We use cookies to enhance the usability of our website. If you continue, we'll assume that you are happy to receive all cookies. More information. Don't show this again.
BMP4
HPA
RESOURCES
  • TISSUE
  • BRAIN
  • SINGLE CELL
  • SUBCELLULAR
  • CANCER
  • BLOOD
  • CELL LINE
  • STRUCTURE & INTERACTION
ABOUT
  • INTRODUCTION
  • HISTORY
  • ORGANIZATION
  • PUBLICATIONS
  • ANTIBODY SUBMISSION
  • ANTIBODY AVAILABILITY
  • ACKNOWLEDGMENTS
  • CONTACT
NEWS
  • NEWS ARTICLES
  • PRESS ROOM
LEARN
  • DICTIONARY
  • PROTEIN CLASSES
  • PROTEIN EVIDENCE
  • METHODS
  • EDUCATIONAL VIDEOS
DATA
  • DOWNLOADABLE DATA
  • PUBLICATION DATA
  • RELEASE HISTORY
HELP
  • ANTIBODY VALIDATION
  • ASSAYS & ANNOTATION
  • DISCLAIMER
  • HELP & FAQ
  • PRIVACY STATEMENT
  • LICENCE & CITATION
Fields »
Search result

Field
Term
Gene name
Class
Subclass
Class
Keyword
Chromosome
External id
Tissue
Cell type
Expression
Antibody panel
Tissue
Main location
Patient ID
Annotation
Tissue
Category
Tau score
Cluster
Reliability
Brain region
Category
Tau score
Brain region
Category
Tau score
Brain region
Category
Tau score
Cluster
Reliability
Tissue
Cell type
Enrichment
Cell type
Category
Tau score
Cell type
Category
Tau score
Cell type
Category
Tau score
Cell lineage
Category
Tau score
Cluster
Cluster
Location
Searches
Location
Cell line
Class
Type
Phase
Reliability
Cancer
Prognosis
Cancer
Category
Cancer
Category
Tau score
Cluster
Variants
Interacting gene (ensg_id)
Type
Number of interactions
Pathway
Category
Score
Score
Score
Validation
Validation
Validation
Validation
Antibodies
Data type
Column


  • SUMMARY

  • TISSUE

  • BRAIN

  • SINGLE CELL

  • SUBCELL

  • CANCER

  • BLOOD

  • CELL LINE

  • STRUCT & INT

  • BMP4
TISSUE PRIMARY DATA HEART MUSCLE Show tissue menu
ADIPOSE TISSUE ADRENAL GLAND AMYGDALA APPENDIX BASAL GANGLIA BONE MARROW BREAST BRONCHUS CEREBELLUM CEREBRAL CORTEX CERVIX CHOROID PLEXUS COLON DUODENUM
ENDOMETRIUM EPIDIDYMIS ESOPHAGUS FALLOPIAN TUBE GALLBLADDER HEART MUSCLE HIPPOCAMPAL FORMATION HYPOTHALAMUS KIDNEY LIVER LUNG LYMPH NODE MIDBRAIN NASOPHARYNX
ORAL MUCOSA OVARY PANCREAS PARATHYROID GLAND PITUITARY GLAND PLACENTA PROSTATE RECTUM RETINA SALIVARY GLAND SEMINAL VESICLE SKELETAL MUSCLE SKIN SMALL INTESTINE
SMOOTH MUSCLE SOFT TISSUE SPINAL CORD SPLEEN STOMACH TESTIS THYMUS THYROID GLAND TONGUE TONSIL URINARY BLADDER VAGINA
ANTIBODIES
AND
VALIDATION
Dictionary
Heart muscle
Tissue proteome
Heart
HEART MUSCLE - Expression summary
Protein expression
Heart musclei

On the top, protein expression in current human tissue, based on all annotated cell types, is reported with the units not detected (n), low (l), medium (m) and high (h). Underneath, protein expression in each annotated cell type are reported using the same units.

Protein expression data is based on knowledge-based annotation. For genes where more than one antibody has been used, a collective score is set.

If knowledge-based annotation could not be performed for a gene, no data is displayed here. View antibody staining data further down this page.

h
m
l
n
Cardiomyocytes: Medium
RNA expressioni

A summary of mRNA expression data available for current tissue based on several datasets. The mRNA expression levels in human tissues are based on RNA-seq data generated by the Human Protein Atlas (HPA), Genotype-Tissue Expression (GTEx) portal and CAGE data generated by the FANTOM5 consortium. Consensus normalized expression levels for human tissues was created by combining the data from HPA and GTEx datasets.

The mRNA expression levels in pig are based on RNA-seq data generated by the Human Protein Atlas (HPA), and for mouse, HPA data and in situ hybridization generated by the Allen brain atlas are reported.

Scroll down to view mRNA expression data in more detail.
Consensus:15.7 nTPM
HPA:15.7 nTPM
GTEx:15.2 nTPM
FANTOM5:7.0 Scaled Tags Per Million

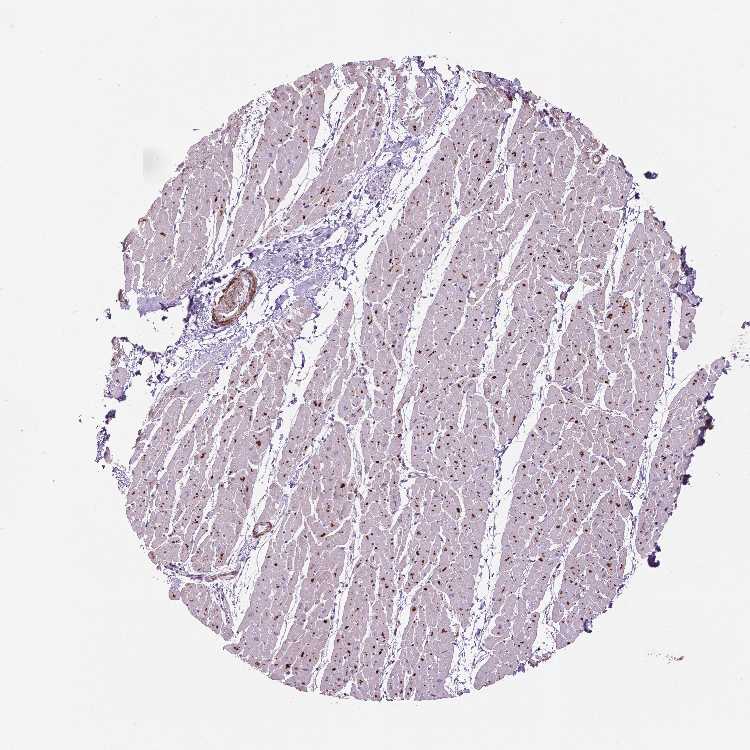
HEART MUSCLE - Antibody stainingi

Antibody staining in the annotated cell types in the current human tissue is reported as not detected, low, medium, or high, based on conventional immunohistochemistry profiling in selected tissues. This score is based on the combination of the staining intensity and fraction of stained cells.

Each image is clickable and will lead to virtual microscopy that enables deeper exploration of all samples and also displays staining intensity scores, fraction scores and subcellular localization as well as patient and tissue information for each sample.

Antibody HPA066235Antibody CAB006863
Cardiomyocytes MediumMedium





HEART MUSCLE - HPA RNA-seqi

The RNA-seq details section shows detailed information about the individual samples used for the transcript profiling and results of the RNA-seq analysis.

Information about each individual sample is listed below, including gender, age, a tissue section image and estimated fractions of cell types. nTPM (normalized transcripts per million) values give a quantification of the gene abundance which is comparable between different genes and samples.
Average nTPMi

Max subtype nTPM is the value for the subtype with the largest average nTPM across the subtype samples.

15.7
overview
Female, age 48
Heart muscle sample 149
nTPM: 14.1
Cell types%
Myocytes:
15

Fibroblasts:
55

Endothelial cells:
25

Other cell types:
5

overview
Female, age 42
Heart muscle sample 150
nTPM: 16
Cell types%
Myocytes:
20

Fibroblasts:
45

Endothelial cells:
30

Other cell types:
5

overview
Male, age 53
Heart muscle sample 151
nTPM: 16.1
Cell types%
Myocytes:
20

Fibroblasts:
45

Endothelial cells:
30

Other cell types:
5

overview
Female, age 69
Heart muscle sample 152
nTPM: 16.5
Cell types%
Myocytes:
20

Fibroblasts:
45

Endothelial cells:
30

Other cell types:
5


HEART MUSCLE - GTEx RNA-seqi

RNA-Seq data generated by the Genotype-Tissue Expression (GTEx) project from human tissues is reported as mean nTPM. More information can be found on the GTEx portal.

Distribution across the dataset is visualized with box plots, shown as median and 25th and 75th percentiles. Points are displayed as outliers if they are above or below 1.5 times the interquartile range. nTPM values of the individual samples are presented next to the box plot.
Max subtype nTPMi

Max subtype nTPM is the value for the subtype with the largest average nTPM across the subtype samples.

15.2
GTEx sample id Sample description nTPM
Heart - Atrial Appendage
Average nTPM: 13.6
Samples: 429

Max nTPM: 107.6
Min nTPM: 2.2
Std nTPM: 8.8
Median nTPM: 11.6
GTEX-11EQ8-1326-SM-5EGJQ 60-69 years, male 107.6
GTEX-1GN1V-1026-SM-CNPPS 60-69 years, male 52.4
GTEX-1QP6S-1026-SM-DTXFW 40-49 years, male 52.4
GTEX-1POEN-0726-SM-DTXDU 30-39 years, female 38.4
GTEX-1IOXB-0726-SM-A9G32 50-59 years, male 38.3
GTEX-1IL2V-1126-SM-CMKGH 70-79 years, male 37.5
GTEX-1H3O1-0226-SM-9WYSW 60-69 years, male 37.4
GTEX-16GPK-1226-SM-7LTAU 60-69 years, male 35.6
GTEX-13PDP-1326-SM-5K7U9 60-69 years, male 35.1
GTEX-1F75B-1126-SM-7RHGP 50-59 years, male 34.4
GTEX-YJ8O-0826-SM-5CVM3 40-49 years, female 33.8
GTEX-ZXG5-0626-SM-5NQ85 60-69 years, male 33.2
GTEX-WL46-0726-SM-3LK5Z 50-59 years, male 31.7
GTEX-117YW-0426-SM-5GZZZ 50-59 years, male 30.9
GTEX-WOFL-1226-SM-4OOST 60-69 years, male 30.9
GTEX-14E7W-1126-SM-5ZZVS 70-79 years, male 30.6
GTEX-11GS4-0426-SM-5N9CD 60-69 years, male 30.0
GTEX-ZUA1-0726-SM-4YCD9 40-49 years, male 30.0
GTEX-14C39-0726-SM-5RQIK 40-49 years, male 29.4
GTEX-1C6VQ-0826-SM-7PBZT 50-59 years, male 29.2
GTEX-13FHO-1226-SM-5L3EF 60-69 years, male 29.1
GTEX-13FHP-0826-SM-5K7V5 50-59 years, male 29.1
GTEX-1117F-0726-SM-5GIEN 60-69 years, female 28.6
GTEX-1B8SF-1326-SM-7IGQJ 60-69 years, male 27.7
GTEX-11TUW-1126-SM-5EQKJ 60-69 years, male 27.5
GTEX-ZZPT-0926-SM-5GICZ 50-59 years, male 27.5
GTEX-1H1CY-0426-SM-9KNVD 60-69 years, female 27.1
GTEX-1QEPI-1126-SM-E8VN7 60-69 years, female 27.0
GTEX-ZVZQ-0726-SM-51MR3 60-69 years, female 26.8
GTEX-13X6J-1226-SM-79OMF 50-59 years, male 26.7
GTEX-1I1GR-1026-SM-A9SLC 60-69 years, male 26.7
GTEX-1IKJJ-0626-SM-CY8GF 60-69 years, male 26.5
GTEX-11ZVC-0526-SM-5N9G1 50-59 years, female 26.4
GTEX-1EWIQ-1126-SM-7EPIK 70-79 years, female 26.4
GTEX-Z93S-0326-SM-5HL84 50-59 years, male 26.3
GTEX-15ER7-0826-SM-6PALW 20-29 years, female 26.1
GTEX-1MJK2-1626-SM-EVYCQ 50-59 years, male 26.0
GTEX-18A6Q-1526-SM-731CO 60-69 years, male 25.7
GTEX-17EVP-0526-SM-7EPGY 40-49 years, male 25.4
GTEX-13112-0526-SM-5EQ4S 50-59 years, male 23.9
GTEX-1HFI6-0826-SM-9YFM2 40-49 years, male 23.7
GTEX-1CB4G-0726-SM-79OOJ 60-69 years, male 23.5
GTEX-1399T-0726-SM-5J1MH 60-69 years, male 23.4
GTEX-1M5QR-1626-SM-E9U5O 40-49 years, male 23.4
GTEX-1GZ2Q-0926-SM-7RHHN 40-49 years, male 23.2
GTEX-1192W-0226-SM-5EGGT 60-69 years, male 23.0
GTEX-1H2FU-0826-SM-9WYSU 60-69 years, female 23.0
GTEX-1I19N-0626-SM-A9SKY 70-79 years, male 22.8
GTEX-X4XX-1126-SM-3NMBY 60-69 years, male 22.5
GTEX-1AX9I-1026-SM-73KYF 60-69 years, male 22.3
GTEX-1KD5A-0926-SM-D4P3U 50-59 years, male 22.3
GTEX-13CF2-0226-SM-5L3DV 60-69 years, male 22.1
GTEX-14BIN-2126-SM-793AX 50-59 years, female 22.1
GTEX-1PPGY-0926-SM-DTXFF 60-69 years, male 21.8
GTEX-1KANB-1126-SM-DHXJT 50-59 years, male 21.5
GTEX-1HCU7-1226-SM-B2LX8 50-59 years, male 21.3
GTEX-13NYS-1926-SM-5IJCB 60-69 years, male 21.2
GTEX-13NZ9-0126-SM-5K7XV 50-59 years, male 20.9
GTEX-16XZZ-1026-SM-7DHKS 60-69 years, male 20.9
GTEX-XV7Q-0726-SM-4BRV6 40-49 years, female 20.9
GTEX-ZLFU-0326-SM-4WWBK 40-49 years, male 20.9
GTEX-13FXS-1026-SM-62LFQ 50-59 years, male 20.8
GTEX-1F48J-1126-SM-9WYSY 50-59 years, female 20.8
GTEX-1GN73-2326-SM-9MQKV 60-69 years, male 20.8
GTEX-ZG7Y-1426-SM-4WWBM 50-59 years, male 20.6
GTEX-1313W-1126-SM-5EQ5U 50-59 years, female 20.5
GTEX-13JUV-0226-SM-5IJCC 40-49 years, female 20.5
GTEX-13FTZ-0326-SM-5J1O1 60-69 years, male 20.2
GTEX-17HGU-1126-SM-793BP 50-59 years, male 20.2
GTEX-ZYVF-1826-SM-5E44F 50-59 years, female 20.2
GTEX-1HT8W-1326-SM-CGQEN 30-39 years, male 20.1
GTEX-1LVAO-0626-SM-EWRNT 60-69 years, male 20.0
GTEX-111VG-0326-SM-5GZX7 60-69 years, male 19.8
GTEX-YFC4-0426-SM-4TT3J 40-49 years, female 19.8
GTEX-1JN6P-0826-SM-ARL97 60-69 years, male 19.8
GTEX-1LSNL-0626-SM-DIPFJ 50-59 years, male 19.6
GTEX-1I1GV-1426-SM-B2LXN 60-69 years, male 19.5
GTEX-1GMRU-1326-SM-9WYUI 50-59 years, male 19.3
GTEX-14C38-1326-SM-62LDK 50-59 years, male 19.2
GTEX-ZAB5-0126-SM-5CVMT 50-59 years, male 19.2
GTEX-1IKOH-0926-SM-A9SLU 60-69 years, female 19.2
GTEX-ZAJG-0926-SM-5Q5AB 50-59 years, female 19.1
GTEX-1H1ZS-1026-SM-9WG6E 70-79 years, male 19.1
GTEX-1H3NZ-1026-SM-A9SM5 60-69 years, male 19.1
GTEX-1HSMO-1126-SM-CGQF2 60-69 years, male 19.1
GTEX-UTHO-1226-SM-3GAEE 60-69 years, male 19.0
GTEX-117XS-0726-SM-5H131 60-69 years, male 18.8
GTEX-1C64N-0826-SM-7RHGQ 50-59 years, male 18.6
GTEX-1A3MX-1226-SM-731B3 60-69 years, male 18.5
GTEX-15D1Q-0426-SM-6AJ9G 40-49 years, male 18.4
GTEX-1A8G6-1826-SM-73KY8 60-69 years, male 18.3
GTEX-1A32A-1326-SM-73KWW 50-59 years, female 18.2
GTEX-1IY9M-0626-SM-D4P2L 60-69 years, male 18.2
GTEX-13NZA-0826-SM-5K7WS 60-69 years, male 18.1
GTEX-11ZUS-0326-SM-5EQ4W 30-39 years, male 18.0
GTEX-12WSC-1026-SM-5EQ5Y 50-59 years, male 17.9
GTEX-12ZZY-1226-SM-5GCNK 60-69 years, male 17.8
GTEX-WK11-0626-SM-3NMAV 50-59 years, male 17.8
GTEX-1NSGN-1226-SM-E76OL 50-59 years, male 17.7
GTEX-14JG1-0826-SM-5ZZWR 40-49 years, male 17.6
GTEX-ZZPU-1126-SM-5N9CW 50-59 years, female 17.6
GTEX-ZPU1-0726-SM-5HL6O 40-49 years, male 17.5
GTEX-ZTPG-1326-SM-51MSQ 20-29 years, female 17.5
GTEX-15CHQ-1326-SM-6871Z 60-69 years, male 17.4
GTEX-11DXY-1026-SM-5987V 60-69 years, male 17.3
GTEX-13OVI-0326-SM-5K7X1 60-69 years, female 17.3
GTEX-1477Z-1126-SM-5P9GK 60-69 years, male 17.3
GTEX-1HR98-1026-SM-CKZOM 60-69 years, male 17.3
GTEX-ZF2S-0826-SM-4WWBI 50-59 years, female 17.0
GTEX-132Q8-1126-SM-5K7XS 60-69 years, male 16.9
GTEX-13PL6-0826-SM-5IJBI 40-49 years, female 16.9
GTEX-1445S-1226-SM-5O9BF 60-69 years, male 16.8
GTEX-111FC-0626-SM-5N9CU 60-69 years, male 16.7
GTEX-1399R-1726-SM-5K7YJ 30-39 years, male 16.7
GTEX-17JCI-0826-SM-7LT8W 60-69 years, female 16.5
GTEX-1B933-0826-SM-79OMW 50-59 years, female 16.5
GTEX-ZVT4-1326-SM-5NQ8E 50-59 years, female 16.4
GTEX-17F9Y-1226-SM-7EPGE 70-79 years, female 16.3
GTEX-X261-0926-SM-3NMCY 50-59 years, male 16.3
GTEX-XQ3S-0526-SM-4BOQA 20-29 years, male 16.2
GTEX-YEC4-0226-SM-4W1YG 40-49 years, male 16.2
GTEX-16YQH-0726-SM-7IGM1 30-39 years, male 16.1
GTEX-Y8E4-0426-SM-4V6GB 40-49 years, male 16.1
GTEX-1B932-1326-SM-79OM4 40-49 years, female 16.0
GTEX-1F6I4-0826-SM-7RHGK 60-69 years, male 16.0
GTEX-ZE7O-0626-SM-57WCD 50-59 years, female 15.9
GTEX-14E1K-0826-SM-5ZZW9 50-59 years, male 15.8
GTEX-18465-0726-SM-7LG4L 50-59 years, male 15.8
GTEX-XXEK-2026-SM-4BRVE 50-59 years, male 15.8
GTEX-1HUB1-0726-SM-CGQF4 60-69 years, male 15.8
GTEX-11NUK-0926-SM-5HL57 50-59 years, male 15.7
GTEX-13SLW-0826-SM-5QGP7 70-79 years, male 15.7
GTEX-147JS-1326-SM-5SI6D 60-69 years, male 15.7
GTEX-W5X1-0826-SM-3GILN 40-49 years, female 15.7
GTEX-1F75A-1026-SM-7PC3W 50-59 years, male 15.5
GTEX-131XE-0526-SM-5K7YT 50-59 years, male 15.3
GTEX-14PJM-0826-SM-6LLIW 50-59 years, female 15.3
GTEX-1AX8Z-1126-SM-731CS 60-69 years, male 15.1
GTEX-WZTO-1226-SM-3NMAZ 40-49 years, male 15.1
GTEX-1GN2E-1426-SM-7RHHI 60-69 years, male 15.1
GTEX-11NV4-0826-SM-5BC4S 60-69 years, male 15.0
GTEX-13S86-0326-SM-5SI6K 40-49 years, male 15.0
GTEX-13YAN-1426-SM-7EPG8 60-69 years, male 15.0
GTEX-144GL-1026-SM-5O99R 50-59 years, male 15.0
GTEX-ZYFC-1026-SM-5GZX9 50-59 years, male 14.9
GTEX-12584-1026-SM-59HK3 40-49 years, male 14.8
GTEX-YECK-1226-SM-4W21G 60-69 years, male 14.8
GTEX-1I1GQ-1226-SM-CL55J 50-59 years, male 14.8
GTEX-1192X-0726-SM-5987R 50-59 years, male 14.7
GTEX-13OVG-0426-SM-5KM2T 60-69 years, male 14.7
GTEX-132AR-1926-SM-5EGK5 50-59 years, female 14.6
GTEX-X3Y1-0226-SM-3P5Z5 40-49 years, male 14.6
GTEX-147F4-1126-SM-5TDDE 50-59 years, male 14.5
GTEX-1L5NE-0526-SM-DIPG5 50-59 years, male 14.4
GTEX-1C6WA-0826-SM-7PBXS 60-69 years, male 14.3
GTEX-1J8EW-0626-SM-CM2TY 60-69 years, female 14.3
GTEX-1JMOU-0326-SM-ARL8X 60-69 years, female 14.3
GTEX-1E1VI-1426-SM-793CY 50-59 years, male 14.2
GTEX-Y3IK-1026-SM-51MR7 50-59 years, female 14.2
GTEX-1H3VY-1126-SM-A96TP 50-59 years, male 14.2
GTEX-1LG7Y-1426-SM-D4P31 50-59 years, male 14.2
GTEX-11DYG-1026-SM-5A5JQ 60-69 years, male 14.1
GTEX-12WSI-0426-SM-5EQ5J 50-59 years, male 14.1
GTEX-1LB8K-0926-SM-D4P42 50-59 years, male 14.1
GTEX-11O72-1026-SM-5986B 40-49 years, male 14.0
GTEX-1IDJD-0226-SM-CKZOA 30-39 years, male 14.0
GTEX-11ONC-1026-SM-5GU64 60-69 years, male 13.8
GTEX-13RTJ-0526-SM-62LDP 60-69 years, male 13.8
GTEX-14E6C-0326-SM-5Q5EE 40-49 years, male 13.8
GTEX-1GMR8-1026-SM-9MQLA 50-59 years, female 13.8
GTEX-183WM-0926-SM-718AN 70-79 years, female 13.7
GTEX-1EX96-2626-SM-9MQJV 50-59 years, male 13.7
GTEX-1HSKV-0726-SM-ACKWE 60-69 years, male 13.7
GTEX-1R9JW-0426-SM-E76QL 30-39 years, female 13.7
GTEX-ZDTS-1226-SM-4WKGL 60-69 years, male 13.6
GTEX-11EMC-0826-SM-59862 60-69 years, female 13.4
GTEX-145LS-1326-SM-5Q5EP 60-69 years, female 13.4
GTEX-UPK5-0226-SM-3GAEV 40-49 years, male 13.3
GTEX-X5EB-0626-SM-46MVQ 40-49 years, male 13.3
GTEX-15RIE-1326-SM-6PAMM 60-69 years, male 13.2
GTEX-1P4AB-0926-SM-E76PV 50-59 years, male 13.2
GTEX-13OW7-1626-SM-5IJDH 50-59 years, male 13.1
GTEX-15SDE-1826-SM-7KUFN 50-59 years, female 13.1
GTEX-1I1HK-0626-SM-CNPQM 60-69 years, male 13.1
GTEX-1IL2U-1226-SM-CL53P 60-69 years, male 13.1
GTEX-WQUQ-1326-SM-3MJFF 60-69 years, male 13.0
GTEX-X62O-0826-SM-46MW8 50-59 years, male 13.0
GTEX-1F88F-0326-SM-9KNV3 60-69 years, female 13.0
GTEX-1RB15-0426-SM-E9U4Y 60-69 years, male 13.0
GTEX-11UD2-0926-SM-5CVL6 50-59 years, male 12.9
GTEX-12WSN-0226-SM-5DUXH 40-49 years, male 12.9
GTEX-148VJ-1426-SM-5TDE3 70-79 years, male 12.9
GTEX-14PK6-0726-SM-6LLIX 70-79 years, female 12.8
GTEX-1CAMQ-0726-SM-7P8SG 40-49 years, male 12.8
GTEX-14DAQ-1026-SM-793B1 60-69 years, female 12.6
GTEX-1212Z-0726-SM-5EGI5 60-69 years, male 12.5
GTEX-15SKB-0926-SM-7KUFC 60-69 years, male 12.5
GTEX-1C64O-0926-SM-79OLN 60-69 years, male 12.5
GTEX-WHWD-0326-SM-3LK6L 50-59 years, male 12.5
GTEX-Y5V5-0726-SM-4VBPY 60-69 years, female 12.5
GTEX-1KXAM-1426-SM-D3LAC 60-69 years, male 12.5
GTEX-11ZTT-0526-SM-5EQLA 60-69 years, female 12.4
GTEX-1AX9J-0926-SM-73KXA 60-69 years, male 12.4
GTEX-ZV7C-0526-SM-9WPNK 50-59 years, male 12.4
GTEX-132NY-1426-SM-5J1MJ 60-69 years, male 12.3
GTEX-15CHR-0326-SM-7DHN3 50-59 years, male 12.3
GTEX-V955-0826-SM-CYPR5 60-69 years, male 12.3
GTEX-1I1CD-1326-SM-A9SMM 60-69 years, female 12.2
GTEX-13U4I-0626-SM-5LU5L 40-49 years, female 12.0
GTEX-12WSE-0926-SM-5S2VX 20-29 years, male 11.9
GTEX-1CAMS-1126-SM-7MXUQ 40-49 years, female 11.9
GTEX-14ASI-0826-SM-5Q5EB 60-69 years, male 11.8
GTEX-13NYB-0326-SM-5IJDP 40-49 years, male 11.6
GTEX-1H11D-1026-SM-9QEIU 40-49 years, male 11.6
GTEX-1IDJH-1126-SM-COH3R 70-79 years, male 11.6
GTEX-14PHY-0326-SM-62LE3 60-69 years, female 11.5
GTEX-ZPCL-0526-SM-DO91R 60-69 years, female 11.5
GTEX-15RJE-0726-SM-7KUEG 40-49 years, male 11.4
GTEX-X8HC-1026-SM-46MWH 50-59 years, female 11.4
GTEX-ZDYS-0326-SM-5HL4W 50-59 years, male 11.4
GTEX-1B8L1-0426-SM-7SB76 60-69 years, male 11.4
GTEX-1J8Q3-1126-SM-ARU8N 60-69 years, male 11.4
GTEX-1A8FM-1026-SM-7PC26 50-59 years, female 11.3
GTEX-1399U-0726-SM-5KM1D 50-59 years, female 11.2
GTEX-18A7A-1226-SM-7LTAJ 50-59 years, female 11.2
GTEX-WRHU-1026-SM-4E3ID 50-59 years, female 11.2
GTEX-ZAB4-0926-SM-5CVN4 40-49 years, male 11.2
GTEX-1EU9M-1926-SM-7RHH4 60-69 years, male 11.2
GTEX-146FH-1126-SM-5NQAT 50-59 years, female 11.1
GTEX-1IDJU-0626-SM-CKZOG 60-69 years, female 11.1
GTEX-13JVG-1126-SM-5KM2M 60-69 years, male 11.0
GTEX-1H1DG-0826-SM-9QEIW 70-79 years, male 11.0
GTEX-15SHU-0926-SM-6PAMK 40-49 years, female 10.9
GTEX-18A66-1126-SM-731C5 60-69 years, male 10.9
GTEX-XOT4-1126-SM-4B66E 60-69 years, female 10.9
GTEX-1HFI7-0526-SM-A9SMA 50-59 years, female 10.9
GTEX-1LH75-0526-SM-DIPG2 50-59 years, female 10.9
GTEX-15CHC-0326-SM-5ZZVP 60-69 years, female 10.8
GTEX-1JMLX-1826-SM-CNPOX 50-59 years, male 10.8
GTEX-1R9K4-1026-SM-EXUT1 60-69 years, male 10.8
GTEX-1MJIX-0426-SM-DTXEN 40-49 years, male 10.7
GTEX-14PII-1026-SM-5ZZVW 60-69 years, male 10.6
GTEX-17MF6-0926-SM-7LTAL 40-49 years, male 10.6
GTEX-18D9B-1126-SM-7KFSH 60-69 years, male 10.6
GTEX-XLM4-2026-SM-4AT4X 60-69 years, male 10.6
GTEX-1HSMQ-0426-SM-ADEIM 50-59 years, male 10.6
GTEX-13O3P-1426-SM-5L3DT 50-59 years, male 10.5
GTEX-1RLM8-0226-SM-E6CJY 50-59 years, male 10.4
GTEX-11GSP-1226-SM-5985M 60-69 years, female 10.3
GTEX-15SHV-0526-SM-7KUEN 60-69 years, male 10.3
GTEX-XQ8I-0226-SM-4BOPM 50-59 years, male 10.3
GTEX-1HC8U-0626-SM-B2LWB 40-49 years, female 10.3
GTEX-ZVT3-0826-SM-5GIC8 60-69 years, female 10.1
GTEX-131XG-0526-SM-5DUWF 50-59 years, female 10.0
GTEX-16XZY-0526-SM-7DHKY 70-79 years, male 10.0
GTEX-12ZZX-0726-SM-5EGKA 40-49 years, female 9.9
GTEX-14BIL-0926-SM-7DHKN 50-59 years, male 9.9
GTEX-ZDXO-0426-SM-4WKF6 60-69 years, male 9.9
GTEX-11P81-0526-SM-59873 30-39 years, female 9.8
GTEX-139YR-0526-SM-5L3DG 50-59 years, male 9.8
GTEX-ZAK1-1126-SM-5PNXU 50-59 years, female 9.8
GTEX-1HBPM-1026-SM-ARL9D 60-69 years, female 9.8
GTEX-1122O-0626-SM-5N9B9 60-69 years, female 9.7
GTEX-1J8Q2-1026-SM-ARU8I 60-69 years, male 9.7
GTEX-13O3O-1426-SM-5KM2S 60-69 years, female 9.6
GTEX-13OW6-0926-SM-5L3GM 50-59 years, male 9.6
GTEX-14PJ2-1126-SM-69LOD 50-59 years, male 9.6
GTEX-1GL5R-0426-SM-9WPOP 50-59 years, male 9.6
GTEX-1KANC-0226-SM-E9TIW 50-59 years, female 9.6
GTEX-1R7EV-0426-SM-DTX7Z 40-49 years, male 9.6
GTEX-13O3Q-0326-SM-5L3FE 50-59 years, male 9.5
GTEX-14A6H-0326-SM-5NQAN 30-39 years, male 9.5
GTEX-17KNJ-0626-SM-7LT9L 50-59 years, male 9.5
GTEX-1BAJH-1026-SM-7EWEG 70-79 years, male 9.5
GTEX-1GTWX-0926-SM-9MQKM 60-69 years, male 9.5
GTEX-12BJ1-0326-SM-5FQUB 60-69 years, male 9.4
GTEX-17F96-0826-SM-7DHLU 70-79 years, male 9.4
GTEX-1ICG6-0726-SM-B2LY5 70-79 years, female 9.4
GTEX-13D11-1526-SM-5J2NA 50-59 years, female 9.3
GTEX-1HCVE-0826-SM-CM2SF 50-59 years, male 9.3
GTEX-12WSD-1226-SM-5HL9Q 60-69 years, female 9.2
GTEX-14A5I-1026-SM-5Q5E3 50-59 years, female 9.2
GTEX-1CB4E-0626-SM-7DHMW 60-69 years, male 9.2
GTEX-VUSG-0726-SM-3GIK1 50-59 years, male 9.2
GTEX-1JMQK-0926-SM-ARL96 60-69 years, male 9.2
GTEX-1QMI2-1026-SM-DTX7T 60-69 years, male 9.2
GTEX-V1D1-0626-SM-4JBHN 50-59 years, male 9.1
GTEX-117YX-0626-SM-5EGJI 50-59 years, male 9.0
GTEX-13SLX-0926-SM-5S2NM 50-59 years, female 9.0
GTEX-1B8KE-0326-SM-73KTY 50-59 years, male 9.0
GTEX-ZPIC-0426-SM-DO91V 40-49 years, female 9.0
GTEX-WHPG-1026-SM-3NMBA 50-59 years, male 8.9
GTEX-ZVT2-0926-SM-5GICE 50-59 years, female 8.9
GTEX-1CB4J-0226-SM-7P8T4 60-69 years, male 8.9
GTEX-1OFPY-0926-SM-DTX8Q 60-69 years, male 8.9
GTEX-13PVQ-1326-SM-5LU4J 50-59 years, male 8.8
GTEX-ZYT6-0926-SM-5GIEM 30-39 years, male 8.8
GTEX-1LGOU-0326-SM-D3LAM 20-29 years, female 8.8
GTEX-13W3W-0526-SM-5LU3X 60-69 years, female 8.7
GTEX-1B8SG-0726-SM-79ONS 50-59 years, male 8.7
GTEX-VJWN-1026-SM-4M1ZN 50-59 years, female 8.7
GTEX-WYBS-1226-SM-3NM9N 60-69 years, female 8.6
GTEX-ZF3C-1126-SM-57WEG 50-59 years, female 8.6
GTEX-1EMGI-1126-SM-9KNUF 60-69 years, male 8.6
GTEX-1GMR2-1326-SM-9KNUT 50-59 years, male 8.6
GTEX-1GF9U-0526-SM-7P8SK 40-49 years, female 8.5
GTEX-13PL7-0726-SM-5KM1S 60-69 years, female 8.4
GTEX-1CB4H-0626-SM-7IGN3 60-69 years, female 8.3
GTEX-WY7C-1126-SM-3NB3A 50-59 years, male 8.3
GTEX-1EH9U-0626-SM-7PC33 60-69 years, male 8.3
GTEX-111YS-0326-SM-5GZZ3 60-69 years, male 8.2
GTEX-1MCC2-0226-SM-EVYD5 30-39 years, female 8.2
GTEX-1QP29-1426-SM-DTX9Q 50-59 years, male 8.2
GTEX-139TU-1926-SM-5J2OC 60-69 years, male 8.1
GTEX-14PJO-0826-SM-6ETZK 60-69 years, male 8.1
GTEX-1LVAN-1526-SM-CNPQN 50-59 years, female 8.1
GTEX-11DXZ-0326-SM-5EGH1 50-59 years, male 8.0
GTEX-12WSA-1126-SM-5EGKU 60-69 years, male 8.0
GTEX-1399S-0826-SM-5KM23 30-39 years, female 8.0
GTEX-14PJ6-0626-SM-686Z6 60-69 years, female 8.0
GTEX-14PN4-0826-SM-69LON 50-59 years, male 8.0
GTEX-1GF9V-1726-SM-9KNW4 60-69 years, male 8.0
GTEX-ZEX8-0326-SM-DO92C 50-59 years, male 8.0
GTEX-WYJK-1126-SM-3NM9Z 50-59 years, male 7.9
GTEX-1LGRB-1026-SM-CNPQD 50-59 years, female 7.9
GTEX-131YS-0826-SM-5PNYV 60-69 years, female 7.8
GTEX-17GQL-0626-SM-731CN 60-69 years, male 7.8
GTEX-XPVG-0726-SM-4B658 50-59 years, male 7.8
GTEX-1JJ6O-2226-SM-AHZ3I 60-69 years, male 7.8
GTEX-ZYFG-0526-SM-5GZXX 60-69 years, female 7.7
GTEX-1E2YA-0626-SM-7P8P4 50-59 years, male 7.7
GTEX-1JK1U-0626-SM-CKZOJ 60-69 years, male 7.7
GTEX-13O21-0326-SM-5J1N9 50-59 years, male 7.6
GTEX-145MN-0726-SM-5NQBH 30-39 years, male 7.6
GTEX-14H4A-0426-SM-5ZZWO 40-49 years, female 7.6
GTEX-18A67-1026-SM-731CE 50-59 years, male 7.6
GTEX-1B97J-0326-SM-7939H 50-59 years, female 7.6
GTEX-YB5K-0226-SM-5IFJE 40-49 years, female 7.5
GTEX-13X6K-1726-SM-7IGLG 60-69 years, female 7.4
GTEX-15UF7-1526-SM-6LPI7 40-49 years, male 7.4
GTEX-1J1OQ-2226-SM-A96SS 40-49 years, female 7.4
GTEX-1JMQL-1026-SM-CMKGV 50-59 years, female 7.4
GTEX-14BIM-2726-SM-5Q5EG 60-69 years, female 7.3
GTEX-16NPX-0826-SM-6M489 50-59 years, male 7.2
GTEX-ZF29-0426-SM-4WKFN 60-69 years, female 7.2
GTEX-1F75I-1326-SM-7PBZX 40-49 years, male 7.2
GTEX-14C5O-1226-SM-664N3 60-69 years, male 7.1
GTEX-1LSNM-0426-SM-E9TIZ 50-59 years, male 7.1
GTEX-YEC3-0426-SM-CYPS8 50-59 years, male 7.1
GTEX-11EM3-0426-SM-5N9BZ 20-29 years, female 7.0
GTEX-12WSK-0526-SM-5CVNA 40-49 years, female 7.0
GTEX-13N1W-0926-SM-5MR36 70-79 years, male 7.0
GTEX-15DCE-0826-SM-7KULW 20-29 years, male 7.0
GTEX-Y114-0126-SM-4TT8K 50-59 years, female 7.0
GTEX-12WSG-1226-SM-5EQ4C 50-59 years, female 6.9
GTEX-WFON-0226-SM-3GIKR 40-49 years, male 6.9
GTEX-WH7G-0326-SM-3NMBH 40-49 years, male 6.9
GTEX-Y3I4-0526-SM-4TT6X 50-59 years, male 6.9
GTEX-1HCUA-0626-SM-ACKVT 50-59 years, female 6.9
GTEX-1J8QM-0326-SM-CL53D 60-69 years, female 6.9
GTEX-132QS-0526-SM-5IJC7 60-69 years, male 6.8
GTEX-13NZB-0426-SM-5KM26 30-39 years, male 6.8
GTEX-1JJEA-0926-SM-CYPSO 60-69 years, male 6.7
GTEX-145LV-0226-SM-5S2QG 50-59 years, male 6.6
GTEX-ZGAY-0226-SM-4WWAL 40-49 years, female 6.6
GTEX-18D9U-1426-SM-718BO 40-49 years, male 6.5
GTEX-WHSE-0826-SM-4SOJU 20-29 years, male 6.5
GTEX-XBEC-1226-SM-4AT65 50-59 years, male 6.4
GTEX-XPT6-0226-SM-4B65L 20-29 years, male 6.4
GTEX-13N11-0726-SM-5L3DP 50-59 years, female 6.3
GTEX-13OW5-0926-SM-5L3GZ 60-69 years, male 6.3
GTEX-14PHX-0626-SM-5YY8Z 50-59 years, male 6.3
GTEX-1GZ4I-0826-SM-9WG6O 50-59 years, male 6.3
GTEX-WI4N-0726-SM-3TW93 40-49 years, female 6.2
GTEX-X4EP-0326-SM-3P5Z6 60-69 years, female 6.2
GTEX-1HBPH-0226-SM-9WYSM 40-49 years, female 6.2
GTEX-12696-1226-SM-5FQSM 60-69 years, male 6.1
GTEX-1AX9K-0426-SM-73KUG 50-59 years, male 5.9
GTEX-WWYW-1126-SM-3NB2Q 50-59 years, female 5.9
GTEX-13FH7-0826-SM-5J2NW 50-59 years, female 5.8
GTEX-146FR-0926-SM-5QGPE 60-69 years, female 5.6
GTEX-XYKS-0226-SM-4BRW3 60-69 years, female 5.6
GTEX-1GN1W-0226-SM-7P8QY 50-59 years, female 5.6
GTEX-1211K-0226-SM-59HJY 60-69 years, female 5.5
GTEX-13O1R-0926-SM-5L3DS 60-69 years, male 5.5
GTEX-1HSGN-0926-SM-CNNQM 40-49 years, female 5.5
GTEX-14PJ4-0926-SM-5YY98 60-69 years, male 5.4
GTEX-17F9E-0726-SM-793A1 50-59 years, male 5.4
GTEX-XGQ4-0526-SM-4AT6C 50-59 years, male 5.4
GTEX-14BMV-1026-SM-5SI6B 50-59 years, male 5.3
GTEX-WFG8-0726-SM-3GILP 20-29 years, male 5.3
GTEX-1HBPN-0926-SM-CGQEG 50-59 years, male 5.3
GTEX-1IKOE-0626-SM-A9G31 30-39 years, female 5.3
GTEX-11WQK-0226-SM-5EQLI 50-59 years, male 5.2
GTEX-11DXX-0526-SM-5PNVR 60-69 years, female 5.1
GTEX-1339X-0326-SM-5K7Z8 40-49 years, male 5.1
GTEX-ZTTD-0626-SM-4YCCY 50-59 years, male 5.1
GTEX-13PVR-0926-SM-5S2RB 60-69 years, female 5.0
GTEX-14XAO-0926-SM-69LPZ 60-69 years, female 5.0
GTEX-ZYFD-2026-SM-5E459 50-59 years, male 5.0
GTEX-1I1GP-0626-SM-ARL7H 50-59 years, male 5.0
GTEX-1QPFJ-0926-SM-EVR3K 30-39 years, female 5.0
GTEX-15EU6-1326-SM-6PANG 50-59 years, male 4.9
GTEX-11TT1-1426-SM-5EGIA 20-29 years, male 4.8
GTEX-1IDJF-0826-SM-ARU7N 20-29 years, male 4.8
GTEX-13QBU-0226-SM-5LU48 40-49 years, female 4.7
GTEX-1C2JI-0626-SM-7DHM1 50-59 years, male 4.6
GTEX-14PN3-0726-SM-6EU14 60-69 years, female 4.4
GTEX-16MT8-0826-SM-7KULO 60-69 years, female 4.4
GTEX-13FTW-0826-SM-5K7XR 40-49 years, male 4.3
GTEX-13VXT-0726-SM-5SIAD 20-29 years, female 4.3
GTEX-1GMR3-0426-SM-7PC17 40-49 years, male 4.3
GTEX-11LCK-0826-SM-5PNYD 30-39 years, male 4.2
GTEX-1B996-1026-SM-793CF 60-69 years, male 4.2
GTEX-1QCLZ-1126-SM-EWRNB 60-69 years, female 4.2
GTEX-1IKK5-1726-SM-CM2RU 60-69 years, male 4.1
GTEX-WFG7-0826-SM-3GIKU 20-29 years, male 4.0
GTEX-ZT9W-0526-SM-57WFG 50-59 years, male 4.0
GTEX-1GN1U-1426-SM-7P8TF 50-59 years, female 3.9
GTEX-1NHNU-0626-SM-E6CP1 50-59 years, male 3.7
GTEX-ZDTT-0326-SM-4WKF9 60-69 years, male 3.5
GTEX-WEY5-0226-SM-3GIKN 40-49 years, female 3.4
GTEX-13O61-0426-SM-5L3ET 60-69 years, male 3.3
GTEX-1CB4I-1526-SM-7DHMY 50-59 years, male 3.3
GTEX-1AYCT-0526-SM-7RHHS 50-59 years, male 3.1
GTEX-1K2DU-0226-SM-DIPF6 20-29 years, male 3.1
GTEX-U8XE-0926-SM-3DB8V 30-39 years, male 3.0
GTEX-131XF-0426-SM-5HL7U 60-69 years, male 2.8
GTEX-YF7O-0526-SM-5P9IO 50-59 years, male 2.2
Show allShow less
Heart - Left Ventricle
Average nTPM: 15.2
Samples: 432

Max nTPM: 74.4
Min nTPM: 2.4
Std nTPM: 12.6
Median nTPM: 10.3
GTEX-OXRO-2026-SM-2YUMZ 60-69 years, female 74.4
GTEX-1IDJH-1026-SM-E9TKH 70-79 years, male 66.1
GTEX-1EKGG-1126-SM-7MGXB 60-69 years, male 65.0
GTEX-1NV8Z-1526-SM-DTX8X 60-69 years, male 61.2
GTEX-15DDE-1126-SM-6LLHN 50-59 years, female 60.8
GTEX-1H3NZ-1126-SM-9WYT9 60-69 years, male 57.3
GTEX-1HT8W-1726-SM-CNNQB 30-39 years, male 55.0
GTEX-1I1GV-1326-SM-A96SE 60-69 years, male 54.6
GTEX-1O97I-0826-SM-E8VNE 60-69 years, male 51.7
GTEX-13FHP-1026-SM-5K7Y2 50-59 years, male 50.7
GTEX-ZYT6-1726-SM-5E44P 30-39 years, male 50.7
GTEX-1LVA9-0926-SM-EVR5G 50-59 years, male 50.7
GTEX-13NYB-0226-SM-5N9G4 40-49 years, male 49.2
GTEX-14PJ2-1026-SM-6EU1M 50-59 years, male 48.6
GTEX-13JVG-1326-SM-5N9F8 60-69 years, male 47.7
GTEX-12ZZW-1026-SM-5GCMM 50-59 years, male 46.3
GTEX-117YW-0326-SM-5N9CY 50-59 years, male 46.0
GTEX-1399T-0426-SM-5PNVJ 60-69 years, male 46.0
GTEX-14BIL-1126-SM-79OMC 50-59 years, male 45.5
GTEX-WK11-0826-SM-EZ6LH 50-59 years, male 44.3
GTEX-1IKJJ-0826-SM-A96SP 60-69 years, male 44.2
GTEX-1GN2E-1326-SM-9KNVG 60-69 years, male 43.9
GTEX-1H1CY-0326-SM-9QEIZ 60-69 years, female 43.5
GTEX-14E6D-0926-SM-5S2QV 50-59 years, male 42.3
GTEX-14E7W-1226-SM-5RQIU 70-79 years, male 42.1
GTEX-RN64-0826-SM-2TC62 50-59 years, male 42.1
GTEX-11GSP-1326-SM-5A5KY 60-69 years, female 39.5
GTEX-1A8G6-1626-SM-7MGWO 60-69 years, male 39.5
GTEX-ZUA1-0826-SM-4YCDL 40-49 years, male 39.4
GTEX-14C5O-1326-SM-5S2UW 60-69 years, male 38.8
GTEX-1ICLZ-1026-SM-A9SLF 60-69 years, male 38.8
GTEX-1EWIQ-1426-SM-7IGOS 70-79 years, female 38.5
GTEX-1LB8K-1026-SM-DHXJJ 50-59 years, male 36.8
GTEX-ZAB4-1026-SM-5HL7T 40-49 years, male 36.6
GTEX-14C39-0926-SM-5TDDV 40-49 years, male 36.0
GTEX-18465-0926-SM-731AY 50-59 years, male 35.7
GTEX-16MT8-0926-SM-6M487 60-69 years, female 35.5
GTEX-1JJE9-1426-SM-ARL8P 70-79 years, male 34.3
GTEX-15SHU-1126-SM-7KUMB 40-49 years, female 33.9
GTEX-1EN7A-0726-SM-7PBXT 40-49 years, male 33.7
GTEX-15CHQ-1526-SM-69LPW 60-69 years, male 33.3
GTEX-15DYW-1126-SM-6LPK5 60-69 years, female 33.1
GTEX-1C6VQ-1126-SM-7EWET 50-59 years, male 33.0
GTEX-WWYW-1326-SM-3NB2S 50-59 years, female 33.0
GTEX-ZF3C-1226-SM-4WWCB 50-59 years, female 32.9
GTEX-1E1VI-1326-SM-7IGQD 50-59 years, male 32.3
GTEX-15SHW-1226-SM-6M46C 60-69 years, male 32.0
GTEX-13OW8-2126-SM-5J1OS 60-69 years, male 31.7
GTEX-PVOW-0426-SM-5MR5R 40-49 years, male 31.7
GTEX-18A6Q-1626-SM-7KFTA 60-69 years, male 31.5
GTEX-14JIY-1126-SM-6EU28 60-69 years, male 31.3
GTEX-1I1GP-0826-SM-A96SD 50-59 years, male 30.8
GTEX-147F4-1226-SM-5NQAY 50-59 years, male 30.7
GTEX-YJ8O-0926-SM-EAZ2Z 40-49 years, female 30.7
GTEX-148VJ-1526-SM-5Q5DU 70-79 years, male 30.6
GTEX-X261-1426-SM-4PQZ1 50-59 years, male 30.3
GTEX-1JN6P-1126-SM-CKZON 60-69 years, male 30.3
GTEX-1RAZS-0826-SM-E76QP 50-59 years, male 30.3
GTEX-1AX9I-1126-SM-7EPHH 60-69 years, male 30.1
GTEX-1GN1V-0826-SM-9KNU6 60-69 years, male 30.0
GTEX-14BIN-2226-SM-5YYA1 50-59 years, female 29.8
GTEX-T2IS-0426-SM-32QPE 20-29 years, female 29.4
GTEX-1HCVE-1126-SM-9WPPG 50-59 years, male 29.2
GTEX-13112-0426-SM-5PNVC 50-59 years, male 28.9
GTEX-QVJO-1926-SM-2S1QZ 60-69 years, female 28.6
GTEX-13CF2-0426-SM-5KM1H 60-69 years, male 28.4
GTEX-1KD4Q-0726-SM-DIPGE 40-49 years, male 28.4
GTEX-17HHY-1426-SM-7EWDQ 50-59 years, male 28.2
GTEX-S33H-0526-SM-COH1W 30-39 years, male 28.0
GTEX-11DXY-0826-SM-5EGGR 60-69 years, male 27.7
GTEX-12ZZY-1126-SM-5DUWQ 60-69 years, male 27.7
GTEX-16YQH-0926-SM-793BC 30-39 years, male 27.6
GTEX-1PPGY-1126-SM-E76OU 60-69 years, male 27.2
GTEX-XBEC-1326-SM-4AT69 50-59 years, male 26.8
GTEX-11TUW-1026-SM-5GU7D 60-69 years, male 26.2
GTEX-14PJM-1126-SM-6LLHK 50-59 years, female 25.7
GTEX-1GMRU-1526-SM-9WYT5 50-59 years, male 25.5
GTEX-WL46-0926-SM-3LK7T 50-59 years, male 25.3
GTEX-147JS-1526-SM-5ZZWF 60-69 years, male 25.2
GTEX-17F9Y-1326-SM-7MGW9 70-79 years, female 25.1
GTEX-1B8L1-0526-SM-79ONX 60-69 years, male 25.0
GTEX-1314G-0126-SM-5LZUL 30-39 years, male 24.3
GTEX-1EX96-2526-SM-7RHGW 50-59 years, male 24.3
GTEX-13OW6-1126-SM-5L3HL 50-59 years, male 24.2
GTEX-1F6IF-2526-SM-7P8TV 60-69 years, male 24.1
GTEX-SIU8-0826-SM-2XCDQ 50-59 years, male 24.0
GTEX-12584-0926-SM-5FQTN 40-49 years, male 23.6
GTEX-13FTZ-0226-SM-5K7X6 60-69 years, male 23.5
GTEX-17JCI-1126-SM-7IGMM 60-69 years, female 23.2
GTEX-1JN1M-1026-SM-CNPOS 60-69 years, female 22.7
GTEX-13SLX-1026-SM-5ZZUQ 50-59 years, female 22.6
GTEX-1B8SG-0826-SM-7EWF7 50-59 years, male 22.6
GTEX-Y5V5-0626-SM-4VBPX 60-69 years, female 22.6
GTEX-1POEN-0626-SM-EVR4B 30-39 years, female 22.6
GTEX-1CB4G-0826-SM-7DUGF 60-69 years, male 22.5
GTEX-1R9K4-1326-SM-DTX8G 60-69 years, male 22.4
GTEX-1GTWX-1026-SM-7P8QW 60-69 years, male 21.6
GTEX-X8HC-1626-SM-46MWE 50-59 years, female 21.5
GTEX-1GF9V-1626-SM-7PBXL 60-69 years, male 21.4
GTEX-1313W-1426-SM-5KLZU 50-59 years, female 20.5
GTEX-1F6I4-0726-SM-7PC2P 60-69 years, male 20.3
GTEX-ZYFC-1126-SM-5E44W 50-59 years, male 20.1
GTEX-OIZG-1126-SM-2HMIU 50-59 years, male 20.0
GTEX-111FC-0826-SM-5GZWO 60-69 years, male 19.9
GTEX-1IL2U-1326-SM-A9G2O 60-69 years, male 19.9
GTEX-131XH-0226-SM-5LZVB 50-59 years, male 19.4
GTEX-13OW5-1126-SM-5J1NR 60-69 years, male 19.1
GTEX-12ZZZ-1726-SM-59HK5 60-69 years, male 19.0
GTEX-15RJE-0626-SM-7KUKR 40-49 years, male 18.9
GTEX-N7MS-0826-SM-2HML4 60-69 years, male 18.7
GTEX-N7MT-1326-SM-2I3FV 60-69 years, female 18.6
GTEX-YFC4-0526-SM-5ZZVI 40-49 years, female 18.6
GTEX-17HGU-1026-SM-79OKL 50-59 years, male 18.4
GTEX-WRHU-1226-SM-4E3IJ 50-59 years, female 18.2
GTEX-13X6K-1826-SM-5O9CR 60-69 years, female 18.0
GTEX-1JMOU-0226-SM-CNNPD 60-69 years, female 17.9
GTEX-1PPH7-2026-SM-E9J3N 40-49 years, male 17.9
GTEX-T6MN-0926-SM-32PLX 50-59 years, male 17.6
GTEX-11ZVC-0426-SM-5CVLD 50-59 years, female 17.3
GTEX-1R9K5-1326-SM-E6CPR 50-59 years, male 17.3
GTEX-13NZB-0226-SM-5KM1T 30-39 years, male 17.2
GTEX-X3Y1-0426-SM-3P5Z4 40-49 years, male 17.0
GTEX-XQ3S-0626-SM-4BOOB 20-29 years, male 16.9
GTEX-1HSMO-1226-SM-CL548 60-69 years, male 16.9
GTEX-1GN73-2426-SM-7RHFQ 60-69 years, male 16.7
GTEX-131XE-0626-SM-5HL98 50-59 years, male 16.6
GTEX-14DAQ-1126-SM-664MT 60-69 years, female 16.6
GTEX-ZAJG-0826-SM-5PNVA 50-59 years, female 16.5
GTEX-1I1GQ-1426-SM-B2LWY 50-59 years, male 16.2
GTEX-1JMLX-1626-SM-ARZMV 50-59 years, male 16.2
GTEX-13N1W-1026-SM-5IJC5 70-79 years, male 15.9
GTEX-11ONC-0126-SM-5PNW6 60-69 years, male 15.8
GTEX-1JMPZ-1426-SM-CJI3C 30-39 years, male 15.8
GTEX-17HII-1326-SM-7IGOB 50-59 years, male 15.7
GTEX-ZYW4-0926-SM-59HJS 60-69 years, male 15.7
GTEX-1269C-0826-SM-5N9EM 60-69 years, female 15.6
GTEX-15ER7-1726-SM-6PAMX 20-29 years, female 15.4
GTEX-P78B-0426-SM-2I5F5 40-49 years, female 15.4
GTEX-148VI-0326-SM-5RQK7 60-69 years, female 15.3
GTEX-1JJ6O-2126-SM-CNNP6 60-69 years, male 15.1
GTEX-1B996-1126-SM-73KWN 60-69 years, male 15.0
GTEX-17MF6-0726-SM-7LT8E 40-49 years, male 14.8
GTEX-RNOR-0826-SM-2TF5C 50-59 years, female 14.8
GTEX-1PWST-1026-SM-DTXF2 70-79 years, male 14.8
GTEX-14JG1-1026-SM-6ETZY 40-49 years, male 14.7
GTEX-WZTO-1326-SM-3NM8X 40-49 years, male 14.6
GTEX-12WSC-1126-SM-5EQ4G 50-59 years, male 14.5
GTEX-1BAJH-1626-SM-73KUV 70-79 years, male 14.5
GTEX-14A5I-1226-SM-5NQBW 50-59 years, female 14.4
GTEX-ZDTS-1326-SM-6LLHE 60-69 years, male 14.4
GTEX-1RQEC-0926-SM-EWROG 60-69 years, male 14.4
GTEX-14E6C-0426-SM-5YYA8 40-49 years, male 14.3
GTEX-1JJEA-0826-SM-CL53T 60-69 years, male 14.3
GTEX-1F48J-1026-SM-7P8SO 50-59 years, female 14.2
GTEX-1EH9U-0826-SM-7IGPT 60-69 years, male 14.0
GTEX-13X6I-1426-SM-5SI9Z 60-69 years, male 13.9
GTEX-QEG4-0426-SM-33HC3 30-39 years, male 13.9
GTEX-PX3G-0326-SM-2I3EO 20-29 years, female 13.8
GTEX-R55E-1026-SM-2TC5S 20-29 years, male 13.7
GTEX-1B97J-0726-SM-7RHG3 50-59 years, female 13.7
GTEX-13FLV-0926-SM-5L3DZ 50-59 years, male 13.6
GTEX-11O72-1126-SM-5N9E2 40-49 years, male 13.5
GTEX-16BQI-0926-SM-6M485 30-39 years, female 13.4
GTEX-ZDYS-0226-SM-5HL4K 50-59 years, male 13.4
GTEX-1HC8U-0726-SM-ACKXL 40-49 years, female 13.4
GTEX-1I1HK-0726-SM-B2LY4 60-69 years, male 13.4
GTEX-UPK5-0326-SM-CYPR4 40-49 years, male 13.4
GTEX-13O3P-1626-SM-5K7X3 50-59 years, male 13.3
GTEX-13RTJ-0726-SM-5QGQN 60-69 years, male 13.3
GTEX-1LG7Y-1226-SM-CXZKD 50-59 years, male 13.3
GTEX-ZDXO-0726-SM-57WBT 60-69 years, male 13.2
GTEX-11GS4-0526-SM-5A5KQ 60-69 years, male 13.1
GTEX-1212Z-0626-SM-5FQTB 60-69 years, male 13.1
GTEX-132NY-1726-SM-5EGKK 60-69 years, male 13.1
GTEX-OXRL-0326-SM-2I3F2 50-59 years, male 13.0
GTEX-1ICLY-1326-SM-CJI47 50-59 years, male 12.8
GTEX-1B932-1026-SM-793CL 40-49 years, female 12.5
GTEX-16NPX-0926-SM-7KUEZ 50-59 years, male 12.4
GTEX-13OVL-0526-SM-5KLZQ 50-59 years, male 12.3
GTEX-1MJIX-0326-SM-EVR42 40-49 years, male 12.3
GTEX-1A3MX-1326-SM-72D58 60-69 years, male 12.2
GTEX-11ZUS-0226-SM-5FQT8 30-39 years, male 12.1
GTEX-13O3O-1526-SM-5KM1C 60-69 years, female 11.8
GTEX-1GZ4I-1026-SM-9KNV5 50-59 years, male 11.8
GTEX-1HBPH-0126-SM-CNNQ7 40-49 years, female 11.8
GTEX-1HCU6-1026-SM-A9G25 60-69 years, female 11.8
GTEX-13OVG-0526-SM-5K7YD 60-69 years, male 11.6
GTEX-1J8Q2-1226-SM-A9G2W 60-69 years, male 11.6
GTEX-1K9T9-1126-SM-D3L9E 50-59 years, female 11.6
GTEX-12WSN-5001-SM-7DHMK 40-49 years, male 11.5
GTEX-1497J-1226-SM-5Q5BL 60-69 years, male 11.5
GTEX-1KXAM-1326-SM-E9TJW 60-69 years, male 11.5
GTEX-U3ZH-0326-SM-3DB7A 30-39 years, male 11.4
GTEX-XV7Q-0826-SM-4BRV7 40-49 years, female 11.4
GTEX-11DXZ-0626-SM-5GU77 50-59 years, male 11.3
GTEX-1AX9K-0526-SM-73KV1 50-59 years, male 11.3
GTEX-RTLS-0826-SM-2TF5Q 60-69 years, female 11.3
GTEX-1AX9J-1026-SM-72D6E 60-69 years, male 11.2
GTEX-1O9I2-1126-SM-DTXEA 50-59 years, male 11.2
GTEX-OHPL-0326-SM-33HC8 60-69 years, female 11.1
GTEX-WQUQ-1426-SM-3MJFD 60-69 years, male 11.1
GTEX-12696-1126-SM-5FQTI 60-69 years, male 11.0
GTEX-1JMQK-0626-SM-D4P2R 60-69 years, male 11.0
GTEX-1R9JW-0526-SM-EWRNK 30-39 years, female 11.0
GTEX-139YR-0826-SM-5LZXY 50-59 years, male 10.9
GTEX-WHPG-0826-SM-3NMBF 50-59 years, male 10.9
GTEX-11EMC-0726-SM-5EGJO 60-69 years, female 10.8
GTEX-1H1ZS-1126-SM-9MQLJ 70-79 years, male 10.8
GTEX-REY6-1026-SM-2TF4Y 60-69 years, male 10.6
GTEX-1F5PK-0326-SM-9KNUD 50-59 years, male 10.6
GTEX-14PJ6-0726-SM-69LOL 60-69 years, female 10.5
GTEX-132AR-2026-SM-5IJG4 50-59 years, female 10.4
GTEX-1C64O-0826-SM-79OKZ 60-69 years, male 10.4
GTEX-ZQUD-1526-SM-7IGO2 30-39 years, male 10.4
GTEX-1HCU7-1326-SM-CNPPW 50-59 years, male 10.4
GTEX-1RMOY-0626-SM-E9TIE 50-59 years, male 10.4
GTEX-12WSD-1126-SM-5EGJD 60-69 years, female 10.3
GTEX-NPJ8-0426-SM-2HMK6 40-49 years, male 10.2
GTEX-Y5V6-0826-SM-4VBRU 60-69 years, male 10.2
GTEX-1KD5A-1026-SM-CY8I8 50-59 years, male 10.2
GTEX-14PK6-0826-SM-5ZZVO 70-79 years, female 10.1
GTEX-15RJ7-0226-SM-7KUMN 40-49 years, male 10.0
GTEX-1B8KE-0126-SM-793AM 50-59 years, male 10.0
GTEX-QEG5-0926-SM-2TC64 20-29 years, male 10.0
GTEX-Y3IK-0826-SM-51MT8 50-59 years, female 9.9
GTEX-1F75I-1126-SM-9WYUO 40-49 years, male 9.8
GTEX-146FH-1026-SM-5RQIF 50-59 years, female 9.7
GTEX-WI4N-0626-SM-3TW8Z 40-49 years, female 9.7
GTEX-13O1R-1226-SM-5J1NU 60-69 years, male 9.6
GTEX-13PVQ-1226-SM-5IJDC 50-59 years, male 9.6
GTEX-14C38-1426-SM-5RQHZ 50-59 years, male 9.6
GTEX-ZAB5-0226-SM-5CVMH 50-59 years, male 9.6
GTEX-1AX8Z-5007-SM-AHZ36 60-69 years, male 9.6
GTEX-1H11D-1226-SM-9WPQ2 40-49 years, male 9.5
GTEX-1M5QR-1026-SM-DHXK9 40-49 years, male 9.5
GTEX-14PHX-2126-SM-6EU2U 50-59 years, male 9.4
GTEX-O5YV-0326-SM-2I5H2 60-69 years, female 9.4
GTEX-ZPU1-0626-SM-4YCDM 40-49 years, male 9.4
GTEX-1H23P-1226-SM-9QEJ2 60-69 years, male 9.4
GTEX-NFK9-0926-SM-2HMJU 40-49 years, male 9.2
GTEX-1LGRB-1126-SM-CNPP2 50-59 years, female 9.2
GTEX-1R7EV-0326-SM-E76PA 40-49 years, male 9.2
GTEX-15EOM-5007-SM-793DG 20-29 years, female 9.1
GTEX-ZV7C-0326-SM-57WB1 50-59 years, male 9.1
GTEX-WHSE-0926-SM-3NMBS 20-29 years, male 9.0
GTEX-1399R-1926-SM-5K7X8 30-39 years, male 8.9
GTEX-QEL4-0926-SM-3GAD1 50-59 years, male 8.9
GTEX-R53T-0926-SM-3GADH 50-59 years, female 8.9
GTEX-ZVT2-1026-SM-5GU55 50-59 years, female 8.9
GTEX-145MO-1126-SM-5NQBX 60-69 years, male 8.7
GTEX-1CB4J-0326-SM-7PBZO 60-69 years, male 8.7
GTEX-146FR-0626-SM-5RQJ1 60-69 years, female 8.6
GTEX-12WSG-0526-SM-5FQTH 50-59 years, female 8.5
GTEX-V1D1-0526-SM-4JBGW 50-59 years, male 8.5
GTEX-1A3MW-1326-SM-7189P 60-69 years, female 8.4
GTEX-R45C-0926-SM-3GAD4 60-69 years, female 8.4
GTEX-1LH75-0426-SM-E9TJF 50-59 years, female 8.4
GTEX-ZPCL-0426-SM-DNZZ4 60-69 years, female 8.4
GTEX-15RIE-1726-SM-7KUMU 60-69 years, male 8.3
GTEX-1GF9U-0426-SM-7RHHA 40-49 years, female 8.3
GTEX-1J8EW-0926-SM-A9G33 60-69 years, female 8.3
GTEX-14E1K-1026-SM-73KUR 50-59 years, male 8.2
GTEX-16XZY-0426-SM-793BI 70-79 years, male 8.2
GTEX-ZLFU-0226-SM-4WWFH 40-49 years, male 8.2
GTEX-1ICG6-0626-SM-ACKWS 70-79 years, female 8.1
GTEX-14A6H-0226-SM-5Q5DX 30-39 years, male 8.0
GTEX-POMQ-0326-SM-2I5FO 20-29 years, female 8.0
GTEX-RWSA-0626-SM-2XCBD 40-49 years, male 8.0
GTEX-1CB4I-1626-SM-7RHGV 50-59 years, male 8.0
GTEX-1RB15-0326-SM-E6CQB 60-69 years, male 8.0
GTEX-X15G-0426-SM-4PQZ6 50-59 years, female 7.9
GTEX-ZYFG-0426-SM-5E43M 60-69 years, female 7.9
GTEX-1CB4E-0526-SM-7MXTK 60-69 years, male 7.9
GTEX-1OKEX-0726-SM-DPRYE 60-69 years, male 7.9
GTEX-ZF2S-1026-SM-9QEGK 50-59 years, female 7.9
GTEX-117YX-1126-SM-5H128 50-59 years, male 7.8
GTEX-ZZPU-0926-SM-5GZYT 50-59 years, female 7.8
GTEX-1QP29-1526-SM-EXUSY 50-59 years, male 7.8
GTEX-OHPM-0326-SM-33HCA 50-59 years, male 7.7
GTEX-RUSQ-0526-SM-2TF72 50-59 years, male 7.7
GTEX-UJMC-0526-SM-3GAE3 50-59 years, male 7.7
GTEX-XPVG-0826-SM-4B654 50-59 years, male 7.7
GTEX-13FH7-0926-SM-5J2MR 50-59 years, female 7.6
GTEX-1EMGI-1226-SM-793DD 60-69 years, male 7.6
GTEX-P44H-0726-SM-48TBT 40-49 years, male 7.6
GTEX-XQ8I-0126-SM-4BOPL 50-59 years, male 7.6
GTEX-YEC3-0726-SM-CMKFH 50-59 years, male 7.6
GTEX-1399U-0526-SM-5K7YM 50-59 years, female 7.5
GTEX-13N11-0426-SM-5KM3O 50-59 years, female 7.5
GTEX-PLZ5-0626-SM-2I5F8 50-59 years, male 7.5
GTEX-RU72-0326-SM-2TF5T 50-59 years, female 7.5
GTEX-YB5K-0126-SM-5IFJ2 40-49 years, female 7.5
GTEX-13O21-2326-SM-5MR3X 50-59 years, male 7.4
GTEX-15CHR-0226-SM-7PC2Z 50-59 years, male 7.4
GTEX-14PHY-0226-SM-5ZZWM 60-69 years, female 7.3
GTEX-15CHC-0426-SM-6LLHI 60-69 years, female 7.3
GTEX-1CAMS-1326-SM-79OJR 40-49 years, female 7.3
GTEX-ZGAY-0326-SM-57WF5 40-49 years, female 7.3
GTEX-13D11-1726-SM-5IFGQ 50-59 years, female 7.2
GTEX-YEC4-0326-SM-4W216 40-49 years, male 7.2
GTEX-1IDJE-0326-SM-CM2TD 50-59 years, female 7.2
GTEX-1LC47-1026-SM-D3LAH 60-69 years, male 7.2
GTEX-OHPK-0326-SM-2HMJO 50-59 years, female 7.1
GTEX-QESD-0526-SM-2I5G5 20-29 years, male 7.1
GTEX-RWS6-0326-SM-2XCAP 60-69 years, female 7.1
GTEX-Y8E4-0326-SM-4VBRR 40-49 years, male 7.1
GTEX-1EU9M-1826-SM-7DUGU 60-69 years, male 7.0
GTEX-SE5C-0626-SM-2XCDV 40-49 years, female 7.0
GTEX-WHWD-0426-SM-3LK83 50-59 years, male 7.0
GTEX-ZF29-0226-SM-4WKHO 60-69 years, female 7.0
GTEX-1HSGN-1126-SM-CJI4G 40-49 years, female 7.0
GTEX-1MCC2-0326-SM-EV7AK 30-39 years, female 7.0
GTEX-R55G-0526-SM-2TC5O 40-49 years, female 6.9
GTEX-1HBPM-1226-SM-A9SM8 60-69 years, female 6.9
GTEX-1211K-0626-SM-5FQUZ 60-69 years, female 6.8
GTEX-XXEK-0926-SM-4BRWH 50-59 years, male 6.8
GTEX-1IDJI-1026-SM-A96TE 50-59 years, female 6.8
GTEX-1J8QM-0426-SM-AHZ3X 60-69 years, female 6.8
GTEX-12WSK-0626-SM-5LZUJ 40-49 years, female 6.7
GTEX-ZDTT-0726-SM-4WKFK 60-69 years, male 6.7
GTEX-ZTPG-1226-SM-4YCDO 20-29 years, female 6.7
GTEX-1399S-1026-SM-5KLZ9 30-39 years, female 6.6
GTEX-OXRK-0826-SM-2HMK7 50-59 years, female 6.6
GTEX-UJHI-0426-SM-3DB8Y 50-59 years, female 6.6
GTEX-1LSNM-0526-SM-DIPG6 50-59 years, male 6.6
GTEX-13U4I-0826-SM-5SIBD 40-49 years, female 6.5
GTEX-18D9B-1226-SM-72D6V 60-69 years, male 6.5
GTEX-P4PQ-0326-SM-2HMJ8 60-69 years, male 6.5
GTEX-1IDJU-0726-SM-CNPQ9 60-69 years, female 6.5
GTEX-1MUQO-1226-SM-E9TJK 60-69 years, male 6.5
GTEX-ZEX8-0426-SM-DO92Y 50-59 years, male 6.5
GTEX-11I78-0826-SM-5A5K4 50-59 years, female 6.4
GTEX-13YAN-1326-SM-5Q5F1 60-69 years, male 6.4
GTEX-P44G-0826-SM-2I5ES 30-39 years, male 6.4
GTEX-QMRM-0526-SM-2I5GA 50-59 years, male 6.4
GTEX-1339X-0426-SM-5KLZY 40-49 years, male 6.3
GTEX-145MN-0626-SM-5QGRH 30-39 years, male 6.3
GTEX-QV44-0526-SM-2S1RE 50-59 years, male 6.3
GTEX-XGQ4-0326-SM-4GIEE 50-59 years, male 6.3
GTEX-U3ZN-1426-SM-3DB87 30-39 years, female 6.2
GTEX-1LVAN-1726-SM-CNNR1 50-59 years, female 6.2
GTEX-131XF-5001-SM-7DHLY 60-69 years, male 6.1
GTEX-PSDG-0926-SM-2I5FP 50-59 years, male 6.1
GTEX-WFG7-0726-SM-3GIKO 20-29 years, male 6.1
GTEX-XPT6-0126-SM-4B65S 20-29 years, male 6.1
GTEX-1HFI7-0826-SM-A9G23 50-59 years, female 6.1
GTEX-1J8Q3-1226-SM-CKZPT 60-69 years, male 6.1
GTEX-11DXX-0326-SM-5PNWC 60-69 years, female 6.0
GTEX-OOBJ-0326-SM-33HBO 60-69 years, male 6.0
GTEX-QDVN-0326-SM-2I3FS 50-59 years, male 6.0
GTEX-1R9PO-0326-SM-DTXA1 60-69 years, female 6.0
GTEX-11TT1-1326-SM-5PNYM 20-29 years, male 5.9
GTEX-WFON-0326-SM-3GIKX 40-49 years, male 5.9
GTEX-1IKOE-1026-SM-ARZMF 30-39 years, female 5.9
GTEX-1KANC-0426-SM-CXZK5 50-59 years, female 5.9
GTEX-13PVR-1026-SM-5QGQW 60-69 years, female 5.8
GTEX-18A66-1226-SM-7LT8G 60-69 years, male 5.8
GTEX-U8XE-1126-SM-3DB8W 30-39 years, male 5.8
GTEX-WYJK-1026-SM-3NM8W 50-59 years, male 5.8
GTEX-Y3I4-0626-SM-4TT7A 50-59 years, male 5.8
GTEX-145LV-0326-SM-5Q5BW 50-59 years, male 5.7
GTEX-OIZH-0326-SM-2HMKC 50-59 years, male 5.7
GTEX-1GL5R-0326-SM-9WYTJ 50-59 years, male 5.7
GTEX-1GMR2-1426-SM-7RHHK 50-59 years, male 5.7
GTEX-WY7C-0526-SM-3NB3D 50-59 years, male 5.6
GTEX-1QP2A-1126-SM-EVR3H 50-59 years, male 5.6
GTEX-11LCK-0926-SM-5A5KA 30-39 years, male 5.5
GTEX-17KNJ-0826-SM-793A4 50-59 years, male 5.5
GTEX-SNMC-0126-SM-2XCFO 20-29 years, male 5.5
GTEX-1N2EF-2826-SM-E6CQF 60-69 years, male 5.5
GTEX-1OFPY-1026-SM-EXUSO 60-69 years, male 5.5
GTEX-13O61-0526-SM-5J2M1 60-69 years, male 5.4
GTEX-XBED-0526-SM-47JY3 60-69 years, male 5.4
GTEX-Y114-0226-SM-4TT8W 50-59 years, female 5.4
GTEX-1LGOU-0726-SM-E9TIY 20-29 years, female 5.4
GTEX-1S3DN-0726-SM-E9TIO 50-59 years, male 5.4
GTEX-13VXT-1126-SM-5LU3A 20-29 years, female 5.3
GTEX-1122O-0826-SM-5GICV 60-69 years, female 5.2
GTEX-1GMR3-0326-SM-7P8QT 40-49 years, male 5.2
GTEX-1HSMQ-0226-SM-C1YQL 50-59 years, male 5.2
GTEX-1JK1U-0526-SM-CYPSQ 60-69 years, male 5.2
GTEX-OIZF-0326-SM-3MJGY 60-69 years, male 5.2
GTEX-13FTW-1026-SM-5L3E3 40-49 years, male 5.1
GTEX-O5YW-0326-SM-2I5EI 50-59 years, male 5.1
GTEX-131XG-0626-SM-5GCMP 50-59 years, female 5.0
GTEX-U4B1-0326-SM-3DB8K 40-49 years, male 5.0
GTEX-1QCLZ-0926-SM-E6CQZ 60-69 years, female 5.0
GTEX-ZVZP-0226-SM-5NQ73 50-59 years, male 4.9
GTEX-12BJ1-0226-SM-5LUA2 60-69 years, male 4.8
GTEX-P4PP-0326-SM-33HC4 30-39 years, female 4.8
GTEX-WH7G-0426-SM-3NMBJ 40-49 years, male 4.8
GTEX-1HCUA-0526-SM-A9SMH 50-59 years, female 4.6
GTEX-14H4A-0626-SM-5ZZUT 40-49 years, female 4.5
GTEX-R55C-0326-SM-3GAF1 40-49 years, male 4.5
GTEX-1QPFJ-1026-SM-E6CR6 30-39 years, female 4.5
GTEX-132QS-0426-SM-5KLZ6 60-69 years, male 4.4
GTEX-1I6K7-0626-SM-ARL7Q 40-49 years, male 4.4
GTEX-13CF3-0726-SM-5J2MY 60-69 years, female 4.3
GTEX-13QBU-0426-SM-5J2O4 40-49 years, female 4.3
GTEX-17GQL-0526-SM-72D5N 60-69 years, male 4.3
GTEX-P4QS-0326-SM-2I3EU 60-69 years, male 4.3
GTEX-QDVJ-0426-SM-2I5FW 50-59 years, male 4.3
GTEX-WFG8-0626-SM-3GILJ 20-29 years, male 4.3
GTEX-ZG7Y-0926-SM-5EQ6O 50-59 years, male 4.3
GTEX-OIZI-0926-SM-E6CHF 40-49 years, male 4.3
GTEX-13W3W-0426-SM-5SI9D 60-69 years, female 4.2
GTEX-1IKK5-1526-SM-CKZPW 60-69 years, male 4.2
GTEX-111YS-0426-SM-5987O 60-69 years, male 4.1
GTEX-13X6H-0426-SM-5LU4E 50-59 years, female 4.1
GTEX-18A67-1226-SM-7KFRS 50-59 years, male 4.1
GTEX-O5YT-0326-SM-32PKA 20-29 years, male 4.1
GTEX-QLQ7-0526-SM-2I5G3 60-69 years, male 4.1
GTEX-11EM3-0626-SM-5H12Z 20-29 years, female 4.0
GTEX-13S86-0226-SM-5S2PJ 40-49 years, male 4.0
GTEX-18D9U-1126-SM-72D5Y 40-49 years, male 4.0
GTEX-1C2JI-0526-SM-7EWEQ 50-59 years, male 4.0
GTEX-Q2AH-0526-SM-2I3ED 40-49 years, male 4.0
GTEX-1L5NE-0426-SM-E9TIX 50-59 years, male 4.0
GTEX-1IDJF-0726-SM-CJI1U 20-29 years, male 3.9
GTEX-PWCY-0526-SM-5P9HG 20-29 years, female 3.7
GTEX-S32W-0626-SM-2XCBG 50-59 years, female 3.7
GTEX-1GN1W-0326-SM-9JGHF 50-59 years, female 3.7
GTEX-V955-0726-SM-3GAFG 60-69 years, male 3.6
GTEX-1AYCT-0426-SM-73KVZ 50-59 years, male 3.5
GTEX-WEY5-0426-SM-3GIKT 40-49 years, female 3.5
GTEX-14PN3-0526-SM-69LQF 60-69 years, female 3.4
GTEX-SUCS-0326-SM-32PLL 70-79 years, male 3.4
GTEX-14PJ4-1126-SM-5YY91 60-69 years, male 3.3
GTEX-14XAO-1126-SM-6EU11 60-69 years, female 3.2
GTEX-ZPIC-0826-SM-4WWFJ 40-49 years, female 3.0
GTEX-17F9E-0926-SM-7IGMG 50-59 years, male 2.5
GTEX-YF7O-0426-SM-5P9FS 50-59 years, male 2.4
Show allShow less

HEART MUSCLE - FANTOM5 CAGEi

RNA expression in human tissues obtained through Cap Analysis of Gene Expression (CAGE) generated by the FANTOM5 project are reported as Scaled Tags Per Million.

Max subtype Scaled Tags Per Millioni

Max subtype Scaled Tags Per Million is the value for the subtype with the largest average Scaled Tags Per Million across the subtype samples.

7.0
FANTOM5 sample id Sample description Scaled Tags Per Million
Heart
Scaled Tags Per Million: 3.6
FF:10016-101C7 70,73,74 years, mixed 3.6
Left atrium
Scaled Tags Per Million: 7.0
FF:10079-102A7 40 years, male 7.0
Left ventricle
Scaled Tags Per Million: 4.2
FF:10078-102A6 73 years, female 4.2

Contact

  • NEWS ARTICLES
  • PRESS ROOM

The Project

  • INTRODUCTION
  • ORGANIZATION
  • PUBLICATIONS

The Human Protein Atlas

  • DOWNLOADABLE DATA
  • LICENCE & CITATION
  • HELP & FAQ
The Human Protein Atlas project is funded
by the Knut & Alice Wallenberg Foundation.


contact@proteinatlas.org