We use cookies to enhance the usability of our website. If you continue, we'll assume that you are happy to receive all cookies. More information. Don't show this again.
MED20
HPA
RESOURCES
  • TISSUE
  • BRAIN
  • SINGLE CELL
  • SUBCELLULAR
  • CANCER
  • BLOOD
  • CELL LINE
  • STRUCTURE & INTERACTION
ABOUT
  • INTRODUCTION
  • HISTORY
  • ORGANIZATION
  • PUBLICATIONS
  • ANTIBODY SUBMISSION
  • ANTIBODY AVAILABILITY
  • ACKNOWLEDGMENTS
  • CONTACT
NEWS
  • NEWS ARTICLES
  • PRESS ROOM
LEARN
  • DICTIONARY
  • PROTEIN CLASSES
  • PROTEIN EVIDENCE
  • METHODS
  • EDUCATIONAL VIDEOS
DATA
  • DOWNLOADABLE DATA
  • PUBLICATION DATA
  • RELEASE HISTORY
HELP
  • ANTIBODY VALIDATION
  • ASSAYS & ANNOTATION
  • DISCLAIMER
  • HELP & FAQ
  • PRIVACY STATEMENT
  • LICENCE & CITATION
Fields »
Search result

Field
Term
Gene name
Class
Subclass
Class
Keyword
Chromosome
External id
Tissue
Cell type
Expression
Antibody panel
Tissue
Main location
Patient ID
Annotation
Tissue
Category
Tau score
Cluster
Reliability
Brain region
Category
Tau score
Brain region
Category
Tau score
Brain region
Category
Tau score
Cluster
Reliability
Tissue
Cell type
Enrichment
Cell type
Category
Tau score
Cell type
Category
Tau score
Cell type
Category
Tau score
Cell lineage
Category
Tau score
Cluster
Cluster
Location
Searches
Location
Cell line
Class
Type
Phase
Reliability
Cancer
Prognosis
Cancer
Category
Cancer
Category
Tau score
Cluster
Variants
Interacting gene (ensg_id)
Type
Number of interactions
Pathway
Category
Score
Score
Score
Validation
Validation
Validation
Validation
Antibodies
Data type
Column


  • SUMMARY

  • TISSUE

  • BRAIN

  • SINGLE CELL

  • SUBCELL

  • CANCER

  • BLOOD

  • CELL LINE

  • STRUCT & INT

  • MED20
TISSUE PRIMARY DATA HEART MUSCLE Show tissue menu
ADIPOSE TISSUE ADRENAL GLAND AMYGDALA APPENDIX BASAL GANGLIA BONE MARROW BREAST CEREBELLUM CEREBRAL CORTEX CERVIX CHOROID PLEXUS COLON DUODENUM
ENDOMETRIUM EPIDIDYMIS ESOPHAGUS FALLOPIAN TUBE GALLBLADDER HEART MUSCLE HIPPOCAMPAL FORMATION HYPOTHALAMUS KIDNEY LIVER LUNG LYMPH NODE MIDBRAIN
OVARY PANCREAS PARATHYROID GLAND PITUITARY GLAND PLACENTA PROSTATE RECTUM RETINA SALIVARY GLAND SEMINAL VESICLE SKELETAL MUSCLE SKIN SMALL INTESTINE
SMOOTH MUSCLE SPINAL CORD SPLEEN STOMACH TESTIS THYMUS THYROID GLAND TONGUE TONSIL URINARY BLADDER VAGINA
ANTIBODIES
AND
VALIDATION
Dictionary
Heart muscle
Tissue proteome
Heart
HEART MUSCLE - Expression summary
Protein expressioni

On the top, protein expression in current human tissue, based on all annotated cell types, is reported with the units not detected (n), low (l), medium (m) and high (h). Underneath, protein expression in each annotated cell type are reported using the same units.

Protein expression data is based on knowledge-based annotation. For genes where more than one antibody has been used, a collective score is set.

If knowledge-based annotation could not be performed for a gene, no data is displayed here. View antibody staining data further down this page.

No data
RNA expressioni

A summary of mRNA expression data available for current tissue based on several datasets. The mRNA expression levels in human tissues are based on RNA-seq data generated by the Human Protein Atlas (HPA), Genotype-Tissue Expression (GTEx) portal and CAGE data generated by the FANTOM5 consortium. Consensus normalized expression levels for human tissues was created by combining the data from HPA and GTEx datasets.

The mRNA expression levels in pig are based on RNA-seq data generated by the Human Protein Atlas (HPA), and for mouse, HPA data and in situ hybridization generated by the Allen brain atlas are reported.

Scroll down to view mRNA expression data in more detail.
Consensus:11.2 nTPM
HPA:9.2 nTPM
GTEx:11.2 nTPM
FANTOM5:13.1 Scaled Tags Per Million

HEART MUSCLE - Annotated protein expression
Pending normal tissue analysis

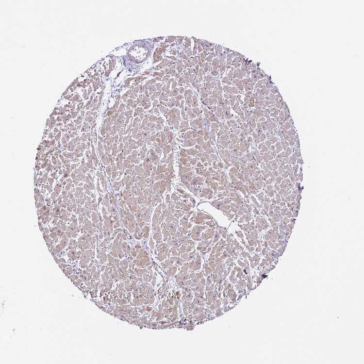
HEART MUSCLE - Antibody stainingi

Antibody staining in the annotated cell types in the current human tissue is reported as not detected, low, medium, or high, based on conventional immunohistochemistry profiling in selected tissues. This score is based on the combination of the staining intensity and fraction of stained cells.

Each image is clickable and will lead to virtual microscopy that enables deeper exploration of all samples and also displays staining intensity scores, fraction scores and subcellular localization as well as patient and tissue information for each sample.

Antibody HPA040717
Cardiomyocytes Low


HEART MUSCLE - HPA RNA-seqi

The RNA-seq details section shows detailed information about the individual samples used for the transcript profiling and results of the RNA-seq analysis.

Information about each individual sample is listed below, including gender, age, a tissue section image and estimated fractions of cell types. nTPM (normalized transcripts per million) values give a quantification of the gene abundance which is comparable between different genes and samples.
Average nTPMi

Max subtype nTPM is the value for the subtype with the largest average nTPM across the subtype samples.

9.2
overview
Female, age 48
Heart muscle sample 149
nTPM: 9
Cell types%
Myocytes:
15

Fibroblasts:
55

Endothelial cells:
25

Other cell types:
5

overview
Female, age 42
Heart muscle sample 150
nTPM: 11.6
Cell types%
Myocytes:
20

Fibroblasts:
45

Endothelial cells:
30

Other cell types:
5

overview
Male, age 53
Heart muscle sample 151
nTPM: 7.6
Cell types%
Myocytes:
20

Fibroblasts:
45

Endothelial cells:
30

Other cell types:
5

overview
Female, age 69
Heart muscle sample 152
nTPM: 8.7
Cell types%
Myocytes:
20

Fibroblasts:
45

Endothelial cells:
30

Other cell types:
5


HEART MUSCLE - GTEx RNA-seqi

RNA-Seq data generated by the Genotype-Tissue Expression (GTEx) project from human tissues is reported as mean nTPM. More information can be found on the GTEx portal.

Distribution across the dataset is visualized with box plots, shown as median and 25th and 75th percentiles. Points are displayed as outliers if they are above or below 1.5 times the interquartile range. nTPM values of the individual samples are presented next to the box plot.
Max subtype nTPMi

Max subtype nTPM is the value for the subtype with the largest average nTPM across the subtype samples.

11.2
GTEx sample id Sample description nTPM
Heart - Atrial Appendage
Average nTPM: 7.4
Samples: 429

Max nTPM: 14.0
Min nTPM: 2.5
Std nTPM: 1.9
Median nTPM: 7.3
GTEX-1GF9U-0526-SM-7P8SK 40-49 years, female 14.0
GTEX-132AR-1926-SM-5EGK5 50-59 years, female 13.9
GTEX-XXEK-2026-SM-4BRVE 50-59 years, male 13.8
GTEX-11TT1-1426-SM-5EGIA 20-29 years, male 13.0
GTEX-1HFI7-0526-SM-A9SMA 50-59 years, female 12.6
GTEX-1HBPN-0926-SM-CGQEG 50-59 years, male 12.4
GTEX-WZTO-1226-SM-3NMAZ 40-49 years, male 12.3
GTEX-145MN-0726-SM-5NQBH 30-39 years, male 11.9
GTEX-WFG8-0726-SM-3GILP 20-29 years, male 11.9
GTEX-1K2DU-0226-SM-DIPF6 20-29 years, male 11.7
GTEX-1KANC-0226-SM-E9TIW 50-59 years, female 11.5
GTEX-1LGRB-1026-SM-CNPQD 50-59 years, female 11.5
GTEX-WHWD-0326-SM-3LK6L 50-59 years, male 11.4
GTEX-YF7O-0526-SM-5P9IO 50-59 years, male 11.3
GTEX-W5X1-0826-SM-3GILN 40-49 years, female 11.2
GTEX-132QS-0526-SM-5IJC7 60-69 years, male 11.1
GTEX-WH7G-0326-SM-3NMBH 40-49 years, male 11.1
GTEX-XYKS-0226-SM-4BRW3 60-69 years, female 11.1
GTEX-Y3I4-0526-SM-4TT6X 50-59 years, male 11.0
GTEX-1J8QM-0326-SM-CL53D 60-69 years, female 11.0
GTEX-1NHNU-0626-SM-E6CP1 50-59 years, male 10.9
GTEX-1122O-0626-SM-5N9B9 60-69 years, female 10.8
GTEX-13S86-0326-SM-5SI6K 40-49 years, male 10.8
GTEX-XBEC-1226-SM-4AT65 50-59 years, male 10.8
GTEX-1OFPY-0926-SM-DTX8Q 60-69 years, male 10.8
GTEX-UPK5-0226-SM-3GAEV 40-49 years, male 10.6
GTEX-1R9JW-0426-SM-E76QL 30-39 years, female 10.6
GTEX-117YX-0626-SM-5EGJI 50-59 years, male 10.5
GTEX-XQ8I-0226-SM-4BOPM 50-59 years, male 10.5
GTEX-1JK1U-0626-SM-CKZOJ 60-69 years, male 10.5
GTEX-13O61-0426-SM-5L3ET 60-69 years, male 10.4
GTEX-13PDP-1326-SM-5K7U9 60-69 years, male 10.4
GTEX-13RTJ-0526-SM-62LDP 60-69 years, male 10.4
GTEX-14PK6-0726-SM-6LLIX 70-79 years, female 10.4
GTEX-1B97J-0326-SM-7939H 50-59 years, female 10.4
GTEX-1HSGN-0926-SM-CNNQM 40-49 years, female 10.4
GTEX-1QCLZ-1126-SM-EWRNB 60-69 years, female 10.4
GTEX-13W3W-0526-SM-5LU3X 60-69 years, female 10.3
GTEX-1GN1W-0226-SM-7P8QY 50-59 years, female 10.3
GTEX-1IKOE-0626-SM-A9G31 30-39 years, female 10.3
GTEX-1MJIX-0426-SM-DTXEN 40-49 years, male 10.3
GTEX-X3Y1-0226-SM-3P5Z5 40-49 years, male 10.2
GTEX-ZV7C-0526-SM-9WPNK 50-59 years, male 10.2
GTEX-12BJ1-0326-SM-5FQUB 60-69 years, male 10.1
GTEX-U8XE-0926-SM-3DB8V 30-39 years, male 10.1
GTEX-1399S-0826-SM-5KM23 30-39 years, female 10.0
GTEX-1AX9K-0426-SM-73KUG 50-59 years, male 10.0
GTEX-1RLM8-0226-SM-E6CJY 50-59 years, male 10.0
GTEX-11EMC-0826-SM-59862 60-69 years, female 9.9
GTEX-12WSN-0226-SM-5DUXH 40-49 years, male 9.9
GTEX-14XAO-0926-SM-69LPZ 60-69 years, female 9.9
GTEX-17F9Y-1226-SM-7EPGE 70-79 years, female 9.9
GTEX-V955-0826-SM-CYPR5 60-69 years, male 9.8
GTEX-15UF7-1526-SM-6LPI7 40-49 years, male 9.7
GTEX-WFON-0226-SM-3GIKR 40-49 years, male 9.7
GTEX-XPVG-0726-SM-4B658 50-59 years, male 9.7
GTEX-1JMLX-1826-SM-CNPOX 50-59 years, male 9.7
GTEX-YEC3-0426-SM-CYPS8 50-59 years, male 9.6
GTEX-11DXX-0526-SM-5PNVR 60-69 years, female 9.5
GTEX-1399R-1726-SM-5K7YJ 30-39 years, male 9.5
GTEX-13FTW-0826-SM-5K7XR 40-49 years, male 9.5
GTEX-13JVG-1126-SM-5KM2M 60-69 years, male 9.5
GTEX-1H3VY-1126-SM-A96TP 50-59 years, male 9.5
GTEX-1MCC2-0226-SM-EVYD5 30-39 years, female 9.5
GTEX-1QP29-1426-SM-DTX9Q 50-59 years, male 9.5
GTEX-1HSMQ-0426-SM-ADEIM 50-59 years, male 9.4
GTEX-ZEX8-0326-SM-DO92C 50-59 years, male 9.4
GTEX-13NZ9-0126-SM-5K7XV 50-59 years, male 9.3
GTEX-15SDE-1826-SM-7KUFN 50-59 years, female 9.3
GTEX-ZYVF-1826-SM-5E44F 50-59 years, female 9.3
GTEX-1LVAN-1526-SM-CNPQN 50-59 years, female 9.3
GTEX-1339X-0326-SM-5K7Z8 40-49 years, male 9.2
GTEX-144GL-1026-SM-5O99R 50-59 years, male 9.2
GTEX-WEY5-0226-SM-3GIKN 40-49 years, female 9.2
GTEX-XGQ4-0526-SM-4AT6C 50-59 years, male 9.2
GTEX-1B8L1-0426-SM-7SB76 60-69 years, male 9.2
GTEX-15EU6-1326-SM-6PANG 50-59 years, male 9.0
GTEX-WFG7-0826-SM-3GIKU 20-29 years, male 9.0
GTEX-1F75I-1326-SM-7PBZX 40-49 years, male 9.0
GTEX-1GL5R-0426-SM-9WPOP 50-59 years, male 9.0
GTEX-1H3NZ-1026-SM-A9SM5 60-69 years, male 9.0
GTEX-1R7EV-0426-SM-DTX7Z 40-49 years, male 9.0
GTEX-ZPCL-0526-SM-DO91R 60-69 years, female 9.0
GTEX-16XZY-0526-SM-7DHKY 70-79 years, male 8.9
GTEX-ZLFU-0326-SM-4WWBK 40-49 years, male 8.9
GTEX-1IDJF-0826-SM-ARU7N 20-29 years, male 8.9
GTEX-1LSNM-0426-SM-E9TIZ 50-59 years, male 8.9
GTEX-ZPIC-0426-SM-DO91V 40-49 years, female 8.9
GTEX-11P81-0526-SM-59873 30-39 years, female 8.8
GTEX-12WSC-1026-SM-5EQ5Y 50-59 years, male 8.8
GTEX-13O3P-1426-SM-5L3DT 50-59 years, male 8.8
GTEX-14PJO-0826-SM-6ETZK 60-69 years, male 8.8
GTEX-X62O-0826-SM-46MW8 50-59 years, male 8.8
GTEX-XOT4-1126-SM-4B66E 60-69 years, female 8.8
GTEX-ZT9W-0526-SM-57WFG 50-59 years, male 8.8
GTEX-1CB4J-0226-SM-7P8T4 60-69 years, male 8.8
GTEX-1B8KE-0326-SM-73KTY 50-59 years, male 8.7
GTEX-1CB4I-1526-SM-7DHMY 50-59 years, male 8.7
GTEX-Y3IK-1026-SM-51MR7 50-59 years, female 8.7
GTEX-ZYFG-0526-SM-5GZXX 60-69 years, female 8.7
GTEX-14JG1-0826-SM-5ZZWR 40-49 years, male 8.6
GTEX-15RIE-1326-SM-6PAMM 60-69 years, male 8.6
GTEX-17KNJ-0626-SM-7LT9L 50-59 years, male 8.6
GTEX-ZDTT-0326-SM-4WKF9 60-69 years, male 8.6
GTEX-1HBPM-1026-SM-ARL9D 60-69 years, female 8.6
GTEX-1QPFJ-0926-SM-EVR3K 30-39 years, female 8.6
GTEX-1211K-0226-SM-59HJY 60-69 years, female 8.5
GTEX-13X6K-1726-SM-7IGLG 60-69 years, female 8.5
GTEX-14C39-0726-SM-5RQIK 40-49 years, male 8.5
GTEX-15SHV-0526-SM-7KUEN 60-69 years, male 8.5
GTEX-XPT6-0226-SM-4B65L 20-29 years, male 8.5
GTEX-XV7Q-0726-SM-4BRV6 40-49 years, female 8.5
GTEX-ZAB5-0126-SM-5CVMT 50-59 years, male 8.5
GTEX-1AYCT-0526-SM-7RHHS 50-59 years, male 8.5
GTEX-1HCU7-1226-SM-B2LX8 50-59 years, male 8.5
GTEX-1HSMO-1126-SM-CGQF2 60-69 years, male 8.5
GTEX-1J8Q3-1126-SM-ARU8N 60-69 years, male 8.5
GTEX-1POEN-0726-SM-DTXDU 30-39 years, female 8.5
GTEX-12696-1226-SM-5FQSM 60-69 years, male 8.4
GTEX-13D11-1526-SM-5J2NA 50-59 years, female 8.4
GTEX-14C38-1326-SM-62LDK 50-59 years, male 8.4
GTEX-1AX8Z-1126-SM-731CS 60-69 years, male 8.4
GTEX-1C2JI-0626-SM-7DHM1 50-59 years, male 8.4
GTEX-YEC4-0226-SM-4W1YG 40-49 years, male 8.4
GTEX-1H11D-1026-SM-9QEIU 40-49 years, male 8.4
GTEX-1ICG6-0726-SM-B2LY5 70-79 years, female 8.4
GTEX-1KANB-1126-SM-DHXJT 50-59 years, male 8.4
GTEX-11LCK-0826-SM-5PNYD 30-39 years, male 8.3
GTEX-13FH7-0826-SM-5J2NW 50-59 years, female 8.3
GTEX-13PVR-0926-SM-5S2RB 60-69 years, female 8.3
GTEX-18D9U-1426-SM-718BO 40-49 years, male 8.3
GTEX-1B996-1026-SM-793CF 60-69 years, male 8.3
GTEX-Y5V5-0726-SM-4VBPY 60-69 years, female 8.3
GTEX-ZPU1-0726-SM-5HL6O 40-49 years, male 8.3
GTEX-ZZPU-1126-SM-5N9CW 50-59 years, female 8.3
GTEX-1IDJD-0226-SM-CKZOA 30-39 years, male 8.3
GTEX-11ZTT-0526-SM-5EQLA 60-69 years, female 8.2
GTEX-13JUV-0226-SM-5IJCC 40-49 years, female 8.2
GTEX-14BIM-2726-SM-5Q5EG 60-69 years, female 8.2
GTEX-ZTTD-0626-SM-4YCCY 50-59 years, male 8.2
GTEX-ZYFD-2026-SM-5E459 50-59 years, male 8.2
GTEX-1IL2V-1126-SM-CMKGH 70-79 years, male 8.2
GTEX-131XE-0526-SM-5K7YT 50-59 years, male 8.1
GTEX-131XG-0526-SM-5DUWF 50-59 years, female 8.1
GTEX-15DCE-0826-SM-7KULW 20-29 years, male 8.1
GTEX-1B932-1326-SM-79OM4 40-49 years, female 8.1
GTEX-WY7C-1126-SM-3NB3A 50-59 years, male 8.1
GTEX-ZDTS-1226-SM-4WKGL 60-69 years, male 8.1
GTEX-1J1OQ-2226-SM-A96SS 40-49 years, female 8.1
GTEX-11TUW-1126-SM-5EQKJ 60-69 years, male 8.0
GTEX-13PL7-0726-SM-5KM1S 60-69 years, female 8.0
GTEX-14PHX-0626-SM-5YY8Z 50-59 years, male 8.0
GTEX-V1D1-0626-SM-4JBHN 50-59 years, male 8.0
GTEX-ZAJG-0926-SM-5Q5AB 50-59 years, female 8.0
GTEX-1GMR8-1026-SM-9MQLA 50-59 years, female 8.0
GTEX-1H2FU-0826-SM-9WYSU 60-69 years, female 8.0
GTEX-1I1GR-1026-SM-A9SLC 60-69 years, male 8.0
GTEX-1I1HK-0626-SM-CNPQM 60-69 years, male 8.0
GTEX-1KXAM-1426-SM-D3LAC 60-69 years, male 8.0
GTEX-12WSK-0526-SM-5CVNA 40-49 years, female 7.9
GTEX-13O21-0326-SM-5J1N9 50-59 years, male 7.9
GTEX-145LV-0226-SM-5S2QG 50-59 years, male 7.9
GTEX-15CHR-0326-SM-7DHN3 50-59 years, male 7.9
GTEX-1JJ6O-2226-SM-AHZ3I 60-69 years, male 7.9
GTEX-11NV4-0826-SM-5BC4S 60-69 years, male 7.8
GTEX-12ZZY-1226-SM-5GCNK 60-69 years, male 7.8
GTEX-14A6H-0326-SM-5NQAN 30-39 years, male 7.8
GTEX-14E1K-0826-SM-5ZZW9 50-59 years, male 7.8
GTEX-14PJ4-0926-SM-5YY98 60-69 years, male 7.8
GTEX-16MT8-0826-SM-7KULO 60-69 years, female 7.8
GTEX-YB5K-0226-SM-5IFJE 40-49 years, female 7.8
GTEX-1IDJU-0626-SM-CKZOG 60-69 years, female 7.8
GTEX-111YS-0326-SM-5GZZ3 60-69 years, male 7.7
GTEX-11ZUS-0326-SM-5EQ4W 30-39 years, male 7.7
GTEX-13112-0526-SM-5EQ4S 50-59 years, male 7.7
GTEX-14PN4-0826-SM-69LON 50-59 years, male 7.7
GTEX-15CHQ-1326-SM-6871Z 60-69 years, male 7.7
GTEX-16NPX-0826-SM-6M489 50-59 years, male 7.7
GTEX-17HGU-1126-SM-793BP 50-59 years, male 7.7
GTEX-183WM-0926-SM-718AN 70-79 years, female 7.7
GTEX-1HBPH-0226-SM-9WYSM 40-49 years, female 7.7
GTEX-1HR98-1026-SM-CKZOM 60-69 years, male 7.7
GTEX-1MJK2-1626-SM-EVYCQ 50-59 years, male 7.7
GTEX-146FH-1126-SM-5NQAT 50-59 years, female 7.6
GTEX-14PHY-0326-SM-62LE3 60-69 years, female 7.6
GTEX-17GQL-0626-SM-731CN 60-69 years, male 7.6
GTEX-YECK-1226-SM-4W21G 60-69 years, male 7.6
GTEX-1CAMS-1126-SM-7MXUQ 40-49 years, female 7.6
GTEX-1IKJJ-0626-SM-CY8GF 60-69 years, male 7.6
GTEX-14DAQ-1026-SM-793B1 60-69 years, female 7.5
GTEX-WOFL-1226-SM-4OOST 60-69 years, male 7.5
GTEX-YFC4-0426-SM-4TT3J 40-49 years, female 7.5
GTEX-ZF2S-0826-SM-4WWBI 50-59 years, female 7.5
GTEX-ZTPG-1326-SM-51MSQ 20-29 years, female 7.5
GTEX-1L5NE-0526-SM-DIPG5 50-59 years, male 7.5
GTEX-1LGOU-0326-SM-D3LAM 20-29 years, female 7.5
GTEX-1212Z-0726-SM-5EGI5 60-69 years, male 7.4
GTEX-12WSD-1226-SM-5HL9Q 60-69 years, female 7.4
GTEX-12WSI-0426-SM-5EQ5J 50-59 years, male 7.4
GTEX-13CF2-0226-SM-5L3DV 60-69 years, male 7.4
GTEX-13PL6-0826-SM-5IJBI 40-49 years, female 7.4
GTEX-13VXT-0726-SM-5SIAD 20-29 years, female 7.4
GTEX-13YAN-1426-SM-7EPG8 60-69 years, male 7.4
GTEX-14PN3-0726-SM-6EU14 60-69 years, female 7.4
GTEX-17F96-0826-SM-7DHLU 70-79 years, male 7.4
GTEX-X5EB-0626-SM-46MVQ 40-49 years, male 7.4
GTEX-XLM4-2026-SM-4AT4X 60-69 years, male 7.4
GTEX-Y114-0126-SM-4TT8K 50-59 years, female 7.4
GTEX-1F75B-1126-SM-7RHGP 50-59 years, male 7.4
GTEX-1NSGN-1226-SM-E76OL 50-59 years, male 7.4
GTEX-11UD2-0926-SM-5CVL6 50-59 years, male 7.3
GTEX-11ZVC-0526-SM-5N9G1 50-59 years, female 7.3
GTEX-139YR-0526-SM-5L3DG 50-59 years, male 7.3
GTEX-13FXS-1026-SM-62LFQ 50-59 years, male 7.3
GTEX-13NZB-0426-SM-5KM26 30-39 years, male 7.3
GTEX-13QBU-0226-SM-5LU48 40-49 years, female 7.3
GTEX-145LS-1326-SM-5Q5EP 60-69 years, female 7.3
GTEX-1C64O-0926-SM-79OLN 60-69 years, male 7.3
GTEX-XQ3S-0526-SM-4BOQA 20-29 years, male 7.3
GTEX-1EX96-2626-SM-9MQJV 50-59 years, male 7.3
GTEX-1HSKV-0726-SM-ACKWE 60-69 years, male 7.3
GTEX-1192W-0226-SM-5EGGT 60-69 years, male 7.2
GTEX-12WSG-1226-SM-5EQ4C 50-59 years, female 7.2
GTEX-14H4A-0426-SM-5ZZWO 40-49 years, female 7.2
GTEX-14PJ6-0626-SM-686Z6 60-69 years, female 7.2
GTEX-14PJM-0826-SM-6LLIW 50-59 years, female 7.2
GTEX-1B8SF-1326-SM-7IGQJ 60-69 years, male 7.2
GTEX-1EWIQ-1126-SM-7EPIK 70-79 years, female 7.2
GTEX-ZF3C-1126-SM-57WEG 50-59 years, female 7.2
GTEX-ZYT6-0926-SM-5GIEM 30-39 years, male 7.2
GTEX-1I1GP-0626-SM-ARL7H 50-59 years, male 7.2
GTEX-1I1GQ-1226-SM-CL55J 50-59 years, male 7.2
GTEX-1IOXB-0726-SM-A9G32 50-59 years, male 7.2
GTEX-1M5QR-1626-SM-E9U5O 40-49 years, male 7.2
GTEX-11DXY-1026-SM-5987V 60-69 years, male 7.1
GTEX-1477Z-1126-SM-5P9GK 60-69 years, male 7.1
GTEX-14BIN-2126-SM-793AX 50-59 years, female 7.1
GTEX-18A6Q-1526-SM-731CO 60-69 years, male 7.1
GTEX-1B933-0826-SM-79OMW 50-59 years, female 7.1
GTEX-1CB4E-0626-SM-7DHMW 60-69 years, male 7.1
GTEX-ZDYS-0326-SM-5HL4W 50-59 years, male 7.1
GTEX-ZUA1-0726-SM-4YCD9 40-49 years, male 7.1
GTEX-1I1GV-1426-SM-B2LXN 60-69 years, male 7.1
GTEX-11DXZ-0326-SM-5EGH1 50-59 years, male 7.0
GTEX-12WSA-1126-SM-5EGKU 60-69 years, male 7.0
GTEX-ZGAY-0226-SM-4WWAL 40-49 years, female 7.0
GTEX-ZVT4-1326-SM-5NQ8E 50-59 years, female 7.0
GTEX-1C6VQ-0826-SM-7PBZT 50-59 years, male 7.0
GTEX-1HT8W-1326-SM-CGQEN 30-39 years, male 7.0
GTEX-VUSG-0726-SM-3GIK1 50-59 years, male 6.9
GTEX-WQUQ-1326-SM-3MJFF 60-69 years, male 6.9
GTEX-ZDXO-0426-SM-4WKF6 60-69 years, male 6.9
GTEX-1LH75-0526-SM-DIPG2 50-59 years, female 6.9
GTEX-11EQ8-1326-SM-5EGJQ 60-69 years, male 6.8
GTEX-11WQK-0226-SM-5EQLI 50-59 years, male 6.8
GTEX-131YS-0826-SM-5PNYV 60-69 years, female 6.8
GTEX-147JS-1326-SM-5SI6D 60-69 years, male 6.8
GTEX-15CHC-0326-SM-5ZZVP 60-69 years, female 6.8
GTEX-15SHU-0926-SM-6PAMK 40-49 years, female 6.8
GTEX-18A66-1126-SM-731C5 60-69 years, male 6.8
GTEX-1BAJH-1026-SM-7EWEG 70-79 years, male 6.8
GTEX-WYJK-1126-SM-3NM9Z 50-59 years, male 6.8
GTEX-Y8E4-0426-SM-4V6GB 40-49 years, male 6.8
GTEX-1IKK5-1726-SM-CM2RU 60-69 years, male 6.8
GTEX-1IY9M-0626-SM-D4P2L 60-69 years, male 6.8
GTEX-1P4AB-0926-SM-E76PV 50-59 years, male 6.8
GTEX-12WSE-0926-SM-5S2VX 20-29 years, male 6.7
GTEX-131XF-0426-SM-5HL7U 60-69 years, male 6.7
GTEX-13N11-0726-SM-5L3DP 50-59 years, female 6.7
GTEX-13O1R-0926-SM-5L3DS 60-69 years, male 6.7
GTEX-13U4I-0626-SM-5LU5L 40-49 years, female 6.7
GTEX-14E7W-1126-SM-5ZZVS 70-79 years, male 6.7
GTEX-X4EP-0326-SM-3P5Z6 60-69 years, female 6.7
GTEX-ZZPT-0926-SM-5GICZ 50-59 years, male 6.7
GTEX-1C6WA-0826-SM-7PBXS 60-69 years, male 6.7
GTEX-1I19N-0626-SM-A9SKY 70-79 years, male 6.7
GTEX-1PPGY-0926-SM-DTXFF 60-69 years, male 6.7
GTEX-1399T-0726-SM-5J1MH 60-69 years, male 6.6
GTEX-1AX9J-0926-SM-73KXA 60-69 years, male 6.6
GTEX-WHPG-1026-SM-3NMBA 50-59 years, male 6.6
GTEX-ZAB4-0926-SM-5CVN4 40-49 years, male 6.6
GTEX-ZG7Y-1426-SM-4WWBM 50-59 years, male 6.6
GTEX-1H1DG-0826-SM-9QEIW 70-79 years, male 6.6
GTEX-1H3O1-0226-SM-9WYSW 60-69 years, male 6.6
GTEX-1HFI6-0826-SM-9YFM2 40-49 years, male 6.6
GTEX-1J8EW-0626-SM-CM2TY 60-69 years, female 6.6
GTEX-1J8Q2-1026-SM-ARU8I 60-69 years, male 6.6
GTEX-17F9E-0726-SM-793A1 50-59 years, male 6.5
GTEX-ZF29-0426-SM-4WKFN 60-69 years, female 6.5
GTEX-1F75A-1026-SM-7PC3W 50-59 years, male 6.5
GTEX-1JMQL-1026-SM-CMKGV 50-59 years, female 6.5
GTEX-11ONC-1026-SM-5GU64 60-69 years, male 6.4
GTEX-14PJ2-1126-SM-69LOD 50-59 years, male 6.4
GTEX-15ER7-0826-SM-6PALW 20-29 years, female 6.4
GTEX-15SKB-0926-SM-7KUFC 60-69 years, male 6.4
GTEX-18D9B-1126-SM-7KFSH 60-69 years, male 6.4
GTEX-WHSE-0826-SM-4SOJU 20-29 years, male 6.4
GTEX-WK11-0626-SM-3NMAV 50-59 years, male 6.4
GTEX-ZVT2-0926-SM-5GICE 50-59 years, female 6.4
GTEX-1E2YA-0626-SM-7P8P4 50-59 years, male 6.4
GTEX-1EH9U-0626-SM-7PC33 60-69 years, male 6.4
GTEX-1GF9V-1726-SM-9KNW4 60-69 years, male 6.4
GTEX-1GN2E-1426-SM-7RHHI 60-69 years, male 6.4
GTEX-1JMOU-0326-SM-ARL8X 60-69 years, female 6.4
GTEX-13OW5-0926-SM-5L3GZ 60-69 years, male 6.3
GTEX-1A8G6-1826-SM-73KY8 60-69 years, male 6.3
GTEX-1AX9I-1026-SM-73KYF 60-69 years, male 6.3
GTEX-1RB15-0426-SM-E9U4Y 60-69 years, male 6.3
GTEX-111FC-0626-SM-5N9CU 60-69 years, male 6.2
GTEX-117YW-0426-SM-5GZZZ 50-59 years, male 6.2
GTEX-11EM3-0426-SM-5N9BZ 20-29 years, female 6.2
GTEX-132Q8-1126-SM-5K7XS 60-69 years, male 6.2
GTEX-14C5O-1226-SM-664N3 60-69 years, male 6.2
GTEX-1GN1V-1026-SM-CNPPS 60-69 years, male 6.2
GTEX-1KD5A-0926-SM-D4P3U 50-59 years, male 6.2
GTEX-1LVAO-0626-SM-EWRNT 60-69 years, male 6.2
GTEX-14ASI-0826-SM-5Q5EB 60-69 years, male 6.1
GTEX-16XZZ-1026-SM-7DHKS 60-69 years, male 6.1
GTEX-1CB4G-0726-SM-79OOJ 60-69 years, male 6.1
GTEX-WL46-0726-SM-3LK5Z 50-59 years, male 6.1
GTEX-1C64N-0826-SM-7RHGQ 50-59 years, male 6.1
GTEX-1H1CY-0426-SM-9KNVD 60-69 years, female 6.1
GTEX-1H1ZS-1026-SM-9WG6E 70-79 years, male 6.1
GTEX-1HC8U-0626-SM-B2LWB 40-49 years, female 6.1
GTEX-1I1CD-1326-SM-A9SMM 60-69 years, female 6.1
GTEX-1LB8K-0926-SM-D4P42 50-59 years, male 6.1
GTEX-132NY-1426-SM-5J1MJ 60-69 years, male 6.0
GTEX-1445S-1226-SM-5O9BF 60-69 years, male 6.0
GTEX-UTHO-1226-SM-3GAEE 60-69 years, male 6.0
GTEX-X8HC-1026-SM-46MWH 50-59 years, female 6.0
GTEX-Z93S-0326-SM-5HL84 50-59 years, male 6.0
GTEX-ZXG5-0626-SM-5NQ85 60-69 years, male 6.0
GTEX-1GMR2-1326-SM-9KNUT 50-59 years, male 6.0
GTEX-1LG7Y-1426-SM-D4P31 50-59 years, male 6.0
GTEX-11DYG-1026-SM-5A5JQ 60-69 years, male 5.9
GTEX-11GS4-0426-SM-5N9CD 60-69 years, male 5.9
GTEX-13O3Q-0326-SM-5L3FE 50-59 years, male 5.9
GTEX-13SLW-0826-SM-5QGP7 70-79 years, male 5.9
GTEX-1QMI2-1026-SM-DTX7T 60-69 years, male 5.9
GTEX-117XS-0726-SM-5H131 60-69 years, male 5.8
GTEX-12ZZX-0726-SM-5EGKA 40-49 years, female 5.8
GTEX-1399U-0726-SM-5KM1D 50-59 years, female 5.8
GTEX-13OW7-1626-SM-5IJDH 50-59 years, male 5.8
GTEX-14A5I-1026-SM-5Q5E3 50-59 years, female 5.8
GTEX-16YQH-0726-SM-7IGM1 30-39 years, male 5.8
GTEX-18465-0726-SM-7LG4L 50-59 years, male 5.8
GTEX-1A3MX-1226-SM-731B3 60-69 years, male 5.8
GTEX-YJ8O-0826-SM-5CVM3 40-49 years, female 5.8
GTEX-1IDJH-1126-SM-COH3R 70-79 years, male 5.8
GTEX-1IL2U-1226-SM-CL53P 60-69 years, male 5.8
GTEX-13NYS-1926-SM-5IJCB 60-69 years, male 5.7
GTEX-1B8SG-0726-SM-79ONS 50-59 years, male 5.7
GTEX-ZVT3-0826-SM-5GIC8 60-69 years, female 5.7
GTEX-1GMR3-0426-SM-7PC17 40-49 years, male 5.7
GTEX-1GMRU-1326-SM-9WYUI 50-59 years, male 5.7
GTEX-1GZ2Q-0926-SM-7RHHN 40-49 years, male 5.7
GTEX-13PVQ-1326-SM-5LU4J 50-59 years, male 5.6
GTEX-14BMV-1026-SM-5SI6B 50-59 years, male 5.6
GTEX-16GPK-1226-SM-7LTAU 60-69 years, male 5.6
GTEX-13OVG-0426-SM-5KM2T 60-69 years, male 5.5
GTEX-146FR-0926-SM-5QGPE 60-69 years, female 5.5
GTEX-14BIL-0926-SM-7DHKN 50-59 years, male 5.5
GTEX-18A67-1026-SM-731CE 50-59 years, male 5.4
GTEX-X4XX-1126-SM-3NMBY 60-69 years, male 5.4
GTEX-1F48J-1126-SM-9WYSY 50-59 years, female 5.4
GTEX-1HCUA-0626-SM-ACKVT 50-59 years, female 5.4
GTEX-111VG-0326-SM-5GZX7 60-69 years, male 5.3
GTEX-1313W-1126-SM-5EQ5U 50-59 years, female 5.3
GTEX-139TU-1926-SM-5J2OC 60-69 years, male 5.3
GTEX-13NZA-0826-SM-5K7WS 60-69 years, male 5.3
GTEX-14PII-1026-SM-5ZZVW 60-69 years, male 5.3
GTEX-ZAK1-1126-SM-5PNXU 50-59 years, female 5.3
GTEX-1GTWX-0926-SM-9MQKM 60-69 years, male 5.3
GTEX-147F4-1126-SM-5TDDE 50-59 years, male 5.2
GTEX-17JCI-0826-SM-7LT8W 60-69 years, female 5.2
GTEX-ZYFC-1026-SM-5GZX9 50-59 years, male 5.2
GTEX-1JMQK-0926-SM-ARL96 60-69 years, male 5.2
GTEX-13X6J-1226-SM-79OMF 50-59 years, male 5.1
GTEX-14E6C-0326-SM-5Q5EE 40-49 years, male 5.1
GTEX-ZE7O-0626-SM-57WCD 50-59 years, female 5.1
GTEX-11O72-1026-SM-5986B 40-49 years, male 5.0
GTEX-13FHO-1226-SM-5L3EF 60-69 years, male 5.0
GTEX-1HCVE-0826-SM-CM2SF 50-59 years, male 5.0
GTEX-1JJEA-0926-SM-CYPSO 60-69 years, male 5.0
GTEX-1QP6S-1026-SM-DTXFW 40-49 years, male 5.0
GTEX-1117F-0726-SM-5GIEN 60-69 years, female 4.9
GTEX-1192X-0726-SM-5987R 50-59 years, male 4.9
GTEX-13FHP-0826-SM-5K7V5 50-59 years, male 4.9
GTEX-WI4N-0726-SM-3TW93 40-49 years, female 4.9
GTEX-1GN73-2326-SM-9MQKV 60-69 years, male 4.9
GTEX-1CAMQ-0726-SM-7P8SG 40-49 years, male 4.8
GTEX-1F88F-0326-SM-9KNV3 60-69 years, female 4.8
GTEX-1QEPI-1126-SM-E8VN7 60-69 years, female 4.8
GTEX-15D1Q-0426-SM-6AJ9G 40-49 years, male 4.7
GTEX-WWYW-1126-SM-3NB2Q 50-59 years, female 4.7
GTEX-1F6I4-0826-SM-7RHGK 60-69 years, male 4.7
GTEX-13FTZ-0326-SM-5J1O1 60-69 years, male 4.6
GTEX-13O3O-1426-SM-5KM2S 60-69 years, female 4.6
GTEX-17MF6-0926-SM-7LTAL 40-49 years, male 4.6
GTEX-18A7A-1226-SM-7LTAJ 50-59 years, female 4.6
GTEX-WRHU-1026-SM-4E3ID 50-59 years, female 4.6
GTEX-X261-0926-SM-3NMCY 50-59 years, male 4.6
GTEX-VJWN-1026-SM-4M1ZN 50-59 years, female 4.5
GTEX-1A8FM-1026-SM-7PC26 50-59 years, female 4.5
GTEX-1GN1U-1426-SM-7P8TF 50-59 years, female 4.5
GTEX-ZVZQ-0726-SM-51MR3 60-69 years, female 4.4
GTEX-1GZ4I-0826-SM-9WG6O 50-59 years, male 4.4
GTEX-1HUB1-0726-SM-CGQF4 60-69 years, male 4.4
GTEX-11NUK-0926-SM-5HL57 50-59 years, male 4.3
GTEX-13N1W-0926-SM-5MR36 70-79 years, male 4.3
GTEX-1EU9M-1926-SM-7RHH4 60-69 years, male 4.2
GTEX-15RJE-0726-SM-7KUEG 40-49 years, male 4.0
GTEX-1CB4H-0626-SM-7IGN3 60-69 years, female 3.9
GTEX-12584-1026-SM-59HK3 40-49 years, male 3.8
GTEX-148VJ-1426-SM-5TDE3 70-79 years, male 3.8
GTEX-WYBS-1226-SM-3NM9N 60-69 years, female 3.8
GTEX-1LSNL-0626-SM-DIPFJ 50-59 years, male 3.8
GTEX-11GSP-1226-SM-5985M 60-69 years, female 3.6
GTEX-13OVI-0326-SM-5K7X1 60-69 years, female 3.6
GTEX-13SLX-0926-SM-5S2NM 50-59 years, female 3.5
GTEX-1A32A-1326-SM-73KWW 50-59 years, female 3.5
GTEX-1IKOH-0926-SM-A9SLU 60-69 years, female 3.5
GTEX-17EVP-0526-SM-7EPGY 40-49 years, male 3.4
GTEX-1R9K4-1026-SM-EXUT1 60-69 years, male 3.4
GTEX-1E1VI-1426-SM-793CY 50-59 years, male 3.3
GTEX-1EMGI-1126-SM-9KNUF 60-69 years, male 3.3
GTEX-13OW6-0926-SM-5L3GM 50-59 years, male 3.0
GTEX-1JN6P-0826-SM-ARL97 60-69 years, male 3.0
GTEX-13NYB-0326-SM-5IJDP 40-49 years, male 2.5
Show allShow less
Heart - Left Ventricle
Average nTPM: 11.2
Samples: 432

Max nTPM: 23.8
Min nTPM: 3.6
Std nTPM: 3.5
Median nTPM: 10.9
GTEX-11TT1-1326-SM-5PNYM 20-29 years, male 23.8
GTEX-QDVJ-0426-SM-2I5FW 50-59 years, male 22.6
GTEX-RUSQ-0526-SM-2TF72 50-59 years, male 20.3
GTEX-SUCS-0326-SM-32PLL 70-79 years, male 20.2
GTEX-PLZ5-0626-SM-2I5F8 50-59 years, male 20.1
GTEX-1LSNM-0526-SM-DIPG6 50-59 years, male 19.9
GTEX-1H11D-1226-SM-9WPQ2 40-49 years, male 19.8
GTEX-15EOM-5007-SM-793DG 20-29 years, female 19.6
GTEX-R55C-0326-SM-3GAF1 40-49 years, male 19.5
GTEX-OXRK-0826-SM-2HMK7 50-59 years, female 19.2
GTEX-1QCLZ-0926-SM-E6CQZ 60-69 years, female 19.0
GTEX-17KNJ-0826-SM-793A4 50-59 years, male 18.8
GTEX-WFG7-0726-SM-3GIKO 20-29 years, male 18.8
GTEX-15CHR-0226-SM-7PC2Z 50-59 years, male 18.5
GTEX-117YX-1126-SM-5H128 50-59 years, male 18.1
GTEX-QDVN-0326-SM-2I3FS 50-59 years, male 18.0
GTEX-15RIE-1726-SM-7KUMU 60-69 years, male 18.0
GTEX-OHPL-0326-SM-33HC8 60-69 years, female 17.9
GTEX-P4PQ-0326-SM-2HMJ8 60-69 years, male 17.9
GTEX-V955-0726-SM-3GAFG 60-69 years, male 17.9
GTEX-13FTW-1026-SM-5L3E3 40-49 years, male 17.7
GTEX-1QP2A-1126-SM-EVR3H 50-59 years, male 17.7
GTEX-O5YW-0326-SM-2I5EI 50-59 years, male 17.4
GTEX-WY7C-0526-SM-3NB3D 50-59 years, male 17.4
GTEX-OIZF-0326-SM-3MJGY 60-69 years, male 17.4
GTEX-132AR-2026-SM-5IJG4 50-59 years, female 17.2
GTEX-11ZUS-0226-SM-5FQT8 30-39 years, male 17.1
GTEX-1339X-0426-SM-5KLZY 40-49 years, male 17.1
GTEX-14H4A-0626-SM-5ZZUT 40-49 years, female 17.1
GTEX-WH7G-0426-SM-3NMBJ 40-49 years, male 17.1
GTEX-WFG8-0626-SM-3GILJ 20-29 years, male 16.8
GTEX-1CB4I-1626-SM-7RHGV 50-59 years, male 16.8
GTEX-1JK1U-0526-SM-CYPSQ 60-69 years, male 16.8
GTEX-U4B1-0326-SM-3DB8K 40-49 years, male 16.6
GTEX-12WSN-5001-SM-7DHMK 40-49 years, male 16.4
GTEX-14PK6-0826-SM-5ZZVO 70-79 years, female 16.4
GTEX-O5YT-0326-SM-32PKA 20-29 years, male 16.4
GTEX-1F75I-1126-SM-9WYUO 40-49 years, male 16.4
GTEX-ZEX8-0426-SM-DO92Y 50-59 years, male 16.2
GTEX-13O21-2326-SM-5MR3X 50-59 years, male 15.9
GTEX-XPT6-0126-SM-4B65S 20-29 years, male 15.9
GTEX-ZGAY-0326-SM-57WF5 40-49 years, female 15.8
GTEX-ZF2S-1026-SM-9QEGK 50-59 years, female 15.8
GTEX-13VXT-1126-SM-5LU3A 20-29 years, female 15.7
GTEX-ZLFU-0226-SM-4WWFH 40-49 years, male 15.7
GTEX-1399R-1926-SM-5K7X8 30-39 years, male 15.6
GTEX-U3ZH-0326-SM-3DB7A 30-39 years, male 15.6
GTEX-UJHI-0426-SM-3DB8Y 50-59 years, female 15.6
GTEX-Y3I4-0626-SM-4TT7A 50-59 years, male 15.6
GTEX-ZG7Y-0926-SM-5EQ6O 50-59 years, male 15.6
GTEX-QMRM-0526-SM-2I5GA 50-59 years, male 15.5
GTEX-R53T-0926-SM-3GADH 50-59 years, female 15.4
GTEX-SNMC-0126-SM-2XCFO 20-29 years, male 15.4
GTEX-XXEK-0926-SM-4BRWH 50-59 years, male 15.4
GTEX-1IDJF-0726-SM-CJI1U 20-29 years, male 15.3
GTEX-ZDYS-0226-SM-5HL4K 50-59 years, male 15.2
GTEX-ZPU1-0626-SM-4YCDM 40-49 years, male 15.2
GTEX-1LC47-1026-SM-D3LAH 60-69 years, male 15.2
GTEX-1RMOY-0626-SM-E9TIE 50-59 years, male 15.2
GTEX-1RQEC-0926-SM-EWROG 60-69 years, male 15.2
GTEX-ZTPG-1226-SM-4YCDO 20-29 years, female 15.1
GTEX-1F5PK-0326-SM-9KNUD 50-59 years, male 15.1
GTEX-1IKOE-1026-SM-ARZMF 30-39 years, female 15.1
GTEX-V1D1-0526-SM-4JBGW 50-59 years, male 15.0
GTEX-WHWD-0426-SM-3LK83 50-59 years, male 15.0
GTEX-YEC3-0726-SM-CMKFH 50-59 years, male 15.0
GTEX-13CF3-0726-SM-5J2MY 60-69 years, female 14.9
GTEX-13PVR-1026-SM-5QGQW 60-69 years, female 14.9
GTEX-1GN1W-0326-SM-9JGHF 50-59 years, female 14.9
GTEX-1KANC-0426-SM-CXZK5 50-59 years, female 14.9
GTEX-11DXX-0326-SM-5PNWC 60-69 years, female 14.8
GTEX-XBED-0526-SM-47JY3 60-69 years, male 14.8
GTEX-YB5K-0126-SM-5IFJ2 40-49 years, female 14.8
GTEX-1L5NE-0426-SM-E9TIX 50-59 years, male 14.8
GTEX-12WSK-0626-SM-5LZUJ 40-49 years, female 14.7
GTEX-14PN3-0526-SM-69LQF 60-69 years, female 14.7
GTEX-QV44-0526-SM-2S1RE 50-59 years, male 14.5
GTEX-12WSC-1126-SM-5EQ4G 50-59 years, male 14.4
GTEX-14PHY-0226-SM-5ZZWM 60-69 years, female 14.4
GTEX-15RJ7-0226-SM-7KUMN 40-49 years, male 14.4
GTEX-POMQ-0326-SM-2I5FO 20-29 years, female 14.4
GTEX-X3Y1-0426-SM-3P5Z4 40-49 years, male 14.4
GTEX-13FH7-0926-SM-5J2MR 50-59 years, female 14.3
GTEX-18A67-1226-SM-7KFRS 50-59 years, male 14.3
GTEX-U8XE-1126-SM-3DB8W 30-39 years, male 14.3
GTEX-WFON-0326-SM-3GIKX 40-49 years, male 14.3
GTEX-1R9JW-0526-SM-EWRNK 30-39 years, female 14.3
GTEX-YF7O-0426-SM-5P9FS 50-59 years, male 14.2
GTEX-1HFI7-0826-SM-A9G23 50-59 years, female 14.2
GTEX-1HSMQ-0226-SM-C1YQL 50-59 years, male 14.2
GTEX-11LCK-0926-SM-5A5KA 30-39 years, male 14.1
GTEX-ZAB5-0226-SM-5CVMH 50-59 years, male 14.1
GTEX-11EM3-0626-SM-5H12Z 20-29 years, female 14.0
GTEX-1B8KE-0126-SM-793AM 50-59 years, male 14.0
GTEX-1LGRB-1126-SM-CNPP2 50-59 years, female 14.0
GTEX-145MN-0626-SM-5QGRH 30-39 years, male 13.9
GTEX-14XAO-1126-SM-6EU11 60-69 years, female 13.9
GTEX-P4PP-0326-SM-33HC4 30-39 years, female 13.9
GTEX-13W3W-0426-SM-5SI9D 60-69 years, female 13.8
GTEX-1AX9K-0526-SM-73KV1 50-59 years, male 13.8
GTEX-1J8Q3-1226-SM-CKZPT 60-69 years, male 13.8
GTEX-1OFPY-1026-SM-EXUSO 60-69 years, male 13.8
GTEX-131XF-5001-SM-7DHLY 60-69 years, male 13.7
GTEX-18D9U-1126-SM-72D5Y 40-49 years, male 13.7
GTEX-1JJEA-0826-SM-CL53T 60-69 years, male 13.7
GTEX-SE5C-0626-SM-2XCDV 40-49 years, female 13.6
GTEX-X15G-0426-SM-4PQZ6 50-59 years, female 13.6
GTEX-ZPIC-0826-SM-4WWFJ 40-49 years, female 13.6
GTEX-1399S-1026-SM-5KLZ9 30-39 years, female 13.5
GTEX-16XZY-0426-SM-793BI 70-79 years, male 13.5
GTEX-XQ8I-0126-SM-4BOPL 50-59 years, male 13.5
GTEX-1B97J-0726-SM-7RHG3 50-59 years, female 13.5
GTEX-18D9B-1226-SM-72D6V 60-69 years, male 13.4
GTEX-U3ZN-1426-SM-3DB87 30-39 years, female 13.4
GTEX-WZTO-1326-SM-3NM8X 40-49 years, male 13.4
GTEX-ZDTT-0726-SM-4WKFK 60-69 years, male 13.4
GTEX-ZQUD-1526-SM-7IGO2 30-39 years, male 13.4
GTEX-14PHX-2126-SM-6EU2U 50-59 years, male 13.3
GTEX-1AYCT-0426-SM-73KVZ 50-59 years, male 13.3
GTEX-OOBJ-0326-SM-33HBO 60-69 years, male 13.3
GTEX-15CHC-0426-SM-6LLHI 60-69 years, female 13.2
GTEX-17GQL-0526-SM-72D5N 60-69 years, male 13.2
GTEX-PX3G-0326-SM-2I3EO 20-29 years, female 13.2
GTEX-QESD-0526-SM-2I5G5 20-29 years, male 13.2
GTEX-YEC4-0326-SM-4W216 40-49 years, male 13.2
GTEX-1MUQO-1226-SM-E9TJK 60-69 years, male 13.2
GTEX-PWCY-0526-SM-5P9HG 20-29 years, female 13.1
GTEX-1CB4E-0526-SM-7MXTK 60-69 years, male 13.1
GTEX-1S3DN-0726-SM-E9TIO 50-59 years, male 13.1
GTEX-1211K-0626-SM-5FQUZ 60-69 years, female 13.0
GTEX-P78B-0426-SM-2I5F5 40-49 years, female 13.0
GTEX-14PJ4-1126-SM-5YY91 60-69 years, male 12.9
GTEX-WEY5-0426-SM-3GIKT 40-49 years, female 12.9
GTEX-XV7Q-0826-SM-4BRV7 40-49 years, female 12.9
GTEX-1IDJU-0726-SM-CNPQ9 60-69 years, female 12.9
GTEX-12WSG-0526-SM-5FQTH 50-59 years, female 12.8
GTEX-13D11-1726-SM-5IFGQ 50-59 years, female 12.8
GTEX-WHPG-0826-SM-3NMBF 50-59 years, male 12.8
GTEX-1MCC2-0326-SM-EV7AK 30-39 years, female 12.8
GTEX-14E1K-1026-SM-73KUR 50-59 years, male 12.7
GTEX-R55E-1026-SM-2TC5S 20-29 years, male 12.7
GTEX-1JMQK-0626-SM-D4P2R 60-69 years, male 12.7
GTEX-1399U-0526-SM-5K7YM 50-59 years, female 12.6
GTEX-1C2JI-0526-SM-7EWEQ 50-59 years, male 12.6
GTEX-R55G-0526-SM-2TC5O 40-49 years, female 12.6
GTEX-UPK5-0326-SM-CYPR4 40-49 years, male 12.6
GTEX-14PJ6-0726-SM-69LOL 60-69 years, female 12.5
GTEX-ZVZP-0226-SM-5NQ73 50-59 years, male 12.5
GTEX-1J8QM-0426-SM-AHZ3X 60-69 years, female 12.5
GTEX-13O61-0526-SM-5J2M1 60-69 years, male 12.4
GTEX-1BAJH-1626-SM-73KUV 70-79 years, male 12.4
GTEX-YFC4-0526-SM-5ZZVI 40-49 years, female 12.4
GTEX-1GF9U-0426-SM-7RHHA 40-49 years, female 12.4
GTEX-1M5QR-1026-SM-DHXK9 40-49 years, male 12.4
GTEX-131XG-0626-SM-5GCMP 50-59 years, female 12.3
GTEX-14JG1-1026-SM-6ETZY 40-49 years, male 12.3
GTEX-15DDE-1126-SM-6LLHN 50-59 years, female 12.3
GTEX-1CAMS-1326-SM-79OJR 40-49 years, female 12.3
GTEX-XPVG-0826-SM-4B654 50-59 years, male 12.3
GTEX-1KD5A-1026-SM-CY8I8 50-59 years, male 12.3
GTEX-1LVAN-1726-SM-CNNR1 50-59 years, female 12.3
GTEX-146FR-0626-SM-5RQJ1 60-69 years, female 12.2
GTEX-14A6H-0226-SM-5Q5DX 30-39 years, male 12.2
GTEX-Q2AH-0526-SM-2I3ED 40-49 years, male 12.2
GTEX-ZPCL-0426-SM-DNZZ4 60-69 years, female 12.2
GTEX-132QS-0426-SM-5KLZ6 60-69 years, male 12.1
GTEX-16YQH-0926-SM-793BC 30-39 years, male 12.1
GTEX-18A66-1226-SM-7LT8G 60-69 years, male 12.1
GTEX-11I78-0826-SM-5A5K4 50-59 years, female 12.0
GTEX-146FH-1026-SM-5RQIF 50-59 years, female 12.0
GTEX-RTLS-0826-SM-2TF5Q 60-69 years, female 12.0
GTEX-RWS6-0326-SM-2XCAP 60-69 years, female 12.0
GTEX-Y114-0226-SM-4TT8W 50-59 years, female 12.0
GTEX-ZF29-0226-SM-4WKHO 60-69 years, female 12.0
GTEX-1AX8Z-5007-SM-AHZ36 60-69 years, male 12.0
GTEX-1HSGN-1126-SM-CJI4G 40-49 years, female 12.0
GTEX-1J8EW-0926-SM-A9G33 60-69 years, female 12.0
GTEX-1QPFJ-1026-SM-E6CR6 30-39 years, female 12.0
GTEX-139YR-0826-SM-5LZXY 50-59 years, male 11.9
GTEX-S32W-0626-SM-2XCBG 50-59 years, female 11.9
GTEX-XGQ4-0326-SM-4GIEE 50-59 years, male 11.9
GTEX-1KXAM-1326-SM-E9TJW 60-69 years, male 11.9
GTEX-13S86-0226-SM-5S2PJ 40-49 years, male 11.7
GTEX-QEG5-0926-SM-2TC64 20-29 years, male 11.7
GTEX-QLQ7-0526-SM-2I5G3 60-69 years, male 11.7
GTEX-1PPGY-1126-SM-E76OU 60-69 years, male 11.7
GTEX-145LV-0326-SM-5Q5BW 50-59 years, male 11.6
GTEX-1AX9J-1026-SM-72D6E 60-69 years, male 11.6
GTEX-WYJK-1026-SM-3NM8W 50-59 years, male 11.6
GTEX-1POEN-0626-SM-EVR4B 30-39 years, female 11.6
GTEX-OIZH-0326-SM-2HMKC 50-59 years, male 11.5
GTEX-QEL4-0926-SM-3GAD1 50-59 years, male 11.5
GTEX-1GZ4I-1026-SM-9KNV5 50-59 years, male 11.5
GTEX-1R7EV-0326-SM-E76PA 40-49 years, male 11.5
GTEX-OHPM-0326-SM-33HCA 50-59 years, male 11.4
GTEX-OXRL-0326-SM-2I3F2 50-59 years, male 11.4
GTEX-Y5V6-0826-SM-4VBRU 60-69 years, male 11.4
GTEX-1GMR2-1426-SM-7RHHK 50-59 years, male 11.4
GTEX-1RB15-0326-SM-E6CQB 60-69 years, male 11.4
GTEX-12BJ1-0226-SM-5LUA2 60-69 years, male 11.3
GTEX-13OVL-0526-SM-5KLZQ 50-59 years, male 11.3
GTEX-13U4I-0826-SM-5SIBD 40-49 years, female 11.3
GTEX-ZZPU-0926-SM-5GZYT 50-59 years, female 11.3
GTEX-1HCUA-0526-SM-A9SMH 50-59 years, female 11.3
GTEX-17HGU-1026-SM-79OKL 50-59 years, male 11.2
GTEX-XQ3S-0626-SM-4BOOB 20-29 years, male 11.2
GTEX-1IDJE-0326-SM-CM2TD 50-59 years, female 11.2
GTEX-O5YV-0326-SM-2I5H2 60-69 years, female 11.1
GTEX-OIZG-1126-SM-2HMIU 50-59 years, male 11.1
GTEX-RNOR-0826-SM-2TF5C 50-59 years, female 11.1
GTEX-1122O-0826-SM-5GICV 60-69 years, female 11.0
GTEX-13N11-0426-SM-5KM3O 50-59 years, female 11.0
GTEX-13O3O-1526-SM-5KM1C 60-69 years, female 11.0
GTEX-16BQI-0926-SM-6M485 30-39 years, female 11.0
GTEX-NPJ8-0426-SM-2HMK6 40-49 years, male 11.0
GTEX-1313W-1426-SM-5KLZU 50-59 years, female 10.9
GTEX-1LGOU-0726-SM-E9TIY 20-29 years, female 10.9
GTEX-13CF2-0426-SM-5KM1H 60-69 years, male 10.8
GTEX-1A3MX-1326-SM-72D58 60-69 years, male 10.8
GTEX-RU72-0326-SM-2TF5T 50-59 years, female 10.8
GTEX-1GL5R-0326-SM-9WYTJ 50-59 years, male 10.8
GTEX-1GN73-2426-SM-7RHFQ 60-69 years, male 10.8
GTEX-1I6K7-0626-SM-ARL7Q 40-49 years, male 10.8
GTEX-132NY-1726-SM-5EGKK 60-69 years, male 10.7
GTEX-1B932-1026-SM-793CL 40-49 years, female 10.7
GTEX-Y3IK-0826-SM-51MT8 50-59 years, female 10.7
GTEX-ZDXO-0726-SM-57WBT 60-69 years, male 10.7
GTEX-ZV7C-0326-SM-57WB1 50-59 years, male 10.7
GTEX-1ICG6-0626-SM-ACKWS 70-79 years, female 10.7
GTEX-1A3MW-1326-SM-7189P 60-69 years, female 10.6
GTEX-1EU9M-1826-SM-7DUGU 60-69 years, male 10.6
GTEX-NFK9-0926-SM-2HMJU 40-49 years, male 10.6
GTEX-14C38-1426-SM-5RQHZ 50-59 years, male 10.5
GTEX-1CB4G-0826-SM-7DUGF 60-69 years, male 10.5
GTEX-QEG4-0426-SM-33HC3 30-39 years, male 10.5
GTEX-Y5V5-0626-SM-4VBPX 60-69 years, female 10.5
GTEX-ZYFC-1126-SM-5E44W 50-59 years, male 10.5
GTEX-1F6I4-0726-SM-7PC2P 60-69 years, male 10.5
GTEX-13QBU-0426-SM-5J2O4 40-49 years, female 10.4
GTEX-WQUQ-1426-SM-3MJFD 60-69 years, male 10.4
GTEX-ZDTS-1326-SM-6LLHE 60-69 years, male 10.4
GTEX-R45C-0926-SM-3GAD4 60-69 years, female 10.3
GTEX-1GMR3-0326-SM-7P8QT 40-49 years, male 10.3
GTEX-1KD4Q-0726-SM-DIPGE 40-49 years, male 10.3
GTEX-13X6H-0426-SM-5LU4E 50-59 years, female 10.2
GTEX-1C64O-0826-SM-79OKZ 60-69 years, male 10.2
GTEX-P4QS-0326-SM-2I3EU 60-69 years, male 10.2
GTEX-UJMC-0526-SM-3GAE3 50-59 years, male 10.2
GTEX-ZYFG-0426-SM-5E43M 60-69 years, female 10.2
GTEX-1HCU6-1026-SM-A9G25 60-69 years, female 10.2
GTEX-12ZZY-1126-SM-5DUWQ 60-69 years, male 10.1
GTEX-13FTZ-0226-SM-5K7X6 60-69 years, male 10.1
GTEX-13SLX-1026-SM-5ZZUQ 50-59 years, female 10.1
GTEX-14DAQ-1126-SM-664MT 60-69 years, female 10.1
GTEX-T2IS-0426-SM-32QPE 20-29 years, female 10.1
GTEX-1HSMO-1226-SM-CL548 60-69 years, male 10.1
GTEX-1497J-1226-SM-5Q5BL 60-69 years, male 10.0
GTEX-1HCU7-1326-SM-CNPPW 50-59 years, male 10.0
GTEX-1OKEX-0726-SM-DPRYE 60-69 years, male 10.0
GTEX-S33H-0526-SM-COH1W 30-39 years, male 10.0
GTEX-Y8E4-0326-SM-4VBRR 40-49 years, male 9.9
GTEX-1QP29-1526-SM-EXUSY 50-59 years, male 9.9
GTEX-111YS-0426-SM-5987O 60-69 years, male 9.8
GTEX-11EMC-0726-SM-5EGJO 60-69 years, female 9.8
GTEX-13OVG-0526-SM-5K7YD 60-69 years, male 9.8
GTEX-16NPX-0926-SM-7KUEZ 50-59 years, male 9.8
GTEX-17F9E-0926-SM-7IGMG 50-59 years, male 9.8
GTEX-1AX9I-1126-SM-7EPHH 60-69 years, male 9.8
GTEX-1E1VI-1326-SM-7IGQD 50-59 years, male 9.8
GTEX-PSDG-0926-SM-2I5FP 50-59 years, male 9.8
GTEX-QVJO-1926-SM-2S1QZ 60-69 years, female 9.8
GTEX-1CB4J-0326-SM-7PBZO 60-69 years, male 9.8
GTEX-1O9I2-1126-SM-DTXEA 50-59 years, male 9.8
GTEX-11DXZ-0626-SM-5GU77 50-59 years, male 9.7
GTEX-13NZB-0226-SM-5KM1T 30-39 years, male 9.7
GTEX-13O3P-1626-SM-5K7X3 50-59 years, male 9.7
GTEX-ZVT2-1026-SM-5GU55 50-59 years, female 9.7
GTEX-1GF9V-1626-SM-7PBXL 60-69 years, male 9.7
GTEX-18A6Q-1626-SM-7KFTA 60-69 years, male 9.6
GTEX-OHPK-0326-SM-2HMJO 50-59 years, female 9.6
GTEX-11ZVC-0426-SM-5CVLD 50-59 years, female 9.5
GTEX-1F6IF-2526-SM-7P8TV 60-69 years, male 9.5
GTEX-15SHW-1226-SM-6M46C 60-69 years, male 9.4
GTEX-N7MS-0826-SM-2HML4 60-69 years, male 9.4
GTEX-1HBPH-0126-SM-CNNQ7 40-49 years, female 9.4
GTEX-1IKK5-1526-SM-CKZPW 60-69 years, male 9.4
GTEX-1IL2U-1326-SM-A9G2O 60-69 years, male 9.4
GTEX-12696-1126-SM-5FQTI 60-69 years, male 9.3
GTEX-XBEC-1326-SM-4AT69 50-59 years, male 9.3
GTEX-1LG7Y-1226-SM-CXZKD 50-59 years, male 9.3
GTEX-1R9K5-1326-SM-E6CPR 50-59 years, male 9.3
GTEX-1MJIX-0326-SM-EVR42 40-49 years, male 9.2
GTEX-18465-0926-SM-731AY 50-59 years, male 9.1
GTEX-1EKGG-1126-SM-7MGXB 60-69 years, male 9.1
GTEX-1HBPM-1226-SM-A9SM8 60-69 years, female 9.1
GTEX-1PWST-1026-SM-DTXF2 70-79 years, male 9.1
GTEX-12ZZZ-1726-SM-59HK5 60-69 years, male 9.0
GTEX-13FLV-0926-SM-5L3DZ 50-59 years, male 9.0
GTEX-145MO-1126-SM-5NQBX 60-69 years, male 9.0
GTEX-WHSE-0926-SM-3NMBS 20-29 years, male 9.0
GTEX-ZUA1-0826-SM-4YCDL 40-49 years, male 9.0
GTEX-111FC-0826-SM-5GZWO 60-69 years, male 8.9
GTEX-12WSD-1126-SM-5EGJD 60-69 years, female 8.9
GTEX-1I1GQ-1426-SM-B2LWY 50-59 years, male 8.9
GTEX-13112-0426-SM-5PNVC 50-59 years, male 8.8
GTEX-PVOW-0426-SM-5MR5R 40-49 years, male 8.8
GTEX-1H1CY-0326-SM-9QEIZ 60-69 years, female 8.8
GTEX-1HT8W-1726-SM-CNNQB 30-39 years, male 8.8
GTEX-1ICLY-1326-SM-CJI47 50-59 years, male 8.8
GTEX-1NV8Z-1526-SM-DTX8X 60-69 years, male 8.8
GTEX-SIU8-0826-SM-2XCDQ 50-59 years, male 8.7
GTEX-1I1GV-1326-SM-A96SE 60-69 years, male 8.7
GTEX-1JN6P-1126-SM-CKZON 60-69 years, male 8.7
GTEX-13X6K-1826-SM-5O9CR 60-69 years, female 8.5
GTEX-14JIY-1126-SM-6EU28 60-69 years, male 8.5
GTEX-1B8L1-0526-SM-79ONX 60-69 years, male 8.5
GTEX-WL46-0926-SM-3LK7T 50-59 years, male 8.5
GTEX-1HC8U-0726-SM-ACKXL 40-49 years, female 8.5
GTEX-1IDJI-1026-SM-A96TE 50-59 years, female 8.5
GTEX-1K9T9-1126-SM-D3L9E 50-59 years, female 8.5
GTEX-1N2EF-2826-SM-E6CQF 60-69 years, male 8.5
GTEX-OIZI-0926-SM-E6CHF 40-49 years, male 8.5
GTEX-OXRO-2026-SM-2YUMZ 60-69 years, female 8.4
GTEX-ZYT6-1726-SM-5E44P 30-39 years, male 8.4
GTEX-1I1HK-0726-SM-B2LY4 60-69 years, male 8.4
GTEX-1LB8K-1026-SM-DHXJJ 50-59 years, male 8.4
GTEX-YJ8O-0926-SM-EAZ2Z 40-49 years, female 8.4
GTEX-13PVQ-1226-SM-5IJDC 50-59 years, male 8.3
GTEX-148VI-0326-SM-5RQK7 60-69 years, female 8.3
GTEX-T6MN-0926-SM-32PLX 50-59 years, male 8.3
GTEX-1GN2E-1326-SM-9KNVG 60-69 years, male 8.3
GTEX-1212Z-0626-SM-5FQTB 60-69 years, male 8.2
GTEX-1314G-0126-SM-5LZUL 30-39 years, male 8.2
GTEX-1B8SG-0826-SM-7EWF7 50-59 years, male 8.2
GTEX-1EWIQ-1426-SM-7IGOS 70-79 years, female 8.2
GTEX-1A8G6-1626-SM-7MGWO 60-69 years, male 8.2
GTEX-1GN1V-0826-SM-9KNU6 60-69 years, male 8.2
GTEX-1JN1M-1026-SM-CNPOS 60-69 years, female 8.1
GTEX-11DXY-0826-SM-5EGGR 60-69 years, male 8.0
GTEX-1EX96-2526-SM-7RHGW 50-59 years, male 8.0
GTEX-1LH75-0426-SM-E9TJF 50-59 years, female 8.0
GTEX-WK11-0826-SM-EZ6LH 50-59 years, male 8.0
GTEX-15DYW-1126-SM-6LPK5 60-69 years, female 7.9
GTEX-131XH-0226-SM-5LZVB 50-59 years, male 7.8
GTEX-13NYB-0226-SM-5N9G4 40-49 years, male 7.8
GTEX-13OW8-2126-SM-5J1OS 60-69 years, male 7.8
GTEX-17F9Y-1326-SM-7MGW9 70-79 years, female 7.8
GTEX-1JMOU-0226-SM-CNNPD 60-69 years, female 7.8
GTEX-12584-0926-SM-5FQTN 40-49 years, male 7.7
GTEX-1EMGI-1226-SM-793DD 60-69 years, male 7.7
GTEX-1ICLZ-1026-SM-A9SLF 60-69 years, male 7.7
GTEX-1JJ6O-2126-SM-CNNP6 60-69 years, male 7.7
GTEX-12ZZW-1026-SM-5GCMM 50-59 years, male 7.6
GTEX-147JS-1526-SM-5ZZWF 60-69 years, male 7.6
GTEX-14E7W-1226-SM-5RQIU 70-79 years, male 7.6
GTEX-1GMRU-1526-SM-9WYT5 50-59 years, male 7.6
GTEX-13YAN-1326-SM-5Q5F1 60-69 years, male 7.5
GTEX-REY6-1026-SM-2TF4Y 60-69 years, male 7.5
GTEX-X8HC-1626-SM-46MWE 50-59 years, female 7.5
GTEX-1GTWX-1026-SM-7P8QW 60-69 years, male 7.5
GTEX-1O97I-0826-SM-E8VNE 60-69 years, male 7.5
GTEX-11GS4-0526-SM-5A5KQ 60-69 years, male 7.4
GTEX-147F4-1226-SM-5NQAY 50-59 years, male 7.4
GTEX-14BIL-1126-SM-79OMC 50-59 years, male 7.4
GTEX-14PJM-1126-SM-6LLHK 50-59 years, female 7.4
GTEX-15SHU-1126-SM-7KUMB 40-49 years, female 7.4
GTEX-WI4N-0626-SM-3TW8Z 40-49 years, female 7.4
GTEX-1F48J-1026-SM-7P8SO 50-59 years, female 7.4
GTEX-1IDJH-1026-SM-E9TKH 70-79 years, male 7.4
GTEX-1LVA9-0926-SM-EVR5G 50-59 years, male 7.4
GTEX-RN64-0826-SM-2TC62 50-59 years, male 7.3
GTEX-1J8Q2-1226-SM-A9G2W 60-69 years, male 7.3
GTEX-15ER7-1726-SM-6PAMX 20-29 years, female 7.2
GTEX-RWSA-0626-SM-2XCBD 40-49 years, male 7.2
GTEX-1JMLX-1626-SM-ARZMV 50-59 years, male 7.2
GTEX-131XE-0626-SM-5HL98 50-59 years, male 7.1
GTEX-13FHP-1026-SM-5K7Y2 50-59 years, male 7.1
GTEX-1B996-1126-SM-73KWN 60-69 years, male 7.1
GTEX-X261-1426-SM-4PQZ1 50-59 years, male 7.1
GTEX-1H23P-1226-SM-9QEJ2 60-69 years, male 7.1
GTEX-1PPH7-2026-SM-E9J3N 40-49 years, male 7.1
GTEX-11O72-1126-SM-5N9E2 40-49 years, male 7.0
GTEX-14C39-0926-SM-5TDDV 40-49 years, male 7.0
GTEX-WWYW-1326-SM-3NB2S 50-59 years, female 7.0
GTEX-ZAJG-0826-SM-5PNVA 50-59 years, female 7.0
GTEX-117YW-0326-SM-5N9CY 50-59 years, male 6.9
GTEX-13OW6-1126-SM-5L3HL 50-59 years, male 6.9
GTEX-14A5I-1226-SM-5NQBW 50-59 years, female 6.9
GTEX-17HHY-1426-SM-7EWDQ 50-59 years, male 6.9
GTEX-1EN7A-0726-SM-7PBXT 40-49 years, male 6.9
GTEX-13X6I-1426-SM-5SI9Z 60-69 years, male 6.8
GTEX-14E6C-0426-SM-5YYA8 40-49 years, male 6.8
GTEX-15CHQ-1526-SM-69LPW 60-69 years, male 6.8
GTEX-P44H-0726-SM-48TBT 40-49 years, male 6.8
GTEX-1R9PO-0326-SM-DTXA1 60-69 years, female 6.8
GTEX-11GSP-1326-SM-5A5KY 60-69 years, female 6.7
GTEX-13O1R-1226-SM-5J1NU 60-69 years, male 6.7
GTEX-14BIN-2226-SM-5YYA1 50-59 years, female 6.7
GTEX-WRHU-1226-SM-4E3IJ 50-59 years, female 6.6
GTEX-ZAB4-1026-SM-5HL7T 40-49 years, male 6.6
GTEX-1H1ZS-1126-SM-9MQLJ 70-79 years, male 6.5
GTEX-1JJE9-1426-SM-ARL8P 70-79 years, male 6.5
GTEX-1JMPZ-1426-SM-CJI3C 30-39 years, male 6.5
GTEX-1R9K4-1326-SM-DTX8G 60-69 years, male 6.5
GTEX-11TUW-1026-SM-5GU7D 60-69 years, male 6.4
GTEX-14E6D-0926-SM-5S2QV 50-59 years, male 6.4
GTEX-17JCI-1126-SM-7IGMM 60-69 years, female 6.3
GTEX-1EH9U-0826-SM-7IGPT 60-69 years, male 6.3
GTEX-13JVG-1326-SM-5N9F8 60-69 years, male 6.2
GTEX-1H3NZ-1126-SM-9WYT9 60-69 years, male 6.2
GTEX-1I1GP-0826-SM-A96SD 50-59 years, male 6.2
GTEX-1IKJJ-0826-SM-A96SP 60-69 years, male 6.2
GTEX-13N1W-1026-SM-5IJC5 70-79 years, male 6.1
GTEX-13OW5-1126-SM-5J1NR 60-69 years, male 6.1
GTEX-14C5O-1326-SM-5S2UW 60-69 years, male 6.1
GTEX-N7MT-1326-SM-2I3FV 60-69 years, female 6.0
GTEX-14PJ2-1026-SM-6EU1M 50-59 years, male 5.9
GTEX-1HCVE-1126-SM-9WPPG 50-59 years, male 5.9
GTEX-P44G-0826-SM-2I5ES 30-39 years, male 5.7
GTEX-ZYW4-0926-SM-59HJS 60-69 years, male 5.7
GTEX-1RAZS-0826-SM-E76QP 50-59 years, male 5.7
GTEX-1269C-0826-SM-5N9EM 60-69 years, female 5.6
GTEX-17HII-1326-SM-7IGOB 50-59 years, male 5.6
GTEX-1399T-0426-SM-5PNVJ 60-69 years, male 5.4
GTEX-13RTJ-0726-SM-5QGQN 60-69 years, male 5.4
GTEX-15RJE-0626-SM-7KUKR 40-49 years, male 5.4
GTEX-1C6VQ-1126-SM-7EWET 50-59 years, male 5.4
GTEX-16MT8-0926-SM-6M487 60-69 years, female 5.1
GTEX-17MF6-0726-SM-7LT8E 40-49 years, male 5.0
GTEX-ZF3C-1226-SM-4WWCB 50-59 years, female 5.0
GTEX-148VJ-1526-SM-5Q5DU 70-79 years, male 4.7
GTEX-11ONC-0126-SM-5PNW6 60-69 years, male 3.6
Show allShow less

HEART MUSCLE - FANTOM5 CAGEi

RNA expression in human tissues obtained through Cap Analysis of Gene Expression (CAGE) generated by the FANTOM5 project are reported as Scaled Tags Per Million.

Max subtype Scaled Tags Per Millioni

Max subtype Scaled Tags Per Million is the value for the subtype with the largest average Scaled Tags Per Million across the subtype samples.

13.1
FANTOM5 sample id Sample description Scaled Tags Per Million
Heart
Scaled Tags Per Million: 13.1
FF:10016-101C7 70,73,74 years, mixed 13.1
Left atrium
Scaled Tags Per Million: 6.0
FF:10079-102A7 40 years, male 6.0
Left ventricle
Scaled Tags Per Million: 10.5
FF:10078-102A6 73 years, female 10.5

Contact

  • NEWS ARTICLES
  • PRESS ROOM

The Project

  • INTRODUCTION
  • ORGANIZATION
  • PUBLICATIONS

The Human Protein Atlas

  • DOWNLOADABLE DATA
  • LICENCE & CITATION
  • HELP & FAQ
The Human Protein Atlas project is funded
by the Knut & Alice Wallenberg Foundation.


contact@proteinatlas.org