We use cookies to enhance the usability of our website. If you continue, we'll assume that you are happy to receive all cookies. More information. Don't show this again.
IRF2BPL
HPA
RESOURCES
  • TISSUE
  • BRAIN
  • SINGLE CELL
  • SUBCELLULAR
  • CANCER
  • BLOOD
  • CELL LINE
  • STRUCTURE & INTERACTION
ABOUT
  • INTRODUCTION
  • HISTORY
  • ORGANIZATION
  • PUBLICATIONS
  • ANTIBODY SUBMISSION
  • ANTIBODY AVAILABILITY
  • ACKNOWLEDGMENTS
  • CONTACT
NEWS
  • NEWS ARTICLES
  • PRESS ROOM
LEARN
  • DICTIONARY
  • PROTEIN CLASSES
  • PROTEIN EVIDENCE
  • METHODS
  • EDUCATIONAL VIDEOS
DATA
  • DOWNLOADABLE DATA
  • PUBLICATION DATA
  • RELEASE HISTORY
HELP
  • ANTIBODY VALIDATION
  • ASSAYS & ANNOTATION
  • DISCLAIMER
  • HELP & FAQ
  • PRIVACY STATEMENT
  • LICENCE & CITATION
Fields »
Search result

Field
Term
Gene name
Class
Subclass
Class
Keyword
Chromosome
External id
Tissue
Cell type
Expression
Antibody panel
Tissue
Main location
Patient ID
Annotation
Tissue
Category
Tau score
Cluster
Reliability
Brain region
Category
Tau score
Brain region
Category
Tau score
Brain region
Category
Tau score
Cluster
Reliability
Tissue
Cell type
Enrichment
Cell type
Category
Tau score
Cell type
Category
Tau score
Cell type
Category
Tau score
Cell lineage
Category
Tau score
Cluster
Cluster
Location
Searches
Location
Cell line
Class
Type
Phase
Reliability
Cancer
Prognosis
Cancer
Category
Cancer
Category
Tau score
Cluster
Variants
Interacting gene (ensg_id)
Type
Number of interactions
Pathway
Category
Score
Score
Score
Validation
Validation
Validation
Validation
Antibodies
Data type
Column


  • SUMMARY

  • TISSUE

  • BRAIN

  • SINGLE CELL

  • SUBCELL

  • CANCER

  • BLOOD

  • CELL LINE

  • STRUCT & INT

  • IRF2BPL
TISSUE PRIMARY DATA ADIPOSE TISSUE Show tissue menu
ADIPOSE TISSUE ADRENAL GLAND AMYGDALA APPENDIX BASAL GANGLIA BONE MARROW BREAST BRONCHUS CEREBELLUM CEREBRAL CORTEX CERVIX CHOROID PLEXUS COLON DUODENUM
ENDOMETRIUM EPIDIDYMIS ESOPHAGUS FALLOPIAN TUBE GALLBLADDER HEART MUSCLE HIPPOCAMPAL FORMATION HYPOTHALAMUS KIDNEY LIVER LUNG LYMPH NODE MIDBRAIN NASOPHARYNX
OVARY PANCREAS PARATHYROID GLAND PITUITARY GLAND PLACENTA PROSTATE RECTUM RETINA SALIVARY GLAND SEMINAL VESICLE SKELETAL MUSCLE SKIN SMALL INTESTINE SMOOTH MUSCLE
SOFT TISSUE SPINAL CORD SPLEEN STOMACH TESTIS THYMUS THYROID GLAND TONGUE TONSIL URINARY BLADDER VAGINA
ANTIBODIES
AND
VALIDATION
Dictionary
Tissue proteome
Adipose tissue
ADIPOSE TISSUE - Expression summary
Protein expression
Adipose tissuei

On the top, protein expression in current human tissue, based on all annotated cell types, is reported with the units not detected (n), low (l), medium (m) and high (h). Underneath, protein expression in each annotated cell type are reported using the same units.

Protein expression data is based on knowledge-based annotation. For genes where more than one antibody has been used, a collective score is set.

If knowledge-based annotation could not be performed for a gene, no data is displayed here. View antibody staining data further down this page.

h
m
l
n
Adipocytes: Not detected
RNA expressioni

A summary of mRNA expression data available for current tissue based on several datasets. The mRNA expression levels in human tissues are based on RNA-seq data generated by the Human Protein Atlas (HPA), Genotype-Tissue Expression (GTEx) portal and CAGE data generated by the FANTOM5 consortium. Consensus normalized expression levels for human tissues was created by combining the data from HPA and GTEx datasets.

The mRNA expression levels in pig are based on RNA-seq data generated by the Human Protein Atlas (HPA), and for mouse, HPA data and in situ hybridization generated by the Allen brain atlas are reported.

Scroll down to view mRNA expression data in more detail.
Consensus:25.2 nTPM
HPA:16.1 nTPM
GTEx:25.2 nTPM
FANTOM5:59.4 Scaled Tags Per Million

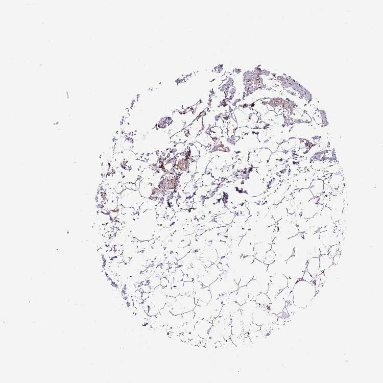
ADIPOSE TISSUE - Antibody stainingi

Antibody staining in the annotated cell types in the current human tissue is reported as not detected, low, medium, or high, based on conventional immunohistochemistry profiling in selected tissues. This score is based on the combination of the staining intensity and fraction of stained cells.

Each image is clickable and will lead to virtual microscopy that enables deeper exploration of all samples and also displays staining intensity scores, fraction scores and subcellular localization as well as patient and tissue information for each sample.

Antibody HPA050862
Adipocytes Not detected




ADIPOSE TISSUE - HPA RNA-seqi

The RNA-seq details section shows detailed information about the individual samples used for the transcript profiling and results of the RNA-seq analysis.

Information about each individual sample is listed below, including gender, age, a tissue section image and estimated fractions of cell types. nTPM (normalized transcripts per million) values give a quantification of the gene abundance which is comparable between different genes and samples.
Average nTPMi

Max subtype nTPM is the value for the subtype with the largest average nTPM across the subtype samples.

16.1
N/A
Female, age 80
Adipose tissue sample 86
nTPM: 36.3
Cell types%
Adipocytes:
95

Other cell types:
5

N/A
Female, age 45
Adipose tissue sample 115
nTPM: 14.7
N/A
Female, age 57
Adipose tissue sample 137
nTPM: 14.3
Cell types%
Adipocytes:
60

Fibroblasts:
20

Smooth muscle cells:
15

Other cell types:
5

overview
Female, age 74
Adipose tissue sample 329
nTPM: 8.1
Cell types%
Adipocytes:
50

Fibroblasts:
30

Smooth muscle cells:
15

Other cell types:
5

overview
Female, age 59
Adipose tissue sample 331
nTPM: 7.2
Cell types%
Adipocytes:
40

Fibroblasts:
40

Smooth muscle cells:
15

Other cell types:
5


ADIPOSE TISSUE - GTEx RNA-seqi

RNA-Seq data generated by the Genotype-Tissue Expression (GTEx) project from human tissues is reported as mean nTPM. More information can be found on the GTEx portal.

Distribution across the dataset is visualized with box plots, shown as median and 25th and 75th percentiles. Points are displayed as outliers if they are above or below 1.5 times the interquartile range. nTPM values of the individual samples are presented next to the box plot.
Max subtype nTPMi

Max subtype nTPM is the value for the subtype with the largest average nTPM across the subtype samples.

25.2
GTEx sample id Sample description nTPM
Adipose - Subcutaneous
Average nTPM: 23.3
Samples: 663

Max nTPM: 59.9
Min nTPM: 8.5
Std nTPM: 7.0
Median nTPM: 22.5
GTEX-18A67-0226-SM-7LG67 50-59 years, male 59.9
GTEX-REY6-0326-SM-2TF5A 60-69 years, male 59.2
GTEX-1KANA-0826-SM-D3L9J 20-29 years, male 51.1
GTEX-11EM3-2326-SM-5H12B 20-29 years, female 50.1
GTEX-PWN1-0226-SM-DKPO9 40-49 years, female 47.1
GTEX-1K2DA-2126-SM-CGQGL 50-59 years, male 46.4
GTEX-P44G-2326-SM-2XCCZ 30-39 years, male 44.8
GTEX-17HII-0326-SM-7LG4X 50-59 years, male 44.6
GTEX-U8XE-0426-SM-3DB91 30-39 years, male 43.6
GTEX-ZDTT-2626-SM-5S2OP 60-69 years, male 42.2
GTEX-VUSH-0226-SM-EXUQV 30-39 years, male 41.3
GTEX-144GM-1926-SM-5LUAN 20-29 years, male 40.9
GTEX-YECK-0226-SM-4W215 60-69 years, male 40.9
GTEX-1R7EV-1926-SM-EVYBF 40-49 years, male 40.8
GTEX-1I4MK-2026-SM-B2LVR 50-59 years, female 40.6
GTEX-1CB4I-0426-SM-7IGPR 50-59 years, male 40.2
GTEX-ZDYS-2126-SM-5S2P2 50-59 years, male 39.9
GTEX-XUZC-1826-SM-4BRVO 30-39 years, female 38.9
GTEX-WFG8-2326-SM-DIPDX 20-29 years, male 38.9
GTEX-1MUQO-0526-SM-E9J31 60-69 years, male 38.4
GTEX-WY7C-2426-SM-3NB2V 50-59 years, male 38.2
GTEX-13QBU-2526-SM-5LU4X 40-49 years, female 38.1
GTEX-1HSMQ-1426-SM-ADEHT 50-59 years, male 37.8
GTEX-1I1GU-2326-SM-CGQFB 40-49 years, male 37.6
GTEX-OXRO-0226-SM-3LK6F 60-69 years, female 37.1
GTEX-1313W-0226-SM-5LZV7 50-59 years, female 36.9
GTEX-ZVZP-2326-SM-59HL4 50-59 years, male 36.7
GTEX-16GPK-0226-SM-7DUFI 60-69 years, male 36.6
GTEX-R55G-2426-SM-2TC5I 40-49 years, female 36.2
GTEX-1CAMR-1826-SM-7MXUJ 20-29 years, male 36.2
GTEX-146FR-1826-SM-5QGPF 60-69 years, female 36.0
GTEX-14H4A-1026-SM-62LDY 40-49 years, female 36.0
GTEX-15UKP-0526-SM-7KFRO 20-29 years, male 35.9
GTEX-1AMFI-2126-SM-731BT 50-59 years, female 35.7
GTEX-ZZ64-1626-SM-5E43W 20-29 years, male 35.6
GTEX-14JG6-2326-SM-6LLH3 30-39 years, female 35.3
GTEX-1I1GT-0526-SM-CGQEQ 60-69 years, female 35.1
GTEX-1I1GQ-0226-SM-COH3I 50-59 years, male 34.6
GTEX-11DXX-2326-SM-9YFKS 60-69 years, female 34.5
GTEX-16AAH-2026-SM-7LG5F 50-59 years, male 34.3
GTEX-14C5O-0226-SM-5SI6O 60-69 years, male 34.2
GTEX-16XZY-2526-SM-7DHL2 70-79 years, male 34.0
GTEX-SNOS-1426-SM-32PLY 40-49 years, male 33.9
GTEX-13FH7-2226-SM-5IJD4 50-59 years, female 33.8
GTEX-17EUY-0526-SM-7EWDE 20-29 years, male 33.8
GTEX-1I1GR-0226-SM-CMKHQ 60-69 years, male 33.7
GTEX-146FH-0226-SM-5QGPQ 50-59 years, female 33.6
GTEX-1J1OQ-0326-SM-CYPTJ 40-49 years, female 33.6
GTEX-QESD-1526-SM-2S1QT 20-29 years, male 33.5
GTEX-1N2EF-0626-SM-E9J32 60-69 years, male 33.5
GTEX-14BMU-2126-SM-5S2TS 20-29 years, female 33.4
GTEX-YJ8A-0526-SM-5IFHT 20-29 years, male 33.3
GTEX-1LVAO-0226-SM-E9U6O 60-69 years, male 33.3
GTEX-1PIGE-0526-SM-DTXFA 20-29 years, male 33.3
GTEX-ZTSS-2026-SM-5987K 40-49 years, male 33.2
GTEX-1HCU6-0226-SM-CGQES 60-69 years, female 33.2
GTEX-12126-0426-SM-5Q5AP 20-29 years, male 33.1
GTEX-13JUV-2826-SM-5LZWU 40-49 years, female 33.1
GTEX-14E6E-1926-SM-664N4 30-39 years, male 33.0
GTEX-14E6C-0226-SM-5S2N3 40-49 years, male 32.7
GTEX-T5JW-1726-SM-3GADN 20-29 years, female 32.7
GTEX-17MF6-0226-SM-7LG4G 40-49 years, male 32.6
GTEX-17MFQ-1826-SM-7DHLS 20-29 years, male 32.5
GTEX-XPVG-2726-SM-4B66W 50-59 years, male 32.5
GTEX-147F3-0626-SM-5NQ9I 50-59 years, female 32.4
GTEX-1PPGY-0326-SM-DTXFD 60-69 years, male 32.3
GTEX-Q2AI-1426-SM-2S1P5 40-49 years, male 32.2
GTEX-YB5K-2226-SM-4WWG1 40-49 years, female 32.2
GTEX-13113-1826-SM-5LZW4 60-69 years, female 31.9
GTEX-S95S-1326-SM-2XCDK 60-69 years, male 31.8
GTEX-ZLV1-1826-SM-5FQU5 60-69 years, female 31.8
GTEX-1LH75-2526-SM-E9U5A 50-59 years, female 31.7
GTEX-1LSNM-2026-SM-E6CIJ 50-59 years, male 31.7
GTEX-13N11-2626-SM-5K7UQ 50-59 years, female 31.6
GTEX-1C475-1926-SM-7DUFV 40-49 years, female 31.5
GTEX-16NPX-0326-SM-7EWDI 50-59 years, male 31.4
GTEX-X15G-2326-SM-4PQZS 50-59 years, female 31.4
GTEX-1JJ6O-0226-SM-E6CI9 60-69 years, male 31.4
GTEX-132QS-2526-SM-62LFJ 60-69 years, male 31.3
GTEX-1LG7Z-2026-SM-DLHBP 30-39 years, male 31.2
GTEX-1QP2A-0226-SM-EVYBC 50-59 years, male 31.2
GTEX-12ZZZ-0526-SM-5DUX6 60-69 years, male 30.9
GTEX-1GN1U-0226-SM-9YFLQ 50-59 years, female 30.9
GTEX-1GN1W-0626-SM-9MQK3 50-59 years, female 30.8
GTEX-13O1R-0226-SM-5K7U5 60-69 years, male 30.7
GTEX-W5WG-2526-SM-4SOJ2 50-59 years, female 30.7
GTEX-ZF29-2226-SM-4WWB9 60-69 years, female 30.7
GTEX-1399U-2426-SM-5K7XB 50-59 years, female 30.6
GTEX-1B8KE-2526-SM-73KYQ 50-59 years, male 30.6
GTEX-Z93S-0226-SM-5HL7R 50-59 years, male 30.5
GTEX-1CAMS-0326-SM-7PC35 40-49 years, female 30.5
GTEX-11XUK-2126-SM-5EQLR 40-49 years, female 30.4
GTEX-XBED-2326-SM-47JYR 60-69 years, male 30.4
GTEX-1I6K6-0226-SM-ADEID 30-39 years, male 30.4
GTEX-145MN-2626-SM-5NQAH 30-39 years, male 30.2
GTEX-1A3MX-0226-SM-731C4 60-69 years, male 30.2
GTEX-1PBJI-0426-SM-E8VNM 20-29 years, female 30.2
GTEX-1211K-2226-SM-5FQU6 60-69 years, female 30.0
GTEX-14PHX-2426-SM-62LEN 50-59 years, male 30.0
GTEX-1B8SG-0226-SM-7939Q 50-59 years, male 29.9
GTEX-SN8G-0226-SM-4DM6B 50-59 years, female 29.9
GTEX-WEY5-1926-SM-3GIL8 40-49 years, female 29.9
GTEX-13O3P-0226-SM-5KM3Z 50-59 years, male 29.8
GTEX-ZAJG-0226-SM-5HL81 50-59 years, female 29.8
GTEX-OIZH-0226-SM-2YUMH 50-59 years, male 29.7
GTEX-UTHO-0426-SM-CE6QU 60-69 years, male 29.7
GTEX-139YR-2426-SM-5J1OB 50-59 years, male 29.6
GTEX-13PVQ-0226-SM-5SIBG 50-59 years, male 29.6
GTEX-SUCS-1826-SM-32PM1 70-79 years, male 29.6
GTEX-1K9T9-0226-SM-E9U6K 50-59 years, female 29.6
GTEX-T5JC-0526-SM-32PM7 20-29 years, male 29.5
GTEX-1CB4J-1126-SM-7PBY1 60-69 years, male 29.5
GTEX-1H1DE-2026-SM-9WG6Q 20-29 years, male 29.5
GTEX-1GF9X-1926-SM-ADEIC 40-49 years, female 29.4
GTEX-1I1GP-2326-SM-CGQFL 50-59 years, male 29.4
GTEX-111YS-2426-SM-5GZZQ 60-69 years, male 29.3
GTEX-13111-1726-SM-5EGJZ 50-59 years, male 29.2
GTEX-PWCY-1926-SM-3NB25 20-29 years, female 29.2
GTEX-1MA7W-1926-SM-E6CIO 20-29 years, female 29.2
GTEX-Y111-0226-SM-4SOIW 50-59 years, male 29.1
GTEX-YB5E-2126-SM-5IFI7 40-49 years, male 29.1
GTEX-ZQG8-1526-SM-5HL65 60-69 years, female 29.0
GTEX-1S83E-0226-SM-EVYCW 40-49 years, male 29.0
GTEX-133LE-1926-SM-5N9FV 20-29 years, female 28.9
GTEX-ZXES-2026-SM-5NQ6R 30-39 years, female 28.9
GTEX-12WSA-0326-SM-5BC6I 60-69 years, male 28.8
GTEX-12ZZX-0226-SM-5DUXU 40-49 years, female 28.7
GTEX-13O61-2426-SM-5J1NV 60-69 years, male 28.7
GTEX-17F98-1126-SM-79OJS 40-49 years, female 28.7
GTEX-R55C-1626-SM-48FEG 40-49 years, male 28.7
GTEX-WH7G-2226-SM-3NMBN 40-49 years, male 28.7
GTEX-1POEN-0226-SM-EYYXE 30-39 years, female 28.6
GTEX-111CU-1826-SM-5GZYN 50-59 years, male 28.5
GTEX-WFG7-2526-SM-EWRM5 20-29 years, male 28.5
GTEX-ZXG5-0226-SM-59HJI 60-69 years, male 28.4
GTEX-13CF3-2326-SM-5IFGL 60-69 years, female 28.3
GTEX-13W3W-2526-SM-5SI9P 60-69 years, female 28.3
GTEX-Z9EW-1826-SM-5CVMA 40-49 years, male 28.3
GTEX-RWSA-0226-SM-2XCBA 40-49 years, male 28.2
GTEX-13OW6-0526-SM-5L3HY 50-59 years, male 27.9
GTEX-17HHE-1926-SM-7EPGW 50-59 years, male 27.9
GTEX-18D9U-0726-SM-7LG5J 40-49 years, male 27.9
GTEX-X4XY-0326-SM-46MVZ 60-69 years, male 27.9
GTEX-11TUW-2626-SM-5EQKZ 60-69 years, male 27.8
GTEX-18465-0226-SM-7LG5M 50-59 years, male 27.8
GTEX-OHPN-0226-SM-48TBV 60-69 years, female 27.8
GTEX-12696-2526-SM-5EQLN 60-69 years, male 27.7
GTEX-14PJM-0326-SM-62LF2 50-59 years, female 27.7
GTEX-1QCLY-0526-SM-EAZ47 30-39 years, male 27.7
GTEX-1128S-2126-SM-5H12U 60-69 years, female 27.6
GTEX-13FTW-2526-SM-5IJC8 40-49 years, male 27.6
GTEX-QDVJ-1826-SM-2S1P3 50-59 years, male 27.6
GTEX-1H1E6-2026-SM-9KNVK 30-39 years, male 27.6
GTEX-1JK1U-2126-SM-CNPOU 60-69 years, male 27.6
GTEX-12C56-1626-SM-5FQUO 20-29 years, male 27.5
GTEX-14PJ3-1926-SM-62LEY 50-59 years, male 27.5
GTEX-1HSGN-0126-SM-CGQFU 40-49 years, female 27.5
GTEX-1J1R8-2226-SM-ARZMP 40-49 years, male 27.4
GTEX-1PFEY-1626-SM-E9J3M 30-39 years, male 27.4
GTEX-11EMC-2826-SM-5PNY6 60-69 years, female 27.3
GTEX-139D8-0326-SM-5IJCJ 30-39 years, female 27.3
GTEX-13X6K-0226-SM-5QGPB 60-69 years, female 27.3
GTEX-1LGOU-2226-SM-E9U56 20-29 years, female 27.3
GTEX-ZGAY-0626-SM-DO92E 40-49 years, female 27.2
GTEX-13OW8-1226-SM-5K7XD 60-69 years, male 27.1
GTEX-TMZS-0226-SM-3DB9N 60-69 years, male 27.1
GTEX-14PJ2-0226-SM-6LLH4 50-59 years, male 26.9
GTEX-Q734-1826-SM-2I3EL 40-49 years, female 26.9
GTEX-X8HC-0226-SM-4E3K1 50-59 years, female 26.9
GTEX-1QP29-0726-SM-DTXFM 50-59 years, male 26.8
GTEX-14753-0326-SM-5QGQB 60-69 years, male 26.7
GTEX-14AS3-2026-SM-5TDD9 40-49 years, female 26.7
GTEX-1CB4H-0326-SM-9WG5G 60-69 years, female 26.7
GTEX-11EQ9-2526-SM-5HL66 30-39 years, male 26.6
GTEX-13PDP-0226-SM-5K7W9 60-69 years, male 26.6
GTEX-16BQI-0526-SM-6PAM8 30-39 years, female 26.6
GTEX-ZPCL-2126-SM-57WFZ 60-69 years, female 26.5
GTEX-ZPU1-2426-SM-4WWFM 40-49 years, male 26.5
GTEX-1H3O1-0526-SM-9MQLS 60-69 years, male 26.5
GTEX-1S82P-0226-SM-E6CI6 60-69 years, female 26.5
GTEX-13QJ3-0426-SM-5RQHP 50-59 years, male 26.4
GTEX-13SLX-0426-SM-5QGRC 50-59 years, female 26.4
GTEX-14PJ4-2226-SM-6LLIS 60-69 years, male 26.4
GTEX-16MTA-2126-SM-6PALC 50-59 years, male 26.3
GTEX-139T6-2126-SM-5KM37 50-59 years, male 26.2
GTEX-OOBK-0226-SM-2YUMF 40-49 years, male 26.2
GTEX-1ICLY-0226-SM-ARL7R 50-59 years, male 26.2
GTEX-11DZ1-0226-SM-5A5KF 50-59 years, male 26.1
GTEX-11ZTT-2526-SM-5EQM9 60-69 years, female 26.1
GTEX-13VXU-0226-SM-5SI9R 50-59 years, male 26.1
GTEX-XGQ4-2226-SM-4AT4Y 50-59 years, male 26.1
GTEX-1QP66-1326-SM-DTXDQ 50-59 years, male 26.1
GTEX-11LCK-1126-SM-5A5KC 30-39 years, male 26.0
GTEX-11UD2-0126-SM-5EQL2 50-59 years, male 26.0
GTEX-1B932-0226-SM-7PBYH 40-49 years, female 26.0
GTEX-1HFI7-2026-SM-CGQFR 50-59 years, female 26.0
GTEX-1I19N-0426-SM-ACKVY 70-79 years, male 26.0
GTEX-11O72-0226-SM-59869 40-49 years, male 25.9
GTEX-11P7K-2026-SM-5GU74 30-39 years, male 25.9
GTEX-OXRK-0326-SM-3NB3R 50-59 years, female 25.9
GTEX-P78B-0226-SM-3NB1Z 40-49 years, female 25.9
GTEX-TKQ1-1126-SM-4GIAZ 30-39 years, male 25.9
GTEX-1HSKV-0326-SM-ADEJC 60-69 years, male 25.8
GTEX-1R7EU-0326-SM-EWRNJ 60-69 years, male 25.8
GTEX-14LLW-0226-SM-62LEL 70-79 years, female 25.7
GTEX-16YQH-0226-SM-6PALD 30-39 years, male 25.7
GTEX-14E6D-0226-SM-62LDW 50-59 years, male 25.6
GTEX-OHPM-0226-SM-3LK61 50-59 years, male 25.6
GTEX-ZYT6-0326-SM-7LG5R 30-39 years, male 25.6
GTEX-17HGU-0326-SM-7DUER 50-59 years, male 25.5
GTEX-XAJ8-0926-SM-47JXZ 40-49 years, male 25.5
GTEX-13YAN-0426-SM-5O9DR 60-69 years, male 25.4
GTEX-144GL-0226-SM-5QGOX 50-59 years, male 25.4
GTEX-ZPIC-1826-SM-57WFE 40-49 years, female 25.4
GTEX-13N1W-0226-SM-5K7W6 70-79 years, male 25.3
GTEX-RU72-1026-SM-46MUG 50-59 years, female 25.3
GTEX-1B97I-1726-SM-7939V 40-49 years, male 25.2
GTEX-YEC3-1226-SM-5IFI8 50-59 years, male 25.2
GTEX-1B996-0126-SM-7PBYF 60-69 years, male 25.2
GTEX-1FIGZ-1626-SM-7SB8L 40-49 years, male 25.2
GTEX-1GN1V-0226-SM-9WYTN 60-69 years, male 25.2
GTEX-1JKYN-1226-SM-CGQG8 30-39 years, male 25.2
GTEX-13X6J-0226-SM-7EPGC 50-59 years, male 25.1
GTEX-1497J-2326-SM-5NQBK 60-69 years, male 25.1
GTEX-1F88F-2626-SM-9WG5K 60-69 years, female 25.1
GTEX-1J8QM-2326-SM-CYPSL 60-69 years, female 25.1
GTEX-147JS-0426-SM-5TDD2 60-69 years, male 25.0
GTEX-XQ3S-1626-SM-4WAYN 20-29 years, male 25.0
GTEX-Y8E4-0726-SM-4WWFN 40-49 years, male 25.0
GTEX-1IDJU-2526-SM-CMKGF 60-69 years, female 25.0
GTEX-144GO-1626-SM-7EPG5 60-69 years, male 24.9
GTEX-ZAK1-0226-SM-5CVMX 50-59 years, female 24.9
GTEX-1JN1M-0126-SM-D4P23 60-69 years, female 24.9
GTEX-14BIL-0226-SM-5SI9E 50-59 years, male 24.8
GTEX-OXRP-0226-SM-3NB14 60-69 years, female 24.8
GTEX-XMD2-0226-SM-4WWEE 60-69 years, female 24.8
GTEX-1LBAC-0226-SM-DHXJZ 20-29 years, male 24.8
GTEX-148VI-1726-SM-5S2W9 60-69 years, female 24.7
GTEX-ZT9X-1926-SM-57WE7 40-49 years, male 24.7
GTEX-11DXW-0326-SM-5H11W 40-49 years, male 24.6
GTEX-16NGA-1826-SM-7LG5L 40-49 years, female 24.6
GTEX-OXRL-0226-SM-3NB18 50-59 years, male 24.5
GTEX-RTLS-0226-SM-2TF5E 60-69 years, female 24.5
GTEX-XUYS-0226-SM-47JX1 50-59 years, male 24.5
GTEX-ZYFC-0326-SM-5NQ7H 50-59 years, male 24.5
GTEX-1HCU8-0726-SM-ADEIR 60-69 years, female 24.5
GTEX-1LVA9-0226-SM-E9U5N 50-59 years, male 24.5
GTEX-13112-2726-SM-5DUW5 50-59 years, male 24.4
GTEX-XLM4-0226-SM-4AT4N 60-69 years, male 24.3
GTEX-YF7O-2426-SM-5IFJL 50-59 years, male 24.3
GTEX-1122O-2026-SM-9YFMG 60-69 years, female 24.3
GTEX-1QP67-1726-SM-E8VOP 40-49 years, female 24.3
GTEX-11ZUS-0726-SM-59886 30-39 years, male 24.2
GTEX-145LT-1826-SM-5QGP4 40-49 years, male 24.2
GTEX-183FY-0326-SM-793BY 20-29 years, male 24.2
GTEX-QCQG-1826-SM-2S1P2 50-59 years, female 24.2
GTEX-SIU8-0226-SM-2XCDS 50-59 years, male 24.2
GTEX-1HSMP-0226-SM-CGQFI 70-79 years, male 24.2
GTEX-1LVAN-0126-SM-COH4H 50-59 years, female 24.2
GTEX-15ER7-0426-SM-6PAM3 20-29 years, female 24.1
GTEX-1ICG6-2626-SM-CGQG1 70-79 years, female 24.1
GTEX-1QP9N-1526-SM-DTXFK 30-39 years, male 24.1
GTEX-VJWN-0226-SM-EZ6LF 50-59 years, female 24.1
GTEX-14PN3-2526-SM-6EU15 60-69 years, female 24.0
GTEX-15ETS-0426-SM-6PANI 40-49 years, female 24.0
GTEX-17F97-0426-SM-7LT9U 50-59 years, male 24.0
GTEX-R55D-0326-SM-48FES 50-59 years, male 24.0
GTEX-1I6K7-0226-SM-CJI46 40-49 years, male 24.0
GTEX-WFON-2226-SM-3TW8W 40-49 years, male 23.9
GTEX-XBEW-0726-SM-4QARX 40-49 years, male 23.9
GTEX-12WSD-0226-SM-59HKO 60-69 years, female 23.8
GTEX-14BMV-0226-SM-5S2N2 50-59 years, male 23.8
GTEX-1C2JI-2226-SM-7IGPJ 50-59 years, male 23.8
GTEX-VJYA-1326-SM-3GIJC 60-69 years, male 23.8
GTEX-Y3I4-2226-SM-4TT7O 50-59 years, male 23.8
GTEX-YEC4-2426-SM-57WFO 40-49 years, male 23.8
GTEX-16XZZ-0226-SM-7MGVJ 60-69 years, male 23.8
GTEX-1QPFJ-0126-SM-E9J4B 30-39 years, female 23.8
GTEX-U3ZM-1026-SM-EZ6LD 40-49 years, male 23.8
GTEX-13IVO-0226-SM-5LZXU 70-79 years, male 23.7
GTEX-13NZ9-0526-SM-5J1OX 50-59 years, male 23.7
GTEX-15CHQ-0226-SM-6EU2S 60-69 years, male 23.7
GTEX-XXEK-2426-SM-4BRUS 50-59 years, male 23.7
GTEX-Y3IK-2526-SM-4WWDM 50-59 years, female 23.7
GTEX-1F6RS-0226-SM-9MQKO 60-69 years, female 23.7
GTEX-1IDJF-0226-SM-CMKGE 20-29 years, male 23.6
GTEX-ZLFU-2626-SM-DO91L 40-49 years, male 23.6
GTEX-13VXT-0226-SM-5LU9Q 20-29 years, female 23.5
GTEX-145MG-0126-SM-5TDDA 50-59 years, male 23.5
GTEX-WHPG-2126-SM-4M1ZM 50-59 years, male 23.5
GTEX-XQ8I-0526-SM-4BOPS 50-59 years, male 23.5
GTEX-1MCYP-1826-SM-E9J2Q 20-29 years, female 23.5
GTEX-RUSQ-1626-SM-EZ6L4 50-59 years, male 23.5
GTEX-NFK9-0326-SM-3MJGV 40-49 years, male 23.4
GTEX-Q2AG-0226-SM-2S1P4 40-49 years, female 23.4
GTEX-1JMQK-0126-SM-CM2S3 60-69 years, male 23.4
GTEX-1NHNU-1126-SM-E9J2C 50-59 years, male 23.4
GTEX-1BAJH-0426-SM-73KWY 70-79 years, male 23.3
GTEX-QEG5-0326-SM-2S1PB 20-29 years, male 23.3
GTEX-1MJK2-0526-SM-DTXE6 50-59 years, male 23.3
GTEX-15G19-0226-SM-6PAL2 60-69 years, male 23.1
GTEX-ZVT2-2226-SM-5NQ6P 50-59 years, female 23.1
GTEX-1PDJ9-0426-SM-E9J3E 20-29 years, male 23.1
GTEX-1RAZR-0226-SM-EVYC6 40-49 years, male 23.1
GTEX-1S5ZU-0226-SM-E6CHW 20-29 years, female 23.1
GTEX-1A3MW-0226-SM-7939O 60-69 years, female 23.0
GTEX-PLZ6-1326-SM-3NB24 30-39 years, male 23.0
GTEX-X261-0226-SM-3NMD2 50-59 years, male 23.0
GTEX-XV7Q-2626-SM-4BRVA 40-49 years, female 23.0
GTEX-1GN73-0326-SM-9KNTW 60-69 years, male 22.9
GTEX-1HR98-0226-SM-CGQEK 60-69 years, male 22.9
GTEX-1KWVE-1326-SM-E6CJ1 30-39 years, male 22.9
GTEX-QEG4-0326-SM-DIPE3 30-39 years, male 22.9
GTEX-WI4N-1126-SM-3LK7Q 40-49 years, female 22.8
GTEX-ZTX8-1526-SM-5N9GI 20-29 years, male 22.8
GTEX-1HGF4-2526-SM-ADEIZ 60-69 years, male 22.8
GTEX-1J8Q3-1526-SM-CMKGB 60-69 years, male 22.8
GTEX-1JMPY-1426-SM-ARL8Z 30-39 years, male 22.8
GTEX-131XF-2226-SM-5EQKG 60-69 years, male 22.7
GTEX-1MA7X-2126-SM-E6CIX 60-69 years, male 22.7
GTEX-1S831-0326-SM-EVYD3 20-29 years, male 22.7
GTEX-VUSG-2426-SM-4KKZG 50-59 years, male 22.6
GTEX-ZV68-0226-SM-59HJF 50-59 years, female 22.6
GTEX-1JMQI-2026-SM-CMKGP 50-59 years, male 22.6
GTEX-11ZVC-2626-SM-5FQTA 50-59 years, female 22.5
GTEX-12WSC-0226-SM-5EQ52 50-59 years, male 22.5
GTEX-WVLH-0226-SM-3MJG6 50-59 years, male 22.5
GTEX-1A8G6-0526-SM-7PC1E 60-69 years, male 22.5
GTEX-1E2YA-0226-SM-9MQLY 50-59 years, male 22.5
GTEX-1H1CY-2626-SM-9MQKJ 60-69 years, female 22.5
GTEX-1HSEH-0226-SM-ACKVV 60-69 years, male 22.5
GTEX-RNOR-0226-SM-EZ6MF 50-59 years, female 22.5
GTEX-1AMEY-1426-SM-7939I 30-39 years, female 22.4
GTEX-T6MN-0226-SM-32PMD 50-59 years, male 22.4
GTEX-YJ8O-2426-SM-5HL7S 40-49 years, female 22.4
GTEX-XYKS-2726-SM-4E3IC 60-69 years, female 22.3
GTEX-11WQC-2426-SM-5EQKQ 60-69 years, male 22.2
GTEX-1KD5A-0326-SM-D5OVD 50-59 years, male 22.2
GTEX-11I78-2626-SM-5Q5AI 50-59 years, female 22.1
GTEX-14PII-0326-SM-6LLIQ 60-69 years, male 22.1
GTEX-1PPH8-0626-SM-EWRN9 20-29 years, male 22.1
GTEX-11P82-1726-SM-5Q5AT 20-29 years, male 22.0
GTEX-14DAR-1926-SM-5S2NQ 50-59 years, male 22.0
GTEX-Y5V6-2526-SM-5IFJV 60-69 years, male 22.0
GTEX-ZUA1-0226-SM-5NQ9Q 40-49 years, male 21.9
GTEX-ZVZO-0226-SM-5A5LA 40-49 years, male 21.9
GTEX-ZZPU-2726-SM-5NQ8O 50-59 years, female 21.9
GTEX-1GMR8-0226-SM-9YFL3 50-59 years, female 21.9
GTEX-1HCU7-0326-SM-CMKGI 50-59 years, male 21.9
GTEX-1JN76-0226-SM-CMKGO 20-29 years, female 21.9
GTEX-132AR-0226-SM-5IJBE 50-59 years, female 21.8
GTEX-13PVR-2426-SM-5RQHN 60-69 years, female 21.8
GTEX-Y8LW-1926-SM-4WWFZ 50-59 years, female 21.8
GTEX-YFCO-2026-SM-4W21Q 40-49 years, male 21.8
GTEX-1JJE9-1226-SM-CNPOI 70-79 years, male 21.8
GTEX-OIZG-0826-SM-E9TI4 50-59 years, male 21.8
GTEX-13OVI-1326-SM-5IJBO 60-69 years, female 21.7
GTEX-OOBJ-0226-SM-2YUMM 60-69 years, male 21.7
GTEX-YFC4-0226-SM-57WD2 40-49 years, female 21.7
GTEX-ZF3C-0226-SM-4WWB3 50-59 years, female 21.7
GTEX-ZYW4-0226-SM-5E44M 60-69 years, male 21.7
GTEX-1J8JJ-0326-SM-CMKG6 60-69 years, female 21.7
GTEX-1MGNQ-0226-SM-EVYCK 40-49 years, male 21.7
GTEX-1212Z-2426-SM-5EQ5D 60-69 years, male 21.6
GTEX-13OW7-0226-SM-5MR3N 50-59 years, male 21.6
GTEX-X4LF-1726-SM-3NMBZ 50-59 years, male 21.6
GTEX-1A8FM-0126-SM-7SB7P 50-59 years, female 21.6
GTEX-1F75A-0226-SM-7PC2K 50-59 years, male 21.6
GTEX-11GS4-2626-SM-5A5LD 60-69 years, male 21.5
GTEX-17HHY-0226-SM-793BQ 50-59 years, male 21.5
GTEX-P4PQ-0226-SM-2S1NK 60-69 years, male 21.5
GTEX-UJHI-1626-SM-3DB9A 50-59 years, female 21.5
GTEX-ZF28-0226-SM-5S2OE 60-69 years, male 21.5
GTEX-1H3VY-0226-SM-9YFMF 50-59 years, male 21.5
GTEX-1HT8W-0226-SM-CMKGT 30-39 years, male 21.5
GTEX-POMQ-2326-SM-DHXIS 20-29 years, female 21.5
GTEX-R45C-0226-SM-EVYAJ 60-69 years, female 21.5
GTEX-14JIY-0526-SM-62LFH 60-69 years, male 21.4
GTEX-17EVP-0426-SM-79OKG 40-49 years, male 21.4
GTEX-1GF9V-0226-SM-9MQKA 60-69 years, male 21.4
GTEX-1GZ4H-1826-SM-9MQLE 50-59 years, female 21.4
GTEX-1RQEC-0526-SM-E6CHV 60-69 years, male 21.4
GTEX-O5YV-0226-SM-48TBY 60-69 years, female 21.3
GTEX-ZYFD-0226-SM-5NQ86 50-59 years, male 21.3
GTEX-ZLWG-2226-SM-DO92V 50-59 years, female 21.3
GTEX-18D9A-2026-SM-718BL 30-39 years, female 21.2
GTEX-QV31-1326-SM-2S1QE 30-39 years, male 21.2
GTEX-1H1ZS-0526-SM-9WG5L 70-79 years, male 21.2
GTEX-11TT1-2426-SM-5EQMK 20-29 years, male 21.1
GTEX-13NZB-2426-SM-5K7UF 30-39 years, male 21.1
GTEX-OHPK-0226-SM-3MJH6 50-59 years, female 21.1
GTEX-11EI6-0226-SM-5EQ64 60-69 years, male 21.0
GTEX-13D11-2326-SM-5IJCY 50-59 years, female 21.0
GTEX-PSDG-0326-SM-48TCP 50-59 years, male 21.0
GTEX-X4EO-0426-SM-4QASA 60-69 years, female 21.0
GTEX-1IE54-0226-SM-CMKHX 40-49 years, female 21.0
GTEX-1QP28-0226-SM-E9J2N 50-59 years, female 21.0
GTEX-131XE-2426-SM-5EQ5V 50-59 years, male 20.9
GTEX-183WM-0226-SM-7LT8T 70-79 years, female 20.9
GTEX-1B8L1-2626-SM-7SB77 60-69 years, male 20.9
GTEX-1QAET-1126-SM-E8VML 50-59 years, male 20.9
GTEX-P4QT-0226-SM-3LK68 50-59 years, female 20.8
GTEX-ZP4G-2326-SM-57WEM 20-29 years, female 20.8
GTEX-1EH9U-0226-SM-7PBY8 60-69 years, male 20.8
GTEX-1GPI7-0226-SM-9MQKB 20-29 years, male 20.8
GTEX-1HCVE-0226-SM-CGQEV 50-59 years, male 20.8
GTEX-13CF2-2626-SM-5LZZA 60-69 years, male 20.7
GTEX-13G51-2626-SM-5LZYW 60-69 years, male 20.7
GTEX-145LS-0226-SM-5O9A5 60-69 years, female 20.7
GTEX-18A6Q-0226-SM-718AS 60-69 years, male 20.7
GTEX-P4QS-0226-SM-3NB1U 60-69 years, male 20.7
GTEX-S32W-2226-SM-2XCAY 50-59 years, female 20.7
GTEX-1HBPI-1426-SM-B2LW7 50-59 years, male 20.7
GTEX-1PWST-0326-SM-EAZ42 70-79 years, male 20.7
GTEX-1314G-1626-SM-5EQ67 30-39 years, male 20.6
GTEX-13FHP-0226-SM-5K7WD 50-59 years, male 20.6
GTEX-14C39-2526-SM-5S2UH 40-49 years, male 20.6
GTEX-WL46-0326-SM-3LK6Y 50-59 years, male 20.6
GTEX-P4PP-0226-SM-D4P1Z 30-39 years, female 20.6
GTEX-QV44-1825-SM-447CF 50-59 years, male 20.5
GTEX-1CAMQ-0126-SM-7SB7S 40-49 years, male 20.5
GTEX-1GN2E-0326-SM-COH3C 60-69 years, male 20.5
GTEX-1IOXB-0226-SM-CMKHY 50-59 years, male 20.5
GTEX-1MCC2-2326-SM-E9U5G 30-39 years, female 20.5
GTEX-1RAZQ-0626-SM-E8VOR 30-39 years, male 20.5
GTEX-1AX9K-2426-SM-73KZ4 50-59 years, male 20.4
GTEX-1EWIQ-0226-SM-793D3 70-79 years, female 20.4
GTEX-1CB4E-1826-SM-7RHG8 60-69 years, male 20.4
GTEX-1PIIG-0326-SM-EVYBV 30-39 years, male 20.4
GTEX-1C4CL-0426-SM-7939N 30-39 years, male 20.3
GTEX-1F48J-0226-SM-7SB82 50-59 years, female 20.3
GTEX-1GMRU-0226-SM-9YFLW 50-59 years, male 20.3
GTEX-14ABY-0326-SM-5TDDK 50-59 years, male 20.2
GTEX-Y114-2326-SM-4TT7X 50-59 years, female 20.2
GTEX-1CB4F-0526-SM-9KNW2 60-69 years, male 20.2
GTEX-147GR-0426-SM-5S2OL 60-69 years, male 20.1
GTEX-XK95-0426-SM-4AT4R 40-49 years, male 20.1
GTEX-ZDTS-0226-SM-5HL7Q 60-69 years, male 20.1
GTEX-ZVTK-0526-SM-5GZWT 20-29 years, male 20.1
GTEX-XMK1-2226-SM-4B673 40-49 years, male 20.0
GTEX-ZC5H-0126-SM-4WAYL 40-49 years, female 20.0
GTEX-1IL2V-0226-SM-CMKI2 70-79 years, male 20.0
GTEX-1OFPY-2326-SM-E8VNU 60-69 years, male 20.0
GTEX-11ONC-2526-SM-5986W 60-69 years, male 19.9
GTEX-T8EM-1126-SM-3DB7D 40-49 years, male 19.9
GTEX-1I1HK-0226-SM-COH4A 60-69 years, male 19.9
GTEX-Q2AH-1726-SM-DIPDV 40-49 years, male 19.9
GTEX-113IC-0226-SM-5HL5C 60-69 years, male 19.8
GTEX-13U4I-0226-SM-5SIB1 40-49 years, female 19.8
GTEX-15DDE-0226-SM-6LLJ6 50-59 years, female 19.8
GTEX-1A3MV-2126-SM-718BV 30-39 years, male 19.8
GTEX-X88G-0226-SM-4GIE4 30-39 years, male 19.8
GTEX-1JJEA-0226-SM-COH2X 60-69 years, male 19.8
GTEX-13OVJ-0326-SM-5L3GL 50-59 years, female 19.7
GTEX-XUW1-0526-SM-4BOP3 50-59 years, female 19.7
GTEX-1KXAM-2326-SM-CYPTD 60-69 years, male 19.7
GTEX-1RAZA-0226-SM-E9U4W 20-29 years, male 19.7
GTEX-169BO-1426-SM-9MQJT 50-59 years, male 19.6
GTEX-13NYS-0226-SM-5MR49 60-69 years, male 19.5
GTEX-POYW-0726-SM-2XCEO 60-69 years, male 19.5
GTEX-1F75I-0426-SM-7PC3S 40-49 years, male 19.5
GTEX-13O3Q-2326-SM-5KM3G 50-59 years, male 19.4
GTEX-145MO-0426-SM-5QGP6 60-69 years, male 19.4
GTEX-1HUB1-0326-SM-A9SKQ 60-69 years, male 19.4
GTEX-1IY9M-0226-SM-CMKHP 60-69 years, male 19.4
GTEX-13OVL-0326-SM-5IJCS 50-59 years, male 19.3
GTEX-145MF-0526-SM-5LUA6 50-59 years, male 19.3
GTEX-Z93T-0226-SM-5HL5Z 50-59 years, male 19.3
GTEX-ZVP2-1826-SM-5GU62 50-59 years, male 19.3
GTEX-11NUK-0326-SM-5HL5K 50-59 years, male 19.3
GTEX-1EU9M-0326-SM-7RHGF 60-69 years, male 19.3
GTEX-1OJC4-1726-SM-EXUSV 50-59 years, female 19.3
GTEX-1J8EW-0226-SM-CYPSW 60-69 years, female 19.2
GTEX-12WSM-0226-SM-5LZV6 60-69 years, male 19.1
GTEX-17F9Y-0326-SM-7IGLS 70-79 years, female 19.1
GTEX-P44H-0326-SM-2XCES 40-49 years, male 19.1
GTEX-11P81-2426-SM-5GU65 30-39 years, female 19.0
GTEX-TML8-2026-SM-32QOP 40-49 years, female 19.0
GTEX-1LB8K-0326-SM-E9TJC 50-59 years, male 19.0
GTEX-14JG1-0526-SM-6LLHW 40-49 years, male 18.9
GTEX-U4B1-1726-SM-3DB9F 40-49 years, male 18.9
GTEX-1F5PK-2526-SM-9MQKN 50-59 years, male 18.9
GTEX-1H23P-0226-SM-9YFLO 60-69 years, male 18.9
GTEX-WYJK-0226-SM-EYYV8 50-59 years, male 18.9
GTEX-145MI-0426-SM-5O99V 60-69 years, female 18.8
GTEX-1A32A-0226-SM-718B2 50-59 years, female 18.8
GTEX-T6MO-1726-SM-33HB8 40-49 years, female 18.8
GTEX-131YS-0226-SM-5IJEH 60-69 years, female 18.7
GTEX-1C6WA-0226-SM-7IGPO 60-69 years, male 18.7
GTEX-1LGRB-2426-SM-CNPP3 50-59 years, female 18.7
GTEX-1H4P4-0226-SM-9YFKT 50-59 years, male 18.6
GTEX-139TT-0226-SM-5K7YH 60-69 years, male 18.5
GTEX-13N2G-2726-SM-5J1MG 60-69 years, male 18.5
GTEX-S7SE-0226-SM-2XCD4 50-59 years, male 18.5
GTEX-1M5QR-2126-SM-DKPQM 40-49 years, male 18.5
GTEX-1E1VI-0226-SM-793CZ 50-59 years, male 18.4
GTEX-1QEPI-0226-SM-EWRMR 60-69 years, female 18.4
GTEX-139T8-0226-SM-5L3EA 60-69 years, male 18.3
GTEX-13RTJ-2526-SM-5S2Q3 60-69 years, male 18.3
GTEX-XOT4-0226-SM-4B66Z 60-69 years, female 18.3
GTEX-117YX-2226-SM-5EGJJ 50-59 years, male 18.2
GTEX-12ZZY-0326-SM-5LZVQ 60-69 years, male 18.2
GTEX-QLQ7-1526-SM-2S1QA 60-69 years, male 18.2
GTEX-QMRM-1726-SM-2S1QG 50-59 years, male 18.2
GTEX-1F52S-0226-SM-7SB7U 60-69 years, female 18.2
GTEX-1I1GV-0426-SM-ARZLX 60-69 years, male 18.2
GTEX-1R46S-0526-SM-EVYBZ 60-69 years, female 18.2
GTEX-Y5V5-2426-SM-5IFJA 60-69 years, female 18.1
GTEX-11UD1-0226-SM-5EQKL 40-49 years, female 18.0
GTEX-11ZU8-2426-SM-5EQMV 60-69 years, male 18.0
GTEX-12584-0226-SM-5EQL5 40-49 years, male 18.0
GTEX-13NYB-2626-SM-9YFMI 40-49 years, male 18.0
GTEX-1269C-2726-SM-5EGJ4 60-69 years, female 17.9
GTEX-139TU-0226-SM-5J1NM 60-69 years, male 17.9
GTEX-17F96-1726-SM-7IGMB 70-79 years, male 17.9
GTEX-OIZF-0226-SM-E9TI3 60-69 years, male 17.9
GTEX-18QFQ-0226-SM-731BQ 30-39 years, male 17.8
GTEX-1EKGG-0126-SM-9YFLS 60-69 years, male 17.8
GTEX-1IKJJ-0226-SM-COH3T 60-69 years, male 17.8
GTEX-1N2DW-0326-SM-E9TK3 50-59 years, male 17.8
GTEX-11EQ8-0226-SM-5EQ5G 60-69 years, male 17.7
GTEX-11OF3-2426-SM-5Q5AS 60-69 years, male 17.7
GTEX-13O21-1526-SM-5K7W4 50-59 years, male 17.7
GTEX-14BIN-0726-SM-793DQ 50-59 years, female 17.7
GTEX-15SDE-2426-SM-7KFRC 50-59 years, female 17.7
GTEX-111VG-2326-SM-5N9BK 60-69 years, male 17.6
GTEX-ZTPG-0226-SM-5O99I 20-29 years, female 17.6
GTEX-1L5NE-2626-SM-E9U6P 50-59 years, male 17.6
GTEX-111FC-0226-SM-5N9B8 60-69 years, male 17.5
GTEX-1JMLX-0126-SM-CMKG9 50-59 years, male 17.5
GTEX-11ZTS-0226-SM-5EQKD 60-69 years, female 17.4
GTEX-1JN6P-0226-SM-COH34 60-69 years, male 17.4
GTEX-ZYY3-0226-SM-5E45M 60-69 years, female 17.3
GTEX-1I1GS-0226-SM-B2LVX 60-69 years, male 17.3
GTEX-12WSL-2426-SM-5GCN7 50-59 years, male 17.2
GTEX-13PLJ-0126-SM-5L3HU 60-69 years, female 17.2
GTEX-WFJO-1926-SM-3GILA 30-39 years, male 17.2
GTEX-15DCD-0226-SM-6LPKC 70-79 years, female 17.1
GTEX-1HCUA-2226-SM-ADEHF 50-59 years, female 17.1
GTEX-13JVG-0226-SM-5J1MW 60-69 years, male 17.0
GTEX-O5YT-0226-SM-32PK5 20-29 years, male 17.0
GTEX-ZEX8-2326-SM-5S2MN 50-59 years, male 17.0
GTEX-11PRG-0626-SM-5BC56 50-59 years, male 16.9
GTEX-17HG3-2326-SM-79OKH 30-39 years, female 16.9
GTEX-Y8E5-0226-SM-57WCM 60-69 years, male 16.9
GTEX-1IDFM-0226-SM-CMKFX 60-69 years, male 16.9
GTEX-ZE9C-2826-SM-5S2MO 60-69 years, male 16.8
GTEX-1IL2U-0326-SM-CE6T9 60-69 years, male 16.8
GTEX-RM2N-1726-SM-2TF55 50-59 years, male 16.7
GTEX-1IKK5-0526-SM-CMKGG 60-69 years, male 16.7
GTEX-14PK6-2026-SM-6LLHP 70-79 years, female 16.6
GTEX-1C64O-0226-SM-73KXB 60-69 years, male 16.6
GTEX-1F88E-0526-SM-7SB8J 60-69 years, female 16.6
GTEX-1399T-2726-SM-5K7XK 60-69 years, male 16.5
GTEX-13NZ8-0926-SM-5MR3U 60-69 years, female 16.5
GTEX-14PJ6-2226-SM-6LLIV 60-69 years, female 16.5
GTEX-1CB4G-0326-SM-7SB8R 60-69 years, male 16.5
GTEX-1GMR2-2526-SM-9MQKW 50-59 years, male 16.5
GTEX-1GTWX-0226-SM-9YFLL 60-69 years, male 16.5
GTEX-13S7M-0226-SM-5S2UG 60-69 years, female 16.4
GTEX-14DAQ-0226-SM-664MQ 60-69 years, female 16.4
GTEX-SJXC-0226-SM-2XCDU 60-69 years, male 16.4
GTEX-1R9K5-0226-SM-EWRNF 50-59 years, male 16.4
GTEX-X638-0226-SM-47JZ9 70-79 years, female 16.3
GTEX-1C6VQ-0226-SM-7P8S5 50-59 years, male 16.3
GTEX-144FL-0226-SM-5Q5D4 50-59 years, male 16.2
GTEX-1R9PM-2126-SM-E8VOB 20-29 years, male 16.2
GTEX-11TTK-0226-SM-5N9EC 60-69 years, female 16.1
GTEX-1399R-2626-SM-5KLZ7 30-39 years, male 16.1
GTEX-18A66-0326-SM-718BE 60-69 years, male 16.1
GTEX-S4P3-1526-SM-E9J3W 50-59 years, female 16.1
GTEX-14A5H-0526-SM-5TDCN 60-69 years, male 16.0
GTEX-1HR9M-0226-SM-COH3E 60-69 years, male 16.0
GTEX-RVPV-1526-SM-EXOHF 60-69 years, male 16.0
GTEX-16MT8-0526-SM-6PAM6 60-69 years, female 15.9
GTEX-1AYD5-2326-SM-73KXF 50-59 years, male 15.9
GTEX-XBEC-0326-SM-4AT4M 50-59 years, male 15.9
GTEX-ZVT4-0226-SM-51MSD 50-59 years, female 15.9
GTEX-1GMR3-2026-SM-9MQLG 40-49 years, male 15.9
GTEX-1QP6S-0126-SM-E9J4K 40-49 years, male 15.9
GTEX-PX3G-0226-SM-DKPOF 20-29 years, female 15.9
GTEX-N7MS-0326-SM-4E3K2 60-69 years, male 15.8
GTEX-1C6VR-2626-SM-7MGX2 60-69 years, male 15.8
GTEX-1IGQW-0226-SM-COH43 60-69 years, male 15.8
GTEX-1JMQL-0326-SM-CNPP6 50-59 years, female 15.8
GTEX-1LSNL-0526-SM-DIPFI 50-59 years, male 15.8
GTEX-1QW4Y-1626-SM-EAZ41 30-39 years, male 15.8
GTEX-S33H-1126-SM-2XCB6 30-39 years, male 15.7
GTEX-1HSMO-0226-SM-CGQEZ 60-69 years, male 15.7
GTEX-1IDJD-1226-SM-CM2TP 30-39 years, male 15.7
GTEX-ZVE2-0326-SM-57WFC 50-59 years, male 15.6
GTEX-13FHO-0326-SM-5IJBH 60-69 years, male 15.5
GTEX-U412-0526-SM-3DB9I 60-69 years, male 15.5
GTEX-145ME-1926-SM-5MR6T 40-49 years, female 15.5
GTEX-13NZA-0126-SM-5K7UH 60-69 years, male 15.4
GTEX-13SLW-0226-SM-5S2NA 70-79 years, male 15.4
GTEX-PLZ4-0226-SM-CYPR1 50-59 years, female 15.4
GTEX-18A7A-0326-SM-731AT 50-59 years, female 15.3
GTEX-1AX9I-0226-SM-7SB75 60-69 years, male 15.3
GTEX-1EX96-1426-SM-7PBZ5 50-59 years, male 15.3
GTEX-11GSO-2326-SM-5A5LX 60-69 years, male 15.2
GTEX-139T4-0126-SM-5HL5G 50-59 years, female 15.2
GTEX-1HFI6-0326-SM-ADEI5 40-49 years, male 15.2
GTEX-1JKYR-0226-SM-CNPOK 20-29 years, male 15.2
GTEX-1RDX4-0226-SM-DTXG1 50-59 years, female 15.2
GTEX-QEL4-0326-SM-3GAE5 50-59 years, male 15.1
GTEX-TSE9-0226-SM-3DB84 60-69 years, female 15.1
GTEX-OXRN-0226-SM-2I5EJ 50-59 years, male 15.0
GTEX-131XW-0526-SM-5PNXZ 50-59 years, female 14.9
GTEX-1H1DF-0226-SM-ARL9A 40-49 years, female 14.9
GTEX-1C6VS-0426-SM-79OJV 60-69 years, male 14.8
GTEX-W5X1-2626-SM-4LMI8 40-49 years, female 14.8
GTEX-1117F-0226-SM-5GZZ7 60-69 years, female 14.7
GTEX-14ICK-0326-SM-6LLIZ 40-49 years, male 14.7
GTEX-SSA3-0226-SM-32QPN 60-69 years, male 14.7
GTEX-Y9LG-2026-SM-62LFS 30-39 years, male 14.7
GTEX-R3RS-0226-SM-EYYVE 40-49 years, female 14.7
GTEX-1HBPM-0326-SM-CMKGR 60-69 years, female 14.6
GTEX-1ICLZ-0226-SM-CKZPP 60-69 years, male 14.6
GTEX-1LG7Y-0426-SM-DKPQB 50-59 years, male 14.6
GTEX-WVJS-0226-SM-4MVOU 50-59 years, male 14.5
GTEX-146FQ-0226-SM-5NQAL 30-39 years, male 14.4
GTEX-1B8SF-0526-SM-7939F 60-69 years, male 14.3
GTEX-SNMC-1326-SM-2XCFK 20-29 years, male 14.3
GTEX-1GZ2Q-0326-SM-9WG6N 40-49 years, male 14.2
GTEX-14ICL-2026-SM-62LDN 30-39 years, male 14.1
GTEX-ZDXO-2426-SM-5S2NJ 60-69 years, male 14.0
GTEX-1F6I4-0226-SM-9MQMA 60-69 years, male 14.0
GTEX-1LSVX-0126-SM-EVYCY 60-69 years, male 14.0
GTEX-1B933-0526-SM-7EPHM 50-59 years, female 13.9
GTEX-1EMGI-0226-SM-9MQL1 60-69 years, male 13.7
GTEX-1H2FU-0226-SM-9YFKO 60-69 years, female 13.7
GTEX-1H3VE-0226-SM-9WYST 40-49 years, male 13.5
GTEX-12KS4-0426-SM-5EQMC 30-39 years, male 13.4
GTEX-13FTY-0626-SM-5L3F8 40-49 years, female 13.4
GTEX-1AYCT-2226-SM-7SB98 50-59 years, male 13.3
GTEX-1HB9E-0426-SM-CNPPV 50-59 years, male 13.3
GTEX-OIZI-0226-SM-2XCEE 40-49 years, male 13.2
GTEX-PLZ5-1826-SM-3NB22 50-59 years, male 13.2
GTEX-NPJ8-0226-SM-48TBN 40-49 years, male 13.0
GTEX-1I1CD-0226-SM-CM2TL 60-69 years, female 12.8
GTEX-YJ89-0226-SM-4TT3Y 60-69 years, male 12.6
GTEX-T2IS-0226-SM-32QPH 20-29 years, female 12.4
GTEX-11H98-0226-SM-5NQ89 50-59 years, male 12.2
GTEX-U3ZN-2626-SM-3DB7T 30-39 years, female 11.8
GTEX-1KAFJ-2426-SM-D4P32 50-59 years, male 11.8
GTEX-1F75W-0226-SM-9JGGP 60-69 years, male 11.2
GTEX-14E1K-2126-SM-793DU 50-59 years, male 11.0
GTEX-QDVN-2126-SM-33HBS 50-59 years, male 11.0
GTEX-X5EB-2426-SM-4E3HX 40-49 years, male 11.0
GTEX-17KNJ-2226-SM-DKPOU 50-59 years, male 10.9
GTEX-1A8G7-0226-SM-731AS 60-69 years, male 10.8
GTEX-1AX9J-0326-SM-73KXY 60-69 years, male 10.5
GTEX-ZYVF-0226-SM-5GIEG 50-59 years, female 10.5
GTEX-1HBPH-0526-SM-9YFMN 40-49 years, female 10.4
GTEX-QLQW-1226-SM-2S1Q9 30-39 years, male 10.3
GTEX-13OVK-2126-SM-6PAN1 40-49 years, male 10.2
GTEX-QDT8-0226-SM-32PL4 30-39 years, female 9.9
GTEX-ZE7O-0226-SM-5S2N1 50-59 years, female 9.9
GTEX-15RIE-2326-SM-7KFSC 60-69 years, male 9.0
GTEX-1GZ4I-0226-SM-7RHHO 50-59 years, male 9.0
GTEX-R53T-1626-SM-3GAEW 50-59 years, female 8.7
GTEX-1B8KZ-1926-SM-7DUG8 50-59 years, male 8.5
Show allShow less
Adipose - Visceral (Omentum)
Average nTPM: 25.2
Samples: 541

Max nTPM: 72.8
Min nTPM: 5.1
Std nTPM: 12.8
Median nTPM: 21.3
GTEX-1C2JI-0826-SM-7EPHB 50-59 years, male 72.8
GTEX-ZP4G-1326-SM-5EGIW 20-29 years, female 70.6
GTEX-ZZ64-0626-SM-5GZWR 20-29 years, male 64.9
GTEX-13OVG-1326-SM-5K7Y3 60-69 years, male 62.2
GTEX-18D9A-0726-SM-7LTA7 30-39 years, female 61.0
GTEX-1OJC3-1326-SM-E9J3D 20-29 years, male 60.4
GTEX-1JMPY-0326-SM-CM2S2 30-39 years, male 59.7
GTEX-1B97I-0526-SM-73KXE 40-49 years, male 59.4
GTEX-1RB15-1126-SM-E8VMX 60-69 years, male 57.6
GTEX-1399U-2026-SM-9WPNN 50-59 years, female 56.9
GTEX-13FTX-0626-SM-5J2NS 20-29 years, female 56.5
GTEX-1R7EV-1026-SM-DTX81 40-49 years, male 55.9
GTEX-YEC4-0926-SM-5PNXY 40-49 years, male 55.6
GTEX-14ICL-0926-SM-5S2TU 30-39 years, male 55.5
GTEX-1CB4E-0826-SM-793CS 60-69 years, male 52.8
GTEX-145LV-1026-SM-5O9AE 50-59 years, male 51.4
GTEX-1PIGE-1226-SM-EVR3Q 20-29 years, male 51.3
GTEX-1LGOU-0826-SM-DHXKL 20-29 years, female 51.0
GTEX-1IDJC-0226-SM-CMKG2 50-59 years, male 50.8
GTEX-1AX9J-2226-SM-731CW 60-69 years, male 50.2
GTEX-ZYFG-1426-SM-5GICS 60-69 years, female 50.2
GTEX-XGQ4-1026-SM-4AT4L 50-59 years, male 50.0
GTEX-1GL5R-0726-SM-9MQL5 50-59 years, male 49.8
GTEX-1MCC2-0626-SM-DKPQI 30-39 years, female 49.8
GTEX-1S5ZA-1026-SM-EWRO2 20-29 years, male 49.8
GTEX-1LVAM-1026-SM-DIPFK 50-59 years, female 49.7
GTEX-WEY5-1326-SM-3GILS 40-49 years, female 49.6
GTEX-1QP9N-0426-SM-DTXFT 30-39 years, male 49.6
GTEX-WH7G-1126-SM-3NMBK 40-49 years, male 49.5
GTEX-Y8LW-0926-SM-4VBQ8 50-59 years, female 48.8
GTEX-1I4MK-0726-SM-ACKWC 50-59 years, female 48.5
GTEX-ZXES-0926-SM-5E43O 30-39 years, female 48.3
GTEX-1HSGN-1926-SM-CMKGS 40-49 years, female 48.1
GTEX-1211K-1226-SM-5EQ4N 60-69 years, female 47.7
GTEX-16NGA-0526-SM-731AJ 40-49 years, female 47.5
GTEX-11P7K-0826-SM-5BC5F 30-39 years, male 47.3
GTEX-14PHY-1026-SM-62LEV 60-69 years, female 47.0
GTEX-X3Y1-0926-SM-3P5YT 40-49 years, male 46.9
GTEX-18QFQ-1326-SM-731CF 30-39 years, male 46.6
GTEX-13W3W-1126-SM-5L3DO 60-69 years, female 46.5
GTEX-1MJK3-0626-SM-E6CJB 20-29 years, male 46.4
GTEX-ZGAY-1326-SM-5S2NS 40-49 years, female 46.2
GTEX-1K2DA-1126-SM-CGQGG 50-59 years, male 45.9
GTEX-ZTX8-0726-SM-59HL9 20-29 years, male 45.8
GTEX-XAJ8-0226-SM-4GIB2 40-49 years, male 45.1
GTEX-1HKZK-1726-SM-ADEJ9 40-49 years, male 44.9
GTEX-1IDJU-0926-SM-ARL88 60-69 years, female 44.9
GTEX-1N2DV-0626-SM-E9U5H 40-49 years, male 44.7
GTEX-139T6-0526-SM-5IJC9 50-59 years, male 44.4
GTEX-1IKOE-1726-SM-CNNQ6 30-39 years, female 44.4
GTEX-1GMR2-0226-SM-9JGHO 50-59 years, male 44.3
GTEX-1HSMQ-1026-SM-ADEHU 50-59 years, male 44.2
GTEX-14PKU-0226-SM-6EU16 40-49 years, female 44.1
GTEX-183FY-1226-SM-7DHLK 20-29 years, male 44.1
GTEX-1HCU9-0626-SM-ACKW6 20-29 years, male 44.1
GTEX-ZV6S-1626-SM-5NQ81 40-49 years, female 43.3
GTEX-1I1GT-1326-SM-ACKWB 60-69 years, female 43.3
GTEX-13QBU-1326-SM-5LU4K 40-49 years, female 43.2
GTEX-1I6K7-1826-SM-CGQFO 40-49 years, male 43.1
GTEX-15UKP-1426-SM-7KUDX 20-29 years, male 43.0
GTEX-ZF29-0826-SM-5S2O2 60-69 years, female 43.0
GTEX-1RNTQ-0826-SM-E9TK8 20-29 years, female 42.8
GTEX-XBED-1326-SM-4AT4F 60-69 years, male 42.4
GTEX-XMK1-0926-SM-4B66X 40-49 years, male 42.3
GTEX-XYKS-1826-SM-4E3JV 60-69 years, female 42.3
GTEX-12WSL-1126-SM-5CVNK 50-59 years, male 42.2
GTEX-111CU-1026-SM-5EGIL 50-59 years, male 42.0
GTEX-Z9EW-0826-SM-5HL9T 40-49 years, male 42.0
GTEX-1J1R8-0526-SM-ACKWO 40-49 years, male 42.0
GTEX-13FH7-1926-SM-5J2OL 50-59 years, female 41.9
GTEX-1RAZA-0926-SM-E6CQ8 20-29 years, male 41.9
GTEX-1AX9K-0926-SM-7939G 50-59 years, male 41.8
GTEX-WFON-1226-SM-3TW8F 40-49 years, male 41.7
GTEX-11XUK-1726-SM-5GU61 40-49 years, female 41.6
GTEX-12WSF-1526-SM-6PAN6 70-79 years, male 41.5
GTEX-1AMEY-0526-SM-72D62 30-39 years, female 41.2
GTEX-11EQ9-1126-SM-5987I 30-39 years, male 41.1
GTEX-133LE-0926-SM-5P9J1 20-29 years, female 41.1
GTEX-13D11-0526-SM-5LZYM 50-59 years, female 41.1
GTEX-13VXT-0926-SM-5LU5K 20-29 years, female 41.1
GTEX-ZG7Y-1626-SM-5S2NO 50-59 years, male 40.9
GTEX-1KXAM-0526-SM-DKPQN 60-69 years, male 40.9
GTEX-1HC8U-0926-SM-A9G3L 40-49 years, female 40.8
GTEX-1HFI7-0726-SM-ACKVN 50-59 years, female 40.7
GTEX-16AAH-1526-SM-7LT9W 50-59 years, male 40.6
GTEX-1QCLY-1226-SM-EVYC3 30-39 years, male 40.6
GTEX-1QP67-1126-SM-EAZ4C 40-49 years, female 40.6
GTEX-YJ8A-1926-SM-EZ6LQ 20-29 years, male 40.5
GTEX-WXYG-0926-SM-3NB2O 50-59 years, female 40.3
GTEX-14JG6-0526-SM-6LLIH 30-39 years, female 39.7
GTEX-17MFQ-1126-SM-7LT9O 20-29 years, male 39.5
GTEX-13O61-1926-SM-5KM1R 60-69 years, male 39.4
GTEX-18A67-1326-SM-7LT8V 50-59 years, male 39.4
GTEX-WHPG-0626-SM-3NMBD 50-59 years, male 39.4
GTEX-WY7C-0926-SM-3NB34 50-59 years, male 39.3
GTEX-1B8KE-0826-SM-72D6S 50-59 years, male 39.0
GTEX-11VI4-1226-SM-5EQMP 40-49 years, female 38.7
GTEX-13CF3-1126-SM-5LZXB 60-69 years, female 38.7
GTEX-14PN3-0326-SM-6EU1X 60-69 years, female 38.7
GTEX-14PHX-1626-SM-69LQB 50-59 years, male 38.6
GTEX-1EU9M-1126-SM-793DE 60-69 years, male 38.6
GTEX-1H1E6-1126-SM-9JGGV 30-39 years, male 38.4
GTEX-15DZA-0626-SM-6PANC 30-39 years, female 37.9
GTEX-14PJN-0626-SM-6EU13 30-39 years, male 37.5
GTEX-13PVR-0526-SM-5S2OB 60-69 years, female 37.3
GTEX-144GM-0626-SM-79OKY 20-29 years, male 37.0
GTEX-15EU6-1726-SM-6M48H 50-59 years, male 37.0
GTEX-1GZ4H-0926-SM-9WG6Y 50-59 years, female 36.8
GTEX-ZQG8-1026-SM-51MR9 60-69 years, female 36.6
GTEX-1I6K6-1526-SM-CGQFC 30-39 years, male 36.6
GTEX-ZDYS-2226-SM-5S2MI 50-59 years, male 36.5
GTEX-1IDJF-1726-SM-A9SLL 20-29 years, male 36.5
GTEX-12WSK-1026-SM-5CVNR 40-49 years, female 36.4
GTEX-XUZC-1126-SM-4BOPZ 30-39 years, female 36.4
GTEX-Y114-1326-SM-4TT9A 50-59 years, female 36.2
GTEX-1GPI7-0826-SM-9JGG7 20-29 years, male 36.1
GTEX-1S831-1926-SM-EV79P 20-29 years, male 36.1
GTEX-12C56-0826-SM-5EGJ5 20-29 years, male 35.9
GTEX-1B996-1226-SM-73KWZ 60-69 years, male 35.9
GTEX-1QP28-0926-SM-EVR4D 50-59 years, female 35.8
GTEX-U8XE-1926-SM-3DB98 30-39 years, male 35.5
GTEX-1H1DE-0826-SM-ARU8V 20-29 years, male 35.5
GTEX-1KANC-0526-SM-D4P3T 50-59 years, female 35.4
GTEX-13FTW-0426-SM-5K7X2 40-49 years, male 35.3
GTEX-WYJK-1426-SM-3NM8V 50-59 years, male 35.1
GTEX-ZTSS-1026-SM-5985N 40-49 years, male 35.1
GTEX-1OFPY-0826-SM-DTX8P 60-69 years, male 35.1
GTEX-13JUV-0626-SM-5J1MQ 40-49 years, female 35.0
GTEX-1PFEY-0726-SM-E76PO 30-39 years, male 35.0
GTEX-11LCK-0326-SM-5A5M7 30-39 years, male 34.9
GTEX-13RTK-0726-SM-5Q5EN 20-29 years, male 34.8
GTEX-15CHC-0826-SM-686YW 60-69 years, female 34.8
GTEX-17F98-0326-SM-7DHLH 40-49 years, female 34.4
GTEX-14DAR-0426-SM-664MW 50-59 years, male 34.3
GTEX-14PJ5-0426-SM-5ZZW2 60-69 years, female 34.1
GTEX-ZQUD-0526-SM-57WG4 30-39 years, male 34.1
GTEX-1HSEH-1326-SM-ADEI1 60-69 years, male 34.1
GTEX-14B4R-0526-SM-5QGQT 30-39 years, male 34.0
GTEX-146FR-0226-SM-5Q5F6 60-69 years, female 33.9
GTEX-1MA7W-0526-SM-E6CIN 20-29 years, female 33.8
GTEX-VJYA-1626-SM-EXOHL 60-69 years, male 33.8
GTEX-131XG-0126-SM-5K7UJ 50-59 years, female 33.7
GTEX-1B97J-1126-SM-7SB79 50-59 years, female 33.7
GTEX-1ICG6-1726-SM-ARU7K 70-79 years, female 33.7
GTEX-11P82-0326-SM-5HL51 20-29 years, male 33.6
GTEX-13113-1126-SM-5LZU9 60-69 years, female 33.6
GTEX-ZV7C-0826-SM-59HK8 50-59 years, male 33.6
GTEX-1HSMP-1126-SM-B2LXJ 70-79 years, male 33.6
GTEX-145ME-0726-SM-5O9A3 40-49 years, female 33.5
GTEX-XBEW-1726-SM-4RGMA 40-49 years, male 33.3
GTEX-16BQI-1126-SM-7KULF 30-39 years, female 33.2
GTEX-1S3DN-1626-SM-EVYCC 50-59 years, male 33.2
GTEX-145LT-1526-SM-5O98P 40-49 years, male 33.0
GTEX-1AYCT-1126-SM-79OO8 50-59 years, male 32.9
GTEX-ZPU1-1226-SM-5HL71 40-49 years, male 32.9
GTEX-17HGU-1726-SM-79OKM 50-59 years, male 32.8
GTEX-1JKYR-1226-SM-CM2S7 20-29 years, male 32.8
GTEX-ZVZP-1126-SM-5GICU 50-59 years, male 32.5
GTEX-ZDTT-0526-SM-5HL4M 60-69 years, male 32.3
GTEX-1AMFI-1026-SM-73KYM 50-59 years, female 32.1
GTEX-1GN1W-1226-SM-9MQLW 50-59 years, female 32.1
GTEX-1HBPN-1526-SM-9WYSB 50-59 years, male 31.9
GTEX-1LG7Z-0226-SM-E6CIG 30-39 years, male 31.9
GTEX-ZVT2-0226-SM-5GIE3 50-59 years, female 31.7
GTEX-ZT9W-1026-SM-57WG5 50-59 years, male 31.3
GTEX-1LVAN-0926-SM-CNNQ2 50-59 years, female 31.3
GTEX-ZVP2-0226-SM-57WBD 50-59 years, male 31.1
GTEX-144GN-0726-SM-5O98O 50-59 years, male 30.7
GTEX-14PJ3-0726-SM-69LQE 50-59 years, male 30.7
GTEX-11EM3-1126-SM-5A5KM 20-29 years, female 30.6
GTEX-12BJ1-0826-SM-5EQ5P 60-69 years, male 30.4
GTEX-13111-0626-SM-5LZVR 50-59 years, male 30.3
GTEX-1S82P-0926-SM-EWRNP 60-69 years, female 30.3
GTEX-13PL7-1226-SM-5SIAR 60-69 years, female 30.1
GTEX-1122O-0926-SM-9YFLC 60-69 years, female 30.0
GTEX-1QP66-0626-SM-E76PD 50-59 years, male 30.0
GTEX-11P81-0726-SM-5PNYH 30-39 years, female 29.9
GTEX-Y5V6-0626-SM-4WWFY 60-69 years, male 29.9
GTEX-11I78-0226-SM-5HL6R 50-59 years, female 29.6
GTEX-ZA64-0926-SM-5HL7H 20-29 years, male 29.1
GTEX-ZPIC-0726-SM-57WFM 40-49 years, female 29.1
GTEX-1QPFJ-2126-SM-EXOJV 30-39 years, female 29.0
GTEX-11DXX-2026-SM-5EGJL 60-69 years, female 28.8
GTEX-13IVO-2426-SM-5K7V9 70-79 years, male 28.7
GTEX-XV7Q-1726-SM-4BRUU 40-49 years, female 28.7
GTEX-18D9U-0426-SM-731AN 40-49 years, male 28.6
GTEX-1339X-0726-SM-5L3FF 40-49 years, male 28.2
GTEX-18D9B-1726-SM-7LTAP 60-69 years, male 28.2
GTEX-1A3MX-0826-SM-72D64 60-69 years, male 28.1
GTEX-1LSNM-0626-SM-DIPG7 50-59 years, male 28.0
GTEX-WHWD-0826-SM-3LK6R 50-59 years, male 27.8
GTEX-YEC3-0926-SM-5Q5AC 50-59 years, male 27.8
GTEX-ZZPU-0326-SM-5N9BJ 50-59 years, female 27.8
GTEX-1OKEX-0926-SM-E8VNJ 60-69 years, male 27.7
GTEX-ZLWG-0726-SM-5S2N4 50-59 years, female 27.6
GTEX-1F5PL-1326-SM-7SB83 40-49 years, female 27.4
GTEX-16XZZ-1626-SM-7KUEC 60-69 years, male 27.3
GTEX-13O21-3126-SM-5J1OI 50-59 years, male 27.2
GTEX-17GQL-0826-SM-731AM 60-69 years, male 27.2
GTEX-YFCO-1126-SM-5S2N9 40-49 years, male 27.2
GTEX-1HCUA-0926-SM-ADEIX 50-59 years, female 27.2
GTEX-ZLV1-0926-SM-5S2MR 60-69 years, female 27.1
GTEX-1POEN-1626-SM-EVYC2 30-39 years, female 27.0
GTEX-146FH-2026-SM-5SI9I 50-59 years, female 26.9
GTEX-WOFM-0726-SM-3MJF8 20-29 years, male 26.8
GTEX-1AX8Z-1626-SM-73KWD 60-69 years, male 26.7
GTEX-11DXZ-1426-SM-5H12A 50-59 years, male 26.6
GTEX-132QS-0826-SM-5K7WV 60-69 years, male 26.6
GTEX-14BMU-0626-SM-73KZ6 20-29 years, female 26.6
GTEX-ZT9X-0926-SM-5O9C4 40-49 years, male 26.6
GTEX-1RQEC-2526-SM-EVYD2 60-69 years, male 26.5
GTEX-1QP29-1626-SM-EXUSZ 50-59 years, male 26.2
GTEX-1JN76-1026-SM-ARZNI 20-29 years, female 26.1
GTEX-17MF6-1326-SM-79ONE 40-49 years, male 26.0
GTEX-13112-1126-SM-5GCMY 50-59 years, male 25.6
GTEX-131XE-2026-SM-5LZW1 50-59 years, male 25.6
GTEX-1CAMS-0926-SM-7SB7F 40-49 years, female 25.6
GTEX-XXEK-1426-SM-4BRW1 50-59 years, male 25.5
GTEX-ZF2S-1526-SM-5S2OO 50-59 years, female 25.4
GTEX-15EOM-2326-SM-7KUMV 20-29 years, female 25.3
GTEX-1K9T9-1626-SM-DIPFS 50-59 years, female 25.3
GTEX-117YX-0726-SM-5GIET 50-59 years, male 25.2
GTEX-1CB4I-0826-SM-7MGX1 50-59 years, male 25.1
GTEX-Y3I4-0726-SM-E9J3Y 50-59 years, male 25.0
GTEX-WVLH-1626-SM-EXURN 50-59 years, male 24.9
GTEX-WI4N-1526-SM-EZ6LG 40-49 years, female 24.7
GTEX-14PK6-0926-SM-62LF4 70-79 years, female 24.6
GTEX-16MTA-1326-SM-6PALX 50-59 years, male 24.6
GTEX-131XF-0726-SM-5GIE5 60-69 years, male 24.1
GTEX-13S86-0926-SM-5SI6I 40-49 years, male 24.1
GTEX-1F75I-1026-SM-7SB8B 40-49 years, male 24.1
GTEX-1JKYN-0526-SM-CGQG3 30-39 years, male 24.0
GTEX-14AS3-0426-SM-5QGQK 40-49 years, female 23.9
GTEX-1HCU7-2026-SM-A9G2B 50-59 years, male 23.9
GTEX-13N2G-1926-SM-5J1O3 60-69 years, male 23.8
GTEX-1C6VR-1126-SM-7EPHD 60-69 years, male 23.7
GTEX-1K2DU-0726-SM-DIPF7 20-29 years, male 23.7
GTEX-1RAZQ-1526-SM-E6CJI 30-39 years, male 23.6
GTEX-139YR-0326-SM-5J1MC 50-59 years, male 23.5
GTEX-1RMOY-0826-SM-E9TIF 50-59 years, male 23.5
GTEX-14E6E-0226-SM-7DUEF 30-39 years, male 23.4
GTEX-1B8SG-1426-SM-7EWEM 50-59 years, male 23.4
GTEX-13X6H-1726-SM-5Q5EH 50-59 years, female 23.3
GTEX-ZAJG-1626-SM-5HL7I 50-59 years, female 23.3
GTEX-X8HC-2326-SM-4QAS4 50-59 years, female 23.1
GTEX-1L5NE-1726-SM-DHXKX 50-59 years, male 23.0
GTEX-13OVL-0826-SM-5L3GV 50-59 years, male 22.9
GTEX-17F9E-1326-SM-7DHL4 50-59 years, male 22.8
GTEX-ZPCL-1026-SM-5GCOX 60-69 years, female 22.7
GTEX-1GF9U-1226-SM-ARL9I 40-49 years, female 22.7
GTEX-11TT1-1926-SM-5PNYN 20-29 years, male 22.5
GTEX-1399S-1426-SM-5PNYQ 30-39 years, female 22.5
GTEX-ZEX8-1226-SM-5S2OK 50-59 years, male 22.5
GTEX-1LGRB-0526-SM-COH3A 50-59 years, female 22.4
GTEX-14PJ4-0126-SM-62LEZ 60-69 years, male 22.3
GTEX-18A66-1926-SM-7LTAG 60-69 years, male 22.2
GTEX-1N2EF-0926-SM-E8VNW 60-69 years, male 22.2
GTEX-1CAMR-0326-SM-793AH 20-29 years, male 22.0
GTEX-XPVG-1626-SM-EYYVK 50-59 years, male 22.0
GTEX-WYVS-0626-SM-4SOJY 40-49 years, female 21.9
GTEX-Y9LG-1226-SM-4VBQA 30-39 years, male 21.9
GTEX-1GF9W-1026-SM-7SB8X 60-69 years, male 21.9
GTEX-1GF9X-0926-SM-7PC2X 40-49 years, female 21.9
GTEX-1I1GU-0626-SM-CMKHR 40-49 years, male 21.9
GTEX-1JJ6O-2826-SM-CNNP7 60-69 years, male 21.9
GTEX-WRHK-0826-SM-3MJFG 20-29 years, female 21.8
GTEX-1I1GP-1426-SM-ACKVZ 50-59 years, male 21.8
GTEX-1PPH8-1026-SM-DPRXN 20-29 years, male 21.7
GTEX-18A6Q-1026-SM-7LT9S 60-69 years, male 21.5
GTEX-17HHE-1526-SM-793AS 50-59 years, male 21.4
GTEX-1A3MV-0626-SM-731CH 30-39 years, male 21.3
GTEX-13NYS-0726-SM-5J1OR 60-69 years, male 21.2
GTEX-14ICK-1726-SM-6AJA5 40-49 years, male 21.2
GTEX-1IDJD-0926-SM-ACKWW 30-39 years, male 21.2
GTEX-111YS-1326-SM-5EGGK 60-69 years, male 21.1
GTEX-12696-1826-SM-5EGJS 60-69 years, male 21.1
GTEX-132AR-0526-SM-5J2MJ 50-59 years, female 21.1
GTEX-1LVAO-2126-SM-DIPGA 60-69 years, male 21.1
GTEX-169BO-0426-SM-7EPI1 50-59 years, male 21.0
GTEX-1B932-1726-SM-793A5 40-49 years, female 20.9
GTEX-1313W-1626-SM-5J1OE 50-59 years, female 20.8
GTEX-14BIL-2426-SM-5QGQR 50-59 years, male 20.8
GTEX-15ER7-1026-SM-7KUMD 20-29 years, female 20.8
GTEX-13PDP-1226-SM-5K7TW 60-69 years, male 20.7
GTEX-16NPX-1026-SM-6PAM7 50-59 years, male 20.7
GTEX-17F96-0726-SM-793CB 70-79 years, male 20.7
GTEX-1EMGI-0726-SM-7PBZ4 60-69 years, male 20.6
GTEX-1J1OQ-1526-SM-CJI4E 40-49 years, female 20.5
GTEX-1RAZR-1026-SM-E8VOJ 40-49 years, male 20.4
GTEX-13OVJ-0926-SM-5K7U1 50-59 years, female 20.2
GTEX-W5X1-1426-SM-3GIKH 40-49 years, female 20.2
GTEX-1GN73-0626-SM-7PC3I 60-69 years, male 20.2
GTEX-1H4P4-0326-SM-9WYTD 50-59 years, male 20.2
GTEX-1N2EE-1526-SM-DTXE9 60-69 years, male 20.2
GTEX-12WSG-0426-SM-5FQSE 50-59 years, female 20.1
GTEX-15SHU-2326-SM-7KUMC 40-49 years, female 20.1
GTEX-1KANA-1426-SM-CY8IF 20-29 years, male 20.1
GTEX-WFJO-1026-SM-3GIKL 30-39 years, male 20.0
GTEX-1GN1U-0726-SM-9MQKL 50-59 years, female 20.0
GTEX-1HT8W-0726-SM-A9SLB 30-39 years, male 20.0
GTEX-ZYFC-1826-SM-5GZZA 50-59 years, male 19.9
GTEX-12WSM-0626-SM-5GCOK 60-69 years, male 19.8
GTEX-1C475-0326-SM-7SB8O 40-49 years, female 19.6
GTEX-13U4I-1726-SM-5J1MF 40-49 years, female 19.4
GTEX-1HGF4-0226-SM-CNNQL 60-69 years, male 19.4
GTEX-1MUQO-0826-SM-EVYCZ 60-69 years, male 19.4
GTEX-13YAN-1126-SM-5TDC7 60-69 years, male 19.3
GTEX-15RIE-0126-SM-7KUF8 60-69 years, male 19.3
GTEX-1JMQI-1026-SM-COH2U 50-59 years, male 19.3
GTEX-13OVK-0326-SM-7KUEJ 40-49 years, male 19.2
GTEX-1IDJI-0926-SM-ACKWZ 50-59 years, female 19.1
GTEX-1S5VW-2426-SM-EAZ52 60-69 years, male 19.1
GTEX-1N2DW-0726-SM-DTX97 50-59 years, male 19.0
GTEX-11ZUS-1826-SM-5FQTR 30-39 years, male 18.9
GTEX-ZAB5-1126-SM-5Q5AD 50-59 years, male 18.9
GTEX-1P4AB-1226-SM-DTXET 50-59 years, male 18.9
GTEX-Y111-0926-SM-4SOIU 50-59 years, male 18.8
GTEX-ZF28-1426-SM-5S2OG 60-69 years, male 18.8
GTEX-132NY-1126-SM-5PNVE 60-69 years, male 18.7
GTEX-14PJO-1626-SM-69LPQ 60-69 years, male 18.7
GTEX-Y8E4-1226-SM-5IFIM 40-49 years, male 18.7
GTEX-Y5LM-0826-SM-4VDSW 40-49 years, female 18.6
GTEX-1128S-0926-SM-5GZZU 60-69 years, female 18.4
GTEX-14C5O-0926-SM-793DM 60-69 years, male 18.4
GTEX-17EVP-1426-SM-79OMN 40-49 years, male 18.4
GTEX-12ZZX-1726-SM-5BC63 40-49 years, female 18.3
GTEX-1I19N-1026-SM-A96TT 70-79 years, male 18.3
GTEX-1F75B-1226-SM-7MXTW 50-59 years, male 18.2
GTEX-1I1GS-0926-SM-A9SL5 60-69 years, male 18.2
GTEX-1CAMQ-1226-SM-7SB7E 40-49 years, male 18.1
GTEX-1GMR3-0826-SM-9WYT4 40-49 years, male 18.1
GTEX-1H11D-1126-SM-9YFM5 40-49 years, male 18.0
GTEX-145LU-1226-SM-5LU9B 50-59 years, male 17.9
GTEX-1AX9I-1726-SM-731BX 60-69 years, male 17.9
GTEX-11WQK-1526-SM-5EGKN 50-59 years, male 17.8
GTEX-1CB4G-2126-SM-7IGQ8 60-69 years, male 17.8
GTEX-1LH75-1026-SM-EWROK 50-59 years, female 17.8
GTEX-11ZTS-1326-SM-5EQMA 60-69 years, female 17.7
GTEX-139D8-1626-SM-5IJFZ 30-39 years, female 17.6
GTEX-1IY9M-1226-SM-ACKX1 60-69 years, male 17.6
GTEX-X585-2526-SM-4QAS1 50-59 years, male 17.5
GTEX-XBEC-1826-SM-4QASN 50-59 years, male 17.5
GTEX-1QW4Y-0826-SM-DTXE1 30-39 years, male 17.5
GTEX-1117F-1326-SM-5EGHH 60-69 years, female 17.4
GTEX-WK11-2426-SM-3NMAA 50-59 years, male 17.4
GTEX-1KWVE-0226-SM-E9TKK 30-39 years, male 17.4
GTEX-13X6I-1526-SM-5SIAC 60-69 years, male 17.3
GTEX-1LBAC-1026-SM-CXKYA 20-29 years, male 17.3
GTEX-17HII-0826-SM-7DUFH 50-59 years, male 17.2
GTEX-1KD5A-1326-SM-CYPTB 50-59 years, male 17.1
GTEX-11DYG-2026-SM-5EGGX 60-69 years, male 17.0
GTEX-14753-2526-SM-5LU97 60-69 years, male 17.0
GTEX-UPK5-1826-SM-3GAEB 40-49 years, male 17.0
GTEX-12WSA-1626-SM-5EGJV 60-69 years, male 16.9
GTEX-1A32A-0926-SM-718AB 50-59 years, female 16.9
GTEX-14E1K-0426-SM-5S2PF 50-59 years, male 16.7
GTEX-1ICLY-1426-SM-CJI48 50-59 years, male 16.7
GTEX-1NV5F-2526-SM-EXUSK 60-69 years, female 16.7
GTEX-ZTPG-2326-SM-57WFL 20-29 years, female 16.6
GTEX-1F52S-1326-SM-7SB6Q 60-69 years, female 16.6
GTEX-13W46-1226-SM-5SIAS 50-59 years, male 16.5
GTEX-1HSMO-1426-SM-CNNQN 60-69 years, male 16.4
GTEX-15DYW-1526-SM-7KUEP 60-69 years, female 16.3
GTEX-17F9Y-0726-SM-7LT9G 70-79 years, female 16.3
GTEX-13N11-1826-SM-5IJDS 50-59 years, female 16.2
GTEX-XQ3S-2426-SM-4WAYB 20-29 years, male 16.2
GTEX-XQ8I-1426-SM-4BOPW 50-59 years, male 16.2
GTEX-11GSP-1026-SM-9WYSH 60-69 years, female 16.2
GTEX-1H1ZS-1326-SM-9WG74 70-79 years, male 16.1
GTEX-13X6J-1926-SM-5TDCU 50-59 years, male 16.0
GTEX-VUSG-1426-SM-3GIJN 50-59 years, male 16.0
GTEX-131XH-0826-SM-5GCN8 50-59 years, male 15.9
GTEX-1H2FU-1426-SM-9WPO6 60-69 years, female 15.9
GTEX-1J8Q2-2226-SM-CM2TZ 60-69 years, male 15.9
GTEX-1LKK1-1526-SM-EVYCO 50-59 years, female 15.9
GTEX-1BAJH-2126-SM-7EWFB 70-79 years, male 15.7
GTEX-1C6VQ-1526-SM-73KU9 50-59 years, male 15.7
GTEX-13FHO-2026-SM-5J1OA 60-69 years, male 15.6
GTEX-14ABY-1926-SM-62LDJ 50-59 years, male 15.6
GTEX-14PJ2-1426-SM-62LFF 50-59 years, male 15.6
GTEX-XLM4-1026-SM-4AT51 60-69 years, male 15.6
GTEX-1H1DF-1426-SM-9YFMC 40-49 years, female 15.6
GTEX-17HHY-1026-SM-7LG5E 50-59 years, male 15.5
GTEX-1C6VS-1826-SM-73KXN 60-69 years, male 15.5
GTEX-1JMQK-1326-SM-CNPOR 60-69 years, male 15.5
GTEX-178AV-0626-SM-6PAM1 40-49 years, male 15.4
GTEX-1H1DG-2026-SM-9QEIV 70-79 years, male 15.4
GTEX-13NZB-0826-SM-5K7X5 30-39 years, male 15.3
GTEX-13VXU-1026-SM-5KLZE 50-59 years, male 15.3
GTEX-14E6D-1326-SM-62LES 50-59 years, male 15.3
GTEX-Y5V5-0226-SM-5S2N8 60-69 years, female 15.3
GTEX-1445S-2426-SM-79ON2 60-69 years, male 15.2
GTEX-ZYVF-1026-SM-5E44V 50-59 years, female 15.2
GTEX-1IL2U-2726-SM-C1YSG 60-69 years, male 15.2
GTEX-1QP6S-1626-SM-EVYC5 40-49 years, male 15.2
GTEX-14BIM-1626-SM-7EWD2 60-69 years, female 15.1
GTEX-1IE54-1426-SM-CL53C 40-49 years, female 15.1
GTEX-13NZ9-2026-SM-5KM1U 50-59 years, male 14.9
GTEX-VJWN-2326-SM-EVYAP 50-59 years, female 14.8
GTEX-13OW6-2426-SM-5K7WO 50-59 years, male 14.7
GTEX-ZUA1-2126-SM-57YRB 40-49 years, male 14.7
GTEX-1B8L1-0126-SM-9KNVS 60-69 years, male 14.7
GTEX-11NV4-1426-SM-5BC4W 60-69 years, male 14.6
GTEX-12ZZW-2326-SM-5DUW2 50-59 years, male 14.6
GTEX-132Q8-1726-SM-5EGK8 60-69 years, male 14.6
GTEX-16GPK-1326-SM-7KUE4 60-69 years, male 14.6
GTEX-1AYD5-0126-SM-7DUG5 50-59 years, male 14.6
GTEX-WL46-2026-SM-3LK7U 50-59 years, male 14.6
GTEX-1O9I2-1326-SM-E6CQD 50-59 years, male 14.6
GTEX-11GSO-0226-SM-5A5LV 60-69 years, male 14.5
GTEX-11NUK-2026-SM-5PNVZ 50-59 years, male 14.5
GTEX-13OW7-1126-SM-5K7V6 50-59 years, male 14.5
GTEX-14BMV-1626-SM-73KVQ 50-59 years, male 14.5
GTEX-1LG7Y-1126-SM-CYPTE 50-59 years, male 14.5
GTEX-13O3P-0926-SM-5IFFI 50-59 years, male 14.4
GTEX-1EKGG-1426-SM-7PBY2 60-69 years, male 14.4
GTEX-1QAET-1226-SM-DTX9I 50-59 years, male 14.4
GTEX-12WSC-1726-SM-5GCN3 50-59 years, male 14.3
GTEX-11OF3-0826-SM-5BC51 60-69 years, male 14.2
GTEX-15G19-1126-SM-7KUEL 60-69 years, male 14.2
GTEX-WYBS-1026-SM-4ONCY 60-69 years, female 14.2
GTEX-1JJE9-1526-SM-CM2RR 70-79 years, male 14.2
GTEX-145MI-0826-SM-5SI95 60-69 years, female 14.0
GTEX-15SKB-1626-SM-6PAL6 60-69 years, male 14.0
GTEX-1CAV2-0226-SM-7IGPQ 40-49 years, female 14.0
GTEX-1H23P-1726-SM-A9SMN 60-69 years, male 14.0
GTEX-1IDJH-1626-SM-A9SLP 70-79 years, male 14.0
GTEX-1F48J-1826-SM-7SB8T 50-59 years, female 13.8
GTEX-1H1CY-0826-SM-9WYTU 60-69 years, female 13.8
GTEX-14BIN-1226-SM-5S2OM 50-59 years, female 13.7
GTEX-1B8KZ-1026-SM-73KYN 50-59 years, male 13.7
GTEX-1MCQQ-1426-SM-E6CJA 60-69 years, male 13.7
GTEX-YECK-1426-SM-5IFHE 60-69 years, male 13.6
GTEX-ZYT6-2126-SM-5GZZ4 30-39 years, male 13.6
GTEX-1HCU6-1626-SM-CMKGW 60-69 years, female 13.6
GTEX-1I1CD-1026-SM-COH3G 60-69 years, female 13.6
GTEX-1I1GR-1726-SM-COH39 60-69 years, male 13.6
GTEX-11PRG-1526-SM-5HL6Z 50-59 years, male 13.5
GTEX-131YS-1726-SM-5HL7G 60-69 years, female 13.5
GTEX-14C39-0826-SM-5TDDU 40-49 years, male 13.5
GTEX-1EWIQ-2526-SM-7EPIJ 70-79 years, female 13.5
GTEX-ZXG5-1626-SM-59HJK 60-69 years, male 13.5
GTEX-139TU-1426-SM-5LZY9 60-69 years, male 13.4
GTEX-13G51-0526-SM-5IJCQ 60-69 years, male 13.4
GTEX-ZF3C-1026-SM-5S2OC 50-59 years, female 13.4
GTEX-1HFI6-1726-SM-CGQFH 40-49 years, male 13.4
GTEX-1LSNL-1426-SM-E6CJ9 50-59 years, male 13.4
GTEX-13PL6-0926-SM-5KLYY 40-49 years, female 13.3
GTEX-14PHW-1626-SM-6EU2H 60-69 years, female 13.3
GTEX-14JIY-1426-SM-6EU29 60-69 years, male 13.2
GTEX-1MA7X-1026-SM-DKPQ8 60-69 years, male 13.2
GTEX-18A7A-0926-SM-7LT8H 50-59 years, female 13.1
GTEX-1IKK5-0826-SM-ACKWN 60-69 years, male 13.1
GTEX-1JMQJ-1926-SM-D4P3A 50-59 years, male 13.1
GTEX-1KD4Q-1426-SM-D4P3K 40-49 years, male 13.1
GTEX-1R9PO-0926-SM-E9U4Q 60-69 years, female 13.1
GTEX-WWTW-1326-SM-4MVNT 50-59 years, male 13.0
GTEX-1192X-1526-SM-5H11I 50-59 years, male 12.9
GTEX-13FXS-1326-SM-62LFR 50-59 years, male 12.9
GTEX-13PVQ-2226-SM-5L3G9 50-59 years, male 12.9
GTEX-1JMLX-1026-SM-D3L8U 50-59 years, male 12.9
GTEX-XOT4-0826-SM-4B66Y 60-69 years, female 12.8
GTEX-1HCU8-1126-SM-CM2SA 60-69 years, female 12.8
GTEX-1HR9M-1426-SM-A9SMB 60-69 years, male 12.8
GTEX-1E1VI-1826-SM-9WG5J 50-59 years, male 12.6
GTEX-13O3Q-1126-SM-5K7YK 50-59 years, male 12.5
GTEX-1A8G6-2026-SM-73KYC 60-69 years, male 12.5
GTEX-1F6I4-2126-SM-7PC2J 60-69 years, male 12.5
GTEX-1I1GQ-1026-SM-CNNQS 50-59 years, male 12.5
GTEX-14DAQ-2526-SM-5RQIO 60-69 years, female 12.4
GTEX-16NPV-0626-SM-7IGOR 50-59 years, female 12.4
GTEX-1CB4F-1126-SM-79OLG 60-69 years, male 12.4
GTEX-1GTWX-1526-SM-9MQLF 60-69 years, male 12.4
GTEX-1R9K4-1426-SM-DPRY4 60-69 years, male 12.4
GTEX-13OW8-0326-SM-5L3FB 60-69 years, male 12.3
GTEX-1HBPI-1826-SM-ADEHE 50-59 years, male 12.3
GTEX-1LSVX-1326-SM-DIPET 60-69 years, male 12.3
GTEX-12584-2126-SM-5FQUM 40-49 years, male 12.2
GTEX-ZVE2-1826-SM-51MRZ 50-59 years, male 12.2
GTEX-1HSKV-1926-SM-CNPPN 60-69 years, male 12.2
GTEX-1JN6P-1626-SM-CYPSV 60-69 years, male 12.2
GTEX-12WSI-1526-SM-5GCNM 50-59 years, male 12.1
GTEX-13OVH-1126-SM-5K7YP 70-79 years, male 12.1
GTEX-17EVQ-0626-SM-7KFTB 70-79 years, male 12.0
GTEX-17KNJ-0426-SM-718AK 50-59 years, male 12.0
GTEX-1EH9U-1326-SM-79OM3 60-69 years, male 12.0
GTEX-1GF9V-1126-SM-9MQM7 60-69 years, male 12.0
GTEX-1J8EW-1526-SM-CMKFZ 60-69 years, female 12.0
GTEX-13S7M-0826-SM-5QGQX 60-69 years, female 11.9
GTEX-13X6K-0726-SM-5LU2Z 60-69 years, female 11.9
GTEX-ZAB4-1426-SM-5CVN6 40-49 years, male 11.9
GTEX-18465-1826-SM-731BB 50-59 years, male 11.8
GTEX-14E6C-1226-SM-5ZZUN 40-49 years, male 11.7
GTEX-15CHQ-1126-SM-686YY 60-69 years, male 11.7
GTEX-15D1Q-1326-SM-69LOA 40-49 years, male 11.7
GTEX-1B933-1326-SM-7939U 50-59 years, female 11.7
GTEX-ZDTS-1826-SM-5S2N6 60-69 years, male 11.7
GTEX-ZYW4-2226-SM-5GZYG 60-69 years, male 11.7
GTEX-1PBJI-1326-SM-E9J2V 20-29 years, female 11.7
GTEX-14C38-1026-SM-73KY7 50-59 years, male 11.6
GTEX-1ICLZ-1626-SM-CE6SS 60-69 years, male 11.6
GTEX-1KANB-2426-SM-EV7BE 50-59 years, male 11.4
GTEX-1RLM8-1026-SM-EWROE 50-59 years, male 11.3
GTEX-14E7W-2326-SM-69LQC 70-79 years, male 11.2
GTEX-1HBPH-2226-SM-9WYSO 40-49 years, female 11.2
GTEX-ZC5H-1626-SM-5HL7L 40-49 years, female 11.0
GTEX-ZDXO-2326-SM-5LU9W 60-69 years, male 11.0
GTEX-13N1W-1226-SM-5K7UM 70-79 years, male 10.9
GTEX-145MF-1026-SM-5Q5EQ 50-59 years, male 10.9
GTEX-1KAFJ-0826-SM-CYPTF 50-59 years, male 10.9
GTEX-ZE9C-1326-SM-5S2OW 60-69 years, male 10.8
GTEX-113JC-0726-SM-5GZZR 50-59 years, female 10.7
GTEX-1A8FM-2126-SM-7PC27 50-59 years, female 10.7
GTEX-1C64N-1326-SM-7SB7D 50-59 years, male 10.7
GTEX-1F6IF-2026-SM-7P8SE 60-69 years, male 10.7
GTEX-1GZ2Q-1226-SM-9MQM8 40-49 years, male 10.7
GTEX-1399T-1326-SM-5PNVH 60-69 years, male 10.6
GTEX-UTHO-1826-SM-3GAFE 60-69 years, male 10.5
GTEX-18A7B-1226-SM-718AU 70-79 years, male 10.4
GTEX-117YW-0826-SM-5H11O 50-59 years, male 10.3
GTEX-1212Z-0526-SM-5FQSQ 60-69 years, male 10.3
GTEX-17JCI-1626-SM-7EPGZ 60-69 years, female 10.1
GTEX-1H3VE-1926-SM-9YFL4 40-49 years, male 10.0
GTEX-17F97-1226-SM-79OJT 50-59 years, male 9.9
GTEX-YJ89-1926-SM-5IFJ6 60-69 years, male 9.7
GTEX-11DXY-0326-SM-5H12F 60-69 years, male 9.6
GTEX-14PJM-1226-SM-686Z7 50-59 years, female 9.5
GTEX-ZE7O-1526-SM-5J1NH 50-59 years, female 9.4
GTEX-11GS4-1026-SM-5N9DE 60-69 years, male 9.3
GTEX-1A8G7-1226-SM-73KYP 60-69 years, male 9.2
GTEX-1GMRU-0726-SM-7PBZH 50-59 years, male 9.2
GTEX-12KS4-1526-SM-5EQ6E 30-39 years, male 9.1
GTEX-147JS-1026-SM-5S2MP 60-69 years, male 9.0
GTEX-1QMI2-1626-SM-EYYXK 60-69 years, male 9.0
GTEX-14PN4-1426-SM-6LLJ4 50-59 years, male 8.8
GTEX-1B8SF-1726-SM-73KZ5 60-69 years, male 8.7
GTEX-1GZ4I-2326-SM-9YFMO 50-59 years, male 8.7
GTEX-1HB9E-0526-SM-ARZNM 50-59 years, male 8.7
GTEX-1HUB1-1526-SM-CGQF6 60-69 years, male 7.8
GTEX-1EN7A-1626-SM-79OLV 40-49 years, male 7.7
GTEX-1QEPI-2226-SM-E8VN6 60-69 years, female 5.1
Show allShow less

ADIPOSE TISSUE - FANTOM5 CAGEi

RNA expression in human tissues obtained through Cap Analysis of Gene Expression (CAGE) generated by the FANTOM5 project are reported as Scaled Tags Per Million.

Max subtype Scaled Tags Per Millioni

Max subtype Scaled Tags Per Million is the value for the subtype with the largest average Scaled Tags Per Million across the subtype samples.

59.4
FANTOM5 sample id Sample description Scaled Tags Per Million
Adipose tissue
Scaled Tags Per Million: 59.4
FF:10010-101C1 65,65,76 years, mixed 59.4

Contact

  • NEWS ARTICLES
  • PRESS ROOM

The Project

  • INTRODUCTION
  • ORGANIZATION
  • PUBLICATIONS

The Human Protein Atlas

  • DOWNLOADABLE DATA
  • LICENCE & CITATION
  • HELP & FAQ
The Human Protein Atlas project is funded
by the Knut & Alice Wallenberg Foundation.


contact@proteinatlas.org