We use cookies to enhance the usability of our website. If you continue, we'll assume that you are happy to receive all cookies. More information. Don't show this again.
CDKN1A
HPA
RESOURCES
  • TISSUE
  • BRAIN
  • SINGLE CELL
  • SUBCELLULAR
  • CANCER
  • BLOOD
  • CELL LINE
  • STRUCTURE & INTERACTION
ABOUT
  • INTRODUCTION
  • HISTORY
  • ORGANIZATION
  • PUBLICATIONS
  • ANTIBODY SUBMISSION
  • ANTIBODY AVAILABILITY
  • ACKNOWLEDGMENTS
  • CONTACT
NEWS
  • NEWS ARTICLES
  • PRESS ROOM
LEARN
  • DICTIONARY
  • PROTEIN CLASSES
  • PROTEIN EVIDENCE
  • METHODS
  • EDUCATIONAL VIDEOS
DATA
  • DOWNLOADABLE DATA
  • PUBLICATION DATA
  • RELEASE HISTORY
HELP
  • ANTIBODY VALIDATION
  • ASSAYS & ANNOTATION
  • DISCLAIMER
  • HELP & FAQ
  • PRIVACY STATEMENT
  • LICENCE & CITATION
Fields »
Search result

Field
Term
Gene name
Class
Subclass
Class
Keyword
Chromosome
External id
Tissue
Cell type
Expression
Antibody panel
Tissue
Main location
Patient ID
Annotation
Tissue
Category
Tau score
Cluster
Reliability
Brain region
Category
Tau score
Brain region
Category
Tau score
Brain region
Category
Tau score
Cluster
Reliability
Tissue
Cell type
Enrichment
Cell type
Category
Tau score
Cell type
Category
Tau score
Cell type
Category
Tau score
Cell lineage
Category
Tau score
Cluster
Cluster
Location
Searches
Location
Cell line
Class
Type
Phase
Reliability
Cancer
Prognosis
Cancer
Category
Cancer
Category
Tau score
Cluster
Variants
Interacting gene (ensg_id)
Type
Number of interactions
Pathway
Category
Score
Score
Score
Validation
Validation
Validation
Validation
Antibodies
Data type
Column


  • SUMMARY

  • TISSUE

  • BRAIN

  • SINGLE CELL

  • SUBCELL

  • CANCER

  • BLOOD

  • CELL LINE

  • STRUCT & INT

  • CDKN1A
TISSUE PRIMARY DATA VAGINA Show tissue menu
ADIPOSE TISSUE ADRENAL GLAND AMYGDALA APPENDIX BASAL GANGLIA BONE MARROW BREAST BRONCHUS CEREBELLUM CEREBRAL CORTEX CERVIX CHOROID PLEXUS COLON DUODENUM
ENDOMETRIUM EPIDIDYMIS ESOPHAGUS FALLOPIAN TUBE GALLBLADDER HEART MUSCLE HIPPOCAMPAL FORMATION HYPOTHALAMUS KIDNEY LIVER LUNG LYMPH NODE MIDBRAIN NASOPHARYNX
ORAL MUCOSA OVARY PANCREAS PARATHYROID GLAND PITUITARY GLAND PLACENTA PROSTATE RECTUM RETINA SALIVARY GLAND SEMINAL VESICLE SKELETAL MUSCLE SKIN SMALL INTESTINE
SMOOTH MUSCLE SOFT TISSUE SPINAL CORD SPLEEN STOMACH TESTIS THYMUS THYROID GLAND TONGUE TONSIL URINARY BLADDER VAGINA
ANTIBODIES
AND
VALIDATION
Dictionary
Vagina
Tissue proteome
Vagina
VAGINA - Expression summary
Protein expression
Vaginai

On the top, protein expression in current human tissue, based on all annotated cell types, is reported with the units not detected (n), low (l), medium (m) and high (h). Underneath, protein expression in each annotated cell type are reported using the same units.

Protein expression data is based on knowledge-based annotation. For genes where more than one antibody has been used, a collective score is set.

If knowledge-based annotation could not be performed for a gene, no data is displayed here. View antibody staining data further down this page.

h
m
l
n
Squamous epithelial cells: High
RNA expressioni

A summary of mRNA expression data available for current tissue based on several datasets. The mRNA expression levels in human tissues are based on RNA-seq data generated by the Human Protein Atlas (HPA), Genotype-Tissue Expression (GTEx) portal and CAGE data generated by the FANTOM5 consortium. Consensus normalized expression levels for human tissues was created by combining the data from HPA and GTEx datasets.

The mRNA expression levels in pig are based on RNA-seq data generated by the Human Protein Atlas (HPA), and for mouse, HPA data and in situ hybridization generated by the Allen brain atlas are reported.

Scroll down to view mRNA expression data in more detail.
Consensus:137.8 nTPM
GTEx:137.8 nTPM
FANTOM5:345.2 Scaled Tags Per Million

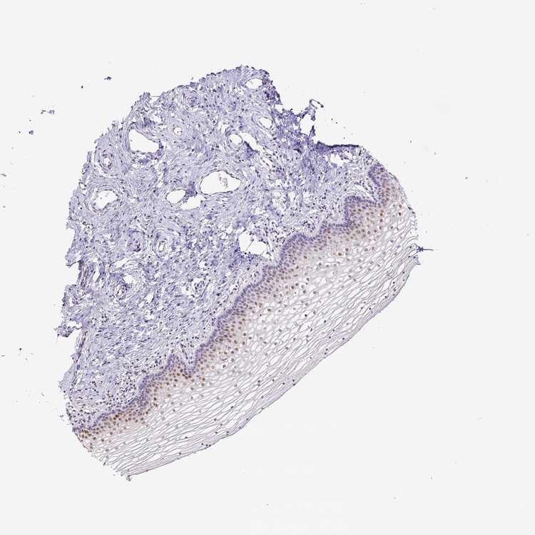
VAGINA - Antibody stainingi

Antibody staining in the annotated cell types in the current human tissue is reported as not detected, low, medium, or high, based on conventional immunohistochemistry profiling in selected tissues. This score is based on the combination of the staining intensity and fraction of stained cells.

Each image is clickable and will lead to virtual microscopy that enables deeper exploration of all samples and also displays staining intensity scores, fraction scores and subcellular localization as well as patient and tissue information for each sample.

Antibody CAB000064Antibody CAB069401
Squamous epithelial cells HighMedium





VAGINA - GTEx RNA-seqi

RNA-Seq data generated by the Genotype-Tissue Expression (GTEx) project from human tissues is reported as mean nTPM. More information can be found on the GTEx portal.

Distribution across the dataset is visualized with box plots, shown as median and 25th and 75th percentiles. Points are displayed as outliers if they are above or below 1.5 times the interquartile range. nTPM values of the individual samples are presented next to the box plot.
Max subtype nTPMi

Max subtype nTPM is the value for the subtype with the largest average nTPM across the subtype samples.

137.8
GTEx sample id Sample description nTPM
Vagina
Average nTPM: 137.8
Samples: 156

Max nTPM: 715.3
Min nTPM: 42.6
Std nTPM: 101.6
Median nTPM: 111.5
GTEX-14AS3-1726-SM-5RQJV 40-49 years, female 715.3
GTEX-1JMQL-2326-SM-CNNPV 50-59 years, female 677.2
GTEX-15ER7-2526-SM-7KUFW 20-29 years, female 646.9
GTEX-14JG6-0726-SM-69LQH 30-39 years, female 578.8
GTEX-X8HC-2826-SM-46MWJ 50-59 years, female 392.4
GTEX-ZTPG-2226-SM-57WF9 20-29 years, female 370.9
GTEX-1HCU8-2026-SM-9YFLE 60-69 years, female 293.2
GTEX-131XG-2126-SM-5DUXG 50-59 years, female 283.6
GTEX-1LNCM-1026-SM-E9U5D 50-59 years, female 270.6
GTEX-11XUK-1326-SM-5EQM4 40-49 years, female 249.7
GTEX-U3ZN-0926-SM-4DXTU 30-39 years, female 237.4
GTEX-1117F-2526-SM-5GZY6 60-69 years, female 237.1
GTEX-Q734-1426-SM-DTXFX 40-49 years, female 232.8
GTEX-1JN76-1526-SM-CNPPF 20-29 years, female 224.4
GTEX-1LGRB-2126-SM-COH48 50-59 years, female 218.9
GTEX-1A8FM-2426-SM-7IGPE 50-59 years, female 210.3
GTEX-S4P3-1126-SM-4AD52 50-59 years, female 203.2
GTEX-1HBPM-2726-SM-9WYUA 60-69 years, female 199.9
GTEX-1J8EW-2526-SM-CKZO2 60-69 years, female 195.3
GTEX-QVJO-2526-SM-CYPRA 60-69 years, female 194.6
GTEX-1CAMS-2326-SM-793CR 40-49 years, female 192.6
GTEX-11EMC-1926-SM-5A5JU 60-69 years, female 187.2
GTEX-TML8-1126-SM-4DXSS 40-49 years, female 186.4
GTEX-1LVAN-1626-SM-CNPQ7 50-59 years, female 185.0
GTEX-1I1GT-1226-SM-B2LVK 60-69 years, female 183.8
GTEX-S4UY-1326-SM-4AD4X 40-49 years, female 180.9
GTEX-1IE54-2626-SM-CMKFY 40-49 years, female 180.3
GTEX-1MCYP-1326-SM-EV7AD 20-29 years, female 174.6
GTEX-SN8G-2626-SM-EXUQT 50-59 years, female 174.3
GTEX-145LS-2526-SM-5TDC9 60-69 years, female 171.5
GTEX-14PKU-1326-SM-6871B 40-49 years, female 165.9
GTEX-ZV6S-1326-SM-59HJA 40-49 years, female 161.8
GTEX-Y3IK-2226-SM-4YCD4 50-59 years, female 161.4
GTEX-WYVS-1426-SM-4ONCV 40-49 years, female 160.6
GTEX-113JC-1926-SM-5N9GE 50-59 years, female 160.4
GTEX-ZQG8-1126-SM-51MRL 60-69 years, female 157.6
GTEX-14PJM-2926-SM-69LOE 50-59 years, female 153.1
GTEX-15UF6-2126-SM-6M46Z 70-79 years, female 150.8
GTEX-13QIC-1826-SM-5J1MY 60-69 years, female 148.5
GTEX-15SB6-1426-SM-7KUEM 50-59 years, female 148.3
GTEX-18A7A-2826-SM-7LT8J 50-59 years, female 147.9
GTEX-17F9Y-2326-SM-7DUFP 70-79 years, female 147.2
GTEX-1J1OQ-1826-SM-CL53R 40-49 years, female 147.0
GTEX-1NUQO-1826-SM-E6CQU 20-29 years, female 146.0
GTEX-16NPV-2526-SM-6M483 50-59 years, female 145.3
GTEX-16NGA-1626-SM-72D6M 40-49 years, female 144.7
GTEX-1LVAM-1926-SM-E6CIM 50-59 years, female 143.5
GTEX-TSE9-2526-SM-4DXUS 60-69 years, female 138.7
GTEX-N7MT-1926-SM-3LK5N 60-69 years, female 138.3
GTEX-146FH-2626-SM-5Q5E1 50-59 years, female 136.6
GTEX-11GSP-2226-SM-5HL5Q 60-69 years, female 134.0
GTEX-ZP4G-0826-SM-4WWF3 20-29 years, female 133.8
GTEX-11DXX-1726-SM-5H11T 60-69 years, female 132.5
GTEX-13W3W-2326-SM-5LU4Y 60-69 years, female 131.1
GTEX-ZYY3-2626-SM-5N9DH 60-69 years, female 131.1
GTEX-1R9JW-1426-SM-DTX9K 30-39 years, female 130.8
GTEX-S7SF-1426-SM-4AT5A 20-29 years, female 127.3
GTEX-11P81-2126-SM-5HL6N 30-39 years, female 127.1
GTEX-ZLWG-1126-SM-4WWFQ 50-59 years, female 123.9
GTEX-1F5PL-1826-SM-7P8PP 40-49 years, female 123.9
GTEX-11TTK-2726-SM-5GU58 60-69 years, female 123.2
GTEX-17JCI-2526-SM-7DHLB 60-69 years, female 123.1
GTEX-1399S-2326-SM-5K7YV 30-39 years, female 122.9
GTEX-1QCLZ-2226-SM-DTX7R 60-69 years, female 122.9
GTEX-TMMY-1926-SM-4DXUU 40-49 years, female 122.8
GTEX-ZC5H-2226-SM-4WAWS 40-49 years, female 122.5
GTEX-OHPK-2526-SM-3MJH9 50-59 years, female 120.8
GTEX-SE5C-1126-SM-4BRWZ 40-49 years, female 120.8
GTEX-1EWIQ-2326-SM-7IGNF 70-79 years, female 119.7
GTEX-P78B-2226-SM-3P5ZZ 40-49 years, female 119.3
GTEX-S341-1226-SM-4AD5S 40-49 years, female 119.2
GTEX-1PIEJ-1926-SM-EVYB7 20-29 years, female 118.6
GTEX-1IDJU-1026-SM-AHZ2U 60-69 years, female 116.3
GTEX-1S5ZU-2626-SM-E9TII 20-29 years, female 116.0
GTEX-PWN1-2526-SM-48TDS 40-49 years, female 114.8
GTEX-1MCC2-1126-SM-EVYD6 30-39 years, female 113.4
GTEX-15SHU-2926-SM-7KUKT 40-49 years, female 112.0
GTEX-13PL7-2726-SM-5L3GB 60-69 years, female 111.5
GTEX-14BMU-1926-SM-5S2QC 20-29 years, female 111.4
GTEX-183WM-2126-SM-7LG4I 70-79 years, female 111.4
GTEX-ZYVF-0326-SM-5GIES 50-59 years, female 110.9
GTEX-Y8LW-1426-SM-5RQJJ 50-59 years, female 110.6
GTEX-1I4MK-1726-SM-ARL7O 50-59 years, female 109.6
GTEX-1ICG6-1626-SM-ARL81 70-79 years, female 109.6
GTEX-XV7Q-1626-SM-4BRWC 40-49 years, female 109.1
GTEX-W5WG-1026-SM-4LMIF 50-59 years, female 108.9
GTEX-ZVT3-2726-SM-5GU5X 60-69 years, female 108.5
GTEX-QDT8-2526-SM-48TYX 30-39 years, female 106.8
GTEX-RU1J-1426-SM-46MUV 20-29 years, female 106.1
GTEX-1HBPH-2926-SM-9WPNX 40-49 years, female 103.8
GTEX-PWCY-1726-SM-48TD3 20-29 years, female 102.5
GTEX-14DAQ-2326-SM-5S2QX 60-69 years, female 101.2
GTEX-1QP28-1426-SM-EVR4E 50-59 years, female 101.1
GTEX-NPJ7-2526-SM-EV79A 60-69 years, female 100.7
GTEX-18D9A-1026-SM-7KFRU 30-39 years, female 100.5
GTEX-1AMFI-1526-SM-73KVY 50-59 years, female 100.2
GTEX-14A5I-2726-SM-5SIB3 50-59 years, female 99.2
GTEX-UJHI-1326-SM-4IHJO 50-59 years, female 99.1
GTEX-11VI4-0726-SM-5GU5B 40-49 years, female 97.2
GTEX-OHPN-2426-SM-E9TI5 60-69 years, female 97.1
GTEX-145ME-1426-SM-5RQJS 40-49 years, female 96.9
GTEX-1GN1W-1526-SM-7P8TG 50-59 years, female 96.2
GTEX-ZZPU-2226-SM-5EGIV 50-59 years, female 95.3
GTEX-QCQG-1226-SM-48U23 50-59 years, female 95.1
GTEX-XUZC-1226-SM-4BRVJ 30-39 years, female 94.9
GTEX-X15G-1926-SM-4PQZQ 50-59 years, female 93.5
GTEX-14PJ6-1626-SM-6872D 60-69 years, female 93.4
GTEX-14PN3-1626-SM-6AJAV 60-69 years, female 92.7
GTEX-T6MO-1226-SM-4DM5S 40-49 years, female 92.3
GTEX-15DYW-2926-SM-6PANA 60-69 years, female 92.1
GTEX-1HCU6-2326-SM-ACKXP 60-69 years, female 92.0
GTEX-1HCUA-1026-SM-A9SMI 50-59 years, female 91.4
GTEX-1GMR8-2526-SM-7RHI9 50-59 years, female 90.2
GTEX-Y114-1926-SM-4TT8J 50-59 years, female 89.7
GTEX-1C475-0526-SM-793AC 40-49 years, female 89.2
GTEX-1399U-1526-SM-5J2N7 50-59 years, female 88.9
GTEX-147F3-1526-SM-5SIAK 50-59 years, female 88.8
GTEX-PLZ4-2726-SM-3P61A 50-59 years, female 88.1
GTEX-1GN1U-2426-SM-9KNTU 50-59 years, female 86.7
GTEX-11I78-2026-SM-5987C 50-59 years, female 86.5
GTEX-12ZZX-1926-SM-5EGKC 40-49 years, female 86.2
GTEX-13QBU-1726-SM-5IJFQ 40-49 years, female 85.5
GTEX-RWS6-1726-SM-47JXP 60-69 years, female 84.5
GTEX-ZXES-0626-SM-5E45P 30-39 years, female 83.9
GTEX-YJ8O-1226-SM-5P9JE 40-49 years, female 82.4
GTEX-P4PP-2526-SM-3P61P 30-39 years, female 80.7
GTEX-13U4I-2026-SM-5LU3L 40-49 years, female 79.8
GTEX-OHPL-2526-SM-3MJGT 60-69 years, female 79.7
GTEX-ZVT2-0626-SM-5GICR 50-59 years, female 79.5
GTEX-XUW1-0326-SM-4BOOR 50-59 years, female 78.3
GTEX-14H4A-2426-SM-664OQ 40-49 years, female 78.1
GTEX-13OVI-0926-SM-5J1MI 60-69 years, female 76.4
GTEX-1LH75-1726-SM-DHXKZ 50-59 years, female 76.0
GTEX-T2IS-1926-SM-4DM74 20-29 years, female 74.8
GTEX-1GF9U-1926-SM-7P8TZ 40-49 years, female 74.6
GTEX-1HFI7-1126-SM-A96S5 50-59 years, female 73.6
GTEX-1QPFJ-1626-SM-DTX7X 30-39 years, female 72.1
GTEX-1LGOU-1126-SM-D3LAI 20-29 years, female 70.3
GTEX-1JN1M-2326-SM-ARZNG 60-69 years, female 69.8
GTEX-ZAK1-2426-SM-EXOHM 50-59 years, female 67.8
GTEX-11EM3-1826-SM-5A5KO 20-29 years, female 66.3
GTEX-1F48J-2526-SM-7P8TU 50-59 years, female 66.2
GTEX-PX3G-2526-SM-48TZV 20-29 years, female 66.1
GTEX-ZE7O-2426-SM-57WD7 50-59 years, female 64.8
GTEX-12WSJ-1326-SM-5GCOB 40-49 years, female 64.4
GTEX-WRHU-2926-SM-4MVNQ 50-59 years, female 62.9
GTEX-WEY5-0826-SM-4LMIH 40-49 years, female 62.5
GTEX-13D11-1326-SM-5IJFY 50-59 years, female 62.1
GTEX-YFC4-2926-SM-5IFJ8 40-49 years, female 61.3
GTEX-12WSD-2926-SM-5LZUH 60-69 years, female 57.0
GTEX-13PVR-1426-SM-5S2PW 60-69 years, female 52.8
GTEX-146FR-2426-SM-5NQAU 60-69 years, female 52.1
GTEX-ZGAY-2226-SM-4YCCX 40-49 years, female 51.0
GTEX-131YS-2426-SM-5J2OD 60-69 years, female 46.3
GTEX-13N11-1526-SM-5L3FL 50-59 years, female 43.5
GTEX-15SDE-1726-SM-6LPJS 50-59 years, female 42.6
Show allShow less

VAGINA - FANTOM5 CAGEi

RNA expression in human tissues obtained through Cap Analysis of Gene Expression (CAGE) generated by the FANTOM5 project are reported as Scaled Tags Per Million.

Max subtype Scaled Tags Per Millioni

Max subtype Scaled Tags Per Million is the value for the subtype with the largest average Scaled Tags Per Million across the subtype samples.

345.2
FANTOM5 sample id Sample description Scaled Tags Per Million
Vagina
Scaled Tags Per Million: 345.2
FF:10204-103F6 68 years, female 345.2

Contact

  • NEWS ARTICLES
  • PRESS ROOM

The Project

  • INTRODUCTION
  • ORGANIZATION
  • PUBLICATIONS

The Human Protein Atlas

  • DOWNLOADABLE DATA
  • LICENCE & CITATION
  • HELP & FAQ
The Human Protein Atlas project is funded
by the Knut & Alice Wallenberg Foundation.


contact@proteinatlas.org