We use cookies to enhance the usability of our website. If you continue, we'll assume that you are happy to receive all cookies. More information. Don't show this again.
F13A1
HPA
RESOURCES
  • TISSUE
  • BRAIN
  • SINGLE CELL
  • SUBCELLULAR
  • CANCER
  • BLOOD
  • CELL LINE
  • STRUCTURE & INTERACTION
ABOUT
  • INTRODUCTION
  • HISTORY
  • ORGANIZATION
  • PUBLICATIONS
  • ANTIBODY SUBMISSION
  • ANTIBODY AVAILABILITY
  • ACKNOWLEDGMENTS
  • CONTACT
NEWS
  • NEWS ARTICLES
  • PRESS ROOM
LEARN
  • DICTIONARY
  • PROTEIN CLASSES
  • PROTEIN EVIDENCE
  • METHODS
  • EDUCATIONAL VIDEOS
DATA
  • DOWNLOADABLE DATA
  • PUBLICATION DATA
  • RELEASE HISTORY
HELP
  • ANTIBODY VALIDATION
  • ASSAYS & ANNOTATION
  • DISCLAIMER
  • HELP & FAQ
  • PRIVACY STATEMENT
  • LICENCE & CITATION
Fields »
Search result

Field
Term
Gene name
Class
Subclass
Class
Keyword
Chromosome
External id
Tissue
Cell type
Expression
Antibody panel
Tissue
Main location
Patient ID
Annotation
Tissue
Category
Tau score
Cluster
Reliability
Brain region
Category
Tau score
Brain region
Category
Tau score
Brain region
Category
Tau score
Cluster
Reliability
Tissue
Cell type
Enrichment
Cell type
Category
Tau score
Cell type
Category
Tau score
Cell type
Category
Tau score
Cell lineage
Category
Tau score
Cluster
Cluster
Location
Searches
Location
Cell line
Class
Type
Phase
Reliability
Cancer
Prognosis
Cancer
Category
Cancer
Category
Tau score
Cluster
Variants
Interacting gene (ensg_id)
Type
Number of interactions
Pathway
Category
Score
Score
Score
Validation
Validation
Validation
Validation
Antibodies
Data type
Column


  • SUMMARY

  • TISSUE

  • BRAIN

  • SINGLE CELL

  • SUBCELL

  • CANCER

  • BLOOD

  • CELL LINE

  • STRUCT & INT

  • F13A1
TISSUE PRIMARY DATA SKIN Show tissue menu
ADIPOSE TISSUE ADRENAL GLAND AMYGDALA APPENDIX BASAL GANGLIA BONE MARROW BREAST BRONCHUS CEREBELLUM CEREBRAL CORTEX CERVIX CHOROID PLEXUS COLON DUODENUM
ENDOMETRIUM EPIDIDYMIS ESOPHAGUS FALLOPIAN TUBE GALLBLADDER HEART MUSCLE HIPPOCAMPAL FORMATION HYPOTHALAMUS KIDNEY LIVER LUNG LYMPH NODE MIDBRAIN NASOPHARYNX
ORAL MUCOSA OVARY PANCREAS PARATHYROID GLAND PITUITARY GLAND PLACENTA PROSTATE RECTUM RETINA SALIVARY GLAND SEMINAL VESICLE SKELETAL MUSCLE SKIN SMALL INTESTINE
SMOOTH MUSCLE SOFT TISSUE SPINAL CORD SPLEEN STOMACH TESTIS THYMUS THYROID GLAND TONGUE TONSIL URINARY BLADDER VAGINA
ANTIBODIES
AND
VALIDATION
Dictionary
Skin
Tissue proteome
Skin
SKIN - Expression summary
Protein expression
Skini

On the top, protein expression in current human tissue, based on all annotated cell types, is reported with the units not detected (n), low (l), medium (m) and high (h). Underneath, protein expression in each annotated cell type are reported using the same units.

Protein expression data is based on knowledge-based annotation. For genes where more than one antibody has been used, a collective score is set.

If knowledge-based annotation could not be performed for a gene, no data is displayed here. View antibody staining data further down this page.

h
m
l
n
Cells in basal layer: Not detected
Cells in corneal layer: Not detected
Cells in granular layer: Not detected
Cells in spinous layer: Not detected
Endothelial cells: Not detected
Extracellular matrix: Not detected
Fibrohistiocytic cells: High
Hair follicles: Not detected
Langerhans cells: Not detected
Lymphocytes: Not detected
Melanocytes: Not detected
Vascular mural cells: Not detected
RNA expressioni

A summary of mRNA expression data available for current tissue based on several datasets. The mRNA expression levels in human tissues are based on RNA-seq data generated by the Human Protein Atlas (HPA), Genotype-Tissue Expression (GTEx) portal and CAGE data generated by the FANTOM5 consortium. Consensus normalized expression levels for human tissues was created by combining the data from HPA and GTEx datasets.

The mRNA expression levels in pig are based on RNA-seq data generated by the Human Protein Atlas (HPA), and for mouse, HPA data and in situ hybridization generated by the Allen brain atlas are reported.

Scroll down to view mRNA expression data in more detail.
Consensus:22.1 nTPM
HPA:22.1 nTPM
GTEx:20.9 nTPM

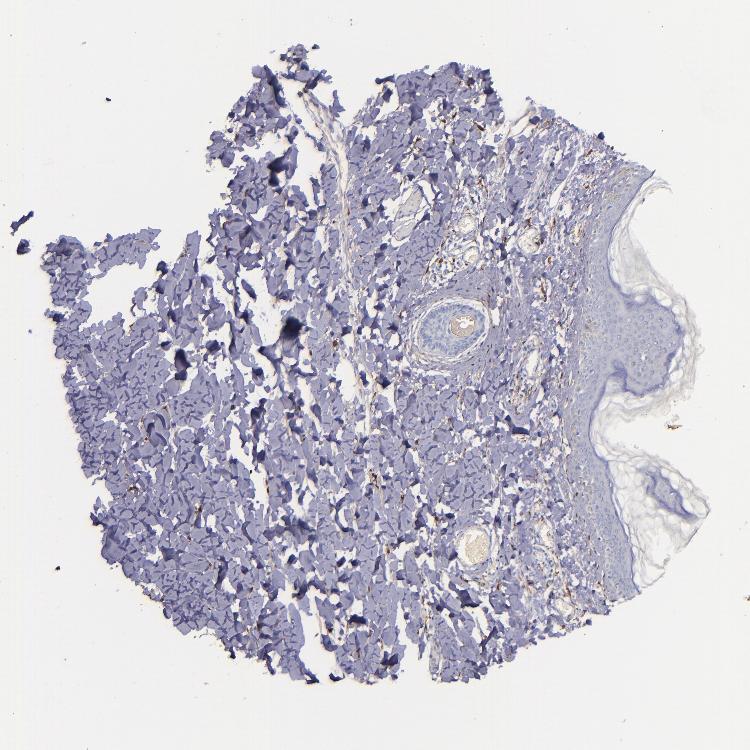
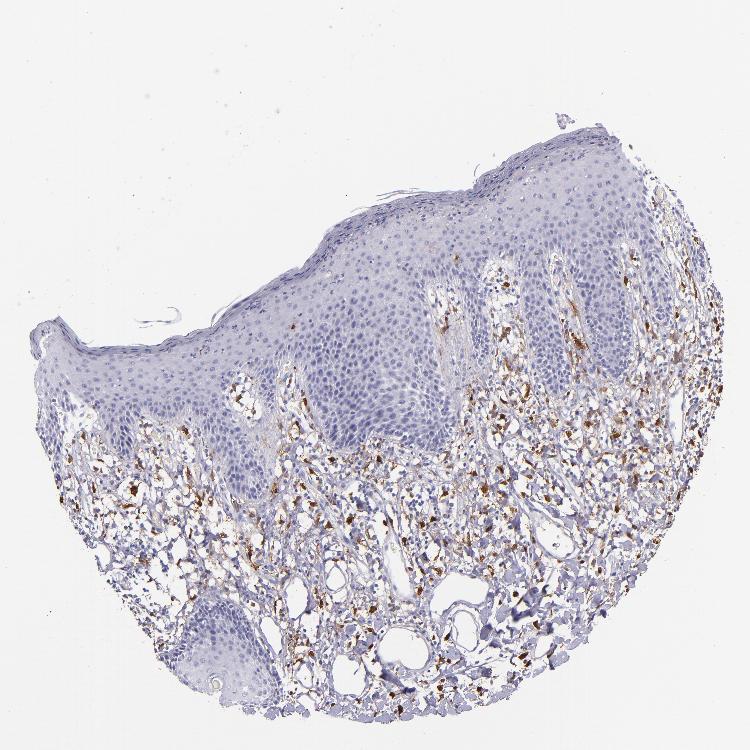
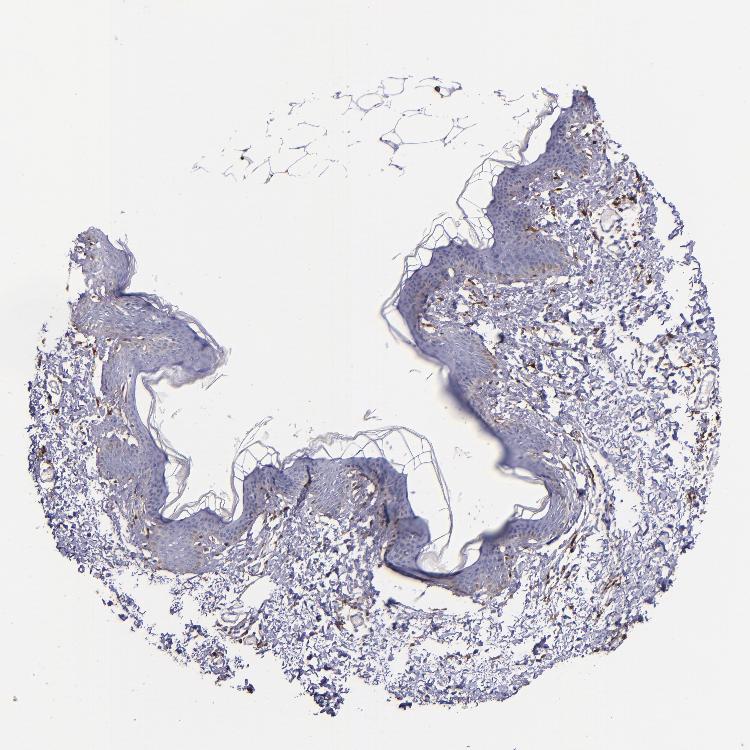
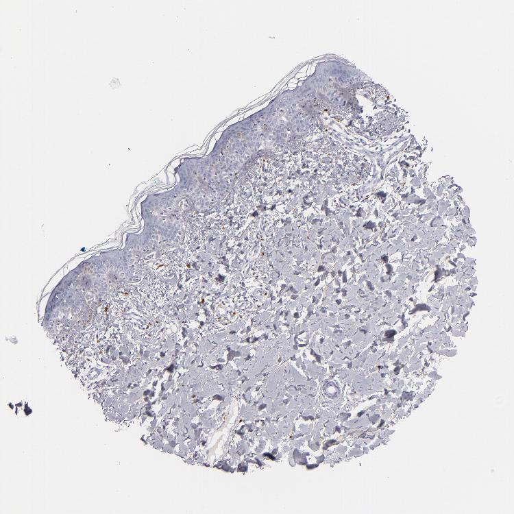
SKIN 1 - Antibody stainingi

Antibody staining in the annotated cell types in the current human tissue is reported as not detected, low, medium, or high, based on conventional immunohistochemistry profiling in selected tissues. This score is based on the combination of the staining intensity and fraction of stained cells.

Each image is clickable and will lead to virtual microscopy that enables deeper exploration of all samples and also displays staining intensity scores, fraction scores and subcellular localization as well as patient and tissue information for each sample.

Antibody HPA001804Antibody CAB002155
Langerhans -Not detected
Cells in basal layer Not detected-
Cells in corneal layer Not detected-
Cells in granular layer Not detected-
Cells in spinous layer Not detected-
Endothelial cells Not detected-
Extracellular matrix Not detected-
Fibroblasts -Medium
Fibrohistiocytic cells High-
Hair follicles Not detected-
Keratinocytes -Not detected
Langerhans cells Not detected-
Lymphocytes Not detected-
Melanocytes Not detectedNot detected
Vascular mural cells Not detected-




SKIN 2 - Antibody stainingi

Antibody staining in the annotated cell types in the current human tissue is reported as not detected, low, medium, or high, based on conventional immunohistochemistry profiling in selected tissues. This score is based on the combination of the staining intensity and fraction of stained cells.

Each image is clickable and will lead to virtual microscopy that enables deeper exploration of all samples and also displays staining intensity scores, fraction scores and subcellular localization as well as patient and tissue information for each sample.

Antibody HPA001804Antibody CAB002155
Cells in basal layer Not detected-
Cells in corneal layer Not detected-
Cells in granular layer Not detected-
Cells in spinous layer Not detected-
Endothelial cells Not detected-
Epidermal cells -Not detected
Extracellular matrix Not detected-
Fibrohistiocytic cells High-
Hair follicles Not detected-
Langerhans cells Not detected-
Lymphocytes Not detected-
Melanocytes Not detected-
Vascular mural cells Not detected-
  
  





SKIN - HPA RNA-seqi

The RNA-seq details section shows detailed information about the individual samples used for the transcript profiling and results of the RNA-seq analysis.

Information about each individual sample is listed below, including gender, age, a tissue section image and estimated fractions of cell types. nTPM (normalized transcripts per million) values give a quantification of the gene abundance which is comparable between different genes and samples.
Average nTPMi

Max subtype nTPM is the value for the subtype with the largest average nTPM across the subtype samples.

22.1
overview
Female, age 34
Skin sample 225
nTPM: 29.1
Cell types%
Keratinocytes:
60

Other cell types:
40

overview
Female, age 30
Skin sample 226
nTPM: 19.3
Cell types%
Keratinocytes:
55

Other cell types:
45

N/A
Male, age 57
Skin sample 227
nTPM: 17.9

SKIN - GTEx RNA-seqi

RNA-Seq data generated by the Genotype-Tissue Expression (GTEx) project from human tissues is reported as mean nTPM. More information can be found on the GTEx portal.

Distribution across the dataset is visualized with box plots, shown as median and 25th and 75th percentiles. Points are displayed as outliers if they are above or below 1.5 times the interquartile range. nTPM values of the individual samples are presented next to the box plot.
Max subtype nTPMi

Max subtype nTPM is the value for the subtype with the largest average nTPM across the subtype samples.

20.9
GTEx sample id Sample description nTPM
Skin - Not Sun Exposed (Suprapubic)
Average nTPM: 20.9
Samples: 604

Max nTPM: 152.5
Min nTPM: 2.0
Std nTPM: 14.1
Median nTPM: 17.8
GTEX-11DZ1-2426-SM-5GZZX 50-59 years, male 152.5
GTEX-1F48J-0726-SM-7RHGS 50-59 years, female 100.9
GTEX-1RLM8-2926-SM-E8VON 50-59 years, male 95.7
GTEX-1IDJD-2326-SM-ACKWX 30-39 years, male 90.2
GTEX-W5X1-2526-SM-3GILC 40-49 years, female 82.0
GTEX-13113-1626-SM-5EQ4I 60-69 years, female 77.5
GTEX-1IDJI-0126-SM-CMKHS 50-59 years, female 76.0
GTEX-15RJ7-2126-SM-6PAMD 40-49 years, male 73.5
GTEX-U8XE-0226-SM-4E3J3 30-39 years, male 67.2
GTEX-1F75A-0726-SM-7RHHD 50-59 years, male 67.1
GTEX-13OVK-1426-SM-6PAN7 40-49 years, male 65.3
GTEX-139YR-1026-SM-5LZYN 50-59 years, male 64.7
GTEX-1IDJF-2026-SM-CL53V 20-29 years, male 63.1
GTEX-VJYA-1526-SM-3GIJV 60-69 years, male 62.4
GTEX-1QP66-1226-SM-DTX7U 50-59 years, male 62.3
GTEX-Y3IK-1626-SM-4YCF5 50-59 years, female 55.5
GTEX-ZZPU-0826-SM-5GZX5 50-59 years, female 55.1
GTEX-13OW5-2326-SM-5L3HO 60-69 years, male 54.4
GTEX-14PK6-0226-SM-62LF5 70-79 years, female 54.3
GTEX-18D9B-0926-SM-7LG4U 60-69 years, male 53.9
GTEX-1399R-1326-SM-5PNYS 30-39 years, male 50.5
GTEX-1314G-1326-SM-5BC6E 30-39 years, male 50.1
GTEX-1GMRU-2126-SM-7P8RA 50-59 years, male 50.0
GTEX-ZGAY-1826-SM-DO91Q 40-49 years, female 49.7
GTEX-1H1ZS-2726-SM-9WG75 70-79 years, male 49.3
GTEX-1JMOU-1026-SM-CYPSS 60-69 years, female 48.5
GTEX-12C56-1526-SM-5FQUQ 20-29 years, male 48.3
GTEX-X5EB-1926-SM-4E3IW 40-49 years, male 47.8
GTEX-17HG3-2626-SM-7DUF2 30-39 years, female 47.3
GTEX-145ME-1726-SM-5Q5EU 40-49 years, female 45.5
GTEX-1GZHY-0626-SM-9KNVC 50-59 years, female 45.3
GTEX-V1D1-2026-SM-3GAF4 50-59 years, male 44.2
GTEX-1IDJE-1426-SM-ADEIW 50-59 years, female 43.4
GTEX-13N11-2326-SM-5IJBF 50-59 years, female 43.3
GTEX-Y8E4-2026-SM-5IFJB 40-49 years, male 43.3
GTEX-1AX8Z-0726-SM-73KTS 60-69 years, male 42.8
GTEX-15FZZ-0526-SM-7KUGD 30-39 years, female 42.6
GTEX-1JMQK-1226-SM-D4P2S 60-69 years, male 42.3
GTEX-183FY-1026-SM-7939A 20-29 years, male 41.3
GTEX-147JS-0226-SM-5S2U9 60-69 years, male 41.2
GTEX-11DYG-1526-SM-5A5JS 60-69 years, male 41.0
GTEX-1GN73-0726-SM-7P8TJ 60-69 years, male 41.0
GTEX-1H3NZ-2726-SM-9WYTQ 60-69 years, male 40.8
GTEX-1BAJH-2426-SM-7IGP8 70-79 years, male 40.7
GTEX-1F6IF-0926-SM-7SB7M 60-69 years, male 40.2
GTEX-13OVJ-0826-SM-5J1OK 50-59 years, female 39.7
GTEX-ZVE2-2826-SM-5GU51 50-59 years, male 39.2
GTEX-XBED-1926-SM-47JYP 60-69 years, male 39.1
GTEX-13FHO-0426-SM-5L3F5 60-69 years, male 38.6
GTEX-1RAZR-2126-SM-E9U6T 40-49 years, male 38.1
GTEX-1PBJJ-1026-SM-E76OS 30-39 years, male 37.9
GTEX-WHPG-2626-SM-3NMBR 50-59 years, male 37.7
GTEX-1HCUA-0826-SM-ADEHM 50-59 years, female 37.4
GTEX-1QMI2-2526-SM-E8VNZ 60-69 years, male 36.9
GTEX-1HC8U-1326-SM-9YFMJ 40-49 years, female 36.7
GTEX-18A66-0626-SM-7LT8Z 60-69 years, male 36.5
GTEX-11P81-2226-SM-5PNYI 30-39 years, female 36.3
GTEX-1EU9M-1426-SM-793AI 60-69 years, male 36.2
GTEX-1EMGI-2326-SM-7PBYA 60-69 years, male 36.2
GTEX-1O9I2-0226-SM-EYYXD 50-59 years, male 36.2
GTEX-18A7A-0126-SM-731AH 50-59 years, female 35.9
GTEX-WYBS-0626-SM-3NMAS 60-69 years, female 35.6
GTEX-1QCLZ-2426-SM-EVYBW 60-69 years, female 35.6
GTEX-11GS4-0226-SM-5HL77 60-69 years, male 35.1
GTEX-X8HC-0626-SM-4E3HQ 50-59 years, female 35.1
GTEX-1LVAO-2726-SM-E9TJ8 60-69 years, male 34.9
GTEX-X4EP-0626-SM-3P621 60-69 years, female 34.2
GTEX-11EI6-2826-SM-5H11D 60-69 years, male 34.1
GTEX-12WSD-0626-SM-5GCMW 60-69 years, female 34.0
GTEX-16MT9-0126-SM-7EPI8 60-69 years, female 33.9
GTEX-1JJEA-1826-SM-ARU8P 60-69 years, male 33.9
GTEX-16YQH-2226-SM-7IGM2 30-39 years, male 33.6
GTEX-1AX9I-2226-SM-73KUO 60-69 years, male 33.6
GTEX-1S82P-2126-SM-E6CI5 60-69 years, female 33.6
GTEX-12WSL-2026-SM-5GCML 50-59 years, male 33.4
GTEX-ZYFG-1526-SM-5GZYM 60-69 years, female 33.2
GTEX-WYVS-1626-SM-3NM9R 40-49 years, female 33.1
GTEX-1LVAN-0626-SM-CNPOQ 50-59 years, female 33.1
GTEX-11EM3-1226-SM-5N9DD 20-29 years, female 33.0
GTEX-11VI4-1126-SM-5EQMD 40-49 years, female 32.9
GTEX-11ZTT-2126-SM-5CVLO 60-69 years, female 32.7
GTEX-178AV-1726-SM-7KUL8 40-49 years, male 32.4
GTEX-ZDXO-3126-SM-5IJDF 60-69 years, male 32.3
GTEX-1117F-2926-SM-5GZYI 60-69 years, female 31.8
GTEX-17HHY-0426-SM-7DHLC 50-59 years, male 31.7
GTEX-XXEK-1626-SM-4BRUZ 50-59 years, male 31.7
GTEX-1IDJC-1526-SM-B2LW4 50-59 years, male 31.2
GTEX-1EWIQ-0326-SM-7DHMQ 70-79 years, female 31.0
GTEX-ZAK1-0626-SM-5HL8E 50-59 years, female 31.0
GTEX-1HCU6-2526-SM-ADEHL 60-69 years, female 30.4
GTEX-1JN1M-2726-SM-CY8I4 60-69 years, female 30.4
GTEX-145MN-1526-SM-5SI9T 30-39 years, male 30.0
GTEX-12ZZZ-0726-SM-5GCNZ 60-69 years, male 29.7
GTEX-1H1DG-2426-SM-9QEHJ 70-79 years, male 29.6
GTEX-WFON-1926-SM-3LK7L 40-49 years, male 29.3
GTEX-YJ8O-2526-SM-5HL85 40-49 years, female 29.1
GTEX-ZT9W-1126-SM-57WDR 50-59 years, male 29.1
GTEX-1GF9W-1426-SM-7PBYM 60-69 years, male 29.1
GTEX-15UF6-1926-SM-7KUDV 70-79 years, female 29.0
GTEX-132AR-0326-SM-5KM2C 50-59 years, female 28.9
GTEX-1I4MK-0126-SM-CY8G6 50-59 years, female 28.9
GTEX-1LBAC-0826-SM-CY8IJ 20-29 years, male 28.9
GTEX-13U4I-2226-SM-5LU5H 40-49 years, female 28.8
GTEX-11NSD-0626-SM-5A5LU 20-29 years, male 28.7
GTEX-13O3O-2326-SM-5IJD6 60-69 years, female 28.7
GTEX-WY7C-2126-SM-3NB2R 50-59 years, male 28.7
GTEX-X3Y1-2026-SM-3P5YM 40-49 years, male 28.6
GTEX-ZDYS-2426-SM-4WKGI 50-59 years, male 28.6
GTEX-WFG8-2126-SM-3GIKQ 20-29 years, male 28.5
GTEX-ZLWG-0826-SM-59888 50-59 years, female 28.5
GTEX-1HSMO-0626-SM-ACKXC 60-69 years, male 28.5
GTEX-1EKGG-0626-SM-7DUGJ 60-69 years, male 28.4
GTEX-1H3O1-1326-SM-9MQLD 60-69 years, male 28.4
GTEX-145MH-2826-SM-5RQJF 50-59 years, male 28.3
GTEX-146FQ-2126-SM-5RQHU 30-39 years, male 28.2
GTEX-15CHC-1126-SM-6LLHQ 60-69 years, female 28.1
GTEX-12584-0726-SM-5FQTK 40-49 years, male 27.8
GTEX-ZC5H-1526-SM-5HL9Y 40-49 years, female 27.8
GTEX-1ICLZ-0326-SM-ARL82 60-69 years, male 27.8
GTEX-1K2DA-1026-SM-CGQGF 50-59 years, male 27.8
GTEX-1C475-1326-SM-7SB73 40-49 years, female 27.5
GTEX-144FL-0626-SM-5LU43 50-59 years, male 27.4
GTEX-1EX96-1026-SM-7MKG2 50-59 years, male 27.2
GTEX-Y5V5-0126-SM-5S2NW 60-69 years, female 27.2
GTEX-1IE54-1126-SM-A9G2Z 40-49 years, female 27.2
GTEX-17F97-2626-SM-7IGM5 50-59 years, male 26.8
GTEX-ZTX8-1326-SM-4YCEL 20-29 years, male 26.7
GTEX-144GM-0526-SM-79OJO 20-29 years, male 26.6
GTEX-1J8JJ-0626-SM-ARZMQ 60-69 years, female 26.6
GTEX-13VXT-1926-SM-5K7UO 20-29 years, female 26.5
GTEX-ZE7O-2726-SM-51MT5 50-59 years, female 26.5
GTEX-1CB4F-1026-SM-7DUH1 60-69 years, male 26.4
GTEX-1JJ6O-2726-SM-CNPOG 60-69 years, male 26.4
GTEX-139T8-0626-SM-5KLZX 60-69 years, male 26.3
GTEX-ZAB4-2126-SM-5HL8U 40-49 years, male 26.3
GTEX-13YAN-0226-SM-5TDC6 60-69 years, male 26.2
GTEX-WEY5-2326-SM-3GIKK 40-49 years, female 26.2
GTEX-XBEC-0726-SM-4QARZ 50-59 years, male 26.2
GTEX-1A3MX-2626-SM-7PC24 60-69 years, male 26.2
GTEX-XV7Q-1826-SM-4BRUV 40-49 years, female 26.1
GTEX-1F6I4-2326-SM-7RHGL 60-69 years, male 26.1
GTEX-ZPIC-0526-SM-DO91W 40-49 years, female 26.1
GTEX-15SKB-2826-SM-6PAMH 60-69 years, male 26.0
GTEX-YB5K-2026-SM-4VDT3 40-49 years, female 26.0
GTEX-11O72-0626-SM-5PNYE 40-49 years, male 25.7
GTEX-14DAR-1226-SM-73KYV 50-59 years, male 25.7
GTEX-15D1Q-2826-SM-6LLH7 40-49 years, male 25.7
GTEX-1GMR2-0826-SM-7PC3V 50-59 years, male 25.7
GTEX-XK95-0226-SM-4AT58 40-49 years, male 25.6
GTEX-ZYFC-0426-SM-5GICQ 50-59 years, male 25.4
GTEX-145LU-1926-SM-79OJN 50-59 years, male 25.1
GTEX-15SHW-0226-SM-7LTAT 60-69 years, male 25.1
GTEX-1EN7A-2426-SM-793DB 40-49 years, male 25.1
GTEX-1HUB1-1426-SM-CGQF5 60-69 years, male 25.1
GTEX-1HSKV-1226-SM-ADEI4 60-69 years, male 25.0
GTEX-1J8EW-2726-SM-CY8HR 60-69 years, female 25.0
GTEX-16Z82-2626-SM-7KULU 60-69 years, male 24.9
GTEX-YEC4-1826-SM-4W1YP 40-49 years, male 24.9
GTEX-1L5NE-1126-SM-D3L9P 50-59 years, male 24.9
GTEX-1C64N-2626-SM-7PC2N 50-59 years, male 24.8
GTEX-WXYG-2026-SM-4E3IY 50-59 years, female 24.6
GTEX-ZLFU-1826-SM-4WWBV 40-49 years, male 24.5
GTEX-1MJK3-0726-SM-E6CJC 20-29 years, male 24.5
GTEX-1R9K4-2826-SM-DTX8F 60-69 years, male 24.4
GTEX-139TU-0726-SM-5L3EK 60-69 years, male 24.3
GTEX-16NPX-0726-SM-7KULC 50-59 years, male 24.3
GTEX-13NYS-0626-SM-5L3F1 60-69 years, male 24.2
GTEX-13FTX-1526-SM-5K7VJ 20-29 years, female 24.0
GTEX-1A32A-0626-SM-731AQ 50-59 years, female 24.0
GTEX-UPK5-0426-SM-3GAEK 40-49 years, male 24.0
GTEX-1GPI7-1826-SM-9KNU1 20-29 years, male 24.0
GTEX-1C6VQ-1226-SM-73KYD 50-59 years, male 23.9
GTEX-1IY9M-2826-SM-ARU8H 60-69 years, male 23.9
GTEX-15EO6-2426-SM-6PALZ 50-59 years, male 23.8
GTEX-1497J-0226-SM-5QGPU 60-69 years, male 23.7
GTEX-1HKZK-0726-SM-ACKW2 40-49 years, male 23.7
GTEX-1K9T9-1526-SM-DIPFR 50-59 years, female 23.7
GTEX-ZT9X-1526-SM-5DUXD 40-49 years, male 23.5
GTEX-145MG-1526-SM-5Q5EM 50-59 years, male 23.4
GTEX-1I1GV-0626-SM-ARL7M 60-69 years, male 23.4
GTEX-17HGU-2326-SM-7DUFE 50-59 years, male 23.3
GTEX-WI4N-2726-SM-3LK7Y 40-49 years, female 23.3
GTEX-1I1GS-2626-SM-B2LY3 60-69 years, male 23.3
GTEX-12KS4-2126-SM-5FQUT 30-39 years, male 23.2
GTEX-13X6I-1826-SM-5SIAO 60-69 years, male 23.1
GTEX-17EVP-2626-SM-7IGMA 40-49 years, male 23.1
GTEX-ZA64-1026-SM-5HL8R 20-29 years, male 23.1
GTEX-1GN1U-0626-SM-9MQL9 50-59 years, female 23.1
GTEX-15ER7-0626-SM-6PANF 20-29 years, female 23.0
GTEX-1RAZA-2226-SM-E9U4X 20-29 years, male 22.9
GTEX-139UW-0326-SM-5J1ML 60-69 years, male 22.7
GTEX-Y3I4-1726-SM-4TT89 50-59 years, male 22.7
GTEX-13O3Q-0126-SM-5KM34 50-59 years, male 22.6
GTEX-ZZ64-1026-SM-5GZXG 20-29 years, male 22.6
GTEX-1QP29-1826-SM-DTX9S 50-59 years, male 22.6
GTEX-ZVP2-0326-SM-57WBP 50-59 years, male 22.5
GTEX-1GF9V-0826-SM-9KNUV 60-69 years, male 22.5
GTEX-1HB9E-0126-SM-CM2S5 50-59 years, male 22.4
GTEX-1JMQI-1726-SM-ARL93 50-59 years, male 22.4
GTEX-1QAET-0326-SM-EVR3U 50-59 years, male 22.4
GTEX-15CHR-1126-SM-7EWF4 50-59 years, male 22.3
GTEX-17F9E-2326-SM-79OKD 50-59 years, male 22.2
GTEX-ZP4G-1426-SM-4WWCL 20-29 years, female 22.2
GTEX-131YS-2826-SM-5EQ47 60-69 years, female 22.1
GTEX-14PJ6-2626-SM-6EU2T 60-69 years, female 22.1
GTEX-Y111-0626-SM-4SOIT 50-59 years, male 22.1
GTEX-1B8L1-2226-SM-7P8PT 60-69 years, male 22.1
GTEX-1I1GP-1326-SM-A9G28 50-59 years, male 22.1
GTEX-1192X-2726-SM-5N9DN 50-59 years, male 22.0
GTEX-14ABY-2026-SM-62LDL 50-59 years, male 22.0
GTEX-1J8Q3-0526-SM-ARL8U 60-69 years, male 22.0
GTEX-ZF3C-0626-SM-DO92O 50-59 years, female 22.0
GTEX-1JKYN-0826-SM-ARU8S 30-39 years, male 21.9
GTEX-1QP9N-1226-SM-E76QN 30-39 years, male 21.9
GTEX-1R9PN-0426-SM-DTXDT 40-49 years, female 21.8
GTEX-ZPU1-1126-SM-4YCF3 40-49 years, male 21.7
GTEX-ZF2S-1626-SM-57WES 50-59 years, female 21.6
GTEX-1IDJH-0126-SM-D3L92 70-79 years, male 21.6
GTEX-ZAJG-1526-SM-5CVML 50-59 years, female 21.5
GTEX-11P82-1426-SM-DTXFY 20-29 years, male 21.5
GTEX-145LT-0526-SM-5LUB2 40-49 years, male 21.4
GTEX-X4EO-2926-SM-4E3JH 60-69 years, female 21.4
GTEX-1GPI6-1926-SM-9KNV7 60-69 years, male 21.3
GTEX-1B8SF-0126-SM-7DUG3 60-69 years, male 21.0
GTEX-16MT8-2926-SM-7DUFO 60-69 years, female 20.9
GTEX-1CAMR-1326-SM-7PC1F 20-29 years, male 20.9
GTEX-15DYW-2726-SM-6EU2I 60-69 years, female 20.8
GTEX-1I6K7-1926-SM-B2LXR 40-49 years, male 20.8
GTEX-11P7K-1126-SM-5HL4L 30-39 years, male 20.7
GTEX-133LE-2326-SM-5K7W3 20-29 years, female 20.7
GTEX-1AYD5-2626-SM-7PBXY 50-59 years, male 20.7
GTEX-1H1CY-0126-SM-9YFLY 60-69 years, female 20.7
GTEX-14E6E-0526-SM-793DN 30-39 years, male 20.6
GTEX-VUSG-2326-SM-4KL1U 50-59 years, male 20.6
GTEX-1F75W-2726-SM-7SB8H 60-69 years, male 20.6
GTEX-1KANC-1226-SM-CYPT7 50-59 years, female 20.6
GTEX-12ZZX-2426-SM-5GCOE 40-49 years, female 20.5
GTEX-13X6J-0626-SM-5LU5F 50-59 years, male 20.5
GTEX-1477Z-0326-SM-7IGLA 60-69 years, male 20.4
GTEX-Y5V6-2326-SM-4VDSA 60-69 years, male 20.3
GTEX-1GTWX-2026-SM-9YFLM 60-69 years, male 20.3
GTEX-13PL6-1126-SM-5L3IE 40-49 years, female 20.2
GTEX-144GL-0626-SM-5LU4D 50-59 years, male 20.2
GTEX-14A5H-0826-SM-5QGPJ 60-69 years, male 20.2
GTEX-XOT4-0626-SM-4B66L 60-69 years, female 20.2
GTEX-11LCK-2226-SM-5HL4Q 30-39 years, male 20.1
GTEX-11WQC-1826-SM-5GU59 60-69 years, male 20.1
GTEX-1B8KZ-0326-SM-73KY4 50-59 years, male 20.0
GTEX-1C6WA-2626-SM-7MKGM 60-69 years, male 20.0
GTEX-13OW7-0426-SM-5K7VK 50-59 years, male 19.9
GTEX-1H1DE-1326-SM-9KNUG 20-29 years, male 19.9
GTEX-1LG7Z-1626-SM-CXKYR 30-39 years, male 19.9
GTEX-1IKJJ-2226-SM-CJI4C 60-69 years, male 19.8
GTEX-13FH7-1126-SM-5K7UG 50-59 years, female 19.7
GTEX-1KD5A-0126-SM-E9U54 50-59 years, male 19.7
GTEX-1RB15-1326-SM-E76Q9 60-69 years, male 19.7
GTEX-145LS-0626-SM-7EPG7 60-69 years, female 19.6
GTEX-1GF9U-2026-SM-7SB92 40-49 years, female 19.6
GTEX-15EU6-2226-SM-6EU2L 50-59 years, male 19.5
GTEX-11EQ8-0926-SM-5H12V 60-69 years, male 19.4
GTEX-14A6H-2026-SM-5Q5DD 30-39 years, male 19.3
GTEX-15RIG-0726-SM-7KUM7 40-49 years, male 19.3
GTEX-Y8LW-1526-SM-5IFHL 50-59 years, female 19.3
GTEX-1313W-0626-SM-5EQ4H 50-59 years, female 19.2
GTEX-WRHU-2826-SM-3MJG8 50-59 years, female 19.2
GTEX-ZVT4-2426-SM-5GIEI 50-59 years, female 19.2
GTEX-ZYW4-0626-SM-59HJR 60-69 years, male 19.2
GTEX-1HBPM-0726-SM-9YFL7 60-69 years, female 19.2
GTEX-1KWVE-1026-SM-D3L9O 30-39 years, male 19.2
GTEX-11DXY-0126-SM-5H11Q 60-69 years, male 19.1
GTEX-13FLV-0126-SM-5K7WT 50-59 years, male 19.1
GTEX-14LZ3-0126-SM-69LPM 60-69 years, female 19.1
GTEX-1I1HK-2326-SM-CKZOH 60-69 years, male 19.1
GTEX-1HFI6-0126-SM-CNPPI 40-49 years, male 19.0
GTEX-1LB8K-0726-SM-D5OV2 50-59 years, male 19.0
GTEX-14E1K-2026-SM-7DUEI 50-59 years, male 18.9
GTEX-16BQI-1326-SM-6M486 30-39 years, female 18.9
GTEX-1IKOE-1426-SM-CE6T7 30-39 years, female 18.9
GTEX-13112-0126-SM-5P9IU 50-59 years, male 18.8
GTEX-1A8FM-0626-SM-7PC25 50-59 years, female 18.8
GTEX-1I1CD-0626-SM-CE6SW 60-69 years, female 18.8
GTEX-1HBPI-2126-SM-ARL9K 50-59 years, male 18.7
GTEX-15G19-2426-SM-7KUMR 60-69 years, male 18.6
GTEX-1LSNL-2726-SM-E9TKJ 50-59 years, male 18.6
GTEX-14BMU-1226-SM-5S2OR 20-29 years, female 18.5
GTEX-17JCI-2926-SM-7DUFF 60-69 years, female 18.4
GTEX-17MFQ-1526-SM-7KFRR 20-29 years, male 18.4
GTEX-1B933-2426-SM-7DHMD 50-59 years, female 18.4
GTEX-15RJE-2826-SM-7KUM9 40-49 years, male 18.3
GTEX-14JG6-1426-SM-9WG7C 30-39 years, female 18.3
GTEX-14PJN-1826-SM-6AJ98 30-39 years, male 18.2
GTEX-1F52S-2926-SM-7MKGA 60-69 years, female 18.2
GTEX-1POEN-2326-SM-E9J2L 30-39 years, female 18.2
GTEX-13O61-1426-SM-5KM3D 60-69 years, male 18.0
GTEX-13X6K-0626-SM-5LU5D 60-69 years, female 18.0
GTEX-17HII-1426-SM-7EPGG 50-59 years, male 18.0
GTEX-1KAFJ-0126-SM-DIPEK 50-59 years, male 18.0
GTEX-1OJC4-2726-SM-E76PJ 50-59 years, female 17.9
GTEX-11DXZ-2026-SM-5987S 50-59 years, male 17.8
GTEX-12126-0826-SM-5FQTZ 20-29 years, male 17.8
GTEX-139TS-2126-SM-5K7XC 60-69 years, male 17.8
GTEX-1F75B-0726-SM-7PC3R 50-59 years, male 17.8
GTEX-1QW4Y-1126-SM-DTXE3 30-39 years, male 17.8
GTEX-14BIN-1126-SM-5RQJZ 50-59 years, female 17.7
GTEX-XYKS-1426-SM-4BRUO 60-69 years, female 17.7
GTEX-1H1DF-1126-SM-9WG7G 40-49 years, female 17.7
GTEX-1PIGE-1826-SM-E8VOU 20-29 years, male 17.7
GTEX-15CHQ-0326-SM-69LQD 60-69 years, male 17.5
GTEX-16NGA-0726-SM-731AO 40-49 years, female 17.5
GTEX-13QBU-1226-SM-5LU4G 40-49 years, female 17.4
GTEX-ZXG5-2126-SM-59HKD 60-69 years, male 17.4
GTEX-13OW8-1026-SM-5J1NQ 60-69 years, male 17.3
GTEX-18A6Q-0626-SM-7KFRP 60-69 years, male 17.3
GTEX-XPVG-2126-SM-4B667 50-59 years, male 17.3
GTEX-14JG1-1526-SM-5YY9X 40-49 years, male 17.2
GTEX-1IOXB-2726-SM-CM2RI 50-59 years, male 17.2
GTEX-11EQ9-1626-SM-5PNY8 30-39 years, male 17.1
GTEX-11ZU8-0126-SM-5EQ58 60-69 years, male 17.1
GTEX-12WSH-1526-SM-5BC5W 50-59 years, male 17.1
GTEX-131XH-0126-SM-5LZUY 50-59 years, male 17.1
GTEX-1LG7Y-2526-SM-EWRO7 50-59 years, male 17.1
GTEX-117YX-1926-SM-5GIEC 50-59 years, male 17.0
GTEX-12WSC-2826-SM-5BC5Y 50-59 years, male 17.0
GTEX-1GZ4H-0526-SM-9KNU9 50-59 years, female 17.0
GTEX-12BJ1-0926-SM-5EQ62 60-69 years, male 16.9
GTEX-12WSF-1626-SM-7KUG5 70-79 years, male 16.9
GTEX-17MF6-2626-SM-79OKQ 40-49 years, male 16.9
GTEX-18D9A-1426-SM-7LT8M 30-39 years, female 16.9
GTEX-1H11D-1826-SM-9QEHM 40-49 years, male 16.9
GTEX-13JVG-0726-SM-5KM16 60-69 years, male 16.8
GTEX-YF7O-1526-SM-5IFI6 50-59 years, male 16.8
GTEX-ZDTS-0826-SM-4WKHL 60-69 years, male 16.8
GTEX-1CB4I-0126-SM-7RHGG 50-59 years, male 16.8
GTEX-1HT8W-0626-SM-A9G2H 30-39 years, male 16.7
GTEX-1M4P7-0726-SM-E6CJ3 60-69 years, male 16.7
GTEX-11DXW-0826-SM-5H118 40-49 years, male 16.6
GTEX-13N1W-2426-SM-5IJD1 70-79 years, male 16.6
GTEX-13N2G-0226-SM-5K7VF 60-69 years, male 16.6
GTEX-14PHX-2226-SM-6EU2P 50-59 years, male 16.6
GTEX-1HCU9-0426-SM-9WYSD 20-29 years, male 16.6
GTEX-1MCC2-1826-SM-DIPEX 30-39 years, female 16.6
GTEX-14DAQ-0626-SM-793DS 60-69 years, female 16.5
GTEX-1B932-2326-SM-79OL5 40-49 years, female 16.5
GTEX-1PDJ9-1226-SM-EXUSX 20-29 years, male 16.5
GTEX-YFCO-1226-SM-5LUAT 40-49 years, male 16.4
GTEX-1N2EE-0626-SM-E76PW 60-69 years, male 16.4
GTEX-13OW6-2726-SM-5J2OE 50-59 years, male 16.3
GTEX-17HHE-1326-SM-7EWDZ 50-59 years, male 16.3
GTEX-ZVT2-0126-SM-5GIDQ 50-59 years, female 16.3
GTEX-144GO-2026-SM-5O99P 60-69 years, male 16.2
GTEX-WH7G-2026-SM-3NMBL 40-49 years, male 16.2
GTEX-1ICG6-1226-SM-A9SLN 70-79 years, female 16.2
GTEX-16MTA-0926-SM-6M47Z 50-59 years, male 16.1
GTEX-18QFQ-1826-SM-72D52 30-39 years, male 16.1
GTEX-1H3VE-0726-SM-9YFL5 40-49 years, male 16.0
GTEX-1JMLX-0626-SM-ARL8T 50-59 years, male 16.0
GTEX-1R46S-2426-SM-E76QA 60-69 years, female 16.0
GTEX-15G1A-1626-SM-7KUKN 30-39 years, male 15.9
GTEX-1CB4H-1126-SM-7MKGL 60-69 years, female 15.9
GTEX-1J1OQ-0126-SM-D4P2N 40-49 years, female 15.9
GTEX-17EVQ-0126-SM-7IGLR 70-79 years, male 15.8
GTEX-1JMQL-2226-SM-CNPP4 50-59 years, female 15.8
GTEX-13OVG-1626-SM-5J1NF 60-69 years, male 15.7
GTEX-14AS3-1526-SM-5Q5ED 40-49 years, female 15.7
GTEX-1GZ2Q-0126-SM-9WG6M 40-49 years, male 15.7
GTEX-1H4P4-2126-SM-9WYSL 50-59 years, male 15.7
GTEX-14PII-0726-SM-6EU2B 60-69 years, male 15.6
GTEX-13NYB-0126-SM-5J1MD 40-49 years, male 15.5
GTEX-16XZZ-0726-SM-7KUF2 60-69 years, male 15.5
GTEX-ZLV1-1526-SM-DO91J 60-69 years, female 15.5
GTEX-1B996-0426-SM-7EWF8 60-69 years, male 15.4
GTEX-1JK1U-0226-SM-ARZMX 60-69 years, male 15.4
GTEX-17F98-1326-SM-7DUEP 40-49 years, female 15.3
GTEX-1A8G7-1326-SM-73KVM 60-69 years, male 15.3
GTEX-131XF-2626-SM-5EQ6K 60-69 years, male 15.2
GTEX-13NYC-0126-SM-5L3F4 60-69 years, male 15.2
GTEX-18D9U-0126-SM-731BM 40-49 years, male 15.2
GTEX-1KXAM-1626-SM-D3LAD 60-69 years, male 15.2
GTEX-12WSK-2126-SM-5CVNC 40-49 years, female 15.0
GTEX-13OVL-0126-SM-5L3GJ 50-59 years, male 15.0
GTEX-17KNJ-2126-SM-718AM 50-59 years, male 14.9
GTEX-1JKYR-0626-SM-ARL8R 20-29 years, male 14.9
GTEX-1JMPZ-0726-SM-CY8HZ 30-39 years, male 14.9
GTEX-1JMQJ-0826-SM-CNPP7 50-59 years, male 14.9
GTEX-1S831-1826-SM-EWROF 20-29 years, male 14.9
GTEX-X585-2426-SM-46MW2 50-59 years, male 14.8
GTEX-1R9PM-1926-SM-EVR3O 20-29 years, male 14.8
GTEX-1RAZQ-1326-SM-E9TK6 30-39 years, male 14.7
GTEX-12WSJ-1126-SM-5LZVJ 40-49 years, female 14.6
GTEX-139TT-2126-SM-5LZWC 60-69 years, male 14.6
GTEX-XBEW-1126-SM-4QARW 40-49 years, male 14.6
GTEX-1IDJU-1726-SM-CMKHU 60-69 years, female 14.6
GTEX-1LVA9-2626-SM-EVYD4 50-59 years, male 14.5
GTEX-15RIE-1926-SM-7KUKJ 60-69 years, male 14.4
GTEX-1F75I-2226-SM-7SB8U 40-49 years, male 14.4
GTEX-1S82U-1026-SM-E6CJK 30-39 years, female 14.4
GTEX-111VG-1626-SM-5EGIO 60-69 years, male 14.2
GTEX-1A3MV-1826-SM-731CD 30-39 years, male 14.2
GTEX-1GMR3-0126-SM-A9SLW 40-49 years, male 14.2
GTEX-1OJC3-1226-SM-DTXER 20-29 years, male 14.2
GTEX-WHWD-1826-SM-3LK6I 50-59 years, male 14.1
GTEX-131XW-0626-SM-5PNVD 50-59 years, female 14.0
GTEX-14PKU-0126-SM-6LLHV 40-49 years, female 14.0
GTEX-1A8G6-2726-SM-731AR 60-69 years, male 14.0
GTEX-1HSGN-0826-SM-ACKW3 40-49 years, female 14.0
GTEX-1IL2V-1926-SM-B2LW8 70-79 years, male 14.0
GTEX-1LSVX-2526-SM-DIPEU 60-69 years, male 14.0
GTEX-14PJ5-1526-SM-6LLIL 60-69 years, female 13.9
GTEX-1GL5R-1326-SM-7RHHF 50-59 years, male 13.9
GTEX-1E1VI-0326-SM-793D1 50-59 years, male 13.8
GTEX-ZYY3-2926-SM-5GIEB 60-69 years, female 13.8
GTEX-14JFF-0626-SM-5ZZVT 60-69 years, male 13.8
GTEX-YEC3-1326-SM-DO92X 50-59 years, male 13.8
GTEX-145MF-0926-SM-5Q5EA 50-59 years, male 13.7
GTEX-1JJE9-2626-SM-ARZMT 70-79 years, male 13.7
GTEX-11UD2-2526-SM-5CVNU 50-59 years, male 13.6
GTEX-13PVQ-0626-SM-5LU47 50-59 years, male 13.6
GTEX-YECK-0326-SM-4W1YS 60-69 years, male 13.6
GTEX-1C6VR-0126-SM-7RHGB 60-69 years, male 13.6
GTEX-13RTJ-0126-SM-5S2NN 60-69 years, male 13.5
GTEX-13X6H-0926-SM-5SIB2 50-59 years, female 13.5
GTEX-145MO-2826-SM-5LU96 60-69 years, male 13.4
GTEX-1J8Q2-2626-SM-ACKWQ 60-69 years, male 13.4
GTEX-1PPGY-1626-SM-EVYBL 60-69 years, male 13.4
GTEX-183WM-0326-SM-72D5V 70-79 years, female 13.3
GTEX-14C38-0726-SM-5SI6M 50-59 years, male 13.2
GTEX-14C39-1726-SM-5RQIL 40-49 years, male 13.2
GTEX-1GZ4I-2626-SM-9KNU3 50-59 years, male 13.2
GTEX-1NSGN-0726-SM-DTXEF 50-59 years, male 13.2
GTEX-11OF3-0126-SM-5PNYF 60-69 years, male 13.1
GTEX-WK11-2726-SM-3NMAQ 50-59 years, male 13.1
GTEX-1269C-0126-SM-5EQ5L 60-69 years, female 13.0
GTEX-1JN6P-2926-SM-CL54D 60-69 years, male 13.0
GTEX-11NUK-2726-SM-5A5MC 50-59 years, male 12.9
GTEX-147F4-0726-SM-5TDDD 50-59 years, male 12.9
GTEX-ZU9S-1826-SM-5NQ9E 30-39 years, male 12.9
GTEX-1ICLY-0826-SM-CMKG1 50-59 years, male 12.9
GTEX-111CU-1126-SM-5EGIM 50-59 years, male 12.8
GTEX-13JUV-2026-SM-5K7UA 40-49 years, female 12.7
GTEX-1CB4E-0926-SM-7EPHT 60-69 years, male 12.7
GTEX-XAJ8-1426-SM-47JYM 40-49 years, male 12.7
GTEX-XQ3S-1426-SM-4BOPR 20-29 years, male 12.6
GTEX-XUW1-0926-SM-4BONX 50-59 years, female 12.6
GTEX-14C5O-0326-SM-5ZZUX 60-69 years, male 12.5
GTEX-1AX9J-1326-SM-731BJ 60-69 years, male 12.5
GTEX-1K2DU-1226-SM-CYPT4 20-29 years, male 12.4
GTEX-1KANA-1326-SM-DIPFA 20-29 years, male 12.4
GTEX-1QPFJ-1926-SM-EVYBD 30-39 years, female 12.4
GTEX-1HCVE-2726-SM-CL54F 50-59 years, male 12.3
GTEX-1PIIG-2326-SM-DTXFR 30-39 years, male 12.3
GTEX-1GN2E-0226-SM-9WG6K 60-69 years, male 12.2
GTEX-WYJK-0526-SM-3NM8Z 50-59 years, male 12.1
GTEX-1I6K6-1726-SM-CGQFD 30-39 years, male 12.1
GTEX-1LGOU-1326-SM-D3L8M 20-29 years, female 12.1
GTEX-11GSP-2326-SM-5HL63 60-69 years, female 12.0
GTEX-17F96-0126-SM-7EWDU 70-79 years, male 12.0
GTEX-1HR98-2226-SM-ADEI2 60-69 years, male 12.0
GTEX-1LSNM-0826-SM-DIPG8 50-59 years, male 12.0
GTEX-1R7EU-1626-SM-DTXG3 60-69 years, male 12.0
GTEX-13VXU-0626-SM-5L3F9 50-59 years, male 11.9
GTEX-1HCU8-2526-SM-CE6RX 60-69 years, female 11.9
GTEX-1S3DN-2126-SM-E9TIN 50-59 years, male 11.9
GTEX-13SLX-2226-SM-62LEP 50-59 years, female 11.8
GTEX-1B97I-0626-SM-73KUZ 40-49 years, male 11.8
GTEX-ZUA1-2626-SM-5NQ92 40-49 years, male 11.8
GTEX-18A7B-2726-SM-7LG56 70-79 years, male 11.7
GTEX-WFG7-2026-SM-5SI7P 20-29 years, male 11.7
GTEX-ZTSS-1426-SM-5985P 40-49 years, male 11.7
GTEX-1F88F-0126-SM-9WYSZ 60-69 years, female 11.6
GTEX-1H1E6-0426-SM-9WYUS 30-39 years, male 11.6
GTEX-1N5O9-0926-SM-E9J3C 60-69 years, male 11.6
GTEX-13FTY-2126-SM-5IFFB 40-49 years, female 11.5
GTEX-13PDP-0726-SM-5L3HP 60-69 years, male 11.5
GTEX-14BMV-2826-SM-5TDED 50-59 years, male 11.5
GTEX-1F5PL-0926-SM-7PC2W 40-49 years, female 11.5
GTEX-14PJO-2526-SM-6AJBQ 60-69 years, male 11.4
GTEX-17F9Y-0126-SM-79OKX 70-79 years, female 11.4
GTEX-1IDJV-0126-SM-COH3Y 60-69 years, male 11.4
GTEX-1J8QM-2426-SM-A9SLS 60-69 years, female 11.4
GTEX-1JMPY-0226-SM-CKZOK 30-39 years, male 11.4
GTEX-12WSM-1926-SM-5BC65 60-69 years, male 11.3
GTEX-13PVR-0426-SM-5RQK2 60-69 years, female 11.3
GTEX-13SLW-0626-SM-5Q5ER 70-79 years, male 11.3
GTEX-ZYT6-2326-SM-5GZY3 30-39 years, male 11.3
GTEX-14LLW-2626-SM-62LDZ 70-79 years, female 11.0
GTEX-1N2DV-1526-SM-DTXEP 40-49 years, male 11.0
GTEX-111FC-2526-SM-5GZXU 60-69 years, male 10.9
GTEX-13FTW-0326-SM-5K7UW 40-49 years, male 10.9
GTEX-14PJ2-0626-SM-6LLII 50-59 years, male 10.9
GTEX-1B8KE-1126-SM-7EPHI 50-59 years, male 10.9
GTEX-1E2YA-2126-SM-7MXUO 50-59 years, male 10.9
GTEX-1HBPN-0126-SM-CGQEF 50-59 years, male 10.9
GTEX-11ZUS-2626-SM-5FQUR 30-39 years, male 10.8
GTEX-13IVO-0726-SM-5LZYV 70-79 years, male 10.8
GTEX-1CAV2-0126-SM-7IGN7 40-49 years, female 10.7
GTEX-14PJ3-1126-SM-5ZZVX 50-59 years, male 10.6
GTEX-Y9LG-1126-SM-4VBQ7 30-39 years, male 10.6
GTEX-ZVTK-0226-SM-51MRG 20-29 years, male 10.6
GTEX-1QEPI-2626-SM-DTXF4 60-69 years, female 10.6
GTEX-16AAH-0626-SM-793C9 50-59 years, male 10.5
GTEX-Y114-2126-SM-4TT8B 50-59 years, female 10.5
GTEX-Z93S-1626-SM-5CVMB 50-59 years, male 10.5
GTEX-139D8-1126-SM-5LU8W 30-39 years, female 10.3
GTEX-ZDTT-0426-SM-4WKFL 60-69 years, male 10.3
GTEX-12WSA-0426-SM-5EQ5X 60-69 years, male 10.2
GTEX-14B4R-1326-SM-5Q5EZ 30-39 years, male 10.2
GTEX-1GF9X-1326-SM-7PC2Y 40-49 years, female 10.2
GTEX-1211K-1526-SM-5FQU4 60-69 years, female 10.1
GTEX-1JN76-0626-SM-CKZOQ 20-29 years, female 10.1
GTEX-1399U-1126-SM-5L3DB 50-59 years, female 10.0
GTEX-1AMEY-0826-SM-72D65 30-39 years, female 10.0
GTEX-1HSMQ-2626-SM-A9SML 50-59 years, male 10.0
GTEX-14PHY-1226-SM-5ZZWK 60-69 years, female 9.8
GTEX-1HGF4-0126-SM-CNPPX 60-69 years, male 9.8
GTEX-11PRG-0726-SM-5EGL1 50-59 years, male 9.7
GTEX-1A3MW-0626-SM-731CB 60-69 years, female 9.7
GTEX-1HR9M-2226-SM-CNPPY 60-69 years, male 9.7
GTEX-145MI-0626-SM-5SI8S 60-69 years, female 9.6
GTEX-XQ8I-0926-SM-4BOOF 50-59 years, male 9.6
GTEX-1122O-1026-SM-9WYSF 60-69 years, female 9.6
GTEX-1RAZS-2526-SM-E6CHT 50-59 years, male 9.6
GTEX-1F5PK-2226-SM-7SB6N 50-59 years, male 9.5
GTEX-1GMR8-0626-SM-7RHI7 50-59 years, female 9.4
GTEX-ZY6K-1426-SM-5GZX2 50-59 years, male 9.3
GTEX-13OVH-0526-SM-5L3E6 70-79 years, male 9.2
GTEX-18465-2826-SM-7LT9J 50-59 years, male 9.1
GTEX-1CAMS-2226-SM-7PBXQ 40-49 years, female 9.1
GTEX-13G51-1826-SM-5KLZH 60-69 years, male 9.0
GTEX-WHSE-0126-SM-3NMBT 20-29 years, male 9.0
GTEX-XMD2-2126-SM-4YCF8 60-69 years, female 9.0
GTEX-12ZZY-0726-SM-5EQ66 60-69 years, male 8.9
GTEX-UPJH-0226-SM-3GADV 50-59 years, male 8.9
GTEX-Y5LM-0926-SM-6LLJG 40-49 years, female 8.9
GTEX-1GN1V-2826-SM-9JGIA 60-69 years, male 8.9
GTEX-1GN1W-2426-SM-9KNUU 50-59 years, female 8.9
GTEX-147F3-1726-SM-5SIAW 50-59 years, female 8.8
GTEX-16GPK-0626-SM-7KFSF 60-69 years, male 8.8
GTEX-1F88E-1626-SM-7SB8Z 60-69 years, female 8.8
GTEX-1H23P-0626-SM-9WG6T 60-69 years, male 8.8
GTEX-1HCU7-0726-SM-A9SL1 50-59 years, male 8.8
GTEX-1QP28-1126-SM-EVYC4 50-59 years, female 8.8
GTEX-ZE9C-2526-SM-5IJDR 60-69 years, male 8.7
GTEX-ZYFD-0626-SM-5E44E 50-59 years, male 8.7
GTEX-1CAMQ-1326-SM-7P8RV 40-49 years, male 8.6
GTEX-1CB4J-1326-SM-7P8RX 60-69 years, male 8.6
GTEX-1I1GT-1026-SM-ARZLV 60-69 years, female 8.6
GTEX-11DXX-2126-SM-5PNYR 60-69 years, female 8.4
GTEX-14ICL-1626-SM-5YYAO 30-39 years, male 8.4
GTEX-13NZ9-2626-SM-5L3FK 50-59 years, male 8.3
GTEX-18A67-1626-SM-7LT9T 50-59 years, male 8.3
GTEX-1AMFI-1326-SM-7939R 50-59 years, female 8.2
GTEX-ZYVF-0926-SM-5E44J 50-59 years, female 8.2
GTEX-1212Z-0126-SM-59HK4 60-69 years, male 8.1
GTEX-12696-0126-SM-5EQ4L 60-69 years, male 8.1
GTEX-13D11-0926-SM-5J2NC 50-59 years, female 8.0
GTEX-14753-0726-SM-5QGQO 60-69 years, male 8.0
GTEX-15DDE-2926-SM-6LLJ3 50-59 years, female 8.0
GTEX-147GR-2426-SM-5ZZWQ 60-69 years, male 7.9
GTEX-ZPCL-1126-SM-4WWFE 60-69 years, female 7.9
GTEX-ZWKS-0626-SM-5GIDV 30-39 years, male 7.8
GTEX-14PKV-1126-SM-6LLJ1 20-29 years, female 7.5
GTEX-111YS-1526-SM-5GZYW 60-69 years, male 7.4
GTEX-14E6C-2426-SM-5S2NF 40-49 years, male 7.4
GTEX-14XAO-1226-SM-6EU1C 60-69 years, female 7.4
GTEX-1H2FU-0926-SM-9WPPT 60-69 years, female 7.4
GTEX-1S83E-1326-SM-E6CJM 40-49 years, male 7.4
GTEX-1C2JI-1026-SM-73KY1 50-59 years, male 7.3
GTEX-ZTTD-2826-SM-4YCFA 50-59 years, male 7.3
GTEX-1I1GU-0926-SM-ACKVS 40-49 years, male 7.3
GTEX-1QCLY-0226-SM-EWRNH 30-39 years, male 7.3
GTEX-1J1R8-2026-SM-CL53Y 40-49 years, male 7.2
GTEX-1IDFM-0326-SM-ARL7V 60-69 years, male 7.1
GTEX-1C64O-1326-SM-7MGWR 60-69 years, male 6.8
GTEX-1LGRB-0926-SM-COH3K 50-59 years, female 6.7
GTEX-1EH9U-2826-SM-7DUGT 60-69 years, male 6.6
GTEX-1S5ZU-2526-SM-E6CIF 20-29 years, female 6.5
GTEX-11TUW-0626-SM-5LU9M 60-69 years, male 6.4
GTEX-1PPH8-0126-SM-EWRN8 20-29 years, male 6.3
GTEX-1LVAM-0726-SM-E6CIL 50-59 years, female 6.2
GTEX-148VJ-0626-SM-5LUAW 70-79 years, male 6.1
GTEX-ZF29-0926-SM-4WKFZ 60-69 years, female 6.1
GTEX-ZVE1-0726-SM-51MRN 50-59 years, female 6.1
GTEX-1HFI7-2326-SM-CGQFS 50-59 years, female 6.1
GTEX-1PPH7-1126-SM-DTX9A 40-49 years, male 5.9
GTEX-WHSB-1326-SM-3LK6W 50-59 years, male 5.7
GTEX-1399Q-2326-SM-5KM2X 40-49 years, male 5.6
GTEX-1I19N-0126-SM-CYPSF 70-79 years, male 5.6
GTEX-1KANB-2826-SM-CY8I6 50-59 years, male 5.4
GTEX-11TT1-1826-SM-5EQLV 20-29 years, male 5.2
GTEX-131XG-0326-SM-5L3DX 50-59 years, female 5.0
GTEX-1RMOY-1326-SM-E9TIH 50-59 years, male 5.0
GTEX-14PJ4-0226-SM-5YY92 60-69 years, male 4.9
GTEX-1HSMP-0926-SM-A9SKX 70-79 years, male 4.9
GTEX-1NV5F-0626-SM-DTXEG 60-69 years, female 4.9
GTEX-ZVZP-1226-SM-5GID7 50-59 years, male 4.7
GTEX-1LKK1-2626-SM-DKPQE 50-59 years, female 4.6
GTEX-13QJC-0126-SM-5ZZWJ 60-69 years, female 4.5
GTEX-13W3W-0726-SM-5IJDQ 60-69 years, female 4.5
GTEX-1MCYP-0526-SM-E9U6Q 20-29 years, female 4.2
GTEX-1399S-0126-SM-5IJCF 30-39 years, female 4.1
GTEX-11WQK-1026-SM-5EQLX 50-59 years, male 3.8
GTEX-1QP2A-1726-SM-E76QC 50-59 years, male 3.3
GTEX-13NZ8-1226-SM-5KM4A 60-69 years, female 2.6
GTEX-1F6RS-2026-SM-7RHHC 60-69 years, female 2.0
Show allShow less
Skin - Sun Exposed (Lower leg)
Average nTPM: 18.6
Samples: 701

Max nTPM: 97.4
Min nTPM: 1.4
Std nTPM: 12.4
Median nTPM: 15.8
GTEX-Q734-1926-SM-2I5EV 40-49 years, female 97.4
GTEX-1F48J-0126-SM-7P8TT 50-59 years, female 84.6
GTEX-OOBK-0126-SM-2YUND 40-49 years, male 80.8
GTEX-Y3I4-2126-SM-4TT7C 50-59 years, male 77.5
GTEX-ZTPG-0326-SM-5O9AX 20-29 years, female 73.6
GTEX-1H3VE-0326-SM-9YFLH 40-49 years, male 69.6
GTEX-QDVJ-1726-SM-2I5FX 50-59 years, male 63.5
GTEX-ZC5H-0226-SM-4WAY9 40-49 years, female 63.4
GTEX-16XZY-2126-SM-79OK1 70-79 years, male 61.3
GTEX-1ICLZ-0126-SM-CKZPO 60-69 years, male 58.5
GTEX-R45C-0126-SM-EAZ2R 60-69 years, female 58.3
GTEX-PLZ4-0126-SM-5SI8O 50-59 years, female 58.0
GTEX-12KS4-0326-SM-5EQ41 30-39 years, male 57.8
GTEX-14BIL-0126-SM-5SI92 50-59 years, male 57.0
GTEX-1QP67-1626-SM-EAZ3X 40-49 years, female 56.4
GTEX-U4B1-1826-SM-4DXSU 40-49 years, male 56.0
GTEX-1AX8Z-0126-SM-7DHM6 60-69 years, male 55.3
GTEX-13NYS-0126-SM-5MR3W 60-69 years, male 53.1
GTEX-11DZ1-0126-SM-5985Q 50-59 years, male 52.1
GTEX-13OVJ-0126-SM-5KM36 50-59 years, female 52.0
GTEX-WI4N-1026-SM-3LK7N 40-49 years, female 49.3
GTEX-SSA3-0126-SM-32QPU 60-69 years, male 49.0
GTEX-ZF28-0126-SM-4WKGK 60-69 years, male 48.7
GTEX-X4EP-0126-SM-3P5YV 60-69 years, female 48.2
GTEX-1IDJF-0126-SM-CM2RS 20-29 years, male 47.4
GTEX-144GN-2326-SM-5LU4F 50-59 years, male 47.3
GTEX-1HCU6-0126-SM-CL54K 60-69 years, female 46.2
GTEX-1HR98-0126-SM-B2LWI 60-69 years, male 44.7
GTEX-12WSN-5019-SM-79OM6 40-49 years, male 43.8
GTEX-183FY-0126-SM-7LT9P 20-29 years, male 43.7
GTEX-11O72-0126-SM-59887 40-49 years, male 43.1
GTEX-1JK1U-2026-SM-CM2RZ 60-69 years, male 42.9
GTEX-VJYA-1126-SM-3GIJU 60-69 years, male 42.8
GTEX-Q2AH-1626-SM-3GAF8 40-49 years, male 42.7
GTEX-11ZVC-2526-SM-5FQTE 50-59 years, female 42.3
GTEX-XBED-2226-SM-47JYQ 60-69 years, male 42.0
GTEX-1IE54-0126-SM-CMKHW 40-49 years, female 41.1
GTEX-1MA7X-2226-SM-E6CIY 60-69 years, male 40.8
GTEX-XXEK-2226-SM-4BRUM 50-59 years, male 39.5
GTEX-1R46S-0626-SM-E9J41 60-69 years, female 39.1
GTEX-13OVG-1926-SM-5L3DK 60-69 years, male 39.0
GTEX-18A66-0226-SM-718BD 60-69 years, male 38.8
GTEX-OXRN-0126-SM-48TDM 50-59 years, male 38.3
GTEX-X638-0126-SM-47JZ8 70-79 years, female 38.2
GTEX-X62O-0126-SM-4E3JN 50-59 years, male 38.0
GTEX-PWO3-1526-SM-48TCM 60-69 years, female 37.9
GTEX-1H2FU-0126-SM-9WYSI 60-69 years, female 37.6
GTEX-13FHO-0226-SM-5IFGY 60-69 years, male 37.2
GTEX-1EX96-1626-SM-7PBXR 50-59 years, male 36.9
GTEX-XV7Q-2526-SM-4BRV9 40-49 years, female 36.5
GTEX-13SLX-0526-SM-5S2ON 50-59 years, female 36.2
GTEX-1CAV2-2226-SM-7P8P2 40-49 years, female 36.2
GTEX-PLZ5-2026-SM-2S1O4 50-59 years, male 36.0
GTEX-14LLW-0126-SM-6LLIO 70-79 years, female 35.5
GTEX-1J1OQ-0226-SM-CYPSH 40-49 years, female 35.4
GTEX-X88G-0126-SM-47JZ3 30-39 years, male 34.8
GTEX-Q2AG-0126-SM-33HBV 40-49 years, female 34.7
GTEX-RUSQ-1526-SM-2TF62 50-59 years, male 34.7
GTEX-1J8EW-0126-SM-CJI4F 60-69 years, female 34.5
GTEX-OIZF-0126-SM-7SB8I 60-69 years, male 34.5
GTEX-1C64O-0126-SM-7SB8P 60-69 years, male 34.2
GTEX-17HHY-0126-SM-7LG5D 50-59 years, male 34.1
GTEX-ZVE2-0226-SM-59HJB 50-59 years, male 34.1
GTEX-1RB15-2126-SM-E9TIM 60-69 years, male 34.1
GTEX-ZVT3-0126-SM-5GU6I 60-69 years, female 33.9
GTEX-ZY6K-1826-SM-5GZXK 50-59 years, male 33.6
GTEX-1PWST-0226-SM-E76QJ 70-79 years, male 33.5
GTEX-11DXZ-2326-SM-5EGGV 50-59 years, male 33.4
GTEX-11EI6-0126-SM-5985R 60-69 years, male 33.1
GTEX-1HUB1-0426-SM-E9U4U 60-69 years, male 33.0
GTEX-1R9K4-0126-SM-DTX9X 60-69 years, male 33.0
GTEX-13SLW-0126-SM-5SI6C 70-79 years, male 32.8
GTEX-YJ8A-0426-SM-5IFID 20-29 years, male 32.8
GTEX-ZDYS-2026-SM-5HL5L 50-59 years, male 32.8
GTEX-ZEX8-2426-SM-4WKG4 50-59 years, male 32.8
GTEX-13CF2-2526-SM-5LZYX 60-69 years, male 32.5
GTEX-11OC5-0126-SM-5HL6A 60-69 years, male 32.3
GTEX-113IC-0126-SM-5HL6T 60-69 years, male 32.2
GTEX-WY7C-2326-SM-3NB2U 50-59 years, male 32.2
GTEX-12WSL-2526-SM-5GCNJ 50-59 years, male 32.0
GTEX-1C6VQ-0126-SM-7P8RI 50-59 years, male 31.9
GTEX-1F6I4-0126-SM-9MQL2 60-69 years, male 31.9
GTEX-1HB9E-0226-SM-E9U4R 50-59 years, male 31.9
GTEX-14JIY-0126-SM-6LLH6 60-69 years, male 31.7
GTEX-13N11-2526-SM-5K7UE 50-59 years, female 31.6
GTEX-13X6I-0626-SM-5QGP9 60-69 years, male 31.6
GTEX-VUSG-2526-SM-4KL1V 50-59 years, male 31.5
GTEX-145MO-0326-SM-5Q5B3 60-69 years, male 31.4
GTEX-13O1R-0126-SM-5L3EH 60-69 years, male 31.3
GTEX-1JKYN-1326-SM-CGQG9 30-39 years, male 31.2
GTEX-ZVZO-0126-SM-5A5L9 40-49 years, male 31.0
GTEX-QDT8-0126-SM-48TZ1 30-39 years, female 30.9
GTEX-17F97-0326-SM-7LG5B 50-59 years, male 30.7
GTEX-U3ZH-2026-SM-3DB78 30-39 years, male 30.6
GTEX-11ZTT-2426-SM-5EQLS 60-69 years, female 30.5
GTEX-RN64-0126-SM-2TC68 50-59 years, male 30.2
GTEX-1RLM8-2326-SM-EWRN4 50-59 years, male 30.1
GTEX-13QJ3-0326-SM-5S2RA 50-59 years, male 30.0
GTEX-1QP66-1726-SM-E8VO1 50-59 years, male 29.9
GTEX-1K9T9-0126-SM-EVYCF 50-59 years, female 29.7
GTEX-13D11-2426-SM-5KM1V 50-59 years, female 29.6
GTEX-ZVTK-0426-SM-51MRS 20-29 years, male 29.6
GTEX-1192W-2626-SM-5Q5AF 60-69 years, male 29.4
GTEX-ZUA1-0126-SM-5GU76 40-49 years, male 29.2
GTEX-1KD5A-0226-SM-D5OV3 50-59 years, male 29.2
GTEX-14PN4-0126-SM-6EU2V 50-59 years, male 29.1
GTEX-QCQG-1726-SM-3GIJ9 50-59 years, female 29.1
GTEX-15SDE-2226-SM-7IGLO 50-59 years, female 29.0
GTEX-1GN1U-0126-SM-7PBZK 50-59 years, female 28.9
GTEX-QVJO-1626-SM-2S1QW 60-69 years, female 28.8
GTEX-1GN73-0226-SM-9WG67 60-69 years, male 28.8
GTEX-1CB4G-0226-SM-7PC3O 60-69 years, male 28.7
GTEX-11EMC-2926-SM-5EQ4F 60-69 years, female 28.6
GTEX-132NY-0326-SM-5IJBL 60-69 years, male 28.6
GTEX-13OW7-0126-SM-5MR3B 50-59 years, male 28.5
GTEX-147GR-0526-SM-5S2MY 60-69 years, male 28.5
GTEX-1AYD5-2426-SM-73KXR 50-59 years, male 28.5
GTEX-146FR-1326-SM-E9J48 60-69 years, female 28.5
GTEX-13RTJ-2426-SM-5S2Q2 60-69 years, male 28.4
GTEX-1A8FM-0226-SM-7SB7Q 50-59 years, female 28.4
GTEX-11GSP-2526-SM-5N9BP 60-69 years, female 28.2
GTEX-1H3NZ-0126-SM-ACKX7 60-69 years, male 28.2
GTEX-1211K-2026-SM-5EQ4Z 60-69 years, female 28.1
GTEX-15DYW-0126-SM-7KULE 60-69 years, female 28.0
GTEX-1HBPM-0226-SM-ARL9F 60-69 years, female 27.7
GTEX-1HGF4-2426-SM-ACKXM 60-69 years, male 27.5
GTEX-145MI-0526-SM-5O9A8 60-69 years, female 27.3
GTEX-14PJM-0226-SM-62LF1 50-59 years, female 27.3
GTEX-13O3O-0126-SM-E9J49 60-69 years, female 27.3
GTEX-1I1GR-0126-SM-CL55F 60-69 years, male 27.3
GTEX-ZF3C-0126-SM-DO92D 50-59 years, female 27.3
GTEX-111VG-2426-SM-5GZXD 60-69 years, male 27.2
GTEX-QDVN-2026-SM-3GAEP 50-59 years, male 27.2
GTEX-ZQG8-1626-SM-DHXIT 60-69 years, female 27.2
GTEX-144FL-0126-SM-5TDC8 50-59 years, male 27.1
GTEX-13112-2826-SM-5DUWH 50-59 years, male 26.9
GTEX-ZDXO-3026-SM-5J1N5 60-69 years, male 26.9
GTEX-15SHW-0326-SM-6PAML 60-69 years, male 26.7
GTEX-11P81-2326-SM-59875 30-39 years, female 26.5
GTEX-SE5C-1626-SM-2XCE3 40-49 years, female 26.5
GTEX-113JC-2326-SM-5EQ4E 50-59 years, female 26.4
GTEX-1314G-1526-SM-5EGK2 30-39 years, male 26.4
GTEX-1S82Z-0826-SM-E6CHY 30-39 years, female 26.3
GTEX-12584-0126-SM-5EGKQ 40-49 years, male 26.2
GTEX-ZAB4-0226-SM-5N9F5 40-49 years, male 26.2
GTEX-1LNCM-1126-SM-E9U5E 50-59 years, female 26.2
GTEX-OXRL-0126-SM-2YUMP 50-59 years, male 26.1
GTEX-1H11D-0226-SM-9WG6Z 40-49 years, male 26.1
GTEX-1LC47-0326-SM-E9TJP 60-69 years, male 26.0
GTEX-YFC4-0126-SM-5CVLY 40-49 years, female 25.8
GTEX-1GN1V-0126-SM-9WPOS 60-69 years, male 25.8
GTEX-1RAZQ-0726-SM-EAZ43 30-39 years, male 25.8
GTEX-1S82Y-2026-SM-EVYCM 40-49 years, male 25.7
GTEX-11NUK-0126-SM-5A5L3 50-59 years, male 25.5
GTEX-1C6VS-0526-SM-7DUEN 60-69 years, male 25.5
GTEX-X8HC-0126-SM-4E3JW 50-59 years, female 25.5
GTEX-1F6IF-0726-SM-7P8TW 60-69 years, male 25.5
GTEX-1192X-0226-SM-5H12D 50-59 years, male 25.2
GTEX-ZAB5-1826-SM-5HL7C 50-59 years, male 25.0
GTEX-1N2DW-0226-SM-E9TK2 50-59 years, male 25.0
GTEX-11TTK-0126-SM-5987B 60-69 years, female 24.9
GTEX-13U4I-0126-SM-5LU38 40-49 years, female 24.9
GTEX-X585-0226-SM-4QAS2 50-59 years, male 24.9
GTEX-1M4P7-0226-SM-DIPEV 60-69 years, male 24.8
GTEX-1OJC4-0126-SM-E9J2E 50-59 years, female 24.8
GTEX-139TT-0126-SM-5K7Y5 60-69 years, male 24.7
GTEX-14PK6-1926-SM-6ETZU 70-79 years, female 24.6
GTEX-18A7A-0226-SM-718BH 50-59 years, female 24.6
GTEX-SN8G-0126-SM-32PLI 50-59 years, female 24.5
GTEX-146FH-0126-SM-5QGPP 50-59 years, female 24.4
GTEX-1I1CD-0126-SM-CM2TK 60-69 years, female 24.4
GTEX-1IY9M-0126-SM-D3L8S 60-69 years, male 24.3
GTEX-12C56-1726-SM-5EQ61 20-29 years, male 24.2
GTEX-1JMQK-0226-SM-CL543 60-69 years, male 24.2
GTEX-11DXX-2426-SM-5GZZW 60-69 years, female 24.1
GTEX-P44H-0226-SM-2XCEU 40-49 years, male 23.8
GTEX-Y3IK-2426-SM-4WWDU 50-59 years, female 23.8
GTEX-1JKYR-0126-SM-CNPOJ 20-29 years, male 23.8
GTEX-U3ZN-2326-SM-3DB7W 30-39 years, female 23.6
GTEX-11GS4-2726-SM-5A5LE 60-69 years, male 23.5
GTEX-1EU9M-0226-SM-7P8SP 60-69 years, male 23.5
GTEX-1A3MX-0126-SM-731BR 60-69 years, male 23.4
GTEX-NPJ8-0126-SM-2YUNR 40-49 years, male 23.4
GTEX-1GMR8-0126-SM-9WYTM 50-59 years, female 23.4
GTEX-Y111-0126-SM-4SOIV 50-59 years, male 23.3
GTEX-13OW5-0126-SM-DTXFS 60-69 years, male 23.3
GTEX-1B8L1-2526-SM-9WYTF 60-69 years, male 23.3
GTEX-1H1DG-0126-SM-9WYU2 70-79 years, male 23.3
GTEX-13NZA-0226-SM-5K7Z7 60-69 years, male 23.2
GTEX-17EVQ-0226-SM-7LG4P 70-79 years, male 23.2
GTEX-11ZTS-0126-SM-5EQ6M 60-69 years, female 23.1
GTEX-1EKGG-0226-SM-9WYTH 60-69 years, male 23.1
GTEX-1JJE9-0326-SM-CL53Z 70-79 years, male 23.1
GTEX-1C6WA-0126-SM-7PC2B 60-69 years, male 23.0
GTEX-TML8-1926-SM-32QOS 40-49 years, female 22.7
GTEX-131XW-0426-SM-5LZWP 50-59 years, female 22.6
GTEX-146FQ-0126-SM-5NQA9 30-39 years, male 22.6
GTEX-XUYS-0126-SM-47JWZ 50-59 years, male 22.6
GTEX-11OF3-2626-SM-5GU7F 60-69 years, male 22.5
GTEX-145MN-2226-SM-5SIAU 30-39 years, male 22.5
GTEX-O5YT-0126-SM-48TBW 20-29 years, male 22.5
GTEX-ZYW4-0126-SM-5E44A 60-69 years, male 22.4
GTEX-11DXW-0226-SM-5H122 40-49 years, male 22.3
GTEX-1399U-2326-SM-5K7WY 50-59 years, female 22.3
GTEX-11P7K-2126-SM-5GU7G 30-39 years, male 22.2
GTEX-1HCUA-2426-SM-ADEIS 50-59 years, female 22.2
GTEX-14A6H-0126-SM-5QGPK 30-39 years, male 22.1
GTEX-1313W-0126-SM-5LZUN 50-59 years, female 22.0
GTEX-RNOR-0126-SM-E9J4R 50-59 years, female 22.0
GTEX-14ABY-0226-SM-5TDCQ 50-59 years, male 21.7
GTEX-ZYFD-0126-SM-5GIDL 50-59 years, male 21.7
GTEX-1J8JJ-0226-SM-CL53I 60-69 years, female 21.7
GTEX-1AYCT-2426-SM-7IGQ3 50-59 years, male 21.6
GTEX-Y8DK-0126-SM-4TT3L 60-69 years, male 21.6
GTEX-1EMGI-0126-SM-9KNUE 60-69 years, male 21.6
GTEX-17MFQ-1726-SM-793C7 20-29 years, male 21.5
GTEX-1QW4Y-1526-SM-EAZ3Z 30-39 years, male 21.5
GTEX-18QFQ-0126-SM-731BE 30-39 years, male 21.4
GTEX-U8XE-0326-SM-3DB8P 30-39 years, male 21.3
GTEX-1PIGE-0126-SM-EVYBJ 20-29 years, male 21.3
GTEX-13YAN-0326-SM-5O9DF 60-69 years, male 21.2
GTEX-16GPK-0126-SM-7DHLE 60-69 years, male 21.0
GTEX-PVOW-0126-SM-2XCFA 40-49 years, male 21.0
GTEX-QLQW-1126-SM-2S1Q8 30-39 years, male 21.0
GTEX-S7PM-0126-SM-4AD6S 60-69 years, male 21.0
GTEX-X4EO-0326-SM-3P5YO 60-69 years, female 21.0
GTEX-Y8LW-1826-SM-5S2MV 50-59 years, female 21.0
GTEX-WVJS-0126-SM-4MVOT 50-59 years, male 20.8
GTEX-ZVT4-0126-SM-DTXFN 50-59 years, female 20.8
GTEX-18A6Q-0126-SM-731BZ 60-69 years, male 20.7
GTEX-18D9B-0526-SM-7LTAS 60-69 years, male 20.7
GTEX-TMZS-0126-SM-3DB9Q 60-69 years, male 20.7
GTEX-Z93T-0126-SM-5HL5N 50-59 years, male 20.7
GTEX-13N1W-0126-SM-5K7VT 70-79 years, male 20.4
GTEX-T2IS-0126-SM-4DM6O 20-29 years, female 20.4
GTEX-ZXG5-0126-SM-5GIEU 60-69 years, male 20.4
GTEX-1F88F-2726-SM-7PBZZ 60-69 years, female 20.4
GTEX-139T8-0126-SM-5K7XZ 60-69 years, male 20.3
GTEX-18D9U-0226-SM-718BP 40-49 years, male 20.3
GTEX-11DYG-0126-SM-59883 60-69 years, male 20.2
GTEX-15G19-0126-SM-6PANQ 60-69 years, male 20.2
GTEX-R3RS-0126-SM-3GIJL 40-49 years, female 20.2
GTEX-1QPFJ-0226-SM-E76PB 30-39 years, female 20.2
GTEX-117XS-2726-SM-5N9BL 60-69 years, male 20.1
GTEX-17MF6-0126-SM-7LG4F 40-49 years, male 20.1
GTEX-RWSA-0126-SM-2XCBB 40-49 years, male 20.1
GTEX-1B933-0126-SM-7PC29 50-59 years, female 20.1
GTEX-1JN6P-0126-SM-D3L98 60-69 years, male 20.1
GTEX-13W46-0226-SM-5SIAG 50-59 years, male 20.0
GTEX-1GMRU-0126-SM-9YFLV 50-59 years, male 20.0
GTEX-ZAJG-0126-SM-5HL94 50-59 years, female 19.9
GTEX-ZVT2-2526-SM-51MT1 50-59 years, female 19.8
GTEX-1POEN-0126-SM-EYYXJ 30-39 years, female 19.8
GTEX-RTLS-0126-SM-447CA 60-69 years, female 19.7
GTEX-1GZHY-0326-SM-9QEHI 50-59 years, female 19.7
GTEX-133LE-1826-SM-5J1MV 20-29 years, female 19.6
GTEX-ZYFC-0226-SM-5NQ75 50-59 years, male 19.6
GTEX-ZYY3-0126-SM-5GZY5 60-69 years, female 19.6
GTEX-1F7RK-0126-SM-7PC2S 20-29 years, female 19.6
GTEX-1I1GU-2226-SM-CGQFA 40-49 years, male 19.6
GTEX-SUCS-1926-SM-32PM3 70-79 years, male 19.5
GTEX-Y8E4-0626-SM-4WWDL 40-49 years, male 19.5
GTEX-ZDTT-2726-SM-4WKF8 60-69 years, male 19.5
GTEX-13FXS-0226-SM-5IJCK 50-59 years, male 19.4
GTEX-13IVO-0126-SM-5J1NG 70-79 years, male 19.4
GTEX-17HII-0226-SM-7LG4E 50-59 years, male 19.4
GTEX-13OVL-0226-SM-5L3E9 50-59 years, male 19.2
GTEX-R55E-0126-SM-2TC5Y 20-29 years, male 19.2
GTEX-1HCU8-0626-SM-A9SM9 60-69 years, female 19.2
GTEX-139T4-0226-SM-5HL5S 50-59 years, female 19.1
GTEX-14BIN-0626-SM-793DP 50-59 years, female 18.8
GTEX-WYVS-2126-SM-3NMA3 40-49 years, female 18.8
GTEX-11XUK-2026-SM-5EQLF 40-49 years, female 18.7
GTEX-139TS-2826-SM-5J1OO 60-69 years, male 18.7
GTEX-1A32A-0126-SM-718B1 50-59 years, female 18.7
GTEX-1ICLY-0126-SM-D4P36 50-59 years, male 18.7
GTEX-148VJ-0126-SM-5TDDN 70-79 years, male 18.5
GTEX-17HG3-2226-SM-7938L 30-39 years, female 18.4
GTEX-1GF9W-0326-SM-9KNUN 60-69 years, male 18.4
GTEX-1JMQI-2226-SM-CM2SD 50-59 years, male 18.4
GTEX-11P82-1626-SM-59879 20-29 years, male 18.3
GTEX-V1D1-2226-SM-3NMAX 50-59 years, male 18.3
GTEX-1AX9J-0226-SM-73KXM 60-69 years, male 18.2
GTEX-1E1VI-0126-SM-7DHMZ 50-59 years, male 18.2
GTEX-1J8Q3-1626-SM-CMKGC 60-69 years, male 18.2
GTEX-P4PQ-0126-SM-2S1NM 60-69 years, male 18.1
GTEX-SIU8-0126-SM-2XCDT 50-59 years, male 18.1
GTEX-VJWN-0126-SM-3GIK7 50-59 years, female 18.1
GTEX-13G51-2526-SM-5LZYK 60-69 years, male 18.0
GTEX-1HBPN-0226-SM-9YFM1 50-59 years, male 18.0
GTEX-1HFI6-0226-SM-ADEHZ 40-49 years, male 18.0
GTEX-15D1Q-0126-SM-7KUG6 40-49 years, male 17.9
GTEX-17EVP-0326-SM-7DHLG 40-49 years, male 17.8
GTEX-1HBPI-1526-SM-C1YQ1 50-59 years, male 17.8
GTEX-11DXY-2626-SM-5GIE7 60-69 years, male 17.7
GTEX-1269C-2526-SM-5EGJ3 60-69 years, female 17.7
GTEX-1KAFJ-2026-SM-CY8ID 50-59 years, male 17.6
GTEX-16YQH-0126-SM-7DUFJ 30-39 years, male 17.5
GTEX-1GF9X-2026-SM-7PC3A 40-49 years, female 17.5
GTEX-14PII-0226-SM-6EU1T 60-69 years, male 17.4
GTEX-183WM-0126-SM-7LTAB 70-79 years, female 17.4
GTEX-RWS6-2026-SM-2XCB5 60-69 years, female 17.4
GTEX-WH7G-2326-SM-3NMBC 40-49 years, male 17.3
GTEX-15ER7-0326-SM-7KUEV 20-29 years, female 17.2
GTEX-R55G-2526-SM-2TC6D 40-49 years, female 17.2
GTEX-1ICG6-2526-SM-CGQFZ 70-79 years, female 17.2
GTEX-1KD4Q-0226-SM-E9TJ9 40-49 years, male 17.2
GTEX-1QEPI-0126-SM-EWRMQ 60-69 years, female 17.2
GTEX-1IOXB-0126-SM-ARL8G 50-59 years, male 17.1
GTEX-1QMI2-0226-SM-EVYBX 60-69 years, male 17.1
GTEX-16XZZ-0126-SM-793DV 60-69 years, male 17.0
GTEX-15EOM-0126-SM-7KUGG 20-29 years, female 16.9
GTEX-PW2O-1526-SM-7RHHB 20-29 years, male 16.9
GTEX-11GSO-2426-SM-5A5LY 60-69 years, male 16.7
GTEX-12WSC-0126-SM-5EQ4P 50-59 years, male 16.7
GTEX-1R9PO-2126-SM-E9J4O 60-69 years, female 16.7
GTEX-15UF6-0826-SM-6PALJ 70-79 years, female 16.6
GTEX-POMQ-2226-SM-2I5FK 20-29 years, female 16.6
GTEX-1EWIQ-0126-SM-7RHH2 70-79 years, female 16.6
GTEX-1GPI7-0126-SM-9MQL8 20-29 years, male 16.6
GTEX-1I1HK-0126-SM-COH49 60-69 years, male 16.6
GTEX-131YS-0126-SM-5KM1M 60-69 years, female 16.4
GTEX-1CB4E-2226-SM-793DC 60-69 years, male 16.4
GTEX-U3ZM-1526-SM-3DB9D 40-49 years, male 16.4
GTEX-1GF9V-0326-SM-7RHI5 60-69 years, male 16.4
GTEX-1GTWX-0126-SM-9YFLK 60-69 years, male 16.4
GTEX-1O97I-0326-SM-EYYX7 60-69 years, male 16.4
GTEX-1RAZA-0126-SM-E6CI3 20-29 years, male 16.4
GTEX-13VXU-0126-SM-5SI9F 50-59 years, male 16.3
GTEX-T6MN-0126-SM-32PLP 50-59 years, male 16.3
GTEX-1F5PK-2426-SM-7RHHY 50-59 years, male 16.3
GTEX-1H23P-0126-SM-ADEJ3 60-69 years, male 16.3
GTEX-OXRP-0126-SM-3NB32 60-69 years, female 16.2
GTEX-ZF2S-2326-SM-4WWCE 50-59 years, female 16.2
GTEX-117YW-2626-SM-5GZZH 50-59 years, male 16.1
GTEX-11EM3-2426-SM-59861 20-29 years, female 16.1
GTEX-XMD2-0126-SM-4YCDU 60-69 years, female 16.1
GTEX-Y5V5-2326-SM-4V6GA 60-69 years, female 16.1
GTEX-139D8-0226-SM-5KLZO 30-39 years, female 16.0
GTEX-15DCD-0126-SM-7KUEK 70-79 years, female 16.0
GTEX-1B8KZ-2026-SM-7DHMB 50-59 years, male 16.0
GTEX-YEC4-2126-SM-5IFJH 40-49 years, male 16.0
GTEX-11ZU8-2526-SM-5EQKI 60-69 years, male 15.9
GTEX-12ZZX-0126-SM-5EGK9 40-49 years, female 15.9
GTEX-14PJ6-2126-SM-6EU1V 60-69 years, female 15.9
GTEX-OIZG-0726-SM-33HBL 50-59 years, male 15.9
GTEX-X5EB-2226-SM-46MW4 40-49 years, male 15.9
GTEX-1RDX4-0126-SM-E9J4P 50-59 years, female 15.9
GTEX-12WSD-0126-SM-59HKN 60-69 years, female 15.8
GTEX-18A7B-0126-SM-7LG64 70-79 years, male 15.8
GTEX-1MJK2-0426-SM-DTXE5 50-59 years, male 15.8
GTEX-13RTL-0126-SM-7LG5S 40-49 years, male 15.7
GTEX-1CB4J-0626-SM-7DHMP 60-69 years, male 15.7
GTEX-1HCVE-0126-SM-CGQEU 50-59 years, male 15.7
GTEX-1AX9K-2326-SM-73KWU 50-59 years, male 15.6
GTEX-1B996-0226-SM-7RHGO 60-69 years, male 15.6
GTEX-1H3VY-0126-SM-ACKXD 50-59 years, male 15.6
GTEX-PWCY-1826-SM-DHXIZ 20-29 years, female 15.6
GTEX-W5X1-3026-SM-EAZAX 40-49 years, female 15.6
GTEX-145LU-0126-SM-5TDCB 50-59 years, male 15.5
GTEX-S33H-1026-SM-EZ6L6 30-39 years, male 15.5
GTEX-13CF3-2426-SM-5IFGX 60-69 years, female 15.4
GTEX-13OW6-0426-SM-5L3HM 50-59 years, male 15.4
GTEX-16MT8-0426-SM-7KUEY 60-69 years, female 15.3
GTEX-1GF9U-2126-SM-7SB7L 40-49 years, female 15.3
GTEX-1MGNQ-0126-SM-EVYCJ 40-49 years, male 15.3
GTEX-X4XY-0226-SM-4E3IZ 60-69 years, male 15.2
GTEX-13NYC-0326-SM-E9J4S 60-69 years, male 15.2
GTEX-1N2DV-0226-SM-E6CJ6 40-49 years, male 15.2
GTEX-14E6D-0126-SM-62LDV 50-59 years, male 15.1
GTEX-1A3MW-0126-SM-73KXX 60-69 years, female 15.1
GTEX-1JMOU-1526-SM-CL54I 60-69 years, female 15.1
GTEX-15SHU-0126-SM-7KUEH 40-49 years, female 15.0
GTEX-13NZB-2526-SM-5J1OM 30-39 years, male 14.9
GTEX-14PJ3-1826-SM-62LEX 50-59 years, male 14.9
GTEX-U8T8-0126-SM-3DB94 60-69 years, male 14.9
GTEX-ZV68-0126-SM-59HKS 50-59 years, female 14.9
GTEX-ZYT6-0226-SM-5NQ6T 30-39 years, male 14.9
GTEX-1GN2E-0426-SM-9MQKX 60-69 years, male 14.9
GTEX-1IGQW-0126-SM-COH42 60-69 years, male 14.9
GTEX-145LT-1726-SM-5QGP3 40-49 years, male 14.8
GTEX-18A67-0126-SM-7LG5P 50-59 years, male 14.8
GTEX-QEG4-0226-SM-2S1PY 30-39 years, male 14.8
GTEX-131XE-2326-SM-5PNZ2 50-59 years, male 14.7
GTEX-12696-2426-SM-5EQ6H 60-69 years, male 14.6
GTEX-SJXC-0126-SM-2XCFF 60-69 years, male 14.6
GTEX-16BQI-0226-SM-7KUEX 30-39 years, female 14.5
GTEX-11VI4-1726-SM-5CVLH 40-49 years, female 14.4
GTEX-13X6J-0126-SM-5QGOU 50-59 years, male 14.4
GTEX-1C6VR-2426-SM-79OLD 60-69 years, male 14.4
GTEX-XYKS-2126-SM-4E3IB 60-69 years, female 14.4
GTEX-1S5ZA-0126-SM-EVYCV 20-29 years, male 14.2
GTEX-11WQC-2526-SM-5CVLE 60-69 years, male 14.1
GTEX-1497J-2426-SM-7IGNX 60-69 years, male 14.1
GTEX-OHPL-0126-SM-2HMJ7 60-69 years, female 14.1
GTEX-1E2YA-0126-SM-9KNUC 50-59 years, male 14.1
GTEX-1K2DA-1826-SM-CGQGT 50-59 years, male 14.1
GTEX-14LZ3-0226-SM-62LET 60-69 years, female 14.0
GTEX-U412-0426-SM-3DB9O 60-69 years, male 14.0
GTEX-WZTO-0126-SM-3NM95 40-49 years, male 14.0
GTEX-1I1GS-0126-SM-B2LVW 60-69 years, male 14.0
GTEX-ZF29-2326-SM-DO92K 60-69 years, female 14.0
GTEX-14753-0426-SM-5NQAM 60-69 years, male 13.9
GTEX-ZAK1-0126-SM-5IJD3 50-59 years, female 13.9
GTEX-1PPH7-2326-SM-EVYB8 40-49 years, male 13.9
GTEX-13VXT-0126-SM-5LU4I 20-29 years, female 13.8
GTEX-17EUY-0426-SM-793BD 20-29 years, male 13.8
GTEX-WFG8-2226-SM-3GIL9 20-29 years, male 13.8
GTEX-1CAMR-1926-SM-7EPI2 20-29 years, male 13.7
GTEX-Z9EW-1626-SM-5CVMN 40-49 years, male 13.7
GTEX-1212Z-2526-SM-5EGKP 60-69 years, male 13.6
GTEX-13S7M-0126-SM-5SI6A 60-69 years, female 13.6
GTEX-T8EM-1026-SM-3DB7M 40-49 years, male 13.6
GTEX-1HCU7-0226-SM-CL545 50-59 years, male 13.6
GTEX-12WSK-2326-SM-5GCOH 40-49 years, female 13.5
GTEX-14PHX-2326-SM-62LEM 50-59 years, male 13.5
GTEX-1GZ4H-1726-SM-7PBZJ 50-59 years, female 13.5
GTEX-11H98-0126-SM-5EGHG 50-59 years, male 13.4
GTEX-14JG1-0426-SM-6ETZZ 40-49 years, male 13.4
GTEX-15DDE-0126-SM-6LPKH 50-59 years, female 13.4
GTEX-OXRK-0226-SM-3NB2G 50-59 years, female 13.4
GTEX-QV44-1926-SM-2S1RF 50-59 years, male 13.4
GTEX-XQ3S-1526-SM-4BOOC 20-29 years, male 13.4
GTEX-1H3O1-0426-SM-9YFKY 60-69 years, male 13.4
GTEX-WYJK-0126-SM-3NMAB 50-59 years, male 13.3
GTEX-1F75A-0126-SM-7RHGM 50-59 years, male 13.3
GTEX-1IL2U-0226-SM-CE6T8 60-69 years, male 13.3
GTEX-131XH-2226-SM-5DUXJ 50-59 years, male 13.2
GTEX-1LBAC-0126-SM-DIPEZ 20-29 years, male 13.2
GTEX-ZXES-1826-SM-5E43S 30-39 years, female 13.1
GTEX-1GZ2Q-0226-SM-7P8TL 40-49 years, male 13.1
GTEX-1QP9N-1426-SM-DTXFL 30-39 years, male 13.1
GTEX-PSDG-0226-SM-DKPOZ 50-59 years, male 13.0
GTEX-XBEW-0626-SM-4QASP 40-49 years, male 12.9
GTEX-YB5K-2126-SM-4WWDJ 40-49 years, female 12.9
GTEX-1RQEC-0426-SM-E6CHU 60-69 years, male 12.9
GTEX-147F4-0226-SM-5QGPW 50-59 years, male 12.8
GTEX-15SB6-1726-SM-6PAME 50-59 years, female 12.8
GTEX-QLQ7-1626-SM-2S1R8 60-69 years, male 12.8
GTEX-1IDJH-0326-SM-A9SLQ 70-79 years, male 12.8
GTEX-1JMQJ-0526-SM-CYPSU 50-59 years, male 12.8
GTEX-13OVI-1426-SM-5L3EY 60-69 years, female 12.7
GTEX-ZGAY-0526-SM-4WWBB 40-49 years, female 12.7
GTEX-1IL2V-0126-SM-CM2TX 70-79 years, male 12.7
GTEX-1OJC3-0126-SM-E76QX 20-29 years, male 12.7
GTEX-14DAR-2026-SM-5S2O3 50-59 years, male 12.6
GTEX-O5YW-0126-SM-3LK6D 50-59 years, male 12.6
GTEX-148VI-1626-SM-5SI6E 60-69 years, female 12.5
GTEX-14E7W-0126-SM-6LLJ9 70-79 years, male 12.5
GTEX-ZQUD-1426-SM-57WER 30-39 years, male 12.5
GTEX-1JMPZ-0226-SM-CNPP1 30-39 years, male 12.5
GTEX-1LG7Y-0526-SM-DKPQC 50-59 years, male 12.4
GTEX-13FHP-0126-SM-5IJBG 50-59 years, male 12.3
GTEX-1I1GP-2226-SM-CGQFK 50-59 years, male 12.3
GTEX-1B8KE-2126-SM-73KYX 50-59 years, male 12.2
GTEX-1HT8W-0126-SM-CNPPP 30-39 years, male 12.2
GTEX-1R9PM-2026-SM-E76OY 20-29 years, male 12.2
GTEX-13O3P-0126-SM-5KM4S 50-59 years, male 12.1
GTEX-UPJH-0326-SM-3GADU 50-59 years, male 12.1
GTEX-1HSMQ-1226-SM-CGQFX 50-59 years, male 12.1
GTEX-1B8SF-1426-SM-7DUGL 60-69 years, male 12.0
GTEX-ZZ64-1726-SM-5GZYB 20-29 years, male 12.0
GTEX-1KANB-0526-SM-E6CJH 50-59 years, male 12.0
GTEX-ZE9C-2726-SM-57WB5 60-69 years, male 11.9
GTEX-1JJEA-0326-SM-CNPOT 60-69 years, male 11.9
GTEX-13N2G-2626-SM-5J1OT 60-69 years, male 11.8
GTEX-14BMV-0126-SM-5S2PO 50-59 years, male 11.8
GTEX-1GN1W-0526-SM-9MQJQ 50-59 years, female 11.8
GTEX-1I1GQ-0126-SM-COH3H 50-59 years, male 11.8
GTEX-1I1GV-0526-SM-A9G29 60-69 years, male 11.8
GTEX-1JMPY-1326-SM-ARL8Y 30-39 years, male 11.8
GTEX-11UD2-0226-SM-5EQKY 50-59 years, male 11.7
GTEX-12ZZZ-0626-SM-5DUXI 60-69 years, male 11.7
GTEX-1399R-2726-SM-5IJBA 30-39 years, male 11.7
GTEX-14C5O-0126-SM-5SI6N 60-69 years, male 11.7
GTEX-WQUQ-0426-SM-3MJFU 60-69 years, male 11.7
GTEX-1CB4F-0426-SM-9KNV4 60-69 years, male 11.7
GTEX-1LVAN-0226-SM-COH3S 50-59 years, female 11.5
GTEX-13RTK-1426-SM-5QGQJ 20-29 years, male 11.4
GTEX-16NPX-0226-SM-79OMT 50-59 years, male 11.4
GTEX-NFK9-0226-SM-2HMKQ 40-49 years, male 11.4
GTEX-W5WG-1826-SM-4KL2Y 50-59 years, female 11.4
GTEX-1AX9I-0126-SM-7SB74 60-69 years, male 11.4
GTEX-1LB8K-0226-SM-EWRNW 50-59 years, male 11.4
GTEX-12WSG-2826-SM-E9J4H 50-59 years, female 11.3
GTEX-1HCU9-1526-SM-A9SL7 20-29 years, male 11.3
GTEX-OOBJ-0126-SM-E6CJW 60-69 years, male 11.3
GTEX-117YX-2326-SM-5H12W 50-59 years, male 11.1
GTEX-11LCK-1026-SM-5A5KB 30-39 years, male 11.1
GTEX-17HHE-2026-SM-79OKF 50-59 years, male 11.1
GTEX-Y114-2426-SM-4TT8A 50-59 years, female 11.1
GTEX-1N2EF-0226-SM-EYYXB 60-69 years, male 11.1
GTEX-145LS-0126-SM-5QGP1 60-69 years, female 11.0
GTEX-1B8SG-0126-SM-73KZ3 50-59 years, male 11.0
GTEX-1C2JI-1826-SM-73KXC 50-59 years, male 11.0
GTEX-XUW1-0426-SM-4BOOT 50-59 years, female 11.0
GTEX-ZYFG-2326-SM-5E44B 60-69 years, female 11.0
GTEX-T5JC-0426-SM-32PLO 20-29 years, male 10.9
GTEX-1J1R8-1726-SM-ARL8M 40-49 years, male 10.9
GTEX-1QP29-0626-SM-EWRMX 50-59 years, male 10.9
GTEX-12WSJ-1826-SM-5GCNY 40-49 years, female 10.8
GTEX-139TU-0126-SM-5K7WH 60-69 years, male 10.8
GTEX-14PHW-0126-SM-6LLJI 60-69 years, female 10.8
GTEX-1HKZK-0326-SM-9WYUH 40-49 years, male 10.8
GTEX-1IKJJ-0126-SM-CNPQB 60-69 years, male 10.7
GTEX-1JN76-0126-SM-CNPPE 20-29 years, female 10.7
GTEX-12ZZY-0226-SM-5LZVE 60-69 years, male 10.6
GTEX-14DAQ-0126-SM-5S2MQ 60-69 years, female 10.6
GTEX-QESD-1426-SM-2S1R9 20-29 years, male 10.6
GTEX-11UD1-0126-SM-5PNYG 40-49 years, female 10.5
GTEX-17HGU-0226-SM-7DHKV 50-59 years, male 10.5
GTEX-RVPV-0126-SM-EAZAW 60-69 years, male 10.5
GTEX-145LV-2126-SM-5LU8N 50-59 years, male 10.4
GTEX-1BAJH-0526-SM-793CQ 70-79 years, male 10.4
GTEX-ZTSS-1926-SM-57WEW 40-49 years, male 10.4
GTEX-1CB4H-0226-SM-7PBXM 60-69 years, female 10.4
GTEX-1HSEH-0126-SM-ACKXN 60-69 years, male 10.4
GTEX-13FTY-0526-SM-5L3EV 40-49 years, female 10.3
GTEX-1HBPH-0426-SM-B2LW5 40-49 years, female 10.3
GTEX-1PFEY-1526-SM-E76PP 30-39 years, male 10.3
GTEX-14BIM-0226-SM-7IGLD 60-69 years, female 10.2
GTEX-SNMC-1226-SM-2XCFP 20-29 years, male 10.2
GTEX-ZE7O-0126-SM-57WC1 50-59 years, female 10.2
GTEX-145ME-1826-SM-5SI9G 40-49 years, female 10.1
GTEX-1J8Q2-0526-SM-CM2RW 60-69 years, male 10.1
GTEX-1JMLX-0226-SM-CM2RO 50-59 years, male 10.1
GTEX-Q2AI-1326-SM-2S1PL 40-49 years, male 10.0
GTEX-ZVZP-2426-SM-59HKJ 50-59 years, male 10.0
GTEX-1H1E6-1726-SM-ACKVK 30-39 years, male 10.0
GTEX-1HSKV-0226-SM-A9SKJ 60-69 years, male 10.0
GTEX-1KANC-1526-SM-D3LAB 50-59 years, female 10.0
GTEX-1R7EV-2426-SM-EVYBG 40-49 years, male 10.0
GTEX-18465-0126-SM-731BN 50-59 years, male 9.9
GTEX-S95S-1226-SM-4GICG 60-69 years, male 9.9
GTEX-1MCQQ-0826-SM-DLHC2 60-69 years, male 9.9
GTEX-1128S-2326-SM-5GZZY 60-69 years, female 9.8
GTEX-RM2N-1426-SM-2TF4H 50-59 years, male 9.8
GTEX-169BO-1326-SM-9MQK2 50-59 years, male 9.8
GTEX-1HSGN-0226-SM-CGQFV 40-49 years, female 9.8
GTEX-1IDFM-0126-SM-COH2V 60-69 years, male 9.8
GTEX-P4PP-0126-SM-3LK69 30-39 years, female 9.6
GTEX-1I1GT-0626-SM-CGQER 60-69 years, female 9.6
GTEX-1IKOH-0226-SM-COH4E 60-69 years, female 9.6
GTEX-1LGOU-2026-SM-DIPFF 20-29 years, female 9.6
GTEX-1399T-2826-SM-5KLYZ 60-69 years, male 9.5
GTEX-OHPM-0126-SM-2YUN9 50-59 years, male 9.5
GTEX-ZU9S-0226-SM-5E441 30-39 years, male 9.5
GTEX-1F52S-0126-SM-9MQJU 60-69 years, female 9.5
GTEX-S7SE-0126-SM-2XCD5 50-59 years, male 9.4
GTEX-14PN3-2426-SM-6LLHS 60-69 years, female 9.3
GTEX-WOFL-0126-SM-3MJG2 60-69 years, male 9.3
GTEX-13FH7-2026-SM-E9J4I 50-59 years, female 9.3
GTEX-1LH75-2426-SM-E9TJE 50-59 years, female 9.3
GTEX-Z93S-0126-SM-5HL7M 50-59 years, male 9.2
GTEX-1I4MK-2226-SM-ACKWD 50-59 years, female 9.2
GTEX-111FC-0126-SM-5N9DL 60-69 years, male 9.1
GTEX-15F5U-1526-SM-6PANO 40-49 years, male 9.1
GTEX-TMMY-0226-SM-33HBA 40-49 years, female 9.1
GTEX-TSE9-0126-SM-3DB83 60-69 years, female 9.1
GTEX-1GMR3-1926-SM-9KNUZ 40-49 years, male 9.1
GTEX-1H1CY-2826-SM-9MQM3 60-69 years, female 9.1
GTEX-1F75I-0326-SM-9YFLU 40-49 years, male 9.0
GTEX-1NHNU-1026-SM-E9J2A 50-59 years, male 9.0
GTEX-15RIG-0226-SM-7KFTL 40-49 years, male 8.9
GTEX-15UKP-0426-SM-7KUFQ 20-29 years, male 8.9
GTEX-XAJ8-0826-SM-47JY6 40-49 years, male 8.9
GTEX-1H1DE-2126-SM-9WG6R 20-29 years, male 8.9
GTEX-PX3G-0126-SM-2I3EN 20-29 years, female 8.8
GTEX-X4XX-0126-SM-3NMC2 60-69 years, male 8.8
GTEX-1CAMS-0426-SM-7P8T2 40-49 years, female 8.8
GTEX-1NV5F-0226-SM-E8VNY 60-69 years, female 8.8
GTEX-12126-0326-SM-5PNW3 20-29 years, male 8.7
GTEX-13OW8-1326-SM-5J1OW 60-69 years, male 8.7
GTEX-1A3MV-1926-SM-718BT 30-39 years, male 8.7
GTEX-1AMEY-1326-SM-73KYK 30-39 years, female 8.7
GTEX-1C64N-0126-SM-793D7 50-59 years, male 8.7
GTEX-17F96-1626-SM-7DUFL 70-79 years, male 8.6
GTEX-T6MO-1626-SM-32QOM 40-49 years, female 8.6
GTEX-ZDTS-0126-SM-4WAY5 60-69 years, male 8.6
GTEX-1H4P4-0726-SM-9YFLR 50-59 years, male 8.6
GTEX-17F98-0626-SM-79OMX 40-49 years, female 8.5
GTEX-WXYG-2326-SM-4E3I6 50-59 years, female 8.5
GTEX-13O3Q-2426-SM-5IJBR 50-59 years, male 8.4
GTEX-16AAH-1726-SM-7939C 50-59 years, male 8.4
GTEX-ZTX8-1426-SM-5DUVO 20-29 years, male 8.4
GTEX-1GPI6-0126-SM-9WG69 60-69 years, male 8.4
GTEX-1OFPY-2426-SM-DTXEJ 60-69 years, male 8.4
GTEX-T2YK-0526-SM-32QPJ 50-59 years, male 8.3
GTEX-YB5E-2026-SM-5IFIS 40-49 years, male 8.3
GTEX-1M5QR-1226-SM-EWROB 40-49 years, male 8.3
GTEX-1PBJI-0526-SM-E8VNK 20-29 years, female 8.3
GTEX-PLZ6-1426-SM-DKPOT 30-39 years, male 8.3
GTEX-1MUQO-0126-SM-EAZ58 60-69 years, male 8.2
GTEX-13FTX-1826-SM-5J1NX 20-29 years, female 8.0
GTEX-13OVK-2026-SM-7KUEO 40-49 years, male 8.0
GTEX-11ZUS-0626-SM-59885 30-39 years, male 7.8
GTEX-13111-1626-SM-5EGJY 50-59 years, male 7.8
GTEX-16NGA-1726-SM-731B4 40-49 years, female 7.8
GTEX-11NSD-2226-SM-5986V 20-29 years, male 7.7
GTEX-Y5V6-2426-SM-4VDSB 60-69 years, male 7.7
GTEX-145MF-0626-SM-5LUAI 50-59 years, male 7.5
GTEX-WRHK-1426-SM-3MJF9 20-29 years, female 7.5
GTEX-1S83E-0126-SM-EWRO4 40-49 years, male 7.5
GTEX-ZPIC-1726-SM-DHXIU 40-49 years, female 7.5
GTEX-13O21-1426-SM-5K7XI 50-59 years, male 7.4
GTEX-13PDP-0126-SM-5L3HD 60-69 years, male 7.4
GTEX-13W3W-2426-SM-5LU5B 60-69 years, female 7.4
GTEX-17KNJ-2326-SM-7DHLQ 50-59 years, male 7.4
GTEX-Y5LM-1926-SM-5RQJH 40-49 years, female 7.4
GTEX-17JCI-0126-SM-7LG5G 60-69 years, female 7.3
GTEX-XPVG-2626-SM-4B669 50-59 years, male 7.3
GTEX-14A5H-0426-SM-5QGQF 60-69 years, male 7.2
GTEX-14E6C-0126-SM-5RQIP 40-49 years, male 7.2
GTEX-14ICK-0226-SM-6EU25 40-49 years, male 7.2
GTEX-17GQL-2026-SM-718BA 60-69 years, male 7.2
GTEX-1CAMQ-0226-SM-7IGPK 40-49 years, male 7.2
GTEX-1LG7Z-1726-SM-D3LA4 30-39 years, male 7.2
GTEX-1QAET-0926-SM-E76QM 50-59 years, male 7.2
GTEX-ZWKS-0126-SM-5SIAA 30-39 years, male 7.1
GTEX-131XF-5016-SM-7MGWE 60-69 years, male 7.1
GTEX-11EQ9-2426-SM-5HL5T 30-39 years, male 7.0
GTEX-18D9A-1926-SM-7LG6P 30-39 years, female 7.0
GTEX-RU72-0926-SM-2TF6B 50-59 years, female 6.9
GTEX-11TUW-2726-SM-E9J4M 60-69 years, male 6.9
GTEX-1EN7A-0126-SM-7SB81 40-49 years, male 6.9
GTEX-13NZ8-0826-SM-5MR3I 60-69 years, female 6.8
GTEX-1KWVE-1426-SM-E9TJO 30-39 years, male 6.8
GTEX-1MA7W-2026-SM-E9TJ6 20-29 years, female 6.8
GTEX-15CHC-2126-SM-6EU21 60-69 years, female 6.7
GTEX-OXRO-0126-SM-2YUN4 60-69 years, female 6.7
GTEX-1S3DN-2226-SM-EVYCD 50-59 years, male 6.7
GTEX-13X6H-2126-SM-7EWD5 50-59 years, female 6.6
GTEX-OIZH-0126-SM-2HMIS 50-59 years, male 6.6
GTEX-13PVR-2326-SM-5QGR1 60-69 years, female 6.5
GTEX-14BMU-2226-SM-5TDE9 20-29 years, female 6.4
GTEX-1IDJU-2626-SM-CM2RT 60-69 years, female 6.4
GTEX-1IKK5-0626-SM-ARL8A 60-69 years, male 6.4
GTEX-1QCLY-0326-SM-E8VOG 30-39 years, male 6.4
GTEX-15ETS-0126-SM-7KUMW 40-49 years, female 6.3
GTEX-1F6RS-0126-SM-9MQKZ 60-69 years, female 6.3
GTEX-1I6K6-0126-SM-A9SLE 30-39 years, male 6.3
GTEX-1PPH8-0226-SM-E8VND 20-29 years, male 6.3
GTEX-ZZPT-0226-SM-5E43X 50-59 years, male 6.2
GTEX-14JG6-2226-SM-6EU2G 30-39 years, female 6.1
GTEX-1I19N-0326-SM-ACKVX 70-79 years, male 6.1
GTEX-1HSMO-0126-SM-CL547 60-69 years, male 6.0
GTEX-T5JW-1626-SM-3GADZ 20-29 years, female 5.9
GTEX-UJHI-1526-SM-3DB99 50-59 years, female 5.9
GTEX-1KXAM-2226-SM-CYPTC 60-69 years, male 5.9
GTEX-11WQK-0526-SM-5EQLD 50-59 years, male 5.8
GTEX-X261-0126-SM-3NMD6 50-59 years, male 5.8
GTEX-139UW-2826-SM-5L3E7 60-69 years, male 5.7
GTEX-1HSMP-0126-SM-E6CJS 70-79 years, male 5.7
GTEX-1PDJ9-0326-SM-DTX95 20-29 years, male 5.7
GTEX-1R7EU-0226-SM-EVR4G 60-69 years, male 5.7
GTEX-ZV6S-2326-SM-4YCEY 40-49 years, female 5.6
GTEX-1F75B-0126-SM-9KNVL 50-59 years, male 5.6
GTEX-1PIIG-0226-SM-EWRN6 30-39 years, male 5.5
GTEX-144GL-0126-SM-5TDE2 50-59 years, male 5.4
GTEX-1F5PL-0326-SM-7P8PQ 40-49 years, female 5.4
GTEX-13113-5016-SM-7EPIP 60-69 years, female 5.3
GTEX-1B97I-1626-SM-73KYO 40-49 years, male 5.3
GTEX-1JN1M-0326-SM-CYPT3 60-69 years, female 5.3
GTEX-147F3-0526-SM-5SI98 50-59 years, female 5.2
GTEX-1CB4I-0226-SM-79OLH 50-59 years, male 5.2
GTEX-YJ89-0126-SM-4TT3X 60-69 years, male 5.2
GTEX-1KANA-0726-SM-D3L9I 20-29 years, male 5.2
GTEX-XUZC-1726-SM-4BRWS 30-39 years, female 5.1
GTEX-1JJ6O-0126-SM-E6CI8 60-69 years, male 5.1
GTEX-P4QT-0126-SM-2I3FL 50-59 years, female 5.0
GTEX-TKQ1-1026-SM-4GICL 30-39 years, male 4.9
GTEX-1H1ZS-0426-SM-9WG6G 70-79 years, male 4.8
GTEX-1K2DU-2326-SM-E9TIV 20-29 years, male 4.8
GTEX-13JUV-2726-SM-5LZZ8 40-49 years, female 4.7
GTEX-14A5I-0126-SM-5TDEA 50-59 years, female 4.7
GTEX-11TT1-2526-SM-5EGIB 20-29 years, male 4.6
GTEX-XQ8I-0426-SM-4BOPO 50-59 years, male 4.6
GTEX-12WSA-0226-SM-5BC5V 60-69 years, male 4.5
GTEX-1C4CL-0526-SM-73KVK 30-39 years, male 4.5
GTEX-13NYB-2526-SM-5K7Z6 40-49 years, male 4.4
GTEX-13OVH-0126-SM-5MR4B 70-79 years, male 4.3
GTEX-1MCYP-1926-SM-E9J2R 20-29 years, female 4.3
GTEX-S32W-2126-SM-2XCB1 50-59 years, female 4.2
GTEX-1QP2A-0126-SM-E9J43 50-59 years, male 4.2
GTEX-1C475-1826-SM-73KWA 40-49 years, female 4.0
GTEX-WFON-2126-SM-3LK7O 40-49 years, male 4.0
GTEX-1LGRB-2526-SM-CNPPQ 50-59 years, female 4.0
GTEX-131XG-2626-SM-5KM17 50-59 years, female 3.8
GTEX-1HFI7-1826-SM-ACKXH 50-59 years, female 3.7
GTEX-13FTW-2626-SM-5K7WL 40-49 years, male 3.6
GTEX-14E6E-1826-SM-5S2R7 30-39 years, male 3.5
GTEX-1GL5R-1826-SM-9KNUY 50-59 years, male 3.3
GTEX-12WSE-0526-SM-793B2 20-29 years, male 3.2
GTEX-15EU6-0426-SM-6PAN5 50-59 years, male 3.2
GTEX-14XAO-2326-SM-6EU1B 60-69 years, female 3.1
GTEX-1J8QM-2126-SM-CYPSJ 60-69 years, female 3.0
GTEX-1LSNM-1926-SM-E6CII 50-59 years, male 3.0
GTEX-1122O-2126-SM-5EGIR 60-69 years, female 2.8
GTEX-1JMQL-0226-SM-CNPP5 50-59 years, female 2.8
GTEX-1AMFI-2026-SM-731BH 50-59 years, female 2.4
GTEX-1L5NE-2526-SM-E6CIE 50-59 years, male 1.4
Show allShow less

Contact

  • NEWS ARTICLES
  • PRESS ROOM

The Project

  • INTRODUCTION
  • ORGANIZATION
  • PUBLICATIONS

The Human Protein Atlas

  • DOWNLOADABLE DATA
  • LICENCE & CITATION
  • HELP & FAQ
The Human Protein Atlas project is funded
by the Knut & Alice Wallenberg Foundation.


contact@proteinatlas.org