We use cookies to enhance the usability of our website. If you continue, we'll assume that you are happy to receive all cookies. More information. Don't show this again.
PAIP2B
HPA
RESOURCES
  • TISSUE
  • BRAIN
  • SINGLE CELL
  • SUBCELLULAR
  • CANCER
  • BLOOD
  • CELL LINE
  • STRUCTURE & INTERACTION
ABOUT
  • INTRODUCTION
  • HISTORY
  • ORGANIZATION
  • PUBLICATIONS
  • ANTIBODY SUBMISSION
  • ANTIBODY AVAILABILITY
  • ACKNOWLEDGMENTS
  • CONTACT
NEWS
  • NEWS ARTICLES
  • PRESS ROOM
LEARN
  • DICTIONARY
  • PROTEIN CLASSES
  • PROTEIN EVIDENCE
  • METHODS
  • EDUCATIONAL VIDEOS
DATA
  • DOWNLOADABLE DATA
  • PUBLICATION DATA
  • RELEASE HISTORY
HELP
  • ANTIBODY VALIDATION
  • ASSAYS & ANNOTATION
  • DISCLAIMER
  • HELP & FAQ
  • PRIVACY STATEMENT
  • LICENCE & CITATION
Fields »
Search result

Field
Term
Gene name
Class
Subclass
Class
Keyword
Chromosome
External id
Tissue
Cell type
Expression
Antibody panel
Tissue
Main location
Patient ID
Annotation
Tissue
Category
Tau score
Cluster
Reliability
Brain region
Category
Tau score
Brain region
Category
Tau score
Brain region
Category
Tau score
Cluster
Reliability
Tissue
Cell type
Enrichment
Cell type
Category
Tau score
Cell type
Category
Tau score
Cell type
Category
Tau score
Cell lineage
Category
Tau score
Cluster
Cluster
Location
Searches
Location
Cell line
Class
Type
Phase
Reliability
Cancer
Prognosis
Cancer
Category
Cancer
Category
Tau score
Cluster
Variants
Interacting gene (ensg_id)
Type
Number of interactions
Pathway
Category
Score
Score
Score
Validation
Validation
Validation
Validation
Antibodies
Data type
Column


  • SUMMARY

  • TISSUE

  • BRAIN

  • SINGLE CELL

  • SUBCELL

  • CANCER

  • BLOOD

  • CELL LINE

  • STRUCT & INT

  • PAIP2B
TISSUE PRIMARY DATA STOMACH Show tissue menu
ADIPOSE TISSUE ADRENAL GLAND AMYGDALA APPENDIX BASAL GANGLIA BONE MARROW BREAST BRONCHUS CEREBELLUM CEREBRAL CORTEX CERVIX CHOROID PLEXUS COLON DUODENUM
ENDOMETRIUM EPIDIDYMIS ESOPHAGUS FALLOPIAN TUBE GALLBLADDER HEART MUSCLE HIPPOCAMPAL FORMATION HYPOTHALAMUS KIDNEY LIVER LUNG LYMPH NODE MIDBRAIN ORAL MUCOSA
OVARY PANCREAS PARATHYROID GLAND PITUITARY GLAND PLACENTA PROSTATE RECTUM RETINA SALIVARY GLAND SEMINAL VESICLE SKELETAL MUSCLE SKIN SMALL INTESTINE SMOOTH MUSCLE
SOFT TISSUE SPINAL CORD SPLEEN STOMACH TESTIS THYMUS THYROID GLAND TONGUE TONSIL URINARY BLADDER VAGINA
ANTIBODIES
AND
VALIDATION
Dictionary
Tissue proteome
Stomach
STOMACH - Expression summary
Protein expression
Stomachi

On the top, protein expression in current human tissue, based on all annotated cell types, is reported with the units not detected (n), low (l), medium (m) and high (h). Underneath, protein expression in each annotated cell type are reported using the same units.

Protein expression data is based on knowledge-based annotation. For genes where more than one antibody has been used, a collective score is set.

If knowledge-based annotation could not be performed for a gene, no data is displayed here. View antibody staining data further down this page.

h
m
l
n
Glandular cells: Not detected
RNA expressioni

A summary of mRNA expression data available for current tissue based on several datasets. The mRNA expression levels in human tissues are based on RNA-seq data generated by the Human Protein Atlas (HPA), Genotype-Tissue Expression (GTEx) portal and CAGE data generated by the FANTOM5 consortium. Consensus normalized expression levels for human tissues was created by combining the data from HPA and GTEx datasets.

The mRNA expression levels in pig are based on RNA-seq data generated by the Human Protein Atlas (HPA), and for mouse, HPA data and in situ hybridization generated by the Allen brain atlas are reported.

Scroll down to view mRNA expression data in more detail.
Consensus:10.2 nTPM
HPA:6.7 nTPM
GTEx:10.2 nTPM

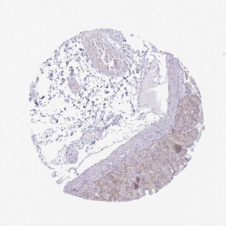
STOMACH 1 - Antibody stainingi

Antibody staining in the annotated cell types in the current human tissue is reported as not detected, low, medium, or high, based on conventional immunohistochemistry profiling in selected tissues. This score is based on the combination of the staining intensity and fraction of stained cells.

Each image is clickable and will lead to virtual microscopy that enables deeper exploration of all samples and also displays staining intensity scores, fraction scores and subcellular localization as well as patient and tissue information for each sample.

Antibody HPA046784
Glandular cells Not detected
STOMACH 2 - Antibody stainingi

Antibody staining in the annotated cell types in the current human tissue is reported as not detected, low, medium, or high, based on conventional immunohistochemistry profiling in selected tissues. This score is based on the combination of the staining intensity and fraction of stained cells.

Each image is clickable and will lead to virtual microscopy that enables deeper exploration of all samples and also displays staining intensity scores, fraction scores and subcellular localization as well as patient and tissue information for each sample.

Antibody HPA046784
Glandular cells Not detected



STOMACH - HPA RNA-seqi

The RNA-seq details section shows detailed information about the individual samples used for the transcript profiling and results of the RNA-seq analysis.

Information about each individual sample is listed below, including gender, age, a tissue section image and estimated fractions of cell types. nTPM (normalized transcripts per million) values give a quantification of the gene abundance which is comparable between different genes and samples.
Average nTPMi

Max subtype nTPM is the value for the subtype with the largest average nTPM across the subtype samples.

6.7
overview
Female, age 33
Stomach sample 61
nTPM: 8.1
Cell types%
Glandular cells:
60

Smooth muscle cells:
5

Other cell types:
35

N/A
Male, age 82
Stomach sample 240
nTPM: 6.6
Cell types%
Glandular cells:
65

Smooth muscle cells:
5

Other cell types:
30

overview
Male, age 71
Stomach sample 241
nTPM: 2.7
Cell types%
Glandular cells:
50

Smooth muscle cells:
5

Other cell types:
45

overview
Female, age 66
Stomach sample 369
nTPM: 9.5
Cell types%
Glandular cells:
50

Smooth muscle cells:
10

Other cell types:
40


STOMACH - GTEx RNA-seqi

RNA-Seq data generated by the Genotype-Tissue Expression (GTEx) project from human tissues is reported as mean nTPM. More information can be found on the GTEx portal.

Distribution across the dataset is visualized with box plots, shown as median and 25th and 75th percentiles. Points are displayed as outliers if they are above or below 1.5 times the interquartile range. nTPM values of the individual samples are presented next to the box plot.
Max subtype nTPMi

Max subtype nTPM is the value for the subtype with the largest average nTPM across the subtype samples.

10.2
GTEx sample id Sample description nTPM
Stomach
Average nTPM: 10.2
Samples: 359

Max nTPM: 34.3
Min nTPM: 1.6
Std nTPM: 6.5
Median nTPM: 8.9
GTEX-ZAB4-1526-SM-5CVN7 40-49 years, male 34.3
GTEX-ZT9W-1526-SM-4YCDE 50-59 years, male 32.7
GTEX-17HII-2426-SM-7KFTT 50-59 years, male 32.1
GTEX-XXEK-0826-SM-4BRWG 50-59 years, male 31.6
GTEX-1I1HK-2026-SM-CNNRB 60-69 years, male 28.3
GTEX-12WSG-2026-SM-5FQUU 50-59 years, female 27.6
GTEX-W5WG-1726-SM-4LMI5 50-59 years, female 27.5
GTEX-12696-1726-SM-5EQLH 60-69 years, male 26.0
GTEX-OIZF-1526-SM-2I5GR 60-69 years, male 25.2
GTEX-13PVR-2126-SM-73KVR 60-69 years, female 24.7
GTEX-ZPU1-1626-SM-4WWB2 40-49 years, male 24.5
GTEX-PX3G-1526-SM-48U11 20-29 years, female 24.0
GTEX-RM2N-0826-SM-48FD3 50-59 years, male 24.0
GTEX-14DAR-0926-SM-73KUQ 50-59 years, male 23.4
GTEX-1JMLX-2426-SM-CXZJQ 50-59 years, male 23.3
GTEX-11GSP-2126-SM-5HL5E 60-69 years, female 22.7
GTEX-12WSK-1426-SM-5CVNN 40-49 years, female 22.2
GTEX-ZDYS-1926-SM-5HL59 50-59 years, male 22.2
GTEX-14BIL-1926-SM-73KYI 50-59 years, male 22.1
GTEX-1J8JJ-1726-SM-C1YQG 60-69 years, female 22.0
GTEX-1J8Q3-1926-SM-C1YSJ 60-69 years, male 22.0
GTEX-ZLFU-1326-SM-DO11R 40-49 years, male 22.0
GTEX-OXRK-1626-SM-3NB17 50-59 years, female 21.9
GTEX-14PJ4-1626-SM-664OB 60-69 years, male 21.6
GTEX-14E6E-0926-SM-664N8 30-39 years, male 21.4
GTEX-1ICG6-1826-SM-AHZ2O 70-79 years, female 21.4
GTEX-1J8QM-1126-SM-C1YQB 60-69 years, female 21.4
GTEX-1LGOU-1526-SM-D3LAJ 20-29 years, female 20.9
GTEX-ZF29-1526-SM-4WKF7 60-69 years, female 20.6
GTEX-117YW-2226-SM-5N9DB 50-59 years, male 20.4
GTEX-1HKZK-1526-SM-B2LWG 40-49 years, male 20.1
GTEX-11TT1-0726-SM-5GU5A 20-29 years, male 19.9
GTEX-14B4R-0726-SM-5TDDR 30-39 years, male 19.9
GTEX-ZVT2-1626-SM-51MRC 50-59 years, female 19.8
GTEX-V955-1326-SM-4JBHR 60-69 years, male 19.7
GTEX-1C475-1026-SM-7MKFJ 40-49 years, female 19.6
GTEX-T6MO-0726-SM-4DM58 40-49 years, female 19.4
GTEX-15RIE-1026-SM-6LPJQ 60-69 years, male 19.2
GTEX-11I78-1726-SM-5A5M3 50-59 years, female 19.0
GTEX-1RQEC-2126-SM-DPS15 60-69 years, male 18.9
GTEX-XMK1-1526-SM-EYYVO 40-49 years, male 18.9
GTEX-15CHR-1326-SM-79OLT 50-59 years, male 18.7
GTEX-PWCY-0926-SM-48TD7 20-29 years, female 18.6
GTEX-UJMC-1226-SM-4IHLI 50-59 years, male 18.6
GTEX-YFCO-0826-SM-5LUAG 40-49 years, male 18.6
GTEX-Q2AI-0826-SM-48TZO 40-49 years, male 18.5
GTEX-QLQW-0726-SM-447AA 30-39 years, male 18.5
GTEX-ZZ64-0426-SM-5E43F 20-29 years, male 18.5
GTEX-SUCS-0926-SM-4DM4Z 70-79 years, male 17.7
GTEX-13QBU-1126-SM-5LU44 40-49 years, female 17.3
GTEX-QV31-0626-SM-447C5 30-39 years, male 17.1
GTEX-XBED-1226-SM-4AT5V 60-69 years, male 17.0
GTEX-R53T-1226-SM-48FCT 50-59 years, female 16.9
GTEX-145LT-1426-SM-5O9B3 40-49 years, male 16.8
GTEX-X15G-1126-SM-4PQZG 50-59 years, female 16.6
GTEX-QLQ7-0826-SM-447B3 60-69 years, male 16.5
GTEX-ZEX8-1626-SM-4WKG7 50-59 years, male 16.5
GTEX-ZV7C-1626-SM-5NQ7E 50-59 years, male 16.5
GTEX-17MF6-2126-SM-7KFS7 40-49 years, male 16.4
GTEX-WEY5-1226-SM-4LMIQ 40-49 years, female 16.3
GTEX-1AMFI-1226-SM-731CZ 50-59 years, female 16.2
GTEX-1B97I-1226-SM-7MGWQ 40-49 years, male 16.2
GTEX-13OVK-0926-SM-7KUFX 40-49 years, male 15.9
GTEX-YJ8A-1526-SM-5P9FT 20-29 years, male 15.9
GTEX-11EM3-1026-SM-5A5KL 20-29 years, female 15.8
GTEX-11NSD-1426-SM-5HL67 20-29 years, male 15.8
GTEX-ZA64-0826-SM-5HL9U 20-29 years, male 15.8
GTEX-1GF9U-1126-SM-AHZ4H 40-49 years, female 15.8
GTEX-T5JW-0926-SM-4DM5K 20-29 years, female 15.7
GTEX-1QMI2-2126-SM-DPRXQ 60-69 years, male 15.7
GTEX-13OW6-2526-SM-5IJEC 50-59 years, male 15.6
GTEX-U4B1-1026-SM-4DXT1 40-49 years, male 15.4
GTEX-QV44-1226-SM-CJI1S 50-59 years, male 15.4
GTEX-1LVAN-2426-SM-CNNPZ 50-59 years, female 15.3
GTEX-14DAQ-2826-SM-664MU 60-69 years, female 15.1
GTEX-Y8LW-0826-SM-4WWDO 50-59 years, female 15.0
GTEX-1QPFJ-1526-SM-DPRXT 30-39 years, female 15.0
GTEX-13O21-0926-SM-5IFGT 50-59 years, male 14.9
GTEX-111YS-1126-SM-5GZYQ 60-69 years, male 14.8
GTEX-Y5V6-1326-SM-4VDTF 60-69 years, male 14.8
GTEX-14PKV-1826-SM-69LO9 20-29 years, female 14.6
GTEX-1I1GT-1726-SM-C1YS3 60-69 years, female 14.5
GTEX-NFK9-1526-SM-3LK7B 40-49 years, male 14.3
GTEX-PWN1-1526-SM-48TDA 40-49 years, female 14.3
GTEX-S3XE-1026-SM-4AD4O 50-59 years, male 14.3
GTEX-1122O-1926-SM-5EGIQ 60-69 years, female 14.0
GTEX-13CF3-1926-SM-5K7WF 60-69 years, female 14.0
GTEX-OHPK-1526-SM-3MJGM 50-59 years, female 13.9
GTEX-132QS-1826-SM-5IFFN 60-69 years, male 13.8
GTEX-16AAH-1226-SM-79OO9 50-59 years, male 13.8
GTEX-18A7A-2726-SM-7LG6U 50-59 years, female 13.8
GTEX-18QFQ-1226-SM-718AE 30-39 years, male 13.8
GTEX-1QCLZ-1826-SM-DPRXP 60-69 years, female 13.8
GTEX-1RB15-1026-SM-E9U6V 60-69 years, male 13.8
GTEX-13FH7-1026-SM-5IJGF 50-59 years, female 13.7
GTEX-14PJ3-1426-SM-664O8 50-59 years, male 13.7
GTEX-WYVS-1326-SM-4ONCQ 40-49 years, female 13.7
GTEX-14BMU-1126-SM-5RQJ8 20-29 years, female 13.6
GTEX-Y5LM-1326-SM-5RQIS 40-49 years, female 13.6
GTEX-1399R-1126-SM-5IFIO 30-39 years, male 13.5
GTEX-1QP2A-2126-SM-DPRZ7 50-59 years, male 13.5
GTEX-O5YW-1526-SM-3MJGL 50-59 years, male 13.4
GTEX-ZVZP-1726-SM-5GZWY 50-59 years, male 13.4
GTEX-12BJ1-1726-SM-5HL9B 60-69 years, male 13.3
GTEX-1H1E6-1626-SM-9OSWC 30-39 years, male 13.2
GTEX-111CU-0926-SM-5EGIK 50-59 years, male 13.1
GTEX-1RAZR-1526-SM-EAZ4U 40-49 years, male 13.1
GTEX-1AX9J-2626-SM-731EK 60-69 years, male 13.0
GTEX-ZQUD-0826-SM-57WDQ 30-39 years, male 13.0
GTEX-QXCU-1926-SM-48FE4 50-59 years, male 12.9
GTEX-1GZ4H-1026-SM-9OSXL 50-59 years, female 12.9
GTEX-Q2AH-1126-SM-48TZM 40-49 years, male 12.8
GTEX-1J8EW-2226-SM-AHZ3T 60-69 years, female 12.8
GTEX-144GN-1226-SM-5O991 50-59 years, male 12.7
GTEX-1KXAM-0926-SM-CXZKA 60-69 years, male 12.7
GTEX-OXRL-1526-SM-E6CHQ 50-59 years, male 12.7
GTEX-YEC4-1426-SM-5IFHS 40-49 years, male 12.6
GTEX-1JMQJ-1326-SM-D4P3B 50-59 years, male 12.6
GTEX-O5YV-1926-SM-EV797 60-69 years, female 12.6
GTEX-1AYCT-1326-SM-7MKHB 50-59 years, male 12.5
GTEX-WHWD-1426-SM-4OORU 50-59 years, male 12.5
GTEX-1HBPI-0726-SM-9WG7Z 50-59 years, male 12.5
GTEX-1IDJD-2426-SM-C1YS6 30-39 years, male 12.5
GTEX-144GM-1726-SM-5O9AS 20-29 years, male 12.4
GTEX-WRHK-0626-SM-4MVOE 20-29 years, female 12.4
GTEX-13FTW-1726-SM-5KM2B 40-49 years, male 12.3
GTEX-1MUQO-1926-SM-EAZ59 60-69 years, male 12.3
GTEX-17F98-1526-SM-7EWD8 40-49 years, female 12.2
GTEX-1B8KE-1326-SM-73KVI 50-59 years, male 12.2
GTEX-ZGAY-1626-SM-DNZZ3 40-49 years, female 12.1
GTEX-1LG7Z-1226-SM-DHXK4 30-39 years, male 11.9
GTEX-ZLWG-1526-SM-DO12F 50-59 years, female 11.9
GTEX-S4Q7-0726-SM-4AD5F 20-29 years, male 11.8
GTEX-XUZC-0726-SM-4BOPH 30-39 years, female 11.8
GTEX-1MJIX-1126-SM-EV7AO 40-49 years, male 11.8
GTEX-1R7EU-1126-SM-EAZ4M 60-69 years, male 11.8
GTEX-13FTX-0726-SM-5N9BI 20-29 years, female 11.7
GTEX-18A66-2226-SM-7189E 60-69 years, male 11.7
GTEX-WFG7-1326-SM-4LMK1 20-29 years, male 11.7
GTEX-ZP4G-1226-SM-4WWCJ 20-29 years, female 11.7
GTEX-Q734-1026-SM-48U16 40-49 years, female 11.6
GTEX-ZYFG-1326-SM-5GICJ 60-69 years, female 11.6
GTEX-1HFI7-1526-SM-9WG7W 50-59 years, female 11.4
GTEX-OHPM-1526-SM-EV796 50-59 years, male 11.4
GTEX-13D11-2126-SM-5IFH2 50-59 years, female 11.2
GTEX-15UF7-1226-SM-6M46G 40-49 years, male 11.2
GTEX-17HHE-1026-SM-79ON6 50-59 years, male 11.2
GTEX-U3ZN-2026-SM-4DXUC 30-39 years, female 11.1
GTEX-13U4I-2526-SM-5SI8Z 40-49 years, female 11.0
GTEX-1H1DG-2126-SM-9WPPB 70-79 years, male 11.0
GTEX-1GL5R-1926-SM-9WG7U 50-59 years, male 10.9
GTEX-145MN-1326-SM-5NQ9S 30-39 years, male 10.7
GTEX-WXYG-1626-SM-4ONCR 50-59 years, female 10.7
GTEX-1A8G6-1426-SM-731EZ 60-69 years, male 10.5
GTEX-1H23P-2726-SM-9JGHN 60-69 years, male 10.5
GTEX-1A3MX-1926-SM-72D7F 60-69 years, male 10.2
GTEX-14JG6-1226-SM-664O6 30-39 years, female 10.1
GTEX-SNMC-0626-SM-4DM6H 20-29 years, male 10.1
GTEX-15DZA-1126-SM-6LPK8 30-39 years, female 10.0
GTEX-ZY6K-0726-SM-5A5L8 50-59 years, male 10.0
GTEX-1H3VY-2326-SM-9WG81 50-59 years, male 9.9
GTEX-17F9E-2226-SM-7IGNC 50-59 years, male 9.8
GTEX-PW2O-1226-SM-48TCH 20-29 years, male 9.8
GTEX-1E1VI-2826-SM-7MGWU 50-59 years, male 9.8
GTEX-1I6K7-1726-SM-B2LXQ 40-49 years, male 9.7
GTEX-18D9A-0626-SM-7KFTY 30-39 years, female 9.6
GTEX-1B97J-1826-SM-7IGPP 50-59 years, female 9.6
GTEX-QMRM-1126-SM-447BN 50-59 years, male 9.6
GTEX-SNOS-0826-SM-4DM5N 40-49 years, male 9.6
GTEX-1AMEY-1226-SM-731DU 30-39 years, female 9.5
GTEX-S4UY-1626-SM-4AD55 40-49 years, female 9.5
GTEX-RWS6-0926-SM-47JXE 60-69 years, female 9.4
GTEX-1LSNM-1026-SM-DHXL2 50-59 years, male 9.4
GTEX-139YR-1926-SM-5LZXM 50-59 years, male 9.3
GTEX-S341-0626-SM-4AD5T 40-49 years, female 9.3
GTEX-YB5E-1126-SM-664NU 40-49 years, male 9.3
GTEX-1QP29-2326-SM-EXOJO 50-59 years, male 9.2
GTEX-WY7C-1726-SM-4ONCC 50-59 years, male 9.0
GTEX-131XF-1226-SM-5HL8V 60-69 years, male 8.9
GTEX-WFON-1126-SM-4LVMA 40-49 years, male 8.9
GTEX-14ICL-0826-SM-5YY9W 30-39 years, male 8.8
GTEX-1HBPN-1626-SM-9WPNP 50-59 years, male 8.7
GTEX-TMMY-1626-SM-4DXTY 40-49 years, female 8.5
GTEX-PLZ5-1226-SM-EXOHA 50-59 years, male 8.5
GTEX-WHSB-1226-SM-4M1XR 50-59 years, male 8.4
GTEX-S95S-0826-SM-4B64N 60-69 years, male 8.3
GTEX-131XG-1226-SM-5EGH9 50-59 years, female 8.2
GTEX-ZZPU-1426-SM-5GZZ6 50-59 years, female 8.2
GTEX-13PVQ-2126-SM-5L3FW 50-59 years, male 8.1
GTEX-1CAMR-0726-SM-7EPIE 20-29 years, male 8.1
GTEX-1I4MK-0926-SM-A9SLD 50-59 years, female 8.1
GTEX-1B8KZ-1226-SM-793CP 50-59 years, male 8.0
GTEX-1JN1M-2926-SM-CNNPJ 60-69 years, female 8.0
GTEX-1LBAC-1426-SM-CXZKT 20-29 years, male 8.0
GTEX-13113-0726-SM-5LZUF 60-69 years, female 7.9
GTEX-QDVJ-1426-SM-48U1Y 50-59 years, male 7.9
GTEX-XQ8I-2026-SM-4BOOL 50-59 years, male 7.9
GTEX-1JK1U-1326-SM-AHZ45 60-69 years, male 7.9
GTEX-ZF2S-1426-SM-57WET 50-59 years, female 7.8
GTEX-1JKYN-1726-SM-AHZ48 30-39 years, male 7.7
GTEX-1R9K5-1026-SM-EAZ4F 50-59 years, male 7.7
GTEX-139D8-2326-SM-5IFGE 30-39 years, female 7.6
GTEX-17HGU-2126-SM-7IGOV 50-59 years, male 7.6
GTEX-1RMOY-1126-SM-EV79E 50-59 years, male 7.6
GTEX-133LE-1326-SM-5IFGO 20-29 years, female 7.4
GTEX-16NGA-1526-SM-72D56 40-49 years, female 7.4
GTEX-1GN1W-2126-SM-9JGI7 50-59 years, female 7.4
GTEX-1F5PL-1426-SM-7MKFH 40-49 years, female 7.2
GTEX-P4PP-1526-SM-3P61M 30-39 years, female 7.1
GTEX-117YX-1026-SM-5H11V 50-59 years, male 7.0
GTEX-1QCLY-1126-SM-EAZ4J 30-39 years, male 7.0
GTEX-14PHX-1026-SM-664OL 50-59 years, male 6.9
GTEX-Y9LG-1026-SM-5IFJN 30-39 years, male 6.9
GTEX-ZVT3-2126-SM-59HL2 60-69 years, female 6.9
GTEX-13X6J-2126-SM-5TDCV 50-59 years, male 6.8
GTEX-OOBJ-1526-SM-3NB1Q 60-69 years, male 6.7
GTEX-ZLV1-0826-SM-DO11P 60-69 years, female 6.7
GTEX-1GMRU-2526-SM-9WG7T 50-59 years, male 6.6
GTEX-VJYA-1026-SM-4KL21 60-69 years, male 6.5
GTEX-ZXES-1426-SM-5NQ8S 30-39 years, female 6.5
GTEX-145MO-2226-SM-5Q5BN 60-69 years, male 6.4
GTEX-14PJ6-0826-SM-686Z9 60-69 years, female 6.4
GTEX-15DCE-1626-SM-6LPJM 20-29 years, male 6.4
GTEX-Y3I4-1626-SM-4TT7W 50-59 years, male 6.4
GTEX-1KANA-1126-SM-D3L9M 20-29 years, male 6.4
GTEX-1MGNQ-1826-SM-DPRYI 40-49 years, male 6.4
GTEX-WZTO-2126-SM-4PQYW 40-49 years, male 6.3
GTEX-WYJK-2526-SM-4ONDF 50-59 years, male 6.2
GTEX-P78B-1826-SM-3P5YX 40-49 years, female 6.1
GTEX-ZVP2-1626-SM-5GU5D 50-59 years, male 6.0
GTEX-1C64O-2226-SM-73KTV 60-69 years, male 5.9
GTEX-1IDJU-1526-SM-CNNR3 60-69 years, female 5.8
GTEX-QCQG-0526-SM-48U2A 50-59 years, female 5.7
GTEX-RTLS-2626-SM-46MUJ 60-69 years, female 5.7
GTEX-12WSD-2326-SM-59HKQ 60-69 years, female 5.6
GTEX-14PN3-1326-SM-6AJ9U 60-69 years, female 5.6
GTEX-XBEW-1826-SM-4RTWX 40-49 years, male 5.6
GTEX-Y8E4-1526-SM-4WWDI 40-49 years, male 5.6
GTEX-1QP67-1026-SM-EVR47 40-49 years, female 5.6
GTEX-17GQL-1226-SM-7KFTS 60-69 years, male 5.5
GTEX-11EI6-2426-SM-5PNVS 60-69 years, male 5.4
GTEX-13OVI-2426-SM-5KM4J 60-69 years, female 5.4
GTEX-1A3MV-1226-SM-718BW 30-39 years, male 5.4
GTEX-QDVN-1226-SM-48TZ5 50-59 years, male 5.4
GTEX-V1D1-1726-SM-4JBHB 50-59 years, male 5.4
GTEX-WFG8-1326-SM-4LVN3 20-29 years, male 5.4
GTEX-ZYY3-1726-SM-5EGH3 60-69 years, female 5.4
GTEX-1HR9M-2326-SM-CNPPZ 60-69 years, male 5.4
GTEX-1IDJF-1426-SM-ACKWK 20-29 years, male 5.4
GTEX-1KD5A-1426-SM-D4P3V 50-59 years, male 5.4
GTEX-1LVAM-1426-SM-E9TJ4 50-59 years, female 5.4
GTEX-1211K-1426-SM-5FQTF 60-69 years, female 5.3
GTEX-132AR-2426-SM-5IFFD 50-59 years, female 5.3
GTEX-11P7K-1726-SM-5GU6F 30-39 years, male 5.2
GTEX-14PJ5-0826-SM-6AJAR 60-69 years, female 5.2
GTEX-18A67-2626-SM-718AD 50-59 years, male 5.2
GTEX-WH7G-1526-SM-4LVMX 40-49 years, male 5.2
GTEX-1CB4H-2426-SM-7PBYR 60-69 years, female 5.2
GTEX-1EH9U-2226-SM-7PBXX 60-69 years, male 5.2
GTEX-Y3IK-1426-SM-4YCES 50-59 years, female 5.1
GTEX-1F5PK-1826-SM-7RHHX 50-59 years, male 5.1
GTEX-1LGRB-1726-SM-CNNRA 50-59 years, female 5.1
GTEX-1F75I-1826-SM-7MKGX 40-49 years, male 5.0
GTEX-146FR-2026-SM-5NQAI 60-69 years, female 4.9
GTEX-1H11D-2226-SM-9OSXN 40-49 years, male 4.9
GTEX-1HSMQ-2426-SM-CE6RY 50-59 years, male 4.8
GTEX-OIZH-1526-SM-3NB1J 50-59 years, male 4.7
GTEX-TKQ1-0526-SM-4DXTG 30-39 years, male 4.7
GTEX-1S3DN-1526-SM-EVYCB 50-59 years, male 4.7
GTEX-1399S-1626-SM-5P9GI 30-39 years, female 4.6
GTEX-PLZ6-0826-SM-3P61K 30-39 years, male 4.6
GTEX-POMQ-0826-SM-3P61H 20-29 years, female 4.6
GTEX-ZTX8-0426-SM-59HLG 20-29 years, male 4.6
GTEX-1399U-1626-SM-5P9J3 50-59 years, female 4.4
GTEX-T8EM-1226-SM-4DM5J 40-49 years, male 4.4
GTEX-XV7Q-1326-SM-4BRWM 40-49 years, female 4.4
GTEX-ZPIC-2026-SM-57WG3 40-49 years, female 4.3
GTEX-1H1DE-1226-SM-9JGHH 20-29 years, male 4.3
GTEX-ZV6S-0926-SM-57WGB 40-49 years, female 4.2
GTEX-13O61-1126-SM-5L3FI 60-69 years, male 4.1
GTEX-13S7M-1826-SM-5RQK6 60-69 years, female 4.1
GTEX-1H3NZ-2226-SM-9WYUT 60-69 years, male 4.1
GTEX-1JMPZ-1826-SM-CXZJT 30-39 years, male 4.1
GTEX-11NUK-2426-SM-5BC4U 50-59 years, male 4.0
GTEX-13X6H-1626-SM-5Q5CT 50-59 years, female 4.0
GTEX-S7SF-0626-SM-4AD4V 20-29 years, female 4.0
GTEX-1N2DV-0926-SM-E9TJT 40-49 years, male 4.0
GTEX-1PPH8-1326-SM-DTXFO 20-29 years, male 4.0
GTEX-14PKU-1126-SM-69LOU 40-49 years, female 3.9
GTEX-T5JC-1926-SM-4DM6Q 20-29 years, male 3.9
GTEX-1IL2V-2026-SM-ARZMA 70-79 years, male 3.9
GTEX-1JMPY-0926-SM-ARL92 30-39 years, male 3.9
GTEX-1JN76-0926-SM-ARZNH 20-29 years, female 3.9
GTEX-11VI4-0326-SM-5EQ6L 40-49 years, female 3.8
GTEX-146FH-2126-SM-5SI9U 50-59 years, female 3.8
GTEX-17JCI-2226-SM-7LTA1 60-69 years, female 3.8
GTEX-18D9B-2226-SM-718BM 60-69 years, male 3.8
GTEX-1K2DA-0826-SM-CGQGD 50-59 years, male 3.8
GTEX-1QP28-2126-SM-DTX8B 50-59 years, female 3.8
GTEX-1339X-1426-SM-5K7YO 40-49 years, male 3.7
GTEX-145ME-1026-SM-5O9B4 40-49 years, female 3.7
GTEX-P4PQ-1526-SM-3NMCK 60-69 years, male 3.7
GTEX-RU1J-0526-SM-46MUT 20-29 years, female 3.7
GTEX-1GPI7-1326-SM-9KNVA 20-29 years, male 3.7
GTEX-RUSQ-1126-SM-EAZAU 50-59 years, male 3.7
GTEX-12C56-0526-SM-5FQST 20-29 years, male 3.6
GTEX-13QJ3-2726-SM-5SI6L 50-59 years, male 3.6
GTEX-15RIF-1126-SM-7KUG2 20-29 years, male 3.6
GTEX-WFJO-1126-SM-4LVLZ 30-39 years, male 3.6
GTEX-ZE7O-3026-SM-51MS4 50-59 years, female 3.6
GTEX-13O3Q-2126-SM-5KM4C 50-59 years, male 3.5
GTEX-15G19-1526-SM-6LPKP 60-69 years, male 3.5
GTEX-S4Z8-1226-SM-4AD6W 60-69 years, male 3.5
GTEX-XPVG-1526-SM-4B66C 50-59 years, male 3.5
GTEX-1HT8W-2326-SM-A9SLA 30-39 years, male 3.5
GTEX-1E2YA-2426-SM-7EPIG 50-59 years, male 3.4
GTEX-11EQ9-1226-SM-5987E 30-39 years, male 3.3
GTEX-14BMV-2226-SM-5RQHX 50-59 years, male 3.3
GTEX-1B8L1-1526-SM-79OLK 60-69 years, male 3.3
GTEX-1HSEH-1526-SM-B2LXG 60-69 years, male 3.3
GTEX-11DXX-1326-SM-5GIDZ 60-69 years, female 3.2
GTEX-14E1K-1526-SM-664MN 50-59 years, male 3.2
GTEX-17KNJ-1526-SM-7LTA9 50-59 years, male 3.2
GTEX-1CB4E-1326-SM-7DUGD 60-69 years, male 3.2
GTEX-QDT8-2026-SM-EZ6LS 30-39 years, female 3.2
GTEX-13RTK-0226-SM-5RQHR 20-29 years, male 3.1
GTEX-1NSGN-1926-SM-E9J36 50-59 years, male 3.1
GTEX-1S82Z-1726-SM-E6CHZ 30-39 years, female 3.1
GTEX-131XE-2226-SM-5PNYX 50-59 years, male 3.0
GTEX-R55D-1526-SM-48FEJ 50-59 years, male 3.0
GTEX-TKQ2-0926-SM-4DXU5 50-59 years, male 3.0
GTEX-1HCU8-1326-SM-C1YQQ 60-69 years, female 3.0
GTEX-1PIGE-1126-SM-EWRMV 20-29 years, male 3.0
GTEX-13N1W-2026-SM-5K7YU 70-79 years, male 2.9
GTEX-S4P3-0726-SM-4AD57 50-59 years, female 2.9
GTEX-11P82-0726-SM-5PNYL 20-29 years, male 2.8
GTEX-15EU6-2526-SM-7KUGB 50-59 years, male 2.8
GTEX-YEC3-1426-SM-D4P1S 50-59 years, male 2.8
GTEX-R55C-1026-SM-48FCM 40-49 years, male 2.7
GTEX-11WQK-2626-SM-5EQ4K 50-59 years, male 2.6
GTEX-P4QT-1526-SM-3NMCT 50-59 years, female 2.6
GTEX-XAJ8-0326-SM-47JYI 40-49 years, male 2.6
GTEX-R55G-1126-SM-48FDG 40-49 years, female 2.5
GTEX-UJHI-1026-SM-4IHJP 50-59 years, female 2.5
GTEX-UPK5-2126-SM-4JBJK 40-49 years, male 2.5
GTEX-14PHY-0926-SM-5ZZWL 60-69 years, female 2.4
GTEX-ZYVF-2726-SM-5GID4 50-59 years, female 2.4
GTEX-1QW4Y-0726-SM-DTX8E 30-39 years, male 2.4
GTEX-WHPG-0426-SM-4M1XW 50-59 years, male 2.3
GTEX-1HCUA-1626-SM-A9SMG 50-59 years, female 2.3
GTEX-1S831-1126-SM-EWROI 20-29 years, male 2.3
GTEX-13111-1226-SM-5GCNC 50-59 years, male 2.2
GTEX-15G1A-1226-SM-7KUF3 30-39 years, male 2.2
GTEX-1MCYP-1126-SM-E9J2P 20-29 years, female 2.2
GTEX-15SHW-2126-SM-6M46Y 60-69 years, male 1.8
GTEX-12WSJ-0926-SM-5P9JD 40-49 years, female 1.7
GTEX-Y114-1226-SM-4TT88 50-59 years, female 1.7
GTEX-17EUY-1526-SM-793CA 20-29 years, male 1.6
GTEX-1L5NE-1526-SM-DIPFW 50-59 years, male 1.6
Show allShow less

Contact

  • NEWS ARTICLES
  • PRESS ROOM

The Project

  • INTRODUCTION
  • ORGANIZATION
  • PUBLICATIONS

The Human Protein Atlas

  • DOWNLOADABLE DATA
  • LICENCE & CITATION
  • HELP & FAQ
The Human Protein Atlas project is funded
by the Knut & Alice Wallenberg Foundation.


contact@proteinatlas.org