We use cookies to enhance the usability of our website. If you continue, we'll assume that you are happy to receive all cookies. More information. Don't show this again.
IAPP
HPA
RESOURCES
  • TISSUE
  • BRAIN
  • SINGLE CELL
  • SUBCELLULAR
  • CANCER
  • BLOOD
  • CELL LINE
  • STRUCTURE & INTERACTION
ABOUT
  • INTRODUCTION
  • HISTORY
  • ORGANIZATION
  • PUBLICATIONS
  • ANTIBODY SUBMISSION
  • ANTIBODY AVAILABILITY
  • ACKNOWLEDGMENTS
  • CONTACT
NEWS
  • NEWS ARTICLES
  • PRESS ROOM
LEARN
  • DICTIONARY
  • PROTEIN CLASSES
  • PROTEIN EVIDENCE
  • METHODS
  • EDUCATIONAL VIDEOS
DATA
  • DOWNLOADABLE DATA
  • PUBLICATION DATA
  • RELEASE HISTORY
HELP
  • ANTIBODY VALIDATION
  • ASSAYS & ANNOTATION
  • DISCLAIMER
  • HELP & FAQ
  • PRIVACY STATEMENT
  • LICENCE & CITATION
Fields »
Search result

Field
Term
Gene name
Class
Subclass
Class
Keyword
Chromosome
External id
Tissue
Cell type
Expression
Antibody panel
Tissue
Main location
Patient ID
Annotation
Tissue
Category
Tau score
Cluster
Reliability
Brain region
Category
Tau score
Brain region
Category
Tau score
Brain region
Category
Tau score
Cluster
Reliability
Tissue
Cell type
Enrichment
Cell type
Category
Tau score
Cell type
Category
Tau score
Cell type
Category
Tau score
Cell lineage
Category
Tau score
Cluster
Cluster
Location
Searches
Location
Cell line
Class
Type
Phase
Reliability
Cancer
Prognosis
Cancer
Category
Cancer
Category
Tau score
Cluster
Variants
Interacting gene (ensg_id)
Type
Number of interactions
Pathway
Category
Score
Score
Score
Validation
Validation
Validation
Validation
Antibodies
Data type
Column


  • SUMMARY

  • TISSUE

  • BRAIN

  • SINGLE CELL

  • SUBCELL

  • CANCER

  • BLOOD

  • CELL LINE

  • STRUCT & INT

  • IAPP
TISSUE PRIMARY DATA PANCREAS Show tissue menu
ADIPOSE TISSUE ADRENAL GLAND AMYGDALA APPENDIX BASAL GANGLIA BONE MARROW BREAST BRONCHUS CEREBELLUM CEREBRAL CORTEX CERVIX CHOROID PLEXUS COLON DUODENUM
ENDOMETRIUM EPIDIDYMIS ESOPHAGUS FALLOPIAN TUBE GALLBLADDER HEART MUSCLE HIPPOCAMPAL FORMATION HYPOTHALAMUS KIDNEY LIVER LUNG LYMPH NODE MIDBRAIN NASOPHARYNX
ORAL MUCOSA OVARY PANCREAS PARATHYROID GLAND PITUITARY GLAND PLACENTA PROSTATE RECTUM RETINA SALIVARY GLAND SEMINAL VESICLE SKELETAL MUSCLE SKIN SMALL INTESTINE
SMOOTH MUSCLE SOFT TISSUE SPINAL CORD SPLEEN STOMACH TESTIS THYMUS THYROID GLAND TONGUE TONSIL URINARY BLADDER VAGINA
ANTIBODIES
AND
VALIDATION
Dictionary
Pancreas
Tissue proteome
Pancreas
PANCREAS - Expression summary
Protein expression
Pancreasi

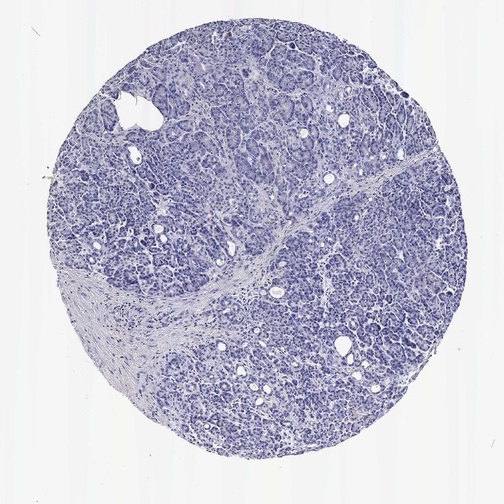
On the top, protein expression in current human tissue, based on all annotated cell types, is reported with the units not detected (n), low (l), medium (m) and high (h). Underneath, protein expression in each annotated cell type are reported using the same units.

Protein expression data is based on knowledge-based annotation. For genes where more than one antibody has been used, a collective score is set.

If knowledge-based annotation could not be performed for a gene, no data is displayed here. View antibody staining data further down this page.

h
m
l
n
Exocrine glandular cells: Not detected
Pancreatic endocrine cells: High
RNA expressioni

A summary of mRNA expression data available for current tissue based on several datasets. The mRNA expression levels in human tissues are based on RNA-seq data generated by the Human Protein Atlas (HPA), Genotype-Tissue Expression (GTEx) portal and CAGE data generated by the FANTOM5 consortium. Consensus normalized expression levels for human tissues was created by combining the data from HPA and GTEx datasets.

The mRNA expression levels in pig are based on RNA-seq data generated by the Human Protein Atlas (HPA), and for mouse, HPA data and in situ hybridization generated by the Allen brain atlas are reported.

Scroll down to view mRNA expression data in more detail.
Consensus:161.3 nTPM
HPA:161.3 nTPM
GTEx:56.9 nTPM
FANTOM5:44.1 Scaled Tags Per Million

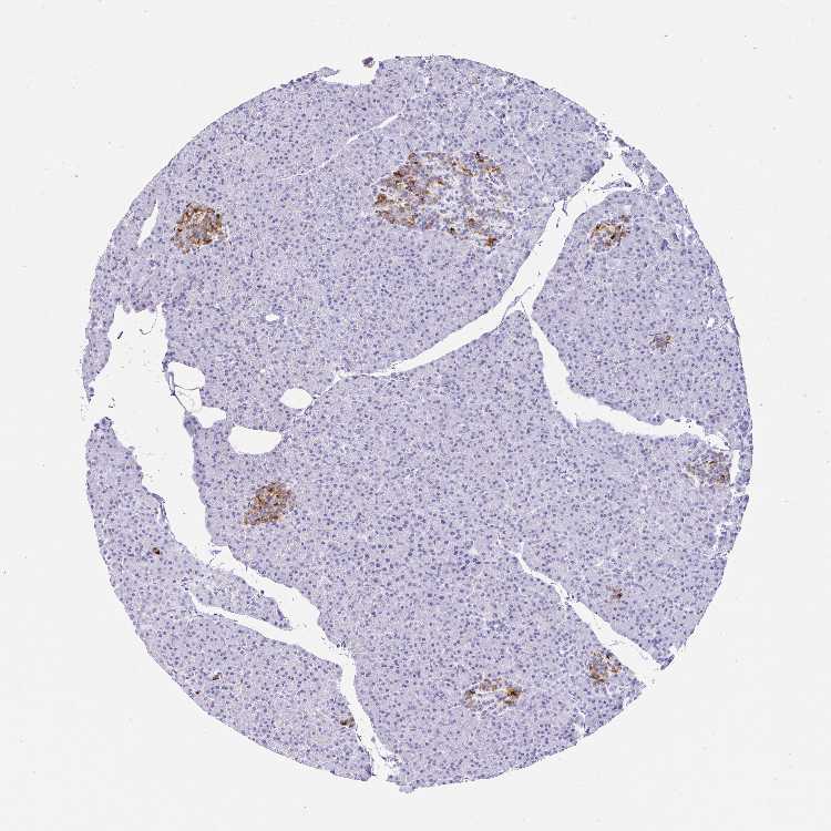
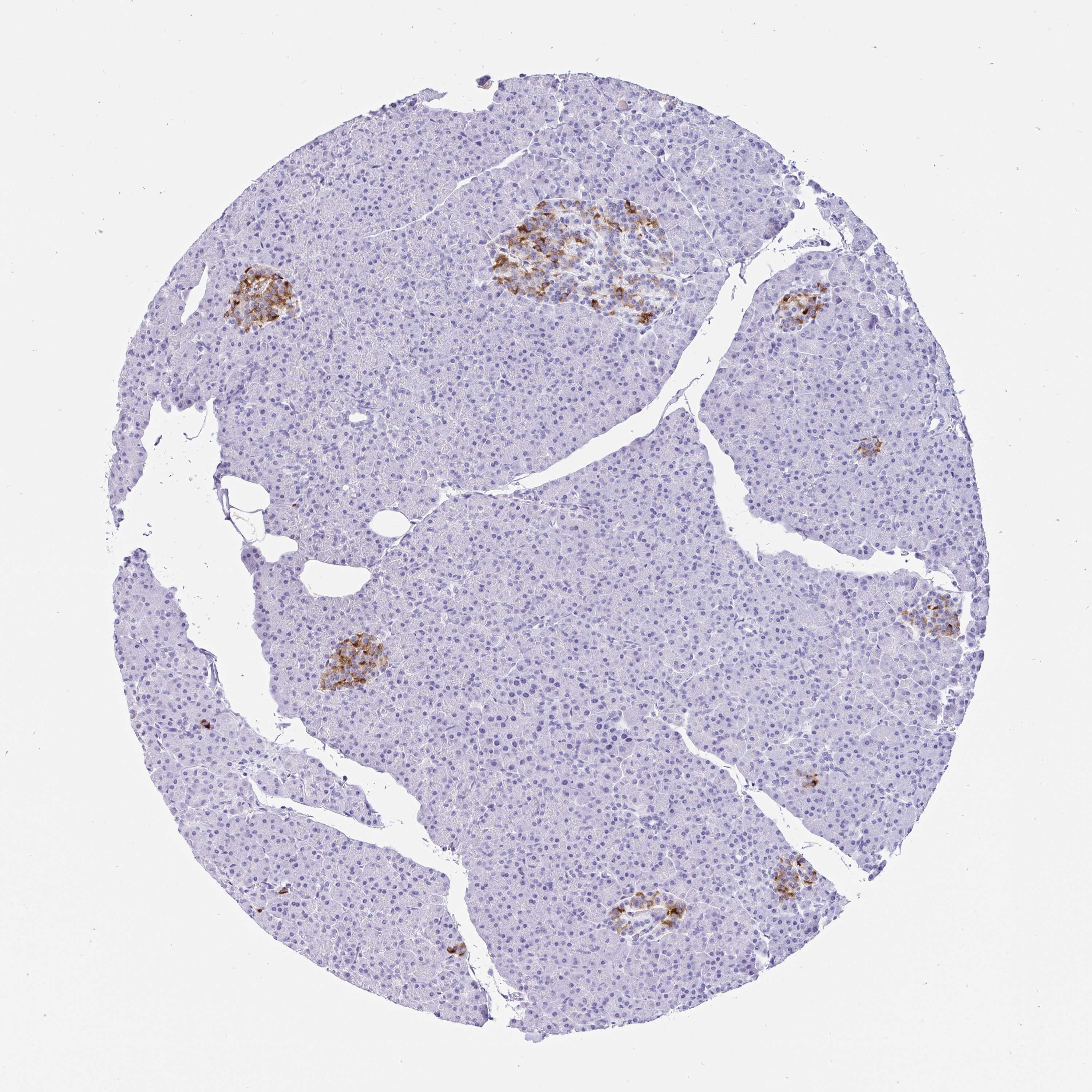
PANCREAS - Antibody stainingi

Antibody staining in the annotated cell types in the current human tissue is reported as not detected, low, medium, or high, based on conventional immunohistochemistry profiling in selected tissues. This score is based on the combination of the staining intensity and fraction of stained cells.

Each image is clickable and will lead to virtual microscopy that enables deeper exploration of all samples and also displays staining intensity scores, fraction scores and subcellular localization as well as patient and tissue information for each sample.

Antibody HPA053194Antibody CAB000352
Exocrine glandular cells Not detectedNot detected
Pancreatic endocrine cells HighHigh





PANCREAS - HPA RNA-seqi

The RNA-seq details section shows detailed information about the individual samples used for the transcript profiling and results of the RNA-seq analysis.

Information about each individual sample is listed below, including gender, age, a tissue section image and estimated fractions of cell types. nTPM (normalized transcripts per million) values give a quantification of the gene abundance which is comparable between different genes and samples.
Average nTPMi

Max subtype nTPM is the value for the subtype with the largest average nTPM across the subtype samples.

161.3
overview
Female, age 59
Pancreas sample 194
nTPM: 166.3
Cell types%
Exocrine glandular cells:
75

Pancreatic endocrine cells:
10

Ductal cells:
5

Other cell types:
10

overview
Male, age 60
Pancreas sample 195
nTPM: 156.2
Cell types%
Exocrine glandular cells:
90

Pancreatic endocrine cells:
5

Ductal cells:
5


PANCREAS - GTEx RNA-seqi

RNA-Seq data generated by the Genotype-Tissue Expression (GTEx) project from human tissues is reported as mean nTPM. More information can be found on the GTEx portal.

Distribution across the dataset is visualized with box plots, shown as median and 25th and 75th percentiles. Points are displayed as outliers if they are above or below 1.5 times the interquartile range. nTPM values of the individual samples are presented next to the box plot.
Max subtype nTPMi

Max subtype nTPM is the value for the subtype with the largest average nTPM across the subtype samples.

56.9
GTEx sample id Sample description nTPM
Pancreas
Average nTPM: 56.9
Samples: 328

Max nTPM: 730.6
Min nTPM: 0.0
Std nTPM: 79.2
Median nTPM: 32.9
GTEX-13FTX-1226-SM-5IFGN 20-29 years, female 730.6
GTEX-11I78-0626-SM-5A5LZ 50-59 years, female 511.7
GTEX-1KANA-1526-SM-CXZKG 20-29 years, male 379.4
GTEX-1GMR3-1226-SM-7MGY1 40-49 years, male 352.0
GTEX-VUSG-0326-SM-3GIJ7 50-59 years, male 328.5
GTEX-XYKS-1226-SM-4BRVI 60-69 years, female 325.2
GTEX-1RAZQ-1426-SM-EV7B2 30-39 years, male 321.6
GTEX-1LVAN-1226-SM-CNNQY 50-59 years, female 305.8
GTEX-14PHX-2026-SM-6872C 50-59 years, male 299.7
GTEX-1CB4G-1826-SM-7MKGO 60-69 years, male 293.3
GTEX-14E6E-1426-SM-5RQI2 30-39 years, male 252.6
GTEX-1GN1U-1126-SM-9WPPZ 50-59 years, female 251.6
GTEX-14PJ2-1526-SM-686Z4 50-59 years, male 225.2
GTEX-ZF3C-2026-SM-4WWB5 50-59 years, female 217.2
GTEX-QLQ7-0626-SM-CE6QX 60-69 years, male 211.5
GTEX-R55D-1426-SM-48FEN 50-59 years, male 200.3
GTEX-1H11D-0926-SM-9OSXO 40-49 years, male 200.0
GTEX-1RAZA-1626-SM-EV79I 20-29 years, male 199.9
GTEX-145ME-0326-SM-5S2QO 40-49 years, female 196.4
GTEX-15EU6-1126-SM-68721 50-59 years, male 181.2
GTEX-PW2O-0826-SM-48TC5 20-29 years, male 179.4
GTEX-15RIF-0626-SM-6LLI3 20-29 years, male 176.0
GTEX-17HGU-2026-SM-79OKS 50-59 years, male 171.0
GTEX-YB5E-0526-SM-4VDSD 40-49 years, male 170.3
GTEX-1399R-0426-SM-5IJE3 30-39 years, male 166.2
GTEX-14BMU-0726-SM-73KXS 20-29 years, female 165.0
GTEX-178AV-0226-SM-793B7 40-49 years, male 163.6
GTEX-WFG7-0426-SM-4LMK5 20-29 years, male 152.6
GTEX-V955-0326-SM-4JBGV 60-69 years, male 146.5
GTEX-1N2DV-1726-SM-DPRYR 40-49 years, male 134.9
GTEX-1B933-1726-SM-731FC 50-59 years, female 132.1
GTEX-15FZZ-0626-SM-7KFTO 30-39 years, female 129.7
GTEX-OXRK-1526-SM-E6CHJ 50-59 years, female 128.9
GTEX-1HKZK-1126-SM-9WG82 40-49 years, male 125.9
GTEX-18D9U-1626-SM-7KFTW 40-49 years, male 125.8
GTEX-1HSGN-1426-SM-A8NAA 40-49 years, female 125.5
GTEX-PLZ6-0726-SM-3P619 30-39 years, male 124.2
GTEX-11TT1-0326-SM-5LUAY 20-29 years, male 122.9
GTEX-1IDJC-0526-SM-AHZ2Q 50-59 years, male 121.8
GTEX-1GF9X-1126-SM-7MKHC 40-49 years, female 121.3
GTEX-1S83E-1426-SM-EV7B8 40-49 years, male 119.4
GTEX-YF7O-1326-SM-4W1ZR 50-59 years, male 119.3
GTEX-TML8-0526-SM-32QOQ 40-49 years, female 112.6
GTEX-P4PP-1026-SM-3NM9O 30-39 years, female 111.5
GTEX-17F9E-1426-SM-793BG 50-59 years, male 111.1
GTEX-ZEX8-1026-SM-4WKHE 50-59 years, male 109.3
GTEX-1128S-0826-SM-5GZZI 60-69 years, female 107.4
GTEX-XBED-0226-SM-47JY8 60-69 years, male 107.0
GTEX-ZPIC-0926-SM-4WWFK 40-49 years, female 105.0
GTEX-146FQ-1526-SM-5Q5CX 30-39 years, male 104.9
GTEX-11ONC-0526-SM-5BC57 60-69 years, male 103.2
GTEX-1JKYR-1026-SM-CGQGI 20-29 years, male 101.9
GTEX-13PVR-0726-SM-5S2PX 60-69 years, female 99.3
GTEX-1PPH8-2326-SM-EAZ48 20-29 years, male 98.7
GTEX-14DAR-0526-SM-664MX 50-59 years, male 97.2
GTEX-S33H-1226-SM-4AD69 30-39 years, male 95.6
GTEX-1PBJI-2126-SM-DPRYG 20-29 years, female 93.8
GTEX-XXEK-1726-SM-4BRVB 50-59 years, male 92.5
GTEX-1S82P-1026-SM-EAZ4W 60-69 years, female 90.5
GTEX-144FL-1526-SM-5Q5CA 50-59 years, male 88.9
GTEX-1CAMR-1126-SM-7MGXF 20-29 years, male 87.4
GTEX-1CAMQ-1626-SM-7MGXG 40-49 years, male 85.4
GTEX-S3XE-0526-SM-4AD4G 50-59 years, male 84.7
GTEX-1IDJD-0126-SM-C1YQZ 30-39 years, male 83.9
GTEX-12WSG-1026-SM-5EGII 50-59 years, female 83.7
GTEX-ZDYS-2526-SM-4WKGU 50-59 years, male 80.6
GTEX-1OKEX-1726-SM-E9U4F 60-69 years, male 78.9
GTEX-WH7G-0826-SM-4LVMR 40-49 years, male 78.3
GTEX-1C6VQ-1726-SM-7IGLQ 50-59 years, male 77.4
GTEX-1H1DG-1426-SM-9OSXP 70-79 years, male 77.3
GTEX-1JK1U-1026-SM-AHZ44 60-69 years, male 77.1
GTEX-Q734-0426-SM-48TZX 40-49 years, female 76.3
GTEX-14PKV-0926-SM-6AJB4 20-29 years, female 75.5
GTEX-1S831-0626-SM-EV79N 20-29 years, male 71.6
GTEX-14PN3-0126-SM-6AJAU 60-69 years, female 71.4
GTEX-Y5LM-0526-SM-4V6G3 40-49 years, female 71.3
GTEX-ZC5H-0826-SM-5N9FH 40-49 years, female 71.3
GTEX-14PKU-0626-SM-6EU1Q 40-49 years, female 71.2
GTEX-1R9K5-1226-SM-E6CPQ 50-59 years, male 70.8
GTEX-WYJK-2426-SM-4ONDQ 50-59 years, male 70.7
GTEX-OOBJ-1026-SM-3NB2L 60-69 years, male 69.5
GTEX-ZLWG-0326-SM-4WWC7 50-59 years, female 69.4
GTEX-V1D1-0726-SM-4JBH7 50-59 years, male 68.2
GTEX-13SLX-1326-SM-5S2QS 50-59 years, female 67.6
GTEX-18A6Q-1726-SM-7LT9A 60-69 years, male 67.5
GTEX-1PFEY-1126-SM-DPRZ3 30-39 years, male 67.0
GTEX-1B996-1326-SM-731EO 60-69 years, male 66.6
GTEX-WHSB-0726-SM-4M1XQ 50-59 years, male 65.7
GTEX-1CAMS-1926-SM-7DUEU 40-49 years, female 63.1
GTEX-QV44-0426-SM-4R1KF 50-59 years, male 62.5
GTEX-ZV7C-0726-SM-59HKH 50-59 years, male 62.5
GTEX-1K2DA-0326-SM-CGQGX 50-59 years, male 61.7
GTEX-15UKP-1326-SM-6LPI8 20-29 years, male 61.4
GTEX-11NSD-0526-SM-5A5LT 20-29 years, male 60.7
GTEX-YB5K-1826-SM-5IFJC 40-49 years, female 60.5
GTEX-QESD-0226-SM-447BH 20-29 years, male 60.0
GTEX-1J8EW-1926-SM-CGQGR 60-69 years, female 59.1
GTEX-ZYY3-0826-SM-5E44R 60-69 years, female 58.9
GTEX-OIZI-1526-SM-E6CHI 40-49 years, male 58.2
GTEX-1NSGN-1726-SM-EXOJG 50-59 years, male 57.6
GTEX-15SB6-0226-SM-6LLIA 50-59 years, female 56.2
GTEX-1B8KZ-0926-SM-731D7 50-59 years, male 55.7
GTEX-X3Y1-0726-SM-3P5YU 40-49 years, male 55.7
GTEX-1211K-1126-SM-5EGGB 60-69 years, female 55.6
GTEX-11VI4-0426-SM-5EGHZ 40-49 years, female 55.4
GTEX-1KXAM-0226-SM-EV7AP 60-69 years, male 55.0
GTEX-ZAK1-2326-SM-5CVMY 50-59 years, female 54.5
GTEX-17KNJ-1926-SM-7KFRV 50-59 years, male 54.2
GTEX-1GZ4H-0626-SM-9OSXJ 50-59 years, female 53.7
GTEX-1QP28-1026-SM-EAZ4K 50-59 years, female 53.6
GTEX-1K2DU-1026-SM-DHXKC 20-29 years, male 53.4
GTEX-1CB4F-1226-SM-7DHKU 60-69 years, male 52.5
GTEX-117YX-0226-SM-5EGH6 50-59 years, male 51.1
GTEX-1QW4Y-0926-SM-DPRY2 30-39 years, male 51.0
GTEX-T5JW-0226-SM-4DM7I 20-29 years, female 50.7
GTEX-15UF7-0826-SM-6M46E 40-49 years, male 50.5
GTEX-13PL7-2226-SM-5L3IC 60-69 years, female 50.0
GTEX-ZPCL-0726-SM-DO91S 60-69 years, female 50.0
GTEX-X15G-0726-SM-4PQZ5 50-59 years, female 48.9
GTEX-SE5C-0326-SM-4BRWX 40-49 years, female 48.7
GTEX-QEL4-1326-SM-447AD 50-59 years, male 48.1
GTEX-S95S-0726-SM-4B64H 60-69 years, male 47.6
GTEX-1AX9K-2026-SM-731D1 50-59 years, male 46.8
GTEX-15ER7-1326-SM-6LPK9 20-29 years, female 46.2
GTEX-SNOS-0926-SM-4DM7A 40-49 years, male 45.5
GTEX-OIZF-1026-SM-2HML5 60-69 years, male 45.1
GTEX-Y8E4-1326-SM-5IFIY 40-49 years, male 44.9
GTEX-W5WG-0826-SM-4RGNE 50-59 years, female 44.6
GTEX-1IL2U-2326-SM-CNNQV 60-69 years, male 44.4
GTEX-1399U-0926-SM-5IFHA 50-59 years, female 43.9
GTEX-17HHE-0526-SM-7DUGR 50-59 years, male 43.7
GTEX-WYVS-0926-SM-4SOJV 40-49 years, female 43.6
GTEX-R53T-0426-SM-48FEM 50-59 years, female 43.2
GTEX-Y3IK-0426-SM-4WWE2 50-59 years, female 42.9
GTEX-X4LF-0326-SM-4QAS9 50-59 years, male 42.2
GTEX-XQ8I-1926-SM-4BOOK 50-59 years, male 41.9
GTEX-XUW1-1726-SM-4BOOZ 50-59 years, female 41.9
GTEX-1QPFJ-2226-SM-EXOJW 30-39 years, female 41.8
GTEX-ZPU1-0226-SM-4WWC9 40-49 years, male 41.5
GTEX-16Z82-1726-SM-7MGX3 60-69 years, male 41.5
GTEX-XMK1-0326-SM-4B652 40-49 years, male 41.0
GTEX-13FLV-0626-SM-5IFEY 50-59 years, male 40.4
GTEX-WFG8-0326-SM-4LVN4 20-29 years, male 40.3
GTEX-14ICL-1126-SM-5S2RE 30-39 years, male 39.7
GTEX-17F98-0426-SM-79ONZ 40-49 years, female 39.2
GTEX-11GSP-0426-SM-5A5KX 60-69 years, female 38.6
GTEX-13U4I-1526-SM-5IFFF 40-49 years, female 38.6
GTEX-QV31-0226-SM-447BO 30-39 years, male 38.4
GTEX-1QP29-1926-SM-DPRZO 50-59 years, male 38.0
GTEX-1I1GT-0926-SM-AHZ2G 60-69 years, female 37.5
GTEX-144GN-0826-SM-5LU5G 50-59 years, male 37.2
GTEX-1I4MK-1026-SM-AHZ2H 50-59 years, female 37.2
GTEX-12WSK-0226-SM-5BC62 40-49 years, female 37.0
GTEX-14PJN-1526-SM-6AJBP 30-39 years, male 37.0
GTEX-ZVT2-2026-SM-5NQ8Q 50-59 years, female 36.3
GTEX-WHWD-0726-SM-4OORX 50-59 years, male 35.5
GTEX-15RJ7-0826-SM-6LLI8 40-49 years, male 35.1
GTEX-11LCK-0226-SM-5A5M6 30-39 years, male 34.8
GTEX-PX3G-1026-SM-48TZW 20-29 years, female 34.5
GTEX-1F5PL-0726-SM-7MKH8 40-49 years, female 34.3
GTEX-ZDTT-1126-SM-4WKFW 60-69 years, male 33.9
GTEX-14PJM-2126-SM-6AJAS 50-59 years, female 33.8
GTEX-ZYFG-0826-SM-5BC5T 60-69 years, female 33.6
GTEX-1N2EF-2126-SM-DPRYL 60-69 years, male 33.0
GTEX-139YR-1526-SM-5IFJ1 50-59 years, male 32.9
GTEX-WRHK-0226-SM-4MVOH 20-29 years, female 32.1
GTEX-131XG-1426-SM-5GCMO 50-59 years, female 31.5
GTEX-ZTPG-1026-SM-5DUWP 20-29 years, female 31.3
GTEX-U4B1-0726-SM-4DXUA 40-49 years, male 30.9
GTEX-13FTW-0526-SM-5IFIP 40-49 years, male 30.6
GTEX-132AR-1826-SM-5EGHR 50-59 years, female 30.3
GTEX-148VI-0826-SM-5TDDI 60-69 years, female 30.2
GTEX-1GN1W-1126-SM-9OSW3 50-59 years, female 29.6
GTEX-1HSMO-2026-SM-CNNQO 60-69 years, male 29.4
GTEX-18A66-2126-SM-7189D 60-69 years, male 29.1
GTEX-YEC3-0626-SM-CMKFG 50-59 years, male 28.8
GTEX-1OFPY-0626-SM-EXOJ4 60-69 years, male 28.4
GTEX-1A8FM-1826-SM-7MGXO 50-59 years, female 27.8
GTEX-XBEW-1626-SM-4SOJP 40-49 years, male 27.1
GTEX-1IDJU-0326-SM-CGQEE 60-69 years, female 26.9
GTEX-O5YT-1026-SM-3MJGF 20-29 years, male 26.7
GTEX-WFJO-0626-SM-4LVMC 30-39 years, male 26.6
GTEX-1QP2A-1326-SM-EAZ3K 50-59 years, male 26.6
GTEX-WQUQ-2126-SM-4OOSO 60-69 years, male 26.4
GTEX-1C2JI-0926-SM-731F1 50-59 years, male 26.0
GTEX-1AYCT-1226-SM-7EPGH 50-59 years, male 25.9
GTEX-1C4CL-0926-SM-79OL2 30-39 years, male 25.9
GTEX-11XUK-0626-SM-5N9ES 40-49 years, female 25.8
GTEX-1497J-0426-SM-5Q5CO 60-69 years, male 24.7
GTEX-N7MT-1626-SM-3LK71 60-69 years, female 24.6
GTEX-11P7K-0526-SM-5BC5I 30-39 years, male 24.5
GTEX-PSDG-1526-SM-48TCY 50-59 years, male 24.5
GTEX-1H1E6-0826-SM-9WG83 30-39 years, male 24.3
GTEX-UJHI-0626-SM-3DB8T 50-59 years, female 24.1
GTEX-14JG6-0426-SM-68715 30-39 years, female 23.9
GTEX-1AX9J-1726-SM-731FF 60-69 years, male 23.5
GTEX-1B932-1626-SM-731EA 40-49 years, female 23.2
GTEX-1122O-0726-SM-5GIEV 60-69 years, female 22.7
GTEX-1JKYN-0426-SM-CGQG2 30-39 years, male 22.7
GTEX-1NUQO-0826-SM-DPS16 20-29 years, female 22.5
GTEX-ZT9W-0926-SM-57WFS 50-59 years, male 22.4
GTEX-12WSN-0826-SM-5GCOF 40-49 years, male 21.8
GTEX-1C64O-1426-SM-7EWER 60-69 years, male 21.8
GTEX-YFCO-1026-SM-5LU9S 40-49 years, male 21.7
GTEX-14C39-1026-SM-73KWG 40-49 years, male 21.6
GTEX-131XF-1426-SM-5BC68 60-69 years, male 21.5
GTEX-1AYD5-0326-SM-7EWEO 50-59 years, male 21.4
GTEX-YEC4-1326-SM-5IFHG 40-49 years, male 21.3
GTEX-1CB4I-1326-SM-79OLY 50-59 years, male 21.0
GTEX-ZAB4-1726-SM-5HL8C 40-49 years, male 20.9
GTEX-1QEPI-1626-SM-EAZ3I 60-69 years, female 20.7
GTEX-1K9T9-1726-SM-CXZK1 50-59 years, female 19.5
GTEX-Q2AI-0426-SM-48U13 40-49 years, male 19.3
GTEX-145MN-1426-SM-5SI9H 30-39 years, male 19.2
GTEX-15SDE-0826-SM-6M463 50-59 years, female 19.1
GTEX-1B97J-1526-SM-79ONI 50-59 years, female 19.0
GTEX-Y9LG-0726-SM-4VDS3 30-39 years, male 19.0
GTEX-1QAET-1326-SM-E9U64 50-59 years, male 18.3
GTEX-WHPG-0326-SM-4M1XV 50-59 years, male 17.9
GTEX-RWS6-1126-SM-47JXC 60-69 years, female 17.7
GTEX-1JMPZ-1026-SM-CXZJS 30-39 years, male 17.7
GTEX-1L5NE-0826-SM-DHXKU 50-59 years, male 17.0
GTEX-15DYW-1626-SM-6LLI1 60-69 years, female 16.9
GTEX-RM2N-0326-SM-48FD8 50-59 years, male 16.8
GTEX-ZAB5-0826-SM-5P9FU 50-59 years, male 16.8
GTEX-1AMFI-0726-SM-731D9 50-59 years, female 16.6
GTEX-NFK9-1626-SM-3LK5J 40-49 years, male 16.3
GTEX-S32W-0826-SM-4AD5Z 50-59 years, female 16.2
GTEX-1A3MW-1926-SM-7IGM8 60-69 years, female 15.9
GTEX-14AS3-0326-SM-5Q5DB 40-49 years, female 15.7
GTEX-14PK6-1026-SM-664NZ 70-79 years, female 15.7
GTEX-1AX8Z-1726-SM-731DE 60-69 years, male 15.6
GTEX-15SHV-1526-SM-6LLIB 60-69 years, male 14.5
GTEX-1R7EU-0726-SM-DPRZM 60-69 years, male 14.2
GTEX-ZZPU-0726-SM-5N9C8 50-59 years, female 14.0
GTEX-ZYT6-1326-SM-5E453 30-39 years, male 13.9
GTEX-12WSD-1626-SM-5GCNR 60-69 years, female 13.6
GTEX-ZP4G-0426-SM-4YCER 20-29 years, female 13.5
GTEX-14PJ6-0926-SM-686ZA 60-69 years, female 13.1
GTEX-1R46S-1426-SM-EXOJD 60-69 years, female 13.0
GTEX-Q2AH-0926-SM-48TZK 40-49 years, male 12.8
GTEX-R55G-0326-SM-48FDM 40-49 years, female 12.6
GTEX-16MT8-1726-SM-7EWE7 60-69 years, female 12.1
GTEX-12WSL-0426-SM-5GCNX 50-59 years, male 11.9
GTEX-13FH7-1426-SM-5IFIC 50-59 years, female 11.7
GTEX-18A7A-1726-SM-7LT93 50-59 years, female 11.6
GTEX-XV7Q-0926-SM-4BRVQ 40-49 years, female 11.5
GTEX-111CU-0526-SM-5EGHK 50-59 years, male 11.4
GTEX-1O97I-1726-SM-EXOIP 60-69 years, male 10.8
GTEX-VJYA-0826-SM-4KL1M 60-69 years, male 10.1
GTEX-ZVP2-0726-SM-59HKY 50-59 years, male 10.0
GTEX-146FR-0126-SM-5Q5F3 60-69 years, female 9.9
GTEX-14PJ4-0726-SM-6872E 60-69 years, male 9.8
GTEX-QDVJ-1226-SM-48U1V 50-59 years, male 9.6
GTEX-T8EM-0826-SM-4DM76 40-49 years, male 9.3
GTEX-U8XE-2026-SM-3DB8S 30-39 years, male 9.3
GTEX-QDVN-0926-SM-2I5GL 50-59 years, male 8.8
GTEX-13N11-0226-SM-5KM3C 50-59 years, female 8.4
GTEX-P4QS-1026-SM-3NMCW 60-69 years, male 8.2
GTEX-ZVZP-0626-SM-59HL5 50-59 years, male 8.0
GTEX-111YS-1226-SM-5EGGJ 60-69 years, male 7.6
GTEX-14PJO-1826-SM-69LPR 60-69 years, male 7.5
GTEX-UJMC-1126-SM-3GADP 50-59 years, male 7.4
GTEX-ZG7Y-0326-SM-4WWEY 50-59 years, male 7.4
GTEX-TKQ2-0426-SM-4DXUO 50-59 years, male 6.8
GTEX-1MGNQ-1226-SM-EV7BM 40-49 years, male 6.7
GTEX-14PJ3-0426-SM-6LLHF 50-59 years, male 6.6
GTEX-OHPL-1026-SM-3MJGI 60-69 years, female 6.6
GTEX-11EQ9-1026-SM-5H134 30-39 years, male 6.5
GTEX-OHPM-1026-SM-3LK74 50-59 years, male 6.4
GTEX-QMRM-0326-SM-CKZNB 50-59 years, male 6.4
GTEX-Y8LW-1026-SM-5IFJY 50-59 years, female 6.3
GTEX-ZF29-1126-SM-4WKGO 60-69 years, female 6.2
GTEX-ZLFU-0726-SM-57WF6 40-49 years, male 6.2
GTEX-XGQ4-0226-SM-4GIDS 50-59 years, male 6.1
GTEX-14PHY-1126-SM-664OR 60-69 years, female 6.0
GTEX-SUCS-1426-SM-4DM5W 70-79 years, male 5.8
GTEX-TMMY-1326-SM-4DXU9 40-49 years, female 5.2
GTEX-1LGRB-0426-SM-CNNRD 50-59 years, female 5.0
GTEX-XPVG-0326-SM-4B653 50-59 years, male 4.5
GTEX-13W3W-1026-SM-5IFG4 60-69 years, female 4.3
GTEX-1H23P-2026-SM-9OSXY 60-69 years, male 4.2
GTEX-1LSNM-0726-SM-DHXL1 50-59 years, male 4.2
GTEX-12BJ1-1126-SM-5EGGG 60-69 years, male 4.1
GTEX-13OVI-0526-SM-5IFFQ 60-69 years, female 4.1
GTEX-13CF3-1026-SM-5LZWY 60-69 years, female 4.0
GTEX-13X6H-0626-SM-5LU53 50-59 years, female 3.9
GTEX-1LG7Z-0326-SM-DHXK3 30-39 years, male 3.7
GTEX-NPJ8-2126-SM-3MJGK 40-49 years, male 3.3
GTEX-132QS-0926-SM-5P9GB 60-69 years, male 3.2
GTEX-ZYW4-2126-SM-59HJ9 60-69 years, male 3.2
GTEX-18A67-1726-SM-7KFT9 50-59 years, male 3.1
GTEX-P4PQ-1026-SM-3NMCN 60-69 years, male 3.0
GTEX-1GL5R-0926-SM-9JGFO 50-59 years, male 3.0
GTEX-1M5QR-0926-SM-DHXK8 40-49 years, male 2.7
GTEX-X5EB-0526-SM-46MVP 40-49 years, male 2.6
GTEX-15CHR-2026-SM-7MXU2 50-59 years, male 2.6
GTEX-15UF6-1826-SM-6LLI9 70-79 years, female 2.3
GTEX-144GM-0726-SM-79OJQ 20-29 years, male 2.2
GTEX-1MUQO-1426-SM-DPRYJ 60-69 years, male 2.1
GTEX-QCQG-0426-SM-48U29 50-59 years, female 1.9
GTEX-14PN4-1626-SM-6AJB5 50-59 years, male 1.8
GTEX-13O61-2126-SM-5IJEO 60-69 years, male 1.7
GTEX-S4P3-0626-SM-4AD59 50-59 years, female 1.7
GTEX-131XE-1926-SM-5IFER 50-59 years, male 1.4
GTEX-1B8KE-0726-SM-72D7G 50-59 years, male 1.4
GTEX-WXYG-0826-SM-4ONC7 50-59 years, female 1.3
GTEX-13VXT-1226-SM-5LU3M 20-29 years, female 1.1
GTEX-OOBK-1026-SM-48TC2 40-49 years, male 1.1
GTEX-WI4N-1826-SM-4OOSF 40-49 years, female 1.0
GTEX-13O1R-1826-SM-5KM3B 60-69 years, male 0.9
GTEX-1I1GQ-2226-SM-B2LX1 50-59 years, male 0.9
GTEX-11DXX-0926-SM-5H112 60-69 years, female 0.8
GTEX-145MO-2126-SM-5Q5CZ 60-69 years, male 0.8
GTEX-17MF6-1426-SM-7IGOX 40-49 years, male 0.7
GTEX-Y3I4-0826-SM-4TT2A 50-59 years, male 0.7
GTEX-1I1GU-0326-SM-AHZ2K 40-49 years, male 0.7
GTEX-1J8Q3-0626-SM-AHZ3V 60-69 years, male 0.6
GTEX-1339X-1026-SM-5IFH5 40-49 years, male 0.4
GTEX-WFON-0626-SM-4LVLX 40-49 years, male 0.4
GTEX-Y114-0826-SM-4TT77 50-59 years, female 0.4
GTEX-1PWST-1526-SM-EXOIT 70-79 years, male 0.4
GTEX-1399S-0326-SM-5IFFS 30-39 years, female 0.3
GTEX-13YAN-2126-SM-5Q5C4 60-69 years, male 0.1
GTEX-13D11-2226-SM-5IFEO 50-59 years, female 0.0
GTEX-QLQW-0326-SM-447A8 30-39 years, male 0.0
GTEX-WY7C-1026-SM-4OND3 50-59 years, male 0.0
GTEX-1R7EV-1126-SM-DPRXU 40-49 years, male 0.0
Show allShow less

PANCREAS - FANTOM5 CAGEi

RNA expression in human tissues obtained through Cap Analysis of Gene Expression (CAGE) generated by the FANTOM5 project are reported as Scaled Tags Per Million.

Max subtype Scaled Tags Per Millioni

Max subtype Scaled Tags Per Million is the value for the subtype with the largest average Scaled Tags Per Million across the subtype samples.

44.1
FANTOM5 sample id Sample description Scaled Tags Per Million
Pancreas
Scaled Tags Per Million: 44.1
FF:10049-101G4 52 years, male 44.1

Contact

  • NEWS ARTICLES
  • PRESS ROOM

The Project

  • INTRODUCTION
  • ORGANIZATION
  • PUBLICATIONS

The Human Protein Atlas

  • DOWNLOADABLE DATA
  • LICENCE & CITATION
  • HELP & FAQ
The Human Protein Atlas project is funded
by the Knut & Alice Wallenberg Foundation.


contact@proteinatlas.org