We use cookies to enhance the usability of our website. If you continue, we'll assume that you are happy to receive all cookies. More information. Don't show this again.
IRF1
HPA
RESOURCES
  • TISSUE
  • BRAIN
  • SINGLE CELL
  • SUBCELLULAR
  • CANCER
  • BLOOD
  • CELL LINE
  • STRUCTURE & INTERACTION
ABOUT
  • INTRODUCTION
  • HISTORY
  • ORGANIZATION
  • PUBLICATIONS
  • ANTIBODY SUBMISSION
  • ANTIBODY AVAILABILITY
  • ACKNOWLEDGMENTS
  • CONTACT
NEWS
  • NEWS ARTICLES
  • PRESS ROOM
LEARN
  • DICTIONARY
  • PROTEIN CLASSES
  • PROTEIN EVIDENCE
  • METHODS
  • EDUCATIONAL VIDEOS
DATA
  • DOWNLOADABLE DATA
  • PUBLICATION DATA
  • RELEASE HISTORY
HELP
  • ANTIBODY VALIDATION
  • ASSAYS & ANNOTATION
  • DISCLAIMER
  • HELP & FAQ
  • PRIVACY STATEMENT
  • LICENCE & CITATION
Fields »
Search result

Field
Term
Gene name
Class
Subclass
Class
Keyword
Chromosome
External id
Tissue
Cell type
Expression
Antibody panel
Tissue
Main location
Patient ID
Annotation
Tissue
Category
Tau score
Cluster
Reliability
Brain region
Category
Tau score
Brain region
Category
Tau score
Brain region
Category
Tau score
Cluster
Reliability
Tissue
Cell type
Enrichment
Cell type
Category
Tau score
Cell type
Category
Tau score
Cell type
Category
Tau score
Cell lineage
Category
Tau score
Cluster
Cluster
Location
Searches
Location
Cell line
Class
Type
Phase
Reliability
Cancer
Prognosis
Cancer
Category
Cancer
Category
Tau score
Cluster
Variants
Interacting gene (ensg_id)
Type
Number of interactions
Pathway
Category
Score
Score
Score
Validation
Validation
Validation
Validation
Antibodies
Data type
Column


  • SUMMARY

  • TISSUE

  • BRAIN

  • SINGLE CELL

  • SUBCELL

  • CANCER

  • BLOOD

  • CELL LINE

  • STRUCT & INT

  • IRF1
TISSUE PRIMARY DATA SKIN Show tissue menu
ADIPOSE TISSUE ADRENAL GLAND AMYGDALA APPENDIX BASAL GANGLIA BONE MARROW BREAST BRONCHUS CEREBELLUM CEREBRAL CORTEX CERVIX CHOROID PLEXUS COLON DUODENUM
ENDOMETRIUM EPIDIDYMIS ESOPHAGUS FALLOPIAN TUBE GALLBLADDER HEART MUSCLE HIPPOCAMPAL FORMATION HYPOTHALAMUS KIDNEY LIVER LUNG LYMPH NODE MIDBRAIN NASOPHARYNX
ORAL MUCOSA OVARY PANCREAS PARATHYROID GLAND PITUITARY GLAND PLACENTA PROSTATE RECTUM RETINA SALIVARY GLAND SEMINAL VESICLE SKELETAL MUSCLE SKIN SMALL INTESTINE
SMOOTH MUSCLE SOFT TISSUE SPINAL CORD SPLEEN STOMACH TESTIS THYMUS THYROID GLAND TONGUE TONSIL URINARY BLADDER VAGINA
ANTIBODIES
AND
VALIDATION
Dictionary
Skin
Tissue proteome
Skin
SKIN - Expression summary
Protein expression
Skini

On the top, protein expression in current human tissue, based on all annotated cell types, is reported with the units not detected (n), low (l), medium (m) and high (h). Underneath, protein expression in each annotated cell type are reported using the same units.

Protein expression data is based on knowledge-based annotation. For genes where more than one antibody has been used, a collective score is set.

If knowledge-based annotation could not be performed for a gene, no data is displayed here. View antibody staining data further down this page.

h
m
l
n
Cells in basal layer: Medium
Cells in corneal layer: Not detected
Cells in granular layer: Low
Cells in spinous layer: Medium
Endothelial cells: High
Extracellular matrix: Not detected
Fibrohistiocytic cells: High
Hair follicles: Medium
Langerhans cells: Medium
Lymphocytes: Medium
Melanocytes: Not detected
Vascular mural cells: Not detected
RNA expressioni

A summary of mRNA expression data available for current tissue based on several datasets. The mRNA expression levels in human tissues are based on RNA-seq data generated by the Human Protein Atlas (HPA), Genotype-Tissue Expression (GTEx) portal and CAGE data generated by the FANTOM5 consortium. Consensus normalized expression levels for human tissues was created by combining the data from HPA and GTEx datasets.

The mRNA expression levels in pig are based on RNA-seq data generated by the Human Protein Atlas (HPA), and for mouse, HPA data and in situ hybridization generated by the Allen brain atlas are reported.

Scroll down to view mRNA expression data in more detail.
Consensus:19.1 nTPM
HPA:14.0 nTPM
GTEx:19.1 nTPM

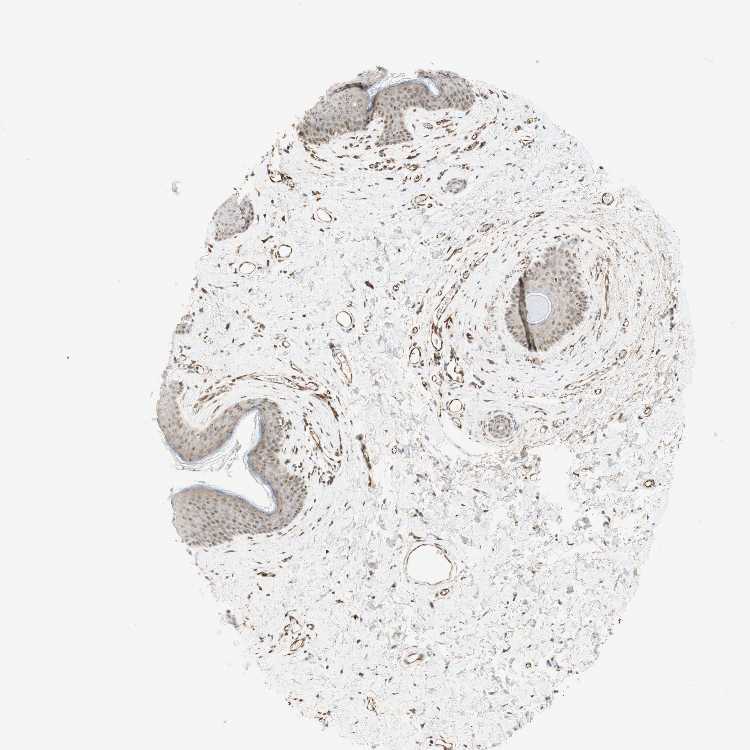
SKIN 1 - Antibody stainingi

Antibody staining in the annotated cell types in the current human tissue is reported as not detected, low, medium, or high, based on conventional immunohistochemistry profiling in selected tissues. This score is based on the combination of the staining intensity and fraction of stained cells.

Each image is clickable and will lead to virtual microscopy that enables deeper exploration of all samples and also displays staining intensity scores, fraction scores and subcellular localization as well as patient and tissue information for each sample.

Antibody HPA063131Antibody CAB011662
Langerhans Not detected-
Cells in basal layer -Medium
Cells in corneal layer -Not detected
Cells in granular layer -Low
Cells in spinous layer -Medium
Endothelial cells -High
Extracellular matrix -Not detected
Fibroblasts Not detected-
Fibrohistiocytic cells -Not detected
Keratinocytes Low-
Langerhans cells -Medium
Lymphocytes -Low
Melanocytes LowNot detected
Vascular mural cells -Not detected




SKIN 2 - Antibody stainingi

Antibody staining in the annotated cell types in the current human tissue is reported as not detected, low, medium, or high, based on conventional immunohistochemistry profiling in selected tissues. This score is based on the combination of the staining intensity and fraction of stained cells.

Each image is clickable and will lead to virtual microscopy that enables deeper exploration of all samples and also displays staining intensity scores, fraction scores and subcellular localization as well as patient and tissue information for each sample.

Antibody HPA063131Antibody CAB011662
Cells in basal layer -Medium
Cells in corneal layer -Not detected
Cells in granular layer -Low
Cells in spinous layer -Medium
Endothelial cells -High
Epidermal cells Low-
Extracellular matrix -Not detected
Fibrohistiocytic cells -High
Hair follicles -Medium
Langerhans cells -Medium
Lymphocytes -Medium
Melanocytes -Not detected
Vascular mural cells -Not detected
  





SKIN - HPA RNA-seqi

The RNA-seq details section shows detailed information about the individual samples used for the transcript profiling and results of the RNA-seq analysis.

Information about each individual sample is listed below, including gender, age, a tissue section image and estimated fractions of cell types. nTPM (normalized transcripts per million) values give a quantification of the gene abundance which is comparable between different genes and samples.
Average nTPMi

Max subtype nTPM is the value for the subtype with the largest average nTPM across the subtype samples.

14.0
overview
Female, age 34
Skin sample 225
nTPM: 13.4
Cell types%
Keratinocytes:
60

Other cell types:
40

overview
Female, age 30
Skin sample 226
nTPM: 12.3
Cell types%
Keratinocytes:
55

Other cell types:
45

N/A
Male, age 57
Skin sample 227
nTPM: 16.4

SKIN - GTEx RNA-seqi

RNA-Seq data generated by the Genotype-Tissue Expression (GTEx) project from human tissues is reported as mean nTPM. More information can be found on the GTEx portal.

Distribution across the dataset is visualized with box plots, shown as median and 25th and 75th percentiles. Points are displayed as outliers if they are above or below 1.5 times the interquartile range. nTPM values of the individual samples are presented next to the box plot.
Max subtype nTPMi

Max subtype nTPM is the value for the subtype with the largest average nTPM across the subtype samples.

19.1
GTEx sample id Sample description nTPM
Skin - Not Sun Exposed (Suprapubic)
Average nTPM: 19.1
Samples: 604

Max nTPM: 288.7
Min nTPM: 2.5
Std nTPM: 18.6
Median nTPM: 14.7
GTEX-ZYFD-0626-SM-5E44E 50-59 years, male 288.7
GTEX-14A5H-0826-SM-5QGPJ 60-69 years, male 142.9
GTEX-13YAN-0226-SM-5TDC6 60-69 years, male 125.8
GTEX-1JN1M-2726-SM-CY8I4 60-69 years, female 103.2
GTEX-139UW-0326-SM-5J1ML 60-69 years, male 96.7
GTEX-1IDFM-0326-SM-ARL7V 60-69 years, male 96.1
GTEX-15G19-2426-SM-7KUMR 60-69 years, male 95.6
GTEX-1R9K4-2826-SM-DTX8F 60-69 years, male 92.7
GTEX-WI4N-2726-SM-3LK7Y 40-49 years, female 73.8
GTEX-1HCU8-2526-SM-CE6RX 60-69 years, female 73.4
GTEX-1HBPM-0726-SM-9YFL7 60-69 years, female 70.6
GTEX-1F48J-0726-SM-7RHGS 50-59 years, female 67.6
GTEX-1IE54-1126-SM-A9G2Z 40-49 years, female 66.8
GTEX-1HUB1-1426-SM-CGQF5 60-69 years, male 65.5
GTEX-1JJEA-1826-SM-ARU8P 60-69 years, male 64.3
GTEX-WYBS-0626-SM-3NMAS 60-69 years, female 60.6
GTEX-1GZ4I-2626-SM-9KNU3 50-59 years, male 57.0
GTEX-1JMOU-1026-SM-CYPSS 60-69 years, female 55.8
GTEX-1CB4F-1026-SM-7DUH1 60-69 years, male 53.0
GTEX-1AYD5-2626-SM-7PBXY 50-59 years, male 52.4
GTEX-1JMQJ-0826-SM-CNPP7 50-59 years, male 52.3
GTEX-1399Q-2326-SM-5KM2X 40-49 years, male 52.2
GTEX-1LVAO-2726-SM-E9TJ8 60-69 years, male 51.2
GTEX-14C38-0726-SM-5SI6M 50-59 years, male 48.9
GTEX-ZAJG-1526-SM-5CVML 50-59 years, female 47.5
GTEX-1F75B-0726-SM-7PC3R 50-59 years, male 47.5
GTEX-183WM-0326-SM-72D5V 70-79 years, female 47.3
GTEX-1H3NZ-2726-SM-9WYTQ 60-69 years, male 46.2
GTEX-17HII-1426-SM-7EPGG 50-59 years, male 45.6
GTEX-11TUW-0626-SM-5LU9M 60-69 years, male 45.4
GTEX-11WQC-1826-SM-5GU59 60-69 years, male 45.0
GTEX-147GR-2426-SM-5ZZWQ 60-69 years, male 44.8
GTEX-1GPI6-1926-SM-9KNV7 60-69 years, male 42.5
GTEX-13OW8-1026-SM-5J1NQ 60-69 years, male 40.5
GTEX-13OVH-0526-SM-5L3E6 70-79 years, male 39.7
GTEX-144GM-0526-SM-79OJO 20-29 years, male 39.7
GTEX-U8XE-0226-SM-4E3J3 30-39 years, male 39.6
GTEX-11GS4-0226-SM-5HL77 60-69 years, male 39.5
GTEX-131YS-2826-SM-5EQ47 60-69 years, female 39.5
GTEX-ZE9C-2526-SM-5IJDR 60-69 years, male 39.4
GTEX-1H1DG-2426-SM-9QEHJ 70-79 years, male 39.2
GTEX-1KAFJ-0126-SM-DIPEK 50-59 years, male 39.0
GTEX-1ICLZ-0326-SM-ARL82 60-69 years, male 37.5
GTEX-1C6VQ-1226-SM-73KYD 50-59 years, male 37.4
GTEX-ZE7O-2726-SM-51MT5 50-59 years, female 37.1
GTEX-1EX96-1026-SM-7MKG2 50-59 years, male 36.6
GTEX-1HCU6-2526-SM-ADEHL 60-69 years, female 36.5
GTEX-15SHW-0226-SM-7LTAT 60-69 years, male 36.3
GTEX-1I1CD-0626-SM-CE6SW 60-69 years, female 36.2
GTEX-13OW6-2726-SM-5J2OE 50-59 years, male 34.9
GTEX-1H23P-0626-SM-9WG6T 60-69 years, male 34.8
GTEX-1BAJH-2426-SM-7IGP8 70-79 years, male 34.4
GTEX-1ICLY-0826-SM-CMKG1 50-59 years, male 34.4
GTEX-1LBAC-0826-SM-CY8IJ 20-29 years, male 34.3
GTEX-145MG-1526-SM-5Q5EM 50-59 years, male 34.2
GTEX-VUSG-2326-SM-4KL1U 50-59 years, male 34.2
GTEX-1QP66-1226-SM-DTX7U 50-59 years, male 33.6
GTEX-17HG3-2626-SM-7DUF2 30-39 years, female 33.4
GTEX-1JMQL-2226-SM-CNPP4 50-59 years, female 32.9
GTEX-1C64N-2626-SM-7PC2N 50-59 years, male 32.8
GTEX-1QAET-0326-SM-EVR3U 50-59 years, male 32.6
GTEX-ZDXO-3126-SM-5IJDF 60-69 years, male 32.2
GTEX-1H3VE-0726-SM-9YFL5 40-49 years, male 32.0
GTEX-1J8JJ-0626-SM-ARZMQ 60-69 years, female 31.9
GTEX-1A8G7-1326-SM-73KVM 60-69 years, male 31.8
GTEX-1MJK3-0726-SM-E6CJC 20-29 years, male 31.6
GTEX-14BIN-1126-SM-5RQJZ 50-59 years, female 30.9
GTEX-1F88F-0126-SM-9WYSZ 60-69 years, female 30.9
GTEX-13JUV-2026-SM-5K7UA 40-49 years, female 30.7
GTEX-1EMGI-2326-SM-7PBYA 60-69 years, male 30.7
GTEX-13FTY-2126-SM-5IFFB 40-49 years, female 30.6
GTEX-147JS-0226-SM-5S2U9 60-69 years, male 30.3
GTEX-1NSGN-0726-SM-DTXEF 50-59 years, male 30.3
GTEX-ZYW4-0626-SM-59HJR 60-69 years, male 29.9
GTEX-144GL-0626-SM-5LU4D 50-59 years, male 29.8
GTEX-1LSVX-2526-SM-DIPEU 60-69 years, male 29.7
GTEX-1M4P7-0726-SM-E6CJ3 60-69 years, male 29.7
GTEX-ZYFC-0426-SM-5GICQ 50-59 years, male 29.4
GTEX-1B933-2426-SM-7DHMD 50-59 years, female 29.0
GTEX-13IVO-0726-SM-5LZYV 70-79 years, male 28.8
GTEX-13OVK-1426-SM-6PAN7 40-49 years, male 28.8
GTEX-17HHY-0426-SM-7DHLC 50-59 years, male 28.8
GTEX-17MF6-2626-SM-79OKQ 40-49 years, male 28.8
GTEX-ZYVF-0926-SM-5E44J 50-59 years, female 28.6
GTEX-1269C-0126-SM-5EQ5L 60-69 years, female 28.3
GTEX-13FLV-0126-SM-5K7WT 50-59 years, male 28.2
GTEX-11UD2-2526-SM-5CVNU 50-59 years, male 28.1
GTEX-12WSH-1526-SM-5BC5W 50-59 years, male 28.0
GTEX-11DYG-1526-SM-5A5JS 60-69 years, male 27.9
GTEX-1A32A-0626-SM-731AQ 50-59 years, female 27.8
GTEX-1QP29-1826-SM-DTX9S 50-59 years, male 27.8
GTEX-ZVT4-2426-SM-5GIEI 50-59 years, female 27.7
GTEX-17HGU-2326-SM-7DUFE 50-59 years, male 27.6
GTEX-12584-0726-SM-5FQTK 40-49 years, male 27.5
GTEX-15RJ7-2126-SM-6PAMD 40-49 years, male 27.4
GTEX-1IDJH-0126-SM-D3L92 70-79 years, male 27.3
GTEX-1J1OQ-0126-SM-D4P2N 40-49 years, female 27.3
GTEX-13N1W-2426-SM-5IJD1 70-79 years, male 27.2
GTEX-13G51-1826-SM-5KLZH 60-69 years, male 27.1
GTEX-16AAH-0626-SM-793C9 50-59 years, male 27.0
GTEX-11PRG-0726-SM-5EGL1 50-59 years, male 26.9
GTEX-13112-0126-SM-5P9IU 50-59 years, male 26.9
GTEX-13OW5-2326-SM-5L3HO 60-69 years, male 26.8
GTEX-1IL2V-1926-SM-B2LW8 70-79 years, male 26.8
GTEX-ZVE1-0726-SM-51MRN 50-59 years, female 26.6
GTEX-1GN1V-2826-SM-9JGIA 60-69 years, male 26.6
GTEX-1GZHY-0626-SM-9KNVC 50-59 years, female 26.6
GTEX-1IY9M-2826-SM-ARU8H 60-69 years, male 26.6
GTEX-1N2EE-0626-SM-E76PW 60-69 years, male 26.6
GTEX-12WSD-0626-SM-5GCMW 60-69 years, female 26.5
GTEX-1B8SF-0126-SM-7DUG3 60-69 years, male 26.5
GTEX-ZY6K-1426-SM-5GZX2 50-59 years, male 26.5
GTEX-16YQH-2226-SM-7IGM2 30-39 years, male 26.3
GTEX-YECK-0326-SM-4W1YS 60-69 years, male 26.0
GTEX-1GL5R-1326-SM-7RHHF 50-59 years, male 26.0
GTEX-16MT9-0126-SM-7EPI8 60-69 years, female 25.9
GTEX-1EU9M-1426-SM-793AI 60-69 years, male 25.9
GTEX-11NUK-2726-SM-5A5MC 50-59 years, male 25.7
GTEX-1PBJJ-1026-SM-E76OS 30-39 years, male 25.7
GTEX-1LG7Y-2526-SM-EWRO7 50-59 years, male 25.6
GTEX-ZC5H-1526-SM-5HL9Y 40-49 years, female 25.5
GTEX-145LS-0626-SM-7EPG7 60-69 years, female 25.4
GTEX-139YR-1026-SM-5LZYN 50-59 years, male 25.1
GTEX-1477Z-0326-SM-7IGLA 60-69 years, male 25.1
GTEX-1F88E-1626-SM-7SB8Z 60-69 years, female 25.1
GTEX-1HBPI-2126-SM-ARL9K 50-59 years, male 25.1
GTEX-1QMI2-2526-SM-E8VNZ 60-69 years, male 25.0
GTEX-1313W-0626-SM-5EQ4H 50-59 years, female 24.9
GTEX-145MI-0626-SM-5SI8S 60-69 years, female 24.9
GTEX-14LZ3-0126-SM-69LPM 60-69 years, female 24.8
GTEX-1314G-1326-SM-5BC6E 30-39 years, male 24.7
GTEX-12WSJ-1126-SM-5LZVJ 40-49 years, female 24.6
GTEX-1F6IF-0926-SM-7SB7M 60-69 years, male 24.5
GTEX-13NYC-0126-SM-5L3F4 60-69 years, male 24.4
GTEX-1A8FM-0626-SM-7PC25 50-59 years, female 24.4
GTEX-17F97-2626-SM-7IGM5 50-59 years, male 24.3
GTEX-ZLFU-1826-SM-4WWBV 40-49 years, male 24.3
GTEX-ZTX8-1326-SM-4YCEL 20-29 years, male 24.3
GTEX-13FHO-0426-SM-5L3F5 60-69 years, male 24.2
GTEX-1F75A-0726-SM-7RHHD 50-59 years, male 24.0
GTEX-1GN73-0726-SM-7P8TJ 60-69 years, male 23.9
GTEX-1HSMO-0626-SM-ACKXC 60-69 years, male 23.9
GTEX-1HC8U-1326-SM-9YFMJ 40-49 years, female 23.8
GTEX-1JN6P-2926-SM-CL54D 60-69 years, male 23.7
GTEX-1HR98-2226-SM-ADEI2 60-69 years, male 23.5
GTEX-14PJ2-0626-SM-6LLII 50-59 years, male 23.4
GTEX-1F5PK-2226-SM-7SB6N 50-59 years, male 23.4
GTEX-1HCUA-0826-SM-ADEHM 50-59 years, female 23.4
GTEX-131XW-0626-SM-5PNVD 50-59 years, female 23.3
GTEX-11WQK-1026-SM-5EQLX 50-59 years, male 23.2
GTEX-13PL6-1126-SM-5L3IE 40-49 years, female 23.2
GTEX-15CHQ-0326-SM-69LQD 60-69 years, male 23.2
GTEX-11DXW-0826-SM-5H118 40-49 years, male 23.1
GTEX-11DXY-0126-SM-5H11Q 60-69 years, male 23.1
GTEX-13O61-1426-SM-5KM3D 60-69 years, male 23.1
GTEX-1A8G6-2726-SM-731AR 60-69 years, male 23.0
GTEX-ZDTS-0826-SM-4WKHL 60-69 years, male 22.9
GTEX-12ZZY-0726-SM-5EQ66 60-69 years, male 22.8
GTEX-1PPGY-1626-SM-EVYBL 60-69 years, male 22.7
GTEX-11OF3-0126-SM-5PNYF 60-69 years, male 22.6
GTEX-1C6WA-2626-SM-7MKGM 60-69 years, male 22.5
GTEX-1F75I-2226-SM-7SB8U 40-49 years, male 22.5
GTEX-1JMPZ-0726-SM-CY8HZ 30-39 years, male 22.4
GTEX-13O3Q-0126-SM-5KM34 50-59 years, male 22.3
GTEX-14A6H-2026-SM-5Q5DD 30-39 years, male 22.2
GTEX-14JFF-0626-SM-5ZZVT 60-69 years, male 22.2
GTEX-16Z82-2626-SM-7KULU 60-69 years, male 22.0
GTEX-12ZZX-2426-SM-5GCOE 40-49 years, female 21.8
GTEX-VJYA-1526-SM-3GIJV 60-69 years, male 21.8
GTEX-X8HC-0626-SM-4E3HQ 50-59 years, female 21.6
GTEX-1NV5F-0626-SM-DTXEG 60-69 years, female 21.6
GTEX-12WSF-1626-SM-7KUG5 70-79 years, male 21.5
GTEX-X585-2426-SM-46MW2 50-59 years, male 21.5
GTEX-12126-0826-SM-5FQTZ 20-29 years, male 21.4
GTEX-139TT-2126-SM-5LZWC 60-69 years, male 21.4
GTEX-14E6C-2426-SM-5S2NF 40-49 years, male 21.3
GTEX-1HT8W-0626-SM-A9G2H 30-39 years, male 21.3
GTEX-1J8EW-2726-SM-CY8HR 60-69 years, female 21.3
GTEX-13O3O-2326-SM-5IJD6 60-69 years, female 21.2
GTEX-1B8KZ-0326-SM-73KY4 50-59 years, male 21.1
GTEX-1A3MX-2626-SM-7PC24 60-69 years, male 21.0
GTEX-1LSNL-2726-SM-E9TKJ 50-59 years, male 20.9
GTEX-13OW7-0426-SM-5K7VK 50-59 years, male 20.7
GTEX-13PVQ-0626-SM-5LU47 50-59 years, male 20.7
GTEX-13X6J-0626-SM-5LU5F 50-59 years, male 20.6
GTEX-15DYW-2726-SM-6EU2I 60-69 years, female 20.6
GTEX-ZF3C-0626-SM-DO92O 50-59 years, female 20.6
GTEX-1E1VI-0326-SM-793D1 50-59 years, male 20.5
GTEX-1F75W-2726-SM-7SB8H 60-69 years, male 20.5
GTEX-144FL-0626-SM-5LU43 50-59 years, male 20.1
GTEX-XQ3S-1426-SM-4BOPR 20-29 years, male 20.0
GTEX-1EN7A-2426-SM-793DB 40-49 years, male 19.9
GTEX-1S83E-1326-SM-E6CJM 40-49 years, male 19.9
GTEX-11ZUS-2626-SM-5FQUR 30-39 years, male 19.8
GTEX-16NPX-0726-SM-7KULC 50-59 years, male 19.8
GTEX-WHPG-2626-SM-3NMBR 50-59 years, male 19.8
GTEX-1PIIG-2326-SM-DTXFR 30-39 years, male 19.8
GTEX-XBED-1926-SM-47JYP 60-69 years, male 19.7
GTEX-1H3O1-1326-SM-9MQLD 60-69 years, male 19.6
GTEX-13OVL-0126-SM-5L3GJ 50-59 years, male 19.5
GTEX-15SKB-2826-SM-6PAMH 60-69 years, male 19.5
GTEX-Y8E4-2026-SM-5IFJB 40-49 years, male 19.5
GTEX-1GMR3-0126-SM-A9SLW 40-49 years, male 19.5
GTEX-1I1GP-1326-SM-A9G28 50-59 years, male 19.5
GTEX-Y111-0626-SM-4SOIT 50-59 years, male 19.4
GTEX-1N2DV-1526-SM-DTXEP 40-49 years, male 19.4
GTEX-144GO-2026-SM-5O99P 60-69 years, male 19.3
GTEX-1H11D-1826-SM-9QEHM 40-49 years, male 19.3
GTEX-1PDJ9-1226-SM-EXUSX 20-29 years, male 19.3
GTEX-1C6VR-0126-SM-7RHGB 60-69 years, male 19.2
GTEX-1GMRU-2126-SM-7P8RA 50-59 years, male 19.2
GTEX-13VXU-0626-SM-5L3F9 50-59 years, male 19.1
GTEX-11NSD-0626-SM-5A5LU 20-29 years, male 19.0
GTEX-WRHU-2826-SM-3MJG8 50-59 years, female 19.0
GTEX-1GF9W-1426-SM-7PBYM 60-69 years, male 19.0
GTEX-139D8-1126-SM-5LU8W 30-39 years, female 18.9
GTEX-13RTJ-0126-SM-5S2NN 60-69 years, male 18.9
GTEX-1EKGG-0626-SM-7DUGJ 60-69 years, male 18.9
GTEX-WHSE-0126-SM-3NMBT 20-29 years, male 18.8
GTEX-WK11-2726-SM-3NMAQ 50-59 years, male 18.8
GTEX-1I1HK-2326-SM-CKZOH 60-69 years, male 18.7
GTEX-1K9T9-1526-SM-DIPFR 50-59 years, female 18.6
GTEX-131XH-0126-SM-5LZUY 50-59 years, male 18.5
GTEX-14BMV-2826-SM-5TDED 50-59 years, male 18.5
GTEX-1EWIQ-0326-SM-7DHMQ 70-79 years, female 18.5
GTEX-WH7G-2026-SM-3NMBL 40-49 years, male 18.5
GTEX-1HFI6-0126-SM-CNPPI 40-49 years, male 18.4
GTEX-18A6Q-0626-SM-7KFRP 60-69 years, male 18.3
GTEX-W5X1-2526-SM-3GILC 40-49 years, female 18.3
GTEX-1H2FU-0926-SM-9WPPT 60-69 years, female 18.3
GTEX-13SLW-0626-SM-5Q5ER 70-79 years, male 18.2
GTEX-14ABY-2026-SM-62LDL 50-59 years, male 18.2
GTEX-15UF6-1926-SM-7KUDV 70-79 years, female 18.2
GTEX-X4EO-2926-SM-4E3JH 60-69 years, female 18.2
GTEX-Y3I4-1726-SM-4TT89 50-59 years, male 18.0
GTEX-13113-1626-SM-5EQ4I 60-69 years, female 17.9
GTEX-145MF-0926-SM-5Q5EA 50-59 years, male 17.9
GTEX-1AX9I-2226-SM-73KUO 60-69 years, male 17.9
GTEX-1399S-0126-SM-5IJCF 30-39 years, female 17.8
GTEX-1LVA9-2626-SM-EVYD4 50-59 years, male 17.8
GTEX-UPK5-0426-SM-3GAEK 40-49 years, male 17.7
GTEX-XOT4-0626-SM-4B66L 60-69 years, female 17.7
GTEX-13NYS-0626-SM-5L3F1 60-69 years, male 17.5
GTEX-15EU6-2226-SM-6EU2L 50-59 years, male 17.5
GTEX-18465-2826-SM-7LT9J 50-59 years, male 17.5
GTEX-1GN1U-0626-SM-9MQL9 50-59 years, female 17.5
GTEX-147F4-0726-SM-5TDDD 50-59 years, male 17.4
GTEX-1B8L1-2226-SM-7P8PT 60-69 years, male 17.4
GTEX-146FQ-2126-SM-5RQHU 30-39 years, male 17.3
GTEX-1HSKV-1226-SM-ADEI4 60-69 years, male 17.3
GTEX-1192X-2726-SM-5N9DN 50-59 years, male 17.2
GTEX-12WSC-2826-SM-5BC5Y 50-59 years, male 17.2
GTEX-1F6RS-2026-SM-7RHHC 60-69 years, female 17.2
GTEX-ZYY3-2926-SM-5GIEB 60-69 years, female 17.1
GTEX-1LB8K-0726-SM-D5OV2 50-59 years, male 17.1
GTEX-1HBPN-0126-SM-CGQEF 50-59 years, male 17.0
GTEX-1IKJJ-2226-SM-CJI4C 60-69 years, male 17.0
GTEX-YJ8O-2526-SM-5HL85 40-49 years, female 16.9
GTEX-ZPU1-1126-SM-4YCF3 40-49 years, male 16.9
GTEX-13NZ8-1226-SM-5KM4A 60-69 years, female 16.8
GTEX-11EQ8-0926-SM-5H12V 60-69 years, male 16.7
GTEX-V1D1-2026-SM-3GAF4 50-59 years, male 16.7
GTEX-ZDYS-2426-SM-4WKGI 50-59 years, male 16.5
GTEX-Y8LW-1526-SM-5IFHL 50-59 years, female 16.4
GTEX-1I1GU-0926-SM-ACKVS 40-49 years, male 16.4
GTEX-18A66-0626-SM-7LT8Z 60-69 years, male 16.3
GTEX-14ICL-1626-SM-5YYAO 30-39 years, male 16.2
GTEX-1AX8Z-0726-SM-73KTS 60-69 years, male 16.2
GTEX-ZVP2-0326-SM-57WBP 50-59 years, male 16.2
GTEX-1E2YA-2126-SM-7MXUO 50-59 years, male 16.2
GTEX-145LU-1926-SM-79OJN 50-59 years, male 16.1
GTEX-Z93S-1626-SM-5CVMB 50-59 years, male 16.1
GTEX-13D11-0926-SM-5J2NC 50-59 years, female 16.0
GTEX-14JG1-1526-SM-5YY9X 40-49 years, male 16.0
GTEX-1HKZK-0726-SM-ACKW2 40-49 years, male 16.0
GTEX-145MH-2826-SM-5RQJF 50-59 years, male 15.9
GTEX-1211K-1526-SM-5FQU4 60-69 years, female 15.8
GTEX-1CAV2-0126-SM-7IGN7 40-49 years, female 15.8
GTEX-1KWVE-1026-SM-D3L9O 30-39 years, male 15.8
GTEX-XPVG-2126-SM-4B667 50-59 years, male 15.7
GTEX-18A7A-0126-SM-731AH 50-59 years, female 15.6
GTEX-XXEK-1626-SM-4BRUZ 50-59 years, male 15.6
GTEX-Y5V5-0126-SM-5S2NW 60-69 years, female 15.6
GTEX-ZAB4-2126-SM-5HL8U 40-49 years, male 15.6
GTEX-14PJO-2526-SM-6AJBQ 60-69 years, male 15.5
GTEX-X4EP-0626-SM-3P621 60-69 years, female 15.5
GTEX-1H1CY-0126-SM-9YFLY 60-69 years, female 15.5
GTEX-1IDJI-0126-SM-CMKHS 50-59 years, female 15.5
GTEX-1JMLX-0626-SM-ARL8T 50-59 years, male 15.5
GTEX-13X6H-0926-SM-5SIB2 50-59 years, female 15.4
GTEX-WFG7-2026-SM-5SI7P 20-29 years, male 15.3
GTEX-1IDJE-1426-SM-ADEIW 50-59 years, female 15.3
GTEX-1B932-2326-SM-79OL5 40-49 years, female 15.2
GTEX-ZA64-1026-SM-5HL8R 20-29 years, male 15.2
GTEX-1CAMS-2226-SM-7PBXQ 40-49 years, female 15.1
GTEX-1RAZS-2526-SM-E6CHT 50-59 years, male 15.1
GTEX-12WSK-2126-SM-5CVNC 40-49 years, female 15.0
GTEX-148VJ-0626-SM-5LUAW 70-79 years, male 15.0
GTEX-11ZU8-0126-SM-5EQ58 60-69 years, male 14.9
GTEX-13U4I-2226-SM-5LU5H 40-49 years, female 14.8
GTEX-ZVZP-1226-SM-5GID7 50-59 years, male 14.8
GTEX-13NZ9-2626-SM-5L3FK 50-59 years, male 14.7
GTEX-13SLX-2226-SM-62LEP 50-59 years, female 14.7
GTEX-178AV-1726-SM-7KUL8 40-49 years, male 14.7
GTEX-17F98-1326-SM-7DUEP 40-49 years, female 14.7
GTEX-1J8Q2-2626-SM-ACKWQ 60-69 years, male 14.7
GTEX-15D1Q-2826-SM-6LLH7 40-49 years, male 14.6
GTEX-16XZZ-0726-SM-7KUF2 60-69 years, male 14.6
GTEX-1A3MW-0626-SM-731CB 60-69 years, female 14.6
GTEX-ZT9X-1526-SM-5DUXD 40-49 years, male 14.5
GTEX-1F6I4-2326-SM-7RHGL 60-69 years, male 14.5
GTEX-1JMQI-1726-SM-ARL93 50-59 years, male 14.5
GTEX-1HSMP-0926-SM-A9SKX 70-79 years, male 14.4
GTEX-183FY-1026-SM-7939A 20-29 years, male 14.3
GTEX-Y3IK-1626-SM-4YCF5 50-59 years, female 14.3
GTEX-1H4P4-2126-SM-9WYSL 50-59 years, male 14.3
GTEX-1OJC4-2726-SM-E76PJ 50-59 years, female 14.3
GTEX-11EI6-2826-SM-5H11D 60-69 years, male 14.2
GTEX-Y9LG-1126-SM-4VBQ7 30-39 years, male 14.2
GTEX-1H1DE-1326-SM-9KNUG 20-29 years, male 14.2
GTEX-13JVG-0726-SM-5KM16 60-69 years, male 14.1
GTEX-ZF2S-1626-SM-57WES 50-59 years, female 14.1
GTEX-1IOXB-2726-SM-CM2RI 50-59 years, male 14.1
GTEX-131XF-2626-SM-5EQ6K 60-69 years, male 14.0
GTEX-14PHX-2226-SM-6EU2P 50-59 years, male 14.0
GTEX-1HCU7-0726-SM-A9SL1 50-59 years, male 14.0
GTEX-1IDJV-0126-SM-COH3Y 60-69 years, male 14.0
GTEX-1GN2E-0226-SM-9WG6K 60-69 years, male 13.9
GTEX-139TS-2126-SM-5K7XC 60-69 years, male 13.8
GTEX-17JCI-2926-SM-7DUFF 60-69 years, female 13.8
GTEX-1I1GV-0626-SM-ARL7M 60-69 years, male 13.8
GTEX-16BQI-1326-SM-6M486 30-39 years, female 13.7
GTEX-Y114-2126-SM-4TT8B 50-59 years, female 13.7
GTEX-1RAZR-2126-SM-E9U6T 40-49 years, male 13.7
GTEX-15EO6-2426-SM-6PALZ 50-59 years, male 13.6
GTEX-15G1A-1626-SM-7KUKN 30-39 years, male 13.6
GTEX-1LG7Z-1626-SM-CXKYR 30-39 years, male 13.6
GTEX-17KNJ-2126-SM-718AM 50-59 years, male 13.5
GTEX-ZP4G-1426-SM-4WWCL 20-29 years, female 13.5
GTEX-ZYT6-2326-SM-5GZY3 30-39 years, male 13.5
GTEX-1CAMR-1326-SM-7PC1F 20-29 years, male 13.5
GTEX-1399R-1326-SM-5PNYS 30-39 years, male 13.4
GTEX-WHWD-1826-SM-3LK6I 50-59 years, male 13.4
GTEX-1GF9V-0826-SM-9KNUV 60-69 years, male 13.4
GTEX-1I19N-0126-SM-CYPSF 70-79 years, male 13.4
GTEX-12ZZZ-0726-SM-5GCNZ 60-69 years, male 13.2
GTEX-WY7C-2126-SM-3NB2R 50-59 years, male 13.2
GTEX-ZAK1-0626-SM-5HL8E 50-59 years, female 13.2
GTEX-13N11-2326-SM-5IJBF 50-59 years, female 13.1
GTEX-UPJH-0226-SM-3GADV 50-59 years, male 13.1
GTEX-XBEC-0726-SM-4QARZ 50-59 years, male 13.1
GTEX-1IDJF-2026-SM-CL53V 20-29 years, male 13.1
GTEX-18D9U-0126-SM-731BM 40-49 years, male 13.0
GTEX-1KANB-2826-SM-CY8I6 50-59 years, male 13.0
GTEX-1QEPI-2626-SM-DTXF4 60-69 years, female 13.0
GTEX-1GMR8-0626-SM-7RHI7 50-59 years, female 12.9
GTEX-1QW4Y-1126-SM-DTXE3 30-39 years, male 12.9
GTEX-11VI4-1126-SM-5EQMD 40-49 years, female 12.8
GTEX-132AR-0326-SM-5KM2C 50-59 years, female 12.8
GTEX-13PDP-0726-SM-5L3HP 60-69 years, male 12.8
GTEX-13X6K-0626-SM-5LU5D 60-69 years, female 12.8
GTEX-XMD2-2126-SM-4YCF8 60-69 years, female 12.8
GTEX-1H1DF-1126-SM-9WG7G 40-49 years, female 12.8
GTEX-147F3-1726-SM-5SIAW 50-59 years, female 12.7
GTEX-14DAQ-0626-SM-793DS 60-69 years, female 12.7
GTEX-1HR9M-2226-SM-CNPPY 60-69 years, male 12.7
GTEX-1IKOE-1426-SM-CE6T7 30-39 years, female 12.7
GTEX-12KS4-2126-SM-5FQUT 30-39 years, male 12.6
GTEX-15CHR-1126-SM-7EWF4 50-59 years, male 12.6
GTEX-1HGF4-0126-SM-CNPPX 60-69 years, male 12.6
GTEX-WYVS-1626-SM-3NM9R 40-49 years, female 12.5
GTEX-ZLV1-1526-SM-DO91J 60-69 years, female 12.5
GTEX-1497J-0226-SM-5QGPU 60-69 years, male 12.4
GTEX-1K2DU-1226-SM-CYPT4 20-29 years, male 12.4
GTEX-1KD5A-0126-SM-E9U54 50-59 years, male 12.4
GTEX-1KXAM-1626-SM-D3LAD 60-69 years, male 12.4
GTEX-14PJ3-1126-SM-5ZZVX 50-59 years, male 12.3
GTEX-17F9E-2326-SM-79OKD 50-59 years, male 12.2
GTEX-18A7B-2726-SM-7LG56 70-79 years, male 12.2
GTEX-1I1GS-2626-SM-B2LY3 60-69 years, male 12.2
GTEX-1RLM8-2926-SM-E8VON 50-59 years, male 12.2
GTEX-WXYG-2026-SM-4E3IY 50-59 years, female 12.1
GTEX-XV7Q-1826-SM-4BRUV 40-49 years, female 12.1
GTEX-ZU9S-1826-SM-5NQ9E 30-39 years, male 12.1
GTEX-1IDJD-2326-SM-ACKWX 30-39 years, male 12.1
GTEX-1JKYN-0826-SM-ARU8S 30-39 years, male 12.0
GTEX-ZTTD-2826-SM-4YCFA 50-59 years, male 11.9
GTEX-ZYFG-1526-SM-5GZYM 60-69 years, female 11.9
GTEX-13N2G-0226-SM-5K7VF 60-69 years, male 11.8
GTEX-13QBU-1226-SM-5LU4G 40-49 years, female 11.8
GTEX-18D9B-0926-SM-7LG4U 60-69 years, male 11.8
GTEX-1B996-0426-SM-7EWF8 60-69 years, male 11.8
GTEX-13OVJ-0826-SM-5J1OK 50-59 years, female 11.7
GTEX-14BMU-1226-SM-5S2OR 20-29 years, female 11.5
GTEX-1CB4H-1126-SM-7MKGL 60-69 years, female 11.5
GTEX-XK95-0226-SM-4AT58 40-49 years, male 11.5
GTEX-ZXG5-2126-SM-59HKD 60-69 years, male 11.5
GTEX-1CB4J-1326-SM-7P8RX 60-69 years, male 11.5
GTEX-111VG-1626-SM-5EGIO 60-69 years, male 11.4
GTEX-13X6I-1826-SM-5SIAO 60-69 years, male 11.4
GTEX-14C5O-0326-SM-5ZZUX 60-69 years, male 11.3
GTEX-11DZ1-2426-SM-5GZZX 50-59 years, male 11.2
GTEX-14PJ6-2626-SM-6EU2T 60-69 years, female 11.2
GTEX-ZVE2-2826-SM-5GU51 50-59 years, male 11.2
GTEX-1GTWX-2026-SM-9YFLM 60-69 years, male 11.2
GTEX-14AS3-1526-SM-5Q5ED 40-49 years, female 11.0
GTEX-17F96-0126-SM-7EWDU 70-79 years, male 11.0
GTEX-14LLW-2626-SM-62LDZ 70-79 years, female 10.9
GTEX-1MCC2-1826-SM-DIPEX 30-39 years, female 10.9
GTEX-1RMOY-1326-SM-E9TIH 50-59 years, male 10.9
GTEX-11EM3-1226-SM-5N9DD 20-29 years, female 10.8
GTEX-1212Z-0126-SM-59HK4 60-69 years, male 10.8
GTEX-111FC-2526-SM-5GZXU 60-69 years, male 10.7
GTEX-13NYB-0126-SM-5J1MD 40-49 years, male 10.7
GTEX-1F5PL-0926-SM-7PC2W 40-49 years, female 10.7
GTEX-1OJC3-1226-SM-DTXER 20-29 years, male 10.6
GTEX-1R46S-2426-SM-E76QA 60-69 years, female 10.6
GTEX-12WSL-2026-SM-5GCML 50-59 years, male 10.5
GTEX-15FZZ-0526-SM-7KUGD 30-39 years, female 10.5
GTEX-1H1ZS-2726-SM-9WG75 70-79 years, male 10.5
GTEX-1I6K7-1926-SM-B2LXR 40-49 years, male 10.5
GTEX-17F9Y-0126-SM-79OKX 70-79 years, female 10.4
GTEX-XQ8I-0926-SM-4BOOF 50-59 years, male 10.4
GTEX-11DXZ-2026-SM-5987S 50-59 years, male 10.3
GTEX-16MT8-2926-SM-7DUFO 60-69 years, female 10.3
GTEX-1HB9E-0126-SM-CM2S5 50-59 years, male 10.3
GTEX-1IDJC-1526-SM-B2LW4 50-59 years, male 10.3
GTEX-1O9I2-0226-SM-EYYXD 50-59 years, male 10.3
GTEX-13FTW-0326-SM-5K7UW 40-49 years, male 10.2
GTEX-14JG6-1426-SM-9WG7C 30-39 years, female 10.2
GTEX-1GPI7-1826-SM-9KNU1 20-29 years, male 10.2
GTEX-ZTSS-1426-SM-5985P 40-49 years, male 10.1
GTEX-1GF9U-2026-SM-7SB92 40-49 years, female 10.1
GTEX-1S82U-1026-SM-E6CJK 30-39 years, female 10.1
GTEX-13FTX-1526-SM-5K7VJ 20-29 years, female 10.0
GTEX-1CB4E-0926-SM-7EPHT 60-69 years, male 10.0
GTEX-1GF9X-1326-SM-7PC2Y 40-49 years, female 10.0
GTEX-1J8Q3-0526-SM-ARL8U 60-69 years, male 10.0
GTEX-11O72-0626-SM-5PNYE 40-49 years, male 9.9
GTEX-14E1K-2026-SM-7DUEI 50-59 years, male 9.9
GTEX-14PII-0726-SM-6EU2B 60-69 years, male 9.9
GTEX-1GZ2Q-0126-SM-9WG6M 40-49 years, male 9.9
GTEX-117YX-1926-SM-5GIEC 50-59 years, male 9.8
GTEX-139T8-0626-SM-5KLZX 60-69 years, male 9.8
GTEX-1HSMQ-2626-SM-A9SML 50-59 years, male 9.8
GTEX-ZDTT-0426-SM-4WKFL 60-69 years, male 9.7
GTEX-ZWKS-0626-SM-5GIDV 30-39 years, male 9.7
GTEX-1QCLY-0226-SM-EWRNH 30-39 years, male 9.7
GTEX-1399U-1126-SM-5L3DB 50-59 years, female 9.6
GTEX-1A3MV-1826-SM-731CD 30-39 years, male 9.6
GTEX-11P82-1426-SM-DTXFY 20-29 years, male 9.6
GTEX-1S831-1826-SM-EWROF 20-29 years, male 9.6
GTEX-14PK6-0226-SM-62LF5 70-79 years, female 9.5
GTEX-15DDE-2926-SM-6LLJ3 50-59 years, female 9.5
GTEX-11LCK-2226-SM-5HL4Q 30-39 years, male 9.4
GTEX-WFON-1926-SM-3LK7L 40-49 years, male 9.3
GTEX-1N5O9-0926-SM-E9J3C 60-69 years, male 9.3
GTEX-1POEN-2326-SM-E9J2L 30-39 years, female 9.3
GTEX-15ER7-0626-SM-6PANF 20-29 years, female 9.2
GTEX-12WSM-1926-SM-5BC65 60-69 years, male 9.1
GTEX-1B97I-0626-SM-73KUZ 40-49 years, male 9.1
GTEX-1H1E6-0426-SM-9WYUS 30-39 years, male 9.1
GTEX-1R9PN-0426-SM-DTXDT 40-49 years, female 9.1
GTEX-133LE-2326-SM-5K7W3 20-29 years, female 9.0
GTEX-13W3W-0726-SM-5IJDQ 60-69 years, female 9.0
GTEX-15RIE-1926-SM-7KUKJ 60-69 years, male 9.0
GTEX-17MFQ-1526-SM-7KFRR 20-29 years, male 9.0
GTEX-1EH9U-2826-SM-7DUGT 60-69 years, male 9.0
GTEX-ZZ64-1026-SM-5GZXG 20-29 years, male 9.0
GTEX-14E6E-0526-SM-793DN 30-39 years, male 8.9
GTEX-14PKU-0126-SM-6LLHV 40-49 years, female 8.9
GTEX-1F52S-2926-SM-7MKGA 60-69 years, female 8.9
GTEX-ZVTK-0226-SM-51MRG 20-29 years, male 8.9
GTEX-18D9A-1426-SM-7LT8M 30-39 years, female 8.9
GTEX-11GSP-2326-SM-5HL63 60-69 years, female 8.8
GTEX-13FH7-1126-SM-5K7UG 50-59 years, female 8.8
GTEX-13OVG-1626-SM-5J1NF 60-69 years, male 8.8
GTEX-14B4R-1326-SM-5Q5EZ 30-39 years, male 8.8
GTEX-17EVP-2626-SM-7IGMA 40-49 years, male 8.8
GTEX-14753-0726-SM-5QGQO 60-69 years, male 8.7
GTEX-YEC4-1826-SM-4W1YP 40-49 years, male 8.7
GTEX-ZPCL-1126-SM-4WWFE 60-69 years, female 8.7
GTEX-111CU-1126-SM-5EGIM 50-59 years, male 8.6
GTEX-12C56-1526-SM-5FQUQ 20-29 years, male 8.6
GTEX-14PJN-1826-SM-6AJ98 30-39 years, male 8.6
GTEX-17HHE-1326-SM-7EWDZ 50-59 years, male 8.6
GTEX-1K2DA-1026-SM-CGQGF 50-59 years, male 8.6
GTEX-1RB15-1326-SM-E76Q9 60-69 years, male 8.6
GTEX-111YS-1526-SM-5GZYW 60-69 years, male 8.5
GTEX-Y5LM-0926-SM-6LLJG 40-49 years, female 8.5
GTEX-ZUA1-2626-SM-5NQ92 40-49 years, male 8.5
GTEX-1I4MK-0126-SM-CY8G6 50-59 years, female 8.4
GTEX-1I6K6-1726-SM-CGQFD 30-39 years, male 8.4
GTEX-1JJE9-2626-SM-ARZMT 70-79 years, male 8.4
GTEX-16GPK-0626-SM-7KFSF 60-69 years, male 8.3
GTEX-X5EB-1926-SM-4E3IW 40-49 years, male 8.3
GTEX-1C64O-1326-SM-7MGWR 60-69 years, male 8.3
GTEX-1GN1W-2426-SM-9KNUU 50-59 years, female 8.3
GTEX-1JMQK-1226-SM-D4P2S 60-69 years, male 8.3
GTEX-14PHY-1226-SM-5ZZWK 60-69 years, female 8.2
GTEX-XBEW-1126-SM-4QARW 40-49 years, male 8.2
GTEX-YB5K-2026-SM-4VDT3 40-49 years, female 8.2
GTEX-12696-0126-SM-5EQ4L 60-69 years, male 8.1
GTEX-1HCVE-2726-SM-CL54F 50-59 years, male 8.1
GTEX-1KANC-1226-SM-CYPT7 50-59 years, female 8.1
GTEX-1R9PM-1926-SM-EVR3O 20-29 years, male 8.1
GTEX-11P81-2226-SM-5PNYI 30-39 years, female 8.0
GTEX-131XG-0326-SM-5L3DX 50-59 years, female 8.0
GTEX-XYKS-1426-SM-4BRUO 60-69 years, female 8.0
GTEX-1JN76-0626-SM-CKZOQ 20-29 years, female 8.0
GTEX-1L5NE-1126-SM-D3L9P 50-59 years, male 8.0
GTEX-1S82P-2126-SM-E6CI5 60-69 years, female 8.0
GTEX-ZPIC-0526-SM-DO91W 40-49 years, female 8.0
GTEX-14PJ4-0226-SM-5YY92 60-69 years, male 7.9
GTEX-1117F-2926-SM-5GZYI 60-69 years, female 7.8
GTEX-139TU-0726-SM-5L3EK 60-69 years, male 7.8
GTEX-YFCO-1226-SM-5LUAT 40-49 years, male 7.8
GTEX-1CAMQ-1326-SM-7P8RV 40-49 years, male 7.8
GTEX-1HCU9-0426-SM-9WYSD 20-29 years, male 7.8
GTEX-1HFI7-2326-SM-CGQFS 50-59 years, female 7.8
GTEX-1S5ZU-2526-SM-E6CIF 20-29 years, female 7.8
GTEX-12WSA-0426-SM-5EQ5X 60-69 years, male 7.7
GTEX-1AMEY-0826-SM-72D65 30-39 years, female 7.7
GTEX-1LVAM-0726-SM-E6CIL 50-59 years, female 7.5
GTEX-1LVAN-0626-SM-CNPOQ 50-59 years, female 7.5
GTEX-1GMR2-0826-SM-7PC3V 50-59 years, male 7.4
GTEX-1JK1U-0226-SM-ARZMX 60-69 years, male 7.4
GTEX-1PIGE-1826-SM-E8VOU 20-29 years, male 7.4
GTEX-18A67-1626-SM-7LT9T 50-59 years, male 7.3
GTEX-1PPH8-0126-SM-EWRN8 20-29 years, male 7.3
GTEX-1QCLZ-2426-SM-EVYBW 60-69 years, female 7.3
GTEX-11P7K-1126-SM-5HL4L 30-39 years, male 7.2
GTEX-14XAO-1226-SM-6EU1C 60-69 years, female 7.2
GTEX-1J8QM-2426-SM-A9SLS 60-69 years, female 7.2
GTEX-14C39-1726-SM-5RQIL 40-49 years, male 7.1
GTEX-15RIG-0726-SM-7KUM7 40-49 years, male 7.1
GTEX-ZGAY-1826-SM-DO91Q 40-49 years, female 7.1
GTEX-11EQ9-1626-SM-5PNY8 30-39 years, male 6.9
GTEX-11TT1-1826-SM-5EQLV 20-29 years, male 6.9
GTEX-1C2JI-1026-SM-73KY1 50-59 years, male 6.9
GTEX-1QP9N-1226-SM-E76QN 30-39 years, male 6.9
GTEX-17EVQ-0126-SM-7IGLR 70-79 years, male 6.8
GTEX-13PVR-0426-SM-5RQK2 60-69 years, female 6.7
GTEX-11DXX-2126-SM-5PNYR 60-69 years, female 6.6
GTEX-1QPFJ-1926-SM-EVYBD 30-39 years, female 6.6
GTEX-1RAZQ-1326-SM-E9TK6 30-39 years, male 6.6
GTEX-1LKK1-2626-SM-DKPQE 50-59 years, female 6.5
GTEX-145MN-1526-SM-5SI9T 30-39 years, male 6.4
GTEX-18QFQ-1826-SM-72D52 30-39 years, male 6.3
GTEX-X3Y1-2026-SM-3P5YM 40-49 years, male 6.3
GTEX-1PPH7-1126-SM-DTX9A 40-49 years, male 6.3
GTEX-ZZPU-0826-SM-5GZX5 50-59 years, female 6.2
GTEX-13QJC-0126-SM-5ZZWJ 60-69 years, female 6.1
GTEX-15RJE-2826-SM-7KUM9 40-49 years, male 6.1
GTEX-11ZTT-2126-SM-5CVLO 60-69 years, female 6.0
GTEX-145ME-1726-SM-5Q5EU 40-49 years, female 6.0
GTEX-145MO-2826-SM-5LU96 60-69 years, male 6.0
GTEX-1RAZA-2226-SM-E9U4X 20-29 years, male 6.0
GTEX-1QP28-1126-SM-EVYC4 50-59 years, female 5.9
GTEX-WEY5-2326-SM-3GIKK 40-49 years, female 5.8
GTEX-1ICG6-1226-SM-A9SLN 70-79 years, female 5.8
GTEX-1JJ6O-2726-SM-CNPOG 60-69 years, male 5.8
GTEX-1LGOU-1326-SM-D3L8M 20-29 years, female 5.8
GTEX-1LSNM-0826-SM-DIPG8 50-59 years, male 5.8
GTEX-1AX9J-1326-SM-731BJ 60-69 years, male 5.7
GTEX-ZT9W-1126-SM-57WDR 50-59 years, male 5.7
GTEX-13VXT-1926-SM-5K7UO 20-29 years, female 5.6
GTEX-145LT-0526-SM-5LUB2 40-49 years, male 5.5
GTEX-14DAR-1226-SM-73KYV 50-59 years, male 5.5
GTEX-1CB4I-0126-SM-7RHGG 50-59 years, male 5.5
GTEX-12BJ1-0926-SM-5EQ62 60-69 years, male 5.4
GTEX-16NGA-0726-SM-731AO 40-49 years, female 5.4
GTEX-ZLWG-0826-SM-59888 50-59 years, female 5.3
GTEX-1KANA-1326-SM-DIPFA 20-29 years, male 5.3
GTEX-WFG8-2126-SM-3GIKQ 20-29 years, male 5.2
GTEX-1IDJU-1726-SM-CMKHU 60-69 years, female 5.2
GTEX-1AMFI-1326-SM-7939R 50-59 years, female 5.1
GTEX-XAJ8-1426-SM-47JYM 40-49 years, male 5.1
GTEX-ZVT2-0126-SM-5GIDQ 50-59 years, female 5.0
GTEX-YF7O-1526-SM-5IFI6 50-59 years, male 4.9
GTEX-1B8KE-1126-SM-7EPHI 50-59 years, male 4.8
GTEX-1C475-1326-SM-7SB73 40-49 years, female 4.8
GTEX-WHSB-1326-SM-3LK6W 50-59 years, male 4.7
GTEX-1122O-1026-SM-9WYSF 60-69 years, female 4.7
GTEX-1HSGN-0826-SM-ACKW3 40-49 years, female 4.7
GTEX-14PKV-1126-SM-6LLJ1 20-29 years, female 4.6
GTEX-1R7EU-1626-SM-DTXG3 60-69 years, male 4.6
GTEX-WYJK-0526-SM-3NM8Z 50-59 years, male 4.4
GTEX-1JKYR-0626-SM-ARL8R 20-29 years, male 4.4
GTEX-16MTA-0926-SM-6M47Z 50-59 years, male 4.3
GTEX-YEC3-1326-SM-DO92X 50-59 years, male 4.3
GTEX-15CHC-1126-SM-6LLHQ 60-69 years, female 4.2
GTEX-1GZ4H-0526-SM-9KNU9 50-59 years, female 4.2
GTEX-1J1R8-2026-SM-CL53Y 40-49 years, male 4.2
GTEX-1QP2A-1726-SM-E76QC 50-59 years, male 4.2
GTEX-1S3DN-2126-SM-E9TIN 50-59 years, male 4.2
GTEX-XUW1-0926-SM-4BONX 50-59 years, female 4.0
GTEX-ZF29-0926-SM-4WKFZ 60-69 years, female 3.9
GTEX-1MCYP-0526-SM-E9U6Q 20-29 years, female 3.7
GTEX-1JMPY-0226-SM-CKZOK 30-39 years, male 3.6
GTEX-14PJ5-1526-SM-6LLIL 60-69 years, female 3.5
GTEX-1LGRB-0926-SM-COH3K 50-59 years, female 3.5
GTEX-Y5V6-2326-SM-4VDSA 60-69 years, male 3.1
GTEX-1I1GT-1026-SM-ARZLV 60-69 years, female 2.5
Show allShow less
Skin - Sun Exposed (Lower leg)
Average nTPM: 18.2
Samples: 701

Max nTPM: 320.1
Min nTPM: 2.8
Std nTPM: 19.4
Median nTPM: 14.0
GTEX-ZYFD-0126-SM-5GIDL 50-59 years, male 320.1
GTEX-1192W-2626-SM-5Q5AF 60-69 years, male 201.5
GTEX-WI4N-1026-SM-3LK7N 40-49 years, female 185.3
GTEX-X88G-0126-SM-47JZ3 30-39 years, male 118.8
GTEX-17KNJ-2326-SM-7DHLQ 50-59 years, male 91.1
GTEX-183WM-0126-SM-7LTAB 70-79 years, female 81.9
GTEX-16XZZ-0126-SM-793DV 60-69 years, male 81.5
GTEX-11ZVC-2526-SM-5FQTE 50-59 years, female 81.2
GTEX-1PWST-0226-SM-E76QJ 70-79 years, male 74.2
GTEX-14E6C-0126-SM-5RQIP 40-49 years, male 72.2
GTEX-14A5H-0426-SM-5QGQF 60-69 years, male 69.3
GTEX-13OVH-0126-SM-5MR4B 70-79 years, male 66.0
GTEX-ZE9C-2726-SM-57WB5 60-69 years, male 63.2
GTEX-U8XE-0326-SM-3DB8P 30-39 years, male 61.6
GTEX-15G19-0126-SM-6PANQ 60-69 years, male 59.9
GTEX-VUSG-2526-SM-4KL1V 50-59 years, male 59.5
GTEX-Y3IK-2426-SM-4WWDU 50-59 years, female 58.3
GTEX-ZVT3-0126-SM-5GU6I 60-69 years, female 56.3
GTEX-OXRP-0126-SM-3NB32 60-69 years, female 55.6
GTEX-17GQL-2026-SM-718BA 60-69 years, male 54.5
GTEX-S32W-2126-SM-2XCB1 50-59 years, female 52.8
GTEX-1A3MW-0126-SM-73KXX 60-69 years, female 51.2
GTEX-1GN1V-0126-SM-9WPOS 60-69 years, male 50.8
GTEX-15EOM-0126-SM-7KUGG 20-29 years, female 49.9
GTEX-1HCU8-0626-SM-A9SM9 60-69 years, female 49.9
GTEX-12WSL-2526-SM-5GCNJ 50-59 years, male 47.9
GTEX-1JMQL-0226-SM-CNPP5 50-59 years, female 47.9
GTEX-1AYD5-2426-SM-73KXR 50-59 years, male 46.4
GTEX-1JN1M-0326-SM-CYPT3 60-69 years, female 46.1
GTEX-15SHW-0326-SM-6PAML 60-69 years, male 45.7
GTEX-1H1DG-0126-SM-9WYU2 70-79 years, male 44.4
GTEX-11UD2-0226-SM-5EQKY 50-59 years, male 44.1
GTEX-ZF2S-2326-SM-4WWCE 50-59 years, female 43.5
GTEX-13O1R-0126-SM-5L3EH 60-69 years, male 43.2
GTEX-11DXW-0226-SM-5H122 40-49 years, male 43.1
GTEX-11TUW-2726-SM-E9J4M 60-69 years, male 42.9
GTEX-1JN6P-0126-SM-D3L98 60-69 years, male 41.4
GTEX-1HUB1-0426-SM-E9U4U 60-69 years, male 41.2
GTEX-1QMI2-0226-SM-EVYBX 60-69 years, male 41.1
GTEX-11TT1-2526-SM-5EGIB 20-29 years, male 40.7
GTEX-14ABY-0226-SM-5TDCQ 50-59 years, male 40.4
GTEX-1211K-2026-SM-5EQ4Z 60-69 years, female 40.2
GTEX-ZAJG-0126-SM-5HL94 50-59 years, female 39.7
GTEX-1C6WA-0126-SM-7PC2B 60-69 years, male 39.3
GTEX-145MF-0626-SM-5LUAI 50-59 years, male 38.7
GTEX-1GF9X-2026-SM-7PC3A 40-49 years, female 38.7
GTEX-ZF3C-0126-SM-DO92D 50-59 years, female 38.6
GTEX-139TS-2826-SM-5J1OO 60-69 years, male 38.5
GTEX-YJ8A-0426-SM-5IFID 20-29 years, male 38.0
GTEX-1QP66-1726-SM-E8VO1 50-59 years, male 37.7
GTEX-145LS-0126-SM-5QGP1 60-69 years, female 36.8
GTEX-1GN2E-0426-SM-9MQKX 60-69 years, male 36.8
GTEX-11H98-0126-SM-5EGHG 50-59 years, male 34.8
GTEX-13CF2-2526-SM-5LZYX 60-69 years, male 34.8
GTEX-1PBJI-0526-SM-E8VNK 20-29 years, female 34.7
GTEX-12WSK-2326-SM-5GCOH 40-49 years, female 34.3
GTEX-1JMOU-1526-SM-CL54I 60-69 years, female 34.2
GTEX-13U4I-0126-SM-5LU38 40-49 years, female 34.0
GTEX-1HGF4-2426-SM-ACKXM 60-69 years, male 33.7
GTEX-1RDX4-0126-SM-E9J4P 50-59 years, female 33.4
GTEX-1B933-0126-SM-7PC29 50-59 years, female 33.3
GTEX-17MF6-0126-SM-7LG4F 40-49 years, male 33.2
GTEX-14BIN-0626-SM-793DP 50-59 years, female 33.0
GTEX-1A3MX-0126-SM-731BR 60-69 years, male 33.0
GTEX-13NYC-0326-SM-E9J4S 60-69 years, male 32.9
GTEX-1RB15-2126-SM-E9TIM 60-69 years, male 32.8
GTEX-1JJEA-0326-SM-CNPOT 60-69 years, male 32.6
GTEX-14A6H-0126-SM-5QGPK 30-39 years, male 32.5
GTEX-1IOXB-0126-SM-ARL8G 50-59 years, male 32.2
GTEX-132NY-0326-SM-5IJBL 60-69 years, male 32.1
GTEX-1AX9I-0126-SM-7SB74 60-69 years, male 32.1
GTEX-ZY6K-1826-SM-5GZXK 50-59 years, male 32.0
GTEX-ZE7O-0126-SM-57WC1 50-59 years, female 31.1
GTEX-13IVO-0126-SM-5J1NG 70-79 years, male 31.0
GTEX-147GR-0526-SM-5S2MY 60-69 years, male 30.9
GTEX-12584-0126-SM-5EGKQ 40-49 years, male 30.2
GTEX-1H3O1-0426-SM-9YFKY 60-69 years, male 30.1
GTEX-ZTX8-1426-SM-5DUVO 20-29 years, male 29.9
GTEX-147F4-0226-SM-5QGPW 50-59 years, male 29.8
GTEX-14JIY-0126-SM-6LLH6 60-69 years, male 29.8
GTEX-1CB4F-0426-SM-9KNV4 60-69 years, male 29.7
GTEX-11WQK-0526-SM-5EQLD 50-59 years, male 29.4
GTEX-X8HC-0126-SM-4E3JW 50-59 years, female 29.3
GTEX-148VJ-0126-SM-5TDDN 70-79 years, male 29.2
GTEX-14A5I-0126-SM-5TDEA 50-59 years, female 28.9
GTEX-17HG3-2226-SM-7938L 30-39 years, female 28.8
GTEX-ZV68-0126-SM-59HKS 50-59 years, female 28.7
GTEX-1HBPM-0226-SM-ARL9F 60-69 years, female 28.6
GTEX-Y8DK-0126-SM-4TT3L 60-69 years, male 28.4
GTEX-SE5C-1626-SM-2XCE3 40-49 years, female 28.2
GTEX-13OW7-0126-SM-5MR3B 50-59 years, male 28.1
GTEX-1H11D-0226-SM-9WG6Z 40-49 years, male 28.1
GTEX-15SDE-2226-SM-7IGLO 50-59 years, female 28.0
GTEX-1LB8K-0226-SM-EWRNW 50-59 years, male 27.7
GTEX-131XW-0426-SM-5LZWP 50-59 years, female 27.6
GTEX-1RLM8-2326-SM-EWRN4 50-59 years, male 27.5
GTEX-1M4P7-0226-SM-DIPEV 60-69 years, male 27.4
GTEX-113JC-2326-SM-5EQ4E 50-59 years, female 27.3
GTEX-13FTY-0526-SM-5L3EV 40-49 years, female 27.3
GTEX-12WSG-2826-SM-E9J4H 50-59 years, female 27.2
GTEX-1EX96-1626-SM-7PBXR 50-59 years, male 27.2
GTEX-SSA3-0126-SM-32QPU 60-69 years, male 27.1
GTEX-1128S-2326-SM-5GZZY 60-69 years, female 27.0
GTEX-ZDXO-3026-SM-5J1N5 60-69 years, male 26.8
GTEX-113IC-0126-SM-5HL6T 60-69 years, male 26.4
GTEX-146FQ-0126-SM-5NQA9 30-39 years, male 26.2
GTEX-18465-0126-SM-731BN 50-59 years, male 26.0
GTEX-W5X1-3026-SM-EAZAX 40-49 years, female 26.0
GTEX-117YW-2626-SM-5GZZH 50-59 years, male 25.9
GTEX-145MI-0526-SM-5O9A8 60-69 years, female 25.9
GTEX-15DYW-0126-SM-7KULE 60-69 years, female 25.9
GTEX-1QW4Y-1526-SM-EAZ3Z 30-39 years, male 25.9
GTEX-13N1W-0126-SM-5K7VT 70-79 years, male 25.7
GTEX-1B996-0226-SM-7RHGO 60-69 years, male 25.7
GTEX-1N2DW-0226-SM-E9TK2 50-59 years, male 25.7
GTEX-1IY9M-0126-SM-D3L8S 60-69 years, male 25.6
GTEX-1AX8Z-0126-SM-7DHM6 60-69 years, male 25.4
GTEX-RU72-0926-SM-2TF6B 50-59 years, female 25.4
GTEX-15UKP-0426-SM-7KUFQ 20-29 years, male 25.2
GTEX-1F88F-2726-SM-7PBZZ 60-69 years, female 25.0
GTEX-11DYG-0126-SM-59883 60-69 years, male 24.9
GTEX-16XZY-2126-SM-79OK1 70-79 years, male 24.9
GTEX-13RTL-0126-SM-7LG5S 40-49 years, male 24.8
GTEX-1MA7X-2226-SM-E6CIY 60-69 years, male 24.6
GTEX-1C2JI-1826-SM-73KXC 50-59 years, male 24.5
GTEX-OXRO-0126-SM-2YUN4 60-69 years, female 24.4
GTEX-S33H-1026-SM-EZ6L6 30-39 years, male 24.3
GTEX-X4EO-0326-SM-3P5YO 60-69 years, female 24.2
GTEX-16YQH-0126-SM-7DUFJ 30-39 years, male 24.1
GTEX-11OF3-2626-SM-5GU7F 60-69 years, male 24.0
GTEX-1B8KZ-2026-SM-7DHMB 50-59 years, male 24.0
GTEX-S7PM-0126-SM-4AD6S 60-69 years, male 24.0
GTEX-1F6IF-0726-SM-7P8TW 60-69 years, male 23.8
GTEX-1I1GR-0126-SM-CL55F 60-69 years, male 23.7
GTEX-RVPV-0126-SM-EAZAW 60-69 years, male 23.5
GTEX-1ICLZ-0126-SM-CKZPO 60-69 years, male 23.3
GTEX-11GS4-2726-SM-5A5LE 60-69 years, male 23.2
GTEX-146FH-0126-SM-5QGPP 50-59 years, female 23.2
GTEX-1GZHY-0326-SM-9QEHI 50-59 years, female 23.0
GTEX-13YAN-0326-SM-5O9DF 60-69 years, male 22.8
GTEX-11UD1-0126-SM-5PNYG 40-49 years, female 22.6
GTEX-1GMR3-1926-SM-9KNUZ 40-49 years, male 22.5
GTEX-17HHY-0126-SM-7LG5D 50-59 years, male 22.4
GTEX-1C6VQ-0126-SM-7P8RI 50-59 years, male 22.4
GTEX-1I1CD-0126-SM-CM2TK 60-69 years, female 22.3
GTEX-1IGQW-0126-SM-COH42 60-69 years, male 22.3
GTEX-1LBAC-0126-SM-DIPEZ 20-29 years, male 22.2
GTEX-Z93S-0126-SM-5HL7M 50-59 years, male 21.9
GTEX-1J8JJ-0226-SM-CL53I 60-69 years, female 21.9
GTEX-13OVJ-0126-SM-5KM36 50-59 years, female 21.8
GTEX-1N2EF-0226-SM-EYYXB 60-69 years, male 21.8
GTEX-YFC4-0126-SM-5CVLY 40-49 years, female 21.7
GTEX-1EMGI-0126-SM-9KNUE 60-69 years, male 21.7
GTEX-11NUK-0126-SM-5A5L3 50-59 years, male 21.6
GTEX-1H1DE-2126-SM-9WG6R 20-29 years, male 21.6
GTEX-1399U-2326-SM-5K7WY 50-59 years, female 21.5
GTEX-17HGU-0226-SM-7DHKV 50-59 years, male 21.5
GTEX-1CB4E-2226-SM-793DC 60-69 years, male 21.5
GTEX-13FHO-0226-SM-5IFGY 60-69 years, male 21.2
GTEX-14BMV-0126-SM-5S2PO 50-59 years, male 21.2
GTEX-V1D1-2226-SM-3NMAX 50-59 years, male 21.2
GTEX-1POEN-0126-SM-EYYXJ 30-39 years, female 21.2
GTEX-131XE-2326-SM-5PNZ2 50-59 years, male 21.0
GTEX-13113-5016-SM-7EPIP 60-69 years, female 20.9
GTEX-XXEK-2226-SM-4BRUM 50-59 years, male 20.9
GTEX-ZDYS-2026-SM-5HL5L 50-59 years, male 20.9
GTEX-17EVQ-0226-SM-7LG4P 70-79 years, male 20.8
GTEX-T2YK-0526-SM-32QPJ 50-59 years, male 20.8
GTEX-Q2AI-1326-SM-2S1PL 40-49 years, male 20.5
GTEX-1LNCM-1126-SM-E9U5E 50-59 years, female 20.5
GTEX-1NV5F-0226-SM-E8VNY 60-69 years, female 20.4
GTEX-Q734-1926-SM-2I5EV 40-49 years, female 20.3
GTEX-1HCU6-0126-SM-CL54K 60-69 years, female 20.3
GTEX-1LH75-2426-SM-E9TJE 50-59 years, female 20.3
GTEX-13G51-2526-SM-5LZYK 60-69 years, male 20.2
GTEX-YJ89-0126-SM-4TT3X 60-69 years, male 20.2
GTEX-1F6I4-0126-SM-9MQL2 60-69 years, male 20.2
GTEX-18A6Q-0126-SM-731BZ 60-69 years, male 20.1
GTEX-U8T8-0126-SM-3DB94 60-69 years, male 20.1
GTEX-1399R-2726-SM-5IJBA 30-39 years, male 20.0
GTEX-1B8SG-0126-SM-73KZ3 50-59 years, male 20.0
GTEX-1H4P4-0726-SM-9YFLR 50-59 years, male 20.0
GTEX-1KANB-0526-SM-E6CJH 50-59 years, male 20.0
GTEX-1HBPI-1526-SM-C1YQ1 50-59 years, male 19.9
GTEX-13X6H-2126-SM-7EWD5 50-59 years, female 19.8
GTEX-16GPK-0126-SM-7DHLE 60-69 years, male 19.8
GTEX-1JN76-0126-SM-CNPPE 20-29 years, female 19.7
GTEX-1IL2U-0226-SM-CE6T8 60-69 years, male 19.6
GTEX-1LC47-0326-SM-E9TJP 60-69 years, male 19.6
GTEX-1I1GP-2226-SM-CGQFK 50-59 years, male 19.3
GTEX-VJYA-1126-SM-3GIJU 60-69 years, male 19.2
GTEX-ZYFC-0226-SM-5NQ75 50-59 years, male 19.2
GTEX-11GSP-2526-SM-5N9BP 60-69 years, female 19.1
GTEX-12WSD-0126-SM-59HKN 60-69 years, female 19.1
GTEX-13O3P-0126-SM-5KM4S 50-59 years, male 18.9
GTEX-14PJM-0226-SM-62LF1 50-59 years, female 18.9
GTEX-XUYS-0126-SM-47JWZ 50-59 years, male 18.9
GTEX-1I1HK-0126-SM-COH49 60-69 years, male 18.9
GTEX-15D1Q-0126-SM-7KUG6 40-49 years, male 18.8
GTEX-QESD-1426-SM-2S1R9 20-29 years, male 18.8
GTEX-ZDTS-0126-SM-4WAY5 60-69 years, male 18.8
GTEX-1ICLY-0126-SM-D4P36 50-59 years, male 18.8
GTEX-1399T-2826-SM-5KLYZ 60-69 years, male 18.6
GTEX-14PN4-0126-SM-6EU2V 50-59 years, male 18.6
GTEX-1C64N-0126-SM-793D7 50-59 years, male 18.5
GTEX-1GPI6-0126-SM-9WG69 60-69 years, male 18.5
GTEX-XQ3S-1526-SM-4BOOC 20-29 years, male 18.4
GTEX-1OJC4-0126-SM-E9J2E 50-59 years, female 18.4
GTEX-OIZF-0126-SM-7SB8I 60-69 years, male 18.4
GTEX-13OW8-1326-SM-5J1OW 60-69 years, male 18.3
GTEX-U412-0426-SM-3DB9O 60-69 years, male 18.3
GTEX-1HB9E-0226-SM-E9U4R 50-59 years, male 18.3
GTEX-11ZTS-0126-SM-5EQ6M 60-69 years, female 18.2
GTEX-1HSMO-0126-SM-CL547 60-69 years, male 18.2
GTEX-1R9K4-0126-SM-DTX9X 60-69 years, male 18.2
GTEX-1JMQJ-0526-SM-CYPSU 50-59 years, male 18.1
GTEX-1R46S-0626-SM-E9J41 60-69 years, female 18.0
GTEX-1S82Y-2026-SM-EVYCM 40-49 years, male 18.0
GTEX-1313W-0126-SM-5LZUN 50-59 years, female 17.9
GTEX-WYVS-2126-SM-3NMA3 40-49 years, female 17.9
GTEX-1QEPI-0126-SM-EWRMQ 60-69 years, female 17.9
GTEX-14BIL-0126-SM-5SI92 50-59 years, male 17.8
GTEX-X585-0226-SM-4QAS2 50-59 years, male 17.8
GTEX-1EU9M-0226-SM-7P8SP 60-69 years, male 17.7
GTEX-111VG-2426-SM-5GZXD 60-69 years, male 17.6
GTEX-13N11-2526-SM-5K7UE 50-59 years, female 17.6
GTEX-13OVL-0226-SM-5L3E9 50-59 years, male 17.6
GTEX-R3RS-0126-SM-3GIJL 40-49 years, female 17.6
GTEX-139T4-0226-SM-5HL5S 50-59 years, female 17.5
GTEX-13SLX-0526-SM-5S2ON 50-59 years, female 17.5
GTEX-148VI-1626-SM-5SI6E 60-69 years, female 17.5
GTEX-P4QT-0126-SM-2I3FL 50-59 years, female 17.5
GTEX-X638-0126-SM-47JZ8 70-79 years, female 17.5
GTEX-Y111-0126-SM-4SOIV 50-59 years, male 17.5
GTEX-13112-2826-SM-5DUWH 50-59 years, male 17.4
GTEX-1EWIQ-0126-SM-7RHH2 70-79 years, female 17.4
GTEX-1HR98-0126-SM-B2LWI 60-69 years, male 17.4
GTEX-11DXZ-2326-SM-5EGGV 50-59 years, male 17.3
GTEX-1IDFM-0126-SM-COH2V 60-69 years, male 17.3
GTEX-1IKK5-0626-SM-ARL8A 60-69 years, male 17.3
GTEX-139UW-2826-SM-5L3E7 60-69 years, male 17.2
GTEX-13FTW-2626-SM-5K7WL 40-49 years, male 17.2
GTEX-14DAQ-0126-SM-5S2MQ 60-69 years, female 17.2
GTEX-15DCD-0126-SM-7KUEK 70-79 years, female 17.2
GTEX-XMD2-0126-SM-4YCDU 60-69 years, female 17.1
GTEX-1F48J-0126-SM-7P8TT 50-59 years, female 17.1
GTEX-11EMC-2926-SM-5EQ4F 60-69 years, female 17.0
GTEX-T2IS-0126-SM-4DM6O 20-29 years, female 17.0
GTEX-Y3I4-2126-SM-4TT7C 50-59 years, male 17.0
GTEX-1269C-2526-SM-5EGJ3 60-69 years, female 16.9
GTEX-1B8SF-1426-SM-7DUGL 60-69 years, male 16.9
GTEX-X4EP-0126-SM-3P5YV 60-69 years, female 16.9
GTEX-ZC5H-0226-SM-4WAY9 40-49 years, female 16.9
GTEX-1HCUA-2426-SM-ADEIS 50-59 years, female 16.9
GTEX-1KAFJ-2026-SM-CY8ID 50-59 years, male 16.9
GTEX-1MCYP-1926-SM-E9J2R 20-29 years, female 16.9
GTEX-1O97I-0326-SM-EYYX7 60-69 years, male 16.9
GTEX-15UF6-0826-SM-6PALJ 70-79 years, female 16.8
GTEX-X4XY-0226-SM-4E3IZ 60-69 years, male 16.8
GTEX-1HFI6-0226-SM-ADEHZ 40-49 years, male 16.8
GTEX-18A67-0126-SM-7LG5P 50-59 years, male 16.7
GTEX-R55E-0126-SM-2TC5Y 20-29 years, male 16.7
GTEX-WVJS-0126-SM-4MVOT 50-59 years, male 16.7
GTEX-X62O-0126-SM-4E3JN 50-59 years, male 16.7
GTEX-1K9T9-0126-SM-EVYCF 50-59 years, female 16.7
GTEX-ZPIC-1726-SM-DHXIU 40-49 years, female 16.7
GTEX-12126-0326-SM-5PNW3 20-29 years, male 16.5
GTEX-13OW5-0126-SM-DTXFS 60-69 years, male 16.5
GTEX-R45C-0126-SM-EAZ2R 60-69 years, female 16.5
GTEX-1497J-2426-SM-7IGNX 60-69 years, male 16.4
GTEX-PWO3-1526-SM-48TCM 60-69 years, female 16.4
GTEX-13FH7-2026-SM-E9J4I 50-59 years, female 16.4
GTEX-11WQC-2526-SM-5CVLE 60-69 years, male 16.3
GTEX-13RTJ-2426-SM-5S2Q2 60-69 years, male 16.3
GTEX-1J8EW-0126-SM-CJI4F 60-69 years, female 16.3
GTEX-1QP67-1626-SM-EAZ3X 40-49 years, female 16.3
GTEX-1314G-1526-SM-5EGK2 30-39 years, male 16.2
GTEX-13NZA-0226-SM-5K7Z7 60-69 years, male 16.2
GTEX-SIU8-0126-SM-2XCDT 50-59 years, male 16.2
GTEX-1EKGG-0226-SM-9WYTH 60-69 years, male 16.2
GTEX-1IKOH-0226-SM-COH4E 60-69 years, female 16.2
GTEX-1A32A-0126-SM-718B1 50-59 years, female 16.1
GTEX-XV7Q-2526-SM-4BRV9 40-49 years, female 16.1
GTEX-13X6J-0126-SM-5QGOU 50-59 years, male 16.0
GTEX-17F97-0326-SM-7LG5B 50-59 years, male 16.0
GTEX-18A66-0226-SM-718BD 60-69 years, male 16.0
GTEX-1BAJH-0526-SM-793CQ 70-79 years, male 16.0
GTEX-ZVT4-0126-SM-DTXFN 50-59 years, female 16.0
GTEX-13S7M-0126-SM-5SI6A 60-69 years, female 15.9
GTEX-13VXU-0126-SM-5SI9F 50-59 years, male 15.9
GTEX-OHPL-0126-SM-2HMJ7 60-69 years, female 15.9
GTEX-XBED-2226-SM-47JYQ 60-69 years, male 15.9
GTEX-1192X-0226-SM-5H12D 50-59 years, male 15.8
GTEX-ZAB4-0226-SM-5N9F5 40-49 years, male 15.8
GTEX-1KWVE-1426-SM-E9TJO 30-39 years, male 15.7
GTEX-11DZ1-0126-SM-5985Q 50-59 years, male 15.5
GTEX-12WSC-0126-SM-5EQ4P 50-59 years, male 15.5
GTEX-13NZB-2526-SM-5J1OM 30-39 years, male 15.5
GTEX-11NSD-2226-SM-5986V 20-29 years, male 15.4
GTEX-13111-1626-SM-5EGJY 50-59 years, male 15.4
GTEX-14JG1-0426-SM-6ETZZ 40-49 years, male 15.4
GTEX-1AYCT-2426-SM-7IGQ3 50-59 years, male 15.4
GTEX-ZEX8-2426-SM-4WKG4 50-59 years, male 15.4
GTEX-ZYW4-0126-SM-5E44A 60-69 years, male 15.4
GTEX-1HBPH-0426-SM-B2LW5 40-49 years, female 15.4
GTEX-13FXS-0226-SM-5IJCK 50-59 years, male 15.3
GTEX-QDT8-0126-SM-48TZ1 30-39 years, female 15.3
GTEX-1GZ2Q-0226-SM-7P8TL 40-49 years, male 15.3
GTEX-1JJE9-0326-SM-CL53Z 70-79 years, male 15.3
GTEX-VJWN-0126-SM-3GIK7 50-59 years, female 15.2
GTEX-1A8FM-0226-SM-7SB7Q 50-59 years, female 15.2
GTEX-1F6RS-0126-SM-9MQKZ 60-69 years, female 15.2
GTEX-17HII-0226-SM-7LG4E 50-59 years, male 15.1
GTEX-1PDJ9-0326-SM-DTX95 20-29 years, male 15.1
GTEX-1RQEC-0426-SM-E6CHU 60-69 years, male 15.1
GTEX-13W46-0226-SM-5SIAG 50-59 years, male 15.0
GTEX-145ME-1826-SM-5SI9G 40-49 years, female 15.0
GTEX-14E6E-1826-SM-5S2R7 30-39 years, male 15.0
GTEX-1C6VS-0526-SM-7DUEN 60-69 years, male 15.0
GTEX-ZVZO-0126-SM-5A5L9 40-49 years, male 15.0
GTEX-1GL5R-1826-SM-9KNUY 50-59 years, male 15.0
GTEX-1212Z-2526-SM-5EGKP 60-69 years, male 14.7
GTEX-12WSE-0526-SM-793B2 20-29 years, male 14.7
GTEX-14BIM-0226-SM-7IGLD 60-69 years, female 14.7
GTEX-WFG8-2226-SM-3GIL9 20-29 years, male 14.7
GTEX-ZWKS-0126-SM-5SIAA 30-39 years, male 14.7
GTEX-1CB4G-0226-SM-7PC3O 60-69 years, male 14.7
GTEX-1E2YA-0126-SM-9KNUC 50-59 years, male 14.7
GTEX-1F75I-0326-SM-9YFLU 40-49 years, male 14.7
GTEX-13N2G-2626-SM-5J1OT 60-69 years, male 14.6
GTEX-1E1VI-0126-SM-7DHMZ 50-59 years, male 14.6
GTEX-1F75A-0126-SM-7RHGM 50-59 years, male 14.6
GTEX-1GN73-0226-SM-9WG67 60-69 years, male 14.6
GTEX-18A7A-0226-SM-718BH 50-59 years, female 14.5
GTEX-1C6VR-2426-SM-79OLD 60-69 years, male 14.5
GTEX-P4PQ-0126-SM-2S1NM 60-69 years, male 14.5
GTEX-1H2FU-0126-SM-9WYSI 60-69 years, female 14.5
GTEX-1H3VY-0126-SM-ACKXD 50-59 years, male 14.5
GTEX-1HT8W-0126-SM-CNPPP 30-39 years, male 14.5
GTEX-13PDP-0126-SM-5L3HD 60-69 years, male 14.4
GTEX-OIZG-0726-SM-33HBL 50-59 years, male 14.4
GTEX-ZAK1-0126-SM-5IJD3 50-59 years, female 14.4
GTEX-1F5PK-2426-SM-7RHHY 50-59 years, male 14.4
GTEX-11LCK-1026-SM-5A5KB 30-39 years, male 14.2
GTEX-1I1GS-0126-SM-B2LVW 60-69 years, male 14.2
GTEX-13OVK-2026-SM-7KUEO 40-49 years, male 14.1
GTEX-ZUA1-0126-SM-5GU76 40-49 years, male 14.1
GTEX-1H1CY-2826-SM-9MQM3 60-69 years, female 14.1
GTEX-RNOR-0126-SM-E9J4R 50-59 years, female 14.1
GTEX-145MN-2226-SM-5SIAU 30-39 years, male 14.0
GTEX-ZVE2-0226-SM-59HJB 50-59 years, male 14.0
GTEX-1B8L1-2526-SM-9WYTF 60-69 years, male 14.0
GTEX-1IDJH-0326-SM-A9SLQ 70-79 years, male 14.0
GTEX-16NPX-0226-SM-79OMT 50-59 years, male 13.9
GTEX-OXRN-0126-SM-48TDM 50-59 years, male 13.9
GTEX-ZVTK-0426-SM-51MRS 20-29 years, male 13.9
GTEX-11ZUS-0626-SM-59885 30-39 years, male 13.7
GTEX-12WSJ-1826-SM-5GCNY 40-49 years, female 13.7
GTEX-131XG-2626-SM-5KM17 50-59 years, female 13.7
GTEX-1J1OQ-0226-SM-CYPSH 40-49 years, female 13.7
GTEX-1PPH8-0226-SM-E8VND 20-29 years, male 13.7
GTEX-XBEW-0626-SM-4QASP 40-49 years, male 13.6
GTEX-1KD5A-0226-SM-D5OV3 50-59 years, male 13.6
GTEX-139T8-0126-SM-5K7XZ 60-69 years, male 13.5
GTEX-14E7W-0126-SM-6LLJ9 70-79 years, male 13.5
GTEX-NPJ8-0126-SM-2YUNR 40-49 years, male 13.5
GTEX-13D11-2426-SM-5KM1V 50-59 years, female 13.4
GTEX-RUSQ-1526-SM-2TF62 50-59 years, male 13.4
GTEX-OIZH-0126-SM-2HMIS 50-59 years, male 13.3
GTEX-U3ZH-2026-SM-3DB78 30-39 years, male 13.3
GTEX-ZTPG-0326-SM-5O9AX 20-29 years, female 13.3
GTEX-11TTK-0126-SM-5987B 60-69 years, female 13.2
GTEX-145LU-0126-SM-5TDCB 50-59 years, male 13.2
GTEX-QVJO-1626-SM-2S1QW 60-69 years, female 13.2
GTEX-1JMPY-1326-SM-ARL8Y 30-39 years, male 13.2
GTEX-1F75B-0126-SM-9KNVL 50-59 years, male 13.1
GTEX-1GMR8-0126-SM-9WYTM 50-59 years, female 13.1
GTEX-RN64-0126-SM-2TC68 50-59 years, male 13.0
GTEX-ZYT6-0226-SM-5NQ6T 30-39 years, male 13.0
GTEX-1PIIG-0226-SM-EWRN6 30-39 years, male 13.0
GTEX-11OC5-0126-SM-5HL6A 60-69 years, male 12.9
GTEX-139TT-0126-SM-5K7Y5 60-69 years, male 12.9
GTEX-WOFL-0126-SM-3MJG2 60-69 years, male 12.9
GTEX-X4XX-0126-SM-3NMC2 60-69 years, male 12.9
GTEX-1F7RK-0126-SM-7PC2S 20-29 years, female 12.9
GTEX-1QAET-0926-SM-E76QM 50-59 years, male 12.9
GTEX-13SLW-0126-SM-5SI6C 70-79 years, male 12.8
GTEX-RTLS-0126-SM-447CA 60-69 years, female 12.8
GTEX-1IE54-0126-SM-CMKHW 40-49 years, female 12.8
GTEX-13OVI-1426-SM-5L3EY 60-69 years, female 12.7
GTEX-1CB4J-0626-SM-7DHMP 60-69 years, male 12.7
GTEX-Y5V5-2326-SM-4V6GA 60-69 years, female 12.7
GTEX-146FR-1326-SM-E9J48 60-69 years, female 12.7
GTEX-1JMQK-0226-SM-CL543 60-69 years, male 12.7
GTEX-131YS-0126-SM-5KM1M 60-69 years, female 12.6
GTEX-13OVG-1926-SM-5L3DK 60-69 years, male 12.6
GTEX-ZZPT-0226-SM-5E43X 50-59 years, male 12.6
GTEX-1GTWX-0126-SM-9YFLK 60-69 years, male 12.6
GTEX-1MCQQ-0826-SM-DLHC2 60-69 years, male 12.6
GTEX-144GL-0126-SM-5TDE2 50-59 years, male 12.5
GTEX-P44H-0226-SM-2XCEU 40-49 years, male 12.5
GTEX-ZU9S-0226-SM-5E441 30-39 years, male 12.5
GTEX-11O72-0126-SM-59887 40-49 years, male 12.4
GTEX-11ZU8-2526-SM-5EQKI 60-69 years, male 12.4
GTEX-12696-2426-SM-5EQ6H 60-69 years, male 12.4
GTEX-12KS4-0326-SM-5EQ41 30-39 years, male 12.4
GTEX-18QFQ-0126-SM-731BE 30-39 years, male 12.4
GTEX-PX3G-0126-SM-2I3EN 20-29 years, female 12.4
GTEX-SN8G-0126-SM-32PLI 50-59 years, female 12.4
GTEX-12ZZX-0126-SM-5EGK9 40-49 years, female 12.3
GTEX-14ICK-0226-SM-6EU25 40-49 years, male 12.3
GTEX-14PHW-0126-SM-6LLJI 60-69 years, female 12.3
GTEX-Q2AG-0126-SM-33HBV 40-49 years, female 12.3
GTEX-1JMQI-2226-SM-CM2SD 50-59 years, male 12.3
GTEX-1HSKV-0226-SM-A9SKJ 60-69 years, male 12.2
GTEX-1PIGE-0126-SM-EVYBJ 20-29 years, male 12.2
GTEX-11DXY-2626-SM-5GIE7 60-69 years, male 12.1
GTEX-TKQ1-1026-SM-4GICL 30-39 years, male 12.1
GTEX-1GMRU-0126-SM-9YFLV 50-59 years, male 12.1
GTEX-1I1GV-0526-SM-A9G29 60-69 years, male 12.1
GTEX-1RAZQ-0726-SM-EAZ43 30-39 years, male 12.1
GTEX-12ZZY-0226-SM-5LZVE 60-69 years, male 12.0
GTEX-1C4CL-0526-SM-73KVK 30-39 years, male 12.0
GTEX-OOBK-0126-SM-2YUND 40-49 years, male 12.0
GTEX-Y8E4-0626-SM-4WWDL 40-49 years, male 12.0
GTEX-13OW6-0426-SM-5L3HM 50-59 years, male 11.9
GTEX-13X6I-0626-SM-5QGP9 60-69 years, male 11.9
GTEX-145MO-0326-SM-5Q5B3 60-69 years, male 11.9
GTEX-18A7B-0126-SM-7LG64 70-79 years, male 11.9
GTEX-1H1ZS-0426-SM-9WG6G 70-79 years, male 11.9
GTEX-1I19N-0326-SM-ACKVX 70-79 years, male 11.9
GTEX-1RAZA-0126-SM-E6CI3 20-29 years, male 11.9
GTEX-1I6K6-0126-SM-A9SLE 30-39 years, male 11.8
GTEX-1R9PO-2126-SM-E9J4O 60-69 years, female 11.8
GTEX-15ETS-0126-SM-7KUMW 40-49 years, female 11.7
GTEX-QDVN-2026-SM-3GAEP 50-59 years, male 11.7
GTEX-TML8-1926-SM-32QOS 40-49 years, female 11.7
GTEX-144FL-0126-SM-5TDC8 50-59 years, male 11.6
GTEX-OXRK-0226-SM-3NB2G 50-59 years, female 11.6
GTEX-PVOW-0126-SM-2XCFA 40-49 years, male 11.6
GTEX-S7SE-0126-SM-2XCD5 50-59 years, male 11.6
GTEX-ZF28-0126-SM-4WKGK 60-69 years, male 11.6
GTEX-1H23P-0126-SM-ADEJ3 60-69 years, male 11.6
GTEX-TMZS-0126-SM-3DB9Q 60-69 years, male 11.5
GTEX-Y114-2426-SM-4TT8A 50-59 years, female 11.5
GTEX-1F5PL-0326-SM-7P8PQ 40-49 years, female 11.5
GTEX-1I1GQ-0126-SM-COH3H 50-59 years, male 11.5
GTEX-11P82-1626-SM-59879 20-29 years, male 11.4
GTEX-15SHU-0126-SM-7KUEH 40-49 years, female 11.4
GTEX-T6MN-0126-SM-32PLP 50-59 years, male 11.4
GTEX-WQUQ-0426-SM-3MJFU 60-69 years, male 11.4
GTEX-1122O-2126-SM-5EGIR 60-69 years, female 11.3
GTEX-131XH-2226-SM-5DUXJ 50-59 years, male 11.3
GTEX-14E6D-0126-SM-62LDV 50-59 years, male 11.3
GTEX-17HHE-2026-SM-79OKF 50-59 years, male 11.3
GTEX-POMQ-2226-SM-2I5FK 20-29 years, female 11.3
GTEX-W5WG-1826-SM-4KL2Y 50-59 years, female 11.3
GTEX-ZYY3-0126-SM-5GZY5 60-69 years, female 11.3
GTEX-1JMPZ-0226-SM-CNPP1 30-39 years, male 11.3
GTEX-1KANC-1526-SM-D3LAB 50-59 years, female 11.3
GTEX-15SB6-1726-SM-6PAME 50-59 years, female 11.2
GTEX-1GF9U-2126-SM-7SB7L 40-49 years, female 11.2
GTEX-ZQG8-1626-SM-DHXIT 60-69 years, female 11.2
GTEX-14753-0426-SM-5NQAM 60-69 years, male 11.1
GTEX-ZYFG-2326-SM-5E44B 60-69 years, female 11.1
GTEX-1GF9V-0326-SM-7RHI5 60-69 years, male 11.1
GTEX-1H3NZ-0126-SM-ACKX7 60-69 years, male 11.1
GTEX-1I1GU-2226-SM-CGQFA 40-49 years, male 11.1
GTEX-14PII-0226-SM-6EU1T 60-69 years, male 11.0
GTEX-X261-0126-SM-3NMD6 50-59 years, male 11.0
GTEX-ZAB5-1826-SM-5HL7C 50-59 years, male 11.0
GTEX-ZXG5-0126-SM-5GIEU 60-69 years, male 11.0
GTEX-1MJK2-0426-SM-DTXE5 50-59 years, male 11.0
GTEX-111FC-0126-SM-5N9DL 60-69 years, male 10.9
GTEX-139TU-0126-SM-5K7WH 60-69 years, male 10.9
GTEX-15DDE-0126-SM-6LPKH 50-59 years, female 10.9
GTEX-UPJH-0326-SM-3GADU 50-59 years, male 10.9
GTEX-YEC4-2126-SM-5IFJH 40-49 years, male 10.9
GTEX-1HCU7-0226-SM-CL545 50-59 years, male 10.9
GTEX-1J8Q2-0526-SM-CM2RW 60-69 years, male 10.9
GTEX-1AX9J-0226-SM-73KXM 60-69 years, male 10.8
GTEX-13O3O-0126-SM-E9J49 60-69 years, female 10.8
GTEX-1EN7A-0126-SM-7SB81 40-49 years, male 10.8
GTEX-1J8Q3-1626-SM-CMKGC 60-69 years, male 10.8
GTEX-1KD4Q-0226-SM-E9TJ9 40-49 years, male 10.8
GTEX-12ZZZ-0626-SM-5DUXI 60-69 years, male 10.7
GTEX-131XF-5016-SM-7MGWE 60-69 years, male 10.7
GTEX-PW2O-1526-SM-7RHHB 20-29 years, male 10.7
GTEX-183FY-0126-SM-7LT9P 20-29 years, male 10.6
GTEX-WZTO-0126-SM-3NM95 40-49 years, male 10.6
GTEX-11P81-2326-SM-59875 30-39 years, female 10.5
GTEX-144GN-2326-SM-5LU4F 50-59 years, male 10.5
GTEX-11EI6-0126-SM-5985R 60-69 years, male 10.4
GTEX-12WSN-5019-SM-79OM6 40-49 years, male 10.4
GTEX-17EUY-0426-SM-793BD 20-29 years, male 10.4
GTEX-UJHI-1526-SM-3DB99 50-59 years, female 10.4
GTEX-T5JW-1626-SM-3GADZ 20-29 years, female 10.3
GTEX-1L5NE-2526-SM-E6CIE 50-59 years, male 10.3
GTEX-1QCLY-0326-SM-E8VOG 30-39 years, male 10.3
GTEX-1HFI7-1826-SM-ACKXH 50-59 years, female 10.2
GTEX-1NHNU-1026-SM-E9J2A 50-59 years, male 10.2
GTEX-OOBJ-0126-SM-E6CJW 60-69 years, male 10.2
GTEX-14PHX-2326-SM-62LEM 50-59 years, male 10.1
GTEX-16MT8-0426-SM-7KUEY 60-69 years, female 10.1
GTEX-T5JC-0426-SM-32PLO 20-29 years, male 10.1
GTEX-1IKJJ-0126-SM-CNPQB 60-69 years, male 10.1
GTEX-1LG7Y-0526-SM-DKPQC 50-59 years, male 10.1
GTEX-14XAO-2326-SM-6EU1B 60-69 years, female 10.0
GTEX-P4PP-0126-SM-3LK69 30-39 years, female 10.0
GTEX-17F98-0626-SM-79OMX 40-49 years, female 9.9
GTEX-11GSO-2426-SM-5A5LY 60-69 years, male 9.8
GTEX-15F5U-1526-SM-6PANO 40-49 years, male 9.8
GTEX-13FHP-0126-SM-5IJBG 50-59 years, male 9.7
GTEX-13NZ8-0826-SM-5MR3I 60-69 years, female 9.7
GTEX-13QJ3-0326-SM-5S2RA 50-59 years, male 9.7
GTEX-WRHK-1426-SM-3MJF9 20-29 years, female 9.7
GTEX-Y5LM-1926-SM-5RQJH 40-49 years, female 9.7
GTEX-1GN1U-0126-SM-7PBZK 50-59 years, female 9.7
GTEX-1QP29-0626-SM-EWRMX 50-59 years, male 9.7
GTEX-13NYS-0126-SM-5MR3W 60-69 years, male 9.6
GTEX-QV44-1926-SM-2S1RF 50-59 years, male 9.6
GTEX-1JJ6O-0126-SM-E6CI8 60-69 years, male 9.6
GTEX-14PJ3-1826-SM-62LEX 50-59 years, male 9.5
GTEX-WXYG-2326-SM-4E3I6 50-59 years, female 9.5
GTEX-Z93T-0126-SM-5HL5N 50-59 years, male 9.5
GTEX-1CAV2-2226-SM-7P8P2 40-49 years, female 9.5
GTEX-1CB4H-0226-SM-7PBXM 60-69 years, female 9.5
GTEX-1H3VE-0326-SM-9YFLH 40-49 years, male 9.5
GTEX-1J8QM-2126-SM-CYPSJ 60-69 years, female 9.5
GTEX-1K2DA-1826-SM-CGQGT 50-59 years, male 9.5
GTEX-13JUV-2726-SM-5LZZ8 40-49 years, female 9.4
GTEX-QEG4-0226-SM-2S1PY 30-39 years, male 9.4
GTEX-1IDJF-0126-SM-CM2RS 20-29 years, male 9.4
GTEX-11P7K-2126-SM-5GU7G 30-39 years, male 9.3
GTEX-17JCI-0126-SM-7LG5G 60-69 years, female 9.3
GTEX-O5YT-0126-SM-48TBW 20-29 years, male 9.3
GTEX-Y8LW-1826-SM-5S2MV 50-59 years, female 9.3
GTEX-1S3DN-2226-SM-EVYCD 50-59 years, male 9.3
GTEX-1AX9K-2326-SM-73KWU 50-59 years, male 9.2
GTEX-1CAMS-0426-SM-7P8T2 40-49 years, female 9.1
GTEX-1IL2V-0126-SM-CM2TX 70-79 years, male 9.1
GTEX-14BMU-2226-SM-5TDE9 20-29 years, female 9.0
GTEX-1I4MK-2226-SM-ACKWD 50-59 years, female 9.0
GTEX-1OJC3-0126-SM-E76QX 20-29 years, male 9.0
GTEX-145LT-1726-SM-5QGP3 40-49 years, male 8.9
GTEX-17MFQ-1726-SM-793C7 20-29 years, male 8.9
GTEX-13FTX-1826-SM-5J1NX 20-29 years, female 8.8
GTEX-14C5O-0126-SM-5SI6N 60-69 years, male 8.8
GTEX-1B8KE-2126-SM-73KYX 50-59 years, male 8.8
GTEX-SJXC-0126-SM-2XCFF 60-69 years, male 8.8
GTEX-ZVZP-2426-SM-59HKJ 50-59 years, male 8.8
GTEX-1JK1U-2026-SM-CM2RZ 60-69 years, male 8.8
GTEX-1JMLX-0226-SM-CM2RO 50-59 years, male 8.8
GTEX-1QPFJ-0226-SM-E76PB 30-39 years, female 8.8
GTEX-PSDG-0226-SM-DKPOZ 50-59 years, male 8.8
GTEX-13PVR-2326-SM-5QGR1 60-69 years, female 8.7
GTEX-13VXT-0126-SM-5LU4I 20-29 years, female 8.7
GTEX-17EVP-0326-SM-7DHLG 40-49 years, male 8.7
GTEX-RWSA-0126-SM-2XCBB 40-49 years, male 8.7
GTEX-14LLW-0126-SM-6LLIO 70-79 years, female 8.6
GTEX-1AMEY-1326-SM-73KYK 30-39 years, female 8.6
GTEX-XAJ8-0826-SM-47JY6 40-49 years, male 8.6
GTEX-1H1E6-1726-SM-ACKVK 30-39 years, male 8.6
GTEX-1HSGN-0226-SM-CGQFV 40-49 years, female 8.6
GTEX-1S5ZA-0126-SM-EVYCV 20-29 years, male 8.6
GTEX-1GF9W-0326-SM-9KNUN 60-69 years, male 8.5
GTEX-1S83E-0126-SM-EWRO4 40-49 years, male 8.5
GTEX-13CF3-2426-SM-5IFGX 60-69 years, female 8.4
GTEX-13NYB-2526-SM-5K7Z6 40-49 years, male 8.4
GTEX-13O3Q-2426-SM-5IJBR 50-59 years, male 8.4
GTEX-14LZ3-0226-SM-62LET 60-69 years, female 8.4
GTEX-14PN3-2426-SM-6LLHS 60-69 years, female 8.4
GTEX-U4B1-1826-SM-4DXSU 40-49 years, male 8.4
GTEX-X5EB-2226-SM-46MW4 40-49 years, male 8.4
GTEX-169BO-1326-SM-9MQK2 50-59 years, male 8.4
GTEX-117XS-2726-SM-5N9BL 60-69 years, male 8.3
GTEX-117YX-2326-SM-5H12W 50-59 years, male 8.3
GTEX-147F3-0526-SM-5SI98 50-59 years, female 8.3
GTEX-XYKS-2126-SM-4E3IB 60-69 years, female 8.3
GTEX-1MUQO-0126-SM-EAZ58 60-69 years, male 8.3
GTEX-14PK6-1926-SM-6ETZU 70-79 years, female 8.2
GTEX-1GN1W-0526-SM-9MQJQ 50-59 years, female 8.2
GTEX-1HKZK-0326-SM-9WYUH 40-49 years, male 8.2
GTEX-ZF29-2326-SM-DO92K 60-69 years, female 8.2
GTEX-PLZ4-0126-SM-5SI8O 50-59 years, female 8.0
GTEX-XUW1-0426-SM-4BOOT 50-59 years, female 8.0
GTEX-1C64O-0126-SM-7SB8P 60-69 years, male 8.0
GTEX-1S82Z-0826-SM-E6CHY 30-39 years, female 8.0
GTEX-YB5E-2026-SM-5IFIS 40-49 years, male 7.9
GTEX-14DAR-2026-SM-5S2O3 50-59 years, male 7.8
GTEX-ZVT2-2526-SM-51MT1 50-59 years, female 7.8
GTEX-1HCVE-0126-SM-CGQEU 50-59 years, male 7.8
GTEX-1ICG6-2526-SM-CGQFZ 70-79 years, female 7.8
GTEX-1N2DV-0226-SM-E6CJ6 40-49 years, male 7.8
GTEX-OHPM-0126-SM-2YUN9 50-59 years, male 7.7
GTEX-WYJK-0126-SM-3NMAB 50-59 years, male 7.7
GTEX-1F52S-0126-SM-9MQJU 60-69 years, female 7.7
GTEX-1GZ4H-1726-SM-7PBZJ 50-59 years, female 7.7
GTEX-13RTK-1426-SM-5QGQJ 20-29 years, male 7.6
GTEX-15ER7-0326-SM-7KUEV 20-29 years, female 7.6
GTEX-ZDTT-2726-SM-4WKF8 60-69 years, male 7.6
GTEX-ZZ64-1726-SM-5GZYB 20-29 years, male 7.6
GTEX-1KXAM-2226-SM-CYPTC 60-69 years, male 7.6
GTEX-1OFPY-2426-SM-DTXEJ 60-69 years, male 7.6
GTEX-PWCY-1826-SM-DHXIZ 20-29 years, female 7.6
GTEX-15EU6-0426-SM-6PAN5 50-59 years, male 7.5
GTEX-PLZ5-2026-SM-2S1O4 50-59 years, male 7.5
GTEX-ZV6S-2326-SM-4YCEY 40-49 years, female 7.5
GTEX-1R7EV-2426-SM-EVYBG 40-49 years, male 7.5
GTEX-14PJ6-2126-SM-6EU1V 60-69 years, female 7.4
GTEX-R55G-2526-SM-2TC6D 40-49 years, female 7.4
GTEX-1GPI7-0126-SM-9MQL8 20-29 years, male 7.4
GTEX-1K2DU-2326-SM-E9TIV 20-29 years, male 7.4
GTEX-13O21-1426-SM-5K7XI 50-59 years, male 7.3
GTEX-U3ZN-2326-SM-3DB7W 30-39 years, female 7.3
GTEX-PLZ6-1426-SM-DKPOT 30-39 years, male 7.3
GTEX-18D9B-0526-SM-7LTAS 60-69 years, male 7.2
GTEX-QLQW-1126-SM-2S1Q8 30-39 years, male 7.2
GTEX-TSE9-0126-SM-3DB83 60-69 years, female 7.2
GTEX-1QP2A-0126-SM-E9J43 50-59 years, male 7.2
GTEX-145LV-2126-SM-5LU8N 50-59 years, male 7.1
GTEX-WY7C-2326-SM-3NB2U 50-59 years, male 7.1
GTEX-1HSMP-0126-SM-E6CJS 70-79 years, male 7.1
GTEX-11DXX-2426-SM-5GZZW 60-69 years, female 7.0
GTEX-11ZTT-2426-SM-5EQLS 60-69 years, female 7.0
GTEX-139D8-0226-SM-5KLZO 30-39 years, female 7.0
GTEX-SUCS-1926-SM-32PM3 70-79 years, male 7.0
GTEX-1HCU9-1526-SM-A9SL7 20-29 years, male 7.0
GTEX-1MA7W-2026-SM-E9TJ6 20-29 years, female 7.0
GTEX-15RIG-0226-SM-7KFTL 40-49 years, male 6.9
GTEX-1CAMR-1926-SM-7EPI2 20-29 years, male 6.9
GTEX-NFK9-0226-SM-2HMKQ 40-49 years, male 6.9
GTEX-OXRL-0126-SM-2YUMP 50-59 years, male 6.9
GTEX-S95S-1226-SM-4GICG 60-69 years, male 6.9
GTEX-QDVJ-1726-SM-2I5FX 50-59 years, male 6.8
GTEX-XQ8I-0426-SM-4BOPO 50-59 years, male 6.8
GTEX-1HSMQ-1226-SM-CGQFX 50-59 years, male 6.8
GTEX-1R7EU-0226-SM-EVR4G 60-69 years, male 6.8
GTEX-1R9PM-2026-SM-E76OY 20-29 years, male 6.8
GTEX-1JKYN-1326-SM-CGQG9 30-39 years, male 6.7
GTEX-1PPH7-2326-SM-EVYB8 40-49 years, male 6.7
GTEX-16AAH-1726-SM-7939C 50-59 years, male 6.6
GTEX-1CB4I-0226-SM-79OLH 50-59 years, male 6.6
GTEX-T6MO-1626-SM-32QOM 40-49 years, female 6.6
GTEX-T8EM-1026-SM-3DB7M 40-49 years, male 6.6
GTEX-TMMY-0226-SM-33HBA 40-49 years, female 6.6
GTEX-WH7G-2326-SM-3NMBC 40-49 years, male 6.6
GTEX-Y5V6-2426-SM-4VDSB 60-69 years, male 6.6
GTEX-Z9EW-1626-SM-5CVMN 40-49 years, male 6.6
GTEX-1JKYR-0126-SM-CNPOJ 20-29 years, male 6.6
GTEX-1LG7Z-1726-SM-D3LA4 30-39 years, male 6.6
GTEX-1LGOU-2026-SM-DIPFF 20-29 years, female 6.6
GTEX-1QP9N-1426-SM-DTXFL 30-39 years, male 6.6
GTEX-11VI4-1726-SM-5CVLH 40-49 years, female 6.5
GTEX-14JG6-2226-SM-6EU2G 30-39 years, female 6.5
GTEX-Q2AH-1626-SM-3GAF8 40-49 years, male 6.5
GTEX-SNMC-1226-SM-2XCFP 20-29 years, male 6.5
GTEX-ZGAY-0526-SM-4WWBB 40-49 years, female 6.4
GTEX-11EM3-2426-SM-59861 20-29 years, female 6.3
GTEX-11XUK-2026-SM-5EQLF 40-49 years, female 6.3
GTEX-133LE-1826-SM-5J1MV 20-29 years, female 6.3
GTEX-1CAMQ-0226-SM-7IGPK 40-49 years, male 6.3
GTEX-QLQ7-1626-SM-2S1R8 60-69 years, male 6.3
GTEX-12WSA-0226-SM-5BC5V 60-69 years, male 6.2
GTEX-1A3MV-1926-SM-718BT 30-39 years, male 6.2
GTEX-1AMFI-2026-SM-731BH 50-59 years, female 6.2
GTEX-1LSNM-1926-SM-E6CII 50-59 years, male 6.2
GTEX-1PFEY-1526-SM-E76PP 30-39 years, male 6.1
GTEX-13W3W-2426-SM-5LU5B 60-69 years, female 6.0
GTEX-1HBPN-0226-SM-9YFM1 50-59 years, male 6.0
GTEX-1I1GT-0626-SM-CGQER 60-69 years, female 6.0
GTEX-1C475-1826-SM-73KWA 40-49 years, female 5.8
GTEX-1M5QR-1226-SM-EWROB 40-49 years, male 5.7
GTEX-1MGNQ-0126-SM-EVYCJ 40-49 years, male 5.6
GTEX-1J1R8-1726-SM-ARL8M 40-49 years, male 5.5
GTEX-1LGRB-2526-SM-CNPPQ 50-59 years, female 5.5
GTEX-15CHC-2126-SM-6EU21 60-69 years, female 5.3
GTEX-U3ZM-1526-SM-3DB9D 40-49 years, male 5.3
GTEX-16BQI-0226-SM-7KUEX 30-39 years, female 5.2
GTEX-18D9A-1926-SM-7LG6P 30-39 years, female 5.2
GTEX-RM2N-1426-SM-2TF4H 50-59 years, male 5.2
GTEX-1IDJU-2626-SM-CM2RT 60-69 years, female 5.2
GTEX-1B97I-1626-SM-73KYO 40-49 years, male 5.1
GTEX-WFON-2126-SM-3LK7O 40-49 years, male 5.1
GTEX-ZQUD-1426-SM-57WER 30-39 years, male 5.1
GTEX-17F96-1626-SM-7DUFL 70-79 years, male 5.0
GTEX-1LVAN-0226-SM-COH3S 50-59 years, female 4.9
GTEX-16NGA-1726-SM-731B4 40-49 years, female 4.8
GTEX-O5YW-0126-SM-3LK6D 50-59 years, male 4.8
GTEX-12C56-1726-SM-5EQ61 20-29 years, male 4.7
GTEX-1HSEH-0126-SM-ACKXN 60-69 years, male 4.7
GTEX-YB5K-2126-SM-4WWDJ 40-49 years, female 4.6
GTEX-ZXES-1826-SM-5E43S 30-39 years, female 4.6
GTEX-11EQ9-2426-SM-5HL5T 30-39 years, male 4.4
GTEX-18D9U-0226-SM-718BP 40-49 years, male 4.3
GTEX-QCQG-1726-SM-3GIJ9 50-59 years, female 4.2
GTEX-ZTSS-1926-SM-57WEW 40-49 years, male 4.2
GTEX-XPVG-2626-SM-4B669 50-59 years, male 4.1
GTEX-XUZC-1726-SM-4BRWS 30-39 years, female 4.1
GTEX-RWS6-2026-SM-2XCB5 60-69 years, female 3.9
GTEX-1KANA-0726-SM-D3L9I 20-29 years, male 2.8
Show allShow less

Contact

  • NEWS ARTICLES
  • PRESS ROOM

The Project

  • INTRODUCTION
  • ORGANIZATION
  • PUBLICATIONS

The Human Protein Atlas

  • DOWNLOADABLE DATA
  • LICENCE & CITATION
  • HELP & FAQ
The Human Protein Atlas project is funded
by the Knut & Alice Wallenberg Foundation.


contact@proteinatlas.org