We use cookies to enhance the usability of our website. If you continue, we'll assume that you are happy to receive all cookies. More information. Don't show this again.
TTPAL
HPA
RESOURCES
  • TISSUE
  • BRAIN
  • SINGLE CELL
  • SUBCELLULAR
  • CANCER
  • BLOOD
  • CELL LINE
  • STRUCTURE & INTERACTION
ABOUT
  • INTRODUCTION
  • HISTORY
  • ORGANIZATION
  • PUBLICATIONS
  • ANTIBODY SUBMISSION
  • ANTIBODY AVAILABILITY
  • ACKNOWLEDGMENTS
  • CONTACT
NEWS
  • NEWS ARTICLES
  • PRESS ROOM
LEARN
  • DICTIONARY
  • PROTEIN CLASSES
  • PROTEIN EVIDENCE
  • METHODS
  • EDUCATIONAL VIDEOS
DATA
  • DOWNLOADABLE DATA
  • PUBLICATION DATA
  • RELEASE HISTORY
HELP
  • ANTIBODY VALIDATION
  • ASSAYS & ANNOTATION
  • DISCLAIMER
  • HELP & FAQ
  • PRIVACY STATEMENT
  • LICENCE & CITATION
Fields »
Search result

Field
Term
Gene name
Class
Subclass
Class
Keyword
Chromosome
External id
Tissue
Cell type
Expression
Antibody panel
Tissue
Main location
Patient ID
Annotation
Tissue
Category
Tau score
Cluster
Reliability
Brain region
Category
Tau score
Brain region
Category
Tau score
Brain region
Category
Tau score
Cluster
Reliability
Tissue
Cell type
Enrichment
Cell type
Category
Tau score
Cell type
Category
Tau score
Cell type
Category
Tau score
Cell lineage
Category
Tau score
Cluster
Cluster
Location
Searches
Location
Cell line
Class
Type
Phase
Reliability
Cancer
Prognosis
Cancer
Category
Cancer
Category
Tau score
Cluster
Variants
Interacting gene (ensg_id)
Type
Number of interactions
Pathway
Category
Score
Score
Score
Validation
Validation
Validation
Validation
Antibodies
Data type
Column


  • SUMMARY

  • TISSUE

  • BRAIN

  • SINGLE CELL

  • SUBCELL

  • CANCER

  • BLOOD

  • CELL LINE

  • STRUCT & INT

  • TTPAL
TISSUE PRIMARY DATA SKIN Show tissue menu
ADIPOSE TISSUE ADRENAL GLAND AMYGDALA APPENDIX BASAL GANGLIA BONE MARROW BREAST BRONCHUS CEREBELLUM CEREBRAL CORTEX CERVIX CHOROID PLEXUS COLON DUODENUM
ENDOMETRIUM EPIDIDYMIS ESOPHAGUS FALLOPIAN TUBE GALLBLADDER HEART MUSCLE HIPPOCAMPAL FORMATION HYPOTHALAMUS KIDNEY LIVER LUNG LYMPH NODE MIDBRAIN NASOPHARYNX
ORAL MUCOSA OVARY PANCREAS PARATHYROID GLAND PITUITARY GLAND PLACENTA PROSTATE RECTUM RETINA SALIVARY GLAND SEMINAL VESICLE SKELETAL MUSCLE SKIN SMALL INTESTINE
SMOOTH MUSCLE SOFT TISSUE SPINAL CORD SPLEEN STOMACH TESTIS THYMUS THYROID GLAND TONGUE TONSIL URINARY BLADDER VAGINA
ANTIBODIES
AND
VALIDATION
Dictionary
Skin
Tissue proteome
Skin
SKIN - Expression summary
Protein expression
Skini

On the top, protein expression in current human tissue, based on all annotated cell types, is reported with the units not detected (n), low (l), medium (m) and high (h). Underneath, protein expression in each annotated cell type are reported using the same units.

Protein expression data is based on knowledge-based annotation. For genes where more than one antibody has been used, a collective score is set.

If knowledge-based annotation could not be performed for a gene, no data is displayed here. View antibody staining data further down this page.

h
m
l
n
Epidermal cells: Low
Fibroblasts: Low
Keratinocytes: Not detected
Langerhans: Not detected
Melanocytes: Not detected
RNA expressioni

A summary of mRNA expression data available for current tissue based on several datasets. The mRNA expression levels in human tissues are based on RNA-seq data generated by the Human Protein Atlas (HPA), Genotype-Tissue Expression (GTEx) portal and CAGE data generated by the FANTOM5 consortium. Consensus normalized expression levels for human tissues was created by combining the data from HPA and GTEx datasets.

The mRNA expression levels in pig are based on RNA-seq data generated by the Human Protein Atlas (HPA), and for mouse, HPA data and in situ hybridization generated by the Allen brain atlas are reported.

Scroll down to view mRNA expression data in more detail.
Consensus:12.1 nTPM
HPA:12.1 nTPM
GTEx:8.1 nTPM

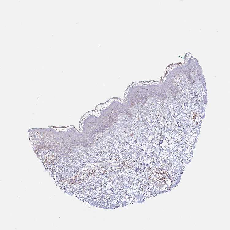
SKIN 1 - Antibody stainingi

Antibody staining in the annotated cell types in the current human tissue is reported as not detected, low, medium, or high, based on conventional immunohistochemistry profiling in selected tissues. This score is based on the combination of the staining intensity and fraction of stained cells.

Each image is clickable and will lead to virtual microscopy that enables deeper exploration of all samples and also displays staining intensity scores, fraction scores and subcellular localization as well as patient and tissue information for each sample.

Antibody HPA046957
Langerhans Not detected
Fibroblasts Low
Keratinocytes Not detected
Melanocytes Not detected

SKIN 2 - Antibody stainingi

Antibody staining in the annotated cell types in the current human tissue is reported as not detected, low, medium, or high, based on conventional immunohistochemistry profiling in selected tissues. This score is based on the combination of the staining intensity and fraction of stained cells.

Each image is clickable and will lead to virtual microscopy that enables deeper exploration of all samples and also displays staining intensity scores, fraction scores and subcellular localization as well as patient and tissue information for each sample.

Antibody HPA046957
Epidermal cells Low
 
 
 


SKIN - HPA RNA-seqi

The RNA-seq details section shows detailed information about the individual samples used for the transcript profiling and results of the RNA-seq analysis.

Information about each individual sample is listed below, including gender, age, a tissue section image and estimated fractions of cell types. nTPM (normalized transcripts per million) values give a quantification of the gene abundance which is comparable between different genes and samples.
Average nTPMi

Max subtype nTPM is the value for the subtype with the largest average nTPM across the subtype samples.

12.1
overview
Female, age 34
Skin sample 225
nTPM: 13
Cell types%
Keratinocytes:
60

Other cell types:
40

overview
Female, age 30
Skin sample 226
nTPM: 12.5
Cell types%
Keratinocytes:
55

Other cell types:
45

N/A
Male, age 57
Skin sample 227
nTPM: 10.7

SKIN - GTEx RNA-seqi

RNA-Seq data generated by the Genotype-Tissue Expression (GTEx) project from human tissues is reported as mean nTPM. More information can be found on the GTEx portal.

Distribution across the dataset is visualized with box plots, shown as median and 25th and 75th percentiles. Points are displayed as outliers if they are above or below 1.5 times the interquartile range. nTPM values of the individual samples are presented next to the box plot.
Max subtype nTPMi

Max subtype nTPM is the value for the subtype with the largest average nTPM across the subtype samples.

8.1
GTEx sample id Sample description nTPM
Skin - Not Sun Exposed (Suprapubic)
Average nTPM: 8.1
Samples: 604

Max nTPM: 19.8
Min nTPM: 1.9
Std nTPM: 3.0
Median nTPM: 7.6
GTEX-1S83E-1326-SM-E6CJM 40-49 years, male 19.8
GTEX-1HBPN-0126-SM-CGQEF 50-59 years, male 18.7
GTEX-ZLV1-1526-SM-DO91J 60-69 years, female 18.7
GTEX-13OVK-1426-SM-6PAN7 40-49 years, male 18.2
GTEX-1399S-0126-SM-5IJCF 30-39 years, female 17.8
GTEX-16AAH-0626-SM-793C9 50-59 years, male 17.1
GTEX-12WSK-2126-SM-5CVNC 40-49 years, female 16.9
GTEX-1H11D-1826-SM-9QEHM 40-49 years, male 16.9
GTEX-1PBJJ-1026-SM-E76OS 30-39 years, male 16.9
GTEX-ZP4G-1426-SM-4WWCL 20-29 years, female 16.5
GTEX-17F98-1326-SM-7DUEP 40-49 years, female 16.0
GTEX-1H2FU-0926-SM-9WPPT 60-69 years, female 16.0
GTEX-13O61-1426-SM-5KM3D 60-69 years, male 15.9
GTEX-111CU-1126-SM-5EGIM 50-59 years, male 15.7
GTEX-ZPCL-1126-SM-4WWFE 60-69 years, female 15.6
GTEX-1QP29-1826-SM-DTX9S 50-59 years, male 15.6
GTEX-YFCO-1226-SM-5LUAT 40-49 years, male 15.3
GTEX-1I1GT-1026-SM-ARZLV 60-69 years, female 15.2
GTEX-1MCC2-1826-SM-DIPEX 30-39 years, female 14.9
GTEX-1AMEY-0826-SM-72D65 30-39 years, female 14.7
GTEX-ZVZP-1226-SM-5GID7 50-59 years, male 14.3
GTEX-1NSGN-0726-SM-DTXEF 50-59 years, male 14.0
GTEX-11DXX-2126-SM-5PNYR 60-69 years, female 13.9
GTEX-1C2JI-1026-SM-73KY1 50-59 years, male 13.9
GTEX-WHSB-1326-SM-3LK6W 50-59 years, male 13.9
GTEX-ZVP2-0326-SM-57WBP 50-59 years, male 13.8
GTEX-1F5PK-2226-SM-7SB6N 50-59 years, male 13.8
GTEX-13W3W-0726-SM-5IJDQ 60-69 years, female 13.7
GTEX-14B4R-1326-SM-5Q5EZ 30-39 years, male 13.7
GTEX-1IDJU-1726-SM-CMKHU 60-69 years, female 13.7
GTEX-1QP2A-1726-SM-E76QC 50-59 years, male 13.7
GTEX-14PJ6-2626-SM-6EU2T 60-69 years, female 13.6
GTEX-18A67-1626-SM-7LT9T 50-59 years, male 13.4
GTEX-1R7EU-1626-SM-DTXG3 60-69 years, male 13.4
GTEX-13PDP-0726-SM-5L3HP 60-69 years, male 13.3
GTEX-ZTSS-1426-SM-5985P 40-49 years, male 13.3
GTEX-1RMOY-1326-SM-E9TIH 50-59 years, male 13.3
GTEX-1497J-0226-SM-5QGPU 60-69 years, male 13.2
GTEX-17HHE-1326-SM-7EWDZ 50-59 years, male 13.2
GTEX-1ICLZ-0326-SM-ARL82 60-69 years, male 13.2
GTEX-15CHC-1126-SM-6LLHQ 60-69 years, female 13.1
GTEX-1QPFJ-1926-SM-EVYBD 30-39 years, female 13.1
GTEX-14PKU-0126-SM-6LLHV 40-49 years, female 13.0
GTEX-1LVAN-0626-SM-CNPOQ 50-59 years, female 13.0
GTEX-ZY6K-1426-SM-5GZX2 50-59 years, male 12.9
GTEX-1GF9X-1326-SM-7PC2Y 40-49 years, female 12.9
GTEX-1HCUA-0826-SM-ADEHM 50-59 years, female 12.9
GTEX-ZDTT-0426-SM-4WKFL 60-69 years, male 12.8
GTEX-14PJN-1826-SM-6AJ98 30-39 years, male 12.7
GTEX-1KXAM-1626-SM-D3LAD 60-69 years, male 12.7
GTEX-14DAR-1226-SM-73KYV 50-59 years, male 12.6
GTEX-14PJ3-1126-SM-5ZZVX 50-59 years, male 12.6
GTEX-17F9E-2326-SM-79OKD 50-59 years, male 12.5
GTEX-1JN1M-2726-SM-CY8I4 60-69 years, female 12.5
GTEX-15FZZ-0526-SM-7KUGD 30-39 years, female 12.4
GTEX-15RIG-0726-SM-7KUM7 40-49 years, male 12.4
GTEX-1CB4F-1026-SM-7DUH1 60-69 years, male 12.4
GTEX-14JG6-1426-SM-9WG7C 30-39 years, female 12.4
GTEX-1CAMR-1326-SM-7PC1F 20-29 years, male 12.4
GTEX-1HCVE-2726-SM-CL54F 50-59 years, male 12.4
GTEX-1PPH8-0126-SM-EWRN8 20-29 years, male 12.4
GTEX-ZTX8-1326-SM-4YCEL 20-29 years, male 12.3
GTEX-1MJK3-0726-SM-E6CJC 20-29 years, male 12.3
GTEX-131XG-0326-SM-5L3DX 50-59 years, female 12.2
GTEX-13FTW-0326-SM-5K7UW 40-49 years, male 12.1
GTEX-Y9LG-1126-SM-4VBQ7 30-39 years, male 12.1
GTEX-1RAZQ-1326-SM-E9TK6 30-39 years, male 12.1
GTEX-11DZ1-2426-SM-5GZZX 50-59 years, male 12.0
GTEX-12WSJ-1126-SM-5LZVJ 40-49 years, female 12.0
GTEX-UPJH-0226-SM-3GADV 50-59 years, male 12.0
GTEX-WXYG-2026-SM-4E3IY 50-59 years, female 12.0
GTEX-Y3I4-1726-SM-4TT89 50-59 years, male 12.0
GTEX-17KNJ-2126-SM-718AM 50-59 years, male 11.9
GTEX-1QP28-1126-SM-EVYC4 50-59 years, female 11.9
GTEX-ZPIC-0526-SM-DO91W 40-49 years, female 11.9
GTEX-145MN-1526-SM-5SI9T 30-39 years, male 11.7
GTEX-1B8KE-1126-SM-7EPHI 50-59 years, male 11.7
GTEX-1F6RS-2026-SM-7RHHC 60-69 years, female 11.7
GTEX-1GZ4H-0526-SM-9KNU9 50-59 years, female 11.7
GTEX-1HSGN-0826-SM-ACKW3 40-49 years, female 11.7
GTEX-17F9Y-0126-SM-79OKX 70-79 years, female 11.6
GTEX-18QFQ-1826-SM-72D52 30-39 years, male 11.6
GTEX-XBEW-1126-SM-4QARW 40-49 years, male 11.6
GTEX-1CB4I-0126-SM-7RHGG 50-59 years, male 11.6
GTEX-1HCU7-0726-SM-A9SL1 50-59 years, male 11.6
GTEX-1HSMQ-2626-SM-A9SML 50-59 years, male 11.6
GTEX-1MCYP-0526-SM-E9U6Q 20-29 years, female 11.5
GTEX-145MH-2826-SM-5RQJF 50-59 years, male 11.4
GTEX-Y5LM-0926-SM-6LLJG 40-49 years, female 11.4
GTEX-ZZPU-0826-SM-5GZX5 50-59 years, female 11.4
GTEX-1N2DV-1526-SM-DTXEP 40-49 years, male 11.4
GTEX-131XF-2626-SM-5EQ6K 60-69 years, male 11.3
GTEX-XQ8I-0926-SM-4BOOF 50-59 years, male 11.3
GTEX-1122O-1026-SM-9WYSF 60-69 years, female 11.3
GTEX-1LG7Z-1626-SM-CXKYR 30-39 years, male 11.3
GTEX-1AMFI-1326-SM-7939R 50-59 years, female 11.2
GTEX-ZLFU-1826-SM-4WWBV 40-49 years, male 11.2
GTEX-ZT9X-1526-SM-5DUXD 40-49 years, male 11.2
GTEX-1OJC3-1226-SM-DTXER 20-29 years, male 11.2
GTEX-14PHY-1226-SM-5ZZWK 60-69 years, female 11.1
GTEX-ZLWG-0826-SM-59888 50-59 years, female 11.1
GTEX-1KANA-1326-SM-DIPFA 20-29 years, male 11.1
GTEX-ZGAY-1826-SM-DO91Q 40-49 years, female 11.1
GTEX-11P82-1426-SM-DTXFY 20-29 years, male 11.0
GTEX-1GMR2-0826-SM-7PC3V 50-59 years, male 11.0
GTEX-1QCLY-0226-SM-EWRNH 30-39 years, male 11.0
GTEX-1R9PN-0426-SM-DTXDT 40-49 years, female 11.0
GTEX-1S3DN-2126-SM-E9TIN 50-59 years, male 11.0
GTEX-18D9U-0126-SM-731BM 40-49 years, male 10.9
GTEX-ZDYS-2426-SM-4WKGI 50-59 years, male 10.9
GTEX-1HSKV-1226-SM-ADEI4 60-69 years, male 10.9
GTEX-1LBAC-0826-SM-CY8IJ 20-29 years, male 10.9
GTEX-1LSNM-0826-SM-DIPG8 50-59 years, male 10.9
GTEX-ZA64-1026-SM-5HL8R 20-29 years, male 10.7
GTEX-13FTX-1526-SM-5K7VJ 20-29 years, female 10.6
GTEX-XYKS-1426-SM-4BRUO 60-69 years, female 10.6
GTEX-1JK1U-0226-SM-ARZMX 60-69 years, male 10.6
GTEX-14PK6-0226-SM-62LF5 70-79 years, female 10.5
GTEX-WHPG-2626-SM-3NMBR 50-59 years, male 10.5
GTEX-ZVT2-0126-SM-5GIDQ 50-59 years, female 10.5
GTEX-1JMPY-0226-SM-CKZOK 30-39 years, male 10.5
GTEX-1LB8K-0726-SM-D5OV2 50-59 years, male 10.5
GTEX-1S82P-2126-SM-E6CI5 60-69 years, female 10.5
GTEX-1S82U-1026-SM-E6CJK 30-39 years, female 10.5
GTEX-11EM3-1226-SM-5N9DD 20-29 years, female 10.4
GTEX-13VXT-1926-SM-5K7UO 20-29 years, female 10.4
GTEX-16NGA-0726-SM-731AO 40-49 years, female 10.4
GTEX-ZF29-0926-SM-4WKFZ 60-69 years, female 10.4
GTEX-1R9PM-1926-SM-EVR3O 20-29 years, male 10.4
GTEX-11EQ9-1626-SM-5PNY8 30-39 years, male 10.3
GTEX-11VI4-1126-SM-5EQMD 40-49 years, female 10.3
GTEX-14AS3-1526-SM-5Q5ED 40-49 years, female 10.3
GTEX-14BMU-1226-SM-5S2OR 20-29 years, female 10.3
GTEX-15ER7-0626-SM-6PANF 20-29 years, female 10.3
GTEX-XBED-1926-SM-47JYP 60-69 years, male 10.3
GTEX-18D9A-1426-SM-7LT8M 30-39 years, female 10.3
GTEX-1J8EW-2726-SM-CY8HR 60-69 years, female 10.3
GTEX-1KANB-2826-SM-CY8I6 50-59 years, male 10.3
GTEX-14PHX-2226-SM-6EU2P 50-59 years, male 10.2
GTEX-ZT9W-1126-SM-57WDR 50-59 years, male 10.2
GTEX-1F75I-2226-SM-7SB8U 40-49 years, male 10.2
GTEX-1K2DA-1026-SM-CGQGF 50-59 years, male 10.2
GTEX-111VG-1626-SM-5EGIO 60-69 years, male 10.1
GTEX-X3Y1-2026-SM-3P5YM 40-49 years, male 10.1
GTEX-1IKOE-1426-SM-CE6T7 30-39 years, female 10.1
GTEX-11EQ8-0926-SM-5H12V 60-69 years, male 10.0
GTEX-11LCK-2226-SM-5HL4Q 30-39 years, male 10.0
GTEX-WH7G-2026-SM-3NMBL 40-49 years, male 10.0
GTEX-XUW1-0926-SM-4BONX 50-59 years, female 10.0
GTEX-1GL5R-1326-SM-7RHHF 50-59 years, male 10.0
GTEX-1J8QM-2426-SM-A9SLS 60-69 years, female 10.0
GTEX-Y114-2126-SM-4TT8B 50-59 years, female 9.9
GTEX-1ICG6-1226-SM-A9SLN 70-79 years, female 9.9
GTEX-1LVAM-0726-SM-E6CIL 50-59 years, female 9.9
GTEX-11ZTT-2126-SM-5CVLO 60-69 years, female 9.8
GTEX-1EU9M-1426-SM-793AI 60-69 years, male 9.8
GTEX-1JKYN-0826-SM-ARU8S 30-39 years, male 9.8
GTEX-12C56-1526-SM-5FQUQ 20-29 years, male 9.7
GTEX-14PJ4-0226-SM-5YY92 60-69 years, male 9.7
GTEX-17MFQ-1526-SM-7KFRR 20-29 years, male 9.7
GTEX-1B97I-0626-SM-73KUZ 40-49 years, male 9.7
GTEX-1CAMQ-1326-SM-7P8RV 40-49 years, male 9.7
GTEX-11NSD-0626-SM-5A5LU 20-29 years, male 9.6
GTEX-12WSH-1526-SM-5BC5W 50-59 years, male 9.6
GTEX-13113-1626-SM-5EQ4I 60-69 years, female 9.6
GTEX-139YR-1026-SM-5LZYN 50-59 years, male 9.6
GTEX-14PII-0726-SM-6EU2B 60-69 years, male 9.6
GTEX-X5EB-1926-SM-4E3IW 40-49 years, male 9.6
GTEX-XPVG-2126-SM-4B667 50-59 years, male 9.6
GTEX-Y8LW-1526-SM-5IFHL 50-59 years, female 9.6
GTEX-ZF2S-1626-SM-57WES 50-59 years, female 9.6
GTEX-ZPU1-1126-SM-4YCF3 40-49 years, male 9.6
GTEX-1GPI7-1826-SM-9KNU1 20-29 years, male 9.6
GTEX-1JMQK-1226-SM-D4P2S 60-69 years, male 9.6
GTEX-1JN76-0626-SM-CKZOQ 20-29 years, female 9.6
GTEX-1KAFJ-0126-SM-DIPEK 50-59 years, male 9.6
GTEX-1KANC-1226-SM-CYPT7 50-59 years, female 9.6
GTEX-14E1K-2026-SM-7DUEI 50-59 years, male 9.5
GTEX-16MTA-0926-SM-6M47Z 50-59 years, male 9.5
GTEX-1I4MK-0126-SM-CY8G6 50-59 years, female 9.5
GTEX-1PDJ9-1226-SM-EXUSX 20-29 years, male 9.5
GTEX-YEC3-1326-SM-DO92X 50-59 years, male 9.5
GTEX-14PJ5-1526-SM-6LLIL 60-69 years, female 9.4
GTEX-V1D1-2026-SM-3GAF4 50-59 years, male 9.4
GTEX-WEY5-2326-SM-3GIKK 40-49 years, female 9.4
GTEX-1HFI7-2326-SM-CGQFS 50-59 years, female 9.4
GTEX-1HSMP-0926-SM-A9SKX 70-79 years, male 9.4
GTEX-1PIGE-1826-SM-E8VOU 20-29 years, male 9.4
GTEX-11P7K-1126-SM-5HL4L 30-39 years, male 9.3
GTEX-13D11-0926-SM-5J2NC 50-59 years, female 9.3
GTEX-13IVO-0726-SM-5LZYV 70-79 years, male 9.3
GTEX-1F52S-2926-SM-7MKGA 60-69 years, female 9.3
GTEX-WY7C-2126-SM-3NB2R 50-59 years, male 9.3
GTEX-1C6VR-0126-SM-7RHGB 60-69 years, male 9.3
GTEX-1GN1W-2426-SM-9KNUU 50-59 years, female 9.3
GTEX-1HKZK-0726-SM-ACKW2 40-49 years, male 9.3
GTEX-1S831-1826-SM-EWROF 20-29 years, male 9.3
GTEX-1C475-1326-SM-7SB73 40-49 years, female 9.2
GTEX-1GN73-0726-SM-7P8TJ 60-69 years, male 9.2
GTEX-133LE-2326-SM-5K7W3 20-29 years, female 9.1
GTEX-1A3MV-1826-SM-731CD 30-39 years, male 9.1
GTEX-WFON-1926-SM-3LK7L 40-49 years, male 9.1
GTEX-YECK-0326-SM-4W1YS 60-69 years, male 9.1
GTEX-1GF9V-0826-SM-9KNUV 60-69 years, male 9.1
GTEX-1H1E6-0426-SM-9WYUS 30-39 years, male 9.1
GTEX-1QP9N-1226-SM-E76QN 30-39 years, male 9.1
GTEX-11P81-2226-SM-5PNYI 30-39 years, female 9.0
GTEX-139D8-1126-SM-5LU8W 30-39 years, female 9.0
GTEX-14C39-1726-SM-5RQIL 40-49 years, male 9.0
GTEX-1B932-2326-SM-79OL5 40-49 years, female 9.0
GTEX-WFG7-2026-SM-5SI7P 20-29 years, male 9.0
GTEX-XAJ8-1426-SM-47JYM 40-49 years, male 9.0
GTEX-Y8E4-2026-SM-5IFJB 40-49 years, male 9.0
GTEX-1IE54-1126-SM-A9G2Z 40-49 years, female 9.0
GTEX-1LGRB-0926-SM-COH3K 50-59 years, female 9.0
GTEX-12ZZX-2426-SM-5GCOE 40-49 years, female 8.9
GTEX-14ICL-1626-SM-5YYAO 30-39 years, male 8.9
GTEX-17F96-0126-SM-7EWDU 70-79 years, male 8.9
GTEX-1F75A-0726-SM-7RHHD 50-59 years, male 8.9
GTEX-15CHR-1126-SM-7EWF4 50-59 years, male 8.8
GTEX-18D9B-0926-SM-7LG4U 60-69 years, male 8.8
GTEX-1JMQJ-0826-SM-CNPP7 50-59 years, male 8.8
GTEX-13X6H-0926-SM-5SIB2 50-59 years, female 8.7
GTEX-144GL-0626-SM-5LU4D 50-59 years, male 8.7
GTEX-16BQI-1326-SM-6M486 30-39 years, female 8.7
GTEX-YB5K-2026-SM-4VDT3 40-49 years, female 8.7
GTEX-YEC4-1826-SM-4W1YP 40-49 years, male 8.7
GTEX-ZU9S-1826-SM-5NQ9E 30-39 years, male 8.7
GTEX-1B8L1-2226-SM-7P8PT 60-69 years, male 8.7
GTEX-1C64O-1326-SM-7MGWR 60-69 years, male 8.7
GTEX-1GN1U-0626-SM-9MQL9 50-59 years, female 8.7
GTEX-1RAZS-2526-SM-E6CHT 50-59 years, male 8.7
GTEX-12WSM-1926-SM-5BC65 60-69 years, male 8.6
GTEX-14PKV-1126-SM-6LLJ1 20-29 years, female 8.6
GTEX-ZYFG-1526-SM-5GZYM 60-69 years, female 8.6
GTEX-1QCLZ-2426-SM-EVYBW 60-69 years, female 8.6
GTEX-13QBU-1226-SM-5LU4G 40-49 years, female 8.5
GTEX-1AX9J-1326-SM-731BJ 60-69 years, male 8.5
GTEX-VUSG-2326-SM-4KL1U 50-59 years, male 8.5
GTEX-Y111-0626-SM-4SOIT 50-59 years, male 8.5
GTEX-1F5PL-0926-SM-7PC2W 40-49 years, female 8.5
GTEX-1L5NE-1126-SM-D3L9P 50-59 years, male 8.5
GTEX-1192X-2726-SM-5N9DN 50-59 years, male 8.4
GTEX-11DXY-0126-SM-5H11Q 60-69 years, male 8.4
GTEX-1399U-1126-SM-5L3DB 50-59 years, female 8.4
GTEX-13O3O-2326-SM-5IJD6 60-69 years, female 8.4
GTEX-14E6E-0526-SM-793DN 30-39 years, male 8.4
GTEX-1B8SF-0126-SM-7DUG3 60-69 years, male 8.4
GTEX-1CB4E-0926-SM-7EPHT 60-69 years, male 8.4
GTEX-1EWIQ-0326-SM-7DHMQ 70-79 years, female 8.4
GTEX-YF7O-1526-SM-5IFI6 50-59 years, male 8.4
GTEX-1CAMS-2226-SM-7PBXQ 40-49 years, female 8.4
GTEX-1J1R8-2026-SM-CL53Y 40-49 years, male 8.4
GTEX-12WSL-2026-SM-5GCML 50-59 years, male 8.3
GTEX-15EU6-2226-SM-6EU2L 50-59 years, male 8.3
GTEX-183FY-1026-SM-7939A 20-29 years, male 8.3
GTEX-1CB4J-1326-SM-7P8RX 60-69 years, male 8.3
GTEX-1GZ4I-2626-SM-9KNU3 50-59 years, male 8.3
GTEX-1J8Q3-0526-SM-ARL8U 60-69 years, male 8.3
GTEX-1JKYR-0626-SM-ARL8R 20-29 years, male 8.3
GTEX-1K2DU-1226-SM-CYPT4 20-29 years, male 8.3
GTEX-11WQC-1826-SM-5GU59 60-69 years, male 8.2
GTEX-11ZU8-0126-SM-5EQ58 60-69 years, male 8.2
GTEX-13N11-2326-SM-5IJBF 50-59 years, female 8.2
GTEX-VJYA-1526-SM-3GIJV 60-69 years, male 8.2
GTEX-1EMGI-2326-SM-7PBYA 60-69 years, male 8.2
GTEX-1IDJH-0126-SM-D3L92 70-79 years, male 8.2
GTEX-117YX-1926-SM-5GIEC 50-59 years, male 8.1
GTEX-13FTY-2126-SM-5IFFB 40-49 years, female 8.1
GTEX-13OVH-0526-SM-5L3E6 70-79 years, male 8.1
GTEX-145ME-1726-SM-5Q5EU 40-49 years, female 8.1
GTEX-WFG8-2126-SM-3GIKQ 20-29 years, male 8.1
GTEX-WYBS-0626-SM-3NMAS 60-69 years, female 8.1
GTEX-WYVS-1626-SM-3NM9R 40-49 years, female 8.1
GTEX-1HT8W-0626-SM-A9G2H 30-39 years, male 8.1
GTEX-1IDJF-2026-SM-CL53V 20-29 years, male 8.1
GTEX-1RAZR-2126-SM-E9U6T 40-49 years, male 8.1
GTEX-1S5ZU-2526-SM-E6CIF 20-29 years, female 8.1
GTEX-13PL6-1126-SM-5L3IE 40-49 years, female 8.0
GTEX-13QJC-0126-SM-5ZZWJ 60-69 years, female 8.0
GTEX-147GR-2426-SM-5ZZWQ 60-69 years, male 8.0
GTEX-ZAB4-2126-SM-5HL8U 40-49 years, male 8.0
GTEX-1GMRU-2126-SM-7P8RA 50-59 years, male 8.0
GTEX-1H1DE-1326-SM-9KNUG 20-29 years, male 8.0
GTEX-1OJC4-2726-SM-E76PJ 50-59 years, female 8.0
GTEX-11GS4-0226-SM-5HL77 60-69 years, male 7.9
GTEX-12BJ1-0926-SM-5EQ62 60-69 years, male 7.9
GTEX-1313W-0626-SM-5EQ4H 50-59 years, female 7.9
GTEX-13FH7-1126-SM-5K7UG 50-59 years, female 7.9
GTEX-13G51-1826-SM-5KLZH 60-69 years, male 7.9
GTEX-1CB4H-1126-SM-7MKGL 60-69 years, female 7.9
GTEX-1JJ6O-2726-SM-CNPOG 60-69 years, male 7.9
GTEX-131YS-2826-SM-5EQ47 60-69 years, female 7.8
GTEX-13FHO-0426-SM-5L3F5 60-69 years, male 7.8
GTEX-15G1A-1626-SM-7KUKN 30-39 years, male 7.8
GTEX-XXEK-1626-SM-4BRUZ 50-59 years, male 7.8
GTEX-ZWKS-0626-SM-5GIDV 30-39 years, male 7.8
GTEX-1GF9U-2026-SM-7SB92 40-49 years, female 7.8
GTEX-1POEN-2326-SM-E9J2L 30-39 years, female 7.8
GTEX-1PPGY-1626-SM-EVYBL 60-69 years, male 7.8
GTEX-13OW5-2326-SM-5L3HO 60-69 years, male 7.7
GTEX-17HII-1426-SM-7EPGG 50-59 years, male 7.7
GTEX-11DXZ-2026-SM-5987S 50-59 years, male 7.6
GTEX-12ZZY-0726-SM-5EQ66 60-69 years, male 7.6
GTEX-12ZZZ-0726-SM-5GCNZ 60-69 years, male 7.6
GTEX-146FQ-2126-SM-5RQHU 30-39 years, male 7.6
GTEX-147F3-1726-SM-5SIAW 50-59 years, female 7.6
GTEX-178AV-1726-SM-7KUL8 40-49 years, male 7.6
GTEX-18A66-0626-SM-7LT8Z 60-69 years, male 7.6
GTEX-ZZ64-1026-SM-5GZXG 20-29 years, male 7.6
GTEX-1GZHY-0626-SM-9KNVC 50-59 years, female 7.6
GTEX-1IDJC-1526-SM-B2LW4 50-59 years, male 7.6
GTEX-1JJEA-1826-SM-ARU8P 60-69 years, male 7.6
GTEX-13NZ8-1226-SM-5KM4A 60-69 years, female 7.5
GTEX-13OW6-2726-SM-5J2OE 50-59 years, male 7.5
GTEX-13OW7-0426-SM-5K7VK 50-59 years, male 7.5
GTEX-1B8KZ-0326-SM-73KY4 50-59 years, male 7.5
GTEX-1IKJJ-2226-SM-CJI4C 60-69 years, male 7.5
GTEX-14XAO-1226-SM-6EU1C 60-69 years, female 7.4
GTEX-WHWD-1826-SM-3LK6I 50-59 years, male 7.4
GTEX-ZYY3-2926-SM-5GIEB 60-69 years, female 7.4
GTEX-1KD5A-0126-SM-E9U54 50-59 years, male 7.4
GTEX-1M4P7-0726-SM-E6CJ3 60-69 years, male 7.4
GTEX-1R46S-2426-SM-E76QA 60-69 years, female 7.4
GTEX-1GN2E-0226-SM-9WG6K 60-69 years, male 7.3
GTEX-1H1DF-1126-SM-9WG7G 40-49 years, female 7.3
GTEX-1HB9E-0126-SM-CM2S5 50-59 years, male 7.3
GTEX-1QMI2-2526-SM-E8VNZ 60-69 years, male 7.3
GTEX-13PVR-0426-SM-5RQK2 60-69 years, female 7.2
GTEX-145MI-0626-SM-5SI8S 60-69 years, female 7.2
GTEX-14A6H-2026-SM-5Q5DD 30-39 years, male 7.2
GTEX-16YQH-2226-SM-7IGM2 30-39 years, male 7.2
GTEX-Y3IK-1626-SM-4YCF5 50-59 years, female 7.2
GTEX-ZC5H-1526-SM-5HL9Y 40-49 years, female 7.2
GTEX-1C64N-2626-SM-7PC2N 50-59 years, male 7.2
GTEX-1F75B-0726-SM-7PC3R 50-59 years, male 7.2
GTEX-1IDJI-0126-SM-CMKHS 50-59 years, female 7.2
GTEX-1KWVE-1026-SM-D3L9O 30-39 years, male 7.2
GTEX-13O3Q-0126-SM-5KM34 50-59 years, male 7.1
GTEX-13X6J-0626-SM-5LU5F 50-59 years, male 7.1
GTEX-144GM-0526-SM-79OJO 20-29 years, male 7.1
GTEX-13N2G-0226-SM-5K7VF 60-69 years, male 7.0
GTEX-ZXG5-2126-SM-59HKD 60-69 years, male 7.0
GTEX-1H1DG-2426-SM-9QEHJ 70-79 years, male 7.0
GTEX-1I1GU-0926-SM-ACKVS 40-49 years, male 7.0
GTEX-1I1GV-0626-SM-ARL7M 60-69 years, male 7.0
GTEX-1I6K6-1726-SM-CGQFD 30-39 years, male 7.0
GTEX-1211K-1526-SM-5FQU4 60-69 years, female 6.9
GTEX-1269C-0126-SM-5EQ5L 60-69 years, female 6.9
GTEX-12WSD-0626-SM-5GCMW 60-69 years, female 6.9
GTEX-132AR-0326-SM-5KM2C 50-59 years, female 6.9
GTEX-X585-2426-SM-46MW2 50-59 years, male 6.9
GTEX-Z93S-1626-SM-5CVMB 50-59 years, male 6.9
GTEX-1F88F-0126-SM-9WYSZ 60-69 years, female 6.9
GTEX-1H1ZS-2726-SM-9WG75 70-79 years, male 6.9
GTEX-1IDJV-0126-SM-COH3Y 60-69 years, male 6.9
GTEX-111YS-1526-SM-5GZYW 60-69 years, male 6.8
GTEX-14C5O-0326-SM-5ZZUX 60-69 years, male 6.8
GTEX-15RIE-1926-SM-7KUKJ 60-69 years, male 6.8
GTEX-1AX9I-2226-SM-73KUO 60-69 years, male 6.8
GTEX-1EKGG-0626-SM-7DUGJ 60-69 years, male 6.8
GTEX-1LVA9-2626-SM-EVYD4 50-59 years, male 6.8
GTEX-1PPH7-1126-SM-DTX9A 40-49 years, male 6.8
GTEX-11PRG-0726-SM-5EGL1 50-59 years, male 6.7
GTEX-131XH-0126-SM-5LZUY 50-59 years, male 6.7
GTEX-131XW-0626-SM-5PNVD 50-59 years, female 6.7
GTEX-15EO6-2426-SM-6PALZ 50-59 years, male 6.7
GTEX-15UF6-1926-SM-7KUDV 70-79 years, female 6.7
GTEX-1BAJH-2426-SM-7IGP8 70-79 years, male 6.7
GTEX-1C6VQ-1226-SM-73KYD 50-59 years, male 6.7
GTEX-WYJK-0526-SM-3NM8Z 50-59 years, male 6.7
GTEX-1GTWX-2026-SM-9YFLM 60-69 years, male 6.7
GTEX-1HGF4-0126-SM-CNPPX 60-69 years, male 6.7
GTEX-1NV5F-0626-SM-DTXEG 60-69 years, female 6.7
GTEX-139TU-0726-SM-5L3EK 60-69 years, male 6.6
GTEX-13JVG-0726-SM-5KM16 60-69 years, male 6.6
GTEX-13NYB-0126-SM-5J1MD 40-49 years, male 6.6
GTEX-15G19-2426-SM-7KUMR 60-69 years, male 6.6
GTEX-15RJ7-2126-SM-6PAMD 40-49 years, male 6.6
GTEX-17HHY-0426-SM-7DHLC 50-59 years, male 6.6
GTEX-ZE9C-2526-SM-5IJDR 60-69 years, male 6.6
GTEX-ZTTD-2826-SM-4YCFA 50-59 years, male 6.6
GTEX-1HBPI-2126-SM-ARL9K 50-59 years, male 6.6
GTEX-1HBPM-0726-SM-9YFL7 60-69 years, female 6.6
GTEX-1I6K7-1926-SM-B2LXR 40-49 years, male 6.6
GTEX-13OVJ-0826-SM-5J1OK 50-59 years, female 6.5
GTEX-17F97-2626-SM-7IGM5 50-59 years, male 6.5
GTEX-18A6Q-0626-SM-7KFRP 60-69 years, male 6.5
GTEX-18A7A-0126-SM-731AH 50-59 years, female 6.5
GTEX-WHSE-0126-SM-3NMBT 20-29 years, male 6.5
GTEX-XBEC-0726-SM-4QARZ 50-59 years, male 6.5
GTEX-1HC8U-1326-SM-9YFMJ 40-49 years, female 6.5
GTEX-1IOXB-2726-SM-CM2RI 50-59 years, male 6.5
GTEX-1PIIG-2326-SM-DTXFR 30-39 years, male 6.5
GTEX-11OF3-0126-SM-5PNYF 60-69 years, male 6.4
GTEX-13FLV-0126-SM-5K7WT 50-59 years, male 6.4
GTEX-13X6I-1826-SM-5SIAO 60-69 years, male 6.4
GTEX-17HGU-2326-SM-7DUFE 50-59 years, male 6.4
GTEX-Y5V6-2326-SM-4VDSA 60-69 years, male 6.4
GTEX-YJ8O-2526-SM-5HL85 40-49 years, female 6.4
GTEX-1H23P-0626-SM-9WG6T 60-69 years, male 6.4
GTEX-1QEPI-2626-SM-DTXF4 60-69 years, female 6.4
GTEX-1QW4Y-1126-SM-DTXE3 30-39 years, male 6.4
GTEX-13OVG-1626-SM-5J1NF 60-69 years, male 6.3
GTEX-13PVQ-0626-SM-5LU47 50-59 years, male 6.3
GTEX-145LT-0526-SM-5LUB2 40-49 years, male 6.3
GTEX-15SKB-2826-SM-6PAMH 60-69 years, male 6.3
GTEX-1F6I4-2326-SM-7RHGL 60-69 years, male 6.3
GTEX-1IDJE-1426-SM-ADEIW 50-59 years, female 6.3
GTEX-1IY9M-2826-SM-ARU8H 60-69 years, male 6.3
GTEX-1LSVX-2526-SM-DIPEU 60-69 years, male 6.3
GTEX-1RLM8-2926-SM-E8VON 50-59 years, male 6.3
GTEX-11ZUS-2626-SM-5FQUR 30-39 years, male 6.2
GTEX-13NYS-0626-SM-5L3F1 60-69 years, male 6.2
GTEX-15CHQ-0326-SM-69LQD 60-69 years, male 6.2
GTEX-15D1Q-2826-SM-6LLH7 40-49 years, male 6.2
GTEX-15DDE-2926-SM-6LLJ3 50-59 years, female 6.2
GTEX-XV7Q-1826-SM-4BRUV 40-49 years, female 6.2
GTEX-1A3MX-2626-SM-7PC24 60-69 years, male 6.2
GTEX-1HCU9-0426-SM-9WYSD 20-29 years, male 6.2
GTEX-1HR9M-2226-SM-CNPPY 60-69 years, male 6.2
GTEX-1J1OQ-0126-SM-D4P2N 40-49 years, female 6.2
GTEX-1LGOU-1326-SM-D3L8M 20-29 years, female 6.2
GTEX-1QP66-1226-SM-DTX7U 50-59 years, male 6.2
GTEX-12KS4-2126-SM-5FQUT 30-39 years, male 6.1
GTEX-139T8-0626-SM-5KLZX 60-69 years, male 6.1
GTEX-145LU-1926-SM-79OJN 50-59 years, male 6.1
GTEX-16Z82-2626-SM-7KULU 60-69 years, male 6.1
GTEX-17EVP-2626-SM-7IGMA 40-49 years, male 6.1
GTEX-ZYW4-0626-SM-59HJR 60-69 years, male 6.1
GTEX-1H4P4-2126-SM-9WYSL 50-59 years, male 6.1
GTEX-11UD2-2526-SM-5CVNU 50-59 years, male 6.0
GTEX-14ABY-2026-SM-62LDL 50-59 years, male 6.0
GTEX-XQ3S-1426-SM-4BOPR 20-29 years, male 6.0
GTEX-Y5V5-0126-SM-5S2NW 60-69 years, female 6.0
GTEX-ZE7O-2726-SM-51MT5 50-59 years, female 6.0
GTEX-1IDJD-2326-SM-ACKWX 30-39 years, male 6.0
GTEX-1J8Q2-2626-SM-ACKWQ 60-69 years, male 6.0
GTEX-11GSP-2326-SM-5HL63 60-69 years, female 5.9
GTEX-13NYC-0126-SM-5L3F4 60-69 years, male 5.9
GTEX-13OW8-1026-SM-5J1NQ 60-69 years, male 5.9
GTEX-1C6WA-2626-SM-7MKGM 60-69 years, male 5.9
GTEX-ZAK1-0626-SM-5HL8E 50-59 years, female 5.9
GTEX-1I1HK-2326-SM-CKZOH 60-69 years, male 5.9
GTEX-1K9T9-1526-SM-DIPFR 50-59 years, female 5.9
GTEX-1N2EE-0626-SM-E76PW 60-69 years, male 5.9
GTEX-11NUK-2726-SM-5A5MC 50-59 years, male 5.8
GTEX-11TT1-1826-SM-5EQLV 20-29 years, male 5.8
GTEX-12126-0826-SM-5FQTZ 20-29 years, male 5.8
GTEX-1399Q-2326-SM-5KM2X 40-49 years, male 5.8
GTEX-13VXU-0626-SM-5L3F9 50-59 years, male 5.8
GTEX-13X6K-0626-SM-5LU5D 60-69 years, female 5.8
GTEX-1B933-2426-SM-7DHMD 50-59 years, female 5.8
GTEX-1B996-0426-SM-7EWF8 60-69 years, male 5.8
GTEX-ZYFC-0426-SM-5GICQ 50-59 years, male 5.8
GTEX-1RB15-1326-SM-E76Q9 60-69 years, male 5.8
GTEX-ZF3C-0626-SM-DO92O 50-59 years, female 5.8
GTEX-12WSC-2826-SM-5BC5Y 50-59 years, male 5.7
GTEX-145LS-0626-SM-7EPG7 60-69 years, female 5.7
GTEX-15RJE-2826-SM-7KUM9 40-49 years, male 5.7
GTEX-1EN7A-2426-SM-793DB 40-49 years, male 5.7
GTEX-1ICLY-0826-SM-CMKG1 50-59 years, male 5.7
GTEX-1LKK1-2626-SM-DKPQE 50-59 years, female 5.7
GTEX-1LSNL-2726-SM-E9TKJ 50-59 years, male 5.7
GTEX-11DYG-1526-SM-5A5JS 60-69 years, male 5.6
GTEX-1212Z-0126-SM-59HK4 60-69 years, male 5.6
GTEX-13U4I-2226-SM-5LU5H 40-49 years, female 5.6
GTEX-14BIN-1126-SM-5RQJZ 50-59 years, female 5.6
GTEX-16XZZ-0726-SM-7KUF2 60-69 years, male 5.6
GTEX-1E2YA-2126-SM-7MXUO 50-59 years, male 5.6
GTEX-1HCU6-2526-SM-ADEHL 60-69 years, female 5.6
GTEX-1JMLX-0626-SM-ARL8T 50-59 years, male 5.6
GTEX-1N5O9-0926-SM-E9J3C 60-69 years, male 5.6
GTEX-139TT-2126-SM-5LZWC 60-69 years, male 5.5
GTEX-13NZ9-2626-SM-5L3FK 50-59 years, male 5.5
GTEX-13SLW-0626-SM-5Q5ER 70-79 years, male 5.5
GTEX-145MO-2826-SM-5LU96 60-69 years, male 5.5
GTEX-147F4-0726-SM-5TDDD 50-59 years, male 5.5
GTEX-1A8G6-2726-SM-731AR 60-69 years, male 5.5
GTEX-1AX8Z-0726-SM-73KTS 60-69 years, male 5.5
GTEX-W5X1-2526-SM-3GILC 40-49 years, female 5.5
GTEX-1AYD5-2626-SM-7PBXY 50-59 years, male 5.5
GTEX-1A8G7-1326-SM-73KVM 60-69 years, male 5.4
GTEX-1EX96-1026-SM-7MKG2 50-59 years, male 5.4
GTEX-ZAJG-1526-SM-5CVML 50-59 years, female 5.4
GTEX-ZVT4-2426-SM-5GIEI 50-59 years, female 5.4
GTEX-1F88E-1626-SM-7SB8Z 60-69 years, female 5.4
GTEX-1GMR8-0626-SM-7RHI7 50-59 years, female 5.4
GTEX-1IL2V-1926-SM-B2LW8 70-79 years, male 5.4
GTEX-1JMOU-1026-SM-CYPSS 60-69 years, female 5.4
GTEX-1JMQI-1726-SM-ARL93 50-59 years, male 5.4
GTEX-13RTJ-0126-SM-5S2NN 60-69 years, male 5.3
GTEX-147JS-0226-SM-5S2U9 60-69 years, male 5.3
GTEX-1CAV2-0126-SM-7IGN7 40-49 years, female 5.3
GTEX-1GF9W-1426-SM-7PBYM 60-69 years, male 5.3
GTEX-1HR98-2226-SM-ADEI2 60-69 years, male 5.3
GTEX-1117F-2926-SM-5GZYI 60-69 years, female 5.2
GTEX-12696-0126-SM-5EQ4L 60-69 years, male 5.2
GTEX-13SLX-2226-SM-62LEP 50-59 years, female 5.2
GTEX-17MF6-2626-SM-79OKQ 40-49 years, male 5.2
GTEX-X4EO-2926-SM-4E3JH 60-69 years, female 5.2
GTEX-X4EP-0626-SM-3P621 60-69 years, female 5.2
GTEX-ZYT6-2326-SM-5GZY3 30-39 years, male 5.2
GTEX-1GN1V-2826-SM-9JGIA 60-69 years, male 5.2
GTEX-1I1GP-1326-SM-A9G28 50-59 years, male 5.2
GTEX-11WQK-1026-SM-5EQLX 50-59 years, male 5.1
GTEX-139TS-2126-SM-5K7XC 60-69 years, male 5.1
GTEX-139UW-0326-SM-5J1ML 60-69 years, male 5.1
GTEX-14LZ3-0126-SM-69LPM 60-69 years, female 5.1
GTEX-17EVQ-0126-SM-7IGLR 70-79 years, male 5.1
GTEX-18A7B-2726-SM-7LG56 70-79 years, male 5.1
GTEX-1LG7Y-2526-SM-EWRO7 50-59 years, male 5.1
GTEX-1477Z-0326-SM-7IGLA 60-69 years, male 5.0
GTEX-WRHU-2826-SM-3MJG8 50-59 years, female 5.0
GTEX-14JFF-0626-SM-5ZZVT 60-69 years, male 5.0
GTEX-1H3NZ-2726-SM-9WYTQ 60-69 years, male 5.0
GTEX-1HCU8-2526-SM-CE6RX 60-69 years, female 5.0
GTEX-1R9K4-2826-SM-DTX8F 60-69 years, male 5.0
GTEX-1314G-1326-SM-5BC6E 30-39 years, male 4.9
GTEX-13YAN-0226-SM-5TDC6 60-69 years, male 4.9
GTEX-145MG-1526-SM-5Q5EM 50-59 years, male 4.9
GTEX-14753-0726-SM-5QGQO 60-69 years, male 4.9
GTEX-18465-2826-SM-7LT9J 50-59 years, male 4.9
GTEX-1EH9U-2826-SM-7DUGT 60-69 years, male 4.9
GTEX-WK11-2726-SM-3NMAQ 50-59 years, male 4.9
GTEX-ZDTS-0826-SM-4WKHL 60-69 years, male 4.9
GTEX-ZVE2-2826-SM-5GU51 50-59 years, male 4.9
GTEX-ZYFD-0626-SM-5E44E 50-59 years, male 4.9
GTEX-1LVAO-2726-SM-E9TJ8 60-69 years, male 4.9
GTEX-11TUW-0626-SM-5LU9M 60-69 years, male 4.8
GTEX-XOT4-0626-SM-4B66L 60-69 years, female 4.8
GTEX-ZDXO-3126-SM-5IJDF 60-69 years, male 4.8
GTEX-1GPI6-1926-SM-9KNV7 60-69 years, male 4.8
GTEX-11O72-0626-SM-5PNYE 40-49 years, male 4.7
GTEX-13OVL-0126-SM-5L3GJ 50-59 years, male 4.7
GTEX-148VJ-0626-SM-5LUAW 70-79 years, male 4.7
GTEX-16MT9-0126-SM-7EPI8 60-69 years, female 4.7
GTEX-11EI6-2826-SM-5H11D 60-69 years, male 4.6
GTEX-12584-0726-SM-5FQTK 40-49 years, male 4.6
GTEX-144GO-2026-SM-5O99P 60-69 years, male 4.6
GTEX-14DAQ-0626-SM-793DS 60-69 years, female 4.6
GTEX-14PJO-2526-SM-6AJBQ 60-69 years, male 4.6
GTEX-16NPX-0726-SM-7KULC 50-59 years, male 4.6
GTEX-ZYVF-0926-SM-5E44J 50-59 years, female 4.6
GTEX-1H3O1-1326-SM-9MQLD 60-69 years, male 4.6
GTEX-1HSMO-0626-SM-ACKXC 60-69 years, male 4.6
GTEX-1RAZA-2226-SM-E9U4X 20-29 years, male 4.6
GTEX-12WSA-0426-SM-5EQ5X 60-69 years, male 4.5
GTEX-UPK5-0426-SM-3GAEK 40-49 years, male 4.5
GTEX-1F48J-0726-SM-7RHGS 50-59 years, female 4.5
GTEX-13112-0126-SM-5P9IU 50-59 years, male 4.4
GTEX-15DYW-2726-SM-6EU2I 60-69 years, female 4.4
GTEX-1GMR3-0126-SM-A9SLW 40-49 years, male 4.4
GTEX-1JMPZ-0726-SM-CY8HZ 30-39 years, male 4.4
GTEX-12WSF-1626-SM-7KUG5 70-79 years, male 4.3
GTEX-145MF-0926-SM-5Q5EA 50-59 years, male 4.3
GTEX-14BMV-2826-SM-5TDED 50-59 years, male 4.3
GTEX-14JG1-1526-SM-5YY9X 40-49 years, male 4.3
GTEX-14LLW-2626-SM-62LDZ 70-79 years, female 4.3
GTEX-15SHW-0226-SM-7LTAT 60-69 years, male 4.3
GTEX-16MT8-2926-SM-7DUFO 60-69 years, female 4.3
GTEX-U8XE-0226-SM-4E3J3 30-39 years, male 4.3
GTEX-XMD2-2126-SM-4YCF8 60-69 years, female 4.3
GTEX-1H1CY-0126-SM-9YFLY 60-69 years, female 4.3
GTEX-XK95-0226-SM-4AT58 40-49 years, male 4.2
GTEX-1HFI6-0126-SM-CNPPI 40-49 years, male 4.2
GTEX-1IDFM-0326-SM-ARL7V 60-69 years, male 4.2
GTEX-1JJE9-2626-SM-ARZMT 70-79 years, male 4.2
GTEX-183WM-0326-SM-72D5V 70-79 years, female 4.1
GTEX-1I1GS-2626-SM-B2LY3 60-69 years, male 4.1
GTEX-1A32A-0626-SM-731AQ 50-59 years, female 4.0
GTEX-1399R-1326-SM-5PNYS 30-39 years, male 3.8
GTEX-1JN6P-2926-SM-CL54D 60-69 years, male 3.8
GTEX-1QAET-0326-SM-EVR3U 50-59 years, male 3.8
GTEX-11DXW-0826-SM-5H118 40-49 years, male 3.7
GTEX-14PJ2-0626-SM-6LLII 50-59 years, male 3.7
GTEX-ZVE1-0726-SM-51MRN 50-59 years, female 3.7
GTEX-1HUB1-1426-SM-CGQF5 60-69 years, male 3.7
GTEX-1JMQL-2226-SM-CNPP4 50-59 years, female 3.7
GTEX-144FL-0626-SM-5LU43 50-59 years, male 3.6
GTEX-14C38-0726-SM-5SI6M 50-59 years, male 3.6
GTEX-17JCI-2926-SM-7DUFF 60-69 years, female 3.6
GTEX-1H3VE-0726-SM-9YFL5 40-49 years, male 3.6
GTEX-16GPK-0626-SM-7KFSF 60-69 years, male 3.5
GTEX-13N1W-2426-SM-5IJD1 70-79 years, male 3.4
GTEX-14A5H-0826-SM-5QGPJ 60-69 years, male 3.4
GTEX-WI4N-2726-SM-3LK7Y 40-49 years, female 3.4
GTEX-1I19N-0126-SM-CYPSF 70-79 years, male 3.4
GTEX-1O9I2-0226-SM-EYYXD 50-59 years, male 3.4
GTEX-1A3MW-0626-SM-731CB 60-69 years, female 3.3
GTEX-ZUA1-2626-SM-5NQ92 40-49 years, male 3.3
GTEX-14E6C-2426-SM-5S2NF 40-49 years, male 3.2
GTEX-17HG3-2626-SM-7DUF2 30-39 years, female 3.2
GTEX-X8HC-0626-SM-4E3HQ 50-59 years, female 3.2
GTEX-1I1CD-0626-SM-CE6SW 60-69 years, female 3.2
GTEX-111FC-2526-SM-5GZXU 60-69 years, male 3.1
GTEX-1GZ2Q-0126-SM-9WG6M 40-49 years, male 3.1
GTEX-1E1VI-0326-SM-793D1 50-59 years, male 3.0
GTEX-1F6IF-0926-SM-7SB7M 60-69 years, male 3.0
GTEX-ZVTK-0226-SM-51MRG 20-29 years, male 2.9
GTEX-1A8FM-0626-SM-7PC25 50-59 years, female 2.7
GTEX-13JUV-2026-SM-5K7UA 40-49 years, female 2.6
GTEX-1J8JJ-0626-SM-ARZMQ 60-69 years, female 2.6
GTEX-1F75W-2726-SM-7SB8H 60-69 years, male 1.9
Show allShow less
Skin - Sun Exposed (Lower leg)
Average nTPM: 8.0
Samples: 701

Max nTPM: 21.5
Min nTPM: 2.7
Std nTPM: 2.6
Median nTPM: 7.7
GTEX-ZXES-1826-SM-5E43S 30-39 years, female 21.5
GTEX-1K2DA-1826-SM-CGQGT 50-59 years, male 20.1
GTEX-1KANC-1526-SM-D3LAB 50-59 years, female 17.6
GTEX-SNMC-1226-SM-2XCFP 20-29 years, male 17.3
GTEX-T5JW-1626-SM-3GADZ 20-29 years, female 17.0
GTEX-ZGAY-0526-SM-4WWBB 40-49 years, female 16.6
GTEX-ZDTT-2726-SM-4WKF8 60-69 years, male 15.9
GTEX-1S3DN-2226-SM-EVYCD 50-59 years, male 15.8
GTEX-1122O-2126-SM-5EGIR 60-69 years, female 15.7
GTEX-17F96-1626-SM-7DUFL 70-79 years, male 15.7
GTEX-YB5E-2026-SM-5IFIS 40-49 years, male 15.5
GTEX-1R9PM-2026-SM-E76OY 20-29 years, male 14.8
GTEX-1OJC3-0126-SM-E76QX 20-29 years, male 14.7
GTEX-OOBJ-0126-SM-E6CJW 60-69 years, male 14.6
GTEX-13OVH-0126-SM-5MR4B 70-79 years, male 14.5
GTEX-1J8QM-2126-SM-CYPSJ 60-69 years, female 14.5
GTEX-T2YK-0526-SM-32QPJ 50-59 years, male 14.4
GTEX-XBEW-0626-SM-4QASP 40-49 years, male 14.3
GTEX-145MN-2226-SM-5SIAU 30-39 years, male 14.2
GTEX-1I1GT-0626-SM-CGQER 60-69 years, female 14.1
GTEX-ZF2S-2326-SM-4WWCE 50-59 years, female 14.0
GTEX-1S82Z-0826-SM-E6CHY 30-39 years, female 13.9
GTEX-1LG7Z-1726-SM-D3LA4 30-39 years, male 13.8
GTEX-139D8-0226-SM-5KLZO 30-39 years, female 13.6
GTEX-17JCI-0126-SM-7LG5G 60-69 years, female 13.6
GTEX-1LVAN-0226-SM-COH3S 50-59 years, female 13.6
GTEX-1S83E-0126-SM-EWRO4 40-49 years, male 13.4
GTEX-NFK9-0226-SM-2HMKQ 40-49 years, male 13.3
GTEX-ZTSS-1926-SM-57WEW 40-49 years, male 13.2
GTEX-1I4MK-2226-SM-ACKWD 50-59 years, female 13.0
GTEX-PSDG-0226-SM-DKPOZ 50-59 years, male 13.0
GTEX-1C475-1826-SM-73KWA 40-49 years, female 12.9
GTEX-1ICG6-2526-SM-CGQFZ 70-79 years, female 12.9
GTEX-S95S-1226-SM-4GICG 60-69 years, male 12.8
GTEX-1MA7W-2026-SM-E9TJ6 20-29 years, female 12.8
GTEX-XUYS-0126-SM-47JWZ 50-59 years, male 12.7
GTEX-1KXAM-2226-SM-CYPTC 60-69 years, male 12.7
GTEX-XUZC-1726-SM-4BRWS 30-39 years, female 12.6
GTEX-1LBAC-0126-SM-DIPEZ 20-29 years, male 12.6
GTEX-1HSGN-0226-SM-CGQFV 40-49 years, female 12.5
GTEX-1QPFJ-0226-SM-E76PB 30-39 years, female 12.5
GTEX-1L5NE-2526-SM-E6CIE 50-59 years, male 12.4
GTEX-ZVT2-2526-SM-51MT1 50-59 years, female 12.3
GTEX-P4QT-0126-SM-2I3FL 50-59 years, female 12.2
GTEX-1CB4I-0226-SM-79OLH 50-59 years, male 12.1
GTEX-RWS6-2026-SM-2XCB5 60-69 years, female 12.1
GTEX-1HCU7-0226-SM-CL545 50-59 years, male 12.1
GTEX-1PIGE-0126-SM-EVYBJ 20-29 years, male 12.1
GTEX-15F5U-1526-SM-6PANO 40-49 years, male 11.9
GTEX-TMMY-0226-SM-33HBA 40-49 years, female 11.9
GTEX-YB5K-2126-SM-4WWDJ 40-49 years, female 11.9
GTEX-ZYT6-0226-SM-5NQ6T 30-39 years, male 11.9
GTEX-ZPIC-1726-SM-DHXIU 40-49 years, female 11.9
GTEX-15ETS-0126-SM-7KUMW 40-49 years, female 11.8
GTEX-16NGA-1726-SM-731B4 40-49 years, female 11.8
GTEX-O5YW-0126-SM-3LK6D 50-59 years, male 11.8
GTEX-145LV-2126-SM-5LU8N 50-59 years, male 11.7
GTEX-11DXZ-2326-SM-5EGGV 50-59 years, male 11.6
GTEX-13FTW-2626-SM-5K7WL 40-49 years, male 11.6
GTEX-14PHX-2326-SM-62LEM 50-59 years, male 11.6
GTEX-UJHI-1526-SM-3DB99 50-59 years, female 11.6
GTEX-1HBPN-0226-SM-9YFM1 50-59 years, male 11.6
GTEX-1MJK2-0426-SM-DTXE5 50-59 years, male 11.6
GTEX-1QCLY-0326-SM-E8VOG 30-39 years, male 11.6
GTEX-17GQL-2026-SM-718BA 60-69 years, male 11.5
GTEX-1HSMQ-1226-SM-CGQFX 50-59 years, male 11.5
GTEX-11DXX-2426-SM-5GZZW 60-69 years, female 11.4
GTEX-PX3G-0126-SM-2I3EN 20-29 years, female 11.4
GTEX-WY7C-2326-SM-3NB2U 50-59 years, male 11.4
GTEX-1KANA-0726-SM-D3L9I 20-29 years, male 11.4
GTEX-1MUQO-0126-SM-EAZ58 60-69 years, male 11.4
GTEX-1S5ZA-0126-SM-EVYCV 20-29 years, male 11.4
GTEX-18D9U-0226-SM-718BP 40-49 years, male 11.3
GTEX-1B8KE-2126-SM-73KYX 50-59 years, male 11.3
GTEX-ZTX8-1426-SM-5DUVO 20-29 years, male 11.3
GTEX-1LSNM-1926-SM-E6CII 50-59 years, male 11.3
GTEX-OIZH-0126-SM-2HMIS 50-59 years, male 11.2
GTEX-Q2AI-1326-SM-2S1PL 40-49 years, male 11.2
GTEX-T6MN-0126-SM-32PLP 50-59 years, male 11.2
GTEX-WQUQ-0426-SM-3MJFU 60-69 years, male 11.2
GTEX-ZF29-2326-SM-DO92K 60-69 years, female 11.2
GTEX-16GPK-0126-SM-7DHLE 60-69 years, male 11.1
GTEX-18D9A-1926-SM-7LG6P 30-39 years, female 11.1
GTEX-PLZ5-2026-SM-2S1O4 50-59 years, male 11.1
GTEX-ZVZP-2426-SM-59HKJ 50-59 years, male 11.1
GTEX-1MGNQ-0126-SM-EVYCJ 40-49 years, male 11.1
GTEX-14PJ6-2126-SM-6EU1V 60-69 years, female 11.0
GTEX-ZQG8-1626-SM-DHXIT 60-69 years, female 11.0
GTEX-14BIL-0126-SM-5SI92 50-59 years, male 10.9
GTEX-1AX9J-0226-SM-73KXM 60-69 years, male 10.9
GTEX-1C64O-0126-SM-7SB8P 60-69 years, male 10.9
GTEX-1GN1U-0126-SM-7PBZK 50-59 years, female 10.9
GTEX-1JJ6O-0126-SM-E6CI8 60-69 years, male 10.9
GTEX-1N2DV-0226-SM-E6CJ6 40-49 years, male 10.9
GTEX-1399R-2726-SM-5IJBA 30-39 years, male 10.8
GTEX-QCQG-1726-SM-3GIJ9 50-59 years, female 10.8
GTEX-QDVJ-1726-SM-2I5FX 50-59 years, male 10.8
GTEX-1E2YA-0126-SM-9KNUC 50-59 years, male 10.8
GTEX-PLZ6-1426-SM-DKPOT 30-39 years, male 10.8
GTEX-11EM3-2426-SM-59861 20-29 years, female 10.7
GTEX-Q2AH-1626-SM-3GAF8 40-49 years, male 10.7
GTEX-1JKYN-1326-SM-CGQG9 30-39 years, male 10.7
GTEX-1C2JI-1826-SM-73KXC 50-59 years, male 10.6
GTEX-T8EM-1026-SM-3DB7M 40-49 years, male 10.6
GTEX-11EQ9-2426-SM-5HL5T 30-39 years, male 10.5
GTEX-13OW6-0426-SM-5L3HM 50-59 years, male 10.5
GTEX-WYJK-0126-SM-3NMAB 50-59 years, male 10.5
GTEX-1F6RS-0126-SM-9MQKZ 60-69 years, female 10.5
GTEX-1H2FU-0126-SM-9WYSI 60-69 years, female 10.5
GTEX-13D11-2426-SM-5KM1V 50-59 years, female 10.4
GTEX-14PII-0226-SM-6EU1T 60-69 years, male 10.4
GTEX-17EUY-0426-SM-793BD 20-29 years, male 10.4
GTEX-SUCS-1926-SM-32PM3 70-79 years, male 10.4
GTEX-111FC-0126-SM-5N9DL 60-69 years, male 10.3
GTEX-18A66-0226-SM-718BD 60-69 years, male 10.3
GTEX-QESD-1426-SM-2S1R9 20-29 years, male 10.3
GTEX-U4B1-1826-SM-4DXSU 40-49 years, male 10.3
GTEX-1H11D-0226-SM-9WG6Z 40-49 years, male 10.3
GTEX-1HSMP-0126-SM-E6CJS 70-79 years, male 10.3
GTEX-14DAR-2026-SM-5S2O3 50-59 years, male 10.2
GTEX-18A67-0126-SM-7LG5P 50-59 years, male 10.2
GTEX-WRHK-1426-SM-3MJF9 20-29 years, female 10.2
GTEX-ZYFG-2326-SM-5E44B 60-69 years, female 10.2
GTEX-169BO-1326-SM-9MQK2 50-59 years, male 10.2
GTEX-1IDJU-2626-SM-CM2RT 60-69 years, female 10.2
GTEX-1PDJ9-0326-SM-DTX95 20-29 years, male 10.2
GTEX-16AAH-1726-SM-7939C 50-59 years, male 10.1
GTEX-17MFQ-1726-SM-793C7 20-29 years, male 10.1
GTEX-RM2N-1426-SM-2TF4H 50-59 years, male 10.1
GTEX-XUW1-0426-SM-4BOOT 50-59 years, female 10.1
GTEX-146FR-1326-SM-E9J48 60-69 years, female 10.1
GTEX-1J8Q3-1626-SM-CMKGC 60-69 years, male 10.1
GTEX-1LGRB-2526-SM-CNPPQ 50-59 years, female 10.1
GTEX-13111-1626-SM-5EGJY 50-59 years, male 10.0
GTEX-18D9B-0526-SM-7LTAS 60-69 years, male 10.0
GTEX-1R7EU-0226-SM-EVR4G 60-69 years, male 10.0
GTEX-OXRL-0126-SM-2YUMP 50-59 years, male 9.9
GTEX-P4PQ-0126-SM-2S1NM 60-69 years, male 9.9
GTEX-Z9EW-1626-SM-5CVMN 40-49 years, male 9.9
GTEX-ZU9S-0226-SM-5E441 30-39 years, male 9.9
GTEX-1EWIQ-0126-SM-7RHH2 70-79 years, female 9.9
GTEX-1F52S-0126-SM-9MQJU 60-69 years, female 9.9
GTEX-1GF9V-0326-SM-7RHI5 60-69 years, male 9.9
GTEX-1OFPY-2426-SM-DTXEJ 60-69 years, male 9.9
GTEX-1RAZA-0126-SM-E6CI3 20-29 years, male 9.9
GTEX-15SHU-0126-SM-7KUEH 40-49 years, female 9.8
GTEX-ZQUD-1426-SM-57WER 30-39 years, male 9.8
GTEX-1GL5R-1826-SM-9KNUY 50-59 years, male 9.8
GTEX-ZF3C-0126-SM-DO92D 50-59 years, female 9.8
GTEX-17KNJ-2326-SM-7DHLQ 50-59 years, male 9.7
GTEX-Y8LW-1826-SM-5S2MV 50-59 years, female 9.7
GTEX-1GF9X-2026-SM-7PC3A 40-49 years, female 9.7
GTEX-1J8EW-0126-SM-CJI4F 60-69 years, female 9.7
GTEX-12WSJ-1826-SM-5GCNY 40-49 years, female 9.6
GTEX-14LZ3-0226-SM-62LET 60-69 years, female 9.6
GTEX-15RIG-0226-SM-7KFTL 40-49 years, male 9.6
GTEX-16BQI-0226-SM-7KUEX 30-39 years, female 9.6
GTEX-17F98-0626-SM-79OMX 40-49 years, female 9.6
GTEX-S7SE-0126-SM-2XCD5 50-59 years, male 9.6
GTEX-U8T8-0126-SM-3DB94 60-69 years, male 9.6
GTEX-Y8E4-0626-SM-4WWDL 40-49 years, male 9.6
GTEX-1H1DG-0126-SM-9WYU2 70-79 years, male 9.6
GTEX-11EI6-0126-SM-5985R 60-69 years, male 9.5
GTEX-11LCK-1026-SM-5A5KB 30-39 years, male 9.5
GTEX-132NY-0326-SM-5IJBL 60-69 years, male 9.5
GTEX-13FXS-0226-SM-5IJCK 50-59 years, male 9.5
GTEX-145ME-1826-SM-5SI9G 40-49 years, female 9.5
GTEX-X5EB-2226-SM-46MW4 40-49 years, male 9.5
GTEX-XAJ8-0826-SM-47JY6 40-49 years, male 9.5
GTEX-ZV6S-2326-SM-4YCEY 40-49 years, female 9.5
GTEX-1F5PK-2426-SM-7RHHY 50-59 years, male 9.5
GTEX-1QP66-1726-SM-E8VO1 50-59 years, male 9.5
GTEX-11NSD-2226-SM-5986V 20-29 years, male 9.4
GTEX-13O21-1426-SM-5K7XI 50-59 years, male 9.4
GTEX-XBED-2226-SM-47JYQ 60-69 years, male 9.4
GTEX-13JUV-2726-SM-5LZZ8 40-49 years, female 9.3
GTEX-13OVK-2026-SM-7KUEO 40-49 years, male 9.3
GTEX-S32W-2126-SM-2XCB1 50-59 years, female 9.3
GTEX-TML8-1926-SM-32QOS 40-49 years, female 9.3
GTEX-UPJH-0326-SM-3GADU 50-59 years, male 9.3
GTEX-Y3I4-2126-SM-4TT7C 50-59 years, male 9.3
GTEX-ZVTK-0426-SM-51MRS 20-29 years, male 9.3
GTEX-1EMGI-0126-SM-9KNUE 60-69 years, male 9.3
GTEX-1JK1U-2026-SM-CM2RZ 60-69 years, male 9.3
GTEX-1LB8K-0226-SM-EWRNW 50-59 years, male 9.3
GTEX-1PIIG-0226-SM-EWRN6 30-39 years, male 9.3
GTEX-12C56-1726-SM-5EQ61 20-29 years, male 9.2
GTEX-145MI-0526-SM-5O9A8 60-69 years, female 9.2
GTEX-14C5O-0126-SM-5SI6N 60-69 years, male 9.2
GTEX-14E6D-0126-SM-62LDV 50-59 years, male 9.2
GTEX-15EU6-0426-SM-6PAN5 50-59 years, male 9.2
GTEX-1CAMQ-0226-SM-7IGPK 40-49 years, male 9.2
GTEX-1CB4E-2226-SM-793DC 60-69 years, male 9.2
GTEX-OHPM-0126-SM-2YUN9 50-59 years, male 9.2
GTEX-WXYG-2326-SM-4E3I6 50-59 years, female 9.2
GTEX-1JJEA-0326-SM-CNPOT 60-69 years, male 9.2
GTEX-1QP2A-0126-SM-E9J43 50-59 years, male 9.2
GTEX-13QJ3-0326-SM-5S2RA 50-59 years, male 9.1
GTEX-14PK6-1926-SM-6ETZU 70-79 years, female 9.1
GTEX-PVOW-0126-SM-2XCFA 40-49 years, male 9.1
GTEX-1HSEH-0126-SM-ACKXN 60-69 years, male 9.1
GTEX-11VI4-1726-SM-5CVLH 40-49 years, female 9.0
GTEX-14PJM-0226-SM-62LF1 50-59 years, female 9.0
GTEX-17EVP-0326-SM-7DHLG 40-49 years, male 9.0
GTEX-ZV68-0126-SM-59HKS 50-59 years, female 9.0
GTEX-1B8L1-2526-SM-9WYTF 60-69 years, male 9.0
GTEX-1JMQK-0226-SM-CL543 60-69 years, male 9.0
GTEX-1LH75-2426-SM-E9TJE 50-59 years, female 9.0
GTEX-11P82-1626-SM-59879 20-29 years, male 8.9
GTEX-11XUK-2026-SM-5EQLF 40-49 years, female 8.9
GTEX-133LE-1826-SM-5J1MV 20-29 years, female 8.9
GTEX-145MO-0326-SM-5Q5B3 60-69 years, male 8.9
GTEX-14A5I-0126-SM-5TDEA 50-59 years, female 8.9
GTEX-17HHE-2026-SM-79OKF 50-59 years, male 8.9
GTEX-1C64N-0126-SM-793D7 50-59 years, male 8.9
GTEX-VJYA-1126-SM-3GIJU 60-69 years, male 8.9
GTEX-WFON-2126-SM-3LK7O 40-49 years, male 8.9
GTEX-XYKS-2126-SM-4E3IB 60-69 years, female 8.9
GTEX-1LGOU-2026-SM-DIPFF 20-29 years, female 8.9
GTEX-11UD2-0226-SM-5EQKY 50-59 years, male 8.8
GTEX-12WSL-2526-SM-5GCNJ 50-59 years, male 8.8
GTEX-13NZB-2526-SM-5J1OM 30-39 years, male 8.8
GTEX-1B8SF-1426-SM-7DUGL 60-69 years, male 8.8
GTEX-OHPL-0126-SM-2HMJ7 60-69 years, female 8.8
GTEX-R3RS-0126-SM-3GIJL 40-49 years, female 8.8
GTEX-Y114-2426-SM-4TT8A 50-59 years, female 8.8
GTEX-Y5V5-2326-SM-4V6GA 60-69 years, female 8.8
GTEX-YEC4-2126-SM-5IFJH 40-49 years, male 8.8
GTEX-ZDYS-2026-SM-5HL5L 50-59 years, male 8.8
GTEX-ZZ64-1726-SM-5GZYB 20-29 years, male 8.8
GTEX-13O3O-0126-SM-E9J49 60-69 years, female 8.8
GTEX-1H1E6-1726-SM-ACKVK 30-39 years, male 8.8
GTEX-1192X-0226-SM-5H12D 50-59 years, male 8.7
GTEX-13FTX-1826-SM-5J1NX 20-29 years, female 8.7
GTEX-QLQ7-1626-SM-2S1R8 60-69 years, male 8.7
GTEX-WYVS-2126-SM-3NMA3 40-49 years, female 8.7
GTEX-1B996-0226-SM-7RHGO 60-69 years, male 8.7
GTEX-1GZHY-0326-SM-9QEHI 50-59 years, female 8.7
GTEX-1J1OQ-0226-SM-CYPSH 40-49 years, female 8.7
GTEX-1JMQI-2226-SM-CM2SD 50-59 years, male 8.7
GTEX-11DYG-0126-SM-59883 60-69 years, male 8.6
GTEX-11P81-2326-SM-59875 30-39 years, female 8.6
GTEX-12WSK-2326-SM-5GCOH 40-49 years, female 8.6
GTEX-12ZZX-0126-SM-5EGK9 40-49 years, female 8.6
GTEX-13RTK-1426-SM-5QGQJ 20-29 years, male 8.6
GTEX-18QFQ-0126-SM-731BE 30-39 years, male 8.6
GTEX-WH7G-2326-SM-3NMBC 40-49 years, male 8.6
GTEX-ZAB5-1826-SM-5HL7C 50-59 years, male 8.6
GTEX-13FH7-2026-SM-E9J4I 50-59 years, female 8.6
GTEX-1GZ4H-1726-SM-7PBZJ 50-59 years, female 8.6
GTEX-1I1GQ-0126-SM-COH3H 50-59 years, male 8.6
GTEX-1QP9N-1426-SM-DTXFL 30-39 years, male 8.6
GTEX-11P7K-2126-SM-5GU7G 30-39 years, male 8.5
GTEX-12KS4-0326-SM-5EQ41 30-39 years, male 8.5
GTEX-12ZZY-0226-SM-5LZVE 60-69 years, male 8.5
GTEX-13PVR-2326-SM-5QGR1 60-69 years, female 8.5
GTEX-ZF28-0126-SM-4WKGK 60-69 years, male 8.5
GTEX-1AX9I-0126-SM-7SB74 60-69 years, male 8.5
GTEX-1JMPY-1326-SM-ARL8Y 30-39 years, male 8.5
GTEX-1JN76-0126-SM-CNPPE 20-29 years, female 8.5
GTEX-11ZTT-2426-SM-5EQLS 60-69 years, female 8.4
GTEX-12WSN-5019-SM-79OM6 40-49 years, male 8.4
GTEX-146FQ-0126-SM-5NQA9 30-39 years, male 8.4
GTEX-14ICK-0226-SM-6EU25 40-49 years, male 8.4
GTEX-17F97-0326-SM-7LG5B 50-59 years, male 8.4
GTEX-1C6VR-2426-SM-79OLD 60-69 years, male 8.4
GTEX-QLQW-1126-SM-2S1Q8 30-39 years, male 8.4
GTEX-R55G-2526-SM-2TC6D 40-49 years, female 8.4
GTEX-13OW5-0126-SM-DTXFS 60-69 years, male 8.4
GTEX-1HCVE-0126-SM-CGQEU 50-59 years, male 8.4
GTEX-1HFI7-1826-SM-ACKXH 50-59 years, female 8.4
GTEX-1R7EV-2426-SM-EVYBG 40-49 years, male 8.4
GTEX-R45C-0126-SM-EAZ2R 60-69 years, female 8.4
GTEX-144GN-2326-SM-5LU4F 50-59 years, male 8.3
GTEX-17HG3-2226-SM-7938L 30-39 years, female 8.3
GTEX-U3ZM-1526-SM-3DB9D 40-49 years, male 8.3
GTEX-1R46S-0626-SM-E9J41 60-69 years, female 8.3
GTEX-12WSC-0126-SM-5EQ4P 50-59 years, male 8.2
GTEX-13O1R-0126-SM-5L3EH 60-69 years, male 8.2
GTEX-1CAMR-1926-SM-7EPI2 20-29 years, male 8.2
GTEX-OXRK-0226-SM-3NB2G 50-59 years, female 8.2
GTEX-Y3IK-2426-SM-4WWDU 50-59 years, female 8.2
GTEX-ZY6K-1826-SM-5GZXK 50-59 years, male 8.2
GTEX-ZYFC-0226-SM-5NQ75 50-59 years, male 8.2
GTEX-1H1ZS-0426-SM-9WG6G 70-79 years, male 8.2
GTEX-1HCUA-2426-SM-ADEIS 50-59 years, female 8.2
GTEX-1HSKV-0226-SM-A9SKJ 60-69 years, male 8.2
GTEX-1I1GV-0526-SM-A9G29 60-69 years, male 8.2
GTEX-1PFEY-1526-SM-E76PP 30-39 years, male 8.2
GTEX-1QMI2-0226-SM-EVYBX 60-69 years, male 8.2
GTEX-1RQEC-0426-SM-E6CHU 60-69 years, male 8.2
GTEX-117YX-2326-SM-5H12W 50-59 years, male 8.1
GTEX-12WSE-0526-SM-793B2 20-29 years, male 8.1
GTEX-W5WG-1826-SM-4KL2Y 50-59 years, female 8.1
GTEX-X88G-0126-SM-47JZ3 30-39 years, male 8.1
GTEX-1GN1W-0526-SM-9MQJQ 50-59 years, female 8.1
GTEX-1I6K6-0126-SM-A9SLE 30-39 years, male 8.1
GTEX-1JMOU-1526-SM-CL54I 60-69 years, female 8.1
GTEX-1KANB-0526-SM-E6CJH 50-59 years, male 8.1
GTEX-131YS-0126-SM-5KM1M 60-69 years, female 8.0
GTEX-13FHP-0126-SM-5IJBG 50-59 years, male 8.0
GTEX-13OW8-1326-SM-5J1OW 60-69 years, male 8.0
GTEX-147F3-0526-SM-5SI98 50-59 years, female 8.0
GTEX-14BMU-2226-SM-5TDE9 20-29 years, female 8.0
GTEX-14PJ3-1826-SM-62LEX 50-59 years, male 8.0
GTEX-14XAO-2326-SM-6EU1B 60-69 years, female 8.0
GTEX-15CHC-2126-SM-6EU21 60-69 years, female 8.0
GTEX-15ER7-0326-SM-7KUEV 20-29 years, female 8.0
GTEX-15G19-0126-SM-6PANQ 60-69 years, male 8.0
GTEX-18A6Q-0126-SM-731BZ 60-69 years, male 8.0
GTEX-1A3MV-1926-SM-718BT 30-39 years, male 8.0
GTEX-1AMFI-2026-SM-731BH 50-59 years, female 8.0
GTEX-SJXC-0126-SM-2XCFF 60-69 years, male 8.0
GTEX-TMZS-0126-SM-3DB9Q 60-69 years, male 8.0
GTEX-XXEK-2226-SM-4BRUM 50-59 years, male 8.0
GTEX-1J1R8-1726-SM-ARL8M 40-49 years, male 8.0
GTEX-1JMQJ-0526-SM-CYPSU 50-59 years, male 8.0
GTEX-1212Z-2526-SM-5EGKP 60-69 years, male 7.9
GTEX-13N2G-2626-SM-5J1OT 60-69 years, male 7.9
GTEX-14JG6-2226-SM-6EU2G 30-39 years, female 7.9
GTEX-18A7B-0126-SM-7LG64 70-79 years, male 7.9
GTEX-1B97I-1626-SM-73KYO 40-49 years, male 7.9
GTEX-1C4CL-0526-SM-73KVK 30-39 years, male 7.9
GTEX-P4PP-0126-SM-3LK69 30-39 years, female 7.9
GTEX-Z93S-0126-SM-5HL7M 50-59 years, male 7.9
GTEX-ZEX8-2426-SM-4WKG4 50-59 years, male 7.9
GTEX-1CB4F-0426-SM-9KNV4 60-69 years, male 7.9
GTEX-1EN7A-0126-SM-7SB81 40-49 years, male 7.9
GTEX-1GMR8-0126-SM-9WYTM 50-59 years, female 7.9
GTEX-1IKJJ-0126-SM-CNPQB 60-69 years, male 7.9
GTEX-1IL2V-0126-SM-CM2TX 70-79 years, male 7.9
GTEX-1K9T9-0126-SM-EVYCF 50-59 years, female 7.9
GTEX-1PPH8-0226-SM-E8VND 20-29 years, male 7.9
GTEX-117XS-2726-SM-5N9BL 60-69 years, male 7.8
GTEX-183FY-0126-SM-7LT9P 20-29 years, male 7.8
GTEX-18A7A-0226-SM-718BH 50-59 years, female 7.8
GTEX-POMQ-2226-SM-2I5FK 20-29 years, female 7.8
GTEX-T5JC-0426-SM-32PLO 20-29 years, male 7.8
GTEX-TKQ1-1026-SM-4GICL 30-39 years, male 7.8
GTEX-XQ8I-0426-SM-4BOPO 50-59 years, male 7.8
GTEX-Y8DK-0126-SM-4TT3L 60-69 years, male 7.8
GTEX-ZAK1-0126-SM-5IJD3 50-59 years, female 7.8
GTEX-ZXG5-0126-SM-5GIEU 60-69 years, male 7.8
GTEX-1I1GU-2226-SM-CGQFA 40-49 years, male 7.8
GTEX-1IOXB-0126-SM-ARL8G 50-59 years, male 7.8
GTEX-1JMPZ-0226-SM-CNPP1 30-39 years, male 7.8
GTEX-1QP29-0626-SM-EWRMX 50-59 years, male 7.8
GTEX-1211K-2026-SM-5EQ4Z 60-69 years, female 7.7
GTEX-1269C-2526-SM-5EGJ3 60-69 years, female 7.7
GTEX-13OVG-1926-SM-5L3DK 60-69 years, male 7.7
GTEX-13RTJ-2426-SM-5S2Q2 60-69 years, male 7.7
GTEX-13SLW-0126-SM-5SI6C 70-79 years, male 7.7
GTEX-147GR-0526-SM-5S2MY 60-69 years, male 7.7
GTEX-14PN3-2426-SM-6LLHS 60-69 years, female 7.7
GTEX-15SDE-2226-SM-7IGLO 50-59 years, female 7.7
GTEX-16XZZ-0126-SM-793DV 60-69 years, male 7.7
GTEX-OXRO-0126-SM-2YUN4 60-69 years, female 7.7
GTEX-QVJO-1626-SM-2S1QW 60-69 years, female 7.7
GTEX-T6MO-1626-SM-32QOM 40-49 years, female 7.7
GTEX-1IL2U-0226-SM-CE6T8 60-69 years, male 7.7
GTEX-1IY9M-0126-SM-D3L8S 60-69 years, male 7.7
GTEX-12696-2426-SM-5EQ6H 60-69 years, male 7.6
GTEX-13113-5016-SM-7EPIP 60-69 years, female 7.6
GTEX-14BIN-0626-SM-793DP 50-59 years, female 7.6
GTEX-1BAJH-0526-SM-793CQ 70-79 years, male 7.6
GTEX-U3ZH-2026-SM-3DB78 30-39 years, male 7.6
GTEX-U412-0426-SM-3DB9O 60-69 years, male 7.6
GTEX-1CAMS-0426-SM-7P8T2 40-49 years, female 7.6
GTEX-1F5PL-0326-SM-7P8PQ 40-49 years, female 7.6
GTEX-1IDJF-0126-SM-CM2RS 20-29 years, male 7.6
GTEX-1IDJH-0326-SM-A9SLQ 70-79 years, male 7.6
GTEX-11OF3-2626-SM-5GU7F 60-69 years, male 7.5
GTEX-13IVO-0126-SM-5J1NG 70-79 years, male 7.5
GTEX-148VI-1626-SM-5SI6E 60-69 years, female 7.5
GTEX-1AX9K-2326-SM-73KWU 50-59 years, male 7.5
GTEX-Q2AG-0126-SM-33HBV 40-49 years, female 7.5
GTEX-YJ89-0126-SM-4TT3X 60-69 years, male 7.5
GTEX-1CB4G-0226-SM-7PC3O 60-69 years, male 7.5
GTEX-1HCU9-1526-SM-A9SL7 20-29 years, male 7.5
GTEX-1KAFJ-2026-SM-CY8ID 50-59 years, male 7.5
GTEX-1O97I-0326-SM-EYYX7 60-69 years, male 7.5
GTEX-11ZTS-0126-SM-5EQ6M 60-69 years, female 7.4
GTEX-13CF3-2426-SM-5IFGX 60-69 years, female 7.4
GTEX-OIZG-0726-SM-33HBL 50-59 years, male 7.4
GTEX-PLZ4-0126-SM-5SI8O 50-59 years, female 7.4
GTEX-1GF9W-0326-SM-9KNUN 60-69 years, male 7.4
GTEX-1K2DU-2326-SM-E9TIV 20-29 years, male 7.4
GTEX-1M5QR-1226-SM-EWROB 40-49 years, male 7.4
GTEX-1RDX4-0126-SM-E9J4P 50-59 years, female 7.4
GTEX-11DZ1-0126-SM-5985Q 50-59 years, male 7.3
GTEX-13NYB-2526-SM-5K7Z6 40-49 years, male 7.3
GTEX-14BMV-0126-SM-5S2PO 50-59 years, male 7.3
GTEX-1GMR3-1926-SM-9KNUZ 40-49 years, male 7.3
GTEX-1I1GR-0126-SM-CL55F 60-69 years, male 7.3
GTEX-1JMLX-0226-SM-CM2RO 50-59 years, male 7.3
GTEX-OIZF-0126-SM-7SB8I 60-69 years, male 7.3
GTEX-PW2O-1526-SM-7RHHB 20-29 years, male 7.3
GTEX-11DXY-2626-SM-5GIE7 60-69 years, male 7.2
GTEX-139TT-0126-SM-5K7Y5 60-69 years, male 7.2
GTEX-13G51-2526-SM-5LZYK 60-69 years, male 7.2
GTEX-13VXT-0126-SM-5LU4I 20-29 years, female 7.2
GTEX-13VXU-0126-SM-5SI9F 50-59 years, male 7.2
GTEX-13X6J-0126-SM-5QGOU 50-59 years, male 7.2
GTEX-16NPX-0226-SM-79OMT 50-59 years, male 7.2
GTEX-QDVN-2026-SM-3GAEP 50-59 years, male 7.2
GTEX-RTLS-0126-SM-447CA 60-69 years, female 7.2
GTEX-X638-0126-SM-47JZ8 70-79 years, female 7.2
GTEX-ZWKS-0126-SM-5SIAA 30-39 years, male 7.2
GTEX-1EX96-1626-SM-7PBXR 50-59 years, male 7.2
GTEX-1GMRU-0126-SM-9YFLV 50-59 years, male 7.2
GTEX-1NHNU-1026-SM-E9J2A 50-59 years, male 7.2
GTEX-RNOR-0126-SM-E9J4R 50-59 years, female 7.2
GTEX-1128S-2326-SM-5GZZY 60-69 years, female 7.1
GTEX-1399T-2826-SM-5KLYZ 60-69 years, male 7.1
GTEX-1399U-2326-SM-5K7WY 50-59 years, female 7.1
GTEX-13O3P-0126-SM-5KM4S 50-59 years, male 7.1
GTEX-144GL-0126-SM-5TDE2 50-59 years, male 7.1
GTEX-1J8JJ-0226-SM-CL53I 60-69 years, female 7.1
GTEX-1KD5A-0226-SM-D5OV3 50-59 years, male 7.1
GTEX-1MCYP-1926-SM-E9J2R 20-29 years, female 7.1
GTEX-S33H-1026-SM-EZ6L6 30-39 years, male 7.1
GTEX-1E1VI-0126-SM-7DHMZ 50-59 years, male 7.0
GTEX-RWSA-0126-SM-2XCBB 40-49 years, male 7.0
GTEX-XPVG-2626-SM-4B669 50-59 years, male 7.0
GTEX-Z93T-0126-SM-5HL5N 50-59 years, male 7.0
GTEX-ZYY3-0126-SM-5GZY5 60-69 years, female 7.0
GTEX-1HFI6-0226-SM-ADEHZ 40-49 years, male 7.0
GTEX-1HR98-0126-SM-B2LWI 60-69 years, male 7.0
GTEX-PWCY-1826-SM-DHXIZ 20-29 years, female 7.0
GTEX-14JG1-0426-SM-6ETZZ 40-49 years, male 6.9
GTEX-15UKP-0426-SM-7KUFQ 20-29 years, male 6.9
GTEX-17EVQ-0226-SM-7LG4P 70-79 years, male 6.9
GTEX-1AMEY-1326-SM-73KYK 30-39 years, female 6.9
GTEX-QEG4-0226-SM-2S1PY 30-39 years, male 6.9
GTEX-RU72-0926-SM-2TF6B 50-59 years, female 6.9
GTEX-SSA3-0126-SM-32QPU 60-69 years, male 6.9
GTEX-1HCU6-0126-SM-CL54K 60-69 years, female 6.9
GTEX-1MCQQ-0826-SM-DLHC2 60-69 years, male 6.9
GTEX-111VG-2426-SM-5GZXD 60-69 years, male 6.8
GTEX-11TT1-2526-SM-5EGIB 20-29 years, male 6.8
GTEX-131XG-2626-SM-5KM17 50-59 years, female 6.8
GTEX-131XH-2226-SM-5DUXJ 50-59 years, male 6.8
GTEX-13S7M-0126-SM-5SI6A 60-69 years, female 6.8
GTEX-13X6H-2126-SM-7EWD5 50-59 years, female 6.8
GTEX-17HII-0226-SM-7LG4E 50-59 years, male 6.8
GTEX-1B8SG-0126-SM-73KZ3 50-59 years, male 6.8
GTEX-U3ZN-2326-SM-3DB7W 30-39 years, female 6.8
GTEX-X4XX-0126-SM-3NMC2 60-69 years, male 6.8
GTEX-XV7Q-2526-SM-4BRV9 40-49 years, female 6.8
GTEX-ZVZO-0126-SM-5A5L9 40-49 years, male 6.8
GTEX-11TUW-2726-SM-E9J4M 60-69 years, male 6.8
GTEX-1A8FM-0226-SM-7SB7Q 50-59 years, female 6.8
GTEX-1GN73-0226-SM-9WG67 60-69 years, male 6.8
GTEX-1H23P-0126-SM-ADEJ3 60-69 years, male 6.8
GTEX-1H3VY-0126-SM-ACKXD 50-59 years, male 6.8
GTEX-1JKYR-0126-SM-CNPOJ 20-29 years, male 6.8
GTEX-1JN1M-0326-SM-CYPT3 60-69 years, female 6.8
GTEX-1KWVE-1426-SM-E9TJO 30-39 years, male 6.8
GTEX-1QEPI-0126-SM-EWRMQ 60-69 years, female 6.8
GTEX-12584-0126-SM-5EGKQ 40-49 years, male 6.7
GTEX-13CF2-2526-SM-5LZYX 60-69 years, male 6.7
GTEX-13NZ8-0826-SM-5MR3I 60-69 years, female 6.7
GTEX-13PDP-0126-SM-5L3HD 60-69 years, male 6.7
GTEX-13YAN-0326-SM-5O9DF 60-69 years, male 6.7
GTEX-145LT-1726-SM-5QGP3 40-49 years, male 6.7
GTEX-1CB4J-0626-SM-7DHMP 60-69 years, male 6.7
GTEX-OOBK-0126-SM-2YUND 40-49 years, male 6.7
GTEX-X4EO-0326-SM-3P5YO 60-69 years, female 6.7
GTEX-Y5LM-1926-SM-5RQJH 40-49 years, female 6.7
GTEX-1GPI7-0126-SM-9MQL8 20-29 years, male 6.7
GTEX-1H4P4-0726-SM-9YFLR 50-59 years, male 6.7
GTEX-1HKZK-0326-SM-9WYUH 40-49 years, male 6.7
GTEX-1LC47-0326-SM-E9TJP 60-69 years, male 6.7
GTEX-11OC5-0126-SM-5HL6A 60-69 years, male 6.6
GTEX-12126-0326-SM-5PNW3 20-29 years, male 6.6
GTEX-139UW-2826-SM-5L3E7 60-69 years, male 6.6
GTEX-13OVI-1426-SM-5L3EY 60-69 years, female 6.6
GTEX-145LU-0126-SM-5TDCB 50-59 years, male 6.6
GTEX-14ABY-0226-SM-5TDCQ 50-59 years, male 6.6
GTEX-15DCD-0126-SM-7KUEK 70-79 years, female 6.6
GTEX-15DDE-0126-SM-6LPKH 50-59 years, female 6.6
GTEX-QV44-1926-SM-2S1RF 50-59 years, male 6.6
GTEX-S7PM-0126-SM-4AD6S 60-69 years, male 6.6
GTEX-X585-0226-SM-4QAS2 50-59 years, male 6.6
GTEX-ZVE2-0226-SM-59HJB 50-59 years, male 6.6
GTEX-1CAV2-2226-SM-7P8P2 40-49 years, female 6.6
GTEX-1EU9M-0226-SM-7P8SP 60-69 years, male 6.6
GTEX-1HCU8-0626-SM-A9SM9 60-69 years, female 6.6
GTEX-1JN6P-0126-SM-D3L98 60-69 years, male 6.6
GTEX-13SLX-0526-SM-5S2ON 50-59 years, female 6.5
GTEX-13W46-0226-SM-5SIAG 50-59 years, male 6.5
GTEX-14A5H-0426-SM-5QGQF 60-69 years, male 6.5
GTEX-17HGU-0226-SM-7DHKV 50-59 years, male 6.5
GTEX-VJWN-0126-SM-3GIK7 50-59 years, female 6.5
GTEX-ZAB4-0226-SM-5N9F5 40-49 years, male 6.5
GTEX-1CB4H-0226-SM-7PBXM 60-69 years, female 6.5
GTEX-1IKOH-0226-SM-COH4E 60-69 years, female 6.5
GTEX-12ZZZ-0626-SM-5DUXI 60-69 years, male 6.4
GTEX-1314G-1526-SM-5EGK2 30-39 years, male 6.4
GTEX-145LS-0126-SM-5QGP1 60-69 years, female 6.4
GTEX-14PN4-0126-SM-6EU2V 50-59 years, male 6.4
GTEX-T2IS-0126-SM-4DM6O 20-29 years, female 6.4
GTEX-XQ3S-1526-SM-4BOOC 20-29 years, male 6.4
GTEX-1F48J-0126-SM-7P8TT 50-59 years, female 6.4
GTEX-1HBPI-1526-SM-C1YQ1 50-59 years, male 6.4
GTEX-1HT8W-0126-SM-CNPPP 30-39 years, male 6.4
GTEX-14E7W-0126-SM-6LLJ9 70-79 years, male 6.3
GTEX-WFG8-2226-SM-3GIL9 20-29 years, male 6.3
GTEX-XMD2-0126-SM-4YCDU 60-69 years, female 6.3
GTEX-Y111-0126-SM-4SOIV 50-59 years, male 6.3
GTEX-Y5V6-2426-SM-4VDSB 60-69 years, male 6.3
GTEX-ZVT3-0126-SM-5GU6I 60-69 years, female 6.3
GTEX-1H3VE-0326-SM-9YFLH 40-49 years, male 6.3
GTEX-1PPH7-2326-SM-EVYB8 40-49 years, male 6.3
GTEX-113JC-2326-SM-5EQ4E 50-59 years, female 6.2
GTEX-11EMC-2926-SM-5EQ4F 60-69 years, female 6.2
GTEX-11GSO-2426-SM-5A5LY 60-69 years, male 6.2
GTEX-13W3W-2426-SM-5LU5B 60-69 years, female 6.2
GTEX-14PHW-0126-SM-6LLJI 60-69 years, female 6.2
GTEX-15DYW-0126-SM-7KULE 60-69 years, female 6.2
GTEX-17HHY-0126-SM-7LG5D 50-59 years, male 6.2
GTEX-NPJ8-0126-SM-2YUNR 40-49 years, male 6.2
GTEX-SN8G-0126-SM-32PLI 50-59 years, female 6.2
GTEX-ZE9C-2726-SM-57WB5 60-69 years, male 6.2
GTEX-1EKGG-0226-SM-9WYTH 60-69 years, male 6.2
GTEX-1GTWX-0126-SM-9YFLK 60-69 years, male 6.2
GTEX-1J8Q2-0526-SM-CM2RW 60-69 years, male 6.2
GTEX-1JMQL-0226-SM-CNPP5 50-59 years, female 6.2
GTEX-1KD4Q-0226-SM-E9TJ9 40-49 years, male 6.2
GTEX-1PWST-0226-SM-E76QJ 70-79 years, male 6.2
GTEX-W5X1-3026-SM-EAZAX 40-49 years, female 6.2
GTEX-13112-2826-SM-5DUWH 50-59 years, male 6.1
GTEX-1B8KZ-2026-SM-7DHMB 50-59 years, male 6.1
GTEX-X261-0126-SM-3NMD6 50-59 years, male 6.1
GTEX-ZDXO-3026-SM-5J1N5 60-69 years, male 6.1
GTEX-ZYFD-0126-SM-5GIDL 50-59 years, male 6.1
GTEX-13NYC-0326-SM-E9J4S 60-69 years, male 6.1
GTEX-1F6I4-0126-SM-9MQL2 60-69 years, male 6.1
GTEX-1F88F-2726-SM-7PBZZ 60-69 years, female 6.1
GTEX-1GF9U-2126-SM-7SB7L 40-49 years, female 6.1
GTEX-1HB9E-0226-SM-E9U4R 50-59 years, male 6.1
GTEX-1I1HK-0126-SM-COH49 60-69 years, male 6.1
GTEX-1S82Y-2026-SM-EVYCM 40-49 years, male 6.1
GTEX-139TU-0126-SM-5K7WH 60-69 years, male 6.0
GTEX-13X6I-0626-SM-5QGP9 60-69 years, male 6.0
GTEX-146FH-0126-SM-5QGPP 50-59 years, female 6.0
GTEX-15SB6-1726-SM-6PAME 50-59 years, female 6.0
GTEX-1A3MX-0126-SM-731BR 60-69 years, male 6.0
GTEX-O5YT-0126-SM-48TBW 20-29 years, male 6.0
GTEX-WI4N-1026-SM-3LK7N 40-49 years, female 6.0
GTEX-WZTO-0126-SM-3NM95 40-49 years, male 6.0
GTEX-ZDTS-0126-SM-4WAY5 60-69 years, male 6.0
GTEX-1GN2E-0426-SM-9MQKX 60-69 years, male 6.0
GTEX-1GZ2Q-0226-SM-7P8TL 40-49 years, male 6.0
GTEX-1H3NZ-0126-SM-ACKX7 60-69 years, male 6.0
GTEX-1HGF4-2426-SM-ACKXM 60-69 years, male 6.0
GTEX-1QP67-1626-SM-EAZ3X 40-49 years, female 6.0
GTEX-RN64-0126-SM-2TC68 50-59 years, male 5.9
GTEX-YFC4-0126-SM-5CVLY 40-49 years, female 5.9
GTEX-1C6WA-0126-SM-7PC2B 60-69 years, male 5.9
GTEX-1IE54-0126-SM-CMKHW 40-49 years, female 5.9
GTEX-1LG7Y-0526-SM-DKPQC 50-59 years, male 5.9
GTEX-1RB15-2126-SM-E9TIM 60-69 years, male 5.9
GTEX-12WSD-0126-SM-59HKN 60-69 years, female 5.8
GTEX-131XE-2326-SM-5PNZ2 50-59 years, male 5.8
GTEX-13N11-2526-SM-5K7UE 50-59 years, female 5.8
GTEX-13O3Q-2426-SM-5IJBR 50-59 years, male 5.8
GTEX-13OVJ-0126-SM-5KM36 50-59 years, female 5.8
GTEX-1497J-2426-SM-7IGNX 60-69 years, male 5.8
GTEX-15SHW-0326-SM-6PAML 60-69 years, male 5.8
GTEX-1C6VS-0526-SM-7DUEN 60-69 years, male 5.8
GTEX-ZUA1-0126-SM-5GU76 40-49 years, male 5.8
GTEX-131XF-5016-SM-7MGWE 60-69 years, male 5.8
GTEX-1H1CY-2826-SM-9MQM3 60-69 years, female 5.8
GTEX-1MA7X-2226-SM-E6CIY 60-69 years, male 5.8
GTEX-1POEN-0126-SM-EYYXJ 30-39 years, female 5.8
GTEX-RVPV-0126-SM-EAZAW 60-69 years, male 5.8
GTEX-113IC-0126-SM-5HL6T 60-69 years, male 5.7
GTEX-14DAQ-0126-SM-5S2MQ 60-69 years, female 5.7
GTEX-18465-0126-SM-731BN 50-59 years, male 5.7
GTEX-OXRN-0126-SM-48TDM 50-59 years, male 5.7
GTEX-YJ8A-0426-SM-5IFID 20-29 years, male 5.7
GTEX-1313W-0126-SM-5LZUN 50-59 years, female 5.6
GTEX-139TS-2826-SM-5J1OO 60-69 years, male 5.6
GTEX-14753-0426-SM-5NQAM 60-69 years, male 5.6
GTEX-16XZY-2126-SM-79OK1 70-79 years, male 5.6
GTEX-16YQH-0126-SM-7DUFJ 30-39 years, male 5.6
GTEX-P44H-0226-SM-2XCEU 40-49 years, male 5.6
GTEX-VUSG-2526-SM-4KL1V 50-59 years, male 5.6
GTEX-ZAJG-0126-SM-5HL94 50-59 years, female 5.6
GTEX-1F75A-0126-SM-7RHGM 50-59 years, male 5.6
GTEX-1I1CD-0126-SM-CM2TK 60-69 years, female 5.6
GTEX-11GSP-2526-SM-5N9BP 60-69 years, female 5.5
GTEX-13FTY-0526-SM-5L3EV 40-49 years, female 5.5
GTEX-U8XE-0326-SM-3DB8P 30-39 years, male 5.5
GTEX-ZC5H-0226-SM-4WAY9 40-49 years, female 5.5
GTEX-1B933-0126-SM-7PC29 50-59 years, female 5.5
GTEX-1HBPM-0226-SM-ARL9F 60-69 years, female 5.5
GTEX-1IKK5-0626-SM-ARL8A 60-69 years, male 5.5
GTEX-1R9K4-0126-SM-DTX9X 60-69 years, male 5.5
GTEX-11DXW-0226-SM-5H122 40-49 years, male 5.4
GTEX-131XW-0426-SM-5LZWP 50-59 years, female 5.4
GTEX-13FHO-0226-SM-5IFGY 60-69 years, male 5.4
GTEX-13N1W-0126-SM-5K7VT 70-79 years, male 5.4
GTEX-13OVL-0226-SM-5L3E9 50-59 years, male 5.4
GTEX-13RTL-0126-SM-7LG5S 40-49 years, male 5.4
GTEX-13U4I-0126-SM-5LU38 40-49 years, female 5.4
GTEX-1A32A-0126-SM-718B1 50-59 years, female 5.4
GTEX-OXRP-0126-SM-3NB32 60-69 years, female 5.4
GTEX-1NV5F-0226-SM-E8VNY 60-69 years, female 5.4
GTEX-SE5C-1626-SM-2XCE3 40-49 years, female 5.4
GTEX-13NZA-0226-SM-5K7Z7 60-69 years, male 5.3
GTEX-144FL-0126-SM-5TDC8 50-59 years, male 5.3
GTEX-14LLW-0126-SM-6LLIO 70-79 years, female 5.3
GTEX-1ICLY-0126-SM-D4P36 50-59 years, male 5.3
GTEX-1N2EF-0226-SM-EYYXB 60-69 years, male 5.3
GTEX-ZVT4-0126-SM-DTXFN 50-59 years, female 5.3
GTEX-145MF-0626-SM-5LUAI 50-59 years, male 5.2
GTEX-WOFL-0126-SM-3MJG2 60-69 years, male 5.2
GTEX-X4EP-0126-SM-3P5YV 60-69 years, female 5.2
GTEX-X62O-0126-SM-4E3JN 50-59 years, male 5.2
GTEX-ZTPG-0326-SM-5O9AX 20-29 years, female 5.2
GTEX-1F75B-0126-SM-9KNVL 50-59 years, male 5.2
GTEX-1H1DE-2126-SM-9WG6R 20-29 years, male 5.2
GTEX-1ICLZ-0126-SM-CKZPO 60-69 years, male 5.2
GTEX-1JJE9-0326-SM-CL53Z 70-79 years, male 5.2
GTEX-1RAZQ-0726-SM-EAZ43 30-39 years, male 5.2
GTEX-11H98-0126-SM-5EGHG 50-59 years, male 5.1
GTEX-V1D1-2226-SM-3NMAX 50-59 years, male 5.1
GTEX-ZYW4-0126-SM-5E44A 60-69 years, male 5.1
GTEX-12WSG-2826-SM-E9J4H 50-59 years, female 5.1
GTEX-1C6VQ-0126-SM-7P8RI 50-59 years, male 5.1
GTEX-1I1GS-0126-SM-B2LVW 60-69 years, male 5.1
GTEX-1OJC4-0126-SM-E9J2E 50-59 years, female 5.1
GTEX-11GS4-2726-SM-5A5LE 60-69 years, male 5.0
GTEX-11WQC-2526-SM-5CVLE 60-69 years, male 5.0
GTEX-R55E-0126-SM-2TC5Y 20-29 years, male 5.0
GTEX-SIU8-0126-SM-2XCDT 50-59 years, male 5.0
GTEX-11NUK-0126-SM-5A5L3 50-59 years, male 4.9
GTEX-14A6H-0126-SM-5QGPK 30-39 years, male 4.9
GTEX-14E6E-1826-SM-5S2R7 30-39 years, male 4.9
GTEX-1AX8Z-0126-SM-7DHM6 60-69 years, male 4.9
GTEX-ZE7O-0126-SM-57WC1 50-59 years, female 4.9
GTEX-1IDFM-0126-SM-COH2V 60-69 years, male 4.9
GTEX-ZZPT-0226-SM-5E43X 50-59 years, male 4.8
GTEX-1F7RK-0126-SM-7PC2S 20-29 years, female 4.8
GTEX-1H3O1-0426-SM-9YFKY 60-69 years, male 4.8
GTEX-147F4-0226-SM-5QGPW 50-59 years, male 4.7
GTEX-1HSMO-0126-SM-CL547 60-69 years, male 4.7
GTEX-1192W-2626-SM-5Q5AF 60-69 years, male 4.6
GTEX-PWO3-1526-SM-48TCM 60-69 years, female 4.6
GTEX-1M4P7-0226-SM-DIPEV 60-69 years, male 4.6
GTEX-11ZU8-2526-SM-5EQKI 60-69 years, male 4.5
GTEX-11ZVC-2526-SM-5FQTE 50-59 years, female 4.5
GTEX-13NYS-0126-SM-5MR3W 60-69 years, male 4.5
GTEX-TSE9-0126-SM-3DB83 60-69 years, female 4.5
GTEX-1GPI6-0126-SM-9WG69 60-69 years, male 4.5
GTEX-11WQK-0526-SM-5EQLD 50-59 years, male 4.4
GTEX-139T8-0126-SM-5K7XZ 60-69 years, male 4.4
GTEX-14BIM-0226-SM-7IGLD 60-69 years, female 4.4
GTEX-Q734-1926-SM-2I5EV 40-49 years, female 4.4
GTEX-X4XY-0226-SM-4E3IZ 60-69 years, male 4.4
GTEX-1F6IF-0726-SM-7P8TW 60-69 years, male 4.4
GTEX-1GN1V-0126-SM-9WPOS 60-69 years, male 4.4
GTEX-1I19N-0326-SM-ACKVX 70-79 years, male 4.4
GTEX-13OW7-0126-SM-5MR3B 50-59 years, male 4.3
GTEX-1F75I-0326-SM-9YFLU 40-49 years, male 4.3
GTEX-14JIY-0126-SM-6LLH6 60-69 years, male 4.2
GTEX-RUSQ-1526-SM-2TF62 50-59 years, male 4.2
GTEX-X8HC-0126-SM-4E3JW 50-59 years, female 4.2
GTEX-1I1GP-2226-SM-CGQFK 50-59 years, male 4.2
GTEX-11O72-0126-SM-59887 40-49 years, male 4.1
GTEX-17MF6-0126-SM-7LG4F 40-49 years, male 4.1
GTEX-1AYCT-2426-SM-7IGQ3 50-59 years, male 4.1
GTEX-WVJS-0126-SM-4MVOT 50-59 years, male 4.1
GTEX-1LNCM-1126-SM-E9U5E 50-59 years, female 4.1
GTEX-11ZUS-0626-SM-59885 30-39 years, male 4.0
GTEX-16MT8-0426-SM-7KUEY 60-69 years, female 4.0
GTEX-1N2DW-0226-SM-E9TK2 50-59 years, male 4.0
GTEX-1R9PO-2126-SM-E9J4O 60-69 years, female 4.0
GTEX-117YW-2626-SM-5GZZH 50-59 years, male 3.9
GTEX-12WSA-0226-SM-5BC5V 60-69 years, male 3.9
GTEX-15EOM-0126-SM-7KUGG 20-29 years, female 3.9
GTEX-1HUB1-0426-SM-E9U4U 60-69 years, male 3.9
GTEX-1PBJI-0526-SM-E8VNK 20-29 years, female 3.9
GTEX-1RLM8-2326-SM-EWRN4 50-59 years, male 3.9
GTEX-15D1Q-0126-SM-7KUG6 40-49 years, male 3.8
GTEX-1IGQW-0126-SM-COH42 60-69 years, male 3.8
GTEX-1QAET-0926-SM-E76QM 50-59 years, male 3.8
GTEX-11UD1-0126-SM-5PNYG 40-49 years, female 3.7
GTEX-14E6C-0126-SM-5RQIP 40-49 years, male 3.7
GTEX-148VJ-0126-SM-5TDDN 70-79 years, male 3.6
GTEX-15UF6-0826-SM-6PALJ 70-79 years, female 3.6
GTEX-1A3MW-0126-SM-73KXX 60-69 years, female 3.6
GTEX-1AYD5-2426-SM-73KXR 50-59 years, male 3.6
GTEX-QDT8-0126-SM-48TZ1 30-39 years, female 3.5
GTEX-183WM-0126-SM-7LTAB 70-79 years, female 3.4
GTEX-1HBPH-0426-SM-B2LW5 40-49 years, female 3.4
GTEX-1QW4Y-1526-SM-EAZ3Z 30-39 years, male 3.4
GTEX-11TTK-0126-SM-5987B 60-69 years, female 3.0
GTEX-139T4-0226-SM-5HL5S 50-59 years, female 2.7
Show allShow less

Contact

  • NEWS ARTICLES
  • PRESS ROOM

The Project

  • INTRODUCTION
  • ORGANIZATION
  • PUBLICATIONS

The Human Protein Atlas

  • DOWNLOADABLE DATA
  • LICENCE & CITATION
  • HELP & FAQ
The Human Protein Atlas project is funded
by the Knut & Alice Wallenberg Foundation.


contact@proteinatlas.org