We use cookies to enhance the usability of our website. If you continue, we'll assume that you are happy to receive all cookies. More information. Don't show this again.
PLAU
HPA
RESOURCES
  • TISSUE
  • BRAIN
  • SINGLE CELL
  • SUBCELLULAR
  • CANCER
  • BLOOD
  • CELL LINE
  • STRUCTURE & INTERACTION
ABOUT
  • INTRODUCTION
  • HISTORY
  • ORGANIZATION
  • PUBLICATIONS
  • ANTIBODY SUBMISSION
  • ANTIBODY AVAILABILITY
  • ACKNOWLEDGMENTS
  • CONTACT
NEWS
  • NEWS ARTICLES
  • PRESS ROOM
LEARN
  • DICTIONARY
  • PROTEIN CLASSES
  • PROTEIN EVIDENCE
  • METHODS
  • EDUCATIONAL VIDEOS
DATA
  • DOWNLOADABLE DATA
  • PUBLICATION DATA
  • RELEASE HISTORY
HELP
  • ANTIBODY VALIDATION
  • ASSAYS & ANNOTATION
  • DISCLAIMER
  • HELP & FAQ
  • PRIVACY STATEMENT
  • LICENCE & CITATION
Fields »
Search result

Field
Term
Gene name
Class
Subclass
Class
Keyword
Chromosome
External id
Tissue
Cell type
Expression
Antibody panel
Tissue
Main location
Patient ID
Annotation
Tissue
Category
Tau score
Cluster
Reliability
Brain region
Category
Tau score
Brain region
Category
Tau score
Brain region
Category
Tau score
Cluster
Reliability
Tissue
Cell type
Enrichment
Cell type
Category
Tau score
Cell type
Category
Tau score
Cell type
Category
Tau score
Cell lineage
Category
Tau score
Cluster
Cluster
Location
Searches
Location
Cell line
Class
Type
Phase
Reliability
Cancer
Prognosis
Cancer
Category
Cancer
Category
Tau score
Cluster
Variants
Interacting gene (ensg_id)
Type
Number of interactions
Pathway
Category
Score
Score
Score
Validation
Validation
Validation
Validation
Antibodies
Data type
Column


  • SUMMARY

  • TISSUE

  • BRAIN

  • SINGLE CELL

  • SUBCELL

  • CANCER

  • BLOOD

  • CELL LINE

  • STRUCT & INT

  • PLAU
TISSUE PRIMARY DATA SKIN Show tissue menu
ADIPOSE TISSUE ADRENAL GLAND AMYGDALA APPENDIX BASAL GANGLIA BONE MARROW BREAST BRONCHUS CEREBELLUM CEREBRAL CORTEX CERVIX CHOROID PLEXUS COLON DUODENUM
ENDOMETRIUM EPIDIDYMIS ESOPHAGUS FALLOPIAN TUBE GALLBLADDER HEART MUSCLE HIPPOCAMPAL FORMATION HYPOTHALAMUS KIDNEY LIVER LUNG LYMPH NODE MIDBRAIN ORAL MUCOSA
OVARY PANCREAS PARATHYROID GLAND PITUITARY GLAND PLACENTA PROSTATE RECTUM RETINA SALIVARY GLAND SEMINAL VESICLE SKELETAL MUSCLE SKIN SMALL INTESTINE SMOOTH MUSCLE
SOFT TISSUE SPINAL CORD SPLEEN STOMACH TESTIS THYMUS THYROID GLAND TONGUE TONSIL URINARY BLADDER VAGINA
ANTIBODIES
AND
VALIDATION
Dictionary
Skin
Tissue proteome
Skin
SKIN - Expression summary
Protein expression
Skini

On the top, protein expression in current human tissue, based on all annotated cell types, is reported with the units not detected (n), low (l), medium (m) and high (h). Underneath, protein expression in each annotated cell type are reported using the same units.

Protein expression data is based on knowledge-based annotation. For genes where more than one antibody has been used, a collective score is set.

If knowledge-based annotation could not be performed for a gene, no data is displayed here. View antibody staining data further down this page.

h
m
l
n
Cells in basal layer: Not detected
Cells in corneal layer: Not detected
Cells in granular layer: Not detected
Cells in spinous layer: Not detected
Endothelial cells: High
Extracellular matrix: High
Fibrohistiocytic cells: High
Langerhans cells: High
Lymphocytes: High
Melanocytes: High
Vascular mural cells: Not detected
RNA expressioni

A summary of mRNA expression data available for current tissue based on several datasets. The mRNA expression levels in human tissues are based on RNA-seq data generated by the Human Protein Atlas (HPA), Genotype-Tissue Expression (GTEx) portal and CAGE data generated by the FANTOM5 consortium. Consensus normalized expression levels for human tissues was created by combining the data from HPA and GTEx datasets.

The mRNA expression levels in pig are based on RNA-seq data generated by the Human Protein Atlas (HPA), and for mouse, HPA data and in situ hybridization generated by the Allen brain atlas are reported.

Scroll down to view mRNA expression data in more detail.
Consensus:24.8 nTPM
HPA:24.8 nTPM
GTEx:14.2 nTPM

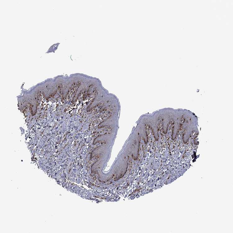
SKIN 1 - Antibody stainingi

Antibody staining in the annotated cell types in the current human tissue is reported as not detected, low, medium, or high, based on conventional immunohistochemistry profiling in selected tissues. This score is based on the combination of the staining intensity and fraction of stained cells.

Each image is clickable and will lead to virtual microscopy that enables deeper exploration of all samples and also displays staining intensity scores, fraction scores and subcellular localization as well as patient and tissue information for each sample.

Antibody HPA070796
Cells in basal layer Not detected
Cells in corneal layer Not detected
Cells in granular layer Not detected
Cells in spinous layer Not detected
Endothelial cells High
Extracellular matrix High
Fibrohistiocytic cells High
Langerhans cells High
Lymphocytes High
Melanocytes High
Vascular mural cells Not detected

SKIN 2 - Antibody stainingi

Antibody staining in the annotated cell types in the current human tissue is reported as not detected, low, medium, or high, based on conventional immunohistochemistry profiling in selected tissues. This score is based on the combination of the staining intensity and fraction of stained cells.

Each image is clickable and will lead to virtual microscopy that enables deeper exploration of all samples and also displays staining intensity scores, fraction scores and subcellular localization as well as patient and tissue information for each sample.

Antibody HPA070796
Cells in basal layer Not detected
Cells in corneal layer Not detected
Cells in granular layer Not detected
Cells in spinous layer Not detected
Endothelial cells High
Extracellular matrix Not detected
Fibrohistiocytic cells High
Langerhans cells High
Lymphocytes High
Melanocytes High
Vascular mural cells Not detected



SKIN - HPA RNA-seqi

The RNA-seq details section shows detailed information about the individual samples used for the transcript profiling and results of the RNA-seq analysis.

Information about each individual sample is listed below, including gender, age, a tissue section image and estimated fractions of cell types. nTPM (normalized transcripts per million) values give a quantification of the gene abundance which is comparable between different genes and samples.
Average nTPMi

Max subtype nTPM is the value for the subtype with the largest average nTPM across the subtype samples.

24.8
overview
Female, age 34
Skin sample 225
nTPM: 25.6
Cell types%
Keratinocytes:
60

Other cell types:
40

overview
Female, age 30
Skin sample 226
nTPM: 22.7
Cell types%
Keratinocytes:
55

Other cell types:
45

N/A
Male, age 57
Skin sample 227
nTPM: 26.1

SKIN - GTEx RNA-seqi

RNA-Seq data generated by the Genotype-Tissue Expression (GTEx) project from human tissues is reported as mean nTPM. More information can be found on the GTEx portal.

Distribution across the dataset is visualized with box plots, shown as median and 25th and 75th percentiles. Points are displayed as outliers if they are above or below 1.5 times the interquartile range. nTPM values of the individual samples are presented next to the box plot.
Max subtype nTPMi

Max subtype nTPM is the value for the subtype with the largest average nTPM across the subtype samples.

14.2
GTEx sample id Sample description nTPM
Skin - Not Sun Exposed (Suprapubic)
Average nTPM: 14.2
Samples: 604

Max nTPM: 88.4
Min nTPM: 1.7
Std nTPM: 10.3
Median nTPM: 12.2
GTEX-ZYFD-0626-SM-5E44E 50-59 years, male 88.4
GTEX-14A5H-0826-SM-5QGPJ 60-69 years, male 72.7
GTEX-1J8JJ-0626-SM-ARZMQ 60-69 years, female 68.7
GTEX-1399Q-2326-SM-5KM2X 40-49 years, male 68.5
GTEX-1ICLZ-0326-SM-ARL82 60-69 years, male 67.0
GTEX-ZY6K-1426-SM-5GZX2 50-59 years, male 55.8
GTEX-1HBPM-0726-SM-9YFL7 60-69 years, female 55.3
GTEX-1J1OQ-0126-SM-D4P2N 40-49 years, female 50.1
GTEX-11PRG-0726-SM-5EGL1 50-59 years, male 48.9
GTEX-1R9K4-2826-SM-DTX8F 60-69 years, male 48.2
GTEX-144GL-0626-SM-5LU4D 50-59 years, male 47.2
GTEX-1JMQL-2226-SM-CNPP4 50-59 years, female 46.5
GTEX-1AYD5-2626-SM-7PBXY 50-59 years, male 46.0
GTEX-144FL-0626-SM-5LU43 50-59 years, male 45.3
GTEX-11DZ1-2426-SM-5GZZX 50-59 years, male 41.0
GTEX-W5X1-2526-SM-3GILC 40-49 years, female 40.2
GTEX-1C6VR-0126-SM-7RHGB 60-69 years, male 38.6
GTEX-1F48J-0726-SM-7RHGS 50-59 years, female 38.2
GTEX-1GZHY-0626-SM-9KNVC 50-59 years, female 37.8
GTEX-16MT9-0126-SM-7EPI8 60-69 years, female 37.4
GTEX-15SHW-0226-SM-7LTAT 60-69 years, male 37.2
GTEX-X4EP-0626-SM-3P621 60-69 years, female 36.6
GTEX-13YAN-0226-SM-5TDC6 60-69 years, male 36.4
GTEX-1LSNL-2726-SM-E9TKJ 50-59 years, male 35.8
GTEX-1HT8W-0626-SM-A9G2H 30-39 years, male 35.5
GTEX-1BAJH-2426-SM-7IGP8 70-79 years, male 35.4
GTEX-WI4N-2726-SM-3LK7Y 40-49 years, female 35.2
GTEX-11GS4-0226-SM-5HL77 60-69 years, male 34.5
GTEX-1313W-0626-SM-5EQ4H 50-59 years, female 33.8
GTEX-15UF6-1926-SM-7KUDV 70-79 years, female 33.2
GTEX-1H2FU-0926-SM-9WPPT 60-69 years, female 32.7
GTEX-1H4P4-2126-SM-9WYSL 50-59 years, male 32.6
GTEX-17HG3-2626-SM-7DUF2 30-39 years, female 32.1
GTEX-1GMRU-2126-SM-7P8RA 50-59 years, male 31.1
GTEX-ZYFC-0426-SM-5GICQ 50-59 years, male 30.1
GTEX-1I1GP-1326-SM-A9G28 50-59 years, male 29.5
GTEX-1JJEA-1826-SM-ARU8P 60-69 years, male 29.2
GTEX-15RJ7-2126-SM-6PAMD 40-49 years, male 28.7
GTEX-18A6Q-0626-SM-7KFRP 60-69 years, male 28.5
GTEX-11DYG-1526-SM-5A5JS 60-69 years, male 28.1
GTEX-ZYT6-2326-SM-5GZY3 30-39 years, male 28.1
GTEX-1C6VQ-1226-SM-73KYD 50-59 years, male 27.9
GTEX-Y111-0626-SM-4SOIT 50-59 years, male 27.8
GTEX-11WQC-1826-SM-5GU59 60-69 years, male 27.2
GTEX-1JMQJ-0826-SM-CNPP7 50-59 years, male 27.2
GTEX-1HC8U-1326-SM-9YFMJ 40-49 years, female 27.0
GTEX-1IL2V-1926-SM-B2LW8 70-79 years, male 27.0
GTEX-16YQH-2226-SM-7IGM2 30-39 years, male 26.9
GTEX-1A3MW-0626-SM-731CB 60-69 years, female 26.8
GTEX-WHSE-0126-SM-3NMBT 20-29 years, male 26.8
GTEX-ZYVF-0926-SM-5E44J 50-59 years, female 26.8
GTEX-1LVA9-2626-SM-EVYD4 50-59 years, male 26.7
GTEX-13OW7-0426-SM-5K7VK 50-59 years, male 26.5
GTEX-1B933-2426-SM-7DHMD 50-59 years, female 26.5
GTEX-ZTTD-2826-SM-4YCFA 50-59 years, male 26.5
GTEX-1IOXB-2726-SM-CM2RI 50-59 years, male 26.3
GTEX-1CB4F-1026-SM-7DUH1 60-69 years, male 26.1
GTEX-131YS-2826-SM-5EQ47 60-69 years, female 26.0
GTEX-1HR98-2226-SM-ADEI2 60-69 years, male 25.9
GTEX-1QAET-0326-SM-EVR3U 50-59 years, male 25.9
GTEX-1HFI6-0126-SM-CNPPI 40-49 years, male 25.8
GTEX-183WM-0326-SM-72D5V 70-79 years, female 25.7
GTEX-XV7Q-1826-SM-4BRUV 40-49 years, female 25.7
GTEX-145MH-2826-SM-5RQJF 50-59 years, male 25.6
GTEX-1LBAC-0826-SM-CY8IJ 20-29 years, male 25.1
GTEX-18465-2826-SM-7LT9J 50-59 years, male 24.5
GTEX-ZVE1-0726-SM-51MRN 50-59 years, female 24.4
GTEX-15SKB-2826-SM-6PAMH 60-69 years, male 24.3
GTEX-13OVK-1426-SM-6PAN7 40-49 years, male 24.2
GTEX-1F88F-0126-SM-9WYSZ 60-69 years, female 24.1
GTEX-1HR9M-2226-SM-CNPPY 60-69 years, male 24.0
GTEX-1LVAO-2726-SM-E9TJ8 60-69 years, male 23.7
GTEX-13112-0126-SM-5P9IU 50-59 years, male 23.6
GTEX-13SLW-0626-SM-5Q5ER 70-79 years, male 23.6
GTEX-13NYS-0626-SM-5L3F1 60-69 years, male 23.3
GTEX-13OVH-0526-SM-5L3E6 70-79 years, male 23.3
GTEX-15CHQ-0326-SM-69LQD 60-69 years, male 23.3
GTEX-VJYA-1526-SM-3GIJV 60-69 years, male 23.3
GTEX-14JG1-1526-SM-5YY9X 40-49 years, male 23.0
GTEX-1N2EE-0626-SM-E76PW 60-69 years, male 23.0
GTEX-139D8-1126-SM-5LU8W 30-39 years, female 22.9
GTEX-1H3VE-0726-SM-9YFL5 40-49 years, male 22.9
GTEX-11OF3-0126-SM-5PNYF 60-69 years, male 22.7
GTEX-ZE9C-2526-SM-5IJDR 60-69 years, male 22.7
GTEX-YECK-0326-SM-4W1YS 60-69 years, male 22.5
GTEX-1C64N-2626-SM-7PC2N 50-59 years, male 22.5
GTEX-ZF2S-1626-SM-57WES 50-59 years, female 22.4
GTEX-147GR-2426-SM-5ZZWQ 60-69 years, male 22.3
GTEX-1NV5F-0626-SM-DTXEG 60-69 years, female 22.2
GTEX-15DDE-2926-SM-6LLJ3 50-59 years, female 22.1
GTEX-15DYW-2726-SM-6EU2I 60-69 years, female 22.1
GTEX-1EN7A-2426-SM-793DB 40-49 years, male 22.1
GTEX-ZYW4-0626-SM-59HJR 60-69 years, male 22.1
GTEX-12126-0826-SM-5FQTZ 20-29 years, male 21.8
GTEX-1B932-2326-SM-79OL5 40-49 years, female 21.7
GTEX-13FLV-0126-SM-5K7WT 50-59 years, male 21.6
GTEX-1269C-0126-SM-5EQ5L 60-69 years, female 21.5
GTEX-14BIN-1126-SM-5RQJZ 50-59 years, female 21.5
GTEX-1GF9W-1426-SM-7PBYM 60-69 years, male 21.5
GTEX-1JN6P-2926-SM-CL54D 60-69 years, male 21.5
GTEX-ZE7O-2726-SM-51MT5 50-59 years, female 21.4
GTEX-1F88E-1626-SM-7SB8Z 60-69 years, female 21.4
GTEX-111VG-1626-SM-5EGIO 60-69 years, male 21.0
GTEX-13NYB-0126-SM-5J1MD 40-49 years, male 21.0
GTEX-17HGU-2326-SM-7DUFE 50-59 years, male 21.0
GTEX-1GPI6-1926-SM-9KNV7 60-69 years, male 21.0
GTEX-1RLM8-2926-SM-E8VON 50-59 years, male 21.0
GTEX-11ZUS-2626-SM-5FQUR 30-39 years, male 20.9
GTEX-13VXU-0626-SM-5L3F9 50-59 years, male 20.9
GTEX-14BMV-2826-SM-5TDED 50-59 years, male 20.9
GTEX-13G51-1826-SM-5KLZH 60-69 years, male 20.8
GTEX-14E6C-2426-SM-5S2NF 40-49 years, male 20.8
GTEX-1314G-1326-SM-5BC6E 30-39 years, male 20.6
GTEX-14C5O-0326-SM-5ZZUX 60-69 years, male 20.6
GTEX-X8HC-0626-SM-4E3HQ 50-59 years, female 20.6
GTEX-X585-2426-SM-46MW2 50-59 years, male 20.5
GTEX-14JFF-0626-SM-5ZZVT 60-69 years, male 20.4
GTEX-ZAK1-0626-SM-5HL8E 50-59 years, female 20.3
GTEX-1H3O1-1326-SM-9MQLD 60-69 years, male 20.3
GTEX-1E2YA-2126-SM-7MXUO 50-59 years, male 20.2
GTEX-1GN2E-0226-SM-9WG6K 60-69 years, male 20.1
GTEX-1H23P-0626-SM-9WG6T 60-69 years, male 20.1
GTEX-1HCU8-2526-SM-CE6RX 60-69 years, female 20.1
GTEX-144GO-2026-SM-5O99P 60-69 years, male 20.0
GTEX-17F97-2626-SM-7IGM5 50-59 years, male 20.0
GTEX-1F75B-0726-SM-7PC3R 50-59 years, male 20.0
GTEX-1H1CY-0126-SM-9YFLY 60-69 years, female 20.0
GTEX-1F5PK-2226-SM-7SB6N 50-59 years, male 19.9
GTEX-1QEPI-2626-SM-DTXF4 60-69 years, female 19.9
GTEX-1PIIG-2326-SM-DTXFR 30-39 years, male 19.8
GTEX-145MG-1526-SM-5Q5EM 50-59 years, male 19.7
GTEX-14ABY-2026-SM-62LDL 50-59 years, male 19.7
GTEX-11TUW-0626-SM-5LU9M 60-69 years, male 19.5
GTEX-16NPX-0726-SM-7KULC 50-59 years, male 19.5
GTEX-1E1VI-0326-SM-793D1 50-59 years, male 19.4
GTEX-1IDJV-0126-SM-COH3Y 60-69 years, male 19.3
GTEX-1GN1V-2826-SM-9JGIA 60-69 years, male 19.1
GTEX-13JVG-0726-SM-5KM16 60-69 years, male 19.0
GTEX-17HHY-0426-SM-7DHLC 50-59 years, male 19.0
GTEX-1GN1U-0626-SM-9MQL9 50-59 years, female 18.9
GTEX-12WSF-1626-SM-7KUG5 70-79 years, male 18.8
GTEX-1AX9I-2226-SM-73KUO 60-69 years, male 18.7
GTEX-1EKGG-0626-SM-7DUGJ 60-69 years, male 18.7
GTEX-11NUK-2726-SM-5A5MC 50-59 years, male 18.6
GTEX-1F6RS-2026-SM-7RHHC 60-69 years, female 18.6
GTEX-14AS3-1526-SM-5Q5ED 40-49 years, female 18.5
GTEX-1A3MX-2626-SM-7PC24 60-69 years, male 18.5
GTEX-13OVL-0126-SM-5L3GJ 50-59 years, male 18.4
GTEX-132AR-0326-SM-5KM2C 50-59 years, female 18.2
GTEX-1JMOU-1026-SM-CYPSS 60-69 years, female 18.1
GTEX-ZLV1-1526-SM-DO91J 60-69 years, female 18.1
GTEX-WYVS-1626-SM-3NM9R 40-49 years, female 18.0
GTEX-12WSD-0626-SM-5GCMW 60-69 years, female 17.9
GTEX-Z93S-1626-SM-5CVMB 50-59 years, male 17.9
GTEX-ZXG5-2126-SM-59HKD 60-69 years, male 17.9
GTEX-1HCU6-2526-SM-ADEHL 60-69 years, female 17.9
GTEX-1A8FM-0626-SM-7PC25 50-59 years, female 17.8
GTEX-1GF9X-1326-SM-7PC2Y 40-49 years, female 17.8
GTEX-1LVAM-0726-SM-E6CIL 50-59 years, female 17.7
GTEX-1RAZS-2526-SM-E6CHT 50-59 years, male 17.7
GTEX-13N11-2326-SM-5IJBF 50-59 years, female 17.6
GTEX-13NZ9-2626-SM-5L3FK 50-59 years, male 17.6
GTEX-13X6I-1826-SM-5SIAO 60-69 years, male 17.6
GTEX-1IY9M-2826-SM-ARU8H 60-69 years, male 17.6
GTEX-147JS-0226-SM-5S2U9 60-69 years, male 17.5
GTEX-11DXW-0826-SM-5H118 40-49 years, male 17.4
GTEX-12ZZY-0726-SM-5EQ66 60-69 years, male 17.4
GTEX-1EMGI-2326-SM-7PBYA 60-69 years, male 17.4
GTEX-13FHO-0426-SM-5L3F5 60-69 years, male 17.3
GTEX-1I1GV-0626-SM-ARL7M 60-69 years, male 17.3
GTEX-U8XE-0226-SM-4E3J3 30-39 years, male 17.1
GTEX-WYBS-0626-SM-3NMAS 60-69 years, female 17.1
GTEX-ZYY3-2926-SM-5GIEB 60-69 years, female 17.1
GTEX-11EI6-2826-SM-5H11D 60-69 years, male 17.0
GTEX-13PL6-1126-SM-5L3IE 40-49 years, female 17.0
GTEX-13U4I-2226-SM-5LU5H 40-49 years, female 17.0
GTEX-12WSK-2126-SM-5CVNC 40-49 years, female 16.8
GTEX-1POEN-2326-SM-E9J2L 30-39 years, female 16.8
GTEX-15ER7-0626-SM-6PANF 20-29 years, female 16.7
GTEX-WK11-2726-SM-3NMAQ 50-59 years, male 16.7
GTEX-13PDP-0726-SM-5L3HP 60-69 years, male 16.6
GTEX-15G19-2426-SM-7KUMR 60-69 years, male 16.6
GTEX-1A8G6-2726-SM-731AR 60-69 years, male 16.6
GTEX-XK95-0226-SM-4AT58 40-49 years, male 16.6
GTEX-13NYC-0126-SM-5L3F4 60-69 years, male 16.5
GTEX-17JCI-2926-SM-7DUFF 60-69 years, female 16.5
GTEX-1PBJJ-1026-SM-E76OS 30-39 years, male 16.5
GTEX-17MF6-2626-SM-79OKQ 40-49 years, male 16.4
GTEX-1AX8Z-0726-SM-73KTS 60-69 years, male 16.4
GTEX-1F75A-0726-SM-7RHHD 50-59 years, male 16.4
GTEX-1H3NZ-2726-SM-9WYTQ 60-69 years, male 16.4
GTEX-1117F-2926-SM-5GZYI 60-69 years, female 16.2
GTEX-14PJ2-0626-SM-6LLII 50-59 years, male 16.2
GTEX-12584-0726-SM-5FQTK 40-49 years, male 16.1
GTEX-1EWIQ-0326-SM-7DHMQ 70-79 years, female 16.0
GTEX-XBEC-0726-SM-4QARZ 50-59 years, male 16.0
GTEX-144GM-0526-SM-79OJO 20-29 years, male 15.9
GTEX-1NSGN-0726-SM-DTXEF 50-59 years, male 15.9
GTEX-1OJC4-2726-SM-E76PJ 50-59 years, female 15.9
GTEX-11TT1-1826-SM-5EQLV 20-29 years, male 15.8
GTEX-1QP29-1826-SM-DTX9S 50-59 years, male 15.8
GTEX-1F6I4-2326-SM-7RHGL 60-69 years, male 15.7
GTEX-1IE54-1126-SM-A9G2Z 40-49 years, female 15.7
GTEX-131XW-0626-SM-5PNVD 50-59 years, female 15.6
GTEX-14A6H-2026-SM-5Q5DD 30-39 years, male 15.6
GTEX-1I1HK-2326-SM-CKZOH 60-69 years, male 15.6
GTEX-13JUV-2026-SM-5K7UA 40-49 years, female 15.5
GTEX-12WSJ-1126-SM-5LZVJ 40-49 years, female 15.4
GTEX-WHWD-1826-SM-3LK6I 50-59 years, male 15.4
GTEX-1212Z-0126-SM-59HK4 60-69 years, male 15.3
GTEX-ZAJG-1526-SM-5CVML 50-59 years, female 15.3
GTEX-ZDXO-3126-SM-5IJDF 60-69 years, male 15.3
GTEX-1KWVE-1026-SM-D3L9O 30-39 years, male 15.3
GTEX-13OW8-1026-SM-5J1NQ 60-69 years, male 15.2
GTEX-145LS-0626-SM-7EPG7 60-69 years, female 15.2
GTEX-11GSP-2326-SM-5HL63 60-69 years, female 15.1
GTEX-1HCU7-0726-SM-A9SL1 50-59 years, male 15.1
GTEX-1IKJJ-2226-SM-CJI4C 60-69 years, male 15.1
GTEX-1K9T9-1526-SM-DIPFR 50-59 years, female 15.1
GTEX-16XZZ-0726-SM-7KUF2 60-69 years, male 15.0
GTEX-ZT9X-1526-SM-5DUXD 40-49 years, male 15.0
GTEX-1LG7Y-2526-SM-EWRO7 50-59 years, male 15.0
GTEX-13IVO-0726-SM-5LZYV 70-79 years, male 14.9
GTEX-18D9B-0926-SM-7LG4U 60-69 years, male 14.9
GTEX-YFCO-1226-SM-5LUAT 40-49 years, male 14.9
GTEX-1I1GS-2626-SM-B2LY3 60-69 years, male 14.9
GTEX-1R9PN-0426-SM-DTXDT 40-49 years, female 14.9
GTEX-13FTY-2126-SM-5IFFB 40-49 years, female 14.8
GTEX-14LZ3-0126-SM-69LPM 60-69 years, female 14.8
GTEX-1R9PM-1926-SM-EVR3O 20-29 years, male 14.8
GTEX-1S83E-1326-SM-E6CJM 40-49 years, male 14.8
GTEX-13N1W-2426-SM-5IJD1 70-79 years, male 14.7
GTEX-17F9Y-0126-SM-79OKX 70-79 years, female 14.7
GTEX-15EO6-2426-SM-6PALZ 50-59 years, male 14.6
GTEX-ZAB4-2126-SM-5HL8U 40-49 years, male 14.6
GTEX-146FQ-2126-SM-5RQHU 30-39 years, male 14.5
GTEX-18QFQ-1826-SM-72D52 30-39 years, male 14.5
GTEX-13O3Q-0126-SM-5KM34 50-59 years, male 14.4
GTEX-145LU-1926-SM-79OJN 50-59 years, male 14.4
GTEX-WHPG-2626-SM-3NMBR 50-59 years, male 14.4
GTEX-XQ3S-1426-SM-4BOPR 20-29 years, male 14.4
GTEX-1H1DG-2426-SM-9QEHJ 70-79 years, male 14.2
GTEX-1KANB-2826-SM-CY8I6 50-59 years, male 14.2
GTEX-1M4P7-0726-SM-E6CJ3 60-69 years, male 14.2
GTEX-145MF-0926-SM-5Q5EA 50-59 years, male 14.1
GTEX-ZVE2-2826-SM-5GU51 50-59 years, male 14.1
GTEX-1F6IF-0926-SM-7SB7M 60-69 years, male 14.1
GTEX-12ZZX-2426-SM-5GCOE 40-49 years, female 13.9
GTEX-18A7A-0126-SM-731AH 50-59 years, female 13.9
GTEX-XXEK-1626-SM-4BRUZ 50-59 years, male 13.9
GTEX-ZDTS-0826-SM-4WKHL 60-69 years, male 13.9
GTEX-1IDJH-0126-SM-D3L92 70-79 years, male 13.9
GTEX-1JN1M-2726-SM-CY8I4 60-69 years, female 13.9
GTEX-1KD5A-0126-SM-E9U54 50-59 years, male 13.9
GTEX-13D11-0926-SM-5J2NC 50-59 years, female 13.8
GTEX-14C38-0726-SM-5SI6M 50-59 years, male 13.8
GTEX-1JMPZ-0726-SM-CY8HZ 30-39 years, male 13.8
GTEX-12ZZZ-0726-SM-5GCNZ 60-69 years, male 13.7
GTEX-13SLX-2226-SM-62LEP 50-59 years, female 13.7
GTEX-1C6WA-2626-SM-7MKGM 60-69 years, male 13.7
GTEX-12KS4-2126-SM-5FQUT 30-39 years, male 13.6
GTEX-11UD2-2526-SM-5CVNU 50-59 years, male 13.5
GTEX-139TT-2126-SM-5LZWC 60-69 years, male 13.5
GTEX-VUSG-2326-SM-4KL1U 50-59 years, male 13.5
GTEX-1GF9V-0826-SM-9KNUV 60-69 years, male 13.5
GTEX-1I19N-0126-SM-CYPSF 70-79 years, male 13.5
GTEX-13X6J-0626-SM-5LU5F 50-59 years, male 13.4
GTEX-1B8L1-2226-SM-7P8PT 60-69 years, male 13.4
GTEX-1S5ZU-2526-SM-E6CIF 20-29 years, female 13.4
GTEX-11ZU8-0126-SM-5EQ58 60-69 years, male 13.3
GTEX-139YR-1026-SM-5LZYN 50-59 years, male 13.3
GTEX-14PJO-2526-SM-6AJBQ 60-69 years, male 13.3
GTEX-1LSVX-2526-SM-DIPEU 60-69 years, male 13.3
GTEX-15FZZ-0526-SM-7KUGD 30-39 years, female 13.2
GTEX-1GMR8-0626-SM-7RHI7 50-59 years, female 13.2
GTEX-1J8EW-2726-SM-CY8HR 60-69 years, female 13.2
GTEX-1EU9M-1426-SM-793AI 60-69 years, male 13.0
GTEX-XMD2-2126-SM-4YCF8 60-69 years, female 13.0
GTEX-XPVG-2126-SM-4B667 50-59 years, male 13.0
GTEX-139UW-0326-SM-5J1ML 60-69 years, male 12.9
GTEX-13X6H-0926-SM-5SIB2 50-59 years, female 12.9
GTEX-15D1Q-2826-SM-6LLH7 40-49 years, male 12.9
GTEX-1PPH7-1126-SM-DTX9A 40-49 years, male 12.9
GTEX-1399S-0126-SM-5IJCF 30-39 years, female 12.8
GTEX-16Z82-2626-SM-7KULU 60-69 years, male 12.8
GTEX-18A66-0626-SM-7LT8Z 60-69 years, male 12.8
GTEX-1A8G7-1326-SM-73KVM 60-69 years, male 12.8
GTEX-183FY-1026-SM-7939A 20-29 years, male 12.7
GTEX-UPK5-0426-SM-3GAEK 40-49 years, male 12.7
GTEX-Y3IK-1626-SM-4YCF5 50-59 years, female 12.7
GTEX-1RB15-1326-SM-E76Q9 60-69 years, male 12.7
GTEX-11O72-0626-SM-5PNYE 40-49 years, male 12.6
GTEX-13NZ8-1226-SM-5KM4A 60-69 years, female 12.6
GTEX-1CAMQ-1326-SM-7P8RV 40-49 years, male 12.6
GTEX-11DXZ-2026-SM-5987S 50-59 years, male 12.5
GTEX-139T8-0626-SM-5KLZX 60-69 years, male 12.5
GTEX-16MT8-2926-SM-7DUFO 60-69 years, female 12.4
GTEX-1IDJE-1426-SM-ADEIW 50-59 years, female 12.4
GTEX-1399R-1326-SM-5PNYS 30-39 years, male 12.3
GTEX-V1D1-2026-SM-3GAF4 50-59 years, male 12.3
GTEX-1JMQK-1226-SM-D4P2S 60-69 years, male 12.3
GTEX-111FC-2526-SM-5GZXU 60-69 years, male 12.2
GTEX-18A67-1626-SM-7LT9T 50-59 years, male 12.2
GTEX-1HBPI-2126-SM-ARL9K 50-59 years, male 12.2
GTEX-1KAFJ-0126-SM-DIPEK 50-59 years, male 12.1
GTEX-ZVT4-2426-SM-5GIEI 50-59 years, female 12.0
GTEX-1O9I2-0226-SM-EYYXD 50-59 years, male 12.0
GTEX-WFG7-2026-SM-5SI7P 20-29 years, male 11.9
GTEX-X4EO-2926-SM-4E3JH 60-69 years, female 11.9
GTEX-1GL5R-1326-SM-7RHHF 50-59 years, male 11.9
GTEX-1IDFM-0326-SM-ARL7V 60-69 years, male 11.9
GTEX-131XH-0126-SM-5LZUY 50-59 years, male 11.8
GTEX-13PVQ-0626-SM-5LU47 50-59 years, male 11.8
GTEX-17MFQ-1526-SM-7KFRR 20-29 years, male 11.8
GTEX-1N2DV-1526-SM-DTXEP 40-49 years, male 11.8
GTEX-17F9E-2326-SM-79OKD 50-59 years, male 11.7
GTEX-XOT4-0626-SM-4B66L 60-69 years, female 11.7
GTEX-ZUA1-2626-SM-5NQ92 40-49 years, male 11.7
GTEX-1GZ4I-2626-SM-9KNU3 50-59 years, male 11.7
GTEX-1I1CD-0626-SM-CE6SW 60-69 years, female 11.7
GTEX-1PPH8-0126-SM-EWRN8 20-29 years, male 11.7
GTEX-17HII-1426-SM-7EPGG 50-59 years, male 11.6
GTEX-11NSD-0626-SM-5A5LU 20-29 years, male 11.5
GTEX-1EX96-1026-SM-7MKG2 50-59 years, male 11.5
GTEX-ZPCL-1126-SM-4WWFE 60-69 years, female 11.5
GTEX-1F75W-2726-SM-7SB8H 60-69 years, male 11.5
GTEX-1JMLX-0626-SM-ARL8T 50-59 years, male 11.5
GTEX-147F3-1726-SM-5SIAW 50-59 years, female 11.4
GTEX-Y3I4-1726-SM-4TT89 50-59 years, male 11.4
GTEX-1HSMO-0626-SM-ACKXC 60-69 years, male 11.4
GTEX-1H1DF-1126-SM-9WG7G 40-49 years, female 11.3
GTEX-11P81-2226-SM-5PNYI 30-39 years, female 11.2
GTEX-139TU-0726-SM-5L3EK 60-69 years, male 11.2
GTEX-13O3O-2326-SM-5IJD6 60-69 years, female 11.2
GTEX-1HCVE-2726-SM-CL54F 50-59 years, male 11.2
GTEX-1JMQI-1726-SM-ARL93 50-59 years, male 11.2
GTEX-Y8E4-2026-SM-5IFJB 40-49 years, male 11.1
GTEX-1LB8K-0726-SM-D5OV2 50-59 years, male 11.1
GTEX-12WSH-1526-SM-5BC5W 50-59 years, male 11.0
GTEX-15RIE-1926-SM-7KUKJ 60-69 years, male 11.0
GTEX-1IDJF-2026-SM-CL53V 20-29 years, male 11.0
GTEX-13113-1626-SM-5EQ4I 60-69 years, female 10.9
GTEX-1QMI2-2526-SM-E8VNZ 60-69 years, male 10.9
GTEX-1RAZR-2126-SM-E9U6T 40-49 years, male 10.9
GTEX-15EU6-2226-SM-6EU2L 50-59 years, male 10.8
GTEX-16GPK-0626-SM-7KFSF 60-69 years, male 10.8
GTEX-178AV-1726-SM-7KUL8 40-49 years, male 10.8
GTEX-17EVP-2626-SM-7IGMA 40-49 years, male 10.8
GTEX-1S82P-2126-SM-E6CI5 60-69 years, female 10.8
GTEX-UPJH-0226-SM-3GADV 50-59 years, male 10.7
GTEX-ZVTK-0226-SM-51MRG 20-29 years, male 10.7
GTEX-1PPGY-1626-SM-EVYBL 60-69 years, male 10.7
GTEX-15RIG-0726-SM-7KUM7 40-49 years, male 10.6
GTEX-1I6K7-1926-SM-B2LXR 40-49 years, male 10.6
GTEX-1C2JI-1026-SM-73KY1 50-59 years, male 10.5
GTEX-YJ8O-2526-SM-5HL85 40-49 years, female 10.5
GTEX-1GPI7-1826-SM-9KNU1 20-29 years, male 10.5
GTEX-12696-0126-SM-5EQ4L 60-69 years, male 10.4
GTEX-ZPU1-1126-SM-4YCF3 40-49 years, male 10.4
GTEX-1477Z-0326-SM-7IGLA 60-69 years, male 10.3
GTEX-1HUB1-1426-SM-CGQF5 60-69 years, male 10.3
GTEX-14PHY-1226-SM-5ZZWK 60-69 years, female 10.2
GTEX-13OW6-2726-SM-5J2OE 50-59 years, male 10.1
GTEX-16BQI-1326-SM-6M486 30-39 years, female 10.1
GTEX-1ICLY-0826-SM-CMKG1 50-59 years, male 10.1
GTEX-1MJK3-0726-SM-E6CJC 20-29 years, male 10.1
GTEX-147F4-0726-SM-5TDDD 50-59 years, male 10.0
GTEX-17HHE-1326-SM-7EWDZ 50-59 years, male 9.8
GTEX-ZC5H-1526-SM-5HL9Y 40-49 years, female 9.8
GTEX-1HSMP-0926-SM-A9SKX 70-79 years, male 9.8
GTEX-1192X-2726-SM-5N9DN 50-59 years, male 9.7
GTEX-12WSC-2826-SM-5BC5Y 50-59 years, male 9.7
GTEX-WFON-1926-SM-3LK7L 40-49 years, male 9.6
GTEX-ZZPU-0826-SM-5GZX5 50-59 years, female 9.6
GTEX-1JJE9-2626-SM-ARZMT 70-79 years, male 9.6
GTEX-1K2DU-1226-SM-CYPT4 20-29 years, male 9.6
GTEX-1R46S-2426-SM-E76QA 60-69 years, female 9.6
GTEX-1GMR3-0126-SM-A9SLW 40-49 years, male 9.5
GTEX-11WQK-1026-SM-5EQLX 50-59 years, male 9.4
GTEX-1A32A-0626-SM-731AQ 50-59 years, female 9.4
GTEX-1B8SF-0126-SM-7DUG3 60-69 years, male 9.4
GTEX-11LCK-2226-SM-5HL4Q 30-39 years, male 9.3
GTEX-1F52S-2926-SM-7MKGA 60-69 years, female 9.3
GTEX-1H1DE-1326-SM-9KNUG 20-29 years, male 9.3
GTEX-1LKK1-2626-SM-DKPQE 50-59 years, female 9.3
GTEX-Y5LM-0926-SM-6LLJG 40-49 years, female 9.2
GTEX-1RAZA-2226-SM-E9U4X 20-29 years, male 9.2
GTEX-14XAO-1226-SM-6EU1C 60-69 years, female 9.1
GTEX-WHSB-1326-SM-3LK6W 50-59 years, male 9.0
GTEX-11EQ8-0926-SM-5H12V 60-69 years, male 8.9
GTEX-1CB4J-1326-SM-7P8RX 60-69 years, male 8.9
GTEX-1GZ4H-0526-SM-9KNU9 50-59 years, female 8.9
GTEX-1H1ZS-2726-SM-9WG75 70-79 years, male 8.9
GTEX-139TS-2126-SM-5K7XC 60-69 years, male 8.8
GTEX-13N2G-0226-SM-5K7VF 60-69 years, male 8.8
GTEX-14PHX-2226-SM-6EU2P 50-59 years, male 8.8
GTEX-1IDJI-0126-SM-CMKHS 50-59 years, female 8.7
GTEX-1J8QM-2426-SM-A9SLS 60-69 years, female 8.7
GTEX-1QPFJ-1926-SM-EVYBD 30-39 years, female 8.7
GTEX-14LLW-2626-SM-62LDZ 70-79 years, female 8.6
GTEX-X5EB-1926-SM-4E3IW 40-49 years, male 8.6
GTEX-YEC4-1826-SM-4W1YP 40-49 years, male 8.6
GTEX-18D9A-1426-SM-7LT8M 30-39 years, female 8.6
GTEX-1IKOE-1426-SM-CE6T7 30-39 years, female 8.6
GTEX-1QP2A-1726-SM-E76QC 50-59 years, male 8.6
GTEX-1QP66-1226-SM-DTX7U 50-59 years, male 8.6
GTEX-Y5V5-0126-SM-5S2NW 60-69 years, female 8.5
GTEX-13OW5-2326-SM-5L3HO 60-69 years, male 8.4
GTEX-13X6K-0626-SM-5LU5D 60-69 years, female 8.4
GTEX-145MI-0626-SM-5SI8S 60-69 years, female 8.4
GTEX-14DAQ-0626-SM-793DS 60-69 years, female 8.4
GTEX-1JKYR-0626-SM-ARL8R 20-29 years, male 8.4
GTEX-1LGRB-0926-SM-COH3K 50-59 years, female 8.4
GTEX-111YS-1526-SM-5GZYW 60-69 years, male 8.3
GTEX-16AAH-0626-SM-793C9 50-59 years, male 8.3
GTEX-13OVJ-0826-SM-5J1OK 50-59 years, female 8.2
GTEX-1GZ2Q-0126-SM-9WG6M 40-49 years, male 8.2
GTEX-1GF9U-2026-SM-7SB92 40-49 years, female 8.1
GTEX-1HSKV-1226-SM-ADEI4 60-69 years, male 8.1
GTEX-1RMOY-1326-SM-E9TIH 50-59 years, male 8.1
GTEX-ZPIC-0526-SM-DO91W 40-49 years, female 8.1
GTEX-17F96-0126-SM-7EWDU 70-79 years, male 8.0
GTEX-1B8KE-1126-SM-7EPHI 50-59 years, male 8.0
GTEX-1HB9E-0126-SM-CM2S5 50-59 years, male 8.0
GTEX-1CB4E-0926-SM-7EPHT 60-69 years, male 7.9
GTEX-1CAMS-2226-SM-7PBXQ 40-49 years, female 7.9
GTEX-14PII-0726-SM-6EU2B 60-69 years, male 7.8
GTEX-WRHU-2826-SM-3MJG8 50-59 years, female 7.8
GTEX-1IDJD-2326-SM-ACKWX 30-39 years, male 7.8
GTEX-1AMEY-0826-SM-72D65 30-39 years, female 7.7
GTEX-ZLFU-1826-SM-4WWBV 40-49 years, male 7.7
GTEX-14C39-1726-SM-5RQIL 40-49 years, male 7.5
GTEX-15G1A-1626-SM-7KUKN 30-39 years, male 7.5
GTEX-15RJE-2826-SM-7KUM9 40-49 years, male 7.5
GTEX-1JN76-0626-SM-CKZOQ 20-29 years, female 7.5
GTEX-111CU-1126-SM-5EGIM 50-59 years, male 7.4
GTEX-14E1K-2026-SM-7DUEI 50-59 years, male 7.4
GTEX-XYKS-1426-SM-4BRUO 60-69 years, female 7.4
GTEX-17KNJ-2126-SM-718AM 50-59 years, male 7.3
GTEX-1C64O-1326-SM-7MGWR 60-69 years, male 7.3
GTEX-1HGF4-0126-SM-CNPPX 60-69 years, male 7.3
GTEX-1B8KZ-0326-SM-73KY4 50-59 years, male 7.2
GTEX-145MN-1526-SM-5SI9T 30-39 years, male 7.1
GTEX-14PJN-1826-SM-6AJ98 30-39 years, male 7.1
GTEX-WH7G-2026-SM-3NMBL 40-49 years, male 7.1
GTEX-1F75I-2226-SM-7SB8U 40-49 years, male 7.1
GTEX-1H11D-1826-SM-9QEHM 40-49 years, male 7.1
GTEX-12WSM-1926-SM-5BC65 60-69 years, male 7.0
GTEX-1IDJU-1726-SM-CMKHU 60-69 years, female 7.0
GTEX-13OVG-1626-SM-5J1NF 60-69 years, male 6.9
GTEX-Y9LG-1126-SM-4VBQ7 30-39 years, male 6.9
GTEX-1R7EU-1626-SM-DTXG3 60-69 years, male 6.9
GTEX-13FTW-0326-SM-5K7UW 40-49 years, male 6.8
GTEX-148VJ-0626-SM-5LUAW 70-79 years, male 6.8
GTEX-1GN73-0726-SM-7P8TJ 60-69 years, male 6.7
GTEX-1QCLY-0226-SM-EWRNH 30-39 years, male 6.7
GTEX-1QW4Y-1126-SM-DTXE3 30-39 years, male 6.7
GTEX-11DXY-0126-SM-5H11Q 60-69 years, male 6.6
GTEX-ZTX8-1326-SM-4YCEL 20-29 years, male 6.6
GTEX-ZWKS-0626-SM-5GIDV 30-39 years, male 6.6
GTEX-ZZ64-1026-SM-5GZXG 20-29 years, male 6.6
GTEX-1HBPN-0126-SM-CGQEF 50-59 years, male 6.6
GTEX-1HKZK-0726-SM-ACKW2 40-49 years, male 6.6
GTEX-1ICG6-1226-SM-A9SLN 70-79 years, female 6.6
GTEX-1LSNM-0826-SM-DIPG8 50-59 years, male 6.6
GTEX-14B4R-1326-SM-5Q5EZ 30-39 years, male 6.5
GTEX-15CHR-1126-SM-7EWF4 50-59 years, male 6.5
GTEX-18A7B-2726-SM-7LG56 70-79 years, male 6.5
GTEX-ZDTT-0426-SM-4WKFL 60-69 years, male 6.5
GTEX-1QP9N-1226-SM-E76QN 30-39 years, male 6.5
GTEX-11DXX-2126-SM-5PNYR 60-69 years, female 6.4
GTEX-11VI4-1126-SM-5EQMD 40-49 years, female 6.4
GTEX-131XF-2626-SM-5EQ6K 60-69 years, male 6.4
GTEX-1H1E6-0426-SM-9WYUS 30-39 years, male 6.4
GTEX-1HSMQ-2626-SM-A9SML 50-59 years, male 6.4
GTEX-1IDJC-1526-SM-B2LW4 50-59 years, male 6.4
GTEX-1OJC3-1226-SM-DTXER 20-29 years, male 6.4
GTEX-1PIGE-1826-SM-E8VOU 20-29 years, male 6.4
GTEX-1S82U-1026-SM-E6CJK 30-39 years, female 6.4
GTEX-13W3W-0726-SM-5IJDQ 60-69 years, female 6.3
GTEX-14ICL-1626-SM-5YYAO 30-39 years, male 6.3
GTEX-18D9U-0126-SM-731BM 40-49 years, male 6.3
GTEX-1AX9J-1326-SM-731BJ 60-69 years, male 6.2
GTEX-WYJK-0526-SM-3NM8Z 50-59 years, male 6.2
GTEX-X3Y1-2026-SM-3P5YM 40-49 years, male 6.2
GTEX-1JMPY-0226-SM-CKZOK 30-39 years, male 6.2
GTEX-11P7K-1126-SM-5HL4L 30-39 years, male 6.1
GTEX-1CB4H-1126-SM-7MKGL 60-69 years, female 6.1
GTEX-WXYG-2026-SM-4E3IY 50-59 years, female 6.1
GTEX-Y5V6-2326-SM-4VDSA 60-69 years, male 6.1
GTEX-ZTSS-1426-SM-5985P 40-49 years, male 6.1
GTEX-1GTWX-2026-SM-9YFLM 60-69 years, male 6.1
GTEX-1J1R8-2026-SM-CL53Y 40-49 years, male 6.1
GTEX-17EVQ-0126-SM-7IGLR 70-79 years, male 6.0
GTEX-1CAV2-0126-SM-7IGN7 40-49 years, female 6.0
GTEX-1MCC2-1826-SM-DIPEX 30-39 years, female 6.0
GTEX-ZF3C-0626-SM-DO92O 50-59 years, female 6.0
GTEX-ZVZP-1226-SM-5GID7 50-59 years, male 5.9
GTEX-1N5O9-0926-SM-E9J3C 60-69 years, male 5.9
GTEX-1EH9U-2826-SM-7DUGT 60-69 years, male 5.8
GTEX-17F98-1326-SM-7DUEP 40-49 years, female 5.7
GTEX-ZP4G-1426-SM-4WWCL 20-29 years, female 5.7
GTEX-1I6K6-1726-SM-CGQFD 30-39 years, male 5.7
GTEX-131XG-0326-SM-5L3DX 50-59 years, female 5.6
GTEX-11P82-1426-SM-DTXFY 20-29 years, male 5.6
GTEX-1C475-1326-SM-7SB73 40-49 years, female 5.6
GTEX-145MO-2826-SM-5LU96 60-69 years, male 5.5
GTEX-14PJ6-2626-SM-6EU2T 60-69 years, female 5.5
GTEX-1HSGN-0826-SM-ACKW3 40-49 years, female 5.5
GTEX-11ZTT-2126-SM-5CVLO 60-69 years, female 5.4
GTEX-15CHC-1126-SM-6LLHQ 60-69 years, female 5.4
GTEX-16NGA-0726-SM-731AO 40-49 years, female 5.4
GTEX-WFG8-2126-SM-3GIKQ 20-29 years, male 5.4
GTEX-1S3DN-2126-SM-E9TIN 50-59 years, male 5.4
GTEX-13RTJ-0126-SM-5S2NN 60-69 years, male 5.3
GTEX-16MTA-0926-SM-6M47Z 50-59 years, male 5.3
GTEX-1HCU9-0426-SM-9WYSD 20-29 years, male 5.3
GTEX-1HFI7-2326-SM-CGQFS 50-59 years, female 5.3
GTEX-1KXAM-1626-SM-D3LAD 60-69 years, male 5.3
GTEX-YB5K-2026-SM-4VDT3 40-49 years, female 5.2
GTEX-12WSA-0426-SM-5EQ5X 60-69 years, male 5.1
GTEX-145LT-0526-SM-5LUB2 40-49 years, male 5.1
GTEX-14753-0726-SM-5QGQO 60-69 years, male 5.1
GTEX-XBEW-1126-SM-4QARW 40-49 years, male 5.1
GTEX-1JJ6O-2726-SM-CNPOG 60-69 years, male 5.1
GTEX-1JKYN-0826-SM-ARU8S 30-39 years, male 5.1
GTEX-11EQ9-1626-SM-5PNY8 30-39 years, male 5.0
GTEX-1211K-1526-SM-5FQU4 60-69 years, female 5.0
GTEX-1B996-0426-SM-7EWF8 60-69 years, male 5.0
GTEX-ZU9S-1826-SM-5NQ9E 30-39 years, male 5.0
GTEX-1I1GT-1026-SM-ARZLV 60-69 years, female 5.0
GTEX-1QCLZ-2426-SM-EVYBW 60-69 years, female 5.0
GTEX-14PJ3-1126-SM-5ZZVX 50-59 years, male 4.9
GTEX-1CB4I-0126-SM-7RHGG 50-59 years, male 4.9
GTEX-1GMR2-0826-SM-7PC3V 50-59 years, male 4.9
GTEX-1LG7Z-1626-SM-CXKYR 30-39 years, male 4.9
GTEX-1S831-1826-SM-EWROF 20-29 years, male 4.9
GTEX-12C56-1526-SM-5FQUQ 20-29 years, male 4.8
GTEX-1JK1U-0226-SM-ARZMX 60-69 years, male 4.8
GTEX-133LE-2326-SM-5K7W3 20-29 years, female 4.7
GTEX-Y114-2126-SM-4TT8B 50-59 years, female 4.7
GTEX-1K2DA-1026-SM-CGQGF 50-59 years, male 4.7
GTEX-14DAR-1226-SM-73KYV 50-59 years, male 4.6
GTEX-1J8Q2-2626-SM-ACKWQ 60-69 years, male 4.6
GTEX-1LGOU-1326-SM-D3L8M 20-29 years, female 4.6
GTEX-1PDJ9-1226-SM-EXUSX 20-29 years, male 4.6
GTEX-YEC3-1326-SM-DO92X 50-59 years, male 4.5
GTEX-12WSL-2026-SM-5GCML 50-59 years, male 4.4
GTEX-13PVR-0426-SM-5RQK2 60-69 years, female 4.4
GTEX-13VXT-1926-SM-5K7UO 20-29 years, female 4.4
GTEX-1F5PL-0926-SM-7PC2W 40-49 years, female 4.4
GTEX-ZVT2-0126-SM-5GIDQ 50-59 years, female 4.3
GTEX-ZGAY-1826-SM-DO91Q 40-49 years, female 4.3
GTEX-14E6E-0526-SM-793DN 30-39 years, male 4.2
GTEX-XAJ8-1426-SM-47JYM 40-49 years, male 4.2
GTEX-1KANA-1326-SM-DIPFA 20-29 years, male 4.2
GTEX-14PJ4-0226-SM-5YY92 60-69 years, male 4.1
GTEX-14PKV-1126-SM-6LLJ1 20-29 years, female 4.1
GTEX-1AMFI-1326-SM-7939R 50-59 years, female 4.1
GTEX-ZYFG-1526-SM-5GZYM 60-69 years, female 4.1
GTEX-1CAMR-1326-SM-7PC1F 20-29 years, male 4.1
GTEX-1J8Q3-0526-SM-ARL8U 60-69 years, male 4.1
GTEX-1MCYP-0526-SM-E9U6Q 20-29 years, female 4.1
GTEX-14JG6-1426-SM-9WG7C 30-39 years, female 4.0
GTEX-1LVAN-0626-SM-CNPOQ 50-59 years, female 4.0
GTEX-1QP28-1126-SM-EVYC4 50-59 years, female 4.0
GTEX-1RAZQ-1326-SM-E9TK6 30-39 years, male 4.0
GTEX-13O61-1426-SM-5KM3D 60-69 years, male 3.9
GTEX-13QJC-0126-SM-5ZZWJ 60-69 years, female 3.9
GTEX-1B97I-0626-SM-73KUZ 40-49 years, male 3.9
GTEX-WY7C-2126-SM-3NB2R 50-59 years, male 3.9
GTEX-1A3MV-1826-SM-731CD 30-39 years, male 3.8
GTEX-XBED-1926-SM-47JYP 60-69 years, male 3.8
GTEX-1KANC-1226-SM-CYPT7 50-59 years, female 3.8
GTEX-1I4MK-0126-SM-CY8G6 50-59 years, female 3.7
GTEX-1L5NE-1126-SM-D3L9P 50-59 years, male 3.7
GTEX-13FH7-1126-SM-5K7UG 50-59 years, female 3.6
GTEX-ZF29-0926-SM-4WKFZ 60-69 years, female 3.5
GTEX-1GN1W-2426-SM-9KNUU 50-59 years, female 3.5
GTEX-14PKU-0126-SM-6LLHV 40-49 years, female 3.4
GTEX-Y8LW-1526-SM-5IFHL 50-59 years, female 3.4
GTEX-ZT9W-1126-SM-57WDR 50-59 years, male 3.4
GTEX-ZA64-1026-SM-5HL8R 20-29 years, male 3.3
GTEX-ZVP2-0326-SM-57WBP 50-59 years, male 3.3
GTEX-13QBU-1226-SM-5LU4G 40-49 years, female 3.2
GTEX-14PK6-0226-SM-62LF5 70-79 years, female 3.1
GTEX-ZDYS-2426-SM-4WKGI 50-59 years, male 3.1
GTEX-12BJ1-0926-SM-5EQ62 60-69 years, male 3.0
GTEX-ZLWG-0826-SM-59888 50-59 years, female 3.0
GTEX-1399U-1126-SM-5L3DB 50-59 years, female 2.9
GTEX-13FTX-1526-SM-5K7VJ 20-29 years, female 2.9
GTEX-WEY5-2326-SM-3GIKK 40-49 years, female 2.9
GTEX-1122O-1026-SM-9WYSF 60-69 years, female 2.9
GTEX-14BMU-1226-SM-5S2OR 20-29 years, female 2.8
GTEX-11EM3-1226-SM-5N9DD 20-29 years, female 2.4
GTEX-YF7O-1526-SM-5IFI6 50-59 years, male 2.4
GTEX-117YX-1926-SM-5GIEC 50-59 years, male 2.3
GTEX-1497J-0226-SM-5QGPU 60-69 years, male 2.3
GTEX-14PJ5-1526-SM-6LLIL 60-69 years, female 2.3
GTEX-1I1GU-0926-SM-ACKVS 40-49 years, male 2.3
GTEX-145ME-1726-SM-5Q5EU 40-49 years, female 2.1
GTEX-XQ8I-0926-SM-4BOOF 50-59 years, male 2.1
GTEX-1HCUA-0826-SM-ADEHM 50-59 years, female 2.0
GTEX-XUW1-0926-SM-4BONX 50-59 years, female 1.7
Show allShow less
Skin - Sun Exposed (Lower leg)
Average nTPM: 13.3
Samples: 701

Max nTPM: 72.8
Min nTPM: 2.1
Std nTPM: 9.2
Median nTPM: 11.3
GTEX-Q734-1926-SM-2I5EV 40-49 years, female 72.8
GTEX-14E6C-0126-SM-5RQIP 40-49 years, male 61.7
GTEX-14A5H-0426-SM-5QGQF 60-69 years, male 55.7
GTEX-WI4N-1026-SM-3LK7N 40-49 years, female 53.0
GTEX-1ICLZ-0126-SM-CKZPO 60-69 years, male 52.8
GTEX-1192W-2626-SM-5Q5AF 60-69 years, male 46.9
GTEX-W5X1-3026-SM-EAZAX 40-49 years, female 46.3
GTEX-1C6VQ-0126-SM-7P8RI 50-59 years, male 45.1
GTEX-ZF2S-2326-SM-4WWCE 50-59 years, female 43.6
GTEX-YJ8A-0426-SM-5IFID 20-29 years, male 43.4
GTEX-1M4P7-0226-SM-DIPEV 60-69 years, male 43.2
GTEX-ZYFD-0126-SM-5GIDL 50-59 years, male 43.0
GTEX-1R9K4-0126-SM-DTX9X 60-69 years, male 42.7
GTEX-1J8JJ-0226-SM-CL53I 60-69 years, female 42.5
GTEX-1C6WA-0126-SM-7PC2B 60-69 years, male 41.0
GTEX-13OVH-0126-SM-5MR4B 70-79 years, male 39.2
GTEX-1JJEA-0326-SM-CNPOT 60-69 years, male 38.7
GTEX-1N2DW-0226-SM-E9TK2 50-59 years, male 38.4
GTEX-1JMQI-2226-SM-CM2SD 50-59 years, male 38.0
GTEX-ZF3C-0126-SM-DO92D 50-59 years, female 37.0
GTEX-183WM-0126-SM-7LTAB 70-79 years, female 36.3
GTEX-ZAJG-0126-SM-5HL94 50-59 years, female 35.9
GTEX-1PWST-0226-SM-E76QJ 70-79 years, male 35.2
GTEX-1C64N-0126-SM-793D7 50-59 years, male 34.8
GTEX-1B8SF-1426-SM-7DUGL 60-69 years, male 33.6
GTEX-1F88F-2726-SM-7PBZZ 60-69 years, female 33.4
GTEX-11TUW-2726-SM-E9J4M 60-69 years, male 33.2
GTEX-YJ89-0126-SM-4TT3X 60-69 years, male 33.1
GTEX-13FXS-0226-SM-5IJCK 50-59 years, male 32.8
GTEX-1GN1V-0126-SM-9WPOS 60-69 years, male 31.8
GTEX-1K9T9-0126-SM-EVYCF 50-59 years, female 31.2
GTEX-13X6J-0126-SM-5QGOU 50-59 years, male 31.0
GTEX-144FL-0126-SM-5TDC8 50-59 years, male 30.9
GTEX-15SHW-0326-SM-6PAML 60-69 years, male 30.8
GTEX-13CF2-2526-SM-5LZYX 60-69 years, male 30.6
GTEX-12584-0126-SM-5EGKQ 40-49 years, male 29.9
GTEX-11GSP-2526-SM-5N9BP 60-69 years, female 29.7
GTEX-1HR98-0126-SM-B2LWI 60-69 years, male 29.5
GTEX-16GPK-0126-SM-7DHLE 60-69 years, male 29.4
GTEX-1F6IF-0726-SM-7P8TW 60-69 years, male 29.1
GTEX-1PBJI-0526-SM-E8VNK 20-29 years, female 28.7
GTEX-T6MN-0126-SM-32PLP 50-59 years, male 28.6
GTEX-1QEPI-0126-SM-EWRMQ 60-69 years, female 28.5
GTEX-1AYD5-2426-SM-73KXR 50-59 years, male 28.0
GTEX-1H4P4-0726-SM-9YFLR 50-59 years, male 27.7
GTEX-1CB4F-0426-SM-9KNV4 60-69 years, male 27.5
GTEX-1CB4G-0226-SM-7PC3O 60-69 years, male 27.4
GTEX-PVOW-0126-SM-2XCFA 40-49 years, male 27.2
GTEX-X88G-0126-SM-47JZ3 30-39 years, male 27.1
GTEX-X8HC-0126-SM-4E3JW 50-59 years, female 27.0
GTEX-1L5NE-2526-SM-E6CIE 50-59 years, male 27.0
GTEX-1C6VR-2426-SM-79OLD 60-69 years, male 26.6
GTEX-1JN76-0126-SM-CNPPE 20-29 years, female 26.6
GTEX-1HCU7-0226-SM-CL545 50-59 years, male 26.4
GTEX-1IL2U-0226-SM-CE6T8 60-69 years, male 26.4
GTEX-145MI-0526-SM-5O9A8 60-69 years, female 26.3
GTEX-Y111-0126-SM-4SOIV 50-59 years, male 26.3
GTEX-ZC5H-0226-SM-4WAY9 40-49 years, female 26.2
GTEX-1HFI6-0226-SM-ADEHZ 40-49 years, male 26.2
GTEX-132NY-0326-SM-5IJBL 60-69 years, male 26.1
GTEX-113JC-2326-SM-5EQ4E 50-59 years, female 25.9
GTEX-15DYW-0126-SM-7KULE 60-69 years, female 25.7
GTEX-16XZZ-0126-SM-793DV 60-69 years, male 25.6
GTEX-POMQ-2226-SM-2I5FK 20-29 years, female 25.5
GTEX-QESD-1426-SM-2S1R9 20-29 years, male 25.5
GTEX-XV7Q-2526-SM-4BRV9 40-49 years, female 25.5
GTEX-1H3O1-0426-SM-9YFKY 60-69 years, male 25.5
GTEX-1LNCM-1126-SM-E9U5E 50-59 years, female 25.4
GTEX-11TT1-2526-SM-5EGIB 20-29 years, male 24.9
GTEX-ZTPG-0326-SM-5O9AX 20-29 years, female 24.9
GTEX-1H11D-0226-SM-9WG6Z 40-49 years, male 24.8
GTEX-1H1CY-2826-SM-9MQM3 60-69 years, female 24.8
GTEX-S33H-1026-SM-EZ6L6 30-39 years, male 24.4
GTEX-1B8L1-2526-SM-9WYTF 60-69 years, male 24.3
GTEX-1PIIG-0226-SM-EWRN6 30-39 years, male 24.2
GTEX-13FHP-0126-SM-5IJBG 50-59 years, male 24.0
GTEX-1269C-2526-SM-5EGJ3 60-69 years, female 23.9
GTEX-1BAJH-0526-SM-793CQ 70-79 years, male 23.9
GTEX-1IOXB-0126-SM-ARL8G 50-59 years, male 23.9
GTEX-1MA7X-2226-SM-E6CIY 60-69 years, male 23.8
GTEX-14JG1-0426-SM-6ETZZ 40-49 years, male 23.7
GTEX-14ABY-0226-SM-5TDCQ 50-59 years, male 23.4
GTEX-14BIN-0626-SM-793DP 50-59 years, female 23.4
GTEX-Y3IK-2426-SM-4WWDU 50-59 years, female 23.4
GTEX-1HT8W-0126-SM-CNPPP 30-39 years, male 23.4
GTEX-X4EP-0126-SM-3P5YV 60-69 years, female 23.3
GTEX-13OW7-0126-SM-5MR3B 50-59 years, male 23.2
GTEX-12WSG-2826-SM-E9J4H 50-59 years, female 23.1
GTEX-1GF9X-2026-SM-7PC3A 40-49 years, female 23.1
GTEX-VJYA-1126-SM-3GIJU 60-69 years, male 22.8
GTEX-13NZB-2526-SM-5J1OM 30-39 years, male 22.6
GTEX-1N2EF-0226-SM-EYYXB 60-69 years, male 22.6
GTEX-117YW-2626-SM-5GZZH 50-59 years, male 22.5
GTEX-11GS4-2726-SM-5A5LE 60-69 years, male 22.5
GTEX-VUSG-2526-SM-4KL1V 50-59 years, male 22.4
GTEX-ZE9C-2726-SM-57WB5 60-69 years, male 22.4
GTEX-11DXW-0226-SM-5H122 40-49 years, male 22.3
GTEX-1F48J-0126-SM-7P8TT 50-59 years, female 22.1
GTEX-18A6Q-0126-SM-731BZ 60-69 years, male 21.7
GTEX-1B933-0126-SM-7PC29 50-59 years, female 21.6
GTEX-1B8SG-0126-SM-73KZ3 50-59 years, male 21.5
GTEX-OIZG-0726-SM-33HBL 50-59 years, male 21.5
GTEX-17JCI-0126-SM-7LG5G 60-69 years, female 21.3
GTEX-111FC-0126-SM-5N9DL 60-69 years, male 21.2
GTEX-14JIY-0126-SM-6LLH6 60-69 years, male 21.2
GTEX-ZAK1-0126-SM-5IJD3 50-59 years, female 21.1
GTEX-1O97I-0326-SM-EYYX7 60-69 years, male 21.1
GTEX-13O1R-0126-SM-5L3EH 60-69 years, male 21.0
GTEX-1RLM8-2326-SM-EWRN4 50-59 years, male 21.0
GTEX-13FHO-0226-SM-5IFGY 60-69 years, male 20.8
GTEX-1GMR8-0126-SM-9WYTM 50-59 years, female 20.8
GTEX-1399T-2826-SM-5KLYZ 60-69 years, male 20.6
GTEX-WOFL-0126-SM-3MJG2 60-69 years, male 20.6
GTEX-Z93S-0126-SM-5HL7M 50-59 years, male 20.6
GTEX-13NYS-0126-SM-5MR3W 60-69 years, male 20.4
GTEX-13OVJ-0126-SM-5KM36 50-59 years, female 20.4
GTEX-RWSA-0126-SM-2XCBB 40-49 years, male 20.4
GTEX-WVJS-0126-SM-4MVOT 50-59 years, male 20.4
GTEX-SIU8-0126-SM-2XCDT 50-59 years, male 20.2
GTEX-1POEN-0126-SM-EYYXJ 30-39 years, female 20.1
GTEX-11DZ1-0126-SM-5985Q 50-59 years, male 20.0
GTEX-1I1HK-0126-SM-COH49 60-69 years, male 20.0
GTEX-13U4I-0126-SM-5LU38 40-49 years, female 19.9
GTEX-16YQH-0126-SM-7DUFJ 30-39 years, male 19.9
GTEX-1EX96-1626-SM-7PBXR 50-59 years, male 19.9
GTEX-13X6H-2126-SM-7EWD5 50-59 years, female 19.8
GTEX-16NPX-0226-SM-79OMT 50-59 years, male 19.7
GTEX-OXRN-0126-SM-48TDM 50-59 years, male 19.7
GTEX-14A6H-0126-SM-5QGPK 30-39 years, male 19.6
GTEX-ZYFC-0226-SM-5NQ75 50-59 years, male 19.6
GTEX-131XW-0426-SM-5LZWP 50-59 years, female 19.5
GTEX-13G51-2526-SM-5LZYK 60-69 years, male 19.5
GTEX-1AYCT-2426-SM-7IGQ3 50-59 years, male 19.4
GTEX-11OF3-2626-SM-5GU7F 60-69 years, male 19.3
GTEX-13112-2826-SM-5DUWH 50-59 years, male 19.3
GTEX-13N1W-0126-SM-5K7VT 70-79 years, male 19.3
GTEX-144GL-0126-SM-5TDE2 50-59 years, male 19.3
GTEX-1H3VE-0326-SM-9YFLH 40-49 years, male 19.3
GTEX-1LB8K-0226-SM-EWRNW 50-59 years, male 19.3
GTEX-U8XE-0326-SM-3DB8P 30-39 years, male 19.1
GTEX-1212Z-2526-SM-5EGKP 60-69 years, male 19.0
GTEX-15G19-0126-SM-6PANQ 60-69 years, male 19.0
GTEX-17GQL-2026-SM-718BA 60-69 years, male 19.0
GTEX-T2YK-0526-SM-32QPJ 50-59 years, male 19.0
GTEX-WYVS-2126-SM-3NMA3 40-49 years, female 18.9
GTEX-1F6I4-0126-SM-9MQL2 60-69 years, male 18.9
GTEX-1IDJH-0326-SM-A9SLQ 70-79 years, male 18.9
GTEX-PWO3-1526-SM-48TCM 60-69 years, female 18.7
GTEX-1HUB1-0426-SM-E9U4U 60-69 years, male 18.7
GTEX-11OC5-0126-SM-5HL6A 60-69 years, male 18.6
GTEX-17HHY-0126-SM-7LG5D 50-59 years, male 18.5
GTEX-1HB9E-0226-SM-E9U4R 50-59 years, male 18.5
GTEX-1JMQK-0226-SM-CL543 60-69 years, male 18.5
GTEX-13RTL-0126-SM-7LG5S 40-49 years, male 18.4
GTEX-1JMQJ-0526-SM-CYPSU 50-59 years, male 18.4
GTEX-S7SE-0126-SM-2XCD5 50-59 years, male 18.3
GTEX-XUYS-0126-SM-47JWZ 50-59 years, male 18.2
GTEX-Y8E4-0626-SM-4WWDL 40-49 years, male 18.2
GTEX-1LBAC-0126-SM-DIPEZ 20-29 years, male 18.1
GTEX-14BMV-0126-SM-5S2PO 50-59 years, male 18.0
GTEX-PX3G-0126-SM-2I3EN 20-29 years, female 18.0
GTEX-Y8DK-0126-SM-4TT3L 60-69 years, male 18.0
GTEX-1GN2E-0426-SM-9MQKX 60-69 years, male 18.0
GTEX-147GR-0526-SM-5S2MY 60-69 years, male 17.9
GTEX-1313W-0126-SM-5LZUN 50-59 years, female 17.8
GTEX-ZY6K-1826-SM-5GZXK 50-59 years, male 17.7
GTEX-ZYT6-0226-SM-5NQ6T 30-39 years, male 17.7
GTEX-1H3VY-0126-SM-ACKXD 50-59 years, male 17.7
GTEX-1EMGI-0126-SM-9KNUE 60-69 years, male 17.6
GTEX-1KD5A-0226-SM-D5OV3 50-59 years, male 17.6
GTEX-13O3Q-2426-SM-5IJBR 50-59 years, male 17.5
GTEX-1KANB-0526-SM-E6CJH 50-59 years, male 17.5
GTEX-11ZVC-2526-SM-5FQTE 50-59 years, female 17.4
GTEX-1AX8Z-0126-SM-7DHM6 60-69 years, male 17.4
GTEX-T2IS-0126-SM-4DM6O 20-29 years, female 17.4
GTEX-ZE7O-0126-SM-57WC1 50-59 years, female 17.3
GTEX-ZEX8-2426-SM-4WKG4 50-59 years, male 17.3
GTEX-1399R-2726-SM-5IJBA 30-39 years, male 17.2
GTEX-15SHU-0126-SM-7KUEH 40-49 years, female 17.1
GTEX-X4EO-0326-SM-3P5YO 60-69 years, female 17.1
GTEX-1JN1M-0326-SM-CYPT3 60-69 years, female 17.1
GTEX-11O72-0126-SM-59887 40-49 years, male 17.0
GTEX-14DAQ-0126-SM-5S2MQ 60-69 years, female 16.9
GTEX-18A7A-0226-SM-718BH 50-59 years, female 16.9
GTEX-Q2AG-0126-SM-33HBV 40-49 years, female 16.9
GTEX-1I1GV-0526-SM-A9G29 60-69 years, male 16.9
GTEX-17KNJ-2326-SM-7DHLQ 50-59 years, male 16.8
GTEX-13O3P-0126-SM-5KM4S 50-59 years, male 16.7
GTEX-1IGQW-0126-SM-COH42 60-69 years, male 16.7
GTEX-1NV5F-0226-SM-E8VNY 60-69 years, female 16.7
GTEX-117XS-2726-SM-5N9BL 60-69 years, male 16.6
GTEX-17EVP-0326-SM-7DHLG 40-49 years, male 16.6
GTEX-12WSE-0526-SM-793B2 20-29 years, male 16.5
GTEX-13NYB-2526-SM-5K7Z6 40-49 years, male 16.5
GTEX-17HG3-2226-SM-7938L 30-39 years, female 16.5
GTEX-1EU9M-0226-SM-7P8SP 60-69 years, male 16.5
GTEX-1I1GR-0126-SM-CL55F 60-69 years, male 16.5
GTEX-11DXZ-2326-SM-5EGGV 50-59 years, male 16.4
GTEX-16XZY-2126-SM-79OK1 70-79 years, male 16.3
GTEX-R3RS-0126-SM-3GIJL 40-49 years, female 16.3
GTEX-113IC-0126-SM-5HL6T 60-69 years, male 16.2
GTEX-131XE-2326-SM-5PNZ2 50-59 years, male 16.2
GTEX-1HBPI-1526-SM-C1YQ1 50-59 years, male 16.2
GTEX-1QMI2-0226-SM-EVYBX 60-69 years, male 16.2
GTEX-1RB15-2126-SM-E9TIM 60-69 years, male 16.2
GTEX-12ZZX-0126-SM-5EGK9 40-49 years, female 16.1
GTEX-1A3MW-0126-SM-73KXX 60-69 years, female 16.1
GTEX-1IKJJ-0126-SM-CNPQB 60-69 years, male 16.1
GTEX-S7PM-0126-SM-4AD6S 60-69 years, male 16.0
GTEX-V1D1-2226-SM-3NMAX 50-59 years, male 16.0
GTEX-11NUK-0126-SM-5A5L3 50-59 years, male 15.8
GTEX-1GPI6-0126-SM-9WG69 60-69 years, male 15.8
GTEX-13SLX-0526-SM-5S2ON 50-59 years, female 15.7
GTEX-1A32A-0126-SM-718B1 50-59 years, female 15.7
GTEX-X638-0126-SM-47JZ8 70-79 years, female 15.7
GTEX-1KD4Q-0226-SM-E9TJ9 40-49 years, male 15.7
GTEX-X261-0126-SM-3NMD6 50-59 years, male 15.6
GTEX-ZUA1-0126-SM-5GU76 40-49 years, male 15.5
GTEX-1EN7A-0126-SM-7SB81 40-49 years, male 15.4
GTEX-1HSKV-0226-SM-A9SKJ 60-69 years, male 15.4
GTEX-1OJC4-0126-SM-E9J2E 50-59 years, female 15.4
GTEX-ZV68-0126-SM-59HKS 50-59 years, female 15.3
GTEX-1LC47-0326-SM-E9TJP 60-69 years, male 15.3
GTEX-1CB4E-2226-SM-793DC 60-69 years, male 15.2
GTEX-XMD2-0126-SM-4YCDU 60-69 years, female 15.2
GTEX-1F75A-0126-SM-7RHGM 50-59 years, male 15.2
GTEX-1J8EW-0126-SM-CJI4F 60-69 years, female 15.2
GTEX-11UD1-0126-SM-5PNYG 40-49 years, female 15.1
GTEX-13VXU-0126-SM-5SI9F 50-59 years, male 15.1
GTEX-1GF9W-0326-SM-9KNUN 60-69 years, male 15.1
GTEX-1I1GQ-0126-SM-COH3H 50-59 years, male 15.1
GTEX-1IY9M-0126-SM-D3L8S 60-69 years, male 15.1
GTEX-11UD2-0226-SM-5EQKY 50-59 years, male 15.0
GTEX-18465-0126-SM-731BN 50-59 years, male 15.0
GTEX-1F75B-0126-SM-9KNVL 50-59 years, male 14.9
GTEX-1I1GP-2226-SM-CGQFK 50-59 years, male 14.9
GTEX-11WQC-2526-SM-5CVLE 60-69 years, male 14.8
GTEX-ZVT3-0126-SM-5GU6I 60-69 years, female 14.8
GTEX-1EKGG-0226-SM-9WYTH 60-69 years, male 14.8
GTEX-1I1CD-0126-SM-CM2TK 60-69 years, female 14.8
GTEX-1H3NZ-0126-SM-ACKX7 60-69 years, male 14.7
GTEX-18A67-0126-SM-7LG5P 50-59 years, male 14.6
GTEX-SSA3-0126-SM-32QPU 60-69 years, male 14.6
GTEX-X585-0226-SM-4QAS2 50-59 years, male 14.6
GTEX-ZVZO-0126-SM-5A5L9 40-49 years, male 14.6
GTEX-1KWVE-1426-SM-E9TJO 30-39 years, male 14.6
GTEX-13W46-0226-SM-5SIAG 50-59 years, male 14.5
GTEX-17MF6-0126-SM-7LG4F 40-49 years, male 14.5
GTEX-PLZ5-2026-SM-2S1O4 50-59 years, male 14.5
GTEX-RUSQ-1526-SM-2TF62 50-59 years, male 14.5
GTEX-1F7RK-0126-SM-7PC2S 20-29 years, female 14.5
GTEX-11H98-0126-SM-5EGHG 50-59 years, male 14.4
GTEX-15DCD-0126-SM-7KUEK 70-79 years, female 14.4
GTEX-1A8FM-0226-SM-7SB7Q 50-59 years, female 14.3
GTEX-TMZS-0126-SM-3DB9Q 60-69 years, male 14.2
GTEX-1LGRB-2526-SM-CNPPQ 50-59 years, female 14.1
GTEX-11EI6-0126-SM-5985R 60-69 years, male 14.0
GTEX-1RQEC-0426-SM-E6CHU 60-69 years, male 14.0
GTEX-1192X-0226-SM-5H12D 50-59 years, male 13.9
GTEX-11NSD-2226-SM-5986V 20-29 years, male 13.9
GTEX-13N11-2526-SM-5K7UE 50-59 years, female 13.9
GTEX-X4XY-0226-SM-4E3IZ 60-69 years, male 13.9
GTEX-1EWIQ-0126-SM-7RHH2 70-79 years, female 13.9
GTEX-1GMRU-0126-SM-9YFLV 50-59 years, male 13.9
GTEX-NFK9-0226-SM-2HMKQ 40-49 years, male 13.8
GTEX-SNMC-1226-SM-2XCFP 20-29 years, male 13.8
GTEX-1H23P-0126-SM-ADEJ3 60-69 years, male 13.8
GTEX-111VG-2426-SM-5GZXD 60-69 years, male 13.7
GTEX-13SLW-0126-SM-5SI6C 70-79 years, male 13.7
GTEX-146FQ-0126-SM-5NQA9 30-39 years, male 13.7
GTEX-ZYW4-0126-SM-5E44A 60-69 years, male 13.6
GTEX-1HBPH-0426-SM-B2LW5 40-49 years, female 13.6
GTEX-1I19N-0326-SM-ACKVX 70-79 years, male 13.6
GTEX-13N2G-2626-SM-5J1OT 60-69 years, male 13.5
GTEX-OXRP-0126-SM-3NB32 60-69 years, female 13.5
GTEX-XXEK-2226-SM-4BRUM 50-59 years, male 13.5
GTEX-15EOM-0126-SM-7KUGG 20-29 years, female 13.4
GTEX-ZVE2-0226-SM-59HJB 50-59 years, male 13.4
GTEX-1GZHY-0326-SM-9QEHI 50-59 years, female 13.4
GTEX-1HBPM-0226-SM-ARL9F 60-69 years, female 13.4
GTEX-1HFI7-1826-SM-ACKXH 50-59 years, female 13.4
GTEX-147F4-0226-SM-5QGPW 50-59 years, male 13.2
GTEX-148VJ-0126-SM-5TDDN 70-79 years, male 13.2
GTEX-15ER7-0326-SM-7KUEV 20-29 years, female 13.2
GTEX-13NZA-0226-SM-5K7Z7 60-69 years, male 13.1
GTEX-144GN-2326-SM-5LU4F 50-59 years, male 13.1
GTEX-OIZH-0126-SM-2HMIS 50-59 years, male 13.1
GTEX-1H2FU-0126-SM-9WYSI 60-69 years, female 13.1
GTEX-OIZF-0126-SM-7SB8I 60-69 years, male 13.1
GTEX-11WQK-0526-SM-5EQLD 50-59 years, male 13.0
GTEX-13IVO-0126-SM-5J1NG 70-79 years, male 13.0
GTEX-1IKOH-0226-SM-COH4E 60-69 years, female 13.0
GTEX-1QAET-0926-SM-E76QM 50-59 years, male 13.0
GTEX-1QW4Y-1526-SM-EAZ3Z 30-39 years, male 13.0
GTEX-15UKP-0426-SM-7KUFQ 20-29 years, male 12.9
GTEX-R55E-0126-SM-2TC5Y 20-29 years, male 12.9
GTEX-S32W-2126-SM-2XCB1 50-59 years, female 12.9
GTEX-ZDXO-3026-SM-5J1N5 60-69 years, male 12.9
GTEX-ZXES-1826-SM-5E43S 30-39 years, female 12.9
GTEX-1MJK2-0426-SM-DTXE5 50-59 years, male 12.9
GTEX-1MCQQ-0826-SM-DLHC2 60-69 years, male 12.8
GTEX-1E1VI-0126-SM-7DHMZ 50-59 years, male 12.7
GTEX-QEG4-0226-SM-2S1PY 30-39 years, male 12.7
GTEX-1OJC3-0126-SM-E76QX 20-29 years, male 12.7
GTEX-1R9PM-2026-SM-E76OY 20-29 years, male 12.6
GTEX-17F97-0326-SM-7LG5B 50-59 years, male 12.5
GTEX-13QJ3-0326-SM-5S2RA 50-59 years, male 12.4
GTEX-OOBJ-0126-SM-E6CJW 60-69 years, male 12.4
GTEX-13YAN-0326-SM-5O9DF 60-69 years, male 12.3
GTEX-145LU-0126-SM-5TDCB 50-59 years, male 12.3
GTEX-15D1Q-0126-SM-7KUG6 40-49 years, male 12.3
GTEX-11ZU8-2526-SM-5EQKI 60-69 years, male 12.2
GTEX-17EVQ-0226-SM-7LG4P 70-79 years, male 12.2
GTEX-18A66-0226-SM-718BD 60-69 years, male 12.2
GTEX-WZTO-0126-SM-3NM95 40-49 years, male 12.2
GTEX-Z93T-0126-SM-5HL5N 50-59 years, male 12.2
GTEX-1JN6P-0126-SM-D3L98 60-69 years, male 12.2
GTEX-1RDX4-0126-SM-E9J4P 50-59 years, female 12.2
GTEX-1S82Y-2026-SM-EVYCM 40-49 years, male 12.2
GTEX-QDVN-2026-SM-3GAEP 50-59 years, male 12.1
GTEX-SJXC-0126-SM-2XCFF 60-69 years, male 12.1
GTEX-WFG8-2226-SM-3GIL9 20-29 years, male 12.1
GTEX-1GZ2Q-0226-SM-7P8TL 40-49 years, male 12.1
GTEX-148VI-1626-SM-5SI6E 60-69 years, female 12.0
GTEX-1C4CL-0526-SM-73KVK 30-39 years, male 12.0
GTEX-ZDTS-0126-SM-4WAY5 60-69 years, male 12.0
GTEX-ZQG8-1626-SM-DHXIT 60-69 years, female 12.0
GTEX-13113-5016-SM-7EPIP 60-69 years, female 11.9
GTEX-13X6I-0626-SM-5QGP9 60-69 years, male 11.9
GTEX-QDT8-0126-SM-48TZ1 30-39 years, female 11.9
GTEX-1GF9V-0326-SM-7RHI5 60-69 years, male 11.9
GTEX-RNOR-0126-SM-E9J4R 50-59 years, female 11.9
GTEX-11DYG-0126-SM-59883 60-69 years, male 11.8
GTEX-12WSC-0126-SM-5EQ4P 50-59 years, male 11.8
GTEX-1GN73-0226-SM-9WG67 60-69 years, male 11.8
GTEX-139T8-0126-SM-5K7XZ 60-69 years, male 11.7
GTEX-17HHE-2026-SM-79OKF 50-59 years, male 11.7
GTEX-13NYC-0326-SM-E9J4S 60-69 years, male 11.7
GTEX-145LS-0126-SM-5QGP1 60-69 years, female 11.6
GTEX-15DDE-0126-SM-6LPKH 50-59 years, female 11.5
GTEX-YFC4-0126-SM-5CVLY 40-49 years, female 11.5
GTEX-ZU9S-0226-SM-5E441 30-39 years, male 11.5
GTEX-ZVTK-0426-SM-51MRS 20-29 years, male 11.5
GTEX-1IE54-0126-SM-CMKHW 40-49 years, female 11.5
GTEX-11ZUS-0626-SM-59885 30-39 years, male 11.4
GTEX-131YS-0126-SM-5KM1M 60-69 years, female 11.4
GTEX-17F96-1626-SM-7DUFL 70-79 years, male 11.4
GTEX-X62O-0126-SM-4E3JN 50-59 years, male 11.4
GTEX-1I1GS-0126-SM-B2LVW 60-69 years, male 11.4
GTEX-11TTK-0126-SM-5987B 60-69 years, female 11.3
GTEX-15SB6-1726-SM-6PAME 50-59 years, female 11.3
GTEX-QVJO-1626-SM-2S1QW 60-69 years, female 11.3
GTEX-12126-0326-SM-5PNW3 20-29 years, male 11.2
GTEX-13OVK-2026-SM-7KUEO 40-49 years, male 11.2
GTEX-13OVL-0226-SM-5L3E9 50-59 years, male 11.2
GTEX-VJWN-0126-SM-3GIK7 50-59 years, female 11.2
GTEX-Y8LW-1826-SM-5S2MV 50-59 years, female 11.2
GTEX-13PDP-0126-SM-5L3HD 60-69 years, male 11.1
GTEX-XQ3S-1526-SM-4BOOC 20-29 years, male 11.1
GTEX-12696-2426-SM-5EQ6H 60-69 years, male 11.0
GTEX-12ZZY-0226-SM-5LZVE 60-69 years, male 11.0
GTEX-1314G-1526-SM-5EGK2 30-39 years, male 11.0
GTEX-ZVT4-0126-SM-DTXFN 50-59 years, female 11.0
GTEX-1K2DA-1826-SM-CGQGT 50-59 years, male 10.9
GTEX-18QFQ-0126-SM-731BE 30-39 years, male 10.8
GTEX-1HCU8-0626-SM-A9SM9 60-69 years, female 10.8
GTEX-1JMPZ-0226-SM-CNPP1 30-39 years, male 10.8
GTEX-ZPIC-1726-SM-DHXIU 40-49 years, female 10.8
GTEX-OOBK-0126-SM-2YUND 40-49 years, male 10.7
GTEX-14E7W-0126-SM-6LLJ9 70-79 years, male 10.6
GTEX-1B8KZ-2026-SM-7DHMB 50-59 years, male 10.6
GTEX-Q2AI-1326-SM-2S1PL 40-49 years, male 10.6
GTEX-145MF-0626-SM-5LUAI 50-59 years, male 10.5
GTEX-15RIG-0226-SM-7KFTL 40-49 years, male 10.5
GTEX-139D8-0226-SM-5KLZO 30-39 years, female 10.4
GTEX-1A3MX-0126-SM-731BR 60-69 years, male 10.4
GTEX-1C2JI-1826-SM-73KXC 50-59 years, male 10.4
GTEX-1R9PO-2126-SM-E9J4O 60-69 years, female 10.4
GTEX-139TT-0126-SM-5K7Y5 60-69 years, male 10.3
GTEX-1GMR3-1926-SM-9KNUZ 40-49 years, male 10.3
GTEX-1KAFJ-2026-SM-CY8ID 50-59 years, male 10.3
GTEX-Y5LM-1926-SM-5RQJH 40-49 years, female 10.2
GTEX-ZXG5-0126-SM-5GIEU 60-69 years, male 10.2
GTEX-1HSMO-0126-SM-CL547 60-69 years, male 10.2
GTEX-1JJE9-0326-SM-CL53Z 70-79 years, male 10.2
GTEX-1S83E-0126-SM-EWRO4 40-49 years, male 10.2
GTEX-11DXY-2626-SM-5GIE7 60-69 years, male 10.1
GTEX-11EMC-2926-SM-5EQ4F 60-69 years, female 10.1
GTEX-15SDE-2226-SM-7IGLO 50-59 years, female 10.1
GTEX-X4XX-0126-SM-3NMC2 60-69 years, male 10.1
GTEX-ZAB5-1826-SM-5HL7C 50-59 years, male 10.1
GTEX-1CB4H-0226-SM-7PBXM 60-69 years, female 10.1
GTEX-1H1DG-0126-SM-9WYU2 70-79 years, male 10.1
GTEX-R45C-0126-SM-EAZ2R 60-69 years, female 10.1
GTEX-12KS4-0326-SM-5EQ41 30-39 years, male 10.0
GTEX-139TS-2826-SM-5J1OO 60-69 years, male 10.0
GTEX-1497J-2426-SM-7IGNX 60-69 years, male 10.0
GTEX-183FY-0126-SM-7LT9P 20-29 years, male 10.0
GTEX-1ICLY-0126-SM-D4P36 50-59 years, male 9.9
GTEX-1KXAM-2226-SM-CYPTC 60-69 years, male 9.9
GTEX-11EQ9-2426-SM-5HL5T 30-39 years, male 9.8
GTEX-12WSD-0126-SM-59HKN 60-69 years, female 9.8
GTEX-O5YT-0126-SM-48TBW 20-29 years, male 9.8
GTEX-UPJH-0326-SM-3GADU 50-59 years, male 9.8
GTEX-RVPV-0126-SM-EAZAW 60-69 years, male 9.8
GTEX-14E6D-0126-SM-62LDV 50-59 years, male 9.7
GTEX-13FTY-0526-SM-5L3EV 40-49 years, female 9.6
GTEX-OHPL-0126-SM-2HMJ7 60-69 years, female 9.6
GTEX-P4QT-0126-SM-2I3FL 50-59 years, female 9.6
GTEX-U3ZH-2026-SM-3DB78 30-39 years, male 9.6
GTEX-1GF9U-2126-SM-7SB7L 40-49 years, female 9.6
GTEX-1I1GT-0626-SM-CGQER 60-69 years, female 9.6
GTEX-13D11-2426-SM-5KM1V 50-59 years, female 9.4
GTEX-1LH75-2426-SM-E9TJE 50-59 years, female 9.4
GTEX-13OW8-1326-SM-5J1OW 60-69 years, male 9.3
GTEX-ZVT2-2526-SM-51MT1 50-59 years, female 9.3
GTEX-ZYY3-0126-SM-5GZY5 60-69 years, female 9.3
GTEX-139T4-0226-SM-5HL5S 50-59 years, female 9.2
GTEX-146FH-0126-SM-5QGPP 50-59 years, female 9.2
GTEX-P44H-0226-SM-2XCEU 40-49 years, male 9.2
GTEX-T5JC-0426-SM-32PLO 20-29 years, male 9.2
GTEX-1IL2V-0126-SM-CM2TX 70-79 years, male 9.2
GTEX-1128S-2326-SM-5GZZY 60-69 years, female 9.1
GTEX-12WSL-2526-SM-5GCNJ 50-59 years, male 9.1
GTEX-131XH-2226-SM-5DUXJ 50-59 years, male 9.0
GTEX-15UF6-0826-SM-6PALJ 70-79 years, female 9.0
GTEX-QV44-1926-SM-2S1RF 50-59 years, male 9.0
GTEX-12WSN-5019-SM-79OM6 40-49 years, male 8.9
GTEX-12ZZZ-0626-SM-5DUXI 60-69 years, male 8.9
GTEX-14C5O-0126-SM-5SI6N 60-69 years, male 8.9
GTEX-17HGU-0226-SM-7DHKV 50-59 years, male 8.9
GTEX-RU72-0926-SM-2TF6B 50-59 years, female 8.9
GTEX-Y5V5-2326-SM-4V6GA 60-69 years, female 8.9
GTEX-1GN1U-0126-SM-7PBZK 50-59 years, female 8.9
GTEX-1JMOU-1526-SM-CL54I 60-69 years, female 8.9
GTEX-11GSO-2426-SM-5A5LY 60-69 years, male 8.8
GTEX-14LLW-0126-SM-6LLIO 70-79 years, female 8.8
GTEX-1F6RS-0126-SM-9MQKZ 60-69 years, female 8.8
GTEX-1399U-2326-SM-5K7WY 50-59 years, female 8.7
GTEX-13JUV-2726-SM-5LZZ8 40-49 years, female 8.7
GTEX-17EUY-0426-SM-793BD 20-29 years, male 8.7
GTEX-1AX9I-0126-SM-7SB74 60-69 years, male 8.7
GTEX-11P81-2326-SM-59875 30-39 years, female 8.6
GTEX-P4PP-0126-SM-3LK69 30-39 years, female 8.6
GTEX-P4PQ-0126-SM-2S1NM 60-69 years, male 8.6
GTEX-TML8-1926-SM-32QOS 40-49 years, female 8.6
GTEX-1PIGE-0126-SM-EVYBJ 20-29 years, male 8.6
GTEX-1122O-2126-SM-5EGIR 60-69 years, female 8.5
GTEX-ZYFG-2326-SM-5E44B 60-69 years, female 8.5
GTEX-1I6K6-0126-SM-A9SLE 30-39 years, male 8.5
GTEX-PW2O-1526-SM-7RHHB 20-29 years, male 8.5
GTEX-13OVI-1426-SM-5L3EY 60-69 years, female 8.4
GTEX-14A5I-0126-SM-5TDEA 50-59 years, female 8.4
GTEX-14BIM-0226-SM-7IGLD 60-69 years, female 8.4
GTEX-17MFQ-1726-SM-793C7 20-29 years, male 8.2
GTEX-NPJ8-0126-SM-2YUNR 40-49 years, male 8.2
GTEX-1H1ZS-0426-SM-9WG6G 70-79 years, male 8.2
GTEX-1LG7Y-0526-SM-DKPQC 50-59 years, male 8.2
GTEX-1QCLY-0326-SM-E8VOG 30-39 years, male 8.2
GTEX-11P82-1626-SM-59879 20-29 years, male 8.1
GTEX-14PHW-0126-SM-6LLJI 60-69 years, female 8.1
GTEX-RN64-0126-SM-2TC68 50-59 years, male 8.1
GTEX-1JMQL-0226-SM-CNPP5 50-59 years, female 8.1
GTEX-13111-1626-SM-5EGJY 50-59 years, male 8.0
GTEX-Q2AH-1626-SM-3GAF8 40-49 years, male 8.0
GTEX-ZGAY-0526-SM-4WWBB 40-49 years, female 8.0
GTEX-1H1DE-2126-SM-9WG6R 20-29 years, male 8.0
GTEX-1HGF4-2426-SM-ACKXM 60-69 years, male 8.0
GTEX-13OVG-1926-SM-5L3DK 60-69 years, male 7.9
GTEX-15EU6-0426-SM-6PAN5 50-59 years, male 7.9
GTEX-16MT8-0426-SM-7KUEY 60-69 years, female 7.9
GTEX-ZWKS-0126-SM-5SIAA 30-39 years, male 7.9
GTEX-1ICG6-2526-SM-CGQFZ 70-79 years, female 7.9
GTEX-147F3-0526-SM-5SI98 50-59 years, female 7.8
GTEX-15F5U-1526-SM-6PANO 40-49 years, male 7.8
GTEX-XBED-2226-SM-47JYQ 60-69 years, male 7.8
GTEX-ZAB4-0226-SM-5N9F5 40-49 years, male 7.8
GTEX-1IKK5-0626-SM-ARL8A 60-69 years, male 7.8
GTEX-1JKYN-1326-SM-CGQG9 30-39 years, male 7.8
GTEX-1PDJ9-0326-SM-DTX95 20-29 years, male 7.8
GTEX-UJHI-1526-SM-3DB99 50-59 years, female 7.7
GTEX-1HSGN-0226-SM-CGQFV 40-49 years, female 7.7
GTEX-1JMLX-0226-SM-CM2RO 50-59 years, male 7.7
GTEX-14PHX-2326-SM-62LEM 50-59 years, male 7.6
GTEX-1B8KE-2126-SM-73KYX 50-59 years, male 7.6
GTEX-T5JW-1626-SM-3GADZ 20-29 years, female 7.6
GTEX-XYKS-2126-SM-4E3IB 60-69 years, female 7.6
GTEX-YEC4-2126-SM-5IFJH 40-49 years, male 7.6
GTEX-131XF-5016-SM-7MGWE 60-69 years, male 7.6
GTEX-1JKYR-0126-SM-CNPOJ 20-29 years, male 7.6
GTEX-1KANC-1526-SM-D3LAB 50-59 years, female 7.6
GTEX-S95S-1226-SM-4GICG 60-69 years, male 7.5
GTEX-WQUQ-0426-SM-3MJFU 60-69 years, male 7.5
GTEX-W5WG-1826-SM-4KL2Y 50-59 years, female 7.4
GTEX-1GZ4H-1726-SM-7PBZJ 50-59 years, female 7.4
GTEX-11P7K-2126-SM-5GU7G 30-39 years, male 7.3
GTEX-13NZ8-0826-SM-5MR3I 60-69 years, female 7.3
GTEX-QLQW-1126-SM-2S1Q8 30-39 years, male 7.3
GTEX-1QP67-1626-SM-EAZ3X 40-49 years, female 7.3
GTEX-11ZTS-0126-SM-5EQ6M 60-69 years, female 7.2
GTEX-13CF3-2426-SM-5IFGX 60-69 years, female 7.2
GTEX-145MN-2226-SM-5SIAU 30-39 years, male 7.2
GTEX-1F52S-0126-SM-9MQJU 60-69 years, female 7.1
GTEX-1HCUA-2426-SM-ADEIS 50-59 years, female 7.1
GTEX-1LSNM-1926-SM-E6CII 50-59 years, male 7.1
GTEX-1MUQO-0126-SM-EAZ58 60-69 years, male 7.1
GTEX-1R7EV-2426-SM-EVYBG 40-49 years, male 7.1
GTEX-XAJ8-0826-SM-47JY6 40-49 years, male 7.0
GTEX-1RAZQ-0726-SM-EAZ43 30-39 years, male 7.0
GTEX-17F98-0626-SM-79OMX 40-49 years, female 6.9
GTEX-RTLS-0126-SM-447CA 60-69 years, female 6.9
GTEX-RWS6-2026-SM-2XCB5 60-69 years, female 6.9
GTEX-Y3I4-2126-SM-4TT7C 50-59 years, male 6.9
GTEX-1I4MK-2226-SM-ACKWD 50-59 years, female 6.9
GTEX-1QP66-1726-SM-E8VO1 50-59 years, male 6.9
GTEX-ZZPT-0226-SM-5E43X 50-59 years, male 6.8
GTEX-1IDJF-0126-SM-CM2RS 20-29 years, male 6.8
GTEX-PLZ4-0126-SM-5SI8O 50-59 years, female 6.7
GTEX-ZDTT-2726-SM-4WKF8 60-69 years, male 6.7
GTEX-PSDG-0226-SM-DKPOZ 50-59 years, male 6.7
GTEX-14PN4-0126-SM-6EU2V 50-59 years, male 6.6
GTEX-1C475-1826-SM-73KWA 40-49 years, female 6.6
GTEX-1LG7Z-1726-SM-D3LA4 30-39 years, male 6.6
GTEX-1M5QR-1226-SM-EWROB 40-49 years, male 6.6
GTEX-11DXX-2426-SM-5GZZW 60-69 years, female 6.5
GTEX-12WSA-0226-SM-5BC5V 60-69 years, male 6.5
GTEX-16AAH-1726-SM-7939C 50-59 years, male 6.5
GTEX-1CAMQ-0226-SM-7IGPK 40-49 years, male 6.5
GTEX-O5YW-0126-SM-3LK6D 50-59 years, male 6.5
GTEX-U8T8-0126-SM-3DB94 60-69 years, male 6.5
GTEX-14XAO-2326-SM-6EU1B 60-69 years, female 6.4
GTEX-13S7M-0126-SM-5SI6A 60-69 years, female 6.3
GTEX-14PK6-1926-SM-6ETZU 70-79 years, female 6.3
GTEX-1B996-0226-SM-7RHGO 60-69 years, male 6.3
GTEX-1R46S-0626-SM-E9J41 60-69 years, female 6.3
GTEX-18A7B-0126-SM-7LG64 70-79 years, male 6.2
GTEX-OXRO-0126-SM-2YUN4 60-69 years, female 6.2
GTEX-T8EM-1026-SM-3DB7M 40-49 years, male 6.2
GTEX-1J1R8-1726-SM-ARL8M 40-49 years, male 6.2
GTEX-13FTW-2626-SM-5K7WL 40-49 years, male 6.1
GTEX-XBEW-0626-SM-4QASP 40-49 years, male 6.1
GTEX-1R7EU-0226-SM-EVR4G 60-69 years, male 6.1
GTEX-139TU-0126-SM-5K7WH 60-69 years, male 6.0
GTEX-1AMEY-1326-SM-73KYK 30-39 years, female 5.9
GTEX-1GL5R-1826-SM-9KNUY 50-59 years, male 5.9
GTEX-1HCU6-0126-SM-CL54K 60-69 years, female 5.9
GTEX-1HCVE-0126-SM-CGQEU 50-59 years, male 5.9
GTEX-1QP9N-1426-SM-DTXFL 30-39 years, male 5.9
GTEX-1QPFJ-0226-SM-E76PB 30-39 years, female 5.9
GTEX-12WSJ-1826-SM-5GCNY 40-49 years, female 5.8
GTEX-13O21-1426-SM-5K7XI 50-59 years, male 5.8
GTEX-14753-0426-SM-5NQAM 60-69 years, male 5.8
GTEX-14PII-0226-SM-6EU1T 60-69 years, male 5.8
GTEX-14PJM-0226-SM-62LF1 50-59 years, female 5.8
GTEX-1RAZA-0126-SM-E6CI3 20-29 years, male 5.8
GTEX-11VI4-1726-SM-5CVLH 40-49 years, female 5.7
GTEX-U3ZN-2326-SM-3DB7W 30-39 years, female 5.7
GTEX-13O3O-0126-SM-E9J49 60-69 years, female 5.7
GTEX-13OW5-0126-SM-DTXFS 60-69 years, male 5.7
GTEX-1HSMQ-1226-SM-CGQFX 50-59 years, male 5.7
GTEX-1IDFM-0126-SM-COH2V 60-69 years, male 5.7
GTEX-1JMPY-1326-SM-ARL8Y 30-39 years, male 5.7
GTEX-13RTJ-2426-SM-5S2Q2 60-69 years, male 5.6
GTEX-14BIL-0126-SM-5SI92 50-59 years, male 5.6
GTEX-14JG6-2226-SM-6EU2G 30-39 years, female 5.6
GTEX-15CHC-2126-SM-6EU21 60-69 years, female 5.6
GTEX-ZTX8-1426-SM-5DUVO 20-29 years, male 5.6
GTEX-1PPH8-0226-SM-E8VND 20-29 years, male 5.6
GTEX-SUCS-1926-SM-32PM3 70-79 years, male 5.4
GTEX-TKQ1-1026-SM-4GICL 30-39 years, male 5.4
GTEX-1J1OQ-0226-SM-CYPSH 40-49 years, female 5.4
GTEX-1MGNQ-0126-SM-EVYCJ 40-49 years, male 5.4
GTEX-TSE9-0126-SM-3DB83 60-69 years, female 5.3
GTEX-1GTWX-0126-SM-9YFLK 60-69 years, male 5.3
GTEX-1HCU9-1526-SM-A9SL7 20-29 years, male 5.3
GTEX-1MA7W-2026-SM-E9TJ6 20-29 years, female 5.3
GTEX-1QP2A-0126-SM-E9J43 50-59 years, male 5.3
GTEX-1211K-2026-SM-5EQ4Z 60-69 years, female 5.2
GTEX-OXRL-0126-SM-2YUMP 50-59 years, male 5.2
GTEX-169BO-1326-SM-9MQK2 50-59 years, male 5.2
GTEX-1F5PK-2426-SM-7RHHY 50-59 years, male 5.2
GTEX-1JJ6O-0126-SM-E6CI8 60-69 years, male 5.2
GTEX-145LV-2126-SM-5LU8N 50-59 years, male 5.1
GTEX-XQ8I-0426-SM-4BOPO 50-59 years, male 5.1
GTEX-1H1E6-1726-SM-ACKVK 30-39 years, male 5.1
GTEX-1PPH7-2326-SM-EVYB8 40-49 years, male 5.1
GTEX-14LZ3-0226-SM-62LET 60-69 years, female 5.0
GTEX-18D9B-0526-SM-7LTAS 60-69 years, male 5.0
GTEX-1HKZK-0326-SM-9WYUH 40-49 years, male 5.0
GTEX-1HSEH-0126-SM-ACKXN 60-69 years, male 5.0
GTEX-145LT-1726-SM-5QGP3 40-49 years, male 4.9
GTEX-SN8G-0126-SM-32PLI 50-59 years, female 4.9
GTEX-ZF28-0126-SM-4WKGK 60-69 years, male 4.9
GTEX-14PJ6-2126-SM-6EU1V 60-69 years, female 4.8
GTEX-WFON-2126-SM-3LK7O 40-49 years, male 4.8
GTEX-YB5E-2026-SM-5IFIS 40-49 years, male 4.8
GTEX-ZTSS-1926-SM-57WEW 40-49 years, male 4.8
GTEX-1E2YA-0126-SM-9KNUC 50-59 years, male 4.8
GTEX-1HSMP-0126-SM-E6CJS 70-79 years, male 4.8
GTEX-1JK1U-2026-SM-CM2RZ 60-69 years, male 4.8
GTEX-12WSK-2326-SM-5GCOH 40-49 years, female 4.7
GTEX-14PN3-2426-SM-6LLHS 60-69 years, female 4.7
GTEX-WXYG-2326-SM-4E3I6 50-59 years, female 4.7
GTEX-146FR-1326-SM-E9J48 60-69 years, female 4.7
GTEX-12C56-1726-SM-5EQ61 20-29 years, male 4.6
GTEX-1AX9K-2326-SM-73KWU 50-59 years, male 4.6
GTEX-U412-0426-SM-3DB9O 60-69 years, male 4.6
GTEX-14ICK-0226-SM-6EU25 40-49 years, male 4.5
GTEX-OHPM-0126-SM-2YUN9 50-59 years, male 4.5
GTEX-QCQG-1726-SM-3GIJ9 50-59 years, female 4.5
GTEX-QDVJ-1726-SM-2I5FX 50-59 years, male 4.5
GTEX-ZDYS-2026-SM-5HL5L 50-59 years, male 4.5
GTEX-ZVZP-2426-SM-59HKJ 50-59 years, male 4.5
GTEX-1F75I-0326-SM-9YFLU 40-49 years, male 4.5
GTEX-PLZ6-1426-SM-DKPOT 30-39 years, male 4.5
GTEX-145MO-0326-SM-5Q5B3 60-69 years, male 4.4
GTEX-14DAR-2026-SM-5S2O3 50-59 years, male 4.4
GTEX-18D9A-1926-SM-7LG6P 30-39 years, female 4.4
GTEX-18D9U-0226-SM-718BP 40-49 years, male 4.4
GTEX-YB5K-2126-SM-4WWDJ 40-49 years, female 4.4
GTEX-ZQUD-1426-SM-57WER 30-39 years, male 4.4
GTEX-1K2DU-2326-SM-E9TIV 20-29 years, male 4.4
GTEX-1LGOU-2026-SM-DIPFF 20-29 years, female 4.4
GTEX-1MCYP-1926-SM-E9J2R 20-29 years, female 4.4
GTEX-15ETS-0126-SM-7KUMW 40-49 years, female 4.3
GTEX-ZZ64-1726-SM-5GZYB 20-29 years, male 4.3
GTEX-1J8QM-2126-SM-CYPSJ 60-69 years, female 4.3
GTEX-1S3DN-2226-SM-EVYCD 50-59 years, male 4.3
GTEX-117YX-2326-SM-5H12W 50-59 years, male 4.2
GTEX-11LCK-1026-SM-5A5KB 30-39 years, male 4.2
GTEX-14PJ3-1826-SM-62LEX 50-59 years, male 4.2
GTEX-R55G-2526-SM-2TC6D 40-49 years, female 4.2
GTEX-Y5V6-2426-SM-4VDSB 60-69 years, male 4.2
GTEX-1LVAN-0226-SM-COH3S 50-59 years, female 4.2
GTEX-SE5C-1626-SM-2XCE3 40-49 years, female 4.2
GTEX-139UW-2826-SM-5L3E7 60-69 years, male 4.1
GTEX-17HII-0226-SM-7LG4E 50-59 years, male 4.1
GTEX-1CB4I-0226-SM-79OLH 50-59 years, male 4.1
GTEX-OXRK-0226-SM-3NB2G 50-59 years, female 4.1
GTEX-XPVG-2626-SM-4B669 50-59 years, male 4.1
GTEX-1KANA-0726-SM-D3L9I 20-29 years, male 4.1
GTEX-1QP29-0626-SM-EWRMX 50-59 years, male 4.1
GTEX-1C6VS-0526-SM-7DUEN 60-69 years, male 4.0
GTEX-QLQ7-1626-SM-2S1R8 60-69 years, male 4.0
GTEX-13FH7-2026-SM-E9J4I 50-59 years, female 4.0
GTEX-PWCY-1826-SM-DHXIZ 20-29 years, female 4.0
GTEX-11XUK-2026-SM-5EQLF 40-49 years, female 3.9
GTEX-16BQI-0226-SM-7KUEX 30-39 years, female 3.9
GTEX-1AMFI-2026-SM-731BH 50-59 years, female 3.9
GTEX-1B97I-1626-SM-73KYO 40-49 years, male 3.9
GTEX-Z9EW-1626-SM-5CVMN 40-49 years, male 3.9
GTEX-ZV6S-2326-SM-4YCEY 40-49 years, female 3.9
GTEX-1GN1W-0526-SM-9MQJQ 50-59 years, female 3.9
GTEX-1NHNU-1026-SM-E9J2A 50-59 years, male 3.9
GTEX-13FTX-1826-SM-5J1NX 20-29 years, female 3.8
GTEX-13OW6-0426-SM-5L3HM 50-59 years, male 3.8
GTEX-13PVR-2326-SM-5QGR1 60-69 years, female 3.8
GTEX-13W3W-2426-SM-5LU5B 60-69 years, female 3.8
GTEX-14E6E-1826-SM-5S2R7 30-39 years, male 3.8
GTEX-16NGA-1726-SM-731B4 40-49 years, female 3.8
GTEX-XUW1-0426-SM-4BOOT 50-59 years, female 3.8
GTEX-1J8Q3-1626-SM-CMKGC 60-69 years, male 3.8
GTEX-1AX9J-0226-SM-73KXM 60-69 years, male 3.7
GTEX-1CB4J-0626-SM-7DHMP 60-69 years, male 3.7
GTEX-X5EB-2226-SM-46MW4 40-49 years, male 3.7
GTEX-1S82Z-0826-SM-E6CHY 30-39 years, female 3.7
GTEX-1CAMR-1926-SM-7EPI2 20-29 years, male 3.6
GTEX-1IDJU-2626-SM-CM2RT 60-69 years, female 3.6
GTEX-T6MO-1626-SM-32QOM 40-49 years, female 3.5
GTEX-WYJK-0126-SM-3NMAB 50-59 years, male 3.5
GTEX-1C64O-0126-SM-7SB8P 60-69 years, male 3.5
GTEX-1F5PL-0326-SM-7P8PQ 40-49 years, female 3.5
GTEX-1N2DV-0226-SM-E6CJ6 40-49 years, male 3.5
GTEX-1S5ZA-0126-SM-EVYCV 20-29 years, male 3.5
GTEX-RM2N-1426-SM-2TF4H 50-59 years, male 3.4
GTEX-WH7G-2326-SM-3NMBC 40-49 years, male 3.4
GTEX-1CAV2-2226-SM-7P8P2 40-49 years, female 3.4
GTEX-1CAMS-0426-SM-7P8T2 40-49 years, female 3.3
GTEX-1OFPY-2426-SM-DTXEJ 60-69 years, male 3.3
GTEX-11ZTT-2426-SM-5EQLS 60-69 years, female 3.2
GTEX-131XG-2626-SM-5KM17 50-59 years, female 3.2
GTEX-13VXT-0126-SM-5LU4I 20-29 years, female 3.2
GTEX-XUZC-1726-SM-4BRWS 30-39 years, female 3.2
GTEX-1A3MV-1926-SM-718BT 30-39 years, male 3.1
GTEX-U3ZM-1526-SM-3DB9D 40-49 years, male 3.1
GTEX-U4B1-1826-SM-4DXSU 40-49 years, male 3.1
GTEX-1GPI7-0126-SM-9MQL8 20-29 years, male 3.1
GTEX-1HBPN-0226-SM-9YFM1 50-59 years, male 3.1
GTEX-1J8Q2-0526-SM-CM2RW 60-69 years, male 3.0
GTEX-WRHK-1426-SM-3MJF9 20-29 years, female 2.7
GTEX-WY7C-2326-SM-3NB2U 50-59 years, male 2.6
GTEX-133LE-1826-SM-5J1MV 20-29 years, female 2.5
GTEX-ZF29-2326-SM-DO92K 60-69 years, female 2.5
GTEX-11EM3-2426-SM-59861 20-29 years, female 2.3
GTEX-TMMY-0226-SM-33HBA 40-49 years, female 2.3
GTEX-Y114-2426-SM-4TT8A 50-59 years, female 2.3
GTEX-13RTK-1426-SM-5QGQJ 20-29 years, male 2.2
GTEX-145ME-1826-SM-5SI9G 40-49 years, female 2.2
GTEX-14BMU-2226-SM-5TDE9 20-29 years, female 2.2
GTEX-1PFEY-1526-SM-E76PP 30-39 years, male 2.2
GTEX-1I1GU-2226-SM-CGQFA 40-49 years, male 2.1
Show allShow less

Contact

  • NEWS ARTICLES
  • PRESS ROOM

The Project

  • INTRODUCTION
  • ORGANIZATION
  • PUBLICATIONS

The Human Protein Atlas

  • DOWNLOADABLE DATA
  • LICENCE & CITATION
  • HELP & FAQ
The Human Protein Atlas project is funded
by the Knut & Alice Wallenberg Foundation.


contact@proteinatlas.org