We use cookies to enhance the usability of our website. If you continue, we'll assume that you are happy to receive all cookies. More information. Don't show this again.
MORF4L2
HPA
RESOURCES
  • TISSUE
  • BRAIN
  • SINGLE CELL
  • SUBCELLULAR
  • CANCER
  • BLOOD
  • CELL LINE
  • STRUCTURE & INTERACTION
ABOUT
  • INTRODUCTION
  • HISTORY
  • ORGANIZATION
  • PUBLICATIONS
  • ANTIBODY SUBMISSION
  • ANTIBODY AVAILABILITY
  • ACKNOWLEDGMENTS
  • CONTACT
NEWS
  • NEWS ARTICLES
  • PRESS ROOM
LEARN
  • DICTIONARY
  • PROTEIN CLASSES
  • PROTEIN EVIDENCE
  • METHODS
  • EDUCATIONAL VIDEOS
DATA
  • DOWNLOADABLE DATA
  • PUBLICATION DATA
  • RELEASE HISTORY
HELP
  • ANTIBODY VALIDATION
  • ASSAYS & ANNOTATION
  • DISCLAIMER
  • HELP & FAQ
  • PRIVACY STATEMENT
  • LICENCE & CITATION
Fields »
Search result

Field
Term
Gene name
Class
Subclass
Class
Keyword
Chromosome
External id
Tissue
Cell type
Expression
Antibody panel
Tissue
Main location
Patient ID
Annotation
Tissue
Category
Tau score
Cluster
Reliability
Brain region
Category
Tau score
Brain region
Category
Tau score
Brain region
Category
Tau score
Cluster
Reliability
Tissue
Cell type
Enrichment
Cell type
Category
Tau score
Cell type
Category
Tau score
Cell type
Category
Tau score
Cell lineage
Category
Tau score
Cluster
Cluster
Location
Searches
Location
Cell line
Class
Type
Phase
Reliability
Cancer
Prognosis
Cancer
Category
Cancer
Category
Tau score
Cluster
Variants
Interacting gene (ensg_id)
Type
Number of interactions
Pathway
Category
Score
Score
Score
Validation
Validation
Validation
Validation
Antibodies
Data type
Column


  • SUMMARY

  • TISSUE

  • BRAIN

  • SINGLE CELL

  • SUBCELL

  • CANCER

  • BLOOD

  • CELL LINE

  • STRUCT & INT

  • MORF4L2
TISSUE PRIMARY DATA BREAST Show tissue menu
ADIPOSE TISSUE ADRENAL GLAND AMYGDALA APPENDIX BASAL GANGLIA BONE MARROW BREAST BRONCHUS CEREBELLUM CEREBRAL CORTEX CERVIX CHOROID PLEXUS COLON DUODENUM
ENDOMETRIUM EPIDIDYMIS ESOPHAGUS FALLOPIAN TUBE GALLBLADDER HEART MUSCLE HIPPOCAMPAL FORMATION HYPOTHALAMUS KIDNEY LIVER LUNG LYMPH NODE MIDBRAIN NASOPHARYNX
ORAL MUCOSA OVARY PANCREAS PARATHYROID GLAND PITUITARY GLAND PLACENTA PROSTATE RECTUM RETINA SALIVARY GLAND SEMINAL VESICLE SKELETAL MUSCLE SKIN SMALL INTESTINE
SMOOTH MUSCLE SOFT TISSUE SPINAL CORD SPLEEN STOMACH TESTIS THYMUS THYROID GLAND TONGUE TONSIL URINARY BLADDER VAGINA
ANTIBODIES
AND
VALIDATION
Dictionary
Breast
Tissue proteome
Breast
BREAST - Expression summary
Protein expression
Breasti

On the top, protein expression in current human tissue, based on all annotated cell types, is reported with the units not detected (n), low (l), medium (m) and high (h). Underneath, protein expression in each annotated cell type are reported using the same units.

Protein expression data is based on knowledge-based annotation. For genes where more than one antibody has been used, a collective score is set.

If knowledge-based annotation could not be performed for a gene, no data is displayed here. View antibody staining data further down this page.

h
m
l
n
Adipocytes: Medium
Glandular cells: High
Myoepithelial cells: High
RNA expressioni

A summary of mRNA expression data available for current tissue based on several datasets. The mRNA expression levels in human tissues are based on RNA-seq data generated by the Human Protein Atlas (HPA), Genotype-Tissue Expression (GTEx) portal and CAGE data generated by the FANTOM5 consortium. Consensus normalized expression levels for human tissues was created by combining the data from HPA and GTEx datasets.

The mRNA expression levels in pig are based on RNA-seq data generated by the Human Protein Atlas (HPA), and for mouse, HPA data and in situ hybridization generated by the Allen brain atlas are reported.

Scroll down to view mRNA expression data in more detail.
Consensus:173.7 nTPM
HPA:173.7 nTPM
GTEx:115.6 nTPM
FANTOM5:154.7 Scaled Tags Per Million

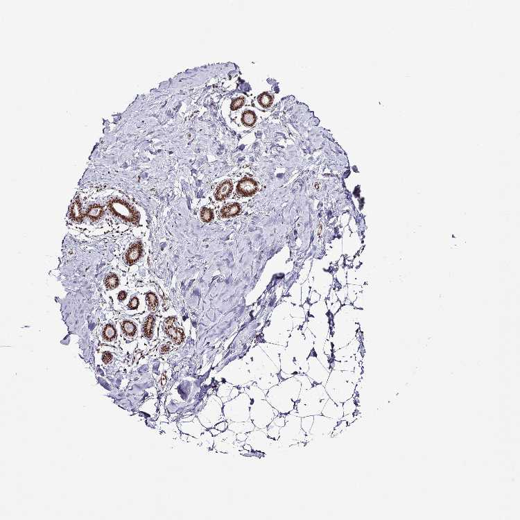
BREAST - Antibody stainingi

Antibody staining in the annotated cell types in the current human tissue is reported as not detected, low, medium, or high, based on conventional immunohistochemistry profiling in selected tissues. This score is based on the combination of the staining intensity and fraction of stained cells.

Each image is clickable and will lead to virtual microscopy that enables deeper exploration of all samples and also displays staining intensity scores, fraction scores and subcellular localization as well as patient and tissue information for each sample.

Antibody HPA054102
Adipocytes Medium
Glandular cells High
Myoepithelial cells High



BREAST - HPA RNA-seqi

The RNA-seq details section shows detailed information about the individual samples used for the transcript profiling and results of the RNA-seq analysis.

Information about each individual sample is listed below, including gender, age, a tissue section image and estimated fractions of cell types. nTPM (normalized transcripts per million) values give a quantification of the gene abundance which is comparable between different genes and samples.
Average nTPMi

Max subtype nTPM is the value for the subtype with the largest average nTPM across the subtype samples.

173.7
overview
Female, age 52
Breast sample 373
nTPM: 127.3
Cell types%
Glandular cells:
15

Adipocytes:
5

Other cell types:
80

overview
Female, age 80
Breast sample 390
nTPM: 148.8
Cell types%
Glandular cells:
5

Adipocytes:
15

Other cell types:
80

overview
Female, age 47
Breast sample 405
nTPM: 245.6
Cell types%
Glandular cells:
5

Adipocytes:
5

Other cell types:
90

overview
Female, age 38
Breast sample 410
nTPM: 173
Cell types%
Glandular cells:
40

Adipocytes:
5

Other cell types:
55


BREAST - GTEx RNA-seqi

RNA-Seq data generated by the Genotype-Tissue Expression (GTEx) project from human tissues is reported as mean nTPM. More information can be found on the GTEx portal.

Distribution across the dataset is visualized with box plots, shown as median and 25th and 75th percentiles. Points are displayed as outliers if they are above or below 1.5 times the interquartile range. nTPM values of the individual samples are presented next to the box plot.
Max subtype nTPMi

Max subtype nTPM is the value for the subtype with the largest average nTPM across the subtype samples.

115.6
GTEx sample id Sample description nTPM
Breast - Mammary Tissue
Average nTPM: 115.6
Samples: 459

Max nTPM: 251.2
Min nTPM: 70.1
Std nTPM: 25.1
Median nTPM: 111.0
GTEX-1N2EF-2226-SM-E9J33 60-69 years, male 251.2
GTEX-1K2DA-1726-SM-CGQGS 50-59 years, male 197.9
GTEX-1QP29-1726-SM-E8VMQ 50-59 years, male 189.3
GTEX-13PVQ-1026-SM-5KM3M 50-59 years, male 185.8
GTEX-1KANA-2026-SM-DIPFB 20-29 years, male 184.6
GTEX-U412-1826-SM-4DXTJ 60-69 years, male 184.5
GTEX-11WQK-2426-SM-5GU5C 50-59 years, male 179.1
GTEX-13N1W-0626-SM-5MR4U 70-79 years, male 177.6
GTEX-1F75I-2026-SM-7SB7N 40-49 years, male 177.2
GTEX-XYKS-1326-SM-4BRUN 60-69 years, female 176.5
GTEX-1C6VS-0726-SM-7EPHF 60-69 years, male 174.9
GTEX-X261-0626-SM-3NMD9 50-59 years, male 174.8
GTEX-15G19-2126-SM-6M48J 60-69 years, male 174.5
GTEX-14PN4-0626-SM-62LFP 50-59 years, male 173.7
GTEX-1GZ2Q-2626-SM-7MXV9 40-49 years, male 173.6
GTEX-15EOM-5019-SM-793DK 20-29 years, female 172.8
GTEX-1MCC2-2126-SM-EWRON 30-39 years, female 171.8
GTEX-11P82-1326-SM-5HL62 20-29 years, male 171.0
GTEX-139T6-1626-SM-5PNYZ 50-59 years, male 171.0
GTEX-1B97I-0426-SM-79OL7 40-49 years, male 170.6
GTEX-1I1GP-0426-SM-COH3N 50-59 years, male 170.2
GTEX-11DXW-0626-SM-5N9ER 40-49 years, male 168.0
GTEX-11P7K-0726-SM-5EGKX 30-39 years, male 167.2
GTEX-11TUW-1826-SM-5BC5D 60-69 years, male 166.6
GTEX-14ICK-2426-SM-6EU27 40-49 years, male 165.4
GTEX-1GF9V-2526-SM-7SB8K 60-69 years, male 164.6
GTEX-145LT-0726-SM-5S2VM 40-49 years, male 163.7
GTEX-13O3O-0826-SM-5K7WE 60-69 years, female 162.9
GTEX-Y3I4-1526-SM-4TT7K 50-59 years, male 160.8
GTEX-ZTTD-1026-SM-51MRD 50-59 years, male 160.3
GTEX-VJWN-0726-SM-3GIJ8 50-59 years, female 159.0
GTEX-WYJK-1326-SM-3NB2T 50-59 years, male 159.0
GTEX-11TT1-2126-SM-5GU5Y 20-29 years, male 158.8
GTEX-14753-2426-SM-5LU8U 60-69 years, male 158.5
GTEX-1RQEC-2026-SM-DTXDM 60-69 years, male 157.7
GTEX-QEG5-0726-SM-D4P1T 20-29 years, male 157.5
GTEX-ZU9S-1926-SM-5NQBP 30-39 years, male 157.3
GTEX-1JMQK-2626-SM-COH2W 60-69 years, male 156.6
GTEX-1QCLY-1626-SM-DTXDW 30-39 years, male 155.8
GTEX-1RAZQ-1226-SM-EWRNL 30-39 years, male 155.0
GTEX-1IDFM-0426-SM-B2LVV 60-69 years, male 154.4
GTEX-1ICLY-1726-SM-B2LVT 50-59 years, male 154.1
GTEX-SE5C-2126-SM-4BRUJ 40-49 years, female 153.1
GTEX-1A3MV-1626-SM-731C1 30-39 years, male 151.4
GTEX-1GF9X-1026-SM-ACKX2 40-49 years, female 150.7
GTEX-ZYW4-0826-SM-5GIDG 60-69 years, male 150.5
GTEX-14LLW-0626-SM-62LFC 70-79 years, female 150.2
GTEX-1ICG6-1326-SM-ACKWR 70-79 years, female 150.0
GTEX-14E6C-1326-SM-62LEQ 40-49 years, male 149.8
GTEX-1HUB1-1626-SM-CM2SL 60-69 years, male 149.7
GTEX-1H1DG-0526-SM-9YFLN 70-79 years, male 149.2
GTEX-ZVT2-1826-SM-5NQ8W 50-59 years, female 148.9
GTEX-1H1E6-0926-SM-9YFLT 30-39 years, male 148.1
GTEX-ZTX8-1226-SM-4YCE9 20-29 years, male 147.9
GTEX-1HCU8-0126-SM-ADEHH 60-69 years, female 147.5
GTEX-U8XE-0826-SM-4E3J1 30-39 years, male 146.8
GTEX-1C64O-0726-SM-7DUFU 60-69 years, male 146.3
GTEX-XBED-1626-SM-47JYN 60-69 years, male 146.3
GTEX-WFG8-2026-SM-EXOHO 20-29 years, male 145.5
GTEX-13O3Q-2226-SM-5KM4O 50-59 years, male 145.3
GTEX-1HCU7-1026-SM-ADEIP 50-59 years, male 145.0
GTEX-1J8Q3-1326-SM-CMKI1 60-69 years, male 144.5
GTEX-1JK1U-1826-SM-ARL8W 60-69 years, male 144.2
GTEX-1H23P-0726-SM-9WG7K 60-69 years, male 141.7
GTEX-1GPI6-0626-SM-7RHHJ 60-69 years, male 141.4
GTEX-1R46S-2526-SM-E8VN2 60-69 years, female 141.4
GTEX-1PDJ9-1126-SM-EXUSW 20-29 years, male 140.0
GTEX-1M4P7-2626-SM-E9U5F 60-69 years, male 139.9
GTEX-1R9PN-0326-SM-DTX85 40-49 years, female 139.9
GTEX-111YS-1926-SM-5GICC 60-69 years, male 139.6
GTEX-15UF6-0126-SM-6PAMB 70-79 years, female 139.6
GTEX-1LGRB-1826-SM-CNPQL 50-59 years, female 139.6
GTEX-1A8G7-2426-SM-731AK 60-69 years, male 139.2
GTEX-1HKZK-1826-SM-ADEJ2 40-49 years, male 138.8
GTEX-WYBS-0926-SM-3NM94 60-69 years, female 138.7
GTEX-1CB4E-0226-SM-79OLW 60-69 years, male 137.9
GTEX-X4XY-0926-SM-4E3JD 60-69 years, male 137.9
GTEX-1JMPY-0526-SM-CL54O 30-39 years, male 137.4
GTEX-17EUY-1926-SM-7DUF6 20-29 years, male 137.3
GTEX-1R7EU-1226-SM-E8VMR 60-69 years, male 137.3
GTEX-1IGQW-0926-SM-ADEH6 60-69 years, male 137.2
GTEX-147F4-2826-SM-5NQBN 50-59 years, male 136.9
GTEX-1I1GU-1026-SM-ADEHJ 40-49 years, male 136.9
GTEX-1J8Q2-2726-SM-A9G2X 60-69 years, male 136.9
GTEX-1B97J-0426-SM-79OLQ 50-59 years, female 136.4
GTEX-1HCVE-2626-SM-ADEJ8 50-59 years, male 136.3
GTEX-1IKOH-2326-SM-CM2TW 60-69 years, female 136.3
GTEX-1HR9M-2426-SM-ACKXI 60-69 years, male 136.2
GTEX-1HSMO-0826-SM-ADEIV 60-69 years, male 136.0
GTEX-14A5I-0726-SM-5TDEB 50-59 years, female 135.2
GTEX-1B8SG-1226-SM-7IGPF 50-59 years, male 135.2
GTEX-1JMLX-2026-SM-CMKGN 50-59 years, male 135.2
GTEX-ZGAY-1726-SM-DO91P 40-49 years, female 134.7
GTEX-13NZ8-0126-SM-5IJCT 60-69 years, female 134.5
GTEX-1MA7W-1026-SM-DKPQK 20-29 years, female 134.4
GTEX-1JN1M-3026-SM-CMKGK 60-69 years, female 134.3
GTEX-11EQ9-1826-SM-5Q5AJ 30-39 years, male 134.1
GTEX-S4P3-1326-SM-4AD6V 50-59 years, female 133.6
GTEX-T5JW-2026-SM-4DM63 20-29 years, female 133.0
GTEX-WOFL-0826-SM-3MJG1 60-69 years, male 132.2
GTEX-TKQ1-0226-SM-33HB5 30-39 years, male 132.1
GTEX-Y9LG-1426-SM-5IFJZ 30-39 years, male 131.8
GTEX-1KAFJ-0226-SM-DIPEL 50-59 years, male 131.5
GTEX-1MJK2-2226-SM-EVYCR 50-59 years, male 131.4
GTEX-Y5LM-1726-SM-4VDSX 40-49 years, female 131.3
GTEX-1LSNM-1326-SM-E9TJ1 50-59 years, male 131.1
GTEX-ZF29-1926-SM-5S2P1 60-69 years, female 130.8
GTEX-17F98-0526-SM-79OK5 40-49 years, female 130.7
GTEX-17GQL-0326-SM-7LG5U 60-69 years, male 130.4
GTEX-ZVT4-1026-SM-57WC4 50-59 years, female 130.3
GTEX-1RLM8-2226-SM-EVYD1 50-59 years, male 130.2
GTEX-1CB4J-1826-SM-7EWF9 60-69 years, male 129.8
GTEX-ZY6K-1626-SM-5GZWV 50-59 years, male 129.3
GTEX-1AX9J-1126-SM-731B7 60-69 years, male 129.1
GTEX-1GZ4I-2826-SM-9MQK5 50-59 years, male 129.1
GTEX-ZDTT-2126-SM-DKPOM 60-69 years, male 128.3
GTEX-145MO-0826-SM-5NQBL 60-69 years, male 128.2
GTEX-T2IS-1526-SM-32QPR 20-29 years, female 128.0
GTEX-WI4N-1426-SM-3LK7H 40-49 years, female 127.8
GTEX-ZLFU-2126-SM-DO931 40-49 years, male 127.8
GTEX-12WSK-2226-SM-5GCO5 40-49 years, female 127.4
GTEX-14PHY-1926-SM-5YY95 60-69 years, female 127.4
GTEX-13PL6-2926-SM-5L3I2 40-49 years, female 127.3
GTEX-1GPI7-0926-SM-7PC3J 20-29 years, male 127.1
GTEX-1IKJJ-2326-SM-COH3U 60-69 years, male 126.9
GTEX-1JMOU-2026-SM-CMKGU 60-69 years, female 126.7
GTEX-1122O-1226-SM-5H113 60-69 years, female 126.5
GTEX-16YQH-2826-SM-6PAMY 30-39 years, male 126.5
GTEX-VUSG-2226-SM-4KKZO 50-59 years, male 126.5
GTEX-ZV7C-1826-SM-5NQ83 50-59 years, male 126.5
GTEX-13SLX-2326-SM-5ZZWE 50-59 years, female 126.1
GTEX-11DZ1-0326-SM-5N9BN 50-59 years, male 125.5
GTEX-1GN1W-1926-SM-7P8TH 50-59 years, female 125.4
GTEX-1HSKV-2026-SM-CMKGX 60-69 years, male 125.4
GTEX-14PJ4-2126-SM-6ETZJ 60-69 years, male 125.2
GTEX-ZA64-1526-SM-5CVMD 20-29 years, male 125.1
GTEX-1C6WA-2426-SM-7SB86 60-69 years, male 125.1
GTEX-ZVTK-0326-SM-51MRR 20-29 years, male 124.8
GTEX-1N5O9-1126-SM-DTXEQ 60-69 years, male 124.2
GTEX-1C6VQ-0426-SM-79OOX 50-59 years, male 124.0
GTEX-1GMR8-0726-SM-9KNVI 50-59 years, female 123.8
GTEX-1E2YA-2726-SM-7IGPW 50-59 years, male 123.5
GTEX-T6MN-0726-SM-32PML 50-59 years, male 123.1
GTEX-145MN-1926-SM-5SIAI 30-39 years, male 123.0
GTEX-1LVAM-0926-SM-E9TJ2 50-59 years, female 123.0
GTEX-1LG7Z-0726-SM-CXKYD 30-39 years, male 122.6
GTEX-XMD2-0926-SM-4WWEF 60-69 years, female 122.5
GTEX-1GMR3-2626-SM-7RHHG 40-49 years, male 122.2
GTEX-13NZB-2126-SM-5MR4Y 30-39 years, male 122.1
GTEX-R3RS-0626-SM-48FE1 40-49 years, female 122.1
GTEX-17EVP-0226-SM-79OND 40-49 years, male 121.8
GTEX-1LVAN-1326-SM-CNPQE 50-59 years, female 121.7
GTEX-14PJO-0726-SM-69LO8 60-69 years, male 121.6
GTEX-1A3MX-2726-SM-718B6 60-69 years, male 121.5
GTEX-REY6-2426-SM-48FF5 60-69 years, male 121.5
GTEX-ZLWG-1926-SM-DO92J 50-59 years, female 121.4
GTEX-13SLW-2526-SM-62LDQ 70-79 years, male 121.0
GTEX-12WSM-1726-SM-5BC6J 60-69 years, male 120.4
GTEX-18QFQ-0826-SM-718AX 30-39 years, male 119.8
GTEX-1J8QM-2026-SM-ARZMW 60-69 years, female 119.8
GTEX-1NHNU-0926-SM-E9J2T 50-59 years, male 119.8
GTEX-QEL4-2126-SM-447AE 50-59 years, male 119.7
GTEX-S7SE-0826-SM-4AT4D 50-59 years, male 119.4
GTEX-13OW5-2226-SM-5L3HC 60-69 years, male 119.1
GTEX-RUSQ-2026-SM-4GIAK 50-59 years, male 119.1
GTEX-1GF9U-1726-SM-7MGY5 40-49 years, female 118.9
GTEX-1QCLZ-2326-SM-DTXDO 60-69 years, female 118.8
GTEX-YJ8O-2226-SM-5IFHW 40-49 years, female 118.5
GTEX-TMMY-0726-SM-33HBE 40-49 years, female 118.1
GTEX-13W3W-1226-SM-5LU4H 60-69 years, female 117.7
GTEX-1I6K7-1026-SM-A9SLK 40-49 years, male 117.5
GTEX-1IKOE-1326-SM-CE6T6 30-39 years, female 117.5
GTEX-1211K-1926-SM-5EQLB 60-69 years, female 117.3
GTEX-1KANC-1426-SM-CYPT9 50-59 years, female 117.1
GTEX-1AX9I-0726-SM-73KWV 60-69 years, male 117.0
GTEX-ZT9W-2026-SM-51MRA 50-59 years, male 117.0
GTEX-13S86-1226-SM-5S2OA 40-49 years, male 116.9
GTEX-1JMPZ-1626-SM-COH31 30-39 years, male 116.9
GTEX-14B4R-1226-SM-5TDDT 30-39 years, male 116.8
GTEX-1HBPM-0126-SM-ARL9E 60-69 years, female 116.8
GTEX-17HG3-0126-SM-7IGNH 30-39 years, female 116.7
GTEX-1KXAM-1026-SM-CY8IA 60-69 years, male 116.7
GTEX-17EVQ-0426-SM-7LG57 70-79 years, male 116.6
GTEX-13NZ9-1026-SM-5MR5K 50-59 years, male 116.5
GTEX-1313W-0826-SM-5EQ4T 50-59 years, female 116.4
GTEX-1F75B-0626-SM-7SB8A 50-59 years, male 116.4
GTEX-14PKU-0426-SM-6EU1P 40-49 years, female 116.3
GTEX-1B932-0826-SM-73KXG 40-49 years, female 116.2
GTEX-1F6I4-2526-SM-7SB8F 60-69 years, male 115.9
GTEX-ZQUD-1926-SM-51MSA 30-39 years, male 115.7
GTEX-11PRG-0826-SM-5EQ6A 50-59 years, male 115.6
GTEX-1OKEX-0826-SM-E9J2B 60-69 years, male 115.6
GTEX-1LC47-1226-SM-D4P44 60-69 years, male 115.3
GTEX-16NGA-0826-SM-718AF 40-49 years, female 115.2
GTEX-1IDJH-2226-SM-E6CJV 70-79 years, male 115.2
GTEX-1M5QR-2526-SM-E9U5P 40-49 years, male 115.1
GTEX-1GMRU-0826-SM-9WYT7 50-59 years, male 114.8
GTEX-13O3P-0826-SM-5L3DH 50-59 years, male 114.5
GTEX-W5X1-2326-SM-3GIL6 40-49 years, female 114.5
GTEX-13113-5013-SM-7SB7G 60-69 years, female 114.5
GTEX-132AR-0826-SM-5EGK6 50-59 years, female 114.2
GTEX-1AX8Z-0926-SM-731AW 60-69 years, male 113.9
GTEX-1I4MK-1626-SM-CM2TJ 50-59 years, female 113.9
GTEX-S4Q7-1126-SM-4AD6R 20-29 years, male 113.7
GTEX-1GZHY-0726-SM-9WG6B 50-59 years, female 113.4
GTEX-1H1CY-2226-SM-9WG7E 60-69 years, female 113.1
GTEX-1IE54-0626-SM-ARL8D 40-49 years, female 113.1
GTEX-RU72-0626-SM-46MUI 50-59 years, female 113.0
GTEX-XMD1-0826-SM-4AT52 60-69 years, male 113.0
GTEX-17HHY-0926-SM-793C1 50-59 years, male 112.9
GTEX-S32W-2026-SM-4AD6E 50-59 years, female 112.8
GTEX-11O72-2126-SM-5N9FO 40-49 years, male 112.7
GTEX-17JCI-0726-SM-7EPH1 60-69 years, female 112.7
GTEX-1ICLZ-0426-SM-B2LW2 60-69 years, male 112.6
GTEX-1J8EW-2626-SM-CL53E 60-69 years, female 112.4
GTEX-XQ8I-2426-SM-4WAXY 50-59 years, male 112.3
GTEX-X4EP-2926-SM-3P5YQ 60-69 years, female 112.2
GTEX-Y8LW-1626-SM-5IFHX 50-59 years, female 112.2
GTEX-1L5NE-2126-SM-CY8IH 50-59 years, male 112.1
GTEX-XOT4-0726-SM-4GIAW 60-69 years, female 111.9
GTEX-1MCYP-0126-SM-E6CIS 20-29 years, female 111.9
GTEX-1F75A-1826-SM-7SB8G 50-59 years, male 111.8
GTEX-13N11-1726-SM-5J1OJ 50-59 years, female 111.7
GTEX-15ETS-0626-SM-7KUMX 40-49 years, female 111.7
GTEX-WY7C-2726-SM-3NB3P 50-59 years, male 111.7
GTEX-1JJEA-2726-SM-ARL8V 60-69 years, male 111.7
GTEX-17F97-2526-SM-7EWDV 50-59 years, male 111.6
GTEX-Y114-2026-SM-4TT7L 50-59 years, female 111.6
GTEX-1GMR2-1926-SM-9MQLZ 50-59 years, male 111.3
GTEX-1B933-2526-SM-7IGO5 50-59 years, female 111.0
GTEX-11EMC-2026-SM-5A5JV 60-69 years, female 110.6
GTEX-S4UY-0726-SM-4AD6X 40-49 years, female 110.6
GTEX-ZAJG-0626-SM-5HL8X 50-59 years, female 110.5
GTEX-117YX-1426-SM-5H12H 50-59 years, male 110.3
GTEX-T5JC-2126-SM-32PMO 20-29 years, male 110.3
GTEX-1F5PL-1026-SM-7RHI1 40-49 years, female 110.1
GTEX-WXYG-2226-SM-4E3IM 50-59 years, female 110.0
GTEX-ZVZQ-0826-SM-51MRF 60-69 years, female 109.9
GTEX-11EI6-0626-SM-5985T 60-69 years, male 109.8
GTEX-WRHU-0326-SM-3MJFY 50-59 years, female 109.8
GTEX-1AMEY-1026-SM-718AA 30-39 years, female 109.6
GTEX-11OF3-1926-SM-59889 60-69 years, male 109.5
GTEX-14E7W-0826-SM-62LEJ 70-79 years, male 109.5
GTEX-1B8KE-1226-SM-73KWK 50-59 years, male 109.4
GTEX-UTHO-1026-SM-3GAF7 60-69 years, male 109.4
GTEX-11LCK-2426-SM-5HL5F 30-39 years, male 109.2
GTEX-1CAMR-1426-SM-793BO 20-29 years, male 109.2
GTEX-1I6K6-0826-SM-ARL7Z 30-39 years, male 109.1
GTEX-13FTY-2226-SM-5J1ND 40-49 years, female 109.0
GTEX-R55D-0826-SM-48FEA 50-59 years, male 109.0
GTEX-1B8KZ-1526-SM-7DUG7 50-59 years, male 108.6
GTEX-1JJE9-2326-SM-ARL8Q 70-79 years, male 108.5
GTEX-1MA7X-1626-SM-E9U5B 60-69 years, male 108.4
GTEX-X62O-0526-SM-EWRMA 50-59 years, male 108.4
GTEX-14H4A-2526-SM-5YYAY 40-49 years, female 108.3
GTEX-ZDXO-0126-SM-5S2ND 60-69 years, male 108.3
GTEX-T2YK-2226-SM-32QPT 50-59 years, male 108.2
GTEX-15UF7-0726-SM-6M46D 40-49 years, male 108.0
GTEX-13FTW-1426-SM-5LZWZ 40-49 years, male 107.9
GTEX-13W46-0826-SM-5LU3H 50-59 years, male 107.9
GTEX-1KD5A-1926-SM-DKPQA 50-59 years, male 107.8
GTEX-ZXES-0826-SM-5E43C 30-39 years, female 107.7
GTEX-WYVS-1726-SM-3NMAY 40-49 years, female 107.4
GTEX-X15G-1626-SM-3NMB3 50-59 years, female 107.4
GTEX-11DXY-2326-SM-5GICW 60-69 years, male 107.2
GTEX-1I1GT-1126-SM-ARL7J 60-69 years, female 107.2
GTEX-ZAK1-1326-SM-EVYAS 50-59 years, female 107.2
GTEX-YFCO-1826-SM-4W1YH 40-49 years, male 107.1
GTEX-12BJ1-1826-SM-5HL9N 60-69 years, male 107.0
GTEX-1CAMS-1426-SM-7IGPM 40-49 years, female 107.0
GTEX-1NV8Z-2826-SM-E8VME 60-69 years, male 107.0
GTEX-RWS6-1926-SM-47JXY 60-69 years, female 106.8
GTEX-1EN7A-1426-SM-7PBY4 40-49 years, male 106.8
GTEX-Q2AG-0326-SM-48U1O 40-49 years, female 106.4
GTEX-ZDYS-1126-SM-5K7UB 50-59 years, male 106.4
GTEX-15SHW-1326-SM-6PAL8 60-69 years, male 106.3
GTEX-ZLV1-1426-SM-DO92Z 60-69 years, female 106.3
GTEX-17MF6-0326-SM-7EPH5 40-49 years, male 106.1
GTEX-1H11D-1526-SM-9MQJY 40-49 years, male 106.1
GTEX-1GN2E-2226-SM-9WG6J 60-69 years, male 106.0
GTEX-14E6E-1326-SM-5S2NR 30-39 years, male 105.9
GTEX-1IY9M-2726-SM-CMKG5 60-69 years, male 105.8
GTEX-13VXU-2826-SM-664MA 50-59 years, male 105.7
GTEX-1399U-1826-SM-5PNZ1 50-59 years, female 105.6
GTEX-1PPH7-0826-SM-E8VNX 40-49 years, male 105.6
GTEX-ZF3C-2326-SM-5S2NC 50-59 years, female 105.6
GTEX-1LSNL-2826-SM-E9U5L 50-59 years, male 105.1
GTEX-XUZC-1626-SM-4BRVP 30-39 years, female 104.8
GTEX-169BO-1126-SM-7MGWN 50-59 years, male 104.8
GTEX-14BMV-0626-SM-793AU 50-59 years, male 104.5
GTEX-1N2EE-2126-SM-E8VNN 60-69 years, male 104.5
GTEX-1EU9M-2826-SM-7EWFH 60-69 years, male 104.4
GTEX-145MF-2226-SM-7EPIR 50-59 years, male 104.0
GTEX-1117F-2826-SM-5GZXL 60-69 years, female 103.9
GTEX-11EM3-1326-SM-5N9C6 20-29 years, female 103.7
GTEX-YECK-0726-SM-EZ6LV 60-69 years, male 103.3
GTEX-ZPIC-1126-SM-5BC7F 40-49 years, female 103.2
GTEX-YFC4-1426-SM-5IFJG 40-49 years, female 102.7
GTEX-S341-1526-SM-4AD6K 40-49 years, female 102.6
GTEX-1NUQO-2226-SM-E9U68 20-29 years, female 102.6
GTEX-1QP9N-1826-SM-E8VMP 30-39 years, male 102.4
GTEX-YEC3-1026-SM-5IFI5 50-59 years, male 102.2
GTEX-11GS4-2126-SM-5A5KR 60-69 years, male 101.9
GTEX-13O61-1826-SM-5KM4I 60-69 years, male 101.8
GTEX-1IOXB-1926-SM-ARL8E 50-59 years, male 101.7
GTEX-183FY-1126-SM-7DHLJ 20-29 years, male 101.6
GTEX-1HCU9-0326-SM-9WYSC 20-29 years, male 101.5
GTEX-WFON-1826-SM-3GILG 40-49 years, male 101.4
GTEX-1H1ZS-0126-SM-9YFKQ 70-79 years, male 101.4
GTEX-ZWKS-2826-SM-5NQ74 30-39 years, male 101.3
GTEX-ZQG8-0726-SM-5P9H9 60-69 years, female 101.2
GTEX-11NV4-2026-SM-5N9DG 60-69 years, male 100.7
GTEX-ZEX8-2226-SM-57WC6 50-59 years, male 100.6
GTEX-11ZTT-2326-SM-5EQLG 60-69 years, female 100.5
GTEX-144GM-0926-SM-5O994 20-29 years, male 100.5
GTEX-1R9JW-0326-SM-EAZ45 30-39 years, female 100.4
GTEX-1P4AB-1826-SM-E76PU 50-59 years, male 100.3
GTEX-1QEPI-0926-SM-DTXF3 60-69 years, female 100.1
GTEX-11WQC-1726-SM-5GU4W 60-69 years, male 100.0
GTEX-1HSEH-2026-SM-ADEHN 60-69 years, male 99.8
GTEX-1PPGY-1526-SM-EVYBK 60-69 years, male 99.8
GTEX-1EKGG-2626-SM-7IGPY 60-69 years, male 99.6
GTEX-ZYFC-0826-SM-5E44K 50-59 years, male 99.6
GTEX-1HFI7-0126-SM-CGQFQ 50-59 years, female 99.3
GTEX-13CF2-2026-SM-5K7VI 60-69 years, male 99.2
GTEX-1R7EV-1526-SM-E8VOD 40-49 years, male 99.2
GTEX-UPK5-2326-SM-3P5Z8 40-49 years, male 99.1
GTEX-11GSP-0926-SM-9WYSG 60-69 years, female 99.0
GTEX-1QMI2-0726-SM-E9J4F 60-69 years, male 99.0
GTEX-13OW8-0226-SM-5K7UP 60-69 years, male 98.9
GTEX-17MFQ-0926-SM-7LG4S 20-29 years, male 98.9
GTEX-1S82U-1126-SM-E9U6I 30-39 years, female 98.4
GTEX-14BMU-1626-SM-5TDE7 20-29 years, female 98.3
GTEX-18465-2026-SM-718AP 50-59 years, male 98.3
GTEX-1RAZS-1226-SM-E8VMT 50-59 years, male 98.3
GTEX-13QIC-2326-SM-5LU5N 60-69 years, female 98.2
GTEX-15ER7-1626-SM-6PAMZ 20-29 years, female 98.2
GTEX-TML8-1226-SM-32QON 40-49 years, female 98.2
GTEX-146FH-0826-SM-5SI8T 50-59 years, female 98.1
GTEX-1F5PK-2126-SM-7PC28 50-59 years, male 98.1
GTEX-1IDJE-0826-SM-CKZNZ 50-59 years, female 98.0
GTEX-S33H-0326-SM-4AD6N 30-39 years, male 97.9
GTEX-ZC5H-2626-SM-5J2MG 40-49 years, female 97.8
GTEX-Z9EW-1526-SM-EZ6LU 40-49 years, male 97.7
GTEX-12WSN-1326-SM-5GCNT 40-49 years, male 97.6
GTEX-13FHO-0826-SM-5L3E8 60-69 years, male 97.5
GTEX-1HT8W-2226-SM-CGQEC 30-39 years, male 97.4
GTEX-1IDJU-1826-SM-CMKHV 60-69 years, female 97.4
GTEX-15RJE-2626-SM-7KFT1 40-49 years, male 97.3
GTEX-17KNJ-2026-SM-7LG53 50-59 years, male 97.3
GTEX-1JKYR-0926-SM-CMKGJ 20-29 years, male 97.3
GTEX-1LNCM-0226-SM-DIPF4 50-59 years, female 97.3
GTEX-1GN1U-0526-SM-9KNTT 50-59 years, female 97.1
GTEX-1C475-1226-SM-7SB72 40-49 years, female 97.0
GTEX-132NY-0826-SM-5K7Y7 60-69 years, male 96.9
GTEX-18A6Q-0926-SM-7LG4N 60-69 years, male 96.9
GTEX-1K9T9-1426-SM-DIPFQ 50-59 years, female 96.9
GTEX-117XS-1926-SM-5GICO 60-69 years, male 96.7
GTEX-UJHI-1426-SM-3DB9C 50-59 years, female 96.7
GTEX-YB5E-1726-SM-5IFJ3 40-49 years, male 96.7
GTEX-16BQI-1026-SM-7KUEA 30-39 years, female 96.4
GTEX-1QPFJ-2026-SM-EVYBE 30-39 years, female 96.2
GTEX-1IDJF-2326-SM-ARL86 20-29 years, male 96.1
GTEX-1HSGN-1526-SM-A9SMO 40-49 years, female 96.0
GTEX-13CF3-2126-SM-5IFJP 60-69 years, female 95.9
GTEX-1KD4Q-2326-SM-D4P3M 40-49 years, male 95.8
GTEX-ZZPU-0626-SM-5E43T 50-59 years, female 95.7
GTEX-18A66-1726-SM-7LG5N 60-69 years, male 95.7
GTEX-13PVR-2226-SM-7DHKP 60-69 years, female 95.5
GTEX-YB5K-1626-SM-5IFIN 40-49 years, female 95.5
GTEX-133LE-1726-SM-5K7VQ 20-29 years, female 95.4
GTEX-14DAR-1326-SM-7DUEG 50-59 years, male 95.3
GTEX-ZV6S-1826-SM-5NQ8D 40-49 years, female 95.1
GTEX-1JKYN-0726-SM-ARZMY 30-39 years, male 95.0
GTEX-17HGU-1326-SM-79OKB 50-59 years, male 94.9
GTEX-183WM-0726-SM-7LTAA 70-79 years, female 94.8
GTEX-1192X-2326-SM-5987X 50-59 years, male 94.2
GTEX-Y3IK-2326-SM-4WWDT 50-59 years, female 94.2
GTEX-Y5V6-2126-SM-4WWFX 60-69 years, male 94.0
GTEX-1B8L1-2426-SM-9WYTE 60-69 years, male 93.8
GTEX-132Q8-1426-SM-5EGK7 60-69 years, male 93.6
GTEX-1CB4G-2326-SM-79OOI 60-69 years, male 93.4
GTEX-1POEN-0926-SM-DTX88 30-39 years, female 93.3
GTEX-U3ZH-1426-SM-4DXSR 30-39 years, male 93.2
GTEX-1BAJH-0826-SM-7EWEF 70-79 years, male 93.1
GTEX-1LSVX-2426-SM-E6CJX 60-69 years, male 92.9
GTEX-18A7A-0726-SM-7LTAI 50-59 years, female 92.6
GTEX-1HCUA-0726-SM-ACKVU 50-59 years, female 92.6
GTEX-12KS4-0126-SM-5Q5A5 30-39 years, male 92.3
GTEX-1QP28-1226-SM-E9J2M 50-59 years, female 92.0
GTEX-Y5V5-2126-SM-4WWFO 60-69 years, female 91.9
GTEX-13D11-1026-SM-5IJFB 50-59 years, female 91.6
GTEX-14ABY-2126-SM-5QGQZ 50-59 years, male 91.6
GTEX-1269C-2426-SM-5FQSN 60-69 years, female 91.5
GTEX-18A7B-2626-SM-7LG55 70-79 years, male 91.2
GTEX-ZZ64-1226-SM-5E43R 20-29 years, male 91.2
GTEX-1I1GV-2426-SM-CGQFM 60-69 years, male 91.2
GTEX-T6MO-0326-SM-32QOK 40-49 years, female 91.0
GTEX-145ME-1526-SM-5Q5F2 40-49 years, female 90.8
GTEX-TKQ2-1826-SM-33HB2 50-59 years, male 90.7
GTEX-XUW1-2326-SM-4BOO5 50-59 years, female 90.6
GTEX-1MJK3-1126-SM-E9J3F 20-29 years, male 90.5
GTEX-ZVE2-1226-SM-5NQ8R 50-59 years, male 90.3
GTEX-ZAB4-2526-SM-5HL8M 40-49 years, male 90.2
GTEX-1314G-1226-SM-5BC6D 30-39 years, male 89.9
GTEX-ZUA1-1526-SM-59HLS 40-49 years, male 89.9
GTEX-XV7Q-2326-SM-4BRVZ 40-49 years, female 89.7
GTEX-1H3VY-0926-SM-ACKXE 50-59 years, male 89.2
GTEX-18D9A-1526-SM-7LG4J 30-39 years, female 89.1
GTEX-15FZZ-0726-SM-7KUFZ 30-39 years, female 88.9
GTEX-QDT8-0626-SM-48TYW 30-39 years, female 88.7
GTEX-13QJ3-0826-SM-7DHKK 50-59 years, male 87.6
GTEX-RU1J-0626-SM-4WAWY 20-29 years, female 87.5
GTEX-Y111-2026-SM-4SOJA 50-59 years, male 87.0
GTEX-131XW-0726-SM-5EGK3 50-59 years, female 86.9
GTEX-11NSD-0926-SM-5N9DR 20-29 years, male 86.8
GTEX-ZF2S-2026-SM-5E461 50-59 years, female 86.3
GTEX-1HR98-0426-SM-COH36 60-69 years, male 86.3
GTEX-XGQ4-0926-SM-4AT4U 50-59 years, male 86.2
GTEX-XQ3S-1326-SM-4BOPQ 20-29 years, male 86.2
GTEX-QVJO-1826-SM-447C9 60-69 years, female 86.1
GTEX-1EWIQ-1726-SM-7SB7T 70-79 years, female 85.1
GTEX-1I19N-2826-SM-CL55D 70-79 years, male 85.1
GTEX-Y8E4-1626-SM-5S2MW 40-49 years, male 84.8
GTEX-1QW4Y-1026-SM-DTXE2 30-39 years, male 84.3
GTEX-11ZUS-0826-SM-5FQUY 30-39 years, male 84.1
GTEX-QMRM-1626-SM-D4P1U 50-59 years, male 83.9
GTEX-131YS-0626-SM-5EGKL 60-69 years, female 83.8
GTEX-17F96-2426-SM-7IGLN 70-79 years, male 83.8
GTEX-13FTX-1126-SM-5N9EN 20-29 years, female 83.7
GTEX-11P81-1926-SM-5BC53 30-39 years, female 83.5
GTEX-1I1HK-2426-SM-ADEHX 60-69 years, male 83.5
GTEX-17F9E-2526-SM-7MGW2 50-59 years, male 83.4
GTEX-ZTPG-2826-SM-57WGA 20-29 years, female 82.7
GTEX-139TU-0626-SM-5KM3X 60-69 years, male 82.6
GTEX-17HHE-1426-SM-7EPH4 50-59 years, male 82.5
GTEX-139T8-0826-SM-5L3DE 60-69 years, male 82.3
GTEX-11I78-2226-SM-5PNYA 50-59 years, female 82.0
GTEX-1JN6P-2426-SM-ARL99 60-69 years, male 81.6
GTEX-1LBAC-0926-SM-CXKY9 20-29 years, male 81.4
GTEX-1H4P4-2226-SM-9MQKQ 50-59 years, male 81.3
GTEX-XMK1-1126-SM-4IHJ8 40-49 years, male 81.2
GTEX-WHSB-1926-SM-EXOHH 50-59 years, male 81.1
GTEX-1GZ4H-0326-SM-7P8QX 50-59 years, female 80.9
GTEX-11DXZ-1926-SM-5GZZL 50-59 years, male 79.7
GTEX-1R9PM-1826-SM-EVYBH 20-29 years, male 79.5
GTEX-14AS3-1626-SM-5S2OY 40-49 years, female 79.3
GTEX-ZYT6-0126-SM-5E45J 30-39 years, male 78.4
GTEX-11GSO-1926-SM-5A5K3 60-69 years, male 78.3
GTEX-1HC8U-0826-SM-ADEIL 40-49 years, female 78.0
GTEX-12ZZX-1126-SM-5EGKB 40-49 years, female 77.8
GTEX-144GL-2026-SM-5LU3O 50-59 years, male 77.5
GTEX-1S82Z-0726-SM-E6CHX 30-39 years, female 77.5
GTEX-1HBPN-2326-SM-9WPPU 50-59 years, male 77.0
GTEX-PSDG-1626-SM-48TCQ 50-59 years, male 75.0
GTEX-V955-2026-SM-3GAFA 60-69 years, male 74.6
GTEX-11ONC-2126-SM-5HL6E 60-69 years, male 73.7
GTEX-R53T-1526-SM-48FEK 50-59 years, female 70.9
GTEX-U3ZN-1926-SM-4DXSG 30-39 years, female 70.1
Show allShow less

BREAST - FANTOM5 CAGEi

RNA expression in human tissues obtained through Cap Analysis of Gene Expression (CAGE) generated by the FANTOM5 project are reported as Scaled Tags Per Million.

Max subtype Scaled Tags Per Millioni

Max subtype Scaled Tags Per Million is the value for the subtype with the largest average Scaled Tags Per Million across the subtype samples.

154.7
FANTOM5 sample id Sample description Scaled Tags Per Million
Breast
Scaled Tags Per Million: 154.7
FF:10080-102A8 77 years, female 154.7

Contact

  • NEWS ARTICLES
  • PRESS ROOM

The Project

  • INTRODUCTION
  • ORGANIZATION
  • PUBLICATIONS

The Human Protein Atlas

  • DOWNLOADABLE DATA
  • LICENCE & CITATION
  • HELP & FAQ
The Human Protein Atlas project is funded
by the Knut & Alice Wallenberg Foundation.


contact@proteinatlas.org