We use cookies to enhance the usability of our website. If you continue, we'll assume that you are happy to receive all cookies. More information. Don't show this again.
A1BG
HPA
RESOURCES
  • TISSUE
  • BRAIN
  • SINGLE CELL
  • SUBCELLULAR
  • CANCER
  • BLOOD
  • CELL LINE
  • STRUCTURE & INTERACTION
ABOUT
  • INTRODUCTION
  • HISTORY
  • ORGANIZATION
  • PUBLICATIONS
  • ANTIBODY SUBMISSION
  • ANTIBODY AVAILABILITY
  • ACKNOWLEDGMENTS
  • CONTACT
NEWS
  • NEWS ARTICLES
  • PRESS ROOM
LEARN
  • DICTIONARY
  • PROTEIN CLASSES
  • PROTEIN EVIDENCE
  • METHODS
  • EDUCATIONAL VIDEOS
DATA
  • DOWNLOADABLE DATA
  • PUBLICATION DATA
  • RELEASE HISTORY
HELP
  • ANTIBODY VALIDATION
  • ASSAYS & ANNOTATION
  • DISCLAIMER
  • HELP & FAQ
  • PRIVACY STATEMENT
  • LICENCE & CITATION
Fields »
Search result

Field
Term
Gene name
Class
Subclass
Class
Keyword
Chromosome
External id
Tissue
Cell type
Expression
Antibody panel
Tissue
Main location
Patient ID
Annotation
Tissue
Category
Tau score
Cluster
Reliability
Brain region
Category
Tau score
Brain region
Category
Tau score
Brain region
Category
Tau score
Cluster
Reliability
Tissue
Cell type
Enrichment
Cell type
Category
Tau score
Cell type
Category
Tau score
Cell type
Category
Tau score
Cell lineage
Category
Tau score
Cluster
Cluster
Location
Searches
Location
Cell line
Class
Type
Phase
Reliability
Cancer
Prognosis
Cancer
Category
Cancer
Category
Tau score
Cluster
Variants
Interacting gene (ensg_id)
Type
Number of interactions
Pathway
Category
Score
Score
Score
Validation
Validation
Validation
Validation
Antibodies
Data type
Column


  • SUMMARY

  • TISSUE

  • BRAIN

  • SINGLE CELL

  • SUBCELL

  • CANCER

  • BLOOD

  • CELL LINE

  • STRUCT & INT

  • A1BG
CANCER LIVER CANCER Show tissue menu
BREAST CANCER CARCINOID CERVICAL CANCER COLORECTAL CANCER ENDOMETRIAL CANCER GLIOMA HEAD AND NECK CANCER LIVER CANCER LUNG CANCER LYMPHOMA
MELANOMA OVARIAN CANCER PANCREATIC CANCER PROSTATE CANCER RENAL CANCER SKIN CANCER STOMACH CANCER TESTIS CANCER THYROID CANCER UROTHELIAL CANCER
LIHC TCGA LIHC VALIDATION PROTEIN LIHC CPTAC PROTEIN EXPRESSION
ANTIBODIES
AND
VALIDATION
Dictionary
Liver cancer
Human cancer
Liver hepatocellular carcinoma
LIVER HEPATOCELLULAR CARCINOMA (TCGA) - Interactive survival scatter ploti

The Survival Scatter plot shows the clinical status (i.e. dead or alive) for all individuals in the patient cohort, based on the same data that underlies the corresponding Kaplan-Meier plots. Patients that are alive at last time for follow-up are shown in blue and patients who have died during the study are shown in red.

The x-axis shows the expression levels (FPKM) of the investigated gene in the tumor tissue at the time of diagnosis. The y-axis shows the follow-up time after diagnosis (years). Both axes are complimented with kernel density curves demonstrating the data density over the axes. The top density plot shows the expression levels (FPKM) distribution among dead (red) and alive patients (blue). The right density plot shows the data density of the survived years of dead patients with high and low expression levels respectively, stratified using the cutoff indicated by the vertical dashed line through the Survival Scatter plot. This cutoff is automatically defined based on the FPKM cutoff that minimizes the p-score. The cutoff can be changed by dragging the vertical line or by entering a cutoff value in the square labeled "Current cut-off".

Under the Survival Scatter plot the p-score landscape (black curve; left axis) is shown together with dead median separation (red curve; right axis). Dead median separation is the difference in median mRNA expression between patients who have died with high and low expression, respectively. It is calculated as follows: median FPKM expression of dead patients with high expression - median FPKM expression of dead patients with low expression. This is intended to aid the user in visually exploring custom cutoffs and the associated p-scores and dead median separation.

Individual patient data is displayed and can be filtered by clicking on one or more of the category buttons on the top of the page. Categories describing expression level and patient information include: high, low, alive, dead, female, male and tumor stages. The scale of the x-axis can be toggled between linear and log-scale by clicking on the "x log" button. Mouse-over function shows TCGA ID, patient information and mRNA expression (FPKM) for each patient.

& Survival analysisi

Kaplan-Meier plots summarize results from analysis of correlation between mRNA expression level and patient survival. Patients were divided based on level of expression into one of the two groups "low" (under cut off) or "high" (over cut off). X-axis shows time for survival (years) and y-axis shows the probability of survival, where 1.0 corresponds to 100 percent.

A1BG is not prognostic in Liver Hepatocellular Carcinoma (TCGA)


Stage:


Survival analysis
Current cut offi

Current cut-off shows the cut-off (FPKM) currently selected. It may be changed manually. When the current cut-off is changed, the vertical dashed line indicating cut-off, the interactive survival scatter plot and the Kaplan-Meier curve will be automatically adjusted to show results accordingly.

:
Best expression cut offi

Based on the FPKM value of each gene, patients were classified into two groups and association between prognosis (survival) and gene expression (FPKM) was examined. The best expression cut-off refers the FPKM value that yields maximal difference with regard to survival between the two groups at the lowest log-rank P-value. Best expression cut-off was selected based on survival analysis .

When clicking on this number, the vertical dashed line indicating cut-off, the interactive survival plot, and the Kaplan-Meier curve will be adjusted to show results based on the best expression cut-off.

: 278.72
Median expressioni

Median expression refers to the median FPKM value calculated based on the gene expression (FPKM) data from all patients in this dataset. When clicking on this number, the vertical dashed line indicating cut-off, the interactive survival plot, and the Kaplan-Meier curve will be adjusted to show results based on the median expression.

: N/A
Median follow up timei

Median follow up time refers to the median time (years) after diagnosis with this type of cancer, based on clinical data from all patients in this dataset.

: N/A
P scorei

Log-rank P value for Kaplan-Meier plot showing results from analysis of correlation between mRNA expression level and patient survival.

N/A
5-year survival highi

5-year survival for patients with higher expression than the expression cutoff.

For melanoma and glioma, 3-year survival is shown.

N/A
5-year survival lowi

5-year survival for patients with lower expression than the expression cutoff.

For melanoma and glioma, 3-year survival is shown.

N/A
TCGA RNA samplesi

RNA-seq data is reported as average FPKM (number Fragments Per Kilobase of exon per Million reads), generated by the The Cancer Genome Atlas (TCGA) .

Normal distribution across the dataset is visualized with box plots, shown as median and 25th and 75th percentiles. Points are displayed as outliers if they are above or below 1.5 times the interquartile range. FPKM values of the individual samples are presented next to the box plot.

Average pTPM 695.5
Number of samples 362
Samples
Sample Description pTPM
TCGA-G3-AAV0-01A 58 years, male, asian, stage:Stage I, alive, 476 days 4134.6
TCGA-HP-A5N0-01A 90 years, female, stage:'--, dead, 752 days 3702.1
TCGA-FV-A496-01A 84 years, female, white, stage:Stage I, alive, 10 days 2814.6
TCGA-DD-A73C-01A 65 years, female, white, stage:Stage IIIA, alive, 701 days 2597.1
TCGA-K7-A6G5-01A 66 years, male, white, stage:Stage I, alive, 512 days 2519.7
TCGA-DD-A3A5-01A 66 years, female, white, stage:Stage III, dead, 3125 days 2204.2
TCGA-ES-A2HS-01A 80 years, male, white, stage:Stage I, dead, 688 days 2183.4
TCGA-ZS-A9CE-01A 79 years, female, white, stage:Stage II, alive, 1241 days 2171.5
TCGA-G3-A6UC-01A 65 years, male, white, stage:Stage IIIB, alive, 671 days 2031.1
TCGA-ZP-A9CY-01A 66 years, female, white, stage:'--, alive, 782 days 2004.6
TCGA-DD-AADP-01A 45 years, male, asian, stage:Stage I, alive, 458 days 1993.2
TCGA-DD-A39Z-01A 43 years, female, stage:Stage II, dead, 601 days 1937.6
TCGA-2Y-A9HB-01A 66 years, male, stage:Stage I, alive, 260 days 1900.6
TCGA-T1-A6J8-01A 68 years, male, white, stage:'--, alive, 23 days 1885.1
TCGA-UB-A7ME-01A 51 years, male, asian, stage:Stage I, alive, 486 days 1871.4
TCGA-DD-AAE7-01A 72 years, male, asian, stage:Stage I, alive, 644 days 1841.0
TCGA-DD-AAE3-01A 50 years, male, asian, stage:Stage I, alive, 566 days 1827.2
TCGA-DD-AAVY-01A 56 years, male, asian, stage:Stage IIIA, alive, 1970 days 1726.8
TCGA-ED-A66Y-01A 51 years, female, asian, stage:Stage IIIA, dead, 296 days 1658.2
TCGA-ED-A7XO-01A 29 years, male, asian, stage:Stage IIIA, alive, 427 days 1624.8
TCGA-3K-AAZ8-01A 65 years, male, black or african american, stage:Stage IIIB, alive, 396 days 1618.7
TCGA-KR-A7K2-01A 64 years, male, white, stage:Stage I, alive, 829 days 1618.1
TCGA-DD-A4NP-01A 32 years, male, white, stage:Stage I, alive, 3308 days 1611.3
TCGA-DD-A1EB-01A 72 years, female, stage:Stage I, alive, 2017 days 1591.8
TCGA-DD-AACY-01A 61 years, male, asian, stage:Stage I, alive, 1450 days 1585.5
TCGA-DD-A4ND-01A 56 years, female, white, stage:Stage I, alive, 2746 days 1527.2
TCGA-2Y-A9GV-01A 54 years, female, white, stage:Stage I, dead, 2532 days 1521.1
TCGA-G3-A5SM-01A 58 years, male, white, stage:Stage II, alive, 520 days 1517.0
TCGA-DD-AAD1-01A 51 years, female, asian, stage:Stage I, alive, 564 days 1503.3
TCGA-5R-AAAM-01A 65 years, female, white, stage:Stage II, dead, 46 days 1483.1
TCGA-DD-A4NL-01A 46 years, male, white, stage:Stage I, alive, 1711 days 1464.5
TCGA-DD-AAD3-01A 43 years, male, asian, stage:Stage I, alive, 1295 days 1464.4
TCGA-G3-A25U-01A 63 years, female, asian, stage:Stage I, alive, 1636 days 1462.7
TCGA-DD-AAE2-01A 51 years, male, asian, stage:Stage I, alive, 638 days 1462.5
TCGA-DD-A39W-01A 29 years, female, white, stage:Stage III, dead, 827 days 1455.2
TCGA-DD-A11B-01A 73 years, male, white, stage:Stage I, dead, 14 days 1433.5
TCGA-DD-A4NV-01A 61 years, male, white, stage:Stage IIIA, alive, 2398 days 1418.1
TCGA-ED-A627-01A 74 years, male, white, stage:Stage I, alive, 423 days 1397.4
TCGA-G3-AAV5-01A 67 years, male, white, stage:Stage II, alive, 354 days 1394.4
TCGA-BC-A10X-01A 52 years, female, white, stage:Stage IIIA, dead, 770 days 1381.7
TCGA-G3-A5SI-01A 44 years, male, asian, stage:Stage II, dead, 768 days 1380.7
TCGA-CC-5259-01A 60 years, female, asian, stage:Stage IIIC, alive, 250 days 1370.7
TCGA-RC-A7SF-01A 66 years, male, asian, stage:Stage I, alive, 579 days 1354.4
TCGA-BD-A2L6-01A 69 years, male, white, stage:'--, alive, 1363 days 1330.6
TCGA-ED-A4XI-01A 58 years, male, asian, stage:Stage II, alive, 819 days 1308.7
TCGA-G3-A7M8-01A 31 years, male, asian, stage:Stage I, alive, 430 days 1303.8
TCGA-FV-A2QR-01A 75 years, male, white, stage:Stage I, dead, 581 days 1303.7
TCGA-LG-A6GG-01A 79 years, female, white, stage:Stage II, alive, 387 days 1302.8
TCGA-DD-A4NI-01A 67 years, male, white, stage:Stage II, alive, 816 days 1277.7
TCGA-DD-A4NK-01A 80 years, female, white, stage:Stage IIIA, dead, 1210 days 1272.1
TCGA-DD-AAEK-01A 51 years, male, asian, stage:Stage II, alive, 1067 days 1267.6
TCGA-DD-AACK-01A 70 years, male, asian, stage:Stage I, alive, 9 days 1267.3
TCGA-G3-A25V-01A 68 years, male, white, stage:Stage I, alive, 860 days 1266.4
TCGA-MI-A75E-01A 61 years, male, white, stage:Stage IIIC, alive, 507 days 1266.0
TCGA-G3-A3CG-01A 80 years, male, white, stage:Stage I, alive, 673 days 1257.3
TCGA-DD-AAVU-01A 46 years, male, asian, stage:Stage II, alive, 2202 days 1256.0
TCGA-K7-A5RF-01A 64 years, male, white, stage:Stage I, alive, 631 days 1250.3
TCGA-BC-A10S-01A 81 years, male, white, stage:'--, dead, 1423 days 1238.2
TCGA-DD-AACT-01A 69 years, female, asian, stage:Stage I, alive, 1562 days 1237.8
TCGA-MI-A75G-01A 63 years, male, white, stage:Stage II, alive, 698 days 1230.5
TCGA-2Y-A9GT-01A 51 years, male, white, stage:Stage I, dead, 1624 days 1226.3
TCGA-FV-A23B-01A 70 years, female, white, stage:Stage II, dead, 1852 days 1221.1
TCGA-MI-A75H-01A 77 years, male, white, stage:'--, alive, 747 days 1217.5
TCGA-DD-AACW-01A 43 years, male, asian, stage:Stage I, alive, 1424 days 1211.6
TCGA-ZP-A9D1-01A 56 years, female, white, stage:'--, alive, 21 days 1208.2
TCGA-ZP-A9CV-01A 59 years, male, white, stage:'--, dead, 1088 days 1202.1
TCGA-BC-A110-01A 51 years, female, black or african american, stage:'--, dead, 2116 days 1202.0
TCGA-CC-A5UE-01A 48 years, male, asian, stage:Stage IIIB, dead, 272 days 1184.0
TCGA-DD-A4NO-01A 65 years, male, white, stage:Stage I, alive, 2245 days 1176.5
TCGA-DD-AADY-01A 55 years, female, asian, stage:Stage I, alive, 555 days 1168.3
TCGA-EP-A2KC-01A 62 years, male, black or african american, stage:Stage I, dead, 19 days 1165.4
TCGA-DD-AADB-01A 51 years, male, asian, stage:Stage I, alive, 1242 days 1152.5
TCGA-UB-AA0V-01A 69 years, female, white, stage:Stage I, alive, 314 days 1142.4
TCGA-DD-A3A2-01A 76 years, female, white, stage:Stage I, dead, 2131 days 1139.4
TCGA-DD-AADG-01A 70 years, male, asian, stage:Stage IIIA, alive, 1145 days 1134.0
TCGA-DD-AACF-01A 68 years, male, asian, stage:Stage I, dead, 365 days 1128.8
TCGA-DD-AADD-01A 51 years, male, asian, stage:Stage I, alive, 1231 days 1125.6
TCGA-DD-AAEH-01A 73 years, male, asian, stage:Stage I, alive, 784 days 1107.9
TCGA-BC-A69I-01A 69 years, male, white, stage:Stage I, alive, 387 days 1101.1
TCGA-G3-A25Z-01A 58 years, male, asian, stage:Stage I, alive, 655 days 1097.1
TCGA-FV-A2QQ-01A 80 years, male, white, stage:Stage I, alive, 729 days 1096.3
TCGA-G3-A3CK-01A 61 years, male, asian, stage:Stage I, alive, 585 days 1095.7
TCGA-KR-A7K7-01A 61 years, female, white, stage:Stage II, alive, 951 days 1091.1
TCGA-DD-AADQ-01A 59 years, male, asian, stage:Stage II, alive, 436 days 1083.7
TCGA-G3-A3CH-01A 53 years, male, asian, stage:Stage IIIA, alive, 780 days 1083.5
TCGA-DD-AAD8-01A 73 years, female, asian, stage:Stage I, alive, 1219 days 1078.7
TCGA-DD-AAD0-01A 73 years, female, asian, stage:Stage I, alive, 137 days 1071.0
TCGA-DD-AACG-01A 52 years, male, asian, stage:Stage II, dead, 469 days 1064.2
TCGA-PD-A5DF-01A 58 years, female, white, stage:Stage IIIB, dead, 639 days 1057.0
TCGA-4R-AA8I-01A 66 years, male, white, stage:Stage II, dead, 262 days 1033.7
TCGA-WQ-AB4B-01A 62 years, male, white, stage:Stage II, alive, 395 days 1033.6
TCGA-2Y-A9GW-01A 64 years, male, white, stage:Stage I, dead, 1271 days 1030.4
TCGA-DD-AAW3-01A 69 years, male, asian, stage:Stage I, alive, 1633 days 1018.2
TCGA-EP-A26S-01A 70 years, male, white, stage:Stage I, alive, 608 days 1015.4
TCGA-DD-AAW0-01A 54 years, male, asian, stage:Stage I, alive, 2015 days 1011.1
TCGA-XR-A8TF-01A 74 years, male, white, stage:Stage I, dead, 693 days 1003.4
TCGA-DD-A73B-01A 72 years, female, white, stage:Stage I, dead, 283 days 995.9
TCGA-G3-A7M5-01A 76 years, male, asian, stage:Stage I, alive, 447 days 994.2
TCGA-LG-A9QD-01A 68 years, male, white, stage:Stage IIIA, alive, 366 days 988.4
TCGA-2Y-A9H9-01A 70 years, male, white, stage:Stage I, alive, 697 days 988.3
TCGA-BD-A3EP-01A 75 years, female, black or african american, stage:Stage I, alive, 409 days 985.8
TCGA-MI-A75C-01A 64 years, male, white, stage:Stage I, alive, 291 days 976.5
TCGA-XR-A8TE-01A 16 years, male, white, stage:Stage IIIA, alive, 925 days 971.7
TCGA-XR-A8TG-01A 58 years, male, white, stage:Stage I, alive, 898 days 962.0
TCGA-DD-A11C-01A 69 years, male, white, stage:Stage I, alive, 662 days 958.5
TCGA-DD-AAC9-01A 51 years, male, asian, stage:Stage I, alive, 347 days 956.6
TCGA-DD-A1ED-01A 68 years, male, white, stage:Stage I, alive, 2301 days 954.3
TCGA-DD-AAVV-01A 56 years, male, asian, stage:Stage II, alive, 2455 days 951.0
TCGA-DD-A73A-01A 71 years, male, white, stage:Stage I, alive, 728 days 948.4
TCGA-2Y-A9H7-01A 81 years, female, white, stage:Stage I, alive, 1168 days 924.8
TCGA-ZS-A9CD-01A 73 years, male, white, stage:Stage II, dead, 1386 days 923.5
TCGA-DD-AAD2-01A 66 years, male, asian, stage:Stage I, alive, 658 days 913.1
TCGA-DD-A1EI-01A 46 years, male, asian, stage:Stage I, alive, 183 days 911.8
TCGA-2Y-A9GZ-01A 82 years, female, white, stage:Stage II, dead, 848 days 910.9
TCGA-KR-A7K8-01A 57 years, male, stage:Stage I, alive, 906 days 894.2
TCGA-DD-AACN-01A 32 years, male, asian, stage:Stage I, alive, 1302 days 888.8
TCGA-EP-A2KB-01A 46 years, female, white, stage:Stage I, dead, 596 days 880.0
TCGA-WX-AA46-01A 61 years, male, white, stage:Stage II, alive, 756 days 874.3
TCGA-QA-A7B7-01A 48 years, male, black or african american, stage:Stage II, alive, 94 days 870.3
TCGA-DD-A11D-01A 57 years, female, white, stage:Stage I, dead, 1560 days 870.3
TCGA-DD-AAE1-01A 52 years, male, asian, stage:Stage I, alive, 552 days 869.5
TCGA-DD-AADI-01A 43 years, female, asian, stage:Stage I, alive, 1085 days 869.2
TCGA-DD-A1EG-01A 76 years, male, white, stage:Stage I, dead, 1372 days 867.7
TCGA-BC-A10U-01A 69 years, male, white, stage:'--, dead, 837 days 864.5
TCGA-DD-AADV-01A 50 years, male, asian, stage:Stage I, alive, 574 days 859.6
TCGA-DD-A4NS-01A 61 years, female, white, stage:Stage I, dead, 2456 days 847.4
TCGA-BD-A3ER-01A 62 years, male, white, stage:Stage II, alive, 1115 days 841.2
TCGA-RC-A6M4-01A 74 years, female, white, stage:Stage IIIA, alive, 22 days 841.0
TCGA-DD-AAVZ-01A 38 years, male, asian, stage:Stage I, alive, 1900 days 827.6
TCGA-DD-AAE4-01A 49 years, female, asian, stage:Stage I, alive, 608 days 820.7
TCGA-FV-A3I1-01A 81 years, female, white, stage:Stage II, dead, 247 days 815.4
TCGA-KR-A7K0-01A 65 years, male, white, stage:Stage I, dead, 65 days 805.1
TCGA-DD-AACC-01A 61 years, male, asian, stage:Stage I, dead, 1685 days 801.8
TCGA-DD-A3A1-01A 65 years, male, stage:Stage IIIA, dead, 233 days 800.4
TCGA-G3-A5SK-01A 58 years, male, white, stage:Stage I, alive, 744 days 792.4
TCGA-FV-A4ZQ-01A 52 years, male, white, stage:Stage I, alive, 12 days 785.5
TCGA-ZP-A9D4-01A 64 years, female, white, stage:'--, alive, 395 days 781.7
TCGA-G3-A3CJ-01A 52 years, male, american indian or alaska native, stage:Stage II, alive, 594 days 762.9
TCGA-DD-AAVX-01A 38 years, male, asian, stage:Stage II, alive, 1718 days 759.4
TCGA-CC-A7IH-01A 58 years, male, asian, stage:Stage IIIA, alive, 365 days 759.0
TCGA-FV-A3R2-01A 75 years, male, white, stage:Stage I, dead, 194 days 742.7
TCGA-LG-A9QC-01A 48 years, male, white, stage:Stage I, alive, 425 days 742.2
TCGA-UB-AA0U-01A 60 years, male, white, stage:Stage II, alive, 327 days 737.4
TCGA-DD-AAED-01A 51 years, male, asian, stage:Stage I, alive, 763 days 725.3
TCGA-DD-A3A8-01A 75 years, male, white, stage:Stage II, dead, 11 days 715.6
TCGA-EP-A2KA-01A 52 years, female, white, stage:Stage IIIA, dead, 627 days 714.6
TCGA-XR-A8TC-01A 43 years, female, white, stage:Stage I, alive, 1339 days 707.2
TCGA-DD-AAE6-01A 59 years, female, asian, stage:Stage I, alive, 141 days 701.1
TCGA-RC-A7S9-01A 47 years, female, asian, stage:Stage I, alive, 640 days 699.9
TCGA-DD-AAD6-01A 66 years, male, asian, stage:Stage IIIA, alive, 672 days 696.5
TCGA-O8-A75V-01A 54 years, male, stage:Stage I, alive, 538 days 696.3
TCGA-2Y-A9H8-01A 85 years, female, white, stage:'--, dead, 633 days 694.7
TCGA-NI-A4U2-01A 71 years, male, white, stage:Stage IIIA, dead, 1791 days 682.5
TCGA-DD-AACS-01A 39 years, male, asian, stage:Stage I, alive, 1804 days 682.1
TCGA-DD-AAEB-01A 60 years, male, asian, stage:Stage I, alive, 478 days 676.0
TCGA-G3-A7M7-01A 65 years, male, white, stage:Stage I, alive, 361 days 665.3
TCGA-2Y-A9H5-01A 59 years, female, white, stage:Stage I, dead, 555 days 663.2
TCGA-DD-AACV-01A 53 years, male, asian, stage:Stage I, alive, 1531 days 658.5
TCGA-FV-A495-01A 51 years, female, white, stage:Stage II, alive, 1 days 655.8
TCGA-RC-A6M6-01A 75 years, male, white, stage:Stage II, alive, 9 days 654.6
TCGA-DD-A3A3-01A 45 years, male, asian, stage:Stage I, dead, 535 days 654.2
TCGA-2Y-A9GX-01A 68 years, male, white, stage:Stage I, alive, 2442 days 648.2
TCGA-BW-A5NO-01A 50 years, male, black or african american, stage:Stage IIIA, alive, 20 days 646.7
TCGA-5C-A9VH-01A 70 years, male, white, stage:Stage I, alive, 322 days 636.7
TCGA-EP-A3JL-01A 76 years, male, white, stage:Stage I, alive, 303 days 632.6
TCGA-DD-A4NR-01A 85 years, female, white, stage:Stage I, dead, 9 days 629.4
TCGA-DD-AAVS-01A 56 years, male, asian, stage:Stage I, alive, 1823 days 616.2
TCGA-MR-A520-01A 58 years, male, white, stage:Stage I, alive, 229 days 612.9
TCGA-CC-A9FW-01A 68 years, male, asian, stage:Stage IIIA, alive, 248 days 612.2
TCGA-DD-AAEA-01A 65 years, male, asian, stage:Stage I, alive, 575 days 612.0
TCGA-ES-A2HT-01A 54 years, male, black or african american, stage:Stage I, dead, 438 days 608.1
TCGA-GJ-A6C0-01A 75 years, female, white, stage:Stage II, dead, 31 days 602.2
TCGA-RC-A7SK-01A 59 years, male, asian, stage:Stage I, alive, 472 days 602.0
TCGA-DD-AADJ-01A 70 years, female, asian, stage:Stage I, alive, 1066 days 598.4
TCGA-ED-A7PY-01A 20 years, female, asian, stage:Stage II, alive, 390 days 593.6
TCGA-G3-AAV3-01A 58 years, female, white, stage:Stage II, alive, 412 days 592.5
TCGA-2Y-A9GS-01A 58 years, male, white, stage:'--, dead, 724 days 587.6
TCGA-DD-A4NN-01A 56 years, female, white, stage:Stage I, dead, 899 days 581.6
TCGA-2Y-A9H1-01A 58 years, male, white, stage:Stage I, dead, 1229 days 574.3
TCGA-CC-5258-01A 48 years, male, asian, stage:Stage II, dead, 129 days 570.1
TCGA-DD-AAEI-01A 72 years, male, asian, stage:Stage I, alive, 1531 days 568.6
TCGA-DD-AADM-01A 58 years, male, asian, stage:Stage II, dead, 12 days 564.0
TCGA-DD-A1EK-01A 64 years, female, white, stage:Stage IVB, dead, 558 days 562.3
TCGA-DD-A73F-01A 77 years, female, white, stage:Stage I, alive, 1085 days 549.6
TCGA-G3-AAV2-01A 50 years, male, white, stage:Stage I, alive, 372 days 542.6
TCGA-CC-A123-01A 24 years, female, asian, stage:Stage IIIA, alive, 219 days 540.9
TCGA-G3-A3CI-01A 71 years, male, white, stage:Stage I, alive, 180 days 540.0
TCGA-CC-A5UC-01A 63 years, male, asian, stage:Stage IIIA, dead, 347 days 521.1
TCGA-GJ-A9DB-01A 68 years, male, white, stage:Stage I, dead, 67 days 520.2
TCGA-CC-5262-01A 67 years, male, asian, stage:Stage IIIC, dead, 103 days 513.2
TCGA-G3-A5SJ-01A 59 years, male, white, stage:Stage I, alive, 698 days 512.6
TCGA-DD-AACX-01A 66 years, male, asian, stage:Stage II, alive, 170 days 511.6
TCGA-ED-A8O5-01A 59 years, female, asian, stage:Stage IIIA, alive, 406 days 508.8
TCGA-BC-A10Y-01A 76 years, male, white, stage:'--, dead, 711 days 508.0
TCGA-DD-AACZ-01A 63 years, female, asian, stage:Stage I, dead, 171 days 498.6
TCGA-2Y-A9H3-01A 45 years, male, white, stage:Stage II, alive, 1516 days 497.8
TCGA-CC-A7IL-01A 61 years, male, asian, stage:Stage IIIA, dead, 278 days 491.8
TCGA-DD-AAVW-01A 35 years, male, asian, stage:Stage I, alive, 2317 days 489.6
TCGA-DD-AACP-01A 64 years, male, asian, stage:Stage I, alive, 415 days 489.6
TCGA-DD-A119-01A 40 years, male, asian, stage:Stage IV, dead, 223 days 486.6
TCGA-DD-AAW1-01A 55 years, male, asian, stage:Stage IIIA, alive, 1989 days 474.1
TCGA-CC-A8HS-01A 18 years, male, asian, stage:Stage IIIC, dead, 300 days 470.4
TCGA-G3-A25S-01A 64 years, male, white, stage:Stage I, dead, 416 days 468.8
TCGA-BC-A10T-01A 76 years, male, white, stage:'--, dead, 837 days 462.5
TCGA-CC-A8HU-01A 39 years, female, asian, stage:Stage IIIA, dead, 344 days 457.9
TCGA-BC-A217-01A 75 years, female, white, stage:Stage II, dead, 1397 days 455.2
TCGA-DD-AACU-01A 59 years, male, asian, stage:Stage I, alive, 1567 days 451.7
TCGA-DD-AAW2-01A 69 years, male, asian, stage:Stage I, alive, 1855 days 447.0
TCGA-DD-AAVQ-01A 38 years, male, asian, stage:Stage I, alive, 2728 days 446.5
TCGA-RC-A7SB-01A 53 years, male, asian, stage:Stage II, alive, 588 days 445.9
TCGA-G3-A5SL-01A 70 years, male, white, stage:Stage II, alive, 621 days 440.3
TCGA-G3-AAV6-01A 53 years, female, white, stage:Stage IIIA, dead, 65 days 436.6
TCGA-DD-A73G-01A 73 years, female, white, stage:Stage I, alive, 3478 days 433.6
TCGA-BC-A3KF-01A 66 years, female, white, stage:Stage I, alive, 8 days 428.8
TCGA-G3-AAV1-01A 51 years, male, asian, stage:Stage IIIC, dead, 359 days 424.0
TCGA-ED-A66X-01A 35 years, male, asian, stage:Stage IIIA, alive, 406 days 419.7
TCGA-DD-A1EA-01A 68 years, male, asian, stage:Stage II, alive, 2415 days 419.2
TCGA-2Y-A9GY-01A 64 years, female, white, stage:Stage II, dead, 757 days 416.7
TCGA-UB-A7MD-01A 67 years, male, black or african american, stage:Stage I, dead, 52 days 416.3
TCGA-DD-A4NB-01A 25 years, male, white, stage:Stage I, alive, 989 days 416.0
TCGA-ZP-A9D0-01A 67 years, female, black or african american, stage:'--, alive, 1091 days 415.1
TCGA-ED-A97K-01A 54 years, male, asian, stage:Stage IIIA, alive, 6 days 413.0
TCGA-DD-A3A9-01A 64 years, female, white, stage:Stage IVB, dead, 931 days 410.1
TCGA-ED-A8O6-01A 50 years, female, asian, stage:Stage IIIA, dead, 56 days 408.3
TCGA-DD-AAEE-01A 55 years, male, asian, stage:Stage I, alive, 810 days 407.4
TCGA-DD-AADS-01A 63 years, male, asian, stage:Stage I, alive, 474 days 402.4
TCGA-DD-AAVR-01A 44 years, male, asian, stage:Stage I, alive, 2513 days 395.0
TCGA-5R-AA1C-01A 57 years, male, white, stage:Stage II, alive, 520 days 392.0
TCGA-DD-A73D-01A 68 years, female, white, stage:Stage II, alive, 693 days 391.7
TCGA-DD-AADR-01A 58 years, male, asian, stage:Stage I, alive, 2028 days 390.6
TCGA-DD-AACJ-01A 75 years, male, asian, stage:Stage II, alive, 2102 days 379.4
TCGA-BC-A69H-01A 64 years, male, white, stage:Stage II, alive, 444 days 374.7
TCGA-DD-AACQ-01A 50 years, male, asian, stage:Stage II, dead, 432 days 374.4
TCGA-HP-A5MZ-01A 78 years, male, stage:Stage I, dead, 91 days 373.6
TCGA-2Y-A9H0-01A 49 years, male, white, stage:Stage IIIA, alive, 3675 days 372.0
TCGA-DD-A39V-01A 77 years, male, white, stage:Stage II, dead, 643 days 368.5
TCGA-G3-A7M6-01A 60 years, female, white, stage:Stage I, alive, 632 days 360.5
TCGA-K7-A5RG-01A 66 years, male, black or african american, stage:Stage I, alive, 519 days 357.7
TCGA-DD-AADU-01A 60 years, male, asian, stage:Stage II, alive, 554 days 356.5
TCGA-2Y-A9HA-01A 70 years, male, white, stage:Stage II, dead, 36 days 356.3
TCGA-G3-AAUZ-01A 48 years, male, stage:Stage I, alive, 480 days 352.0
TCGA-MI-A75I-01A 61 years, male, black or african american, stage:'--, alive, 630 days 351.3
TCGA-DD-AAEG-01A 59 years, female, asian, stage:Stage I, alive, 719 days 347.4
TCGA-GJ-A3OU-01A 59 years, male, white, stage:Stage I, alive, 879 days 344.4
TCGA-DD-AADL-01A 58 years, male, asian, stage:Stage I, alive, 636 days 341.6
TCGA-CC-A7IK-01A 59 years, male, asian, stage:Stage IIIA, dead, 262 days 340.0
TCGA-RC-A6M5-01A 20 years, female, white, stage:Stage IVA, alive, 15 days 334.3
TCGA-DD-A115-01A 53 years, male, white, stage:Stage IIIA, dead, 2542 days 330.6
TCGA-BC-A216-01A 62 years, female, white, stage:Stage IIIA, alive, 1351 days 330.1
TCGA-DD-A1EJ-01A 71 years, female, white, stage:Stage IIIC, dead, 1005 days 318.8
TCGA-DD-AACB-01A 74 years, female, asian, stage:Stage I, alive, 2324 days 317.0
TCGA-DD-A1EF-01A 57 years, female, white, stage:Stage I, dead, 394 days 316.7
TCGA-DD-A113-01A 55 years, female, white, stage:Stage II, alive, 2425 days 315.1
TCGA-2Y-A9H6-01A 68 years, female, white, stage:Stage I, alive, 357 days 310.5
TCGA-DD-AADK-01A 68 years, female, asian, stage:Stage II, alive, 1049 days 309.9
TCGA-G3-AAV4-01A 83 years, female, white, stage:Stage I, dead, 27 days 307.8
TCGA-2Y-A9H4-01A 68 years, male, black or african american, stage:Stage I, alive, 1452 days 306.8
TCGA-ZS-A9CG-01A 55 years, male, white, stage:Stage II, alive, 341 days 301.8
TCGA-DD-A4NQ-01A 60 years, male, white, stage:Stage II, dead, 373 days 295.3
TCGA-G3-A25Y-01A 52 years, female, asian, stage:Stage I, dead, 452 days 294.7
TCGA-RG-A7D4-01A 69 years, male, black or african american, stage:Stage II, alive, 1098 days 294.5
TCGA-DD-AADA-01A 66 years, female, asian, stage:Stage I, alive, 1233 days 287.1
TCGA-DD-AADN-01A 59 years, male, asian, stage:Stage I, alive, 898 days 284.7
TCGA-DD-AAVP-01A 48 years, male, asian, stage:Stage I, alive, 2752 days 280.7
TCGA-ZS-A9CF-01A 64 years, male, white, stage:Stage II, alive, 2412 days 280.0
TCGA-UB-A7MB-01A 24 years, male, white, stage:Stage II, alive, 601 days 278.7
TCGA-CC-5261-01A 44 years, male, asian, stage:Stage II, dead, 97 days 277.6
TCGA-DD-AADC-01A 53 years, male, asian, stage:Stage I, dead, 425 days 277.4
TCGA-DD-AADO-01A 55 years, male, asian, stage:Stage I, alive, 453 days 276.1
TCGA-DD-AACL-01A 66 years, female, asian, stage:Stage I, dead, 107 days 275.6
TCGA-DD-AADF-01A 64 years, female, asian, stage:Stage I, dead, 115 days 271.9
TCGA-CC-A7IF-01A 59 years, male, asian, stage:Stage IIIA, dead, 649 days 270.1
TCGA-DD-AADW-01A 48 years, male, asian, stage:Stage I, alive, 587 days 269.4
TCGA-UB-A7MF-01A 56 years, male, white, stage:Stage IIIA, dead, 214 days 258.0
TCGA-DD-A39Y-01A 67 years, male, asian, stage:Stage I, dead, 171 days 253.1
TCGA-NI-A8LF-01A 74 years, male, white, stage:Stage I, alive, 799 days 250.9
TCGA-BC-A10Z-01A 62 years, female, white, stage:Stage I, dead, 34 days 248.3
TCGA-DD-AACE-01A 62 years, male, asian, stage:Stage I, alive, 2184 days 247.1
TCGA-CC-A3MC-01A 54 years, male, asian, stage:Stage IIIA, alive, 363 days 245.0
TCGA-DD-A1EE-01A 73 years, male, white, stage:Stage IIIA, dead, 349 days 241.4
TCGA-RC-A7SH-01A 42 years, male, asian, stage:Stage II, alive, 468 days 236.8
TCGA-DD-A4NJ-01A 54 years, female, white, stage:Stage II, alive, 928 days 236.6
TCGA-BC-A5W4-01A 69 years, male, white, stage:Stage IIIA, dead, 547 days 229.4
TCGA-XR-A8TD-01A 49 years, female, white, stage:Stage IIIB, alive, 1030 days 225.5
TCGA-CC-5264-01A 71 years, male, asian, stage:Stage IIIA, dead, 102 days 217.1
TCGA-DD-AACO-01A 40 years, male, asian, stage:Stage I, alive, 1876 days 213.4
TCGA-DD-A4NF-01A 72 years, male, white, stage:Stage I, alive, 942 days 212.0
TCGA-DD-A4NH-01A 65 years, female, white, stage:Stage IIIB, alive, 917 days 198.2
TCGA-DD-A1EL-01A 23 years, male, black or african american, stage:Stage II, dead, 415 days 198.0
TCGA-G3-A7M9-01A 70 years, male, white, stage:Stage IIIB, dead, 56 days 190.1
TCGA-ED-A7XP-01A 53 years, female, asian, stage:Stage II, alive, 400 days 187.0
TCGA-DD-A1EH-01A 23 years, male, white, stage:Stage III, alive, 1495 days 186.1
TCGA-DD-AACA-01A 65 years, male, asian, stage:Stage I, alive, 2301 days 180.0
TCGA-CC-A3MB-01A 36 years, male, asian, stage:Stage IIIA, dead, 315 days 175.9
TCGA-DD-AACD-01A 48 years, male, asian, stage:Stage I, dead, 381 days 174.7
TCGA-EP-A3RK-01A 73 years, male, white, stage:Stage IIIA, alive, 363 days 171.4
TCGA-DD-A4NE-01A 75 years, female, white, stage:Stage IIIA, dead, 660 days 171.1
TCGA-WX-AA44-01A 64 years, female, white, stage:Stage I, alive, 615 days 165.2
TCGA-DD-A4NG-01A 77 years, male, white, stage:Stage IIIA, dead, 802 days 164.7
TCGA-2Y-A9GU-01A 55 years, female, white, stage:Stage I, alive, 1939 days 160.5
TCGA-ED-A459-01A 47 years, male, asian, stage:Stage II, alive, 910 days 155.8
TCGA-2Y-A9H2-01A 64 years, female, white, stage:Stage I, alive, 1731 days 154.9
TCGA-WJ-A86L-01A 68 years, female, white, stage:Stage I, alive, 345 days 154.7
TCGA-CC-A7IE-01A 57 years, male, asian, stage:Stage IIIA, dead, 217 days 146.3
TCGA-5R-AA1D-01A 17 years, female, white, stage:Stage IIIA, alive, 449 days 140.2
TCGA-DD-AACI-01A 69 years, male, asian, stage:Stage II, alive, 1618 days 130.3
TCGA-K7-AAU7-01A 61 years, male, white, stage:Stage II, alive, 359 days 128.2
TCGA-DD-AAE0-01A 45 years, female, asian, stage:Stage IIIA, alive, 555 days 126.5
TCGA-DD-A39X-01A 78 years, female, white, stage:Stage I, dead, 1694 days 120.2
TCGA-ED-A5KG-01A 60 years, female, asian, stage:Stage II, alive, 854 days 119.5
TCGA-DD-A3A4-01A 37 years, male, white, stage:Stage IIIA, dead, 612 days 116.9
TCGA-EP-A12J-01A 62 years, male, black or african american, stage:Stage I, alive, 570 days 111.1
TCGA-G3-A25T-01A 45 years, female, white, stage:Stage IIIA, alive, 1553 days 110.1
TCGA-DD-A3A7-01A 67 years, male, stage:Stage IIIB, dead, 419 days 109.5
TCGA-DD-A116-01A 68 years, male, asian, stage:Stage IIIA, dead, 1622 days 106.2
TCGA-5C-A9VG-01A 58 years, male, white, stage:Stage II, alive, 328 days 106.0
TCGA-DD-A114-01A 42 years, male, black or african american, stage:Stage II, dead, 1149 days 102.1
TCGA-ZP-A9CZ-01A 72 years, male, asian, stage:'--, alive, 706 days 99.0
TCGA-CC-A3MA-01A 61 years, male, asian, stage:Stage IIIA, dead, 303 days 93.6
TCGA-DD-A73E-01A 66 years, male, white, stage:Stage I, alive, 44 days 87.8
TCGA-WQ-A9G7-01A 71 years, female, white, stage:'--, alive, 30 days 84.6
TCGA-UB-A7MC-01A 59 years, male, white, stage:Stage IIIA, alive, 500 days 83.0
TCGA-CC-A8HV-01A 51 years, female, asian, stage:Stage II, dead, 279 days 81.2
TCGA-CC-A7IG-01A 47 years, male, asian, stage:Stage II, dead, 299 days 80.8
TCGA-CC-A9FS-01A 55 years, male, asian, stage:Stage II, alive, 211 days 79.2
TCGA-DD-AAD5-01A 54 years, male, asian, stage:Stage I, alive, 1345 days 78.5
TCGA-DD-AAC8-01A 72 years, male, asian, stage:Stage I, dead, 16 days 75.1
TCGA-YA-A8S7-01A 68 years, male, white, stage:Stage IIIA, dead, 412 days 64.3
TCGA-CC-A8HT-01A 74 years, male, asian, stage:Stage IIIA, dead, 140 days 61.6
TCGA-BC-A3KG-01A 68 years, female, white, stage:Stage II, alive, 680 days 58.2
TCGA-FV-A3R3-01A 38 years, female, white, stage:Stage I, dead, 366 days 57.3
TCGA-BC-A8YO-01A 66 years, female, white, stage:Stage IIIC, alive, 562 days 52.1
TCGA-DD-AACH-01A 69 years, male, asian, stage:Stage II, dead, 195 days 51.8
TCGA-DD-AAE9-01A 69 years, male, asian, stage:Stage I, alive, 722 days 43.3
TCGA-G3-AAV7-01A 38 years, male, asian, stage:Stage II, alive, 361 days 42.3
TCGA-G3-A25X-01A 73 years, male, asian, stage:Stage II, alive, 1779 days 36.8
TCGA-ZP-A9D2-01A 51 years, male, white, stage:'--, dead, 765 days 31.1
TCGA-MR-A8JO-01A 34 years, male, white, stage:Stage I, alive, 330 days 28.9
TCGA-FV-A4ZP-01A 78 years, male, white, stage:Stage IIIA, dead, 2486 days 26.6
TCGA-BC-A10R-01A 66 years, female, white, stage:'--, dead, 308 days 23.4
TCGA-DD-AA3A-01A 81 years, female, white, stage:Stage I, dead, 410 days 18.5
TCGA-DD-A118-01A 77 years, female, white, stage:Stage II, alive, 3437 days 18.3
TCGA-ED-A7PZ-01A 61 years, male, asian, stage:Stage II, alive, 6 days 16.4
TCGA-CC-5263-01A 35 years, male, asian, stage:Stage IIIA, dead, 129 days 15.0
TCGA-5C-AAPD-01A 61 years, male, asian, stage:Stage II, alive, 20 days 14.1
TCGA-BC-A10W-01A 50 years, male, asian, stage:'--, dead, 91 days 7.8
TCGA-ED-A7PX-01A 48 years, female, asian, stage:Stage II, alive, 6 days 5.2
TCGA-UB-A7MA-01A 62 years, female, white, stage:Stage II, alive, 848 days 3.6
TCGA-WX-AA47-01A 33 years, female, white, stage:Stage IIIA, dead, 556 days 3.3
TCGA-CC-A5UD-01A 45 years, male, asian, stage:Stage IIIA, dead, 304 days 2.9
TCGA-DD-A1EC-01A 20 years, female, white, stage:Stage I, alive, 602 days 2.6
TCGA-DD-A3A6-01A 72 years, female, white, stage:Stage II, dead, 3258 days 1.5
TCGA-BC-A112-01A 80 years, male, white, stage:'--, dead, 153 days 1.4
TCGA-CC-A7II-01A 54 years, male, asian, stage:Stage IIIA, alive, 399 days 1.1
TCGA-CC-A1HT-01A 50 years, male, asian, stage:Stage IIIA, dead, 101 days 0.9
TCGA-BC-A10Q-01A 72 years, female, white, stage:'--, dead, 1135 days 0.9
TCGA-FV-A3I0-01A 76 years, female, white, stage:Stage II, alive, 848 days 0.9
TCGA-CC-5260-01A 61 years, female, asian, stage:Stage IIIC, dead, 87 days 0.8
TCGA-DD-A4NA-01A 67 years, female, white, stage:Stage IIIC, alive, 1008 days 0.6
TCGA-CC-A3M9-01A 45 years, male, asian, stage:Stage IIIA, dead, 300 days 0.4
TCGA-CC-A7IJ-01A 56 years, male, asian, stage:Stage II, alive, 382 days 0.4
TCGA-ED-A82E-01A 60 years, female, asian, stage:Stage IIIA, alive, 408 days 0.0
Show allShow less
LIVER HEPATOCELLULAR CARCINOMA (VALIDATION) - Interactive survival scatter ploti

The Survival Scatter plot shows the clinical status (i.e. dead or alive) for all individuals in the patient cohort, based on the same data that underlies the corresponding Kaplan-Meier plots. Patients that are alive at last time for follow-up are shown in blue and patients who have died during the study are shown in red.

The x-axis shows the expression levels (FPKM) of the investigated gene in the tumor tissue at the time of diagnosis. The y-axis shows the follow-up time after diagnosis (years). Both axes are complimented with kernel density curves demonstrating the data density over the axes. The top density plot shows the expression levels (FPKM) distribution among dead (red) and alive patients (blue). The right density plot shows the data density of the survived years of dead patients with high and low expression levels respectively, stratified using the cutoff indicated by the vertical dashed line through the Survival Scatter plot. This cutoff is automatically defined based on the FPKM cutoff that minimizes the p-score. The cutoff can be changed by dragging the vertical line or by entering a cutoff value in the square labeled "Current cut-off".

Under the Survival Scatter plot the p-score landscape (black curve; left axis) is shown together with dead median separation (red curve; right axis). Dead median separation is the difference in median mRNA expression between patients who have died with high and low expression, respectively. It is calculated as follows: median FPKM expression of dead patients with high expression - median FPKM expression of dead patients with low expression. This is intended to aid the user in visually exploring custom cutoffs and the associated p-scores and dead median separation.

Individual patient data is displayed and can be filtered by clicking on one or more of the category buttons on the top of the page. Categories describing expression level and patient information include: high, low, alive, dead, female, male and tumor stages. The scale of the x-axis can be toggled between linear and log-scale by clicking on the "x log" button. Mouse-over function shows TCGA ID, patient information and mRNA expression (FPKM) for each patient.

& Survival analysisi

Kaplan-Meier plots summarize results from analysis of correlation between mRNA expression level and patient survival. Patients were divided based on level of expression into one of the two groups "low" (under cut off) or "high" (over cut off). X-axis shows time for survival (years) and y-axis shows the probability of survival, where 1.0 corresponds to 100 percent.

A1BG is potential prognostic, high expression is favorable in Liver Hepatocellular Carcinoma (validation)


Stage:
Survival analysis
Current cut offi

Current cut-off shows the cut-off (FPKM) currently selected. It may be changed manually. When the current cut-off is changed, the vertical dashed line indicating cut-off, the interactive survival scatter plot and the Kaplan-Meier curve will be automatically adjusted to show results accordingly.

:
Best expression cut offi

Based on the FPKM value of each gene, patients were classified into two groups and association between prognosis (survival) and gene expression (FPKM) was examined. The best expression cut-off refers the FPKM value that yields maximal difference with regard to survival between the two groups at the lowest log-rank P-value. Best expression cut-off was selected based on survival analysis .

When clicking on this number, the vertical dashed line indicating cut-off, the interactive survival plot, and the Kaplan-Meier curve will be adjusted to show results based on the best expression cut-off.

: 969.28
Median expressioni

Median expression refers to the median FPKM value calculated based on the gene expression (FPKM) data from all patients in this dataset. When clicking on this number, the vertical dashed line indicating cut-off, the interactive survival plot, and the Kaplan-Meier curve will be adjusted to show results based on the median expression.

: N/A
Median follow up timei

Median follow up time refers to the median time (years) after diagnosis with this type of cancer, based on clinical data from all patients in this dataset.

: N/A
P scorei

Log-rank P value for Kaplan-Meier plot showing results from analysis of correlation between mRNA expression level and patient survival.

N/A
5-year survival highi

5-year survival for patients with higher expression than the expression cutoff.

For melanoma and glioma, 3-year survival is shown.

N/A
5-year survival lowi

5-year survival for patients with lower expression than the expression cutoff.

For melanoma and glioma, 3-year survival is shown.

N/A
TCGA RNA samplesi

RNA-seq data is reported as average FPKM (number Fragments Per Kilobase of exon per Million reads), generated by the The Cancer Genome Atlas (TCGA) .

Normal distribution across the dataset is visualized with box plots, shown as median and 25th and 75th percentiles. Points are displayed as outliers if they are above or below 1.5 times the interquartile range. FPKM values of the individual samples are presented next to the box plot.

Average pTPM 880.2
Number of samples 231
Samples
Sample Description pTPM
DO23538 67 years, male, NA, stage:2, alive, 450 days 3194.6
DO45099 46 years, male, NA, stage:3, alive, 1590 days 3190.3
DO23512 60 years, male, NA, stage:1, alive, 1260 days 3020.9
DO23527 72 years, male, NA, stage:1, alive, 1050 days 2853.3
DO45111 74 years, male, NA, stage:2, alive, 1590 days 2811.9
DO45207 68 years, male, NA, stage:1, alive, 1050 days 2705.2
DO23517 62 years, male, NA, stage:2, alive, 1200 days 2554.5
DO45109 63 years, male, NA, stage:2, alive, 1590 days 2504.0
DO50787 63 years, male, NA, stage:3, alive, 480 days 2460.2
DO45265 73 years, male, NA, stage:3, alive, 1020 days 2440.3
DO45094 76 years, male, NA, stage:3, alive, 1650 days 2353.3
DO50819 72 years, female, NA, stage:2, alive, 510 days 2342.0
DO45199 86 years, female, NA, stage:2, alive, 1350 days 2294.2
DO48760 70 years, female, NA, stage:2, alive, 690 days 2251.7
DO23550 69 years, male, NA, stage:1, alive, 990 days 2236.5
DO45125 58 years, male, NA, stage:3, alive, 1680 days 2058.8
DO45227 57 years, female, NA, stage:2, alive, 1020 days 2052.6
DO23544 67 years, male, NA, stage:2, alive, 960 days 2046.1
DO45215 65 years, male, NA, stage:2, alive, 1170 days 2036.0
DO50818 65 years, male, NA, stage:2, alive, 510 days 1943.0
DO45107 63 years, female, NA, stage:2, alive, 1710 days 1929.6
DO45143 69 years, male, NA, stage:3, alive, 1290 days 1915.8
DO227643 79 years, male, NA, stage:2, alive, 1260 days 1905.9
DO45137 38 years, male, NA, stage:1, alive, 1320 days 1894.1
DO45173 63 years, male, NA, stage:3, alive, 1170 days 1889.7
DO45167 67 years, male, NA, stage:2, dead, 1440 days 1871.4
DO48674 80 years, male, NA, stage:2, alive, 1260 days 1866.1
DO50807 67 years, male, NA, stage:1, alive, 540 days 1836.2
DO23534 60 years, male, NA, stage:2, alive, 840 days 1835.8
DO48693 71 years, male, NA, stage:2, alive, 900 days 1773.9
DO48751 68 years, male, NA, stage:2, dead, 480 days 1767.6
DO50789 73 years, female, NA, stage:2, alive, 570 days 1755.4
DO48725 66 years, male, NA, stage:1, alive, 780 days 1750.5
DO23532 71 years, female, NA, stage:1, alive, 960 days 1735.6
DO45239 42 years, male, NA, stage:2, alive, 870 days 1720.0
DO48742 76 years, male, NA, stage:2, alive, 600 days 1717.1
DO45181 84 years, female, NA, stage:2, alive, 1200 days 1670.1
DO45101 63 years, male, NA, stage:2, alive, 1680 days 1645.5
DO45261 74 years, male, NA, stage:3, alive, 990 days 1628.1
DO50850 74 years, male, NA, stage:3, alive, 720 days 1611.0
DO45096 69 years, male, NA, stage:2, dead, 1290 days 1583.0
DO50776 75 years, male, NA, stage:1, alive, 690 days 1535.2
DO45241 49 years, male, NA, stage:1, alive, 1080 days 1517.6
DO45091 56 years, male, NA, stage:2, dead, 1320 days 1512.6
DO23531 78 years, female, NA, stage:3, alive, 900 days 1453.0
DO23511 83 years, female, NA, stage:3, dead, 180 days 1405.7
DO45159 65 years, male, NA, stage:3, alive, 1470 days 1387.8
DO45113 58 years, male, NA, stage:3, alive, 1560 days 1385.0
DO45179 78 years, female, NA, stage:2, alive, 600 days 1382.5
DO45183 72 years, female, NA, stage:2, dead, 570 days 1379.3
DO48761 55 years, male, NA, stage:2, alive, 870 days 1370.8
DO50804 81 years, male, NA, stage:2, alive, 720 days 1353.3
DO227801 77 years, female, NA, stage:1, alive, 660 days 1341.8
DO45129 61 years, male, NA, stage:3, alive, 1470 days 1336.9
DO50857 72 years, male, NA, stage:2, alive, 210 days 1333.7
DO45243 74 years, female, NA, stage:3, alive, 930 days 1323.9
DO48721 58 years, female, NA, stage:1, alive, 900 days 1302.5
DO48757 68 years, female, NA, stage:3, alive, 480 days 1274.5
DO50813 56 years, male, NA, stage:2, alive, 420 days 1272.4
DO45195 62 years, male, NA, stage:1, alive, 390 days 1264.5
DO45229 74 years, male, NA, stage:1, alive, 990 days 1261.3
DO50822 66 years, male, NA, stage:2, alive, 510 days 1258.4
DO48677 58 years, male, NA, stage:3, alive, 1140 days 1221.0
DO45213 58 years, male, NA, stage:1, alive, 1200 days 1207.7
DO50839 47 years, female, NA, stage:3, alive, 330 days 1195.0
DO50816 63 years, male, NA, stage:2, alive, 390 days 1168.8
DO50811 62 years, male, NA, stage:1, alive, 450 days 1157.0
DO48743 69 years, female, NA, stage:2, alive, 570 days 1155.0
DO23525 71 years, male, NA, stage:4, alive, 1050 days 1150.9
DO50820 77 years, female, NA, stage:3, alive, 510 days 1118.2
DO50802 49 years, male, NA, stage:2, alive, 930 days 1114.7
DO45231 84 years, male, NA, stage:2, alive, 930 days 1093.0
DO23518 67 years, male, NA, stage:2, alive, 1320 days 1069.4
DO48746 76 years, male, NA, stage:3, alive, 570 days 1067.5
DO45141 73 years, male, NA, stage:2, alive, 1320 days 1065.2
DO48730 73 years, female, NA, stage:2, alive, 630 days 1061.9
DO45169 74 years, male, NA, stage:3, alive, 1350 days 1056.1
DO23548 78 years, female, NA, stage:1, alive, 840 days 1032.9
DO45131 53 years, male, NA, stage:4, dead, 360 days 1023.1
DO45097 69 years, male, NA, stage:3, alive, 1620 days 1022.8
DO45257 46 years, male, NA, stage:3, alive, 810 days 1018.9
DO23536 56 years, male, NA, stage:2, alive, 930 days 1009.6
DO45149 70 years, female, NA, stage:2, alive, 1260 days 1000.2
DO45219 78 years, male, NA, stage:2, alive, 1080 days 979.6
DO50805 72 years, male, NA, stage:2, alive, 690 days 977.1
DO23516 69 years, male, NA, stage:3, dead, 20 days 961.5
DO45092 62 years, male, NA, stage:4, dead, 1200 days 953.6
DO45177 81 years, female, NA, stage:3, alive, 1260 days 950.5
DO45191 61 years, female, NA, stage:2, alive, 1200 days 946.5
DO45201 49 years, male, NA, stage:1, alive, 900 days 945.9
DO23543 63 years, male, NA, stage:2, alive, 1020 days 911.3
DO45281 83 years, male, NA, stage:4, alive, 750 days 909.6
DO45255 81 years, male, NA, stage:3, alive, 720 days 900.5
DO23510 80 years, female, NA, stage:2, alive, 870 days 897.0
DO23546 63 years, male, NA, stage:2, alive, 1050 days 887.3
DO48727 81 years, female, NA, stage:2, dead, 390 days 885.6
DO45233 83 years, male, NA, stage:3, alive, 900 days 876.0
DO50800 74 years, male, NA, stage:2, alive, 510 days 860.9
DO48759 73 years, male, NA, stage:3, alive, 720 days 850.4
DO23551 73 years, male, NA, stage:3, dead, 150 days 842.4
DO45133 64 years, male, NA, stage:3, dead, 660 days 841.5
DO45163 76 years, male, NA, stage:2, alive, 960 days 836.6
DO45221 75 years, female, NA, stage:4, dead, 390 days 815.2
DO45269 59 years, male, NA, stage:3, alive, 750 days 815.0
DO50840 49 years, male, NA, stage:2, alive, 330 days 813.8
DO45157 62 years, male, NA, stage:2, alive, 1980 days 808.8
DO45105 61 years, male, NA, stage:1, alive, 1680 days 800.9
DO48737 52 years, male, NA, stage:1, alive, 720 days 782.7
DO48733 72 years, male, NA, stage:2, alive, 600 days 770.3
DO50783 62 years, male, NA, stage:3, alive, 480 days 767.1
DO45153 77 years, female, NA, stage:2, alive, 1380 days 762.0
DO48682 72 years, female, NA, stage:3, dead, 120 days 760.7
DO45115 81 years, male, NA, stage:2, alive, 840 days 759.6
DO23545 67 years, male, NA, stage:2, dead, 570 days 755.0
DO23535 67 years, male, NA, stage:1, alive, 960 days 748.7
DO45223 67 years, male, NA, stage:4, alive, 1020 days 745.4
DO48706 72 years, male, NA, stage:2, alive, 870 days 742.4
DO50844 75 years, male, NA, stage:4, alive, 300 days 732.0
DO45203 71 years, female, NA, stage:2, alive, 1170 days 724.3
DO45095 66 years, male, NA, stage:2, alive, 1620 days 709.1
DO45103 47 years, male, NA, stage:3, alive, 450 days 691.5
DO48716 71 years, male, NA, stage:2, alive, 720 days 669.1
DO50814 83 years, male, NA, stage:3, alive, 420 days 654.2
DO45187 32 years, female, NA, stage:1, alive, 1260 days 650.6
DO48715 58 years, female, NA, stage:2, dead, 690 days 645.6
DO50845 72 years, male, NA, stage:3, alive, 210 days 633.8
DO45165 75 years, male, NA, stage:2, alive, 690 days 633.6
DO45117 73 years, female, NA, stage:2, dead, 1110 days 621.6
DO50793 76 years, male, NA, stage:4, alive, 540 days 620.8
DO50808 68 years, male, NA, stage:2, alive, 570 days 614.8
DO45235 68 years, female, NA, stage:1, alive, 900 days 612.2
DO50774 68 years, female, NA, stage:2, alive, 720 days 606.7
DO45217 69 years, female, NA, stage:3, dead, 270 days 603.0
DO48695 77 years, male, NA, stage:2, alive, 720 days 602.5
DO45123 78 years, female, NA, stage:2, dead, 570 days 600.1
DO48701 78 years, male, NA, stage:2, alive, 780 days 598.8
DO48697 64 years, female, NA, stage:2, dead, 810 days 598.0
DO50806 70 years, male, NA, stage:4, alive, 540 days 592.8
DO50799 66 years, female, NA, stage:2, alive, 540 days 585.0
DO50859 77 years, male, NA, stage:2, alive, 180 days 583.1
DO48704 68 years, female, NA, stage:3, alive, 750 days 566.3
DO45237 58 years, male, NA, stage:2, alive, 900 days 560.5
DO50809 56 years, male, NA, stage:3, dead, 720 days 552.8
DO45121 61 years, male, NA, stage:3, alive, 1530 days 547.9
DO50803 62 years, female, NA, stage:1, alive, 540 days 546.9
DO48681 57 years, male, NA, stage:2, alive, 900 days 541.1
DO45197 51 years, male, NA, stage:2, alive, 1170 days 536.8
DO45193 68 years, female, NA, stage:4, dead, 120 days 530.2
DO48700 78 years, female, NA, stage:2, alive, 810 days 524.3
DO23537 79 years, male, NA, stage:2, dead, 900 days 521.0
DO50825 70 years, male, NA, stage:2, alive, 390 days 504.8
DO45273 62 years, male, NA, stage:2, alive, 480 days 487.6
DO23540 73 years, male, NA, stage:1, alive, 750 days 482.2
DO23529 72 years, male, NA, stage:4, alive, 930 days 473.6
DO23508 79 years, female, NA, stage:2, alive, 390 days 461.4
DO48712 50 years, male, NA, stage:2, alive, 810 days 455.9
DO45263 67 years, male, NA, stage:3, dead, 270 days 446.4
DO50798 77 years, male, NA, stage:3, dead, 30 days 436.8
DO45175 74 years, male, NA, stage:2, alive, 1140 days 430.3
DO48728 74 years, female, NA, stage:2, alive, 150 days 427.6
DO50832 73 years, male, NA, stage:3, alive, 90 days 423.0
DO48679 72 years, male, NA, stage:2, alive, 1200 days 421.6
DO45247 31 years, female, NA, stage:2, alive, 210 days 420.9
DO45161 74 years, male, NA, stage:2, dead, 540 days 418.4
DO50785 37 years, male, NA, stage:4, dead, 90 days 415.0
DO48719 80 years, male, NA, stage:2, alive, 690 days 390.6
DO23528 45 years, female, NA, stage:2, alive, 1020 days 377.8
DO23539 77 years, male, NA, stage:1, alive, 1110 days 366.1
DO23541 65 years, male, NA, stage:2, alive, 930 days 355.3
DO45155 69 years, male, NA, stage:2, alive, 2160 days 353.5
DO45225 69 years, male, NA, stage:1, alive, 1050 days 335.9
DO48720 62 years, female, NA, stage:2, alive, 570 days 335.2
DO50815 62 years, male, NA, stage:3, alive, 150 days 330.2
DO50817 75 years, male, NA, stage:2, alive, 390 days 316.3
DO50791 79 years, female, NA, stage:1, dead, 480 days 316.0
DO50855 47 years, male, NA, stage:2, alive, 570 days 312.0
DO48723 73 years, male, NA, stage:1, alive, 600 days 308.3
DO23514 64 years, male, NA, stage:2, alive, 1290 days 293.0
DO23530 53 years, male, NA, stage:4, dead, 180 days 282.5
DO45135 77 years, male, NA, stage:1, alive, 1410 days 273.9
DO48741 64 years, male, NA, stage:3, alive, 240 days 271.2
DO23552 80 years, female, NA, stage:1, alive, 810 days 265.5
DO48736 76 years, female, NA, stage:1, alive, 600 days 256.8
DO23509 60 years, male, NA, stage:3, dead, 780 days 235.8
DO23515 71 years, male, NA, stage:2, alive, 1230 days 231.3
DO23542 66 years, male, NA, stage:3, alive, 960 days 230.3
DO45253 50 years, male, NA, stage:2, alive, 870 days 214.3
DO23549 74 years, male, NA, stage:3, alive, 990 days 169.7
DO45093 71 years, male, NA, stage:2, dead, 720 days 167.8
DO23524 71 years, female, NA, stage:2, alive, 1050 days 167.0
DO45249 57 years, male, NA, stage:1, alive, 630 days 157.8
DO23547 74 years, male, NA, stage:1, alive, 1020 days 154.0
DO45251 57 years, female, NA, stage:2, alive, 900 days 151.5
DO45209 70 years, male, NA, stage:4, alive, 1350 days 150.4
DO23526 66 years, male, NA, stage:3, alive, 1050 days 144.9
DO45171 56 years, male, NA, stage:3, alive, 600 days 129.5
DO45119 74 years, male, NA, stage:3, dead, 510 days 128.6
DO45139 63 years, male, NA, stage:3, alive, 1320 days 124.3
DO50778 60 years, male, NA, stage:4, alive, 630 days 119.7
DO23533 61 years, male, NA, stage:2, alive, 900 days 111.6
DO48672 81 years, male, NA, stage:2, alive, 450 days 107.7
DO50829 78 years, male, NA, stage:3, alive, 570 days 105.1
DO48717 54 years, male, NA, stage:4, dead, 180 days 104.0
DO45127 73 years, male, NA, stage:3, dead, 420 days 88.0
DO45185 89 years, male, NA, stage:2, alive, 600 days 74.3
DO45259 65 years, male, NA, stage:3, alive, 330 days 70.7
DO48732 73 years, male, NA, stage:3, alive, 630 days 62.8
DO45301 56 years, male, NA, stage:2, dead, 1440 days 59.7
DO45267 73 years, male, NA, stage:3, dead, 570 days 40.4
DO45305 66 years, male, NA, stage:4, alive, 300 days 31.7
DO45283 60 years, male, NA, stage:3, alive, 510 days 25.0
DO45287 74 years, male, NA, stage:1, alive, 390 days 20.4
DO23513 76 years, male, NA, stage:3, alive, 1200 days 16.4
DO23523 52 years, male, NA, stage:3, alive, 1080 days 13.8
DO48747 62 years, male, NA, stage:3, alive, 540 days 10.0
DO45205 67 years, female, NA, stage:2, dead, 90 days 9.6
DO23521 63 years, male, NA, stage:3, alive, 1110 days 9.0
DO45145 78 years, male, NA, stage:3, dead, 60 days 8.7
DO45277 64 years, male, NA, stage:3, alive, 600 days 8.5
DO45279 67 years, male, NA, stage:3, alive, 1290 days 7.9
DO23519 65 years, male, NA, stage:3, alive, 630 days 7.3
DO45285 59 years, male, NA, stage:3, alive, 480 days 6.5
DO45189 85 years, female, NA, stage:2, alive, 1200 days 5.0
DO45289 78 years, female, NA, stage:3, alive, 360 days 4.6
DO45297 61 years, female, NA, stage:4, dead, 1260 days 4.5
DO45245 75 years, female, NA, stage:2, dead, 240 days 3.9
DO45275 65 years, male, NA, stage:3, dead, 10 days 3.2
DO45307 54 years, female, NA, stage:4, dead, 240 days 3.2
DO45303 62 years, female, NA, stage:3, alive, 990 days 2.9
DO45211 76 years, male, NA, stage:3, alive, 240 days 1.5
DO45299 70 years, female, NA, stage:1, alive, 1440 days 0.7
Show allShow less
LIVER HEPATOCELLULAR CARCINOMA - Protein relative expression (CPTAC)
Number of samples 330
Samples
Sample ID Sample type nRPX
863 Tumor 1.7
343 Tumor 1.5
877 Tumor 1.5
425 Tumor 1.2
192 Normal 0.8
112 Tumor 0.8
1045 Tumor 0.8
224 Normal 0.7
615 Tumor 0.7
815 Tumor 0.7
517 Tumor 0.7
671 Tumor 0.6
515 Tumor 0.6
354 Normal 0.6
391 Tumor 0.6
445 Tumor 0.6
857 Tumor 0.6
433 Tumor 0.6
727 Tumor 0.5
452 Normal 0.5
283 Tumor 0.5
342 Normal 0.5
358 Normal 0.5
636 Normal 0.5
142 Normal 0.5
785 Tumor 0.5
444 Normal 0.5
618 Normal 0.4
665 Tumor 0.4
672 Normal 0.4
737 Tumor 0.4
616 Normal 0.4
384 Normal 0.4
642 Normal 0.4
817 Tumor 0.4
344 Normal 0.4
1015 Tumor 0.4
217 Tumor 0.4
375 Tumor 0.4
365 Tumor 0.4
368 Normal 0.4
426 Normal 0.4
746 Normal 0.4
635 Tumor 0.4
392 Normal 0.4
414 Normal 0.4
568 Normal 0.4
648 Normal 0.4
332 Normal 0.3
286 Normal 0.3
564 Normal 0.3
813 Tumor 0.3
884 Normal 0.3
574 Normal 0.3
627 Tumor 0.3
558 Normal 0.3
186 Normal 0.3
713 Tumor 0.3
138 Normal 0.3
126 Normal 0.3
228 Normal 0.3
424 Normal 0.3
464 Normal 0.3
284 Normal 0.3
314 Normal 0.3
728 Normal 0.3
744 Normal 0.3
132 Normal 0.3
218 Normal 0.3
232 Normal 0.3
367 Tumor 0.3
393 Tumor 0.3
124 Normal 0.3
432 Normal 0.3
185 Tumor 0.3
1022 Normal 0.3
113 Tumor 0.3
864 Normal 0.3
312 Normal 0.3
394 Normal 0.3
878 Normal 0.2
778 Normal 0.2
222 Normal 0.2
666 Normal 0.2
723 Tumor 0.2
114 Normal 0.2
423 Tumor 0.2
456 Normal 0.2
341 Tumor 0.2
563 Tumor 0.2
196 Normal 0.2
111 Normal 0.2
428 Normal 0.2
396 Normal 0.2
434 Normal 0.2
386 Normal 0.2
376 Normal 0.2
956 Normal 0.2
261 Tumor 0.2
881 Tumor 0.2
223 Tumor 0.2
214 Normal 0.2
738 Normal 0.2
146 Normal 0.2
353 Tumor 0.2
628 Normal 0.2
858 Normal 0.2
742 Normal 0.2
1046 Normal 0.2
188 Normal 0.2
141 Tumor 0.2
722 Normal 0.2
818 Normal 0.2
777 Tumor 0.2
982 Normal 0.2
866 Normal 0.2
968 Normal 0.2
352 Normal 0.2
921 Tumor 0.2
481 Tumor 0.2
258 Normal 0.2
664 Normal 0.2
1044 Normal 0.2
136 Normal 0.2
468 Normal 0.2
526 Normal 0.2
662 Normal 0.2
958 Normal 0.2
536 Normal 0.2
852 Normal 0.2
572 Normal 0.1
422 Normal 0.1
364 Normal 0.1
914 Normal 0.1
924 Normal 0.1
915 Tumor 0.1
756 Normal 0.1
1026 Normal 0.1
967 Tumor 0.1
1041 Tumor 0.1
446 Normal 0.1
686 Normal 0.1
696 Normal 0.1
462 Normal 0.1
278 Normal 0.1
466 Normal 0.1
816 Normal 0.1
448 Normal 0.1
514 Normal 0.1
851 Tumor 0.1
191 Tumor 0.1
388 Normal 0.1
145 Tumor 0.1
277 Tumor 0.1
1028 Normal 0.1
262 Normal 0.1
567 Tumor 0.1
162 Normal 0.1
366 Normal 0.1
416 Normal 0.1
938 Normal 0.1
882 Normal 0.1
617 Tumor 0.1
172 Normal 0.1
966 Normal 0.1
268 Normal 0.1
975 Tumor 0.1
518 Normal 0.1
1016 Normal 0.1
516 Normal 0.1
212 Normal 0.1
916 Normal 0.1
455 Tumor 0.1
546 Normal 0.1
148 Normal 0.1
954 Normal 0.1
328 Normal 0.1
421 Tumor 0.1
862 Normal 0.1
1025 Tumor 0.1
297 Tumor 0.0
874 Normal 0.0
125 Tumor 0.0
474 Normal 0.0
981 Tumor 0.0
461 Tumor 0.0
955 Tumor 0.0
488 Normal 0.0
714 Normal 0.0
538 Normal 0.0
868 Normal 0.0
272 Normal 0.0
435 Tumor 0.0
137 Tumor 0.0
356 Normal 0.0
362 Normal 0.0
498 Normal 0.0
195 Tumor 0.0
363 Tumor 0.0
327 Tumor 0.0
128 Normal 0.0
436 Normal 0.0
285 Tumor 0.0
298 Normal 0.0
814 Normal 0.0
912 Normal 0.0
786 Normal 0.0
523 Tumor 0.0
447 Tumor 0.0
528 Normal 0.0
513 Tumor 0.0
922 Normal 0.0
573 Tumor 0.0
494 Normal 0.0
721 Tumor 0.0
472 Normal 0.0
535 Tumor 0.0
641 Tumor 0.0
952 Normal 0.0
147 Tumor 0.0
918 Normal -0.1
395 Tumor -0.1
213 Tumor -0.1
926 Normal -0.1
745 Tumor -0.1
361 Tumor -0.1
412 Normal -0.1
524 Normal -0.1
135 Tumor -0.1
695 Tumor -0.1
491 Tumor -0.1
431 Tumor -0.1
311 Tumor -0.1
716 Normal -0.1
698 Normal -0.1
1042 Normal -0.1
824 Normal -0.1
964 Normal -0.1
271 Tumor -0.1
1032 Normal -0.1
743 Tumor -0.1
187 Tumor -0.1
917 Tumor -0.1
492 Normal -0.1
482 Normal -0.1
557 Tumor -0.1
883 Tumor -0.1
383 Tumor -0.1
554 Normal -0.2
951 Tumor -0.2
697 Tumor -0.2
571 Tumor -0.2
647 Tumor -0.2
451 Tumor -0.2
471 Tumor -0.2
976 Normal -0.2
873 Tumor -0.2
944 Normal -0.2
127 Tumor -0.2
357 Tumor -0.2
1021 Tumor -0.2
227 Tumor -0.2
978 Normal -0.2
267 Tumor -0.2
977 Tumor -0.2
331 Tumor -0.2
663 Tumor -0.2
553 Tumor -0.2
741 Tumor -0.2
983 Tumor -0.2
963 Tumor -0.2
415 Tumor -0.2
465 Tumor -0.2
484 Normal -0.3
443 Tumor -0.3
984 Normal -0.3
823 Tumor -0.3
867 Tumor -0.3
467 Tumor -0.3
1043 Tumor -0.3
953 Tumor -0.3
1014 Normal -0.3
913 Tumor -0.3
937 Tumor -0.3
911 Tumor -0.3
527 Tumor -0.3
755 Tumor -0.3
413 Tumor -0.3
478 Normal -0.3
463 Tumor -0.3
221 Tumor -0.3
131 Tumor -0.3
545 Tumor -0.3
351 Tumor -0.4
534 Normal -0.4
385 Tumor -0.4
387 Tumor -0.4
525 Tumor -0.4
685 Tumor -0.4
123 Tumor -0.4
965 Tumor -0.4
477 Tumor -0.5
161 Tumor -0.5
231 Tumor -0.5
487 Tumor -0.5
1027 Tumor -0.5
497 Tumor -0.5
923 Tumor -0.5
313 Tumor -0.5
355 Tumor -0.5
661 Tumor -0.5
483 Tumor -0.6
861 Tumor -0.6
411 Tumor -0.6
257 Tumor -0.6
724 Normal -0.6
715 Tumor -0.6
865 Tumor -0.7
171 Tumor -0.7
943 Tumor -0.8
427 Tumor -0.8
925 Tumor -0.8
211 Tumor -0.8
537 Tumor -0.8
493 Tumor -0.8
1031 Tumor -0.9
1013 Tumor -1.1
957 Tumor -1.1
473 Tumor -1.2
533 Tumor -1.2
Show allShow less
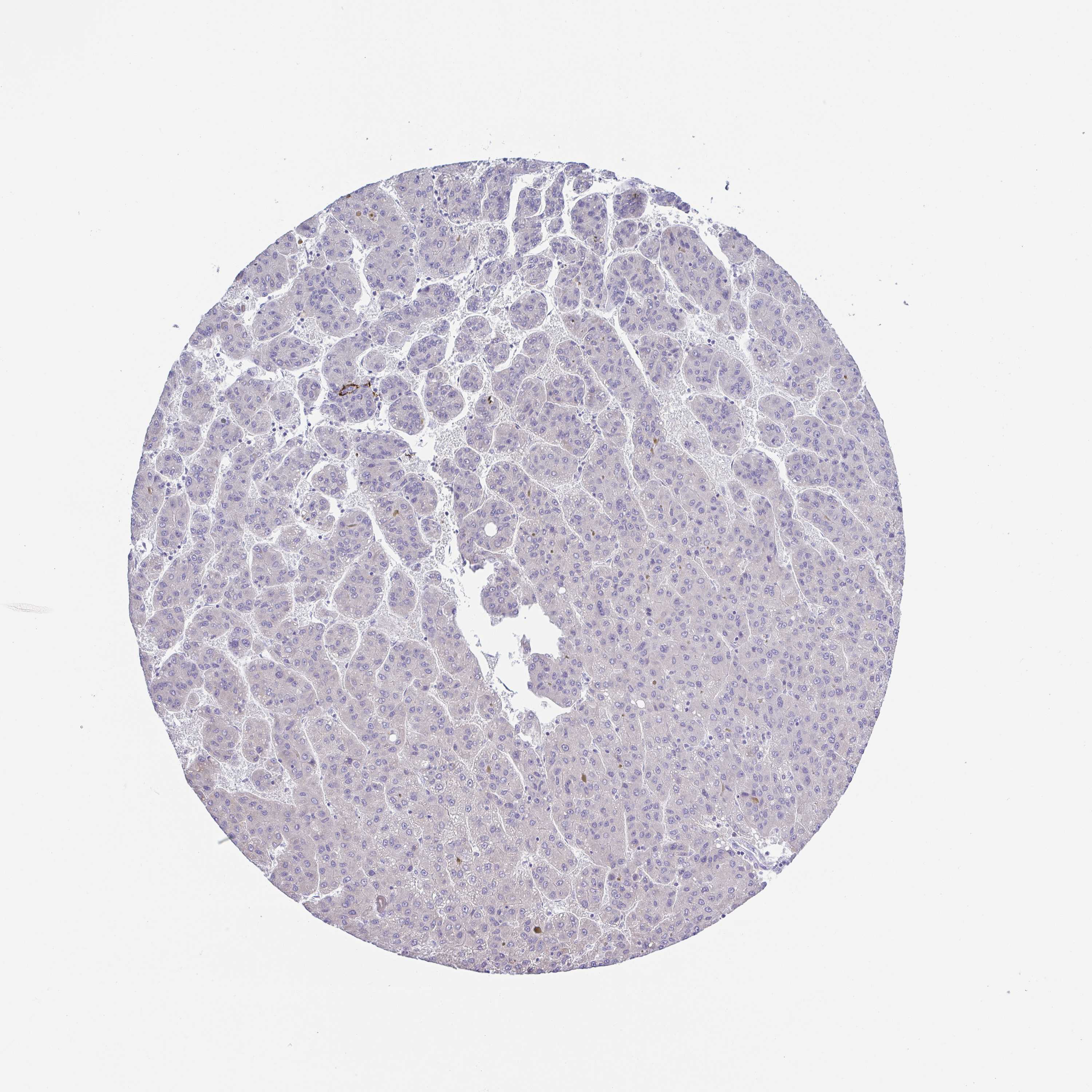
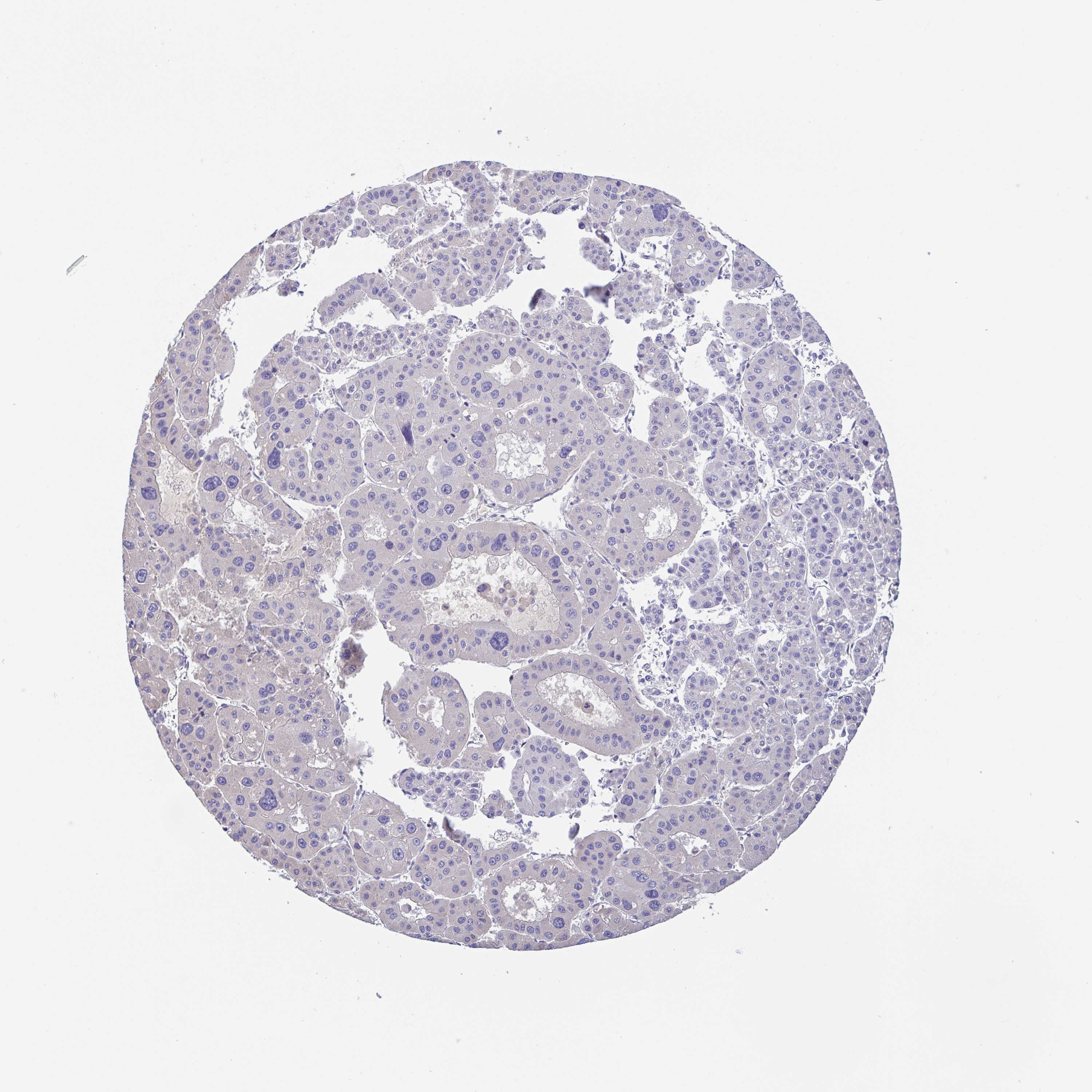
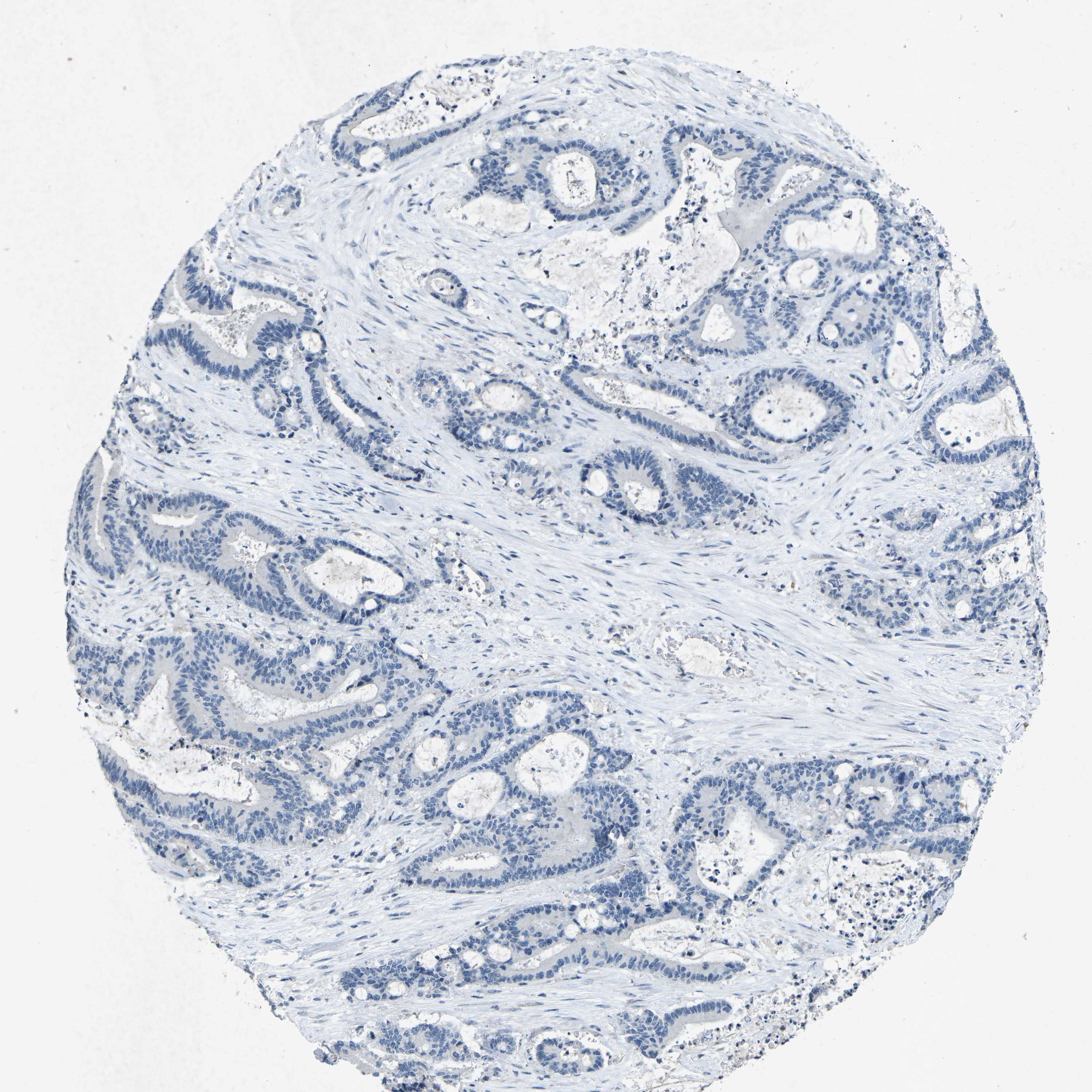
LIVER CANCER - Protein expressioni

A mouse-over function shows sample information and annotation data. Click on an image to view it in a full screen mode. Samples can be filtered based on level of antibody staining by selecting one or several of the following categories: high, medium, low and not detected. The assay and annotation is described here.

Note that samples used for immunohistochemistry by the Human Protein Atlas do not correspond to samples in the TCGA dataset.

 

Antibody stainingi

Antibody staining in the annotated cell types in the current human tissue is reported as not detected, low, medium, or high, based on conventional immunohistochemistry profiling in selected tissues. This score is based on the combination of the staining intensity and fraction of stained cells.

Each image is clickable and will lead to virtual microscopy that enables deeper exploration of all samples and also displays staining intensity scores, fraction scores and subcellular localization as well as patient and tissue information for each sample.


Antibody HPA044252

Antibody CAB016673
 Staining
  High
  Medium
  Low
  Not detected
 Intensity
  Strong
  Moderate
  Weak
  Negative
 Quantity
  >75%
  75%-25%
  <25%
  None
 Location
  Nuclear
  Cytoplasmic/membranous
  Cytoplasmic/membranous,nuclear
  None
Carcinoma, Hepatocellular, NOS
Cholangiocarcinoma

Contact

  • NEWS ARTICLES
  • PRESS ROOM

The Project

  • INTRODUCTION
  • ORGANIZATION
  • PUBLICATIONS

The Human Protein Atlas

  • DOWNLOADABLE DATA
  • LICENCE & CITATION
  • HELP & FAQ
The Human Protein Atlas project is funded
by the Knut & Alice Wallenberg Foundation.


contact@proteinatlas.org