We use cookies to enhance the usability of our website. If you continue, we'll assume that you are happy to receive all cookies. More information. Don't show this again.
FKBP9
HPA
RESOURCES
  • TISSUE
  • BRAIN
  • SINGLE CELL
  • SUBCELLULAR
  • CANCER
  • BLOOD
  • CELL LINE
  • STRUCTURE & INTERACTION
ABOUT
  • INTRODUCTION
  • HISTORY
  • ORGANIZATION
  • PUBLICATIONS
  • ANTIBODY SUBMISSION
  • ANTIBODY AVAILABILITY
  • ACKNOWLEDGMENTS
  • CONTACT
NEWS
  • NEWS ARTICLES
  • PRESS ROOM
LEARN
  • DICTIONARY
  • PROTEIN CLASSES
  • PROTEIN EVIDENCE
  • METHODS
  • EDUCATIONAL VIDEOS
DATA
  • DOWNLOADABLE DATA
  • PUBLICATION DATA
  • RELEASE HISTORY
HELP
  • ANTIBODY VALIDATION
  • ASSAYS & ANNOTATION
  • DISCLAIMER
  • HELP & FAQ
  • PRIVACY STATEMENT
  • LICENCE & CITATION
Fields »
Search result

Field
Term
Gene name
Class
Subclass
Class
Keyword
Chromosome
External id
Tissue
Cell type
Expression
Antibody panel
Tissue
Main location
Patient ID
Annotation
Tissue
Category
Tau score
Cluster
Reliability
Brain region
Category
Tau score
Brain region
Category
Tau score
Brain region
Category
Tau score
Cluster
Reliability
Tissue
Cell type
Enrichment
Cell type
Category
Tau score
Cell type
Category
Tau score
Cell type
Category
Tau score
Cell lineage
Category
Tau score
Cluster
Cluster
Location
Searches
Location
Cell line
Class
Type
Phase
Reliability
Cancer
Prognosis
Cancer
Category
Cancer
Category
Tau score
Cluster
Variants
Interacting gene (ensg_id)
Type
Number of interactions
Pathway
Category
Score
Score
Score
Validation
Validation
Validation
Validation
Antibodies
Data type
Column


  • SUMMARY

  • TISSUE

  • BRAIN

  • SINGLE CELL

  • SUBCELL

  • CANCER

  • BLOOD

  • CELL LINE

  • STRUCT & INT

  • FKBP9
TISSUE PRIMARY DATA COLON Show tissue menu
ADIPOSE TISSUE ADRENAL GLAND AMYGDALA APPENDIX BASAL GANGLIA BONE MARROW BREAST BRONCHUS CEREBELLUM CEREBRAL CORTEX CERVIX CHOROID PLEXUS COLON DUODENUM
ENDOMETRIUM EPIDIDYMIS ESOPHAGUS FALLOPIAN TUBE GALLBLADDER HEART MUSCLE HIPPOCAMPAL FORMATION HYPOTHALAMUS KIDNEY LIVER LUNG LYMPH NODE MIDBRAIN NASOPHARYNX
ORAL MUCOSA OVARY PANCREAS PARATHYROID GLAND PITUITARY GLAND PLACENTA PROSTATE RECTUM RETINA SALIVARY GLAND SEMINAL VESICLE SKELETAL MUSCLE SKIN SMALL INTESTINE
SMOOTH MUSCLE SOFT TISSUE SPINAL CORD SPLEEN STOMACH TESTIS THYMUS THYROID GLAND TONGUE TONSIL URINARY BLADDER VAGINA
ANTIBODIES
AND
VALIDATION
Dictionary
Colon
Tissue proteome
Intestine
COLON - Expression summary
Protein expression
Coloni

On the top, protein expression in current human tissue, based on all annotated cell types, is reported with the units not detected (n), low (l), medium (m) and high (h). Underneath, protein expression in each annotated cell type are reported using the same units.

Protein expression data is based on knowledge-based annotation. For genes where more than one antibody has been used, a collective score is set.

If knowledge-based annotation could not be performed for a gene, no data is displayed here. View antibody staining data further down this page.

h
m
l
n
Endothelial cells: Low
Glandular cells: High
Peripheral nerve/ganglion: Medium
RNA expressioni

A summary of mRNA expression data available for current tissue based on several datasets. The mRNA expression levels in human tissues are based on RNA-seq data generated by the Human Protein Atlas (HPA), Genotype-Tissue Expression (GTEx) portal and CAGE data generated by the FANTOM5 consortium. Consensus normalized expression levels for human tissues was created by combining the data from HPA and GTEx datasets.

The mRNA expression levels in pig are based on RNA-seq data generated by the Human Protein Atlas (HPA), and for mouse, HPA data and in situ hybridization generated by the Allen brain atlas are reported.

Scroll down to view mRNA expression data in more detail.
Consensus:43.3 nTPM
HPA:40.4 nTPM
GTEx:43.3 nTPM
FANTOM5:43.3 Scaled Tags Per Million

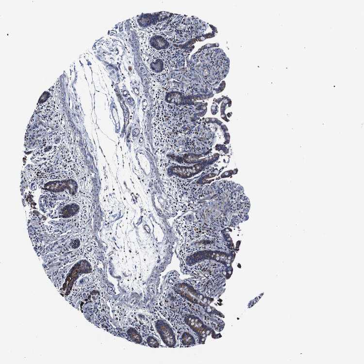
COLON - Antibody stainingi

Antibody staining in the annotated cell types in the current human tissue is reported as not detected, low, medium, or high, based on conventional immunohistochemistry profiling in selected tissues. This score is based on the combination of the staining intensity and fraction of stained cells.

Each image is clickable and will lead to virtual microscopy that enables deeper exploration of all samples and also displays staining intensity scores, fraction scores and subcellular localization as well as patient and tissue information for each sample.

Antibody HPA012595
Endothelial cells Low
Glandular cells High
Peripheral nerve/ganglion Medium



COLON - HPA RNA-seqi

The RNA-seq details section shows detailed information about the individual samples used for the transcript profiling and results of the RNA-seq analysis.

Information about each individual sample is listed below, including gender, age, a tissue section image and estimated fractions of cell types. nTPM (normalized transcripts per million) values give a quantification of the gene abundance which is comparable between different genes and samples.
Average nTPMi

Max subtype nTPM is the value for the subtype with the largest average nTPM across the subtype samples.

40.4
overview
Male, age 54
Colon sample 67
nTPM: 44.5
Cell types%
Glandular cells:
65

Smooth muscle cells:
10

Other cell types:
25

overview
Female, age 57
Colon sample 68
nTPM: 35.7
Cell types%
Glandular cells:
40

Smooth muscle cells:
5

Other cell types:
55

overview
Male, age 80
Colon sample 69
nTPM: 28.5
Cell types%
Glandular cells:
55

Smooth muscle cells:
5

Other cell types:
40

overview
Male, age 68
Colon sample 70
nTPM: 41.2
Cell types%
Glandular cells:
35

Smooth muscle cells:
10

Other cell types:
55

overview
Female, age 68
Colon sample 76
nTPM: 29.8
Cell types%
Glandular cells:
25

Smooth muscle cells:
5

Other cell types:
70

overview
Female, age 61
Colon sample 299
nTPM: 51.7
Cell types%
Glandular cells:
5

Smooth muscle cells:
65

Other cell types:
30

overview
Male, age 80
Colon sample 300
nTPM: 47.4
Cell types%
Glandular cells:
15

Smooth muscle cells:
20

Other cell types:
65

overview
Female, age 78
Colon sample 368
nTPM: 39.7
Cell types%
Glandular cells:
45

Smooth muscle cells:
5

Other cell types:
50

overview
Male, age 84
Colon sample 381
nTPM: 45.8
Cell types%
Glandular cells:
50

Smooth muscle cells:
15

Other cell types:
35

overview
Male, age 80
Colon sample 384
nTPM: 42.8
Cell types%
Glandular cells:
20

Smooth muscle cells:
35

Other cell types:
45

overview
Female, age 78
Colon sample 389
nTPM: 43.2
Cell types%
Glandular cells:
35

Smooth muscle cells:
10

Other cell types:
55

overview
Female, age 69
Colon sample 391
nTPM: 38.7
Cell types%
Glandular cells:
10

Smooth muscle cells:
45

Other cell types:
45

overview
Female, age 72
Colon sample 403
nTPM: 36.3
Cell types%
Glandular cells:
20

Smooth muscle cells:
15

Other cell types:
65


COLON - GTEx RNA-seqi

RNA-Seq data generated by the Genotype-Tissue Expression (GTEx) project from human tissues is reported as mean nTPM. More information can be found on the GTEx portal.

Distribution across the dataset is visualized with box plots, shown as median and 25th and 75th percentiles. Points are displayed as outliers if they are above or below 1.5 times the interquartile range. nTPM values of the individual samples are presented next to the box plot.
Max subtype nTPMi

Max subtype nTPM is the value for the subtype with the largest average nTPM across the subtype samples.

43.3
GTEx sample id Sample description nTPM
Colon - Sigmoid
Average nTPM: 43.3
Samples: 373

Max nTPM: 67.6
Min nTPM: 20.1
Std nTPM: 8.5
Median nTPM: 42.5
GTEX-132NY-2726-SM-5PNY2 60-69 years, male 67.6
GTEX-ZDTS-2726-SM-5L3E2 60-69 years, male 66.9
GTEX-11DXZ-1626-SM-5GIDI 50-59 years, male 66.2
GTEX-18A6Q-2226-SM-7LG61 60-69 years, male 66.0
GTEX-1RLM8-1726-SM-E9TKF 50-59 years, male 65.6
GTEX-1CB4G-2726-SM-79OO4 60-69 years, male 65.2
GTEX-1B8L1-1926-SM-7IGND 60-69 years, male 65.1
GTEX-1CB4F-1926-SM-7MKFN 60-69 years, male 64.2
GTEX-1HSKV-2326-SM-A9SL9 60-69 years, male 62.5
GTEX-131YS-2926-SM-5EGKI 60-69 years, female 61.9
GTEX-17JCI-2826-SM-7IGNA 60-69 years, female 61.9
GTEX-11EMC-1426-SM-5N9E4 60-69 years, female 61.8
GTEX-18465-2726-SM-7LT9I 50-59 years, male 61.2
GTEX-1PBJJ-2026-SM-DTX8U 30-39 years, male 60.4
GTEX-147JS-2626-SM-5S2UX 60-69 years, male 60.2
GTEX-1RDX4-1926-SM-E6CJJ 50-59 years, female 59.5
GTEX-ZQG8-2426-SM-57WEE 60-69 years, female 59.4
GTEX-12WSD-2626-SM-5EGJE 60-69 years, female 59.0
GTEX-1IL2U-2526-SM-C1YQV 60-69 years, male 58.9
GTEX-13G51-2126-SM-5IJD9 60-69 years, male 58.0
GTEX-1BAJH-2726-SM-7IGNJ 70-79 years, male 57.9
GTEX-11GS4-1826-SM-5HL4T 60-69 years, male 57.4
GTEX-Z93S-2626-SM-57WBX 50-59 years, male 57.2
GTEX-YECK-2826-SM-5IFHF 60-69 years, male 57.1
GTEX-16Z82-2426-SM-7KUMS 60-69 years, male 57.0
GTEX-14BIN-2426-SM-5TDCF 50-59 years, female 56.9
GTEX-12KS4-2326-SM-5EGJB 30-39 years, male 56.3
GTEX-1CAMR-1026-SM-7P8QI 20-29 years, male 56.3
GTEX-ZYT6-2826-SM-5GICX 30-39 years, male 56.1
GTEX-1EU9M-2726-SM-7P8QD 60-69 years, male 56.0
GTEX-13OVJ-1826-SM-5KM2D 50-59 years, female 55.8
GTEX-1E2YA-2526-SM-7IGOU 50-59 years, male 55.6
GTEX-1GN73-2726-SM-9WYUB 60-69 years, male 55.6
GTEX-14PJ3-1226-SM-5ZZVY 50-59 years, male 55.3
GTEX-139TS-2226-SM-5J2N1 60-69 years, male 55.0
GTEX-1HBPI-2226-SM-9WYTY 50-59 years, male 55.0
GTEX-1LVAN-2626-SM-CNPQF 50-59 years, female 55.0
GTEX-1212Z-1826-SM-5FQSH 60-69 years, male 54.8
GTEX-15FZZ-1826-SM-6LLJP 30-39 years, female 54.7
GTEX-1RAZR-2026-SM-E9TKE 40-49 years, male 54.6
GTEX-15DYW-2426-SM-7KUG8 60-69 years, female 54.5
GTEX-ZVZQ-2626-SM-59HLB 60-69 years, female 54.5
GTEX-1F75W-2126-SM-7RHIA 60-69 years, male 54.5
GTEX-1I1CD-2826-SM-A9SL4 60-69 years, female 54.4
GTEX-WFON-1326-SM-4LVMN 40-49 years, male 53.8
GTEX-1LSVX-2026-SM-E9TJD 60-69 years, male 53.8
GTEX-13SLW-2826-SM-5Q5ES 70-79 years, male 53.4
GTEX-X15G-1526-SM-4PQZM 50-59 years, female 53.3
GTEX-ZE7O-2626-SM-51MSS 50-59 years, female 53.2
GTEX-11ZU8-1126-SM-5EQ5K 60-69 years, male 53.1
GTEX-117XS-2226-SM-5GIE1 60-69 years, male 52.7
GTEX-15RJ7-1726-SM-6PAL3 40-49 years, male 52.5
GTEX-11PRG-2026-SM-5GU5F 50-59 years, male 52.4
GTEX-12WSG-2426-SM-5EQLZ 50-59 years, female 52.4
GTEX-15CHQ-2626-SM-686YZ 60-69 years, male 52.4
GTEX-13FHO-2726-SM-5K7VG 60-69 years, male 52.2
GTEX-1GMRU-2626-SM-9WPPM 50-59 years, male 52.2
GTEX-Y114-1626-SM-4TT7I 50-59 years, female 52.0
GTEX-ZVT2-1726-SM-51MRO 50-59 years, female 52.0
GTEX-14PHX-1126-SM-5YYA5 50-59 years, male 51.9
GTEX-1GMR3-2526-SM-7P8QS 40-49 years, male 51.9
GTEX-14DAQ-2926-SM-664MV 60-69 years, female 51.7
GTEX-ZYY3-2226-SM-5E45A 60-69 years, female 51.7
GTEX-15RJE-2226-SM-6M46A 40-49 years, male 51.6
GTEX-YF7O-1626-SM-5IFII 50-59 years, male 51.5
GTEX-1H1ZS-2626-SM-9QEIX 70-79 years, male 51.5
GTEX-11ZTS-1526-SM-5N9G7 60-69 years, female 51.4
GTEX-WY7C-1926-SM-4ONCI 50-59 years, male 51.4
GTEX-11EI6-2626-SM-5PNVT 60-69 years, male 51.2
GTEX-1H3NZ-2526-SM-9KNVO 60-69 years, male 51.0
GTEX-18A66-2626-SM-72D67 60-69 years, male 50.9
GTEX-YFCO-1526-SM-5YYB8 40-49 years, male 50.9
GTEX-1I1GR-2226-SM-ARL7F 60-69 years, male 50.9
GTEX-1B996-2726-SM-7DUGG 60-69 years, male 50.8
GTEX-1HBPM-2626-SM-9WYU5 60-69 years, female 50.8
GTEX-1PBJI-2526-SM-E6CP4 20-29 years, female 50.8
GTEX-13CF2-1826-SM-5N9GK 60-69 years, male 50.7
GTEX-1477Z-2126-SM-5Q5CM 60-69 years, male 50.7
GTEX-12ZZX-2726-SM-5N9FT 40-49 years, female 50.6
GTEX-ZVT3-2826-SM-5GU6A 60-69 years, female 49.9
GTEX-1JMQJ-2626-SM-CY8HQ 50-59 years, male 49.9
GTEX-11P81-1426-SM-5P9JN 30-39 years, female 49.6
GTEX-1IDJH-2826-SM-CJI49 70-79 years, male 49.6
GTEX-WHPG-1626-SM-4M1ZL 50-59 years, male 49.5
GTEX-1RQEC-2626-SM-EVR3Z 60-69 years, male 49.5
GTEX-12ZZW-2426-SM-5DUWE 50-59 years, male 49.4
GTEX-145MO-2626-SM-5QGPD 60-69 years, male 49.0
GTEX-14JG6-1626-SM-5YYBC 30-39 years, female 49.0
GTEX-15RIF-1426-SM-7KUKQ 20-29 years, male 48.9
GTEX-1EH9U-1926-SM-7P8QM 60-69 years, male 48.9
GTEX-13OVI-2126-SM-5KM3U 60-69 years, female 48.8
GTEX-11EQ9-1526-SM-5PNY7 30-39 years, male 48.7
GTEX-1R9PO-2026-SM-E9J4N 60-69 years, female 48.5
GTEX-1AYCT-1926-SM-793AE 50-59 years, male 48.3
GTEX-145LS-2926-SM-5O99G 60-69 years, female 48.2
GTEX-ZE9C-2126-SM-4WKGY 60-69 years, male 48.2
GTEX-13X6J-2826-SM-7EPGA 50-59 years, male 48.1
GTEX-18QFQ-1726-SM-731C9 30-39 years, male 48.1
GTEX-17F96-2126-SM-7KFSM 70-79 years, male 48.0
GTEX-17HHE-1626-SM-7DHLN 50-59 years, male 48.0
GTEX-1B97I-1526-SM-73KUK 40-49 years, male 48.0
GTEX-1399R-2126-SM-5K7WZ 30-39 years, male 47.7
GTEX-14C5O-2626-SM-5RQI5 60-69 years, male 47.7
GTEX-ZP4G-1526-SM-57WE5 20-29 years, female 47.5
GTEX-1JMPZ-2626-SM-ARU8Z 30-39 years, male 47.5
GTEX-111CU-1226-SM-5EGIN 50-59 years, male 47.4
GTEX-12ZZY-2726-SM-5EQ45 60-69 years, male 47.3
GTEX-ZXES-1726-SM-5E43G 30-39 years, female 47.3
GTEX-1GPI7-1926-SM-9KNUH 20-29 years, male 47.3
GTEX-ZTSS-1226-SM-51MSZ 40-49 years, male 47.2
GTEX-1IDJI-2226-SM-CKZPM 50-59 years, female 47.2
GTEX-1LB8K-2526-SM-DIPEQ 50-59 years, male 47.2
GTEX-YJ8O-1426-SM-5PNV9 40-49 years, female 47.1
GTEX-1KXAM-1926-SM-D3LAG 60-69 years, male 47.1
GTEX-13OW6-2226-SM-5N9FL 50-59 years, male 47.0
GTEX-1GTWX-2626-SM-9WPOT 60-69 years, male 47.0
GTEX-1JJEA-2526-SM-CY8HJ 60-69 years, male 47.0
GTEX-11DXY-2026-SM-5N9CZ 60-69 years, male 46.9
GTEX-1J8JJ-2426-SM-D4P4A 60-69 years, female 46.9
GTEX-1C64N-2226-SM-7SB7C 50-59 years, male 46.8
GTEX-1HSGN-2226-SM-A9SL6 40-49 years, female 46.8
GTEX-13FTW-2126-SM-5K7YG 40-49 years, male 46.7
GTEX-13N2G-2226-SM-5IJCU 60-69 years, male 46.7
GTEX-1AMFI-1826-SM-73KWB 50-59 years, female 46.6
GTEX-ZF2S-1826-SM-4WKFF 50-59 years, female 46.6
GTEX-16BQI-2026-SM-7KULQ 30-39 years, female 46.5
GTEX-17GQL-1626-SM-7LG69 60-69 years, male 46.4
GTEX-11ZTT-1626-SM-5EQKR 60-69 years, female 46.3
GTEX-13111-1926-SM-5GCOL 50-59 years, male 46.2
GTEX-ZPU1-1726-SM-4WWFV 40-49 years, male 46.2
GTEX-1LGOU-1726-SM-D3L8P 20-29 years, female 46.2
GTEX-1LVAO-2826-SM-E9TJH 60-69 years, male 46.2
GTEX-1LSNL-1626-SM-E9TJY 50-59 years, male 46.1
GTEX-13CF3-1326-SM-5LZXZ 60-69 years, female 46.0
GTEX-1N2DV-1826-SM-E6CJ5 40-49 years, male 46.0
GTEX-13OW8-2726-SM-5L3FZ 60-69 years, male 45.9
GTEX-1PIGE-1526-SM-DTXFC 20-29 years, male 45.9
GTEX-13QBU-2026-SM-5KLZB 40-49 years, female 45.8
GTEX-1HBPN-2026-SM-B2LWA 50-59 years, male 45.7
GTEX-111YS-1826-SM-5GIEP 60-69 years, male 45.5
GTEX-ZA64-1426-SM-5CVMC 20-29 years, male 45.5
GTEX-13PVR-1726-SM-5Q5EC 60-69 years, female 45.4
GTEX-ZVT4-2626-SM-5N9GJ 50-59 years, female 45.4
GTEX-1HBPH-2526-SM-ACKXK 40-49 years, female 45.4
GTEX-11VI4-1426-SM-5GU6O 40-49 years, female 45.3
GTEX-13X6K-2726-SM-5O9DG 60-69 years, female 45.1
GTEX-147GR-2826-SM-5RQK8 60-69 years, male 45.0
GTEX-12696-1926-SM-5EGJT 60-69 years, male 44.9
GTEX-1C64O-2426-SM-7P8R3 60-69 years, male 44.9
GTEX-139UW-2326-SM-5KM1Y 60-69 years, male 44.8
GTEX-14PK6-1826-SM-69LOM 70-79 years, female 44.8
GTEX-183FY-1426-SM-7DHLM 20-29 years, male 44.8
GTEX-1HKZK-2026-SM-9WYUF 40-49 years, male 44.7
GTEX-1HSMO-2526-SM-A9SKP 60-69 years, male 44.7
GTEX-XUZC-1526-SM-4BRV4 30-39 years, female 44.5
GTEX-1F5PK-1726-SM-7RHHW 50-59 years, male 44.3
GTEX-145LT-0826-SM-5S2QL 40-49 years, male 44.1
GTEX-1HCVE-2326-SM-9WYUD 50-59 years, male 44.1
GTEX-X4EO-2726-SM-4E3HS 60-69 years, female 44.0
GTEX-1JJE9-2526-SM-ARU8K 70-79 years, male 43.9
GTEX-W5WG-2026-SM-4LMIB 50-59 years, female 43.8
GTEX-ZAB5-1426-SM-5HL9D 50-59 years, male 43.8
GTEX-1K2DA-1626-SM-CGQGB 50-59 years, male 43.8
GTEX-1A3MV-1026-SM-72D5U 30-39 years, male 43.6
GTEX-ZAB4-2426-SM-5HL8A 40-49 years, male 43.4
GTEX-ZZ64-0826-SM-5E449 20-29 years, male 43.4
GTEX-1H3VE-2326-SM-9KNVU 40-49 years, male 43.4
GTEX-1P4AB-2626-SM-DTXEU 50-59 years, male 43.4
GTEX-13D11-0626-SM-5LZYY 50-59 years, female 43.3
GTEX-1JN76-1326-SM-ARU94 20-29 years, female 43.3
GTEX-1B8KE-1526-SM-7DUG2 50-59 years, male 43.2
GTEX-WYVS-1126-SM-4SOJX 40-49 years, female 43.2
GTEX-ZC5H-2426-SM-4WAZ6 40-49 years, female 43.1
GTEX-1LG7Z-1326-SM-DIPF3 30-39 years, male 43.1
GTEX-13X6I-2726-SM-5Q5ET 60-69 years, male 43.0
GTEX-15EO6-2326-SM-6LPKK 50-59 years, male 43.0
GTEX-15F5U-1426-SM-7KUN2 40-49 years, male 43.0
GTEX-VJYA-2126-SM-4KL1O 60-69 years, male 43.0
GTEX-11DXX-1926-SM-5EGJK 60-69 years, female 42.9
GTEX-14AS3-1026-SM-5TDD7 40-49 years, female 42.8
GTEX-17HG3-1126-SM-7DUFC 30-39 years, female 42.8
GTEX-139T6-1426-SM-5P9J7 50-59 years, male 42.7
GTEX-16XZZ-2726-SM-7EWDO 60-69 years, male 42.7
GTEX-1J1OQ-2826-SM-D3L88 40-49 years, female 42.7
GTEX-1IKOE-2126-SM-A96T5 30-39 years, female 42.6
GTEX-1RMOY-1726-SM-EVYC9 50-59 years, male 42.6
GTEX-1C6VQ-2626-SM-7IGMQ 50-59 years, male 42.5
GTEX-12BJ1-2026-SM-5FQUH 60-69 years, male 42.4
GTEX-1J1R8-1426-SM-CL55O 40-49 years, male 42.4
GTEX-11P7K-1826-SM-5HL5A 30-39 years, male 42.3
GTEX-14PKV-1926-SM-686YU 20-29 years, female 42.3
GTEX-1EMGI-2626-SM-7IGNR 60-69 years, male 42.3
GTEX-ZV6S-1126-SM-57WE9 40-49 years, female 42.3
GTEX-WOFM-1926-SM-4OOSP 20-29 years, male 42.2
GTEX-1C2JI-1726-SM-73KUW 50-59 years, male 42.0
GTEX-1AX9J-2526-SM-73KUY 60-69 years, male 41.9
GTEX-1JMLX-2526-SM-CY8HX 50-59 years, male 41.9
GTEX-13VXT-2026-SM-5L3EW 20-29 years, female 41.7
GTEX-145MH-2726-SM-5QGQ6 50-59 years, male 41.7
GTEX-1HSEH-1926-SM-A96SB 60-69 years, male 41.7
GTEX-1OFPY-1226-SM-E76OM 60-69 years, male 41.7
GTEX-1OJC3-1826-SM-DTX93 20-29 years, male 41.7
GTEX-1QCLZ-2026-SM-EAZ4A 60-69 years, female 41.7
GTEX-1QP9N-0826-SM-DTX9O 30-39 years, male 41.7
GTEX-1S5ZA-1426-SM-E6CJQ 20-29 years, male 41.7
GTEX-1C4CL-1626-SM-7DUF3 30-39 years, male 41.6
GTEX-WFG7-1626-SM-4LVMF 20-29 years, male 41.6
GTEX-1GMR8-2926-SM-9KNW5 50-59 years, female 41.6
GTEX-12WSM-1426-SM-5GCPA 60-69 years, male 41.4
GTEX-1B932-2126-SM-7IGMU 40-49 years, female 41.4
GTEX-1H23P-2626-SM-9KNVN 60-69 years, male 41.4
GTEX-17KNJ-1826-SM-7LT9N 50-59 years, male 41.3
GTEX-WFG8-1726-SM-4LVM6 20-29 years, male 41.2
GTEX-1J8QM-1226-SM-CY8HI 60-69 years, female 41.2
GTEX-1MGNQ-2126-SM-EV7AC 40-49 years, male 41.1
GTEX-1RAZQ-2026-SM-E76P7 30-39 years, male 41.1
GTEX-ZYFG-1826-SM-5GZWX 60-69 years, female 41.0
GTEX-1I1GP-2826-SM-A9SKZ 50-59 years, male 41.0
GTEX-13113-1426-SM-5EGHU 60-69 years, female 40.9
GTEX-Y5V6-1626-SM-4VDT2 60-69 years, male 40.8
GTEX-1QPFJ-2426-SM-EVR3L 30-39 years, female 40.8
GTEX-13O61-1526-SM-5KM3P 60-69 years, male 40.7
GTEX-15UF6-2726-SM-7KULY 70-79 years, female 40.7
GTEX-WHWD-1526-SM-4OORV 50-59 years, male 40.7
GTEX-1J8EW-2426-SM-CE6T5 60-69 years, female 40.6
GTEX-ZT9W-1726-SM-51MS3 50-59 years, male 40.5
GTEX-1JN6P-2126-SM-ARL98 60-69 years, male 40.4
GTEX-14PJ4-1826-SM-5YY97 60-69 years, male 40.3
GTEX-1GZ4H-1326-SM-7P8TE 50-59 years, female 40.1
GTEX-WHSE-2726-SM-EZ6ML 20-29 years, male 40.1
GTEX-V955-1726-SM-4JBHF 60-69 years, male 40.0
GTEX-WRHK-1126-SM-4MVOJ 20-29 years, female 40.0
GTEX-1QCLY-2026-SM-EVR4C 30-39 years, male 40.0
GTEX-1H1E6-1826-SM-A9G21 30-39 years, male 39.9
GTEX-17HGU-2626-SM-79OKN 50-59 years, male 39.8
GTEX-1ICG6-2226-SM-B2LY7 70-79 years, female 39.8
GTEX-11TUW-2326-SM-5EQMO 60-69 years, male 39.6
GTEX-1JKYR-2026-SM-CNPON 20-29 years, male 39.6
GTEX-ZLFU-1426-SM-4WWEU 40-49 years, male 39.5
GTEX-1H3VY-2526-SM-9KNW1 50-59 years, male 39.5
GTEX-14E6C-2226-SM-5QGQG 40-49 years, male 39.3
GTEX-WYJK-2326-SM-4ONDN 50-59 years, male 39.2
GTEX-1R9K5-2226-SM-DTX9G 50-59 years, male 39.2
GTEX-1122O-1426-SM-5H11R 60-69 years, female 39.1
GTEX-1HCU7-2726-SM-A9G3D 50-59 years, male 39.1
GTEX-1LKK1-2426-SM-DIPES 50-59 years, female 39.0
GTEX-11EM3-1626-SM-5N9CO 20-29 years, female 38.9
GTEX-14A5I-2426-SM-5Q5CP 50-59 years, female 38.9
GTEX-16NGA-0926-SM-718AG 40-49 years, female 38.9
GTEX-183WM-2526-SM-731BP 70-79 years, female 38.9
GTEX-ZF28-2526-SM-57WFH 60-69 years, male 38.9
GTEX-13FH7-1626-SM-5J2O9 50-59 years, female 38.8
GTEX-14PN3-1926-SM-6EU1Y 60-69 years, female 38.8
GTEX-1QP29-2526-SM-E6CQ3 50-59 years, male 38.8
GTEX-139D8-2926-SM-5IJBM 30-39 years, female 38.7
GTEX-15G1A-1926-SM-7KUFF 30-39 years, male 38.7
GTEX-1HCU6-2926-SM-B2LWV 60-69 years, female 38.7
GTEX-1QP67-1426-SM-E8VOO 40-49 years, female 38.6
GTEX-13PVQ-2726-SM-5L3H7 50-59 years, male 38.5
GTEX-14E6E-1726-SM-5S2R6 30-39 years, male 38.5
GTEX-Y3I4-1126-SM-4TT7Y 50-59 years, male 38.5
GTEX-YEC3-2026-SM-DKPOL 50-59 years, male 38.5
GTEX-117YX-0526-SM-5EGJH 50-59 years, male 38.4
GTEX-11I78-1326-SM-5PNY9 50-59 years, female 38.4
GTEX-1GMR2-1826-SM-9KNUP 50-59 years, male 38.4
GTEX-1J8Q3-2426-SM-CL53S 60-69 years, male 38.4
GTEX-13OVK-1026-SM-7KFTC 40-49 years, male 38.3
GTEX-ZPCL-1626-SM-57WGC 60-69 years, female 38.3
GTEX-1JKYN-2226-SM-ARZNE 30-39 years, male 38.2
GTEX-1H1DE-1626-SM-9KNU5 20-29 years, male 38.1
GTEX-ZQUD-1026-SM-4YCEZ 30-39 years, male 38.0
GTEX-1S82P-2026-SM-E9TIQ 60-69 years, female 37.9
GTEX-1AX9K-1626-SM-73KUS 50-59 years, male 37.8
GTEX-13OW5-2826-SM-5KM1G 60-69 years, male 37.7
GTEX-X5EB-1126-SM-46MVV 40-49 years, male 37.7
GTEX-1211K-1826-SM-5EGJ2 60-69 years, female 37.4
GTEX-1HFI7-1626-SM-9WYTR 50-59 years, female 37.4
GTEX-11ONC-1926-SM-5GU75 60-69 years, male 37.3
GTEX-WH7G-1426-SM-4LVMU 40-49 years, male 37.3
GTEX-XXEK-1826-SM-4BRVC 50-59 years, male 37.2
GTEX-1GL5R-1726-SM-9KNUX 50-59 years, male 37.2
GTEX-1PIIG-2126-SM-EXUSD 30-39 years, male 37.2
GTEX-15DZA-1026-SM-6PAND 30-39 years, female 37.1
GTEX-1LBAC-1726-SM-D3L9W 20-29 years, male 37.1
GTEX-1CAMS-2626-SM-7PBY3 40-49 years, female 37.0
GTEX-1QP2A-2226-SM-DTXF6 50-59 years, male 37.0
GTEX-ZPIC-2626-SM-57WE2 40-49 years, female 36.9
GTEX-ZY6K-1326-SM-5GZWP 50-59 years, male 36.9
GTEX-1PDJ9-2026-SM-E76PT 20-29 years, male 36.9
GTEX-13PL7-2426-SM-5J2N3 60-69 years, female 36.7
GTEX-144GM-1126-SM-79OJK 20-29 years, male 36.7
GTEX-14E1K-1626-SM-664MO 50-59 years, male 36.7
GTEX-13U4I-2626-SM-5SI9C 40-49 years, female 36.6
GTEX-14A5H-1626-SM-5SIAN 60-69 years, male 36.6
GTEX-1QP28-2226-SM-DTX8C 50-59 years, female 36.5
GTEX-1C475-1526-SM-7DHM3 40-49 years, female 36.4
GTEX-1JMQK-2326-SM-ARZN4 60-69 years, male 36.3
GTEX-1R9JW-2126-SM-E76QT 30-39 years, female 36.3
GTEX-1A32A-2626-SM-73KX9 50-59 years, female 36.1
GTEX-1PPH8-2226-SM-EWRN7 20-29 years, male 36.1
GTEX-ZLWG-1826-SM-DO11I 50-59 years, female 36.1
GTEX-12WSJ-1426-SM-5GCON 40-49 years, female 35.9
GTEX-1JMPY-1026-SM-ARZN1 30-39 years, male 35.9
GTEX-XQ8I-2326-SM-4BOQC 50-59 years, male 35.8
GTEX-1LG7Y-2226-SM-E9U5K 50-59 years, male 35.7
GTEX-15ETS-2326-SM-7KUGC 40-49 years, female 35.6
GTEX-1A3MX-2326-SM-718B4 60-69 years, male 35.6
GTEX-XV7Q-2226-SM-4BRVY 40-49 years, female 35.6
GTEX-ZF29-1826-SM-4WKG8 60-69 years, female 35.6
GTEX-1PIEJ-1826-SM-EWRMN 20-29 years, female 35.6
GTEX-1HCUA-1926-SM-B2LWE 50-59 years, female 35.5
GTEX-1PFEY-1726-SM-DPRZ4 30-39 years, male 35.5
GTEX-131XE-1026-SM-5EGKE 50-59 years, male 35.3
GTEX-13RTJ-1926-SM-5YYA2 60-69 years, male 35.3
GTEX-1LSNM-1426-SM-E6CIH 50-59 years, male 35.3
GTEX-17EUY-1726-SM-79OK4 20-29 years, male 35.1
GTEX-11EQ8-2626-SM-5N9BO 60-69 years, male 35.0
GTEX-1399U-2226-SM-5KLZI 50-59 years, female 34.8
GTEX-1I6K6-1926-SM-A96SN 30-39 years, male 34.7
GTEX-1GF9X-1426-SM-7RHGX 40-49 years, female 34.6
GTEX-1I1GT-2026-SM-CKZPK 60-69 years, female 34.6
GTEX-1339X-1726-SM-5P9J9 40-49 years, male 34.5
GTEX-1QW4Y-1426-SM-E76P3 30-39 years, male 34.4
GTEX-17MFQ-1226-SM-7KFSA 20-29 years, male 34.2
GTEX-XUW1-1826-SM-4BOQD 50-59 years, female 34.0
GTEX-Y5LM-1426-SM-5RQJL 40-49 years, female 34.0
GTEX-148VJ-2426-SM-5NQ9Y 70-79 years, male 33.9
GTEX-14BMU-1326-SM-5RQIH 20-29 years, female 33.9
GTEX-1LGRB-2026-SM-COH47 50-59 years, female 33.9
GTEX-WI4N-2226-SM-4OOS9 40-49 years, female 33.8
GTEX-14C39-1626-SM-5S2P4 40-49 years, male 33.7
GTEX-1KANA-1726-SM-CY8IG 20-29 years, male 33.7
GTEX-17F9Y-2626-SM-7IGN9 70-79 years, female 33.6
GTEX-WXYG-1726-SM-4ONCU 50-59 years, female 33.6
GTEX-1HSMQ-2526-SM-A9SMK 50-59 years, male 33.6
GTEX-1S831-1726-SM-EWROJ 20-29 years, male 33.6
GTEX-ZLV1-1326-SM-DO11Q 60-69 years, female 33.3
GTEX-15UF7-1326-SM-7KUKV 40-49 years, male 33.2
GTEX-145ME-1126-SM-5SIAT 40-49 years, female 33.1
GTEX-18D9A-1326-SM-7LT8P 30-39 years, female 32.9
GTEX-1IDJU-1926-SM-CL53W 60-69 years, female 32.8
GTEX-ZG7Y-1826-SM-4WWD3 50-59 years, male 32.6
GTEX-Y9LG-1326-SM-4VBQB 30-39 years, male 32.5
GTEX-146FH-2426-SM-5Q5EW 50-59 years, female 32.4
GTEX-18A67-2226-SM-7LT9Z 50-59 years, male 32.4
GTEX-WQUQ-2626-SM-4MVNP 60-69 years, male 32.4
GTEX-1HB9E-2526-SM-D4P35 50-59 years, male 32.4
GTEX-1N2EF-1726-SM-EXUSI 60-69 years, male 32.3
GTEX-16MTA-1626-SM-6M47N 50-59 years, male 32.2
GTEX-Y8E4-2326-SM-EAZAZ 40-49 years, male 32.1
GTEX-13W3W-2226-SM-5LU4M 60-69 years, female 32.0
GTEX-1LVAM-1726-SM-DHXKQ 50-59 years, female 31.9
GTEX-XBED-1726-SM-47JYO 60-69 years, male 31.7
GTEX-YJ8A-1726-SM-5P9IQ 20-29 years, male 31.5
GTEX-1JK1U-1426-SM-CNPOW 60-69 years, male 31.5
GTEX-XAJ8-0726-SM-47JY5 40-49 years, male 31.0
GTEX-1R7EU-1826-SM-DTX9L 60-69 years, male 31.0
GTEX-1AMEY-1826-SM-72D5L 30-39 years, female 30.9
GTEX-131XG-1526-SM-5GCNQ 50-59 years, female 30.8
GTEX-12WSL-1826-SM-5LZW9 50-59 years, male 30.2
GTEX-Y8LW-1126-SM-4VDS4 50-59 years, female 29.9
GTEX-132AR-2826-SM-5IJFV 50-59 years, female 27.8
GTEX-11TT1-0926-SM-5GU5M 20-29 years, male 27.4
GTEX-15G19-2726-SM-6LPKG 60-69 years, male 27.2
GTEX-1F5PL-1926-SM-7MXTP 40-49 years, female 26.9
GTEX-15RIE-2026-SM-7KFRW 60-69 years, male 25.6
GTEX-ZAJG-2626-SM-5S2NU 50-59 years, female 24.6
GTEX-ZTTD-2626-SM-57WEX 50-59 years, male 23.3
GTEX-ZYFD-2226-SM-5E43P 50-59 years, male 23.3
GTEX-15ER7-2826-SM-6PAN2 20-29 years, female 23.2
GTEX-1K9T9-2926-SM-E9TKD 50-59 years, female 23.2
GTEX-1L5NE-1926-SM-D3L9R 50-59 years, male 23.0
GTEX-13O1R-2426-SM-5KLZZ 60-69 years, male 20.1
Show allShow less
Colon - Transverse
Average nTPM: 40.5
Samples: 406

Max nTPM: 81.5
Min nTPM: 16.1
Std nTPM: 8.8
Median nTPM: 39.0
GTEX-ZXES-1626-SM-5NQ7L 30-39 years, female 81.5
GTEX-12ZZZ-2426-SM-5GCNN 60-69 years, male 70.5
GTEX-17JCI-2626-SM-7EWE6 60-69 years, female 69.9
GTEX-SJXC-2226-SM-EVYAK 60-69 years, male 66.4
GTEX-13O3O-2526-SM-5L3DR 60-69 years, female 65.6
GTEX-13QJ3-2626-SM-9OSXQ 50-59 years, male 65.1
GTEX-111VG-2226-SM-5N9DU 60-69 years, male 64.4
GTEX-U412-1726-SM-EZ6KX 60-69 years, male 64.2
GTEX-11GSP-1626-SM-5986N 60-69 years, female 64.0
GTEX-14BMV-2426-SM-5S2PP 50-59 years, male 62.3
GTEX-147JS-2526-SM-5S2Q8 60-69 years, male 62.2
GTEX-1EMGI-2726-SM-7P8S4 60-69 years, male 61.6
GTEX-144GL-2526-SM-5TDDL 50-59 years, male 60.9
GTEX-R45C-2126-SM-EZ6KZ 60-69 years, female 60.8
GTEX-11ONC-2026-SM-5HL61 60-69 years, male 59.7
GTEX-15CHQ-2526-SM-6EU24 60-69 years, male 59.5
GTEX-1GN73-2626-SM-9KNUQ 60-69 years, male 59.5
GTEX-ZYFC-2626-SM-5NQ6S 50-59 years, male 58.9
GTEX-1LVAN-2526-SM-CNPPC 50-59 years, female 58.9
GTEX-13OVG-1426-SM-5K7VP 60-69 years, male 58.8
GTEX-13OVI-2026-SM-5J1MU 60-69 years, female 58.1
GTEX-145LS-2726-SM-5Q5D8 60-69 years, female 57.2
GTEX-1CB4F-2026-SM-79OLU 60-69 years, male 56.6
GTEX-15DYW-2326-SM-6PAMU 60-69 years, female 56.3
GTEX-1ICLZ-2426-SM-CKZOD 60-69 years, male 56.2
GTEX-Z93S-2426-SM-5HL8N 50-59 years, male 55.5
GTEX-11ZVC-2126-SM-5EGJ1 50-59 years, female 54.9
GTEX-16Z82-2226-SM-6LPJ7 60-69 years, male 54.4
GTEX-1KXAM-2126-SM-CY8I9 60-69 years, male 54.2
GTEX-14C5O-2526-SM-73KU2 60-69 years, male 53.9
GTEX-15SHU-2526-SM-6M47D 40-49 years, female 53.9
GTEX-17F9E-1826-SM-7IGMC 50-59 years, male 53.8
GTEX-1IGQW-2326-SM-CE6RV 60-69 years, male 53.8
GTEX-OXRN-2026-SM-E6CHK 50-59 years, male 53.8
GTEX-145MO-2426-SM-5NQ9W 60-69 years, male 53.7
GTEX-1LSVX-1726-SM-DHXJP 60-69 years, male 53.7
GTEX-1J1OQ-2726-SM-AHZ3R 40-49 years, female 53.6
GTEX-14DAQ-2726-SM-5S2QY 60-69 years, female 53.5
GTEX-17EVQ-1826-SM-7IGPH 70-79 years, male 53.5
GTEX-1AYD5-1726-SM-7RHFW 50-59 years, male 53.5
GTEX-11VI4-1526-SM-5EQKC 40-49 years, female 52.9
GTEX-17F98-1026-SM-7IGO8 40-49 years, female 52.4
GTEX-1GZ4I-2426-SM-9WPPP 50-59 years, male 51.8
GTEX-14PJ3-0926-SM-69LQG 50-59 years, male 51.5
GTEX-1I1GR-2526-SM-CNNQF 60-69 years, male 51.5
GTEX-11TTK-2426-SM-5PNYO 60-69 years, female 51.4
GTEX-17F96-2026-SM-79ON4 70-79 years, male 51.2
GTEX-17MF6-2426-SM-7LTAM 40-49 years, male 51.2
GTEX-1QMI2-2626-SM-E6CR4 60-69 years, male 51.2
GTEX-13FHP-2426-SM-5KLZ5 50-59 years, male 51.0
GTEX-1AX9I-2626-SM-73KU5 60-69 years, male 51.0
GTEX-1EH9U-2026-SM-7PBYS 60-69 years, male 50.9
GTEX-ZAB4-2226-SM-5HL97 40-49 years, male 50.4
GTEX-11O72-2226-SM-5PNW2 40-49 years, male 50.2
GTEX-1BAJH-2326-SM-7IGMO 70-79 years, male 50.2
GTEX-1IKK5-2726-SM-CNPQ6 60-69 years, male 50.0
GTEX-13QBU-1826-SM-5IJG3 40-49 years, female 49.9
GTEX-1POEN-2026-SM-E6CRL 30-39 years, female 49.9
GTEX-15CHC-1626-SM-5ZZWS 60-69 years, female 49.8
GTEX-117YX-0826-SM-5H11J 50-59 years, male 49.7
GTEX-15DZA-0926-SM-69LQ3 30-39 years, female 49.6
GTEX-15UF6-2626-SM-6M466 70-79 years, female 49.5
GTEX-14PK6-1726-SM-6871J 70-79 years, female 49.3
GTEX-11I78-1226-SM-5A5K6 50-59 years, female 48.9
GTEX-14DAR-1526-SM-5RQIX 50-59 years, male 48.9
GTEX-14E1K-1826-SM-793DT 50-59 years, male 48.6
GTEX-OIZF-1426-SM-2HML2 60-69 years, male 48.6
GTEX-1PPGY-2826-SM-DTX9H 60-69 years, male 48.4
GTEX-14PHX-1526-SM-68717 50-59 years, male 48.3
GTEX-1KANB-1526-SM-CXZK4 50-59 years, male 48.3
GTEX-12BJ1-2126-SM-5BC5O 60-69 years, male 48.2
GTEX-1JMPZ-2426-SM-C1YQP 30-39 years, male 48.1
GTEX-13O3P-2326-SM-5KM55 50-59 years, male 48.0
GTEX-145ME-0826-SM-5O9AF 40-49 years, female 48.0
GTEX-16XZZ-2626-SM-6M47S 60-69 years, male 47.9
GTEX-Y5LM-1526-SM-4VDTA 40-49 years, female 47.7
GTEX-14ICL-1226-SM-5S2RD 30-39 years, male 47.5
GTEX-16MT8-2726-SM-7IGLJ 60-69 years, female 47.5
GTEX-Y9LG-1526-SM-4WWDR 30-39 years, male 47.3
GTEX-1C6VQ-2726-SM-73KUL 50-59 years, male 47.0
GTEX-ZPU1-1926-SM-57WDT 40-49 years, male 46.9
GTEX-ZYFG-1926-SM-5GID5 60-69 years, female 46.9
GTEX-13O21-2426-SM-5MR4A 50-59 years, male 46.8
GTEX-13OVK-0826-SM-7KULZ 40-49 years, male 46.7
GTEX-14PKV-2126-SM-664O3 20-29 years, female 46.6
GTEX-13FH7-1526-SM-5J2N6 50-59 years, female 46.4
GTEX-14BIN-3026-SM-5ZZUS 50-59 years, female 46.3
GTEX-1HCVE-2526-SM-A9G2G 50-59 years, male 46.2
GTEX-117YW-1826-SM-5PNY5 50-59 years, male 46.1
GTEX-1S5VW-2926-SM-E9U6H 60-69 years, male 46.1
GTEX-144GN-1126-SM-5LU33 50-59 years, male 45.8
GTEX-1IOXB-2626-SM-CJI2N 50-59 years, male 45.6
GTEX-11LCK-2026-SM-5A5MA 30-39 years, male 45.5
GTEX-17GQL-1526-SM-7LTAC 60-69 years, male 45.5
GTEX-PWN1-1426-SM-48TDF 40-49 years, female 45.5
GTEX-13X6H-1926-SM-7EWD3 50-59 years, female 45.4
GTEX-15ER7-2926-SM-7KUFK 20-29 years, female 45.4
GTEX-13W3W-2126-SM-5K7UX 60-69 years, female 45.1
GTEX-18A7A-2226-SM-7LT8K 50-59 years, female 45.1
GTEX-XPVG-1826-SM-4B64X 50-59 years, male 45.1
GTEX-X4EO-2526-SM-EWRM8 60-69 years, female 45.1
GTEX-1CAMR-0926-SM-7MXTD 20-29 years, male 45.0
GTEX-1JKYN-2326-SM-CGQG7 30-39 years, male 45.0
GTEX-1GMR3-2826-SM-9WPOG 40-49 years, male 44.9
GTEX-14PJM-2626-SM-686ZD 50-59 years, female 44.8
GTEX-12WSJ-1526-SM-5GCNI 40-49 years, female 44.7
GTEX-1N5O9-2726-SM-E76QH 60-69 years, male 44.7
GTEX-1C2JI-1626-SM-7EPHC 50-59 years, male 44.5
GTEX-WFON-1426-SM-4LVMT 40-49 years, male 44.5
GTEX-18QFQ-1526-SM-72D57 30-39 years, male 44.4
GTEX-1B8KE-1926-SM-731EE 50-59 years, male 44.2
GTEX-Y3I4-1426-SM-4TT9C 50-59 years, male 44.0
GTEX-11DXX-1826-SM-5H126 60-69 years, female 43.9
GTEX-12C56-0626-SM-5EGGC 20-29 years, male 43.9
GTEX-16AAH-1326-SM-7KFRG 50-59 years, male 43.9
GTEX-U3ZH-1326-SM-4DXSF 30-39 years, male 43.9
GTEX-ZPIC-2226-SM-57WDX 40-49 years, female 43.8
GTEX-148VJ-2626-SM-5QGPI 70-79 years, male 43.7
GTEX-11DXZ-1726-SM-5H12M 50-59 years, male 43.5
GTEX-ZF29-1726-SM-4WKFV 60-69 years, female 43.5
GTEX-17HII-2726-SM-7MGVM 50-59 years, male 43.5
GTEX-QLQ7-1126-SM-CYPRB 60-69 years, male 43.4
GTEX-12KS4-2426-SM-5LU8P 30-39 years, male 43.3
GTEX-1211K-1726-SM-5FQUJ 60-69 years, female 43.2
GTEX-147F3-1926-SM-5SIB9 50-59 years, female 43.2
GTEX-1I1GT-1926-SM-ARU7D 60-69 years, female 43.2
GTEX-1R9K5-2126-SM-E8VN1 50-59 years, male 43.2
GTEX-WVJS-2426-SM-EZ6LI 50-59 years, male 43.1
GTEX-17KNJ-1726-SM-7LG6A 50-59 years, male 43.0
GTEX-14PJ4-1926-SM-6LLHG 60-69 years, male 42.9
GTEX-111YS-1626-SM-5GZZ9 60-69 years, male 42.8
GTEX-145LT-0926-SM-5LU9C 40-49 years, male 42.7
GTEX-14JG6-1726-SM-69LPL 30-39 years, female 42.6
GTEX-11P7K-1526-SM-5EGI7 30-39 years, male 42.4
GTEX-1F5PK-1926-SM-7MXT7 50-59 years, male 42.4
GTEX-1K2DA-2026-SM-CGQGK 50-59 years, male 42.3
GTEX-1PWST-2426-SM-EWRMP 70-79 years, male 42.3
GTEX-1AX8Z-2726-SM-73KUC 60-69 years, male 42.2
GTEX-1AYCT-1826-SM-731EG 50-59 years, male 42.2
GTEX-UJMC-1326-SM-4IHLS 50-59 years, male 42.1
GTEX-13111-0726-SM-5DUVE 50-59 years, male 42.0
GTEX-QCQG-1626-SM-48U26 50-59 years, female 42.0
GTEX-13U4I-2426-SM-5LU34 40-49 years, female 41.7
GTEX-145MN-1726-SM-5SIA6 30-39 years, male 41.7
GTEX-1LBAC-1626-SM-CXZKV 20-29 years, male 41.7
GTEX-1J1R8-1126-SM-CNPQ3 40-49 years, male 41.6
GTEX-1JJ6O-2426-SM-ARU8J 60-69 years, male 41.6
GTEX-13VXT-2426-SM-5LU46 20-29 years, female 41.5
GTEX-1C4CL-2126-SM-7IGQC 30-39 years, male 41.5
GTEX-PX3G-1426-SM-48U1J 20-29 years, female 41.5
GTEX-QLQW-0426-SM-447A7 30-39 years, male 41.4
GTEX-WOFM-2026-SM-4OOSQ 20-29 years, male 41.4
GTEX-ZP4G-1726-SM-4WWCM 20-29 years, female 41.4
GTEX-1F75I-2426-SM-9WPOY 40-49 years, male 41.4
GTEX-1JJE9-2426-SM-D3L8T 70-79 years, male 41.4
GTEX-O5YW-1426-SM-3MJHF 50-59 years, male 41.1
GTEX-11EQ9-1426-SM-5987G 30-39 years, male 41.0
GTEX-1NV5F-2226-SM-DTX8O 60-69 years, female 41.0
GTEX-139TS-1926-SM-5IJFO 60-69 years, male 40.9
GTEX-13O61-1626-SM-5KM3T 60-69 years, male 40.9
GTEX-13OW6-2126-SM-5N9GL 50-59 years, male 40.8
GTEX-U3ZN-2126-SM-4DXU1 30-39 years, female 40.8
GTEX-1NHNU-2326-SM-E6CQE 50-59 years, male 40.8
GTEX-11EM3-1526-SM-5A5KN 20-29 years, female 40.7
GTEX-14H4A-1926-SM-5ZZWN 40-49 years, female 40.7
GTEX-ZT9W-1826-SM-51MQX 50-59 years, male 40.6
GTEX-1LGRB-1426-SM-CNNPT 50-59 years, female 40.6
GTEX-18A7B-2026-SM-72D71 70-79 years, male 40.5
GTEX-QV31-0826-SM-CKZNC 30-39 years, male 40.5
GTEX-P4QT-1426-SM-3NMCX 50-59 years, female 40.4
GTEX-1GL5R-2426-SM-7MXV1 50-59 years, male 40.4
GTEX-1HCU7-2626-SM-C1YQO 50-59 years, male 40.4
GTEX-14ICK-1026-SM-6AJA4 40-49 years, male 40.3
GTEX-1C475-1626-SM-731FP 40-49 years, female 40.3
GTEX-13OW5-2626-SM-5MR3M 60-69 years, male 40.2
GTEX-OHPM-1426-SM-3TW8Y 50-59 years, male 40.2
GTEX-YF7O-1726-SM-5IFJ9 50-59 years, male 40.2
GTEX-139T6-1326-SM-5IFFO 50-59 years, male 40.0
GTEX-1HFI7-1726-SM-A9G22 50-59 years, female 40.0
GTEX-T5JW-1126-SM-4DM5V 20-29 years, female 39.9
GTEX-1E2YA-2626-SM-7MGWW 50-59 years, male 39.9
GTEX-1399S-1926-SM-5J2M5 30-39 years, female 39.8
GTEX-S341-1426-SM-4AD6U 40-49 years, female 39.8
GTEX-ZV6S-1226-SM-59HLH 40-49 years, female 39.8
GTEX-1122O-1526-SM-5N9CL 60-69 years, female 39.7
GTEX-X3Y1-1726-SM-4PQZL 40-49 years, male 39.7
GTEX-1RDX4-1826-SM-EVR54 50-59 years, female 39.7
GTEX-13PVR-1626-SM-73KVF 60-69 years, female 39.6
GTEX-PLZ6-0926-SM-3P5ZQ 30-39 years, male 39.6
GTEX-15RIF-1326-SM-6LPKO 20-29 years, male 39.5
GTEX-P78B-1726-SM-3P5ZV 40-49 years, female 39.5
GTEX-1HCU6-2726-SM-A9SKV 60-69 years, female 39.5
GTEX-1339X-1626-SM-5IJDN 40-49 years, male 39.4
GTEX-1JMPY-0426-SM-C1YQ3 30-39 years, male 39.4
GTEX-S4UY-0826-SM-4AD4Z 40-49 years, female 39.3
GTEX-1MGNQ-2026-SM-EAZ51 40-49 years, male 39.3
GTEX-1RMOY-1626-SM-EVYC8 50-59 years, male 39.3
GTEX-1A3MV-1126-SM-718BS 30-39 years, male 39.2
GTEX-1LVAM-1626-SM-EV79Y 50-59 years, female 39.2
GTEX-1QPFJ-2326-SM-E6CR7 30-39 years, female 39.2
GTEX-14AS3-1126-SM-5Q5CR 40-49 years, female 39.1
GTEX-1S83E-1626-SM-EV7B9 40-49 years, male 39.1
GTEX-13D11-0826-SM-5KLZJ 50-59 years, female 39.0
GTEX-WHWD-1226-SM-4OOS1 50-59 years, male 39.0
GTEX-S4P3-1226-SM-4AD4Y 50-59 years, female 38.9
GTEX-1MA7W-0626-SM-EV79Z 20-29 years, female 38.9
GTEX-W5WG-2426-SM-4LMI6 50-59 years, female 38.8
GTEX-1S82U-0726-SM-E9TKI 30-39 years, female 38.8
GTEX-15CHR-1426-SM-7DUGV 50-59 years, male 38.7
GTEX-OXRL-1426-SM-3NM9E 50-59 years, male 38.7
GTEX-ZEX8-1926-SM-4WKFR 50-59 years, male 38.7
GTEX-1I4MK-1126-SM-B2LWS 50-59 years, female 38.7
GTEX-139YR-2126-SM-5KM11 50-59 years, male 38.6
GTEX-ZGAY-2126-SM-4YCFB 40-49 years, female 38.6
GTEX-1HSEH-1726-SM-B2LXH 60-69 years, male 38.6
GTEX-1IDJU-2026-SM-A9SLM 60-69 years, female 38.6
GTEX-17HHE-1826-SM-79OKE 50-59 years, male 38.5
GTEX-1H1E6-1926-SM-9OSWD 30-39 years, male 38.5
GTEX-OOBJ-1426-SM-E6CHH 60-69 years, male 38.5
GTEX-Y3IK-1826-SM-4WWDS 50-59 years, female 38.4
GTEX-P4PP-1426-SM-3NM9L 30-39 years, female 38.3
GTEX-U3ZM-1126-SM-4DXUB 40-49 years, male 38.3
GTEX-XBEW-1926-SM-4SOJO 40-49 years, male 38.3
GTEX-ZVT2-1926-SM-5GU5T 50-59 years, female 38.3
GTEX-1PPH8-2026-SM-DTX7P 20-29 years, male 38.3
GTEX-WY7C-1626-SM-4ONC8 50-59 years, male 38.2
GTEX-1KANC-0926-SM-D3LA9 50-59 years, female 38.2
GTEX-1RAZA-1726-SM-DPS13 20-29 years, male 38.1
GTEX-11TUW-2026-SM-5EQL8 60-69 years, male 38.0
GTEX-12WSL-1626-SM-5GCMU 50-59 years, male 38.0
GTEX-TKQ1-0626-SM-4DXTS 30-39 years, male 38.0
GTEX-YEC3-2426-SM-DO11A 50-59 years, male 38.0
GTEX-1AMFI-1726-SM-7189L 50-59 years, female 37.9
GTEX-1399R-2226-SM-5P9JB 30-39 years, male 37.8
GTEX-1CAMS-2526-SM-7EPH7 40-49 years, female 37.6
GTEX-1HSGN-2626-SM-CE6S1 40-49 years, female 37.6
GTEX-147GR-2726-SM-664OO 60-69 years, male 37.5
GTEX-14PJ5-0926-SM-6LLIK 60-69 years, female 37.5
GTEX-15DCE-2026-SM-7KUFE 20-29 years, male 37.5
GTEX-O5YT-1426-SM-3MJHC 20-29 years, male 37.5
GTEX-WEY5-1426-SM-4LMJ3 40-49 years, female 37.5
GTEX-1H1DE-1526-SM-ARL9B 20-29 years, male 37.5
GTEX-ZDTT-1926-SM-5HL5W 60-69 years, male 37.5
GTEX-1B996-2626-SM-73KZ1 60-69 years, male 37.4
GTEX-1QCLY-1726-SM-DPRXY 30-39 years, male 37.4
GTEX-ZLWG-1726-SM-DNZZ2 50-59 years, female 37.4
GTEX-133LE-1526-SM-5IFEN 20-29 years, female 37.3
GTEX-13FTW-1826-SM-5IJEN 40-49 years, male 37.3
GTEX-1KANA-1926-SM-DHXKF 20-29 years, male 37.3
GTEX-1PIEJ-2026-SM-E6CPA 20-29 years, female 37.3
GTEX-146FQ-1926-SM-5NQBY 30-39 years, male 37.2
GTEX-1GMR2-1726-SM-9JGI2 50-59 years, male 37.1
GTEX-15G1A-1826-SM-7KUKO 30-39 years, male 36.9
GTEX-1IDJC-1326-SM-CL53H 50-59 years, male 36.9
GTEX-16NPV-2626-SM-6M484 50-59 years, female 36.8
GTEX-SE5C-1526-SM-4BRWU 40-49 years, female 36.8
GTEX-1HSMP-2326-SM-D3L8R 70-79 years, male 36.8
GTEX-1MCC2-1626-SM-DIPEW 30-39 years, female 36.7
GTEX-14E6E-1526-SM-5RQIG 30-39 years, male 36.6
GTEX-18D9U-1926-SM-7KFTM 40-49 years, male 36.6
GTEX-Y114-1526-SM-4TT79 50-59 years, female 36.6
GTEX-1IDJD-2226-SM-A96TD 30-39 years, male 36.6
GTEX-1JMLX-2726-SM-CM2SB 50-59 years, male 36.6
GTEX-14BMU-1526-SM-5TDE6 20-29 years, female 36.5
GTEX-QDVN-1326-SM-48TZ3 50-59 years, male 36.5
GTEX-R55G-1226-SM-48FDC 40-49 years, female 36.5
GTEX-R55C-1126-SM-48FCJ 40-49 years, male 36.3
GTEX-111CU-1426-SM-5GZYP 50-59 years, male 36.2
GTEX-15SB6-1226-SM-7KUMP 50-59 years, female 36.1
GTEX-1JN76-1226-SM-C1YRM 20-29 years, female 36.1
GTEX-14XAO-2026-SM-69LOI 60-69 years, female 36.0
GTEX-1C64O-2326-SM-73KU8 60-69 years, male 36.0
GTEX-XAJ8-0426-SM-47JYJ 40-49 years, male 36.0
GTEX-131XG-1826-SM-5LZV4 50-59 years, female 35.9
GTEX-WYJK-2226-SM-4ONDJ 50-59 years, male 35.9
GTEX-YEC4-1926-SM-5IFHJ 40-49 years, male 35.9
GTEX-ZDYS-2326-SM-4WKG6 50-59 years, male 35.9
GTEX-1GF9U-1526-SM-7MXUW 40-49 years, female 35.9
GTEX-1RAZQ-2126-SM-DTX9V 30-39 years, male 35.9
GTEX-OXRO-0726-SM-E9U4C 60-69 years, female 35.9
GTEX-18D9B-2526-SM-718BN 60-69 years, male 35.8
GTEX-1B932-2826-SM-73KUD 40-49 years, female 35.8
GTEX-Q734-1126-SM-48TZY 40-49 years, female 35.8
GTEX-RU1J-1326-SM-46MUL 20-29 years, female 35.8
GTEX-S7SF-1926-SM-4AT5B 20-29 years, female 35.8
GTEX-XGQ4-1226-SM-4AT67 50-59 years, male 35.8
GTEX-1JKYR-1926-SM-C1YR7 20-29 years, male 35.8
GTEX-ZF2S-1926-SM-4WWAN 50-59 years, female 35.7
GTEX-YB5E-1626-SM-5IFIQ 40-49 years, male 35.6
GTEX-QMRM-1226-SM-447C6 50-59 years, male 35.5
GTEX-TKQ2-1326-SM-4DXT9 50-59 years, male 35.4
GTEX-UJHI-1126-SM-4IHLN 50-59 years, female 35.4
GTEX-1MUQO-2626-SM-EWRO3 60-69 years, male 35.3
GTEX-1QP9N-1026-SM-E6CPX 30-39 years, male 35.3
GTEX-13CF3-1426-SM-5K7YY 60-69 years, female 35.2
GTEX-XUW1-1926-SM-4BOP1 50-59 years, female 35.2
GTEX-1HKZK-2126-SM-A9SL3 40-49 years, male 35.2
GTEX-11NSD-1626-SM-5986U 20-29 years, male 35.1
GTEX-SNMC-1126-SM-4DM5M 20-29 years, male 35.1
GTEX-WYVS-1826-SM-4OND6 40-49 years, female 35.1
GTEX-ZZ64-0726-SM-5GZX4 20-29 years, male 35.1
GTEX-1128S-1626-SM-5H12O 60-69 years, female 35.0
GTEX-ZPCL-1826-SM-57WF1 60-69 years, female 35.0
GTEX-ZG7Y-2126-SM-DO117 50-59 years, male 35.0
GTEX-1399U-1926-SM-5IFH7 50-59 years, female 34.9
GTEX-XYKS-2226-SM-4E3IU 60-69 years, female 34.9
GTEX-ZLV1-1226-SM-4WWBX 60-69 years, female 34.9
GTEX-Y8LW-1226-SM-4WWDP 50-59 years, female 34.8
GTEX-1GPI7-1726-SM-7P8R1 20-29 years, male 34.8
GTEX-S4Q7-0826-SM-4AD5E 20-29 years, male 34.6
GTEX-X15G-1326-SM-4PQZJ 50-59 years, female 34.6
GTEX-ZV7C-1526-SM-5NQ72 50-59 years, male 34.6
GTEX-T6MO-0826-SM-4DM51 40-49 years, female 34.5
GTEX-1N2DV-1426-SM-DPRYQ 40-49 years, male 34.4
GTEX-XUZC-1326-SM-4BRV2 30-39 years, female 34.3
GTEX-Y8E4-2426-SM-4WWDN 40-49 years, male 34.3
GTEX-WH7G-1326-SM-4LVMS 40-49 years, male 34.2
GTEX-WHSB-0926-SM-4M1XJ 50-59 years, male 34.1
GTEX-TML8-1326-SM-4DXTO 40-49 years, female 34.0
GTEX-11P81-1126-SM-5GU5G 30-39 years, female 33.9
GTEX-QDVJ-1326-SM-48U1X 50-59 years, male 33.9
GTEX-ZTSS-1126-SM-5985O 40-49 years, male 33.9
GTEX-ZVP2-1526-SM-5NQ82 50-59 years, male 33.9
GTEX-1GZ4H-1226-SM-9KNUA 50-59 years, female 33.9
GTEX-1LG7Y-2126-SM-DIPER 50-59 years, male 33.9
GTEX-1HCU9-1326-SM-B2LXT 20-29 years, male 33.8
GTEX-XMK1-1726-SM-4B64Z 40-49 years, male 33.7
GTEX-1S3DN-1826-SM-EV79K 50-59 years, male 33.7
GTEX-WFG7-1526-SM-4LVMG 20-29 years, male 33.6
GTEX-1CB4I-2226-SM-7P8SL 50-59 years, male 33.6
GTEX-XBED-1526-SM-4AT5W 60-69 years, male 33.5
GTEX-1H1DG-2226-SM-9WPPC 70-79 years, male 33.5
GTEX-RWS6-1826-SM-47JXX 60-69 years, female 33.4
GTEX-1B8KZ-1326-SM-7DUG6 50-59 years, male 33.3
GTEX-PLZ5-1126-SM-3P613 50-59 years, male 33.3
GTEX-VJYA-2026-SM-4KL1K 60-69 years, male 33.3
GTEX-1H11D-2626-SM-9JGH4 40-49 years, male 33.3
GTEX-13PL7-2526-SM-5IFGR 60-69 years, female 33.2
GTEX-1LGOU-1626-SM-D3LAK 20-29 years, female 33.2
GTEX-XQ8I-2126-SM-4BOOM 50-59 years, male 33.1
GTEX-1QP67-1326-SM-EAZ4D 40-49 years, female 33.1
GTEX-1RAZR-1926-SM-E6CRF 40-49 years, male 33.1
GTEX-OHPN-2026-SM-E9TIA 60-69 years, female 33.1
GTEX-17HGU-2426-SM-7EWDP 50-59 years, male 33.0
GTEX-PSDG-1826-SM-EAZ2S 50-59 years, male 33.0
GTEX-R55D-1826-SM-48FEF 50-59 years, male 32.7
GTEX-144GM-1226-SM-5LU52 20-29 years, male 32.6
GTEX-1NSGN-2326-SM-E9U5X 50-59 years, male 32.6
GTEX-1R9JW-2026-SM-EAZ4O 30-39 years, female 32.5
GTEX-1PFEY-1426-SM-E9U6U 30-39 years, male 32.4
GTEX-1LG7Z-1426-SM-CXKYV 30-39 years, male 32.3
GTEX-PWCY-1026-SM-48TD4 20-29 years, female 32.2
GTEX-U4B1-1126-SM-4DXV3 40-49 years, male 32.2
GTEX-11P82-1026-SM-5BC5J 20-29 years, male 32.1
GTEX-14JIY-3326-SM-6871E 60-69 years, male 31.9
GTEX-178AV-1326-SM-6LPJX 40-49 years, male 31.7
GTEX-Q2AI-0926-SM-48U1F 40-49 years, male 31.6
GTEX-OIZH-1426-SM-3NB1O 50-59 years, male 31.5
GTEX-ZY6K-1226-SM-5GZYL 50-59 years, male 31.5
GTEX-R53T-1326-SM-48FCQ 50-59 years, female 31.4
GTEX-XV7Q-2126-SM-4BRVX 40-49 years, female 31.4
GTEX-1H3VY-2426-SM-9WPPD 50-59 years, male 31.4
GTEX-RM2N-0926-SM-48FD1 50-59 years, male 31.3
GTEX-1OKEX-1226-SM-DTXEC 60-69 years, male 31.3
GTEX-16NGA-1026-SM-7KFS3 40-49 years, female 31.0
GTEX-S3XE-1126-SM-4AD4N 50-59 years, male 30.9
GTEX-WQUQ-2526-SM-4MVNO 60-69 years, male 30.7
GTEX-1JK1U-1526-SM-AHZ46 60-69 years, male 30.6
GTEX-131XE-0826-SM-5HL9W 50-59 years, male 30.5
GTEX-1QW4Y-1326-SM-EWRMZ 30-39 years, male 30.5
GTEX-1PIGE-1426-SM-E9U61 20-29 years, male 30.4
GTEX-V955-1626-SM-4JBHJ 60-69 years, male 30.2
GTEX-SNOS-1226-SM-4DM5H 40-49 years, male 30.0
GTEX-QEL4-1926-SM-D3L8D 50-59 years, male 30.0
GTEX-18A66-2426-SM-7KFSQ 60-69 years, male 29.9
GTEX-NFK9-2026-SM-3LK5K 40-49 years, male 29.9
GTEX-1L5NE-2026-SM-CXZKR 50-59 years, male 29.8
GTEX-OXRK-1726-SM-3NB16 50-59 years, female 29.7
GTEX-1R7EU-1926-SM-E9U62 60-69 years, male 29.7
GTEX-1IDJF-1826-SM-CKZOE 20-29 years, male 29.5
GTEX-1GF9X-1526-SM-7P8QP 40-49 years, female 29.2
GTEX-1MJK3-0926-SM-EV7AY 20-29 years, male 29.1
GTEX-1I6K6-1826-SM-B2LX5 30-39 years, male 29.0
GTEX-14C39-1926-SM-5ZZW5 40-49 years, male 28.8
GTEX-1QCLZ-1926-SM-E6CR3 60-69 years, female 28.7
GTEX-18D9A-1126-SM-7KFRJ 30-39 years, female 28.6
GTEX-1LH75-2126-SM-EVR5F 50-59 years, female 28.5
GTEX-1AMEY-1926-SM-73KVT 30-39 years, female 28.4
GTEX-X5EB-0926-SM-46MVT 40-49 years, male 28.0
GTEX-1IKOE-2026-SM-AHZ31 30-39 years, female 27.9
GTEX-17EUY-1826-SM-7DUEZ 20-29 years, male 27.8
GTEX-Q2AH-1226-SM-48TZL 40-49 years, male 27.8
GTEX-1F75B-2726-SM-7P8QO 50-59 years, male 27.6
GTEX-13OVJ-1726-SM-5IJDZ 50-59 years, female 27.4
GTEX-1R9PM-1526-SM-DPRY8 20-29 years, male 27.1
GTEX-XXEK-1926-SM-4BRVD 50-59 years, male 27.0
GTEX-1F5PL-2126-SM-7PC2O 40-49 years, female 27.0
GTEX-1K9T9-2826-SM-D4P3F 50-59 years, female 24.3
GTEX-11TT1-1026-SM-5PNW7 20-29 years, male 24.1
GTEX-1JN1M-2626-SM-CY8I3 60-69 years, female 23.9
GTEX-132AR-2726-SM-5PNVN 50-59 years, female 23.2
GTEX-1HSMQ-2726-SM-C1YRE 50-59 years, male 22.6
GTEX-ZYVF-2826-SM-5GIDK 50-59 years, female 21.9
GTEX-15RIE-1826-SM-6M48P 60-69 years, male 21.2
GTEX-13S86-1626-SM-5Q5C5 40-49 years, male 20.2
GTEX-1N2EF-1926-SM-DTX8M 60-69 years, male 16.1
Show allShow less

COLON - FANTOM5 CAGEi

RNA expression in human tissues obtained through Cap Analysis of Gene Expression (CAGE) generated by the FANTOM5 project are reported as Scaled Tags Per Million.

Max subtype Scaled Tags Per Millioni

Max subtype Scaled Tags Per Million is the value for the subtype with the largest average Scaled Tags Per Million across the subtype samples.

43.3
FANTOM5 sample id Sample description Scaled Tags Per Million
Colon
Scaled Tags Per Million: 43.3
FF:10014-101C5 62,83,84 years, mixed 43.3

Contact

  • NEWS ARTICLES
  • PRESS ROOM

The Project

  • INTRODUCTION
  • ORGANIZATION
  • PUBLICATIONS

The Human Protein Atlas

  • DOWNLOADABLE DATA
  • LICENCE & CITATION
  • HELP & FAQ
The Human Protein Atlas project is funded
by the Knut & Alice Wallenberg Foundation.


contact@proteinatlas.org