We use cookies to enhance the usability of our website. If you continue, we'll assume that you are happy to receive all cookies. More information. Don't show this again.
ATF1
HPA
RESOURCES
  • TISSUE
  • BRAIN
  • SINGLE CELL
  • SUBCELLULAR
  • CANCER
  • BLOOD
  • CELL LINE
  • STRUCTURE & INTERACTION
ABOUT
  • INTRODUCTION
  • HISTORY
  • ORGANIZATION
  • PUBLICATIONS
  • ANTIBODY SUBMISSION
  • ANTIBODY AVAILABILITY
  • ACKNOWLEDGMENTS
  • CONTACT
NEWS
  • NEWS ARTICLES
  • PRESS ROOM
LEARN
  • DICTIONARY
  • PROTEIN CLASSES
  • PROTEIN EVIDENCE
  • METHODS
  • EDUCATIONAL VIDEOS
DATA
  • DOWNLOADABLE DATA
  • PUBLICATION DATA
  • RELEASE HISTORY
HELP
  • ANTIBODY VALIDATION
  • ASSAYS & ANNOTATION
  • DISCLAIMER
  • HELP & FAQ
  • PRIVACY STATEMENT
  • LICENCE & CITATION
Fields »
Search result

Field
Term
Gene name
Class
Subclass
Class
Keyword
Chromosome
External id
Tissue
Cell type
Expression
Antibody panel
Tissue
Main location
Patient ID
Annotation
Tissue
Category
Tau score
Cluster
Reliability
Brain region
Category
Tau score
Brain region
Category
Tau score
Brain region
Category
Tau score
Cluster
Reliability
Tissue
Cell type
Enrichment
Cell type
Category
Tau score
Cell type
Category
Tau score
Cell type
Category
Tau score
Cell lineage
Category
Tau score
Cluster
Cluster
Location
Searches
Location
Cell line
Class
Type
Phase
Reliability
Cancer
Prognosis
Cancer
Category
Cancer
Category
Tau score
Cluster
Variants
Interacting gene (ensg_id)
Type
Number of interactions
Pathway
Category
Score
Score
Score
Validation
Validation
Validation
Validation
Antibodies
Data type
Column


  • SUMMARY

  • TISSUE

  • BRAIN

  • SINGLE CELL

  • SUBCELL

  • CANCER

  • BLOOD

  • CELL LINE

  • STRUCT & INT

  • ATF1
TISSUE PRIMARY DATA SKIN Show tissue menu
ADIPOSE TISSUE ADRENAL GLAND AMYGDALA APPENDIX BASAL GANGLIA BONE MARROW BREAST BRONCHUS CEREBELLUM CEREBRAL CORTEX CERVIX CHOROID PLEXUS COLON DUODENUM
ENDOMETRIUM EPIDIDYMIS ESOPHAGUS FALLOPIAN TUBE GALLBLADDER HEART MUSCLE HIPPOCAMPAL FORMATION HYPOTHALAMUS KIDNEY LIVER LUNG LYMPH NODE MIDBRAIN NASOPHARYNX
ORAL MUCOSA OVARY PANCREAS PARATHYROID GLAND PITUITARY GLAND PLACENTA PROSTATE RECTUM RETINA SALIVARY GLAND SEMINAL VESICLE SKELETAL MUSCLE SKIN SMALL INTESTINE
SMOOTH MUSCLE SOFT TISSUE SPINAL CORD SPLEEN STOMACH TESTIS THYMUS THYROID GLAND TONGUE TONSIL URINARY BLADDER VAGINA
ANTIBODIES
AND
VALIDATION
Dictionary
Skin
Tissue proteome
Skin
SKIN - Expression summary
Protein expression
Skini

On the top, protein expression in current human tissue, based on all annotated cell types, is reported with the units not detected (n), low (l), medium (m) and high (h). Underneath, protein expression in each annotated cell type are reported using the same units.

Protein expression data is based on knowledge-based annotation. For genes where more than one antibody has been used, a collective score is set.

If knowledge-based annotation could not be performed for a gene, no data is displayed here. View antibody staining data further down this page.

h
m
l
n
Epidermal cells: Medium
Fibroblasts: Low
Keratinocytes: Medium
Langerhans: Not detected
Melanocytes: Not detected
RNA expressioni

A summary of mRNA expression data available for current tissue based on several datasets. The mRNA expression levels in human tissues are based on RNA-seq data generated by the Human Protein Atlas (HPA), Genotype-Tissue Expression (GTEx) portal and CAGE data generated by the FANTOM5 consortium. Consensus normalized expression levels for human tissues was created by combining the data from HPA and GTEx datasets.

The mRNA expression levels in pig are based on RNA-seq data generated by the Human Protein Atlas (HPA), and for mouse, HPA data and in situ hybridization generated by the Allen brain atlas are reported.

Scroll down to view mRNA expression data in more detail.
Consensus:10.0 nTPM
HPA:8.9 nTPM
GTEx:10.0 nTPM

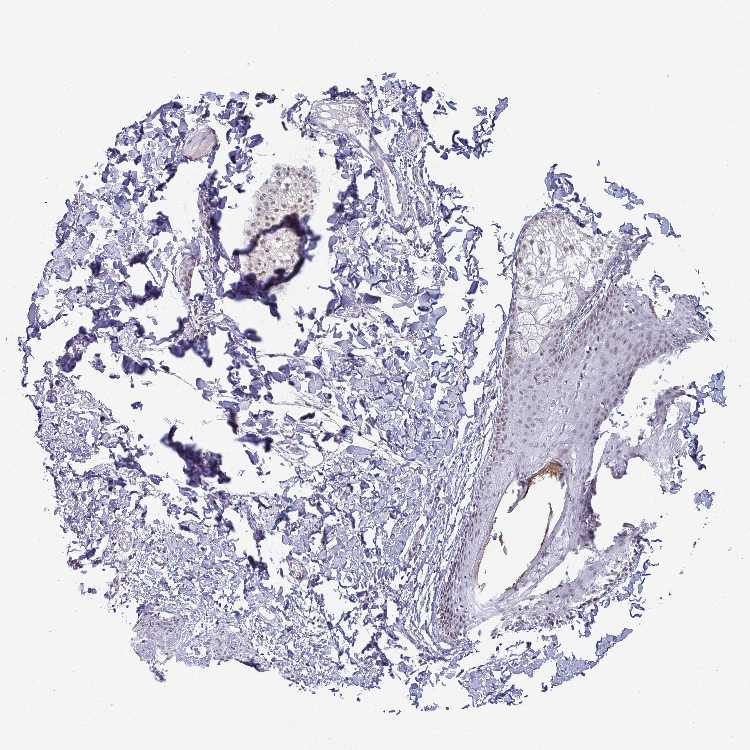
SKIN 1 - Antibody stainingi

Antibody staining in the annotated cell types in the current human tissue is reported as not detected, low, medium, or high, based on conventional immunohistochemistry profiling in selected tissues. This score is based on the combination of the staining intensity and fraction of stained cells.

Each image is clickable and will lead to virtual microscopy that enables deeper exploration of all samples and also displays staining intensity scores, fraction scores and subcellular localization as well as patient and tissue information for each sample.

Antibody HPA055069Antibody CAB016222
Langerhans Not detectedNot detected
Fibroblasts Not detectedMedium
Keratinocytes Not detectedHigh
Melanocytes Not detectedNot detected



SKIN 2 - Antibody stainingi

Antibody staining in the annotated cell types in the current human tissue is reported as not detected, low, medium, or high, based on conventional immunohistochemistry profiling in selected tissues. This score is based on the combination of the staining intensity and fraction of stained cells.

Each image is clickable and will lead to virtual microscopy that enables deeper exploration of all samples and also displays staining intensity scores, fraction scores and subcellular localization as well as patient and tissue information for each sample.

Antibody HPA055069Antibody CAB016222
Epidermal cells LowMedium
  
  
  




SKIN - HPA RNA-seqi

The RNA-seq details section shows detailed information about the individual samples used for the transcript profiling and results of the RNA-seq analysis.

Information about each individual sample is listed below, including gender, age, a tissue section image and estimated fractions of cell types. nTPM (normalized transcripts per million) values give a quantification of the gene abundance which is comparable between different genes and samples.
Average nTPMi

Max subtype nTPM is the value for the subtype with the largest average nTPM across the subtype samples.

8.9
overview
Female, age 34
Skin sample 225
nTPM: 9.4
Cell types%
Keratinocytes:
60

Other cell types:
40

overview
Female, age 30
Skin sample 226
nTPM: 10.8
Cell types%
Keratinocytes:
55

Other cell types:
45

N/A
Male, age 57
Skin sample 227
nTPM: 6.5

SKIN - GTEx RNA-seqi

RNA-Seq data generated by the Genotype-Tissue Expression (GTEx) project from human tissues is reported as mean nTPM. More information can be found on the GTEx portal.

Distribution across the dataset is visualized with box plots, shown as median and 25th and 75th percentiles. Points are displayed as outliers if they are above or below 1.5 times the interquartile range. nTPM values of the individual samples are presented next to the box plot.
Max subtype nTPMi

Max subtype nTPM is the value for the subtype with the largest average nTPM across the subtype samples.

10.0
GTEx sample id Sample description nTPM
Skin - Not Sun Exposed (Suprapubic)
Average nTPM: 10.0
Samples: 604

Max nTPM: 24.8
Min nTPM: 3.4
Std nTPM: 2.9
Median nTPM: 9.7
GTEX-1F6RS-2026-SM-7RHHC 60-69 years, female 24.8
GTEX-15SKB-2826-SM-6PAMH 60-69 years, male 21.7
GTEX-1LVAM-0726-SM-E6CIL 50-59 years, female 21.1
GTEX-13NZ8-1226-SM-5KM4A 60-69 years, female 21.0
GTEX-1S83E-1326-SM-E6CJM 40-49 years, male 19.7
GTEX-13YAN-0226-SM-5TDC6 60-69 years, male 19.3
GTEX-1H3VE-0726-SM-9YFL5 40-49 years, male 18.9
GTEX-13IVO-0726-SM-5LZYV 70-79 years, male 18.8
GTEX-144GL-0626-SM-5LU4D 50-59 years, male 18.8
GTEX-15DDE-2926-SM-6LLJ3 50-59 years, female 18.7
GTEX-145MI-0626-SM-5SI8S 60-69 years, female 17.6
GTEX-1F88E-1626-SM-7SB8Z 60-69 years, female 17.5
GTEX-11EQ8-0926-SM-5H12V 60-69 years, male 17.3
GTEX-13PDP-0726-SM-5L3HP 60-69 years, male 17.3
GTEX-1HSMO-0626-SM-ACKXC 60-69 years, male 17.2
GTEX-15UF6-1926-SM-7KUDV 70-79 years, female 16.9
GTEX-1GMR8-0626-SM-7RHI7 50-59 years, female 16.7
GTEX-1EH9U-2826-SM-7DUGT 60-69 years, male 16.4
GTEX-1IDFM-0326-SM-ARL7V 60-69 years, male 16.4
GTEX-14PJ2-0626-SM-6LLII 50-59 years, male 16.3
GTEX-139D8-1126-SM-5LU8W 30-39 years, female 16.0
GTEX-1IDJV-0126-SM-COH3Y 60-69 years, male 16.0
GTEX-1RAZA-2226-SM-E9U4X 20-29 years, male 15.8
GTEX-1HT8W-0626-SM-A9G2H 30-39 years, male 15.7
GTEX-13SLW-0626-SM-5Q5ER 70-79 years, male 15.5
GTEX-1H1DF-1126-SM-9WG7G 40-49 years, female 15.5
GTEX-183WM-0326-SM-72D5V 70-79 years, female 15.4
GTEX-1GF9X-1326-SM-7PC2Y 40-49 years, female 15.4
GTEX-1RAZR-2126-SM-E9U6T 40-49 years, male 15.4
GTEX-1S5ZU-2526-SM-E6CIF 20-29 years, female 15.3
GTEX-1HBPM-0726-SM-9YFL7 60-69 years, female 15.2
GTEX-1JK1U-0226-SM-ARZMX 60-69 years, male 15.0
GTEX-139UW-0326-SM-5J1ML 60-69 years, male 14.7
GTEX-13JUV-2026-SM-5K7UA 40-49 years, female 14.7
GTEX-1A3MW-0626-SM-731CB 60-69 years, female 14.7
GTEX-VUSG-2326-SM-4KL1U 50-59 years, male 14.7
GTEX-13QBU-1226-SM-5LU4G 40-49 years, female 14.6
GTEX-14C38-0726-SM-5SI6M 50-59 years, male 14.6
GTEX-1F5PL-0926-SM-7PC2W 40-49 years, female 14.6
GTEX-1314G-1326-SM-5BC6E 30-39 years, male 14.5
GTEX-1A8FM-0626-SM-7PC25 50-59 years, female 14.5
GTEX-1HR98-2226-SM-ADEI2 60-69 years, male 14.5
GTEX-147JS-0226-SM-5S2U9 60-69 years, male 14.4
GTEX-1M4P7-0726-SM-E6CJ3 60-69 years, male 14.4
GTEX-14A6H-2026-SM-5Q5DD 30-39 years, male 14.3
GTEX-1B932-2326-SM-79OL5 40-49 years, female 14.3
GTEX-13VXT-1926-SM-5K7UO 20-29 years, female 14.2
GTEX-144GO-2026-SM-5O99P 60-69 years, male 14.2
GTEX-148VJ-0626-SM-5LUAW 70-79 years, male 14.2
GTEX-ZVE2-2826-SM-5GU51 50-59 years, male 14.2
GTEX-1R7EU-1626-SM-DTXG3 60-69 years, male 14.2
GTEX-12WSL-2026-SM-5GCML 50-59 years, male 14.1
GTEX-15CHC-1126-SM-6LLHQ 60-69 years, female 14.1
GTEX-1AMFI-1326-SM-7939R 50-59 years, female 14.1
GTEX-1IE54-1126-SM-A9G2Z 40-49 years, female 14.1
GTEX-1F48J-0726-SM-7RHGS 50-59 years, female 14.0
GTEX-14XAO-1226-SM-6EU1C 60-69 years, female 13.9
GTEX-1NV5F-0626-SM-DTXEG 60-69 years, female 13.9
GTEX-1OJC4-2726-SM-E76PJ 50-59 years, female 13.9
GTEX-1HCU7-0726-SM-A9SL1 50-59 years, male 13.8
GTEX-13FLV-0126-SM-5K7WT 50-59 years, male 13.6
GTEX-WYBS-0626-SM-3NMAS 60-69 years, female 13.6
GTEX-ZE7O-2726-SM-51MT5 50-59 years, female 13.6
GTEX-1F5PK-2226-SM-7SB6N 50-59 years, male 13.6
GTEX-1ICLY-0826-SM-CMKG1 50-59 years, male 13.6
GTEX-13RTJ-0126-SM-5S2NN 60-69 years, male 13.5
GTEX-1GMR3-0126-SM-A9SLW 40-49 years, male 13.5
GTEX-1J8Q3-0526-SM-ARL8U 60-69 years, male 13.5
GTEX-15ER7-0626-SM-6PANF 20-29 years, female 13.4
GTEX-1LG7Y-2526-SM-EWRO7 50-59 years, male 13.4
GTEX-13PL6-1126-SM-5L3IE 40-49 years, female 13.3
GTEX-14LZ3-0126-SM-69LPM 60-69 years, female 13.3
GTEX-1J8Q2-2626-SM-ACKWQ 60-69 years, male 13.3
GTEX-ZGAY-1826-SM-DO91Q 40-49 years, female 13.3
GTEX-11OF3-0126-SM-5PNYF 60-69 years, male 13.2
GTEX-11WQC-1826-SM-5GU59 60-69 years, male 13.2
GTEX-1R46S-2426-SM-E76QA 60-69 years, female 13.2
GTEX-13NYS-0626-SM-5L3F1 60-69 years, male 13.1
GTEX-11DZ1-2426-SM-5GZZX 50-59 years, male 13.0
GTEX-11EQ9-1626-SM-5PNY8 30-39 years, male 13.0
GTEX-1GN1U-0626-SM-9MQL9 50-59 years, female 13.0
GTEX-1I1GS-2626-SM-B2LY3 60-69 years, male 13.0
GTEX-1I6K6-1726-SM-CGQFD 30-39 years, male 13.0
GTEX-13X6I-1826-SM-5SIAO 60-69 years, male 12.9
GTEX-XQ8I-0926-SM-4BOOF 50-59 years, male 12.9
GTEX-12ZZX-2426-SM-5GCOE 40-49 years, female 12.8
GTEX-1399Q-2326-SM-5KM2X 40-49 years, male 12.8
GTEX-ZAJG-1526-SM-5CVML 50-59 years, female 12.8
GTEX-1F6IF-0926-SM-7SB7M 60-69 years, male 12.8
GTEX-1LKK1-2626-SM-DKPQE 50-59 years, female 12.8
GTEX-13FHO-0426-SM-5L3F5 60-69 years, male 12.7
GTEX-14C39-1726-SM-5RQIL 40-49 years, male 12.7
GTEX-XMD2-2126-SM-4YCF8 60-69 years, female 12.7
GTEX-ZXG5-2126-SM-59HKD 60-69 years, male 12.7
GTEX-1H2FU-0926-SM-9WPPT 60-69 years, female 12.7
GTEX-1HR9M-2226-SM-CNPPY 60-69 years, male 12.7
GTEX-1I1CD-0626-SM-CE6SW 60-69 years, female 12.7
GTEX-1269C-0126-SM-5EQ5L 60-69 years, female 12.6
GTEX-13112-0126-SM-5P9IU 50-59 years, male 12.6
GTEX-16NPX-0726-SM-7KULC 50-59 years, male 12.6
GTEX-1I1GT-1026-SM-ARZLV 60-69 years, female 12.6
GTEX-14PKU-0126-SM-6LLHV 40-49 years, female 12.5
GTEX-1S82U-1026-SM-E6CJK 30-39 years, female 12.5
GTEX-14BMU-1226-SM-5S2OR 20-29 years, female 12.4
GTEX-14LLW-2626-SM-62LDZ 70-79 years, female 12.4
GTEX-15EO6-2426-SM-6PALZ 50-59 years, male 12.4
GTEX-1CAV2-0126-SM-7IGN7 40-49 years, female 12.4
GTEX-1JJE9-2626-SM-ARZMT 70-79 years, male 12.4
GTEX-1JJEA-1826-SM-ARU8P 60-69 years, male 12.4
GTEX-12WSA-0426-SM-5EQ5X 60-69 years, male 12.3
GTEX-16YQH-2226-SM-7IGM2 30-39 years, male 12.3
GTEX-17MFQ-1526-SM-7KFRR 20-29 years, male 12.3
GTEX-Y5V5-0126-SM-5S2NW 60-69 years, female 12.3
GTEX-12WSD-0626-SM-5GCMW 60-69 years, female 12.2
GTEX-13NZ9-2626-SM-5L3FK 50-59 years, male 12.2
GTEX-14DAQ-0626-SM-793DS 60-69 years, female 12.2
GTEX-1BAJH-2426-SM-7IGP8 70-79 years, male 12.2
GTEX-14JFF-0626-SM-5ZZVT 60-69 years, male 12.2
GTEX-1J8JJ-0626-SM-ARZMQ 60-69 years, female 12.2
GTEX-1QCLZ-2426-SM-EVYBW 60-69 years, female 12.2
GTEX-11P81-2226-SM-5PNYI 30-39 years, female 12.1
GTEX-12WSC-2826-SM-5BC5Y 50-59 years, male 12.1
GTEX-14PJ5-1526-SM-6LLIL 60-69 years, female 12.1
GTEX-ZTTD-2826-SM-4YCFA 50-59 years, male 12.1
GTEX-1I1GU-0926-SM-ACKVS 40-49 years, male 12.1
GTEX-1K2DU-1226-SM-CYPT4 20-29 years, male 12.1
GTEX-1A8G6-2726-SM-731AR 60-69 years, male 12.0
GTEX-1C6VR-0126-SM-7RHGB 60-69 years, male 12.0
GTEX-1IDJH-0126-SM-D3L92 70-79 years, male 12.0
GTEX-1PPH7-1126-SM-DTX9A 40-49 years, male 12.0
GTEX-1QEPI-2626-SM-DTXF4 60-69 years, female 12.0
GTEX-14753-0726-SM-5QGQO 60-69 years, male 11.9
GTEX-17F9Y-0126-SM-79OKX 70-79 years, female 11.9
GTEX-1A8G7-1326-SM-73KVM 60-69 years, male 11.9
GTEX-1GN1V-2826-SM-9JGIA 60-69 years, male 11.9
GTEX-1S82P-2126-SM-E6CI5 60-69 years, female 11.9
GTEX-13X6H-0926-SM-5SIB2 50-59 years, female 11.8
GTEX-15G19-2426-SM-7KUMR 60-69 years, male 11.8
GTEX-1F75A-0726-SM-7RHHD 50-59 years, male 11.8
GTEX-1RAZS-2526-SM-E6CHT 50-59 years, male 11.8
GTEX-139T8-0626-SM-5KLZX 60-69 years, male 11.7
GTEX-13O3O-2326-SM-5IJD6 60-69 years, female 11.7
GTEX-13OVL-0126-SM-5L3GJ 50-59 years, male 11.7
GTEX-18A67-1626-SM-7LT9T 50-59 years, male 11.7
GTEX-XYKS-1426-SM-4BRUO 60-69 years, female 11.7
GTEX-13OVH-0526-SM-5L3E6 70-79 years, male 11.6
GTEX-14JG1-1526-SM-5YY9X 40-49 years, male 11.6
GTEX-1F52S-2926-SM-7MKGA 60-69 years, female 11.6
GTEX-1GF9W-1426-SM-7PBYM 60-69 years, male 11.6
GTEX-1I19N-0126-SM-CYPSF 70-79 years, male 11.6
GTEX-1LSNL-2726-SM-E9TKJ 50-59 years, male 11.6
GTEX-12WSK-2126-SM-5CVNC 40-49 years, female 11.5
GTEX-13D11-0926-SM-5J2NC 50-59 years, female 11.5
GTEX-13X6J-0626-SM-5LU5F 50-59 years, male 11.5
GTEX-147F3-1726-SM-5SIAW 50-59 years, female 11.5
GTEX-1AMEY-0826-SM-72D65 30-39 years, female 11.5
GTEX-WHWD-1826-SM-3LK6I 50-59 years, male 11.5
GTEX-ZVTK-0226-SM-51MRG 20-29 years, male 11.5
GTEX-1H3NZ-2726-SM-9WYTQ 60-69 years, male 11.5
GTEX-1JKYR-0626-SM-ARL8R 20-29 years, male 11.5
GTEX-1QPFJ-1926-SM-EVYBD 30-39 years, female 11.5
GTEX-13NYB-0126-SM-5J1MD 40-49 years, male 11.4
GTEX-13O3Q-0126-SM-5KM34 50-59 years, male 11.4
GTEX-13X6K-0626-SM-5LU5D 60-69 years, female 11.4
GTEX-145LU-1926-SM-79OJN 50-59 years, male 11.4
GTEX-17HG3-2626-SM-7DUF2 30-39 years, female 11.4
GTEX-V1D1-2026-SM-3GAF4 50-59 years, male 11.4
GTEX-WK11-2726-SM-3NMAQ 50-59 years, male 11.4
GTEX-X8HC-0626-SM-4E3HQ 50-59 years, female 11.4
GTEX-1F75W-2726-SM-7SB8H 60-69 years, male 11.4
GTEX-1H3O1-1326-SM-9MQLD 60-69 years, male 11.4
GTEX-1HUB1-1426-SM-CGQF5 60-69 years, male 11.4
GTEX-1POEN-2326-SM-E9J2L 30-39 years, female 11.4
GTEX-1QP66-1226-SM-DTX7U 50-59 years, male 11.4
GTEX-11EI6-2826-SM-5H11D 60-69 years, male 11.3
GTEX-13N2G-0226-SM-5K7VF 60-69 years, male 11.3
GTEX-14A5H-0826-SM-5QGPJ 60-69 years, male 11.3
GTEX-1B8KZ-0326-SM-73KY4 50-59 years, male 11.3
GTEX-WFON-1926-SM-3LK7L 40-49 years, male 11.3
GTEX-ZE9C-2526-SM-5IJDR 60-69 years, male 11.3
GTEX-ZYY3-2926-SM-5GIEB 60-69 years, female 11.3
GTEX-1QP29-1826-SM-DTX9S 50-59 years, male 11.3
GTEX-11LCK-2226-SM-5HL4Q 30-39 years, male 11.2
GTEX-13QJC-0126-SM-5ZZWJ 60-69 years, female 11.2
GTEX-146FQ-2126-SM-5RQHU 30-39 years, male 11.2
GTEX-UPK5-0426-SM-3GAEK 40-49 years, male 11.2
GTEX-1B8L1-2226-SM-7P8PT 60-69 years, male 11.2
GTEX-13N1W-2426-SM-5IJD1 70-79 years, male 11.1
GTEX-13OW8-1026-SM-5J1NQ 60-69 years, male 11.1
GTEX-15G1A-1626-SM-7KUKN 30-39 years, male 11.1
GTEX-1A32A-0626-SM-731AQ 50-59 years, female 11.1
GTEX-1C2JI-1026-SM-73KY1 50-59 years, male 11.1
GTEX-1H1DG-2426-SM-9QEHJ 70-79 years, male 11.1
GTEX-1IKJJ-2226-SM-CJI4C 60-69 years, male 11.1
GTEX-1KANC-1226-SM-CYPT7 50-59 years, female 11.1
GTEX-1LVA9-2626-SM-EVYD4 50-59 years, male 11.1
GTEX-133LE-2326-SM-5K7W3 20-29 years, female 11.0
GTEX-13OW5-2326-SM-5L3HO 60-69 years, male 11.0
GTEX-13PVR-0426-SM-5RQK2 60-69 years, female 11.0
GTEX-145MO-2826-SM-5LU96 60-69 years, male 11.0
GTEX-183FY-1026-SM-7939A 20-29 years, male 11.0
GTEX-XBED-1926-SM-47JYP 60-69 years, male 11.0
GTEX-YF7O-1526-SM-5IFI6 50-59 years, male 11.0
GTEX-ZVT4-2426-SM-5GIEI 50-59 years, female 11.0
GTEX-ZVZP-1226-SM-5GID7 50-59 years, male 11.0
GTEX-1GZ2Q-0126-SM-9WG6M 40-49 years, male 11.0
GTEX-1477Z-0326-SM-7IGLA 60-69 years, male 10.9
GTEX-14BMV-2826-SM-5TDED 50-59 years, male 10.9
GTEX-14PJ4-0226-SM-5YY92 60-69 years, male 10.9
GTEX-1C6VQ-1226-SM-73KYD 50-59 years, male 10.9
GTEX-1GF9U-2026-SM-7SB92 40-49 years, female 10.9
GTEX-1S831-1826-SM-EWROF 20-29 years, male 10.9
GTEX-1399R-1326-SM-5PNYS 30-39 years, male 10.8
GTEX-145MF-0926-SM-5Q5EA 50-59 years, male 10.8
GTEX-14BIN-1126-SM-5RQJZ 50-59 years, female 10.8
GTEX-15DYW-2726-SM-6EU2I 60-69 years, female 10.8
GTEX-18A7B-2726-SM-7LG56 70-79 years, male 10.8
GTEX-ZF2S-1626-SM-57WES 50-59 years, female 10.8
GTEX-1HSKV-1226-SM-ADEI4 60-69 years, male 10.8
GTEX-1PIIG-2326-SM-DTXFR 30-39 years, male 10.8
GTEX-1117F-2926-SM-5GZYI 60-69 years, female 10.7
GTEX-111VG-1626-SM-5EGIO 60-69 years, male 10.7
GTEX-11WQK-1026-SM-5EQLX 50-59 years, male 10.7
GTEX-ZVE1-0726-SM-51MRN 50-59 years, female 10.7
GTEX-ZVT2-0126-SM-5GIDQ 50-59 years, female 10.7
GTEX-1GZ4I-2626-SM-9KNU3 50-59 years, male 10.7
GTEX-1J8QM-2426-SM-A9SLS 60-69 years, female 10.7
GTEX-13NYC-0126-SM-5L3F4 60-69 years, male 10.6
GTEX-14PII-0726-SM-6EU2B 60-69 years, male 10.6
GTEX-WEY5-2326-SM-3GIKK 40-49 years, female 10.6
GTEX-YB5K-2026-SM-4VDT3 40-49 years, female 10.6
GTEX-YFCO-1226-SM-5LUAT 40-49 years, male 10.6
GTEX-1KXAM-1626-SM-D3LAD 60-69 years, male 10.6
GTEX-1EX96-1026-SM-7MKG2 50-59 years, male 10.5
GTEX-ZYFD-0626-SM-5E44E 50-59 years, male 10.5
GTEX-ZYVF-0926-SM-5E44J 50-59 years, female 10.5
GTEX-1LB8K-0726-SM-D5OV2 50-59 years, male 10.5
GTEX-1RLM8-2926-SM-E8VON 50-59 years, male 10.5
GTEX-ZLV1-1526-SM-DO91J 60-69 years, female 10.5
GTEX-12WSM-1926-SM-5BC65 60-69 years, male 10.4
GTEX-144GM-0526-SM-79OJO 20-29 years, male 10.4
GTEX-14E6C-2426-SM-5S2NF 40-49 years, male 10.4
GTEX-16GPK-0626-SM-7KFSF 60-69 years, male 10.4
GTEX-WHSE-0126-SM-3NMBT 20-29 years, male 10.4
GTEX-XK95-0226-SM-4AT58 40-49 years, male 10.4
GTEX-1A3MX-2626-SM-7PC24 60-69 years, male 10.4
GTEX-1MJK3-0726-SM-E6CJC 20-29 years, male 10.4
GTEX-12584-0726-SM-5FQTK 40-49 years, male 10.3
GTEX-147GR-2426-SM-5ZZWQ 60-69 years, male 10.3
GTEX-14AS3-1526-SM-5Q5ED 40-49 years, female 10.3
GTEX-18D9B-0926-SM-7LG4U 60-69 years, male 10.3
GTEX-XAJ8-1426-SM-47JYM 40-49 years, male 10.3
GTEX-ZZPU-0826-SM-5GZX5 50-59 years, female 10.3
GTEX-1HCVE-2726-SM-CL54F 50-59 years, male 10.3
GTEX-1LSVX-2526-SM-DIPEU 60-69 years, male 10.3
GTEX-1PDJ9-1226-SM-EXUSX 20-29 years, male 10.3
GTEX-13VXU-0626-SM-5L3F9 50-59 years, male 10.2
GTEX-16BQI-1326-SM-6M486 30-39 years, female 10.2
GTEX-17HHY-0426-SM-7DHLC 50-59 years, male 10.2
GTEX-1I1HK-2326-SM-CKZOH 60-69 years, male 10.2
GTEX-1IDJU-1726-SM-CMKHU 60-69 years, female 10.2
GTEX-11ZUS-2626-SM-5FQUR 30-39 years, male 10.1
GTEX-13FTW-0326-SM-5K7UW 40-49 years, male 10.1
GTEX-14ICL-1626-SM-5YYAO 30-39 years, male 10.1
GTEX-14PJN-1826-SM-6AJ98 30-39 years, male 10.1
GTEX-15EU6-2226-SM-6EU2L 50-59 years, male 10.1
GTEX-178AV-1726-SM-7KUL8 40-49 years, male 10.1
GTEX-ZF29-0926-SM-4WKFZ 60-69 years, female 10.1
GTEX-ZYT6-2326-SM-5GZY3 30-39 years, male 10.1
GTEX-1HB9E-0126-SM-CM2S5 50-59 years, male 10.1
GTEX-1ICG6-1226-SM-A9SLN 70-79 years, female 10.1
GTEX-1JJ6O-2726-SM-CNPOG 60-69 years, male 10.1
GTEX-1K9T9-1526-SM-DIPFR 50-59 years, female 10.1
GTEX-1QP2A-1726-SM-E76QC 50-59 years, male 10.1
GTEX-13OVK-1426-SM-6PAN7 40-49 years, male 10.0
GTEX-16MT9-0126-SM-7EPI8 60-69 years, female 10.0
GTEX-1B8SF-0126-SM-7DUG3 60-69 years, male 10.0
GTEX-14JG6-1426-SM-9WG7C 30-39 years, female 10.0
GTEX-1GPI6-1926-SM-9KNV7 60-69 years, male 10.0
GTEX-1HCU9-0426-SM-9WYSD 20-29 years, male 10.0
GTEX-1I1GP-1326-SM-A9G28 50-59 years, male 10.0
GTEX-1IOXB-2726-SM-CM2RI 50-59 years, male 10.0
GTEX-1LGRB-0926-SM-COH3K 50-59 years, female 10.0
GTEX-1NSGN-0726-SM-DTXEF 50-59 years, male 10.0
GTEX-13OW7-0426-SM-5K7VK 50-59 years, male 9.9
GTEX-14E1K-2026-SM-7DUEI 50-59 years, male 9.9
GTEX-1EWIQ-0326-SM-7DHMQ 70-79 years, female 9.9
GTEX-1H1ZS-2726-SM-9WG75 70-79 years, male 9.9
GTEX-11DXY-0126-SM-5H11Q 60-69 years, male 9.8
GTEX-11GS4-0226-SM-5HL77 60-69 years, male 9.8
GTEX-12126-0826-SM-5FQTZ 20-29 years, male 9.8
GTEX-1313W-0626-SM-5EQ4H 50-59 years, female 9.8
GTEX-1497J-0226-SM-5QGPU 60-69 years, male 9.8
GTEX-16AAH-0626-SM-793C9 50-59 years, male 9.8
GTEX-17EVQ-0126-SM-7IGLR 70-79 years, male 9.8
GTEX-18A6Q-0626-SM-7KFRP 60-69 years, male 9.8
GTEX-Y5LM-0926-SM-6LLJG 40-49 years, female 9.8
GTEX-1GN2E-0226-SM-9WG6K 60-69 years, male 9.8
GTEX-1GN73-0726-SM-7P8TJ 60-69 years, male 9.8
GTEX-11DXW-0826-SM-5H118 40-49 years, male 9.7
GTEX-11UD2-2526-SM-5CVNU 50-59 years, male 9.7
GTEX-139TT-2126-SM-5LZWC 60-69 years, male 9.7
GTEX-13FTY-2126-SM-5IFFB 40-49 years, female 9.7
GTEX-14PJ6-2626-SM-6EU2T 60-69 years, female 9.7
GTEX-15RJE-2826-SM-7KUM9 40-49 years, male 9.7
GTEX-17EVP-2626-SM-7IGMA 40-49 years, male 9.7
GTEX-17KNJ-2126-SM-718AM 50-59 years, male 9.7
GTEX-18A7A-0126-SM-731AH 50-59 years, female 9.7
GTEX-1AX9J-1326-SM-731BJ 60-69 years, male 9.7
GTEX-U8XE-0226-SM-4E3J3 30-39 years, male 9.7
GTEX-YECK-0326-SM-4W1YS 60-69 years, male 9.7
GTEX-1CB4J-1326-SM-7P8RX 60-69 years, male 9.7
GTEX-1HFI7-2326-SM-CGQFS 50-59 years, female 9.7
GTEX-1IDJI-0126-SM-CMKHS 50-59 years, female 9.7
GTEX-1QAET-0326-SM-EVR3U 50-59 years, male 9.7
GTEX-13W3W-0726-SM-5IJDQ 60-69 years, female 9.6
GTEX-1CB4H-1126-SM-7MKGL 60-69 years, female 9.6
GTEX-X5EB-1926-SM-4E3IW 40-49 years, male 9.6
GTEX-ZUA1-2626-SM-5NQ92 40-49 years, male 9.6
GTEX-1H1DE-1326-SM-9KNUG 20-29 years, male 9.6
GTEX-1JN76-0626-SM-CKZOQ 20-29 years, female 9.6
GTEX-11VI4-1126-SM-5EQMD 40-49 years, female 9.5
GTEX-12C56-1526-SM-5FQUQ 20-29 years, male 9.5
GTEX-12KS4-2126-SM-5FQUT 30-39 years, male 9.5
GTEX-145MH-2826-SM-5RQJF 50-59 years, male 9.5
GTEX-14C5O-0326-SM-5ZZUX 60-69 years, male 9.5
GTEX-1GN1W-2426-SM-9KNUU 50-59 years, female 9.5
GTEX-YEC3-1326-SM-DO92X 50-59 years, male 9.5
GTEX-12ZZY-0726-SM-5EQ66 60-69 years, male 9.4
GTEX-13SLX-2226-SM-62LEP 50-59 years, female 9.4
GTEX-14PKV-1126-SM-6LLJ1 20-29 years, female 9.4
GTEX-15RIE-1926-SM-7KUKJ 60-69 years, male 9.4
GTEX-15SHW-0226-SM-7LTAT 60-69 years, male 9.4
GTEX-YJ8O-2526-SM-5HL85 40-49 years, female 9.4
GTEX-1122O-1026-SM-9WYSF 60-69 years, female 9.4
GTEX-1HC8U-1326-SM-9YFMJ 40-49 years, female 9.4
GTEX-1JMOU-1026-SM-CYPSS 60-69 years, female 9.4
GTEX-1JMPZ-0726-SM-CY8HZ 30-39 years, male 9.4
GTEX-1JMQL-2226-SM-CNPP4 50-59 years, female 9.4
GTEX-1JN1M-2726-SM-CY8I4 60-69 years, female 9.4
GTEX-1R9K4-2826-SM-DTX8F 60-69 years, male 9.4
GTEX-12696-0126-SM-5EQ4L 60-69 years, male 9.3
GTEX-1EN7A-2426-SM-793DB 40-49 years, male 9.3
GTEX-ZT9W-1126-SM-57WDR 50-59 years, male 9.3
GTEX-1IDJF-2026-SM-CL53V 20-29 years, male 9.3
GTEX-1KANA-1326-SM-DIPFA 20-29 years, male 9.3
GTEX-1R9PM-1926-SM-EVR3O 20-29 years, male 9.3
GTEX-1RMOY-1326-SM-E9TIH 50-59 years, male 9.3
GTEX-117YX-1926-SM-5GIEC 50-59 years, male 9.2
GTEX-1211K-1526-SM-5FQU4 60-69 years, female 9.2
GTEX-17JCI-2926-SM-7DUFF 60-69 years, female 9.2
GTEX-1E1VI-0326-SM-793D1 50-59 years, male 9.2
GTEX-WHSB-1326-SM-3LK6W 50-59 years, male 9.2
GTEX-X4EP-0626-SM-3P621 60-69 years, female 9.2
GTEX-ZWKS-0626-SM-5GIDV 30-39 years, male 9.2
GTEX-1F75B-0726-SM-7PC3R 50-59 years, male 9.2
GTEX-1QP28-1126-SM-EVYC4 50-59 years, female 9.2
GTEX-11NUK-2726-SM-5A5MC 50-59 years, male 9.1
GTEX-13113-1626-SM-5EQ4I 60-69 years, female 9.1
GTEX-14ABY-2026-SM-62LDL 50-59 years, male 9.1
GTEX-1B933-2426-SM-7DHMD 50-59 years, female 9.1
GTEX-1EKGG-0626-SM-7DUGJ 60-69 years, male 9.1
GTEX-YEC4-1826-SM-4W1YP 40-49 years, male 9.1
GTEX-1E2YA-2126-SM-7MXUO 50-59 years, male 9.1
GTEX-1GL5R-1326-SM-7RHHF 50-59 years, male 9.1
GTEX-1H4P4-2126-SM-9WYSL 50-59 years, male 9.1
GTEX-1IL2V-1926-SM-B2LW8 70-79 years, male 9.1
GTEX-1L5NE-1126-SM-D3L9P 50-59 years, male 9.1
GTEX-1192X-2726-SM-5N9DN 50-59 years, male 9.0
GTEX-11ZU8-0126-SM-5EQ58 60-69 years, male 9.0
GTEX-1GZ4H-0526-SM-9KNU9 50-59 years, female 9.0
GTEX-1H1CY-0126-SM-9YFLY 60-69 years, female 9.0
GTEX-1KAFJ-0126-SM-DIPEK 50-59 years, male 9.0
GTEX-11EM3-1226-SM-5N9DD 20-29 years, female 8.9
GTEX-139TS-2126-SM-5K7XC 60-69 years, male 8.9
GTEX-145LS-0626-SM-7EPG7 60-69 years, female 8.9
GTEX-WYJK-0526-SM-3NM8Z 50-59 years, male 8.9
GTEX-ZLFU-1826-SM-4WWBV 40-49 years, male 8.9
GTEX-1C64N-2626-SM-7PC2N 50-59 years, male 8.9
GTEX-1H11D-1826-SM-9QEHM 40-49 years, male 8.9
GTEX-1JMQI-1726-SM-ARL93 50-59 years, male 8.9
GTEX-1KWVE-1026-SM-D3L9O 30-39 years, male 8.9
GTEX-1MCC2-1826-SM-DIPEX 30-39 years, female 8.9
GTEX-111YS-1526-SM-5GZYW 60-69 years, male 8.8
GTEX-131XF-2626-SM-5EQ6K 60-69 years, male 8.8
GTEX-131YS-2826-SM-5EQ47 60-69 years, female 8.8
GTEX-139TU-0726-SM-5L3EK 60-69 years, male 8.8
GTEX-16NGA-0726-SM-731AO 40-49 years, female 8.8
GTEX-17F9E-2326-SM-79OKD 50-59 years, male 8.8
GTEX-1HKZK-0726-SM-ACKW2 40-49 years, male 8.8
GTEX-17F98-1326-SM-7DUEP 40-49 years, female 8.7
GTEX-Y8E4-2026-SM-5IFJB 40-49 years, male 8.7
GTEX-Z93S-1626-SM-5CVMB 50-59 years, male 8.7
GTEX-ZPCL-1126-SM-4WWFE 60-69 years, female 8.7
GTEX-ZY6K-1426-SM-5GZX2 50-59 years, male 8.7
GTEX-1N2EE-0626-SM-E76PW 60-69 years, male 8.7
GTEX-14B4R-1326-SM-5Q5EZ 30-39 years, male 8.6
GTEX-15D1Q-2826-SM-6LLH7 40-49 years, male 8.6
GTEX-17F97-2626-SM-7IGM5 50-59 years, male 8.6
GTEX-1AX9I-2226-SM-73KUO 60-69 years, male 8.6
GTEX-WRHU-2826-SM-3MJG8 50-59 years, female 8.6
GTEX-ZYW4-0626-SM-59HJR 60-69 years, male 8.6
GTEX-1H1E6-0426-SM-9WYUS 30-39 years, male 8.6
GTEX-1HSMQ-2626-SM-A9SML 50-59 years, male 8.6
GTEX-1K2DA-1026-SM-CGQGF 50-59 years, male 8.6
GTEX-11DXX-2126-SM-5PNYR 60-69 years, female 8.5
GTEX-12ZZZ-0726-SM-5GCNZ 60-69 years, male 8.5
GTEX-14E6E-0526-SM-793DN 30-39 years, male 8.5
GTEX-17HGU-2326-SM-7DUFE 50-59 years, male 8.5
GTEX-ZDYS-2426-SM-4WKGI 50-59 years, male 8.5
GTEX-ZLWG-0826-SM-59888 50-59 years, female 8.5
GTEX-1J1OQ-0126-SM-D4P2N 40-49 years, female 8.5
GTEX-145MG-1526-SM-5Q5EM 50-59 years, male 8.4
GTEX-17MF6-2626-SM-79OKQ 40-49 years, male 8.4
GTEX-18465-2826-SM-7LT9J 50-59 years, male 8.4
GTEX-X4EO-2926-SM-4E3JH 60-69 years, female 8.4
GTEX-XXEK-1626-SM-4BRUZ 50-59 years, male 8.4
GTEX-ZDTS-0826-SM-4WKHL 60-69 years, male 8.4
GTEX-1GMRU-2126-SM-7P8RA 50-59 years, male 8.4
GTEX-1GTWX-2026-SM-9YFLM 60-69 years, male 8.4
GTEX-1HBPI-2126-SM-ARL9K 50-59 years, male 8.4
GTEX-1KD5A-0126-SM-E9U54 50-59 years, male 8.4
GTEX-1LGOU-1326-SM-D3L8M 20-29 years, female 8.4
GTEX-1RB15-1326-SM-E76Q9 60-69 years, male 8.4
GTEX-144FL-0626-SM-5LU43 50-59 years, male 8.3
GTEX-16XZZ-0726-SM-7KUF2 60-69 years, male 8.3
GTEX-18QFQ-1826-SM-72D52 30-39 years, male 8.3
GTEX-XV7Q-1826-SM-4BRUV 40-49 years, female 8.3
GTEX-ZAK1-0626-SM-5HL8E 50-59 years, female 8.3
GTEX-ZC5H-1526-SM-5HL9Y 40-49 years, female 8.3
GTEX-1F6I4-2326-SM-7RHGL 60-69 years, male 8.3
GTEX-1GZHY-0626-SM-9KNVC 50-59 years, female 8.3
GTEX-1I1GV-0626-SM-ARL7M 60-69 years, male 8.3
GTEX-1LG7Z-1626-SM-CXKYR 30-39 years, male 8.3
GTEX-1PBJJ-1026-SM-E76OS 30-39 years, male 8.3
GTEX-11GSP-2326-SM-5HL63 60-69 years, female 8.2
GTEX-11TT1-1826-SM-5EQLV 20-29 years, male 8.2
GTEX-11TUW-0626-SM-5LU9M 60-69 years, male 8.2
GTEX-13OVJ-0826-SM-5J1OK 50-59 years, female 8.2
GTEX-145ME-1726-SM-5Q5EU 40-49 years, female 8.2
GTEX-1B996-0426-SM-7EWF8 60-69 years, male 8.2
GTEX-1H23P-0626-SM-9WG6T 60-69 years, male 8.2
GTEX-1ICLZ-0326-SM-ARL82 60-69 years, male 8.2
GTEX-1LVAO-2726-SM-E9TJ8 60-69 years, male 8.2
GTEX-12WSH-1526-SM-5BC5W 50-59 years, male 8.1
GTEX-13FTX-1526-SM-5K7VJ 20-29 years, female 8.1
GTEX-1CB4E-0926-SM-7EPHT 60-69 years, male 8.1
GTEX-ZYFC-0426-SM-5GICQ 50-59 years, male 8.1
GTEX-1EMGI-2326-SM-7PBYA 60-69 years, male 8.1
GTEX-1HFI6-0126-SM-CNPPI 40-49 years, male 8.1
GTEX-1I6K7-1926-SM-B2LXR 40-49 years, male 8.1
GTEX-1J1R8-2026-SM-CL53Y 40-49 years, male 8.1
GTEX-1O9I2-0226-SM-EYYXD 50-59 years, male 8.1
GTEX-145LT-0526-SM-5LUB2 40-49 years, male 8.0
GTEX-ZA64-1026-SM-5HL8R 20-29 years, male 8.0
GTEX-1IDJE-1426-SM-ADEIW 50-59 years, female 8.0
GTEX-1J8EW-2726-SM-CY8HR 60-69 years, female 8.0
GTEX-1N5O9-0926-SM-E9J3C 60-69 years, male 8.0
GTEX-11PRG-0726-SM-5EGL1 50-59 years, male 7.9
GTEX-139YR-1026-SM-5LZYN 50-59 years, male 7.9
GTEX-13FH7-1126-SM-5K7UG 50-59 years, female 7.9
GTEX-1EU9M-1426-SM-793AI 60-69 years, male 7.9
GTEX-111FC-2526-SM-5GZXU 60-69 years, male 7.8
GTEX-1212Z-0126-SM-59HK4 60-69 years, male 7.8
GTEX-1399U-1126-SM-5L3DB 50-59 years, female 7.8
GTEX-14PHX-2226-SM-6EU2P 50-59 years, male 7.8
GTEX-1HSGN-0826-SM-ACKW3 40-49 years, female 7.8
GTEX-1IDJD-2326-SM-ACKWX 30-39 years, male 7.8
GTEX-1IKOE-1426-SM-CE6T7 30-39 years, female 7.8
GTEX-1QMI2-2526-SM-E8VNZ 60-69 years, male 7.8
GTEX-11ZTT-2126-SM-5CVLO 60-69 years, female 7.7
GTEX-15CHQ-0326-SM-69LQD 60-69 years, male 7.7
GTEX-16Z82-2626-SM-7KULU 60-69 years, male 7.7
GTEX-X585-2426-SM-46MW2 50-59 years, male 7.7
GTEX-Y111-0626-SM-4SOIT 50-59 years, male 7.7
GTEX-Y5V6-2326-SM-4VDSA 60-69 years, male 7.7
GTEX-ZZ64-1026-SM-5GZXG 20-29 years, male 7.7
GTEX-1CB4I-0126-SM-7RHGG 50-59 years, male 7.7
GTEX-1KANB-2826-SM-CY8I6 50-59 years, male 7.7
GTEX-1B8KE-1126-SM-7EPHI 50-59 years, male 7.6
GTEX-1IDJC-1526-SM-B2LW4 50-59 years, male 7.6
GTEX-ZF3C-0626-SM-DO92O 50-59 years, female 7.6
GTEX-13OW6-2726-SM-5J2OE 50-59 years, male 7.5
GTEX-17HHE-1326-SM-7EWDZ 50-59 years, male 7.5
GTEX-XBEC-0726-SM-4QARZ 50-59 years, male 7.5
GTEX-ZAB4-2126-SM-5HL8U 40-49 years, male 7.5
GTEX-1HSMP-0926-SM-A9SKX 70-79 years, male 7.5
GTEX-1MCYP-0526-SM-E9U6Q 20-29 years, female 7.5
GTEX-11DXZ-2026-SM-5987S 50-59 years, male 7.4
GTEX-131XW-0626-SM-5PNVD 50-59 years, female 7.4
GTEX-132AR-0326-SM-5KM2C 50-59 years, female 7.4
GTEX-14PK6-0226-SM-62LF5 70-79 years, female 7.4
GTEX-18D9U-0126-SM-731BM 40-49 years, male 7.4
GTEX-1B97I-0626-SM-73KUZ 40-49 years, male 7.4
GTEX-WXYG-2026-SM-4E3IY 50-59 years, female 7.4
GTEX-1HBPN-0126-SM-CGQEF 50-59 years, male 7.4
GTEX-1HCU6-2526-SM-ADEHL 60-69 years, female 7.4
GTEX-1HGF4-0126-SM-CNPPX 60-69 years, male 7.4
GTEX-13N11-2326-SM-5IJBF 50-59 years, female 7.3
GTEX-13O61-1426-SM-5KM3D 60-69 years, male 7.3
GTEX-14PJO-2526-SM-6AJBQ 60-69 years, male 7.3
GTEX-18A66-0626-SM-7LT8Z 60-69 years, male 7.3
GTEX-1AX8Z-0726-SM-73KTS 60-69 years, male 7.3
GTEX-1JKYN-0826-SM-ARU8S 30-39 years, male 7.3
GTEX-12WSF-1626-SM-7KUG5 70-79 years, male 7.2
GTEX-13G51-1826-SM-5KLZH 60-69 years, male 7.2
GTEX-1C6WA-2626-SM-7MKGM 60-69 years, male 7.2
GTEX-18D9A-1426-SM-7LT8M 30-39 years, female 7.2
GTEX-1AYD5-2626-SM-7PBXY 50-59 years, male 7.2
GTEX-1F75I-2226-SM-7SB8U 40-49 years, male 7.2
GTEX-1PPGY-1626-SM-EVYBL 60-69 years, male 7.2
GTEX-11O72-0626-SM-5PNYE 40-49 years, male 7.1
GTEX-12BJ1-0926-SM-5EQ62 60-69 years, male 7.1
GTEX-13OVG-1626-SM-5J1NF 60-69 years, male 7.1
GTEX-W5X1-2526-SM-3GILC 40-49 years, female 7.1
GTEX-XOT4-0626-SM-4B66L 60-69 years, female 7.1
GTEX-XQ3S-1426-SM-4BOPR 20-29 years, male 7.1
GTEX-ZP4G-1426-SM-4WWCL 20-29 years, female 7.1
GTEX-ZYFG-1526-SM-5GZYM 60-69 years, female 7.1
GTEX-1C475-1326-SM-7SB73 40-49 years, female 7.1
GTEX-1R9PN-0426-SM-DTXDT 40-49 years, female 7.1
GTEX-111CU-1126-SM-5EGIM 50-59 years, male 7.0
GTEX-WY7C-2126-SM-3NB2R 50-59 years, male 7.0
GTEX-ZDTT-0426-SM-4WKFL 60-69 years, male 7.0
GTEX-1PIGE-1826-SM-E8VOU 20-29 years, male 7.0
GTEX-ZPIC-0526-SM-DO91W 40-49 years, female 7.0
GTEX-WFG8-2126-SM-3GIKQ 20-29 years, male 6.9
GTEX-WH7G-2026-SM-3NMBL 40-49 years, male 6.9
GTEX-1C64O-1326-SM-7MGWR 60-69 years, male 6.9
GTEX-1GMR2-0826-SM-7PC3V 50-59 years, male 6.9
GTEX-1GPI7-1826-SM-9KNU1 20-29 years, male 6.9
GTEX-1LVAN-0626-SM-CNPOQ 50-59 years, female 6.9
GTEX-1QCLY-0226-SM-EWRNH 30-39 years, male 6.9
GTEX-VJYA-1526-SM-3GIJV 60-69 years, male 6.8
GTEX-WYVS-1626-SM-3NM9R 40-49 years, female 6.8
GTEX-1QP9N-1226-SM-E76QN 30-39 years, male 6.8
GTEX-1399S-0126-SM-5IJCF 30-39 years, female 6.7
GTEX-15FZZ-0526-SM-7KUGD 30-39 years, female 6.7
GTEX-15RJ7-2126-SM-6PAMD 40-49 years, male 6.7
GTEX-16MT8-2926-SM-7DUFO 60-69 years, female 6.7
GTEX-Y9LG-1126-SM-4VBQ7 30-39 years, male 6.7
GTEX-ZDXO-3126-SM-5IJDF 60-69 years, male 6.7
GTEX-ZU9S-1826-SM-5NQ9E 30-39 years, male 6.7
GTEX-1F88F-0126-SM-9WYSZ 60-69 years, female 6.7
GTEX-1JMQK-1226-SM-D4P2S 60-69 years, male 6.7
GTEX-1N2DV-1526-SM-DTXEP 40-49 years, male 6.7
GTEX-1RAZQ-1326-SM-E9TK6 30-39 years, male 6.7
GTEX-131XH-0126-SM-5LZUY 50-59 years, male 6.6
GTEX-13PVQ-0626-SM-5LU47 50-59 years, male 6.6
GTEX-15CHR-1126-SM-7EWF4 50-59 years, male 6.6
GTEX-Y8LW-1526-SM-5IFHL 50-59 years, female 6.6
GTEX-1CAMQ-1326-SM-7P8RV 40-49 years, male 6.6
GTEX-1QW4Y-1126-SM-DTXE3 30-39 years, male 6.6
GTEX-17F96-0126-SM-7EWDU 70-79 years, male 6.5
GTEX-17HII-1426-SM-7EPGG 50-59 years, male 6.5
GTEX-ZT9X-1526-SM-5DUXD 40-49 years, male 6.5
GTEX-ZTSS-1426-SM-5985P 40-49 years, male 6.5
GTEX-1JN6P-2926-SM-CL54D 60-69 years, male 6.5
GTEX-14DAR-1226-SM-73KYV 50-59 years, male 6.4
GTEX-14PHY-1226-SM-5ZZWK 60-69 years, female 6.4
GTEX-16MTA-0926-SM-6M47Z 50-59 years, male 6.4
GTEX-WFG7-2026-SM-5SI7P 20-29 years, male 6.4
GTEX-1JMPY-0226-SM-CKZOK 30-39 years, male 6.4
GTEX-13JVG-0726-SM-5KM16 60-69 years, male 6.3
GTEX-145MN-1526-SM-5SI9T 30-39 years, male 6.3
GTEX-147F4-0726-SM-5TDDD 50-59 years, male 6.3
GTEX-14PJ3-1126-SM-5ZZVX 50-59 years, male 6.3
GTEX-UPJH-0226-SM-3GADV 50-59 years, male 6.3
GTEX-ZVP2-0326-SM-57WBP 50-59 years, male 6.3
GTEX-1CAMS-2226-SM-7PBXQ 40-49 years, female 6.3
GTEX-1GF9V-0826-SM-9KNUV 60-69 years, male 6.3
GTEX-1IY9M-2826-SM-ARU8H 60-69 years, male 6.3
GTEX-WI4N-2726-SM-3LK7Y 40-49 years, female 6.2
GTEX-XUW1-0926-SM-4BONX 50-59 years, female 6.2
GTEX-Y3I4-1726-SM-4TT89 50-59 years, male 6.2
GTEX-1JMQJ-0826-SM-CNPP7 50-59 years, male 6.2
GTEX-15RIG-0726-SM-7KUM7 40-49 years, male 6.1
GTEX-XPVG-2126-SM-4B667 50-59 years, male 6.1
GTEX-11P82-1426-SM-DTXFY 20-29 years, male 6.1
GTEX-WHPG-2626-SM-3NMBR 50-59 years, male 6.0
GTEX-1PPH8-0126-SM-EWRN8 20-29 years, male 6.0
GTEX-1A3MV-1826-SM-731CD 30-39 years, male 5.9
GTEX-Y3IK-1626-SM-4YCF5 50-59 years, female 5.9
GTEX-13U4I-2226-SM-5LU5H 40-49 years, female 5.8
GTEX-1HCU8-2526-SM-CE6RX 60-69 years, female 5.8
GTEX-1LBAC-0826-SM-CY8IJ 20-29 years, male 5.8
GTEX-11DYG-1526-SM-5A5JS 60-69 years, male 5.7
GTEX-11NSD-0626-SM-5A5LU 20-29 years, male 5.7
GTEX-11P7K-1126-SM-5HL4L 30-39 years, male 5.7
GTEX-ZTX8-1326-SM-4YCEL 20-29 years, male 5.7
GTEX-XBEW-1126-SM-4QARW 40-49 years, male 5.6
GTEX-12WSJ-1126-SM-5LZVJ 40-49 years, female 5.5
GTEX-1OJC3-1226-SM-DTXER 20-29 years, male 5.5
GTEX-X3Y1-2026-SM-3P5YM 40-49 years, male 5.4
GTEX-131XG-0326-SM-5L3DX 50-59 years, female 5.3
GTEX-1CAMR-1326-SM-7PC1F 20-29 years, male 5.0
GTEX-1HCUA-0826-SM-ADEHM 50-59 years, female 4.7
GTEX-ZPU1-1126-SM-4YCF3 40-49 years, male 4.6
GTEX-1S3DN-2126-SM-E9TIN 50-59 years, male 4.6
GTEX-1I4MK-0126-SM-CY8G6 50-59 years, female 4.5
GTEX-1JMLX-0626-SM-ARL8T 50-59 years, male 4.4
GTEX-1CB4F-1026-SM-7DUH1 60-69 years, male 4.0
GTEX-Y114-2126-SM-4TT8B 50-59 years, female 3.9
GTEX-1LSNM-0826-SM-DIPG8 50-59 years, male 3.4
Show allShow less
Skin - Sun Exposed (Lower leg)
Average nTPM: 9.9
Samples: 701

Max nTPM: 26.3
Min nTPM: 3.5
Std nTPM: 2.5
Median nTPM: 9.6
GTEX-SE5C-1626-SM-2XCE3 40-49 years, female 26.3
GTEX-1L5NE-2526-SM-E6CIE 50-59 years, male 22.5
GTEX-14A5I-0126-SM-5TDEA 50-59 years, female 20.6
GTEX-13NYC-0326-SM-E9J4S 60-69 years, male 17.8
GTEX-ZTX8-1426-SM-5DUVO 20-29 years, male 17.3
GTEX-1JJ6O-0126-SM-E6CI8 60-69 years, male 17.2
GTEX-1LSNM-1926-SM-E6CII 50-59 years, male 17.2
GTEX-S32W-2126-SM-2XCB1 50-59 years, female 16.8
GTEX-1CB4H-0226-SM-7PBXM 60-69 years, female 16.7
GTEX-1RAZA-0126-SM-E6CI3 20-29 years, male 16.0
GTEX-1S82Z-0826-SM-E6CHY 30-39 years, female 16.0
GTEX-146FR-1326-SM-E9J48 60-69 years, female 15.9
GTEX-13FTX-1826-SM-5J1NX 20-29 years, female 15.8
GTEX-1JK1U-2026-SM-CM2RZ 60-69 years, male 15.8
GTEX-15EU6-0426-SM-6PAN5 50-59 years, male 15.5
GTEX-14E6E-1826-SM-5S2R7 30-39 years, male 15.2
GTEX-1PPH7-2326-SM-EVYB8 40-49 years, male 15.2
GTEX-15UF6-0826-SM-6PALJ 70-79 years, female 15.1
GTEX-1HBPH-0426-SM-B2LW5 40-49 years, female 15.1
GTEX-148VJ-0126-SM-5TDDN 70-79 years, male 15.0
GTEX-ZVE2-0226-SM-59HJB 50-59 years, male 15.0
GTEX-1F5PK-2426-SM-7RHHY 50-59 years, male 14.9
GTEX-12WSL-2526-SM-5GCNJ 50-59 years, male 14.8
GTEX-1F52S-0126-SM-9MQJU 60-69 years, female 14.8
GTEX-1HCU7-0226-SM-CL545 50-59 years, male 14.8
GTEX-14PN3-2426-SM-6LLHS 60-69 years, female 14.7
GTEX-X261-0126-SM-3NMD6 50-59 years, male 14.7
GTEX-1I1GU-2226-SM-CGQFA 40-49 years, male 14.7
GTEX-1MA7X-2226-SM-E6CIY 60-69 years, male 14.7
GTEX-U4B1-1826-SM-4DXSU 40-49 years, male 14.6
GTEX-TMMY-0226-SM-33HBA 40-49 years, female 14.4
GTEX-13OW5-0126-SM-DTXFS 60-69 years, male 14.4
GTEX-12WSA-0226-SM-5BC5V 60-69 years, male 14.3
GTEX-ZZPT-0226-SM-5E43X 50-59 years, male 14.3
GTEX-VJWN-0126-SM-3GIK7 50-59 years, female 14.2
GTEX-ZV6S-2326-SM-4YCEY 40-49 years, female 14.2
GTEX-1KANB-0526-SM-E6CJH 50-59 years, male 14.2
GTEX-145LS-0126-SM-5QGP1 60-69 years, female 14.1
GTEX-15DDE-0126-SM-6LPKH 50-59 years, female 14.1
GTEX-17GQL-2026-SM-718BA 60-69 years, male 14.1
GTEX-ZZ64-1726-SM-5GZYB 20-29 years, male 14.1
GTEX-1GF9U-2126-SM-7SB7L 40-49 years, female 14.1
GTEX-1HT8W-0126-SM-CNPPP 30-39 years, male 14.1
GTEX-1QW4Y-1526-SM-EAZ3Z 30-39 years, male 14.1
GTEX-12WSN-5019-SM-79OM6 40-49 years, male 14.0
GTEX-145LT-1726-SM-5QGP3 40-49 years, male 14.0
GTEX-15EOM-0126-SM-7KUGG 20-29 years, female 14.0
GTEX-13X6I-0626-SM-5QGP9 60-69 years, male 13.9
GTEX-15G19-0126-SM-6PANQ 60-69 years, male 13.9
GTEX-11WQK-0526-SM-5EQLD 50-59 years, male 13.8
GTEX-RWSA-0126-SM-2XCBB 40-49 years, male 13.8
GTEX-16XZZ-0126-SM-793DV 60-69 years, male 13.7
GTEX-1JKYN-1326-SM-CGQG9 30-39 years, male 13.7
GTEX-14E6C-0126-SM-5RQIP 40-49 years, male 13.6
GTEX-1HSMO-0126-SM-CL547 60-69 years, male 13.6
GTEX-1122O-2126-SM-5EGIR 60-69 years, female 13.5
GTEX-13N2G-2626-SM-5J1OT 60-69 years, male 13.5
GTEX-1AX9K-2326-SM-73KWU 50-59 years, male 13.5
GTEX-1IE54-0126-SM-CMKHW 40-49 years, female 13.5
GTEX-1F75I-0326-SM-9YFLU 40-49 years, male 13.4
GTEX-1H4P4-0726-SM-9YFLR 50-59 years, male 13.4
GTEX-1IDJU-2626-SM-CM2RT 60-69 years, female 13.3
GTEX-1JMQI-2226-SM-CM2SD 50-59 years, male 13.3
GTEX-1RB15-2126-SM-E9TIM 60-69 years, male 13.3
GTEX-13SLX-0526-SM-5S2ON 50-59 years, female 13.2
GTEX-14C5O-0126-SM-5SI6N 60-69 years, male 13.2
GTEX-11ZUS-0626-SM-59885 30-39 years, male 13.1
GTEX-13IVO-0126-SM-5J1NG 70-79 years, male 13.1
GTEX-13PDP-0126-SM-5L3HD 60-69 years, male 13.1
GTEX-1C64O-0126-SM-7SB8P 60-69 years, male 13.1
GTEX-1F48J-0126-SM-7P8TT 50-59 years, female 13.1
GTEX-1R9PO-2126-SM-E9J4O 60-69 years, female 13.1
GTEX-183WM-0126-SM-7LTAB 70-79 years, female 13.0
GTEX-T2YK-0526-SM-32QPJ 50-59 years, male 13.0
GTEX-T8EM-1026-SM-3DB7M 40-49 years, male 13.0
GTEX-1F6RS-0126-SM-9MQKZ 60-69 years, female 13.0
GTEX-1F75B-0126-SM-9KNVL 50-59 years, male 13.0
GTEX-1LGOU-2026-SM-DIPFF 20-29 years, female 13.0
GTEX-17F96-1626-SM-7DUFL 70-79 years, male 12.9
GTEX-1B97I-1626-SM-73KYO 40-49 years, male 12.9
GTEX-1C475-1826-SM-73KWA 40-49 years, female 12.9
GTEX-ZC5H-0226-SM-4WAY9 40-49 years, female 12.9
GTEX-1IGQW-0126-SM-COH42 60-69 years, male 12.9
GTEX-1R7EV-2426-SM-EVYBG 40-49 years, male 12.9
GTEX-131XE-2326-SM-5PNZ2 50-59 years, male 12.8
GTEX-1LNCM-1126-SM-E9U5E 50-59 years, female 12.8
GTEX-14DAR-2026-SM-5S2O3 50-59 years, male 12.7
GTEX-14PHW-0126-SM-6LLJI 60-69 years, female 12.7
GTEX-1QEPI-0126-SM-EWRMQ 60-69 years, female 12.7
GTEX-1RQEC-0426-SM-E6CHU 60-69 years, male 12.7
GTEX-12ZZY-0226-SM-5LZVE 60-69 years, male 12.6
GTEX-13OVK-2026-SM-7KUEO 40-49 years, male 12.6
GTEX-11OF3-2626-SM-5GU7F 60-69 years, male 12.5
GTEX-15D1Q-0126-SM-7KUG6 40-49 years, male 12.5
GTEX-OOBK-0126-SM-2YUND 40-49 years, male 12.5
GTEX-1QP67-1626-SM-EAZ3X 40-49 years, female 12.5
GTEX-11EI6-0126-SM-5985R 60-69 years, male 12.4
GTEX-13W46-0226-SM-5SIAG 50-59 years, male 12.4
GTEX-13YAN-0326-SM-5O9DF 60-69 years, male 12.4
GTEX-1A3MX-0126-SM-731BR 60-69 years, male 12.4
GTEX-XMD2-0126-SM-4YCDU 60-69 years, female 12.4
GTEX-1GMR8-0126-SM-9WYTM 50-59 years, female 12.4
GTEX-1I1GT-0626-SM-CGQER 60-69 years, female 12.4
GTEX-1LH75-2426-SM-E9TJE 50-59 years, female 12.4
GTEX-1N2EF-0226-SM-EYYXB 60-69 years, male 12.4
GTEX-145MO-0326-SM-5Q5B3 60-69 years, male 12.3
GTEX-WFON-2126-SM-3LK7O 40-49 years, male 12.3
GTEX-1GMR3-1926-SM-9KNUZ 40-49 years, male 12.3
GTEX-1GZ4H-1726-SM-7PBZJ 50-59 years, female 12.3
GTEX-11NSD-2226-SM-5986V 20-29 years, male 12.2
GTEX-13D11-2426-SM-5KM1V 50-59 years, female 12.2
GTEX-145ME-1826-SM-5SI9G 40-49 years, female 12.2
GTEX-14ICK-0226-SM-6EU25 40-49 years, male 12.2
GTEX-14XAO-2326-SM-6EU1B 60-69 years, female 12.2
GTEX-ZDTT-2726-SM-4WKF8 60-69 years, male 12.2
GTEX-1QP2A-0126-SM-E9J43 50-59 years, male 12.2
GTEX-11EQ9-2426-SM-5HL5T 30-39 years, male 12.1
GTEX-13NYS-0126-SM-5MR3W 60-69 years, male 12.1
GTEX-T6MO-1626-SM-32QOM 40-49 years, female 12.1
GTEX-Z9EW-1626-SM-5CVMN 40-49 years, male 12.1
GTEX-1H1E6-1726-SM-ACKVK 30-39 years, male 12.1
GTEX-ZWKS-0126-SM-5SIAA 30-39 years, male 12.0
GTEX-ZXG5-0126-SM-5GIEU 60-69 years, male 12.0
GTEX-1KD5A-0226-SM-D5OV3 50-59 years, male 12.0
GTEX-1RAZQ-0726-SM-EAZ43 30-39 years, male 12.0
GTEX-14BIL-0126-SM-5SI92 50-59 years, male 11.9
GTEX-16AAH-1726-SM-7939C 50-59 years, male 11.9
GTEX-Y8E4-0626-SM-4WWDL 40-49 years, male 11.9
GTEX-1ICLZ-0126-SM-CKZPO 60-69 years, male 11.9
GTEX-14JIY-0126-SM-6LLH6 60-69 years, male 11.8
GTEX-15UKP-0426-SM-7KUFQ 20-29 years, male 11.8
GTEX-1HUB1-0426-SM-E9U4U 60-69 years, male 11.8
GTEX-11WQC-2526-SM-5CVLE 60-69 years, male 11.7
GTEX-131YS-0126-SM-5KM1M 60-69 years, female 11.7
GTEX-13OVG-1926-SM-5L3DK 60-69 years, male 11.7
GTEX-13RTK-1426-SM-5QGQJ 20-29 years, male 11.7
GTEX-13VXT-0126-SM-5LU4I 20-29 years, female 11.7
GTEX-14BIN-0626-SM-793DP 50-59 years, female 11.7
GTEX-15SHU-0126-SM-7KUEH 40-49 years, female 11.7
GTEX-P44H-0226-SM-2XCEU 40-49 years, male 11.7
GTEX-1HFI7-1826-SM-ACKXH 50-59 years, female 11.7
GTEX-11H98-0126-SM-5EGHG 50-59 years, male 11.6
GTEX-11O72-0126-SM-59887 40-49 years, male 11.6
GTEX-14753-0426-SM-5NQAM 60-69 years, male 11.6
GTEX-14DAQ-0126-SM-5S2MQ 60-69 years, female 11.6
GTEX-18A7B-0126-SM-7LG64 70-79 years, male 11.6
GTEX-1B8SG-0126-SM-73KZ3 50-59 years, male 11.6
GTEX-1CB4J-0626-SM-7DHMP 60-69 years, male 11.6
GTEX-OXRK-0226-SM-3NB2G 50-59 years, female 11.6
GTEX-SNMC-1226-SM-2XCFP 20-29 years, male 11.6
GTEX-1F88F-2726-SM-7PBZZ 60-69 years, female 11.6
GTEX-1GN1W-0526-SM-9MQJQ 50-59 years, female 11.6
GTEX-1HSGN-0226-SM-CGQFV 40-49 years, female 11.6
GTEX-1LGRB-2526-SM-CNPPQ 50-59 years, female 11.6
GTEX-1OJC4-0126-SM-E9J2E 50-59 years, female 11.6
GTEX-OIZF-0126-SM-7SB8I 60-69 years, male 11.6
GTEX-1LBAC-0126-SM-DIPEZ 20-29 years, male 11.5
GTEX-145MI-0526-SM-5O9A8 60-69 years, female 11.4
GTEX-147F3-0526-SM-5SI98 50-59 years, female 11.4
GTEX-14PJM-0226-SM-62LF1 50-59 years, female 11.4
GTEX-16BQI-0226-SM-7KUEX 30-39 years, female 11.4
GTEX-18A66-0226-SM-718BD 60-69 years, male 11.4
GTEX-1A3MW-0126-SM-73KXX 60-69 years, female 11.4
GTEX-1C2JI-1826-SM-73KXC 50-59 years, male 11.4
GTEX-X4XY-0226-SM-4E3IZ 60-69 years, male 11.4
GTEX-1H23P-0126-SM-ADEJ3 60-69 years, male 11.4
GTEX-1J8Q2-0526-SM-CM2RW 60-69 years, male 11.4
GTEX-1LVAN-0226-SM-COH3S 50-59 years, female 11.4
GTEX-1M5QR-1226-SM-EWROB 40-49 years, male 11.4
GTEX-1N2DV-0226-SM-E6CJ6 40-49 years, male 11.4
GTEX-1AX8Z-0126-SM-7DHM6 60-69 years, male 11.3
GTEX-1C6VR-2426-SM-79OLD 60-69 years, male 11.3
GTEX-XAJ8-0826-SM-47JY6 40-49 years, male 11.3
GTEX-XQ8I-0426-SM-4BOPO 50-59 years, male 11.3
GTEX-ZAB5-1826-SM-5HL7C 50-59 years, male 11.3
GTEX-ZTSS-1926-SM-57WEW 40-49 years, male 11.3
GTEX-ZYT6-0226-SM-5NQ6T 30-39 years, male 11.3
GTEX-1N2DW-0226-SM-E9TK2 50-59 years, male 11.3
GTEX-139T8-0126-SM-5K7XZ 60-69 years, male 11.2
GTEX-13O1R-0126-SM-5L3EH 60-69 years, male 11.2
GTEX-14BIM-0226-SM-7IGLD 60-69 years, female 11.2
GTEX-14LZ3-0226-SM-62LET 60-69 years, female 11.2
GTEX-14PK6-1926-SM-6ETZU 70-79 years, female 11.2
GTEX-1GL5R-1826-SM-9KNUY 50-59 years, male 11.2
GTEX-1LC47-0326-SM-E9TJP 60-69 years, male 11.2
GTEX-1R9PM-2026-SM-E76OY 20-29 years, male 11.2
GTEX-11ZU8-2526-SM-5EQKI 60-69 years, male 11.1
GTEX-13N1W-0126-SM-5K7VT 70-79 years, male 11.1
GTEX-13W3W-2426-SM-5LU5B 60-69 years, female 11.1
GTEX-14ABY-0226-SM-5TDCQ 50-59 years, male 11.1
GTEX-1A3MV-1926-SM-718BT 30-39 years, male 11.1
GTEX-1CB4E-2226-SM-793DC 60-69 years, male 11.1
GTEX-O5YT-0126-SM-48TBW 20-29 years, male 11.1
GTEX-ZVT3-0126-SM-5GU6I 60-69 years, female 11.1
GTEX-1H3VE-0326-SM-9YFLH 40-49 years, male 11.1
GTEX-1I19N-0326-SM-ACKVX 70-79 years, male 11.1
GTEX-1J1R8-1726-SM-ARL8M 40-49 years, male 11.1
GTEX-1OFPY-2426-SM-DTXEJ 60-69 years, male 11.1
GTEX-11P81-2326-SM-59875 30-39 years, female 11.0
GTEX-11VI4-1726-SM-5CVLH 40-49 years, female 11.0
GTEX-133LE-1826-SM-5J1MV 20-29 years, female 11.0
GTEX-17EUY-0426-SM-793BD 20-29 years, male 11.0
GTEX-17EVP-0326-SM-7DHLG 40-49 years, male 11.0
GTEX-1E1VI-0126-SM-7DHMZ 50-59 years, male 11.0
GTEX-OHPM-0126-SM-2YUN9 50-59 years, male 11.0
GTEX-Q2AG-0126-SM-33HBV 40-49 years, female 11.0
GTEX-WVJS-0126-SM-4MVOT 50-59 years, male 11.0
GTEX-1JMQK-0226-SM-CL543 60-69 years, male 11.0
GTEX-1MCYP-1926-SM-E9J2R 20-29 years, female 11.0
GTEX-11LCK-1026-SM-5A5KB 30-39 years, male 10.9
GTEX-OIZG-0726-SM-33HBL 50-59 years, male 10.9
GTEX-OXRP-0126-SM-3NB32 60-69 years, female 10.9
GTEX-1I6K6-0126-SM-A9SLE 30-39 years, male 10.9
GTEX-1JMOU-1526-SM-CL54I 60-69 years, female 10.9
GTEX-1K9T9-0126-SM-EVYCF 50-59 years, female 10.9
GTEX-1PDJ9-0326-SM-DTX95 20-29 years, male 10.9
GTEX-12ZZX-0126-SM-5EGK9 40-49 years, female 10.8
GTEX-13OVH-0126-SM-5MR4B 70-79 years, male 10.8
GTEX-1B8KE-2126-SM-73KYX 50-59 years, male 10.8
GTEX-1B8SF-1426-SM-7DUGL 60-69 years, male 10.8
GTEX-1ICLY-0126-SM-D4P36 50-59 years, male 10.8
GTEX-1IDFM-0126-SM-COH2V 60-69 years, male 10.8
GTEX-1JN1M-0326-SM-CYPT3 60-69 years, female 10.8
GTEX-1KAFJ-2026-SM-CY8ID 50-59 years, male 10.8
GTEX-13112-2826-SM-5DUWH 50-59 years, male 10.7
GTEX-13NZ8-0826-SM-5MR3I 60-69 years, female 10.7
GTEX-17KNJ-2326-SM-7DHLQ 50-59 years, male 10.7
GTEX-18D9A-1926-SM-7LG6P 30-39 years, female 10.7
GTEX-ZUA1-0126-SM-5GU76 40-49 years, male 10.7
GTEX-ZVT2-2526-SM-51MT1 50-59 years, female 10.7
GTEX-1K2DU-2326-SM-E9TIV 20-29 years, male 10.7
GTEX-12696-2426-SM-5EQ6H 60-69 years, male 10.6
GTEX-12KS4-0326-SM-5EQ41 30-39 years, male 10.6
GTEX-131XW-0426-SM-5LZWP 50-59 years, female 10.6
GTEX-15RIG-0226-SM-7KFTL 40-49 years, male 10.6
GTEX-15SHW-0326-SM-6PAML 60-69 years, male 10.6
GTEX-XPVG-2626-SM-4B669 50-59 years, male 10.6
GTEX-ZE9C-2726-SM-57WB5 60-69 years, male 10.6
GTEX-1B996-0226-SM-7RHGO 60-69 years, male 10.6
GTEX-1F7RK-0126-SM-7PC2S 20-29 years, female 10.6
GTEX-1PIIG-0226-SM-EWRN6 30-39 years, male 10.6
GTEX-1QP29-0626-SM-EWRMX 50-59 years, male 10.6
GTEX-11DZ1-0126-SM-5985Q 50-59 years, male 10.5
GTEX-13JUV-2726-SM-5LZZ8 40-49 years, female 10.5
GTEX-144GL-0126-SM-5TDE2 50-59 years, male 10.5
GTEX-15SB6-1726-SM-6PAME 50-59 years, female 10.5
GTEX-11TUW-2726-SM-E9J4M 60-69 years, male 10.5
GTEX-1EU9M-0226-SM-7P8SP 60-69 years, male 10.5
GTEX-1HB9E-0226-SM-E9U4R 50-59 years, male 10.5
GTEX-1JJE9-0326-SM-CL53Z 70-79 years, male 10.5
GTEX-1PIGE-0126-SM-EVYBJ 20-29 years, male 10.5
GTEX-11UD2-0226-SM-5EQKY 50-59 years, male 10.4
GTEX-12WSC-0126-SM-5EQ4P 50-59 years, male 10.4
GTEX-13VXU-0126-SM-5SI9F 50-59 years, male 10.4
GTEX-147GR-0526-SM-5S2MY 60-69 years, male 10.4
GTEX-14PJ6-2126-SM-6EU1V 60-69 years, female 10.4
GTEX-18465-0126-SM-731BN 50-59 years, male 10.4
GTEX-TSE9-0126-SM-3DB83 60-69 years, female 10.4
GTEX-V1D1-2226-SM-3NMAX 50-59 years, male 10.4
GTEX-X585-0226-SM-4QAS2 50-59 years, male 10.4
GTEX-X638-0126-SM-47JZ8 70-79 years, female 10.4
GTEX-Y5LM-1926-SM-5RQJH 40-49 years, female 10.4
GTEX-1GF9X-2026-SM-7PC3A 40-49 years, female 10.4
GTEX-1KXAM-2226-SM-CYPTC 60-69 years, male 10.4
GTEX-13113-5016-SM-7EPIP 60-69 years, female 10.3
GTEX-14LLW-0126-SM-6LLIO 70-79 years, female 10.3
GTEX-17JCI-0126-SM-7LG5G 60-69 years, female 10.3
GTEX-OIZH-0126-SM-2HMIS 50-59 years, male 10.3
GTEX-SN8G-0126-SM-32PLI 50-59 years, female 10.3
GTEX-ZE7O-0126-SM-57WC1 50-59 years, female 10.3
GTEX-1KD4Q-0226-SM-E9TJ9 40-49 years, male 10.3
GTEX-1QMI2-0226-SM-EVYBX 60-69 years, male 10.3
GTEX-1R46S-0626-SM-E9J41 60-69 years, female 10.3
GTEX-13111-1626-SM-5EGJY 50-59 years, male 10.2
GTEX-15DYW-0126-SM-7KULE 60-69 years, female 10.2
GTEX-VJYA-1126-SM-3GIJU 60-69 years, male 10.2
GTEX-WRHK-1426-SM-3MJF9 20-29 years, female 10.2
GTEX-ZVZP-2426-SM-59HKJ 50-59 years, male 10.2
GTEX-ZY6K-1826-SM-5GZXK 50-59 years, male 10.2
GTEX-1H3NZ-0126-SM-ACKX7 60-69 years, male 10.2
GTEX-1HSMQ-1226-SM-CGQFX 50-59 years, male 10.2
GTEX-1J8JJ-0226-SM-CL53I 60-69 years, female 10.2
GTEX-1NHNU-1026-SM-E9J2A 50-59 years, male 10.2
GTEX-11XUK-2026-SM-5EQLF 40-49 years, female 10.1
GTEX-11ZTT-2426-SM-5EQLS 60-69 years, female 10.1
GTEX-139TU-0126-SM-5K7WH 60-69 years, male 10.1
GTEX-13NZB-2526-SM-5J1OM 30-39 years, male 10.1
GTEX-13U4I-0126-SM-5LU38 40-49 years, female 10.1
GTEX-14PII-0226-SM-6EU1T 60-69 years, male 10.1
GTEX-OXRO-0126-SM-2YUN4 60-69 years, female 10.1
GTEX-UJHI-1526-SM-3DB99 50-59 years, female 10.1
GTEX-ZF2S-2326-SM-4WWCE 50-59 years, female 10.1
GTEX-ZU9S-0226-SM-5E441 30-39 years, male 10.1
GTEX-1GPI7-0126-SM-9MQL8 20-29 years, male 10.1
GTEX-1H11D-0226-SM-9WG6Z 40-49 years, male 10.1
GTEX-1I1CD-0126-SM-CM2TK 60-69 years, female 10.1
GTEX-1J8QM-2126-SM-CYPSJ 60-69 years, female 10.1
GTEX-1M4P7-0226-SM-DIPEV 60-69 years, male 10.1
GTEX-1PBJI-0526-SM-E8VNK 20-29 years, female 10.1
GTEX-1R9K4-0126-SM-DTX9X 60-69 years, male 10.1
GTEX-ZQG8-1626-SM-DHXIT 60-69 years, female 10.1
GTEX-ZVT4-0126-SM-DTXFN 50-59 years, female 10.1
GTEX-12WSE-0526-SM-793B2 20-29 years, male 10.0
GTEX-13OW6-0426-SM-5L3HM 50-59 years, male 10.0
GTEX-13X6J-0126-SM-5QGOU 50-59 years, male 10.0
GTEX-146FH-0126-SM-5QGPP 50-59 years, female 10.0
GTEX-17HGU-0226-SM-7DHKV 50-59 years, male 10.0
GTEX-17HII-0226-SM-7LG4E 50-59 years, male 10.0
GTEX-PWO3-1526-SM-48TCM 60-69 years, female 10.0
GTEX-X4EO-0326-SM-3P5YO 60-69 years, female 10.0
GTEX-YJ89-0126-SM-4TT3X 60-69 years, male 10.0
GTEX-ZYFD-0126-SM-5GIDL 50-59 years, male 10.0
GTEX-1HSMP-0126-SM-E6CJS 70-79 years, male 10.0
GTEX-1I1GR-0126-SM-CL55F 60-69 years, male 10.0
GTEX-1IKOH-0226-SM-COH4E 60-69 years, female 10.0
GTEX-1MUQO-0126-SM-EAZ58 60-69 years, male 10.0
GTEX-1QCLY-0326-SM-E8VOG 30-39 years, male 10.0
GTEX-OOBJ-0126-SM-E6CJW 60-69 years, male 10.0
GTEX-11OC5-0126-SM-5HL6A 60-69 years, male 9.9
GTEX-11P82-1626-SM-59879 20-29 years, male 9.9
GTEX-12584-0126-SM-5EGKQ 40-49 years, male 9.9
GTEX-1269C-2526-SM-5EGJ3 60-69 years, female 9.9
GTEX-139TT-0126-SM-5K7Y5 60-69 years, male 9.9
GTEX-Q2AH-1626-SM-3GAF8 40-49 years, male 9.9
GTEX-U8XE-0326-SM-3DB8P 30-39 years, male 9.9
GTEX-X62O-0126-SM-4E3JN 50-59 years, male 9.9
GTEX-YFC4-0126-SM-5CVLY 40-49 years, female 9.9
GTEX-1GF9V-0326-SM-7RHI5 60-69 years, male 9.9
GTEX-1IDJH-0326-SM-A9SLQ 70-79 years, male 9.9
GTEX-1MCQQ-0826-SM-DLHC2 60-69 years, male 9.9
GTEX-1S5ZA-0126-SM-EVYCV 20-29 years, male 9.9
GTEX-117YW-2626-SM-5GZZH 50-59 years, male 9.8
GTEX-1192W-2626-SM-5Q5AF 60-69 years, male 9.8
GTEX-13QJ3-0326-SM-5S2RA 50-59 years, male 9.8
GTEX-1C64N-0126-SM-793D7 50-59 years, male 9.8
GTEX-U3ZH-2026-SM-3DB78 30-39 years, male 9.8
GTEX-ZAK1-0126-SM-5IJD3 50-59 years, female 9.8
GTEX-ZYW4-0126-SM-5E44A 60-69 years, male 9.8
GTEX-1IDJF-0126-SM-CM2RS 20-29 years, male 9.8
GTEX-111FC-0126-SM-5N9DL 60-69 years, male 9.7
GTEX-139TS-2826-SM-5J1OO 60-69 years, male 9.7
GTEX-13S7M-0126-SM-5SI6A 60-69 years, female 9.7
GTEX-148VI-1626-SM-5SI6E 60-69 years, female 9.7
GTEX-16NPX-0226-SM-79OMT 50-59 years, male 9.7
GTEX-WYJK-0126-SM-3NMAB 50-59 years, male 9.7
GTEX-1B8L1-2526-SM-9WYTF 60-69 years, male 9.7
GTEX-1HKZK-0326-SM-9WYUH 40-49 years, male 9.7
GTEX-1I1HK-0126-SM-COH49 60-69 years, male 9.7
GTEX-1I4MK-2226-SM-ACKWD 50-59 years, female 9.7
GTEX-17EVQ-0226-SM-7LG4P 70-79 years, male 9.6
GTEX-WFG8-2226-SM-3GIL9 20-29 years, male 9.6
GTEX-1GN1V-0126-SM-9WPOS 60-69 years, male 9.6
GTEX-1GPI6-0126-SM-9WG69 60-69 years, male 9.6
GTEX-1HBPN-0226-SM-9YFM1 50-59 years, male 9.6
GTEX-1HCU9-1526-SM-A9SL7 20-29 years, male 9.6
GTEX-1I1GQ-0126-SM-COH3H 50-59 years, male 9.6
GTEX-1ICG6-2526-SM-CGQFZ 70-79 years, female 9.6
GTEX-117YX-2326-SM-5H12W 50-59 years, male 9.5
GTEX-11DXW-0226-SM-5H122 40-49 years, male 9.5
GTEX-13FHP-0126-SM-5IJBG 50-59 years, male 9.5
GTEX-147F4-0226-SM-5QGPW 50-59 years, male 9.5
GTEX-14E6D-0126-SM-62LDV 50-59 years, male 9.5
GTEX-14PHX-2326-SM-62LEM 50-59 years, male 9.5
GTEX-15CHC-2126-SM-6EU21 60-69 years, female 9.5
GTEX-15ETS-0126-SM-7KUMW 40-49 years, female 9.5
GTEX-18A67-0126-SM-7LG5P 50-59 years, male 9.5
GTEX-OXRN-0126-SM-48TDM 50-59 years, male 9.5
GTEX-QDT8-0126-SM-48TZ1 30-39 years, female 9.5
GTEX-Z93S-0126-SM-5HL7M 50-59 years, male 9.5
GTEX-1IKJJ-0126-SM-CNPQB 60-69 years, male 9.5
GTEX-1MA7W-2026-SM-E9TJ6 20-29 years, female 9.5
GTEX-11TTK-0126-SM-5987B 60-69 years, female 9.4
GTEX-13O3P-0126-SM-5KM4S 50-59 years, male 9.4
GTEX-15DCD-0126-SM-7KUEK 70-79 years, female 9.4
GTEX-15F5U-1526-SM-6PANO 40-49 years, male 9.4
GTEX-16YQH-0126-SM-7DUFJ 30-39 years, male 9.4
GTEX-PLZ4-0126-SM-5SI8O 50-59 years, female 9.4
GTEX-VUSG-2526-SM-4KL1V 50-59 years, male 9.4
GTEX-XBEW-0626-SM-4QASP 40-49 years, male 9.4
GTEX-1B933-0126-SM-7PC29 50-59 years, female 9.4
GTEX-1CB4G-0226-SM-7PC3O 60-69 years, male 9.4
GTEX-1GN1U-0126-SM-7PBZK 50-59 years, female 9.4
GTEX-1J8Q3-1626-SM-CMKGC 60-69 years, male 9.4
GTEX-1JMPY-1326-SM-ARL8Y 30-39 years, male 9.4
GTEX-1KANA-0726-SM-D3L9I 20-29 years, male 9.4
GTEX-1KANC-1526-SM-D3LAB 50-59 years, female 9.4
GTEX-1POEN-0126-SM-EYYXJ 30-39 years, female 9.4
GTEX-PLZ6-1426-SM-DKPOT 30-39 years, male 9.4
GTEX-ZF29-2326-SM-DO92K 60-69 years, female 9.4
GTEX-113JC-2326-SM-5EQ4E 50-59 years, female 9.3
GTEX-11EMC-2926-SM-5EQ4F 60-69 years, female 9.3
GTEX-1212Z-2526-SM-5EGKP 60-69 years, male 9.3
GTEX-13G51-2526-SM-5LZYK 60-69 years, male 9.3
GTEX-16XZY-2126-SM-79OK1 70-79 years, male 9.3
GTEX-1C6VS-0526-SM-7DUEN 60-69 years, male 9.3
GTEX-PVOW-0126-SM-2XCFA 40-49 years, male 9.3
GTEX-SJXC-0126-SM-2XCFF 60-69 years, male 9.3
GTEX-T5JC-0426-SM-32PLO 20-29 years, male 9.3
GTEX-Y8LW-1826-SM-5S2MV 50-59 years, female 9.3
GTEX-1EN7A-0126-SM-7SB81 40-49 years, male 9.3
GTEX-1QPFJ-0226-SM-E76PB 30-39 years, female 9.3
GTEX-13NYB-2526-SM-5K7Z6 40-49 years, male 9.2
GTEX-13PVR-2326-SM-5QGR1 60-69 years, female 9.2
GTEX-18D9B-0526-SM-7LTAS 60-69 years, male 9.2
GTEX-1B8KZ-2026-SM-7DHMB 50-59 years, male 9.2
GTEX-SSA3-0126-SM-32QPU 60-69 years, male 9.2
GTEX-R45C-0126-SM-EAZ2R 60-69 years, female 9.2
GTEX-11GS4-2726-SM-5A5LE 60-69 years, male 9.1
GTEX-11ZVC-2526-SM-5FQTE 50-59 years, female 9.1
GTEX-12WSK-2326-SM-5GCOH 40-49 years, female 9.1
GTEX-1399T-2826-SM-5KLYZ 60-69 years, male 9.1
GTEX-1497J-2426-SM-7IGNX 60-69 years, male 9.1
GTEX-14A6H-0126-SM-5QGPK 30-39 years, male 9.1
GTEX-TML8-1926-SM-32QOS 40-49 years, female 9.1
GTEX-W5WG-1826-SM-4KL2Y 50-59 years, female 9.1
GTEX-ZTPG-0326-SM-5O9AX 20-29 years, female 9.1
GTEX-1HBPI-1526-SM-C1YQ1 50-59 years, male 9.1
GTEX-1RLM8-2326-SM-EWRN4 50-59 years, male 9.1
GTEX-139D8-0226-SM-5KLZO 30-39 years, female 9.0
GTEX-13CF3-2426-SM-5IFGX 60-69 years, female 9.0
GTEX-13OW8-1326-SM-5J1OW 60-69 years, male 9.0
GTEX-13X6H-2126-SM-7EWD5 50-59 years, female 9.0
GTEX-144FL-0126-SM-5TDC8 50-59 years, male 9.0
GTEX-144GN-2326-SM-5LU4F 50-59 years, male 9.0
GTEX-OHPL-0126-SM-2HMJ7 60-69 years, female 9.0
GTEX-RWS6-2026-SM-2XCB5 60-69 years, female 9.0
GTEX-T2IS-0126-SM-4DM6O 20-29 years, female 9.0
GTEX-1C6VQ-0126-SM-7P8RI 50-59 years, male 9.0
GTEX-1E2YA-0126-SM-9KNUC 50-59 years, male 9.0
GTEX-1H1DE-2126-SM-9WG6R 20-29 years, male 9.0
GTEX-1H1DG-0126-SM-9WYU2 70-79 years, male 9.0
GTEX-1RDX4-0126-SM-E9J4P 50-59 years, female 9.0
GTEX-1S83E-0126-SM-EWRO4 40-49 years, male 9.0
GTEX-11EM3-2426-SM-59861 20-29 years, female 8.9
GTEX-1313W-0126-SM-5LZUN 50-59 years, female 8.9
GTEX-1314G-1526-SM-5EGK2 30-39 years, male 8.9
GTEX-1399R-2726-SM-5IJBA 30-39 years, male 8.9
GTEX-13OVL-0226-SM-5L3E9 50-59 years, male 8.9
GTEX-13RTL-0126-SM-7LG5S 40-49 years, male 8.9
GTEX-145LU-0126-SM-5TDCB 50-59 years, male 8.9
GTEX-1AMFI-2026-SM-731BH 50-59 years, female 8.9
GTEX-1AYD5-2426-SM-73KXR 50-59 years, male 8.9
GTEX-1CB4I-0226-SM-79OLH 50-59 years, male 8.9
GTEX-QDVN-2026-SM-3GAEP 50-59 years, male 8.9
GTEX-1H2FU-0126-SM-9WYSI 60-69 years, female 8.9
GTEX-1QAET-0926-SM-E76QM 50-59 years, male 8.9
GTEX-RVPV-0126-SM-EAZAW 60-69 years, male 8.9
GTEX-13FHO-0226-SM-5IFGY 60-69 years, male 8.8
GTEX-14JG6-2226-SM-6EU2G 30-39 years, female 8.8
GTEX-18A6Q-0126-SM-731BZ 60-69 years, male 8.8
GTEX-1BAJH-0526-SM-793CQ 70-79 years, male 8.8
GTEX-POMQ-2226-SM-2I5FK 20-29 years, female 8.8
GTEX-WOFL-0126-SM-3MJG2 60-69 years, male 8.8
GTEX-Y5V5-2326-SM-4V6GA 60-69 years, female 8.8
GTEX-1MJK2-0426-SM-DTXE5 50-59 years, male 8.8
GTEX-1R7EU-0226-SM-EVR4G 60-69 years, male 8.8
GTEX-14PN4-0126-SM-6EU2V 50-59 years, male 8.7
GTEX-183FY-0126-SM-7LT9P 20-29 years, male 8.7
GTEX-RN64-0126-SM-2TC68 50-59 years, male 8.7
GTEX-SIU8-0126-SM-2XCDT 50-59 years, male 8.7
GTEX-X4XX-0126-SM-3NMC2 60-69 years, male 8.7
GTEX-Y5V6-2426-SM-4VDSB 60-69 years, male 8.7
GTEX-1JJEA-0326-SM-CNPOT 60-69 years, male 8.7
GTEX-1O97I-0326-SM-EYYX7 60-69 years, male 8.7
GTEX-1S82Y-2026-SM-EVYCM 40-49 years, male 8.7
GTEX-1192X-0226-SM-5H12D 50-59 years, male 8.6
GTEX-13NZA-0226-SM-5K7Z7 60-69 years, male 8.6
GTEX-14PJ3-1826-SM-62LEX 50-59 years, male 8.6
GTEX-R55E-0126-SM-2TC5Y 20-29 years, male 8.6
GTEX-T5JW-1626-SM-3GADZ 20-29 years, female 8.6
GTEX-XUW1-0426-SM-4BOOT 50-59 years, female 8.6
GTEX-1EWIQ-0126-SM-7RHH2 70-79 years, female 8.6
GTEX-1IL2V-0126-SM-CM2TX 70-79 years, male 8.6
GTEX-1PPH8-0226-SM-E8VND 20-29 years, male 8.6
GTEX-1S3DN-2226-SM-EVYCD 50-59 years, male 8.6
GTEX-ZPIC-1726-SM-DHXIU 40-49 years, female 8.6
GTEX-11DXY-2626-SM-5GIE7 60-69 years, male 8.5
GTEX-14E7W-0126-SM-6LLJ9 70-79 years, male 8.5
GTEX-18A7A-0226-SM-718BH 50-59 years, female 8.5
GTEX-YEC4-2126-SM-5IFJH 40-49 years, male 8.5
GTEX-ZYY3-0126-SM-5GZY5 60-69 years, female 8.5
GTEX-1A8FM-0226-SM-7SB7Q 50-59 years, female 8.5
GTEX-1HFI6-0226-SM-ADEHZ 40-49 years, male 8.5
GTEX-PWCY-1826-SM-DHXIZ 20-29 years, female 8.5
GTEX-117XS-2726-SM-5N9BL 60-69 years, male 8.4
GTEX-11NUK-0126-SM-5A5L3 50-59 years, male 8.4
GTEX-139T4-0226-SM-5HL5S 50-59 years, female 8.4
GTEX-14BMU-2226-SM-5TDE9 20-29 years, female 8.4
GTEX-ZEX8-2426-SM-4WKG4 50-59 years, male 8.4
GTEX-1F6I4-0126-SM-9MQL2 60-69 years, male 8.4
GTEX-1MGNQ-0126-SM-EVYCJ 40-49 years, male 8.4
GTEX-111VG-2426-SM-5GZXD 60-69 years, male 8.3
GTEX-131XH-2226-SM-5DUXJ 50-59 years, male 8.3
GTEX-13N11-2526-SM-5K7UE 50-59 years, female 8.3
GTEX-13OVI-1426-SM-5L3EY 60-69 years, female 8.3
GTEX-13SLW-0126-SM-5SI6C 70-79 years, male 8.3
GTEX-14A5H-0426-SM-5QGQF 60-69 years, male 8.3
GTEX-14BMV-0126-SM-5S2PO 50-59 years, male 8.3
GTEX-15SDE-2226-SM-7IGLO 50-59 years, female 8.3
GTEX-16GPK-0126-SM-7DHLE 60-69 years, male 8.3
GTEX-1AX9J-0226-SM-73KXM 60-69 years, male 8.3
GTEX-XBED-2226-SM-47JYQ 60-69 years, male 8.3
GTEX-YJ8A-0426-SM-5IFID 20-29 years, male 8.3
GTEX-ZF28-0126-SM-4WKGK 60-69 years, male 8.3
GTEX-1AX9I-0126-SM-7SB74 60-69 years, male 8.3
GTEX-1LB8K-0226-SM-EWRNW 50-59 years, male 8.3
GTEX-1LG7Z-1726-SM-D3LA4 30-39 years, male 8.3
GTEX-1PWST-0226-SM-E76QJ 70-79 years, male 8.3
GTEX-13OW7-0126-SM-5MR3B 50-59 years, male 8.2
GTEX-16MT8-0426-SM-7KUEY 60-69 years, female 8.2
GTEX-17MF6-0126-SM-7LG4F 40-49 years, male 8.2
GTEX-PX3G-0126-SM-2I3EN 20-29 years, female 8.2
GTEX-Q2AI-1326-SM-2S1PL 40-49 years, male 8.2
GTEX-QESD-1426-SM-2S1R9 20-29 years, male 8.2
GTEX-RTLS-0126-SM-447CA 60-69 years, female 8.2
GTEX-S7SE-0126-SM-2XCD5 50-59 years, male 8.2
GTEX-Z93T-0126-SM-5HL5N 50-59 years, male 8.2
GTEX-ZAB4-0226-SM-5N9F5 40-49 years, male 8.2
GTEX-12WSG-2826-SM-E9J4H 50-59 years, female 8.2
GTEX-1C6WA-0126-SM-7PC2B 60-69 years, male 8.2
GTEX-1H3VY-0126-SM-ACKXD 50-59 years, male 8.2
GTEX-1LG7Y-0526-SM-DKPQC 50-59 years, male 8.2
GTEX-13O21-1426-SM-5K7XI 50-59 years, male 8.1
GTEX-18D9U-0226-SM-718BP 40-49 years, male 8.1
GTEX-R55G-2526-SM-2TC6D 40-49 years, female 8.1
GTEX-T6MN-0126-SM-32PLP 50-59 years, male 8.1
GTEX-XUYS-0126-SM-47JWZ 50-59 years, male 8.1
GTEX-ZDTS-0126-SM-4WAY5 60-69 years, male 8.1
GTEX-ZV68-0126-SM-59HKS 50-59 years, female 8.1
GTEX-1K2DA-1826-SM-CGQGT 50-59 years, male 8.1
GTEX-1KWVE-1426-SM-E9TJO 30-39 years, male 8.1
GTEX-113IC-0126-SM-5HL6T 60-69 years, male 8.0
GTEX-11TT1-2526-SM-5EGIB 20-29 years, male 8.0
GTEX-1CAMQ-0226-SM-7IGPK 40-49 years, male 8.0
GTEX-1CAMR-1926-SM-7EPI2 20-29 years, male 8.0
GTEX-Q734-1926-SM-2I5EV 40-49 years, female 8.0
GTEX-TKQ1-1026-SM-4GICL 30-39 years, male 8.0
GTEX-XYKS-2126-SM-4E3IB 60-69 years, female 8.0
GTEX-1EKGG-0226-SM-9WYTH 60-69 years, male 8.0
GTEX-1GZHY-0326-SM-9QEHI 50-59 years, female 8.0
GTEX-1HSEH-0126-SM-ACKXN 60-69 years, male 8.0
GTEX-1JMQL-0226-SM-CNPP5 50-59 years, female 8.0
GTEX-1JN76-0126-SM-CNPPE 20-29 years, female 8.0
GTEX-1QP9N-1426-SM-DTXFL 30-39 years, male 8.0
GTEX-13OVJ-0126-SM-5KM36 50-59 years, female 7.9
GTEX-U3ZM-1526-SM-3DB9D 40-49 years, male 7.9
GTEX-Y3I4-2126-SM-4TT7C 50-59 years, male 7.9
GTEX-ZDXO-3026-SM-5J1N5 60-69 years, male 7.9
GTEX-1CAMS-0426-SM-7P8T2 40-49 years, female 7.9
GTEX-1F75A-0126-SM-7RHGM 50-59 years, male 7.9
GTEX-1GN2E-0426-SM-9MQKX 60-69 years, male 7.9
GTEX-1H1ZS-0426-SM-9WG6G 70-79 years, male 7.9
GTEX-1J1OQ-0226-SM-CYPSH 40-49 years, female 7.9
GTEX-1128S-2326-SM-5GZZY 60-69 years, female 7.8
GTEX-1211K-2026-SM-5EQ4Z 60-69 years, female 7.8
GTEX-13FXS-0226-SM-5IJCK 50-59 years, male 7.8
GTEX-1AMEY-1326-SM-73KYK 30-39 years, female 7.8
GTEX-Y8DK-0126-SM-4TT3L 60-69 years, male 7.8
GTEX-1EMGI-0126-SM-9KNUE 60-69 years, male 7.8
GTEX-1H3O1-0426-SM-9YFKY 60-69 years, male 7.8
GTEX-1HR98-0126-SM-B2LWI 60-69 years, male 7.8
GTEX-1IOXB-0126-SM-ARL8G 50-59 years, male 7.8
GTEX-RNOR-0126-SM-E9J4R 50-59 years, female 7.8
GTEX-11DXX-2426-SM-5GZZW 60-69 years, female 7.7
GTEX-12WSJ-1826-SM-5GCNY 40-49 years, female 7.7
GTEX-18QFQ-0126-SM-731BE 30-39 years, male 7.7
GTEX-ZGAY-0526-SM-4WWBB 40-49 years, female 7.7
GTEX-13FH7-2026-SM-E9J4I 50-59 years, female 7.7
GTEX-1F5PL-0326-SM-7P8PQ 40-49 years, female 7.7
GTEX-1GMRU-0126-SM-9YFLV 50-59 years, male 7.7
GTEX-1HBPM-0226-SM-ARL9F 60-69 years, female 7.7
GTEX-1HCUA-2426-SM-ADEIS 50-59 years, female 7.7
GTEX-1HSKV-0226-SM-A9SKJ 60-69 years, male 7.7
GTEX-1JMPZ-0226-SM-CNPP1 30-39 years, male 7.7
GTEX-16NGA-1726-SM-731B4 40-49 years, female 7.6
GTEX-1AYCT-2426-SM-7IGQ3 50-59 years, male 7.6
GTEX-QLQ7-1626-SM-2S1R8 60-69 years, male 7.6
GTEX-UPJH-0326-SM-3GADU 50-59 years, male 7.6
GTEX-XXEK-2226-SM-4BRUM 50-59 years, male 7.6
GTEX-ZDYS-2026-SM-5HL5L 50-59 years, male 7.6
GTEX-ZXES-1826-SM-5E43S 30-39 years, female 7.6
GTEX-1EX96-1626-SM-7PBXR 50-59 years, male 7.6
GTEX-1PFEY-1526-SM-E76PP 30-39 years, male 7.6
GTEX-1QP66-1726-SM-E8VO1 50-59 years, male 7.6
GTEX-ZF3C-0126-SM-DO92D 50-59 years, female 7.6
GTEX-17MFQ-1726-SM-793C7 20-29 years, male 7.5
GTEX-1A32A-0126-SM-718B1 50-59 years, female 7.5
GTEX-U8T8-0126-SM-3DB94 60-69 years, male 7.5
GTEX-1F6IF-0726-SM-7P8TW 60-69 years, male 7.5
GTEX-1GN73-0226-SM-9WG67 60-69 years, male 7.5
GTEX-NPJ8-0126-SM-2YUNR 40-49 years, male 7.4
GTEX-WQUQ-0426-SM-3MJFU 60-69 years, male 7.4
GTEX-WXYG-2326-SM-4E3I6 50-59 years, female 7.4
GTEX-XV7Q-2526-SM-4BRV9 40-49 years, female 7.4
GTEX-1HCU6-0126-SM-CL54K 60-69 years, female 7.4
GTEX-1HCU8-0626-SM-A9SM9 60-69 years, female 7.4
GTEX-W5X1-3026-SM-EAZAX 40-49 years, female 7.4
GTEX-11DXZ-2326-SM-5EGGV 50-59 years, male 7.3
GTEX-12ZZZ-0626-SM-5DUXI 60-69 years, male 7.3
GTEX-13FTW-2626-SM-5K7WL 40-49 years, male 7.3
GTEX-13O3Q-2426-SM-5IJBR 50-59 years, male 7.3
GTEX-15ER7-0326-SM-7KUEV 20-29 years, female 7.3
GTEX-P4PQ-0126-SM-2S1NM 60-69 years, male 7.3
GTEX-QDVJ-1726-SM-2I5FX 50-59 years, male 7.3
GTEX-RM2N-1426-SM-2TF4H 50-59 years, male 7.3
GTEX-U412-0426-SM-3DB9O 60-69 years, male 7.3
GTEX-XQ3S-1526-SM-4BOOC 20-29 years, male 7.3
GTEX-PSDG-0226-SM-DKPOZ 50-59 years, male 7.3
GTEX-17F98-0626-SM-79OMX 40-49 years, female 7.2
GTEX-YB5E-2026-SM-5IFIS 40-49 years, male 7.2
GTEX-13O3O-0126-SM-E9J49 60-69 years, female 7.2
GTEX-1GZ2Q-0226-SM-7P8TL 40-49 years, male 7.2
GTEX-1IY9M-0126-SM-D3L8S 60-69 years, male 7.2
GTEX-11P7K-2126-SM-5GU7G 30-39 years, male 7.1
GTEX-145LV-2126-SM-5LU8N 50-59 years, male 7.1
GTEX-17HHE-2026-SM-79OKF 50-59 years, male 7.1
GTEX-NFK9-0226-SM-2HMKQ 40-49 years, male 7.1
GTEX-1NV5F-0226-SM-E8VNY 60-69 years, female 7.1
GTEX-12C56-1726-SM-5EQ61 20-29 years, male 7.0
GTEX-12WSD-0126-SM-59HKN 60-69 years, female 7.0
GTEX-1C4CL-0526-SM-73KVK 30-39 years, male 7.0
GTEX-P4PP-0126-SM-3LK69 30-39 years, female 7.0
GTEX-QLQW-1126-SM-2S1Q8 30-39 years, male 7.0
GTEX-169BO-1326-SM-9MQK2 50-59 years, male 7.0
GTEX-14JG1-0426-SM-6ETZZ 40-49 years, male 6.9
GTEX-P4QT-0126-SM-2I3FL 50-59 years, female 6.9
GTEX-WY7C-2326-SM-3NB2U 50-59 years, male 6.9
GTEX-1IL2U-0226-SM-CE6T8 60-69 years, male 6.9
GTEX-11UD1-0126-SM-5PNYG 40-49 years, female 6.8
GTEX-12126-0326-SM-5PNW3 20-29 years, male 6.8
GTEX-13RTJ-2426-SM-5S2Q2 60-69 years, male 6.8
GTEX-OXRL-0126-SM-2YUMP 50-59 years, male 6.8
GTEX-R3RS-0126-SM-3GIJL 40-49 years, female 6.8
GTEX-X8HC-0126-SM-4E3JW 50-59 years, female 6.8
GTEX-ZVZO-0126-SM-5A5L9 40-49 years, male 6.8
GTEX-1H1CY-2826-SM-9MQM3 60-69 years, female 6.8
GTEX-1HGF4-2426-SM-ACKXM 60-69 years, male 6.8
GTEX-17HG3-2226-SM-7938L 30-39 years, female 6.7
GTEX-RUSQ-1526-SM-2TF62 50-59 years, male 6.7
GTEX-U3ZN-2326-SM-3DB7W 30-39 years, female 6.7
GTEX-ZYFG-2326-SM-5E44B 60-69 years, female 6.7
GTEX-1GF9W-0326-SM-9KNUN 60-69 years, male 6.7
GTEX-1GTWX-0126-SM-9YFLK 60-69 years, male 6.7
GTEX-11ZTS-0126-SM-5EQ6M 60-69 years, female 6.6
GTEX-145MF-0626-SM-5LUAI 50-59 years, male 6.6
GTEX-145MN-2226-SM-5SIAU 30-39 years, male 6.6
GTEX-17HHY-0126-SM-7LG5D 50-59 years, male 6.6
GTEX-S95S-1226-SM-4GICG 60-69 years, male 6.6
GTEX-WYVS-2126-SM-3NMA3 40-49 years, female 6.6
GTEX-WZTO-0126-SM-3NM95 40-49 years, male 6.6
GTEX-S33H-1026-SM-EZ6L6 30-39 years, male 6.6
GTEX-11GSP-2526-SM-5N9BP 60-69 years, female 6.5
GTEX-PLZ5-2026-SM-2S1O4 50-59 years, male 6.5
GTEX-QVJO-1626-SM-2S1QW 60-69 years, female 6.5
GTEX-RU72-0926-SM-2TF6B 50-59 years, female 6.5
GTEX-1HCVE-0126-SM-CGQEU 50-59 years, male 6.5
GTEX-1JN6P-0126-SM-D3L98 60-69 years, male 6.5
GTEX-PW2O-1526-SM-7RHHB 20-29 years, male 6.5
GTEX-O5YW-0126-SM-3LK6D 50-59 years, male 6.4
GTEX-X4EP-0126-SM-3P5YV 60-69 years, female 6.4
GTEX-X5EB-2226-SM-46MW4 40-49 years, male 6.4
GTEX-YB5K-2126-SM-4WWDJ 40-49 years, female 6.4
GTEX-1J8EW-0126-SM-CJI4F 60-69 years, female 6.4
GTEX-11DYG-0126-SM-59883 60-69 years, male 6.3
GTEX-139UW-2826-SM-5L3E7 60-69 years, male 6.3
GTEX-ZQUD-1426-SM-57WER 30-39 years, male 6.3
GTEX-ZVTK-0426-SM-51MRS 20-29 years, male 6.3
GTEX-1I1GP-2226-SM-CGQFK 50-59 years, male 6.3
GTEX-146FQ-0126-SM-5NQA9 30-39 years, male 6.2
GTEX-S7PM-0126-SM-4AD6S 60-69 years, male 6.2
GTEX-Y111-0126-SM-4SOIV 50-59 years, male 6.2
GTEX-1JMQJ-0526-SM-CYPSU 50-59 years, male 6.2
GTEX-132NY-0326-SM-5IJBL 60-69 years, male 6.1
GTEX-131XF-5016-SM-7MGWE 60-69 years, male 6.1
GTEX-1I1GS-0126-SM-B2LVW 60-69 years, male 6.1
GTEX-TMZS-0126-SM-3DB9Q 60-69 years, male 6.0
GTEX-13FTY-0526-SM-5L3EV 40-49 years, female 5.9
GTEX-1CB4F-0426-SM-9KNV4 60-69 years, male 5.9
GTEX-X88G-0126-SM-47JZ3 30-39 years, male 5.7
GTEX-1I1GV-0526-SM-A9G29 60-69 years, male 5.7
GTEX-WI4N-1026-SM-3LK7N 40-49 years, female 5.6
GTEX-131XG-2626-SM-5KM17 50-59 years, female 5.5
GTEX-13CF2-2526-SM-5LZYX 60-69 years, male 5.5
GTEX-17F97-0326-SM-7LG5B 50-59 years, male 5.5
GTEX-1OJC3-0126-SM-E76QX 20-29 years, male 5.5
GTEX-SUCS-1926-SM-32PM3 70-79 years, male 5.4
GTEX-XUZC-1726-SM-4BRWS 30-39 years, female 5.4
GTEX-ZAJG-0126-SM-5HL94 50-59 years, female 5.4
GTEX-1JKYR-0126-SM-CNPOJ 20-29 years, male 5.4
GTEX-1399U-2326-SM-5K7WY 50-59 years, female 5.2
GTEX-QEG4-0226-SM-2S1PY 30-39 years, male 5.2
GTEX-1CAV2-2226-SM-7P8P2 40-49 years, female 5.0
GTEX-11GSO-2426-SM-5A5LY 60-69 years, male 4.9
GTEX-QCQG-1726-SM-3GIJ9 50-59 years, female 4.7
GTEX-ZYFC-0226-SM-5NQ75 50-59 years, male 4.7
GTEX-QV44-1926-SM-2S1RF 50-59 years, male 4.6
GTEX-1IKK5-0626-SM-ARL8A 60-69 years, male 4.6
GTEX-WH7G-2326-SM-3NMBC 40-49 years, male 4.4
GTEX-Y3IK-2426-SM-4WWDU 50-59 years, female 4.4
GTEX-Y114-2426-SM-4TT8A 50-59 years, female 4.0
GTEX-1JMLX-0226-SM-CM2RO 50-59 years, male 3.5
Show allShow less

Contact

  • NEWS ARTICLES
  • PRESS ROOM

The Project

  • INTRODUCTION
  • ORGANIZATION
  • PUBLICATIONS

The Human Protein Atlas

  • DOWNLOADABLE DATA
  • LICENCE & CITATION
  • HELP & FAQ
The Human Protein Atlas project is funded
by the Knut & Alice Wallenberg Foundation.


contact@proteinatlas.org