We use cookies to enhance the usability of our website. If you continue, we'll assume that you are happy to receive all cookies. More information. Don't show this again.
GIPC1
HPA
RESOURCES
  • TISSUE
  • BRAIN
  • SINGLE CELL
  • SUBCELLULAR
  • CANCER
  • BLOOD
  • CELL LINE
  • STRUCTURE & INTERACTION
ABOUT
  • INTRODUCTION
  • HISTORY
  • ORGANIZATION
  • PUBLICATIONS
  • ANTIBODY SUBMISSION
  • ANTIBODY AVAILABILITY
  • ACKNOWLEDGMENTS
  • CONTACT
NEWS
  • NEWS ARTICLES
  • PRESS ROOM
LEARN
  • DICTIONARY
  • PROTEIN CLASSES
  • PROTEIN EVIDENCE
  • METHODS
  • EDUCATIONAL VIDEOS
DATA
  • DOWNLOADABLE DATA
  • PUBLICATION DATA
  • RELEASE HISTORY
HELP
  • ANTIBODY VALIDATION
  • ASSAYS & ANNOTATION
  • DISCLAIMER
  • HELP & FAQ
  • PRIVACY STATEMENT
  • LICENCE & CITATION
Fields »
Search result

Field
Term
Gene name
Class
Subclass
Class
Keyword
Chromosome
External id
Tissue
Cell type
Expression
Antibody panel
Tissue
Main location
Patient ID
Annotation
Tissue
Category
Tau score
Cluster
Reliability
Brain region
Category
Tau score
Brain region
Category
Tau score
Brain region
Category
Tau score
Cluster
Reliability
Tissue
Cell type
Enrichment
Cell type
Category
Tau score
Cell type
Category
Tau score
Cell type
Category
Tau score
Cell lineage
Category
Tau score
Cluster
Cluster
Location
Searches
Location
Cell line
Class
Type
Phase
Reliability
Cancer
Prognosis
Cancer
Category
Cancer
Category
Tau score
Cluster
Variants
Interacting gene (ensg_id)
Type
Number of interactions
Pathway
Category
Score
Score
Score
Validation
Validation
Validation
Validation
Antibodies
Data type
Column


  • SUMMARY

  • TISSUE

  • BRAIN

  • SINGLE CELL

  • SUBCELL

  • CANCER

  • BLOOD

  • CELL LINE

  • STRUCT & INT

  • GIPC1
TISSUE PRIMARY DATA SKIN Show tissue menu
ADIPOSE TISSUE ADRENAL GLAND AMYGDALA APPENDIX BASAL GANGLIA BONE MARROW BREAST BRONCHUS CEREBELLUM CEREBRAL CORTEX CERVIX CHOROID PLEXUS COLON DUODENUM
ENDOMETRIUM EPIDIDYMIS ESOPHAGUS FALLOPIAN TUBE GALLBLADDER HEART MUSCLE HIPPOCAMPAL FORMATION HYPOTHALAMUS KIDNEY LIVER LUNG LYMPH NODE MIDBRAIN NASOPHARYNX
ORAL MUCOSA OVARY PANCREAS PARATHYROID GLAND PITUITARY GLAND PLACENTA PROSTATE RECTUM RETINA SALIVARY GLAND SEMINAL VESICLE SKELETAL MUSCLE SKIN SMALL INTESTINE
SMOOTH MUSCLE SOFT TISSUE SPINAL CORD SPLEEN STOMACH TESTIS THYMUS THYROID GLAND TONGUE TONSIL URINARY BLADDER VAGINA
ANTIBODIES
AND
VALIDATION
Dictionary
Skin
Tissue proteome
Skin
SKIN - Expression summary
Protein expression
Skini

On the top, protein expression in current human tissue, based on all annotated cell types, is reported with the units not detected (n), low (l), medium (m) and high (h). Underneath, protein expression in each annotated cell type are reported using the same units.

Protein expression data is based on knowledge-based annotation. For genes where more than one antibody has been used, a collective score is set.

If knowledge-based annotation could not be performed for a gene, no data is displayed here. View antibody staining data further down this page.

h
m
l
n
Epidermal cells: Medium
Fibroblasts: Not detected
Keratinocytes: Low
Langerhans: Not detected
Melanocytes: Not detected
RNA expressioni

A summary of mRNA expression data available for current tissue based on several datasets. The mRNA expression levels in human tissues are based on RNA-seq data generated by the Human Protein Atlas (HPA), Genotype-Tissue Expression (GTEx) portal and CAGE data generated by the FANTOM5 consortium. Consensus normalized expression levels for human tissues was created by combining the data from HPA and GTEx datasets.

The mRNA expression levels in pig are based on RNA-seq data generated by the Human Protein Atlas (HPA), and for mouse, HPA data and in situ hybridization generated by the Allen brain atlas are reported.

Scroll down to view mRNA expression data in more detail.
Consensus:145.6 nTPM
HPA:71.0 nTPM
GTEx:145.6 nTPM

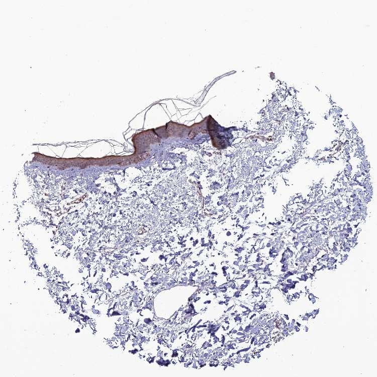
SKIN 1 - Antibody stainingi

Antibody staining in the annotated cell types in the current human tissue is reported as not detected, low, medium, or high, based on conventional immunohistochemistry profiling in selected tissues. This score is based on the combination of the staining intensity and fraction of stained cells.

Each image is clickable and will lead to virtual microscopy that enables deeper exploration of all samples and also displays staining intensity scores, fraction scores and subcellular localization as well as patient and tissue information for each sample.

Antibody HPA043958
Langerhans Not detected
Fibroblasts Not detected
Keratinocytes Low
Melanocytes Not detected

SKIN 2 - Antibody stainingi

Antibody staining in the annotated cell types in the current human tissue is reported as not detected, low, medium, or high, based on conventional immunohistochemistry profiling in selected tissues. This score is based on the combination of the staining intensity and fraction of stained cells.

Each image is clickable and will lead to virtual microscopy that enables deeper exploration of all samples and also displays staining intensity scores, fraction scores and subcellular localization as well as patient and tissue information for each sample.

Antibody HPA043958
Epidermal cells Medium
 
 
 

SKIN - HPA RNA-seqi

The RNA-seq details section shows detailed information about the individual samples used for the transcript profiling and results of the RNA-seq analysis.

Information about each individual sample is listed below, including gender, age, a tissue section image and estimated fractions of cell types. nTPM (normalized transcripts per million) values give a quantification of the gene abundance which is comparable between different genes and samples.
Average nTPMi

Max subtype nTPM is the value for the subtype with the largest average nTPM across the subtype samples.

71.0
overview
Female, age 34
Skin sample 225
nTPM: 59.9
Cell types%
Keratinocytes:
60

Other cell types:
40

overview
Female, age 30
Skin sample 226
nTPM: 28
Cell types%
Keratinocytes:
55

Other cell types:
45

N/A
Male, age 57
Skin sample 227
nTPM: 125.2

SKIN - GTEx RNA-seqi

RNA-Seq data generated by the Genotype-Tissue Expression (GTEx) project from human tissues is reported as mean nTPM. More information can be found on the GTEx portal.

Distribution across the dataset is visualized with box plots, shown as median and 25th and 75th percentiles. Points are displayed as outliers if they are above or below 1.5 times the interquartile range. nTPM values of the individual samples are presented next to the box plot.
Max subtype nTPMi

Max subtype nTPM is the value for the subtype with the largest average nTPM across the subtype samples.

145.6
GTEx sample id Sample description nTPM
Skin - Not Sun Exposed (Suprapubic)
Average nTPM: 145.6
Samples: 604

Max nTPM: 386.8
Min nTPM: 64.6
Std nTPM: 45.0
Median nTPM: 139.6
GTEX-1PPH8-0126-SM-EWRN8 20-29 years, male 386.8
GTEX-WI4N-2726-SM-3LK7Y 40-49 years, female 376.1
GTEX-Y114-2126-SM-4TT8B 50-59 years, female 333.5
GTEX-1OJC3-1226-SM-DTXER 20-29 years, male 315.3
GTEX-X585-2426-SM-46MW2 50-59 years, male 311.6
GTEX-1IKOE-1426-SM-CE6T7 30-39 years, female 302.7
GTEX-ZTX8-1326-SM-4YCEL 20-29 years, male 294.4
GTEX-WFG7-2026-SM-5SI7P 20-29 years, male 289.9
GTEX-1JMLX-0626-SM-ARL8T 50-59 years, male 289.8
GTEX-1399S-0126-SM-5IJCF 30-39 years, female 278.3
GTEX-Y111-0626-SM-4SOIT 50-59 years, male 276.0
GTEX-1399Q-2326-SM-5KM2X 40-49 years, male 274.4
GTEX-XBEW-1126-SM-4QARW 40-49 years, male 263.5
GTEX-WHSE-0126-SM-3NMBT 20-29 years, male 259.9
GTEX-147F4-0726-SM-5TDDD 50-59 years, male 259.2
GTEX-1E2YA-2126-SM-7MXUO 50-59 years, male 258.5
GTEX-11PRG-0726-SM-5EGL1 50-59 years, male 254.5
GTEX-131XH-0126-SM-5LZUY 50-59 years, male 253.6
GTEX-WH7G-2026-SM-3NMBL 40-49 years, male 249.8
GTEX-13JVG-0726-SM-5KM16 60-69 years, male 248.3
GTEX-1HGF4-0126-SM-CNPPX 60-69 years, male 241.7
GTEX-17HII-1426-SM-7EPGG 50-59 years, male 234.5
GTEX-1J8EW-2726-SM-CY8HR 60-69 years, female 230.7
GTEX-1HBPN-0126-SM-CGQEF 50-59 years, male 225.4
GTEX-ZY6K-1426-SM-5GZX2 50-59 years, male 224.9
GTEX-15G19-2426-SM-7KUMR 60-69 years, male 224.6
GTEX-ZPCL-1126-SM-4WWFE 60-69 years, female 224.6
GTEX-15RIG-0726-SM-7KUM7 40-49 years, male 223.9
GTEX-11DYG-1526-SM-5A5JS 60-69 years, male 223.8
GTEX-1JMPY-0226-SM-CKZOK 30-39 years, male 223.3
GTEX-1R9PN-0426-SM-DTXDT 40-49 years, female 222.9
GTEX-18QFQ-1826-SM-72D52 30-39 years, male 222.7
GTEX-17F97-2626-SM-7IGM5 50-59 years, male 219.3
GTEX-YECK-0326-SM-4W1YS 60-69 years, male 218.1
GTEX-14XAO-1226-SM-6EU1C 60-69 years, female 218.0
GTEX-1RMOY-1326-SM-E9TIH 50-59 years, male 218.0
GTEX-13NYS-0626-SM-5L3F1 60-69 years, male 214.9
GTEX-1I1GU-0926-SM-ACKVS 40-49 years, male 214.8
GTEX-12WSJ-1126-SM-5LZVJ 40-49 years, female 214.1
GTEX-11ZU8-0126-SM-5EQ58 60-69 years, male 213.5
GTEX-1192X-2726-SM-5N9DN 50-59 years, male 212.5
GTEX-1J1OQ-0126-SM-D4P2N 40-49 years, female 212.5
GTEX-1NSGN-0726-SM-DTXEF 50-59 years, male 212.5
GTEX-ZE7O-2726-SM-51MT5 50-59 years, female 212.2
GTEX-1H2FU-0926-SM-9WPPT 60-69 years, female 210.2
GTEX-11WQK-1026-SM-5EQLX 50-59 years, male 209.0
GTEX-1IKJJ-2226-SM-CJI4C 60-69 years, male 208.9
GTEX-15RJE-2826-SM-7KUM9 40-49 years, male 206.8
GTEX-1313W-0626-SM-5EQ4H 50-59 years, female 206.3
GTEX-111VG-1626-SM-5EGIO 60-69 years, male 206.0
GTEX-11WQC-1826-SM-5GU59 60-69 years, male 205.6
GTEX-15G1A-1626-SM-7KUKN 30-39 years, male 205.0
GTEX-1JMQJ-0826-SM-CNPP7 50-59 years, male 204.8
GTEX-ZC5H-1526-SM-5HL9Y 40-49 years, female 203.9
GTEX-148VJ-0626-SM-5LUAW 70-79 years, male 202.9
GTEX-17HHE-1326-SM-7EWDZ 50-59 years, male 202.7
GTEX-1H3O1-1326-SM-9MQLD 60-69 years, male 201.7
GTEX-1PIIG-2326-SM-DTXFR 30-39 years, male 201.5
GTEX-ZVZP-1226-SM-5GID7 50-59 years, male 200.5
GTEX-1N2DV-1526-SM-DTXEP 40-49 years, male 200.5
GTEX-Z93S-1626-SM-5CVMB 50-59 years, male 200.1
GTEX-14E1K-2026-SM-7DUEI 50-59 years, male 199.0
GTEX-11O72-0626-SM-5PNYE 40-49 years, male 198.8
GTEX-15DYW-2726-SM-6EU2I 60-69 years, female 198.7
GTEX-14PJ3-1126-SM-5ZZVX 50-59 years, male 198.6
GTEX-14PII-0726-SM-6EU2B 60-69 years, male 198.1
GTEX-1ICLZ-0326-SM-ARL82 60-69 years, male 198.1
GTEX-14PHY-1226-SM-5ZZWK 60-69 years, female 197.6
GTEX-14ICL-1626-SM-5YYAO 30-39 years, male 196.8
GTEX-13SLX-2226-SM-62LEP 50-59 years, female 196.6
GTEX-1NV5F-0626-SM-DTXEG 60-69 years, female 195.6
GTEX-1C6WA-2626-SM-7MKGM 60-69 years, male 195.3
GTEX-U8XE-0226-SM-4E3J3 30-39 years, male 195.0
GTEX-13PL6-1126-SM-5L3IE 40-49 years, female 194.8
GTEX-13NYB-0126-SM-5J1MD 40-49 years, male 194.5
GTEX-1R9PM-1926-SM-EVR3O 20-29 years, male 194.2
GTEX-ZYT6-2326-SM-5GZY3 30-39 years, male 193.6
GTEX-1AYD5-2626-SM-7PBXY 50-59 years, male 192.0
GTEX-13IVO-0726-SM-5LZYV 70-79 years, male 191.9
GTEX-13G51-1826-SM-5KLZH 60-69 years, male 191.5
GTEX-WHSB-1326-SM-3LK6W 50-59 years, male 191.4
GTEX-1GN1V-2826-SM-9JGIA 60-69 years, male 190.7
GTEX-Y9LG-1126-SM-4VBQ7 30-39 years, male 190.1
GTEX-X8HC-0626-SM-4E3HQ 50-59 years, female 189.6
GTEX-ZF3C-0626-SM-DO92O 50-59 years, female 189.6
GTEX-Y3I4-1726-SM-4TT89 50-59 years, male 189.0
GTEX-13FTY-2126-SM-5IFFB 40-49 years, female 188.9
GTEX-11OF3-0126-SM-5PNYF 60-69 years, male 188.2
GTEX-14C39-1726-SM-5RQIL 40-49 years, male 187.3
GTEX-1QP9N-1226-SM-E76QN 30-39 years, male 186.8
GTEX-1EMGI-2326-SM-7PBYA 60-69 years, male 186.4
GTEX-13PDP-0726-SM-5L3HP 60-69 years, male 185.8
GTEX-11DZ1-2426-SM-5GZZX 50-59 years, male 185.7
GTEX-ZT9X-1526-SM-5DUXD 40-49 years, male 185.1
GTEX-1JJEA-1826-SM-ARU8P 60-69 years, male 184.8
GTEX-1HCU7-0726-SM-A9SL1 50-59 years, male 184.1
GTEX-1IL2V-1926-SM-B2LW8 70-79 years, male 183.9
GTEX-1LKK1-2626-SM-DKPQE 50-59 years, female 183.4
GTEX-WHPG-2626-SM-3NMBR 50-59 years, male 183.1
GTEX-13NYC-0126-SM-5L3F4 60-69 years, male 182.7
GTEX-139TU-0726-SM-5L3EK 60-69 years, male 182.4
GTEX-1MJK3-0726-SM-E6CJC 20-29 years, male 181.9
GTEX-17F96-0126-SM-7EWDU 70-79 years, male 181.5
GTEX-1HB9E-0126-SM-CM2S5 50-59 years, male 181.0
GTEX-1KAFJ-0126-SM-DIPEK 50-59 years, male 181.0
GTEX-1POEN-2326-SM-E9J2L 30-39 years, female 180.9
GTEX-1QP28-1126-SM-EVYC4 50-59 years, female 180.2
GTEX-ZYVF-0926-SM-5E44J 50-59 years, female 179.9
GTEX-147GR-2426-SM-5ZZWQ 60-69 years, male 179.8
GTEX-16AAH-0626-SM-793C9 50-59 years, male 179.6
GTEX-11DXZ-2026-SM-5987S 50-59 years, male 179.2
GTEX-131XF-2626-SM-5EQ6K 60-69 years, male 178.9
GTEX-1KANB-2826-SM-CY8I6 50-59 years, male 178.9
GTEX-144FL-0626-SM-5LU43 50-59 years, male 178.3
GTEX-14C38-0726-SM-5SI6M 50-59 years, male 178.2
GTEX-14PJO-2526-SM-6AJBQ 60-69 years, male 178.2
GTEX-YEC4-1826-SM-4W1YP 40-49 years, male 177.9
GTEX-1F88F-0126-SM-9WYSZ 60-69 years, female 177.5
GTEX-XOT4-0626-SM-4B66L 60-69 years, female 177.0
GTEX-12ZZX-2426-SM-5GCOE 40-49 years, female 176.9
GTEX-1CAMS-2226-SM-7PBXQ 40-49 years, female 176.8
GTEX-ZDTS-0826-SM-4WKHL 60-69 years, male 176.5
GTEX-16YQH-2226-SM-7IGM2 30-39 years, male 176.2
GTEX-139TS-2126-SM-5K7XC 60-69 years, male 175.5
GTEX-12WSH-1526-SM-5BC5W 50-59 years, male 175.0
GTEX-1BAJH-2426-SM-7IGP8 70-79 years, male 175.0
GTEX-YFCO-1226-SM-5LUAT 40-49 years, male 175.0
GTEX-ZP4G-1426-SM-4WWCL 20-29 years, female 174.7
GTEX-11TUW-0626-SM-5LU9M 60-69 years, male 174.6
GTEX-12126-0826-SM-5FQTZ 20-29 years, male 174.1
GTEX-12ZZZ-0726-SM-5GCNZ 60-69 years, male 174.1
GTEX-1PIGE-1826-SM-E8VOU 20-29 years, male 174.1
GTEX-1AX9J-1326-SM-731BJ 60-69 years, male 174.0
GTEX-16MT9-0126-SM-7EPI8 60-69 years, female 173.9
GTEX-1B97I-0626-SM-73KUZ 40-49 years, male 173.8
GTEX-1I1GT-1026-SM-ARZLV 60-69 years, female 172.8
GTEX-1F6RS-2026-SM-7RHHC 60-69 years, female 172.7
GTEX-XQ3S-1426-SM-4BOPR 20-29 years, male 172.2
GTEX-14LLW-2626-SM-62LDZ 70-79 years, female 171.4
GTEX-1LBAC-0826-SM-CY8IJ 20-29 years, male 170.9
GTEX-1F6I4-2326-SM-7RHGL 60-69 years, male 170.8
GTEX-13QJC-0126-SM-5ZZWJ 60-69 years, female 170.7
GTEX-1JMQL-2226-SM-CNPP4 50-59 years, female 170.6
GTEX-XUW1-0926-SM-4BONX 50-59 years, female 170.2
GTEX-13O61-1426-SM-5KM3D 60-69 years, male 170.0
GTEX-11NUK-2726-SM-5A5MC 50-59 years, male 169.7
GTEX-WXYG-2026-SM-4E3IY 50-59 years, female 169.7
GTEX-11P7K-1126-SM-5HL4L 30-39 years, male 169.6
GTEX-1CB4F-1026-SM-7DUH1 60-69 years, male 168.9
GTEX-1GF9V-0826-SM-9KNUV 60-69 years, male 168.9
GTEX-WHWD-1826-SM-3LK6I 50-59 years, male 168.7
GTEX-139UW-0326-SM-5J1ML 60-69 years, male 168.5
GTEX-ZLFU-1826-SM-4WWBV 40-49 years, male 168.0
GTEX-1LSNM-0826-SM-DIPG8 50-59 years, male 168.0
GTEX-15DDE-2926-SM-6LLJ3 50-59 years, female 167.9
GTEX-15SHW-0226-SM-7LTAT 60-69 years, male 167.8
GTEX-1PPGY-1626-SM-EVYBL 60-69 years, male 166.7
GTEX-14LZ3-0126-SM-69LPM 60-69 years, female 166.6
GTEX-1S3DN-2126-SM-E9TIN 50-59 years, male 166.4
GTEX-13OVJ-0826-SM-5J1OK 50-59 years, female 166.1
GTEX-1HCU6-2526-SM-ADEHL 60-69 years, female 165.8
GTEX-1K2DU-1226-SM-CYPT4 20-29 years, male 165.7
GTEX-1PPH7-1126-SM-DTX9A 40-49 years, male 165.2
GTEX-ZE9C-2526-SM-5IJDR 60-69 years, male 165.0
GTEX-1LVAN-0626-SM-CNPOQ 50-59 years, female 164.2
GTEX-1R9K4-2826-SM-DTX8F 60-69 years, male 164.0
GTEX-13OVK-1426-SM-6PAN7 40-49 years, male 163.9
GTEX-XV7Q-1826-SM-4BRUV 40-49 years, female 163.9
GTEX-1HSMQ-2626-SM-A9SML 50-59 years, male 163.8
GTEX-13112-0126-SM-5P9IU 50-59 years, male 163.7
GTEX-17F9E-2326-SM-79OKD 50-59 years, male 163.6
GTEX-1MCYP-0526-SM-E9U6Q 20-29 years, female 163.4
GTEX-145MH-2826-SM-5RQJF 50-59 years, male 163.3
GTEX-ZF29-0926-SM-4WKFZ 60-69 years, female 163.0
GTEX-18465-2826-SM-7LT9J 50-59 years, male 162.7
GTEX-1GMRU-2126-SM-7P8RA 50-59 years, male 162.7
GTEX-131XG-0326-SM-5L3DX 50-59 years, female 162.5
GTEX-1A8G6-2726-SM-731AR 60-69 years, male 161.7
GTEX-1GPI7-1826-SM-9KNU1 20-29 years, male 161.7
GTEX-11P82-1426-SM-DTXFY 20-29 years, male 161.5
GTEX-1EKGG-0626-SM-7DUGJ 60-69 years, male 161.4
GTEX-1JMQK-1226-SM-D4P2S 60-69 years, male 161.3
GTEX-Y5V6-2326-SM-4VDSA 60-69 years, male 161.0
GTEX-XK95-0226-SM-4AT58 40-49 years, male 160.8
GTEX-15CHR-1126-SM-7EWF4 50-59 years, male 160.7
GTEX-1C64N-2626-SM-7PC2N 50-59 years, male 160.6
GTEX-1EN7A-2426-SM-793DB 40-49 years, male 160.2
GTEX-1GZ4H-0526-SM-9KNU9 50-59 years, female 160.2
GTEX-1PBJJ-1026-SM-E76OS 30-39 years, male 160.0
GTEX-145MG-1526-SM-5Q5EM 50-59 years, male 159.8
GTEX-1H4P4-2126-SM-9WYSL 50-59 years, male 159.8
GTEX-17F9Y-0126-SM-79OKX 70-79 years, female 159.7
GTEX-1497J-0226-SM-5QGPU 60-69 years, male 159.5
GTEX-1IDFM-0326-SM-ARL7V 60-69 years, male 159.3
GTEX-XQ8I-0926-SM-4BOOF 50-59 years, male 158.6
GTEX-ZWKS-0626-SM-5GIDV 30-39 years, male 158.6
GTEX-1CAMR-1326-SM-7PC1F 20-29 years, male 158.1
GTEX-1RAZQ-1326-SM-E9TK6 30-39 years, male 158.0
GTEX-18A67-1626-SM-7LT9T 50-59 years, male 157.9
GTEX-1J8Q2-2626-SM-ACKWQ 60-69 years, male 157.9
GTEX-1H23P-0626-SM-9WG6T 60-69 years, male 157.8
GTEX-1CB4E-0926-SM-7EPHT 60-69 years, male 157.2
GTEX-1N2EE-0626-SM-E76PW 60-69 years, male 156.9
GTEX-ZDTT-0426-SM-4WKFL 60-69 years, male 156.8
GTEX-13FTX-1526-SM-5K7VJ 20-29 years, female 156.5
GTEX-17EVP-2626-SM-7IGMA 40-49 years, male 156.5
GTEX-1HCUA-0826-SM-ADEHM 50-59 years, female 156.5
GTEX-13RTJ-0126-SM-5S2NN 60-69 years, male 156.3
GTEX-Y8LW-1526-SM-5IFHL 50-59 years, female 156.1
GTEX-15RIE-1926-SM-7KUKJ 60-69 years, male 155.6
GTEX-1I1HK-2326-SM-CKZOH 60-69 years, male 155.5
GTEX-1QCLY-0226-SM-EWRNH 30-39 years, male 155.4
GTEX-XPVG-2126-SM-4B667 50-59 years, male 155.2
GTEX-X4EO-2926-SM-4E3JH 60-69 years, female 155.1
GTEX-ZVE1-0726-SM-51MRN 50-59 years, female 154.8
GTEX-11DXY-0126-SM-5H11Q 60-69 years, male 154.5
GTEX-1IE54-1126-SM-A9G2Z 40-49 years, female 154.5
GTEX-1CB4J-1326-SM-7P8RX 60-69 years, male 154.1
GTEX-1JN6P-2926-SM-CL54D 60-69 years, male 154.1
GTEX-15UF6-1926-SM-7KUDV 70-79 years, female 153.5
GTEX-ZVP2-0326-SM-57WBP 50-59 years, male 153.3
GTEX-1HT8W-0626-SM-A9G2H 30-39 years, male 153.2
GTEX-1399U-1126-SM-5L3DB 50-59 years, female 153.1
GTEX-1I1GV-0626-SM-ARL7M 60-69 years, male 153.1
GTEX-133LE-2326-SM-5K7W3 20-29 years, female 153.0
GTEX-14C5O-0326-SM-5ZZUX 60-69 years, male 152.5
GTEX-1QW4Y-1126-SM-DTXE3 30-39 years, male 152.2
GTEX-ZYFC-0426-SM-5GICQ 50-59 years, male 151.9
GTEX-ZVT4-2426-SM-5GIEI 50-59 years, female 151.5
GTEX-1QAET-0326-SM-EVR3U 50-59 years, male 151.4
GTEX-14PHX-2226-SM-6EU2P 50-59 years, male 151.2
GTEX-16MTA-0926-SM-6M47Z 50-59 years, male 151.2
GTEX-ZTTD-2826-SM-4YCFA 50-59 years, male 151.2
GTEX-111CU-1126-SM-5EGIM 50-59 years, male 150.7
GTEX-1B8KE-1126-SM-7EPHI 50-59 years, male 150.7
GTEX-11P81-2226-SM-5PNYI 30-39 years, female 150.6
GTEX-1CAMQ-1326-SM-7P8RV 40-49 years, male 150.2
GTEX-1B933-2426-SM-7DHMD 50-59 years, female 150.1
GTEX-Y3IK-1626-SM-4YCF5 50-59 years, female 149.5
GTEX-14BIN-1126-SM-5RQJZ 50-59 years, female 149.4
GTEX-13OW6-2726-SM-5J2OE 50-59 years, male 149.3
GTEX-144GO-2026-SM-5O99P 60-69 years, male 149.2
GTEX-18D9A-1426-SM-7LT8M 30-39 years, female 148.9
GTEX-1GPI6-1926-SM-9KNV7 60-69 years, male 148.8
GTEX-1S82P-2126-SM-E6CI5 60-69 years, female 148.8
GTEX-13OVH-0526-SM-5L3E6 70-79 years, male 148.7
GTEX-15SKB-2826-SM-6PAMH 60-69 years, male 148.6
GTEX-1A3MV-1826-SM-731CD 30-39 years, male 148.5
GTEX-11UD2-2526-SM-5CVNU 50-59 years, male 148.4
GTEX-ZAB4-2126-SM-5HL8U 40-49 years, male 148.3
GTEX-13D11-0926-SM-5J2NC 50-59 years, female 148.0
GTEX-ZYY3-2926-SM-5GIEB 60-69 years, female 148.0
GTEX-XYKS-1426-SM-4BRUO 60-69 years, female 147.7
GTEX-16MT8-2926-SM-7DUFO 60-69 years, female 147.5
GTEX-1HFI6-0126-SM-CNPPI 40-49 years, male 147.3
GTEX-XXEK-1626-SM-4BRUZ 50-59 years, male 147.2
GTEX-15CHQ-0326-SM-69LQD 60-69 years, male 147.1
GTEX-XAJ8-1426-SM-47JYM 40-49 years, male 146.8
GTEX-1HSMP-0926-SM-A9SKX 70-79 years, male 146.5
GTEX-11DXX-2126-SM-5PNYR 60-69 years, female 146.4
GTEX-13W3W-0726-SM-5IJDQ 60-69 years, female 146.4
GTEX-1HBPI-2126-SM-ARL9K 50-59 years, male 146.3
GTEX-WFON-1926-SM-3LK7L 40-49 years, male 146.2
GTEX-11TT1-1826-SM-5EQLV 20-29 years, male 145.8
GTEX-XBEC-0726-SM-4QARZ 50-59 years, male 145.8
GTEX-1R46S-2426-SM-E76QA 60-69 years, female 145.5
GTEX-1B8SF-0126-SM-7DUG3 60-69 years, male 145.4
GTEX-X4EP-0626-SM-3P621 60-69 years, female 145.2
GTEX-1C64O-1326-SM-7MGWR 60-69 years, male 145.2
GTEX-UPJH-0226-SM-3GADV 50-59 years, male 145.1
GTEX-144GM-0526-SM-79OJO 20-29 years, male 144.9
GTEX-ZLV1-1526-SM-DO91J 60-69 years, female 144.9
GTEX-12WSM-1926-SM-5BC65 60-69 years, male 144.6
GTEX-13OW7-0426-SM-5K7VK 50-59 years, male 144.6
GTEX-1F52S-2926-SM-7MKGA 60-69 years, female 144.6
GTEX-1RB15-1326-SM-E76Q9 60-69 years, male 144.6
GTEX-13FHO-0426-SM-5L3F5 60-69 years, male 144.5
GTEX-1H11D-1826-SM-9QEHM 40-49 years, male 144.5
GTEX-1I1GP-1326-SM-A9G28 50-59 years, male 144.5
GTEX-145ME-1726-SM-5Q5EU 40-49 years, female 144.0
GTEX-1LGRB-0926-SM-COH3K 50-59 years, female 144.0
GTEX-WY7C-2126-SM-3NB2R 50-59 years, male 142.8
GTEX-132AR-0326-SM-5KM2C 50-59 years, female 142.7
GTEX-1117F-2926-SM-5GZYI 60-69 years, female 142.6
GTEX-1H1CY-0126-SM-9YFLY 60-69 years, female 142.4
GTEX-1LVA9-2626-SM-EVYD4 50-59 years, male 142.4
GTEX-1QP2A-1726-SM-E76QC 50-59 years, male 142.4
GTEX-12ZZY-0726-SM-5EQ66 60-69 years, male 142.3
GTEX-ZXG5-2126-SM-59HKD 60-69 years, male 142.3
GTEX-1269C-0126-SM-5EQ5L 60-69 years, female 141.9
GTEX-14PJ5-1526-SM-6LLIL 60-69 years, female 141.8
GTEX-18A6Q-0626-SM-7KFRP 60-69 years, male 141.7
GTEX-1IY9M-2826-SM-ARU8H 60-69 years, male 141.6
GTEX-14PJN-1826-SM-6AJ98 30-39 years, male 141.5
GTEX-13SLW-0626-SM-5Q5ER 70-79 years, male 141.4
GTEX-ZYW4-0626-SM-59HJR 60-69 years, male 141.4
GTEX-1OJC4-2726-SM-E76PJ 50-59 years, female 141.0
GTEX-11LCK-2226-SM-5HL4Q 30-39 years, male 140.8
GTEX-1JMPZ-0726-SM-CY8HZ 30-39 years, male 140.5
GTEX-ZAK1-0626-SM-5HL8E 50-59 years, female 140.4
GTEX-WYVS-1626-SM-3NM9R 40-49 years, female 140.2
GTEX-13OW5-2326-SM-5L3HO 60-69 years, male 139.8
GTEX-12WSK-2126-SM-5CVNC 40-49 years, female 139.3
GTEX-1EH9U-2826-SM-7DUGT 60-69 years, male 139.1
GTEX-11GSP-2326-SM-5HL63 60-69 years, female 139.0
GTEX-139T8-0626-SM-5KLZX 60-69 years, male 138.9
GTEX-1H3VE-0726-SM-9YFL5 40-49 years, male 138.8
GTEX-1HCVE-2726-SM-CL54F 50-59 years, male 138.8
GTEX-1K2DA-1026-SM-CGQGF 50-59 years, male 138.7
GTEX-131XW-0626-SM-5PNVD 50-59 years, female 138.6
GTEX-ZF2S-1626-SM-57WES 50-59 years, female 138.6
GTEX-139TT-2126-SM-5LZWC 60-69 years, male 138.3
GTEX-11GS4-0226-SM-5HL77 60-69 years, male 138.1
GTEX-145LS-0626-SM-7EPG7 60-69 years, female 138.1
GTEX-1GF9X-1326-SM-7PC2Y 40-49 years, female 138.1
GTEX-15EO6-2426-SM-6PALZ 50-59 years, male 138.0
GTEX-1JMQI-1726-SM-ARL93 50-59 years, male 138.0
GTEX-15RJ7-2126-SM-6PAMD 40-49 years, male 137.8
GTEX-1MCC2-1826-SM-DIPEX 30-39 years, female 137.8
GTEX-14PJ4-0226-SM-5YY92 60-69 years, male 137.3
GTEX-1LB8K-0726-SM-D5OV2 50-59 years, male 137.2
GTEX-X5EB-1926-SM-4E3IW 40-49 years, male 137.0
GTEX-1C2JI-1026-SM-73KY1 50-59 years, male 136.9
GTEX-11ZTT-2126-SM-5CVLO 60-69 years, female 136.8
GTEX-16BQI-1326-SM-6M486 30-39 years, female 136.8
GTEX-12696-0126-SM-5EQ4L 60-69 years, male 136.7
GTEX-11EQ8-0926-SM-5H12V 60-69 years, male 136.0
GTEX-13YAN-0226-SM-5TDC6 60-69 years, male 136.0
GTEX-1EWIQ-0326-SM-7DHMQ 70-79 years, female 136.0
GTEX-14753-0726-SM-5QGQO 60-69 years, male 135.8
GTEX-1QPFJ-1926-SM-EVYBD 30-39 years, female 135.8
GTEX-Y8E4-2026-SM-5IFJB 40-49 years, male 135.7
GTEX-1JMOU-1026-SM-CYPSS 60-69 years, female 135.4
GTEX-1GN73-0726-SM-7P8TJ 60-69 years, male 135.3
GTEX-1LSNL-2726-SM-E9TKJ 50-59 years, male 135.3
GTEX-139YR-1026-SM-5LZYN 50-59 years, male 135.2
GTEX-1LSVX-2526-SM-DIPEU 60-69 years, male 135.2
GTEX-1212Z-0126-SM-59HK4 60-69 years, male 135.1
GTEX-1RAZS-2526-SM-E6CHT 50-59 years, male 135.1
GTEX-144GL-0626-SM-5LU4D 50-59 years, male 135.0
GTEX-VUSG-2326-SM-4KL1U 50-59 years, male 134.8
GTEX-139D8-1126-SM-5LU8W 30-39 years, female 134.7
GTEX-13O3O-2326-SM-5IJD6 60-69 years, female 134.7
GTEX-1JN1M-2726-SM-CY8I4 60-69 years, female 134.6
GTEX-1AX9I-2226-SM-73KUO 60-69 years, male 134.2
GTEX-17MFQ-1526-SM-7KFRR 20-29 years, male 133.9
GTEX-1GZ4I-2626-SM-9KNU3 50-59 years, male 133.9
GTEX-1H1DE-1326-SM-9KNUG 20-29 years, male 133.8
GTEX-12WSD-0626-SM-5GCMW 60-69 years, female 133.7
GTEX-17F98-1326-SM-7DUEP 40-49 years, female 133.6
GTEX-1HR9M-2226-SM-CNPPY 60-69 years, male 133.4
GTEX-1JK1U-0226-SM-ARZMX 60-69 years, male 133.2
GTEX-13N1W-2426-SM-5IJD1 70-79 years, male 133.0
GTEX-13X6J-0626-SM-5LU5F 50-59 years, male 133.0
GTEX-1IOXB-2726-SM-CM2RI 50-59 years, male 133.0
GTEX-1S82U-1026-SM-E6CJK 30-39 years, female 132.9
GTEX-1GN1U-0626-SM-9MQL9 50-59 years, female 132.7
GTEX-XBED-1926-SM-47JYP 60-69 years, male 132.4
GTEX-1N5O9-0926-SM-E9J3C 60-69 years, male 132.3
GTEX-1HR98-2226-SM-ADEI2 60-69 years, male 132.0
GTEX-1I1CD-0626-SM-CE6SW 60-69 years, female 131.9
GTEX-ZU9S-1826-SM-5NQ9E 30-39 years, male 131.8
GTEX-13PVQ-0626-SM-5LU47 50-59 years, male 131.3
GTEX-17HHY-0426-SM-7DHLC 50-59 years, male 131.2
GTEX-1A8G7-1326-SM-73KVM 60-69 years, male 130.6
GTEX-1F75B-0726-SM-7PC3R 50-59 years, male 130.4
GTEX-1HC8U-1326-SM-9YFMJ 40-49 years, female 129.9
GTEX-WYJK-0526-SM-3NM8Z 50-59 years, male 129.6
GTEX-1JJ6O-2726-SM-CNPOG 60-69 years, male 129.1
GTEX-1RLM8-2926-SM-E8VON 50-59 years, male 128.9
GTEX-14A5H-0826-SM-5QGPJ 60-69 years, male 128.8
GTEX-1HSGN-0826-SM-ACKW3 40-49 years, female 128.6
GTEX-12WSF-1626-SM-7KUG5 70-79 years, male 128.5
GTEX-14JG1-1526-SM-5YY9X 40-49 years, male 128.5
GTEX-17HGU-2326-SM-7DUFE 50-59 years, male 128.5
GTEX-1S5ZU-2526-SM-E6CIF 20-29 years, female 128.5
GTEX-1K9T9-1526-SM-DIPFR 50-59 years, female 128.4
GTEX-183WM-0326-SM-72D5V 70-79 years, female 128.2
GTEX-14PJ6-2626-SM-6EU2T 60-69 years, female 127.3
GTEX-1C6VR-0126-SM-7RHGB 60-69 years, male 127.2
GTEX-17KNJ-2126-SM-718AM 50-59 years, male 127.0
GTEX-13VXT-1926-SM-5K7UO 20-29 years, female 126.9
GTEX-1F75I-2226-SM-7SB8U 40-49 years, male 126.9
GTEX-ZDYS-2426-SM-4WKGI 50-59 years, male 126.8
GTEX-145MN-1526-SM-5SI9T 30-39 years, male 126.6
GTEX-14E6C-2426-SM-5S2NF 40-49 years, male 126.4
GTEX-14DAR-1226-SM-73KYV 50-59 years, male 126.1
GTEX-145LU-1926-SM-79OJN 50-59 years, male 126.0
GTEX-13NZ8-1226-SM-5KM4A 60-69 years, female 125.8
GTEX-14JFF-0626-SM-5ZZVT 60-69 years, male 125.7
GTEX-13VXU-0626-SM-5L3F9 50-59 years, male 125.4
GTEX-111FC-2526-SM-5GZXU 60-69 years, male 125.3
GTEX-13O3Q-0126-SM-5KM34 50-59 years, male 125.3
GTEX-1GN2E-0226-SM-9WG6K 60-69 years, male 124.9
GTEX-1122O-1026-SM-9WYSF 60-69 years, female 124.7
GTEX-1JN76-0626-SM-CKZOQ 20-29 years, female 124.5
GTEX-1KD5A-0126-SM-E9U54 50-59 years, male 124.5
GTEX-145MI-0626-SM-5SI8S 60-69 years, female 124.2
GTEX-15FZZ-0526-SM-7KUGD 30-39 years, female 124.2
GTEX-1JJE9-2626-SM-ARZMT 70-79 years, male 124.0
GTEX-13NZ9-2626-SM-5L3FK 50-59 years, male 123.8
GTEX-15ER7-0626-SM-6PANF 20-29 years, female 123.8
GTEX-1C6VQ-1226-SM-73KYD 50-59 years, male 123.6
GTEX-146FQ-2126-SM-5RQHU 30-39 years, male 123.3
GTEX-16XZZ-0726-SM-7KUF2 60-69 years, male 123.3
GTEX-YEC3-1326-SM-DO92X 50-59 years, male 123.2
GTEX-13X6K-0626-SM-5LU5D 60-69 years, female 122.9
GTEX-1HFI7-2326-SM-CGQFS 50-59 years, female 122.8
GTEX-14PKV-1126-SM-6LLJ1 20-29 years, female 122.5
GTEX-1IDJU-1726-SM-CMKHU 60-69 years, female 122.5
GTEX-12584-0726-SM-5FQTK 40-49 years, male 122.4
GTEX-13FLV-0126-SM-5K7WT 50-59 years, male 122.3
GTEX-1HKZK-0726-SM-ACKW2 40-49 years, male 122.2
GTEX-ZZPU-0826-SM-5GZX5 50-59 years, female 122.1
GTEX-18D9U-0126-SM-731BM 40-49 years, male 122.0
GTEX-16Z82-2626-SM-7KULU 60-69 years, male 121.8
GTEX-145MF-0926-SM-5Q5EA 50-59 years, male 121.7
GTEX-1HCU8-2526-SM-CE6RX 60-69 years, female 121.2
GTEX-1EX96-1026-SM-7MKG2 50-59 years, male 121.1
GTEX-1GMR2-0826-SM-7PC3V 50-59 years, male 120.9
GTEX-1J8QM-2426-SM-A9SLS 60-69 years, female 120.9
GTEX-1CB4H-1126-SM-7MKGL 60-69 years, female 120.8
GTEX-1HSKV-1226-SM-ADEI4 60-69 years, male 120.3
GTEX-1LG7Z-1626-SM-CXKYR 30-39 years, male 120.2
GTEX-13FTW-0326-SM-5K7UW 40-49 years, male 119.9
GTEX-ZYFD-0626-SM-5E44E 50-59 years, male 119.6
GTEX-ZA64-1026-SM-5HL8R 20-29 years, male 119.1
GTEX-ZYFG-1526-SM-5GZYM 60-69 years, female 119.1
GTEX-ZPIC-0526-SM-DO91W 40-49 years, female 119.1
GTEX-1LG7Y-2526-SM-EWRO7 50-59 years, male 119.0
GTEX-1CB4I-0126-SM-7RHGG 50-59 years, male 118.9
GTEX-1GZHY-0626-SM-9KNVC 50-59 years, female 118.8
GTEX-11ZUS-2626-SM-5FQUR 30-39 years, male 118.5
GTEX-1EU9M-1426-SM-793AI 60-69 years, male 118.4
GTEX-1211K-1526-SM-5FQU4 60-69 years, female 118.3
GTEX-1S831-1826-SM-EWROF 20-29 years, male 118.2
GTEX-1I1GS-2626-SM-B2LY3 60-69 years, male 118.0
GTEX-14ABY-2026-SM-62LDL 50-59 years, male 117.9
GTEX-ZDXO-3126-SM-5IJDF 60-69 years, male 117.7
GTEX-1F5PK-2226-SM-7SB6N 50-59 years, male 117.4
GTEX-1H1ZS-2726-SM-9WG75 70-79 years, male 117.3
GTEX-ZPU1-1126-SM-4YCF3 40-49 years, male 117.2
GTEX-16NGA-0726-SM-731AO 40-49 years, female 117.1
GTEX-1A3MW-0626-SM-731CB 60-69 years, female 116.6
GTEX-1KANA-1326-SM-DIPFA 20-29 years, male 116.6
GTEX-11DXW-0826-SM-5H118 40-49 years, male 116.0
GTEX-W5X1-2526-SM-3GILC 40-49 years, female 115.8
GTEX-17HG3-2626-SM-7DUF2 30-39 years, female 115.7
GTEX-15D1Q-2826-SM-6LLH7 40-49 years, male 115.5
GTEX-1R7EU-1626-SM-DTXG3 60-69 years, male 115.4
GTEX-145MO-2826-SM-5LU96 60-69 years, male 115.2
GTEX-14DAQ-0626-SM-793DS 60-69 years, female 115.2
GTEX-1ICG6-1226-SM-A9SLN 70-79 years, female 114.7
GTEX-1LVAO-2726-SM-E9TJ8 60-69 years, male 114.2
GTEX-111YS-1526-SM-5GZYW 60-69 years, male 114.1
GTEX-12KS4-2126-SM-5FQUT 30-39 years, male 114.1
GTEX-17EVQ-0126-SM-7IGLR 70-79 years, male 114.0
GTEX-1F75A-0726-SM-7RHHD 50-59 years, male 113.9
GTEX-12WSC-2826-SM-5BC5Y 50-59 years, male 113.8
GTEX-1QMI2-2526-SM-E8VNZ 60-69 years, male 113.8
GTEX-WRHU-2826-SM-3MJG8 50-59 years, female 113.7
GTEX-14PK6-0226-SM-62LF5 70-79 years, female 113.1
GTEX-1IDJI-0126-SM-CMKHS 50-59 years, female 113.0
GTEX-1IDJC-1526-SM-B2LW4 50-59 years, male 112.9
GTEX-11VI4-1126-SM-5EQMD 40-49 years, female 112.5
GTEX-18A7B-2726-SM-7LG56 70-79 years, male 112.2
GTEX-ZVT2-0126-SM-5GIDQ 50-59 years, female 112.1
GTEX-1IDJH-0126-SM-D3L92 70-79 years, male 112.0
GTEX-14B4R-1326-SM-5Q5EZ 30-39 years, male 111.9
GTEX-X3Y1-2026-SM-3P5YM 40-49 years, male 111.9
GTEX-1H1DG-2426-SM-9QEHJ 70-79 years, male 111.4
GTEX-14E6E-0526-SM-793DN 30-39 years, male 111.1
GTEX-1IDJV-0126-SM-COH3Y 60-69 years, male 111.1
GTEX-1H1E6-0426-SM-9WYUS 30-39 years, male 110.5
GTEX-1GZ2Q-0126-SM-9WG6M 40-49 years, male 110.0
GTEX-1B996-0426-SM-7EWF8 60-69 years, male 109.7
GTEX-14JG6-1426-SM-9WG7C 30-39 years, female 109.6
GTEX-1S83E-1326-SM-E6CJM 40-49 years, male 109.3
GTEX-16NPX-0726-SM-7KULC 50-59 years, male 109.2
GTEX-145LT-0526-SM-5LUB2 40-49 years, male 108.8
GTEX-1J8JJ-0626-SM-ARZMQ 60-69 years, female 108.8
GTEX-1PDJ9-1226-SM-EXUSX 20-29 years, male 108.6
GTEX-13FH7-1126-SM-5K7UG 50-59 years, female 108.0
GTEX-1GMR8-0626-SM-7RHI7 50-59 years, female 107.9
GTEX-1AX8Z-0726-SM-73KTS 60-69 years, male 107.6
GTEX-1J1R8-2026-SM-CL53Y 40-49 years, male 107.5
GTEX-117YX-1926-SM-5GIEC 50-59 years, male 107.4
GTEX-13X6I-1826-SM-5SIAO 60-69 years, male 107.2
GTEX-11NSD-0626-SM-5A5LU 20-29 years, male 107.0
GTEX-ZTSS-1426-SM-5985P 40-49 years, male 106.9
GTEX-18A7A-0126-SM-731AH 50-59 years, female 106.8
GTEX-1GN1W-2426-SM-9KNUU 50-59 years, female 106.5
GTEX-13OVL-0126-SM-5L3GJ 50-59 years, male 106.2
GTEX-15EU6-2226-SM-6EU2L 50-59 years, male 106.2
GTEX-YJ8O-2526-SM-5HL85 40-49 years, female 106.0
GTEX-13N11-2326-SM-5IJBF 50-59 years, female 105.8
GTEX-183FY-1026-SM-7939A 20-29 years, male 105.8
GTEX-1JKYN-0826-SM-ARU8S 30-39 years, male 105.8
GTEX-13U4I-2226-SM-5LU5H 40-49 years, female 105.7
GTEX-ZZ64-1026-SM-5GZXG 20-29 years, male 105.6
GTEX-18A66-0626-SM-7LT8Z 60-69 years, male 105.4
GTEX-1I4MK-0126-SM-CY8G6 50-59 years, female 105.3
GTEX-11EQ9-1626-SM-5PNY8 30-39 years, male 105.1
GTEX-1A8FM-0626-SM-7PC25 50-59 years, female 104.2
GTEX-1LVAM-0726-SM-E6CIL 50-59 years, female 104.2
GTEX-1QP29-1826-SM-DTX9S 50-59 years, male 104.1
GTEX-1KXAM-1626-SM-D3LAD 60-69 years, male 103.8
GTEX-1QEPI-2626-SM-DTXF4 60-69 years, female 103.7
GTEX-YF7O-1526-SM-5IFI6 50-59 years, male 103.0
GTEX-1GF9W-1426-SM-7PBYM 60-69 years, male 102.9
GTEX-1F48J-0726-SM-7RHGS 50-59 years, female 102.8
GTEX-1H1DF-1126-SM-9WG7G 40-49 years, female 102.8
GTEX-Y5LM-0926-SM-6LLJG 40-49 years, female 102.3
GTEX-1B8KZ-0326-SM-73KY4 50-59 years, male 102.2
GTEX-147F3-1726-SM-5SIAW 50-59 years, female 101.0
GTEX-1HBPM-0726-SM-9YFL7 60-69 years, female 100.9
GTEX-15CHC-1126-SM-6LLHQ 60-69 years, female 100.8
GTEX-WK11-2726-SM-3NMAQ 50-59 years, male 100.8
GTEX-1B8L1-2226-SM-7P8PT 60-69 years, male 100.5
GTEX-1E1VI-0326-SM-793D1 50-59 years, male 100.0
GTEX-WEY5-2326-SM-3GIKK 40-49 years, female 99.7
GTEX-147JS-0226-SM-5S2U9 60-69 years, male 99.5
GTEX-14AS3-1526-SM-5Q5ED 40-49 years, female 99.4
GTEX-12BJ1-0926-SM-5EQ62 60-69 years, male 99.1
GTEX-12WSA-0426-SM-5EQ5X 60-69 years, male 99.0
GTEX-1A3MX-2626-SM-7PC24 60-69 years, male 98.8
GTEX-13JUV-2026-SM-5K7UA 40-49 years, female 98.4
GTEX-14BMV-2826-SM-5TDED 50-59 years, male 98.4
GTEX-XMD2-2126-SM-4YCF8 60-69 years, female 98.4
GTEX-131YS-2826-SM-5EQ47 60-69 years, female 98.2
GTEX-17MF6-2626-SM-79OKQ 40-49 years, male 98.1
GTEX-1M4P7-0726-SM-E6CJ3 60-69 years, male 98.0
GTEX-14A6H-2026-SM-5Q5DD 30-39 years, male 97.9
GTEX-1477Z-0326-SM-7IGLA 60-69 years, male 97.7
GTEX-12C56-1526-SM-5FQUQ 20-29 years, male 97.6
GTEX-1GTWX-2026-SM-9YFLM 60-69 years, male 97.6
GTEX-1KWVE-1026-SM-D3L9O 30-39 years, male 97.2
GTEX-ZAJG-1526-SM-5CVML 50-59 years, female 96.8
GTEX-13X6H-0926-SM-5SIB2 50-59 years, female 96.2
GTEX-1O9I2-0226-SM-EYYXD 50-59 years, male 96.1
GTEX-13OW8-1026-SM-5J1NQ 60-69 years, male 95.7
GTEX-13N2G-0226-SM-5K7VF 60-69 years, male 95.3
GTEX-18D9B-0926-SM-7LG4U 60-69 years, male 95.3
GTEX-1JKYR-0626-SM-ARL8R 20-29 years, male 95.3
GTEX-ZT9W-1126-SM-57WDR 50-59 years, male 94.7
GTEX-V1D1-2026-SM-3GAF4 50-59 years, male 94.6
GTEX-1ICLY-0826-SM-CMKG1 50-59 years, male 94.3
GTEX-16GPK-0626-SM-7KFSF 60-69 years, male 94.2
GTEX-1J8Q3-0526-SM-ARL8U 60-69 years, male 94.2
GTEX-1GL5R-1326-SM-7RHHF 50-59 years, male 93.5
GTEX-1A32A-0626-SM-731AQ 50-59 years, female 93.4
GTEX-13OVG-1626-SM-5J1NF 60-69 years, male 93.2
GTEX-YB5K-2026-SM-4VDT3 40-49 years, female 92.8
GTEX-1RAZR-2126-SM-E9U6T 40-49 years, male 92.7
GTEX-1I6K7-1926-SM-B2LXR 40-49 years, male 92.4
GTEX-ZLWG-0826-SM-59888 50-59 years, female 91.9
GTEX-1KANC-1226-SM-CYPT7 50-59 years, female 91.8
GTEX-1314G-1326-SM-5BC6E 30-39 years, male 91.1
GTEX-1QP66-1226-SM-DTX7U 50-59 years, male 91.1
GTEX-178AV-1726-SM-7KUL8 40-49 years, male 91.0
GTEX-14BMU-1226-SM-5S2OR 20-29 years, female 90.5
GTEX-ZVE2-2826-SM-5GU51 50-59 years, male 89.8
GTEX-ZUA1-2626-SM-5NQ92 40-49 years, male 88.9
GTEX-1HCU9-0426-SM-9WYSD 20-29 years, male 88.7
GTEX-1I19N-0126-SM-CYPSF 70-79 years, male 88.7
GTEX-1IDJF-2026-SM-CL53V 20-29 years, male 88.7
GTEX-1LGOU-1326-SM-D3L8M 20-29 years, female 88.6
GTEX-11EI6-2826-SM-5H11D 60-69 years, male 86.9
GTEX-1B932-2326-SM-79OL5 40-49 years, female 86.9
GTEX-1C475-1326-SM-7SB73 40-49 years, female 86.8
GTEX-14PKU-0126-SM-6LLHV 40-49 years, female 86.6
GTEX-11EM3-1226-SM-5N9DD 20-29 years, female 86.0
GTEX-1IDJD-2326-SM-ACKWX 30-39 years, male 85.1
GTEX-14PJ2-0626-SM-6LLII 50-59 years, male 84.8
GTEX-1L5NE-1126-SM-D3L9P 50-59 years, male 84.3
GTEX-1AMFI-1326-SM-7939R 50-59 years, female 83.9
GTEX-1GMR3-0126-SM-A9SLW 40-49 years, male 83.2
GTEX-1399R-1326-SM-5PNYS 30-39 years, male 82.9
GTEX-WYBS-0626-SM-3NMAS 60-69 years, female 82.6
GTEX-WFG8-2126-SM-3GIKQ 20-29 years, male 81.3
GTEX-1HUB1-1426-SM-CGQF5 60-69 years, male 81.0
GTEX-1AMEY-0826-SM-72D65 30-39 years, female 80.7
GTEX-1F5PL-0926-SM-7PC2W 40-49 years, female 80.4
GTEX-ZGAY-1826-SM-DO91Q 40-49 years, female 80.3
GTEX-13PVR-0426-SM-5RQK2 60-69 years, female 80.1
GTEX-Y5V5-0126-SM-5S2NW 60-69 years, female 80.1
GTEX-17JCI-2926-SM-7DUFF 60-69 years, female 80.0
GTEX-1GF9U-2026-SM-7SB92 40-49 years, female 79.7
GTEX-12WSL-2026-SM-5GCML 50-59 years, male 79.1
GTEX-1F88E-1626-SM-7SB8Z 60-69 years, female 78.8
GTEX-1QCLZ-2426-SM-EVYBW 60-69 years, female 77.8
GTEX-1IDJE-1426-SM-ADEIW 50-59 years, female 75.7
GTEX-1I6K6-1726-SM-CGQFD 30-39 years, male 74.3
GTEX-13QBU-1226-SM-5LU4G 40-49 years, female 71.5
GTEX-ZVTK-0226-SM-51MRG 20-29 years, male 71.4
GTEX-1F75W-2726-SM-7SB8H 60-69 years, male 71.2
GTEX-1H3NZ-2726-SM-9WYTQ 60-69 years, male 70.9
GTEX-1CAV2-0126-SM-7IGN7 40-49 years, female 70.0
GTEX-1HSMO-0626-SM-ACKXC 60-69 years, male 69.3
GTEX-1RAZA-2226-SM-E9U4X 20-29 years, male 69.2
GTEX-UPK5-0426-SM-3GAEK 40-49 years, male 67.9
GTEX-VJYA-1526-SM-3GIJV 60-69 years, male 67.8
GTEX-13113-1626-SM-5EQ4I 60-69 years, female 65.0
GTEX-1F6IF-0926-SM-7SB7M 60-69 years, male 64.6
Show allShow less
Skin - Sun Exposed (Lower leg)
Average nTPM: 144.5
Samples: 701

Max nTPM: 406.3
Min nTPM: 30.5
Std nTPM: 50.1
Median nTPM: 136.5
GTEX-Y3IK-2426-SM-4WWDU 50-59 years, female 406.3
GTEX-131XE-2326-SM-5PNZ2 50-59 years, male 346.2
GTEX-P4QT-0126-SM-2I3FL 50-59 years, female 336.9
GTEX-1JMLX-0226-SM-CM2RO 50-59 years, male 333.2
GTEX-POMQ-2226-SM-2I5FK 20-29 years, female 318.5
GTEX-1JMQL-0226-SM-CNPP5 50-59 years, female 313.9
GTEX-ZTX8-1426-SM-5DUVO 20-29 years, male 310.9
GTEX-XUZC-1726-SM-4BRWS 30-39 years, female 296.2
GTEX-WI4N-1026-SM-3LK7N 40-49 years, female 294.0
GTEX-1399U-2326-SM-5K7WY 50-59 years, female 286.3
GTEX-T2YK-0526-SM-32QPJ 50-59 years, male 283.9
GTEX-X8HC-0126-SM-4E3JW 50-59 years, female 281.9
GTEX-1122O-2126-SM-5EGIR 60-69 years, female 279.4
GTEX-X4XY-0226-SM-4E3IZ 60-69 years, male 277.8
GTEX-ZVZO-0126-SM-5A5L9 40-49 years, male 275.2
GTEX-TKQ1-1026-SM-4GICL 30-39 years, male 273.6
GTEX-14E6C-0126-SM-5RQIP 40-49 years, male 264.8
GTEX-139TS-2826-SM-5J1OO 60-69 years, male 255.5
GTEX-14PN4-0126-SM-6EU2V 50-59 years, male 252.4
GTEX-U412-0426-SM-3DB9O 60-69 years, male 251.1
GTEX-11DXZ-2326-SM-5EGGV 50-59 years, male 248.9
GTEX-Y114-2426-SM-4TT8A 50-59 years, female 247.9
GTEX-ZGAY-0526-SM-4WWBB 40-49 years, female 247.5
GTEX-1KANC-1526-SM-D3LAB 50-59 years, female 245.5
GTEX-W5X1-3026-SM-EAZAX 40-49 years, female 245.4
GTEX-O5YT-0126-SM-48TBW 20-29 years, male 243.5
GTEX-1OJC3-0126-SM-E76QX 20-29 years, male 242.5
GTEX-1K2DU-2326-SM-E9TIV 20-29 years, male 241.7
GTEX-T6MN-0126-SM-32PLP 50-59 years, male 240.3
GTEX-145MN-2226-SM-5SIAU 30-39 years, male 240.2
GTEX-13CF2-2526-SM-5LZYX 60-69 years, male 238.2
GTEX-RTLS-0126-SM-447CA 60-69 years, female 238.2
GTEX-18D9A-1926-SM-7LG6P 30-39 years, female 237.9
GTEX-X4EP-0126-SM-3P5YV 60-69 years, female 237.7
GTEX-14XAO-2326-SM-6EU1B 60-69 years, female 237.4
GTEX-15ER7-0326-SM-7KUEV 20-29 years, female 236.8
GTEX-11DYG-0126-SM-59883 60-69 years, male 235.6
GTEX-1CAV2-2226-SM-7P8P2 40-49 years, female 233.5
GTEX-1H1CY-2826-SM-9MQM3 60-69 years, female 232.3
GTEX-ZVTK-0426-SM-51MRS 20-29 years, male 230.5
GTEX-1QP9N-1426-SM-DTXFL 30-39 years, male 228.6
GTEX-13FTW-2626-SM-5K7WL 40-49 years, male 228.1
GTEX-OIZH-0126-SM-2HMIS 50-59 years, male 226.9
GTEX-1497J-2426-SM-7IGNX 60-69 years, male 226.6
GTEX-1PIIG-0226-SM-EWRN6 30-39 years, male 226.2
GTEX-1I1GV-0526-SM-A9G29 60-69 years, male 225.8
GTEX-13NZ8-0826-SM-5MR3I 60-69 years, female 225.7
GTEX-UJHI-1526-SM-3DB99 50-59 years, female 224.6
GTEX-1JMPY-1326-SM-ARL8Y 30-39 years, male 224.5
GTEX-NPJ8-0126-SM-2YUNR 40-49 years, male 223.4
GTEX-13111-1626-SM-5EGJY 50-59 years, male 222.1
GTEX-PSDG-0226-SM-DKPOZ 50-59 years, male 220.9
GTEX-1GMR3-1926-SM-9KNUZ 40-49 years, male 220.4
GTEX-U8T8-0126-SM-3DB94 60-69 years, male 218.6
GTEX-15ETS-0126-SM-7KUMW 40-49 years, female 218.1
GTEX-1H4P4-0726-SM-9YFLR 50-59 years, male 218.0
GTEX-13FXS-0226-SM-5IJCK 50-59 years, male 217.5
GTEX-P4PP-0126-SM-3LK69 30-39 years, female 217.5
GTEX-ZXES-1826-SM-5E43S 30-39 years, female 215.0
GTEX-1JN76-0126-SM-CNPPE 20-29 years, female 213.4
GTEX-1LG7Z-1726-SM-D3LA4 30-39 years, male 213.2
GTEX-XBEW-0626-SM-4QASP 40-49 years, male 212.6
GTEX-ZF3C-0126-SM-DO92D 50-59 years, female 211.9
GTEX-1NV5F-0226-SM-E8VNY 60-69 years, female 211.6
GTEX-OIZG-0726-SM-33HBL 50-59 years, male 211.5
GTEX-PX3G-0126-SM-2I3EN 20-29 years, female 210.2
GTEX-1R9PM-2026-SM-E76OY 20-29 years, male 210.0
GTEX-1IL2U-0226-SM-CE6T8 60-69 years, male 209.9
GTEX-YJ89-0126-SM-4TT3X 60-69 years, male 209.6
GTEX-1PFEY-1526-SM-E76PP 30-39 years, male 208.9
GTEX-ZWKS-0126-SM-5SIAA 30-39 years, male 208.8
GTEX-14E6E-1826-SM-5S2R7 30-39 years, male 208.3
GTEX-111FC-0126-SM-5N9DL 60-69 years, male 207.6
GTEX-YB5E-2026-SM-5IFIS 40-49 years, male 207.4
GTEX-139UW-2826-SM-5L3E7 60-69 years, male 207.3
GTEX-1JN1M-0326-SM-CYPT3 60-69 years, female 206.7
GTEX-1PDJ9-0326-SM-DTX95 20-29 years, male 206.4
GTEX-ZYFG-2326-SM-5E44B 60-69 years, female 205.9
GTEX-X4XX-0126-SM-3NMC2 60-69 years, male 205.6
GTEX-13OVH-0126-SM-5MR4B 70-79 years, male 205.1
GTEX-11UD1-0126-SM-5PNYG 40-49 years, female 203.7
GTEX-117XS-2726-SM-5N9BL 60-69 years, male 203.6
GTEX-1F6RS-0126-SM-9MQKZ 60-69 years, female 203.3
GTEX-ZDTS-0126-SM-4WAY5 60-69 years, male 203.2
GTEX-15SB6-1726-SM-6PAME 50-59 years, female 202.9
GTEX-1HSGN-0226-SM-CGQFV 40-49 years, female 202.1
GTEX-X88G-0126-SM-47JZ3 30-39 years, male 201.0
GTEX-1J1OQ-0226-SM-CYPSH 40-49 years, female 200.6
GTEX-1IOXB-0126-SM-ARL8G 50-59 years, male 199.9
GTEX-WYJK-0126-SM-3NMAB 50-59 years, male 199.8
GTEX-1QAET-0926-SM-E76QM 50-59 years, male 199.8
GTEX-Y111-0126-SM-4SOIV 50-59 years, male 199.3
GTEX-132NY-0326-SM-5IJBL 60-69 years, male 198.1
GTEX-1JN6P-0126-SM-D3L98 60-69 years, male 197.5
GTEX-13NYB-2526-SM-5K7Z6 40-49 years, male 197.0
GTEX-1F5PL-0326-SM-7P8PQ 40-49 years, female 196.9
GTEX-Y8DK-0126-SM-4TT3L 60-69 years, male 195.8
GTEX-NFK9-0226-SM-2HMKQ 40-49 years, male 195.5
GTEX-T5JW-1626-SM-3GADZ 20-29 years, female 195.3
GTEX-1EWIQ-0126-SM-7RHH2 70-79 years, female 194.4
GTEX-1PPH8-0226-SM-E8VND 20-29 years, male 193.6
GTEX-SN8G-0126-SM-32PLI 50-59 years, female 193.4
GTEX-1CB4I-0226-SM-79OLH 50-59 years, male 193.2
GTEX-X4EO-0326-SM-3P5YO 60-69 years, female 192.6
GTEX-Z93S-0126-SM-5HL7M 50-59 years, male 191.9
GTEX-U8XE-0326-SM-3DB8P 30-39 years, male 191.5
GTEX-O5YW-0126-SM-3LK6D 50-59 years, male 191.4
GTEX-1399R-2726-SM-5IJBA 30-39 years, male 191.3
GTEX-1C64N-0126-SM-793D7 50-59 years, male 191.2
GTEX-QESD-1426-SM-2S1R9 20-29 years, male 190.9
GTEX-15UF6-0826-SM-6PALJ 70-79 years, female 190.8
GTEX-SUCS-1926-SM-32PM3 70-79 years, male 190.3
GTEX-18QFQ-0126-SM-731BE 30-39 years, male 190.0
GTEX-ZAJG-0126-SM-5HL94 50-59 years, female 189.4
GTEX-145MO-0326-SM-5Q5B3 60-69 years, male 188.8
GTEX-1JMPZ-0226-SM-CNPP1 30-39 years, male 188.2
GTEX-13CF3-2426-SM-5IFGX 60-69 years, female 188.0
GTEX-11TT1-2526-SM-5EGIB 20-29 years, male 187.9
GTEX-12126-0326-SM-5PNW3 20-29 years, male 187.9
GTEX-14PII-0226-SM-6EU1T 60-69 years, male 187.5
GTEX-X261-0126-SM-3NMD6 50-59 years, male 187.4
GTEX-1MJK2-0426-SM-DTXE5 50-59 years, male 187.4
GTEX-ZV6S-2326-SM-4YCEY 40-49 years, female 187.3
GTEX-1KD4Q-0226-SM-E9TJ9 40-49 years, male 187.1
GTEX-1L5NE-2526-SM-E6CIE 50-59 years, male 186.5
GTEX-ZV68-0126-SM-59HKS 50-59 years, female 186.3
GTEX-1KWVE-1426-SM-E9TJO 30-39 years, male 186.2
GTEX-14JG1-0426-SM-6ETZZ 40-49 years, male 186.0
GTEX-17GQL-2026-SM-718BA 60-69 years, male 186.0
GTEX-Z93T-0126-SM-5HL5N 50-59 years, male 186.0
GTEX-13NYS-0126-SM-5MR3W 60-69 years, male 185.6
GTEX-1KXAM-2226-SM-CYPTC 60-69 years, male 185.6
GTEX-OOBJ-0126-SM-E6CJW 60-69 years, male 185.4
GTEX-13OVK-2026-SM-7KUEO 40-49 years, male 185.2
GTEX-14A5I-0126-SM-5TDEA 50-59 years, female 184.2
GTEX-1BAJH-0526-SM-793CQ 70-79 years, male 184.1
GTEX-1EMGI-0126-SM-9KNUE 60-69 years, male 183.3
GTEX-SIU8-0126-SM-2XCDT 50-59 years, male 182.4
GTEX-1CB4E-2226-SM-793DC 60-69 years, male 182.3
GTEX-ZYFC-0226-SM-5NQ75 50-59 years, male 182.2
GTEX-17JCI-0126-SM-7LG5G 60-69 years, female 182.1
GTEX-1IKK5-0626-SM-ARL8A 60-69 years, male 182.1
GTEX-1IDJH-0326-SM-A9SLQ 70-79 years, male 181.9
GTEX-18A6Q-0126-SM-731BZ 60-69 years, male 181.8
GTEX-12696-2426-SM-5EQ6H 60-69 years, male 181.6
GTEX-13NZB-2526-SM-5J1OM 30-39 years, male 180.8
GTEX-13JUV-2726-SM-5LZZ8 40-49 years, female 180.2
GTEX-ZPIC-1726-SM-DHXIU 40-49 years, female 180.2
GTEX-131YS-0126-SM-5KM1M 60-69 years, female 179.4
GTEX-X585-0226-SM-4QAS2 50-59 years, male 179.1
GTEX-1OFPY-2426-SM-DTXEJ 60-69 years, male 178.6
GTEX-T2IS-0126-SM-4DM6O 20-29 years, female 177.9
GTEX-13O3P-0126-SM-5KM4S 50-59 years, male 177.8
GTEX-12WSG-2826-SM-E9J4H 50-59 years, female 177.7
GTEX-YB5K-2126-SM-4WWDJ 40-49 years, female 177.5
GTEX-ZE9C-2726-SM-57WB5 60-69 years, male 177.5
GTEX-11UD2-0226-SM-5EQKY 50-59 years, male 177.1
GTEX-1B8SG-0126-SM-73KZ3 50-59 years, male 177.1
GTEX-Y5V6-2426-SM-4VDSB 60-69 years, male 177.0
GTEX-1S5ZA-0126-SM-EVYCV 20-29 years, male 176.4
GTEX-1LBAC-0126-SM-DIPEZ 20-29 years, male 176.3
GTEX-12WSJ-1826-SM-5GCNY 40-49 years, female 176.2
GTEX-1K2DA-1826-SM-CGQGT 50-59 years, male 176.2
GTEX-11WQK-0526-SM-5EQLD 50-59 years, male 175.2
GTEX-1B8KE-2126-SM-73KYX 50-59 years, male 175.2
GTEX-XQ3S-1526-SM-4BOOC 20-29 years, male 175.1
GTEX-S33H-1026-SM-EZ6L6 30-39 years, male 175.0
GTEX-1B8SF-1426-SM-7DUGL 60-69 years, male 174.7
GTEX-11TUW-2726-SM-E9J4M 60-69 years, male 174.6
GTEX-14ICK-0226-SM-6EU25 40-49 years, male 174.4
GTEX-16GPK-0126-SM-7DHLE 60-69 years, male 173.9
GTEX-1J8EW-0126-SM-CJI4F 60-69 years, female 173.3
GTEX-WYVS-2126-SM-3NMA3 40-49 years, female 173.2
GTEX-ZU9S-0226-SM-5E441 30-39 years, male 172.8
GTEX-1JJEA-0326-SM-CNPOT 60-69 years, male 172.8
GTEX-17EVP-0326-SM-7DHLG 40-49 years, male 172.7
GTEX-17F98-0626-SM-79OMX 40-49 years, female 172.5
GTEX-1H1DG-0126-SM-9WYU2 70-79 years, male 172.5
GTEX-1LB8K-0226-SM-EWRNW 50-59 years, male 172.4
GTEX-131XH-2226-SM-5DUXJ 50-59 years, male 172.3
GTEX-ZYFD-0126-SM-5GIDL 50-59 years, male 171.9
GTEX-1LGOU-2026-SM-DIPFF 20-29 years, female 171.9
GTEX-1LVAN-0226-SM-COH3S 50-59 years, female 171.9
GTEX-1N2DW-0226-SM-E9TK2 50-59 years, male 171.8
GTEX-13FHP-0126-SM-5IJBG 50-59 years, male 171.7
GTEX-1313W-0126-SM-5LZUN 50-59 years, female 171.2
GTEX-16XZZ-0126-SM-793DV 60-69 years, male 170.8
GTEX-ZF2S-2326-SM-4WWCE 50-59 years, female 170.7
GTEX-OHPL-0126-SM-2HMJ7 60-69 years, female 170.6
GTEX-131XF-5016-SM-7MGWE 60-69 years, male 170.3
GTEX-11DXW-0226-SM-5H122 40-49 years, male 169.8
GTEX-1QP66-1726-SM-E8VO1 50-59 years, male 169.8
GTEX-1RDX4-0126-SM-E9J4P 50-59 years, female 169.1
GTEX-13PDP-0126-SM-5L3HD 60-69 years, male 168.8
GTEX-1212Z-2526-SM-5EGKP 60-69 years, male 168.5
GTEX-1HGF4-2426-SM-ACKXM 60-69 years, male 168.2
GTEX-146FQ-0126-SM-5NQA9 30-39 years, male 166.6
GTEX-13FTY-0526-SM-5L3EV 40-49 years, female 166.5
GTEX-1KAFJ-2026-SM-CY8ID 50-59 years, male 166.5
GTEX-Y5LM-1926-SM-5RQJH 40-49 years, female 165.4
GTEX-1LGRB-2526-SM-CNPPQ 50-59 years, female 165.4
GTEX-14PJ6-2126-SM-6EU1V 60-69 years, female 165.2
GTEX-1GN2E-0426-SM-9MQKX 60-69 years, male 165.0
GTEX-1MA7W-2026-SM-E9TJ6 20-29 years, female 164.9
GTEX-1HR98-0126-SM-B2LWI 60-69 years, male 164.8
GTEX-12WSE-0526-SM-793B2 20-29 years, male 164.7
GTEX-ZVZP-2426-SM-59HKJ 50-59 years, male 164.3
GTEX-1399T-2826-SM-5KLYZ 60-69 years, male 164.2
GTEX-13YAN-0326-SM-5O9DF 60-69 years, male 164.2
GTEX-S95S-1226-SM-4GICG 60-69 years, male 164.2
GTEX-XYKS-2126-SM-4E3IB 60-69 years, female 164.2
GTEX-1J8QM-2126-SM-CYPSJ 60-69 years, female 163.5
GTEX-13X6J-0126-SM-5QGOU 50-59 years, male 163.1
GTEX-OOBK-0126-SM-2YUND 40-49 years, male 162.8
GTEX-WFON-2126-SM-3LK7O 40-49 years, male 162.6
GTEX-133LE-1826-SM-5J1MV 20-29 years, female 162.3
GTEX-145MF-0626-SM-5LUAI 50-59 years, male 162.2
GTEX-17HII-0226-SM-7LG4E 50-59 years, male 162.2
GTEX-11ZTS-0126-SM-5EQ6M 60-69 years, female 162.1
GTEX-TMZS-0126-SM-3DB9Q 60-69 years, male 162.0
GTEX-XXEK-2226-SM-4BRUM 50-59 years, male 162.0
GTEX-13O21-1426-SM-5K7XI 50-59 years, male 161.8
GTEX-YEC4-2126-SM-5IFJH 40-49 years, male 161.5
GTEX-PLZ6-1426-SM-DKPOT 30-39 years, male 161.3
GTEX-RVPV-0126-SM-EAZAW 60-69 years, male 161.2
GTEX-T6MO-1626-SM-32QOM 40-49 years, female 161.1
GTEX-12WSK-2326-SM-5GCOH 40-49 years, female 161.0
GTEX-WVJS-0126-SM-4MVOT 50-59 years, male 160.9
GTEX-145ME-1826-SM-5SI9G 40-49 years, female 160.7
GTEX-1KANA-0726-SM-D3L9I 20-29 years, male 160.3
GTEX-14BMU-2226-SM-5TDE9 20-29 years, female 159.6
GTEX-15RIG-0226-SM-7KFTL 40-49 years, male 159.5
GTEX-S32W-2126-SM-2XCB1 50-59 years, female 159.4
GTEX-1QCLY-0326-SM-E8VOG 30-39 years, male 159.4
GTEX-1S3DN-2226-SM-EVYCD 50-59 years, male 159.4
GTEX-1M5QR-1226-SM-EWROB 40-49 years, male 159.1
GTEX-W5WG-1826-SM-4KL2Y 50-59 years, female 158.8
GTEX-ZVT4-0126-SM-DTXFN 50-59 years, female 158.2
GTEX-145LS-0126-SM-5QGP1 60-69 years, female 157.9
GTEX-13FH7-2026-SM-E9J4I 50-59 years, female 157.9
GTEX-1HBPM-0226-SM-ARL9F 60-69 years, female 157.9
GTEX-1HCU6-0126-SM-CL54K 60-69 years, female 157.2
GTEX-13SLW-0126-SM-5SI6C 70-79 years, male 156.9
GTEX-15F5U-1526-SM-6PANO 40-49 years, male 156.8
GTEX-Y8E4-0626-SM-4WWDL 40-49 years, male 156.8
GTEX-YFC4-0126-SM-5CVLY 40-49 years, female 156.5
GTEX-1JJ6O-0126-SM-E6CI8 60-69 years, male 156.4
GTEX-13N2G-2626-SM-5J1OT 60-69 years, male 156.2
GTEX-14753-0426-SM-5NQAM 60-69 years, male 156.2
GTEX-TML8-1926-SM-32QOS 40-49 years, female 156.2
GTEX-UPJH-0326-SM-3GADU 50-59 years, male 155.9
GTEX-1HCU8-0626-SM-A9SM9 60-69 years, female 155.9
GTEX-11GSO-2426-SM-5A5LY 60-69 years, male 155.8
GTEX-1C475-1826-SM-73KWA 40-49 years, female 155.5
GTEX-T8EM-1026-SM-3DB7M 40-49 years, male 155.2
GTEX-1J8JJ-0226-SM-CL53I 60-69 years, female 155.2
GTEX-1GF9V-0326-SM-7RHI5 60-69 years, male 154.9
GTEX-XPVG-2626-SM-4B669 50-59 years, male 154.8
GTEX-1JMQJ-0526-SM-CYPSU 50-59 years, male 154.8
GTEX-1I1GT-0626-SM-CGQER 60-69 years, female 154.7
GTEX-12ZZX-0126-SM-5EGK9 40-49 years, female 154.1
GTEX-14PHX-2326-SM-62LEM 50-59 years, male 154.1
GTEX-11P7K-2126-SM-5GU7G 30-39 years, male 153.5
GTEX-1RB15-2126-SM-E9TIM 60-69 years, male 153.3
GTEX-ZYT6-0226-SM-5NQ6T 30-39 years, male 152.9
GTEX-ZAK1-0126-SM-5IJD3 50-59 years, female 152.7
GTEX-S7SE-0126-SM-2XCD5 50-59 years, male 152.4
GTEX-WY7C-2326-SM-3NB2U 50-59 years, male 152.3
GTEX-139D8-0226-SM-5KLZO 30-39 years, female 151.9
GTEX-145MI-0526-SM-5O9A8 60-69 years, female 151.9
GTEX-S7PM-0126-SM-4AD6S 60-69 years, male 151.9
GTEX-1R46S-0626-SM-E9J41 60-69 years, female 151.8
GTEX-1HCU9-1526-SM-A9SL7 20-29 years, male 151.7
GTEX-17HG3-2226-SM-7938L 30-39 years, female 151.5
GTEX-1QPFJ-0226-SM-E76PB 30-39 years, female 151.5
GTEX-1HT8W-0126-SM-CNPPP 30-39 years, male 151.4
GTEX-XAJ8-0826-SM-47JY6 40-49 years, male 151.1
GTEX-1211K-2026-SM-5EQ4Z 60-69 years, female 151.0
GTEX-13X6H-2126-SM-7EWD5 50-59 years, female 150.9
GTEX-1H3VE-0326-SM-9YFLH 40-49 years, male 150.7
GTEX-1S83E-0126-SM-EWRO4 40-49 years, male 150.7
GTEX-1HSEH-0126-SM-ACKXN 60-69 years, male 150.6
GTEX-11EQ9-2426-SM-5HL5T 30-39 years, male 150.4
GTEX-RNOR-0126-SM-E9J4R 50-59 years, female 150.4
GTEX-1C4CL-0526-SM-73KVK 30-39 years, male 150.0
GTEX-RU72-0926-SM-2TF6B 50-59 years, female 150.0
GTEX-XQ8I-0426-SM-4BOPO 50-59 years, male 150.0
GTEX-ZVT2-2526-SM-51MT1 50-59 years, female 150.0
GTEX-QEG4-0226-SM-2S1PY 30-39 years, male 149.4
GTEX-PWCY-1826-SM-DHXIZ 20-29 years, female 149.1
GTEX-1N2EF-0226-SM-EYYXB 60-69 years, male 149.0
GTEX-T5JC-0426-SM-32PLO 20-29 years, male 148.9
GTEX-15DDE-0126-SM-6LPKH 50-59 years, female 148.7
GTEX-1GZHY-0326-SM-9QEHI 50-59 years, female 148.7
GTEX-1LH75-2426-SM-E9TJE 50-59 years, female 148.5
GTEX-1CB4H-0226-SM-7PBXM 60-69 years, female 148.3
GTEX-12ZZZ-0626-SM-5DUXI 60-69 years, male 148.0
GTEX-1HFI6-0226-SM-ADEHZ 40-49 years, male 147.7
GTEX-1JMQK-0226-SM-CL543 60-69 years, male 147.5
GTEX-QV44-1926-SM-2S1RF 50-59 years, male 147.3
GTEX-ZQUD-1426-SM-57WER 30-39 years, male 147.3
GTEX-X5EB-2226-SM-46MW4 40-49 years, male 147.0
GTEX-1HBPN-0226-SM-9YFM1 50-59 years, male 146.7
GTEX-WXYG-2326-SM-4E3I6 50-59 years, female 146.5
GTEX-ZTSS-1926-SM-57WEW 40-49 years, male 146.3
GTEX-1HCVE-0126-SM-CGQEU 50-59 years, male 146.3
GTEX-13PVR-2326-SM-5QGR1 60-69 years, female 146.0
GTEX-1CAMR-1926-SM-7EPI2 20-29 years, male 145.9
GTEX-131XW-0426-SM-5LZWP 50-59 years, female 145.7
GTEX-145LV-2126-SM-5LU8N 50-59 years, male 145.0
GTEX-P4PQ-0126-SM-2S1NM 60-69 years, male 145.0
GTEX-131XG-2626-SM-5KM17 50-59 years, female 144.9
GTEX-17KNJ-2326-SM-7DHLQ 50-59 years, male 144.8
GTEX-17F96-1626-SM-7DUFL 70-79 years, male 144.6
GTEX-1GF9W-0326-SM-9KNUN 60-69 years, male 144.6
GTEX-1GF9X-2026-SM-7PC3A 40-49 years, female 144.1
GTEX-1H1DE-2126-SM-9WG6R 20-29 years, male 143.8
GTEX-1HBPI-1526-SM-C1YQ1 50-59 years, male 143.8
GTEX-1E2YA-0126-SM-9KNUC 50-59 years, male 143.5
GTEX-16MT8-0426-SM-7KUEY 60-69 years, female 143.4
GTEX-14LZ3-0226-SM-62LET 60-69 years, female 143.3
GTEX-1JMQI-2226-SM-CM2SD 50-59 years, male 143.0
GTEX-Y5V5-2326-SM-4V6GA 60-69 years, female 142.7
GTEX-13OW5-0126-SM-DTXFS 60-69 years, male 142.2
GTEX-1HSKV-0226-SM-A9SKJ 60-69 years, male 142.0
GTEX-1269C-2526-SM-5EGJ3 60-69 years, female 141.7
GTEX-ZE7O-0126-SM-57WC1 50-59 years, female 141.6
GTEX-XBED-2226-SM-47JYQ 60-69 years, male 141.5
GTEX-1LSNM-1926-SM-E6CII 50-59 years, male 141.3
GTEX-13O3Q-2426-SM-5IJBR 50-59 years, male 141.1
GTEX-1PIGE-0126-SM-EVYBJ 20-29 years, male 140.9
GTEX-1R7EU-0226-SM-EVR4G 60-69 years, male 140.5
GTEX-14A5H-0426-SM-5QGQF 60-69 years, male 140.4
GTEX-13G51-2526-SM-5LZYK 60-69 years, male 140.3
GTEX-18A67-0126-SM-7LG5P 50-59 years, male 140.2
GTEX-OXRN-0126-SM-48TDM 50-59 years, male 140.1
GTEX-Q2AI-1326-SM-2S1PL 40-49 years, male 139.8
GTEX-WH7G-2326-SM-3NMBC 40-49 years, male 139.7
GTEX-15SHU-0126-SM-7KUEH 40-49 years, female 139.6
GTEX-ZAB4-0226-SM-5N9F5 40-49 years, male 139.4
GTEX-13IVO-0126-SM-5J1NG 70-79 years, male 138.9
GTEX-WRHK-1426-SM-3MJF9 20-29 years, female 138.7
GTEX-13O3O-0126-SM-E9J49 60-69 years, female 138.1
GTEX-1B97I-1626-SM-73KYO 40-49 years, male 138.0
GTEX-1IKJJ-0126-SM-CNPQB 60-69 years, male 137.2
GTEX-14C5O-0126-SM-5SI6N 60-69 years, male 137.1
GTEX-RUSQ-1526-SM-2TF62 50-59 years, male 137.0
GTEX-117YW-2626-SM-5GZZH 50-59 years, male 136.9
GTEX-1GPI7-0126-SM-9MQL8 20-29 years, male 136.8
GTEX-XUW1-0426-SM-4BOOT 50-59 years, female 136.6
GTEX-1F6I4-0126-SM-9MQL2 60-69 years, male 136.5
GTEX-12WSD-0126-SM-59HKN 60-69 years, female 136.4
GTEX-11EM3-2426-SM-59861 20-29 years, female 136.3
GTEX-1HSMP-0126-SM-E6CJS 70-79 years, male 136.0
GTEX-XV7Q-2526-SM-4BRV9 40-49 years, female 135.8
GTEX-1GMRU-0126-SM-9YFLV 50-59 years, male 135.7
GTEX-18D9U-0226-SM-718BP 40-49 years, male 135.6
GTEX-1GN1U-0126-SM-7PBZK 50-59 years, female 135.6
GTEX-1QMI2-0226-SM-EVYBX 60-69 years, male 135.6
GTEX-1I1GQ-0126-SM-COH3H 50-59 years, male 135.3
GTEX-145LT-1726-SM-5QGP3 40-49 years, male 135.2
GTEX-QVJO-1626-SM-2S1QW 60-69 years, female 135.2
GTEX-16NGA-1726-SM-731B4 40-49 years, female 134.9
GTEX-139TU-0126-SM-5K7WH 60-69 years, male 134.7
GTEX-1HB9E-0226-SM-E9U4R 50-59 years, male 134.7
GTEX-1AX9J-0226-SM-73KXM 60-69 years, male 134.6
GTEX-14E6D-0126-SM-62LDV 50-59 years, male 134.5
GTEX-13RTK-1426-SM-5QGQJ 20-29 years, male 134.4
GTEX-13D11-2426-SM-5KM1V 50-59 years, female 134.3
GTEX-11XUK-2026-SM-5EQLF 40-49 years, female 134.1
GTEX-14BIN-0626-SM-793DP 50-59 years, female 134.1
GTEX-1H11D-0226-SM-9WG6Z 40-49 years, male 134.0
GTEX-1HCU7-0226-SM-CL545 50-59 years, male 134.0
GTEX-13O1R-0126-SM-5L3EH 60-69 years, male 133.7
GTEX-WQUQ-0426-SM-3MJFU 60-69 years, male 133.7
GTEX-144FL-0126-SM-5TDC8 50-59 years, male 133.6
GTEX-16YQH-0126-SM-7DUFJ 30-39 years, male 133.6
GTEX-1B8L1-2526-SM-9WYTF 60-69 years, male 133.4
GTEX-1F75B-0126-SM-9KNVL 50-59 years, male 133.4
GTEX-WZTO-0126-SM-3NM95 40-49 years, male 132.8
GTEX-17MFQ-1726-SM-793C7 20-29 years, male 132.6
GTEX-ZF29-2326-SM-DO92K 60-69 years, female 132.6
GTEX-VUSG-2526-SM-4KL1V 50-59 years, male 131.8
GTEX-14DAR-2026-SM-5S2O3 50-59 years, male 131.6
GTEX-1HCUA-2426-SM-ADEIS 50-59 years, female 131.5
GTEX-1S82Y-2026-SM-EVYCM 40-49 years, male 131.2
GTEX-1I4MK-2226-SM-ACKWD 50-59 years, female 130.9
GTEX-14PJM-0226-SM-62LF1 50-59 years, female 130.7
GTEX-OHPM-0126-SM-2YUN9 50-59 years, male 130.6
GTEX-Y3I4-2126-SM-4TT7C 50-59 years, male 130.6
GTEX-169BO-1326-SM-9MQK2 50-59 years, male 130.6
GTEX-1H2FU-0126-SM-9WYSI 60-69 years, female 130.5
GTEX-ZDTT-2726-SM-4WKF8 60-69 years, male 130.3
GTEX-15UKP-0426-SM-7KUFQ 20-29 years, male 129.8
GTEX-1GZ4H-1726-SM-7PBZJ 50-59 years, female 129.7
GTEX-13VXU-0126-SM-5SI9F 50-59 years, male 129.6
GTEX-117YX-2326-SM-5H12W 50-59 years, male 129.5
GTEX-11OF3-2626-SM-5GU7F 60-69 years, male 129.0
GTEX-1CB4G-0226-SM-7PC3O 60-69 years, male 129.0
GTEX-1F7RK-0126-SM-7PC2S 20-29 years, female 128.9
GTEX-1IDJF-0126-SM-CM2RS 20-29 years, male 128.9
GTEX-PWO3-1526-SM-48TCM 60-69 years, female 128.8
GTEX-12584-0126-SM-5EGKQ 40-49 years, male 128.6
GTEX-U3ZM-1526-SM-3DB9D 40-49 years, male 128.6
GTEX-13FTX-1826-SM-5J1NX 20-29 years, female 128.4
GTEX-1ICLZ-0126-SM-CKZPO 60-69 years, male 128.4
GTEX-11H98-0126-SM-5EGHG 50-59 years, male 128.3
GTEX-1ICG6-2526-SM-CGQFZ 70-79 years, female 128.3
GTEX-11GSP-2526-SM-5N9BP 60-69 years, female 128.2
GTEX-1A3MV-1926-SM-718BT 30-39 years, male 127.6
GTEX-144GL-0126-SM-5TDE2 50-59 years, male 127.5
GTEX-14BIM-0226-SM-7IGLD 60-69 years, female 127.5
GTEX-15G19-0126-SM-6PANQ 60-69 years, male 127.5
GTEX-13OW6-0426-SM-5L3HM 50-59 years, male 127.4
GTEX-QCQG-1726-SM-3GIJ9 50-59 years, female 127.3
GTEX-1POEN-0126-SM-EYYXJ 30-39 years, female 127.1
GTEX-1192X-0226-SM-5H12D 50-59 years, male 126.8
GTEX-14LLW-0126-SM-6LLIO 70-79 years, female 126.8
GTEX-1I1GP-2226-SM-CGQFK 50-59 years, male 126.8
GTEX-15CHC-2126-SM-6EU21 60-69 years, female 126.6
GTEX-11OC5-0126-SM-5HL6A 60-69 years, male 126.5
GTEX-11DXX-2426-SM-5GZZW 60-69 years, female 126.3
GTEX-13OVJ-0126-SM-5KM36 50-59 years, female 126.1
GTEX-14PK6-1926-SM-6ETZU 70-79 years, female 126.1
GTEX-12WSA-0226-SM-5BC5V 60-69 years, male 125.9
GTEX-18465-0126-SM-731BN 50-59 years, male 125.9
GTEX-1MCQQ-0826-SM-DLHC2 60-69 years, male 125.9
GTEX-11LCK-1026-SM-5A5KB 30-39 years, male 125.8
GTEX-1GZ2Q-0226-SM-7P8TL 40-49 years, male 125.6
GTEX-1I6K6-0126-SM-A9SLE 30-39 years, male 125.4
GTEX-1IKOH-0226-SM-COH4E 60-69 years, female 125.4
GTEX-183WM-0126-SM-7LTAB 70-79 years, female 125.2
GTEX-14JG6-2226-SM-6EU2G 30-39 years, female 125.1
GTEX-1192W-2626-SM-5Q5AF 60-69 years, male 124.9
GTEX-12WSL-2526-SM-5GCNJ 50-59 years, male 124.9
GTEX-1CAMQ-0226-SM-7IGPK 40-49 years, male 124.8
GTEX-ZY6K-1826-SM-5GZXK 50-59 years, male 124.8
GTEX-1RAZA-0126-SM-E6CI3 20-29 years, male 124.8
GTEX-1A3MX-0126-SM-731BR 60-69 years, male 124.7
GTEX-ZDYS-2026-SM-5HL5L 50-59 years, male 124.7
GTEX-12ZZY-0226-SM-5LZVE 60-69 years, male 124.2
GTEX-1128S-2326-SM-5GZZY 60-69 years, female 123.6
GTEX-13S7M-0126-SM-5SI6A 60-69 years, female 123.5
GTEX-1J8Q2-0526-SM-CM2RW 60-69 years, male 123.3
GTEX-1R9K4-0126-SM-DTX9X 60-69 years, male 123.3
GTEX-1CB4F-0426-SM-9KNV4 60-69 years, male 123.2
GTEX-18A7B-0126-SM-7LG64 70-79 years, male 123.1
GTEX-1F52S-0126-SM-9MQJU 60-69 years, female 122.9
GTEX-1C6VR-2426-SM-79OLD 60-69 years, male 122.7
GTEX-1H3O1-0426-SM-9YFKY 60-69 years, male 122.4
GTEX-13112-2826-SM-5DUWH 50-59 years, male 122.2
GTEX-11GS4-2726-SM-5A5LE 60-69 years, male 122.1
GTEX-RWSA-0126-SM-2XCBB 40-49 years, male 122.0
GTEX-WFG8-2226-SM-3GIL9 20-29 years, male 121.3
GTEX-13N11-2526-SM-5K7UE 50-59 years, female 120.9
GTEX-17EUY-0426-SM-793BD 20-29 years, male 120.4
GTEX-OXRO-0126-SM-2YUN4 60-69 years, female 120.2
GTEX-13OW8-1326-SM-5J1OW 60-69 years, male 120.0
GTEX-ZTPG-0326-SM-5O9AX 20-29 years, female 119.9
GTEX-1MUQO-0126-SM-EAZ58 60-69 years, male 119.5
GTEX-XUYS-0126-SM-47JWZ 50-59 years, male 119.4
GTEX-1J1R8-1726-SM-ARL8M 40-49 years, male 119.3
GTEX-1IL2V-0126-SM-CM2TX 70-79 years, male 118.7
GTEX-11DXY-2626-SM-5GIE7 60-69 years, male 118.3
GTEX-139T8-0126-SM-5K7XZ 60-69 years, male 118.3
GTEX-ZZ64-1726-SM-5GZYB 20-29 years, male 118.0
GTEX-1MCYP-1926-SM-E9J2R 20-29 years, female 118.0
GTEX-17F97-0326-SM-7LG5B 50-59 years, male 117.9
GTEX-1314G-1526-SM-5EGK2 30-39 years, male 117.6
GTEX-12C56-1726-SM-5EQ61 20-29 years, male 117.4
GTEX-1I1GU-2226-SM-CGQFA 40-49 years, male 117.3
GTEX-1HSMQ-1226-SM-CGQFX 50-59 years, male 117.2
GTEX-146FH-0126-SM-5QGPP 50-59 years, female 116.9
GTEX-18A66-0226-SM-718BD 60-69 years, male 116.7
GTEX-1O97I-0326-SM-EYYX7 60-69 years, male 116.7
GTEX-14BMV-0126-SM-5S2PO 50-59 years, male 116.5
GTEX-1B933-0126-SM-7PC29 50-59 years, female 116.3
GTEX-18A7A-0226-SM-718BH 50-59 years, female 116.1
GTEX-ZC5H-0226-SM-4WAY9 40-49 years, female 116.1
GTEX-13QJ3-0326-SM-5S2RA 50-59 years, male 115.6
GTEX-1H3VY-0126-SM-ACKXD 50-59 years, male 115.6
GTEX-1LG7Y-0526-SM-DKPQC 50-59 years, male 115.6
GTEX-1JKYR-0126-SM-CNPOJ 20-29 years, male 115.5
GTEX-1KD5A-0226-SM-D5OV3 50-59 years, male 115.4
GTEX-11EI6-0126-SM-5985R 60-69 years, male 115.3
GTEX-OXRP-0126-SM-3NB32 60-69 years, female 115.3
GTEX-OXRK-0226-SM-3NB2G 50-59 years, female 114.8
GTEX-Q734-1926-SM-2I5EV 40-49 years, female 114.5
GTEX-1GMR8-0126-SM-9WYTM 50-59 years, female 114.5
GTEX-13SLX-0526-SM-5S2ON 50-59 years, female 114.4
GTEX-148VI-1626-SM-5SI6E 60-69 years, female 114.1
GTEX-SNMC-1226-SM-2XCFP 20-29 years, male 114.1
GTEX-13NZA-0226-SM-5K7Z7 60-69 years, male 114.0
GTEX-ZYY3-0126-SM-5GZY5 60-69 years, female 113.9
GTEX-111VG-2426-SM-5GZXD 60-69 years, male 113.8
GTEX-1AYD5-2426-SM-73KXR 50-59 years, male 113.8
GTEX-1EX96-1626-SM-7PBXR 50-59 years, male 113.0
GTEX-13OVI-1426-SM-5L3EY 60-69 years, female 112.7
GTEX-16NPX-0226-SM-79OMT 50-59 years, male 112.7
GTEX-OXRL-0126-SM-2YUMP 50-59 years, male 112.7
GTEX-1LC47-0326-SM-E9TJP 60-69 years, male 112.6
GTEX-1IDJU-2626-SM-CM2RT 60-69 years, female 112.4
GTEX-1AMFI-2026-SM-731BH 50-59 years, female 112.2
GTEX-13113-5016-SM-7EPIP 60-69 years, female 112.1
GTEX-1MGNQ-0126-SM-EVYCJ 40-49 years, male 111.9
GTEX-ZXG5-0126-SM-5GIEU 60-69 years, male 111.7
GTEX-148VJ-0126-SM-5TDDN 70-79 years, male 111.4
GTEX-ZAB5-1826-SM-5HL7C 50-59 years, male 111.4
GTEX-1I1GR-0126-SM-CL55F 60-69 years, male 111.2
GTEX-1PWST-0226-SM-E76QJ 70-79 years, male 111.2
GTEX-1R7EV-2426-SM-EVYBG 40-49 years, male 111.2
GTEX-1GL5R-1826-SM-9KNUY 50-59 years, male 110.9
GTEX-1C64O-0126-SM-7SB8P 60-69 years, male 110.6
GTEX-1B8KZ-2026-SM-7DHMB 50-59 years, male 110.5
GTEX-ZEX8-2426-SM-4WKG4 50-59 years, male 110.5
GTEX-13OVL-0226-SM-5L3E9 50-59 years, male 110.4
GTEX-12WSC-0126-SM-5EQ4P 50-59 years, male 110.1
GTEX-147GR-0526-SM-5S2MY 60-69 years, male 110.0
GTEX-17HHY-0126-SM-7LG5D 50-59 years, male 110.0
GTEX-17MF6-0126-SM-7LG4F 40-49 years, male 109.9
GTEX-SJXC-0126-SM-2XCFF 60-69 years, male 109.9
GTEX-YJ8A-0426-SM-5IFID 20-29 years, male 109.9
GTEX-13VXT-0126-SM-5LU4I 20-29 years, female 109.8
GTEX-17HHE-2026-SM-79OKF 50-59 years, male 109.8
GTEX-Y8LW-1826-SM-5S2MV 50-59 years, female 109.7
GTEX-1CB4J-0626-SM-7DHMP 60-69 years, male 109.3
GTEX-R55G-2526-SM-2TC6D 40-49 years, female 109.3
GTEX-16BQI-0226-SM-7KUEX 30-39 years, female 109.1
GTEX-14DAQ-0126-SM-5S2MQ 60-69 years, female 108.3
GTEX-13U4I-0126-SM-5LU38 40-49 years, female 108.2
GTEX-1KANB-0526-SM-E6CJH 50-59 years, male 108.2
GTEX-1F75A-0126-SM-7RHGM 50-59 years, male 108.0
GTEX-14PJ3-1826-SM-62LEX 50-59 years, male 107.8
GTEX-U3ZN-2326-SM-3DB7W 30-39 years, female 107.8
GTEX-12KS4-0326-SM-5EQ41 30-39 years, male 107.7
GTEX-1GN73-0226-SM-9WG67 60-69 years, male 107.7
GTEX-QDT8-0126-SM-48TZ1 30-39 years, female 107.6
GTEX-14PN3-2426-SM-6LLHS 60-69 years, female 107.5
GTEX-11P82-1626-SM-59879 20-29 years, male 107.1
GTEX-1A32A-0126-SM-718B1 50-59 years, female 107.0
GTEX-15DYW-0126-SM-7KULE 60-69 years, female 106.6
GTEX-16AAH-1726-SM-7939C 50-59 years, male 106.2
GTEX-1B996-0226-SM-7RHGO 60-69 years, male 105.8
GTEX-1ICLY-0126-SM-D4P36 50-59 years, male 105.5
GTEX-113JC-2326-SM-5EQ4E 50-59 years, female 105.3
GTEX-QDVJ-1726-SM-2I5FX 50-59 years, male 105.1
GTEX-11P81-2326-SM-59875 30-39 years, female 104.9
GTEX-ZDXO-3026-SM-5J1N5 60-69 years, male 104.8
GTEX-1AX9I-0126-SM-7SB74 60-69 years, male 104.5
GTEX-1C2JI-1826-SM-73KXC 50-59 years, male 104.3
GTEX-13FHO-0226-SM-5IFGY 60-69 years, male 104.1
GTEX-1AYCT-2426-SM-7IGQ3 50-59 years, male 104.1
GTEX-1H23P-0126-SM-ADEJ3 60-69 years, male 104.1
GTEX-1EN7A-0126-SM-7SB81 40-49 years, male 103.9
GTEX-147F4-0226-SM-5QGPW 50-59 years, male 103.6
GTEX-QDVN-2026-SM-3GAEP 50-59 years, male 102.7
GTEX-1GN1V-0126-SM-9WPOS 60-69 years, male 102.7
GTEX-11NUK-0126-SM-5A5L3 50-59 years, male 102.4
GTEX-13OW7-0126-SM-5MR3B 50-59 years, male 102.2
GTEX-1I1CD-0126-SM-CM2TK 60-69 years, female 101.9
GTEX-ZQG8-1626-SM-DHXIT 60-69 years, female 101.8
GTEX-1A3MW-0126-SM-73KXX 60-69 years, female 101.3
GTEX-14E7W-0126-SM-6LLJ9 70-79 years, male 101.1
GTEX-PVOW-0126-SM-2XCFA 40-49 years, male 101.1
GTEX-1HFI7-1826-SM-ACKXH 50-59 years, female 100.7
GTEX-15SDE-2226-SM-7IGLO 50-59 years, female 100.6
GTEX-PLZ5-2026-SM-2S1O4 50-59 years, male 100.5
GTEX-VJYA-1126-SM-3GIJU 60-69 years, male 100.5
GTEX-1E1VI-0126-SM-7DHMZ 50-59 years, male 100.3
GTEX-139TT-0126-SM-5K7Y5 60-69 years, male 100.0
GTEX-17HGU-0226-SM-7DHKV 50-59 years, male 99.8
GTEX-R3RS-0126-SM-3GIJL 40-49 years, female 99.8
GTEX-1EKGG-0226-SM-9WYTH 60-69 years, male 99.7
GTEX-1NHNU-1026-SM-E9J2A 50-59 years, male 99.7
GTEX-U3ZH-2026-SM-3DB78 30-39 years, male 99.6
GTEX-13X6I-0626-SM-5QGP9 60-69 years, male 99.5
GTEX-1I1GS-0126-SM-B2LVW 60-69 years, male 99.5
GTEX-1H1ZS-0426-SM-9WG6G 70-79 years, male 99.4
GTEX-13NYC-0326-SM-E9J4S 60-69 years, male 99.1
GTEX-13RTJ-2426-SM-5S2Q2 60-69 years, male 99.0
GTEX-1F6IF-0726-SM-7P8TW 60-69 years, male 98.9
GTEX-17EVQ-0226-SM-7LG4P 70-79 years, male 98.7
GTEX-15EU6-0426-SM-6PAN5 50-59 years, male 98.3
GTEX-RWS6-2026-SM-2XCB5 60-69 years, female 98.1
GTEX-1A8FM-0226-SM-7SB7Q 50-59 years, female 98.1
GTEX-13W46-0226-SM-5SIAG 50-59 years, male 97.9
GTEX-145LU-0126-SM-5TDCB 50-59 years, male 97.8
GTEX-1GF9U-2126-SM-7SB7L 40-49 years, female 97.8
GTEX-144GN-2326-SM-5LU4F 50-59 years, male 97.0
GTEX-11WQC-2526-SM-5CVLE 60-69 years, male 96.8
GTEX-RM2N-1426-SM-2TF4H 50-59 years, male 96.6
GTEX-1PPH7-2326-SM-EVYB8 40-49 years, male 96.4
GTEX-1JJE9-0326-SM-CL53Z 70-79 years, male 95.9
GTEX-11O72-0126-SM-59887 40-49 years, male 95.8
GTEX-11ZVC-2526-SM-5FQTE 50-59 years, female 95.6
GTEX-1GTWX-0126-SM-9YFLK 60-69 years, male 95.6
GTEX-11ZU8-2526-SM-5EQKI 60-69 years, male 95.5
GTEX-1AX8Z-0126-SM-7DHM6 60-69 years, male 95.5
GTEX-PW2O-1526-SM-7RHHB 20-29 years, male 95.4
GTEX-1CAMS-0426-SM-7P8T2 40-49 years, female 95.1
GTEX-11NSD-2226-SM-5986V 20-29 years, male 95.0
GTEX-1HKZK-0326-SM-9WYUH 40-49 years, male 95.0
GTEX-1C6VQ-0126-SM-7P8RI 50-59 years, male 94.8
GTEX-1IDFM-0126-SM-COH2V 60-69 years, male 94.6
GTEX-1M4P7-0226-SM-DIPEV 60-69 years, male 94.6
GTEX-TSE9-0126-SM-3DB83 60-69 years, female 94.5
GTEX-11VI4-1726-SM-5CVLH 40-49 years, female 94.2
GTEX-ZVT3-0126-SM-5GU6I 60-69 years, female 94.2
GTEX-13W3W-2426-SM-5LU5B 60-69 years, female 93.8
GTEX-1QP29-0626-SM-EWRMX 50-59 years, male 93.8
GTEX-15D1Q-0126-SM-7KUG6 40-49 years, male 93.7
GTEX-ZVE2-0226-SM-59HJB 50-59 years, male 93.7
GTEX-13N1W-0126-SM-5K7VT 70-79 years, male 93.5
GTEX-1K9T9-0126-SM-EVYCF 50-59 years, female 93.1
GTEX-1RQEC-0426-SM-E6CHU 60-69 years, male 92.8
GTEX-11DZ1-0126-SM-5985Q 50-59 years, male 92.4
GTEX-Q2AH-1626-SM-3GAF8 40-49 years, male 92.4
GTEX-XMD2-0126-SM-4YCDU 60-69 years, female 92.0
GTEX-QLQW-1126-SM-2S1Q8 30-39 years, male 91.7
GTEX-R45C-0126-SM-EAZ2R 60-69 years, female 91.5
GTEX-15DCD-0126-SM-7KUEK 70-79 years, female 91.4
GTEX-PLZ4-0126-SM-5SI8O 50-59 years, female 91.1
GTEX-1C6WA-0126-SM-7PC2B 60-69 years, male 90.9
GTEX-1EU9M-0226-SM-7P8SP 60-69 years, male 90.9
GTEX-1IGQW-0126-SM-COH42 60-69 years, male 90.5
GTEX-1N2DV-0226-SM-E6CJ6 40-49 years, male 90.4
GTEX-13RTL-0126-SM-7LG5S 40-49 years, male 90.2
GTEX-V1D1-2226-SM-3NMAX 50-59 years, male 90.1
GTEX-VJWN-0126-SM-3GIK7 50-59 years, female 89.9
GTEX-ZF28-0126-SM-4WKGK 60-69 years, male 89.9
GTEX-1S82Z-0826-SM-E6CHY 30-39 years, female 89.9
GTEX-1AMEY-1326-SM-73KYK 30-39 years, female 89.7
GTEX-1HSMO-0126-SM-CL547 60-69 years, male 89.6
GTEX-RN64-0126-SM-2TC68 50-59 years, male 89.1
GTEX-183FY-0126-SM-7LT9P 20-29 years, male 88.5
GTEX-1I19N-0326-SM-ACKVX 70-79 years, male 88.3
GTEX-147F3-0526-SM-5SI98 50-59 years, female 88.2
GTEX-R55E-0126-SM-2TC5Y 20-29 years, male 88.1
GTEX-15SHW-0326-SM-6PAML 60-69 years, male 87.9
GTEX-1MA7X-2226-SM-E6CIY 60-69 years, male 87.7
GTEX-1F88F-2726-SM-7PBZZ 60-69 years, female 87.4
GTEX-1GPI6-0126-SM-9WG69 60-69 years, male 87.3
GTEX-1J8Q3-1626-SM-CMKGC 60-69 years, male 86.8
GTEX-TMMY-0226-SM-33HBA 40-49 years, female 86.4
GTEX-OIZF-0126-SM-7SB8I 60-69 years, male 85.5
GTEX-13OVG-1926-SM-5L3DK 60-69 years, male 85.4
GTEX-1JK1U-2026-SM-CM2RZ 60-69 years, male 85.3
GTEX-1JMOU-1526-SM-CL54I 60-69 years, female 85.0
GTEX-11EMC-2926-SM-5EQ4F 60-69 years, female 84.2
GTEX-1JKYN-1326-SM-CGQG9 30-39 years, male 83.8
GTEX-Z9EW-1626-SM-5CVMN 40-49 years, male 83.7
GTEX-1F5PK-2426-SM-7RHHY 50-59 years, male 83.4
GTEX-X638-0126-SM-47JZ8 70-79 years, female 82.8
GTEX-SE5C-1626-SM-2XCE3 40-49 years, female 82.5
GTEX-1LNCM-1126-SM-E9U5E 50-59 years, female 81.6
GTEX-15EOM-0126-SM-7KUGG 20-29 years, female 81.5
GTEX-X62O-0126-SM-4E3JN 50-59 years, male 81.3
GTEX-Q2AG-0126-SM-33HBV 40-49 years, female 80.9
GTEX-1IY9M-0126-SM-D3L8S 60-69 years, male 80.8
GTEX-QLQ7-1626-SM-2S1R8 60-69 years, male 80.3
GTEX-11ZTT-2426-SM-5EQLS 60-69 years, female 79.4
GTEX-1QEPI-0126-SM-EWRMQ 60-69 years, female 79.0
GTEX-ZYW4-0126-SM-5E44A 60-69 years, male 78.6
GTEX-1QP2A-0126-SM-E9J43 50-59 years, male 78.4
GTEX-139T4-0226-SM-5HL5S 50-59 years, female 78.2
GTEX-18D9B-0526-SM-7LTAS 60-69 years, male 77.9
GTEX-WOFL-0126-SM-3MJG2 60-69 years, male 77.9
GTEX-SSA3-0126-SM-32QPU 60-69 years, male 77.1
GTEX-1H1E6-1726-SM-ACKVK 30-39 years, male 76.8
GTEX-1GN1W-0526-SM-9MQJQ 50-59 years, female 76.7
GTEX-1H3NZ-0126-SM-ACKX7 60-69 years, male 75.8
GTEX-P44H-0226-SM-2XCEU 40-49 years, male 75.5
GTEX-11TTK-0126-SM-5987B 60-69 years, female 75.3
GTEX-14BIL-0126-SM-5SI92 50-59 years, male 75.2
GTEX-1AX9K-2326-SM-73KWU 50-59 years, male 74.4
GTEX-1PBJI-0526-SM-E8VNK 20-29 years, female 74.3
GTEX-1I1HK-0126-SM-COH49 60-69 years, male 73.7
GTEX-1C6VS-0526-SM-7DUEN 60-69 years, male 72.3
GTEX-14ABY-0226-SM-5TDCQ 50-59 years, male 71.1
GTEX-1RLM8-2326-SM-EWRN4 50-59 years, male 68.6
GTEX-1IE54-0126-SM-CMKHW 40-49 years, female 68.2
GTEX-1HUB1-0426-SM-E9U4U 60-69 years, male 68.0
GTEX-16XZY-2126-SM-79OK1 70-79 years, male 67.7
GTEX-14PHW-0126-SM-6LLJI 60-69 years, female 67.4
GTEX-1OJC4-0126-SM-E9J2E 50-59 years, female 65.5
GTEX-12WSN-5019-SM-79OM6 40-49 years, male 65.2
GTEX-14A6H-0126-SM-5QGPK 30-39 years, male 65.1
GTEX-ZZPT-0226-SM-5E43X 50-59 years, male 63.1
GTEX-1F48J-0126-SM-7P8TT 50-59 years, female 62.0
GTEX-1F75I-0326-SM-9YFLU 40-49 years, male 60.8
GTEX-1R9PO-2126-SM-E9J4O 60-69 years, female 55.4
GTEX-ZUA1-0126-SM-5GU76 40-49 years, male 54.5
GTEX-113IC-0126-SM-5HL6T 60-69 years, male 51.0
GTEX-11ZUS-0626-SM-59885 30-39 years, male 51.0
GTEX-1QP67-1626-SM-EAZ3X 40-49 years, female 50.5
GTEX-1RAZQ-0726-SM-EAZ43 30-39 years, male 50.0
GTEX-U4B1-1826-SM-4DXSU 40-49 years, male 49.0
GTEX-14JIY-0126-SM-6LLH6 60-69 years, male 46.9
GTEX-1QW4Y-1526-SM-EAZ3Z 30-39 years, male 45.4
GTEX-1HBPH-0426-SM-B2LW5 40-49 years, female 39.8
GTEX-146FR-1326-SM-E9J48 60-69 years, female 30.5
Show allShow less

Contact

  • NEWS ARTICLES
  • PRESS ROOM

The Project

  • INTRODUCTION
  • ORGANIZATION
  • PUBLICATIONS

The Human Protein Atlas

  • DOWNLOADABLE DATA
  • LICENCE & CITATION
  • HELP & FAQ
The Human Protein Atlas project is funded
by the Knut & Alice Wallenberg Foundation.


contact@proteinatlas.org