We use cookies to enhance the usability of our website. If you continue, we'll assume that you are happy to receive all cookies. More information. Don't show this again.
DEK
HPA
RESOURCES
  • TISSUE
  • BRAIN
  • SINGLE CELL
  • SUBCELLULAR
  • CANCER
  • BLOOD
  • CELL LINE
  • STRUCTURE & INTERACTION
ABOUT
  • INTRODUCTION
  • HISTORY
  • ORGANIZATION
  • PUBLICATIONS
  • ANTIBODY SUBMISSION
  • ANTIBODY AVAILABILITY
  • ACKNOWLEDGMENTS
  • CONTACT
NEWS
  • NEWS ARTICLES
  • PRESS ROOM
LEARN
  • DICTIONARY
  • PROTEIN CLASSES
  • PROTEIN EVIDENCE
  • METHODS
  • EDUCATIONAL VIDEOS
DATA
  • DOWNLOADABLE DATA
  • PUBLICATION DATA
  • RELEASE HISTORY
HELP
  • ANTIBODY VALIDATION
  • ASSAYS & ANNOTATION
  • DISCLAIMER
  • HELP & FAQ
  • PRIVACY STATEMENT
  • LICENCE & CITATION
Fields »
Search result

Field
Term
Gene name
Class
Subclass
Class
Keyword
Chromosome
External id
Tissue
Cell type
Expression
Antibody panel
Tissue
Main location
Patient ID
Annotation
Tissue
Category
Tau score
Cluster
Reliability
Brain region
Category
Tau score
Brain region
Category
Tau score
Brain region
Category
Tau score
Cluster
Reliability
Tissue
Cell type
Enrichment
Cell type
Category
Tau score
Cell type
Category
Tau score
Cell type
Category
Tau score
Cell lineage
Category
Tau score
Cluster
Cluster
Location
Searches
Location
Cell line
Class
Type
Phase
Reliability
Cancer
Prognosis
Cancer
Category
Cancer
Category
Tau score
Cluster
Variants
Interacting gene (ensg_id)
Type
Number of interactions
Pathway
Category
Score
Score
Score
Validation
Validation
Validation
Validation
Antibodies
Data type
Column


  • SUMMARY

  • TISSUE

  • BRAIN

  • SINGLE CELL

  • SUBCELL

  • CANCER

  • BLOOD

  • CELL LINE

  • STRUCT & INT

  • DEK
BRAIN CEREBELLUM Show tissue menu
AMYGDALA BASAL GANGLIA CEREBELLUM CEREBRAL CORTEX CHOROID PLEXUS HIPPOCAMPAL FORMATION HYPOTHALAMUS MEDULLA OBLONGATA
MIDBRAIN OLFACTORY BULB PITUITARY GLAND PONS RETINA SPINAL CORD THALAMUS WHITE MATTER
ANTIBODIES
AND
VALIDATION
Brain proteome
Cerebellum
CEREBELLUM - Expression summary
Protein expression
Cerebellumi

On the top, protein expression in current human tissue, based on all annotated cell types, is reported with the units not detected (n), low (l), medium (m) and high (h). Underneath, protein expression in each annotated cell type are reported using the same units.

Protein expression data is based on knowledge-based annotation. For genes where more than one antibody has been used, a collective score is set.

If knowledge-based annotation could not be performed for a gene, no data is displayed here. View antibody staining data further down this page.

h
m
l
n
Cells in granular layer: Low
Cells in molecular layer: Low
Purkinje cells: Not detected
RNA expressioni

A summary of mRNA expression data available for current tissue based on several datasets. The mRNA expression levels in human tissues are based on RNA-seq data generated by the Human Protein Atlas (HPA), Genotype-Tissue Expression (GTEx) portal and CAGE data generated by the FANTOM5 consortium. Consensus normalized expression levels for human tissues was created by combining the data from HPA and GTEx datasets.

The mRNA expression levels in pig are based on RNA-seq data generated by the Human Protein Atlas (HPA), and for mouse, HPA data and in situ hybridization generated by the Allen brain atlas are reported.

Scroll down to view mRNA expression data in more detail.
Consensus:46.7 nTPM
HPA Brain:47.6 nTPM
GTEx:46.7 nTPM
FANTOM5:119.4 Scaled Tags Per Million
Pig:43.8 nTPM
Mouse:45.3 nTPM
Allen mouse:0.1 Expression energy

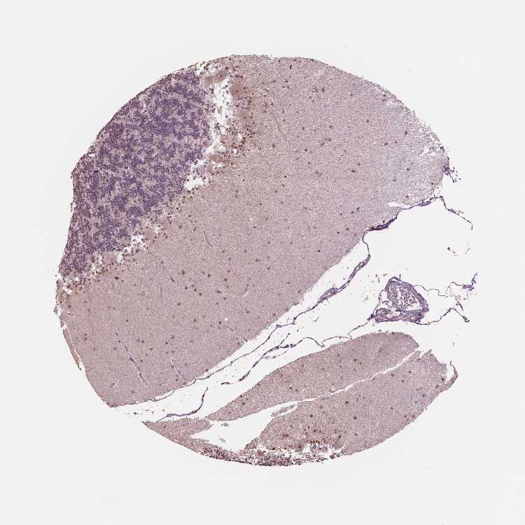
CEREBELLUM - Antibody stainingi

Antibody staining in the annotated cell types in the current human tissue is reported as not detected, low, medium, or high, based on conventional immunohistochemistry profiling in selected tissues. This score is based on the combination of the staining intensity and fraction of stained cells.

Each image is clickable and will lead to virtual microscopy that enables deeper exploration of all samples and also displays staining intensity scores, fraction scores and subcellular localization as well as patient and tissue information for each sample.

Antibody HPA054505Antibody HPA057799Antibody CAB015226
Purkinje cells LowNot detectedMedium
Cells in granular layer LowLowMedium
Cells in molecular layer LowLowMedium







CEREBELLUM - HPA Brain RNA-seq
Max subtype nTPMi

Max subtype nTPM is the value for the subtype with the largest average nTPM across the subtype samples.

47.6
Sample id Sample description nTPM
Cerebellar cortex
nTPM: 47.6
1768 Female, age 72, unknown 72.2
1774 Male, age 80, left hemisphere 58.2
2101 Male, age 74, right hemisphere 48.6
2006 Male, age 61, right hemisphere 47.7
1769 Male, age 76, right hemisphere 44.9
1788 Male, age 55, unknown 41.7
2003 Female, age 85, right hemisphere 35.5
2055 Female, age 91, right hemisphere 31.5
Cerebellar nuclei
nTPM: 22.2
1871 Male, age 74, unknown 27.6
2005 Male, age 80, left hemisphere 27.2
2175 Male, age 61, right hemisphere 24.2
1879 Male, age 55, unknown 23.8
2318 Male, age 74, left hemisphere 23.0
1966 Female, age 91, left hemisphere 21.8
2783 Female, age 72, unknown 19.3
2177 Female, age 85, both hemispheres 17.7
2882 Male, age 76, left hemisphere 15.4
Flocculonodular lobe
nTPM: 46.4
1765 Male, age 55, unknown 67.6
1771 Male, age 80, left hemisphere 61.9
1835 Female, age 85, right hemisphere 42.5
2004 Male, age 61, right hemisphere 41.8
1767 Male, age 76, left hemisphere 41.6
2176 Female, age 91, right hemisphere 37.6
1792 Male, age 74, unknown 32.1
Vermis
nTPM: 43.0
1751 Male, age 74, right hemisphere 61.3
1778 Female, age 91, left hemisphere 59.7
1766 Male, age 55, unknown 44.0
1770 Male, age 76, left hemisphere 41.7
1988 Female, age 85, left hemisphere 38.7
2460 Male, age 61, both hemispheres 38.7
1928 Female, age 72, unknown 35.3
2834 Male, age 80, left hemisphere 34.1
1825 Male, age 74, unknown 33.4

CEREBELLUM - GTEx RNA-seqi

RNA-Seq data generated by the Genotype-Tissue Expression (GTEx) project from human tissues is reported as mean nTPM. More information can be found on the GTEx portal.

Distribution across the dataset is visualized with box plots, shown as median and 25th and 75th percentiles. Points are displayed as outliers if they are above or below 1.5 times the interquartile range. nTPM values of the individual samples are presented next to the box plot.
Max subtype nTPMi

Max subtype nTPM is the value for the subtype with the largest average nTPM across the subtype samples.

46.7
GTEx sample id Sample description nTPM
Brain - Cerebellar Hemisphere
Average nTPM: 46.7
Samples: 215

Max nTPM: 99.5
Min nTPM: 15.7
Std nTPM: 10.6
Median nTPM: 45.7
GTEX-14C5O-0011-R11b-SM-6872H 60-69 years, male 99.5
GTEX-X4EP-0011-R11B-SM-4QASK 60-69 years, female 93.9
GTEX-XMD1-0011-R11A-SM-4AT5J 60-69 years, male 79.4
GTEX-P44H-0011-R11A-SM-2XCER 40-49 years, male 78.7
GTEX-13NYS-0011-R11b-SM-5MR4P 60-69 years, male 76.5
GTEX-QDT8-0011-R11A-SM-32PKD 30-39 years, female 68.6
GTEX-UTHO-0011-R11A-SM-3GIJE 60-69 years, male 68.4
GTEX-132Q8-0011-R11b-SM-5DUW9 60-69 years, male 67.1
GTEX-12WSC-0011-R11a-SM-5GU5J 50-59 years, male 66.8
GTEX-QMR6-0011-R11A-SM-32PKK 50-59 years, male 65.8
GTEX-X585-0011-R11B-SM-46MUZ 50-59 years, male 63.8
GTEX-1B8SG-0011-R11a-SM-7P8PF 50-59 years, male 63.8
GTEX-1LVAO-0011-R11b-SM-EXOI8 60-69 years, male 62.7
GTEX-17F97-0011-R11b-SM-7KFRQ 50-59 years, male 62.3
GTEX-14PN4-0011-R11a-SM-686ZW 50-59 years, male 61.7
GTEX-11TTK-0011-R11b-SM-DO112 60-69 years, female 60.9
GTEX-T5JC-0011-R11A-SM-32PMB 20-29 years, male 60.7
GTEX-1JMQJ-0011-R11a-SM-EXOJY 50-59 years, male 60.7
GTEX-T2IS-0011-R11A-SM-32QPC 20-29 years, female 60.6
GTEX-1IKOH-0011-R11a-SM-AHZ38 60-69 years, female 59.2
GTEX-17HII-0011-R11b-SM-7KFSX 50-59 years, male 58.7
GTEX-11ZUS-0011-R11b-SM-5BC7B 30-39 years, male 58.6
GTEX-ZAB4-0011-R11a-SM-4SOKI 40-49 years, male 58.1
GTEX-13FHO-0011-R11b-SM-5LZYQ 60-69 years, male 57.6
GTEX-1J1OQ-0011-R11a-SM-A96S3 40-49 years, female 57.6
GTEX-16YQH-0011-R11b-SM-7LT98 30-39 years, male 57.5
GTEX-T6MN-0011-R11A-SM-32QOX 50-59 years, male 57.2
GTEX-14ABY-0011-R11a-SM-5SI7C 50-59 years, male 56.4
GTEX-13OW5-0011-R11b-SM-5L3GG 60-69 years, male 56.2
GTEX-NL3H-0011-R11A-SM-2I3E6 60-69 years, male 56.1
GTEX-WL46-0011-R11A-SM-3MJFT 50-59 years, male 55.3
GTEX-1I19N-0011-R11b-SM-ARU6Y 70-79 years, male 55.0
GTEX-12126-0011-R11a-SM-5BC6X 20-29 years, male 54.9
GTEX-WVLH-0011-R11A-SM-3MJFO 50-59 years, male 54.9
GTEX-15EO6-0011-R11b-SM-6M47M 50-59 years, male 54.8
GTEX-12ZZZ-0011-R11a-SM-5EGLC 60-69 years, male 54.7
GTEX-1B8L1-0011-R11b-SM-793DJ 60-69 years, male 54.6
GTEX-X4XX-0011-R11A-SM-46MWQ 60-69 years, male 54.6
GTEX-ZUA1-0011-R11b-SM-51MTI 40-49 years, male 54.5
GTEX-13X6I-0011-R11a-SM-5P9HN 60-69 years, male 54.4
GTEX-1ICLZ-0011-R11a-SM-CJI3N 60-69 years, male 54.2
GTEX-1F75A-0011-R11a-SM-AHZ35 50-59 years, male 54.0
GTEX-12WSI-0011-R11b-SM-5P9EZ 50-59 years, male 53.6
GTEX-131XH-0011-R11a-SM-5EGLN 50-59 years, male 53.0
GTEX-13SLW-0011-R11a-SM-5SI8Q 70-79 years, male 52.9
GTEX-TSE9-0011-R11A-SM-3DB7N 60-69 years, female 52.9
GTEX-1E1VI-0011-R11a-SM-9OSWI 50-59 years, male 52.7
GTEX-13O3Q-0011-R11b-SM-5KM2W 50-59 years, male 52.5
GTEX-13RTJ-0011-R11a-SM-5O9CK 60-69 years, male 52.3
GTEX-1F48J-0011-R11b-SM-9OSWV 50-59 years, female 52.2
GTEX-145MI-0011-R11a-SM-5P9JZ 60-69 years, female 52.0
GTEX-13OW6-0011-R11a-SM-5L3H2 50-59 years, male 51.7
GTEX-1A3MX-0011-R11b-SM-7DUGP 60-69 years, male 51.7
GTEX-1N2DW-0011-R11b-SM-EXOIL 50-59 years, male 51.6
GTEX-1N2EE-0011-R11b-SM-EXOIJ 60-69 years, male 51.6
GTEX-13O3O-0011-R11b-SM-5KM4G 60-69 years, female 51.4
GTEX-17HG3-0011-R11b-SM-7KFT4 30-39 years, female 51.4
GTEX-1JMOU-0011-R11b-SM-EXUTA 60-69 years, female 51.4
GTEX-11OF3-0011-R11a-SM-57WCR 60-69 years, male 51.2
GTEX-1I1GR-0011-R11a-SM-CM2T5 60-69 years, male 51.1
GTEX-14BIM-0011-R11b-SM-5S2RN 60-69 years, female 51.0
GTEX-16Z82-0011-R11a-SM-79OKJ 60-69 years, male 51.0
GTEX-11DZ1-0011-R11b-SM-DO11W 50-59 years, male 51.0
GTEX-1F7RK-0011-R11b-SM-9QEI2 20-29 years, female 50.6
GTEX-1HFI6-0011-R11b-SM-A96RU 40-49 years, male 50.3
GTEX-13OW7-0011-R11a-SM-5O9DY 50-59 years, male 50.1
GTEX-1GF9W-0011-R11b-SM-9OSXG 60-69 years, male 50.0
GTEX-15CHQ-0011-R11b-SM-686ZZ 60-69 years, male 49.8
GTEX-WWYW-0011-R11A-SM-3NB38 50-59 years, female 49.7
GTEX-P44G-0011-R11A-SM-2I3FD 30-39 years, male 49.5
GTEX-1I1GS-0011-R11a-SM-C1YRU 60-69 years, male 49.5
GTEX-1LG7Y-0011-R11a-SM-EXOIH 50-59 years, male 49.5
GTEX-YJ89-0011-R11a-SM-4SOKA 60-69 years, male 49.4
GTEX-Z93S-0011-R11a-SM-4RGNN 50-59 years, male 49.4
GTEX-1CB4G-0011-R11a-SM-9OSWG 60-69 years, male 49.4
GTEX-11GSP-0011-R11b-SM-5NQ7V 60-69 years, female 49.3
GTEX-1EMGI-0011-R11b-SM-9OSWX 60-69 years, male 49.3
GTEX-1F52S-0011-R11a-SM-CJI23 60-69 years, female 49.2
GTEX-1H3VE-0011-R11b-SM-C1YRP 40-49 years, male 49.1
GTEX-X261-0011-R11A-SM-4E3JY 50-59 years, male 49.0
GTEX-Y8DK-0011-R11A-SM-4SOK2 60-69 years, male 49.0
GTEX-1R9PO-0011-R11b-SM-EZ6NB 60-69 years, female 49.0
GTEX-1HCU6-0011-R11b-SM-AHZ2F 60-69 years, female 48.8
GTEX-R55E-0011-R11A-SM-2TC6I 20-29 years, male 48.5
GTEX-15ER7-0011-R11a-SM-6LPIL 20-29 years, female 48.3
GTEX-WZTO-0011-R11A-SM-4E3K9 40-49 years, male 48.2
GTEX-18464-0011-R11a-SM-72D76 50-59 years, male 48.1
GTEX-12WSF-0011-R11a-SM-5LZVT 70-79 years, male 48.0
GTEX-12ZZX-0011-R11a-SM-5DUVJ 40-49 years, female 48.0
GTEX-13VXU-0011-R11b-SM-5O9DJ 50-59 years, male 48.0
GTEX-13OVH-0011-R11b-SM-5KM4X 70-79 years, male 47.9
GTEX-13OVL-0011-R11b-SM-5L3G7 50-59 years, male 47.9
GTEX-ZVZQ-0011-R11a-SM-51MS6 60-69 years, female 47.9
GTEX-145LU-0011-R11b-SM-5P9JX 50-59 years, male 47.8
GTEX-1B8SF-0011-R11a-SM-79OOP 60-69 years, male 47.8
GTEX-1H1DG-0011-R11a-SM-C1YQK 70-79 years, male 47.5
GTEX-1R9K4-0011-R11a-SM-EZ6N9 60-69 years, male 47.0
GTEX-RU72-0011-R11A-SM-CM2U1 50-59 years, female 47.0
GTEX-1KD4Q-0011-R11b-SM-EXOIE 40-49 years, male 46.9
GTEX-145MH-0011-R11a-SM-5P9HQ 50-59 years, male 46.8
GTEX-1GZ4I-0011-R11b-SM-9OSWR 50-59 years, male 46.3
GTEX-1H1CY-0011-R11a-SM-C1YQR 60-69 years, female 46.3
GTEX-14DAQ-0011-R11a-SM-664NO 60-69 years, female 46.1
GTEX-1LSVX-0011-R11b-SM-EXOIA 60-69 years, male 46.0
GTEX-13X6J-0011-R11a-SM-5P9HE 50-59 years, male 45.9
GTEX-15DYW-0011-R11a-SM-6LPIT 60-69 years, female 45.9
GTEX-14ASI-0011-R11b-SM-6AJBJ 60-69 years, male 45.7
GTEX-1H1ZS-0011-R11a-SM-C1YQM 70-79 years, male 45.7
GTEX-1I1HK-0011-R11a-SM-B2LVN 60-69 years, male 45.6
GTEX-12WSE-0011-R11b-SM-5P9JW 20-29 years, male 45.3
GTEX-13SLX-0011-R11b-SM-5O9C8 50-59 years, female 45.3
GTEX-14E6D-0011-R11b-SM-664NP 50-59 years, male 45.3
GTEX-1C64N-0011-R11b-SM-7P8Q6 50-59 years, male 45.3
GTEX-13FXS-0011-R11a-SM-5L3DM 50-59 years, male 45.2
GTEX-1F6I4-0011-R11b-SM-9OSWS 60-69 years, male 45.1
GTEX-1B933-0011-R11a-SM-7P8PM 50-59 years, female 44.9
GTEX-1H3NZ-0011-R11b-SM-CE6SF 60-69 years, male 44.9
GTEX-1IDJH-0011-R11b-SM-C1YRT 70-79 years, male 44.9
GTEX-1399T-0011-R11a-SM-5J2O1 60-69 years, male 44.7
GTEX-12WSM-0011-R11a-SM-5DUX8 60-69 years, male 44.6
GTEX-YFC4-0011-R11a-SM-4SOK6 40-49 years, female 44.5
GTEX-1EKGG-0011-R11a-SM-9QEHZ 60-69 years, male 44.5
GTEX-1GN73-0011-R11b-SM-9OSX4 60-69 years, male 44.5
GTEX-1IGQW-0011-R11a-SM-C1YRV 60-69 years, male 44.5
GTEX-13NYB-0011-R11a-SM-5KM3Q 40-49 years, male 44.3
GTEX-1AX9I-0011-R11b-SM-7DHN4 60-69 years, male 44.3
GTEX-131YS-0011-R11b-SM-5EGLM 60-69 years, female 44.1
GTEX-1BAJH-0011-R11b-SM-7IGLM 70-79 years, male 44.0
GTEX-1HGF4-0011-R11a-SM-C1YRR 60-69 years, male 43.8
GTEX-1JJ6O-0011-R11b-SM-EXUS2 60-69 years, male 43.8
GTEX-13N2G-0011-R11a-SM-5MR3F 60-69 years, male 43.7
GTEX-18465-0011-R11a-SM-72D78 50-59 years, male 43.5
GTEX-WHSE-0011-R11A-SM-3P5YY 20-29 years, male 43.3
GTEX-1IKK5-0011-R11a-SM-C1YRX 60-69 years, male 43.3
GTEX-11H98-0011-R11b-SM-5NQ6U 50-59 years, male 43.2
GTEX-1HSKV-0011-R11b-SM-AHZ2E 60-69 years, male 43.1
GTEX-13FHP-0011-R11b-SM-5LZXP 50-59 years, male 42.9
GTEX-1I1GQ-0011-R11b-SM-CKZPA 50-59 years, male 42.8
GTEX-183WM-0011-R11a-SM-718A5 70-79 years, female 42.6
GTEX-15DCD-0011-R11a-SM-D4P1R 70-79 years, female 42.5
GTEX-13FTY-0011-R11a-SM-5IJEA 40-49 years, female 42.2
GTEX-11EMC-0011-R11b-SM-DNZZK 60-69 years, female 42.2
GTEX-139TT-0011-R11b-SM-5LZV1 60-69 years, male 41.8
GTEX-13OVJ-0011-R11a-SM-5P9H8 50-59 years, female 41.8
GTEX-1IL2V-0011-R11a-SM-ARU6T 70-79 years, male 41.8
GTEX-1313W-0011-R11a-SM-5DUXN 50-59 years, female 41.7
GTEX-1GMR8-0011-R11b-SM-9OSX2 50-59 years, female 41.7
GTEX-13S7M-0011-R11b-SM-5P9HU 60-69 years, female 41.6
GTEX-RVPV-0011-R11A-SM-2TF6F 60-69 years, male 41.6
GTEX-1JJEA-0011-R11a-SM-EXUTE 60-69 years, male 41.6
GTEX-Q2AG-0011-R11A-SM-2HMKZ 40-49 years, female 41.5
GTEX-13OW8-0011-R11a-SM-5L3GT 60-69 years, male 41.3
GTEX-1J8EW-0011-R11a-SM-AHZ37 60-69 years, female 41.2
GTEX-18A6Q-0011-R11a-SM-72D6H 60-69 years, male 40.9
GTEX-11DYG-0011-R11a-SM-DNZZP 60-69 years, male 40.9
GTEX-S7SE-0011-R11A-SM-2XCDD 50-59 years, male 40.7
GTEX-1GTWX-0011-R11b-SM-C1YQJ 60-69 years, male 40.5
GTEX-144GL-0011-R11b-SM-5P9F6 50-59 years, male 40.4
GTEX-1HB9E-0011-R11b-SM-ARU79 50-59 years, male 40.4
GTEX-14E7W-0011-R11a-SM-5ZZVA 70-79 years, male 40.0
GTEX-NL4W-0011-R11A-SM-2I3DW 50-59 years, male 40.0
GTEX-1H4P4-0011-R11b-SM-CE6S8 50-59 years, male 39.9
GTEX-13G51-0011-R11b-SM-5J2NE 60-69 years, male 39.8
GTEX-1GMRU-0011-R11b-SM-C1YQ4 50-59 years, male 39.7
GTEX-1IY9M-0011-R11b-SM-A96TI 60-69 years, male 39.7
GTEX-N7MS-0011-R11A-SM-2HMJS 60-69 years, male 39.6
GTEX-12WSH-0011-R11a-SM-5LZVM 50-59 years, male 39.4
GTEX-13QIC-0011-R11b-SM-5O9BU 60-69 years, female 39.2
GTEX-1M4P7-0011-R11b-SM-EXOIK 60-69 years, male 39.2
GTEX-11DXY-0011-R11a-SM-DNZZN 60-69 years, male 39.1
GTEX-13CF2-0011-R11b-SM-5LZXO 60-69 years, male 39.0
GTEX-13NZA-0011-R11b-SM-5KM4W 60-69 years, male 39.0
GTEX-15G19-0011-R11b-SM-6LPIH 60-69 years, male 39.0
GTEX-16XZZ-0011-R11a-SM-7EPI3 60-69 years, male 38.8
GTEX-1GZHY-0011-R11a-SM-C1YRQ 50-59 years, female 38.7
GTEX-ZDXO-0011-R11a-SM-4WWD9 60-69 years, male 38.6
GTEX-NPJ7-0011-R11A-SM-2I3E8 60-69 years, female 38.5
GTEX-ZVT3-0011-R11b-SM-57WBI 60-69 years, female 38.5
GTEX-13CZV-0011-R11b-SM-5N9FN 60-69 years, male 38.4
GTEX-13JVG-0011-R11a-SM-5KM53 60-69 years, male 38.4
GTEX-16GPK-0011-R11b-SM-7MKFF 60-69 years, male 38.3
GTEX-1LKK1-0011-R11a-SM-EXOIG 50-59 years, female 38.2
GTEX-1HBPI-0011-R11b-SM-CE6SH 50-59 years, male 38.1
GTEX-11PRG-0011-R11b-SM-DNZZY 50-59 years, male 38.0
GTEX-11ZTS-0011-R11a-SM-DO113 60-69 years, female 37.8
GTEX-1F75W-0011-R11b-SM-AHZ34 60-69 years, male 37.8
GTEX-13FLV-0011-R11a-SM-5LZZ7 50-59 years, male 37.6
GTEX-1H3O1-0011-R11a-SM-A96RV 60-69 years, male 37.6
GTEX-14BIN-0011-R11a-SM-5SI79 50-59 years, female 37.1
GTEX-1I1GV-0011-R11a-SM-CJI3Z 60-69 years, male 37.1
GTEX-1IL2U-0011-R11a-SM-CE6SO 60-69 years, male 36.9
GTEX-ZE9C-0011-R11a-SM-4WKGG 60-69 years, male 36.5
GTEX-NPJ8-0011-R11A-SM-2YUMS 40-49 years, male 36.4
GTEX-13PLJ-0011-R11b-SM-5O9BS 60-69 years, female 35.8
GTEX-13X6K-0011-R11a-SM-5P9F5 60-69 years, female 35.5
GTEX-13JUV-0011-R11a-SM-5LZYH 40-49 years, female 35.2
GTEX-17EVP-0011-R11a-SM-7EWDL 40-49 years, male 34.6
GTEX-11WQC-0011-R11b-SM-57WD6 60-69 years, male 34.5
GTEX-11EI6-0011-R11a-SM-DO11V 60-69 years, male 33.3
GTEX-1J8Q2-0011-R11a-SM-A9SKI 60-69 years, male 33.2
GTEX-16NPV-0011-R11a-SM-7IGMK 50-59 years, female 32.9
GTEX-17JCI-0011-R11a-SM-7189Y 60-69 years, female 32.4
GTEX-ZE7O-0011-R11a-SM-57WBC 50-59 years, female 32.4
GTEX-ZF28-0011-R11a-SM-4WWEI 60-69 years, male 32.4
GTEX-13PVQ-0011-R11a-SM-5O9DU 50-59 years, male 32.0
GTEX-1IOXB-0011-R11a-SM-A9G1X 50-59 years, male 31.7
GTEX-1HUB1-0011-R11b-SM-CE6SC 60-69 years, male 31.6
GTEX-OHPN-0011-R11A-SM-2I5FM 60-69 years, female 30.7
GTEX-139UW-0011-R11a-SM-5IJGN 60-69 years, male 28.6
GTEX-17EVQ-0011-R11a-SM-7LT9C 70-79 years, male 27.8
GTEX-14C39-0011-R11b-SM-5YYAF 40-49 years, male 26.0
GTEX-1CAV2-0011-R11a-SM-ARU8D 40-49 years, female 25.8
GTEX-12WSD-0011-R11a-SM-9OSVC 60-69 years, female 24.6
GTEX-131XW-0011-R11a-SM-5DUV9 50-59 years, female 23.8
GTEX-N7MT-0011-R11A-SM-2I3DZ 60-69 years, female 15.7
Show allShow less
Brain - Cerebellum
Average nTPM: 36.1
Samples: 241

Max nTPM: 79.4
Min nTPM: 21.4
Std nTPM: 9.1
Median nTPM: 34.1
GTEX-14C5O-2926-SM-5RQI1 60-69 years, male 79.4
GTEX-132Q8-2926-SM-5IFFP 60-69 years, male 72.6
GTEX-1PWST-3026-SM-EAZ3H 70-79 years, male 68.2
GTEX-X4EP-3026-SM-3P5YP 60-69 years, female 65.3
GTEX-QMR6-1326-SM-32PLB 50-59 years, male 65.0
GTEX-P44H-2426-SM-2XCEJ 40-49 years, male 64.6
GTEX-13X6I-2926-SM-5Q5C3 60-69 years, male 59.8
GTEX-1P4AB-3026-SM-EXOJS 50-59 years, male 59.2
GTEX-ZZPT-2926-SM-5EQ5S 50-59 years, male 58.9
GTEX-1J1OQ-3126-SM-D4P2O 40-49 years, female 57.7
GTEX-1GZ2Q-3026-SM-9JGG3 40-49 years, male 56.8
GTEX-11OC5-0626-SM-5HL6M 60-69 years, male 56.7
GTEX-WHSE-2926-SM-3NMBG 20-29 years, male 54.1
GTEX-1192X-3226-SM-5987D 50-59 years, male 53.2
GTEX-1JJ6O-3026-SM-C1YQH 60-69 years, male 52.2
GTEX-QVUS-2926-SM-3GIJB 60-69 years, female 49.4
GTEX-PVOW-2626-SM-32PL8 40-49 years, male 49.2
GTEX-1F52S-3026-SM-7P8PV 60-69 years, female 49.1
GTEX-131XH-2926-SM-5LZU4 50-59 years, male 48.6
GTEX-145LU-2626-SM-5LU9Z 50-59 years, male 48.3
GTEX-11TTK-2826-SM-5GU5K 60-69 years, female 47.7
GTEX-1C6WA-3326-SM-7MKGN 60-69 years, male 47.7
GTEX-T5JC-2326-SM-32PMR 20-29 years, male 47.7
GTEX-13FHO-2926-SM-5L3ES 60-69 years, male 47.2
GTEX-14BIM-3126-SM-5Q5C7 60-69 years, female 47.2
GTEX-183WM-2726-SM-7KFRF 70-79 years, female 47.2
GTEX-P44G-2526-SM-2I5EK 30-39 years, male 47.0
GTEX-1JN1M-3126-SM-AHZ4E 60-69 years, female 47.0
GTEX-15EO6-2926-SM-6M48D 50-59 years, male 46.9
GTEX-11DZ1-2926-SM-5A5KI 50-59 years, male 46.8
GTEX-1CB4H-3026-SM-79OLX 60-69 years, female 46.2
GTEX-QDT8-3026-SM-32PKB 30-39 years, female 45.8
GTEX-1B8SG-1926-SM-73KUB 50-59 years, male 45.5
GTEX-145MH-2926-SM-5Q5D2 50-59 years, male 45.3
GTEX-16YQH-2926-SM-6LPJE 30-39 years, male 44.5
GTEX-13X6J-2926-SM-7EPGP 50-59 years, male 44.4
GTEX-14PN4-3026-SM-664O4 50-59 years, male 44.4
GTEX-XMD1-2826-SM-4AT5F 60-69 years, male 44.2
GTEX-T2IS-2926-SM-32QPO 20-29 years, female 43.3
GTEX-147F4-3026-SM-5Q5BJ 50-59 years, male 43.2
GTEX-1JMOU-2826-SM-EV79R 60-69 years, female 43.1
GTEX-11GSO-3026-SM-5Q5AL 60-69 years, male 43.0
GTEX-12WSE-2926-SM-5RQJ9 20-29 years, male 42.5
GTEX-11NV4-2226-SM-5BC4T 60-69 years, male 42.3
GTEX-11O72-2826-SM-5HL6W 40-49 years, male 42.3
GTEX-1RNSC-3126-SM-EVR4V 60-69 years, male 42.2
GTEX-ZAB4-2926-SM-57WCV 40-49 years, male 41.9
GTEX-1R9PO-2826-SM-E6CPV 60-69 years, female 41.9
GTEX-1B8SF-3026-SM-731DX 60-69 years, male 41.7
GTEX-1H4P4-2726-SM-9JGGB 50-59 years, male 41.6
GTEX-1GF9W-2726-SM-9JGGW 60-69 years, male 41.4
GTEX-145LS-3026-SM-5O99S 60-69 years, female 41.3
GTEX-1IY9M-3126-SM-AHZ3A 60-69 years, male 41.1
GTEX-12WSC-2926-SM-5BC5Z 50-59 years, male 41.0
GTEX-1QP6S-3026-SM-EAZ4N 40-49 years, male 40.7
GTEX-13QIC-3026-SM-5LU58 60-69 years, female 40.4
GTEX-X4XX-2926-SM-3NMB1 60-69 years, male 40.3
GTEX-1F75A-2926-SM-7MXVN 50-59 years, male 40.1
GTEX-1F75W-3126-SM-7P8SJ 60-69 years, male 40.1
GTEX-1H1DG-2826-SM-9JGHB 70-79 years, male 40.1
GTEX-1JMQK-2926-SM-D4P2T 60-69 years, male 40.1
GTEX-1JJE9-3026-SM-CNNPA 70-79 years, male 39.9
GTEX-1JJEA-2926-SM-C1YSK 60-69 years, male 39.9
GTEX-1A3MX-2926-SM-718B7 60-69 years, male 39.7
GTEX-12ZZX-2826-SM-5BC6K 40-49 years, female 39.5
GTEX-ZYFD-2926-SM-5GID9 50-59 years, male 39.5
GTEX-14ABY-3026-SM-664NE 50-59 years, male 38.9
GTEX-WZTO-2826-SM-3NM8P 40-49 years, male 38.8
GTEX-11DXW-1026-SM-5H11K 40-49 years, male 38.6
GTEX-1H3NZ-2926-SM-9WPQ8 60-69 years, male 38.1
GTEX-14ASI-2926-SM-5Q5DG 60-69 years, male 38.0
GTEX-11GSP-3126-SM-5A5LL 60-69 years, female 37.9
GTEX-N7MT-1226-SM-DKPOK 60-69 years, female 37.9
GTEX-13SLX-3226-SM-5YYA6 50-59 years, female 37.8
GTEX-Z93S-2826-SM-57WBL 50-59 years, male 37.8
GTEX-13OW5-3126-SM-5MR3Y 60-69 years, male 37.7
GTEX-1IKOH-2826-SM-CNNRC 60-69 years, female 37.6
GTEX-1LG7Y-3126-SM-EV7AS 50-59 years, male 37.6
GTEX-WL46-2826-SM-3LK81 50-59 years, male 37.3
GTEX-1I1HK-2726-SM-AHZ2M 60-69 years, male 37.3
GTEX-12126-0926-SM-5FQTW 20-29 years, male 37.2
GTEX-X261-3126-SM-4PQZC 50-59 years, male 37.2
GTEX-1HCVE-2926-SM-9WPPJ 50-59 years, male 37.2
GTEX-13VXU-3026-SM-5LU3K 50-59 years, male 37.1
GTEX-17F97-2926-SM-7DUEQ 50-59 years, male 37.1
GTEX-1PIIG-2826-SM-DTX7O 30-39 years, male 37.1
GTEX-13S7M-3026-SM-5S2QQ 60-69 years, female 36.9
GTEX-1KWVE-2226-SM-CXZKN 30-39 years, male 36.7
GTEX-17EVQ-2726-SM-7EWDT 70-79 years, male 36.6
GTEX-TSE9-2926-SM-3DB77 60-69 years, female 36.4
GTEX-11PRG-2826-SM-5BC54 50-59 years, male 36.2
GTEX-1QEPI-3026-SM-EXOIW 60-69 years, female 36.2
GTEX-13OW6-2926-SM-5KM29 50-59 years, male 36.1
GTEX-16XZZ-2926-SM-6LPK4 60-69 years, male 36.1
GTEX-1GN73-3026-SM-7MXV8 60-69 years, male 36.1
GTEX-1H1CY-3026-SM-9OSW7 60-69 years, female 36.1
GTEX-14BIN-3326-SM-5Q5E6 50-59 years, female 36.0
GTEX-14DAQ-3026-SM-5S2QZ 60-69 years, female 35.9
GTEX-NPJ7-2826-SM-2I3FU 60-69 years, female 35.9
GTEX-UTHO-2926-SM-3P5Z9 60-69 years, male 35.9
GTEX-13NYB-3226-SM-5J2ND 40-49 years, male 35.7
GTEX-1GZ4I-2926-SM-9JGGO 50-59 years, male 35.7
GTEX-145MG-3126-SM-5Q5D3 50-59 years, male 35.6
GTEX-18465-2926-SM-7KFSE 50-59 years, male 35.6
GTEX-QVJO-1325-SM-2S1QX 60-69 years, female 35.6
GTEX-1F6IF-3026-SM-7P8QN 60-69 years, male 35.5
GTEX-117XS-3126-SM-5GIDP 60-69 years, male 35.4
GTEX-15DYW-3026-SM-7KFRM 60-69 years, female 35.4
GTEX-1JMQJ-3126-SM-EV79G 50-59 years, male 35.4
GTEX-1KD4Q-3026-SM-EV7A7 40-49 years, male 35.2
GTEX-11NUK-3026-SM-5986K 50-59 years, male 34.9
GTEX-16Z82-2926-SM-6LPJJ 60-69 years, male 34.9
GTEX-1B933-3026-SM-731DB 50-59 years, female 34.9
GTEX-1POEN-2726-SM-E9U6B 30-39 years, female 34.8
GTEX-13OVJ-2726-SM-5IJG6 50-59 years, female 34.7
GTEX-13OW8-2926-SM-5L3FV 60-69 years, male 34.7
GTEX-13FXS-3026-SM-5LZYO 50-59 years, male 34.4
GTEX-Q2AG-2826-SM-2HMJQ 40-49 years, female 34.4
GTEX-1EMGI-3126-SM-7MXUR 60-69 years, male 34.4
GTEX-1EX96-3126-SM-9JGGC 50-59 years, male 34.4
GTEX-12ZZZ-3126-SM-5LZU6 60-69 years, male 34.1
GTEX-13N2G-3126-SM-5IJGL 60-69 years, male 34.1
GTEX-RU72-2926-SM-2TF66 50-59 years, female 34.0
GTEX-ZF28-2926-SM-4WKG1 60-69 years, male 34.0
GTEX-13OVH-2926-SM-5IJFH 70-79 years, male 33.9
GTEX-1HBPH-3026-SM-9WPNY 40-49 years, female 33.9
GTEX-1I1CD-2926-SM-A96SJ 60-69 years, female 33.9
GTEX-1JMPZ-2826-SM-C1YRA 30-39 years, male 33.9
GTEX-YJ89-2926-SM-5P9IT 60-69 years, male 33.8
GTEX-ZUA1-2926-SM-59HL3 40-49 years, male 33.8
GTEX-PWO3-1026-SM-2I5F2 60-69 years, female 33.7
GTEX-Y8DK-0726-SM-4TT3S 60-69 years, male 33.7
GTEX-13O3Q-3026-SM-5IJGD 50-59 years, male 33.6
GTEX-1GZHY-3026-SM-7MXVA 50-59 years, female 33.6
GTEX-14JIY-2326-SM-6AJAJ 60-69 years, male 33.5
GTEX-1EU9M-2926-SM-793DF 60-69 years, male 33.5
GTEX-17EVP-2926-SM-793BU 40-49 years, male 33.4
GTEX-S7SE-2526-SM-2XCDL 50-59 years, male 33.4
GTEX-WWYW-3026-SM-3NB36 50-59 years, female 33.2
GTEX-1HSMO-2926-SM-C1YR5 60-69 years, male 33.2
GTEX-11EMC-3326-SM-5P9JH 60-69 years, female 33.1
GTEX-13RTJ-3126-SM-5S2Q4 60-69 years, male 33.1
GTEX-1F6I4-3026-SM-7P8SI 60-69 years, male 33.1
GTEX-OHPN-2626-SM-2I5H1 60-69 years, female 32.7
GTEX-1JMLX-3026-SM-EV79Q 50-59 years, male 32.6
GTEX-15SHU-3026-SM-6LPIB 40-49 years, female 32.5
GTEX-13CF2-3026-SM-5IFFX 60-69 years, male 32.4
GTEX-13O3O-3026-SM-5KM42 60-69 years, female 32.4
GTEX-ZYY3-3026-SM-5GIEJ 60-69 years, female 32.4
GTEX-139TS-3126-SM-5LZWX 60-69 years, male 32.3
GTEX-1128S-2826-SM-5N9DI 60-69 years, female 32.2
GTEX-15G19-2826-SM-6M48K 60-69 years, male 32.2
GTEX-ZAK1-2926-SM-5HL9S 50-59 years, female 32.2
GTEX-13JVG-3226-SM-5IJGJ 60-69 years, male 32.1
GTEX-1H1ZS-2926-SM-9WPP2 70-79 years, male 32.1
GTEX-Y111-2826-SM-4TT3O 50-59 years, male 32.0
GTEX-1B8L1-3226-SM-7P8OX 60-69 years, male 31.8
GTEX-12WSH-3126-SM-5LZW8 50-59 years, male 31.4
GTEX-XLM4-2926-SM-4AT59 60-69 years, male 31.3
GTEX-1B996-2926-SM-7MXUH 60-69 years, male 31.3
GTEX-1313W-3026-SM-5LZUZ 50-59 years, female 31.1
GTEX-1399T-3126-SM-5IJFS 60-69 years, male 31.0
GTEX-139TT-2626-SM-5LZUB 60-69 years, male 31.0
GTEX-17JCI-3026-SM-7EWDR 60-69 years, female 31.0
GTEX-ZVT3-2926-SM-5GU6M 60-69 years, female 31.0
GTEX-13OVL-3026-SM-5IJF1 50-59 years, male 30.9
GTEX-WVLH-2926-SM-3MJG5 50-59 years, male 30.9
GTEX-14C39-3026-SM-5S2QE 40-49 years, male 30.8
GTEX-147GR-3126-SM-5S2PM 60-69 years, male 30.7
GTEX-1E1VI-2926-SM-7IGLT 50-59 years, male 30.7
GTEX-1H3VE-2826-SM-9WPOL 40-49 years, male 30.7
GTEX-1EKGG-3126-SM-9WPO5 60-69 years, male 30.6
GTEX-1GF9V-3026-SM-7P8R8 60-69 years, male 30.6
GTEX-11EI6-2926-SM-5985U 60-69 years, male 30.5
GTEX-13JUV-3026-SM-5K7WX 40-49 years, female 30.4
GTEX-14JG1-2926-SM-686ZK 40-49 years, male 30.4
GTEX-111FC-3326-SM-5GZYV 60-69 years, male 30.3
GTEX-14E6D-2926-SM-664OP 50-59 years, male 30.1
GTEX-11DYG-2926-SM-5H132 60-69 years, male 29.8
GTEX-1A8G7-3026-SM-73KTT 60-69 years, male 29.8
GTEX-1I1GV-3026-SM-CNNR9 60-69 years, male 29.7
GTEX-1IDJH-3126-SM-C1YQS 70-79 years, male 29.6
GTEX-RNOR-2226-SM-2TF5O 50-59 years, female 29.5
GTEX-13FHP-2926-SM-5IJG9 50-59 years, male 29.4
GTEX-1F48J-2726-SM-7P8PW 50-59 years, female 29.4
GTEX-1R46S-3126-SM-DPRZ9 60-69 years, female 29.4
GTEX-1IL2V-3026-SM-CYPSA 70-79 years, male 29.3
GTEX-1LSVX-2826-SM-EVR58 60-69 years, male 29.3
GTEX-144GL-2926-SM-5O99F 50-59 years, male 29.2
GTEX-1NV8Z-3026-SM-DTX8Z 60-69 years, male 29.2
GTEX-14PJM-3026-SM-6LLHM 50-59 years, female 29.0
GTEX-NPJ8-2626-SM-2D7W2 40-49 years, male 28.9
GTEX-1CB4G-2926-SM-7MKFQ 60-69 years, male 28.7
GTEX-14BMV-2926-SM-5TDEE 50-59 years, male 28.6
GTEX-13112-2926-SM-5DUWT 50-59 years, male 28.5
GTEX-ZAJG-3026-SM-5HL92 50-59 years, female 28.5
GTEX-17HHY-2926-SM-79OJW 50-59 years, male 28.4
GTEX-1GTWX-2926-SM-7MXV4 60-69 years, male 28.4
GTEX-11ZTS-3226-SM-5EGID 60-69 years, female 28.3
GTEX-145MF-2826-SM-7EPGU 50-59 years, male 28.1
GTEX-14A5I-2826-SM-5SIBF 50-59 years, female 28.1
GTEX-18A6Q-2826-SM-7LTAO 60-69 years, male 28.1
GTEX-1H3O1-1826-SM-A96TO 60-69 years, male 27.9
GTEX-13PVQ-2926-SM-5L3HJ 50-59 years, male 27.7
GTEX-1BAJH-3126-SM-7MGXY 70-79 years, male 27.7
GTEX-1KANB-3226-SM-D4P3G 50-59 years, male 27.6
GTEX-11ZUS-2826-SM-5EQKW 30-39 years, male 27.5
GTEX-15ER7-3026-SM-6M47W 20-29 years, female 27.1
GTEX-N7MS-2526-SM-2D7W3 60-69 years, male 27.1
GTEX-12ZZY-2926-SM-5DUXO 60-69 years, male 27.0
GTEX-17HII-2926-SM-79OMK 50-59 years, male 27.0
GTEX-1MJK2-3026-SM-EV7A5 50-59 years, male 27.0
GTEX-12WSD-3026-SM-5LZU7 60-69 years, female 26.8
GTEX-11ONC-3026-SM-5985W 60-69 years, male 26.7
GTEX-14E7W-2926-SM-5S2R8 70-79 years, male 26.7
GTEX-14PJO-2926-SM-686ZI 60-69 years, male 26.7
GTEX-T6MN-2526-SM-32PMN 50-59 years, male 26.7
GTEX-13X6K-2826-SM-5O9DS 60-69 years, female 26.5
GTEX-13G51-3126-SM-5IJG7 60-69 years, male 26.4
GTEX-11ZVC-3026-SM-59HJM 50-59 years, female 26.3
GTEX-ZDXO-2926-SM-4WKFM 60-69 years, male 26.3
GTEX-R55E-2526-SM-2TC6H 20-29 years, male 26.2
GTEX-1269C-3126-SM-5EGI6 60-69 years, female 26.0
GTEX-13OW7-2926-SM-5MR3Z 50-59 years, male 26.0
GTEX-1A8G6-3126-SM-731D8 60-69 years, male 25.9
GTEX-1E2YA-2926-SM-7MGWX 50-59 years, male 25.8
GTEX-1RQEC-3026-SM-DPRXM 60-69 years, male 25.8
GTEX-1EWIQ-3026-SM-7IGOJ 70-79 years, female 25.7
GTEX-1EH9U-3126-SM-7MXU5 60-69 years, male 25.7
GTEX-1HBPI-2726-SM-9WPPF 50-59 years, male 25.7
GTEX-1HSKV-2926-SM-B2LWJ 60-69 years, male 25.7
GTEX-12WSM-2126-SM-5GCOC 60-69 years, male 25.6
GTEX-1C6VR-3026-SM-7IGLW 60-69 years, male 25.6
GTEX-1RDX4-3226-SM-DPS14 50-59 years, female 25.6
GTEX-14JFF-2826-SM-6871Q 60-69 years, male 25.5
GTEX-131YS-3026-SM-5EGHY 60-69 years, female 25.0
GTEX-11DXY-3126-SM-5N9BT 60-69 years, male 24.3
GTEX-1C64N-3126-SM-79OO3 50-59 years, male 24.2
GTEX-17HG3-2826-SM-7EPGO 30-39 years, female 23.8
GTEX-1HB9E-3126-SM-AHZ4M 50-59 years, male 21.5
GTEX-YFC4-3026-SM-5IFJK 40-49 years, female 21.4
Show allShow less

CEREBELLUM - FANTOM5 CAGEi

RNA expression in human tissues obtained through Cap Analysis of Gene Expression (CAGE) generated by the FANTOM5 project are reported as Scaled Tags Per Million.

Max subtype Scaled Tags Per Millioni

Max subtype Scaled Tags Per Million is the value for the subtype with the largest average Scaled Tags Per Million across the subtype samples.

119.4
FANTOM5 sample id Sample description Scaled Tags Per Million
Cerebellum
Scaled Tags Per Million: 119.4
FF:10166-103B4 76 years, female 154.8
FF:10083-102B2 22-68 years, mixed 84.0

CEREBELLUM - Pig RNA-seqi

RNA-seq data obtained from pig brain is reported as nTPM .

Normal distribution across the dataset is visualized with box plots, shown as median and 25th and 75th percentiles. Points are displayed as outliers if they are above or below 1.5 times the interquartile range. nTPM values of the individual samples are presented next to the box plot.
Max subtype nTPMi

Max subtype nTPM is the value for the subtype with the largest average nTPM across the subtype samples.

43.8
Pig sample Sample description nTPM
Cerebellum
nTPM: 43.8
Samples: 4

Max nTPM: 45.3
Min nTPM: 41.8
Sample A Female 45.3
Sample B Female 41.8
Sample C Male 42.8
Sample D Male 45.3

CEREBELLUM - Mouse RNA-seqi

RNA-seq data obtained from mouse brain is reported as nTPM .

Normal distribution across the dataset is visualized with box plots, shown as median and 25th and 75th percentiles. Points are displayed as outliers if they are above or below 1.5 times the interquartile range. nTPM values of the individual samples are presented next to the box plot.
Max subtype nTPMi

Max subtype nTPM is the value for the subtype with the largest average nTPM across the subtype samples.

45.3
Mouse sample Sample description nTPM
Cerebellum
nTPM: 45.3
Samples: 4

Max nTPM: 46.9
Min nTPM: 41.8
Sample A Male 46.9
Sample B Male 45.7
Sample C Female 41.8
Sample D Female 46.6

CEREBELLUM - Allen Mouse ISHi

In situ hybridization (ISH) data generated by the Allen brain atlas from mouse brain is reported as expression energy. For more details about a particular experiment, click on the corresponding Allen experiment ID.

Max subtype Expression energyi

Max subtype Expression energy is the value for the subtype with the largest average Expression energy across the subtype samples.

0.1
Allen experiment id Experiment description Expression energy
Cerebellum
Expression energy: 0.1
69014860 Antisense, RP_050310_01_H03, Mouse strain C57BL/6J (56 days, male) 0.1

Contact

  • NEWS ARTICLES
  • PRESS ROOM

The Project

  • INTRODUCTION
  • ORGANIZATION
  • PUBLICATIONS

The Human Protein Atlas

  • DOWNLOADABLE DATA
  • LICENCE & CITATION
  • HELP & FAQ
The Human Protein Atlas project is funded
by the Knut & Alice Wallenberg Foundation.


contact@proteinatlas.org