We use cookies to enhance the usability of our website. If you continue, we'll assume that you are happy to receive all cookies. More information. Don't show this again.
TMEM54
HPA
RESOURCES
  • TISSUE
  • BRAIN
  • SINGLE CELL
  • SUBCELLULAR
  • CANCER
  • BLOOD
  • CELL LINE
  • STRUCTURE & INTERACTION
ABOUT
  • INTRODUCTION
  • HISTORY
  • ORGANIZATION
  • PUBLICATIONS
  • ANTIBODY SUBMISSION
  • ANTIBODY AVAILABILITY
  • ACKNOWLEDGMENTS
  • CONTACT
NEWS
  • NEWS ARTICLES
  • PRESS ROOM
LEARN
  • DICTIONARY
  • PROTEIN CLASSES
  • PROTEIN EVIDENCE
  • METHODS
  • EDUCATIONAL VIDEOS
DATA
  • DOWNLOADABLE DATA
  • PUBLICATION DATA
  • RELEASE HISTORY
HELP
  • ANTIBODY VALIDATION
  • ASSAYS & ANNOTATION
  • DISCLAIMER
  • HELP & FAQ
  • PRIVACY STATEMENT
  • LICENCE & CITATION
Fields »
Search result

Field
Term
Gene name
Class
Subclass
Class
Keyword
Chromosome
External id
Tissue
Cell type
Expression
Antibody panel
Tissue
Main location
Patient ID
Annotation
Tissue
Category
Tau score
Cluster
Reliability
Brain region
Category
Tau score
Brain region
Category
Tau score
Brain region
Category
Tau score
Cluster
Reliability
Tissue
Cell type
Enrichment
Cell type
Category
Tau score
Cell type
Category
Tau score
Cell type
Category
Tau score
Cell lineage
Category
Tau score
Cluster
Cluster
Location
Searches
Location
Cell line
Class
Type
Phase
Reliability
Cancer
Prognosis
Cancer
Category
Cancer
Category
Tau score
Cluster
Variants
Interacting gene (ensg_id)
Type
Number of interactions
Pathway
Category
Score
Score
Score
Validation
Validation
Validation
Validation
Antibodies
Data type
Column


  • SUMMARY

  • TISSUE

  • BRAIN

  • SINGLE CELL

  • SUBCELL

  • CANCER

  • BLOOD

  • CELL LINE

  • STRUCT & INT

  • TMEM54
TISSUE PRIMARY DATA COLON Show tissue menu
ADIPOSE TISSUE ADRENAL GLAND AMYGDALA APPENDIX BASAL GANGLIA BONE MARROW BREAST BRONCHUS CEREBELLUM CEREBRAL CORTEX CERVIX CHOROID PLEXUS COLON DUODENUM
ENDOMETRIUM EPIDIDYMIS ESOPHAGUS FALLOPIAN TUBE GALLBLADDER HEART MUSCLE HIPPOCAMPAL FORMATION HYPOTHALAMUS KIDNEY LIVER LUNG LYMPH NODE MIDBRAIN NASOPHARYNX
ORAL MUCOSA OVARY PANCREAS PARATHYROID GLAND PITUITARY GLAND PLACENTA PROSTATE RECTUM RETINA SALIVARY GLAND SEMINAL VESICLE SKELETAL MUSCLE SKIN SMALL INTESTINE
SMOOTH MUSCLE SOFT TISSUE SPINAL CORD SPLEEN STOMACH TESTIS THYMUS THYROID GLAND TONGUE TONSIL URINARY BLADDER VAGINA
ANTIBODIES
AND
VALIDATION
Dictionary
Colon
Tissue proteome
Intestine
COLON - Expression summary
Protein expression
Coloni

On the top, protein expression in current human tissue, based on all annotated cell types, is reported with the units not detected (n), low (l), medium (m) and high (h). Underneath, protein expression in each annotated cell type are reported using the same units.

Protein expression data is based on knowledge-based annotation. For genes where more than one antibody has been used, a collective score is set.

If knowledge-based annotation could not be performed for a gene, no data is displayed here. View antibody staining data further down this page.

h
m
l
n
Endothelial cells: High
Glandular cells: Not detected
Peripheral nerve/ganglion: Not detected
RNA expressioni

A summary of mRNA expression data available for current tissue based on several datasets. The mRNA expression levels in human tissues are based on RNA-seq data generated by the Human Protein Atlas (HPA), Genotype-Tissue Expression (GTEx) portal and CAGE data generated by the FANTOM5 consortium. Consensus normalized expression levels for human tissues was created by combining the data from HPA and GTEx datasets.

The mRNA expression levels in pig are based on RNA-seq data generated by the Human Protein Atlas (HPA), and for mouse, HPA data and in situ hybridization generated by the Allen brain atlas are reported.

Scroll down to view mRNA expression data in more detail.
Consensus:260.6 nTPM
HPA:213.9 nTPM
GTEx:260.6 nTPM
FANTOM5:88.5 Scaled Tags Per Million

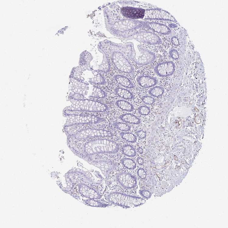
COLON - Antibody stainingi

Antibody staining in the annotated cell types in the current human tissue is reported as not detected, low, medium, or high, based on conventional immunohistochemistry profiling in selected tissues. This score is based on the combination of the staining intensity and fraction of stained cells.

Each image is clickable and will lead to virtual microscopy that enables deeper exploration of all samples and also displays staining intensity scores, fraction scores and subcellular localization as well as patient and tissue information for each sample.

Antibody HPA060864
Endothelial cells High
Glandular cells Not detected
Peripheral nerve/ganglion Not detected



COLON - HPA RNA-seqi

The RNA-seq details section shows detailed information about the individual samples used for the transcript profiling and results of the RNA-seq analysis.

Information about each individual sample is listed below, including gender, age, a tissue section image and estimated fractions of cell types. nTPM (normalized transcripts per million) values give a quantification of the gene abundance which is comparable between different genes and samples.
Average nTPMi

Max subtype nTPM is the value for the subtype with the largest average nTPM across the subtype samples.

213.9
overview
Male, age 54
Colon sample 67
nTPM: 274.3
Cell types%
Glandular cells:
65

Smooth muscle cells:
10

Other cell types:
25

overview
Female, age 57
Colon sample 68
nTPM: 234
Cell types%
Glandular cells:
40

Smooth muscle cells:
5

Other cell types:
55

overview
Male, age 80
Colon sample 69
nTPM: 296.4
Cell types%
Glandular cells:
55

Smooth muscle cells:
5

Other cell types:
40

overview
Male, age 68
Colon sample 70
nTPM: 363
Cell types%
Glandular cells:
35

Smooth muscle cells:
10

Other cell types:
55

overview
Female, age 68
Colon sample 76
nTPM: 148.6
Cell types%
Glandular cells:
25

Smooth muscle cells:
5

Other cell types:
70

overview
Female, age 61
Colon sample 299
nTPM: 118
Cell types%
Glandular cells:
5

Smooth muscle cells:
65

Other cell types:
30

overview
Male, age 80
Colon sample 300
nTPM: 103.2
Cell types%
Glandular cells:
15

Smooth muscle cells:
20

Other cell types:
65

overview
Female, age 78
Colon sample 368
nTPM: 215.3
Cell types%
Glandular cells:
45

Smooth muscle cells:
5

Other cell types:
50

overview
Male, age 84
Colon sample 381
nTPM: 142.7
Cell types%
Glandular cells:
50

Smooth muscle cells:
15

Other cell types:
35

overview
Male, age 80
Colon sample 384
nTPM: 301.1
Cell types%
Glandular cells:
20

Smooth muscle cells:
35

Other cell types:
45

overview
Female, age 78
Colon sample 389
nTPM: 184.4
Cell types%
Glandular cells:
35

Smooth muscle cells:
10

Other cell types:
55

overview
Female, age 69
Colon sample 391
nTPM: 181.4
Cell types%
Glandular cells:
10

Smooth muscle cells:
45

Other cell types:
45

overview
Female, age 72
Colon sample 403
nTPM: 217.7
Cell types%
Glandular cells:
20

Smooth muscle cells:
15

Other cell types:
65


COLON - GTEx RNA-seqi

RNA-Seq data generated by the Genotype-Tissue Expression (GTEx) project from human tissues is reported as mean nTPM. More information can be found on the GTEx portal.

Distribution across the dataset is visualized with box plots, shown as median and 25th and 75th percentiles. Points are displayed as outliers if they are above or below 1.5 times the interquartile range. nTPM values of the individual samples are presented next to the box plot.
Max subtype nTPMi

Max subtype nTPM is the value for the subtype with the largest average nTPM across the subtype samples.

260.6
GTEx sample id Sample description nTPM
Colon - Sigmoid
Average nTPM: 58.4
Samples: 373

Max nTPM: 464.2
Min nTPM: 15.4
Std nTPM: 56.2
Median nTPM: 45.5
GTEX-ZQUD-1026-SM-4YCEZ 30-39 years, male 464.2
GTEX-VJYA-2126-SM-4KL1O 60-69 years, male 419.2
GTEX-WOFM-1926-SM-4OOSP 20-29 years, male 374.4
GTEX-13W3W-2226-SM-5LU4M 60-69 years, female 352.6
GTEX-X5EB-1126-SM-46MVV 40-49 years, male 350.9
GTEX-Y5V6-1626-SM-4VDT2 60-69 years, male 349.6
GTEX-WH7G-1426-SM-4LVMU 40-49 years, male 298.6
GTEX-W5WG-2026-SM-4LMIB 50-59 years, female 296.5
GTEX-13113-1426-SM-5EGHU 60-69 years, female 277.0
GTEX-15FZZ-1826-SM-6LLJP 30-39 years, female 256.3
GTEX-WYJK-2326-SM-4ONDN 50-59 years, male 252.8
GTEX-1C64O-2426-SM-7P8R3 60-69 years, male 233.8
GTEX-1OJC3-1826-SM-DTX93 20-29 years, male 219.9
GTEX-1AMEY-1826-SM-72D5L 30-39 years, female 202.1
GTEX-Y8E4-2326-SM-EAZAZ 40-49 years, male 179.5
GTEX-15RJ7-1726-SM-6PAL3 40-49 years, male 168.9
GTEX-1PFEY-1726-SM-DPRZ4 30-39 years, male 164.0
GTEX-1LVAO-2826-SM-E9TJH 60-69 years, male 121.0
GTEX-ZF29-1826-SM-4WKG8 60-69 years, female 111.2
GTEX-11VI4-1426-SM-5GU6O 40-49 years, female 107.5
GTEX-1PBJJ-2026-SM-DTX8U 30-39 years, male 106.6
GTEX-ZF28-2526-SM-57WFH 60-69 years, male 105.9
GTEX-XBED-1726-SM-47JYO 60-69 years, male 104.8
GTEX-ZE9C-2126-SM-4WKGY 60-69 years, male 102.8
GTEX-17F96-2126-SM-7KFSM 70-79 years, male 95.9
GTEX-XV7Q-2226-SM-4BRVY 40-49 years, female 94.7
GTEX-1339X-1726-SM-5P9J9 40-49 years, male 92.5
GTEX-V955-1726-SM-4JBHF 60-69 years, male 92.5
GTEX-183WM-2526-SM-731BP 70-79 years, female 90.8
GTEX-ZDTS-2726-SM-5L3E2 60-69 years, male 88.5
GTEX-Y5LM-1426-SM-5RQJL 40-49 years, female 87.5
GTEX-1R9PO-2026-SM-E9J4N 60-69 years, female 87.5
GTEX-ZF2S-1826-SM-4WKFF 50-59 years, female 86.3
GTEX-17F9Y-2626-SM-7IGN9 70-79 years, female 86.0
GTEX-1JJE9-2526-SM-ARU8K 70-79 years, male 85.6
GTEX-13OW5-2826-SM-5KM1G 60-69 years, male 83.5
GTEX-11EMC-1426-SM-5N9E4 60-69 years, female 83.2
GTEX-1LSNL-1626-SM-E9TJY 50-59 years, male 82.5
GTEX-13X6J-2826-SM-7EPGA 50-59 years, male 81.1
GTEX-ZE7O-2626-SM-51MSS 50-59 years, female 80.8
GTEX-1I1CD-2826-SM-A9SL4 60-69 years, female 80.7
GTEX-146FH-2426-SM-5Q5EW 50-59 years, female 80.6
GTEX-Z93S-2626-SM-57WBX 50-59 years, male 80.6
GTEX-ZPCL-1626-SM-57WGC 60-69 years, female 80.6
GTEX-1PIEJ-1826-SM-EWRMN 20-29 years, female 80.4
GTEX-12ZZX-2726-SM-5N9FT 40-49 years, female 79.2
GTEX-WQUQ-2626-SM-4MVNP 60-69 years, male 78.7
GTEX-1CB4F-1926-SM-7MKFN 60-69 years, male 76.4
GTEX-14C5O-2626-SM-5RQI5 60-69 years, male 75.8
GTEX-1LB8K-2526-SM-DIPEQ 50-59 years, male 75.7
GTEX-14A5H-1626-SM-5SIAN 60-69 years, male 75.0
GTEX-132AR-2826-SM-5IJFV 50-59 years, female 72.9
GTEX-132NY-2726-SM-5PNY2 60-69 years, male 72.9
GTEX-X15G-1526-SM-4PQZM 50-59 years, female 72.9
GTEX-11EQ9-1526-SM-5PNY7 30-39 years, male 71.5
GTEX-13PL7-2426-SM-5J2N3 60-69 years, female 70.7
GTEX-1JN6P-2126-SM-ARL98 60-69 years, male 70.7
GTEX-1LKK1-2426-SM-DIPES 50-59 years, female 70.1
GTEX-13OVJ-1826-SM-5KM2D 50-59 years, female 69.4
GTEX-1E2YA-2526-SM-7IGOU 50-59 years, male 69.4
GTEX-1A3MX-2326-SM-718B4 60-69 years, male 69.1
GTEX-WI4N-2226-SM-4OOS9 40-49 years, female 69.1
GTEX-1399R-2126-SM-5K7WZ 30-39 years, male 68.2
GTEX-14BIN-2426-SM-5TDCF 50-59 years, female 68.0
GTEX-1HBPN-2026-SM-B2LWA 50-59 years, male 67.0
GTEX-139TS-2226-SM-5J2N1 60-69 years, male 66.8
GTEX-1LG7Y-2226-SM-E9U5K 50-59 years, male 66.7
GTEX-17GQL-1626-SM-7LG69 60-69 years, male 66.6
GTEX-YJ8A-1726-SM-5P9IQ 20-29 years, male 66.6
GTEX-13OW8-2726-SM-5L3FZ 60-69 years, male 66.4
GTEX-13FTW-2126-SM-5K7YG 40-49 years, male 66.2
GTEX-XAJ8-0726-SM-47JY5 40-49 years, male 66.1
GTEX-1N2EF-1726-SM-EXUSI 60-69 years, male 66.1
GTEX-1C64N-2226-SM-7SB7C 50-59 years, male 66.0
GTEX-1GMR8-2926-SM-9KNW5 50-59 years, female 65.8
GTEX-1IDJH-2826-SM-CJI49 70-79 years, male 65.6
GTEX-11EQ8-2626-SM-5N9BO 60-69 years, male 65.4
GTEX-11ZTS-1526-SM-5N9G7 60-69 years, female 64.9
GTEX-13G51-2126-SM-5IJD9 60-69 years, male 64.8
GTEX-ZTTD-2626-SM-57WEX 50-59 years, male 64.6
GTEX-1BAJH-2726-SM-7IGNJ 70-79 years, male 64.5
GTEX-12ZZW-2426-SM-5DUWE 50-59 years, male 64.4
GTEX-1477Z-2126-SM-5Q5CM 60-69 years, male 64.4
GTEX-17JCI-2826-SM-7IGNA 60-69 years, female 63.2
GTEX-13N2G-2226-SM-5IJCU 60-69 years, male 62.9
GTEX-117XS-2226-SM-5GIE1 60-69 years, male 62.8
GTEX-18A6Q-2226-SM-7LG61 60-69 years, male 62.3
GTEX-1B8L1-1926-SM-7IGND 60-69 years, male 62.0
GTEX-11EI6-2626-SM-5PNVT 60-69 years, male 61.8
GTEX-13CF2-1826-SM-5N9GK 60-69 years, male 61.6
GTEX-ZVZQ-2626-SM-59HLB 60-69 years, female 61.4
GTEX-131YS-2926-SM-5EGKI 60-69 years, female 61.2
GTEX-1HSMO-2526-SM-A9SKP 60-69 years, male 61.2
GTEX-YECK-2826-SM-5IFHF 60-69 years, male 61.0
GTEX-1H23P-2626-SM-9KNVN 60-69 years, male 60.4
GTEX-1GMRU-2626-SM-9WPPM 50-59 years, male 60.1
GTEX-111CU-1226-SM-5EGIN 50-59 years, male 59.9
GTEX-WY7C-1926-SM-4ONCI 50-59 years, male 59.9
GTEX-13X6I-2726-SM-5Q5ET 60-69 years, male 59.6
GTEX-139D8-2926-SM-5IJBM 30-39 years, female 59.5
GTEX-14AS3-1026-SM-5TDD7 40-49 years, female 59.4
GTEX-1PPH8-2226-SM-EWRN7 20-29 years, male 59.3
GTEX-145LT-0826-SM-5S2QL 40-49 years, male 58.9
GTEX-11DXY-2026-SM-5N9CZ 60-69 years, male 58.7
GTEX-ZYT6-2826-SM-5GICX 30-39 years, male 58.5
GTEX-12KS4-2326-SM-5EGJB 30-39 years, male 58.4
GTEX-XXEK-1826-SM-4BRVC 50-59 years, male 58.4
GTEX-1RDX4-1926-SM-E6CJJ 50-59 years, female 58.1
GTEX-1JJEA-2526-SM-CY8HJ 60-69 years, male 57.9
GTEX-WRHK-1126-SM-4MVOJ 20-29 years, female 57.8
GTEX-15DYW-2426-SM-7KUG8 60-69 years, female 57.7
GTEX-12WSL-1826-SM-5LZW9 50-59 years, male 57.6
GTEX-1EU9M-2726-SM-7P8QD 60-69 years, male 57.6
GTEX-1GN73-2726-SM-9WYUB 60-69 years, male 57.6
GTEX-ZAB4-2426-SM-5HL8A 40-49 years, male 57.4
GTEX-15UF6-2726-SM-7KULY 70-79 years, female 57.3
GTEX-147GR-2826-SM-5RQK8 60-69 years, male 57.2
GTEX-Y8LW-1126-SM-4VDS4 50-59 years, female 57.1
GTEX-147JS-2626-SM-5S2UX 60-69 years, male 57.0
GTEX-1K9T9-2926-SM-E9TKD 50-59 years, female 56.6
GTEX-11ONC-1926-SM-5GU75 60-69 years, male 56.2
GTEX-11I78-1326-SM-5PNY9 50-59 years, female 56.0
GTEX-12WSG-2426-SM-5EQLZ 50-59 years, female 56.0
GTEX-13FHO-2726-SM-5K7VG 60-69 years, male 56.0
GTEX-16XZZ-2726-SM-7EWDO 60-69 years, male 55.8
GTEX-1P4AB-2626-SM-DTXEU 50-59 years, male 55.6
GTEX-15EO6-2326-SM-6LPKK 50-59 years, male 55.3
GTEX-14PJ3-1226-SM-5ZZVY 50-59 years, male 55.2
GTEX-ZAB5-1426-SM-5HL9D 50-59 years, male 55.1
GTEX-15G19-2726-SM-6LPKG 60-69 years, male 55.0
GTEX-1HBPM-2626-SM-9WYU5 60-69 years, female 55.0
GTEX-13CF3-1326-SM-5LZXZ 60-69 years, female 54.3
GTEX-13PVQ-2726-SM-5L3H7 50-59 years, male 54.2
GTEX-14C39-1626-SM-5S2P4 40-49 years, male 54.0
GTEX-139UW-2326-SM-5KM1Y 60-69 years, male 53.6
GTEX-ZC5H-2426-SM-4WAZ6 40-49 years, female 53.6
GTEX-XQ8I-2326-SM-4BOQC 50-59 years, male 53.4
GTEX-1B932-2126-SM-7IGMU 40-49 years, female 53.2
GTEX-ZG7Y-1826-SM-4WWD3 50-59 years, male 52.9
GTEX-1S82P-2026-SM-E9TIQ 60-69 years, female 52.9
GTEX-15CHQ-2626-SM-686YZ 60-69 years, male 52.8
GTEX-1OFPY-1226-SM-E76OM 60-69 years, male 52.7
GTEX-12WSJ-1426-SM-5GCON 40-49 years, female 52.4
GTEX-13OVK-1026-SM-7KFTC 40-49 years, male 52.3
GTEX-1C6VQ-2626-SM-7IGMQ 50-59 years, male 52.2
GTEX-131XE-1026-SM-5EGKE 50-59 years, male 52.1
GTEX-1RLM8-1726-SM-E9TKF 50-59 years, male 52.1
GTEX-145MO-2626-SM-5QGPD 60-69 years, male 52.0
GTEX-12WSM-1426-SM-5GCPA 60-69 years, male 51.8
GTEX-145MH-2726-SM-5QGQ6 50-59 years, male 51.5
GTEX-WFG7-1626-SM-4LVMF 20-29 years, male 51.4
GTEX-1F75W-2126-SM-7RHIA 60-69 years, male 50.9
GTEX-1H1DE-1626-SM-9KNU5 20-29 years, male 50.7
GTEX-1L5NE-1926-SM-D3L9R 50-59 years, male 50.7
GTEX-11DXZ-1626-SM-5GIDI 50-59 years, male 50.5
GTEX-1HB9E-2526-SM-D4P35 50-59 years, male 50.5
GTEX-11P81-1426-SM-5P9JN 30-39 years, female 50.4
GTEX-16BQI-2026-SM-7KULQ 30-39 years, female 50.4
GTEX-ZQG8-2426-SM-57WEE 60-69 years, female 50.3
GTEX-ZV6S-1126-SM-57WE9 40-49 years, female 50.2
GTEX-1I6K6-1926-SM-A96SN 30-39 years, male 49.8
GTEX-1QW4Y-1426-SM-E76P3 30-39 years, male 49.8
GTEX-1GF9X-1426-SM-7RHGX 40-49 years, female 49.6
GTEX-18A66-2626-SM-72D67 60-69 years, male 49.3
GTEX-1J8JJ-2426-SM-D4P4A 60-69 years, female 49.3
GTEX-1RQEC-2626-SM-EVR3Z 60-69 years, male 49.2
GTEX-14A5I-2426-SM-5Q5CP 50-59 years, female 49.1
GTEX-ZVT3-2826-SM-5GU6A 60-69 years, female 49.0
GTEX-14JG6-1626-SM-5YYBC 30-39 years, female 48.9
GTEX-1EH9U-1926-SM-7P8QM 60-69 years, male 48.6
GTEX-1RMOY-1726-SM-EVYC9 50-59 years, male 48.6
GTEX-15RIE-2026-SM-7KFRW 60-69 years, male 48.5
GTEX-ZPU1-1726-SM-4WWFV 40-49 years, male 48.3
GTEX-11TT1-0926-SM-5GU5M 20-29 years, male 48.1
GTEX-17HHE-1626-SM-7DHLN 50-59 years, male 48.1
GTEX-1EMGI-2626-SM-7IGNR 60-69 years, male 47.9
GTEX-1399U-2226-SM-5KLZI 50-59 years, female 47.7
GTEX-12WSD-2626-SM-5EGJE 60-69 years, female 47.6
GTEX-13OW6-2226-SM-5N9FL 50-59 years, male 47.4
GTEX-ZYFD-2226-SM-5E43P 50-59 years, male 47.4
GTEX-1J1OQ-2826-SM-D3L88 40-49 years, female 47.4
GTEX-15RIF-1426-SM-7KUKQ 20-29 years, male 47.3
GTEX-145LS-2926-SM-5O99G 60-69 years, female 47.1
GTEX-17EUY-1726-SM-79OK4 20-29 years, male 47.1
GTEX-1R7EU-1826-SM-DTX9L 60-69 years, male 46.8
GTEX-1RAZR-2026-SM-E9TKE 40-49 years, male 46.3
GTEX-1JMLX-2526-SM-CY8HX 50-59 years, male 45.5
GTEX-14PKV-1926-SM-686YU 20-29 years, female 44.9
GTEX-1HBPH-2526-SM-ACKXK 40-49 years, female 44.8
GTEX-1QP29-2526-SM-E6CQ3 50-59 years, male 44.8
GTEX-ZYY3-2226-SM-5E45A 60-69 years, female 44.4
GTEX-17HG3-1126-SM-7DUFC 30-39 years, female 44.3
GTEX-1H3VE-2326-SM-9KNVU 40-49 years, male 44.2
GTEX-1RAZQ-2026-SM-E76P7 30-39 years, male 44.0
GTEX-1A32A-2626-SM-73KX9 50-59 years, female 43.9
GTEX-YF7O-1626-SM-5IFII 50-59 years, male 43.9
GTEX-131XG-1526-SM-5GCNQ 50-59 years, female 43.4
GTEX-ZAJG-2626-SM-5S2NU 50-59 years, female 43.4
GTEX-1IDJI-2226-SM-CKZPM 50-59 years, female 43.1
GTEX-11EM3-1626-SM-5N9CO 20-29 years, female 42.8
GTEX-1IL2U-2526-SM-C1YQV 60-69 years, male 42.8
GTEX-1PIIG-2126-SM-EXUSD 30-39 years, male 42.8
GTEX-183FY-1426-SM-7DHLM 20-29 years, male 42.7
GTEX-14DAQ-2926-SM-664MV 60-69 years, female 42.6
GTEX-WXYG-1726-SM-4ONCU 50-59 years, female 42.3
GTEX-14PK6-1826-SM-69LOM 70-79 years, female 42.2
GTEX-YFCO-1526-SM-5YYB8 40-49 years, male 42.2
GTEX-18465-2726-SM-7LT9I 50-59 years, male 41.8
GTEX-18QFQ-1726-SM-731C9 30-39 years, male 41.8
GTEX-1F5PK-1726-SM-7RHHW 50-59 years, male 41.8
GTEX-13RTJ-1926-SM-5YYA2 60-69 years, male 41.7
GTEX-11TUW-2326-SM-5EQMO 60-69 years, male 41.6
GTEX-1LG7Z-1326-SM-DIPF3 30-39 years, male 41.6
GTEX-17KNJ-1826-SM-7LT9N 50-59 years, male 41.5
GTEX-1I1GR-2226-SM-ARL7F 60-69 years, male 41.3
GTEX-1LSVX-2026-SM-E9TJD 60-69 years, male 41.2
GTEX-1N2DV-1826-SM-E6CJ5 40-49 years, male 41.1
GTEX-15G1A-1926-SM-7KUFF 30-39 years, male 40.7
GTEX-X4EO-2726-SM-4E3HS 60-69 years, female 40.4
GTEX-1H3NZ-2526-SM-9KNVO 60-69 years, male 40.4
GTEX-11GS4-1826-SM-5HL4T 60-69 years, male 40.3
GTEX-1C4CL-1626-SM-7DUF3 30-39 years, male 40.1
GTEX-15ER7-2826-SM-6PAN2 20-29 years, female 39.9
GTEX-ZZ64-0826-SM-5E449 20-29 years, male 39.9
GTEX-1HSKV-2326-SM-A9SL9 60-69 years, male 39.9
GTEX-14E6C-2226-SM-5QGQG 40-49 years, male 39.7
GTEX-1H3VY-2526-SM-9KNW1 50-59 years, male 39.3
GTEX-1J8EW-2426-SM-CE6T5 60-69 years, female 39.2
GTEX-1AYCT-1926-SM-793AE 50-59 years, male 39.0
GTEX-1QP9N-0826-SM-DTX9O 30-39 years, male 38.9
GTEX-1R9K5-2226-SM-DTX9G 50-59 years, male 38.9
GTEX-14PJ4-1826-SM-5YY97 60-69 years, male 38.8
GTEX-WFG8-1726-SM-4LVM6 20-29 years, male 38.7
GTEX-1GZ4H-1326-SM-7P8TE 50-59 years, female 38.6
GTEX-1LGRB-2026-SM-COH47 50-59 years, female 38.6
GTEX-YJ8O-1426-SM-5PNV9 40-49 years, female 38.5
GTEX-Y3I4-1126-SM-4TT7Y 50-59 years, male 38.4
GTEX-ZXES-1726-SM-5E43G 30-39 years, female 38.1
GTEX-12ZZY-2726-SM-5EQ45 60-69 years, male 37.8
GTEX-1I1GP-2826-SM-A9SKZ 50-59 years, male 37.8
GTEX-1JMQK-2326-SM-ARZN4 60-69 years, male 37.8
GTEX-14E6E-1726-SM-5S2R6 30-39 years, male 37.7
GTEX-1HCVE-2326-SM-9WYUD 50-59 years, male 37.6
GTEX-11PRG-2026-SM-5GU5F 50-59 years, male 37.5
GTEX-15ETS-2326-SM-7KUGC 40-49 years, female 37.4
GTEX-ZP4G-1526-SM-57WE5 20-29 years, female 37.4
GTEX-1LBAC-1726-SM-D3L9W 20-29 years, male 37.4
GTEX-14BMU-1326-SM-5RQIH 20-29 years, female 37.3
GTEX-1212Z-1826-SM-5FQSH 60-69 years, male 37.2
GTEX-1HBPI-2226-SM-9WYTY 50-59 years, male 37.0
GTEX-117YX-0526-SM-5EGJH 50-59 years, male 36.9
GTEX-ZLWG-1826-SM-DO11I 50-59 years, female 36.7
GTEX-1CB4G-2726-SM-79OO4 60-69 years, male 36.5
GTEX-1HFI7-1626-SM-9WYTR 50-59 years, female 36.5
GTEX-1PBJI-2526-SM-E6CP4 20-29 years, female 36.3
GTEX-18A67-2226-SM-7LT9Z 50-59 years, male 36.1
GTEX-XUW1-1826-SM-4BOQD 50-59 years, female 36.1
GTEX-1JK1U-1426-SM-CNPOW 60-69 years, male 36.1
GTEX-1JMQJ-2626-SM-CY8HQ 50-59 years, male 36.1
GTEX-11DXX-1926-SM-5EGJK 60-69 years, female 36.0
GTEX-11P7K-1826-SM-5HL5A 30-39 years, male 36.0
GTEX-ZLV1-1326-SM-DO11Q 60-69 years, female 36.0
GTEX-1CAMS-2626-SM-7PBY3 40-49 years, female 35.9
GTEX-12BJ1-2026-SM-5FQUH 60-69 years, male 35.8
GTEX-1HSEH-1926-SM-A96SB 60-69 years, male 35.7
GTEX-13FH7-1626-SM-5J2O9 50-59 years, female 35.5
GTEX-1AMFI-1826-SM-73KWB 50-59 years, female 35.4
GTEX-111YS-1826-SM-5GIEP 60-69 years, male 35.2
GTEX-1CAMR-1026-SM-7P8QI 20-29 years, male 34.9
GTEX-1GPI7-1926-SM-9KNUH 20-29 years, male 34.8
GTEX-ZTSS-1226-SM-51MSZ 40-49 years, male 34.7
GTEX-ZVT4-2626-SM-5N9GJ 50-59 years, female 34.6
GTEX-1QP28-2226-SM-DTX8C 50-59 years, female 34.6
GTEX-1HCU7-2726-SM-A9G3D 50-59 years, male 34.4
GTEX-YEC3-2026-SM-DKPOL 50-59 years, male 34.4
GTEX-14PN3-1926-SM-6EU1Y 60-69 years, female 34.3
GTEX-17MFQ-1226-SM-7KFSA 20-29 years, male 34.2
GTEX-18D9A-1326-SM-7LT8P 30-39 years, female 34.1
GTEX-1GMR3-2526-SM-7P8QS 40-49 years, male 34.1
GTEX-15DZA-1026-SM-6PAND 30-39 years, female 34.0
GTEX-1C475-1526-SM-7DHM3 40-49 years, female 34.0
GTEX-1LVAN-2626-SM-CNPQF 50-59 years, female 34.0
GTEX-1B996-2726-SM-7DUGG 60-69 years, male 33.9
GTEX-15UF7-1326-SM-7KUKV 40-49 years, male 33.6
GTEX-1ICG6-2226-SM-B2LY7 70-79 years, female 33.6
GTEX-WHWD-1526-SM-4OORV 50-59 years, male 33.3
GTEX-1QCLY-2026-SM-EVR4C 30-39 years, male 33.3
GTEX-16Z82-2426-SM-7KUMS 60-69 years, male 33.2
GTEX-WHSE-2726-SM-EZ6ML 20-29 years, male 33.1
GTEX-1S5ZA-1426-SM-E6CJQ 20-29 years, male 33.0
GTEX-1A3MV-1026-SM-72D5U 30-39 years, male 32.9
GTEX-1HCUA-1926-SM-B2LWE 50-59 years, female 32.9
GTEX-1HCU6-2926-SM-B2LWV 60-69 years, female 32.8
GTEX-1B8KE-1526-SM-7DUG2 50-59 years, male 32.7
GTEX-13SLW-2826-SM-5Q5ES 70-79 years, male 32.6
GTEX-ZYFG-1826-SM-5GZWX 60-69 years, female 32.5
GTEX-WYVS-1126-SM-4SOJX 40-49 years, female 32.4
GTEX-ZT9W-1726-SM-51MS3 50-59 years, male 32.4
GTEX-13QBU-2026-SM-5KLZB 40-49 years, female 32.2
GTEX-WFON-1326-SM-4LVMN 40-49 years, male 32.1
GTEX-13U4I-2626-SM-5SI9C 40-49 years, female 31.9
GTEX-13O1R-2426-SM-5KLZZ 60-69 years, male 31.7
GTEX-11ZTT-1626-SM-5EQKR 60-69 years, female 31.6
GTEX-1J1R8-1426-SM-CL55O 40-49 years, male 31.6
GTEX-13D11-0626-SM-5LZYY 50-59 years, female 31.5
GTEX-1GTWX-2626-SM-9WPOT 60-69 years, male 31.3
GTEX-1KANA-1726-SM-CY8IG 20-29 years, male 31.3
GTEX-1QPFJ-2426-SM-EVR3L 30-39 years, female 31.3
GTEX-1S831-1726-SM-EWROJ 20-29 years, male 31.0
GTEX-1LSNM-1426-SM-E6CIH 50-59 years, male 30.9
GTEX-1QP67-1426-SM-E8VOO 40-49 years, female 30.8
GTEX-1PIGE-1526-SM-DTXFC 20-29 years, male 30.7
GTEX-13O61-1526-SM-5KM3P 60-69 years, male 30.6
GTEX-15F5U-1426-SM-7KUN2 40-49 years, male 30.4
GTEX-1HSGN-2226-SM-A9SL6 40-49 years, female 30.3
GTEX-1122O-1426-SM-5H11R 60-69 years, female 29.9
GTEX-13PVR-1726-SM-5Q5EC 60-69 years, female 29.7
GTEX-11ZU8-1126-SM-5EQ5K 60-69 years, male 29.4
GTEX-13X6K-2726-SM-5O9DG 60-69 years, female 29.0
GTEX-15RJE-2226-SM-6M46A 40-49 years, male 29.0
GTEX-1JKYR-2026-SM-CNPON 20-29 years, male 29.0
GTEX-144GM-1126-SM-79OJK 20-29 years, male 28.9
GTEX-1MGNQ-2126-SM-EV7AC 40-49 years, male 28.8
GTEX-1PDJ9-2026-SM-E76PT 20-29 years, male 28.8
GTEX-1QCLZ-2026-SM-EAZ4A 60-69 years, female 28.8
GTEX-1JMPZ-2626-SM-ARU8Z 30-39 years, male 28.4
GTEX-1R9JW-2126-SM-E76QT 30-39 years, female 28.2
GTEX-WHPG-1626-SM-4M1ZL 50-59 years, male 28.1
GTEX-16MTA-1626-SM-6M47N 50-59 years, male 28.0
GTEX-Y114-1626-SM-4TT7I 50-59 years, female 27.9
GTEX-14PHX-1126-SM-5YYA5 50-59 years, male 27.6
GTEX-1KXAM-1926-SM-D3LAG 60-69 years, male 26.6
GTEX-148VJ-2426-SM-5NQ9Y 70-79 years, male 26.4
GTEX-1JN76-1326-SM-ARU94 20-29 years, female 26.4
GTEX-ZLFU-1426-SM-4WWEU 40-49 years, male 25.9
GTEX-1B97I-1526-SM-73KUK 40-49 years, male 25.0
GTEX-ZA64-1426-SM-5CVMC 20-29 years, male 24.8
GTEX-XUZC-1526-SM-4BRV4 30-39 years, female 24.6
GTEX-ZPIC-2626-SM-57WE2 40-49 years, female 24.6
GTEX-1K2DA-1626-SM-CGQGB 50-59 years, male 24.6
GTEX-1QP2A-2226-SM-DTXF6 50-59 years, male 24.5
GTEX-1AX9K-1626-SM-73KUS 50-59 years, male 24.4
GTEX-1J8Q3-2426-SM-CL53S 60-69 years, male 24.3
GTEX-1H1ZS-2626-SM-9QEIX 70-79 years, male 24.0
GTEX-1J8QM-1226-SM-CY8HI 60-69 years, female 24.0
GTEX-1LVAM-1726-SM-DHXKQ 50-59 years, female 24.0
GTEX-1GMR2-1826-SM-9KNUP 50-59 years, male 23.9
GTEX-1IKOE-2126-SM-A96T5 30-39 years, female 23.3
GTEX-139T6-1426-SM-5P9J7 50-59 years, male 23.0
GTEX-16NGA-0926-SM-718AG 40-49 years, female 22.9
GTEX-1HSMQ-2526-SM-A9SMK 50-59 years, male 22.7
GTEX-1HKZK-2026-SM-9WYUF 40-49 years, male 21.8
GTEX-1JMPY-1026-SM-ARZN1 30-39 years, male 21.8
GTEX-1GL5R-1726-SM-9KNUX 50-59 years, male 21.4
GTEX-1LGOU-1726-SM-D3L8P 20-29 years, female 21.4
GTEX-1C2JI-1726-SM-73KUW 50-59 years, male 20.7
GTEX-12696-1926-SM-5EGJT 60-69 years, male 20.4
GTEX-145ME-1126-SM-5SIAT 40-49 years, female 20.1
GTEX-1I1GT-2026-SM-CKZPK 60-69 years, female 20.0
GTEX-1H1E6-1826-SM-A9G21 30-39 years, male 19.7
GTEX-17HGU-2626-SM-79OKN 50-59 years, male 19.4
GTEX-ZVT2-1726-SM-51MRO 50-59 years, female 19.4
GTEX-ZY6K-1326-SM-5GZWP 50-59 years, male 18.5
GTEX-14E1K-1626-SM-664MO 50-59 years, male 18.4
GTEX-1JKYN-2226-SM-ARZNE 30-39 years, male 18.1
GTEX-13VXT-2026-SM-5L3EW 20-29 years, female 17.4
GTEX-1AX9J-2526-SM-73KUY 60-69 years, male 17.4
GTEX-1F5PL-1926-SM-7MXTP 40-49 years, female 17.4
GTEX-Y9LG-1326-SM-4VBQB 30-39 years, male 17.1
GTEX-13OVI-2126-SM-5KM3U 60-69 years, female 15.8
GTEX-13111-1926-SM-5GCOL 50-59 years, male 15.6
GTEX-1211K-1826-SM-5EGJ2 60-69 years, female 15.5
GTEX-1IDJU-1926-SM-CL53W 60-69 years, female 15.4
Show allShow less
Colon - Transverse
Average nTPM: 260.6
Samples: 406

Max nTPM: 1428.3
Min nTPM: 15.1
Std nTPM: 242.2
Median nTPM: 189.7
GTEX-14E6E-1526-SM-5RQIG 30-39 years, male 1428.3
GTEX-1399R-2226-SM-5P9JB 30-39 years, male 1382.2
GTEX-131XG-1826-SM-5LZV4 50-59 years, female 1018.9
GTEX-UJHI-1126-SM-4IHLN 50-59 years, female 984.0
GTEX-14XAO-2026-SM-69LOI 60-69 years, female 946.8
GTEX-Q2AI-0926-SM-48U1F 40-49 years, male 886.9
GTEX-11DXX-1826-SM-5H126 60-69 years, female 865.1
GTEX-1CAMR-0926-SM-7MXTD 20-29 years, male 845.0
GTEX-111CU-1426-SM-5GZYP 50-59 years, male 830.3
GTEX-1J1R8-1126-SM-CNPQ3 40-49 years, male 811.5
GTEX-14PK6-1726-SM-6871J 70-79 years, female 808.7
GTEX-ZDYS-2326-SM-4WKG6 50-59 years, male 791.7
GTEX-1H1E6-1926-SM-9OSWD 30-39 years, male 789.8
GTEX-132AR-2726-SM-5PNVN 50-59 years, female 773.4
GTEX-14JIY-3326-SM-6871E 60-69 years, male 763.6
GTEX-XUZC-1326-SM-4BRV2 30-39 years, female 761.9
GTEX-ZT9W-1826-SM-51MQX 50-59 years, male 751.4
GTEX-1399S-1926-SM-5J2M5 30-39 years, female 722.0
GTEX-1IKOE-2026-SM-AHZ31 30-39 years, female 710.0
GTEX-QLQW-0426-SM-447A7 30-39 years, male 692.3
GTEX-PLZ5-1126-SM-3P613 50-59 years, male 686.0
GTEX-1399U-1926-SM-5IFH7 50-59 years, female 664.0
GTEX-13111-0726-SM-5DUVE 50-59 years, male 653.5
GTEX-144GM-1226-SM-5LU52 20-29 years, male 635.8
GTEX-Y5LM-1526-SM-4VDTA 40-49 years, female 626.6
GTEX-131XE-0826-SM-5HL9W 50-59 years, male 619.4
GTEX-XV7Q-2126-SM-4BRVX 40-49 years, female 616.3
GTEX-ZEX8-1926-SM-4WKFR 50-59 years, male 613.5
GTEX-1K2DA-2026-SM-CGQGK 50-59 years, male 612.9
GTEX-Q2AH-1226-SM-48TZL 40-49 years, male 612.1
GTEX-1F5PK-1926-SM-7MXT7 50-59 years, male 610.3
GTEX-U4B1-1126-SM-4DXV3 40-49 years, male 599.6
GTEX-ZF2S-1926-SM-4WWAN 50-59 years, female 597.4
GTEX-P4QT-1426-SM-3NMCX 50-59 years, female 596.1
GTEX-R55D-1826-SM-48FEF 50-59 years, male 587.9
GTEX-W5WG-2426-SM-4LMI6 50-59 years, female 581.3
GTEX-U3ZN-2126-SM-4DXU1 30-39 years, female 578.6
GTEX-139YR-2126-SM-5KM11 50-59 years, male 577.3
GTEX-15CHR-1426-SM-7DUGV 50-59 years, male 569.7
GTEX-11DXZ-1726-SM-5H12M 50-59 years, male 562.5
GTEX-T5JW-1126-SM-4DM5V 20-29 years, female 555.0
GTEX-11TT1-1026-SM-5PNW7 20-29 years, male 551.3
GTEX-13S86-1626-SM-5Q5C5 40-49 years, male 549.8
GTEX-1LG7Z-1426-SM-CXKYV 30-39 years, male 549.4
GTEX-S7SF-1926-SM-4AT5B 20-29 years, female 545.8
GTEX-WHWD-1226-SM-4OOS1 50-59 years, male 544.6
GTEX-13PL7-2526-SM-5IFGR 60-69 years, female 544.0
GTEX-1H11D-2626-SM-9JGH4 40-49 years, male 543.8
GTEX-1N2DV-1426-SM-DPRYQ 40-49 years, male 540.0
GTEX-146FQ-1926-SM-5NQBY 30-39 years, male 538.8
GTEX-OOBJ-1426-SM-E6CHH 60-69 years, male 537.1
GTEX-1JKYN-2326-SM-CGQG7 30-39 years, male 536.3
GTEX-1QP67-1326-SM-EAZ4D 40-49 years, female 534.9
GTEX-13X6H-1926-SM-7EWD3 50-59 years, female 533.3
GTEX-QV31-0826-SM-CKZNC 30-39 years, male 528.2
GTEX-11P82-1026-SM-5BC5J 20-29 years, male 527.5
GTEX-145MN-1726-SM-5SIA6 30-39 years, male 527.3
GTEX-Y3IK-1826-SM-4WWDS 50-59 years, female 526.5
GTEX-TKQ2-1326-SM-4DXT9 50-59 years, male 526.3
GTEX-15RIE-1826-SM-6M48P 60-69 years, male 522.2
GTEX-Q734-1126-SM-48TZY 40-49 years, female 522.1
GTEX-XMK1-1726-SM-4B64Z 40-49 years, male 512.8
GTEX-13D11-0826-SM-5KLZJ 50-59 years, female 512.3
GTEX-WFON-1426-SM-4LVMT 40-49 years, male 512.0
GTEX-1JN76-1226-SM-C1YRM 20-29 years, female 509.8
GTEX-11P7K-1526-SM-5EGI7 30-39 years, male 509.3
GTEX-14PJ4-1926-SM-6LLHG 60-69 years, male 508.9
GTEX-WOFM-2026-SM-4OOSQ 20-29 years, male 508.9
GTEX-11I78-1226-SM-5A5K6 50-59 years, female 506.6
GTEX-XBED-1526-SM-4AT5W 60-69 years, male 506.5
GTEX-1PFEY-1426-SM-E9U6U 30-39 years, male 502.3
GTEX-13FTW-1826-SM-5IJEN 40-49 years, male 500.5
GTEX-ZVP2-1526-SM-5NQ82 50-59 years, male 498.1
GTEX-SNOS-1226-SM-4DM5H 40-49 years, male 494.5
GTEX-18A66-2426-SM-7KFSQ 60-69 years, male 493.3
GTEX-1B8KZ-1326-SM-7DUG6 50-59 years, male 491.8
GTEX-1AMFI-1726-SM-7189L 50-59 years, female 490.5
GTEX-RM2N-0926-SM-48FD1 50-59 years, male 488.8
GTEX-117YW-1826-SM-5PNY5 50-59 years, male 488.1
GTEX-1LVAM-1626-SM-EV79Y 50-59 years, female 487.8
GTEX-15RIF-1326-SM-6LPKO 20-29 years, male 487.7
GTEX-14PHX-1526-SM-68717 50-59 years, male 483.5
GTEX-1H3VY-2426-SM-9WPPD 50-59 years, male 480.6
GTEX-TML8-1326-SM-4DXTO 40-49 years, female 476.9
GTEX-1HCU9-1326-SM-B2LXT 20-29 years, male 476.3
GTEX-1I4MK-1126-SM-B2LWS 50-59 years, female 472.6
GTEX-1JK1U-1526-SM-AHZ46 60-69 years, male 471.8
GTEX-X15G-1326-SM-4PQZJ 50-59 years, female 470.3
GTEX-14PKV-2126-SM-664O3 20-29 years, female 469.0
GTEX-14DAR-1526-SM-5RQIX 50-59 years, male 468.4
GTEX-YB5E-1626-SM-5IFIQ 40-49 years, male 468.4
GTEX-ZV7C-1526-SM-5NQ72 50-59 years, male 466.2
GTEX-12BJ1-2126-SM-5BC5O 60-69 years, male 466.1
GTEX-13O21-2426-SM-5MR4A 50-59 years, male 464.2
GTEX-1122O-1526-SM-5N9CL 60-69 years, female 463.5
GTEX-ZDTT-1926-SM-5HL5W 60-69 years, male 463.1
GTEX-1RAZA-1726-SM-DPS13 20-29 years, male 461.9
GTEX-1KANC-0926-SM-D3LA9 50-59 years, female 454.2
GTEX-145LT-0926-SM-5LU9C 40-49 years, male 451.4
GTEX-1B8KE-1926-SM-731EE 50-59 years, male 451.4
GTEX-17HHE-1826-SM-79OKE 50-59 years, male 450.1
GTEX-O5YT-1426-SM-3MJHC 20-29 years, male 450.1
GTEX-ZG7Y-2126-SM-DO117 50-59 years, male 449.5
GTEX-1C475-1626-SM-731FP 40-49 years, female 446.3
GTEX-144GN-1126-SM-5LU33 50-59 years, male 437.5
GTEX-OXRK-1726-SM-3NB16 50-59 years, female 436.1
GTEX-OIZF-1426-SM-2HML2 60-69 years, male 435.7
GTEX-ZPIC-2226-SM-57WDX 40-49 years, female 431.3
GTEX-17HGU-2426-SM-7EWDP 50-59 years, male 425.3
GTEX-1S83E-1626-SM-EV7B9 40-49 years, male 424.0
GTEX-YF7O-1726-SM-5IFJ9 50-59 years, male 419.3
GTEX-S4UY-0826-SM-4AD4Z 40-49 years, female 419.2
GTEX-1QP9N-1026-SM-E6CPX 30-39 years, male 417.7
GTEX-R55G-1226-SM-48FDC 40-49 years, female 415.2
GTEX-1RAZR-1926-SM-E6CRF 40-49 years, male 414.8
GTEX-QCQG-1626-SM-48U26 50-59 years, female 413.9
GTEX-178AV-1326-SM-6LPJX 40-49 years, male 411.9
GTEX-OIZH-1426-SM-3NB1O 50-59 years, male 408.7
GTEX-PLZ6-0926-SM-3P5ZQ 30-39 years, male 408.3
GTEX-139TS-1926-SM-5IJFO 60-69 years, male 404.3
GTEX-1MA7W-0626-SM-EV79Z 20-29 years, female 403.5
GTEX-14BMU-1526-SM-5TDE6 20-29 years, female 403.0
GTEX-PWCY-1026-SM-48TD4 20-29 years, female 400.7
GTEX-18D9A-1126-SM-7KFRJ 30-39 years, female 397.8
GTEX-1HSEH-1726-SM-B2LXH 60-69 years, male 397.5
GTEX-XPVG-1826-SM-4B64X 50-59 years, male 395.4
GTEX-ZPU1-1926-SM-57WDT 40-49 years, male 394.1
GTEX-S4Q7-0826-SM-4AD5E 20-29 years, male 393.7
GTEX-11EM3-1526-SM-5A5KN 20-29 years, female 388.6
GTEX-1KANA-1926-SM-DHXKF 20-29 years, male 387.8
GTEX-1R7EU-1926-SM-E9U62 60-69 years, male 387.5
GTEX-ZVT2-1926-SM-5GU5T 50-59 years, female 384.2
GTEX-13QBU-1826-SM-5IJG3 40-49 years, female 378.0
GTEX-XGQ4-1226-SM-4AT67 50-59 years, male 377.3
GTEX-YEC3-2426-SM-DO11A 50-59 years, male 376.2
GTEX-1211K-1726-SM-5FQUJ 60-69 years, female 374.6
GTEX-1GF9U-1526-SM-7MXUW 40-49 years, female 373.4
GTEX-1AYCT-1826-SM-731EG 50-59 years, male 368.0
GTEX-Y9LG-1526-SM-4WWDR 30-39 years, male 367.5
GTEX-13PVR-1626-SM-73KVF 60-69 years, female 366.2
GTEX-1L5NE-2026-SM-CXZKR 50-59 years, male 361.5
GTEX-ZLWG-1726-SM-DNZZ2 50-59 years, female 357.7
GTEX-11LCK-2026-SM-5A5MA 30-39 years, male 351.1
GTEX-1B932-2826-SM-73KUD 40-49 years, female 351.1
GTEX-QMRM-1226-SM-447C6 50-59 years, male 348.9
GTEX-QDVN-1326-SM-48TZ3 50-59 years, male 345.6
GTEX-16AAH-1326-SM-7KFRG 50-59 years, male 340.6
GTEX-S4P3-1226-SM-4AD4Y 50-59 years, female 340.1
GTEX-1C4CL-2126-SM-7IGQC 30-39 years, male 337.3
GTEX-R53T-1326-SM-48FCQ 50-59 years, female 335.5
GTEX-OHPM-1426-SM-3TW8Y 50-59 years, male 333.1
GTEX-VJYA-2026-SM-4KL1K 60-69 years, male 329.7
GTEX-PWN1-1426-SM-48TDF 40-49 years, female 328.8
GTEX-WHSB-0926-SM-4M1XJ 50-59 years, male 328.8
GTEX-1LGRB-1426-SM-CNNPT 50-59 years, female 328.1
GTEX-ZLV1-1226-SM-4WWBX 60-69 years, female 322.1
GTEX-133LE-1526-SM-5IFEN 20-29 years, female 296.6
GTEX-ZPCL-1826-SM-57WF1 60-69 years, female 291.3
GTEX-WFG7-1526-SM-4LVMG 20-29 years, male 289.0
GTEX-XQ8I-2126-SM-4BOOM 50-59 years, male 286.8
GTEX-1GF9X-1526-SM-7P8QP 40-49 years, female 286.6
GTEX-WYVS-1826-SM-4OND6 40-49 years, female 285.8
GTEX-QDVJ-1326-SM-48U1X 50-59 years, male 285.5
GTEX-ZP4G-1726-SM-4WWCM 20-29 years, female 282.8
GTEX-P4PP-1426-SM-3NM9L 30-39 years, female 282.7
GTEX-R55C-1126-SM-48FCJ 40-49 years, male 280.8
GTEX-1JKYR-1926-SM-C1YR7 20-29 years, male 278.0
GTEX-UJMC-1326-SM-4IHLS 50-59 years, male 277.4
GTEX-139T6-1326-SM-5IFFO 50-59 years, male 274.9
GTEX-SE5C-1526-SM-4BRWU 40-49 years, female 274.6
GTEX-17KNJ-1726-SM-7LG6A 50-59 years, male 273.7
GTEX-17EUY-1826-SM-7DUEZ 20-29 years, male 269.6
GTEX-1CAMS-2526-SM-7EPH7 40-49 years, female 268.6
GTEX-1F5PL-2126-SM-7PC2O 40-49 years, female 268.3
GTEX-1F75I-2426-SM-9WPOY 40-49 years, male 264.8
GTEX-1PIEJ-2026-SM-E6CPA 20-29 years, female 262.4
GTEX-1QCLY-1726-SM-DPRXY 30-39 years, male 258.8
GTEX-12C56-0626-SM-5EGGC 20-29 years, male 258.1
GTEX-18D9U-1926-SM-7KFTM 40-49 years, male 255.9
GTEX-ZTSS-1126-SM-5985O 40-49 years, male 254.5
GTEX-14JG6-1726-SM-69LPL 30-39 years, female 254.1
GTEX-1NSGN-2326-SM-E9U5X 50-59 years, male 248.7
GTEX-QEL4-1926-SM-D3L8D 50-59 years, male 248.1
GTEX-147F3-1926-SM-5SIB9 50-59 years, female 247.3
GTEX-15SB6-1226-SM-7KUMP 50-59 years, female 245.7
GTEX-U3ZM-1126-SM-4DXUB 40-49 years, male 242.6
GTEX-ZY6K-1226-SM-5GZYL 50-59 years, male 242.2
GTEX-Y8E4-2426-SM-4WWDN 40-49 years, male 240.3
GTEX-11VI4-1526-SM-5EQKC 40-49 years, female 236.7
GTEX-XBEW-1926-SM-4SOJO 40-49 years, male 234.1
GTEX-147GR-2726-SM-664OO 60-69 years, male 229.4
GTEX-XYKS-2226-SM-4E3IU 60-69 years, female 226.6
GTEX-1JMPY-0426-SM-C1YQ3 30-39 years, male 212.6
GTEX-1KXAM-2126-SM-CY8I9 60-69 years, male 211.1
GTEX-1PIGE-1426-SM-E9U61 20-29 years, male 204.5
GTEX-1128S-1626-SM-5H12O 60-69 years, female 202.0
GTEX-1S3DN-1826-SM-EV79K 50-59 years, male 202.0
GTEX-1RDX4-1826-SM-EVR54 50-59 years, female 200.9
GTEX-WH7G-1326-SM-4LVMS 40-49 years, male 199.6
GTEX-1MGNQ-2026-SM-EAZ51 40-49 years, male 198.3
GTEX-1R9PM-1526-SM-DPRY8 20-29 years, male 198.0
GTEX-ZGAY-2126-SM-4YCFB 40-49 years, female 197.5
GTEX-ZZ64-0726-SM-5GZX4 20-29 years, male 194.4
GTEX-PX3G-1426-SM-48U1J 20-29 years, female 184.9
GTEX-1HSMQ-2726-SM-C1YRE 50-59 years, male 182.0
GTEX-1K9T9-2826-SM-D4P3F 50-59 years, female 179.8
GTEX-1IDJU-2026-SM-A9SLM 60-69 years, female 179.4
GTEX-1HFI7-1726-SM-A9G22 50-59 years, female 173.7
GTEX-WYJK-2226-SM-4ONDJ 50-59 years, male 169.8
GTEX-SNMC-1126-SM-4DM5M 20-29 years, male 166.6
GTEX-XUW1-1926-SM-4BOP1 50-59 years, female 165.9
GTEX-1QPFJ-2326-SM-E6CR7 30-39 years, female 165.4
GTEX-11NSD-1626-SM-5986U 20-29 years, male 163.2
GTEX-WQUQ-2526-SM-4MVNO 60-69 years, male 162.9
GTEX-1R9JW-2026-SM-EAZ4O 30-39 years, female 160.6
GTEX-1NHNU-2326-SM-E6CQE 50-59 years, male 158.9
GTEX-RU1J-1326-SM-46MUL 20-29 years, female 156.8
GTEX-NFK9-2026-SM-3LK5K 40-49 years, male 153.0
GTEX-S3XE-1126-SM-4AD4N 50-59 years, male 152.0
GTEX-O5YW-1426-SM-3MJHF 50-59 years, male 144.9
GTEX-1IOXB-2626-SM-CJI2N 50-59 years, male 140.6
GTEX-15DCE-2026-SM-7KUFE 20-29 years, male 140.4
GTEX-13OVJ-1726-SM-5IJDZ 50-59 years, female 128.0
GTEX-1GPI7-1726-SM-7P8R1 20-29 years, male 126.5
GTEX-15ER7-2926-SM-7KUFK 20-29 years, female 126.4
GTEX-13OW6-2126-SM-5N9GL 50-59 years, male 117.9
GTEX-P78B-1726-SM-3P5ZV 40-49 years, female 107.9
GTEX-OHPN-2026-SM-E9TIA 60-69 years, female 107.7
GTEX-1I6K6-1826-SM-B2LX5 30-39 years, male 104.6
GTEX-X3Y1-1726-SM-4PQZL 40-49 years, male 103.6
GTEX-14ICK-1026-SM-6AJA4 40-49 years, male 100.7
GTEX-1MJK3-0926-SM-EV7AY 20-29 years, male 99.5
GTEX-14PJM-2626-SM-686ZD 50-59 years, female 98.0
GTEX-1E2YA-2626-SM-7MGWW 50-59 years, male 90.4
GTEX-17GQL-1526-SM-7LTAC 60-69 years, male 88.7
GTEX-1HSGN-2626-SM-CE6S1 40-49 years, female 87.1
GTEX-14C5O-2526-SM-73KU2 60-69 years, male 86.8
GTEX-14BIN-3026-SM-5ZZUS 50-59 years, female 86.4
GTEX-16NGA-1026-SM-7KFS3 40-49 years, female 86.0
GTEX-16MT8-2726-SM-7IGLJ 60-69 years, female 85.8
GTEX-1N5O9-2726-SM-E76QH 60-69 years, male 85.1
GTEX-17F9E-1826-SM-7IGMC 50-59 years, male 84.6
GTEX-13VXT-2426-SM-5LU46 20-29 years, female 82.3
GTEX-1I1GR-2526-SM-CNNQF 60-69 years, male 82.2
GTEX-1F75B-2726-SM-7P8QO 50-59 years, male 81.9
GTEX-1GMR3-2826-SM-9WPOG 40-49 years, male 81.3
GTEX-OXRN-2026-SM-E6CHK 50-59 years, male 80.7
GTEX-1H1DE-1526-SM-ARL9B 20-29 years, male 77.0
GTEX-1ICLZ-2426-SM-CKZOD 60-69 years, male 75.0
GTEX-12KS4-2426-SM-5LU8P 30-39 years, male 74.5
GTEX-ZAB4-2226-SM-5HL97 40-49 years, male 74.5
GTEX-1PPH8-2026-SM-DTX7P 20-29 years, male 74.1
GTEX-17F98-1026-SM-7IGO8 40-49 years, female 73.5
GTEX-1LSVX-1726-SM-DHXJP 60-69 years, male 70.6
GTEX-16NPV-2626-SM-6M484 50-59 years, female 69.7
GTEX-WVJS-2426-SM-EZ6LI 50-59 years, male 68.8
GTEX-14C39-1926-SM-5ZZW5 40-49 years, male 68.5
GTEX-18A7A-2226-SM-7LT8K 50-59 years, female 66.4
GTEX-17F96-2026-SM-79ON4 70-79 years, male 66.3
GTEX-11O72-2226-SM-5PNW2 40-49 years, male 65.7
GTEX-1IDJD-2226-SM-A96TD 30-39 years, male 63.7
GTEX-15UF6-2626-SM-6M466 70-79 years, female 62.3
GTEX-1NV5F-2226-SM-DTX8O 60-69 years, female 62.2
GTEX-11ZVC-2126-SM-5EGJ1 50-59 years, female 62.1
GTEX-11TTK-2426-SM-5PNYO 60-69 years, female 61.9
GTEX-13OW5-2626-SM-5MR3M 60-69 years, male 61.7
GTEX-1339X-1626-SM-5IJDN 40-49 years, male 60.7
GTEX-13FHP-2426-SM-5KLZ5 50-59 years, male 60.2
GTEX-1I1GT-1926-SM-ARU7D 60-69 years, female 59.9
GTEX-15DYW-2326-SM-6PAMU 60-69 years, female 59.8
GTEX-1AMEY-1926-SM-73KVT 30-39 years, female 59.7
GTEX-1LVAN-2526-SM-CNPPC 50-59 years, female 59.5
GTEX-PSDG-1826-SM-EAZ2S 50-59 years, male 58.8
GTEX-ZYVF-2826-SM-5GIDK 50-59 years, female 58.7
GTEX-1LG7Y-2126-SM-DIPER 50-59 years, male 58.7
GTEX-1HCVE-2526-SM-A9G2G 50-59 years, male 58.5
GTEX-Y8LW-1226-SM-4WWDP 50-59 years, female 58.4
GTEX-R45C-2126-SM-EZ6KZ 60-69 years, female 58.0
GTEX-1AX8Z-2726-SM-73KUC 60-69 years, male 57.8
GTEX-145MO-2426-SM-5NQ9W 60-69 years, male 56.8
GTEX-1BAJH-2326-SM-7IGMO 70-79 years, male 56.4
GTEX-11GSP-1626-SM-5986N 60-69 years, female 55.4
GTEX-1H1DG-2226-SM-9WPPC 70-79 years, male 55.4
GTEX-1IGQW-2326-SM-CE6RV 60-69 years, male 54.7
GTEX-17JCI-2626-SM-7EWE6 60-69 years, female 54.6
GTEX-1JJ6O-2426-SM-ARU8J 60-69 years, male 54.6
GTEX-Y3I4-1426-SM-4TT9C 50-59 years, male 53.8
GTEX-14AS3-1126-SM-5Q5CR 40-49 years, female 53.3
GTEX-147JS-2526-SM-5S2Q8 60-69 years, male 51.4
GTEX-111VG-2226-SM-5N9DU 60-69 years, male 50.9
GTEX-15DZA-0926-SM-69LQ3 30-39 years, female 50.9
GTEX-1QCLZ-1926-SM-E6CR3 60-69 years, female 50.8
GTEX-1EH9U-2026-SM-7PBYS 60-69 years, male 50.3
GTEX-1LH75-2126-SM-EVR5F 50-59 years, female 50.2
GTEX-XAJ8-0426-SM-47JYJ 40-49 years, male 49.9
GTEX-SJXC-2226-SM-EVYAK 60-69 years, male 49.2
GTEX-1PPGY-2826-SM-DTX9H 60-69 years, male 48.8
GTEX-1JJE9-2426-SM-D3L8T 70-79 years, male 48.7
GTEX-17MF6-2426-SM-7LTAM 40-49 years, male 48.2
GTEX-145LS-2726-SM-5Q5D8 60-69 years, female 47.9
GTEX-13FH7-1526-SM-5J2N6 50-59 years, female 47.7
GTEX-13OVK-0826-SM-7KULZ 40-49 years, male 47.6
GTEX-144GL-2526-SM-5TDDL 50-59 years, male 47.6
GTEX-14PJ3-0926-SM-69LQG 50-59 years, male 47.5
GTEX-1AX9I-2626-SM-73KU5 60-69 years, male 47.1
GTEX-12WSJ-1526-SM-5GCNI 40-49 years, female 46.7
GTEX-18A7B-2026-SM-72D71 70-79 years, male 46.6
GTEX-OXRL-1426-SM-3NM9E 50-59 years, male 46.5
GTEX-17HII-2726-SM-7MGVM 50-59 years, male 46.2
GTEX-1C2JI-1626-SM-7EPHC 50-59 years, male 46.1
GTEX-1LGOU-1626-SM-D3LAK 20-29 years, female 46.0
GTEX-U412-1726-SM-EZ6KX 60-69 years, male 46.0
GTEX-18D9B-2526-SM-718BN 60-69 years, male 45.6
GTEX-1JMLX-2726-SM-CM2SB 50-59 years, male 45.6
GTEX-1CB4F-2026-SM-79OLU 60-69 years, male 45.1
GTEX-V955-1626-SM-4JBHJ 60-69 years, male 45.1
GTEX-17EVQ-1826-SM-7IGPH 70-79 years, male 44.9
GTEX-16Z82-2226-SM-6LPJ7 60-69 years, male 44.7
GTEX-13CF3-1426-SM-5K7YY 60-69 years, female 44.6
GTEX-1KANB-1526-SM-CXZK4 50-59 years, male 44.4
GTEX-1R9K5-2126-SM-E8VN1 50-59 years, male 44.3
GTEX-13OVG-1426-SM-5K7VP 60-69 years, male 44.0
GTEX-1RMOY-1626-SM-EVYC8 50-59 years, male 43.9
GTEX-14BMV-2426-SM-5S2PP 50-59 years, male 43.4
GTEX-Z93S-2426-SM-5HL8N 50-59 years, male 43.4
GTEX-1HKZK-2126-SM-A9SL3 40-49 years, male 43.2
GTEX-1HCU7-2626-SM-C1YQO 50-59 years, male 43.1
GTEX-1MCC2-1626-SM-DIPEW 30-39 years, female 43.1
GTEX-14E1K-1826-SM-793DT 50-59 years, male 42.9
GTEX-1EMGI-2726-SM-7P8S4 60-69 years, male 42.6
GTEX-12ZZZ-2426-SM-5GCNN 60-69 years, male 42.4
GTEX-1LBAC-1626-SM-CXZKV 20-29 years, male 42.1
GTEX-117YX-0826-SM-5H11J 50-59 years, male 42.0
GTEX-1MUQO-2626-SM-EWRO3 60-69 years, male 41.8
GTEX-1IDJC-1326-SM-CL53H 50-59 years, male 41.6
GTEX-1C64O-2326-SM-73KU8 60-69 years, male 41.5
GTEX-X4EO-2526-SM-EWRM8 60-69 years, female 41.5
GTEX-1POEN-2026-SM-E6CRL 30-39 years, female 41.3
GTEX-13O3P-2326-SM-5KM55 50-59 years, male 41.1
GTEX-1J1OQ-2726-SM-AHZ3R 40-49 years, female 40.9
GTEX-1C6VQ-2726-SM-73KUL 50-59 years, male 40.4
GTEX-1JMPZ-2426-SM-C1YQP 30-39 years, male 40.4
GTEX-13U4I-2426-SM-5LU34 40-49 years, female 39.9
GTEX-1GZ4I-2426-SM-9WPPP 50-59 years, male 39.8
GTEX-14DAQ-2726-SM-5S2QY 60-69 years, female 39.3
GTEX-ZV6S-1226-SM-59HLH 40-49 years, female 38.7
GTEX-1IDJF-1826-SM-CKZOE 20-29 years, male 38.4
GTEX-15G1A-1826-SM-7KUKO 30-39 years, male 38.0
GTEX-1JN1M-2626-SM-CY8I3 60-69 years, female 38.0
GTEX-1QW4Y-1326-SM-EWRMZ 30-39 years, male 37.8
GTEX-QLQ7-1126-SM-CYPRB 60-69 years, male 37.6
GTEX-OXRO-0726-SM-E9U4C 60-69 years, female 37.5
GTEX-16XZZ-2626-SM-6M47S 60-69 years, male 36.8
GTEX-148VJ-2626-SM-5QGPI 70-79 years, male 36.5
GTEX-ZYFG-1926-SM-5GID5 60-69 years, female 36.0
GTEX-1S5VW-2926-SM-E9U6H 60-69 years, male 35.9
GTEX-1PWST-2426-SM-EWRMP 70-79 years, male 35.4
GTEX-13O61-1626-SM-5KM3T 60-69 years, male 35.3
GTEX-1CB4I-2226-SM-7P8SL 50-59 years, male 35.0
GTEX-145ME-0826-SM-5O9AF 40-49 years, female 34.6
GTEX-1IKK5-2726-SM-CNPQ6 60-69 years, male 34.6
GTEX-1QMI2-2626-SM-E6CR4 60-69 years, male 34.5
GTEX-1GN73-2626-SM-9KNUQ 60-69 years, male 34.1
GTEX-WY7C-1626-SM-4ONC8 50-59 years, male 33.5
GTEX-ZYFC-2626-SM-5NQ6S 50-59 years, male 33.3
GTEX-18QFQ-1526-SM-72D57 30-39 years, male 32.8
GTEX-1AYD5-1726-SM-7RHFW 50-59 years, male 32.8
GTEX-1OKEX-1226-SM-DTXEC 60-69 years, male 32.7
GTEX-11TUW-2026-SM-5EQL8 60-69 years, male 32.5
GTEX-1A3MV-1126-SM-718BS 30-39 years, male 32.5
GTEX-12WSL-1626-SM-5GCMU 50-59 years, male 31.8
GTEX-1B996-2626-SM-73KZ1 60-69 years, male 31.8
GTEX-11ONC-2026-SM-5HL61 60-69 years, male 31.7
GTEX-15CHC-1626-SM-5ZZWS 60-69 years, female 31.6
GTEX-XXEK-1926-SM-4BRVD 50-59 years, male 31.2
GTEX-YEC4-1926-SM-5IFHJ 40-49 years, male 30.8
GTEX-14PJ5-0926-SM-6LLIK 60-69 years, female 30.4
GTEX-13QJ3-2626-SM-9OSXQ 50-59 years, male 30.4
GTEX-15SHU-2526-SM-6M47D 40-49 years, female 29.1
GTEX-11EQ9-1426-SM-5987G 30-39 years, male 28.6
GTEX-1GMR2-1726-SM-9JGI2 50-59 years, male 28.3
GTEX-X5EB-0926-SM-46MVT 40-49 years, male 28.1
GTEX-1S82U-0726-SM-E9TKI 30-39 years, female 28.1
GTEX-1RAZQ-2126-SM-DTX9V 30-39 years, male 27.4
GTEX-RWS6-1826-SM-47JXX 60-69 years, female 27.3
GTEX-11P81-1126-SM-5GU5G 30-39 years, female 26.8
GTEX-T6MO-0826-SM-4DM51 40-49 years, female 26.6
GTEX-1HSMP-2326-SM-D3L8R 70-79 years, male 26.4
GTEX-1GL5R-2426-SM-7MXV1 50-59 years, male 26.2
GTEX-15CHQ-2526-SM-6EU24 60-69 years, male 25.8
GTEX-14ICL-1226-SM-5S2RD 30-39 years, male 25.6
GTEX-111YS-1626-SM-5GZZ9 60-69 years, male 24.6
GTEX-WEY5-1426-SM-4LMJ3 40-49 years, female 24.1
GTEX-14H4A-1926-SM-5ZZWN 40-49 years, female 23.8
GTEX-1HCU6-2726-SM-A9SKV 60-69 years, female 23.7
GTEX-Y114-1526-SM-4TT79 50-59 years, female 23.5
GTEX-S341-1426-SM-4AD6U 40-49 years, female 23.1
GTEX-U3ZH-1326-SM-4DXSF 30-39 years, male 22.5
GTEX-1N2EF-1926-SM-DTX8M 60-69 years, male 21.8
GTEX-13O3O-2526-SM-5L3DR 60-69 years, female 21.1
GTEX-TKQ1-0626-SM-4DXTS 30-39 years, male 20.7
GTEX-1GZ4H-1226-SM-9KNUA 50-59 years, female 20.2
GTEX-13OVI-2026-SM-5J1MU 60-69 years, female 19.4
GTEX-ZXES-1626-SM-5NQ7L 30-39 years, female 19.0
GTEX-ZF29-1726-SM-4WKFV 60-69 years, female 17.9
GTEX-13W3W-2126-SM-5K7UX 60-69 years, female 15.1
Show allShow less

COLON - FANTOM5 CAGEi

RNA expression in human tissues obtained through Cap Analysis of Gene Expression (CAGE) generated by the FANTOM5 project are reported as Scaled Tags Per Million.

Max subtype Scaled Tags Per Millioni

Max subtype Scaled Tags Per Million is the value for the subtype with the largest average Scaled Tags Per Million across the subtype samples.

88.5
FANTOM5 sample id Sample description Scaled Tags Per Million
Colon
Scaled Tags Per Million: 88.5
FF:10014-101C5 62,83,84 years, mixed 88.5

Contact

  • NEWS ARTICLES
  • PRESS ROOM

The Project

  • INTRODUCTION
  • ORGANIZATION
  • PUBLICATIONS

The Human Protein Atlas

  • DOWNLOADABLE DATA
  • LICENCE & CITATION
  • HELP & FAQ
The Human Protein Atlas project is funded
by the Knut & Alice Wallenberg Foundation.


contact@proteinatlas.org