We use cookies to enhance the usability of our website. If you continue, we'll assume that you are happy to receive all cookies. More information. Don't show this again.
SLC35B1
HPA
RESOURCES
  • TISSUE
  • BRAIN
  • SINGLE CELL
  • SUBCELLULAR
  • CANCER
  • BLOOD
  • CELL LINE
  • STRUCTURE & INTERACTION
ABOUT
  • INTRODUCTION
  • HISTORY
  • ORGANIZATION
  • PUBLICATIONS
  • ANTIBODY SUBMISSION
  • ANTIBODY AVAILABILITY
  • ACKNOWLEDGMENTS
  • CONTACT
NEWS
  • NEWS ARTICLES
  • PRESS ROOM
LEARN
  • DICTIONARY
  • PROTEIN CLASSES
  • PROTEIN EVIDENCE
  • METHODS
  • EDUCATIONAL VIDEOS
DATA
  • DOWNLOADABLE DATA
  • PUBLICATION DATA
  • RELEASE HISTORY
HELP
  • ANTIBODY VALIDATION
  • ASSAYS & ANNOTATION
  • DISCLAIMER
  • HELP & FAQ
  • PRIVACY STATEMENT
  • LICENCE & CITATION
Fields »
Search result

Field
Term
Gene name
Class
Subclass
Class
Keyword
Chromosome
External id
Tissue
Cell type
Expression
Antibody panel
Tissue
Main location
Patient ID
Annotation
Tissue
Category
Tau score
Cluster
Reliability
Brain region
Category
Tau score
Brain region
Category
Tau score
Brain region
Category
Tau score
Cluster
Reliability
Tissue
Cell type
Enrichment
Cell type
Category
Tau score
Cell type
Category
Tau score
Cell type
Category
Tau score
Cell lineage
Category
Tau score
Cluster
Cluster
Location
Searches
Location
Cell line
Class
Type
Phase
Reliability
Cancer
Prognosis
Cancer
Category
Cancer
Category
Tau score
Cluster
Variants
Interacting gene (ensg_id)
Type
Number of interactions
Pathway
Category
Score
Score
Score
Validation
Validation
Validation
Validation
Antibodies
Data type
Column


  • SUMMARY

  • TISSUE

  • BRAIN

  • SINGLE CELL

  • SUBCELL

  • CANCER

  • BLOOD

  • CELL LINE

  • STRUCT & INT

  • SLC35B1
TISSUE PRIMARY DATA SKIN Show tissue menu
ADIPOSE TISSUE ADRENAL GLAND AMYGDALA APPENDIX BASAL GANGLIA BONE MARROW BREAST BRONCHUS CEREBELLUM CEREBRAL CORTEX CERVIX CHOROID PLEXUS COLON DUODENUM
ENDOMETRIUM EPIDIDYMIS ESOPHAGUS FALLOPIAN TUBE GALLBLADDER HEART MUSCLE HIPPOCAMPAL FORMATION HYPOTHALAMUS KIDNEY LIVER LUNG LYMPH NODE MIDBRAIN NASOPHARYNX
ORAL MUCOSA OVARY PANCREAS PARATHYROID GLAND PITUITARY GLAND PLACENTA PROSTATE RECTUM RETINA SALIVARY GLAND SEMINAL VESICLE SKELETAL MUSCLE SKIN SMALL INTESTINE
SMOOTH MUSCLE SOFT TISSUE SPINAL CORD SPLEEN STOMACH TESTIS THYMUS THYROID GLAND TONGUE TONSIL URINARY BLADDER VAGINA
ANTIBODIES
AND
VALIDATION
Dictionary
Skin
Tissue proteome
Skin
SKIN - Expression summary
Protein expression
Skini

On the top, protein expression in current human tissue, based on all annotated cell types, is reported with the units not detected (n), low (l), medium (m) and high (h). Underneath, protein expression in each annotated cell type are reported using the same units.

Protein expression data is based on knowledge-based annotation. For genes where more than one antibody has been used, a collective score is set.

If knowledge-based annotation could not be performed for a gene, no data is displayed here. View antibody staining data further down this page.

h
m
l
n
Epidermal cells: Not detected
Fibroblasts: Not detected
Keratinocytes: Not detected
Langerhans: Not detected
Melanocytes: Medium
RNA expressioni

A summary of mRNA expression data available for current tissue based on several datasets. The mRNA expression levels in human tissues are based on RNA-seq data generated by the Human Protein Atlas (HPA), Genotype-Tissue Expression (GTEx) portal and CAGE data generated by the FANTOM5 consortium. Consensus normalized expression levels for human tissues was created by combining the data from HPA and GTEx datasets.

The mRNA expression levels in pig are based on RNA-seq data generated by the Human Protein Atlas (HPA), and for mouse, HPA data and in situ hybridization generated by the Allen brain atlas are reported.

Scroll down to view mRNA expression data in more detail.
Consensus:10.4 nTPM
HPA:10.3 nTPM
GTEx:10.4 nTPM

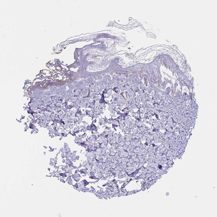
SKIN 1 - Antibody stainingi

Antibody staining in the annotated cell types in the current human tissue is reported as not detected, low, medium, or high, based on conventional immunohistochemistry profiling in selected tissues. This score is based on the combination of the staining intensity and fraction of stained cells.

Each image is clickable and will lead to virtual microscopy that enables deeper exploration of all samples and also displays staining intensity scores, fraction scores and subcellular localization as well as patient and tissue information for each sample.

Antibody HPA057418
Langerhans Not detected
Fibroblasts Not detected
Keratinocytes Not detected
Melanocytes Medium


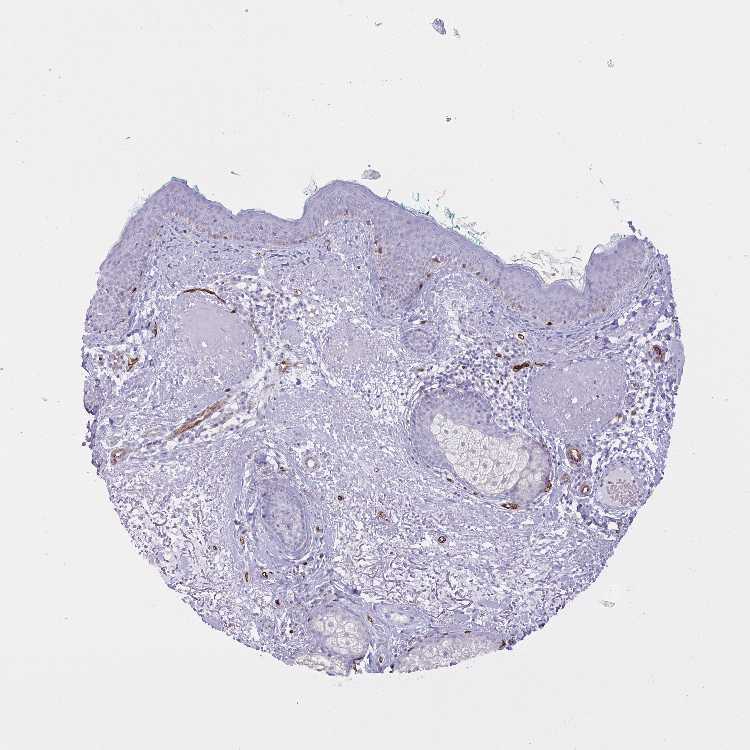
SKIN 2 - Antibody stainingi

Antibody staining in the annotated cell types in the current human tissue is reported as not detected, low, medium, or high, based on conventional immunohistochemistry profiling in selected tissues. This score is based on the combination of the staining intensity and fraction of stained cells.

Each image is clickable and will lead to virtual microscopy that enables deeper exploration of all samples and also displays staining intensity scores, fraction scores and subcellular localization as well as patient and tissue information for each sample.

Antibody HPA057418
Epidermal cells Not detected
 
 
 



SKIN - HPA RNA-seqi

The RNA-seq details section shows detailed information about the individual samples used for the transcript profiling and results of the RNA-seq analysis.

Information about each individual sample is listed below, including gender, age, a tissue section image and estimated fractions of cell types. nTPM (normalized transcripts per million) values give a quantification of the gene abundance which is comparable between different genes and samples.
Average nTPMi

Max subtype nTPM is the value for the subtype with the largest average nTPM across the subtype samples.

10.3
overview
Female, age 34
Skin sample 225
nTPM: 11.2
Cell types%
Keratinocytes:
60

Other cell types:
40

overview
Female, age 30
Skin sample 226
nTPM: 10
Cell types%
Keratinocytes:
55

Other cell types:
45

N/A
Male, age 57
Skin sample 227
nTPM: 9.6

SKIN - GTEx RNA-seqi

RNA-Seq data generated by the Genotype-Tissue Expression (GTEx) project from human tissues is reported as mean nTPM. More information can be found on the GTEx portal.

Distribution across the dataset is visualized with box plots, shown as median and 25th and 75th percentiles. Points are displayed as outliers if they are above or below 1.5 times the interquartile range. nTPM values of the individual samples are presented next to the box plot.
Max subtype nTPMi

Max subtype nTPM is the value for the subtype with the largest average nTPM across the subtype samples.

10.4
GTEx sample id Sample description nTPM
Skin - Not Sun Exposed (Suprapubic)
Average nTPM: 9.7
Samples: 604

Max nTPM: 24.6
Min nTPM: 2.6
Std nTPM: 3.0
Median nTPM: 9.3
GTEX-14PJ3-1126-SM-5ZZVX 50-59 years, male 24.6
GTEX-15RIE-1926-SM-7KUKJ 60-69 years, male 22.9
GTEX-1PIGE-1826-SM-E8VOU 20-29 years, male 22.7
GTEX-WH7G-2026-SM-3NMBL 40-49 years, male 21.3
GTEX-1HSMP-0926-SM-A9SKX 70-79 years, male 20.5
GTEX-1R9PN-0426-SM-DTXDT 40-49 years, female 19.5
GTEX-14A5H-0826-SM-5QGPJ 60-69 years, male 19.1
GTEX-1ICLZ-0326-SM-ARL82 60-69 years, male 18.0
GTEX-18A66-0626-SM-7LT8Z 60-69 years, male 17.3
GTEX-1IKOE-1426-SM-CE6T7 30-39 years, female 17.1
GTEX-WFG7-2026-SM-5SI7P 20-29 years, male 16.9
GTEX-13112-0126-SM-5P9IU 50-59 years, male 16.6
GTEX-V1D1-2026-SM-3GAF4 50-59 years, male 16.6
GTEX-11DXX-2126-SM-5PNYR 60-69 years, female 16.4
GTEX-1IDFM-0326-SM-ARL7V 60-69 years, male 16.4
GTEX-11DYG-1526-SM-5A5JS 60-69 years, male 16.3
GTEX-1MJK3-0726-SM-E6CJC 20-29 years, male 16.3
GTEX-ZY6K-1426-SM-5GZX2 50-59 years, male 16.2
GTEX-13G51-1826-SM-5KLZH 60-69 years, male 16.1
GTEX-1497J-0226-SM-5QGPU 60-69 years, male 16.0
GTEX-YEC4-1826-SM-4W1YP 40-49 years, male 16.0
GTEX-13X6K-0626-SM-5LU5D 60-69 years, female 15.9
GTEX-15RIG-0726-SM-7KUM7 40-49 years, male 15.9
GTEX-1JK1U-0226-SM-ARZMX 60-69 years, male 15.8
GTEX-ZZ64-1026-SM-5GZXG 20-29 years, male 15.7
GTEX-14ICL-1626-SM-5YYAO 30-39 years, male 15.6
GTEX-14PJO-2526-SM-6AJBQ 60-69 years, male 15.6
GTEX-1H2FU-0926-SM-9WPPT 60-69 years, female 15.5
GTEX-Y5LM-0926-SM-6LLJG 40-49 years, female 15.4
GTEX-1AYD5-2626-SM-7PBXY 50-59 years, male 15.4
GTEX-1I6K7-1926-SM-B2LXR 40-49 years, male 15.3
GTEX-1IKJJ-2226-SM-CJI4C 60-69 years, male 15.3
GTEX-1QCLY-0226-SM-EWRNH 30-39 years, male 15.3
GTEX-14XAO-1226-SM-6EU1C 60-69 years, female 15.2
GTEX-1S3DN-2126-SM-E9TIN 50-59 years, male 15.1
GTEX-13NYB-0126-SM-5J1MD 40-49 years, male 15.0
GTEX-1HBPI-2126-SM-ARL9K 50-59 years, male 15.0
GTEX-1OJC3-1226-SM-DTXER 20-29 years, male 15.0
GTEX-14DAR-1226-SM-73KYV 50-59 years, male 14.8
GTEX-WFON-1926-SM-3LK7L 40-49 years, male 14.8
GTEX-ZTX8-1326-SM-4YCEL 20-29 years, male 14.6
GTEX-1QP29-1826-SM-DTX9S 50-59 years, male 14.5
GTEX-18A67-1626-SM-7LT9T 50-59 years, male 14.4
GTEX-1E1VI-0326-SM-793D1 50-59 years, male 14.4
GTEX-1LVA9-2626-SM-EVYD4 50-59 years, male 14.3
GTEX-VJYA-1526-SM-3GIJV 60-69 years, male 14.2
GTEX-1N2EE-0626-SM-E76PW 60-69 years, male 14.2
GTEX-18A6Q-0626-SM-7KFRP 60-69 years, male 14.1
GTEX-XYKS-1426-SM-4BRUO 60-69 years, female 14.1
GTEX-ZDTS-0826-SM-4WKHL 60-69 years, male 14.1
GTEX-XAJ8-1426-SM-47JYM 40-49 years, male 14.0
GTEX-1AX9J-1326-SM-731BJ 60-69 years, male 13.9
GTEX-WHSE-0126-SM-3NMBT 20-29 years, male 13.8
GTEX-13PL6-1126-SM-5L3IE 40-49 years, female 13.7
GTEX-17HII-1426-SM-7EPGG 50-59 years, male 13.7
GTEX-1I1GV-0626-SM-ARL7M 60-69 years, male 13.7
GTEX-1JMQK-1226-SM-D4P2S 60-69 years, male 13.7
GTEX-1RAZA-2226-SM-E9U4X 20-29 years, male 13.7
GTEX-WXYG-2026-SM-4E3IY 50-59 years, female 13.6
GTEX-1GMRU-2126-SM-7P8RA 50-59 years, male 13.6
GTEX-11EQ9-1626-SM-5PNY8 30-39 years, male 13.5
GTEX-145MG-1526-SM-5Q5EM 50-59 years, male 13.5
GTEX-YECK-0326-SM-4W1YS 60-69 years, male 13.5
GTEX-1HCUA-0826-SM-ADEHM 50-59 years, female 13.4
GTEX-111YS-1526-SM-5GZYW 60-69 years, male 13.3
GTEX-131XG-0326-SM-5L3DX 50-59 years, female 13.3
GTEX-1JN76-0626-SM-CKZOQ 20-29 years, female 13.3
GTEX-1RB15-1326-SM-E76Q9 60-69 years, male 13.3
GTEX-15G1A-1626-SM-7KUKN 30-39 years, male 13.2
GTEX-15RJE-2826-SM-7KUM9 40-49 years, male 13.2
GTEX-1B933-2426-SM-7DHMD 50-59 years, female 13.2
GTEX-UPK5-0426-SM-3GAEK 40-49 years, male 13.2
GTEX-1GMR3-0126-SM-A9SLW 40-49 years, male 13.2
GTEX-1H11D-1826-SM-9QEHM 40-49 years, male 13.2
GTEX-12126-0826-SM-5FQTZ 20-29 years, male 13.1
GTEX-139YR-1026-SM-5LZYN 50-59 years, male 13.1
GTEX-XBEW-1126-SM-4QARW 40-49 years, male 13.1
GTEX-ZPU1-1126-SM-4YCF3 40-49 years, male 13.1
GTEX-1JN1M-2726-SM-CY8I4 60-69 years, female 13.1
GTEX-12ZZY-0726-SM-5EQ66 60-69 years, male 13.0
GTEX-13NZ9-2626-SM-5L3FK 50-59 years, male 13.0
GTEX-178AV-1726-SM-7KUL8 40-49 years, male 13.0
GTEX-1C6WA-2626-SM-7MKGM 60-69 years, male 13.0
GTEX-YF7O-1526-SM-5IFI6 50-59 years, male 13.0
GTEX-111VG-1626-SM-5EGIO 60-69 years, male 12.9
GTEX-11WQC-1826-SM-5GU59 60-69 years, male 12.9
GTEX-1CAMS-2226-SM-7PBXQ 40-49 years, female 12.9
GTEX-13O61-1426-SM-5KM3D 60-69 years, male 12.8
GTEX-1RAZS-2526-SM-E6CHT 50-59 years, male 12.7
GTEX-17F98-1326-SM-7DUEP 40-49 years, female 12.6
GTEX-1CB4F-1026-SM-7DUH1 60-69 years, male 12.6
GTEX-1CB4J-1326-SM-7P8RX 60-69 years, male 12.6
GTEX-1F5PK-2226-SM-7SB6N 50-59 years, male 12.6
GTEX-YEC3-1326-SM-DO92X 50-59 years, male 12.6
GTEX-11WQK-1026-SM-5EQLX 50-59 years, male 12.5
GTEX-148VJ-0626-SM-5LUAW 70-79 years, male 12.5
GTEX-14PHY-1226-SM-5ZZWK 60-69 years, female 12.5
GTEX-15SHW-0226-SM-7LTAT 60-69 years, male 12.5
GTEX-1F52S-2926-SM-7MKGA 60-69 years, female 12.5
GTEX-1F48J-0726-SM-7RHGS 50-59 years, female 12.5
GTEX-1IY9M-2826-SM-ARU8H 60-69 years, male 12.5
GTEX-1N2DV-1526-SM-DTXEP 40-49 years, male 12.5
GTEX-14E1K-2026-SM-7DUEI 50-59 years, male 12.4
GTEX-ZLFU-1826-SM-4WWBV 40-49 years, male 12.4
GTEX-1F75A-0726-SM-7RHHD 50-59 years, male 12.4
GTEX-1I1GS-2626-SM-B2LY3 60-69 years, male 12.4
GTEX-1N5O9-0926-SM-E9J3C 60-69 years, male 12.4
GTEX-1QP9N-1226-SM-E76QN 30-39 years, male 12.4
GTEX-12WSD-0626-SM-5GCMW 60-69 years, female 12.3
GTEX-WRHU-2826-SM-3MJG8 50-59 years, female 12.3
GTEX-ZF2S-1626-SM-57WES 50-59 years, female 12.3
GTEX-ZYFD-0626-SM-5E44E 50-59 years, male 12.3
GTEX-1F88E-1626-SM-7SB8Z 60-69 years, female 12.3
GTEX-1HCU6-2526-SM-ADEHL 60-69 years, female 12.3
GTEX-1L5NE-1126-SM-D3L9P 50-59 years, male 12.3
GTEX-139UW-0326-SM-5J1ML 60-69 years, male 12.2
GTEX-13OW6-2726-SM-5J2OE 50-59 years, male 12.2
GTEX-ZTTD-2826-SM-4YCFA 50-59 years, male 12.2
GTEX-139TT-2126-SM-5LZWC 60-69 years, male 12.1
GTEX-14PHX-2226-SM-6EU2P 50-59 years, male 12.1
GTEX-17HHY-0426-SM-7DHLC 50-59 years, male 12.1
GTEX-1J8Q3-0526-SM-ARL8U 60-69 years, male 12.1
GTEX-1KANB-2826-SM-CY8I6 50-59 years, male 12.1
GTEX-WI4N-2726-SM-3LK7Y 40-49 years, female 12.0
GTEX-ZVT2-0126-SM-5GIDQ 50-59 years, female 12.0
GTEX-13FTY-2126-SM-5IFFB 40-49 years, female 11.9
GTEX-Y9LG-1126-SM-4VBQ7 30-39 years, male 11.9
GTEX-1122O-1026-SM-9WYSF 60-69 years, female 11.9
GTEX-17KNJ-2126-SM-718AM 50-59 years, male 11.8
GTEX-WYJK-0526-SM-3NM8Z 50-59 years, male 11.8
GTEX-1A3MX-2626-SM-7PC24 60-69 years, male 11.8
GTEX-15EU6-2226-SM-6EU2L 50-59 years, male 11.7
GTEX-1C6VQ-1226-SM-73KYD 50-59 years, male 11.7
GTEX-ZDXO-3126-SM-5IJDF 60-69 years, male 11.7
GTEX-ZT9X-1526-SM-5DUXD 40-49 years, male 11.7
GTEX-14JFF-0626-SM-5ZZVT 60-69 years, male 11.7
GTEX-1GN1U-0626-SM-9MQL9 50-59 years, female 11.7
GTEX-1H1CY-0126-SM-9YFLY 60-69 years, female 11.7
GTEX-11VI4-1126-SM-5EQMD 40-49 years, female 11.6
GTEX-13NYC-0126-SM-5L3F4 60-69 years, male 11.6
GTEX-YJ8O-2526-SM-5HL85 40-49 years, female 11.6
GTEX-1LKK1-2626-SM-DKPQE 50-59 years, female 11.6
GTEX-1S83E-1326-SM-E6CJM 40-49 years, male 11.6
GTEX-1399Q-2326-SM-5KM2X 40-49 years, male 11.5
GTEX-14BMV-2826-SM-5TDED 50-59 years, male 11.5
GTEX-15RJ7-2126-SM-6PAMD 40-49 years, male 11.5
GTEX-16GPK-0626-SM-7KFSF 60-69 years, male 11.5
GTEX-1B8KE-1126-SM-7EPHI 50-59 years, male 11.5
GTEX-XK95-0226-SM-4AT58 40-49 years, male 11.5
GTEX-Y8E4-2026-SM-5IFJB 40-49 years, male 11.5
GTEX-ZP4G-1426-SM-4WWCL 20-29 years, female 11.5
GTEX-ZZPU-0826-SM-5GZX5 50-59 years, female 11.5
GTEX-1F75I-2226-SM-7SB8U 40-49 years, male 11.5
GTEX-1O9I2-0226-SM-EYYXD 50-59 years, male 11.5
GTEX-12WSC-2826-SM-5BC5Y 50-59 years, male 11.4
GTEX-13OW5-2326-SM-5L3HO 60-69 years, male 11.4
GTEX-1E2YA-2126-SM-7MXUO 50-59 years, male 11.4
GTEX-1PPH8-0126-SM-EWRN8 20-29 years, male 11.4
GTEX-YB5K-2026-SM-4VDT3 40-49 years, female 11.3
GTEX-1F6I4-2326-SM-7RHGL 60-69 years, male 11.3
GTEX-11DXY-0126-SM-5H11Q 60-69 years, male 11.2
GTEX-11UD2-2526-SM-5CVNU 50-59 years, male 11.2
GTEX-13113-1626-SM-5EQ4I 60-69 years, female 11.2
GTEX-13N11-2326-SM-5IJBF 50-59 years, female 11.2
GTEX-17F96-0126-SM-7EWDU 70-79 years, male 11.2
GTEX-Y114-2126-SM-4TT8B 50-59 years, female 11.2
GTEX-1CAMR-1326-SM-7PC1F 20-29 years, male 11.2
GTEX-1QPFJ-1926-SM-EVYBD 30-39 years, female 11.2
GTEX-11DZ1-2426-SM-5GZZX 50-59 years, male 11.1
GTEX-17MFQ-1526-SM-7KFRR 20-29 years, male 11.1
GTEX-1B8L1-2226-SM-7P8PT 60-69 years, male 11.1
GTEX-1R9K4-2826-SM-DTX8F 60-69 years, male 11.1
GTEX-14LZ3-0126-SM-69LPM 60-69 years, female 11.0
GTEX-1QP66-1226-SM-DTX7U 50-59 years, male 11.0
GTEX-1R9PM-1926-SM-EVR3O 20-29 years, male 11.0
GTEX-13OVG-1626-SM-5J1NF 60-69 years, male 10.9
GTEX-13YAN-0226-SM-5TDC6 60-69 years, male 10.9
GTEX-1GPI7-1826-SM-9KNU1 20-29 years, male 10.9
GTEX-1I6K6-1726-SM-CGQFD 30-39 years, male 10.9
GTEX-1JMPY-0226-SM-CKZOK 30-39 years, male 10.9
GTEX-1PBJJ-1026-SM-E76OS 30-39 years, male 10.9
GTEX-1CB4E-0926-SM-7EPHT 60-69 years, male 10.8
GTEX-1C64O-1326-SM-7MGWR 60-69 years, male 10.8
GTEX-11DXW-0826-SM-5H118 40-49 years, male 10.7
GTEX-11P7K-1126-SM-5HL4L 30-39 years, male 10.7
GTEX-11ZTT-2126-SM-5CVLO 60-69 years, female 10.7
GTEX-18D9B-0926-SM-7LG4U 60-69 years, male 10.7
GTEX-X585-2426-SM-46MW2 50-59 years, male 10.7
GTEX-ZDYS-2426-SM-4WKGI 50-59 years, male 10.7
GTEX-1LBAC-0826-SM-CY8IJ 20-29 years, male 10.7
GTEX-1QEPI-2626-SM-DTXF4 60-69 years, female 10.7
GTEX-1S82U-1026-SM-E6CJK 30-39 years, female 10.7
GTEX-13RTJ-0126-SM-5S2NN 60-69 years, male 10.6
GTEX-16BQI-1326-SM-6M486 30-39 years, female 10.6
GTEX-ZVT4-2426-SM-5GIEI 50-59 years, female 10.6
GTEX-1I1GT-1026-SM-ARZLV 60-69 years, female 10.6
GTEX-1399S-0126-SM-5IJCF 30-39 years, female 10.5
GTEX-144FL-0626-SM-5LU43 50-59 years, male 10.5
GTEX-14PK6-0226-SM-62LF5 70-79 years, female 10.5
GTEX-17F9E-2326-SM-79OKD 50-59 years, male 10.5
GTEX-1CAMQ-1326-SM-7P8RV 40-49 years, male 10.5
GTEX-1GN1W-2426-SM-9KNUU 50-59 years, female 10.5
GTEX-1IOXB-2726-SM-CM2RI 50-59 years, male 10.5
GTEX-1PPGY-1626-SM-EVYBL 60-69 years, male 10.5
GTEX-14E6C-2426-SM-5S2NF 40-49 years, male 10.4
GTEX-18A7A-0126-SM-731AH 50-59 years, female 10.4
GTEX-1B97I-0626-SM-73KUZ 40-49 years, male 10.4
GTEX-1C64N-2626-SM-7PC2N 50-59 years, male 10.4
GTEX-1GZHY-0626-SM-9KNVC 50-59 years, female 10.4
GTEX-1I1CD-0626-SM-CE6SW 60-69 years, female 10.4
GTEX-1OJC4-2726-SM-E76PJ 50-59 years, female 10.4
GTEX-1S831-1826-SM-EWROF 20-29 years, male 10.4
GTEX-131XW-0626-SM-5PNVD 50-59 years, female 10.3
GTEX-133LE-2326-SM-5K7W3 20-29 years, female 10.3
GTEX-15FZZ-0526-SM-7KUGD 30-39 years, female 10.3
GTEX-139TU-0726-SM-5L3EK 60-69 years, male 10.2
GTEX-13SLX-2226-SM-62LEP 50-59 years, female 10.2
GTEX-14B4R-1326-SM-5Q5EZ 30-39 years, male 10.2
GTEX-14PKU-0126-SM-6LLHV 40-49 years, female 10.2
GTEX-15SKB-2826-SM-6PAMH 60-69 years, male 10.2
GTEX-17HHE-1326-SM-7EWDZ 50-59 years, male 10.2
GTEX-WK11-2726-SM-3NMAQ 50-59 years, male 10.2
GTEX-1GF9X-1326-SM-7PC2Y 40-49 years, female 10.2
GTEX-1H1DG-2426-SM-9QEHJ 70-79 years, male 10.2
GTEX-1LSVX-2526-SM-DIPEU 60-69 years, male 10.2
GTEX-12696-0126-SM-5EQ4L 60-69 years, male 10.1
GTEX-12WSJ-1126-SM-5LZVJ 40-49 years, female 10.1
GTEX-13IVO-0726-SM-5LZYV 70-79 years, male 10.1
GTEX-144GL-0626-SM-5LU4D 50-59 years, male 10.1
GTEX-16NPX-0726-SM-7KULC 50-59 years, male 10.1
GTEX-YFCO-1226-SM-5LUAT 40-49 years, male 10.1
GTEX-1NSGN-0726-SM-DTXEF 50-59 years, male 10.1
GTEX-1313W-0626-SM-5EQ4H 50-59 years, female 10.0
GTEX-13FH7-1126-SM-5K7UG 50-59 years, female 10.0
GTEX-144GM-0526-SM-79OJO 20-29 years, male 10.0
GTEX-1A3MW-0626-SM-731CB 60-69 years, female 10.0
GTEX-XQ3S-1426-SM-4BOPR 20-29 years, male 10.0
GTEX-ZWKS-0626-SM-5GIDV 30-39 years, male 10.0
GTEX-ZYFC-0426-SM-5GICQ 50-59 years, male 10.0
GTEX-1JKYR-0626-SM-ARL8R 20-29 years, male 10.0
GTEX-1RAZQ-1326-SM-E9TK6 30-39 years, male 10.0
GTEX-ZLV1-1526-SM-DO91J 60-69 years, female 10.0
GTEX-11DXZ-2026-SM-5987S 50-59 years, male 9.9
GTEX-132AR-0326-SM-5KM2C 50-59 years, female 9.9
GTEX-14PJ5-1526-SM-6LLIL 60-69 years, female 9.9
GTEX-18465-2826-SM-7LT9J 50-59 years, male 9.9
GTEX-1EH9U-2826-SM-7DUGT 60-69 years, male 9.9
GTEX-ZE7O-2726-SM-51MT5 50-59 years, female 9.9
GTEX-ZT9W-1126-SM-57WDR 50-59 years, male 9.9
GTEX-1I1GU-0926-SM-ACKVS 40-49 years, male 9.9
GTEX-11OF3-0126-SM-5PNYF 60-69 years, male 9.8
GTEX-12WSL-2026-SM-5GCML 50-59 years, male 9.8
GTEX-1399U-1126-SM-5L3DB 50-59 years, female 9.8
GTEX-13FTX-1526-SM-5K7VJ 20-29 years, female 9.8
GTEX-13N1W-2426-SM-5IJD1 70-79 years, male 9.8
GTEX-145LT-0526-SM-5LUB2 40-49 years, male 9.8
GTEX-147F4-0726-SM-5TDDD 50-59 years, male 9.8
GTEX-1C2JI-1026-SM-73KY1 50-59 years, male 9.8
GTEX-UPJH-0226-SM-3GADV 50-59 years, male 9.8
GTEX-X5EB-1926-SM-4E3IW 40-49 years, male 9.8
GTEX-1GF9V-0826-SM-9KNUV 60-69 years, male 9.8
GTEX-1GMR2-0826-SM-7PC3V 50-59 years, male 9.8
GTEX-1I1GP-1326-SM-A9G28 50-59 years, male 9.8
GTEX-1I4MK-0126-SM-CY8G6 50-59 years, female 9.8
GTEX-131YS-2826-SM-5EQ47 60-69 years, female 9.7
GTEX-13O3O-2326-SM-5IJD6 60-69 years, female 9.7
GTEX-13OW7-0426-SM-5K7VK 50-59 years, male 9.7
GTEX-1B996-0426-SM-7EWF8 60-69 years, male 9.7
GTEX-1J8EW-2726-SM-CY8HR 60-69 years, female 9.7
GTEX-1QP28-1126-SM-EVYC4 50-59 years, female 9.7
GTEX-131XH-0126-SM-5LZUY 50-59 years, male 9.6
GTEX-139D8-1126-SM-5LU8W 30-39 years, female 9.6
GTEX-14PKV-1126-SM-6LLJ1 20-29 years, female 9.6
GTEX-15UF6-1926-SM-7KUDV 70-79 years, female 9.6
GTEX-16XZZ-0726-SM-7KUF2 60-69 years, male 9.6
GTEX-1A32A-0626-SM-731AQ 50-59 years, female 9.6
GTEX-1A8G7-1326-SM-73KVM 60-69 years, male 9.6
GTEX-Y5V6-2326-SM-4VDSA 60-69 years, male 9.6
GTEX-ZYFG-1526-SM-5GZYM 60-69 years, female 9.6
GTEX-11NUK-2726-SM-5A5MC 50-59 years, male 9.5
GTEX-13VXU-0626-SM-5L3F9 50-59 years, male 9.5
GTEX-147GR-2426-SM-5ZZWQ 60-69 years, male 9.5
GTEX-15G19-2426-SM-7KUMR 60-69 years, male 9.5
GTEX-183FY-1026-SM-7939A 20-29 years, male 9.5
GTEX-1BAJH-2426-SM-7IGP8 70-79 years, male 9.5
GTEX-Z93S-1626-SM-5CVMB 50-59 years, male 9.5
GTEX-145ME-1726-SM-5Q5EU 40-49 years, female 9.4
GTEX-14753-0726-SM-5QGQO 60-69 years, male 9.4
GTEX-17HG3-2626-SM-7DUF2 30-39 years, female 9.4
GTEX-1H1DE-1326-SM-9KNUG 20-29 years, male 9.4
GTEX-1HC8U-1326-SM-9YFMJ 40-49 years, female 9.4
GTEX-1JJEA-1826-SM-ARU8P 60-69 years, male 9.4
GTEX-1PIIG-2326-SM-DTXFR 30-39 years, male 9.4
GTEX-1QCLZ-2426-SM-EVYBW 60-69 years, female 9.4
GTEX-16MT8-2926-SM-7DUFO 60-69 years, female 9.3
GTEX-1EWIQ-0326-SM-7DHMQ 70-79 years, female 9.3
GTEX-ZYT6-2326-SM-5GZY3 30-39 years, male 9.3
GTEX-1CB4I-0126-SM-7RHGG 50-59 years, male 9.3
GTEX-1GF9W-1426-SM-7PBYM 60-69 years, male 9.3
GTEX-1GPI6-1926-SM-9KNV7 60-69 years, male 9.3
GTEX-1IL2V-1926-SM-B2LW8 70-79 years, male 9.3
GTEX-1QW4Y-1126-SM-DTXE3 30-39 years, male 9.3
GTEX-1RMOY-1326-SM-E9TIH 50-59 years, male 9.3
GTEX-ZF3C-0626-SM-DO92O 50-59 years, female 9.3
GTEX-1192X-2726-SM-5N9DN 50-59 years, male 9.2
GTEX-14PJN-1826-SM-6AJ98 30-39 years, male 9.2
GTEX-U8XE-0226-SM-4E3J3 30-39 years, male 9.2
GTEX-ZYW4-0626-SM-59HJR 60-69 years, male 9.2
GTEX-1IDJI-0126-SM-CMKHS 50-59 years, female 9.2
GTEX-12BJ1-0926-SM-5EQ62 60-69 years, male 9.1
GTEX-12C56-1526-SM-5FQUQ 20-29 years, male 9.1
GTEX-12KS4-2126-SM-5FQUT 30-39 years, male 9.1
GTEX-13X6H-0926-SM-5SIB2 50-59 years, female 9.1
GTEX-18QFQ-1826-SM-72D52 30-39 years, male 9.1
GTEX-1EN7A-2426-SM-793DB 40-49 years, male 9.1
GTEX-ZUA1-2626-SM-5NQ92 40-49 years, male 9.1
GTEX-1A8FM-0626-SM-7PC25 50-59 years, female 9.1
GTEX-1IDJH-0126-SM-D3L92 70-79 years, male 9.1
GTEX-1IDJU-1726-SM-CMKHU 60-69 years, female 9.1
GTEX-1LGRB-0926-SM-COH3K 50-59 years, female 9.1
GTEX-11EQ8-0926-SM-5H12V 60-69 years, male 9.0
GTEX-12WSH-1526-SM-5BC5W 50-59 years, male 9.0
GTEX-13PVR-0426-SM-5RQK2 60-69 years, female 9.0
GTEX-14C38-0726-SM-5SI6M 50-59 years, male 9.0
GTEX-15DDE-2926-SM-6LLJ3 50-59 years, female 9.0
GTEX-16AAH-0626-SM-793C9 50-59 years, male 9.0
GTEX-W5X1-2526-SM-3GILC 40-49 years, female 9.0
GTEX-WHPG-2626-SM-3NMBR 50-59 years, male 9.0
GTEX-WY7C-2126-SM-3NB2R 50-59 years, male 9.0
GTEX-1F75B-0726-SM-7PC3R 50-59 years, male 9.0
GTEX-1GZ4I-2626-SM-9KNU3 50-59 years, male 9.0
GTEX-1H4P4-2126-SM-9WYSL 50-59 years, male 9.0
GTEX-13SLW-0626-SM-5Q5ER 70-79 years, male 8.9
GTEX-15EO6-2426-SM-6PALZ 50-59 years, male 8.9
GTEX-X3Y1-2026-SM-3P5YM 40-49 years, male 8.9
GTEX-1IDJF-2026-SM-CL53V 20-29 years, male 8.9
GTEX-11TUW-0626-SM-5LU9M 60-69 years, male 8.8
GTEX-17MF6-2626-SM-79OKQ 40-49 years, male 8.8
GTEX-1EU9M-1426-SM-793AI 60-69 years, male 8.8
GTEX-1GL5R-1326-SM-7RHHF 50-59 years, male 8.8
GTEX-1IDJC-1526-SM-B2LW4 50-59 years, male 8.8
GTEX-1JMOU-1026-SM-CYPSS 60-69 years, female 8.8
GTEX-12WSK-2126-SM-5CVNC 40-49 years, female 8.7
GTEX-1B8SF-0126-SM-7DUG3 60-69 years, male 8.7
GTEX-1F6IF-0926-SM-7SB7M 60-69 years, male 8.7
GTEX-1HSMQ-2626-SM-A9SML 50-59 years, male 8.7
GTEX-1K2DA-1026-SM-CGQGF 50-59 years, male 8.7
GTEX-1LVAM-0726-SM-E6CIL 50-59 years, female 8.7
GTEX-117YX-1926-SM-5GIEC 50-59 years, male 8.6
GTEX-11O72-0626-SM-5PNYE 40-49 years, male 8.6
GTEX-144GO-2026-SM-5O99P 60-69 years, male 8.6
GTEX-1477Z-0326-SM-7IGLA 60-69 years, male 8.6
GTEX-18D9U-0126-SM-731BM 40-49 years, male 8.6
GTEX-1AMFI-1326-SM-7939R 50-59 years, female 8.6
GTEX-1AX9I-2226-SM-73KUO 60-69 years, male 8.6
GTEX-X4EO-2926-SM-4E3JH 60-69 years, female 8.6
GTEX-X8HC-0626-SM-4E3HQ 50-59 years, female 8.6
GTEX-ZLWG-0826-SM-59888 50-59 years, female 8.6
GTEX-14JG6-1426-SM-9WG7C 30-39 years, female 8.6
GTEX-1HBPN-0126-SM-CGQEF 50-59 years, male 8.6
GTEX-1M4P7-0726-SM-E6CJ3 60-69 years, male 8.6
GTEX-ZYVF-0926-SM-5E44J 50-59 years, female 8.5
GTEX-1C6VR-0126-SM-7RHGB 60-69 years, male 8.5
GTEX-1H1E6-0426-SM-9WYUS 30-39 years, male 8.5
GTEX-1IE54-1126-SM-A9G2Z 40-49 years, female 8.5
GTEX-1JKYN-0826-SM-ARU8S 30-39 years, male 8.5
GTEX-1KANA-1326-SM-DIPFA 20-29 years, male 8.5
GTEX-1KANC-1226-SM-CYPT7 50-59 years, female 8.5
GTEX-1RLM8-2926-SM-E8VON 50-59 years, male 8.5
GTEX-131XF-2626-SM-5EQ6K 60-69 years, male 8.4
GTEX-145MN-1526-SM-5SI9T 30-39 years, male 8.4
GTEX-17HGU-2326-SM-7DUFE 50-59 years, male 8.4
GTEX-1A8G6-2726-SM-731AR 60-69 years, male 8.4
GTEX-VUSG-2326-SM-4KL1U 50-59 years, male 8.4
GTEX-XMD2-2126-SM-4YCF8 60-69 years, female 8.4
GTEX-1GTWX-2026-SM-9YFLM 60-69 years, male 8.4
GTEX-1QAET-0326-SM-EVR3U 50-59 years, male 8.4
GTEX-1R7EU-1626-SM-DTXG3 60-69 years, male 8.4
GTEX-ZPIC-0526-SM-DO91W 40-49 years, female 8.4
GTEX-145MO-2826-SM-5LU96 60-69 years, male 8.3
GTEX-15CHQ-0326-SM-69LQD 60-69 years, male 8.3
GTEX-1B8KZ-0326-SM-73KY4 50-59 years, male 8.3
GTEX-WEY5-2326-SM-3GIKK 40-49 years, female 8.3
GTEX-ZDTT-0426-SM-4WKFL 60-69 years, male 8.3
GTEX-ZVZP-1226-SM-5GID7 50-59 years, male 8.3
GTEX-1HFI7-2326-SM-CGQFS 50-59 years, female 8.3
GTEX-1R46S-2426-SM-E76QA 60-69 years, female 8.3
GTEX-111CU-1126-SM-5EGIM 50-59 years, male 8.2
GTEX-12WSF-1626-SM-7KUG5 70-79 years, male 8.2
GTEX-17F97-2626-SM-7IGM5 50-59 years, male 8.2
GTEX-18A7B-2726-SM-7LG56 70-79 years, male 8.2
GTEX-1A3MV-1826-SM-731CD 30-39 years, male 8.2
GTEX-ZC5H-1526-SM-5HL9Y 40-49 years, female 8.2
GTEX-ZF29-0926-SM-4WKFZ 60-69 years, female 8.2
GTEX-1HCU9-0426-SM-9WYSD 20-29 years, male 8.2
GTEX-1QP2A-1726-SM-E76QC 50-59 years, male 8.2
GTEX-13X6J-0626-SM-5LU5F 50-59 years, male 8.1
GTEX-14PJ6-2626-SM-6EU2T 60-69 years, female 8.1
GTEX-15ER7-0626-SM-6PANF 20-29 years, female 8.1
GTEX-WYBS-0626-SM-3NMAS 60-69 years, female 8.1
GTEX-1F5PL-0926-SM-7PC2W 40-49 years, female 8.1
GTEX-1H23P-0626-SM-9WG6T 60-69 years, male 8.1
GTEX-1IDJE-1426-SM-ADEIW 50-59 years, female 8.1
GTEX-1KD5A-0126-SM-E9U54 50-59 years, male 8.1
GTEX-1EKGG-0626-SM-7DUGJ 60-69 years, male 8.0
GTEX-Y3I4-1726-SM-4TT89 50-59 years, male 8.0
GTEX-ZPCL-1126-SM-4WWFE 60-69 years, female 8.0
GTEX-ZXG5-2126-SM-59HKD 60-69 years, male 8.0
GTEX-1HBPM-0726-SM-9YFL7 60-69 years, female 8.0
GTEX-1LB8K-0726-SM-D5OV2 50-59 years, male 8.0
GTEX-1LG7Z-1626-SM-CXKYR 30-39 years, male 8.0
GTEX-12WSM-1926-SM-5BC65 60-69 years, male 7.9
GTEX-139TS-2126-SM-5K7XC 60-69 years, male 7.9
GTEX-16YQH-2226-SM-7IGM2 30-39 years, male 7.9
GTEX-17F9Y-0126-SM-79OKX 70-79 years, female 7.9
GTEX-1AX8Z-0726-SM-73KTS 60-69 years, male 7.9
GTEX-11P82-1426-SM-DTXFY 20-29 years, male 7.9
GTEX-1ICLY-0826-SM-CMKG1 50-59 years, male 7.9
GTEX-1JJE9-2626-SM-ARZMT 70-79 years, male 7.9
GTEX-1KXAM-1626-SM-D3LAD 60-69 years, male 7.9
GTEX-1LG7Y-2526-SM-EWRO7 50-59 years, male 7.9
GTEX-1LVAN-0626-SM-CNPOQ 50-59 years, female 7.9
GTEX-11GSP-2326-SM-5HL63 60-69 years, female 7.8
GTEX-1269C-0126-SM-5EQ5L 60-69 years, female 7.8
GTEX-13NYS-0626-SM-5L3F1 60-69 years, male 7.8
GTEX-14LLW-2626-SM-62LDZ 70-79 years, female 7.8
GTEX-16NGA-0726-SM-731AO 40-49 years, female 7.8
GTEX-1EX96-1026-SM-7MKG2 50-59 years, male 7.8
GTEX-WHWD-1826-SM-3LK6I 50-59 years, male 7.8
GTEX-XQ8I-0926-SM-4BOOF 50-59 years, male 7.8
GTEX-XXEK-1626-SM-4BRUZ 50-59 years, male 7.8
GTEX-18D9A-1426-SM-7LT8M 30-39 years, female 7.8
GTEX-1GZ4H-0526-SM-9KNU9 50-59 years, female 7.8
GTEX-1HB9E-0126-SM-CM2S5 50-59 years, male 7.8
GTEX-1HFI6-0126-SM-CNPPI 40-49 years, male 7.8
GTEX-11NSD-0626-SM-5A5LU 20-29 years, male 7.7
GTEX-13PDP-0726-SM-5L3HP 60-69 years, male 7.7
GTEX-14PII-0726-SM-6EU2B 60-69 years, male 7.7
GTEX-17EVQ-0126-SM-7IGLR 70-79 years, male 7.7
GTEX-WHSB-1326-SM-3LK6W 50-59 years, male 7.7
GTEX-Y3IK-1626-SM-4YCF5 50-59 years, female 7.7
GTEX-ZU9S-1826-SM-5NQ9E 30-39 years, male 7.7
GTEX-ZVE1-0726-SM-51MRN 50-59 years, female 7.7
GTEX-1F75W-2726-SM-7SB8H 60-69 years, male 7.7
GTEX-1I1HK-2326-SM-CKZOH 60-69 years, male 7.7
GTEX-1ICG6-1226-SM-A9SLN 70-79 years, female 7.7
GTEX-1J1OQ-0126-SM-D4P2N 40-49 years, female 7.7
GTEX-1JMQJ-0826-SM-CNPP7 50-59 years, male 7.7
GTEX-13D11-0926-SM-5J2NC 50-59 years, female 7.6
GTEX-13OVK-1426-SM-6PAN7 40-49 years, male 7.6
GTEX-13W3W-0726-SM-5IJDQ 60-69 years, female 7.6
GTEX-14ABY-2026-SM-62LDL 50-59 years, male 7.6
GTEX-14JG1-1526-SM-5YY9X 40-49 years, male 7.6
GTEX-14PJ2-0626-SM-6LLII 50-59 years, male 7.6
GTEX-Y8LW-1526-SM-5IFHL 50-59 years, female 7.6
GTEX-ZVP2-0326-SM-57WBP 50-59 years, male 7.6
GTEX-1GF9U-2026-SM-7SB92 40-49 years, female 7.6
GTEX-1GZ2Q-0126-SM-9WG6M 40-49 years, male 7.6
GTEX-1H3NZ-2726-SM-9WYTQ 60-69 years, male 7.6
GTEX-1HUB1-1426-SM-CGQF5 60-69 years, male 7.6
GTEX-13QJC-0126-SM-5ZZWJ 60-69 years, female 7.5
GTEX-146FQ-2126-SM-5RQHU 30-39 years, male 7.5
GTEX-183WM-0326-SM-72D5V 70-79 years, female 7.5
GTEX-1CB4H-1126-SM-7MKGL 60-69 years, female 7.5
GTEX-XOT4-0626-SM-4B66L 60-69 years, female 7.5
GTEX-XUW1-0926-SM-4BONX 50-59 years, female 7.5
GTEX-ZVTK-0226-SM-51MRG 20-29 years, male 7.5
GTEX-1F6RS-2026-SM-7RHHC 60-69 years, female 7.5
GTEX-1JN6P-2926-SM-CL54D 60-69 years, male 7.5
GTEX-1KWVE-1026-SM-D3L9O 30-39 years, male 7.5
GTEX-1LSNM-0826-SM-DIPG8 50-59 years, male 7.5
GTEX-1LVAO-2726-SM-E9TJ8 60-69 years, male 7.5
GTEX-1314G-1326-SM-5BC6E 30-39 years, male 7.4
GTEX-13X6I-1826-SM-5SIAO 60-69 years, male 7.4
GTEX-16MT9-0126-SM-7EPI8 60-69 years, female 7.4
GTEX-11EI6-2826-SM-5H11D 60-69 years, male 7.3
GTEX-1211K-1526-SM-5FQU4 60-69 years, female 7.3
GTEX-13FLV-0126-SM-5K7WT 50-59 years, male 7.3
GTEX-16Z82-2626-SM-7KULU 60-69 years, male 7.3
GTEX-1C475-1326-SM-7SB73 40-49 years, female 7.3
GTEX-1GN1V-2826-SM-9JGIA 60-69 years, male 7.3
GTEX-1HSKV-1226-SM-ADEI4 60-69 years, male 7.3
GTEX-145MI-0626-SM-5SI8S 60-69 years, female 7.2
GTEX-14BMU-1226-SM-5S2OR 20-29 years, female 7.2
GTEX-1GN73-0726-SM-7P8TJ 60-69 years, male 7.2
GTEX-1H3O1-1326-SM-9MQLD 60-69 years, male 7.2
GTEX-1HSMO-0626-SM-ACKXC 60-69 years, male 7.2
GTEX-1I19N-0126-SM-CYPSF 70-79 years, male 7.2
GTEX-1HCU8-2526-SM-CE6RX 60-69 years, female 7.1
GTEX-1J8QM-2426-SM-A9SLS 60-69 years, female 7.1
GTEX-1117F-2926-SM-5GZYI 60-69 years, female 7.0
GTEX-13O3Q-0126-SM-5KM34 50-59 years, male 7.0
GTEX-Y111-0626-SM-4SOIT 50-59 years, male 7.0
GTEX-1JMPZ-0726-SM-CY8HZ 30-39 years, male 7.0
GTEX-1POEN-2326-SM-E9J2L 30-39 years, female 7.0
GTEX-11ZUS-2626-SM-5FQUR 30-39 years, male 6.9
GTEX-12ZZX-2426-SM-5GCOE 40-49 years, female 6.9
GTEX-139T8-0626-SM-5KLZX 60-69 years, male 6.9
GTEX-1H1ZS-2726-SM-9WG75 70-79 years, male 6.9
GTEX-1MCC2-1826-SM-DIPEX 30-39 years, female 6.9
GTEX-13OVJ-0826-SM-5J1OK 50-59 years, female 6.8
GTEX-145LU-1926-SM-79OJN 50-59 years, male 6.8
GTEX-147F3-1726-SM-5SIAW 50-59 years, female 6.8
GTEX-14C5O-0326-SM-5ZZUX 60-69 years, male 6.8
GTEX-14E6E-0526-SM-793DN 30-39 years, male 6.8
GTEX-ZE9C-2526-SM-5IJDR 60-69 years, male 6.8
GTEX-1LSNL-2726-SM-E9TKJ 50-59 years, male 6.8
GTEX-1MCYP-0526-SM-E9U6Q 20-29 years, female 6.8
GTEX-111FC-2526-SM-5GZXU 60-69 years, male 6.7
GTEX-12584-0726-SM-5FQTK 40-49 years, male 6.7
GTEX-13VXT-1926-SM-5K7UO 20-29 years, female 6.7
GTEX-145LS-0626-SM-7EPG7 60-69 years, female 6.7
GTEX-14A6H-2026-SM-5Q5DD 30-39 years, male 6.7
GTEX-XV7Q-1826-SM-4BRUV 40-49 years, female 6.7
GTEX-ZAK1-0626-SM-5HL8E 50-59 years, female 6.7
GTEX-1HR9M-2226-SM-CNPPY 60-69 years, male 6.7
GTEX-1399R-1326-SM-5PNYS 30-39 years, male 6.6
GTEX-13JVG-0726-SM-5KM16 60-69 years, male 6.6
GTEX-14PJ4-0226-SM-5YY92 60-69 years, male 6.6
GTEX-XPVG-2126-SM-4B667 50-59 years, male 6.6
GTEX-ZTSS-1426-SM-5985P 40-49 years, male 6.6
GTEX-1JMLX-0626-SM-ARL8T 50-59 years, male 6.6
GTEX-11GS4-0226-SM-5HL77 60-69 years, male 6.5
GTEX-14C39-1726-SM-5RQIL 40-49 years, male 6.5
GTEX-1EMGI-2326-SM-7PBYA 60-69 years, male 6.5
GTEX-1GN2E-0226-SM-9WG6K 60-69 years, male 6.5
GTEX-1LGOU-1326-SM-D3L8M 20-29 years, female 6.5
GTEX-1QMI2-2526-SM-E8VNZ 60-69 years, male 6.5
GTEX-1S82P-2126-SM-E6CI5 60-69 years, female 6.5
GTEX-11EM3-1226-SM-5N9DD 20-29 years, female 6.4
GTEX-1B932-2326-SM-79OL5 40-49 years, female 6.4
GTEX-WFG8-2126-SM-3GIKQ 20-29 years, male 6.4
GTEX-Y5V5-0126-SM-5S2NW 60-69 years, female 6.4
GTEX-1HR98-2226-SM-ADEI2 60-69 years, male 6.4
GTEX-1KAFJ-0126-SM-DIPEK 50-59 years, male 6.4
GTEX-11ZU8-0126-SM-5EQ58 60-69 years, male 6.3
GTEX-1212Z-0126-SM-59HK4 60-69 years, male 6.3
GTEX-13FTW-0326-SM-5K7UW 40-49 years, male 6.3
GTEX-13NZ8-1226-SM-5KM4A 60-69 years, female 6.3
GTEX-13U4I-2226-SM-5LU5H 40-49 years, female 6.3
GTEX-15DYW-2726-SM-6EU2I 60-69 years, female 6.3
GTEX-1CAV2-0126-SM-7IGN7 40-49 years, female 6.3
GTEX-ZA64-1026-SM-5HL8R 20-29 years, male 6.3
GTEX-11P81-2226-SM-5PNYI 30-39 years, female 6.2
GTEX-12WSA-0426-SM-5EQ5X 60-69 years, male 6.2
GTEX-13FHO-0426-SM-5L3F5 60-69 years, male 6.2
GTEX-145MF-0926-SM-5Q5EA 50-59 years, male 6.2
GTEX-11TT1-1826-SM-5EQLV 20-29 years, male 6.1
GTEX-13PVQ-0626-SM-5LU47 50-59 years, male 6.1
GTEX-13QBU-1226-SM-5LU4G 40-49 years, female 6.1
GTEX-16MTA-0926-SM-6M47Z 50-59 years, male 6.1
GTEX-1AMEY-0826-SM-72D65 30-39 years, female 6.1
GTEX-1K9T9-1526-SM-DIPFR 50-59 years, female 6.1
GTEX-15CHC-1126-SM-6LLHQ 60-69 years, female 6.0
GTEX-15CHR-1126-SM-7EWF4 50-59 years, male 6.0
GTEX-17JCI-2926-SM-7DUFF 60-69 years, female 6.0
GTEX-1H1DF-1126-SM-9WG7G 40-49 years, female 6.0
GTEX-1HCU7-0726-SM-A9SL1 50-59 years, male 6.0
GTEX-1HT8W-0626-SM-A9G2H 30-39 years, male 6.0
GTEX-1J8JJ-0626-SM-ARZMQ 60-69 years, female 6.0
GTEX-1S5ZU-2526-SM-E6CIF 20-29 years, female 6.0
GTEX-14AS3-1526-SM-5Q5ED 40-49 years, female 5.9
GTEX-1JJ6O-2726-SM-CNPOG 60-69 years, male 5.9
GTEX-XBED-1926-SM-47JYP 60-69 years, male 5.8
GTEX-1K2DU-1226-SM-CYPT4 20-29 years, male 5.8
GTEX-1PDJ9-1226-SM-EXUSX 20-29 years, male 5.8
GTEX-13OW8-1026-SM-5J1NQ 60-69 years, male 5.7
GTEX-145MH-2826-SM-5RQJF 50-59 years, male 5.7
GTEX-15D1Q-2826-SM-6LLH7 40-49 years, male 5.7
GTEX-1RAZR-2126-SM-E9U6T 40-49 years, male 5.7
GTEX-1GMR8-0626-SM-7RHI7 50-59 years, female 5.6
GTEX-1H3VE-0726-SM-9YFL5 40-49 years, male 5.6
GTEX-1J1R8-2026-SM-CL53Y 40-49 years, male 5.6
GTEX-1J8Q2-2626-SM-ACKWQ 60-69 years, male 5.6
GTEX-1NV5F-0626-SM-DTXEG 60-69 years, female 5.6
GTEX-17EVP-2626-SM-7IGMA 40-49 years, male 5.5
GTEX-X4EP-0626-SM-3P621 60-69 years, female 5.5
GTEX-1HCVE-2726-SM-CL54F 50-59 years, male 5.5
GTEX-13OVL-0126-SM-5L3GJ 50-59 years, male 5.3
GTEX-1F88F-0126-SM-9WYSZ 60-69 years, female 5.2
GTEX-1HKZK-0726-SM-ACKW2 40-49 years, male 5.2
GTEX-ZAJG-1526-SM-5CVML 50-59 years, female 5.1
GTEX-ZVE2-2826-SM-5GU51 50-59 years, male 5.1
GTEX-14BIN-1126-SM-5RQJZ 50-59 years, female 5.0
GTEX-1IDJV-0126-SM-COH3Y 60-69 years, male 5.0
GTEX-ZGAY-1826-SM-DO91Q 40-49 years, female 5.0
GTEX-1JMQL-2226-SM-CNPP4 50-59 years, female 4.9
GTEX-147JS-0226-SM-5S2U9 60-69 years, male 4.7
GTEX-WYVS-1626-SM-3NM9R 40-49 years, female 4.7
GTEX-1HSGN-0826-SM-ACKW3 40-49 years, female 4.7
GTEX-11PRG-0726-SM-5EGL1 50-59 years, male 4.6
GTEX-12ZZZ-0726-SM-5GCNZ 60-69 years, male 4.6
GTEX-13N2G-0226-SM-5K7VF 60-69 years, male 4.6
GTEX-1HGF4-0126-SM-CNPPX 60-69 years, male 4.6
GTEX-1IDJD-2326-SM-ACKWX 30-39 years, male 4.5
GTEX-1JMQI-1726-SM-ARL93 50-59 years, male 4.5
GTEX-13JUV-2026-SM-5K7UA 40-49 years, female 4.4
GTEX-13OVH-0526-SM-5L3E6 70-79 years, male 4.4
GTEX-XBEC-0726-SM-4QARZ 50-59 years, male 4.4
GTEX-ZYY3-2926-SM-5GIEB 60-69 years, female 4.2
GTEX-14DAQ-0626-SM-793DS 60-69 years, female 3.8
GTEX-1PPH7-1126-SM-DTX9A 40-49 years, male 3.7
GTEX-11LCK-2226-SM-5HL4Q 30-39 years, male 3.2
GTEX-ZAB4-2126-SM-5HL8U 40-49 years, male 2.6
Show allShow less
Skin - Sun Exposed (Lower leg)
Average nTPM: 10.4
Samples: 701

Max nTPM: 49.9
Min nTPM: 3.8
Std nTPM: 3.4
Median nTPM: 9.9
GTEX-SE5C-1626-SM-2XCE3 40-49 years, female 49.9
GTEX-Y3IK-2426-SM-4WWDU 50-59 years, female 22.7
GTEX-ZU9S-0226-SM-5E441 30-39 years, male 20.9
GTEX-1PWST-0226-SM-E76QJ 70-79 years, male 20.3
GTEX-SJXC-0126-SM-2XCFF 60-69 years, male 20.2
GTEX-T2YK-0526-SM-32QPJ 50-59 years, male 20.0
GTEX-139UW-2826-SM-5L3E7 60-69 years, male 19.9
GTEX-U8T8-0126-SM-3DB94 60-69 years, male 19.7
GTEX-1B8KE-2126-SM-73KYX 50-59 years, male 19.3
GTEX-131XF-5016-SM-7MGWE 60-69 years, male 18.9
GTEX-1A3MX-0126-SM-731BR 60-69 years, male 18.6
GTEX-U8XE-0326-SM-3DB8P 30-39 years, male 18.6
GTEX-OXRO-0126-SM-2YUN4 60-69 years, female 18.5
GTEX-W5X1-3026-SM-EAZAX 40-49 years, female 18.4
GTEX-15SB6-1726-SM-6PAME 50-59 years, female 18.3
GTEX-ZYFD-0126-SM-5GIDL 50-59 years, male 18.3
GTEX-1CB4J-0626-SM-7DHMP 60-69 years, male 18.0
GTEX-14XAO-2326-SM-6EU1B 60-69 years, female 17.8
GTEX-1B8SG-0126-SM-73KZ3 50-59 years, male 17.8
GTEX-1JN1M-0326-SM-CYPT3 60-69 years, female 17.6
GTEX-11DYG-0126-SM-59883 60-69 years, male 17.5
GTEX-1B8SF-1426-SM-7DUGL 60-69 years, male 17.3
GTEX-117YW-2626-SM-5GZZH 50-59 years, male 17.1
GTEX-R3RS-0126-SM-3GIJL 40-49 years, female 17.0
GTEX-XYKS-2126-SM-4E3IB 60-69 years, female 16.9
GTEX-S7PM-0126-SM-4AD6S 60-69 years, male 16.8
GTEX-1LBAC-0126-SM-DIPEZ 20-29 years, male 16.8
GTEX-15ER7-0326-SM-7KUEV 20-29 years, female 16.7
GTEX-UPJH-0326-SM-3GADU 50-59 years, male 16.7
GTEX-145LT-1726-SM-5QGP3 40-49 years, male 16.6
GTEX-14PN4-0126-SM-6EU2V 50-59 years, male 16.6
GTEX-15UF6-0826-SM-6PALJ 70-79 years, female 16.6
GTEX-17JCI-0126-SM-7LG5G 60-69 years, female 16.4
GTEX-13113-5016-SM-7EPIP 60-69 years, female 16.3
GTEX-ZGAY-0526-SM-4WWBB 40-49 years, female 16.3
GTEX-1399U-2326-SM-5K7WY 50-59 years, female 16.2
GTEX-X5EB-2226-SM-46MW4 40-49 years, male 16.2
GTEX-T6MN-0126-SM-32PLP 50-59 years, male 16.1
GTEX-145MO-0326-SM-5Q5B3 60-69 years, male 16.0
GTEX-QDVN-2026-SM-3GAEP 50-59 years, male 16.0
GTEX-PX3G-0126-SM-2I3EN 20-29 years, female 15.9
GTEX-18A6Q-0126-SM-731BZ 60-69 years, male 15.8
GTEX-T8EM-1026-SM-3DB7M 40-49 years, male 15.8
GTEX-1CAV2-2226-SM-7P8P2 40-49 years, female 15.8
GTEX-1HSMO-0126-SM-CL547 60-69 years, male 15.7
GTEX-1R9PM-2026-SM-E76OY 20-29 years, male 15.6
GTEX-145MF-0626-SM-5LUAI 50-59 years, male 15.5
GTEX-NFK9-0226-SM-2HMKQ 40-49 years, male 15.5
GTEX-POMQ-2226-SM-2I5FK 20-29 years, female 15.5
GTEX-17EUY-0426-SM-793BD 20-29 years, male 15.3
GTEX-Y8DK-0126-SM-4TT3L 60-69 years, male 15.3
GTEX-P4PQ-0126-SM-2S1NM 60-69 years, male 15.1
GTEX-U412-0426-SM-3DB9O 60-69 years, male 15.1
GTEX-1N2EF-0226-SM-EYYXB 60-69 years, male 15.1
GTEX-ZYT6-0226-SM-5NQ6T 30-39 years, male 15.0
GTEX-1HCU6-0126-SM-CL54K 60-69 years, female 15.0
GTEX-1MJK2-0426-SM-DTXE5 50-59 years, male 15.0
GTEX-1CB4G-0226-SM-7PC3O 60-69 years, male 14.9
GTEX-1GN1U-0126-SM-7PBZK 50-59 years, female 14.9
GTEX-1PPH8-0226-SM-E8VND 20-29 years, male 14.9
GTEX-16GPK-0126-SM-7DHLE 60-69 years, male 14.8
GTEX-1H1DE-2126-SM-9WG6R 20-29 years, male 14.8
GTEX-12ZZY-0226-SM-5LZVE 60-69 years, male 14.7
GTEX-VJYA-1126-SM-3GIJU 60-69 years, male 14.7
GTEX-XQ3S-1526-SM-4BOOC 20-29 years, male 14.7
GTEX-1GN2E-0426-SM-9MQKX 60-69 years, male 14.7
GTEX-14PJM-0226-SM-62LF1 50-59 years, female 14.6
GTEX-QCQG-1726-SM-3GIJ9 50-59 years, female 14.6
GTEX-1GF9W-0326-SM-9KNUN 60-69 years, male 14.6
GTEX-12WSA-0226-SM-5BC5V 60-69 years, male 14.5
GTEX-14BMV-0126-SM-5S2PO 50-59 years, male 14.5
GTEX-15UKP-0426-SM-7KUFQ 20-29 years, male 14.5
GTEX-18D9B-0526-SM-7LTAS 60-69 years, male 14.5
GTEX-S32W-2126-SM-2XCB1 50-59 years, female 14.5
GTEX-1GF9X-2026-SM-7PC3A 40-49 years, female 14.5
GTEX-1122O-2126-SM-5EGIR 60-69 years, female 14.4
GTEX-13RTJ-2426-SM-5S2Q2 60-69 years, male 14.4
GTEX-17F98-0626-SM-79OMX 40-49 years, female 14.4
GTEX-17HII-0226-SM-7LG4E 50-59 years, male 14.4
GTEX-O5YT-0126-SM-48TBW 20-29 years, male 14.4
GTEX-139TU-0126-SM-5K7WH 60-69 years, male 14.3
GTEX-13FXS-0226-SM-5IJCK 50-59 years, male 14.3
GTEX-14ICK-0226-SM-6EU25 40-49 years, male 14.3
GTEX-1GF9V-0326-SM-7RHI5 60-69 years, male 14.3
GTEX-1R7EU-0226-SM-EVR4G 60-69 years, male 14.3
GTEX-16MT8-0426-SM-7KUEY 60-69 years, female 14.2
GTEX-SIU8-0126-SM-2XCDT 50-59 years, male 14.2
GTEX-17KNJ-2326-SM-7DHLQ 50-59 years, male 14.1
GTEX-Y114-2426-SM-4TT8A 50-59 years, female 14.1
GTEX-13RTK-1426-SM-5QGQJ 20-29 years, male 14.0
GTEX-TML8-1926-SM-32QOS 40-49 years, female 14.0
GTEX-ZVT2-2526-SM-51MT1 50-59 years, female 14.0
GTEX-WI4N-1026-SM-3LK7N 40-49 years, female 13.9
GTEX-Y3I4-2126-SM-4TT7C 50-59 years, male 13.9
GTEX-1EWIQ-0126-SM-7RHH2 70-79 years, female 13.9
GTEX-1497J-2426-SM-7IGNX 60-69 years, male 13.8
GTEX-15DYW-0126-SM-7KULE 60-69 years, female 13.8
GTEX-OIZG-0726-SM-33HBL 50-59 years, male 13.8
GTEX-P44H-0226-SM-2XCEU 40-49 years, male 13.8
GTEX-1S3DN-2226-SM-EVYCD 50-59 years, male 13.8
GTEX-O5YW-0126-SM-3LK6D 50-59 years, male 13.7
GTEX-X8HC-0126-SM-4E3JW 50-59 years, female 13.7
GTEX-Y5V6-2426-SM-4VDSB 60-69 years, male 13.7
GTEX-1399T-2826-SM-5KLYZ 60-69 years, male 13.6
GTEX-ZTPG-0326-SM-5O9AX 20-29 years, female 13.6
GTEX-1MGNQ-0126-SM-EVYCJ 40-49 years, male 13.6
GTEX-1QMI2-0226-SM-EVYBX 60-69 years, male 13.6
GTEX-12126-0326-SM-5PNW3 20-29 years, male 13.5
GTEX-131XG-2626-SM-5KM17 50-59 years, female 13.5
GTEX-13IVO-0126-SM-5J1NG 70-79 years, male 13.5
GTEX-R55G-2526-SM-2TC6D 40-49 years, female 13.5
GTEX-XMD2-0126-SM-4YCDU 60-69 years, female 13.5
GTEX-Z93S-0126-SM-5HL7M 50-59 years, male 13.5
GTEX-1B996-0226-SM-7RHGO 60-69 years, male 13.5
GTEX-PSDG-0226-SM-DKPOZ 50-59 years, male 13.5
GTEX-13FHP-0126-SM-5IJBG 50-59 years, male 13.4
GTEX-144GL-0126-SM-5TDE2 50-59 years, male 13.4
GTEX-15RIG-0226-SM-7KFTL 40-49 years, male 13.4
GTEX-17HHE-2026-SM-79OKF 50-59 years, male 13.4
GTEX-183FY-0126-SM-7LT9P 20-29 years, male 13.4
GTEX-TSE9-0126-SM-3DB83 60-69 years, female 13.4
GTEX-X4XY-0226-SM-4E3IZ 60-69 years, male 13.4
GTEX-XUYS-0126-SM-47JWZ 50-59 years, male 13.4
GTEX-1O97I-0326-SM-EYYX7 60-69 years, male 13.4
GTEX-117XS-2726-SM-5N9BL 60-69 years, male 13.3
GTEX-13O1R-0126-SM-5L3EH 60-69 years, male 13.3
GTEX-13X6J-0126-SM-5QGOU 50-59 years, male 13.3
GTEX-1A32A-0126-SM-718B1 50-59 years, female 13.3
GTEX-12WSE-0526-SM-793B2 20-29 years, male 13.2
GTEX-OOBK-0126-SM-2YUND 40-49 years, male 13.2
GTEX-WQUQ-0426-SM-3MJFU 60-69 years, male 13.2
GTEX-1C6VQ-0126-SM-7P8RI 50-59 years, male 13.2
GTEX-1HCUA-2426-SM-ADEIS 50-59 years, female 13.2
GTEX-1F6IF-0726-SM-7P8TW 60-69 years, male 13.1
GTEX-1JMQK-0226-SM-CL543 60-69 years, male 13.1
GTEX-1KANC-1526-SM-D3LAB 50-59 years, female 13.1
GTEX-12WSL-2526-SM-5GCNJ 50-59 years, male 13.0
GTEX-13CF2-2526-SM-5LZYX 60-69 years, male 13.0
GTEX-13FTW-2626-SM-5K7WL 40-49 years, male 13.0
GTEX-13G51-2526-SM-5LZYK 60-69 years, male 13.0
GTEX-OHPL-0126-SM-2HMJ7 60-69 years, female 13.0
GTEX-1QP9N-1426-SM-DTXFL 30-39 years, male 13.0
GTEX-131XH-2226-SM-5DUXJ 50-59 years, male 12.9
GTEX-1IDJH-0326-SM-A9SLQ 70-79 years, male 12.9
GTEX-1IKJJ-0126-SM-CNPQB 60-69 years, male 12.9
GTEX-1JMOU-1526-SM-CL54I 60-69 years, female 12.9
GTEX-1JMPZ-0226-SM-CNPP1 30-39 years, male 12.9
GTEX-11UD1-0126-SM-5PNYG 40-49 years, female 12.8
GTEX-12584-0126-SM-5EGKQ 40-49 years, male 12.8
GTEX-146FQ-0126-SM-5NQA9 30-39 years, male 12.8
GTEX-15SHW-0326-SM-6PAML 60-69 years, male 12.8
GTEX-ZAB4-0226-SM-5N9F5 40-49 years, male 12.8
GTEX-1B933-0126-SM-7PC29 50-59 years, female 12.8
GTEX-1JMLX-0226-SM-CM2RO 50-59 years, male 12.8
GTEX-1JN76-0126-SM-CNPPE 20-29 years, female 12.8
GTEX-1192W-2626-SM-5Q5AF 60-69 years, male 12.6
GTEX-13NYS-0126-SM-5MR3W 60-69 years, male 12.6
GTEX-148VI-1626-SM-5SI6E 60-69 years, female 12.6
GTEX-17HHY-0126-SM-7LG5D 50-59 years, male 12.6
GTEX-1C475-1826-SM-73KWA 40-49 years, female 12.6
GTEX-U3ZH-2026-SM-3DB78 30-39 years, male 12.6
GTEX-1HGF4-2426-SM-ACKXM 60-69 years, male 12.6
GTEX-1POEN-0126-SM-EYYXJ 30-39 years, female 12.6
GTEX-ZVT4-0126-SM-DTXFN 50-59 years, female 12.6
GTEX-13OVK-2026-SM-7KUEO 40-49 years, male 12.5
GTEX-13VXU-0126-SM-5SI9F 50-59 years, male 12.5
GTEX-1GZ2Q-0226-SM-7P8TL 40-49 years, male 12.5
GTEX-1LG7Z-1726-SM-D3LA4 30-39 years, male 12.5
GTEX-1AX9J-0226-SM-73KXM 60-69 years, male 12.4
GTEX-ZYW4-0126-SM-5E44A 60-69 years, male 12.4
GTEX-1RDX4-0126-SM-E9J4P 50-59 years, female 12.4
GTEX-11H98-0126-SM-5EGHG 50-59 years, male 12.3
GTEX-12696-2426-SM-5EQ6H 60-69 years, male 12.3
GTEX-13111-1626-SM-5EGJY 50-59 years, male 12.3
GTEX-13SLW-0126-SM-5SI6C 70-79 years, male 12.3
GTEX-1C4CL-0526-SM-73KVK 30-39 years, male 12.3
GTEX-ZDYS-2026-SM-5HL5L 50-59 years, male 12.3
GTEX-ZVTK-0426-SM-51MRS 20-29 years, male 12.3
GTEX-SN8G-0126-SM-32PLI 50-59 years, female 12.2
GTEX-1CAMS-0426-SM-7P8T2 40-49 years, female 12.2
GTEX-1H23P-0126-SM-ADEJ3 60-69 years, male 12.2
GTEX-139D8-0226-SM-5KLZO 30-39 years, female 12.1
GTEX-14A5H-0426-SM-5QGQF 60-69 years, male 12.1
GTEX-1ICG6-2526-SM-CGQFZ 70-79 years, female 12.1
GTEX-131XW-0426-SM-5LZWP 50-59 years, female 12.0
GTEX-146FH-0126-SM-5QGPP 50-59 years, female 12.0
GTEX-15ETS-0126-SM-7KUMW 40-49 years, female 12.0
GTEX-1NHNU-1026-SM-E9J2A 50-59 years, male 12.0
GTEX-11WQC-2526-SM-5CVLE 60-69 years, male 11.9
GTEX-145MN-2226-SM-5SIAU 30-39 years, male 11.9
GTEX-17MF6-0126-SM-7LG4F 40-49 years, male 11.9
GTEX-RWSA-0126-SM-2XCBB 40-49 years, male 11.9
GTEX-X88G-0126-SM-47JZ3 30-39 years, male 11.9
GTEX-ZAJG-0126-SM-5HL94 50-59 years, female 11.9
GTEX-1HBPN-0226-SM-9YFM1 50-59 years, male 11.9
GTEX-1JN6P-0126-SM-D3L98 60-69 years, male 11.9
GTEX-1KD5A-0226-SM-D5OV3 50-59 years, male 11.9
GTEX-11GS4-2726-SM-5A5LE 60-69 years, male 11.8
GTEX-145LV-2126-SM-5LU8N 50-59 years, male 11.8
GTEX-16XZZ-0126-SM-793DV 60-69 years, male 11.8
GTEX-17HGU-0226-SM-7DHKV 50-59 years, male 11.8
GTEX-T2IS-0126-SM-4DM6O 20-29 years, female 11.8
GTEX-YJ89-0126-SM-4TT3X 60-69 years, male 11.8
GTEX-1GZ4H-1726-SM-7PBZJ 50-59 years, female 11.8
GTEX-13OW6-0426-SM-5L3HM 50-59 years, male 11.7
GTEX-14BIN-0626-SM-793DP 50-59 years, female 11.7
GTEX-14E6C-0126-SM-5RQIP 40-49 years, male 11.7
GTEX-18465-0126-SM-731BN 50-59 years, male 11.7
GTEX-P4PP-0126-SM-3LK69 30-39 years, female 11.7
GTEX-T6MO-1626-SM-32QOM 40-49 years, female 11.7
GTEX-WH7G-2326-SM-3NMBC 40-49 years, male 11.7
GTEX-XAJ8-0826-SM-47JY6 40-49 years, male 11.7
GTEX-1F75B-0126-SM-9KNVL 50-59 years, male 11.7
GTEX-1J1R8-1726-SM-ARL8M 40-49 years, male 11.7
GTEX-11TT1-2526-SM-5EGIB 20-29 years, male 11.6
GTEX-11UD2-0226-SM-5EQKY 50-59 years, male 11.6
GTEX-145LU-0126-SM-5TDCB 50-59 years, male 11.6
GTEX-PWCY-1826-SM-DHXIZ 20-29 years, female 11.6
GTEX-111VG-2426-SM-5GZXD 60-69 years, male 11.5
GTEX-11GSP-2526-SM-5N9BP 60-69 years, female 11.5
GTEX-13X6H-2126-SM-7EWD5 50-59 years, female 11.5
GTEX-14PHX-2326-SM-62LEM 50-59 years, male 11.5
GTEX-17GQL-2026-SM-718BA 60-69 years, male 11.5
GTEX-PVOW-0126-SM-2XCFA 40-49 years, male 11.5
GTEX-14DAR-2026-SM-5S2O3 50-59 years, male 11.4
GTEX-14E7W-0126-SM-6LLJ9 70-79 years, male 11.4
GTEX-Q734-1926-SM-2I5EV 40-49 years, female 11.4
GTEX-RM2N-1426-SM-2TF4H 50-59 years, male 11.4
GTEX-ZE7O-0126-SM-57WC1 50-59 years, female 11.4
GTEX-1EX96-1626-SM-7PBXR 50-59 years, male 11.4
GTEX-1KD4Q-0226-SM-E9TJ9 40-49 years, male 11.4
GTEX-ZF3C-0126-SM-DO92D 50-59 years, female 11.4
GTEX-139TT-0126-SM-5K7Y5 60-69 years, male 11.3
GTEX-18A7A-0226-SM-718BH 50-59 years, female 11.3
GTEX-QLQ7-1626-SM-2S1R8 60-69 years, male 11.3
GTEX-UJHI-1526-SM-3DB99 50-59 years, female 11.3
GTEX-1AX9I-0126-SM-7SB74 60-69 years, male 11.3
GTEX-1IL2U-0226-SM-CE6T8 60-69 years, male 11.3
GTEX-1R46S-0626-SM-E9J41 60-69 years, female 11.3
GTEX-S33H-1026-SM-EZ6L6 30-39 years, male 11.3
GTEX-13112-2826-SM-5DUWH 50-59 years, male 11.2
GTEX-1BAJH-0526-SM-793CQ 70-79 years, male 11.2
GTEX-X4EO-0326-SM-3P5YO 60-69 years, female 11.2
GTEX-1EMGI-0126-SM-9KNUE 60-69 years, male 11.2
GTEX-1H1DG-0126-SM-9WYU2 70-79 years, male 11.2
GTEX-1H3VE-0326-SM-9YFLH 40-49 years, male 11.2
GTEX-1HSKV-0226-SM-A9SKJ 60-69 years, male 11.2
GTEX-1PIGE-0126-SM-EVYBJ 20-29 years, male 11.2
GTEX-RVPV-0126-SM-EAZAW 60-69 years, male 11.2
GTEX-11DXZ-2326-SM-5EGGV 50-59 years, male 11.1
GTEX-12ZZX-0126-SM-5EGK9 40-49 years, female 11.1
GTEX-OXRK-0226-SM-3NB2G 50-59 years, female 11.1
GTEX-WXYG-2326-SM-4E3I6 50-59 years, female 11.1
GTEX-ZDTS-0126-SM-4WAY5 60-69 years, male 11.1
GTEX-1B8L1-2526-SM-9WYTF 60-69 years, male 11.1
GTEX-1F48J-0126-SM-7P8TT 50-59 years, female 11.1
GTEX-1F75A-0126-SM-7RHGM 50-59 years, male 11.1
GTEX-1K2DA-1826-SM-CGQGT 50-59 years, male 11.1
GTEX-1S82Y-2026-SM-EVYCM 40-49 years, male 11.1
GTEX-13OW7-0126-SM-5MR3B 50-59 years, male 11.0
GTEX-13S7M-0126-SM-5SI6A 60-69 years, female 11.0
GTEX-YJ8A-0426-SM-5IFID 20-29 years, male 11.0
GTEX-ZWKS-0126-SM-5SIAA 30-39 years, male 11.0
GTEX-1J1OQ-0226-SM-CYPSH 40-49 years, female 11.0
GTEX-1MUQO-0126-SM-EAZ58 60-69 years, male 11.0
GTEX-1QAET-0926-SM-E76QM 50-59 years, male 11.0
GTEX-111FC-0126-SM-5N9DL 60-69 years, male 10.9
GTEX-14PK6-1926-SM-6ETZU 70-79 years, female 10.9
GTEX-1B8KZ-2026-SM-7DHMB 50-59 years, male 10.9
GTEX-1C2JI-1826-SM-73KXC 50-59 years, male 10.9
GTEX-P4QT-0126-SM-2I3FL 50-59 years, female 10.9
GTEX-WZTO-0126-SM-3NM95 40-49 years, male 10.9
GTEX-XV7Q-2526-SM-4BRV9 40-49 years, female 10.9
GTEX-ZTSS-1926-SM-57WEW 40-49 years, male 10.9
GTEX-11XUK-2026-SM-5EQLF 40-49 years, female 10.8
GTEX-13OVL-0226-SM-5L3E9 50-59 years, male 10.8
GTEX-13VXT-0126-SM-5LU4I 20-29 years, female 10.8
GTEX-NPJ8-0126-SM-2YUNR 40-49 years, male 10.8
GTEX-QDVJ-1726-SM-2I5FX 50-59 years, male 10.8
GTEX-ZYY3-0126-SM-5GZY5 60-69 years, female 10.8
GTEX-12WSG-2826-SM-E9J4H 50-59 years, female 10.8
GTEX-1HR98-0126-SM-B2LWI 60-69 years, male 10.8
GTEX-1IOXB-0126-SM-ARL8G 50-59 years, male 10.8
GTEX-1OFPY-2426-SM-DTXEJ 60-69 years, male 10.8
GTEX-ZF29-2326-SM-DO92K 60-69 years, female 10.8
GTEX-12WSJ-1826-SM-5GCNY 40-49 years, female 10.7
GTEX-13SLX-0526-SM-5S2ON 50-59 years, female 10.7
GTEX-QLQW-1126-SM-2S1Q8 30-39 years, male 10.7
GTEX-S7SE-0126-SM-2XCD5 50-59 years, male 10.7
GTEX-ZVT3-0126-SM-5GU6I 60-69 years, female 10.7
GTEX-11TUW-2726-SM-E9J4M 60-69 years, male 10.7
GTEX-OOBJ-0126-SM-E6CJW 60-69 years, male 10.7
GTEX-11O72-0126-SM-59887 40-49 years, male 10.6
GTEX-1314G-1526-SM-5EGK2 30-39 years, male 10.6
GTEX-132NY-0326-SM-5IJBL 60-69 years, male 10.6
GTEX-145LS-0126-SM-5QGP1 60-69 years, female 10.6
GTEX-14ABY-0226-SM-5TDCQ 50-59 years, male 10.6
GTEX-SNMC-1226-SM-2XCFP 20-29 years, male 10.6
GTEX-XUZC-1726-SM-4BRWS 30-39 years, female 10.6
GTEX-1H3O1-0426-SM-9YFKY 60-69 years, male 10.6
GTEX-1IY9M-0126-SM-D3L8S 60-69 years, male 10.6
GTEX-12WSD-0126-SM-59HKN 60-69 years, female 10.5
GTEX-14E6D-0126-SM-62LDV 50-59 years, male 10.5
GTEX-1E1VI-0126-SM-7DHMZ 50-59 years, male 10.5
GTEX-OXRP-0126-SM-3NB32 60-69 years, female 10.5
GTEX-XUW1-0426-SM-4BOOT 50-59 years, female 10.5
GTEX-1GMRU-0126-SM-9YFLV 50-59 years, male 10.5
GTEX-11DZ1-0126-SM-5985Q 50-59 years, male 10.4
GTEX-1313W-0126-SM-5LZUN 50-59 years, female 10.4
GTEX-14753-0426-SM-5NQAM 60-69 years, male 10.4
GTEX-14BIL-0126-SM-5SI92 50-59 years, male 10.4
GTEX-16XZY-2126-SM-79OK1 70-79 years, male 10.4
GTEX-18D9A-1926-SM-7LG6P 30-39 years, female 10.4
GTEX-PLZ5-2026-SM-2S1O4 50-59 years, male 10.4
GTEX-1I1GR-0126-SM-CL55F 60-69 years, male 10.4
GTEX-1MCQQ-0826-SM-DLHC2 60-69 years, male 10.4
GTEX-16AAH-1726-SM-7939C 50-59 years, male 10.3
GTEX-1A3MW-0126-SM-73KXX 60-69 years, female 10.3
GTEX-XBEW-0626-SM-4QASP 40-49 years, male 10.3
GTEX-Z9EW-1626-SM-5CVMN 40-49 years, male 10.3
GTEX-ZYFG-2326-SM-5E44B 60-69 years, female 10.3
GTEX-1GTWX-0126-SM-9YFLK 60-69 years, male 10.3
GTEX-1J8QM-2126-SM-CYPSJ 60-69 years, female 10.3
GTEX-11EMC-2926-SM-5EQ4F 60-69 years, female 10.2
GTEX-14PJ3-1826-SM-62LEX 50-59 years, male 10.2
GTEX-17EVQ-0226-SM-7LG4P 70-79 years, male 10.2
GTEX-18A7B-0126-SM-7LG64 70-79 years, male 10.2
GTEX-Q2AG-0126-SM-33HBV 40-49 years, female 10.2
GTEX-YB5K-2126-SM-4WWDJ 40-49 years, female 10.2
GTEX-ZQUD-1426-SM-57WER 30-39 years, male 10.2
GTEX-1KXAM-2226-SM-CYPTC 60-69 years, male 10.2
GTEX-1R9K4-0126-SM-DTX9X 60-69 years, male 10.2
GTEX-1192X-0226-SM-5H12D 50-59 years, male 10.1
GTEX-14PII-0226-SM-6EU1T 60-69 years, male 10.1
GTEX-YB5E-2026-SM-5IFIS 40-49 years, male 10.1
GTEX-YEC4-2126-SM-5IFJH 40-49 years, male 10.1
GTEX-1PIIG-0226-SM-EWRN6 30-39 years, male 10.1
GTEX-131YS-0126-SM-5KM1M 60-69 years, female 10.0
GTEX-15SHU-0126-SM-7KUEH 40-49 years, female 10.0
GTEX-R55E-0126-SM-2TC5Y 20-29 years, male 10.0
GTEX-WRHK-1426-SM-3MJF9 20-29 years, female 10.0
GTEX-X585-0226-SM-4QAS2 50-59 years, male 10.0
GTEX-ZV6S-2326-SM-4YCEY 40-49 years, female 10.0
GTEX-ZXES-1826-SM-5E43S 30-39 years, female 10.0
GTEX-1EU9M-0226-SM-7P8SP 60-69 years, male 10.0
GTEX-1QEPI-0126-SM-EWRMQ 60-69 years, female 10.0
GTEX-133LE-1826-SM-5J1MV 20-29 years, female 9.9
GTEX-13D11-2426-SM-5KM1V 50-59 years, female 9.9
GTEX-13X6I-0626-SM-5QGP9 60-69 years, male 9.9
GTEX-18QFQ-0126-SM-731BE 30-39 years, male 9.9
GTEX-Q2AI-1326-SM-2S1PL 40-49 years, male 9.9
GTEX-1I1GV-0526-SM-A9G29 60-69 years, male 9.9
GTEX-1IKK5-0626-SM-ARL8A 60-69 years, male 9.9
GTEX-1JJEA-0326-SM-CNPOT 60-69 years, male 9.9
GTEX-1OJC3-0126-SM-E76QX 20-29 years, male 9.9
GTEX-12WSC-0126-SM-5EQ4P 50-59 years, male 9.8
GTEX-13PDP-0126-SM-5L3HD 60-69 years, male 9.8
GTEX-13PVR-2326-SM-5QGR1 60-69 years, female 9.8
GTEX-17HG3-2226-SM-7938L 30-39 years, female 9.8
GTEX-18A66-0226-SM-718BD 60-69 years, male 9.8
GTEX-QESD-1426-SM-2S1R9 20-29 years, male 9.8
GTEX-ZF2S-2326-SM-4WWCE 50-59 years, female 9.8
GTEX-1GZHY-0326-SM-9QEHI 50-59 years, female 9.8
GTEX-1J8JJ-0226-SM-CL53I 60-69 years, female 9.8
GTEX-1JMQJ-0526-SM-CYPSU 50-59 years, male 9.8
GTEX-1LGOU-2026-SM-DIPFF 20-29 years, female 9.8
GTEX-1RLM8-2326-SM-EWRN4 50-59 years, male 9.8
GTEX-11EQ9-2426-SM-5HL5T 30-39 years, male 9.7
GTEX-QV44-1926-SM-2S1RF 50-59 years, male 9.7
GTEX-VJWN-0126-SM-3GIK7 50-59 years, female 9.7
GTEX-1GL5R-1826-SM-9KNUY 50-59 years, male 9.7
GTEX-1H1ZS-0426-SM-9WG6G 70-79 years, male 9.7
GTEX-1H3VY-0126-SM-ACKXD 50-59 years, male 9.7
GTEX-1JKYR-0126-SM-CNPOJ 20-29 years, male 9.7
GTEX-1KANB-0526-SM-E6CJH 50-59 years, male 9.7
GTEX-1KWVE-1426-SM-E9TJO 30-39 years, male 9.7
GTEX-1MCYP-1926-SM-E9J2R 20-29 years, female 9.7
GTEX-ZPIC-1726-SM-DHXIU 40-49 years, female 9.7
GTEX-1212Z-2526-SM-5EGKP 60-69 years, male 9.6
GTEX-U3ZM-1526-SM-3DB9D 40-49 years, male 9.6
GTEX-W5WG-1826-SM-4KL2Y 50-59 years, female 9.6
GTEX-1A8FM-0226-SM-7SB7Q 50-59 years, female 9.6
GTEX-1CB4F-0426-SM-9KNV4 60-69 years, male 9.6
GTEX-12WSK-2326-SM-5GCOH 40-49 years, female 9.5
GTEX-13N11-2526-SM-5K7UE 50-59 years, female 9.5
GTEX-13OVI-1426-SM-5L3EY 60-69 years, female 9.5
GTEX-144FL-0126-SM-5TDC8 50-59 years, male 9.5
GTEX-147F3-0526-SM-5SI98 50-59 years, female 9.5
GTEX-1CAMR-1926-SM-7EPI2 20-29 years, male 9.5
GTEX-ZE9C-2726-SM-57WB5 60-69 years, male 9.5
GTEX-1MA7W-2026-SM-E9TJ6 20-29 years, female 9.5
GTEX-1RQEC-0426-SM-E6CHU 60-69 years, male 9.5
GTEX-14JIY-0126-SM-6LLH6 60-69 years, male 9.4
GTEX-18D9U-0226-SM-718BP 40-49 years, male 9.4
GTEX-1F52S-0126-SM-9MQJU 60-69 years, female 9.4
GTEX-1F6RS-0126-SM-9MQKZ 60-69 years, female 9.4
GTEX-1HSMP-0126-SM-E6CJS 70-79 years, male 9.4
GTEX-1HT8W-0126-SM-CNPPP 30-39 years, male 9.4
GTEX-1211K-2026-SM-5EQ4Z 60-69 years, female 9.3
GTEX-12KS4-0326-SM-5EQ41 30-39 years, male 9.3
GTEX-13YAN-0326-SM-5O9DF 60-69 years, male 9.3
GTEX-17F96-1626-SM-7DUFL 70-79 years, male 9.3
GTEX-RUSQ-1526-SM-2TF62 50-59 years, male 9.3
GTEX-T5JW-1626-SM-3GADZ 20-29 years, female 9.3
GTEX-YFC4-0126-SM-5CVLY 40-49 years, female 9.3
GTEX-1CB4H-0226-SM-7PBXM 60-69 years, female 9.3
GTEX-1H1CY-2826-SM-9MQM3 60-69 years, female 9.3
GTEX-1HBPM-0226-SM-ARL9F 60-69 years, female 9.3
GTEX-1LNCM-1126-SM-E9U5E 50-59 years, female 9.3
GTEX-139T8-0126-SM-5K7XZ 60-69 years, male 9.2
GTEX-13FHO-0226-SM-5IFGY 60-69 years, male 9.2
GTEX-15D1Q-0126-SM-7KUG6 40-49 years, male 9.2
GTEX-1CAMQ-0226-SM-7IGPK 40-49 years, male 9.2
GTEX-1CB4E-2226-SM-793DC 60-69 years, male 9.2
GTEX-OIZH-0126-SM-2HMIS 50-59 years, male 9.2
GTEX-RWS6-2026-SM-2XCB5 60-69 years, female 9.2
GTEX-1F6I4-0126-SM-9MQL2 60-69 years, male 9.2
GTEX-1L5NE-2526-SM-E6CIE 50-59 years, male 9.2
GTEX-1LG7Y-0526-SM-DKPQC 50-59 years, male 9.2
GTEX-13OVG-1926-SM-5L3DK 60-69 years, male 9.1
GTEX-13W46-0226-SM-5SIAG 50-59 years, male 9.1
GTEX-18A67-0126-SM-7LG5P 50-59 years, male 9.1
GTEX-Q2AH-1626-SM-3GAF8 40-49 years, male 9.1
GTEX-SUCS-1926-SM-32PM3 70-79 years, male 9.1
GTEX-X4EP-0126-SM-3P5YV 60-69 years, female 9.1
GTEX-Y111-0126-SM-4SOIV 50-59 years, male 9.1
GTEX-Y5LM-1926-SM-5RQJH 40-49 years, female 9.1
GTEX-1C6WA-0126-SM-7PC2B 60-69 years, male 9.1
GTEX-1F5PK-2426-SM-7RHHY 50-59 years, male 9.1
GTEX-1GMR3-1926-SM-9KNUZ 40-49 years, male 9.1
GTEX-1GN1V-0126-SM-9WPOS 60-69 years, male 9.1
GTEX-1HFI6-0226-SM-ADEHZ 40-49 years, male 9.1
GTEX-1ICLZ-0126-SM-CKZPO 60-69 years, male 9.1
GTEX-1JJ6O-0126-SM-E6CI8 60-69 years, male 9.1
GTEX-1KANA-0726-SM-D3L9I 20-29 years, male 9.1
GTEX-1S5ZA-0126-SM-EVYCV 20-29 years, male 9.1
GTEX-11OC5-0126-SM-5HL6A 60-69 years, male 9.0
GTEX-1269C-2526-SM-5EGJ3 60-69 years, female 9.0
GTEX-13O21-1426-SM-5K7XI 50-59 years, male 9.0
GTEX-145MI-0526-SM-5O9A8 60-69 years, female 9.0
GTEX-1C6VR-2426-SM-79OLD 60-69 years, male 9.0
GTEX-1J8EW-0126-SM-CJI4F 60-69 years, female 9.0
GTEX-1PPH7-2326-SM-EVYB8 40-49 years, male 9.0
GTEX-1QCLY-0326-SM-E8VOG 30-39 years, male 9.0
GTEX-11ZU8-2526-SM-5EQKI 60-69 years, male 8.9
GTEX-12ZZZ-0626-SM-5DUXI 60-69 years, male 8.9
GTEX-13NYB-2526-SM-5K7Z6 40-49 years, male 8.9
GTEX-14LZ3-0226-SM-62LET 60-69 years, female 8.9
GTEX-XXEK-2226-SM-4BRUM 50-59 years, male 8.9
GTEX-13OW5-0126-SM-DTXFS 60-69 years, male 8.9
GTEX-1F7RK-0126-SM-7PC2S 20-29 years, female 8.9
GTEX-1H4P4-0726-SM-9YFLR 50-59 years, male 8.9
GTEX-1I1GU-2226-SM-CGQFA 40-49 years, male 8.9
GTEX-1LGRB-2526-SM-CNPPQ 50-59 years, female 8.9
GTEX-1S82Z-0826-SM-E6CHY 30-39 years, female 8.9
GTEX-11NUK-0126-SM-5A5L3 50-59 years, male 8.8
GTEX-14A6H-0126-SM-5QGPK 30-39 years, male 8.8
GTEX-15DDE-0126-SM-6LPKH 50-59 years, female 8.8
GTEX-17F97-0326-SM-7LG5B 50-59 years, male 8.8
GTEX-S95S-1226-SM-4GICG 60-69 years, male 8.8
GTEX-SSA3-0126-SM-32QPU 60-69 years, male 8.8
GTEX-U4B1-1826-SM-4DXSU 40-49 years, male 8.8
GTEX-WVJS-0126-SM-4MVOT 50-59 years, male 8.8
GTEX-X261-0126-SM-3NMD6 50-59 years, male 8.8
GTEX-X4XX-0126-SM-3NMC2 60-69 years, male 8.8
GTEX-ZYFC-0226-SM-5NQ75 50-59 years, male 8.8
GTEX-1N2DW-0226-SM-E9TK2 50-59 years, male 8.8
GTEX-1QP29-0626-SM-EWRMX 50-59 years, male 8.8
GTEX-RNOR-0126-SM-E9J4R 50-59 years, female 8.8
GTEX-ZQG8-1626-SM-DHXIT 60-69 years, female 8.8
GTEX-11EM3-2426-SM-59861 20-29 years, female 8.7
GTEX-13OVH-0126-SM-5MR4B 70-79 years, male 8.7
GTEX-RTLS-0126-SM-447CA 60-69 years, female 8.7
GTEX-169BO-1326-SM-9MQK2 50-59 years, male 8.7
GTEX-1E2YA-0126-SM-9KNUC 50-59 years, male 8.7
GTEX-1I1CD-0126-SM-CM2TK 60-69 years, female 8.7
GTEX-1IDJF-0126-SM-CM2RS 20-29 years, male 8.7
GTEX-1J8Q2-0526-SM-CM2RW 60-69 years, male 8.7
GTEX-11DXW-0226-SM-5H122 40-49 years, male 8.6
GTEX-131XE-2326-SM-5PNZ2 50-59 years, male 8.6
GTEX-13NZA-0226-SM-5K7Z7 60-69 years, male 8.6
GTEX-14BIM-0226-SM-7IGLD 60-69 years, female 8.6
GTEX-15EU6-0426-SM-6PAN5 50-59 years, male 8.6
GTEX-ZVZO-0126-SM-5A5L9 40-49 years, male 8.6
GTEX-1JMPY-1326-SM-ARL8Y 30-39 years, male 8.6
GTEX-1RB15-2126-SM-E9TIM 60-69 years, male 8.6
GTEX-T5JC-0426-SM-32PLO 20-29 years, male 8.5
GTEX-TMMY-0226-SM-33HBA 40-49 years, female 8.5
GTEX-VUSG-2526-SM-4KL1V 50-59 years, male 8.5
GTEX-WFON-2126-SM-3LK7O 40-49 years, male 8.5
GTEX-ZV68-0126-SM-59HKS 50-59 years, female 8.5
GTEX-1I6K6-0126-SM-A9SLE 30-39 years, male 8.5
GTEX-1M4P7-0226-SM-DIPEV 60-69 years, male 8.5
GTEX-11VI4-1726-SM-5CVLH 40-49 years, female 8.4
GTEX-11WQK-0526-SM-5EQLD 50-59 years, male 8.4
GTEX-13U4I-0126-SM-5LU38 40-49 years, female 8.4
GTEX-14A5I-0126-SM-5TDEA 50-59 years, female 8.4
GTEX-15G19-0126-SM-6PANQ 60-69 years, male 8.4
GTEX-RN64-0126-SM-2TC68 50-59 years, male 8.4
GTEX-1EN7A-0126-SM-7SB81 40-49 years, male 8.4
GTEX-1HB9E-0226-SM-E9U4R 50-59 years, male 8.4
GTEX-1JMQL-0226-SM-CNPP5 50-59 years, female 8.4
GTEX-1K2DU-2326-SM-E9TIV 20-29 years, male 8.4
GTEX-1LH75-2426-SM-E9TJE 50-59 years, female 8.4
GTEX-1R9PO-2126-SM-E9J4O 60-69 years, female 8.4
GTEX-13O3P-0126-SM-5KM4S 50-59 years, male 8.3
GTEX-14PHW-0126-SM-6LLJI 60-69 years, female 8.3
GTEX-17EVP-0326-SM-7DHLG 40-49 years, male 8.3
GTEX-1B97I-1626-SM-73KYO 40-49 years, male 8.3
GTEX-1HCVE-0126-SM-CGQEU 50-59 years, male 8.3
GTEX-1I1GP-2226-SM-CGQFK 50-59 years, male 8.3
GTEX-1R7EV-2426-SM-EVYBG 40-49 years, male 8.3
GTEX-11DXX-2426-SM-5GZZW 60-69 years, female 8.2
GTEX-13OVJ-0126-SM-5KM36 50-59 years, female 8.2
GTEX-13RTL-0126-SM-7LG5S 40-49 years, male 8.2
GTEX-148VJ-0126-SM-5TDDN 70-79 years, male 8.2
GTEX-15DCD-0126-SM-7KUEK 70-79 years, female 8.2
GTEX-1AYCT-2426-SM-7IGQ3 50-59 years, male 8.2
GTEX-1C6VS-0526-SM-7DUEN 60-69 years, male 8.2
GTEX-ZXG5-0126-SM-5GIEU 60-69 years, male 8.2
GTEX-1EKGG-0226-SM-9WYTH 60-69 years, male 8.2
GTEX-1GN73-0226-SM-9WG67 60-69 years, male 8.2
GTEX-1JKYN-1326-SM-CGQG9 30-39 years, male 8.2
GTEX-1QPFJ-0226-SM-E76PB 30-39 years, female 8.2
GTEX-144GN-2326-SM-5LU4F 50-59 years, male 8.1
GTEX-14PN3-2426-SM-6LLHS 60-69 years, female 8.1
GTEX-PWO3-1526-SM-48TCM 60-69 years, female 8.1
GTEX-1LSNM-1926-SM-E6CII 50-59 years, male 8.1
GTEX-145ME-1826-SM-5SI9G 40-49 years, female 8.0
GTEX-QVJO-1626-SM-2S1QW 60-69 years, female 8.0
GTEX-TKQ1-1026-SM-4GICL 30-39 years, male 8.0
GTEX-ZAK1-0126-SM-5IJD3 50-59 years, female 8.0
GTEX-ZDXO-3026-SM-5J1N5 60-69 years, male 8.0
GTEX-1H3NZ-0126-SM-ACKX7 60-69 years, male 8.0
GTEX-1NV5F-0226-SM-E8VNY 60-69 years, female 8.0
GTEX-1RAZQ-0726-SM-EAZ43 30-39 years, male 8.0
GTEX-11GSO-2426-SM-5A5LY 60-69 years, male 7.9
GTEX-139TS-2826-SM-5J1OO 60-69 years, male 7.9
GTEX-13N1W-0126-SM-5K7VT 70-79 years, male 7.9
GTEX-13NZ8-0826-SM-5MR3I 60-69 years, female 7.9
GTEX-13O3Q-2426-SM-5IJBR 50-59 years, male 7.9
GTEX-QEG4-0226-SM-2S1PY 30-39 years, male 7.9
GTEX-WYVS-2126-SM-3NMA3 40-49 years, female 7.9
GTEX-1IDFM-0126-SM-COH2V 60-69 years, male 7.9
GTEX-1LVAN-0226-SM-COH3S 50-59 years, female 7.9
GTEX-1M5QR-1226-SM-EWROB 40-49 years, male 7.9
GTEX-1MA7X-2226-SM-E6CIY 60-69 years, male 7.9
GTEX-11ZVC-2526-SM-5FQTE 50-59 years, female 7.8
GTEX-12WSN-5019-SM-79OM6 40-49 years, male 7.8
GTEX-1399R-2726-SM-5IJBA 30-39 years, male 7.8
GTEX-14JG1-0426-SM-6ETZZ 40-49 years, male 7.8
GTEX-15EOM-0126-SM-7KUGG 20-29 years, female 7.8
GTEX-RU72-0926-SM-2TF6B 50-59 years, female 7.8
GTEX-1GMR8-0126-SM-9WYTM 50-59 years, female 7.8
GTEX-1I19N-0326-SM-ACKVX 70-79 years, male 7.8
GTEX-1I4MK-2226-SM-ACKWD 50-59 years, female 7.8
GTEX-1QW4Y-1526-SM-EAZ3Z 30-39 years, male 7.8
GTEX-1RAZA-0126-SM-E6CI3 20-29 years, male 7.8
GTEX-1S83E-0126-SM-EWRO4 40-49 years, male 7.8
GTEX-11ZTS-0126-SM-5EQ6M 60-69 years, female 7.7
GTEX-11ZUS-0626-SM-59885 30-39 years, male 7.7
GTEX-14E6E-1826-SM-5S2R7 30-39 years, male 7.7
GTEX-183WM-0126-SM-7LTAB 70-79 years, female 7.7
GTEX-OHPM-0126-SM-2YUN9 50-59 years, male 7.7
GTEX-Z93T-0126-SM-5HL5N 50-59 years, male 7.7
GTEX-13O3O-0126-SM-E9J49 60-69 years, female 7.7
GTEX-1GF9U-2126-SM-7SB7L 40-49 years, female 7.7
GTEX-1GPI7-0126-SM-9MQL8 20-29 years, male 7.7
GTEX-1I1GS-0126-SM-B2LVW 60-69 years, male 7.7
GTEX-1J8Q3-1626-SM-CMKGC 60-69 years, male 7.7
GTEX-1PFEY-1526-SM-E76PP 30-39 years, male 7.7
GTEX-OIZF-0126-SM-7SB8I 60-69 years, male 7.7
GTEX-11DXY-2626-SM-5GIE7 60-69 years, male 7.6
GTEX-11P7K-2126-SM-5GU7G 30-39 years, male 7.6
GTEX-16YQH-0126-SM-7DUFJ 30-39 years, male 7.6
GTEX-OXRL-0126-SM-2YUMP 50-59 years, male 7.6
GTEX-V1D1-2226-SM-3NMAX 50-59 years, male 7.6
GTEX-XPVG-2626-SM-4B669 50-59 years, male 7.6
GTEX-1F88F-2726-SM-7PBZZ 60-69 years, female 7.6
GTEX-1HUB1-0426-SM-E9U4U 60-69 years, male 7.6
GTEX-1QP67-1626-SM-EAZ3X 40-49 years, female 7.6
GTEX-PW2O-1526-SM-7RHHB 20-29 years, male 7.6
GTEX-R45C-0126-SM-EAZ2R 60-69 years, female 7.6
GTEX-11EI6-0126-SM-5985R 60-69 years, male 7.5
GTEX-11OF3-2626-SM-5GU7F 60-69 years, male 7.5
GTEX-11P82-1626-SM-59879 20-29 years, male 7.5
GTEX-1A3MV-1926-SM-718BT 30-39 years, male 7.5
GTEX-OXRN-0126-SM-48TDM 50-59 years, male 7.5
GTEX-Y5V5-2326-SM-4V6GA 60-69 years, female 7.5
GTEX-1F5PL-0326-SM-7P8PQ 40-49 years, female 7.5
GTEX-1JK1U-2026-SM-CM2RZ 60-69 years, male 7.5
GTEX-147F4-0226-SM-5QGPW 50-59 years, male 7.4
GTEX-15CHC-2126-SM-6EU21 60-69 years, female 7.4
GTEX-17MFQ-1726-SM-793C7 20-29 years, male 7.4
GTEX-1HBPI-1526-SM-C1YQ1 50-59 years, male 7.4
GTEX-1K9T9-0126-SM-EVYCF 50-59 years, female 7.4
GTEX-1PBJI-0526-SM-E8VNK 20-29 years, female 7.4
GTEX-1PDJ9-0326-SM-DTX95 20-29 years, male 7.4
GTEX-1QP66-1726-SM-E8VO1 50-59 years, male 7.4
GTEX-11ZTT-2426-SM-5EQLS 60-69 years, female 7.3
GTEX-14JG6-2226-SM-6EU2G 30-39 years, female 7.3
GTEX-1C64N-0126-SM-793D7 50-59 years, male 7.3
GTEX-ZDTT-2726-SM-4WKF8 60-69 years, male 7.3
GTEX-ZVE2-0226-SM-59HJB 50-59 years, male 7.3
GTEX-ZZ64-1726-SM-5GZYB 20-29 years, male 7.3
GTEX-1HCU9-1526-SM-A9SL7 20-29 years, male 7.3
GTEX-1AMEY-1326-SM-73KYK 30-39 years, female 7.2
GTEX-WOFL-0126-SM-3MJG2 60-69 years, male 7.2
GTEX-X638-0126-SM-47JZ8 70-79 years, female 7.2
GTEX-XBED-2226-SM-47JYQ 60-69 years, male 7.2
GTEX-1QP2A-0126-SM-E9J43 50-59 years, male 7.2
GTEX-13NZB-2526-SM-5J1OM 30-39 years, male 7.1
GTEX-1AX8Z-0126-SM-7DHM6 60-69 years, male 7.1
GTEX-QDT8-0126-SM-48TZ1 30-39 years, female 7.1
GTEX-ZAB5-1826-SM-5HL7C 50-59 years, male 7.1
GTEX-1HFI7-1826-SM-ACKXH 50-59 years, female 7.1
GTEX-1I1GQ-0126-SM-COH3H 50-59 years, male 7.1
GTEX-117YX-2326-SM-5H12W 50-59 years, male 7.0
GTEX-1CB4I-0226-SM-79OLH 50-59 years, male 7.0
GTEX-WY7C-2326-SM-3NB2U 50-59 years, male 7.0
GTEX-1IKOH-0226-SM-COH4E 60-69 years, female 7.0
GTEX-13N2G-2626-SM-5J1OT 60-69 years, male 6.9
GTEX-1H2FU-0126-SM-9WYSI 60-69 years, female 6.9
GTEX-1ICLY-0126-SM-D4P36 50-59 years, male 6.9
GTEX-1IDJU-2626-SM-CM2RT 60-69 years, female 6.9
GTEX-11LCK-1026-SM-5A5KB 30-39 years, male 6.8
GTEX-13FTX-1826-SM-5J1NX 20-29 years, female 6.8
GTEX-XQ8I-0426-SM-4BOPO 50-59 years, male 6.8
GTEX-Y8E4-0626-SM-4WWDL 40-49 years, male 6.8
GTEX-1I1GT-0626-SM-CGQER 60-69 years, female 6.8
GTEX-1JJE9-0326-SM-CL53Z 70-79 years, male 6.8
GTEX-1LC47-0326-SM-E9TJP 60-69 years, male 6.8
GTEX-13JUV-2726-SM-5LZZ8 40-49 years, female 6.7
GTEX-16NGA-1726-SM-731B4 40-49 years, female 6.7
GTEX-TMZS-0126-SM-3DB9Q 60-69 years, male 6.7
GTEX-146FR-1326-SM-E9J48 60-69 years, female 6.7
GTEX-1HCU8-0626-SM-A9SM9 60-69 years, female 6.7
GTEX-1HSGN-0226-SM-CGQFV 40-49 years, female 6.7
GTEX-11P81-2326-SM-59875 30-39 years, female 6.6
GTEX-147GR-0526-SM-5S2MY 60-69 years, male 6.6
GTEX-ZVZP-2426-SM-59HKJ 50-59 years, male 6.6
GTEX-13FH7-2026-SM-E9J4I 50-59 years, female 6.6
GTEX-13NYC-0326-SM-E9J4S 60-69 years, male 6.6
GTEX-1LB8K-0226-SM-EWRNW 50-59 years, male 6.6
GTEX-14PJ6-2126-SM-6EU1V 60-69 years, female 6.5
GTEX-PLZ4-0126-SM-5SI8O 50-59 years, female 6.5
GTEX-1GPI6-0126-SM-9WG69 60-69 years, male 6.5
GTEX-1H11D-0226-SM-9WG6Z 40-49 years, male 6.5
GTEX-14DAQ-0126-SM-5S2MQ 60-69 years, female 6.4
GTEX-13OW8-1326-SM-5J1OW 60-69 years, male 6.3
GTEX-1AYD5-2426-SM-73KXR 50-59 years, male 6.3
GTEX-X62O-0126-SM-4E3JN 50-59 years, male 6.3
GTEX-1F75I-0326-SM-9YFLU 40-49 years, male 6.3
GTEX-1GN1W-0526-SM-9MQJQ 50-59 years, female 6.3
GTEX-1JMQI-2226-SM-CM2SD 50-59 years, male 6.2
GTEX-ZEX8-2426-SM-4WKG4 50-59 years, male 6.1
GTEX-14BMU-2226-SM-5TDE9 20-29 years, female 6.0
GTEX-14C5O-0126-SM-5SI6N 60-69 years, male 6.0
GTEX-WYJK-0126-SM-3NMAB 50-59 years, male 6.0
GTEX-1C64O-0126-SM-7SB8P 60-69 years, male 6.0
GTEX-139T4-0226-SM-5HL5S 50-59 years, female 5.9
GTEX-16BQI-0226-SM-7KUEX 30-39 years, female 5.9
GTEX-1AX9K-2326-SM-73KWU 50-59 years, male 5.9
GTEX-1HKZK-0326-SM-9WYUH 40-49 years, male 5.9
GTEX-1IE54-0126-SM-CMKHW 40-49 years, female 5.9
GTEX-ZTX8-1426-SM-5DUVO 20-29 years, male 5.8
GTEX-ZUA1-0126-SM-5GU76 40-49 years, male 5.8
GTEX-1H1E6-1726-SM-ACKVK 30-39 years, male 5.8
GTEX-1HSMQ-1226-SM-CGQFX 50-59 years, male 5.8
GTEX-11NSD-2226-SM-5986V 20-29 years, male 5.7
GTEX-13CF3-2426-SM-5IFGX 60-69 years, female 5.7
GTEX-13FTY-0526-SM-5L3EV 40-49 years, female 5.7
GTEX-16NPX-0226-SM-79OMT 50-59 years, male 5.7
GTEX-1OJC4-0126-SM-E9J2E 50-59 years, female 5.6
GTEX-1HBPH-0426-SM-B2LW5 40-49 years, female 5.5
GTEX-1I1HK-0126-SM-COH49 60-69 years, male 5.5
GTEX-1IL2V-0126-SM-CM2TX 70-79 years, male 5.5
GTEX-1128S-2326-SM-5GZZY 60-69 years, female 5.4
GTEX-13QJ3-0326-SM-5S2RA 50-59 years, male 5.4
GTEX-WFG8-2226-SM-3GIL9 20-29 years, male 5.4
GTEX-ZF28-0126-SM-4WKGK 60-69 years, male 5.4
GTEX-11TTK-0126-SM-5987B 60-69 years, female 5.3
GTEX-Y8LW-1826-SM-5S2MV 50-59 years, female 5.3
GTEX-1HSEH-0126-SM-ACKXN 60-69 years, male 5.3
GTEX-1N2DV-0226-SM-E6CJ6 40-49 years, male 5.3
GTEX-PLZ6-1426-SM-DKPOT 30-39 years, male 5.3
GTEX-15SDE-2226-SM-7IGLO 50-59 years, female 5.2
GTEX-1IGQW-0126-SM-COH42 60-69 years, male 5.2
GTEX-113JC-2326-SM-5EQ4E 50-59 years, female 5.1
GTEX-U3ZN-2326-SM-3DB7W 30-39 years, female 5.1
GTEX-113IC-0126-SM-5HL6T 60-69 years, male 5.0
GTEX-ZC5H-0226-SM-4WAY9 40-49 years, female 5.0
GTEX-1HCU7-0226-SM-CL545 50-59 years, male 4.9
GTEX-ZZPT-0226-SM-5E43X 50-59 years, male 4.8
GTEX-14LLW-0126-SM-6LLIO 70-79 years, female 4.7
GTEX-1KAFJ-2026-SM-CY8ID 50-59 years, male 4.7
GTEX-ZY6K-1826-SM-5GZXK 50-59 years, male 4.4
GTEX-12C56-1726-SM-5EQ61 20-29 years, male 4.2
GTEX-15F5U-1526-SM-6PANO 40-49 years, male 4.2
GTEX-13W3W-2426-SM-5LU5B 60-69 years, female 4.0
GTEX-1AMFI-2026-SM-731BH 50-59 years, female 3.8
Show allShow less

Contact

  • NEWS ARTICLES
  • PRESS ROOM

The Project

  • INTRODUCTION
  • ORGANIZATION
  • PUBLICATIONS

The Human Protein Atlas

  • DOWNLOADABLE DATA
  • LICENCE & CITATION
  • HELP & FAQ
The Human Protein Atlas project is funded
by the Knut & Alice Wallenberg Foundation.


contact@proteinatlas.org