We use cookies to enhance the usability of our website. If you continue, we'll assume that you are happy to receive all cookies. More information. Don't show this again.
ACOT9
HPA
RESOURCES
  • TISSUE
  • BRAIN
  • SINGLE CELL
  • SUBCELLULAR
  • CANCER
  • BLOOD
  • CELL LINE
  • STRUCTURE & INTERACTION
ABOUT
  • INTRODUCTION
  • HISTORY
  • ORGANIZATION
  • PUBLICATIONS
  • ANTIBODY SUBMISSION
  • ANTIBODY AVAILABILITY
  • ACKNOWLEDGMENTS
  • CONTACT
NEWS
  • NEWS ARTICLES
  • PRESS ROOM
LEARN
  • DICTIONARY
  • PROTEIN CLASSES
  • PROTEIN EVIDENCE
  • METHODS
  • EDUCATIONAL VIDEOS
DATA
  • DOWNLOADABLE DATA
  • PUBLICATION DATA
  • RELEASE HISTORY
HELP
  • ANTIBODY VALIDATION
  • ASSAYS & ANNOTATION
  • DISCLAIMER
  • HELP & FAQ
  • PRIVACY STATEMENT
  • LICENCE & CITATION
Fields »
Search result

Field
Term
Gene name
Class
Subclass
Class
Keyword
Chromosome
External id
Tissue
Cell type
Expression
Antibody panel
Tissue
Main location
Patient ID
Annotation
Tissue
Category
Tau score
Cluster
Reliability
Brain region
Category
Tau score
Brain region
Category
Tau score
Brain region
Category
Tau score
Cluster
Reliability
Tissue
Cell type
Enrichment
Cell type
Category
Tau score
Cell type
Category
Tau score
Cell type
Category
Tau score
Cell lineage
Category
Tau score
Cluster
Cluster
Location
Searches
Location
Cell line
Class
Type
Phase
Reliability
Cancer
Prognosis
Cancer
Category
Cancer
Category
Tau score
Cluster
Variants
Interacting gene (ensg_id)
Type
Number of interactions
Pathway
Category
Score
Score
Score
Validation
Validation
Validation
Validation
Antibodies
Data type
Column


  • SUMMARY

  • TISSUE

  • BRAIN

  • SINGLE CELL

  • SUBCELL

  • CANCER

  • BLOOD

  • CELL LINE

  • STRUCT & INT

  • ACOT9
TISSUE PRIMARY DATA HEART MUSCLE Show tissue menu
ADIPOSE TISSUE ADRENAL GLAND AMYGDALA APPENDIX BASAL GANGLIA BONE MARROW BREAST BRONCHUS CEREBELLUM CEREBRAL CORTEX CERVIX CHOROID PLEXUS COLON DUODENUM
ENDOMETRIUM EPIDIDYMIS ESOPHAGUS FALLOPIAN TUBE GALLBLADDER HEART MUSCLE HIPPOCAMPAL FORMATION HYPOTHALAMUS KIDNEY LIVER LUNG LYMPH NODE MIDBRAIN NASOPHARYNX
ORAL MUCOSA OVARY PANCREAS PARATHYROID GLAND PITUITARY GLAND PLACENTA PROSTATE RECTUM RETINA SALIVARY GLAND SEMINAL VESICLE SKELETAL MUSCLE SKIN SMALL INTESTINE
SMOOTH MUSCLE SOFT TISSUE SPINAL CORD SPLEEN STOMACH TESTIS THYMUS THYROID GLAND TONGUE TONSIL URINARY BLADDER VAGINA
ANTIBODIES
AND
VALIDATION
Dictionary
Heart muscle
Tissue proteome
Heart
HEART MUSCLE - Expression summary
Protein expression
Heart musclei

On the top, protein expression in current human tissue, based on all annotated cell types, is reported with the units not detected (n), low (l), medium (m) and high (h). Underneath, protein expression in each annotated cell type are reported using the same units.

Protein expression data is based on knowledge-based annotation. For genes where more than one antibody has been used, a collective score is set.

If knowledge-based annotation could not be performed for a gene, no data is displayed here. View antibody staining data further down this page.

h
m
l
n
Cardiomyocytes: Medium
RNA expressioni

A summary of mRNA expression data available for current tissue based on several datasets. The mRNA expression levels in human tissues are based on RNA-seq data generated by the Human Protein Atlas (HPA), Genotype-Tissue Expression (GTEx) portal and CAGE data generated by the FANTOM5 consortium. Consensus normalized expression levels for human tissues was created by combining the data from HPA and GTEx datasets.

The mRNA expression levels in pig are based on RNA-seq data generated by the Human Protein Atlas (HPA), and for mouse, HPA data and in situ hybridization generated by the Allen brain atlas are reported.

Scroll down to view mRNA expression data in more detail.
Consensus:47.5 nTPM
HPA:47.5 nTPM
GTEx:37.6 nTPM
FANTOM5:117.4 Scaled Tags Per Million

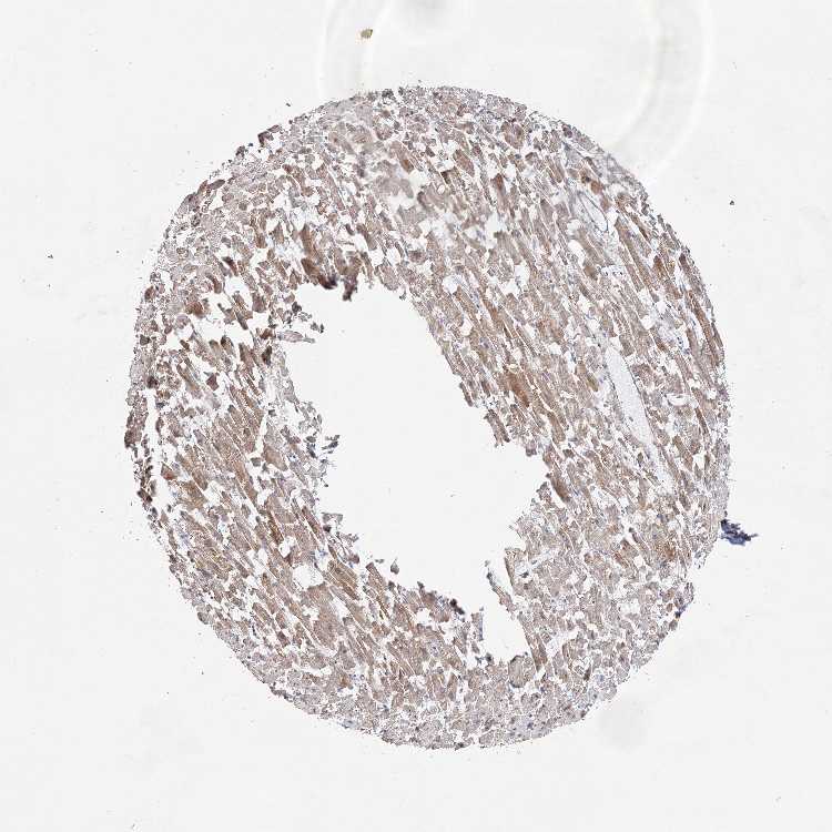
HEART MUSCLE - Antibody stainingi

Antibody staining in the annotated cell types in the current human tissue is reported as not detected, low, medium, or high, based on conventional immunohistochemistry profiling in selected tissues. This score is based on the combination of the staining intensity and fraction of stained cells.

Each image is clickable and will lead to virtual microscopy that enables deeper exploration of all samples and also displays staining intensity scores, fraction scores and subcellular localization as well as patient and tissue information for each sample.

Antibody HPA035533
Cardiomyocytes Medium



HEART MUSCLE - HPA RNA-seqi

The RNA-seq details section shows detailed information about the individual samples used for the transcript profiling and results of the RNA-seq analysis.

Information about each individual sample is listed below, including gender, age, a tissue section image and estimated fractions of cell types. nTPM (normalized transcripts per million) values give a quantification of the gene abundance which is comparable between different genes and samples.
Average nTPMi

Max subtype nTPM is the value for the subtype with the largest average nTPM across the subtype samples.

47.5
overview
Female, age 48
Heart muscle sample 149
nTPM: 68
Cell types%
Myocytes:
15

Fibroblasts:
55

Endothelial cells:
25

Other cell types:
5

overview
Female, age 42
Heart muscle sample 150
nTPM: 49
Cell types%
Myocytes:
20

Fibroblasts:
45

Endothelial cells:
30

Other cell types:
5

overview
Male, age 53
Heart muscle sample 151
nTPM: 30.9
Cell types%
Myocytes:
20

Fibroblasts:
45

Endothelial cells:
30

Other cell types:
5

overview
Female, age 69
Heart muscle sample 152
nTPM: 42.1
Cell types%
Myocytes:
20

Fibroblasts:
45

Endothelial cells:
30

Other cell types:
5


HEART MUSCLE - GTEx RNA-seqi

RNA-Seq data generated by the Genotype-Tissue Expression (GTEx) project from human tissues is reported as mean nTPM. More information can be found on the GTEx portal.

Distribution across the dataset is visualized with box plots, shown as median and 25th and 75th percentiles. Points are displayed as outliers if they are above or below 1.5 times the interquartile range. nTPM values of the individual samples are presented next to the box plot.
Max subtype nTPMi

Max subtype nTPM is the value for the subtype with the largest average nTPM across the subtype samples.

37.6
GTEx sample id Sample description nTPM
Heart - Atrial Appendage
Average nTPM: 29.4
Samples: 429

Max nTPM: 60.1
Min nTPM: 12.3
Std nTPM: 8.6
Median nTPM: 27.3
GTEX-1A32A-1326-SM-73KWW 50-59 years, female 60.1
GTEX-14PJM-0826-SM-6LLIW 50-59 years, female 58.5
GTEX-YF7O-0526-SM-5P9IO 50-59 years, male 57.8
GTEX-1J1OQ-2226-SM-A96SS 40-49 years, female 55.3
GTEX-14PJO-0826-SM-6ETZK 60-69 years, male 54.7
GTEX-16XZY-0526-SM-7DHKY 70-79 years, male 54.3
GTEX-1GN1W-0226-SM-7P8QY 50-59 years, female 53.0
GTEX-X8HC-1026-SM-46MWH 50-59 years, female 52.8
GTEX-1HBPM-1026-SM-ARL9D 60-69 years, female 52.6
GTEX-1HBPN-0926-SM-CGQEG 50-59 years, male 51.5
GTEX-1RLM8-0226-SM-E6CJY 50-59 years, male 51.4
GTEX-14C5O-1226-SM-664N3 60-69 years, male 51.2
GTEX-1B996-1026-SM-793CF 60-69 years, male 50.9
GTEX-1IKK5-1726-SM-CM2RU 60-69 years, male 49.4
GTEX-1HBPH-0226-SM-9WYSM 40-49 years, female 49.2
GTEX-1LGRB-1026-SM-CNPQD 50-59 years, female 48.2
GTEX-1MJIX-0426-SM-DTXEN 40-49 years, male 48.1
GTEX-XLM4-2026-SM-4AT4X 60-69 years, male 47.8
GTEX-139TU-1926-SM-5J2OC 60-69 years, male 47.7
GTEX-1IDJF-0826-SM-ARU7N 20-29 years, male 47.6
GTEX-1192X-0726-SM-5987R 50-59 years, male 47.5
GTEX-145MN-0726-SM-5NQBH 30-39 years, male 46.8
GTEX-132QS-0526-SM-5IJC7 60-69 years, male 46.6
GTEX-Y3I4-0526-SM-4TT6X 50-59 years, male 45.8
GTEX-1JMLX-1826-SM-CNPOX 50-59 years, male 45.7
GTEX-1GF9U-0526-SM-7P8SK 40-49 years, female 45.5
GTEX-13O61-0426-SM-5L3ET 60-69 years, male 45.1
GTEX-132Q8-1126-SM-5K7XS 60-69 years, male 44.8
GTEX-13FTW-0826-SM-5K7XR 40-49 years, male 44.8
GTEX-1GZ4I-0826-SM-9WG6O 50-59 years, male 44.8
GTEX-ZLFU-0326-SM-4WWBK 40-49 years, male 44.5
GTEX-12696-1226-SM-5FQSM 60-69 years, male 44.3
GTEX-132NY-1426-SM-5J1MJ 60-69 years, male 43.6
GTEX-1GN1U-1426-SM-7P8TF 50-59 years, female 43.6
GTEX-13PVQ-1326-SM-5LU4J 50-59 years, male 43.5
GTEX-1QMI2-1026-SM-DTX7T 60-69 years, male 43.4
GTEX-16MT8-0826-SM-7KULO 60-69 years, female 42.8
GTEX-12WSG-1226-SM-5EQ4C 50-59 years, female 42.7
GTEX-W5X1-0826-SM-3GILN 40-49 years, female 42.7
GTEX-1I1GP-0626-SM-ARL7H 50-59 years, male 42.3
GTEX-1MCC2-0226-SM-EVYD5 30-39 years, female 42.2
GTEX-12BJ1-0326-SM-5FQUB 60-69 years, male 42.1
GTEX-145LS-1326-SM-5Q5EP 60-69 years, female 42.0
GTEX-ZF3C-1126-SM-57WEG 50-59 years, female 42.0
GTEX-13RTJ-0526-SM-62LDP 60-69 years, male 41.9
GTEX-117YX-0626-SM-5EGJI 50-59 years, male 41.7
GTEX-11GSP-1226-SM-5985M 60-69 years, female 41.7
GTEX-WFG8-0726-SM-3GILP 20-29 years, male 41.6
GTEX-ZAB4-0926-SM-5CVN4 40-49 years, male 41.4
GTEX-1IL2U-1226-SM-CL53P 60-69 years, male 41.4
GTEX-1GMR3-0426-SM-7PC17 40-49 years, male 41.2
GTEX-X62O-0826-SM-46MW8 50-59 years, male 40.5
GTEX-17JCI-0826-SM-7LT8W 60-69 years, female 40.2
GTEX-14PN4-0826-SM-69LON 50-59 years, male 39.7
GTEX-1399T-0726-SM-5J1MH 60-69 years, male 39.6
GTEX-13X6K-1726-SM-7IGLG 60-69 years, female 39.5
GTEX-17MF6-0926-SM-7LTAL 40-49 years, male 39.5
GTEX-13JUV-0226-SM-5IJCC 40-49 years, female 39.3
GTEX-ZDTT-0326-SM-4WKF9 60-69 years, male 39.3
GTEX-1JJEA-0926-SM-CYPSO 60-69 years, male 39.3
GTEX-1JJ6O-2226-SM-AHZ3I 60-69 years, male 39.2
GTEX-15SKB-0926-SM-7KUFC 60-69 years, male 39.1
GTEX-1B8L1-0426-SM-7SB76 60-69 years, male 39.1
GTEX-13OVI-0326-SM-5K7X1 60-69 years, female 38.9
GTEX-1HFI7-0526-SM-A9SMA 50-59 years, female 38.5
GTEX-13W3W-0526-SM-5LU3X 60-69 years, female 38.3
GTEX-1H1ZS-1026-SM-9WG6E 70-79 years, male 38.1
GTEX-12WSK-0526-SM-5CVNA 40-49 years, female 38.0
GTEX-14PJ4-0926-SM-5YY98 60-69 years, male 37.8
GTEX-12WSD-1226-SM-5HL9Q 60-69 years, female 37.4
GTEX-1K2DU-0226-SM-DIPF6 20-29 years, male 37.4
GTEX-Y114-0126-SM-4TT8K 50-59 years, female 37.2
GTEX-1B933-0826-SM-79OMW 50-59 years, female 37.1
GTEX-11O72-1026-SM-5986B 40-49 years, male 37.0
GTEX-13PL7-0726-SM-5KM1S 60-69 years, female 36.9
GTEX-13OW5-0926-SM-5L3GZ 60-69 years, male 36.8
GTEX-17F9Y-1226-SM-7EPGE 70-79 years, female 36.6
GTEX-WFON-0226-SM-3GIKR 40-49 years, male 36.6
GTEX-1E2YA-0626-SM-7P8P4 50-59 years, male 36.5
GTEX-1KXAM-1426-SM-D3LAC 60-69 years, male 36.5
GTEX-Y3IK-1026-SM-51MR7 50-59 years, female 36.3
GTEX-13PL6-0826-SM-5IJBI 40-49 years, female 36.2
GTEX-1KANC-0226-SM-E9TIW 50-59 years, female 36.1
GTEX-14BIM-2726-SM-5Q5EG 60-69 years, female 36.0
GTEX-1H1DG-0826-SM-9QEIW 70-79 years, male 36.0
GTEX-1OFPY-0926-SM-DTX8Q 60-69 years, male 36.0
GTEX-148VJ-1426-SM-5TDE3 70-79 years, male 35.8
GTEX-1212Z-0726-SM-5EGI5 60-69 years, male 35.7
GTEX-13D11-1526-SM-5J2NA 50-59 years, female 35.7
GTEX-13N1W-0926-SM-5MR36 70-79 years, male 35.7
GTEX-14PK6-0726-SM-6LLIX 70-79 years, female 35.7
GTEX-131YS-0826-SM-5PNYV 60-69 years, female 35.5
GTEX-U8XE-0926-SM-3DB8V 30-39 years, male 35.5
GTEX-UPK5-0226-SM-3GAEV 40-49 years, male 35.5
GTEX-14PJ2-1126-SM-69LOD 50-59 years, male 35.3
GTEX-15CHQ-1326-SM-6871Z 60-69 years, male 35.2
GTEX-131XE-0526-SM-5K7YT 50-59 years, male 35.0
GTEX-ZDTS-1226-SM-4WKGL 60-69 years, male 34.9
GTEX-1GMR8-1026-SM-9MQLA 50-59 years, female 34.9
GTEX-13QBU-0226-SM-5LU48 40-49 years, female 34.8
GTEX-1A8G6-1826-SM-73KY8 60-69 years, male 34.6
GTEX-WY7C-1126-SM-3NB3A 50-59 years, male 34.5
GTEX-1F75I-1326-SM-7PBZX 40-49 years, male 34.5
GTEX-131XF-0426-SM-5HL7U 60-69 years, male 34.4
GTEX-1GN73-2326-SM-9MQKV 60-69 years, male 34.4
GTEX-14JG1-0826-SM-5ZZWR 40-49 years, male 34.3
GTEX-14PII-1026-SM-5ZZVW 60-69 years, male 34.2
GTEX-ZAK1-1126-SM-5PNXU 50-59 years, female 34.2
GTEX-11TUW-1126-SM-5EQKJ 60-69 years, male 34.1
GTEX-XPVG-0726-SM-4B658 50-59 years, male 34.1
GTEX-13O3P-1426-SM-5L3DT 50-59 years, male 34.0
GTEX-147F4-1126-SM-5TDDE 50-59 years, male 34.0
GTEX-1H2FU-0826-SM-9WYSU 60-69 years, female 34.0
GTEX-11TT1-1426-SM-5EGIA 20-29 years, male 33.9
GTEX-1EH9U-0626-SM-7PC33 60-69 years, male 33.8
GTEX-1RB15-0426-SM-E9U4Y 60-69 years, male 33.7
GTEX-11DYG-1026-SM-5A5JQ 60-69 years, male 33.6
GTEX-1H3NZ-1026-SM-A9SM5 60-69 years, male 33.6
GTEX-WWYW-1126-SM-3NB2Q 50-59 years, female 33.5
GTEX-X4EP-0326-SM-3P5Z6 60-69 years, female 32.9
GTEX-17F96-0826-SM-7DHLU 70-79 years, male 32.8
GTEX-132AR-1926-SM-5EGK5 50-59 years, female 32.7
GTEX-14BMV-1026-SM-5SI6B 50-59 years, male 32.7
GTEX-1CAMQ-0726-SM-7P8SG 40-49 years, male 32.7
GTEX-13O3O-1426-SM-5KM2S 60-69 years, female 32.6
GTEX-1R9JW-0426-SM-E76QL 30-39 years, female 32.6
GTEX-XBEC-1226-SM-4AT65 50-59 years, male 32.5
GTEX-13CF2-0226-SM-5L3DV 60-69 years, male 32.4
GTEX-1AX9J-0926-SM-73KXA 60-69 years, male 32.4
GTEX-15ER7-0826-SM-6PALW 20-29 years, female 32.3
GTEX-11DXY-1026-SM-5987V 60-69 years, male 32.1
GTEX-XQ3S-0526-SM-4BOQA 20-29 years, male 32.0
GTEX-1LVAO-0626-SM-EWRNT 60-69 years, male 32.0
GTEX-11WQK-0226-SM-5EQLI 50-59 years, male 31.9
GTEX-ZYFC-1026-SM-5GZX9 50-59 years, male 31.9
GTEX-1LB8K-0926-SM-D4P42 50-59 years, male 31.9
GTEX-12ZZY-1226-SM-5GCNK 60-69 years, male 31.8
GTEX-13NZB-0426-SM-5KM26 30-39 years, male 31.8
GTEX-13SLW-0826-SM-5QGP7 70-79 years, male 31.8
GTEX-16NPX-0826-SM-6M489 50-59 years, male 31.8
GTEX-XYKS-0226-SM-4BRW3 60-69 years, female 31.7
GTEX-ZPIC-0426-SM-DO91V 40-49 years, female 31.7
GTEX-111YS-0326-SM-5GZZ3 60-69 years, male 31.5
GTEX-WHSE-0826-SM-4SOJU 20-29 years, male 31.5
GTEX-WK11-0626-SM-3NMAV 50-59 years, male 31.5
GTEX-ZVT4-1326-SM-5NQ8E 50-59 years, female 31.5
GTEX-13S86-0326-SM-5SI6K 40-49 years, male 31.4
GTEX-1R9K4-1026-SM-EXUT1 60-69 years, male 31.3
GTEX-11ONC-1026-SM-5GU64 60-69 years, male 31.2
GTEX-14E6C-0326-SM-5Q5EE 40-49 years, male 31.2
GTEX-WFG7-0826-SM-3GIKU 20-29 years, male 31.2
GTEX-1339X-0326-SM-5K7Z8 40-49 years, male 31.0
GTEX-Y5V5-0726-SM-4VBPY 60-69 years, female 31.0
GTEX-YEC4-0226-SM-4W1YG 40-49 years, male 31.0
GTEX-14DAQ-1026-SM-793B1 60-69 years, female 30.9
GTEX-1B97J-0326-SM-7939H 50-59 years, female 30.9
GTEX-ZTTD-0626-SM-4YCCY 50-59 years, male 30.9
GTEX-1EX96-2626-SM-9MQJV 50-59 years, male 30.9
GTEX-13OW7-1626-SM-5IJDH 50-59 years, male 30.6
GTEX-11UD2-0926-SM-5CVL6 50-59 years, male 30.5
GTEX-18A6Q-1526-SM-731CO 60-69 years, male 30.5
GTEX-11DXX-0526-SM-5PNVR 60-69 years, female 30.4
GTEX-ZPCL-0526-SM-DO91R 60-69 years, female 30.4
GTEX-1I1HK-0626-SM-CNPQM 60-69 years, male 30.3
GTEX-1JMQK-0926-SM-ARL96 60-69 years, male 30.3
GTEX-1LH75-0526-SM-DIPG2 50-59 years, female 30.3
GTEX-12WSN-0226-SM-5DUXH 40-49 years, male 30.0
GTEX-12WSI-0426-SM-5EQ5J 50-59 years, male 29.9
GTEX-WI4N-0726-SM-3TW93 40-49 years, female 29.8
GTEX-WYJK-1126-SM-3NM9Z 50-59 years, male 29.8
GTEX-1GN2E-1426-SM-7RHHI 60-69 years, male 29.8
GTEX-1122O-0626-SM-5N9B9 60-69 years, female 29.7
GTEX-13YAN-1426-SM-7EPG8 60-69 years, male 29.7
GTEX-1E1VI-1426-SM-793CY 50-59 years, male 29.7
GTEX-1F75A-1026-SM-7PC3W 50-59 years, male 29.6
GTEX-1HCUA-0626-SM-ACKVT 50-59 years, female 29.6
GTEX-14PHX-0626-SM-5YY8Z 50-59 years, male 29.3
GTEX-WH7G-0326-SM-3NMBH 40-49 years, male 29.3
GTEX-13SLX-0926-SM-5S2NM 50-59 years, female 29.2
GTEX-1L5NE-0526-SM-DIPG5 50-59 years, male 29.1
GTEX-1NHNU-0626-SM-E6CP1 50-59 years, male 29.1
GTEX-1QPFJ-0926-SM-EVR3K 30-39 years, female 29.1
GTEX-14PJ6-0626-SM-686Z6 60-69 years, female 29.0
GTEX-1B8KE-0326-SM-73KTY 50-59 years, male 29.0
GTEX-1J8QM-0326-SM-CL53D 60-69 years, female 28.9
GTEX-1HCVE-0826-SM-CM2SF 50-59 years, male 28.8
GTEX-XGQ4-0526-SM-4AT6C 50-59 years, male 28.7
GTEX-ZT9W-0526-SM-57WFG 50-59 years, male 28.7
GTEX-1CB4H-0626-SM-7IGN3 60-69 years, female 28.6
GTEX-X3Y1-0226-SM-3P5Z5 40-49 years, male 28.6
GTEX-1GZ2Q-0926-SM-7RHHN 40-49 years, male 28.6
GTEX-1LSNM-0426-SM-E9TIZ 50-59 years, male 28.6
GTEX-13OW6-0926-SM-5L3GM 50-59 years, male 28.5
GTEX-18A66-1126-SM-731C5 60-69 years, male 28.5
GTEX-XXEK-2026-SM-4BRVE 50-59 years, male 28.5
GTEX-15SHU-0926-SM-6PAMK 40-49 years, female 28.4
GTEX-ZYFD-2026-SM-5E459 50-59 years, male 28.4
GTEX-15EU6-1326-SM-6PANG 50-59 years, male 28.3
GTEX-1HSMO-1126-SM-CGQF2 60-69 years, male 28.3
GTEX-1HT8W-1326-SM-CGQEN 30-39 years, male 28.3
GTEX-1IDJU-0626-SM-CKZOG 60-69 years, female 28.2
GTEX-15SHV-0526-SM-7KUEN 60-69 years, male 28.1
GTEX-18D9B-1126-SM-7KFSH 60-69 years, male 27.8
GTEX-1POEN-0726-SM-DTXDU 30-39 years, female 27.8
GTEX-147JS-1326-SM-5SI6D 60-69 years, male 27.7
GTEX-14PN3-0726-SM-6EU14 60-69 years, female 27.7
GTEX-1EU9M-1926-SM-7RHH4 60-69 years, male 27.7
GTEX-13FH7-0826-SM-5J2NW 50-59 years, female 27.5
GTEX-ZZPU-1126-SM-5N9CW 50-59 years, female 27.5
GTEX-14BIL-0926-SM-7DHKN 50-59 years, male 27.4
GTEX-144GL-1026-SM-5O99R 50-59 years, male 27.3
GTEX-1CB4I-1526-SM-7DHMY 50-59 years, male 27.3
GTEX-YFC4-0426-SM-4TT3J 40-49 years, female 27.3
GTEX-1CAMS-1126-SM-7MXUQ 40-49 years, female 27.3
GTEX-1I19N-0626-SM-A9SKY 70-79 years, male 27.3
GTEX-1P4AB-0926-SM-E76PV 50-59 years, male 27.3
GTEX-18A7A-1226-SM-7LTAJ 50-59 years, female 27.2
GTEX-145LV-0226-SM-5S2QG 50-59 years, male 27.1
GTEX-18465-0726-SM-7LG4L 50-59 years, male 27.1
GTEX-1C64O-0926-SM-79OLN 60-69 years, male 27.1
GTEX-WEY5-0226-SM-3GIKN 40-49 years, female 27.1
GTEX-XQ8I-0226-SM-4BOPM 50-59 years, male 27.1
GTEX-WRHU-1026-SM-4E3ID 50-59 years, female 27.0
GTEX-1JK1U-0626-SM-CKZOJ 60-69 years, male 27.0
GTEX-13FHO-1226-SM-5L3EF 60-69 years, male 26.9
GTEX-13O21-0326-SM-5J1N9 50-59 years, male 26.9
GTEX-16XZZ-1026-SM-7DHKS 60-69 years, male 26.9
GTEX-XOT4-1126-SM-4B66E 60-69 years, female 26.9
GTEX-1GF9V-1726-SM-9KNW4 60-69 years, male 26.9
GTEX-11DXZ-0326-SM-5EGH1 50-59 years, male 26.8
GTEX-13O1R-0926-SM-5L3DS 60-69 years, male 26.8
GTEX-13X6J-1226-SM-79OMF 50-59 years, male 26.8
GTEX-1QEPI-1126-SM-E8VN7 60-69 years, female 26.8
GTEX-13JVG-1126-SM-5KM2M 60-69 years, male 26.7
GTEX-13NZ9-0126-SM-5K7XV 50-59 years, male 26.7
GTEX-1C6VQ-0826-SM-7PBZT 50-59 years, male 26.7
GTEX-1GL5R-0426-SM-9WPOP 50-59 years, male 26.6
GTEX-1HSKV-0726-SM-ACKWE 60-69 years, male 26.6
GTEX-1IDJH-1126-SM-COH3R 70-79 years, male 26.6
GTEX-1EMGI-1126-SM-9KNUF 60-69 years, male 26.5
GTEX-WYBS-1226-SM-3NM9N 60-69 years, female 26.4
GTEX-WZTO-1226-SM-3NMAZ 40-49 years, male 26.4
GTEX-1IKOE-0626-SM-A9G31 30-39 years, female 26.4
GTEX-131XG-0526-SM-5DUWF 50-59 years, female 26.3
GTEX-1399S-0826-SM-5KM23 30-39 years, female 26.3
GTEX-13NYB-0326-SM-5IJDP 40-49 years, male 26.3
GTEX-1C6WA-0826-SM-7PBXS 60-69 years, male 26.3
GTEX-1KANB-1126-SM-DHXJT 50-59 years, male 26.3
GTEX-1445S-1226-SM-5O9BF 60-69 years, male 26.1
GTEX-WHWD-0326-SM-3LK6L 50-59 years, male 26.1
GTEX-13O3Q-0326-SM-5L3FE 50-59 years, male 26.0
GTEX-15RIE-1326-SM-6PAMM 60-69 years, male 26.0
GTEX-183WM-0926-SM-718AN 70-79 years, female 26.0
GTEX-ZAJG-0926-SM-5Q5AB 50-59 years, female 26.0
GTEX-13VXT-0726-SM-5SIAD 20-29 years, female 25.9
GTEX-X5EB-0626-SM-46MVQ 40-49 years, male 25.9
GTEX-YECK-1226-SM-4W21G 60-69 years, male 25.9
GTEX-1CB4J-0226-SM-7P8T4 60-69 years, male 25.9
GTEX-ZTPG-1326-SM-51MSQ 20-29 years, female 25.8
GTEX-1GMRU-1326-SM-9WYUI 50-59 years, male 25.8
GTEX-15DCE-0826-SM-7KULW 20-29 years, male 25.7
GTEX-1BAJH-1026-SM-7EWEG 70-79 years, male 25.7
GTEX-1H3O1-0226-SM-9WYSW 60-69 years, male 25.7
GTEX-1J8Q3-1126-SM-ARU8N 60-69 years, male 25.7
GTEX-ZEX8-0326-SM-DO92C 50-59 years, male 25.6
GTEX-1211K-0226-SM-59HJY 60-69 years, female 25.5
GTEX-WL46-0726-SM-3LK5Z 50-59 years, male 25.5
GTEX-14XAO-0926-SM-69LPZ 60-69 years, female 25.4
GTEX-ZF2S-0826-SM-4WWBI 50-59 years, female 25.4
GTEX-1HFI6-0826-SM-9YFM2 40-49 years, male 25.4
GTEX-1IY9M-0626-SM-D4P2L 60-69 years, male 25.4
GTEX-1JN6P-0826-SM-ARL97 60-69 years, male 25.4
GTEX-12WSC-1026-SM-5EQ5Y 50-59 years, male 25.3
GTEX-13FHP-0826-SM-5K7V5 50-59 years, male 25.2
GTEX-13PVR-0926-SM-5S2RB 60-69 years, female 25.2
GTEX-14C39-0726-SM-5RQIK 40-49 years, male 25.2
GTEX-1B932-1326-SM-79OM4 40-49 years, female 25.2
GTEX-16GPK-1226-SM-7LTAU 60-69 years, male 25.1
GTEX-1192W-0226-SM-5EGGT 60-69 years, male 25.0
GTEX-17GQL-0626-SM-731CN 60-69 years, male 25.0
GTEX-1B8SF-1326-SM-7IGQJ 60-69 years, male 25.0
GTEX-1J8EW-0626-SM-CM2TY 60-69 years, female 25.0
GTEX-VUSG-0726-SM-3GIK1 50-59 years, male 24.9
GTEX-ZF29-0426-SM-4WKFN 60-69 years, female 24.9
GTEX-ZVT3-0826-SM-5GIC8 60-69 years, female 24.7
GTEX-13NYS-1926-SM-5IJCB 60-69 years, male 24.5
GTEX-146FR-0926-SM-5QGPE 60-69 years, female 24.5
GTEX-YB5K-0226-SM-5IFJE 40-49 years, female 24.5
GTEX-1QCLZ-1126-SM-EWRNB 60-69 years, female 24.5
GTEX-1HC8U-0626-SM-B2LWB 40-49 years, female 24.4
GTEX-11ZTT-0526-SM-5EQLA 60-69 years, female 24.3
GTEX-17HGU-1126-SM-793BP 50-59 years, male 24.3
GTEX-YJ8O-0826-SM-5CVM3 40-49 years, female 24.3
GTEX-1LVAN-1526-SM-CNPQN 50-59 years, female 24.3
GTEX-11EMC-0826-SM-59862 60-69 years, female 24.2
GTEX-ZYT6-0926-SM-5GIEM 30-39 years, male 24.2
GTEX-ZYFG-0526-SM-5GZXX 60-69 years, female 24.1
GTEX-1HSMQ-0426-SM-ADEIM 50-59 years, male 24.1
GTEX-11NV4-0826-SM-5BC4S 60-69 years, male 24.0
GTEX-1F48J-1126-SM-9WYSY 50-59 years, female 24.0
GTEX-1QP29-1426-SM-DTX9Q 50-59 years, male 24.0
GTEX-YEC3-0426-SM-CYPS8 50-59 years, male 24.0
GTEX-146FH-1126-SM-5NQAT 50-59 years, female 23.9
GTEX-17F9E-0726-SM-793A1 50-59 years, male 23.9
GTEX-1C2JI-0626-SM-7DHM1 50-59 years, male 23.9
GTEX-1I1CD-1326-SM-A9SMM 60-69 years, female 23.9
GTEX-13NZA-0826-SM-5K7WS 60-69 years, male 23.8
GTEX-ZDYS-0326-SM-5HL4W 50-59 years, male 23.8
GTEX-11EM3-0426-SM-5N9BZ 20-29 years, female 23.7
GTEX-13PDP-1326-SM-5K7U9 60-69 years, male 23.7
GTEX-15RJE-0726-SM-7KUEG 40-49 years, male 23.7
GTEX-1HSGN-0926-SM-CNNQM 40-49 years, female 23.7
GTEX-1R7EV-0426-SM-DTX7Z 40-49 years, male 23.6
GTEX-1117F-0726-SM-5GIEN 60-69 years, female 23.5
GTEX-12ZZX-0726-SM-5EGKA 40-49 years, female 23.5
GTEX-14A5I-1026-SM-5Q5E3 50-59 years, female 23.5
GTEX-18A67-1026-SM-731CE 50-59 years, male 23.5
GTEX-1AX8Z-1126-SM-731CS 60-69 years, male 23.5
GTEX-1A8FM-1026-SM-7PC26 50-59 years, female 23.5
GTEX-1I1GR-1026-SM-A9SLC 60-69 years, male 23.5
GTEX-14E1K-0826-SM-5ZZW9 50-59 years, male 23.4
GTEX-1AX9I-1026-SM-73KYF 60-69 years, male 23.4
GTEX-1GTWX-0926-SM-9MQKM 60-69 years, male 23.3
GTEX-ZV7C-0526-SM-9WPNK 50-59 years, male 23.3
GTEX-13112-0526-SM-5EQ4S 50-59 years, male 23.2
GTEX-1399U-0726-SM-5KM1D 50-59 years, female 23.2
GTEX-14H4A-0426-SM-5ZZWO 40-49 years, female 23.2
GTEX-1ICG6-0726-SM-B2LY5 70-79 years, female 23.2
GTEX-XV7Q-0726-SM-4BRV6 40-49 years, female 23.1
GTEX-ZYVF-1826-SM-5E44F 50-59 years, female 23.0
GTEX-XPT6-0226-SM-4B65L 20-29 years, male 22.9
GTEX-1IKJJ-0626-SM-CY8GF 60-69 years, male 22.9
GTEX-1JMQL-1026-SM-CMKGV 50-59 years, female 22.9
GTEX-15CHC-0326-SM-5ZZVP 60-69 years, female 22.8
GTEX-1LGOU-0326-SM-D3LAM 20-29 years, female 22.8
GTEX-V955-0826-SM-CYPR5 60-69 years, male 22.8
GTEX-ZGAY-0226-SM-4WWAL 40-49 years, female 22.7
GTEX-18D9U-1426-SM-718BO 40-49 years, male 22.6
GTEX-WQUQ-1326-SM-3MJFF 60-69 years, male 22.6
GTEX-1IKOH-0926-SM-A9SLU 60-69 years, female 22.6
GTEX-117XS-0726-SM-5H131 60-69 years, male 22.5
GTEX-139YR-0526-SM-5L3DG 50-59 years, male 22.5
GTEX-13FXS-1026-SM-62LFQ 50-59 years, male 22.5
GTEX-14BIN-2126-SM-793AX 50-59 years, female 22.5
GTEX-11P81-0526-SM-59873 30-39 years, female 22.4
GTEX-UTHO-1226-SM-3GAEE 60-69 years, male 22.4
GTEX-ZDXO-0426-SM-4WKF6 60-69 years, male 22.3
GTEX-ZZPT-0926-SM-5GICZ 50-59 years, male 22.3
GTEX-WHPG-1026-SM-3NMBA 50-59 years, male 22.2
GTEX-Y8E4-0426-SM-4V6GB 40-49 years, male 22.2
GTEX-11NUK-0926-SM-5HL57 50-59 years, male 22.1
GTEX-1PPGY-0926-SM-DTXFF 60-69 years, male 22.1
GTEX-12WSA-1126-SM-5EGKU 60-69 years, male 22.0
GTEX-1H11D-1026-SM-9QEIU 40-49 years, male 22.0
GTEX-1H3VY-1126-SM-A96TP 50-59 years, male 22.0
GTEX-1B8SG-0726-SM-79ONS 50-59 years, male 21.9
GTEX-WOFL-1226-SM-4OOST 60-69 years, male 21.9
GTEX-1I1GQ-1226-SM-CL55J 50-59 years, male 21.9
GTEX-V1D1-0626-SM-4JBHN 50-59 years, male 21.6
GTEX-ZE7O-0626-SM-57WCD 50-59 years, female 21.6
GTEX-1IDJD-0226-SM-CKZOA 30-39 years, male 21.6
GTEX-111FC-0626-SM-5N9CU 60-69 years, male 21.5
GTEX-1AX9K-0426-SM-73KUG 50-59 years, male 21.5
GTEX-1477Z-1126-SM-5P9GK 60-69 years, male 21.4
GTEX-ZG7Y-1426-SM-4WWBM 50-59 years, male 21.4
GTEX-13N11-0726-SM-5L3DP 50-59 years, female 21.3
GTEX-1AYCT-0526-SM-7RHHS 50-59 years, male 21.3
GTEX-12584-1026-SM-59HK3 40-49 years, male 21.1
GTEX-15CHR-0326-SM-7DHN3 50-59 years, male 21.1
GTEX-ZVT2-0926-SM-5GICE 50-59 years, female 21.1
GTEX-1I1GV-1426-SM-B2LXN 60-69 years, male 21.1
GTEX-14A6H-0326-SM-5NQAN 30-39 years, male 21.0
GTEX-Z93S-0326-SM-5HL84 50-59 years, male 20.9
GTEX-11LCK-0826-SM-5PNYD 30-39 years, male 20.8
GTEX-1GMR2-1326-SM-9KNUT 50-59 years, male 20.7
GTEX-1IL2V-1126-SM-CMKGH 70-79 years, male 20.7
GTEX-VJWN-1026-SM-4M1ZN 50-59 years, female 20.6
GTEX-1F6I4-0826-SM-7RHGK 60-69 years, male 20.6
GTEX-1KD5A-0926-SM-D4P3U 50-59 years, male 20.6
GTEX-111VG-0326-SM-5GZX7 60-69 years, male 20.5
GTEX-14PHY-0326-SM-62LE3 60-69 years, female 20.5
GTEX-1HCU7-1226-SM-B2LX8 50-59 years, male 20.5
GTEX-1F88F-0326-SM-9KNV3 60-69 years, female 20.3
GTEX-1313W-1126-SM-5EQ5U 50-59 years, female 20.2
GTEX-13U4I-0626-SM-5LU5L 40-49 years, female 20.1
GTEX-14ASI-0826-SM-5Q5EB 60-69 years, male 20.1
GTEX-14E7W-1126-SM-5ZZVS 70-79 years, male 20.1
GTEX-1HUB1-0726-SM-CGQF4 60-69 years, male 20.1
GTEX-1399R-1726-SM-5K7YJ 30-39 years, male 19.9
GTEX-12WSE-0926-SM-5S2VX 20-29 years, male 19.7
GTEX-15D1Q-0426-SM-6AJ9G 40-49 years, male 19.7
GTEX-13OVG-0426-SM-5KM2T 60-69 years, male 19.6
GTEX-17EVP-0526-SM-7EPGY 40-49 years, male 19.6
GTEX-ZVZQ-0726-SM-51MR3 60-69 years, female 19.4
GTEX-15UF7-1526-SM-6LPI7 40-49 years, male 19.3
GTEX-14C38-1326-SM-62LDK 50-59 years, male 19.2
GTEX-11ZUS-0326-SM-5EQ4W 30-39 years, male 19.0
GTEX-X4XX-1126-SM-3NMBY 60-69 years, male 18.9
GTEX-ZPU1-0726-SM-5HL6O 40-49 years, male 18.9
GTEX-ZAB5-0126-SM-5CVMT 50-59 years, male 18.8
GTEX-ZUA1-0726-SM-4YCD9 40-49 years, male 18.8
GTEX-1M5QR-1626-SM-E9U5O 40-49 years, male 18.7
GTEX-1H1CY-0426-SM-9KNVD 60-69 years, female 18.6
GTEX-1C64N-0826-SM-7RHGQ 50-59 years, male 18.5
GTEX-1MJK2-1626-SM-EVYCQ 50-59 years, male 18.4
GTEX-16YQH-0726-SM-7IGM1 30-39 years, male 18.3
GTEX-1EWIQ-1126-SM-7EPIK 70-79 years, female 18.2
GTEX-1JMOU-0326-SM-ARL8X 60-69 years, female 18.2
GTEX-17KNJ-0626-SM-7LT9L 50-59 years, male 18.0
GTEX-11ZVC-0526-SM-5N9G1 50-59 years, female 17.9
GTEX-1J8Q2-1026-SM-ARU8I 60-69 years, male 17.9
GTEX-13FTZ-0326-SM-5J1O1 60-69 years, male 17.8
GTEX-11GS4-0426-SM-5N9CD 60-69 years, male 17.6
GTEX-1CB4G-0726-SM-79OOJ 60-69 years, male 17.6
GTEX-1NSGN-1226-SM-E76OL 50-59 years, male 17.5
GTEX-1QP6S-1026-SM-DTXFW 40-49 years, male 17.4
GTEX-X261-0926-SM-3NMCY 50-59 years, male 17.2
GTEX-15SDE-1826-SM-7KUFN 50-59 years, female 17.0
GTEX-1HR98-1026-SM-CKZOM 60-69 years, male 17.0
GTEX-ZXG5-0626-SM-5NQ85 60-69 years, male 16.8
GTEX-117YW-0426-SM-5GZZZ 50-59 years, male 16.7
GTEX-1CB4E-0626-SM-7DHMW 60-69 years, male 16.7
GTEX-1LG7Y-1426-SM-D4P31 50-59 years, male 16.7
GTEX-1LSNL-0626-SM-DIPFJ 50-59 years, male 16.5
GTEX-1A3MX-1226-SM-731B3 60-69 years, male 14.3
GTEX-1GN1V-1026-SM-CNPPS 60-69 years, male 14.2
GTEX-11EQ8-1326-SM-5EGJQ 60-69 years, male 13.6
GTEX-1IOXB-0726-SM-A9G32 50-59 years, male 13.1
GTEX-1F75B-1126-SM-7RHGP 50-59 years, male 12.3
Show allShow less
Heart - Left Ventricle
Average nTPM: 37.6
Samples: 432

Max nTPM: 99.7
Min nTPM: 6.3
Std nTPM: 15.9
Median nTPM: 36.9
GTEX-1LSNM-0526-SM-DIPG6 50-59 years, male 99.7
GTEX-WFG7-0726-SM-3GIKO 20-29 years, male 87.5
GTEX-QDVN-0326-SM-2I3FS 50-59 years, male 85.6
GTEX-17GQL-0526-SM-72D5N 60-69 years, male 82.6
GTEX-YB5K-0126-SM-5IFJ2 40-49 years, female 81.2
GTEX-PLZ5-0626-SM-2I5F8 50-59 years, male 81.1
GTEX-ZPIC-0826-SM-4WWFJ 40-49 years, female 80.2
GTEX-14H4A-0626-SM-5ZZUT 40-49 years, female 79.1
GTEX-WY7C-0526-SM-3NB3D 50-59 years, male 78.8
GTEX-Y114-0226-SM-4TT8W 50-59 years, female 76.4
GTEX-ZGAY-0326-SM-57WF5 40-49 years, female 76.3
GTEX-13VXT-1126-SM-5LU3A 20-29 years, female 75.6
GTEX-11EM3-0626-SM-5H12Z 20-29 years, female 73.2
GTEX-13FH7-0926-SM-5J2MR 50-59 years, female 72.9
GTEX-WFG8-0626-SM-3GILJ 20-29 years, male 72.9
GTEX-1LGOU-0726-SM-E9TIY 20-29 years, female 71.0
GTEX-1H11D-1226-SM-9WPQ2 40-49 years, male 69.6
GTEX-131XG-0626-SM-5GCMP 50-59 years, female 69.2
GTEX-1QP2A-1126-SM-EVR3H 50-59 years, male 66.3
GTEX-ZG7Y-0926-SM-5EQ6O 50-59 years, male 66.0
GTEX-1F5PK-0326-SM-9KNUD 50-59 years, male 64.9
GTEX-X15G-0426-SM-4PQZ6 50-59 years, female 64.6
GTEX-12WSK-0626-SM-5LZUJ 40-49 years, female 64.0
GTEX-ZDTT-0726-SM-4WKFK 60-69 years, male 63.9
GTEX-O5YV-0326-SM-2I5H2 60-69 years, female 63.5
GTEX-XGQ4-0326-SM-4GIEE 50-59 years, male 63.5
GTEX-YF7O-0426-SM-5P9FS 50-59 years, male 62.3
GTEX-16XZY-0426-SM-793BI 70-79 years, male 62.2
GTEX-1QCLZ-0926-SM-E6CQZ 60-69 years, female 62.2
GTEX-PWCY-0526-SM-5P9HG 20-29 years, female 60.6
GTEX-ZTPG-1226-SM-4YCDO 20-29 years, female 60.4
GTEX-1LC47-1026-SM-D3LAH 60-69 years, male 60.4
GTEX-11I78-0826-SM-5A5K4 50-59 years, female 59.3
GTEX-15EOM-5007-SM-793DG 20-29 years, female 59.0
GTEX-1IDJU-0726-SM-CNPQ9 60-69 years, female 58.9
GTEX-U3ZN-1426-SM-3DB87 30-39 years, female 58.8
GTEX-1F75I-1126-SM-9WYUO 40-49 years, male 58.8
GTEX-RUSQ-0526-SM-2TF72 50-59 years, male 58.2
GTEX-13CF3-0726-SM-5J2MY 60-69 years, female 58.0
GTEX-1IDJF-0726-SM-CJI1U 20-29 years, male 57.9
GTEX-YEC4-0326-SM-4W216 40-49 years, male 57.7
GTEX-1211K-0626-SM-5FQUZ 60-69 years, female 57.2
GTEX-12696-1126-SM-5FQTI 60-69 years, male 56.8
GTEX-QESD-0526-SM-2I5G5 20-29 years, male 56.8
GTEX-13W3W-0426-SM-5SI9D 60-69 years, female 56.7
GTEX-18A66-1226-SM-7LT8G 60-69 years, male 56.5
GTEX-11TT1-1326-SM-5PNYM 20-29 years, male 56.3
GTEX-1C64O-0826-SM-79OKZ 60-69 years, male 56.2
GTEX-131XF-5001-SM-7DHLY 60-69 years, male 56.1
GTEX-1B97J-0726-SM-7RHG3 50-59 years, female 56.0
GTEX-XPT6-0126-SM-4B65S 20-29 years, male 55.9
GTEX-P4PQ-0326-SM-2HMJ8 60-69 years, male 55.2
GTEX-ZF2S-1026-SM-9QEGK 50-59 years, female 54.9
GTEX-POMQ-0326-SM-2I5FO 20-29 years, female 54.7
GTEX-15RIE-1726-SM-7KUMU 60-69 years, male 54.2
GTEX-OIZF-0326-SM-3MJGY 60-69 years, male 54.1
GTEX-1B8KE-0126-SM-793AM 50-59 years, male 53.5
GTEX-13PVR-1026-SM-5QGQW 60-69 years, female 53.3
GTEX-14XAO-1126-SM-6EU11 60-69 years, female 53.3
GTEX-SE5C-0626-SM-2XCDV 40-49 years, female 53.3
GTEX-WFON-0326-SM-3GIKX 40-49 years, male 53.3
GTEX-Y3I4-0626-SM-4TT7A 50-59 years, male 53.3
GTEX-ZLFU-0226-SM-4WWFH 40-49 years, male 53.2
GTEX-117YX-1126-SM-5H128 50-59 years, male 53.0
GTEX-SUCS-0326-SM-32PLL 70-79 years, male 53.0
GTEX-1HSMQ-0226-SM-C1YQL 50-59 years, male 53.0
GTEX-ZDYS-0226-SM-5HL4K 50-59 years, male 52.8
GTEX-132QS-0426-SM-5KLZ6 60-69 years, male 52.7
GTEX-145MN-0626-SM-5QGRH 30-39 years, male 52.7
GTEX-1GN1W-0326-SM-9JGHF 50-59 years, female 52.6
GTEX-1MUQO-1226-SM-E9TJK 60-69 years, male 52.6
GTEX-XPVG-0826-SM-4B654 50-59 years, male 52.3
GTEX-WH7G-0426-SM-3NMBJ 40-49 years, male 52.1
GTEX-SNMC-0126-SM-2XCFO 20-29 years, male 52.0
GTEX-WEY5-0426-SM-3GIKT 40-49 years, female 52.0
GTEX-1RMOY-0626-SM-E9TIE 50-59 years, male 52.0
GTEX-O5YT-0326-SM-32PKA 20-29 years, male 51.9
GTEX-XV7Q-0826-SM-4BRV7 40-49 years, female 51.7
GTEX-WHPG-0826-SM-3NMBF 50-59 years, male 51.3
GTEX-OXRK-0826-SM-2HMK7 50-59 years, female 51.2
GTEX-XBED-0526-SM-47JY3 60-69 years, male 51.2
GTEX-1J8Q3-1226-SM-CKZPT 60-69 years, male 51.1
GTEX-1R9K5-1326-SM-E6CPR 50-59 years, male 50.9
GTEX-1OKEX-0726-SM-DPRYE 60-69 years, male 50.6
GTEX-1J8QM-0426-SM-AHZ3X 60-69 years, female 50.3
GTEX-1339X-0426-SM-5KLZY 40-49 years, male 50.2
GTEX-OOBJ-0326-SM-33HBO 60-69 years, male 49.8
GTEX-17KNJ-0826-SM-793A4 50-59 years, male 49.7
GTEX-13FLV-0926-SM-5L3DZ 50-59 years, male 49.6
GTEX-132AR-2026-SM-5IJG4 50-59 years, female 49.5
GTEX-QDVJ-0426-SM-2I5FW 50-59 years, male 49.3
GTEX-XXEK-0926-SM-4BRWH 50-59 years, male 49.1
GTEX-1RB15-0326-SM-E6CQB 60-69 years, male 49.1
GTEX-1L5NE-0426-SM-E9TIX 50-59 years, male 49.0
GTEX-1399R-1926-SM-5K7X8 30-39 years, male 48.9
GTEX-OXRL-0326-SM-2I3F2 50-59 years, male 48.9
GTEX-O5YW-0326-SM-2I5EI 50-59 years, male 48.8
GTEX-146FR-0626-SM-5RQJ1 60-69 years, female 48.6
GTEX-1CAMS-1326-SM-79OJR 40-49 years, female 48.4
GTEX-OHPL-0326-SM-33HC8 60-69 years, female 48.4
GTEX-13PVQ-1226-SM-5IJDC 50-59 years, male 48.3
GTEX-14PJ6-0726-SM-69LOL 60-69 years, female 48.3
GTEX-14PK6-0826-SM-5ZZVO 70-79 years, female 48.3
GTEX-P78B-0426-SM-2I5F5 40-49 years, female 47.9
GTEX-14E1K-1026-SM-73KUR 50-59 years, male 47.8
GTEX-18D9U-1126-SM-72D5Y 40-49 years, male 47.8
GTEX-14PHX-2126-SM-6EU2U 50-59 years, male 47.7
GTEX-1GN73-2426-SM-7RHFQ 60-69 years, male 47.6
GTEX-1AX9J-1026-SM-72D6E 60-69 years, male 47.4
GTEX-1PPGY-1126-SM-E76OU 60-69 years, male 47.4
GTEX-1GMR2-1426-SM-7RHHK 50-59 years, male 47.2
GTEX-1LH75-0426-SM-E9TJF 50-59 years, female 47.2
GTEX-V955-0726-SM-3GAFG 60-69 years, male 47.1
GTEX-ZQUD-1526-SM-7IGO2 30-39 years, male 47.1
GTEX-1QPFJ-1026-SM-E6CR6 30-39 years, female 46.9
GTEX-1RQEC-0926-SM-EWROG 60-69 years, male 46.9
GTEX-15CHR-0226-SM-7PC2Z 50-59 years, male 46.8
GTEX-1IL2U-1326-SM-A9G2O 60-69 years, male 46.6
GTEX-1O9I2-1126-SM-DTXEA 50-59 years, male 46.6
GTEX-12WSD-1126-SM-5EGJD 60-69 years, female 46.4
GTEX-U3ZH-0326-SM-3DB7A 30-39 years, male 46.3
GTEX-12WSN-5001-SM-7DHMK 40-49 years, male 46.2
GTEX-1QP29-1526-SM-EXUSY 50-59 years, male 46.2
GTEX-QLQ7-0526-SM-2I5G3 60-69 years, male 46.1
GTEX-1KXAM-1326-SM-E9TJW 60-69 years, male 46.0
GTEX-1MCC2-0326-SM-EV7AK 30-39 years, female 46.0
GTEX-ZF29-0226-SM-4WKHO 60-69 years, female 45.9
GTEX-1IDJI-1026-SM-A96TE 50-59 years, female 45.9
GTEX-13FTW-1026-SM-5L3E3 40-49 years, male 45.8
GTEX-Y3IK-0826-SM-51MT8 50-59 years, female 45.7
GTEX-1JMLX-1626-SM-ARZMV 50-59 years, male 45.7
GTEX-OIZH-0326-SM-2HMKC 50-59 years, male 45.6
GTEX-18D9B-1226-SM-72D6V 60-69 years, male 45.5
GTEX-145LV-0326-SM-5Q5BW 50-59 years, male 45.3
GTEX-OHPK-0326-SM-2HMJO 50-59 years, female 45.3
GTEX-1I6K7-0626-SM-ARL7Q 40-49 years, male 45.3
GTEX-WHSE-0926-SM-3NMBS 20-29 years, male 45.2
GTEX-1JMQK-0626-SM-D4P2R 60-69 years, male 45.0
GTEX-1LVAN-1726-SM-CNNR1 50-59 years, female 45.0
GTEX-1N2EF-2826-SM-E6CQF 60-69 years, male 45.0
GTEX-111YS-0426-SM-5987O 60-69 years, male 44.7
GTEX-1JK1U-0526-SM-CYPSQ 60-69 years, male 44.7
GTEX-13O21-2326-SM-5MR3X 50-59 years, male 44.6
GTEX-U8XE-1126-SM-3DB8W 30-39 years, male 44.5
GTEX-UJMC-0526-SM-3GAE3 50-59 years, male 44.5
GTEX-NPJ8-0426-SM-2HMK6 40-49 years, male 44.3
GTEX-1KD5A-1026-SM-CY8I8 50-59 years, male 44.2
GTEX-P4QS-0326-SM-2I3EU 60-69 years, male 44.0
GTEX-1R9JW-0526-SM-EWRNK 30-39 years, female 43.8
GTEX-15RJ7-0226-SM-7KUMN 40-49 years, male 43.7
GTEX-13S86-0226-SM-5S2PJ 40-49 years, male 43.6
GTEX-1CB4J-0326-SM-7PBZO 60-69 years, male 43.5
GTEX-1HC8U-0726-SM-ACKXL 40-49 years, female 43.5
GTEX-1HCUA-0526-SM-A9SMH 50-59 years, female 43.4
GTEX-QV44-0526-SM-2S1RE 50-59 years, male 43.2
GTEX-RU72-0326-SM-2TF5T 50-59 years, female 43.2
GTEX-WHWD-0426-SM-3LK83 50-59 years, male 43.2
GTEX-PX3G-0326-SM-2I3EO 20-29 years, female 43.1
GTEX-UJHI-0426-SM-3DB8Y 50-59 years, female 43.1
GTEX-17F9E-0926-SM-7IGMG 50-59 years, male 43.0
GTEX-1HFI7-0826-SM-A9G23 50-59 years, female 42.9
GTEX-1J8EW-0926-SM-A9G33 60-69 years, female 42.9
GTEX-14PHY-0226-SM-5ZZWM 60-69 years, female 42.8
GTEX-U4B1-0326-SM-3DB8K 40-49 years, male 42.8
GTEX-1HBPH-0126-SM-CNNQ7 40-49 years, female 42.7
GTEX-UPK5-0326-SM-CYPR4 40-49 years, male 42.7
GTEX-15CHC-0426-SM-6LLHI 60-69 years, female 42.6
GTEX-1GL5R-0326-SM-9WYTJ 50-59 years, male 42.3
GTEX-WYJK-1026-SM-3NM8W 50-59 years, male 42.2
GTEX-ZVT2-1026-SM-5GU55 50-59 years, female 42.1
GTEX-1HSGN-1126-SM-CJI4G 40-49 years, female 42.0
GTEX-QMRM-0526-SM-2I5GA 50-59 years, male 41.9
GTEX-ZPCL-0426-SM-DNZZ4 60-69 years, female 41.9
GTEX-R55C-0326-SM-3GAF1 40-49 years, male 41.8
GTEX-ZVZP-0226-SM-5NQ73 50-59 years, male 41.7
GTEX-12WSG-0526-SM-5FQTH 50-59 years, female 41.3
GTEX-X3Y1-0426-SM-3P5Z4 40-49 years, male 41.3
GTEX-P4PP-0326-SM-33HC4 30-39 years, female 41.1
GTEX-14PJ4-1126-SM-5YY91 60-69 years, male 41.0
GTEX-QEG5-0926-SM-2TC64 20-29 years, male 40.9
GTEX-13SLX-1026-SM-5ZZUQ 50-59 years, female 40.8
GTEX-1C2JI-0526-SM-7EWEQ 50-59 years, male 40.8
GTEX-1GMR3-0326-SM-7P8QT 40-49 years, male 40.7
GTEX-1OFPY-1026-SM-EXUSO 60-69 years, male 40.7
GTEX-1EU9M-1826-SM-7DUGU 60-69 years, male 40.4
GTEX-OIZI-0926-SM-E6CHF 40-49 years, male 40.4
GTEX-13U4I-0826-SM-5SIBD 40-49 years, female 40.2
GTEX-1PWST-1026-SM-DTXF2 70-79 years, male 40.1
GTEX-13O61-0526-SM-5J2M1 60-69 years, male 40.0
GTEX-1EMGI-1226-SM-793DD 60-69 years, male 39.7
GTEX-RWS6-0326-SM-2XCAP 60-69 years, female 39.7
GTEX-1CB4I-1626-SM-7RHGV 50-59 years, male 39.7
GTEX-14PN3-0526-SM-69LQF 60-69 years, female 39.6
GTEX-YEC3-0726-SM-CMKFH 50-59 years, male 39.6
GTEX-ZDXO-0726-SM-57WBT 60-69 years, male 39.5
GTEX-S32W-0626-SM-2XCBG 50-59 years, female 39.4
GTEX-11LCK-0926-SM-5A5KA 30-39 years, male 39.2
GTEX-Y5V6-0826-SM-4VBRU 60-69 years, male 39.2
GTEX-14E6C-0426-SM-5YYA8 40-49 years, male 38.9
GTEX-1LGRB-1126-SM-CNPP2 50-59 years, female 38.9
GTEX-1122O-0826-SM-5GICV 60-69 years, female 38.7
GTEX-QEG4-0426-SM-33HC3 30-39 years, male 38.7
GTEX-R53T-0926-SM-3GADH 50-59 years, female 38.7
GTEX-11DXZ-0626-SM-5GU77 50-59 years, male 38.6
GTEX-ZYFG-0426-SM-5E43M 60-69 years, female 38.4
GTEX-11DXX-0326-SM-5PNWC 60-69 years, female 38.1
GTEX-Q2AH-0526-SM-2I3ED 40-49 years, male 38.1
GTEX-1R7EV-0326-SM-E76PA 40-49 years, male 38.0
GTEX-13D11-1726-SM-5IFGQ 50-59 years, female 37.7
GTEX-1GZ4I-1026-SM-9KNV5 50-59 years, male 37.6
GTEX-1IKOE-1026-SM-ARZMF 30-39 years, female 37.6
GTEX-139YR-0826-SM-5LZXY 50-59 years, male 37.2
GTEX-13O1R-1226-SM-5J1NU 60-69 years, male 37.1
GTEX-1H23P-1226-SM-9QEJ2 60-69 years, male 37.1
GTEX-ZEX8-0426-SM-DO92Y 50-59 years, male 37.0
GTEX-XQ3S-0626-SM-4BOOB 20-29 years, male 36.9
GTEX-1GMRU-1526-SM-9WYT5 50-59 years, male 36.9
GTEX-18A67-1226-SM-7KFRS 50-59 years, male 36.8
GTEX-1K9T9-1126-SM-D3L9E 50-59 years, female 36.7
GTEX-1I1GQ-1426-SM-B2LWY 50-59 years, male 36.6
GTEX-11ZUS-0226-SM-5FQT8 30-39 years, male 36.5
GTEX-T6MN-0926-SM-32PLX 50-59 years, male 36.5
GTEX-1MJIX-0326-SM-EVR42 40-49 years, male 36.5
GTEX-16BQI-0926-SM-6M485 30-39 years, female 36.4
GTEX-ZAB5-0226-SM-5CVMH 50-59 years, male 36.4
GTEX-ZZPU-0926-SM-5GZYT 50-59 years, female 36.4
GTEX-13QBU-0426-SM-5J2O4 40-49 years, female 36.3
GTEX-146FH-1026-SM-5RQIF 50-59 years, female 36.3
GTEX-1IDJE-0326-SM-CM2TD 50-59 years, female 36.3
GTEX-131XH-0226-SM-5LZVB 50-59 years, male 36.2
GTEX-132NY-1726-SM-5EGKK 60-69 years, male 35.7
GTEX-XQ8I-0126-SM-4BOPL 50-59 years, male 35.7
GTEX-N7MS-0826-SM-2HML4 60-69 years, male 35.6
GTEX-12BJ1-0226-SM-5LUA2 60-69 years, male 35.5
GTEX-16YQH-0926-SM-793BC 30-39 years, male 35.4
GTEX-1399U-0526-SM-5K7YM 50-59 years, female 35.3
GTEX-1M5QR-1026-SM-DHXK9 40-49 years, male 35.3
GTEX-13O3O-1526-SM-5KM1C 60-69 years, female 35.2
GTEX-14A6H-0226-SM-5Q5DX 30-39 years, male 35.1
GTEX-PSDG-0926-SM-2I5FP 50-59 years, male 35.0
GTEX-QEL4-0926-SM-3GAD1 50-59 years, male 35.0
GTEX-1S3DN-0726-SM-E9TIO 50-59 years, male 35.0
GTEX-Y8E4-0326-SM-4VBRR 40-49 years, male 34.9
GTEX-1HSMO-1226-SM-CL548 60-69 years, male 34.9
GTEX-R55G-0526-SM-2TC5O 40-49 years, female 34.7
GTEX-1GF9U-0426-SM-7RHHA 40-49 years, female 34.7
GTEX-1BAJH-1626-SM-73KUV 70-79 years, male 34.6
GTEX-1CB4E-0526-SM-7MXTK 60-69 years, male 34.4
GTEX-R55E-1026-SM-2TC5S 20-29 years, male 34.3
GTEX-1ICG6-0626-SM-ACKWS 70-79 years, female 34.1
GTEX-1IKK5-1526-SM-CKZPW 60-69 years, male 33.8
GTEX-1B996-1126-SM-73KWN 60-69 years, male 33.6
GTEX-V1D1-0526-SM-4JBGW 50-59 years, male 33.6
GTEX-1399S-1026-SM-5KLZ9 30-39 years, female 33.5
GTEX-1AYCT-0426-SM-73KVZ 50-59 years, male 33.3
GTEX-RNOR-0826-SM-2TF5C 50-59 years, female 33.3
GTEX-RTLS-0826-SM-2TF5Q 60-69 years, female 33.3
GTEX-1POEN-0626-SM-EVR4B 30-39 years, female 33.3
GTEX-14C38-1426-SM-5RQHZ 50-59 years, male 33.2
GTEX-13N11-0426-SM-5KM3O 50-59 years, female 32.9
GTEX-145MO-1126-SM-5NQBX 60-69 years, male 32.9
GTEX-1AX9K-0526-SM-73KV1 50-59 years, male 32.9
GTEX-11TUW-1026-SM-5GU7D 60-69 years, male 32.8
GTEX-15ER7-1726-SM-6PAMX 20-29 years, female 32.8
GTEX-1AX8Z-5007-SM-AHZ36 60-69 years, male 32.3
GTEX-1R9K4-1326-SM-DTX8G 60-69 years, male 32.3
GTEX-ZV7C-0326-SM-57WB1 50-59 years, male 32.2
GTEX-WI4N-0626-SM-3TW8Z 40-49 years, female 32.1
GTEX-14JG1-1026-SM-6ETZY 40-49 years, male 32.0
GTEX-1JMPZ-1426-SM-CJI3C 30-39 years, male 32.0
GTEX-1314G-0126-SM-5LZUL 30-39 years, male 31.9
GTEX-ZAB4-1026-SM-5HL7T 40-49 years, male 31.8
GTEX-1JJEA-0826-SM-CL53T 60-69 years, male 31.5
GTEX-1KANC-0426-SM-CXZK5 50-59 years, female 31.5
GTEX-X8HC-1626-SM-46MWE 50-59 years, female 31.2
GTEX-1GF9V-1626-SM-7PBXL 60-69 years, male 31.2
GTEX-12WSC-1126-SM-5EQ4G 50-59 years, male 31.1
GTEX-13OVL-0526-SM-5KLZQ 50-59 years, male 31.1
GTEX-RWSA-0626-SM-2XCBD 40-49 years, male 31.0
GTEX-OHPM-0326-SM-33HCA 50-59 years, male 30.9
GTEX-13OW6-1126-SM-5L3HL 50-59 years, male 30.8
GTEX-ZDTS-1326-SM-6LLHE 60-69 years, male 30.7
GTEX-13N1W-1026-SM-5IJC5 70-79 years, male 30.5
GTEX-1497J-1226-SM-5Q5BL 60-69 years, male 30.4
GTEX-12ZZZ-1726-SM-59HK5 60-69 years, male 30.3
GTEX-13OVG-0526-SM-5K7YD 60-69 years, male 30.3
GTEX-1R9PO-0326-SM-DTXA1 60-69 years, female 30.3
GTEX-1A3MW-1326-SM-7189P 60-69 years, female 30.1
GTEX-SIU8-0826-SM-2XCDQ 50-59 years, male 30.1
GTEX-13X6H-0426-SM-5LU4E 50-59 years, female 29.8
GTEX-WZTO-1326-SM-3NM8X 40-49 years, male 29.5
GTEX-ZYW4-0926-SM-59HJS 60-69 years, male 29.4
GTEX-1HCU6-1026-SM-A9G25 60-69 years, female 29.3
GTEX-1JJ6O-2126-SM-CNNP6 60-69 years, male 29.3
GTEX-WQUQ-1426-SM-3MJFD 60-69 years, male 29.2
GTEX-13NZB-0226-SM-5KM1T 30-39 years, male 28.5
GTEX-OIZG-1126-SM-2HMIU 50-59 years, male 28.4
GTEX-1F6I4-0726-SM-7PC2P 60-69 years, male 28.4
GTEX-1I1HK-0726-SM-B2LY4 60-69 years, male 28.2
GTEX-13RTJ-0726-SM-5QGQN 60-69 years, male 28.1
GTEX-13112-0426-SM-5PNVC 50-59 years, male 27.9
GTEX-131XE-0626-SM-5HL98 50-59 years, male 27.4
GTEX-15SHU-1126-SM-7KUMB 40-49 years, female 27.4
GTEX-YFC4-0526-SM-5ZZVI 40-49 years, female 27.4
GTEX-148VI-0326-SM-5RQK7 60-69 years, female 27.2
GTEX-1B932-1026-SM-793CL 40-49 years, female 27.1
GTEX-ZAJG-0826-SM-5PNVA 50-59 years, female 27.0
GTEX-P44H-0726-SM-48TBT 40-49 years, male 26.8
GTEX-R45C-0926-SM-3GAD4 60-69 years, female 26.3
GTEX-148VJ-1526-SM-5Q5DU 70-79 years, male 26.1
GTEX-11ZVC-0426-SM-5CVLD 50-59 years, female 26.0
GTEX-1ICLY-1326-SM-CJI47 50-59 years, male 26.0
GTEX-1HCVE-1126-SM-9WPPG 50-59 years, male 25.8
GTEX-1JMOU-0226-SM-CNNPD 60-69 years, female 25.8
GTEX-16NPX-0926-SM-7KUEZ 50-59 years, male 25.6
GTEX-15DYW-1126-SM-6LPK5 60-69 years, female 25.3
GTEX-13X6K-1826-SM-5O9CR 60-69 years, female 25.2
GTEX-15DDE-1126-SM-6LLHN 50-59 years, female 25.2
GTEX-NFK9-0926-SM-2HMJU 40-49 years, male 25.0
GTEX-1E1VI-1326-SM-7IGQD 50-59 years, male 24.8
GTEX-12584-0926-SM-5FQTN 40-49 years, male 24.7
GTEX-1212Z-0626-SM-5FQTB 60-69 years, male 24.6
GTEX-1CB4G-0826-SM-7DUGF 60-69 years, male 24.6
GTEX-1JJE9-1426-SM-ARL8P 70-79 years, male 24.5
GTEX-15RJE-0626-SM-7KUKR 40-49 years, male 24.3
GTEX-1H1ZS-1126-SM-9MQLJ 70-79 years, male 24.3
GTEX-ZPU1-0626-SM-4YCDM 40-49 years, male 24.1
GTEX-18A6Q-1626-SM-7KFTA 60-69 years, male 24.0
GTEX-111FC-0826-SM-5GZWO 60-69 years, male 23.8
GTEX-1B8SG-0826-SM-7EWF7 50-59 years, male 23.6
GTEX-1LG7Y-1226-SM-CXZKD 50-59 years, male 23.6
GTEX-11O72-1126-SM-5N9E2 40-49 years, male 23.4
GTEX-17HGU-1026-SM-79OKL 50-59 years, male 23.4
GTEX-1PPH7-2026-SM-E9J3N 40-49 years, male 23.4
GTEX-REY6-1026-SM-2TF4Y 60-69 years, male 23.3
GTEX-11GSP-1326-SM-5A5KY 60-69 years, female 23.2
GTEX-Y5V5-0626-SM-4VBPX 60-69 years, female 23.0
GTEX-1F48J-1026-SM-7P8SO 50-59 years, female 23.0
GTEX-17MF6-0726-SM-7LT8E 40-49 years, male 22.9
GTEX-1HBPM-1226-SM-A9SM8 60-69 years, female 22.8
GTEX-13OW8-2126-SM-5J1OS 60-69 years, male 22.7
GTEX-WL46-0926-SM-3LK7T 50-59 years, male 22.7
GTEX-1JN1M-1026-SM-CNPOS 60-69 years, female 22.7
GTEX-1C6VQ-1126-SM-7EWET 50-59 years, male 22.6
GTEX-11EMC-0726-SM-5EGJO 60-69 years, female 22.4
GTEX-1I1GP-0826-SM-A96SD 50-59 years, male 22.4
GTEX-14PJM-1126-SM-6LLHK 50-59 years, female 21.8
GTEX-1HCU7-1326-SM-CNPPW 50-59 years, male 21.7
GTEX-1B8L1-0526-SM-79ONX 60-69 years, male 21.6
GTEX-14C5O-1326-SM-5S2UW 60-69 years, male 21.5
GTEX-1A3MX-1326-SM-72D58 60-69 years, male 21.5
GTEX-1269C-0826-SM-5N9EM 60-69 years, female 21.4
GTEX-1313W-1426-SM-5KLZU 50-59 years, female 21.2
GTEX-1F6IF-2526-SM-7P8TV 60-69 years, male 21.2
GTEX-1J8Q2-1226-SM-A9G2W 60-69 years, male 21.1
GTEX-117YW-0326-SM-5N9CY 50-59 years, male 21.0
GTEX-14JIY-1126-SM-6EU28 60-69 years, male 20.9
GTEX-13X6I-1426-SM-5SI9Z 60-69 years, male 20.8
GTEX-14DAQ-1126-SM-664MT 60-69 years, female 20.7
GTEX-11ONC-0126-SM-5PNW6 60-69 years, male 20.4
GTEX-13O3P-1626-SM-5K7X3 50-59 years, male 20.4
GTEX-PVOW-0426-SM-5MR5R 40-49 years, male 20.2
GTEX-1GN2E-1326-SM-9KNVG 60-69 years, male 19.9
GTEX-14BIL-1126-SM-79OMC 50-59 years, male 19.6
GTEX-1EKGG-1126-SM-7MGXB 60-69 years, male 19.6
GTEX-1H3NZ-1126-SM-9WYT9 60-69 years, male 19.6
GTEX-1EH9U-0826-SM-7IGPT 60-69 years, male 19.4
GTEX-1GTWX-1026-SM-7P8QW 60-69 years, male 19.4
GTEX-1I1GV-1326-SM-A96SE 60-69 years, male 19.4
GTEX-1ICLZ-1026-SM-A9SLF 60-69 years, male 19.4
GTEX-1AX9I-1126-SM-7EPHH 60-69 years, male 19.2
GTEX-13JVG-1326-SM-5N9F8 60-69 years, male 19.1
GTEX-11DXY-0826-SM-5EGGR 60-69 years, male 18.9
GTEX-N7MT-1326-SM-2I3FV 60-69 years, female 18.9
GTEX-ZYFC-1126-SM-5E44W 50-59 years, male 18.9
GTEX-14PJ2-1026-SM-6EU1M 50-59 years, male 18.8
GTEX-OXRO-2026-SM-2YUMZ 60-69 years, female 18.8
GTEX-1GN1V-0826-SM-9KNU6 60-69 years, male 18.8
GTEX-17HII-1326-SM-7IGOB 50-59 years, male 18.5
GTEX-YJ8O-0926-SM-EAZ2Z 40-49 years, female 18.4
GTEX-147F4-1226-SM-5NQAY 50-59 years, male 18.3
GTEX-147JS-1526-SM-5ZZWF 60-69 years, male 18.3
GTEX-17JCI-1126-SM-7IGMM 60-69 years, female 18.2
GTEX-11GS4-0526-SM-5A5KQ 60-69 years, male 18.0
GTEX-13CF2-0426-SM-5KM1H 60-69 years, male 17.9
GTEX-17F9Y-1326-SM-7MGW9 70-79 years, female 17.6
GTEX-16MT8-0926-SM-6M487 60-69 years, female 17.3
GTEX-1A8G6-1626-SM-7MGWO 60-69 years, male 17.3
GTEX-12ZZW-1026-SM-5GCMM 50-59 years, male 17.2
GTEX-1EN7A-0726-SM-7PBXT 40-49 years, male 17.2
GTEX-1EX96-2526-SM-7RHGW 50-59 years, male 17.1
GTEX-S33H-0526-SM-COH1W 30-39 years, male 17.0
GTEX-WRHU-1226-SM-4E3IJ 50-59 years, female 16.9
GTEX-13YAN-1326-SM-5Q5F1 60-69 years, male 16.1
GTEX-13FHP-1026-SM-5K7Y2 50-59 years, male 16.0
GTEX-14C39-0926-SM-5TDDV 40-49 years, male 16.0
GTEX-14E7W-1226-SM-5RQIU 70-79 years, male 16.0
GTEX-ZF3C-1226-SM-4WWCB 50-59 years, female 15.9
GTEX-1EWIQ-1426-SM-7IGOS 70-79 years, female 15.8
GTEX-1IKJJ-0826-SM-A96SP 60-69 years, male 15.8
GTEX-18465-0926-SM-731AY 50-59 years, male 15.7
GTEX-13OW5-1126-SM-5J1NR 60-69 years, male 15.6
GTEX-15SHW-1226-SM-6M46C 60-69 years, male 15.6
GTEX-T2IS-0426-SM-32QPE 20-29 years, female 15.6
GTEX-1H1CY-0326-SM-9QEIZ 60-69 years, female 15.6
GTEX-1O97I-0826-SM-E8VNE 60-69 years, male 15.5
GTEX-12ZZY-1126-SM-5DUWQ 60-69 years, male 15.3
GTEX-1JN6P-1126-SM-CKZON 60-69 years, male 15.2
GTEX-15CHQ-1526-SM-69LPW 60-69 years, male 15.1
GTEX-1LB8K-1026-SM-DHXJJ 50-59 years, male 15.0
GTEX-RN64-0826-SM-2TC62 50-59 years, male 14.9
GTEX-1RAZS-0826-SM-E76QP 50-59 years, male 14.8
GTEX-14E6D-0926-SM-5S2QV 50-59 years, male 14.7
GTEX-1HT8W-1726-SM-CNNQB 30-39 years, male 14.4
GTEX-ZYT6-1726-SM-5E44P 30-39 years, male 14.3
GTEX-1IDJH-1026-SM-E9TKH 70-79 years, male 14.1
GTEX-13NYB-0226-SM-5N9G4 40-49 years, male 13.9
GTEX-WWYW-1326-SM-3NB2S 50-59 years, female 13.9
GTEX-ZUA1-0826-SM-4YCDL 40-49 years, male 13.8
GTEX-XBEC-1326-SM-4AT69 50-59 years, male 13.3
GTEX-13FTZ-0226-SM-5K7X6 60-69 years, male 12.8
GTEX-1KD4Q-0726-SM-DIPGE 40-49 years, male 12.7
GTEX-1LVA9-0926-SM-EVR5G 50-59 years, male 12.0
GTEX-1399T-0426-SM-5PNVJ 60-69 years, male 11.8
GTEX-WK11-0826-SM-EZ6LH 50-59 years, male 11.8
GTEX-P44G-0826-SM-2I5ES 30-39 years, male 11.7
GTEX-17HHY-1426-SM-7EWDQ 50-59 years, male 11.2
GTEX-X261-1426-SM-4PQZ1 50-59 years, male 10.8
GTEX-1NV8Z-1526-SM-DTX8X 60-69 years, male 9.6
GTEX-14BIN-2226-SM-5YYA1 50-59 years, female 8.9
GTEX-QVJO-1926-SM-2S1QZ 60-69 years, female 8.6
GTEX-14A5I-1226-SM-5NQBW 50-59 years, female 6.3
Show allShow less

HEART MUSCLE - FANTOM5 CAGEi

RNA expression in human tissues obtained through Cap Analysis of Gene Expression (CAGE) generated by the FANTOM5 project are reported as Scaled Tags Per Million.

Max subtype Scaled Tags Per Millioni

Max subtype Scaled Tags Per Million is the value for the subtype with the largest average Scaled Tags Per Million across the subtype samples.

117.4
FANTOM5 sample id Sample description Scaled Tags Per Million
Heart
Scaled Tags Per Million: 86.8
FF:10016-101C7 70,73,74 years, mixed 86.8
Left atrium
Scaled Tags Per Million: 71.5
FF:10079-102A7 40 years, male 71.5
Left ventricle
Scaled Tags Per Million: 117.4
FF:10078-102A6 73 years, female 117.4

Contact

  • NEWS ARTICLES
  • PRESS ROOM

The Project

  • INTRODUCTION
  • ORGANIZATION
  • PUBLICATIONS

The Human Protein Atlas

  • DOWNLOADABLE DATA
  • LICENCE & CITATION
  • HELP & FAQ
The Human Protein Atlas project is funded
by the Knut & Alice Wallenberg Foundation.


contact@proteinatlas.org