-1026-SM-ARZLV 60-69 years, female 37.2
GTEX-1JN1M-2726-SM-CY8I4 60-69 years, female 37.2
GTEX-1B996-0426-SM-7EWF8 60-69 years, male 37.1
GTEX-WEY5-2326-SM-3GIKK 40-49 years, female 37.1
GTEX-ZYFD-0626-SM-5E44E 50-59 years, male 37.1
GTEX-1LVAO-2726-SM-E9TJ8 60-69 years, male 37.0
GTEX-1S83E-1326-SM-E6CJM 40-49 years, male 37.0
GTEX-14PJN-1826-SM-6AJ98 30-39 years, male 36.9
GTEX-1CAV2-0126-SM-7IGN7 40-49 years, female 36.9
GTEX-1F75I-2226-SM-7SB8U 40-49 years, male 36.9
GTEX-1KWVE-1026-SM-D3L9O 30-39 years, male 36.9
GTEX-1S5ZU-2526-SM-E6CIF 20-29 years, female 36.9
GTEX-11DZ1-2426-SM-5GZZX 50-59 years, male 36.8
GTEX-13PVQ-0626-SM-5LU47 50-59 years, male 36.8
GTEX-13PVR-0426-SM-5RQK2 60-69 years, female 36.8
GTEX-17HII-1426-SM-7EPGG 50-59 years, male 36.8
GTEX-ZZPU-0826-SM-5GZX5 50-59 years, female 36.8
GTEX-1NV5F-0626-SM-DTXEG 60-69 years, female 36.8
GTEX-13N1W-2426-SM-5IJD1 70-79 years, male 36.7
GTEX-14PJ6-2626-SM-6EU2T 60-69 years, female 36.7
GTEX-XBEC-0726-SM-4QARZ 50-59 years, male 36.7
GTEX-ZLWG-0826-SM-59888 50-59 years, female 36.7
GTEX-1GPI6-1926-SM-9KNV7 60-69 years, male 36.7
GTEX-11EQ9-1626-SM-5PNY8 30-39 years, male 36.6
GTEX-13U4I-2226-SM-5LU5H 40-49 years, female 36.6
GTEX-13X6H-0926-SM-5SIB2 50-59 years, female 36.6
GTEX-WHPG-2626-SM-3NMBR 50-59 years, male 36.6
GTEX-ZU9S-1826-SM-5NQ9E 30-39 years, male 36.6
GTEX-12WSM-1926-SM-5BC65 60-69 years, male 36.5
GTEX-1314G-1326-SM-5BC6E 30-39 years, male 36.5
GTEX-17EVP-2626-SM-7IGMA 40-49 years, male 36.5
GTEX-1H1DE-1326-SM-9KNUG 20-29 years, male 36.5
GTEX-1B8SF-0126-SM-7DUG3 60-69 years, male 36.3
GTEX-1HSMO-0626-SM-ACKXC 60-69 years, male 36.3
GTEX-1AX9J-1326-SM-731BJ 60-69 years, male 36.2
GTEX-11GSP-2326-SM-5HL63 60-69 years, female 36.1
GTEX-1B97I-0626-SM-73KUZ 40-49 years, male 36.1
GTEX-1QMI2-2526-SM-E8VNZ 60-69 years, male 36.1
GTEX-13O3O-2326-SM-5IJD6 60-69 years, female 36.0
GTEX-13VXT-1926-SM-5K7UO 20-29 years, female 36.0
GTEX-1F88E-1626-SM-7SB8Z 60-69 years, female 36.0
GTEX-11VI4-1126-SM-5EQMD 40-49 years, female 35.9
GTEX-ZT9W-1126-SM-57WDR 50-59 years, male 35.9
GTEX-11EI6-2826-SM-5H11D 60-69 years, male 35.8
GTEX-12ZZZ-0726-SM-5GCNZ 60-69 years, male 35.8
GTEX-13OVJ-0826-SM-5J1OK 50-59 years, female 35.8
GTEX-147F3-1726-SM-5SIAW 50-59 years, female 35.8
GTEX-1EH9U-2826-SM-7DUGT 60-69 years, male 35.8
GTEX-111CU-1126-SM-5EGIM 50-59 years, male 35.7
GTEX-1GN73-0726-SM-7P8TJ 60-69 years, male 35.7
GTEX-1IDJV-0126-SM-COH3Y 60-69 years, male 35.7
GTEX-145MF-0926-SM-5Q5EA 50-59 years, male 35.6
GTEX-14A6H-2026-SM-5Q5DD 30-39 years, male 35.6
GTEX-1I1GS-2626-SM-B2LY3 60-69 years, male 35.6
GTEX-1AX9I-2226-SM-73KUO 60-69 years, male 35.5
GTEX-1HCVE-2726-SM-CL54F 50-59 years, male 35.5
GTEX-1477Z-0326-SM-7IGLA 60-69 years, male 35.4
GTEX-183FY-1026-SM-7939A 20-29 years, male 35.4
GTEX-1LG7Z-1626-SM-CXKYR 30-39 years, male 35.4
GTEX-1H23P-0626-SM-9WG6T 60-69 years, male 35.3
GTEX-1HSGN-0826-SM-ACKW3 40-49 years, female 35.3
GTEX-1R46S-2426-SM-E76QA 60-69 years, female 35.3
GTEX-1RLM8-2926-SM-E8VON 50-59 years, male 35.3
GTEX-1GPI7-1826-SM-9KNU1 20-29 years, male 35.2
GTEX-12WSA-0426-SM-5EQ5X 60-69 years, male 35.1
GTEX-17F98-1326-SM-7DUEP 40-49 years, female 35.1
GTEX-1C6VQ-1226-SM-73KYD 50-59 years, male 35.0
GTEX-1JJE9-2626-SM-ARZMT 70-79 years, male 35.0
GTEX-1K9T9-1526-SM-DIPFR 50-59 years, female 35.0
GTEX-13FHO-0426-SM-5L3F5 60-69 years, male 34.9
GTEX-ZAB4-2126-SM-5HL8U 40-49 years, male 34.9
GTEX-13FTW-0326-SM-5K7UW 40-49 years, male 34.8
GTEX-17JCI-2926-SM-7DUFF 60-69 years, female 34.8
GTEX-1EKGG-0626-SM-7DUGJ 60-69 years, male 34.8
GTEX-XUW1-0926-SM-4BONX 50-59 years, female 34.7
GTEX-1QCLZ-2426-SM-EVYBW 60-69 years, female 34.7
GTEX-13O3Q-0126-SM-5KM34 50-59 years, male 34.6
GTEX-1A3MV-1826-SM-731CD 30-39 years, male 34.6
GTEX-ZA64-1026-SM-5HL8R 20-29 years, male 34.6
GTEX-15D1Q-2826-SM-6LLH7 40-49 years, male 34.5
GTEX-1GF9U-2026-SM-7SB92 40-49 years, female 34.5
GTEX-1GMR8-0626-SM-7RHI7 50-59 years, female 34.5
GTEX-13VXU-0626-SM-5L3F9 50-59 years, male 34.4
GTEX-1J8QM-2426-SM-A9SLS 60-69 years, female 34.4
GTEX-12WSC-2826-SM-5BC5Y 50-59 years, male 34.2
GTEX-1GF9W-1426-SM-7PBYM 60-69 years, male 34.2
GTEX-1ICLY-0826-SM-CMKG1 50-59 years, male 34.2
GTEX-1HFI7-2326-SM-CGQFS 50-59 years, female 34.0
GTEX-1F48J-0726-SM-7RHGS 50-59 years, female 33.9
GTEX-1GL5R-1326-SM-7RHHF 50-59 years, male 33.9
GTEX-11EM3-1226-SM-5N9DD 20-29 years, female 33.8
GTEX-XQ8I-0926-SM-4BOOF 50-59 years, male 33.8
GTEX-1JMOU-1026-SM-CYPSS 60-69 years, female 33.7
GTEX-ZLV1-1526-SM-DO91J 60-69 years, female 33.7
GTEX-U8XE-0226-SM-4E3J3 30-39 years, male 33.6
GTEX-1H4P4-2126-SM-9WYSL 50-59 years, male 33.6
GTEX-1QP28-1126-SM-EVYC4 50-59 years, female 33.6
GTEX-1122O-1026-SM-9WYSF 60-69 years, female 33.5
GTEX-WFG8-2126-SM-3GIKQ 20-29 years, male 33.3
GTEX-13FH7-1126-SM-5K7UG 50-59 years, female 33.2
GTEX-1IDJU-1726-SM-CMKHU 60-69 years, female 33.2
GTEX-1N5O9-0926-SM-E9J3C 60-69 years, male 33.2
GTEX-131YS-2826-SM-5EQ47 60-69 years, female 33.1
GTEX-XPVG-2126-SM-4B667 50-59 years, male 33.0
GTEX-1HUB1-1426-SM-CGQF5 60-69 years, male 32.9
GTEX-VJYA-1526-SM-3GIJV 60-69 years, male 32.8
GTEX-1MCYP-0526-SM-E9U6Q 20-29 years, female 32.8
GTEX-11TUW-0626-SM-5LU9M 60-69 years, male 32.6
GTEX-1B932-2326-SM-79OL5 40-49 years, female 32.5
GTEX-12WSK-2126-SM-5CVNC 40-49 years, female 32.4
GTEX-11LCK-2226-SM-5HL4Q 30-39 years, male 32.3
GTEX-1GN2E-0226-SM-9WG6K 60-69 years, male 32.3
GTEX-WYBS-0626-SM-3NMAS 60-69 years, female 32.0
GTEX-13OW7-0426-SM-5K7VK 50-59 years, male 31.9
GTEX-1CB4F-1026-SM-7DUH1 60-69 years, male 31.9
GTEX-14PJ4-0226-SM-5YY92 60-69 years, male 31.8
GTEX-11UD2-2526-SM-5CVNU 50-59 years, male 31.7
GTEX-1HSKV-1226-SM-ADEI4 60-69 years, male 31.7
GTEX-1EU9M-1426-SM-793AI 60-69 years, male 31.5
GTEX-1LB8K-0726-SM-D5OV2 50-59 years, male 31.5
GTEX-1PDJ9-1226-SM-EXUSX 20-29 years, male 31.4
GTEX-17MF6-2626-SM-79OKQ 40-49 years, male 31.3
GTEX-14PKU-0126-SM-6LLHV 40-49 years, female 31.2
GTEX-1A3MX-2626-SM-7PC24 60-69 years, male 31.0
GTEX-1IDJD-2326-SM-ACKWX 30-39 years, male 31.0
GTEX-12C56-1526-SM-5FQUQ 20-29 years, male 30.8
GTEX-1H3NZ-2726-SM-9WYTQ 60-69 years, male 30.8
GTEX-1J8Q3-0526-SM-ARL8U 60-69 years, male 30.8
GTEX-ZGAY-1826-SM-DO91Q 40-49 years, female 30.8
GTEX-WYVS-1626-SM-3NM9R 40-49 years, female 30.7
GTEX-1JKYN-0826-SM-ARU8S 30-39 years, male 30.7
GTEX-1C2JI-1026-SM-73KY1 50-59 years, male 30.4
GTEX-Y9LG-1126-SM-4VBQ7 30-39 years, male 30.4
GTEX-14B4R-1326-SM-5Q5EZ 30-39 years, male 30.1
GTEX-1HBPM-0726-SM-9YFL7 60-69 years, female 30.1
GTEX-1I4MK-0126-SM-CY8G6 50-59 years, female 30.0
GTEX-13OW8-1026-SM-5J1NQ 60-69 years, male 29.9
GTEX-1HCU8-2526-SM-CE6RX 60-69 years, female 29.9
GTEX-14JG6-1426-SM-9WG7C 30-39 years, female 29.6
GTEX-Y8LW-1526-SM-5IFHL 50-59 years, female 29.2
GTEX-139T8-0626-SM-5KLZX 60-69 years, male 29.1
GTEX-1QP29-1826-SM-DTX9S 50-59 years, male 29.1
GTEX-13113-1626-SM-5EQ4I 60-69 years, female 28.9
GTEX-Y5V5-0126-SM-5S2NW 60-69 years, female 28.8
GTEX-1IDJI-0126-SM-CMKHS 50-59 years, female 28.8
GTEX-1A32A-0626-SM-731AQ 50-59 years, female 28.1
GTEX-ZVT2-0126-SM-5GIDQ 50-59 years, female 27.0
GTEX-147JS-0226-SM-5S2U9 60-69 years, male 26.2
GTEX-1AMFI-1326-SM-7939R 50-59 years, female 26.1
GTEX-1HKZK-0726-SM-ACKW2 40-49 years, male 25.5
GTEX-15FZZ-0526-SM-7KUGD 30-39 years, female 25.1
GTEX-1GZHY-0626-SM-9KNVC 50-59 years, female 24.7
GTEX-13QBU-1226-SM-5LU4G 40-49 years, female 24.5
GTEX-ZTSS-1426-SM-5985P 40-49 years, male 23.3
GTEX-1AMEY-0826-SM-72D65 30-39 years, female 20.1
Show allShow less
Skin - Sun Exposed (Lower leg)
Average nTPM: 42.4
Samples: 701

Max nTPM: 152.3
Min nTPM: 25.7
Std nTPM: 9.1
Median nTPM: 40.9
GTEX-SE5C-1626-SM-2XCE3 40-49 years, female 152.3
GTEX-15SB6-1726-SM-6PAME 50-59 years, female 86.6
GTEX-POMQ-2226-SM-2I5FK 20-29 years, female 83.3
GTEX-Y3IK-2426-SM-4WWDU 50-59 years, female 75.9
GTEX-OIZG-0726-SM-33HBL 50-59 years, male 70.8
GTEX-OIZH-0126-SM-2HMIS 50-59 years, male 69.6
GTEX-131XF-5016-SM-7MGWE 60-69 years, male 68.7
GTEX-W5X1-3026-SM-EAZAX 40-49 years, female 68.6
GTEX-O5YT-0126-SM-48TBW 20-29 years, male 66.8
GTEX-11UD1-0126-SM-5PNYG 40-49 years, female 64.7
GTEX-15UF6-0826-SM-6PALJ 70-79 years, female 64.7
GTEX-139UW-2826-SM-5L3E7 60-69 years, male 64.0
GTEX-ZE9C-2726-SM-57WB5 60-69 years, male 63.9
GTEX-1399U-2326-SM-5K7WY 50-59 years, female 63.8
GTEX-1122O-2126-SM-5EGIR 60-69 years, female 63.5
GTEX-12126-0326-SM-5PNW3 20-29 years, male 63.4
GTEX-X88G-0126-SM-47JZ3 30-39 years, male 63.2
GTEX-1GMR3-1926-SM-9KNUZ 40-49 years, male 63.1
GTEX-1I1GV-0526-SM-A9G29 60-69 years, male 62.8
GTEX-QDVN-2026-SM-3GAEP 50-59 years, male 62.6
GTEX-RVPV-0126-SM-EAZAW 60-69 years, male 62.4
GTEX-13G51-2526-SM-5LZYK 60-69 years, male 60.5
GTEX-Y5V6-2426-SM-4VDSB 60-69 years, male 60.3
GTEX-1H1CY-2826-SM-9MQM3 60-69 years, female 60.0
GTEX-1R9PM-2026-SM-E76OY 20-29 years, male 60.0
GTEX-139TS-2826-SM-5J1OO 60-69 years, male 59.9
GTEX-1OJC3-0126-SM-E76QX 20-29 years, male 59.4
GTEX-1LBAC-0126-SM-DIPEZ 20-29 years, male 59.1
GTEX-18D9A-1926-SM-7LG6P 30-39 years, female 59.0
GTEX-145LT-1726-SM-5QGP3 40-49 years, male 58.4
GTEX-13OVK-2026-SM-7KUEO 40-49 years, male 58.1
GTEX-WVJS-0126-SM-4MVOT 50-59 years, male 58.1
GTEX-1JMQL-0226-SM-CNPP5 50-59 years, female 58.1
GTEX-P4QT-0126-SM-2I3FL 50-59 years, female 58.0
GTEX-1B8SF-1426-SM-7DUGL 60-69 years, male 57.9
GTEX-1KD4Q-0226-SM-E9TJ9 40-49 years, male 57.4
GTEX-S33H-1026-SM-EZ6L6 30-39 years, male 56.9
GTEX-14753-0426-SM-5NQAM 60-69 years, male 56.7
GTEX-11WQK-0526-SM-5EQLD 50-59 years, male 56.5
GTEX-XYKS-2126-SM-4E3IB 60-69 years, female 56.3
GTEX-Y8DK-0126-SM-4TT3L 60-69 years, male 56.2
GTEX-1C6VQ-0126-SM-7P8RI 50-59 years, male 56.0
GTEX-U412-0426-SM-3DB9O 60-69 years, male 55.9
GTEX-1CAMS-0426-SM-7P8T2 40-49 years, female 55.8
GTEX-13FTW-2626-SM-5K7WL 40-49 years, male 55.5
GTEX-131XH-2226-SM-5DUXJ 50-59 years, male 54.9
GTEX-1MJK2-0426-SM-DTXE5 50-59 years, male 54.9
GTEX-1497J-2426-SM-7IGNX 60-69 years, male 54.8
GTEX-PSDG-0226-SM-DKPOZ 50-59 years, male 54.8
GTEX-11DYG-0126-SM-59883 60-69 years, male 54.5
GTEX-131XE-2326-SM-5PNZ2 50-59 years, male 54.4
GTEX-1IKK5-0626-SM-ARL8A 60-69 years, male 54.4
GTEX-X4XX-0126-SM-3NMC2 60-69 years, male 54.2
GTEX-Y5LM-1926-SM-5RQJH 40-49 years, female 54.1
GTEX-111FC-0126-SM-5N9DL 60-69 years, male 53.7
GTEX-14ICK-0226-SM-6EU25 40-49 years, male 53.7
GTEX-XQ3S-1526-SM-4BOOC 20-29 years, male 53.7
GTEX-183WM-0126-SM-7LTAB 70-79 years, female 53.5
GTEX-Q2AH-1626-SM-3GAF8 40-49 years, male 53.4
GTEX-1PDJ9-0326-SM-DTX95 20-29 years, male 53.4
GTEX-13NYB-2526-SM-5K7Z6 40-49 years, male 53.3
GTEX-TMZS-0126-SM-3DB9Q 60-69 years, male 53.1
GTEX-1EWIQ-0126-SM-7RHH2 70-79 years, female 52.9
GTEX-1GZ2Q-0226-SM-7P8TL 40-49 years, male 52.9
GTEX-1HFI6-0226-SM-ADEHZ 40-49 years, male 52.9
GTEX-S7SE-0126-SM-2XCD5 50-59 years, male 52.8
GTEX-16MT8-0426-SM-7KUEY 60-69 years, female 52.5
GTEX-ZVT2-2526-SM-51MT1 50-59 years, female 52.3
GTEX-13PDP-0126-SM-5L3HD 60-69 years, male 52.1
GTEX-XAJ8-0826-SM-47JY6 40-49 years, male 52.1
GTEX-ZVTK-0426-SM-51MRS 20-29 years, male 52.1
GTEX-13FHP-0126-SM-5IJBG 50-59 years, male 51.9
GTEX-1K2DA-1826-SM-CGQGT 50-59 years, male 51.9
GTEX-14BMU-2226-SM-5TDE9 20-29 years, female 51.8
GTEX-11OC5-0126-SM-5HL6A 60-69 years, male 51.7
GTEX-14JG1-0426-SM-6ETZZ 40-49 years, male 51.5
GTEX-15ER7-0326-SM-7KUEV 20-29 years, female 51.3
GTEX-1B933-0126-SM-7PC29 50-59 years, female 51.3
GTEX-13IVO-0126-SM-5J1NG 70-79 years, male 51.2
GTEX-17JCI-0126-SM-7LG5G 60-69 years, female 50.9
GTEX-12WSE-0526-SM-793B2 20-29 years, male 50.8
GTEX-X8HC-0126-SM-4E3JW 50-59 years, female 50.8
GTEX-ZVZO-0126-SM-5A5L9 40-49 years, male 50.8
GTEX-13FXS-0226-SM-5IJCK 50-59 years, male 50.6
GTEX-1GF9V-0326-SM-7RHI5 60-69 years, male 50.6
GTEX-OOBJ-0126-SM-E6CJW 60-69 years, male 50.5
GTEX-XBEW-0626-SM-4QASP 40-49 years, male 50.4
GTEX-14PII-0226-SM-6EU1T 60-69 years, male 50.3
GTEX-14PN4-0126-SM-6EU2V 50-59 years, male 50.3
GTEX-T6MO-1626-SM-32QOM 40-49 years, female 50.3
GTEX-XQ8I-0426-SM-4BOPO 50-59 years, male 50.3
GTEX-P4PP-0126-SM-3LK69 30-39 years, female 50.2
GTEX-X585-0226-SM-4QAS2 50-59 years, male 50.2
GTEX-1NV5F-0226-SM-E8VNY 60-69 years, female 50.2
GTEX-1PIIG-0226-SM-EWRN6 30-39 years, male 50.2
GTEX-13FTX-1826-SM-5J1NX 20-29 years, female 50.1
GTEX-13JUV-2726-SM-5LZZ8 40-49 years, female 50.1
GTEX-17F98-0626-SM-79OMX 40-49 years, female 50.1
GTEX-1HR98-0126-SM-B2LWI 60-69 years, male 50.1
GTEX-1I19N-0326-SM-ACKVX 70-79 years, male 50.1
GTEX-1LG7Z-1726-SM-D3LA4 30-39 years, male 50.1
GTEX-18QFQ-0126-SM-731BE 30-39 years, male 50.0
GTEX-145LS-0126-SM-5QGP1 60-69 years, female 49.9
GTEX-15DDE-0126-SM-6LPKH 50-59 years, female 49.9
GTEX-Y8E4-0626-SM-4WWDL 40-49 years, male 49.8
GTEX-1HGF4-2426-SM-ACKXM 60-69 years, male 49.8
GTEX-1N2DW-0226-SM-E9TK2 50-59 years, male 49.8
GTEX-13NYS-0126-SM-5MR3W 60-69 years, male 49.7
GTEX-WYJK-0126-SM-3NMAB 50-59 years, male 49.6
GTEX-146FQ-0126-SM-5NQA9 30-39 years, male 49.5
GTEX-NPJ8-0126-SM-2YUNR 40-49 years, male 49.5
GTEX-WQUQ-0426-SM-3MJFU 60-69 years, male 49.4
GTEX-ZYFD-0126-SM-5GIDL 50-59 years, male 49.4
GTEX-1CAV2-2226-SM-7P8P2 40-49 years, female 49.4
GTEX-1KANC-1526-SM-D3LAB 50-59 years, female 49.3
GTEX-1M5QR-1226-SM-EWROB 40-49 years, male 49.3
GTEX-U8XE-0326-SM-3DB8P 30-39 years, male 49.2
GTEX-15SHU-0126-SM-7KUEH 40-49 years, female 49.1
GTEX-1EMGI-0126-SM-9KNUE 60-69 years, male 49.1
GTEX-ZE7O-0126-SM-57WC1 50-59 years, female 49.0
GTEX-1JMLX-0226-SM-CM2RO 50-59 years, male 49.0
GTEX-11OF3-2626-SM-5GU7F 60-69 years, male 48.9
GTEX-13O3Q-2426-SM-5IJBR 50-59 years, male 48.9
GTEX-18A6Q-0126-SM-731BZ 60-69 years, male 48.9
GTEX-15D1Q-0126-SM-7KUG6 40-49 years, male 48.7
GTEX-1GF9X-2026-SM-7PC3A 40-49 years, female 48.7
GTEX-1IDJH-0326-SM-A9SLQ 70-79 years, male 48.7
GTEX-1313W-0126-SM-5LZUN 50-59 years, female 48.5
GTEX-U8T8-0126-SM-3DB94 60-69 years, male 48.5
GTEX-1IDFM-0126-SM-COH2V 60-69 years, male 48.5
GTEX-117XS-2726-SM-5N9BL 60-69 years, male 48.4
GTEX-117YX-2326-SM-5H12W 50-59 years, male 48.4
GTEX-15RIG-0226-SM-7KFTL 40-49 years, male 48.4
GTEX-UJHI-1526-SM-3DB99 50-59 years, female 48.4
GTEX-ZYT6-0226-SM-5NQ6T 30-39 years, male 48.4
GTEX-1F7RK-0126-SM-7PC2S 20-29 years, female 48.4
GTEX-145MO-0326-SM-5Q5B3 60-69 years, male 48.3
GTEX-1RAZQ-0726-SM-EAZ43 30-39 years, male 48.3
GTEX-11WQC-2526-SM-5CVLE 60-69 years, male 48.2
GTEX-14E6D-0126-SM-62LDV 50-59 years, male 48.1
GTEX-1A3MX-0126-SM-731BR 60-69 years, male 48.1
GTEX-SUCS-1926-SM-32PM3 70-79 years, male 48.1
GTEX-132NY-0326-SM-5IJBL 60-69 years, male 48.0
GTEX-17GQL-2026-SM-718BA 60-69 years, male 48.0
GTEX-13O21-1426-SM-5K7XI 50-59 years, male 47.9
GTEX-18A7A-0226-SM-718BH 50-59 years, female 47.9
GTEX-13OW5-0126-SM-DTXFS 60-69 years, male 47.9
GTEX-PWCY-1826-SM-DHXIZ 20-29 years, female 47.9
GTEX-12ZZX-0126-SM-5EGK9 40-49 years, female 47.8
GTEX-1IOXB-0126-SM-ARL8G 50-59 years, male 47.8
GTEX-ZWKS-0126-SM-5SIAA 30-39 years, male 47.7
GTEX-X261-0126-SM-3NMD6 50-59 years, male 47.6
GTEX-1F75I-0326-SM-9YFLU 40-49 years, male 47.5
GTEX-1KAFJ-2026-SM-CY8ID 50-59 years, male 47.5
GTEX-14E6E-1826-SM-5S2R7 30-39 years, male 47.4
GTEX-14PJ3-1826-SM-62LEX 50-59 years, male 47.4
GTEX-T6MN-0126-SM-32PLP 50-59 years, male 47.4
GTEX-ZTX8-1426-SM-5DUVO 20-29 years, male 47.4
GTEX-1J8EW-0126-SM-CJI4F 60-69 years, female 47.4
GTEX-1RB15-2126-SM-E9TIM 60-69 years, male 47.4
GTEX-12WSA-0226-SM-5BC5V 60-69 years, male 47.3
GTEX-15EU6-0426-SM-6PAN5 50-59 years, male 47.3
GTEX-1IDJF-0126-SM-CM2RS 20-29 years, male 47.3
GTEX-XUZC-1726-SM-4BRWS 30-39 years, female 47.2
GTEX-12WSD-0126-SM-59HKN 60-69 years, female 47.1
GTEX-13N11-2526-SM-5K7UE 50-59 years, female 47.1
GTEX-X62O-0126-SM-4E3JN 50-59 years, male 47.1
GTEX-QEG4-0226-SM-2S1PY 30-39 years, male 46.9
GTEX-WZTO-0126-SM-3NM95 40-49 years, male 46.9
GTEX-YJ89-0126-SM-4TT3X 60-69 years, male 46.9
GTEX-Z93S-0126-SM-5HL7M 50-59 years, male 46.9
GTEX-Z93T-0126-SM-5HL5N 50-59 years, male 46.8
GTEX-1GZHY-0326-SM-9QEHI 50-59 years, female 46.8
GTEX-15G19-0126-SM-6PANQ 60-69 years, male 46.7
GTEX-1R9PO-2126-SM-E9J4O 60-69 years, female 46.7
GTEX-133LE-1826-SM-5J1MV 20-29 years, female 46.6
GTEX-14BIM-0226-SM-7IGLD 60-69 years, female 46.6
GTEX-1B8L1-2526-SM-9WYTF 60-69 years, male 46.6
GTEX-1I6K6-0126-SM-A9SLE 30-39 years, male 46.6
GTEX-1L5NE-2526-SM-E6CIE 50-59 years, male 46.6
GTEX-1MA7W-2026-SM-E9TJ6 20-29 years, female 46.6
GTEX-12ZZY-0226-SM-5LZVE 60-69 years, male 46.3
GTEX-13OW6-0426-SM-5L3HM 50-59 years, male 46.3
GTEX-14LZ3-0226-SM-62LET 60-69 years, female 46.3
GTEX-SJXC-0126-SM-2XCFF 60-69 years, male 46.3
GTEX-11NSD-2226-SM-5986V 20-29 years, male 46.2
GTEX-QV44-1926-SM-2S1RF 50-59 years, male 46.2
GTEX-1OFPY-2426-SM-DTXEJ 60-69 years, male 46.2
GTEX-18D9U-0226-SM-718BP 40-49 years, male 46.1
GTEX-WXYG-2326-SM-4E3I6 50-59 years, female 46.1
GTEX-1JMQI-2226-SM-CM2SD 50-59 years, male 46.0
GTEX-14PK6-1926-SM-6ETZU 70-79 years, female 45.9
GTEX-S7PM-0126-SM-4AD6S 60-69 years, male 45.9
GTEX-T2IS-0126-SM-4DM6O 20-29 years, female 45.9
GTEX-YFC4-0126-SM-5CVLY 40-49 years, female 45.9
GTEX-1F5PL-0326-SM-7P8PQ 40-49 years, female 45.9
GTEX-13PVR-2326-SM-5QGR1 60-69 years, female 45.8
GTEX-15ETS-0126-SM-7KUMW 40-49 years, female 45.8
GTEX-NFK9-0226-SM-2HMKQ 40-49 years, male 45.8
GTEX-11DXZ-2326-SM-5EGGV 50-59 years, male 45.7
GTEX-13FHO-0226-SM-5IFGY 60-69 years, male 45.7
GTEX-X5EB-2226-SM-46MW4 40-49 years, male 45.7
GTEX-1PIGE-0126-SM-EVYBJ 20-29 years, male 45.7
GTEX-PLZ6-1426-SM-DKPOT 30-39 years, male 45.7
GTEX-1A32A-0126-SM-718B1 50-59 years, female 45.6
GTEX-1F75B-0126-SM-9KNVL 50-59 years, male 45.6
GTEX-ZF3C-0126-SM-DO92D 50-59 years, female 45.6
GTEX-117YW-2626-SM-5GZZH 50-59 years, male 45.5
GTEX-OHPM-0126-SM-2YUN9 50-59 years, male 45.5
GTEX-PX3G-0126-SM-2I3EN 20-29 years, female 45.5
GTEX-YEC4-2126-SM-5IFJH 40-49 years, male 45.5
GTEX-1J8JJ-0226-SM-CL53I 60-69 years, female 45.5
GTEX-1QAET-0926-SM-E76QM 50-59 years, male 45.5
GTEX-145MN-2226-SM-5SIAU 30-39 years, male 45.4
GTEX-14E6C-0126-SM-5RQIP 40-49 years, male 45.4
GTEX-1H3VE-0326-SM-9YFLH 40-49 years, male 45.4
GTEX-1LGOU-2026-SM-DIPFF 20-29 years, female 45.4
GTEX-13D11-2426-SM-5KM1V 50-59 years, female 45.3
GTEX-ZAK1-0126-SM-5IJD3 50-59 years, female 45.3
GTEX-1I4MK-2226-SM-ACKWD 50-59 years, female 45.3
GTEX-11GS4-2726-SM-5A5LE 60-69 years, male 45.2
GTEX-1JMPZ-0226-SM-CNPP1 30-39 years, male 45.2
GTEX-1R9K4-0126-SM-DTX9X 60-69 years, male 45.2
GTEX-1399T-2826-SM-5KLYZ 60-69 years, male 45.1
GTEX-PWO3-1526-SM-48TCM 60-69 years, female 45.1
GTEX-SIU8-0126-SM-2XCDT 50-59 years, male 45.1
GTEX-XPVG-2626-SM-4B669 50-59 years, male 45.1
GTEX-1RQEC-0426-SM-E6CHU 60-69 years, male 45.1
GTEX-11ZUS-0626-SM-59885 30-39 years, male 45.0
GTEX-OXRK-0226-SM-3NB2G 50-59 years, female 45.0
GTEX-1F6I4-0126-SM-9MQL2 60-69 years, male 45.0
GTEX-1HT8W-0126-SM-CNPPP 30-39 years, male 45.0
GTEX-Q734-1926-SM-2I5EV 40-49 years, female 44.9
GTEX-11DXX-2426-SM-5GZZW 60-69 years, female 44.8
GTEX-13NZB-2526-SM-5J1OM 30-39 years, male 44.7
GTEX-1F6RS-0126-SM-9MQKZ 60-69 years, female 44.7
GTEX-1KANB-0526-SM-E6CJH 50-59 years, male 44.7
GTEX-1CAMR-1926-SM-7EPI2 20-29 years, male 44.6
GTEX-O5YW-0126-SM-3LK6D 50-59 years, male 44.6
GTEX-ZDTS-0126-SM-4WAY5 60-69 years, male 44.6
GTEX-T5JC-0426-SM-32PLO 20-29 years, male 44.5
GTEX-1ICLZ-0126-SM-CKZPO 60-69 years, male 44.4
GTEX-1LGRB-2526-SM-CNPPQ 50-59 years, female 44.4
GTEX-1MCQQ-0826-SM-DLHC2 60-69 years, male 44.4
GTEX-139TU-0126-SM-5K7WH 60-69 years, male 44.3
GTEX-1C64N-0126-SM-793D7 50-59 years, male 44.3
GTEX-W5WG-1826-SM-4KL2Y 50-59 years, female 44.3
GTEX-1C64O-0126-SM-7SB8P 60-69 years, male 44.2
GTEX-1EX96-1626-SM-7PBXR 50-59 years, male 44.2
GTEX-1JKYR-0126-SM-CNPOJ 20-29 years, male 44.2
GTEX-11GSP-2526-SM-5N9BP 60-69 years, female 44.1
GTEX-WY7C-2326-SM-3NB2U 50-59 years, male 44.1
GTEX-ZVZP-2426-SM-59HKJ 50-59 years, male 44.0
GTEX-1GZ4H-1726-SM-7PBZJ 50-59 years, female 44.0
GTEX-1HSMP-0126-SM-E6CJS 70-79 years, male 44.0
GTEX-13OVL-0226-SM-5L3E9 50-59 years, male 43.9
GTEX-ZU9S-0226-SM-5E441 30-39 years, male 43.9
GTEX-1QP9N-1426-SM-DTXFL 30-39 years, male 43.9
GTEX-131YS-0126-SM-5KM1M 60-69 years, female 43.7
GTEX-13RTK-1426-SM-5QGQJ 20-29 years, male 43.7
GTEX-OXRL-0126-SM-2YUMP 50-59 years, male 43.7
GTEX-1GN2E-0426-SM-9MQKX 60-69 years, male 43.7
GTEX-18A67-0126-SM-7LG5P 50-59 years, male 43.6
GTEX-ZV68-0126-SM-59HKS 50-59 years, female 43.6
GTEX-1KWVE-1426-SM-E9TJO 30-39 years, male 43.6
GTEX-139T8-0126-SM-5K7XZ 60-69 years, male 43.5
GTEX-1AX8Z-0126-SM-7DHM6 60-69 years, male 43.5
GTEX-ZGAY-0526-SM-4WWBB 40-49 years, female 43.5
GTEX-1H3VY-0126-SM-ACKXD 50-59 years, male 43.5
GTEX-1HBPI-1526-SM-C1YQ1 50-59 years, male 43.5
GTEX-145LU-0126-SM-5TDCB 50-59 years, male 43.4
GTEX-1JKYN-1326-SM-CGQG9 30-39 years, male 43.4
GTEX-1KXAM-2226-SM-CYPTC 60-69 years, male 43.4
GTEX-1R7EU-0226-SM-EVR4G 60-69 years, male 43.4
GTEX-1RAZA-0126-SM-E6CI3 20-29 years, male 43.4
GTEX-12WSJ-1826-SM-5GCNY 40-49 years, female 43.3
GTEX-17HHY-0126-SM-7LG5D 50-59 years, male 43.3
GTEX-T2YK-0526-SM-32QPJ 50-59 years, male 43.3
GTEX-1LSNM-1926-SM-E6CII 50-59 years, male 43.3
GTEX-183FY-0126-SM-7LT9P 20-29 years, male 43.2
GTEX-1HSGN-0226-SM-CGQFV 40-49 years, female 43.2
GTEX-111VG-2426-SM-5GZXD 60-69 years, male 43.1
GTEX-11ZTS-0126-SM-5EQ6M 60-69 years, female 43.1
GTEX-1BAJH-0526-SM-793CQ 70-79 years, male 43.1
GTEX-1LB8K-0226-SM-EWRNW 50-59 years, male 43.1
GTEX-13SLW-0126-SM-5SI6C 70-79 years, male 43.0
GTEX-X4EO-0326-SM-3P5YO 60-69 years, female 43.0
GTEX-1JJEA-0326-SM-CNPOT 60-69 years, male 43.0
GTEX-1H3O1-0426-SM-9YFKY 60-69 years, male 42.9
GTEX-11P82-1626-SM-59879 20-29 years, male 42.8
GTEX-18465-0126-SM-731BN 50-59 years, male 42.8
GTEX-1A3MV-1926-SM-718BT 30-39 years, male 42.8
GTEX-Y114-2426-SM-4TT8A 50-59 years, female 42.8
GTEX-1H4P4-0726-SM-9YFLR 50-59 years, male 42.8
GTEX-1GN1U-0126-SM-7PBZK 50-59 years, female 42.7
GTEX-XMD2-0126-SM-4YCDU 60-69 years, female 42.6
GTEX-1LNCM-1126-SM-E9U5E 50-59 years, female 42.6
GTEX-1O97I-0326-SM-EYYX7 60-69 years, male 42.6
GTEX-11NUK-0126-SM-5A5L3 50-59 years, male 42.5
GTEX-14XAO-2326-SM-6EU1B 60-69 years, female 42.5
GTEX-1NHNU-1026-SM-E9J2A 50-59 years, male 42.5
GTEX-TKQ1-1026-SM-4GICL 30-39 years, male 42.4
GTEX-ZF2S-2326-SM-4WWCE 50-59 years, female 42.4
GTEX-11P7K-2126-SM-5GU7G 30-39 years, male 42.3
GTEX-139D8-0226-SM-5KLZO 30-39 years, female 42.3
GTEX-13VXU-0126-SM-5SI9F 50-59 years, male 42.3
GTEX-148VJ-0126-SM-5TDDN 70-79 years, male 42.3
GTEX-ZZ64-1726-SM-5GZYB 20-29 years, male 42.3
GTEX-1S83E-0126-SM-EWRO4 40-49 years, male 42.3
GTEX-11UD2-0226-SM-5EQKY 50-59 years, male 42.2
GTEX-13CF2-2526-SM-5LZYX 60-69 years, male 42.2
GTEX-18A7B-0126-SM-7LG64 70-79 years, male 42.2
GTEX-ZC5H-0226-SM-4WAY9 40-49 years, female 42.2
GTEX-11TUW-2726-SM-E9J4M 60-69 years, male 42.2
GTEX-1HSEH-0126-SM-ACKXN 60-69 years, male 42.2
GTEX-1R7EV-2426-SM-EVYBG 40-49 years, male 42.2
GTEX-1211K-2026-SM-5EQ4Z 60-69 years, female 42.1
GTEX-1LC47-0326-SM-E9TJP 60-69 years, male 42.1
GTEX-144FL-0126-SM-5TDC8 50-59 years, male 42.0
GTEX-16GPK-0126-SM-7DHLE 60-69 years, male 42.0
GTEX-SN8G-0126-SM-32PLI 50-59 years, female 42.0
GTEX-1GF9W-0326-SM-9KNUN 60-69 years, male 42.0
GTEX-1PFEY-1526-SM-E76PP 30-39 years, male 42.0
GTEX-U4B1-1826-SM-4DXSU 40-49 years, male 41.9
GTEX-ZY6K-1826-SM-5GZXK 50-59 years, male 41.9
GTEX-1269C-2526-SM-5EGJ3 60-69 years, female 41.8
GTEX-13112-2826-SM-5DUWH 50-59 years, male 41.8
GTEX-1IL2V-0126-SM-CM2TX 70-79 years, male 41.8
GTEX-1JMQJ-0526-SM-CYPSU 50-59 years, male 41.8
GTEX-13X6J-0126-SM-5QGOU 50-59 years, male 41.7
GTEX-1QMI2-0226-SM-EVYBX 60-69 years, male 41.7
GTEX-15UKP-0426-SM-7KUFQ 20-29 years, male 41.6
GTEX-OXRN-0126-SM-48TDM 50-59 years, male 41.6
GTEX-1F75A-0126-SM-7RHGM 50-59 years, male 41.6
GTEX-1HCUA-2426-SM-ADEIS 50-59 years, female 41.6
GTEX-11O72-0126-SM-59887 40-49 years, male 41.5
GTEX-1GF9U-2126-SM-7SB7L 40-49 years, female 41.5
GTEX-1H1DG-0126-SM-9WYU2 70-79 years, male 41.5
GTEX-1H1E6-1726-SM-ACKVK 30-39 years, male 41.5
GTEX-S32W-2126-SM-2XCB1 50-59 years, female 41.4
GTEX-1JN6P-0126-SM-D3L98 60-69 years, male 41.4
GTEX-1N2DV-0226-SM-E6CJ6 40-49 years, male 41.4
GTEX-131XW-0426-SM-5LZWP 50-59 years, female 41.3
GTEX-14PN3-2426-SM-6LLHS 60-69 years, female 41.3
GTEX-16XZZ-0126-SM-793DV 60-69 years, male 41.3
GTEX-1C6WA-0126-SM-7PC2B 60-69 years, male 41.3
GTEX-1PPH8-0226-SM-E8VND 20-29 years, male 41.3
GTEX-14DAR-2026-SM-5S2O3 50-59 years, male 41.2
GTEX-14PHX-2326-SM-62LEM 50-59 years, male 41.2
GTEX-P4PQ-0126-SM-2S1NM 60-69 years, male 41.0
GTEX-1399R-2726-SM-5IJBA 30-39 years, male 40.9
GTEX-WI4N-1026-SM-3LK7N 40-49 years, female 40.9
GTEX-1GPI7-0126-SM-9MQL8 20-29 years, male 40.9
GTEX-1ICG6-2526-SM-CGQFZ 70-79 years, female 40.9
GTEX-1AYCT-2426-SM-7IGQ3 50-59 years, male 40.8
GTEX-Y111-0126-SM-4SOIV 50-59 years, male 40.8
GTEX-1HBPN-0226-SM-9YFM1 50-59 years, male 40.8
GTEX-YJ8A-0426-SM-5IFID 20-29 years, male 40.7
GTEX-ZTSS-1926-SM-57WEW 40-49 years, male 40.7
GTEX-1JN1M-0326-SM-CYPT3 60-69 years, female 40.7
GTEX-1LVAN-0226-SM-COH3S 50-59 years, female 40.7
GTEX-1314G-1526-SM-5EGK2 30-39 years, male 40.6
GTEX-1CB4G-0226-SM-7PC3O 60-69 years, male 40.6
GTEX-1EKGG-0226-SM-9WYTH 60-69 years, male 40.6
GTEX-1HSMQ-1226-SM-CGQFX 50-59 years, male 40.6
GTEX-1KANA-0726-SM-D3L9I 20-29 years, male 40.6
GTEX-1N2EF-0226-SM-EYYXB 60-69 years, male 40.6
GTEX-13W46-0226-SM-5SIAG 50-59 years, male 40.5
GTEX-144GN-2326-SM-5LU4F 50-59 years, male 40.5
GTEX-14PJM-0226-SM-62LF1 50-59 years, female 40.5
GTEX-1MCYP-1926-SM-E9J2R 20-29 years, female 40.5
GTEX-145ME-1826-SM-5SI9G 40-49 years, female 40.4
GTEX-17EVQ-0226-SM-7LG4P 70-79 years, male 40.4
GTEX-RUSQ-1526-SM-2TF62 50-59 years, male 40.4
GTEX-VUSG-2526-SM-4KL1V 50-59 years, male 40.4
GTEX-1IL2U-0226-SM-CE6T8 60-69 years, male 40.4
GTEX-ZYFC-0226-SM-5NQ75 50-59 years, male 40.3
GTEX-1JMQK-0226-SM-CL543 60-69 years, male 40.3
GTEX-1S3DN-2226-SM-EVYCD 50-59 years, male 40.3
GTEX-13YAN-0326-SM-5O9DF 60-69 years, male 40.2
GTEX-15SHW-0326-SM-6PAML 60-69 years, male 40.2
GTEX-QLQ7-1626-SM-2S1R8 60-69 years, male 40.2
GTEX-VJWN-0126-SM-3GIK7 50-59 years, female 40.2
GTEX-1F88F-2726-SM-7PBZZ 60-69 years, female 40.2
GTEX-1PPH7-2326-SM-EVYB8 40-49 years, male 40.1
GTEX-15EOM-0126-SM-7KUGG 20-29 years, female 40.0
GTEX-X4XY-0226-SM-4E3IZ 60-69 years, male 40.0
GTEX-1GN1V-0126-SM-9WPOS 60-69 years, male 40.0
GTEX-1IE54-0126-SM-CMKHW 40-49 years, female 40.0
GTEX-1J1OQ-0226-SM-CYPSH 40-49 years, female 40.0
GTEX-Q2AI-1326-SM-2S1PL 40-49 years, male 39.9
GTEX-13CF3-2426-SM-5IFGX 60-69 years, female 39.8
GTEX-YB5K-2126-SM-4WWDJ 40-49 years, female 39.8
GTEX-11ZTT-2426-SM-5EQLS 60-69 years, female 39.7
GTEX-XUW1-0426-SM-4BOOT 50-59 years, female 39.7
GTEX-ZTPG-0326-SM-5O9AX 20-29 years, female 39.7
GTEX-1B996-0226-SM-7RHGO 60-69 years, male 39.7
GTEX-1CB4H-0226-SM-7PBXM 60-69 years, female 39.7
GTEX-QESD-1426-SM-2S1R9 20-29 years, male 39.6
GTEX-ZV6S-2326-SM-4YCEY 40-49 years, female 39.6
GTEX-1CB4F-0426-SM-9KNV4 60-69 years, male 39.6
GTEX-1JJ6O-0126-SM-E6CI8 60-69 years, male 39.5
GTEX-1MUQO-0126-SM-EAZ58 60-69 years, male 39.5
GTEX-1QPFJ-0226-SM-E76PB 30-39 years, female 39.5
GTEX-1S82Z-0826-SM-E6CHY 30-39 years, female 39.5
GTEX-11TT1-2526-SM-5EGIB 20-29 years, male 39.4
GTEX-11XUK-2026-SM-5EQLF 40-49 years, female 39.4
GTEX-OXRP-0126-SM-3NB32 60-69 years, female 39.4
GTEX-QVJO-1626-SM-2S1QW 60-69 years, female 39.4
GTEX-1F6IF-0726-SM-7P8TW 60-69 years, male 39.4
GTEX-13VXT-0126-SM-5LU4I 20-29 years, female 39.3
GTEX-13W3W-2426-SM-5LU5B 60-69 years, female 39.3
GTEX-148VI-1626-SM-5SI6E 60-69 years, female 39.3
GTEX-1C6VR-2426-SM-79OLD 60-69 years, male 39.3
GTEX-QDVJ-1726-SM-2I5FX 50-59 years, male 39.3
GTEX-S95S-1226-SM-4GICG 60-69 years, male 39.3
GTEX-T8EM-1026-SM-3DB7M 40-49 years, male 39.3
GTEX-TML8-1926-SM-32QOS 40-49 years, female 39.3
GTEX-XXEK-2226-SM-4BRUM 50-59 years, male 39.3
GTEX-1EU9M-0226-SM-7P8SP 60-69 years, male 39.3
GTEX-1GPI6-0126-SM-9WG69 60-69 years, male 39.3
GTEX-1J8QM-2126-SM-CYPSJ 60-69 years, female 39.3
GTEX-1POEN-0126-SM-EYYXJ 30-39 years, female 39.3
GTEX-1S5ZA-0126-SM-EVYCV 20-29 years, male 39.3
GTEX-145LV-2126-SM-5LU8N 50-59 years, male 39.2
GTEX-ZDXO-3026-SM-5J1N5 60-69 years, male 39.2
GTEX-11DXW-0226-SM-5H122 40-49 years, male 39.1
GTEX-14BIN-0626-SM-793DP 50-59 years, female 39.1
GTEX-15DCD-0126-SM-7KUEK 70-79 years, female 39.1
GTEX-RTLS-0126-SM-447CA 60-69 years, female 39.1
GTEX-UPJH-0326-SM-3GADU 50-59 years, male 39.1
GTEX-YB5E-2026-SM-5IFIS 40-49 years, male 39.1
GTEX-1J8Q3-1626-SM-CMKGC 60-69 years, male 39.1
GTEX-ZVT4-0126-SM-DTXFN 50-59 years, female 39.1
GTEX-15SDE-2226-SM-7IGLO 50-59 years, female 39.0
GTEX-XV7Q-2526-SM-4BRV9 40-49 years, female 39.0
GTEX-13NYC-0326-SM-E9J4S 60-69 years, male 39.0
GTEX-1J1R8-1726-SM-ARL8M 40-49 years, male 39.0
GTEX-1JMPY-1326-SM-ARL8Y 30-39 years, male 39.0
GTEX-1QP2A-0126-SM-E9J43 50-59 years, male 39.0
GTEX-1LG7Y-0526-SM-DKPQC 50-59 years, male 38.9
GTEX-13NZ8-0826-SM-5MR3I 60-69 years, female 38.8
GTEX-13U4I-0126-SM-5LU38 40-49 years, female 38.8
GTEX-U3ZM-1526-SM-3DB9D 40-49 years, male 38.8
GTEX-ZAB5-1826-SM-5HL7C 50-59 years, male 38.8
GTEX-1QCLY-0326-SM-E8VOG 30-39 years, male 38.8
GTEX-1192X-0226-SM-5H12D 50-59 years, male 38.7
GTEX-12ZZZ-0626-SM-5DUXI 60-69 years, male 38.7
GTEX-1C475-1826-SM-73KWA 40-49 years, female 38.7
GTEX-QLQW-1126-SM-2S1Q8 30-39 years, male 38.7
GTEX-ZPIC-1726-SM-DHXIU 40-49 years, female 38.7
GTEX-13N2G-2626-SM-5J1OT 60-69 years, male 38.6
GTEX-1AX9K-2326-SM-73KWU 50-59 years, male 38.6
GTEX-PVOW-0126-SM-2XCFA 40-49 years, male 38.6
GTEX-WFON-2126-SM-3LK7O 40-49 years, male 38.6
GTEX-ZDTT-2726-SM-4WKF8 60-69 years, male 38.6
GTEX-1HBPM-0226-SM-ARL9F 60-69 years, female 38.6
GTEX-1K2DU-2326-SM-E9TIV 20-29 years, male 38.6
GTEX-11EQ9-2426-SM-5HL5T 30-39 years, male 38.5
GTEX-18A66-0226-SM-718BD 60-69 years, male 38.4
GTEX-1H1DE-2126-SM-9WG6R 20-29 years, male 38.4
GTEX-1KD5A-0226-SM-D5OV3 50-59 years, male 38.4
GTEX-13113-5016-SM-7EPIP 60-69 years, female 38.3
GTEX-147F4-0226-SM-5QGPW 50-59 years, male 38.3
GTEX-1PBJI-0526-SM-E8VNK 20-29 years, female 38.3
GTEX-XBED-2226-SM-47JYQ 60-69 years, male 38.2
GTEX-ZQUD-1426-SM-57WER 30-39 years, male 38.2
GTEX-1B8KE-2126-SM-73KYX 50-59 years, male 38.1
GTEX-1IGQW-0126-SM-COH42 60-69 years, male 38.1
GTEX-1IKOH-0226-SM-COH4E 60-69 years, female 38.1
GTEX-113JC-2326-SM-5EQ4E 50-59 years, female 38.0
GTEX-13O3P-0126-SM-5KM4S 50-59 years, male 38.0
GTEX-1AX9J-0226-SM-73KXM 60-69 years, male 38.0
GTEX-TMMY-0226-SM-33HBA 40-49 years, female 38.0
GTEX-X4EP-0126-SM-3P5YV 60-69 years, female 38.0
GTEX-1ICLY-0126-SM-D4P36 50-59 years, male 38.0
GTEX-1IKJJ-0126-SM-CNPQB 60-69 years, male 38.0
GTEX-14ABY-0226-SM-5TDCQ 50-59 years, male 37.9
GTEX-1I1GU-2226-SM-CGQFA 40-49 years, male 37.9
GTEX-1MA7X-2226-SM-E6CIY 60-69 years, male 37.9
GTEX-14C5O-0126-SM-5SI6N 60-69 years, male 37.8
GTEX-ZAB4-0226-SM-5N9F5 40-49 years, male 37.8
GTEX-1HBPH-0426-SM-B2LW5 40-49 years, female 37.8
GTEX-14BMV-0126-SM-5S2PO 50-59 years, male 37.7
GTEX-1GN73-0226-SM-9WG67 60-69 years, male 37.7
GTEX-1HCU6-0126-SM-CL54K 60-69 years, female 37.7
GTEX-1HSKV-0226-SM-A9SKJ 60-69 years, male 37.7
GTEX-145MI-0526-SM-5O9A8 60-69 years, female 37.6
GTEX-14A5H-0426-SM-5QGQF 60-69 years, male 37.6
GTEX-XUYS-0126-SM-47JWZ 50-59 years, male 37.6
GTEX-PW2O-1526-SM-7RHHB 20-29 years, male 37.6
GTEX-11ZVC-2526-SM-5FQTE 50-59 years, female 37.5
GTEX-18D9B-0526-SM-7LTAS 60-69 years, male 37.5
GTEX-1CB4I-0226-SM-79OLH 50-59 years, male 37.5
GTEX-OHPL-0126-SM-2HMJ7 60-69 years, female 37.5
GTEX-1AX9I-0126-SM-7SB74 60-69 years, male 37.5
GTEX-1HSMO-0126-SM-CL547 60-69 years, male 37.5
GTEX-1M4P7-0226-SM-DIPEV 60-69 years, male 37.5
GTEX-17F97-0326-SM-7LG5B 50-59 years, male 37.4
GTEX-ZVE2-0226-SM-59HJB 50-59 years, male 37.4
GTEX-1HCU7-0226-SM-CL545 50-59 years, male 37.4
GTEX-1212Z-2526-SM-5EGKP 60-69 years, male 37.3
GTEX-145MF-0626-SM-5LUAI 50-59 years, male 37.3
GTEX-15CHC-2126-SM-6EU21 60-69 years, female 37.3
GTEX-15DYW-0126-SM-7KULE 60-69 years, female 37.3
GTEX-1AYD5-2426-SM-73KXR 50-59 years, male 37.3
GTEX-1C6VS-0526-SM-7DUEN 60-69 years, male 37.3
GTEX-X638-0126-SM-47JZ8 70-79 years, female 37.3
GTEX-1GMRU-0126-SM-9YFLV 50-59 years, male 37.3
GTEX-11EI6-0126-SM-5985R 60-69 years, male 37.2
GTEX-14A5I-0126-SM-5TDEA 50-59 years, female 37.2
GTEX-14PJ6-2126-SM-6EU1V 60-69 years, female 37.2
GTEX-16NPX-0226-SM-79OMT 50-59 years, male 37.2
GTEX-1HCU8-0626-SM-A9SM9 60-69 years, female 37.2
GTEX-1I1GP-2226-SM-CGQFK 50-59 years, male 37.2
GTEX-131XG-2626-SM-5KM17 50-59 years, female 37.0
GTEX-1C2JI-1826-SM-73KXC 50-59 years, male 37.0
GTEX-RM2N-1426-SM-2TF4H 50-59 years, male 37.0
GTEX-WOFL-0126-SM-3MJG2 60-69 years, male 37.0
GTEX-ZDYS-2026-SM-5HL5L 50-59 years, male 37.0
GTEX-1PWST-0226-SM-E76QJ 70-79 years, male 37.0
GTEX-WRHK-1426-SM-3MJF9 20-29 years, female 36.9
GTEX-1RLM8-2326-SM-EWRN4 50-59 years, male 36.9
GTEX-13NZA-0226-SM-5K7Z7 60-69 years, male 36.8
GTEX-OOBK-0126-SM-2YUND 40-49 years, male 36.8
GTEX-13OW7-0126-SM-5MR3B 50-59 years, male 36.7
GTEX-17KNJ-2326-SM-7DHLQ 50-59 years, male 36.7
GTEX-1C4CL-0526-SM-73KVK 30-39 years, male 36.7
GTEX-ZZPT-0226-SM-5E43X 50-59 years, male 36.7
GTEX-1J8Q2-0526-SM-CM2RW 60-69 years, male 36.7
GTEX-13111-1626-SM-5EGJY 50-59 years, male 36.6
GTEX-TSE9-0126-SM-3DB83 60-69 years, female 36.6
GTEX-ZXES-1826-SM-5E43S 30-39 years, female 36.6
GTEX-1GTWX-0126-SM-9YFLK 60-69 years, male 36.6
GTEX-139T4-0226-SM-5HL5S 50-59 years, female 36.5
GTEX-1AMEY-1326-SM-73KYK 30-39 years, female 36.5
GTEX-R55G-2526-SM-2TC6D 40-49 years, female 36.5
GTEX-RU72-0926-SM-2TF6B 50-59 years, female 36.5
GTEX-1GMR8-0126-SM-9WYTM 50-59 years, female 36.5
GTEX-1H23P-0126-SM-ADEJ3 60-69 years, male 36.4
GTEX-17HG3-2226-SM-7938L 30-39 years, female 36.3
GTEX-1F52S-0126-SM-9MQJU 60-69 years, female 36.3
GTEX-12696-2426-SM-5EQ6H 60-69 years, male 36.2
GTEX-17HII-0226-SM-7LG4E 50-59 years, male 36.2
GTEX-T5JW-1626-SM-3GADZ 20-29 years, female 36.2
GTEX-Y3I4-2126-SM-4TT7C 50-59 years, male 36.2
GTEX-13X6H-2126-SM-7EWD5 50-59 years, female 36.1
GTEX-ZF29-2326-SM-DO92K 60-69 years, female 36.1
GTEX-16AAH-1726-SM-7939C 50-59 years, male 36.0
GTEX-17F96-1626-SM-7DUFL 70-79 years, male 36.0
GTEX-17HGU-0226-SM-7DHKV 50-59 years, male 36.0
GTEX-WFG8-2226-SM-3GIL9 20-29 years, male 36.0
GTEX-1HB9E-0226-SM-E9U4R 50-59 years, male 36.0
GTEX-1QW4Y-1526-SM-EAZ3Z 30-39 years, male 36.0
GTEX-12WSK-2326-SM-5GCOH 40-49 years, female 35.9
GTEX-14DAQ-0126-SM-5S2MQ 60-69 years, female 35.9
GTEX-Q2AG-0126-SM-33HBV 40-49 years, female 35.9
GTEX-1HCU9-1526-SM-A9SL7 20-29 years, male 35.9
GTEX-1HKZK-0326-SM-9WYUH 40-49 years, male 35.9
GTEX-14JIY-0126-SM-6LLH6 60-69 years, male 35.8
GTEX-1IDJU-2626-SM-CM2RT 60-69 years, female 35.8
GTEX-13N1W-0126-SM-5K7VT 70-79 years, male 35.7
GTEX-R55E-0126-SM-2TC5Y 20-29 years, male 35.7
GTEX-1RDX4-0126-SM-E9J4P 50-59 years, female 35.7
GTEX-16NGA-1726-SM-731B4 40-49 years, female 35.6
GTEX-1EN7A-0126-SM-7SB81 40-49 years, male 35.6
GTEX-1H2FU-0126-SM-9WYSI 60-69 years, female 35.6
GTEX-1QP29-0626-SM-EWRMX 50-59 years, male 35.6
GTEX-1QP67-1626-SM-EAZ3X 40-49 years, female 35.6
GTEX-1B8KZ-2026-SM-7DHMB 50-59 years, male 35.5
GTEX-R3RS-0126-SM-3GIJL 40-49 years, female 35.5
GTEX-ZEX8-2426-SM-4WKG4 50-59 years, male 35.5
GTEX-1H11D-0226-SM-9WG6Z 40-49 years, male 35.5
GTEX-1JN76-0126-SM-CNPPE 20-29 years, female 35.5
GTEX-11H98-0126-SM-5EGHG 50-59 years, male 35.4
GTEX-17EVP-0326-SM-7DHLG 40-49 years, male 35.4
GTEX-1192W-2626-SM-5Q5AF 60-69 years, male 35.3
GTEX-13SLX-0526-SM-5S2ON 50-59 years, female 35.3
GTEX-SSA3-0126-SM-32QPU 60-69 years, male 35.2
GTEX-1IY9M-0126-SM-D3L8S 60-69 years, male 35.2
GTEX-11P81-2326-SM-59875 30-39 years, female 35.1
GTEX-ZYFG-2326-SM-5E44B 60-69 years, female 35.1
GTEX-12584-0126-SM-5EGKQ 40-49 years, male 35.0
GTEX-144GL-0126-SM-5TDE2 50-59 years, male 35.0
GTEX-13O1R-0126-SM-5L3EH 60-69 years, male 34.8
GTEX-1I1CD-0126-SM-CM2TK 60-69 years, female 34.8
GTEX-1E1VI-0126-SM-7DHMZ 50-59 years, male 34.7
GTEX-Y5V5-2326-SM-4V6GA 60-69 years, female 34.7
GTEX-13S7M-0126-SM-5SI6A 60-69 years, female 34.6
GTEX-1CB4J-0626-SM-7DHMP 60-69 years, male 34.6
GTEX-Z9EW-1626-SM-5CVMN 40-49 years, male 34.5
GTEX-ZYW4-0126-SM-5E44A 60-69 years, male 34.5
GTEX-1JJE9-0326-SM-CL53Z 70-79 years, male 34.5
GTEX-17MFQ-1726-SM-793C7 20-29 years, male 34.4
GTEX-13OVI-1426-SM-5L3EY 60-69 years, female 34.3
GTEX-16BQI-0226-SM-7KUEX 30-39 years, female 34.3
GTEX-1E2YA-0126-SM-9KNUC 50-59 years, male 34.3
GTEX-12C56-1726-SM-5EQ61 20-29 years, male 34.2
GTEX-12KS4-0326-SM-5EQ41 30-39 years, male 34.2
GTEX-15F5U-1526-SM-6PANO 40-49 years, male 34.2
GTEX-VJYA-1126-SM-3GIJU 60-69 years, male 34.2
GTEX-13FTY-0526-SM-5L3EV 40-49 years, female 34.1
GTEX-1HCVE-0126-SM-CGQEU 50-59 years, male 34.1
GTEX-13OVH-0126-SM-5MR4B 70-79 years, male 34.0
GTEX-PLZ4-0126-SM-5SI8O 50-59 years, female 34.0
GTEX-13O3O-0126-SM-E9J49 60-69 years, female 34.0
GTEX-1GL5R-1826-SM-9KNUY 50-59 years, male 34.0
GTEX-1QEPI-0126-SM-EWRMQ 60-69 years, female 34.0
GTEX-1B8SG-0126-SM-73KZ3 50-59 years, male 33.9
GTEX-12WSL-2526-SM-5GCNJ 50-59 years, male 33.6
GTEX-16XZY-2126-SM-79OK1 70-79 years, male 33.5
GTEX-17HHE-2026-SM-79OKF 50-59 years, male 33.5
GTEX-SNMC-1226-SM-2XCFP 20-29 years, male 33.5
GTEX-WH7G-2326-SM-3NMBC 40-49 years, male 33.5
GTEX-12WSG-2826-SM-E9J4H 50-59 years, female 33.5
GTEX-1F5PK-2426-SM-7RHHY 50-59 years, male 33.5
GTEX-RNOR-0126-SM-E9J4R 50-59 years, female 33.5
GTEX-1H3NZ-0126-SM-ACKX7 60-69 years, male 33.3
GTEX-1128S-2326-SM-5GZZY 60-69 years, female 33.2
GTEX-139TT-0126-SM-5K7Y5 60-69 years, male 33.2
GTEX-13RTL-0126-SM-7LG5S 40-49 years, male 33.2
GTEX-169BO-1326-SM-9MQK2 50-59 years, male 33.2
GTEX-1I1GQ-0126-SM-COH3H 50-59 years, male 33.2
GTEX-OXRO-0126-SM-2YUN4 60-69 years, female 33.1
GTEX-1HUB1-0426-SM-E9U4U 60-69 years, male 33.1
GTEX-PLZ5-2026-SM-2S1O4 50-59 years, male 33.0
GTEX-ZQG8-1626-SM-DHXIT 60-69 years, female 33.0
GTEX-11EM3-2426-SM-59861 20-29 years, female 32.9
GTEX-14A6H-0126-SM-5QGPK 30-39 years, male 32.9
GTEX-ZUA1-0126-SM-5GU76 40-49 years, male 32.9
GTEX-1LH75-2426-SM-E9TJE 50-59 years, female 32.9
GTEX-11DZ1-0126-SM-5985Q 50-59 years, male 32.8
GTEX-147GR-0526-SM-5S2MY 60-69 years, male 32.8
GTEX-1A3MW-0126-SM-73KXX 60-69 years, female 32.8
GTEX-14LLW-0126-SM-6LLIO 70-79 years, female 32.7
GTEX-RWS6-2026-SM-2XCB5 60-69 years, female 32.7
GTEX-1MGNQ-0126-SM-EVYCJ 40-49 years, male 32.6
GTEX-11LCK-1026-SM-5A5KB 30-39 years, male 32.5
GTEX-1AMFI-2026-SM-731BH 50-59 years, female 32.5
GTEX-V1D1-2226-SM-3NMAX 50-59 years, male 32.5
GTEX-1I1GR-0126-SM-CL55F 60-69 years, male 32.5
GTEX-11DXY-2626-SM-5GIE7 60-69 years, male 32.4
GTEX-11EMC-2926-SM-5EQ4F 60-69 years, female 32.4
GTEX-13X6I-0626-SM-5QGP9 60-69 years, male 32.4
GTEX-U3ZH-2026-SM-3DB78 30-39 years, male 32.4
GTEX-ZAJG-0126-SM-5HL94 50-59 years, female 32.4
GTEX-1QP66-1726-SM-E8VO1 50-59 years, male 32.4
GTEX-1R46S-0626-SM-E9J41 60-69 years, female 32.4
GTEX-OIZF-0126-SM-7SB8I 60-69 years, male 32.4
GTEX-11ZU8-2526-SM-5EQKI 60-69 years, male 32.3
GTEX-17EUY-0426-SM-793BD 20-29 years, male 32.3
GTEX-1F48J-0126-SM-7P8TT 50-59 years, female 32.3
GTEX-1I1GT-0626-SM-CGQER 60-69 years, female 32.3
GTEX-11TTK-0126-SM-5987B 60-69 years, female 32.2
GTEX-RN64-0126-SM-2TC68 50-59 years, male 32.2
GTEX-1I1GS-0126-SM-B2LVW 60-69 years, male 32.2
GTEX-12WSC-0126-SM-5EQ4P 50-59 years, male 32.1
GTEX-13RTJ-2426-SM-5S2Q2 60-69 years, male 32.0
GTEX-13FH7-2026-SM-E9J4I 50-59 years, female 31.8
GTEX-1B97I-1626-SM-73KYO 40-49 years, male 31.7
GTEX-1HFI7-1826-SM-ACKXH 50-59 years, female 31.7
GTEX-11GSO-2426-SM-5A5LY 60-69 years, male 31.6
GTEX-1GN1W-0526-SM-9MQJQ 50-59 years, female 31.6
GTEX-1S82Y-2026-SM-EVYCM 40-49 years, male 31.6
GTEX-RWSA-0126-SM-2XCBB 40-49 years, male 31.5
GTEX-ZXG5-0126-SM-5GIEU 60-69 years, male 31.5
GTEX-146FH-0126-SM-5QGPP 50-59 years, female 31.2
GTEX-147F3-0526-SM-5SI98 50-59 years, female 31.2
GTEX-113IC-0126-SM-5HL6T 60-69 years, male 31.1
GTEX-WYVS-2126-SM-3NMA3 40-49 years, female 31.1
GTEX-1JK1U-2026-SM-CM2RZ 60-69 years, male 31.1
GTEX-11VI4-1726-SM-5CVLH 40-49 years, female 31.0
GTEX-12WSN-5019-SM-79OM6 40-49 years, male 31.0
GTEX-13QJ3-0326-SM-5S2RA 50-59 years, male 31.0
GTEX-ZVT3-0126-SM-5GU6I 60-69 years, female 31.0
GTEX-ZYY3-0126-SM-5GZY5 60-69 years, female 30.9
GTEX-14PHW-0126-SM-6LLJI 60-69 years, female 30.8
GTEX-QDT8-0126-SM-48TZ1 30-39 years, female 30.7
GTEX-ZF28-0126-SM-4WKGK 60-69 years, male 30.6
GTEX-17MF6-0126-SM-7LG4F 40-49 years, male 30.5
GTEX-1CB4E-2226-SM-793DC 60-69 years, male 30.0
GTEX-14JG6-2226-SM-6EU2G 30-39 years, female 29.9
GTEX-13OW8-1326-SM-5J1OW 60-69 years, male 29.8
GTEX-1CAMQ-0226-SM-7IGPK 40-49 years, male 29.3
GTEX-1A8FM-0226-SM-7SB7Q 50-59 years, female 29.3
GTEX-R45C-0126-SM-EAZ2R 60-69 years, female 29.3
GTEX-146FR-1326-SM-E9J48 60-69 years, female 29.2
GTEX-1K9T9-0126-SM-EVYCF 50-59 years, female 29.0
GTEX-14E7W-0126-SM-6LLJ9 70-79 years, male 28.9
GTEX-16YQH-0126-SM-7DUFJ 30-39 years, male 28.5
GTEX-Y8LW-1826-SM-5S2MV 50-59 years, female 28.5
GTEX-14BIL-0126-SM-5SI92 50-59 years, male 28.0
GTEX-13OVG-1926-SM-5L3DK 60-69 years, male 27.9
GTEX-1JMOU-1526-SM-CL54I 60-69 years, female 27.9
GTEX-1I1HK-0126-SM-COH49 60-69 years, male 27.8
GTEX-P44H-0226-SM-2XCEU 40-49 years, male 27.5
GTEX-U3ZN-2326-SM-3DB7W 30-39 years, female 27.5
GTEX-1OJC4-0126-SM-E9J2E 50-59 years, female 27.5
GTEX-1H1ZS-0426-SM-9WG6G 70-79 years, male 27.3
GTEX-13OVJ-0126-SM-5KM36 50-59 years, female 26.9
GTEX-QCQG-1726-SM-3GIJ9 50-59 years, female 25.7
Show allShow less

Contact

  • NEWS ARTICLES
  • PRESS ROOM

The Project

  • INTRODUCTION
  • ORGANIZATION
  • PUBLICATIONS

The Human Protein Atlas

  • DOWNLOADABLE DATA
  • LICENCE & CITATION
  • HELP & FAQ
The Human Protein Atlas project is funded
by the Knut & Alice Wallenberg Foundation.


contact@proteinatlas.org