We use cookies to enhance the usability of our website. If you continue, we'll assume that you are happy to receive all cookies. More information. Don't show this again.
PEX16
HPA
RESOURCES
  • TISSUE
  • BRAIN
  • SINGLE CELL
  • SUBCELLULAR
  • CANCER
  • BLOOD
  • CELL LINE
  • STRUCTURE & INTERACTION
ABOUT
  • INTRODUCTION
  • HISTORY
  • ORGANIZATION
  • PUBLICATIONS
  • ANTIBODY SUBMISSION
  • ANTIBODY AVAILABILITY
  • ACKNOWLEDGMENTS
  • CONTACT
NEWS
  • NEWS ARTICLES
  • PRESS ROOM
LEARN
  • DICTIONARY
  • PROTEIN CLASSES
  • PROTEIN EVIDENCE
  • METHODS
  • EDUCATIONAL VIDEOS
DATA
  • DOWNLOADABLE DATA
  • PUBLICATION DATA
  • RELEASE HISTORY
HELP
  • ANTIBODY VALIDATION
  • ASSAYS & ANNOTATION
  • DISCLAIMER
  • HELP & FAQ
  • PRIVACY STATEMENT
  • LICENCE & CITATION
Fields »
Search result

Field
Term
Gene name
Class
Subclass
Class
Keyword
Chromosome
External id
Tissue
Cell type
Expression
Antibody panel
Tissue
Main location
Patient ID
Annotation
Tissue
Category
Tau score
Cluster
Reliability
Brain region
Category
Tau score
Brain region
Category
Tau score
Brain region
Category
Tau score
Cluster
Reliability
Tissue
Cell type
Enrichment
Cell type
Category
Tau score
Cell type
Category
Tau score
Cell type
Category
Tau score
Cell lineage
Category
Tau score
Cluster
Cluster
Location
Searches
Location
Cell line
Class
Type
Phase
Reliability
Cancer
Prognosis
Cancer
Category
Cancer
Category
Tau score
Cluster
Variants
Interacting gene (ensg_id)
Type
Number of interactions
Pathway
Category
Score
Score
Score
Validation
Validation
Validation
Validation
Antibodies
Data type
Column


  • SUMMARY

  • TISSUE

  • BRAIN

  • SINGLE CELL

  • SUBCELL

  • CANCER

  • BLOOD

  • CELL LINE

  • STRUCT & INT

  • PEX16
TISSUE PRIMARY DATA LIVER Show tissue menu
ADIPOSE TISSUE ADRENAL GLAND AMYGDALA APPENDIX BASAL GANGLIA BONE MARROW BREAST BRONCHUS CEREBELLUM CEREBRAL CORTEX CERVIX CHOROID PLEXUS COLON DUODENUM
ENDOMETRIUM EPIDIDYMIS ESOPHAGUS FALLOPIAN TUBE GALLBLADDER HEART MUSCLE HIPPOCAMPAL FORMATION HYPOTHALAMUS KIDNEY LIVER LUNG LYMPH NODE MIDBRAIN NASOPHARYNX
ORAL MUCOSA OVARY PANCREAS PARATHYROID GLAND PITUITARY GLAND PLACENTA PROSTATE RECTUM RETINA SALIVARY GLAND SEMINAL VESICLE SKELETAL MUSCLE SKIN SMALL INTESTINE
SMOOTH MUSCLE SOFT TISSUE SPINAL CORD SPLEEN STOMACH TESTIS THYMUS THYROID GLAND TONGUE TONSIL URINARY BLADDER VAGINA
ANTIBODIES
AND
VALIDATION
Dictionary
Liver
Tissue proteome
Liver
LIVER - Expression summary
Protein expression
Liveri

On the top, protein expression in current human tissue, based on all annotated cell types, is reported with the units not detected (n), low (l), medium (m) and high (h). Underneath, protein expression in each annotated cell type are reported using the same units.

Protein expression data is based on knowledge-based annotation. For genes where more than one antibody has been used, a collective score is set.

If knowledge-based annotation could not be performed for a gene, no data is displayed here. View antibody staining data further down this page.

h
m
l
n
Cholangiocytes: Not detected
Hepatocytes: Low
RNA expressioni

A summary of mRNA expression data available for current tissue based on several datasets. The mRNA expression levels in human tissues are based on RNA-seq data generated by the Human Protein Atlas (HPA), Genotype-Tissue Expression (GTEx) portal and CAGE data generated by the FANTOM5 consortium. Consensus normalized expression levels for human tissues was created by combining the data from HPA and GTEx datasets.

The mRNA expression levels in pig are based on RNA-seq data generated by the Human Protein Atlas (HPA), and for mouse, HPA data and in situ hybridization generated by the Allen brain atlas are reported.

Scroll down to view mRNA expression data in more detail.
Consensus:49.0 nTPM
HPA:17.2 nTPM
GTEx:49.0 nTPM
FANTOM5:48.5 Scaled Tags Per Million

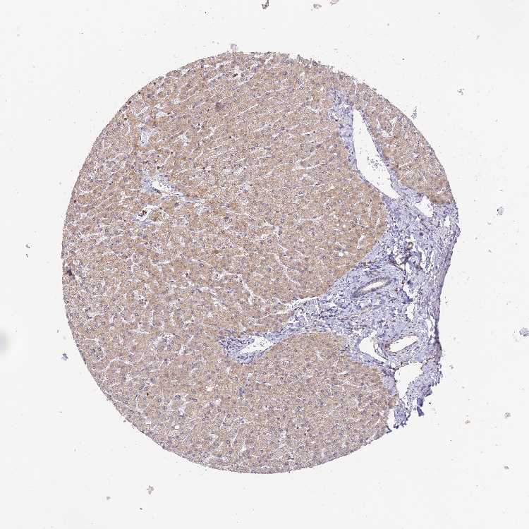
LIVER - Antibody stainingi

Antibody staining in the annotated cell types in the current human tissue is reported as not detected, low, medium, or high, based on conventional immunohistochemistry profiling in selected tissues. This score is based on the combination of the staining intensity and fraction of stained cells.

Each image is clickable and will lead to virtual microscopy that enables deeper exploration of all samples and also displays staining intensity scores, fraction scores and subcellular localization as well as patient and tissue information for each sample.

Antibody HPA043286
Cholangiocytes Not detected
Hepatocytes Low



LIVER - HPA RNA-seqi

The RNA-seq details section shows detailed information about the individual samples used for the transcript profiling and results of the RNA-seq analysis.

Information about each individual sample is listed below, including gender, age, a tissue section image and estimated fractions of cell types. nTPM (normalized transcripts per million) values give a quantification of the gene abundance which is comparable between different genes and samples.
Average nTPMi

Max subtype nTPM is the value for the subtype with the largest average nTPM across the subtype samples.

17.2
N/A
Female, age 60
Liver sample 21
nTPM: 27
overview
Male, age 54
Liver sample 23
nTPM: 21.4
Cell types%
Hepatocytes:
80

Fibroblasts:
15

Other cell types:
5

overview
Male, age 74
Liver sample 24
nTPM: 26.9
Cell types%
Hepatocytes:
85

Fibroblasts:
5

Other cell types:
10

overview
Female, age 62
Liver sample 350
nTPM: 3.6
Cell types%
Hepatocytes:
70

Fibroblasts:
10

Other cell types:
20

overview
Male, age 78
Liver sample 351
nTPM: 6.8
Cell types%
Hepatocytes:
75

Fibroblasts:
5

Other cell types:
20

overview
Male, age 53
Liver sample 352
nTPM: 11.2
Cell types%
Hepatocytes:
80

Fibroblasts:
5

Other cell types:
15

overview
Male, age 77
Liver sample 353
nTPM: 14.8
Cell types%
Hepatocytes:
75

Fibroblasts:
5

Other cell types:
20

overview
Female, age 72
Liver sample 359
nTPM: 27.1
Cell types%
Hepatocytes:
50

Fibroblasts:
10

Other cell types:
40

overview
Male, age 70
Liver sample 367
nTPM: 13.4
Cell types%
Hepatocytes:
65

Fibroblasts:
10

Other cell types:
25

overview
Female, age 23
Liver sample 396
nTPM: 20.2
Cell types%
Hepatocytes:
70

Fibroblasts:
5

Other cell types:
25


LIVER - GTEx RNA-seqi

RNA-Seq data generated by the Genotype-Tissue Expression (GTEx) project from human tissues is reported as mean nTPM. More information can be found on the GTEx portal.

Distribution across the dataset is visualized with box plots, shown as median and 25th and 75th percentiles. Points are displayed as outliers if they are above or below 1.5 times the interquartile range. nTPM values of the individual samples are presented next to the box plot.
Max subtype nTPMi

Max subtype nTPM is the value for the subtype with the largest average nTPM across the subtype samples.

49.0
GTEx sample id Sample description nTPM
Liver
Average nTPM: 49.0
Samples: 226

Max nTPM: 93.0
Min nTPM: 22.2
Std nTPM: 13.5
Median nTPM: 47.0
GTEX-15RJE-1126-SM-6LPI5 40-49 years, male 93.0
GTEX-1EKGG-1226-SM-7IGNO 60-69 years, male 92.6
GTEX-14753-1626-SM-5NQ9L 60-69 years, male 90.8
GTEX-14PHX-0526-SM-664NW 50-59 years, male 80.8
GTEX-1HCVE-1526-SM-B2LWW 50-59 years, male 79.2
GTEX-1QP6S-1326-SM-DPRZ8 40-49 years, male 78.9
GTEX-1R9JW-0826-SM-DPRZJ 30-39 years, female 78.0
GTEX-1B8L1-0726-SM-7P8RT 60-69 years, male 77.1
GTEX-1NV8Z-1626-SM-DPRYT 60-69 years, male 75.8
GTEX-131XH-0626-SM-5LZWH 50-59 years, male 75.4
GTEX-13N11-0926-SM-5IJG2 50-59 years, female 74.4
GTEX-1CAMQ-1426-SM-7MKFL 40-49 years, male 74.3
GTEX-PX3G-0826-SM-48TZS 20-29 years, female 74.2
GTEX-ZYT6-0626-SM-5E45V 30-39 years, male 72.0
GTEX-11NV4-1326-SM-5HL6V 60-69 years, male 71.6
GTEX-11NUK-1226-SM-5P9GM 50-59 years, male 70.4
GTEX-1GN2E-0926-SM-9WPOH 60-69 years, male 70.2
GTEX-17EVP-1026-SM-7IGOZ 40-49 years, male 70.1
GTEX-WVLH-2126-SM-EYYWD 50-59 years, male 70.0
GTEX-12696-0826-SM-5EGGE 60-69 years, male 68.8
GTEX-YEC4-0826-SM-5P9FV 40-49 years, male 68.8
GTEX-1KANB-2226-SM-DHXJW 50-59 years, male 68.8
GTEX-1QPFJ-1126-SM-E9U5V 30-39 years, female 68.8
GTEX-1PIIG-1326-SM-EXOIR 30-39 years, male 67.4
GTEX-RN64-1826-SM-48FDV 50-59 years, male 66.7
GTEX-15SHU-1826-SM-7KUKS 40-49 years, female 66.6
GTEX-SJXC-1226-SM-4DM78 60-69 years, male 65.7
GTEX-13QJC-0726-SM-5RQJK 60-69 years, female 65.2
GTEX-132NY-0926-SM-5P9G3 60-69 years, male 64.9
GTEX-13O1R-2026-SM-5KM3N 60-69 years, male 64.7
GTEX-RTLS-1326-SM-46MUN 60-69 years, female 64.5
GTEX-1A32A-0826-SM-72D5C 50-59 years, female 64.4
GTEX-13SLX-1226-SM-5S2Q6 50-59 years, female 64.2
GTEX-QESD-2026-SM-447BI 20-29 years, male 64.2
GTEX-145MF-0826-SM-5QGQA 50-59 years, male 63.7
GTEX-17MF6-1126-SM-7DUFS 40-49 years, male 63.6
GTEX-1GZ4I-1526-SM-9OSW9 50-59 years, male 63.4
GTEX-1JJEA-1526-SM-CNNPK 60-69 years, male 63.4
GTEX-ZF29-2026-SM-DNZYW 60-69 years, female 63.1
GTEX-1212Z-0226-SM-59HLF 60-69 years, male 60.9
GTEX-11ZUS-2526-SM-59872 30-39 years, male 60.6
GTEX-12WSG-0626-SM-5FQTQ 50-59 years, female 60.6
GTEX-Y111-0726-SM-EYYVM 50-59 years, male 60.6
GTEX-13O3O-1826-SM-5IFGW 60-69 years, female 59.6
GTEX-1B996-1426-SM-7EPIA 60-69 years, male 59.5
GTEX-14JG1-1626-SM-664NH 40-49 years, male 59.3
GTEX-11DXY-0526-SM-5EGGQ 60-69 years, male 59.2
GTEX-YECK-1926-SM-4W21H 60-69 years, male 59.2
GTEX-145MO-2326-SM-5NQ9K 60-69 years, male 58.4
GTEX-13VXU-0926-SM-5IFFH 50-59 years, male 58.3
GTEX-144GL-1426-SM-79OMA 50-59 years, male 58.3
GTEX-1A8FM-1226-SM-7IGMD 50-59 years, female 57.8
GTEX-18A7A-1526-SM-72D69 50-59 years, female 57.7
GTEX-1E2YA-1226-SM-7MGY3 50-59 years, male 57.5
GTEX-14BIL-1326-SM-79OMR 50-59 years, male 57.4
GTEX-139TS-1426-SM-5IFJD 60-69 years, male 57.3
GTEX-13NYB-1026-SM-5IFH3 40-49 years, male 57.2
GTEX-13FTZ-0726-SM-5IFFY 60-69 years, male 57.1
GTEX-WQUQ-1926-SM-4OOSA 60-69 years, male 56.9
GTEX-RU72-1426-SM-46MUF 50-59 years, female 56.3
GTEX-1KD4Q-1526-SM-D4P3L 40-49 years, male 56.3
GTEX-13X6J-1826-SM-5TDCT 50-59 years, male 55.8
GTEX-1ICG6-1026-SM-B2LY6 70-79 years, female 55.8
GTEX-1EH9U-1126-SM-7IGLU 60-69 years, male 55.6
GTEX-12WSD-1426-SM-5GCN9 60-69 years, female 55.3
GTEX-1CB4F-1726-SM-7MGXH 60-69 years, male 55.2
GTEX-1EN7A-2026-SM-7MGY4 40-49 years, male 54.7
GTEX-REY6-1226-SM-48FDR 60-69 years, male 54.6
GTEX-1I1HK-1126-SM-AHZ2L 60-69 years, male 54.5
GTEX-1RQEC-1126-SM-EAZ5E 60-69 years, male 54.4
GTEX-X4EO-1126-SM-4QARQ 60-69 years, female 54.1
GTEX-WZTO-0626-SM-4PQYY 40-49 years, male 54.0
GTEX-1IKJJ-1526-SM-C1YSC 60-69 years, male 53.8
GTEX-13113-1326-SM-5GCOI 60-69 years, female 53.7
GTEX-14DAQ-1726-SM-5S2R2 60-69 years, female 53.7
GTEX-18A66-2026-SM-7189C 60-69 years, male 53.6
GTEX-YFC4-1526-SM-5IFJS 40-49 years, female 53.6
GTEX-1CB4J-0726-SM-7IGN8 60-69 years, male 53.5
GTEX-11OF3-0726-SM-5BC4Z 60-69 years, male 53.1
GTEX-17F96-1226-SM-79OK2 70-79 years, male 53.1
GTEX-14A5I-1726-SM-5QGQ5 50-59 years, female 52.7
GTEX-145LU-1326-SM-5LU9N 50-59 years, male 52.6
GTEX-18465-1626-SM-7LG6N 50-59 years, male 52.4
GTEX-148VI-0626-SM-5TDDH 60-69 years, female 52.2
GTEX-RNOR-1426-SM-48FDJ 50-59 years, female 52.0
GTEX-QEG4-1826-SM-CKZN9 30-39 years, male 52.0
GTEX-WK11-1326-SM-4OOSI 50-59 years, male 51.7
GTEX-11DXZ-0126-SM-5EGGY 50-59 years, male 51.6
GTEX-13FLV-0326-SM-5N9DJ 50-59 years, male 51.6
GTEX-12WSM-0726-SM-5GCOW 60-69 years, male 51.5
GTEX-1HBPH-2626-SM-A96TV 40-49 years, female 51.5
GTEX-Y5V5-0926-SM-4VBPZ 60-69 years, female 50.8
GTEX-18A6Q-2026-SM-718AQ 60-69 years, male 50.3
GTEX-X3Y1-2726-SM-4PQZH 40-49 years, male 50.1
GTEX-1S82Y-1026-SM-EV7BJ 40-49 years, male 49.9
GTEX-131YS-1626-SM-5HL6C 60-69 years, female 49.7
GTEX-1EWIQ-0726-SM-7MKFW 70-79 years, female 49.6
GTEX-ZVT4-0626-SM-5E45T 50-59 years, female 49.6
GTEX-1KWVE-0326-SM-EV7AF 30-39 years, male 49.3
GTEX-XBEC-1526-SM-4AT68 50-59 years, male 49.2
GTEX-1B8SG-1326-SM-79ONT 50-59 years, male 48.8
GTEX-P78B-1326-SM-3P611 40-49 years, female 48.8
GTEX-1MJIX-0726-SM-DPRYP 40-49 years, male 48.7
GTEX-ZVP2-0626-SM-51MSO 50-59 years, male 48.2
GTEX-11GSP-0626-SM-5986T 60-69 years, female 48.1
GTEX-139TU-0826-SM-5IJFG 60-69 years, male 48.0
GTEX-13PVR-0126-SM-5S2PY 60-69 years, female 47.5
GTEX-147JS-1126-SM-5RQIW 60-69 years, male 47.5
GTEX-1BAJH-1526-SM-7RHGI 70-79 years, male 47.5
GTEX-12KS4-1326-SM-5LUB3 30-39 years, male 47.3
GTEX-1GN73-1126-SM-9OSW5 60-69 years, male 47.3
GTEX-14E7W-1526-SM-6871X 70-79 years, male 47.2
GTEX-11ZTS-1426-SM-5EQMM 60-69 years, female 47.0
GTEX-ZF2S-3026-SM-4WWCH 50-59 years, female 46.9
GTEX-OOBJ-0826-SM-3NB2K 60-69 years, male 46.8
GTEX-11TT1-1726-SM-5EQLJ 20-29 years, male 46.6
GTEX-12WSI-0226-SM-5GCNA 50-59 years, male 46.6
GTEX-1HT8W-0826-SM-C1YRJ 30-39 years, male 46.6
GTEX-13OW6-2626-SM-5IFF2 50-59 years, male 46.5
GTEX-1497J-0726-SM-5Q5D1 60-69 years, male 46.3
GTEX-T6MN-1226-SM-3NMA5 50-59 years, male 46.1
GTEX-Y5LM-0426-SM-4VBRO 40-49 years, female 46.1
GTEX-15DYW-1326-SM-6LPIV 60-69 years, female 46.0
GTEX-RWSA-1426-SM-47JXA 40-49 years, male 45.9
GTEX-X4EP-1026-SM-4QAS5 60-69 years, female 45.8
GTEX-1J8EW-1626-SM-C1YQ8 60-69 years, female 45.8
GTEX-17HII-1026-SM-7IGLY 50-59 years, male 45.7
GTEX-1QP66-0226-SM-DPRXS 50-59 years, male 45.7
GTEX-1PBJJ-0626-SM-DPRYO 30-39 years, male 45.6
GTEX-ZVT3-1626-SM-5GU66 60-69 years, female 45.5
GTEX-13NZB-0626-SM-5IFH6 30-39 years, male 45.4
GTEX-15ER7-1826-SM-6LLI7 20-29 years, female 45.1
GTEX-1HBPI-1026-SM-AHZ4N 50-59 years, male 45.0
GTEX-1LH75-0926-SM-EAZ5C 50-59 years, female 44.9
GTEX-1399R-1226-SM-5P9GF 30-39 years, male 44.7
GTEX-1GF9V-1226-SM-7MKGY 60-69 years, male 44.3
GTEX-ZEX8-0826-SM-4WKHK 50-59 years, male 44.2
GTEX-11ZVC-0726-SM-5FQT9 50-59 years, female 43.9
GTEX-13PVQ-1526-SM-5IFEQ 50-59 years, male 43.7
GTEX-11WQC-0726-SM-5EQMR 60-69 years, male 43.6
GTEX-WY7C-0726-SM-4ONCB 50-59 years, male 43.6
GTEX-1KD5A-1226-SM-CXZK7 50-59 years, male 43.6
GTEX-UPK5-1426-SM-4JBHH 40-49 years, male 43.4
GTEX-13112-1426-SM-5EGH8 50-59 years, male 43.3
GTEX-1269C-0626-SM-5FQSS 60-69 years, female 42.9
GTEX-14AS3-0126-SM-5Q5F4 40-49 years, female 42.6
GTEX-13FTW-1126-SM-5J2NV 40-49 years, male 42.3
GTEX-WFON-1726-SM-4LVMQ 40-49 years, male 42.2
GTEX-ZZPU-0426-SM-5GZYH 50-59 years, female 42.0
GTEX-1AX8Z-1026-SM-7189R 60-69 years, male 41.8
GTEX-1I1GR-1526-SM-CNNQE 60-69 years, male 41.8
GTEX-1GF9X-0426-SM-7MKHN 40-49 years, female 41.7
GTEX-147F4-1426-SM-5LUA8 50-59 years, male 41.6
GTEX-QDVN-0826-SM-48TZ2 50-59 years, male 41.6
GTEX-R53T-0326-SM-48FEC 50-59 years, female 41.6
GTEX-ZPU1-0826-SM-57WG2 40-49 years, male 41.1
GTEX-13NZ9-1326-SM-5MR3V 50-59 years, male 41.0
GTEX-1H11D-0826-SM-9OSWB 40-49 years, male 41.0
GTEX-12ZZZ-1326-SM-59HKW 60-69 years, male 40.8
GTEX-14E1K-0326-SM-5S2PE 50-59 years, male 40.7
GTEX-1HB9E-0626-SM-AHZ4K 50-59 years, male 40.6
GTEX-QV44-0326-SM-C1YQX 50-59 years, male 40.5
GTEX-1C6VQ-1626-SM-79OO1 50-59 years, male 40.4
GTEX-14C38-1526-SM-5RQJ7 50-59 years, male 40.2
GTEX-1GN1U-0926-SM-9WPPY 50-59 years, female 40.1
GTEX-WYVS-1926-SM-4PQZ2 40-49 years, female 39.9
GTEX-RM2N-1926-SM-48FCU 50-59 years, male 39.8
GTEX-1399T-0826-SM-5IFES 60-69 years, male 39.4
GTEX-1QCLZ-1226-SM-EAZ49 60-69 years, female 39.3
GTEX-144GM-1326-SM-5LU5E 20-29 years, male 38.9
GTEX-17HHE-0126-SM-79398 50-59 years, male 38.7
GTEX-1B933-1226-SM-731DW 50-59 years, female 38.5
GTEX-11EQ9-0526-SM-5A5JZ 30-39 years, male 38.3
GTEX-14PJO-1726-SM-68719 60-69 years, male 38.2
GTEX-11TUW-1726-SM-5BC5C 60-69 years, male 38.0
GTEX-1A8G7-1126-SM-731ED 60-69 years, male 38.0
GTEX-X261-1726-SM-4PQYT 50-59 years, male 37.7
GTEX-TKQ2-1726-SM-4DXUP 50-59 years, male 37.6
GTEX-12WSL-0226-SM-5CVMJ 50-59 years, male 37.2
GTEX-147GR-1326-SM-7IGLB 60-69 years, male 37.2
GTEX-1ICLY-1526-SM-C1YS4 50-59 years, male 37.2
GTEX-18D9B-1526-SM-7KFRK 60-69 years, male 37.0
GTEX-Q2AG-1126-SM-48U1P 40-49 years, female 36.9
GTEX-OIZF-0826-SM-3MJGO 60-69 years, male 36.8
GTEX-S4Z8-0526-SM-4AD4T 60-69 years, male 36.0
GTEX-Z9EW-0426-SM-5CVM9 40-49 years, male 35.8
GTEX-1AMFI-0826-SM-731DV 50-59 years, female 35.7
GTEX-13N2G-0926-SM-5IFGJ 60-69 years, male 35.6
GTEX-1JMLX-1326-SM-CXZJO 50-59 years, male 35.5
GTEX-1AX9I-1626-SM-72D5D 60-69 years, male 35.1
GTEX-X4XY-1626-SM-46MVN 60-69 years, male 35.1
GTEX-146FH-1526-SM-5NQBU 50-59 years, female 34.7
GTEX-14XAO-0226-SM-68728 60-69 years, female 34.6
GTEX-YB5E-0326-SM-5IFHU 40-49 years, male 34.5
GTEX-15SZO-1226-SM-6LPIP 50-59 years, male 34.4
GTEX-17HGU-1826-SM-7IGQM 50-59 years, male 33.9
GTEX-P44G-1126-SM-3NM9D 30-39 years, male 33.9
GTEX-1LGRB-0626-SM-CNNQH 50-59 years, female 33.9
GTEX-1GF9W-0826-SM-7MKHI 60-69 years, male 33.8
GTEX-1F75A-1626-SM-9JGGT 50-59 years, male 33.4
GTEX-1IKK5-0326-SM-C1YPY 60-69 years, male 33.3
GTEX-ZTPG-1426-SM-51MT3 20-29 years, female 33.0
GTEX-ZAB4-0826-SM-5LU9D 40-49 years, male 32.9
GTEX-139YR-0226-SM-5IFEM 50-59 years, male 32.6
GTEX-15RJ7-2026-SM-6LPJ4 40-49 years, male 32.4
GTEX-1JJ6O-0826-SM-CXZJL 60-69 years, male 32.3
GTEX-S32W-1926-SM-4AD63 50-59 years, female 31.5
GTEX-UTHO-2426-SM-4JBHD 60-69 years, male 31.5
GTEX-QEL4-1226-SM-447A4 50-59 years, male 31.4
GTEX-O5YV-0726-SM-EV798 60-69 years, female 31.2
GTEX-1K9T9-0726-SM-CXZJZ 50-59 years, female 31.0
GTEX-U8XE-1526-SM-4E3HT 30-39 years, male 30.6
GTEX-XXEK-1126-SM-4BRUX 50-59 years, male 30.1
GTEX-1HCU7-1726-SM-B2LX9 50-59 years, male 29.8
GTEX-1B932-1426-SM-793AN 40-49 years, female 29.5
GTEX-S33H-1626-SM-4AD68 30-39 years, male 29.4
GTEX-ZAB5-0426-SM-5CVMI 50-59 years, male 29.4
GTEX-1KAFJ-0726-SM-CXZKF 50-59 years, male 29.4
GTEX-O5YT-0826-SM-3TW8N 20-29 years, male 29.3
GTEX-ZYY3-0626-SM-5NQ6W 60-69 years, female 29.1
GTEX-1S5VW-1826-SM-EAZ53 60-69 years, male 28.6
GTEX-Q734-0326-SM-48U15 40-49 years, female 28.1
GTEX-U3ZN-0226-SM-3DB8D 30-39 years, female 27.9
GTEX-VUSG-0126-SM-4KL1X 50-59 years, male 26.1
GTEX-131XE-0326-SM-5LZVO 50-59 years, male 23.6
GTEX-132AR-0426-SM-5IFH8 50-59 years, female 22.2
Show allShow less

LIVER - FANTOM5 CAGEi

RNA expression in human tissues obtained through Cap Analysis of Gene Expression (CAGE) generated by the FANTOM5 project are reported as Scaled Tags Per Million.

Max subtype Scaled Tags Per Millioni

Max subtype Scaled Tags Per Million is the value for the subtype with the largest average Scaled Tags Per Million across the subtype samples.

48.5
FANTOM5 sample id Sample description Scaled Tags Per Million
Liver
Scaled Tags Per Million: 48.5
FF:10018-101C9 64,69,70 years, mixed 48.5

Contact

  • NEWS ARTICLES
  • PRESS ROOM

The Project

  • INTRODUCTION
  • ORGANIZATION
  • PUBLICATIONS

The Human Protein Atlas

  • DOWNLOADABLE DATA
  • LICENCE & CITATION
  • HELP & FAQ
The Human Protein Atlas project is funded
by the Knut & Alice Wallenberg Foundation.


contact@proteinatlas.org