We use cookies to enhance the usability of our website. If you continue, we'll assume that you are happy to receive all cookies. More information. Don't show this again.
SLC12A4
HPA
RESOURCES
  • TISSUE
  • BRAIN
  • SINGLE CELL
  • SUBCELLULAR
  • CANCER
  • BLOOD
  • CELL LINE
  • STRUCTURE & INTERACTION
ABOUT
  • INTRODUCTION
  • HISTORY
  • ORGANIZATION
  • PUBLICATIONS
  • ANTIBODY SUBMISSION
  • ANTIBODY AVAILABILITY
  • ACKNOWLEDGMENTS
  • CONTACT
NEWS
  • NEWS ARTICLES
  • PRESS ROOM
LEARN
  • DICTIONARY
  • PROTEIN CLASSES
  • PROTEIN EVIDENCE
  • METHODS
  • EDUCATIONAL VIDEOS
DATA
  • DOWNLOADABLE DATA
  • PUBLICATION DATA
  • RELEASE HISTORY
HELP
  • ANTIBODY VALIDATION
  • ASSAYS & ANNOTATION
  • DISCLAIMER
  • HELP & FAQ
  • PRIVACY STATEMENT
  • LICENCE & CITATION
Fields »
Search result

Field
Term
Gene name
Class
Subclass
Class
Keyword
Chromosome
External id
Tissue
Cell type
Expression
Antibody panel
Tissue
Main location
Patient ID
Annotation
Tissue
Category
Tau score
Cluster
Reliability
Brain region
Category
Tau score
Brain region
Category
Tau score
Brain region
Category
Tau score
Cluster
Reliability
Tissue
Cell type
Enrichment
Cell type
Category
Tau score
Cell type
Category
Tau score
Cell type
Category
Tau score
Cell lineage
Category
Tau score
Cluster
Cluster
Location
Searches
Location
Cell line
Class
Type
Phase
Reliability
Cancer
Prognosis
Cancer
Category
Cancer
Category
Tau score
Cluster
Variants
Interacting gene (ensg_id)
Type
Number of interactions
Pathway
Category
Score
Score
Score
Validation
Validation
Validation
Validation
Antibodies
Data type
Column


  • SUMMARY

  • TISSUE

  • BRAIN

  • SINGLE CELL

  • SUBCELL

  • CANCER

  • BLOOD

  • CELL LINE

  • STRUCT & INT

  • SLC12A4
TISSUE PRIMARY DATA SKIN Show tissue menu
ADIPOSE TISSUE ADRENAL GLAND AMYGDALA APPENDIX BASAL GANGLIA BONE MARROW BREAST BRONCHUS CEREBELLUM CEREBRAL CORTEX CERVIX CHOROID PLEXUS COLON DUODENUM
ENDOMETRIUM EPIDIDYMIS ESOPHAGUS FALLOPIAN TUBE GALLBLADDER HEART MUSCLE HIPPOCAMPAL FORMATION HYPOTHALAMUS KIDNEY LIVER LUNG LYMPH NODE MIDBRAIN NASOPHARYNX
ORAL MUCOSA OVARY PANCREAS PARATHYROID GLAND PITUITARY GLAND PLACENTA PROSTATE RECTUM RETINA SALIVARY GLAND SEMINAL VESICLE SKELETAL MUSCLE SKIN SMALL INTESTINE
SMOOTH MUSCLE SOFT TISSUE SPINAL CORD SPLEEN STOMACH TESTIS THYMUS THYROID GLAND TONGUE TONSIL URINARY BLADDER VAGINA
ANTIBODIES
AND
VALIDATION
Dictionary
Skin
Tissue proteome
Skin
SKIN - Expression summary
Protein expression
Skini

On the top, protein expression in current human tissue, based on all annotated cell types, is reported with the units not detected (n), low (l), medium (m) and high (h). Underneath, protein expression in each annotated cell type are reported using the same units.

Protein expression data is based on knowledge-based annotation. For genes where more than one antibody has been used, a collective score is set.

If knowledge-based annotation could not be performed for a gene, no data is displayed here. View antibody staining data further down this page.

h
m
l
n
Epidermal cells: Low
Fibroblasts: High
Keratinocytes: Medium
Langerhans: Low
Melanocytes: Medium
RNA expressioni

A summary of mRNA expression data available for current tissue based on several datasets. The mRNA expression levels in human tissues are based on RNA-seq data generated by the Human Protein Atlas (HPA), Genotype-Tissue Expression (GTEx) portal and CAGE data generated by the FANTOM5 consortium. Consensus normalized expression levels for human tissues was created by combining the data from HPA and GTEx datasets.

The mRNA expression levels in pig are based on RNA-seq data generated by the Human Protein Atlas (HPA), and for mouse, HPA data and in situ hybridization generated by the Allen brain atlas are reported.

Scroll down to view mRNA expression data in more detail.
Consensus:18.3 nTPM
HPA:18.1 nTPM
GTEx:18.3 nTPM

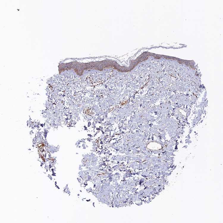
SKIN 1 - Antibody stainingi

Antibody staining in the annotated cell types in the current human tissue is reported as not detected, low, medium, or high, based on conventional immunohistochemistry profiling in selected tissues. This score is based on the combination of the staining intensity and fraction of stained cells.

Each image is clickable and will lead to virtual microscopy that enables deeper exploration of all samples and also displays staining intensity scores, fraction scores and subcellular localization as well as patient and tissue information for each sample.

Antibody HPA041138
Langerhans Low
Fibroblasts High
Keratinocytes Medium
Melanocytes Medium


SKIN 2 - Antibody stainingi

Antibody staining in the annotated cell types in the current human tissue is reported as not detected, low, medium, or high, based on conventional immunohistochemistry profiling in selected tissues. This score is based on the combination of the staining intensity and fraction of stained cells.

Each image is clickable and will lead to virtual microscopy that enables deeper exploration of all samples and also displays staining intensity scores, fraction scores and subcellular localization as well as patient and tissue information for each sample.

Antibody HPA041138
Epidermal cells Low
 
 
 

SKIN - HPA RNA-seqi

The RNA-seq details section shows detailed information about the individual samples used for the transcript profiling and results of the RNA-seq analysis.

Information about each individual sample is listed below, including gender, age, a tissue section image and estimated fractions of cell types. nTPM (normalized transcripts per million) values give a quantification of the gene abundance which is comparable between different genes and samples.
Average nTPMi

Max subtype nTPM is the value for the subtype with the largest average nTPM across the subtype samples.

18.1
overview
Female, age 34
Skin sample 225
nTPM: 12.3
Cell types%
Keratinocytes:
60

Other cell types:
40

overview
Female, age 30
Skin sample 226
nTPM: 12.1
Cell types%
Keratinocytes:
55

Other cell types:
45

N/A
Male, age 57
Skin sample 227
nTPM: 29.9

SKIN - GTEx RNA-seqi

RNA-Seq data generated by the Genotype-Tissue Expression (GTEx) project from human tissues is reported as mean nTPM. More information can be found on the GTEx portal.

Distribution across the dataset is visualized with box plots, shown as median and 25th and 75th percentiles. Points are displayed as outliers if they are above or below 1.5 times the interquartile range. nTPM values of the individual samples are presented next to the box plot.
Max subtype nTPMi

Max subtype nTPM is the value for the subtype with the largest average nTPM across the subtype samples.

18.3
GTEx sample id Sample description nTPM
Skin - Not Sun Exposed (Suprapubic)
Average nTPM: 18.3
Samples: 604

Max nTPM: 42.8
Min nTPM: 2.7
Std nTPM: 5.0
Median nTPM: 17.9
GTEX-1J1OQ-0126-SM-D4P2N 40-49 years, female 42.8
GTEX-144FL-0626-SM-5LU43 50-59 years, male 37.4
GTEX-16MT9-0126-SM-7EPI8 60-69 years, female 36.4
GTEX-W5X1-2526-SM-3GILC 40-49 years, female 36.4
GTEX-183WM-0326-SM-72D5V 70-79 years, female 35.5
GTEX-1QAET-0326-SM-EVR3U 50-59 years, male 35.1
GTEX-XV7Q-1826-SM-4BRUV 40-49 years, female 33.9
GTEX-11TUW-0626-SM-5LU9M 60-69 years, male 33.7
GTEX-1IDJV-0126-SM-COH3Y 60-69 years, male 33.3
GTEX-1JMQL-2226-SM-CNPP4 50-59 years, female 32.3
GTEX-X4EP-0626-SM-3P621 60-69 years, female 31.4
GTEX-14C38-0726-SM-5SI6M 50-59 years, male 30.9
GTEX-WHSE-0126-SM-3NMBT 20-29 years, male 30.8
GTEX-11PRG-0726-SM-5EGL1 50-59 years, male 30.1
GTEX-1HCU8-2526-SM-CE6RX 60-69 years, female 30.1
GTEX-1K9T9-1526-SM-DIPFR 50-59 years, female 29.6
GTEX-1R9PN-0426-SM-DTXDT 40-49 years, female 29.4
GTEX-13O3Q-0126-SM-5KM34 50-59 years, male 29.3
GTEX-1S82U-1026-SM-E6CJK 30-39 years, female 28.8
GTEX-1J8JJ-0626-SM-ARZMQ 60-69 years, female 28.5
GTEX-1A3MW-0626-SM-731CB 60-69 years, female 28.4
GTEX-145MI-0626-SM-5SI8S 60-69 years, female 28.3
GTEX-1LVA9-2626-SM-EVYD4 50-59 years, male 28.3
GTEX-1HC8U-1326-SM-9YFMJ 40-49 years, female 28.2
GTEX-1JMQK-1226-SM-D4P2S 60-69 years, male 28.1
GTEX-1K2DU-1226-SM-CYPT4 20-29 years, male 28.1
GTEX-1A3MX-2626-SM-7PC24 60-69 years, male 28.0
GTEX-17HG3-2626-SM-7DUF2 30-39 years, female 27.8
GTEX-WI4N-2726-SM-3LK7Y 40-49 years, female 27.6
GTEX-1H3NZ-2726-SM-9WYTQ 60-69 years, male 27.5
GTEX-13NYS-0626-SM-5L3F1 60-69 years, male 27.4
GTEX-13U4I-2226-SM-5LU5H 40-49 years, female 27.1
GTEX-1ICLY-0826-SM-CMKG1 50-59 years, male 27.1
GTEX-11OF3-0126-SM-5PNYF 60-69 years, male 26.6
GTEX-13OVH-0526-SM-5L3E6 70-79 years, male 26.6
GTEX-1HBPM-0726-SM-9YFL7 60-69 years, female 26.6
GTEX-14BMV-2826-SM-5TDED 50-59 years, male 26.5
GTEX-14E6C-2426-SM-5S2NF 40-49 years, male 26.5
GTEX-1R46S-2426-SM-E76QA 60-69 years, female 26.5
GTEX-1C6VR-0126-SM-7RHGB 60-69 years, male 26.4
GTEX-1GL5R-1326-SM-7RHHF 50-59 years, male 26.4
GTEX-132AR-0326-SM-5KM2C 50-59 years, female 26.3
GTEX-11DXZ-2026-SM-5987S 50-59 years, male 26.2
GTEX-11WQK-1026-SM-5EQLX 50-59 years, male 26.2
GTEX-13OW8-1026-SM-5J1NQ 60-69 years, male 26.2
GTEX-1ICLZ-0326-SM-ARL82 60-69 years, male 26.2
GTEX-1I4MK-0126-SM-CY8G6 50-59 years, female 26.1
GTEX-1IL2V-1926-SM-B2LW8 70-79 years, male 25.7
GTEX-12696-0126-SM-5EQ4L 60-69 years, male 25.6
GTEX-1F88F-0126-SM-9WYSZ 60-69 years, female 25.6
GTEX-ZYY3-2926-SM-5GIEB 60-69 years, female 25.5
GTEX-1J8QM-2426-SM-A9SLS 60-69 years, female 25.4
GTEX-1LSNL-2726-SM-E9TKJ 50-59 years, male 25.3
GTEX-ZTSS-1426-SM-5985P 40-49 years, male 25.2
GTEX-13OVL-0126-SM-5L3GJ 50-59 years, male 25.1
GTEX-ZYFD-0626-SM-5E44E 50-59 years, male 25.1
GTEX-1B932-2326-SM-79OL5 40-49 years, female 24.9
GTEX-131YS-2826-SM-5EQ47 60-69 years, female 24.7
GTEX-13JVG-0726-SM-5KM16 60-69 years, male 24.7
GTEX-14DAQ-0626-SM-793DS 60-69 years, female 24.7
GTEX-15FZZ-0526-SM-7KUGD 30-39 years, female 24.7
GTEX-1GPI6-1926-SM-9KNV7 60-69 years, male 24.7
GTEX-13RTJ-0126-SM-5S2NN 60-69 years, male 24.6
GTEX-1C6VQ-1226-SM-73KYD 50-59 years, male 24.5
GTEX-1A8G7-1326-SM-73KVM 60-69 years, male 24.4
GTEX-ZYVF-0926-SM-5E44J 50-59 years, female 24.4
GTEX-1IDJI-0126-SM-CMKHS 50-59 years, female 24.4
GTEX-ZYFC-0426-SM-5GICQ 50-59 years, male 24.3
GTEX-1HR9M-2226-SM-CNPPY 60-69 years, male 24.3
GTEX-1GN1U-0626-SM-9MQL9 50-59 years, female 24.2
GTEX-11LCK-2226-SM-5HL4Q 30-39 years, male 24.0
GTEX-13OW7-0426-SM-5K7VK 50-59 years, male 24.0
GTEX-1GZHY-0626-SM-9KNVC 50-59 years, female 24.0
GTEX-147JS-0226-SM-5S2U9 60-69 years, male 23.9
GTEX-17JCI-2926-SM-7DUFF 60-69 years, female 23.9
GTEX-ZDXO-3126-SM-5IJDF 60-69 years, male 23.9
GTEX-144GM-0526-SM-79OJO 20-29 years, male 23.8
GTEX-13PVQ-0626-SM-5LU47 50-59 years, male 23.7
GTEX-145LS-0626-SM-7EPG7 60-69 years, female 23.6
GTEX-1J8EW-2726-SM-CY8HR 60-69 years, female 23.6
GTEX-1OJC3-1226-SM-DTXER 20-29 years, male 23.6
GTEX-ZPIC-0526-SM-DO91W 40-49 years, female 23.6
GTEX-1LG7Y-2526-SM-EWRO7 50-59 years, male 23.5
GTEX-1IE54-1126-SM-A9G2Z 40-49 years, female 23.4
GTEX-1A8G6-2726-SM-731AR 60-69 years, male 23.3
GTEX-WYVS-1626-SM-3NM9R 40-49 years, female 23.3
GTEX-1I1HK-2326-SM-CKZOH 60-69 years, male 23.3
GTEX-1A8FM-0626-SM-7PC25 50-59 years, female 23.2
GTEX-1IDJD-2326-SM-ACKWX 30-39 years, male 23.2
GTEX-Y8LW-1526-SM-5IFHL 50-59 years, female 23.1
GTEX-1AYD5-2626-SM-7PBXY 50-59 years, male 23.1
GTEX-1JMPZ-0726-SM-CY8HZ 30-39 years, male 23.1
GTEX-1LVAO-2726-SM-E9TJ8 60-69 years, male 23.1
GTEX-15RJ7-2126-SM-6PAMD 40-49 years, male 23.0
GTEX-14C5O-0326-SM-5ZZUX 60-69 years, male 22.9
GTEX-14PJ4-0226-SM-5YY92 60-69 years, male 22.9
GTEX-1CB4E-0926-SM-7EPHT 60-69 years, male 22.8
GTEX-U8XE-0226-SM-4E3J3 30-39 years, male 22.8
GTEX-WRHU-2826-SM-3MJG8 50-59 years, female 22.8
GTEX-ZAB4-2126-SM-5HL8U 40-49 years, male 22.8
GTEX-1H3O1-1326-SM-9MQLD 60-69 years, male 22.8
GTEX-14JFF-0626-SM-5ZZVT 60-69 years, male 22.7
GTEX-1H23P-0626-SM-9WG6T 60-69 years, male 22.7
GTEX-12ZZZ-0726-SM-5GCNZ 60-69 years, male 22.6
GTEX-1R9K4-2826-SM-DTX8F 60-69 years, male 22.6
GTEX-13N2G-0226-SM-5K7VF 60-69 years, male 22.5
GTEX-ZC5H-1526-SM-5HL9Y 40-49 years, female 22.5
GTEX-1EH9U-2826-SM-7DUGT 60-69 years, male 22.4
GTEX-X8HC-0626-SM-4E3HQ 50-59 years, female 22.4
GTEX-1HR98-2226-SM-ADEI2 60-69 years, male 22.4
GTEX-1PIIG-2326-SM-DTXFR 30-39 years, male 22.4
GTEX-11DYG-1526-SM-5A5JS 60-69 years, male 22.3
GTEX-1212Z-0126-SM-59HK4 60-69 years, male 22.3
GTEX-X4EO-2926-SM-4E3JH 60-69 years, female 22.3
GTEX-12126-0826-SM-5FQTZ 20-29 years, male 22.2
GTEX-13FLV-0126-SM-5K7WT 50-59 years, male 22.2
GTEX-13VXU-0626-SM-5L3F9 50-59 years, male 22.2
GTEX-1B933-2426-SM-7DHMD 50-59 years, female 22.2
GTEX-1EKGG-0626-SM-7DUGJ 60-69 years, male 22.2
GTEX-1ICG6-1226-SM-A9SLN 70-79 years, female 22.2
GTEX-1F88E-1626-SM-7SB8Z 60-69 years, female 22.1
GTEX-1GMR2-0826-SM-7PC3V 50-59 years, male 22.1
GTEX-XXEK-1626-SM-4BRUZ 50-59 years, male 22.0
GTEX-1HB9E-0126-SM-CM2S5 50-59 years, male 22.0
GTEX-1JMQI-1726-SM-ARL93 50-59 years, male 22.0
GTEX-111FC-2526-SM-5GZXU 60-69 years, male 21.9
GTEX-11GSP-2326-SM-5HL63 60-69 years, female 21.8
GTEX-V1D1-2026-SM-3GAF4 50-59 years, male 21.8
GTEX-1JMOU-1026-SM-CYPSS 60-69 years, female 21.8
GTEX-11GS4-0226-SM-5HL77 60-69 years, male 21.7
GTEX-13JUV-2026-SM-5K7UA 40-49 years, female 21.7
GTEX-1AMEY-0826-SM-72D65 30-39 years, female 21.7
GTEX-1JMLX-0626-SM-ARL8T 50-59 years, male 21.7
GTEX-1269C-0126-SM-5EQ5L 60-69 years, female 21.5
GTEX-1CAV2-0126-SM-7IGN7 40-49 years, female 21.5
GTEX-WHWD-1826-SM-3LK6I 50-59 years, male 21.5
GTEX-14LLW-2626-SM-62LDZ 70-79 years, female 21.4
GTEX-ZLWG-0826-SM-59888 50-59 years, female 21.4
GTEX-1JJE9-2626-SM-ARZMT 70-79 years, male 21.3
GTEX-XPVG-2126-SM-4B667 50-59 years, male 21.2
GTEX-1HSMO-0626-SM-ACKXC 60-69 years, male 21.2
GTEX-139T8-0626-SM-5KLZX 60-69 years, male 21.1
GTEX-13X6I-1826-SM-5SIAO 60-69 years, male 21.1
GTEX-133LE-2326-SM-5K7W3 20-29 years, female 21.0
GTEX-1H1DF-1126-SM-9WG7G 40-49 years, female 21.0
GTEX-1LBAC-0826-SM-CY8IJ 20-29 years, male 21.0
GTEX-11NUK-2726-SM-5A5MC 50-59 years, male 20.9
GTEX-15UF6-1926-SM-7KUDV 70-79 years, female 20.9
GTEX-1CB4J-1326-SM-7P8RX 60-69 years, male 20.9
GTEX-14BIN-1126-SM-5RQJZ 50-59 years, female 20.8
GTEX-14PJO-2526-SM-6AJBQ 60-69 years, male 20.8
GTEX-14XAO-1226-SM-6EU1C 60-69 years, female 20.8
GTEX-1GF9V-0826-SM-9KNUV 60-69 years, male 20.8
GTEX-1GMR8-0626-SM-7RHI7 50-59 years, female 20.8
GTEX-11VI4-1126-SM-5EQMD 40-49 years, female 20.7
GTEX-12WSD-0626-SM-5GCMW 60-69 years, female 20.7
GTEX-17EVP-2626-SM-7IGMA 40-49 years, male 20.7
GTEX-1GZ2Q-0126-SM-9WG6M 40-49 years, male 20.7
GTEX-1HUB1-1426-SM-CGQF5 60-69 years, male 20.7
GTEX-1S5ZU-2526-SM-E6CIF 20-29 years, female 20.7
GTEX-X3Y1-2026-SM-3P5YM 40-49 years, male 20.6
GTEX-X585-2426-SM-46MW2 50-59 years, male 20.6
GTEX-XQ3S-1426-SM-4BOPR 20-29 years, male 20.6
GTEX-XUW1-0926-SM-4BONX 50-59 years, female 20.6
GTEX-1MCC2-1826-SM-DIPEX 30-39 years, female 20.6
GTEX-14C39-1726-SM-5RQIL 40-49 years, male 20.5
GTEX-15CHQ-0326-SM-69LQD 60-69 years, male 20.5
GTEX-ZVE2-2826-SM-5GU51 50-59 years, male 20.5
GTEX-1GN73-0726-SM-7P8TJ 60-69 years, male 20.5
GTEX-13O3O-2326-SM-5IJD6 60-69 years, female 20.4
GTEX-13X6J-0626-SM-5LU5F 50-59 years, male 20.4
GTEX-14ABY-2026-SM-62LDL 50-59 years, male 20.4
GTEX-16MT8-2926-SM-7DUFO 60-69 years, female 20.4
GTEX-1399S-0126-SM-5IJCF 30-39 years, female 20.3
GTEX-17HII-1426-SM-7EPGG 50-59 years, male 20.3
GTEX-1EX96-1026-SM-7MKG2 50-59 years, male 20.3
GTEX-1H3VE-0726-SM-9YFL5 40-49 years, male 20.3
GTEX-1HFI7-2326-SM-CGQFS 50-59 years, female 20.3
GTEX-1477Z-0326-SM-7IGLA 60-69 years, male 20.2
GTEX-ZVTK-0226-SM-51MRG 20-29 years, male 20.2
GTEX-1HSGN-0826-SM-ACKW3 40-49 years, female 20.2
GTEX-1RMOY-1326-SM-E9TIH 50-59 years, male 20.2
GTEX-1F48J-0726-SM-7RHGS 50-59 years, female 20.1
GTEX-1F75W-2726-SM-7SB8H 60-69 years, male 20.1
GTEX-1JKYR-0626-SM-ARL8R 20-29 years, male 20.1
GTEX-1117F-2926-SM-5GZYI 60-69 years, female 20.0
GTEX-11ZUS-2626-SM-5FQUR 30-39 years, male 20.0
GTEX-13OVJ-0826-SM-5J1OK 50-59 years, female 20.0
GTEX-13SLX-2226-SM-62LEP 50-59 years, female 20.0
GTEX-145MH-2826-SM-5RQJF 50-59 years, male 20.0
GTEX-ZF2S-1626-SM-57WES 50-59 years, female 20.0
GTEX-1GTWX-2026-SM-9YFLM 60-69 years, male 20.0
GTEX-1H4P4-2126-SM-9WYSL 50-59 years, male 20.0
GTEX-1JJEA-1826-SM-ARU8P 60-69 years, male 20.0
GTEX-1JN6P-2926-SM-CL54D 60-69 years, male 20.0
GTEX-12584-0726-SM-5FQTK 40-49 years, male 19.9
GTEX-15G1A-1626-SM-7KUKN 30-39 years, male 19.9
GTEX-16Z82-2626-SM-7KULU 60-69 years, male 19.9
GTEX-VJYA-1526-SM-3GIJV 60-69 years, male 19.9
GTEX-1I1GS-2626-SM-B2LY3 60-69 years, male 19.9
GTEX-1QPFJ-1926-SM-EVYBD 30-39 years, female 19.9
GTEX-111CU-1126-SM-5EGIM 50-59 years, male 19.8
GTEX-13113-1626-SM-5EQ4I 60-69 years, female 19.8
GTEX-1399Q-2326-SM-5KM2X 40-49 years, male 19.8
GTEX-13FHO-0426-SM-5L3F5 60-69 years, male 19.8
GTEX-1H1DG-2426-SM-9QEHJ 70-79 years, male 19.8
GTEX-1I1CD-0626-SM-CE6SW 60-69 years, female 19.8
GTEX-139TT-2126-SM-5LZWC 60-69 years, male 19.7
GTEX-14E6E-0526-SM-793DN 30-39 years, male 19.7
GTEX-VUSG-2326-SM-4KL1U 50-59 years, male 19.7
GTEX-ZAK1-0626-SM-5HL8E 50-59 years, female 19.7
GTEX-ZUA1-2626-SM-5NQ92 40-49 years, male 19.7
GTEX-1QMI2-2526-SM-E8VNZ 60-69 years, male 19.7
GTEX-13O61-1426-SM-5KM3D 60-69 years, male 19.6
GTEX-1M4P7-0726-SM-E6CJ3 60-69 years, male 19.6
GTEX-11DXW-0826-SM-5H118 40-49 years, male 19.5
GTEX-1IDJE-1426-SM-ADEIW 50-59 years, female 19.5
GTEX-1IKJJ-2226-SM-CJI4C 60-69 years, male 19.5
GTEX-1LKK1-2626-SM-DKPQE 50-59 years, female 19.5
GTEX-1PPGY-1626-SM-EVYBL 60-69 years, male 19.5
GTEX-12ZZY-0726-SM-5EQ66 60-69 years, male 19.4
GTEX-1AX8Z-0726-SM-73KTS 60-69 years, male 19.4
GTEX-1EWIQ-0326-SM-7DHMQ 70-79 years, female 19.4
GTEX-ZY6K-1426-SM-5GZX2 50-59 years, male 19.4
GTEX-1QP28-1126-SM-EVYC4 50-59 years, female 19.4
GTEX-1QW4Y-1126-SM-DTXE3 30-39 years, male 19.4
GTEX-13NYC-0126-SM-5L3F4 60-69 years, male 19.3
GTEX-13OW5-2326-SM-5L3HO 60-69 years, male 19.3
GTEX-17HHY-0426-SM-7DHLC 50-59 years, male 19.3
GTEX-1LGOU-1326-SM-D3L8M 20-29 years, female 19.3
GTEX-11DXY-0126-SM-5H11Q 60-69 years, male 19.2
GTEX-11ZU8-0126-SM-5EQ58 60-69 years, male 19.2
GTEX-15SKB-2826-SM-6PAMH 60-69 years, male 19.2
GTEX-1B8SF-0126-SM-7DUG3 60-69 years, male 19.2
GTEX-X5EB-1926-SM-4E3IW 40-49 years, male 19.2
GTEX-1RAZS-2526-SM-E6CHT 50-59 years, male 19.2
GTEX-11DXX-2126-SM-5PNYR 60-69 years, female 19.1
GTEX-18D9B-0926-SM-7LG4U 60-69 years, male 19.1
GTEX-XK95-0226-SM-4AT58 40-49 years, male 19.1
GTEX-1I1GV-0626-SM-ARL7M 60-69 years, male 19.1
GTEX-1211K-1526-SM-5FQU4 60-69 years, female 19.0
GTEX-147GR-2426-SM-5ZZWQ 60-69 years, male 19.0
GTEX-ZDTS-0826-SM-4WKHL 60-69 years, male 19.0
GTEX-1IDJU-1726-SM-CMKHU 60-69 years, female 19.0
GTEX-12WSA-0426-SM-5EQ5X 60-69 years, male 18.9
GTEX-12WSF-1626-SM-7KUG5 70-79 years, male 18.9
GTEX-13OVK-1426-SM-6PAN7 40-49 years, male 18.9
GTEX-13VXT-1926-SM-5K7UO 20-29 years, female 18.9
GTEX-XBEC-0726-SM-4QARZ 50-59 years, male 18.9
GTEX-1I1GU-0926-SM-ACKVS 40-49 years, male 18.9
GTEX-1JKYN-0826-SM-ARU8S 30-39 years, male 18.9
GTEX-1LSVX-2526-SM-DIPEU 60-69 years, male 18.9
GTEX-1QEPI-2626-SM-DTXF4 60-69 years, female 18.9
GTEX-11EI6-2826-SM-5H11D 60-69 years, male 18.8
GTEX-1EN7A-2426-SM-793DB 40-49 years, male 18.8
GTEX-1K2DA-1026-SM-CGQGF 50-59 years, male 18.8
GTEX-16NGA-0726-SM-731AO 40-49 years, female 18.7
GTEX-11ZTT-2126-SM-5CVLO 60-69 years, female 18.6
GTEX-13PVR-0426-SM-5RQK2 60-69 years, female 18.6
GTEX-14PKV-1126-SM-6LLJ1 20-29 years, female 18.6
GTEX-17F96-0126-SM-7EWDU 70-79 years, male 18.6
GTEX-1KANC-1226-SM-CYPT7 50-59 years, female 18.6
GTEX-1LG7Z-1626-SM-CXKYR 30-39 years, male 18.6
GTEX-14PJ2-0626-SM-6LLII 50-59 years, male 18.5
GTEX-15EU6-2226-SM-6EU2L 50-59 years, male 18.5
GTEX-1EMGI-2326-SM-7PBYA 60-69 years, male 18.5
GTEX-1GF9X-1326-SM-7PC2Y 40-49 years, female 18.5
GTEX-1GZ4I-2626-SM-9KNU3 50-59 years, male 18.5
GTEX-1I1GT-1026-SM-ARZLV 60-69 years, female 18.5
GTEX-1QP2A-1726-SM-E76QC 50-59 years, male 18.5
GTEX-ZE7O-2726-SM-51MT5 50-59 years, female 18.4
GTEX-ZLFU-1826-SM-4WWBV 40-49 years, male 18.4
GTEX-ZPU1-1126-SM-4YCF3 40-49 years, male 18.4
GTEX-1F75B-0726-SM-7PC3R 50-59 years, male 18.4
GTEX-1J1R8-2026-SM-CL53Y 40-49 years, male 18.4
GTEX-13OW6-2726-SM-5J2OE 50-59 years, male 18.3
GTEX-1I6K7-1926-SM-B2LXR 40-49 years, male 18.3
GTEX-1JN1M-2726-SM-CY8I4 60-69 years, female 18.3
GTEX-1KWVE-1026-SM-D3L9O 30-39 years, male 18.3
GTEX-11NSD-0626-SM-5A5LU 20-29 years, male 18.2
GTEX-18A7A-0126-SM-731AH 50-59 years, female 18.2
GTEX-WHPG-2626-SM-3NMBR 50-59 years, male 18.2
GTEX-WK11-2726-SM-3NMAQ 50-59 years, male 18.2
GTEX-XBEW-1126-SM-4QARW 40-49 years, male 18.2
GTEX-YJ8O-2526-SM-5HL85 40-49 years, female 18.2
GTEX-ZVZP-1226-SM-5GID7 50-59 years, male 18.2
GTEX-1I1GP-1326-SM-A9G28 50-59 years, male 18.2
GTEX-1QP29-1826-SM-DTX9S 50-59 years, male 18.2
GTEX-13112-0126-SM-5P9IU 50-59 years, male 18.1
GTEX-17HGU-2326-SM-7DUFE 50-59 years, male 18.1
GTEX-18A7B-2726-SM-7LG56 70-79 years, male 18.1
GTEX-Y111-0626-SM-4SOIT 50-59 years, male 18.1
GTEX-1H1DE-1326-SM-9KNUG 20-29 years, male 18.1
GTEX-13FTW-0326-SM-5K7UW 40-49 years, male 18.0
GTEX-ZVT4-2426-SM-5GIEI 50-59 years, female 18.0
GTEX-1GN2E-0226-SM-9WG6K 60-69 years, male 18.0
GTEX-1IDJH-0126-SM-D3L92 70-79 years, male 18.0
GTEX-1LB8K-0726-SM-D5OV2 50-59 years, male 18.0
GTEX-1N2DV-1526-SM-DTXEP 40-49 years, male 18.0
GTEX-13YAN-0226-SM-5TDC6 60-69 years, male 17.9
GTEX-14PJ6-2626-SM-6EU2T 60-69 years, female 17.9
GTEX-1B8KE-1126-SM-7EPHI 50-59 years, male 17.9
GTEX-1CB4F-1026-SM-7DUH1 60-69 years, male 17.9
GTEX-ZT9X-1526-SM-5DUXD 40-49 years, male 17.9
GTEX-1JN76-0626-SM-CKZOQ 20-29 years, female 17.9
GTEX-XYKS-1426-SM-4BRUO 60-69 years, female 17.8
GTEX-ZP4G-1426-SM-4WWCL 20-29 years, female 17.8
GTEX-12BJ1-0926-SM-5EQ62 60-69 years, male 17.7
GTEX-131XG-0326-SM-5L3DX 50-59 years, female 17.7
GTEX-1399R-1326-SM-5PNYS 30-39 years, male 17.7
GTEX-14LZ3-0126-SM-69LPM 60-69 years, female 17.7
GTEX-1H1CY-0126-SM-9YFLY 60-69 years, female 17.7
GTEX-13D11-0926-SM-5J2NC 50-59 years, female 17.6
GTEX-13SLW-0626-SM-5Q5ER 70-79 years, male 17.6
GTEX-145LU-1926-SM-79OJN 50-59 years, male 17.6
GTEX-ZT9W-1126-SM-57WDR 50-59 years, male 17.6
GTEX-1GMR3-0126-SM-A9SLW 40-49 years, male 17.6
GTEX-1HCU6-2526-SM-ADEHL 60-69 years, female 17.6
GTEX-1QCLY-0226-SM-EWRNH 30-39 years, male 17.6
GTEX-11WQC-1826-SM-5GU59 60-69 years, male 17.5
GTEX-139YR-1026-SM-5LZYN 50-59 years, male 17.5
GTEX-145LT-0526-SM-5LUB2 40-49 years, male 17.5
GTEX-16NPX-0726-SM-7KULC 50-59 years, male 17.5
GTEX-11DZ1-2426-SM-5GZZX 50-59 years, male 17.4
GTEX-139TU-0726-SM-5L3EK 60-69 years, male 17.4
GTEX-1I19N-0126-SM-CYPSF 70-79 years, male 17.4
GTEX-1POEN-2326-SM-E9J2L 30-39 years, female 17.4
GTEX-11TT1-1826-SM-5EQLV 20-29 years, male 17.3
GTEX-13X6H-0926-SM-5SIB2 50-59 years, female 17.3
GTEX-UPJH-0226-SM-3GADV 50-59 years, male 17.3
GTEX-ZU9S-1826-SM-5NQ9E 30-39 years, male 17.3
GTEX-ZYFG-1526-SM-5GZYM 60-69 years, female 17.3
GTEX-ZZPU-0826-SM-5GZX5 50-59 years, female 17.3
GTEX-Y5V5-0126-SM-5S2NW 60-69 years, female 17.2
GTEX-1IOXB-2726-SM-CM2RI 50-59 years, male 17.2
GTEX-1RLM8-2926-SM-E8VON 50-59 years, male 17.2
GTEX-131XW-0626-SM-5PNVD 50-59 years, female 17.1
GTEX-144GO-2026-SM-5O99P 60-69 years, male 17.1
GTEX-14A6H-2026-SM-5Q5DD 30-39 years, male 17.1
GTEX-17F97-2626-SM-7IGM5 50-59 years, male 17.1
GTEX-Z93S-1626-SM-5CVMB 50-59 years, male 17.1
GTEX-1QCLZ-2426-SM-EVYBW 60-69 years, female 17.1
GTEX-13N1W-2426-SM-5IJD1 70-79 years, male 17.0
GTEX-14AS3-1526-SM-5Q5ED 40-49 years, female 17.0
GTEX-WFON-1926-SM-3LK7L 40-49 years, male 17.0
GTEX-ZE9C-2526-SM-5IJDR 60-69 years, male 17.0
GTEX-1HT8W-0626-SM-A9G2H 30-39 years, male 17.0
GTEX-1IKOE-1426-SM-CE6T7 30-39 years, female 17.0
GTEX-1JMQJ-0826-SM-CNPP7 50-59 years, male 17.0
GTEX-1LVAM-0726-SM-E6CIL 50-59 years, female 17.0
GTEX-12WSJ-1126-SM-5LZVJ 40-49 years, female 16.9
GTEX-13NYB-0126-SM-5J1MD 40-49 years, male 16.9
GTEX-13QJC-0126-SM-5ZZWJ 60-69 years, female 16.9
GTEX-XAJ8-1426-SM-47JYM 40-49 years, male 16.9
GTEX-1HCU7-0726-SM-A9SL1 50-59 years, male 16.9
GTEX-1B8KZ-0326-SM-73KY4 50-59 years, male 16.8
GTEX-139TS-2126-SM-5K7XC 60-69 years, male 16.7
GTEX-XQ8I-0926-SM-4BOOF 50-59 years, male 16.7
GTEX-1KAFJ-0126-SM-DIPEK 50-59 years, male 16.7
GTEX-1O9I2-0226-SM-EYYXD 50-59 years, male 16.7
GTEX-13N11-2326-SM-5IJBF 50-59 years, female 16.6
GTEX-14PHY-1226-SM-5ZZWK 60-69 years, female 16.6
GTEX-15D1Q-2826-SM-6LLH7 40-49 years, male 16.6
GTEX-15DDE-2926-SM-6LLJ3 50-59 years, female 16.6
GTEX-ZVT2-0126-SM-5GIDQ 50-59 years, female 16.6
GTEX-1HCUA-0826-SM-ADEHM 50-59 years, female 16.6
GTEX-1J8Q3-0526-SM-ARL8U 60-69 years, male 16.6
GTEX-14JG1-1526-SM-5YY9X 40-49 years, male 16.5
GTEX-15CHR-1126-SM-7EWF4 50-59 years, male 16.5
GTEX-11EM3-1226-SM-5N9DD 20-29 years, female 16.4
GTEX-13PL6-1126-SM-5L3IE 40-49 years, female 16.4
GTEX-17EVQ-0126-SM-7IGLR 70-79 years, male 16.4
GTEX-17MF6-2626-SM-79OKQ 40-49 years, male 16.4
GTEX-1A32A-0626-SM-731AQ 50-59 years, female 16.4
GTEX-WFG8-2126-SM-3GIKQ 20-29 years, male 16.4
GTEX-1C475-1326-SM-7SB73 40-49 years, female 16.4
GTEX-1H1ZS-2726-SM-9WG75 70-79 years, male 16.4
GTEX-1HKZK-0726-SM-ACKW2 40-49 years, male 16.4
GTEX-14B4R-1326-SM-5Q5EZ 30-39 years, male 16.3
GTEX-14PK6-0226-SM-62LF5 70-79 years, female 16.3
GTEX-1HSMQ-2626-SM-A9SML 50-59 years, male 16.3
GTEX-1IDJC-1526-SM-B2LW4 50-59 years, male 16.3
GTEX-13QBU-1226-SM-5LU4G 40-49 years, female 16.2
GTEX-ZF29-0926-SM-4WKFZ 60-69 years, female 16.2
GTEX-1F75A-0726-SM-7RHHD 50-59 years, male 16.2
GTEX-15EO6-2426-SM-6PALZ 50-59 years, male 16.1
GTEX-1N2EE-0626-SM-E76PW 60-69 years, male 16.1
GTEX-YEC3-1326-SM-DO92X 50-59 years, male 16.1
GTEX-11O72-0626-SM-5PNYE 40-49 years, male 16.0
GTEX-11P81-2226-SM-5PNYI 30-39 years, female 16.0
GTEX-12WSH-1526-SM-5BC5W 50-59 years, male 16.0
GTEX-145MF-0926-SM-5Q5EA 50-59 years, male 16.0
GTEX-15DYW-2726-SM-6EU2I 60-69 years, female 16.0
GTEX-1KD5A-0126-SM-E9U54 50-59 years, male 16.0
GTEX-1NSGN-0726-SM-DTXEF 50-59 years, male 16.0
GTEX-1OJC4-2726-SM-E76PJ 50-59 years, female 16.0
GTEX-13W3W-0726-SM-5IJDQ 60-69 years, female 15.9
GTEX-1HSKV-1226-SM-ADEI4 60-69 years, male 15.9
GTEX-1314G-1326-SM-5BC6E 30-39 years, male 15.8
GTEX-1EU9M-1426-SM-793AI 60-69 years, male 15.8
GTEX-ZVP2-0326-SM-57WBP 50-59 years, male 15.8
GTEX-1F75I-2226-SM-7SB8U 40-49 years, male 15.8
GTEX-1JK1U-0226-SM-ARZMX 60-69 years, male 15.8
GTEX-1313W-0626-SM-5EQ4H 50-59 years, female 15.7
GTEX-13OVG-1626-SM-5J1NF 60-69 years, male 15.7
GTEX-13X6K-0626-SM-5LU5D 60-69 years, female 15.7
GTEX-183FY-1026-SM-7939A 20-29 years, male 15.7
GTEX-1HGF4-0126-SM-CNPPX 60-69 years, male 15.7
GTEX-1IDJF-2026-SM-CL53V 20-29 years, male 15.7
GTEX-ZGAY-1826-SM-DO91Q 40-49 years, female 15.7
GTEX-178AV-1726-SM-7KUL8 40-49 years, male 15.6
GTEX-1AMFI-1326-SM-7939R 50-59 years, female 15.6
GTEX-WYBS-0626-SM-3NMAS 60-69 years, female 15.6
GTEX-ZTX8-1326-SM-4YCEL 20-29 years, male 15.6
GTEX-1GMRU-2126-SM-7P8RA 50-59 years, male 15.6
GTEX-1GPI7-1826-SM-9KNU1 20-29 years, male 15.6
GTEX-131XF-2626-SM-5EQ6K 60-69 years, male 15.5
GTEX-17F98-1326-SM-7DUEP 40-49 years, female 15.5
GTEX-Y8E4-2026-SM-5IFJB 40-49 years, male 15.5
GTEX-1F6IF-0926-SM-7SB7M 60-69 years, male 15.5
GTEX-1NV5F-0626-SM-DTXEG 60-69 years, female 15.5
GTEX-1S82P-2126-SM-E6CI5 60-69 years, female 15.5
GTEX-12KS4-2126-SM-5FQUT 30-39 years, male 15.4
GTEX-144GL-0626-SM-5LU4D 50-59 years, male 15.4
GTEX-16MTA-0926-SM-6M47Z 50-59 years, male 15.4
GTEX-1N5O9-0926-SM-E9J3C 60-69 years, male 15.4
GTEX-13G51-1826-SM-5KLZH 60-69 years, male 15.3
GTEX-16XZZ-0726-SM-7KUF2 60-69 years, male 15.3
GTEX-18465-2826-SM-7LT9J 50-59 years, male 15.3
GTEX-1E1VI-0326-SM-793D1 50-59 years, male 15.3
GTEX-11P82-1426-SM-DTXFY 20-29 years, male 15.3
GTEX-1IY9M-2826-SM-ARU8H 60-69 years, male 15.3
GTEX-145ME-1726-SM-5Q5EU 40-49 years, female 15.2
GTEX-145MN-1526-SM-5SI9T 30-39 years, male 15.2
GTEX-XOT4-0626-SM-4B66L 60-69 years, female 15.2
GTEX-Y3IK-1626-SM-4YCF5 50-59 years, female 15.2
GTEX-YB5K-2026-SM-4VDT3 40-49 years, female 15.2
GTEX-1PPH7-1126-SM-DTX9A 40-49 years, male 15.2
GTEX-12WSC-2826-SM-5BC5Y 50-59 years, male 15.1
GTEX-Y3I4-1726-SM-4TT89 50-59 years, male 15.1
GTEX-13FTX-1526-SM-5K7VJ 20-29 years, female 15.0
GTEX-147F3-1726-SM-5SIAW 50-59 years, female 15.0
GTEX-16GPK-0626-SM-7KFSF 60-69 years, male 15.0
GTEX-ZA64-1026-SM-5HL8R 20-29 years, male 15.0
GTEX-1HBPN-0126-SM-CGQEF 50-59 years, male 15.0
GTEX-13FH7-1126-SM-5K7UG 50-59 years, female 14.9
GTEX-ZAJG-1526-SM-5CVML 50-59 years, female 14.9
GTEX-1HBPI-2126-SM-ARL9K 50-59 years, male 14.9
GTEX-1KANA-1326-SM-DIPFA 20-29 years, male 14.9
GTEX-1LGRB-0926-SM-COH3K 50-59 years, female 14.9
GTEX-1RB15-1326-SM-E76Q9 60-69 years, male 14.9
GTEX-11EQ9-1626-SM-5PNY8 30-39 years, male 14.8
GTEX-14PKU-0126-SM-6LLHV 40-49 years, female 14.8
GTEX-15ER7-0626-SM-6PANF 20-29 years, female 14.8
GTEX-1C2JI-1026-SM-73KY1 50-59 years, male 14.8
GTEX-Y9LG-1126-SM-4VBQ7 30-39 years, male 14.8
GTEX-ZDYS-2426-SM-4WKGI 50-59 years, male 14.8
GTEX-1F6I4-2326-SM-7RHGL 60-69 years, male 14.8
GTEX-146FQ-2126-SM-5RQHU 30-39 years, male 14.6
GTEX-17F9Y-0126-SM-79OKX 70-79 years, female 14.6
GTEX-Y5LM-0926-SM-6LLJG 40-49 years, female 14.6
GTEX-1F5PK-2226-SM-7SB6N 50-59 years, male 14.6
GTEX-1I6K6-1726-SM-CGQFD 30-39 years, male 14.6
GTEX-1R7EU-1626-SM-DTXG3 60-69 years, male 14.6
GTEX-11UD2-2526-SM-5CVNU 50-59 years, male 14.5
GTEX-15SHW-0226-SM-7LTAT 60-69 years, male 14.5
GTEX-1GF9W-1426-SM-7PBYM 60-69 years, male 14.5
GTEX-1GN1W-2426-SM-9KNUU 50-59 years, female 14.5
GTEX-1497J-0226-SM-5QGPU 60-69 years, male 14.4
GTEX-14BMU-1226-SM-5S2OR 20-29 years, female 14.4
GTEX-15CHC-1126-SM-6LLHQ 60-69 years, female 14.4
GTEX-16AAH-0626-SM-793C9 50-59 years, male 14.4
GTEX-1AX9I-2226-SM-73KUO 60-69 years, male 14.4
GTEX-1CB4H-1126-SM-7MKGL 60-69 years, female 14.4
GTEX-111VG-1626-SM-5EGIO 60-69 years, male 14.3
GTEX-1AX9J-1326-SM-731BJ 60-69 years, male 14.3
GTEX-WEY5-2326-SM-3GIKK 40-49 years, female 14.3
GTEX-14JG6-1426-SM-9WG7C 30-39 years, female 14.3
GTEX-1C64O-1326-SM-7MGWR 60-69 years, male 14.3
GTEX-1KXAM-1626-SM-D3LAD 60-69 years, male 14.3
GTEX-14753-0726-SM-5QGQO 60-69 years, male 14.2
GTEX-14PHX-2226-SM-6EU2P 50-59 years, male 14.2
GTEX-1CAMR-1326-SM-7PC1F 20-29 years, male 14.2
GTEX-1CB4I-0126-SM-7RHGG 50-59 years, male 14.2
GTEX-1QP66-1226-SM-DTX7U 50-59 years, male 14.2
GTEX-131XH-0126-SM-5LZUY 50-59 years, male 13.9
GTEX-YF7O-1526-SM-5IFI6 50-59 years, male 13.9
GTEX-1HCU9-0426-SM-9WYSD 20-29 years, male 13.9
GTEX-1HSMP-0926-SM-A9SKX 70-79 years, male 13.9
GTEX-1S83E-1326-SM-E6CJM 40-49 years, male 13.9
GTEX-17F9E-2326-SM-79OKD 50-59 years, male 13.8
GTEX-ZYT6-2326-SM-5GZY3 30-39 years, male 13.8
GTEX-1S3DN-2126-SM-E9TIN 50-59 years, male 13.8
GTEX-WYJK-0526-SM-3NM8Z 50-59 years, male 13.7
GTEX-1F5PL-0926-SM-7PC2W 40-49 years, female 13.7
GTEX-1GZ4H-0526-SM-9KNU9 50-59 years, female 13.7
GTEX-1HCVE-2726-SM-CL54F 50-59 years, male 13.7
GTEX-117YX-1926-SM-5GIEC 50-59 years, male 13.6
GTEX-18QFQ-1826-SM-72D52 30-39 years, male 13.6
GTEX-XBED-1926-SM-47JYP 60-69 years, male 13.6
GTEX-1H11D-1826-SM-9QEHM 40-49 years, male 13.6
GTEX-1JJ6O-2726-SM-CNPOG 60-69 years, male 13.6
GTEX-12C56-1526-SM-5FQUQ 20-29 years, male 13.5
GTEX-18A66-0626-SM-7LT8Z 60-69 years, male 13.5
GTEX-WY7C-2126-SM-3NB2R 50-59 years, male 13.5
GTEX-1C64N-2626-SM-7PC2N 50-59 years, male 13.5
GTEX-1MCYP-0526-SM-E9U6Q 20-29 years, female 13.5
GTEX-1MJK3-0726-SM-E6CJC 20-29 years, male 13.5
GTEX-139UW-0326-SM-5J1ML 60-69 years, male 13.4
GTEX-147F4-0726-SM-5TDDD 50-59 years, male 13.4
GTEX-1B8L1-2226-SM-7P8PT 60-69 years, male 13.4
GTEX-1H1E6-0426-SM-9WYUS 30-39 years, male 13.4
GTEX-1399U-1126-SM-5L3DB 50-59 years, female 13.3
GTEX-15RIG-0726-SM-7KUM7 40-49 years, male 13.3
GTEX-XMD2-2126-SM-4YCF8 60-69 years, female 13.3
GTEX-ZXG5-2126-SM-59HKD 60-69 years, male 13.3
GTEX-12ZZX-2426-SM-5GCOE 40-49 years, female 13.2
GTEX-16BQI-1326-SM-6M486 30-39 years, female 13.2
GTEX-17KNJ-2126-SM-718AM 50-59 years, male 13.2
GTEX-14PII-0726-SM-6EU2B 60-69 years, male 13.1
GTEX-1LVAN-0626-SM-CNPOQ 50-59 years, female 13.1
GTEX-14PJ3-1126-SM-5ZZVX 50-59 years, male 13.0
GTEX-17HHE-1326-SM-7EWDZ 50-59 years, male 13.0
GTEX-1B97I-0626-SM-73KUZ 40-49 years, male 13.0
GTEX-1QP9N-1226-SM-E76QN 30-39 years, male 13.0
GTEX-1RAZA-2226-SM-E9U4X 20-29 years, male 13.0
GTEX-13PDP-0726-SM-5L3HP 60-69 years, male 12.9
GTEX-14A5H-0826-SM-5QGPJ 60-69 years, male 12.9
GTEX-15G19-2426-SM-7KUMR 60-69 years, male 12.9
GTEX-WXYG-2026-SM-4E3IY 50-59 years, female 12.9
GTEX-ZZ64-1026-SM-5GZXG 20-29 years, male 12.9
GTEX-1HFI6-0126-SM-CNPPI 40-49 years, male 12.9
GTEX-1IDFM-0326-SM-ARL7V 60-69 years, male 12.9
GTEX-1LSNM-0826-SM-DIPG8 50-59 years, male 12.9
GTEX-1192X-2726-SM-5N9DN 50-59 years, male 12.8
GTEX-11P7K-1126-SM-5HL4L 30-39 years, male 12.8
GTEX-139D8-1126-SM-5LU8W 30-39 years, female 12.8
GTEX-ZTTD-2826-SM-4YCFA 50-59 years, male 12.8
GTEX-13NZ9-2626-SM-5L3FK 50-59 years, male 12.7
GTEX-145MO-2826-SM-5LU96 60-69 years, male 12.7
GTEX-15RJE-2826-SM-7KUM9 40-49 years, male 12.7
GTEX-WFG7-2026-SM-5SI7P 20-29 years, male 12.7
GTEX-1GF9U-2026-SM-7SB92 40-49 years, female 12.7
GTEX-1PDJ9-1226-SM-EXUSX 20-29 years, male 12.7
GTEX-YECK-0326-SM-4W1YS 60-69 years, male 12.6
GTEX-ZDTT-0426-SM-4WKFL 60-69 years, male 12.6
GTEX-1F6RS-2026-SM-7RHHC 60-69 years, female 12.6
GTEX-1H2FU-0926-SM-9WPPT 60-69 years, female 12.6
GTEX-1J8Q2-2626-SM-ACKWQ 60-69 years, male 12.6
GTEX-14PJ5-1526-SM-6LLIL 60-69 years, female 12.5
GTEX-WHSB-1326-SM-3LK6W 50-59 years, male 12.5
GTEX-ZPCL-1126-SM-4WWFE 60-69 years, female 12.4
GTEX-1CAMS-2226-SM-7PBXQ 40-49 years, female 12.4
GTEX-13IVO-0726-SM-5LZYV 70-79 years, male 12.3
GTEX-18D9A-1426-SM-7LT8M 30-39 years, female 12.3
GTEX-1RAZR-2126-SM-E9U6T 40-49 years, male 12.2
GTEX-1F52S-2926-SM-7MKGA 60-69 years, female 12.1
GTEX-Y114-2126-SM-4TT8B 50-59 years, female 12.1
GTEX-148VJ-0626-SM-5LUAW 70-79 years, male 12.0
GTEX-14ICL-1626-SM-5YYAO 30-39 years, male 12.0
GTEX-1CAMQ-1326-SM-7P8RV 40-49 years, male 12.0
GTEX-1JMPY-0226-SM-CKZOK 30-39 years, male 12.0
GTEX-18A67-1626-SM-7LT9T 50-59 years, male 11.9
GTEX-18D9U-0126-SM-731BM 40-49 years, male 11.9
GTEX-1PPH8-0126-SM-EWRN8 20-29 years, male 11.9
GTEX-12WSK-2126-SM-5CVNC 40-49 years, female 11.8
GTEX-13FTY-2126-SM-5IFFB 40-49 years, female 11.8
GTEX-1KANB-2826-SM-CY8I6 50-59 years, male 11.8
GTEX-12WSM-1926-SM-5BC65 60-69 years, male 11.7
GTEX-1122O-1026-SM-9WYSF 60-69 years, female 11.7
GTEX-111YS-1526-SM-5GZYW 60-69 years, male 11.6
GTEX-13NZ8-1226-SM-5KM4A 60-69 years, female 11.6
GTEX-14PJN-1826-SM-6AJ98 30-39 years, male 11.6
GTEX-1C6WA-2626-SM-7MKGM 60-69 years, male 11.6
GTEX-ZYW4-0626-SM-59HJR 60-69 years, male 11.6
GTEX-1S831-1826-SM-EWROF 20-29 years, male 11.6
GTEX-WH7G-2026-SM-3NMBL 40-49 years, male 11.5
GTEX-1GN1V-2826-SM-9JGIA 60-69 years, male 11.4
GTEX-1L5NE-1126-SM-D3L9P 50-59 years, male 11.3
GTEX-11EQ8-0926-SM-5H12V 60-69 years, male 11.2
GTEX-ZWKS-0626-SM-5GIDV 30-39 years, male 11.2
GTEX-1R9PM-1926-SM-EVR3O 20-29 years, male 11.2
GTEX-12WSL-2026-SM-5GCML 50-59 years, male 11.0
GTEX-1RAZQ-1326-SM-E9TK6 30-39 years, male 10.9
GTEX-ZLV1-1526-SM-DO91J 60-69 years, female 10.8
GTEX-17MFQ-1526-SM-7KFRR 20-29 years, male 10.7
GTEX-1A3MV-1826-SM-731CD 30-39 years, male 10.7
GTEX-YFCO-1226-SM-5LUAT 40-49 years, male 10.6
GTEX-14DAR-1226-SM-73KYV 50-59 years, male 10.5
GTEX-14E1K-2026-SM-7DUEI 50-59 years, male 10.5
GTEX-1PBJJ-1026-SM-E76OS 30-39 years, male 10.5
GTEX-15RIE-1926-SM-7KUKJ 60-69 years, male 10.4
GTEX-16YQH-2226-SM-7IGM2 30-39 years, male 10.2
GTEX-145MG-1526-SM-5Q5EM 50-59 years, male 9.9
GTEX-18A6Q-0626-SM-7KFRP 60-69 years, male 9.9
GTEX-1BAJH-2426-SM-7IGP8 70-79 years, male 9.8
GTEX-ZF3C-0626-SM-DO92O 50-59 years, female 9.4
GTEX-YEC4-1826-SM-4W1YP 40-49 years, male 8.8
GTEX-1E2YA-2126-SM-7MXUO 50-59 years, male 8.8
GTEX-1B996-0426-SM-7EWF8 60-69 years, male 8.5
GTEX-ZVE1-0726-SM-51MRN 50-59 years, female 8.0
GTEX-1PIGE-1826-SM-E8VOU 20-29 years, male 6.3
GTEX-Y5V6-2326-SM-4VDSA 60-69 years, male 3.7
GTEX-UPK5-0426-SM-3GAEK 40-49 years, male 2.7
Show allShow less
Skin - Sun Exposed (Lower leg)
Average nTPM: 18.0
Samples: 701

Max nTPM: 36.9
Min nTPM: 5.8
Std nTPM: 4.4
Median nTPM: 17.6
GTEX-1QAET-0926-SM-E76QM 50-59 years, male 36.9
GTEX-1LH75-2426-SM-E9TJE 50-59 years, female 36.8
GTEX-ZE7O-0126-SM-57WC1 50-59 years, female 34.8
GTEX-ZVZO-0126-SM-5A5L9 40-49 years, male 32.2
GTEX-11TUW-2726-SM-E9J4M 60-69 years, male 31.0
GTEX-13YAN-0326-SM-5O9DF 60-69 years, male 30.5
GTEX-WI4N-1026-SM-3LK7N 40-49 years, female 30.4
GTEX-1N2DW-0226-SM-E9TK2 50-59 years, male 30.4
GTEX-1JMQL-0226-SM-CNPP5 50-59 years, female 30.2
GTEX-13OW7-0126-SM-5MR3B 50-59 years, male 29.9
GTEX-XV7Q-2526-SM-4BRV9 40-49 years, female 29.6
GTEX-1HBPM-0226-SM-ARL9F 60-69 years, female 29.6
GTEX-13OVH-0126-SM-5MR4B 70-79 years, male 29.3
GTEX-1HB9E-0226-SM-E9U4R 50-59 years, male 29.2
GTEX-12584-0126-SM-5EGKQ 40-49 years, male 28.2
GTEX-ZAJG-0126-SM-5HL94 50-59 years, female 27.9
GTEX-1H3VY-0126-SM-ACKXD 50-59 years, male 27.8
GTEX-1M4P7-0226-SM-DIPEV 60-69 years, male 27.7
GTEX-QDT8-0126-SM-48TZ1 30-39 years, female 27.6
GTEX-NPJ8-0126-SM-2YUNR 40-49 years, male 27.4
GTEX-OXRO-0126-SM-2YUN4 60-69 years, female 27.0
GTEX-1A3MW-0126-SM-73KXX 60-69 years, female 26.9
GTEX-OXRL-0126-SM-2YUMP 50-59 years, male 26.8
GTEX-183WM-0126-SM-7LTAB 70-79 years, female 26.7
GTEX-1ICLZ-0126-SM-CKZPO 60-69 years, male 26.7
GTEX-1AYD5-2426-SM-73KXR 50-59 years, male 26.6
GTEX-1PWST-0226-SM-E76QJ 70-79 years, male 26.5
GTEX-ZYW4-0126-SM-5E44A 60-69 years, male 26.4
GTEX-139T4-0226-SM-5HL5S 50-59 years, female 26.3
GTEX-PWO3-1526-SM-48TCM 60-69 years, female 26.3
GTEX-ZY6K-1826-SM-5GZXK 50-59 years, male 26.3
GTEX-11OC5-0126-SM-5HL6A 60-69 years, male 26.2
GTEX-145MI-0526-SM-5O9A8 60-69 years, female 25.7
GTEX-ZF2S-2326-SM-4WWCE 50-59 years, female 25.7
GTEX-12696-2426-SM-5EQ6H 60-69 years, male 25.5
GTEX-1K9T9-0126-SM-EVYCF 50-59 years, female 25.4
GTEX-1GMR8-0126-SM-9WYTM 50-59 years, female 25.3
GTEX-13NYS-0126-SM-5MR3W 60-69 years, male 25.2
GTEX-14JIY-0126-SM-6LLH6 60-69 years, male 25.2
GTEX-X638-0126-SM-47JZ8 70-79 years, female 25.2
GTEX-ZXG5-0126-SM-5GIEU 60-69 years, male 25.1
GTEX-1JMQI-2226-SM-CM2SD 50-59 years, male 25.1
GTEX-113JC-2326-SM-5EQ4E 50-59 years, female 25.0
GTEX-S32W-2126-SM-2XCB1 50-59 years, female 24.9
GTEX-11H98-0126-SM-5EGHG 50-59 years, male 24.8
GTEX-13O3P-0126-SM-5KM4S 50-59 years, male 24.8
GTEX-X62O-0126-SM-4E3JN 50-59 years, male 24.8
GTEX-113IC-0126-SM-5HL6T 60-69 years, male 24.6
GTEX-13FTY-0526-SM-5L3EV 40-49 years, female 24.6
GTEX-13VXT-0126-SM-5LU4I 20-29 years, female 24.4
GTEX-147GR-0526-SM-5S2MY 60-69 years, male 24.4
GTEX-1I1GS-0126-SM-B2LVW 60-69 years, male 24.4
GTEX-ZYFC-0226-SM-5NQ75 50-59 years, male 24.3
GTEX-13NYC-0326-SM-E9J4S 60-69 years, male 24.2
GTEX-1J1OQ-0226-SM-CYPSH 40-49 years, female 24.2
GTEX-13N1W-0126-SM-5K7VT 70-79 years, male 24.1
GTEX-1A3MX-0126-SM-731BR 60-69 years, male 24.1
GTEX-13X6I-0626-SM-5QGP9 60-69 years, male 24.0
GTEX-1IGQW-0126-SM-COH42 60-69 years, male 24.0
GTEX-1LNCM-1126-SM-E9U5E 50-59 years, female 24.0
GTEX-13113-5016-SM-7EPIP 60-69 years, female 23.9
GTEX-13SLW-0126-SM-5SI6C 70-79 years, male 23.9
GTEX-1H1ZS-0426-SM-9WG6G 70-79 years, male 23.8
GTEX-1HR98-0126-SM-B2LWI 60-69 years, male 23.7
GTEX-11ZVC-2526-SM-5FQTE 50-59 years, female 23.6
GTEX-1R46S-0626-SM-E9J41 60-69 years, female 23.6
GTEX-11DYG-0126-SM-59883 60-69 years, male 23.5
GTEX-1JMQK-0226-SM-CL543 60-69 years, male 23.5
GTEX-1K2DU-2326-SM-E9TIV 20-29 years, male 23.5
GTEX-1HUB1-0426-SM-E9U4U 60-69 years, male 23.4
GTEX-144FL-0126-SM-5TDC8 50-59 years, male 23.3
GTEX-U412-0426-SM-3DB9O 60-69 years, male 23.2
GTEX-1LC47-0326-SM-E9TJP 60-69 years, male 23.2
GTEX-1LG7Y-0526-SM-DKPQC 50-59 years, male 23.2
GTEX-13S7M-0126-SM-5SI6A 60-69 years, female 23.1
GTEX-16XZY-2126-SM-79OK1 70-79 years, male 23.1
GTEX-SN8G-0126-SM-32PLI 50-59 years, female 23.1
GTEX-ZTPG-0326-SM-5O9AX 20-29 years, female 23.1
GTEX-13FH7-2026-SM-E9J4I 50-59 years, female 23.1
GTEX-1HBPN-0226-SM-9YFM1 50-59 years, male 23.1
GTEX-1HFI7-1826-SM-ACKXH 50-59 years, female 23.1
GTEX-1JJE9-0326-SM-CL53Z 70-79 years, male 23.1
GTEX-ZQG8-1626-SM-DHXIT 60-69 years, female 23.1
GTEX-11DXZ-2326-SM-5EGGV 50-59 years, male 23.0
GTEX-11O72-0126-SM-59887 40-49 years, male 23.0
GTEX-147F4-0226-SM-5QGPW 50-59 years, male 23.0
GTEX-14PN4-0126-SM-6EU2V 50-59 years, male 23.0
GTEX-17MF6-0126-SM-7LG4F 40-49 years, male 23.0
GTEX-169BO-1326-SM-9MQK2 50-59 years, male 23.0
GTEX-15SHW-0326-SM-6PAML 60-69 years, male 22.9
GTEX-OOBK-0126-SM-2YUND 40-49 years, male 22.9
GTEX-X8HC-0126-SM-4E3JW 50-59 years, female 22.9
GTEX-ZC5H-0226-SM-4WAY9 40-49 years, female 22.9
GTEX-1H3VE-0326-SM-9YFLH 40-49 years, male 22.9
GTEX-ZPIC-1726-SM-DHXIU 40-49 years, female 22.8
GTEX-11GSO-2426-SM-5A5LY 60-69 years, male 22.7
GTEX-13IVO-0126-SM-5J1NG 70-79 years, male 22.7
GTEX-13O1R-0126-SM-5L3EH 60-69 years, male 22.7
GTEX-ZDXO-3026-SM-5J1N5 60-69 years, male 22.7
GTEX-1HBPH-0426-SM-B2LW5 40-49 years, female 22.7
GTEX-WOFL-0126-SM-3MJG2 60-69 years, male 22.6
GTEX-1HFI6-0226-SM-ADEHZ 40-49 years, male 22.6
GTEX-1I1HK-0126-SM-COH49 60-69 years, male 22.6
GTEX-14XAO-2326-SM-6EU1B 60-69 years, female 22.5
GTEX-R55E-0126-SM-2TC5Y 20-29 years, male 22.5
GTEX-VJYA-1126-SM-3GIJU 60-69 years, male 22.5
GTEX-Y8LW-1826-SM-5S2MV 50-59 years, female 22.5
GTEX-WYVS-2126-SM-3NMA3 40-49 years, female 22.4
GTEX-1H3O1-0426-SM-9YFKY 60-69 years, male 22.4
GTEX-1KD5A-0226-SM-D5OV3 50-59 years, male 22.4
GTEX-13OVI-1426-SM-5L3EY 60-69 years, female 22.3
GTEX-14DAQ-0126-SM-5S2MQ 60-69 years, female 22.3
GTEX-TKQ1-1026-SM-4GICL 30-39 years, male 22.3
GTEX-XQ8I-0426-SM-4BOPO 50-59 years, male 22.3
GTEX-1269C-2526-SM-5EGJ3 60-69 years, female 22.2
GTEX-1F75I-0326-SM-9YFLU 40-49 years, male 22.2
GTEX-1OJC3-0126-SM-E76QX 20-29 years, male 22.2
GTEX-11GSP-2526-SM-5N9BP 60-69 years, female 22.1
GTEX-15DCD-0126-SM-7KUEK 70-79 years, female 22.1
GTEX-U8XE-0326-SM-3DB8P 30-39 years, male 22.1
GTEX-X4EP-0126-SM-3P5YV 60-69 years, female 22.1
GTEX-13X6H-2126-SM-7EWD5 50-59 years, female 22.0
GTEX-1AX8Z-0126-SM-7DHM6 60-69 years, male 22.0
GTEX-146FR-1326-SM-E9J48 60-69 years, female 22.0
GTEX-11NUK-0126-SM-5A5L3 50-59 years, male 21.9
GTEX-11P7K-2126-SM-5GU7G 30-39 years, male 21.9
GTEX-14A6H-0126-SM-5QGPK 30-39 years, male 21.9
GTEX-14E6C-0126-SM-5RQIP 40-49 years, male 21.9
GTEX-RN64-0126-SM-2TC68 50-59 years, male 21.9
GTEX-RTLS-0126-SM-447CA 60-69 years, female 21.9
GTEX-1MA7X-2226-SM-E6CIY 60-69 years, male 21.9
GTEX-OOBJ-0126-SM-E6CJW 60-69 years, male 21.9
GTEX-11EMC-2926-SM-5EQ4F 60-69 years, female 21.8
GTEX-13OW8-1326-SM-5J1OW 60-69 years, male 21.8
GTEX-14E7W-0126-SM-6LLJ9 70-79 years, male 21.8
GTEX-P4PQ-0126-SM-2S1NM 60-69 years, male 21.8
GTEX-S7PM-0126-SM-4AD6S 60-69 years, male 21.8
GTEX-1IDJH-0326-SM-A9SLQ 70-79 years, male 21.8
GTEX-X4EO-0326-SM-3P5YO 60-69 years, female 21.7
GTEX-1GTWX-0126-SM-9YFLK 60-69 years, male 21.7
GTEX-1N2EF-0226-SM-EYYXB 60-69 years, male 21.7
GTEX-11TT1-2526-SM-5EGIB 20-29 years, male 21.6
GTEX-14C5O-0126-SM-5SI6N 60-69 years, male 21.5
GTEX-1C64N-0126-SM-793D7 50-59 years, male 21.5
GTEX-V1D1-2226-SM-3NMAX 50-59 years, male 21.5
GTEX-X4XY-0226-SM-4E3IZ 60-69 years, male 21.5
GTEX-1IL2U-0226-SM-CE6T8 60-69 years, male 21.5
GTEX-13N2G-2626-SM-5J1OT 60-69 years, male 21.4
GTEX-Q734-1926-SM-2I5EV 40-49 years, female 21.4
GTEX-ZF28-0126-SM-4WKGK 60-69 years, male 21.4
GTEX-1CB4F-0426-SM-9KNV4 60-69 years, male 21.4
GTEX-1R9K4-0126-SM-DTX9X 60-69 years, male 21.4
GTEX-117YW-2626-SM-5GZZH 50-59 years, male 21.3
GTEX-1192W-2626-SM-5Q5AF 60-69 years, male 21.3
GTEX-T6MN-0126-SM-32PLP 50-59 years, male 21.3
GTEX-1EMGI-0126-SM-9KNUE 60-69 years, male 21.3
GTEX-11DXY-2626-SM-5GIE7 60-69 years, male 21.2
GTEX-12WSJ-1826-SM-5GCNY 40-49 years, female 21.2
GTEX-144GN-2326-SM-5LU4F 50-59 years, male 21.2
GTEX-QLQ7-1626-SM-2S1R8 60-69 years, male 21.2
GTEX-1C6WA-0126-SM-7PC2B 60-69 years, male 21.2
GTEX-1HCU8-0626-SM-A9SM9 60-69 years, female 21.2
GTEX-1JN6P-0126-SM-D3L98 60-69 years, male 21.2
GTEX-1128S-2326-SM-5GZZY 60-69 years, female 21.1
GTEX-13CF3-2426-SM-5IFGX 60-69 years, female 21.1
GTEX-15EOM-0126-SM-7KUGG 20-29 years, female 21.1
GTEX-X261-0126-SM-3NMD6 50-59 years, male 21.1
GTEX-1GZHY-0326-SM-9QEHI 50-59 years, female 21.1
GTEX-1H23P-0126-SM-ADEJ3 60-69 years, male 21.1
GTEX-1JMQJ-0526-SM-CYPSU 50-59 years, male 21.1
GTEX-1S82Y-2026-SM-EVYCM 40-49 years, male 21.1
GTEX-13RTJ-2426-SM-5S2Q2 60-69 years, male 21.0
GTEX-13W46-0226-SM-5SIAG 50-59 years, male 21.0
GTEX-15CHC-2126-SM-6EU21 60-69 years, female 21.0
GTEX-17EVQ-0226-SM-7LG4P 70-79 years, male 21.0
GTEX-RUSQ-1526-SM-2TF62 50-59 years, male 21.0
GTEX-1H3NZ-0126-SM-ACKX7 60-69 years, male 21.0
GTEX-1I19N-0326-SM-ACKVX 70-79 years, male 21.0
GTEX-1N2DV-0226-SM-E6CJ6 40-49 years, male 21.0
GTEX-11ZUS-0626-SM-59885 30-39 years, male 20.9
GTEX-ZUA1-0126-SM-5GU76 40-49 years, male 20.9
GTEX-1J8EW-0126-SM-CJI4F 60-69 years, female 20.9
GTEX-11DZ1-0126-SM-5985Q 50-59 years, male 20.8
GTEX-11TTK-0126-SM-5987B 60-69 years, female 20.8
GTEX-1IKOH-0226-SM-COH4E 60-69 years, female 20.8
GTEX-1RLM8-2326-SM-EWRN4 50-59 years, male 20.8
GTEX-13112-2826-SM-5DUWH 50-59 years, male 20.7
GTEX-14A5H-0426-SM-5QGQF 60-69 years, male 20.7
GTEX-1H4P4-0726-SM-9YFLR 50-59 years, male 20.7
GTEX-1JMPZ-0226-SM-CNPP1 30-39 years, male 20.7
GTEX-1K2DA-1826-SM-CGQGT 50-59 years, male 20.7
GTEX-1KWVE-1426-SM-E9TJO 30-39 years, male 20.7
GTEX-131XW-0426-SM-5LZWP 50-59 years, female 20.6
GTEX-XUYS-0126-SM-47JWZ 50-59 years, male 20.6
GTEX-1CB4H-0226-SM-7PBXM 60-69 years, female 20.6
GTEX-13U4I-0126-SM-5LU38 40-49 years, female 20.5
GTEX-13VXU-0126-SM-5SI9F 50-59 years, male 20.5
GTEX-131XE-2326-SM-5PNZ2 50-59 years, male 20.4
GTEX-Y111-0126-SM-4SOIV 50-59 years, male 20.4
GTEX-12WSL-2526-SM-5GCNJ 50-59 years, male 20.3
GTEX-15UF6-0826-SM-6PALJ 70-79 years, female 20.3
GTEX-16XZZ-0126-SM-793DV 60-69 years, male 20.3
GTEX-17HG3-2226-SM-7938L 30-39 years, female 20.3
GTEX-RU72-0926-SM-2TF6B 50-59 years, female 20.3
GTEX-ZXES-1826-SM-5E43S 30-39 years, female 20.3
GTEX-11ZTT-2426-SM-5EQLS 60-69 years, female 20.2
GTEX-13NZA-0226-SM-5K7Z7 60-69 years, male 20.2
GTEX-SIU8-0126-SM-2XCDT 50-59 years, male 20.2
GTEX-X585-0226-SM-4QAS2 50-59 years, male 20.2
GTEX-1JMOU-1526-SM-CL54I 60-69 years, female 20.2
GTEX-11UD1-0126-SM-5PNYG 40-49 years, female 20.1
GTEX-1OJC4-0126-SM-E9J2E 50-59 years, female 20.1
GTEX-132NY-0326-SM-5IJBL 60-69 years, male 20.0
GTEX-ZEX8-2426-SM-4WKG4 50-59 years, male 20.0
GTEX-ZYFD-0126-SM-5GIDL 50-59 years, male 20.0
GTEX-13O3O-0126-SM-E9J49 60-69 years, female 20.0
GTEX-1KANB-0526-SM-E6CJH 50-59 years, male 20.0
GTEX-145LV-2126-SM-5LU8N 50-59 years, male 19.9
GTEX-Q2AH-1626-SM-3GAF8 40-49 years, male 19.9
GTEX-R55G-2526-SM-2TC6D 40-49 years, female 19.9
GTEX-1PBJI-0526-SM-E8VNK 20-29 years, female 19.9
GTEX-ZVT4-0126-SM-DTXFN 50-59 years, female 19.9
GTEX-12WSD-0126-SM-59HKN 60-69 years, female 19.8
GTEX-16NPX-0226-SM-79OMT 50-59 years, male 19.8
GTEX-VUSG-2526-SM-4KL1V 50-59 years, male 19.8
GTEX-1F88F-2726-SM-7PBZZ 60-69 years, female 19.8
GTEX-1J8JJ-0226-SM-CL53I 60-69 years, female 19.8
GTEX-11WQK-0526-SM-5EQLD 50-59 years, male 19.7
GTEX-17F97-0326-SM-7LG5B 50-59 years, male 19.7
GTEX-WZTO-0126-SM-3NM95 40-49 years, male 19.7
GTEX-X4XX-0126-SM-3NMC2 60-69 years, male 19.7
GTEX-Y5V5-2326-SM-4V6GA 60-69 years, female 19.7
GTEX-1EU9M-0226-SM-7P8SP 60-69 years, male 19.7
GTEX-1S5ZA-0126-SM-EVYCV 20-29 years, male 19.7
GTEX-12ZZZ-0626-SM-5DUXI 60-69 years, male 19.6
GTEX-13RTL-0126-SM-7LG5S 40-49 years, male 19.6
GTEX-1EN7A-0126-SM-7SB81 40-49 years, male 19.6
GTEX-14LZ3-0226-SM-62LET 60-69 years, female 19.5
GTEX-Q2AI-1326-SM-2S1PL 40-49 years, male 19.5
GTEX-UPJH-0326-SM-3GADU 50-59 years, male 19.5
GTEX-1GPI6-0126-SM-9WG69 60-69 years, male 19.5
GTEX-1R9PO-2126-SM-E9J4O 60-69 years, female 19.5
GTEX-13111-1626-SM-5EGJY 50-59 years, male 19.4
GTEX-13OVJ-0126-SM-5KM36 50-59 years, female 19.4
GTEX-1ICLY-0126-SM-D4P36 50-59 years, male 19.4
GTEX-13QJ3-0326-SM-5S2RA 50-59 years, male 19.3
GTEX-1E1VI-0126-SM-7DHMZ 50-59 years, male 19.3
GTEX-TMZS-0126-SM-3DB9Q 60-69 years, male 19.3
GTEX-1MCQQ-0826-SM-DLHC2 60-69 years, male 19.3
GTEX-1NV5F-0226-SM-E8VNY 60-69 years, female 19.3
GTEX-11LCK-1026-SM-5A5KB 30-39 years, male 19.2
GTEX-11OF3-2626-SM-5GU7F 60-69 years, male 19.2
GTEX-WRHK-1426-SM-3MJF9 20-29 years, female 19.2
GTEX-YJ89-0126-SM-4TT3X 60-69 years, male 19.2
GTEX-1JN1M-0326-SM-CYPT3 60-69 years, female 19.2
GTEX-1211K-2026-SM-5EQ4Z 60-69 years, female 19.1
GTEX-145MF-0626-SM-5LUAI 50-59 years, male 19.1
GTEX-15D1Q-0126-SM-7KUG6 40-49 years, male 19.1
GTEX-1GL5R-1826-SM-9KNUY 50-59 years, male 19.1
GTEX-1IKK5-0626-SM-ARL8A 60-69 years, male 19.1
GTEX-11DXX-2426-SM-5GZZW 60-69 years, female 19.0
GTEX-11P82-1626-SM-59879 20-29 years, male 19.0
GTEX-12WSC-0126-SM-5EQ4P 50-59 years, male 19.0
GTEX-14A5I-0126-SM-5TDEA 50-59 years, female 19.0
GTEX-16YQH-0126-SM-7DUFJ 30-39 years, male 19.0
GTEX-U4B1-1826-SM-4DXSU 40-49 years, male 19.0
GTEX-1HCU7-0226-SM-CL545 50-59 years, male 19.0
GTEX-1IOXB-0126-SM-ARL8G 50-59 years, male 19.0
GTEX-1CB4E-2226-SM-793DC 60-69 years, male 18.9
GTEX-T2IS-0126-SM-4DM6O 20-29 years, female 18.9
GTEX-1GN1V-0126-SM-9WPOS 60-69 years, male 18.9
GTEX-13OVL-0226-SM-5L3E9 50-59 years, male 18.8
GTEX-1C6VR-2426-SM-79OLD 60-69 years, male 18.8
GTEX-17HHY-0126-SM-7LG5D 50-59 years, male 18.7
GTEX-ZYY3-0126-SM-5GZY5 60-69 years, female 18.7
GTEX-1HCUA-2426-SM-ADEIS 50-59 years, female 18.7
GTEX-1JJ6O-0126-SM-E6CI8 60-69 years, male 18.7
GTEX-1PIIG-0226-SM-EWRN6 30-39 years, male 18.7
GTEX-1B8KZ-2026-SM-7DHMB 50-59 years, male 18.6
GTEX-1C2JI-1826-SM-73KXC 50-59 years, male 18.6
GTEX-OHPL-0126-SM-2HMJ7 60-69 years, female 18.6
GTEX-1GN1U-0126-SM-7PBZK 50-59 years, female 18.6
GTEX-1I1CD-0126-SM-CM2TK 60-69 years, female 18.6
GTEX-1QP66-1726-SM-E8VO1 50-59 years, male 18.6
GTEX-W5X1-3026-SM-EAZAX 40-49 years, female 18.6
GTEX-12C56-1726-SM-5EQ61 20-29 years, male 18.5
GTEX-13FXS-0226-SM-5IJCK 50-59 years, male 18.5
GTEX-13PDP-0126-SM-5L3HD 60-69 years, male 18.5
GTEX-148VJ-0126-SM-5TDDN 70-79 years, male 18.5
GTEX-15SDE-2226-SM-7IGLO 50-59 years, female 18.5
GTEX-18A67-0126-SM-7LG5P 50-59 years, male 18.5
GTEX-PLZ5-2026-SM-2S1O4 50-59 years, male 18.5
GTEX-U3ZN-2326-SM-3DB7W 30-39 years, female 18.5
GTEX-1IY9M-0126-SM-D3L8S 60-69 years, male 18.5
GTEX-1RQEC-0426-SM-E6CHU 60-69 years, male 18.5
GTEX-11NSD-2226-SM-5986V 20-29 years, male 18.4
GTEX-12WSK-2326-SM-5GCOH 40-49 years, female 18.4
GTEX-SSA3-0126-SM-32QPU 60-69 years, male 18.4
GTEX-WVJS-0126-SM-4MVOT 50-59 years, male 18.4
GTEX-ZZPT-0226-SM-5E43X 50-59 years, male 18.4
GTEX-ZF29-2326-SM-DO92K 60-69 years, female 18.4
GTEX-13NZB-2526-SM-5J1OM 30-39 years, male 18.3
GTEX-13W3W-2426-SM-5LU5B 60-69 years, female 18.3
GTEX-17EVP-0326-SM-7DHLG 40-49 years, male 18.3
GTEX-XYKS-2126-SM-4E3IB 60-69 years, female 18.3
GTEX-1GMR3-1926-SM-9KNUZ 40-49 years, male 18.3
GTEX-1I1GQ-0126-SM-COH3H 50-59 years, male 18.3
GTEX-1ICG6-2526-SM-CGQFZ 70-79 years, female 18.3
GTEX-11VI4-1726-SM-5CVLH 40-49 years, female 18.2
GTEX-13SLX-0526-SM-5S2ON 50-59 years, female 18.2
GTEX-16NGA-1726-SM-731B4 40-49 years, female 18.2
GTEX-17F98-0626-SM-79OMX 40-49 years, female 18.2
GTEX-1AYCT-2426-SM-7IGQ3 50-59 years, male 18.2
GTEX-XPVG-2626-SM-4B669 50-59 years, male 18.2
GTEX-1QEPI-0126-SM-EWRMQ 60-69 years, female 18.2
GTEX-11GS4-2726-SM-5A5LE 60-69 years, male 18.1
GTEX-139TU-0126-SM-5K7WH 60-69 years, male 18.1
GTEX-13NZ8-0826-SM-5MR3I 60-69 years, female 18.1
GTEX-13PVR-2326-SM-5QGR1 60-69 years, female 18.1
GTEX-1AMEY-1326-SM-73KYK 30-39 years, female 18.1
GTEX-Z93T-0126-SM-5HL5N 50-59 years, male 18.1
GTEX-139TS-2826-SM-5J1OO 60-69 years, male 18.0
GTEX-13JUV-2726-SM-5LZZ8 40-49 years, female 18.0
GTEX-15DYW-0126-SM-7KULE 60-69 years, female 18.0
GTEX-OHPM-0126-SM-2YUN9 50-59 years, male 18.0
GTEX-XXEK-2226-SM-4BRUM 50-59 years, male 18.0
GTEX-1F48J-0126-SM-7P8TT 50-59 years, female 18.0
GTEX-1IKJJ-0126-SM-CNPQB 60-69 years, male 18.0
GTEX-RNOR-0126-SM-E9J4R 50-59 years, female 18.0
GTEX-147F3-0526-SM-5SI98 50-59 years, female 17.9
GTEX-14E6D-0126-SM-62LDV 50-59 years, male 17.9
GTEX-1NHNU-1026-SM-E9J2A 50-59 years, male 17.9
GTEX-117XS-2726-SM-5N9BL 60-69 years, male 17.8
GTEX-11ZU8-2526-SM-5EQKI 60-69 years, male 17.8
GTEX-12KS4-0326-SM-5EQ41 30-39 years, male 17.8
GTEX-1C6VS-0526-SM-7DUEN 60-69 years, male 17.8
GTEX-Y8DK-0126-SM-4TT3L 60-69 years, male 17.8
GTEX-ZGAY-0526-SM-4WWBB 40-49 years, female 17.8
GTEX-1A8FM-0226-SM-7SB7Q 50-59 years, female 17.8
GTEX-1GN1W-0526-SM-9MQJQ 50-59 years, female 17.8
GTEX-11P81-2326-SM-59875 30-39 years, female 17.7
GTEX-139D8-0226-SM-5KLZO 30-39 years, female 17.7
GTEX-14ABY-0226-SM-5TDCQ 50-59 years, male 17.7
GTEX-U3ZH-2026-SM-3DB78 30-39 years, male 17.7
GTEX-1HSMP-0126-SM-E6CJS 70-79 years, male 17.7
GTEX-1I1GU-2226-SM-CGQFA 40-49 years, male 17.7
GTEX-1IE54-0126-SM-CMKHW 40-49 years, female 17.7
GTEX-1314G-1526-SM-5EGK2 30-39 years, male 17.6
GTEX-13CF2-2526-SM-5LZYX 60-69 years, male 17.6
GTEX-14PJ6-2126-SM-6EU1V 60-69 years, female 17.6
GTEX-17F96-1626-SM-7DUFL 70-79 years, male 17.6
GTEX-RWS6-2026-SM-2XCB5 60-69 years, female 17.6
GTEX-T2YK-0526-SM-32QPJ 50-59 years, male 17.6
GTEX-1HGF4-2426-SM-ACKXM 60-69 years, male 17.6
GTEX-1R7EV-2426-SM-EVYBG 40-49 years, male 17.6
GTEX-111VG-2426-SM-5GZXD 60-69 years, male 17.5
GTEX-16MT8-0426-SM-7KUEY 60-69 years, female 17.5
GTEX-Y3I4-2126-SM-4TT7C 50-59 years, male 17.5
GTEX-1QMI2-0226-SM-EVYBX 60-69 years, male 17.5
GTEX-1QP67-1626-SM-EAZ3X 40-49 years, female 17.5
GTEX-139TT-0126-SM-5K7Y5 60-69 years, male 17.4
GTEX-14PJ3-1826-SM-62LEX 50-59 years, male 17.4
GTEX-15F5U-1526-SM-6PANO 40-49 years, male 17.4
GTEX-TSE9-0126-SM-3DB83 60-69 years, female 17.4
GTEX-YB5E-2026-SM-5IFIS 40-49 years, male 17.4
GTEX-1B933-0126-SM-7PC29 50-59 years, female 17.4
GTEX-1F6IF-0726-SM-7P8TW 60-69 years, male 17.4
GTEX-1QP2A-0126-SM-E9J43 50-59 years, male 17.4
GTEX-1RDX4-0126-SM-E9J4P 50-59 years, female 17.4
GTEX-13OVK-2026-SM-7KUEO 40-49 years, male 17.3
GTEX-14PJM-0226-SM-62LF1 50-59 years, female 17.3
GTEX-17HGU-0226-SM-7DHKV 50-59 years, male 17.3
GTEX-18A66-0226-SM-718BD 60-69 years, male 17.3
GTEX-QLQW-1126-SM-2S1Q8 30-39 years, male 17.3
GTEX-QVJO-1626-SM-2S1QW 60-69 years, female 17.3
GTEX-XUW1-0426-SM-4BOOT 50-59 years, female 17.3
GTEX-1EX96-1626-SM-7PBXR 50-59 years, male 17.3
GTEX-1GMRU-0126-SM-9YFLV 50-59 years, male 17.3
GTEX-1KXAM-2226-SM-CYPTC 60-69 years, male 17.3
GTEX-1RAZA-0126-SM-E6CI3 20-29 years, male 17.3
GTEX-139T8-0126-SM-5K7XZ 60-69 years, male 17.2
GTEX-183FY-0126-SM-7LT9P 20-29 years, male 17.2
GTEX-1CB4J-0626-SM-7DHMP 60-69 years, male 17.2
GTEX-OXRN-0126-SM-48TDM 50-59 years, male 17.2
GTEX-U3ZM-1526-SM-3DB9D 40-49 years, male 17.2
GTEX-1GN2E-0426-SM-9MQKX 60-69 years, male 17.2
GTEX-1HSEH-0126-SM-ACKXN 60-69 years, male 17.2
GTEX-1POEN-0126-SM-EYYXJ 30-39 years, female 17.2
GTEX-13G51-2526-SM-5LZYK 60-69 years, male 17.1
GTEX-1CB4I-0226-SM-79OLH 50-59 years, male 17.1
GTEX-1F6I4-0126-SM-9MQL2 60-69 years, male 17.1
GTEX-14BMV-0126-SM-5S2PO 50-59 years, male 17.0
GTEX-1B8SG-0126-SM-73KZ3 50-59 years, male 17.0
GTEX-R3RS-0126-SM-3GIJL 40-49 years, female 17.0
GTEX-YEC4-2126-SM-5IFJH 40-49 years, male 17.0
GTEX-YJ8A-0426-SM-5IFID 20-29 years, male 17.0
GTEX-ZV6S-2326-SM-4YCEY 40-49 years, female 17.0
GTEX-1GZ2Q-0226-SM-7P8TL 40-49 years, male 17.0
GTEX-1HKZK-0326-SM-9WYUH 40-49 years, male 17.0
GTEX-1IDJU-2626-SM-CM2RT 60-69 years, female 17.0
GTEX-131XH-2226-SM-5DUXJ 50-59 years, male 16.9
GTEX-131YS-0126-SM-5KM1M 60-69 years, female 16.9
GTEX-PLZ4-0126-SM-5SI8O 50-59 years, female 16.9
GTEX-T8EM-1026-SM-3DB7M 40-49 years, male 16.9
GTEX-WYJK-0126-SM-3NMAB 50-59 years, male 16.9
GTEX-ZDTS-0126-SM-4WAY5 60-69 years, male 16.9
GTEX-1IL2V-0126-SM-CM2TX 70-79 years, male 16.9
GTEX-1MJK2-0426-SM-DTXE5 50-59 years, male 16.9
GTEX-1PPH8-0226-SM-E8VND 20-29 years, male 16.9
GTEX-1212Z-2526-SM-5EGKP 60-69 years, male 16.8
GTEX-ZAK1-0126-SM-5IJD3 50-59 years, female 16.8
GTEX-ZV68-0126-SM-59HKS 50-59 years, female 16.8
GTEX-ZVT3-0126-SM-5GU6I 60-69 years, female 16.8
GTEX-1EKGG-0226-SM-9WYTH 60-69 years, male 16.8
GTEX-1HSGN-0226-SM-CGQFV 40-49 years, female 16.8
GTEX-1LSNM-1926-SM-E6CII 50-59 years, male 16.8
GTEX-144GL-0126-SM-5TDE2 50-59 years, male 16.7
GTEX-1AMFI-2026-SM-731BH 50-59 years, female 16.7
GTEX-1H1E6-1726-SM-ACKVK 30-39 years, male 16.7
GTEX-1399R-2726-SM-5IJBA 30-39 years, male 16.6
GTEX-17EUY-0426-SM-793BD 20-29 years, male 16.6
GTEX-1JKYN-1326-SM-CGQG9 30-39 years, male 16.6
GTEX-SUCS-1926-SM-32PM3 70-79 years, male 16.5
GTEX-Y3IK-2426-SM-4WWDU 50-59 years, female 16.5
GTEX-YFC4-0126-SM-5CVLY 40-49 years, female 16.5
GTEX-1CAV2-2226-SM-7P8P2 40-49 years, female 16.5
GTEX-1KAFJ-2026-SM-CY8ID 50-59 years, male 16.5
GTEX-ZF3C-0126-SM-DO92D 50-59 years, female 16.5
GTEX-14LLW-0126-SM-6LLIO 70-79 years, female 16.4
GTEX-18A7B-0126-SM-7LG64 70-79 years, male 16.4
GTEX-WH7G-2326-SM-3NMBC 40-49 years, male 16.4
GTEX-1H2FU-0126-SM-9WYSI 60-69 years, female 16.4
GTEX-1JN76-0126-SM-CNPPE 20-29 years, female 16.4
GTEX-1QP9N-1426-SM-DTXFL 30-39 years, male 16.4
GTEX-1RAZQ-0726-SM-EAZ43 30-39 years, male 16.4
GTEX-S33H-1026-SM-EZ6L6 30-39 years, male 16.4
GTEX-13N11-2526-SM-5K7UE 50-59 years, female 16.3
GTEX-148VI-1626-SM-5SI6E 60-69 years, female 16.3
GTEX-1CAMQ-0226-SM-7IGPK 40-49 years, male 16.3
GTEX-ZAB4-0226-SM-5N9F5 40-49 years, male 16.3
GTEX-ZVZP-2426-SM-59HKJ 50-59 years, male 16.3
GTEX-1F7RK-0126-SM-7PC2S 20-29 years, female 16.3
GTEX-1H1DE-2126-SM-9WG6R 20-29 years, male 16.3
GTEX-1IDJF-0126-SM-CM2RS 20-29 years, male 16.3
GTEX-1313W-0126-SM-5LZUN 50-59 years, female 16.2
GTEX-14JG1-0426-SM-6ETZZ 40-49 years, male 16.2
GTEX-14PHX-2326-SM-62LEM 50-59 years, male 16.2
GTEX-15UKP-0426-SM-7KUFQ 20-29 years, male 16.2
GTEX-OXRP-0126-SM-3NB32 60-69 years, female 16.2
GTEX-POMQ-2226-SM-2I5FK 20-29 years, female 16.2
GTEX-XUZC-1726-SM-4BRWS 30-39 years, female 16.2
GTEX-1I6K6-0126-SM-A9SLE 30-39 years, male 16.2
GTEX-13X6J-0126-SM-5QGOU 50-59 years, male 16.1
GTEX-18A7A-0226-SM-718BH 50-59 years, female 16.1
GTEX-Q2AG-0126-SM-33HBV 40-49 years, female 16.1
GTEX-14BIN-0626-SM-793DP 50-59 years, female 16.0
GTEX-1HCVE-0126-SM-CGQEU 50-59 years, male 16.0
GTEX-1I1GP-2226-SM-CGQFK 50-59 years, male 16.0
GTEX-1KANC-1526-SM-D3LAB 50-59 years, female 16.0
GTEX-PLZ6-1426-SM-DKPOT 30-39 years, male 16.0
GTEX-12126-0326-SM-5PNW3 20-29 years, male 15.9
GTEX-14PHW-0126-SM-6LLJI 60-69 years, female 15.9
GTEX-17KNJ-2326-SM-7DHLQ 50-59 years, male 15.9
GTEX-1CB4G-0226-SM-7PC3O 60-69 years, male 15.9
GTEX-1JK1U-2026-SM-CM2RZ 60-69 years, male 15.9
GTEX-1L5NE-2526-SM-E6CIE 50-59 years, male 15.9
GTEX-OIZF-0126-SM-7SB8I 60-69 years, male 15.9
GTEX-WY7C-2326-SM-3NB2U 50-59 years, male 15.8
GTEX-XQ3S-1526-SM-4BOOC 20-29 years, male 15.8
GTEX-1GN73-0226-SM-9WG67 60-69 years, male 15.8
GTEX-1HCU9-1526-SM-A9SL7 20-29 years, male 15.8
GTEX-1LB8K-0226-SM-EWRNW 50-59 years, male 15.8
GTEX-1OFPY-2426-SM-DTXEJ 60-69 years, male 15.8
GTEX-145LS-0126-SM-5QGP1 60-69 years, female 15.7
GTEX-16GPK-0126-SM-7DHLE 60-69 years, male 15.7
GTEX-O5YW-0126-SM-3LK6D 50-59 years, male 15.7
GTEX-1H1CY-2826-SM-9MQM3 60-69 years, female 15.7
GTEX-1HSMO-0126-SM-CL547 60-69 years, male 15.7
GTEX-12WSE-0526-SM-793B2 20-29 years, male 15.6
GTEX-QESD-1426-SM-2S1R9 20-29 years, male 15.6
GTEX-1J8Q2-0526-SM-CM2RW 60-69 years, male 15.6
GTEX-1KD4Q-0226-SM-E9TJ9 40-49 years, male 15.6
GTEX-SE5C-1626-SM-2XCE3 40-49 years, female 15.6
GTEX-12ZZX-0126-SM-5EGK9 40-49 years, female 15.5
GTEX-15RIG-0226-SM-7KFTL 40-49 years, male 15.5
GTEX-Y5LM-1926-SM-5RQJH 40-49 years, female 15.5
GTEX-1J1R8-1726-SM-ARL8M 40-49 years, male 15.5
GTEX-1MCYP-1926-SM-E9J2R 20-29 years, female 15.5
GTEX-1O97I-0326-SM-EYYX7 60-69 years, male 15.5
GTEX-1QCLY-0326-SM-E8VOG 30-39 years, male 15.5
GTEX-11ZTS-0126-SM-5EQ6M 60-69 years, female 15.4
GTEX-13FHP-0126-SM-5IJBG 50-59 years, male 15.4
GTEX-13O3Q-2426-SM-5IJBR 50-59 years, male 15.4
GTEX-13OVG-1926-SM-5L3DK 60-69 years, male 15.4
GTEX-1HBPI-1526-SM-C1YQ1 50-59 years, male 15.4
GTEX-1HSKV-0226-SM-A9SKJ 60-69 years, male 15.4
GTEX-1JMPY-1326-SM-ARL8Y 30-39 years, male 15.4
GTEX-PX3G-0126-SM-2I3EN 20-29 years, female 15.3
GTEX-T6MO-1626-SM-32QOM 40-49 years, female 15.3
GTEX-ZAB5-1826-SM-5HL7C 50-59 years, male 15.3
GTEX-1F52S-0126-SM-9MQJU 60-69 years, female 15.3
GTEX-1H1DG-0126-SM-9WYU2 70-79 years, male 15.3
GTEX-1I1GR-0126-SM-CL55F 60-69 years, male 15.3
GTEX-PW2O-1526-SM-7RHHB 20-29 years, male 15.3
GTEX-12WSN-5019-SM-79OM6 40-49 years, male 15.2
GTEX-133LE-1826-SM-5J1MV 20-29 years, female 15.2
GTEX-14PII-0226-SM-6EU1T 60-69 years, male 15.2
GTEX-X88G-0126-SM-47JZ3 30-39 years, male 15.2
GTEX-1C64O-0126-SM-7SB8P 60-69 years, male 15.2
GTEX-1GF9V-0326-SM-7RHI5 60-69 years, male 15.2
GTEX-R45C-0126-SM-EAZ2R 60-69 years, female 15.2
GTEX-RVPV-0126-SM-EAZAW 60-69 years, male 15.2
GTEX-146FQ-0126-SM-5NQA9 30-39 years, male 15.1
GTEX-QEG4-0226-SM-2S1PY 30-39 years, male 15.1
GTEX-ZTSS-1926-SM-57WEW 40-49 years, male 15.1
GTEX-17GQL-2026-SM-718BA 60-69 years, male 15.0
GTEX-17MFQ-1726-SM-793C7 20-29 years, male 15.0
GTEX-1CAMR-1926-SM-7EPI2 20-29 years, male 15.0
GTEX-T5JC-0426-SM-32PLO 20-29 years, male 15.0
GTEX-1399U-2326-SM-5K7WY 50-59 years, female 14.9
GTEX-139UW-2826-SM-5L3E7 60-69 years, male 14.9
GTEX-13FTW-2626-SM-5K7WL 40-49 years, male 14.9
GTEX-14BIL-0126-SM-5SI92 50-59 years, male 14.9
GTEX-1QP29-0626-SM-EWRMX 50-59 years, male 14.9
GTEX-111FC-0126-SM-5N9DL 60-69 years, male 14.8
GTEX-1399T-2826-SM-5KLYZ 60-69 years, male 14.8
GTEX-1497J-2426-SM-7IGNX 60-69 years, male 14.8
GTEX-15SHU-0126-SM-7KUEH 40-49 years, female 14.8
GTEX-1HSMQ-1226-SM-CGQFX 50-59 years, male 14.8
GTEX-1QPFJ-0226-SM-E76PB 30-39 years, female 14.8
GTEX-14DAR-2026-SM-5S2O3 50-59 years, male 14.7
GTEX-18465-0126-SM-731BN 50-59 years, male 14.7
GTEX-U8T8-0126-SM-3DB94 60-69 years, male 14.7
GTEX-1J8QM-2126-SM-CYPSJ 60-69 years, female 14.7
GTEX-11DXW-0226-SM-5H122 40-49 years, male 14.6
GTEX-1GF9W-0326-SM-9KNUN 60-69 years, male 14.6
GTEX-WXYG-2326-SM-4E3I6 50-59 years, female 14.5
GTEX-1F5PK-2426-SM-7RHHY 50-59 years, male 14.5
GTEX-1H11D-0226-SM-9WG6Z 40-49 years, male 14.5
GTEX-XBED-2226-SM-47JYQ 60-69 years, male 14.4
GTEX-1I1GT-0626-SM-CGQER 60-69 years, female 14.4
GTEX-1J8Q3-1626-SM-CMKGC 60-69 years, male 14.4
GTEX-18A6Q-0126-SM-731BZ 60-69 years, male 14.3
GTEX-XMD2-0126-SM-4YCDU 60-69 years, female 14.3
GTEX-13OW5-0126-SM-DTXFS 60-69 years, male 14.3
GTEX-1LBAC-0126-SM-DIPEZ 20-29 years, male 14.3
GTEX-131XG-2626-SM-5KM17 50-59 years, female 14.2
GTEX-146FH-0126-SM-5QGPP 50-59 years, female 14.2
GTEX-1BAJH-0526-SM-793CQ 70-79 years, male 14.2
GTEX-S7SE-0126-SM-2XCD5 50-59 years, male 14.2
GTEX-WFG8-2226-SM-3GIL9 20-29 years, male 14.2
GTEX-ZDYS-2026-SM-5HL5L 50-59 years, male 14.2
GTEX-ZQUD-1426-SM-57WER 30-39 years, male 14.2
GTEX-ZVE2-0226-SM-59HJB 50-59 years, male 14.2
GTEX-1AX9I-0126-SM-7SB74 60-69 years, male 14.2
GTEX-1MA7W-2026-SM-E9TJ6 20-29 years, female 14.2
GTEX-PWCY-1826-SM-DHXIZ 20-29 years, female 14.2
GTEX-11EQ9-2426-SM-5HL5T 30-39 years, male 14.1
GTEX-1A32A-0126-SM-718B1 50-59 years, female 14.1
GTEX-UJHI-1526-SM-3DB99 50-59 years, female 14.1
GTEX-W5WG-1826-SM-4KL2Y 50-59 years, female 14.1
GTEX-1S83E-0126-SM-EWRO4 40-49 years, male 14.1
GTEX-13O21-1426-SM-5K7XI 50-59 years, male 14.0
GTEX-15DDE-0126-SM-6LPKH 50-59 years, female 14.0
GTEX-1B8KE-2126-SM-73KYX 50-59 years, male 14.0
GTEX-QV44-1926-SM-2S1RF 50-59 years, male 14.0
GTEX-RM2N-1426-SM-2TF4H 50-59 years, male 14.0
GTEX-RWSA-0126-SM-2XCBB 40-49 years, male 14.0
GTEX-1PFEY-1526-SM-E76PP 30-39 years, male 14.0
GTEX-NFK9-0226-SM-2HMKQ 40-49 years, male 13.9
GTEX-S95S-1226-SM-4GICG 60-69 years, male 13.9
GTEX-X5EB-2226-SM-46MW4 40-49 years, male 13.9
GTEX-1B8L1-2526-SM-9WYTF 60-69 years, male 13.9
GTEX-1E2YA-0126-SM-9KNUC 50-59 years, male 13.9
GTEX-145ME-1826-SM-5SI9G 40-49 years, female 13.8
GTEX-14ICK-0226-SM-6EU25 40-49 years, male 13.8
GTEX-1AX9K-2326-SM-73KWU 50-59 years, male 13.8
GTEX-P44H-0226-SM-2XCEU 40-49 years, male 13.8
GTEX-1F75B-0126-SM-9KNVL 50-59 years, male 13.8
GTEX-1PPH7-2326-SM-EVYB8 40-49 years, male 13.8
GTEX-13OW6-0426-SM-5L3HM 50-59 years, male 13.7
GTEX-14E6E-1826-SM-5S2R7 30-39 years, male 13.7
GTEX-18QFQ-0126-SM-731BE 30-39 years, male 13.7
GTEX-WFON-2126-SM-3LK7O 40-49 years, male 13.7
GTEX-1GF9U-2126-SM-7SB7L 40-49 years, female 13.7
GTEX-1S3DN-2226-SM-EVYCD 50-59 years, male 13.7
GTEX-1192X-0226-SM-5H12D 50-59 years, male 13.6
GTEX-11EM3-2426-SM-59861 20-29 years, female 13.6
GTEX-P4QT-0126-SM-2I3FL 50-59 years, female 13.6
GTEX-ZVTK-0426-SM-51MRS 20-29 years, male 13.6
GTEX-1HT8W-0126-SM-CNPPP 30-39 years, male 13.6
GTEX-1M5QR-1226-SM-EWROB 40-49 years, male 13.6
GTEX-11EI6-0126-SM-5985R 60-69 years, male 13.5
GTEX-16BQI-0226-SM-7KUEX 30-39 years, female 13.5
GTEX-XBEW-0626-SM-4QASP 40-49 years, male 13.5
GTEX-ZTX8-1426-SM-5DUVO 20-29 years, male 13.5
GTEX-1JJEA-0326-SM-CNPOT 60-69 years, male 13.5
GTEX-1PIGE-0126-SM-EVYBJ 20-29 years, male 13.5
GTEX-15EU6-0426-SM-6PAN5 50-59 years, male 13.4
GTEX-17HHE-2026-SM-79OKF 50-59 years, male 13.4
GTEX-1GF9X-2026-SM-7PC3A 40-49 years, female 13.4
GTEX-1GZ4H-1726-SM-7PBZJ 50-59 years, female 13.4
GTEX-1HCU6-0126-SM-CL54K 60-69 years, female 13.4
GTEX-1MUQO-0126-SM-EAZ58 60-69 years, male 13.4
GTEX-12ZZY-0226-SM-5LZVE 60-69 years, male 13.3
GTEX-1C475-1826-SM-73KWA 40-49 years, female 13.3
GTEX-14JG6-2226-SM-6EU2G 30-39 years, female 13.2
GTEX-1C4CL-0526-SM-73KVK 30-39 years, male 13.2
GTEX-YB5K-2126-SM-4WWDJ 40-49 years, female 13.2
GTEX-1I1GV-0526-SM-A9G29 60-69 years, male 13.2
GTEX-11XUK-2026-SM-5EQLF 40-49 years, female 13.1
GTEX-13FHO-0226-SM-5IFGY 60-69 years, male 13.1
GTEX-P4PP-0126-SM-3LK69 30-39 years, female 13.1
GTEX-ZWKS-0126-SM-5SIAA 30-39 years, male 13.1
GTEX-1LGOU-2026-SM-DIPFF 20-29 years, female 13.1
GTEX-1MGNQ-0126-SM-EVYCJ 40-49 years, male 13.1
GTEX-11UD2-0226-SM-5EQKY 50-59 years, male 13.0
GTEX-18D9B-0526-SM-7LTAS 60-69 years, male 13.0
GTEX-1AX9J-0226-SM-73KXM 60-69 years, male 13.0
GTEX-WQUQ-0426-SM-3MJFU 60-69 years, male 13.0
GTEX-ZZ64-1726-SM-5GZYB 20-29 years, male 13.0
GTEX-1QW4Y-1526-SM-EAZ3Z 30-39 years, male 13.0
GTEX-O5YT-0126-SM-48TBW 20-29 years, male 12.9
GTEX-SJXC-0126-SM-2XCFF 60-69 years, male 12.9
GTEX-T5JW-1626-SM-3GADZ 20-29 years, female 12.9
GTEX-TML8-1926-SM-32QOS 40-49 years, female 12.9
GTEX-ZE9C-2726-SM-57WB5 60-69 years, male 12.9
GTEX-1R7EU-0226-SM-EVR4G 60-69 years, male 12.9
GTEX-1S82Z-0826-SM-E6CHY 30-39 years, female 12.9
GTEX-1B8SF-1426-SM-7DUGL 60-69 years, male 12.8
GTEX-XAJ8-0826-SM-47JY6 40-49 years, male 12.8
GTEX-1R9PM-2026-SM-E76OY 20-29 years, male 12.8
GTEX-12WSA-0226-SM-5BC5V 60-69 years, male 12.7
GTEX-1JKYR-0126-SM-CNPOJ 20-29 years, male 12.7
GTEX-145MN-2226-SM-5SIAU 30-39 years, male 12.6
GTEX-17HII-0226-SM-7LG4E 50-59 years, male 12.6
GTEX-1F75A-0126-SM-7RHGM 50-59 years, male 12.6
GTEX-15ER7-0326-SM-7KUEV 20-29 years, female 12.5
GTEX-TMMY-0226-SM-33HBA 40-49 years, female 12.5
GTEX-VJWN-0126-SM-3GIK7 50-59 years, female 12.5
GTEX-Y8E4-0626-SM-4WWDL 40-49 years, male 12.5
GTEX-Z93S-0126-SM-5HL7M 50-59 years, male 12.4
GTEX-11WQC-2526-SM-5CVLE 60-69 years, male 12.3
GTEX-1IDFM-0126-SM-COH2V 60-69 years, male 12.2
GTEX-145LT-1726-SM-5QGP3 40-49 years, male 12.1
GTEX-1A3MV-1926-SM-718BT 30-39 years, male 12.1
GTEX-13D11-2426-SM-5KM1V 50-59 years, female 12.0
GTEX-15G19-0126-SM-6PANQ 60-69 years, male 12.0
GTEX-Y114-2426-SM-4TT8A 50-59 years, female 12.0
GTEX-1RB15-2126-SM-E9TIM 60-69 years, male 12.0
GTEX-14BIM-0226-SM-7IGLD 60-69 years, female 11.9
GTEX-14PN3-2426-SM-6LLHS 60-69 years, female 11.9
GTEX-15ETS-0126-SM-7KUMW 40-49 years, female 11.9
GTEX-OXRK-0226-SM-3NB2G 50-59 years, female 11.9
GTEX-145LU-0126-SM-5TDCB 50-59 years, male 11.8
GTEX-17JCI-0126-SM-7LG5G 60-69 years, female 11.8
GTEX-1EWIQ-0126-SM-7RHH2 70-79 years, female 11.8
GTEX-117YX-2326-SM-5H12W 50-59 years, male 11.7
GTEX-16AAH-1726-SM-7939C 50-59 years, male 11.7
GTEX-ZYT6-0226-SM-5NQ6T 30-39 years, male 11.7
GTEX-12WSG-2826-SM-E9J4H 50-59 years, female 11.6
GTEX-1F6RS-0126-SM-9MQKZ 60-69 years, female 11.6
GTEX-1LGRB-2526-SM-CNPPQ 50-59 years, female 11.6
GTEX-1GPI7-0126-SM-9MQL8 20-29 years, male 11.5
GTEX-13RTK-1426-SM-5QGQJ 20-29 years, male 11.4
GTEX-1CAMS-0426-SM-7P8T2 40-49 years, female 11.4
GTEX-1I4MK-2226-SM-ACKWD 50-59 years, female 11.4
GTEX-1B97I-1626-SM-73KYO 40-49 years, male 11.2
GTEX-QDVN-2026-SM-3GAEP 50-59 years, male 11.2
GTEX-1LVAN-0226-SM-COH3S 50-59 years, female 11.2
GTEX-QDVJ-1726-SM-2I5FX 50-59 years, male 11.1
GTEX-ZU9S-0226-SM-5E441 30-39 years, male 11.1
GTEX-SNMC-1226-SM-2XCFP 20-29 years, male 10.9
GTEX-ZYFG-2326-SM-5E44B 60-69 years, female 10.9
GTEX-1B996-0226-SM-7RHGO 60-69 years, male 10.9
GTEX-18D9U-0226-SM-718BP 40-49 years, male 10.8
GTEX-Z9EW-1626-SM-5CVMN 40-49 years, male 10.8
GTEX-1C6VQ-0126-SM-7P8RI 50-59 years, male 10.7
GTEX-1KANA-0726-SM-D3L9I 20-29 years, male 10.7
GTEX-13FTX-1826-SM-5J1NX 20-29 years, female 10.6
GTEX-PSDG-0226-SM-DKPOZ 50-59 years, male 10.6
GTEX-PVOW-0126-SM-2XCFA 40-49 years, male 10.5
GTEX-ZDTT-2726-SM-4WKF8 60-69 years, male 10.4
GTEX-1JMLX-0226-SM-CM2RO 50-59 years, male 10.3
GTEX-13NYB-2526-SM-5K7Z6 40-49 years, male 10.2
GTEX-OIZH-0126-SM-2HMIS 50-59 years, male 10.1
GTEX-1PDJ9-0326-SM-DTX95 20-29 years, male 10.1
GTEX-14753-0426-SM-5NQAM 60-69 years, male 10.0
GTEX-QCQG-1726-SM-3GIJ9 50-59 years, female 9.7
GTEX-14PK6-1926-SM-6ETZU 70-79 years, female 9.6
GTEX-ZVT2-2526-SM-51MT1 50-59 years, female 9.6
GTEX-1LG7Z-1726-SM-D3LA4 30-39 years, male 9.6
GTEX-145MO-0326-SM-5Q5B3 60-69 years, male 9.5
GTEX-1F5PL-0326-SM-7P8PQ 40-49 years, female 9.2
GTEX-131XF-5016-SM-7MGWE 60-69 years, male 8.9
GTEX-14BMU-2226-SM-5TDE9 20-29 years, female 8.3
GTEX-15SB6-1726-SM-6PAME 50-59 years, female 8.1
GTEX-18D9A-1926-SM-7LG6P 30-39 years, female 8.1
GTEX-1122O-2126-SM-5EGIR 60-69 years, female 6.9
GTEX-Y5V6-2426-SM-4VDSB 60-69 years, male 5.9
GTEX-OIZG-0726-SM-33HBL 50-59 years, male 5.8
Show allShow less

Contact

  • NEWS ARTICLES
  • PRESS ROOM

The Project

  • INTRODUCTION
  • ORGANIZATION
  • PUBLICATIONS

The Human Protein Atlas

  • DOWNLOADABLE DATA
  • LICENCE & CITATION
  • HELP & FAQ
The Human Protein Atlas project is funded
by the Knut & Alice Wallenberg Foundation.


contact@proteinatlas.org