We use cookies to enhance the usability of our website. If you continue, we'll assume that you are happy to receive all cookies. More information. Don't show this again.
CCZ1
HPA
RESOURCES
  • TISSUE
  • BRAIN
  • SINGLE CELL
  • SUBCELLULAR
  • CANCER
  • BLOOD
  • CELL LINE
  • STRUCTURE & INTERACTION
ABOUT
  • INTRODUCTION
  • HISTORY
  • ORGANIZATION
  • PUBLICATIONS
  • ANTIBODY SUBMISSION
  • ANTIBODY AVAILABILITY
  • ACKNOWLEDGMENTS
  • CONTACT
NEWS
  • NEWS ARTICLES
  • PRESS ROOM
LEARN
  • DICTIONARY
  • PROTEIN CLASSES
  • PROTEIN EVIDENCE
  • METHODS
  • EDUCATIONAL VIDEOS
DATA
  • DOWNLOADABLE DATA
  • PUBLICATION DATA
  • RELEASE HISTORY
HELP
  • ANTIBODY VALIDATION
  • ASSAYS & ANNOTATION
  • DISCLAIMER
  • HELP & FAQ
  • PRIVACY STATEMENT
  • LICENCE & CITATION
Fields »
Search result

Field
Term
Gene name
Class
Subclass
Class
Keyword
Chromosome
External id
Tissue
Cell type
Expression
Antibody panel
Tissue
Main location
Patient ID
Annotation
Tissue
Category
Tau score
Cluster
Reliability
Brain region
Category
Tau score
Brain region
Category
Tau score
Brain region
Category
Tau score
Cluster
Reliability
Tissue
Cell type
Enrichment
Cell type
Category
Tau score
Cell type
Category
Tau score
Cell type
Category
Tau score
Cell lineage
Category
Tau score
Cluster
Cluster
Location
Searches
Location
Cell line
Class
Type
Phase
Reliability
Cancer
Prognosis
Cancer
Category
Cancer
Category
Tau score
Cluster
Variants
Interacting gene (ensg_id)
Type
Number of interactions
Pathway
Category
Score
Score
Score
Validation
Validation
Validation
Validation
Antibodies
Data type
Column


  • SUMMARY

  • TISSUE

  • BRAIN

  • SINGLE CELL

  • SUBCELL

  • CANCER

  • BLOOD

  • CELL LINE

  • STRUCT & INT

  • CCZ1
TISSUE PRIMARY DATA COLON Show tissue menu
ADIPOSE TISSUE ADRENAL GLAND AMYGDALA APPENDIX BASAL GANGLIA BONE MARROW BREAST BRONCHUS CEREBELLUM CEREBRAL CORTEX CERVIX CHOROID PLEXUS COLON DUODENUM
ENDOMETRIUM EPIDIDYMIS ESOPHAGUS FALLOPIAN TUBE GALLBLADDER HEART MUSCLE HIPPOCAMPAL FORMATION HYPOTHALAMUS KIDNEY LIVER LUNG LYMPH NODE MIDBRAIN NASOPHARYNX
ORAL MUCOSA OVARY PANCREAS PARATHYROID GLAND PITUITARY GLAND PLACENTA PROSTATE RECTUM RETINA SALIVARY GLAND SEMINAL VESICLE SKELETAL MUSCLE SKIN SMALL INTESTINE
SMOOTH MUSCLE SOFT TISSUE SPINAL CORD SPLEEN STOMACH TESTIS THYMUS THYROID GLAND TONGUE TONSIL URINARY BLADDER VAGINA
ANTIBODIES
AND
VALIDATION
Dictionary
Colon
Tissue proteome
Intestine
COLON - Expression summary
Protein expression
Coloni

On the top, protein expression in current human tissue, based on all annotated cell types, is reported with the units not detected (n), low (l), medium (m) and high (h). Underneath, protein expression in each annotated cell type are reported using the same units.

Protein expression data is based on knowledge-based annotation. For genes where more than one antibody has been used, a collective score is set.

If knowledge-based annotation could not be performed for a gene, no data is displayed here. View antibody staining data further down this page.

h
m
l
n
Endothelial cells: Medium
Glandular cells: Medium
Peripheral nerve/ganglion: Medium
RNA expressioni

A summary of mRNA expression data available for current tissue based on several datasets. The mRNA expression levels in human tissues are based on RNA-seq data generated by the Human Protein Atlas (HPA), Genotype-Tissue Expression (GTEx) portal and CAGE data generated by the FANTOM5 consortium. Consensus normalized expression levels for human tissues was created by combining the data from HPA and GTEx datasets.

The mRNA expression levels in pig are based on RNA-seq data generated by the Human Protein Atlas (HPA), and for mouse, HPA data and in situ hybridization generated by the Allen brain atlas are reported.

Scroll down to view mRNA expression data in more detail.
Consensus:30.2 nTPM
HPA:10.4 nTPM
GTEx:30.2 nTPM
FANTOM5:6.7 Scaled Tags Per Million

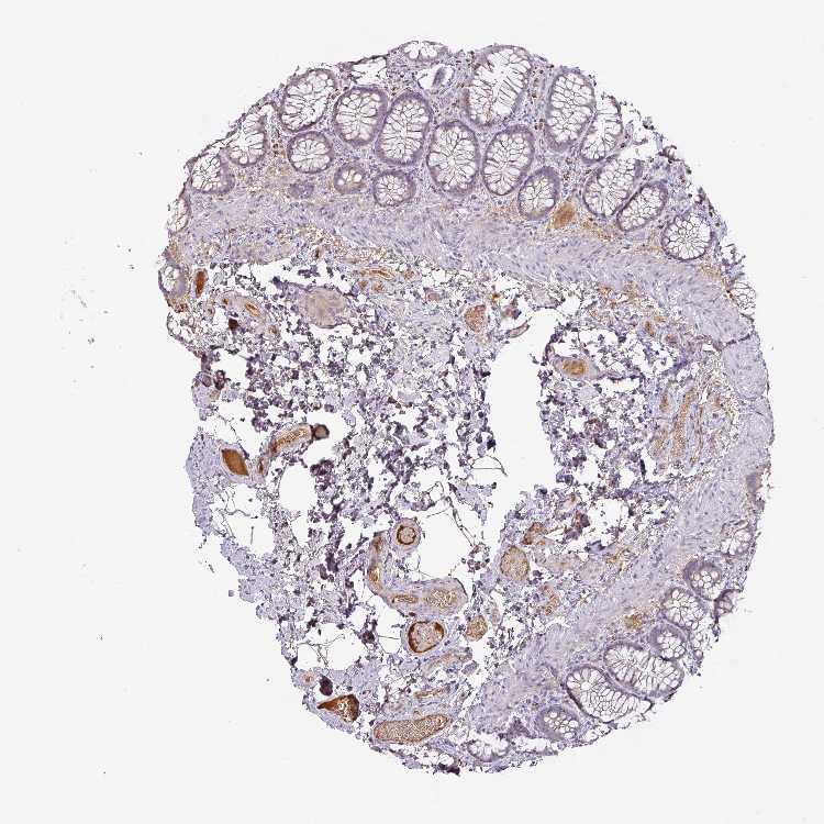
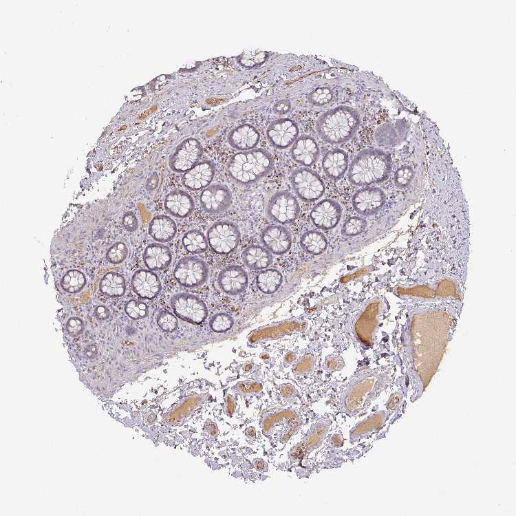
COLON - Antibody stainingi

Antibody staining in the annotated cell types in the current human tissue is reported as not detected, low, medium, or high, based on conventional immunohistochemistry profiling in selected tissues. This score is based on the combination of the staining intensity and fraction of stained cells.

Each image is clickable and will lead to virtual microscopy that enables deeper exploration of all samples and also displays staining intensity scores, fraction scores and subcellular localization as well as patient and tissue information for each sample.

Antibody HPA045114Antibody HPA050006
Endothelial cells MediumNot detected
Glandular cells MediumNot detected
Peripheral nerve/ganglion MediumNot detected




COLON - HPA RNA-seqi

The RNA-seq details section shows detailed information about the individual samples used for the transcript profiling and results of the RNA-seq analysis.

Information about each individual sample is listed below, including gender, age, a tissue section image and estimated fractions of cell types. nTPM (normalized transcripts per million) values give a quantification of the gene abundance which is comparable between different genes and samples.
Average nTPMi

Max subtype nTPM is the value for the subtype with the largest average nTPM across the subtype samples.

10.4
overview
Male, age 54
Colon sample 67
nTPM: 13
Cell types%
Glandular cells:
65

Smooth muscle cells:
10

Other cell types:
25

overview
Female, age 57
Colon sample 68
nTPM: 9.2
Cell types%
Glandular cells:
40

Smooth muscle cells:
5

Other cell types:
55

overview
Male, age 80
Colon sample 69
nTPM: 12.6
Cell types%
Glandular cells:
55

Smooth muscle cells:
5

Other cell types:
40

overview
Male, age 68
Colon sample 70
nTPM: 10.3
Cell types%
Glandular cells:
35

Smooth muscle cells:
10

Other cell types:
55

overview
Female, age 68
Colon sample 76
nTPM: 2.9
Cell types%
Glandular cells:
25

Smooth muscle cells:
5

Other cell types:
70

overview
Female, age 61
Colon sample 299
nTPM: 13.8
Cell types%
Glandular cells:
5

Smooth muscle cells:
65

Other cell types:
30

overview
Male, age 80
Colon sample 300
nTPM: 12.1
Cell types%
Glandular cells:
15

Smooth muscle cells:
20

Other cell types:
65

overview
Female, age 78
Colon sample 368
nTPM: 7.9
Cell types%
Glandular cells:
45

Smooth muscle cells:
5

Other cell types:
50

overview
Male, age 84
Colon sample 381
nTPM: 8.7
Cell types%
Glandular cells:
50

Smooth muscle cells:
15

Other cell types:
35

overview
Male, age 80
Colon sample 384
nTPM: 11.3
Cell types%
Glandular cells:
20

Smooth muscle cells:
35

Other cell types:
45

overview
Female, age 78
Colon sample 389
nTPM: 15.5
Cell types%
Glandular cells:
35

Smooth muscle cells:
10

Other cell types:
55

overview
Female, age 69
Colon sample 391
nTPM: 10.5
Cell types%
Glandular cells:
10

Smooth muscle cells:
45

Other cell types:
45

overview
Female, age 72
Colon sample 403
nTPM: 7.6
Cell types%
Glandular cells:
20

Smooth muscle cells:
15

Other cell types:
65


COLON - GTEx RNA-seqi

RNA-Seq data generated by the Genotype-Tissue Expression (GTEx) project from human tissues is reported as mean nTPM. More information can be found on the GTEx portal.

Distribution across the dataset is visualized with box plots, shown as median and 25th and 75th percentiles. Points are displayed as outliers if they are above or below 1.5 times the interquartile range. nTPM values of the individual samples are presented next to the box plot.
Max subtype nTPMi

Max subtype nTPM is the value for the subtype with the largest average nTPM across the subtype samples.

30.2
GTEx sample id Sample description nTPM
Colon - Sigmoid
Average nTPM: 29.6
Samples: 373

Max nTPM: 49.1
Min nTPM: 14.1
Std nTPM: 6.3
Median nTPM: 29.3
GTEX-1L5NE-1926-SM-D3L9R 50-59 years, male 49.1
GTEX-ZTSS-1226-SM-51MSZ 40-49 years, male 48.8
GTEX-ZYFD-2226-SM-5E43P 50-59 years, male 46.8
GTEX-1A3MX-2326-SM-718B4 60-69 years, male 45.4
GTEX-ZG7Y-1826-SM-4WWD3 50-59 years, male 45.1
GTEX-15RIE-2026-SM-7KFRW 60-69 years, male 43.4
GTEX-15RJ7-1726-SM-6PAL3 40-49 years, male 43.4
GTEX-15G1A-1926-SM-7KUFF 30-39 years, male 43.2
GTEX-XAJ8-0726-SM-47JY5 40-49 years, male 42.6
GTEX-1N2EF-1726-SM-EXUSI 60-69 years, male 42.5
GTEX-1A32A-2626-SM-73KX9 50-59 years, female 42.0
GTEX-1K9T9-2926-SM-E9TKD 50-59 years, female 41.8
GTEX-ZF2S-1826-SM-4WKFF 50-59 years, female 41.6
GTEX-ZE9C-2126-SM-4WKGY 60-69 years, male 41.4
GTEX-ZZ64-0826-SM-5E449 20-29 years, male 40.6
GTEX-1K2DA-1626-SM-CGQGB 50-59 years, male 40.5
GTEX-1RQEC-2626-SM-EVR3Z 60-69 years, male 40.5
GTEX-14C5O-2626-SM-5RQI5 60-69 years, male 40.4
GTEX-1PIEJ-1826-SM-EWRMN 20-29 years, female 40.3
GTEX-1QP28-2226-SM-DTX8C 50-59 years, female 40.3
GTEX-1AX9K-1626-SM-73KUS 50-59 years, male 40.2
GTEX-13O1R-2426-SM-5KLZZ 60-69 years, male 40.0
GTEX-1OFPY-1226-SM-E76OM 60-69 years, male 40.0
GTEX-1PBJJ-2026-SM-DTX8U 30-39 years, male 39.8
GTEX-13OW6-2226-SM-5N9FL 50-59 years, male 39.7
GTEX-11P7K-1826-SM-5HL5A 30-39 years, male 39.2
GTEX-18D9A-1326-SM-7LT8P 30-39 years, female 39.2
GTEX-1LKK1-2426-SM-DIPES 50-59 years, female 39.1
GTEX-1LSNL-1626-SM-E9TJY 50-59 years, male 38.8
GTEX-1QP67-1426-SM-E8VOO 40-49 years, female 38.8
GTEX-13OVK-1026-SM-7KFTC 40-49 years, male 38.6
GTEX-18A67-2226-SM-7LT9Z 50-59 years, male 38.6
GTEX-1J1R8-1426-SM-CL55O 40-49 years, male 38.6
GTEX-ZVT2-1726-SM-51MRO 50-59 years, female 38.5
GTEX-11TT1-0926-SM-5GU5M 20-29 years, male 38.1
GTEX-12WSL-1826-SM-5LZW9 50-59 years, male 37.9
GTEX-XUZC-1526-SM-4BRV4 30-39 years, female 37.9
GTEX-1MGNQ-2126-SM-EV7AC 40-49 years, male 37.9
GTEX-1S831-1726-SM-EWROJ 20-29 years, male 37.9
GTEX-ZDTS-2726-SM-5L3E2 60-69 years, male 37.4
GTEX-16BQI-2026-SM-7KULQ 30-39 years, female 37.3
GTEX-1R9PO-2026-SM-E9J4N 60-69 years, female 37.2
GTEX-1B8L1-1926-SM-7IGND 60-69 years, male 37.1
GTEX-ZP4G-1526-SM-57WE5 20-29 years, female 37.0
GTEX-1JK1U-1426-SM-CNPOW 60-69 years, male 37.0
GTEX-15ER7-2826-SM-6PAN2 20-29 years, female 36.9
GTEX-1R7EU-1826-SM-DTX9L 60-69 years, male 36.9
GTEX-1RLM8-1726-SM-E9TKF 50-59 years, male 36.9
GTEX-14E6E-1726-SM-5S2R6 30-39 years, male 36.8
GTEX-131XG-1526-SM-5GCNQ 50-59 years, female 36.7
GTEX-1B8KE-1526-SM-7DUG2 50-59 years, male 36.7
GTEX-Y9LG-1326-SM-4VBQB 30-39 years, male 36.5
GTEX-1RAZQ-2026-SM-E76P7 30-39 years, male 36.5
GTEX-17KNJ-1826-SM-7LT9N 50-59 years, male 36.4
GTEX-1KXAM-1926-SM-D3LAG 60-69 years, male 36.3
GTEX-1IDJI-2226-SM-CKZPM 50-59 years, female 36.2
GTEX-1JJEA-2526-SM-CY8HJ 60-69 years, male 36.2
GTEX-1JKYR-2026-SM-CNPON 20-29 years, male 36.2
GTEX-W5WG-2026-SM-4LMIB 50-59 years, female 36.1
GTEX-1LGRB-2026-SM-COH47 50-59 years, female 36.0
GTEX-1LSNM-1426-SM-E6CIH 50-59 years, male 35.9
GTEX-12ZZX-2726-SM-5N9FT 40-49 years, female 35.8
GTEX-ZLV1-1326-SM-DO11Q 60-69 years, female 35.8
GTEX-1GMRU-2626-SM-9WPPM 50-59 years, male 35.7
GTEX-14E1K-1626-SM-664MO 50-59 years, male 35.5
GTEX-Y114-1626-SM-4TT7I 50-59 years, female 35.5
GTEX-1PIGE-1526-SM-DTXFC 20-29 years, male 35.5
GTEX-1399U-2226-SM-5KLZI 50-59 years, female 35.3
GTEX-11EQ8-2626-SM-5N9BO 60-69 years, male 35.1
GTEX-14AS3-1026-SM-5TDD7 40-49 years, female 35.1
GTEX-WXYG-1726-SM-4ONCU 50-59 years, female 35.1
GTEX-ZLFU-1426-SM-4WWEU 40-49 years, male 35.1
GTEX-11EI6-2626-SM-5PNVT 60-69 years, male 35.0
GTEX-183FY-1426-SM-7DHLM 20-29 years, male 35.0
GTEX-14C39-1626-SM-5S2P4 40-49 years, male 34.9
GTEX-1P4AB-2626-SM-DTXEU 50-59 years, male 34.9
GTEX-1LBAC-1726-SM-D3L9W 20-29 years, male 34.8
GTEX-ZYT6-2826-SM-5GICX 30-39 years, male 34.5
GTEX-18QFQ-1726-SM-731C9 30-39 years, male 34.4
GTEX-1A3MV-1026-SM-72D5U 30-39 years, male 34.3
GTEX-1CB4F-1926-SM-7MKFN 60-69 years, male 34.2
GTEX-1GF9X-1426-SM-7RHGX 40-49 years, female 34.2
GTEX-16MTA-1626-SM-6M47N 50-59 years, male 34.1
GTEX-1GMR2-1826-SM-9KNUP 50-59 years, male 34.1
GTEX-1122O-1426-SM-5H11R 60-69 years, female 34.0
GTEX-13X6J-2826-SM-7EPGA 50-59 years, male 34.0
GTEX-1H1E6-1826-SM-A9G21 30-39 years, male 34.0
GTEX-1R9K5-2226-SM-DTX9G 50-59 years, male 34.0
GTEX-15DYW-2426-SM-7KUG8 60-69 years, female 33.9
GTEX-1IDJU-1926-SM-CL53W 60-69 years, female 33.9
GTEX-13O61-1526-SM-5KM3P 60-69 years, male 33.8
GTEX-1F5PL-1926-SM-7MXTP 40-49 years, female 33.8
GTEX-1H3VY-2526-SM-9KNW1 50-59 years, male 33.8
GTEX-12WSJ-1426-SM-5GCON 40-49 years, female 33.7
GTEX-1LG7Z-1326-SM-DIPF3 30-39 years, male 33.7
GTEX-14A5H-1626-SM-5SIAN 60-69 years, male 33.6
GTEX-1E2YA-2526-SM-7IGOU 50-59 years, male 33.6
GTEX-11EMC-1426-SM-5N9E4 60-69 years, female 33.5
GTEX-WOFM-1926-SM-4OOSP 20-29 years, male 33.5
GTEX-1GMR8-2926-SM-9KNW5 50-59 years, female 33.5
GTEX-13D11-0626-SM-5LZYY 50-59 years, female 33.4
GTEX-14BMU-1326-SM-5RQIH 20-29 years, female 33.4
GTEX-1H1ZS-2626-SM-9QEIX 70-79 years, male 33.4
GTEX-1J1OQ-2826-SM-D3L88 40-49 years, female 33.4
GTEX-11EM3-1626-SM-5N9CO 20-29 years, female 33.3
GTEX-11I78-1326-SM-5PNY9 50-59 years, female 33.3
GTEX-131XE-1026-SM-5EGKE 50-59 years, male 33.3
GTEX-13CF3-1326-SM-5LZXZ 60-69 years, female 33.3
GTEX-ZLWG-1826-SM-DO11I 50-59 years, female 33.3
GTEX-11DXZ-1626-SM-5GIDI 50-59 years, male 33.2
GTEX-1JKYN-2226-SM-ARZNE 30-39 years, male 33.2
GTEX-1LVAO-2826-SM-E9TJH 60-69 years, male 33.2
GTEX-13PL7-2426-SM-5J2N3 60-69 years, female 33.1
GTEX-17F96-2126-SM-7KFSM 70-79 years, male 33.1
GTEX-1HCU7-2726-SM-A9G3D 50-59 years, male 33.1
GTEX-1S82P-2026-SM-E9TIQ 60-69 years, female 33.1
GTEX-117YX-0526-SM-5EGJH 50-59 years, male 33.0
GTEX-1339X-1726-SM-5P9J9 40-49 years, male 33.0
GTEX-15UF7-1326-SM-7KUKV 40-49 years, male 33.0
GTEX-X5EB-1126-SM-46MVV 40-49 years, male 32.9
GTEX-1HSGN-2226-SM-A9SL6 40-49 years, female 32.8
GTEX-WFG7-1626-SM-4LVMF 20-29 years, male 32.7
GTEX-17MFQ-1226-SM-7KFSA 20-29 years, male 32.6
GTEX-1IL2U-2526-SM-C1YQV 60-69 years, male 32.6
GTEX-1JMQK-2326-SM-ARZN4 60-69 years, male 32.6
GTEX-VJYA-2126-SM-4KL1O 60-69 years, male 32.5
GTEX-ZY6K-1326-SM-5GZWP 50-59 years, male 32.5
GTEX-1QPFJ-2426-SM-EVR3L 30-39 years, female 32.5
GTEX-1AMEY-1826-SM-72D5L 30-39 years, female 32.2
GTEX-1C4CL-1626-SM-7DUF3 30-39 years, male 32.2
GTEX-1HCUA-1926-SM-B2LWE 50-59 years, female 32.2
GTEX-12BJ1-2026-SM-5FQUH 60-69 years, male 32.1
GTEX-1IDJH-2826-SM-CJI49 70-79 years, male 32.0
GTEX-17GQL-1626-SM-7LG69 60-69 years, male 31.9
GTEX-183WM-2526-SM-731BP 70-79 years, female 31.9
GTEX-ZF28-2526-SM-57WFH 60-69 years, male 31.9
GTEX-1RMOY-1726-SM-EVYC9 50-59 years, male 31.8
GTEX-WHWD-1526-SM-4OORV 50-59 years, male 31.7
GTEX-Z93S-2626-SM-57WBX 50-59 years, male 31.7
GTEX-145MH-2726-SM-5QGQ6 50-59 years, male 31.6
GTEX-Y3I4-1126-SM-4TT7Y 50-59 years, male 31.6
GTEX-1I1GR-2226-SM-ARL7F 60-69 years, male 31.6
GTEX-1S5ZA-1426-SM-E6CJQ 20-29 years, male 31.6
GTEX-15F5U-1426-SM-7KUN2 40-49 years, male 31.5
GTEX-1PBJI-2526-SM-E6CP4 20-29 years, female 31.5
GTEX-12ZZW-2426-SM-5DUWE 50-59 years, male 31.4
GTEX-17HG3-1126-SM-7DUFC 30-39 years, female 31.4
GTEX-13PVR-1726-SM-5Q5EC 60-69 years, female 31.3
GTEX-15EO6-2326-SM-6LPKK 50-59 years, male 31.3
GTEX-1CB4G-2726-SM-79OO4 60-69 years, male 31.3
GTEX-WYJK-2326-SM-4ONDN 50-59 years, male 31.3
GTEX-1J8Q3-2426-SM-CL53S 60-69 years, male 31.3
GTEX-1KANA-1726-SM-CY8IG 20-29 years, male 31.3
GTEX-1GZ4H-1326-SM-7P8TE 50-59 years, female 31.1
GTEX-13CF2-1826-SM-5N9GK 60-69 years, male 31.0
GTEX-14PHX-1126-SM-5YYA5 50-59 years, male 30.9
GTEX-15CHQ-2626-SM-686YZ 60-69 years, male 30.9
GTEX-1HSEH-1926-SM-A96SB 60-69 years, male 30.7
GTEX-16NGA-0926-SM-718AG 40-49 years, female 30.6
GTEX-1I6K6-1926-SM-A96SN 30-39 years, male 30.6
GTEX-1J8EW-2426-SM-CE6T5 60-69 years, female 30.6
GTEX-1HCU6-2926-SM-B2LWV 60-69 years, female 30.5
GTEX-1B996-2726-SM-7DUGG 60-69 years, male 30.4
GTEX-ZV6S-1126-SM-57WE9 40-49 years, female 30.4
GTEX-1F5PK-1726-SM-7RHHW 50-59 years, male 30.4
GTEX-YFCO-1526-SM-5YYB8 40-49 years, male 30.3
GTEX-11TUW-2326-SM-5EQMO 60-69 years, male 30.1
GTEX-WQUQ-2626-SM-4MVNP 60-69 years, male 30.0
GTEX-145LS-2926-SM-5O99G 60-69 years, female 29.9
GTEX-1QP29-2526-SM-E6CQ3 50-59 years, male 29.9
GTEX-17EUY-1726-SM-79OK4 20-29 years, male 29.8
GTEX-1I1GP-2826-SM-A9SKZ 50-59 years, male 29.8
GTEX-11EQ9-1526-SM-5PNY7 30-39 years, male 29.7
GTEX-1C2JI-1726-SM-73KUW 50-59 years, male 29.7
GTEX-ZT9W-1726-SM-51MS3 50-59 years, male 29.7
GTEX-1LG7Y-2226-SM-E9U5K 50-59 years, male 29.7
GTEX-145LT-0826-SM-5S2QL 40-49 years, male 29.5
GTEX-1HBPI-2226-SM-9WYTY 50-59 years, male 29.5
GTEX-12WSM-1426-SM-5GCPA 60-69 years, male 29.4
GTEX-144GM-1126-SM-79OJK 20-29 years, male 29.4
GTEX-1AMFI-1826-SM-73KWB 50-59 years, female 29.4
GTEX-ZYFG-1826-SM-5GZWX 60-69 years, female 29.4
GTEX-1JMQJ-2626-SM-CY8HQ 50-59 years, male 29.4
GTEX-1R9JW-2126-SM-E76QT 30-39 years, female 29.4
GTEX-117XS-2226-SM-5GIE1 60-69 years, male 29.3
GTEX-1AX9J-2526-SM-73KUY 60-69 years, male 29.3
GTEX-ZPU1-1726-SM-4WWFV 40-49 years, male 29.3
GTEX-1N2DV-1826-SM-E6CJ5 40-49 years, male 29.3
GTEX-XQ8I-2326-SM-4BOQC 50-59 years, male 29.2
GTEX-131YS-2926-SM-5EGKI 60-69 years, female 29.0
GTEX-13W3W-2226-SM-5LU4M 60-69 years, female 29.0
GTEX-1EMGI-2626-SM-7IGNR 60-69 years, male 29.0
GTEX-ZVZQ-2626-SM-59HLB 60-69 years, female 29.0
GTEX-1HFI7-1626-SM-9WYTR 50-59 years, female 29.0
GTEX-14PJ4-1826-SM-5YY97 60-69 years, male 28.9
GTEX-15RJE-2226-SM-6M46A 40-49 years, male 28.9
GTEX-17F9Y-2626-SM-7IGN9 70-79 years, female 28.9
GTEX-12696-1926-SM-5EGJT 60-69 years, male 28.8
GTEX-11ZU8-1126-SM-5EQ5K 60-69 years, male 28.7
GTEX-1HBPM-2626-SM-9WYU5 60-69 years, female 28.7
GTEX-13PVQ-2726-SM-5L3H7 50-59 years, male 28.6
GTEX-XV7Q-2226-SM-4BRVY 40-49 years, female 28.6
GTEX-1J8QM-1226-SM-CY8HI 60-69 years, female 28.6
GTEX-1LVAM-1726-SM-DHXKQ 50-59 years, female 28.6
GTEX-13QBU-2026-SM-5KLZB 40-49 years, female 28.5
GTEX-1QCLZ-2026-SM-EAZ4A 60-69 years, female 28.5
GTEX-YEC3-2026-SM-DKPOL 50-59 years, male 28.5
GTEX-1212Z-1826-SM-5FQSH 60-69 years, male 28.4
GTEX-13G51-2126-SM-5IJD9 60-69 years, male 28.4
GTEX-13U4I-2626-SM-5SI9C 40-49 years, female 28.4
GTEX-14JG6-1626-SM-5YYBC 30-39 years, female 28.4
GTEX-13FTW-2126-SM-5K7YG 40-49 years, male 28.3
GTEX-15UF6-2726-SM-7KULY 70-79 years, female 28.3
GTEX-ZTTD-2626-SM-57WEX 50-59 years, male 28.3
GTEX-1ICG6-2226-SM-B2LY7 70-79 years, female 28.3
GTEX-11DXX-1926-SM-5EGJK 60-69 years, female 28.1
GTEX-15RIF-1426-SM-7KUKQ 20-29 years, male 28.1
GTEX-1PFEY-1726-SM-DPRZ4 30-39 years, male 28.1
GTEX-ZXES-1726-SM-5E43G 30-39 years, female 28.0
GTEX-1HBPN-2026-SM-B2LWA 50-59 years, male 28.0
GTEX-18A66-2626-SM-72D67 60-69 years, male 27.9
GTEX-1JMLX-2526-SM-CY8HX 50-59 years, male 27.9
GTEX-13OVJ-1826-SM-5KM2D 50-59 years, female 27.8
GTEX-145ME-1126-SM-5SIAT 40-49 years, female 27.7
GTEX-12ZZY-2726-SM-5EQ45 60-69 years, male 27.6
GTEX-WRHK-1126-SM-4MVOJ 20-29 years, female 27.6
GTEX-1HSMO-2526-SM-A9SKP 60-69 years, male 27.6
GTEX-11P81-1426-SM-5P9JN 30-39 years, female 27.5
GTEX-13VXT-2026-SM-5L3EW 20-29 years, female 27.5
GTEX-ZQG8-2426-SM-57WEE 60-69 years, female 27.4
GTEX-18465-2726-SM-7LT9I 50-59 years, male 27.3
GTEX-1399R-2126-SM-5K7WZ 30-39 years, male 27.2
GTEX-1C64O-2426-SM-7P8R3 60-69 years, male 27.2
GTEX-1I1GT-2026-SM-CKZPK 60-69 years, female 27.2
GTEX-14PN3-1926-SM-6EU1Y 60-69 years, female 27.1
GTEX-1B97I-1526-SM-73KUK 40-49 years, male 27.1
GTEX-1JN6P-2126-SM-ARL98 60-69 years, male 27.1
GTEX-1QW4Y-1426-SM-E76P3 30-39 years, male 27.1
GTEX-1RDX4-1926-SM-E6CJJ 50-59 years, female 27.1
GTEX-ZA64-1426-SM-5CVMC 20-29 years, male 27.0
GTEX-WFG8-1726-SM-4LVM6 20-29 years, male 26.9
GTEX-1H3VE-2326-SM-9KNVU 40-49 years, male 26.9
GTEX-111CU-1226-SM-5EGIN 50-59 years, male 26.8
GTEX-139D8-2926-SM-5IJBM 30-39 years, female 26.8
GTEX-16Z82-2426-SM-7KUMS 60-69 years, male 26.8
GTEX-ZYY3-2226-SM-5E45A 60-69 years, female 26.8
GTEX-1HBPH-2526-SM-ACKXK 40-49 years, female 26.8
GTEX-17HHE-1626-SM-7DHLN 50-59 years, male 26.7
GTEX-YF7O-1626-SM-5IFII 50-59 years, male 26.7
GTEX-ZVT3-2826-SM-5GU6A 60-69 years, female 26.7
GTEX-1CAMR-1026-SM-7P8QI 20-29 years, male 26.7
GTEX-1JN76-1326-SM-ARU94 20-29 years, female 26.7
GTEX-1LSVX-2026-SM-E9TJD 60-69 years, male 26.7
GTEX-111YS-1826-SM-5GIEP 60-69 years, male 26.5
GTEX-11ZTT-1626-SM-5EQKR 60-69 years, female 26.5
GTEX-14DAQ-2926-SM-664MV 60-69 years, female 26.5
GTEX-1AYCT-1926-SM-793AE 50-59 years, male 26.5
GTEX-1QP9N-0826-SM-DTX9O 30-39 years, male 26.5
GTEX-14PK6-1826-SM-69LOM 70-79 years, female 26.4
GTEX-18A6Q-2226-SM-7LG61 60-69 years, male 26.4
GTEX-1LVAN-2626-SM-CNPQF 50-59 years, female 26.3
GTEX-1PIIG-2126-SM-EXUSD 30-39 years, male 26.3
GTEX-13RTJ-1926-SM-5YYA2 60-69 years, male 26.2
GTEX-WH7G-1426-SM-4LVMU 40-49 years, male 26.2
GTEX-1PPH8-2226-SM-EWRN7 20-29 years, male 26.2
GTEX-1GL5R-1726-SM-9KNUX 50-59 years, male 26.1
GTEX-132NY-2726-SM-5PNY2 60-69 years, male 26.0
GTEX-1GN73-2726-SM-9WYUB 60-69 years, male 26.0
GTEX-1211K-1826-SM-5EGJ2 60-69 years, female 25.9
GTEX-12WSD-2626-SM-5EGJE 60-69 years, female 25.9
GTEX-13X6K-2726-SM-5O9DG 60-69 years, female 25.9
GTEX-Y8LW-1126-SM-4VDS4 50-59 years, female 25.9
GTEX-ZAJG-2626-SM-5S2NU 50-59 years, female 25.9
GTEX-ZPIC-2626-SM-57WE2 40-49 years, female 25.9
GTEX-14PJ3-1226-SM-5ZZVY 50-59 years, male 25.8
GTEX-1JMPY-1026-SM-ARZN1 30-39 years, male 25.8
GTEX-WHSE-2726-SM-EZ6ML 20-29 years, male 25.8
GTEX-1LB8K-2526-SM-DIPEQ 50-59 years, male 25.7
GTEX-ZQUD-1026-SM-4YCEZ 30-39 years, male 25.6
GTEX-1GTWX-2626-SM-9WPOT 60-69 years, male 25.6
GTEX-14PKV-1926-SM-686YU 20-29 years, female 25.4
GTEX-13OVI-2126-SM-5KM3U 60-69 years, female 25.3
GTEX-15DZA-1026-SM-6PAND 30-39 years, female 25.3
GTEX-1H3NZ-2526-SM-9KNVO 60-69 years, male 25.1
GTEX-1HSMQ-2526-SM-A9SMK 50-59 years, male 25.1
GTEX-1CAMS-2626-SM-7PBY3 40-49 years, female 24.9
GTEX-14BIN-2426-SM-5TDCF 50-59 years, female 24.8
GTEX-1H1DE-1626-SM-9KNU5 20-29 years, male 24.8
GTEX-1RAZR-2026-SM-E9TKE 40-49 years, male 24.8
GTEX-146FH-2426-SM-5Q5EW 50-59 years, female 24.7
GTEX-WY7C-1926-SM-4ONCI 50-59 years, male 24.7
GTEX-139UW-2326-SM-5KM1Y 60-69 years, male 24.6
GTEX-WFON-1326-SM-4LVMN 40-49 years, male 24.6
GTEX-YJ8A-1726-SM-5P9IQ 20-29 years, male 24.6
GTEX-11DXY-2026-SM-5N9CZ 60-69 years, male 24.5
GTEX-13FH7-1626-SM-5J2O9 50-59 years, female 24.4
GTEX-WHPG-1626-SM-4M1ZL 50-59 years, male 24.4
GTEX-15FZZ-1826-SM-6LLJP 30-39 years, female 24.2
GTEX-ZF29-1826-SM-4WKG8 60-69 years, female 24.2
GTEX-X15G-1526-SM-4PQZM 50-59 years, female 24.1
GTEX-YECK-2826-SM-5IFHF 60-69 years, male 24.1
GTEX-1GMR3-2526-SM-7P8QS 40-49 years, male 24.1
GTEX-XXEK-1826-SM-4BRVC 50-59 years, male 24.0
GTEX-1EH9U-1926-SM-7P8QM 60-69 years, male 24.0
GTEX-1JJE9-2526-SM-ARU8K 70-79 years, male 24.0
GTEX-11VI4-1426-SM-5GU6O 40-49 years, female 23.8
GTEX-139T6-1426-SM-5P9J7 50-59 years, male 23.8
GTEX-13N2G-2226-SM-5IJCU 60-69 years, male 23.8
GTEX-ZAB5-1426-SM-5HL9D 50-59 years, male 23.7
GTEX-14E6C-2226-SM-5QGQG 40-49 years, male 23.6
GTEX-11ZTS-1526-SM-5N9G7 60-69 years, female 23.4
GTEX-Y5V6-1626-SM-4VDT2 60-69 years, male 23.4
GTEX-13X6I-2726-SM-5Q5ET 60-69 years, male 23.3
GTEX-X4EO-2726-SM-4E3HS 60-69 years, female 23.2
GTEX-1I1CD-2826-SM-A9SL4 60-69 years, female 23.1
GTEX-1QP2A-2226-SM-DTXF6 50-59 years, male 23.1
GTEX-17JCI-2826-SM-7IGNA 60-69 years, female 23.0
GTEX-1HB9E-2526-SM-D4P35 50-59 years, male 23.0
GTEX-11ONC-1926-SM-5GU75 60-69 years, male 22.9
GTEX-1C475-1526-SM-7DHM3 40-49 years, female 22.9
GTEX-1LGOU-1726-SM-D3L8P 20-29 years, female 22.9
GTEX-1PDJ9-2026-SM-E76PT 20-29 years, male 22.7
GTEX-1F75W-2126-SM-7RHIA 60-69 years, male 22.5
GTEX-WI4N-2226-SM-4OOS9 40-49 years, female 22.2
GTEX-1HSKV-2326-SM-A9SL9 60-69 years, male 22.2
GTEX-12WSG-2426-SM-5EQLZ 50-59 years, female 21.9
GTEX-ZPCL-1626-SM-57WGC 60-69 years, female 21.8
GTEX-1QCLY-2026-SM-EVR4C 30-39 years, male 21.7
GTEX-15ETS-2326-SM-7KUGC 40-49 years, female 21.4
GTEX-11GS4-1826-SM-5HL4T 60-69 years, male 21.3
GTEX-15G19-2726-SM-6LPKG 60-69 years, male 21.3
GTEX-1J8JJ-2426-SM-D4P4A 60-69 years, female 21.3
GTEX-1OJC3-1826-SM-DTX93 20-29 years, male 21.3
GTEX-13113-1426-SM-5EGHU 60-69 years, female 21.2
GTEX-WYVS-1126-SM-4SOJX 40-49 years, female 21.1
GTEX-11PRG-2026-SM-5GU5F 50-59 years, male 20.9
GTEX-1477Z-2126-SM-5Q5CM 60-69 years, male 20.9
GTEX-17HGU-2626-SM-79OKN 50-59 years, male 20.7
GTEX-ZVT4-2626-SM-5N9GJ 50-59 years, female 20.7
GTEX-1HCVE-2326-SM-9WYUD 50-59 years, male 20.7
GTEX-13FHO-2726-SM-5K7VG 60-69 years, male 20.4
GTEX-14A5I-2426-SM-5Q5CP 50-59 years, female 20.4
GTEX-1EU9M-2726-SM-7P8QD 60-69 years, male 20.3
GTEX-13OW5-2826-SM-5KM1G 60-69 years, male 20.2
GTEX-145MO-2626-SM-5QGPD 60-69 years, male 20.2
GTEX-16XZZ-2726-SM-7EWDO 60-69 years, male 20.2
GTEX-XBED-1726-SM-47JYO 60-69 years, male 20.2
GTEX-1IKOE-2126-SM-A96T5 30-39 years, female 20.2
GTEX-147GR-2826-SM-5RQK8 60-69 years, male 20.1
GTEX-1JMPZ-2626-SM-ARU8Z 30-39 years, male 20.0
GTEX-1B932-2126-SM-7IGMU 40-49 years, female 19.6
GTEX-13SLW-2826-SM-5Q5ES 70-79 years, male 19.5
GTEX-YJ8O-1426-SM-5PNV9 40-49 years, female 19.5
GTEX-148VJ-2426-SM-5NQ9Y 70-79 years, male 19.3
GTEX-132AR-2826-SM-5IJFV 50-59 years, female 19.2
GTEX-1C6VQ-2626-SM-7IGMQ 50-59 years, male 19.1
GTEX-13OW8-2726-SM-5L3FZ 60-69 years, male 18.9
GTEX-1GPI7-1926-SM-9KNUH 20-29 years, male 18.9
GTEX-139TS-2226-SM-5J2N1 60-69 years, male 18.8
GTEX-147JS-2626-SM-5S2UX 60-69 years, male 18.8
GTEX-XUW1-1826-SM-4BOQD 50-59 years, female 18.6
GTEX-1C64N-2226-SM-7SB7C 50-59 years, male 18.6
GTEX-12KS4-2326-SM-5EGJB 30-39 years, male 18.4
GTEX-ZC5H-2426-SM-4WAZ6 40-49 years, female 18.4
GTEX-1HKZK-2026-SM-9WYUF 40-49 years, male 18.4
GTEX-1H23P-2626-SM-9KNVN 60-69 years, male 18.3
GTEX-Y5LM-1426-SM-5RQJL 40-49 years, female 18.0
GTEX-ZAB4-2426-SM-5HL8A 40-49 years, male 18.0
GTEX-V955-1726-SM-4JBHF 60-69 years, male 17.8
GTEX-Y8E4-2326-SM-EAZAZ 40-49 years, male 17.2
GTEX-ZE7O-2626-SM-51MSS 50-59 years, female 17.0
GTEX-13111-1926-SM-5GCOL 50-59 years, male 16.8
GTEX-1BAJH-2726-SM-7IGNJ 70-79 years, male 14.1
Show allShow less
Colon - Transverse
Average nTPM: 30.2
Samples: 406

Max nTPM: 51.0
Min nTPM: 14.4
Std nTPM: 6.8
Median nTPM: 29.8
GTEX-14E6E-1526-SM-5RQIG 30-39 years, male 51.0
GTEX-1K2DA-2026-SM-CGQGK 50-59 years, male 51.0
GTEX-11TT1-1026-SM-5PNW7 20-29 years, male 50.9
GTEX-1PIEJ-2026-SM-E6CPA 20-29 years, female 50.1
GTEX-1ICLZ-2426-SM-CKZOD 60-69 years, male 49.4
GTEX-WHSB-0926-SM-4M1XJ 50-59 years, male 49.3
GTEX-ZF2S-1926-SM-4WWAN 50-59 years, female 48.5
GTEX-1399R-2226-SM-5P9JB 30-39 years, male 48.4
GTEX-1C4CL-2126-SM-7IGQC 30-39 years, male 47.8
GTEX-1N2EF-1926-SM-DTX8M 60-69 years, male 47.4
GTEX-11P82-1026-SM-5BC5J 20-29 years, male 47.1
GTEX-1B8KE-1926-SM-731EE 50-59 years, male 46.7
GTEX-1KANC-0926-SM-D3LA9 50-59 years, female 46.1
GTEX-131XG-1826-SM-5LZV4 50-59 years, female 44.9
GTEX-145MN-1726-SM-5SIA6 30-39 years, male 44.3
GTEX-14XAO-2026-SM-69LOI 60-69 years, female 42.9
GTEX-15RIE-1826-SM-6M48P 60-69 years, male 42.7
GTEX-1F75I-2426-SM-9WPOY 40-49 years, male 42.5
GTEX-1J1R8-1126-SM-CNPQ3 40-49 years, male 42.1
GTEX-TML8-1326-SM-4DXTO 40-49 years, female 42.0
GTEX-1128S-1626-SM-5H12O 60-69 years, female 41.6
GTEX-1H3VY-2426-SM-9WPPD 50-59 years, male 41.6
GTEX-XUZC-1326-SM-4BRV2 30-39 years, female 41.5
GTEX-1H11D-2626-SM-9JGH4 40-49 years, male 41.1
GTEX-11P7K-1526-SM-5EGI7 30-39 years, male 41.0
GTEX-15SB6-1226-SM-7KUMP 50-59 years, female 40.9
GTEX-QV31-0826-SM-CKZNC 30-39 years, male 40.3
GTEX-T5JW-1126-SM-4DM5V 20-29 years, female 40.2
GTEX-1H1E6-1926-SM-9OSWD 30-39 years, male 40.2
GTEX-111CU-1426-SM-5GZYP 50-59 years, male 39.8
GTEX-13OW6-2126-SM-5N9GL 50-59 years, male 39.6
GTEX-13X6H-1926-SM-7EWD3 50-59 years, female 39.6
GTEX-SNOS-1226-SM-4DM5H 40-49 years, male 39.6
GTEX-ZEX8-1926-SM-4WKFR 50-59 years, male 39.6
GTEX-1HSMP-2326-SM-D3L8R 70-79 years, male 39.6
GTEX-18QFQ-1526-SM-72D57 30-39 years, male 39.4
GTEX-U4B1-1126-SM-4DXV3 40-49 years, male 39.4
GTEX-1OKEX-1226-SM-DTXEC 60-69 years, male 39.4
GTEX-117YW-1826-SM-5PNY5 50-59 years, male 39.2
GTEX-XAJ8-0426-SM-47JYJ 40-49 years, male 39.0
GTEX-16AAH-1326-SM-7KFRG 50-59 years, male 38.8
GTEX-QLQW-0426-SM-447A7 30-39 years, male 38.7
GTEX-W5WG-2426-SM-4LMI6 50-59 years, female 38.6
GTEX-XV7Q-2126-SM-4BRVX 40-49 years, female 38.6
GTEX-18D9A-1126-SM-7KFRJ 30-39 years, female 38.2
GTEX-13O21-2426-SM-5MR4A 50-59 years, male 38.1
GTEX-1HSEH-1726-SM-B2LXH 60-69 years, male 38.1
GTEX-18D9U-1926-SM-7KFTM 40-49 years, male 38.0
GTEX-ZP4G-1726-SM-4WWCM 20-29 years, female 37.9
GTEX-18A66-2426-SM-7KFSQ 60-69 years, male 37.8
GTEX-17HHE-1826-SM-79OKE 50-59 years, male 37.7
GTEX-13D11-0826-SM-5KLZJ 50-59 years, female 37.6
GTEX-1S83E-1626-SM-EV7B9 40-49 years, male 37.5
GTEX-ZLWG-1726-SM-DNZZ2 50-59 years, female 37.5
GTEX-14PHX-1526-SM-68717 50-59 years, male 37.4
GTEX-1MA7W-0626-SM-EV79Z 20-29 years, female 37.4
GTEX-1399U-1926-SM-5IFH7 50-59 years, female 37.3
GTEX-14AS3-1126-SM-5Q5CR 40-49 years, female 37.3
GTEX-17EVQ-1826-SM-7IGPH 70-79 years, male 37.3
GTEX-Q2AH-1226-SM-48TZL 40-49 years, male 37.3
GTEX-14PK6-1726-SM-6871J 70-79 years, female 37.2
GTEX-ZZ64-0726-SM-5GZX4 20-29 years, male 37.2
GTEX-OHPN-2026-SM-E9TIA 60-69 years, female 37.1
GTEX-R55D-1826-SM-48FEF 50-59 years, male 37.0
GTEX-WOFM-2026-SM-4OOSQ 20-29 years, male 36.9
GTEX-1399S-1926-SM-5J2M5 30-39 years, female 36.8
GTEX-1JN76-1226-SM-C1YRM 20-29 years, female 36.8
GTEX-1PWST-2426-SM-EWRMP 70-79 years, male 36.8
GTEX-12BJ1-2126-SM-5BC5O 60-69 years, male 36.7
GTEX-ZDYS-2326-SM-4WKG6 50-59 years, male 36.7
GTEX-1K9T9-2826-SM-D4P3F 50-59 years, female 36.7
GTEX-1KXAM-2126-SM-CY8I9 60-69 years, male 36.5
GTEX-1PIGE-1426-SM-E9U61 20-29 years, male 36.4
GTEX-U3ZN-2126-SM-4DXU1 30-39 years, female 36.3
GTEX-1H1DG-2226-SM-9WPPC 70-79 years, male 36.3
GTEX-1NHNU-2326-SM-E6CQE 50-59 years, male 36.3
GTEX-144GM-1226-SM-5LU52 20-29 years, male 36.2
GTEX-ZDTT-1926-SM-5HL5W 60-69 years, male 36.1
GTEX-ZV7C-1526-SM-5NQ72 50-59 years, male 36.0
GTEX-14C5O-2526-SM-73KU2 60-69 years, male 35.9
GTEX-15UF6-2626-SM-6M466 70-79 years, female 35.4
GTEX-14ICL-1226-SM-5S2RD 30-39 years, male 35.3
GTEX-14PJ5-0926-SM-6LLIK 60-69 years, female 35.3
GTEX-1C475-1626-SM-731FP 40-49 years, female 35.3
GTEX-S4Q7-0826-SM-4AD5E 20-29 years, male 35.3
GTEX-ZVP2-1526-SM-5NQ82 50-59 years, male 35.2
GTEX-14E1K-1826-SM-793DT 50-59 years, male 35.1
GTEX-P4QT-1426-SM-3NMCX 50-59 years, female 35.1
GTEX-1QP67-1326-SM-EAZ4D 40-49 years, female 35.1
GTEX-1QPFJ-2326-SM-E6CR7 30-39 years, female 35.1
GTEX-144GL-2526-SM-5TDDL 50-59 years, male 34.9
GTEX-O5YT-1426-SM-3MJHC 20-29 years, male 34.8
GTEX-1JKYN-2326-SM-CGQG7 30-39 years, male 34.7
GTEX-1122O-1526-SM-5N9CL 60-69 years, female 34.5
GTEX-1JK1U-1526-SM-AHZ46 60-69 years, male 34.4
GTEX-1MGNQ-2026-SM-EAZ51 40-49 years, male 34.4
GTEX-13O61-1626-SM-5KM3T 60-69 years, male 34.2
GTEX-1JKYR-1926-SM-C1YR7 20-29 years, male 34.2
GTEX-13S86-1626-SM-5Q5C5 40-49 years, male 34.1
GTEX-1GF9X-1526-SM-7P8QP 40-49 years, female 34.0
GTEX-1LG7Y-2126-SM-DIPER 50-59 years, male 34.0
GTEX-1B8KZ-1326-SM-7DUG6 50-59 years, male 33.9
GTEX-145LS-2726-SM-5Q5D8 60-69 years, female 33.8
GTEX-Q2AI-0926-SM-48U1F 40-49 years, male 33.8
GTEX-1F5PK-1926-SM-7MXT7 50-59 years, male 33.8
GTEX-OOBJ-1426-SM-E6CHH 60-69 years, male 33.8
GTEX-OIZH-1426-SM-3NB1O 50-59 years, male 33.7
GTEX-1HSGN-2626-SM-CE6S1 40-49 years, female 33.7
GTEX-13PVR-1626-SM-73KVF 60-69 years, female 33.6
GTEX-147F3-1926-SM-5SIB9 50-59 years, female 33.5
GTEX-1LG7Z-1426-SM-CXKYV 30-39 years, male 33.5
GTEX-1AMFI-1726-SM-7189L 50-59 years, female 33.4
GTEX-QDVN-1326-SM-48TZ3 50-59 years, male 33.4
GTEX-1RAZR-1926-SM-E6CRF 40-49 years, male 33.4
GTEX-146FQ-1926-SM-5NQBY 30-39 years, male 33.2
GTEX-1JMPY-0426-SM-C1YQ3 30-39 years, male 33.1
GTEX-1POEN-2026-SM-E6CRL 30-39 years, female 33.1
GTEX-144GN-1126-SM-5LU33 50-59 years, male 33.0
GTEX-Y114-1526-SM-4TT79 50-59 years, female 33.0
GTEX-1NV5F-2226-SM-DTX8O 60-69 years, female 32.9
GTEX-1A3MV-1126-SM-718BS 30-39 years, male 32.8
GTEX-1RAZQ-2126-SM-DTX9V 30-39 years, male 32.7
GTEX-12WSL-1626-SM-5GCMU 50-59 years, male 32.6
GTEX-QMRM-1226-SM-447C6 50-59 years, male 32.6
GTEX-ZG7Y-2126-SM-DO117 50-59 years, male 32.6
GTEX-14PJ4-1926-SM-6LLHG 60-69 years, male 32.5
GTEX-1C64O-2326-SM-73KU8 60-69 years, male 32.5
GTEX-1CAMR-0926-SM-7MXTD 20-29 years, male 32.5
GTEX-1QP9N-1026-SM-E6CPX 30-39 years, male 32.5
GTEX-13PL7-2526-SM-5IFGR 60-69 years, female 32.4
GTEX-1HCU7-2626-SM-C1YQO 50-59 years, male 32.4
GTEX-13OVK-0826-SM-7KULZ 40-49 years, male 32.3
GTEX-1C2JI-1626-SM-7EPHC 50-59 years, male 32.3
GTEX-1LGRB-1426-SM-CNNPT 50-59 years, female 32.3
GTEX-11EM3-1526-SM-5A5KN 20-29 years, female 32.2
GTEX-17KNJ-1726-SM-7LG6A 50-59 years, male 32.2
GTEX-WFON-1426-SM-4LVMT 40-49 years, male 32.2
GTEX-WHWD-1226-SM-4OOS1 50-59 years, male 32.2
GTEX-XMK1-1726-SM-4B64Z 40-49 years, male 32.2
GTEX-ZPU1-1926-SM-57WDT 40-49 years, male 32.2
GTEX-1IKOE-2026-SM-AHZ31 30-39 years, female 32.2
GTEX-1JJ6O-2426-SM-ARU8J 60-69 years, male 32.2
GTEX-13OVG-1426-SM-5K7VP 60-69 years, male 32.1
GTEX-15CHQ-2526-SM-6EU24 60-69 years, male 32.0
GTEX-S4UY-0826-SM-4AD4Z 40-49 years, female 32.0
GTEX-1GMR2-1726-SM-9JGI2 50-59 years, male 32.0
GTEX-1N2DV-1426-SM-DPRYQ 40-49 years, male 32.0
GTEX-SJXC-2226-SM-EVYAK 60-69 years, male 32.0
GTEX-ZLV1-1226-SM-4WWBX 60-69 years, female 31.9
GTEX-SE5C-1526-SM-4BRWU 40-49 years, female 31.8
GTEX-UJHI-1126-SM-4IHLN 50-59 years, female 31.8
GTEX-1LVAN-2526-SM-CNPPC 50-59 years, female 31.8
GTEX-1NSGN-2326-SM-E9U5X 50-59 years, male 31.8
GTEX-1PFEY-1426-SM-E9U6U 30-39 years, male 31.8
GTEX-1R7EU-1926-SM-E9U62 60-69 years, male 31.7
GTEX-13CF3-1426-SM-5K7YY 60-69 years, female 31.6
GTEX-13QBU-1826-SM-5IJG3 40-49 years, female 31.6
GTEX-15ER7-2926-SM-7KUFK 20-29 years, female 31.6
GTEX-18A7B-2026-SM-72D71 70-79 years, male 31.6
GTEX-Y3IK-1826-SM-4WWDS 50-59 years, female 31.6
GTEX-1KANB-1526-SM-CXZK4 50-59 years, male 31.6
GTEX-1S3DN-1826-SM-EV79K 50-59 years, male 31.6
GTEX-WVJS-2426-SM-EZ6LI 50-59 years, male 31.6
GTEX-11DXZ-1726-SM-5H12M 50-59 years, male 31.5
GTEX-OXRK-1726-SM-3NB16 50-59 years, female 31.5
GTEX-WYJK-2226-SM-4ONDJ 50-59 years, male 31.5
GTEX-1I6K6-1826-SM-B2LX5 30-39 years, male 31.5
GTEX-1R9PM-1526-SM-DPRY8 20-29 years, male 31.5
GTEX-YEC3-2426-SM-DO11A 50-59 years, male 31.5
GTEX-14PKV-2126-SM-664O3 20-29 years, female 31.4
GTEX-15CHC-1626-SM-5ZZWS 60-69 years, female 31.4
GTEX-15G1A-1826-SM-7KUKO 30-39 years, male 31.4
GTEX-ZPIC-2226-SM-57WDX 40-49 years, female 31.4
GTEX-13FHP-2426-SM-5KLZ5 50-59 years, male 31.3
GTEX-14BMU-1526-SM-5TDE6 20-29 years, female 31.3
GTEX-1F75B-2726-SM-7P8QO 50-59 years, male 31.3
GTEX-17F96-2026-SM-79ON4 70-79 years, male 31.2
GTEX-SNMC-1126-SM-4DM5M 20-29 years, male 31.2
GTEX-13W3W-2126-SM-5K7UX 60-69 years, female 31.1
GTEX-ZT9W-1826-SM-51MQX 50-59 years, male 31.1
GTEX-15DYW-2326-SM-6PAMU 60-69 years, female 31.0
GTEX-WFG7-1526-SM-4LVMG 20-29 years, male 31.0
GTEX-1F5PL-2126-SM-7PC2O 40-49 years, female 31.0
GTEX-1JMLX-2726-SM-CM2SB 50-59 years, male 30.9
GTEX-QCQG-1626-SM-48U26 50-59 years, female 30.7
GTEX-R55G-1226-SM-48FDC 40-49 years, female 30.7
GTEX-17F98-1026-SM-7IGO8 40-49 years, female 30.6
GTEX-P4PP-1426-SM-3NM9L 30-39 years, female 30.5
GTEX-RU1J-1326-SM-46MUL 20-29 years, female 30.5
GTEX-1CB4I-2226-SM-7P8SL 50-59 years, male 30.5
GTEX-1S5VW-2926-SM-E9U6H 60-69 years, male 30.3
GTEX-1I1GT-1926-SM-ARU7D 60-69 years, female 30.2
GTEX-17F9E-1826-SM-7IGMC 50-59 years, male 30.1
GTEX-S3XE-1126-SM-4AD4N 50-59 years, male 30.1
GTEX-S7SF-1926-SM-4AT5B 20-29 years, female 30.1
GTEX-1QCLZ-1926-SM-E6CR3 60-69 years, female 30.1
GTEX-QLQ7-1126-SM-CYPRB 60-69 years, male 30.1
GTEX-Y9LG-1526-SM-4WWDR 30-39 years, male 30.0
GTEX-ZVT2-1926-SM-5GU5T 50-59 years, female 30.0
GTEX-1LSVX-1726-SM-DHXJP 60-69 years, male 29.9
GTEX-1RAZA-1726-SM-DPS13 20-29 years, male 29.9
GTEX-117YX-0826-SM-5H11J 50-59 years, male 29.8
GTEX-15CHR-1426-SM-7DUGV 50-59 years, male 29.8
GTEX-1I1GR-2526-SM-CNNQF 60-69 years, male 29.8
GTEX-1I4MK-1126-SM-B2LWS 50-59 years, female 29.8
GTEX-15SHU-2526-SM-6M47D 40-49 years, female 29.6
GTEX-16NGA-1026-SM-7KFS3 40-49 years, female 29.6
GTEX-Y8LW-1226-SM-4WWDP 50-59 years, female 29.6
GTEX-12C56-0626-SM-5EGGC 20-29 years, male 29.5
GTEX-1B996-2626-SM-73KZ1 60-69 years, male 29.5
GTEX-1MUQO-2626-SM-EWRO3 60-69 years, male 29.5
GTEX-WY7C-1626-SM-4ONC8 50-59 years, male 29.4
GTEX-12ZZZ-2426-SM-5GCNN 60-69 years, male 29.3
GTEX-131XE-0826-SM-5HL9W 50-59 years, male 29.3
GTEX-13U4I-2426-SM-5LU34 40-49 years, female 29.3
GTEX-17MF6-2426-SM-7LTAM 40-49 years, male 29.3
GTEX-R53T-1326-SM-48FCQ 50-59 years, female 29.3
GTEX-1E2YA-2626-SM-7MGWW 50-59 years, male 29.3
GTEX-1339X-1626-SM-5IJDN 40-49 years, male 29.2
GTEX-1AYCT-1826-SM-731EG 50-59 years, male 29.2
GTEX-PLZ6-0926-SM-3P5ZQ 30-39 years, male 29.2
GTEX-Q734-1126-SM-48TZY 40-49 years, female 29.2
GTEX-1LH75-2126-SM-EVR5F 50-59 years, female 29.2
GTEX-13OVJ-1726-SM-5IJDZ 50-59 years, female 29.1
GTEX-12WSJ-1526-SM-5GCNI 40-49 years, female 29.0
GTEX-X5EB-0926-SM-46MVT 40-49 years, male 29.0
GTEX-1EMGI-2726-SM-7P8S4 60-69 years, male 29.0
GTEX-1GZ4H-1226-SM-9KNUA 50-59 years, female 29.0
GTEX-11LCK-2026-SM-5A5MA 30-39 years, male 28.9
GTEX-133LE-1526-SM-5IFEN 20-29 years, female 28.9
GTEX-178AV-1326-SM-6LPJX 40-49 years, male 28.9
GTEX-YEC4-1926-SM-5IFHJ 40-49 years, male 28.8
GTEX-1HFI7-1726-SM-A9G22 50-59 years, female 28.8
GTEX-ZTSS-1126-SM-5985O 40-49 years, male 28.7
GTEX-ZYVF-2826-SM-5GIDK 50-59 years, female 28.7
GTEX-1IDJU-2026-SM-A9SLM 60-69 years, female 28.7
GTEX-1LBAC-1626-SM-CXZKV 20-29 years, male 28.7
GTEX-VJYA-2026-SM-4KL1K 60-69 years, male 28.6
GTEX-1J1OQ-2726-SM-AHZ3R 40-49 years, female 28.6
GTEX-14PJM-2626-SM-686ZD 50-59 years, female 28.5
GTEX-S4P3-1226-SM-4AD4Y 50-59 years, female 28.5
GTEX-1IKK5-2726-SM-CNPQ6 60-69 years, male 28.5
GTEX-1JN1M-2626-SM-CY8I3 60-69 years, female 28.5
GTEX-14JG6-1726-SM-69LPL 30-39 years, female 28.4
GTEX-11TUW-2026-SM-5EQL8 60-69 years, male 28.3
GTEX-1AMEY-1926-SM-73KVT 30-39 years, female 28.3
GTEX-1AX8Z-2726-SM-73KUC 60-69 years, male 28.3
GTEX-U412-1726-SM-EZ6KX 60-69 years, male 28.3
GTEX-13OVI-2026-SM-5J1MU 60-69 years, female 28.2
GTEX-PLZ5-1126-SM-3P613 50-59 years, male 28.2
GTEX-PWN1-1426-SM-48TDF 40-49 years, female 28.2
GTEX-ZF29-1726-SM-4WKFV 60-69 years, female 28.2
GTEX-X4EO-2526-SM-EWRM8 60-69 years, female 28.2
GTEX-145LT-0926-SM-5LU9C 40-49 years, male 28.1
GTEX-Z93S-2426-SM-5HL8N 50-59 years, male 28.1
GTEX-1LVAM-1626-SM-EV79Y 50-59 years, female 28.1
GTEX-Y3I4-1426-SM-4TT9C 50-59 years, male 28.0
GTEX-16NPV-2626-SM-6M484 50-59 years, female 27.9
GTEX-139YR-2126-SM-5KM11 50-59 years, male 27.8
GTEX-XYKS-2226-SM-4E3IU 60-69 years, female 27.8
GTEX-18D9B-2526-SM-718BN 60-69 years, male 27.7
GTEX-X15G-1326-SM-4PQZJ 50-59 years, female 27.7
GTEX-111YS-1626-SM-5GZZ9 60-69 years, male 27.6
GTEX-14DAR-1526-SM-5RQIX 50-59 years, male 27.6
GTEX-OXRL-1426-SM-3NM9E 50-59 years, male 27.5
GTEX-11TTK-2426-SM-5PNYO 60-69 years, female 27.4
GTEX-1IDJC-1326-SM-CL53H 50-59 years, male 27.4
GTEX-T6MO-0826-SM-4DM51 40-49 years, female 27.3
GTEX-1R9K5-2126-SM-E8VN1 50-59 years, male 27.3
GTEX-14JIY-3326-SM-6871E 60-69 years, male 27.2
GTEX-1CB4F-2026-SM-79OLU 60-69 years, male 27.2
GTEX-11O72-2226-SM-5PNW2 40-49 years, male 27.1
GTEX-11P81-1126-SM-5GU5G 30-39 years, female 27.1
GTEX-ZYFG-1926-SM-5GID5 60-69 years, female 27.1
GTEX-1HCU6-2726-SM-A9SKV 60-69 years, female 27.1
GTEX-1QCLY-1726-SM-DPRXY 30-39 years, male 27.1
GTEX-1MJK3-0926-SM-EV7AY 20-29 years, male 26.9
GTEX-1PPGY-2826-SM-DTX9H 60-69 years, male 26.9
GTEX-11DXX-1826-SM-5H126 60-69 years, female 26.8
GTEX-RWS6-1826-SM-47JXX 60-69 years, female 26.8
GTEX-132AR-2726-SM-5PNVN 50-59 years, female 26.7
GTEX-13FH7-1526-SM-5J2N6 50-59 years, female 26.6
GTEX-14PJ3-0926-SM-69LQG 50-59 years, male 26.6
GTEX-ZV6S-1226-SM-59HLH 40-49 years, female 26.5
GTEX-ZY6K-1226-SM-5GZYL 50-59 years, male 26.5
GTEX-OXRN-2026-SM-E6CHK 50-59 years, male 26.5
GTEX-145ME-0826-SM-5O9AF 40-49 years, female 26.4
GTEX-14DAQ-2726-SM-5S2QY 60-69 years, female 26.4
GTEX-17GQL-1526-SM-7LTAC 60-69 years, male 26.4
GTEX-OHPM-1426-SM-3TW8Y 50-59 years, male 26.4
GTEX-1L5NE-2026-SM-CXZKR 50-59 years, male 26.4
GTEX-1N5O9-2726-SM-E76QH 60-69 years, male 26.4
GTEX-13FTW-1826-SM-5IJEN 40-49 years, male 26.3
GTEX-16Z82-2226-SM-6LPJ7 60-69 years, male 26.3
GTEX-TKQ1-0626-SM-4DXTS 30-39 years, male 26.3
GTEX-ZXES-1626-SM-5NQ7L 30-39 years, female 26.3
GTEX-1R9JW-2026-SM-EAZ4O 30-39 years, female 26.3
GTEX-1AX9I-2626-SM-73KU5 60-69 years, male 26.2
GTEX-YF7O-1726-SM-5IFJ9 50-59 years, male 26.2
GTEX-1GZ4I-2426-SM-9WPPP 50-59 years, male 26.2
GTEX-11EQ9-1426-SM-5987G 30-39 years, male 26.1
GTEX-1EH9U-2026-SM-7PBYS 60-69 years, male 26.1
GTEX-15DCE-2026-SM-7KUFE 20-29 years, male 26.0
GTEX-WQUQ-2526-SM-4MVNO 60-69 years, male 26.0
GTEX-XBEW-1926-SM-4SOJO 40-49 years, male 26.0
GTEX-S341-1426-SM-4AD6U 40-49 years, female 25.9
GTEX-1GF9U-1526-SM-7MXUW 40-49 years, female 25.8
GTEX-1GL5R-2426-SM-7MXV1 50-59 years, male 25.8
GTEX-XXEK-1926-SM-4BRVD 50-59 years, male 25.7
GTEX-1S82U-0726-SM-E9TKI 30-39 years, female 25.7
GTEX-13VXT-2426-SM-5LU46 20-29 years, female 25.5
GTEX-1RMOY-1626-SM-EVYC8 50-59 years, male 25.4
GTEX-11ONC-2026-SM-5HL61 60-69 years, male 25.3
GTEX-14ICK-1026-SM-6AJA4 40-49 years, male 25.3
GTEX-XQ8I-2126-SM-4BOOM 50-59 years, male 25.3
GTEX-1GN73-2626-SM-9KNUQ 60-69 years, male 25.3
GTEX-1KANA-1926-SM-DHXKF 20-29 years, male 25.3
GTEX-TKQ2-1326-SM-4DXT9 50-59 years, male 25.2
GTEX-111VG-2226-SM-5N9DU 60-69 years, male 25.1
GTEX-11I78-1226-SM-5A5K6 50-59 years, female 25.1
GTEX-139TS-1926-SM-5IJFO 60-69 years, male 25.1
GTEX-15RIF-1326-SM-6LPKO 20-29 years, male 25.1
GTEX-1RDX4-1826-SM-EVR54 50-59 years, female 25.0
GTEX-11VI4-1526-SM-5EQKC 40-49 years, female 24.9
GTEX-WH7G-1326-SM-4LVMS 40-49 years, male 24.9
GTEX-Y5LM-1526-SM-4VDTA 40-49 years, female 24.9
GTEX-XGQ4-1226-SM-4AT67 50-59 years, male 24.8
GTEX-1HCU9-1326-SM-B2LXT 20-29 years, male 24.8
GTEX-1QMI2-2626-SM-E6CR4 60-69 years, male 24.8
GTEX-17EUY-1826-SM-7DUEZ 20-29 years, male 24.7
GTEX-WYVS-1826-SM-4OND6 40-49 years, female 24.7
GTEX-1PPH8-2026-SM-DTX7P 20-29 years, male 24.7
GTEX-U3ZM-1126-SM-4DXUB 40-49 years, male 24.6
GTEX-1IGQW-2326-SM-CE6RV 60-69 years, male 24.6
GTEX-PSDG-1826-SM-EAZ2S 50-59 years, male 24.4
GTEX-PX3G-1426-SM-48U1J 20-29 years, female 24.3
GTEX-13O3P-2326-SM-5KM55 50-59 years, male 23.9
GTEX-ZGAY-2126-SM-4YCFB 40-49 years, female 23.9
GTEX-1HCVE-2526-SM-A9G2G 50-59 years, male 23.3
GTEX-NFK9-2026-SM-3LK5K 40-49 years, male 23.2
GTEX-13QJ3-2626-SM-9OSXQ 50-59 years, male 23.2
GTEX-1H1DE-1526-SM-ARL9B 20-29 years, male 23.2
GTEX-1JJE9-2426-SM-D3L8T 70-79 years, male 23.2
GTEX-XPVG-1826-SM-4B64X 50-59 years, male 23.0
GTEX-1IDJD-2226-SM-A96TD 30-39 years, male 23.0
GTEX-QEL4-1926-SM-D3L8D 50-59 years, male 23.0
GTEX-139T6-1326-SM-5IFFO 50-59 years, male 22.9
GTEX-WEY5-1426-SM-4LMJ3 40-49 years, female 22.9
GTEX-1QW4Y-1326-SM-EWRMZ 30-39 years, male 22.8
GTEX-13111-0726-SM-5DUVE 50-59 years, male 22.7
GTEX-O5YW-1426-SM-3MJHF 50-59 years, male 22.7
GTEX-ZYFC-2626-SM-5NQ6S 50-59 years, male 22.7
GTEX-1IDJF-1826-SM-CKZOE 20-29 years, male 22.7
GTEX-1JMPZ-2426-SM-C1YQP 30-39 years, male 22.7
GTEX-14BMV-2426-SM-5S2PP 50-59 years, male 22.6
GTEX-1HSMQ-2726-SM-C1YRE 50-59 years, male 22.5
GTEX-1211K-1726-SM-5FQUJ 60-69 years, female 22.4
GTEX-13O3O-2526-SM-5L3DR 60-69 years, female 22.1
GTEX-1LGOU-1626-SM-D3LAK 20-29 years, female 22.1
GTEX-17HGU-2426-SM-7EWDP 50-59 years, male 22.0
GTEX-1AYD5-1726-SM-7RHFW 50-59 years, male 22.0
GTEX-R45C-2126-SM-EZ6KZ 60-69 years, female 22.0
GTEX-14C39-1926-SM-5ZZW5 40-49 years, male 21.9
GTEX-17HII-2726-SM-7MGVM 50-59 years, male 21.9
GTEX-11ZVC-2126-SM-5EGJ1 50-59 years, female 21.8
GTEX-148VJ-2626-SM-5QGPI 70-79 years, male 21.8
GTEX-147JS-2526-SM-5S2Q8 60-69 years, male 21.3
GTEX-17JCI-2626-SM-7EWE6 60-69 years, female 21.3
GTEX-P78B-1726-SM-3P5ZV 40-49 years, female 21.3
GTEX-PWCY-1026-SM-48TD4 20-29 years, female 21.2
GTEX-1MCC2-1626-SM-DIPEW 30-39 years, female 21.2
GTEX-14H4A-1926-SM-5ZZWN 40-49 years, female 21.0
GTEX-XUW1-1926-SM-4BOP1 50-59 years, female 21.0
GTEX-ZAB4-2226-SM-5HL97 40-49 years, male 21.0
GTEX-V955-1626-SM-4JBHJ 60-69 years, male 20.9
GTEX-OIZF-1426-SM-2HML2 60-69 years, male 20.9
GTEX-15DZA-0926-SM-69LQ3 30-39 years, female 20.7
GTEX-ZPCL-1826-SM-57WF1 60-69 years, female 20.6
GTEX-14BIN-3026-SM-5ZZUS 50-59 years, female 20.4
GTEX-18A7A-2226-SM-7LT8K 50-59 years, female 20.4
GTEX-1GMR3-2826-SM-9WPOG 40-49 years, male 20.4
GTEX-OXRO-0726-SM-E9U4C 60-69 years, female 20.3
GTEX-11GSP-1626-SM-5986N 60-69 years, female 20.2
GTEX-1C6VQ-2726-SM-73KUL 50-59 years, male 19.9
GTEX-11NSD-1626-SM-5986U 20-29 years, male 19.7
GTEX-1CAMS-2526-SM-7EPH7 40-49 years, female 19.6
GTEX-RM2N-0926-SM-48FD1 50-59 years, male 19.6
GTEX-Y8E4-2426-SM-4WWDN 40-49 years, male 19.4
GTEX-YB5E-1626-SM-5IFIQ 40-49 years, male 19.3
GTEX-13OW5-2626-SM-5MR3M 60-69 years, male 18.9
GTEX-12KS4-2426-SM-5LU8P 30-39 years, male 18.7
GTEX-X3Y1-1726-SM-4PQZL 40-49 years, male 18.5
GTEX-147GR-2726-SM-664OO 60-69 years, male 18.0
GTEX-QDVJ-1326-SM-48U1X 50-59 years, male 17.7
GTEX-1HKZK-2126-SM-A9SL3 40-49 years, male 17.6
GTEX-1IOXB-2626-SM-CJI2N 50-59 years, male 17.4
GTEX-16MT8-2726-SM-7IGLJ 60-69 years, female 17.2
GTEX-1B932-2826-SM-73KUD 40-49 years, female 17.1
GTEX-16XZZ-2626-SM-6M47S 60-69 years, male 16.7
GTEX-UJMC-1326-SM-4IHLS 50-59 years, male 16.7
GTEX-1GPI7-1726-SM-7P8R1 20-29 years, male 16.6
GTEX-R55C-1126-SM-48FCJ 40-49 years, male 16.3
GTEX-U3ZH-1326-SM-4DXSF 30-39 years, male 16.3
GTEX-XBED-1526-SM-4AT5W 60-69 years, male 16.2
GTEX-145MO-2426-SM-5NQ9W 60-69 years, male 15.1
GTEX-1BAJH-2326-SM-7IGMO 70-79 years, male 14.4
Show allShow less

COLON - FANTOM5 CAGEi

RNA expression in human tissues obtained through Cap Analysis of Gene Expression (CAGE) generated by the FANTOM5 project are reported as Scaled Tags Per Million.

Max subtype Scaled Tags Per Millioni

Max subtype Scaled Tags Per Million is the value for the subtype with the largest average Scaled Tags Per Million across the subtype samples.

6.7
FANTOM5 sample id Sample description Scaled Tags Per Million
Colon
Scaled Tags Per Million: 6.7
FF:10014-101C5 62,83,84 years, mixed 6.7

Contact

  • NEWS ARTICLES
  • PRESS ROOM

The Project

  • INTRODUCTION
  • ORGANIZATION
  • PUBLICATIONS

The Human Protein Atlas

  • DOWNLOADABLE DATA
  • LICENCE & CITATION
  • HELP & FAQ
The Human Protein Atlas project is funded
by the Knut & Alice Wallenberg Foundation.


contact@proteinatlas.org